We use cookies to enhance the usability of our website. If you continue, we'll assume that you are happy to receive all cookies. More information. Don't show this again.
PDLIM5
HPA
RESOURCES
  • TISSUE
  • BRAIN
  • SINGLE CELL
  • SUBCELLULAR
  • CANCER
  • BLOOD
  • CELL LINE
  • STRUCTURE & INTERACTION
ABOUT
  • INTRODUCTION
  • HISTORY
  • ORGANIZATION
  • PUBLICATIONS
  • ANTIBODY SUBMISSION
  • ANTIBODY AVAILABILITY
  • ACKNOWLEDGMENTS
  • CONTACT
NEWS
  • NEWS ARTICLES
  • PRESS ROOM
LEARN
  • DICTIONARY
  • PROTEIN CLASSES
  • PROTEIN EVIDENCE
  • METHODS
  • EDUCATIONAL VIDEOS
DATA
  • DOWNLOADABLE DATA
  • PUBLICATION DATA
  • RELEASE HISTORY
HELP
  • ANTIBODY VALIDATION
  • ASSAYS & ANNOTATION
  • DISCLAIMER
  • HELP & FAQ
  • PRIVACY STATEMENT
  • LICENCE & CITATION
Fields »
Search result

Field
Term
Gene name
Class
Subclass
Class
Keyword
Chromosome
External id
Tissue
Cell type
Expression
Antibody panel
Tissue
Main location
Patient ID
Annotation
Tissue
Category
Tau score
Cluster
Reliability
Brain region
Category
Tau score
Brain region
Category
Tau score
Brain region
Category
Tau score
Cluster
Reliability
Tissue
Cell type
Enrichment
Cell type
Category
Tau score
Cell type
Category
Tau score
Cell type
Category
Tau score
Cell lineage
Category
Tau score
Cluster
Cluster
Location
Searches
Location
Cell line
Class
Type
Phase
Reliability
Cancer
Prognosis
Cancer
Category
Cancer
Category
Tau score
Cluster
Variants
Interacting gene (ensg_id)
Type
Number of interactions
Pathway
Category
Score
Score
Score
Validation
Validation
Validation
Validation
Antibodies
Data type
Column


  • SUMMARY

  • TISSUE

  • BRAIN

  • SINGLE CELL

  • SUBCELL

  • CANCER

  • BLOOD

  • CELL LINE

  • STRUCT & INT

  • PDLIM5
TISSUE PRIMARY DATA ADIPOSE TISSUE Show tissue menu
ADIPOSE TISSUE ADRENAL GLAND AMYGDALA APPENDIX BASAL GANGLIA BONE MARROW BREAST BRONCHUS CEREBELLUM CEREBRAL CORTEX CERVIX CHOROID PLEXUS COLON DUODENUM
ENDOMETRIUM EPIDIDYMIS ESOPHAGUS FALLOPIAN TUBE GALLBLADDER HEART MUSCLE HIPPOCAMPAL FORMATION HYPOTHALAMUS KIDNEY LIVER LUNG LYMPH NODE MIDBRAIN NASOPHARYNX
ORAL MUCOSA OVARY PANCREAS PARATHYROID GLAND PITUITARY GLAND PLACENTA PROSTATE RECTUM RETINA SALIVARY GLAND SEMINAL VESICLE SKELETAL MUSCLE SKIN SMALL INTESTINE
SMOOTH MUSCLE SOFT TISSUE SPINAL CORD SPLEEN STOMACH TESTIS THYMUS THYROID GLAND TONGUE TONSIL URINARY BLADDER VAGINA
ANTIBODIES
AND
VALIDATION
Dictionary
Tissue proteome
Adipose tissue
ADIPOSE TISSUE - Expression summary
Protein expression
Adipose tissuei

On the top, protein expression in current human tissue, based on all annotated cell types, is reported with the units not detected (n), low (l), medium (m) and high (h). Underneath, protein expression in each annotated cell type are reported using the same units.

Protein expression data is based on knowledge-based annotation. For genes where more than one antibody has been used, a collective score is set.

If knowledge-based annotation could not be performed for a gene, no data is displayed here. View antibody staining data further down this page.

h
m
l
n
Adipocytes: Not detected
RNA expressioni

A summary of mRNA expression data available for current tissue based on several datasets. The mRNA expression levels in human tissues are based on RNA-seq data generated by the Human Protein Atlas (HPA), Genotype-Tissue Expression (GTEx) portal and CAGE data generated by the FANTOM5 consortium. Consensus normalized expression levels for human tissues was created by combining the data from HPA and GTEx datasets.

The mRNA expression levels in pig are based on RNA-seq data generated by the Human Protein Atlas (HPA), and for mouse, HPA data and in situ hybridization generated by the Allen brain atlas are reported.

Scroll down to view mRNA expression data in more detail.
Consensus:40.2 nTPM
HPA:40.2 nTPM
GTEx:31.5 nTPM
FANTOM5:191.0 Scaled Tags Per Million

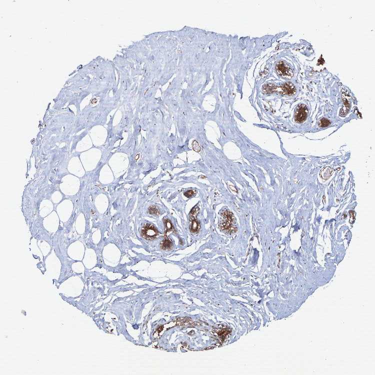
ADIPOSE TISSUE - Antibody stainingi

Antibody staining in the annotated cell types in the current human tissue is reported as not detected, low, medium, or high, based on conventional immunohistochemistry profiling in selected tissues. This score is based on the combination of the staining intensity and fraction of stained cells.

Each image is clickable and will lead to virtual microscopy that enables deeper exploration of all samples and also displays staining intensity scores, fraction scores and subcellular localization as well as patient and tissue information for each sample.

Antibody HPA016740Antibody HPA020026Antibody CAB013511
Adipocytes Not detectedMediumNot detected








ADIPOSE TISSUE - HPA RNA-seqi

The RNA-seq details section shows detailed information about the individual samples used for the transcript profiling and results of the RNA-seq analysis.

Information about each individual sample is listed below, including gender, age, a tissue section image and estimated fractions of cell types. nTPM (normalized transcripts per million) values give a quantification of the gene abundance which is comparable between different genes and samples.
Average nTPMi

Max subtype nTPM is the value for the subtype with the largest average nTPM across the subtype samples.

40.2
N/A
Female, age 80
Adipose tissue sample 86
nTPM: 24.8
Cell types%
Adipocytes:
95

Other cell types:
5

N/A
Female, age 45
Adipose tissue sample 115
nTPM: 31.9
N/A
Female, age 57
Adipose tissue sample 137
nTPM: 26.3
Cell types%
Adipocytes:
60

Fibroblasts:
20

Smooth muscle cells:
15

Other cell types:
5

overview
Female, age 74
Adipose tissue sample 329
nTPM: 51
Cell types%
Adipocytes:
50

Fibroblasts:
30

Smooth muscle cells:
15

Other cell types:
5

overview
Female, age 59
Adipose tissue sample 331
nTPM: 67.2
Cell types%
Adipocytes:
40

Fibroblasts:
40

Smooth muscle cells:
15

Other cell types:
5


ADIPOSE TISSUE - GTEx RNA-seqi

RNA-Seq data generated by the Genotype-Tissue Expression (GTEx) project from human tissues is reported as mean nTPM. More information can be found on the GTEx portal.

Distribution across the dataset is visualized with box plots, shown as median and 25th and 75th percentiles. Points are displayed as outliers if they are above or below 1.5 times the interquartile range. nTPM values of the individual samples are presented next to the box plot.
Max subtype nTPMi

Max subtype nTPM is the value for the subtype with the largest average nTPM across the subtype samples.

