We use cookies to enhance the usability of our website. If you continue, we'll assume that you are happy to receive all cookies. More information. Don't show this again.
RACGAP1
HPA
RESOURCES
  • TISSUE
  • BRAIN
  • SINGLE CELL
  • SUBCELLULAR
  • CANCER
  • BLOOD
  • CELL LINE
  • STRUCTURE & INTERACTION
ABOUT
  • INTRODUCTION
  • HISTORY
  • ORGANIZATION
  • PUBLICATIONS
  • ANTIBODY SUBMISSION
  • ANTIBODY AVAILABILITY
  • ACKNOWLEDGMENTS
  • CONTACT
NEWS
  • NEWS ARTICLES
  • PRESS ROOM
LEARN
  • DICTIONARY
  • PROTEIN CLASSES
  • PROTEIN EVIDENCE
  • METHODS
  • EDUCATIONAL VIDEOS
DATA
  • DOWNLOADABLE DATA
  • PUBLICATION DATA
  • RELEASE HISTORY
HELP
  • ANTIBODY VALIDATION
  • ASSAYS & ANNOTATION
  • DISCLAIMER
  • HELP & FAQ
  • PRIVACY STATEMENT
  • LICENCE & CITATION
Fields »
Search result

Field
Term
Gene name
Class
Subclass
Class
Keyword
Chromosome
External id
Tissue
Cell type
Expression
Antibody panel
Tissue
Main location
Patient ID
Annotation
Tissue
Category
Tau score
Cluster
Reliability
Brain region
Category
Tau score
Brain region
Category
Tau score
Brain region
Category
Tau score
Cluster
Reliability
Tissue
Cell type
Enrichment
Cell type
Category
Tau score
Cell type
Category
Tau score
Cell type
Category
Tau score
Cell lineage
Category
Tau score
Cluster
Cluster
Location
Searches
Location
Cell line
Class
Type
Phase
Reliability
Cancer
Prognosis
Cancer
Category
Cancer
Category
Tau score
Cluster
Variants
Interacting gene (ensg_id)
Type
Number of interactions
Pathway
Category
Score
Score
Score
Validation
Validation
Validation
Validation
Antibodies
Data type
Column


  • SUMMARY

  • TISSUE

  • BRAIN

  • SINGLE CELL

  • SUBCELL

  • CANCER

  • BLOOD

  • CELL LINE

  • STRUCT & INT

  • RACGAP1
TISSUE PRIMARY DATA SKIN Show tissue menu
ADIPOSE TISSUE ADRENAL GLAND AMYGDALA APPENDIX BASAL GANGLIA BONE MARROW BREAST BRONCHUS CEREBELLUM CEREBRAL CORTEX CERVIX CHOROID PLEXUS COLON DUODENUM
ENDOMETRIUM EPIDIDYMIS ESOPHAGUS FALLOPIAN TUBE GALLBLADDER HEART MUSCLE HIPPOCAMPAL FORMATION HYPOTHALAMUS KIDNEY LIVER LUNG LYMPH NODE MIDBRAIN NASOPHARYNX
ORAL MUCOSA OVARY PANCREAS PARATHYROID GLAND PITUITARY GLAND PLACENTA PROSTATE RECTUM RETINA SALIVARY GLAND SEMINAL VESICLE SKELETAL MUSCLE SKIN SMALL INTESTINE
SMOOTH MUSCLE SOFT TISSUE SPINAL CORD SPLEEN STOMACH TESTIS THYMUS THYROID GLAND TONGUE TONSIL URINARY BLADDER VAGINA
ANTIBODIES
AND
VALIDATION
Dictionary
Skin
Tissue proteome
Skin
SKIN - Expression summary
Protein expression
Skini

On the top, protein expression in current human tissue, based on all annotated cell types, is reported with the units not detected (n), low (l), medium (m) and high (h). Underneath, protein expression in each annotated cell type are reported using the same units.

Protein expression data is based on knowledge-based annotation. For genes where more than one antibody has been used, a collective score is set.

If knowledge-based annotation could not be performed for a gene, no data is displayed here. View antibody staining data further down this page.

h
m
l
n
Cells in basal layer: Medium
Cells in corneal layer: Not detected
Cells in granular layer: Not detected
Cells in spinous layer: Medium
Endothelial cells: Not detected
Extracellular matrix: Not detected
Fibrohistiocytic cells: Not detected
Hair follicles: Medium
Langerhans cells: Medium
Lymphocytes: Not detected
Melanocytes: Not detected
Vascular mural cells: Not detected
RNA expressioni

A summary of mRNA expression data available for current tissue based on several datasets. The mRNA expression levels in human tissues are based on RNA-seq data generated by the Human Protein Atlas (HPA), Genotype-Tissue Expression (GTEx) portal and CAGE data generated by the FANTOM5 consortium. Consensus normalized expression levels for human tissues was created by combining the data from HPA and GTEx datasets.

The mRNA expression levels in pig are based on RNA-seq data generated by the Human Protein Atlas (HPA), and for mouse, HPA data and in situ hybridization generated by the Allen brain atlas are reported.

Scroll down to view mRNA expression data in more detail.
Consensus:14.0 nTPM
HPA:14.0 nTPM
GTEx:9.5 nTPM

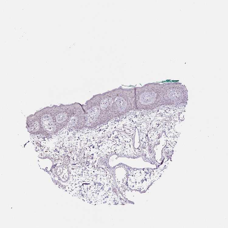
SKIN 1 - Antibody stainingi

Antibody staining in the annotated cell types in the current human tissue is reported as not detected, low, medium, or high, based on conventional immunohistochemistry profiling in selected tissues. This score is based on the combination of the staining intensity and fraction of stained cells.

Each image is clickable and will lead to virtual microscopy that enables deeper exploration of all samples and also displays staining intensity scores, fraction scores and subcellular localization as well as patient and tissue information for each sample.

Antibody HPA043912Antibody CAB025859
Langerhans -Not detected
Cells in basal layer Medium-
Cells in corneal layer Not detected-
Cells in granular layer Not detected-
Cells in spinous layer Medium-
Endothelial cells Not detected-
Extracellular matrix Not detected-
Fibroblasts -Not detected
Fibrohistiocytic cells Not detected-
Hair follicles Medium-
Keratinocytes -Low
Langerhans cells Medium-
Lymphocytes Not detected-
Melanocytes Not detectedNot detected
Vascular mural cells Not detected-



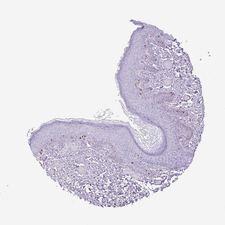
SKIN 2 - Antibody stainingi

Antibody staining in the annotated cell types in the current human tissue is reported as not detected, low, medium, or high, based on conventional immunohistochemistry profiling in selected tissues. This score is based on the combination of the staining intensity and fraction of stained cells.

Each image is clickable and will lead to virtual microscopy that enables deeper exploration of all samples and also displays staining intensity scores, fraction scores and subcellular localization as well as patient and tissue information for each sample.

Antibody HPA043912Antibody CAB025859
Cells in basal layer Medium-
Cells in corneal layer Not detected-
Cells in granular layer Not detected-
Cells in spinous layer Medium-
Endothelial cells Not detected-
Epidermal cells -Medium
Extracellular matrix Not detected-
Fibrohistiocytic cells Not detected-
Langerhans cells Not detected-
Lymphocytes Not detected-
Melanocytes Not detected-
Vascular mural cells Not detected-
  
  
  





SKIN - HPA RNA-seqi

The RNA-seq details section shows detailed information about the individual samples used for the transcript profiling and results of the RNA-seq analysis.

Information about each individual sample is listed below, including gender, age, a tissue section image and estimated fractions of cell types. nTPM (normalized transcripts per million) values give a quantification of the gene abundance which is comparable between different genes and samples.
Average nTPMi

Max subtype nTPM is the value for the subtype with the largest average nTPM across the subtype samples.

14.0
overview
Female, age 34
Skin sample 225
nTPM: 14.9
Cell types%
Keratinocytes:
60

Other cell types:
40

overview
Female, age 30
Skin sample 226
nTPM: 16.4
Cell types%
Keratinocytes:
55

Other cell types:
45

N/A
Male, age 57
Skin sample 227
nTPM: 10.7

SKIN - GTEx RNA-seqi

RNA-Seq data generated by the Genotype-Tissue Expression (GTEx) project from human tissues is reported as mean nTPM. More information can be found on the GTEx portal.

Distribution across the dataset is visualized with box plots, shown as median and 25th and 75th percentiles. Points are displayed as outliers if they are above or below 1.5 times the interquartile range. nTPM values of the individual samples are presented next to the box plot.
Max subtype nTPMi

Max subtype nTPM is the value for the subtype with the largest average nTPM across the subtype samples.

