We use cookies to enhance the usability of our website. If you continue, we'll assume that you are happy to receive all cookies. More information. Don't show this again.
ZNF75A
HPA
RESOURCES
  • TISSUE
  • BRAIN
  • SINGLE CELL
  • SUBCELLULAR
  • CANCER
  • BLOOD
  • CELL LINE
  • STRUCTURE & INTERACTION
ABOUT
  • INTRODUCTION
  • HISTORY
  • ORGANIZATION
  • PUBLICATIONS
  • ANTIBODY SUBMISSION
  • ANTIBODY AVAILABILITY
  • ACKNOWLEDGMENTS
  • CONTACT
NEWS
  • NEWS ARTICLES
  • PRESS ROOM
LEARN
  • DICTIONARY
  • PROTEIN CLASSES
  • PROTEIN EVIDENCE
  • METHODS
  • EDUCATIONAL VIDEOS
DATA
  • DOWNLOADABLE DATA
  • PUBLICATION DATA
  • RELEASE HISTORY
HELP
  • ANTIBODY VALIDATION
  • ASSAYS & ANNOTATION
  • DISCLAIMER
  • HELP & FAQ
  • PRIVACY STATEMENT
  • LICENCE & CITATION
Fields »
Search result

Field
Term
Gene name
Class
Subclass
Class
Keyword
Chromosome
External id
Tissue
Cell type
Expression
Antibody panel
Tissue
Main location
Patient ID
Annotation
Tissue
Category
Tau score
Cluster
Reliability
Brain region
Category
Tau score
Brain region
Category
Tau score
Brain region
Category
Tau score
Cluster
Reliability
Tissue
Cell type
Enrichment
Cell type
Category
Tau score
Cell type
Category
Tau score
Cell type
Category
Tau score
Cell lineage
Category
Tau score
Cluster
Cluster
Location
Searches
Location
Cell line
Class
Type
Phase
Reliability
Cancer
Prognosis
Cancer
Category
Cancer
Category
Tau score
Cluster
Variants
Interacting gene (ensg_id)
Type
Number of interactions
Pathway
Category
Score
Score
Score
Validation
Validation
Validation
Validation
Antibodies
Data type
Column


  • SUMMARY

  • TISSUE

  • BRAIN

  • SINGLE CELL

  • SUBCELL

  • CANCER

  • BLOOD

  • CELL LINE

  • STRUCT & INT

  • ZNF75A
TISSUE PRIMARY DATA SKELETAL MUSCLE Show tissue menu
ADIPOSE TISSUE ADRENAL GLAND AMYGDALA APPENDIX BASAL GANGLIA BONE MARROW BREAST BRONCHUS CEREBELLUM CEREBRAL CORTEX CERVIX CHOROID PLEXUS COLON DUODENUM
ENDOMETRIUM EPIDIDYMIS ESOPHAGUS FALLOPIAN TUBE GALLBLADDER HEART MUSCLE HIPPOCAMPAL FORMATION HYPOTHALAMUS KIDNEY LIVER LUNG LYMPH NODE MIDBRAIN NASOPHARYNX
ORAL MUCOSA OVARY PANCREAS PARATHYROID GLAND PITUITARY GLAND PLACENTA PROSTATE RECTUM RETINA SALIVARY GLAND SEMINAL VESICLE SKELETAL MUSCLE SKIN SMALL INTESTINE
SMOOTH MUSCLE SOFT TISSUE SPINAL CORD SPLEEN STOMACH TESTIS THYMUS THYROID GLAND TONGUE TONSIL URINARY BLADDER VAGINA
ANTIBODIES
AND
VALIDATION
Dictionary
Skeletal muscle
Tissue proteome
Skeletal muscle
SKELETAL MUSCLE - Expression summary
Protein expression
Skeletal musclei

On the top, protein expression in current human tissue, based on all annotated cell types, is reported with the units not detected (n), low (l), medium (m) and high (h). Underneath, protein expression in each annotated cell type are reported using the same units.

Protein expression data is based on knowledge-based annotation. For genes where more than one antibody has been used, a collective score is set.

If knowledge-based annotation could not be performed for a gene, no data is displayed here. View antibody staining data further down this page.

h
m
l
n
Myocytes: Low
RNA expressioni

A summary of mRNA expression data available for current tissue based on several datasets. The mRNA expression levels in human tissues are based on RNA-seq data generated by the Human Protein Atlas (HPA), Genotype-Tissue Expression (GTEx) portal and CAGE data generated by the FANTOM5 consortium. Consensus normalized expression levels for human tissues was created by combining the data from HPA and GTEx datasets.

The mRNA expression levels in pig are based on RNA-seq data generated by the Human Protein Atlas (HPA), and for mouse, HPA data and in situ hybridization generated by the Allen brain atlas are reported.

Scroll down to view mRNA expression data in more detail.
Consensus:7.6 nTPM
HPA:7.6 nTPM
GTEx:6.3 nTPM
FANTOM5:25.1 Scaled Tags Per Million

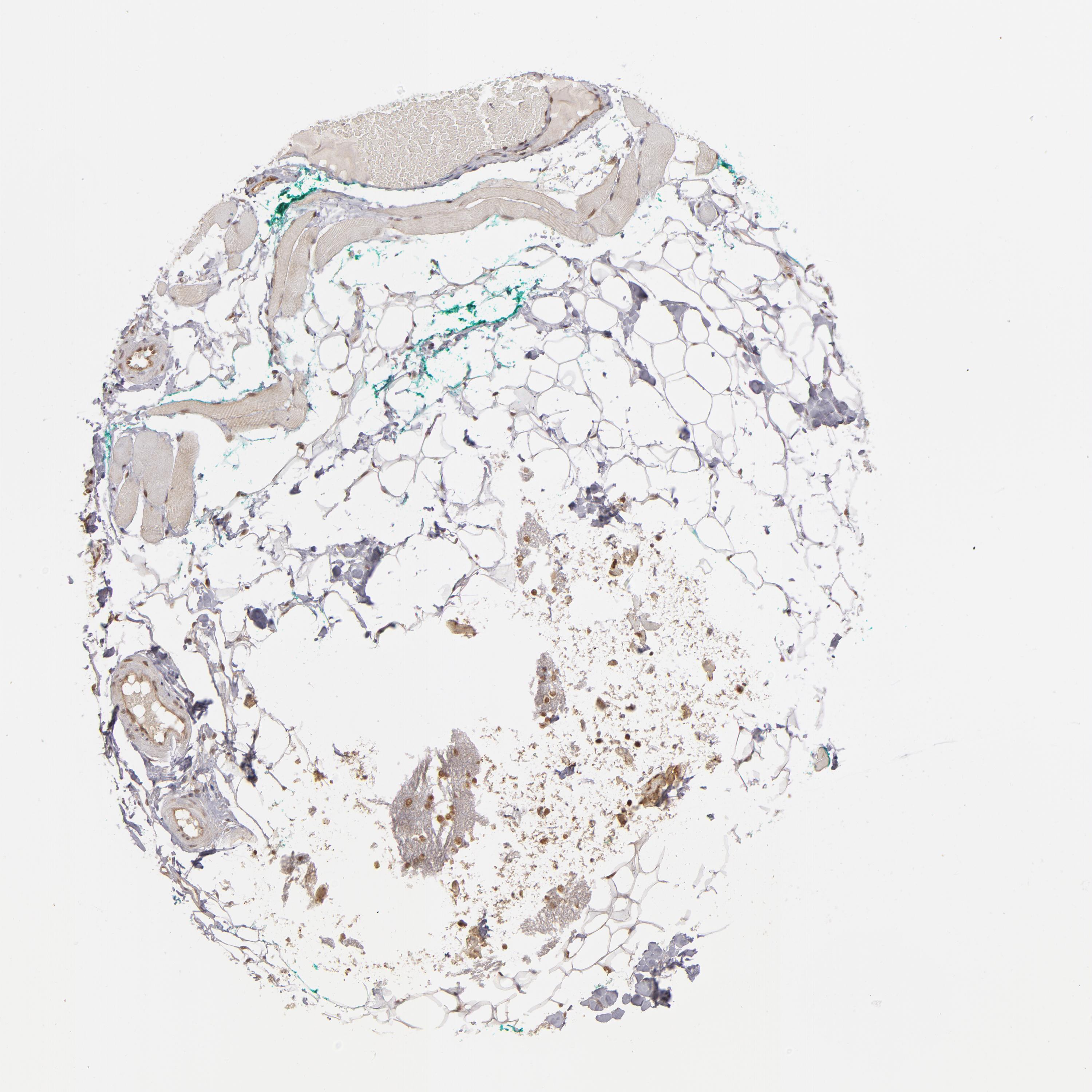
SKELETAL MUSCLE - Antibody stainingi

Antibody staining in the annotated cell types in the current human tissue is reported as not detected, low, medium, or high, based on conventional immunohistochemistry profiling in selected tissues. This score is based on the combination of the staining intensity and fraction of stained cells.

Each image is clickable and will lead to virtual microscopy that enables deeper exploration of all samples and also displays staining intensity scores, fraction scores and subcellular localization as well as patient and tissue information for each sample.

Antibody HPA001665
Myocytes Low



SKELETAL MUSCLE - HPA RNA-seqi

The RNA-seq details section shows detailed information about the individual samples used for the transcript profiling and results of the RNA-seq analysis.

Information about each individual sample is listed below, including gender, age, a tissue section image and estimated fractions of cell types. nTPM (normalized transcripts per million) values give a quantification of the gene abundance which is comparable between different genes and samples.
Average nTPMi

Max subtype nTPM is the value for the subtype with the largest average nTPM across the subtype samples.

7.6
N/A
Male, age 23
Skeletal muscle sample 339
nTPM: 6.2
N/A
Female, age 25
Skeletal muscle sample 340
nTPM: 6.9
N/A
Female, age -
Skeletal muscle sample 341
nTPM: 10.4
N/A
Female, age 22
Skeletal muscle sample 342
nTPM: 7.7
N/A
Male, age 29
Skeletal muscle sample 343
nTPM: 6.7

SKELETAL MUSCLE - GTEx RNA-seqi

RNA-Seq data generated by the Genotype-Tissue Expression (GTEx) project from human tissues is reported as mean nTPM. More information can be found on the GTEx portal.

