We use cookies to enhance the usability of our website. If you continue, we'll assume that you are happy to receive all cookies. More information. Don't show this again.
LRRC38
HPA
RESOURCES
  • TISSUE
  • BRAIN
  • SINGLE CELL
  • SUBCELLULAR
  • CANCER
  • BLOOD
  • CELL LINE
  • STRUCTURE & INTERACTION
ABOUT
  • INTRODUCTION
  • HISTORY
  • ORGANIZATION
  • PUBLICATIONS
  • ANTIBODY SUBMISSION
  • ANTIBODY AVAILABILITY
  • ACKNOWLEDGMENTS
  • CONTACT
NEWS
  • NEWS ARTICLES
  • PRESS ROOM
LEARN
  • DICTIONARY
  • PROTEIN CLASSES
  • PROTEIN EVIDENCE
  • METHODS
  • EDUCATIONAL VIDEOS
DATA
  • DOWNLOADABLE DATA
  • PUBLICATION DATA
  • RELEASE HISTORY
HELP
  • ANTIBODY VALIDATION
  • ASSAYS & ANNOTATION
  • DISCLAIMER
  • HELP & FAQ
  • PRIVACY STATEMENT
  • LICENCE & CITATION
Fields »
Search result

Field
Term
Gene name
Class
Subclass
Class
Keyword
Chromosome
External id
Tissue
Cell type
Expression
Antibody panel
Tissue
Main location
Patient ID
Annotation
Tissue
Category
Tau score
Cluster
Reliability
Brain region
Category
Tau score
Brain region
Category
Tau score
Brain region
Category
Tau score
Cluster
Reliability
Tissue
Cell type
Enrichment
Cell type
Category
Tau score
Cell type
Category
Tau score
Cell type
Category
Tau score
Cell lineage
Category
Tau score
Cluster
Cluster
Location
Searches
Location
Cell line
Class
Type
Phase
Reliability
Cancer
Prognosis
Cancer
Category
Cancer
Category
Tau score
Cluster
Variants
Interacting gene (ensg_id)
Type
Number of interactions
Pathway
Category
Score
Score
Score
Validation
Validation
Validation
Validation
Antibodies
Data type
Column


  • SUMMARY

  • TISSUE

  • BRAIN

  • SINGLE CELL

  • SUBCELL

  • CANCER

  • BLOOD

  • CELL LINE

  • STRUCT & INT

  • LRRC38
TISSUE PRIMARY DATA ADIPOSE TISSUE Show tissue menu
ADIPOSE TISSUE ADRENAL GLAND AMYGDALA APPENDIX BASAL GANGLIA BONE MARROW BREAST BRONCHUS CEREBELLUM CEREBRAL CORTEX CERVIX CHOROID PLEXUS COLON DUODENUM
ENDOMETRIUM EPIDIDYMIS ESOPHAGUS FALLOPIAN TUBE GALLBLADDER HEART MUSCLE HIPPOCAMPAL FORMATION HYPOTHALAMUS KIDNEY LIVER LUNG LYMPH NODE MIDBRAIN NASOPHARYNX
ORAL MUCOSA OVARY PANCREAS PARATHYROID GLAND PITUITARY GLAND PLACENTA PROSTATE RECTUM RETINA SALIVARY GLAND SEMINAL VESICLE SKELETAL MUSCLE SKIN SMALL INTESTINE
SMOOTH MUSCLE SOFT TISSUE SPINAL CORD SPLEEN STOMACH TESTIS THYMUS THYROID GLAND TONGUE TONSIL URINARY BLADDER VAGINA
ANTIBODIES
AND
VALIDATION
Dictionary
Tissue proteome
Adipose tissue
ADIPOSE TISSUE - Expression summary
Protein expression
Adipose tissuei

On the top, protein expression in current human tissue, based on all annotated cell types, is reported with the units not detected (n), low (l), medium (m) and high (h). Underneath, protein expression in each annotated cell type are reported using the same units.

Protein expression data is based on knowledge-based annotation. For genes where more than one antibody has been used, a collective score is set.

If knowledge-based annotation could not be performed for a gene, no data is displayed here. View antibody staining data further down this page.

h
m
l
n
Adipocytes: Not detected
RNA expressioni

A summary of mRNA expression data available for current tissue based on several datasets. The mRNA expression levels in human tissues are based on RNA-seq data generated by the Human Protein Atlas (HPA), Genotype-Tissue Expression (GTEx) portal and CAGE data generated by the FANTOM5 consortium. Consensus normalized expression levels for human tissues was created by combining the data from HPA and GTEx datasets.

The mRNA expression levels in pig are based on RNA-seq data generated by the Human Protein Atlas (HPA), and for mouse, HPA data and in situ hybridization generated by the Allen brain atlas are reported.

Scroll down to view mRNA expression data in more detail.
Consensus:0.4 nTPM
HPA:0.2 nTPM
GTEx:0.4 nTPM
FANTOM5:1.4 Scaled Tags Per Million

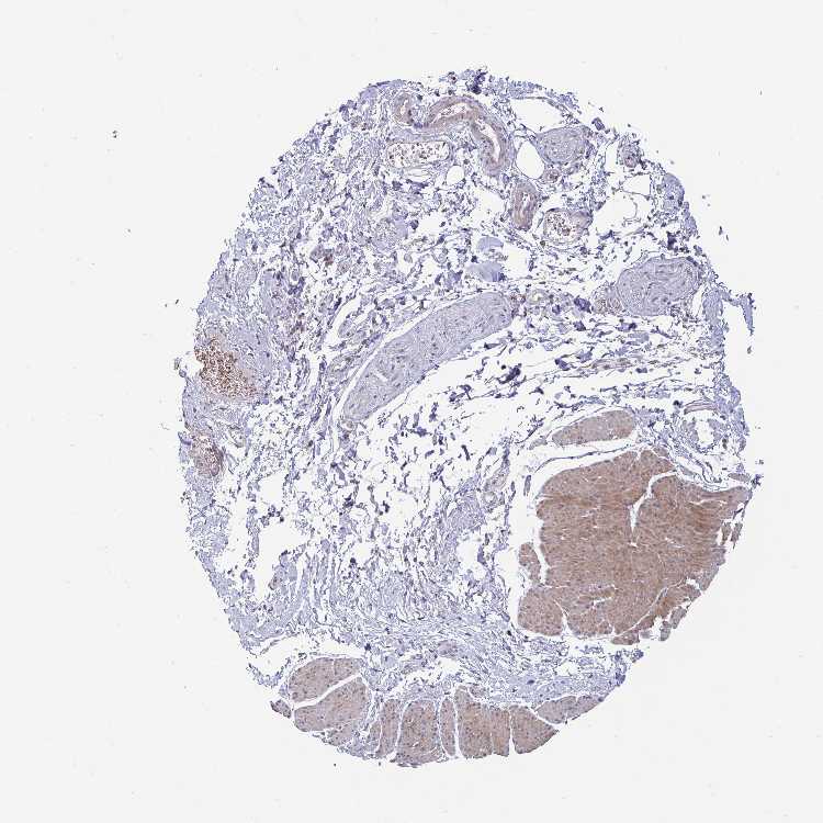
ADIPOSE TISSUE - Antibody stainingi

Antibody staining in the annotated cell types in the current human tissue is reported as not detected, low, medium, or high, based on conventional immunohistochemistry profiling in selected tissues. This score is based on the combination of the staining intensity and fraction of stained cells.

Each image is clickable and will lead to virtual microscopy that enables deeper exploration of all samples and also displays staining intensity scores, fraction scores and subcellular localization as well as patient and tissue information for each sample.

Antibody HPA038778
Adipocytes Not detected





ADIPOSE TISSUE - HPA RNA-seqi

The RNA-seq details section shows detailed information about the individual samples used for the transcript profiling and results of the RNA-seq analysis.

Information about each individual sample is listed below, including gender, age, a tissue section image and estimated fractions of cell types. nTPM (normalized transcripts per million) values give a quantification of the gene abundance which is comparable between different genes and samples.
Average nTPMi

Max subtype nTPM is the value for the subtype with the largest average nTPM across the subtype samples.

0.2
N/A
Female, age 80
Adipose tissue sample 86
nTPM: 0.1
Cell types%
Adipocytes:
95

Other cell types:
5

N/A
Female, age 45
Adipose tissue sample 115
nTPM: 0.2
N/A
Female, age 57
Adipose tissue sample 137
nTPM: 0
Cell types%
Adipocytes:
60

Fibroblasts:
20

Smooth muscle cells:
15

Other cell types:
5

overview
Female, age 74
Adipose tissue sample 329
nTPM: 0
Cell types%
Adipocytes:
50

Fibroblasts:
30

Smooth muscle cells:
15

Other cell types:
5

overview
Female, age 59
Adipose tissue sample 331
nTPM: 0.5
Cell types%
Adipocytes:
40

Fibroblasts:
40

Smooth muscle cells:
15

Other cell types:
5


ADIPOSE TISSUE - GTEx RNA-seqi

RNA-Seq data generated by the Genotype-Tissue Expression (GTEx) project from human tissues is reported as mean nTPM. More information can be found on the GTEx portal.

Distribution across the dataset is visualized with box plots, shown as median and 25th and 75th percentiles. Points are displayed as outliers if they are above or below 1.5 times the interquartile range. nTPM values of the individual samples are presented next to the box plot.
Max subtype nTPMi

Max subtype nTPM is the value for the subtype with the largest average nTPM across the subtype samples.

