We use cookies to enhance the usability of our website. If you continue, we'll assume that you are happy to receive all cookies. More information. Don't show this again.
PIGR
HPA
RESOURCES
  • TISSUE
  • BRAIN
  • SINGLE CELL
  • SUBCELLULAR
  • CANCER
  • BLOOD
  • CELL LINE
  • STRUCTURE & INTERACTION
ABOUT
  • INTRODUCTION
  • HISTORY
  • ORGANIZATION
  • PUBLICATIONS
  • ANTIBODY SUBMISSION
  • ANTIBODY AVAILABILITY
  • ACKNOWLEDGMENTS
  • CONTACT
NEWS
  • NEWS ARTICLES
  • PRESS ROOM
LEARN
  • DICTIONARY
  • PROTEIN CLASSES
  • PROTEIN EVIDENCE
  • METHODS
  • EDUCATIONAL VIDEOS
DATA
  • DOWNLOADABLE DATA
  • PUBLICATION DATA
  • RELEASE HISTORY
HELP
  • ANTIBODY VALIDATION
  • ASSAYS & ANNOTATION
  • DISCLAIMER
  • HELP & FAQ
  • PRIVACY STATEMENT
  • LICENCE & CITATION
Fields »
Search result

Field
Term
Gene name
Class
Subclass
Class
Keyword
Chromosome
External id
Tissue
Cell type
Expression
Antibody panel
Tissue
Main location
Patient ID
Annotation
Tissue
Category
Tau score
Cluster
Reliability
Brain region
Category
Tau score
Brain region
Category
Tau score
Brain region
Category
Tau score
Cluster
Reliability
Tissue
Cell type
Enrichment
Cell type
Category
Tau score
Cell type
Category
Tau score
Cell type
Category
Tau score
Cell lineage
Category
Tau score
Cluster
Cluster
Location
Searches
Location
Cell line
Class
Type
Phase
Reliability
Cancer
Prognosis
Cancer
Category
Cancer
Category
Tau score
Cluster
Variants
Interacting gene (ensg_id)
Type
Number of interactions
Pathway
Category
Score
Score
Score
Validation
Validation
Validation
Validation
Antibodies
Data type
Column


  • SUMMARY

  • TISSUE

  • BRAIN

  • SINGLE CELL

  • SUBCELL

  • CANCER

  • BLOOD

  • CELL LINE

  • STRUCT & INT

  • PIGR
TISSUE PRIMARY DATA STOMACH Show tissue menu
ADIPOSE TISSUE ADRENAL GLAND AMYGDALA APPENDIX BASAL GANGLIA BONE MARROW BREAST BRONCHUS CEREBELLUM CEREBRAL CORTEX CERVIX CHOROID PLEXUS COLON DUODENUM
ENDOMETRIUM EPIDIDYMIS ESOPHAGUS FALLOPIAN TUBE GALLBLADDER HEART MUSCLE HIPPOCAMPAL FORMATION HYPOTHALAMUS KIDNEY LIVER LUNG LYMPH NODE MIDBRAIN NASOPHARYNX
ORAL MUCOSA OVARY PANCREAS PARATHYROID GLAND PITUITARY GLAND PLACENTA PROSTATE RECTUM RETINA SALIVARY GLAND SEMINAL VESICLE SKELETAL MUSCLE SKIN SMALL INTESTINE
SMOOTH MUSCLE SOFT TISSUE SPINAL CORD SPLEEN STOMACH TESTIS THYMUS THYROID GLAND TONGUE TONSIL URINARY BLADDER VAGINA
ANTIBODIES
AND
VALIDATION
Dictionary
Tissue proteome
Stomach
STOMACH - Expression summary
Protein expression
Stomachi

On the top, protein expression in current human tissue, based on all annotated cell types, is reported with the units not detected (n), low (l), medium (m) and high (h). Underneath, protein expression in each annotated cell type are reported using the same units.

Protein expression data is based on knowledge-based annotation. For genes where more than one antibody has been used, a collective score is set.

If knowledge-based annotation could not be performed for a gene, no data is displayed here. View antibody staining data further down this page.

h
m
l
n
Glandular cells: High
RNA expressioni

A summary of mRNA expression data available for current tissue based on several datasets. The mRNA expression levels in human tissues are based on RNA-seq data generated by the Human Protein Atlas (HPA), Genotype-Tissue Expression (GTEx) portal and CAGE data generated by the FANTOM5 consortium. Consensus normalized expression levels for human tissues was created by combining the data from HPA and GTEx datasets.

The mRNA expression levels in pig are based on RNA-seq data generated by the Human Protein Atlas (HPA), and for mouse, HPA data and in situ hybridization generated by the Allen brain atlas are reported.

