We use cookies to enhance the usability of our website. If you continue, we'll assume that you are happy to receive all cookies. More information. Don't show this again.
SNRNP25
HPA
RESOURCES
  • TISSUE
  • BRAIN
  • SINGLE CELL
  • SUBCELLULAR
  • CANCER
  • BLOOD
  • CELL LINE
  • STRUCTURE & INTERACTION
ABOUT
  • INTRODUCTION
  • HISTORY
  • ORGANIZATION
  • PUBLICATIONS
  • ANTIBODY SUBMISSION
  • ANTIBODY AVAILABILITY
  • ACKNOWLEDGMENTS
  • CONTACT
NEWS
  • NEWS ARTICLES
  • PRESS ROOM
LEARN
  • DICTIONARY
  • PROTEIN CLASSES
  • PROTEIN EVIDENCE
  • METHODS
  • EDUCATIONAL VIDEOS
DATA
  • DOWNLOADABLE DATA
  • PUBLICATION DATA
  • RELEASE HISTORY
HELP
  • ANTIBODY VALIDATION
  • ASSAYS & ANNOTATION
  • DISCLAIMER
  • HELP & FAQ
  • PRIVACY STATEMENT
  • LICENCE & CITATION
Fields »
Search result

Field
Term
Gene name
Class
Subclass
Class
Keyword
Chromosome
External id
Tissue
Cell type
Expression
Antibody panel
Tissue
Main location
Patient ID
Annotation
Tissue
Category
Tau score
Cluster
Reliability
Brain region
Category
Tau score
Brain region
Category
Tau score
Brain region
Category
Tau score
Cluster
Reliability
Tissue
Cell type
Enrichment
Cell type
Category
Tau score
Cell type
Category
Tau score
Cell type
Category
Tau score
Cell lineage
Category
Tau score
Cluster
Cluster
Location
Searches
Location
Cell line
Class
Type
Phase
Reliability
Cancer
Prognosis
Cancer
Category
Cancer
Category
Tau score
Cluster
Variants
Interacting gene (ensg_id)
Type
Number of interactions
Pathway
Category
Score
Score
Score
Validation
Validation
Validation
Validation
Antibodies
Data type
Column


  • SUMMARY

  • TISSUE

  • BRAIN

  • SINGLE CELL

  • SUBCELL

  • CANCER

  • BLOOD

  • CELL LINE

  • STRUCT & INT

  • SNRNP25
TISSUE PRIMARY DATA HEART MUSCLE Show tissue menu
ADIPOSE TISSUE ADRENAL GLAND AMYGDALA APPENDIX BASAL GANGLIA BONE MARROW BREAST BRONCHUS CEREBELLUM CEREBRAL CORTEX CERVIX CHOROID PLEXUS COLON DUODENUM
ENDOMETRIUM EPIDIDYMIS ESOPHAGUS FALLOPIAN TUBE GALLBLADDER HEART MUSCLE HIPPOCAMPAL FORMATION HYPOTHALAMUS KIDNEY LIVER LUNG LYMPH NODE MIDBRAIN NASOPHARYNX
ORAL MUCOSA OVARY PANCREAS PARATHYROID GLAND PITUITARY GLAND PLACENTA PROSTATE RECTUM RETINA SALIVARY GLAND SEMINAL VESICLE SKELETAL MUSCLE SKIN SMALL INTESTINE
SMOOTH MUSCLE SOFT TISSUE SPINAL CORD SPLEEN STOMACH TESTIS THYMUS THYROID GLAND TONGUE TONSIL URINARY BLADDER VAGINA
ANTIBODIES
AND
VALIDATION
Dictionary
Heart muscle
Tissue proteome
Heart
HEART MUSCLE - Expression summary
Protein expression
Heart musclei

On the top, protein expression in current human tissue, based on all annotated cell types, is reported with the units not detected (n), low (l), medium (m) and high (h). Underneath, protein expression in each annotated cell type are reported using the same units.

Protein expression data is based on knowledge-based annotation. For genes where more than one antibody has been used, a collective score is set.

If knowledge-based annotation could not be performed for a gene, no data is displayed here. View antibody staining data further down this page.

h
m
l
n
Cardiomyocytes: High
RNA expressioni

A summary of mRNA expression data available for current tissue based on several datasets. The mRNA expression levels in human tissues are based on RNA-seq data generated by the Human Protein Atlas (HPA), Genotype-Tissue Expression (GTEx) portal and CAGE data generated by the FANTOM5 consortium. Consensus normalized expression levels for human tissues was created by combining the data from HPA and GTEx datasets.

The mRNA expression levels in pig are based on RNA-seq data generated by the Human Protein Atlas (HPA), and for mouse, HPA data and in situ hybridization generated by the Allen brain atlas are reported.

Scroll down to view mRNA expression data in more detail.
Consensus:82.6 nTPM
HPA:52.2 nTPM
GTEx:82.6 nTPM
FANTOM5:79.8 Scaled Tags Per Million

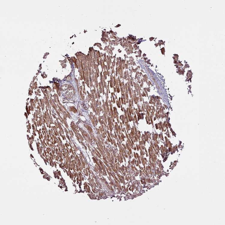
HEART MUSCLE - Antibody stainingi

Antibody staining in the annotated cell types in the current human tissue is reported as not detected, low, medium, or high, based on conventional immunohistochemistry profiling in selected tissues. This score is based on the combination of the staining intensity and fraction of stained cells.

Each image is clickable and will lead to virtual microscopy that enables deeper exploration of all samples and also displays staining intensity scores, fraction scores and subcellular localization as well as patient and tissue information for each sample.

Antibody HPA041183Antibody HPA044248
Cardiomyocytes MediumHigh





HEART MUSCLE - HPA RNA-seqi

The RNA-seq details section shows detailed information about the individual samples used for the transcript profiling and results of the RNA-seq analysis.

Information about each individual sample is listed below, including gender, age, a tissue section image and estimated fractions of cell types. nTPM (normalized transcripts per million) values give a quantification of the gene abundance which is comparable between different genes and samples.
Average nTPMi

Max subtype nTPM is the value for the subtype with the largest average nTPM across the subtype samples.

52.2
overview
Female, age 48
Heart muscle sample 149
nTPM: 57.3
Cell types%
Myocytes:
15

Fibroblasts:
55

Endothelial cells:
25

Other cell types:
5

overview
Female, age 42
Heart muscle sample 150
nTPM: 50.1
Cell types%
Myocytes:
20

Fibroblasts:
45

Endothelial cells:
30

Other cell types:
5

overview
Male, age 53
Heart muscle sample 151
nTPM: 50.1
Cell types%
Myocytes:
20

Fibroblasts:
45

Endothelial cells:
30

Other cell types:
5

overview
Female, age 69
Heart muscle sample 152
nTPM: 51.1
Cell types%
Myocytes:
20

Fibroblasts:
45

Endothelial cells:
30

Other cell types:
5


HEART MUSCLE - GTEx RNA-seqi

RNA-Seq data generated by the Genotype-Tissue Expression (GTEx) project from human tissues is reported as mean nTPM. More information can be found on the GTEx portal.

Distribution across the dataset is visualized with box plots, shown as median and 25th and 75th percentiles. Points are displayed as outliers if they are above or below 1.5 times the interquartile range. nTPM values of the individual samples are presented next to the box plot.
Max subtype nTPMi

Max subtype nTPM is the value for the subtype with the largest average nTPM across the subtype samples.

