We use cookies to enhance the usability of our website. If you continue, we'll assume that you are happy to receive all cookies. More information. Don't show this again.
S100A11
HPA
RESOURCES
  • TISSUE
  • BRAIN
  • SINGLE CELL
  • SUBCELLULAR
  • CANCER
  • BLOOD
  • CELL LINE
  • STRUCTURE & INTERACTION
ABOUT
  • INTRODUCTION
  • HISTORY
  • ORGANIZATION
  • PUBLICATIONS
  • ANTIBODY SUBMISSION
  • ANTIBODY AVAILABILITY
  • ACKNOWLEDGMENTS
  • CONTACT
NEWS
  • NEWS ARTICLES
  • PRESS ROOM
LEARN
  • DICTIONARY
  • PROTEIN CLASSES
  • PROTEIN EVIDENCE
  • METHODS
  • EDUCATIONAL VIDEOS
DATA
  • DOWNLOADABLE DATA
  • PUBLICATION DATA
  • RELEASE HISTORY
HELP
  • ANTIBODY VALIDATION
  • ASSAYS & ANNOTATION
  • DISCLAIMER
  • HELP & FAQ
  • PRIVACY STATEMENT
  • LICENCE & CITATION
Fields »
Search result

Field
Term
Gene name
Class
Subclass
Class
Keyword
Chromosome
External id
Tissue
Cell type
Expression
Antibody panel
Tissue
Main location
Patient ID
Annotation
Tissue
Category
Tau score
Cluster
Reliability
Brain region
Category
Tau score
Brain region
Category
Tau score
Brain region
Category
Tau score
Cluster
Reliability
Tissue
Cell type
Enrichment
Cell type
Category
Tau score
Cell type
Category
Tau score
Cell type
Category
Tau score
Cell lineage
Category
Tau score
Cluster
Cluster
Location
Searches
Location
Cell line
Class
Type
Phase
Reliability
Cancer
Prognosis
Cancer
Category
Cancer
Category
Tau score
Cluster
Variants
Interacting gene (ensg_id)
Type
Number of interactions
Pathway
Category
Score
Score
Score
Validation
Validation
Validation
Validation
Antibodies
Data type
Column


  • SUMMARY

  • TISSUE

  • BRAIN

  • SINGLE CELL

  • SUBCELL

  • CANCER

  • BLOOD

  • CELL LINE

  • STRUCT & INT

  • S100A11
CANCER PROSTATE CANCER Show tissue menu
BREAST CANCER CARCINOID CERVICAL CANCER COLORECTAL CANCER ENDOMETRIAL CANCER GLIOMA HEAD AND NECK CANCER LIVER CANCER LUNG CANCER LYMPHOMA
MELANOMA OVARIAN CANCER PANCREATIC CANCER PROSTATE CANCER RENAL CANCER SKIN CANCER STOMACH CANCER TESTIS CANCER THYROID CANCER UROTHELIAL CANCER
PRAD TCGA PROTEIN EXPRESSION
ANTIBODIES
AND
VALIDATION
Dictionary
Prostate cancer
Human cancer
Prostate adenocarcinoma
PROSTATE ADENOCARCINOMA (TCGA) - Interactive survival scatter ploti

The Survival Scatter plot shows the clinical status (i.e. dead or alive) for all individuals in the patient cohort, based on the same data that underlies the corresponding Kaplan-Meier plots. Patients that are alive at last time for follow-up are shown in blue and patients who have died during the study are shown in red.

The x-axis shows the expression levels (FPKM) of the investigated gene in the tumor tissue at the time of diagnosis. The y-axis shows the follow-up time after diagnosis (years). Both axes are complimented with kernel density curves demonstrating the data density over the axes. The top density plot shows the expression levels (FPKM) distribution among dead (red) and alive patients (blue). The right density plot shows the data density of the survived years of dead patients with high and low expression levels respectively, stratified using the cutoff indicated by the vertical dashed line through the Survival Scatter plot. This cutoff is automatically defined based on the FPKM cutoff that minimizes the p-score. The cutoff can be changed by dragging the vertical line or by entering a cutoff value in the square labeled "Current cut-off".

Under the Survival Scatter plot the p-score landscape (black curve; left axis) is shown together with dead median separation (red curve; right axis). Dead median separation is the difference in median mRNA expression between patients who have died with high and low expression, respectively. It is calculated as follows: median FPKM expression of dead patients with high expression - median FPKM expression of dead patients with low expression. This is intended to aid the user in visually exploring custom cutoffs and the associated p-scores and dead median separation.

Individual patient data is displayed and can be filtered by clicking on one or more of the category buttons on the top of the page. Categories describing expression level and patient information include: high, low, alive, dead, female, male and tumor stages. The scale of the x-axis can be toggled between linear and log-scale by clicking on the "x log" button. Mouse-over function shows TCGA ID, patient information and mRNA expression (FPKM) for each patient.

& Survival analysisi

Kaplan-Meier plots summarize results from analysis of correlation between mRNA expression level and patient survival. Patients were divided based on level of expression into one of the two groups "low" (under cut off) or "high" (over cut off). X-axis shows time for survival (years) and y-axis shows the probability of survival, where 1.0 corresponds to 100 percent.

S100A11 is not prognostic in Prostate Adenocarcinoma (TCGA)


Stage:
Survival analysis
Current cut offi

Current cut-off shows the cut-off (FPKM) currently selected. It may be changed manually. When the current cut-off is changed, the vertical dashed line indicating cut-off, the interactive survival scatter plot and the Kaplan-Meier curve will be automatically adjusted to show results accordingly.

:
Best expression cut offi

Based on the FPKM value of each gene, patients were classified into two groups and association between prognosis (survival) and gene expression (FPKM) was examined. The best expression cut-off refers the FPKM value that yields maximal difference with regard to survival between the two groups at the lowest log-rank P-value. Best expression cut-off was selected based on survival analysis .

When clicking on this number, the vertical dashed line indicating cut-off, the interactive survival plot, and the Kaplan-Meier curve will be adjusted to show results based on the best expression cut-off.

: 853.26
Median expressioni

Median expression refers to the median FPKM value calculated based on the gene expression (FPKM) data from all patients in this dataset. When clicking on this number, the vertical dashed line indicating cut-off, the interactive survival plot, and the Kaplan-Meier curve will be adjusted to show results based on the median expression.

: N/A
Median follow up timei

Median follow up time refers to the median time (years) after diagnosis with this type of cancer, based on clinical data from all patients in this dataset.

: N/A
P scorei

Log-rank P value for Kaplan-Meier plot showing results from analysis of correlation between mRNA expression level and patient survival.

N/A
5-year survival highi

5-year survival for patients with higher expression than the expression cutoff.

For melanoma and glioma, 3-year survival is shown.

N/A
5-year survival lowi

5-year survival for patients with lower expression than the expression cutoff.

For melanoma and glioma, 3-year survival is shown.

N/A
TCGA RNA samplesi

RNA-seq data is reported as average FPKM (number Fragments Per Kilobase of exon per Million reads), generated by the The Cancer Genome Atlas (TCGA) .

Normal distribution across the dataset is visualized with box plots, shown as median and 25th and 75th percentiles. Points are displayed as outliers if they are above or below 1.5 times the interquartile range. FPKM values of the individual samples are presented next to the box plot.