0.4
GTEx sample id Sample description nTPM
Adipose - Subcutaneous
Average nTPM: 0.0
Samples: 663

Max nTPM: 1.2
Min nTPM: 0.0
Std nTPM: 0.1
Median nTPM: 0.0
GTEX-1N2EF-0626-SM-E9J32 60-69 years, male 1.2
GTEX-12WSA-0326-SM-5BC6I 60-69 years, male 0.9
GTEX-14AS3-2026-SM-5TDD9 40-49 years, female 0.7
GTEX-1I1GV-0426-SM-ARZLX 60-69 years, male 0.7
GTEX-11ONC-2526-SM-5986W 60-69 years, male 0.6
GTEX-139T4-0126-SM-5HL5G 50-59 years, female 0.6
GTEX-OXRO-0226-SM-3LK6F 60-69 years, female 0.6
GTEX-1KD5A-0326-SM-D5OVD 50-59 years, male 0.6
GTEX-1PPGY-0326-SM-DTXFD 60-69 years, male 0.6
GTEX-139TT-0226-SM-5K7YH 60-69 years, male 0.5
GTEX-147GR-0426-SM-5S2OL 60-69 years, male 0.5
GTEX-1I19N-0426-SM-ACKVY 70-79 years, male 0.5
GTEX-1RAZA-0226-SM-E9U4W 20-29 years, male 0.5
GTEX-VUSH-0226-SM-EXUQV 30-39 years, male 0.5
GTEX-11XUK-2126-SM-5EQLR 40-49 years, female 0.4
GTEX-13112-2726-SM-5DUW5 50-59 years, male 0.4
GTEX-139YR-2426-SM-5J1OB 50-59 years, male 0.4
GTEX-15CHQ-0226-SM-6EU2S 60-69 years, male 0.4
GTEX-1A8G7-0226-SM-731AS 60-69 years, male 0.4
GTEX-1GPI7-0226-SM-9MQKB 20-29 years, male 0.4
GTEX-1GTWX-0226-SM-9YFLL 60-69 years, male 0.4
GTEX-113IC-0226-SM-5HL5C 60-69 years, male 0.3
GTEX-11EQ8-0226-SM-5EQ5G 60-69 years, male 0.3
GTEX-13OW7-0226-SM-5MR3N 50-59 years, male 0.3
GTEX-13PVR-2426-SM-5RQHN 60-69 years, female 0.3
GTEX-16NGA-1826-SM-7LG5L 40-49 years, female 0.3
GTEX-XYKS-2726-SM-4E3IC 60-69 years, female 0.3
GTEX-ZYW4-0226-SM-5E44M 60-69 years, male 0.3
GTEX-1EH9U-0226-SM-7PBY8 60-69 years, male 0.3
GTEX-1HSMP-0226-SM-CGQFI 70-79 years, male 0.3
GTEX-1LG7Y-0426-SM-DKPQB 50-59 years, male 0.3
GTEX-11LCK-1126-SM-5A5KC 30-39 years, male 0.2
GTEX-1399U-2426-SM-5K7XB 50-59 years, female 0.2
GTEX-145LS-0226-SM-5O9A5 60-69 years, female 0.2
GTEX-145MI-0426-SM-5O99V 60-69 years, female 0.2
GTEX-183WM-0226-SM-7LT8T 70-79 years, female 0.2
GTEX-18A66-0326-SM-718BE 60-69 years, male 0.2
GTEX-1B933-0526-SM-7EPHM 50-59 years, female 0.2
GTEX-OOBJ-0226-SM-2YUMM 60-69 years, male 0.2
GTEX-QCQG-1826-SM-2S1P2 50-59 years, female 0.2
GTEX-T5JW-1726-SM-3GADN 20-29 years, female 0.2
GTEX-VJYA-1326-SM-3GIJC 60-69 years, male 0.2
GTEX-WH7G-2226-SM-3NMBN 40-49 years, male 0.2
GTEX-XXEK-2426-SM-4BRUS 50-59 years, male 0.2
GTEX-ZPU1-2426-SM-4WWFM 40-49 years, male 0.2
GTEX-ZVZP-2326-SM-59HL4 50-59 years, male 0.2
GTEX-17KNJ-2226-SM-DKPOU 50-59 years, male 0.2
GTEX-1A8FM-0126-SM-7SB7P 50-59 years, female 0.2
GTEX-1F75I-0426-SM-7PC3S 40-49 years, male 0.2
GTEX-1GZ4H-1826-SM-9MQLE 50-59 years, female 0.2
GTEX-1IKJJ-0226-SM-COH3T 60-69 years, male 0.2
GTEX-1IKK5-0526-SM-CMKGG 60-69 years, male 0.2
GTEX-1JK1U-2126-SM-CNPOU 60-69 years, male 0.2
GTEX-1JKYR-0226-SM-CNPOK 20-29 years, male 0.2
GTEX-1JMPY-1426-SM-ARL8Z 30-39 years, male 0.2
GTEX-1LB8K-0326-SM-E9TJC 50-59 years, male 0.2
GTEX-1QP66-1326-SM-DTXDQ 50-59 years, male 0.2
GTEX-P4PP-0226-SM-D4P1Z 30-39 years, female 0.2
GTEX-1117F-0226-SM-5GZZ7 60-69 years, female 0.1
GTEX-11P7K-2026-SM-5GU74 30-39 years, male 0.1
GTEX-12696-2526-SM-5EQLN 60-69 years, male 0.1
GTEX-12WSL-2426-SM-5GCN7 50-59 years, male 0.1
GTEX-131XF-2226-SM-5EQKG 60-69 years, male 0.1
GTEX-139TU-0226-SM-5J1NM 60-69 years, male 0.1
GTEX-13O3Q-2326-SM-5KM3G 50-59 years, male 0.1
GTEX-13OVI-1326-SM-5IJBO 60-69 years, female 0.1
GTEX-13OVL-0326-SM-5IJCS 50-59 years, male 0.1
GTEX-13OW8-1226-SM-5K7XD 60-69 years, male 0.1
GTEX-13QJ3-0426-SM-5RQHP 50-59 years, male 0.1
GTEX-13RTJ-2526-SM-5S2Q3 60-69 years, male 0.1
GTEX-13SLX-0426-SM-5QGRC 50-59 years, female 0.1
GTEX-13U4I-0226-SM-5SIB1 40-49 years, female 0.1
GTEX-13W3W-2526-SM-5SI9P 60-69 years, female 0.1
GTEX-145MF-0526-SM-5LUA6 50-59 years, male 0.1
GTEX-145MG-0126-SM-5TDDA 50-59 years, male 0.1
GTEX-148VI-1726-SM-5S2W9 60-69 years, female 0.1
GTEX-14E1K-2126-SM-793DU 50-59 years, male 0.1
GTEX-14H4A-1026-SM-62LDY 40-49 years, female 0.1
GTEX-14ICL-2026-SM-62LDN 30-39 years, male 0.1
GTEX-14JG6-2326-SM-6LLH3 30-39 years, female 0.1
GTEX-14PJ3-1926-SM-62LEY 50-59 years, male 0.1
GTEX-14PJ4-2226-SM-6LLIS 60-69 years, male 0.1
GTEX-14PK6-2026-SM-6LLHP 70-79 years, female 0.1
GTEX-15DCD-0226-SM-6LPKC 70-79 years, female 0.1
GTEX-16AAH-2026-SM-7LG5F 50-59 years, male 0.1
GTEX-17MF6-0226-SM-7LG4G 40-49 years, male 0.1
GTEX-1AMFI-2126-SM-731BT 50-59 years, female 0.1
GTEX-1AX9J-0326-SM-73KXY 60-69 years, male 0.1
GTEX-1B97I-1726-SM-7939V 40-49 years, male 0.1
GTEX-1BAJH-0426-SM-73KWY 70-79 years, male 0.1
GTEX-1E1VI-0226-SM-793CZ 50-59 years, male 0.1
GTEX-P44H-0326-SM-2XCES 40-49 years, male 0.1
GTEX-PSDG-0326-SM-48TCP 50-59 years, male 0.1
GTEX-Q2AI-1426-SM-2S1P5 40-49 years, male 0.1
GTEX-QDVJ-1826-SM-2S1P3 50-59 years, male 0.1
GTEX-QLQ7-1526-SM-2S1QA 60-69 years, male 0.1
GTEX-QLQW-1226-SM-2S1Q9 30-39 years, male 0.1
GTEX-REY6-0326-SM-2TF5A 60-69 years, male 0.1
GTEX-RM2N-1726-SM-2TF55 50-59 years, male 0.1
GTEX-RU72-1026-SM-46MUG 50-59 years, female 0.1
GTEX-S95S-1326-SM-2XCDK 60-69 years, male 0.1
GTEX-SIU8-0226-SM-2XCDS 50-59 years, male 0.1
GTEX-SSA3-0226-SM-32QPN 60-69 years, male 0.1
GTEX-T6MN-0226-SM-32PMD 50-59 years, male 0.1
GTEX-W5WG-2526-SM-4SOJ2 50-59 years, female 0.1
GTEX-WEY5-1926-SM-3GIL8 40-49 years, female 0.1
GTEX-X4LF-1726-SM-3NMBZ 50-59 years, male 0.1
GTEX-X638-0226-SM-47JZ9 70-79 years, female 0.1
GTEX-XBEC-0326-SM-4AT4M 50-59 years, male 0.1
GTEX-XMK1-2226-SM-4B673 40-49 years, male 0.1
GTEX-Y3I4-2226-SM-4TT7O 50-59 years, male 0.1
GTEX-Y5V5-2426-SM-5IFJA 60-69 years, female 0.1
GTEX-Y5V6-2526-SM-5IFJV 60-69 years, male 0.1
GTEX-Y8E5-0226-SM-57WCM 60-69 years, male 0.1
GTEX-YEC3-1226-SM-5IFI8 50-59 years, male 0.1
GTEX-YFCO-2026-SM-4W21Q 40-49 years, male 0.1
GTEX-Z93S-0226-SM-5HL7R 50-59 years, male 0.1
GTEX-Z9EW-1826-SM-5CVMA 40-49 years, male 0.1
GTEX-ZDTS-0226-SM-5HL7Q 60-69 years, male 0.1
GTEX-ZDXO-2426-SM-5S2NJ 60-69 years, male 0.1
GTEX-ZXG5-0226-SM-59HJI 60-69 years, male 0.1
GTEX-ZYFD-0226-SM-5NQ86 50-59 years, male 0.1
GTEX-11NUK-0326-SM-5HL5K 50-59 years, male 0.1
GTEX-169BO-1426-SM-9MQJT 50-59 years, male 0.1
GTEX-1B996-0126-SM-7PBYF 60-69 years, male 0.1
GTEX-1CB4E-1826-SM-7RHG8 60-69 years, male 0.1
GTEX-1EMGI-0226-SM-9MQL1 60-69 years, male 0.1
GTEX-1EU9M-0326-SM-7RHGF 60-69 years, male 0.1
GTEX-1F52S-0226-SM-7SB7U 60-69 years, female 0.1
GTEX-1F88E-0526-SM-7SB8J 60-69 years, female 0.1
GTEX-1GMR2-2526-SM-9MQKW 50-59 years, male 0.1
GTEX-1GN1V-0226-SM-9WYTN 60-69 years, male 0.1
GTEX-1GZ4I-0226-SM-7RHHO 50-59 years, male 0.1
GTEX-1H1CY-2626-SM-9MQKJ 60-69 years, female 0.1
GTEX-1HSMQ-1426-SM-ADEHT 50-59 years, male 0.1
GTEX-1HT8W-0226-SM-CMKGT 30-39 years, male 0.1
GTEX-1HUB1-0326-SM-A9SKQ 60-69 years, male 0.1
GTEX-1I1GS-0226-SM-B2LVX 60-69 years, male 0.1
GTEX-1IDFM-0226-SM-CMKFX 60-69 years, male 0.1
GTEX-1IY9M-0226-SM-CMKHP 60-69 years, male 0.1
GTEX-1JMLX-0126-SM-CMKG9 50-59 years, male 0.1
GTEX-1JN6P-0226-SM-COH34 60-69 years, male 0.1
GTEX-1KWVE-1326-SM-E6CJ1 30-39 years, male 0.1
GTEX-1KXAM-2326-SM-CYPTD 60-69 years, male 0.1
GTEX-1LGOU-2226-SM-E9U56 20-29 years, female 0.1
GTEX-1LSNM-2026-SM-E6CIJ 50-59 years, male 0.1
GTEX-1MJK2-0526-SM-DTXE6 50-59 years, male 0.1
GTEX-1MUQO-0526-SM-E9J31 60-69 years, male 0.1
GTEX-1NHNU-1126-SM-E9J2C 50-59 years, male 0.1
GTEX-1QCLY-0526-SM-EAZ47 30-39 years, male 0.1
GTEX-1QP28-0226-SM-E9J2N 50-59 years, female 0.1
GTEX-1QW4Y-1626-SM-EAZ41 30-39 years, male 0.1
GTEX-1R7EU-0326-SM-EWRNJ 60-69 years, male 0.1
GTEX-1S83E-0226-SM-EVYCW 40-49 years, male 0.1
GTEX-R45C-0226-SM-EVYAJ 60-69 years, female 0.1
GTEX-WYJK-0226-SM-EYYV8 50-59 years, male 0.1
GTEX-111CU-1826-SM-5GZYN 50-59 years, male 0.0
GTEX-111FC-0226-SM-5N9B8 60-69 years, male 0.0
GTEX-111VG-2326-SM-5N9BK 60-69 years, male 0.0
GTEX-111YS-2426-SM-5GZZQ 60-69 years, male 0.0
GTEX-1128S-2126-SM-5H12U 60-69 years, female 0.0
GTEX-117YX-2226-SM-5EGJJ 50-59 years, male 0.0
GTEX-11DXW-0326-SM-5H11W 40-49 years, male 0.0
GTEX-11DZ1-0226-SM-5A5KF 50-59 years, male 0.0