82.6
GTEx sample id Sample description nTPM
Heart - Atrial Appendage
Average nTPM: 58.5
Samples: 429

Max nTPM: 242.8
Min nTPM: 13.8
Std nTPM: 21.4
Median nTPM: 57.1
GTEX-14PJM-0826-SM-6LLIW 50-59 years, female 242.8
GTEX-ZYFC-1026-SM-5GZX9 50-59 years, male 136.5
GTEX-1GF9U-0526-SM-7P8SK 40-49 years, female 124.2
GTEX-12WSI-0426-SM-5EQ5J 50-59 years, male 114.7
GTEX-1KANB-1126-SM-DHXJT 50-59 years, male 113.6
GTEX-14PK6-0726-SM-6LLIX 70-79 years, female 104.3
GTEX-1HSGN-0926-SM-CNNQM 40-49 years, female 104.0
GTEX-13W3W-0526-SM-5LU3X 60-69 years, female 103.5
GTEX-13VXT-0726-SM-5SIAD 20-29 years, female 103.4
GTEX-14BIM-2726-SM-5Q5EG 60-69 years, female 101.0
GTEX-1MJIX-0426-SM-DTXEN 40-49 years, male 100.4
GTEX-13JVG-1126-SM-5KM2M 60-69 years, male 99.8
GTEX-ZYVF-1826-SM-5E44F 50-59 years, female 99.3
GTEX-1AX9K-0426-SM-73KUG 50-59 years, male 99.2
GTEX-1J1OQ-2226-SM-A96SS 40-49 years, female 98.9
GTEX-1I1GP-0626-SM-ARL7H 50-59 years, male 98.3
GTEX-1QCLZ-1126-SM-EWRNB 60-69 years, female 95.7
GTEX-13NZB-0426-SM-5KM26 30-39 years, male 95.3
GTEX-ZYT6-0926-SM-5GIEM 30-39 years, male 94.1
GTEX-W5X1-0826-SM-3GILN 40-49 years, female 93.9
GTEX-1F75I-1326-SM-7PBZX 40-49 years, male 92.1
GTEX-13D11-1526-SM-5J2NA 50-59 years, female 91.8
GTEX-14PJ2-1126-SM-69LOD 50-59 years, male 91.8
GTEX-YEC4-0226-SM-4W1YG 40-49 years, male 91.8
GTEX-12WSC-1026-SM-5EQ5Y 50-59 years, male 91.6
GTEX-145MN-0726-SM-5NQBH 30-39 years, male 91.3
GTEX-1IY9M-0626-SM-D4P2L 60-69 years, male 90.7
GTEX-132QS-0526-SM-5IJC7 60-69 years, male 88.9
GTEX-1GN1U-1426-SM-7P8TF 50-59 years, female 88.9
GTEX-11DYG-1026-SM-5A5JQ 60-69 years, male 88.8
GTEX-13QBU-0226-SM-5LU48 40-49 years, female 88.7
GTEX-11P81-0526-SM-59873 30-39 years, female 88.5
GTEX-1B933-0826-SM-79OMW 50-59 years, female 87.9
GTEX-ZE7O-0626-SM-57WCD 50-59 years, female 87.8
GTEX-17JCI-0826-SM-7LT8W 60-69 years, female 87.6
GTEX-144GL-1026-SM-5O99R 50-59 years, male 85.7
GTEX-1CB4G-0726-SM-79OOJ 60-69 years, male 85.2
GTEX-131XG-0526-SM-5DUWF 50-59 years, female 84.8
GTEX-1EH9U-0626-SM-7PC33 60-69 years, male 84.5
GTEX-17F96-0826-SM-7DHLU 70-79 years, male 84.2
GTEX-XOT4-1126-SM-4B66E 60-69 years, female 84.0
GTEX-XGQ4-0526-SM-4AT6C 50-59 years, male 83.7
GTEX-1HBPH-0226-SM-9WYSM 40-49 years, female 83.6
GTEX-15EU6-1326-SM-6PANG 50-59 years, male 83.3
GTEX-1QPFJ-0926-SM-EVR3K 30-39 years, female 82.8
GTEX-14JG1-0826-SM-5ZZWR 40-49 years, male 82.7
GTEX-ZVT3-0826-SM-5GIC8 60-69 years, female 82.0
GTEX-14ASI-0826-SM-5Q5EB 60-69 years, male 81.9
GTEX-1NHNU-0626-SM-E6CP1 50-59 years, male 81.9
GTEX-1122O-0626-SM-5N9B9 60-69 years, female 81.8
GTEX-12BJ1-0326-SM-5FQUB 60-69 years, male 81.5
GTEX-1CAMS-1126-SM-7MXUQ 40-49 years, female 81.5
GTEX-147JS-1326-SM-5SI6D 60-69 years, male 80.1
GTEX-1P4AB-0926-SM-E76PV 50-59 years, male 80.1
GTEX-1HR98-1026-SM-CKZOM 60-69 years, male 79.8
GTEX-13X6K-1726-SM-7IGLG 60-69 years, female 79.6
GTEX-16YQH-0726-SM-7IGM1 30-39 years, male 79.4
GTEX-1C64O-0926-SM-79OLN 60-69 years, male 79.2
GTEX-ZF3C-1126-SM-57WEG 50-59 years, female 79.0
GTEX-1GF9V-1726-SM-9KNW4 60-69 years, male 79.0
GTEX-11O72-1026-SM-5986B 40-49 years, male 78.8
GTEX-13FHP-0826-SM-5K7V5 50-59 years, male 78.8
GTEX-1B97J-0326-SM-7939H 50-59 years, female 78.3
GTEX-11ZUS-0326-SM-5EQ4W 30-39 years, male 78.1
GTEX-1IKOE-0626-SM-A9G31 30-39 years, female 78.1
GTEX-13O61-0426-SM-5L3ET 60-69 years, male 77.9
GTEX-1BAJH-1026-SM-7EWEG 70-79 years, male 77.8
GTEX-ZDTS-1226-SM-4WKGL 60-69 years, male 77.8
GTEX-14C5O-1226-SM-664N3 60-69 years, male 77.4
GTEX-14BMV-1026-SM-5SI6B 50-59 years, male 77.3
GTEX-18A6Q-1526-SM-731CO 60-69 years, male 77.0
GTEX-ZLFU-0326-SM-4WWBK 40-49 years, male 76.9
GTEX-1LVAN-1526-SM-CNPQN 50-59 years, female 76.8
GTEX-117XS-0726-SM-5H131 60-69 years, male 76.5
GTEX-1GMR3-0426-SM-7PC17 40-49 years, male 76.5
GTEX-111FC-0626-SM-5N9CU 60-69 years, male 76.0
GTEX-13PVR-0926-SM-5S2RB 60-69 years, female 76.0
GTEX-ZAK1-1126-SM-5PNXU 50-59 years, female 75.9
GTEX-YB5K-0226-SM-5IFJE 40-49 years, female 74.9
GTEX-Y114-0126-SM-4TT8K 50-59 years, female 74.5
GTEX-18D9U-1426-SM-718BO 40-49 years, male 74.4
GTEX-1R9JW-0426-SM-E76QL 30-39 years, female 74.1
GTEX-11UD2-0926-SM-5CVL6 50-59 years, male 73.9
GTEX-12WSE-0926-SM-5S2VX 20-29 years, male 73.8
GTEX-1LSNM-0426-SM-E9TIZ 50-59 years, male 73.4
GTEX-1OFPY-0926-SM-DTX8Q 60-69 years, male 73.4
GTEX-ZDYS-0326-SM-5HL4W 50-59 years, male 73.3
GTEX-1KANC-0226-SM-E9TIW 50-59 years, female 73.2
GTEX-WH7G-0326-SM-3NMBH 40-49 years, male 73.0
GTEX-1F75A-1026-SM-7PC3W 50-59 years, male 72.7
GTEX-1C2JI-0626-SM-7DHM1 50-59 years, male 72.6
GTEX-1PPGY-0926-SM-DTXFF 60-69 years, male 72.6
GTEX-13YAN-1426-SM-7EPG8 60-69 years, male 72.5
GTEX-117YX-0626-SM-5EGJI 50-59 years, male 72.1
GTEX-14PN4-0826-SM-69LON 50-59 years, male 72.0
GTEX-145LS-1326-SM-5Q5EP 60-69 years, female 71.6
GTEX-18465-0726-SM-7LG4L 50-59 years, male 71.2
GTEX-ZTPG-1326-SM-51MSQ 20-29 years, female 71.1
GTEX-1IDJH-1126-SM-COH3R 70-79 years, male 71.1
GTEX-148VJ-1426-SM-5TDE3 70-79 years, male 70.9
GTEX-1313W-1126-SM-5EQ5U 50-59 years, female 70.6
GTEX-183WM-0926-SM-718AN 70-79 years, female 70.6
GTEX-1HC8U-0626-SM-B2LWB 40-49 years, female 70.4
GTEX-ZZPU-1126-SM-5N9CW 50-59 years, female 70.3
GTEX-1HFI7-0526-SM-A9SMA 50-59 years, female 70.2
GTEX-14PHX-0626-SM-5YY8Z 50-59 years, male 70.1
GTEX-ZPIC-0426-SM-DO91V 40-49 years, female 70.1
GTEX-131XF-0426-SM-5HL7U 60-69 years, male 69.9
GTEX-13RTJ-0526-SM-62LDP 60-69 years, male 69.9
GTEX-1HSKV-0726-SM-ACKWE 60-69 years, male 69.9
GTEX-Y3I4-0526-SM-4TT6X 50-59 years, male 69.7
GTEX-ZGAY-0226-SM-4WWAL 40-49 years, female 69.6
GTEX-1J8Q2-1026-SM-ARU8I 60-69 years, male 69.6
GTEX-1LGOU-0326-SM-D3LAM 20-29 years, female 69.6
GTEX-11NUK-0926-SM-5HL57 50-59 years, male 69.5
GTEX-14E1K-0826-SM-5ZZW9 50-59 years, male 69.5
GTEX-11EM3-0426-SM-5N9BZ 20-29 years, female 69.4
GTEX-146FH-1126-SM-5NQAT 50-59 years, female 69.4
GTEX-17GQL-0626-SM-731CN 60-69 years, male 69.3
GTEX-XPVG-0726-SM-4B658 50-59 years, male 69.3
GTEX-ZYFD-2026-SM-5E459 50-59 years, male 69.2
GTEX-13O3P-1426-SM-5L3DT 50-59 years, male 69.1
GTEX-13OW7-1626-SM-5IJDH 50-59 years, male 69.0
GTEX-ZZPT-0926-SM-5GICZ 50-59 years, male 69.0
GTEX-12ZZY-1226-SM-5GCNK 60-69 years, male 68.9
GTEX-16NPX-0826-SM-6M489 50-59 years, male 68.8
GTEX-15RIE-1326-SM-6PAMM 60-69 years, male 68.6
GTEX-145LV-0226-SM-5S2QG 50-59 years, male 68.1
GTEX-1HT8W-1326-SM-CGQEN 30-39 years, male 68.0
GTEX-13PL7-0726-SM-5KM1S 60-69 years, female 67.5
GTEX-18A7A-1226-SM-7LTAJ 50-59 years, female 67.5
GTEX-15DCE-0826-SM-7KULW 20-29 years, male 67.2
GTEX-12WSK-0526-SM-5CVNA 40-49 years, female 67.1
GTEX-13FXS-1026-SM-62LFQ 50-59 years, male 67.1
GTEX-1399U-0726-SM-5KM1D 50-59 years, female 67.0
GTEX-1EU9M-1926-SM-7RHH4 60-69 years, male 66.5
GTEX-1H11D-1026-SM-9QEIU 40-49 years, male 66.4
GTEX-V955-0826-SM-CYPR5 60-69 years, male 66.3
GTEX-VJWN-1026-SM-4M1ZN 50-59 years, female 66.1
GTEX-1339X-0326-SM-5K7Z8 40-49 years, male 66.0
GTEX-13SLX-0926-SM-5S2NM 50-59 years, female 65.8