Average pTPM 778.1
Number of samples 480
Samples
Sample Description pTPM
TCGA-EJ-A65J-01A 62 years, male, white, stage:'--, alive, 451 days 2544.3
TCGA-V1-A9O5-01A 64 years, male, white, stage:'--, alive, 1932 days 2010.4
TCGA-HC-A9TE-01A 64 years, male, white, stage:'--, alive, 587 days 1934.3
TCGA-G9-6496-01A 61 years, male, white, stage:'--, alive, 1726 days 1877.2
TCGA-V1-A8WW-01A 59 years, male, white, stage:'--, alive, 1078 days 1849.6
TCGA-VP-A872-01A 60 years, male, white, stage:'--, alive, 3631 days 1782.1
TCGA-M7-A725-01A 56 years, male, white, stage:'--, alive, 573 days 1754.6
TCGA-EJ-8472-01A 63 years, male, white, stage:'--, alive, 756 days 1708.1
TCGA-HC-7080-01A 66 years, male, white, stage:'--, alive, 1106 days 1663.9
TCGA-HC-7213-01A 53 years, male, white, stage:'--, alive, 1219 days 1650.9
TCGA-HI-7168-01A 62 years, male, white, stage:'--, alive, 3323 days 1543.8
TCGA-G9-6362-01A 57 years, male, white, stage:'--, alive, 1443 days 1524.6
TCGA-KK-A59X-01A 55 years, male, black or african american, stage:'--, alive, 2535 days 1523.6
TCGA-G9-7521-01A 52 years, male, white, stage:'--, alive, 942 days 1495.2
TCGA-ZG-A9MC-01A 69 years, male, white, stage:'--, alive, 455 days 1470.5
TCGA-KK-A8IH-01A 50 years, male, white, stage:'--, alive, 2013 days 1467.0
TCGA-V1-A8MJ-01A 58 years, male, black or african american, stage:'--, alive, 1791 days 1457.5
TCGA-KK-A59V-01A 64 years, male, white, stage:'--, alive, 3440 days 1448.9
TCGA-CH-5743-01A 66 years, male, white, stage:'--, alive, 425 days 1415.1
TCGA-ZG-A9LU-01A 67 years, male, white, stage:'--, alive, 579 days 1399.4
TCGA-ZG-A9L0-01A 71 years, male, white, stage:'--, alive, 355 days 1373.2
TCGA-KC-A7F5-01A 54 years, male, white, stage:'--, alive, 91 days 1352.1
TCGA-EJ-A46H-01A 60 years, male, black or african american, stage:'--, alive, 724 days 1332.6
TCGA-X4-A8KQ-01A 65 years, male, white, stage:'--, alive, 1383 days 1332.2
TCGA-ZG-A9LS-01A 64 years, male, white, stage:'--, alive, 516 days 1323.9
TCGA-EJ-5507-01A 54 years, male, white, stage:'--, alive, 1457 days 1320.4
TCGA-ZG-A9LN-01A 57 years, male, white, stage:'--, alive, 115 days 1310.4
TCGA-KK-A8I9-01A 61 years, male, stage:'--, alive, 1001 days 1302.2
TCGA-VP-AA1N-01A 70 years, male, white, stage:'--, alive, 1365 days 1296.8
TCGA-FC-7961-01A 62 years, male, white, stage:'--, alive, 469 days 1292.5
TCGA-V1-A8WV-01A 52 years, male, white, stage:'--, alive, 686 days 1285.1
TCGA-KK-A8IK-01A 56 years, male, white, stage:'--, alive, 2052 days 1269.3
TCGA-YL-A9WY-01A 57 years, male, white, stage:'--, alive, 1098 days 1266.9
TCGA-HC-7232-01A 66 years, male, white, stage:'--, alive, 1161 days 1256.7
TCGA-XJ-A9DX-01A 51 years, male, american indian or alaska native, stage:'--, alive, 973 days 1245.4
TCGA-XJ-A9DI-01A 62 years, male, white, stage:'--, alive, 1461 days 1231.7
TCGA-4L-AA1F-01A 64 years, male, white, stage:'--, alive, 350 days 1223.4
TCGA-ZG-A9LM-01A 72 years, male, white, stage:'--, alive, 378 days 1214.7
TCGA-HC-7749-01A 70 years, male, white, stage:'--, alive, 724 days 1202.7
TCGA-XK-AAIV-01A 63 years, male, white, stage:'--, alive, 1133 days 1198.5
TCGA-G9-6369-01A 55 years, male, white, stage:'--, alive, 1215 days 1192.0
TCGA-G9-6348-01A 68 years, male, white, stage:'--, alive, 1515 days 1180.1
TCGA-G9-6336-01A 57 years, male, white, stage:'--, alive, 2068 days 1175.1
TCGA-KK-A7B2-01A 68 years, male, white, stage:'--, alive, 1099 days 1169.3
TCGA-KK-A7AY-01A 60 years, male, white, stage:'--, alive, 1754 days 1168.9
TCGA-G9-6339-01A 58 years, male, white, stage:'--, alive, 2551 days 1166.3
TCGA-G9-6370-01A 52 years, male, white, stage:'--, alive, 1156 days 1158.8
TCGA-G9-A9S0-01A 53 years, male, white, stage:'--, dead, 791 days 1153.8
TCGA-CH-5771-01A 63 years, male, white, stage:'--, alive, 396 days 1146.8
TCGA-G9-6364-01A 72 years, male, white, stage:'--, alive, 1198 days 1142.7
TCGA-XK-AAJA-01A 62 years, male, stage:'--, alive, 930 days 1141.6
TCGA-KK-A7B0-01A 67 years, male, white, stage:'--, alive, 1329 days 1141.2
TCGA-FC-A4JI-01A 70 years, male, asian, stage:'--, alive, 877 days 1137.0
TCGA-VP-A87J-01A 56 years, male, black or african american, stage:'--, alive, 1774 days 1134.5
TCGA-KK-A59Y-01A 56 years, male, white, stage:'--, alive, 1968 days 1133.6
TCGA-ZG-A9L9-01A 60 years, male, white, stage:'--, alive, 617 days 1102.9
TCGA-J4-A6G3-01A 57 years, male, white, stage:'--, alive, 849 days 1099.1
TCGA-KK-A6E0-01A 59 years, male, asian, stage:'--, alive, 1483 days 1096.0
TCGA-J9-A52E-01A 65 years, male, white, stage:'--, alive, 323 days 1093.7
TCGA-EJ-8468-01A 63 years, male, white, stage:'--, alive, 2347 days 1082.2
TCGA-V1-A9ZK-01A 68 years, male, white, stage:'--, alive, 1383 days 1080.7
TCGA-ZG-A9LY-01A 60 years, male, white, stage:'--, alive, 370 days 1075.0
TCGA-EJ-5510-01A 48 years, male, white, stage:'--, alive, 1887 days 1065.6
TCGA-XJ-A9DK-01A 63 years, male, white, stage:'--, alive, 275 days 1063.4
TCGA-M7-A71Y-01A 55 years, male, white, stage:'--, alive, 493 days 1061.1
TCGA-J9-A52C-01A 57 years, male, white, stage:'--, alive, 178 days 1060.1
TCGA-KK-A6E6-01A 69 years, male, white, stage:'--, alive, 3447 days 1055.9
TCGA-EJ-A7NM-01A 64 years, male, white, stage:'--, alive, 128 days 1055.5