Distribution across the dataset is visualized with box plots, shown as median and 25th and 75th percentiles. Points are displayed as outliers if they are above or below 1.5 times the interquartile range. nTPM values of the individual samples are presented next to the box plot.
Max subtype nTPMi

Max subtype nTPM is the value for the subtype with the largest average nTPM across the subtype samples.

6.3
GTEx sample id Sample description nTPM
Muscle - Skeletal
Average nTPM: 6.3
Samples: 803

Max nTPM: 20.3
Min nTPM: 1.3
Std nTPM: 2.0
Median nTPM: 6.1
GTEX-QVUS-0226-SM-3GIJY 60-69 years, female 20.3
GTEX-P44H-0426-SM-2XCEZ 40-49 years, male 18.1
GTEX-S32W-2326-SM-2XCAW 50-59 years, female 17.1
GTEX-14PJO-0526-SM-6EU2O 60-69 years, male 15.4
GTEX-SN8G-0326-SM-32PLG 50-59 years, female 14.3
GTEX-OIZI-0626-SM-2XCEH 40-49 years, male 13.3
GTEX-WFG8-2426-SM-3GILL 20-29 years, male 12.5
GTEX-VJWN-0426-SM-3GIJI 50-59 years, female 12.3
GTEX-1CB4J-1226-SM-7P8P3 60-69 years, male 12.1
GTEX-VJYA-1926-SM-3GIJJ 60-69 years, male 11.9
GTEX-14H4A-0926-SM-5ZZUU 40-49 years, female 11.8
GTEX-RN64-0326-SM-2TC5J 50-59 years, male 11.8
GTEX-RNOR-0526-SM-2TF4O 50-59 years, female 11.1
GTEX-SSA3-0326-SM-32QPS 60-69 years, male 11.0
GTEX-14C38-0426-SM-5TDDZ 50-59 years, male 10.9
GTEX-QVJO-0126-SM-3GIK4 60-69 years, female 10.9
GTEX-11EM3-2126-SM-5H11M 20-29 years, female 10.8
GTEX-14PJN-2126-SM-6AJBM 30-39 years, male 10.7
GTEX-QDT8-0526-SM-3NMD8 30-39 years, female 10.7
GTEX-WYVS-2326-SM-3NMAI 40-49 years, female 10.7
GTEX-1F48J-0526-SM-9WYSX 50-59 years, female 10.7
GTEX-ZYW4-0526-SM-5GZZ5 60-69 years, male 10.6
GTEX-QCQG-2126-SM-DTXFV 50-59 years, female 10.5
GTEX-YFC4-1026-SM-5RQJM 40-49 years, female 10.3
GTEX-ZYY3-0526-SM-5E45G 60-69 years, female 10.3
GTEX-PLZ4-0926-SM-2S1OI 50-59 years, female 10.2
GTEX-T2IS-2626-SM-32QPP 20-29 years, female 10.2
GTEX-1HC8U-2626-SM-CNPPH 40-49 years, female 10.2
GTEX-1117F-0426-SM-5EGHI 60-69 years, female 10.1
GTEX-15EO6-2826-SM-6PANB 50-59 years, male 10.1
GTEX-145MI-0326-SM-5Q5EV 60-69 years, female 9.9
GTEX-ZPIC-2526-SM-57WDP 40-49 years, female 9.9
GTEX-1GZHY-0126-SM-9WYUQ 50-59 years, female 9.9
GTEX-1JN76-0326-SM-ARZNJ 20-29 years, female 9.9
GTEX-P44G-0526-SM-2XCD1 30-39 years, male 9.8
GTEX-1JMQK-0326-SM-ARZN5 60-69 years, male 9.8
GTEX-12WSM-0326-SM-5LZVI 60-69 years, male 9.7
GTEX-13OW6-0626-SM-5L3IB 50-59 years, male 9.7
GTEX-16MT8-0326-SM-6PAM5 60-69 years, female 9.7
GTEX-13S7M-0326-SM-5S2PH 60-69 years, female 9.6
GTEX-14JG1-0126-SM-5ZZUP 40-49 years, male 9.6
GTEX-T6MN-0526-SM-32PMS 50-59 years, male 9.6
GTEX-13NYC-0726-SM-5J2NQ 60-69 years, male 9.5
GTEX-13O3Q-2726-SM-5KM51 50-59 years, male 9.5
GTEX-15SKB-2526-SM-6PALP 60-69 years, male 9.5
GTEX-1AX9I-0326-SM-73KXQ 60-69 years, male 9.5
GTEX-QDVN-2426-SM-2S1Q4 50-59 years, male 9.5
GTEX-ZDYS-1726-SM-5HL4Y 50-59 years, male 9.5
GTEX-1F6I4-0326-SM-7P8T8 60-69 years, male 9.5
GTEX-11NV4-0326-SM-5HL58 60-69 years, male 9.4
GTEX-REY6-0826-SM-2TF4S 60-69 years, male 9.4
GTEX-1LG7Y-0126-SM-E6CJ8 50-59 years, male 9.4
GTEX-13N11-2726-SM-5L3ER 50-59 years, female 9.3
GTEX-1GTWX-0326-SM-9WYTP 60-69 years, male 9.3
GTEX-113JC-2726-SM-5EGIS 50-59 years, female 9.2
GTEX-11TT1-2326-SM-5GU6N 20-29 years, male 9.2
GTEX-13PLJ-0326-SM-5L3I7 60-69 years, female 9.2
GTEX-13W3W-2626-SM-5SIA2 60-69 years, female 9.2
GTEX-147F3-0226-SM-5NQBV 50-59 years, female 9.2
GTEX-1B933-0426-SM-7DHMC 50-59 years, female 9.2
GTEX-SNMC-1426-SM-2XCFM 20-29 years, male 9.2
GTEX-V1D1-2426-SM-3GAER 50-59 years, male 9.2
GTEX-1ICLZ-0626-SM-ARL83 60-69 years, male 9.2
GTEX-1JMLX-0326-SM-CM2RP 50-59 years, male 9.2
GTEX-1JN1M-0526-SM-CJI3D 60-69 years, female 9.2
GTEX-18D9A-1826-SM-718BK 30-39 years, female 9.1
GTEX-P78B-1626-SM-5SI85 40-49 years, female 9.1
GTEX-WFG7-2226-SM-3GIKP 20-29 years, male 9.1
GTEX-13OVI-1726-SM-5L3DW 60-69 years, female 9.0
GTEX-15SHW-0726-SM-7KUEI 60-69 years, male 9.0
GTEX-S7PM-0526-SM-3NM92 60-69 years, male 9.0
GTEX-1HB9E-0326-SM-D3LA5 50-59 years, male 9.0
GTEX-1HCU7-0426-SM-D3L8Q 50-59 years, male 9.0
GTEX-13QBU-2426-SM-5LU4L 40-49 years, female 8.9
GTEX-14DAQ-0326-SM-664MR 60-69 years, female 8.9
GTEX-OXRO-1726-SM-3LK6C 60-69 years, female 8.9
GTEX-1HCU6-0526-SM-A9SKU 60-69 years, female 8.9
GTEX-14A5I-0326-SM-5NQ9J 50-59 years, female 8.8
GTEX-XBED-2626-SM-4E3J5 60-69 years, male 8.8
GTEX-1H23P-0526-SM-9WG6S 60-69 years, male 8.8
GTEX-139UW-2626-SM-5K7W1 60-69 years, male 8.7
GTEX-1B97I-2026-SM-7DHN2 40-49 years, male 8.7
GTEX-Y8LW-2026-SM-4V6G8 50-59 years, female 8.7
GTEX-1GN1W-0726-SM-9KNTV 50-59 years, female 8.7
GTEX-1H1ZS-0626-SM-CNPPU 70-79 years, male 8.7
GTEX-1HGF4-2626-SM-CM2SJ 60-69 years, male 8.7
GTEX-1IDJH-0226-SM-CYPSB 70-79 years, male 8.7
GTEX-1JMPY-1226-SM-CJI3A 30-39 years, male 8.7
GTEX-1KD5A-0726-SM-DIPEO 50-59 years, male 8.7
GTEX-1R9K4-0626-SM-E76OZ 60-69 years, male 8.7
GTEX-11ZTS-0526-SM-5CVL9 60-69 years, female 8.6
GTEX-13O3P-0626-SM-5L3D5 50-59 years, male 8.6
GTEX-13PVR-2526-SM-5RQIT 60-69 years, female 8.6
GTEX-17HHY-0326-SM-7938H 50-59 years, male 8.6
GTEX-PLZ6-1526-SM-2S1OC 30-39 years, male 8.6
GTEX-1HUB1-0526-SM-CL54N 60-69 years, male 8.6
GTEX-11EMC-2626-SM-59864 60-69 years, female 8.5
GTEX-11ZU8-2326-SM-5EQMJ 60-69 years, male 8.5
GTEX-132AR-1026-SM-5PNVL 50-59 years, female 8.5
GTEX-T5JW-1826-SM-3GAE1 20-29 years, female 8.5
GTEX-XPVG-2526-SM-4B66D 50-59 years, male 8.5
GTEX-1QP67-1826-SM-DTX8D 40-49 years, female 8.5
GTEX-139T4-0326-SM-5K7XN 50-59 years, female 8.4
GTEX-144GL-0326-SM-5QGOY 50-59 years, male 8.4
GTEX-14PJM-0426-SM-5ZZVN 50-59 years, female 8.4
GTEX-15SHU-0626-SM-7KUFH 40-49 years, female 8.4
