We use cookies to enhance the usability of our website. If you continue, we'll assume that you are happy to receive all cookies. More information. Don't show this again.
AQP5
HPA
RESOURCES
  • TISSUE
  • BRAIN
  • SINGLE CELL
  • SUBCELLULAR
  • CANCER
  • BLOOD
  • CELL LINE
  • STRUCTURE & INTERACTION
ABOUT
  • INTRODUCTION
  • HISTORY
  • ORGANIZATION
  • PUBLICATIONS
  • ANTIBODY SUBMISSION
  • ANTIBODY AVAILABILITY
  • ACKNOWLEDGMENTS
  • CONTACT
NEWS
  • NEWS ARTICLES
  • PRESS ROOM
LEARN
  • DICTIONARY
  • PROTEIN CLASSES
  • PROTEIN EVIDENCE
  • METHODS
  • EDUCATIONAL VIDEOS
DATA
  • DOWNLOADABLE DATA
  • PUBLICATION DATA
  • RELEASE HISTORY
HELP
  • ANTIBODY VALIDATION
  • ASSAYS & ANNOTATION
  • DISCLAIMER
  • HELP & FAQ
  • PRIVACY STATEMENT
  • LICENCE & CITATION
Fields »
Search result

Field
Term
Gene name
Class
Subclass
Class
Keyword
Chromosome
External id
Tissue
Cell type
Expression
Antibody panel
Tissue
Main location
Patient ID
Annotation
Tissue
Category
Tau score
Cluster
Reliability
Brain region
Category
Tau score
Brain region
Category
Tau score
Brain region
Category
Tau score
Cluster
Reliability
Tissue
Cell type
Enrichment
Cell type
Category
Tau score
Cell type
Category
Tau score
Cell type
Category
Tau score
Cell lineage
Category
Tau score
Cluster
Cluster
Location
Searches
Location
Cell line
Class
Type
Phase
Reliability
Cancer
Prognosis
Cancer
Category
Cancer
Category
Tau score
Cluster
Variants
Interacting gene (ensg_id)
Type
Number of interactions
Pathway
Category
Score
Score
Score
Validation
Validation
Validation
Validation
Antibodies
Data type
Column


  • SUMMARY

  • TISSUE

  • BRAIN

  • SINGLE CELL

  • SUBCELL

  • CANCER

  • BLOOD

  • CELL LINE

  • STRUCT & INT

  • AQP5
TISSUE PRIMARY DATA ESOPHAGUS Show tissue menu
ADIPOSE TISSUE ADRENAL GLAND AMYGDALA APPENDIX BASAL GANGLIA BONE MARROW BREAST BRONCHUS CEREBELLUM CEREBRAL CORTEX CERVIX CHOROID PLEXUS COLON DUODENUM
ENDOMETRIUM EPIDIDYMIS ESOPHAGUS FALLOPIAN TUBE GALLBLADDER HEART MUSCLE HIPPOCAMPAL FORMATION HYPOTHALAMUS KIDNEY LIVER LUNG LYMPH NODE MIDBRAIN NASOPHARYNX
ORAL MUCOSA OVARY PANCREAS PARATHYROID GLAND PITUITARY GLAND PLACENTA PROSTATE RECTUM RETINA SALIVARY GLAND SEMINAL VESICLE SKELETAL MUSCLE SKIN SMALL INTESTINE
SMOOTH MUSCLE SOFT TISSUE SPINAL CORD SPLEEN STOMACH TESTIS THYMUS THYROID GLAND TONGUE TONSIL URINARY BLADDER VAGINA
ANTIBODIES
AND
VALIDATION
Dictionary
Esophagus
Tissue proteome
Esophagus
ESOPHAGUS - Expression summary
Protein expression
Esophagusi

On the top, protein expression in current human tissue, based on all annotated cell types, is reported with the units not detected (n), low (l), medium (m) and high (h). Underneath, protein expression in each annotated cell type are reported using the same units.

Protein expression data is based on knowledge-based annotation. For genes where more than one antibody has been used, a collective score is set.

If knowledge-based annotation could not be performed for a gene, no data is displayed here. View antibody staining data further down this page.

h
m
l
n
Squamous epithelial cells: Not detected
RNA expressioni

A summary of mRNA expression data available for current tissue based on several datasets. The mRNA expression levels in human tissues are based on RNA-seq data generated by the Human Protein Atlas (HPA), Genotype-Tissue Expression (GTEx) portal and CAGE data generated by the FANTOM5 consortium. Consensus normalized expression levels for human tissues was created by combining the data from HPA and GTEx datasets.

The mRNA expression levels in pig are based on RNA-seq data generated by the Human Protein Atlas (HPA), and for mouse, HPA data and in situ hybridization generated by the Allen brain atlas are reported.

Scroll down to view mRNA expression data in more detail.
Consensus:16.0 nTPM
HPA:7.0 nTPM
GTEx:16.0 nTPM
FANTOM5:10.8 Scaled Tags Per Million

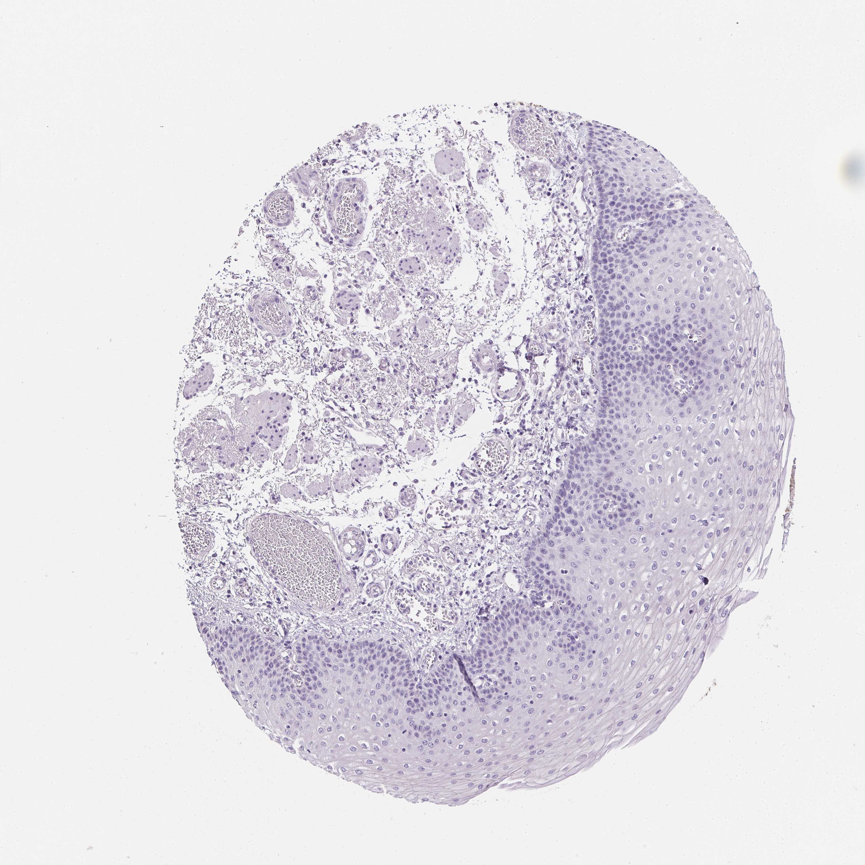
ESOPHAGUS - Antibody stainingi

Antibody staining in the annotated cell types in the current human tissue is reported as not detected, low, medium, or high, based on conventional immunohistochemistry profiling in selected tissues. This score is based on the combination of the staining intensity and fraction of stained cells.