Scroll down to view mRNA expression data in more detail.
Consensus:403.2 nTPM
HPA:403.2 nTPM
GTEx:139.0 nTPM

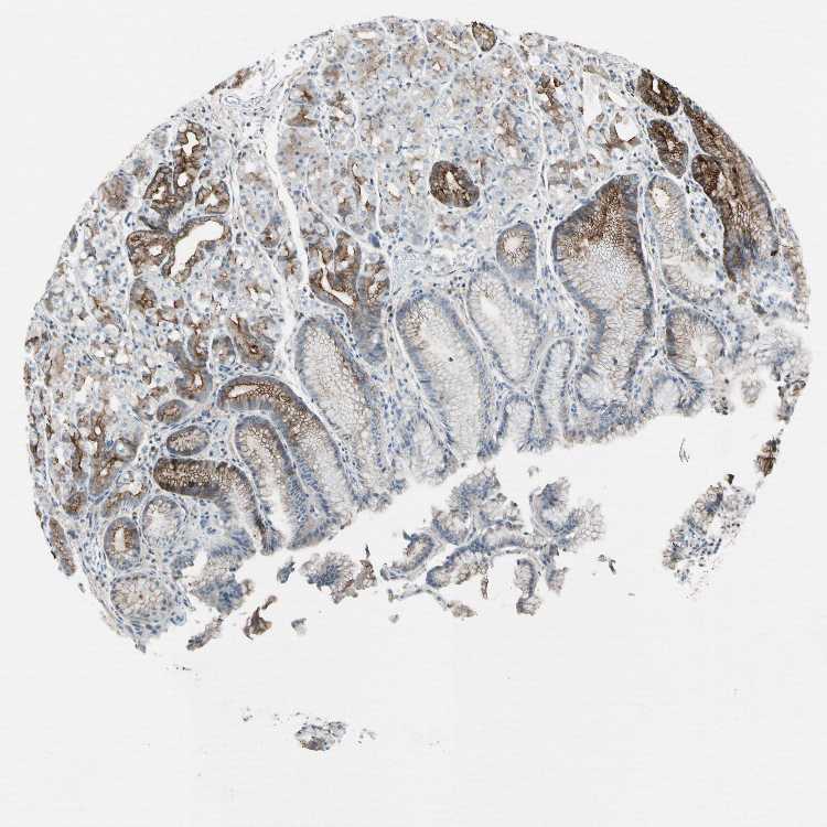
STOMACH 1 - Antibody stainingi

Antibody staining in the annotated cell types in the current human tissue is reported as not detected, low, medium, or high, based on conventional immunohistochemistry profiling in selected tissues. This score is based on the combination of the staining intensity and fraction of stained cells.

Each image is clickable and will lead to virtual microscopy that enables deeper exploration of all samples and also displays staining intensity scores, fraction scores and subcellular localization as well as patient and tissue information for each sample.

Antibody HPA006154Antibody HPA012012Antibody CAB009454
Glandular cells MediumLowHigh





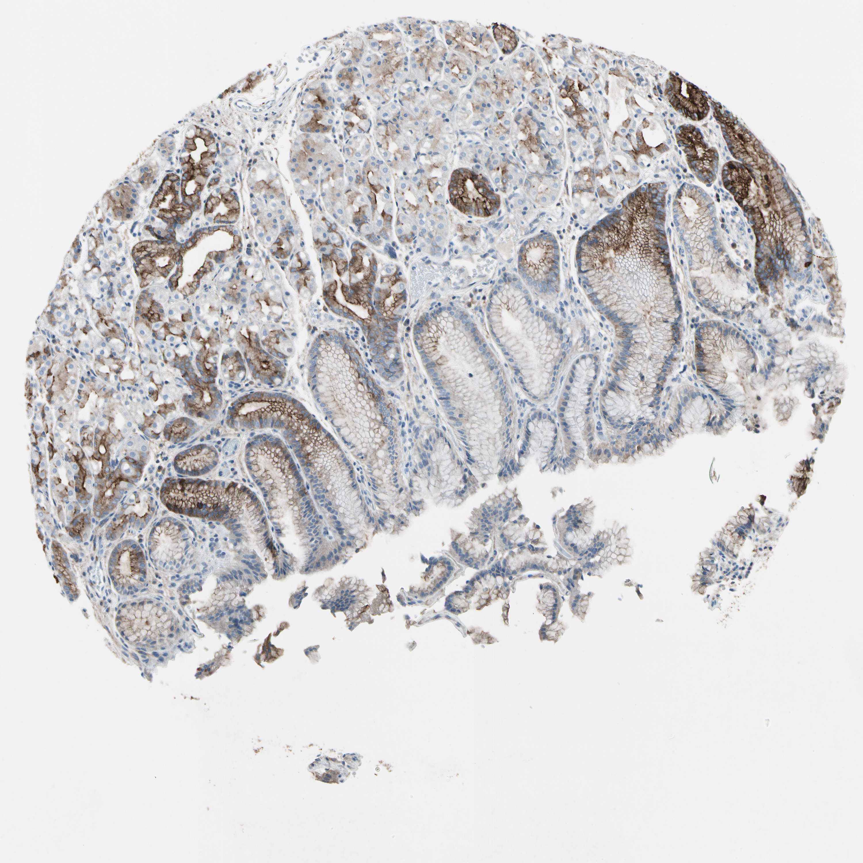
STOMACH 2 - Antibody stainingi

Antibody staining in the annotated cell types in the current human tissue is reported as not detected, low, medium, or high, based on conventional immunohistochemistry profiling in selected tissues. This score is based on the combination of the staining intensity and fraction of stained cells.

Each image is clickable and will lead to virtual microscopy that enables deeper exploration of all samples and also displays staining intensity scores, fraction scores and subcellular localization as well as patient and tissue information for each sample.

Antibody HPA006154Antibody HPA012012Antibody CAB009454
Glandular cells MediumHighHigh






STOMACH - HPA RNA-seqi

The RNA-seq details section shows detailed information about the individual samples used for the transcript profiling and results of the RNA-seq analysis.