GTEX-11EI6-0226-SM-5EQ64 60-69 years, male 0.0
GTEX-11EM3-2326-SM-5H12B 20-29 years, female 0.0
GTEX-11EMC-2826-SM-5PNY6 60-69 years, female 0.0
GTEX-11EQ9-2526-SM-5HL66 30-39 years, male 0.0
GTEX-11GS4-2626-SM-5A5LD 60-69 years, male 0.0
GTEX-11GSO-2326-SM-5A5LX 60-69 years, male 0.0
GTEX-11H98-0226-SM-5NQ89 50-59 years, male 0.0
GTEX-11I78-2626-SM-5Q5AI 50-59 years, female 0.0
GTEX-11O72-0226-SM-59869 40-49 years, male 0.0
GTEX-11OF3-2426-SM-5Q5AS 60-69 years, male 0.0
GTEX-11P81-2426-SM-5GU65 30-39 years, female 0.0
GTEX-11P82-1726-SM-5Q5AT 20-29 years, male 0.0
GTEX-11PRG-0626-SM-5BC56 50-59 years, male 0.0
GTEX-11TT1-2426-SM-5EQMK 20-29 years, male 0.0
GTEX-11TTK-0226-SM-5N9EC 60-69 years, female 0.0
GTEX-11TUW-2626-SM-5EQKZ 60-69 years, male 0.0
GTEX-11UD1-0226-SM-5EQKL 40-49 years, female 0.0
GTEX-11UD2-0126-SM-5EQL2 50-59 years, male 0.0
GTEX-11WQC-2426-SM-5EQKQ 60-69 years, male 0.0
GTEX-11ZTS-0226-SM-5EQKD 60-69 years, female 0.0
GTEX-11ZTT-2526-SM-5EQM9 60-69 years, female 0.0
GTEX-11ZU8-2426-SM-5EQMV 60-69 years, male 0.0
GTEX-11ZUS-0726-SM-59886 30-39 years, male 0.0
GTEX-11ZVC-2626-SM-5FQTA 50-59 years, female 0.0
GTEX-1211K-2226-SM-5FQU6 60-69 years, female 0.0
GTEX-12126-0426-SM-5Q5AP 20-29 years, male 0.0
GTEX-1212Z-2426-SM-5EQ5D 60-69 years, male 0.0
GTEX-12584-0226-SM-5EQL5 40-49 years, male 0.0
GTEX-1269C-2726-SM-5EGJ4 60-69 years, female 0.0
GTEX-12C56-1626-SM-5FQUO 20-29 years, male 0.0
GTEX-12KS4-0426-SM-5EQMC 30-39 years, male 0.0
GTEX-12WSC-0226-SM-5EQ52 50-59 years, male 0.0
GTEX-12WSD-0226-SM-59HKO 60-69 years, female 0.0
GTEX-12WSM-0226-SM-5LZV6 60-69 years, male 0.0
GTEX-12ZZX-0226-SM-5DUXU 40-49 years, female 0.0
GTEX-12ZZY-0326-SM-5LZVQ 60-69 years, male 0.0
GTEX-12ZZZ-0526-SM-5DUX6 60-69 years, male 0.0
GTEX-13111-1726-SM-5EGJZ 50-59 years, male 0.0
GTEX-13113-1826-SM-5LZW4 60-69 years, female 0.0
GTEX-1313W-0226-SM-5LZV7 50-59 years, female 0.0
GTEX-1314G-1626-SM-5EQ67 30-39 years, male 0.0
GTEX-131XE-2426-SM-5EQ5V 50-59 years, male 0.0
GTEX-131XW-0526-SM-5PNXZ 50-59 years, female 0.0
GTEX-131YS-0226-SM-5IJEH 60-69 years, female 0.0
GTEX-132AR-0226-SM-5IJBE 50-59 years, female 0.0
GTEX-132QS-2526-SM-62LFJ 60-69 years, male 0.0
GTEX-133LE-1926-SM-5N9FV 20-29 years, female 0.0
GTEX-1399R-2626-SM-5KLZ7 30-39 years, male 0.0
GTEX-1399T-2726-SM-5K7XK 60-69 years, male 0.0
GTEX-139D8-0326-SM-5IJCJ 30-39 years, female 0.0
GTEX-139T6-2126-SM-5KM37 50-59 years, male 0.0
GTEX-139T8-0226-SM-5L3EA 60-69 years, male 0.0
GTEX-13CF2-2626-SM-5LZZA 60-69 years, male 0.0
GTEX-13CF3-2326-SM-5IFGL 60-69 years, female 0.0
GTEX-13D11-2326-SM-5IJCY 50-59 years, female 0.0
GTEX-13FH7-2226-SM-5IJD4 50-59 years, female 0.0
GTEX-13FHO-0326-SM-5IJBH 60-69 years, male 0.0
GTEX-13FHP-0226-SM-5K7WD 50-59 years, male 0.0
GTEX-13FTW-2526-SM-5IJC8 40-49 years, male 0.0
GTEX-13FTY-0626-SM-5L3F8 40-49 years, female 0.0
GTEX-13G51-2626-SM-5LZYW 60-69 years, male 0.0
GTEX-13IVO-0226-SM-5LZXU 70-79 years, male 0.0
GTEX-13JUV-2826-SM-5LZWU 40-49 years, female 0.0
GTEX-13JVG-0226-SM-5J1MW 60-69 years, male 0.0
GTEX-13N11-2626-SM-5K7UQ 50-59 years, female 0.0
GTEX-13N1W-0226-SM-5K7W6 70-79 years, male 0.0
GTEX-13N2G-2726-SM-5J1MG 60-69 years, male 0.0
GTEX-13NYS-0226-SM-5MR49 60-69 years, male 0.0
GTEX-13NZ8-0926-SM-5MR3U 60-69 years, female 0.0
GTEX-13NZ9-0526-SM-5J1OX 50-59 years, male 0.0
GTEX-13NZA-0126-SM-5K7UH 60-69 years, male 0.0
GTEX-13NZB-2426-SM-5K7UF 30-39 years, male 0.0
GTEX-13O1R-0226-SM-5K7U5 60-69 years, male 0.0
GTEX-13O21-1526-SM-5K7W4 50-59 years, male 0.0
GTEX-13O3P-0226-SM-5KM3Z 50-59 years, male 0.0
GTEX-13O61-2426-SM-5J1NV 60-69 years, male 0.0
GTEX-13OVJ-0326-SM-5L3GL 50-59 years, female 0.0
GTEX-13OVK-2126-SM-6PAN1 40-49 years, male 0.0
GTEX-13OW6-0526-SM-5L3HY 50-59 years, male 0.0
GTEX-13PDP-0226-SM-5K7W9 60-69 years, male 0.0
GTEX-13PLJ-0126-SM-5L3HU 60-69 years, female 0.0
GTEX-13PVQ-0226-SM-5SIBG 50-59 years, male 0.0
GTEX-13QBU-2526-SM-5LU4X 40-49 years, female 0.0
GTEX-13S7M-0226-SM-5S2UG 60-69 years, female 0.0
GTEX-13SLW-0226-SM-5S2NA 70-79 years, male 0.0
GTEX-13VXT-0226-SM-5LU9Q 20-29 years, female 0.0
GTEX-13VXU-0226-SM-5SI9R 50-59 years, male 0.0
GTEX-13X6J-0226-SM-7EPGC 50-59 years, male 0.0
GTEX-13X6K-0226-SM-5QGPB 60-69 years, female 0.0
GTEX-13YAN-0426-SM-5O9DR 60-69 years, male 0.0
GTEX-144FL-0226-SM-5Q5D4 50-59 years, male 0.0
GTEX-144GL-0226-SM-5QGOX 50-59 years, male 0.0
GTEX-144GM-1926-SM-5LUAN 20-29 years, male 0.0
GTEX-144GO-1626-SM-7EPG5 60-69 years, male 0.0
GTEX-145LT-1826-SM-5QGP4 40-49 years, male 0.0
GTEX-145MN-2626-SM-5NQAH 30-39 years, male 0.0
GTEX-145MO-0426-SM-5QGP6 60-69 years, male 0.0
GTEX-146FH-0226-SM-5QGPQ 50-59 years, female 0.0
GTEX-146FQ-0226-SM-5NQAL 30-39 years, male 0.0
GTEX-146FR-1826-SM-5QGPF 60-69 years, female 0.0
GTEX-14753-0326-SM-5QGQB 60-69 years, male 0.0
GTEX-147F3-0626-SM-5NQ9I 50-59 years, female 0.0
GTEX-147JS-0426-SM-5TDD2 60-69 years, male 0.0
GTEX-1497J-2326-SM-5NQBK 60-69 years, male 0.0
GTEX-14A5H-0526-SM-5TDCN 60-69 years, male 0.0
GTEX-14ABY-0326-SM-5TDDK 50-59 years, male 0.0
GTEX-14BIL-0226-SM-5SI9E 50-59 years, male 0.0
GTEX-14BIN-0726-SM-793DQ 50-59 years, female 0.0
GTEX-14BMU-2126-SM-5S2TS 20-29 years, female 0.0
GTEX-14BMV-0226-SM-5S2N2 50-59 years, male 0.0
GTEX-14C39-2526-SM-5S2UH 40-49 years, male 0.0
GTEX-14C5O-0226-SM-5SI6O 60-69 years, male 0.0
GTEX-14DAQ-0226-SM-664MQ 60-69 years, female 0.0
GTEX-14DAR-1926-SM-5S2NQ 50-59 years, male 0.0
GTEX-14E6C-0226-SM-5S2N3 40-49 years, male 0.0
GTEX-14E6D-0226-SM-62LDW 50-59 years, male 0.0
GTEX-14E6E-1926-SM-664N4 30-39 years, male 0.0
GTEX-14ICK-0326-SM-6LLIZ 40-49 years, male 0.0
GTEX-14JG1-0526-SM-6LLHW 40-49 years, male 0.0
GTEX-14JIY-0526-SM-62LFH 60-69 years, male 0.0
GTEX-14LLW-0226-SM-62LEL 70-79 years, female 0.0
GTEX-14PHX-2426-SM-62LEN 50-59 years, male 0.0
GTEX-14PII-0326-SM-6LLIQ 60-69 years, male 0.0
GTEX-14PJ2-0226-SM-6LLH4 50-59 years, male 0.0
GTEX-14PJ6-2226-SM-6LLIV 60-69 years, female 0.0
GTEX-14PJM-0326-SM-62LF2 50-59 years, female 0.0
GTEX-14PN3-2526-SM-6EU15 60-69 years, female 0.0
GTEX-15DDE-0226-SM-6LLJ6 50-59 years, female 0.0
GTEX-15ER7-0426-SM-6PAM3 20-29 years, female 0.0
GTEX-15ETS-0426-SM-6PANI 40-49 years, female 0.0
GTEX-15G19-0226-SM-6PAL2 60-69 years, male 0.0
GTEX-15RIE-2326-SM-7KFSC 60-69 years, male 0.0
GTEX-15SDE-2426-SM-7KFRC 50-59 years, female 0.0
GTEX-15UKP-0526-SM-7KFRO 20-29 years, male 0.0
GTEX-16BQI-0526-SM-6PAM8 30-39 years, female 0.0
GTEX-16GPK-0226-SM-7DUFI 60-69 years, male 0.0
GTEX-16MT8-0526-SM-6PAM6 60-69 years, female 0.0
GTEX-16MTA-2126-SM-6PALC 50-59 years, male 0.0
GTEX-16NPX-0326-SM-7EWDI 50-59 years, male 0.0
GTEX-16XZY-2526-SM-7DHL2 70-79 years, male 0.0
GTEX-16YQH-0226-SM-6PALD 30-39 years, male 0.0
GTEX-17EUY-0526-SM-7EWDE 20-29 years, male 0.0
GTEX-17EVP-0426-SM-79OKG 40-49 years, male 0.0
GTEX-17F96-1726-SM-7IGMB 70-79 years, male 0.0
GTEX-17F97-0426-SM-7LT9U 50-59 years, male 0.0
GTEX-17F98-1126-SM-79OJS 40-49 years, female 0.0
GTEX-17F9Y-0326-SM-7IGLS 70-79 years, female 0.0
GTEX-17HG3-2326-SM-79OKH 30-39 years, female 0.0
GTEX-17HGU-0326-SM-7DUER 50-59 years, male 0.0
GTEX-17HHE-1926-SM-7EPGW 50-59 years, male 0.0
GTEX-17HHY-0226-SM-793BQ 50-59 years, male 0.0
GTEX-17HII-0326-SM-7LG4X 50-59 years, male 0.0
GTEX-17MFQ-1826-SM-7DHLS 20-29 years, male 0.0
GTEX-183FY-0326-SM-793BY 20-29 years, male 0.0
GTEX-18465-0226-SM-7LG5M 50-59 years, male 0.0
GTEX-18A67-0226-SM-7LG67 50-59 years, male 0.0
GTEX-18A6Q-0226-SM-718AS 60-69 years, male 0.0
GTEX-18A7A-0326-SM-731AT 50-59 years, female 0.0
GTEX-18D9A-2026-SM-718BL 30-39 years, female 0.0
GTEX-18D9U-0726-SM-7LG5J 40-49 years, male 0.0
GTEX-1A32A-0226-SM-718B2 50-59 years, female 0.0
GTEX-1A3MV-2126-SM-718BV 30-39 years, male 0.0
GTEX-1A3MW-0226-SM-7939O 60-69 years, female 0.0
GTEX-1A3MX-0226-SM-731C4 60-69 years, male 0.0
GTEX-1AMEY-1426-SM-7939I 30-39 years, female 0.0
GTEX-1AX9K-2426-SM-73KZ4 50-59 years, male 0.0
