We use cookies to enhance the usability of our website. If you continue, we'll assume that you are happy to receive all cookies. More information. Don't show this again.
ASRGL1
HPA
RESOURCES
  • TISSUE
  • BRAIN
  • SINGLE CELL
  • SUBCELLULAR
  • CANCER
  • BLOOD
  • CELL LINE
  • STRUCTURE & INTERACTION
ABOUT
  • INTRODUCTION
  • HISTORY
  • ORGANIZATION
  • PUBLICATIONS
  • ANTIBODY SUBMISSION
  • ANTIBODY AVAILABILITY
  • ACKNOWLEDGMENTS
  • CONTACT
NEWS
  • NEWS ARTICLES
  • PRESS ROOM
LEARN
  • DICTIONARY
  • PROTEIN CLASSES
  • PROTEIN EVIDENCE
  • METHODS
  • EDUCATIONAL VIDEOS
DATA
  • DOWNLOADABLE DATA
  • PUBLICATION DATA
  • RELEASE HISTORY
HELP
  • ANTIBODY VALIDATION
  • ASSAYS & ANNOTATION
  • DISCLAIMER
  • HELP & FAQ
  • PRIVACY STATEMENT
  • LICENCE & CITATION
Fields »
Search result

Field
Term
Gene name
Class
Subclass
Class
Keyword
Chromosome
External id
Tissue
Cell type
Expression
Antibody panel
Tissue
Main location
Patient ID
Annotation
Tissue
Category
Tau score
Cluster
Reliability
Brain region
Category
Tau score
Brain region
Category
Tau score
Brain region
Category
Tau score
Cluster
Reliability
Tissue
Cell type
Enrichment
Cell type
Category
Tau score
Cell type
Category
Tau score
Cell type
Category
Tau score
Cell lineage
Category
Tau score
Cluster
Cluster
Location
Searches
Location
Cell line
Class
Type
Phase
Reliability
Cancer
Prognosis
Cancer
Category
Cancer
Category
Tau score
Cluster
Variants
Interacting gene (ensg_id)
Type
Number of interactions
Pathway
Category
Score
Score
Score
Validation
Validation
Validation
Validation
Antibodies
Data type
Column


  • SUMMARY

  • TISSUE

  • BRAIN

  • SINGLE CELL

  • SUBCELL

  • CANCER

  • BLOOD

  • CELL LINE

  • STRUCT & INT

  • ASRGL1
TISSUE PRIMARY DATA STOMACH Show tissue menu
ADIPOSE TISSUE ADRENAL GLAND AMYGDALA APPENDIX BASAL GANGLIA BONE MARROW BREAST BRONCHUS CEREBELLUM CEREBRAL CORTEX CERVIX CHOROID PLEXUS COLON DUODENUM
ENDOMETRIUM EPIDIDYMIS ESOPHAGUS FALLOPIAN TUBE GALLBLADDER HEART MUSCLE HIPPOCAMPAL FORMATION HYPOTHALAMUS KIDNEY LIVER LUNG LYMPH NODE MIDBRAIN NASOPHARYNX
ORAL MUCOSA OVARY PANCREAS PARATHYROID GLAND PITUITARY GLAND PLACENTA PROSTATE RECTUM RETINA SALIVARY GLAND SEMINAL VESICLE SKELETAL MUSCLE SKIN SMALL INTESTINE
SMOOTH MUSCLE SOFT TISSUE SPINAL CORD SPLEEN STOMACH TESTIS THYMUS THYROID GLAND TONGUE TONSIL URINARY BLADDER VAGINA
ANTIBODIES
AND
VALIDATION
Dictionary
Tissue proteome
Stomach
STOMACH - Expression summary
Protein expression
Stomachi

On the top, protein expression in current human tissue, based on all annotated cell types, is reported with the units not detected (n), low (l), medium (m) and high (h). Underneath, protein expression in each annotated cell type are reported using the same units.

Protein expression data is based on knowledge-based annotation. For genes where more than one antibody has been used, a collective score is set.

If knowledge-based annotation could not be performed for a gene, no data is displayed here. View antibody staining data further down this page.

h
m
l
n
Glandular cells: Not detected
RNA expressioni

A summary of mRNA expression data available for current tissue based on several datasets. The mRNA expression levels in human tissues are based on RNA-seq data generated by the Human Protein Atlas (HPA), Genotype-Tissue Expression (GTEx) portal and CAGE data generated by the FANTOM5 consortium. Consensus normalized expression levels for human tissues was created by combining the data from HPA and GTEx datasets.

The mRNA expression levels in pig are based on RNA-seq data generated by the Human Protein Atlas (HPA), and for mouse, HPA data and in situ hybridization generated by the Allen brain atlas are reported.

