We use cookies to enhance the usability of our website. If you continue, we'll assume that you are happy to receive all cookies. More information. Don't show this again.
DENND2D
HPA
RESOURCES
  • TISSUE
  • BRAIN
  • SINGLE CELL
  • SUBCELLULAR
  • CANCER
  • BLOOD
  • CELL LINE
  • STRUCTURE & INTERACTION
ABOUT
  • INTRODUCTION
  • HISTORY
  • ORGANIZATION
  • PUBLICATIONS
  • ANTIBODY SUBMISSION
  • ANTIBODY AVAILABILITY
  • ACKNOWLEDGMENTS
  • CONTACT
NEWS
  • NEWS ARTICLES
  • PRESS ROOM
LEARN
  • DICTIONARY
  • PROTEIN CLASSES
  • PROTEIN EVIDENCE
  • METHODS
  • EDUCATIONAL VIDEOS
DATA
  • DOWNLOADABLE DATA
  • PUBLICATION DATA
  • RELEASE HISTORY
HELP
  • ANTIBODY VALIDATION
  • ASSAYS & ANNOTATION
  • DISCLAIMER
  • HELP & FAQ
  • PRIVACY STATEMENT
  • LICENCE & CITATION
Fields »
Search result

Field
Term
Gene name
Class
Subclass
Class
Keyword
Chromosome
External id
Tissue
Cell type
Expression
Antibody panel
Tissue
Main location
Patient ID
Annotation
Tissue
Category
Tau score
Cluster
Reliability
Brain region
Category
Tau score
Brain region
Category
Tau score
Brain region
Category
Tau score
Cluster
Reliability
Tissue
Cell type
Enrichment
Cell type
Category
Tau score
Cell type
Category
Tau score
Cell type
Category
Tau score
Cell lineage
Category
Tau score
Cluster
Cluster
Location
Searches
Location
Cell line
Class
Type
Phase
Reliability
Cancer
Prognosis
Cancer
Category
Cancer
Category
Tau score
Cluster
Variants
Interacting gene (ensg_id)
Type
Number of interactions
Pathway
Category
Score
Score
Score
Validation
Validation
Validation
Validation
Antibodies
Data type
Column


  • SUMMARY

  • TISSUE

  • BRAIN

  • SINGLE CELL

  • SUBCELL

  • CANCER

  • BLOOD

  • CELL LINE

  • STRUCT & INT

  • DENND2D
TISSUE PRIMARY DATA SKIN Show tissue menu
ADIPOSE TISSUE ADRENAL GLAND AMYGDALA APPENDIX BASAL GANGLIA BONE MARROW BREAST BRONCHUS CEREBELLUM CEREBRAL CORTEX CERVIX CHOROID PLEXUS COLON DUODENUM
ENDOMETRIUM EPIDIDYMIS ESOPHAGUS FALLOPIAN TUBE GALLBLADDER HEART MUSCLE HIPPOCAMPAL FORMATION HYPOTHALAMUS KIDNEY LIVER LUNG LYMPH NODE MIDBRAIN NASOPHARYNX
ORAL MUCOSA OVARY PANCREAS PARATHYROID GLAND PITUITARY GLAND PLACENTA PROSTATE RECTUM RETINA SALIVARY GLAND SEMINAL VESICLE SKELETAL MUSCLE SKIN SMALL INTESTINE
SMOOTH MUSCLE SOFT TISSUE SPINAL CORD SPLEEN STOMACH TESTIS THYMUS THYROID GLAND TONGUE TONSIL URINARY BLADDER VAGINA
ANTIBODIES
AND
VALIDATION
Dictionary
Skin
Tissue proteome
Skin
SKIN - Expression summary
Protein expression
Skini

On the top, protein expression in current human tissue, based on all annotated cell types, is reported with the units not detected (n), low (l), medium (m) and high (h). Underneath, protein expression in each annotated cell type are reported using the same units.

Protein expression data is based on knowledge-based annotation. For genes where more than one antibody has been used, a collective score is set.

If knowledge-based annotation could not be performed for a gene, no data is displayed here. View antibody staining data further down this page.

h
m
l
n
Epidermal cells: Low
Fibroblasts: Not detected
Keratinocytes: Low
Langerhans: Not detected
Melanocytes: Not detected
RNA expressioni

A summary of mRNA expression data available for current tissue based on several datasets. The mRNA expression levels in human tissues are based on RNA-seq data generated by the Human Protein Atlas (HPA), Genotype-Tissue Expression (GTEx) portal and CAGE data generated by the FANTOM5 consortium. Consensus normalized expression levels for human tissues was created by combining the data from HPA and GTEx datasets.

The mRNA expression levels in pig are based on RNA-seq data generated by the Human Protein Atlas (HPA), and for mouse, HPA data and in situ hybridization generated by the Allen brain atlas are reported.

Scroll down to view mRNA expression data in more detail.
Consensus:13.8 nTPM
HPA:13.8 nTPM
GTEx:10.7 nTPM

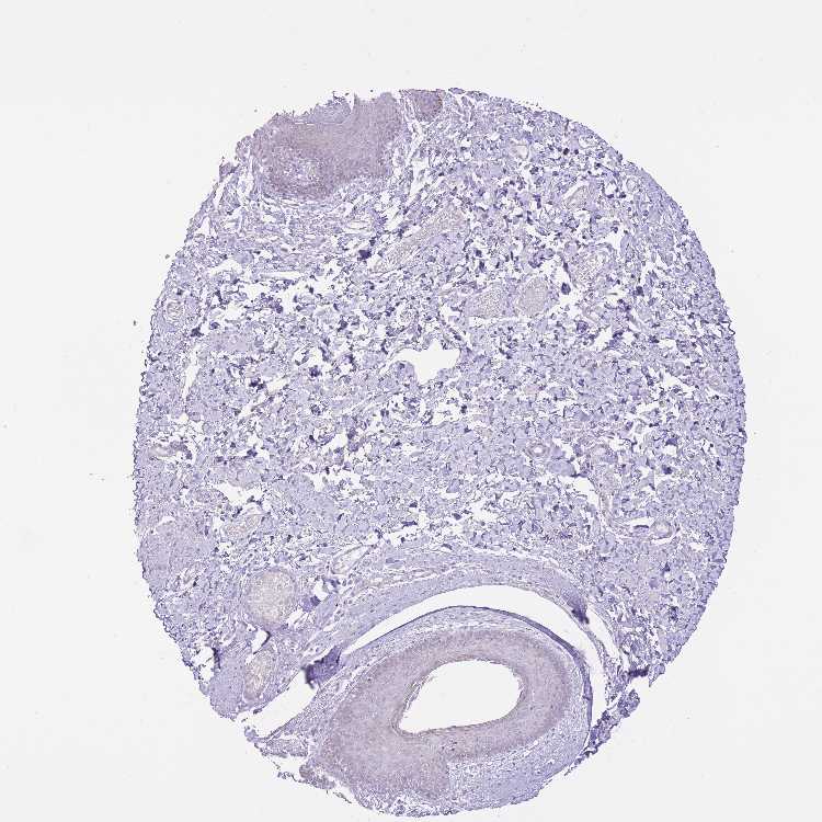
SKIN 1 - Antibody stainingi

Antibody staining in the annotated cell types in the current human tissue is reported as not detected, low, medium, or high, based on conventional immunohistochemistry profiling in selected tissues. This score is based on the combination of the staining intensity and fraction of stained cells.

Each image is clickable and will lead to virtual microscopy that enables deeper exploration of all samples and also displays staining intensity scores, fraction scores and subcellular localization as well as patient and tissue information for each sample.

Antibody HPA043630Antibody HPA048642
Langerhans Not detectedNot detected
Fibroblasts Not detectedNot detected
Keratinocytes LowNot detected
Melanocytes Not detectedNot detected




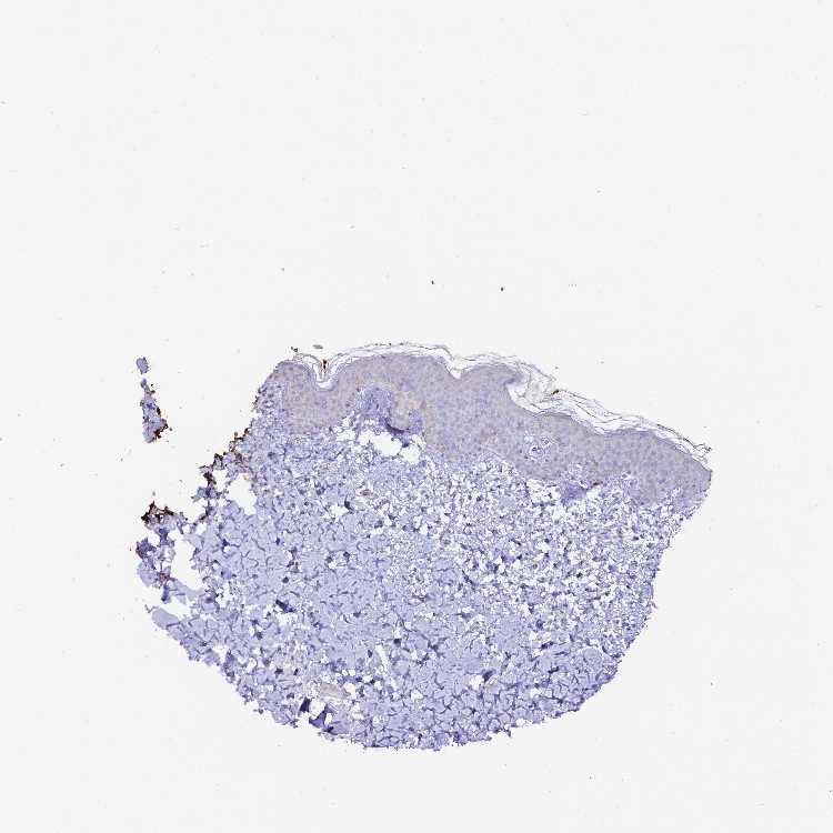
SKIN 2 - Antibody stainingi

Antibody staining in the annotated cell types in the current human tissue is reported as not detected, low, medium, or high, based on conventional immunohistochemistry profiling in selected tissues. This score is based on the combination of the staining intensity and fraction of stained cells.

Each image is clickable and will lead to virtual microscopy that enables deeper exploration of all samples and also displays staining intensity scores, fraction scores and subcellular localization as well as patient and tissue information for each sample.

Antibody HPA043630Antibody HPA048642
Epidermal cells LowMedium
  
  
  



SKIN - HPA RNA-seqi

The RNA-seq details section shows detailed information about the individual samples used for the transcript profiling and results of the RNA-seq analysis.

Information about each individual sample is listed below, including gender, age, a tissue section image and estimated fractions of cell types. nTPM (normalized transcripts per million) values give a quantification of the gene abundance which is comparable between different genes and samples.
Average nTPMi

Max subtype nTPM is the value for the subtype with the largest average nTPM across the subtype samples.

13.8
overview
Female, age 34
Skin sample 225
nTPM: 15.3
Cell types%
Keratinocytes:
60

Other cell types:
40

overview
Female, age 30
Skin sample 226
nTPM: 14.6
Cell types%
Keratinocytes:
55

Other cell types:
45

N/A
Male, age 57
Skin sample 227
nTPM: 11.6

SKIN - GTEx RNA-seqi

RNA-Seq data generated by the Genotype-Tissue Expression (GTEx) project from human tissues is reported as mean nTPM. More information can be found on the GTEx portal.

Distribution across the dataset is visualized with box plots, shown as median and 25th and 75th percentiles. Points are displayed as outliers if they are above or below 1.5 times the interquartile range. nTPM values of the individual samples are presented next to the box plot.
Max subtype nTPMi

Max subtype nTPM is the value for the subtype with the largest average nTPM across the subtype samples.

