We use cookies to enhance the usability of our website. If you continue, we'll assume that you are happy to receive all cookies. More information. Don't show this again.
RPL26
HPA
RESOURCES
  • TISSUE
  • BRAIN
  • SINGLE CELL
  • SUBCELLULAR
  • CANCER
  • BLOOD
  • CELL LINE
  • STRUCTURE & INTERACTION
ABOUT
  • INTRODUCTION
  • HISTORY
  • ORGANIZATION
  • PUBLICATIONS
  • ANTIBODY SUBMISSION
  • ANTIBODY AVAILABILITY
  • ACKNOWLEDGMENTS
  • CONTACT
NEWS
  • NEWS ARTICLES
  • PRESS ROOM
LEARN
  • DICTIONARY
  • PROTEIN CLASSES
  • PROTEIN EVIDENCE
  • METHODS
  • EDUCATIONAL VIDEOS
DATA
  • DOWNLOADABLE DATA
  • PUBLICATION DATA
  • RELEASE HISTORY
HELP
  • ANTIBODY VALIDATION
  • ASSAYS & ANNOTATION
  • DISCLAIMER
  • HELP & FAQ
  • PRIVACY STATEMENT
  • LICENCE & CITATION
Fields »
Search result

Field
Term
Gene name
Class
Subclass
Class
Keyword
Chromosome
External id
Tissue
Cell type
Expression
Antibody panel
Tissue
Main location
Patient ID
Annotation
Tissue
Category
Tau score
Cluster
Reliability
Brain region
Category
Tau score
Brain region
Category
Tau score
Brain region
Category
Tau score
Cluster
Reliability
Tissue
Cell type
Enrichment
Cell type
Category
Tau score
Cell type
Category
Tau score
Cell type
Category
Tau score
Cell lineage
Category
Tau score
Cluster
Cluster
Location
Searches
Location
Cell line
Class
Type
Phase
Reliability
Cancer
Prognosis
Cancer
Category
Cancer
Category
Tau score
Cluster
Variants
Interacting gene (ensg_id)
Type
Number of interactions
Pathway
Category
Score
Score
Score
Validation
Validation
Validation
Validation
Antibodies
Data type
Column


  • SUMMARY

  • TISSUE

  • BRAIN

  • SINGLE CELL

  • SUBCELL

  • CANCER

  • BLOOD

  • CELL LINE

  • STRUCT & INT

  • RPL26
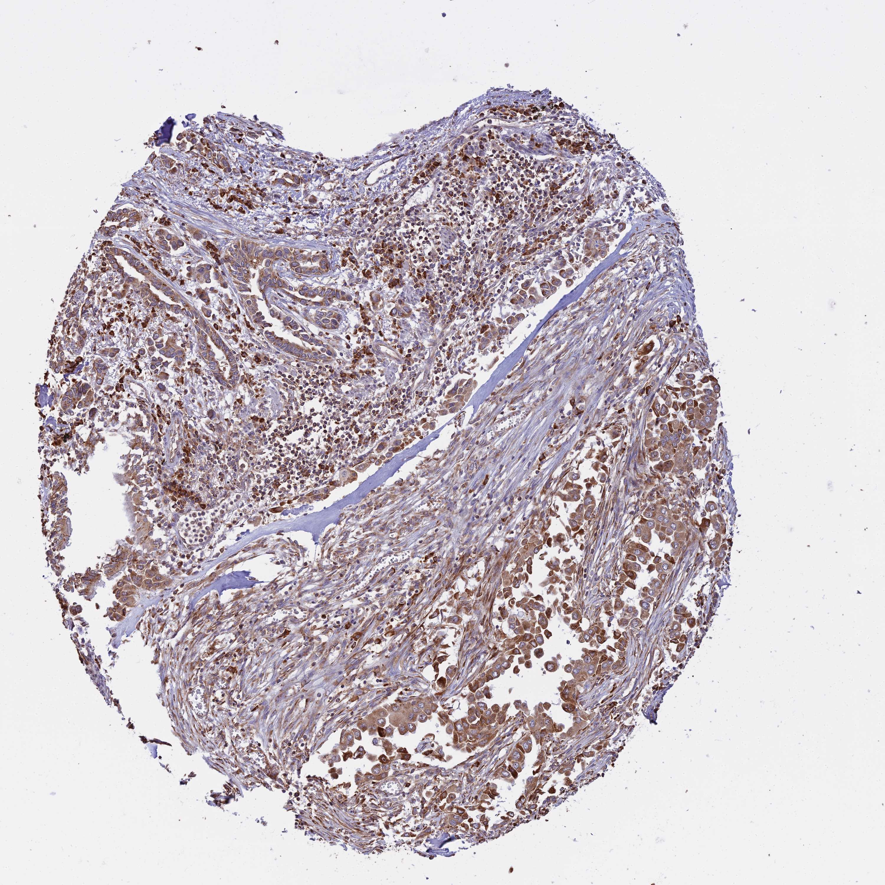
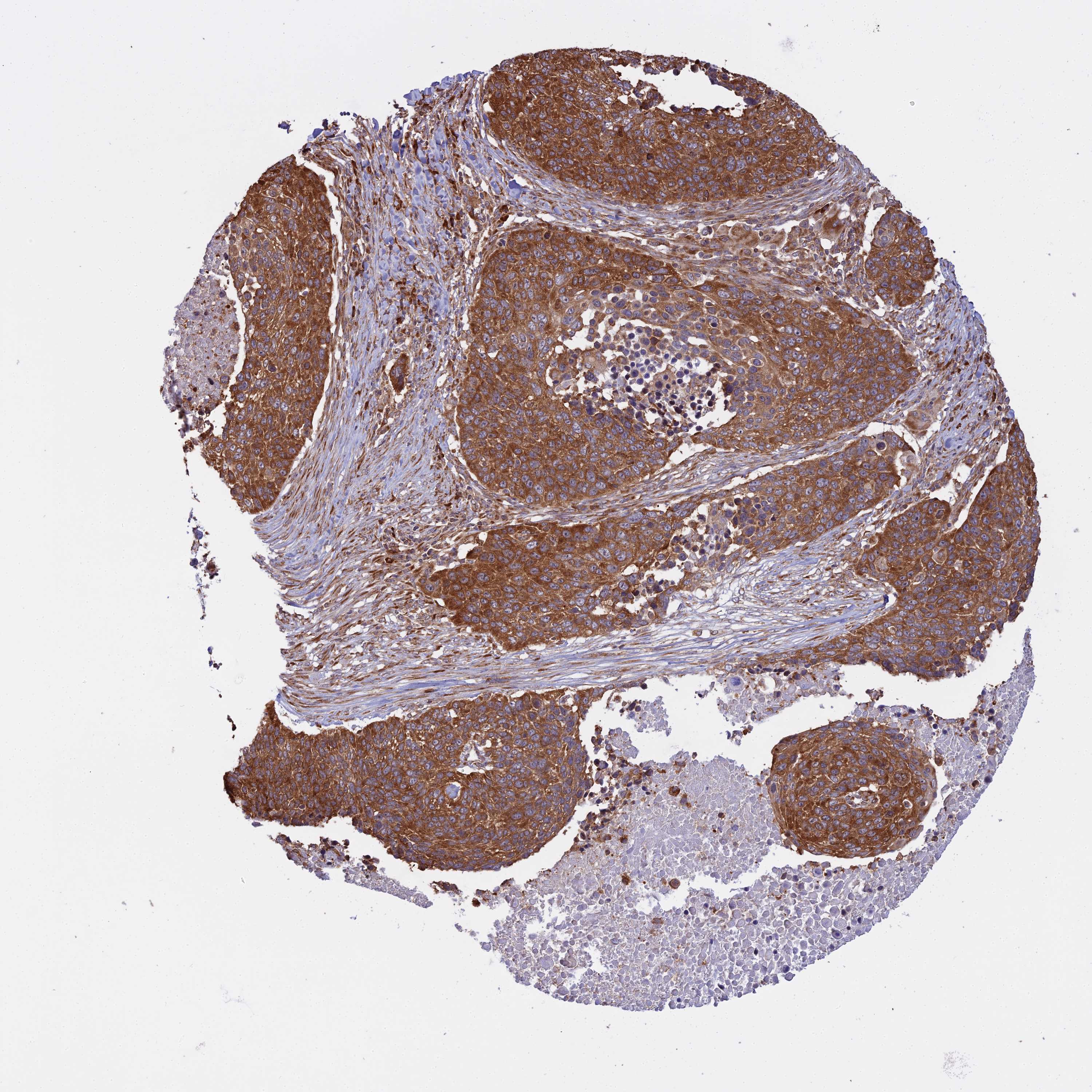
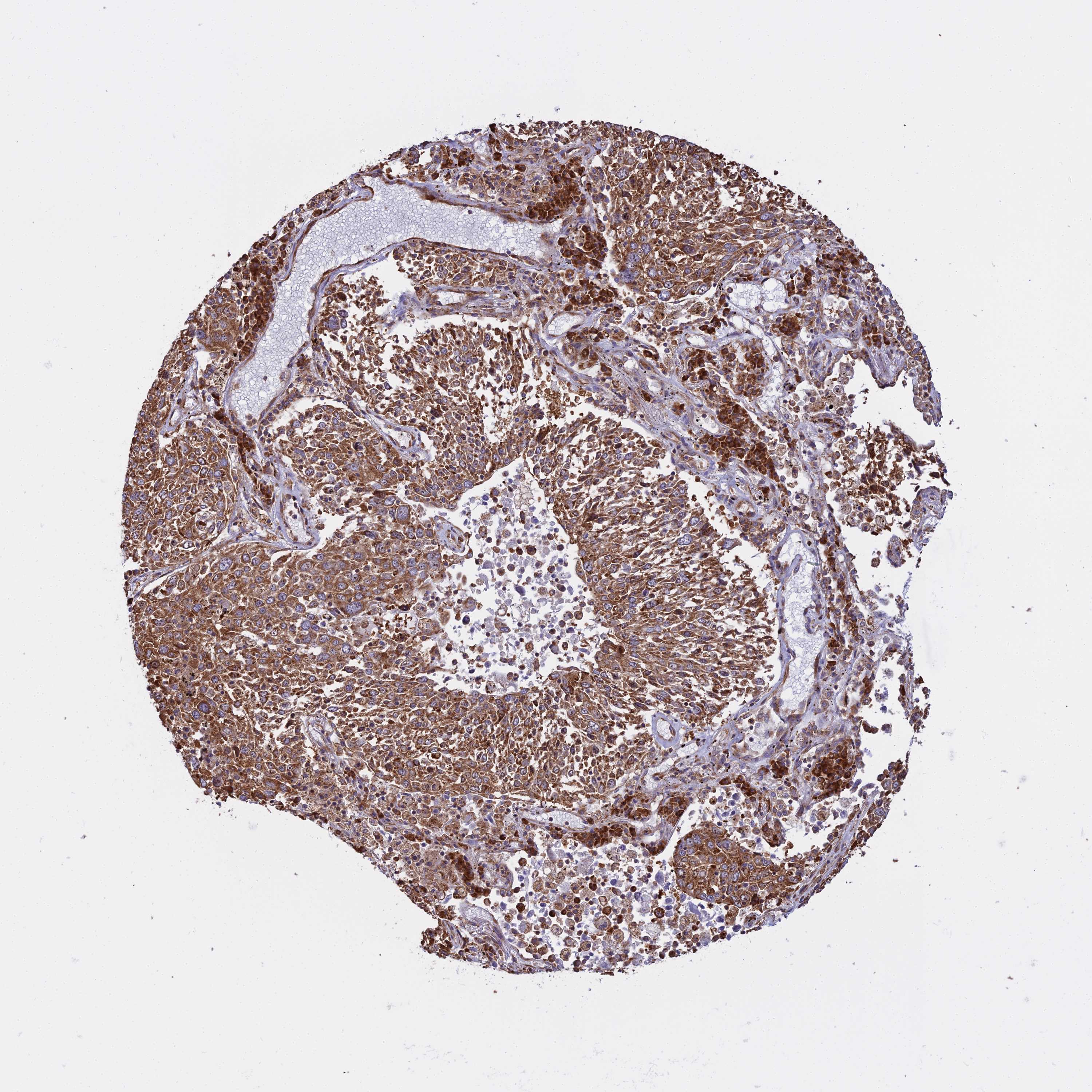
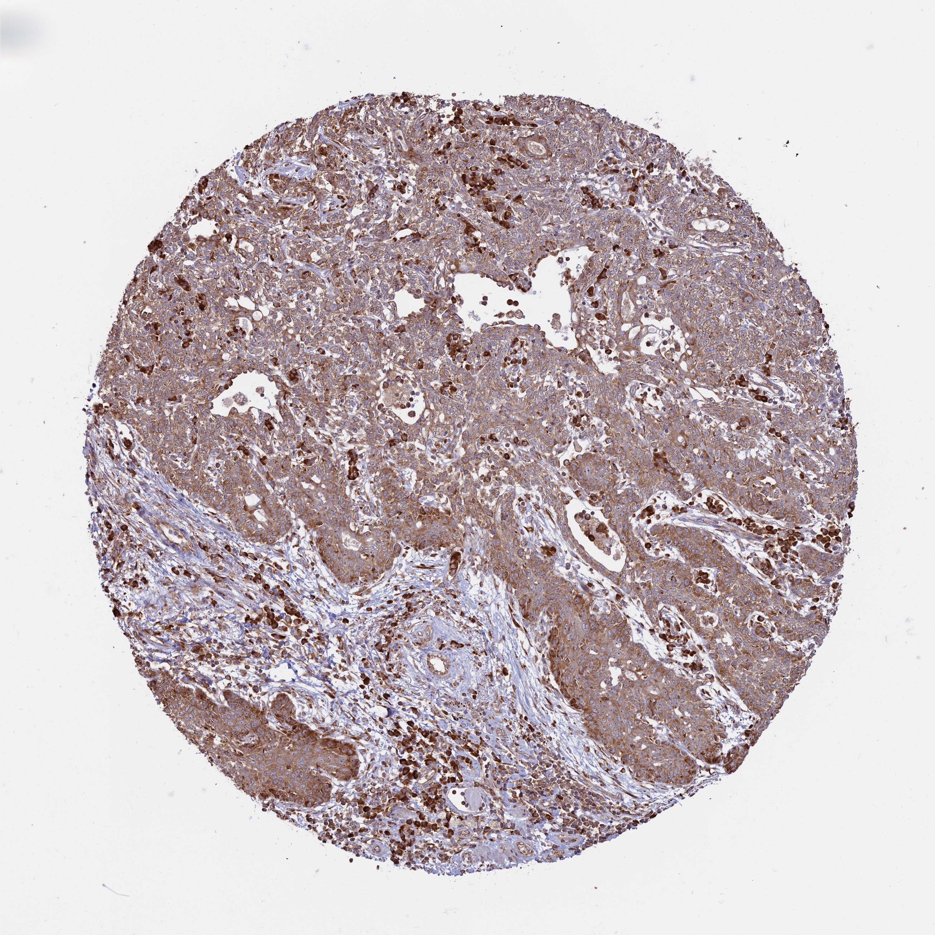
CANCER LUNG CANCER Show tissue menu
BREAST CANCER CARCINOID CERVICAL CANCER COLORECTAL CANCER ENDOMETRIAL CANCER GLIOMA HEAD AND NECK CANCER LIVER CANCER LUNG CANCER LYMPHOMA
MELANOMA OVARIAN CANCER PANCREATIC CANCER PROSTATE CANCER RENAL CANCER SKIN CANCER STOMACH CANCER TESTIS CANCER THYROID CANCER UROTHELIAL CANCER
LUAD TCGA LUAD VALIDATION LUSC TCGA LUSC VALIDATION PROTEIN LUAD CPTAC PROTEIN LUSC CPTAC PROTEIN EXPRESSION
ANTIBODIES
AND
VALIDATION
Dictionary
Lung cancer
Human cancer
Lung adenocarcinoma
Lung squamous cell carcinoma
LUNG ADENOCARCINOMA (TCGA) - Interactive survival scatter ploti

The Survival Scatter plot shows the clinical status (i.e. dead or alive) for all individuals in the patient cohort, based on the same data that underlies the corresponding Kaplan-Meier plots. Patients that are alive at last time for follow-up are shown in blue and patients who have died during the study are shown in red.

The x-axis shows the expression levels (FPKM) of the investigated gene in the tumor tissue at the time of diagnosis. The y-axis shows the follow-up time after diagnosis (years). Both axes are complimented with kernel density curves demonstrating the data density over the axes. The top density plot shows the expression levels (FPKM) distribution among dead (red) and alive patients (blue). The right density plot shows the data density of the survived years of dead patients with high and low expression levels respectively, stratified using the cutoff indicated by the vertical dashed line through the Survival Scatter plot. This cutoff is automatically defined based on the FPKM cutoff that minimizes the p-score. The cutoff can be changed by dragging the vertical line or by entering a cutoff value in the square labeled "Current cut-off".

Under the Survival Scatter plot the p-score landscape (black curve; left axis) is shown together with dead median separation (red curve; right axis). Dead median separation is the difference in median mRNA expression between patients who have died with high and low expression, respectively. It is calculated as follows: median FPKM expression of dead patients with high expression - median FPKM expression of dead patients with low expression. This is intended to aid the user in visually exploring custom cutoffs and the associated p-scores and dead median separation.

Individual patient data is displayed and can be filtered by clicking on one or more of the category buttons on the top of the page. Categories describing expression level and patient information include: high, low, alive, dead, female, male and tumor stages. The scale of the x-axis can be toggled between linear and log-scale by clicking on the "x log" button. Mouse-over function shows TCGA ID, patient information and mRNA expression (FPKM) for each patient.

& Survival analysisi

Kaplan-Meier plots summarize results from analysis of correlation between mRNA expression level and patient survival. Patients were divided based on level of expression into one of the two groups "low" (under cut off) or "high" (over cut off). X-axis shows time for survival (years) and y-axis shows the probability of survival, where 1.0 corresponds to 100 percent.

RPL26 is not prognostic in Lung Adenocarcinoma (TCGA)


Stage:


Survival analysis
Current cut offi

Current cut-off shows the cut-off (FPKM) currently selected. It may be changed manually. When the current cut-off is changed, the vertical dashed line indicating cut-off, the interactive survival scatter plot and the Kaplan-Meier curve will be automatically adjusted to show results accordingly.

:
Best expression cut offi

Based on the FPKM value of each gene, patients were classified into two groups and association between prognosis (survival) and gene expression (FPKM) was examined. The best expression cut-off refers the FPKM value that yields maximal difference with regard to survival between the two groups at the lowest log-rank P-value. Best expression cut-off was selected based on survival analysis .

When clicking on this number, the vertical dashed line indicating cut-off, the interactive survival plot, and the Kaplan-Meier curve will be adjusted to show results based on the best expression cut-off.

: 1778.87
Median expressioni

Median expression refers to the median FPKM value calculated based on the gene expression (FPKM) data from all patients in this dataset. When clicking on this number, the vertical dashed line indicating cut-off, the interactive survival plot, and the Kaplan-Meier curve will be adjusted to show results based on the median expression.

: N/A
Median follow up timei

Median follow up time refers to the median time (years) after diagnosis with this type of cancer, based on clinical data from all patients in this dataset.

: N/A
P scorei

Log-rank P value for Kaplan-Meier plot showing results from analysis of correlation between mRNA expression level and patient survival.

N/A
5-year survival highi

5-year survival for patients with higher expression than the expression cutoff.

For melanoma and glioma, 3-year survival is shown.

N/A
5-year survival lowi

5-year survival for patients with lower expression than the expression cutoff.

For melanoma and glioma, 3-year survival is shown.

N/A
TCGA RNA samplesi

RNA-seq data is reported as average FPKM (number Fragments Per Kilobase of exon per Million reads), generated by the The Cancer Genome Atlas (TCGA) .

Normal distribution across the dataset is visualized with box plots, shown as median and 25th and 75th percentiles. Points are displayed as outliers if they are above or below 1.5 times the interquartile range. FPKM values of the individual samples are presented next to the box plot.