31.5
GTEx sample id Sample description nTPM
Adipose - Subcutaneous
Average nTPM: 31.0
Samples: 663

Max nTPM: 87.9
Min nTPM: 13.5
Std nTPM: 10.6
Median nTPM: 28.7
GTEX-14E6C-0226-SM-5S2N3 40-49 years, male 87.9
GTEX-13111-1726-SM-5EGJZ 50-59 years, male 78.7
GTEX-1GN73-0326-SM-9KNTW 60-69 years, male 78.1
GTEX-1H3O1-0526-SM-9MQLS 60-69 years, male 76.1
GTEX-14C5O-0226-SM-5SI6O 60-69 years, male 73.6
GTEX-1I1GR-0226-SM-CMKHQ 60-69 years, male 72.4
GTEX-ZE7O-0226-SM-5S2N1 50-59 years, female 71.0
GTEX-1LVAO-0226-SM-E9U6O 60-69 years, male 67.4
GTEX-NFK9-0326-SM-3MJGV 40-49 years, male 65.5
GTEX-1JJE9-1226-SM-CNPOI 70-79 years, male 65.5
GTEX-ZVE2-0326-SM-57WFC 50-59 years, male 65.1
GTEX-1HCU8-0726-SM-ADEIR 60-69 years, female 65.1
GTEX-WI4N-1126-SM-3LK7Q 40-49 years, female 64.8
GTEX-1CB4I-0426-SM-7IGPR 50-59 years, male 62.5
GTEX-1H4P4-0226-SM-9YFKT 50-59 years, male 59.1
GTEX-12696-2526-SM-5EQLN 60-69 years, male 59.0
GTEX-11DXW-0326-SM-5H11W 40-49 years, male 58.5
GTEX-OXRO-0226-SM-3LK6F 60-69 years, female 57.6
GTEX-1JMQK-0126-SM-CM2S3 60-69 years, male 57.0
GTEX-13OW6-0526-SM-5L3HY 50-59 years, male 56.9
GTEX-1GZ4I-0226-SM-7RHHO 50-59 years, male 55.9
GTEX-1A8G7-0226-SM-731AS 60-69 years, male 55.2
GTEX-1H3VE-0226-SM-9WYST 40-49 years, male 55.1
GTEX-1JJEA-0226-SM-COH2X 60-69 years, male 55.0
GTEX-VUSH-0226-SM-EXUQV 30-39 years, male 54.1
GTEX-1N2DW-0326-SM-E9TK3 50-59 years, male 53.7
GTEX-14PJ2-0226-SM-6LLH4 50-59 years, male 53.5
GTEX-13VXU-0226-SM-5SI9R 50-59 years, male 53.4
GTEX-YECK-0226-SM-4W215 60-69 years, male 53.1
GTEX-ZE9C-2826-SM-5S2MO 60-69 years, male 53.0
GTEX-R45C-0226-SM-EVYAJ 60-69 years, female 53.0
GTEX-1B8L1-2626-SM-7SB77 60-69 years, male 52.6
GTEX-UTHO-0426-SM-CE6QU 60-69 years, male 52.4
GTEX-1JMPY-1426-SM-ARL8Z 30-39 years, male 52.1
GTEX-1QP6S-0126-SM-E9J4K 40-49 years, male 50.7
GTEX-139D8-0326-SM-5IJCJ 30-39 years, female 50.6
GTEX-15CHQ-0226-SM-6EU2S 60-69 years, male 50.3
GTEX-131XW-0526-SM-5PNXZ 50-59 years, female 49.9
GTEX-1MGNQ-0226-SM-EVYCK 40-49 years, male 49.6
GTEX-1N2EF-0626-SM-E9J32 60-69 years, male 49.4
GTEX-Y111-0226-SM-4SOIW 50-59 years, male 49.3
GTEX-1C6VS-0426-SM-79OJV 60-69 years, male 49.0
GTEX-12584-0226-SM-5EQL5 40-49 years, male 48.9
GTEX-1E1VI-0226-SM-793CZ 50-59 years, male 48.9
GTEX-14ICL-2026-SM-62LDN 30-39 years, male 48.6
GTEX-16NPX-0326-SM-7EWDI 50-59 years, male 48.6
GTEX-1JMQL-0326-SM-CNPP6 50-59 years, female 48.2
GTEX-145LS-0226-SM-5O9A5 60-69 years, female 48.1
GTEX-POYW-0726-SM-2XCEO 60-69 years, male 48.0
GTEX-17F97-0426-SM-7LT9U 50-59 years, male 47.6
GTEX-ZYFD-0226-SM-5NQ86 50-59 years, male 47.5
GTEX-1J1OQ-0326-SM-CYPTJ 40-49 years, female 47.4
GTEX-183WM-0226-SM-7LT8T 70-79 years, female 46.9
GTEX-14753-0326-SM-5QGQB 60-69 years, male 46.7
GTEX-1JN1M-0126-SM-D4P23 60-69 years, female 46.7
GTEX-13QJ3-0426-SM-5RQHP 50-59 years, male 46.5
GTEX-P44G-2326-SM-2XCCZ 30-39 years, male 46.4
GTEX-PWCY-1926-SM-3NB25 20-29 years, female 46.2
GTEX-1PDJ9-0426-SM-E9J3E 20-29 years, male 46.1
GTEX-QEG4-0326-SM-DIPE3 30-39 years, male 45.8
GTEX-OOBJ-0226-SM-2YUMM 60-69 years, male 45.6
GTEX-1GN1V-0226-SM-9WYTN 60-69 years, male 45.6
GTEX-13PLJ-0126-SM-5L3HU 60-69 years, female 45.5
GTEX-17EUY-0526-SM-7EWDE 20-29 years, male 45.1
GTEX-1GZ4H-1826-SM-9MQLE 50-59 years, female 45.1
GTEX-14ICK-0326-SM-6LLIZ 40-49 years, male 44.9
GTEX-1H1DE-2026-SM-9WG6Q 20-29 years, male 44.9
GTEX-1IDFM-0226-SM-CMKFX 60-69 years, male 44.9
GTEX-1JN6P-0226-SM-COH34 60-69 years, male 44.9
GTEX-148VI-1726-SM-5S2W9 60-69 years, female 44.8
GTEX-1F88E-0526-SM-7SB8J 60-69 years, female 44.6
GTEX-139TT-0226-SM-5K7YH 60-69 years, male 44.5
GTEX-RWSA-0226-SM-2XCBA 40-49 years, male 44.4
GTEX-145MO-0426-SM-5QGP6 60-69 years, male 44.3
GTEX-131XF-2226-SM-5EQKG 60-69 years, male 44.2
GTEX-1C475-1926-SM-7DUFV 40-49 years, female 44.1
GTEX-RTLS-0226-SM-2TF5E 60-69 years, female 44.0
GTEX-17F9Y-0326-SM-7IGLS 70-79 years, female 43.9
GTEX-U412-0526-SM-3DB9I 60-69 years, male 43.1
GTEX-WVJS-0226-SM-4MVOU 50-59 years, male 43.0
GTEX-1211K-2226-SM-5FQU6 60-69 years, female 42.8
GTEX-13NYB-2626-SM-9YFMI 40-49 years, male 42.6
GTEX-13W3W-2526-SM-5SI9P 60-69 years, female 42.3
GTEX-1GZ2Q-0326-SM-9WG6N 40-49 years, male 42.3
GTEX-18D9U-0726-SM-7LG5J 40-49 years, male 42.2
GTEX-1C6WA-0226-SM-7IGPO 60-69 years, male 42.0
GTEX-13OVJ-0326-SM-5L3GL 50-59 years, female 41.8
GTEX-1A3MW-0226-SM-7939O 60-69 years, female 41.7
GTEX-X8HC-0226-SM-4E3K1 50-59 years, female 41.6
GTEX-1C6VQ-0226-SM-7P8S5 50-59 years, male 41.4
GTEX-1AYCT-2226-SM-7SB98 50-59 years, male 41.3
GTEX-1H1E6-2026-SM-9KNVK 30-39 years, male 41.3
GTEX-1HSMO-0226-SM-CGQEZ 60-69 years, male 41.3
GTEX-T8EM-1126-SM-3DB7D 40-49 years, male 41.2
GTEX-13O61-2426-SM-5J1NV 60-69 years, male 41.1
GTEX-X4XY-0326-SM-46MVZ 60-69 years, male 41.1
GTEX-1QP2A-0226-SM-EVYBC 50-59 years, male 40.8
GTEX-11TTK-0226-SM-5N9EC 60-69 years, female 40.7
GTEX-1A8G6-0526-SM-7PC1E 60-69 years, male 40.7
GTEX-1LVA9-0226-SM-E9U5N 50-59 years, male 40.7
GTEX-1I1GU-2326-SM-CGQFB 40-49 years, male 40.5
GTEX-111FC-0226-SM-5N9B8 60-69 years, male 40.2
GTEX-1CB4F-0526-SM-9KNW2 60-69 years, male 40.2
GTEX-SIU8-0226-SM-2XCDS 50-59 years, male 40.1
GTEX-145MF-0526-SM-5LUA6 50-59 years, male 40.0
GTEX-XK95-0426-SM-4AT4R 40-49 years, male 40.0
GTEX-11PRG-0626-SM-5BC56 50-59 years, male 39.9
GTEX-1399U-2426-SM-5K7XB 50-59 years, female 39.9
GTEX-13CF2-2626-SM-5LZZA 60-69 years, male 39.8
GTEX-13OW7-0226-SM-5MR3N 50-59 years, male 39.8
GTEX-RNOR-0226-SM-EZ6MF 50-59 years, female 39.8
GTEX-1H1CY-2626-SM-9MQKJ 60-69 years, female 39.7
GTEX-13112-2726-SM-5DUW5 50-59 years, male 39.6
GTEX-X261-0226-SM-3NMD2 50-59 years, male 39.5
GTEX-139YR-2426-SM-5J1OB 50-59 years, male 39.4
GTEX-1JK1U-2126-SM-CNPOU 60-69 years, male 39.4
GTEX-1S83E-0226-SM-EVYCW 40-49 years, male 39.4
GTEX-OHPM-0226-SM-3LK61 50-59 years, male 39.3
GTEX-XQ3S-1626-SM-4WAYN 20-29 years, male 39.2
GTEX-18465-0226-SM-7LG5M 50-59 years, male 39.0
GTEX-16XZZ-0226-SM-7MGVJ 60-69 years, male 39.0
GTEX-1AX9I-0226-SM-7SB75 60-69 years, male 39.0
GTEX-1I1GV-0426-SM-ARZLX 60-69 years, male 38.8
GTEX-1QCLY-0526-SM-EAZ47 30-39 years, male 38.7
GTEX-13PDP-0226-SM-5K7W9 60-69 years, male 38.6
GTEX-1PPGY-0326-SM-DTXFD 60-69 years, male 38.5
GTEX-11ZUS-0726-SM-59886 30-39 years, male 38.4
GTEX-13NZ9-0526-SM-5J1OX 50-59 years, male 38.4
GTEX-17MF6-0226-SM-7LG4G 40-49 years, male 38.3
GTEX-13U4I-0226-SM-5SIB1 40-49 years, female 38.2
GTEX-1A3MX-0226-SM-731C4 60-69 years, male 38.2
GTEX-12ZZZ-0526-SM-5DUX6 60-69 years, male 38.1
GTEX-14E6D-0226-SM-62LDW 50-59 years, male 38.1
GTEX-OXRP-0226-SM-3NB14 60-69 years, female 38.1
GTEX-1EU9M-0326-SM-7RHGF 60-69 years, male 38.1
GTEX-1KAFJ-2426-SM-D4P32 50-59 years, male 38.0
GTEX-14E6E-1926-SM-664N4 30-39 years, male 37.9
GTEX-TSE9-0226-SM-3DB84 60-69 years, female 37.9
GTEX-144GO-1626-SM-7EPG5 60-69 years, male 37.5
GTEX-11WQC-2426-SM-5EQKQ 60-69 years, male 37.4
GTEX-PLZ6-1326-SM-3NB24 30-39 years, male 37.4
GTEX-P44H-0326-SM-2XCES 40-49 years, male 37.2
GTEX-14C39-2526-SM-5S2UH 40-49 years, male 36.7
GTEX-OXRK-0326-SM-3NB3R 50-59 years, female 36.6
GTEX-WL46-0326-SM-3LK6Y 50-59 years, male 36.3
GTEX-1HSKV-0326-SM-ADEJC 60-69 years, male 36.3
GTEX-1A32A-0226-SM-718B2 50-59 years, female 36.2
GTEX-1C6VR-2626-SM-7MGX2 60-69 years, male 36.2
GTEX-14PN3-2526-SM-6EU15 60-69 years, female 36.1
GTEX-17EVP-0426-SM-79OKG 40-49 years, male 36.1
GTEX-1OJC4-1726-SM-EXUSV 50-59 years, female 36.1
GTEX-QLQ7-1526-SM-2S1QA 60-69 years, male 36.0
GTEX-13FHP-0226-SM-5K7WD 50-59 years, male 35.9
GTEX-13N1W-0226-SM-5K7W6 70-79 years, male 35.9
GTEX-SJXC-0226-SM-2XCDU 60-69 years, male 35.6
GTEX-11NUK-0326-SM-5HL5K 50-59 years, male 35.6
GTEX-1F75A-0226-SM-7PC2K 50-59 years, male 35.6
GTEX-1KWVE-1326-SM-E6CJ1 30-39 years, male 35.6
GTEX-1314G-1626-SM-5EQ67 30-39 years, male 35.5
GTEX-ZUA1-0226-SM-5NQ9Q 40-49 years, male 35.5
GTEX-1JMQI-2026-SM-CMKGP 50-59 years, male 35.5
GTEX-11ZU8-2426-SM-5EQMV 60-69 years, male 35.4
GTEX-RU72-1026-SM-46MUG 50-59 years, female 35.3
GTEX-1LG7Y-0426-SM-DKPQB 50-59 years, male 35.3