10.7
GTEx sample id Sample description nTPM
Skin - Not Sun Exposed (Suprapubic)
Average nTPM: 10.5
Samples: 604

Max nTPM: 35.5
Min nTPM: 2.3
Std nTPM: 4.6
Median nTPM: 10.0
GTEX-13PDP-0726-SM-5L3HP 60-69 years, male 35.5
GTEX-1399Q-2326-SM-5KM2X 40-49 years, male 30.5
GTEX-144GL-0626-SM-5LU4D 50-59 years, male 27.4
GTEX-1HCU7-0726-SM-A9SL1 50-59 years, male 24.6
GTEX-11EQ8-0926-SM-5H12V 60-69 years, male 24.5
GTEX-1IKOE-1426-SM-CE6T7 30-39 years, female 23.9
GTEX-ZE9C-2526-SM-5IJDR 60-69 years, male 23.6
GTEX-111VG-1626-SM-5EGIO 60-69 years, male 23.5
GTEX-1R9PN-0426-SM-DTXDT 40-49 years, female 23.5
GTEX-1F6RS-2026-SM-7RHHC 60-69 years, female 23.2
GTEX-X585-2426-SM-46MW2 50-59 years, male 22.6
GTEX-1JJEA-1826-SM-ARU8P 60-69 years, male 22.6
GTEX-17F9Y-0126-SM-79OKX 70-79 years, female 22.4
GTEX-1RAZS-2526-SM-E6CHT 50-59 years, male 22.3
GTEX-16MT9-0126-SM-7EPI8 60-69 years, female 22.2
GTEX-1OJC4-2726-SM-E76PJ 50-59 years, female 22.2
GTEX-139D8-1126-SM-5LU8W 30-39 years, female 22.1
GTEX-1R9K4-2826-SM-DTX8F 60-69 years, male 21.9
GTEX-15G19-2426-SM-7KUMR 60-69 years, male 21.7
GTEX-1IL2V-1926-SM-B2LW8 70-79 years, male 21.2
GTEX-1GF9X-1326-SM-7PC2Y 40-49 years, female 20.9
GTEX-1R9PM-1926-SM-EVR3O 20-29 years, male 20.9
GTEX-12ZZX-2426-SM-5GCOE 40-49 years, female 20.5
GTEX-13IVO-0726-SM-5LZYV 70-79 years, male 20.5
GTEX-1KANB-2826-SM-CY8I6 50-59 years, male 20.5
GTEX-14PHY-1226-SM-5ZZWK 60-69 years, female 20.3
GTEX-1J8EW-2726-SM-CY8HR 60-69 years, female 20.3
GTEX-15SKB-2826-SM-6PAMH 60-69 years, male 20.2
GTEX-1F52S-2926-SM-7MKGA 60-69 years, female 20.2
GTEX-1PBJJ-1026-SM-E76OS 30-39 years, male 20.2
GTEX-147GR-2426-SM-5ZZWQ 60-69 years, male 20.1
GTEX-1313W-0626-SM-5EQ4H 50-59 years, female 19.8
GTEX-13G51-1826-SM-5KLZH 60-69 years, male 19.7
GTEX-13PL6-1126-SM-5L3IE 40-49 years, female 19.3
GTEX-14C38-0726-SM-5SI6M 50-59 years, male 19.3
GTEX-17F97-2626-SM-7IGM5 50-59 years, male 19.3
GTEX-1NV5F-0626-SM-DTXEG 60-69 years, female 19.2
GTEX-WFG7-2026-SM-5SI7P 20-29 years, male 19.0
GTEX-1HSMQ-2626-SM-A9SML 50-59 years, male 19.0
GTEX-U8XE-0226-SM-4E3J3 30-39 years, male 18.9
GTEX-1AYD5-2626-SM-7PBXY 50-59 years, male 18.7
GTEX-14LZ3-0126-SM-69LPM 60-69 years, female 18.6
GTEX-1C6VR-0126-SM-7RHGB 60-69 years, male 18.5
GTEX-1RMOY-1326-SM-E9TIH 50-59 years, male 18.3
GTEX-1HT8W-0626-SM-A9G2H 30-39 years, male 18.2
GTEX-XYKS-1426-SM-4BRUO 60-69 years, female 18.0
GTEX-YECK-0326-SM-4W1YS 60-69 years, male 18.0
GTEX-1399S-0126-SM-5IJCF 30-39 years, female 17.9
GTEX-11WQC-1826-SM-5GU59 60-69 years, male 17.8
GTEX-ZYFD-0626-SM-5E44E 50-59 years, male 17.7
GTEX-12126-0826-SM-5FQTZ 20-29 years, male 17.4
GTEX-1J1OQ-0126-SM-D4P2N 40-49 years, female 17.3
GTEX-1KAFJ-0126-SM-DIPEK 50-59 years, male 17.3
GTEX-ZC5H-1526-SM-5HL9Y 40-49 years, female 17.2
GTEX-1F88F-0126-SM-9WYSZ 60-69 years, female 17.2
GTEX-11OF3-0126-SM-5PNYF 60-69 years, male 17.1
GTEX-VUSG-2326-SM-4KL1U 50-59 years, male 17.1
GTEX-1LVAM-0726-SM-E6CIL 50-59 years, female 17.1
GTEX-139YR-1026-SM-5LZYN 50-59 years, male 16.8
GTEX-15DDE-2926-SM-6LLJ3 50-59 years, female 16.8
GTEX-18A6Q-0626-SM-7KFRP 60-69 years, male 16.8
GTEX-15SHW-0226-SM-7LTAT 60-69 years, male 16.7
GTEX-1HB9E-0126-SM-CM2S5 50-59 years, male 16.7
GTEX-1HBPN-0126-SM-CGQEF 50-59 years, male 16.6
GTEX-1F88E-1626-SM-7SB8Z 60-69 years, female 16.5
GTEX-1GN1V-2826-SM-9JGIA 60-69 years, male 16.4
GTEX-11DXY-0126-SM-5H11Q 60-69 years, male 16.1
GTEX-13NZ8-1226-SM-5KM4A 60-69 years, female 16.1
GTEX-11PRG-0726-SM-5EGL1 50-59 years, male 16.0
GTEX-13FTX-1526-SM-5K7VJ 20-29 years, female 16.0
GTEX-13NZ9-2626-SM-5L3FK 50-59 years, male 16.0
GTEX-1I1HK-2326-SM-CKZOH 60-69 years, male 16.0
GTEX-15RIE-1926-SM-7KUKJ 60-69 years, male 15.8
GTEX-ZWKS-0626-SM-5GIDV 30-39 years, male 15.8
GTEX-1PIGE-1826-SM-E8VOU 20-29 years, male 15.8
GTEX-1S82P-2126-SM-E6CI5 60-69 years, female 15.8
GTEX-1EMGI-2326-SM-7PBYA 60-69 years, male 15.7
GTEX-1GZ4H-0526-SM-9KNU9 50-59 years, female 15.7
GTEX-17KNJ-2126-SM-718AM 50-59 years, male 15.6
GTEX-ZDTT-0426-SM-4WKFL 60-69 years, male 15.6
GTEX-ZXG5-2126-SM-59HKD 60-69 years, male 15.4
GTEX-1QP2A-1726-SM-E76QC 50-59 years, male 15.4
GTEX-14E1K-2026-SM-7DUEI 50-59 years, male 15.3
GTEX-13O61-1426-SM-5KM3D 60-69 years, male 15.2
GTEX-11ZTT-2126-SM-5CVLO 60-69 years, female 15.1
GTEX-WHSB-1326-SM-3LK6W 50-59 years, male 15.1
GTEX-YFCO-1226-SM-5LUAT 40-49 years, male 15.1
GTEX-1LSNL-2726-SM-E9TKJ 50-59 years, male 15.1
GTEX-1QAET-0326-SM-EVR3U 50-59 years, male 15.1
GTEX-1K2DU-1226-SM-CYPT4 20-29 years, male 14.9
GTEX-14JFF-0626-SM-5ZZVT 60-69 years, male 14.8
GTEX-1H3O1-1326-SM-9MQLD 60-69 years, male 14.8
GTEX-11GS4-0226-SM-5HL77 60-69 years, male 14.7
GTEX-14PJ2-0626-SM-6LLII 50-59 years, male 14.7
GTEX-13FTY-2126-SM-5IFFB 40-49 years, female 14.6
GTEX-ZP4G-1426-SM-4WWCL 20-29 years, female 14.6
GTEX-144FL-0626-SM-5LU43 50-59 years, male 14.5
GTEX-1B932-2326-SM-79OL5 40-49 years, female 14.5
GTEX-W5X1-2526-SM-3GILC 40-49 years, female 14.5
GTEX-12KS4-2126-SM-5FQUT 30-39 years, male 14.4
GTEX-1IOXB-2726-SM-CM2RI 50-59 years, male 14.4
GTEX-1PIIG-2326-SM-DTXFR 30-39 years, male 14.3
GTEX-1314G-1326-SM-5BC6E 30-39 years, male 14.2
GTEX-14PII-0726-SM-6EU2B 60-69 years, male 14.2
GTEX-1BAJH-2426-SM-7IGP8 70-79 years, male 14.2
GTEX-1ICG6-1226-SM-A9SLN 70-79 years, female 14.2
GTEX-17HG3-2626-SM-7DUF2 30-39 years, female 14.1
GTEX-1EWIQ-0326-SM-7DHMQ 70-79 years, female 14.1
GTEX-ZLFU-1826-SM-4WWBV 40-49 years, male 14.1
GTEX-ZPCL-1126-SM-4WWFE 60-69 years, female 14.1
GTEX-15RJ7-2126-SM-6PAMD 40-49 years, male 14.0
GTEX-1A8G6-2726-SM-731AR 60-69 years, male 14.0
GTEX-1HBPM-0726-SM-9YFL7 60-69 years, female 14.0
GTEX-1HCVE-2726-SM-CL54F 50-59 years, male 14.0
GTEX-1POEN-2326-SM-E9J2L 30-39 years, female 14.0
GTEX-14AS3-1526-SM-5Q5ED 40-49 years, female 13.9
GTEX-1EKGG-0626-SM-7DUGJ 60-69 years, male 13.9
GTEX-VJYA-1526-SM-3GIJV 60-69 years, male 13.9
GTEX-1JMQJ-0826-SM-CNPP7 50-59 years, male 13.9
GTEX-1OJC3-1226-SM-DTXER 20-29 years, male 13.8
GTEX-1R7EU-1626-SM-DTXG3 60-69 years, male 13.8
GTEX-1F5PL-0926-SM-7PC2W 40-49 years, female 13.7
GTEX-1HR9M-2226-SM-CNPPY 60-69 years, male 13.7
GTEX-13NYB-0126-SM-5J1MD 40-49 years, male 13.6
GTEX-14XAO-1226-SM-6EU1C 60-69 years, female 13.6
GTEX-15ER7-0626-SM-6PANF 20-29 years, female 13.6
GTEX-ZF2S-1626-SM-57WES 50-59 years, female 13.5
GTEX-1H1DF-1126-SM-9WG7G 40-49 years, female 13.5
GTEX-1KD5A-0126-SM-E9U54 50-59 years, male 13.5
GTEX-13SLW-0626-SM-5Q5ER 70-79 years, male 13.4
GTEX-18A7A-0126-SM-731AH 50-59 years, female 13.4
GTEX-1IDJV-0126-SM-COH3Y 60-69 years, male 13.4
GTEX-12584-0726-SM-5FQTK 40-49 years, male 13.3
GTEX-13FHO-0426-SM-5L3F5 60-69 years, male 13.3
GTEX-UPK5-0426-SM-3GAEK 40-49 years, male 13.3
GTEX-14C5O-0326-SM-5ZZUX 60-69 years, male 13.2
GTEX-14A6H-2026-SM-5Q5DD 30-39 years, male 13.1
GTEX-13OW8-1026-SM-5J1NQ 60-69 years, male 13.0
GTEX-1EX96-1026-SM-7MKG2 50-59 years, male 13.0
GTEX-1H1DG-2426-SM-9QEHJ 70-79 years, male 13.0
GTEX-1JN76-0626-SM-CKZOQ 20-29 years, female 13.0
GTEX-XXEK-1626-SM-4BRUZ 50-59 years, male 12.9
GTEX-1JMPZ-0726-SM-CY8HZ 30-39 years, male 12.9
GTEX-1LB8K-0726-SM-D5OV2 50-59 years, male 12.9
GTEX-11DXX-2126-SM-5PNYR 60-69 years, female 12.8
GTEX-13NYC-0126-SM-5L3F4 60-69 years, male 12.8
GTEX-14JG1-1526-SM-5YY9X 40-49 years, male 12.8
GTEX-1H11D-1826-SM-9QEHM 40-49 years, male 12.8
GTEX-11DYG-1526-SM-5A5JS 60-69 years, male 12.7
GTEX-13OW5-2326-SM-5L3HO 60-69 years, male 12.7
GTEX-13OW7-0426-SM-5K7VK 50-59 years, male 12.7
GTEX-1GMR3-0126-SM-A9SLW 40-49 years, male 12.7
GTEX-1IE54-1126-SM-A9G2Z 40-49 years, female 12.7
GTEX-11DXZ-2026-SM-5987S 50-59 years, male 12.6
GTEX-11LCK-2226-SM-5HL4Q 30-39 years, male 12.6
GTEX-13OW6-2726-SM-5J2OE 50-59 years, male 12.6
GTEX-ZAK1-0626-SM-5HL8E 50-59 years, female 12.6
GTEX-ZYVF-0926-SM-5E44J 50-59 years, female 12.6
GTEX-1MCC2-1826-SM-DIPEX 30-39 years, female 12.6
GTEX-1NSGN-0726-SM-DTXEF 50-59 years, male 12.6
GTEX-1QPFJ-1926-SM-EVYBD 30-39 years, female 12.6
GTEX-13NYS-0626-SM-5L3F1 60-69 years, male 12.5
GTEX-16YQH-2226-SM-7IGM2 30-39 years, male 12.5
GTEX-17HGU-2326-SM-7DUFE 50-59 years, male 12.5
GTEX-145LS-0626-SM-7EPG7 60-69 years, female 12.4
GTEX-ZAB4-2126-SM-5HL8U 40-49 years, male 12.4
GTEX-13O3Q-0126-SM-5KM34 50-59 years, male 12.3
GTEX-14PJ5-1526-SM-6LLIL 60-69 years, female 12.3
GTEX-1HR98-2226-SM-ADEI2 60-69 years, male 12.3
GTEX-1ICLY-0826-SM-CMKG1 50-59 years, male 12.3
GTEX-1QEPI-2626-SM-DTXF4 60-69 years, female 12.3
GTEX-1A3MW-0626-SM-731CB 60-69 years, female 12.2
GTEX-1CB4H-1126-SM-7MKGL 60-69 years, female 12.2
GTEX-ZTX8-1326-SM-4YCEL 20-29 years, male 12.2
GTEX-1B8L1-2226-SM-7P8PT 60-69 years, male 12.2
GTEX-1QMI2-2526-SM-E8VNZ 60-69 years, male 12.2
GTEX-1S82U-1026-SM-E6CJK 30-39 years, female 12.2
GTEX-11DXW-0826-SM-5H118 40-49 years, male 12.1
GTEX-14BIN-1126-SM-5RQJZ 50-59 years, female 12.1
GTEX-14DAQ-0626-SM-793DS 60-69 years, female 12.1
GTEX-WK11-2726-SM-3NMAQ 50-59 years, male 12.1
GTEX-1CAMS-2226-SM-7PBXQ 40-49 years, female 12.1
GTEX-1HSMO-0626-SM-ACKXC 60-69 years, male 12.1
GTEX-1N2DV-1526-SM-DTXEP 40-49 years, male 12.1
GTEX-1192X-2726-SM-5N9DN 50-59 years, male 12.0
GTEX-139TS-2126-SM-5K7XC 60-69 years, male 12.0
GTEX-1F48J-0726-SM-7RHGS 50-59 years, female 12.0
GTEX-1I1GT-1026-SM-ARZLV 60-69 years, female 12.0
GTEX-13FTW-0326-SM-5K7UW 40-49 years, male 11.9
GTEX-14PJ3-1126-SM-5ZZVX 50-59 years, male 11.9
GTEX-UPJH-0226-SM-3GADV 50-59 years, male 11.9
GTEX-14PK6-0226-SM-62LF5 70-79 years, female 11.8
GTEX-1I1CD-0626-SM-CE6SW 60-69 years, female 11.8
GTEX-15EO6-2426-SM-6PALZ 50-59 years, male 11.7
GTEX-15UF6-1926-SM-7KUDV 70-79 years, female 11.7
GTEX-183WM-0326-SM-72D5V 70-79 years, female 11.7
GTEX-XOT4-0626-SM-4B66L 60-69 years, female 11.7