9.5
GTEx sample id Sample description nTPM
Skin - Not Sun Exposed (Suprapubic)
Average nTPM: 9.5
Samples: 604

Max nTPM: 23.3
Min nTPM: 3.9
Std nTPM: 3.0
Median nTPM: 9.1
GTEX-1F6RS-2026-SM-7RHHC 60-69 years, female 23.3
GTEX-111VG-1626-SM-5EGIO 60-69 years, male 22.1
GTEX-15ER7-0626-SM-6PANF 20-29 years, female 20.3
GTEX-13NYB-0126-SM-5J1MD 40-49 years, male 20.1
GTEX-W5X1-2526-SM-3GILC 40-49 years, female 20.1
GTEX-12WSK-2126-SM-5CVNC 40-49 years, female 19.5
GTEX-1J1OQ-0126-SM-D4P2N 40-49 years, female 18.9
GTEX-1313W-0626-SM-5EQ4H 50-59 years, female 18.3
GTEX-1J8EW-2726-SM-CY8HR 60-69 years, female 17.9
GTEX-1399Q-2326-SM-5KM2X 40-49 years, male 17.8
GTEX-15SHW-0226-SM-7LTAT 60-69 years, male 17.6
GTEX-1H3O1-1326-SM-9MQLD 60-69 years, male 17.6
GTEX-ZAB4-2126-SM-5HL8U 40-49 years, male 17.2
GTEX-ZTX8-1326-SM-4YCEL 20-29 years, male 16.7
GTEX-WYBS-0626-SM-3NMAS 60-69 years, female 16.6
GTEX-14C38-0726-SM-5SI6M 50-59 years, male 16.5
GTEX-1A8FM-0626-SM-7PC25 50-59 years, female 16.5
GTEX-ZE9C-2526-SM-5IJDR 60-69 years, male 16.4
GTEX-1GN1U-0626-SM-9MQL9 50-59 years, female 16.4
GTEX-ZTTD-2826-SM-4YCFA 50-59 years, male 16.2
GTEX-1HC8U-1326-SM-9YFMJ 40-49 years, female 16.2
GTEX-1LSNL-2726-SM-E9TKJ 50-59 years, male 16.1
GTEX-1GN1V-2826-SM-9JGIA 60-69 years, male 15.8
GTEX-12WSD-0626-SM-5GCMW 60-69 years, female 15.7
GTEX-139UW-0326-SM-5J1ML 60-69 years, male 15.7
GTEX-13N11-2326-SM-5IJBF 50-59 years, female 15.7
GTEX-15DDE-2926-SM-6LLJ3 50-59 years, female 15.7
GTEX-WXYG-2026-SM-4E3IY 50-59 years, female 15.7
GTEX-17KNJ-2126-SM-718AM 50-59 years, male 15.6
GTEX-12ZZX-2426-SM-5GCOE 40-49 years, female 15.5
GTEX-14A6H-2026-SM-5Q5DD 30-39 years, male 15.5
GTEX-17HG3-2626-SM-7DUF2 30-39 years, female 15.5
GTEX-ZYT6-2326-SM-5GZY3 30-39 years, male 15.5
GTEX-13NZ8-1226-SM-5KM4A 60-69 years, female 15.2
GTEX-1C6VQ-1226-SM-73KYD 50-59 years, male 15.1
GTEX-1F5PL-0926-SM-7PC2W 40-49 years, female 15.1
GTEX-1I1GP-1326-SM-A9G28 50-59 years, male 15.0
GTEX-1OJC4-2726-SM-E76PJ 50-59 years, female 15.0
GTEX-1RAZS-2526-SM-E6CHT 50-59 years, male 14.9
GTEX-ZVT4-2426-SM-5GIEI 50-59 years, female 14.8
GTEX-1GL5R-1326-SM-7RHHF 50-59 years, male 14.8
GTEX-1EU9M-1426-SM-793AI 60-69 years, male 14.6
GTEX-1QAET-0326-SM-EVR3U 50-59 years, male 14.6
GTEX-13FHO-0426-SM-5L3F5 60-69 years, male 14.5
GTEX-13PL6-1126-SM-5L3IE 40-49 years, female 14.5
GTEX-1S5ZU-2526-SM-E6CIF 20-29 years, female 14.5
GTEX-1R9PM-1926-SM-EVR3O 20-29 years, male 14.4
GTEX-16MT9-0126-SM-7EPI8 60-69 years, female 14.3
GTEX-ZT9X-1526-SM-5DUXD 40-49 years, male 14.3
GTEX-14C5O-0326-SM-5ZZUX 60-69 years, male 14.2
GTEX-WY7C-2126-SM-3NB2R 50-59 years, male 14.2
GTEX-11GS4-0226-SM-5HL77 60-69 years, male 14.1
GTEX-18A67-1626-SM-7LT9T 50-59 years, male 14.1
GTEX-1269C-0126-SM-5EQ5L 60-69 years, female 14.0
GTEX-1BAJH-2426-SM-7IGP8 70-79 years, male 14.0
GTEX-145LU-1926-SM-79OJN 50-59 years, male 13.9
GTEX-1B8KZ-0326-SM-73KY4 50-59 years, male 13.9
GTEX-1122O-1026-SM-9WYSF 60-69 years, female 13.9
GTEX-15UF6-1926-SM-7KUDV 70-79 years, female 13.8
GTEX-1LVAM-0726-SM-E6CIL 50-59 years, female 13.8
GTEX-144GL-0626-SM-5LU4D 50-59 years, male 13.7
GTEX-1JMQL-2226-SM-CNPP4 50-59 years, female 13.7
GTEX-145MF-0926-SM-5Q5EA 50-59 years, male 13.6
GTEX-11WQC-1826-SM-5GU59 60-69 years, male 13.5
GTEX-ZYFC-0426-SM-5GICQ 50-59 years, male 13.5
GTEX-1F75A-0726-SM-7RHHD 50-59 years, male 13.5
GTEX-11PRG-0726-SM-5EGL1 50-59 years, male 13.4
GTEX-13PDP-0726-SM-5L3HP 60-69 years, male 13.4
GTEX-ZE7O-2726-SM-51MT5 50-59 years, female 13.3
GTEX-1IDFM-0326-SM-ARL7V 60-69 years, male 13.3
GTEX-1E2YA-2126-SM-7MXUO 50-59 years, male 13.2
GTEX-1ICG6-1226-SM-A9SLN 70-79 years, female 13.1
GTEX-145MH-2826-SM-5RQJF 50-59 years, male 13.0
GTEX-15SKB-2826-SM-6PAMH 60-69 years, male 13.0
GTEX-11DXY-0126-SM-5H11Q 60-69 years, male 12.9
GTEX-13JVG-0726-SM-5KM16 60-69 years, male 12.9
GTEX-1GMRU-2126-SM-7P8RA 50-59 years, male 12.9
GTEX-1KD5A-0126-SM-E9U54 50-59 years, male 12.9
GTEX-1JJEA-1826-SM-ARU8P 60-69 years, male 12.8
GTEX-12KS4-2126-SM-5FQUT 30-39 years, male 12.6
GTEX-147GR-2426-SM-5ZZWQ 60-69 years, male 12.6
GTEX-148VJ-0626-SM-5LUAW 70-79 years, male 12.6
GTEX-1QPFJ-1926-SM-EVYBD 30-39 years, female 12.6
GTEX-WFG7-2026-SM-5SI7P 20-29 years, male 12.5
GTEX-1F6I4-2326-SM-7RHGL 60-69 years, male 12.5
GTEX-12WSM-1926-SM-5BC65 60-69 years, male 12.4
GTEX-13G51-1826-SM-5KLZH 60-69 years, male 12.4
GTEX-1B8L1-2226-SM-7P8PT 60-69 years, male 12.4
GTEX-1HR98-2226-SM-ADEI2 60-69 years, male 12.4
GTEX-1IE54-1126-SM-A9G2Z 40-49 years, female 12.4
GTEX-13X6J-0626-SM-5LU5F 50-59 years, male 12.3
GTEX-1A8G6-2726-SM-731AR 60-69 years, male 12.3
GTEX-ZC5H-1526-SM-5HL9Y 40-49 years, female 12.3
GTEX-1IL2V-1926-SM-B2LW8 70-79 years, male 12.3
GTEX-1QP2A-1726-SM-E76QC 50-59 years, male 12.3
GTEX-17F9Y-0126-SM-79OKX 70-79 years, female 12.2
GTEX-1AX9I-2226-SM-73KUO 60-69 years, male 12.2
GTEX-1CB4H-1126-SM-7MKGL 60-69 years, female 12.2
GTEX-XAJ8-1426-SM-47JYM 40-49 years, male 12.2
GTEX-1C6VR-0126-SM-7RHGB 60-69 years, male 12.2
GTEX-13RTJ-0126-SM-5S2NN 60-69 years, male 12.1
GTEX-1GZ4I-2626-SM-9KNU3 50-59 years, male 12.1
GTEX-1F52S-2926-SM-7MKGA 60-69 years, female 12.0
GTEX-1H1DF-1126-SM-9WG7G 40-49 years, female 12.0
GTEX-13YAN-0226-SM-5TDC6 60-69 years, male 11.9
GTEX-14PJ5-1526-SM-6LLIL 60-69 years, female 11.9
GTEX-1HCU6-2526-SM-ADEHL 60-69 years, female 11.9
GTEX-1HT8W-0626-SM-A9G2H 30-39 years, male 11.9
GTEX-1JN76-0626-SM-CKZOQ 20-29 years, female 11.9
GTEX-1LSVX-2526-SM-DIPEU 60-69 years, male 11.9
GTEX-1JMPY-0226-SM-CKZOK 30-39 years, male 11.8
GTEX-1S83E-1326-SM-E6CJM 40-49 years, male 11.8
GTEX-11P7K-1126-SM-5HL4L 30-39 years, male 11.7
GTEX-13NZ9-2626-SM-5L3FK 50-59 years, male 11.7
GTEX-17MFQ-1526-SM-7KFRR 20-29 years, male 11.7
GTEX-183WM-0326-SM-72D5V 70-79 years, female 11.7
GTEX-18A6Q-0626-SM-7KFRP 60-69 years, male 11.7
GTEX-18A7A-0126-SM-731AH 50-59 years, female 11.7
GTEX-1GF9V-0826-SM-9KNUV 60-69 years, male 11.7
GTEX-1HSMO-0626-SM-ACKXC 60-69 years, male 11.7
GTEX-1O9I2-0226-SM-EYYXD 50-59 years, male 11.7
GTEX-11GSP-2326-SM-5HL63 60-69 years, female 11.6
GTEX-13X6H-0926-SM-5SIB2 50-59 years, female 11.6
GTEX-16NPX-0726-SM-7KULC 50-59 years, male 11.6
GTEX-1B933-2426-SM-7DHMD 50-59 years, female 11.6
GTEX-1EX96-1026-SM-7MKG2 50-59 years, male 11.6
GTEX-1I1HK-2326-SM-CKZOH 60-69 years, male 11.6
GTEX-1JMPZ-0726-SM-CY8HZ 30-39 years, male 11.6
GTEX-1PBJJ-1026-SM-E76OS 30-39 years, male 11.6
GTEX-13FTX-1526-SM-5K7VJ 20-29 years, female 11.5
GTEX-15EO6-2426-SM-6PALZ 50-59 years, male 11.5
GTEX-YECK-0326-SM-4W1YS 60-69 years, male 11.5
GTEX-1KANB-2826-SM-CY8I6 50-59 years, male 11.5
GTEX-14753-0726-SM-5QGQO 60-69 years, male 11.4
GTEX-V1D1-2026-SM-3GAF4 50-59 years, male 11.3
GTEX-1IDJH-0126-SM-D3L92 70-79 years, male 11.3
GTEX-1IKJJ-2226-SM-CJI4C 60-69 years, male 11.3
GTEX-1MJK3-0726-SM-E6CJC 20-29 years, male 11.3
GTEX-13O3O-2326-SM-5IJD6 60-69 years, female 11.2
GTEX-144FL-0626-SM-5LU43 50-59 years, male 11.2
GTEX-ZVTK-0226-SM-51MRG 20-29 years, male 11.2
GTEX-1CAMS-2226-SM-7PBXQ 40-49 years, female 11.2
GTEX-11EQ8-0926-SM-5H12V 60-69 years, male 11.1
GTEX-11WQK-1026-SM-5EQLX 50-59 years, male 11.1
GTEX-1314G-1326-SM-5BC6E 30-39 years, male 11.1
GTEX-1GN2E-0226-SM-9WG6K 60-69 years, male 11.1
GTEX-1HCU7-0726-SM-A9SL1 50-59 years, male 11.1
GTEX-1JMQJ-0826-SM-CNPP7 50-59 years, male 11.1
GTEX-1LB8K-0726-SM-D5OV2 50-59 years, male 11.1
GTEX-1PIIG-2326-SM-DTXFR 30-39 years, male 11.1
GTEX-WHWD-1826-SM-3LK6I 50-59 years, male 11.0
GTEX-1HBPI-2126-SM-ARL9K 50-59 years, male 11.0
GTEX-11DYG-1526-SM-5A5JS 60-69 years, male 10.9
GTEX-13FTY-2126-SM-5IFFB 40-49 years, female 10.9
GTEX-14LLW-2626-SM-62LDZ 70-79 years, female 10.9
GTEX-13FLV-0126-SM-5K7WT 50-59 years, male 10.8
GTEX-13SLW-0626-SM-5Q5ER 70-79 years, male 10.8
GTEX-145LS-0626-SM-7EPG7 60-69 years, female 10.8
GTEX-1AYD5-2626-SM-7PBXY 50-59 years, male 10.8
GTEX-1GZ4H-0526-SM-9KNU9 50-59 years, female 10.8
GTEX-1JJE9-2626-SM-ARZMT 70-79 years, male 10.8
GTEX-1K2DU-1226-SM-CYPT4 20-29 years, male 10.8
GTEX-1PPGY-1626-SM-EVYBL 60-69 years, male 10.8
GTEX-11ZU8-0126-SM-5EQ58 60-69 years, male 10.7
GTEX-12WSC-2826-SM-5BC5Y 50-59 years, male 10.7
GTEX-13IVO-0726-SM-5LZYV 70-79 years, male 10.7
GTEX-145MI-0626-SM-5SI8S 60-69 years, female 10.7
GTEX-XMD2-2126-SM-4YCF8 60-69 years, female 10.7
GTEX-ZF2S-1626-SM-57WES 50-59 years, female 10.7
GTEX-ZWKS-0626-SM-5GIDV 30-39 years, male 10.7
GTEX-1C64N-2626-SM-7PC2N 50-59 years, male 10.7
GTEX-1GN73-0726-SM-7P8TJ 60-69 years, male 10.7
GTEX-1HR9M-2226-SM-CNPPY 60-69 years, male 10.7
GTEX-1HSMQ-2626-SM-A9SML 50-59 years, male 10.7
GTEX-1I1GV-0626-SM-ARL7M 60-69 years, male 10.7
GTEX-1JKYR-0626-SM-ARL8R 20-29 years, male 10.7
GTEX-1LKK1-2626-SM-DKPQE 50-59 years, female 10.7
GTEX-1RLM8-2926-SM-E8VON 50-59 years, male 10.7
GTEX-11ZTT-2126-SM-5CVLO 60-69 years, female 10.6
GTEX-139D8-1126-SM-5LU8W 30-39 years, female 10.6
GTEX-13X6I-1826-SM-5SIAO 60-69 years, male 10.6
GTEX-14PHX-2226-SM-6EU2P 50-59 years, male 10.6
GTEX-14PHY-1226-SM-5ZZWK 60-69 years, female 10.6
GTEX-14PJ4-0226-SM-5YY92 60-69 years, male 10.6
GTEX-16NGA-0726-SM-731AO 40-49 years, female 10.6
GTEX-WRHU-2826-SM-3MJG8 50-59 years, female 10.6
GTEX-X585-2426-SM-46MW2 50-59 years, male 10.6
GTEX-1H1DG-2426-SM-9QEHJ 70-79 years, male 10.6
GTEX-1R9K4-2826-SM-DTX8F 60-69 years, male 10.6
GTEX-1S82P-2126-SM-E6CI5 60-69 years, female 10.6
GTEX-1S82U-1026-SM-E6CJK 30-39 years, female 10.6
GTEX-144GO-2026-SM-5O99P 60-69 years, male 10.5
GTEX-ZYY3-2926-SM-5GIEB 60-69 years, female 10.5
GTEX-1H1CY-0126-SM-9YFLY 60-69 years, female 10.5
GTEX-1LVA9-2626-SM-EVYD4 50-59 years, male 10.5
GTEX-11ZUS-2626-SM-5FQUR 30-39 years, male 10.4
GTEX-12C56-1526-SM-5FQUQ 20-29 years, male 10.4