Average pTPM 2135.8
Number of samples 497
Samples
Sample Description pTPM
TCGA-55-7725-01A 68 years, female, white, stage:Stage IA, alive, 442 days 7786.7
TCGA-64-1677-01A 77 years, female, white, stage:Stage IIIA, dead, 628 days 7284.4
TCGA-64-1678-01A 70 years, female, white, stage:'--, alive, 1189 days 7002.5
TCGA-35-5375-01A 61 years, male, white, stage:Stage IIIA, alive, 264 days 6874.4
TCGA-38-6178-01A 70 years, female, white, stage:Stage IIIA, alive, 448 days 5775.1
TCGA-55-8094-01A 51 years, male, white, stage:Stage IV, alive, 541 days 5483.8
TCGA-78-7152-01A 65 years, male, white, stage:Stage IB, dead, 1215 days 5428.7
TCGA-86-8054-01A 61 years, male, white, stage:Stage IIB, alive, 1148 days 5416.0
TCGA-55-6986-01A 74 years, female, white, stage:Stage IB, alive, 3261 days 5352.9
TCGA-78-7158-01A 59 years, female, white, stage:Stage IIIB, dead, 179 days 5125.9
TCGA-NJ-A4YP-01A 52 years, male, white, stage:Stage IB, alive, 50 days 5105.9
TCGA-49-4506-01A 68 years, female, white, stage:Stage IIB, dead, 999 days 4992.4
TCGA-05-5428-01A 57 years, male, stage:Stage IIA, alive, 670 days 4608.4
TCGA-97-8171-01A 81 years, male, asian, stage:Stage IV, alive, 568 days 4554.6
TCGA-86-8076-01A 42 years, male, white, stage:Stage IA, alive, 993 days 4503.3
TCGA-55-7283-01A 76 years, female, white, stage:Stage IIIA, alive, 609 days 4495.4
TCGA-64-5775-01A 71 years, male, white, stage:Stage IIIA, dead, 62 days 4493.7
TCGA-35-3615-01A 57 years, male, white, stage:Stage IB, alive, 14 days 4391.2
TCGA-50-5942-01A 67 years, female, white, stage:Stage IA, alive, 1847 days 4229.7
TCGA-73-4666-01A 52 years, female, white, stage:Stage IV, alive, 800 days 4174.2
TCGA-86-7714-01A 61 years, female, black or african american, stage:Stage IIIA, dead, 625 days 4094.0
TCGA-78-8662-01A 53 years, female, stage:Stage IB, dead, 3361 days 4082.8
TCGA-50-5066-01A 72 years, male, black or african american, stage:Stage IB, alive, 1442 days 4040.3
TCGA-44-2666-01A 43 years, male, white, stage:Stage IB, dead, 97 days 3966.9
TCGA-73-4676-01A 45 years, male, white, stage:Stage IIA, dead, 281 days 3894.7
TCGA-44-8117-01A 54 years, female, white, stage:Stage IB, alive, 385 days 3891.8
TCGA-91-8499-01A 76 years, female, white, stage:Stage IA, alive, 36 days 3872.6
TCGA-38-4628-01A 65 years, female, white, stage:Stage IIB, dead, 1492 days 3810.2
TCGA-78-7167-01A 77 years, male, white, stage:Stage IV, dead, 2681 days 3780.9
TCGA-55-A490-01A 78 years, male, white, stage:Stage IIA, dead, 99 days 3666.1
TCGA-L9-A7SV-01A 69 years, male, black or african american, stage:Stage IIA, alive, 565 days 3665.0
TCGA-64-1680-01A 63 years, male, white, stage:Stage IV, alive, 1126 days 3659.6
TCGA-50-5933-01A 72 years, male, white, stage:Stage IIIB, dead, 2393 days 3658.6
TCGA-44-3398-01A 77 years, female, white, stage:Stage IA, alive, 1163 days 3657.3
TCGA-49-6761-01A 68 years, female, white, stage:Stage IIIA, alive, 354 days 3596.0
TCGA-49-4486-01A 72 years, male, white, stage:Stage IA, dead, 2318 days 3583.8
TCGA-78-7220-01A 53 years, female, white, stage:Stage IIIA, dead, 807 days 3577.3
TCGA-78-7153-01A 65 years, female, white, stage:Stage IB, alive, 3635 days 3572.1
TCGA-91-A4BD-01A 78 years, male, white, stage:Stage IIA, alive, 603 days 3563.7
TCGA-NJ-A7XG-01A 49 years, male, black or african american, stage:Stage IIIA, alive, 617 days 3558.9
TCGA-78-7156-01A 62 years, male, white, stage:Stage IV, dead, 976 days 3549.3
TCGA-J2-8194-01A 69 years, female, white, stage:Stage IIB, alive, 724 days 3533.8
TCGA-50-5932-01A 75 years, male, white, stage:Stage IIB, dead, 1235 days 3508.2
TCGA-55-7903-01A 64 years, male, white, stage:Stage IA, alive, 567 days 3498.0
TCGA-99-8032-01A 61 years, male, white, stage:Stage IA, alive, 44 days 3495.5
TCGA-49-6745-01A 82 years, male, white, stage:Stage IIIA, alive, 522 days 3463.8
TCGA-44-5643-01A 53 years, male, black or african american, stage:Stage IIIA, alive, 1013 days 3445.2
TCGA-50-5068-01A 59 years, female, white, stage:Stage IIB, dead, 1499 days 3441.5
TCGA-55-8615-01A 67 years, male, white, stage:Stage IIIA, alive, 446 days 3423.3
TCGA-78-7146-01A 71 years, female, white, stage:Stage IIIA, dead, 173 days 3367.8
TCGA-MP-A4T7-01A 75 years, female, stage:Stage IV, dead, 167 days 3329.6
TCGA-67-6216-01A 57 years, female, white, stage:Stage IA, alive, 141 days 3310.5
TCGA-50-5055-01A 79 years, female, white, stage:Stage IIA, dead, 1830 days 3271.4
TCGA-62-A46Y-01A 70 years, female, white, stage:Stage IIIA, dead, 414 days 3268.4
TCGA-55-6983-01A 81 years, male, white, stage:Stage IIB, alive, 2823 days 3247.5
TCGA-44-A47A-01A 78 years, female, white, stage:Stage IB, alive, 466 days 3244.1
TCGA-95-7948-01A 42 years, female, white, stage:Stage IB, alive, 476 days 3222.0
TCGA-69-7973-01A 42 years, female, white, stage:Stage IB, alive, 230 days 3203.7
TCGA-78-7154-01A 72 years, male, white, stage:Stage IIIA, dead, 593 days 3167.7
TCGA-MP-A5C7-01A 76 years, female, white, stage:Stage IB, alive, 2248 days 3148.1
TCGA-62-A46V-01A 78 years, female, white, stage:Stage IB, alive, 2199 days 3120.4
TCGA-49-6767-01A 46 years, female, white, stage:Stage IIB, alive, 677 days 3111.7
TCGA-55-8087-01A 59 years, female, white, stage:Stage IB, alive, 462 days 3110.5
TCGA-44-7671-01A 64 years, male, black or african american, stage:Stage IB, alive, 889 days 3070.4
TCGA-97-7941-01A 72 years, female, white, stage:Stage IA, alive, 484 days 3053.0
TCGA-55-7815-01A 76 years, male, stage:Stage IB, alive, 773 days 3047.1
TCGA-91-8496-01A 63 years, female, white, stage:Stage IB, alive, 505 days 3014.6
TCGA-NJ-A4YG-01A 65 years, male, white, stage:Stage IB, alive, 2261 days 3009.0
TCGA-78-7149-01A 71 years, male, white, stage:Stage IIIB, alive, 3940 days 2993.1
TCGA-73-4677-01A 74 years, male, white, stage:'--, dead, 38 days 2983.3
TCGA-50-5935-01A 86 years, female, white, stage:Stage IA, dead, 653 days 2982.2
TCGA-86-7713-01A 70 years, male, white, stage:Stage IIA, alive, 1157 days 2964.5
TCGA-78-7536-01A 69 years, male, white, stage:Stage IIIA, dead, 244 days 2953.1
TCGA-44-2655-01A 65 years, female, white, stage:Stage IA, alive, 1324 days 2947.5
TCGA-05-5423-01A 65 years, male, stage:Stage IIB, alive, 151 days 2947.1
TCGA-44-5644-01A 51 years, female, white, stage:Stage IB, alive, 863 days 2939.1
TCGA-73-4670-01A 69 years, female, white, stage:Stage IV, alive, 131 days 2916.1
TCGA-49-4510-01A 51 years, female, black or african american, stage:Stage IIB, dead, 896 days 2906.7
TCGA-35-4122-01A 69 years, male, white, stage:Stage IA, alive, 225 days 2896.1
TCGA-MP-A4TC-01A 77 years, male, white, stage:Stage IIIA, dead, 74 days 2890.5
TCGA-35-4123-01A 38 years, male, white, stage:Stage IA, alive, 182 days 2888.2
TCGA-38-4627-01A 64 years, female, white, stage:Stage IIA, dead, 1147 days 2875.4
TCGA-62-A46P-01A 65 years, male, white, stage:Stage IB, dead, 594 days 2874.9
TCGA-55-7907-01A 77 years, male, white, stage:Stage IIA, dead, 343 days 2870.5
TCGA-55-6970-01A 67 years, female, white, stage:Stage IIIA, dead, 464 days 2859.3
TCGA-62-8398-01A 55 years, male, white, stage:Stage IIIA, dead, 444 days 2851.7
TCGA-67-6215-01A 52 years, female, white, stage:Stage IB, alive, 174 days 2847.9
TCGA-97-8176-01A 63 years, male, white, stage:Stage IIIA, dead, 468 days 2841.6
TCGA-44-3917-01A 33 years, female, white, stage:Stage IB, alive, 1183 days 2840.8
TCGA-50-6590-01A 72 years, female, white, stage:Stage IB, dead, 1288 days 2837.8
TCGA-86-8672-01A 59 years, male, white, stage:Stage IIB, dead, 19 days 2804.9
TCGA-95-7567-01A 61 years, male, white, stage:Stage IIB, alive, 568 days 2800.2
TCGA-86-A4D0-01A 48 years, male, white, stage:Stage IIA, dead, 116 days 2796.1
TCGA-44-6148-01A 60 years, male, white, stage:Stage IA, alive, 704 days 2788.0
TCGA-55-8616-01A 58 years, female, white, stage:Stage IB, alive, 48 days 2774.6
TCGA-49-4501-01A 67 years, female, white, stage:Stage IB, dead, 1421 days 2759.0
TCGA-75-6212-01A female, stage:Stage IIB, dead, 1516 days 2750.0
TCGA-99-7458-01A 74 years, female, white, stage:Stage IIIA, alive, 747 days 2745.9
TCGA-73-4659-01A 66 years, male, white, stage:Stage IIIA, dead, 711 days 2717.4
TCGA-86-6562-01A 52 years, male, white, stage:Stage IIA, dead, 376 days 2717.2
TCGA-55-7816-01A 49 years, female, white, stage:Stage IV, dead, 468 days 2709.8
TCGA-55-6543-01A 60 years, female, white, stage:Stage IA, alive, 435 days 2707.7
TCGA-62-A472-01A 70 years, male, white, stage:Stage IIB, alive, 910 days 2698.5
TCGA-97-8177-01A 59 years, female, white, stage:Stage IB, alive, 499 days 2692.4
TCGA-L9-A8F4-01A 64 years, female, black or african american, stage:Stage IB, alive, 476 days 2673.1
TCGA-44-7667-01A 49 years, female, white, stage:Stage IIB, alive, 1097 days 2657.0
TCGA-55-6972-01A 72 years, male, white, stage:Stage IB, dead, 1632 days 2654.3
TCGA-69-8253-01A 59 years, female, black or african american, stage:Stage IIA, alive, 426 days 2654.1
TCGA-44-4112-01A 60 years, female, white, stage:Stage IB, dead, 808 days 2644.4
TCGA-73-4658-01A 80 years, female, white, stage:Stage IB, dead, 1600 days 2640.1
TCGA-73-4662-01A 65 years, female, white, stage:Stage IA, alive, 2515 days 2625.8
TCGA-50-5939-01A 85 years, male, white, stage:Stage IB, dead, 460 days 2599.6
TCGA-05-4427-01A 65 years, female, stage:Stage IIB, alive, 791 days 2591.1
TCGA-91-6830-01A 65 years, female, white, stage:Stage IIA, alive, 60 days 2588.8
TCGA-44-5645-01A 61 years, female, black or african american, stage:Stage IA, alive, 852 days 2588.0
TCGA-05-5429-01A 60 years, male, stage:Stage IIIA, dead, 275 days 2584.0
TCGA-05-4434-01A 67 years, female, stage:Stage IV, dead, 457 days 2579.3
TCGA-67-3774-01A 73 years, female, white, stage:Stage IB, alive, 385 days 2576.1
TCGA-44-7659-01A 70 years, male, white, stage:Stage IA, alive, 691 days 2565.6
TCGA-99-8028-01A 50 years, female, black or african american, stage:Stage IA, alive, 1118 days 2564.1
TCGA-49-AAQV-01A 63 years, female, black or african american, stage:Stage II, dead, 677 days 2562.9
TCGA-NJ-A55A-01A 76 years, female, white, stage:Stage IB, alive, 15 days 2560.3
TCGA-64-5781-01A 55 years, female, white, stage:Stage IB, alive, 1559 days 2560.1
TCGA-78-7160-01A 61 years, male, white, stage:Stage IV, dead, 697 days 2543.8
TCGA-73-7498-01A 58 years, female, white, stage:Stage IA, alive, 1189 days 2535.3
TCGA-91-7771-01A 62 years, male, white, stage:Stage IIB, alive, 492 days 2534.9
TCGA-44-2665-01A 55 years, female, white, stage:Stage IIB, alive, 1301 days 2531.9
TCGA-44-6776-01A 60 years, female, white, stage:Stage IA, alive, 2616 days 2530.0
TCGA-38-7271-01A 72 years, female, white, stage:Stage IA, dead, 800 days 2525.8
TCGA-67-3773-01A 84 years, female, white, stage:Stage IB, alive, 427 days 2520.1
TCGA-95-A4VK-01A 74 years, female, white, stage:Stage IIIA, alive, 651 days 2517.1
TCGA-91-6848-01A 59 years, male, white, stage:Stage IIIA, alive, 224 days 2511.1
TCGA-55-7727-01A 70 years, male, white, stage:Stage IIIA, alive, 119 days 2505.7
TCGA-05-4403-01A 76 years, male, stage:Stage IB, alive, 578 days 2504.0
TCGA-78-7537-01A 72 years, male, stage:Stage IB, dead, 1622 days 2488.8
TCGA-55-8090-01A 80 years, male, white, stage:Stage IA, dead, 598 days 2483.7
TCGA-86-8073-01A 58 years, male, white, stage:Stage IB, alive, 740 days 2474.8
TCGA-NJ-A55O-01A 56 years, female, white, stage:Stage IIA, alive, 13 days 2465.1
TCGA-55-8203-01A 69 years, female, white, stage:Stage IA, alive, 547 days 2459.5
TCGA-NJ-A4YI-01A 87 years, female, white, stage:Stage IIIA, dead, 4 days 2448.3
TCGA-50-5946-01A 62 years, male, white, stage:Stage IA, alive, 1617 days 2446.2
TCGA-38-4629-01A 68 years, male, white, stage:Stage IIB, dead, 864 days 2436.2
TCGA-49-4505-01A 61 years, female, white, stage:Stage IIB, dead, 428 days 2425.1
TCGA-78-7148-01A 71 years, male, white, stage:Stage IIB, dead, 626 days 2412.9
TCGA-50-5045-01A 57 years, female, black or african american, stage:'--, dead, 2174 days 2409.3
TCGA-78-7161-01A 69 years, female, white, stage:Stage IIB, dead, 291 days 2407.5
TCGA-49-4494-01A 77 years, male, white, stage:Stage IIIA, dead, 1081 days 2406.3
TCGA-49-4487-01A 72 years, female, white, stage:Stage IA, dead, 855 days 2404.0
TCGA-75-5146-01A male, stage:Stage IB, alive, 2368 days 2396.2
TCGA-78-7155-01A 68 years, male, white, stage:Stage IB, dead, 1171 days 2392.9
TCGA-MP-A4SV-01A 67 years, male, stage:Stage IB, dead, 2620 days 2379.6
TCGA-62-A470-01A 84 years, male, white, stage:Stage IB, dead, 1194 days 2370.9
TCGA-05-4418-01A 69 years, male, stage:Stage IIIA, dead, 274 days 2367.9
TCGA-55-8207-01A 73 years, male, white, stage:Stage IB, alive, 977 days 2367.8
TCGA-55-A492-01A 70 years, female, white, stage:Stage IA, alive, 596 days 2366.0
TCGA-MP-A4T9-01A 54 years, female, white, stage:Stage IIIA, dead, 1265 days 2359.4
TCGA-49-6744-01A 64 years, female, white, stage:Stage IIA, alive, 1683 days 2359.0
TCGA-97-7546-01A 76 years, female, white, stage:Stage IA, alive, 1285 days 2348.8
TCGA-50-5936-01A 58 years, male, white, stage:Stage IIIA, dead, 257 days 2340.3
TCGA-97-A4M1-01A 52 years, female, white, stage:Stage IA, alive, 601 days 2339.3
TCGA-78-7162-01A 75 years, male, white, stage:Stage IA, dead, 3169 days 2338.0
TCGA-62-8399-01A 62 years, male, white, stage:Stage IIIA, alive, 2696 days 2324.7
TCGA-55-8507-01A 53 years, male, white, stage:Stage IA, alive, 418 days 2321.1
TCGA-55-7574-01A 64 years, female, white, stage:Stage IB, dead, 995 days 2312.9
TCGA-95-7043-01A 63 years, female, white, stage:Stage IA, dead, 503 days 2286.3
TCGA-55-7227-01A 77 years, male, white, stage:Stage IIIA, dead, 952 days 2285.1
TCGA-97-7547-01A 67 years, female, white, stage:Stage IB, alive, 1965 days 2274.5
TCGA-78-7145-01A 52 years, female, white, stage:Stage IV, dead, 826 days 2273.2
TCGA-49-4488-01A 74 years, female, white, stage:Stage IA, dead, 869 days 2260.3
TCGA-69-8255-01A 71 years, male, white, stage:Stage IA, alive, 129 days 2259.5
TCGA-50-5930-01A 47 years, male, white, stage:Stage IIIA, dead, 282 days 2252.8
TCGA-55-6978-01A 81 years, male, white, stage:Stage IIA, dead, 176 days 2248.0
TCGA-91-6836-01A 52 years, female, white, stage:Stage IB, alive, 417 days 2244.2
TCGA-67-3772-01A 82 years, female, white, stage:Stage IB, alive, 573 days 2243.1
TCGA-49-6742-01A 70 years, male, white, stage:Stage IIA, dead, 488 days 2242.6
TCGA-97-8172-01A 75 years, female, white, stage:Stage IB, alive, 545 days 2241.8
TCGA-97-A4M0-01A 60 years, female, white, stage:Stage IB, alive, 652 days 2238.1
TCGA-55-7994-01A 81 years, male, white, stage:Stage IIB, alive, 603 days 2233.9
TCGA-55-7576-01A 54 years, male, black or african american, stage:Stage IB, alive, 670 days 2233.4
TCGA-64-1676-01A 58 years, male, white, stage:Stage IA, alive, 1728 days 2233.0
TCGA-97-A4M3-01A 69 years, female, white, stage:Stage IA, alive, 540 days 2230.5
TCGA-86-7701-01A 66 years, male, white, stage:Stage IV, alive, 947 days 2208.7
TCGA-50-6595-01A 74 years, female, white, stage:Stage IIIA, dead, 189 days 2208.4
TCGA-55-8299-01A 61 years, female, white, stage:Stage IA, dead, 469 days 2207.2
TCGA-50-8457-01A 63 years, female, black or african american, stage:Stage IA, alive, 1125 days 2199.1
TCGA-78-7539-01A 75 years, female, white, stage:Stage IIA, alive, 791 days 2193.3
TCGA-05-4415-01A 57 years, male, stage:Stage IIIB, dead, 91 days 2180.2
TCGA-50-8460-01A 74 years, male, white, stage:Stage IA, alive, 829 days 2179.7
TCGA-50-5931-01A 75 years, female, white, stage:Stage IB, dead, 434 days 2175.3
TCGA-78-8655-01A 77 years, female, stage:Stage IA, alive, 2360 days 2174.0
TCGA-93-7347-01A 76 years, female, white, stage:Stage IA, alive, 683 days 2168.8
TCGA-05-4430-01A 59 years, female, stage:Stage IB, alive, 761 days 2167.9
TCGA-50-5072-01A 74 years, male, white, stage:Stage IIIA, dead, 250 days 2163.7
TCGA-95-7039-01A 54 years, female, white, stage:Stage IIB, alive, 1272 days 2163.6
TCGA-73-4675-01A 59 years, male, white, stage:Stage IIIA, dead, 922 days 2163.0
TCGA-05-4405-01A 74 years, female, stage:Stage IB, alive, 610 days 2160.0
TCGA-97-8174-01A 67 years, male, white, stage:Stage IIA, dead, 164 days 2159.0
TCGA-69-7763-01A 69 years, male, white, stage:Stage IA, alive, 690 days 2157.2
TCGA-64-5815-01A 74 years, male, white, stage:Stage IIB, alive, 866 days 2153.6
TCGA-55-8205-01A 76 years, female, white, stage:Stage IIA, alive, 599 days 2148.8
TCGA-05-5425-01A 68 years, male, stage:Stage IIB, alive, 882 days 2148.8
TCGA-MP-A4TH-01A 70 years, female, white, stage:Stage IA, alive, 741 days 2148.1
TCGA-64-5778-01A 60 years, male, white, stage:Stage IB, alive, 1305 days 2143.6
TCGA-86-A4P8-01A 59 years, female, white, stage:Stage IIIA, alive, 805 days 2124.2
TCGA-44-6774-01A 56 years, female, white, stage:Stage IIIA, alive, 658 days 2117.3
TCGA-50-6593-01A 49 years, female, white, stage:Stage IIIA, dead, 336 days 2096.8
TCGA-69-8453-01A 77 years, male, white, stage:Stage IIB, alive, 813 days 2090.8
TCGA-86-8359-01A 52 years, male, white, stage:Stage IIIA, dead, 444 days 2076.5
TCGA-55-7724-01A 76 years, female, white, stage:Stage IB, alive, 705 days 2068.4
TCGA-44-8119-01A 73 years, male, white, stage:Stage IIB, alive, 285 days 2062.9
TCGA-75-5147-01A female, stage:Stage IB, alive, 1333 days 2062.1
TCGA-44-7670-01A 47 years, female, white, stage:Stage IIA, alive, 882 days 2050.1
TCGA-91-A4BC-01A 59 years, male, white, stage:Stage IIA, alive, 44 days 2048.3
TCGA-05-4384-01A 66 years, male, stage:Stage IIIA, alive, 426 days 2042.8
TCGA-4B-A93V-01A 52 years, female, black or african american, stage:Stage IA, dead, 300 days 2039.5
TCGA-62-8402-01A 73 years, female, white, stage:Stage IIIA, dead, 1498 days 2032.9
TCGA-78-7633-01A 67 years, male, white, stage:Stage IB, dead, 1528 days 2024.2
TCGA-05-4432-01A 66 years, male, stage:Stage IIB, alive, 761 days 2018.2
TCGA-78-8660-01A 69 years, male, stage:Stage IIB, dead, 321 days 2015.5
TCGA-71-6725-01A 48 years, female, asian, stage:Stage IB, alive, 256 days 2009.3
TCGA-L9-A443-01A 63 years, female, white, stage:Stage IA, dead, 193 days 2008.9
TCGA-97-8552-01A 55 years, female, white, stage:Stage I, alive, 626 days 2008.8
TCGA-44-2656-01A 59 years, male, white, stage:Stage IB, alive, 1429 days 2004.7
TCGA-05-4250-01A 79 years, female, stage:Stage IIIA, dead, 121 days 2004.4
TCGA-78-7159-01A 60 years, female, white, stage:Stage IA, alive, 1974 days 2004.3
TCGA-78-7166-01A 84 years, male, white, stage:Stage IIB, dead, 258 days 2003.1
TCGA-50-6591-01A 63 years, female, white, stage:Stage IV, dead, 119 days 1999.1
TCGA-62-A471-01A 64 years, male, white, stage:Stage IIB, alive, 1246 days 1994.7
TCGA-55-7911-01A 70 years, female, white, stage:Stage IA, alive, 537 days 1991.2
TCGA-91-8497-01A 75 years, female, white, stage:Stage IA, dead, 434 days 1986.4
TCGA-50-6592-01A 71 years, female, white, stage:Stage IB, dead, 777 days 1985.8
TCGA-53-A4EZ-01A 63 years, male, white, stage:Stage IIA, alive, 1071 days 1983.0
TCGA-55-A4DG-01A 71 years, male, white, stage:Stage IA, alive, 608 days 1981.9
TCGA-38-4625-01A 66 years, female, white, stage:Stage IB, alive, 2973 days 1978.1
TCGA-86-8074-01A 62 years, female, white, stage:Stage IIA, alive, 24 days 1971.6
TCGA-MP-A4TJ-01A 62 years, female, stage:Stage IA, dead, 339 days 1961.6
TCGA-91-6849-01A 75 years, female, black or african american, stage:Stage IIIA, alive, 35 days 1955.8
TCGA-95-7944-01A 71 years, male, white, stage:Stage IA, alive, 377 days 1943.3
TCGA-73-4668-01A 66 years, female, american indian or alaska native, stage:Stage IIB, alive, 467 days 1942.6
TCGA-69-8254-01A 85 years, male, white, stage:'--, alive, 409 days 1940.8
TCGA-38-A44F-01A 80 years, male, white, stage:Stage IB, alive, 133 days 1940.3
TCGA-95-8039-01A 72 years, male, white, stage:Stage IA, alive, 830 days 1928.6
TCGA-55-8513-01A 77 years, female, white, stage:Stage IIB, alive, 791 days 1928.0
TCGA-75-6206-01A male, stage:Stage IB, alive, 2590 days 1921.1
TCGA-62-A46R-01A 54 years, female, white, stage:Stage IB, dead, 1725 days 1920.4
TCGA-38-4626-01A 57 years, female, white, stage:'--, alive, 3674 days 1918.8
TCGA-95-A4VN-01A 62 years, female, white, stage:Stage IIA, alive, 553 days 1916.9
TCGA-75-7027-01A male, stage:Stage IB, alive, 3059 days 1912.6
TCGA-49-AAR0-01A 57 years, male, black or african american, stage:Stage IA, alive, 4765 days 1910.3
TCGA-55-7281-01A 70 years, female, white, stage:Stage IA, alive, 872 days 1908.0