TCGA-2A-A8VL-01A 51 years, male, white, stage:'--, alive, 621 days 1047.4
TCGA-G9-6356-01A 60 years, male, white, stage:'--, alive, 1434 days 1043.2
TCGA-KK-A7B3-01A 62 years, male, white, stage:'--, alive, 899 days 1030.9
TCGA-HC-8258-01A 56 years, male, black or african american, stage:'--, alive, 847 days 1030.9
TCGA-HC-8260-01A 43 years, male, black or african american, stage:'--, alive, 686 days 1025.8
TCGA-HI-7170-01A 58 years, male, white, stage:'--, alive, 2522 days 1023.3
TCGA-VN-A88R-01A 53 years, male, black or african american, stage:'--, alive, 784 days 1016.5
TCGA-G9-6333-01A 66 years, male, white, stage:'--, alive, 2465 days 1015.5
TCGA-YL-A9WI-01A 63 years, male, white, stage:'--, alive, 1623 days 1004.8
TCGA-HC-A8CY-01A 63 years, male, white, stage:'--, alive, 290 days 1004.6
TCGA-G9-6377-01A 61 years, male, white, stage:'--, alive, 958 days 1002.1
TCGA-KK-A8IC-01A 54 years, male, white, stage:'--, alive, 2051 days 1001.1
TCGA-EJ-A65M-01A 65 years, male, black or african american, stage:'--, alive, 230 days 999.8
TCGA-J4-A83J-01A 68 years, male, white, stage:'--, alive, 696 days 999.4
TCGA-ZG-A9N3-01A 73 years, male, white, stage:'--, alive, 349 days 996.0
TCGA-HC-7742-01A 58 years, male, white, stage:'--, alive, 938 days 994.4
TCGA-EJ-7315-01A 68 years, male, white, stage:'--, alive, 1008 days 988.7
TCGA-KC-A4BL-01A 65 years, male, black or african american, stage:'--, alive, 934 days 983.2
TCGA-EJ-7782-01A 71 years, male, black or african american, stage:'--, alive, 1167 days 982.1
TCGA-G9-6365-01A 71 years, male, white, stage:'--, alive, 1363 days 978.6
TCGA-YL-A9WH-01A 67 years, male, white, stage:'--, alive, 427 days 975.7
TCGA-ZG-A9L1-01A 66 years, male, white, stage:'--, alive, 1302 days 972.5
TCGA-HC-A631-01A 67 years, male, white, stage:'--, alive, 54 days 972.0
TCGA-ZG-A9L4-01A 61 years, male, white, stage:'--, alive, 1108 days 968.8
TCGA-VP-A87C-01A 67 years, male, black or african american, stage:'--, alive, 1690 days 960.6
TCGA-G9-6367-01A 60 years, male, white, stage:'--, alive, 1222 days 957.6
TCGA-M7-A720-01A 53 years, male, white, stage:'--, alive, 384 days 952.2
TCGA-G9-7522-01A 49 years, male, white, stage:'--, alive, 1078 days 952.0
TCGA-EJ-A65E-01A 67 years, male, black or african american, stage:'--, alive, 417 days 944.4
TCGA-MG-AAMC-01A 59 years, male, white, stage:'--, alive, 173 days 943.8
TCGA-J9-A52D-01A 71 years, male, white, stage:'--, alive, 212 days 943.4
TCGA-KK-A8IB-01A 65 years, male, white, stage:'--, alive, 83 days 940.0
TCGA-KK-A6E7-01A 46 years, male, stage:'--, alive, 2760 days 939.9
TCGA-KK-A7AZ-01A 56 years, male, white, stage:'--, alive, 1519 days 939.6
TCGA-J4-AATZ-01A 66 years, male, asian, stage:'--, alive, 412 days 936.4
TCGA-2A-A8W1-01A 54 years, male, asian, stage:'--, alive, 112 days 936.0
TCGA-EJ-5506-01A 67 years, male, white, stage:'--, alive, 1381 days 935.2
TCGA-G9-6329-01A 67 years, male, white, stage:'--, alive, 1266 days 930.6
TCGA-CH-5738-01A 72 years, male, white, stage:'--, alive, 212 days 927.5
TCGA-V1-A8MM-01A 60 years, male, black or african american, stage:'--, alive, 1195 days 926.1
TCGA-G9-6361-01A 61 years, male, white, stage:'--, alive, 1415 days 925.5
TCGA-HC-A9TH-01A 58 years, male, white, stage:'--, alive, 844 days 923.3
TCGA-KC-A7F6-01A 63 years, male, white, stage:'--, alive, 263 days 916.3
TCGA-KK-A6DY-01A 50 years, male, black or african american, stage:'--, alive, 4295 days 915.9
TCGA-V1-A8MU-01A 56 years, male, black or african american, stage:'--, alive, 1876 days 914.8
TCGA-EJ-7330-01A 68 years, male, white, stage:'--, alive, 191 days 912.2
TCGA-V1-A9OX-01A 56 years, male, white, stage:'--, alive, 1134 days 905.4
TCGA-X4-A8KS-01A 61 years, male, black or african american, stage:'--, alive, 979 days 904.5
TCGA-EJ-5519-01A 64 years, male, white, stage:'--, alive, 1962 days 901.6
TCGA-J4-A83I-01A 63 years, male, white, stage:'--, alive, 685 days 899.4
TCGA-VN-A88I-01A 59 years, male, white, stage:'--, alive, 269 days 898.6
TCGA-G9-6332-01A 55 years, male, white, stage:'--, alive, 2657 days 898.3
TCGA-ZG-A8QW-01A 72 years, male, white, stage:'--, alive, 94 days 897.7
TCGA-HC-A6HY-01A 51 years, male, white, stage:'--, alive, 134 days 897.5
TCGA-G9-7523-01A 44 years, male, black or african american, stage:'--, alive, 857 days 892.7
TCGA-HC-8259-01A 50 years, male, black or african american, stage:'--, alive, 924 days 892.2
TCGA-EJ-A8FS-01A 66 years, male, white, stage:'--, alive, 266 days 890.9
TCGA-VN-A88M-01A 55 years, male, black or african american, stage:'--, alive, 189 days 890.1
TCGA-HC-8266-01A 55 years, male, white, stage:'--, alive, 473 days 889.9
TCGA-EJ-A46E-01A 57 years, male, white, stage:'--, alive, 524 days 884.5
TCGA-HC-7747-01A 52 years, male, white, stage:'--, alive, 748 days 883.3
TCGA-KC-A4BV-01A 66 years, male, asian, stage:'--, alive, 1328 days 882.5
TCGA-ZG-A9L2-01A 70 years, male, white, stage:'--, alive, 1154 days 882.0
TCGA-J4-A67T-01A 63 years, male, white, stage:'--, alive, 183 days 881.6
TCGA-J4-A67L-01A 54 years, male, white, stage:'--, alive, 770 days 881.5
TCGA-V1-A9Z9-01A 63 years, male, white, stage:'--, alive, 540 days 878.5
TCGA-EJ-5542-01A 60 years, male, white, stage:'--, alive, 1513 days 875.9
