We use cookies to enhance the usability of our website. If you continue, we'll assume that you are happy to receive all cookies. More information. Don't show this again.
WNT4
HPA
RESOURCES
  • TISSUE
  • BRAIN
  • SINGLE CELL
  • SUBCELLULAR
  • CANCER
  • BLOOD
  • CELL LINE
  • STRUCTURE & INTERACTION
ABOUT
  • INTRODUCTION
  • HISTORY
  • ORGANIZATION
  • PUBLICATIONS
  • ANTIBODY SUBMISSION
  • ANTIBODY AVAILABILITY
  • ACKNOWLEDGMENTS
  • CONTACT
NEWS
  • NEWS ARTICLES
  • PRESS ROOM
LEARN
  • DICTIONARY
  • PROTEIN CLASSES
  • PROTEIN EVIDENCE
  • METHODS
  • EDUCATIONAL VIDEOS
DATA
  • DOWNLOADABLE DATA
  • PUBLICATION DATA
  • RELEASE HISTORY
HELP
  • ANTIBODY VALIDATION
  • ASSAYS & ANNOTATION
  • DISCLAIMER
  • HELP & FAQ
  • PRIVACY STATEMENT
  • LICENCE & CITATION
Fields »
Search result

Field
Term
Gene name
Class
Subclass
Class
Keyword
Chromosome
External id
Tissue
Cell type
Expression
Antibody panel
Tissue
Main location
Patient ID
Annotation
Tissue
Category
Tau score
Cluster
Reliability
Brain region
Category
Tau score
Brain region
Category
Tau score
Brain region
Category
Tau score
Cluster
Reliability
Tissue
Cell type
Enrichment
Cell type
Category
Tau score
Cell type
Category
Tau score
Cell type
Category
Tau score
Cell lineage
Category
Tau score
Cluster
Cluster
Location
Searches
Location
Cell line
Class
Type
Phase
Reliability
Cancer
Prognosis
Cancer
Category
Cancer
Category
Tau score
Cluster
Variants
Interacting gene (ensg_id)
Type
Number of interactions
Pathway
Category
Score
Score
Score
Validation
Validation
Validation
Validation
Antibodies
Data type
Column


  • SUMMARY

  • TISSUE

  • BRAIN

  • SINGLE CELL

  • SUBCELL

  • CANCER

  • BLOOD

  • CELL LINE

  • STRUCT & INT

  • WNT4
TISSUE PRIMARY DATA SKIN Show tissue menu
ADIPOSE TISSUE ADRENAL GLAND AMYGDALA APPENDIX BASAL GANGLIA BONE MARROW BREAST CEREBELLUM CEREBRAL CORTEX CERVIX CHOROID PLEXUS COLON DUODENUM
ENDOMETRIUM EPIDIDYMIS ESOPHAGUS FALLOPIAN TUBE GALLBLADDER HEART MUSCLE HIPPOCAMPAL FORMATION HYPOTHALAMUS KIDNEY LIVER LUNG LYMPH NODE MIDBRAIN
OVARY PANCREAS PARATHYROID GLAND PITUITARY GLAND PLACENTA PROSTATE RECTUM RETINA SALIVARY GLAND SEMINAL VESICLE SKELETAL MUSCLE SKIN SMALL INTESTINE
SMOOTH MUSCLE SPINAL CORD SPLEEN STOMACH TESTIS THYMUS THYROID GLAND TONGUE TONSIL URINARY BLADDER VAGINA
ANTIBODIES
AND
VALIDATION
Dictionary
Skin
Tissue proteome
Skin
SKIN - Expression summary
Protein expressioni

On the top, protein expression in current human tissue, based on all annotated cell types, is reported with the units not detected (n), low (l), medium (m) and high (h). Underneath, protein expression in each annotated cell type are reported using the same units.

Protein expression data is based on knowledge-based annotation. For genes where more than one antibody has been used, a collective score is set.

If knowledge-based annotation could not be performed for a gene, no data is displayed here. View antibody staining data further down this page.

No data
RNA expressioni

A summary of mRNA expression data available for current tissue based on several datasets. The mRNA expression levels in human tissues are based on RNA-seq data generated by the Human Protein Atlas (HPA), Genotype-Tissue Expression (GTEx) portal and CAGE data generated by the FANTOM5 consortium. Consensus normalized expression levels for human tissues was created by combining the data from HPA and GTEx datasets.

The mRNA expression levels in pig are based on RNA-seq data generated by the Human Protein Atlas (HPA), and for mouse, HPA data and in situ hybridization generated by the Allen brain atlas are reported.

Scroll down to view mRNA expression data in more detail.
Consensus:39.7 nTPM
HPA:39.7 nTPM
GTEx:24.5 nTPM

SKIN - Annotated protein expression
Pending normal tissue analysis

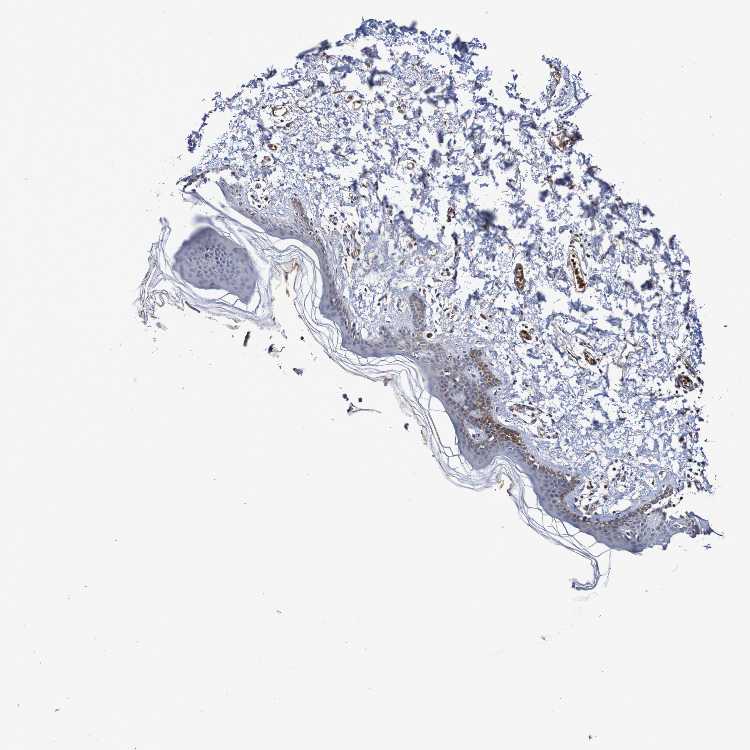
SKIN 1 - Antibody stainingi

Antibody staining in the annotated cell types in the current human tissue is reported as not detected, low, medium, or high, based on conventional immunohistochemistry profiling in selected tissues. This score is based on the combination of the staining intensity and fraction of stained cells.

Each image is clickable and will lead to virtual microscopy that enables deeper exploration of all samples and also displays staining intensity scores, fraction scores and subcellular localization as well as patient and tissue information for each sample.

Antibody HPA011397
Langerhans Not detected
Fibroblasts Not detected
Keratinocytes Low
Melanocytes Not detected


SKIN 2 - Antibody stainingi

Antibody staining in the annotated cell types in the current human tissue is reported as not detected, low, medium, or high, based on conventional immunohistochemistry profiling in selected tissues. This score is based on the combination of the staining intensity and fraction of stained cells.

Each image is clickable and will lead to virtual microscopy that enables deeper exploration of all samples and also displays staining intensity scores, fraction scores and subcellular localization as well as patient and tissue information for each sample.

Antibody HPA011397
Epidermal cells Not detected
 
 
 



SKIN - HPA RNA-seqi

The RNA-seq details section shows detailed information about the individual samples used for the transcript profiling and results of the RNA-seq analysis.

Information about each individual sample is listed below, including gender, age, a tissue section image and estimated fractions of cell types. nTPM (normalized transcripts per million) values give a quantification of the gene abundance which is comparable between different genes and samples.
Average nTPMi

Max subtype nTPM is the value for the subtype with the largest average nTPM across the subtype samples.

39.7
overview
Female, age 34
Skin sample 225
nTPM: 44.2
Cell types%
Keratinocytes:
60

Other cell types:
40

overview
Female, age 30
Skin sample 226
nTPM: 37.3
Cell types%
Keratinocytes:
55

Other cell types:
45

N/A
Male, age 57
Skin sample 227
nTPM: 37.7

SKIN - GTEx RNA-seqi

RNA-Seq data generated by the Genotype-Tissue Expression (GTEx) project from human tissues is reported as mean nTPM. More information can be found on the GTEx portal.

Distribution across the dataset is visualized with box plots, shown as median and 25th and 75th percentiles. Points are displayed as outliers if they are above or below 1.5 times the interquartile range. nTPM values of the individual samples are presented next to the box plot.
Max subtype nTPMi

Max subtype nTPM is the value for the subtype with the largest average nTPM across the subtype samples.