GTEX-11EMC-0826-SM-59862 60-69 years, female 65.7
GTEX-Y3IK-1026-SM-51MR7 50-59 years, female 65.5
GTEX-1I1GV-1426-SM-B2LXN 60-69 years, male 65.4
GTEX-ZVT2-0926-SM-5GICE 50-59 years, female 65.0
GTEX-1F88F-0326-SM-9KNV3 60-69 years, female 64.9
GTEX-1H1DG-0826-SM-9QEIW 70-79 years, male 64.9
GTEX-1A8G6-1826-SM-73KY8 60-69 years, male 64.8
GTEX-13NYB-0326-SM-5IJDP 40-49 years, male 64.7
GTEX-WK11-0626-SM-3NMAV 50-59 years, male 64.5
GTEX-12WSD-1226-SM-5HL9Q 60-69 years, female 64.3
GTEX-11NV4-0826-SM-5BC4S 60-69 years, male 64.2
GTEX-1GN73-2326-SM-9MQKV 60-69 years, male 64.2
GTEX-1KXAM-1426-SM-D3LAC 60-69 years, male 64.2
GTEX-11DXX-0526-SM-5PNVR 60-69 years, female 64.1
GTEX-1A32A-1326-SM-73KWW 50-59 years, female 64.1
GTEX-XBEC-1226-SM-4AT65 50-59 years, male 64.1
GTEX-1B8L1-0426-SM-7SB76 60-69 years, male 64.1
GTEX-14PN3-0726-SM-6EU14 60-69 years, female 63.9
GTEX-17KNJ-0626-SM-7LT9L 50-59 years, male 63.9
GTEX-1GN2E-1426-SM-7RHHI 60-69 years, male 63.6
GTEX-1JJEA-0926-SM-CYPSO 60-69 years, male 63.6
GTEX-132AR-1926-SM-5EGK5 50-59 years, female 63.4
GTEX-1GZ4I-0826-SM-9WG6O 50-59 years, male 63.2
GTEX-XYKS-0226-SM-4BRW3 60-69 years, female 63.1
GTEX-1GN1W-0226-SM-7P8QY 50-59 years, female 62.9
GTEX-1JK1U-0626-SM-CKZOJ 60-69 years, male 62.9
GTEX-11DXY-1026-SM-5987V 60-69 years, male 62.7
GTEX-Y5V5-0726-SM-4VBPY 60-69 years, female 62.5
GTEX-1EMGI-1126-SM-9KNUF 60-69 years, male 62.5
GTEX-1I1GQ-1226-SM-CL55J 50-59 years, male 62.3
GTEX-XQ8I-0226-SM-4BOPM 50-59 years, male 62.1
GTEX-WHSE-0826-SM-4SOJU 20-29 years, male 61.7
GTEX-ZPCL-0526-SM-DO91R 60-69 years, female 61.7
GTEX-13O3O-1426-SM-5KM2S 60-69 years, female 61.4
GTEX-ZF29-0426-SM-4WKFN 60-69 years, female 61.4
GTEX-12ZZX-0726-SM-5EGKA 40-49 years, female 61.3
GTEX-1RB15-0426-SM-E9U4Y 60-69 years, male 61.2
GTEX-1NSGN-1226-SM-E76OL 50-59 years, male 60.9
GTEX-1399S-0826-SM-5KM23 30-39 years, female 60.7
GTEX-13FH7-0826-SM-5J2NW 50-59 years, female 60.5
GTEX-13PVQ-1326-SM-5LU4J 50-59 years, male 60.3
GTEX-1B932-1326-SM-79OM4 40-49 years, female 60.3
GTEX-12WSA-1126-SM-5EGKU 60-69 years, male 60.2
GTEX-13N1W-0926-SM-5MR36 70-79 years, male 60.2
GTEX-YECK-1226-SM-4W21G 60-69 years, male 60.2
GTEX-13SLW-0826-SM-5QGP7 70-79 years, male 60.1
GTEX-X4EP-0326-SM-3P5Z6 60-69 years, female 60.1
GTEX-WFG7-0826-SM-3GIKU 20-29 years, male 60.0
GTEX-YF7O-0526-SM-5P9IO 50-59 years, male 60.0
GTEX-14H4A-0426-SM-5ZZWO 40-49 years, female 59.9
GTEX-15ER7-0826-SM-6PALW 20-29 years, female 59.9
GTEX-ZYFG-0526-SM-5GZXX 60-69 years, female 59.9
GTEX-1MCC2-0226-SM-EVYD5 30-39 years, female 59.8
GTEX-139YR-0526-SM-5L3DG 50-59 years, male 59.7
GTEX-1HBPN-0926-SM-CGQEG 50-59 years, male 59.6
GTEX-1QP29-1426-SM-DTX9Q 50-59 years, male 59.6
GTEX-14XAO-0926-SM-69LPZ 60-69 years, female 59.4
GTEX-13O1R-0926-SM-5L3DS 60-69 years, male 59.3
GTEX-ZPU1-0726-SM-5HL6O 40-49 years, male 59.1
GTEX-13OW6-0926-SM-5L3GM 50-59 years, male 58.9
GTEX-U8XE-0926-SM-3DB8V 30-39 years, male 58.9
GTEX-1HCUA-0626-SM-ACKVT 50-59 years, female 58.9
GTEX-1J8QM-0326-SM-CL53D 60-69 years, female 58.6
GTEX-1AX8Z-1126-SM-731CS 60-69 years, male 58.5
GTEX-132NY-1426-SM-5J1MJ 60-69 years, male 58.3
GTEX-YJ8O-0826-SM-5CVM3 40-49 years, female 58.3
GTEX-1CB4J-0226-SM-7P8T4 60-69 years, male 58.2
GTEX-ZDXO-0426-SM-4WKF6 60-69 years, male 57.8
GTEX-1CAMQ-0726-SM-7P8SG 40-49 years, male 57.8
GTEX-11DXZ-0326-SM-5EGH1 50-59 years, male 57.5
GTEX-1HSMO-1126-SM-CGQF2 60-69 years, male 57.5
GTEX-13FTW-0826-SM-5K7XR 40-49 years, male 57.4
GTEX-17F9Y-1226-SM-7EPGE 70-79 years, female 57.2
GTEX-1J8EW-0626-SM-CM2TY 60-69 years, female 57.1
GTEX-1E2YA-0626-SM-7P8P4 50-59 years, male 57.0
GTEX-16XZY-0526-SM-7DHKY 70-79 years, male 56.7
GTEX-1399R-1726-SM-5K7YJ 30-39 years, male 56.6
GTEX-1AYCT-0526-SM-7RHHS 50-59 years, male 56.6
GTEX-13PDP-1326-SM-5K7U9 60-69 years, male 56.5
GTEX-XV7Q-0726-SM-4BRV6 40-49 years, female 56.5
GTEX-15CHC-0326-SM-5ZZVP 60-69 years, female 56.4
GTEX-WHPG-1026-SM-3NMBA 50-59 years, male 56.4
GTEX-WYBS-1226-SM-3NM9N 60-69 years, female 56.3
GTEX-15SHU-0926-SM-6PAMK 40-49 years, female 56.2
GTEX-UPK5-0226-SM-3GAEV 40-49 years, male 56.1
GTEX-ZF2S-0826-SM-4WWBI 50-59 years, female 55.9
GTEX-131YS-0826-SM-5PNYV 60-69 years, female 55.8
GTEX-WZTO-1226-SM-3NMAZ 40-49 years, male 55.7
GTEX-1L5NE-0526-SM-DIPG5 50-59 years, male 55.6
GTEX-1B8KE-0326-SM-73KTY 50-59 years, male 55.5
GTEX-XQ3S-0526-SM-4BOQA 20-29 years, male 55.0
GTEX-11TT1-1426-SM-5EGIA 20-29 years, male 54.9
GTEX-146FR-0926-SM-5QGPE 60-69 years, female 54.8
GTEX-14A5I-1026-SM-5Q5E3 50-59 years, female 54.8
GTEX-111YS-0326-SM-5GZZ3 60-69 years, male 54.6
GTEX-12WSN-0226-SM-5DUXH 40-49 years, male 54.6
GTEX-X3Y1-0226-SM-3P5Z5 40-49 years, male 54.6
GTEX-13FHO-1226-SM-5L3EF 60-69 years, male 54.5
GTEX-1GL5R-0426-SM-9WPOP 50-59 years, male 54.5
GTEX-111VG-0326-SM-5GZX7 60-69 years, male 54.4
GTEX-WI4N-0726-SM-3TW93 40-49 years, female 54.3
GTEX-ZDTT-0326-SM-4WKF9 60-69 years, male 54.3
GTEX-1212Z-0726-SM-5EGI5 60-69 years, male 54.1
GTEX-1POEN-0726-SM-DTXDU 30-39 years, female 54.1
GTEX-Z93S-0326-SM-5HL84 50-59 years, male 54.0
GTEX-1GMR8-1026-SM-9MQLA 50-59 years, female 54.0
GTEX-YFC4-0426-SM-4TT3J 40-49 years, female 53.9
GTEX-1IKK5-1726-SM-CM2RU 60-69 years, male 53.9
GTEX-12WSG-1226-SM-5EQ4C 50-59 years, female 53.8
GTEX-1RLM8-0226-SM-E6CJY 50-59 years, male 53.8
GTEX-1QMI2-1026-SM-DTX7T 60-69 years, male 53.7
GTEX-1EWIQ-1126-SM-7EPIK 70-79 years, female 53.6
GTEX-1211K-0226-SM-59HJY 60-69 years, female 53.5
GTEX-13CF2-0226-SM-5L3DV 60-69 years, male 53.5
GTEX-WEY5-0226-SM-3GIKN 40-49 years, female 53.5
GTEX-15CHQ-1326-SM-6871Z 60-69 years, male 53.2
GTEX-WQUQ-1326-SM-3MJFF 60-69 years, male 53.2
GTEX-1H3NZ-1026-SM-A9SM5 60-69 years, male 53.2
GTEX-13NYS-1926-SM-5IJCB 60-69 years, male 53.0
GTEX-1445S-1226-SM-5O9BF 60-69 years, male 52.9
GTEX-1HBPM-1026-SM-ARL9D 60-69 years, female 52.9
GTEX-15SDE-1826-SM-7KUFN 50-59 years, female 52.7
GTEX-13JUV-0226-SM-5IJCC 40-49 years, female 51.8
GTEX-13N11-0726-SM-5L3DP 50-59 years, female 51.4
GTEX-14PJ6-0626-SM-686Z6 60-69 years, female 51.4
GTEX-17F9E-0726-SM-793A1 50-59 years, male 51.3
GTEX-1399T-0726-SM-5J1MH 60-69 years, male 51.1
GTEX-WL46-0726-SM-3LK5Z 50-59 years, male 51.1
GTEX-11GS4-0426-SM-5N9CD 60-69 years, male 51.0
GTEX-11LCK-0826-SM-5PNYD 30-39 years, male 51.0
GTEX-1AX9J-0926-SM-73KXA 60-69 years, male 50.8
GTEX-1CB4E-0626-SM-7DHMW 60-69 years, male 50.8
GTEX-1JJ6O-2226-SM-AHZ3I 60-69 years, male 50.8
GTEX-147F4-1126-SM-5TDDE 50-59 years, male 50.3
GTEX-XPT6-0226-SM-4B65L 20-29 years, male 50.2
GTEX-13OVG-0426-SM-5KM2T 60-69 years, male 50.1
GTEX-1IDJD-0226-SM-CKZOA 30-39 years, male 49.6
GTEX-1JMLX-1826-SM-CNPOX 50-59 years, male 49.6
GTEX-1LVAO-0626-SM-EWRNT 60-69 years, male 49.6
GTEX-1GMR2-1326-SM-9KNUT 50-59 years, male 49.5
GTEX-1B8SG-0726-SM-79ONS 50-59 years, male 49.3
GTEX-ZT9W-0526-SM-57WFG 50-59 years, male 49.2
GTEX-1H3VY-1126-SM-A96TP 50-59 years, male 49.2
GTEX-15SHV-0526-SM-7KUEN 60-69 years, male 48.8