GTEX-1AYD5-2326-SM-73KXF 50-59 years, male 0.0
GTEX-1B8KE-2526-SM-73KYQ 50-59 years, male 0.0
GTEX-1B8KZ-1926-SM-7DUG8 50-59 years, male 0.0
GTEX-1B8SF-0526-SM-7939F 60-69 years, male 0.0
GTEX-1B8SG-0226-SM-7939Q 50-59 years, male 0.0
GTEX-1C2JI-2226-SM-7IGPJ 50-59 years, male 0.0
GTEX-1C475-1926-SM-7DUFV 40-49 years, female 0.0
GTEX-1C4CL-0426-SM-7939N 30-39 years, male 0.0
GTEX-1C64O-0226-SM-73KXB 60-69 years, male 0.0
GTEX-1C6VS-0426-SM-79OJV 60-69 years, male 0.0
GTEX-1C6WA-0226-SM-7IGPO 60-69 years, male 0.0
GTEX-1CB4I-0426-SM-7IGPR 50-59 years, male 0.0
GTEX-1EWIQ-0226-SM-793D3 70-79 years, female 0.0
GTEX-N7MS-0326-SM-4E3K2 60-69 years, male 0.0
GTEX-NFK9-0326-SM-3MJGV 40-49 years, male 0.0
GTEX-NPJ8-0226-SM-48TBN 40-49 years, male 0.0
GTEX-O5YT-0226-SM-32PK5 20-29 years, male 0.0
GTEX-O5YV-0226-SM-48TBY 60-69 years, female 0.0
GTEX-OHPK-0226-SM-3MJH6 50-59 years, female 0.0
GTEX-OHPM-0226-SM-3LK61 50-59 years, male 0.0
GTEX-OHPN-0226-SM-48TBV 60-69 years, female 0.0
GTEX-OIZH-0226-SM-2YUMH 50-59 years, male 0.0
GTEX-OIZI-0226-SM-2XCEE 40-49 years, male 0.0
GTEX-OOBK-0226-SM-2YUMF 40-49 years, male 0.0
GTEX-OXRK-0326-SM-3NB3R 50-59 years, female 0.0
GTEX-OXRL-0226-SM-3NB18 50-59 years, male 0.0
GTEX-OXRN-0226-SM-2I5EJ 50-59 years, male 0.0
GTEX-OXRP-0226-SM-3NB14 60-69 years, female 0.0
GTEX-P44G-2326-SM-2XCCZ 30-39 years, male 0.0
GTEX-P4PQ-0226-SM-2S1NK 60-69 years, male 0.0
GTEX-P4QS-0226-SM-3NB1U 60-69 years, male 0.0
GTEX-P4QT-0226-SM-3LK68 50-59 years, female 0.0
GTEX-P78B-0226-SM-3NB1Z 40-49 years, female 0.0
GTEX-PLZ5-1826-SM-3NB22 50-59 years, male 0.0
GTEX-PLZ6-1326-SM-3NB24 30-39 years, male 0.0
GTEX-POYW-0726-SM-2XCEO 60-69 years, male 0.0
GTEX-PWCY-1926-SM-3NB25 20-29 years, female 0.0
GTEX-Q2AG-0226-SM-2S1P4 40-49 years, female 0.0
GTEX-Q734-1826-SM-2I3EL 40-49 years, female 0.0
GTEX-QDT8-0226-SM-32PL4 30-39 years, female 0.0
GTEX-QDVN-2126-SM-33HBS 50-59 years, male 0.0
GTEX-QEG5-0326-SM-2S1PB 20-29 years, male 0.0
GTEX-QEL4-0326-SM-3GAE5 50-59 years, male 0.0
GTEX-QESD-1526-SM-2S1QT 20-29 years, male 0.0
GTEX-QMRM-1726-SM-2S1QG 50-59 years, male 0.0
GTEX-QV31-1326-SM-2S1QE 30-39 years, male 0.0
GTEX-QV44-1825-SM-447CF 50-59 years, male 0.0
GTEX-R53T-1626-SM-3GAEW 50-59 years, female 0.0
GTEX-R55C-1626-SM-48FEG 40-49 years, male 0.0
GTEX-R55D-0326-SM-48FES 50-59 years, male 0.0
GTEX-R55G-2426-SM-2TC5I 40-49 years, female 0.0
GTEX-RTLS-0226-SM-2TF5E 60-69 years, female 0.0
GTEX-RWSA-0226-SM-2XCBA 40-49 years, male 0.0
GTEX-S32W-2226-SM-2XCAY 50-59 years, female 0.0
GTEX-S33H-1126-SM-2XCB6 30-39 years, male 0.0
GTEX-S7SE-0226-SM-2XCD4 50-59 years, male 0.0
GTEX-SJXC-0226-SM-2XCDU 60-69 years, male 0.0
GTEX-SN8G-0226-SM-4DM6B 50-59 years, female 0.0
GTEX-SNMC-1326-SM-2XCFK 20-29 years, male 0.0
GTEX-SNOS-1426-SM-32PLY 40-49 years, male 0.0
GTEX-SUCS-1826-SM-32PM1 70-79 years, male 0.0
GTEX-T2IS-0226-SM-32QPH 20-29 years, female 0.0
GTEX-T5JC-0526-SM-32PM7 20-29 years, male 0.0
GTEX-T6MO-1726-SM-33HB8 40-49 years, female 0.0
GTEX-T8EM-1126-SM-3DB7D 40-49 years, male 0.0
GTEX-TKQ1-1126-SM-4GIAZ 30-39 years, male 0.0
GTEX-TML8-2026-SM-32QOP 40-49 years, female 0.0
GTEX-TMZS-0226-SM-3DB9N 60-69 years, male 0.0
GTEX-TSE9-0226-SM-3DB84 60-69 years, female 0.0
GTEX-U3ZN-2626-SM-3DB7T 30-39 years, female 0.0
GTEX-U412-0526-SM-3DB9I 60-69 years, male 0.0
GTEX-U4B1-1726-SM-3DB9F 40-49 years, male 0.0
GTEX-U8XE-0426-SM-3DB91 30-39 years, male 0.0
GTEX-UJHI-1626-SM-3DB9A 50-59 years, female 0.0
GTEX-VUSG-2426-SM-4KKZG 50-59 years, male 0.0
GTEX-W5X1-2626-SM-4LMI8 40-49 years, female 0.0
GTEX-WFJO-1926-SM-3GILA 30-39 years, male 0.0
GTEX-WFON-2226-SM-3TW8W 40-49 years, male 0.0
GTEX-WHPG-2126-SM-4M1ZM 50-59 years, male 0.0
GTEX-WI4N-1126-SM-3LK7Q 40-49 years, female 0.0
GTEX-WL46-0326-SM-3LK6Y 50-59 years, male 0.0
GTEX-WVJS-0226-SM-4MVOU 50-59 years, male 0.0
GTEX-WVLH-0226-SM-3MJG6 50-59 years, male 0.0
GTEX-WY7C-2426-SM-3NB2V 50-59 years, male 0.0
GTEX-X15G-2326-SM-4PQZS 50-59 years, female 0.0
GTEX-X261-0226-SM-3NMD2 50-59 years, male 0.0
GTEX-X4EO-0426-SM-4QASA 60-69 years, female 0.0
GTEX-X4XY-0326-SM-46MVZ 60-69 years, male 0.0
GTEX-X5EB-2426-SM-4E3HX 40-49 years, male 0.0
GTEX-X88G-0226-SM-4GIE4 30-39 years, male 0.0
GTEX-X8HC-0226-SM-4E3K1 50-59 years, female 0.0
GTEX-XAJ8-0926-SM-47JXZ 40-49 years, male 0.0
GTEX-XBED-2326-SM-47JYR 60-69 years, male 0.0
GTEX-XBEW-0726-SM-4QARX 40-49 years, male 0.0
GTEX-XGQ4-2226-SM-4AT4Y 50-59 years, male 0.0
GTEX-XK95-0426-SM-4AT4R 40-49 years, male 0.0
GTEX-XLM4-0226-SM-4AT4N 60-69 years, male 0.0
GTEX-XMD2-0226-SM-4WWEE 60-69 years, female 0.0
GTEX-XPVG-2726-SM-4B66W 50-59 years, male 0.0
GTEX-XQ3S-1626-SM-4WAYN 20-29 years, male 0.0
GTEX-XQ8I-0526-SM-4BOPS 50-59 years, male 0.0
GTEX-XUW1-0526-SM-4BOP3 50-59 years, female 0.0
GTEX-XUYS-0226-SM-47JX1 50-59 years, male 0.0
GTEX-XUZC-1826-SM-4BRVO 30-39 years, female 0.0
GTEX-XV7Q-2626-SM-4BRVA 40-49 years, female 0.0
GTEX-Y111-0226-SM-4SOIW 50-59 years, male 0.0
GTEX-Y114-2326-SM-4TT7X 50-59 years, female 0.0
GTEX-Y3IK-2526-SM-4WWDM 50-59 years, female 0.0
GTEX-Y8E4-0726-SM-4WWFN 40-49 years, male 0.0
GTEX-Y8LW-1926-SM-4WWFZ 50-59 years, female 0.0
GTEX-Y9LG-2026-SM-62LFS 30-39 years, male 0.0
GTEX-YB5E-2126-SM-5IFI7 40-49 years, male 0.0
GTEX-YB5K-2226-SM-4WWG1 40-49 years, female 0.0
GTEX-YEC4-2426-SM-57WFO 40-49 years, male 0.0
GTEX-YECK-0226-SM-4W215 60-69 years, male 0.0
GTEX-YF7O-2426-SM-5IFJL 50-59 years, male 0.0
GTEX-YFC4-0226-SM-57WD2 40-49 years, female 0.0
GTEX-YJ89-0226-SM-4TT3Y 60-69 years, male 0.0
GTEX-YJ8A-0526-SM-5IFHT 20-29 years, male 0.0
GTEX-YJ8O-2426-SM-5HL7S 40-49 years, female 0.0
GTEX-Z93T-0226-SM-5HL5Z 50-59 years, male 0.0
GTEX-ZAJG-0226-SM-5HL81 50-59 years, female 0.0
GTEX-ZAK1-0226-SM-5CVMX 50-59 years, female 0.0
GTEX-ZC5H-0126-SM-4WAYL 40-49 years, female 0.0
GTEX-ZDTT-2626-SM-5S2OP 60-69 years, male 0.0
GTEX-ZE7O-0226-SM-5S2N1 50-59 years, female 0.0
GTEX-ZE9C-2826-SM-5S2MO 60-69 years, male 0.0
GTEX-ZEX8-2326-SM-5S2MN 50-59 years, male 0.0
GTEX-ZF28-0226-SM-5S2OE 60-69 years, male 0.0
GTEX-ZF29-2226-SM-4WWB9 60-69 years, female 0.0
GTEX-ZF3C-0226-SM-4WWB3 50-59 years, female 0.0
GTEX-ZLV1-1826-SM-5FQU5 60-69 years, female 0.0
GTEX-ZP4G-2326-SM-57WEM 20-29 years, female 0.0
GTEX-ZPCL-2126-SM-57WFZ 60-69 years, female 0.0
GTEX-ZPIC-1826-SM-57WFE 40-49 years, female 0.0
GTEX-ZQG8-1526-SM-5HL65 60-69 years, female 0.0
GTEX-ZT9X-1926-SM-57WE7 40-49 years, male 0.0
GTEX-ZTPG-0226-SM-5O99I 20-29 years, female 0.0
GTEX-ZTSS-2026-SM-5987K 40-49 years, male 0.0
GTEX-ZTX8-1526-SM-5N9GI 20-29 years, male 0.0
GTEX-ZUA1-0226-SM-5NQ9Q 40-49 years, male 0.0
GTEX-ZV68-0226-SM-59HJF 50-59 years, female 0.0
GTEX-ZVE2-0326-SM-57WFC 50-59 years, male 0.0
GTEX-ZVP2-1826-SM-5GU62 50-59 years, male 0.0
GTEX-ZVT2-2226-SM-5NQ6P 50-59 years, female 0.0
GTEX-ZVT4-0226-SM-51MSD 50-59 years, female 0.0
GTEX-ZVTK-0526-SM-5GZWT 20-29 years, male 0.0
GTEX-ZVZO-0226-SM-5A5LA 40-49 years, male 0.0
GTEX-ZXES-2026-SM-5NQ6R 30-39 years, female 0.0
GTEX-ZYFC-0326-SM-5NQ7H 50-59 years, male 0.0
GTEX-ZYT6-0326-SM-7LG5R 30-39 years, male 0.0
GTEX-ZYVF-0226-SM-5GIEG 50-59 years, female 0.0
GTEX-ZYY3-0226-SM-5E45M 60-69 years, female 0.0
GTEX-ZZ64-1626-SM-5E43W 20-29 years, male 0.0
GTEX-ZZPU-2726-SM-5NQ8O 50-59 years, female 0.0
GTEX-1122O-2026-SM-9YFMG 60-69 years, female 0.0
GTEX-11DXX-2326-SM-9YFKS 60-69 years, female 0.0
GTEX-13NYB-2626-SM-9YFMI 40-49 years, male 0.0
GTEX-145ME-1926-SM-5MR6T 40-49 years, female 0.0
GTEX-16XZZ-0226-SM-7MGVJ 60-69 years, male 0.0
GTEX-18QFQ-0226-SM-731BQ 30-39 years, male 0.0
GTEX-1A8G6-0526-SM-7PC1E 60-69 years, male 0.0
GTEX-1AX9I-0226-SM-7SB75 60-69 years, male 0.0
GTEX-1AYCT-2226-SM-7SB98 50-59 years, male 0.0
GTEX-1B8L1-2626-SM-7SB77 60-69 years, male 0.0
GTEX-1B932-0226-SM-7PBYH 40-49 years, female 0.0
GTEX-1C6VQ-0226-SM-7P8S5 50-59 years, male 0.0
GTEX-1C6VR-2626-SM-7MGX2 60-69 years, male 0.0