TCGA-V1-A8WN-01A 47 years, male, black or african american, stage:'--, alive, 924 days 874.9
TCGA-G9-6351-01A 51 years, male, white, stage:'--, alive, 2048 days 872.5
TCGA-HC-8262-01A 57 years, male, white, stage:'--, alive, 679 days 872.5
TCGA-VN-A88N-01A 62 years, male, white, stage:'--, alive, 766 days 872.1
TCGA-EJ-5503-01A 50 years, male, white, stage:'--, alive, 1391 days 867.4
TCGA-V1-A8WL-01A 64 years, male, black or african american, stage:'--, alive, 1948 days 866.7
TCGA-YL-A8SC-01A 66 years, male, white, stage:'--, alive, 1261 days 864.0
TCGA-EJ-5502-01A 50 years, male, stage:'--, alive, 1171 days 861.2
TCGA-CH-5763-01A 66 years, male, white, stage:'--, alive, 365 days 860.3
TCGA-KK-A7B1-01A 65 years, male, white, stage:'--, alive, 1063 days 858.4
TCGA-ZG-A9LZ-01A 66 years, male, white, stage:'--, alive, 692 days 856.3
TCGA-CH-5753-01A 70 years, male, white, stage:'--, alive, 31 days 853.5
TCGA-ZG-A8QZ-01A 65 years, male, white, stage:'--, alive, 308 days 853.4
TCGA-EJ-7327-01A 61 years, male, white, stage:'--, alive, 923 days 853.3
TCGA-YL-A9WJ-01A 47 years, male, white, stage:'--, dead, 1855 days 853.0
TCGA-V1-A9OT-01A 61 years, male, white, stage:'--, alive, 476 days 852.6
TCGA-CH-5792-01A 57 years, male, white, stage:'--, alive, 91 days 852.4
TCGA-M7-A723-01A 54 years, male, white, stage:'--, alive, 763 days 850.3
TCGA-CH-5766-01A 55 years, male, white, stage:'--, alive, 31 days 849.9
TCGA-EJ-5525-01A 67 years, male, white, stage:'--, alive, 1115 days 849.5
TCGA-CH-5791-01A 72 years, male, white, stage:'--, alive, 1004 days 847.9
TCGA-KK-A8I6-01A 58 years, male, white, stage:'--, alive, 668 days 846.8
TCGA-KK-A8I4-01A 64 years, male, white, stage:'--, alive, 2259 days 846.7
TCGA-KC-A7FA-01A 63 years, male, white, stage:'--, alive, 598 days 845.1
TCGA-G9-7525-01A 64 years, male, white, stage:'--, alive, 994 days 845.1
TCGA-HC-7081-01A 62 years, male, white, stage:'--, alive, 1136 days 845.1
TCGA-VP-A87H-01A 76 years, male, white, stage:'--, alive, 663 days 844.3
TCGA-KK-A8IA-01A 69 years, male, white, stage:'--, alive, 1931 days 843.2
TCGA-HC-7210-01A 74 years, male, white, stage:'--, alive, 868 days 841.5
TCGA-EJ-AB27-01A 51 years, male, white, stage:'--, alive, 145 days 840.5
TCGA-EJ-7788-01A 53 years, male, white, stage:'--, alive, 859 days 840.2
TCGA-KC-A7FD-01A 62 years, male, white, stage:'--, alive, 270 days 840.1
TCGA-HC-8216-01A 58 years, male, white, stage:'--, alive, 682 days 834.5
TCGA-V1-A9OY-01A 57 years, male, white, stage:'--, alive, 1067 days 829.5
TCGA-G9-7510-01A 66 years, male, white, stage:'--, alive, 1185 days 828.7
TCGA-KK-A7AW-01A 57 years, male, black or african american, stage:'--, alive, 1054 days 827.0
TCGA-J9-A8CM-01A 66 years, male, white, stage:'--, alive, 463 days 824.6
TCGA-EJ-5499-01A 61 years, male, asian, stage:'--, alive, 1415 days 824.5
TCGA-XK-AAIR-01A 75 years, male, white, stage:'--, alive, 972 days 823.8
TCGA-KK-A7AQ-01A 62 years, male, white, stage:'--, alive, 1610 days 821.7
TCGA-KK-A7B4-01A 64 years, male, white, stage:'--, alive, 987 days 820.4
TCGA-XJ-A9DQ-01A 48 years, male, white, stage:'--, alive, 91 days 817.4
TCGA-EJ-5521-01A 63 years, male, white, stage:'--, alive, 2279 days 816.8
TCGA-VP-A875-01A 67 years, male, black or african american, stage:'--, alive, 2309 days 816.5
TCGA-EJ-5531-01A 62 years, male, white, stage:'--, alive, 1273 days 816.2
TCGA-G9-6363-01A 64 years, male, white, stage:'--, alive, 1378 days 814.4
TCGA-HC-7211-01A 62 years, male, white, stage:'--, alive, 1221 days 813.8
TCGA-G9-6373-01A 68 years, male, white, stage:'--, alive, 811 days 813.1
TCGA-EJ-5509-01A 63 years, male, white, stage:'--, alive, 1464 days 809.2
TCGA-EJ-5498-01A 56 years, male, white, stage:'--, alive, 1720 days 807.5
TCGA-CH-5789-01A 61 years, male, white, stage:'--, alive, 304 days 807.2
TCGA-HC-A48F-01A 47 years, male, white, stage:'--, alive, 680 days 805.6
TCGA-HC-7740-01A 59 years, male, white, stage:'--, alive, 717 days 805.1
TCGA-XK-AAJU-01A 65 years, male, white, stage:'--, alive, 1576 days 804.3
TCGA-YL-A8HO-01A 67 years, male, black or african american, stage:'--, alive, 2304 days 803.5
TCGA-EJ-7314-01A 62 years, male, white, stage:'--, alive, 1150 days 803.0
TCGA-KK-A8I5-01A 55 years, male, black or african american, stage:'--, alive, 3096 days 802.6
TCGA-KK-A6E1-01A 57 years, male, white, stage:'--, alive, 2198 days 801.8
TCGA-G9-6385-01A 66 years, male, white, stage:'--, alive, 830 days 801.3
TCGA-EJ-A7NJ-01A 59 years, male, white, stage:'--, alive, 197 days 801.3
TCGA-H9-7775-01A 68 years, male, white, stage:'--, alive, 185 days 799.2
TCGA-HC-8261-01A 48 years, male, black or african american, stage:'--, alive, 546 days 796.7
TCGA-EJ-7789-01A 66 years, male, black or african american, stage:'--, alive, 1105 days 796.7
TCGA-J4-A6G1-01A 68 years, male, white, stage:'--, alive, 769 days 795.4
TCGA-V1-A8MK-01A 41 years, male, black or african american, stage:'--, alive, 508 days 793.6
TCGA-KK-A59Z-01A 66 years, male, black or african american, stage:'--, alive, 2628 days 793.5
TCGA-EJ-8474-01A 69 years, male, white, stage:'--, alive, 766 days 793.0
TCGA-J4-AATV-01A 71 years, male, white, stage:'--, alive, 553 days 791.5