TCGA-86-8674-01A 50 years, male, white, stage:Stage IIA, alive, 806 days 1898.8
TCGA-99-AA5R-01A 70 years, female, black or african american, stage:Stage IA, alive, 658 days 1897.8
TCGA-97-7937-01A 65 years, male, white, stage:Stage IB, alive, 564 days 1894.4
TCGA-95-8494-01A 67 years, male, white, stage:Stage IIA, alive, 84 days 1891.9
TCGA-55-8206-01A 56 years, male, white, stage:Stage IA, alive, 888 days 1883.0
TCGA-97-7938-01A 76 years, female, white, stage:Stage IA, dead, 18 days 1867.2
TCGA-05-5715-01A 69 years, female, stage:Stage IB, alive, 62 days 1862.8
TCGA-86-8671-01A 72 years, female, white, stage:Stage IIB, alive, 839 days 1860.7
TCGA-05-4422-01A 68 years, male, stage:Stage IB, alive, 365 days 1859.5
TCGA-53-7626-01A 76 years, female, white, stage:Stage IIA, dead, 929 days 1858.7
TCGA-55-7573-01A 72 years, female, white, stage:Stage IA, alive, 487 days 1855.3
TCGA-78-7542-01A 56 years, male, white, stage:Stage IB, dead, 321 days 1846.7
TCGA-44-7661-01A 69 years, female, white, stage:Stage IB, dead, 557 days 1845.1
TCGA-55-7570-01A 60 years, male, black or african american, stage:Stage IA, alive, 824 days 1842.8
TCGA-95-7562-01A 71 years, male, black or african american, stage:Stage IIA, dead, 87 days 1840.8
TCGA-44-8120-01A 58 years, male, black or african american, stage:Stage IB, alive, 260 days 1836.7
TCGA-05-4424-01A 70 years, male, stage:Stage IIB, alive, 913 days 1836.4
TCGA-05-4417-01A 51 years, female, stage:Stage IB, alive, 455 days 1832.7
TCGA-44-7669-01A 59 years, male, black or african american, stage:Stage IIA, dead, 574 days 1830.1
TCGA-99-8025-01A 72 years, female, black or african american, stage:Stage IIIA, alive, 1060 days 1828.1
TCGA-MP-A4TD-01A 71 years, male, white, stage:Stage IIIA, dead, 307 days 1827.6
TCGA-50-5051-01A 42 years, female, white, stage:Stage IIIA, dead, 478 days 1824.6
TCGA-93-A4JO-01A 70 years, male, white, stage:Stage IA, dead, 33 days 1821.5
TCGA-50-7109-01A 60 years, male, white, stage:Stage IA, dead, 308 days 1816.7
TCGA-49-4490-01A 45 years, female, white, stage:Stage IIIA, dead, 385 days 1816.6
TCGA-73-A9RS-01A 41 years, male, black or african american, stage:Stage IIB, dead, 340 days 1810.8
TCGA-MP-A4TI-01A 72 years, male, white, stage:Stage IIA, dead, 429 days 1808.0
TCGA-44-6777-01A 85 years, female, white, stage:Stage IB, dead, 987 days 1795.9
TCGA-MP-A4T8-01A 68 years, male, stage:Stage IIIA, dead, 161 days 1792.5
TCGA-44-6147-01A 67 years, female, white, stage:Stage IA, alive, 845 days 1789.2
TCGA-86-8669-01A 64 years, male, white, stage:Stage IA, alive, 938 days 1786.3
TCGA-50-6594-01A 79 years, female, black or african american, stage:Stage IIIA, dead, 370 days 1782.3
TCGA-64-1679-01A 58 years, female, white, stage:Stage IIIA, alive, 2488 days 1775.5
TCGA-62-A46O-01A 65 years, female, white, stage:Stage IB, dead, 1454 days 1770.7
TCGA-MP-A4SY-01A 61 years, male, white, stage:Stage IIB, dead, 1501 days 1765.1
TCGA-44-2661-01A 69 years, female, white, stage:Stage IA, alive, 1159 days 1762.9
TCGA-55-8302-01A 54 years, male, white, stage:Stage IB, alive, 478 days 1754.4
TCGA-55-8097-01A 60 years, female, white, stage:Stage IA, alive, 476 days 1751.1
TCGA-86-7953-01A 69 years, female, white, stage:Stage IA, alive, 997 days 1750.6
TCGA-91-6835-01A 81 years, female, white, stage:Stage IA, alive, 79 days 1747.7
TCGA-97-8179-01A 72 years, male, white, stage:Stage IA, alive, 435 days 1744.7
TCGA-L9-A743-01A 56 years, male, black or african american, stage:Stage IIA, alive, 664 days 1743.7
TCGA-64-5774-01A 60 years, male, white, stage:Stage IB, alive, 2676 days 1739.2
TCGA-49-AARN-01A 56 years, female, black or african american, stage:Stage IA, dead, 1135 days 1738.9
TCGA-55-8089-01A 56 years, male, white, stage:Stage IA, dead, 702 days 1730.2
TCGA-86-8280-01A 54 years, female, white, stage:Stage IIA, alive, 701 days 1721.0
TCGA-53-7624-01A 40 years, female, white, stage:Stage IV, dead, 1043 days 1718.7
TCGA-69-7979-01A 71 years, female, white, stage:Stage IB, alive, 408 days 1715.1
TCGA-55-A4DF-01A 88 years, male, white, stage:Stage IA, dead, 440 days 1713.6
TCGA-86-A4JF-01A 56 years, male, white, stage:Stage IIB, dead, 737 days 1711.9
TCGA-75-5125-01A male, stage:Stage IIB, dead, 2027 days 1701.1
TCGA-55-8301-01A 58 years, male, white, stage:Stage IB, alive, 534 days 1695.2
TCGA-83-5908-01A 59 years, female, white, stage:Stage IA, alive, 824 days 1688.0
TCGA-49-AAR3-01A 69 years, male, black or african american, stage:Stage IIB, alive, 1893 days 1684.5
TCGA-62-8395-01A 80 years, female, white, stage:Stage IIB, alive, 1216 days 1683.7
TCGA-86-8056-01A 63 years, female, white, stage:Stage IIIA, alive, 139 days 1682.1
TCGA-67-6217-01A 73 years, female, white, stage:Stage IIA, alive, 422 days 1681.4
TCGA-38-4632-01A 42 years, male, black or african american, stage:Stage IV, dead, 1357 days 1672.7
TCGA-05-5420-01A 67 years, male, stage:Stage IIIA, alive, 457 days 1668.4
TCGA-L4-A4E6-01A 67 years, male, white, stage:Stage IA, alive, 435 days 1667.3
TCGA-67-3770-01A 70 years, female, white, stage:Stage IA, alive, 610 days 1665.9
TCGA-55-6987-01A 77 years, male, white, stage:Stage IA, alive, 2137 days 1663.9
TCGA-95-A4VP-01A 66 years, female, white, stage:Stage IIIA, alive, 605 days 1663.6
TCGA-44-3919-01A 71 years, female, white, stage:Stage IA, dead, 1026 days 1661.0
TCGA-NJ-A4YF-01A 50 years, female, black or african american, stage:Stage IA, alive, 2161 days 1657.3
TCGA-91-6840-01A 59 years, female, white, stage:Stage IA, alive, 372 days 1650.7
TCGA-J2-A4AG-01A 66 years, female, white, stage:Stage IA, alive, 988 days 1647.0
TCGA-55-7726-01A 72 years, female, white, stage:Stage IA, alive, 652 days 1645.4
TCGA-J2-8192-01A 65 years, female, white, stage:Stage IIA, alive, 739 days 1636.0
TCGA-44-A47B-01A 79 years, male, white, stage:Stage IB, alive, 287 days 1634.8
TCGA-44-A47G-01A 73 years, female, white, stage:Stage IA, alive, 351 days 1633.8
TCGA-97-A4M2-01A 66 years, male, white, stage:Stage IA, alive, 624 days 1629.3
TCGA-05-4249-01A 67 years, male, stage:Stage IB, alive, 1523 days 1628.7
TCGA-91-6847-01A 62 years, female, white, stage:Stage IB, alive, 842 days 1627.5
TCGA-55-7914-01A 71 years, female, white, stage:Stage IIA, dead, 187 days 1627.4
TCGA-44-7662-01A 61 years, male, white, stage:Stage IB, alive, 218 days 1626.7
TCGA-55-8621-01A 75 years, female, white, stage:Stage IA, alive, 515 days 1626.6
TCGA-86-A456-01A 78 years, female, asian, stage:Stage IA, alive, 896 days 1626.5
TCGA-50-6673-01A 84 years, female, white, stage:Stage I, dead, 22 days 1625.3
TCGA-78-7147-01A 67 years, female, white, stage:Stage IIB, dead, 586 days 1623.4
TCGA-69-7974-01A 54 years, female, white, stage:Stage IIIA, alive, 184 days 1621.1
TCGA-55-A48X-01A 63 years, female, white, stage:Stage IIA, alive, 689 days 1617.5
TCGA-64-1681-01A 61 years, female, white, stage:Stage IA, dead, 1167 days 1616.0
TCGA-97-A4M5-01A 83 years, male, white, stage:Stage IA, alive, 634 days 1605.0
TCGA-55-8505-01A 62 years, male, white, stage:Stage IIIA, alive, 440 days 1602.3
TCGA-05-4389-01A 70 years, male, stage:Stage IA, alive, 1369 days 1602.1
TCGA-05-4420-01A 41 years, male, stage:Stage IB, alive, 912 days 1601.7
TCGA-91-6829-01A 78 years, male, white, stage:Stage IB, dead, 1258 days 1601.5
TCGA-S2-AA1A-01A 68 years, female, black or african american, stage:Stage IA, alive, 513 days 1597.4
TCGA-55-8512-01A 41 years, male, white, stage:Stage IV, dead, 607 days 1595.9
TCGA-50-5049-01A 70 years, male, white, stage:Stage IA, alive, 3094 days 1594.5
TCGA-97-7554-01A 83 years, female, white, stage:Stage IIIA, alive, 775 days 1592.4
TCGA-78-7150-01A 59 years, male, white, stage:Stage IIB, dead, 666 days 1585.8
TCGA-75-7025-01A male, stage:Stage IB, alive, 3305 days 1577.8
TCGA-55-6712-01A 71 years, male, white, stage:Stage IIA, dead, 171 days 1577.4
TCGA-L4-A4E5-01A 48 years, female, white, stage:Stage I, alive, 578 days 1576.4
TCGA-50-5941-01A 55 years, female, white, stage:Stage IIIA, alive, 1474 days 1576.1
TCGA-55-A57B-01A 80 years, female, black or african american, stage:Stage IA, alive, 546 days 1574.6
TCGA-55-8096-01A 67 years, female, white, stage:Stage IB, dead, 719 days 1569.9
TCGA-55-8204-01A 87 years, female, white, stage:Stage IB, alive, 515 days 1569.3
TCGA-93-A4JQ-01A 49 years, male, white, stage:Stage IA, alive, 526 days 1569.3
TCGA-97-8175-01A 55 years, female, white, stage:Stage IB, alive, 551 days 1569.1
TCGA-05-4425-01A 70 years, female, stage:Stage IV, alive, 669 days 1567.0
TCGA-97-A4M7-01A 74 years, male, white, stage:Stage IA, alive, 629 days 1562.2
TCGA-55-6984-01A 71 years, female, white, stage:Stage IIB, dead, 760 days 1562.0
TCGA-97-7552-01A 70 years, male, white, stage:Stage IB, alive, 1932 days 1559.7
TCGA-38-4631-01A 72 years, female, white, stage:Stage IB, dead, 354 days 1552.3
TCGA-38-4630-01A 75 years, female, white, stage:Stage IB, dead, 1073 days 1551.1
TCGA-78-7143-01A 62 years, female, white, stage:Stage IB, dead, 4961 days 1541.9
TCGA-49-AARO-01A 39 years, female, black or african american, stage:Stage IA, alive, 3759 days 1541.7
TCGA-97-A4M6-01A 45 years, female, white, stage:Stage IA, alive, 568 days 1535.5
TCGA-73-7499-01A 81 years, female, white, stage:Stage IB, dead, 1531 days 1530.9
TCGA-MN-A4N1-01A 60 years, male, black or african american, stage:Stage IIA, alive, 827 days 1523.4
TCGA-55-8508-01A 60 years, female, black or african american, stage:Stage IIA, alive, 617 days 1520.2
TCGA-69-7978-01A 59 years, male, white, stage:Stage IIB, alive, 134 days 1516.0
TCGA-50-8459-01A 68 years, male, white, stage:Stage IIB, alive, 1119 days 1512.4
TCGA-05-4426-01A 71 years, male, stage:Stage IB, alive, 791 days 1507.0
TCGA-55-6975-01A 61 years, male, white, stage:Stage IIB, dead, 118 days 1505.8
TCGA-MN-A4N4-01A 57 years, male, white, stage:Stage IA, alive, 1175 days 1492.1
TCGA-49-4507-01A 73 years, female, white, stage:Stage IIIA, dead, 268 days 1487.1
TCGA-44-6778-01A 59 years, male, black or african american, stage:Stage IA, alive, 1864 days 1481.0
TCGA-44-6779-01A 50 years, female, white, stage:Stage IIB, dead, 500 days 1480.4
TCGA-69-7765-01A 56 years, male, black or african american, stage:'--, alive, 165 days 1469.6
TCGA-75-6214-01A female, stage:Stage IIIA, dead, 1115 days 1468.7
TCGA-44-2662-01A 65 years, male, white, stage:Stage IB, alive, 1280 days 1464.2
TCGA-62-8394-01A 65 years, female, white, stage:Stage IIIB, dead, 139 days 1462.4
TCGA-L9-A5IP-01A 40 years, female, black or african american, stage:Stage IV, dead, 58 days 1460.3
TCGA-69-7760-01A 73 years, male, white, stage:Stage IIB, alive, 202 days 1453.4
TCGA-99-8033-01A 74 years, female, white, stage:Stage IV, dead, 656 days 1451.2
TCGA-67-3771-01A 77 years, female, black or african american, stage:Stage IA, alive, 610 days 1448.1
TCGA-69-7764-01A 75 years, male, white, stage:Stage IA, alive, 414 days 1447.7
TCGA-55-8085-01A 64 years, male, white, stage:Stage IA, alive, 904 days 1435.2
TCGA-97-7553-01A 58 years, female, white, stage:Stage IA, alive, 1870 days 1432.5
TCGA-44-3918-01A 60 years, female, white, stage:Stage IA, alive, 1036 days 1431.6
TCGA-49-AARR-01A 68 years, male, black or african american, stage:Stage IA, alive, 4992 days 1430.3
TCGA-MN-A4N5-01A 63 years, male, white, stage:Stage IA, alive, 84 days 1424.3
TCGA-55-A493-01A 54 years, female, white, stage:Stage IB, alive, 28 days 1418.1
TCGA-50-5044-01A 72 years, female, white, stage:Stage IIIB, dead, 624 days 1415.5
TCGA-MP-A4TK-01A 56 years, female, stage:Stage IIB, dead, 582 days 1405.8
TCGA-44-6145-01A 62 years, female, white, stage:Stage IA, alive, 595 days 1403.3
TCGA-55-8510-01A 55 years, female, white, stage:Stage IB, alive, 539 days 1399.7
TCGA-55-8514-01A 70 years, female, black or african american, stage:Stage IB, alive, 520 days 1397.8
TCGA-55-8208-01A 73 years, female, white, stage:Stage IA, alive, 674 days 1396.7
TCGA-55-A491-01A 81 years, female, white, stage:Stage IA, alive, 626 days 1389.8
TCGA-55-6971-01A 59 years, female, white, stage:Stage IB, alive, 1400 days 1386.6
TCGA-05-4433-01A 82 years, male, stage:Stage IB, alive, 730 days 1385.7
TCGA-80-5608-01A female, stage:Stage IA, alive, 2832 days 1385.1
TCGA-55-6980-01A 56 years, male, white, stage:Stage IA, alive, 2109 days 1384.6
TCGA-05-4382-01A 68 years, male, stage:Stage IB, alive, 607 days 1382.6
TCGA-91-6828-01A 70 years, male, white, stage:Stage IA, alive, 323 days 1379.8
TCGA-86-8279-01A 46 years, male, white, stage:Stage IIA, alive, 949 days 1378.0
TCGA-50-5944-01A 69 years, female, white, stage:Stage IA, alive, 1750 days 1373.4
TCGA-55-8511-01A 73 years, female, white, stage:Stage IB, alive, 552 days 1371.3
TCGA-93-7348-01A 75 years, female, white, stage:Stage IA, alive, 531 days 1371.1
TCGA-55-6642-01A 63 years, male, white, stage:Stage IB, alive, 2449 days 1367.5
TCGA-44-6146-01A 64 years, male, white, stage:Stage IIB, alive, 728 days 1367.1
TCGA-93-A4JP-01A 64 years, male, asian, stage:Stage IV, alive, 578 days 1359.9
TCGA-80-5611-01A male, stage:Stage IB, alive, 2595 days 1357.8
TCGA-86-8278-01A 63 years, female, white, stage:Stage IIB, alive, 944 days 1357.4
TCGA-55-7910-01A 50 years, female, black or african american, stage:Stage IIA, alive, 1040 days 1357.3
TCGA-86-7955-01A 62 years, male, white, stage:Stage IB, alive, 1072 days 1356.2
TCGA-62-A46S-01A 73 years, male, white, stage:Stage IB, dead, 1653 days 1353.6
TCGA-55-A48Y-01A 69 years, male, white, stage:Stage IIA, alive, 630 days 1348.8
TCGA-55-6979-01A 59 years, female, white, stage:Stage IIB, dead, 237 days 1337.8
TCGA-MP-A4T6-01A 76 years, female, white, stage:Stage IIIA, dead, 1790 days 1331.6
TCGA-50-6597-01A 79 years, female, white, stage:Stage IB, dead, 1268 days 1328.4
TCGA-55-A494-01A 61 years, female, white, stage:Stage IB, alive, 481 days 1326.8
TCGA-MP-A4TF-01A 58 years, female, white, stage:Stage IIA, dead, 336 days 1318.4
TCGA-NJ-A55R-01A 67 years, male, white, stage:Stage IA, alive, 603 days 1318.3
TCGA-86-7954-01A 68 years, female, white, stage:Stage IB, alive, 605 days 1317.3
TCGA-44-7672-01A 52 years, female, white, stage:Stage IA, alive, 719 days 1316.5
TCGA-L9-A444-01A 60 years, female, white, stage:Stage IA, alive, 307 days 1309.7
TCGA-86-A4P7-01A 63 years, female, white, stage:Stage IB, alive, 415 days 1309.0
TCGA-69-7980-01A 70 years, female, white, stage:Stage I, alive, 411 days 1308.0
TCGA-44-7660-01A 72 years, male, white, stage:Stage IB, alive, 592 days 1307.0
TCGA-MP-A4SW-01A 53 years, male, white, stage:Stage IIB, dead, 1778 days 1294.2
TCGA-78-7163-01A 60 years, male, white, stage:Stage IB, alive, 7248 days 1289.8
TCGA-91-6831-01A 66 years, male, white, stage:Stage IB, alive, 310 days 1283.8
TCGA-78-8648-01A 58 years, female, stage:Stage IIB, dead, 1209 days 1283.6
TCGA-44-2659-01A 65 years, female, white, stage:Stage IIB, alive, 1367 days 1280.2
TCGA-55-1592-01A 65 years, male, white, stage:Stage IA, dead, 701 days 1275.0
TCGA-55-8091-01A 74 years, male, white, stage:Stage IB, alive, 600 days 1270.1
TCGA-44-A4SS-01A 73 years, male, white, stage:Stage IA, alive, 415 days 1270.1
TCGA-86-8585-01A 57 years, male, white, stage:Stage IB, alive, 353 days 1261.2
TCGA-55-7995-01A 73 years, female, white, stage:Stage IA, alive, 889 days 1257.9
TCGA-44-A4SU-01A 67 years, female, white, stage:Stage IA, dead, 409 days 1252.0
TCGA-95-7947-01A 67 years, male, white, stage:Stage IA, alive, 477 days 1251.9
TCGA-78-7535-01A 45 years, male, white, stage:Stage IB, dead, 949 days 1249.4
TCGA-05-4390-01A 58 years, female, stage:Stage IB, alive, 1126 days 1247.0
TCGA-69-A59K-01A 60 years, female, black or african american, stage:Stage IIB, alive, 591 days 1234.9
TCGA-05-4398-01A 47 years, female, stage:Stage IIIB, alive, 1431 days 1229.2
TCGA-64-5779-01A 61 years, male, white, stage:Stage IIIA, alive, 864 days 1219.5
TCGA-J2-A4AE-01A 77 years, female, white, stage:Stage IA, alive, 1079 days 1217.0
TCGA-55-5899-01A 58 years, male, white, stage:'--, alive, 930 days 1216.7
TCGA-86-8055-01A 79 years, male, white, stage:Stage IIA, dead, 124 days 1216.5
TCGA-55-8619-01A 72 years, female, white, stage:Stage IIB, alive, 416 days 1214.9
TCGA-NJ-A4YQ-01A 69 years, female, white, stage:Stage IA, alive, 1432 days 1213.4
TCGA-MP-A4T4-01A 68 years, female, white, stage:Stage IIB, dead, 2617 days 1211.5
TCGA-97-A4LX-01A 81 years, male, white, stage:Stage IB, alive, 614 days 1210.9
TCGA-55-6985-01A 58 years, female, white, stage:Stage IB, alive, 1233 days 1193.2
TCGA-55-7728-01A 64 years, female, white, stage:Stage IB, alive, 704 days 1187.1
TCGA-MP-A4TA-01A 75 years, female, white, stage:Stage IA, dead, 950 days 1186.9
TCGA-55-8614-01A 76 years, male, white, stage:Stage IB, alive, 536 days 1169.0
TCGA-55-8620-01A 60 years, male, white, stage:Stage IV, dead, 375 days 1162.3
TCGA-93-A4JN-01A 71 years, male, white, stage:Stage IV, alive, 718 days 1153.6
TCGA-MP-A4TE-01A 56 years, male, white, stage:Stage IIA, dead, 896 days 1144.1
TCGA-86-8668-01A 61 years, female, white, stage:Stage IA, alive, 423 days 1133.5
TCGA-49-4514-01A 79 years, female, white, stage:Stage IA, alive, 1700 days 1132.8
TCGA-49-AARE-01A 51 years, female, black or african american, stage:Stage IA, dead, 1229 days 1116.6
TCGA-05-4396-01A 76 years, male, stage:Stage IIIB, dead, 303 days 1107.0
TCGA-86-8075-01A 66 years, female, white, stage:Stage IB, dead, 694 days 1102.6
TCGA-J2-A4AD-01A 61 years, female, white, stage:Stage IA, dead, 550 days 1101.2
TCGA-05-4402-01A 57 years, female, stage:Stage IV, dead, 244 days 1096.2
TCGA-97-8547-01A 78 years, female, stage:Stage IIIA, alive, 657 days 1095.3
TCGA-44-2668-01A 51 years, male, white, stage:Stage IB, dead, 761 days 1093.3
TCGA-78-8640-01A 59 years, male, stage:Stage IIA, alive, 7062 days 1092.5
TCGA-L9-A50W-01A 75 years, male, black or african american, stage:Stage IIA, dead, 442 days 1074.8
TCGA-44-2657-01A 74 years, female, white, stage:Stage IB, alive, 1351 days 1069.9
TCGA-55-1594-01A 68 years, male, white, stage:Stage IIIA, alive, 1178 days 1049.9
TCGA-93-8067-01A 77 years, male, asian, stage:Stage IB, alive, 186 days 1045.3
TCGA-49-AAR9-01A 61 years, male, black or african american, stage:Stage IIB, dead, 260 days 1041.6
TCGA-44-A479-01A 73 years, female, black or african american, stage:Stage IB, alive, 486 days 1039.6
TCGA-55-A48Z-01A 60 years, female, white, stage:Stage IIIB, alive, 651 days 1027.8
TCGA-86-8673-01A 61 years, male, white, stage:Stage IB, alive, 862 days 1004.1
TCGA-44-3396-01A 74 years, female, white, stage:Stage IIIA, alive, 1130 days 994.8
TCGA-55-1596-01A 55 years, male, asian, stage:Stage IIB, alive, 2065 days 993.4
TCGA-62-8397-01A 70 years, female, white, stage:Stage IIB, alive, 1289 days 974.1
TCGA-86-6851-01A 73 years, female, white, stage:Stage IIA, alive, 179 days 966.3
TCGA-49-AAR4-01A 51 years, male, black or african american, stage:Stage IIIA, dead, 879 days 965.3
TCGA-O1-A52J-01A 74 years, female, white, stage:Stage IA, dead, 1798 days 956.7
TCGA-78-7540-01A 66 years, female, white, stage:Stage IB, dead, 1197 days 947.9
TCGA-53-7813-01A 51 years, female, white, stage:Stage IIIB, alive, 424 days 938.6
TCGA-55-8506-01A 62 years, female, white, stage:Stage IIB, alive, 11 days 929.9
TCGA-49-6743-01A 81 years, female, white, stage:Stage IIIA, alive, 1621 days 923.8
TCGA-86-8358-01A 44 years, male, white, stage:Stage IB, alive, 653 days 921.0
TCGA-44-6775-01A 72 years, female, white, stage:Stage IB, alive, 705 days 901.1
TCGA-55-6982-01A 79 years, female, white, stage:Stage IIB, dead, 995 days 898.6
TCGA-55-6981-01A 53 years, female, white, stage:Stage IIIA, dead, 1379 days 890.8
TCGA-55-6968-01A 61 years, male, white, stage:Stage IV, dead, 1293 days 863.0
TCGA-49-4512-01A 69 years, female, white, stage:Stage IIIA, dead, 905 days 857.1
TCGA-49-AAR2-01A 64 years, male, black or african american, stage:Stage IB, alive, 2224 days 813.7
TCGA-86-7711-01A 70 years, male, white, stage:Stage IIA, dead, 1046 days 784.4
TCGA-55-8092-01A 75 years, male, white, stage:Stage IIB, dead, 154 days 776.9
TCGA-71-8520-01A 60 years, female, asian, stage:Stage IB, dead, 210 days 763.3
TCGA-69-7761-01A 84 years, male, white, stage:Stage IB, alive, 186 days 721.2
TCGA-05-4397-01A 65 years, male, stage:Stage IIB, dead, 731 days 620.0
TCGA-49-AARQ-01A 41 years, female, black or african american, stage:Stage I, alive, 6732 days 558.6
Show allShow less
LUNG ADENOCARCINOMA (VALIDATION) - Interactive survival scatter ploti