GTEX-12ZZY-0726-SM-5EQ66 60-69 years, male 10.4
GTEX-14LZ3-0126-SM-69LPM 60-69 years, female 10.4
GTEX-16YQH-2226-SM-7IGM2 30-39 years, male 10.4
GTEX-1AX9J-1326-SM-731BJ 60-69 years, male 10.4
GTEX-XBED-1926-SM-47JYP 60-69 years, male 10.4
GTEX-ZDTT-0426-SM-4WKFL 60-69 years, male 10.4
GTEX-ZF29-0926-SM-4WKFZ 60-69 years, female 10.4
GTEX-1212Z-0126-SM-59HK4 60-69 years, male 10.3
GTEX-13N1W-2426-SM-5IJD1 70-79 years, male 10.3
GTEX-14PJ6-2626-SM-6EU2T 60-69 years, female 10.3
GTEX-15DYW-2726-SM-6EU2I 60-69 years, female 10.3
GTEX-13OW5-2326-SM-5L3HO 60-69 years, male 10.2
GTEX-14BIN-1126-SM-5RQJZ 50-59 years, female 10.2
GTEX-17F97-2626-SM-7IGM5 50-59 years, male 10.2
GTEX-WHSE-0126-SM-3NMBT 20-29 years, male 10.2
GTEX-1GF9X-1326-SM-7PC2Y 40-49 years, female 10.2
GTEX-1GN1W-2426-SM-9KNUU 50-59 years, female 10.2
GTEX-1H11D-1826-SM-9QEHM 40-49 years, male 10.2
GTEX-1POEN-2326-SM-E9J2L 30-39 years, female 10.2
GTEX-11P81-2226-SM-5PNYI 30-39 years, female 10.1
GTEX-14PII-0726-SM-6EU2B 60-69 years, male 10.1
GTEX-WHSB-1326-SM-3LK6W 50-59 years, male 10.1
GTEX-ZPIC-0526-SM-DO91W 40-49 years, female 10.1
GTEX-11DXX-2126-SM-5PNYR 60-69 years, female 10.0
GTEX-ZAK1-0626-SM-5HL8E 50-59 years, female 10.0
GTEX-1HSKV-1226-SM-ADEI4 60-69 years, male 10.0
GTEX-1N5O9-0926-SM-E9J3C 60-69 years, male 10.0
GTEX-1NV5F-0626-SM-DTXEG 60-69 years, female 10.0
GTEX-ZLV1-1526-SM-DO91J 60-69 years, female 10.0
GTEX-11NUK-2726-SM-5A5MC 50-59 years, male 9.9
GTEX-14BMV-2826-SM-5TDED 50-59 years, male 9.9
GTEX-14C39-1726-SM-5RQIL 40-49 years, male 9.9
GTEX-15EU6-2226-SM-6EU2L 50-59 years, male 9.9
GTEX-1EMGI-2326-SM-7PBYA 60-69 years, male 9.9
GTEX-1HBPN-0126-SM-CGQEF 50-59 years, male 9.9
GTEX-1KXAM-1626-SM-D3LAD 60-69 years, male 9.9
GTEX-1R7EU-1626-SM-DTXG3 60-69 years, male 9.9
GTEX-13OW6-2726-SM-5J2OE 50-59 years, male 9.8
GTEX-13QJC-0126-SM-5ZZWJ 60-69 years, female 9.8
GTEX-18465-2826-SM-7LT9J 50-59 years, male 9.8
GTEX-ZDTS-0826-SM-4WKHL 60-69 years, male 9.8
GTEX-1IOXB-2726-SM-CM2RI 50-59 years, male 9.8
GTEX-1J8Q3-0526-SM-ARL8U 60-69 years, male 9.8
GTEX-1OJC3-1226-SM-DTXER 20-29 years, male 9.8
GTEX-1PDJ9-1226-SM-EXUSX 20-29 years, male 9.8
GTEX-1PPH8-0126-SM-EWRN8 20-29 years, male 9.8
GTEX-12WSJ-1126-SM-5LZVJ 40-49 years, female 9.7
GTEX-13OVL-0126-SM-5L3GJ 50-59 years, male 9.7
GTEX-14PJ3-1126-SM-5ZZVX 50-59 years, male 9.7
GTEX-14XAO-1226-SM-6EU1C 60-69 years, female 9.7
GTEX-1A8G7-1326-SM-73KVM 60-69 years, male 9.7
GTEX-1EN7A-2426-SM-793DB 40-49 years, male 9.7
GTEX-WHPG-2626-SM-3NMBR 50-59 years, male 9.7
GTEX-ZVZP-1226-SM-5GID7 50-59 years, male 9.7
GTEX-1F88E-1626-SM-7SB8Z 60-69 years, female 9.7
GTEX-1I1GT-1026-SM-ARZLV 60-69 years, female 9.7
GTEX-1J8QM-2426-SM-A9SLS 60-69 years, female 9.7
GTEX-131XF-2626-SM-5EQ6K 60-69 years, male 9.6
GTEX-1B8SF-0126-SM-7DUG3 60-69 years, male 9.6
GTEX-XQ3S-1426-SM-4BOPR 20-29 years, male 9.6
GTEX-14JFF-0626-SM-5ZZVT 60-69 years, male 9.6
GTEX-1N2EE-0626-SM-E76PW 60-69 years, male 9.6
GTEX-1S831-1826-SM-EWROF 20-29 years, male 9.6
GTEX-131XH-0126-SM-5LZUY 50-59 years, male 9.5
GTEX-13SLX-2226-SM-62LEP 50-59 years, female 9.5
GTEX-14E1K-2026-SM-7DUEI 50-59 years, male 9.5
GTEX-14PKU-0126-SM-6LLHV 40-49 years, female 9.5
GTEX-X4EO-2926-SM-4E3JH 60-69 years, female 9.5
GTEX-Y111-0626-SM-4SOIT 50-59 years, male 9.5
GTEX-Y9LG-1126-SM-4VBQ7 30-39 years, male 9.5
GTEX-1I1GU-0926-SM-ACKVS 40-49 years, male 9.5
GTEX-1IDJC-1526-SM-B2LW4 50-59 years, male 9.5
GTEX-111YS-1526-SM-5GZYW 60-69 years, male 9.4
GTEX-12126-0826-SM-5FQTZ 20-29 years, male 9.4
GTEX-139TS-2126-SM-5K7XC 60-69 years, male 9.4
GTEX-147JS-0226-SM-5S2U9 60-69 years, male 9.4
GTEX-15RJ7-2126-SM-6PAMD 40-49 years, male 9.4
GTEX-ZXG5-2126-SM-59HKD 60-69 years, male 9.4
GTEX-1GZHY-0626-SM-9KNVC 50-59 years, female 9.4
GTEX-12ZZZ-0726-SM-5GCNZ 60-69 years, male 9.3
GTEX-16MT8-2926-SM-7DUFO 60-69 years, female 9.3
GTEX-1H1DE-1326-SM-9KNUG 20-29 years, male 9.3
GTEX-1LGRB-0926-SM-COH3K 50-59 years, female 9.3
GTEX-1N2DV-1526-SM-DTXEP 40-49 years, male 9.3
GTEX-11DXW-0826-SM-5H118 40-49 years, male 9.2
GTEX-1399S-0126-SM-5IJCF 30-39 years, female 9.2
GTEX-139TT-2126-SM-5LZWC 60-69 years, male 9.2
GTEX-17EVP-2626-SM-7IGMA 40-49 years, male 9.2
GTEX-1B932-2326-SM-79OL5 40-49 years, female 9.2
GTEX-WFON-1926-SM-3LK7L 40-49 years, male 9.2
GTEX-1GMR3-0126-SM-A9SLW 40-49 years, male 9.2
GTEX-1HGF4-0126-SM-CNPPX 60-69 years, male 9.2
GTEX-1IDJV-0126-SM-COH3Y 60-69 years, male 9.2
GTEX-1IKOE-1426-SM-CE6T7 30-39 years, female 9.2
GTEX-1JMOU-1026-SM-CYPSS 60-69 years, female 9.2
GTEX-1KWVE-1026-SM-D3L9O 30-39 years, male 9.2
GTEX-1QP28-1126-SM-EVYC4 50-59 years, female 9.2
GTEX-13112-0126-SM-5P9IU 50-59 years, male 9.1
GTEX-13QBU-1226-SM-5LU4G 40-49 years, female 9.1
GTEX-13X6K-0626-SM-5LU5D 60-69 years, female 9.1
GTEX-14ICL-1626-SM-5YYAO 30-39 years, male 9.1
GTEX-UPJH-0226-SM-3GADV 50-59 years, male 9.1
GTEX-VJYA-1526-SM-3GIJV 60-69 years, male 9.1
GTEX-ZVT2-0126-SM-5GIDQ 50-59 years, female 9.1
GTEX-ZY6K-1426-SM-5GZX2 50-59 years, male 9.1
GTEX-ZZ64-1026-SM-5GZXG 20-29 years, male 9.1
GTEX-1H3VE-0726-SM-9YFL5 40-49 years, male 9.1
GTEX-1HCVE-2726-SM-CL54F 50-59 years, male 9.1
GTEX-1I19N-0126-SM-CYPSF 70-79 years, male 9.1
GTEX-1J8Q2-2626-SM-ACKWQ 60-69 years, male 9.1
GTEX-1M4P7-0726-SM-E6CJ3 60-69 years, male 9.1
GTEX-14JG1-1526-SM-5YY9X 40-49 years, male 9.0
GTEX-1AMFI-1326-SM-7939R 50-59 years, female 9.0
GTEX-1CB4E-0926-SM-7EPHT 60-69 years, male 9.0
GTEX-1E1VI-0326-SM-793D1 50-59 years, male 9.0
GTEX-1GMR8-0626-SM-7RHI7 50-59 years, female 9.0
GTEX-1JMLX-0626-SM-ARL8T 50-59 years, male 9.0
GTEX-1PPH7-1126-SM-DTX9A 40-49 years, male 9.0
GTEX-1QEPI-2626-SM-DTXF4 60-69 years, female 9.0
GTEX-1QMI2-2526-SM-E8VNZ 60-69 years, male 9.0
GTEX-1399U-1126-SM-5L3DB 50-59 years, female 8.9
GTEX-13VXT-1926-SM-5K7UO 20-29 years, female 8.9
GTEX-YJ8O-2526-SM-5HL85 40-49 years, female 8.9
GTEX-ZPCL-1126-SM-4WWFE 60-69 years, female 8.9
GTEX-ZUA1-2626-SM-5NQ92 40-49 years, male 8.9
GTEX-ZYVF-0926-SM-5E44J 50-59 years, female 8.9
GTEX-11P82-1426-SM-DTXFY 20-29 years, male 8.9
GTEX-1C475-1326-SM-7SB73 40-49 years, female 8.9
GTEX-1RAZR-2126-SM-E9U6T 40-49 years, male 8.9
GTEX-12696-0126-SM-5EQ4L 60-69 years, male 8.8
GTEX-132AR-0326-SM-5KM2C 50-59 years, female 8.8
GTEX-13FTW-0326-SM-5K7UW 40-49 years, male 8.8
GTEX-147F3-1726-SM-5SIAW 50-59 years, female 8.8
GTEX-15CHC-1126-SM-6LLHQ 60-69 years, female 8.8
GTEX-15RJE-2826-SM-7KUM9 40-49 years, male 8.8
GTEX-16GPK-0626-SM-7KFSF 60-69 years, male 8.8
GTEX-1A32A-0626-SM-731AQ 50-59 years, female 8.8
GTEX-1EWIQ-0326-SM-7DHMQ 70-79 years, female 8.8
GTEX-139TU-0726-SM-5L3EK 60-69 years, male 8.7
GTEX-13D11-0926-SM-5J2NC 50-59 years, female 8.7
GTEX-14ABY-2026-SM-62LDL 50-59 years, male 8.7
GTEX-1F75B-0726-SM-7PC3R 50-59 years, male 8.7
GTEX-1LG7Y-2526-SM-EWRO7 50-59 years, male 8.7
GTEX-13OVK-1426-SM-6PAN7 40-49 years, male 8.6
GTEX-X5EB-1926-SM-4E3IW 40-49 years, male 8.6
GTEX-ZYFD-0626-SM-5E44E 50-59 years, male 8.6
GTEX-1H1ZS-2726-SM-9WG75 70-79 years, male 8.6
GTEX-1HCUA-0826-SM-ADEHM 50-59 years, female 8.6
GTEX-1K2DA-1026-SM-CGQGF 50-59 years, male 8.6
GTEX-1RAZQ-1326-SM-E9TK6 30-39 years, male 8.6
GTEX-1RMOY-1326-SM-E9TIH 50-59 years, male 8.6
GTEX-11OF3-0126-SM-5PNYF 60-69 years, male 8.5
GTEX-12WSH-1526-SM-5BC5W 50-59 years, male 8.5
GTEX-131XG-0326-SM-5L3DX 50-59 years, female 8.5
GTEX-WFG8-2126-SM-3GIKQ 20-29 years, male 8.5
GTEX-1F48J-0726-SM-7RHGS 50-59 years, female 8.5
GTEX-1GF9W-1426-SM-7PBYM 60-69 years, male 8.5
GTEX-1GZ2Q-0126-SM-9WG6M 40-49 years, male 8.5
GTEX-1HBPM-0726-SM-9YFL7 60-69 years, female 8.5
GTEX-1IY9M-2826-SM-ARU8H 60-69 years, male 8.5
GTEX-1KAFJ-0126-SM-DIPEK 50-59 years, male 8.5
GTEX-11DXZ-2026-SM-5987S 50-59 years, male 8.4
GTEX-1211K-1526-SM-5FQU4 60-69 years, female 8.4
GTEX-131XW-0626-SM-5PNVD 50-59 years, female 8.4
GTEX-13OW7-0426-SM-5K7VK 50-59 years, male 8.4
GTEX-145MO-2826-SM-5LU96 60-69 years, male 8.4
GTEX-1EH9U-2826-SM-7DUGT 60-69 years, male 8.4
GTEX-1I1CD-0626-SM-CE6SW 60-69 years, female 8.4
GTEX-1IDJF-2026-SM-CL53V 20-29 years, male 8.4
GTEX-145ME-1726-SM-5Q5EU 40-49 years, female 8.3
GTEX-15RIE-1926-SM-7KUKJ 60-69 years, male 8.3
GTEX-16MTA-0926-SM-6M47Z 50-59 years, male 8.3
GTEX-17HGU-2326-SM-7DUFE 50-59 years, male 8.3
GTEX-WK11-2726-SM-3NMAQ 50-59 years, male 8.3
GTEX-ZZPU-0826-SM-5GZX5 50-59 years, female 8.3
GTEX-1GTWX-2026-SM-9YFLM 60-69 years, male 8.3
GTEX-1HFI7-2326-SM-CGQFS 50-59 years, female 8.3
GTEX-1HSGN-0826-SM-ACKW3 40-49 years, female 8.3
GTEX-1JMQI-1726-SM-ARL93 50-59 years, male 8.3
GTEX-1RB15-1326-SM-E76Q9 60-69 years, male 8.3
GTEX-13NYS-0626-SM-5L3F1 60-69 years, male 8.2
GTEX-18A66-0626-SM-7LT8Z 60-69 years, male 8.2
GTEX-1EKGG-0626-SM-7DUGJ 60-69 years, male 8.2
GTEX-1JK1U-0226-SM-ARZMX 60-69 years, male 8.2
GTEX-1117F-2926-SM-5GZYI 60-69 years, female 8.1
GTEX-12WSA-0426-SM-5EQ5X 60-69 years, male 8.1
GTEX-13PVR-0426-SM-5RQK2 60-69 years, female 8.1
GTEX-17F98-1326-SM-7DUEP 40-49 years, female 8.1
GTEX-1HKZK-0726-SM-ACKW2 40-49 years, male 8.1
GTEX-1QP29-1826-SM-DTX9S 50-59 years, male 8.1
GTEX-1RAZA-2226-SM-E9U4X 20-29 years, male 8.1
GTEX-11O72-0626-SM-5PNYE 40-49 years, male 8.0
GTEX-145MG-1526-SM-5Q5EM 50-59 years, male 8.0
GTEX-14A5H-0826-SM-5QGPJ 60-69 years, male 8.0
GTEX-15G1A-1626-SM-7KUKN 30-39 years, male 8.0
GTEX-X3Y1-2026-SM-3P5YM 40-49 years, male 8.0
GTEX-1HFI6-0126-SM-CNPPI 40-49 years, male 8.0
GTEX-139YR-1026-SM-5LZYN 50-59 years, male 7.9
GTEX-15G19-2426-SM-7KUMR 60-69 years, male 7.9
GTEX-17HHY-0426-SM-7DHLC 50-59 years, male 7.9
GTEX-1H2FU-0926-SM-9WPPT 60-69 years, female 7.9
GTEX-1H4P4-2126-SM-9WYSL 50-59 years, male 7.9
GTEX-1HSMP-0926-SM-A9SKX 70-79 years, male 7.9
GTEX-1I6K6-1726-SM-CGQFD 30-39 years, male 7.9
