We use cookies to enhance the usability of our website. If you continue, we'll assume that you are happy to receive all cookies. More information. Don't show this again.
CMPK1
HPA
RESOURCES
  • TISSUE
  • BRAIN
  • SINGLE CELL
  • SUBCELLULAR
  • CANCER
  • BLOOD
  • CELL LINE
  • STRUCTURE & INTERACTION
ABOUT
  • INTRODUCTION
  • HISTORY
  • ORGANIZATION
  • PUBLICATIONS
  • ANTIBODY SUBMISSION
  • ANTIBODY AVAILABILITY
  • ACKNOWLEDGMENTS
  • CONTACT
NEWS
  • NEWS ARTICLES
  • PRESS ROOM
LEARN
  • DICTIONARY
  • PROTEIN CLASSES
  • PROTEIN EVIDENCE
  • METHODS
  • EDUCATIONAL VIDEOS
DATA
  • DOWNLOADABLE DATA
  • PUBLICATION DATA
  • RELEASE HISTORY
HELP
  • ANTIBODY VALIDATION
  • ASSAYS & ANNOTATION
  • DISCLAIMER
  • HELP & FAQ
  • PRIVACY STATEMENT
  • LICENCE & CITATION
Fields »
Search result

Field
Term
Gene name
Class
Subclass
Class
Keyword
Chromosome
External id
Tissue
Cell type
Expression
Antibody panel
Tissue
Main location
Patient ID
Annotation
Tissue
Category
Tau score
Cluster
Reliability
Brain region
Category
Tau score
Brain region
Category
Tau score
Brain region
Category
Tau score
Cluster
Reliability
Tissue
Cell type
Enrichment
Cell type
Category
Tau score
Cell type
Category
Tau score
Cell type
Category
Tau score
Cell lineage
Category
Tau score
Cluster
Cluster
Location
Searches
Location
Cell line
Class
Type
Phase
Reliability
Cancer
Prognosis
Cancer
Category
Cancer
Category
Tau score
Cluster
Variants
Interacting gene (ensg_id)
Type
Number of interactions
Pathway
Category
Score
Score
Score
Validation
Validation
Validation
Validation
Antibodies
Data type
Column


  • SUMMARY

  • TISSUE

  • BRAIN

  • SINGLE CELL

  • SUBCELL

  • CANCER

  • BLOOD

  • CELL LINE

  • STRUCT & INT

  • CMPK1
TISSUE PRIMARY DATA PANCREAS Show tissue menu
ADIPOSE TISSUE ADRENAL GLAND AMYGDALA APPENDIX BASAL GANGLIA BONE MARROW BREAST BRONCHUS CEREBELLUM CEREBRAL CORTEX CERVIX CHOROID PLEXUS COLON DUODENUM
ENDOMETRIUM EPIDIDYMIS ESOPHAGUS FALLOPIAN TUBE GALLBLADDER HEART MUSCLE HIPPOCAMPAL FORMATION HYPOTHALAMUS KIDNEY LIVER LUNG LYMPH NODE MIDBRAIN NASOPHARYNX
ORAL MUCOSA OVARY PANCREAS PARATHYROID GLAND PITUITARY GLAND PLACENTA PROSTATE RECTUM RETINA SALIVARY GLAND SEMINAL VESICLE SKELETAL MUSCLE SKIN SMALL INTESTINE
SMOOTH MUSCLE SOFT TISSUE SPINAL CORD SPLEEN STOMACH TESTIS THYMUS THYROID GLAND TONGUE TONSIL URINARY BLADDER VAGINA
ANTIBODIES
AND
VALIDATION
Dictionary
Pancreas
Tissue proteome
Pancreas
PANCREAS - Expression summary
Protein expression
Pancreasi

On the top, protein expression in current human tissue, based on all annotated cell types, is reported with the units not detected (n), low (l), medium (m) and high (h). Underneath, protein expression in each annotated cell type are reported using the same units.

Protein expression data is based on knowledge-based annotation. For genes where more than one antibody has been used, a collective score is set.

If knowledge-based annotation could not be performed for a gene, no data is displayed here. View antibody staining data further down this page.

h
m
l
n
Exocrine glandular cells: Medium
Pancreatic endocrine cells: Medium
RNA expressioni

A summary of mRNA expression data available for current tissue based on several datasets. The mRNA expression levels in human tissues are based on RNA-seq data generated by the Human Protein Atlas (HPA), Genotype-Tissue Expression (GTEx) portal and CAGE data generated by the FANTOM5 consortium. Consensus normalized expression levels for human tissues was created by combining the data from HPA and GTEx datasets.

The mRNA expression levels in pig are based on RNA-seq data generated by the Human Protein Atlas (HPA), and for mouse, HPA data and in situ hybridization generated by the Allen brain atlas are reported.