GTEX-1B8L1-2726-SM-793AL 60-69 years, male 8.4
GTEX-XQ8I-0626-SM-4BOPT 50-59 years, male 8.4
GTEX-1I1GS-0326-SM-ARL7X 60-69 years, male 8.4
GTEX-1JMQI-2126-SM-CM2SC 50-59 years, male 8.4
GTEX-1LC47-0626-SM-DIPFE 60-69 years, male 8.4
GTEX-131XH-2726-SM-5GCO2 50-59 years, male 8.3
GTEX-146FH-0526-SM-5QGQ3 50-59 years, female 8.3
GTEX-S95S-1426-SM-2XCDM 60-69 years, male 8.3
GTEX-WOFM-1326-SM-3MJFR 20-29 years, male 8.3
GTEX-ZZPT-0626-SM-5GZXT 50-59 years, male 8.3
GTEX-1J8QM-2226-SM-CYPSK 60-69 years, female 8.3
GTEX-1JMQJ-0126-SM-E6CI2 50-59 years, male 8.3
GTEX-1N2DW-0426-SM-E9TK4 50-59 years, male 8.3
GTEX-13OVH-0626-SM-5L3EI 70-79 years, male 8.2
GTEX-1AYD5-2226-SM-73KX3 50-59 years, male 8.2
GTEX-U3ZG-0326-SM-47JXN 50-59 years, male 8.2
GTEX-UTHO-0726-SM-3GAEN 60-69 years, male 8.2
GTEX-1H3VE-0126-SM-9WYTW 40-49 years, male 8.2
GTEX-1IOXB-0326-SM-CL55M 50-59 years, male 8.2
GTEX-1K2DU-2526-SM-D3L8V 20-29 years, male 8.2
GTEX-1R9PO-2426-SM-EVYBS 60-69 years, female 8.2
GTEX-1399R-2526-SM-5IFG2 30-39 years, male 8.1
GTEX-13QJ3-0726-SM-5SI68 50-59 years, male 8.1
GTEX-QDVJ-1926-SM-2S1PJ 50-59 years, male 8.1
GTEX-RWSA-0726-SM-2XCBE 40-49 years, male 8.1
GTEX-1OFPY-2526-SM-DTXEK 60-69 years, male 8.1
GTEX-1PDJ9-0526-SM-DTXDL 20-29 years, male 8.1
GTEX-11ZUS-1426-SM-5FQSP 30-39 years, male 8.0
GTEX-13111-2226-SM-5LZUE 50-59 years, male 8.0
GTEX-145MH-0326-SM-5LU8H 50-59 years, male 8.0
GTEX-1B8SG-0326-SM-73KXW 50-59 years, male 8.0
GTEX-QEG4-0626-SM-2S1OY 30-39 years, male 8.0
GTEX-T8EM-1326-SM-3DB7G 40-49 years, male 8.0
GTEX-X638-0326-SM-47JY1 70-79 years, female 8.0
GTEX-YBZK-0326-SM-59HLN 50-59 years, female 8.0
GTEX-1QP66-1626-SM-E76PC 50-59 years, male 8.0
GTEX-11GSO-2526-SM-5PNVX 60-69 years, male 7.9
GTEX-11H98-0326-SM-5HL4S 50-59 years, male 7.9
GTEX-11O72-0326-SM-5986D 40-49 years, male 7.9
GTEX-11P81-2526-SM-5GU6H 30-39 years, female 7.9
GTEX-11TTK-0326-SM-5BC5N 60-69 years, female 7.9
GTEX-11XUK-2226-SM-5CVLL 40-49 years, female 7.9
GTEX-12696-2826-SM-5FQTY 60-69 years, male 7.9
GTEX-12C56-1926-SM-5FQUG 20-29 years, male 7.9
GTEX-13RTJ-2726-SM-73KVG 60-69 years, male 7.9
GTEX-17KNJ-2426-SM-7DHLR 50-59 years, male 7.9
GTEX-WY7C-2526-SM-3NB2N 50-59 years, male 7.9
GTEX-ZF2S-2126-SM-4WWAY 50-59 years, female 7.9
GTEX-ZVT3-0526-SM-5GIE9 60-69 years, female 7.9
GTEX-1JKYR-0326-SM-CNPOL 20-29 years, male 7.9
GTEX-1O9I2-0526-SM-EYYXI 50-59 years, male 7.9
GTEX-11PRG-0326-SM-5GU53 50-59 years, male 7.8
GTEX-11VI4-1926-SM-5CVLI 40-49 years, female 7.8
GTEX-1399T-2426-SM-5L3FJ 60-69 years, male 7.8
GTEX-145LU-2026-SM-5Q5E8 50-59 years, male 7.8
GTEX-1A3MX-0526-SM-718A9 60-69 years, male 7.8
GTEX-R53T-1826-SM-3GIJX 50-59 years, female 7.8
GTEX-U3ZN-2226-SM-3DB88 30-39 years, female 7.8
GTEX-YECK-0626-SM-4W1ZE 60-69 years, male 7.8
GTEX-Z93S-1326-SM-5CVMR 50-59 years, male 7.8
GTEX-1HR9M-0326-SM-CL549 60-69 years, male 7.8
GTEX-117YX-2526-SM-5EQ4Q 50-59 years, male 7.7
GTEX-11P82-1826-SM-5PNYJ 20-29 years, male 7.7
GTEX-12WSD-0526-SM-5EQ6F 60-69 years, female 7.7
GTEX-131YS-0526-SM-5EGKJ 60-69 years, female 7.7
GTEX-1399U-2526-SM-5L3DL 50-59 years, female 7.7
GTEX-13PVQ-0326-SM-5K7YF 50-59 years, male 7.7
GTEX-14BMU-2026-SM-5S2W6 20-29 years, female 7.7
GTEX-15ER7-0226-SM-7KUEU 20-29 years, female 7.7
GTEX-QLQ7-1726-SM-2S1QQ 60-69 years, male 7.7
GTEX-SUCS-1626-SM-32PLS 70-79 years, male 7.7
GTEX-1GMRU-0326-SM-9WYT6 50-59 years, male 7.7
GTEX-1HSMO-0526-SM-ACKXB 60-69 years, male 7.7
GTEX-111CU-2026-SM-5GZZC 50-59 years, male 7.6
GTEX-1192X-0426-SM-5GIEE 50-59 years, male 7.6
GTEX-13OVG-2126-SM-5KM1K 60-69 years, male 7.6
GTEX-15ETS-0326-SM-6PANH 40-49 years, female 7.6
GTEX-1A8G6-0126-SM-7DUFY 60-69 years, male 7.6
GTEX-WRHK-1626-SM-3MJFH 20-29 years, female 7.6
GTEX-XBEC-0626-SM-4QARY 50-59 years, male 7.6
GTEX-Y3I4-2326-SM-4TT81 50-59 years, male 7.6
GTEX-ZLV1-2126-SM-4WWD2 60-69 years, female 7.6
GTEX-1F88E-1826-SM-9MQLV 60-69 years, female 7.6
GTEX-1KANC-1626-SM-E6CIA 50-59 years, female 7.6
GTEX-12WSH-2526-SM-5CVNH 50-59 years, male 7.5
GTEX-132Q8-0626-SM-5L3F3 60-69 years, male 7.5
GTEX-13G51-2726-SM-5LZZ9 60-69 years, male 7.5
GTEX-14C39-2426-SM-5S2U5 40-49 years, male 7.5
GTEX-15UKP-0326-SM-7KUFP 20-29 years, male 7.5
GTEX-16YQH-0426-SM-7KUL7 30-39 years, male 7.5
GTEX-1AX9J-0126-SM-73KY2 60-69 years, male 7.5
GTEX-OHPN-2726-SM-2I5H4 60-69 years, female 7.5
GTEX-OXRL-1626-SM-2YUMU 50-59 years, male 7.5
GTEX-OXRP-2326-SM-2S1NL 60-69 years, female 7.5
GTEX-X4EO-0526-SM-3P5Z3 60-69 years, female 7.5
GTEX-Y114-2526-SM-4TT8M 50-59 years, female 7.5
GTEX-1C64N-0326-SM-7P8QC 50-59 years, male 7.5
GTEX-1HBPM-0426-SM-CKZOO 60-69 years, female 7.5
GTEX-1JKYN-1826-SM-ARZMZ 30-39 years, male 7.5
GTEX-1RQED-0426-SM-E6CJP 60-69 years, male 7.5
GTEX-1313W-0526-SM-5P9FZ 50-59 years, female 7.4
GTEX-13NYB-2726-SM-5J2MT 40-49 years, male 7.4
GTEX-1477Z-1626-SM-5SIA8 60-69 years, male 7.4
GTEX-18465-0326-SM-7LTAD 50-59 years, male 7.4
GTEX-RTLS-0526-SM-2TF64 60-69 years, female 7.4
GTEX-WHSB-1826-SM-3TW8M 50-59 years, male 7.4
GTEX-WL46-0626-SM-3LK7R 50-59 years, male 7.4
GTEX-XV7Q-2926-SM-4BRUL 40-49 years, female 7.4
GTEX-1CB4H-0426-SM-7MXTL 60-69 years, female 7.4
GTEX-1F5PK-2626-SM-7RHH6 50-59 years, male 7.4
GTEX-1QCLZ-0326-SM-DTXG2 60-69 years, female 7.4
GTEX-1QP9N-1926-SM-E6CPY 30-39 years, male 7.4
GTEX-13CF2-2726-SM-5LZWW 60-69 years, male 7.3
GTEX-13W46-0726-SM-5LU3Z 50-59 years, male 7.3
GTEX-13X6I-0526-SM-5QGP8 60-69 years, male 7.3
GTEX-145ME-2026-SM-5SIA5 40-49 years, female 7.3
GTEX-17F96-2726-SM-7LT9F 70-79 years, male 7.3
GTEX-1CB4E-2126-SM-793AP 60-69 years, male 7.3
GTEX-R55E-0526-SM-2TC6B 20-29 years, male 7.3
GTEX-TKQ2-0826-SM-33HB6 50-59 years, male 7.3