GTEX-ZF28-0226-SM-5S2OE 60-69 years, male 35.2
GTEX-14A5H-0526-SM-5TDCN 60-69 years, male 35.1
GTEX-17MFQ-1826-SM-7DHLS 20-29 years, male 35.1
GTEX-U8XE-0426-SM-3DB91 30-39 years, male 35.1
GTEX-1EX96-1426-SM-7PBZ5 50-59 years, male 35.1
GTEX-11EI6-0226-SM-5EQ64 60-69 years, male 34.9
GTEX-13OVL-0326-SM-5IJCS 50-59 years, male 34.9
GTEX-11UD1-0226-SM-5EQKL 40-49 years, female 34.8
GTEX-ZYW4-0226-SM-5E44M 60-69 years, male 34.8
GTEX-144GL-0226-SM-5QGOX 50-59 years, male 34.7
GTEX-16AAH-2026-SM-7LG5F 50-59 years, male 34.6
GTEX-1HR98-0226-SM-CGQEK 60-69 years, male 34.6
GTEX-1CB4H-0326-SM-9WG5G 60-69 years, female 34.5
GTEX-1E2YA-0226-SM-9MQLY 50-59 years, male 34.5
GTEX-13X6K-0226-SM-5QGPB 60-69 years, female 34.4
GTEX-131YS-0226-SM-5IJEH 60-69 years, female 34.3
GTEX-15ETS-0426-SM-6PANI 40-49 years, female 34.3
GTEX-1LSNL-0526-SM-DIPFI 50-59 years, male 34.3
GTEX-1212Z-2426-SM-5EQ5D 60-69 years, male 34.2
GTEX-QESD-1526-SM-2S1QT 20-29 years, male 34.2
GTEX-RVPV-1526-SM-EXOHF 60-69 years, male 34.2
GTEX-13OW8-1226-SM-5K7XD 60-69 years, male 34.0
GTEX-1B8KE-2526-SM-73KYQ 50-59 years, male 34.0
GTEX-1497J-2326-SM-5NQBK 60-69 years, male 33.9
GTEX-1B996-0126-SM-7PBYF 60-69 years, male 33.8
GTEX-13SLX-0426-SM-5QGRC 50-59 years, female 33.7
GTEX-14PK6-2026-SM-6LLHP 70-79 years, female 33.7
GTEX-14ABY-0326-SM-5TDDK 50-59 years, male 33.6
GTEX-XBED-2326-SM-47JYR 60-69 years, male 33.6
GTEX-1GMR3-2026-SM-9MQLG 40-49 years, male 33.6
GTEX-T6MO-1726-SM-33HB8 40-49 years, female 33.5
GTEX-YFC4-0226-SM-57WD2 40-49 years, female 33.5
GTEX-1I4MK-2026-SM-B2LVR 50-59 years, female 33.5
GTEX-1IY9M-0226-SM-CMKHP 60-69 years, male 33.5
GTEX-13S7M-0226-SM-5S2UG 60-69 years, female 33.4
GTEX-1HBPI-1426-SM-B2LW7 50-59 years, male 33.4
GTEX-1MUQO-0526-SM-E9J31 60-69 years, male 33.4
GTEX-REY6-0326-SM-2TF5A 60-69 years, male 33.3
GTEX-SN8G-0226-SM-4DM6B 50-59 years, female 33.3
GTEX-Z93S-0226-SM-5HL7R 50-59 years, male 33.2
GTEX-ZV68-0226-SM-59HJF 50-59 years, female 33.2
GTEX-145MG-0126-SM-5TDDA 50-59 years, male 33.1
GTEX-18QFQ-0226-SM-731BQ 30-39 years, male 33.1
GTEX-1F48J-0226-SM-7SB82 50-59 years, female 33.1
GTEX-1MA7X-2126-SM-E6CIX 60-69 years, male 33.1
GTEX-1CB4G-0326-SM-7SB8R 60-69 years, male 33.0
GTEX-1GF9V-0226-SM-9MQKA 60-69 years, male 33.0
GTEX-1IGQW-0226-SM-COH43 60-69 years, male 33.0
GTEX-QEL4-0326-SM-3GAE5 50-59 years, male 32.9
GTEX-1HGF4-2526-SM-ADEIZ 60-69 years, male 32.9
GTEX-1I1HK-0226-SM-COH4A 60-69 years, male 32.9
GTEX-13N2G-2726-SM-5J1MG 60-69 years, male 32.8
GTEX-T6MN-0226-SM-32PMD 50-59 years, male 32.8
GTEX-ZDTT-2626-SM-5S2OP 60-69 years, male 32.8
GTEX-1I1CD-0226-SM-CM2TL 60-69 years, female 32.8
GTEX-18A66-0326-SM-718BE 60-69 years, male 32.7
GTEX-1LB8K-0326-SM-E9TJC 50-59 years, male 32.7
GTEX-Y3IK-2526-SM-4WWDM 50-59 years, female 32.5
GTEX-1IKJJ-0226-SM-COH3T 60-69 years, male 32.5
GTEX-1R7EU-0326-SM-EWRNJ 60-69 years, male 32.5
GTEX-117YX-2226-SM-5EGJJ 50-59 years, male 32.4
GTEX-13O3P-0226-SM-5KM3Z 50-59 years, male 32.4
GTEX-1CB4J-1126-SM-7PBY1 60-69 years, male 32.4
GTEX-13N11-2626-SM-5K7UQ 50-59 years, female 32.3
GTEX-16GPK-0226-SM-7DUFI 60-69 years, male 32.3
GTEX-17HHY-0226-SM-793BQ 50-59 years, male 32.3
GTEX-Q2AG-0226-SM-2S1P4 40-49 years, female 32.3
GTEX-QV31-1326-SM-2S1QE 30-39 years, male 32.3
GTEX-R55D-0326-SM-48FES 50-59 years, male 32.3
GTEX-ZTSS-2026-SM-5987K 40-49 years, male 32.3
GTEX-1GF9X-1926-SM-ADEIC 40-49 years, female 32.3
GTEX-1I1GT-0526-SM-CGQEQ 60-69 years, female 32.3
GTEX-QDVJ-1826-SM-2S1P3 50-59 years, male 32.2
GTEX-1L5NE-2626-SM-E9U6P 50-59 years, male 32.2
GTEX-11TT1-2426-SM-5EQMK 20-29 years, male 32.1
GTEX-139T8-0226-SM-5L3EA 60-69 years, male 32.1
GTEX-1A3MV-2126-SM-718BV 30-39 years, male 32.1
GTEX-1F6I4-0226-SM-9MQMA 60-69 years, male 32.1
GTEX-14DAR-1926-SM-5S2NQ 50-59 years, male 32.0
GTEX-Q2AI-1426-SM-2S1P5 40-49 years, male 32.0
GTEX-S95S-1326-SM-2XCDK 60-69 years, male 31.9
GTEX-1IOXB-0226-SM-CMKHY 50-59 years, male 31.9
GTEX-15G19-0226-SM-6PAL2 60-69 years, male 31.8
GTEX-WVLH-0226-SM-3MJG6 50-59 years, male 31.8
GTEX-14PJ4-2226-SM-6LLIS 60-69 years, male 31.7
GTEX-1B97I-1726-SM-7939V 40-49 years, male 31.7
GTEX-1H1ZS-0526-SM-9WG5L 70-79 years, male 31.7
GTEX-1ICLY-0226-SM-ARL7R 50-59 years, male 31.7
GTEX-WYJK-0226-SM-EYYV8 50-59 years, male 31.7
GTEX-T2IS-0226-SM-32QPH 20-29 years, female 31.6
GTEX-111YS-2426-SM-5GZZQ 60-69 years, male 31.5
GTEX-14BIL-0226-SM-5SI9E 50-59 years, male 31.5
GTEX-OXRN-0226-SM-2I5EJ 50-59 years, male 31.5
GTEX-1CB4E-1826-SM-7RHG8 60-69 years, male 31.5
GTEX-1F5PK-2526-SM-9MQKN 50-59 years, male 31.5
GTEX-1R46S-0526-SM-EVYBZ 60-69 years, female 31.5
GTEX-P4QS-0226-SM-3NB1U 60-69 years, male 31.4
GTEX-ZDTS-0226-SM-5HL7Q 60-69 years, male 31.4
GTEX-14H4A-1026-SM-62LDY 40-49 years, female 31.3
GTEX-146FR-1826-SM-5QGPF 60-69 years, female 31.2
GTEX-11GS4-2626-SM-5A5LD 60-69 years, male 31.1
GTEX-14JIY-0526-SM-62LFH 60-69 years, male 31.1
GTEX-OIZI-0226-SM-2XCEE 40-49 years, male 31.1
GTEX-1I1GS-0226-SM-B2LVX 60-69 years, male 31.1
GTEX-13FHO-0326-SM-5IJBH 60-69 years, male 31.0
GTEX-WEY5-1926-SM-3GIL8 40-49 years, female 31.0
GTEX-11H98-0226-SM-5NQ89 50-59 years, male 30.8
GTEX-144FL-0226-SM-5Q5D4 50-59 years, male 30.8
GTEX-1MJK2-0526-SM-DTXE6 50-59 years, male 30.8
GTEX-ZTPG-0226-SM-5O99I 20-29 years, female 30.7
GTEX-1H23P-0226-SM-9YFLO 60-69 years, male 30.7
GTEX-1HSMQ-1426-SM-ADEHT 50-59 years, male 30.7
GTEX-OIZH-0226-SM-2YUMH 50-59 years, male 30.5
GTEX-ZLFU-2626-SM-DO91L 40-49 years, male 30.5
GTEX-12WSA-0326-SM-5BC6I 60-69 years, male 30.4
GTEX-XPVG-2726-SM-4B66W 50-59 years, male 30.4
GTEX-1PIIG-0326-SM-EVYBV 30-39 years, male 30.4
GTEX-12ZZY-0326-SM-5LZVQ 60-69 years, male 30.3
GTEX-13NZ8-0926-SM-5MR3U 60-69 years, female 30.3
GTEX-1AMFI-2126-SM-731BT 50-59 years, female 30.3
GTEX-Y3I4-2226-SM-4TT7O 50-59 years, male 30.3
GTEX-11P7K-2026-SM-5GU74 30-39 years, male 30.2
GTEX-145ME-1926-SM-5MR6T 40-49 years, female 30.2
GTEX-1GMR8-0226-SM-9YFL3 50-59 years, female 30.2
GTEX-1MCYP-1826-SM-E9J2Q 20-29 years, female 30.2
GTEX-13FH7-2226-SM-5IJD4 50-59 years, female 30.1
GTEX-T5JC-0526-SM-32PM7 20-29 years, male 30.1
GTEX-ZLV1-1826-SM-5FQU5 60-69 years, female 30.1
GTEX-1I1GP-2326-SM-CGQFL 50-59 years, male 30.1
GTEX-1JN76-0226-SM-CMKGO 20-29 years, female 30.1
GTEX-1QW4Y-1626-SM-EAZ41 30-39 years, male 30.1
GTEX-1RQEC-0526-SM-E6CHV 60-69 years, male 30.1
GTEX-R3RS-0226-SM-EYYVE 40-49 years, female 30.0
GTEX-YJ89-0226-SM-4TT3Y 60-69 years, male 29.9
GTEX-1QP67-1726-SM-E8VOP 40-49 years, female 29.9
GTEX-1117F-0226-SM-5GZZ7 60-69 years, female 29.8
GTEX-12WSL-2426-SM-5GCN7 50-59 years, male 29.8
GTEX-146FH-0226-SM-5QGPQ 50-59 years, female 29.8
GTEX-1HSEH-0226-SM-ACKVV 60-69 years, male 29.8
GTEX-1JMLX-0126-SM-CMKG9 50-59 years, male 29.8
GTEX-1LVAN-0126-SM-COH4H 50-59 years, female 29.7
GTEX-11UD2-0126-SM-5EQL2 50-59 years, male 29.6
GTEX-Z9EW-1826-SM-5CVMA 40-49 years, male 29.5
GTEX-ZDXO-2426-SM-5S2NJ 60-69 years, male 29.5
GTEX-1HUB1-0326-SM-A9SKQ 60-69 years, male 29.5
GTEX-OIZF-0226-SM-E9TI3 60-69 years, male 29.5
GTEX-1313W-0226-SM-5LZV7 50-59 years, female 29.4
GTEX-13JUV-2826-SM-5LZWU 40-49 years, female 29.4
GTEX-144GM-1926-SM-5LUAN 20-29 years, male 29.4
GTEX-1B8KZ-1926-SM-7DUG8 50-59 years, male 29.4
GTEX-1HCU7-0326-SM-CMKGI 50-59 years, male 29.4
GTEX-11DZ1-0226-SM-5A5KF 50-59 years, male 29.3
GTEX-16YQH-0226-SM-6PALD 30-39 years, male 29.3
GTEX-ZF29-2226-SM-4WWB9 60-69 years, female 29.3
GTEX-12WSD-0226-SM-59HKO 60-69 years, female 29.2
GTEX-139T4-0126-SM-5HL5G 50-59 years, female 29.2
GTEX-1JJ6O-0226-SM-E6CI9 60-69 years, male 29.2
GTEX-15ER7-0426-SM-6PAM3 20-29 years, female 29.1
GTEX-12WSC-0226-SM-5EQ52 50-59 years, male 29.0
GTEX-13RTJ-2526-SM-5S2Q3 60-69 years, male 29.0
GTEX-16XZY-2526-SM-7DHL2 70-79 years, male 29.0
GTEX-1HR9M-0226-SM-COH3E 60-69 years, male 29.0
GTEX-1PBJI-0426-SM-E8VNM 20-29 years, female 29.0
GTEX-14BIN-0726-SM-793DQ 50-59 years, female 28.9
GTEX-1B8SF-0526-SM-7939F 60-69 years, male 28.9
GTEX-1BAJH-0426-SM-73KWY 70-79 years, male 28.9
GTEX-OOBK-0226-SM-2YUMF 40-49 years, male 28.9