Scroll down to view mRNA expression data in more detail.
Consensus:89.5 nTPM
HPA:89.5 nTPM
GTEx:67.0 nTPM
FANTOM5:225.6 Scaled Tags Per Million

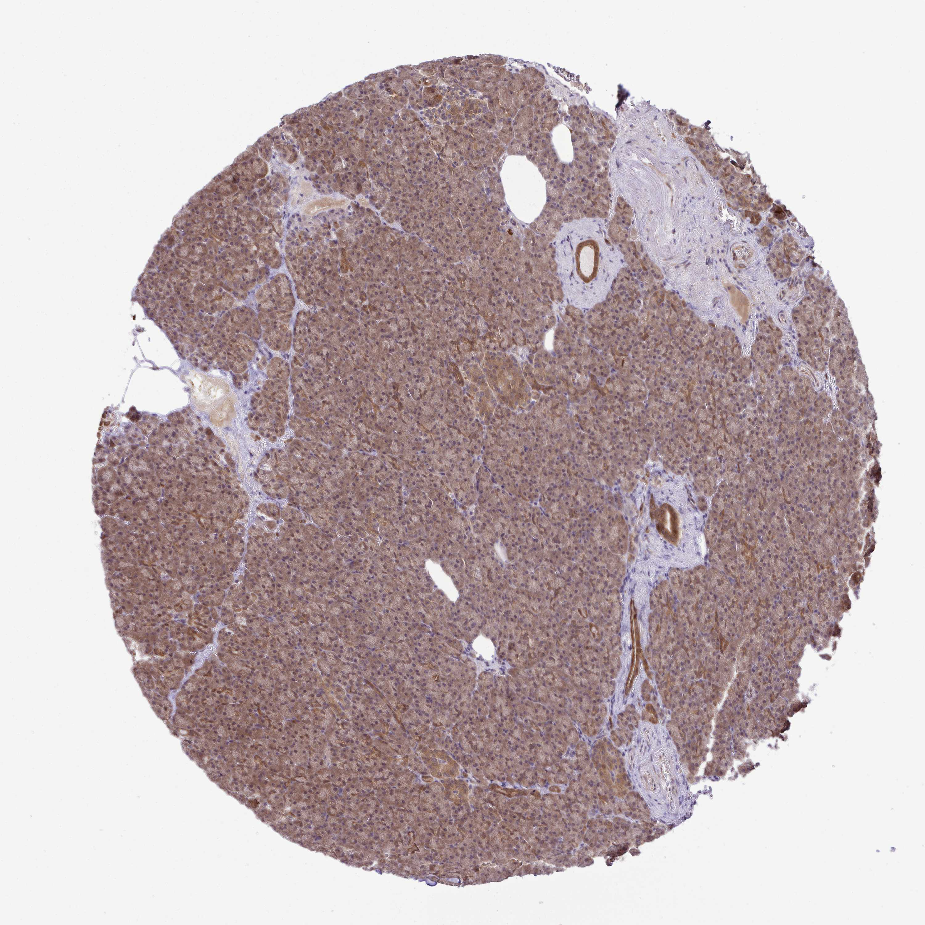
PANCREAS - Antibody stainingi

Antibody staining in the annotated cell types in the current human tissue is reported as not detected, low, medium, or high, based on conventional immunohistochemistry profiling in selected tissues. This score is based on the combination of the staining intensity and fraction of stained cells.

Each image is clickable and will lead to virtual microscopy that enables deeper exploration of all samples and also displays staining intensity scores, fraction scores and subcellular localization as well as patient and tissue information for each sample.

Antibody HPA053730Antibody HPA058604
Exocrine glandular cells MediumNot detected
Pancreatic endocrine cells MediumNot detected



PANCREAS - HPA RNA-seqi

The RNA-seq details section shows detailed information about the individual samples used for the transcript profiling and results of the RNA-seq analysis.

Information about each individual sample is listed below, including gender, age, a tissue section image and estimated fractions of cell types. nTPM (normalized transcripts per million) values give a quantification of the gene abundance which is comparable between different genes and samples.
Average nTPMi

Max subtype nTPM is the value for the subtype with the largest average nTPM across the subtype samples.

89.5
overview
Female, age 59
Pancreas sample 194
nTPM: 78.5
Cell types%
Exocrine glandular cells:
75

Pancreatic endocrine cells:
10

Ductal cells:
5

Other cell types:
10

overview
Male, age 60
Pancreas sample 195
nTPM: 100.5
Cell types%
Exocrine glandular cells:
90

Pancreatic endocrine cells:
5

Ductal cells:
5


PANCREAS - GTEx RNA-seqi

RNA-Seq data generated by the Genotype-Tissue Expression (GTEx) project from human tissues is reported as mean nTPM. More information can be found on the GTEx portal.

Distribution across the dataset is visualized with box plots, shown as median and 25th and 75th percentiles. Points are displayed as outliers if they are above or below 1.5 times the interquartile range. nTPM values of the individual samples are presented next to the box plot.
Max subtype nTPMi

Max subtype nTPM is the value for the subtype with the largest average nTPM across the subtype samples.

