We use cookies to enhance the usability of our website. If you continue, we'll assume that you are happy to receive all cookies. More information. Don't show this again.
SENP3
HPA
RESOURCES
  • TISSUE
  • BRAIN
  • SINGLE CELL
  • SUBCELLULAR
  • CANCER
  • BLOOD
  • CELL LINE
  • STRUCTURE & INTERACTION
ABOUT
  • INTRODUCTION
  • HISTORY
  • ORGANIZATION
  • PUBLICATIONS
  • ANTIBODY SUBMISSION
  • ANTIBODY AVAILABILITY
  • ACKNOWLEDGMENTS
  • CONTACT
NEWS
  • NEWS ARTICLES
  • PRESS ROOM
LEARN
  • DICTIONARY
  • PROTEIN CLASSES
  • PROTEIN EVIDENCE
  • METHODS
  • EDUCATIONAL VIDEOS
DATA
  • DOWNLOADABLE DATA
  • PUBLICATION DATA
  • RELEASE HISTORY
HELP
  • ANTIBODY VALIDATION
  • ASSAYS & ANNOTATION
  • DISCLAIMER
  • HELP & FAQ
  • PRIVACY STATEMENT
  • LICENCE & CITATION
Fields »
Search result

Field
Term
Gene name
Class
Subclass
Class
Keyword
Chromosome
External id
Tissue
Cell type
Expression
Antibody panel
Tissue
Main location
Patient ID
Annotation
Tissue
Category
Tau score
Cluster
Reliability
Brain region
Category
Tau score
Brain region
Category
Tau score
Brain region
Category
Tau score
Cluster
Reliability
Tissue
Cell type
Enrichment
Cell type
Category
Tau score
Cell type
Category
Tau score
Cell type
Category
Tau score
Cell lineage
Category
Tau score
Cluster
Cluster
Location
Searches
Location
Cell line
Class
Type
Phase
Reliability
Cancer
Prognosis
Cancer
Category
Cancer
Category
Tau score
Cluster
Variants
Interacting gene (ensg_id)
Type
Number of interactions
Pathway
Category
Score
Score
Score
Validation
Validation
Validation
Validation
Antibodies
Data type
Column


  • SUMMARY

  • TISSUE

  • BRAIN

  • SINGLE CELL

  • SUBCELL

  • CANCER

  • BLOOD

  • CELL LINE

  • STRUCT & INT

  • SENP3
TISSUE PRIMARY DATA ADIPOSE TISSUE Show tissue menu
ADIPOSE TISSUE ADRENAL GLAND AMYGDALA APPENDIX BASAL GANGLIA BONE MARROW BREAST BRONCHUS CEREBELLUM CEREBRAL CORTEX CERVIX CHOROID PLEXUS COLON DUODENUM
ENDOMETRIUM EPIDIDYMIS ESOPHAGUS FALLOPIAN TUBE GALLBLADDER HEART MUSCLE HIPPOCAMPAL FORMATION HYPOTHALAMUS KIDNEY LIVER LUNG LYMPH NODE MIDBRAIN NASOPHARYNX
ORAL MUCOSA OVARY PANCREAS PARATHYROID GLAND PITUITARY GLAND PLACENTA PROSTATE RECTUM RETINA SALIVARY GLAND SEMINAL VESICLE SKELETAL MUSCLE SKIN SMALL INTESTINE
SMOOTH MUSCLE SOFT TISSUE SPINAL CORD SPLEEN STOMACH TESTIS THYMUS THYROID GLAND TONGUE TONSIL URINARY BLADDER VAGINA
ANTIBODIES
AND
VALIDATION
Dictionary
Tissue proteome
Adipose tissue
ADIPOSE TISSUE - Expression summary
Protein expression
Adipose tissuei

On the top, protein expression in current human tissue, based on all annotated cell types, is reported with the units not detected (n), low (l), medium (m) and high (h). Underneath, protein expression in each annotated cell type are reported using the same units.

Protein expression data is based on knowledge-based annotation. For genes where more than one antibody has been used, a collective score is set.

If knowledge-based annotation could not be performed for a gene, no data is displayed here. View antibody staining data further down this page.

h
m
l
n
Adipocytes: Not detected
RNA expressioni

A summary of mRNA expression data available for current tissue based on several datasets. The mRNA expression levels in human tissues are based on RNA-seq data generated by the Human Protein Atlas (HPA), Genotype-Tissue Expression (GTEx) portal and CAGE data generated by the FANTOM5 consortium. Consensus normalized expression levels for human tissues was created by combining the data from HPA and GTEx datasets.

The mRNA expression levels in pig are based on RNA-seq data generated by the Human Protein Atlas (HPA), and for mouse, HPA data and in situ hybridization generated by the Allen brain atlas are reported.

Scroll down to view mRNA expression data in more detail.
Consensus:23.4 nTPM
HPA:20.7 nTPM
GTEx:23.4 nTPM
FANTOM5:11.5 Scaled Tags Per Million

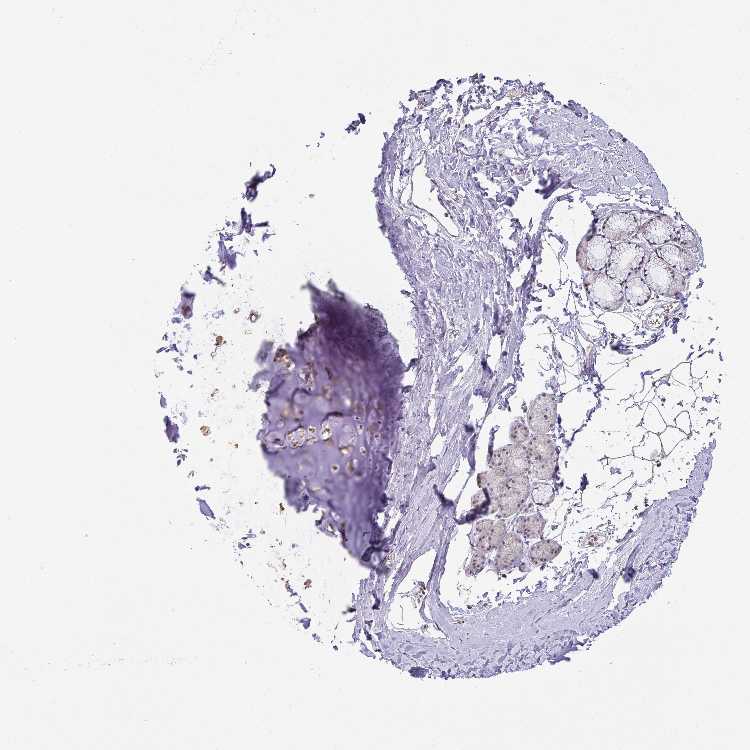
ADIPOSE TISSUE - Antibody stainingi

Antibody staining in the annotated cell types in the current human tissue is reported as not detected, low, medium, or high, based on conventional immunohistochemistry profiling in selected tissues. This score is based on the combination of the staining intensity and fraction of stained cells.

Each image is clickable and will lead to virtual microscopy that enables deeper exploration of all samples and also displays staining intensity scores, fraction scores and subcellular localization as well as patient and tissue information for each sample.

Antibody HPA060290
Adipocytes Not detected



ADIPOSE TISSUE - HPA RNA-seqi

The RNA-seq details section shows detailed information about the individual samples used for the transcript profiling and results of the RNA-seq analysis.

Information about each individual sample is listed below, including gender, age, a tissue section image and estimated fractions of cell types. nTPM (normalized transcripts per million) values give a quantification of the gene abundance which is comparable between different genes and samples.
Average nTPMi

Max subtype nTPM is the value for the subtype with the largest average nTPM across the subtype samples.

20.7
N/A
Female, age 80
Adipose tissue sample 86
nTPM: 18.6
Cell types%
Adipocytes:
95

Other cell types:
5

N/A
Female, age 45
Adipose tissue sample 115
nTPM: 20.4
N/A
Female, age 57
Adipose tissue sample 137
nTPM: 18.6
Cell types%
Adipocytes:
60

Fibroblasts:
20

Smooth muscle cells:
15

Other cell types:
5

overview
Female, age 74
Adipose tissue sample 329
nTPM: 24.6
Cell types%
Adipocytes:
50

Fibroblasts:
30

Smooth muscle cells:
15

Other cell types:
5

overview
Female, age 59
Adipose tissue sample 331
nTPM: 21.2
Cell types%
Adipocytes:
40

Fibroblasts:
40

Smooth muscle cells:
15

Other cell types:
5


ADIPOSE TISSUE - GTEx RNA-seqi

RNA-Seq data generated by the Genotype-Tissue Expression (GTEx) project from human tissues is reported as mean nTPM. More information can be found on the GTEx portal.

Distribution across the dataset is visualized with box plots, shown as median and 25th and 75th percentiles. Points are displayed as outliers if they are above or below 1.5 times the interquartile range. nTPM values of the individual samples are presented next to the box plot.
Max subtype nTPMi

Max subtype nTPM is the value for the subtype with the largest average nTPM across the subtype samples.