Each image is clickable and will lead to virtual microscopy that enables deeper exploration of all samples and also displays staining intensity scores, fraction scores and subcellular localization as well as patient and tissue information for each sample.

Antibody HPA065008
Squamous epithelial cells Not detected



ESOPHAGUS - HPA RNA-seqi

The RNA-seq details section shows detailed information about the individual samples used for the transcript profiling and results of the RNA-seq analysis.

Information about each individual sample is listed below, including gender, age, a tissue section image and estimated fractions of cell types. nTPM (normalized transcripts per million) values give a quantification of the gene abundance which is comparable between different genes and samples.
Average nTPMi

Max subtype nTPM is the value for the subtype with the largest average nTPM across the subtype samples.

7.0
overview
Female, age 70
Esophagus sample 130
nTPM: 18.2
Cell types%
Squamous epithelial cells:
35

Smooth muscle cells:
15

Skeletal muscle cells:
5

Other cell types:
45

overview
Male, age 38
Esophagus sample 131
nTPM: 1.7
Cell types%
Squamous epithelial cells:
60

Smooth muscle cells:
20

Other cell types:
20

overview
Male, age 76
Esophagus sample 132
nTPM: 1.2
Cell types%
Squamous epithelial cells:
45

Smooth muscle cells:
15

Other cell types:
40


ESOPHAGUS - GTEx RNA-seqi

RNA-Seq data generated by the Genotype-Tissue Expression (GTEx) project from human tissues is reported as mean nTPM. More information can be found on the GTEx portal.

Distribution across the dataset is visualized with box plots, shown as median and 25th and 75th percentiles. Points are displayed as outliers if they are above or below 1.5 times the interquartile range. nTPM values of the individual samples are presented next to the box plot.
Max subtype nTPMi

Max subtype nTPM is the value for the subtype with the largest average nTPM across the subtype samples.