The Survival Scatter plot shows the clinical status (i.e. dead or alive) for all individuals in the patient cohort, based on the same data that underlies the corresponding Kaplan-Meier plots. Patients that are alive at last time for follow-up are shown in blue and patients who have died during the study are shown in red.

The x-axis shows the expression levels (FPKM) of the investigated gene in the tumor tissue at the time of diagnosis. The y-axis shows the follow-up time after diagnosis (years). Both axes are complimented with kernel density curves demonstrating the data density over the axes. The top density plot shows the expression levels (FPKM) distribution among dead (red) and alive patients (blue). The right density plot shows the data density of the survived years of dead patients with high and low expression levels respectively, stratified using the cutoff indicated by the vertical dashed line through the Survival Scatter plot. This cutoff is automatically defined based on the FPKM cutoff that minimizes the p-score. The cutoff can be changed by dragging the vertical line or by entering a cutoff value in the square labeled "Current cut-off".

Under the Survival Scatter plot the p-score landscape (black curve; left axis) is shown together with dead median separation (red curve; right axis). Dead median separation is the difference in median mRNA expression between patients who have died with high and low expression, respectively. It is calculated as follows: median FPKM expression of dead patients with high expression - median FPKM expression of dead patients with low expression. This is intended to aid the user in visually exploring custom cutoffs and the associated p-scores and dead median separation.

Individual patient data is displayed and can be filtered by clicking on one or more of the category buttons on the top of the page. Categories describing expression level and patient information include: high, low, alive, dead, female, male and tumor stages. The scale of the x-axis can be toggled between linear and log-scale by clicking on the "x log" button. Mouse-over function shows TCGA ID, patient information and mRNA expression (FPKM) for each patient.

& Survival analysisi

Kaplan-Meier plots summarize results from analysis of correlation between mRNA expression level and patient survival. Patients were divided based on level of expression into one of the two groups "low" (under cut off) or "high" (over cut off). X-axis shows time for survival (years) and y-axis shows the probability of survival, where 1.0 corresponds to 100 percent.

RPL26 is not prognostic in Lung Adenocarcinoma (validation)


Stage:

Survival analysis
Current cut offi

Current cut-off shows the cut-off (FPKM) currently selected. It may be changed manually. When the current cut-off is changed, the vertical dashed line indicating cut-off, the interactive survival scatter plot and the Kaplan-Meier curve will be automatically adjusted to show results accordingly.

:
Best expression cut offi

Based on the FPKM value of each gene, patients were classified into two groups and association between prognosis (survival) and gene expression (FPKM) was examined. The best expression cut-off refers the FPKM value that yields maximal difference with regard to survival between the two groups at the lowest log-rank P-value. Best expression cut-off was selected based on survival analysis .

When clicking on this number, the vertical dashed line indicating cut-off, the interactive survival plot, and the Kaplan-Meier curve will be adjusted to show results based on the best expression cut-off.

: 3442.12
Median expressioni

Median expression refers to the median FPKM value calculated based on the gene expression (FPKM) data from all patients in this dataset. When clicking on this number, the vertical dashed line indicating cut-off, the interactive survival plot, and the Kaplan-Meier curve will be adjusted to show results based on the median expression.

: N/A
Median follow up timei

Median follow up time refers to the median time (years) after diagnosis with this type of cancer, based on clinical data from all patients in this dataset.

: N/A
P scorei

Log-rank P value for Kaplan-Meier plot showing results from analysis of correlation between mRNA expression level and patient survival.

N/A
5-year survival highi

5-year survival for patients with higher expression than the expression cutoff.

For melanoma and glioma, 3-year survival is shown.

N/A
5-year survival lowi

5-year survival for patients with lower expression than the expression cutoff.

For melanoma and glioma, 3-year survival is shown.

N/A
TCGA RNA samplesi

RNA-seq data is reported as average FPKM (number Fragments Per Kilobase of exon per Million reads), generated by the The Cancer Genome Atlas (TCGA) .

Normal distribution across the dataset is visualized with box plots, shown as median and 25th and 75th percentiles. Points are displayed as outliers if they are above or below 1.5 times the interquartile range. FPKM values of the individual samples are presented next to the box plot.

Average pTPM 3058.1
Number of samples 105
Samples
Sample Description pTPM
L851 70 years, male, stage:Stage IB, dead, 1315 days 11826.2
L850 77 years, male, stage:Stage IIIA, dead, 997 days 7572.1
L473 66 years, female, stage:Stage IA, alive, 3021 days 6158.6
L561 62 years, female, stage:Stage IA, alive, 2543 days 5815.1
L773 64 years, female, stage:Stage IV, dead, 311 days 5534.3
L842 62 years, female, stage:Stage IB, alive, 2005 days 5034.0
L816 73 years, female, stage:Stage IIA, dead, 353 days 5005.8
L829 76 years, male, stage:Stage IA, alive, 2173 days 4868.1
L867 62 years, female, stage:Stage IIIA, dead, 317 days 4538.0
L731 59 years, female, stage:Stage IA, dead, 964 days 4381.8
L567 83 years, female, stage:Stage IIIA, dead, 1299 days 4301.2
L462 67 years, male, stage:Stage IIIA, dead, 568 days 4256.6
L630 65 years, female, stage:Stage IA, dead, 1733 days 4211.9
L827 70 years, male, stage:Stage IIB, dead, 1105 days 4211.8
L764 66 years, male, stage:Stage IIIA, alive, 1684 days 4175.9
L791 66 years, female, stage:Stage IIIA, dead, 368 days 4143.2
L616 54 years, male, stage:Stage IA, dead, 410 days 4010.7
L683 77 years, female, stage:Stage IIA, dead, 612 days 3953.4
L782 73 years, female, stage:Stage IIB, alive, 3371 days 3877.3
L703 71 years, male, stage:Stage IIA, dead, 1137 days 3778.7
L605 74 years, female, stage:Stage IA, alive, 2460 days 3731.2
L877 70 years, female, stage:Stage IA, alive, 1599 days 3612.7
L638 65 years, male, stage:Stage IA, alive, 2076 days 3593.0
L682 64 years, female, stage:Stage IIB, dead, 840 days 3526.5
L662 66 years, male, stage:Stage IA, dead, 865 days 3516.8
L532 69 years, female, stage:Stage IA, dead, 301 days 3462.6
L565 59 years, female, stage:Stage IB, dead, 543 days 3458.0
L673 74 years, female, stage:Stage IA, dead, 568 days 3442.1
L493 56 years, female, stage:Stage IIB, alive, 2945 days 3319.3
L602 69 years, female, stage:Stage IA, alive, 2277 days 3316.1
L619 68 years, female, stage:Stage IIIA, dead, 1905 days 3266.7
L557 81 years, female, stage:Stage IB, alive, 2580 days 3252.0
L688 57 years, male, stage:Stage IIIA, dead, 789 days 3219.9
L612 80 years, female, stage:Stage IIIA, alive, 2410 days 3195.6
L439 80 years, male, stage:Stage IIB, dead, 2773 days 3165.3
L458 76 years, female, stage:Stage IA, dead, 223 days 3155.5
L569 76 years, female, stage:Stage IA, alive, 2531 days 3098.3
L875 69 years, female, stage:Stage IA, alive, 1675 days 3085.2
L865 75 years, female, stage:Stage IIB, alive, 1927 days 3021.2
L890 56 years, female, stage:Stage IIB, dead, 1264 days 3010.4
L873 62 years, female, stage:Stage IA, alive, 1740 days 3005.1
L566 58 years, male, stage:Stage IB, alive, 2489 days 2987.2
L546 57 years, male, stage:Stage IA, dead, 973 days 2986.7
L613 72 years, male, stage:Stage IIIA, dead, 19 days 2958.2
L879 75 years, male, stage:Stage IV, dead, 873 days 2955.1
L678 65 years, female, stage:Stage IB, dead, 1114 days 2953.3
L695 68 years, female, stage:Stage IB, dead, 1762 days 2897.0
L401 74 years, male, stage:Stage IIIA, dead, 1888 days 2884.4
L738 74 years, female, stage:Stage IB, dead, 1314 days 2873.2
L620 70 years, female, stage:Stage IIIA, dead, 338 days 2865.8
L603 70 years, female, stage:Stage IB, dead, 972 days 2860.9
L872 71 years, female, stage:Stage IA, alive, 1793 days 2852.0
L778 65 years, female, stage:Stage IA, alive, 1600 days 2804.6
L551 62 years, male, stage:Stage IA, alive, 2924 days 2784.9
L601 75 years, male, stage:Stage IB, dead, 2068 days 2722.5
L530 76 years, female, stage:Stage IIA, dead, 308 days 2695.8
L404 74 years, female, stage:Stage IIA, dead, 2318 days 2693.6
L800 66 years, female, stage:Stage IA, dead, 2417 days 2683.5
L606 55 years, male, stage:Stage IA, alive, 2336 days 2670.6
L413 72 years, female, stage:Stage IIIA, dead, 313 days 2639.8
L768 60 years, male, stage:Stage IIIA, dead, 472 days 2611.9
L885 62 years, female, stage:Stage IA, alive, 1618 days 2611.2
L826 45 years, female, stage:Stage IV, dead, 935 days 2597.8
L617 68 years, male, stage:Stage IIIA, dead, 238 days 2564.3
L689 69 years, male, stage:Stage IA, alive, 1943 days 2556.9
L545 60 years, female, stage:Stage IA, alive, 2874 days 2544.0
L887 77 years, male, stage:Stage IA, dead, 374 days 2520.7
L663 62 years, female, stage:Stage IB, alive, 2018 days 2519.5
L766 59 years, male, stage:Stage IB, alive, 1793 days 2511.5
L810 64 years, female, stage:Stage IIIA, dead, 625 days 2505.1
L832 65 years, female, stage:Stage IA, alive, 2145 days 2495.4
L828 68 years, female, stage:Stage IIB, alive, 2222 days 2481.7
L656 58 years, male, stage:Stage IA, alive, 2227 days 2470.2
L808 48 years, female, stage:Stage IA, alive, 3001 days 2464.8
L710 72 years, female, stage:Stage IIA, alive, 1775 days 2438.4
L746 64 years, female, stage:Stage IIIA, dead, 594 days 2430.0
L400 78 years, male, stage:Stage IIA, dead, 1233 days 2401.4
L874 56 years, female, stage:Stage IIIA, alive, 1733 days 2311.0
L455 52 years, female, stage:Stage IA, alive, 3315 days 2302.5
L585 70 years, female, stage:Stage IIA, dead, 402 days 2289.9
L531 74 years, male, stage:Stage IB, dead, 928 days 2252.4
L838 71 years, female, stage:Stage IA, dead, 1005 days 2243.5
L871 74 years, male, stage:Stage IB, dead, 873 days 2200.1
L593 78 years, male, stage:Stage IA, dead, 2436 days 2189.7
L484 64 years, female, stage:Stage IA, alive, 2895 days 2125.0
L446 71 years, female, stage:Stage IIB, dead, 415 days 2101.9
L626 76 years, female, stage:Stage IA, dead, 1994 days 2097.8
L752 65 years, male, stage:Stage IIIA, alive, 1647 days 2036.6
L802 62 years, female, stage:Stage IA, dead, 773 days 2035.9
L621 79 years, female, stage:Stage IIIA, dead, 1487 days 2029.5
L735 75 years, female, stage:Stage IA, alive, 1830 days 2018.3
L543 65 years, male, stage:Stage IA, alive, 2711 days 1988.6
L749 49 years, female, stage:Stage IIIA, dead, 189 days 1820.6
L880 75 years, female, stage:Stage IA, alive, 1767 days 1797.0
L725 64 years, female, stage:Stage IA, alive, 1830 days 1796.8
L599 80 years, male, stage:Stage IB, dead, 2083 days 1769.8
L814 73 years, male, stage:Stage IIIA, alive, 2466 days 1752.4
L831 62 years, female, stage:Stage IB, alive, 2152 days 1732.1
L511 56 years, female, stage:Stage IIIA, alive, 2942 days 1662.8
L607 59 years, male, stage:Stage IB, alive, 2572 days 1574.7
L440 80 years, male, stage:Stage IIB, dead, 651 days 1522.6
L541 70 years, female, stage:Stage IIIA, dead, 915 days 1508.9
L504 65 years, female, stage:Stage IA, dead, 1295 days 1481.0
L728 77 years, male, stage:Stage IIB, dead, 1128 days 1458.1
L596 74 years, female, stage:Stage IA, alive, 2319 days 1404.0
Show allShow less
LUNG SQUAMOUS CELL CARCINOMA (TCGA) - Interactive survival scatter ploti

The Survival Scatter plot shows the clinical status (i.e. dead or alive) for all individuals in the patient cohort, based on the same data that underlies the corresponding Kaplan-Meier plots. Patients that are alive at last time for follow-up are shown in blue and patients who have died during the study are shown in red.