67.0
GTEx sample id Sample description nTPM
Pancreas
Average nTPM: 67.0
Samples: 328

Max nTPM: 106.7
Min nTPM: 35.9
Std nTPM: 12.3
Median nTPM: 66.1
GTEX-11ONC-0526-SM-5BC57 60-69 years, male 106.7
GTEX-YFCO-1026-SM-5LU9S 40-49 years, male 105.4
GTEX-14C39-1026-SM-73KWG 40-49 years, male 101.7
GTEX-15SB6-0226-SM-6LLIA 50-59 years, female 100.2
GTEX-12WSK-0226-SM-5BC62 40-49 years, female 96.2
GTEX-1QEPI-1626-SM-EAZ3I 60-69 years, female 94.9
GTEX-1QPFJ-2226-SM-EXOJW 30-39 years, female 94.3
GTEX-15RIF-0626-SM-6LLI3 20-29 years, male 93.6
GTEX-W5WG-0826-SM-4RGNE 50-59 years, female 93.0
GTEX-WH7G-0826-SM-4LVMR 40-49 years, male 91.5
GTEX-145MN-1426-SM-5SI9H 30-39 years, male 91.1
GTEX-18D9U-1626-SM-7KFTW 40-49 years, male 90.8
GTEX-1JKYR-1026-SM-CGQGI 20-29 years, male 90.4
GTEX-14PJ3-0426-SM-6LLHF 50-59 years, male 90.1
GTEX-1H1E6-0826-SM-9WG83 30-39 years, male 90.1
GTEX-11P7K-0526-SM-5BC5I 30-39 years, male 88.4
GTEX-131XG-1426-SM-5GCMO 50-59 years, female 88.0
GTEX-TML8-0526-SM-32QOQ 40-49 years, female 87.9
GTEX-ZP4G-0426-SM-4YCER 20-29 years, female 87.7
GTEX-YF7O-1326-SM-4W1ZR 50-59 years, male 87.6
GTEX-1HSGN-1426-SM-A8NAA 40-49 years, female 87.6
GTEX-VUSG-0326-SM-3GIJ7 50-59 years, male 87.0
GTEX-ZT9W-0926-SM-57WFS 50-59 years, male 86.6
GTEX-1C2JI-0926-SM-731F1 50-59 years, male 86.2
GTEX-1JKYN-0426-SM-CGQG2 30-39 years, male 86.0
GTEX-WRHK-0226-SM-4MVOH 20-29 years, female 84.6
GTEX-13SLX-1326-SM-5S2QS 50-59 years, female 84.3
GTEX-131XF-1426-SM-5BC68 60-69 years, male 84.2
GTEX-WHPG-0326-SM-4M1XV 50-59 years, male 84.2
GTEX-ZVZP-0626-SM-59HL5 50-59 years, male 84.1
GTEX-ZPU1-0226-SM-4WWC9 40-49 years, male 83.6
GTEX-ZYFG-0826-SM-5BC5T 60-69 years, female 83.2
GTEX-1I1GQ-2226-SM-B2LX1 50-59 years, male 83.2
GTEX-15RJ7-0826-SM-6LLI8 40-49 years, male 83.0
GTEX-144GN-0826-SM-5LU5G 50-59 years, male 82.1
GTEX-146FR-0126-SM-5Q5F3 60-69 years, female 82.1
GTEX-1RAZQ-1426-SM-EV7B2 30-39 years, male 82.1
GTEX-WYVS-0926-SM-4SOJV 40-49 years, female 81.9
GTEX-17KNJ-1926-SM-7KFRV 50-59 years, male 81.8
GTEX-14JG6-0426-SM-68715 30-39 years, female 81.6
GTEX-14PN3-0126-SM-6AJAU 60-69 years, female 81.5
GTEX-1KANA-1526-SM-CXZKG 20-29 years, male 81.5
GTEX-18A6Q-1726-SM-7LT9A 60-69 years, male 81.4
GTEX-13PVR-0726-SM-5S2PX 60-69 years, female 81.3
GTEX-ZVP2-0726-SM-59HKY 50-59 years, male 81.0
GTEX-1IDJC-0526-SM-AHZ2Q 50-59 years, male 81.0
GTEX-1C4CL-0926-SM-79OL2 30-39 years, male 80.9
GTEX-ZAK1-2326-SM-5CVMY 50-59 years, female 80.9
GTEX-1AX9K-2026-SM-731D1 50-59 years, male 80.2
GTEX-YB5E-0526-SM-4VDSD 40-49 years, male 80.1
GTEX-13U4I-1526-SM-5IFFF 40-49 years, female 80.0
GTEX-1K2DA-0326-SM-CGQGX 50-59 years, male 79.8
GTEX-144FL-1526-SM-5Q5CA 50-59 years, male 79.6
GTEX-1B8KZ-0926-SM-731D7 50-59 years, male 79.6
GTEX-1OFPY-0626-SM-EXOJ4 60-69 years, male 79.3