16.0
GTEx sample id Sample description nTPM
Esophagus - Mucosa
Average nTPM: 16.0
Samples: 555

Max nTPM: 274.3
Min nTPM: 0.0
Std nTPM: 28.1
Median nTPM: 5.1
GTEX-1399S-1326-SM-5P9GH 30-39 years, female 274.3
GTEX-ZTSS-0626-SM-59867 40-49 years, male 172.5
GTEX-ZXES-1126-SM-5GZXN 30-39 years, female 172.0
GTEX-SNMC-0526-SM-4DM69 20-29 years, male 168.3
GTEX-1KANA-0626-SM-D4P3I 20-29 years, male 154.3
GTEX-1I1GV-2226-SM-ARU7E 60-69 years, male 149.8
GTEX-15RIF-0826-SM-6M47C 20-29 years, male 140.5
GTEX-1ICG6-1926-SM-ARU7L 70-79 years, female 124.2
GTEX-17HHE-0926-SM-7938K 50-59 years, male 114.0
GTEX-13RTK-0526-SM-5S2QF 20-29 years, male 109.8
GTEX-RM2N-0726-SM-48FD5 50-59 years, male 107.2
GTEX-1MCC2-1926-SM-DHXJR 30-39 years, female 104.3
GTEX-11DYG-1326-SM-5N9DO 60-69 years, male 103.7
GTEX-ZG7Y-1126-SM-4WWEZ 50-59 years, male 98.5
GTEX-13O61-0926-SM-5IFFE 60-69 years, male 97.9
GTEX-13FTX-0526-SM-5IFGS 20-29 years, female 95.9
GTEX-13G51-0926-SM-5IFFU 60-69 years, male 95.7
GTEX-REY6-1326-SM-48FDO 60-69 years, male 92.1
GTEX-ZF2S-1226-SM-4WWAX 50-59 years, female 91.0
GTEX-145MO-1426-SM-DTX9W 60-69 years, male 90.1
GTEX-UJHI-0826-SM-4IHLM 50-59 years, female 88.3
GTEX-12WSA-1426-SM-5EGJU 60-69 years, male 85.6
GTEX-WRHK-0526-SM-4MVOF 20-29 years, female 82.3
GTEX-1LBAC-1226-SM-DHXK1 20-29 years, male 80.8
GTEX-144GO-2726-SM-5O9A2 60-69 years, male 79.0
GTEX-POYW-1326-SM-48TCG 60-69 years, male 78.3
GTEX-15RJE-0926-SM-6LLHZ 40-49 years, male 75.0
GTEX-VJYA-0726-SM-4KL1T 60-69 years, male 71.9
GTEX-1LVAN-2326-SM-CNNPY 50-59 years, female 68.7
GTEX-UPJH-1026-SM-EAZB2 50-59 years, male 68.4
GTEX-1GPI7-1026-SM-7MGY2 20-29 years, male 65.7
GTEX-14PJ3-0626-SM-6UGC5 50-59 years, male 65.0
GTEX-11DXX-1126-SM-5GZZK 60-69 years, female 61.9
GTEX-17F98-1726-SM-7938O 40-49 years, female 59.3
GTEX-1QP28-1826-SM-EAZ4L 50-59 years, female 58.9
GTEX-U4B1-0826-SM-4DXTW 40-49 years, male 54.7
GTEX-1IKK5-1326-SM-AHZ2X 60-69 years, male 54.1
GTEX-17KNJ-1326-SM-7KFTG 50-59 years, male 53.9
GTEX-ZLFU-1126-SM-DO11K 40-49 years, male 53.7
GTEX-144GM-1426-SM-5LU31 20-29 years, male 53.2
GTEX-14PJ4-1526-SM-664OA 60-69 years, male 52.9
GTEX-12WSG-5007-SM-7DUGZ 50-59 years, female 52.2
GTEX-Y5LM-1026-SM-4VDSQ 40-49 years, female 51.1
GTEX-18A66-1426-SM-7KFRT 60-69 years, male 50.4
GTEX-ZQUD-0426-SM-57WFR 30-39 years, male 47.4
GTEX-1JK1U-1726-SM-CNNPM 60-69 years, male 47.4
GTEX-1I1CD-1726-SM-A9G3P 60-69 years, female 47.3
GTEX-WEY5-0926-SM-4LMI4 40-49 years, female 45.7
GTEX-1K2DU-1726-SM-EV79S 20-29 years, male 45.6
GTEX-1JMLX-2326-SM-CXZJP 50-59 years, male 45.3
GTEX-15UF6-2326-SM-6M465 70-79 years, female 44.9
GTEX-SNOS-0626-SM-4DM5F 40-49 years, male 44.0
GTEX-XYKS-1526-SM-4BRUP 60-69 years, female 43.8
GTEX-ZC5H-1326-SM-5HL7E 40-49 years, female 43.5
GTEX-139UW-1126-SM-5IJEJ 60-69 years, male 43.3
GTEX-QLQW-0526-SM-4R1KS 30-39 years, male 43.2
GTEX-XQ8I-1526-SM-4BOOH 50-59 years, male 42.1
GTEX-1QP9N-0926-SM-E9U5S 30-39 years, male 41.8
GTEX-1RAZR-1226-SM-E6CRD 40-49 years, male 41.8
GTEX-14BMU-0926-SM-5S2QB 20-29 years, female 41.1
GTEX-1HCU8-2226-SM-9WPOV 60-69 years, female 41.1
GTEX-ZVT2-1326-SM-5E45H 50-59 years, female 41.0
GTEX-ZPCL-1426-SM-57WEC 60-69 years, female 40.8
GTEX-1H1ZS-1526-SM-9OSXR 70-79 years, male 40.1
GTEX-1LSNL-2226-SM-DHXKM 50-59 years, male 40.1
GTEX-1JMPZ-2026-SM-C1YR8 30-39 years, male 39.7
GTEX-13NZB-1226-SM-5J2MW 30-39 years, male 39.5
GTEX-Z9EW-0526-SM-5HL8S 40-49 years, male 39.5
GTEX-T6MO-0526-SM-4DM6R 40-49 years, female 39.3
GTEX-ZYFC-1626-SM-5N9EU 50-59 years, male 37.7
GTEX-Y5V6-1026-SM-4VBS2 60-69 years, male 37.1
GTEX-ZT9W-1326-SM-51MTB 50-59 years, male 36.5
GTEX-13QJ3-1726-SM-5RQK9 50-59 years, male 35.4
GTEX-1LGRB-1626-SM-CNNR7 50-59 years, female 34.9
GTEX-12BJ1-1626-SM-5HL8Y 60-69 years, male 34.8
GTEX-13OW8-2326-SM-5L3I9 60-69 years, male 34.7
GTEX-1R7EU-0826-SM-DPRZL 60-69 years, male 33.9
GTEX-1399Q-1126-SM-5P9JA 40-49 years, male 33.8
GTEX-YEC3-2526-SM-CXZIH 50-59 years, male 33.8
GTEX-X15G-0826-SM-4PQZD 50-59 years, female 33.6
GTEX-1EKGG-1726-SM-7MXUP 60-69 years, male 33.6
GTEX-N7MT-0326-SM-48TDP 60-69 years, female 33.5
GTEX-WH7G-0926-SM-4LVMJ 40-49 years, male 33.5
GTEX-1HBPH-1126-SM-A96TU 40-49 years, female 33.0
GTEX-PLZ4-1626-SM-3P618 50-59 years, female 32.1
GTEX-T2IS-0826-SM-4DM6L 20-29 years, female 32.0
GTEX-1AX9J-1826-SM-731FM 60-69 years, male 31.9
GTEX-1HBPI-0626-SM-9WPP4 50-59 years, male 31.9
GTEX-P4QT-0626-SM-3NMCP 50-59 years, female 31.8
GTEX-ZYVF-2226-SM-5GIDD 50-59 years, female 31.3
GTEX-15RIE-0826-SM-6M47X 60-69 years, male 31.1