GTEX-1JMLX-0626-SM-ARL8T 50-59 years, male 11.7
GTEX-1PPH7-1126-SM-DTX9A 40-49 years, male 11.7
GTEX-1117F-2926-SM-5GZYI 60-69 years, female 11.6
GTEX-13SLX-2226-SM-62LEP 50-59 years, female 11.6
GTEX-14C39-1726-SM-5RQIL 40-49 years, male 11.6
GTEX-ZYFC-0426-SM-5GICQ 50-59 years, male 11.6
GTEX-1PPGY-1626-SM-EVYBL 60-69 years, male 11.6
GTEX-1122O-1026-SM-9WYSF 60-69 years, female 11.5
GTEX-1HGF4-0126-SM-CNPPX 60-69 years, male 11.5
GTEX-1JK1U-0226-SM-ARZMX 60-69 years, male 11.5
GTEX-11WQK-1026-SM-5EQLX 50-59 years, male 11.4
GTEX-15CHC-1126-SM-6LLHQ 60-69 years, female 11.4
GTEX-16AAH-0626-SM-793C9 50-59 years, male 11.4
GTEX-XBED-1926-SM-47JYP 60-69 years, male 11.4
GTEX-WHWD-1826-SM-3LK6I 50-59 years, male 11.3
GTEX-1F6I4-2326-SM-7RHGL 60-69 years, male 11.3
GTEX-1HSGN-0826-SM-ACKW3 40-49 years, female 11.3
GTEX-1I1GU-0926-SM-ACKVS 40-49 years, male 11.3
GTEX-1IDJF-2026-SM-CL53V 20-29 years, male 11.3
GTEX-13FLV-0126-SM-5K7WT 50-59 years, male 11.2
GTEX-13YAN-0226-SM-5TDC6 60-69 years, male 11.2
GTEX-XK95-0226-SM-4AT58 40-49 years, male 11.2
GTEX-1HSMP-0926-SM-A9SKX 70-79 years, male 11.2
GTEX-1I6K7-1926-SM-B2LXR 40-49 years, male 11.2
GTEX-1LGRB-0926-SM-COH3K 50-59 years, female 11.2
GTEX-1S83E-1326-SM-E6CJM 40-49 years, male 11.2
GTEX-12WSC-2826-SM-5BC5Y 50-59 years, male 11.1
GTEX-14ABY-2026-SM-62LDL 50-59 years, male 11.1
GTEX-183FY-1026-SM-7939A 20-29 years, male 11.1
GTEX-1EU9M-1426-SM-793AI 60-69 years, male 11.1
GTEX-ZVE1-0726-SM-51MRN 50-59 years, female 11.1
GTEX-ZVE2-2826-SM-5GU51 50-59 years, male 11.1
GTEX-1GPI6-1926-SM-9KNV7 60-69 years, male 11.1
GTEX-1GZ4I-2626-SM-9KNU3 50-59 years, male 11.1
GTEX-1IDFM-0326-SM-ARL7V 60-69 years, male 11.1
GTEX-1N2EE-0626-SM-E76PW 60-69 years, male 11.1
GTEX-12WSH-1526-SM-5BC5W 50-59 years, male 11.0
GTEX-13JUV-2026-SM-5K7UA 40-49 years, female 11.0
GTEX-145LU-1926-SM-79OJN 50-59 years, male 11.0
GTEX-18QFQ-1826-SM-72D52 30-39 years, male 11.0
GTEX-WHPG-2626-SM-3NMBR 50-59 years, male 11.0
GTEX-1C64O-1326-SM-7MGWR 60-69 years, male 11.0
GTEX-13OVL-0126-SM-5L3GJ 50-59 years, male 10.9
GTEX-15CHR-1126-SM-7EWF4 50-59 years, male 10.9
GTEX-WXYG-2026-SM-4E3IY 50-59 years, female 10.9
GTEX-ZPU1-1126-SM-4YCF3 40-49 years, male 10.9
GTEX-ZYY3-2926-SM-5GIEB 60-69 years, female 10.9
GTEX-1F75A-0726-SM-7RHHD 50-59 years, male 10.9
GTEX-1LVAO-2726-SM-E9TJ8 60-69 years, male 10.9
GTEX-11DZ1-2426-SM-5GZZX 50-59 years, male 10.8
GTEX-13N2G-0226-SM-5K7VF 60-69 years, male 10.8
GTEX-18A66-0626-SM-7LT8Z 60-69 years, male 10.8
GTEX-ZZPU-0826-SM-5GZX5 50-59 years, female 10.8
GTEX-11P81-2226-SM-5PNYI 30-39 years, female 10.7
GTEX-V1D1-2026-SM-3GAF4 50-59 years, male 10.7
GTEX-XBEC-0726-SM-4QARZ 50-59 years, male 10.7
GTEX-1HFI6-0126-SM-CNPPI 40-49 years, male 10.7
GTEX-139TU-0726-SM-5L3EK 60-69 years, male 10.6
GTEX-15RIG-0726-SM-7KUM7 40-49 years, male 10.6
GTEX-17EVP-2626-SM-7IGMA 40-49 years, male 10.6
GTEX-18D9B-0926-SM-7LG4U 60-69 years, male 10.6
GTEX-1CAMR-1326-SM-7PC1F 20-29 years, male 10.6
GTEX-1IY9M-2826-SM-ARU8H 60-69 years, male 10.6
GTEX-1LKK1-2626-SM-DKPQE 50-59 years, female 10.6
GTEX-1QP28-1126-SM-EVYC4 50-59 years, female 10.6
GTEX-145MF-0926-SM-5Q5EA 50-59 years, male 10.5
GTEX-ZT9X-1526-SM-5DUXD 40-49 years, male 10.5
GTEX-1H1CY-0126-SM-9YFLY 60-69 years, female 10.5
GTEX-1H3NZ-2726-SM-9WYTQ 60-69 years, male 10.5
GTEX-1JMQK-1226-SM-D4P2S 60-69 years, male 10.5
GTEX-1JMQL-2226-SM-CNPP4 50-59 years, female 10.5
GTEX-1212Z-0126-SM-59HK4 60-69 years, male 10.4
GTEX-131XH-0126-SM-5LZUY 50-59 years, male 10.4
GTEX-16Z82-2626-SM-7KULU 60-69 years, male 10.4
GTEX-WYBS-0626-SM-3NMAS 60-69 years, female 10.4
GTEX-11NSD-0626-SM-5A5LU 20-29 years, male 10.3
GTEX-13QJC-0126-SM-5ZZWJ 60-69 years, female 10.3
GTEX-145MG-1526-SM-5Q5EM 50-59 years, male 10.3
GTEX-15RJE-2826-SM-7KUM9 40-49 years, male 10.3
GTEX-16NGA-0726-SM-731AO 40-49 years, female 10.3
GTEX-17F96-0126-SM-7EWDU 70-79 years, male 10.3
GTEX-1B8SF-0126-SM-7DUG3 60-69 years, male 10.3
GTEX-1C64N-2626-SM-7PC2N 50-59 years, male 10.3
GTEX-1H2FU-0926-SM-9WPPT 60-69 years, female 10.3
GTEX-1HCU8-2526-SM-CE6RX 60-69 years, female 10.3
GTEX-145MH-2826-SM-5RQJF 50-59 years, male 10.2
GTEX-178AV-1726-SM-7KUL8 40-49 years, male 10.2
GTEX-1AMFI-1326-SM-7939R 50-59 years, female 10.2
GTEX-X4EP-0626-SM-3P621 60-69 years, female 10.2
GTEX-XMD2-2126-SM-4YCF8 60-69 years, female 10.2
GTEX-1A3MX-2626-SM-7PC24 60-69 years, male 10.2
GTEX-1GL5R-1326-SM-7RHHF 50-59 years, male 10.2
GTEX-1GN73-0726-SM-7P8TJ 60-69 years, male 10.2
GTEX-11GSP-2326-SM-5HL63 60-69 years, female 10.1
GTEX-1269C-0126-SM-5EQ5L 60-69 years, female 10.1
GTEX-ZTTD-2826-SM-4YCFA 50-59 years, male 10.1
GTEX-ZYT6-2326-SM-5GZY3 30-39 years, male 10.1
GTEX-1GZ2Q-0126-SM-9WG6M 40-49 years, male 10.1
GTEX-1I19N-0126-SM-CYPSF 70-79 years, male 10.1
GTEX-1K2DA-1026-SM-CGQGF 50-59 years, male 10.1
GTEX-1MJK3-0726-SM-E6CJC 20-29 years, male 10.1
GTEX-132AR-0326-SM-5KM2C 50-59 years, female 10.0
GTEX-14A5H-0826-SM-5QGPJ 60-69 years, male 10.0
GTEX-1A8G7-1326-SM-73KVM 60-69 years, male 10.0
GTEX-1AMEY-0826-SM-72D65 30-39 years, female 10.0
GTEX-WHSE-0126-SM-3NMBT 20-29 years, male 10.0
GTEX-1JN1M-2726-SM-CY8I4 60-69 years, female 10.0
GTEX-1LSVX-2526-SM-DIPEU 60-69 years, male 10.0
GTEX-YEC3-1326-SM-DO92X 50-59 years, male 10.0
GTEX-1AX9I-2226-SM-73KUO 60-69 years, male 9.9
GTEX-Y114-2126-SM-4TT8B 50-59 years, female 9.9
GTEX-1GMR8-0626-SM-7RHI7 50-59 years, female 9.9
GTEX-1QP9N-1226-SM-E76QN 30-39 years, male 9.9
GTEX-1R46S-2426-SM-E76QA 60-69 years, female 9.9
GTEX-13X6I-1826-SM-5SIAO 60-69 years, male 9.8
GTEX-14BMV-2826-SM-5TDED 50-59 years, male 9.8
GTEX-14PJ6-2626-SM-6EU2T 60-69 years, female 9.8
GTEX-16NPX-0726-SM-7KULC 50-59 years, male 9.8
GTEX-17HHY-0426-SM-7DHLC 50-59 years, male 9.8
GTEX-Y5V5-0126-SM-5S2NW 60-69 years, female 9.8
GTEX-1GMRU-2126-SM-7P8RA 50-59 years, male 9.8
GTEX-12WSJ-1126-SM-5LZVJ 40-49 years, female 9.7
GTEX-1477Z-0326-SM-7IGLA 60-69 years, male 9.7
GTEX-1JMQI-1726-SM-ARL93 50-59 years, male 9.6
GTEX-ZLV1-1526-SM-DO91J 60-69 years, female 9.6
GTEX-111YS-1526-SM-5GZYW 60-69 years, male 9.5
GTEX-11NUK-2726-SM-5A5MC 50-59 years, male 9.5
GTEX-12C56-1526-SM-5FQUQ 20-29 years, male 9.5
GTEX-12WSD-0626-SM-5GCMW 60-69 years, female 9.5
GTEX-1B8KE-1126-SM-7EPHI 50-59 years, male 9.5
GTEX-XBEW-1126-SM-4QARW 40-49 years, male 9.5
GTEX-1GN2E-0226-SM-9WG6K 60-69 years, male 9.5
GTEX-139T8-0626-SM-5KLZX 60-69 years, male 9.4
GTEX-139TT-2126-SM-5LZWC 60-69 years, male 9.4
GTEX-1F5PK-2226-SM-7SB6N 50-59 years, male 9.4
GTEX-18A67-1626-SM-7LT9T 50-59 years, male 9.3
GTEX-1H1DE-1326-SM-9KNUG 20-29 years, male 9.3
GTEX-1HSKV-1226-SM-ADEI4 60-69 years, male 9.3
GTEX-1JMPY-0226-SM-CKZOK 30-39 years, male 9.3
GTEX-16MTA-0926-SM-6M47Z 50-59 years, male 9.2
GTEX-1KANC-1226-SM-CYPT7 50-59 years, female 9.2
GTEX-13OVH-0526-SM-5L3E6 70-79 years, male 9.1
GTEX-13OVK-1426-SM-6PAN7 40-49 years, male 9.1
GTEX-13W3W-0726-SM-5IJDQ 60-69 years, female 9.1
GTEX-XQ3S-1426-SM-4BOPR 20-29 years, male 9.1
GTEX-XUW1-0926-SM-4BONX 50-59 years, female 9.1
GTEX-1S5ZU-2526-SM-E6CIF 20-29 years, female 9.1
GTEX-1HC8U-1326-SM-9YFMJ 40-49 years, female 9.0
GTEX-1IDJD-2326-SM-ACKWX 30-39 years, male 9.0
GTEX-111CU-1126-SM-5EGIM 50-59 years, male 8.9
GTEX-11P7K-1126-SM-5HL4L 30-39 years, male 8.9
GTEX-133LE-2326-SM-5K7W3 20-29 years, female 8.9
GTEX-14753-0726-SM-5QGQO 60-69 years, male 8.9
GTEX-16BQI-1326-SM-6M486 30-39 years, female 8.9
GTEX-WH7G-2026-SM-3NMBL 40-49 years, male 8.9
GTEX-WYVS-1626-SM-3NM9R 40-49 years, female 8.9
GTEX-1LBAC-0826-SM-CY8IJ 20-29 years, male 8.9
GTEX-13RTJ-0126-SM-5S2NN 60-69 years, male 8.8
GTEX-1IDJU-1726-SM-CMKHU 60-69 years, female 8.8
GTEX-1KXAM-1626-SM-D3LAD 60-69 years, male 8.8
GTEX-11ZUS-2626-SM-5FQUR 30-39 years, male 8.7
GTEX-16XZZ-0726-SM-7KUF2 60-69 years, male 8.7
GTEX-YJ8O-2526-SM-5HL85 40-49 years, female 8.7
GTEX-1A8FM-0626-SM-7PC25 50-59 years, female 8.7
GTEX-1GF9V-0826-SM-9KNUV 60-69 years, male 8.7
GTEX-15FZZ-0526-SM-7KUGD 30-39 years, female 8.6
GTEX-XAJ8-1426-SM-47JYM 40-49 years, male 8.6
GTEX-ZVZP-1226-SM-5GID7 50-59 years, male 8.6
GTEX-1HBPI-2126-SM-ARL9K 50-59 years, male 8.6
GTEX-1K9T9-1526-SM-DIPFR 50-59 years, female 8.6
GTEX-1RAZR-2126-SM-E9U6T 40-49 years, male 8.6
GTEX-1RLM8-2926-SM-E8VON 50-59 years, male 8.6
GTEX-12WSF-1626-SM-7KUG5 70-79 years, male 8.4
GTEX-1C6VQ-1226-SM-73KYD 50-59 years, male 8.4
GTEX-X3Y1-2026-SM-3P5YM 40-49 years, male 8.4
GTEX-Y5V6-2326-SM-4VDSA 60-69 years, male 8.4
GTEX-ZZ64-1026-SM-5GZXG 20-29 years, male 8.4
GTEX-1F75B-0726-SM-7PC3R 50-59 years, male 8.4
GTEX-1J8QM-2426-SM-A9SLS 60-69 years, female 8.4
GTEX-1LVAN-0626-SM-CNPOQ 50-59 years, female 8.4
GTEX-139UW-0326-SM-5J1ML 60-69 years, male 8.3
GTEX-146FQ-2126-SM-5RQHU 30-39 years, male 8.3
GTEX-14E6E-0526-SM-793DN 30-39 years, male 8.3
GTEX-14LLW-2626-SM-62LDZ 70-79 years, female 8.3
GTEX-YF7O-1526-SM-5IFI6 50-59 years, male 8.3
GTEX-ZVT2-0126-SM-5GIDQ 50-59 years, female 8.3
GTEX-11P82-1426-SM-DTXFY 20-29 years, male 8.3
GTEX-1PPH8-0126-SM-EWRN8 20-29 years, male 8.3
GTEX-117YX-1926-SM-5GIEC 50-59 years, male 8.2
GTEX-145MO-2826-SM-5LU96 60-69 years, male 8.2
GTEX-1EN7A-2426-SM-793DB 40-49 years, male 8.2
GTEX-ZVT4-2426-SM-5GIEI 50-59 years, female 8.2
GTEX-1F75I-2226-SM-7SB8U 40-49 years, male 8.2
GTEX-1H1E6-0426-SM-9WYUS 30-39 years, male 8.2
GTEX-1J1R8-2026-SM-CL53Y 40-49 years, male 8.2
GTEX-13PVR-0426-SM-5RQK2 60-69 years, female 8.1
GTEX-WY7C-2126-SM-3NB2R 50-59 years, male 8.1
GTEX-ZE7O-2726-SM-51MT5 50-59 years, female 8.1
GTEX-1CAMQ-1326-SM-7P8RV 40-49 years, male 8.1
GTEX-1H3VE-0726-SM-9YFL5 40-49 years, male 8.1
GTEX-1KWVE-1026-SM-D3L9O 30-39 years, male 8.1
GTEX-1LVA9-2626-SM-EVYD4 50-59 years, male 8.1
GTEX-1M4P7-0726-SM-E6CJ3 60-69 years, male 8.1