Information about each individual sample is listed below, including gender, age, a tissue section image and estimated fractions of cell types. nTPM (normalized transcripts per million) values give a quantification of the gene abundance which is comparable between different genes and samples.
Average nTPMi

Max subtype nTPM is the value for the subtype with the largest average nTPM across the subtype samples.

403.2
overview
Female, age 33
Stomach sample 61
nTPM: 175.2
Cell types%
Glandular cells:
60

Smooth muscle cells:
5

Other cell types:
35

N/A
Male, age 82
Stomach sample 240
nTPM: 526.2
Cell types%
Glandular cells:
65

Smooth muscle cells:
5

Other cell types:
30

overview
Male, age 71
Stomach sample 241
nTPM: 802.2
Cell types%
Glandular cells:
50

Smooth muscle cells:
5

Other cell types:
45

overview
Female, age 66
Stomach sample 369
nTPM: 109.2
Cell types%
Glandular cells:
50

Smooth muscle cells:
10

Other cell types:
40


STOMACH - GTEx RNA-seqi

RNA-Seq data generated by the Genotype-Tissue Expression (GTEx) project from human tissues is reported as mean nTPM. More information can be found on the GTEx portal.

Distribution across the dataset is visualized with box plots, shown as median and 25th and 75th percentiles. Points are displayed as outliers if they are above or below 1.5 times the interquartile range. nTPM values of the individual samples are presented next to the box plot.
Max subtype nTPMi

Max subtype nTPM is the value for the subtype with the largest average nTPM across the subtype samples.