GTEX-13OVI-1326-SM-5IJBO 60-69 years, female 28.7
GTEX-QEG5-0326-SM-2S1PB 20-29 years, male 28.7
GTEX-14BMU-2126-SM-5S2TS 20-29 years, female 28.6
GTEX-XMD2-0226-SM-4WWEE 60-69 years, female 28.6
GTEX-14LLW-0226-SM-62LEL 70-79 years, female 28.5
GTEX-Y8LW-1926-SM-4WWFZ 50-59 years, female 28.5
GTEX-13NZB-2426-SM-5K7UF 30-39 years, male 28.4
GTEX-1HBPM-0326-SM-CMKGR 60-69 years, female 28.4
GTEX-1HSMP-0226-SM-CGQFI 70-79 years, male 28.4
GTEX-P4QT-0226-SM-3LK68 50-59 years, female 28.3
GTEX-RM2N-1726-SM-2TF55 50-59 years, male 28.3
GTEX-1EMGI-0226-SM-9MQL1 60-69 years, male 28.3
GTEX-Y9LG-2026-SM-62LFS 30-39 years, male 28.2
GTEX-1I1GQ-0226-SM-COH3I 50-59 years, male 28.2
GTEX-11EMC-2826-SM-5PNY6 60-69 years, female 28.1
GTEX-13PVQ-0226-SM-5SIBG 50-59 years, male 28.1
GTEX-ZTX8-1526-SM-5N9GI 20-29 years, male 28.1
GTEX-1IDJF-0226-SM-CMKGE 20-29 years, male 28.1
GTEX-ZDYS-2126-SM-5S2P2 50-59 years, male 28.1
GTEX-1399T-2726-SM-5K7XK 60-69 years, male 28.0
GTEX-XLM4-0226-SM-4AT4N 60-69 years, male 28.0
GTEX-ZF3C-0226-SM-4WWB3 50-59 years, female 28.0
GTEX-ZYFC-0326-SM-5NQ7H 50-59 years, male 28.0
GTEX-11ZVC-2626-SM-5FQTA 50-59 years, female 27.9
GTEX-147F3-0626-SM-5NQ9I 50-59 years, female 27.9
GTEX-147JS-0426-SM-5TDD2 60-69 years, male 27.9
GTEX-Y8E4-0726-SM-4WWFN 40-49 years, male 27.9
GTEX-13JVG-0226-SM-5J1MW 60-69 years, male 27.8
GTEX-SNMC-1326-SM-2XCFK 20-29 years, male 27.7
GTEX-1I6K6-0226-SM-ADEID 30-39 years, male 27.7
GTEX-1NHNU-1126-SM-E9J2C 50-59 years, male 27.7
GTEX-VJWN-0226-SM-EZ6LF 50-59 years, female 27.7
GTEX-13FTY-0626-SM-5L3F8 40-49 years, female 27.6
GTEX-S32W-2226-SM-2XCAY 50-59 years, female 27.6
GTEX-U3ZN-2626-SM-3DB7T 30-39 years, female 27.6
GTEX-1HCU6-0226-SM-CGQES 60-69 years, female 27.6
GTEX-1KANA-0826-SM-D3L9J 20-29 years, male 27.6
GTEX-1KXAM-2326-SM-CYPTD 60-69 years, male 27.6
GTEX-1MCC2-2326-SM-E9U5G 30-39 years, female 27.6
GTEX-PLZ4-0226-SM-CYPR1 50-59 years, female 27.6
GTEX-1128S-2126-SM-5H12U 60-69 years, female 27.5
GTEX-1EWIQ-0226-SM-793D3 70-79 years, female 27.5
GTEX-1LSNM-2026-SM-E6CIJ 50-59 years, male 27.5
GTEX-O5YT-0226-SM-32PK5 20-29 years, male 27.3
GTEX-TKQ1-1126-SM-4GIAZ 30-39 years, male 27.3
GTEX-1HBPH-0526-SM-9YFMN 40-49 years, female 27.3
GTEX-Q2AH-1726-SM-DIPDV 40-49 years, male 27.3
GTEX-11O72-0226-SM-59869 40-49 years, male 27.1
GTEX-11ONC-2526-SM-5986W 60-69 years, male 27.1
GTEX-Y114-2326-SM-4TT7X 50-59 years, female 27.1
GTEX-ZXG5-0226-SM-59HJI 60-69 years, male 27.1
GTEX-1CAMQ-0126-SM-7SB7S 40-49 years, male 27.1
GTEX-14PII-0326-SM-6LLIQ 60-69 years, male 27.0
GTEX-15DDE-0226-SM-6LLJ6 50-59 years, female 27.0
GTEX-OIZG-0826-SM-E9TI4 50-59 years, male 27.0
GTEX-13NZA-0126-SM-5K7UH 60-69 years, male 26.9
GTEX-15DCD-0226-SM-6LPKC 70-79 years, female 26.9
GTEX-N7MS-0326-SM-4E3K2 60-69 years, male 26.9
GTEX-U4B1-1726-SM-3DB9F 40-49 years, male 26.9
GTEX-ZQG8-1526-SM-5HL65 60-69 years, female 26.9
GTEX-1F52S-0226-SM-7SB7U 60-69 years, female 26.9
GTEX-1PFEY-1626-SM-E9J3M 30-39 years, male 26.9
GTEX-ZAJG-0226-SM-5HL81 50-59 years, female 26.8
GTEX-12C56-1626-SM-5FQUO 20-29 years, male 26.7
GTEX-R55C-1626-SM-48FEG 40-49 years, male 26.7
GTEX-1GN2E-0326-SM-COH3C 60-69 years, male 26.7
GTEX-1H1DF-0226-SM-ARL9A 40-49 years, female 26.7
GTEX-1J8JJ-0326-SM-CMKG6 60-69 years, female 26.7
GTEX-1S5ZU-0226-SM-E6CHW 20-29 years, female 26.7
GTEX-11P82-1726-SM-5Q5AT 20-29 years, male 26.6
GTEX-147GR-0426-SM-5S2OL 60-69 years, male 26.5
GTEX-1EH9U-0226-SM-7PBY8 60-69 years, male 26.5
GTEX-1QP29-0726-SM-DTXFM 50-59 years, male 26.5
GTEX-145MN-2626-SM-5NQAH 30-39 years, male 26.3
GTEX-1CAMR-1826-SM-7MXUJ 20-29 years, male 26.3
GTEX-U3ZM-1026-SM-EZ6LD 40-49 years, male 26.3
GTEX-14DAQ-0226-SM-664MQ 60-69 years, female 26.2
GTEX-16MTA-2126-SM-6PALC 50-59 years, male 26.2
GTEX-QDT8-0226-SM-32PL4 30-39 years, female 26.2
GTEX-1122O-2026-SM-9YFMG 60-69 years, female 26.2
GTEX-1HCUA-2226-SM-ADEHF 50-59 years, female 26.2
GTEX-1LH75-2526-SM-E9U5A 50-59 years, female 26.2
GTEX-1PIGE-0526-SM-DTXFA 20-29 years, male 26.2
GTEX-1PWST-0326-SM-EAZ42 70-79 years, male 26.2
GTEX-1399R-2626-SM-5KLZ7 30-39 years, male 26.1
GTEX-1AX9K-2426-SM-73KZ4 50-59 years, male 26.1
GTEX-PLZ5-1826-SM-3NB22 50-59 years, male 26.1
GTEX-QCQG-1826-SM-2S1P2 50-59 years, female 26.1
GTEX-1QPFJ-0126-SM-E9J4B 30-39 years, female 26.1
GTEX-XOT4-0226-SM-4B66Z 60-69 years, female 26.1
GTEX-1LGOU-2226-SM-E9U56 20-29 years, female 26.0
GTEX-14JG1-0526-SM-6LLHW 40-49 years, male 25.9
GTEX-15RIE-2326-SM-7KFSC 60-69 years, male 25.9
GTEX-ZEX8-2326-SM-5S2MN 50-59 years, male 25.9
GTEX-1R9K5-0226-SM-EWRNF 50-59 years, male 25.9
GTEX-13CF3-2326-SM-5IFGL 60-69 years, female 25.8
GTEX-14AS3-2026-SM-5TDD9 40-49 years, female 25.8
GTEX-YFCO-2026-SM-4W21Q 40-49 years, male 25.8
GTEX-ZVT4-0226-SM-51MSD 50-59 years, female 25.8
GTEX-11EM3-2326-SM-5H12B 20-29 years, female 25.7
GTEX-18A7A-0326-SM-731AT 50-59 years, female 25.7
GTEX-ZPU1-2426-SM-4WWFM 40-49 years, male 25.7
GTEX-1J8Q3-1526-SM-CMKGB 60-69 years, male 25.7
GTEX-132QS-2526-SM-62LFJ 60-69 years, male 25.6
GTEX-1EKGG-0126-SM-9YFLS 60-69 years, male 25.6
GTEX-14BMV-0226-SM-5S2N2 50-59 years, male 25.5
GTEX-RUSQ-1626-SM-EZ6L4 50-59 years, male 25.5
GTEX-P4PQ-0226-SM-2S1NK 60-69 years, male 25.4
GTEX-14JG6-2326-SM-6LLH3 30-39 years, female 25.3
GTEX-1F75I-0426-SM-7PC3S 40-49 years, male 25.3
GTEX-1S831-0326-SM-EVYD3 20-29 years, male 25.3
GTEX-X4LF-1726-SM-3NMBZ 50-59 years, male 25.2
GTEX-1KD5A-0326-SM-D5OVD 50-59 years, male 25.2
GTEX-1AX9J-0326-SM-73KXY 60-69 years, male 25.1
GTEX-QDVN-2126-SM-33HBS 50-59 years, male 25.1
GTEX-VUSG-2426-SM-4KKZG 50-59 years, male 25.1
GTEX-1GN1U-0226-SM-9YFLQ 50-59 years, female 25.1
GTEX-13IVO-0226-SM-5LZXU 70-79 years, male 25.0
GTEX-OHPK-0226-SM-3MJH6 50-59 years, female 25.0
GTEX-PSDG-0326-SM-48TCP 50-59 years, male 25.0
GTEX-13O3Q-2326-SM-5KM3G 50-59 years, male 24.9
GTEX-XUYS-0226-SM-47JX1 50-59 years, male 24.9
GTEX-PWN1-0226-SM-DKPO9 40-49 years, female 24.9
GTEX-11XUK-2126-SM-5EQLR 40-49 years, female 24.8
GTEX-15UKP-0526-SM-7KFRO 20-29 years, male 24.8
GTEX-17F98-1126-SM-79OJS 40-49 years, female 24.7
GTEX-X5EB-2426-SM-4E3HX 40-49 years, male 24.7
GTEX-1R9PM-2126-SM-E8VOB 20-29 years, male 24.7
GTEX-ZZPU-2726-SM-5NQ8O 50-59 years, female 24.6
GTEX-S4P3-1526-SM-E9J3W 50-59 years, female 24.6
GTEX-WFG7-2526-SM-EWRM5 20-29 years, male 24.6
GTEX-WFJO-1926-SM-3GILA 30-39 years, male 24.5
GTEX-12WSM-0226-SM-5LZV6 60-69 years, male 24.4
GTEX-QLQW-1226-SM-2S1Q9 30-39 years, male 24.4
GTEX-1CAMS-0326-SM-7PC35 40-49 years, female 24.4
GTEX-13QBU-2526-SM-5LU4X 40-49 years, female 24.3
GTEX-146FQ-0226-SM-5NQAL 30-39 years, male 24.3
GTEX-17HHE-1926-SM-7EPGW 50-59 years, male 24.3
GTEX-OXRL-0226-SM-3NB18 50-59 years, male 24.3
GTEX-ZYVF-0226-SM-5GIEG 50-59 years, female 24.3
GTEX-1H2FU-0226-SM-9YFKO 60-69 years, female 24.3
GTEX-1IE54-0226-SM-CMKHX 40-49 years, female 24.3
GTEX-1K2DA-2126-SM-CGQGL 50-59 years, male 24.3
GTEX-SSA3-0226-SM-32QPN 60-69 years, male 24.2
GTEX-1B932-0226-SM-7PBYH 40-49 years, female 24.2
GTEX-1F6RS-0226-SM-9MQKO 60-69 years, female 24.2
GTEX-1I19N-0426-SM-ACKVY 70-79 years, male 24.2
GTEX-ZLWG-2226-SM-DO92V 50-59 years, female 24.2
GTEX-11EQ9-2526-SM-5HL66 30-39 years, male 24.1
GTEX-11ZTT-2526-SM-5EQM9 60-69 years, female 24.1
GTEX-ZZ64-1626-SM-5E43W 20-29 years, male 24.1
GTEX-1HFI7-2026-SM-CGQFR 50-59 years, female 24.1
GTEX-1OFPY-2326-SM-E8VNU 60-69 years, male 24.1
GTEX-1269C-2726-SM-5EGJ4 60-69 years, female 24.0
GTEX-1A8FM-0126-SM-7SB7P 50-59 years, female 24.0
GTEX-1IKK5-0526-SM-CMKGG 60-69 years, male 23.9
GTEX-1JKYN-1226-SM-CGQG8 30-39 years, male 23.9
GTEX-1QP9N-1526-SM-DTXFK 30-39 years, male 23.9
GTEX-145LT-1826-SM-5QGP4 40-49 years, male 23.8
GTEX-YB5K-2226-SM-4WWG1 40-49 years, female 23.8
GTEX-ZT9X-1926-SM-57WE7 40-49 years, male 23.8
GTEX-1J1R8-2226-SM-ARZMP 40-49 years, male 23.8
GTEX-139T6-2126-SM-5KM37 50-59 years, male 23.7
GTEX-18A67-0226-SM-7LG67 50-59 years, male 23.7
GTEX-WFON-2226-SM-3TW8W 40-49 years, male 23.7
GTEX-XQ8I-0526-SM-4BOPS 50-59 years, male 23.7
GTEX-12126-0426-SM-5Q5AP 20-29 years, male 23.6