GTEX-1CAMQ-0126-SM-7SB7S 40-49 years, male 0.0
GTEX-1CAMR-1826-SM-7MXUJ 20-29 years, male 0.0
GTEX-1CAMS-0326-SM-7PC35 40-49 years, female 0.0
GTEX-1CB4F-0526-SM-9KNW2 60-69 years, male 0.0
GTEX-1CB4G-0326-SM-7SB8R 60-69 years, male 0.0
GTEX-1CB4H-0326-SM-9WG5G 60-69 years, female 0.0
GTEX-1CB4J-1126-SM-7PBY1 60-69 years, male 0.0
GTEX-1E2YA-0226-SM-9MQLY 50-59 years, male 0.0
GTEX-1EKGG-0126-SM-9YFLS 60-69 years, male 0.0
GTEX-1EX96-1426-SM-7PBZ5 50-59 years, male 0.0
GTEX-1F48J-0226-SM-7SB82 50-59 years, female 0.0
GTEX-1F5PK-2526-SM-9MQKN 50-59 years, male 0.0
GTEX-1F6I4-0226-SM-9MQMA 60-69 years, male 0.0
GTEX-1F6RS-0226-SM-9MQKO 60-69 years, female 0.0
GTEX-1F75A-0226-SM-7PC2K 50-59 years, male 0.0
GTEX-1F75W-0226-SM-9JGGP 60-69 years, male 0.0
GTEX-1F88F-2626-SM-9WG5K 60-69 years, female 0.0
GTEX-1FIGZ-1626-SM-7SB8L 40-49 years, male 0.0
GTEX-1GF9V-0226-SM-9MQKA 60-69 years, male 0.0
GTEX-1GF9X-1926-SM-ADEIC 40-49 years, female 0.0
GTEX-1GMR3-2026-SM-9MQLG 40-49 years, male 0.0
GTEX-1GMR8-0226-SM-9YFL3 50-59 years, female 0.0
GTEX-1GMRU-0226-SM-9YFLW 50-59 years, male 0.0
GTEX-1GN1U-0226-SM-9YFLQ 50-59 years, female 0.0
GTEX-1GN1W-0626-SM-9MQK3 50-59 years, female 0.0
GTEX-1GN2E-0326-SM-COH3C 60-69 years, male 0.0
GTEX-1GN73-0326-SM-9KNTW 60-69 years, male 0.0
GTEX-1GZ2Q-0326-SM-9WG6N 40-49 years, male 0.0
GTEX-1H1DE-2026-SM-9WG6Q 20-29 years, male 0.0
GTEX-1H1DF-0226-SM-ARL9A 40-49 years, female 0.0
GTEX-1H1E6-2026-SM-9KNVK 30-39 years, male 0.0
GTEX-1H1ZS-0526-SM-9WG5L 70-79 years, male 0.0
GTEX-1H23P-0226-SM-9YFLO 60-69 years, male 0.0
GTEX-1H2FU-0226-SM-9YFKO 60-69 years, female 0.0
GTEX-1H3O1-0526-SM-9MQLS 60-69 years, male 0.0
GTEX-1H3VE-0226-SM-9WYST 40-49 years, male 0.0
GTEX-1H3VY-0226-SM-9YFMF 50-59 years, male 0.0
GTEX-1H4P4-0226-SM-9YFKT 50-59 years, male 0.0
GTEX-1HB9E-0426-SM-CNPPV 50-59 years, male 0.0
GTEX-1HBPH-0526-SM-9YFMN 40-49 years, female 0.0
GTEX-1HBPI-1426-SM-B2LW7 50-59 years, male 0.0
GTEX-1HBPM-0326-SM-CMKGR 60-69 years, female 0.0
GTEX-1HCU6-0226-SM-CGQES 60-69 years, female 0.0
GTEX-1HCU7-0326-SM-CMKGI 50-59 years, male 0.0
GTEX-1HCU8-0726-SM-ADEIR 60-69 years, female 0.0
GTEX-1HCUA-2226-SM-ADEHF 50-59 years, female 0.0
GTEX-1HCVE-0226-SM-CGQEV 50-59 years, male 0.0
GTEX-1HFI6-0326-SM-ADEI5 40-49 years, male 0.0
GTEX-1HFI7-2026-SM-CGQFR 50-59 years, female 0.0
GTEX-1HGF4-2526-SM-ADEIZ 60-69 years, male 0.0
GTEX-1HR98-0226-SM-CGQEK 60-69 years, male 0.0
GTEX-1HR9M-0226-SM-COH3E 60-69 years, male 0.0
GTEX-1HSEH-0226-SM-ACKVV 60-69 years, male 0.0
GTEX-1HSGN-0126-SM-CGQFU 40-49 years, female 0.0
GTEX-1HSKV-0326-SM-ADEJC 60-69 years, male 0.0
GTEX-1HSMO-0226-SM-CGQEZ 60-69 years, male 0.0
GTEX-1I1CD-0226-SM-CM2TL 60-69 years, female 0.0
GTEX-1I1GP-2326-SM-CGQFL 50-59 years, male 0.0
GTEX-1I1GQ-0226-SM-COH3I 50-59 years, male 0.0
GTEX-1I1GR-0226-SM-CMKHQ 60-69 years, male 0.0
GTEX-1I1GT-0526-SM-CGQEQ 60-69 years, female 0.0
GTEX-1I1GU-2326-SM-CGQFB 40-49 years, male 0.0
GTEX-1I1HK-0226-SM-COH4A 60-69 years, male 0.0
GTEX-1I4MK-2026-SM-B2LVR 50-59 years, female 0.0
GTEX-1I6K6-0226-SM-ADEID 30-39 years, male 0.0
GTEX-1I6K7-0226-SM-CJI46 40-49 years, male 0.0
GTEX-1ICG6-2626-SM-CGQG1 70-79 years, female 0.0
GTEX-1ICLY-0226-SM-ARL7R 50-59 years, male 0.0
GTEX-1ICLZ-0226-SM-CKZPP 60-69 years, male 0.0
GTEX-1IDJD-1226-SM-CM2TP 30-39 years, male 0.0
GTEX-1IDJF-0226-SM-CMKGE 20-29 years, male 0.0
GTEX-1IDJU-2526-SM-CMKGF 60-69 years, female 0.0
GTEX-1IE54-0226-SM-CMKHX 40-49 years, female 0.0
GTEX-1IGQW-0226-SM-COH43 60-69 years, male 0.0
GTEX-1IL2U-0326-SM-CE6T9 60-69 years, male 0.0
GTEX-1IL2V-0226-SM-CMKI2 70-79 years, male 0.0
GTEX-1IOXB-0226-SM-CMKHY 50-59 years, male 0.0
GTEX-1J1OQ-0326-SM-CYPTJ 40-49 years, female 0.0
GTEX-1J1R8-2226-SM-ARZMP 40-49 years, male 0.0
GTEX-1J8EW-0226-SM-CYPSW 60-69 years, female 0.0
GTEX-1J8JJ-0326-SM-CMKG6 60-69 years, female 0.0
GTEX-1J8Q3-1526-SM-CMKGB 60-69 years, male 0.0
GTEX-1J8QM-2326-SM-CYPSL 60-69 years, female 0.0
GTEX-1JJ6O-0226-SM-E6CI9 60-69 years, male 0.0
GTEX-1JJE9-1226-SM-CNPOI 70-79 years, male 0.0
GTEX-1JJEA-0226-SM-COH2X 60-69 years, male 0.0
GTEX-1JKYN-1226-SM-CGQG8 30-39 years, male 0.0
GTEX-1JMQI-2026-SM-CMKGP 50-59 years, male 0.0
GTEX-1JMQK-0126-SM-CM2S3 60-69 years, male 0.0
GTEX-1JMQL-0326-SM-CNPP6 50-59 years, female 0.0
GTEX-1JN1M-0126-SM-D4P23 60-69 years, female 0.0
GTEX-1JN76-0226-SM-CMKGO 20-29 years, female 0.0
GTEX-1K2DA-2126-SM-CGQGL 50-59 years, male 0.0
GTEX-1K9T9-0226-SM-E9U6K 50-59 years, female 0.0
GTEX-1KAFJ-2426-SM-D4P32 50-59 years, male 0.0
GTEX-1KANA-0826-SM-D3L9J 20-29 years, male 0.0
GTEX-1L5NE-2626-SM-E9U6P 50-59 years, male 0.0
GTEX-1LBAC-0226-SM-DHXJZ 20-29 years, male 0.0
GTEX-1LG7Z-2026-SM-DLHBP 30-39 years, male 0.0
GTEX-1LGRB-2426-SM-CNPP3 50-59 years, female 0.0
GTEX-1LH75-2526-SM-E9U5A 50-59 years, female 0.0
GTEX-1LSNL-0526-SM-DIPFI 50-59 years, male 0.0
GTEX-1LSVX-0126-SM-EVYCY 60-69 years, male 0.0
GTEX-1LVA9-0226-SM-E9U5N 50-59 years, male 0.0
GTEX-1LVAN-0126-SM-COH4H 50-59 years, female 0.0
GTEX-1LVAO-0226-SM-E9U6O 60-69 years, male 0.0
GTEX-1M5QR-2126-SM-DKPQM 40-49 years, male 0.0
GTEX-1MA7W-1926-SM-E6CIO 20-29 years, female 0.0
GTEX-1MA7X-2126-SM-E6CIX 60-69 years, male 0.0
GTEX-1MCC2-2326-SM-E9U5G 30-39 years, female 0.0
GTEX-1MCYP-1826-SM-E9J2Q 20-29 years, female 0.0
GTEX-1MGNQ-0226-SM-EVYCK 40-49 years, male 0.0
GTEX-1N2DW-0326-SM-E9TK3 50-59 years, male 0.0
GTEX-1OFPY-2326-SM-E8VNU 60-69 years, male 0.0
GTEX-1OJC4-1726-SM-EXUSV 50-59 years, female 0.0
GTEX-1PBJI-0426-SM-E8VNM 20-29 years, female 0.0
GTEX-1PDJ9-0426-SM-E9J3E 20-29 years, male 0.0
GTEX-1PFEY-1626-SM-E9J3M 30-39 years, male 0.0
GTEX-1PIGE-0526-SM-DTXFA 20-29 years, male 0.0
GTEX-1PIIG-0326-SM-EVYBV 30-39 years, male 0.0
GTEX-1POEN-0226-SM-EYYXE 30-39 years, female 0.0
GTEX-1PPH8-0626-SM-EWRN9 20-29 years, male 0.0
GTEX-1PWST-0326-SM-EAZ42 70-79 years, male 0.0
GTEX-1QAET-1126-SM-E8VML 50-59 years, male 0.0
GTEX-1QEPI-0226-SM-EWRMR 60-69 years, female 0.0
GTEX-1QP29-0726-SM-DTXFM 50-59 years, male 0.0
GTEX-1QP2A-0226-SM-EVYBC 50-59 years, male 0.0
GTEX-1QP67-1726-SM-E8VOP 40-49 years, female 0.0
GTEX-1QP6S-0126-SM-E9J4K 40-49 years, male 0.0
GTEX-1QP9N-1526-SM-DTXFK 30-39 years, male 0.0
GTEX-1QPFJ-0126-SM-E9J4B 30-39 years, female 0.0
GTEX-1R46S-0526-SM-EVYBZ 60-69 years, female 0.0
GTEX-1R7EV-1926-SM-EVYBF 40-49 years, male 0.0
GTEX-1R9K5-0226-SM-EWRNF 50-59 years, male 0.0
GTEX-1R9PM-2126-SM-E8VOB 20-29 years, male 0.0
GTEX-1RAZQ-0626-SM-E8VOR 30-39 years, male 0.0
GTEX-1RAZR-0226-SM-EVYC6 40-49 years, male 0.0
GTEX-1RDX4-0226-SM-DTXG1 50-59 years, female 0.0
GTEX-1RQEC-0526-SM-E6CHV 60-69 years, male 0.0
GTEX-1S5ZU-0226-SM-E6CHW 20-29 years, female 0.0
GTEX-1S82P-0226-SM-E6CI6 60-69 years, female 0.0
GTEX-1S831-0326-SM-EVYD3 20-29 years, male 0.0
GTEX-OIZF-0226-SM-E9TI3 60-69 years, male 0.0
GTEX-OIZG-0826-SM-E9TI4 50-59 years, male 0.0
GTEX-PLZ4-0226-SM-CYPR1 50-59 years, female 0.0
GTEX-POMQ-2326-SM-DHXIS 20-29 years, female 0.0
GTEX-PWN1-0226-SM-DKPO9 40-49 years, female 0.0
GTEX-PX3G-0226-SM-DKPOF 20-29 years, female 0.0
GTEX-Q2AH-1726-SM-DIPDV 40-49 years, male 0.0
GTEX-QEG4-0326-SM-DIPE3 30-39 years, male 0.0
GTEX-R3RS-0226-SM-EYYVE 40-49 years, female 0.0
GTEX-RNOR-0226-SM-EZ6MF 50-59 years, female 0.0
GTEX-RUSQ-1626-SM-EZ6L4 50-59 years, male 0.0
GTEX-RVPV-1526-SM-EXOHF 60-69 years, male 0.0
GTEX-S4P3-1526-SM-E9J3W 50-59 years, female 0.0
GTEX-U3ZM-1026-SM-EZ6LD 40-49 years, male 0.0
GTEX-UTHO-0426-SM-CE6QU 60-69 years, male 0.0
GTEX-VJWN-0226-SM-EZ6LF 50-59 years, female 0.0
GTEX-WFG7-2526-SM-EWRM5 20-29 years, male 0.0
GTEX-WFG8-2326-SM-DIPDX 20-29 years, male 0.0
GTEX-XOT4-0226-SM-4B66Z 60-69 years, female 0.0
GTEX-ZDYS-2126-SM-5S2P2 50-59 years, male 0.0
GTEX-ZGAY-0626-SM-DO92E 40-49 years, female 0.0
GTEX-ZLFU-2626-SM-DO91L 40-49 years, male 0.0
GTEX-ZLWG-2226-SM-DO92V 50-59 years, female 0.0
Show allShow less
Adipose - Visceral (Omentum)
Average nTPM: 0.4
Samples: 541