23.4
GTEx sample id Sample description nTPM
Adipose - Subcutaneous
Average nTPM: 22.5
Samples: 663

Max nTPM: 44.0
Min nTPM: 11.2
Std nTPM: 5.0
Median nTPM: 21.9
GTEX-1N2EF-0626-SM-E9J32 60-69 years, male 44.0
GTEX-1S82P-0226-SM-E6CI6 60-69 years, female 42.6
GTEX-1LSNM-2026-SM-E6CIJ 50-59 years, male 41.8
GTEX-T5JW-1726-SM-3GADN 20-29 years, female 38.5
GTEX-1JJ6O-0226-SM-E6CI9 60-69 years, male 38.4
GTEX-1R7EV-1926-SM-EVYBF 40-49 years, male 37.0
GTEX-11DXX-2326-SM-9YFKS 60-69 years, female 36.6
GTEX-132QS-2526-SM-62LFJ 60-69 years, male 35.9
GTEX-XUZC-1826-SM-4BRVO 30-39 years, female 35.8
GTEX-X4XY-0326-SM-46MVZ 60-69 years, male 35.4
GTEX-VJYA-1326-SM-3GIJC 60-69 years, male 35.0
GTEX-1MA7W-1926-SM-E6CIO 20-29 years, female 34.9
GTEX-ZDTT-2626-SM-5S2OP 60-69 years, male 34.6
GTEX-Q2AH-1726-SM-DIPDV 40-49 years, male 34.4
GTEX-NPJ8-0226-SM-48TBN 40-49 years, male 34.1
GTEX-XGQ4-2226-SM-4AT4Y 50-59 years, male 34.0
GTEX-SUCS-1826-SM-32PM1 70-79 years, male 33.9
GTEX-PWCY-1926-SM-3NB25 20-29 years, female 33.6
GTEX-T6MO-1726-SM-33HB8 40-49 years, female 33.4
GTEX-X15G-2326-SM-4PQZS 50-59 years, female 33.3
GTEX-U4B1-1726-SM-3DB9F 40-49 years, male 32.8
GTEX-ZPCL-2126-SM-57WFZ 60-69 years, female 32.8
GTEX-16MTA-2126-SM-6PALC 50-59 years, male 32.1
GTEX-YF7O-2426-SM-5IFJL 50-59 years, male 31.9
GTEX-ZGAY-0626-SM-DO92E 40-49 years, female 31.9
GTEX-XUW1-0526-SM-4BOP3 50-59 years, female 31.8
GTEX-X88G-0226-SM-4GIE4 30-39 years, male 31.6
GTEX-O5YV-0226-SM-48TBY 60-69 years, female 31.5
GTEX-Y114-2326-SM-4TT7X 50-59 years, female 31.5
GTEX-ZVT2-2226-SM-5NQ6P 50-59 years, female 31.5
GTEX-1ICLY-0226-SM-ARL7R 50-59 years, male 31.5
GTEX-18A67-0226-SM-7LG67 50-59 years, male 31.4
GTEX-XXEK-2426-SM-4BRUS 50-59 years, male 31.4
GTEX-1RAZQ-0626-SM-E8VOR 30-39 years, male 31.3
GTEX-WH7G-2226-SM-3NMBN 40-49 years, male 31.1
GTEX-ZQG8-1526-SM-5HL65 60-69 years, female 31.1
GTEX-14PN3-2526-SM-6EU15 60-69 years, female 31.0
GTEX-1CAMS-0326-SM-7PC35 40-49 years, female 30.9
GTEX-1399U-2426-SM-5K7XB 50-59 years, female 30.8
GTEX-S32W-2226-SM-2XCAY 50-59 years, female 30.7
GTEX-1M5QR-2126-SM-DKPQM 40-49 years, male 30.6
GTEX-1MCYP-1826-SM-E9J2Q 20-29 years, female 30.6
GTEX-QESD-1526-SM-2S1QT 20-29 years, male 30.5
GTEX-TKQ1-1126-SM-4GIAZ 30-39 years, male 30.5
GTEX-11I78-2626-SM-5Q5AI 50-59 years, female 30.4
GTEX-OOBK-0226-SM-2YUMF 40-49 years, male 30.4
GTEX-S95S-1326-SM-2XCDK 60-69 years, male 30.4
GTEX-X4LF-1726-SM-3NMBZ 50-59 years, male 30.3
GTEX-17EUY-0526-SM-7EWDE 20-29 years, male 30.1
GTEX-1S5ZU-0226-SM-E6CHW 20-29 years, female 30.1
GTEX-R55D-0326-SM-48FES 50-59 years, male 30.0
GTEX-U8XE-0426-SM-3DB91 30-39 years, male 30.0
GTEX-ZLFU-2626-SM-DO91L 40-49 years, male 30.0
GTEX-QEG5-0326-SM-2S1PB 20-29 years, male 29.7
GTEX-1KXAM-2326-SM-CYPTD 60-69 years, male 29.6
GTEX-1J1R8-2226-SM-ARZMP 40-49 years, male 29.5
GTEX-T8EM-1126-SM-3DB7D 40-49 years, male 29.4
GTEX-1GZ4H-1826-SM-9MQLE 50-59 years, female 29.4
GTEX-VUSH-0226-SM-EXUQV 30-39 years, male 29.4
GTEX-139YR-2426-SM-5J1OB 50-59 years, male 29.3
GTEX-R55G-2426-SM-2TC5I 40-49 years, female 29.3
GTEX-ZZ64-1626-SM-5E43W 20-29 years, male 29.3
GTEX-1MCC2-2326-SM-E9U5G 30-39 years, female 29.3
GTEX-1C2JI-2226-SM-7IGPJ 50-59 years, male 29.2
GTEX-ZP4G-2326-SM-57WEM 20-29 years, female 29.2
GTEX-1HCU6-0226-SM-CGQES 60-69 years, female 29.2
GTEX-1I1GU-2326-SM-CGQFB 40-49 years, male 29.1
GTEX-1LVAN-0126-SM-COH4H 50-59 years, female 29.1
GTEX-POMQ-2326-SM-DHXIS 20-29 years, female 29.1
GTEX-VUSG-2426-SM-4KKZG 50-59 years, male 29.0
GTEX-145ME-1926-SM-5MR6T 40-49 years, female 29.0
GTEX-XAJ8-0926-SM-47JXZ 40-49 years, male 28.9
GTEX-1OFPY-2326-SM-E8VNU 60-69 years, male 28.9
GTEX-18D9A-2026-SM-718BL 30-39 years, female 28.8
GTEX-TSE9-0226-SM-3DB84 60-69 years, female 28.8
GTEX-WEY5-1926-SM-3GIL8 40-49 years, female 28.8
GTEX-11EMC-2826-SM-5PNY6 60-69 years, female 28.7
GTEX-15UKP-0526-SM-7KFRO 20-29 years, male 28.7
GTEX-SNOS-1426-SM-32PLY 40-49 years, male 28.7
GTEX-ZLWG-2226-SM-DO92V 50-59 years, female 28.7
GTEX-117YX-2226-SM-5EGJJ 50-59 years, male 28.6
GTEX-REY6-0326-SM-2TF5A 60-69 years, male 28.6
GTEX-1MA7X-2126-SM-E6CIX 60-69 years, male 28.6
GTEX-PWN1-0226-SM-DKPO9 40-49 years, female 28.5
GTEX-W5WG-2526-SM-4SOJ2 50-59 years, female 28.4
GTEX-1B8KE-2526-SM-73KYQ 50-59 years, male 28.3
GTEX-RWSA-0226-SM-2XCBA 40-49 years, male 28.3
GTEX-YB5E-2126-SM-5IFI7 40-49 years, male 28.3
GTEX-1KANA-0826-SM-D3L9J 20-29 years, male 28.2
GTEX-1L5NE-2626-SM-E9U6P 50-59 years, male 28.2
GTEX-144GO-1626-SM-7EPG5 60-69 years, male 28.1
GTEX-1LGRB-2426-SM-CNPP3 50-59 years, female 28.1
GTEX-1HCUA-2226-SM-ADEHF 50-59 years, female 28.0
GTEX-WFG8-2326-SM-DIPDX 20-29 years, male 28.0
GTEX-Y3I4-2226-SM-4TT7O 50-59 years, male 27.9
GTEX-1J8QM-2326-SM-CYPSL 60-69 years, female 27.9
GTEX-1KWVE-1326-SM-E6CJ1 30-39 years, male 27.9
GTEX-1B933-0526-SM-7EPHM 50-59 years, female 27.8
GTEX-NFK9-0326-SM-3MJGV 40-49 years, male 27.8
GTEX-T6MN-0226-SM-32PMD 50-59 years, male 27.8
GTEX-1K2DA-2126-SM-CGQGL 50-59 years, male 27.8
GTEX-1497J-2326-SM-5NQBK 60-69 years, male 27.7
GTEX-WY7C-2426-SM-3NB2V 50-59 years, male 27.7
GTEX-1JKYN-1226-SM-CGQG8 30-39 years, male 27.7
GTEX-183FY-0326-SM-793BY 20-29 years, male 27.6
GTEX-OIZI-0226-SM-2XCEE 40-49 years, male 27.6
GTEX-YB5K-2226-SM-4WWG1 40-49 years, female 27.6
GTEX-14E1K-2126-SM-793DU 50-59 years, male 27.5
GTEX-15ETS-0426-SM-6PANI 40-49 years, female 27.5
GTEX-YFCO-2026-SM-4W21Q 40-49 years, male 27.5
GTEX-1I4MK-2026-SM-B2LVR 50-59 years, female 27.5
GTEX-1I6K6-0226-SM-ADEID 30-39 years, male 27.4
GTEX-ZVZP-2326-SM-59HL4 50-59 years, male 27.3
GTEX-1GF9X-1926-SM-ADEIC 40-49 years, female 27.3
GTEX-1QP66-1326-SM-DTXDQ 50-59 years, male 27.3
GTEX-WFG7-2526-SM-EWRM5 20-29 years, male 27.3
GTEX-11TT1-2426-SM-5EQMK 20-29 years, male 27.2
GTEX-16BQI-0526-SM-6PAM8 30-39 years, female 27.2
GTEX-XBEW-0726-SM-4QARX 40-49 years, male 27.2
GTEX-Y9LG-2026-SM-62LFS 30-39 years, male 27.2
GTEX-11P82-1726-SM-5Q5AT 20-29 years, male 27.1
GTEX-Z93S-0226-SM-5HL7R 50-59 years, male 27.1
GTEX-1HCU7-0326-SM-CMKGI 50-59 years, male 27.1
GTEX-1K9T9-0226-SM-E9U6K 50-59 years, female 27.1
GTEX-ZDYS-2126-SM-5S2P2 50-59 years, male 27.1
GTEX-14PHX-2426-SM-62LEN 50-59 years, male 27.0
GTEX-14PJ3-1926-SM-62LEY 50-59 years, male 27.0
GTEX-OIZH-0226-SM-2YUMH 50-59 years, male 27.0
GTEX-ZT9X-1926-SM-57WE7 40-49 years, male 27.0
GTEX-1R46S-0526-SM-EVYBZ 60-69 years, female 27.0
GTEX-O5YT-0226-SM-32PK5 20-29 years, male 26.9
GTEX-1JK1U-2126-SM-CNPOU 60-69 years, male 26.9
GTEX-1JMQK-0126-SM-CM2S3 60-69 years, male 26.9
GTEX-11ZTT-2526-SM-5EQM9 60-69 years, female 26.8
GTEX-14PJ6-2226-SM-6LLIV 60-69 years, female 26.8
GTEX-ZVE2-0326-SM-57WFC 50-59 years, male 26.8
GTEX-1122O-2026-SM-9YFMG 60-69 years, female 26.8
GTEX-1I1GT-0526-SM-CGQEQ 60-69 years, female 26.8
GTEX-1RQEC-0526-SM-E6CHV 60-69 years, male 26.8
GTEX-13O61-2426-SM-5J1NV 60-69 years, male 26.7
GTEX-QEL4-0326-SM-3GAE5 50-59 years, male 26.7
GTEX-144GM-1926-SM-5LUAN 20-29 years, male 26.5
GTEX-16AAH-2026-SM-7LG5F 50-59 years, male 26.5
GTEX-PLZ6-1326-SM-3NB24 30-39 years, male 26.4
GTEX-PLZ4-0226-SM-CYPR1 50-59 years, female 26.4
GTEX-12C56-1626-SM-5FQUO 20-29 years, male 26.3
GTEX-12WSL-2426-SM-5GCN7 50-59 years, male 26.3
GTEX-139T6-2126-SM-5KM37 50-59 years, male 26.3
GTEX-13D11-2326-SM-5IJCY 50-59 years, female 26.3
GTEX-P78B-0226-SM-3NB1Z 40-49 years, female 26.2
GTEX-QLQW-1226-SM-2S1Q9 30-39 years, male 26.2
GTEX-X8HC-0226-SM-4E3K1 50-59 years, female 26.2
GTEX-111YS-2426-SM-5GZZQ 60-69 years, male 26.1
GTEX-14ICK-0326-SM-6LLIZ 40-49 years, male 26.1
GTEX-18D9U-0726-SM-7LG5J 40-49 years, male 26.1
GTEX-XBED-2326-SM-47JYR 60-69 years, male 26.1
GTEX-12696-2526-SM-5EQLN 60-69 years, male 26.0
GTEX-P4QT-0226-SM-3LK68 50-59 years, female 26.0
GTEX-1H23P-0226-SM-9YFLO 60-69 years, male 26.0
GTEX-13NZ8-0926-SM-5MR3U 60-69 years, female 25.9
GTEX-13O1R-0226-SM-5K7U5 60-69 years, male 25.9
GTEX-17HHE-1926-SM-7EPGW 50-59 years, male 25.9
GTEX-18A66-0326-SM-718BE 60-69 years, male 25.9
GTEX-TMZS-0226-SM-3DB9N 60-69 years, male 25.9