GTEX-1C4CL-0426-SM-7939N 30-39 years, male 23.6
GTEX-XBEW-0726-SM-4QARX 40-49 years, male 23.6
GTEX-1J8QM-2326-SM-CYPSL 60-69 years, female 23.6
GTEX-1LSVX-0126-SM-EVYCY 60-69 years, male 23.6
GTEX-11ZTS-0226-SM-5EQKD 60-69 years, female 23.5
GTEX-P78B-0226-SM-3NB1Z 40-49 years, female 23.5
GTEX-YEC4-2426-SM-57WFO 40-49 years, male 23.5
GTEX-1HB9E-0426-SM-CNPPV 50-59 years, male 23.5
GTEX-18A6Q-0226-SM-718AS 60-69 years, male 23.4
GTEX-1H3VY-0226-SM-9YFMF 50-59 years, male 23.4
GTEX-YJ8A-0526-SM-5IFHT 20-29 years, male 23.3
GTEX-1HCVE-0226-SM-CGQEV 50-59 years, male 23.3
GTEX-1HFI6-0326-SM-ADEI5 40-49 years, male 23.3
GTEX-16MT8-0526-SM-6PAM6 60-69 years, female 23.2
GTEX-UJHI-1626-SM-3DB9A 50-59 years, female 23.2
GTEX-139TU-0226-SM-5J1NM 60-69 years, male 23.1
GTEX-14PJ6-2226-SM-6LLIV 60-69 years, female 23.1
GTEX-QMRM-1726-SM-2S1QG 50-59 years, male 23.1
GTEX-S33H-1126-SM-2XCB6 30-39 years, male 23.1
GTEX-T5JW-1726-SM-3GADN 20-29 years, female 23.1
GTEX-1J8EW-0226-SM-CYPSW 60-69 years, female 23.1
GTEX-113IC-0226-SM-5HL5C 60-69 years, male 23.0
GTEX-11LCK-1126-SM-5A5KC 30-39 years, male 23.0
GTEX-17HG3-2326-SM-79OKH 30-39 years, female 23.0
GTEX-S7SE-0226-SM-2XCD4 50-59 years, male 23.0
GTEX-13FTW-2526-SM-5IJC8 40-49 years, male 22.9
GTEX-QV44-1825-SM-447CF 50-59 years, male 22.9
GTEX-12ZZX-0226-SM-5DUXU 40-49 years, female 22.8
GTEX-1RAZA-0226-SM-E9U4W 20-29 years, male 22.8
GTEX-13SLW-0226-SM-5S2NA 70-79 years, male 22.7
GTEX-1C2JI-2226-SM-7IGPJ 50-59 years, male 22.7
GTEX-XXEK-2426-SM-4BRUS 50-59 years, male 22.7
GTEX-ZAK1-0226-SM-5CVMX 50-59 years, female 22.7
GTEX-11EQ8-0226-SM-5EQ5G 60-69 years, male 22.6
GTEX-X638-0226-SM-47JZ9 70-79 years, female 22.6
GTEX-1GPI7-0226-SM-9MQKB 20-29 years, male 22.6
GTEX-1HT8W-0226-SM-CMKGT 30-39 years, male 22.6
GTEX-1POEN-0226-SM-EYYXE 30-39 years, female 22.6
GTEX-12KS4-0426-SM-5EQMC 30-39 years, male 22.5
GTEX-XBEC-0326-SM-4AT4M 50-59 years, male 22.5
GTEX-1QEPI-0226-SM-EWRMR 60-69 years, female 22.5
GTEX-1B933-0526-SM-7EPHM 50-59 years, female 22.4
GTEX-1FIGZ-1626-SM-7SB8L 40-49 years, male 22.3
GTEX-13PVR-2426-SM-5RQHN 60-69 years, female 22.2
GTEX-WY7C-2426-SM-3NB2V 50-59 years, male 22.2
GTEX-ZVTK-0526-SM-5GZWT 20-29 years, male 22.2
GTEX-11OF3-2426-SM-5Q5AS 60-69 years, male 22.1
GTEX-XAJ8-0926-SM-47JXZ 40-49 years, male 22.1
GTEX-ZC5H-0126-SM-4WAYL 40-49 years, female 22.1
GTEX-17HII-0326-SM-7LG4X 50-59 years, male 22.0
GTEX-WH7G-2226-SM-3NMBN 40-49 years, male 22.0
GTEX-1I6K7-0226-SM-CJI46 40-49 years, male 22.0
GTEX-183FY-0326-SM-793BY 20-29 years, male 21.9
GTEX-1B8SG-0226-SM-7939Q 50-59 years, male 21.9
GTEX-X4EO-0426-SM-4QASA 60-69 years, female 21.9
GTEX-YEC3-1226-SM-5IFI8 50-59 years, male 21.9
GTEX-ZP4G-2326-SM-57WEM 20-29 years, female 21.9
GTEX-17KNJ-2226-SM-DKPOU 50-59 years, male 21.9
GTEX-1K9T9-0226-SM-E9U6K 50-59 years, female 21.9
GTEX-145MI-0426-SM-5O99V 60-69 years, female 21.8
GTEX-XYKS-2726-SM-4E3IC 60-69 years, female 21.8
GTEX-13G51-2626-SM-5LZYW 60-69 years, male 21.7
GTEX-O5YV-0226-SM-48TBY 60-69 years, female 21.7
GTEX-ZGAY-0626-SM-DO92E 40-49 years, female 21.7
GTEX-14PJM-0326-SM-62LF2 50-59 years, female 21.6
GTEX-1IL2V-0226-SM-CMKI2 70-79 years, male 21.6
GTEX-Q734-1826-SM-2I3EL 40-49 years, female 21.5
GTEX-ZVT2-2226-SM-5NQ6P 50-59 years, female 21.5
GTEX-1GMRU-0226-SM-9YFLW 50-59 years, male 21.5
GTEX-POMQ-2326-SM-DHXIS 20-29 years, female 21.5
GTEX-17HGU-0326-SM-7DUER 50-59 years, male 21.4
GTEX-1RDX4-0226-SM-DTXG1 50-59 years, female 21.4
GTEX-13OVK-2126-SM-6PAN1 40-49 years, male 21.3
GTEX-13X6J-0226-SM-7EPGC 50-59 years, male 21.3
GTEX-1GTWX-0226-SM-9YFLL 60-69 years, male 21.3
GTEX-13NYS-0226-SM-5MR49 60-69 years, male 21.2
GTEX-SUCS-1826-SM-32PM1 70-79 years, male 21.2
GTEX-1F88F-2626-SM-9WG5K 60-69 years, female 21.2
GTEX-13VXT-0226-SM-5LU9Q 20-29 years, female 21.1
GTEX-1GMR2-2526-SM-9MQKW 50-59 years, male 21.1
GTEX-1JKYR-0226-SM-CNPOK 20-29 years, male 21.0
GTEX-11TUW-2626-SM-5EQKZ 60-69 years, male 20.9
GTEX-TMZS-0226-SM-3DB9N 60-69 years, male 20.9
GTEX-R53T-1626-SM-3GAEW 50-59 years, female 20.8
GTEX-TML8-2026-SM-32QOP 40-49 years, female 20.8
GTEX-1ICLZ-0226-SM-CKZPP 60-69 years, male 20.8
GTEX-1MA7W-1926-SM-E6CIO 20-29 years, female 20.8
GTEX-17F96-1726-SM-7IGMB 70-79 years, male 20.7
GTEX-W5WG-2526-SM-4SOJ2 50-59 years, female 20.7
GTEX-W5X1-2626-SM-4LMI8 40-49 years, female 20.7
GTEX-XV7Q-2626-SM-4BRVA 40-49 years, female 20.7
GTEX-SNOS-1426-SM-32PLY 40-49 years, male 20.6
GTEX-1GN1W-0626-SM-9MQK3 50-59 years, female 20.6
GTEX-111VG-2326-SM-5N9BK 60-69 years, male 20.5
GTEX-XMK1-2226-SM-4B673 40-49 years, male 20.4
GTEX-14E1K-2126-SM-793DU 50-59 years, male 20.3
GTEX-14PHX-2426-SM-62LEN 50-59 years, male 20.3
GTEX-ZXES-2026-SM-5NQ6R 30-39 years, female 20.3
GTEX-ZYT6-0326-SM-7LG5R 30-39 years, male 20.3
GTEX-1IDJD-1226-SM-CM2TP 30-39 years, male 20.3
GTEX-ZYY3-0226-SM-5E45M 60-69 years, female 20.2
GTEX-1QP28-0226-SM-E9J2N 50-59 years, female 20.2
GTEX-13O1R-0226-SM-5K7U5 60-69 years, male 20.1
GTEX-1PPH8-0626-SM-EWRN9 20-29 years, male 20.1
GTEX-WFG8-2326-SM-DIPDX 20-29 years, male 20.1
GTEX-14PJ3-1926-SM-62LEY 50-59 years, male 20.0
GTEX-XUW1-0526-SM-4BOP3 50-59 years, female 20.0
GTEX-YF7O-2426-SM-5IFJL 50-59 years, male 20.0
GTEX-1F75W-0226-SM-9JGGP 60-69 years, male 20.0
GTEX-1M5QR-2126-SM-DKPQM 40-49 years, male 20.0
GTEX-1S82P-0226-SM-E6CI6 60-69 years, female 20.0
GTEX-13113-1826-SM-5LZW4 60-69 years, female 19.8
GTEX-133LE-1926-SM-5N9FV 20-29 years, female 19.8
GTEX-P4PP-0226-SM-D4P1Z 30-39 years, female 19.8
GTEX-16NGA-1826-SM-7LG5L 40-49 years, female 19.7
GTEX-18D9A-2026-SM-718BL 30-39 years, female 19.7
GTEX-1IL2U-0326-SM-CE6T9 60-69 years, male 19.7
GTEX-1LGRB-2426-SM-CNPP3 50-59 years, female 19.7
GTEX-13O21-1526-SM-5K7W4 50-59 years, male 19.6
GTEX-13YAN-0426-SM-5O9DR 60-69 years, male 19.5
GTEX-R55G-2426-SM-2TC5I 40-49 years, female 19.4
GTEX-VJYA-1326-SM-3GIJC 60-69 years, male 19.3
GTEX-ZVZP-2326-SM-59HL4 50-59 years, male 19.3
GTEX-169BO-1426-SM-9MQJT 50-59 years, male 19.3
GTEX-131XE-2426-SM-5EQ5V 50-59 years, male 19.2
GTEX-YB5E-2126-SM-5IFI7 40-49 years, male 19.2
GTEX-1ICG6-2626-SM-CGQG1 70-79 years, female 19.2
GTEX-YJ8O-2426-SM-5HL7S 40-49 years, female 19.0
GTEX-1AYD5-2326-SM-73KXF 50-59 years, male 18.9
GTEX-1LG7Z-2026-SM-DLHBP 30-39 years, male 18.7
GTEX-Y5V6-2526-SM-5IFJV 60-69 years, male 18.6
GTEX-13D11-2326-SM-5IJCY 50-59 years, female 18.5
GTEX-Y5V5-2426-SM-5IFJA 60-69 years, female 18.5
GTEX-Z93T-0226-SM-5HL5Z 50-59 years, male 18.5
GTEX-1QP66-1326-SM-DTXDQ 50-59 years, male 18.4
GTEX-15SDE-2426-SM-7KFRC 50-59 years, female 18.3
GTEX-11DXX-2326-SM-9YFKS 60-69 years, female 18.3
GTEX-ZVP2-1826-SM-5GU62 50-59 years, male 18.2
GTEX-1RAZR-0226-SM-EVYC6 40-49 years, male 18.2
GTEX-ZPIC-1826-SM-57WFE 40-49 years, female 18.1
GTEX-1R7EV-1926-SM-EVYBF 40-49 years, male 17.8
GTEX-1AMEY-1426-SM-7939I 30-39 years, female 17.7
GTEX-X15G-2326-SM-4PQZS 50-59 years, female 17.7
GTEX-1RAZQ-0626-SM-E8VOR 30-39 years, male 17.7
GTEX-16BQI-0526-SM-6PAM8 30-39 years, female 17.6
GTEX-XGQ4-2226-SM-4AT4Y 50-59 years, male 17.6
GTEX-XUZC-1826-SM-4BRVO 30-39 years, female 17.6
GTEX-111CU-1826-SM-5GZYN 50-59 years, male 17.5
GTEX-132AR-0226-SM-5IJBE 50-59 years, female 17.0
GTEX-11P81-2426-SM-5GU65 30-39 years, female 16.9
GTEX-Y8E5-0226-SM-57WCM 60-69 years, male 16.9
GTEX-WHPG-2126-SM-4M1ZM 50-59 years, male 16.8
GTEX-11I78-2626-SM-5Q5AI 50-59 years, female 16.7
GTEX-1IDJU-2526-SM-CMKGF 60-69 years, female 16.7
GTEX-11GSO-2326-SM-5A5LX 60-69 years, male 16.4
GTEX-1LBAC-0226-SM-DHXJZ 20-29 years, male 16.4
GTEX-OHPN-0226-SM-48TBV 60-69 years, female 16.2
GTEX-1C64O-0226-SM-73KXB 60-69 years, male 15.5
GTEX-1HSGN-0126-SM-CGQFU 40-49 years, female 15.4
GTEX-ZPCL-2126-SM-57WFZ 60-69 years, female 15.3
GTEX-NPJ8-0226-SM-48TBN 40-49 years, male 14.7
GTEX-PX3G-0226-SM-DKPOF 20-29 years, female 14.0
GTEX-ZVZO-0226-SM-5A5LA 40-49 years, male 13.9
GTEX-X88G-0226-SM-4GIE4 30-39 years, male 13.5
GTEX-1QAET-1126-SM-E8VML 50-59 years, male 13.5
Show allShow less
Adipose - Visceral (Omentum)
Average nTPM: 31.5
Samples: 541