GTEX-TML8-1526-SM-4DXUX 40-49 years, female 30.5
GTEX-1QP67-0726-SM-DPRY1 40-49 years, female 30.5
GTEX-RU1J-0326-SM-46MUM 20-29 years, female 30.0
GTEX-15EOM-5013-SM-7MKF9 20-29 years, female 29.8
GTEX-1MCYP-1026-SM-DPRYB 20-29 years, female 29.7
GTEX-XBEW-1326-SM-4AT63 40-49 years, male 29.6
GTEX-1JMPY-0826-SM-AHZ4A 30-39 years, male 29.5
GTEX-WFON-0826-SM-4LVMI 40-49 years, male 26.9
GTEX-ZLWG-1326-SM-DNZYZ 50-59 years, female 26.2
GTEX-17F96-2526-SM-7DHL3 70-79 years, male 26.1
GTEX-ZGAY-1126-SM-4WWBS 40-49 years, female 26.0
GTEX-11EQ9-0726-SM-5A5K2 30-39 years, male 25.9
GTEX-1H23P-1426-SM-9JGH5 60-69 years, male 25.8
GTEX-17HII-1526-SM-9OSVD 50-59 years, male 25.7
GTEX-1AMFI-0226-SM-731D5 50-59 years, female 24.9
GTEX-1JKYN-1526-SM-CGQGA 30-39 years, male 24.4
GTEX-1IKOE-1526-SM-C1YSD 30-39 years, female 24.0
GTEX-13PVR-1826-SM-5Q5CC 60-69 years, female 23.9
GTEX-1269C-1026-SM-5N9EY 60-69 years, female 23.7
GTEX-WYJK-1926-SM-4ONDP 50-59 years, male 23.6
GTEX-S4P3-0426-SM-4AD56 50-59 years, female 23.0
GTEX-1CB4H-1526-SM-7MXU4 60-69 years, female 22.1
GTEX-S4Q7-0626-SM-4AD5M 20-29 years, male 22.0
GTEX-WXYG-1226-SM-4ONCJ 50-59 years, female 21.7
GTEX-ZF29-1326-SM-DNZYV 60-69 years, female 21.6
GTEX-1EH9U-2426-SM-7EWFG 60-69 years, male 21.4
GTEX-ZE9C-1126-SM-4WWBD 60-69 years, male 20.4
GTEX-14B4R-0326-SM-5TDDP 30-39 years, male 20.2
GTEX-1B996-1826-SM-7MGY6 60-69 years, male 20.0
GTEX-17HGU-1426-SM-7938G 50-59 years, male 19.8
GTEX-145LU-0926-SM-79OJL 50-59 years, male 19.7
GTEX-1HCVE-1226-SM-9WPPH 50-59 years, male 19.5
GTEX-17JCI-1226-SM-793D9 60-69 years, female 19.3
GTEX-11P82-0526-SM-5986P 20-29 years, male 19.2
GTEX-ZF3C-1626-SM-4WWB4 50-59 years, female 19.1
GTEX-145LV-1326-SM-5S2QI 50-59 years, male 19.0
GTEX-139T6-0626-SM-5IFF9 50-59 years, male 18.5
GTEX-UPK5-1226-SM-4IHL8 40-49 years, male 17.5
GTEX-XMK1-1326-SM-4B65Q 40-49 years, male 17.4
GTEX-1QCLY-1526-SM-DPRXX 30-39 years, male 17.4
GTEX-TMMY-1126-SM-4DXSX 40-49 years, female 17.3
GTEX-X585-1226-SM-46MW7 50-59 years, male 17.0
GTEX-1H11D-2126-SM-9OSXM 40-49 years, male 17.0
GTEX-146FQ-1026-SM-5LU8I 30-39 years, male 16.6
GTEX-1HKZK-1426-SM-A96U1 40-49 years, male 16.6
GTEX-R53T-1126-SM-48FD4 50-59 years, female 16.3
GTEX-OXRP-0926-SM-48TC1 60-69 years, female 16.1
GTEX-ZY6K-0626-SM-59HJL 50-59 years, male 16.1
GTEX-1CAMQ-2726-SM-7MKGD 40-49 years, male 15.9
GTEX-OXRL-0626-SM-3NM9C 50-59 years, male 15.8
GTEX-11EM3-0826-SM-5N9CC 20-29 years, female 15.4
GTEX-QEG4-0726-SM-CNNRF 30-39 years, male 15.4
GTEX-1C64O-1826-SM-7DHM4 60-69 years, male 15.2
GTEX-R55G-1026-SM-48FDI 40-49 years, female 15.1
GTEX-1K2DA-0626-SM-CGQGO 50-59 years, male 15.1
GTEX-XK95-1026-SM-4GIDV 40-49 years, male 14.9
GTEX-132QS-1426-SM-5P9GE 60-69 years, male 14.8
GTEX-S341-0526-SM-4AD5U 40-49 years, female 14.8
GTEX-VUSG-1226-SM-4KKZF 50-59 years, male 14.7
GTEX-15EU6-1626-SM-6LPKF 50-59 years, male 14.4
GTEX-O5YV-1026-SM-3LK72 60-69 years, female 14.3
GTEX-UJMC-0926-SM-4IHLK 50-59 years, male 14.2
GTEX-1HCUA-1426-SM-9WPP7 50-59 years, female 14.2
GTEX-PWN1-0626-SM-48TDT 40-49 years, female 14.1
GTEX-1OJC3-0826-SM-DPRYU 20-29 years, male 14.1
GTEX-PSDG-1326-SM-48TD2 50-59 years, male 14.0
GTEX-14PKV-1726-SM-6871U 20-29 years, female 13.8
GTEX-17EUY-1426-SM-7938X 20-29 years, male 13.8
GTEX-11NSD-1126-SM-5N9BQ 20-29 years, male 13.7
GTEX-1IDJF-1226-SM-C1YPX 20-29 years, male 13.7
GTEX-WQUQ-1626-SM-4OOSH 60-69 years, male 13.6
GTEX-15ER7-2126-SM-7939E 20-29 years, female 13.4
GTEX-16NPX-1626-SM-6LLI5 50-59 years, male 13.4
GTEX-ZUA1-1226-SM-5NQ6O 40-49 years, male 13.4
GTEX-OXRK-1326-SM-3NB1A 50-59 years, female 13.1
GTEX-1LGOU-0526-SM-D3LAO 20-29 years, female 13.1
GTEX-111CU-0726-SM-5GZYD 50-59 years, male 12.9
GTEX-16BQI-1526-SM-6LLIE 30-39 years, female 12.5
GTEX-16MTA-0826-SM-6LLIC 50-59 years, male 12.5
GTEX-YF7O-0926-SM-5IFIF 50-59 years, male 12.4
GTEX-1QP2A-1926-SM-EXOJ9 50-59 years, male 12.4
GTEX-1R9K5-1526-SM-DPRZA 50-59 years, male 12.4
GTEX-147F3-0826-SM-5NQA7 50-59 years, female 12.3
GTEX-11VI4-0526-SM-5EQ48 40-49 years, female 12.1
GTEX-W5WG-1626-SM-4LMKG 50-59 years, female 12.1
GTEX-1HSKV-2426-SM-A8N8K 60-69 years, male 11.9
GTEX-WVLH-1426-SM-4MVNX 50-59 years, male 11.8
GTEX-14C5O-1626-SM-73KYH 60-69 years, male 11.7
GTEX-18QFQ-1026-SM-7LG6B 30-39 years, male 11.7
GTEX-13OVK-1126-SM-6PAMR 40-49 years, male 11.6
GTEX-15UF7-0926-SM-6M46F 40-49 years, male 11.6
GTEX-145MN-1026-SM-5NQ9G 30-39 years, male 11.5
GTEX-14PJ5-0526-SM-664OE 60-69 years, female 11.5
GTEX-QLQ7-0926-SM-447BC 60-69 years, male 11.4
GTEX-17EVQ-1926-SM-7IGOF 70-79 years, male 11.3