The x-axis shows the expression levels (FPKM) of the investigated gene in the tumor tissue at the time of diagnosis. The y-axis shows the follow-up time after diagnosis (years). Both axes are complimented with kernel density curves demonstrating the data density over the axes. The top density plot shows the expression levels (FPKM) distribution among dead (red) and alive patients (blue). The right density plot shows the data density of the survived years of dead patients with high and low expression levels respectively, stratified using the cutoff indicated by the vertical dashed line through the Survival Scatter plot. This cutoff is automatically defined based on the FPKM cutoff that minimizes the p-score. The cutoff can be changed by dragging the vertical line or by entering a cutoff value in the square labeled "Current cut-off".

Under the Survival Scatter plot the p-score landscape (black curve; left axis) is shown together with dead median separation (red curve; right axis). Dead median separation is the difference in median mRNA expression between patients who have died with high and low expression, respectively. It is calculated as follows: median FPKM expression of dead patients with high expression - median FPKM expression of dead patients with low expression. This is intended to aid the user in visually exploring custom cutoffs and the associated p-scores and dead median separation.

Individual patient data is displayed and can be filtered by clicking on one or more of the category buttons on the top of the page. Categories describing expression level and patient information include: high, low, alive, dead, female, male and tumor stages. The scale of the x-axis can be toggled between linear and log-scale by clicking on the "x log" button. Mouse-over function shows TCGA ID, patient information and mRNA expression (FPKM) for each patient.

& Survival analysisi

Kaplan-Meier plots summarize results from analysis of correlation between mRNA expression level and patient survival. Patients were divided based on level of expression into one of the two groups "low" (under cut off) or "high" (over cut off). X-axis shows time for survival (years) and y-axis shows the probability of survival, where 1.0 corresponds to 100 percent.

RPL26 is not prognostic in Lung Squamous Cell Carcinoma (TCGA)


Stage:


Survival analysis
Current cut offi

Current cut-off shows the cut-off (FPKM) currently selected. It may be changed manually. When the current cut-off is changed, the vertical dashed line indicating cut-off, the interactive survival scatter plot and the Kaplan-Meier curve will be automatically adjusted to show results accordingly.

:
Best expression cut offi

Based on the FPKM value of each gene, patients were classified into two groups and association between prognosis (survival) and gene expression (FPKM) was examined. The best expression cut-off refers the FPKM value that yields maximal difference with regard to survival between the two groups at the lowest log-rank P-value. Best expression cut-off was selected based on survival analysis .

When clicking on this number, the vertical dashed line indicating cut-off, the interactive survival plot, and the Kaplan-Meier curve will be adjusted to show results based on the best expression cut-off.

: 2513.94
Median expressioni

Median expression refers to the median FPKM value calculated based on the gene expression (FPKM) data from all patients in this dataset. When clicking on this number, the vertical dashed line indicating cut-off, the interactive survival plot, and the Kaplan-Meier curve will be adjusted to show results based on the median expression.

: N/A
Median follow up timei

Median follow up time refers to the median time (years) after diagnosis with this type of cancer, based on clinical data from all patients in this dataset.

: N/A
P scorei

Log-rank P value for Kaplan-Meier plot showing results from analysis of correlation between mRNA expression level and patient survival.

N/A
5-year survival highi

5-year survival for patients with higher expression than the expression cutoff.

For melanoma and glioma, 3-year survival is shown.

N/A
5-year survival lowi

5-year survival for patients with lower expression than the expression cutoff.

For melanoma and glioma, 3-year survival is shown.

N/A
TCGA RNA samplesi

RNA-seq data is reported as average FPKM (number Fragments Per Kilobase of exon per Million reads), generated by the The Cancer Genome Atlas (TCGA) .

Normal distribution across the dataset is visualized with box plots, shown as median and 25th and 75th percentiles. Points are displayed as outliers if they are above or below 1.5 times the interquartile range. FPKM values of the individual samples are presented next to the box plot.