139.0
GTEx sample id Sample description nTPM
Stomach
Average nTPM: 139.0
Samples: 359

Max nTPM: 1138.2
Min nTPM: 0.0
Std nTPM: 206.7
Median nTPM: 56.6
GTEX-1JKYN-1726-SM-AHZ48 30-39 years, male 1138.2
GTEX-WHPG-0426-SM-4M1XW 50-59 years, male 1011.3
GTEX-12BJ1-1726-SM-5HL9B 60-69 years, male 978.7
GTEX-14PHX-1026-SM-664OL 50-59 years, male 963.5
GTEX-POMQ-0826-SM-3P61H 20-29 years, female 940.8
GTEX-WY7C-1726-SM-4ONCC 50-59 years, male 900.1
GTEX-QDVJ-1426-SM-48U1Y 50-59 years, male 840.8
GTEX-Y3IK-1426-SM-4YCES 50-59 years, female 809.3
GTEX-13U4I-2526-SM-5SI8Z 40-49 years, female 790.3
GTEX-T8EM-1226-SM-4DM5J 40-49 years, male 771.7
GTEX-WFG7-1326-SM-4LMK1 20-29 years, male 743.9
GTEX-1IDJU-1526-SM-CNNR3 60-69 years, female 725.9
GTEX-1MJIX-1126-SM-EV7AO 40-49 years, male 697.1
GTEX-QDVN-1226-SM-48TZ5 50-59 years, male 686.9
GTEX-13PVQ-2126-SM-5L3FW 50-59 years, male 675.0
GTEX-S3XE-1026-SM-4AD4O 50-59 years, male 671.7
GTEX-16AAH-1226-SM-79OO9 50-59 years, male 617.6
GTEX-1R9K5-1026-SM-EAZ4F 50-59 years, male 611.6
GTEX-XV7Q-1326-SM-4BRWM 40-49 years, female 592.8
GTEX-145ME-1026-SM-5O9B4 40-49 years, female 590.0
GTEX-18A67-2626-SM-718AD 50-59 years, male 581.2
GTEX-1LGRB-1726-SM-CNNRA 50-59 years, female 577.4
GTEX-Q2AH-1126-SM-48TZM 40-49 years, male 573.9
GTEX-WHSB-1226-SM-4M1XR 50-59 years, male 564.9
GTEX-17F9E-2226-SM-7IGNC 50-59 years, male 556.2
GTEX-14BMU-1126-SM-5RQJ8 20-29 years, female 525.3
GTEX-OHPK-1526-SM-3MJGM 50-59 years, female 509.3
GTEX-13RTK-0226-SM-5RQHR 20-29 years, male 493.3
GTEX-QMRM-1126-SM-447BN 50-59 years, male 484.2
GTEX-1MUQO-1926-SM-EAZ59 60-69 years, male 452.2
GTEX-1F5PL-1426-SM-7MKFH 40-49 years, female 444.2
GTEX-14PJ5-0826-SM-6AJAR 60-69 years, female 442.6
GTEX-ZLWG-1526-SM-DO12F 50-59 years, female 430.6
GTEX-13FTW-1726-SM-5KM2B 40-49 years, male 429.6
GTEX-1QCLY-1126-SM-EAZ4J 30-39 years, male 429.5
GTEX-11I78-1726-SM-5A5M3 50-59 years, female 423.4
GTEX-17F98-1526-SM-7EWD8 40-49 years, female 419.6
GTEX-ZY6K-0726-SM-5A5L8 50-59 years, male 415.9
GTEX-SNMC-0626-SM-4DM6H 20-29 years, male 412.9
GTEX-P78B-1826-SM-3P5YX 40-49 years, female 407.7
GTEX-11DXX-1326-SM-5GIDZ 60-69 years, female 404.6
GTEX-1I6K7-1726-SM-B2LXQ 40-49 years, male 397.7
GTEX-WFG8-1326-SM-4LVN3 20-29 years, male 397.1
GTEX-131XG-1226-SM-5EGH9 50-59 years, female 394.2
GTEX-TMMY-1626-SM-4DXTY 40-49 years, female 390.8
GTEX-13CF3-1926-SM-5K7WF 60-69 years, female 384.5
GTEX-P4PP-1526-SM-3P61M 30-39 years, female 383.7
GTEX-1LBAC-1426-SM-CXZKT 20-29 years, male 373.6
GTEX-YEC4-1426-SM-5IFHS 40-49 years, male 359.3
GTEX-PWN1-1526-SM-48TDA 40-49 years, female 357.9
GTEX-17HGU-2126-SM-7IGOV 50-59 years, male 334.5
GTEX-1IDJD-2426-SM-C1YS6 30-39 years, male 333.7
GTEX-U4B1-1026-SM-4DXT1 40-49 years, male 333.5
GTEX-1B8KZ-1226-SM-793CP 50-59 years, male 319.4
GTEX-1HBPN-1626-SM-9WPNP 50-59 years, male 318.6
GTEX-1I4MK-0926-SM-A9SLD 50-59 years, female 313.3
GTEX-1399S-1626-SM-5P9GI 30-39 years, female 285.8
GTEX-14PKV-1826-SM-69LO9 20-29 years, female 269.7
GTEX-18A66-2226-SM-7189E 60-69 years, male 267.9
GTEX-15DZA-1126-SM-6LPK8 30-39 years, female 265.5
GTEX-1GN1W-2126-SM-9JGI7 50-59 years, female 254.6
GTEX-QCQG-0526-SM-48U2A 50-59 years, female 252.9
GTEX-ZVT2-1626-SM-51MRC 50-59 years, female 250.8
GTEX-1H3VY-2326-SM-9WG81 50-59 years, male 238.0
GTEX-Y9LG-1026-SM-5IFJN 30-39 years, male 236.4
GTEX-133LE-1326-SM-5IFGO 20-29 years, female 231.3
GTEX-14ICL-0826-SM-5YY9W 30-39 years, male 229.2
GTEX-11NSD-1426-SM-5HL67 20-29 years, male 228.3
GTEX-13FTX-0726-SM-5N9BI 20-29 years, female 223.6