GTEX-13JVG-0726-SM-5KM16 60-69 years, male 8.0
GTEX-WRHU-2826-SM-3MJG8 50-59 years, female 8.0
GTEX-1IDJE-1426-SM-ADEIW 50-59 years, female 8.0
GTEX-1JJE9-2626-SM-ARZMT 70-79 years, male 8.0
GTEX-11EI6-2826-SM-5H11D 60-69 years, male 7.9
GTEX-131XW-0626-SM-5PNVD 50-59 years, female 7.9
GTEX-145MI-0626-SM-5SI8S 60-69 years, female 7.9
GTEX-ZUA1-2626-SM-5NQ92 40-49 years, male 7.9
GTEX-1GN1W-2426-SM-9KNUU 50-59 years, female 7.9
GTEX-1I1GP-1326-SM-A9G28 50-59 years, male 7.9
GTEX-13X6J-0626-SM-5LU5F 50-59 years, male 7.8
GTEX-1I6K6-1726-SM-CGQFD 30-39 years, male 7.8
GTEX-111FC-2526-SM-5GZXU 60-69 years, male 7.7
GTEX-13O3O-2326-SM-5IJD6 60-69 years, female 7.7
GTEX-ZDTS-0826-SM-4WKHL 60-69 years, male 7.7
GTEX-1GN1U-0626-SM-9MQL9 50-59 years, female 7.7
GTEX-1IDJI-0126-SM-CMKHS 50-59 years, female 7.7
GTEX-1JKYR-0626-SM-ARL8R 20-29 years, male 7.7
GTEX-ZPIC-0526-SM-DO91W 40-49 years, female 7.7
GTEX-11ZU8-0126-SM-5EQ58 60-69 years, male 7.6
GTEX-14PKU-0126-SM-6LLHV 40-49 years, female 7.6
GTEX-15G1A-1626-SM-7KUKN 30-39 years, male 7.6
GTEX-18465-2826-SM-7LT9J 50-59 years, male 7.6
GTEX-ZDXO-3126-SM-5IJDF 60-69 years, male 7.6
GTEX-1I1GS-2626-SM-B2LY3 60-69 years, male 7.6
GTEX-ZF3C-0626-SM-DO92O 50-59 years, female 7.6
GTEX-1CB4E-0926-SM-7EPHT 60-69 years, male 7.5
GTEX-X4EO-2926-SM-4E3JH 60-69 years, female 7.5
GTEX-ZF29-0926-SM-4WKFZ 60-69 years, female 7.5
GTEX-1IDJH-0126-SM-D3L92 70-79 years, male 7.5
GTEX-XV7Q-1826-SM-4BRUV 40-49 years, female 7.4
GTEX-Y3I4-1726-SM-4TT89 50-59 years, male 7.4
GTEX-ZAJG-1526-SM-5CVML 50-59 years, female 7.4
GTEX-1J8JJ-0626-SM-ARZMQ 60-69 years, female 7.4
GTEX-1QCLZ-2426-SM-EVYBW 60-69 years, female 7.4
GTEX-1RAZQ-1326-SM-E9TK6 30-39 years, male 7.4
GTEX-17JCI-2926-SM-7DUFF 60-69 years, female 7.3
GTEX-1B8KZ-0326-SM-73KY4 50-59 years, male 7.3
GTEX-Y111-0626-SM-4SOIT 50-59 years, male 7.3
GTEX-1HCUA-0826-SM-ADEHM 50-59 years, female 7.3
GTEX-1J8Q2-2626-SM-ACKWQ 60-69 years, male 7.3
GTEX-1QW4Y-1126-SM-DTXE3 30-39 years, male 7.3
GTEX-13PVQ-0626-SM-5LU47 50-59 years, male 7.2
GTEX-145MN-1526-SM-5SI9T 30-39 years, male 7.2
GTEX-1B933-2426-SM-7DHMD 50-59 years, female 7.2
GTEX-Y8LW-1526-SM-5IFHL 50-59 years, female 7.2
GTEX-1H23P-0626-SM-9WG6T 60-69 years, male 7.2
GTEX-1JMOU-1026-SM-CYPSS 60-69 years, female 7.2
GTEX-1QP66-1226-SM-DTX7U 50-59 years, male 7.2
GTEX-1RAZA-2226-SM-E9U4X 20-29 years, male 7.2
GTEX-131XG-0326-SM-5L3DX 50-59 years, female 7.1
GTEX-14PJO-2526-SM-6AJBQ 60-69 years, male 7.1
GTEX-15EU6-2226-SM-6EU2L 50-59 years, male 7.1
GTEX-WEY5-2326-SM-3GIKK 40-49 years, female 7.1
GTEX-ZDYS-2426-SM-4WKGI 50-59 years, male 7.1
GTEX-ZVP2-0326-SM-57WBP 50-59 years, male 7.1
GTEX-1E2YA-2126-SM-7MXUO 50-59 years, male 7.1
GTEX-1JKYN-0826-SM-ARU8S 30-39 years, male 7.1
GTEX-14PJN-1826-SM-6AJ98 30-39 years, male 7.0
GTEX-17F9E-2326-SM-79OKD 50-59 years, male 7.0
GTEX-18A7B-2726-SM-7LG56 70-79 years, male 7.0
GTEX-18D9U-0126-SM-731BM 40-49 years, male 7.0
GTEX-WI4N-2726-SM-3LK7Y 40-49 years, female 7.0
GTEX-XQ8I-0926-SM-4BOOF 50-59 years, male 7.0
GTEX-ZY6K-1426-SM-5GZX2 50-59 years, male 7.0
GTEX-1JJ6O-2726-SM-CNPOG 60-69 years, male 7.0
GTEX-1PDJ9-1226-SM-EXUSX 20-29 years, male 7.0
GTEX-1RB15-1326-SM-E76Q9 60-69 years, male 7.0
GTEX-1S3DN-2126-SM-E9TIN 50-59 years, male 7.0
GTEX-11VI4-1126-SM-5EQMD 40-49 years, female 6.9
GTEX-12WSM-1926-SM-5BC65 60-69 years, male 6.9
GTEX-1399U-1126-SM-5L3DB 50-59 years, female 6.9
GTEX-147F4-0726-SM-5TDDD 50-59 years, male 6.9
GTEX-17MF6-2626-SM-79OKQ 40-49 years, male 6.9
GTEX-X8HC-0626-SM-4E3HQ 50-59 years, female 6.9
GTEX-1GF9U-2026-SM-7SB92 40-49 years, female 6.8
GTEX-1LG7Y-2526-SM-EWRO7 50-59 years, male 6.8
GTEX-1S831-1826-SM-EWROF 20-29 years, male 6.8
GTEX-13N1W-2426-SM-5IJD1 70-79 years, male 6.7
GTEX-14PJ4-0226-SM-5YY92 60-69 years, male 6.7
GTEX-1F6IF-0926-SM-7SB7M 60-69 years, male 6.7
GTEX-1IDJC-1526-SM-B2LW4 50-59 years, male 6.7
GTEX-1O9I2-0226-SM-EYYXD 50-59 years, male 6.7
GTEX-145LT-0526-SM-5LUB2 40-49 years, male 6.6
GTEX-14BMU-1226-SM-5S2OR 20-29 years, female 6.6
GTEX-17MFQ-1526-SM-7KFRR 20-29 years, male 6.6
GTEX-Y3IK-1626-SM-4YCF5 50-59 years, female 6.6
GTEX-YB5K-2026-SM-4VDT3 40-49 years, female 6.6
GTEX-1IKJJ-2226-SM-CJI4C 60-69 years, male 6.6
GTEX-1MCYP-0526-SM-E9U6Q 20-29 years, female 6.6
GTEX-11TT1-1826-SM-5EQLV 20-29 years, male 6.5
GTEX-144GM-0526-SM-79OJO 20-29 years, male 6.5
GTEX-14PHX-2226-SM-6EU2P 50-59 years, male 6.5
GTEX-14JG6-1426-SM-9WG7C 30-39 years, female 6.5
GTEX-131YS-2826-SM-5EQ47 60-69 years, female 6.4
GTEX-13U4I-2226-SM-5LU5H 40-49 years, female 6.4
GTEX-147F3-1726-SM-5SIAW 50-59 years, female 6.4
GTEX-14B4R-1326-SM-5Q5EZ 30-39 years, male 6.4
GTEX-YEC4-1826-SM-4W1YP 40-49 years, male 6.4
GTEX-18D9A-1426-SM-7LT8M 30-39 years, female 6.4
GTEX-12WSL-2026-SM-5GCML 50-59 years, male 6.3
GTEX-144GO-2026-SM-5O99P 60-69 years, male 6.3
GTEX-15D1Q-2826-SM-6LLH7 40-49 years, male 6.3
GTEX-16MT8-2926-SM-7DUFO 60-69 years, female 6.3
GTEX-ZA64-1026-SM-5HL8R 20-29 years, male 6.3
GTEX-ZLWG-0826-SM-59888 50-59 years, female 6.3
GTEX-13113-1626-SM-5EQ4I 60-69 years, female 6.2
GTEX-13N11-2326-SM-5IJBF 50-59 years, female 6.2
GTEX-13VXT-1926-SM-5K7UO 20-29 years, female 6.2
GTEX-13X6K-0626-SM-5LU5D 60-69 years, female 6.2
GTEX-145ME-1726-SM-5Q5EU 40-49 years, female 6.2
GTEX-Y8E4-2026-SM-5IFJB 40-49 years, male 6.2
GTEX-1GZHY-0626-SM-9KNVC 50-59 years, female 6.2
GTEX-12ZZY-0726-SM-5EQ66 60-69 years, male 6.1
GTEX-13VXU-0626-SM-5L3F9 50-59 years, male 6.1
GTEX-1AX8Z-0726-SM-73KTS 60-69 years, male 6.1
GTEX-1C2JI-1026-SM-73KY1 50-59 years, male 6.1
GTEX-WFON-1926-SM-3LK7L 40-49 years, male 6.1
GTEX-1H1ZS-2726-SM-9WG75 70-79 years, male 6.1
GTEX-11EQ9-1626-SM-5PNY8 30-39 years, male 6.0
GTEX-12BJ1-0926-SM-5EQ62 60-69 years, male 6.0
GTEX-15CHQ-0326-SM-69LQD 60-69 years, male 6.0
GTEX-16GPK-0626-SM-7KFSF 60-69 years, male 6.0
GTEX-17HHE-1326-SM-7EWDZ 50-59 years, male 6.0
GTEX-1AX9J-1326-SM-731BJ 60-69 years, male 6.0
GTEX-1L5NE-1126-SM-D3L9P 50-59 years, male 6.0
GTEX-11UD2-2526-SM-5CVNU 50-59 years, male 5.9
GTEX-12WSA-0426-SM-5EQ5X 60-69 years, male 5.9
GTEX-1J8Q3-0526-SM-ARL8U 60-69 years, male 5.9
GTEX-ZYFG-1526-SM-5GZYM 60-69 years, female 5.8
GTEX-1C475-1326-SM-7SB73 40-49 years, female 5.8
GTEX-1ICLZ-0326-SM-ARL82 60-69 years, male 5.8
GTEX-12WSK-2126-SM-5CVNC 40-49 years, female 5.7
GTEX-1HCU6-2526-SM-ADEHL 60-69 years, female 5.7
GTEX-12696-0126-SM-5EQ4L 60-69 years, male 5.6
GTEX-14PKV-1126-SM-6LLJ1 20-29 years, female 5.6
GTEX-1KANA-1326-SM-DIPFA 20-29 years, male 5.6
GTEX-1QCLY-0226-SM-EWRNH 30-39 years, male 5.6
GTEX-11O72-0626-SM-5PNYE 40-49 years, male 5.5
GTEX-12ZZZ-0726-SM-5GCNZ 60-69 years, male 5.5
GTEX-148VJ-0626-SM-5LUAW 70-79 years, male 5.5
GTEX-15DYW-2726-SM-6EU2I 60-69 years, female 5.5
GTEX-17EVQ-0126-SM-7IGLR 70-79 years, male 5.5
GTEX-1CAV2-0126-SM-7IGN7 40-49 years, female 5.5
GTEX-X5EB-1926-SM-4E3IW 40-49 years, male 5.5
GTEX-13X6H-0926-SM-5SIB2 50-59 years, female 5.4
GTEX-XPVG-2126-SM-4B667 50-59 years, male 5.4
GTEX-1HCU9-0426-SM-9WYSD 20-29 years, male 5.4
GTEX-1399R-1326-SM-5PNYS 30-39 years, male 5.3
GTEX-1CB4F-1026-SM-7DUH1 60-69 years, male 5.3
GTEX-1GMR2-0826-SM-7PC3V 50-59 years, male 5.3
GTEX-1LSNM-0826-SM-DIPG8 50-59 years, male 5.3
GTEX-13OVJ-0826-SM-5J1OK 50-59 years, female 5.2
GTEX-1E1VI-0326-SM-793D1 50-59 years, male 5.2
GTEX-1HFI7-2326-SM-CGQFS 50-59 years, female 5.2
GTEX-1JN6P-2926-SM-CL54D 60-69 years, male 5.2
GTEX-131XF-2626-SM-5EQ6K 60-69 years, male 5.1
GTEX-17F98-1326-SM-7DUEP 40-49 years, female 5.1
GTEX-14ICL-1626-SM-5YYAO 30-39 years, male 5.0
GTEX-1GTWX-2026-SM-9YFLM 60-69 years, male 5.0
GTEX-1N5O9-0926-SM-E9J3C 60-69 years, male 5.0
GTEX-ZGAY-1826-SM-DO91Q 40-49 years, female 5.0
GTEX-13D11-0926-SM-5J2NC 50-59 years, female 4.9
GTEX-147JS-0226-SM-5S2U9 60-69 years, male 4.9
GTEX-ZYW4-0626-SM-59HJR 60-69 years, male 4.9
GTEX-1CB4I-0126-SM-7RHGG 50-59 years, male 4.9
GTEX-1H4P4-2126-SM-9WYSL 50-59 years, male 4.9
GTEX-1QP29-1826-SM-DTX9S 50-59 years, male 4.9
GTEX-Z93S-1626-SM-5CVMB 50-59 years, male 4.8
GTEX-ZT9W-1126-SM-57WDR 50-59 years, male 4.8
GTEX-1GPI7-1826-SM-9KNU1 20-29 years, male 4.8
GTEX-ZVTK-0226-SM-51MRG 20-29 years, male 4.7
GTEX-1GF9W-1426-SM-7PBYM 60-69 years, male 4.7
GTEX-WYJK-0526-SM-3NM8Z 50-59 years, male 4.6
GTEX-1I1GV-0626-SM-ARL7M 60-69 years, male 4.6
GTEX-13QBU-1226-SM-5LU4G 40-49 years, female 4.5
GTEX-1I4MK-0126-SM-CY8G6 50-59 years, female 4.5
GTEX-1LG7Z-1626-SM-CXKYR 30-39 years, male 4.5
GTEX-17HII-1426-SM-7EPGG 50-59 years, male 4.4
GTEX-1CB4J-1326-SM-7P8RX 60-69 years, male 4.4
GTEX-11EM3-1226-SM-5N9DD 20-29 years, female 4.3
GTEX-1EH9U-2826-SM-7DUGT 60-69 years, male 4.2
GTEX-Y5LM-0926-SM-6LLJG 40-49 years, female 4.2
GTEX-13112-0126-SM-5P9IU 50-59 years, male 4.0
GTEX-ZTSS-1426-SM-5985P 40-49 years, male 4.0
GTEX-11TUW-0626-SM-5LU9M 60-69 years, male 3.9
GTEX-1A32A-0626-SM-731AQ 50-59 years, female 3.9
GTEX-1C6WA-2626-SM-7MKGM 60-69 years, male 3.9
GTEX-1211K-1526-SM-5FQU4 60-69 years, female 3.8
GTEX-1A3MV-1826-SM-731CD 30-39 years, male 3.8
GTEX-Y9LG-1126-SM-4VBQ7 30-39 years, male 3.8
GTEX-1HUB1-1426-SM-CGQF5 60-69 years, male 3.5
GTEX-1LGOU-1326-SM-D3L8M 20-29 years, female 3.5
GTEX-14E6C-2426-SM-5S2NF 40-49 years, male 3.4
GTEX-1B996-0426-SM-7EWF8 60-69 years, male 3.4
GTEX-ZU9S-1826-SM-5NQ9E 30-39 years, male 3.4
GTEX-1F75W-2726-SM-7SB8H 60-69 years, male 3.3
GTEX-13FH7-1126-SM-5K7UG 50-59 years, female 3.2
GTEX-1497J-0226-SM-5QGPU 60-69 years, male 3.1
GTEX-13OVG-1626-SM-5J1NF 60-69 years, male 3.0
GTEX-1B97I-0626-SM-73KUZ 40-49 years, male 2.8
GTEX-14DAR-1226-SM-73KYV 50-59 years, male 2.7
GTEX-1HKZK-0726-SM-ACKW2 40-49 years, male 2.7
GTEX-WFG8-2126-SM-3GIKQ 20-29 years, male 2.3
Show allShow less
Skin - Sun Exposed (Lower leg)
Average nTPM: 10.7
Samples: 701