Average pTPM 2016.7
Number of samples 489
Samples
Sample Description pTPM
TCGA-NC-A5HH-01A 53 years, male, white, stage:Stage IA, alive, 37 days 6344.7
TCGA-33-4589-01A 62 years, female, white, stage:Stage IIB, dead, 47 days 5530.3
TCGA-63-A5MM-01A 69 years, female, stage:Stage IIB, dead, 456 days 4737.7
TCGA-63-7023-01A male, stage:Stage IIA, alive, 1682 days 4668.6
TCGA-70-6723-01A 65 years, male, asian, stage:Stage IIA, alive, 375 days 4590.3
TCGA-46-6026-01A 81 years, male, white, stage:Stage IIB, alive, 423 days 4460.6
TCGA-77-A5GA-01A 76 years, male, stage:Stage IB, alive, 1280 days 4383.8
TCGA-77-7140-01A 69 years, female, white, stage:Stage IIB, dead, 632 days 4370.6
TCGA-77-A5GF-01A 70 years, male, stage:Stage IIA, dead, 840 days 4359.3
TCGA-52-7811-01A 67 years, male, white, stage:Stage IB, dead, 266 days 4304.7
TCGA-52-7810-01A 60 years, female, white, stage:Stage IIB, alive, 923 days 4279.5
TCGA-90-7769-01A 55 years, male, white, stage:Stage IIB, alive, 358 days 4256.6
TCGA-68-7755-01A 60 years, female, white, stage:Stage IIA, alive, 83 days 4254.3
TCGA-60-2716-01A 39 years, male, stage:Stage IIB, alive, 1475 days 4241.6
TCGA-94-7943-01A 80 years, male, white, stage:Stage IA, alive, 559 days 4239.1
TCGA-43-7657-01A 68 years, female, white, stage:Stage IA, alive, 236 days 4207.3
TCGA-85-8277-01A 70 years, male, white, stage:Stage IIIA, dead, 307 days 4206.7
TCGA-MF-A522-01A 54 years, male, white, stage:Stage IB, dead, 360 days 4089.2
TCGA-68-7756-01A 84 years, male, white, stage:Stage IIIA, alive, 202 days 3984.6
TCGA-85-6798-01A 57 years, male, white, stage:Stage IIIA, dead, 195 days 3953.0
TCGA-85-8351-01A 72 years, male, white, stage:Stage IIA, alive, 510 days 3890.3
TCGA-77-7142-01A 59 years, female, white, stage:Stage IB, alive, 2227 days 3888.4
TCGA-85-8354-01A 53 years, male, white, stage:Stage IB, alive, 995 days 3857.3
TCGA-85-8352-01A 67 years, male, white, stage:Stage IIIA, dead, 161 days 3854.1
TCGA-34-5241-01A 79 years, male, white, stage:Stage IB, dead, 515 days 3836.5
TCGA-90-A4ED-01A 69 years, male, white, stage:Stage IB, alive, 615 days 3831.4
TCGA-39-5011-01A 70 years, female, white, stage:Stage IA, alive, 4053 days 3827.7
TCGA-90-A4EE-01A 53 years, male, white, stage:Stage IIA, alive, 688 days 3792.3
TCGA-21-1078-01A 77 years, male, white, stage:Stage IB, dead, 474 days 3748.8
TCGA-77-8144-01A 70 years, male, stage:Stage IB, alive, 833 days 3722.2
TCGA-94-7557-01A 73 years, male, black or african american, stage:Stage IB, dead, 5 days 3696.0
TCGA-66-2787-01A 57 years, male, stage:Stage IA, alive, 1217 days 3563.4
TCGA-22-5480-01A 66 years, female, white, stage:Stage IA, dead, 2170 days 3560.2
TCGA-85-A4PA-01A 61 years, male, white, stage:Stage IB, alive, 741 days 3510.4
TCGA-33-4538-01A 66 years, male, white, stage:Stage IIIA, dead, 2979 days 3481.9
TCGA-33-AASI-01A 65 years, female, black or african american, stage:Stage IIB, dead, 1344 days 3460.0
TCGA-O2-A52Q-01A 44 years, female, white, stage:Stage III, dead, 113 days 3456.5
TCGA-63-A5ML-01A 68 years, male, stage:Stage IB, alive, 1386 days 3428.4
TCGA-34-5240-01A 73 years, female, white, stage:Stage IIB, alive, 1541 days 3412.1
TCGA-66-2758-01A 71 years, male, stage:Stage IB, alive, 639 days 3370.6
TCGA-33-4532-01A 68 years, male, white, stage:Stage IB, dead, 3924 days 3351.6
TCGA-33-4533-01A 76 years, female, black or african american, stage:Stage IB, alive, 4068 days 3348.5
TCGA-21-1072-01A 75 years, male, white, stage:Stage IB, alive, 3016 days 3330.6
TCGA-NK-A5D1-01A 57 years, male, white, stage:Stage IIA, alive, 511 days 3306.3
TCGA-34-5239-01A 75 years, male, white, stage:Stage IIIA, alive, 1834 days 3304.4
TCGA-96-8169-01A 67 years, female, white, stage:Stage IA, alive, 557 days 3289.1
TCGA-18-3409-01A 74 years, male, white, stage:Stage IA, alive, 3747 days 3279.1
TCGA-52-7809-01A 74 years, male, white, stage:Stage IB, dead, 166 days 3276.7
TCGA-34-5234-01A 71 years, female, white, stage:Stage IA, alive, 2271 days 3262.9
TCGA-21-A5DI-01A 77 years, male, white, stage:Stage IA, alive, 979 days 3240.4
TCGA-18-5592-01A 57 years, male, stage:Stage IIB, alive, 1519 days 3238.5
TCGA-33-4566-01A 40 years, male, white, stage:Stage IB, dead, 5287 days 3230.4
TCGA-NC-A5HN-01A 77 years, male, white, stage:Stage IIA, alive, 1499 days 3224.3
TCGA-56-7730-01A 73 years, male, white, stage:Stage IIA, dead, 198 days 3215.0
TCGA-33-4583-01A 73 years, male, white, stage:Stage IA, dead, 4601 days 3171.9
TCGA-85-7698-01A 48 years, male, white, stage:Stage IA, alive, 952 days 3171.6
TCGA-18-5595-01A 50 years, male, stage:Stage IB, dead, 827 days 3159.7
TCGA-85-8070-01A 71 years, male, white, stage:Stage IB, alive, 960 days 3130.8
TCGA-NC-A5HL-01A 73 years, male, white, stage:Stage IIA, dead, 88 days 3130.1
TCGA-37-4130-01A 56 years, male, white, stage:Stage IA, alive, 247 days 3128.8
TCGA-85-7950-01A 46 years, male, white, stage:Stage IB, alive, 576 days 3096.9
TCGA-66-2755-01A 63 years, male, stage:Stage IB, alive, 28 days 3079.3
TCGA-66-2794-01A 64 years, male, stage:Stage IIIB, alive, 1645 days 3062.9
TCGA-22-1017-01A 62 years, male, white, stage:Stage IA, dead, 1485 days 3049.7
TCGA-34-5929-01A 78 years, female, white, stage:Stage IB, dead, 151 days 3021.5
TCGA-85-A5B5-01A 58 years, male, white, stage:Stage IA, alive, 111 days 3020.8
TCGA-21-1075-01A 57 years, male, white, stage:Stage IIB, alive, 2134 days 3013.7
TCGA-56-7222-01A 60 years, male, white, stage:Stage IB, dead, 562 days 2988.0
TCGA-56-8201-01A 74 years, male, white, stage:Stage IIB, dead, 397 days 2984.6
TCGA-34-5928-01A 83 years, female, white, stage:Stage IIB, alive, 1196 days 2971.9
TCGA-63-A5MR-01A 70 years, female, stage:Stage IB, alive, 2716 days 2950.0
TCGA-43-6770-01A 59 years, female, black or african american, stage:Stage IB, alive, 653 days 2929.9
TCGA-63-6202-01A male, stage:Stage IIA, alive, 1602 days 2927.2
TCGA-66-2769-01A 75 years, male, stage:Stage IIIB, dead, 215 days 2916.4
TCGA-85-7696-01A 64 years, male, white, stage:Stage IA, alive, 1111 days 2892.7
TCGA-21-1080-01A 66 years, male, white, stage:Stage IB, alive, 3724 days 2874.6
TCGA-66-2792-01A 58 years, male, stage:Stage IIB, alive, 913 days 2871.6
TCGA-O2-A52N-01A 78 years, male, white, stage:Stage I, dead, 1006 days 2850.6
TCGA-33-6737-01A 71 years, male, white, stage:Stage IIIA, dead, 601 days 2831.9
TCGA-56-7580-01A 84 years, male, white, stage:Stage IB, alive, 925 days 2819.8
TCGA-43-7656-01A 71 years, male, white, stage:Stage IA, alive, 596 days 2817.4
TCGA-77-8150-01A 64 years, male, stage:Stage IIIA, dead, 1655 days 2802.5
TCGA-96-7545-01A 73 years, male, white, stage:Stage IA, dead, 1736 days 2793.4
TCGA-85-A512-01A 46 years, male, white, stage:Stage IIA, alive, 465 days 2775.0
TCGA-18-3408-01A 77 years, female, white, stage:Stage IB, dead, 2304 days 2769.9
TCGA-63-A5MB-01A 62 years, male, stage:Stage IB, alive, 3123 days 2766.5
TCGA-21-5787-01A 65 years, male, black or african american, stage:Stage IIIA, dead, 329 days 2762.8
TCGA-34-7107-01A 70 years, male, white, stage:Stage II, dead, 34 days 2752.9
TCGA-85-A510-01A 74 years, female, white, stage:Stage IIB, alive, 482 days 2749.7
TCGA-58-A46K-01A 59 years, male, white, stage:Stage IIIA, dead, 1045 days 2733.6
TCGA-L3-A524-01A 45 years, female, white, stage:Stage IIB, dead, 490 days 2731.9
TCGA-43-8118-01A 55 years, female, white, stage:Stage IA, dead, 89 days 2730.1
TCGA-66-2795-01A 68 years, male, stage:Stage IIIB, alive, 122 days 2729.1
TCGA-98-8023-01A 70 years, male, white, stage:Stage IIIA, alive, 649 days 2720.4
TCGA-22-5482-01A 81 years, male, white, stage:Stage IB, dead, 357 days 2718.8
TCGA-51-4081-01A 55 years, male, white, stage:Stage IIB, alive, 911 days 2705.9
TCGA-98-A53D-01A 68 years, male, white, stage:Stage IIB, dead, 645 days 2702.2
TCGA-68-8250-01A 66 years, male, black or african american, stage:Stage IA, alive, 244 days 2697.6
TCGA-77-7139-01A 56 years, male, white, stage:Stage IIB, alive, 4261 days 2682.0
TCGA-34-5927-01A 70 years, female, white, stage:Stage IA, alive, 1361 days 2676.8
TCGA-63-A5MP-01A 56 years, male, stage:Stage IIB, alive, 769 days 2668.1
TCGA-NC-A5HR-01A 75 years, female, white, stage:Stage IIA, alive, 1244 days 2659.1
TCGA-77-8007-01A 68 years, male, stage:Stage IIB, dead, 198 days 2638.1
TCGA-39-5039-01A 76 years, male, white, stage:Stage IIA, dead, 544 days 2612.4
TCGA-39-5016-01A 44 years, male, white, stage:Stage IIA, alive, 3850 days 2601.8
TCGA-77-A5FZ-01A 64 years, male, stage:Stage IIIB, dead, 3838 days 2600.3
TCGA-56-7582-01A 83 years, male, white, stage:Stage IB, alive, 601 days 2592.1
TCGA-39-5036-01A 73 years, male, white, stage:Stage IB, alive, 2165 days 2586.0
TCGA-39-5019-01A 70 years, male, white, stage:Stage IB, alive, 3387 days 2580.3
TCGA-68-A59J-01A 74 years, female, white, stage:Stage IB, alive, 448 days 2578.0
TCGA-22-1016-01A 65 years, male, white, stage:Stage IB, dead, 822 days 2567.2
TCGA-63-A5MH-01A 68 years, male, stage:Stage IA, alive, 2026 days 2555.5
TCGA-85-8071-01A 52 years, male, white, stage:Stage IIA, alive, 815 days 2553.9
TCGA-85-7843-01A 50 years, male, white, stage:Stage IIA, alive, 35 days 2550.9
TCGA-94-A5I4-01A 61 years, male, white, stage:Stage IIA, alive, 491 days 2550.7
TCGA-60-2703-01A 73 years, male, white, stage:Stage IIB, dead, 2945 days 2514.4
TCGA-33-A4WN-01A 60 years, male, white, stage:Stage IB, dead, 143 days 2513.5
TCGA-43-3394-01A 52 years, male, black or african american, stage:Stage IB, dead, 1190 days 2496.2
TCGA-18-3417-01A 65 years, male, stage:Stage IV, dead, 1097 days 2480.1
TCGA-66-2744-01A 71 years, male, stage:Stage IIB, alive, 30 days 2474.9
TCGA-85-A53L-01A 63 years, male, asian, stage:Stage IIA, alive, 377 days 2472.8
TCGA-56-8305-01A 72 years, male, white, stage:Stage IB, alive, 105 days 2456.1
TCGA-90-7767-01A 56 years, male, white, stage:Stage IIB, alive, 89 days 2455.0
TCGA-22-5479-01A 64 years, male, white, stage:Stage IB, dead, 2625 days 2452.7
TCGA-22-4604-01A 73 years, male, white, stage:Stage IIA, dead, 399 days 2449.0
TCGA-85-8664-01A 73 years, male, white, stage:Stage IIB, dead, 550 days 2446.4
TCGA-22-5481-01A 72 years, female, white, stage:Stage IIB, dead, 2409 days 2422.4
TCGA-77-7465-01A 58 years, male, white, stage:Stage IIA, alive, 990 days 2413.4
TCGA-77-A5G3-01A 63 years, male, stage:Stage IIB, alive, 4570 days 2412.7
TCGA-22-4593-01A 77 years, male, white, stage:Stage IIA, dead, 1067 days 2386.5
TCGA-43-6771-01A 85 years, male, white, stage:Stage IB, dead, 166 days 2381.2
TCGA-60-2697-01A 41 years, male, white, stage:Stage IIA, dead, 372 days 2380.8
TCGA-43-3920-01A 71 years, male, white, stage:Stage IB, alive, 1007 days 2379.4
TCGA-NC-A5HK-01A 58 years, female, white, stage:Stage IIB, alive, 128 days 2370.6
TCGA-66-2800-01A 70 years, male, stage:Stage IIIB, alive, 1492 days 2359.5
TCGA-43-5670-01A 70 years, male, white, stage:Stage IIA, alive, 849 days 2358.1
TCGA-77-7138-01A 67 years, male, stage:Stage IB, dead, 340 days 2354.4
TCGA-22-5473-01A 78 years, male, white, stage:'--, dead, 1933 days 2352.8
TCGA-98-A53I-01A 64 years, male, white, stage:Stage IIA, alive, 565 days 2350.3
TCGA-18-4086-01A 64 years, male, stage:Stage IB, dead, 85 days 2344.2
TCGA-63-A5MJ-01A 54 years, male, stage:Stage IIB, alive, 1824 days 2343.7
TCGA-34-2596-01A 70 years, male, white, stage:Stage IIB, dead, 80 days 2339.8
TCGA-33-AASD-01A 83 years, male, black or african american, stage:Stage IA, dead, 2249 days 2320.2
TCGA-37-3792-01A 69 years, male, white, stage:Stage IB, alive, 12 days 2317.4
TCGA-NC-A5HE-01A 60 years, male, white, stage:Stage IIB, alive, 2336 days 2309.9
TCGA-LA-A446-01A 68 years, male, white, stage:Stage IA, alive, 401 days 2307.9
TCGA-52-7812-01A 68 years, male, white, stage:'--, dead, 835 days 2301.2
TCGA-39-5037-01A 65 years, male, white, stage:Stage IIA, alive, 1690 days 2300.7
TCGA-51-4080-01A 65 years, male, black or african american, stage:Stage IIIB, dead, 12 days 2285.0
TCGA-37-A5EN-01A 59 years, male, white, stage:Stage IIIB, alive, 660 days 2283.2
TCGA-85-6561-01A 66 years, male, white, stage:Stage IB, alive, 1224 days 2270.0
TCGA-77-7463-01A 75 years, male, white, stage:Stage IB, dead, 1423 days 2269.5
TCGA-85-8052-01A 53 years, male, white, stage:Stage IIB, alive, 734 days 2261.8
TCGA-68-8251-01A 78 years, male, white, stage:Stage IB, alive, 406 days 2258.1
TCGA-56-A5DR-01A 81 years, male, white, stage:Stage IA, alive, 4 days 2247.1
TCGA-21-5786-01A 64 years, male, white, stage:Stage IB, alive, 1032 days 2246.2
TCGA-18-3421-01A 65 years, male, white, stage:Stage IB, alive, 2645 days 2242.2
TCGA-43-A474-01A 66 years, male, white, stage:Stage IIA, alive, 353 days 2241.8
TCGA-92-7340-01A 45 years, female, white, stage:Stage IIA, alive, 82 days 2229.4
TCGA-94-8491-01A 73 years, male, white, stage:Stage IIA, alive, 810 days 2229.3
TCGA-77-8128-01A 60 years, male, stage:Stage IIIA, dead, 1150 days 2222.6
TCGA-63-A5MI-01A 65 years, male, stage:Stage IIIA, alive, 1784 days 2219.3
TCGA-85-7699-01A 73 years, male, white, stage:Stage IIIA, dead, 1001 days 2211.3
TCGA-22-0944-01A 61 years, male, white, stage:Stage IB, dead, 223 days 2206.9
TCGA-77-7141-01A 64 years, male, white, stage:Stage IB, alive, 15 days 2201.3
TCGA-39-5021-01A 70 years, male, white, stage:Stage IB, dead, 2086 days 2195.0
TCGA-37-4133-01A 63 years, male, white, stage:Stage IIIA, alive, 238 days 2192.8
TCGA-85-8580-01A 52 years, female, white, stage:Stage IB, alive, 1113 days 2191.9
TCGA-98-A53H-01A 76 years, female, white, stage:Stage IA, alive, 618 days 2191.3
TCGA-22-0940-01A 71 years, male, white, stage:Stage IIA, dead, 669 days 2189.7
TCGA-LA-A7SW-01A 71 years, male, black or african american, stage:Stage IIIA, dead, 408 days 2188.1
TCGA-94-8035-01A 64 years, male, white, stage:Stage IIB, alive, 122 days 2185.2
TCGA-77-8146-01A 72 years, male, stage:Stage IA, alive, 3189 days 2181.0
TCGA-56-8624-01A 84 years, male, white, stage:Stage IIB, alive, 420 days 2175.7
TCGA-66-2793-01A 68 years, male, stage:Stage IIIB, dead, 306 days 2175.2
TCGA-85-8353-01A 72 years, male, white, stage:Stage IIIA, dead, 94 days 2167.5
TCGA-22-5474-01A 74 years, male, white, stage:Stage IB, dead, 445 days 2144.9
TCGA-33-AASJ-01A 60 years, male, black or african american, stage:Stage IB, dead, 3600 days 2144.2
TCGA-85-6175-01A 63 years, female, white, stage:Stage IIB, dead, 294 days 2143.1
TCGA-77-8148-01A 68 years, male, stage:Stage IIIA, alive, 2023 days 2136.9
TCGA-34-5231-01A 72 years, male, white, stage:Stage IA, dead, 1984 days 2129.5
TCGA-46-3767-01A 76 years, male, white, stage:Stage IA, alive, 396 days 2128.1
TCGA-46-3769-01A 57 years, male, white, stage:'--, alive, 135 days 2121.4
TCGA-39-5027-01A 73 years, male, white, stage:Stage IB, alive, 3108 days 2120.6
TCGA-21-1077-01A 64 years, male, white, stage:Stage IIB, dead, 1058 days 2106.8
TCGA-18-4083-01A 63 years, male, white, stage:Stage IIB, dead, 188 days 2100.3
TCGA-56-A62T-01A 78 years, male, black or african american, stage:Stage IIA, alive, 440 days 2097.7
TCGA-63-A5MY-01A 63 years, male, stage:Stage IA, alive, 1052 days 2092.1
TCGA-22-4601-01A 73 years, female, white, stage:Stage IIIA, dead, 1057 days 2087.5
TCGA-85-A4QQ-01A 68 years, male, white, stage:Stage IB, dead, 927 days 2077.8
TCGA-90-A59Q-01A 61 years, female, white, stage:Stage IIA, dead, 322 days 2077.6
TCGA-NC-A5HJ-01A 59 years, male, white, stage:Stage IIB, dead, 418 days 2070.1
TCGA-22-5471-01A 75 years, male, white, stage:Stage IB, alive, 1845 days 2052.7
TCGA-22-1012-01A 80 years, female, white, stage:Stage IB, dead, 429 days 2049.0
TCGA-56-8623-01A 71 years, male, white, stage:Stage IB, dead, 692 days 2044.9
TCGA-98-8020-01A 56 years, female, black or african american, stage:Stage IIIA, dead, 84 days 2035.3
TCGA-63-A5MT-01A 74 years, male, stage:Stage IIB, alive, 498 days 2033.9
TCGA-77-6843-01A 74 years, male, white, stage:Stage IIA, dead, 2224 days 2033.3
TCGA-85-8072-01A 60 years, male, white, stage:Stage IA, alive, 932 days 2033.3
TCGA-22-A5C4-01A 70 years, male, white, stage:Stage IIA, alive, 671 days 2028.0
TCGA-56-A4ZK-01A 76 years, female, white, stage:Stage IB, alive, 570 days 2027.9
TCGA-52-7622-01A 62 years, female, white, stage:Stage IA, alive, 862 days 2027.2
TCGA-21-1076-01A 54 years, female, white, stage:Stage IB, alive, 1852 days 2026.2
TCGA-58-8386-01A 75 years, male, stage:Stage IV, dead, 1 days 2017.9
TCGA-63-A5MW-01A 76 years, male, stage:Stage IB, alive, 1639 days 2016.9
TCGA-77-A5G6-01A 66 years, male, stage:Stage IIIA, dead, 678 days 2015.8
TCGA-60-2724-01A 47 years, male, white, stage:Stage IIIA, alive, 717 days 2012.7
TCGA-58-8392-01A 70 years, male, white, stage:Stage IB, dead, 501 days 2009.6
TCGA-66-2765-01A 64 years, male, stage:Stage IB, alive, 61 days 2008.6
TCGA-33-4582-01A 55 years, male, white, stage:Stage IA, dead, 3149 days 2004.1
TCGA-37-4141-01A 65 years, female, white, stage:Stage IA, alive, 12 days 1997.6
TCGA-56-8504-01A 74 years, male, white, stage:Stage IB, alive, 510 days 1990.8
TCGA-58-A46M-01A 61 years, male, white, stage:Stage IIB, alive, 1072 days 1986.0
TCGA-60-2715-01A 51 years, male, white, stage:Stage IA, dead, 1075 days 1984.0
TCGA-NC-A5HG-01A 59 years, male, white, stage:Stage IIIA, alive, 1963 days 1981.2
TCGA-NC-A5HT-01A 69 years, male, white, stage:Stage IIIA, alive, 804 days 1981.2
TCGA-33-AAS8-01A 59 years, female, black or african american, stage:Stage IA, dead, 1114 days 1980.1
TCGA-77-8143-01A 76 years, male, stage:Stage IIIA, dead, 803 days 1978.7
TCGA-56-7223-01A 66 years, male, white, stage:Stage IIIA, dead, 442 days 1974.0
TCGA-22-5483-01A 74 years, male, white, stage:Stage IIA, dead, 573 days 1968.1
TCGA-O2-A52S-01A 57 years, female, white, stage:Stage III, dead, 387 days 1967.0
TCGA-58-8391-01A 57 years, female, white, stage:Stage IIIA, alive, 2167 days 1966.5
TCGA-51-4079-01A 73 years, female, black or african american, stage:Stage IB, dead, 12 days 1964.3
TCGA-J1-A4AH-01A 70 years, male, white, stage:Stage IIA, alive, 581 days 1963.8
TCGA-58-A46J-01A 64 years, male, white, stage:Stage IIB, alive, 2589 days 1946.8
TCGA-NC-A5HQ-01A 70 years, male, white, stage:Stage IIIA, dead, 448 days 1943.6
TCGA-21-1083-01A 75 years, male, white, stage:Stage IA, dead, 1315 days 1941.5
TCGA-43-A56V-01A 61 years, male, black or african american, stage:Stage IIIA, alive, 366 days 1940.7
TCGA-85-7697-01A 49 years, male, white, stage:Stage IIB, alive, 1063 days 1939.0
TCGA-39-5028-01A 75 years, male, white, stage:Stage IIIA, dead, 52 days 1916.1
TCGA-77-A5G1-01A 75 years, male, stage:Stage IIIA, alive, 4026 days 1912.4
TCGA-NC-A5HF-01A 74 years, male, white, stage:Stage IIIB, dead, 138 days 1904.6
TCGA-22-4596-01A 69 years, female, white, stage:Stage IB, dead, 17 days 1879.2
TCGA-66-2737-01A 72 years, male, stage:Stage IIB, alive, 61 days 1877.3
TCGA-85-8350-01A 61 years, male, white, stage:Stage IA, alive, 683 days 1864.5
TCGA-66-2754-01A 67 years, male, stage:Stage IIIA, alive, 61 days 1853.4
TCGA-18-3412-01A 52 years, male, white, stage:Stage IB, dead, 345 days 1836.8
TCGA-85-A511-01A 62 years, male, white, stage:Stage IIB, dead, 455 days 1835.6
TCGA-60-2708-01A 64 years, female, white, stage:Stage IIB, alive, 2447 days 1822.7
TCGA-37-A5EL-01A 53 years, male, white, stage:Stage IIB, dead, 1143 days 1819.2
TCGA-60-2709-01A 69 years, male, black or african american, stage:Stage IB, alive, 1505 days 1816.6
TCGA-77-8133-01A 74 years, male, stage:Stage IIA, dead, 1640 days 1813.0
TCGA-58-A46L-01A 73 years, male, white, stage:Stage IIIA, alive, 1723 days 1805.1
TCGA-77-A5GH-01A 81 years, male, stage:Stage IB, alive, 1182 days 1805.0
TCGA-39-5040-01A 59 years, male, white, stage:Stage IIIA, dead, 519 days 1795.2
TCGA-60-2704-01A 73 years, male, white, stage:Stage IIB, dead, 1154 days 1785.3
TCGA-56-8082-01A 80 years, female, white, stage:Stage IIA, alive, 455 days 1782.9
TCGA-60-2696-01A 76 years, female, black or african american, stage:Stage IIA, dead, 109 days 1778.3
TCGA-NC-A5HD-01A 79 years, male, white, stage:Stage IIB, dead, 2 days 1775.2
TCGA-58-8387-01A 60 years, male, white, stage:Stage IIA, dead, 403 days 1765.4
TCGA-NC-A5HM-01A 76 years, male, white, stage:Stage IB, alive, 1212 days 1759.3
TCGA-37-A5EM-01A 49 years, male, white, stage:Stage II, alive, 867 days 1756.7
TCGA-43-2578-01A 59 years, female, white, stage:Stage IA, dead, 684 days 1750.7
TCGA-98-7454-01A 73 years, male, white, stage:Stage IB, alive, 652 days 1745.7
TCGA-33-AASB-01A 66 years, male, black or african american, stage:Stage IB, dead, 211 days 1745.4
TCGA-34-5236-01A 60 years, male, white, stage:Stage IIB, dead, 276 days 1742.7
TCGA-85-A4JC-01A 84 years, male, white, stage:Stage IIA, dead, 604 days 1742.6
TCGA-37-4135-01A 68 years, male, white, stage:Stage IB, alive, 207 days 1740.7
TCGA-51-6867-01A 72 years, female, white, stage:Stage I, dead, 1856 days 1737.8
TCGA-22-5472-01A 67 years, male, white, stage:Stage IB, dead, 1975 days 1736.6
TCGA-NK-A5CX-01A 73 years, male, white, stage:Stage IIA, alive, 111 days 1736.3
TCGA-NC-A5HP-01A 69 years, male, white, stage:Stage IV, dead, 770 days 1731.2
TCGA-56-5898-01A 69 years, male, white, stage:Stage IA, alive, 555 days 1728.2
TCGA-18-3406-01A 67 years, male, white, stage:Stage IA, dead, 371 days 1721.4
TCGA-56-6545-01A 77 years, female, white, stage:Stage IB, alive, 666 days 1718.1
TCGA-77-6842-01A 79 years, male, white, stage:Stage IIB, dead, 899 days 1716.8
TCGA-60-2720-01A 60 years, female, white, stage:Stage IB, alive, 97 days 1709.9
TCGA-NC-A5HO-01A 70 years, female, white, stage:Stage IIIA, alive, 1336 days 1706.1
TCGA-98-A53C-01A 77 years, female, white, stage:Stage IA, alive, 822 days 1706.0
TCGA-85-A4CL-01A 65 years, male, white, stage:Stage IA, dead, 921 days 1702.4
TCGA-37-5819-01A 64 years, male, white, stage:Stage IIIA, alive, 103 days 1696.3
TCGA-46-3766-01A 62 years, female, white, stage:Stage IA, alive, 370 days 1692.8
TCGA-56-A4ZJ-01A 75 years, female, white, stage:Stage IA, alive, 640 days 1678.7
TCGA-85-7710-01A 59 years, female, white, stage:Stage IA, alive, 42 days 1677.5
TCGA-22-5485-01A 58 years, female, white, stage:Stage IA, dead, 916 days 1675.4
TCGA-77-6845-01A 69 years, male, white, stage:Stage IIB, dead, 708 days 1674.6
TCGA-22-4613-01A 73 years, female, white, stage:Stage IA, dead, 358 days 1661.5
TCGA-63-A5MV-01A 69 years, male, stage:Stage IIA, alive, 1100 days 1648.2
TCGA-22-5491-01A 74 years, male, white, stage:Stage IA, dead, 1713 days 1645.7
TCGA-NK-A5CT-01A 70 years, male, white, stage:Stage IA, alive, 1997 days 1645.2
TCGA-21-1070-01A 60 years, female, black or african american, stage:Stage IIIA, alive, 3636 days 1640.8
TCGA-39-5035-01A 72 years, female, white, stage:Stage IA, alive, 2080 days 1637.8
TCGA-43-7658-01A 75 years, female, white, stage:Stage IA, dead, 2378 days 1635.7
TCGA-96-A4JL-01A 78 years, female, asian, stage:Stage IIA, alive, 842 days 1633.3
TCGA-NK-A7XE-01A 66 years, male, black or african american, stage:Stage IIIB, alive, 13 days 1632.8
TCGA-60-2711-01A 64 years, female, white, stage:Stage IB, alive, 1260 days 1630.2
TCGA-94-A5I6-01A 62 years, male, white, stage:Stage IIB, alive, 538 days 1624.6
TCGA-56-A4BX-01A 70 years, male, white, stage:Stage IIA, alive, 405 days 1622.4
TCGA-43-8116-01A 73 years, male, white, stage:Stage IA, alive, 358 days 1621.5
TCGA-39-5031-01A 76 years, female, stage:Stage IA, dead, 1841 days 1621.2
TCGA-77-8156-01A 60 years, male, stage:Stage IB, alive, 1106 days 1620.3
TCGA-66-2770-01A 79 years, male, stage:Stage IB, alive, 700 days 1618.4
TCGA-22-1002-01A 69 years, male, white, stage:Stage IA, dead, 131 days 1612.2
TCGA-92-8063-01A 52 years, male, white, stage:Stage IIIA, alive, 122 days 1610.0
TCGA-21-5784-01A 80 years, female, white, stage:Stage IB, alive, 1268 days 1607.8
TCGA-34-A5IX-01A 80 years, male, white, stage:Stage IIB, alive, 1031 days 1602.8
TCGA-37-3783-01A 51 years, male, white, stage:Stage IIIA, alive, 122 days 1601.3
TCGA-34-8456-01A 71 years, female, white, stage:Stage IIA, alive, 804 days 1598.0
TCGA-56-7731-01A 66 years, female, white, stage:Stage IB, dead, 3 days 1595.4
TCGA-56-A49D-01A 67 years, male, white, stage:Stage IIIA, alive, 637 days 1590.7
TCGA-22-4599-01A 73 years, female, white, stage:Stage IB, dead, 1161 days 1584.7
TCGA-60-2695-01A 74 years, female, white, stage:Stage IB, alive, 642 days 1583.8
TCGA-37-3789-01A 65 years, male, white, stage:Stage IB, alive, 13 days 1582.5
TCGA-77-7335-01A 62 years, female, white, stage:Stage IIIB, dead, 2133 days 1577.5
TCGA-70-6722-01A 47 years, male, asian, stage:Stage IIIA, alive, 367 days 1577.5
TCGA-66-2780-01A 65 years, male, stage:Stage IB, dead, 366 days 1569.3
TCGA-66-2786-01A 68 years, female, stage:Stage IA, alive, 790 days 1563.6
TCGA-77-8131-01A 72 years, male, stage:Stage IB, dead, 383 days 1561.1
TCGA-60-2726-01A 56 years, male, white, stage:Stage IIA, dead, 358 days 1558.2
TCGA-66-2789-01A 73 years, male, stage:Stage IIIB, dead, 123 days 1556.0
TCGA-85-8479-01A 66 years, male, white, stage:Stage IA, alive, 468 days 1552.6
TCGA-85-8355-01A 63 years, male, white, stage:Stage IA, alive, 61 days 1552.5
TCGA-58-A46N-01A 52 years, male, white, stage:Stage IB, alive, 910 days 1549.7
TCGA-77-8153-01A 77 years, female, stage:Stage IB, alive, 1992 days 1548.3
TCGA-56-7221-01A 79 years, male, white, stage:Stage IB, alive, 608 days 1542.0
TCGA-NK-A5CR-01A 77 years, male, stage:Stage IB, alive, 2542 days 1537.0
TCGA-66-2790-01A 72 years, male, stage:Stage IIB, alive, 699 days 1533.6
TCGA-46-3768-01A 58 years, male, white, stage:Stage IIIA, dead, 299 days 1532.1
TCGA-66-2753-01A 69 years, male, stage:Stage IB, alive, 31 days 1530.4
TCGA-66-2782-01A 71 years, male, stage:Stage IIB, dead, 365 days 1525.3
TCGA-66-2778-01A 68 years, female, stage:Stage IIIB, alive, 578 days 1524.5
TCGA-56-A4BW-01A 55 years, male, white, stage:Stage IIA, alive, 585 days 1521.4
TCGA-18-3416-01A 83 years, male, stage:Stage IIB, dead, 973 days 1520.4
TCGA-60-2714-01A 66 years, female, white, stage:Stage IIB, alive, 1531 days 1519.3
TCGA-60-2723-01A 74 years, female, white, stage:Stage IB, alive, 1092 days 1509.4
TCGA-77-8009-01A 68 years, male, stage:Stage IIB, dead, 1695 days 1502.6
TCGA-33-4586-01A 57 years, male, white, stage:Stage IIIA, dead, 428 days 1501.8
TCGA-66-2771-01A 60 years, male, stage:Stage IIB, alive, 578 days 1494.8
TCGA-66-2757-01A 65 years, female, stage:Stage IA, dead, 1338 days 1482.3
TCGA-22-1000-01A 76 years, male, white, stage:Stage IB, dead, 454 days 1480.5
TCGA-92-8064-01A 58 years, male, white, stage:'--, alive, 160 days 1479.9
TCGA-21-5783-01A 76 years, male, white, stage:Stage IB, dead, 2680 days 1478.8
TCGA-34-5232-01A 75 years, female, black or african american, stage:Stage IIA, alive, 2471 days 1474.4
TCGA-98-8022-01A 61 years, male, white, stage:Stage IA, dead, 933 days 1471.5
TCGA-37-4132-01A 61 years, female, white, stage:Stage IV, alive, 227 days 1468.5
TCGA-22-4594-01A 60 years, female, stage:Stage IIIA, dead, 1470 days 1465.5
TCGA-63-A5MS-01A 78 years, male, stage:Stage IB, alive, 2381 days 1464.5
TCGA-77-8154-01A 67 years, male, stage:Stage IA, alive, 1841 days 1464.1
TCGA-96-7544-01A 83 years, male, white, stage:Stage IIB, dead, 2160 days 1464.0
TCGA-21-1071-01A 67 years, male, white, stage:Stage IB, dead, 1426 days 1451.0
TCGA-18-3407-01A 72 years, male, asian, stage:Stage IB, dead, 136 days 1448.3
TCGA-85-A4JB-01A 74 years, male, white, stage:Stage IIB, alive, 942 days 1444.9
TCGA-43-6143-01A 70 years, male, white, stage:Stage IB, alive, 699 days 1441.3
TCGA-77-8130-01A 69 years, male, stage:Stage IIB, alive, 4765 days 1439.7
TCGA-21-1082-01A 61 years, male, white, stage:Stage IB, alive, 3644 days 1437.7
TCGA-98-A539-01A 63 years, male, white, stage:Stage IIB, alive, 173 days 1433.0
TCGA-66-2791-01A 66 years, male, stage:Stage IIIB, dead, 153 days 1430.4
TCGA-85-A4CN-01A 56 years, female, white, stage:Stage IIB, alive, 1038 days 1425.7
TCGA-85-8584-01A 71 years, male, white, stage:Stage IIA, dead, 383 days 1423.7
TCGA-43-A475-01A 67 years, female, white, stage:Stage IIB, alive, 296 days 1421.7
TCGA-XC-AA0X-01A 77 years, female, black or african american, stage:Stage IA, dead, 6 days 1421.1
TCGA-56-8307-01A 55 years, female, white, stage:Stage IIB, alive, 818 days 1420.5
TCGA-58-8388-01A 60 years, male, white, stage:Stage IB, dead, 412 days 1412.3
TCGA-58-8390-01A 70 years, male, white, stage:Stage IIA, alive, 911 days 1402.3
TCGA-77-8140-01A 66 years, female, stage:Stage IIB, dead, 351 days 1400.7
TCGA-77-8138-01A 74 years, male, stage:Stage IB, dead, 539 days 1400.1
TCGA-22-4605-01A 78 years, female, stage:Stage IB, dead, 974 days 1397.1
TCGA-33-4547-01A 68 years, male, white, stage:Stage IB, alive, 2419 days 1396.4
TCGA-66-2773-01A 69 years, male, stage:Stage IB, dead, 92 days 1388.3
TCGA-56-8503-01A 76 years, female, white, stage:Stage IIB, alive, 41 days 1383.9
TCGA-85-8049-01A 57 years, male, white, stage:Stage IB, alive, 579 days 1380.9
TCGA-85-6560-01A 59 years, male, white, stage:Stage IIA, alive, 1259 days 1378.8
TCGA-60-2719-01A 83 years, female, white, stage:Stage IB, alive, 1297 days 1376.1
TCGA-85-8288-01A 70 years, male, white, stage:Stage IIA, dead, 402 days 1372.9
TCGA-60-2712-01A 79 years, female, white, stage:Stage IIB, dead, 274 days 1370.5
TCGA-77-7338-01A 64 years, male, white, stage:Stage IB, dead, 5 days 1366.0
TCGA-56-1622-01A 58 years, male, white, stage:Stage IB, dead, 881 days 1364.4
TCGA-60-2698-01A 62 years, male, white, stage:Stage IIB, dead, 311 days 1356.7
TCGA-34-2608-01A 84 years, male, white, stage:Stage IB, dead, 1000 days 1355.7
TCGA-66-2766-01A 54 years, male, stage:Stage IIIA, alive, 31 days 1350.2
TCGA-58-8393-01A 68 years, female, white, stage:Stage IB, alive, 1058 days 1340.6
TCGA-63-A5MN-01A 78 years, female, stage:Stage IIB, dead, 345 days 1339.7
TCGA-22-5477-01A 65 years, male, white, stage:Stage IA, dead, 1346 days 1337.3
TCGA-85-8048-01A 62 years, male, white, stage:Stage IA, alive, 765 days 1334.8
TCGA-66-2767-01A 62 years, male, stage:Stage IIIB, alive, 61 days 1334.8
TCGA-66-2781-01A 67 years, male, stage:Stage IB, alive, 121 days 1333.5
TCGA-34-2600-01A 76 years, female, white, stage:Stage IA, dead, 1874 days 1333.2
TCGA-60-2713-01A 64 years, male, white, stage:Stage IB, alive, 1731 days 1332.7
TCGA-66-2727-01A 55 years, female, stage:Stage IB, dead, 516 days 1321.2
TCGA-18-3411-01A 63 years, female, stage:Stage IIIA, alive, 3576 days 1321.1
TCGA-33-AASL-01A 57 years, female, black or african american, stage:Stage IA, dead, 826 days 1318.8
TCGA-22-4607-01A 75 years, male, white, stage:Stage IB, dead, 587 days 1310.9
TCGA-34-8455-01A 67 years, male, white, stage:Stage IV, dead, 123 days 1308.1
TCGA-46-6025-01A 71 years, male, white, stage:Stage IIB, alive, 324 days 1306.4
TCGA-22-5489-01A 64 years, male, white, stage:Stage IA, dead, 1912 days 1305.1
TCGA-66-2777-01A 71 years, male, stage:Stage IB, alive, 61 days 1300.9
TCGA-85-8666-01A 65 years, male, white, stage:Stage IB, dead, 687 days 1296.3
TCGA-66-2763-01A 63 years, female, stage:Stage IB, alive, 30 days 1293.1
TCGA-46-3765-01A 59 years, female, white, stage:Stage IA, alive, 405 days 1292.4
TCGA-56-8629-01A 63 years, male, white, stage:Stage IIA, alive, 481 days 1289.2
TCGA-85-8287-01A 72 years, male, white, stage:Stage IA, dead, 23 days 1285.0
TCGA-56-8622-01A 68 years, male, white, stage:Stage IB, alive, 55 days 1282.2
TCGA-18-3415-01A 77 years, male, stage:Stage IB, dead, 2803 days 1278.1
TCGA-77-8008-01A 68 years, male, stage:Stage IB, dead, 2639 days 1275.2
TCGA-85-8276-01A 62 years, male, white, stage:Stage IIA, alive, 1050 days 1273.8
TCGA-63-7020-01A male, stage:Stage IA, alive, 2133 days 1269.8
TCGA-98-A53A-01A 70 years, male, black or african american, stage:Stage IB, dead, 552 days 1269.3
TCGA-39-5029-01A 67 years, male, white, stage:Stage IIIA, dead, 740 days 1268.9
TCGA-22-4595-01A 57 years, male, white, stage:Stage IIIA, dead, 734 days 1266.3
TCGA-96-A4JK-01A 65 years, male, white, stage:Stage IIA, alive, 589 days 1264.4
TCGA-22-4609-01A 81 years, male, white, stage:Stage IA, dead, 291 days 1262.7
TCGA-98-A538-01A 67 years, male, white, stage:Stage IIB, alive, 826 days 1261.4
TCGA-L3-A4E7-01A 71 years, male, white, stage:Stage IB, alive, 392 days 1259.4
TCGA-43-A56U-01A 76 years, female, white, stage:Stage IA, alive, 432 days 1259.1
TCGA-37-4129-01A 52 years, female, white, stage:Stage IA, alive, 242 days 1253.2
TCGA-66-2742-01A 70 years, male, stage:Stage IV, alive, 641 days 1251.4
TCGA-92-7341-01A 71 years, male, white, stage:Stage IB, alive, 106 days 1246.8
TCGA-56-8083-01A 56 years, male, white, stage:Stage IB, alive, 150 days 1246.4
TCGA-85-8481-01A 70 years, male, white, stage:Stage IIB, dead, 236 days 1232.9
TCGA-66-2756-01A 68 years, male, stage:Stage IIIB, alive, 30 days 1227.0
TCGA-33-4587-01A 63 years, female, white, stage:Stage IB, dead, 1656 days 1223.9
TCGA-60-2722-01A 66 years, male, white, stage:Stage IIB, alive, 908 days 1218.1
TCGA-60-2725-01A 74 years, male, white, stage:Stage IB, alive, 816 days 1216.2
TCGA-85-A513-01A 60 years, female, asian, stage:Stage IA, alive, 910 days 1215.0
TCGA-39-5024-01A 65 years, female, white, stage:Stage IIIA, alive, 2510 days 1205.1
TCGA-21-1079-01A 71 years, male, white, stage:Stage IIIA, dead, 965 days 1198.4
TCGA-18-4721-01A 74 years, male, white, stage:Stage IA, alive, 4694 days 1192.2
TCGA-22-4591-01A 80 years, male, white, stage:Stage IIIA, dead, 623 days 1190.4
TCGA-90-7964-01A 70 years, male, white, stage:Stage IB, alive, 428 days 1165.0
TCGA-O2-A5IB-01A 71 years, female, white, stage:Stage III, dead, 340 days 1165.0
TCGA-85-A50M-01A 47 years, male, asian, stage:Stage IIA, dead, 826 days 1161.3
TCGA-33-A5GW-01A 67 years, male, white, stage:Stage IIA, dead, 9 days 1160.1
TCGA-39-5022-01A 76 years, male, white, stage:Stage IB, dead, 1679 days 1156.2
TCGA-77-7337-01A 65 years, male, white, stage:Stage IIB, dead, 3253 days 1155.7
TCGA-56-8625-01A 66 years, female, white, stage:Stage IIIA, dead, 315 days 1142.2
TCGA-66-2734-01A 62 years, female, stage:Stage IB, alive, 1311 days 1141.6
TCGA-98-A53B-01A 69 years, male, white, stage:Stage IB, dead, 61 days 1135.8
TCGA-60-2707-01A 70 years, male, stage:Stage IB, dead, 667 days 1135.6
TCGA-O2-A52V-01A 75 years, female, black or african american, stage:Stage II, dead, 1335 days 1133.7
TCGA-85-7844-01A 71 years, male, white, stage:Stage IB, alive, 911 days 1126.3
TCGA-56-8628-01A 78 years, male, white, stage:Stage IA, alive, 616 days 1123.8
TCGA-22-5492-01A 73 years, female, stage:Stage IIIA, dead, 506 days 1122.4
TCGA-56-8626-01A 59 years, male, white, stage:Stage IA, dead, 302 days 1111.7
TCGA-66-2785-01A 65 years, male, stage:Stage IB, alive, 60 days 1108.1
TCGA-NC-A5HI-01A 68 years, female, white, stage:Stage IB, alive, 1743 days 1106.5
TCGA-56-7579-01A 61 years, male, white, stage:Stage IIIA, dead, 951 days 1104.1
TCGA-18-3410-01A 81 years, male, stage:Stage IIB, dead, 146 days 1103.1
TCGA-94-8490-01A 70 years, male, white, stage:Stage IIB, alive, 153 days 1095.4
TCGA-85-8582-01A 49 years, male, white, stage:Stage IA, alive, 1160 days 1090.5
TCGA-66-2759-01A 66 years, male, stage:Stage IIIA, alive, 762 days 1087.4
TCGA-34-8454-01A 62 years, female, white, stage:Stage IIIA, alive, 1180 days 1085.7
TCGA-96-8170-01A 75 years, female, white, stage:Stage IIA, alive, 531 days 1082.2
TCGA-43-6773-01A 76 years, male, white, stage:Stage IIB, dead, 116 days 1082.2
TCGA-21-1081-01A 69 years, male, white, stage:Stage IIB, dead, 284 days 1080.7
TCGA-60-2706-01A 58 years, male, white, stage:Stage IA, alive, 2820 days 1075.4
TCGA-90-6837-01A 64 years, male, white, stage:Stage IIB, alive, 758 days 1070.8
TCGA-56-8309-01A 66 years, male, white, stage:Stage IA, alive, 428 days 1069.2
TCGA-68-A59I-01A 73 years, female, black or african american, stage:Stage IIIA, alive, 492 days 1066.0
TCGA-22-1005-01A 63 years, male, white, stage:Stage IA, dead, 1953 days 1052.0
TCGA-56-8304-01A 73 years, female, white, stage:Stage IA, alive, 106 days 1046.6
TCGA-56-A4BY-01A 66 years, male, white, stage:Stage IB, dead, 543 days 1045.9
TCGA-43-8115-01A 72 years, female, white, stage:Stage IIA, alive, 407 days 1044.1
TCGA-85-A4QR-01A 67 years, male, white, stage:Stage IB, alive, 600 days 1041.0
TCGA-98-8021-01A 75 years, female, white, stage:Stage IA, alive, 937 days 1040.7
TCGA-56-8308-01A 79 years, male, white, stage:Stage IIB, alive, 517 days 1036.8
TCGA-22-5478-01A 79 years, male, stage:Stage IB, dead, 24 days 1017.6
TCGA-92-8065-01A 74 years, female, white, stage:Stage IIB, alive, 70 days 1011.4
TCGA-63-7021-01A male, stage:Stage IA, alive, 2142 days 1004.3
TCGA-77-6844-01A 74 years, male, white, stage:Stage IIIA, dead, 2284 days 996.6
TCGA-43-2576-01A 62 years, female, white, stage:Stage IIIA, alive, 1223 days 995.4
TCGA-56-A5DS-01A 72 years, female, white, stage:Stage IB, alive, 8 days 992.6
TCGA-66-2788-01A 56 years, male, stage:Stage IB, alive, 699 days 992.5
TCGA-60-2721-01A 73 years, male, white, stage:Stage IB, alive, 983 days 978.6
TCGA-98-A53J-01A 77 years, male, white, stage:Stage IB, alive, 630 days 975.9
TCGA-33-6738-01A 80 years, male, white, stage:Stage IIIA, alive, 1927 days 973.4
TCGA-77-8136-01A 74 years, female, stage:Stage IIB, dead, 1189 days 962.5
TCGA-18-3414-01A 73 years, male, asian, stage:Stage IV, dead, 716 days 955.5
TCGA-21-5782-01A 68 years, female, white, stage:Stage IB, dead, 962 days 943.3
TCGA-77-8139-01A 72 years, male, stage:Stage IIB, alive, 3166 days 941.4
TCGA-O2-A52W-01A 63 years, male, black or african american, stage:Stage I, dead, 261 days 940.5
TCGA-63-A5MG-01A 68 years, male, stage:Stage IB, alive, 2148 days 929.7
TCGA-56-5897-01A 74 years, male, white, stage:Stage IA, alive, 378 days 910.6
TCGA-66-2783-01A 67 years, male, stage:Stage IIIB, alive, 759 days 898.9
TCGA-63-7022-01A female, stage:Stage IA, alive, 2073 days 885.5
TCGA-56-7822-01A 75 years, male, black or african american, stage:Stage IIB, dead, 532 days 876.0
TCGA-94-A4VJ-01A 71 years, female, white, stage:Stage IA, alive, 430 days 872.5
TCGA-43-5668-01A 78 years, male, white, stage:Stage IIA, dead, 559 days 864.5
TCGA-43-6647-01A 69 years, female, white, stage:Stage IIB, alive, 757 days 863.8
TCGA-66-2768-01A 57 years, male, stage:Stage IIB, alive, 61 days 850.8
TCGA-85-A50Z-01A 57 years, male, white, stage:Stage IIA, alive, 493 days 825.0
TCGA-39-5034-01A 73 years, female, white, stage:Stage IIB, dead, 1107 days 812.0
TCGA-90-7766-01A 66 years, female, white, stage:Stage IA, alive, 289 days 795.6
TCGA-22-1011-01A 73 years, male, white, stage:Stage IB, dead, 53 days 779.3
TCGA-60-2710-01A 67 years, female, white, stage:Stage IIA, alive, 2024 days 769.9
TCGA-77-8145-01A 73 years, male, stage:Stage IIIB, dead, 212 days 768.6
TCGA-43-2581-01A 47 years, female, white, stage:Stage IIIA, alive, 1176 days 699.3
TCGA-94-7033-01A 73 years, male, white, stage:Stage IB, alive, 640 days 677.5
TCGA-39-5030-01A 81 years, female, asian, stage:Stage IIIA, dead, 59 days 667.9
TCGA-18-3419-01A 73 years, male, stage:Stage IIB, alive, 2811 days 615.8
Show allShow less
LUNG SQUAMOUS CELL CARCINOMA (VALIDATION) - Interactive survival scatter ploti