GTEX-18A67-1726-SM-7KFT9 50-59 years, male 79.2
GTEX-1QP28-1026-SM-EAZ4K 50-59 years, female 79.2
GTEX-1CB4I-1326-SM-79OLY 50-59 years, male 78.9
GTEX-S3XE-0526-SM-4AD4G 50-59 years, male 78.9
GTEX-ZF29-1126-SM-4WKGO 60-69 years, female 78.9
GTEX-1399U-0926-SM-5IFHA 50-59 years, female 78.6
GTEX-1KXAM-0226-SM-EV7AP 60-69 years, male 78.6
GTEX-13FLV-0626-SM-5IFEY 50-59 years, male 78.5
GTEX-13OVI-0526-SM-5IFFQ 60-69 years, female 78.4
GTEX-1C6VQ-1726-SM-7IGLQ 50-59 years, male 78.3
GTEX-OOBJ-1026-SM-3NB2L 60-69 years, male 78.1
GTEX-1S82P-1026-SM-EAZ4W 60-69 years, female 78.1
GTEX-15DYW-1626-SM-6LLI1 60-69 years, female 77.7
GTEX-XGQ4-0226-SM-4GIDS 50-59 years, male 77.3
GTEX-QMRM-0326-SM-CKZNB 50-59 years, male 77.1
GTEX-ZLFU-0726-SM-57WF6 40-49 years, male 77.0
GTEX-15UF7-0826-SM-6M46E 40-49 years, male 76.9
GTEX-17F9E-1426-SM-793BG 50-59 years, male 76.8
GTEX-ZDTT-1126-SM-4WKFW 60-69 years, male 76.7
GTEX-1IDJU-0326-SM-CGQEE 60-69 years, female 76.4
GTEX-1AMFI-0726-SM-731D9 50-59 years, female 76.1
GTEX-ZLWG-0326-SM-4WWC7 50-59 years, female 76.1
GTEX-1S831-0626-SM-EV79N 20-29 years, male 76.1
GTEX-14PJ6-0926-SM-686ZA 60-69 years, female 76.0
GTEX-11TT1-0326-SM-5LUAY 20-29 years, male 75.8
GTEX-11DXX-0926-SM-5H112 60-69 years, female 75.5
GTEX-11GSP-0426-SM-5A5KX 60-69 years, female 75.5
GTEX-11NSD-0526-SM-5A5LT 20-29 years, male 75.3
GTEX-WFG7-0426-SM-4LMK5 20-29 years, male 75.1
GTEX-14E6E-1426-SM-5RQI2 30-39 years, male 75.0
GTEX-1B996-1326-SM-731EO 60-69 years, male 74.9
GTEX-X4LF-0326-SM-4QAS9 50-59 years, male 74.7
GTEX-1I1GT-0926-SM-AHZ2G 60-69 years, female 74.7
GTEX-R55G-0326-SM-48FDM 40-49 years, female 74.4
GTEX-15ER7-1326-SM-6LPK9 20-29 years, female 74.3
GTEX-WFG8-0326-SM-4LVN4 20-29 years, male 73.7
GTEX-111CU-0526-SM-5EGHK 50-59 years, male 73.5
GTEX-XPVG-0326-SM-4B653 50-59 years, male 73.4
GTEX-T8EM-0826-SM-4DM76 40-49 years, male 73.3
GTEX-1LVAN-1226-SM-CNNQY 50-59 years, female 73.3
GTEX-14DAR-0526-SM-664MX 50-59 years, male 73.2
GTEX-1H1DG-1426-SM-9OSXP 70-79 years, male 73.2
GTEX-1RAZA-1626-SM-EV79I 20-29 years, male 73.2
GTEX-S4P3-0626-SM-4AD59 50-59 years, female 73.1
GTEX-1H11D-0926-SM-9OSXO 40-49 years, male 73.0
GTEX-ZEX8-1026-SM-4WKHE 50-59 years, male 72.5
GTEX-1H23P-2026-SM-9OSXY 60-69 years, male 72.4
GTEX-1S83E-1426-SM-EV7B8 40-49 years, male 72.3
GTEX-1GN1U-1126-SM-9WPPZ 50-59 years, female 72.0
GTEX-1R7EU-0726-SM-DPRZM 60-69 years, male 71.9
GTEX-16MT8-1726-SM-7EWE7 60-69 years, female 71.7
GTEX-T5JW-0226-SM-4DM7I 20-29 years, female 71.7
GTEX-1MUQO-1426-SM-DPRYJ 60-69 years, male 71.6
GTEX-1O97I-1726-SM-EXOIP 60-69 years, male 71.4
GTEX-144GM-0726-SM-79OJQ 20-29 years, male 71.3
GTEX-14PK6-1026-SM-664NZ 70-79 years, female 71.3
GTEX-R53T-0426-SM-48FEM 50-59 years, female 71.0
GTEX-148VI-0826-SM-5TDDI 60-69 years, female 70.9