GTEX-1CB4H-0626-SM-7IGN3 60-69 years, female 48.8
GTEX-1KD5A-0926-SM-D4P3U 50-59 years, male 48.8
GTEX-WFON-0226-SM-3GIKR 40-49 years, male 48.7
GTEX-13OW5-0926-SM-5L3GZ 60-69 years, male 48.5
GTEX-15CHR-0326-SM-7DHN3 50-59 years, male 48.4
GTEX-13112-0526-SM-5EQ4S 50-59 years, male 48.1
GTEX-11ZTT-0526-SM-5EQLA 60-69 years, female 47.9
GTEX-1C64N-0826-SM-7RHGQ 50-59 years, male 47.7
GTEX-WHWD-0326-SM-3LK6L 50-59 years, male 47.6
GTEX-14A6H-0326-SM-5NQAN 30-39 years, male 47.5
GTEX-1ICG6-0726-SM-B2LY5 70-79 years, female 47.5
GTEX-1J8Q3-1126-SM-ARU8N 60-69 years, male 47.5
GTEX-14E6C-0326-SM-5Q5EE 40-49 years, male 47.0
GTEX-1K2DU-0226-SM-DIPF6 20-29 years, male 47.0
GTEX-1R7EV-0426-SM-DTX7Z 40-49 years, male 47.0
GTEX-1MJK2-1626-SM-EVYCQ 50-59 years, male 46.9
GTEX-11EQ8-1326-SM-5EGJQ 60-69 years, male 46.7
GTEX-1HSMQ-0426-SM-ADEIM 50-59 years, male 46.6
GTEX-1CB4I-1526-SM-7DHMY 50-59 years, male 46.4
GTEX-1GMRU-1326-SM-9WYUI 50-59 years, male 46.4
GTEX-13S86-0326-SM-5SI6K 40-49 years, male 46.3
GTEX-1B996-1026-SM-793CF 60-69 years, male 46.3
GTEX-X5EB-0626-SM-46MVQ 40-49 years, male 46.3
GTEX-1LB8K-0926-SM-D4P42 50-59 years, male 46.3
GTEX-YEC3-0426-SM-CYPS8 50-59 years, male 46.3
GTEX-1LH75-0526-SM-DIPG2 50-59 years, female 46.2
GTEX-18D9B-1126-SM-7KFSH 60-69 years, male 46.0
GTEX-15RJE-0726-SM-7KUEG 40-49 years, male 45.9
GTEX-1IDJU-0626-SM-CKZOG 60-69 years, female 45.9
GTEX-XLM4-2026-SM-4AT4X 60-69 years, male 45.8
GTEX-1IKJJ-0626-SM-CY8GF 60-69 years, male 45.8
GTEX-13NZ9-0126-SM-5K7XV 50-59 years, male 45.7
GTEX-14DAQ-1026-SM-793B1 60-69 years, female 45.7
GTEX-14PJ4-0926-SM-5YY98 60-69 years, male 45.6
GTEX-ZAJG-0926-SM-5Q5AB 50-59 years, female 45.4
GTEX-ZEX8-0326-SM-DO92C 50-59 years, male 45.4
GTEX-ZG7Y-1426-SM-4WWBM 50-59 years, male 45.3
GTEX-11GSP-1226-SM-5985M 60-69 years, female 45.1
GTEX-1192W-0226-SM-5EGGT 60-69 years, male 45.0
GTEX-12696-1226-SM-5FQSM 60-69 years, male 44.6
GTEX-1HCVE-0826-SM-CM2SF 50-59 years, male 44.4
GTEX-WY7C-1126-SM-3NB3A 50-59 years, male 44.3
GTEX-13OVI-0326-SM-5K7X1 60-69 years, female 44.1
GTEX-1LG7Y-1426-SM-D4P31 50-59 years, male 44.0
GTEX-V1D1-0626-SM-4JBHN 50-59 years, male 43.9
GTEX-WRHU-1026-SM-4E3ID 50-59 years, female 43.9
GTEX-13U4I-0626-SM-5LU5L 40-49 years, female 43.8
GTEX-1F6I4-0826-SM-7RHGK 60-69 years, male 43.7
GTEX-ZTTD-0626-SM-4YCCY 50-59 years, male 43.5
GTEX-1477Z-1126-SM-5P9GK 60-69 years, male 43.2
GTEX-X62O-0826-SM-46MW8 50-59 years, male 42.9
GTEX-1EX96-2626-SM-9MQJV 50-59 years, male 42.8
GTEX-1IDJF-0826-SM-ARU7N 20-29 years, male 42.4
GTEX-1A3MX-1226-SM-731B3 60-69 years, male 42.3
GTEX-1E1VI-1426-SM-793CY 50-59 years, male 42.1
GTEX-XXEK-2026-SM-4BRVE 50-59 years, male 41.7
GTEX-ZV7C-0526-SM-9WPNK 50-59 years, male 40.8
GTEX-1I1GR-1026-SM-A9SLC 60-69 years, male 40.5
GTEX-17MF6-0926-SM-7LTAL 40-49 years, male 40.1
GTEX-ZAB5-0126-SM-5CVMT 50-59 years, male 40.1
GTEX-1QP6S-1026-SM-DTXFW 40-49 years, male 40.1
GTEX-1F75B-1126-SM-7RHGP 50-59 years, male 40.0
GTEX-14C38-1326-SM-62LDK 50-59 years, male 39.9
GTEX-VUSG-0726-SM-3GIK1 50-59 years, male 39.9
GTEX-1A8FM-1026-SM-7PC26 50-59 years, female 39.9
GTEX-1LGRB-1026-SM-CNPQD 50-59 years, female 39.9
GTEX-1HCU7-1226-SM-B2LX8 50-59 years, male 39.7
GTEX-1QEPI-1126-SM-E8VN7 60-69 years, female 39.6
GTEX-139TU-1926-SM-5J2OC 60-69 years, male 39.5
GTEX-13O21-0326-SM-5J1N9 50-59 years, male 39.5
GTEX-WWYW-1126-SM-3NB2Q 50-59 years, female 39.4
GTEX-1I19N-0626-SM-A9SKY 70-79 years, male 39.3
GTEX-14BIN-2126-SM-793AX 50-59 years, female 38.8
GTEX-ZAB4-0926-SM-5CVN4 40-49 years, male 38.7
GTEX-1192X-0726-SM-5987R 50-59 years, male 38.3
GTEX-131XE-0526-SM-5K7YT 50-59 years, male 38.1
GTEX-ZVZQ-0726-SM-51MR3 60-69 years, female 38.0
GTEX-1GZ2Q-0926-SM-7RHHN 40-49 years, male 38.0
GTEX-1H2FU-0826-SM-9WYSU 60-69 years, female 38.0
GTEX-18A67-1026-SM-731CE 50-59 years, male 37.9
GTEX-1JN6P-0826-SM-ARL97 60-69 years, male 37.9
GTEX-14PJO-0826-SM-6ETZK 60-69 years, male 37.7
GTEX-WFG8-0726-SM-3GILP 20-29 years, male 37.7
GTEX-1H1ZS-1026-SM-9WG6E 70-79 years, male 37.1
GTEX-1HFI6-0826-SM-9YFM2 40-49 years, male 37.1
GTEX-1C6VQ-0826-SM-7PBZT 50-59 years, male 36.8
GTEX-16MT8-0826-SM-7KULO 60-69 years, female 36.7
GTEX-1JMOU-0326-SM-ARL8X 60-69 years, female 36.7
GTEX-13X6J-1226-SM-79OMF 50-59 years, male 36.6
GTEX-117YW-0426-SM-5GZZZ 50-59 years, male 36.3
GTEX-18A66-1126-SM-731C5 60-69 years, male 36.3
GTEX-14PII-1026-SM-5ZZVW 60-69 years, male 36.2
GTEX-1I1HK-0626-SM-CNPQM 60-69 years, male 36.2
GTEX-14C39-0726-SM-5RQIK 40-49 years, male 36.0
GTEX-WYJK-1126-SM-3NM9Z 50-59 years, male 35.6
GTEX-X4XX-1126-SM-3NMBY 60-69 years, male 35.2
GTEX-132Q8-1126-SM-5K7XS 60-69 years, male 34.9
GTEX-16XZZ-1026-SM-7DHKS 60-69 years, male 34.6
GTEX-1IOXB-0726-SM-A9G32 50-59 years, male 34.5
GTEX-11WQK-0226-SM-5EQLI 50-59 years, male 34.3
GTEX-15UF7-1526-SM-6LPI7 40-49 years, male 34.3
GTEX-WOFL-1226-SM-4OOST 60-69 years, male 34.0
GTEX-1I1CD-1326-SM-A9SMM 60-69 years, female 34.0
GTEX-17HGU-1126-SM-793BP 50-59 years, male 33.3
GTEX-11ONC-1026-SM-5GU64 60-69 years, male 33.1
GTEX-11TUW-1126-SM-5EQKJ 60-69 years, male 33.1
GTEX-14E7W-1126-SM-5ZZVS 70-79 years, male 33.0
GTEX-Y8E4-0426-SM-4V6GB 40-49 years, male 33.0
GTEX-14PHY-0326-SM-62LE3 60-69 years, female 32.9
GTEX-1AX9I-1026-SM-73KYF 60-69 years, male 32.6
GTEX-13NZA-0826-SM-5K7WS 60-69 years, male 31.8
GTEX-14BIL-0926-SM-7DHKN 50-59 years, male 31.7
GTEX-ZUA1-0726-SM-4YCD9 40-49 years, male 31.6
GTEX-16GPK-1226-SM-7LTAU 60-69 years, male 31.5
GTEX-ZVT4-1326-SM-5NQ8E 50-59 years, female 31.3
GTEX-13PL6-0826-SM-5IJBI 40-49 years, female 31.2
GTEX-1IL2U-1226-SM-CL53P 60-69 years, male 31.2
GTEX-1117F-0726-SM-5GIEN 60-69 years, female 30.2
GTEX-13FTZ-0326-SM-5J1O1 60-69 years, male 28.6
GTEX-15SKB-0926-SM-7KUFC 60-69 years, male 28.5
GTEX-17EVP-0526-SM-7EPGY 40-49 years, male 28.4
GTEX-X261-0926-SM-3NMCY 50-59 years, male 28.3
GTEX-1B8SF-1326-SM-7IGQJ 60-69 years, male 27.8
GTEX-X8HC-1026-SM-46MWH 50-59 years, female 27.8
GTEX-11ZVC-0526-SM-5N9G1 50-59 years, female 27.0
GTEX-1GN1V-1026-SM-CNPPS 60-69 years, male 26.1
GTEX-1R9K4-1026-SM-EXUT1 60-69 years, male 25.9
GTEX-1JMQK-0926-SM-ARL96 60-69 years, male 25.6
GTEX-1F48J-1126-SM-9WYSY 50-59 years, female 23.4
GTEX-1H3O1-0226-SM-9WYSW 60-69 years, male 23.4
GTEX-ZXG5-0626-SM-5NQ85 60-69 years, male 22.4
GTEX-12584-1026-SM-59HK3 40-49 years, male 22.2
GTEX-1IKOH-0926-SM-A9SLU 60-69 years, female 22.2
GTEX-13O3Q-0326-SM-5L3FE 50-59 years, male 22.0
GTEX-1GTWX-0926-SM-9MQKM 60-69 years, male 21.7
GTEX-1M5QR-1626-SM-E9U5O 40-49 years, male 21.7
GTEX-UTHO-1226-SM-3GAEE 60-69 years, male 20.5
GTEX-1C6WA-0826-SM-7PBXS 60-69 years, male 19.9
GTEX-1H1CY-0426-SM-9KNVD 60-69 years, female 19.8
GTEX-1JMQL-1026-SM-CMKGV 50-59 years, female 19.5
GTEX-1IL2V-1126-SM-CMKGH 70-79 years, male 19.0
GTEX-15D1Q-0426-SM-6AJ9G 40-49 years, male 16.7
GTEX-1HUB1-0726-SM-CGQF4 60-69 years, male 16.4
GTEX-1LSNL-0626-SM-DIPFJ 50-59 years, male 13.8
Show allShow less
Heart - Left Ventricle
Average nTPM: 82.6
Samples: 432