Max nTPM: 34.9
Min nTPM: 1.0
Std nTPM: 5.3
Median nTPM: 9.7
GTEX-1R9PM-2026-SM-E76OY 20-29 years, male 34.9
GTEX-183WM-0126-SM-7LTAB 70-79 years, female 34.0
GTEX-17JCI-0126-SM-7LG5G 60-69 years, female 30.5
GTEX-111FC-0126-SM-5N9DL 60-69 years, male 29.6
GTEX-1LBAC-0126-SM-DIPEZ 20-29 years, male 28.6
GTEX-XBEW-0626-SM-4QASP 40-49 years, male 27.8
GTEX-13NYC-0326-SM-E9J4S 60-69 years, male 26.9
GTEX-14LZ3-0226-SM-62LET 60-69 years, female 26.5
GTEX-15G19-0126-SM-6PANQ 60-69 years, male 26.5
GTEX-X88G-0126-SM-47JZ3 30-39 years, male 26.2
GTEX-XYKS-2126-SM-4E3IB 60-69 years, female 25.9
GTEX-1K2DA-1826-SM-CGQGT 50-59 years, male 25.3
GTEX-1M5QR-1226-SM-EWROB 40-49 years, male 24.4
GTEX-ZTX8-1426-SM-5DUVO 20-29 years, male 24.2
GTEX-ZWKS-0126-SM-5SIAA 30-39 years, male 24.2
GTEX-ZV6S-2326-SM-4YCEY 40-49 years, female 23.9
GTEX-13FHP-0126-SM-5IJBG 50-59 years, male 23.8
GTEX-1L5NE-2526-SM-E6CIE 50-59 years, male 23.6
GTEX-ZXES-1826-SM-5E43S 30-39 years, female 23.4
GTEX-ZY6K-1826-SM-5GZXK 50-59 years, male 23.2
GTEX-ZE9C-2726-SM-57WB5 60-69 years, male 22.8
GTEX-1F6RS-0126-SM-9MQKZ 60-69 years, female 22.7
GTEX-SNMC-1226-SM-2XCFP 20-29 years, male 22.6
GTEX-1122O-2126-SM-5EGIR 60-69 years, female 22.4
GTEX-ZV68-0126-SM-59HKS 50-59 years, female 22.4
GTEX-1HCU7-0226-SM-CL545 50-59 years, male 22.4
GTEX-1KANC-1526-SM-D3LAB 50-59 years, female 22.4
GTEX-ZF2S-2326-SM-4WWCE 50-59 years, female 22.1
GTEX-ZYT6-0226-SM-5NQ6T 30-39 years, male 22.0
GTEX-1JJEA-0326-SM-CNPOT 60-69 years, male 21.9
GTEX-POMQ-2226-SM-2I5FK 20-29 years, female 21.4
GTEX-14BIN-0626-SM-793DP 50-59 years, female 21.3
GTEX-1GF9X-2026-SM-7PC3A 40-49 years, female 21.3
GTEX-1GMR3-1926-SM-9KNUZ 40-49 years, male 21.3
GTEX-14E6E-1826-SM-5S2R7 30-39 years, male 20.8
GTEX-1EMGI-0126-SM-9KNUE 60-69 years, male 20.5
GTEX-13OVK-2026-SM-7KUEO 40-49 years, male 20.3
GTEX-1MJK2-0426-SM-DTXE5 50-59 years, male 20.3
GTEX-1NV5F-0226-SM-E8VNY 60-69 years, female 19.9
GTEX-1F5PL-0326-SM-7P8PQ 40-49 years, female 19.8
GTEX-12ZZX-0126-SM-5EGK9 40-49 years, female 19.6
GTEX-1IL2U-0226-SM-CE6T8 60-69 years, male 19.5
GTEX-VJYA-1126-SM-3GIJU 60-69 years, male 19.4
GTEX-1HSGN-0226-SM-CGQFV 40-49 years, female 19.4
GTEX-YJ89-0126-SM-4TT3X 60-69 years, male 19.1
GTEX-1HR98-0126-SM-B2LWI 60-69 years, male 19.1
GTEX-13N2G-2626-SM-5J1OT 60-69 years, male 19.0
GTEX-13FXS-0226-SM-5IJCK 50-59 years, male 18.8
GTEX-1H11D-0226-SM-9WG6Z 40-49 years, male 18.8
GTEX-1C6VR-2426-SM-79OLD 60-69 years, male 18.7
GTEX-1J1OQ-0226-SM-CYPSH 40-49 years, female 18.7
GTEX-1PIIG-0226-SM-EWRN6 30-39 years, male 18.7
GTEX-13O3P-0126-SM-5KM4S 50-59 years, male 18.6
GTEX-OIZH-0126-SM-2HMIS 50-59 years, male 18.5
GTEX-11NSD-2226-SM-5986V 20-29 years, male 18.4
GTEX-T2YK-0526-SM-32QPJ 50-59 years, male 18.4
GTEX-ZVTK-0426-SM-51MRS 20-29 years, male 18.4
GTEX-1HFI6-0226-SM-ADEHZ 40-49 years, male 18.4
GTEX-1KANB-0526-SM-E6CJH 50-59 years, male 18.4
GTEX-1LB8K-0226-SM-EWRNW 50-59 years, male 18.4
GTEX-11WQK-0526-SM-5EQLD 50-59 years, male 18.3
GTEX-1C64N-0126-SM-793D7 50-59 years, male 18.3
GTEX-1QPFJ-0226-SM-E76PB 30-39 years, female 18.3
GTEX-PVOW-0126-SM-2XCFA 40-49 years, male 18.2
GTEX-1B8L1-2526-SM-9WYTF 60-69 years, male 18.1
GTEX-1J8JJ-0226-SM-CL53I 60-69 years, female 18.1
GTEX-1KAFJ-2026-SM-CY8ID 50-59 years, male 17.9
GTEX-OOBJ-0126-SM-E6CJW 60-69 years, male 17.9
GTEX-13SLX-0526-SM-5S2ON 50-59 years, female 17.8
GTEX-OOBK-0126-SM-2YUND 40-49 years, male 17.7
GTEX-1GZ2Q-0226-SM-7P8TL 40-49 years, male 17.7
GTEX-1EX96-1626-SM-7PBXR 50-59 years, male 17.6
GTEX-1PFEY-1526-SM-E76PP 30-39 years, male 17.6
GTEX-1S3DN-2226-SM-EVYCD 50-59 years, male 17.6
GTEX-1LSNM-1926-SM-E6CII 50-59 years, male 17.5
GTEX-11DXZ-2326-SM-5EGGV 50-59 years, male 17.4
GTEX-WVJS-0126-SM-4MVOT 50-59 years, male 17.3
GTEX-ZC5H-0226-SM-4WAY9 40-49 years, female 17.3
GTEX-1F52S-0126-SM-9MQJU 60-69 years, female 17.3
GTEX-17KNJ-2326-SM-7DHLQ 50-59 years, male 17.2
GTEX-ZVZO-0126-SM-5A5L9 40-49 years, male 17.1
GTEX-13OW5-0126-SM-DTXFS 60-69 years, male 17.1
GTEX-1I1GT-0626-SM-CGQER 60-69 years, female 17.1
GTEX-1LG7Z-1726-SM-D3LA4 30-39 years, male 17.1
GTEX-1KANA-0726-SM-D3L9I 20-29 years, male 17.0
GTEX-1IOXB-0126-SM-ARL8G 50-59 years, male 16.8
GTEX-1JMQL-0226-SM-CNPP5 50-59 years, female 16.8
GTEX-W5X1-3026-SM-EAZAX 40-49 years, female 16.8
GTEX-11OF3-2626-SM-5GU7F 60-69 years, male 16.6
GTEX-13G51-2526-SM-5LZYK 60-69 years, male 16.6
GTEX-1I1GV-0526-SM-A9G29 60-69 years, male 16.5
GTEX-13JUV-2726-SM-5LZZ8 40-49 years, female 16.4
GTEX-1CB4I-0226-SM-79OLH 50-59 years, male 16.4
GTEX-1GZ4H-1726-SM-7PBZJ 50-59 years, female 16.4
GTEX-1JMPZ-0226-SM-CNPP1 30-39 years, male 16.4
GTEX-Y5LM-1926-SM-5RQJH 40-49 years, female 16.3
GTEX-Y8DK-0126-SM-4TT3L 60-69 years, male 16.3
GTEX-1ICG6-2526-SM-CGQFZ 70-79 years, female 16.3
GTEX-PSDG-0226-SM-DKPOZ 50-59 years, male 16.3
GTEX-U8XE-0326-SM-3DB8P 30-39 years, male 16.2
GTEX-1K9T9-0126-SM-EVYCF 50-59 years, female 16.2
GTEX-11O72-0126-SM-59887 40-49 years, male 16.1
GTEX-15ETS-0126-SM-7KUMW 40-49 years, female 16.0
GTEX-YB5E-2026-SM-5IFIS 40-49 years, male 16.0
GTEX-1399R-2726-SM-5IJBA 30-39 years, male 15.9
GTEX-14DAQ-0126-SM-5S2MQ 60-69 years, female 15.9
GTEX-Y8E4-0626-SM-4WWDL 40-49 years, male 15.9
GTEX-1LGRB-2526-SM-CNPPQ 50-59 years, female 15.9
GTEX-11XUK-2026-SM-5EQLF 40-49 years, female 15.8
GTEX-1HB9E-0226-SM-E9U4R 50-59 years, male 15.8
GTEX-1CB4H-0226-SM-7PBXM 60-69 years, female 15.7
GTEX-1IL2V-0126-SM-CM2TX 70-79 years, male 15.7
GTEX-139TS-2826-SM-5J1OO 60-69 years, male 15.6
GTEX-ZAB5-1826-SM-5HL7C 50-59 years, male 15.6
GTEX-ZAK1-0126-SM-5IJD3 50-59 years, female 15.6
GTEX-1QMI2-0226-SM-EVYBX 60-69 years, male 15.6
GTEX-13NYS-0126-SM-5MR3W 60-69 years, male 15.4
GTEX-145MN-2226-SM-5SIAU 30-39 years, male 15.4
GTEX-133LE-1826-SM-5J1MV 20-29 years, female 15.3
GTEX-13FTW-2626-SM-5K7WL 40-49 years, male 15.3
GTEX-14JG1-0426-SM-6ETZZ 40-49 years, male 15.3
GTEX-1H4P4-0726-SM-9YFLR 50-59 years, male 15.3
GTEX-13NZB-2526-SM-5J1OM 30-39 years, male 15.2
GTEX-SJXC-0126-SM-2XCFF 60-69 years, male 15.2
GTEX-1399T-2826-SM-5KLYZ 60-69 years, male 15.1
GTEX-16AAH-1726-SM-7939C 50-59 years, male 15.1
GTEX-XAJ8-0826-SM-47JY6 40-49 years, male 15.1
GTEX-ZDTT-2726-SM-4WKF8 60-69 years, male 15.1
GTEX-1QP9N-1426-SM-DTXFL 30-39 years, male 15.1
GTEX-139D8-0226-SM-5KLZO 30-39 years, female 15.0
GTEX-UJHI-1526-SM-3DB99 50-59 years, female 14.9
GTEX-1PDJ9-0326-SM-DTX95 20-29 years, male 14.9
GTEX-13FTX-1826-SM-5J1NX 20-29 years, female 14.8
GTEX-17F96-1626-SM-7DUFL 70-79 years, male 14.8
GTEX-1CB4F-0426-SM-9KNV4 60-69 years, male 14.8
GTEX-1HBPN-0226-SM-9YFM1 50-59 years, male 14.8
GTEX-1I6K6-0126-SM-A9SLE 30-39 years, male 14.8
GTEX-ZF3C-0126-SM-DO92D 50-59 years, female 14.8
GTEX-14ICK-0226-SM-6EU25 40-49 years, male 14.7
GTEX-18D9A-1926-SM-7LG6P 30-39 years, female 14.7
GTEX-1RQEC-0426-SM-E6CHU 60-69 years, male 14.7
GTEX-1S82Z-0826-SM-E6CHY 30-39 years, female 14.7
GTEX-XUYS-0126-SM-47JWZ 50-59 years, male 14.6
GTEX-1KXAM-2226-SM-CYPTC 60-69 years, male 14.6
GTEX-1PIGE-0126-SM-EVYBJ 20-29 years, male 14.6
GTEX-Y5V5-2326-SM-4V6GA 60-69 years, female 14.5
GTEX-1GN2E-0426-SM-9MQKX 60-69 years, male 14.5
GTEX-1J8QM-2126-SM-CYPSJ 60-69 years, female 14.5
GTEX-1192X-0226-SM-5H12D 50-59 years, male 14.4
GTEX-1JMQI-2226-SM-CM2SD 50-59 years, male 14.4
GTEX-1KD4Q-0226-SM-E9TJ9 40-49 years, male 14.4
GTEX-16NPX-0226-SM-79OMT 50-59 years, male 14.3
GTEX-18A7A-0226-SM-718BH 50-59 years, female 14.3
GTEX-18QFQ-0126-SM-731BE 30-39 years, male 14.3
GTEX-P4QT-0126-SM-2I3FL 50-59 years, female 14.3
GTEX-1H3VE-0326-SM-9YFLH 40-49 years, male 14.3
GTEX-1IE54-0126-SM-CMKHW 40-49 years, female 14.3
GTEX-1KD5A-0226-SM-D5OV3 50-59 years, male 14.3
GTEX-13OW6-0426-SM-5L3HM 50-59 years, male 14.2
GTEX-13PDP-0126-SM-5L3HD 60-69 years, male 14.2
GTEX-15DCD-0126-SM-7KUEK 70-79 years, female 14.2
GTEX-1GZHY-0326-SM-9QEHI 50-59 years, female 14.2
GTEX-16NGA-1726-SM-731B4 40-49 years, female 14.1
GTEX-OXRK-0226-SM-3NB2G 50-59 years, female 14.1
GTEX-PWO3-1526-SM-48TCM 60-69 years, female 14.1
GTEX-1BAJH-0526-SM-793CQ 70-79 years, male 14.0
GTEX-Z93T-0126-SM-5HL5N 50-59 years, male 14.0
GTEX-1JK1U-2026-SM-CM2RZ 60-69 years, male 14.0
GTEX-PX3G-0126-SM-2I3EN 20-29 years, female 13.9
GTEX-S7SE-0126-SM-2XCD5 50-59 years, male 13.9
GTEX-ZYFD-0126-SM-5GIDL 50-59 years, male 13.9
GTEX-14A5H-0426-SM-5QGQF 60-69 years, male 13.8
GTEX-ZVT2-2526-SM-51MT1 50-59 years, female 13.8
GTEX-1EWIQ-0126-SM-7RHH2 70-79 years, female 13.8