GTEX-1KANA-1126-SM-D3L9M 20-29 years, male 223.1
GTEX-1R7EU-1126-SM-EAZ4M 60-69 years, male 219.5
GTEX-1RMOY-1126-SM-EV79E 50-59 years, male 214.8
GTEX-ZA64-0826-SM-5HL9U 20-29 years, male 213.0
GTEX-1I1GT-1726-SM-C1YS3 60-69 years, female 211.6
GTEX-WXYG-1626-SM-4ONCR 50-59 years, female 211.3
GTEX-144GN-1226-SM-5O991 50-59 years, male 206.1
GTEX-1GZ4H-1026-SM-9OSXL 50-59 years, female 205.7
GTEX-ZDYS-1926-SM-5HL59 50-59 years, male 203.7
GTEX-1MGNQ-1826-SM-DPRYI 40-49 years, male 202.1
GTEX-ZF29-1526-SM-4WKF7 60-69 years, female 191.3
GTEX-1GF9U-1126-SM-AHZ4H 40-49 years, female 187.4
GTEX-1H23P-2726-SM-9JGHN 60-69 years, male 185.9
GTEX-VJYA-1026-SM-4KL21 60-69 years, male 184.2
GTEX-V955-1326-SM-4JBHR 60-69 years, male 177.5
GTEX-15UF7-1226-SM-6M46G 40-49 years, male 172.0
GTEX-ZGAY-1626-SM-DNZZ3 40-49 years, female 170.1
GTEX-Y3I4-1626-SM-4TT7W 50-59 years, male 168.1
GTEX-1KXAM-0926-SM-CXZKA 60-69 years, male 168.1
GTEX-ZXES-1426-SM-5NQ8S 30-39 years, female 167.5
GTEX-145MN-1326-SM-5NQ9S 30-39 years, male 167.3
GTEX-ZYY3-1726-SM-5EGH3 60-69 years, female 164.9
GTEX-S7SF-0626-SM-4AD4V 20-29 years, female 161.1
GTEX-14DAR-0926-SM-73KUQ 50-59 years, male 160.1
GTEX-Y8LW-0826-SM-4WWDO 50-59 years, female 155.7
GTEX-QLQ7-0826-SM-447B3 60-69 years, male 154.5
GTEX-13O21-0926-SM-5IFGT 50-59 years, male 150.3
GTEX-V1D1-1726-SM-4JBHB 50-59 years, male 150.3
GTEX-YFCO-0826-SM-5LUAG 40-49 years, male 148.4
GTEX-17HHE-1026-SM-79ON6 50-59 years, male 139.3
GTEX-ZF2S-1426-SM-57WET 50-59 years, female 139.0
GTEX-S4Q7-0726-SM-4AD5F 20-29 years, male 138.5
GTEX-11TT1-0726-SM-5GU5A 20-29 years, male 136.0
GTEX-14PJ4-1626-SM-664OB 60-69 years, male 133.5
GTEX-YB5E-1126-SM-664NU 40-49 years, male 131.9
GTEX-13S7M-1826-SM-5RQK6 60-69 years, female 130.8
GTEX-132AR-2426-SM-5IFFD 50-59 years, female 130.0
GTEX-144GM-1726-SM-5O9AS 20-29 years, male 128.0
GTEX-1HFI7-1526-SM-9WG7W 50-59 years, female 128.0
GTEX-ZYFG-1326-SM-5GICJ 60-69 years, female 127.4
GTEX-1JK1U-1326-SM-AHZ45 60-69 years, male 125.8
GTEX-1F75I-1826-SM-7MKGX 40-49 years, male 123.3
GTEX-111CU-0926-SM-5EGIK 50-59 years, male 123.0
GTEX-17MF6-2126-SM-7KFS7 40-49 years, male 122.6
GTEX-14PJ6-0826-SM-686Z9 60-69 years, female 121.8
GTEX-117YX-1026-SM-5H11V 50-59 years, male 120.7
GTEX-139YR-1926-SM-5LZXM 50-59 years, male 119.2
GTEX-1GL5R-1926-SM-9WG7U 50-59 years, male 117.1
GTEX-T6MO-0726-SM-4DM58 40-49 years, female 115.5
GTEX-15G19-1526-SM-6LPKP 60-69 years, male 113.3
GTEX-OXRK-1626-SM-3NB17 50-59 years, female 112.4
GTEX-ZP4G-1226-SM-4WWCJ 20-29 years, female 108.0
GTEX-1QPFJ-1526-SM-DPRXT 30-39 years, female 106.4
GTEX-Q2AI-0826-SM-48TZO 40-49 years, male 106.1
GTEX-PW2O-1226-SM-48TCH 20-29 years, male 104.3
GTEX-1F5PK-1826-SM-7RHHX 50-59 years, male 103.1
GTEX-1HCU8-1326-SM-C1YQQ 60-69 years, female 99.2
GTEX-11NUK-2426-SM-5BC4U 50-59 years, male 95.6
GTEX-1J8JJ-1726-SM-C1YQG 60-69 years, female 94.9
GTEX-14BMV-2226-SM-5RQHX 50-59 years, male 94.8
GTEX-RM2N-0826-SM-48FD3 50-59 years, male 94.8
GTEX-X15G-1126-SM-4PQZG 50-59 years, female 93.6
GTEX-T5JW-0926-SM-4DM5K 20-29 years, female 93.4
GTEX-ZVZP-1726-SM-5GZWY 50-59 years, male 93.1
GTEX-13D11-2126-SM-5IFH2 50-59 years, female 89.7
GTEX-1J8QM-1126-SM-C1YQB 60-69 years, female 89.0
GTEX-1RAZR-1526-SM-EAZ4U 40-49 years, male 88.7
GTEX-14PJ3-1426-SM-664O8 50-59 years, male 88.3
GTEX-1CAMR-0726-SM-7EPIE 20-29 years, male 87.0
GTEX-1H1DG-2126-SM-9WPPB 70-79 years, male 86.2
GTEX-14JG6-1226-SM-664O6 30-39 years, female 85.9
GTEX-1AYCT-1326-SM-7MKHB 50-59 years, male 84.8
GTEX-PLZ5-1226-SM-EXOHA 50-59 years, male 84.4