Max nTPM: 177.2
Min nTPM: 9.1
Std nTPM: 29.5
Median nTPM: 82.6
GTEX-1O9I2-1126-SM-DTXEA 50-59 years, male 177.2
GTEX-13NZB-0226-SM-5KM1T 30-39 years, male 174.9
GTEX-1RQEC-0926-SM-EWROG 60-69 years, male 172.3
GTEX-1HBPH-0126-SM-CNNQ7 40-49 years, female 166.7
GTEX-1POEN-0626-SM-EVR4B 30-39 years, female 163.8
GTEX-13O3O-1526-SM-5KM1C 60-69 years, female 161.3
GTEX-1HBPM-1226-SM-A9SM8 60-69 years, female 153.5
GTEX-13CF2-0426-SM-5KM1H 60-69 years, male 149.4
GTEX-1R9PO-0326-SM-DTXA1 60-69 years, female 148.9
GTEX-1F6I4-0726-SM-7PC2P 60-69 years, male 148.3
GTEX-11ZUS-0226-SM-5FQT8 30-39 years, male 143.2
GTEX-ZDTS-1326-SM-6LLHE 60-69 years, male 141.3
GTEX-ZQUD-1526-SM-7IGO2 30-39 years, male 139.8
GTEX-1313W-1426-SM-5KLZU 50-59 years, female 138.6
GTEX-O5YW-0326-SM-2I5EI 50-59 years, male 137.3
GTEX-Y114-0226-SM-4TT8W 50-59 years, female 136.9
GTEX-148VI-0326-SM-5RQK7 60-69 years, female 136.2
GTEX-R55E-1026-SM-2TC5S 20-29 years, male 136.2
GTEX-13RTJ-0726-SM-5QGQN 60-69 years, male 134.7
GTEX-13VXT-1126-SM-5LU3A 20-29 years, female 134.6
GTEX-16BQI-0926-SM-6M485 30-39 years, female 133.3
GTEX-WZTO-1326-SM-3NM8X 40-49 years, male 130.5
GTEX-1S3DN-0726-SM-E9TIO 50-59 years, male 130.2
GTEX-1ICG6-0626-SM-ACKWS 70-79 years, female 130.0
GTEX-1AX9K-0526-SM-73KV1 50-59 years, male 128.6
GTEX-RNOR-0826-SM-2TF5C 50-59 years, female 128.6
GTEX-ZYFC-1126-SM-5E44W 50-59 years, male 127.3
GTEX-XQ3S-0626-SM-4BOOB 20-29 years, male 127.2
GTEX-WHSE-0926-SM-3NMBS 20-29 years, male 127.1
GTEX-1HCU6-1026-SM-A9G25 60-69 years, female 126.6
GTEX-R45C-0926-SM-3GAD4 60-69 years, female 126.3
GTEX-117YX-1126-SM-5H128 50-59 years, male 126.2
GTEX-1KD5A-1026-SM-CY8I8 50-59 years, male 125.8
GTEX-1CB4I-1626-SM-7RHGV 50-59 years, male 124.4
GTEX-131XH-0226-SM-5LZVB 50-59 years, male 123.8
GTEX-1HCU7-1326-SM-CNPPW 50-59 years, male 123.4
GTEX-15SHU-1126-SM-7KUMB 40-49 years, female 123.1
GTEX-13OVL-0526-SM-5KLZQ 50-59 years, male 122.8
GTEX-14PJ6-0726-SM-69LOL 60-69 years, female 122.6
GTEX-1QCLZ-0926-SM-E6CQZ 60-69 years, female 120.8
GTEX-14DAQ-1126-SM-664MT 60-69 years, female 120.3
GTEX-145LV-0326-SM-5Q5BW 50-59 years, male 119.9
GTEX-14JG1-1026-SM-6ETZY 40-49 years, male 119.9
GTEX-145MO-1126-SM-5NQBX 60-69 years, male 119.4
GTEX-1QPFJ-1026-SM-E6CR6 30-39 years, female 119.4
GTEX-X15G-0426-SM-4PQZ6 50-59 years, female 118.1
GTEX-1IKOE-1026-SM-ARZMF 30-39 years, female 117.7
GTEX-YFC4-0526-SM-5ZZVI 40-49 years, female 116.7
GTEX-1AX9I-1126-SM-7EPHH 60-69 years, male 116.6
GTEX-1HSGN-1126-SM-CJI4G 40-49 years, female 115.9
GTEX-1CB4E-0526-SM-7MXTK 60-69 years, male 115.5
GTEX-13YAN-1326-SM-5Q5F1 60-69 years, male 115.3
GTEX-14PK6-0826-SM-5ZZVO 70-79 years, female 115.2
GTEX-14A6H-0226-SM-5Q5DX 30-39 years, male 115.1
GTEX-16YQH-0926-SM-793BC 30-39 years, male 114.9
GTEX-11ZVC-0426-SM-5CVLD 50-59 years, female 114.5
GTEX-111YS-0426-SM-5987O 60-69 years, male 113.9
GTEX-OXRL-0326-SM-2I3F2 50-59 years, male 113.7
GTEX-11DXZ-0626-SM-5GU77 50-59 years, male 113.4
GTEX-11EMC-0726-SM-5EGJO 60-69 years, female 113.2
GTEX-QEG4-0426-SM-33HC3 30-39 years, male 113.2
GTEX-132NY-1726-SM-5EGKK 60-69 years, male 112.8
GTEX-17F9E-0926-SM-7IGMG 50-59 years, male 112.8
GTEX-12WSN-5001-SM-7DHMK 40-49 years, male 112.2
GTEX-111FC-0826-SM-5GZWO 60-69 years, male 111.8
GTEX-Y3I4-0626-SM-4TT7A 50-59 years, male 111.6
GTEX-1C2JI-0526-SM-7EWEQ 50-59 years, male 111.5
GTEX-ZDXO-0726-SM-57WBT 60-69 years, male 111.5
GTEX-1B97J-0726-SM-7RHG3 50-59 years, female 111.1
GTEX-1GMR3-0326-SM-7P8QT 40-49 years, male 111.1
GTEX-Y5V6-0826-SM-4VBRU 60-69 years, male 110.9
GTEX-1ICLY-1326-SM-CJI47 50-59 years, male 110.5
GTEX-PWCY-0526-SM-5P9HG 20-29 years, female 109.7
GTEX-15CHR-0226-SM-7PC2Z 50-59 years, male 109.7
GTEX-1OKEX-0726-SM-DPRYE 60-69 years, male 109.6
GTEX-1AX9J-1026-SM-72D6E 60-69 years, male 109.5
GTEX-O5YV-0326-SM-2I5H2 60-69 years, female 109.4
GTEX-ZDTT-0726-SM-4WKFK 60-69 years, male 109.2
GTEX-1M5QR-1026-SM-DHXK9 40-49 years, male 108.3
GTEX-1JJ6O-2126-SM-CNNP6 60-69 years, male 107.9
GTEX-12ZZY-1126-SM-5DUWQ 60-69 years, male 107.7
GTEX-ZZPU-0926-SM-5GZYT 50-59 years, female 107.3
GTEX-1OFPY-1026-SM-EXUSO 60-69 years, male 107.0
GTEX-1H1ZS-1126-SM-9MQLJ 70-79 years, male 106.8
GTEX-1C64O-0826-SM-79OKZ 60-69 years, male 106.7
GTEX-15CHC-0426-SM-6LLHI 60-69 years, female 106.2
GTEX-ZYFG-0426-SM-5E43M 60-69 years, female 106.2
GTEX-1LVAN-1726-SM-CNNR1 50-59 years, female 106.2
GTEX-1EU9M-1826-SM-7DUGU 60-69 years, male 106.1
GTEX-Y5V5-0626-SM-4VBPX 60-69 years, female 105.8
GTEX-1122O-0826-SM-5GICV 60-69 years, female 105.7
GTEX-1MJIX-0326-SM-EVR42 40-49 years, male 105.6
GTEX-1MUQO-1226-SM-E9TJK 60-69 years, male 104.8
GTEX-13FLV-0926-SM-5L3DZ 50-59 years, male 104.5
GTEX-1LGOU-0726-SM-E9TIY 20-29 years, female 104.4
GTEX-1R9JW-0526-SM-EWRNK 30-39 years, female 104.4
GTEX-1RMOY-0626-SM-E9TIE 50-59 years, male 103.2
GTEX-132QS-0426-SM-5KLZ6 60-69 years, male 103.0
GTEX-131XE-0626-SM-5HL98 50-59 years, male 102.8
GTEX-WHPG-0826-SM-3NMBF 50-59 years, male 102.8
GTEX-1JJEA-0826-SM-CL53T 60-69 years, male 102.8
GTEX-11DXX-0326-SM-5PNWC 60-69 years, female 102.6
GTEX-13PVR-1026-SM-5QGQW 60-69 years, female 102.5
GTEX-1399S-1026-SM-5KLZ9 30-39 years, female 102.4
GTEX-13SLX-1026-SM-5ZZUQ 50-59 years, female 102.2
GTEX-1CB4G-0826-SM-7DUGF 60-69 years, male 102.2
GTEX-SE5C-0626-SM-2XCDV 40-49 years, female 101.5
GTEX-1QP29-1526-SM-EXUSY 50-59 years, male 101.4
GTEX-17JCI-1126-SM-7IGMM 60-69 years, female 101.3
GTEX-OIZG-1126-SM-2HMIU 50-59 years, male 100.5