24.5
GTEx sample id Sample description nTPM
Skin - Not Sun Exposed (Suprapubic)
Average nTPM: 24.5
Samples: 604

Max nTPM: 98.3
Min nTPM: 0.4
Std nTPM: 17.1
Median nTPM: 19.3
GTEX-11PRG-0726-SM-5EGL1 50-59 years, male 98.3
GTEX-11OF3-0126-SM-5PNYF 60-69 years, male 81.4
GTEX-1H3O1-1326-SM-9MQLD 60-69 years, male 78.5
GTEX-13PL6-1126-SM-5L3IE 40-49 years, female 76.6
GTEX-111VG-1626-SM-5EGIO 60-69 years, male 75.5
GTEX-1GN1U-0626-SM-9MQL9 50-59 years, female 75.3
GTEX-15DYW-2726-SM-6EU2I 60-69 years, female 74.3
GTEX-11GS4-0226-SM-5HL77 60-69 years, male 74.0
GTEX-145MH-2826-SM-5RQJF 50-59 years, male 71.6
GTEX-1JJEA-1826-SM-ARU8P 60-69 years, male 71.0
GTEX-1GPI6-1926-SM-9KNV7 60-69 years, male 69.5
GTEX-11ZU8-0126-SM-5EQ58 60-69 years, male 68.8
GTEX-1313W-0626-SM-5EQ4H 50-59 years, female 68.4
GTEX-145LU-1926-SM-79OJN 50-59 years, male 67.9
GTEX-1F75A-0726-SM-7RHHD 50-59 years, male 67.5
GTEX-11WQC-1826-SM-5GU59 60-69 years, male 65.5
GTEX-X585-2426-SM-46MW2 50-59 years, male 64.7
GTEX-13NYB-0126-SM-5J1MD 40-49 years, male 63.3
GTEX-1269C-0126-SM-5EQ5L 60-69 years, female 61.6
GTEX-YECK-0326-SM-4W1YS 60-69 years, male 61.0
GTEX-1GMRU-2126-SM-7P8RA 50-59 years, male 60.9
GTEX-139UW-0326-SM-5J1ML 60-69 years, male 59.8
GTEX-1J8EW-2726-SM-CY8HR 60-69 years, female 59.4
GTEX-13OW7-0426-SM-5K7VK 50-59 years, male 58.8
GTEX-ZYT6-2326-SM-5GZY3 30-39 years, male 58.6
GTEX-1PBJJ-1026-SM-E76OS 30-39 years, male 58.2
GTEX-1IKJJ-2226-SM-CJI4C 60-69 years, male 57.8
GTEX-1S82U-1026-SM-E6CJK 30-39 years, female 57.8
GTEX-1PIIG-2326-SM-DTXFR 30-39 years, male 57.7
GTEX-12126-0826-SM-5FQTZ 20-29 years, male 57.6
GTEX-1GN1V-2826-SM-9JGIA 60-69 years, male 57.5
GTEX-1H4P4-2126-SM-9WYSL 50-59 years, male 57.3
GTEX-1C6VR-0126-SM-7RHGB 60-69 years, male 57.0
GTEX-1LB8K-0726-SM-D5OV2 50-59 years, male 57.0
GTEX-Y114-2126-SM-4TT8B 50-59 years, female 56.8
GTEX-Y111-0626-SM-4SOIT 50-59 years, male 56.6
GTEX-14BIN-1126-SM-5RQJZ 50-59 years, female 56.3
GTEX-ZE9C-2526-SM-5IJDR 60-69 years, male 56.1
GTEX-12ZZY-0726-SM-5EQ66 60-69 years, male 56.0
GTEX-1RAZS-2526-SM-E6CHT 50-59 years, male 56.0
GTEX-1JMLX-0626-SM-ARL8T 50-59 years, male 55.9
GTEX-1GN73-0726-SM-7P8TJ 60-69 years, male 55.7
GTEX-13SLX-2226-SM-62LEP 50-59 years, female 55.6
GTEX-1QMI2-2526-SM-E8VNZ 60-69 years, male 55.0
GTEX-13OW6-2726-SM-5J2OE 50-59 years, male 53.7
GTEX-1IE54-1126-SM-A9G2Z 40-49 years, female 53.6
GTEX-ZC5H-1526-SM-5HL9Y 40-49 years, female 53.5
GTEX-147F4-0726-SM-5TDDD 50-59 years, male 53.3
GTEX-1HGF4-0126-SM-CNPPX 60-69 years, male 53.1
GTEX-14PII-0726-SM-6EU2B 60-69 years, male 52.2
GTEX-13O3Q-0126-SM-5KM34 50-59 years, male 52.0
GTEX-15ER7-0626-SM-6PANF 20-29 years, female 52.0
GTEX-1OJC3-1226-SM-DTXER 20-29 years, male 51.9
GTEX-1GF9X-1326-SM-7PC2Y 40-49 years, female 51.5
GTEX-13OW5-2326-SM-5L3HO 60-69 years, male 51.4
GTEX-15RJ7-2126-SM-6PAMD 40-49 years, male 51.3
GTEX-1C64N-2626-SM-7PC2N 50-59 years, male 51.2
GTEX-14PHY-1226-SM-5ZZWK 60-69 years, female 50.8
GTEX-15RJE-2826-SM-7KUM9 40-49 years, male 50.6
GTEX-1CB4E-0926-SM-7EPHT 60-69 years, male 50.4
GTEX-1GN2E-0226-SM-9WG6K 60-69 years, male 50.4
GTEX-ZYVF-0926-SM-5E44J 50-59 years, female 50.1
GTEX-13VXU-0626-SM-5L3F9 50-59 years, male 49.9
GTEX-1GZ4I-2626-SM-9KNU3 50-59 years, male 49.9
GTEX-1LVA9-2626-SM-EVYD4 50-59 years, male 48.7
GTEX-11NUK-2726-SM-5A5MC 50-59 years, male 48.6
GTEX-16YQH-2226-SM-7IGM2 30-39 years, male 48.5
GTEX-1E2YA-2126-SM-7MXUO 50-59 years, male 48.2
GTEX-1EMGI-2326-SM-7PBYA 60-69 years, male 48.0
GTEX-1HT8W-0626-SM-A9G2H 30-39 years, male 47.9
GTEX-147GR-2426-SM-5ZZWQ 60-69 years, male 47.7
GTEX-1H1DE-1326-SM-9KNUG 20-29 years, male 47.6
GTEX-1EKGG-0626-SM-7DUGJ 60-69 years, male 47.3
GTEX-11DXZ-2026-SM-5987S 50-59 years, male 47.0
GTEX-13FLV-0126-SM-5K7WT 50-59 years, male 46.9
GTEX-1JMQJ-0826-SM-CNPP7 50-59 years, male 46.9
GTEX-12ZZX-2426-SM-5GCOE 40-49 years, female 46.6
GTEX-ZT9X-1526-SM-5DUXD 40-49 years, male 46.4
GTEX-11DYG-1526-SM-5A5JS 60-69 years, male 46.3
GTEX-1H11D-1826-SM-9QEHM 40-49 years, male 46.2
GTEX-18A67-1626-SM-7LT9T 50-59 years, male 46.0
GTEX-1B8SF-0126-SM-7DUG3 60-69 years, male 45.9
GTEX-1JMQI-1726-SM-ARL93 50-59 years, male 45.8
GTEX-13SLW-0626-SM-5Q5ER 70-79 years, male 45.5
GTEX-1NSGN-0726-SM-DTXEF 50-59 years, male 45.2
GTEX-1PPGY-1626-SM-EVYBL 60-69 years, male 45.1
GTEX-1IL2V-1926-SM-B2LW8 70-79 years, male 44.8
GTEX-1IOXB-2726-SM-CM2RI 50-59 years, male 44.5
GTEX-12WSD-0626-SM-5GCMW 60-69 years, female 44.4
GTEX-17F97-2626-SM-7IGM5 50-59 years, male 44.4
GTEX-1HR98-2226-SM-ADEI2 60-69 years, male 44.4
GTEX-13112-0126-SM-5P9IU 50-59 years, male 44.2
GTEX-144GO-2026-SM-5O99P 60-69 years, male 44.2
GTEX-ZYFC-0426-SM-5GICQ 50-59 years, male 44.1
GTEX-1I1GV-0626-SM-ARL7M 60-69 years, male 44.1
GTEX-ZF3C-0626-SM-DO92O 50-59 years, female 44.1
GTEX-17EVP-2626-SM-7IGMA 40-49 years, male 43.9
GTEX-ZF2S-1626-SM-57WES 50-59 years, female 43.8
GTEX-11ZUS-2626-SM-5FQUR 30-39 years, male 43.7
GTEX-1399Q-2326-SM-5KM2X 40-49 years, male 43.7
GTEX-1OJC4-2726-SM-E76PJ 50-59 years, female 43.7
GTEX-ZVT4-2426-SM-5GIEI 50-59 years, female 42.8
GTEX-11DXY-0126-SM-5H11Q 60-69 years, male 42.3
GTEX-13JVG-0726-SM-5KM16 60-69 years, male 41.9
GTEX-18A7A-0126-SM-731AH 50-59 years, female 41.9
GTEX-18A6Q-0626-SM-7KFRP 60-69 years, male 41.7
GTEX-133LE-2326-SM-5K7W3 20-29 years, female 41.4
GTEX-17HGU-2326-SM-7DUFE 50-59 years, male 41.1
GTEX-12ZZZ-0726-SM-5GCNZ 60-69 years, male 40.6
GTEX-139TS-2126-SM-5K7XC 60-69 years, male 40.6
GTEX-1HBPI-2126-SM-ARL9K 50-59 years, male 40.6
GTEX-XQ3S-1426-SM-4BOPR 20-29 years, male 40.0
GTEX-1LSNL-2726-SM-E9TKJ 50-59 years, male 39.7
GTEX-12WSH-1526-SM-5BC5W 50-59 years, male 39.6
GTEX-17HHY-0426-SM-7DHLC 50-59 years, male 39.6
GTEX-1EU9M-1426-SM-793AI 60-69 years, male 39.6
GTEX-X4EO-2926-SM-4E3JH 60-69 years, female 39.6
GTEX-X5EB-1926-SM-4E3IW 40-49 years, male 39.6
GTEX-Y8E4-2026-SM-5IFJB 40-49 years, male 39.6
GTEX-1HSKV-1226-SM-ADEI4 60-69 years, male 39.6
GTEX-14JFF-0626-SM-5ZZVT 60-69 years, male 39.4
GTEX-11P81-2226-SM-5PNYI 30-39 years, female 39.1
GTEX-ZAK1-0626-SM-5HL8E 50-59 years, female 39.1
GTEX-1QEPI-2626-SM-DTXF4 60-69 years, female 38.7
GTEX-17MFQ-1526-SM-7KFRR 20-29 years, male 38.4
GTEX-ZE7O-2726-SM-51MT5 50-59 years, female 38.2
GTEX-ZTX8-1326-SM-4YCEL 20-29 years, male 37.9
GTEX-1KWVE-1026-SM-D3L9O 30-39 years, male 37.7
GTEX-1C6VQ-1226-SM-73KYD 50-59 years, male 37.6
GTEX-1EWIQ-0326-SM-7DHMQ 70-79 years, female 37.6
GTEX-1I1HK-2326-SM-CKZOH 60-69 years, male 37.5
GTEX-XYKS-1426-SM-4BRUO 60-69 years, female 37.4
GTEX-144GL-0626-SM-5LU4D 50-59 years, male 37.3
GTEX-145MF-0926-SM-5Q5EA 50-59 years, male 37.3
GTEX-WYVS-1626-SM-3NM9R 40-49 years, female 37.0
GTEX-14BMV-2826-SM-5TDED 50-59 years, male 36.5
GTEX-13FTY-2126-SM-5IFFB 40-49 years, female 36.4
GTEX-1A8G6-2726-SM-731AR 60-69 years, male 36.3
GTEX-1HCU6-2526-SM-ADEHL 60-69 years, female 36.1
GTEX-1BAJH-2426-SM-7IGP8 70-79 years, male 35.9
GTEX-1POEN-2326-SM-E9J2L 30-39 years, female 35.9
GTEX-14LZ3-0126-SM-69LPM 60-69 years, female 35.8
GTEX-13G51-1826-SM-5KLZH 60-69 years, male 35.6
GTEX-1LSVX-2526-SM-DIPEU 60-69 years, male 35.5
GTEX-14E1K-2026-SM-7DUEI 50-59 years, male 35.4
GTEX-17HII-1426-SM-7EPGG 50-59 years, male 35.3
GTEX-WFG7-2026-SM-5SI7P 20-29 years, male 35.3
GTEX-1B8L1-2226-SM-7P8PT 60-69 years, male 35.3
GTEX-1EN7A-2426-SM-793DB 40-49 years, male 35.1
GTEX-1QW4Y-1126-SM-DTXE3 30-39 years, male 35.1
GTEX-139TT-2126-SM-5LZWC 60-69 years, male 35.0
GTEX-1IKOE-1426-SM-CE6T7 30-39 years, female 35.0
GTEX-139TU-0726-SM-5L3EK 60-69 years, male 34.7
GTEX-13QJC-0126-SM-5ZZWJ 60-69 years, female 34.5
GTEX-WYBS-0626-SM-3NMAS 60-69 years, female 34.5
GTEX-11GSP-2326-SM-5HL63 60-69 years, female 34.3
GTEX-1RAZQ-1326-SM-E9TK6 30-39 years, male 34.3
GTEX-1B97I-0626-SM-73KUZ 40-49 years, male 34.2
GTEX-13X6K-0626-SM-5LU5D 60-69 years, female 34.1
GTEX-14A6H-2026-SM-5Q5DD 30-39 years, male 34.1
GTEX-15SKB-2826-SM-6PAMH 60-69 years, male 34.1
GTEX-145LS-0626-SM-7EPG7 60-69 years, female 34.0
GTEX-Y3I4-1726-SM-4TT89 50-59 years, male 34.0
GTEX-1HCVE-2726-SM-CL54F 50-59 years, male 33.8
GTEX-1A8FM-0626-SM-7PC25 50-59 years, female 32.9
GTEX-147JS-0226-SM-5S2U9 60-69 years, male 32.8
GTEX-1AX9I-2226-SM-73KUO 60-69 years, male 32.4
GTEX-1N2EE-0626-SM-E76PW 60-69 years, male 32.4
GTEX-13OVL-0126-SM-5L3GJ 50-59 years, male 32.1
GTEX-1S83E-1326-SM-E6CJM 40-49 years, male 32.1
GTEX-14ABY-2026-SM-62LDL 50-59 years, male 31.8
GTEX-1B8KZ-0326-SM-73KY4 50-59 years, male 31.8
GTEX-12WSC-2826-SM-5BC5Y 50-59 years, male 31.5
GTEX-13FHO-0426-SM-5L3F5 60-69 years, male 31.3
GTEX-13N1W-2426-SM-5IJD1 70-79 years, male 31.2
GTEX-13X6J-0626-SM-5LU5F 50-59 years, male 31.2
GTEX-1HSMQ-2626-SM-A9SML 50-59 years, male 31.2
GTEX-1QP9N-1226-SM-E76QN 30-39 years, male 31.2
GTEX-WHPG-2626-SM-3NMBR 50-59 years, male 31.1
GTEX-15SHW-0226-SM-7LTAT 60-69 years, male 31.0
GTEX-1B933-2426-SM-7DHMD 50-59 years, female 30.9
GTEX-1HFI6-0126-SM-CNPPI 40-49 years, male 30.8
GTEX-1I1GP-1326-SM-A9G28 50-59 years, male 30.7
GTEX-11ZTT-2126-SM-5CVLO 60-69 years, female 30.6
GTEX-13FTX-1526-SM-5K7VJ 20-29 years, female 30.5
GTEX-14JG1-1526-SM-5YY9X 40-49 years, male 30.5
GTEX-1HSMP-0926-SM-A9SKX 70-79 years, male 30.5
GTEX-1QAET-0326-SM-EVR3U 50-59 years, male 30.4
GTEX-1F88F-0126-SM-9WYSZ 60-69 years, female 30.3
GTEX-1LVAM-0726-SM-E6CIL 50-59 years, female 30.3
GTEX-131XH-0126-SM-5LZUY 50-59 years, male 29.9
GTEX-XAJ8-1426-SM-47JYM 40-49 years, male 29.9
GTEX-XOT4-0626-SM-4B66L 60-69 years, female 29.8
GTEX-11P82-1426-SM-DTXFY 20-29 years, male 29.4
GTEX-11TUW-0626-SM-5LU9M 60-69 years, male 29.3
GTEX-1C2JI-1026-SM-73KY1 50-59 years, male 29.3
GTEX-YJ8O-2526-SM-5HL85 40-49 years, female 29.2
GTEX-15FZZ-0526-SM-7KUGD 30-39 years, female 29.1
GTEX-1EX96-1026-SM-7MKG2 50-59 years, male 29.1