GTEX-ZT9X-1826-SM-57WDU 40-49 years, male 7.3
GTEX-ZZ64-1526-SM-5E43K 20-29 years, male 7.3
GTEX-1H3NZ-0326-SM-9MQL6 60-69 years, male 7.3
GTEX-1I1HK-0326-SM-ACKW5 60-69 years, male 7.3
GTEX-1ICG6-2726-SM-CKZPN 70-79 years, female 7.3
GTEX-14PJ6-2326-SM-6ETZR 60-69 years, female 7.2
GTEX-1B996-0326-SM-7DHMU 60-69 years, male 7.2
GTEX-QEG5-0426-SM-2I5GJ 20-29 years, male 7.2
GTEX-QESD-1626-SM-2S1RB 20-29 years, male 7.2
GTEX-X4XY-0626-SM-4E3IN 60-69 years, male 7.2
GTEX-Z9EW-1726-SM-5CVMO 40-49 years, male 7.2
GTEX-ZDTS-0526-SM-4WKH9 60-69 years, male 7.2
GTEX-ZQG8-1226-SM-51MRX 60-69 years, female 7.2
GTEX-1HSMP-0326-SM-A9SMC 70-79 years, male 7.2
GTEX-ZGAY-0726-SM-DO91O 40-49 years, female 7.2
GTEX-13OVL-1426-SM-5IJC1 50-59 years, male 7.1
GTEX-13X6K-0326-SM-5Q5D6 60-69 years, female 7.1
GTEX-145LS-0526-SM-5LU8Y 60-69 years, female 7.1
GTEX-14JG6-2126-SM-6EU2F 30-39 years, female 7.1
GTEX-15DCD-0626-SM-7KUG7 70-79 years, female 7.1
GTEX-17F97-0526-SM-7DUF8 50-59 years, male 7.1
GTEX-18A7B-0326-SM-7LG65 70-79 years, male 7.1
GTEX-1CAMS-0126-SM-79396 40-49 years, female 7.1
GTEX-Q2AI-1526-SM-3GIJ3 40-49 years, male 7.1
GTEX-RU72-1326-SM-2TF6T 50-59 years, female 7.1
GTEX-U3ZM-1226-SM-3DB9G 40-49 years, male 7.1
GTEX-X5EB-2326-SM-46MW5 40-49 years, male 7.1
GTEX-1128S-2426-SM-5H11B 60-69 years, female 7.0
GTEX-13113-5019-SM-7EPH2 60-69 years, female 7.0
GTEX-13PL7-0626-SM-5IJCD 60-69 years, female 7.0
GTEX-18QFQ-0326-SM-731C3 30-39 years, male 7.0
GTEX-1A3MW-0526-SM-731BY 60-69 years, female 7.0
GTEX-N7MS-0426-SM-2YUN6 60-69 years, male 7.0
GTEX-QV31-1426-SM-2S1QD 30-39 years, male 7.0
GTEX-SJXC-0526-SM-2XCFG 60-69 years, male 7.0
GTEX-UPJH-0526-SM-4IHK8 50-59 years, male 7.0
GTEX-Y8E5-0326-SM-57WBM 60-69 years, male 7.0
GTEX-ZAKK-0326-SM-5EGHA 70-79 years, male 7.0
GTEX-ZVZP-2526-SM-57WBR 50-59 years, male 7.0
GTEX-1CB4F-0326-SM-9MQKD 60-69 years, male 7.0
GTEX-1EWIQ-0626-SM-7PBYW 70-79 years, female 7.0
GTEX-1F75I-0526-SM-7RHI3 40-49 years, male 7.0
GTEX-1H1DE-1726-SM-A9G3G 20-29 years, male 7.0
GTEX-1HSKV-0126-SM-E6CI1 60-69 years, male 7.0
GTEX-1I1GV-0126-SM-CL55G 60-69 years, male 7.0
GTEX-1IKK5-0426-SM-CL53X 60-69 years, male 7.0
GTEX-1KAFJ-2326-SM-D3L8Z 50-59 years, male 7.0
GTEX-1LVAN-0526-SM-CNNQ1 50-59 years, female 7.0
GTEX-111FC-0326-SM-5GZZ1 60-69 years, male 6.9
GTEX-11LCK-1226-SM-5Q5AM 30-39 years, male 6.9
GTEX-13FTW-2326-SM-5K7YS 40-49 years, male 6.9
GTEX-14BMV-0326-SM-5RQHW 50-59 years, male 6.9
GTEX-14PJ3-2026-SM-5ZZVK 50-59 years, male 6.9
GTEX-14PJ5-2026-SM-6LLIN 60-69 years, female 6.9
GTEX-15CHR-2426-SM-7DUFX 50-59 years, male 6.9
GTEX-18A66-0126-SM-731CQ 60-69 years, male 6.9
GTEX-1B8SF-0426-SM-79OL4 60-69 years, male 6.9
GTEX-1C475-1726-SM-73KVX 40-49 years, female 6.9
GTEX-PWN1-1626-SM-2S1OL 40-49 years, female 6.9
GTEX-XOT4-0526-SM-4B66O 60-69 years, female 6.9
GTEX-1C6VS-0126-SM-7PC2H 60-69 years, male 6.9
GTEX-1F88F-2526-SM-7PC2R 60-69 years, female 6.9
GTEX-1I19N-2026-SM-ACKXJ 70-79 years, male 6.9
GTEX-1IKOH-0126-SM-COH4D 60-69 years, female 6.9
GTEX-1J8Q3-1426-SM-CKZPU 60-69 years, male 6.9
GTEX-1MJK3-1426-SM-E9TK1 20-29 years, male 6.9
GTEX-15G19-0526-SM-6PAMT 60-69 years, male 6.8
GTEX-15UF6-1026-SM-7KUF7 70-79 years, female 6.8
GTEX-17EVQ-1226-SM-7LG59 70-79 years, male 6.8
GTEX-P4PP-1626-SM-2HMJF 30-39 years, female 6.8
GTEX-WZTO-0826-SM-3NM8Q 40-49 years, male 6.8
GTEX-ZUA1-0326-SM-5NQA3 40-49 years, male 6.8
GTEX-ZYFC-0526-SM-5GIDF 50-59 years, male 6.8
GTEX-1GMR8-0326-SM-9KNUO 50-59 years, female 6.8
GTEX-1HT8W-0326-SM-CM2SG 30-39 years, male 6.8
GTEX-13CF3-1826-SM-5J1NK 60-69 years, female 6.7
GTEX-NFK9-0626-SM-2HMIV 40-49 years, male 6.7
GTEX-PSDG-0426-SM-5SI86 50-59 years, male 6.7
GTEX-R55C-1726-SM-3GADJ 40-49 years, male 6.7
GTEX-ZC5H-0326-SM-5HL9F 40-49 years, female 6.7
GTEX-ZVTK-0626-SM-5GU6Y 20-29 years, male 6.7
GTEX-1CAV2-2426-SM-7P8QF 40-49 years, female 6.7
GTEX-1F75A-0626-SM-7PBYI 50-59 years, male 6.7
GTEX-1IDJF-0326-SM-ADEIG 20-29 years, male 6.7
GTEX-1IY9M-0326-SM-ARZMN 60-69 years, male 6.7
GTEX-1MCYP-2026-SM-DTXE4 20-29 years, female 6.7
GTEX-1QAET-2026-SM-E9J3S 50-59 years, male 6.7
GTEX-WEY5-2026-SM-CYPRC 40-49 years, female 6.7
GTEX-11DXZ-2426-SM-5N9DT 50-59 years, male 6.6
GTEX-13X6J-0326-SM-7EPGD 50-59 years, male 6.6
GTEX-15F5U-1826-SM-6LLJF 40-49 years, male 6.6
GTEX-183FY-0226-SM-7LG54 20-29 years, male 6.6
GTEX-X261-0326-SM-3NMD4 50-59 years, male 6.6
GTEX-XPT6-2026-SM-4B64V 20-29 years, male 6.6
GTEX-Y111-0326-SM-4SOIX 50-59 years, male 6.6
GTEX-YEC4-2226-SM-5IFJT 40-49 years, male 6.6
GTEX-ZE9C-2326-SM-5J1NT 60-69 years, male 6.6
GTEX-ZTPG-0126-SM-5O9AL 20-29 years, female 6.6
GTEX-ZVE2-0626-SM-5GU7I 50-59 years, male 6.6
GTEX-ZYFD-0326-SM-5NQ8I 50-59 years, male 6.6
GTEX-1A8FM-0526-SM-7P8SF 50-59 years, female 6.6
GTEX-1F75W-0326-SM-7PC2Q 60-69 years, male 6.6
GTEX-1J1OQ-0426-SM-A9SLI 40-49 years, female 6.6
GTEX-1KANA-0926-SM-D3L9K 20-29 years, male 6.6
GTEX-1LGRB-2626-SM-CNPPR 50-59 years, female 6.6
GTEX-P4QT-1626-SM-DHXIR 50-59 years, female 6.6
GTEX-1122O-2426-SM-5GIDN 60-69 years, female 6.5
GTEX-11NUK-0226-SM-5A5L4 50-59 years, male 6.5
GTEX-131XW-0326-SM-5KM1J 50-59 years, female 6.5
GTEX-13FH7-2126-SM-5L3DJ 50-59 years, female 6.5
GTEX-13N2G-2326-SM-5J1ON 60-69 years, male 6.5
GTEX-13NZA-0526-SM-5L3D7 60-69 years, male 6.5
GTEX-13OVJ-0226-SM-5L3GK 50-59 years, female 6.5
GTEX-145LV-2326-SM-5LU8Z 50-59 years, male 6.5
GTEX-146FQ-0326-SM-5NQAX 30-39 years, male 6.5
GTEX-17MF6-2026-SM-7LG5I 40-49 years, male 6.5
GTEX-183WM-0426-SM-731B1 70-79 years, female 6.5
GTEX-18A6Q-0326-SM-718AT 60-69 years, male 6.5
GTEX-X8HC-0526-SM-4E3JA 50-59 years, female 6.5