GTEX-Y5LM-1326-SM-5RQIS 40-49 years, female 83.9
GTEX-1B97J-1826-SM-7IGPP 50-59 years, female 82.9
GTEX-17GQL-1226-SM-7KFTS 60-69 years, male 82.1
GTEX-XBED-1226-SM-4AT5V 60-69 years, male 81.3
GTEX-SNOS-0826-SM-4DM5N 40-49 years, male 80.9
GTEX-18QFQ-1226-SM-718AE 30-39 years, male 79.9
GTEX-S4UY-1626-SM-4AD55 40-49 years, female 79.3
GTEX-145MO-2226-SM-5Q5BN 60-69 years, male 78.3
GTEX-WRHK-0626-SM-4MVOE 20-29 years, female 78.1
GTEX-ZZ64-0426-SM-5E43F 20-29 years, male 77.4
GTEX-1C475-1026-SM-7MKFJ 40-49 years, female 74.3
GTEX-PX3G-1526-SM-48U11 20-29 years, female 73.6
GTEX-14E6E-0926-SM-664N8 30-39 years, male 73.2
GTEX-ZVP2-1626-SM-5GU5D 50-59 years, male 73.0
GTEX-U3ZN-2026-SM-4DXUC 30-39 years, female 72.6
GTEX-15DCE-1626-SM-6LPJM 20-29 years, male 71.4
GTEX-XMK1-1526-SM-EYYVO 40-49 years, male 71.1
GTEX-13FH7-1026-SM-5IJGF 50-59 years, female 70.6
GTEX-12696-1726-SM-5EQLH 60-69 years, male 70.2
GTEX-13OW6-2526-SM-5IJEC 50-59 years, male 69.6
GTEX-139D8-2326-SM-5IFGE 30-39 years, female 68.8
GTEX-1B97I-1226-SM-7MGWQ 40-49 years, male 67.8
GTEX-1HBPI-0726-SM-9WG7Z 50-59 years, male 67.8
GTEX-ZV7C-1626-SM-5NQ7E 50-59 years, male 67.0
GTEX-1JMLX-2426-SM-CXZJQ 50-59 years, male 66.0
GTEX-OOBJ-1526-SM-3NB1Q 60-69 years, male 65.2
GTEX-ZQUD-0826-SM-57WDQ 30-39 years, male 65.1
GTEX-145LT-1426-SM-5O9B3 40-49 years, male 64.9
GTEX-Q734-1026-SM-48U16 40-49 years, female 64.9
GTEX-O5YW-1526-SM-3MJGL 50-59 years, male 63.1
GTEX-1LVAN-2426-SM-CNNPZ 50-59 years, female 61.5
GTEX-R53T-1226-SM-48FCT 50-59 years, female 59.8
GTEX-1HKZK-1526-SM-B2LWG 40-49 years, male 59.8
GTEX-18D9A-0626-SM-7KFTY 30-39 years, female 59.6
GTEX-1A8G6-1426-SM-731EZ 60-69 years, male 59.5
GTEX-132QS-1826-SM-5IFFN 60-69 years, male 57.7
GTEX-1RB15-1026-SM-E9U6V 60-69 years, male 57.6
GTEX-XUZC-0726-SM-4BOPH 30-39 years, female 56.6
GTEX-OHPM-1526-SM-EV796 50-59 years, male 56.6
GTEX-1A3MV-1226-SM-718BW 30-39 years, male 56.3
GTEX-13113-0726-SM-5LZUF 60-69 years, female 54.1
GTEX-12WSG-2026-SM-5FQUU 50-59 years, female 52.7
GTEX-1399R-1126-SM-5IFIO 30-39 years, male 52.2
GTEX-QLQW-0726-SM-447AA 30-39 years, male 51.9
GTEX-15RIE-1026-SM-6LPJQ 60-69 years, male 51.4
GTEX-13OVK-0926-SM-7KUFX 40-49 years, male 49.9
GTEX-WYJK-2526-SM-4ONDF 50-59 years, male 49.3
GTEX-PWCY-0926-SM-48TD7 20-29 years, female 49.1
GTEX-OXRL-1526-SM-E6CHQ 50-59 years, male 48.7
GTEX-14B4R-0726-SM-5TDDR 30-39 years, male 47.7
GTEX-1ICG6-1826-SM-AHZ2O 70-79 years, female 46.6
GTEX-131XF-1226-SM-5HL8V 60-69 years, male 45.4
GTEX-SUCS-0926-SM-4DM4Z 70-79 years, male 43.8
GTEX-WHWD-1426-SM-4OORU 50-59 years, male 42.8
GTEX-ZVT3-2126-SM-59HL2 60-69 years, female 42.4
GTEX-15CHR-1326-SM-79OLT 50-59 years, male 42.2
GTEX-RWS6-0926-SM-47JXE 60-69 years, female 42.1
GTEX-1H1E6-1626-SM-9OSWC 30-39 years, male 39.8
GTEX-ZLV1-0826-SM-DO11P 60-69 years, female 39.4
GTEX-ZT9W-1526-SM-4YCDE 50-59 years, male 39.3
GTEX-S341-0626-SM-4AD5T 40-49 years, female 38.6
GTEX-ZPU1-1626-SM-4WWB2 40-49 years, male 38.5
GTEX-ZLFU-1326-SM-DO11R 40-49 years, male 38.5
GTEX-1H11D-2226-SM-9OSXN 40-49 years, male 37.7
GTEX-1AMFI-1226-SM-731CZ 50-59 years, female 37.2
GTEX-UJMC-1226-SM-4IHLI 50-59 years, male 37.2
GTEX-1122O-1926-SM-5EGIQ 60-69 years, female 36.0
GTEX-O5YV-1926-SM-EV797 60-69 years, female 35.9
GTEX-S95S-0826-SM-4B64N 60-69 years, male 34.1
GTEX-WFON-1126-SM-4LVMA 40-49 years, male 33.8
GTEX-1B8KE-1326-SM-73KVI 50-59 years, male 33.6
GTEX-1QP29-2326-SM-EXOJO 50-59 years, male 33.3
GTEX-1LG7Z-1226-SM-DHXK4 30-39 years, male 32.3
GTEX-Y5V6-1326-SM-4VDTF 60-69 years, male 31.8