Scroll down to view mRNA expression data in more detail.
Consensus:14.7 nTPM
HPA:9.1 nTPM
GTEx:14.7 nTPM

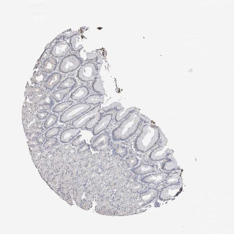
STOMACH 1 - Antibody stainingi

Antibody staining in the annotated cell types in the current human tissue is reported as not detected, low, medium, or high, based on conventional immunohistochemistry profiling in selected tissues. This score is based on the combination of the staining intensity and fraction of stained cells.

Each image is clickable and will lead to virtual microscopy that enables deeper exploration of all samples and also displays staining intensity scores, fraction scores and subcellular localization as well as patient and tissue information for each sample.

Antibody HPA029725Antibody HPA055572Antibody CAB070192
Glandular cells Not detectedMediumNot detected






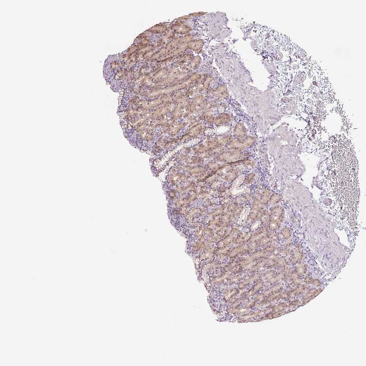
STOMACH 2 - Antibody stainingi

Antibody staining in the annotated cell types in the current human tissue is reported as not detected, low, medium, or high, based on conventional immunohistochemistry profiling in selected tissues. This score is based on the combination of the staining intensity and fraction of stained cells.

Each image is clickable and will lead to virtual microscopy that enables deeper exploration of all samples and also displays staining intensity scores, fraction scores and subcellular localization as well as patient and tissue information for each sample.

Antibody HPA029725Antibody HPA055572Antibody CAB070192
Glandular cells Not detectedMediumNot detected







STOMACH - HPA RNA-seqi

The RNA-seq details section shows detailed information about the individual samples used for the transcript profiling and results of the RNA-seq analysis.

Information about each individual sample is listed below, including gender, age, a tissue section image and estimated fractions of cell types. nTPM (normalized transcripts per million) values give a quantification of the gene abundance which is comparable between different genes and samples.
Average nTPMi

Max subtype nTPM is the value for the subtype with the largest average nTPM across the subtype samples.

9.1
overview
Female, age 33
Stomach sample 61
nTPM: 6.9
Cell types%
Glandular cells:
60

Smooth muscle cells:
5

Other cell types:
35

N/A
Male, age 82
Stomach sample 240
nTPM: 9.5
Cell types%
Glandular cells:
65

Smooth muscle cells:
5

Other cell types:
30

overview
Male, age 71
Stomach sample 241
nTPM: 15.7
Cell types%
Glandular cells:
50

Smooth muscle cells:
5

Other cell types:
45

overview
Female, age 66
Stomach sample 369
nTPM: 4.3
Cell types%
Glandular cells:
50

Smooth muscle cells:
10

Other cell types:
40


STOMACH - GTEx RNA-seqi

RNA-Seq data generated by the Genotype-Tissue Expression (GTEx) project from human tissues is reported as mean nTPM. More information can be found on the GTEx portal.

Distribution across the dataset is visualized with box plots, shown as median and 25th and 75th percentiles. Points are displayed as outliers if they are above or below 1.5 times the interquartile range. nTPM values of the individual samples are presented next to the box plot.
Max subtype nTPMi

Max subtype nTPM is the value for the subtype with the largest average nTPM across the subtype samples.