GTEX-1HB9E-0426-SM-CNPPV 50-59 years, male 25.9
GTEX-1R7EU-0326-SM-EWRNJ 60-69 years, male 25.9
GTEX-1S831-0326-SM-EVYD3 20-29 years, male 25.9
GTEX-1HSGN-0126-SM-CGQFU 40-49 years, female 25.8
GTEX-1JMPY-1426-SM-ARL8Z 30-39 years, male 25.8
GTEX-1QP28-0226-SM-E9J2N 50-59 years, female 25.8
GTEX-133LE-1926-SM-5N9FV 20-29 years, female 25.7
GTEX-13W3W-2526-SM-5SI9P 60-69 years, female 25.7
GTEX-ZXES-2026-SM-5NQ6R 30-39 years, female 25.7
GTEX-1PFEY-1626-SM-E9J3M 30-39 years, male 25.7
GTEX-1QP9N-1526-SM-DTXFK 30-39 years, male 25.7
GTEX-1A3MV-2126-SM-718BV 30-39 years, male 25.6
GTEX-PLZ5-1826-SM-3NB22 50-59 years, male 25.5
GTEX-1FIGZ-1626-SM-7SB8L 40-49 years, male 25.5
GTEX-111CU-1826-SM-5GZYN 50-59 years, male 25.4
GTEX-P4PQ-0226-SM-2S1NK 60-69 years, male 25.4
GTEX-13OW6-0526-SM-5L3HY 50-59 years, male 25.3
GTEX-OXRP-0226-SM-3NB14 60-69 years, female 25.3
GTEX-13CF3-2326-SM-5IFGL 60-69 years, female 25.2
GTEX-147F3-0626-SM-5NQ9I 50-59 years, female 25.2
GTEX-Y5V6-2526-SM-5IFJV 60-69 years, male 25.2
GTEX-15SDE-2426-SM-7KFRC 50-59 years, female 25.1
GTEX-X261-0226-SM-3NMD2 50-59 years, male 25.1
GTEX-XQ8I-0526-SM-4BOPS 50-59 years, male 25.1
GTEX-YJ8A-0526-SM-5IFHT 20-29 years, male 25.1
GTEX-1AMEY-1426-SM-7939I 30-39 years, female 25.0
GTEX-OHPM-0226-SM-3LK61 50-59 years, male 25.0
GTEX-X638-0226-SM-47JZ9 70-79 years, female 25.0
GTEX-ZTX8-1526-SM-5N9GI 20-29 years, male 25.0
GTEX-1ICG6-2626-SM-CGQG1 70-79 years, female 25.0
GTEX-OIZG-0826-SM-E9TI4 50-59 years, male 25.0
GTEX-11TUW-2626-SM-5EQKZ 60-69 years, male 24.9
GTEX-1E1VI-0226-SM-793CZ 50-59 years, male 24.9
GTEX-OOBJ-0226-SM-2YUMM 60-69 years, male 24.9
GTEX-ZYFD-0226-SM-5NQ86 50-59 years, male 24.9
GTEX-1CAMR-1826-SM-7MXUJ 20-29 years, male 24.9
GTEX-WYJK-0226-SM-EYYV8 50-59 years, male 24.9
GTEX-13QBU-2526-SM-5LU4X 40-49 years, female 24.8
GTEX-145MN-2626-SM-5NQAH 30-39 years, male 24.8
GTEX-13FTW-2526-SM-5IJC8 40-49 years, male 24.7
GTEX-14AS3-2026-SM-5TDD9 40-49 years, female 24.6
GTEX-P44G-2326-SM-2XCCZ 30-39 years, male 24.6
GTEX-13OVI-1326-SM-5IJBO 60-69 years, female 24.5
GTEX-13OVK-2126-SM-6PAN1 40-49 years, male 24.5
GTEX-QMRM-1726-SM-2S1QG 50-59 years, male 24.5
GTEX-1CB4J-1126-SM-7PBY1 60-69 years, male 24.5
GTEX-1NHNU-1126-SM-E9J2C 50-59 years, male 24.5
GTEX-1S83E-0226-SM-EVYCW 40-49 years, male 24.5
GTEX-13FH7-2226-SM-5IJD4 50-59 years, female 24.4
GTEX-1A3MX-0226-SM-731C4 60-69 years, male 24.4
GTEX-WFON-2226-SM-3TW8W 40-49 years, male 24.4
GTEX-1128S-2126-SM-5H12U 60-69 years, female 24.3
GTEX-1LG7Z-2026-SM-DLHBP 30-39 years, male 24.3
GTEX-14BMU-2126-SM-5S2TS 20-29 years, female 24.2
GTEX-UJHI-1626-SM-3DB9A 50-59 years, female 24.2
GTEX-ZVP2-1826-SM-5GU62 50-59 years, male 24.2
GTEX-1LSNL-0526-SM-DIPFI 50-59 years, male 24.2
GTEX-14E6E-1926-SM-664N4 30-39 years, male 24.1
GTEX-TML8-2026-SM-32QOP 40-49 years, female 24.1
GTEX-1QP2A-0226-SM-EVYBC 50-59 years, male 24.1
GTEX-OHPK-0226-SM-3MJH6 50-59 years, female 24.0
GTEX-XYKS-2726-SM-4E3IC 60-69 years, female 24.0
GTEX-1HSMP-0226-SM-CGQFI 70-79 years, male 24.0
GTEX-1I6K7-0226-SM-CJI46 40-49 years, male 24.0
GTEX-S4P3-1526-SM-E9J3W 50-59 years, female 24.0
GTEX-13NYS-0226-SM-5MR49 60-69 years, male 23.9
GTEX-S7SE-0226-SM-2XCD4 50-59 years, male 23.9
GTEX-UTHO-0426-SM-CE6QU 60-69 years, male 23.9
GTEX-11EQ9-2526-SM-5HL66 30-39 years, male 23.8
GTEX-13O3P-0226-SM-5KM3Z 50-59 years, male 23.8
GTEX-15RIE-2326-SM-7KFSC 60-69 years, male 23.8
GTEX-P4QS-0226-SM-3NB1U 60-69 years, male 23.8
GTEX-Z9EW-1826-SM-5CVMA 40-49 years, male 23.8
GTEX-ZTSS-2026-SM-5987K 40-49 years, male 23.8
GTEX-1LH75-2526-SM-E9U5A 50-59 years, female 23.8
GTEX-1RAZR-0226-SM-EVYC6 40-49 years, male 23.8
GTEX-131XF-2226-SM-5EQKG 60-69 years, male 23.7
GTEX-169BO-1426-SM-9MQJT 50-59 years, male 23.7
GTEX-1IL2V-0226-SM-CMKI2 70-79 years, male 23.7
GTEX-1MUQO-0526-SM-E9J31 60-69 years, male 23.7
GTEX-P4PP-0226-SM-D4P1Z 30-39 years, female 23.7
GTEX-13RTJ-2526-SM-5S2Q3 60-69 years, male 23.6
GTEX-1AMFI-2126-SM-731BT 50-59 years, female 23.6
GTEX-WFJO-1926-SM-3GILA 30-39 years, male 23.6
GTEX-YEC4-2426-SM-57WFO 40-49 years, male 23.6
GTEX-1PWST-0326-SM-EAZ42 70-79 years, male 23.6
GTEX-1RAZA-0226-SM-E9U4W 20-29 years, male 23.6
GTEX-YECK-0226-SM-4W215 60-69 years, male 23.5
GTEX-1F6RS-0226-SM-9MQKO 60-69 years, female 23.5
GTEX-SNMC-1326-SM-2XCFK 20-29 years, male 23.4
GTEX-ZTPG-0226-SM-5O99I 20-29 years, female 23.4
GTEX-1IDJU-2526-SM-CMKGF 60-69 years, female 23.4
GTEX-1JN1M-0126-SM-D4P23 60-69 years, female 23.4
GTEX-1PIGE-0526-SM-DTXFA 20-29 years, male 23.4
GTEX-1C4CL-0426-SM-7939N 30-39 years, male 23.3
GTEX-QLQ7-1526-SM-2S1QA 60-69 years, male 23.3
GTEX-WI4N-1126-SM-3LK7Q 40-49 years, female 23.3
GTEX-X4EO-0426-SM-4QASA 60-69 years, female 23.3
GTEX-1F5PK-2526-SM-9MQKN 50-59 years, male 23.3
GTEX-1MGNQ-0226-SM-EVYCK 40-49 years, male 23.3
GTEX-1QP29-0726-SM-DTXFM 50-59 years, male 23.3
GTEX-11XUK-2126-SM-5EQLR 40-49 years, female 23.2
GTEX-13FHP-0226-SM-5K7WD 50-59 years, male 23.2
GTEX-13VXT-0226-SM-5LU9Q 20-29 years, female 23.2
GTEX-14JG6-2326-SM-6LLH3 30-39 years, female 23.2
GTEX-XLM4-0226-SM-4AT4N 60-69 years, male 23.2
GTEX-1C64O-0226-SM-73KXB 60-69 years, male 23.1
GTEX-PSDG-0326-SM-48TCP 50-59 years, male 23.1
GTEX-QCQG-1826-SM-2S1P2 50-59 years, female 23.1
GTEX-U3ZN-2626-SM-3DB7T 30-39 years, female 23.1
GTEX-1IDJF-0226-SM-CMKGE 20-29 years, male 23.1
GTEX-1KAFJ-2426-SM-D4P32 50-59 years, male 23.1
GTEX-RM2N-1726-SM-2TF55 50-59 years, male 23.0
GTEX-Y111-0226-SM-4SOIW 50-59 years, male 23.0
GTEX-17MFQ-1826-SM-7DHLS 20-29 years, male 22.9
GTEX-U412-0526-SM-3DB9I 60-69 years, male 22.9
GTEX-ZYVF-0226-SM-5GIEG 50-59 years, female 22.9
GTEX-11DZ1-0226-SM-5A5KF 50-59 years, male 22.8
GTEX-X5EB-2426-SM-4E3HX 40-49 years, male 22.8
GTEX-1HSMQ-1426-SM-ADEHT 50-59 years, male 22.8
GTEX-1IDJD-1226-SM-CM2TP 30-39 years, male 22.8
GTEX-14PII-0326-SM-6LLIQ 60-69 years, male 22.7
GTEX-17F96-1726-SM-7IGMB 70-79 years, male 22.7
GTEX-XUYS-0226-SM-47JX1 50-59 years, male 22.7
GTEX-18QFQ-0226-SM-731BQ 30-39 years, male 22.7
GTEX-1HSEH-0226-SM-ACKVV 60-69 years, male 22.7
GTEX-11P7K-2026-SM-5GU74 30-39 years, male 22.6
GTEX-14LLW-0226-SM-62LEL 70-79 years, female 22.6
GTEX-17KNJ-2226-SM-DKPOU 50-59 years, male 22.6
GTEX-1H1DF-0226-SM-ARL9A 40-49 years, female 22.6
GTEX-131XE-2426-SM-5EQ5V 50-59 years, male 22.5
GTEX-1AX9J-0326-SM-73KXY 60-69 years, male 22.5
GTEX-RTLS-0226-SM-2TF5E 60-69 years, female 22.5
GTEX-YEC3-1226-SM-5IFI8 50-59 years, male 22.5
GTEX-1I1GR-0226-SM-CMKHQ 60-69 years, male 22.5
GTEX-RUSQ-1626-SM-EZ6L4 50-59 years, male 22.5
GTEX-VJWN-0226-SM-EZ6LF 50-59 years, female 22.5
GTEX-N7MS-0326-SM-4E3K2 60-69 years, male 22.4
GTEX-OXRO-0226-SM-3LK6F 60-69 years, female 22.4
GTEX-ZLV1-1826-SM-5FQU5 60-69 years, female 22.4
GTEX-ZPU1-2426-SM-4WWFM 40-49 years, male 22.4
GTEX-1GTWX-0226-SM-9YFLL 60-69 years, male 22.4
GTEX-RVPV-1526-SM-EXOHF 60-69 years, male 22.4
GTEX-132AR-0226-SM-5IJBE 50-59 years, female 22.3
GTEX-13OVJ-0326-SM-5L3GL 50-59 years, female 22.3
GTEX-16MT8-0526-SM-6PAM6 60-69 years, female 22.3
GTEX-SIU8-0226-SM-2XCDS 50-59 years, male 22.3
GTEX-SJXC-0226-SM-2XCDU 60-69 years, male 22.3
GTEX-Y3IK-2526-SM-4WWDM 50-59 years, female 22.3
GTEX-Y8E5-0226-SM-57WCM 60-69 years, male 22.3
GTEX-1JJEA-0226-SM-COH2X 60-69 years, male 22.3
GTEX-1LGOU-2226-SM-E9U56 20-29 years, female 22.3
GTEX-U3ZM-1026-SM-EZ6LD 40-49 years, male 22.3
GTEX-1F75I-0426-SM-7PC3S 40-49 years, male 22.2
GTEX-11OF3-2426-SM-5Q5AS 60-69 years, male 22.1
GTEX-OXRL-0226-SM-3NB18 50-59 years, male 22.1
GTEX-T5JC-0526-SM-32PM7 20-29 years, male 22.1
GTEX-R3RS-0226-SM-EYYVE 40-49 years, female 22.1
GTEX-1212Z-2426-SM-5EQ5D 60-69 years, male 22.0
GTEX-13PVR-2426-SM-5RQHN 60-69 years, female 22.0
GTEX-17F98-1126-SM-79OJS 40-49 years, female 22.0
GTEX-1B97I-1726-SM-7939V 40-49 years, male 22.0
GTEX-ZF29-2226-SM-4WWB9 60-69 years, female 22.0
GTEX-1GN1W-0626-SM-9MQK3 50-59 years, female 22.0
GTEX-1I1GQ-0226-SM-COH3I 50-59 years, male 22.0
GTEX-1LBAC-0226-SM-DHXJZ 20-29 years, male 22.0
GTEX-PX3G-0226-SM-DKPOF 20-29 years, female 22.0