Max nTPM: 98.1
Min nTPM: 13.5
Std nTPM: 11.3
Median nTPM: 29.2
GTEX-1QEPI-2226-SM-E8VN6 60-69 years, female 98.1
GTEX-1AX9I-1726-SM-731BX 60-69 years, male 79.9
GTEX-13OW7-1126-SM-5K7V6 50-59 years, male 71.4
GTEX-14ICL-0926-SM-5S2TU 30-39 years, male 70.3
GTEX-1445S-2426-SM-79ON2 60-69 years, male 70.1
GTEX-1J1OQ-1526-SM-CJI4E 40-49 years, female 70.1
GTEX-X8HC-2326-SM-4QAS4 50-59 years, female 69.7
GTEX-1JMPY-0326-SM-CM2S2 30-39 years, male 67.9
GTEX-14ICK-1726-SM-6AJA5 40-49 years, male 67.5
GTEX-1F75I-1026-SM-7SB8B 40-49 years, male 65.1
GTEX-14E6C-1226-SM-5ZZUN 40-49 years, male 64.3
GTEX-WOFM-0726-SM-3MJF8 20-29 years, male 62.2
GTEX-13PVQ-2226-SM-5L3G9 50-59 years, male 61.6
GTEX-ZTX8-0726-SM-59HL9 20-29 years, male 61.1
GTEX-13N1W-1226-SM-5K7UM 70-79 years, male 59.9
GTEX-113JC-0726-SM-5GZZR 50-59 years, female 59.3
GTEX-1PBJI-1326-SM-E9J2V 20-29 years, female 58.3
GTEX-ZYW4-2226-SM-5GZYG 60-69 years, male 58.0
GTEX-14B4R-0526-SM-5QGQT 30-39 years, male 57.5
GTEX-1AX9J-2226-SM-731CW 60-69 years, male 57.5
GTEX-ZLV1-0926-SM-5S2MR 60-69 years, female 56.7
GTEX-1NV5F-2526-SM-EXUSK 60-69 years, female 56.3
GTEX-1CAV2-0226-SM-7IGPQ 40-49 years, female 55.8
GTEX-13PL7-1226-SM-5SIAR 60-69 years, female 55.4
GTEX-14PHX-1626-SM-69LQB 50-59 years, male 55.1
GTEX-ZGAY-1326-SM-5S2NS 40-49 years, female 54.6
GTEX-Y114-1326-SM-4TT9A 50-59 years, female 54.5
GTEX-12KS4-1526-SM-5EQ6E 30-39 years, male 54.3
GTEX-1JN6P-1626-SM-CYPSV 60-69 years, male 54.2
GTEX-14753-2526-SM-5LU97 60-69 years, male 52.8
GTEX-XBEW-1726-SM-4RGMA 40-49 years, male 52.6
GTEX-1HUB1-1526-SM-CGQF6 60-69 years, male 52.2
GTEX-1A8G7-1226-SM-73KYP 60-69 years, male 51.4
GTEX-147JS-1026-SM-5S2MP 60-69 years, male 50.4
GTEX-1PIGE-1226-SM-EVR3Q 20-29 years, male 49.4
GTEX-16NPX-1026-SM-6PAM7 50-59 years, male 49.2
GTEX-13O61-1926-SM-5KM1R 60-69 years, male 49.0
GTEX-ZTSS-1026-SM-5985N 40-49 years, male 48.9
GTEX-1B97I-0526-SM-73KXE 40-49 years, male 48.8
GTEX-WYJK-1426-SM-3NM8V 50-59 years, male 48.8
GTEX-11ZUS-1826-SM-5FQTR 30-39 years, male 48.7
GTEX-1A3MV-0626-SM-731CH 30-39 years, male 48.6
GTEX-18A7B-1226-SM-718AU 70-79 years, male 48.3
GTEX-ZQUD-0526-SM-57WG4 30-39 years, male 48.2
GTEX-1AMFI-1026-SM-73KYM 50-59 years, female 47.8
GTEX-WYBS-1026-SM-4ONCY 60-69 years, female 47.7
GTEX-1N2DW-0726-SM-DTX97 50-59 years, male 47.1
GTEX-1CB4I-0826-SM-7MGX1 50-59 years, male 46.2
GTEX-12WSL-1126-SM-5CVNK 50-59 years, male 45.8
GTEX-1KANA-1426-SM-CY8IF 20-29 years, male 45.7
GTEX-1IDJC-0226-SM-CMKG2 50-59 years, male 45.6
GTEX-1C6VS-1826-SM-73KXN 60-69 years, male 45.5
GTEX-11EM3-1126-SM-5A5KM 20-29 years, female 45.1
GTEX-1GN1U-0726-SM-9MQKL 50-59 years, female 45.1
GTEX-1B8KE-0826-SM-72D6S 50-59 years, male 45.0
GTEX-1RQEC-2526-SM-EVYD2 60-69 years, male 45.0
GTEX-11WQK-1526-SM-5EGKN 50-59 years, male 44.9
GTEX-13RTK-0726-SM-5Q5EN 20-29 years, male 44.7
GTEX-ZV7C-0826-SM-59HK8 50-59 years, male 44.4
GTEX-16BQI-1126-SM-7KULF 30-39 years, female 44.3
GTEX-139TU-1426-SM-5LZY9 60-69 years, male 44.1
GTEX-1C2JI-0826-SM-7EPHB 50-59 years, male 44.0
GTEX-18D9B-1726-SM-7LTAP 60-69 years, male 43.9
GTEX-1B8KZ-1026-SM-73KYN 50-59 years, male 43.9
GTEX-1F6IF-2026-SM-7P8SE 60-69 years, male 43.8
GTEX-ZAB4-1426-SM-5CVN6 40-49 years, male 43.7
GTEX-13VXU-1026-SM-5KLZE 50-59 years, male 43.6
GTEX-18D9U-0426-SM-731AN 40-49 years, male 43.4
GTEX-1IKK5-0826-SM-ACKWN 60-69 years, male 43.4
GTEX-1RAZQ-1526-SM-E6CJI 30-39 years, male 43.2
GTEX-16XZZ-1626-SM-7KUEC 60-69 years, male 43.0
GTEX-1E1VI-1826-SM-9WG5J 50-59 years, male 43.0
GTEX-1EU9M-1126-SM-793DE 60-69 years, male 42.8
GTEX-1C475-0326-SM-7SB8O 40-49 years, female 42.8
GTEX-1GZ2Q-1226-SM-9MQM8 40-49 years, male 42.3
GTEX-1GZ4H-0926-SM-9WG6Y 50-59 years, female 42.3
GTEX-WEY5-1326-SM-3GILS 40-49 years, female 42.2
GTEX-1GMR3-0826-SM-9WYT4 40-49 years, male 42.2
GTEX-WFJO-1026-SM-3GIKL 30-39 years, male 42.1
GTEX-ZV6S-1626-SM-5NQ81 40-49 years, female 42.1
GTEX-1GF9V-1126-SM-9MQM7 60-69 years, male 42.0
GTEX-13OVH-1126-SM-5K7YP 70-79 years, male 41.8
GTEX-1JJE9-1526-SM-CM2RR 70-79 years, male 41.8
GTEX-VJWN-2326-SM-EVYAP 50-59 years, female 41.7
GTEX-1PPH8-1026-SM-DPRXN 20-29 years, male 41.6
GTEX-XPVG-1626-SM-EYYVK 50-59 years, male 41.6
GTEX-1HBPN-1526-SM-9WYSB 50-59 years, male 41.3
GTEX-1MCC2-0626-SM-DKPQI 30-39 years, female 41.3
GTEX-ZE7O-1526-SM-5J1NH 50-59 years, female 41.2
GTEX-1HCU6-1626-SM-CMKGW 60-69 years, female 41.2
GTEX-1AX9K-0926-SM-7939G 50-59 years, male 41.0
GTEX-1S831-1926-SM-EV79P 20-29 years, male 40.8
GTEX-1EN7A-1626-SM-79OLV 40-49 years, male 40.6
GTEX-ZAJG-1626-SM-5HL7I 50-59 years, female 40.6
GTEX-1S5ZA-1026-SM-EWRO2 20-29 years, male 40.6
GTEX-133LE-0926-SM-5P9J1 20-29 years, female 40.5
GTEX-1H1DF-1426-SM-9YFMC 40-49 years, female 40.5
GTEX-13JUV-0626-SM-5J1MQ 40-49 years, female 40.3
GTEX-145LU-1226-SM-5LU9B 50-59 years, male 40.3
GTEX-1LSVX-1326-SM-DIPET 60-69 years, male 40.2
GTEX-ZF3C-1026-SM-5S2OC 50-59 years, female 40.0
GTEX-1JMLX-1026-SM-D3L8U 50-59 years, male 39.8
GTEX-15DZA-0626-SM-6PANC 30-39 years, female 39.7
GTEX-17HII-0826-SM-7DUFH 50-59 years, male 39.7
GTEX-1HSGN-1926-SM-CMKGS 40-49 years, female 39.5
GTEX-1HSKV-1926-SM-CNPPN 60-69 years, male 39.5
GTEX-1LG7Y-1126-SM-CYPTE 50-59 years, male 39.5
GTEX-1LVAN-0926-SM-CNNQ2 50-59 years, female 39.5
GTEX-12WSK-1026-SM-5CVNR 40-49 years, female 39.4
GTEX-183FY-1226-SM-7DHLK 20-29 years, male 39.4
GTEX-1IDJF-1726-SM-A9SLL 20-29 years, male 39.3
GTEX-Y9LG-1226-SM-4VBQA 30-39 years, male 38.9
GTEX-12WSF-1526-SM-6PAN6 70-79 years, male 38.8
GTEX-14C39-0826-SM-5TDDU 40-49 years, male 38.8
GTEX-ZLWG-0726-SM-5S2N4 50-59 years, female 38.8
GTEX-14BMU-0626-SM-73KZ6 20-29 years, female 38.7
GTEX-YEC4-0926-SM-5PNXY 40-49 years, male 38.3
GTEX-1117F-1326-SM-5EGHH 60-69 years, female 38.2
GTEX-11VI4-1226-SM-5EQMP 40-49 years, female 38.2
GTEX-111YS-1326-SM-5EGGK 60-69 years, male 38.1
GTEX-WRHK-0826-SM-3MJFG 20-29 years, female 38.1
GTEX-XLM4-1026-SM-4AT51 60-69 years, male 38.1
GTEX-1QP29-1626-SM-EXUSZ 50-59 years, male 38.1
GTEX-1AYCT-1126-SM-79OO8 50-59 years, male 38.0
GTEX-1F48J-1826-SM-7SB8T 50-59 years, female 37.9
GTEX-1H23P-1726-SM-A9SMN 60-69 years, male 37.9
GTEX-1192X-1526-SM-5H11I 50-59 years, male 37.8
GTEX-13QBU-1326-SM-5LU4K 40-49 years, female 37.8
GTEX-1CB4E-0826-SM-793CS 60-69 years, male 37.8
GTEX-ZYVF-1026-SM-5E44V 50-59 years, female 37.8
GTEX-14PN4-1426-SM-6LLJ4 50-59 years, male 37.4
GTEX-13OVG-1326-SM-5K7Y3 60-69 years, male 37.2
GTEX-14BIN-1226-SM-5S2OM 50-59 years, female 37.2
GTEX-1GL5R-0726-SM-9MQL5 50-59 years, male 37.1
GTEX-1HCU8-1126-SM-CM2SA 60-69 years, female 37.0
GTEX-1HCU9-0626-SM-ACKW6 20-29 years, male 37.0
GTEX-1I1CD-1026-SM-COH3G 60-69 years, female 37.0
GTEX-1QP9N-0426-SM-DTXFT 30-39 years, male 37.0
GTEX-1JJ6O-2826-SM-CNNP7 60-69 years, male 36.9
GTEX-1JMQJ-1926-SM-D4P3A 50-59 years, male 36.8
GTEX-1GZ4I-2326-SM-9YFMO 50-59 years, male 36.7
GTEX-13W3W-1126-SM-5L3DO 60-69 years, female 36.5
GTEX-1I1GP-1426-SM-ACKVZ 50-59 years, male 36.5
GTEX-YJ89-1926-SM-5IFJ6 60-69 years, male 36.2
GTEX-1CAMQ-1226-SM-7SB7E 40-49 years, male 36.2
GTEX-144GM-0626-SM-79OKY 20-29 years, male 36.0
GTEX-14PJN-0626-SM-6EU13 30-39 years, male 36.0
GTEX-ZDYS-2226-SM-5S2MI 50-59 years, male 36.0
GTEX-12C56-0826-SM-5EGJ5 20-29 years, male 35.9
GTEX-14BIL-2426-SM-5QGQR 50-59 years, male 35.9
GTEX-14PHW-1626-SM-6EU2H 60-69 years, female 35.9
GTEX-ZVZP-1126-SM-5GICU 50-59 years, male 35.9
GTEX-1GN73-0626-SM-7PC3I 60-69 years, male 35.9
GTEX-117YX-0726-SM-5GIET 50-59 years, male 35.8
GTEX-17EVP-1426-SM-79OMN 40-49 years, male 35.7
GTEX-11GSP-1026-SM-9WYSH 60-69 years, female 35.7
GTEX-1QP6S-1626-SM-EVYC5 40-49 years, male 35.7
GTEX-1GPI7-0826-SM-9JGG7 20-29 years, male 35.5
GTEX-1HFI7-0726-SM-ACKVN 50-59 years, female 35.5
GTEX-1QCLY-1226-SM-EVYC3 30-39 years, male 35.2
GTEX-13113-1126-SM-5LZU9 60-69 years, female 35.1
GTEX-1EH9U-1326-SM-79OM3 60-69 years, male 35.1
GTEX-1F6I4-2126-SM-7PC2J 60-69 years, male 35.1
GTEX-1HKZK-1726-SM-ADEJ9 40-49 years, male 35.0
GTEX-15CHC-0826-SM-686YW 60-69 years, female 34.9
GTEX-13X6K-0726-SM-5LU2Z 60-69 years, female 34.7
GTEX-15EU6-1726-SM-6M48H 50-59 years, male 34.7
GTEX-1JMQK-1326-SM-CNPOR 60-69 years, male 34.7
GTEX-145ME-0726-SM-5O9A3 40-49 years, female 34.5
GTEX-16NPV-0626-SM-7IGOR 50-59 years, female 34.5
GTEX-18A7A-0926-SM-7LT8H 50-59 years, female 34.5
GTEX-Z9EW-0826-SM-5HL9T 40-49 years, male 34.5
GTEX-WVLH-1626-SM-EXURN 50-59 years, male 34.5
GTEX-1KANC-0526-SM-D4P3T 50-59 years, female 34.4
GTEX-146FR-0226-SM-5Q5F6 60-69 years, female 34.3
GTEX-1IKOE-1726-SM-CNNQ6 30-39 years, female 34.3
GTEX-12BJ1-0826-SM-5EQ5P 60-69 years, male 34.2
GTEX-1399T-1326-SM-5PNVH 60-69 years, male 34.2
GTEX-17F98-0326-SM-7DHLH 40-49 years, female 34.2
GTEX-1HB9E-0526-SM-ARZNM 50-59 years, male 34.2
GTEX-1N2EF-0926-SM-E8VNW 60-69 years, male 34.0
GTEX-1OJC3-1326-SM-E9J3D 20-29 years, male 34.0
GTEX-1AMEY-0526-SM-72D62 30-39 years, female 33.9
GTEX-1R9PO-0926-SM-E9U4Q 60-69 years, female 33.9
GTEX-14DAR-0426-SM-664MW 50-59 years, male 33.8