TCGA-2A-A8VO-01A 57 years, male, white, stage:'--, alive, 1701 days 790.7
TCGA-G9-6494-01A 66 years, male, white, stage:'--, alive, 1771 days 790.4
TCGA-FC-7708-01A 52 years, male, asian, stage:'--, alive, 864 days 787.7
TCGA-G9-7509-01A 48 years, male, black or african american, stage:'--, alive, 1610 days 786.1
TCGA-KK-A8IL-01A 65 years, male, white, stage:'--, dead, 628 days 785.6
TCGA-KK-A6E5-01A 63 years, male, black or african american, stage:'--, alive, 2073 days 783.6
TCGA-EJ-5526-01A 56 years, male, white, stage:'--, alive, 1909 days 782.9
TCGA-HC-7748-01A 60 years, male, white, stage:'--, alive, 792 days 780.6
TCGA-HI-7171-01A 56 years, male, white, stage:'--, dead, 1329 days 779.1
TCGA-KK-A7AV-01A 58 years, male, black or african american, stage:'--, alive, 822 days 775.9
TCGA-EJ-5522-01A 51 years, male, white, stage:'--, alive, 2079 days 766.2
TCGA-G9-A9S7-01A 55 years, male, white, stage:'--, alive, 728 days 766.1
TCGA-M7-A721-01A 70 years, male, white, stage:'--, alive, 400 days 766.1
TCGA-EJ-A6RA-01A 70 years, male, white, stage:'--, alive, 353 days 763.6
TCGA-EJ-7794-01A 67 years, male, white, stage:'--, alive, 1306 days 763.0
TCGA-XJ-A83G-01A 51 years, male, black or african american, stage:'--, alive, 1461 days 762.0
TCGA-EJ-5514-01A 66 years, male, white, stage:'--, alive, 1829 days 760.8
TCGA-HC-A632-01A 68 years, male, white, stage:'--, alive, 61 days 758.7
TCGA-EJ-A7NK-01A 58 years, male, white, stage:'--, alive, 476 days 756.9
TCGA-YJ-A8SW-01A 67 years, male, stage:'--, alive, 148 days 756.7
TCGA-HC-7209-01A 60 years, male, white, stage:'--, alive, 440 days 756.0
TCGA-EJ-5527-01A 69 years, male, white, stage:'--, alive, 1778 days 754.2
TCGA-2A-A8VV-01A 52 years, male, stage:'--, alive, 671 days 754.0
TCGA-YL-A8HM-01A 66 years, male, white, stage:'--, alive, 1482 days 753.8
TCGA-H9-A6BX-01A 60 years, male, white, stage:'--, alive, 941 days 753.6
TCGA-EJ-7791-01A 67 years, male, white, stage:'--, alive, 1118 days 750.1
TCGA-KC-A4BN-01A 55 years, male, black or african american, stage:'--, alive, 1815 days 741.7
TCGA-J4-A67M-01A 55 years, male, white, stage:'--, alive, 941 days 741.7
TCGA-YL-A9WX-01A 68 years, male, white, stage:'--, alive, 1518 days 740.9
TCGA-EJ-A46D-01A 53 years, male, white, stage:'--, alive, 626 days 740.8
TCGA-G9-6379-01A 68 years, male, white, stage:'--, alive, 1778 days 737.9
TCGA-EJ-A7NG-01A 64 years, male, white, stage:'--, alive, 432 days 737.7
TCGA-EJ-7328-01A 70 years, male, white, stage:'--, alive, 842 days 737.1
TCGA-V1-A9OL-01A 65 years, male, asian, stage:'--, alive, 1913 days 733.4
TCGA-M7-A724-01A 64 years, male, white, stage:'--, alive, 889 days 733.3
TCGA-VP-A87K-01A 63 years, male, white, stage:'--, alive, 1306 days 731.9
TCGA-FC-A66V-01A 74 years, male, white, stage:'--, alive, 524 days 731.8
TCGA-HC-7079-01A 51 years, male, white, stage:'--, alive, 1184 days 727.8
TCGA-EJ-A8FO-01A 51 years, male, stage:'--, alive, 282 days 726.1
TCGA-EJ-7797-01A 53 years, male, white, stage:'--, alive, 983 days 725.8
TCGA-G9-6371-01A 58 years, male, white, stage:'--, alive, 1226 days 725.8
TCGA-SU-A7E7-01A 60 years, male, white, stage:'--, alive, 551 days 725.5
TCGA-EJ-5501-01A 55 years, male, white, stage:'--, alive, 1365 days 724.8
TCGA-J9-A8CP-01A 66 years, male, white, stage:'--, alive, 386 days 724.4
TCGA-KK-A8IF-01A 57 years, male, black or african american, stage:'--, alive, 804 days 722.5
TCGA-XK-AAJR-01A 61 years, male, white, stage:'--, alive, 1124 days 721.4
TCGA-HC-A6AQ-01A 60 years, male, white, stage:'--, alive, 106 days 720.5
TCGA-V1-A9Z8-01A 59 years, male, white, stage:'--, alive, 827 days 717.6
TCGA-HC-7737-01A 55 years, male, black or african american, stage:'--, alive, 1090 days 714.4
TCGA-CH-5744-01A 64 years, male, white, stage:'--, alive, 60 days 712.5
TCGA-KK-A8IJ-01A 59 years, male, white, stage:'--, alive, 1559 days 712.2
TCGA-YL-A8HK-01A 59 years, male, white, stage:'--, alive, 1491 days 711.4
TCGA-VN-A88L-01A 54 years, male, white, stage:'--, alive, 746 days 710.8
TCGA-G9-6353-01A 58 years, male, white, stage:'--, alive, 1542 days 710.6
TCGA-HC-A76W-01A 73 years, male, white, stage:'--, alive, 213 days 710.1
TCGA-V1-A8WS-01A 56 years, male, white, stage:'--, alive, 474 days 709.0
TCGA-FC-A8O0-01A 68 years, male, white, stage:'--, alive, 616 days 708.4
TCGA-XK-AAJ3-01A 56 years, male, white, stage:'--, alive, 1262 days 707.9
TCGA-J4-A67S-01A 63 years, male, white, stage:'--, alive, 833 days 706.9
TCGA-CH-5794-01A 65 years, male, white, stage:'--, alive, 882 days 705.1
TCGA-XK-AAJP-01A 66 years, male, white, stage:'--, alive, 1259 days 704.6
TCGA-EJ-A8FP-01A 59 years, male, white, stage:'--, alive, 299 days 704.4
TCGA-G9-6378-01A 54 years, male, black or african american, stage:'--, alive, 1155 days 703.2
TCGA-KK-A7AU-01A 63 years, male, white, stage:'--, alive, 1775 days 703.0
TCGA-CH-5769-01A 48 years, male, white, stage:'--, alive, 62 days 701.9
TCGA-XJ-A83H-01A 57 years, male, white, stage:'--, alive, 1280 days 701.7
TCGA-G9-6354-01A 55 years, male, asian, stage:'--, alive, 2066 days 700.9
TCGA-HC-7820-01A 72 years, male, white, stage:'--, alive, 747 days 700.9
TCGA-HC-A8D1-01A 68 years, male, white, stage:'--, alive, 573 days 699.1