GTEX-13IVO-0226-SM-5LZXU 70-79 years, male 21.9
GTEX-Q734-1826-SM-2I3EL 40-49 years, female 21.9
GTEX-1GPI7-0226-SM-9MQKB 20-29 years, male 21.9
GTEX-11LCK-1126-SM-5A5KC 30-39 years, male 21.8
GTEX-R53T-1626-SM-3GAEW 50-59 years, female 21.8
GTEX-Y8LW-1926-SM-4WWFZ 50-59 years, female 21.8
GTEX-1GMR2-2526-SM-9MQKW 50-59 years, male 21.8
GTEX-14C5O-0226-SM-5SI6O 60-69 years, male 21.7
GTEX-1CB4I-0426-SM-7IGPR 50-59 years, male 21.7
GTEX-XQ3S-1626-SM-4WAYN 20-29 years, male 21.7
GTEX-1CB4H-0326-SM-9WG5G 60-69 years, female 21.7
GTEX-131YS-0226-SM-5IJEH 60-69 years, female 21.6
GTEX-14DAR-1926-SM-5S2NQ 50-59 years, male 21.6
GTEX-ZAK1-0226-SM-5CVMX 50-59 years, female 21.6
GTEX-1R9K5-0226-SM-EWRNF 50-59 years, male 21.6
GTEX-13N1W-0226-SM-5K7W6 70-79 years, male 21.5
GTEX-OXRK-0326-SM-3NB3R 50-59 years, female 21.5
GTEX-POYW-0726-SM-2XCEO 60-69 years, male 21.5
GTEX-QDT8-0226-SM-32PL4 30-39 years, female 21.5
GTEX-QDVN-2126-SM-33HBS 50-59 years, male 21.5
GTEX-QV31-1326-SM-2S1QE 30-39 years, male 21.5
GTEX-QV44-1825-SM-447CF 50-59 years, male 21.5
GTEX-1B996-0126-SM-7PBYF 60-69 years, male 21.5
GTEX-1JKYR-0226-SM-CNPOK 20-29 years, male 21.5
GTEX-11EM3-2326-SM-5H12B 20-29 years, female 21.4
GTEX-13JUV-2826-SM-5LZWU 40-49 years, female 21.4
GTEX-13O21-1526-SM-5K7W4 50-59 years, male 21.4
GTEX-146FR-1826-SM-5QGPF 60-69 years, female 21.4
GTEX-1AX9K-2426-SM-73KZ4 50-59 years, male 21.4
GTEX-S33H-1126-SM-2XCB6 30-39 years, male 21.4
GTEX-ZZPU-2726-SM-5NQ8O 50-59 years, female 21.4
GTEX-1HCU8-0726-SM-ADEIR 60-69 years, female 21.4
GTEX-11EQ8-0226-SM-5EQ5G 60-69 years, male 21.3
GTEX-14PK6-2026-SM-6LLHP 70-79 years, female 21.3
GTEX-16NGA-1826-SM-7LG5L 40-49 years, female 21.3
GTEX-ZUA1-0226-SM-5NQ9Q 40-49 years, male 21.2
GTEX-ZVTK-0526-SM-5GZWT 20-29 years, male 21.2
GTEX-ZYY3-0226-SM-5E45M 60-69 years, female 21.2
GTEX-1J8EW-0226-SM-CYPSW 60-69 years, female 21.2
GTEX-14BMV-0226-SM-5S2N2 50-59 years, male 21.1
GTEX-QDVJ-1826-SM-2S1P3 50-59 years, male 21.1
GTEX-Y8E4-0726-SM-4WWFN 40-49 years, male 21.1
GTEX-1RDX4-0226-SM-DTXG1 50-59 years, female 21.1
GTEX-139D8-0326-SM-5IJCJ 30-39 years, female 21.0
GTEX-146FH-0226-SM-5QGPQ 50-59 years, female 21.0
GTEX-14PJ4-2226-SM-6LLIS 60-69 years, male 21.0
GTEX-16YQH-0226-SM-6PALD 30-39 years, male 21.0
GTEX-SN8G-0226-SM-4DM6B 50-59 years, female 21.0
GTEX-XK95-0426-SM-4AT4R 40-49 years, male 20.9
GTEX-ZC5H-0126-SM-4WAYL 40-49 years, female 20.9
GTEX-1H1ZS-0526-SM-9WG5L 70-79 years, male 20.9
GTEX-11ZUS-0726-SM-59886 30-39 years, male 20.8
GTEX-13QJ3-0426-SM-5RQHP 50-59 years, male 20.8
GTEX-1CB4E-1826-SM-7RHG8 60-69 years, male 20.8
GTEX-111FC-0226-SM-5N9B8 60-69 years, male 20.7
GTEX-148VI-1726-SM-5S2W9 60-69 years, female 20.7
GTEX-16NPX-0326-SM-7EWDI 50-59 years, male 20.7
GTEX-1GMR8-0226-SM-9YFL3 50-59 years, female 20.7
GTEX-1I1GS-0226-SM-B2LVX 60-69 years, male 20.7
GTEX-1JN76-0226-SM-CMKGO 20-29 years, female 20.7
GTEX-1QP67-1726-SM-E8VOP 40-49 years, female 20.7
GTEX-1QW4Y-1626-SM-EAZ41 30-39 years, male 20.7
GTEX-13111-1726-SM-5EGJZ 50-59 years, male 20.6
GTEX-1B8SG-0226-SM-7939Q 50-59 years, male 20.6
GTEX-1314G-1626-SM-5EQ67 30-39 years, male 20.5
GTEX-13YAN-0426-SM-5O9DR 60-69 years, male 20.5
GTEX-14C39-2526-SM-5S2UH 40-49 years, male 20.5
GTEX-15G19-0226-SM-6PAL2 60-69 years, male 20.5
GTEX-ZVZO-0226-SM-5A5LA 40-49 years, male 20.5
GTEX-1E2YA-0226-SM-9MQLY 50-59 years, male 20.5
GTEX-1GMR3-2026-SM-9MQLG 40-49 years, male 20.5
GTEX-1H2FU-0226-SM-9YFKO 60-69 years, female 20.5
GTEX-1PPH8-0626-SM-EWRN9 20-29 years, male 20.5
GTEX-113IC-0226-SM-5HL5C 60-69 years, male 20.4
GTEX-11GSO-2326-SM-5A5LX 60-69 years, male 20.4
GTEX-11H98-0226-SM-5NQ89 50-59 years, male 20.4
GTEX-1EKGG-0126-SM-9YFLS 60-69 years, male 20.4
GTEX-1HBPM-0326-SM-CMKGR 60-69 years, female 20.4
GTEX-1R9PM-2126-SM-E8VOB 20-29 years, male 20.4
GTEX-1211K-2226-SM-5FQU6 60-69 years, female 20.3
GTEX-139T4-0126-SM-5HL5G 50-59 years, female 20.3
GTEX-13NZA-0126-SM-5K7UH 60-69 years, male 20.3
GTEX-13PVQ-0226-SM-5SIBG 50-59 years, male 20.3
GTEX-14H4A-1026-SM-62LDY 40-49 years, female 20.3
GTEX-17HHY-0226-SM-793BQ 50-59 years, male 20.3
GTEX-Q2AG-0226-SM-2S1P4 40-49 years, female 20.3
GTEX-Q2AI-1426-SM-2S1P5 40-49 years, male 20.3
GTEX-W5X1-2626-SM-4LMI8 40-49 years, female 20.3
GTEX-ZPIC-1826-SM-57WFE 40-49 years, female 20.3
GTEX-ZYFC-0326-SM-5NQ7H 50-59 years, male 20.3
GTEX-ZYT6-0326-SM-7LG5R 30-39 years, male 20.3
GTEX-11DXW-0326-SM-5H11W 40-49 years, male 20.2
GTEX-12126-0426-SM-5Q5AP 20-29 years, male 20.2
GTEX-SSA3-0226-SM-32QPN 60-69 years, male 20.2
GTEX-WHPG-2126-SM-4M1ZM 50-59 years, male 20.2
GTEX-ZAJG-0226-SM-5HL81 50-59 years, female 20.2
GTEX-1GF9V-0226-SM-9MQKA 60-69 years, male 20.2
GTEX-1H3VY-0226-SM-9YFMF 50-59 years, male 20.2
GTEX-1N2DW-0326-SM-E9TK3 50-59 years, male 20.2
GTEX-13NZB-2426-SM-5K7UF 30-39 years, male 20.1
GTEX-145MO-0426-SM-5QGP6 60-69 years, male 20.1
GTEX-XV7Q-2626-SM-4BRVA 40-49 years, female 20.1
GTEX-16XZZ-0226-SM-7MGVJ 60-69 years, male 20.1
GTEX-1KD5A-0326-SM-D5OVD 50-59 years, male 20.1
GTEX-11ZTS-0226-SM-5EQKD 60-69 years, female 20.0
GTEX-13G51-2626-SM-5LZYW 60-69 years, male 20.0
GTEX-18A7A-0326-SM-731AT 50-59 years, female 20.0
GTEX-XMK1-2226-SM-4B673 40-49 years, male 20.0
GTEX-139T8-0226-SM-5L3EA 60-69 years, male 19.9
GTEX-13N2G-2726-SM-5J1MG 60-69 years, male 19.9
GTEX-1C475-1926-SM-7DUFV 40-49 years, female 19.9
GTEX-ZDXO-2426-SM-5S2NJ 60-69 years, male 19.9
GTEX-1C6VR-2626-SM-7MGX2 60-69 years, male 19.9
GTEX-1IY9M-0226-SM-CMKHP 60-69 years, male 19.9
GTEX-13CF2-2626-SM-5LZZA 60-69 years, male 19.8
GTEX-14BIN-0726-SM-793DQ 50-59 years, female 19.8
GTEX-1C6WA-0226-SM-7IGPO 60-69 years, male 19.8
GTEX-R55C-1626-SM-48FEG 40-49 years, male 19.8
GTEX-YJ8O-2426-SM-5HL7S 40-49 years, female 19.8
GTEX-1HBPI-1426-SM-B2LW7 50-59 years, male 19.8
GTEX-12KS4-0426-SM-5EQMC 30-39 years, male 19.7
GTEX-13113-1826-SM-5LZW4 60-69 years, female 19.7
GTEX-17F97-0426-SM-7LT9U 50-59 years, male 19.7
GTEX-ZF28-0226-SM-5S2OE 60-69 years, male 19.7
GTEX-1GN2E-0326-SM-COH3C 60-69 years, male 19.7
GTEX-1J1OQ-0326-SM-CYPTJ 40-49 years, female 19.7
GTEX-1LVAO-0226-SM-E9U6O 60-69 years, male 19.7
GTEX-12584-0226-SM-5EQL5 40-49 years, male 19.6
GTEX-1C6VS-0426-SM-79OJV 60-69 years, male 19.6
GTEX-1EU9M-0326-SM-7RHGF 60-69 years, male 19.6
GTEX-1QCLY-0526-SM-EAZ47 30-39 years, male 19.6
GTEX-QEG4-0326-SM-DIPE3 30-39 years, male 19.6
GTEX-1IKJJ-0226-SM-COH3T 60-69 years, male 19.5
GTEX-17F9Y-0326-SM-7IGLS 70-79 years, female 19.4
GTEX-18465-0226-SM-7LG5M 50-59 years, male 19.4
GTEX-1MJK2-0526-SM-DTXE6 50-59 years, male 19.4
GTEX-12ZZY-0326-SM-5LZVQ 60-69 years, male 19.3
GTEX-13SLX-0426-SM-5QGRC 50-59 years, female 19.3
GTEX-1A32A-0226-SM-718B2 50-59 years, female 19.3
GTEX-XPVG-2726-SM-4B66W 50-59 years, male 19.3
GTEX-1117F-0226-SM-5GZZ7 60-69 years, female 19.2
GTEX-145LT-1826-SM-5QGP4 40-49 years, male 19.2
GTEX-YFC4-0226-SM-57WD2 40-49 years, female 19.2
GTEX-13NYB-2626-SM-9YFMI 40-49 years, male 19.2
GTEX-1GN1U-0226-SM-9YFLQ 50-59 years, female 19.2
GTEX-1JMLX-0126-SM-CMKG9 50-59 years, male 19.2
GTEX-12ZZZ-0526-SM-5DUX6 60-69 years, male 19.1
GTEX-16XZY-2526-SM-7DHL2 70-79 years, male 19.1
GTEX-1EWIQ-0226-SM-793D3 70-79 years, female 19.1
GTEX-1399R-2626-SM-5KLZ7 30-39 years, male 19.0
GTEX-13S7M-0226-SM-5S2UG 60-69 years, female 19.0
GTEX-144GL-0226-SM-5QGOX 50-59 years, male 19.0
GTEX-17HII-0326-SM-7LG4X 50-59 years, male 19.0
GTEX-1A8G7-0226-SM-731AS 60-69 years, male 19.0
GTEX-ZF3C-0226-SM-4WWB3 50-59 years, female 19.0
GTEX-1B8L1-2626-SM-7SB77 60-69 years, male 19.0
GTEX-1H4P4-0226-SM-9YFKT 50-59 years, male 19.0
GTEX-1HCVE-0226-SM-CGQEV 50-59 years, male 19.0
GTEX-1PPGY-0326-SM-DTXFD 60-69 years, male 19.0
GTEX-1QPFJ-0126-SM-E9J4B 30-39 years, female 19.0
GTEX-13X6J-0226-SM-7EPGC 50-59 years, male 18.9
GTEX-1EMGI-0226-SM-9MQL1 60-69 years, male 18.9
GTEX-1F88E-0526-SM-7SB8J 60-69 years, female 18.9
GTEX-1H3VE-0226-SM-9WYST 40-49 years, male 18.9
GTEX-14ABY-0326-SM-5TDDK 50-59 years, male 18.8
GTEX-18A6Q-0226-SM-718AS 60-69 years, male 18.8
GTEX-RU72-1026-SM-46MUG 50-59 years, female 18.8