14.7
GTEx sample id Sample description nTPM
Stomach
Average nTPM: 14.7
Samples: 359

Max nTPM: 77.4
Min nTPM: 2.0
Std nTPM: 12.0
Median nTPM: 11.3
GTEX-U4B1-1026-SM-4DXT1 40-49 years, male 77.4
GTEX-Q2AI-0826-SM-48TZO 40-49 years, male 66.4
GTEX-13CF3-1926-SM-5K7WF 60-69 years, female 65.9
GTEX-12BJ1-1726-SM-5HL9B 60-69 years, male 65.5
GTEX-16AAH-1226-SM-79OO9 50-59 years, male 53.2
GTEX-S3XE-1026-SM-4AD4O 50-59 years, male 52.4
GTEX-17MF6-2126-SM-7KFS7 40-49 years, male 50.1
GTEX-OHPK-1526-SM-3MJGM 50-59 years, female 48.8
GTEX-WXYG-1626-SM-4ONCR 50-59 years, female 48.2
GTEX-14PJ4-1626-SM-664OB 60-69 years, male 44.4
GTEX-WY7C-1726-SM-4ONCC 50-59 years, male 44.1
GTEX-QDVN-1226-SM-48TZ5 50-59 years, male 43.7
GTEX-1R7EU-1126-SM-EAZ4M 60-69 years, male 43.1
GTEX-1IDJU-1526-SM-CNNR3 60-69 years, female 42.5
GTEX-14DAR-0926-SM-73KUQ 50-59 years, male 41.1
GTEX-Q2AH-1126-SM-48TZM 40-49 years, male 40.9
GTEX-18A67-2626-SM-718AD 50-59 years, male 39.4
GTEX-ZVT2-1626-SM-51MRC 50-59 years, female 39.4
GTEX-13PVQ-2126-SM-5L3FW 50-59 years, male 38.5
GTEX-131XG-1226-SM-5EGH9 50-59 years, female 37.4
GTEX-1I6K7-1726-SM-B2LXQ 40-49 years, male 37.4
GTEX-Y5LM-1326-SM-5RQIS 40-49 years, female 37.2
GTEX-ZF29-1526-SM-4WKF7 60-69 years, female 36.8
GTEX-1KANA-1126-SM-D3L9M 20-29 years, male 36.6
GTEX-11TT1-0726-SM-5GU5A 20-29 years, male 35.7
GTEX-XBED-1226-SM-4AT5V 60-69 years, male 35.6
GTEX-1IDJD-2426-SM-C1YS6 30-39 years, male 34.9
GTEX-QMRM-1126-SM-447BN 50-59 years, male 34.5
GTEX-ZLWG-1526-SM-DO12F 50-59 years, female 34.1
GTEX-144GM-1726-SM-5O9AS 20-29 years, male 33.8
GTEX-1JKYN-1726-SM-AHZ48 30-39 years, male 33.2
GTEX-ZA64-0826-SM-5HL9U 20-29 years, male 32.8
GTEX-PWN1-1526-SM-48TDA 40-49 years, female 32.5
GTEX-T8EM-1226-SM-4DM5J 40-49 years, male 32.1
GTEX-1I1GT-1726-SM-C1YS3 60-69 years, female 32.0
GTEX-ZY6K-0726-SM-5A5L8 50-59 years, male 31.9
GTEX-132QS-1826-SM-5IFFN 60-69 years, male 31.5
GTEX-WHSB-1226-SM-4M1XR 50-59 years, male 31.4
GTEX-1QPFJ-1526-SM-DPRXT 30-39 years, female 31.1
GTEX-WFG7-1326-SM-4LMK1 20-29 years, male 30.8
GTEX-13O21-0926-SM-5IFGT 50-59 years, male 30.6
GTEX-117YW-2226-SM-5N9DB 50-59 years, male 30.4
GTEX-1MUQO-1926-SM-EAZ59 60-69 years, male 29.0
GTEX-144GN-1226-SM-5O991 50-59 years, male 28.5
GTEX-14E6E-0926-SM-664N8 30-39 years, male 28.5
GTEX-111YS-1126-SM-5GZYQ 60-69 years, male 27.9
GTEX-Y3I4-1626-SM-4TT7W 50-59 years, male 27.9
GTEX-RM2N-0826-SM-48FD3 50-59 years, male 27.3
GTEX-11I78-1726-SM-5A5M3 50-59 years, female 26.9
GTEX-17F98-1526-SM-7EWD8 40-49 years, female 26.8
GTEX-YEC4-1426-SM-5IFHS 40-49 years, male 26.2
GTEX-WYJK-2526-SM-4ONDF 50-59 years, male 26.1
GTEX-XV7Q-1326-SM-4BRWM 40-49 years, female 26.1
GTEX-S4Q7-0726-SM-4AD5F 20-29 years, male 25.9
GTEX-1HBPN-1626-SM-9WPNP 50-59 years, male 25.7
GTEX-145LT-1426-SM-5O9B3 40-49 years, male 25.2
GTEX-ZLFU-1326-SM-DO11R 40-49 years, male 25.1
GTEX-1LGRB-1726-SM-CNNRA 50-59 years, female 24.9