TCGA-KK-A8IG-01A 55 years, male, white, stage:'--, alive, 2505 days 698.6
TCGA-EJ-A65B-01A 55 years, male, white, stage:'--, alive, 710 days 696.2
TCGA-HC-A6AP-01A 61 years, male, white, stage:'--, alive, 71 days 695.9
TCGA-G9-7519-01A 58 years, male, white, stage:'--, alive, 849 days 695.8
TCGA-KC-A7F3-01A 67 years, male, white, stage:'--, alive, 665 days 694.1
TCGA-HC-7818-01A 66 years, male, white, stage:'--, alive, 938 days 692.1
TCGA-CH-5737-01A 73 years, male, white, stage:'--, alive, 91 days 688.9
TCGA-QU-A6IP-01A 66 years, male, white, stage:'--, alive, 2620 days 688.5
TCGA-EJ-7784-01A 63 years, male, white, stage:'--, alive, 781 days 686.7
TCGA-ZG-A9ND-01A 55 years, male, white, stage:'--, alive, 410 days 684.7
TCGA-HC-7077-01A 64 years, male, black or african american, stage:'--, alive, 2115 days 684.3
TCGA-2A-A8VX-01A 70 years, male, white, stage:'--, alive, 1378 days 683.5
TCGA-G9-6342-01A 61 years, male, white, stage:'--, alive, 1696 days 681.8
TCGA-KK-A6E3-01A 56 years, male, black or african american, stage:'--, alive, 2056 days 679.3
TCGA-2A-AAYO-01A 57 years, male, white, stage:'--, alive, 1272 days 678.9
TCGA-EJ-5511-01A 55 years, male, black or african american, stage:'--, alive, 1476 days 677.7
TCGA-KK-A8I7-01A 55 years, male, white, stage:'--, alive, 2002 days 677.7
TCGA-G9-6499-01A 66 years, male, white, stage:'--, alive, 1543 days 676.6
TCGA-HC-7745-01A 65 years, male, white, stage:'--, alive, 721 days 675.9
TCGA-KK-A8IM-01A 55 years, male, white, stage:'--, alive, 1915 days 674.6
TCGA-EJ-7793-01A 49 years, male, white, stage:'--, alive, 114 days 672.8
TCGA-YL-A8HL-01A 58 years, male, white, stage:'--, alive, 1565 days 672.4
TCGA-EJ-7783-01A 70 years, male, white, stage:'--, alive, 787 days 670.6
TCGA-XJ-A83F-01A 67 years, male, white, stage:'--, alive, 1127 days 670.0
TCGA-TP-A8TT-01A 64 years, male, white, stage:'--, alive, 526 days 668.4
TCGA-J9-A8CK-01A 66 years, male, white, stage:'--, alive, 321 days 663.6
TCGA-Y6-A9XI-01A 72 years, male, stage:'--, alive, 526 days 661.0
TCGA-XK-AAJT-01A 75 years, male, white, stage:'--, alive, 1434 days 659.4
TCGA-EJ-5504-01A 65 years, male, white, stage:'--, alive, 1427 days 658.6
TCGA-ZG-A8QX-01A 56 years, male, white, stage:'--, alive, 442 days 654.5
TCGA-HC-7075-01A 63 years, male, white, stage:'--, alive, 601 days 654.3
TCGA-V1-A9OF-01A 49 years, male, white, stage:'--, alive, 1184 days 653.5
TCGA-J4-8198-01A 49 years, male, black or african american, stage:'--, alive, 614 days 650.2
TCGA-HC-7231-01A 66 years, male, white, stage:'--, alive, 939 days 648.1
TCGA-EJ-A6RC-01A 64 years, male, white, stage:'--, alive, 873 days 646.3
TCGA-VP-A87E-01A 59 years, male, black or african american, stage:'--, alive, 2037 days 646.2
TCGA-ZG-A9L6-01A 64 years, male, white, stage:'--, alive, 687 days 644.5
TCGA-QU-A6IN-01A 61 years, male, white, stage:'--, alive, 4264 days 644.5
TCGA-V1-A9ZR-01A 68 years, male, white, stage:'--, alive, 1361 days 643.7
TCGA-HC-A6HX-01A 55 years, male, white, stage:'--, alive, 38 days 641.7
TCGA-V1-A9O9-01A 56 years, male, white, stage:'--, alive, 2870 days 640.4
TCGA-V1-A9OH-01A 63 years, male, white, stage:'--, alive, 2403 days 639.7
TCGA-ZG-A9KY-01A 73 years, male, white, stage:'--, alive, 130 days 637.1
TCGA-M7-A722-01A 65 years, male, white, stage:'--, alive, 1060 days 636.4
TCGA-EJ-5524-01A 57 years, male, white, stage:'--, alive, 1882 days 635.9
TCGA-2A-AAYU-01A 56 years, male, white, stage:'--, alive, 615 days 635.3
TCGA-VP-A878-01A 58 years, male, white, stage:'--, alive, 3130 days 635.0
TCGA-EJ-8470-01A 58 years, male, black or african american, stage:'--, alive, 1159 days 633.7
TCGA-EJ-A46B-01A 66 years, male, white, stage:'--, alive, 657 days 632.9
TCGA-EJ-7115-01A 65 years, male, white, stage:'--, alive, 2687 days 631.4
TCGA-TK-A8OK-01A 73 years, male, white, stage:'--, alive, 27 days 630.8
TCGA-V1-A9O7-01A 60 years, male, white, stage:'--, alive, 2499 days 630.0
TCGA-YL-A8HJ-01A 58 years, male, white, stage:'--, alive, 1611 days 627.3
TCGA-V1-A8MG-01A 53 years, male, black or african american, stage:'--, alive, 857 days 626.3
TCGA-VP-A87B-01A 63 years, male, white, stage:'--, alive, 2722 days 625.6
TCGA-EJ-7785-01A 54 years, male, white, stage:'--, alive, 1177 days 625.0
TCGA-J4-A6M7-01A 53 years, male, white, stage:'--, alive, 512 days 623.4
TCGA-VP-A879-01A 70 years, male, white, stage:'--, dead, 728 days 621.5
TCGA-CH-5748-01A 64 years, male, white, stage:'--, alive, 31 days 619.4
TCGA-V1-A9ZG-01A 64 years, male, white, stage:'--, alive, 1517 days 618.6
TCGA-EJ-7125-01A 44 years, male, white, stage:'--, alive, 2850 days 617.8
TCGA-HC-A6AN-01A 67 years, male, white, stage:'--, alive, 49 days 617.4
TCGA-HC-A6AS-01A 70 years, male, white, stage:'--, alive, 44 days 617.3
TCGA-J4-A67N-01A 61 years, male, white, stage:'--, alive, 937 days 615.8
TCGA-VN-A88K-01A 58 years, male, white, stage:'--, alive, 776 days 614.3
TCGA-HC-A6AL-01A 64 years, male, white, stage:'--, alive, 67 days 613.2
TCGA-CH-5772-01A 63 years, male, white, stage:'--, alive, 486 days 611.1
TCGA-EJ-A8FU-01A 64 years, male, white, stage:'--, alive, 138 days 608.9
TCGA-J4-A83M-01A 64 years, male, white, stage:'--, alive, 543 days 607.1
TCGA-XQ-A8TB-01A 67 years, male, white, stage:'--, alive, 770 days 606.8