GTEX-1A3MV-1326-SM-7LG6C 30-39 years, male 11.3
GTEX-11TUW-1326-SM-5EQKV 60-69 years, male 11.0
GTEX-11LCK-1726-SM-5S2OQ 30-39 years, male 10.9
GTEX-ZPU1-1426-SM-4WWFU 40-49 years, male 10.9
GTEX-ZA64-0626-SM-5HL9O 20-29 years, male 10.6
GTEX-1F75I-1726-SM-7MKGW 40-49 years, male 10.5
GTEX-ZZ64-0226-SM-5E44X 20-29 years, male 10.5
GTEX-1122O-1726-SM-5GICM 60-69 years, female 10.4
GTEX-XUZC-0426-SM-4BOPE 30-39 years, female 10.4
GTEX-1C2JI-1126-SM-731FH 50-59 years, male 10.3
GTEX-1QPFJ-1226-SM-EAZ3M 30-39 years, female 10.3
GTEX-11NUK-1326-SM-5P9GN 50-59 years, male 10.2
GTEX-YB5E-0926-SM-4WWDQ 40-49 years, male 10.2
GTEX-1NSGN-2026-SM-DPRYM 50-59 years, male 10.2
GTEX-13111-0826-SM-5LZV3 50-59 years, male 10.1
GTEX-146FR-0426-SM-5SI97 60-69 years, female 10.1
GTEX-11I78-1526-SM-5A5K7 50-59 years, female 9.9
GTEX-13O1R-1326-SM-5IJF5 60-69 years, male 9.9
GTEX-QDVJ-0726-SM-48U1W 50-59 years, male 9.9
GTEX-WYVS-0726-SM-4ONDO 40-49 years, female 9.9
GTEX-1AMEY-0226-SM-7189Q 30-39 years, female 9.7
GTEX-RNOR-1226-SM-48FDQ 50-59 years, female 9.7
GTEX-S7SF-0926-SM-4AD4M 20-29 years, female 9.7
GTEX-YB5K-0826-SM-5YYB7 40-49 years, female 9.5
GTEX-ZDTT-1326-SM-4WKFH 60-69 years, male 9.5
GTEX-1KAFJ-0626-SM-D3L8X 50-59 years, male 9.5
GTEX-R55E-1326-SM-48FCR 20-29 years, male 9.4
GTEX-T2YK-1326-SM-4DM6S 50-59 years, male 9.4
GTEX-1N2DV-2026-SM-EV7BL 40-49 years, male 9.4
GTEX-PWCY-0726-SM-48TCS 20-29 years, female 9.3
GTEX-QEL4-1426-SM-447AC 50-59 years, male 9.3
GTEX-1AX8Z-5016-SM-AHZ2B 60-69 years, male 9.2
GTEX-1HSMQ-2026-SM-B2LY1 50-59 years, male 9.1
GTEX-X4EP-1626-SM-4QAS6 60-69 years, female 8.9
GTEX-13W46-1926-SM-5J2MF 50-59 years, male 8.8
GTEX-11XUK-0826-SM-5GU6P 40-49 years, female 8.7
GTEX-1B97I-0926-SM-731DZ 40-49 years, male 8.6
GTEX-WHSE-1526-SM-4M1XH 20-29 years, male 8.5
GTEX-1LVAM-1126-SM-DHXKP 50-59 years, female 8.5
GTEX-14PK6-1326-SM-686ZE 70-79 years, female 8.2
GTEX-169BO-0526-SM-793AK 50-59 years, male 8.2
GTEX-1GN1W-2226-SM-9JGI5 50-59 years, female 8.1
GTEX-13OVI-2626-SM-5KM4T 60-69 years, female 8.0
GTEX-1RAZA-1326-SM-DPS12 20-29 years, male 8.0
GTEX-14DAR-0826-SM-73KYJ 50-59 years, male 7.9
GTEX-P4PQ-0626-SM-3NMCU 60-69 years, male 7.8
GTEX-1LG7Z-0926-SM-CXKYK 30-39 years, male 7.8
GTEX-14AS3-0626-SM-5QGQD 40-49 years, female 7.6
GTEX-14ICL-0526-SM-5RQJ6 30-39 years, male 7.6
GTEX-PLZ6-0526-SM-3P61C 30-39 years, male 7.4
GTEX-1RAZS-2626-SM-EV79C 50-59 years, male 7.4
GTEX-14E6E-0726-SM-5S2R3 30-39 years, male 7.2
GTEX-16MT8-1326-SM-6M47R 60-69 years, female 7.2
GTEX-OIZG-1026-SM-3LK5X 50-59 years, male 7.2
GTEX-12WSK-1126-SM-5LZV8 40-49 years, female 7.0
GTEX-13QBU-1026-SM-5LU3R 40-49 years, female 7.0
GTEX-R45C-1226-SM-48FEE 60-69 years, female 7.0
GTEX-SUCS-0726-SM-4DM7J 70-79 years, male 7.0
GTEX-11P7K-1326-SM-5BC5G 30-39 years, male 6.9
GTEX-1I1GU-1426-SM-B2LX3 40-49 years, male 6.9
GTEX-TKQ1-0326-SM-4DXSM 30-39 years, male 6.8
GTEX-1I1GQ-1726-SM-B2LWZ 50-59 years, male 6.7
GTEX-1H1DE-1026-SM-9JGH6 20-29 years, male 6.5
GTEX-OXRN-1726-SM-3NM9B 50-59 years, male 6.3
GTEX-S33H-0826-SM-4AD5Y 30-39 years, male 6.3
GTEX-1JMQJ-1226-SM-D3L97 50-59 years, male 6.3
GTEX-132Q8-1826-SM-5EGIY 60-69 years, male 6.2
GTEX-RTLS-1126-SM-46MUQ 60-69 years, female 6.2
GTEX-X3Y1-1326-SM-4PQZB 40-49 years, male 6.2
GTEX-Y5V5-1626-SM-4VDSG 60-69 years, female 6.2
GTEX-ZVP2-1326-SM-57WCE 50-59 years, male 6.2
GTEX-1R9K4-1926-SM-DPRZW 60-69 years, male 6.2
GTEX-1I1GP-1026-SM-C1YRZ 50-59 years, male 6.1
GTEX-13S86-0826-SM-5SI6J 40-49 years, male 5.9
GTEX-RVPV-0526-SM-47JYL 60-69 years, male 5.9
GTEX-1PPH8-1626-SM-E6CQP 20-29 years, male 5.9
GTEX-14H4A-1626-SM-5SI69 40-49 years, female 5.8
GTEX-1CB4E-1026-SM-793AB 60-69 years, male 5.8
GTEX-1F88F-1126-SM-7MKHL 60-69 years, female 5.8
GTEX-P4QS-0626-SM-3NMD1 60-69 years, male 5.8
GTEX-Q2AH-0826-SM-48TZN 40-49 years, male 5.8
GTEX-14PHY-0626-SM-664NN 60-69 years, female 5.7
GTEX-WFG7-1126-SM-4LMK3 20-29 years, male 5.7
GTEX-ZDYS-0826-SM-4WWCR 50-59 years, male 5.7
GTEX-1JMQK-2026-SM-C1YQN 60-69 years, male 5.7
GTEX-148VJ-1026-SM-5LU98 70-79 years, male 5.6
GTEX-SE5C-1226-SM-4BRWV 40-49 years, female 5.6
GTEX-S3XE-0926-SM-4AD4S 50-59 years, male 5.5
GTEX-U3ZN-1726-SM-4DXUQ 30-39 years, female 5.3
GTEX-1CB4I-1026-SM-7MKFZ 50-59 years, male 5.2
GTEX-ZVE2-1326-SM-5NQ94 50-59 years, male 5.2
GTEX-16XZY-0926-SM-7938M 70-79 years, male 5.1
GTEX-1OKEX-1326-SM-E9J2U 60-69 years, male 5.1
GTEX-13O3Q-0826-SM-5IFGF 50-59 years, male 5.0
GTEX-14PJM-1526-SM-664NY 50-59 years, female 5.0
GTEX-18A7A-2326-SM-7KFRH 50-59 years, female 5.0
GTEX-V955-1126-SM-4JBH3 60-69 years, male 4.9