Max nTPM: 3.6
Min nTPM: 0.0
Std nTPM: 0.5
Median nTPM: 0.2
GTEX-13S7M-0826-SM-5QGQX 60-69 years, female 3.6
GTEX-16GPK-1326-SM-7KUE4 60-69 years, male 3.5
GTEX-13PVQ-2226-SM-5L3G9 50-59 years, male 3.0
GTEX-14PJM-1226-SM-686Z7 50-59 years, female 2.8
GTEX-1B8SF-1726-SM-73KZ5 60-69 years, male 2.2
GTEX-XQ8I-1426-SM-4BOPW 50-59 years, male 2.1
GTEX-1HSKV-1926-SM-CNPPN 60-69 years, male 2.1
GTEX-1RMOY-0826-SM-E9TIF 50-59 years, male 2.1
GTEX-13YAN-1126-SM-5TDC7 60-69 years, male 2.0
GTEX-1A32A-0926-SM-718AB 50-59 years, female 1.9
GTEX-WYBS-1026-SM-4ONCY 60-69 years, female 1.9
GTEX-14DAR-0426-SM-664MW 50-59 years, male 1.8
GTEX-1EMGI-0726-SM-7PBZ4 60-69 years, male 1.8
GTEX-1HCU6-1626-SM-CMKGW 60-69 years, female 1.8
GTEX-X3Y1-0926-SM-3P5YT 40-49 years, male 1.7
GTEX-ZF28-1426-SM-5S2OG 60-69 years, male 1.7
GTEX-1CB4I-0826-SM-7MGX1 50-59 years, male 1.7
GTEX-11NV4-1426-SM-5BC4W 60-69 years, male 1.6
GTEX-1339X-0726-SM-5L3FF 40-49 years, male 1.6
GTEX-13OVG-1326-SM-5K7Y3 60-69 years, male 1.5
GTEX-17F96-0726-SM-793CB 70-79 years, male 1.5
GTEX-17HII-0826-SM-7DUFH 50-59 years, male 1.5
GTEX-1CAV2-0226-SM-7IGPQ 40-49 years, female 1.5
GTEX-1EH9U-1326-SM-79OM3 60-69 years, male 1.5
GTEX-XBEC-1826-SM-4QASN 50-59 years, male 1.5
GTEX-1LGOU-0826-SM-DHXKL 20-29 years, female 1.5
GTEX-1OKEX-0926-SM-E8VNJ 60-69 years, male 1.5
GTEX-145ME-0726-SM-5O9A3 40-49 years, female 1.4
GTEX-17EVP-1426-SM-79OMN 40-49 years, male 1.4
GTEX-18A6Q-1026-SM-7LT9S 60-69 years, male 1.4
GTEX-18D9A-0726-SM-7LTA7 30-39 years, female 1.4
GTEX-WFON-1226-SM-3TW8F 40-49 years, male 1.4
GTEX-ZDTS-1826-SM-5S2N6 60-69 years, male 1.4
GTEX-ZUA1-2126-SM-57YRB 40-49 years, male 1.4
GTEX-1GMR3-0826-SM-9WYT4 40-49 years, male 1.4
GTEX-1OFPY-0826-SM-DTX8P 60-69 years, male 1.4
GTEX-11DYG-2026-SM-5EGGX 60-69 years, male 1.3
GTEX-11PRG-1526-SM-5HL6Z 50-59 years, male 1.3
GTEX-1GL5R-0726-SM-9MQL5 50-59 years, male 1.3
GTEX-1HSMQ-1026-SM-ADEHU 50-59 years, male 1.3
GTEX-13O3Q-1126-SM-5K7YK 50-59 years, male 1.2
GTEX-1A3MX-0826-SM-72D64 60-69 years, male 1.2
GTEX-ZDXO-2326-SM-5LU9W 60-69 years, male 1.2
GTEX-13OW6-2426-SM-5K7WO 50-59 years, male 1.1
GTEX-13W46-1226-SM-5SIAS 50-59 years, male 1.1
GTEX-15ER7-1026-SM-7KUMD 20-29 years, female 1.1
GTEX-1GF9V-1126-SM-9MQM7 60-69 years, male 1.1
GTEX-1HB9E-0526-SM-ARZNM 50-59 years, male 1.1
GTEX-1IY9M-1226-SM-ACKX1 60-69 years, male 1.1
GTEX-1S831-1926-SM-EV79P 20-29 years, male 1.1
GTEX-12WSF-1526-SM-6PAN6 70-79 years, male 1.0
GTEX-132NY-1126-SM-5PNVE 60-69 years, male 1.0
GTEX-13X6J-1926-SM-5TDCU 50-59 years, male 1.0
GTEX-183FY-1226-SM-7DHLK 20-29 years, male 1.0
GTEX-XQ3S-2426-SM-4WAYB 20-29 years, male 1.0
GTEX-1I1GR-1726-SM-COH39 60-69 years, male 1.0
GTEX-1KAFJ-0826-SM-CYPTF 50-59 years, male 1.0
GTEX-1KD4Q-1426-SM-D4P3K 40-49 years, male 1.0
GTEX-1QP6S-1626-SM-EVYC5 40-49 years, male 1.0
GTEX-1RAZR-1026-SM-E8VOJ 40-49 years, male 1.0
GTEX-11OF3-0826-SM-5BC51 60-69 years, male 0.9
GTEX-14B4R-0526-SM-5QGQT 30-39 years, male 0.9
GTEX-14E6D-1326-SM-62LES 50-59 years, male 0.9
GTEX-14PJ3-0726-SM-69LQE 50-59 years, male 0.9
GTEX-17MFQ-1126-SM-7LT9O 20-29 years, male 0.9
GTEX-1AMEY-0526-SM-72D62 30-39 years, female 0.9
GTEX-Y8E4-1226-SM-5IFIM 40-49 years, male 0.9
GTEX-1IDJI-0926-SM-ACKWZ 50-59 years, female 0.9
GTEX-1MJK3-0626-SM-E6CJB 20-29 years, male 0.9
GTEX-1S3DN-1626-SM-EVYCC 50-59 years, male 0.9
GTEX-12WSA-1626-SM-5EGJV 60-69 years, male 0.8
GTEX-12WSC-1726-SM-5GCN3 50-59 years, male 0.8
GTEX-139D8-1626-SM-5IJFZ 30-39 years, female 0.8
GTEX-13OVK-0326-SM-7KUEJ 40-49 years, male 0.8
GTEX-13PL6-0926-SM-5KLYY 40-49 years, female 0.8
GTEX-14BMV-1626-SM-73KVQ 50-59 years, male 0.8
GTEX-15RIE-0126-SM-7KUF8 60-69 years, male 0.8
GTEX-15SHU-2326-SM-7KUMC 40-49 years, female 0.8
GTEX-17JCI-1626-SM-7EPGZ 60-69 years, female 0.8
GTEX-1AX9J-2226-SM-731CW 60-69 years, male 0.8
GTEX-1EN7A-1626-SM-79OLV 40-49 years, male 0.8
GTEX-XLM4-1026-SM-4AT51 60-69 years, male 0.8
GTEX-Y5V6-0626-SM-4WWFY 60-69 years, male 0.8
GTEX-1PBJI-1326-SM-E9J2V 20-29 years, female 0.8
GTEX-1RAZA-0926-SM-E6CQ8 20-29 years, male 0.8
GTEX-WI4N-1526-SM-EZ6LG 40-49 years, female 0.8
GTEX-12ZZW-2326-SM-5DUW2 50-59 years, male 0.7
GTEX-131YS-1726-SM-5HL7G 60-69 years, female 0.7
GTEX-144GN-0726-SM-5O98O 50-59 years, male 0.7
GTEX-15UKP-1426-SM-7KUDX 20-29 years, male 0.7
GTEX-16XZZ-1626-SM-7KUEC 60-69 years, male 0.7
GTEX-1CAMR-0326-SM-793AH 20-29 years, male 0.7
GTEX-1EU9M-1126-SM-793DE 60-69 years, male 0.7
GTEX-Y114-1326-SM-4TT9A 50-59 years, female 0.7
GTEX-YFCO-1126-SM-5S2N9 40-49 years, male 0.7
GTEX-ZGAY-1326-SM-5S2NS 40-49 years, female 0.7
GTEX-ZPIC-0726-SM-57WFM 40-49 years, female 0.7
GTEX-1F6I4-2126-SM-7PC2J 60-69 years, male 0.7
GTEX-1F75B-1226-SM-7MXTW 50-59 years, male 0.7
GTEX-1GN1U-0726-SM-9MQKL 50-59 years, female 0.7
GTEX-1HSMP-1126-SM-B2LXJ 70-79 years, male 0.7
GTEX-1I19N-1026-SM-A96TT 70-79 years, male 0.7
GTEX-1KWVE-0226-SM-E9TKK 30-39 years, male 0.7
GTEX-1N2DV-0626-SM-E9U5H 40-49 years, male 0.7
GTEX-117YX-0726-SM-5GIET 50-59 years, male 0.6
GTEX-11EM3-1126-SM-5A5KM 20-29 years, female 0.6
GTEX-11NUK-2026-SM-5PNVZ 50-59 years, male 0.6
GTEX-11P7K-0826-SM-5BC5F 30-39 years, male 0.6
GTEX-11ZUS-1826-SM-5FQTR 30-39 years, male 0.6
GTEX-12KS4-1526-SM-5EQ6E 30-39 years, male 0.6
GTEX-131XF-0726-SM-5GIE5 60-69 years, male 0.6
GTEX-13NZ9-2026-SM-5KM1U 50-59 years, male 0.6
GTEX-13NZB-0826-SM-5K7X5 30-39 years, male 0.6
GTEX-145MI-0826-SM-5SI95 60-69 years, female 0.6
GTEX-147JS-1026-SM-5S2MP 60-69 years, male 0.6
GTEX-14C5O-0926-SM-793DM 60-69 years, male 0.6
GTEX-14E7W-2326-SM-69LQC 70-79 years, male 0.6
GTEX-1A8G6-2026-SM-73KYC 60-69 years, male 0.6
GTEX-1AMFI-1026-SM-73KYM 50-59 years, female 0.6
GTEX-ZT9X-0926-SM-5O9C4 40-49 years, male 0.6
GTEX-1CAMS-0926-SM-7SB7F 40-49 years, female 0.6
GTEX-1F6IF-2026-SM-7P8SE 60-69 years, male 0.6
GTEX-1H1CY-0826-SM-9WYTU 60-69 years, female 0.6
GTEX-1I1GQ-1026-SM-CNNQS 50-59 years, male 0.6
GTEX-1I1GT-1326-SM-ACKWB 60-69 years, female 0.6
GTEX-1IDJF-1726-SM-A9SLL 20-29 years, male 0.6
GTEX-1IE54-1426-SM-CL53C 40-49 years, female 0.6
GTEX-1KD5A-1326-SM-CYPTB 50-59 years, male 0.6
GTEX-1LVAM-1026-SM-DIPFK 50-59 years, female 0.6
GTEX-1QP66-0626-SM-E76PD 50-59 years, male 0.6
GTEX-11WQK-1526-SM-5EGKN 50-59 years, male 0.5
GTEX-12696-1826-SM-5EGJS 60-69 years, male 0.5
GTEX-131XH-0826-SM-5GCN8 50-59 years, male 0.5
GTEX-13N1W-1226-SM-5K7UM 70-79 years, male 0.5
GTEX-13N2G-1926-SM-5J1O3 60-69 years, male 0.5
GTEX-13PVR-0526-SM-5S2OB 60-69 years, female 0.5
GTEX-13U4I-1726-SM-5J1MF 40-49 years, female 0.5
GTEX-13VXU-1026-SM-5KLZE 50-59 years, male 0.5
GTEX-145LV-1026-SM-5O9AE 50-59 years, male 0.5
GTEX-14753-2526-SM-5LU97 60-69 years, male 0.5
GTEX-14BIN-1226-SM-5S2OM 50-59 years, female 0.5
GTEX-14JG6-0526-SM-6LLIH 30-39 years, female 0.5
GTEX-15EOM-2326-SM-7KUMV 20-29 years, female 0.5
GTEX-16BQI-1126-SM-7KULF 30-39 years, female 0.5
GTEX-17MF6-1326-SM-79ONE 40-49 years, male 0.5
GTEX-1A3MV-0626-SM-731CH 30-39 years, male 0.5
GTEX-1BAJH-2126-SM-7EWFB 70-79 years, male 0.5
GTEX-1C6VQ-1526-SM-73KU9 50-59 years, male 0.5
GTEX-1EWIQ-2526-SM-7EPIJ 70-79 years, female 0.5
GTEX-YEC3-0926-SM-5Q5AC 50-59 years, male 0.5
GTEX-ZE9C-1326-SM-5S2OW 60-69 years, male 0.5
GTEX-ZG7Y-1626-SM-5S2NO 50-59 years, male 0.5
GTEX-1CAMQ-1226-SM-7SB7E 40-49 years, male 0.5
GTEX-1F52S-1326-SM-7SB6Q 60-69 years, female 0.5
GTEX-1F75I-1026-SM-7SB8B 40-49 years, male 0.5
GTEX-1GF9U-1226-SM-ARL9I 40-49 years, female 0.5
GTEX-1GMRU-0726-SM-7PBZH 50-59 years, male 0.5
GTEX-1GN73-0626-SM-7PC3I 60-69 years, male 0.5
GTEX-1H1E6-1126-SM-9JGGV 30-39 years, male 0.5
GTEX-1H1ZS-1326-SM-9WG74 70-79 years, male 0.5
GTEX-1J8EW-1526-SM-CMKFZ 60-69 years, female 0.5
GTEX-1LG7Y-1126-SM-CYPTE 50-59 years, male 0.5
GTEX-1N2EE-1526-SM-DTXE9 60-69 years, male 0.5
GTEX-1PPH8-1026-SM-DPRXN 20-29 years, male 0.5
GTEX-1QCLY-1226-SM-EVYC3 30-39 years, male 0.5
GTEX-1S5VW-2426-SM-EAZ52 60-69 years, male 0.5
GTEX-WVLH-1626-SM-EXURN 50-59 years, male 0.5
GTEX-11DXY-0326-SM-5H12F 60-69 years, male 0.4
GTEX-12WSM-0626-SM-5GCOK 60-69 years, male 0.4
GTEX-13N11-1826-SM-5IJDS 50-59 years, female 0.4
GTEX-145LU-1226-SM-5LU9B 50-59 years, male 0.4
GTEX-169BO-0426-SM-7EPI1 50-59 years, male 0.4
GTEX-1C6VR-1126-SM-7EPHD 60-69 years, male 0.4
GTEX-WL46-2026-SM-3LK7U 50-59 years, male 0.4
GTEX-XGQ4-1026-SM-4AT4L 50-59 years, male 0.4
GTEX-Y111-0926-SM-4SOIU 50-59 years, male 0.4
GTEX-Z9EW-0826-SM-5HL9T 40-49 years, male 0.4
GTEX-ZYT6-2126-SM-5GZZ4 30-39 years, male 0.4
GTEX-ZZ64-0626-SM-5GZWR 20-29 years, male 0.4
GTEX-1B8L1-0126-SM-9KNVS 60-69 years, male 0.4
GTEX-1E1VI-1826-SM-9WG5J 50-59 years, male 0.4
GTEX-1H23P-1726-SM-A9SMN 60-69 years, male 0.4
GTEX-1HBPN-1526-SM-9WYSB 50-59 years, male 0.4
GTEX-1HCUA-0926-SM-ADEIX 50-59 years, female 0.4
GTEX-1HGF4-0226-SM-CNNQL 60-69 years, male 0.4
GTEX-1HSEH-1326-SM-ADEI1 60-69 years, male 0.4