GTEX-17F9E-2226-SM-7IGNC 50-59 years, male 24.8
GTEX-QDVJ-1426-SM-48U1Y 50-59 years, male 24.8
GTEX-1RAZR-1526-SM-EAZ4U 40-49 years, male 24.7
GTEX-1JMLX-2426-SM-CXZJQ 50-59 years, male 23.7
GTEX-1A3MX-1926-SM-72D7F 60-69 years, male 23.6
GTEX-1I4MK-0926-SM-A9SLD 50-59 years, female 23.5
GTEX-WFG8-1326-SM-4LVN3 20-29 years, male 23.4
GTEX-15UF7-1226-SM-6M46G 40-49 years, male 23.1
GTEX-Y5V6-1326-SM-4VDTF 60-69 years, male 22.9
GTEX-1KXAM-0926-SM-CXZKA 60-69 years, male 22.5
GTEX-OHPM-1526-SM-EV796 50-59 years, male 22.3
GTEX-RWS6-0926-SM-47JXE 60-69 years, female 22.2
GTEX-14PJ5-0826-SM-6AJAR 60-69 years, female 21.7
GTEX-13FH7-1026-SM-5IJGF 50-59 years, female 21.5
GTEX-ZT9W-1526-SM-4YCDE 50-59 years, male 21.2
GTEX-OXRK-1626-SM-3NB17 50-59 years, female 21.0
GTEX-V955-1326-SM-4JBHR 60-69 years, male 20.9
GTEX-SNMC-0626-SM-4DM6H 20-29 years, male 20.7
GTEX-132AR-2426-SM-5IFFD 50-59 years, female 20.4
GTEX-12WSK-1426-SM-5CVNN 40-49 years, female 20.1
GTEX-1B8KE-1326-SM-73KVI 50-59 years, male 19.9
GTEX-1CAMR-0726-SM-7EPIE 20-29 years, male 19.9
GTEX-13FTX-0726-SM-5N9BI 20-29 years, female 19.7
GTEX-1GZ4H-1026-SM-9OSXL 50-59 years, female 19.7
GTEX-1H1DG-2126-SM-9WPPB 70-79 years, male 19.5
GTEX-1JN1M-2926-SM-CNNPJ 60-69 years, female 19.5
GTEX-ZV7C-1626-SM-5NQ7E 50-59 years, male 19.4
GTEX-P4PP-1526-SM-3P61M 30-39 years, female 19.3
GTEX-QLQ7-0826-SM-447B3 60-69 years, male 19.3
GTEX-1H3VY-2326-SM-9WG81 50-59 years, male 19.3
GTEX-13U4I-2526-SM-5SI8Z 40-49 years, female 18.8
GTEX-1QP2A-2126-SM-DPRZ7 50-59 years, male 18.8
GTEX-145MN-1326-SM-5NQ9S 30-39 years, male 18.5
GTEX-1J8Q3-1926-SM-C1YSJ 60-69 years, male 18.5
GTEX-14PKV-1826-SM-69LO9 20-29 years, female 18.4
GTEX-YB5E-1126-SM-664NU 40-49 years, male 18.3
GTEX-1RMOY-1126-SM-EV79E 50-59 years, male 18.2
GTEX-13FTW-1726-SM-5KM2B 40-49 years, male 18.1
GTEX-14B4R-0726-SM-5TDDR 30-39 years, male 18.1
GTEX-1GL5R-1926-SM-9WG7U 50-59 years, male 18.1
GTEX-1GF9U-1126-SM-AHZ4H 40-49 years, female 17.9
GTEX-1LG7Z-1226-SM-DHXK4 30-39 years, male 17.9
GTEX-18A66-2226-SM-7189E 60-69 years, male 17.8
GTEX-1LSNM-1026-SM-DHXL2 50-59 years, male 17.8
GTEX-1MJIX-1126-SM-EV7AO 40-49 years, male 17.7
GTEX-UJMC-1226-SM-4IHLI 50-59 years, male 17.6
GTEX-WHPG-0426-SM-4M1XW 50-59 years, male 17.6
GTEX-1J8QM-1126-SM-C1YQB 60-69 years, female 17.6
GTEX-11NSD-1426-SM-5HL67 20-29 years, male 17.4
GTEX-1F5PL-1426-SM-7MKFH 40-49 years, female 17.2
GTEX-1H23P-2726-SM-9JGHN 60-69 years, male 17.2
GTEX-14BMU-1126-SM-5RQJ8 20-29 years, female 17.0
GTEX-W5WG-1726-SM-4LMI5 50-59 years, female 16.8
GTEX-11DXX-1326-SM-5GIDZ 60-69 years, female 16.6
GTEX-11GSP-2126-SM-5HL5E 60-69 years, female 16.6
GTEX-13RTK-0226-SM-5RQHR 20-29 years, male 16.6
GTEX-SNOS-0826-SM-4DM5N 40-49 years, male 16.6
GTEX-V1D1-1726-SM-4JBHB 50-59 years, male 16.6
GTEX-1F75I-1826-SM-7MKGX 40-49 years, male 16.4
GTEX-Y9LG-1026-SM-5IFJN 30-39 years, male 16.2
GTEX-17HGU-2126-SM-7IGOV 50-59 years, male 16.1