GTEX-XXEK-1626-SM-4BRUZ 50-59 years, male 28.9
GTEX-ZY6K-1426-SM-5GZX2 50-59 years, male 28.7
GTEX-1GF9V-0826-SM-9KNUV 60-69 years, male 28.4
GTEX-15DDE-2926-SM-6LLJ3 50-59 years, female 28.3
GTEX-1212Z-0126-SM-59HK4 60-69 years, male 28.2
GTEX-1IY9M-2826-SM-ARU8H 60-69 years, male 28.2
GTEX-1KAFJ-0126-SM-DIPEK 50-59 years, male 28.2
GTEX-15CHC-1126-SM-6LLHQ 60-69 years, female 28.0
GTEX-1C6WA-2626-SM-7MKGM 60-69 years, male 28.0
GTEX-1F6I4-2326-SM-7RHGL 60-69 years, male 28.0
GTEX-15EU6-2226-SM-6EU2L 50-59 years, male 27.9
GTEX-131XW-0626-SM-5PNVD 50-59 years, female 27.8
GTEX-145MI-0626-SM-5SI8S 60-69 years, female 27.8
GTEX-1B932-2326-SM-79OL5 40-49 years, female 27.8
GTEX-Y3IK-1626-SM-4YCF5 50-59 years, female 27.7
GTEX-XBEC-0726-SM-4QARZ 50-59 years, male 27.6
GTEX-UPJH-0226-SM-3GADV 50-59 years, male 27.1
GTEX-1I1CD-0626-SM-CE6SW 60-69 years, female 27.1
GTEX-16MT9-0126-SM-7EPI8 60-69 years, female 26.9
GTEX-1LG7Y-2526-SM-EWRO7 50-59 years, male 26.8
GTEX-ZDTS-0826-SM-4WKHL 60-69 years, male 26.7
GTEX-12WSJ-1126-SM-5LZVJ 40-49 years, female 26.1
GTEX-131XG-0326-SM-5L3DX 50-59 years, female 26.1
GTEX-1MCC2-1826-SM-DIPEX 30-39 years, female 26.1
GTEX-1B8KE-1126-SM-7EPHI 50-59 years, male 26.0
GTEX-ZXG5-2126-SM-59HKD 60-69 years, male 26.0
GTEX-1HCU7-0726-SM-A9SL1 50-59 years, male 25.9
GTEX-13IVO-0726-SM-5LZYV 70-79 years, male 25.7
GTEX-13O3O-2326-SM-5IJD6 60-69 years, female 25.7
GTEX-1CAMQ-1326-SM-7P8RV 40-49 years, male 25.7
GTEX-1KANB-2826-SM-CY8I6 50-59 years, male 25.7
GTEX-1R9K4-2826-SM-DTX8F 60-69 years, male 25.7
GTEX-11LCK-2226-SM-5HL4Q 30-39 years, male 25.6
GTEX-144GM-0526-SM-79OJO 20-29 years, male 25.6
GTEX-17HHE-1326-SM-7EWDZ 50-59 years, male 25.5
GTEX-1AYD5-2626-SM-7PBXY 50-59 years, male 25.5
GTEX-111CU-1126-SM-5EGIM 50-59 years, male 25.3
GTEX-1CB4H-1126-SM-7MKGL 60-69 years, female 25.3
GTEX-V1D1-2026-SM-3GAF4 50-59 years, male 25.2
GTEX-1GN1W-2426-SM-9KNUU 50-59 years, female 25.2
GTEX-1JN76-0626-SM-CKZOQ 20-29 years, female 25.1
GTEX-XBEW-1126-SM-4QARW 40-49 years, male 24.9
GTEX-ZF29-0926-SM-4WKFZ 60-69 years, female 24.9
GTEX-WXYG-2026-SM-4E3IY 50-59 years, female 24.6
GTEX-1CAMS-2226-SM-7PBXQ 40-49 years, female 24.6
GTEX-1N5O9-0926-SM-E9J3C 60-69 years, male 24.6
GTEX-18QFQ-1826-SM-72D52 30-39 years, male 24.5
GTEX-16BQI-1326-SM-6M486 30-39 years, female 24.4
GTEX-15G19-2426-SM-7KUMR 60-69 years, male 24.3
GTEX-18465-2826-SM-7LT9J 50-59 years, male 24.3
GTEX-1JKYR-0626-SM-ARL8R 20-29 years, male 24.3
GTEX-145MG-1526-SM-5Q5EM 50-59 years, male 24.2
GTEX-14LLW-2626-SM-62LDZ 70-79 years, female 24.2
GTEX-1PDJ9-1226-SM-EXUSX 20-29 years, male 24.1
GTEX-14753-0726-SM-5QGQO 60-69 years, male 24.0
GTEX-VUSG-2326-SM-4KL1U 50-59 years, male 24.0
GTEX-11NSD-0626-SM-5A5LU 20-29 years, male 23.9
GTEX-17KNJ-2126-SM-718AM 50-59 years, male 23.6
GTEX-1A8G7-1326-SM-73KVM 60-69 years, male 23.6
GTEX-1J8QM-2426-SM-A9SLS 60-69 years, female 23.5
GTEX-1HR9M-2226-SM-CNPPY 60-69 years, male 23.4
GTEX-1CAMR-1326-SM-7PC1F 20-29 years, male 23.3
GTEX-1CB4F-1026-SM-7DUH1 60-69 years, male 23.2
GTEX-1HBPN-0126-SM-CGQEF 50-59 years, male 23.2
GTEX-1RAZR-2126-SM-E9U6T 40-49 years, male 23.2
GTEX-WHWD-1826-SM-3LK6I 50-59 years, male 23.1
GTEX-1F5PL-0926-SM-7PC2W 40-49 years, female 23.0
GTEX-16Z82-2626-SM-7KULU 60-69 years, male 22.9
GTEX-1QP28-1126-SM-EVYC4 50-59 years, female 22.8
GTEX-WRHU-2826-SM-3MJG8 50-59 years, female 22.6
GTEX-11DXX-2126-SM-5PNYR 60-69 years, female 22.3
GTEX-15RIG-0726-SM-7KUM7 40-49 years, male 22.3
GTEX-1MCYP-0526-SM-E9U6Q 20-29 years, female 22.2
GTEX-13FTW-0326-SM-5K7UW 40-49 years, male 22.1
GTEX-11UD2-2526-SM-5CVNU 50-59 years, male 21.9
GTEX-16NPX-0726-SM-7KULC 50-59 years, male 21.9
GTEX-1122O-1026-SM-9WYSF 60-69 years, female 21.9
GTEX-146FQ-2126-SM-5RQHU 30-39 years, male 21.5
GTEX-Y5V6-2326-SM-4VDSA 60-69 years, male 21.5
GTEX-1GZ2Q-0126-SM-9WG6M 40-49 years, male 21.5
GTEX-1JMQK-1226-SM-D4P2S 60-69 years, male 21.5
GTEX-1S3DN-2126-SM-E9TIN 50-59 years, male 21.5
GTEX-1PIGE-1826-SM-E8VOU 20-29 years, male 21.3
GTEX-13N2G-0226-SM-5K7VF 60-69 years, male 21.2
GTEX-17HG3-2626-SM-7DUF2 30-39 years, female 21.2
GTEX-1C475-1326-SM-7SB73 40-49 years, female 21.2
GTEX-14ICL-1626-SM-5YYAO 30-39 years, male 21.0
GTEX-ZDYS-2426-SM-4WKGI 50-59 years, male 20.9
GTEX-13OW8-1026-SM-5J1NQ 60-69 years, male 20.6
GTEX-1NV5F-0626-SM-DTXEG 60-69 years, female 20.6
GTEX-12KS4-2126-SM-5FQUT 30-39 years, male 20.5
GTEX-1MJK3-0726-SM-E6CJC 20-29 years, male 20.5
GTEX-11VI4-1126-SM-5EQMD 40-49 years, female 20.1
GTEX-14PHX-2226-SM-6EU2P 50-59 years, male 20.0
GTEX-WHSB-1326-SM-3LK6W 50-59 years, male 20.0
GTEX-ZAB4-2126-SM-5HL8U 40-49 years, male 20.0
GTEX-ZLV1-1526-SM-DO91J 60-69 years, female 20.0
GTEX-13OVH-0526-SM-5L3E6 70-79 years, male 19.8
GTEX-1PPH8-0126-SM-EWRN8 20-29 years, male 19.7
GTEX-13VXT-1926-SM-5K7UO 20-29 years, female 19.6
GTEX-139YR-1026-SM-5LZYN 50-59 years, male 19.5
GTEX-1IDJH-0126-SM-D3L92 70-79 years, male 19.5
GTEX-14C39-1726-SM-5RQIL 40-49 years, male 19.3
GTEX-11DXW-0826-SM-5H118 40-49 years, male 19.2
GTEX-1HB9E-0126-SM-CM2S5 50-59 years, male 19.2
GTEX-1JJE9-2626-SM-ARZMT 70-79 years, male 19.2
GTEX-1JK1U-0226-SM-ARZMX 60-69 years, male 19.1
GTEX-12WSM-1926-SM-5BC65 60-69 years, male 19.0
GTEX-148VJ-0626-SM-5LUAW 70-79 years, male 19.0
GTEX-15CHR-1126-SM-7EWF4 50-59 years, male 19.0
GTEX-1K9T9-1526-SM-DIPFR 50-59 years, female 19.0
GTEX-1R9PM-1926-SM-EVR3O 20-29 years, male 19.0
GTEX-ZDXO-3126-SM-5IJDF 60-69 years, male 18.9
GTEX-1ICG6-1226-SM-A9SLN 70-79 years, female 18.9
GTEX-1LBAC-0826-SM-CY8IJ 20-29 years, male 18.5
GTEX-14DAQ-0626-SM-793DS 60-69 years, female 18.4
GTEX-1I1GS-2626-SM-B2LY3 60-69 years, male 18.4
GTEX-1JMPY-0226-SM-CKZOK 30-39 years, male 18.4
GTEX-1M4P7-0726-SM-E6CJ3 60-69 years, male 18.4
GTEX-ZZPU-0826-SM-5GZX5 50-59 years, female 18.3
GTEX-1GL5R-1326-SM-7RHHF 50-59 years, male 18.2
GTEX-15EO6-2426-SM-6PALZ 50-59 years, male 18.1
GTEX-Y5V5-0126-SM-5S2NW 60-69 years, female 18.1
GTEX-13NZ8-1226-SM-5KM4A 60-69 years, female 18.0
GTEX-13OVK-1426-SM-6PAN7 40-49 years, male 18.0
GTEX-1399U-1126-SM-5L3DB 50-59 years, female 17.9
GTEX-14PJ6-2626-SM-6EU2T 60-69 years, female 17.9
GTEX-ZDTT-0426-SM-4WKFL 60-69 years, male 17.9
GTEX-1H1CY-0126-SM-9YFLY 60-69 years, female 17.9
GTEX-13D11-0926-SM-5J2NC 50-59 years, female 17.8
GTEX-14PJ3-1126-SM-5ZZVX 50-59 years, male 17.8
GTEX-XV7Q-1826-SM-4BRUV 40-49 years, female 17.8
GTEX-1GZHY-0626-SM-9KNVC 50-59 years, female 17.7
GTEX-1KD5A-0126-SM-E9U54 50-59 years, male 17.7
GTEX-1314G-1326-SM-5BC6E 30-39 years, male 17.5
GTEX-1QCLY-0226-SM-EWRNH 30-39 years, male 17.5
GTEX-ZTTD-2826-SM-4YCFA 50-59 years, male 17.4
GTEX-1J8JJ-0626-SM-ARZMQ 60-69 years, female 17.4
GTEX-1KXAM-1626-SM-D3LAD 60-69 years, male 17.3
GTEX-1HSGN-0826-SM-ACKW3 40-49 years, female 17.2
GTEX-ZPU1-1126-SM-4YCF3 40-49 years, male 17.1
GTEX-XBED-1926-SM-47JYP 60-69 years, male 17.0
GTEX-1HCU9-0426-SM-9WYSD 20-29 years, male 17.0
GTEX-13OVJ-0826-SM-5J1OK 50-59 years, female 16.9
GTEX-XMD2-2126-SM-4YCF8 60-69 years, female 16.9
GTEX-1RLM8-2926-SM-E8VON 50-59 years, male 16.9
GTEX-178AV-1726-SM-7KUL8 40-49 years, male 16.8
GTEX-1IDFM-0326-SM-ARL7V 60-69 years, male 16.8
GTEX-13PDP-0726-SM-5L3HP 60-69 years, male 16.7
GTEX-1GTWX-2026-SM-9YFLM 60-69 years, male 16.7
GTEX-17F9Y-0126-SM-79OKX 70-79 years, female 16.6
GTEX-183FY-1026-SM-7939A 20-29 years, male 16.6
GTEX-VJYA-1526-SM-3GIJV 60-69 years, male 16.6
GTEX-WY7C-2126-SM-3NB2R 50-59 years, male 16.6
GTEX-1CB4I-0126-SM-7RHGG 50-59 years, male 16.6
GTEX-WK11-2726-SM-3NMAQ 50-59 years, male 16.5
GTEX-ZYY3-2926-SM-5GIEB 60-69 years, female 16.5
GTEX-1A32A-0626-SM-731AQ 50-59 years, female 16.4
GTEX-1JN6P-2926-SM-CL54D 60-69 years, male 16.4
GTEX-17F98-1326-SM-7DUEP 40-49 years, female 16.2
GTEX-ZWKS-0626-SM-5GIDV 30-39 years, male 16.2
GTEX-145MN-1526-SM-5SI9T 30-39 years, male 16.1
GTEX-1J8Q3-0526-SM-ARL8U 60-69 years, male 16.1
GTEX-W5X1-2526-SM-3GILC 40-49 years, female 16.0
GTEX-WEY5-2326-SM-3GIKK 40-49 years, female 16.0
GTEX-13PVQ-0626-SM-5LU47 50-59 years, male 15.9
GTEX-13U4I-2226-SM-5LU5H 40-49 years, female 15.9
GTEX-YEC4-1826-SM-4W1YP 40-49 years, male 15.9
GTEX-1I1GT-1026-SM-ARZLV 60-69 years, female 15.9
GTEX-1I6K7-1926-SM-B2LXR 40-49 years, male 15.9
GTEX-131XF-2626-SM-5EQ6K 60-69 years, male 15.8
GTEX-145ME-1726-SM-5Q5EU 40-49 years, female 15.8
GTEX-1K2DA-1026-SM-CGQGF 50-59 years, male 15.8
GTEX-1S5ZU-2526-SM-E6CIF 20-29 years, female 15.8
GTEX-1J1OQ-0126-SM-D4P2N 40-49 years, female 15.7
GTEX-1S82P-2126-SM-E6CI5 60-69 years, female 15.7
GTEX-11EI6-2826-SM-5H11D 60-69 years, male 15.5
GTEX-1399S-0126-SM-5IJCF 30-39 years, female 15.4
GTEX-1JMPZ-0726-SM-CY8HZ 30-39 years, male 15.4
GTEX-14PKU-0126-SM-6LLHV 40-49 years, female 15.3
GTEX-1R46S-2426-SM-E76QA 60-69 years, female 15.3
GTEX-13X6I-1826-SM-5SIAO 60-69 years, male 15.2
GTEX-183WM-0326-SM-72D5V 70-79 years, female 15.2
GTEX-1HCU8-2526-SM-CE6RX 60-69 years, female 15.2
GTEX-1H1ZS-2726-SM-9WG75 70-79 years, male 15.1
GTEX-1J8Q2-2626-SM-ACKWQ 60-69 years, male 15.1
GTEX-1192X-2726-SM-5N9DN 50-59 years, male 14.9
GTEX-17F9E-2326-SM-79OKD 50-59 years, male 14.9
GTEX-ZPCL-1126-SM-4WWFE 60-69 years, female 14.9
GTEX-1H3VE-0726-SM-9YFL5 40-49 years, male 14.9
GTEX-1QP2A-1726-SM-E76QC 50-59 years, male 14.9
GTEX-15CHQ-0326-SM-69LQD 60-69 years, male 14.7
GTEX-18D9B-0926-SM-7LG4U 60-69 years, male 14.6
GTEX-ZVZP-1226-SM-5GID7 50-59 years, male 14.6
GTEX-14B4R-1326-SM-5Q5EZ 30-39 years, male 14.5
GTEX-UPK5-0426-SM-3GAEK 40-49 years, male 14.5
GTEX-1KANC-1226-SM-CYPT7 50-59 years, female 14.5
GTEX-YEC3-1326-SM-DO92X 50-59 years, male 14.5
GTEX-ZPIC-0526-SM-DO91W 40-49 years, female 14.5
GTEX-1H1DG-2426-SM-9QEHJ 70-79 years, male 14.4
GTEX-11P7K-1126-SM-5HL4L 30-39 years, male 14.3
GTEX-1JJ6O-2726-SM-CNPOG 60-69 years, male 14.3