GTEX-1PBJI-0426-SM-E8VNM 20-29 years, female 18.8
GTEX-XOT4-0226-SM-4B66Z 60-69 years, female 18.8
GTEX-145MG-0126-SM-5TDDA 50-59 years, male 18.7
GTEX-OXRN-0226-SM-2I5EJ 50-59 years, male 18.7
GTEX-1B932-0226-SM-7PBYH 40-49 years, female 18.7
GTEX-1F6I4-0226-SM-9MQMA 60-69 years, male 18.7
GTEX-1HSMO-0226-SM-CGQEZ 60-69 years, male 18.7
GTEX-1IKK5-0526-SM-CMKGG 60-69 years, male 18.7
GTEX-13O3Q-2326-SM-5KM3G 50-59 years, male 18.6
GTEX-1399T-2726-SM-5K7XK 60-69 years, male 18.5
GTEX-13N11-2626-SM-5K7UQ 50-59 years, female 18.5
GTEX-14PJM-0326-SM-62LF2 50-59 years, female 18.5
GTEX-T2IS-0226-SM-32QPH 20-29 years, female 18.5
GTEX-12WSC-0226-SM-5EQ52 50-59 years, male 18.4
GTEX-131XW-0526-SM-5PNXZ 50-59 years, female 18.4
GTEX-14PJ2-0226-SM-6LLH4 50-59 years, male 18.4
GTEX-1HFI6-0326-SM-ADEI5 40-49 years, male 18.4
GTEX-1LG7Y-0426-SM-DKPQB 50-59 years, male 18.4
GTEX-1POEN-0226-SM-EYYXE 30-39 years, female 18.4
GTEX-1QEPI-0226-SM-EWRMR 60-69 years, female 18.4
GTEX-RNOR-0226-SM-EZ6MF 50-59 years, female 18.4
GTEX-11EI6-0226-SM-5EQ64 60-69 years, male 18.3
GTEX-11O72-0226-SM-59869 40-49 years, male 18.3
GTEX-14E6C-0226-SM-5S2N3 40-49 years, male 18.3
GTEX-1269C-2726-SM-5EGJ4 60-69 years, female 18.2
GTEX-1F48J-0226-SM-7SB82 50-59 years, female 18.2
GTEX-12WSA-0326-SM-5BC6I 60-69 years, male 18.1
GTEX-17HGU-0326-SM-7DUER 50-59 years, male 18.1
GTEX-WVLH-0226-SM-3MJG6 50-59 years, male 18.1
GTEX-1LB8K-0326-SM-E9TJC 50-59 years, male 18.1
GTEX-139TT-0226-SM-5K7YH 60-69 years, male 18.0
GTEX-15DDE-0226-SM-6LLJ6 50-59 years, female 18.0
GTEX-ZEX8-2326-SM-5S2MN 50-59 years, male 18.0
GTEX-ZV68-0226-SM-59HJF 50-59 years, female 18.0
GTEX-1HGF4-2526-SM-ADEIZ 60-69 years, male 18.0
GTEX-1I1GV-0426-SM-ARZLX 60-69 years, male 18.0
GTEX-11UD2-0126-SM-5EQL2 50-59 years, male 17.9
GTEX-12ZZX-0226-SM-5DUXU 40-49 years, female 17.9
GTEX-1F52S-0226-SM-7SB7U 60-69 years, female 17.9
GTEX-1F75A-0226-SM-7PC2K 50-59 years, male 17.9
GTEX-1JMQI-2026-SM-CMKGP 50-59 years, male 17.9
GTEX-13112-2726-SM-5DUW5 50-59 years, male 17.8
GTEX-13JVG-0226-SM-5J1MW 60-69 years, male 17.8
GTEX-13SLW-0226-SM-5S2NA 70-79 years, male 17.8
GTEX-14ICL-2026-SM-62LDN 30-39 years, male 17.8
GTEX-1GMRU-0226-SM-9YFLW 50-59 years, male 17.8
GTEX-1IOXB-0226-SM-CMKHY 50-59 years, male 17.8
GTEX-1J8JJ-0326-SM-CMKG6 60-69 years, female 17.8
GTEX-1QAET-1126-SM-E8VML 50-59 years, male 17.8
GTEX-XMD2-0226-SM-4WWEE 60-69 years, female 17.7
GTEX-1I1GP-2326-SM-CGQFL 50-59 years, male 17.7
GTEX-13OVL-0326-SM-5IJCS 50-59 years, male 17.6
GTEX-13OW8-1226-SM-5K7XD 60-69 years, male 17.6
GTEX-1AYD5-2326-SM-73KXF 50-59 years, male 17.6
GTEX-11NUK-0326-SM-5HL5K 50-59 years, male 17.6
GTEX-1HSKV-0326-SM-ADEJC 60-69 years, male 17.6
GTEX-WVJS-0226-SM-4MVOU 50-59 years, male 17.5
GTEX-ZDTS-0226-SM-5HL7Q 60-69 years, male 17.5
GTEX-1J8Q3-1526-SM-CMKGB 60-69 years, male 17.5
GTEX-1PDJ9-0426-SM-E9J3E 20-29 years, male 17.5
GTEX-OIZF-0226-SM-E9TI3 60-69 years, male 17.5
GTEX-14E6D-0226-SM-62LDW 50-59 years, male 17.4
GTEX-Z93T-0226-SM-5HL5Z 50-59 years, male 17.4
GTEX-ZYW4-0226-SM-5E44M 60-69 years, male 17.4
GTEX-11ONC-2526-SM-5986W 60-69 years, male 17.3
GTEX-11WQC-2426-SM-5EQKQ 60-69 years, male 17.3
GTEX-144FL-0226-SM-5Q5D4 50-59 years, male 17.3
GTEX-1EX96-1426-SM-7PBZ5 50-59 years, male 17.3
GTEX-1GN1V-0226-SM-9WYTN 60-69 years, male 17.3
GTEX-1IE54-0226-SM-CMKHX 40-49 years, female 17.3
GTEX-1OJC4-1726-SM-EXUSV 50-59 years, female 17.3
GTEX-1PIIG-0326-SM-EVYBV 30-39 years, male 17.3
GTEX-15ER7-0426-SM-6PAM3 20-29 years, female 17.2
GTEX-1CB4F-0526-SM-9KNW2 60-69 years, male 17.2
GTEX-1LVA9-0226-SM-E9U5N 50-59 years, male 17.2
GTEX-13X6K-0226-SM-5QGPB 60-69 years, female 17.1
GTEX-14JIY-0526-SM-62LFH 60-69 years, male 17.1
GTEX-1A3MW-0226-SM-7939O 60-69 years, female 17.1
GTEX-WL46-0326-SM-3LK6Y 50-59 years, male 17.1
GTEX-XBEC-0326-SM-4AT4M 50-59 years, male 17.1
GTEX-11TTK-0226-SM-5N9EC 60-69 years, female 17.0
GTEX-12WSM-0226-SM-5LZV6 60-69 years, male 17.0
GTEX-1EH9U-0226-SM-7PBY8 60-69 years, male 17.0
GTEX-1H1CY-2626-SM-9MQKJ 60-69 years, female 17.0
GTEX-1ICLZ-0226-SM-CKZPP 60-69 years, male 17.0
GTEX-13U4I-0226-SM-5SIB1 40-49 years, female 16.9
GTEX-YJ89-0226-SM-4TT3Y 60-69 years, male 16.9
GTEX-1GZ4I-0226-SM-7RHHO 50-59 years, male 16.9
GTEX-1BAJH-0426-SM-73KWY 70-79 years, male 16.8
GTEX-Y5V5-2426-SM-5IFJA 60-69 years, female 16.8
GTEX-145MI-0426-SM-5O99V 60-69 years, female 16.7
GTEX-147GR-0426-SM-5S2OL 60-69 years, male 16.7
GTEX-16GPK-0226-SM-7DUFI 60-69 years, male 16.7
GTEX-OHPN-0226-SM-48TBV 60-69 years, female 16.7
GTEX-1HFI7-2026-SM-CGQFR 50-59 years, female 16.7
GTEX-139TU-0226-SM-5J1NM 60-69 years, male 16.6
GTEX-13FTY-0626-SM-5L3F8 40-49 years, female 16.6
GTEX-14DAQ-0226-SM-664MQ 60-69 years, female 16.6
GTEX-17EVP-0426-SM-79OKG 40-49 years, male 16.6
GTEX-1F88F-2626-SM-9WG5K 60-69 years, female 16.6
GTEX-1HR9M-0226-SM-COH3E 60-69 years, male 16.6
GTEX-1IL2U-0326-SM-CE6T9 60-69 years, male 16.6
GTEX-12WSD-0226-SM-59HKO 60-69 years, female 16.5
GTEX-13VXU-0226-SM-5SI9R 50-59 years, male 16.5
GTEX-15CHQ-0226-SM-6EU2S 60-69 years, male 16.5
GTEX-ZXG5-0226-SM-59HJI 60-69 years, male 16.5
GTEX-1LSVX-0126-SM-EVYCY 60-69 years, male 16.5
GTEX-R45C-0226-SM-EVYAJ 60-69 years, female 16.4
GTEX-14753-0326-SM-5QGQB 60-69 years, male 16.3
GTEX-1A8G6-0526-SM-7PC1E 60-69 years, male 16.3
GTEX-1HT8W-0226-SM-CMKGT 30-39 years, male 16.3
GTEX-1HUB1-0326-SM-A9SKQ 60-69 years, male 16.3
GTEX-11ZU8-2426-SM-5EQMV 60-69 years, male 16.2
GTEX-1GN73-0326-SM-9KNTW 60-69 years, male 16.1
GTEX-1I1CD-0226-SM-CM2TL 60-69 years, female 16.1
GTEX-1I1HK-0226-SM-COH4A 60-69 years, male 16.1
GTEX-1JN6P-0226-SM-COH34 60-69 years, male 16.1
GTEX-111VG-2326-SM-5N9BK 60-69 years, male 16.0
GTEX-11GS4-2626-SM-5A5LD 60-69 years, male 16.0
GTEX-145MF-0526-SM-5LUA6 50-59 years, male 16.0
GTEX-1CAMQ-0126-SM-7SB7S 40-49 years, male 16.0
GTEX-11P81-2426-SM-5GU65 30-39 years, female 15.9
GTEX-1HR98-0226-SM-CGQEK 60-69 years, male 15.9
GTEX-13PDP-0226-SM-5K7W9 60-69 years, male 15.8
GTEX-14BIL-0226-SM-5SI9E 50-59 years, male 15.8
GTEX-1JJE9-1226-SM-CNPOI 70-79 years, male 15.8
GTEX-13OW7-0226-SM-5MR3N 50-59 years, male 15.7
GTEX-P44H-0326-SM-2XCES 40-49 years, male 15.7
GTEX-1AYCT-2226-SM-7SB98 50-59 years, male 15.7
GTEX-1QP6S-0126-SM-E9J4K 40-49 years, male 15.7
GTEX-11UD1-0226-SM-5EQKL 40-49 years, female 15.5
GTEX-1CB4G-0326-SM-7SB8R 60-69 years, male 15.5
GTEX-13PLJ-0126-SM-5L3HU 60-69 years, female 15.4
GTEX-1B8SF-0526-SM-7939F 60-69 years, male 15.4
GTEX-ZVT4-0226-SM-51MSD 50-59 years, female 15.4
GTEX-1313W-0226-SM-5LZV7 50-59 years, female 15.3
GTEX-1H3O1-0526-SM-9MQLS 60-69 years, male 15.3
GTEX-13FHO-0326-SM-5IJBH 60-69 years, male 15.1
GTEX-147JS-0426-SM-5TDD2 60-69 years, male 15.0
GTEX-1H1E6-2026-SM-9KNVK 30-39 years, male 14.9
GTEX-11PRG-0626-SM-5BC56 50-59 years, male 14.7
GTEX-1H1DE-2026-SM-9WG6Q 20-29 years, male 14.7
GTEX-11ZVC-2626-SM-5FQTA 50-59 years, female 14.5
GTEX-1AX9I-0226-SM-7SB75 60-69 years, male 14.5
GTEX-1C6VQ-0226-SM-7P8S5 50-59 years, male 14.5
GTEX-1HBPH-0526-SM-9YFMN 40-49 years, female 14.5
GTEX-17MF6-0226-SM-7LG4G 40-49 years, male 14.4
GTEX-14JG1-0526-SM-6LLHW 40-49 years, male 14.2
GTEX-1B8KZ-1926-SM-7DUG8 50-59 years, male 14.2
GTEX-1F75W-0226-SM-9JGGP 60-69 years, male 14.2
GTEX-1I19N-0426-SM-ACKVY 70-79 years, male 14.2
GTEX-1IGQW-0226-SM-COH43 60-69 years, male 14.2
GTEX-1GZ2Q-0326-SM-9WG6N 40-49 years, male 14.1
GTEX-15DCD-0226-SM-6LPKC 70-79 years, female 14.0
GTEX-1JMQL-0326-SM-CNPP6 50-59 years, female 13.9
GTEX-146FQ-0226-SM-5NQAL 30-39 years, male 13.8
GTEX-ZE7O-0226-SM-5S2N1 50-59 years, female 13.4
GTEX-14A5H-0526-SM-5TDCN 60-69 years, male 13.1
GTEX-17HG3-2326-SM-79OKH 30-39 years, female 13.0
GTEX-145LS-0226-SM-5O9A5 60-69 years, female 12.9
GTEX-183WM-0226-SM-7LT8T 70-79 years, female 12.8
GTEX-1A8FM-0126-SM-7SB7P 50-59 years, female 12.8
GTEX-ZE9C-2826-SM-5S2MO 60-69 years, male 12.6
GTEX-13NZ9-0526-SM-5J1OX 50-59 years, male 12.2
GTEX-1IDFM-0226-SM-CMKFX 60-69 years, male 11.2
Show allShow less
Adipose - Visceral (Omentum)
Average nTPM: 23.4
Samples: 541