GTEX-SNOS-0926-SM-4DM7A 40-49 years, male 70.8
GTEX-1HKZK-1126-SM-9WG82 40-49 years, male 70.8
GTEX-1R46S-1426-SM-EXOJD 60-69 years, female 70.7
GTEX-15EU6-1126-SM-68721 50-59 years, male 70.6
GTEX-1MGNQ-1226-SM-EV7BM 40-49 years, male 70.6
GTEX-TMMY-1326-SM-4DXU9 40-49 years, female 70.5
GTEX-14PJ4-0726-SM-6872E 60-69 years, male 70.4
GTEX-1AX8Z-1726-SM-731DE 60-69 years, male 70.4
GTEX-ZYY3-0826-SM-5E44R 60-69 years, female 70.4
GTEX-1497J-0426-SM-5Q5CO 60-69 years, male 70.3
GTEX-1211K-1126-SM-5EGGB 60-69 years, female 69.9
GTEX-1R9K5-1226-SM-E6CPQ 50-59 years, male 69.9
GTEX-1PBJI-2126-SM-DPRYG 20-29 years, female 69.8
GTEX-1B932-1626-SM-731EA 40-49 years, female 69.4
GTEX-WY7C-1026-SM-4OND3 50-59 years, male 69.4
GTEX-ZYT6-1326-SM-5E453 30-39 years, male 69.4
GTEX-1LGRB-0426-SM-CNNRD 50-59 years, female 69.4
GTEX-1A8FM-1826-SM-7MGXO 50-59 years, female 69.3
GTEX-NFK9-1626-SM-3LK5J 40-49 years, male 69.2
GTEX-1GZ4H-0626-SM-9OSXJ 50-59 years, female 69.2
GTEX-178AV-0226-SM-793B7 40-49 years, male 69.0
GTEX-1I4MK-1026-SM-AHZ2H 50-59 years, female 68.8
GTEX-14PJO-1826-SM-69LPR 60-69 years, male 68.6
GTEX-11I78-0626-SM-5A5LZ 50-59 years, female 68.5
GTEX-1CAMQ-1626-SM-7MGXG 40-49 years, male 68.4
GTEX-15FZZ-0626-SM-7KFTO 30-39 years, female 68.2
GTEX-1NSGN-1726-SM-EXOJG 50-59 years, male 68.2
GTEX-1QP2A-1326-SM-EAZ3K 50-59 years, male 68.2
GTEX-18A7A-1726-SM-7LT93 50-59 years, female 68.1
GTEX-1J8EW-1926-SM-CGQGR 60-69 years, female 68.1
GTEX-Y9LG-0726-SM-4VDS3 30-39 years, male 67.9
GTEX-12BJ1-1126-SM-5EGGG 60-69 years, male 67.8
GTEX-145MO-2126-SM-5Q5CZ 60-69 years, male 67.8
GTEX-15SHV-1526-SM-6LLIB 60-69 years, male 67.7
GTEX-13PL7-2226-SM-5L3IC 60-69 years, female 67.5
GTEX-17F98-0426-SM-79ONZ 40-49 years, female 67.5
GTEX-1JK1U-1026-SM-AHZ44 60-69 years, male 67.4
GTEX-1LSNM-0726-SM-DHXL1 50-59 years, male 67.4
GTEX-UJHI-0626-SM-3DB8T 50-59 years, female 67.3
GTEX-13O61-2126-SM-5IJEO 60-69 years, male 67.2
GTEX-XBEW-1626-SM-4SOJP 40-49 years, male 67.1
GTEX-1PFEY-1126-SM-DPRZ3 30-39 years, male 67.0
GTEX-Y5LM-0526-SM-4V6G3 40-49 years, female 66.9
GTEX-13X6H-0626-SM-5LU53 50-59 years, female 66.8
GTEX-14PJN-1526-SM-6AJBP 30-39 years, male 66.8
GTEX-QCQG-0426-SM-48U29 50-59 years, female 66.7
GTEX-RM2N-0326-SM-48FD8 50-59 years, male 66.7
GTEX-15SDE-0826-SM-6M463 50-59 years, female 66.5
GTEX-13FTW-0526-SM-5IFIP 40-49 years, male 66.4
GTEX-14PJM-2126-SM-6AJAS 50-59 years, female 66.3
GTEX-14ICL-1126-SM-5S2RE 30-39 years, male 66.1
GTEX-1B97J-1526-SM-79ONI 50-59 years, female 66.1
GTEX-1QAET-1326-SM-E9U64 50-59 years, male 66.1
GTEX-15UKP-1326-SM-6LPI8 20-29 years, male 66.0
GTEX-15CHR-2026-SM-7MXU2 50-59 years, male 66.0
GTEX-OIZF-1026-SM-2HML5 60-69 years, male 65.8
GTEX-YEC3-0626-SM-CMKFG 50-59 years, male 65.8
GTEX-11EQ9-1026-SM-5H134 30-39 years, male 65.7