GTEX-1JJ6O-2726-SM-CNPOG 60-69 years, male 7.9
GTEX-ZDYS-2426-SM-4WKGI 50-59 years, male 7.8
GTEX-1GPI6-1926-SM-9KNV7 60-69 years, male 7.8
GTEX-1MCYP-0526-SM-E9U6Q 20-29 years, female 7.8
GTEX-12WSL-2026-SM-5GCML 50-59 years, male 7.7
GTEX-13PVQ-0626-SM-5LU47 50-59 years, male 7.7
GTEX-13VXU-0626-SM-5L3F9 50-59 years, male 7.7
GTEX-147F4-0726-SM-5TDDD 50-59 years, male 7.7
GTEX-14PK6-0226-SM-62LF5 70-79 years, female 7.7
GTEX-WYJK-0526-SM-3NM8Z 50-59 years, male 7.7
GTEX-XQ8I-0926-SM-4BOOF 50-59 years, male 7.7
GTEX-Y5V5-0126-SM-5S2NW 60-69 years, female 7.7
GTEX-1CB4J-1326-SM-7P8RX 60-69 years, male 7.7
GTEX-1HB9E-0126-SM-CM2S5 50-59 years, male 7.7
GTEX-1I6K7-1926-SM-B2LXR 40-49 years, male 7.7
GTEX-111CU-1126-SM-5EGIM 50-59 years, male 7.6
GTEX-11LCK-2226-SM-5HL4Q 30-39 years, male 7.6
GTEX-14E6E-0526-SM-793DN 30-39 years, male 7.6
GTEX-16BQI-1326-SM-6M486 30-39 years, female 7.6
GTEX-17HII-1426-SM-7EPGG 50-59 years, male 7.6
GTEX-18D9B-0926-SM-7LG4U 60-69 years, male 7.6
GTEX-Z93S-1626-SM-5CVMB 50-59 years, male 7.6
GTEX-ZP4G-1426-SM-4WWCL 20-29 years, female 7.6
GTEX-ZVE1-0726-SM-51MRN 50-59 years, female 7.6
GTEX-1ICLY-0826-SM-CMKG1 50-59 years, male 7.6
GTEX-1QW4Y-1126-SM-DTXE3 30-39 years, male 7.6
GTEX-ZGAY-1826-SM-DO91Q 40-49 years, female 7.6
GTEX-11UD2-2526-SM-5CVNU 50-59 years, male 7.5
GTEX-133LE-2326-SM-5K7W3 20-29 years, female 7.5
GTEX-144GM-0526-SM-79OJO 20-29 years, male 7.5
GTEX-1497J-0226-SM-5QGPU 60-69 years, male 7.5
GTEX-14AS3-1526-SM-5Q5ED 40-49 years, female 7.5
GTEX-178AV-1726-SM-7KUL8 40-49 years, male 7.5
GTEX-XXEK-1626-SM-4BRUZ 50-59 years, male 7.5
GTEX-Y8E4-2026-SM-5IFJB 40-49 years, male 7.5
GTEX-Y8LW-1526-SM-5IFHL 50-59 years, female 7.5
GTEX-1CAMQ-1326-SM-7P8RV 40-49 years, male 7.5
GTEX-1HCU9-0426-SM-9WYSD 20-29 years, male 7.5
GTEX-1PIGE-1826-SM-E8VOU 20-29 years, male 7.5
GTEX-11TUW-0626-SM-5LU9M 60-69 years, male 7.4
GTEX-131YS-2826-SM-5EQ47 60-69 years, female 7.4
GTEX-14DAQ-0626-SM-793DS 60-69 years, female 7.4
GTEX-17EVQ-0126-SM-7IGLR 70-79 years, male 7.4
GTEX-183FY-1026-SM-7939A 20-29 years, male 7.4
GTEX-1AMEY-0826-SM-72D65 30-39 years, female 7.4
GTEX-WYVS-1626-SM-3NM9R 40-49 years, female 7.4
GTEX-XBEW-1126-SM-4QARW 40-49 years, male 7.4
GTEX-XOT4-0626-SM-4B66L 60-69 years, female 7.4
GTEX-XYKS-1426-SM-4BRUO 60-69 years, female 7.4
GTEX-1477Z-0326-SM-7IGLA 60-69 years, male 7.3
GTEX-1B97I-0626-SM-73KUZ 40-49 years, male 7.3
GTEX-1C6WA-2626-SM-7MKGM 60-69 years, male 7.3
GTEX-1CAV2-0126-SM-7IGN7 40-49 years, female 7.3
GTEX-XBEC-0726-SM-4QARZ 50-59 years, male 7.3
GTEX-ZDXO-3126-SM-5IJDF 60-69 years, male 7.3
GTEX-1F5PK-2226-SM-7SB6N 50-59 years, male 7.3
GTEX-1F6IF-0926-SM-7SB7M 60-69 years, male 7.3
GTEX-1LVAO-2726-SM-E9TJ8 60-69 years, male 7.3
GTEX-1MCC2-1826-SM-DIPEX 30-39 years, female 7.3
GTEX-1NSGN-0726-SM-DTXEF 50-59 years, male 7.3
GTEX-YEC3-1326-SM-DO92X 50-59 years, male 7.3
GTEX-139T8-0626-SM-5KLZX 60-69 years, male 7.2
GTEX-145LT-0526-SM-5LUB2 40-49 years, male 7.2
GTEX-VUSG-2326-SM-4KL1U 50-59 years, male 7.2
GTEX-ZAJG-1526-SM-5CVML 50-59 years, female 7.2
GTEX-ZPU1-1126-SM-4YCF3 40-49 years, male 7.2
GTEX-14PKV-1126-SM-6LLJ1 20-29 years, female 7.1
GTEX-15D1Q-2826-SM-6LLH7 40-49 years, male 7.1
GTEX-1B8KE-1126-SM-7EPHI 50-59 years, male 7.1
GTEX-1F88F-0126-SM-9WYSZ 60-69 years, female 7.1
GTEX-1H1E6-0426-SM-9WYUS 30-39 years, male 7.1
GTEX-1LGOU-1326-SM-D3L8M 20-29 years, female 7.1
GTEX-1LVAN-0626-SM-CNPOQ 50-59 years, female 7.1
GTEX-1QP9N-1226-SM-E76QN 30-39 years, male 7.1
GTEX-1R46S-2426-SM-E76QA 60-69 years, female 7.1
GTEX-ZF3C-0626-SM-DO92O 50-59 years, female 7.1
GTEX-11EQ9-1626-SM-5PNY8 30-39 years, male 7.0
GTEX-11NSD-0626-SM-5A5LU 20-29 years, male 7.0
GTEX-14PJ2-0626-SM-6LLII 50-59 years, male 7.0
GTEX-15CHR-1126-SM-7EWF4 50-59 years, male 7.0
GTEX-16Z82-2626-SM-7KULU 60-69 years, male 7.0
GTEX-17MF6-2626-SM-79OKQ 40-49 years, male 7.0
GTEX-18A7B-2726-SM-7LG56 70-79 years, male 7.0
GTEX-18QFQ-1826-SM-72D52 30-39 years, male 7.0
GTEX-X8HC-0626-SM-4E3HQ 50-59 years, female 7.0
GTEX-Y114-2126-SM-4TT8B 50-59 years, female 7.0
GTEX-14JG6-1426-SM-9WG7C 30-39 years, female 7.0
GTEX-1GF9U-2026-SM-7SB92 40-49 years, female 7.0
GTEX-1GPI7-1826-SM-9KNU1 20-29 years, male 7.0
GTEX-1I1GS-2626-SM-B2LY3 60-69 years, male 7.0
GTEX-13N2G-0226-SM-5K7VF 60-69 years, male 6.9
GTEX-13O3Q-0126-SM-5KM34 50-59 years, male 6.9
GTEX-14B4R-1326-SM-5Q5EZ 30-39 years, male 6.9
GTEX-WH7G-2026-SM-3NMBL 40-49 years, male 6.9
GTEX-YEC4-1826-SM-4W1YP 40-49 years, male 6.9
GTEX-ZYW4-0626-SM-59HJR 60-69 years, male 6.9
GTEX-13O61-1426-SM-5KM3D 60-69 years, male 6.8
GTEX-145MN-1526-SM-5SI9T 30-39 years, male 6.8
GTEX-XK95-0226-SM-4AT58 40-49 years, male 6.8
GTEX-Y5V6-2326-SM-4VDSA 60-69 years, male 6.8
GTEX-1IDJU-1726-SM-CMKHU 60-69 years, female 6.8
GTEX-1KANA-1326-SM-DIPFA 20-29 years, male 6.8
GTEX-11EI6-2826-SM-5H11D 60-69 years, male 6.7
GTEX-15RIG-0726-SM-7KUM7 40-49 years, male 6.7
GTEX-1AX8Z-0726-SM-73KTS 60-69 years, male 6.7
GTEX-UPK5-0426-SM-3GAEK 40-49 years, male 6.7
GTEX-18D9A-1426-SM-7LT8M 30-39 years, female 6.7
GTEX-1JN1M-2726-SM-CY8I4 60-69 years, female 6.7
GTEX-15FZZ-0526-SM-7KUGD 30-39 years, female 6.6
GTEX-16AAH-0626-SM-793C9 50-59 years, male 6.6
GTEX-U8XE-0226-SM-4E3J3 30-39 years, male 6.6
GTEX-ZLFU-1826-SM-4WWBV 40-49 years, male 6.6
GTEX-ZVP2-0326-SM-57WBP 50-59 years, male 6.6
GTEX-1F75I-2226-SM-7SB8U 40-49 years, male 6.6
GTEX-1IDJD-2326-SM-ACKWX 30-39 years, male 6.6
GTEX-1192X-2726-SM-5N9DN 50-59 years, male 6.5
GTEX-11VI4-1126-SM-5EQMD 40-49 years, female 6.5
GTEX-13OVJ-0826-SM-5J1OK 50-59 years, female 6.5
GTEX-ZA64-1026-SM-5HL8R 20-29 years, male 6.5
GTEX-ZVE2-2826-SM-5GU51 50-59 years, male 6.5
GTEX-1J8JJ-0626-SM-ARZMQ 60-69 years, female 6.5
GTEX-1QP66-1226-SM-DTX7U 50-59 years, male 6.5
GTEX-12WSF-1626-SM-7KUG5 70-79 years, male 6.4
GTEX-14PJO-2526-SM-6AJBQ 60-69 years, male 6.4
GTEX-1CB4F-1026-SM-7DUH1 60-69 years, male 6.4
GTEX-1LBAC-0826-SM-CY8IJ 20-29 years, male 6.4
GTEX-1R9PN-0426-SM-DTXDT 40-49 years, female 6.4
GTEX-117YX-1926-SM-5GIEC 50-59 years, male 6.3
GTEX-13JUV-2026-SM-5K7UA 40-49 years, female 6.3
GTEX-17F96-0126-SM-7EWDU 70-79 years, male 6.3
GTEX-1JN6P-2926-SM-CL54D 60-69 years, male 6.3
GTEX-13OW8-1026-SM-5J1NQ 60-69 years, male 6.2
GTEX-YF7O-1526-SM-5IFI6 50-59 years, male 6.1
GTEX-1CB4I-0126-SM-7RHGG 50-59 years, male 6.1
GTEX-1J1R8-2026-SM-CL53Y 40-49 years, male 6.1
GTEX-14PJN-1826-SM-6AJ98 30-39 years, male 6.0
GTEX-17HHE-1326-SM-7EWDZ 50-59 years, male 6.0
GTEX-1A3MW-0626-SM-731CB 60-69 years, female 6.0
GTEX-YFCO-1226-SM-5LUAT 40-49 years, male 6.0
GTEX-XUW1-0926-SM-4BONX 50-59 years, female 5.9
GTEX-XV7Q-1826-SM-4BRUV 40-49 years, female 5.9
GTEX-1S3DN-2126-SM-E9TIN 50-59 years, male 5.9
GTEX-13W3W-0726-SM-5IJDQ 60-69 years, female 5.8
GTEX-16XZZ-0726-SM-7KUF2 60-69 years, male 5.8
GTEX-13NYC-0126-SM-5L3F4 60-69 years, male 5.7
GTEX-146FQ-2126-SM-5RQHU 30-39 years, male 5.7
GTEX-14E6C-2426-SM-5S2NF 40-49 years, male 5.7
GTEX-ZU9S-1826-SM-5NQ9E 30-39 years, male 5.7
GTEX-1CAMR-1326-SM-7PC1F 20-29 years, male 5.7
GTEX-1H23P-0626-SM-9WG6T 60-69 years, male 5.7
GTEX-1H3NZ-2726-SM-9WYTQ 60-69 years, male 5.7
GTEX-1QCLY-0226-SM-EWRNH 30-39 years, male 5.7
GTEX-1QCLZ-2426-SM-EVYBW 60-69 years, female 5.7
GTEX-11TT1-1826-SM-5EQLV 20-29 years, male 5.6
GTEX-14BMU-1226-SM-5S2OR 20-29 years, female 5.6
GTEX-17F9E-2326-SM-79OKD 50-59 years, male 5.6
GTEX-1HUB1-1426-SM-CGQF5 60-69 years, male 5.6
GTEX-1L5NE-1126-SM-D3L9P 50-59 years, male 5.6
GTEX-XPVG-2126-SM-4B667 50-59 years, male 5.5
GTEX-Y3I4-1726-SM-4TT89 50-59 years, male 5.5
GTEX-1IDJI-0126-SM-CMKHS 50-59 years, female 5.5
GTEX-1K9T9-1526-SM-DIPFR 50-59 years, female 5.5
GTEX-WEY5-2326-SM-3GIKK 40-49 years, female 5.4
GTEX-1F75W-2726-SM-7SB8H 60-69 years, male 5.4
GTEX-1JMQK-1226-SM-D4P2S 60-69 years, male 5.4
GTEX-18D9U-0126-SM-731BM 40-49 years, male 5.3
GTEX-YB5K-2026-SM-4VDT3 40-49 years, female 5.3
GTEX-1HCU8-2526-SM-CE6RX 60-69 years, female 5.3
GTEX-12584-0726-SM-5FQTK 40-49 years, male 5.2
GTEX-13OVH-0526-SM-5L3E6 70-79 years, male 5.2
GTEX-17JCI-2926-SM-7DUFF 60-69 years, female 5.2
GTEX-1B996-0426-SM-7EWF8 60-69 years, male 5.2
GTEX-Y3IK-1626-SM-4YCF5 50-59 years, female 5.2
GTEX-ZLWG-0826-SM-59888 50-59 years, female 5.2
GTEX-ZYFG-1526-SM-5GZYM 60-69 years, female 5.2
GTEX-1A3MX-2626-SM-7PC24 60-69 years, male 5.2
GTEX-11DZ1-2426-SM-5GZZX 50-59 years, male 5.1
GTEX-11EM3-1226-SM-5N9DD 20-29 years, female 5.1
GTEX-13OVG-1626-SM-5J1NF 60-69 years, male 5.1
GTEX-15CHQ-0326-SM-69LQD 60-69 years, male 5.1
GTEX-1C2JI-1026-SM-73KY1 50-59 years, male 5.1
GTEX-WI4N-2726-SM-3LK7Y 40-49 years, female 5.1
GTEX-1ICLZ-0326-SM-ARL82 60-69 years, male 5.0
GTEX-1IDJE-1426-SM-ADEIW 50-59 years, female 5.0
GTEX-1399R-1326-SM-5PNYS 30-39 years, male 4.9
GTEX-1GMR2-0826-SM-7PC3V 50-59 years, male 4.9
GTEX-1LSNM-0826-SM-DIPG8 50-59 years, male 4.9
GTEX-1A3MV-1826-SM-731CD 30-39 years, male 4.8
GTEX-1JKYN-0826-SM-ARU8S 30-39 years, male 4.8
GTEX-1KANC-1226-SM-CYPT7 50-59 years, female 4.7
GTEX-1LG7Z-1626-SM-CXKYR 30-39 years, male 4.7
GTEX-12BJ1-0926-SM-5EQ62 60-69 years, male 4.6
GTEX-Y5LM-0926-SM-6LLJG 40-49 years, female 4.6
GTEX-ZT9W-1126-SM-57WDR 50-59 years, male 4.6
GTEX-ZTSS-1426-SM-5985P 40-49 years, male 4.6
GTEX-1C64O-1326-SM-7MGWR 60-69 years, male 4.5
GTEX-13FH7-1126-SM-5K7UG 50-59 years, female 4.4
GTEX-13U4I-2226-SM-5LU5H 40-49 years, female 4.4
GTEX-14DAR-1226-SM-73KYV 50-59 years, male 4.3
GTEX-X4EP-0626-SM-3P621 60-69 years, female 4.2
GTEX-1I4MK-0126-SM-CY8G6 50-59 years, female 4.2
GTEX-13113-1626-SM-5EQ4I 60-69 years, female 4.0
GTEX-111FC-2526-SM-5GZXU 60-69 years, male 3.9
Show allShow less
Skin - Sun Exposed (Lower leg)
Average nTPM: 9.3
Samples: 701