GTEX-14E6E-0526-SM-793DN 30-39 years, male 14.0
GTEX-13PVR-0426-SM-5RQK2 60-69 years, female 13.9
GTEX-Z93S-1626-SM-5CVMB 50-59 years, male 13.9
GTEX-1IDJE-1426-SM-ADEIW 50-59 years, female 13.9
GTEX-ZVP2-0326-SM-57WBP 50-59 years, male 13.8
GTEX-14PJ2-0626-SM-6LLII 50-59 years, male 13.7
GTEX-1A3MV-1826-SM-731CD 30-39 years, male 13.7
GTEX-1F52S-2926-SM-7MKGA 60-69 years, female 13.7
GTEX-14PK6-0226-SM-62LF5 70-79 years, female 13.5
GTEX-11O72-0626-SM-5PNYE 40-49 years, male 13.4
GTEX-1HUB1-1426-SM-CGQF5 60-69 years, male 13.4
GTEX-1477Z-0326-SM-7IGLA 60-69 years, male 13.3
GTEX-1F75B-0726-SM-7PC3R 50-59 years, male 13.3
GTEX-YFCO-1226-SM-5LUAT 40-49 years, male 13.2
GTEX-16MT8-2926-SM-7DUFO 60-69 years, female 13.1
GTEX-1EH9U-2826-SM-7DUGT 60-69 years, male 13.1
GTEX-12584-0726-SM-5FQTK 40-49 years, male 13.0
GTEX-14PJ5-1526-SM-6LLIL 60-69 years, female 13.0
GTEX-Y9LG-1126-SM-4VBQ7 30-39 years, male 13.0
GTEX-1GMR8-0626-SM-7RHI7 50-59 years, female 12.9
GTEX-1H1DF-1126-SM-9WG7G 40-49 years, female 12.7
GTEX-13W3W-0726-SM-5IJDQ 60-69 years, female 12.6
GTEX-1QPFJ-1926-SM-EVYBD 30-39 years, female 12.6
GTEX-1CAV2-0126-SM-7IGN7 40-49 years, female 12.5
GTEX-1QCLZ-2426-SM-EVYBW 60-69 years, female 12.5
GTEX-1H3NZ-2726-SM-9WYTQ 60-69 years, male 12.4
GTEX-1N2DV-1526-SM-DTXEP 40-49 years, male 12.4
GTEX-12696-0126-SM-5EQ4L 60-69 years, male 12.3
GTEX-16MTA-0926-SM-6M47Z 50-59 years, male 12.3
GTEX-1IDJV-0126-SM-COH3Y 60-69 years, male 12.3
GTEX-1R9PN-0426-SM-DTXDT 40-49 years, female 12.3
GTEX-XUW1-0926-SM-4BONX 50-59 years, female 12.2
GTEX-1K2DU-1226-SM-CYPT4 20-29 years, male 12.2
GTEX-139D8-1126-SM-5LU8W 30-39 years, female 12.1
GTEX-XQ8I-0926-SM-4BOOF 50-59 years, male 12.1
GTEX-Y8LW-1526-SM-5IFHL 50-59 years, female 12.1
GTEX-1RB15-1326-SM-E76Q9 60-69 years, male 12.1
GTEX-17JCI-2926-SM-7DUFF 60-69 years, female 12.0
GTEX-13RTJ-0126-SM-5S2NN 60-69 years, male 11.9
GTEX-14PJN-1826-SM-6AJ98 30-39 years, male 11.9
GTEX-ZU9S-1826-SM-5NQ9E 30-39 years, male 11.9
GTEX-1C64O-1326-SM-7MGWR 60-69 years, male 11.8
GTEX-1HSMO-0626-SM-ACKXC 60-69 years, male 11.7
GTEX-1B996-0426-SM-7EWF8 60-69 years, male 11.6
GTEX-1HC8U-1326-SM-9YFMJ 40-49 years, female 11.6
GTEX-13X6H-0926-SM-5SIB2 50-59 years, female 11.5
GTEX-XPVG-2126-SM-4B667 50-59 years, male 11.5
GTEX-17MF6-2626-SM-79OKQ 40-49 years, male 11.4
GTEX-1GZ4H-0526-SM-9KNU9 50-59 years, female 11.3
GTEX-1IDJD-2326-SM-ACKWX 30-39 years, male 11.3
GTEX-13N11-2326-SM-5IJBF 50-59 years, female 11.2
GTEX-1HBPM-0726-SM-9YFL7 60-69 years, female 11.2
GTEX-1LKK1-2626-SM-DKPQE 50-59 years, female 11.2
GTEX-1ICLZ-0326-SM-ARL82 60-69 years, male 11.1
GTEX-11EQ8-0926-SM-5H12V 60-69 years, male 11.0
GTEX-1497J-0226-SM-5QGPU 60-69 years, male 11.0
GTEX-14PKV-1126-SM-6LLJ1 20-29 years, female 11.0
GTEX-16NGA-0726-SM-731AO 40-49 years, female 11.0
GTEX-14A5H-0826-SM-5QGPJ 60-69 years, male 10.8
GTEX-11EQ9-1626-SM-5PNY8 30-39 years, male 10.7
GTEX-1F6RS-2026-SM-7RHHC 60-69 years, female 10.7
GTEX-ZVT2-0126-SM-5GIDQ 50-59 years, female 10.6
GTEX-1IDJF-2026-SM-CL53V 20-29 years, male 10.6
GTEX-13O61-1426-SM-5KM3D 60-69 years, male 10.4
GTEX-WH7G-2026-SM-3NMBL 40-49 years, male 10.4
GTEX-1S831-1826-SM-EWROF 20-29 years, male 10.4
GTEX-ZGAY-1826-SM-DO91Q 40-49 years, female 10.4
GTEX-ZVE2-2826-SM-5GU51 50-59 years, male 10.3
GTEX-1O9I2-0226-SM-EYYXD 50-59 years, male 10.3
GTEX-1GPI7-1826-SM-9KNU1 20-29 years, male 10.2
GTEX-1R7EU-1626-SM-DTXG3 60-69 years, male 10.1
GTEX-15RIE-1926-SM-7KUKJ 60-69 years, male 10.0
GTEX-18A66-0626-SM-7LT8Z 60-69 years, male 10.0
GTEX-ZYW4-0626-SM-59HJR 60-69 years, male 10.0
GTEX-1HCUA-0826-SM-ADEHM 50-59 years, female 10.0
GTEX-1HFI7-2326-SM-CGQFS 50-59 years, female 10.0
GTEX-1KANA-1326-SM-DIPFA 20-29 years, male 9.8
GTEX-1F5PK-2226-SM-7SB6N 50-59 years, male 9.7
GTEX-1GF9W-1426-SM-7PBYM 60-69 years, male 9.6
GTEX-1IDJU-1726-SM-CMKHU 60-69 years, female 9.6
GTEX-1LVAO-2726-SM-E9TJ8 60-69 years, male 9.6
GTEX-12WSF-1626-SM-7KUG5 70-79 years, male 9.4
GTEX-1211K-1526-SM-5FQU4 60-69 years, female 9.3
GTEX-12WSK-2126-SM-5CVNC 40-49 years, female 9.3
GTEX-13NYS-0626-SM-5L3F1 60-69 years, male 9.3
GTEX-18D9U-0126-SM-731BM 40-49 years, male 9.3
GTEX-1ICLY-0826-SM-CMKG1 50-59 years, male 9.3
GTEX-1F6IF-0926-SM-7SB7M 60-69 years, male 9.2
GTEX-1IDJC-1526-SM-B2LW4 50-59 years, male 9.2
GTEX-1RMOY-1326-SM-E9TIH 50-59 years, male 9.1
GTEX-YB5K-2026-SM-4VDT3 40-49 years, female 9.0
GTEX-18D9A-1426-SM-7LT8M 30-39 years, female 9.0
GTEX-1LVAN-0626-SM-CNPOQ 50-59 years, female 9.0
GTEX-17F96-0126-SM-7EWDU 70-79 years, male 8.9
GTEX-X3Y1-2026-SM-3P5YM 40-49 years, male 8.9
GTEX-12C56-1526-SM-5FQUQ 20-29 years, male 8.8
GTEX-14C38-0726-SM-5SI6M 50-59 years, male 8.8
GTEX-1IDJI-0126-SM-CMKHS 50-59 years, female 8.8
GTEX-1J1R8-2026-SM-CL53Y 40-49 years, male 8.8
GTEX-14C5O-0326-SM-5ZZUX 60-69 years, male 8.7
GTEX-14PJO-2526-SM-6AJBQ 60-69 years, male 8.7
GTEX-145LT-0526-SM-5LUB2 40-49 years, male 8.6
GTEX-1H1E6-0426-SM-9WYUS 30-39 years, male 8.6
GTEX-1LG7Z-1626-SM-CXKYR 30-39 years, male 8.4
GTEX-1LGRB-0926-SM-COH3K 50-59 years, female 8.4
GTEX-13YAN-0226-SM-5TDC6 60-69 years, male 8.3
GTEX-1AMFI-1326-SM-7939R 50-59 years, female 8.3
GTEX-1AX8Z-0726-SM-73KTS 60-69 years, male 8.3
GTEX-1GMR3-0126-SM-A9SLW 40-49 years, male 8.3
GTEX-1F75I-2226-SM-7SB8U 40-49 years, male 8.2
GTEX-144FL-0626-SM-5LU43 50-59 years, male 8.1
GTEX-139T8-0626-SM-5KLZX 60-69 years, male 8.0
GTEX-13OVG-1626-SM-5J1NF 60-69 years, male 8.0
GTEX-15D1Q-2826-SM-6LLH7 40-49 years, male 8.0
GTEX-ZP4G-1426-SM-4WWCL 20-29 years, female 8.0
GTEX-1117F-2926-SM-5GZYI 60-69 years, female 7.9
GTEX-1E1VI-0326-SM-793D1 50-59 years, male 7.9
GTEX-1HKZK-0726-SM-ACKW2 40-49 years, male 7.9
GTEX-14XAO-1226-SM-6EU1C 60-69 years, female 7.8
GTEX-1JMOU-1026-SM-CYPSS 60-69 years, female 7.8
GTEX-13JUV-2026-SM-5K7UA 40-49 years, female 7.7
GTEX-14PJ4-0226-SM-5YY92 60-69 years, male 7.7
GTEX-1H2FU-0926-SM-9WPPT 60-69 years, female 7.7
GTEX-1I4MK-0126-SM-CY8G6 50-59 years, female 7.7
GTEX-11EM3-1226-SM-5N9DD 20-29 years, female 7.6
GTEX-X8HC-0626-SM-4E3HQ 50-59 years, female 7.6
GTEX-ZAJG-1526-SM-5CVML 50-59 years, female 7.6
GTEX-1A3MX-2626-SM-7PC24 60-69 years, male 7.6
GTEX-13FH7-1126-SM-5K7UG 50-59 years, female 7.5
GTEX-1PPH7-1126-SM-DTX9A 40-49 years, male 7.4
GTEX-1F48J-0726-SM-7RHGS 50-59 years, female 7.3
GTEX-13113-1626-SM-5EQ4I 60-69 years, female 7.2
GTEX-1CB4J-1326-SM-7P8RX 60-69 years, male 7.2
GTEX-14BMU-1226-SM-5S2OR 20-29 years, female 7.1
GTEX-ZTSS-1426-SM-5985P 40-49 years, male 7.1
GTEX-1I1GU-0926-SM-ACKVS 40-49 years, male 7.1
GTEX-1JKYN-0826-SM-ARU8S 30-39 years, male 7.1
GTEX-131YS-2826-SM-5EQ47 60-69 years, female 7.0
GTEX-15UF6-1926-SM-7KUDV 70-79 years, female 7.0
GTEX-14DAR-1226-SM-73KYV 50-59 years, male 6.9
GTEX-1I19N-0126-SM-CYPSF 70-79 years, male 6.9
GTEX-1AMEY-0826-SM-72D65 30-39 years, female 6.8
GTEX-1F88E-1626-SM-7SB8Z 60-69 years, female 6.7
GTEX-111YS-1526-SM-5GZYW 60-69 years, male 6.6
GTEX-14AS3-1526-SM-5Q5ED 40-49 years, female 6.6
GTEX-XK95-0226-SM-4AT58 40-49 years, male 6.6
GTEX-ZLFU-1826-SM-4WWBV 40-49 years, male 6.5
GTEX-ZYFG-1526-SM-5GZYM 60-69 years, female 6.4
GTEX-12WSA-0426-SM-5EQ5X 60-69 years, male 6.3
GTEX-12WSL-2026-SM-5GCML 50-59 years, male 6.3
GTEX-1JMQL-2226-SM-CNPP4 50-59 years, female 6.3
GTEX-132AR-0326-SM-5KM2C 50-59 years, female 6.2
GTEX-13QBU-1226-SM-5LU4G 40-49 years, female 6.2
GTEX-ZA64-1026-SM-5HL8R 20-29 years, male 6.2
GTEX-1GMR2-0826-SM-7PC3V 50-59 years, male 6.1
GTEX-1JN1M-2726-SM-CY8I4 60-69 years, female 6.1
GTEX-ZLWG-0826-SM-59888 50-59 years, female 6.0
GTEX-147F3-1726-SM-5SIAW 50-59 years, female 5.9
GTEX-WFG8-2126-SM-3GIKQ 20-29 years, male 5.9
GTEX-1H23P-0626-SM-9WG6T 60-69 years, male 5.9
GTEX-WI4N-2726-SM-3LK7Y 40-49 years, female 5.6
GTEX-18A7B-2726-SM-7LG56 70-79 years, male 5.5
GTEX-13NYC-0126-SM-5L3F4 60-69 years, male 5.4
GTEX-16AAH-0626-SM-793C9 50-59 years, male 5.4
GTEX-13NZ9-2626-SM-5L3FK 50-59 years, male 5.2
GTEX-1QP29-1826-SM-DTX9S 50-59 years, male 5.2
GTEX-1QP66-1226-SM-DTX7U 50-59 years, male 5.1
GTEX-1RAZA-2226-SM-E9U4X 20-29 years, male 4.9
GTEX-145MO-2826-SM-5LU96 60-69 years, male 4.8
GTEX-ZZ64-1026-SM-5GZXG 20-29 years, male 4.8
GTEX-ZVE1-0726-SM-51MRN 50-59 years, female 4.7
GTEX-1I6K6-1726-SM-CGQFD 30-39 years, male 4.6
GTEX-1LGOU-1326-SM-D3L8M 20-29 years, female 4.6
GTEX-1399R-1326-SM-5PNYS 30-39 years, male 4.2
GTEX-15G1A-1626-SM-7KUKN 30-39 years, male 4.2
GTEX-16XZZ-0726-SM-7KUF2 60-69 years, male 4.2
GTEX-U8XE-0226-SM-4E3J3 30-39 years, male 4.2
GTEX-X4EP-0626-SM-3P621 60-69 years, female 4.2
GTEX-12BJ1-0926-SM-5EQ62 60-69 years, male 3.9
GTEX-WHSE-0126-SM-3NMBT 20-29 years, male 3.9
GTEX-14JG6-1426-SM-9WG7C 30-39 years, female 3.9
GTEX-1LSNM-0826-SM-DIPG8 50-59 years, male 3.7
GTEX-WYJK-0526-SM-3NM8Z 50-59 years, male 3.6
GTEX-ZYFD-0626-SM-5E44E 50-59 years, male 3.5
GTEX-117YX-1926-SM-5GIEC 50-59 years, male 3.4
GTEX-WFON-1926-SM-3LK7L 40-49 years, male 3.3
GTEX-11DZ1-2426-SM-5GZZX 50-59 years, male 3.1
GTEX-11TT1-1826-SM-5EQLV 20-29 years, male 3.1
GTEX-11WQK-1026-SM-5EQLX 50-59 years, male 3.1
GTEX-1F75W-2726-SM-7SB8H 60-69 years, male 3.0
GTEX-1A3MW-0626-SM-731CB 60-69 years, female 2.5
GTEX-ZT9W-1126-SM-57WDR 50-59 years, male 2.2
GTEX-ZUA1-2626-SM-5NQ92 40-49 years, male 2.1
GTEX-ZVTK-0226-SM-51MRG 20-29 years, male 1.9
GTEX-111FC-2526-SM-5GZXU 60-69 years, male 1.5
GTEX-14E6C-2426-SM-5S2NF 40-49 years, male 1.3
GTEX-Y5LM-0926-SM-6LLJG 40-49 years, female 1.3
GTEX-16GPK-0626-SM-7KFSF 60-69 years, male 0.7
GTEX-1GF9U-2026-SM-7SB92 40-49 years, female 0.7
GTEX-17EVQ-0126-SM-7IGLR 70-79 years, male 0.6
GTEX-YF7O-1526-SM-5IFI6 50-59 years, male 0.6
GTEX-1AX9J-1326-SM-731BJ 60-69 years, male 0.5
GTEX-1L5NE-1126-SM-D3L9P 50-59 years, male 0.4
Show allShow less
Skin - Sun Exposed (Lower leg)
Average nTPM: 18.1
Samples: 701