GTEX-ZXES-0926-SM-5E43O 30-39 years, female 33.7
GTEX-ZEX8-1226-SM-5S2OK 50-59 years, male 33.6
GTEX-14PK6-0926-SM-62LF4 70-79 years, female 33.5
GTEX-1C6VQ-1526-SM-73KU9 50-59 years, male 33.5
GTEX-13OVJ-0926-SM-5K7U1 50-59 years, female 33.4
GTEX-1F5PL-1326-SM-7SB83 40-49 years, female 33.4
GTEX-11ZTS-1326-SM-5EQMA 60-69 years, female 33.3
GTEX-17F9E-1326-SM-7DHL4 50-59 years, male 33.3
GTEX-1A32A-0926-SM-718AB 50-59 years, female 33.3
GTEX-UPK5-1826-SM-3GAEB 40-49 years, male 33.3
GTEX-Y8LW-0926-SM-4VBQ8 50-59 years, female 33.3
GTEX-1HCUA-0926-SM-ADEIX 50-59 years, female 33.2
GTEX-16AAH-1526-SM-7LT9W 50-59 years, male 33.1
GTEX-1B97J-1126-SM-7SB79 50-59 years, female 33.1
GTEX-1HSEH-1326-SM-ADEI1 60-69 years, male 33.1
GTEX-13FH7-1926-SM-5J2OL 50-59 years, female 33.0
GTEX-1H1E6-1126-SM-9JGGV 30-39 years, male 33.0
GTEX-11NUK-2026-SM-5PNVZ 50-59 years, male 32.9
GTEX-XOT4-0826-SM-4B66Y 60-69 years, female 32.9
GTEX-1JMQI-1026-SM-COH2U 50-59 years, male 32.9
GTEX-1LG7Z-0226-SM-E6CIG 30-39 years, male 32.9
GTEX-WI4N-1526-SM-EZ6LG 40-49 years, female 32.9
GTEX-13O21-3126-SM-5J1OI 50-59 years, male 32.8
GTEX-18D9A-0726-SM-7LTA7 30-39 years, female 32.8
GTEX-1CAMR-0326-SM-793AH 20-29 years, male 32.7
GTEX-VJYA-1626-SM-EXOHL 60-69 years, male 32.7
GTEX-X585-2526-SM-4QAS1 50-59 years, male 32.6
GTEX-1QMI2-1626-SM-EYYXK 60-69 years, male 32.6
GTEX-ZF29-0826-SM-5S2O2 60-69 years, female 32.6
GTEX-YECK-1426-SM-5IFHE 60-69 years, male 32.5
GTEX-17JCI-1626-SM-7EPGZ 60-69 years, female 32.3
GTEX-14E6D-1326-SM-62LES 50-59 years, male 32.2
GTEX-14JG6-0526-SM-6LLIH 30-39 years, female 32.2
GTEX-1R9K4-1426-SM-DPRY4 60-69 years, male 32.2
GTEX-11DXX-2026-SM-5EGJL 60-69 years, female 32.0
GTEX-1B996-1226-SM-73KWZ 60-69 years, male 32.0
GTEX-13OVL-0826-SM-5L3GV 50-59 years, male 31.9
GTEX-1HBPH-2226-SM-9WYSO 40-49 years, female 31.9
GTEX-145MI-0826-SM-5SI95 60-69 years, female 31.8
GTEX-17EVQ-0626-SM-7KFTB 70-79 years, male 31.8
GTEX-1HSMP-1126-SM-B2LXJ 70-79 years, male 31.8
GTEX-YJ8A-1926-SM-EZ6LQ 20-29 years, male 31.8
GTEX-YEC3-0926-SM-5Q5AC 50-59 years, male 31.7
GTEX-1MJK3-0626-SM-E6CJB 20-29 years, male 31.7
GTEX-13YAN-1126-SM-5TDC7 60-69 years, male 31.5
GTEX-16GPK-1326-SM-7KUE4 60-69 years, male 31.5
GTEX-1C64N-1326-SM-7SB7D 50-59 years, male 31.5
GTEX-1HSMQ-1026-SM-ADEHU 50-59 years, male 31.5
GTEX-111CU-1026-SM-5EGIL 50-59 years, male 31.4
GTEX-1I6K6-1526-SM-CGQFC 30-39 years, male 31.4
GTEX-1MUQO-0826-SM-EVYCZ 60-69 years, male 31.3
GTEX-1A3MX-0826-SM-72D64 60-69 years, male 31.2
GTEX-XBED-1326-SM-4AT4F 60-69 years, male 31.2
GTEX-1QPFJ-2126-SM-EXOJV 30-39 years, female 31.2
GTEX-11P82-0326-SM-5HL51 20-29 years, male 31.1
GTEX-ZVP2-0226-SM-57WBD 50-59 years, male 31.1
GTEX-Y3I4-0726-SM-E9J3Y 50-59 years, male 31.1
GTEX-1I4MK-0726-SM-ACKWC 50-59 years, female 31.0
GTEX-18QFQ-1326-SM-731CF 30-39 years, male 30.8
GTEX-13111-0626-SM-5LZVR 50-59 years, male 30.7
GTEX-13NZB-0826-SM-5K7X5 30-39 years, male 30.7
GTEX-ZG7Y-1626-SM-5S2NO 50-59 years, male 30.6
GTEX-14PJM-1226-SM-686Z7 50-59 years, female 30.5
GTEX-1EMGI-0726-SM-7PBZ4 60-69 years, male 30.5
GTEX-14PJ4-0126-SM-62LEZ 60-69 years, male 30.4
GTEX-1H11D-1126-SM-9YFM5 40-49 years, male 30.4
GTEX-1LBAC-1026-SM-CXKYA 20-29 years, male 30.4
GTEX-15SKB-1626-SM-6PAL6 60-69 years, male 30.3
GTEX-17MFQ-1126-SM-7LT9O 20-29 years, male 30.3
GTEX-ZZ64-0626-SM-5GZWR 20-29 years, male 30.3
GTEX-1GTWX-1526-SM-9MQLF 60-69 years, male 30.2
GTEX-WXYG-0926-SM-3NB2O 50-59 years, female 30.1
GTEX-1HSMO-1426-SM-CNNQN 60-69 years, male 30.1
GTEX-13CF3-1126-SM-5LZXB 60-69 years, female 29.9
GTEX-1GF9W-1026-SM-7SB8X 60-69 years, male 29.9
GTEX-1J8Q2-2226-SM-CM2TZ 60-69 years, male 29.9
GTEX-12584-2126-SM-5FQUM 40-49 years, male 29.8
GTEX-12WSM-0626-SM-5GCOK 60-69 years, male 29.8
GTEX-ZP4G-1326-SM-5EGIW 20-29 years, female 29.8
GTEX-11P7K-0826-SM-5BC5F 30-39 years, male 29.7
GTEX-13O3Q-1126-SM-5K7YK 50-59 years, male 29.7
GTEX-1JKYN-0526-SM-CGQG3 30-39 years, male 29.7
GTEX-ZA64-0926-SM-5HL7H 20-29 years, male 29.5
GTEX-1N2DV-0626-SM-E9U5H 40-49 years, male 29.4
GTEX-1OKEX-0926-SM-E8VNJ 60-69 years, male 29.3
GTEX-11DYG-2026-SM-5EGGX 60-69 years, male 29.2
GTEX-13NYS-0726-SM-5J1OR 60-69 years, male 29.1
GTEX-16NGA-0526-SM-731AJ 40-49 years, female 29.1
GTEX-17HGU-1726-SM-79OKM 50-59 years, male 29.1
GTEX-11GS4-1026-SM-5N9DE 60-69 years, male 29.0
GTEX-UTHO-1826-SM-3GAFE 60-69 years, male 29.0
GTEX-14C5O-0926-SM-793DM 60-69 years, male 28.9
GTEX-ZVE2-1826-SM-51MRZ 50-59 years, male 28.9
GTEX-ZQG8-1026-SM-51MR9 60-69 years, female 28.8
GTEX-117YW-0826-SM-5H11O 50-59 years, male 28.7
GTEX-12WSC-1726-SM-5GCN3 50-59 years, male 28.7
GTEX-14PJ2-1426-SM-62LFF 50-59 years, male 28.6
GTEX-17GQL-0826-SM-731AM 60-69 years, male 28.6
GTEX-1B8SF-1726-SM-73KZ5 60-69 years, male 28.6
GTEX-11OF3-0826-SM-5BC51 60-69 years, male 28.5
GTEX-14PKU-0226-SM-6EU16 40-49 years, female 28.5
GTEX-11EQ9-1126-SM-5987I 30-39 years, male 28.4
GTEX-15CHQ-1126-SM-686YY 60-69 years, male 28.4
GTEX-15UKP-1426-SM-7KUDX 20-29 years, male 28.4
GTEX-132Q8-1726-SM-5EGK8 60-69 years, male 28.3
GTEX-145LT-1526-SM-5O98P 40-49 years, male 28.3
GTEX-ZE9C-1326-SM-5S2OW 60-69 years, male 28.3
GTEX-1H1DG-2026-SM-9QEIV 70-79 years, male 28.3
GTEX-1I1GT-1326-SM-ACKWB 60-69 years, female 28.3
GTEX-11NV4-1426-SM-5BC4W 60-69 years, male 28.0
GTEX-17MF6-1326-SM-79ONE 40-49 years, male 27.9
GTEX-ZDXO-2326-SM-5LU9W 60-69 years, male 27.9
GTEX-1IE54-1426-SM-CL53C 40-49 years, female 27.9
GTEX-145LV-1026-SM-5O9AE 50-59 years, male 27.8
GTEX-14BIM-1626-SM-7EWD2 60-69 years, female 27.8
GTEX-1F52S-1326-SM-7SB6Q 60-69 years, female 27.8
GTEX-11PRG-1526-SM-5HL6Z 50-59 years, male 27.7
GTEX-13N2G-1926-SM-5J1O3 60-69 years, male 27.7
GTEX-1LVAO-2126-SM-DIPGA 60-69 years, male 27.7
GTEX-1QP28-0926-SM-EVR4D 50-59 years, female 27.7
GTEX-11XUK-1726-SM-5GU61 40-49 years, female 27.6
GTEX-WY7C-0926-SM-3NB34 50-59 years, male 27.6
GTEX-ZUA1-2126-SM-57YRB 40-49 years, male 27.6
GTEX-1EKGG-1426-SM-7PBY2 60-69 years, male 27.6
GTEX-ZAB5-1126-SM-5Q5AD 50-59 years, male 27.5
GTEX-1IDJI-0926-SM-ACKWZ 50-59 years, female 27.5
GTEX-139T6-0526-SM-5IJC9 50-59 years, male 27.4
GTEX-13X6I-1526-SM-5SIAC 60-69 years, male 27.4
GTEX-ZXG5-1626-SM-59HJK 60-69 years, male 27.4
GTEX-1J8EW-1526-SM-CMKFZ 60-69 years, female 27.4
GTEX-13OW8-0326-SM-5L3FB 60-69 years, male 27.3
GTEX-13W46-1226-SM-5SIAS 50-59 years, male 27.3
GTEX-14JIY-1426-SM-6EU29 60-69 years, male 27.3
GTEX-1211K-1226-SM-5EQ4N 60-69 years, female 27.2
GTEX-1MCQQ-1426-SM-E6CJA 60-69 years, male 27.1
GTEX-1QAET-1226-SM-DTX9I 50-59 years, male 27.1
GTEX-14PHY-1026-SM-62LEV 60-69 years, female 27.0
GTEX-XBEC-1826-SM-4QASN 50-59 years, male 27.0
GTEX-1LH75-1026-SM-EWROK 50-59 years, female 27.0
GTEX-14PJ5-0426-SM-5ZZW2 60-69 years, female 26.9
GTEX-18465-1826-SM-731BB 50-59 years, male 26.9
GTEX-13OW6-2426-SM-5K7WO 50-59 years, male 26.8
GTEX-1HCU7-2026-SM-A9G2B 50-59 years, male 26.8
GTEX-1S5VW-2426-SM-EAZ52 60-69 years, male 26.8
GTEX-131YS-1726-SM-5HL7G 60-69 years, female 26.7
GTEX-1O9I2-1326-SM-E6CQD 50-59 years, male 26.7
GTEX-1GMRU-0726-SM-7PBZH 50-59 years, male 26.6
GTEX-1AX8Z-1626-SM-73KWD 60-69 years, male 26.5
GTEX-1B8SG-1426-SM-7EWEM 50-59 years, male 26.5
GTEX-1EWIQ-2526-SM-7EPIJ 70-79 years, female 26.5
GTEX-WFON-1226-SM-3TW8F 40-49 years, male 26.5
GTEX-1L5NE-1726-SM-DHXKX 50-59 years, male 26.5
GTEX-1MA7X-1026-SM-DKPQ8 60-69 years, male 26.5
GTEX-WHPG-0626-SM-3NMBD 50-59 years, male 26.4
GTEX-14E7W-2326-SM-69LQC 70-79 years, male 26.2
GTEX-17F97-1226-SM-79OJT 50-59 years, male 26.2
GTEX-YFCO-1126-SM-5S2N9 40-49 years, male 26.1
GTEX-1KAFJ-0826-SM-CYPTF 50-59 years, male 26.1
GTEX-ZDTS-1826-SM-5S2N6 60-69 years, male 26.0
GTEX-1H1CY-0826-SM-9WYTU 60-69 years, female 26.0
GTEX-11GSO-0226-SM-5A5LV 60-69 years, male 25.9
GTEX-132QS-0826-SM-5K7WV 60-69 years, male 25.9
GTEX-1HR9M-1426-SM-A9SMB 60-69 years, male 25.9
GTEX-1KANB-2426-SM-EV7BE 50-59 years, male 25.8
GTEX-132NY-1126-SM-5PNVE 60-69 years, male 25.6
GTEX-1QP67-1126-SM-EAZ4C 40-49 years, female 25.6
GTEX-1CAMS-0926-SM-7SB7F 40-49 years, female 25.5
GTEX-1ICG6-1726-SM-ARU7K 70-79 years, female 25.5
GTEX-12696-1826-SM-5EGJS 60-69 years, male 25.4
GTEX-13G51-0526-SM-5IJCQ 60-69 years, male 25.4
GTEX-1LKK1-1526-SM-EVYCO 50-59 years, female 25.4
GTEX-11DXZ-1426-SM-5H12A 50-59 years, male 25.3
GTEX-14ABY-1926-SM-62LDJ 50-59 years, male 25.3
GTEX-14DAQ-2526-SM-5RQIO 60-69 years, female 25.3
GTEX-15EOM-2326-SM-7KUMV 20-29 years, female 25.3
GTEX-1ICLY-1426-SM-CJI48 50-59 years, male 25.3
GTEX-1LSNM-0626-SM-DIPG7 50-59 years, male 25.3
GTEX-11DXY-0326-SM-5H12F 60-69 years, male 25.2
GTEX-14C38-1026-SM-73KY7 50-59 years, male 25.2
GTEX-1IDJH-1626-SM-A9SLP 70-79 years, male 25.2
GTEX-11LCK-0326-SM-5A5M7 30-39 years, male 25.1
GTEX-1I19N-1026-SM-A96TT 70-79 years, male 25.0
GTEX-13PL6-0926-SM-5KLYY 40-49 years, female 24.8
GTEX-17F96-0726-SM-793CB 70-79 years, male 24.8
GTEX-ZF28-1426-SM-5S2OG 60-69 years, male 24.8
GTEX-1I1GU-0626-SM-CMKHR 40-49 years, male 24.8
GTEX-1KD5A-1326-SM-CYPTB 50-59 years, male 24.8