GTEX-XBEW-1026-SM-4QARV 40-49 years, male 6.5
GTEX-Y5V6-2626-SM-5IFIX 60-69 years, male 6.5
GTEX-1H2FU-0526-SM-ACKXO 60-69 years, female 6.5
GTEX-1HBPI-0226-SM-ADEJ7 50-59 years, male 6.5
GTEX-1IDJE-2426-SM-ACKWF 50-59 years, female 6.5
GTEX-1J8EW-0326-SM-CYPSX 60-69 years, female 6.5
GTEX-1N2DV-0526-SM-DTX8W 40-49 years, male 6.5
GTEX-1PWST-0426-SM-E76QV 70-79 years, male 6.5
GTEX-1R46S-0326-SM-EWRNE 60-69 years, female 6.5
GTEX-12584-0526-SM-5FQTS 40-49 years, male 6.4
GTEX-13VXU-0326-SM-5LU36 50-59 years, male 6.4
GTEX-15CHC-2426-SM-6EU22 60-69 years, female 6.4
GTEX-15CHQ-0726-SM-6EU18 60-69 years, male 6.4
GTEX-17HII-0426-SM-793A3 50-59 years, male 6.4
GTEX-1A3MV-2026-SM-718BU 30-39 years, male 6.4
GTEX-1B932-0526-SM-73KU7 40-49 years, female 6.4
GTEX-POYW-0526-SM-2XCEY 60-69 years, male 6.4
GTEX-Y5LM-2126-SM-4VDSY 40-49 years, female 6.4
GTEX-ZV68-0526-SM-59HKI 50-59 years, female 6.4
GTEX-1GF9W-0526-SM-9MQJP 60-69 years, male 6.4
GTEX-1JJEA-0126-SM-D3L8A 60-69 years, male 6.4
GTEX-1LGOU-2126-SM-DIPFG 20-29 years, female 6.4
GTEX-1QMI2-0526-SM-DTXFU 60-69 years, male 6.4
GTEX-14E6D-0326-SM-62LDX 50-59 years, male 6.3
GTEX-1AMFI-2226-SM-731C6 50-59 years, female 6.3
GTEX-QXCU-1726-SM-2TC6L 50-59 years, male 6.3
GTEX-R55D-0626-SM-3GAD5 50-59 years, male 6.3
GTEX-WK11-2526-SM-3NM9Y 50-59 years, male 6.3
GTEX-YJ8O-2826-SM-5CVM4 40-49 years, female 6.3
GTEX-ZAJG-0526-SM-5S2MT 50-59 years, female 6.3
GTEX-ZYT6-1626-SM-5E45R 30-39 years, male 6.3
GTEX-1GZ4I-0526-SM-9YFLX 50-59 years, male 6.3
GTEX-1H1E6-2126-SM-9KNVM 30-39 years, male 6.3
GTEX-1HBPN-0526-SM-A9SM6 50-59 years, male 6.3
GTEX-1NHNU-1226-SM-DTX8I 50-59 years, male 6.3
GTEX-1S82P-0326-SM-E9TIR 60-69 years, female 6.3
GTEX-ZF29-2426-SM-DO92G 60-69 years, female 6.3
GTEX-ZLWG-2126-SM-DO91M 50-59 years, female 6.3
GTEX-117YW-2426-SM-5Q5AE 50-59 years, male 6.2
GTEX-11GS4-2526-SM-5A5KT 60-69 years, male 6.2
GTEX-12BJ1-2526-SM-5FQUE 60-69 years, male 6.2
GTEX-13112-2626-SM-5BC66 50-59 years, male 6.2
GTEX-13FTX-2026-SM-5L3D6 20-29 years, female 6.2
GTEX-14XAO-2226-SM-6LLHU 60-69 years, female 6.2
GTEX-15DZA-2026-SM-6PANE 30-39 years, female 6.2
GTEX-17EVP-1326-SM-7DHMR 40-49 years, male 6.2
GTEX-1BAJH-0126-SM-7DHMF 70-79 years, male 6.2
GTEX-W5WG-1926-SM-4KKZK 50-59 years, female 6.2
GTEX-1HSGN-0326-SM-ACKXQ 40-49 years, female 6.2
GTEX-1M5QR-1326-SM-EWROC 40-49 years, male 6.2
GTEX-13FHO-0726-SM-5IJDG 60-69 years, male 6.1
GTEX-13N1W-0526-SM-5MR4I 70-79 years, male 6.1
GTEX-146FR-1726-SM-5Q5DT 60-69 years, female 6.1
GTEX-147GR-0126-SM-62LER 60-69 years, male 6.1
GTEX-15SDE-2326-SM-6PAL4 50-59 years, female 6.1
GTEX-15SHV-2526-SM-6PAMG 60-69 years, male 6.1
GTEX-16XZY-2226-SM-7938N 70-79 years, male 6.1
GTEX-17EUY-0626-SM-793BE 20-29 years, male 6.1
GTEX-17HHE-2126-SM-7DHLO 50-59 years, male 6.1
GTEX-1AMEY-1526-SM-73KYW 30-39 years, female 6.1
GTEX-O5YT-1626-SM-32PK6 20-29 years, male 6.1
GTEX-R55G-2326-SM-2TC61 40-49 years, female 6.1
GTEX-U412-0326-SM-3DB9L 60-69 years, male 6.1
GTEX-WXYG-2526-SM-3NB3F 50-59 years, female 6.1
GTEX-XMD2-0526-SM-4YCDI 60-69 years, female 6.1
GTEX-ZVZO-0326-SM-5HL4N 40-49 years, male 6.1
GTEX-1EX96-1526-SM-7PBXK 50-59 years, male 6.1
GTEX-1F7RK-0326-SM-7RHH7 20-29 years, female 6.1
GTEX-1GN1U-2226-SM-9MQK1 50-59 years, female 6.1
GTEX-1GZ4H-1626-SM-7PC3F 50-59 years, female 6.1
GTEX-1H1DG-0326-SM-9QEHK 70-79 years, male 6.1
GTEX-1JMPZ-0126-SM-CNPOZ 30-39 years, male 6.1
GTEX-12WSC-0326-SM-5EQ5E 50-59 years, male 6.0
GTEX-13RTK-1626-SM-5QGQS 20-29 years, male 6.0
GTEX-14A5H-0326-SM-5RQIB 60-69 years, male 6.0
GTEX-16NPV-2426-SM-6M482 50-59 years, female 6.0
GTEX-16XZZ-0526-SM-7KUF1 60-69 years, male 6.0
GTEX-PWCY-2026-SM-5SI8R 20-29 years, female 6.0
GTEX-QEL4-0626-SM-3GIJM 50-59 years, male 6.0
GTEX-YF7O-2526-SM-5IFJX 50-59 years, male 6.0
GTEX-169BO-1526-SM-9KNVR 50-59 years, male 6.0
GTEX-1E2YA-0526-SM-7P8RY 50-59 years, male 6.0
GTEX-1F75B-0526-SM-7P8T5 50-59 years, male 6.0
GTEX-1H1CY-2726-SM-9MQLR 60-69 years, female 6.0
GTEX-1RAZQ-0426-SM-DTXFQ 30-39 years, male 6.0
GTEX-1RAZR-0326-SM-EWRNM 40-49 years, male 6.0
GTEX-11ZVC-2726-SM-5FQSZ 50-59 years, female 5.9
GTEX-139D8-0726-SM-5P9GJ 30-39 years, female 5.9
GTEX-145MG-0226-SM-5TDDB 50-59 years, male 5.9
GTEX-T5JC-0626-SM-3NMA6 20-29 years, male 5.9
GTEX-U8T8-1426-SM-3DB9H 60-69 years, male 5.9
GTEX-WOFL-0626-SM-3MJG3 60-69 years, male 5.9
GTEX-WYJK-1726-SM-3NM9U 50-59 years, male 5.9
GTEX-XUW1-0826-SM-4BOP6 50-59 years, female 5.9
GTEX-Y3IK-2626-SM-4WWDK 50-59 years, female 5.9
GTEX-YB5K-2326-SM-5IFHD 40-49 years, female 5.9
GTEX-YEC3-2126-SM-4YCDB 50-59 years, male 5.9
GTEX-ZAB4-0426-SM-5HL7N 40-49 years, male 5.9
GTEX-ZAK1-0526-SM-5K7X4 50-59 years, female 5.9
GTEX-ZP4G-2026-SM-57WEH 20-29 years, female 5.9
GTEX-1F6IF-0226-SM-7PBZ6 60-69 years, male 5.9
GTEX-1LSNL-0126-SM-EWRNR 50-59 years, male 5.9
GTEX-1LSNM-2326-SM-EWRO8 50-59 years, male 5.9
GTEX-1PPGY-0426-SM-DTXFE 60-69 years, male 5.9
GTEX-1S82U-1426-SM-E6CJL 30-39 years, female 5.9
GTEX-132NY-0726-SM-5KLZM 60-69 years, male 5.8
GTEX-139T6-2026-SM-5IFFL 50-59 years, male 5.8
GTEX-13O3O-0526-SM-5J1NL 60-69 years, female 5.8
GTEX-1445S-0626-SM-5LU3C 60-69 years, male 5.8
GTEX-147F4-0326-SM-5TDCK 50-59 years, male 5.8
GTEX-16GPK-0526-SM-7KUER 60-69 years, male 5.8
GTEX-16NPX-0626-SM-7KULB 50-59 years, male 5.8
GTEX-17HG3-2726-SM-7DHL5 30-39 years, female 5.8
GTEX-1A8G7-0326-SM-72D5B 60-69 years, male 5.8
GTEX-OHPK-1626-SM-2YUN3 50-59 years, female 5.8
GTEX-TML8-1826-SM-32QOR 40-49 years, female 5.8
GTEX-TMMY-0426-SM-33HBB 40-49 years, female 5.8
GTEX-U4B1-1626-SM-3DB8N 40-49 years, male 5.8
GTEX-ZF28-0526-SM-4WKGW 60-69 years, male 5.8