GTEX-15SHW-1226-SM-6M46C 60-69 years, male 100.1
GTEX-1LH75-0426-SM-E9TJF 50-59 years, female 100.1
GTEX-13QBU-0426-SM-5J2O4 40-49 years, female 99.9
GTEX-13O61-0526-SM-5J2M1 60-69 years, male 98.8
GTEX-1QP2A-1126-SM-EVR3H 50-59 years, male 98.7
GTEX-ZPCL-0426-SM-DNZZ4 60-69 years, female 98.7
GTEX-14E6C-0426-SM-5YYA8 40-49 years, male 98.6
GTEX-13X6H-0426-SM-5LU4E 50-59 years, female 98.4
GTEX-1J8EW-0926-SM-A9G33 60-69 years, female 98.4
GTEX-WEY5-0426-SM-3GIKT 40-49 years, female 98.2
GTEX-13FTW-1026-SM-5L3E3 40-49 years, male 98.0
GTEX-14PHX-2126-SM-6EU2U 50-59 years, male 98.0
GTEX-1BAJH-1626-SM-73KUV 70-79 years, male 97.9
GTEX-1HC8U-0726-SM-ACKXL 40-49 years, female 97.4
GTEX-QESD-0526-SM-2I5G5 20-29 years, male 97.3
GTEX-UPK5-0326-SM-CYPR4 40-49 years, male 97.3
GTEX-OXRK-0826-SM-2HMK7 50-59 years, female 96.9
GTEX-13O21-2326-SM-5MR3X 50-59 years, male 96.7
GTEX-15ER7-1726-SM-6PAMX 20-29 years, female 96.3
GTEX-1KANC-0426-SM-CXZK5 50-59 years, female 96.0
GTEX-15DDE-1126-SM-6LLHN 50-59 years, female 95.9
GTEX-1PPGY-1126-SM-E76OU 60-69 years, male 95.4
GTEX-QVJO-1926-SM-2S1QZ 60-69 years, female 95.2
GTEX-1I1GQ-1426-SM-B2LWY 50-59 years, male 95.2
GTEX-WYJK-1026-SM-3NM8W 50-59 years, male 95.0
GTEX-ZVT2-1026-SM-5GU55 50-59 years, female 94.7
GTEX-S33H-0526-SM-COH1W 30-39 years, male 94.6
GTEX-1J8Q2-1226-SM-A9G2W 60-69 years, male 94.5
GTEX-146FH-1026-SM-5RQIF 50-59 years, female 94.2
GTEX-WQUQ-1426-SM-3MJFD 60-69 years, male 93.7
GTEX-1314G-0126-SM-5LZUL 30-39 years, male 93.5
GTEX-P78B-0426-SM-2I5F5 40-49 years, female 93.4
GTEX-PSDG-0926-SM-2I5FP 50-59 years, male 93.2
GTEX-ZF29-0226-SM-4WKHO 60-69 years, female 93.1
GTEX-14C38-1426-SM-5RQHZ 50-59 years, male 93.0
GTEX-16NPX-0926-SM-7KUEZ 50-59 years, male 92.6
GTEX-PVOW-0426-SM-5MR5R 40-49 years, male 92.2
GTEX-13OVG-0526-SM-5K7YD 60-69 years, male 91.9
GTEX-12WSD-1126-SM-5EGJD 60-69 years, female 91.6
GTEX-R55C-0326-SM-3GAF1 40-49 years, male 91.6
GTEX-1JK1U-0526-SM-CYPSQ 60-69 years, male 91.6
GTEX-1GMR2-1426-SM-7RHHK 50-59 years, male 91.4
GTEX-18D9U-1126-SM-72D5Y 40-49 years, male 91.3
GTEX-12BJ1-0226-SM-5LUA2 60-69 years, male 91.0
GTEX-1HFI7-0826-SM-A9G23 50-59 years, female 90.9
GTEX-18D9B-1226-SM-72D6V 60-69 years, male 90.7
GTEX-WL46-0926-SM-3LK7T 50-59 years, male 90.7
GTEX-QLQ7-0526-SM-2I5G3 60-69 years, male 90.6
GTEX-ZVZP-0226-SM-5NQ73 50-59 years, male 90.6
GTEX-1IKK5-1526-SM-CKZPW 60-69 years, male 90.5
GTEX-12WSG-0526-SM-5FQTH 50-59 years, female 89.7
GTEX-WI4N-0626-SM-3TW8Z 40-49 years, female 89.4
GTEX-YEC3-0726-SM-CMKFH 50-59 years, male 89.1
GTEX-1MCC2-0326-SM-EV7AK 30-39 years, female 88.9
GTEX-14PN3-0526-SM-69LQF 60-69 years, female 88.4
GTEX-1F75I-1126-SM-9WYUO 40-49 years, male 88.3
GTEX-ZGAY-0326-SM-57WF5 40-49 years, female 88.1
GTEX-XPVG-0826-SM-4B654 50-59 years, male 87.7
GTEX-1B8L1-0526-SM-79ONX 60-69 years, male 87.6
GTEX-1JMQK-0626-SM-D4P2R 60-69 years, male 87.5
GTEX-ZAB4-1026-SM-5HL7T 40-49 years, male 87.4
GTEX-13FTZ-0226-SM-5K7X6 60-69 years, male 87.3
GTEX-POMQ-0326-SM-2I5FO 20-29 years, female 87.3
GTEX-YEC4-0326-SM-4W216 40-49 years, male 87.1
GTEX-1269C-0826-SM-5N9EM 60-69 years, female 86.9
GTEX-12ZZZ-1726-SM-59HK5 60-69 years, male 86.9
GTEX-1497J-1226-SM-5Q5BL 60-69 years, male 86.9
GTEX-1AYCT-0426-SM-73KVZ 50-59 years, male 86.6
GTEX-OXRO-2026-SM-2YUMZ 60-69 years, female 86.5
GTEX-11O72-1126-SM-5N9E2 40-49 years, male 86.4
GTEX-1B932-1026-SM-793CL 40-49 years, female 86.4
GTEX-RWSA-0626-SM-2XCBD 40-49 years, male 86.2
GTEX-1399R-1926-SM-5K7X8 30-39 years, male 85.9
GTEX-OHPM-0326-SM-33HCA 50-59 years, male 85.8
GTEX-UJHI-0426-SM-3DB8Y 50-59 years, female 85.5
GTEX-14C5O-1326-SM-5S2UW 60-69 years, male 85.4
GTEX-147F4-1226-SM-5NQAY 50-59 years, male 85.3
GTEX-ZF2S-1026-SM-9QEGK 50-59 years, female 85.3
GTEX-ZPU1-0626-SM-4YCDM 40-49 years, male 85.1
GTEX-1GN73-2426-SM-7RHFQ 60-69 years, male 85.0
GTEX-U8XE-1126-SM-3DB8W 30-39 years, male 84.9
GTEX-1KXAM-1326-SM-E9TJW 60-69 years, male 84.9
GTEX-13FH7-0926-SM-5J2MR 50-59 years, female 84.7
GTEX-16XZY-0426-SM-793BI 70-79 years, male 84.7
GTEX-1R7EV-0326-SM-E76PA 40-49 years, male 84.6
GTEX-16MT8-0926-SM-6M487 60-69 years, female 84.5
GTEX-P44H-0726-SM-48TBT 40-49 years, male 84.5
GTEX-X3Y1-0426-SM-3P5Z4 40-49 years, male 84.5
GTEX-13D11-1726-SM-5IFGQ 50-59 years, female 84.4
GTEX-1F5PK-0326-SM-9KNUD 50-59 years, male 84.4
GTEX-NPJ8-0426-SM-2HMK6 40-49 years, male 84.2
GTEX-139YR-0826-SM-5LZXY 50-59 years, male 84.0
GTEX-NFK9-0926-SM-2HMJU 40-49 years, male 83.9
GTEX-ZEX8-0426-SM-DO92Y 50-59 years, male 83.9
GTEX-1GZ4I-1026-SM-9KNV5 50-59 years, male 83.7
GTEX-12696-1126-SM-5FQTI 60-69 years, male 83.6
GTEX-14E1K-1026-SM-73KUR 50-59 years, male 83.6
GTEX-131XF-5001-SM-7DHLY 60-69 years, male 83.4
GTEX-18465-0926-SM-731AY 50-59 years, male 83.4
GTEX-PX3G-0326-SM-2I3EO 20-29 years, female 83.4
GTEX-QEL4-0926-SM-3GAD1 50-59 years, male 83.4
GTEX-12WSC-1126-SM-5EQ4G 50-59 years, male 83.2
GTEX-13112-0426-SM-5PNVC 50-59 years, male 83.2
GTEX-1N2EF-2826-SM-E6CQF 60-69 years, male 82.9
GTEX-ZAB5-0226-SM-5CVMH 50-59 years, male 82.8
GTEX-XXEK-0926-SM-4BRWH 50-59 years, male 82.7
GTEX-13OW6-1126-SM-5L3HL 50-59 years, male 82.6
GTEX-1CAMS-1326-SM-79OJR 40-49 years, female 82.4
GTEX-13O3P-1626-SM-5K7X3 50-59 years, male 82.3
GTEX-QMRM-0526-SM-2I5GA 50-59 years, male 82.3
GTEX-15DYW-1126-SM-6LPK5 60-69 years, female 82.2
GTEX-ZDYS-0226-SM-5HL4K 50-59 years, male 82.1
GTEX-ZTPG-1226-SM-4YCDO 20-29 years, female 82.0
GTEX-WRHU-1226-SM-4E3IJ 50-59 years, female 81.9