GTEX-17HHE-0526-SM-7DUGR 50-59 years, male 65.6
GTEX-1B8KE-0726-SM-72D7G 50-59 years, male 65.6
GTEX-ZYW4-2126-SM-59HJ9 60-69 years, male 65.6
GTEX-1HSMO-2026-SM-CNNQO 60-69 years, male 65.5
GTEX-ZVT2-2026-SM-5NQ8Q 50-59 years, female 65.4
GTEX-1R7EV-1126-SM-DPRXU 40-49 years, male 65.3
GTEX-O5YT-1026-SM-3MJGF 20-29 years, male 65.2
GTEX-1LG7Z-0326-SM-DHXK3 30-39 years, male 65.2
GTEX-139YR-1526-SM-5IFJ1 50-59 years, male 64.9
GTEX-1N2DV-1726-SM-DPRYR 40-49 years, male 64.7
GTEX-1399R-0426-SM-5IJE3 30-39 years, male 64.6
GTEX-17HGU-2026-SM-79OKS 50-59 years, male 64.6
GTEX-1C64O-1426-SM-7EWER 60-69 years, male 64.5
GTEX-OHPL-1026-SM-3MJGI 60-69 years, female 64.4
GTEX-14PKV-0926-SM-6AJB4 20-29 years, female 64.3
GTEX-1N2EF-2126-SM-DPRYL 60-69 years, male 64.3
GTEX-ZPCL-0726-SM-DO91S 60-69 years, female 64.2
GTEX-1128S-0826-SM-5GZZI 60-69 years, female 64.1
GTEX-WHSB-0726-SM-4M1XQ 50-59 years, male 64.1
GTEX-111YS-1226-SM-5EGGJ 60-69 years, male 64.0
GTEX-17MF6-1426-SM-7IGOX 40-49 years, male 64.0
GTEX-1IL2U-2326-SM-CNNQV 60-69 years, male 64.0
GTEX-117YX-0226-SM-5EGH6 50-59 years, male 63.5
GTEX-OHPM-1026-SM-3LK74 50-59 years, male 63.4
GTEX-11VI4-0426-SM-5EGHZ 40-49 years, female 63.0
GTEX-1CB4F-1226-SM-7DHKU 60-69 years, male 63.0
GTEX-S33H-1226-SM-4AD69 30-39 years, male 63.0
GTEX-1CB4G-1826-SM-7MKGO 60-69 years, male 62.9
GTEX-1J8Q3-0626-SM-AHZ3V 60-69 years, male 62.9
GTEX-12WSL-0426-SM-5GCNX 50-59 years, male 62.6
GTEX-1GF9X-1126-SM-7MKHC 40-49 years, female 62.6
GTEX-1CAMS-1926-SM-7DUEU 40-49 years, female 62.5
GTEX-1IDJD-0126-SM-C1YQZ 30-39 years, male 62.5
GTEX-WYJK-2426-SM-4ONDQ 50-59 years, male 62.4
GTEX-ZAB5-0826-SM-5P9FU 50-59 years, male 62.4
GTEX-11LCK-0226-SM-5A5M6 30-39 years, male 62.3
GTEX-1399S-0326-SM-5IFFS 30-39 years, female 62.3
GTEX-15UF6-1826-SM-6LLI9 70-79 years, female 62.2
GTEX-18A66-2126-SM-7189D 60-69 years, male 62.2
GTEX-ZV7C-0726-SM-59HKH 50-59 years, male 62.2
GTEX-WQUQ-2126-SM-4OOSO 60-69 years, male 61.8
GTEX-14BMU-0726-SM-73KXS 20-29 years, female 61.6
GTEX-P4PP-1026-SM-3NM9O 30-39 years, female 61.6
GTEX-QV31-0226-SM-447BO 30-39 years, male 61.6
GTEX-Y114-0826-SM-4TT77 50-59 years, female 61.5
GTEX-1F5PL-0726-SM-7MKH8 40-49 years, female 61.4
GTEX-WFON-0626-SM-4LVLX 40-49 years, male 61.2
GTEX-13CF3-1026-SM-5LZWY 60-69 years, female 61.1
GTEX-XUW1-1726-SM-4BOOZ 50-59 years, female 61.1
GTEX-YEC4-1326-SM-5IFHG 40-49 years, male 60.9
GTEX-14PN4-1626-SM-6AJB5 50-59 years, male 60.7
GTEX-13FTX-1226-SM-5IFGN 20-29 years, female 60.6
GTEX-ZDYS-2526-SM-4WKGU 50-59 years, male 60.6
GTEX-14PHX-2026-SM-6872C 50-59 years, male 60.5
GTEX-1B933-1726-SM-731FC 50-59 years, female 60.2
GTEX-PLZ6-0726-SM-3P619 30-39 years, male 60.0
GTEX-1339X-1026-SM-5IFH5 40-49 years, male 59.9
GTEX-1PPH8-2326-SM-EAZ48 20-29 years, male 59.8