GTEX-1GMR8-0126-SM-9WYTM 50-59 years, female 13.8
GTEX-17F97-0326-SM-7LG5B 50-59 years, male 13.7
GTEX-11EQ9-2426-SM-5HL5T 30-39 years, male 13.6
GTEX-14PJ6-2126-SM-6EU1V 60-69 years, female 13.6
GTEX-1B8SF-1426-SM-7DUGL 60-69 years, male 13.6
GTEX-NFK9-0226-SM-2HMKQ 40-49 years, male 13.6
GTEX-T5JW-1626-SM-3GADZ 20-29 years, female 13.6
GTEX-XMD2-0126-SM-4YCDU 60-69 years, female 13.6
GTEX-1OFPY-2426-SM-DTXEJ 60-69 years, male 13.6
GTEX-1S83E-0126-SM-EWRO4 40-49 years, male 13.6
GTEX-U412-0426-SM-3DB9O 60-69 years, male 13.4
GTEX-ZVE2-0226-SM-59HJB 50-59 years, male 13.4
GTEX-1H2FU-0126-SM-9WYSI 60-69 years, female 13.4
GTEX-1J8EW-0126-SM-CJI4F 60-69 years, female 13.4
GTEX-1LVAN-0226-SM-COH3S 50-59 years, female 13.4
GTEX-117XS-2726-SM-5N9BL 60-69 years, male 13.3
GTEX-Z9EW-1626-SM-5CVMN 40-49 years, male 13.3
GTEX-1H1CY-2826-SM-9MQM3 60-69 years, female 13.3
GTEX-1QEPI-0126-SM-EWRMQ 60-69 years, female 13.3
GTEX-1OJC3-0126-SM-E76QX 20-29 years, male 13.2
GTEX-1R7EU-0226-SM-EVR4G 60-69 years, male 13.2
GTEX-T6MN-0126-SM-32PLP 50-59 years, male 13.1
GTEX-1EKGG-0226-SM-9WYTH 60-69 years, male 13.1
GTEX-1EU9M-0226-SM-7P8SP 60-69 years, male 13.1
GTEX-1HCUA-2426-SM-ADEIS 50-59 years, female 13.1
GTEX-11DYG-0126-SM-59883 60-69 years, male 13.0
GTEX-12WSJ-1826-SM-5GCNY 40-49 years, female 13.0
GTEX-139T8-0126-SM-5K7XZ 60-69 years, male 13.0
GTEX-1497J-2426-SM-7IGNX 60-69 years, male 13.0
GTEX-15F5U-1526-SM-6PANO 40-49 years, male 13.0
GTEX-VUSG-2526-SM-4KL1V 50-59 years, male 13.0
GTEX-XXEK-2226-SM-4BRUM 50-59 years, male 13.0
GTEX-117YX-2326-SM-5H12W 50-59 years, male 12.9
GTEX-T6MO-1626-SM-32QOM 40-49 years, female 12.9
GTEX-1QCLY-0326-SM-E8VOG 30-39 years, male 12.9
GTEX-12WSE-0526-SM-793B2 20-29 years, male 12.8
GTEX-18D9U-0226-SM-718BP 40-49 years, male 12.8
GTEX-1MA7X-2226-SM-E6CIY 60-69 years, male 12.8
GTEX-13PVR-2326-SM-5QGR1 60-69 years, female 12.7
GTEX-O5YT-0126-SM-48TBW 20-29 years, male 12.7
GTEX-OXRN-0126-SM-48TDM 50-59 years, male 12.7
GTEX-XQ8I-0426-SM-4BOPO 50-59 years, male 12.7
GTEX-11EI6-0126-SM-5985R 60-69 years, male 12.6
GTEX-145MF-0626-SM-5LUAI 50-59 years, male 12.6
GTEX-XUW1-0426-SM-4BOOT 50-59 years, female 12.6
GTEX-1IDFM-0126-SM-COH2V 60-69 years, male 12.6
GTEX-1C475-1826-SM-73KWA 40-49 years, female 12.5
GTEX-SUCS-1926-SM-32PM3 70-79 years, male 12.5
GTEX-13SLW-0126-SM-5SI6C 70-79 years, male 12.4
GTEX-17GQL-2026-SM-718BA 60-69 years, male 12.4
GTEX-QDVJ-1726-SM-2I5FX 50-59 years, male 12.4
GTEX-RWS6-2026-SM-2XCB5 60-69 years, female 12.4
GTEX-YFC4-0126-SM-5CVLY 40-49 years, female 12.4
GTEX-1GL5R-1826-SM-9KNUY 50-59 years, male 12.4
GTEX-1IDJF-0126-SM-CM2RS 20-29 years, male 12.4
GTEX-1R7EV-2426-SM-EVYBG 40-49 years, male 12.4
GTEX-ZQG8-1626-SM-DHXIT 60-69 years, female 12.4
GTEX-1192W-2626-SM-5Q5AF 60-69 years, male 12.3
GTEX-1313W-0126-SM-5LZUN 50-59 years, female 12.3
GTEX-TMMY-0226-SM-33HBA 40-49 years, female 12.3
GTEX-ZVT3-0126-SM-5GU6I 60-69 years, female 12.3
GTEX-1RAZA-0126-SM-E6CI3 20-29 years, male 12.3
GTEX-1LC47-0326-SM-E9TJP 60-69 years, male 12.2
GTEX-16BQI-0226-SM-7KUEX 30-39 years, female 12.1
GTEX-T8EM-1026-SM-3DB7M 40-49 years, male 12.1
GTEX-W5WG-1826-SM-4KL2Y 50-59 years, female 12.1
GTEX-1CAMS-0426-SM-7P8T2 40-49 years, female 12.1
GTEX-11TT1-2526-SM-5EGIB 20-29 years, male 12.0
GTEX-14BMU-2226-SM-5TDE9 20-29 years, female 12.0
GTEX-18D9B-0526-SM-7LTAS 60-69 years, male 12.0
GTEX-131XH-2226-SM-5DUXJ 50-59 years, male 11.9
GTEX-15SB6-1726-SM-6PAME 50-59 years, female 11.9
GTEX-1128S-2326-SM-5GZZY 60-69 years, female 11.8
GTEX-13OVH-0126-SM-5MR4B 70-79 years, male 11.8
GTEX-14PII-0226-SM-6EU1T 60-69 years, male 11.8
GTEX-1S5ZA-0126-SM-EVYCV 20-29 years, male 11.8
GTEX-R3RS-0126-SM-3GIJL 40-49 years, female 11.7
GTEX-RUSQ-1526-SM-2TF62 50-59 years, male 11.7
GTEX-XUZC-1726-SM-4BRWS 30-39 years, female 11.7
GTEX-145LS-0126-SM-5QGP1 60-69 years, female 11.6
GTEX-145LU-0126-SM-5TDCB 50-59 years, male 11.6
GTEX-14C5O-0126-SM-5SI6N 60-69 years, male 11.6
GTEX-1I1GQ-0126-SM-COH3H 50-59 years, male 11.6
GTEX-12126-0326-SM-5PNW3 20-29 years, male 11.5
GTEX-1212Z-2526-SM-5EGKP 60-69 years, male 11.5
GTEX-12584-0126-SM-5EGKQ 40-49 years, male 11.5
GTEX-1F88F-2726-SM-7PBZZ 60-69 years, female 11.5
GTEX-1H1DG-0126-SM-9WYU2 70-79 years, male 11.5
GTEX-13CF2-2526-SM-5LZYX 60-69 years, male 11.4
GTEX-13NYB-2526-SM-5K7Z6 40-49 years, male 11.4
GTEX-1AX9J-0226-SM-73KXM 60-69 years, male 11.4
GTEX-OHPM-0126-SM-2YUN9 50-59 years, male 11.4
GTEX-QESD-1426-SM-2S1R9 20-29 years, male 11.4
GTEX-YB5K-2126-SM-4WWDJ 40-49 years, female 11.4
GTEX-1F5PK-2426-SM-7RHHY 50-59 years, male 11.4
GTEX-1R9K4-0126-SM-DTX9X 60-69 years, male 11.4
GTEX-QLQW-1126-SM-2S1Q8 30-39 years, male 11.3
GTEX-TKQ1-1026-SM-4GICL 30-39 years, male 11.3
GTEX-1JJE9-0326-SM-CL53Z 70-79 years, male 11.3
GTEX-111VG-2426-SM-5GZXD 60-69 years, male 11.2
GTEX-11DXX-2426-SM-5GZZW 60-69 years, female 11.2
GTEX-145LT-1726-SM-5QGP3 40-49 years, male 11.2
GTEX-147GR-0526-SM-5S2MY 60-69 years, male 11.2
GTEX-X4XX-0126-SM-3NMC2 60-69 years, male 11.2
GTEX-1GN73-0226-SM-9WG67 60-69 years, male 11.2
GTEX-OIZF-0126-SM-7SB8I 60-69 years, male 11.2
GTEX-12ZZY-0226-SM-5LZVE 60-69 years, male 11.1
GTEX-14BIM-0226-SM-7IGLD 60-69 years, female 11.1
GTEX-1CAMR-1926-SM-7EPI2 20-29 years, male 11.1
GTEX-1CB4E-2226-SM-793DC 60-69 years, male 11.1
GTEX-1H3NZ-0126-SM-ACKX7 60-69 years, male 11.1
GTEX-131YS-0126-SM-5KM1M 60-69 years, female 11.0
GTEX-14PN3-2426-SM-6LLHS 60-69 years, female 11.0
GTEX-18A67-0126-SM-7LG5P 50-59 years, male 11.0
GTEX-1I4MK-2226-SM-ACKWD 50-59 years, female 11.0
GTEX-1J1R8-1726-SM-ARL8M 40-49 years, male 11.0
GTEX-S33H-1026-SM-EZ6L6 30-39 years, male 11.0
GTEX-11WQC-2526-SM-5CVLE 60-69 years, male 10.9
GTEX-1M4P7-0226-SM-DIPEV 60-69 years, male 10.9
GTEX-1N2DW-0226-SM-E9TK2 50-59 years, male 10.9
GTEX-1314G-1526-SM-5EGK2 30-39 years, male 10.8
GTEX-132NY-0326-SM-5IJBL 60-69 years, male 10.8
GTEX-15SHU-0126-SM-7KUEH 40-49 years, female 10.8
GTEX-11DXY-2626-SM-5GIE7 60-69 years, male 10.7
GTEX-144FL-0126-SM-5TDC8 50-59 years, male 10.7
GTEX-14ABY-0226-SM-5TDCQ 50-59 years, male 10.7
GTEX-14PHX-2326-SM-62LEM 50-59 years, male 10.7
GTEX-16GPK-0126-SM-7DHLE 60-69 years, male 10.7
GTEX-NPJ8-0126-SM-2YUNR 40-49 years, male 10.7
GTEX-ZZ64-1726-SM-5GZYB 20-29 years, male 10.7
GTEX-1F6I4-0126-SM-9MQL2 60-69 years, male 10.7
GTEX-1IDJH-0326-SM-A9SLQ 70-79 years, male 10.7
GTEX-1HSEH-0126-SM-ACKXN 60-69 years, male 10.6
GTEX-13D11-2426-SM-5KM1V 50-59 years, female 10.5
GTEX-YEC4-2126-SM-5IFJH 40-49 years, male 10.5
GTEX-1H1E6-1726-SM-ACKVK 30-39 years, male 10.5
GTEX-11UD2-0226-SM-5EQKY 50-59 years, male 10.4
GTEX-14E6D-0126-SM-62LDV 50-59 years, male 10.4
GTEX-14PK6-1926-SM-6ETZU 70-79 years, female 10.4
GTEX-ZEX8-2426-SM-4WKG4 50-59 years, male 10.4
GTEX-ZVZP-2426-SM-59HKJ 50-59 years, male 10.4
GTEX-1C64O-0126-SM-7SB8P 60-69 years, male 10.4
GTEX-15EU6-0426-SM-6PAN5 50-59 years, male 10.3
GTEX-15RIG-0226-SM-7KFTL 40-49 years, male 10.3
GTEX-1AYD5-2426-SM-73KXR 50-59 years, male 10.3
GTEX-Q2AH-1626-SM-3GAF8 40-49 years, male 10.3
GTEX-Q734-1926-SM-2I5EV 40-49 years, female 10.3
GTEX-1HBPI-1526-SM-C1YQ1 50-59 years, male 10.3
GTEX-1JJ6O-0126-SM-E6CI8 60-69 years, male 10.3
GTEX-1JMLX-0226-SM-CM2RO 50-59 years, male 10.3
GTEX-PW2O-1526-SM-7RHHB 20-29 years, male 10.3
GTEX-1399U-2326-SM-5K7WY 50-59 years, female 10.2
GTEX-OIZG-0726-SM-33HBL 50-59 years, male 10.2
GTEX-RM2N-1426-SM-2TF4H 50-59 years, male 10.2
GTEX-TMZS-0126-SM-3DB9Q 60-69 years, male 10.2
GTEX-1GF9U-2126-SM-7SB7L 40-49 years, female 10.2
GTEX-1GPI7-0126-SM-9MQL8 20-29 years, male 10.2
GTEX-1HCU9-1526-SM-A9SL7 20-29 years, male 10.2
GTEX-1MUQO-0126-SM-EAZ58 60-69 years, male 10.2
GTEX-13111-1626-SM-5EGJY 50-59 years, male 10.1
GTEX-17HG3-2226-SM-7938L 30-39 years, female 10.1
GTEX-Q2AI-1326-SM-2S1PL 40-49 years, male 10.1
GTEX-WYJK-0126-SM-3NMAB 50-59 years, male 10.1
GTEX-X638-0126-SM-47JZ8 70-79 years, female 10.1
GTEX-1ICLZ-0126-SM-CKZPO 60-69 years, male 10.1
GTEX-1IDJU-2626-SM-CM2RT 60-69 years, female 10.1
GTEX-12KS4-0326-SM-5EQ41 30-39 years, male 10.0
GTEX-1B8KZ-2026-SM-7DHMB 50-59 years, male 10.0
GTEX-Y114-2426-SM-4TT8A 50-59 years, female 10.0
GTEX-1HSKV-0226-SM-A9SKJ 60-69 years, male 10.0
GTEX-QV44-1926-SM-2S1RF 50-59 years, male 9.9
GTEX-WFON-2126-SM-3LK7O 40-49 years, male 9.9
GTEX-1JKYN-1326-SM-CGQG9 30-39 years, male 9.9
GTEX-1O97I-0326-SM-EYYX7 60-69 years, male 9.9
GTEX-XV7Q-2526-SM-4BRV9 40-49 years, female 9.8
GTEX-ZTSS-1926-SM-57WEW 40-49 years, male 9.8