TCGA-HC-A4ZV-01A 56 years, male, black or african american, stage:'--, alive, 23 days 605.3
TCGA-HC-A8D0-01A 61 years, male, white, stage:'--, alive, 775 days 601.9
TCGA-VN-A88O-01A 49 years, male, stage:'--, alive, 481 days 601.7
TCGA-EJ-7331-01A 64 years, male, white, stage:'--, alive, 742 days 600.5
TCGA-CH-5750-01A 72 years, male, white, stage:'--, alive, 396 days 600.3
TCGA-HC-8213-01A 48 years, male, white, stage:'--, alive, 589 days 599.0
TCGA-CH-5746-01A 57 years, male, white, stage:'--, alive, 731 days 598.2
TCGA-XA-A8JR-01A 68 years, male, stage:'--, alive, 376 days 597.2
TCGA-EJ-5515-01A 60 years, male, white, stage:'--, alive, 1832 days 596.9
TCGA-HC-7738-01A 58 years, male, white, stage:'--, alive, 964 days 596.7
TCGA-EJ-5495-01A 68 years, male, white, stage:'--, alive, 1760 days 596.4
TCGA-V1-A9OQ-01A 67 years, male, white, stage:'--, alive, 371 days 596.3
TCGA-ZG-A9NI-01A 73 years, male, white, stage:'--, alive, 132 days 596.1
TCGA-EJ-8469-01A 46 years, male, black or african american, stage:'--, alive, 2324 days 593.6
TCGA-HC-A6AO-01A 52 years, male, white, stage:'--, alive, 530 days 592.1
TCGA-KC-A7FE-01A 62 years, male, white, stage:'--, alive, 352 days 591.8
TCGA-G9-6498-01A 53 years, male, white, stage:'--, alive, 1952 days 590.9
TCGA-HC-7736-01A 59 years, male, white, stage:'--, alive, 1103 days 590.3
TCGA-EJ-A7NH-01A 56 years, male, white, stage:'--, alive, 474 days 588.7
TCGA-YL-A8SA-01A 69 years, male, white, stage:'--, alive, 512 days 587.3
TCGA-EJ-5505-01A 57 years, male, white, stage:'--, alive, 922 days 583.6
TCGA-EJ-7792-01A 53 years, male, white, stage:'--, alive, 1396 days 583.0
TCGA-QU-A6IL-01A 64 years, male, asian, stage:'--, alive, 97 days 582.3
TCGA-EJ-AB20-01A 61 years, male, stage:'--, alive, 131 days 581.0
TCGA-EJ-5516-01A 49 years, male, white, stage:'--, alive, 1889 days 578.7
TCGA-EJ-5512-01A 46 years, male, white, stage:'--, alive, 1733 days 577.3
TCGA-V1-A9OA-01A 61 years, male, white, stage:'--, alive, 636 days 576.3
TCGA-YL-A8S8-01A 68 years, male, white, stage:'--, alive, 1890 days 574.2
TCGA-CH-5768-01A 72 years, male, white, stage:'--, alive, 731 days 573.9
TCGA-HC-A76X-01A 62 years, male, white, stage:'--, alive, 150 days 573.5
TCGA-J4-A83N-01A 57 years, male, white, stage:'--, alive, 992 days 573.3
TCGA-ZG-A9LB-01A 72 years, male, white, stage:'--, alive, 583 days 572.8
TCGA-YL-A8SB-01A 62 years, male, white, stage:'--, alive, 1719 days 565.7
TCGA-EJ-5508-01A 65 years, male, white, stage:'--, alive, 1965 days 564.0
TCGA-CH-5762-01A 60 years, male, white, stage:'--, alive, 1339 days 562.8
TCGA-EJ-7781-01A 65 years, male, white, stage:'--, alive, 1073 days 562.1
TCGA-KK-A6E8-01A 68 years, male, white, stage:'--, alive, 1770 days 561.6
TCGA-HC-7750-01A 50 years, male, white, stage:'--, alive, 522 days 561.5
TCGA-HC-7821-01A 54 years, male, white, stage:'--, alive, 956 days 559.4
TCGA-EJ-A7NN-01A 61 years, male, white, stage:'--, alive, 197 days 557.3
TCGA-EJ-A46I-01A 57 years, male, black or african american, stage:'--, alive, 668 days 557.2
TCGA-CH-5754-01A 65 years, male, white, stage:'--, alive, 62 days 556.8
TCGA-J4-A67R-01A 65 years, male, white, stage:'--, alive, 910 days 556.2
TCGA-EJ-7321-01A 57 years, male, black or african american, stage:'--, alive, 824 days 554.9
TCGA-V1-A8X3-01A 51 years, male, white, stage:'--, alive, 202 days 552.6
TCGA-HI-7169-01A 55 years, male, white, stage:'--, alive, 2684 days 547.1
TCGA-J4-8200-01A 47 years, male, asian, stage:'--, alive, 1218 days 545.7
TCGA-HC-7233-01A 73 years, male, white, stage:'--, alive, 1355 days 541.7
TCGA-HC-8265-01A 66 years, male, white, stage:'--, alive, 483 days 541.2
TCGA-CH-5790-01A 64 years, male, white, stage:'--, alive, 974 days 539.7
TCGA-CH-5788-01A 69 years, male, white, stage:'--, alive, 821 days 538.2
TCGA-KC-A4BR-01A 75 years, male, white, stage:'--, alive, 1349 days 537.5
TCGA-EJ-5517-01A 55 years, male, white, stage:'--, alive, 1889 days 532.7
TCGA-2A-AAYF-01A 57 years, male, white, stage:'--, alive, 1364 days 532.1
TCGA-EJ-A8FN-01A 58 years, male, white, stage:'--, alive, 329 days 531.2
TCGA-G9-6338-01A 61 years, male, white, stage:'--, alive, 2028 days 531.2
TCGA-VN-A88P-01A 60 years, male, white, stage:'--, alive, 1260 days 526.9
TCGA-ZG-A8QY-01A 67 years, male, white, stage:'--, alive, 404 days 524.8
TCGA-HC-8256-01A 53 years, male, black or african american, stage:'--, alive, 860 days 521.1
TCGA-YL-A8S9-01A 63 years, male, white, stage:'--, alive, 1842 days 520.8
TCGA-EJ-A46F-01A 57 years, male, white, stage:'--, alive, 783 days 520.3
TCGA-KK-A8I8-01A 69 years, male, white, stage:'--, alive, 967 days 517.8
TCGA-CH-5741-01A 56 years, male, white, stage:'--, alive, 395 days 514.3
TCGA-G9-6366-01A 61 years, male, white, stage:'--, alive, 1947 days 513.2
TCGA-EJ-5530-01A 61 years, male, white, stage:'--, alive, 1832 days 512.7
TCGA-KK-A8ID-01A 70 years, male, stage:'--, alive, 2107 days 503.1
TCGA-CH-5740-01A 57 years, male, white, stage:'--, alive, 31 days 502.2
TCGA-QU-A6IM-01A 59 years, male, white, stage:'--, alive, 1247 days 501.3
TCGA-VP-A876-01A 46 years, male, white, stage:'--, alive, 3333 days 501.2
TCGA-CH-5764-01A 66 years, male, white, stage:'--, alive, 31 days 499.1