GTEX-1QCLY-1126-SM-EAZ4J 30-39 years, male 16.1
GTEX-OXRL-1526-SM-E6CHQ 50-59 years, male 15.8
GTEX-13PVR-2126-SM-73KVR 60-69 years, female 15.7
GTEX-POMQ-0826-SM-3P61H 20-29 years, female 15.6
GTEX-14PHX-1026-SM-664OL 50-59 years, male 15.5
GTEX-1HKZK-1526-SM-B2LWG 40-49 years, male 15.5
GTEX-17HII-2426-SM-7KFTT 50-59 years, male 15.1
GTEX-ZVP2-1626-SM-5GU5D 50-59 years, male 15.1
GTEX-1GN1W-2126-SM-9JGI7 50-59 years, female 15.1
GTEX-1AX9J-2626-SM-731EK 60-69 years, male 15.0
GTEX-ZYFG-1326-SM-5GICJ 60-69 years, female 15.0
GTEX-1L5NE-1526-SM-DIPFW 50-59 years, male 14.9
GTEX-11WQK-2626-SM-5EQ4K 50-59 years, male 14.7
GTEX-SUCS-0926-SM-4DM4Z 70-79 years, male 14.7
GTEX-Y3IK-1426-SM-4YCES 50-59 years, female 14.7
GTEX-1B97I-1226-SM-7MGWQ 40-49 years, male 14.7
GTEX-T6MO-0726-SM-4DM58 40-49 years, female 14.6
GTEX-QV31-0626-SM-447C5 30-39 years, male 14.4
GTEX-ZVZP-1726-SM-5GZWY 50-59 years, male 14.4
GTEX-1RB15-1026-SM-E9U6V 60-69 years, male 14.4
GTEX-13QBU-1126-SM-5LU44 40-49 years, female 14.3
GTEX-14PJ6-0826-SM-686Z9 60-69 years, female 14.3
GTEX-YJ8A-1526-SM-5P9FT 20-29 years, male 14.2
GTEX-ZDYS-1926-SM-5HL59 50-59 years, male 14.2
GTEX-1QP29-2326-SM-EXOJO 50-59 years, male 14.2
GTEX-1LBAC-1426-SM-CXZKT 20-29 years, male 14.0
GTEX-15RIE-1026-SM-6LPJQ 60-69 years, male 13.9
GTEX-S95S-0826-SM-4B64N 60-69 years, male 13.7
GTEX-ZZPU-1426-SM-5GZZ6 50-59 years, female 13.7
GTEX-1LVAN-2426-SM-CNNPZ 50-59 years, female 13.7
GTEX-1C475-1026-SM-7MKFJ 40-49 years, female 13.6
GTEX-ZYY3-1726-SM-5EGH3 60-69 years, female 13.6
GTEX-P78B-1826-SM-3P5YX 40-49 years, female 13.5
GTEX-1HFI7-1526-SM-9WG7W 50-59 years, female 13.5
GTEX-NFK9-1526-SM-3LK7B 40-49 years, male 13.4
GTEX-ZAB4-1526-SM-5CVN7 40-49 years, male 13.4
GTEX-1JK1U-1326-SM-AHZ45 60-69 years, male 13.3
GTEX-139D8-2326-SM-5IFGE 30-39 years, female 13.2
GTEX-145ME-1026-SM-5O9B4 40-49 years, female 13.1
GTEX-18D9A-0626-SM-7KFTY 30-39 years, female 13.1
GTEX-ZXES-1426-SM-5NQ8S 30-39 years, female 12.9
GTEX-133LE-1326-SM-5IFGO 20-29 years, female 12.8
GTEX-1HSEH-1526-SM-B2LXG 60-69 years, male 12.8
GTEX-1RQEC-2126-SM-DPS15 60-69 years, male 12.8
GTEX-O5YV-1926-SM-EV797 60-69 years, female 12.4
GTEX-131XF-1226-SM-5HL8V 60-69 years, male 12.3
GTEX-1J8JJ-1726-SM-C1YQG 60-69 years, female 12.3
GTEX-1AMFI-1226-SM-731CZ 50-59 years, female 11.9
GTEX-QXCU-1926-SM-48FE4 50-59 years, male 11.9
GTEX-1I1HK-2026-SM-CNNRB 60-69 years, male 11.9
GTEX-12WSG-2026-SM-5FQUU 50-59 years, female 11.7
GTEX-Y8LW-0826-SM-4WWDO 50-59 years, female 11.7
GTEX-1399S-1626-SM-5P9GI 30-39 years, female 11.6
GTEX-17HHE-1026-SM-79ON6 50-59 years, male 11.6
GTEX-XUZC-0726-SM-4BOPH 30-39 years, female 11.6
GTEX-13113-0726-SM-5LZUF 60-69 years, female 11.5
GTEX-145MO-2226-SM-5Q5BN 60-69 years, male 11.5
GTEX-14PJ3-1426-SM-664O8 50-59 years, male 11.5
GTEX-YFCO-0826-SM-5LUAG 40-49 years, male 11.5
GTEX-PLZ5-1226-SM-EXOHA 50-59 years, male 11.5
GTEX-15DZA-1126-SM-6LPK8 30-39 years, female 11.3