The Survival Scatter plot shows the clinical status (i.e. dead or alive) for all individuals in the patient cohort, based on the same data that underlies the corresponding Kaplan-Meier plots. Patients that are alive at last time for follow-up are shown in blue and patients who have died during the study are shown in red.

The x-axis shows the expression levels (FPKM) of the investigated gene in the tumor tissue at the time of diagnosis. The y-axis shows the follow-up time after diagnosis (years). Both axes are complimented with kernel density curves demonstrating the data density over the axes. The top density plot shows the expression levels (FPKM) distribution among dead (red) and alive patients (blue). The right density plot shows the data density of the survived years of dead patients with high and low expression levels respectively, stratified using the cutoff indicated by the vertical dashed line through the Survival Scatter plot. This cutoff is automatically defined based on the FPKM cutoff that minimizes the p-score. The cutoff can be changed by dragging the vertical line or by entering a cutoff value in the square labeled "Current cut-off".

Under the Survival Scatter plot the p-score landscape (black curve; left axis) is shown together with dead median separation (red curve; right axis). Dead median separation is the difference in median mRNA expression between patients who have died with high and low expression, respectively. It is calculated as follows: median FPKM expression of dead patients with high expression - median FPKM expression of dead patients with low expression. This is intended to aid the user in visually exploring custom cutoffs and the associated p-scores and dead median separation.

Individual patient data is displayed and can be filtered by clicking on one or more of the category buttons on the top of the page. Categories describing expression level and patient information include: high, low, alive, dead, female, male and tumor stages. The scale of the x-axis can be toggled between linear and log-scale by clicking on the "x log" button. Mouse-over function shows TCGA ID, patient information and mRNA expression (FPKM) for each patient.

& Survival analysisi

Kaplan-Meier plots summarize results from analysis of correlation between mRNA expression level and patient survival. Patients were divided based on level of expression into one of the two groups "low" (under cut off) or "high" (over cut off). X-axis shows time for survival (years) and y-axis shows the probability of survival, where 1.0 corresponds to 100 percent.

RPL26 is not prognostic in Lung Squamous Cell Carcinoma (validation)


Stage:

Survival analysis
Current cut offi

Current cut-off shows the cut-off (FPKM) currently selected. It may be changed manually. When the current cut-off is changed, the vertical dashed line indicating cut-off, the interactive survival scatter plot and the Kaplan-Meier curve will be automatically adjusted to show results accordingly.

:
Best expression cut offi

Based on the FPKM value of each gene, patients were classified into two groups and association between prognosis (survival) and gene expression (FPKM) was examined. The best expression cut-off refers the FPKM value that yields maximal difference with regard to survival between the two groups at the lowest log-rank P-value. Best expression cut-off was selected based on survival analysis .

When clicking on this number, the vertical dashed line indicating cut-off, the interactive survival plot, and the Kaplan-Meier curve will be adjusted to show results based on the best expression cut-off.

: 2660.73
Median expressioni

Median expression refers to the median FPKM value calculated based on the gene expression (FPKM) data from all patients in this dataset. When clicking on this number, the vertical dashed line indicating cut-off, the interactive survival plot, and the Kaplan-Meier curve will be adjusted to show results based on the median expression.

: N/A
Median follow up timei

Median follow up time refers to the median time (years) after diagnosis with this type of cancer, based on clinical data from all patients in this dataset.

: N/A
P scorei

Log-rank P value for Kaplan-Meier plot showing results from analysis of correlation between mRNA expression level and patient survival.

N/A
5-year survival highi

5-year survival for patients with higher expression than the expression cutoff.

For melanoma and glioma, 3-year survival is shown.

N/A
5-year survival lowi

5-year survival for patients with lower expression than the expression cutoff.

For melanoma and glioma, 3-year survival is shown.

N/A
TCGA RNA samplesi

RNA-seq data is reported as average FPKM (number Fragments Per Kilobase of exon per Million reads), generated by the The Cancer Genome Atlas (TCGA) .

Normal distribution across the dataset is visualized with box plots, shown as median and 25th and 75th percentiles. Points are displayed as outliers if they are above or below 1.5 times the interquartile range. FPKM values of the individual samples are presented next to the box plot.