GTEX-12KS4-0926-SM-5BC5S 30-39 years, male 4.8
GTEX-14C38-2126-SM-5RQJO 50-59 years, male 4.8
GTEX-Q2AG-1326-SM-43V8K 40-49 years, female 4.8
GTEX-RUSQ-0826-SM-47JWW 50-59 years, male 4.8
GTEX-XV7Q-1126-SM-4BRVS 40-49 years, female 4.8
GTEX-1I1GR-1326-SM-ARU7B 60-69 years, male 4.7
GTEX-1MGNQ-1626-SM-EAZ4Z 40-49 years, male 4.7
GTEX-11ZTS-2626-SM-5EGIC 60-69 years, female 4.6
GTEX-13W3W-1626-SM-5LU35 60-69 years, female 4.6
GTEX-16A39-1026-SM-6LPJU 30-39 years, female 4.6
GTEX-18D9A-0526-SM-7KFSW 30-39 years, female 4.6
GTEX-13NYB-0926-SM-5IFFA 40-49 years, male 4.5
GTEX-NFK9-1126-SM-3LK78 40-49 years, male 4.5
GTEX-1PPGY-1726-SM-EVR3S 60-69 years, male 4.5
GTEX-13YAN-1926-SM-7EPH9 60-69 years, male 4.4
GTEX-16NGA-1426-SM-718AC 40-49 years, female 4.4
GTEX-1C6VQ-1826-SM-7EWEH 50-59 years, male 4.4
GTEX-1MA7W-0426-SM-E9TJ5 20-29 years, female 4.4
GTEX-131XE-1426-SM-5HL7V 50-59 years, male 4.3
GTEX-16AAH-0726-SM-793A9 50-59 years, male 4.3
GTEX-ZAB5-0926-SM-5CVMV 50-59 years, male 4.3
GTEX-1GMR8-1826-SM-9WYUE 50-59 years, female 4.3
GTEX-139YR-1726-SM-5IFFK 50-59 years, male 4.2
GTEX-XXEK-0326-SM-4BRVV 50-59 years, male 4.2
GTEX-1N2EE-2426-SM-EXOIO 60-69 years, male 4.2
GTEX-13FH7-0526-SM-5IJF8 50-59 years, female 4.1
GTEX-1B97J-1026-SM-7MXTE 50-59 years, female 4.1
GTEX-1R9PM-0926-SM-DPRYA 20-29 years, male 4.1
GTEX-1IDFM-1126-SM-A96SY 60-69 years, male 4.0
GTEX-133LE-0626-SM-5IFFJ 20-29 years, female 3.9
GTEX-1B8KE-1826-SM-731FD 50-59 years, male 3.9
GTEX-S32W-0926-SM-4AD5X 50-59 years, female 3.9
GTEX-S95S-0426-SM-4B64I 60-69 years, male 3.9
GTEX-U8XE-1726-SM-4E3IF 30-39 years, male 3.9
GTEX-144GN-0626-SM-5O9B2 50-59 years, male 3.8
GTEX-XLM4-2326-SM-4AT5E 60-69 years, male 3.8
GTEX-1CB4J-2426-SM-7MXVC 60-69 years, male 3.7
GTEX-1RDX4-2126-SM-EV7B3 50-59 years, female 3.7
GTEX-16Z82-1926-SM-6M47U 60-69 years, male 3.6
GTEX-OOBK-0625-SM-3LK5P 40-49 years, male 3.6
GTEX-T8EM-0526-SM-4DM64 40-49 years, male 3.6
GTEX-1HFI6-1226-SM-A96SK 40-49 years, male 3.6
GTEX-13D11-1926-SM-5IFGB 50-59 years, female 3.5
GTEX-1IY9M-1626-SM-AHZ39 60-69 years, male 3.5
GTEX-QV44-1126-SM-CL55C 50-59 years, male 3.5
GTEX-13X6I-1026-SM-5LU4C 60-69 years, male 3.4
GTEX-XGQ4-1526-SM-4AT6H 50-59 years, male 3.4
GTEX-YJ89-1526-SM-5P9IR 60-69 years, male 3.4
GTEX-1F52S-1426-SM-7P8PU 60-69 years, female 3.4
GTEX-1HSGN-1626-SM-A96U2 40-49 years, female 3.4
GTEX-1L5NE-1426-SM-DHXKV 50-59 years, male 3.4
GTEX-14ICK-2026-SM-6AJB2 40-49 years, male 3.3
GTEX-TSE9-1226-SM-4DXTM 60-69 years, female 3.3
GTEX-Y3I4-1226-SM-4TT8N 50-59 years, male 3.3
GTEX-13SLX-1726-SM-5Q5E5 50-59 years, female 3.2
GTEX-146FH-1726-SM-5QGQ2 50-59 years, female 3.2
GTEX-14JIY-0926-SM-6871D 60-69 years, male 3.2
GTEX-1I4MK-0426-SM-B2LWQ 50-59 years, female 3.2
GTEX-13O21-0626-SM-5IJDI 50-59 years, male 3.1
GTEX-13PL7-0226-SM-731DT 60-69 years, female 3.1
GTEX-17MFQ-0526-SM-7KFTX 20-29 years, male 3.1
GTEX-183FY-1526-SM-7IGOW 20-29 years, male 3.1
GTEX-18D9B-2026-SM-7LT96 60-69 years, male 3.1
GTEX-Q2AI-0626-SM-48TZU 40-49 years, male 3.1
GTEX-ZAB4-1126-SM-5HL86 40-49 years, male 3.1
GTEX-15EO6-1026-SM-7KUG9 50-59 years, male 3.0
GTEX-1C475-0926-SM-7MKFI 40-49 years, female 3.0
GTEX-PLZ5-0926-SM-3TW8L 50-59 years, male 3.0
GTEX-WHSB-0426-SM-4M1XI 50-59 years, male 3.0
GTEX-XQ3S-1126-SM-4BOPK 20-29 years, male 3.0
GTEX-14PJ6-1026-SM-686ZB 60-69 years, female 2.9
GTEX-U3ZH-1026-SM-4DXUZ 30-39 years, male 2.9
GTEX-12C56-1226-SM-5FQSU 20-29 years, male 2.8
GTEX-12ZZX-1326-SM-5DUWI 40-49 years, female 2.8
GTEX-14JG6-0926-SM-6871Y 30-39 years, female 2.8
GTEX-1GL5R-1526-SM-7MKHO 50-59 years, male 2.8
GTEX-N7MS-1225-SM-3LK5G 60-69 years, male 2.8
GTEX-1J8QM-1926-SM-AHZ3Z 60-69 years, female 2.8
GTEX-QDVN-1026-SM-48TZA 50-59 years, male 2.7
GTEX-Y8E4-1726-SM-5LU9G 40-49 years, male 2.7
GTEX-1HCU6-1326-SM-A96TZ 60-69 years, female 2.7
GTEX-1NUQO-1126-SM-DTX98 20-29 years, female 2.7
GTEX-11ONC-1526-SM-5GU6S 60-69 years, male 2.6
GTEX-11P81-0826-SM-5P9GR 30-39 years, female 2.6
GTEX-15SHU-1426-SM-6LPIN 40-49 years, female 2.6
GTEX-QVUS-0626-SM-447CC 60-69 years, female 2.5
GTEX-WFJO-0826-SM-4LVM5 30-39 years, male 2.5
GTEX-ZYFG-1126-SM-5GICY 60-69 years, female 2.5
GTEX-1RAZQ-1726-SM-EAZ4T 30-39 years, male 2.5
GTEX-14A6H-1326-SM-5NQBC 30-39 years, male 2.4
GTEX-1EWIQ-1526-SM-79OO7 70-79 years, female 2.4
GTEX-12WSN-5013-SM-7P8P9 40-49 years, male 2.4
GTEX-15F5U-5010-SM-AHZ2D 40-49 years, male 2.4
GTEX-131XF-0826-SM-5GICG 60-69 years, male 2.3
GTEX-X4EO-1226-SM-4QARR 60-69 years, female 2.3
GTEX-1H1DG-1226-SM-9JGH3 70-79 years, male 2.3