Max nTPM: 29.1
Min nTPM: 2.7
Std nTPM: 3.3
Median nTPM: 9.0
GTEX-POMQ-2226-SM-2I5FK 20-29 years, female 29.1
GTEX-15SHU-0126-SM-7KUEH 40-49 years, female 22.9
GTEX-WFG8-2226-SM-3GIL9 20-29 years, male 21.0
GTEX-1H3VE-0326-SM-9YFLH 40-49 years, male 20.5
GTEX-13FHP-0126-SM-5IJBG 50-59 years, male 20.0
GTEX-1MJK2-0426-SM-DTXE5 50-59 years, male 19.2
GTEX-ZQG8-1626-SM-DHXIT 60-69 years, female 19.1
GTEX-1C475-1826-SM-73KWA 40-49 years, female 18.5
GTEX-1L5NE-2526-SM-E6CIE 50-59 years, male 18.3
GTEX-1PDJ9-0326-SM-DTX95 20-29 years, male 18.1
GTEX-1R9K4-0126-SM-DTX9X 60-69 years, male 18.0
GTEX-12ZZX-0126-SM-5EGK9 40-49 years, female 17.9
GTEX-13OW5-0126-SM-DTXFS 60-69 years, male 17.8
GTEX-ZV68-0126-SM-59HKS 50-59 years, female 17.7
GTEX-1KD4Q-0226-SM-E9TJ9 40-49 years, male 17.7
GTEX-1EX96-1626-SM-7PBXR 50-59 years, male 17.2
GTEX-PVOW-0126-SM-2XCFA 40-49 years, male 17.1
GTEX-1F5PL-0326-SM-7P8PQ 40-49 years, female 17.1
GTEX-1LBAC-0126-SM-DIPEZ 20-29 years, male 16.8
GTEX-PSDG-0226-SM-DKPOZ 50-59 years, male 16.8
GTEX-17JCI-0126-SM-7LG5G 60-69 years, female 16.7
GTEX-1212Z-2526-SM-5EGKP 60-69 years, male 16.6
GTEX-144FL-0126-SM-5TDC8 50-59 years, male 16.4
GTEX-15ER7-0326-SM-7KUEV 20-29 years, female 16.4
GTEX-1M5QR-1226-SM-EWROB 40-49 years, male 16.4
GTEX-1R9PM-2026-SM-E76OY 20-29 years, male 16.4
GTEX-183WM-0126-SM-7LTAB 70-79 years, female 16.3
GTEX-1HT8W-0126-SM-CNPPP 30-39 years, male 16.3
GTEX-SJXC-0126-SM-2XCFF 60-69 years, male 16.1
GTEX-13N11-2526-SM-5K7UE 50-59 years, female 16.0
GTEX-1LGOU-2026-SM-DIPFF 20-29 years, female 15.9
GTEX-P44H-0226-SM-2XCEU 40-49 years, male 15.8
GTEX-U3ZH-2026-SM-3DB78 30-39 years, male 15.8
GTEX-1EMGI-0126-SM-9KNUE 60-69 years, male 15.7
GTEX-1GMR3-1926-SM-9KNUZ 40-49 years, male 15.7
GTEX-1399T-2826-SM-5KLYZ 60-69 years, male 15.4
GTEX-1GL5R-1826-SM-9KNUY 50-59 years, male 15.4
GTEX-ZVTK-0426-SM-51MRS 20-29 years, male 15.3
GTEX-ZTX8-1426-SM-5DUVO 20-29 years, male 15.1
GTEX-ZYT6-0226-SM-5NQ6T 30-39 years, male 15.1
GTEX-11DYG-0126-SM-59883 60-69 years, male 15.0
GTEX-12KS4-0326-SM-5EQ41 30-39 years, male 15.0
GTEX-1KANB-0526-SM-E6CJH 50-59 years, male 15.0
GTEX-1M4P7-0226-SM-DIPEV 60-69 years, male 15.0
GTEX-13OW6-0426-SM-5L3HM 50-59 years, male 14.9
GTEX-T2YK-0526-SM-32QPJ 50-59 years, male 14.9
GTEX-Y8DK-0126-SM-4TT3L 60-69 years, male 14.9
GTEX-ZWKS-0126-SM-5SIAA 30-39 years, male 14.9
GTEX-1HFI6-0226-SM-ADEHZ 40-49 years, male 14.9
GTEX-1QPFJ-0226-SM-E76PB 30-39 years, female 14.9
GTEX-12ZZY-0226-SM-5LZVE 60-69 years, male 14.7
GTEX-1CB4H-0226-SM-7PBXM 60-69 years, female 14.6
GTEX-13SLX-0526-SM-5S2ON 50-59 years, female 14.5
GTEX-OIZH-0126-SM-2HMIS 50-59 years, male 14.5
GTEX-13X6H-2126-SM-7EWD5 50-59 years, female 14.4
GTEX-T6MN-0126-SM-32PLP 50-59 years, male 14.4
GTEX-1HR98-0126-SM-B2LWI 60-69 years, male 14.4
GTEX-1N2DW-0226-SM-E9TK2 50-59 years, male 14.4
GTEX-13111-1626-SM-5EGJY 50-59 years, male 14.3
GTEX-ZU9S-0226-SM-5E441 30-39 years, male 14.3
GTEX-1EU9M-0226-SM-7P8SP 60-69 years, male 14.2
GTEX-PX3G-0126-SM-2I3EN 20-29 years, female 14.1
GTEX-11DXZ-2326-SM-5EGGV 50-59 years, male 14.0
GTEX-13NYB-2526-SM-5K7Z6 40-49 years, male 14.0
GTEX-13YAN-0326-SM-5O9DF 60-69 years, male 14.0
GTEX-1QAET-0926-SM-E76QM 50-59 years, male 13.9
GTEX-14E6E-1826-SM-5S2R7 30-39 years, male 13.8
GTEX-S7SE-0126-SM-2XCD5 50-59 years, male 13.8
GTEX-1F6RS-0126-SM-9MQKZ 60-69 years, female 13.8
GTEX-11WQK-0526-SM-5EQLD 50-59 years, male 13.7
GTEX-14BIN-0626-SM-793DP 50-59 years, female 13.7
GTEX-18D9A-1926-SM-7LG6P 30-39 years, female 13.7
GTEX-1ICLZ-0126-SM-CKZPO 60-69 years, male 13.7
GTEX-1O97I-0326-SM-EYYX7 60-69 years, male 13.7
GTEX-111FC-0126-SM-5N9DL 60-69 years, male 13.6
GTEX-1C6VR-2426-SM-79OLD 60-69 years, male 13.6
GTEX-ZE9C-2726-SM-57WB5 60-69 years, male 13.6
GTEX-11OF3-2626-SM-5GU7F 60-69 years, male 13.5
GTEX-1EWIQ-0126-SM-7RHH2 70-79 years, female 13.5
GTEX-1B8SF-1426-SM-7DUGL 60-69 years, male 13.4
GTEX-1BAJH-0526-SM-793CQ 70-79 years, male 13.4
GTEX-O5YT-0126-SM-48TBW 20-29 years, male 13.4
GTEX-1HFI7-1826-SM-ACKXH 50-59 years, female 13.4
GTEX-TSE9-0126-SM-3DB83 60-69 years, female 13.3
GTEX-1IKJJ-0126-SM-CNPQB 60-69 years, male 13.3
GTEX-1PIIG-0226-SM-EWRN6 30-39 years, male 13.3
GTEX-14PII-0226-SM-6EU1T 60-69 years, male 13.2
GTEX-1J8EW-0126-SM-CJI4F 60-69 years, female 13.2
GTEX-1B97I-1626-SM-73KYO 40-49 years, male 13.1
GTEX-WFON-2126-SM-3LK7O 40-49 years, male 13.1
GTEX-X88G-0126-SM-47JZ3 30-39 years, male 13.1
GTEX-1JJ6O-0126-SM-E6CI8 60-69 years, male 13.1
GTEX-1QMI2-0226-SM-EVYBX 60-69 years, male 13.1
GTEX-ZV6S-2326-SM-4YCEY 40-49 years, female 13.0
GTEX-12WSE-0526-SM-793B2 20-29 years, male 12.9
GTEX-18A7A-0226-SM-718BH 50-59 years, female 12.9
GTEX-1B8L1-2526-SM-9WYTF 60-69 years, male 12.9
GTEX-15EU6-0426-SM-6PAN5 50-59 years, male 12.8
GTEX-1AX9J-0226-SM-73KXM 60-69 years, male 12.6
GTEX-T6MO-1626-SM-32QOM 40-49 years, female 12.6
GTEX-1GZHY-0326-SM-9QEHI 50-59 years, female 12.6
GTEX-117XS-2726-SM-5N9BL 60-69 years, male 12.5
GTEX-139UW-2826-SM-5L3E7 60-69 years, male 12.5
GTEX-14C5O-0126-SM-5SI6N 60-69 years, male 12.5
GTEX-13NYC-0326-SM-E9J4S 60-69 years, male 12.5
GTEX-1J1OQ-0226-SM-CYPSH 40-49 years, female 12.5
GTEX-1JMQJ-0526-SM-CYPSU 50-59 years, male 12.5
GTEX-1KD5A-0226-SM-D5OV3 50-59 years, male 12.5
GTEX-13FHO-0226-SM-5IFGY 60-69 years, male 12.4
GTEX-17HG3-2226-SM-7938L 30-39 years, female 12.4
GTEX-YJ89-0126-SM-4TT3X 60-69 years, male 12.4
GTEX-1E2YA-0126-SM-9KNUC 50-59 years, male 12.4
GTEX-1GN1U-0126-SM-7PBZK 50-59 years, female 12.3
GTEX-1GN2E-0426-SM-9MQKX 60-69 years, male 12.3
GTEX-1J8JJ-0226-SM-CL53I 60-69 years, female 12.3
GTEX-ZVT4-0126-SM-DTXFN 50-59 years, female 12.3
GTEX-16NGA-1726-SM-731B4 40-49 years, female 12.2
GTEX-ZAK1-0126-SM-5IJD3 50-59 years, female 12.2
GTEX-ZYFD-0126-SM-5GIDL 50-59 years, male 12.2
GTEX-1GZ2Q-0226-SM-7P8TL 40-49 years, male 12.2
GTEX-1H1CY-2826-SM-9MQM3 60-69 years, female 12.2
GTEX-1H4P4-0726-SM-9YFLR 50-59 years, male 12.2
GTEX-1R7EU-0226-SM-EVR4G 60-69 years, male 12.2
GTEX-1RQEC-0426-SM-E6CHU 60-69 years, male 12.2
GTEX-11NSD-2226-SM-5986V 20-29 years, male 12.1
GTEX-1269C-2526-SM-5EGJ3 60-69 years, female 12.1
GTEX-1HB9E-0226-SM-E9U4R 50-59 years, male 12.1
GTEX-13G51-2526-SM-5LZYK 60-69 years, male 12.0
GTEX-14PJ6-2126-SM-6EU1V 60-69 years, female 12.0
GTEX-XPVG-2626-SM-4B669 50-59 years, male 12.0
GTEX-1HSMQ-1226-SM-CGQFX 50-59 years, male 12.0
GTEX-1JMQL-0226-SM-CNPP5 50-59 years, female 12.0
GTEX-11UD2-0226-SM-5EQKY 50-59 years, male 11.9
GTEX-145ME-1826-SM-5SI9G 40-49 years, female 11.9
GTEX-UJHI-1526-SM-3DB99 50-59 years, female 11.9
GTEX-1GF9V-0326-SM-7RHI5 60-69 years, male 11.9
GTEX-1LB8K-0226-SM-EWRNW 50-59 years, male 11.9
GTEX-1LGRB-2526-SM-CNPPQ 50-59 years, female 11.9
GTEX-1MA7W-2026-SM-E9TJ6 20-29 years, female 11.9
GTEX-OOBJ-0126-SM-E6CJW 60-69 years, male 11.9
GTEX-11P81-2326-SM-59875 30-39 years, female 11.8
GTEX-131YS-0126-SM-5KM1M 60-69 years, female 11.8
GTEX-139TU-0126-SM-5K7WH 60-69 years, male 11.8
GTEX-XQ3S-1526-SM-4BOOC 20-29 years, male 11.8
GTEX-1HSGN-0226-SM-CGQFV 40-49 years, female 11.8
GTEX-1IL2U-0226-SM-CE6T8 60-69 years, male 11.8
GTEX-1LG7Z-1726-SM-D3LA4 30-39 years, male 11.8
GTEX-TML8-1926-SM-32QOS 40-49 years, female 11.7
GTEX-Y5V5-2326-SM-4V6GA 60-69 years, female 11.7
GTEX-1IOXB-0126-SM-ARL8G 50-59 years, male 11.7
GTEX-1JMLX-0226-SM-CM2RO 50-59 years, male 11.7
GTEX-13JUV-2726-SM-5LZZ8 40-49 years, female 11.6
GTEX-1H3VY-0126-SM-ACKXD 50-59 years, male 11.6
GTEX-1122O-2126-SM-5EGIR 60-69 years, female 11.5
GTEX-1313W-0126-SM-5LZUN 50-59 years, female 11.5
GTEX-1A32A-0126-SM-718B1 50-59 years, female 11.5
GTEX-1B8SG-0126-SM-73KZ3 50-59 years, male 11.5
GTEX-SNMC-1226-SM-2XCFP 20-29 years, male 11.5
GTEX-Z93S-0126-SM-5HL7M 50-59 years, male 11.5
GTEX-ZVZO-0126-SM-5A5L9 40-49 years, male 11.5
GTEX-11TUW-2726-SM-E9J4M 60-69 years, male 11.5
GTEX-1H1DG-0126-SM-9WYU2 70-79 years, male 11.5
GTEX-1IDJH-0326-SM-A9SLQ 70-79 years, male 11.5
GTEX-1KXAM-2226-SM-CYPTC 60-69 years, male 11.5
GTEX-145MF-0626-SM-5LUAI 50-59 years, male 11.4
GTEX-OHPL-0126-SM-2HMJ7 60-69 years, female 11.4
GTEX-QESD-1426-SM-2S1R9 20-29 years, male 11.4
GTEX-U8XE-0326-SM-3DB8P 30-39 years, male 11.4
GTEX-ZVZP-2426-SM-59HKJ 50-59 years, male 11.4
GTEX-1A8FM-0226-SM-7SB7Q 50-59 years, female 11.4
GTEX-1F75B-0126-SM-9KNVL 50-59 years, male 11.4
GTEX-1HCUA-2426-SM-ADEIS 50-59 years, female 11.4
GTEX-1I6K6-0126-SM-A9SLE 30-39 years, male 11.4
GTEX-13FXS-0226-SM-5IJCK 50-59 years, male 11.3