GTEX-18QFQ-1226-SM-718AE 30-39 years, male 11.2
GTEX-111CU-0926-SM-5EGIK 50-59 years, male 11.1
GTEX-139YR-1926-SM-5LZXM 50-59 years, male 10.8
GTEX-T5JW-0926-SM-4DM5K 20-29 years, female 10.7
GTEX-1R9K5-1026-SM-EAZ4F 50-59 years, male 10.7
GTEX-1122O-1926-SM-5EGIQ 60-69 years, female 10.6
GTEX-WFON-1126-SM-4LVMA 40-49 years, male 10.6
GTEX-15DCE-1626-SM-6LPJM 20-29 years, male 10.5
GTEX-TMMY-1626-SM-4DXTY 40-49 years, female 10.5
GTEX-117YX-1026-SM-5H11V 50-59 years, male 10.4
GTEX-S341-0626-SM-4AD5T 40-49 years, female 10.4
GTEX-ZYVF-2726-SM-5GID4 50-59 years, female 10.4
GTEX-ZZ64-0426-SM-5E43F 20-29 years, male 10.4
GTEX-ZLV1-0826-SM-DO11P 60-69 years, female 10.4
GTEX-17GQL-1226-SM-7KFTS 60-69 years, male 10.3
GTEX-XBEW-1826-SM-4RTWX 40-49 years, male 10.2
GTEX-1F5PK-1826-SM-7RHHX 50-59 years, male 10.2
GTEX-1MGNQ-1826-SM-DPRYI 40-49 years, male 10.2
GTEX-1QMI2-2126-SM-DPRXQ 60-69 years, male 10.0
GTEX-15SHW-2126-SM-6M46Y 60-69 years, male 9.9
GTEX-QCQG-0526-SM-48U2A 50-59 years, female 9.9
GTEX-1ICG6-1826-SM-AHZ2O 70-79 years, female 9.9
GTEX-ZP4G-1226-SM-4WWCJ 20-29 years, female 9.7
GTEX-12WSD-2326-SM-59HKQ 60-69 years, female 9.6
GTEX-13D11-2126-SM-5IFH2 50-59 years, female 9.6
GTEX-QLQW-0726-SM-447AA 30-39 years, male 9.6
GTEX-1H1E6-1626-SM-9OSWC 30-39 years, male 9.6
GTEX-1QCLZ-1826-SM-DPRXP 60-69 years, female 9.6
GTEX-1399R-1126-SM-5IFIO 30-39 years, male 9.5
GTEX-15G19-1526-SM-6LPKP 60-69 years, male 9.5
GTEX-18A7A-2726-SM-7LG6U 50-59 years, female 9.5
GTEX-XXEK-0826-SM-4BRWG 50-59 years, male 9.5
GTEX-1JMPZ-1826-SM-CXZJT 30-39 years, male 9.4
GTEX-S4UY-1626-SM-4AD55 40-49 years, female 9.3
GTEX-1AYCT-1326-SM-7MKHB 50-59 years, male 9.1
GTEX-13OW6-2526-SM-5IJEC 50-59 years, male 9.0
GTEX-14BIL-1926-SM-73KYI 50-59 years, male 9.0
GTEX-T5JC-1926-SM-4DM6Q 20-29 years, male 8.8
GTEX-ZQUD-0826-SM-57WDQ 30-39 years, male 8.8
GTEX-XMK1-1526-SM-EYYVO 40-49 years, male 8.8
GTEX-1B8KZ-1226-SM-793CP 50-59 years, male 8.6
GTEX-O5YW-1526-SM-3MJGL 50-59 years, male 8.6
GTEX-OIZF-1526-SM-2I5GR 60-69 years, male 8.5
GTEX-1J8EW-2226-SM-AHZ3T 60-69 years, female 8.3
GTEX-1A3MV-1226-SM-718BW 30-39 years, male 8.2
GTEX-13N1W-2026-SM-5K7YU 70-79 years, male 8.1
GTEX-1A8G6-1426-SM-731EZ 60-69 years, male 8.1
GTEX-12696-1726-SM-5EQLH 60-69 years, male 7.9
GTEX-1B97J-1826-SM-7IGPP 50-59 years, female 7.9
GTEX-1HCU8-1326-SM-C1YQQ 60-69 years, female 7.9
GTEX-13OVK-0926-SM-7KUFX 40-49 years, male 7.8
GTEX-WEY5-1226-SM-4LMIQ 40-49 years, female 7.8
GTEX-14PHY-0926-SM-5ZZWL 60-69 years, female 7.7
GTEX-14ICL-0826-SM-5YY9W 30-39 years, male 7.6
GTEX-1S3DN-1526-SM-EVYCB 50-59 years, male 7.6
GTEX-1S831-1126-SM-EWROI 20-29 years, male 7.5
GTEX-13S7M-1826-SM-5RQK6 60-69 years, female 7.4
GTEX-13X6J-2126-SM-5TDCV 50-59 years, male 7.4
GTEX-11EM3-1026-SM-5A5KL 20-29 years, female 7.3
GTEX-14BMV-2226-SM-5RQHX 50-59 years, male 7.3
GTEX-1GMRU-2526-SM-9WG7T 50-59 years, male 7.3
GTEX-1PPH8-1326-SM-DTXFO 20-29 years, male 7.3