GTEX-TKQ2-0426-SM-4DXUO 50-59 years, male 59.7
GTEX-ZG7Y-0326-SM-4WWEY 50-59 years, male 59.6
GTEX-132QS-0926-SM-5P9GB 60-69 years, male 59.5
GTEX-146FQ-1526-SM-5Q5CX 30-39 years, male 59.5
GTEX-WXYG-0826-SM-4ONC7 50-59 years, female 59.5
GTEX-1122O-0726-SM-5GIEV 60-69 years, female 59.4
GTEX-14AS3-0326-SM-5Q5DB 40-49 years, female 59.4
GTEX-145ME-0326-SM-5S2QO 40-49 years, female 59.1
GTEX-13D11-2226-SM-5IFEO 50-59 years, female 59.0
GTEX-QLQ7-0626-SM-CE6QX 60-69 years, male 59.0
GTEX-12WSG-1026-SM-5EGII 50-59 years, female 58.9
GTEX-12WSN-0826-SM-5GCOF 40-49 years, male 58.6
GTEX-1AYCT-1226-SM-7EPGH 50-59 years, male 58.6
GTEX-13VXT-1226-SM-5LU3M 20-29 years, female 58.5
GTEX-OOBK-1026-SM-48TC2 40-49 years, male 58.5
GTEX-1CAMR-1126-SM-7MGXF 20-29 years, male 58.2
GTEX-Y3I4-0826-SM-4TT2A 50-59 years, male 57.8
GTEX-QV44-0426-SM-4R1KF 50-59 years, male 57.6
GTEX-14PJ2-1526-SM-686Z4 50-59 years, male 57.3
GTEX-YB5K-1826-SM-5IFJC 40-49 years, female 57.3
GTEX-1GN1W-1126-SM-9OSW3 50-59 years, female 57.3
GTEX-QDVJ-1226-SM-48U1V 50-59 years, male 57.2
GTEX-P4QS-1026-SM-3NMCW 60-69 years, male 57.1
GTEX-R55D-1426-SM-48FEN 50-59 years, male 57.0
GTEX-U4B1-0726-SM-4DXUA 40-49 years, male 57.0
GTEX-14PKU-0626-SM-6EU1Q 40-49 years, female 56.9
GTEX-U8XE-2026-SM-3DB8S 30-39 years, male 56.9
GTEX-1OKEX-1726-SM-E9U4F 60-69 years, male 56.9
GTEX-ZTPG-1026-SM-5DUWP 20-29 years, female 56.7
GTEX-13FH7-1426-SM-5IFIC 50-59 years, female 56.4
GTEX-UJMC-1126-SM-3GADP 50-59 years, male 56.4
GTEX-Y3IK-0426-SM-4WWE2 50-59 years, female 56.4
GTEX-Q734-0426-SM-48TZX 40-49 years, female 56.2
GTEX-SE5C-0326-SM-4BRWX 40-49 years, female 56.1
GTEX-X5EB-0526-SM-46MVP 40-49 years, male 56.1
GTEX-12WSD-1626-SM-5GCNR 60-69 years, female 55.9
GTEX-ZF3C-2026-SM-4WWB5 50-59 years, female 55.9
GTEX-1JMPZ-1026-SM-CXZJS 30-39 years, male 55.9
GTEX-QDVN-0926-SM-2I5GL 50-59 years, male 55.8
GTEX-1A3MW-1926-SM-7IGM8 60-69 years, female 55.7
GTEX-ZAB4-1726-SM-5HL8C 40-49 years, male 55.7
GTEX-WI4N-1826-SM-4OOSF 40-49 years, female 55.5
GTEX-XMK1-0326-SM-4B652 40-49 years, male 55.5
GTEX-XBED-0226-SM-47JY8 60-69 years, male 55.4
GTEX-13YAN-2126-SM-5Q5C4 60-69 years, male 55.1
GTEX-V1D1-0726-SM-4JBH7 50-59 years, male 55.1
GTEX-14PHY-1126-SM-664OR 60-69 years, female 55.0
GTEX-ZC5H-0826-SM-5N9FH 40-49 years, female 55.0
GTEX-Y8LW-1026-SM-5IFJY 50-59 years, female 54.8
GTEX-1PWST-1526-SM-EXOIT 70-79 years, male 54.7
GTEX-1AX9J-1726-SM-731FF 60-69 years, male 54.3
GTEX-WHWD-0726-SM-4OORX 50-59 years, male 54.3
GTEX-XQ8I-1926-SM-4BOOK 50-59 years, male 54.3
GTEX-Y8E4-1326-SM-5IFIY 40-49 years, male 54.3
GTEX-1QP29-1926-SM-DPRZO 50-59 years, male 54.3
GTEX-S95S-0726-SM-4B64H 60-69 years, male 54.1
GTEX-V955-0326-SM-4JBGV 60-69 years, male 53.6
GTEX-1K2DU-1026-SM-DHXKC 20-29 years, male 53.6