Max nTPM: 81.5
Min nTPM: 0.1
Std nTPM: 12.8
Median nTPM: 14.9
GTEX-1IDJH-0326-SM-A9SLQ 70-79 years, male 81.5
GTEX-T6MN-0126-SM-32PLP 50-59 years, male 74.8
GTEX-11DYG-0126-SM-59883 60-69 years, male 62.7
GTEX-1EWIQ-0126-SM-7RHH2 70-79 years, female 60.8
GTEX-PX3G-0126-SM-2I3EN 20-29 years, female 59.3
GTEX-139TS-2826-SM-5J1OO 60-69 years, male 57.9
GTEX-ZF2S-2326-SM-4WWCE 50-59 years, female 56.9
GTEX-1PIIG-0226-SM-EWRN6 30-39 years, male 55.7
GTEX-1H4P4-0726-SM-9YFLR 50-59 years, male 55.5
GTEX-17JCI-0126-SM-7LG5G 60-69 years, female 55.2
GTEX-13FXS-0226-SM-5IJCK 50-59 years, male 54.2
GTEX-1RDX4-0126-SM-E9J4P 50-59 years, female 52.4
GTEX-18A6Q-0126-SM-731BZ 60-69 years, male 52.2
GTEX-1GN1U-0126-SM-7PBZK 50-59 years, female 52.0
GTEX-OIZH-0126-SM-2HMIS 50-59 years, male 51.9
GTEX-1JMLX-0226-SM-CM2RO 50-59 years, male 51.2
GTEX-1313W-0126-SM-5LZUN 50-59 years, female 50.7
GTEX-117XS-2726-SM-5N9BL 60-69 years, male 50.6
GTEX-1269C-2526-SM-5EGJ3 60-69 years, female 50.2
GTEX-YJ89-0126-SM-4TT3X 60-69 years, male 49.5
GTEX-14PII-0226-SM-6EU1T 60-69 years, male 49.0
GTEX-S7SE-0126-SM-2XCD5 50-59 years, male 48.5
GTEX-1MJK2-0426-SM-DTXE5 50-59 years, male 47.8
GTEX-131YS-0126-SM-5KM1M 60-69 years, female 47.7
GTEX-1B8SF-1426-SM-7DUGL 60-69 years, male 46.8
GTEX-15ER7-0326-SM-7KUEV 20-29 years, female 46.4
GTEX-ZVTK-0426-SM-51MRS 20-29 years, male 46.3
GTEX-1GMRU-0126-SM-9YFLV 50-59 years, male 45.7
GTEX-1GN2E-0426-SM-9MQKX 60-69 years, male 45.7
GTEX-1JMQJ-0526-SM-CYPSU 50-59 years, male 44.4
GTEX-11DXZ-2326-SM-5EGGV 50-59 years, male 43.7
GTEX-ZV68-0126-SM-59HKS 50-59 years, female 43.3
GTEX-1HBPI-1526-SM-C1YQ1 50-59 years, male 43.1
GTEX-ZE9C-2726-SM-57WB5 60-69 years, male 42.7
GTEX-13OW5-0126-SM-DTXFS 60-69 years, male 41.8
GTEX-1GZHY-0326-SM-9QEHI 50-59 years, female 41.3
GTEX-U412-0426-SM-3DB9O 60-69 years, male 41.2
GTEX-12KS4-0326-SM-5EQ41 30-39 years, male 41.1
GTEX-13S7M-0126-SM-5SI6A 60-69 years, female 41.1
GTEX-144GL-0126-SM-5TDE2 50-59 years, male 40.9
GTEX-ZAK1-0126-SM-5IJD3 50-59 years, female 40.8
GTEX-ZVT4-0126-SM-DTXFN 50-59 years, female 40.8
GTEX-11XUK-2026-SM-5EQLF 40-49 years, female 40.5
GTEX-1CAV2-2226-SM-7P8P2 40-49 years, female 40.5
GTEX-12WSC-0126-SM-5EQ4P 50-59 years, male 40.3
GTEX-14BIN-0626-SM-793DP 50-59 years, female 40.2
GTEX-1JJEA-0326-SM-CNPOT 60-69 years, male 40.2
GTEX-1HSKV-0226-SM-A9SKJ 60-69 years, male 40.1
GTEX-XQ3S-1526-SM-4BOOC 20-29 years, male 40.0
GTEX-1H1CY-2826-SM-9MQM3 60-69 years, female 39.8
GTEX-RVPV-0126-SM-EAZAW 60-69 years, male 39.8
GTEX-14PJM-0226-SM-62LF1 50-59 years, female 39.5
GTEX-1J8JJ-0226-SM-CL53I 60-69 years, female 39.3
GTEX-1S3DN-2226-SM-EVYCD 50-59 years, male 39.3
GTEX-X4XX-0126-SM-3NMC2 60-69 years, male 39.2
GTEX-1EMGI-0126-SM-9KNUE 60-69 years, male 38.6
GTEX-13112-2826-SM-5DUWH 50-59 years, male 38.5
GTEX-17EVP-0326-SM-7DHLG 40-49 years, male 38.2
GTEX-1HCU6-0126-SM-CL54K 60-69 years, female 38.2
GTEX-TML8-1926-SM-32QOS 40-49 years, female 37.9
GTEX-1212Z-2526-SM-5EGKP 60-69 years, male 37.8
GTEX-145LS-0126-SM-5QGP1 60-69 years, female 37.8
GTEX-13111-1626-SM-5EGJY 50-59 years, male 37.4
GTEX-14JG1-0426-SM-6ETZZ 40-49 years, male 37.3
GTEX-YFC4-0126-SM-5CVLY 40-49 years, female 37.3
GTEX-1CB4F-0426-SM-9KNV4 60-69 years, male 37.3
GTEX-1M5QR-1226-SM-EWROB 40-49 years, male 37.3
GTEX-1JN6P-0126-SM-D3L98 60-69 years, male 36.9
GTEX-1I1GV-0526-SM-A9G29 60-69 years, male 36.5
GTEX-16GPK-0126-SM-7DHLE 60-69 years, male 36.3
GTEX-14E6D-0126-SM-62LDV 50-59 years, male 36.2
GTEX-1IOXB-0126-SM-ARL8G 50-59 years, male 36.2
GTEX-14BMV-0126-SM-5S2PO 50-59 years, male 35.8
GTEX-13OW6-0426-SM-5L3HM 50-59 years, male 35.6
GTEX-17HG3-2226-SM-7938L 30-39 years, female 35.6
GTEX-11GSP-2526-SM-5N9BP 60-69 years, female 35.3
GTEX-1KWVE-1426-SM-E9TJO 30-39 years, male 35.3
GTEX-1HFI6-0226-SM-ADEHZ 40-49 years, male 35.2
GTEX-12WSE-0526-SM-793B2 20-29 years, male 34.9
GTEX-131XH-2226-SM-5DUXJ 50-59 years, male 34.9
GTEX-OXRP-0126-SM-3NB32 60-69 years, female 34.9
GTEX-1C475-1826-SM-73KWA 40-49 years, female 34.5
GTEX-139UW-2826-SM-5L3E7 60-69 years, male 34.4
GTEX-1E2YA-0126-SM-9KNUC 50-59 years, male 34.2
GTEX-12ZZY-0226-SM-5LZVE 60-69 years, male 33.9
GTEX-Y8DK-0126-SM-4TT3L 60-69 years, male 33.9
GTEX-145LU-0126-SM-5TDCB 50-59 years, male 33.8
GTEX-1CB4I-0226-SM-79OLH 50-59 years, male 33.6
GTEX-13SLW-0126-SM-5SI6C 70-79 years, male 33.3
GTEX-11EI6-0126-SM-5985R 60-69 years, male 33.2
GTEX-1CB4G-0226-SM-7PC3O 60-69 years, male 33.2
GTEX-1MCQQ-0826-SM-DLHC2 60-69 years, male 33.2
GTEX-1HR98-0126-SM-B2LWI 60-69 years, male 33.1
GTEX-11OF3-2626-SM-5GU7F 60-69 years, male 33.0
GTEX-RWSA-0126-SM-2XCBB 40-49 years, male 32.7
GTEX-VJYA-1126-SM-3GIJU 60-69 years, male 32.7
GTEX-X88G-0126-SM-47JZ3 30-39 years, male 32.7
GTEX-RNOR-0126-SM-E9J4R 50-59 years, female 32.7
GTEX-1E1VI-0126-SM-7DHMZ 50-59 years, male 32.5
GTEX-1HT8W-0126-SM-CNPPP 30-39 years, male 32.5
GTEX-1J8EW-0126-SM-CJI4F 60-69 years, female 32.5
GTEX-Y5V5-2326-SM-4V6GA 60-69 years, female 32.4
GTEX-1GF9V-0326-SM-7RHI5 60-69 years, male 32.4
GTEX-12126-0326-SM-5PNW3 20-29 years, male 32.3
GTEX-13VXU-0126-SM-5SI9F 50-59 years, male 32.3
GTEX-ZDTS-0126-SM-4WAY5 60-69 years, male 32.2
GTEX-1LB8K-0226-SM-EWRNW 50-59 years, male 32.1
GTEX-1F5PL-0326-SM-7P8PQ 40-49 years, female 31.8
GTEX-S7PM-0126-SM-4AD6S 60-69 years, male 31.6
GTEX-1GN73-0226-SM-9WG67 60-69 years, male 31.4
GTEX-1KD4Q-0226-SM-E9TJ9 40-49 years, male 31.4
GTEX-13X6J-0126-SM-5QGOU 50-59 years, male 31.3
GTEX-139TU-0126-SM-5K7WH 60-69 years, male 31.0
GTEX-Y3IK-2426-SM-4WWDU 50-59 years, female 31.0
GTEX-1AX9I-0126-SM-7SB74 60-69 years, male 31.0
GTEX-17HGU-0226-SM-7DHKV 50-59 years, male 30.9
GTEX-SJXC-0126-SM-2XCFF 60-69 years, male 30.7
GTEX-1BAJH-0526-SM-793CQ 70-79 years, male 30.6
GTEX-1GMR3-1926-SM-9KNUZ 40-49 years, male 30.6
GTEX-ZWKS-0126-SM-5SIAA 30-39 years, male 30.4
GTEX-1A8FM-0226-SM-7SB7Q 50-59 years, female 30.4
GTEX-1I1CD-0126-SM-CM2TK 60-69 years, female 30.2
GTEX-S33H-1026-SM-EZ6L6 30-39 years, male 30.1
GTEX-15DYW-0126-SM-7KULE 60-69 years, female 29.9
GTEX-1HCU8-0626-SM-A9SM9 60-69 years, female 29.9
GTEX-ZYFD-0126-SM-5GIDL 50-59 years, male 29.8
GTEX-17HHY-0126-SM-7LG5D 50-59 years, male 29.6
GTEX-T2IS-0126-SM-4DM6O 20-29 years, female 29.5
GTEX-1IL2U-0226-SM-CE6T8 60-69 years, male 29.5
GTEX-ZTSS-1926-SM-57WEW 40-49 years, male 29.4
GTEX-1H3O1-0426-SM-9YFKY 60-69 years, male 29.3
GTEX-13SLX-0526-SM-5S2ON 50-59 years, female 29.1
GTEX-Y111-0126-SM-4SOIV 50-59 years, male 29.1
GTEX-11ZTS-0126-SM-5EQ6M 60-69 years, female 28.9
GTEX-18A7A-0226-SM-718BH 50-59 years, female 28.8
GTEX-1I1GQ-0126-SM-COH3H 50-59 years, male 28.8
GTEX-1S83E-0126-SM-EWRO4 40-49 years, male 28.8
GTEX-111FC-0126-SM-5N9DL 60-69 years, male 28.7
GTEX-13FHP-0126-SM-5IJBG 50-59 years, male 28.3
GTEX-13NYB-2526-SM-5K7Z6 40-49 years, male 28.2
GTEX-1EX96-1626-SM-7PBXR 50-59 years, male 28.2
GTEX-131XW-0426-SM-5LZWP 50-59 years, female 27.6
GTEX-1POEN-0126-SM-EYYXJ 30-39 years, female 27.4
GTEX-11GSO-2426-SM-5A5LY 60-69 years, male 27.3
GTEX-18D9A-1926-SM-7LG6P 30-39 years, female 27.2
GTEX-13G51-2526-SM-5LZYK 60-69 years, male 27.1
GTEX-1KD5A-0226-SM-D5OV3 50-59 years, male 27.0
GTEX-1O97I-0326-SM-EYYX7 60-69 years, male 26.8
GTEX-11DXY-2626-SM-5GIE7 60-69 years, male 26.7
GTEX-Y5V6-2426-SM-4VDSB 60-69 years, male 26.7
GTEX-Y8E4-0626-SM-4WWDL 40-49 years, male 26.7
GTEX-1C64N-0126-SM-793D7 50-59 years, male 26.6
GTEX-1192W-2626-SM-5Q5AF 60-69 years, male 26.5
GTEX-1KANC-1526-SM-D3LAB 50-59 years, female 26.5
GTEX-14LZ3-0226-SM-62LET 60-69 years, female 26.4
GTEX-17KNJ-2326-SM-7DHLQ 50-59 years, male 26.4
GTEX-PVOW-0126-SM-2XCFA 40-49 years, male 26.4
GTEX-SIU8-0126-SM-2XCDT 50-59 years, male 26.4
GTEX-UPJH-0326-SM-3GADU 50-59 years, male 26.4
GTEX-147GR-0526-SM-5S2MY 60-69 years, male 26.3
GTEX-S32W-2126-SM-2XCB1 50-59 years, female 26.3
GTEX-15SHU-0126-SM-7KUEH 40-49 years, female 26.2
GTEX-OIZG-0726-SM-33HBL 50-59 years, male 26.2
GTEX-ZTX8-1426-SM-5DUVO 20-29 years, male 26.2
GTEX-1I1GR-0126-SM-CL55F 60-69 years, male 26.2
GTEX-1IKJJ-0126-SM-CNPQB 60-69 years, male 26.2
GTEX-ZC5H-0226-SM-4WAY9 40-49 years, female 26.1
GTEX-17MFQ-1726-SM-793C7 20-29 years, male 25.9
GTEX-145MF-0626-SM-5LUAI 50-59 years, male 25.8
GTEX-1N2DW-0226-SM-E9TK2 50-59 years, male 25.8
GTEX-12ZZZ-0626-SM-5DUXI 60-69 years, male 25.6
GTEX-133LE-1826-SM-5J1MV 20-29 years, female 25.6
GTEX-1IKOH-0226-SM-COH4E 60-69 years, female 25.6
GTEX-15DCD-0126-SM-7KUEK 70-79 years, female 25.5
GTEX-X4EO-0326-SM-3P5YO 60-69 years, female 25.5