GTEX-147F3-0526-SM-5SI98 50-59 years, female 11.3
GTEX-U412-0426-SM-3DB9O 60-69 years, male 11.3
GTEX-12ZZZ-0626-SM-5DUXI 60-69 years, male 11.2
GTEX-145LS-0126-SM-5QGP1 60-69 years, female 11.2
GTEX-16NPX-0226-SM-79OMT 50-59 years, male 11.2
GTEX-1CB4J-0626-SM-7DHMP 60-69 years, male 11.2
GTEX-X261-0126-SM-3NMD6 50-59 years, male 11.2
GTEX-1JJEA-0326-SM-CNPOT 60-69 years, male 11.2
GTEX-1LSNM-1926-SM-E6CII 50-59 years, male 11.2
GTEX-11WQC-2526-SM-5CVLE 60-69 years, male 11.1
GTEX-12WSK-2326-SM-5GCOH 40-49 years, female 11.1
GTEX-13IVO-0126-SM-5J1NG 70-79 years, male 11.1
GTEX-13PVR-2326-SM-5QGR1 60-69 years, female 11.1
GTEX-145LT-1726-SM-5QGP3 40-49 years, male 11.1
GTEX-147GR-0526-SM-5S2MY 60-69 years, male 11.1
GTEX-1CB4G-0226-SM-7PC3O 60-69 years, male 11.1
GTEX-1GMRU-0126-SM-9YFLV 50-59 years, male 11.1
GTEX-15G19-0126-SM-6PANQ 60-69 years, male 11.0
GTEX-X4XX-0126-SM-3NMC2 60-69 years, male 11.0
GTEX-ZC5H-0226-SM-4WAY9 40-49 years, female 11.0
GTEX-1AX9I-0126-SM-7SB74 60-69 years, male 11.0
GTEX-1K2DA-1826-SM-CGQGT 50-59 years, male 11.0
GTEX-17F96-1626-SM-7DUFL 70-79 years, male 10.9
GTEX-S7PM-0126-SM-4AD6S 60-69 years, male 10.9
GTEX-139TS-2826-SM-5J1OO 60-69 years, male 10.8
GTEX-1GF9X-2026-SM-7PC3A 40-49 years, female 10.8
GTEX-1JMQI-2226-SM-CM2SD 50-59 years, male 10.8
GTEX-13112-2826-SM-5DUWH 50-59 years, male 10.7
GTEX-1399R-2726-SM-5IJBA 30-39 years, male 10.7
GTEX-13CF3-2426-SM-5IFGX 60-69 years, female 10.7
GTEX-14BIM-0226-SM-7IGLD 60-69 years, female 10.7
GTEX-14PJM-0226-SM-62LF1 50-59 years, female 10.7
GTEX-QCQG-1726-SM-3GIJ9 50-59 years, female 10.7
GTEX-WZTO-0126-SM-3NM95 40-49 years, male 10.7
GTEX-ZF2S-2326-SM-4WWCE 50-59 years, female 10.7
GTEX-ZGAY-0526-SM-4WWBB 40-49 years, female 10.7
GTEX-1GMR8-0126-SM-9WYTM 50-59 years, female 10.7
GTEX-1MCQQ-0826-SM-DLHC2 60-69 years, male 10.7
GTEX-11ZU8-2526-SM-5EQKI 60-69 years, male 10.6
GTEX-14753-0426-SM-5NQAM 60-69 years, male 10.6
GTEX-14LZ3-0226-SM-62LET 60-69 years, female 10.6
GTEX-1E1VI-0126-SM-7DHMZ 50-59 years, male 10.6
GTEX-OXRP-0126-SM-3NB32 60-69 years, female 10.6
GTEX-RWSA-0126-SM-2XCBB 40-49 years, male 10.6
GTEX-1IDJF-0126-SM-CM2RS 20-29 years, male 10.6
GTEX-1S82Z-0826-SM-E6CHY 30-39 years, female 10.6
GTEX-16XZZ-0126-SM-793DV 60-69 years, male 10.5
GTEX-Z9EW-1626-SM-5CVMN 40-49 years, male 10.5
GTEX-1CAMS-0426-SM-7P8T2 40-49 years, female 10.5
GTEX-1I1GQ-0126-SM-COH3H 50-59 years, male 10.5
GTEX-11XUK-2026-SM-5EQLF 40-49 years, female 10.4
GTEX-131XH-2226-SM-5DUXJ 50-59 years, male 10.4
GTEX-WXYG-2326-SM-4E3I6 50-59 years, female 10.4
GTEX-1HBPI-1526-SM-C1YQ1 50-59 years, male 10.4
GTEX-1HCU7-0226-SM-CL545 50-59 years, male 10.4
GTEX-1I1GR-0126-SM-CL55F 60-69 years, male 10.4
GTEX-1KANC-1526-SM-D3LAB 50-59 years, female 10.4
GTEX-13X6J-0126-SM-5QGOU 50-59 years, male 10.3
GTEX-145LU-0126-SM-5TDCB 50-59 years, male 10.3
GTEX-15DDE-0126-SM-6LPKH 50-59 years, female 10.3
GTEX-17GQL-2026-SM-718BA 60-69 years, male 10.3
GTEX-1C6VQ-0126-SM-7P8RI 50-59 years, male 10.3
GTEX-1I1GV-0526-SM-A9G29 60-69 years, male 10.3
GTEX-1IL2V-0126-SM-CM2TX 70-79 years, male 10.3
GTEX-11EQ9-2426-SM-5HL5T 30-39 years, male 10.2
GTEX-13CF2-2526-SM-5LZYX 60-69 years, male 10.2
GTEX-14E6D-0126-SM-62LDV 50-59 years, male 10.2
GTEX-NFK9-0226-SM-2HMKQ 40-49 years, male 10.2
GTEX-X4EO-0326-SM-3P5YO 60-69 years, female 10.2
GTEX-1B933-0126-SM-7PC29 50-59 years, female 10.2
GTEX-1F6IF-0726-SM-7P8TW 60-69 years, male 10.2
GTEX-1I1CD-0126-SM-CM2TK 60-69 years, female 10.2
GTEX-1I1GT-0626-SM-CGQER 60-69 years, female 10.2
GTEX-1ICG6-2526-SM-CGQFZ 70-79 years, female 10.2
GTEX-1J8Q3-1626-SM-CMKGC 60-69 years, male 10.2
GTEX-1JMPZ-0226-SM-CNPP1 30-39 years, male 10.2
GTEX-1192W-2626-SM-5Q5AF 60-69 years, male 10.1
GTEX-13O3P-0126-SM-5KM4S 50-59 years, male 10.1
GTEX-13OVK-2026-SM-7KUEO 40-49 years, male 10.1
GTEX-14JG6-2226-SM-6EU2G 30-39 years, female 10.1
GTEX-1C64N-0126-SM-793D7 50-59 years, male 10.1
GTEX-T5JC-0426-SM-32PLO 20-29 years, male 10.1
GTEX-ZQUD-1426-SM-57WER 30-39 years, male 10.1
GTEX-1H3NZ-0126-SM-ACKX7 60-69 years, male 10.1
GTEX-111VG-2426-SM-5GZXD 60-69 years, male 10.0
GTEX-12696-2426-SM-5EQ6H 60-69 years, male 10.0
GTEX-13FTW-2626-SM-5K7WL 40-49 years, male 10.0
GTEX-144GL-0126-SM-5TDE2 50-59 years, male 10.0
GTEX-14A5H-0426-SM-5QGQF 60-69 years, male 10.0
GTEX-14BMV-0126-SM-5S2PO 50-59 years, male 10.0
GTEX-15DCD-0126-SM-7KUEK 70-79 years, female 10.0
GTEX-TMMY-0226-SM-33HBA 40-49 years, female 10.0
GTEX-1HCU9-1526-SM-A9SL7 20-29 years, male 10.0
GTEX-13FTX-1826-SM-5J1NX 20-29 years, female 9.9
GTEX-148VI-1626-SM-5SI6E 60-69 years, female 9.9
GTEX-16AAH-1726-SM-7939C 50-59 years, male 9.9
GTEX-18465-0126-SM-731BN 50-59 years, male 9.9
GTEX-1AYD5-2426-SM-73KXR 50-59 years, male 9.9
GTEX-XUYS-0126-SM-47JWZ 50-59 years, male 9.9
GTEX-YB5K-2126-SM-4WWDJ 40-49 years, female 9.9
GTEX-1CB4F-0426-SM-9KNV4 60-69 years, male 9.9
GTEX-1JN6P-0126-SM-D3L98 60-69 years, male 9.9
GTEX-18A6Q-0126-SM-731BZ 60-69 years, male 9.8
GTEX-XBEW-0626-SM-4QASP 40-49 years, male 9.8
GTEX-Y8E4-0626-SM-4WWDL 40-49 years, male 9.8
GTEX-ZVT3-0126-SM-5GU6I 60-69 years, female 9.8
GTEX-1CAV2-2226-SM-7P8P2 40-49 years, female 9.8
GTEX-1F7RK-0126-SM-7PC2S 20-29 years, female 9.8
GTEX-1KAFJ-2026-SM-CY8ID 50-59 years, male 9.8
GTEX-1QEPI-0126-SM-EWRMQ 60-69 years, female 9.8
GTEX-11O72-0126-SM-59887 40-49 years, male 9.7
GTEX-13SLW-0126-SM-5SI6C 70-79 years, male 9.7
GTEX-145MI-0526-SM-5O9A8 60-69 years, female 9.7
GTEX-1CAMR-1926-SM-7EPI2 20-29 years, male 9.7
GTEX-ZTSS-1926-SM-57WEW 40-49 years, male 9.7
GTEX-1314G-1526-SM-5EGK2 30-39 years, male 9.6
GTEX-SSA3-0126-SM-32QPU 60-69 years, male 9.6
GTEX-TKQ1-1026-SM-4GICL 30-39 years, male 9.6
GTEX-XAJ8-0826-SM-47JY6 40-49 years, male 9.6
GTEX-ZZ64-1726-SM-5GZYB 20-29 years, male 9.6
GTEX-1EKGG-0226-SM-9WYTH 60-69 years, male 9.6
GTEX-1N2EF-0226-SM-EYYXB 60-69 years, male 9.6
GTEX-1OFPY-2426-SM-DTXEJ 60-69 years, male 9.6
GTEX-1399U-2326-SM-5K7WY 50-59 years, female 9.5
GTEX-13D11-2426-SM-5KM1V 50-59 years, female 9.5
GTEX-16GPK-0126-SM-7DHLE 60-69 years, male 9.5
GTEX-S32W-2126-SM-2XCB1 50-59 years, female 9.5
GTEX-VJYA-1126-SM-3GIJU 60-69 years, male 9.5
GTEX-WYJK-0126-SM-3NMAB 50-59 years, male 9.5
GTEX-1JJE9-0326-SM-CL53Z 70-79 years, male 9.5
GTEX-1POEN-0126-SM-EYYXJ 30-39 years, female 9.5
GTEX-11ZVC-2526-SM-5FQTE 50-59 years, female 9.4
GTEX-12126-0326-SM-5PNW3 20-29 years, male 9.4
GTEX-12WSA-0226-SM-5BC5V 60-69 years, male 9.4
GTEX-14A5I-0126-SM-5TDEA 50-59 years, female 9.4
GTEX-14JG1-0426-SM-6ETZZ 40-49 years, male 9.4
GTEX-14PHX-2326-SM-62LEM 50-59 years, male 9.4
GTEX-17EVP-0326-SM-7DHLG 40-49 years, male 9.4
GTEX-183FY-0126-SM-7LT9P 20-29 years, male 9.4
GTEX-QVJO-1626-SM-2S1QW 60-69 years, female 9.4
GTEX-T2IS-0126-SM-4DM6O 20-29 years, female 9.4
GTEX-1GZ4H-1726-SM-7PBZJ 50-59 years, female 9.4
GTEX-1JMQK-0226-SM-CL543 60-69 years, male 9.4
GTEX-11ZTS-0126-SM-5EQ6M 60-69 years, female 9.3
GTEX-12WSC-0126-SM-5EQ4P 50-59 years, male 9.3
GTEX-139TT-0126-SM-5K7Y5 60-69 years, male 9.3
GTEX-15SDE-2226-SM-7IGLO 50-59 years, female 9.3
GTEX-1CB4E-2226-SM-793DC 60-69 years, male 9.3
GTEX-Q734-1926-SM-2I5EV 40-49 years, female 9.3
GTEX-XBED-2226-SM-47JYQ 60-69 years, male 9.3
GTEX-YB5E-2026-SM-5IFIS 40-49 years, male 9.3
GTEX-ZXES-1826-SM-5E43S 30-39 years, female 9.3
GTEX-1R7EV-2426-SM-EVYBG 40-49 years, male 9.3
GTEX-131XE-2326-SM-5PNZ2 50-59 years, male 9.2
GTEX-13NYS-0126-SM-5MR3W 60-69 years, male 9.2
GTEX-14DAQ-0126-SM-5S2MQ 60-69 years, female 9.2
GTEX-15SB6-1726-SM-6PAME 50-59 years, female 9.2
GTEX-17KNJ-2326-SM-7DHLQ 50-59 years, male 9.2
GTEX-18D9B-0526-SM-7LTAS 60-69 years, male 9.2
GTEX-P4QT-0126-SM-2I3FL 50-59 years, female 9.2
GTEX-1B996-0226-SM-7RHGO 60-69 years, male 9.2
GTEX-1F75A-0126-SM-7RHGM 50-59 years, male 9.2
GTEX-1OJC3-0126-SM-E76QX 20-29 years, male 9.2
GTEX-1S5ZA-0126-SM-EVYCV 20-29 years, male 9.2
GTEX-113JC-2326-SM-5EQ4E 50-59 years, female 9.1
GTEX-1AX9K-2326-SM-73KWU 50-59 years, male 9.1
GTEX-QDVN-2026-SM-3GAEP 50-59 years, male 9.1
GTEX-T8EM-1026-SM-3DB7M 40-49 years, male 9.1
GTEX-1F88F-2726-SM-7PBZZ 60-69 years, female 9.1
GTEX-1KWVE-1426-SM-E9TJO 30-39 years, male 9.1
GTEX-1PFEY-1526-SM-E76PP 30-39 years, male 9.1
GTEX-1PPH7-2326-SM-EVYB8 40-49 years, male 9.1
GTEX-1QP9N-1426-SM-DTXFL 30-39 years, male 9.1
GTEX-1RAZA-0126-SM-E6CI3 20-29 years, male 9.1
GTEX-ZF3C-0126-SM-DO92D 50-59 years, female 9.1
GTEX-11NUK-0126-SM-5A5L3 50-59 years, male 9.0