GTEX-VJYA-0826-SM-4KL1M 60-69 years, male 53.3
GTEX-X15G-0726-SM-4PQZ5 50-59 years, female 53.1
GTEX-XV7Q-0926-SM-4BRVQ 40-49 years, female 52.9
GTEX-XXEK-1726-SM-4BRVB 50-59 years, male 52.4
GTEX-1GL5R-0926-SM-9JGFO 50-59 years, male 52.2
GTEX-Q2AI-0426-SM-48U13 40-49 years, male 52.1
GTEX-PSDG-1526-SM-48TCY 50-59 years, male 51.8
GTEX-QLQW-0326-SM-447A8 30-39 years, male 51.7
GTEX-RWS6-1126-SM-47JXC 60-69 years, female 51.6
GTEX-PX3G-1026-SM-48TZW 20-29 years, female 51.5
GTEX-16Z82-1726-SM-7MGX3 60-69 years, male 51.5
GTEX-1K9T9-1726-SM-CXZK1 50-59 years, female 51.4
GTEX-1QW4Y-0926-SM-DPRY2 30-39 years, male 51.2
GTEX-S32W-0826-SM-4AD5Z 50-59 years, female 50.9
GTEX-WFJO-0626-SM-4LVMC 30-39 years, male 50.9
GTEX-1GMR3-1226-SM-7MGY1 40-49 years, male 50.8
GTEX-1I1GU-0326-SM-AHZ2K 40-49 years, male 50.6
GTEX-131XE-1926-SM-5IFER 50-59 years, male 50.4
GTEX-XYKS-1226-SM-4BRVI 60-69 years, female 50.1
GTEX-X3Y1-0726-SM-3P5YU 40-49 years, male 49.9
GTEX-ZPIC-0926-SM-4WWFK 40-49 years, female 49.9
GTEX-13W3W-1026-SM-5IFG4 60-69 years, female 49.5
GTEX-13N11-0226-SM-5KM3C 50-59 years, female 49.4
GTEX-QEL4-1326-SM-447AD 50-59 years, male 48.9
GTEX-11XUK-0626-SM-5N9ES 40-49 years, female 48.2
GTEX-1NUQO-0826-SM-DPS16 20-29 years, female 48.1
GTEX-SUCS-1426-SM-4DM5W 70-79 years, male 47.9
GTEX-PW2O-0826-SM-48TC5 20-29 years, male 47.7
GTEX-1L5NE-0826-SM-DHXKU 50-59 years, male 46.8
GTEX-13O1R-1826-SM-5KM3B 60-69 years, male 46.5
GTEX-P4PQ-1026-SM-3NMCN 60-69 years, male 45.9
GTEX-Q2AH-0926-SM-48TZK 40-49 years, male 45.7
GTEX-1M5QR-0926-SM-DHXK8 40-49 years, male 45.6
GTEX-1AYD5-0326-SM-7EWEO 50-59 years, male 45.1
GTEX-ZZPU-0726-SM-5N9C8 50-59 years, female 45.0
GTEX-QESD-0226-SM-447BH 20-29 years, male 42.4
GTEX-OXRK-1526-SM-E6CHJ 50-59 years, female 42.0
GTEX-NPJ8-2126-SM-3MJGK 40-49 years, male 40.5
GTEX-132AR-1826-SM-5EGHR 50-59 years, female 37.3
GTEX-OIZI-1526-SM-E6CHI 40-49 years, male 36.3
GTEX-N7MT-1626-SM-3LK71 60-69 years, female 35.9
Show allShow less

PANCREAS - FANTOM5 CAGEi

RNA expression in human tissues obtained through Cap Analysis of Gene Expression (CAGE) generated by the FANTOM5 project are reported as Scaled Tags Per Million.

Max subtype Scaled Tags Per Millioni

Max subtype Scaled Tags Per Million is the value for the subtype with the largest average Scaled Tags Per Million across the subtype samples.

225.6
FANTOM5 sample id Sample description Scaled Tags Per Million
Pancreas
Scaled Tags Per Million: 225.6
FF:10049-101G4 52 years, male 225.6

Contact

  • NEWS ARTICLES
  • PRESS ROOM

The Project

  • INTRODUCTION
  • ORGANIZATION
  • PUBLICATIONS

The Human Protein Atlas

  • DOWNLOADABLE DATA
  • LICENCE & CITATION
  • HELP & FAQ
The Human Protein Atlas project is funded
by the Knut & Alice Wallenberg Foundation.


contact@proteinatlas.org