GTEX-1QMI2-0226-SM-EVYBX 60-69 years, male 25.5
GTEX-1QAET-0926-SM-E76QM 50-59 years, male 25.4
GTEX-13FTW-2626-SM-5K7WL 40-49 years, male 25.3
GTEX-18465-0126-SM-731BN 50-59 years, male 25.3
GTEX-1B8L1-2526-SM-9WYTF 60-69 years, male 25.3
GTEX-1J1OQ-0226-SM-CYPSH 40-49 years, female 25.3
GTEX-15DDE-0126-SM-6LPKH 50-59 years, female 25.2
GTEX-13PVR-2326-SM-5QGR1 60-69 years, female 25.1
GTEX-1122O-2126-SM-5EGIR 60-69 years, female 25.0
GTEX-XUZC-1726-SM-4BRWS 30-39 years, female 24.9
GTEX-ZVZO-0126-SM-5A5L9 40-49 years, male 24.9
GTEX-QEG4-0226-SM-2S1PY 30-39 years, male 24.7
GTEX-T5JW-1626-SM-3GADZ 20-29 years, female 24.7
GTEX-VUSG-2526-SM-4KL1V 50-59 years, male 24.7
GTEX-ZXG5-0126-SM-5GIEU 60-69 years, male 24.7
GTEX-1KAFJ-2026-SM-CY8ID 50-59 years, male 24.7
GTEX-PSDG-0226-SM-DKPOZ 50-59 years, male 24.7
GTEX-1CB4H-0226-SM-7PBXM 60-69 years, female 24.6
GTEX-1IKK5-0626-SM-ARL8A 60-69 years, male 24.6
GTEX-11GS4-2726-SM-5A5LE 60-69 years, male 24.5
GTEX-POMQ-2226-SM-2I5FK 20-29 years, female 24.5
GTEX-WYVS-2126-SM-3NMA3 40-49 years, female 24.5
GTEX-11DXW-0226-SM-5H122 40-49 years, male 24.4
GTEX-1IGQW-0126-SM-COH42 60-69 years, male 24.3
GTEX-139TT-0126-SM-5K7Y5 60-69 years, male 24.2
GTEX-1B8KZ-2026-SM-7DHMB 50-59 years, male 24.2
GTEX-1C6VR-2426-SM-79OLD 60-69 years, male 24.2
GTEX-1399R-2726-SM-5IJBA 30-39 years, male 24.0
GTEX-145MI-0526-SM-5O9A8 60-69 years, female 23.9
GTEX-XUYS-0126-SM-47JWZ 50-59 years, male 23.8
GTEX-1GZ2Q-0226-SM-7P8TL 40-49 years, male 23.8
GTEX-1IY9M-0126-SM-D3L8S 60-69 years, male 23.7
GTEX-Y3I4-2126-SM-4TT7C 50-59 years, male 23.6
GTEX-W5X1-3026-SM-EAZAX 40-49 years, female 23.5
GTEX-11ZVC-2526-SM-5FQTE 50-59 years, female 23.3
GTEX-P4QT-0126-SM-2I3FL 50-59 years, female 23.3
GTEX-XPVG-2626-SM-4B669 50-59 years, male 23.3
GTEX-Y114-2426-SM-4TT8A 50-59 years, female 23.3
GTEX-11UD2-0226-SM-5EQKY 50-59 years, male 23.1
GTEX-13O3O-0126-SM-E9J49 60-69 years, female 23.0
GTEX-1399U-2326-SM-5K7WY 50-59 years, female 22.9
GTEX-ZYT6-0226-SM-5NQ6T 30-39 years, male 22.9
GTEX-TKQ1-1026-SM-4GICL 30-39 years, male 22.8
GTEX-1F7RK-0126-SM-7PC2S 20-29 years, female 22.6
GTEX-14PHX-2326-SM-62LEM 50-59 years, male 22.4
GTEX-ZVT3-0126-SM-5GU6I 60-69 years, female 22.4
GTEX-ZYFC-0226-SM-5NQ75 50-59 years, male 22.4
GTEX-1OJC3-0126-SM-E76QX 20-29 years, male 22.4
GTEX-1QEPI-0126-SM-EWRMQ 60-69 years, female 22.4
GTEX-1QP9N-1426-SM-DTXFL 30-39 years, male 22.3
GTEX-14E7W-0126-SM-6LLJ9 70-79 years, male 22.2
GTEX-Z93S-0126-SM-5HL7M 50-59 years, male 22.2
GTEX-1399T-2826-SM-5KLYZ 60-69 years, male 22.0
GTEX-OHPL-0126-SM-2HMJ7 60-69 years, female 21.9
GTEX-146FQ-0126-SM-5NQA9 30-39 years, male 21.8
GTEX-1KXAM-2226-SM-CYPTC 60-69 years, male 21.7
GTEX-1F6IF-0726-SM-7P8TW 60-69 years, male 21.6
GTEX-1CB4E-2226-SM-793DC 60-69 years, male 21.5
GTEX-QVJO-1626-SM-2S1QW 60-69 years, female 21.5
GTEX-13OVH-0126-SM-5MR4B 70-79 years, male 21.4
GTEX-1MA7X-2226-SM-E6CIY 60-69 years, male 21.4
GTEX-1R9PM-2026-SM-E76OY 20-29 years, male 21.4
GTEX-13JUV-2726-SM-5LZZ8 40-49 years, female 21.3
GTEX-1A32A-0126-SM-718B1 50-59 years, female 21.3
GTEX-1OFPY-2426-SM-DTXEJ 60-69 years, male 21.0
GTEX-13OW8-1326-SM-5J1OW 60-69 years, male 20.9
GTEX-1RQEC-0426-SM-E6CHU 60-69 years, male 20.9
GTEX-1314G-1526-SM-5EGK2 30-39 years, male 20.8
GTEX-13OVK-2026-SM-7KUEO 40-49 years, male 20.7
GTEX-11P81-2326-SM-59875 30-39 years, female 20.5
GTEX-1F75B-0126-SM-9KNVL 50-59 years, male 20.4
GTEX-13CF2-2526-SM-5LZYX 60-69 years, male 20.2
GTEX-17HII-0226-SM-7LG4E 50-59 years, male 20.2
GTEX-1H3VE-0326-SM-9YFLH 40-49 years, male 20.1
GTEX-1B97I-1626-SM-73KYO 40-49 years, male 20.0
GTEX-Z9EW-1626-SM-5CVMN 40-49 years, male 20.0
GTEX-1F75A-0126-SM-7RHGM 50-59 years, male 20.0
GTEX-11TUW-2726-SM-E9J4M 60-69 years, male 19.9
GTEX-1S5ZA-0126-SM-EVYCV 20-29 years, male 19.9
GTEX-14753-0426-SM-5NQAM 60-69 years, male 19.8
GTEX-15SB6-1726-SM-6PAME 50-59 years, female 19.8
GTEX-1PIGE-0126-SM-EVYBJ 20-29 years, male 19.8
GTEX-11ZU8-2526-SM-5EQKI 60-69 years, male 19.7
GTEX-1F6RS-0126-SM-9MQKZ 60-69 years, female 19.6
GTEX-12584-0126-SM-5EGKQ 40-49 years, male 19.5
GTEX-13OW7-0126-SM-5MR3B 50-59 years, male 19.5
GTEX-1ICG6-2526-SM-CGQFZ 70-79 years, female 19.2
GTEX-17GQL-2026-SM-718BA 60-69 years, male 19.1
GTEX-WFON-2126-SM-3LK7O 40-49 years, male 19.1
GTEX-1F6I4-0126-SM-9MQL2 60-69 years, male 19.1
GTEX-12WSJ-1826-SM-5GCNY 40-49 years, female 19.0
GTEX-R3RS-0126-SM-3GIJL 40-49 years, female 19.0
GTEX-14A5H-0426-SM-5QGQF 60-69 years, male 18.9
GTEX-15SHW-0326-SM-6PAML 60-69 years, male 18.9
GTEX-W5WG-1826-SM-4KL2Y 50-59 years, female 18.9
GTEX-1EU9M-0226-SM-7P8SP 60-69 years, male 18.9
GTEX-XYKS-2126-SM-4E3IB 60-69 years, female 18.8
GTEX-1B8SG-0126-SM-73KZ3 50-59 years, male 18.7
GTEX-ZU9S-0226-SM-5E441 30-39 years, male 18.7
GTEX-1M4P7-0226-SM-DIPEV 60-69 years, male 18.7
GTEX-ZEX8-2426-SM-4WKG4 50-59 years, male 18.6
GTEX-ZVT2-2526-SM-51MT1 50-59 years, female 18.6
GTEX-1B8KE-2126-SM-73KYX 50-59 years, male 18.5
GTEX-P4PP-0126-SM-3LK69 30-39 years, female 18.5
GTEX-RU72-0926-SM-2TF6B 50-59 years, female 18.5
GTEX-1CAMS-0426-SM-7P8T2 40-49 years, female 18.4
GTEX-OOBJ-0126-SM-E6CJW 60-69 years, male 18.4
GTEX-16NPX-0226-SM-79OMT 50-59 years, male 18.1
GTEX-U3ZH-2026-SM-3DB78 30-39 years, male 18.1
GTEX-1C6VQ-0126-SM-7P8RI 50-59 years, male 18.0
GTEX-132NY-0326-SM-5IJBL 60-69 years, male 17.9
GTEX-13OVL-0226-SM-5L3E9 50-59 years, male 17.9
GTEX-X585-0226-SM-4QAS2 50-59 years, male 17.9
GTEX-1IL2V-0126-SM-CM2TX 70-79 years, male 17.6
GTEX-145MO-0326-SM-5Q5B3 60-69 years, male 17.5
GTEX-17F97-0326-SM-7LG5B 50-59 years, male 17.5
GTEX-18D9B-0526-SM-7LTAS 60-69 years, male 17.4
GTEX-O5YT-0126-SM-48TBW 20-29 years, male 17.4
GTEX-1EN7A-0126-SM-7SB81 40-49 years, male 17.4
GTEX-12ZZX-0126-SM-5EGK9 40-49 years, female 17.3
GTEX-12696-2426-SM-5EQ6H 60-69 years, male 17.2
GTEX-13NZA-0226-SM-5K7Z7 60-69 years, male 17.2
GTEX-14DAQ-0126-SM-5S2MQ 60-69 years, female 17.2
GTEX-1AYD5-2426-SM-73KXR 50-59 years, male 17.2
GTEX-WY7C-2326-SM-3NB2U 50-59 years, male 17.2
GTEX-ZV6S-2326-SM-4YCEY 40-49 years, female 17.2
GTEX-1F88F-2726-SM-7PBZZ 60-69 years, female 17.2
GTEX-1CAMQ-0226-SM-7IGPK 40-49 years, male 17.1
GTEX-UJHI-1526-SM-3DB99 50-59 years, female 17.1
GTEX-X8HC-0126-SM-4E3JW 50-59 years, female 17.1
GTEX-1B933-0126-SM-7PC29 50-59 years, female 17.0
GTEX-13U4I-0126-SM-5LU38 40-49 years, female 16.9
GTEX-WXYG-2326-SM-4E3I6 50-59 years, female 16.9
GTEX-1GPI6-0126-SM-9WG69 60-69 years, male 16.9
GTEX-13FTY-0526-SM-5L3EV 40-49 years, female 16.8
GTEX-T5JC-0426-SM-32PLO 20-29 years, male 16.8
GTEX-XBED-2226-SM-47JYQ 60-69 years, male 16.8
GTEX-1RB15-2126-SM-E9TIM 60-69 years, male 16.8
GTEX-1HBPN-0226-SM-9YFM1 50-59 years, male 16.6
GTEX-183FY-0126-SM-7LT9P 20-29 years, male 16.4
GTEX-SSA3-0126-SM-32QPU 60-69 years, male 16.4
GTEX-WYJK-0126-SM-3NMAB 50-59 years, male 16.4
GTEX-ZGAY-0526-SM-4WWBB 40-49 years, female 16.4
GTEX-1B996-0226-SM-7RHGO 60-69 years, male 16.4
GTEX-1H11D-0226-SM-9WG6Z 40-49 years, male 16.4
GTEX-14ABY-0226-SM-5TDCQ 50-59 years, male 16.3
GTEX-1AX9J-0226-SM-73KXM 60-69 years, male 16.3
GTEX-113JC-2326-SM-5EQ4E 50-59 years, female 16.1
GTEX-11OC5-0126-SM-5HL6A 60-69 years, male 16.1
GTEX-11WQC-2526-SM-5CVLE 60-69 years, male 16.1
GTEX-1HCUA-2426-SM-ADEIS 50-59 years, female 16.1
GTEX-111VG-2426-SM-5GZXD 60-69 years, male 16.0
GTEX-13N1W-0126-SM-5K7VT 70-79 years, male 16.0
GTEX-145LT-1726-SM-5QGP3 40-49 years, male 16.0
GTEX-ZDYS-2026-SM-5HL5L 50-59 years, male 16.0
GTEX-OIZF-0126-SM-7SB8I 60-69 years, male 16.0
GTEX-1128S-2326-SM-5GZZY 60-69 years, female 15.9
GTEX-13N2G-2626-SM-5J1OT 60-69 years, male 15.9
GTEX-OXRN-0126-SM-48TDM 50-59 years, male 15.9
GTEX-ZUA1-0126-SM-5GU76 40-49 years, male 15.8
GTEX-1GMR8-0126-SM-9WYTM 50-59 years, female 15.7
GTEX-1QP66-1726-SM-E8VO1 50-59 years, male 15.7
GTEX-1JJ6O-0126-SM-E6CI8 60-69 years, male 15.6
GTEX-SUCS-1926-SM-32PM3 70-79 years, male 15.5
GTEX-X5EB-2226-SM-46MW4 40-49 years, male 15.5
GTEX-QV44-1926-SM-2S1RF 50-59 years, male 15.4
GTEX-WQUQ-0426-SM-3MJFU 60-69 years, male 15.4
GTEX-1GL5R-1826-SM-9KNUY 50-59 years, male 15.4
GTEX-15CHC-2126-SM-6EU21 60-69 years, female 15.3
GTEX-131XE-2326-SM-5PNZ2 50-59 years, male 15.2
GTEX-145ME-1826-SM-5SI9G 40-49 years, female 15.2
GTEX-1JMPY-1326-SM-ARL8Y 30-39 years, male 15.2
GTEX-13N11-2526-SM-5K7UE 50-59 years, female 15.1
GTEX-1C4CL-0526-SM-73KVK 30-39 years, male 15.1
GTEX-YB5E-2026-SM-5IFIS 40-49 years, male 15.0
GTEX-1211K-2026-SM-5EQ4Z 60-69 years, female 14.9