Max nTPM: 57.2
Min nTPM: 9.4
Std nTPM: 5.8
Median nTPM: 23.2
GTEX-1RB15-1126-SM-E8VMX 60-69 years, male 57.2
GTEX-1RAZQ-1526-SM-E6CJI 30-39 years, male 43.5
GTEX-1MA7W-0526-SM-E6CIN 20-29 years, female 42.9
GTEX-UTHO-1826-SM-3GAFE 60-69 years, male 42.4
GTEX-1MJK3-0626-SM-E6CJB 20-29 years, male 42.3
GTEX-11TT1-1926-SM-5PNYN 20-29 years, male 42.1
GTEX-Y5LM-0826-SM-4VDSW 40-49 years, female 42.1
GTEX-1B933-1326-SM-7939U 50-59 years, female 41.0
GTEX-U8XE-1926-SM-3DB98 30-39 years, male 39.0
GTEX-VUSG-1426-SM-3GIJN 50-59 years, male 38.8
GTEX-1L5NE-1726-SM-DHXKX 50-59 years, male 37.3
GTEX-1ICLY-1426-SM-CJI48 50-59 years, male 35.8
GTEX-1HSEH-1326-SM-ADEI1 60-69 years, male 35.6
GTEX-1MCQQ-1426-SM-E6CJA 60-69 years, male 35.5
GTEX-XBEW-1726-SM-4RGMA 40-49 years, male 35.4
GTEX-1F75B-1226-SM-7MXTW 50-59 years, male 34.8
GTEX-132QS-0826-SM-5K7WV 60-69 years, male 34.4
GTEX-13IVO-2426-SM-5K7V9 70-79 years, male 34.3
GTEX-12BJ1-0826-SM-5EQ5P 60-69 years, male 33.9
GTEX-14DAR-0426-SM-664MW 50-59 years, male 33.6
GTEX-1LSNL-1426-SM-E6CJ9 50-59 years, male 33.5
GTEX-Z9EW-0826-SM-5HL9T 40-49 years, male 33.3
GTEX-1PFEY-0726-SM-E76PO 30-39 years, male 33.2
GTEX-1RNTQ-0826-SM-E9TK8 20-29 years, female 33.0
GTEX-1399S-1426-SM-5PNYQ 30-39 years, female 32.9
GTEX-15RIE-0126-SM-7KUF8 60-69 years, male 32.9
GTEX-ZA64-0926-SM-5HL7H 20-29 years, male 32.9
GTEX-1K2DU-0726-SM-DIPF7 20-29 years, male 32.9
GTEX-133LE-0926-SM-5P9J1 20-29 years, female 32.8
GTEX-1RMOY-0826-SM-E9TIF 50-59 years, male 32.4
GTEX-XAJ8-0226-SM-4GIB2 40-49 years, male 32.3
GTEX-11I78-0226-SM-5HL6R 50-59 years, female 32.1
GTEX-14PK6-0926-SM-62LF4 70-79 years, female 32.1
GTEX-1C2JI-0826-SM-7EPHB 50-59 years, male 32.0
GTEX-13PDP-1226-SM-5K7TW 60-69 years, male 31.9
GTEX-XXEK-1426-SM-4BRW1 50-59 years, male 31.9
GTEX-13FH7-1926-SM-5J2OL 50-59 years, female 31.8
GTEX-1MCC2-0626-SM-DKPQI 30-39 years, female 31.7
GTEX-14PJ4-0126-SM-62LEZ 60-69 years, male 31.6
GTEX-1I1GU-0626-SM-CMKHR 40-49 years, male 31.5
GTEX-17GQL-0826-SM-731AM 60-69 years, male 31.3
GTEX-XUZC-1126-SM-4BOPZ 30-39 years, female 31.3
GTEX-1H3VE-1926-SM-9YFL4 40-49 years, male 31.3
GTEX-13O61-1926-SM-5KM1R 60-69 years, male 31.1
GTEX-X585-2526-SM-4QAS1 50-59 years, male 31.1
GTEX-ZF2S-1526-SM-5S2OO 50-59 years, female 31.0
GTEX-ZZ64-0626-SM-5GZWR 20-29 years, male 31.0
GTEX-1C6VS-1826-SM-73KXN 60-69 years, male 30.9
GTEX-XQ8I-1426-SM-4BOPW 50-59 years, male 30.9
GTEX-1LSNM-0626-SM-DIPG7 50-59 years, male 30.9
GTEX-14BMU-0626-SM-73KZ6 20-29 years, female 30.8
GTEX-1QP66-0626-SM-E76PD 50-59 years, male 30.7
GTEX-111YS-1326-SM-5EGGK 60-69 years, male 30.6
GTEX-14C38-1026-SM-73KY7 50-59 years, male 30.6
GTEX-ZF28-1426-SM-5S2OG 60-69 years, male 30.5
GTEX-1MUQO-0826-SM-EVYCZ 60-69 years, male 30.5
GTEX-1ICG6-1726-SM-ARU7K 70-79 years, female 30.2
GTEX-1POEN-1626-SM-EVYC2 30-39 years, female 30.2
GTEX-X3Y1-0926-SM-3P5YT 40-49 years, male 30.1
GTEX-1LBAC-1026-SM-CXKYA 20-29 years, male 30.1
GTEX-1R7EV-1026-SM-DTX81 40-49 years, male 29.9
GTEX-1122O-0926-SM-9YFLC 60-69 years, female 29.8
GTEX-145LV-1026-SM-5O9AE 50-59 years, male 29.6
GTEX-1PPH8-1026-SM-DPRXN 20-29 years, male 29.6
GTEX-145ME-0726-SM-5O9A3 40-49 years, female 29.4
GTEX-1399U-2026-SM-9WPNN 50-59 years, female 29.4
GTEX-1LG7Z-0226-SM-E6CIG 30-39 years, male 29.4
GTEX-14PN3-0326-SM-6EU1X 60-69 years, female 29.3
GTEX-ZYFG-1426-SM-5GICS 60-69 years, female 29.3
GTEX-1CAMR-0326-SM-793AH 20-29 years, male 29.2
GTEX-WRHK-0826-SM-3MJFG 20-29 years, female 29.2
GTEX-1339X-0726-SM-5L3FF 40-49 years, male 29.1
GTEX-1I1GT-1326-SM-ACKWB 60-69 years, female 29.1
GTEX-11P82-0326-SM-5HL51 20-29 years, male 29.0
GTEX-14C39-0826-SM-5TDDU 40-49 years, male 29.0
GTEX-16BQI-1126-SM-7KULF 30-39 years, female 29.0
GTEX-ZT9W-1026-SM-57WG5 50-59 years, male 29.0
GTEX-1K2DA-1126-SM-CGQGG 50-59 years, male 28.9
GTEX-1KANA-1426-SM-CY8IF 20-29 years, male 28.9
GTEX-1RAZR-1026-SM-E8VOJ 40-49 years, male 28.9
GTEX-169BO-0426-SM-7EPI1 50-59 years, male 28.8
GTEX-1B8KE-0826-SM-72D6S 50-59 years, male 28.8
GTEX-ZVT2-0226-SM-5GIE3 50-59 years, female 28.8
GTEX-1LGRB-0526-SM-COH3A 50-59 years, female 28.8
GTEX-1N2DV-0626-SM-E9U5H 40-49 years, male 28.8
GTEX-13QBU-1326-SM-5LU4K 40-49 years, female 28.7
GTEX-1JN76-1026-SM-ARZNI 20-29 years, female 28.7
GTEX-15UKP-1426-SM-7KUDX 20-29 years, male 28.6
GTEX-WYJK-1426-SM-3NM8V 50-59 years, male 28.6
GTEX-ZDTT-0526-SM-5HL4M 60-69 years, male 28.6
GTEX-1OKEX-0926-SM-E8VNJ 60-69 years, male 28.6
GTEX-145LT-1526-SM-5O98P 40-49 years, male 28.5
GTEX-18A66-1926-SM-7LTAG 60-69 years, male 28.5
GTEX-1H11D-1126-SM-9YFM5 40-49 years, male 28.5
GTEX-1I1GP-1426-SM-ACKVZ 50-59 years, male 28.5
GTEX-12WSF-1526-SM-6PAN6 70-79 years, male 28.4
GTEX-13X6H-1726-SM-5Q5EH 50-59 years, female 28.4
GTEX-1CB4I-0826-SM-7MGX1 50-59 years, male 28.4
GTEX-1GF9X-0926-SM-7PC2X 40-49 years, female 28.4
GTEX-1H2FU-1426-SM-9WPO6 60-69 years, female 28.4
GTEX-1QW4Y-0826-SM-DTXE1 30-39 years, male 28.4
GTEX-YJ8A-1926-SM-EZ6LQ 20-29 years, male 28.4
GTEX-13NYS-0726-SM-5J1OR 60-69 years, male 28.3
GTEX-XBED-1326-SM-4AT4F 60-69 years, male 28.3
GTEX-1J1R8-0526-SM-ACKWO 40-49 years, male 28.3
GTEX-139YR-0326-SM-5J1MC 50-59 years, male 28.2
GTEX-131XG-0126-SM-5K7UJ 50-59 years, female 28.1
GTEX-139D8-1626-SM-5IJFZ 30-39 years, female 28.1
GTEX-1EU9M-1126-SM-793DE 60-69 years, male 28.1
GTEX-1KAFJ-0826-SM-CYPTF 50-59 years, male 28.1
GTEX-1B996-1226-SM-73KWZ 60-69 years, male 28.0
GTEX-XGQ4-1026-SM-4AT4L 50-59 years, male 28.0
GTEX-1S5ZA-1026-SM-EWRO2 20-29 years, male 28.0
GTEX-15SKB-1626-SM-6PAL6 60-69 years, male 27.9
GTEX-1AX9J-2226-SM-731CW 60-69 years, male 27.8
GTEX-ZQUD-0526-SM-57WG4 30-39 years, male 27.8
GTEX-13S86-0926-SM-5SI6I 40-49 years, male 27.7
GTEX-WWTW-1326-SM-4MVNT 50-59 years, male 27.6
GTEX-1KANC-0526-SM-D4P3T 50-59 years, female 27.6
GTEX-ZLWG-0726-SM-5S2N4 50-59 years, female 27.6
GTEX-13CF3-1126-SM-5LZXB 60-69 years, female 27.5
GTEX-14JG6-0526-SM-6LLIH 30-39 years, female 27.5
GTEX-14PJ5-0426-SM-5ZZW2 60-69 years, female 27.5
GTEX-1AMEY-0526-SM-72D62 30-39 years, female 27.5
GTEX-17F98-0326-SM-7DHLH 40-49 years, female 27.4
GTEX-1AMFI-1026-SM-73KYM 50-59 years, female 27.4
GTEX-Y8LW-0926-SM-4VBQ8 50-59 years, female 27.4
GTEX-1HCUA-0926-SM-ADEIX 50-59 years, female 27.3
GTEX-1HSMQ-1026-SM-ADEHU 50-59 years, male 27.3
GTEX-11DXX-2026-SM-5EGJL 60-69 years, female 27.2
GTEX-14PKU-0226-SM-6EU16 40-49 years, female 27.2
GTEX-YEC4-0926-SM-5PNXY 40-49 years, male 27.2
GTEX-13OVJ-0926-SM-5K7U1 50-59 years, female 27.1
GTEX-1K9T9-1626-SM-DIPFS 50-59 years, female 27.1
GTEX-14PHY-1026-SM-62LEV 60-69 years, female 27.0
GTEX-14PJ2-1426-SM-62LFF 50-59 years, male 27.0
GTEX-Y114-1326-SM-4TT9A 50-59 years, female 27.0
GTEX-ZYVF-1026-SM-5E44V 50-59 years, female 27.0
GTEX-1P4AB-1226-SM-DTXET 50-59 years, male 27.0
GTEX-17F9Y-0726-SM-7LT9G 70-79 years, female 26.9
GTEX-12WSG-0426-SM-5FQSE 50-59 years, female 26.8
GTEX-WL46-2026-SM-3LK7U 50-59 years, male 26.8
GTEX-1GF9W-1026-SM-7SB8X 60-69 years, male 26.8
GTEX-1QP29-1626-SM-EXUSZ 50-59 years, male 26.8
GTEX-17F96-0726-SM-793CB 70-79 years, male 26.7
GTEX-XV7Q-1726-SM-4BRUU 40-49 years, female 26.7
GTEX-13RTK-0726-SM-5Q5EN 20-29 years, male 26.6
GTEX-18D9B-1726-SM-7LTAP 60-69 years, male 26.6
GTEX-XBEC-1826-SM-4QASN 50-59 years, male 26.6
GTEX-Y5V6-0626-SM-4WWFY 60-69 years, male 26.6
GTEX-ZPCL-1026-SM-5GCOX 60-69 years, female 26.6
GTEX-ZV7C-0826-SM-59HK8 50-59 years, male 26.6
GTEX-ZG7Y-1626-SM-5S2NO 50-59 years, male 26.5
GTEX-1F75I-1026-SM-7SB8B 40-49 years, male 26.5
GTEX-1HCU6-1626-SM-CMKGW 60-69 years, female 26.5
GTEX-11XUK-1726-SM-5GU61 40-49 years, female 26.4
GTEX-1B8SG-1426-SM-7EWEM 50-59 years, male 26.4
GTEX-ZLV1-0926-SM-5S2MR 60-69 years, female 26.4
GTEX-ZTSS-1026-SM-5985N 40-49 years, male 26.4
GTEX-YEC3-0926-SM-5Q5AC 50-59 years, male 26.3
GTEX-1IE54-1426-SM-CL53C 40-49 years, female 26.3
GTEX-1LVAN-0926-SM-CNNQ2 50-59 years, female 26.3
GTEX-1N2EF-0926-SM-E8VNW 60-69 years, male 26.3
GTEX-13PL7-1226-SM-5SIAR 60-69 years, female 26.2
GTEX-14BIM-1626-SM-7EWD2 60-69 years, female 26.2
GTEX-1A32A-0926-SM-718AB 50-59 years, female 26.2
GTEX-WH7G-1126-SM-3NMBK 40-49 years, male 26.1
GTEX-YFCO-1126-SM-5S2N9 40-49 years, male 26.1
GTEX-17HHE-1526-SM-793AS 50-59 years, male 26.0
GTEX-1OFPY-0826-SM-DTX8P 60-69 years, male 25.9
GTEX-1QP28-0926-SM-EVR4D 50-59 years, female 25.9
GTEX-1211K-1226-SM-5EQ4N 60-69 years, female 25.8
GTEX-1H1E6-1126-SM-9JGGV 30-39 years, male 25.8
GTEX-11GSO-0226-SM-5A5LV 60-69 years, male 25.7
GTEX-ZP4G-1326-SM-5EGIW 20-29 years, female 25.7
GTEX-ZV6S-1626-SM-5NQ81 40-49 years, female 25.7
GTEX-ZXES-0926-SM-5E43O 30-39 years, female 25.7
GTEX-1KXAM-0526-SM-DKPQN 60-69 years, male 25.7
GTEX-111CU-1026-SM-5EGIL 50-59 years, male 25.6
GTEX-16NGA-0526-SM-731AJ 40-49 years, female 25.6
GTEX-ZVP2-0226-SM-57WBD 50-59 years, male 25.6
GTEX-WXYG-0926-SM-3NB2O 50-59 years, female 25.4
GTEX-1S3DN-1626-SM-EVYCC 50-59 years, male 25.4
GTEX-11WQK-1526-SM-5EGKN 50-59 years, male 25.3
GTEX-13S7M-0826-SM-5QGQX 60-69 years, female 25.3