GTEX-117YW-2226-SM-5N9DB 50-59 years, male 31.0
GTEX-12WSD-2326-SM-59HKQ 60-69 years, female 30.7
GTEX-111YS-1126-SM-5GZYQ 60-69 years, male 30.2
GTEX-1LSNM-1026-SM-DHXL2 50-59 years, male 30.0
GTEX-ZZPU-1426-SM-5GZZ6 50-59 years, female 29.9
GTEX-12WSK-1426-SM-5CVNN 40-49 years, female 29.7
GTEX-1J8Q3-1926-SM-C1YSJ 60-69 years, male 29.6
GTEX-1QCLZ-1826-SM-DPRXP 60-69 years, female 29.3
GTEX-1AMEY-1226-SM-731DU 30-39 years, female 29.2
GTEX-11GSP-2126-SM-5HL5E 60-69 years, female 28.8
GTEX-W5WG-1726-SM-4LMI5 50-59 years, female 27.7
GTEX-18A7A-2726-SM-7LG6U 50-59 years, female 27.6
GTEX-ZAB4-1526-SM-5CVN7 40-49 years, male 27.4
GTEX-13QBU-1126-SM-5LU44 40-49 years, female 27.0
GTEX-OIZF-1526-SM-2I5GR 60-69 years, male 27.0
GTEX-17JCI-2226-SM-7LTA1 60-69 years, female 26.6
GTEX-1PPH8-1326-SM-DTXFO 20-29 years, male 26.6
GTEX-13OVI-2426-SM-5KM4J 60-69 years, female 26.3
GTEX-1HSEH-1526-SM-B2LXG 60-69 years, male 25.7
GTEX-QV31-0626-SM-447C5 30-39 years, male 25.0
GTEX-QV44-1226-SM-CJI1S 50-59 years, male 24.7
GTEX-XQ8I-2026-SM-4BOOL 50-59 years, male 24.4
GTEX-1I1HK-2026-SM-CNNRB 60-69 years, male 23.6
GTEX-Y8E4-1526-SM-4WWDI 40-49 years, male 23.3
GTEX-1QP2A-2126-SM-DPRZ7 50-59 years, male 23.1
GTEX-XBEW-1826-SM-4RTWX 40-49 years, male 22.9
GTEX-1JMPZ-1826-SM-CXZJT 30-39 years, male 22.7
GTEX-WYVS-1326-SM-4ONCQ 40-49 years, female 21.7
GTEX-ZEX8-1626-SM-4WKG7 50-59 years, male 21.3
GTEX-1QMI2-2126-SM-DPRXQ 60-69 years, male 21.2
GTEX-14DAQ-2826-SM-664MU 60-69 years, female 20.7
GTEX-13PVR-2126-SM-73KVR 60-69 years, female 20.6
GTEX-1GMRU-2526-SM-9WG7T 50-59 years, male 19.8
GTEX-1A3MX-1926-SM-72D7F 60-69 years, male 18.9
GTEX-1LGOU-1526-SM-D3LAJ 20-29 years, female 18.4
GTEX-QXCU-1926-SM-48FE4 50-59 years, male 16.9
GTEX-WEY5-1226-SM-4LMIQ 40-49 years, female 16.9
GTEX-1HSMQ-2426-SM-CE6RY 50-59 years, male 16.9
GTEX-11EM3-1026-SM-5A5KL 20-29 years, female 16.5
GTEX-14BIL-1926-SM-73KYI 50-59 years, male 15.0
GTEX-1J8EW-2226-SM-AHZ3T 60-69 years, female 14.9
GTEX-QDT8-2026-SM-EZ6LS 30-39 years, female 13.6
GTEX-17HII-2426-SM-7KFTT 50-59 years, male 13.5
GTEX-13X6J-2126-SM-5TDCV 50-59 years, male 12.5
GTEX-YJ8A-1526-SM-5P9FT 20-29 years, male 12.5
GTEX-1RQEC-2126-SM-DPS15 60-69 years, male 12.3
GTEX-1JN1M-2926-SM-CNNPJ 60-69 years, female 11.5
GTEX-1E1VI-2826-SM-7MGWU 50-59 years, male 11.3
GTEX-16NGA-1526-SM-72D56 40-49 years, female 10.9
GTEX-1AX9J-2626-SM-731EK 60-69 years, male 10.1
GTEX-XXEK-0826-SM-4BRWG 50-59 years, male 10.0
GTEX-NFK9-1526-SM-3LK7B 40-49 years, male 9.6
GTEX-1JMPY-0926-SM-ARL92 30-39 years, male 9.0
GTEX-RTLS-2626-SM-46MUJ 60-69 years, female 6.7
GTEX-15G1A-1226-SM-7KUF3 30-39 years, male 6.6
GTEX-1JMQJ-1326-SM-D4P3B 50-59 years, male 6.6
GTEX-146FH-2126-SM-5SI9U 50-59 years, female 6.1
GTEX-WZTO-2126-SM-4PQYW 40-49 years, male 6.1
GTEX-1QW4Y-0726-SM-DTX8E 30-39 years, male 3.2
GTEX-Y114-1226-SM-4TT88 50-59 years, female 2.7
GTEX-1MCYP-1126-SM-E9J2P 20-29 years, female 2.6
GTEX-18D9B-2226-SM-718BM 60-69 years, male 1.6
GTEX-11EI6-2426-SM-5PNVS 60-69 years, male 1.4
GTEX-14PHY-0926-SM-5ZZWL 60-69 years, female 1.4
GTEX-17KNJ-1526-SM-7LTA9 50-59 years, male 1.4
GTEX-1K2DA-0826-SM-CGQGD 50-59 years, male 1.4
GTEX-12C56-0526-SM-5FQST 20-29 years, male 1.2
GTEX-ZE7O-3026-SM-51MS4 50-59 years, female 1.2
GTEX-T5JC-1926-SM-4DM6Q 20-29 years, male 1.1
GTEX-WH7G-1526-SM-4LVMX 40-49 years, male 1.0
GTEX-11EQ9-1226-SM-5987E 30-39 years, male 0.9
GTEX-12WSJ-0926-SM-5P9JD 40-49 years, female 0.8
GTEX-14PKU-1126-SM-69LOU 40-49 years, female 0.8
GTEX-R55C-1026-SM-48FCM 40-49 years, male 0.8