GTEX-XXEK-2226-SM-4BRUM 50-59 years, male 14.9
GTEX-1HGF4-2426-SM-ACKXM 60-69 years, male 14.9
GTEX-1LG7Z-1726-SM-D3LA4 30-39 years, male 14.9
GTEX-TMZS-0126-SM-3DB9Q 60-69 years, male 14.8
GTEX-U8T8-0126-SM-3DB94 60-69 years, male 14.8
GTEX-13FHO-0226-SM-5IFGY 60-69 years, male 14.7
GTEX-V1D1-2226-SM-3NMAX 50-59 years, male 14.7
GTEX-12WSD-0126-SM-59HKN 60-69 years, female 14.4
GTEX-NFK9-0226-SM-2HMKQ 40-49 years, male 14.3
GTEX-1LG7Y-0526-SM-DKPQC 50-59 years, male 14.3
GTEX-15F5U-1526-SM-6PANO 40-49 years, male 14.2
GTEX-1KANB-0526-SM-E6CJH 50-59 years, male 14.2
GTEX-13113-5016-SM-7EPIP 60-69 years, female 14.1
GTEX-148VI-1626-SM-5SI6E 60-69 years, female 14.1
GTEX-15ETS-0126-SM-7KUMW 40-49 years, female 14.1
GTEX-QDVJ-1726-SM-2I5FX 50-59 years, male 14.1
GTEX-1IDJF-0126-SM-CM2RS 20-29 years, male 14.1
GTEX-ZE7O-0126-SM-57WC1 50-59 years, female 14.0
GTEX-1JMQI-2226-SM-CM2SD 50-59 years, male 14.0
GTEX-1NV5F-0226-SM-E8VNY 60-69 years, female 13.8
GTEX-WZTO-0126-SM-3NM95 40-49 years, male 13.6
GTEX-11NUK-0126-SM-5A5L3 50-59 years, male 13.5
GTEX-Q2AI-1326-SM-2S1PL 40-49 years, male 13.5
GTEX-117YW-2626-SM-5GZZH 50-59 years, male 13.4
GTEX-11UD1-0126-SM-5PNYG 40-49 years, female 13.4
GTEX-14A5I-0126-SM-5TDEA 50-59 years, female 13.4
GTEX-1EKGG-0226-SM-9WYTH 60-69 years, male 13.4
GTEX-1MA7W-2026-SM-E9TJ6 20-29 years, female 13.4
GTEX-1H1DE-2126-SM-9WG6R 20-29 years, male 13.3
GTEX-1JJE9-0326-SM-CL53Z 70-79 years, male 13.3
GTEX-147F4-0226-SM-5QGPW 50-59 years, male 13.2
GTEX-X261-0126-SM-3NMD6 50-59 years, male 13.2
GTEX-ZY6K-1826-SM-5GZXK 50-59 years, male 13.2
GTEX-XMD2-0126-SM-4YCDU 60-69 years, female 13.1
GTEX-1497J-2426-SM-7IGNX 60-69 years, male 13.0
GTEX-15SDE-2226-SM-7IGLO 50-59 years, female 13.0
GTEX-1HSMP-0126-SM-E6CJS 70-79 years, male 13.0
GTEX-1IDFM-0126-SM-COH2V 60-69 years, male 13.0
GTEX-17EVQ-0226-SM-7LG4P 70-79 years, male 12.9
GTEX-1H3VY-0126-SM-ACKXD 50-59 years, male 12.9
GTEX-1LVAN-0226-SM-COH3S 50-59 years, female 12.8
GTEX-1MUQO-0126-SM-EAZ58 60-69 years, male 12.7
GTEX-11LCK-1026-SM-5A5KB 30-39 years, male 12.6
GTEX-SN8G-0126-SM-32PLI 50-59 years, female 12.6
GTEX-1N2EF-0226-SM-EYYXB 60-69 years, male 12.6
GTEX-1QP29-0626-SM-EWRMX 50-59 years, male 12.6
GTEX-13NZ8-0826-SM-5MR3I 60-69 years, female 12.5
GTEX-1J8Q2-0526-SM-CM2RW 60-69 years, male 12.5
GTEX-13CF3-2426-SM-5IFGX 60-69 years, female 12.3
GTEX-R55G-2526-SM-2TC6D 40-49 years, female 12.3
GTEX-RTLS-0126-SM-447CA 60-69 years, female 12.3
GTEX-WFG8-2226-SM-3GIL9 20-29 years, male 12.3
GTEX-1GF9X-2026-SM-7PC3A 40-49 years, female 12.3
GTEX-1HUB1-0426-SM-E9U4U 60-69 years, male 12.3
GTEX-145MN-2226-SM-5SIAU 30-39 years, male 12.2
GTEX-14PN4-0126-SM-6EU2V 50-59 years, male 12.2
GTEX-1I1GP-2226-SM-CGQFK 50-59 years, male 12.2
GTEX-OOBK-0126-SM-2YUND 40-49 years, male 12.1
GTEX-1IE54-0126-SM-CMKHW 40-49 years, female 12.1
GTEX-1QPFJ-0226-SM-E76PB 30-39 years, female 12.1
GTEX-13QJ3-0326-SM-5S2RA 50-59 years, male 12.0
GTEX-11ZTT-2426-SM-5EQLS 60-69 years, female 11.9
GTEX-18A67-0126-SM-7LG5P 50-59 years, male 11.8
GTEX-11DXX-2426-SM-5GZZW 60-69 years, female 11.7
GTEX-13O3Q-2426-SM-5IJBR 50-59 years, male 11.7
GTEX-14PJ6-2126-SM-6EU1V 60-69 years, female 11.7
GTEX-15G19-0126-SM-6PANQ 60-69 years, male 11.6
GTEX-1AX9K-2326-SM-73KWU 50-59 years, male 11.5
GTEX-VJWN-0126-SM-3GIK7 50-59 years, female 11.5
GTEX-ZQG8-1626-SM-DHXIT 60-69 years, female 11.5
GTEX-WVJS-0126-SM-4MVOT 50-59 years, male 11.4
GTEX-Y8LW-1826-SM-5S2MV 50-59 years, female 11.4
GTEX-1A3MV-1926-SM-718BT 30-39 years, male 11.3
GTEX-ZDTT-2726-SM-4WKF8 60-69 years, male 11.3
GTEX-1GN1V-0126-SM-9WPOS 60-69 years, male 11.3
GTEX-13O3P-0126-SM-5KM4S 50-59 years, male 11.2
GTEX-Q2AG-0126-SM-33HBV 40-49 years, female 11.2
GTEX-T6MO-1626-SM-32QOM 40-49 years, female 11.2
GTEX-ZVZP-2426-SM-59HKJ 50-59 years, male 11.2
GTEX-1S82Z-0826-SM-E6CHY 30-39 years, female 11.2
GTEX-17F98-0626-SM-79OMX 40-49 years, female 11.1
GTEX-QLQ7-1626-SM-2S1R8 60-69 years, male 11.1
GTEX-16BQI-0226-SM-7KUEX 30-39 years, female 11.0
GTEX-OXRO-0126-SM-2YUN4 60-69 years, female 11.0
GTEX-QCQG-1726-SM-3GIJ9 50-59 years, female 11.0
GTEX-RWS6-2026-SM-2XCB5 60-69 years, female 11.0
GTEX-X638-0126-SM-47JZ8 70-79 years, female 11.0
GTEX-R55E-0126-SM-2TC5Y 20-29 years, male 10.9
GTEX-ZYW4-0126-SM-5E44A 60-69 years, male 10.9
GTEX-1C6WA-0126-SM-7PC2B 60-69 years, male 10.9
GTEX-1HSMQ-1226-SM-CGQFX 50-59 years, male 10.9
GTEX-1PFEY-1526-SM-E76PP 30-39 years, male 10.9
GTEX-13FTX-1826-SM-5J1NX 20-29 years, female 10.8
GTEX-16YQH-0126-SM-7DUFJ 30-39 years, male 10.8
GTEX-ZZ64-1726-SM-5GZYB 20-29 years, male 10.8
GTEX-1GF9W-0326-SM-9KNUN 60-69 years, male 10.8
GTEX-1CB4J-0626-SM-7DHMP 60-69 years, male 10.7
GTEX-P44H-0226-SM-2XCEU 40-49 years, male 10.7
GTEX-1HCVE-0126-SM-CGQEU 50-59 years, male 10.7
GTEX-Z93T-0126-SM-5HL5N 50-59 years, male 10.6
GTEX-1HSGN-0226-SM-CGQFV 40-49 years, female 10.4
GTEX-1I4MK-2226-SM-ACKWD 50-59 years, female 10.4
GTEX-11EQ9-2426-SM-5HL5T 30-39 years, male 10.3
GTEX-11O72-0126-SM-59887 40-49 years, male 10.3
GTEX-16MT8-0426-SM-7KUEY 60-69 years, female 10.3
GTEX-O5YW-0126-SM-3LK6D 50-59 years, male 10.3
GTEX-ZF29-2326-SM-DO92K 60-69 years, female 10.3
GTEX-11EM3-2426-SM-59861 20-29 years, female 10.2
GTEX-18A7B-0126-SM-7LG64 70-79 years, male 10.2
GTEX-YB5K-2126-SM-4WWDJ 40-49 years, female 10.2
GTEX-1I1GS-0126-SM-B2LVW 60-69 years, male 10.2
GTEX-1ICLY-0126-SM-D4P36 50-59 years, male 10.2
GTEX-1QCLY-0326-SM-E8VOG 30-39 years, male 10.2
GTEX-18QFQ-0126-SM-731BE 30-39 years, male 10.1
GTEX-1OJC4-0126-SM-E9J2E 50-59 years, female 10.1
GTEX-15EU6-0426-SM-6PAN5 50-59 years, male 10.0
GTEX-1JMQL-0226-SM-CNPP5 50-59 years, female 10.0
GTEX-1KANA-0726-SM-D3L9I 20-29 years, male 10.0
GTEX-1192X-0226-SM-5H12D 50-59 years, male 9.9
GTEX-14LLW-0126-SM-6LLIO 70-79 years, female 9.9
GTEX-RN64-0126-SM-2TC68 50-59 years, male 9.9
GTEX-1QP2A-0126-SM-E9J43 50-59 years, male 9.9
GTEX-PW2O-1526-SM-7RHHB 20-29 years, male 9.9
GTEX-11TT1-2526-SM-5EGIB 20-29 years, male 9.8
GTEX-13IVO-0126-SM-5J1NG 70-79 years, male 9.8
GTEX-18A66-0226-SM-718BD 60-69 years, male 9.8
GTEX-1C6VS-0526-SM-7DUEN 60-69 years, male 9.8
GTEX-1MGNQ-0126-SM-EVYCJ 40-49 years, male 9.8
GTEX-15D1Q-0126-SM-7KUG6 40-49 years, male 9.7
GTEX-1GF9U-2126-SM-7SB7L 40-49 years, female 9.7
GTEX-1HCU9-1526-SM-A9SL7 20-29 years, male 9.7
GTEX-1PDJ9-0326-SM-DTX95 20-29 years, male 9.7
GTEX-15RIG-0226-SM-7KFTL 40-49 years, male 9.6
GTEX-ZDXO-3026-SM-5J1N5 60-69 years, male 9.6
GTEX-1PPH8-0226-SM-E8VND 20-29 years, male 9.6
GTEX-13YAN-0326-SM-5O9DF 60-69 years, male 9.5
GTEX-17F96-1626-SM-7DUFL 70-79 years, male 9.5
GTEX-YEC4-2126-SM-5IFJH 40-49 years, male 9.5
GTEX-1J8QM-2126-SM-CYPSJ 60-69 years, female 9.5
GTEX-144FL-0126-SM-5TDC8 50-59 years, male 9.4
GTEX-1H3NZ-0126-SM-ACKX7 60-69 years, male 9.4
GTEX-1K2DA-1826-SM-CGQGT 50-59 years, male 9.4
GTEX-144GN-2326-SM-5LU4F 50-59 years, male 9.3
GTEX-1I19N-0326-SM-ACKVX 70-79 years, male 9.3
GTEX-1RAZA-0126-SM-E6CI3 20-29 years, male 9.3
GTEX-139T8-0126-SM-5K7XZ 60-69 years, male 9.2
GTEX-13O1R-0126-SM-5L3EH 60-69 years, male 9.2
GTEX-U8XE-0326-SM-3DB8P 30-39 years, male 9.2
GTEX-1HFI7-1826-SM-ACKXH 50-59 years, female 9.2
GTEX-1CAMR-1926-SM-7EPI2 20-29 years, male 9.1
GTEX-ZAB5-1826-SM-5HL7C 50-59 years, male 9.1
GTEX-ZYY3-0126-SM-5GZY5 60-69 years, female 9.1
GTEX-1HBPM-0226-SM-ARL9F 60-69 years, female 9.1
GTEX-1I6K6-0126-SM-A9SLE 30-39 years, male 9.1
GTEX-QESD-1426-SM-2S1R9 20-29 years, male 9.0
GTEX-U3ZN-2326-SM-3DB7W 30-39 years, female 9.0
GTEX-ZAB4-0226-SM-5N9F5 40-49 years, male 9.0
GTEX-1J1R8-1726-SM-ARL8M 40-49 years, male 9.0
GTEX-13PDP-0126-SM-5L3HD 60-69 years, male 8.9
GTEX-14BIL-0126-SM-5SI92 50-59 years, male 8.9
GTEX-14E6C-0126-SM-5RQIP 40-49 years, male 8.9
GTEX-1F52S-0126-SM-9MQJU 60-69 years, female 8.9
GTEX-1JK1U-2026-SM-CM2RZ 60-69 years, male 8.9
GTEX-12WSL-2526-SM-5GCNJ 50-59 years, male 8.8
GTEX-148VJ-0126-SM-5TDDN 70-79 years, male 8.8
GTEX-17MF6-0126-SM-7LG4F 40-49 years, male 8.8
GTEX-13D11-2426-SM-5KM1V 50-59 years, female 8.7
GTEX-13X6H-2126-SM-7EWD5 50-59 years, female 8.7
GTEX-WH7G-2326-SM-3NMBC 40-49 years, male 8.7
GTEX-12WSG-2826-SM-E9J4H 50-59 years, female 8.7
GTEX-1HCU7-0226-SM-CL545 50-59 years, male 8.7
GTEX-1J8Q3-1626-SM-CMKGC 60-69 years, male 8.6
GTEX-1K9T9-0126-SM-EVYCF 50-59 years, female 8.6
GTEX-1JKYN-1326-SM-CGQG9 30-39 years, male 8.5
GTEX-14PJ3-1826-SM-62LEX 50-59 years, male 8.4
GTEX-16NGA-1726-SM-731B4 40-49 years, female 8.4
GTEX-Q734-1926-SM-2I5EV 40-49 years, female 8.4