GTEX-12WSJ-0926-SM-5P9JD 40-49 years, female 7.2
GTEX-XQ8I-2026-SM-4BOOL 50-59 years, male 7.2
GTEX-WHWD-1426-SM-4OORU 50-59 years, male 7.1
GTEX-1JMPY-0926-SM-ARL92 30-39 years, male 6.9
GTEX-14DAQ-2826-SM-664MU 60-69 years, female 6.7
GTEX-15EU6-2526-SM-7KUGB 50-59 years, male 6.7
GTEX-1AMEY-1226-SM-731DU 30-39 years, female 6.6
GTEX-U3ZN-2026-SM-4DXUC 30-39 years, female 6.6
GTEX-1HCUA-1626-SM-A9SMG 50-59 years, female 6.6
GTEX-17EUY-1526-SM-793CA 20-29 years, male 6.5
GTEX-PW2O-1226-SM-48TCH 20-29 years, male 6.5
GTEX-ZGAY-1626-SM-DNZZ3 40-49 years, female 6.5
GTEX-P4QT-1526-SM-3NMCT 50-59 years, female 6.4
GTEX-X15G-1126-SM-4PQZG 50-59 years, female 6.4
GTEX-15G1A-1226-SM-7KUF3 30-39 years, male 6.2
GTEX-S7SF-0626-SM-4AD4V 20-29 years, female 6.2
GTEX-WRHK-0626-SM-4MVOE 20-29 years, female 6.2
GTEX-1E1VI-2826-SM-7MGWU 50-59 years, male 6.2
GTEX-1JMQJ-1326-SM-D4P3B 50-59 years, male 6.2
GTEX-13O61-1126-SM-5L3FI 60-69 years, male 6.1
GTEX-R55D-1526-SM-48FEJ 50-59 years, male 6.1
GTEX-13QJ3-2726-SM-5SI6L 50-59 years, male 6.0
GTEX-XAJ8-0326-SM-47JYI 40-49 years, male 6.0
GTEX-12C56-0526-SM-5FQST 20-29 years, male 5.9
GTEX-17JCI-2226-SM-7LTA1 60-69 years, female 5.9
GTEX-PX3G-1526-SM-48U11 20-29 years, female 5.9
GTEX-ZPIC-2026-SM-57WG3 40-49 years, female 5.9
GTEX-14JG6-1226-SM-664O6 30-39 years, female 5.8
GTEX-11EQ9-1226-SM-5987E 30-39 years, male 5.7
GTEX-11P82-0726-SM-5PNYL 20-29 years, male 5.7
GTEX-1211K-1426-SM-5FQTF 60-69 years, female 5.7
GTEX-1MCYP-1126-SM-E9J2P 20-29 years, female 5.7
GTEX-15CHR-1326-SM-79OLT 50-59 years, male 5.6
GTEX-PWCY-0926-SM-48TD7 20-29 years, female 5.6
GTEX-ZPU1-1626-SM-4WWB2 40-49 years, male 5.6
GTEX-1EH9U-2226-SM-7PBXX 60-69 years, male 5.6
GTEX-OIZH-1526-SM-3NB1J 50-59 years, male 5.4
GTEX-OOBJ-1526-SM-3NB1Q 60-69 years, male 5.4
GTEX-UJHI-1026-SM-4IHJP 50-59 years, female 5.4
GTEX-ZEX8-1626-SM-4WKG7 50-59 years, male 5.4
GTEX-QV44-1226-SM-CJI1S 50-59 years, male 5.4
GTEX-1IL2V-2026-SM-ARZMA 70-79 years, male 5.3
GTEX-146FH-2126-SM-5SI9U 50-59 years, female 5.2
GTEX-1H3NZ-2226-SM-9WYUT 60-69 years, male 5.2
GTEX-1E2YA-2426-SM-7EPIG 50-59 years, male 5.1
GTEX-Y8E4-1526-SM-4WWDI 40-49 years, male 5.1
GTEX-RUSQ-1126-SM-EAZAU 50-59 years, male 5.1
GTEX-1H11D-2226-SM-9OSXN 40-49 years, male 5.0
GTEX-1S82Z-1726-SM-E6CHZ 30-39 years, female 5.0
GTEX-1HSMQ-2426-SM-CE6RY 50-59 years, male 4.9
GTEX-11EI6-2426-SM-5PNVS 60-69 years, male 4.8
GTEX-131XE-2226-SM-5PNYX 50-59 years, male 4.8
GTEX-16NGA-1526-SM-72D56 40-49 years, female 4.8
GTEX-RTLS-2626-SM-46MUJ 60-69 years, female 4.8
GTEX-ZE7O-3026-SM-51MS4 50-59 years, female 4.8
GTEX-1QP67-1026-SM-EVR47 40-49 years, female 4.8
GTEX-QDT8-2026-SM-EZ6LS 30-39 years, female 4.8
GTEX-1339X-1426-SM-5K7YO 40-49 years, male 4.7
GTEX-R53T-1226-SM-48FCT 50-59 years, female 4.7
GTEX-1HBPI-0726-SM-9WG7Z 50-59 years, male 4.7
GTEX-14PKU-1126-SM-69LOU 40-49 years, female 4.6
GTEX-13X6H-1626-SM-5Q5CT 50-59 years, female 4.4