GTEX-17KNJ-0426-SM-718AK 50-59 years, male 25.3
GTEX-ZF3C-1026-SM-5S2OC 50-59 years, female 25.3
GTEX-1JKYN-0526-SM-CGQG3 30-39 years, male 25.3
GTEX-1128S-0926-SM-5GZZU 60-69 years, female 25.2
GTEX-1HBPN-1526-SM-9WYSB 50-59 years, male 25.2
GTEX-131XE-2026-SM-5LZW1 50-59 years, male 25.1
GTEX-Y3I4-0726-SM-E9J3Y 50-59 years, male 25.1
GTEX-13NZB-0826-SM-5K7X5 30-39 years, male 25.0
GTEX-WFON-1226-SM-3TW8F 40-49 years, male 25.0
GTEX-1JJ6O-2826-SM-CNNP7 60-69 years, male 25.0
GTEX-1LKK1-1526-SM-EVYCO 50-59 years, female 25.0
GTEX-1PIGE-1226-SM-EVR3Q 20-29 years, male 25.0
GTEX-131YS-1726-SM-5HL7G 60-69 years, female 24.9
GTEX-XMK1-0926-SM-4B66X 40-49 years, male 24.9
GTEX-VJYA-1626-SM-EXOHL 60-69 years, male 24.9
GTEX-144GM-0626-SM-79OKY 20-29 years, male 24.8
GTEX-14PJ3-0726-SM-69LQE 50-59 years, male 24.8
GTEX-15DZA-0626-SM-6PANC 30-39 years, female 24.8
GTEX-1A3MV-0626-SM-731CH 30-39 years, male 24.8
GTEX-1HCU7-2026-SM-A9G2B 50-59 years, male 24.8
GTEX-1HFI7-0726-SM-ACKVN 50-59 years, female 24.8
GTEX-11EQ9-1126-SM-5987I 30-39 years, male 24.7
GTEX-14AS3-0426-SM-5QGQK 40-49 years, female 24.7
GTEX-14B4R-0526-SM-5QGQT 30-39 years, male 24.7
GTEX-1AX8Z-1626-SM-73KWD 60-69 years, male 24.7
GTEX-14PHX-1626-SM-69LQB 50-59 years, male 24.6
GTEX-1LGOU-0826-SM-DHXKL 20-29 years, female 24.6
GTEX-146FH-2026-SM-5SI9I 50-59 years, female 24.5
GTEX-14E1K-0426-SM-5S2PF 50-59 years, male 24.5
GTEX-17HGU-1726-SM-79OKM 50-59 years, male 24.5
GTEX-ZDYS-2226-SM-5S2MI 50-59 years, male 24.5
GTEX-1I6K6-1526-SM-CGQFC 30-39 years, male 24.5
GTEX-1JMLX-1026-SM-D3L8U 50-59 years, male 24.5
GTEX-13111-0626-SM-5LZVR 50-59 years, male 24.4
GTEX-14ICK-1726-SM-6AJA5 40-49 years, male 24.4
GTEX-1B97I-0526-SM-73KXE 40-49 years, male 24.4
GTEX-Y111-0926-SM-4SOIU 50-59 years, male 24.4
GTEX-1GF9U-1226-SM-ARL9I 40-49 years, female 24.4
GTEX-XPVG-1626-SM-EYYVK 50-59 years, male 24.4
GTEX-12696-1826-SM-5EGJS 60-69 years, male 24.3
GTEX-WEY5-1326-SM-3GILS 40-49 years, female 24.2
GTEX-1HR9M-1426-SM-A9SMB 60-69 years, male 24.2
GTEX-1I1GQ-1026-SM-CNNQS 50-59 years, male 24.2
GTEX-1OJC3-1326-SM-E9J3D 20-29 years, male 24.2
GTEX-132AR-0526-SM-5J2MJ 50-59 years, female 24.1
GTEX-XYKS-1826-SM-4E3JV 60-69 years, female 24.1
GTEX-1IDJF-1726-SM-A9SLL 20-29 years, male 24.1
GTEX-1QCLY-1226-SM-EVYC3 30-39 years, male 24.1
GTEX-13FTW-0426-SM-5K7X2 40-49 years, male 24.0
GTEX-1JKYR-1226-SM-CM2S7 20-29 years, male 24.0
GTEX-13112-1126-SM-5GCMY 50-59 years, male 23.9
GTEX-14ICL-0926-SM-5S2TU 30-39 years, male 23.9
GTEX-18A67-1326-SM-7LT8V 50-59 years, male 23.9
GTEX-1HCU9-0626-SM-ACKW6 20-29 years, male 23.9
GTEX-13PVQ-2226-SM-5L3G9 50-59 years, male 23.8
GTEX-13W3W-1126-SM-5L3DO 60-69 years, female 23.8
GTEX-15CHC-0826-SM-686YW 60-69 years, female 23.8
GTEX-178AV-0626-SM-6PAM1 40-49 years, male 23.8
GTEX-WFJO-1026-SM-3GIKL 30-39 years, male 23.8
GTEX-XQ3S-2426-SM-4WAYB 20-29 years, male 23.8
GTEX-1GPI7-0826-SM-9JGG7 20-29 years, male 23.8
GTEX-1RAZA-0926-SM-E6CQ8 20-29 years, male 23.8
GTEX-12WSA-1626-SM-5EGJV 60-69 years, male 23.7
GTEX-1212Z-0526-SM-5FQSQ 60-69 years, male 23.6
GTEX-14PJN-0626-SM-6EU13 30-39 years, male 23.6
GTEX-14PJO-1626-SM-69LPQ 60-69 years, male 23.6
GTEX-ZYT6-2126-SM-5GZZ4 30-39 years, male 23.6
GTEX-1LVAM-1026-SM-DIPFK 50-59 years, female 23.6
GTEX-13OVG-1326-SM-5K7Y3 60-69 years, male 23.5
GTEX-145MF-1026-SM-5Q5EQ 50-59 years, male 23.5
GTEX-14PN4-1426-SM-6LLJ4 50-59 years, male 23.5
GTEX-1AX9K-0926-SM-7939G 50-59 years, male 23.5
GTEX-1B8KZ-1026-SM-73KYN 50-59 years, male 23.5
GTEX-1F5PL-1326-SM-7SB83 40-49 years, female 23.5
GTEX-17F9E-1326-SM-7DHL4 50-59 years, male 23.4
GTEX-12C56-0826-SM-5EGJ5 20-29 years, male 23.3
GTEX-13OVK-0326-SM-7KUEJ 40-49 years, male 23.3
GTEX-ZPU1-1226-SM-5HL71 40-49 years, male 23.3
GTEX-1GZ4H-0926-SM-9WG6Y 50-59 years, female 23.3
GTEX-1IDJU-0926-SM-ARL88 60-69 years, female 23.3
GTEX-1JMPY-0326-SM-CM2S2 30-39 years, male 23.3
GTEX-14E6E-0226-SM-7DUEF 30-39 years, male 23.2
GTEX-WHWD-0826-SM-3LK6R 50-59 years, male 23.2
GTEX-ZAJG-1626-SM-5HL7I 50-59 years, female 23.2
GTEX-1I6K7-1826-SM-CGQFO 40-49 years, male 23.2
GTEX-1KD5A-1326-SM-CYPTB 50-59 years, male 23.2
GTEX-WI4N-1526-SM-EZ6LG 40-49 years, female 23.2
GTEX-13VXT-0926-SM-5LU5K 20-29 years, female 23.1
GTEX-1H1DE-0826-SM-ARU8V 20-29 years, male 23.1
GTEX-1PBJI-1326-SM-E9J2V 20-29 years, female 23.1
GTEX-ZYFC-1826-SM-5GZZA 50-59 years, male 23.0
GTEX-1H1DF-1426-SM-9YFMC 40-49 years, female 23.0
GTEX-1IKOE-1726-SM-CNNQ6 30-39 years, female 23.0
GTEX-12WSM-0626-SM-5GCOK 60-69 years, male 22.9
GTEX-131XF-0726-SM-5GIE5 60-69 years, male 22.9
GTEX-13OW8-0326-SM-5L3FB 60-69 years, male 22.8
GTEX-15ER7-1026-SM-7KUMD 20-29 years, female 22.8
GTEX-18D9U-0426-SM-731AN 40-49 years, male 22.8
GTEX-Y8E4-1226-SM-5IFIM 40-49 years, male 22.8
GTEX-1LG7Y-1126-SM-CYPTE 50-59 years, male 22.7
GTEX-1S831-1926-SM-EV79P 20-29 years, male 22.7
GTEX-ZF29-0826-SM-5S2O2 60-69 years, female 22.7
GTEX-ZVE2-1826-SM-51MRZ 50-59 years, male 22.6
GTEX-1HB9E-0526-SM-ARZNM 50-59 years, male 22.6
GTEX-1QPFJ-2126-SM-EXOJV 30-39 years, female 22.6
GTEX-15EU6-1726-SM-6M48H 50-59 years, male 22.5
GTEX-1A3MX-0826-SM-72D64 60-69 years, male 22.5
GTEX-1C6VR-1126-SM-7EPHD 60-69 years, male 22.5
GTEX-ZQG8-1026-SM-51MR9 60-69 years, female 22.4
GTEX-1QP9N-0426-SM-DTXFT 30-39 years, male 22.4
GTEX-1S82P-0926-SM-EWRNP 60-69 years, female 22.4
GTEX-12WSK-1026-SM-5CVNR 40-49 years, female 22.3
GTEX-13O21-3126-SM-5J1OI 50-59 years, male 22.3
GTEX-1CAMS-0926-SM-7SB7F 40-49 years, female 22.3
GTEX-1RQEC-2526-SM-EVYD2 60-69 years, male 22.3
GTEX-12WSL-1126-SM-5CVNK 50-59 years, male 22.2
GTEX-12ZZX-1726-SM-5BC63 40-49 years, female 22.2
GTEX-183FY-1226-SM-7DHLK 20-29 years, male 22.2
GTEX-1A8G7-1226-SM-73KYP 60-69 years, male 22.2
GTEX-1I19N-1026-SM-A96TT 70-79 years, male 22.2
GTEX-1GMR2-0226-SM-9JGHO 50-59 years, male 22.1
GTEX-1AYCT-1126-SM-79OO8 50-59 years, male 22.0
GTEX-XOT4-0826-SM-4B66Y 60-69 years, female 22.0
GTEX-1H23P-1726-SM-A9SMN 60-69 years, male 22.0
GTEX-17MFQ-1126-SM-7LT9O 20-29 years, male 21.9
GTEX-ZEX8-1226-SM-5S2OK 50-59 years, male 21.9
GTEX-11P81-0726-SM-5PNYH 30-39 years, female 21.8
GTEX-WHPG-0626-SM-3NMBD 50-59 years, male 21.8
GTEX-WOFM-0726-SM-3MJF8 20-29 years, male 21.8
GTEX-1IL2U-2726-SM-C1YSG 60-69 years, male 21.8
GTEX-1LVAO-2126-SM-DIPGA 60-69 years, male 21.7
GTEX-1445S-2426-SM-79ON2 60-69 years, male 21.6
GTEX-1HFI6-1726-SM-CGQFH 40-49 years, male 21.6
GTEX-1IDJC-0226-SM-CMKG2 50-59 years, male 21.6
GTEX-WVLH-1626-SM-EXURN 50-59 years, male 21.6
GTEX-11EM3-1126-SM-5A5KM 20-29 years, female 21.5
GTEX-1QP67-1126-SM-EAZ4C 40-49 years, female 21.5
GTEX-13FTX-0626-SM-5J2NS 20-29 years, female 21.4
GTEX-13OW7-1126-SM-5K7V6 50-59 years, male 21.4
GTEX-1LH75-1026-SM-EWROK 50-59 years, female 21.4
GTEX-13FXS-1326-SM-62LFR 50-59 years, male 21.3
GTEX-13N1W-1226-SM-5K7UM 70-79 years, male 21.3
GTEX-13U4I-1726-SM-5J1MF 40-49 years, female 21.3
GTEX-ZZPU-0326-SM-5N9BJ 50-59 years, female 21.3
GTEX-13PVR-0526-SM-5S2OB 60-69 years, female 21.2
GTEX-ZPIC-0726-SM-57WFM 40-49 years, female 21.2
GTEX-1HSGN-1926-SM-CMKGS 40-49 years, female 21.2
GTEX-1F52S-1326-SM-7SB6Q 60-69 years, female 21.1
GTEX-1HSMP-1126-SM-B2LXJ 70-79 years, male 21.1
GTEX-132Q8-1726-SM-5EGK8 60-69 years, male 21.0
GTEX-W5X1-1426-SM-3GIKH 40-49 years, female 21.0
GTEX-ZDTS-1826-SM-5S2N6 60-69 years, male 21.0
GTEX-13113-1126-SM-5LZU9 60-69 years, female 20.9
GTEX-13N2G-1926-SM-5J1O3 60-69 years, male 20.9
GTEX-17HHY-1026-SM-7LG5E 50-59 years, male 20.9
GTEX-12WSC-1726-SM-5GCN3 50-59 years, male 20.8
GTEX-1J8Q2-2226-SM-CM2TZ 60-69 years, male 20.8
GTEX-1B932-1726-SM-793A5 40-49 years, female 20.7
GTEX-11VI4-1226-SM-5EQMP 40-49 years, female 20.6
GTEX-13O3P-0926-SM-5IFFI 50-59 years, male 20.6
GTEX-16NPV-0626-SM-7IGOR 50-59 years, female 20.6
GTEX-1EH9U-1326-SM-79OM3 60-69 years, male 20.6
GTEX-1B97J-1126-SM-7SB79 50-59 years, female 20.6
GTEX-1O9I2-1326-SM-E6CQD 50-59 years, male 20.6
GTEX-13D11-0526-SM-5LZYM 50-59 years, female 20.5
GTEX-13W46-1226-SM-5SIAS 50-59 years, male 20.5
GTEX-1C64N-1326-SM-7SB7D 50-59 years, male 20.5
GTEX-1JN6P-1626-SM-CYPSV 60-69 years, male 20.5
GTEX-11LCK-0326-SM-5A5M7 30-39 years, male 20.4
GTEX-131XH-0826-SM-5GCN8 50-59 years, male 20.4
GTEX-16MTA-1326-SM-6PALX 50-59 years, male 20.4
GTEX-11P7K-0826-SM-5BC5F 30-39 years, male 20.3
GTEX-146FR-0226-SM-5Q5F6 60-69 years, female 20.3
GTEX-XLM4-1026-SM-4AT51 60-69 years, male 20.3
GTEX-1IY9M-1226-SM-ACKX1 60-69 years, male 20.3
GTEX-1GMR3-0826-SM-9WYT4 40-49 years, male 20.2
GTEX-1HBPI-1826-SM-ADEHE 50-59 years, male 20.2
GTEX-1HC8U-0926-SM-A9G3L 40-49 years, female 20.2
GTEX-1JJE9-1526-SM-CM2RR 70-79 years, male 20.2
GTEX-1EWIQ-2526-SM-7EPIJ 70-79 years, female 20.1
GTEX-1N2EE-1526-SM-DTXE9 60-69 years, male 20.1
GTEX-Y9LG-1226-SM-4VBQA 30-39 years, male 20.0
GTEX-1GN1W-1226-SM-9MQLW 50-59 years, female 20.0
GTEX-13JUV-0626-SM-5J1MQ 40-49 years, female 19.9
GTEX-WK11-2426-SM-3NMAA 50-59 years, male 19.9
GTEX-WY7C-0926-SM-3NB34 50-59 years, male 19.9
GTEX-ZTX8-0726-SM-59HL9 20-29 years, male 19.9