GTEX-11ZTS-0126-SM-5EQ6M 60-69 years, female 9.7
GTEX-12WSL-2526-SM-5GCNJ 50-59 years, male 9.7
GTEX-Q2AG-0126-SM-33HBV 40-49 years, female 9.7
GTEX-WZTO-0126-SM-3NM95 40-49 years, male 9.7
GTEX-YJ8A-0426-SM-5IFID 20-29 years, male 9.7
GTEX-1IKK5-0626-SM-ARL8A 60-69 years, male 9.7
GTEX-1QP29-0626-SM-EWRMX 50-59 years, male 9.7
GTEX-13VXU-0126-SM-5SI9F 50-59 years, male 9.6
GTEX-14PHW-0126-SM-6LLJI 60-69 years, female 9.6
GTEX-16XZY-2126-SM-79OK1 70-79 years, male 9.6
GTEX-18A6Q-0126-SM-731BZ 60-69 years, male 9.6
GTEX-1F7RK-0126-SM-7PC2S 20-29 years, female 9.6
GTEX-11P81-2326-SM-59875 30-39 years, female 9.5
GTEX-SSA3-0126-SM-32QPU 60-69 years, male 9.5
GTEX-1HSMP-0126-SM-E6CJS 70-79 years, male 9.5
GTEX-WOFL-0126-SM-3MJG2 60-69 years, male 9.4
GTEX-1LNCM-1126-SM-E9U5E 50-59 years, female 9.4
GTEX-1MA7W-2026-SM-E9TJ6 20-29 years, female 9.4
GTEX-1QAET-0926-SM-E76QM 50-59 years, male 9.4
GTEX-1QP2A-0126-SM-E9J43 50-59 years, male 9.4
GTEX-1269C-2526-SM-5EGJ3 60-69 years, female 9.3
GTEX-139UW-2826-SM-5L3E7 60-69 years, male 9.3
GTEX-QVJO-1626-SM-2S1QW 60-69 years, female 9.3
GTEX-X4EP-0126-SM-3P5YV 60-69 years, female 9.3
GTEX-ZGAY-0526-SM-4WWBB 40-49 years, female 9.3
GTEX-1ICLY-0126-SM-D4P36 50-59 years, male 9.3
GTEX-12WSC-0126-SM-5EQ4P 50-59 years, male 9.2
GTEX-13RTL-0126-SM-7LG5S 40-49 years, male 9.2
GTEX-13VXT-0126-SM-5LU4I 20-29 years, female 9.2
GTEX-146FQ-0126-SM-5NQA9 30-39 years, male 9.2
GTEX-13CF3-2426-SM-5IFGX 60-69 years, female 9.1
GTEX-13FHO-0226-SM-5IFGY 60-69 years, male 9.1
GTEX-1A3MX-0126-SM-731BR 60-69 years, male 9.1
GTEX-Y3IK-2426-SM-4WWDU 50-59 years, female 9.1
GTEX-1JMPY-1326-SM-ARL8Y 30-39 years, male 9.1
GTEX-1LGOU-2026-SM-DIPFF 20-29 years, female 9.1
GTEX-11UD1-0126-SM-5PNYG 40-49 years, female 9.0
GTEX-14BMV-0126-SM-5S2PO 50-59 years, male 9.0
GTEX-14PJM-0226-SM-62LF1 50-59 years, female 9.0
GTEX-WXYG-2326-SM-4E3I6 50-59 years, female 9.0
GTEX-Y8LW-1826-SM-5S2MV 50-59 years, female 9.0
GTEX-11GS4-2726-SM-5A5LE 60-69 years, male 8.9
GTEX-12C56-1726-SM-5EQ61 20-29 years, male 8.9
GTEX-PLZ4-0126-SM-5SI8O 50-59 years, female 8.9
GTEX-X261-0126-SM-3NMD6 50-59 years, male 8.9
GTEX-1GN1V-0126-SM-9WPOS 60-69 years, male 8.8
GTEX-1N2DV-0226-SM-E6CJ6 40-49 years, male 8.8
GTEX-1PPH8-0226-SM-E8VND 20-29 years, male 8.8
GTEX-183FY-0126-SM-7LT9P 20-29 years, male 8.7
GTEX-XQ3S-1526-SM-4BOOC 20-29 years, male 8.7
GTEX-RNOR-0126-SM-E9J4R 50-59 years, female 8.7
GTEX-17EUY-0426-SM-793BD 20-29 years, male 8.6
GTEX-17EVP-0326-SM-7DHLG 40-49 years, male 8.6
GTEX-18A66-0226-SM-718BD 60-69 years, male 8.6
GTEX-ZE7O-0126-SM-57WC1 50-59 years, female 8.6
GTEX-1CB4G-0226-SM-7PC3O 60-69 years, male 8.6
GTEX-131XW-0426-SM-5LZWP 50-59 years, female 8.5
GTEX-13O3Q-2426-SM-5IJBR 50-59 years, male 8.5
GTEX-15UF6-0826-SM-6PALJ 70-79 years, female 8.5
GTEX-Y5V6-2426-SM-4VDSB 60-69 years, male 8.5
GTEX-1B996-0226-SM-7RHGO 60-69 years, male 8.5
GTEX-1CAV2-2226-SM-7P8P2 40-49 years, female 8.5
GTEX-1GF9V-0326-SM-7RHI5 60-69 years, male 8.5
GTEX-1HSMQ-1226-SM-CGQFX 50-59 years, male 8.5
GTEX-1IGQW-0126-SM-COH42 60-69 years, male 8.5
GTEX-1IKJJ-0126-SM-CNPQB 60-69 years, male 8.5
GTEX-12ZZZ-0626-SM-5DUXI 60-69 years, male 8.4
GTEX-13112-2826-SM-5DUWH 50-59 years, male 8.4
GTEX-131XE-2326-SM-5PNZ2 50-59 years, male 8.4
GTEX-18465-0126-SM-731BN 50-59 years, male 8.4
GTEX-P4PP-0126-SM-3LK69 30-39 years, female 8.4
GTEX-QEG4-0226-SM-2S1PY 30-39 years, male 8.4
GTEX-RN64-0126-SM-2TC68 50-59 years, male 8.4
GTEX-XBED-2226-SM-47JYQ 60-69 years, male 8.4
GTEX-ZYFC-0226-SM-5NQ75 50-59 years, male 8.4
GTEX-11NUK-0126-SM-5A5L3 50-59 years, male 8.3
GTEX-13NZ8-0826-SM-5MR3I 60-69 years, female 8.3
GTEX-1A3MW-0126-SM-73KXX 60-69 years, female 8.3
GTEX-1C2JI-1826-SM-73KXC 50-59 years, male 8.3
GTEX-ZDTS-0126-SM-4WAY5 60-69 years, male 8.3
GTEX-ZTPG-0326-SM-5O9AX 20-29 years, female 8.3
GTEX-ZZPT-0226-SM-5E43X 50-59 years, male 8.3
GTEX-1I19N-0326-SM-ACKVX 70-79 years, male 8.3
GTEX-1K2DU-2326-SM-E9TIV 20-29 years, male 8.3
GTEX-RVPV-0126-SM-EAZAW 60-69 years, male 8.3
GTEX-13OVL-0226-SM-5L3E9 50-59 years, male 8.2
GTEX-1A32A-0126-SM-718B1 50-59 years, female 8.2
GTEX-1B97I-1626-SM-73KYO 40-49 years, male 8.2
GTEX-WY7C-2326-SM-3NB2U 50-59 years, male 8.2
GTEX-131XF-5016-SM-7MGWE 60-69 years, male 8.2
GTEX-145LV-2126-SM-5LU8N 50-59 years, male 8.1
GTEX-15DDE-0126-SM-6LPKH 50-59 years, female 8.1
GTEX-1E1VI-0126-SM-7DHMZ 50-59 years, male 8.1
GTEX-OHPL-0126-SM-2HMJ7 60-69 years, female 8.1
GTEX-13FH7-2026-SM-E9J4I 50-59 years, female 8.1
GTEX-1E2YA-0126-SM-9KNUC 50-59 years, male 8.1
GTEX-1H3O1-0426-SM-9YFKY 60-69 years, male 8.1
GTEX-12WSK-2326-SM-5GCOH 40-49 years, female 8.0
GTEX-13NZA-0226-SM-5K7Z7 60-69 years, male 8.0
GTEX-14LLW-0126-SM-6LLIO 70-79 years, female 8.0
GTEX-17HHY-0126-SM-7LG5D 50-59 years, male 8.0
GTEX-X585-0226-SM-4QAS2 50-59 years, male 8.0
GTEX-1I1CD-0126-SM-CM2TK 60-69 years, female 8.0
GTEX-1IY9M-0126-SM-D3L8S 60-69 years, male 8.0
GTEX-1JMQJ-0526-SM-CYPSU 50-59 years, male 8.0
GTEX-1NHNU-1026-SM-E9J2A 50-59 years, male 8.0
GTEX-11VI4-1726-SM-5CVLH 40-49 years, female 7.9
GTEX-147F3-0526-SM-5SI98 50-59 years, female 7.9
GTEX-15UKP-0426-SM-7KUFQ 20-29 years, male 7.9
GTEX-17F98-0626-SM-79OMX 40-49 years, female 7.9
GTEX-TML8-1926-SM-32QOS 40-49 years, female 7.9
GTEX-WQUQ-0426-SM-3MJFU 60-69 years, male 7.9
GTEX-1F75I-0326-SM-9YFLU 40-49 years, male 7.9
GTEX-1HFI7-1826-SM-ACKXH 50-59 years, female 7.9
GTEX-1RB15-2126-SM-E9TIM 60-69 years, male 7.9
GTEX-1RDX4-0126-SM-E9J4P 50-59 years, female 7.9
GTEX-11P82-1626-SM-59879 20-29 years, male 7.8
GTEX-13FTY-0526-SM-5L3EV 40-49 years, female 7.8
GTEX-14DAR-2026-SM-5S2O3 50-59 years, male 7.8
GTEX-QDVN-2026-SM-3GAEP 50-59 years, male 7.8
GTEX-S95S-1226-SM-4GICG 60-69 years, male 7.8
GTEX-1H3VY-0126-SM-ACKXD 50-59 years, male 7.8
GTEX-T5JC-0426-SM-32PLO 20-29 years, male 7.7
GTEX-ZDXO-3026-SM-5J1N5 60-69 years, male 7.7
GTEX-ZYFG-2326-SM-5E44B 60-69 years, female 7.7
GTEX-1HKZK-0326-SM-9WYUH 40-49 years, male 7.7
GTEX-1AX9K-2326-SM-73KWU 50-59 years, male 7.6
GTEX-1F75B-0126-SM-9KNVL 50-59 years, male 7.6
GTEX-11OC5-0126-SM-5HL6A 60-69 years, male 7.5
GTEX-11ZTT-2426-SM-5EQLS 60-69 years, female 7.5
GTEX-RWSA-0126-SM-2XCBB 40-49 years, male 7.5
GTEX-WI4N-1026-SM-3LK7N 40-49 years, female 7.5
GTEX-1HT8W-0126-SM-CNPPP 30-39 years, male 7.5
GTEX-T2IS-0126-SM-4DM6O 20-29 years, female 7.4
GTEX-ZAJG-0126-SM-5HL94 50-59 years, female 7.4
GTEX-ZXG5-0126-SM-5GIEU 60-69 years, male 7.4
GTEX-1A8FM-0226-SM-7SB7Q 50-59 years, female 7.4
GTEX-1KWVE-1426-SM-E9TJO 30-39 years, male 7.4
GTEX-PLZ6-1426-SM-DKPOT 30-39 years, male 7.4
GTEX-15DYW-0126-SM-7KULE 60-69 years, female 7.3
GTEX-1HBPM-0226-SM-ARL9F 60-69 years, female 7.3
GTEX-1J8Q3-1626-SM-CMKGC 60-69 years, male 7.3
GTEX-113JC-2326-SM-5EQ4E 50-59 years, female 7.2
GTEX-11P7K-2126-SM-5GU7G 30-39 years, male 7.2
GTEX-148VJ-0126-SM-5TDDN 70-79 years, male 7.2
GTEX-PLZ5-2026-SM-2S1O4 50-59 years, male 7.2
GTEX-SIU8-0126-SM-2XCDT 50-59 years, male 7.2
GTEX-ZQUD-1426-SM-57WER 30-39 years, male 7.2
GTEX-1R46S-0626-SM-E9J41 60-69 years, female 7.2
GTEX-13S7M-0126-SM-5SI6A 60-69 years, female 7.1
GTEX-Y111-0126-SM-4SOIV 50-59 years, male 7.1
GTEX-ZU9S-0226-SM-5E441 30-39 years, male 7.1
GTEX-1B933-0126-SM-7PC29 50-59 years, female 7.1
GTEX-1HCU8-0626-SM-A9SM9 60-69 years, female 7.1
GTEX-1JKYR-0126-SM-CNPOJ 20-29 years, male 7.1
GTEX-1LH75-2426-SM-E9TJE 50-59 years, female 7.1
GTEX-1PPH7-2326-SM-EVYB8 40-49 years, male 7.1
GTEX-144GL-0126-SM-5TDE2 50-59 years, male 7.0
GTEX-14JG6-2226-SM-6EU2G 30-39 years, female 7.0
GTEX-TSE9-0126-SM-3DB83 60-69 years, female 7.0
GTEX-U3ZN-2326-SM-3DB7W 30-39 years, female 7.0
GTEX-1S82Y-2026-SM-EVYCM 40-49 years, male 7.0
GTEX-1211K-2026-SM-5EQ4Z 60-69 years, female 6.9
GTEX-13RTK-1426-SM-5QGQJ 20-29 years, male 6.9
GTEX-14753-0426-SM-5NQAM 60-69 years, male 6.9
GTEX-1AMFI-2026-SM-731BH 50-59 years, female 6.9
GTEX-1C4CL-0526-SM-73KVK 30-39 years, male 6.9
GTEX-OXRP-0126-SM-3NB32 60-69 years, female 6.9
GTEX-139T4-0226-SM-5HL5S 50-59 years, female 6.8
GTEX-145MI-0526-SM-5O9A8 60-69 years, female 6.8
GTEX-V1D1-2226-SM-3NMAX 50-59 years, male 6.8
GTEX-1F6IF-0726-SM-7P8TW 60-69 years, male 6.8
GTEX-1JMQK-0226-SM-CL543 60-69 years, male 6.8
GTEX-1MCQQ-0826-SM-DLHC2 60-69 years, male 6.8
GTEX-11ZVC-2526-SM-5FQTE 50-59 years, female 6.7
GTEX-13X6J-0126-SM-5QGOU 50-59 years, male 6.7
GTEX-15EOM-0126-SM-7KUGG 20-29 years, female 6.7
GTEX-15SDE-2226-SM-7IGLO 50-59 years, female 6.7
GTEX-ZF28-0126-SM-4WKGK 60-69 years, male 6.7