GTEX-146FR-2026-SM-5NQAI 60-69 years, female 4.4
GTEX-UPK5-2126-SM-4JBJK 40-49 years, male 4.4
GTEX-Q734-1026-SM-48U16 40-49 years, female 4.3
GTEX-ZF2S-1426-SM-57WET 50-59 years, female 4.3
GTEX-R55C-1026-SM-48FCM 40-49 years, male 4.2
GTEX-1N2DV-0926-SM-E9TJT 40-49 years, male 4.2
GTEX-11NUK-2426-SM-5BC4U 50-59 years, male 4.1
GTEX-PLZ6-0826-SM-3P61K 30-39 years, male 4.1
GTEX-11P7K-1726-SM-5GU6F 30-39 years, male 4.0
GTEX-VJYA-1026-SM-4KL21 60-69 years, male 4.0
GTEX-WZTO-2126-SM-4PQYW 40-49 years, male 4.0
GTEX-ZV6S-0926-SM-57WGB 40-49 years, female 4.0
GTEX-13OVI-2426-SM-5KM4J 60-69 years, female 3.8
GTEX-14E1K-1526-SM-664MN 50-59 years, male 3.8
GTEX-S4Z8-1226-SM-4AD6W 60-69 years, male 3.8
GTEX-XPVG-1526-SM-4B66C 50-59 years, male 3.8
GTEX-ZTX8-0426-SM-59HLG 20-29 years, male 3.8
GTEX-ZVT3-2126-SM-59HL2 60-69 years, female 3.7
GTEX-1LGOU-1526-SM-D3LAJ 20-29 years, female 3.7
GTEX-S4P3-0726-SM-4AD57 50-59 years, female 3.6
GTEX-TKQ1-0526-SM-4DXTG 30-39 years, male 3.6
GTEX-WYVS-1326-SM-4ONCQ 40-49 years, female 3.6
GTEX-1CB4H-2426-SM-7PBYR 60-69 years, female 3.6
GTEX-1PIGE-1126-SM-EWRMV 20-29 years, male 3.6
GTEX-17KNJ-1526-SM-7LTA9 50-59 years, male 3.5
GTEX-18D9B-2226-SM-718BM 60-69 years, male 3.5
GTEX-1K2DA-0826-SM-CGQGD 50-59 years, male 3.5
GTEX-13O3Q-2126-SM-5KM4C 50-59 years, male 3.4
GTEX-1HR9M-2326-SM-CNPPZ 60-69 years, male 3.4
GTEX-1399U-1626-SM-5P9J3 50-59 years, female 3.3
GTEX-WH7G-1526-SM-4LVMX 40-49 years, male 3.3
GTEX-11VI4-0326-SM-5EQ6L 40-49 years, female 3.2
GTEX-1CB4E-1326-SM-7DUGD 60-69 years, male 3.2
GTEX-R55G-1126-SM-48FDG 40-49 years, female 3.2
GTEX-WFJO-1126-SM-4LVLZ 30-39 years, male 3.2
GTEX-1KD5A-1426-SM-D4P3V 50-59 years, male 3.2
GTEX-15RIF-1126-SM-7KUG2 20-29 years, male 3.1
GTEX-P4PQ-1526-SM-3NMCK 60-69 years, male 3.0
GTEX-1H1DE-1226-SM-9JGHH 20-29 years, male 3.0
GTEX-1HT8W-2326-SM-A9SLA 30-39 years, male 2.9
GTEX-13111-1226-SM-5GCNC 50-59 years, male 2.8
GTEX-14PN3-1326-SM-6AJ9U 60-69 years, female 2.7
GTEX-1B8L1-1526-SM-79OLK 60-69 years, male 2.7
GTEX-Y114-1226-SM-4TT88 50-59 years, female 2.7
GTEX-1GPI7-1326-SM-9KNVA 20-29 years, male 2.7
GTEX-1QP28-2126-SM-DTX8B 50-59 years, female 2.7
GTEX-1C64O-2226-SM-73KTV 60-69 years, male 2.6
GTEX-RU1J-0526-SM-46MUT 20-29 years, female 2.6
GTEX-1LVAM-1426-SM-E9TJ4 50-59 years, female 2.6
GTEX-1JN76-0926-SM-ARZNH 20-29 years, female 2.5
GTEX-YEC3-1426-SM-D4P1S 50-59 years, male 2.5
GTEX-1QW4Y-0726-SM-DTX8E 30-39 years, male 2.4
GTEX-1NSGN-1926-SM-E9J36 50-59 years, male 2.3
GTEX-1IDJF-1426-SM-ACKWK 20-29 years, male 2.1
GTEX-TKQ2-0926-SM-4DXU5 50-59 years, male 2.0
Show allShow less

Contact

  • NEWS ARTICLES
  • PRESS ROOM

The Project

  • INTRODUCTION
  • ORGANIZATION
  • PUBLICATIONS

The Human Protein Atlas

  • DOWNLOADABLE DATA
  • LICENCE & CITATION
  • HELP & FAQ
The Human Protein Atlas project is funded
by the Knut & Alice Wallenberg Foundation.


contact@proteinatlas.org