Average pTPM 2689.9
Number of samples 68
Samples
Sample Description pTPM
L457 46 years, female, stage:Stage IIA, alive, 2901 days 4949.4
L592 61 years, male, stage:Stage IB, alive, 2368 days 4904.1
L857 69 years, male, stage:Stage IB, dead, 226 days 4505.5
L650 69 years, female, stage:Stage IB, dead, 986 days 4360.2
L466 65 years, female, stage:Stage IIIA, dead, 412 days 4115.0
L420 57 years, female, stage:Stage IIB, dead, 295 days 3742.8
L459 75 years, male, stage:Stage IIA, alive, 3181 days 3718.2
L442 75 years, female, stage:Stage IB, dead, 2433 days 3634.4
L563 61 years, female, stage:Stage IIB, dead, 1216 days 3610.0
L452 62 years, male, stage:Stage IIIA, dead, 3115 days 3472.2
L559 72 years, male, stage:Stage IIB, alive, 2615 days 3468.5
L753 61 years, male, stage:Stage IIA, alive, 1705 days 3425.3
L739 49 years, female, stage:Stage IIIA, dead, 352 days 3422.7
L736 67 years, male, stage:Stage IA, dead, 1195 days 3417.2
L483 65 years, male, stage:Stage IB, dead, 77 days 3345.7
L881 70 years, male, stage:Stage IB, alive, 1752 days 3345.3
L608 73 years, male, stage:Stage IA, alive, 2350 days 3342.7
L488 61 years, female, stage:Stage IIA, alive, 2993 days 3226.4
L586 67 years, male, stage:Stage IIA, dead, 784 days 3157.7
L447 67 years, male, stage:Stage IIB, alive, 3203 days 3115.5
L744 75 years, male, stage:Stage IA, alive, 1614 days 3114.6
L852 64 years, male, stage:Stage IB, dead, 700 days 2915.7
L755 82 years, male, stage:Stage IIA, dead, 227 days 2902.1
L464 66 years, male, stage:Stage IB, dead, 1935 days 2842.9
L568 77 years, female, stage:Stage IIB, dead, 71 days 2830.7
L604 67 years, male, stage:Stage IIA, dead, 286 days 2815.6
L456 48 years, male, stage:Stage IIA, dead, 1660 days 2803.2
L468 53 years, male, stage:Stage IB, alive, 3004 days 2782.2
L854 62 years, female, stage:Stage IB, alive, 2256 days 2779.6
L723 67 years, male, stage:Stage IIA, dead, 433 days 2749.8
L715 69 years, female, stage:Stage IIIA, dead, 150 days 2722.5
L652 82 years, male, stage:Stage IA, dead, 5 days 2660.7
L529 79 years, female, stage:Stage IA, alive, 2775 days 2633.5
L490 58 years, male, stage:Stage IA, dead, 716 days 2626.9
L860 77 years, male, stage:Stage IA, alive, 2056 days 2564.0
L633 77 years, female, stage:Stage IA, alive, 2102 days 2543.5
L539 78 years, male, stage:Stage IB, dead, 370 days 2539.7
L534 66 years, male, stage:Stage IIA, alive, 2693 days 2506.5
L856 69 years, male, stage:Stage IA, dead, 1465 days 2395.4
L886 71 years, male, stage:Stage IB, dead, 1932 days 2387.9
L767 67 years, male, stage:Stage IA, alive, 1718 days 2369.1
L444 74 years, female, stage:Stage IIB, alive, 3337 days 2337.2
L817 76 years, female, stage:Stage IIIA, dead, 1279 days 2318.3
L820 73 years, female, stage:Stage IA, alive, 2405 days 2302.9
L496 77 years, male, stage:Stage IB, alive, 2761 days 2285.4
L758 84 years, male, stage:Stage IA, dead, 1562 days 2257.5
L685 71 years, female, stage:Stage IIB, alive, 1944 days 2237.6
L824 70 years, male, stage:Stage IA, dead, 665 days 2211.7
L661 66 years, male, stage:Stage IA, dead, 1123 days 2199.7
L655 62 years, male, stage:Stage IIA, dead, 1603 days 2189.3
L658 65 years, female, stage:Stage IIB, alive, 2083 days 2127.5
L406 64 years, male, stage:Stage IA, alive, 3057 days 2115.5
L818 67 years, male, stage:Stage IB, alive, 2480 days 2100.1
L644 67 years, male, stage:Stage IA, dead, 282 days 1968.5
L472 71 years, male, stage:Stage IB, dead, 423 days 1951.6
L642 67 years, male, stage:Stage IB, dead, 1167 days 1894.7
L788 54 years, female, stage:Stage IA, alive, 3385 days 1869.8
L864 66 years, female, stage:Stage IA, alive, 2192 days 1851.3
L756 72 years, male, stage:Stage IB, alive, 1796 days 1796.5
L747 74 years, female, stage:Stage IA, dead, 1112 days 1790.5
L760 80 years, male, stage:Stage IIA, alive, 1895 days 1786.7
L712 61 years, male, stage:Stage IA, alive, 1698 days 1760.9
L470 78 years, female, stage:Stage IB, dead, 1774 days 1749.3
L751 59 years, female, stage:Stage IIIA, alive, 1600 days 1576.5
L572 58 years, male, stage:Stage IA, alive, 2532 days 1544.3
L858 69 years, female, stage:Stage IIB, dead, 558 days 1415.1
L719 63 years, male, stage:Stage IB, alive, 1615 days 1284.4
L884 71 years, male, stage:Stage IIA, alive, 1627 days 1226.1
Show allShow less
LUNG ADENOCARCINOMA - Protein relative expression (CPTAC)
Number of samples 213
Samples
Sample ID Sample type nRPX
CPT0148180004 Tumor 1.0
CPT0118340003 Tumor 0.8
CPT0106110003 Tumor 0.7
CPT0125810003 Tumor 0.7
CPT0011710004 Tumor 0.7
CPT0090340003 Tumor 0.7
CPT0118810003 Tumor 0.7
CPT0105270003 Tumor 0.6
CPT0069360003 Tumor 0.6
CPT0117970003 Tumor 0.6
CPT0067450003 Tumor 0.6
CPT0070060003 Tumor 0.6
CPT0083780003 Tumor 0.5
CPT0147080004 Tumor 0.5
CPT0118620003 Tumor 0.5
CPT0068800003 Tumor 0.5
CPT0098130003 Tumor 0.5
CPT0105060003 Tumor 0.5
CPT0105600003 Tumor 0.5
CPT0090860003 Tumor 0.4
CPT0104750003 Tumor 0.4
CPT0067940003 Tumor 0.4
CPT0066780003 Tumor 0.4
CPT0014860003 Tumor 0.4
CPT0001660013 Tumor 0.4
CPT0000920017 Tumor 0.4
CPT0092250003 Normal 0.4
CPT0091860003 Tumor 0.3
CPT0105940003 Tumor 0.3
CPT0109740004 Tumor 0.3
CPT0001800013 Tumor 0.3
CPT0113210003 Tumor 0.3
CPT0067070003 Tumor 0.3
CPT0105230003 Tumor 0.3
CPT0008450003 Tumor 0.3
CPT0011750003 Normal 0.3
CPT0091240003 Tumor 0.2
CPT0063750003 Normal 0.2
CPT0092530003 Tumor 0.2
CPT0086320003 Normal 0.2
CPT0105740003 Normal 0.2
CPT0105630003 Tumor 0.2
CPT0147480004 Tumor 0.2
CPT0083140003 Normal 0.2
CPT0112060003 Tumor 0.2
CPT0092240003 Tumor 0.2
CPT0105510003 Tumor 0.2
CPT0114840003 Tumor 0.2
CPT0148000003 Normal 0.2
CPT0086750003 Tumor 0.2
CPT0090170004 Tumor 0.2
CPT0001060010 Tumor 0.2
CPT0068830003 Normal 0.2
CPT0118160003 Tumor 0.2
CPT0146700003 Normal 0.2
CPT0102480003 Normal 0.2
CPT0109850003 Normal 0.2
CPT0090700003 Tumor 0.1
CPT0069700003 Tumor 0.1
CPT0051690004 Tumor 0.1
CPT0104650003 Normal 0.1
CPT0063810003 Tumor 0.1
CPT0001590003 Normal 0.1
CPT0118200003 Tumor 0.1
CPT0114690003 Normal 0.1
CPT0147600003 Normal 0.1
CPT0090720003 Normal 0.1
CPT0148100003 Normal 0.1
CPT0013630003 Normal 0.1
CPT0097580003 Tumor 0.1
CPT0148300003 Normal 0.1
CPT0147980004 Tumor 0.1
CPT0090570004 Tumor 0.1
CPT0146980004 Tumor 0.1
CPT0114660004 Tumor 0.1
CPT0067110003 Normal 0.1
CPT0118360003 Normal 0.1
CPT0067250003 Tumor 0.1
CPT0109710003 Normal 0.1
CPT0147500003 Normal 0.1
CPT0147380004 Tumor 0.1
CPT0147100003 Normal 0.1
CPT0102450003 Tumor 0.1
CPT0105550003 Normal 0.0
CPT0105710003 Tumor 0.0
CPT0084170003 Normal 0.0
CPT0011930003 Normal 0.0
CPT0023310003 Tumor 0.0
CPT0104970003 Tumor 0.0
CPT0111590003 Normal 0.0
CPT0082770003 Normal 0.0
CPT0082850004 Tumor 0.0
CPT0105330003 Tumor 0.0
CPT0001380003 Tumor 0.0
CPT0104760003 Normal 0.0
CPT0068130003 Normal 0.0
CPT0118600003 Normal 0.0
CPT0118240003 Normal 0.0
CPT0086770003 Normal 0.0
CPT0086310003 Tumor 0.0
CPT0053040004 Tumor 0.0
CPT0148200003 Normal 0.0
CPT0067620003 Tumor 0.0
CPT0125830003 Normal 0.0
CPT0069550003 Normal 0.0
CPT0001580009 Tumor 0.0
CPT0118830003 Normal 0.0
CPT0067290003 Normal 0.0
CPT0089340003 Tumor 0.0
CPT0001070003 Normal 0.0
CPT0097600003 Normal 0.0
CPT0113990003 Tumor 0.0
CPT0015410003 Tumor 0.0
CPT0147900003 Normal 0.0
CPT0001970003 Normal 0.0
CPT0147000003 Normal 0.0
CPT0067470004 Normal 0.0
CPT0105610003 Normal -0.1
CPT0063730003 Tumor -0.1
CPT0067770003 Normal -0.1
CPT0069370003 Normal -0.1
CPT0000930003 Normal -0.1
CPT0118890003 Normal -0.1
CPT0013600003 Tumor -0.1
CPT0118570003 Tumor -0.1
CPT0110980004 Tumor -0.1
CPT0113220003 Normal -0.1
CPT0089360003 Normal -0.1
CPT0109700003 Normal -0.1
CPT0109680004 Tumor -0.1
CPT0052170004 Tumor -0.1
CPT0109830004 Tumor -0.1
CPT0105190003 Normal -0.1
CPT0082890003 Normal -0.1
CPT0068650003 Normal -0.1
CPT0084140003 Tumor -0.1
CPT0083100003 Tumor -0.1
CPT0090900004 Normal -0.1
CPT0001960003 Tumor -0.1
CPT0104630003 Tumor -0.1
CPT0105370004 Normal -0.1
CPT0069520003 Tumor -0.1
CPT0090200003 Normal -0.1
CPT0114010003 Normal -0.1
CPT0105680003 Normal -0.1
CPT0079830003 Tumor -0.1
CPT0001390003 Normal -0.1
CPT0008410003 Tumor -0.1
CPT0109760003 Normal -0.1
CPT0105250003 Normal -0.1
CPT0109720004 Tumor -0.2
CPT0092930003 Tumor -0.2
CPT0063840003 Normal -0.2
CPT0014930003 Normal -0.2
CPT0091870003 Normal -0.2
CPT0055100004 Tumor -0.2
CPT0146800003 Normal -0.2
CPT0066810003 Normal -0.2
CPT0111480003 Normal -0.2
CPT0066890003 Tumor -0.2
CPT0105010004 Normal -0.2
CPT0146780004 Tumor -0.2
CPT0090600003 Normal -0.2
CPT0015420003 Normal -0.2
CPT0014290003 Normal -0.2
CPT0079850003 Normal -0.2
CPT0110860004 Tumor -0.2
CPT0110890003 Normal -0.2
CPT0111300003 Tumor -0.2
CPT0105980003 Normal -0.2
CPT0091260003 Normal -0.2
CPT0013880003 Tumor -0.2
CPT0147400003 Normal -0.3
CPT0014260003 Tumor -0.3
CPT0052940004 Tumor -0.3
CPT0066930003 Normal -0.3
CPT0067950003 Normal -0.3
CPT0068100003 Tumor -0.3
CPT0083420003 Normal -0.3
CPT0115070003 Tumor -0.3
CPT0062810003 Normal -0.3
CPT0146600003 Normal -0.3
CPT0092940003 Normal -0.3
CPT0090370003 Normal -0.4
CPT0112080003 Normal -0.4
CPT0001810003 Normal -0.4
CPT0013910003 Normal -0.4
CPT0146680004 Tumor -0.4
CPT0023320003 Normal -0.4
CPT0068610003 Tumor -0.4
CPT0115090003 Normal -0.4
CPT0146880004 Tumor -0.4
CPT0118650003 Normal -0.5
CPT0083390004 Tumor -0.5
CPT0001690003 Normal -0.5
CPT0082740004 Tumor -0.5
CPT0147880004 Tumor -0.5
CPT0118180003 Normal -0.5
CPT0011910004 Tumor -0.6
CPT0114880003 Normal -0.6
CPT0008420003 Normal -0.6
CPT0106100003 Normal -0.6
CPT0118880003 Tumor -0.7
CPT0147580004 Tumor -0.7
CPT0083810003 Normal -0.7
CPT0021450003 Tumor -0.7
CPT0148280004 Tumor -0.7
CPT0021490003 Normal -0.8
CPT0069720003 Normal -0.8
CPT0118010003 Normal -0.9
CPT0070080003 Normal -0.9
CPT0146580004 Tumor N/A
CPT0148080004 Tumor N/A
Show allShow less
LUNG SQUAMOUS CELL CARCINOMA - Protein relative expression (CPTAC)
Number of samples 212
Samples
Sample ID Sample type nRPX
CPT0146380004 Tumor 0.8
CPT0104930003 Tumor 0.7
CPT0245830003 Tumor 0.7
CPT0204990003 Tumor 0.7
CPT0191860003 Tumor 0.7
CPT0197210003 Tumor 0.6
CPT0010050003 Tumor 0.6
CPT0091050003 Tumor 0.6
CPT0197090003 Tumor 0.5
CPT0091820003 Tumor 0.5
CPT0237060004 Tumor 0.5
CPT0209490003 Tumor 0.5
CPT0068280003 Tumor 0.5
CPT0086260003 Tumor 0.5
CPT0208770003 Tumor 0.5
CPT0223790003 Tumor 0.5
CPT0236420003 Tumor 0.5
CPT0195510003 Tumor 0.5
CPT0186130003 Tumor 0.5
CPT0147680004 Tumor 0.5
CPT0146480004 Tumor 0.5
CPT0079050003 Tumor 0.5
CPT0197150003 Tumor 0.4
CPT0238110004 Tumor 0.4
CPT0117720003 Tumor 0.4
CPT0221200003 Tumor 0.4
CPT0063480003 Tumor 0.4
CPT0237760003 Tumor 0.4
CPT0136660003 Normal 0.4
CPT0237200004 Tumor 0.4
CPT0197740003 Tumor 0.4
CPT0130030003 Tumor 0.4
CPT0083980003 Tumor 0.4
CPT0010060003 Normal 0.4
CPT0227400003 Tumor 0.3
CPT0218280003 Tumor 0.3
CPT0175560003 Tumor 0.3
CPT0126670003 Tumor 0.3
CPT0223820003 Normal 0.3
CPT0237550004 Tumor 0.3
CPT0102790003 Tumor 0.3
CPT0147700003 Normal 0.3
CPT0175120003 Tumor 0.3
CPT0112600003 Normal 0.3
CPT0237410004 Tumor 0.3
CPT0175260003 Tumor 0.2
CPT0237690004 Tumor 0.2
CPT0234930004 Tumor 0.2
CPT0115830003 Tumor 0.2
CPT0218310003 Normal 0.2
CPT0090440003 Tumor 0.2
CPT0202020008 Tumor 0.2
CPT0186210003 Normal 0.2
CPT0130440004 Normal 0.2
CPT0245780003 Tumor 0.2
CPT0112660003 Normal 0.2
CPT0183250004 Tumor 0.2
CPT0232670003 Tumor 0.2
CPT0146400003 Normal 0.2
CPT0192540004 Tumor 0.2
CPT0126390003 Tumor 0.2
CPT0126830003 Normal 0.2
CPT0236430003 Normal 0.1
CPT0130270003 Tumor 0.1
CPT0126740003 Tumor 0.1
CPT0104360003 Tumor 0.1
CPT0191710003 Tumor 0.1
CPT0023470003 Tumor 0.1
CPT0063430003 Tumor 0.1
CPT0079100003 Tumor 0.1
CPT0202530004 Tumor 0.1
CPT0007760003 Normal 0.1
CPT0202720003 Tumor 0.1
CPT0130410003 Tumor 0.1
CPT0175410003 Normal 0.1
CPT0221660003 Normal 0.1
CPT0191750003 Normal 0.1
CPT0087190003 Tumor 0.1
CPT0209040003 Normal 0.1
CPT0112650003 Tumor 0.1
CPT0115860003 Normal 0.1
CPT0208780003 Normal 0.1
CPT0126810003 Tumor 0.1
CPT0126530003 Tumor 0.1
CPT0175270003 Normal 0.1
CPT0205000003 Normal 0.1
CPT0136640003 Tumor 0.1
CPT0175390003 Tumor 0.1
CPT0202170003 Tumor 0.1
CPT0245880003 Tumor 0.1
CPT0126470003 Normal 0.0
CPT0111150004 Tumor 0.0
CPT0237210003 Normal 0.0
CPT0197380003 Normal 0.0
CPT0237710003 Normal 0.0
CPT0187370003 Tumor 0.0
CPT0241210003 Normal 0.0
CPT0234790003 Tumor 0.0
CPT0126450003 Tumor 0.0
CPT0209020004 Tumor 0.0
CPT0128890003 Tumor 0.0
CPT0098770003 Tumor 0.0
CPT0219360003 Tumor 0.0
CPT0202350004 Tumor 0.0
CPT0146500003 Normal 0.0
CPT0098800003 Normal 0.0
CPT0202740003 Normal 0.0
CPT0202220004 Normal 0.0
CPT0190550003 Tumor 0.0
CPT0233600003 Tumor 0.0
CPT0225380003 Tumor 0.0
CPT0128900003 Normal 0.0
CPT0191930003 Normal 0.0
CPT0227420003 Normal 0.0
CPT0007740003 Tumor 0.0
CPT0089880003 Tumor 0.0
CPT0202400004 Normal 0.0
CPT0233320003 Tumor 0.0
CPT0234580003 Normal -0.1
CPT0001020003 Tumor -0.1
CPT0079110003 Normal -0.1
CPT0063440003 Normal -0.1
CPT0105420003 Tumor -0.1
CPT0112580003 Tumor -0.1
CPT0112720003 Tumor -0.1
CPT0186180003 Tumor -0.1
CPT0197860003 Normal -0.1
CPT0192590004 Normal -0.1
CPT0237570003 Normal -0.1
CPT0112540003 Tumor -0.1
CPT0245790003 Normal -0.1
CPT0237780003 Normal -0.1
CPT0219390003 Normal -0.1
CPT0237080003 Normal -0.1
CPT0233640003 Normal -0.1
CPT0221220003 Normal -0.1
CPT0104380003 Normal -0.1
CPT0130310003 Normal -0.1
CPT0064040003 Tumor -0.1
CPT0111000004 Normal -0.1
CPT0197170003 Normal -0.1
CPT0104950003 Normal -0.1
CPT0204800003 Tumor -0.1
CPT0101130003 Tumor -0.1
CPT0245840003 Normal -0.1
CPT0217490003 Normal -0.2
CPT0105430003 Normal -0.2
CPT0196810003 Tumor -0.2
CPT0237970004 Tumor -0.2
CPT0217420003 Tumor -0.2
CPT0086270003 Normal -0.2
CPT0175160003 Normal -0.2
CPT0112550003 Normal -0.2
CPT0225470003 Normal -0.2
CPT0001030003 Normal -0.2
CPT0091090003 Normal -0.2
CPT0195520003 Normal -0.2
CPT0197480003 Tumor -0.2
CPT0108600003 Normal -0.2
CPT0241170003 Tumor -0.3
CPT0232690003 Normal -0.3
CPT0147180004 Tumor -0.3
CPT0126400003 Normal -0.3
CPT0245890003 Normal -0.3
CPT0091620003 Normal -0.3
CPT0187380003 Normal -0.3
CPT0234820003 Normal -0.3
CPT0207210003 Tumor -0.3
CPT0130070003 Normal -0.3
CPT0238130003 Normal -0.3
CPT0126760003 Normal -0.3
CPT0221650003 Tumor -0.3
CPT0079060003 Normal -0.3
CPT0234560003 Tumor -0.3
CPT0023500003 Normal -0.3
CPT0222740003 Normal -0.3
CPT0233160003 Normal -0.3
CPT0183270003 Normal -0.3
CPT0108560003 Tumor -0.3
CPT0202040003 Normal -0.3
CPT0237430003 Normal -0.4
CPT0087210003 Normal -0.4
CPT0063500003 Normal -0.4
CPT0209510003 Normal -0.4
CPT0204820003 Normal -0.4
CPT0233120003 Tumor -0.4
CPT0091610003 Tumor -0.4
CPT0102840003 Normal -0.4
CPT0123370003 Normal -0.4
CPT0112730003 Normal -0.4
CPT0204660003 Normal -0.5
CPT0197520003 Normal -0.5
CPT0064050003 Normal -0.5
CPT0227020003 Tumor -0.5
CPT0197100003 Normal -0.5
CPT0207250003 Normal -0.5
CPT0227070003 Normal -0.6
CPT0068320003 Normal -0.6
CPT0196820003 Normal -0.6
CPT0204600003 Tumor -0.6
CPT0069890003 Tumor -0.6
CPT0237990003 Normal -0.6
CPT0123350003 Tumor -0.6
CPT0222730003 Tumor -0.6
CPT0147200003 Normal -0.6
CPT0202580004 Normal -0.6
CPT0083990003 Normal -0.6
CPT0186140003 Normal -0.6
CPT0234950004 Normal -0.7
CPT0233330003 Normal -0.8
CPT0069900003 Normal -0.8
CPT0117770003 Normal -0.9
Show allShow less
LUNG CANCER - Protein expressioni

A mouse-over function shows sample information and annotation data. Click on an image to view it in a full screen mode. Samples can be filtered based on level of antibody staining by selecting one or several of the following categories: high, medium, low and not detected. The assay and annotation is described here.

Note that samples used for immunohistochemistry by the Human Protein Atlas do not correspond to samples in the TCGA dataset.

 

Antibody stainingi

Antibody staining in the annotated cell types in the current human tissue is reported as not detected, low, medium, or high, based on conventional immunohistochemistry profiling in selected tissues. This score is based on the combination of the staining intensity and fraction of stained cells.

Each image is clickable and will lead to virtual microscopy that enables deeper exploration of all samples and also displays staining intensity scores, fraction scores and subcellular localization as well as patient and tissue information for each sample.


Antibody HPA030449

Antibody CAB037301
 Staining
  High
  Medium
  Low
  Not detected
 Intensity
  Strong
  Moderate
  Weak
  Negative
 Quantity
  >75%
  75%-25%
  <25%
  None
 Location
  Nuclear
  Cytoplasmic/membranous
  Cytoplasmic/membranous,nuclear
  None
Adenocarcinoma, NOS
Squamous cell carcinoma, NOS

Contact

  • NEWS ARTICLES
  • PRESS ROOM

The Project

  • INTRODUCTION
  • ORGANIZATION
  • PUBLICATIONS

The Human Protein Atlas

  • DOWNLOADABLE DATA
  • LICENCE & CITATION
  • HELP & FAQ
The Human Protein Atlas project is funded
by the Knut & Alice Wallenberg Foundation.


contact@proteinatlas.org