GTEX-12WSG-5016-SM-7SB84 50-59 years, female 5.8
GTEX-1GMR2-2126-SM-7P8TX 50-59 years, male 5.8
GTEX-1HFI6-0426-SM-B2LXB 40-49 years, male 5.8
GTEX-1I1GQ-0326-SM-A9SKS 50-59 years, male 5.8
GTEX-1J8Q2-0126-SM-E9J2G 60-69 years, male 5.8
GTEX-1LB8K-0126-SM-EVYCN 50-59 years, male 5.8
GTEX-1R9JW-2426-SM-DTXFI 30-39 years, female 5.8
GTEX-11TUW-2526-SM-5EQKN 60-69 years, male 5.7
GTEX-1211K-2126-SM-59HJZ 60-69 years, female 5.7
GTEX-13D11-2526-SM-5KM28 50-59 years, female 5.7
GTEX-13QIC-1226-SM-5K7YR 60-69 years, female 5.7
GTEX-13U4I-1826-SM-5IJD2 40-49 years, female 5.7
GTEX-144FL-0326-SM-5O99O 50-59 years, male 5.7
GTEX-148VJ-0326-SM-5QGQE 70-79 years, male 5.7
GTEX-14PQA-0526-SM-7KUFS 50-59 years, female 5.7
GTEX-1AX9K-2726-SM-7DHMA 50-59 years, male 5.7
GTEX-O5YV-2026-SM-2D7VS 60-69 years, female 5.7
GTEX-Q2AH-1826-SM-2S1Q2 40-49 years, male 5.7
GTEX-QV44-2026-SM-2S1RD 50-59 years, male 5.7
GTEX-ZYFG-2426-SM-5GIE8 60-69 years, female 5.7
GTEX-1CB4G-0426-SM-7MXUN 60-69 years, male 5.7
GTEX-1GF9V-0126-SM-9WYT2 60-69 years, male 5.7
GTEX-1IKJJ-0326-SM-CL55L 60-69 years, male 5.7
GTEX-1J8JJ-0126-SM-D3L93 60-69 years, female 5.7
GTEX-1RB15-2226-SM-DTXFZ 60-69 years, male 5.7
GTEX-S33H-2226-SM-DKPOP 30-39 years, male 5.7
GTEX-111YS-2326-SM-5987L 60-69 years, male 5.6
GTEX-11DXW-0726-SM-5H12J 40-49 years, male 5.6
GTEX-1212Z-2626-SM-5YY8P 60-69 years, male 5.6
GTEX-12WSN-2526-SM-5LZU8 40-49 years, male 5.6
GTEX-139TS-2626-SM-5J1MT 60-69 years, male 5.6
GTEX-13JUV-2326-SM-5IJCE 40-49 years, female 5.6
GTEX-13O21-1726-SM-5MR5A 50-59 years, male 5.6
GTEX-145MN-2426-SM-5NQA5 30-39 years, male 5.6
GTEX-14BIL-0326-SM-5SI9Q 50-59 years, male 5.6
GTEX-15RIF-2126-SM-7KUM8 20-29 years, male 5.6
GTEX-1C6VQ-0326-SM-7DHMS 50-59 years, male 5.6
GTEX-RWS6-2126-SM-2XCAV 60-69 years, female 5.6
GTEX-SIU8-0526-SM-2XCDP 50-59 years, male 5.6
GTEX-XYKS-2426-SM-4AT43 60-69 years, female 5.6
GTEX-Y8DK-0326-SM-4TT3P 60-69 years, male 5.6
GTEX-ZDXO-0326-SM-4WKHJ 60-69 years, male 5.6
GTEX-ZVT4-0326-SM-51MS5 50-59 years, female 5.6
GTEX-1GPI6-0326-SM-9MQM6 60-69 years, male 5.6
GTEX-1MJIX-2126-SM-E9J3A 40-49 years, male 5.6
GTEX-1QW4Y-1726-SM-EWRN1 30-39 years, male 5.6
GTEX-1R9PN-1826-SM-E8VO4 40-49 years, female 5.6
GTEX-11DXX-2726-SM-5PNXO 60-69 years, female 5.5
GTEX-139TT-0426-SM-5IJFA 60-69 years, male 5.5
GTEX-13S86-2326-SM-5RQK1 40-49 years, male 5.5
GTEX-14ABY-0126-SM-62LDI 50-59 years, male 5.5
GTEX-15RJ7-2426-SM-6M48L 40-49 years, male 5.5
GTEX-15SB6-1826-SM-6PALN 50-59 years, female 5.5
GTEX-16AAH-1826-SM-7939D 50-59 years, male 5.5
GTEX-16BQI-0326-SM-6PAM4 30-39 years, female 5.5
GTEX-18A7A-0626-SM-718BJ 50-59 years, female 5.5
GTEX-1C6WA-0326-SM-7DUGE 60-69 years, male 5.5
GTEX-OIZH-1626-SM-2HMKI 50-59 years, male 5.5
GTEX-P4PQ-1626-SM-2HMKK 60-69 years, male 5.5
GTEX-PLZ5-1726-SM-2I5F6 50-59 years, male 5.5
GTEX-RM2N-1626-SM-2TF5N 50-59 years, male 5.5
GTEX-ZZPU-2626-SM-5E45Y 50-59 years, female 5.5
GTEX-1AX8Z-5004-SM-ARZLD 60-69 years, male 5.5
GTEX-1FIGZ-1726-SM-9MQKS 40-49 years, male 5.5
GTEX-1HCU9-1926-SM-9WYSE 20-29 years, male 5.5
GTEX-1JJ6O-0926-SM-CYPT1 60-69 years, male 5.5
GTEX-1MA7W-1826-SM-DIPFP 20-29 years, female 5.5
GTEX-1RQEC-0126-SM-E9J2H 60-69 years, male 5.5
GTEX-11WQC-2626-SM-5CVLF 60-69 years, male 5.4
GTEX-12126-0526-SM-5PNW4 20-29 years, male 5.4
GTEX-12WSF-0926-SM-6PALU 70-79 years, male 5.4
GTEX-13YAN-0526-SM-5O9BE 60-69 years, male 5.4
GTEX-16MTA-2026-SM-7KUL3 50-59 years, male 5.4
GTEX-1E1VI-0426-SM-7DHN1 50-59 years, male 5.4
GTEX-OOBJ-1626-SM-2I3F7 60-69 years, male 5.4
GTEX-XUYS-0326-SM-47JX2 50-59 years, male 5.4
GTEX-Y8E4-1026-SM-4VBQ5 40-49 years, male 5.4
GTEX-1I1GR-0326-SM-CKZPI 60-69 years, male 5.4
GTEX-1IDJU-2426-SM-ARZM9 60-69 years, female 5.4
GTEX-ZLFU-2526-SM-DO91K 40-49 years, male 5.4
GTEX-117XS-2526-SM-5H11G 60-69 years, male 5.3
GTEX-11DZ1-0926-SM-5EQ5R 50-59 years, male 5.3
GTEX-11ONC-2426-SM-5GU7H 60-69 years, male 5.3
GTEX-11P7K-1926-SM-5GU6R 30-39 years, male 5.3
GTEX-12KS4-0826-SM-5BC5R 30-39 years, male 5.3
GTEX-12ZZX-0326-SM-5DUVH 40-49 years, female 5.3
GTEX-13FTY-0226-SM-5IJBW 40-49 years, female 5.3
GTEX-14A6H-5019-SM-793DH 30-39 years, male 5.3
GTEX-14BIM-0326-SM-5SI9B 60-69 years, female 5.3
GTEX-14E6C-1526-SM-664ND 40-49 years, male 5.3
GTEX-ZA64-2026-SM-5PNXT 20-29 years, male 5.3
GTEX-ZVE1-0526-SM-5NQ71 50-59 years, female 5.3
GTEX-1H3O1-0626-SM-9MQM4 60-69 years, male 5.3
GTEX-1I1GU-2126-SM-CGQF9 40-49 years, male 5.3
GTEX-1JN6P-0526-SM-COH33 60-69 years, male 5.3
GTEX-1K9T9-0326-SM-EWRNQ 50-59 years, female 5.3
GTEX-1KWVE-0926-SM-CXZKP 30-39 years, male 5.3
GTEX-1PBJJ-0326-SM-E8VNT 30-39 years, male 5.3
GTEX-1QP6S-0426-SM-DTXG4 40-49 years, male 5.3
GTEX-ZQUD-1726-SM-7P8ON 30-39 years, male 5.3
GTEX-11OF3-2526-SM-5P9JL 60-69 years, male 5.2
GTEX-11UD2-0326-SM-5EQLE 50-59 years, male 5.2
GTEX-12WSJ-1726-SM-5LZVV 40-49 years, female 5.2
GTEX-13IVO-0626-SM-5LZYJ 70-79 years, male 5.2
GTEX-13RTL-0326-SM-7LT89 40-49 years, male 5.2
GTEX-145MO-0726-SM-5NQB9 60-69 years, male 5.2
GTEX-14C5O-0626-SM-664N2 60-69 years, male 5.2
GTEX-17JCI-0326-SM-7LG5H 60-69 years, female 5.2
GTEX-18D9B-0426-SM-7LTAR 60-69 years, male 5.2
GTEX-1C4CL-0326-SM-7DHMH 30-39 years, male 5.2
GTEX-Q734-2026-SM-3GADA 40-49 years, female 5.2
GTEX-XAJ8-1026-SM-47JY9 40-49 years, male 5.2
GTEX-ZV6S-2126-SM-4YCEM 40-49 years, female 5.2
GTEX-1EMGI-0326-SM-9MQM5 60-69 years, male 5.2
GTEX-1HCVE-0326-SM-CGQEW 50-59 years, male 5.2
GTEX-1LVAM-0326-SM-DIPFL 50-59 years, female 5.2
GTEX-1NUQO-0726-SM-E9J3K 20-29 years, female 5.2
GTEX-1RAZA-0526-SM-E76R2 20-29 years, male 5.2
GTEX-13FTZ-2226-SM-5LZXI 60-69 years, male 5.1
GTEX-13OW7-0326-SM-5J1MP 50-59 years, male 5.1