GTEX-13N2G-2626-SM-5J1OT 60-69 years, male 9.0
GTEX-13OVL-0226-SM-5L3E9 50-59 years, male 9.0
GTEX-13S7M-0126-SM-5SI6A 60-69 years, female 9.0
GTEX-13X6I-0626-SM-5QGP9 60-69 years, male 9.0
GTEX-14BMU-2226-SM-5TDE9 20-29 years, female 9.0
GTEX-15DYW-0126-SM-7KULE 60-69 years, female 9.0
GTEX-17HGU-0226-SM-7DHKV 50-59 years, male 9.0
GTEX-RWS6-2026-SM-2XCB5 60-69 years, female 9.0
GTEX-1F52S-0126-SM-9MQJU 60-69 years, female 9.0
GTEX-1HGF4-2426-SM-ACKXM 60-69 years, male 9.0
GTEX-1LH75-2426-SM-E9TJE 50-59 years, female 9.0
GTEX-1MA7X-2226-SM-E6CIY 60-69 years, male 9.0
GTEX-1S83E-0126-SM-EWRO4 40-49 years, male 9.0
GTEX-11ZTT-2426-SM-5EQLS 60-69 years, female 8.9
GTEX-12584-0126-SM-5EGKQ 40-49 years, male 8.9
GTEX-133LE-1826-SM-5J1MV 20-29 years, female 8.9
GTEX-148VJ-0126-SM-5TDDN 70-79 years, male 8.9
GTEX-1EN7A-0126-SM-7SB81 40-49 years, male 8.9
GTEX-1IE54-0126-SM-CMKHW 40-49 years, female 8.9
GTEX-1PWST-0226-SM-E76QJ 70-79 years, male 8.9
GTEX-11EI6-0126-SM-5985R 60-69 years, male 8.8
GTEX-14ABY-0226-SM-5TDCQ 50-59 years, male 8.8
GTEX-15SHW-0326-SM-6PAML 60-69 years, male 8.8
GTEX-17HII-0226-SM-7LG4E 50-59 years, male 8.8
GTEX-OXRN-0126-SM-48TDM 50-59 years, male 8.8
GTEX-Y114-2426-SM-4TT8A 50-59 years, female 8.8
GTEX-YEC4-2126-SM-5IFJH 40-49 years, male 8.8
GTEX-1GF9W-0326-SM-9KNUN 60-69 years, male 8.8
GTEX-1IGQW-0126-SM-COH42 60-69 years, male 8.8
GTEX-12WSJ-1826-SM-5GCNY 40-49 years, female 8.7
GTEX-139T8-0126-SM-5K7XZ 60-69 years, male 8.7
GTEX-13PDP-0126-SM-5L3HD 60-69 years, male 8.7
GTEX-16BQI-0226-SM-7KUEX 30-39 years, female 8.7
GTEX-17EUY-0426-SM-793BD 20-29 years, male 8.7
GTEX-1C6VS-0526-SM-7DUEN 60-69 years, male 8.7
GTEX-XMD2-0126-SM-4YCDU 60-69 years, female 8.7
GTEX-1I19N-0326-SM-ACKVX 70-79 years, male 8.7
GTEX-RN64-0126-SM-2TC68 50-59 years, male 8.6
GTEX-WOFL-0126-SM-3MJG2 60-69 years, male 8.6
GTEX-XYKS-2126-SM-4E3IB 60-69 years, female 8.6
GTEX-1GN73-0226-SM-9WG67 60-69 years, male 8.6
GTEX-1K2DU-2326-SM-E9TIV 20-29 years, male 8.6
GTEX-11EMC-2926-SM-5EQ4F 60-69 years, female 8.5
GTEX-1211K-2026-SM-5EQ4Z 60-69 years, female 8.5
GTEX-13OVG-1926-SM-5L3DK 60-69 years, male 8.5
GTEX-1B8KE-2126-SM-73KYX 50-59 years, male 8.5
GTEX-R55G-2526-SM-2TC6D 40-49 years, female 8.5
GTEX-YFC4-0126-SM-5CVLY 40-49 years, female 8.5
GTEX-ZDTS-0126-SM-4WAY5 60-69 years, male 8.5
GTEX-ZVT2-2526-SM-51MT1 50-59 years, female 8.5
GTEX-1HCU8-0626-SM-A9SM9 60-69 years, female 8.5
GTEX-1KANA-0726-SM-D3L9I 20-29 years, male 8.5
GTEX-1LVAN-0226-SM-COH3S 50-59 years, female 8.5
GTEX-1PIGE-0126-SM-EVYBJ 20-29 years, male 8.5
GTEX-RNOR-0126-SM-E9J4R 50-59 years, female 8.5
GTEX-ZF29-2326-SM-DO92K 60-69 years, female 8.5
GTEX-13VXU-0126-SM-5SI9F 50-59 years, male 8.4
GTEX-14E6C-0126-SM-5RQIP 40-49 years, male 8.4
GTEX-14PN3-2426-SM-6LLHS 60-69 years, female 8.4
GTEX-1HCVE-0126-SM-CGQEU 50-59 years, male 8.4
GTEX-1HSKV-0226-SM-A9SKJ 60-69 years, male 8.4
GTEX-1JN76-0126-SM-CNPPE 20-29 years, female 8.4
GTEX-17HHY-0126-SM-7LG5D 50-59 years, male 8.3
GTEX-ZE7O-0126-SM-57WC1 50-59 years, female 8.3
GTEX-1GF9U-2126-SM-7SB7L 40-49 years, female 8.3
GTEX-1MUQO-0126-SM-EAZ58 60-69 years, male 8.3
GTEX-1128S-2326-SM-5GZZY 60-69 years, female 8.2
GTEX-11P7K-2126-SM-5GU7G 30-39 years, male 8.2
GTEX-17MFQ-1726-SM-793C7 20-29 years, male 8.2
GTEX-18D9U-0226-SM-718BP 40-49 years, male 8.2
GTEX-Y5LM-1926-SM-5RQJH 40-49 years, female 8.2
GTEX-Y5V6-2426-SM-4VDSB 60-69 years, male 8.2
GTEX-1GN1V-0126-SM-9WPOS 60-69 years, male 8.2
GTEX-1H23P-0126-SM-ADEJ3 60-69 years, male 8.2
GTEX-1I4MK-2226-SM-ACKWD 50-59 years, female 8.2
GTEX-1NV5F-0226-SM-E8VNY 60-69 years, female 8.2
GTEX-13OW8-1326-SM-5J1OW 60-69 years, male 8.1
GTEX-13W3W-2426-SM-5LU5B 60-69 years, female 8.1
GTEX-WRHK-1426-SM-3MJF9 20-29 years, female 8.1
GTEX-ZDTT-2726-SM-4WKF8 60-69 years, male 8.1
GTEX-131XW-0426-SM-5LZWP 50-59 years, female 8.0
GTEX-1B8KZ-2026-SM-7DHMB 50-59 years, male 8.0
GTEX-U8T8-0126-SM-3DB94 60-69 years, male 8.0
GTEX-W5WG-1826-SM-4KL2Y 50-59 years, female 8.0
GTEX-XQ8I-0426-SM-4BOPO 50-59 years, male 8.0
GTEX-XXEK-2226-SM-4BRUM 50-59 years, male 8.0
GTEX-ZVE2-0226-SM-59HJB 50-59 years, male 8.0
GTEX-1F6I4-0126-SM-9MQL2 60-69 years, male 8.0
GTEX-1QP29-0626-SM-EWRMX 50-59 years, male 8.0
GTEX-1A3MX-0126-SM-731BR 60-69 years, male 7.9
GTEX-R3RS-0126-SM-3GIJL 40-49 years, female 7.9
GTEX-WY7C-2326-SM-3NB2U 50-59 years, male 7.9
GTEX-YJ8A-0426-SM-5IFID 20-29 years, male 7.9
GTEX-1H11D-0226-SM-9WG6Z 40-49 years, male 7.9
GTEX-1S3DN-2226-SM-EVYCD 50-59 years, male 7.9
GTEX-RVPV-0126-SM-EAZAW 60-69 years, male 7.9
GTEX-13NZB-2526-SM-5J1OM 30-39 years, male 7.8
GTEX-13RTK-1426-SM-5QGQJ 20-29 years, male 7.8
GTEX-15F5U-1526-SM-6PANO 40-49 years, male 7.8
GTEX-15UF6-0826-SM-6PALJ 70-79 years, female 7.8
GTEX-1CAMQ-0226-SM-7IGPK 40-49 years, male 7.8
GTEX-OIZG-0726-SM-33HBL 50-59 years, male 7.8
GTEX-Y111-0126-SM-4SOIV 50-59 years, male 7.8
GTEX-Z93T-0126-SM-5HL5N 50-59 years, male 7.8
GTEX-1F5PK-2426-SM-7RHHY 50-59 years, male 7.8
GTEX-1J8QM-2126-SM-CYPSJ 60-69 years, female 7.8
GTEX-117YW-2626-SM-5GZZH 50-59 years, male 7.7
GTEX-11DXX-2426-SM-5GZZW 60-69 years, female 7.7
GTEX-QDVJ-1726-SM-2I5FX 50-59 years, male 7.7
GTEX-QLQ7-1626-SM-2S1R8 60-69 years, male 7.7
GTEX-RM2N-1426-SM-2TF4H 50-59 years, male 7.7
GTEX-ZY6K-1826-SM-5GZXK 50-59 years, male 7.7
GTEX-13O3O-0126-SM-E9J49 60-69 years, female 7.7
GTEX-1JMPY-1326-SM-ARL8Y 30-39 years, male 7.7
GTEX-1K9T9-0126-SM-EVYCF 50-59 years, female 7.7
GTEX-OIZF-0126-SM-7SB8I 60-69 years, male 7.7
GTEX-1192X-0226-SM-5H12D 50-59 years, male 7.6
GTEX-11DXY-2626-SM-5GIE7 60-69 years, male 7.6
GTEX-11TT1-2526-SM-5EGIB 20-29 years, male 7.6
GTEX-13VXT-0126-SM-5LU4I 20-29 years, female 7.6
GTEX-14PN4-0126-SM-6EU2V 50-59 years, male 7.6
GTEX-WQUQ-0426-SM-3MJFU 60-69 years, male 7.6
GTEX-XUW1-0426-SM-4BOOT 50-59 years, female 7.6
GTEX-1IDFM-0126-SM-COH2V 60-69 years, male 7.6
GTEX-117YX-2326-SM-5H12W 50-59 years, male 7.5
GTEX-12WSL-2526-SM-5GCNJ 50-59 years, male 7.5
GTEX-OXRK-0226-SM-3NB2G 50-59 years, female 7.5
GTEX-WVJS-0126-SM-4MVOT 50-59 years, male 7.5
GTEX-1LG7Y-0526-SM-DKPQC 50-59 years, male 7.5
GTEX-1RDX4-0126-SM-E9J4P 50-59 years, female 7.5
GTEX-W5X1-3026-SM-EAZAX 40-49 years, female 7.5
GTEX-1A3MV-1926-SM-718BT 30-39 years, male 7.4
GTEX-1CB4I-0226-SM-79OLH 50-59 years, male 7.4
GTEX-Q2AG-0126-SM-33HBV 40-49 years, female 7.4
GTEX-QEG4-0226-SM-2S1PY 30-39 years, male 7.4
GTEX-SIU8-0126-SM-2XCDT 50-59 years, male 7.4
GTEX-ZUA1-0126-SM-5GU76 40-49 years, male 7.4
GTEX-11H98-0126-SM-5EGHG 50-59 years, male 7.3
GTEX-12WSN-5019-SM-79OM6 40-49 years, male 7.3
GTEX-13FTY-0526-SM-5L3EV 40-49 years, female 7.3
GTEX-14LLW-0126-SM-6LLIO 70-79 years, female 7.3
GTEX-OOBK-0126-SM-2YUND 40-49 years, male 7.3
GTEX-QV44-1926-SM-2S1RF 50-59 years, male 7.3
GTEX-SUCS-1926-SM-32PM3 70-79 years, male 7.3
GTEX-X5EB-2226-SM-46MW4 40-49 years, male 7.3
GTEX-1HBPN-0226-SM-9YFM1 50-59 years, male 7.3
GTEX-1IDJU-2626-SM-CM2RT 60-69 years, female 7.3
GTEX-PW2O-1526-SM-7RHHB 20-29 years, male 7.3
GTEX-11UD1-0126-SM-5PNYG 40-49 years, female 7.2
GTEX-17F97-0326-SM-7LG5B 50-59 years, male 7.2
GTEX-S95S-1226-SM-4GICG 60-69 years, male 7.2
GTEX-XUZC-1726-SM-4BRWS 30-39 years, female 7.2
GTEX-Y3I4-2126-SM-4TT7C 50-59 years, male 7.2
GTEX-Y3IK-2426-SM-4WWDU 50-59 years, female 7.2
GTEX-ZYW4-0126-SM-5E44A 60-69 years, male 7.2
GTEX-1JK1U-2026-SM-CM2RZ 60-69 years, male 7.2
GTEX-11DXW-0226-SM-5H122 40-49 years, male 7.1
GTEX-14PHW-0126-SM-6LLJI 60-69 years, female 7.1
GTEX-17F98-0626-SM-79OMX 40-49 years, female 7.1
GTEX-ZYFC-0226-SM-5NQ75 50-59 years, male 7.1
GTEX-ZYY3-0126-SM-5GZY5 60-69 years, female 7.1
GTEX-1GTWX-0126-SM-9YFLK 60-69 years, male 7.1
GTEX-1IKK5-0626-SM-ARL8A 60-69 years, male 7.1
GTEX-1J1R8-1726-SM-ARL8M 40-49 years, male 7.1
GTEX-11OC5-0126-SM-5HL6A 60-69 years, male 7.0
GTEX-13OVJ-0126-SM-5KM36 50-59 years, female 7.0
GTEX-13RTL-0126-SM-7LG5S 40-49 years, male 7.0
GTEX-1497J-2426-SM-7IGNX 60-69 years, male 7.0
GTEX-X585-0226-SM-4QAS2 50-59 years, male 7.0
GTEX-ZDYS-2026-SM-5HL5L 50-59 years, male 7.0
GTEX-ZXG5-0126-SM-5GIEU 60-69 years, male 7.0
GTEX-1H2FU-0126-SM-9WYSI 60-69 years, female 7.0
GTEX-1H3O1-0426-SM-9YFKY 60-69 years, male 7.0
GTEX-1JKYN-1326-SM-CGQG9 30-39 years, male 7.0
GTEX-131XG-2626-SM-5KM17 50-59 years, female 6.9
GTEX-132NY-0326-SM-5IJBL 60-69 years, male 6.9
GTEX-13O21-1426-SM-5K7XI 50-59 years, male 6.9
GTEX-V1D1-2226-SM-3NMAX 50-59 years, male 6.9
GTEX-1H1E6-1726-SM-ACKVK 30-39 years, male 6.9