GTEX-13OVK-0326-SM-7KUEJ 40-49 years, male 24.7
GTEX-1GN1W-1226-SM-9MQLW 50-59 years, female 24.7
GTEX-1KD4Q-1426-SM-D4P3K 40-49 years, male 24.7
GTEX-13U4I-1726-SM-5J1MF 40-49 years, female 24.6
GTEX-17F9Y-0726-SM-7LT9G 70-79 years, female 24.6
GTEX-ZTPG-2326-SM-57WFL 20-29 years, female 24.6
GTEX-14BMV-1626-SM-73KVQ 50-59 years, male 24.5
GTEX-1I1GR-1726-SM-COH39 60-69 years, male 24.5
GTEX-178AV-0626-SM-6PAM1 40-49 years, male 24.4
GTEX-X3Y1-0926-SM-3P5YT 40-49 years, male 24.4
GTEX-XQ3S-2426-SM-4WAYB 20-29 years, male 24.4
GTEX-1H1ZS-1326-SM-9WG74 70-79 years, male 24.4
GTEX-1KXAM-0526-SM-DKPQN 60-69 years, male 24.4
GTEX-1LGRB-0526-SM-COH3A 50-59 years, female 24.4
GTEX-1RNTQ-0826-SM-E9TK8 20-29 years, female 24.4
GTEX-1S82P-0926-SM-EWRNP 60-69 years, female 24.4
GTEX-15DYW-1526-SM-7KUEP 60-69 years, female 24.3
GTEX-1HGF4-0226-SM-CNNQL 60-69 years, male 24.3
GTEX-1I1GS-0926-SM-A9SL5 60-69 years, male 24.3
GTEX-12WSI-1526-SM-5GCNM 50-59 years, male 24.2
GTEX-13D11-0526-SM-5LZYM 50-59 years, female 24.2
GTEX-13O3P-0926-SM-5IFFI 50-59 years, male 24.2
GTEX-13PVR-0526-SM-5S2OB 60-69 years, female 24.2
GTEX-15SHU-2326-SM-7KUMC 40-49 years, female 24.2
GTEX-1B932-1726-SM-793A5 40-49 years, female 24.1
GTEX-WYVS-0626-SM-4SOJY 40-49 years, female 24.0
GTEX-ZYT6-2126-SM-5GZZ4 30-39 years, male 24.0
GTEX-13NZ9-2026-SM-5KM1U 50-59 years, male 23.9
GTEX-13S86-0926-SM-5SI6I 40-49 years, male 23.9
GTEX-1K2DU-0726-SM-DIPF7 20-29 years, male 23.9
GTEX-17HHY-1026-SM-7LG5E 50-59 years, male 23.8
GTEX-WL46-2026-SM-3LK7U 50-59 years, male 23.6
GTEX-15D1Q-1326-SM-69LOA 40-49 years, male 23.4
GTEX-1IDJD-0926-SM-ACKWW 30-39 years, male 23.4
GTEX-1128S-0926-SM-5GZZU 60-69 years, female 23.3
GTEX-131XH-0826-SM-5GCN8 50-59 years, male 23.3
GTEX-1HBPI-1826-SM-ADEHE 50-59 years, male 23.3
GTEX-1HFI6-1726-SM-CGQFH 40-49 years, male 23.3
GTEX-1RLM8-1026-SM-EWROE 50-59 years, male 23.3
GTEX-1B933-1326-SM-7939U 50-59 years, female 23.2
GTEX-WH7G-1126-SM-3NMBK 40-49 years, male 23.2
GTEX-1S3DN-1626-SM-EVYCC 50-59 years, male 23.2
GTEX-13FTX-0626-SM-5J2NS 20-29 years, female 23.1
GTEX-XAJ8-0226-SM-4GIB2 40-49 years, male 23.1
GTEX-ZDTT-0526-SM-5HL4M 60-69 years, male 23.1
GTEX-131XG-0126-SM-5K7UJ 50-59 years, female 23.0
GTEX-Y5V6-0626-SM-4WWFY 60-69 years, male 23.0
GTEX-1H4P4-0326-SM-9WYTD 50-59 years, male 23.0
GTEX-15RIE-0126-SM-7KUF8 60-69 years, male 22.8
GTEX-XQ8I-1426-SM-4BOPW 50-59 years, male 22.8
GTEX-ZYFC-1826-SM-5GZZA 50-59 years, male 22.8
GTEX-1GF9U-1226-SM-ARL9I 40-49 years, female 22.8
GTEX-12ZZW-2326-SM-5DUW2 50-59 years, male 22.7
GTEX-1AYD5-0126-SM-7DUG5 50-59 years, male 22.7
GTEX-WK11-2426-SM-3NMAA 50-59 years, male 22.7
GTEX-ZT9W-1026-SM-57WG5 50-59 years, male 22.7
GTEX-1J1R8-0526-SM-ACKWO 40-49 years, male 22.7
GTEX-1A8FM-2126-SM-7PC27 50-59 years, female 22.6
GTEX-1B8L1-0126-SM-9KNVS 60-69 years, male 22.6
GTEX-1HC8U-0926-SM-A9G3L 40-49 years, female 22.6
GTEX-1LVAM-1026-SM-DIPFK 50-59 years, female 22.6
GTEX-13FTW-0426-SM-5K7X2 40-49 years, male 22.5
GTEX-U8XE-1926-SM-3DB98 30-39 years, male 22.5
GTEX-ZZPU-0326-SM-5N9BJ 50-59 years, female 22.5
GTEX-144GN-0726-SM-5O98O 50-59 years, male 22.4
GTEX-XGQ4-1026-SM-4AT4L 50-59 years, male 22.4
GTEX-18A67-1326-SM-7LT8V 50-59 years, male 22.3
GTEX-1A8G6-2026-SM-73KYC 60-69 years, male 22.3
GTEX-1IL2U-2726-SM-C1YSG 60-69 years, male 22.3
GTEX-1N2EE-1526-SM-DTXE9 60-69 years, male 22.3
GTEX-13X6J-1926-SM-5TDCU 50-59 years, male 22.2
GTEX-1H3VE-1926-SM-9YFL4 40-49 years, male 22.1
GTEX-1OFPY-0826-SM-DTX8P 60-69 years, male 22.1
GTEX-1CB4G-2126-SM-7IGQ8 60-69 years, male 22.0
GTEX-1LGOU-0826-SM-DHXKL 20-29 years, female 22.0
GTEX-XMK1-0926-SM-4B66X 40-49 years, male 21.9
GTEX-1HT8W-0726-SM-A9SLB 30-39 years, male 21.9
GTEX-131XF-0726-SM-5GIE5 60-69 years, male 21.8
GTEX-15ER7-1026-SM-7KUMD 20-29 years, female 21.7
GTEX-Y111-0926-SM-4SOIU 50-59 years, male 21.7
GTEX-13S7M-0826-SM-5QGQX 60-69 years, female 21.6
GTEX-1IDJU-0926-SM-ARL88 60-69 years, female 21.6
GTEX-WHWD-0826-SM-3LK6R 50-59 years, male 21.5
GTEX-1R7EV-1026-SM-DTX81 40-49 years, male 21.5
GTEX-12WSA-1626-SM-5EGJV 60-69 years, male 21.4
GTEX-1IY9M-1226-SM-ACKX1 60-69 years, male 21.4
GTEX-12WSG-0426-SM-5FQSE 50-59 years, female 21.3
GTEX-14PJ3-0726-SM-69LQE 50-59 years, male 21.3
GTEX-15G19-1126-SM-7KUEL 60-69 years, male 21.3
GTEX-1C6VR-1126-SM-7EPHD 60-69 years, male 21.3
GTEX-1JKYR-1226-SM-CM2S7 20-29 years, male 21.3
GTEX-145MF-1026-SM-5Q5EQ 50-59 years, male 21.2
GTEX-WWTW-1326-SM-4MVNT 50-59 years, male 21.1
GTEX-1399U-2026-SM-9WPNN 50-59 years, female 21.1
GTEX-13PDP-1226-SM-5K7TW 60-69 years, male 20.9
GTEX-Y5V5-0226-SM-5S2N8 60-69 years, female 20.9
GTEX-1P4AB-1226-SM-DTXET 50-59 years, male 20.9
GTEX-1ICLZ-1626-SM-CE6SS 60-69 years, male 20.8
GTEX-1BAJH-2126-SM-7EWFB 70-79 years, male 20.6
GTEX-17KNJ-0426-SM-718AK 50-59 years, male 20.5
GTEX-11P81-0726-SM-5PNYH 30-39 years, female 20.4
GTEX-ZVT2-0226-SM-5GIE3 50-59 years, female 20.4
GTEX-13VXT-0926-SM-5LU5K 20-29 years, female 20.3
GTEX-14PN3-0326-SM-6EU1X 60-69 years, female 20.2
GTEX-XXEK-1426-SM-4BRW1 50-59 years, male 20.2
GTEX-139D8-1626-SM-5IJFZ 30-39 years, female 20.1
GTEX-14E6E-0226-SM-7DUEF 30-39 years, male 20.1
GTEX-Y5LM-0826-SM-4VDSW 40-49 years, female 20.1
GTEX-1RAZA-0926-SM-E6CQ8 20-29 years, male 20.1
GTEX-18A6Q-1026-SM-7LT9S 60-69 years, male 20.0
GTEX-XYKS-1826-SM-4E3JV 60-69 years, female 20.0
GTEX-146FH-2026-SM-5SI9I 50-59 years, female 19.9
GTEX-ZYFG-1426-SM-5GICS 60-69 years, female 19.8
GTEX-1JN76-1026-SM-ARZNI 20-29 years, female 19.7
GTEX-12ZZX-1726-SM-5BC63 40-49 years, female 19.6
GTEX-Y8E4-1226-SM-5IFIM 40-49 years, male 19.5
GTEX-1122O-0926-SM-9YFLC 60-69 years, female 19.4
GTEX-16MTA-1326-SM-6PALX 50-59 years, male 19.3
GTEX-13112-1126-SM-5GCMY 50-59 years, male 19.2
GTEX-1H1DE-0826-SM-ARU8V 20-29 years, male 19.2
GTEX-1MA7W-0526-SM-E6CIN 20-29 years, female 19.2
GTEX-1RB15-1126-SM-E8VMX 60-69 years, male 19.2
GTEX-1313W-1626-SM-5J1OE 50-59 years, female 19.1
GTEX-1GF9X-0926-SM-7PC2X 40-49 years, female 19.1
GTEX-13FHO-2026-SM-5J1OA 60-69 years, male 19.0
GTEX-ZT9X-0926-SM-5O9C4 40-49 years, male 19.0
GTEX-ZPIC-0726-SM-57WFM 40-49 years, female 18.9
GTEX-1LSNL-1426-SM-E6CJ9 50-59 years, male 18.9
GTEX-1KWVE-0226-SM-E9TKK 30-39 years, male 18.8
GTEX-132AR-0526-SM-5J2MJ 50-59 years, female 18.5
GTEX-1CB4F-1126-SM-79OLG 60-69 years, male 18.5
GTEX-1RMOY-0826-SM-E9TIF 50-59 years, male 18.5
GTEX-W5X1-1426-SM-3GIKH 40-49 years, female 18.4
GTEX-1QP66-0626-SM-E76PD 50-59 years, male 18.1
GTEX-XV7Q-1726-SM-4BRUU 40-49 years, female 18.0
GTEX-1GMR2-0226-SM-9JGHO 50-59 years, male 18.0
GTEX-1I1GQ-1026-SM-CNNQS 50-59 years, male 18.0
GTEX-1212Z-0526-SM-5FQSQ 60-69 years, male 17.9
GTEX-139YR-0326-SM-5J1MC 50-59 years, male 17.8
GTEX-14E1K-0426-SM-5S2PF 50-59 years, male 17.8
GTEX-VUSG-1426-SM-3GIJN 50-59 years, male 17.8
GTEX-1F75B-1226-SM-7MXTW 50-59 years, male 17.6
GTEX-1K2DA-1126-SM-CGQGG 50-59 years, male 17.6
GTEX-ZPU1-1226-SM-5HL71 40-49 years, male 17.5
GTEX-131XE-2026-SM-5LZW1 50-59 years, male 17.3
GTEX-13X6H-1726-SM-5Q5EH 50-59 years, female 17.3
GTEX-18A66-1926-SM-7LTAG 60-69 years, male 17.3
GTEX-1K9T9-1626-SM-DIPFS 50-59 years, female 17.2
GTEX-11TT1-1926-SM-5PNYN 20-29 years, male 17.0
GTEX-13FXS-1326-SM-62LFR 50-59 years, male 16.6
GTEX-14AS3-0426-SM-5QGQK 40-49 years, female 16.5
GTEX-1399S-1426-SM-5PNYQ 30-39 years, female 16.4
GTEX-14PJO-1626-SM-69LPQ 60-69 years, male 16.4
GTEX-XUZC-1126-SM-4BOPZ 30-39 years, female 16.0
GTEX-17HHE-1526-SM-793AS 50-59 years, male 15.9
GTEX-1339X-0726-SM-5L3FF 40-49 years, male 15.7
GTEX-13IVO-2426-SM-5K7V9 70-79 years, male 15.7
GTEX-ZPCL-1026-SM-5GCOX 60-69 years, female 15.6
GTEX-1QW4Y-0826-SM-DTXE1 30-39 years, male 15.4
GTEX-ZC5H-1626-SM-5HL7L 40-49 years, female 15.2
GTEX-11I78-0226-SM-5HL6R 50-59 years, female 15.1
GTEX-13N11-1826-SM-5IJDS 50-59 years, female 14.9
GTEX-1I6K7-1826-SM-CGQFO 40-49 years, male 14.4
GTEX-1PFEY-0726-SM-E76PO 30-39 years, male 14.3
GTEX-169BO-0426-SM-7EPI1 50-59 years, male 14.2
GTEX-1RAZR-1026-SM-E8VOJ 40-49 years, male 14.0
GTEX-1POEN-1626-SM-EVYC2 30-39 years, female 13.9
GTEX-ZF2S-1526-SM-5S2OO 50-59 years, female 13.7
GTEX-1H2FU-1426-SM-9WPO6 60-69 years, female 13.5
Show allShow less

ADIPOSE TISSUE - FANTOM5 CAGEi

RNA expression in human tissues obtained through Cap Analysis of Gene Expression (CAGE) generated by the FANTOM5 project are reported as Scaled Tags Per Million.

Max subtype Scaled Tags Per Millioni

Max subtype Scaled Tags Per Million is the value for the subtype with the largest average Scaled Tags Per Million across the subtype samples.

191.0
FANTOM5 sample id Sample description Scaled Tags Per Million
Adipose tissue
Scaled Tags Per Million: 191.0
FF:10010-101C1 65,65,76 years, mixed 191.0

Contact

  • NEWS ARTICLES
  • PRESS ROOM

The Project

  • INTRODUCTION
  • ORGANIZATION
  • PUBLICATIONS

The Human Protein Atlas

  • DOWNLOADABLE DATA
  • LICENCE & CITATION
  • HELP & FAQ
The Human Protein Atlas project is funded
by the Knut & Alice Wallenberg Foundation.


contact@proteinatlas.org