GTEX-1HSGN-1926-SM-CMKGS 40-49 years, female 0.4
GTEX-1HSMO-1426-SM-CNNQN 60-69 years, male 0.4
GTEX-1IDJH-1626-SM-A9SLP 70-79 years, male 0.4
GTEX-1J1R8-0526-SM-ACKWO 40-49 years, male 0.4
GTEX-1JN76-1026-SM-ARZNI 20-29 years, female 0.4
GTEX-1KANB-2426-SM-EV7BE 50-59 years, male 0.4
GTEX-1KANC-0526-SM-D4P3T 50-59 years, female 0.4
GTEX-1QP28-0926-SM-EVR4D 50-59 years, female 0.4
GTEX-1QP9N-0426-SM-DTXFT 30-39 years, male 0.4
GTEX-1RLM8-1026-SM-EWROE 50-59 years, male 0.4
GTEX-1S5ZA-1026-SM-EWRO2 20-29 years, male 0.4
GTEX-11I78-0226-SM-5HL6R 50-59 years, female 0.3
GTEX-11P81-0726-SM-5PNYH 30-39 years, female 0.3
GTEX-11XUK-1726-SM-5GU61 40-49 years, female 0.3
GTEX-11ZTS-1326-SM-5EQMA 60-69 years, female 0.3
GTEX-139TU-1426-SM-5LZY9 60-69 years, male 0.3
GTEX-13D11-0526-SM-5LZYM 50-59 years, female 0.3
GTEX-13IVO-2426-SM-5K7V9 70-79 years, male 0.3
GTEX-13OW8-0326-SM-5L3FB 60-69 years, male 0.3
GTEX-13QBU-1326-SM-5LU4K 40-49 years, female 0.3
GTEX-13RTK-0726-SM-5Q5EN 20-29 years, male 0.3
GTEX-13VXT-0926-SM-5LU5K 20-29 years, female 0.3
GTEX-14DAQ-2526-SM-5RQIO 60-69 years, female 0.3
GTEX-14PHX-1626-SM-69LQB 50-59 years, male 0.3
GTEX-14PHY-1026-SM-62LEV 60-69 years, female 0.3
GTEX-14PJ5-0426-SM-5ZZW2 60-69 years, female 0.3
GTEX-14PJN-0626-SM-6EU13 30-39 years, male 0.3
GTEX-15DYW-1526-SM-7KUEP 60-69 years, female 0.3
GTEX-15DZA-0626-SM-6PANC 30-39 years, female 0.3
GTEX-16NGA-0526-SM-731AJ 40-49 years, female 0.3
GTEX-16NPV-0626-SM-7IGOR 50-59 years, female 0.3
GTEX-17F9Y-0726-SM-7LT9G 70-79 years, female 0.3
GTEX-18465-1826-SM-731BB 50-59 years, male 0.3
GTEX-18A7A-0926-SM-7LT8H 50-59 years, female 0.3
GTEX-1A8G7-1226-SM-73KYP 60-69 years, male 0.3
GTEX-1AYCT-1126-SM-79OO8 50-59 years, male 0.3
GTEX-1B8KZ-1026-SM-73KYN 50-59 years, male 0.3
GTEX-1C2JI-0826-SM-7EPHB 50-59 years, male 0.3
GTEX-WYJK-1426-SM-3NM8V 50-59 years, male 0.3
GTEX-WYVS-0626-SM-4SOJY 40-49 years, female 0.3
GTEX-X8HC-2326-SM-4QAS4 50-59 years, female 0.3
GTEX-XAJ8-0226-SM-4GIB2 40-49 years, male 0.3
GTEX-XBEW-1726-SM-4RGMA 40-49 years, male 0.3
GTEX-XXEK-1426-SM-4BRW1 50-59 years, male 0.3
GTEX-XYKS-1826-SM-4E3JV 60-69 years, female 0.3
GTEX-YECK-1426-SM-5IFHE 60-69 years, male 0.3
GTEX-ZAJG-1626-SM-5HL7I 50-59 years, female 0.3
GTEX-ZQG8-1026-SM-51MR9 60-69 years, female 0.3
GTEX-ZVE2-1826-SM-51MRZ 50-59 years, male 0.3
GTEX-1GF9W-1026-SM-7SB8X 60-69 years, male 0.3
GTEX-1HCU8-1126-SM-CM2SA 60-69 years, female 0.3
GTEX-1HFI6-1726-SM-CGQFH 40-49 years, male 0.3
GTEX-1HKZK-1726-SM-ADEJ9 40-49 years, male 0.3
GTEX-1HR9M-1426-SM-A9SMB 60-69 years, male 0.3
GTEX-1I1CD-1026-SM-COH3G 60-69 years, female 0.3
GTEX-1IDJC-0226-SM-CMKG2 50-59 years, male 0.3
GTEX-1IL2U-2726-SM-C1YSG 60-69 years, male 0.3
GTEX-1JJ6O-2826-SM-CNNP7 60-69 years, male 0.3
GTEX-1KANA-1426-SM-CY8IF 20-29 years, male 0.3
GTEX-1LSNM-0626-SM-DIPG7 50-59 years, male 0.3
GTEX-1LVAN-0926-SM-CNNQ2 50-59 years, female 0.3
GTEX-1MCQQ-1426-SM-E6CJA 60-69 years, male 0.3
GTEX-1QPFJ-2126-SM-EXOJV 30-39 years, female 0.3
GTEX-1QW4Y-0826-SM-DTXE1 30-39 years, male 0.3
GTEX-1R9PO-0926-SM-E9U4Q 60-69 years, female 0.3
GTEX-1RB15-1126-SM-E8VMX 60-69 years, male 0.3
GTEX-VJWN-2326-SM-EVYAP 50-59 years, female 0.3
GTEX-113JC-0726-SM-5GZZR 50-59 years, female 0.2
GTEX-11GSO-0226-SM-5A5LV 60-69 years, male 0.2
GTEX-11P82-0326-SM-5HL51 20-29 years, male 0.2
GTEX-11VI4-1226-SM-5EQMP 40-49 years, female 0.2
GTEX-12C56-0826-SM-5EGJ5 20-29 years, male 0.2
GTEX-12WSI-1526-SM-5GCNM 50-59 years, male 0.2
GTEX-12WSK-1026-SM-5CVNR 40-49 years, female 0.2
GTEX-12WSL-1126-SM-5CVNK 50-59 years, male 0.2
GTEX-13113-1126-SM-5LZU9 60-69 years, female 0.2
GTEX-132QS-0826-SM-5K7WV 60-69 years, male 0.2
GTEX-133LE-0926-SM-5P9J1 20-29 years, female 0.2
GTEX-13S86-0926-SM-5SI6I 40-49 years, male 0.2
GTEX-13W3W-1126-SM-5L3DO 60-69 years, female 0.2
GTEX-13X6K-0726-SM-5LU2Z 60-69 years, female 0.2
GTEX-145LT-1526-SM-5O98P 40-49 years, male 0.2
GTEX-14ABY-1926-SM-62LDJ 50-59 years, male 0.2
GTEX-14C38-1026-SM-73KY7 50-59 years, male 0.2
GTEX-14E1K-0426-SM-5S2PF 50-59 years, male 0.2
GTEX-14E6C-1226-SM-5ZZUN 40-49 years, male 0.2
GTEX-14ICK-1726-SM-6AJA5 40-49 years, male 0.2
GTEX-14PN3-0326-SM-6EU1X 60-69 years, female 0.2
GTEX-15CHQ-1126-SM-686YY 60-69 years, male 0.2
GTEX-15G19-1126-SM-7KUEL 60-69 years, male 0.2
GTEX-15SKB-1626-SM-6PAL6 60-69 years, male 0.2
GTEX-16AAH-1526-SM-7LT9W 50-59 years, male 0.2
GTEX-17F98-0326-SM-7DHLH 40-49 years, female 0.2
GTEX-17HHY-1026-SM-7LG5E 50-59 years, male 0.2
GTEX-18A67-1326-SM-7LT8V 50-59 years, male 0.2
GTEX-18A7B-1226-SM-718AU 70-79 years, male 0.2
GTEX-18QFQ-1326-SM-731CF 30-39 years, male 0.2
GTEX-1AX9I-1726-SM-731BX 60-69 years, male 0.2
GTEX-1AYD5-0126-SM-7DUG5 50-59 years, male 0.2
GTEX-1B933-1326-SM-7939U 50-59 years, female 0.2
GTEX-1B97I-0526-SM-73KXE 40-49 years, male 0.2
GTEX-1B996-1226-SM-73KWZ 60-69 years, male 0.2
GTEX-1C6VS-1826-SM-73KXN 60-69 years, male 0.2
GTEX-WXYG-0926-SM-3NB2O 50-59 years, female 0.2
GTEX-XOT4-0826-SM-4B66Y 60-69 years, female 0.2
GTEX-Y9LG-1226-SM-4VBQA 30-39 years, male 0.2
GTEX-YEC4-0926-SM-5PNXY 40-49 years, male 0.2
GTEX-ZTSS-1026-SM-5985N 40-49 years, male 0.2
GTEX-ZVP2-0226-SM-57WBD 50-59 years, male 0.2
GTEX-ZVZP-1126-SM-5GICU 50-59 years, male 0.2
GTEX-ZXES-0926-SM-5E43O 30-39 years, female 0.2
GTEX-ZYVF-1026-SM-5E44V 50-59 years, female 0.2
GTEX-1A8FM-2126-SM-7PC27 50-59 years, female 0.2
GTEX-1C475-0326-SM-7SB8O 40-49 years, female 0.2
GTEX-1EKGG-1426-SM-7PBY2 60-69 years, male 0.2
GTEX-1GMR2-0226-SM-9JGHO 50-59 years, male 0.2
GTEX-1GZ4I-2326-SM-9YFMO 50-59 years, male 0.2
GTEX-1H1DF-1426-SM-9YFMC 40-49 years, female 0.2
GTEX-1H4P4-0326-SM-9WYTD 50-59 years, male 0.2
GTEX-1HBPH-2226-SM-9WYSO 40-49 years, female 0.2
GTEX-1HBPI-1826-SM-ADEHE 50-59 years, male 0.2
GTEX-1HCU9-0626-SM-ACKW6 20-29 years, male 0.2
GTEX-1HT8W-0726-SM-A9SLB 30-39 years, male 0.2
GTEX-1I6K7-1826-SM-CGQFO 40-49 years, male 0.2
GTEX-1ICLY-1426-SM-CJI48 50-59 years, male 0.2
GTEX-1IDJU-0926-SM-ARL88 60-69 years, female 0.2
GTEX-1IKK5-0826-SM-ACKWN 60-69 years, male 0.2
GTEX-1J1OQ-1526-SM-CJI4E 40-49 years, female 0.2
GTEX-1JMPY-0326-SM-CM2S2 30-39 years, male 0.2
GTEX-1JN6P-1626-SM-CYPSV 60-69 years, male 0.2
GTEX-1K2DA-1126-SM-CGQGG 50-59 years, male 0.2
GTEX-1K2DU-0726-SM-DIPF7 20-29 years, male 0.2
GTEX-1LG7Z-0226-SM-E6CIG 30-39 years, male 0.2
GTEX-1MA7X-1026-SM-DKPQ8 60-69 years, male 0.2
GTEX-1N2EF-0926-SM-E8VNW 60-69 years, male 0.2
GTEX-1QP67-1126-SM-EAZ4C 40-49 years, female 0.2
GTEX-YJ8A-1926-SM-EZ6LQ 20-29 years, male 0.2
GTEX-111YS-1326-SM-5EGGK 60-69 years, male 0.1
GTEX-1128S-0926-SM-5GZZU 60-69 years, female 0.1
GTEX-11DXZ-1426-SM-5H12A 50-59 years, male 0.1
GTEX-1211K-1226-SM-5EQ4N 60-69 years, female 0.1
GTEX-1212Z-0526-SM-5FQSQ 60-69 years, male 0.1
GTEX-12584-2126-SM-5FQUM 40-49 years, male 0.1
GTEX-12BJ1-0826-SM-5EQ5P 60-69 years, male 0.1
GTEX-12WSG-0426-SM-5FQSE 50-59 years, female 0.1
GTEX-12ZZX-1726-SM-5BC63 40-49 years, female 0.1
GTEX-13112-1126-SM-5GCMY 50-59 years, male 0.1
GTEX-131XE-2026-SM-5LZW1 50-59 years, male 0.1
GTEX-132AR-0526-SM-5J2MJ 50-59 years, female 0.1
GTEX-1399T-1326-SM-5PNVH 60-69 years, male 0.1
GTEX-139T6-0526-SM-5IJC9 50-59 years, male 0.1
GTEX-13CF3-1126-SM-5LZXB 60-69 years, female 0.1
GTEX-13FTX-0626-SM-5J2NS 20-29 years, female 0.1
GTEX-13G51-0526-SM-5IJCQ 60-69 years, male 0.1
GTEX-13OVH-1126-SM-5K7YP 70-79 years, male 0.1
GTEX-13OVL-0826-SM-5L3GV 50-59 years, male 0.1
GTEX-13OW7-1126-SM-5K7V6 50-59 years, male 0.1
GTEX-144GM-0626-SM-79OKY 20-29 years, male 0.1
GTEX-145MF-1026-SM-5Q5EQ 50-59 years, male 0.1
GTEX-146FR-0226-SM-5Q5F6 60-69 years, female 0.1
GTEX-14AS3-0426-SM-5QGQK 40-49 years, female 0.1
GTEX-14BIL-2426-SM-5QGQR 50-59 years, male 0.1
GTEX-14BMU-0626-SM-73KZ6 20-29 years, female 0.1
GTEX-14C39-0826-SM-5TDDU 40-49 years, male 0.1
GTEX-14E6E-0226-SM-7DUEF 30-39 years, male 0.1
GTEX-14ICL-0926-SM-5S2TU 30-39 years, male 0.1
GTEX-14JIY-1426-SM-6EU29 60-69 years, male 0.1
GTEX-14PHW-1626-SM-6EU2H 60-69 years, female 0.1
GTEX-14PJO-1626-SM-69LPQ 60-69 years, male 0.1
GTEX-14PK6-0926-SM-62LF4 70-79 years, female 0.1
GTEX-14PKU-0226-SM-6EU16 40-49 years, female 0.1
GTEX-15EU6-1726-SM-6M48H 50-59 years, male 0.1
GTEX-16MTA-1326-SM-6PALX 50-59 years, male 0.1
GTEX-16NPX-1026-SM-6PAM7 50-59 years, male 0.1
GTEX-17F97-1226-SM-79OJT 50-59 years, male 0.1
GTEX-17F9E-1326-SM-7DHL4 50-59 years, male 0.1
GTEX-17GQL-0826-SM-731AM 60-69 years, male 0.1
GTEX-17KNJ-0426-SM-718AK 50-59 years, male 0.1
GTEX-18D9B-1726-SM-7LTAP 60-69 years, male 0.1
GTEX-1AX9K-0926-SM-7939G 50-59 years, male 0.1
GTEX-1B8SG-1426-SM-7EWEM 50-59 years, male 0.1
GTEX-1B932-1726-SM-793A5 40-49 years, female 0.1
GTEX-1CB4E-0826-SM-793CS 60-69 years, male 0.1
GTEX-1CB4G-2126-SM-7IGQ8 60-69 years, male 0.1
GTEX-U8XE-1926-SM-3DB98 30-39 years, male 0.1
GTEX-WHPG-0626-SM-3NMBD 50-59 years, male 0.1