GTEX-1F75A-0126-SM-7RHGM 50-59 years, male 6.7
GTEX-1I1GR-0126-SM-CL55F 60-69 years, male 6.7
GTEX-11EM3-2426-SM-59861 20-29 years, female 6.6
GTEX-14PJ3-1826-SM-62LEX 50-59 years, male 6.6
GTEX-S32W-2126-SM-2XCB1 50-59 years, female 6.6
GTEX-1C6WA-0126-SM-7PC2B 60-69 years, male 6.6
GTEX-1GMRU-0126-SM-9YFLV 50-59 years, male 6.6
GTEX-13X6I-0626-SM-5QGP9 60-69 years, male 6.5
GTEX-Y3I4-2126-SM-4TT7C 50-59 years, male 6.5
GTEX-1H23P-0126-SM-ADEJ3 60-69 years, male 6.5
GTEX-1QP66-1726-SM-E8VO1 50-59 years, male 6.5
GTEX-145ME-1826-SM-5SI9G 40-49 years, female 6.4
GTEX-11DXW-0226-SM-5H122 40-49 years, male 6.3
GTEX-11GSP-2526-SM-5N9BP 60-69 years, female 6.3
GTEX-13113-5016-SM-7EPIP 60-69 years, female 6.3
GTEX-13IVO-0126-SM-5J1NG 70-79 years, male 6.3
GTEX-13N11-2526-SM-5K7UE 50-59 years, female 6.3
GTEX-1POEN-0126-SM-EYYXJ 30-39 years, female 6.3
GTEX-14PN4-0126-SM-6EU2V 50-59 years, male 6.2
GTEX-13OW7-0126-SM-5MR3B 50-59 years, male 6.1
GTEX-13W3W-2426-SM-5LU5B 60-69 years, female 6.1
GTEX-13W46-0226-SM-5SIAG 50-59 years, male 6.1
GTEX-1CAMQ-0226-SM-7IGPK 40-49 years, male 6.1
GTEX-QCQG-1726-SM-3GIJ9 50-59 years, female 6.1
GTEX-X4XY-0226-SM-4E3IZ 60-69 years, male 6.1
GTEX-X62O-0126-SM-4E3JN 50-59 years, male 6.1
GTEX-11TUW-2726-SM-E9J4M 60-69 years, male 6.1
GTEX-1GN1U-0126-SM-7PBZK 50-59 years, female 6.1
GTEX-1I1HK-0126-SM-COH49 60-69 years, male 6.1
GTEX-1JN76-0126-SM-CNPPE 20-29 years, female 6.1
GTEX-PWCY-1826-SM-DHXIZ 20-29 years, female 6.1
GTEX-11DZ1-0126-SM-5985Q 50-59 years, male 6.0
GTEX-15ER7-0326-SM-7KUEV 20-29 years, female 6.0
GTEX-QLQ7-1626-SM-2S1R8 60-69 years, male 6.0
GTEX-U3ZH-2026-SM-3DB78 30-39 years, male 6.0
GTEX-U3ZM-1526-SM-3DB9D 40-49 years, male 6.0
GTEX-WFG8-2226-SM-3GIL9 20-29 years, male 6.0
GTEX-1GF9W-0326-SM-9KNUN 60-69 years, male 6.0
GTEX-1HCVE-0126-SM-CGQEU 50-59 years, male 6.0
GTEX-1PWST-0226-SM-E76QJ 70-79 years, male 6.0
GTEX-14A5I-0126-SM-5TDEA 50-59 years, female 5.9
GTEX-ZUA1-0126-SM-5GU76 40-49 years, male 5.9
GTEX-1GN1W-0526-SM-9MQJQ 50-59 years, female 5.9
GTEX-1I1GU-2226-SM-CGQFA 40-49 years, male 5.9
GTEX-1I1GS-0126-SM-B2LVW 60-69 years, male 5.8
GTEX-12WSD-0126-SM-59HKN 60-69 years, female 5.7
GTEX-15SHW-0326-SM-6PAML 60-69 years, male 5.7
GTEX-P4PQ-0126-SM-2S1NM 60-69 years, male 5.7
GTEX-WRHK-1426-SM-3MJF9 20-29 years, female 5.7
GTEX-X4EO-0326-SM-3P5YO 60-69 years, female 5.7
GTEX-XPVG-2626-SM-4B669 50-59 years, male 5.7
GTEX-1IKOH-0226-SM-COH4E 60-69 years, female 5.7
GTEX-139TT-0126-SM-5K7Y5 60-69 years, male 5.6
GTEX-15CHC-2126-SM-6EU21 60-69 years, female 5.6
GTEX-1B8KE-2126-SM-73KYX 50-59 years, male 5.6
GTEX-WYVS-2126-SM-3NMA3 40-49 years, female 5.6
GTEX-17EVQ-0226-SM-7LG4P 70-79 years, male 5.5
GTEX-17MFQ-1726-SM-793C7 20-29 years, male 5.5
GTEX-1C6VS-0526-SM-7DUEN 60-69 years, male 5.5
GTEX-S7PM-0126-SM-4AD6S 60-69 years, male 5.5
GTEX-13O3O-0126-SM-E9J49 60-69 years, female 5.5
GTEX-1AX9I-0126-SM-7SB74 60-69 years, male 5.5
GTEX-1EN7A-0126-SM-7SB81 40-49 years, male 5.5
GTEX-1MGNQ-0126-SM-EVYCJ 40-49 years, male 5.5
GTEX-1QP67-1626-SM-EAZ3X 40-49 years, female 5.5
GTEX-113IC-0126-SM-5HL6T 60-69 years, male 5.4
GTEX-14A6H-0126-SM-5QGPK 30-39 years, male 5.4
GTEX-O5YW-0126-SM-3LK6D 50-59 years, male 5.4
GTEX-1RLM8-2326-SM-EWRN4 50-59 years, male 5.4
GTEX-12696-2426-SM-5EQ6H 60-69 years, male 5.3
GTEX-13O21-1426-SM-5K7XI 50-59 years, male 5.3
GTEX-13RTJ-2426-SM-5S2Q2 60-69 years, male 5.3
GTEX-145MO-0326-SM-5Q5B3 60-69 years, male 5.3
GTEX-ZDYS-2026-SM-5HL5L 50-59 years, male 5.3
GTEX-1F48J-0126-SM-7P8TT 50-59 years, female 5.3
GTEX-ZVT4-0126-SM-DTXFN 50-59 years, female 5.3
GTEX-12WSN-5019-SM-79OM6 40-49 years, male 5.2
GTEX-13N1W-0126-SM-5K7VT 70-79 years, male 5.2
GTEX-15D1Q-0126-SM-7KUG6 40-49 years, male 5.2
GTEX-1AMEY-1326-SM-73KYK 30-39 years, female 5.2
GTEX-1N2EF-0226-SM-EYYXB 60-69 years, male 5.2
GTEX-1PBJI-0526-SM-E8VNK 20-29 years, female 5.2
GTEX-12WSA-0226-SM-5BC5V 60-69 years, male 5.1
GTEX-139TU-0126-SM-5K7WH 60-69 years, male 5.1
GTEX-13QJ3-0326-SM-5S2RA 50-59 years, male 5.1
GTEX-147F4-0226-SM-5QGPW 50-59 years, male 5.1
GTEX-17HGU-0226-SM-7DHKV 50-59 years, male 5.1
GTEX-U4B1-1826-SM-4DXSU 40-49 years, male 5.1
GTEX-WH7G-2326-SM-3NMBC 40-49 years, male 5.1
GTEX-11GSO-2426-SM-5A5LY 60-69 years, male 5.0
GTEX-13OW8-1326-SM-5J1OW 60-69 years, male 5.0
GTEX-1JN6P-0126-SM-D3L98 60-69 years, male 5.0
GTEX-1QW4Y-1526-SM-EAZ3Z 30-39 years, male 5.0
GTEX-11LCK-1026-SM-5A5KB 30-39 years, male 4.9
GTEX-13YAN-0326-SM-5O9DF 60-69 years, male 4.9
GTEX-1A3MV-1926-SM-718BT 30-39 years, male 4.9
GTEX-VJWN-0126-SM-3GIK7 50-59 years, female 4.9
GTEX-11ZU8-2526-SM-5EQKI 60-69 years, male 4.8
GTEX-12WSG-2826-SM-E9J4H 50-59 years, female 4.8
GTEX-1GPI6-0126-SM-9WG69 60-69 years, male 4.8
GTEX-1LG7Y-0526-SM-DKPQC 50-59 years, male 4.8
GTEX-144GN-2326-SM-5LU4F 50-59 years, male 4.7
GTEX-1H1ZS-0426-SM-9WG6G 70-79 years, male 4.7
GTEX-117YW-2626-SM-5GZZH 50-59 years, male 4.6
GTEX-13U4I-0126-SM-5LU38 40-49 years, female 4.6
GTEX-1AX8Z-0126-SM-7DHM6 60-69 years, male 4.6
GTEX-ZYY3-0126-SM-5GZY5 60-69 years, female 4.6
GTEX-1J8Q2-0526-SM-CM2RW 60-69 years, male 4.6
GTEX-13X6H-2126-SM-7EWD5 50-59 years, female 4.5
GTEX-1HGF4-2426-SM-ACKXM 60-69 years, male 4.5
GTEX-1HUB1-0426-SM-E9U4U 60-69 years, male 4.5
GTEX-1I1GP-2226-SM-CGQFK 50-59 years, male 4.5
GTEX-17MF6-0126-SM-7LG4F 40-49 years, male 4.4
GTEX-X8HC-0126-SM-4E3JW 50-59 years, female 4.4
GTEX-Z93S-0126-SM-5HL7M 50-59 years, male 4.4
GTEX-1HCU6-0126-SM-CL54K 60-69 years, female 4.4
GTEX-11ZUS-0626-SM-59885 30-39 years, male 4.3
GTEX-13OVJ-0126-SM-5KM36 50-59 years, female 4.3
GTEX-14E6C-0126-SM-5RQIP 40-49 years, male 4.3
GTEX-16MT8-0426-SM-7KUEY 60-69 years, female 4.3
GTEX-16XZZ-0126-SM-793DV 60-69 years, male 4.3
GTEX-R55G-2526-SM-2TC6D 40-49 years, female 4.3
GTEX-1MCYP-1926-SM-E9J2R 20-29 years, female 4.3
GTEX-ZF29-2326-SM-DO92K 60-69 years, female 4.3
GTEX-14E7W-0126-SM-6LLJ9 70-79 years, male 4.2
GTEX-1GTWX-0126-SM-9YFLK 60-69 years, male 4.2
GTEX-14XAO-2326-SM-6EU1B 60-69 years, female 4.1
GTEX-1AYCT-2426-SM-7IGQ3 50-59 years, male 4.1
GTEX-OXRO-0126-SM-2YUN4 60-69 years, female 4.1
GTEX-U8T8-0126-SM-3DB94 60-69 years, male 4.1
GTEX-169BO-1326-SM-9MQK2 50-59 years, male 4.1
GTEX-1HBPH-0426-SM-B2LW5 40-49 years, female 4.1
GTEX-R45C-0126-SM-EAZ2R 60-69 years, female 4.1
GTEX-1CB4J-0626-SM-7DHMP 60-69 years, male 4.0
GTEX-SN8G-0126-SM-32PLI 50-59 years, female 4.0
GTEX-1JN1M-0326-SM-CYPT3 60-69 years, female 4.0
GTEX-11EMC-2926-SM-5EQ4F 60-69 years, female 3.9
GTEX-18A7B-0126-SM-7LG64 70-79 years, male 3.9
GTEX-QDT8-0126-SM-48TZ1 30-39 years, female 3.9
GTEX-ZAB4-0226-SM-5N9F5 40-49 years, male 3.8
GTEX-1RAZQ-0726-SM-EAZ43 30-39 years, male 3.8
GTEX-11TTK-0126-SM-5987B 60-69 years, female 3.7
GTEX-1B8SG-0126-SM-73KZ3 50-59 years, male 3.7
GTEX-P44H-0226-SM-2XCEU 40-49 years, male 3.7
GTEX-R55E-0126-SM-2TC5Y 20-29 years, male 3.7
GTEX-1R9PO-2126-SM-E9J4O 60-69 years, female 3.6
GTEX-ZPIC-1726-SM-DHXIU 40-49 years, female 3.6
GTEX-13OVG-1926-SM-5L3DK 60-69 years, male 3.5
GTEX-13OVI-1426-SM-5L3EY 60-69 years, female 3.4
GTEX-RTLS-0126-SM-447CA 60-69 years, female 3.4
GTEX-1OJC4-0126-SM-E9J2E 50-59 years, female 3.4
GTEX-148VI-1626-SM-5SI6E 60-69 years, female 3.3
GTEX-OXRL-0126-SM-2YUMP 50-59 years, male 3.3
GTEX-11H98-0126-SM-5EGHG 50-59 years, male 3.2
GTEX-16YQH-0126-SM-7DUFJ 30-39 years, male 3.2
GTEX-17HHE-2026-SM-79OKF 50-59 years, male 3.2
GTEX-14JIY-0126-SM-6LLH6 60-69 years, male 3.1
GTEX-UPJH-0326-SM-3GADU 50-59 years, male 3.1
GTEX-ZYW4-0126-SM-5E44A 60-69 years, male 3.0
GTEX-146FH-0126-SM-5QGPP 50-59 years, female 2.9
GTEX-146FR-1326-SM-E9J48 60-69 years, female 2.9
GTEX-13O1R-0126-SM-5L3EH 60-69 years, male 2.8
GTEX-1H1DE-2126-SM-9WG6R 20-29 years, male 2.8
GTEX-1C6VQ-0126-SM-7P8RI 50-59 years, male 2.7
GTEX-131XG-2626-SM-5KM17 50-59 years, female 2.6
GTEX-1JMOU-1526-SM-CL54I 60-69 years, female 2.5
GTEX-SE5C-1626-SM-2XCE3 40-49 years, female 2.5
GTEX-X5EB-2226-SM-46MW4 40-49 years, male 2.1
GTEX-14BIL-0126-SM-5SI92 50-59 years, male 2.0
GTEX-RU72-0926-SM-2TF6B 50-59 years, female 1.7
GTEX-17HII-0226-SM-7LG4E 50-59 years, male 1.3
GTEX-1HSMO-0126-SM-CL547 60-69 years, male 1.0
Show allShow less

Contact

  • NEWS ARTICLES
  • PRESS ROOM

The Project

  • INTRODUCTION
  • ORGANIZATION
  • PUBLICATIONS

The Human Protein Atlas

  • DOWNLOADABLE DATA
  • LICENCE & CITATION
  • HELP & FAQ
The Human Protein Atlas project is funded
by the Knut & Alice Wallenberg Foundation.


contact@proteinatlas.org