GTEX-Y114-0926-SM-4TT7J 50-59 years, female 2.2
GTEX-1GTWX-1326-SM-9JGHU 60-69 years, male 2.2
GTEX-13FTW-1626-SM-5KM4N 40-49 years, male 2.1
GTEX-14PJN-0526-SM-68724 30-39 years, male 2.1
GTEX-18A6Q-1226-SM-7KFS9 60-69 years, male 2.1
GTEX-1AX9I-1426-SM-7DHM8 60-69 years, male 2.1
GTEX-1S82Y-1226-SM-EV7BD 40-49 years, male 2.1
GTEX-YEC4-1026-SM-9WG7N 40-49 years, male 2.1
GTEX-12WSD-1826-SM-5GCOA 60-69 years, female 2.0
GTEX-12WSL-1526-SM-5GCP8 50-59 years, male 2.0
GTEX-13X6H-1326-SM-5LU42 50-59 years, female 2.0
GTEX-1497J-2726-SM-5SI9W 60-69 years, male 2.0
GTEX-QESD-0826-SM-47J4G 20-29 years, male 2.0
GTEX-R3RS-1326-SM-48FE7 40-49 years, female 2.0
GTEX-R55C-0826-SM-48FCL 40-49 years, male 2.0
GTEX-T5JC-1726-SM-4DM6U 20-29 years, male 2.0
GTEX-1S83E-0826-SM-EV7B7 40-49 years, male 2.0
GTEX-111YS-0926-SM-5EGGI 60-69 years, male 1.9
GTEX-11DXY-1426-SM-5N9CN 60-69 years, male 1.9
GTEX-11EI6-1526-SM-5P9GL 60-69 years, male 1.9
GTEX-145LS-1826-SM-5LUAZ 60-69 years, female 1.9
GTEX-14E1K-1226-SM-5S2PD 50-59 years, male 1.9
GTEX-1GN73-1926-SM-9JGGS 60-69 years, male 1.9
GTEX-11ZU8-1526-SM-5EGHX 60-69 years, male 1.8
GTEX-131XG-1026-SM-5GCMX 50-59 years, female 1.8
GTEX-132AR-2226-SM-5J2NT 50-59 years, female 1.8
GTEX-14BIN-2726-SM-5RQIE 50-59 years, female 1.8
GTEX-OIZH-0626-SM-3NB1L 50-59 years, male 1.8
GTEX-ZEX8-1426-SM-4WKHQ 50-59 years, male 1.8
GTEX-ZLV1-0526-SM-4WWD4 60-69 years, female 1.8
GTEX-1GMR3-1526-SM-9JGGL 40-49 years, male 1.8
GTEX-1M5QR-0726-SM-DHXK7 40-49 years, male 1.8
GTEX-145LT-1126-SM-5LUA1 40-49 years, male 1.7
GTEX-U3ZM-0526-SM-4DXTB 40-49 years, male 1.7
GTEX-WFG8-1226-SM-4V6EI 20-29 years, male 1.7
GTEX-WHPG-1126-SM-4M1XT 50-59 years, male 1.7
GTEX-X4XY-1726-SM-46MVO 60-69 years, male 1.7
GTEX-1KXAM-0826-SM-CXZK9 60-69 years, male 1.7
GTEX-1399R-0826-SM-5IJEL 30-39 years, male 1.6
GTEX-1MCQQ-1026-SM-EV7AX 60-69 years, male 1.6
GTEX-1211K-0926-SM-5FQTL 60-69 years, female 1.5
GTEX-1F5PK-1526-SM-7MKGV 50-59 years, male 1.5
GTEX-QCQG-0626-SM-48U21 50-59 years, female 1.5
GTEX-1PFEY-0826-SM-E9U6A 30-39 years, male 1.5
GTEX-13FLV-1126-SM-5J2NO 50-59 years, male 1.4
GTEX-18D9U-2126-SM-7LG4Y 40-49 years, male 1.4
GTEX-178AV-0526-SM-6LPJH 40-49 years, male 1.3
GTEX-RWS6-0826-SM-47JXF 60-69 years, female 1.3
GTEX-V1D1-1026-SM-4JBHE 50-59 years, male 1.3
GTEX-X62O-2226-SM-46MW3 50-59 years, male 1.3
GTEX-1I1GS-2126-SM-ARU7G 60-69 years, male 1.3
GTEX-1IDJD-1626-SM-C1YRC 30-39 years, male 1.3
GTEX-1AX9K-1126-SM-731DQ 50-59 years, male 1.2
GTEX-1EMGI-1926-SM-7938Y 60-69 years, male 1.2
GTEX-RU72-0726-SM-46MUW 50-59 years, female 1.2
GTEX-T5JW-1326-SM-4DM5G 20-29 years, female 1.2
GTEX-ZAJG-1326-SM-5S2NV 50-59 years, female 1.2
GTEX-ZAK1-1526-SM-5S2OV 50-59 years, female 1.2
GTEX-ZYW4-1326-SM-5E45N 60-69 years, male 1.2
GTEX-1JKYR-2126-SM-CNNPC 20-29 years, male 1.2
GTEX-1KANB-1826-SM-DHXJU 50-59 years, male 1.2
GTEX-1RLM8-0726-SM-E6CRH 50-59 years, male 1.2
GTEX-1212Z-2126-SM-5FQTM 60-69 years, male 1.1
GTEX-12ZZW-1726-SM-5DUVD 50-59 years, male 1.1
GTEX-139TU-1226-SM-5J2NL 60-69 years, male 1.1
GTEX-15SB6-0726-SM-6M48F 50-59 years, female 1.1
GTEX-17F9E-1926-SM-7IGQF 50-59 years, male 1.1
GTEX-R55D-1126-SM-48FEB 50-59 years, male 1.1
GTEX-1LB8K-1326-SM-CXZKB 50-59 years, male 1.1
GTEX-117YW-1926-SM-5H121 50-59 years, male 1.0
GTEX-14DAQ-1426-SM-5RQJD 60-69 years, female 1.0
GTEX-1CB4G-1326-SM-7MKFP 60-69 years, male 1.0
GTEX-1EX96-2226-SM-7MKGT 50-59 years, male 1.0
GTEX-Y9LG-0626-SM-4WWDH 30-39 years, male 1.0
GTEX-ZT9X-0526-SM-5GCOP 40-49 years, male 1.0
GTEX-1HB9E-1526-SM-D3LA6 50-59 years, male 1.0
GTEX-1PIGE-0926-SM-E9U5Z 20-29 years, male 1.0
GTEX-1QCLZ-1626-SM-E9U5R 60-69 years, female 1.0
GTEX-18A67-2426-SM-7LT95 50-59 years, male 0.9
GTEX-WHWD-0926-SM-4OORY 50-59 years, male 0.9
GTEX-1HBPM-1426-SM-9WPPE 60-69 years, female 0.9
GTEX-11TT1-0526-SM-5P9JO 20-29 years, male 0.8
GTEX-13OVG-0626-SM-5IFEP 60-69 years, male 0.8
GTEX-14BIM-1326-SM-7EWD1 60-69 years, female 0.8
GTEX-15ETS-1926-SM-7KUN5 40-49 years, female 0.8
GTEX-1A32A-1826-SM-72D5G 50-59 years, female 0.8
GTEX-1B8KZ-0726-SM-7938W 50-59 years, male 0.8
GTEX-WOFM-0626-SM-4OOS3 20-29 years, male 0.8
GTEX-ZZPT-1426-SM-5N9C5 50-59 years, male 0.8
GTEX-131YS-1426-SM-5IJF7 60-69 years, female 0.7
GTEX-13FHP-1526-SM-5IJGE 50-59 years, male 0.7
GTEX-QEG5-1426-SM-447AS 20-29 years, male 0.7
GTEX-X4LF-0626-SM-4QASB 50-59 years, male 0.7
GTEX-ZTPG-1626-SM-5DUX2 20-29 years, female 0.7
GTEX-1A8FM-1526-SM-7MXTA 50-59 years, female 0.7
GTEX-1H3VY-2026-SM-9JGHK 50-59 years, male 0.7
GTEX-1J1R8-0326-SM-AHZ3D 40-49 years, male 0.7