GTEX-ZUA1-2126-SM-57YRB 40-49 years, male 19.9
GTEX-1H1ZS-1326-SM-9WG74 70-79 years, male 19.9
GTEX-1KWVE-0226-SM-E9TKK 30-39 years, male 19.9
GTEX-11DXY-0326-SM-5H12F 60-69 years, male 19.7
GTEX-139T6-0526-SM-5IJC9 50-59 years, male 19.7
GTEX-144GN-0726-SM-5O98O 50-59 years, male 19.7
GTEX-14BMV-1626-SM-73KVQ 50-59 years, male 19.7
GTEX-14C5O-0926-SM-793DM 60-69 years, male 19.7
GTEX-14E6D-1326-SM-62LES 50-59 years, male 19.7
GTEX-1CB4F-1126-SM-79OLG 60-69 years, male 19.7
GTEX-1EN7A-1626-SM-79OLV 40-49 years, male 19.7
GTEX-1HCU8-1126-SM-CM2SA 60-69 years, female 19.7
GTEX-1S5VW-2426-SM-EAZ52 60-69 years, male 19.7
GTEX-132NY-1126-SM-5PNVE 60-69 years, male 19.6
GTEX-13O3Q-1126-SM-5K7YK 50-59 years, male 19.6
GTEX-UPK5-1826-SM-3GAEB 40-49 years, male 19.6
GTEX-1B8L1-0126-SM-9KNVS 60-69 years, male 19.6
GTEX-1GN73-0626-SM-7PC3I 60-69 years, male 19.6
GTEX-13OW6-2426-SM-5K7WO 50-59 years, male 19.5
GTEX-ZTPG-2326-SM-57WFL 20-29 years, female 19.5
GTEX-ZXG5-1626-SM-59HJK 60-69 years, male 19.5
GTEX-1H4P4-0326-SM-9WYTD 50-59 years, male 19.5
GTEX-11ZUS-1826-SM-5FQTR 30-39 years, male 19.4
GTEX-16XZZ-1626-SM-7KUEC 60-69 years, male 19.4
GTEX-17EVP-1426-SM-79OMN 40-49 years, male 19.4
GTEX-1CB4E-0826-SM-793CS 60-69 years, male 19.4
GTEX-Y5V5-0226-SM-5S2N8 60-69 years, female 19.4
GTEX-YJ89-1926-SM-5IFJ6 60-69 years, male 19.4
GTEX-ZAB5-1126-SM-5Q5AD 50-59 years, male 19.3
GTEX-1ICLZ-1626-SM-CE6SS 60-69 years, male 19.3
GTEX-1KD4Q-1426-SM-D4P3K 40-49 years, male 19.3
GTEX-16AAH-1526-SM-7LT9W 50-59 years, male 19.2
GTEX-1IDJD-0926-SM-ACKWW 30-39 years, male 19.2
GTEX-14JIY-1426-SM-6EU29 60-69 years, male 19.1
GTEX-ZVZP-1126-SM-5GICU 50-59 years, male 19.1
GTEX-139TU-1426-SM-5LZY9 60-69 years, male 19.0
GTEX-14DAQ-2526-SM-5RQIO 60-69 years, female 19.0
GTEX-1C6VQ-1526-SM-73KU9 50-59 years, male 19.0
GTEX-11DXZ-1426-SM-5H12A 50-59 years, male 18.9
GTEX-13N11-1826-SM-5IJDS 50-59 years, female 18.9
GTEX-14BIL-2426-SM-5QGQR 50-59 years, male 18.9
GTEX-17F97-1226-SM-79OJT 50-59 years, male 18.9
GTEX-1GL5R-0726-SM-9MQL5 50-59 years, male 18.9
GTEX-1LSVX-1326-SM-DIPET 60-69 years, male 18.9
GTEX-147JS-1026-SM-5S2MP 60-69 years, male 18.8
GTEX-14BIN-1226-SM-5S2OM 50-59 years, female 18.7
GTEX-17JCI-1626-SM-7EPGZ 60-69 years, female 18.7
GTEX-1GMRU-0726-SM-7PBZH 50-59 years, male 18.7
GTEX-1IDJH-1626-SM-A9SLP 70-79 years, male 18.7
GTEX-1J8EW-1526-SM-CMKFZ 60-69 years, female 18.7
GTEX-1QAET-1226-SM-DTX9I 50-59 years, male 18.7
GTEX-18QFQ-1326-SM-731CF 30-39 years, male 18.6
GTEX-1HUB1-1526-SM-CGQF6 60-69 years, male 18.6
GTEX-VJWN-2326-SM-EVYAP 50-59 years, female 18.6
GTEX-1313W-1626-SM-5J1OE 50-59 years, female 18.5
GTEX-18465-1826-SM-731BB 50-59 years, male 18.5
GTEX-1HKZK-1726-SM-ADEJ9 40-49 years, male 18.5
GTEX-18A7A-0926-SM-7LT8H 50-59 years, female 18.4
GTEX-18D9A-0726-SM-7LTA7 30-39 years, female 18.4
GTEX-1AX9I-1726-SM-731BX 60-69 years, male 18.4
GTEX-WYVS-0626-SM-4SOJY 40-49 years, female 18.4
GTEX-ZC5H-1626-SM-5HL7L 40-49 years, female 18.4
GTEX-11GSP-1026-SM-9WYSH 60-69 years, female 18.4
GTEX-1GF9V-1126-SM-9MQM7 60-69 years, male 18.4
GTEX-1R9K4-1426-SM-DPRY4 60-69 years, male 18.4
GTEX-12KS4-1526-SM-5EQ6E 30-39 years, male 18.3
GTEX-1CB4G-2126-SM-7IGQ8 60-69 years, male 18.3
GTEX-1HSMO-1426-SM-CNNQN 60-69 years, male 18.3
GTEX-1IDJI-0926-SM-ACKWZ 50-59 years, female 18.3
GTEX-1JMQK-1326-SM-CNPOR 60-69 years, male 18.3
GTEX-13PL6-0926-SM-5KLYY 40-49 years, female 18.2
GTEX-15G19-1126-SM-7KUEL 60-69 years, male 18.2
GTEX-14PJM-1226-SM-686Z7 50-59 years, female 18.1
GTEX-15DYW-1526-SM-7KUEP 60-69 years, female 18.1
GTEX-15EOM-2326-SM-7KUMV 20-29 years, female 18.1
GTEX-1RLM8-1026-SM-EWROE 50-59 years, male 18.0
GTEX-11GS4-1026-SM-5N9DE 60-69 years, male 17.9
GTEX-12584-2126-SM-5FQUM 40-49 years, male 17.9
GTEX-14ABY-1926-SM-62LDJ 50-59 years, male 17.9
GTEX-1E1VI-1826-SM-9WG5J 50-59 years, male 17.9
GTEX-117YX-0726-SM-5GIET 50-59 years, male 17.8
GTEX-145LU-1226-SM-5LU9B 50-59 years, male 17.8
GTEX-1C475-0326-SM-7SB8O 40-49 years, female 17.8
GTEX-11DYG-2026-SM-5EGGX 60-69 years, male 17.7
GTEX-11OF3-0826-SM-5BC51 60-69 years, male 17.7
GTEX-13X6I-1526-SM-5SIAC 60-69 years, male 17.7
GTEX-1B8SF-1726-SM-73KZ5 60-69 years, male 17.7
GTEX-1GZ4I-2326-SM-9YFMO 50-59 years, male 17.7
GTEX-1HSKV-1926-SM-CNPPN 60-69 years, male 17.7
GTEX-1I1GS-0926-SM-A9SL5 60-69 years, male 17.7
GTEX-1I4MK-0726-SM-ACKWC 50-59 years, female 17.7
GTEX-13X6J-1926-SM-5TDCU 50-59 years, male 17.6
GTEX-1GZ2Q-1226-SM-9MQM8 40-49 years, male 17.6
GTEX-1HGF4-0226-SM-CNNQL 60-69 years, male 17.6
GTEX-1JMQI-1026-SM-COH2U 50-59 years, male 17.6
GTEX-11NV4-1426-SM-5BC4W 60-69 years, male 17.5
GTEX-15SHU-2326-SM-7KUMC 40-49 years, female 17.4
GTEX-1QP6S-1626-SM-EVYC5 40-49 years, male 17.4
GTEX-17MF6-1326-SM-79ONE 40-49 years, male 17.3
GTEX-1A8G6-2026-SM-73KYC 60-69 years, male 17.2
GTEX-1192X-1526-SM-5H11I 50-59 years, male 17.1
GTEX-145MI-0826-SM-5SI95 60-69 years, female 17.1
GTEX-1HT8W-0726-SM-A9SLB 30-39 years, male 17.1
GTEX-1JMQJ-1926-SM-D4P3A 50-59 years, male 17.0
GTEX-11ZTS-1326-SM-5EQMA 60-69 years, female 16.9
GTEX-12WSI-1526-SM-5GCNM 50-59 years, male 16.9
GTEX-13G51-0526-SM-5IJCQ 60-69 years, male 16.9
GTEX-13OVL-0826-SM-5L3GV 50-59 years, male 16.9
GTEX-X8HC-2326-SM-4QAS4 50-59 years, female 16.9
GTEX-1GTWX-1526-SM-9MQLF 60-69 years, male 16.9
GTEX-1MA7X-1026-SM-DKPQ8 60-69 years, male 16.9
GTEX-ZGAY-1326-SM-5S2NS 40-49 years, female 16.8
GTEX-13NZ9-2026-SM-5KM1U 50-59 years, male 16.7
GTEX-1BAJH-2126-SM-7EWFB 70-79 years, male 16.7
GTEX-1CAV2-0226-SM-7IGPQ 40-49 years, female 16.7
GTEX-ZE9C-1326-SM-5S2OW 60-69 years, male 16.7
GTEX-1EKGG-1426-SM-7PBY2 60-69 years, male 16.7
GTEX-1I1GR-1726-SM-COH39 60-69 years, male 16.7
GTEX-11NUK-2026-SM-5PNVZ 50-59 years, male 16.6
GTEX-15D1Q-1326-SM-69LOA 40-49 years, male 16.6
GTEX-1H1CY-0826-SM-9WYTU 60-69 years, female 16.6
GTEX-ZDXO-2326-SM-5LU9W 60-69 years, male 16.5
GTEX-1117F-1326-SM-5EGHH 60-69 years, female 16.4
GTEX-1AYD5-0126-SM-7DUG5 50-59 years, male 16.4
GTEX-13VXU-1026-SM-5KLZE 50-59 years, male 16.3
GTEX-16GPK-1326-SM-7KUE4 60-69 years, male 16.3
GTEX-YECK-1426-SM-5IFHE 60-69 years, male 16.2
GTEX-1F48J-1826-SM-7SB8T 50-59 years, female 16.1
GTEX-18A7B-1226-SM-718AU 70-79 years, male 15.9
GTEX-1KANB-2426-SM-EV7BE 50-59 years, male 15.9
GTEX-13FHO-2026-SM-5J1OA 60-69 years, male 15.8
GTEX-14753-2526-SM-5LU97 60-69 years, male 15.8
GTEX-1H1DG-2026-SM-9QEIV 70-79 years, male 15.8
GTEX-11PRG-1526-SM-5HL6Z 50-59 years, male 15.7
GTEX-16NPX-1026-SM-6PAM7 50-59 years, male 15.7
GTEX-17HII-0826-SM-7DUFH 50-59 years, male 15.7
GTEX-1F6I4-2126-SM-7PC2J 60-69 years, male 15.6
GTEX-1QMI2-1626-SM-EYYXK 60-69 years, male 15.3
GTEX-18A6Q-1026-SM-7LT9S 60-69 years, male 15.2
GTEX-WYBS-1026-SM-4ONCY 60-69 years, female 15.2
GTEX-13X6K-0726-SM-5LU2Z 60-69 years, female 15.1
GTEX-14E7W-2326-SM-69LQC 70-79 years, male 15.1
GTEX-1EMGI-0726-SM-7PBZ4 60-69 years, male 15.1
GTEX-1GN1U-0726-SM-9MQKL 50-59 years, female 15.0
GTEX-1HBPH-2226-SM-9WYSO 40-49 years, female 15.0
GTEX-117YW-0826-SM-5H11O 50-59 years, male 14.9
GTEX-1CAMQ-1226-SM-7SB7E 40-49 years, male 14.9
GTEX-13OVH-1126-SM-5K7YP 70-79 years, male 14.8
GTEX-13YAN-1126-SM-5TDC7 60-69 years, male 14.8
GTEX-12ZZW-2326-SM-5DUW2 50-59 years, male 14.6
GTEX-ZT9X-0926-SM-5O9C4 40-49 years, male 14.5
GTEX-1R9PO-0926-SM-E9U4Q 60-69 years, female 14.5
GTEX-1399T-1326-SM-5PNVH 60-69 years, male 14.4
GTEX-15CHQ-1126-SM-686YY 60-69 years, male 14.3
GTEX-ZYW4-2226-SM-5GZYG 60-69 years, male 14.3
GTEX-1F6IF-2026-SM-7P8SE 60-69 years, male 13.9
GTEX-17EVQ-0626-SM-7KFTB 70-79 years, male 13.2
GTEX-1I1CD-1026-SM-COH3G 60-69 years, female 13.1
GTEX-1IKK5-0826-SM-ACKWN 60-69 years, male 13.1
GTEX-14PHW-1626-SM-6EU2H 60-69 years, female 13.0
GTEX-113JC-0726-SM-5GZZR 50-59 years, female 12.9
GTEX-ZE7O-1526-SM-5J1NH 50-59 years, female 12.8
GTEX-1N2DW-0726-SM-DTX97 50-59 years, male 12.7
GTEX-1QEPI-2226-SM-E8VN6 60-69 years, female 12.7
GTEX-1A8FM-2126-SM-7PC27 50-59 years, female 12.4
GTEX-1NV5F-2526-SM-EXUSK 60-69 years, female 11.3
GTEX-14E6C-1226-SM-5ZZUN 40-49 years, male 10.9
GTEX-ZAB4-1426-SM-5CVN6 40-49 years, male 10.4
GTEX-1J1OQ-1526-SM-CJI4E 40-49 years, female 9.4
Show allShow less

ADIPOSE TISSUE - FANTOM5 CAGEi

RNA expression in human tissues obtained through Cap Analysis of Gene Expression (CAGE) generated by the FANTOM5 project are reported as Scaled Tags Per Million.

Max subtype Scaled Tags Per Millioni

Max subtype Scaled Tags Per Million is the value for the subtype with the largest average Scaled Tags Per Million across the subtype samples.

11.5
FANTOM5 sample id Sample description Scaled Tags Per Million
Adipose tissue
Scaled Tags Per Million: 11.5
FF:10010-101C1 65,65,76 years, mixed 11.5

Contact

  • NEWS ARTICLES
  • PRESS ROOM

The Project

  • INTRODUCTION
  • ORGANIZATION
  • PUBLICATIONS

The Human Protein Atlas

  • DOWNLOADABLE DATA
  • LICENCE & CITATION
  • HELP & FAQ
The Human Protein Atlas project is funded
by the Knut & Alice Wallenberg Foundation.


contact@proteinatlas.org