GTEX-1KD5A-1426-SM-D4P3V 50-59 years, male 0.8
GTEX-1NSGN-1926-SM-E9J36 50-59 years, male 0.8
GTEX-15SHW-2126-SM-6M46Y 60-69 years, male 0.7
GTEX-1IL2V-2026-SM-ARZMA 70-79 years, male 0.7
GTEX-13O3Q-2126-SM-5KM4C 50-59 years, male 0.6
GTEX-S4Z8-1226-SM-4AD6W 60-69 years, male 0.6
GTEX-TKQ2-0926-SM-4DXU5 50-59 years, male 0.6
GTEX-PLZ6-0826-SM-3P61K 30-39 years, male 0.5
GTEX-TKQ1-0526-SM-4DXTG 30-39 years, male 0.5
GTEX-XPVG-1526-SM-4B66C 50-59 years, male 0.5
GTEX-1HCUA-1626-SM-A9SMG 50-59 years, female 0.5
GTEX-11P82-0726-SM-5PNYL 20-29 years, male 0.4
GTEX-1211K-1426-SM-5FQTF 60-69 years, female 0.4
GTEX-17EUY-1526-SM-793CA 20-29 years, male 0.4
GTEX-1E2YA-2426-SM-7EPIG 50-59 years, male 0.4
GTEX-1N2DV-0926-SM-E9TJT 40-49 years, male 0.4
GTEX-P4PQ-1526-SM-3NMCK 60-69 years, male 0.3
GTEX-R55D-1526-SM-48FEJ 50-59 years, male 0.3
GTEX-R55G-1126-SM-48FDG 40-49 years, female 0.3
GTEX-UJHI-1026-SM-4IHJP 50-59 years, female 0.3
GTEX-UPK5-2126-SM-4JBJK 40-49 years, male 0.3
GTEX-XAJ8-0326-SM-47JYI 40-49 years, male 0.3
GTEX-ZPIC-2026-SM-57WG3 40-49 years, female 0.3
GTEX-1S831-1126-SM-EWROI 20-29 years, male 0.3
GTEX-11P7K-1726-SM-5GU6F 30-39 years, male 0.2
GTEX-14PN3-1326-SM-6AJ9U 60-69 years, female 0.2
GTEX-WFJO-1126-SM-4LVLZ 30-39 years, male 0.2
GTEX-ZV6S-0926-SM-57WGB 40-49 years, female 0.2
GTEX-1HR9M-2326-SM-CNPPZ 60-69 years, male 0.2
GTEX-1LVAM-1426-SM-E9TJ4 50-59 years, female 0.2
GTEX-131XE-2226-SM-5PNYX 50-59 years, male 0.1
GTEX-1399U-1626-SM-5P9J3 50-59 years, female 0.1
GTEX-13QJ3-2726-SM-5SI6L 50-59 years, male 0.1
GTEX-146FR-2026-SM-5NQAI 60-69 years, female 0.1
GTEX-14E1K-1526-SM-664MN 50-59 years, male 0.1
GTEX-1B8L1-1526-SM-79OLK 60-69 years, male 0.1
GTEX-1C64O-2226-SM-73KTV 60-69 years, male 0.1
GTEX-OIZH-1526-SM-3NB1J 50-59 years, male 0.1
GTEX-S4P3-0726-SM-4AD57 50-59 years, female 0.1
GTEX-ZYVF-2726-SM-5GID4 50-59 years, female 0.1
GTEX-1QP67-1026-SM-EVR47 40-49 years, female 0.1
GTEX-RUSQ-1126-SM-EAZAU 50-59 years, male 0.1
GTEX-11VI4-0326-SM-5EQ6L 40-49 years, female 0.0
GTEX-11WQK-2626-SM-5EQ4K 50-59 years, male 0.0
GTEX-13111-1226-SM-5GCNC 50-59 years, male 0.0
GTEX-1339X-1426-SM-5K7YO 40-49 years, male 0.0
GTEX-13N1W-2026-SM-5K7YU 70-79 years, male 0.0
GTEX-13O61-1126-SM-5L3FI 60-69 years, male 0.0
GTEX-13X6H-1626-SM-5Q5CT 50-59 years, female 0.0
GTEX-15EU6-2526-SM-7KUGB 50-59 years, male 0.0
GTEX-15RIF-1126-SM-7KUG2 20-29 years, male 0.0
GTEX-1CB4E-1326-SM-7DUGD 60-69 years, male 0.0
GTEX-P4QT-1526-SM-3NMCT 50-59 years, female 0.0
GTEX-RU1J-0526-SM-46MUT 20-29 years, female 0.0
GTEX-ZTX8-0426-SM-59HLG 20-29 years, male 0.0
GTEX-1CB4H-2426-SM-7PBYR 60-69 years, female 0.0
GTEX-1EH9U-2226-SM-7PBXX 60-69 years, male 0.0
GTEX-1GPI7-1326-SM-9KNVA 20-29 years, male 0.0
GTEX-1H1DE-1226-SM-9JGHH 20-29 years, male 0.0
GTEX-1H3NZ-2226-SM-9WYUT 60-69 years, male 0.0
GTEX-1HT8W-2326-SM-A9SLA 30-39 years, male 0.0
GTEX-1IDJF-1426-SM-ACKWK 20-29 years, male 0.0
GTEX-1JN76-0926-SM-ARZNH 20-29 years, female 0.0
GTEX-1L5NE-1526-SM-DIPFW 50-59 years, male 0.0
GTEX-1PIGE-1126-SM-EWRMV 20-29 years, male 0.0
GTEX-1QP28-2126-SM-DTX8B 50-59 years, female 0.0
GTEX-1S3DN-1526-SM-EVYCB 50-59 years, male 0.0
GTEX-1S82Z-1726-SM-E6CHZ 30-39 years, female 0.0
GTEX-YEC3-1426-SM-D4P1S 50-59 years, male 0.0
Show allShow less

Contact

  • NEWS ARTICLES
  • PRESS ROOM

The Project

  • INTRODUCTION
  • ORGANIZATION
  • PUBLICATIONS

The Human Protein Atlas

  • DOWNLOADABLE DATA
  • LICENCE & CITATION
  • HELP & FAQ
The Human Protein Atlas project is funded
by the Knut & Alice Wallenberg Foundation.


contact@proteinatlas.org