GTEX-1QEPI-1826-SM-EAZ3J 60-69 years, female 0.7
GTEX-OHPN-1026-SM-E9TI8 60-69 years, female 0.7
GTEX-11EMC-2226-SM-5A5JW 60-69 years, female 0.6
GTEX-PVOW-1626-SM-48TC9 40-49 years, male 0.6
GTEX-ZV68-0926-SM-59HK7 50-59 years, female 0.6
GTEX-1HGF4-0926-SM-9WPP8 60-69 years, male 0.6
GTEX-1J8EW-1326-SM-AHZ3S 60-69 years, female 0.6
GTEX-11DXZ-1226-SM-5H11L 50-59 years, male 0.5
GTEX-12696-1326-SM-5FQTJ 60-69 years, male 0.5
GTEX-RN64-1026-SM-48FDX 50-59 years, male 0.5
GTEX-Y3IK-1126-SM-51MSV 50-59 years, female 0.5
GTEX-YECK-1626-SM-5IFHQ 60-69 years, male 0.5
GTEX-ZTX8-0226-SM-5E44D 20-29 years, male 0.5
GTEX-ZYT6-1126-SM-5GZYR 30-39 years, male 0.5
GTEX-1LVA9-2126-SM-DLHBY 50-59 years, male 0.5
GTEX-OIZF-0626-SM-7MKHG 60-69 years, male 0.5
GTEX-11GSP-1826-SM-5N9DQ 60-69 years, female 0.4
GTEX-13PVQ-1726-SM-5IFF3 50-59 years, male 0.4
GTEX-15RJ7-0926-SM-6LPJO 40-49 years, male 0.4
GTEX-Y8LW-0726-SM-5IFI1 50-59 years, female 0.4
GTEX-1K9T9-2026-SM-CXZK3 50-59 years, female 0.4
GTEX-1MJIX-0826-SM-DTXEO 40-49 years, male 0.4
GTEX-1R9JW-1526-SM-DPRZK 30-39 years, female 0.4
GTEX-11DZ1-2026-SM-5A5KG 50-59 years, male 0.3
GTEX-1399U-1026-SM-5J1OC 50-59 years, female 0.3
GTEX-15DCE-1326-SM-6LPJL 20-29 years, male 0.3
GTEX-183WM-1726-SM-7KFT5 70-79 years, female 0.3
GTEX-1AYD5-0926-SM-793AF 50-59 years, male 0.3
GTEX-NPJ8-1926-SM-3MJGB 40-49 years, male 0.3
GTEX-OIZI-1426-SM-3NB1T 40-49 years, male 0.3
GTEX-P4PP-0626-SM-3NM9X 30-39 years, female 0.3
GTEX-WK11-1026-SM-4OOS8 50-59 years, male 0.3
GTEX-YFC4-1226-SM-5LU9R 40-49 years, female 0.3
GTEX-ZYY3-1526-SM-5SIA9 60-69 years, female 0.3
GTEX-145ME-5004-SM-7MGXP 40-49 years, female 0.3
GTEX-1F5PL-1726-SM-9QEGL 40-49 years, female 0.3
GTEX-1GF9U-0826-SM-7MXTZ 40-49 years, female 0.3
GTEX-1GN1U-1826-SM-9JGH2 50-59 years, female 0.3
GTEX-1I6K7-1426-SM-B2LXP 40-49 years, male 0.3
GTEX-1IDJH-2026-SM-CNNQX 70-79 years, male 0.3
GTEX-1KD4Q-1126-SM-CXZKK 40-49 years, male 0.3
GTEX-1LG7Y-1726-SM-EV7AR 50-59 years, male 0.3
GTEX-SJXC-1426-SM-EYYVB 60-69 years, male 0.3
GTEX-13OVJ-1226-SM-5L3HA 50-59 years, female 0.2
GTEX-144FL-2726-SM-5O98Z 50-59 years, male 0.2
GTEX-148VI-1026-SM-5TDDJ 60-69 years, female 0.2
GTEX-1B933-2026-SM-7EWFC 50-59 years, female 0.2
GTEX-XMD2-1326-SM-4YCET 60-69 years, female 0.2
GTEX-1F7RK-1526-SM-7P8T6 20-29 years, female 0.2
GTEX-1GMR2-1526-SM-7MXV6 50-59 years, male 0.2
GTEX-1HCU7-2126-SM-A96SG 50-59 years, male 0.2
GTEX-1J1OQ-2526-SM-AHZ3Q 40-49 years, female 0.2
GTEX-1LNCM-0626-SM-EV7AI 50-59 years, female 0.2
GTEX-1MA7X-0726-SM-EV7AB 60-69 years, male 0.2
GTEX-13CF3-1626-SM-5IFG9 60-69 years, female 0.1
GTEX-13JVG-2026-SM-5KM1N 60-69 years, male 0.1
GTEX-13X6K-2126-SM-5O9D4 60-69 years, female 0.1
GTEX-15DCD-1626-SM-6AJBH 70-79 years, female 0.1
GTEX-15DYW-1826-SM-6LPIY 60-69 years, female 0.1
GTEX-18465-1126-SM-7LG6E 50-59 years, male 0.1
GTEX-1CB4F-1526-SM-7MKFM 60-69 years, male 0.1
GTEX-1EU9M-2326-SM-7MKGS 60-69 years, male 0.1
GTEX-XBED-1026-SM-48TCB 60-69 years, male 0.1
GTEX-Y111-1626-SM-57WCY 50-59 years, male 0.1
GTEX-17F97-1326-SM-7MGVO 50-59 years, male 0.1
GTEX-1BAJH-2026-SM-7P8OZ 70-79 years, male 0.1
GTEX-1EN7A-1226-SM-7MGX9 40-49 years, male 0.1
GTEX-1H3NZ-1326-SM-9JGHI 60-69 years, male 0.1
GTEX-1LSVX-1226-SM-DHXJN 60-69 years, male 0.1
GTEX-1N2DW-1426-SM-EV7AZ 50-59 years, male 0.1
GTEX-1QP29-2126-SM-E6CPZ 50-59 years, male 0.1
GTEX-1QW4Y-0526-SM-EAZ3V 30-39 years, male 0.1
GTEX-12ZZY-1426-SM-5N9EI 60-69 years, male 0.0
GTEX-13U4I-1126-SM-5LU3S 40-49 years, female 0.0
GTEX-145MF-1426-SM-5O9B6 50-59 years, male 0.0
GTEX-1E1VI-1526-SM-7IGQ2 50-59 years, male 0.0
GTEX-P78B-1026-SM-3NMC4 40-49 years, female 0.0
GTEX-13FHO-1726-SM-DPRZX 60-69 years, male 0.0
GTEX-1HC8U-1526-SM-9WPO4 40-49 years, female 0.0
Show allShow less

ESOPHAGUS - FANTOM5 CAGEi

RNA expression in human tissues obtained through Cap Analysis of Gene Expression (CAGE) generated by the FANTOM5 project are reported as Scaled Tags Per Million.

Max subtype Scaled Tags Per Millioni

Max subtype Scaled Tags Per Million is the value for the subtype with the largest average Scaled Tags Per Million across the subtype samples.

10.8
FANTOM5 sample id Sample description Scaled Tags Per Million
Esophagus
Scaled Tags Per Million: 10.8
FF:10015-101C6 68,74,75 years, mixed 10.8

Contact

  • NEWS ARTICLES
  • PRESS ROOM

The Project

  • INTRODUCTION
  • ORGANIZATION
  • PUBLICATIONS

The Human Protein Atlas

  • DOWNLOADABLE DATA
  • LICENCE & CITATION
  • HELP & FAQ
The Human Protein Atlas project is funded
by the Knut & Alice Wallenberg Foundation.


contact@proteinatlas.org