GTEX-ZG7Y-0926-SM-5EQ6O 50-59 years, male 81.9
GTEX-1GF9U-0426-SM-7RHHA 40-49 years, female 81.8
GTEX-1PWST-1026-SM-DTXF2 70-79 years, male 81.8
GTEX-1IDJI-1026-SM-A96TE 50-59 years, female 81.5
GTEX-1R9K4-1326-SM-DTX8G 60-69 years, male 81.4
GTEX-RU72-0326-SM-2TF5T 50-59 years, female 81.1
GTEX-14PHY-0226-SM-5ZZWM 60-69 years, female 80.7
GTEX-13N11-0426-SM-5KM3O 50-59 years, female 80.6
GTEX-13PVQ-1226-SM-5IJDC 50-59 years, male 80.6
GTEX-V1D1-0526-SM-4JBGW 50-59 years, male 80.4
GTEX-P4PQ-0326-SM-2HMJ8 60-69 years, male 79.7
GTEX-XPT6-0126-SM-4B65S 20-29 years, male 79.6
GTEX-146FR-0626-SM-5RQJ1 60-69 years, female 79.2
GTEX-Y8E4-0326-SM-4VBRR 40-49 years, male 79.2
GTEX-1A8G6-1626-SM-7MGWO 60-69 years, male 78.8
GTEX-WFON-0326-SM-3GIKX 40-49 years, male 78.4
GTEX-11GSP-1326-SM-5A5KY 60-69 years, female 78.2
GTEX-QV44-0526-SM-2S1RE 50-59 years, male 78.0
GTEX-1I1GV-1326-SM-A96SE 60-69 years, male 77.8
GTEX-OIZF-0326-SM-3MJGY 60-69 years, male 77.8
GTEX-17HGU-1026-SM-79OKL 50-59 years, male 77.7
GTEX-17HHY-1426-SM-7EWDQ 50-59 years, male 77.7
GTEX-1CB4J-0326-SM-7PBZO 60-69 years, male 77.6
GTEX-14A5I-1226-SM-5NQBW 50-59 years, female 77.5
GTEX-1IL2U-1326-SM-A9G2O 60-69 years, male 77.2
GTEX-11DXY-0826-SM-5EGGR 60-69 years, male 77.1
GTEX-1A3MW-1326-SM-7189P 60-69 years, female 77.1
GTEX-XQ8I-0126-SM-4BOPL 50-59 years, male 77.1
GTEX-1E1VI-1326-SM-7IGQD 50-59 years, male 76.9
GTEX-11TT1-1326-SM-5PNYM 20-29 years, male 76.7
GTEX-ZLFU-0226-SM-4WWFH 40-49 years, male 76.5
GTEX-RWS6-0326-SM-2XCAP 60-69 years, female 76.3
GTEX-11I78-0826-SM-5A5K4 50-59 years, female 76.1
GTEX-1LSNM-0526-SM-DIPG6 50-59 years, male 76.0
GTEX-11GS4-0526-SM-5A5KQ 60-69 years, male 75.9
GTEX-XBEC-1326-SM-4AT69 50-59 years, male 75.9
GTEX-1B996-1126-SM-73KWN 60-69 years, male 75.6
GTEX-15RJ7-0226-SM-7KUMN 40-49 years, male 75.1
GTEX-1GL5R-0326-SM-9WYTJ 50-59 years, male 74.8
GTEX-U3ZH-0326-SM-3DB7A 30-39 years, male 74.6
GTEX-11LCK-0926-SM-5A5KA 30-39 years, male 74.5
GTEX-13X6K-1826-SM-5O9CR 60-69 years, female 74.5
GTEX-1F48J-1026-SM-7P8SO 50-59 years, female 74.5
GTEX-OHPK-0326-SM-2HMJO 50-59 years, female 74.3
GTEX-1LB8K-1026-SM-DHXJJ 50-59 years, male 73.9
GTEX-18A67-1226-SM-7KFRS 50-59 years, male 73.7
GTEX-S32W-0626-SM-2XCBG 50-59 years, female 73.7
GTEX-17KNJ-0826-SM-793A4 50-59 years, male 73.5
GTEX-1211K-0626-SM-5FQUZ 60-69 years, female 73.1
GTEX-PLZ5-0626-SM-2I5F8 50-59 years, male 72.9
GTEX-1IDJE-0326-SM-CM2TD 50-59 years, female 72.9
GTEX-ZYW4-0926-SM-59HJS 60-69 years, male 72.5
GTEX-1B8SG-0826-SM-7EWF7 50-59 years, male 72.2
GTEX-1A3MX-1326-SM-72D58 60-69 years, male 72.0
GTEX-13W3W-0426-SM-5SI9D 60-69 years, female 71.9
GTEX-17MF6-0726-SM-7LT8E 40-49 years, male 71.9
GTEX-N7MS-0826-SM-2HML4 60-69 years, male 71.9
GTEX-1LGRB-1126-SM-CNPP2 50-59 years, female 71.9
GTEX-14H4A-0626-SM-5ZZUT 40-49 years, female 71.8
GTEX-OOBJ-0326-SM-33HBO 60-69 years, male 71.8
GTEX-WFG8-0626-SM-3GILJ 20-29 years, male 71.8
GTEX-WHWD-0426-SM-3LK83 50-59 years, male 71.6
GTEX-132AR-2026-SM-5IJG4 50-59 years, female 71.5
GTEX-QEG5-0926-SM-2TC64 20-29 years, male 71.4
GTEX-V955-0726-SM-3GAFG 60-69 years, male 71.4
GTEX-1HSMQ-0226-SM-C1YQL 50-59 years, male 71.3
GTEX-1F6IF-2526-SM-7P8TV 60-69 years, male 71.2
GTEX-13N1W-1026-SM-5IJC5 70-79 years, male 71.1
GTEX-1IDJF-0726-SM-CJI1U 20-29 years, male 71.0
GTEX-1EMGI-1226-SM-793DD 60-69 years, male 70.9
GTEX-13S86-0226-SM-5S2PJ 40-49 years, male 70.4
GTEX-OHPL-0326-SM-33HC8 60-69 years, female 70.3
GTEX-1J8QM-0426-SM-AHZ3X 60-69 years, female 70.3
GTEX-1JMPZ-1426-SM-CJI3C 30-39 years, male 70.3
GTEX-WH7G-0426-SM-3NMBJ 40-49 years, male 70.2
GTEX-13X6I-1426-SM-5SI9Z 60-69 years, male 70.0
GTEX-1GF9V-1626-SM-7PBXL 60-69 years, male 70.0
GTEX-1212Z-0626-SM-5FQTB 60-69 years, male 69.8
GTEX-UJMC-0526-SM-3GAE3 50-59 years, male 69.8
GTEX-ZV7C-0326-SM-57WB1 50-59 years, male 69.6
GTEX-1339X-0426-SM-5KLZY 40-49 years, male 69.3
GTEX-145MN-0626-SM-5QGRH 30-39 years, male 68.8
GTEX-12584-0926-SM-5FQTN 40-49 years, male 68.2
GTEX-1J8Q3-1226-SM-CKZPT 60-69 years, male 67.9
GTEX-XGQ4-0326-SM-4GIEE 50-59 years, male 67.8
GTEX-XBED-0526-SM-47JY3 60-69 years, male 67.7
GTEX-13CF3-0726-SM-5J2MY 60-69 years, female 67.6
GTEX-SNMC-0126-SM-2XCFO 20-29 years, male 67.6
GTEX-18A6Q-1626-SM-7KFTA 60-69 years, male 67.3
GTEX-Y3IK-0826-SM-51MT8 50-59 years, female 67.3
GTEX-ZF3C-1226-SM-4WWCB 50-59 years, female 67.2
GTEX-WFG7-0726-SM-3GIKO 20-29 years, male 67.0
GTEX-1H11D-1226-SM-9WPQ2 40-49 years, male 67.0
GTEX-1IDJU-0726-SM-CNPQ9 60-69 years, female 66.7
GTEX-SUCS-0326-SM-32PLL 70-79 years, male 66.5
GTEX-1L5NE-0426-SM-E9TIX 50-59 years, male 66.5
GTEX-15RJE-0626-SM-7KUKR 40-49 years, male 66.4
GTEX-U4B1-0326-SM-3DB8K 40-49 years, male 66.2
GTEX-P4PP-0326-SM-33HC4 30-39 years, female 66.1
GTEX-RN64-0826-SM-2TC62 50-59 years, male 66.1
GTEX-ZPIC-0826-SM-4WWFJ 40-49 years, female 66.1
GTEX-15RIE-1726-SM-7KUMU 60-69 years, male 66.1
GTEX-QDVJ-0426-SM-2I5FW 50-59 years, male 65.8
GTEX-12WSK-0626-SM-5LZUJ 40-49 years, female 65.5
GTEX-1399U-0526-SM-5K7YM 50-59 years, female 65.5
GTEX-1R9K5-1326-SM-E6CPR 50-59 years, male 65.5
GTEX-RUSQ-0526-SM-2TF72 50-59 years, male 65.4
GTEX-11ONC-0126-SM-5PNW6 60-69 years, male 65.2
GTEX-WWYW-1326-SM-3NB2S 50-59 years, female 64.6
GTEX-1JMLX-1626-SM-ARZMV 50-59 years, male 64.6
GTEX-T6MN-0926-SM-32PLX 50-59 years, male 64.4
GTEX-REY6-1026-SM-2TF4Y 60-69 years, male 64.2
GTEX-T2IS-0426-SM-32QPE 20-29 years, female 64.0
GTEX-1GN1V-0826-SM-9KNU6 60-69 years, male 63.4
GTEX-YJ8O-0926-SM-EAZ2Z 40-49 years, female 63.4