GTEX-12WSA-0226-SM-5BC5V 60-69 years, male 8.3
GTEX-1I1HK-0126-SM-COH49 60-69 years, male 8.3
GTEX-146FH-0126-SM-5QGPP 50-59 years, female 8.2
GTEX-XAJ8-0826-SM-47JY6 40-49 years, male 8.2
GTEX-ZVE2-0226-SM-59HJB 50-59 years, male 8.2
GTEX-ZXES-1826-SM-5E43S 30-39 years, female 8.2
GTEX-1H2FU-0126-SM-9WYSI 60-69 years, female 8.2
GTEX-14DAR-2026-SM-5S2O3 50-59 years, male 8.1
GTEX-131XF-5016-SM-7MGWE 60-69 years, male 8.1
GTEX-1JKYR-0126-SM-CNPOJ 20-29 years, male 8.1
GTEX-1LGRB-2526-SM-CNPPQ 50-59 years, female 8.1
GTEX-11VI4-1726-SM-5CVLH 40-49 years, female 8.0
GTEX-13O21-1426-SM-5K7XI 50-59 years, male 8.0
GTEX-1H1DG-0126-SM-9WYU2 70-79 years, male 8.0
GTEX-1LNCM-1126-SM-E9U5E 50-59 years, female 7.9
GTEX-ZF3C-0126-SM-DO92D 50-59 years, female 7.9
GTEX-1R7EU-0226-SM-EVR4G 60-69 years, male 7.8
GTEX-11P82-1626-SM-59879 20-29 years, male 7.7
GTEX-1I1GT-0626-SM-CGQER 60-69 years, female 7.7
GTEX-14E6E-1826-SM-5S2R7 30-39 years, male 7.6
GTEX-1A3MX-0126-SM-731BR 60-69 years, male 7.6
GTEX-1C2JI-1826-SM-73KXC 50-59 years, male 7.6
GTEX-T8EM-1026-SM-3DB7M 40-49 years, male 7.6
GTEX-X4EP-0126-SM-3P5YV 60-69 years, female 7.6
GTEX-14BMU-2226-SM-5TDE9 20-29 years, female 7.5
GTEX-1PWST-0226-SM-E76QJ 70-79 years, male 7.5
GTEX-16XZY-2126-SM-79OK1 70-79 years, male 7.4
GTEX-17HHE-2026-SM-79OKF 50-59 years, male 7.4
GTEX-RM2N-1426-SM-2TF4H 50-59 years, male 7.4
GTEX-139T4-0226-SM-5HL5S 50-59 years, female 7.3
GTEX-T2YK-0526-SM-32QPJ 50-59 years, male 7.3
GTEX-169BO-1326-SM-9MQK2 50-59 years, male 7.3
GTEX-1JMPZ-0226-SM-CNPP1 30-39 years, male 7.3
GTEX-QDT8-0126-SM-48TZ1 30-39 years, female 7.2
GTEX-XUW1-0426-SM-4BOOT 50-59 years, female 7.2
GTEX-ZPIC-1726-SM-DHXIU 40-49 years, female 7.2
GTEX-17EUY-0426-SM-793BD 20-29 years, male 7.1
GTEX-131XG-2626-SM-5KM17 50-59 years, female 7.0
GTEX-13OVJ-0126-SM-5KM36 50-59 years, female 7.0
GTEX-PLZ6-1426-SM-DKPOT 30-39 years, male 7.0
GTEX-13RTL-0126-SM-7LG5S 40-49 years, male 6.9
GTEX-ZYFG-2326-SM-5E44B 60-69 years, female 6.9
GTEX-1S82Y-2026-SM-EVYCM 40-49 years, male 6.9
GTEX-11EMC-2926-SM-5EQ4F 60-69 years, female 6.8
GTEX-13W3W-2426-SM-5LU5B 60-69 years, female 6.8
GTEX-14C5O-0126-SM-5SI6N 60-69 years, male 6.8
GTEX-1NHNU-1026-SM-E9J2A 50-59 years, male 6.8
GTEX-11NSD-2226-SM-5986V 20-29 years, male 6.7
GTEX-13W46-0226-SM-5SIAG 50-59 years, male 6.7
GTEX-P4PQ-0126-SM-2S1NM 60-69 years, male 6.7
GTEX-PWO3-1526-SM-48TCM 60-69 years, female 6.7
GTEX-1PBJI-0526-SM-E8VNK 20-29 years, female 6.7
GTEX-16AAH-1726-SM-7939C 50-59 years, male 6.6
GTEX-Q2AH-1626-SM-3GAF8 40-49 years, male 6.6
GTEX-1H1E6-1726-SM-ACKVK 30-39 years, male 6.6
GTEX-1H1ZS-0426-SM-9WG6G 70-79 years, male 6.6
GTEX-14BIM-0226-SM-7IGLD 60-69 years, female 6.5
GTEX-18D9U-0226-SM-718BP 40-49 years, male 6.5
GTEX-1AYCT-2426-SM-7IGQ3 50-59 years, male 6.5
GTEX-QLQW-1126-SM-2S1Q8 30-39 years, male 6.5
GTEX-TSE9-0126-SM-3DB83 60-69 years, female 6.5
GTEX-XV7Q-2526-SM-4BRV9 40-49 years, female 6.5
GTEX-1AX8Z-0126-SM-7DHM6 60-69 years, male 6.4
GTEX-XBEW-0626-SM-4QASP 40-49 years, male 6.4
GTEX-1HB9E-0226-SM-E9U4R 50-59 years, male 6.4
GTEX-1IDJU-2626-SM-CM2RT 60-69 years, female 6.4
GTEX-12WSK-2326-SM-5GCOH 40-49 years, female 6.3
GTEX-1LSNM-1926-SM-E6CII 50-59 years, male 6.3
GTEX-16XZZ-0126-SM-793DV 60-69 years, male 6.2
GTEX-13FH7-2026-SM-E9J4I 50-59 years, female 6.2
GTEX-1F5PK-2426-SM-7RHHY 50-59 years, male 6.2
GTEX-1JN1M-0326-SM-CYPT3 60-69 years, female 6.2
GTEX-13OVG-1926-SM-5L3DK 60-69 years, male 6.1
GTEX-1C64O-0126-SM-7SB8P 60-69 years, male 6.1
GTEX-1GTWX-0126-SM-9YFLK 60-69 years, male 6.1
GTEX-XQ8I-0426-SM-4BOPO 50-59 years, male 6.0
GTEX-1GZ4H-1726-SM-7PBZJ 50-59 years, female 6.0
GTEX-WRHK-1426-SM-3MJF9 20-29 years, female 5.9
GTEX-1R9K4-0126-SM-DTX9X 60-69 years, male 5.9
GTEX-147F3-0526-SM-5SI98 50-59 years, female 5.8
GTEX-QDVN-2026-SM-3GAEP 50-59 years, male 5.8
GTEX-11P7K-2126-SM-5GU7G 30-39 years, male 5.6
GTEX-Y5LM-1926-SM-5RQJH 40-49 years, female 5.6
GTEX-12C56-1726-SM-5EQ61 20-29 years, male 5.5
GTEX-1LGOU-2026-SM-DIPFF 20-29 years, female 5.5
GTEX-13RTJ-2426-SM-5S2Q2 60-69 years, male 5.4
GTEX-13NYC-0326-SM-E9J4S 60-69 years, male 5.4
GTEX-1F48J-0126-SM-7P8TT 50-59 years, female 5.4
GTEX-13NZB-2526-SM-5J1OM 30-39 years, male 5.3
GTEX-145LV-2126-SM-5LU8N 50-59 years, male 5.3
GTEX-14PN3-2426-SM-6LLHS 60-69 years, female 5.3
GTEX-U3ZM-1526-SM-3DB9D 40-49 years, male 5.3
GTEX-117YX-2326-SM-5H12W 50-59 years, male 5.2
GTEX-1LH75-2426-SM-E9TJE 50-59 years, female 5.2
GTEX-1LBAC-0126-SM-DIPEZ 20-29 years, male 5.1
GTEX-OHPM-0126-SM-2YUN9 50-59 years, male 5.0
GTEX-1R46S-0626-SM-E9J41 60-69 years, female 4.9
GTEX-WI4N-1026-SM-3LK7N 40-49 years, female 4.8
GTEX-YJ8A-0426-SM-5IFID 20-29 years, male 4.8
GTEX-ZF28-0126-SM-4WKGK 60-69 years, male 4.8
GTEX-11DZ1-0126-SM-5985Q 50-59 years, male 4.7
GTEX-11H98-0126-SM-5EGHG 50-59 years, male 4.7
GTEX-OXRK-0226-SM-3NB2G 50-59 years, female 4.7
GTEX-14A6H-0126-SM-5QGPK 30-39 years, male 4.6
GTEX-1AMFI-2026-SM-731BH 50-59 years, female 4.6
GTEX-S95S-1226-SM-4GICG 60-69 years, male 4.6
GTEX-1GPI7-0126-SM-9MQL8 20-29 years, male 4.6
GTEX-13X6I-0626-SM-5QGP9 60-69 years, male 4.5
GTEX-1R7EV-2426-SM-EVYBG 40-49 years, male 4.5
GTEX-PLZ4-0126-SM-5SI8O 50-59 years, female 4.4
GTEX-1JMQK-0226-SM-CL543 60-69 years, male 4.4
GTEX-13RTK-1426-SM-5QGQJ 20-29 years, male 4.3
GTEX-TMMY-0226-SM-33HBA 40-49 years, female 4.3
GTEX-1H23P-0126-SM-ADEJ3 60-69 years, male 4.3
GTEX-1MCYP-1926-SM-E9J2R 20-29 years, female 4.3
GTEX-1HKZK-0326-SM-9WYUH 40-49 years, male 4.1
GTEX-139D8-0226-SM-5KLZO 30-39 years, female 4.0
GTEX-OXRL-0126-SM-2YUMP 50-59 years, male 4.0
GTEX-1GN1W-0526-SM-9MQJQ 50-59 years, female 4.0
GTEX-1HSEH-0126-SM-ACKXN 60-69 years, male 4.0
GTEX-12WSN-5019-SM-79OM6 40-49 years, male 3.9
GTEX-14JG6-2226-SM-6EU2G 30-39 years, female 3.9
GTEX-14PK6-1926-SM-6ETZU 70-79 years, female 3.9
GTEX-14ICK-0226-SM-6EU25 40-49 years, male 3.8
GTEX-1JMOU-1526-SM-CL54I 60-69 years, female 3.8
GTEX-SNMC-1226-SM-2XCFP 20-29 years, male 3.7
GTEX-ZQUD-1426-SM-57WER 30-39 years, male 3.7
GTEX-1L5NE-2526-SM-E6CIE 50-59 years, male 3.7
GTEX-1K2DU-2326-SM-E9TIV 20-29 years, male 3.6
GTEX-183WM-0126-SM-7LTAB 70-79 years, female 3.5
GTEX-PLZ5-2026-SM-2S1O4 50-59 years, male 3.5
GTEX-13NYS-0126-SM-5MR3W 60-69 years, male 3.4
GTEX-1HSMO-0126-SM-CL547 60-69 years, male 3.3
GTEX-PWCY-1826-SM-DHXIZ 20-29 years, female 3.3
GTEX-ZAJG-0126-SM-5HL94 50-59 years, female 3.2
GTEX-1ICLZ-0126-SM-CKZPO 60-69 years, male 3.2
GTEX-R45C-0126-SM-EAZ2R 60-69 years, female 3.2
GTEX-14PHW-0126-SM-6LLJI 60-69 years, female 3.1
GTEX-1JN76-0126-SM-CNPPE 20-29 years, female 3.1
GTEX-13OVI-1426-SM-5L3EY 60-69 years, female 3.0
GTEX-NPJ8-0126-SM-2YUNR 40-49 years, male 3.0
GTEX-113IC-0126-SM-5HL6T 60-69 years, male 2.9
GTEX-1AMEY-1326-SM-73KYK 30-39 years, female 2.9
GTEX-13VXT-0126-SM-5LU4I 20-29 years, female 2.8
GTEX-WOFL-0126-SM-3MJG2 60-69 years, male 2.8
GTEX-1LC47-0326-SM-E9TJP 60-69 years, male 2.8
GTEX-11WQK-0526-SM-5EQLD 50-59 years, male 2.7
GTEX-1RLM8-2326-SM-EWRN4 50-59 years, male 2.7
GTEX-11TTK-0126-SM-5987B 60-69 years, female 2.6
GTEX-1I1GU-2226-SM-CGQFA 40-49 years, male 2.5
GTEX-14XAO-2326-SM-6EU1B 60-69 years, female 2.2
GTEX-ZZPT-0226-SM-5E43X 50-59 years, male 2.1
GTEX-15UKP-0426-SM-7KUFQ 20-29 years, male 1.9
GTEX-1N2DV-0226-SM-E6CJ6 40-49 years, male 1.8
GTEX-15EOM-0126-SM-7KUGG 20-29 years, female 1.7
GTEX-1PPH7-2326-SM-EVYB8 40-49 years, male 1.7
GTEX-X62O-0126-SM-4E3JN 50-59 years, male 1.6
GTEX-ZTPG-0326-SM-5O9AX 20-29 years, female 1.6
GTEX-1R9PO-2126-SM-E9J4O 60-69 years, female 1.4
GTEX-15UF6-0826-SM-6PALJ 70-79 years, female 1.3
GTEX-1A3MW-0126-SM-73KXX 60-69 years, female 1.1
GTEX-U4B1-1826-SM-4DXSU 40-49 years, male 1.0
GTEX-X4XY-0226-SM-4E3IZ 60-69 years, male 1.0
GTEX-1F75I-0326-SM-9YFLU 40-49 years, male 1.0
GTEX-11ZUS-0626-SM-59885 30-39 years, male 0.9
GTEX-14JIY-0126-SM-6LLH6 60-69 years, male 0.8
GTEX-RUSQ-1526-SM-2TF62 50-59 years, male 0.8
GTEX-SE5C-1626-SM-2XCE3 40-49 years, female 0.8
GTEX-1QW4Y-1526-SM-EAZ3Z 30-39 years, male 0.6
GTEX-1HBPH-0426-SM-B2LW5 40-49 years, female 0.5
GTEX-1QP67-1626-SM-EAZ3X 40-49 years, female 0.4
GTEX-146FR-1326-SM-E9J48 60-69 years, female 0.2
GTEX-1RAZQ-0726-SM-EAZ43 30-39 years, male 0.1
Show allShow less

Contact

  • NEWS ARTICLES
  • PRESS ROOM

The Project

  • INTRODUCTION
  • ORGANIZATION
  • PUBLICATIONS

The Human Protein Atlas

  • DOWNLOADABLE DATA
  • LICENCE & CITATION
  • HELP & FAQ
The Human Protein Atlas project is funded
by the Knut & Alice Wallenberg Foundation.


contact@proteinatlas.org