GTEX-14ICK-0226-SM-6EU25 40-49 years, male 6.8
GTEX-15ETS-0126-SM-7KUMW 40-49 years, female 6.8
GTEX-O5YW-0126-SM-3LK6D 50-59 years, male 6.8
GTEX-TMZS-0126-SM-3DB9Q 60-69 years, male 6.8
GTEX-ZYFG-2326-SM-5E44B 60-69 years, female 6.8
GTEX-1C6WA-0126-SM-7PC2B 60-69 years, male 6.8
GTEX-1GPI6-0126-SM-9WG69 60-69 years, male 6.8
GTEX-1IY9M-0126-SM-D3L8S 60-69 years, male 6.8
GTEX-1LNCM-1126-SM-E9U5E 50-59 years, female 6.8
GTEX-1N2DV-0226-SM-E6CJ6 40-49 years, male 6.8
GTEX-ZPIC-1726-SM-DHXIU 40-49 years, female 6.8
GTEX-11P82-1626-SM-59879 20-29 years, male 6.7
GTEX-13NZA-0226-SM-5K7Z7 60-69 years, male 6.7
GTEX-18A7B-0126-SM-7LG64 70-79 years, male 6.7
GTEX-1C4CL-0526-SM-73KVK 30-39 years, male 6.7
GTEX-X8HC-0126-SM-4E3JW 50-59 years, female 6.7
GTEX-Y8LW-1826-SM-5S2MV 50-59 years, female 6.7
GTEX-1QP2A-0126-SM-E9J43 50-59 years, male 6.7
GTEX-1RB15-2126-SM-E9TIM 60-69 years, male 6.7
GTEX-PLZ6-1426-SM-DKPOT 30-39 years, male 6.7
GTEX-11VI4-1726-SM-5CVLH 40-49 years, female 6.6
GTEX-145MN-2226-SM-5SIAU 30-39 years, male 6.6
GTEX-18A66-0226-SM-718BD 60-69 years, male 6.6
GTEX-18A67-0126-SM-7LG5P 50-59 years, male 6.6
GTEX-RTLS-0126-SM-447CA 60-69 years, female 6.6
GTEX-1GN1W-0526-SM-9MQJQ 50-59 years, female 6.6
GTEX-1HBPH-0426-SM-B2LW5 40-49 years, female 6.6
GTEX-1J8Q2-0526-SM-CM2RW 60-69 years, male 6.6
GTEX-1JN1M-0326-SM-CYPT3 60-69 years, female 6.6
GTEX-1PPH8-0226-SM-E8VND 20-29 years, male 6.6
GTEX-1QCLY-0326-SM-E8VOG 30-39 years, male 6.6
GTEX-13QJ3-0326-SM-5S2RA 50-59 years, male 6.5
GTEX-14XAO-2326-SM-6EU1B 60-69 years, female 6.5
GTEX-15UKP-0426-SM-7KUFQ 20-29 years, male 6.5
GTEX-U3ZN-2326-SM-3DB7W 30-39 years, female 6.5
GTEX-X638-0126-SM-47JZ8 70-79 years, female 6.5
GTEX-1IKOH-0226-SM-COH4E 60-69 years, female 6.5
GTEX-1S82Y-2026-SM-EVYCM 40-49 years, male 6.5
GTEX-12C56-1726-SM-5EQ61 20-29 years, male 6.4
GTEX-13N1W-0126-SM-5K7VT 70-79 years, male 6.4
GTEX-13U4I-0126-SM-5LU38 40-49 years, female 6.4
GTEX-Q2AI-1326-SM-2S1PL 40-49 years, male 6.4
GTEX-1GPI7-0126-SM-9MQL8 20-29 years, male 6.4
GTEX-1HBPM-0226-SM-ARL9F 60-69 years, female 6.4
GTEX-1LC47-0326-SM-E9TJP 60-69 years, male 6.4
GTEX-14DAR-2026-SM-5S2O3 50-59 years, male 6.3
GTEX-15RIG-0226-SM-7KFTL 40-49 years, male 6.3
GTEX-1AMFI-2026-SM-731BH 50-59 years, female 6.3
GTEX-T5JW-1626-SM-3GADZ 20-29 years, female 6.3
GTEX-13FH7-2026-SM-E9J4I 50-59 years, female 6.3
GTEX-14PJ3-1826-SM-62LEX 50-59 years, male 6.2
GTEX-VUSG-2526-SM-4KL1V 50-59 years, male 6.2
GTEX-WH7G-2326-SM-3NMBC 40-49 years, male 6.2
GTEX-12WSG-2826-SM-E9J4H 50-59 years, female 6.2
GTEX-131XF-5016-SM-7MGWE 60-69 years, male 6.2
GTEX-1HCU6-0126-SM-CL54K 60-69 years, female 6.2
GTEX-1I1GU-2226-SM-CGQFA 40-49 years, male 6.2
GTEX-P4PP-0126-SM-3LK69 30-39 years, female 6.1
GTEX-WYVS-2126-SM-3NMA3 40-49 years, female 6.1
GTEX-ZEX8-2426-SM-4WKG4 50-59 years, male 6.1
GTEX-11EM3-2426-SM-59861 20-29 years, female 6.0
GTEX-13RTJ-2426-SM-5S2Q2 60-69 years, male 6.0
GTEX-144GN-2326-SM-5LU4F 50-59 years, male 6.0
GTEX-17EVQ-0226-SM-7LG4P 70-79 years, male 6.0
GTEX-PWO3-1526-SM-48TCM 60-69 years, female 6.0
GTEX-ZDXO-3026-SM-5J1N5 60-69 years, male 6.0
GTEX-ZZPT-0226-SM-5E43X 50-59 years, male 6.0
GTEX-1HUB1-0426-SM-E9U4U 60-69 years, male 6.0
GTEX-S33H-1026-SM-EZ6L6 30-39 years, male 6.0
GTEX-139D8-0226-SM-5KLZO 30-39 years, female 5.9
GTEX-P4PQ-0126-SM-2S1NM 60-69 years, male 5.9
GTEX-SN8G-0126-SM-32PLI 50-59 years, female 5.9
GTEX-ZAB5-1826-SM-5HL7C 50-59 years, male 5.9
GTEX-1H1DE-2126-SM-9WG6R 20-29 years, male 5.9
GTEX-1HKZK-0326-SM-9WYUH 40-49 years, male 5.9
GTEX-11GS4-2726-SM-5A5LE 60-69 years, male 5.8
GTEX-11GSP-2526-SM-5N9BP 60-69 years, female 5.8
GTEX-145LV-2126-SM-5LU8N 50-59 years, male 5.8
GTEX-145MO-0326-SM-5Q5B3 60-69 years, male 5.8
GTEX-15D1Q-0126-SM-7KUG6 40-49 years, male 5.8
GTEX-QLQW-1126-SM-2S1Q8 30-39 years, male 5.8
GTEX-U3ZM-1526-SM-3DB9D 40-49 years, male 5.8
GTEX-UPJH-0326-SM-3GADU 50-59 years, male 5.8
GTEX-13O3Q-2426-SM-5IJBR 50-59 years, male 5.7
GTEX-16MT8-0426-SM-7KUEY 60-69 years, female 5.7
GTEX-17HHE-2026-SM-79OKF 50-59 years, male 5.7
GTEX-VJWN-0126-SM-3GIK7 50-59 years, female 5.7
GTEX-PWCY-1826-SM-DHXIZ 20-29 years, female 5.7
GTEX-13NZ8-0826-SM-5MR3I 60-69 years, female 5.6
GTEX-14PK6-1926-SM-6ETZU 70-79 years, female 5.6
GTEX-15CHC-2126-SM-6EU21 60-69 years, female 5.6
GTEX-PLZ5-2026-SM-2S1O4 50-59 years, male 5.6
GTEX-1QP66-1726-SM-E8VO1 50-59 years, male 5.6
GTEX-1RAZQ-0726-SM-EAZ43 30-39 years, male 5.6
GTEX-13OVH-0126-SM-5MR4B 70-79 years, male 5.5
GTEX-15EOM-0126-SM-7KUGG 20-29 years, female 5.5
GTEX-11LCK-1026-SM-5A5KB 30-39 years, male 5.4
GTEX-1A3MW-0126-SM-73KXX 60-69 years, female 5.4
GTEX-OXRO-0126-SM-2YUN4 60-69 years, female 5.4
GTEX-PLZ4-0126-SM-5SI8O 50-59 years, female 5.3
GTEX-R55E-0126-SM-2TC5Y 20-29 years, male 5.3
GTEX-1F48J-0126-SM-7P8TT 50-59 years, female 5.3
GTEX-1ICLY-0126-SM-D4P36 50-59 years, male 5.3
GTEX-13113-5016-SM-7EPIP 60-69 years, female 5.2
GTEX-14A6H-0126-SM-5QGPK 30-39 years, male 5.2
GTEX-16XZY-2126-SM-79OK1 70-79 years, male 5.2
GTEX-ZAJG-0126-SM-5HL94 50-59 years, female 5.2
GTEX-SE5C-1626-SM-2XCE3 40-49 years, female 5.2
GTEX-11GSO-2426-SM-5A5LY 60-69 years, male 5.1
GTEX-13OVI-1426-SM-5L3EY 60-69 years, female 5.1
GTEX-146FQ-0126-SM-5NQA9 30-39 years, male 5.1
GTEX-1AMEY-1326-SM-73KYK 30-39 years, female 5.1
GTEX-OHPM-0126-SM-2YUN9 50-59 years, male 5.1
GTEX-ZTPG-0326-SM-5O9AX 20-29 years, female 5.1
GTEX-1F75I-0326-SM-9YFLU 40-49 years, male 5.1
GTEX-1I1HK-0126-SM-COH49 60-69 years, male 5.1
GTEX-1JKYR-0126-SM-CNPOJ 20-29 years, male 5.1
GTEX-13OW7-0126-SM-5MR3B 50-59 years, male 5.0
GTEX-147F4-0226-SM-5QGPW 50-59 years, male 5.0
GTEX-1C2JI-1826-SM-73KXC 50-59 years, male 5.0
GTEX-RU72-0926-SM-2TF6B 50-59 years, female 5.0
GTEX-1I1GS-0126-SM-B2LVW 60-69 years, male 5.0
GTEX-12WSD-0126-SM-59HKN 60-69 years, female 4.9
GTEX-13W46-0226-SM-5SIAG 50-59 years, male 4.9
GTEX-18QFQ-0126-SM-731BE 30-39 years, male 4.9
GTEX-1RLM8-2326-SM-EWRN4 50-59 years, male 4.9
GTEX-R45C-0126-SM-EAZ2R 60-69 years, female 4.9
GTEX-139T4-0226-SM-5HL5S 50-59 years, female 4.8
GTEX-14E7W-0126-SM-6LLJ9 70-79 years, male 4.8
GTEX-1AX8Z-0126-SM-7DHM6 60-69 years, male 4.8
GTEX-QDT8-0126-SM-48TZ1 30-39 years, female 4.8
GTEX-1R46S-0626-SM-E9J41 60-69 years, female 4.8
GTEX-1C64O-0126-SM-7SB8P 60-69 years, male 4.7
GTEX-1HSEH-0126-SM-ACKXN 60-69 years, male 4.7
GTEX-1HSMO-0126-SM-CL547 60-69 years, male 4.7
GTEX-1I1GP-2226-SM-CGQFK 50-59 years, male 4.7
GTEX-1MGNQ-0126-SM-EVYCJ 40-49 years, male 4.7
GTEX-1NHNU-1026-SM-E9J2A 50-59 years, male 4.7
GTEX-14BIL-0126-SM-5SI92 50-59 years, male 4.6
GTEX-17MF6-0126-SM-7LG4F 40-49 years, male 4.6
GTEX-11DZ1-0126-SM-5985Q 50-59 years, male 4.5
GTEX-X4EP-0126-SM-3P5YV 60-69 years, female 4.5
GTEX-1JMOU-1526-SM-CL54I 60-69 years, female 4.5
GTEX-1PBJI-0526-SM-E8VNK 20-29 years, female 4.5
GTEX-16YQH-0126-SM-7DUFJ 30-39 years, male 4.4
GTEX-11ZUS-0626-SM-59885 30-39 years, male 4.3
GTEX-146FH-0126-SM-5QGPP 50-59 years, female 4.3
GTEX-1H1ZS-0426-SM-9WG6G 70-79 years, male 4.3
GTEX-1OJC4-0126-SM-E9J2E 50-59 years, female 4.3
GTEX-Q2AH-1626-SM-3GAF8 40-49 years, male 4.2
GTEX-1QP67-1626-SM-EAZ3X 40-49 years, female 4.2
GTEX-NPJ8-0126-SM-2YUNR 40-49 years, male 4.1
GTEX-XV7Q-2526-SM-4BRV9 40-49 years, female 4.1
GTEX-113IC-0126-SM-5HL6T 60-69 years, male 3.9
GTEX-13O1R-0126-SM-5L3EH 60-69 years, male 3.9
GTEX-ZAB4-0226-SM-5N9F5 40-49 years, male 3.8
GTEX-1MCYP-1926-SM-E9J2R 20-29 years, female 3.8
GTEX-146FR-1326-SM-E9J48 60-69 years, female 3.7
GTEX-169BO-1326-SM-9MQK2 50-59 years, male 3.7
GTEX-OXRL-0126-SM-2YUMP 50-59 years, male 3.6
GTEX-RUSQ-1526-SM-2TF62 50-59 years, male 3.6
GTEX-ZF28-0126-SM-4WKGK 60-69 years, male 3.6
GTEX-11TTK-0126-SM-5987B 60-69 years, female 3.5
GTEX-WI4N-1026-SM-3LK7N 40-49 years, female 3.5
GTEX-1QW4Y-1526-SM-EAZ3Z 30-39 years, male 3.5
GTEX-14JIY-0126-SM-6LLH6 60-69 years, male 3.4
GTEX-U4B1-1826-SM-4DXSU 40-49 years, male 3.2
GTEX-X4XY-0226-SM-4E3IZ 60-69 years, male 3.2
GTEX-X62O-0126-SM-4E3JN 50-59 years, male 3.1
GTEX-1HSMP-0126-SM-E6CJS 70-79 years, male 3.1
GTEX-1R9PO-2126-SM-E9J4O 60-69 years, female 3.1
GTEX-1AYCT-2426-SM-7IGQ3 50-59 years, male 2.7
Show allShow less

Contact

  • NEWS ARTICLES
  • PRESS ROOM

The Project

  • INTRODUCTION
  • ORGANIZATION
  • PUBLICATIONS

The Human Protein Atlas

  • DOWNLOADABLE DATA
  • LICENCE & CITATION
  • HELP & FAQ
The Human Protein Atlas project is funded
by the Knut & Alice Wallenberg Foundation.


contact@proteinatlas.org