GTEX-14PN4-0326-SM-6EU2N 50-59 years, male 5.1
GTEX-16Z82-0126-SM-7DHLF 60-69 years, male 5.1
GTEX-18D9U-0626-SM-7LTA4 40-49 years, male 5.1
GTEX-1A32A-0526-SM-731B9 50-59 years, female 5.1
GTEX-PX3G-1626-SM-2S1PT 20-29 years, female 5.1
GTEX-TSE9-0526-SM-3DB7Z 60-69 years, female 5.1
GTEX-XGQ4-2326-SM-4AT53 50-59 years, male 5.1
GTEX-1GF9U-2326-SM-7RHH9 40-49 years, female 5.1
GTEX-1I1GP-2126-SM-CKZPJ 50-59 years, male 5.1
GTEX-1I6K7-0326-SM-B2LXO 40-49 years, male 5.1
GTEX-1IDFM-1526-SM-ARL7U 60-69 years, male 5.1
GTEX-1IL2U-0726-SM-EAZ2Y 60-69 years, male 5.1
GTEX-1J1R8-2326-SM-CKZPS 40-49 years, male 5.1
GTEX-1LG7Z-2126-SM-CXKYU 30-39 years, male 5.1
GTEX-1LVA9-0326-SM-DLHBU 50-59 years, male 5.1
GTEX-1QP28-0526-SM-E8VNR 50-59 years, female 5.1
GTEX-1R9K5-0326-SM-EWRNG 50-59 years, male 5.1
GTEX-1S5ZA-0526-SM-EWRO1 20-29 years, male 5.1
GTEX-11ZTT-2626-SM-5EQKK 60-69 years, female 5.0
GTEX-131XF-2326-SM-5BC6B 60-69 years, male 5.0
GTEX-13O1R-0526-SM-5K7XU 60-69 years, male 5.0
GTEX-14DAR-1826-SM-664N1 50-59 years, male 5.0
GTEX-17F98-1626-SM-7938R 40-49 years, female 5.0
GTEX-1B8KZ-2126-SM-73KYG 50-59 years, male 5.0
GTEX-1C2JI-2126-SM-793CG 50-59 years, male 5.0
GTEX-Q2AG-0426-SM-2S1PU 40-49 years, female 5.0
GTEX-ZXG5-0326-SM-5GICH 60-69 years, male 5.0
GTEX-1CAMQ-0326-SM-7MXUI 40-49 years, male 5.0
GTEX-1H3VY-0326-SM-9WYU6 50-59 years, male 5.0
GTEX-1I4MK-2326-SM-ADEHR 50-59 years, female 5.0
GTEX-1IDJC-2026-SM-ADEIK 50-59 years, male 5.0
GTEX-1IGQW-0526-SM-CKZO3 60-69 years, male 5.0
GTEX-1S5VW-0526-SM-E6CHL 60-69 years, male 5.0
GTEX-1S82Y-2226-SM-EWRNV 40-49 years, male 5.0
GTEX-11EI6-0326-SM-5EQ6G 60-69 years, male 4.9
GTEX-13VXT-0326-SM-5LU4U 20-29 years, female 4.9
GTEX-14JIY-0426-SM-62LF7 60-69 years, male 4.9
GTEX-15D79-0526-SM-6ETZP 50-59 years, male 4.9
GTEX-15G1A-2026-SM-7KUFG 30-39 years, male 4.9
GTEX-17MFQ-1926-SM-793A6 20-29 years, male 4.9
GTEX-1C6VR-2526-SM-7DHMT 60-69 years, male 4.9
GTEX-OXRN-1326-SM-3LK5V 50-59 years, male 4.9
GTEX-R3RS-0526-SM-3GADG 40-49 years, female 4.9
GTEX-1KD4Q-0326-SM-E9TJA 40-49 years, male 4.9
GTEX-1PIGE-0226-SM-E76OT 20-29 years, male 4.9
GTEX-1R7EV-2026-SM-DTX83 40-49 years, male 4.9
GTEX-111VG-2626-SM-5GZY2 60-69 years, male 4.8
GTEX-131XE-2726-SM-5P9G7 50-59 years, male 4.8
GTEX-13FXS-0326-SM-5K7TV 50-59 years, male 4.8
GTEX-17GQL-1926-SM-718B9 60-69 years, male 4.8
GTEX-17HGU-0626-SM-7939Y 50-59 years, male 4.8
GTEX-QLQW-1326-SM-2S1QS 30-39 years, male 4.8
GTEX-TMZS-0326-SM-3DB9P 60-69 years, male 4.8
GTEX-WHPG-2226-SM-3NMBO 50-59 years, male 4.8
GTEX-WRHU-0826-SM-3MJFN 50-59 years, female 4.8
GTEX-X88G-0326-SM-47JZ4 30-39 years, male 4.8
GTEX-ZY6K-2026-SM-5GZXQ 50-59 years, male 4.8
GTEX-1F5PL-0426-SM-7P8PR 40-49 years, female 4.8
GTEX-1H4P4-0626-SM-9YFKZ 50-59 years, male 4.8
GTEX-1HFI7-1926-SM-A96TQ 50-59 years, female 4.8
GTEX-1LH75-2626-SM-E9TKL 50-59 years, female 4.8
GTEX-1R7EU-0626-SM-DTX9N 60-69 years, male 4.8
GTEX-1S83E-2126-SM-EWRO6 40-49 years, male 4.8
GTEX-13OW8-1426-SM-5IJDT 60-69 years, male 4.7
GTEX-14E6E-2026-SM-664N5 30-39 years, male 4.7
GTEX-16NGA-1926-SM-7LTA6 40-49 years, female 4.7
GTEX-PW2O-1726-SM-2S1OO 20-29 years, male 4.7
GTEX-U3ZH-1926-SM-4DXTR 30-39 years, male 4.7
GTEX-1I1GT-0726-SM-B2LWN 60-69 years, female 4.7
GTEX-1JK1U-2226-SM-CNNPL 60-69 years, male 4.7
GTEX-1M4P7-0126-SM-DKPQF 60-69 years, male 4.7
GTEX-1PIIG-0126-SM-E9J46 30-39 years, male 4.7
GTEX-1QPFJ-0326-SM-E8VO2 30-39 years, female 4.7
GTEX-1R9PM-2226-SM-E8VOC 20-29 years, male 4.7
GTEX-XMD1-0626-SM-EZ6MC 60-69 years, male 4.7
GTEX-12ZZY-0626-SM-5EQ5T 60-69 years, male 4.6
GTEX-1314G-1726-SM-5LZUX 30-39 years, male 4.6
GTEX-131XG-2326-SM-5HL8F 50-59 years, female 4.6
GTEX-13NZ9-0626-SM-5IJCO 50-59 years, male 4.6
GTEX-X4XX-0626-SM-3NMC1 60-69 years, male 4.6
GTEX-1HCUA-2326-SM-ACKVJ 50-59 years, female 4.6
GTEX-1MCC2-2726-SM-EWRN3 30-39 years, female 4.6
GTEX-1N2EF-0526-SM-E76OK 60-69 years, male 4.6
GTEX-11DXY-2726-SM-5GID2 60-69 years, male 4.5
GTEX-1269C-2626-SM-5EQ5C 60-69 years, female 4.5
GTEX-1CB4I-0326-SM-7DHMM 50-59 years, male 4.5
GTEX-OIZG-1326-SM-2HMIQ 50-59 years, male 4.5
GTEX-OXRK-1826-SM-2HMJE 50-59 years, female 4.5
GTEX-POMQ-1926-SM-3NB1Y 20-29 years, female 4.5
GTEX-UJMC-1826-SM-3GADT 50-59 years, male 4.5
GTEX-XQ3S-0426-SM-4BOOA 20-29 years, male 4.5
GTEX-1B97J-1226-SM-7PBZR 50-59 years, female 4.5
GTEX-1GF9X-2126-SM-7PBXN 40-49 years, female 4.5
GTEX-1GN73-0126-SM-CNPPT 60-69 years, male 4.5
GTEX-1HKZK-0226-SM-9WYUG 40-49 years, male 4.5
GTEX-1PPH8-0326-SM-E76PR 20-29 years, male 4.5
GTEX-11UD1-0326-SM-5EQKX 40-49 years, female 4.4
GTEX-1399Q-2426-SM-5J2MO 40-49 years, male 4.4
GTEX-139YR-2526-SM-5IJC6 50-59 years, male 4.4
GTEX-13JVG-0126-SM-5L3D3 60-69 years, male 4.4
GTEX-13SLW-0326-SM-5RQK5 70-79 years, male 4.4
GTEX-17F9E-0226-SM-79OKK 50-59 years, male 4.4
GTEX-XUZC-2126-SM-4BRW8 30-39 years, female 4.4
GTEX-YB5E-2226-SM-5IFJ5 40-49 years, male 4.4
GTEX-ZF3C-0326-SM-4WWBF 50-59 years, female 4.4
GTEX-1IL2V-0526-SM-ARL8B 70-79 years, male 4.4
GTEX-1K2DA-2226-SM-CGQGM 50-59 years, male 4.4
GTEX-1PIEJ-0326-SM-EVYB5 20-29 years, female 4.4
GTEX-1QCLY-0426-SM-E8VOH 30-39 years, male 4.4
GTEX-11I78-2426-SM-5A5K9 50-59 years, female 4.3
GTEX-1339X-2426-SM-5KLYU 40-49 years, male 4.3
GTEX-14AS3-2126-SM-5S2MK 40-49 years, female 4.3
GTEX-14PJ2-0326-SM-6EU2Q 50-59 years, male 4.3
GTEX-WWTW-0626-SM-4MVNS 50-59 years, male 4.3
GTEX-1EN7A-0326-SM-7P8T1 40-49 years, male 4.3
GTEX-1GN1V-0326-SM-9WYTO 60-69 years, male 4.3
GTEX-1HSMQ-1326-SM-ADEHS 50-59 years, male 4.3
GTEX-13FHP-0526-SM-5K7UY 50-59 years, male 4.2
GTEX-13O61-2326-SM-5J1NJ 60-69 years, male 4.2