GTEX-WHWD-0826-SM-3LK6R 50-59 years, male 0.1
GTEX-WOFM-0726-SM-3MJF8 20-29 years, male 0.1
GTEX-WRHK-0826-SM-3MJFG 20-29 years, female 0.1
GTEX-XUZC-1126-SM-4BOPZ 30-39 years, female 0.1
GTEX-Y5LM-0826-SM-4VDSW 40-49 years, female 0.1
GTEX-Y8LW-0926-SM-4VBQ8 50-59 years, female 0.1
GTEX-ZE7O-1526-SM-5J1NH 50-59 years, female 0.1
GTEX-ZEX8-1226-SM-5S2OK 50-59 years, male 0.1
GTEX-ZF3C-1026-SM-5S2OC 50-59 years, female 0.1
GTEX-ZLV1-0926-SM-5S2MR 60-69 years, female 0.1
GTEX-ZQUD-0526-SM-57WG4 30-39 years, male 0.1
GTEX-ZT9W-1026-SM-57WG5 50-59 years, male 0.1
GTEX-ZV6S-1626-SM-5NQ81 40-49 years, female 0.1
GTEX-ZV7C-0826-SM-59HK8 50-59 years, male 0.1
GTEX-ZXG5-1626-SM-59HJK 60-69 years, male 0.1
GTEX-ZYFC-1826-SM-5GZZA 50-59 years, male 0.1
GTEX-ZYW4-2226-SM-5GZYG 60-69 years, male 0.1
GTEX-1GF9X-0926-SM-7PC2X 40-49 years, female 0.1
GTEX-1GPI7-0826-SM-9JGG7 20-29 years, male 0.1
GTEX-1GZ2Q-1226-SM-9MQM8 40-49 years, male 0.1
GTEX-1GZ4H-0926-SM-9WG6Y 50-59 years, female 0.1
GTEX-1H1DE-0826-SM-ARU8V 20-29 years, male 0.1
GTEX-1HCU7-2026-SM-A9G2B 50-59 years, male 0.1
GTEX-1HFI7-0726-SM-ACKVN 50-59 years, female 0.1
GTEX-1HUB1-1526-SM-CGQF6 60-69 years, male 0.1
GTEX-1I4MK-0726-SM-ACKWC 50-59 years, female 0.1
GTEX-1I6K6-1526-SM-CGQFC 30-39 years, male 0.1
GTEX-1ICG6-1726-SM-ARU7K 70-79 years, female 0.1
GTEX-1JJE9-1526-SM-CM2RR 70-79 years, male 0.1
GTEX-1JKYR-1226-SM-CM2S7 20-29 years, male 0.1
GTEX-1JMLX-1026-SM-D3L8U 50-59 years, male 0.1
GTEX-1JMQI-1026-SM-COH2U 50-59 years, male 0.1
GTEX-1JMQK-1326-SM-CNPOR 60-69 years, male 0.1
GTEX-1K9T9-1626-SM-DIPFS 50-59 years, female 0.1
GTEX-1KXAM-0526-SM-DKPQN 60-69 years, male 0.1
GTEX-1LBAC-1026-SM-CXKYA 20-29 years, male 0.1
GTEX-1LGRB-0526-SM-COH3A 50-59 years, female 0.1
GTEX-1LH75-1026-SM-EWROK 50-59 years, female 0.1
GTEX-1LKK1-1526-SM-EVYCO 50-59 years, female 0.1
GTEX-1LSNL-1426-SM-E6CJ9 50-59 years, male 0.1
GTEX-1LSVX-1326-SM-DIPET 60-69 years, male 0.1
GTEX-1LVAO-2126-SM-DIPGA 60-69 years, male 0.1
GTEX-1MCC2-0626-SM-DKPQI 30-39 years, female 0.1
GTEX-1NV5F-2526-SM-EXUSK 60-69 years, female 0.1
GTEX-1P4AB-1226-SM-DTXET 50-59 years, male 0.1
GTEX-1PFEY-0726-SM-E76PO 30-39 years, male 0.1
GTEX-1PIGE-1226-SM-EVR3Q 20-29 years, male 0.1
GTEX-1POEN-1626-SM-EVYC2 30-39 years, female 0.1
GTEX-1QAET-1226-SM-DTX9I 50-59 years, male 0.1
GTEX-1QMI2-1626-SM-EYYXK 60-69 years, male 0.1
GTEX-1QP29-1626-SM-EXUSZ 50-59 years, male 0.1
GTEX-1R9K4-1426-SM-DPRY4 60-69 years, male 0.1
GTEX-1RQEC-2526-SM-EVYD2 60-69 years, male 0.1
GTEX-Y3I4-0726-SM-E9J3Y 50-59 years, male 0.1
GTEX-ZLWG-0726-SM-5S2N4 50-59 years, female 0.1
GTEX-1117F-1326-SM-5EGHH 60-69 years, female 0.0
GTEX-111CU-1026-SM-5EGIL 50-59 years, male 0.0
GTEX-117YW-0826-SM-5H11O 50-59 years, male 0.0
GTEX-1192X-1526-SM-5H11I 50-59 years, male 0.0
GTEX-11DXX-2026-SM-5EGJL 60-69 years, female 0.0
GTEX-11EQ9-1126-SM-5987I 30-39 years, male 0.0
GTEX-11GS4-1026-SM-5N9DE 60-69 years, male 0.0
GTEX-11LCK-0326-SM-5A5M7 30-39 years, male 0.0
GTEX-11TT1-1926-SM-5PNYN 20-29 years, male 0.0
GTEX-13111-0626-SM-5LZVR 50-59 years, male 0.0
GTEX-1313W-1626-SM-5J1OE 50-59 years, female 0.0
GTEX-131XG-0126-SM-5K7UJ 50-59 years, female 0.0
GTEX-132Q8-1726-SM-5EGK8 60-69 years, male 0.0
GTEX-1399S-1426-SM-5PNYQ 30-39 years, female 0.0
GTEX-139YR-0326-SM-5J1MC 50-59 years, male 0.0
GTEX-13FH7-1926-SM-5J2OL 50-59 years, female 0.0
GTEX-13FHO-2026-SM-5J1OA 60-69 years, male 0.0
GTEX-13FTW-0426-SM-5K7X2 40-49 years, male 0.0
GTEX-13FXS-1326-SM-62LFR 50-59 years, male 0.0
GTEX-13JUV-0626-SM-5J1MQ 40-49 years, female 0.0
GTEX-13NYS-0726-SM-5J1OR 60-69 years, male 0.0
GTEX-13O21-3126-SM-5J1OI 50-59 years, male 0.0
GTEX-13O3P-0926-SM-5IFFI 50-59 years, male 0.0
GTEX-13O61-1926-SM-5KM1R 60-69 years, male 0.0
GTEX-13OVJ-0926-SM-5K7U1 50-59 years, female 0.0
GTEX-13PDP-1226-SM-5K7TW 60-69 years, male 0.0
GTEX-13PL7-1226-SM-5SIAR 60-69 years, female 0.0
GTEX-13X6H-1726-SM-5Q5EH 50-59 years, female 0.0
GTEX-13X6I-1526-SM-5SIAC 60-69 years, male 0.0
GTEX-1445S-2426-SM-79ON2 60-69 years, male 0.0
GTEX-146FH-2026-SM-5SI9I 50-59 years, female 0.0
GTEX-14BIM-1626-SM-7EWD2 60-69 years, female 0.0
GTEX-14PJ2-1426-SM-62LFF 50-59 years, male 0.0
GTEX-14PJ4-0126-SM-62LEZ 60-69 years, male 0.0
GTEX-14PN4-1426-SM-6LLJ4 50-59 years, male 0.0
GTEX-15CHC-0826-SM-686YW 60-69 years, female 0.0
GTEX-15D1Q-1326-SM-69LOA 40-49 years, male 0.0
GTEX-178AV-0626-SM-6PAM1 40-49 years, male 0.0
GTEX-17EVQ-0626-SM-7KFTB 70-79 years, male 0.0
GTEX-17HGU-1726-SM-79OKM 50-59 years, male 0.0
GTEX-17HHE-1526-SM-793AS 50-59 years, male 0.0
GTEX-18A66-1926-SM-7LTAG 60-69 years, male 0.0
GTEX-18D9U-0426-SM-731AN 40-49 years, male 0.0
GTEX-1AX8Z-1626-SM-73KWD 60-69 years, male 0.0
GTEX-1B8KE-0826-SM-72D6S 50-59 years, male 0.0
GTEX-1CB4F-1126-SM-79OLG 60-69 years, male 0.0
GTEX-UPK5-1826-SM-3GAEB 40-49 years, male 0.0
GTEX-UTHO-1826-SM-3GAFE 60-69 years, male 0.0
GTEX-VUSG-1426-SM-3GIJN 50-59 years, male 0.0
GTEX-W5X1-1426-SM-3GIKH 40-49 years, female 0.0
GTEX-WEY5-1326-SM-3GILS 40-49 years, female 0.0
GTEX-WFJO-1026-SM-3GIKL 30-39 years, male 0.0
GTEX-WH7G-1126-SM-3NMBK 40-49 years, male 0.0
GTEX-WK11-2426-SM-3NMAA 50-59 years, male 0.0
GTEX-WWTW-1326-SM-4MVNT 50-59 years, male 0.0
GTEX-WY7C-0926-SM-3NB34 50-59 years, male 0.0
GTEX-X585-2526-SM-4QAS1 50-59 years, male 0.0
GTEX-XBED-1326-SM-4AT4F 60-69 years, male 0.0
GTEX-XMK1-0926-SM-4B66X 40-49 years, male 0.0
GTEX-XV7Q-1726-SM-4BRUU 40-49 years, female 0.0
GTEX-Y5V5-0226-SM-5S2N8 60-69 years, female 0.0
GTEX-YJ89-1926-SM-5IFJ6 60-69 years, male 0.0
GTEX-ZA64-0926-SM-5HL7H 20-29 years, male 0.0
GTEX-ZAB4-1426-SM-5CVN6 40-49 years, male 0.0
GTEX-ZAB5-1126-SM-5Q5AD 50-59 years, male 0.0
GTEX-ZC5H-1626-SM-5HL7L 40-49 years, female 0.0
GTEX-ZDTT-0526-SM-5HL4M 60-69 years, male 0.0
GTEX-ZDYS-2226-SM-5S2MI 50-59 years, male 0.0
GTEX-ZF2S-1526-SM-5S2OO 50-59 years, female 0.0
GTEX-ZP4G-1326-SM-5EGIW 20-29 years, female 0.0
GTEX-ZPCL-1026-SM-5GCOX 60-69 years, female 0.0
GTEX-ZPU1-1226-SM-5HL71 40-49 years, male 0.0
GTEX-ZTPG-2326-SM-57WFL 20-29 years, female 0.0
GTEX-ZTX8-0726-SM-59HL9 20-29 years, male 0.0
GTEX-ZVT2-0226-SM-5GIE3 50-59 years, female 0.0
GTEX-ZYFG-1426-SM-5GICS 60-69 years, female 0.0
GTEX-ZZPU-0326-SM-5N9BJ 50-59 years, female 0.0
GTEX-1122O-0926-SM-9YFLC 60-69 years, female 0.0
GTEX-11GSP-1026-SM-9WYSH 60-69 years, female 0.0
GTEX-1399U-2026-SM-9WPNN 50-59 years, female 0.0
GTEX-1B97J-1126-SM-7SB79 50-59 years, female 0.0
GTEX-1C64N-1326-SM-7SB7D 50-59 years, male 0.0
GTEX-1F48J-1826-SM-7SB8T 50-59 years, female 0.0
GTEX-1F5PL-1326-SM-7SB83 40-49 years, female 0.0
GTEX-1GN1W-1226-SM-9MQLW 50-59 years, female 0.0
GTEX-1GTWX-1526-SM-9MQLF 60-69 years, male 0.0
GTEX-1H11D-1126-SM-9YFM5 40-49 years, male 0.0
GTEX-1H1DG-2026-SM-9QEIV 70-79 years, male 0.0
GTEX-1H2FU-1426-SM-9WPO6 60-69 years, female 0.0
GTEX-1H3VE-1926-SM-9YFL4 40-49 years, male 0.0
GTEX-1HC8U-0926-SM-A9G3L 40-49 years, female 0.0
GTEX-1I1GP-1426-SM-ACKVZ 50-59 years, male 0.0
GTEX-1I1GS-0926-SM-A9SL5 60-69 years, male 0.0
GTEX-1I1GU-0626-SM-CMKHR 40-49 years, male 0.0
GTEX-1ICLZ-1626-SM-CE6SS 60-69 years, male 0.0
GTEX-1IDJD-0926-SM-ACKWW 30-39 years, male 0.0
GTEX-1IKOE-1726-SM-CNNQ6 30-39 years, female 0.0
GTEX-1J8Q2-2226-SM-CM2TZ 60-69 years, male 0.0
GTEX-1JKYN-0526-SM-CGQG3 30-39 years, male 0.0
GTEX-1JMQJ-1926-SM-D4P3A 50-59 years, male 0.0
GTEX-1L5NE-1726-SM-DHXKX 50-59 years, male 0.0
GTEX-1MA7W-0526-SM-E6CIN 20-29 years, female 0.0
GTEX-1MUQO-0826-SM-EVYCZ 60-69 years, male 0.0
GTEX-1N2DW-0726-SM-DTX97 50-59 years, male 0.0
GTEX-1O9I2-1326-SM-E6CQD 50-59 years, male 0.0
GTEX-1OJC3-1326-SM-E9J3D 20-29 years, male 0.0
GTEX-1QEPI-2226-SM-E8VN6 60-69 years, female 0.0
GTEX-1R7EV-1026-SM-DTX81 40-49 years, male 0.0
GTEX-1RAZQ-1526-SM-E6CJI 30-39 years, male 0.0
GTEX-1RNTQ-0826-SM-E9TK8 20-29 years, female 0.0
GTEX-1S82P-0926-SM-EWRNP 60-69 years, female 0.0
GTEX-VJYA-1626-SM-EXOHL 60-69 years, male 0.0
GTEX-XPVG-1626-SM-EYYVK 50-59 years, male 0.0
GTEX-ZF29-0826-SM-5S2O2 60-69 years, female 0.0
Show allShow less

ADIPOSE TISSUE - FANTOM5 CAGEi

RNA expression in human tissues obtained through Cap Analysis of Gene Expression (CAGE) generated by the FANTOM5 project are reported as Scaled Tags Per Million.

Max subtype Scaled Tags Per Millioni

Max subtype Scaled Tags Per Million is the value for the subtype with the largest average Scaled Tags Per Million across the subtype samples.

1.4
FANTOM5 sample id Sample description Scaled Tags Per Million
Adipose tissue
Scaled Tags Per Million: 1.4
FF:10010-101C1 65,65,76 years, mixed 1.4

Contact

  • NEWS ARTICLES
  • PRESS ROOM

The Project

  • INTRODUCTION
  • ORGANIZATION
  • PUBLICATIONS

The Human Protein Atlas

  • DOWNLOADABLE DATA
  • LICENCE & CITATION
  • HELP & FAQ
The Human Protein Atlas project is funded
by the Knut & Alice Wallenberg Foundation.


contact@proteinatlas.org