GTEX-147JS-1526-SM-5ZZWF 60-69 years, male 63.1
GTEX-1EH9U-0826-SM-7IGPT 60-69 years, male 62.2
GTEX-1AX8Z-5007-SM-AHZ36 60-69 years, male 62.2
GTEX-1I1HK-0726-SM-B2LY4 60-69 years, male 62.2
GTEX-1RB15-0326-SM-E6CQB 60-69 years, male 62.2
GTEX-YF7O-0426-SM-5P9FS 50-59 years, male 61.8
GTEX-R53T-0926-SM-3GADH 50-59 years, female 61.2
GTEX-13U4I-0826-SM-5SIBD 40-49 years, female 60.7
GTEX-U3ZN-1426-SM-3DB87 30-39 years, female 60.2
GTEX-1H23P-1226-SM-9QEJ2 60-69 years, male 60.2
GTEX-Q2AH-0526-SM-2I3ED 40-49 years, male 59.8
GTEX-14PJ4-1126-SM-5YY91 60-69 years, male 59.1
GTEX-13OW8-2126-SM-5J1OS 60-69 years, male 59.0
GTEX-1HCUA-0526-SM-A9SMH 50-59 years, female 58.8
GTEX-WK11-0826-SM-EZ6LH 50-59 years, male 58.8
GTEX-ZYT6-1726-SM-5E44P 30-39 years, male 58.3
GTEX-14BIN-2226-SM-5YYA1 50-59 years, female 57.5
GTEX-11TUW-1026-SM-5GU7D 60-69 years, male 57.1
GTEX-1B8KE-0126-SM-793AM 50-59 years, male 56.8
GTEX-RTLS-0826-SM-2TF5Q 60-69 years, female 56.0
GTEX-1I6K7-0626-SM-ARL7Q 40-49 years, male 55.6
GTEX-WY7C-0526-SM-3NB3D 50-59 years, male 55.5
GTEX-1GMRU-1526-SM-9WYT5 50-59 years, male 55.5
GTEX-1JN1M-1026-SM-CNPOS 60-69 years, female 54.7
GTEX-O5YT-0326-SM-32PKA 20-29 years, male 54.5
GTEX-1LC47-1026-SM-D3LAH 60-69 years, male 54.3
GTEX-R55G-0526-SM-2TC5O 40-49 years, female 54.2
GTEX-ZAJG-0826-SM-5PNVA 50-59 years, female 54.1
GTEX-P44G-0826-SM-2I5ES 30-39 years, male 53.9
GTEX-YB5K-0126-SM-5IFJ2 40-49 years, female 53.2
GTEX-1I1GP-0826-SM-A96SD 50-59 years, male 53.2
GTEX-OIZI-0926-SM-E6CHF 40-49 years, male 53.2
GTEX-QDVN-0326-SM-2I3FS 50-59 years, male 52.1
GTEX-14PJ2-1026-SM-6EU1M 50-59 years, male 51.9
GTEX-1HT8W-1726-SM-CNNQB 30-39 years, male 51.9
GTEX-X8HC-1626-SM-46MWE 50-59 years, female 50.6
GTEX-OIZH-0326-SM-2HMKC 50-59 years, male 50.4
GTEX-17F9Y-1326-SM-7MGW9 70-79 years, female 50.4
GTEX-1GN1W-0326-SM-9JGHF 50-59 years, female 50.0
GTEX-15EOM-5007-SM-793DG 20-29 years, female 49.7
GTEX-14XAO-1126-SM-6EU11 60-69 years, female 49.6
GTEX-1H3NZ-1126-SM-9WYT9 60-69 years, male 49.0
GTEX-131XG-0626-SM-5GCMP 50-59 years, female 48.6
GTEX-13OW5-1126-SM-5J1NR 60-69 years, male 48.5
GTEX-1LVA9-0926-SM-EVR5G 50-59 years, male 48.1
GTEX-1O97I-0826-SM-E8VNE 60-69 years, male 47.5
GTEX-17GQL-0526-SM-72D5N 60-69 years, male 47.2
GTEX-1EKGG-1126-SM-7MGXB 60-69 years, male 47.0
GTEX-1ICLZ-1026-SM-A9SLF 60-69 years, male 45.2
GTEX-1EN7A-0726-SM-7PBXT 40-49 years, male 43.8
GTEX-14C39-0926-SM-5TDDV 40-49 years, male 43.5
GTEX-14E7W-1226-SM-5RQIU 70-79 years, male 42.9
GTEX-1EWIQ-1426-SM-7IGOS 70-79 years, female 42.3
GTEX-1JN6P-1126-SM-CKZON 60-69 years, male 41.9
GTEX-18A66-1226-SM-7LT8G 60-69 years, male 40.0
GTEX-148VJ-1526-SM-5Q5DU 70-79 years, male 39.7
GTEX-1KD4Q-0726-SM-DIPGE 40-49 years, male 39.4
GTEX-117YW-0326-SM-5N9CY 50-59 years, male 38.3
GTEX-1K9T9-1126-SM-D3L9E 50-59 years, female 37.8
GTEX-1RAZS-0826-SM-E76QP 50-59 years, male 37.6
GTEX-11EM3-0626-SM-5H12Z 20-29 years, female 37.5
GTEX-13O1R-1226-SM-5J1NU 60-69 years, male 37.5
GTEX-SIU8-0826-SM-2XCDQ 50-59 years, male 37.2
GTEX-13FHP-1026-SM-5K7Y2 50-59 years, male 36.9
GTEX-1IDJH-1026-SM-E9TKH 70-79 years, male 36.7
GTEX-1LG7Y-1226-SM-CXZKD 50-59 years, male 36.1
GTEX-14E6D-0926-SM-5S2QV 50-59 years, male 34.9
GTEX-XV7Q-0826-SM-4BRV7 40-49 years, female 34.7
GTEX-1HCVE-1126-SM-9WPPG 50-59 years, male 33.7
GTEX-14JIY-1126-SM-6EU28 60-69 years, male 30.8
GTEX-1H1CY-0326-SM-9QEIZ 60-69 years, female 30.5
GTEX-1IKJJ-0826-SM-A96SP 60-69 years, male 29.3
GTEX-1GN2E-1326-SM-9KNVG 60-69 years, male 28.4
GTEX-1GTWX-1026-SM-7P8QW 60-69 years, male 27.1
GTEX-1JMOU-0226-SM-CNNPD 60-69 years, female 27.0
GTEX-1NV8Z-1526-SM-DTX8X 60-69 years, male 25.6
GTEX-14PJM-1126-SM-6LLHK 50-59 years, female 24.4
GTEX-1EX96-2526-SM-7RHGW 50-59 years, male 23.5
GTEX-13JVG-1326-SM-5N9F8 60-69 years, male 22.0
GTEX-1HSMO-1226-SM-CL548 60-69 years, male 21.9
GTEX-15CHQ-1526-SM-69LPW 60-69 years, male 21.7
GTEX-N7MT-1326-SM-2I3FV 60-69 years, female 21.6
GTEX-P4QS-0326-SM-2I3EU 60-69 years, male 21.5
GTEX-14BIL-1126-SM-79OMC 50-59 years, male 19.5
GTEX-X261-1426-SM-4PQZ1 50-59 years, male 19.5
GTEX-13NYB-0226-SM-5N9G4 40-49 years, male 19.4
GTEX-ZUA1-0826-SM-4YCDL 40-49 years, male 17.5
GTEX-1JJE9-1426-SM-ARL8P 70-79 years, male 17.5
GTEX-1399T-0426-SM-5PNVJ 60-69 years, male 16.4
GTEX-12ZZW-1026-SM-5GCMM 50-59 years, male 14.8
GTEX-17HII-1326-SM-7IGOB 50-59 years, male 14.0
GTEX-1C6VQ-1126-SM-7EWET 50-59 years, male 14.0
GTEX-1PPH7-2026-SM-E9J3N 40-49 years, male 9.1
Show allShow less

HEART MUSCLE - FANTOM5 CAGEi

RNA expression in human tissues obtained through Cap Analysis of Gene Expression (CAGE) generated by the FANTOM5 project are reported as Scaled Tags Per Million.

Max subtype Scaled Tags Per Millioni

Max subtype Scaled Tags Per Million is the value for the subtype with the largest average Scaled Tags Per Million across the subtype samples.

79.8
FANTOM5 sample id Sample description Scaled Tags Per Million
Heart
Scaled Tags Per Million: 79.8
FF:10016-101C7 70,73,74 years, mixed 79.8
Left atrium
Scaled Tags Per Million: 29.2
FF:10079-102A7 40 years, male 29.2
Left ventricle
Scaled Tags Per Million: 68.7
FF:10078-102A6 73 years, female 68.7

Contact

  • NEWS ARTICLES
  • PRESS ROOM

The Project

  • INTRODUCTION
  • ORGANIZATION
  • PUBLICATIONS

The Human Protein Atlas

  • DOWNLOADABLE DATA
  • LICENCE & CITATION
  • HELP & FAQ
The Human Protein Atlas project is funded
by the Knut & Alice Wallenberg Foundation.


contact@proteinatlas.org