GTEX-13X6H-2326-SM-7EWEB 50-59 years, female 4.2
GTEX-15RIG-0426-SM-7KUF4 40-49 years, male 4.2
GTEX-OHPL-1626-SM-2HMIR 60-69 years, female 4.2
GTEX-Y9LG-1926-SM-5IFHY 30-39 years, male 4.2
GTEX-ZPCL-2026-SM-57WFD 60-69 years, female 4.2
GTEX-1EH9U-0326-SM-7P8S2 60-69 years, male 4.2
GTEX-1EU9M-0126-SM-7P8P8 60-69 years, male 4.2
GTEX-1QP2A-0526-SM-E8VN5 50-59 years, male 4.2
GTEX-12WSL-2726-SM-5CVNL 50-59 years, male 4.1
GTEX-1497J-2626-SM-5SI9K 60-69 years, male 4.1
GTEX-14ASI-0526-SM-5QGQP 60-69 years, male 4.1
GTEX-14PJ4-2426-SM-6EU1U 60-69 years, male 4.1
GTEX-RUSQ-1726-SM-2TF68 50-59 years, male 4.1
GTEX-1I6K6-0326-SM-CJI4A 30-39 years, male 4.1
GTEX-1IDJD-1326-SM-CM2TQ 30-39 years, male 4.1
GTEX-1IE54-0326-SM-ARZMD 40-49 years, female 4.1
GTEX-1QEPI-0526-SM-E76QF 60-69 years, female 4.1
GTEX-18A67-0326-SM-7LG5X 50-59 years, male 4.0
GTEX-TKQ1-1426-SM-4GICK 30-39 years, male 4.0
GTEX-WFON-2326-SM-3LK7M 40-49 years, male 4.0
GTEX-1F52S-0826-SM-7P8TQ 60-69 years, female 4.0
GTEX-1LVAO-0526-SM-EWRNS 60-69 years, male 4.0
GTEX-OIZF-1626-SM-2YUNE 60-69 years, male 4.0
GTEX-12WSA-0726-SM-5FQU2 60-69 years, male 3.9
GTEX-13PL6-0326-SM-5IJCP 40-49 years, female 3.9
GTEX-144GO-1326-SM-5Q5EL 60-69 years, male 3.9
GTEX-14ICL-1926-SM-5RQIZ 30-39 years, male 3.9
GTEX-ZVT2-2426-SM-57WCQ 50-59 years, female 3.9
GTEX-1GPI7-0426-SM-7RHHP 20-29 years, male 3.9
GTEX-1GZ2Q-0426-SM-9WPOU 40-49 years, male 3.9
GTEX-11OC5-0326-SM-5PNW5 60-69 years, male 3.8
GTEX-133LE-2026-SM-5K7WM 20-29 years, female 3.8
GTEX-14LZ3-0626-SM-5ZZWP 60-69 years, female 3.8
GTEX-1CAMR-1726-SM-793CU 20-29 years, male 3.8
GTEX-V955-2426-SM-3GAEF 60-69 years, male 3.8
GTEX-WHSE-0526-SM-5GZZD 20-29 years, male 3.8
GTEX-13OVK-1926-SM-6M48G 40-49 years, male 3.7
GTEX-SE5C-1826-SM-2XCE4 40-49 years, female 3.7
GTEX-1GMR3-2126-SM-9WYTZ 40-49 years, male 3.7
GTEX-1JMQL-0126-SM-CY8HN 50-59 years, female 3.7
GTEX-1KXAM-2426-SM-DIPFC 60-69 years, male 3.7
GTEX-1P4AB-0326-SM-EXUT3 50-59 years, male 3.7
GTEX-1PPH7-2526-SM-E76OJ 40-49 years, male 3.7
GTEX-11EQ9-2126-SM-5PNVW 30-39 years, male 3.6
GTEX-139TU-0526-SM-5J2M8 60-69 years, male 3.6
GTEX-144GN-2426-SM-5LU4R 50-59 years, male 3.6
GTEX-14E1K-2326-SM-664MP 50-59 years, male 3.6
GTEX-ZAB5-2126-SM-5K7UN 50-59 years, male 3.6
GTEX-13SLX-0326-SM-5Q5E4 50-59 years, female 3.5
GTEX-ZTX8-1626-SM-51MRY 20-29 years, male 3.5
GTEX-1KANB-0126-SM-E6CJT 50-59 years, male 3.5
GTEX-1LBAC-0326-SM-DIPF1 20-29 years, male 3.5
GTEX-1399S-2726-SM-5KM22 30-39 years, female 3.4
GTEX-13PDP-0326-SM-5K7XP 60-69 years, male 3.4
GTEX-147JS-0526-SM-5TDD3 60-69 years, male 3.4
GTEX-14PII-0626-SM-69LPY 60-69 years, male 3.4
GTEX-UJHI-1726-SM-3DB9B 50-59 years, female 3.4
GTEX-Y5V5-2526-SM-4VBQ4 60-69 years, female 3.4
GTEX-1ICLY-0326-SM-ARL7S 50-59 years, male 3.4
GTEX-1IDJV-0426-SM-COH3Z 60-69 years, male 3.4
GTEX-13NZB-2626-SM-5J2M7 30-39 years, male 3.3
GTEX-14LLW-0526-SM-62LFB 70-79 years, female 3.3
GTEX-1C64O-0326-SM-73KVW 60-69 years, male 3.3
GTEX-ZEX8-2526-SM-DO92M 50-59 years, male 3.3
GTEX-OOBK-1626-SM-2HMKG 40-49 years, male 3.2
GTEX-1H11D-0326-SM-9WG71 40-49 years, male 3.2
GTEX-1L5NE-2226-SM-CXZKS 50-59 years, male 3.2
GTEX-1MCQQ-0626-SM-E9U5Q 60-69 years, male 3.2
GTEX-11NSD-2026-SM-5HL5U 20-29 years, male 3.1
GTEX-139T8-0526-SM-5KLZL 60-69 years, male 3.1
GTEX-1B8KE-2226-SM-7939K 50-59 years, male 3.1
GTEX-ZE7O-0326-SM-51MTH 50-59 years, female 3.1
GTEX-1HSEH-0326-SM-A9G26 60-69 years, male 3.1
GTEX-1MUQO-0226-SM-E9TJL 60-69 years, male 3.1
GTEX-12ZZZ-0226-SM-59HKU 60-69 years, male 3.0
GTEX-15DDE-0526-SM-6ETZQ 50-59 years, female 3.0
GTEX-RU1J-1726-SM-2TF5S 20-29 years, female 3.0
GTEX-11GSP-2726-SM-5A5LJ 60-69 years, female 2.9
GTEX-144GM-2026-SM-5LU3D 20-29 years, male 2.9
GTEX-14PK6-2126-SM-6ETZV 70-79 years, female 2.9
GTEX-1HBPH-0826-SM-ARZNB 40-49 years, female 2.9
GTEX-15UF7-2226-SM-6PAMQ 40-49 years, male 2.8
GTEX-ZV7C-2426-SM-5NQ7Q 50-59 years, male 2.7
GTEX-145LT-1626-SM-5O992 40-49 years, male 2.6
GTEX-YFCO-1926-SM-4W212 40-49 years, male 2.6
GTEX-ZWKS-0326-SM-5NQ7G 30-39 years, male 2.6
GTEX-13OW5-0326-SM-5L3HK 60-69 years, male 2.5
GTEX-14753-0526-SM-5QGPR 60-69 years, male 2.5
GTEX-15RIE-2426-SM-7KUDS 60-69 years, male 2.4
GTEX-VUSG-2626-SM-4KKZI 50-59 years, male 2.2
GTEX-1GN2E-0726-SM-9MQLU 60-69 years, male 2.2
GTEX-1LNCM-1226-SM-E9U5C 50-59 years, female 2.0
GTEX-U8XE-0726-SM-3DB8O 30-39 years, male 1.9
GTEX-11WQK-0726-SM-5GU71 50-59 years, male 1.8
GTEX-WWYW-0526-SM-3NB2W 50-59 years, female 1.8
GTEX-13NYS-0326-SM-5MR4L 60-69 years, male 1.6
GTEX-P4QS-1626-SM-2S1NH 60-69 years, male 1.6
GTEX-ZVP2-2126-SM-5GU6E 50-59 years, male 1.6
GTEX-SNOS-1526-SM-32PLW 40-49 years, male 1.4
GTEX-11EQ8-0526-SM-5N9BC 60-69 years, male 1.3
Show allShow less

SKELETAL MUSCLE - FANTOM5 CAGEi

RNA expression in human tissues obtained through Cap Analysis of Gene Expression (CAGE) generated by the FANTOM5 project are reported as Scaled Tags Per Million.

Max subtype Scaled Tags Per Millioni

Max subtype Scaled Tags Per Million is the value for the subtype with the largest average Scaled Tags Per Million across the subtype samples.

25.1
FANTOM5 sample id Sample description Scaled Tags Per Million
Skeletal muscle
Scaled Tags Per Million: 21.6
FF:10023-101D5 55,79,79 years, mixed 21.6
Skeletal muscle - soleus muscle
Scaled Tags Per Million: 25.1
FF:10282-104F3 male 25.1

Contact

  • NEWS ARTICLES
  • PRESS ROOM

The Project

  • INTRODUCTION
  • ORGANIZATION
  • PUBLICATIONS

The Human Protein Atlas

  • DOWNLOADABLE DATA
  • LICENCE & CITATION
  • HELP & FAQ
The Human Protein Atlas project is funded
by the Knut & Alice Wallenberg Foundation.


contact@proteinatlas.org