TCGA-Y6-A8TL-01A 65 years, male, stage:'--, alive, 992 days 498.9
TCGA-EJ-7123-01A 59 years, male, white, stage:'--, alive, 2572 days 496.7
TCGA-KK-A7AP-01A 55 years, male, white, stage:'--, alive, 196 days 492.7
TCGA-CH-5745-01A 68 years, male, white, stage:'--, alive, 91 days 492.5
TCGA-YL-A9WL-01A 59 years, male, white, stage:'--, alive, 740 days 486.8
TCGA-XK-AAK1-01A 62 years, male, white, stage:'--, alive, 979 days 480.7
TCGA-HC-7819-01A 53 years, male, white, stage:'--, alive, 543 days 477.7
TCGA-EJ-7786-01A 62 years, male, white, stage:'--, alive, 1096 days 476.3
TCGA-YL-A8SI-01A 69 years, male, white, stage:'--, alive, 1614 days 473.7
TCGA-EJ-A7NF-01A 56 years, male, white, stage:'--, alive, 250 days 473.0
TCGA-G9-6384-01A 53 years, male, white, stage:'--, alive, 765 days 471.3
TCGA-ZG-A9L5-01A 58 years, male, white, stage:'--, alive, 908 days 471.0
TCGA-KK-A5A1-01A 72 years, male, black or african american, stage:'--, dead, 2469 days 470.2
TCGA-J9-A8CL-01A 66 years, male, white, stage:'--, alive, 405 days 469.1
TCGA-KK-A8II-01A 61 years, male, white, stage:'--, dead, 3467 days 469.1
TCGA-CH-5765-01A 55 years, male, white, stage:'--, alive, 700 days 465.7
TCGA-EJ-5518-01A 66 years, male, white, stage:'--, alive, 2118 days 465.5
TCGA-V1-A8ML-01A 63 years, male, black or african american, stage:'--, alive, 448 days 464.9
TCGA-J9-A8CN-01A 53 years, male, white, stage:'--, alive, 1237 days 463.9
TCGA-EJ-A65F-01A 59 years, male, white, stage:'--, alive, 560 days 461.0
TCGA-YL-A9WK-01A 63 years, male, black or african american, stage:'--, alive, 2136 days 459.1
TCGA-V1-A8MF-01A 65 years, male, black or african american, stage:'--, alive, 1449 days 458.3
TCGA-EJ-A65D-01A 66 years, male, white, stage:'--, alive, 393 days 455.8
TCGA-J4-A83K-01A 52 years, male, white, stage:'--, alive, 328 days 454.6
TCGA-G9-6347-01A 59 years, male, stage:'--, alive, 2089 days 452.8
TCGA-EJ-A46G-01A 71 years, male, white, stage:'--, alive, 668 days 448.8
TCGA-J4-A83L-01A 61 years, male, white, stage:'--, alive, 720 days 447.6
TCGA-J4-A67K-01A 68 years, male, white, stage:'--, alive, 1004 days 443.1
TCGA-HC-7078-01A 69 years, male, white, stage:'--, alive, 1985 days 441.7
TCGA-V1-A9ZI-01A 68 years, male, white, stage:'--, alive, 1640 days 440.3
TCGA-J4-A67Q-01A 77 years, male, white, stage:'--, alive, 975 days 438.6
TCGA-KK-A6E4-01A 69 years, male, black or african american, stage:'--, dead, 3502 days 437.8
TCGA-HC-7212-01A 56 years, male, white, stage:'--, alive, 870 days 436.2
TCGA-EJ-5532-01A 57 years, male, white, stage:'--, alive, 1828 days 433.8
TCGA-KK-A6E2-01A 54 years, male, black or african american, stage:'--, alive, 5024 days 429.3
TCGA-G9-6343-01A 62 years, male, white, stage:'--, alive, 2450 days 429.1
TCGA-VN-A88Q-01A 60 years, male, white, stage:'--, alive, 1366 days 425.3
TCGA-QU-A6IO-01A 53 years, male, black or african american, stage:'--, alive, 3716 days 422.1
TCGA-VP-A87D-01A 54 years, male, white, stage:'--, alive, 1853 days 420.8
TCGA-CH-5739-01A 65 years, male, white, stage:'--, alive, 671 days 417.1
TCGA-CH-5767-01A 66 years, male, white, stage:'--, alive, 458 days 416.9
TCGA-HC-7230-01A 50 years, male, white, stage:'--, alive, 1001 days 414.9
TCGA-HC-8257-01A 70 years, male, black or african american, stage:'--, alive, 726 days 413.2
TCGA-XQ-A8TA-01A 59 years, male, white, stage:'--, dead, 146 days 409.6
TCGA-J4-A67O-01A 59 years, male, white, stage:'--, alive, 839 days 399.1
TCGA-TP-A8TV-01A 62 years, male, white, stage:'--, alive, 610 days 393.8
TCGA-J9-A52B-01A 62 years, male, white, stage:'--, alive, 422 days 387.4
TCGA-FC-A5OB-01A 53 years, male, white, stage:'--, alive, 680 days 386.3
TCGA-WW-A8ZI-01A 70 years, male, white, stage:'--, alive, 449 days 384.4
TCGA-2A-A8VT-01A 47 years, male, asian, stage:'--, alive, 1373 days 383.7
TCGA-CH-5751-01A 68 years, male, white, stage:'--, alive, 1065 days 374.7
TCGA-VN-A943-01A 71 years, male, white, stage:'--, alive, 496 days 370.3
TCGA-XK-AAIW-01A 78 years, male, white, stage:'--, alive, 1218 days 364.0
TCGA-H9-A6BY-01A 63 years, male, white, stage:'--, alive, 112 days 360.0
TCGA-EJ-A65G-01A 57 years, male, white, stage:'--, alive, 666 days 348.0
TCGA-HC-7744-01A 46 years, male, white, stage:'--, alive, 531 days 339.0
TCGA-EJ-7317-01A 71 years, male, white, stage:'--, alive, 771 days 334.6
TCGA-EJ-5494-01A 50 years, male, white, stage:'--, alive, 1477 days 333.6
TCGA-2A-A8W3-01A 69 years, male, white, stage:'--, alive, 863 days 333.5
TCGA-HC-7752-01A 61 years, male, white, stage:'--, alive, 782 days 305.2
TCGA-J4-AAU2-01A 59 years, male, white, stage:'--, alive, 825 days 285.1
TCGA-V1-A9Z7-01A 54 years, male, white, stage:'--, alive, 874 days 283.2
TCGA-ZG-A9M4-01A 65 years, male, white, stage:'--, alive, 547 days 278.9
TCGA-G9-A9S4-01A 62 years, male, white, stage:'--, alive, 906 days 236.5
TCGA-CH-5761-01A 61 years, male, white, stage:'--, alive, 28 days 206.8
TCGA-FC-A6HD-01A 77 years, male, white, stage:'--, alive, 789 days 177.0
TCGA-M7-A71Z-01A 62 years, male, white, stage:'--, alive, 643 days 158.4
TCGA-CH-5752-01A 66 years, male, white, stage:'--, alive, 943 days 156.1
Show allShow less
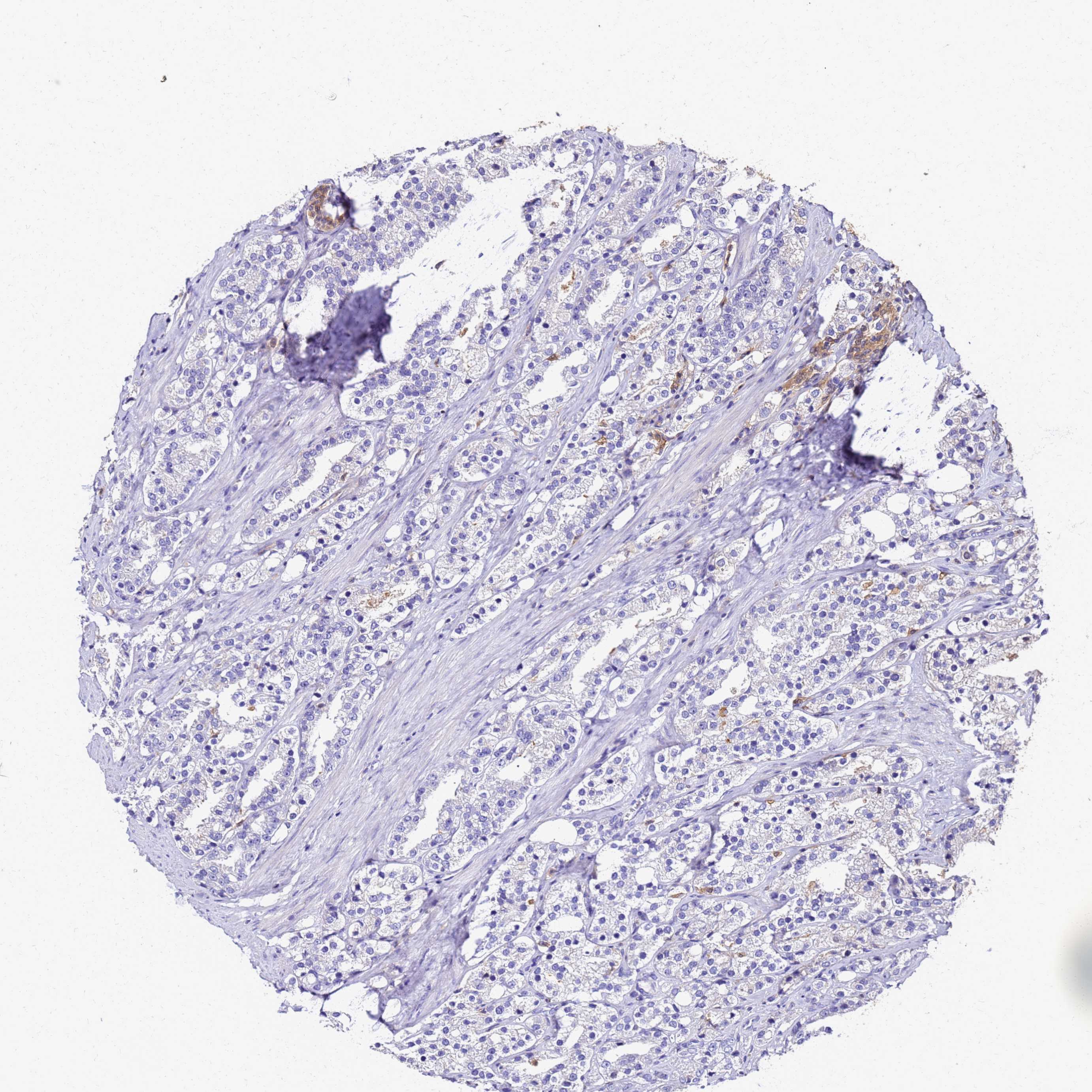
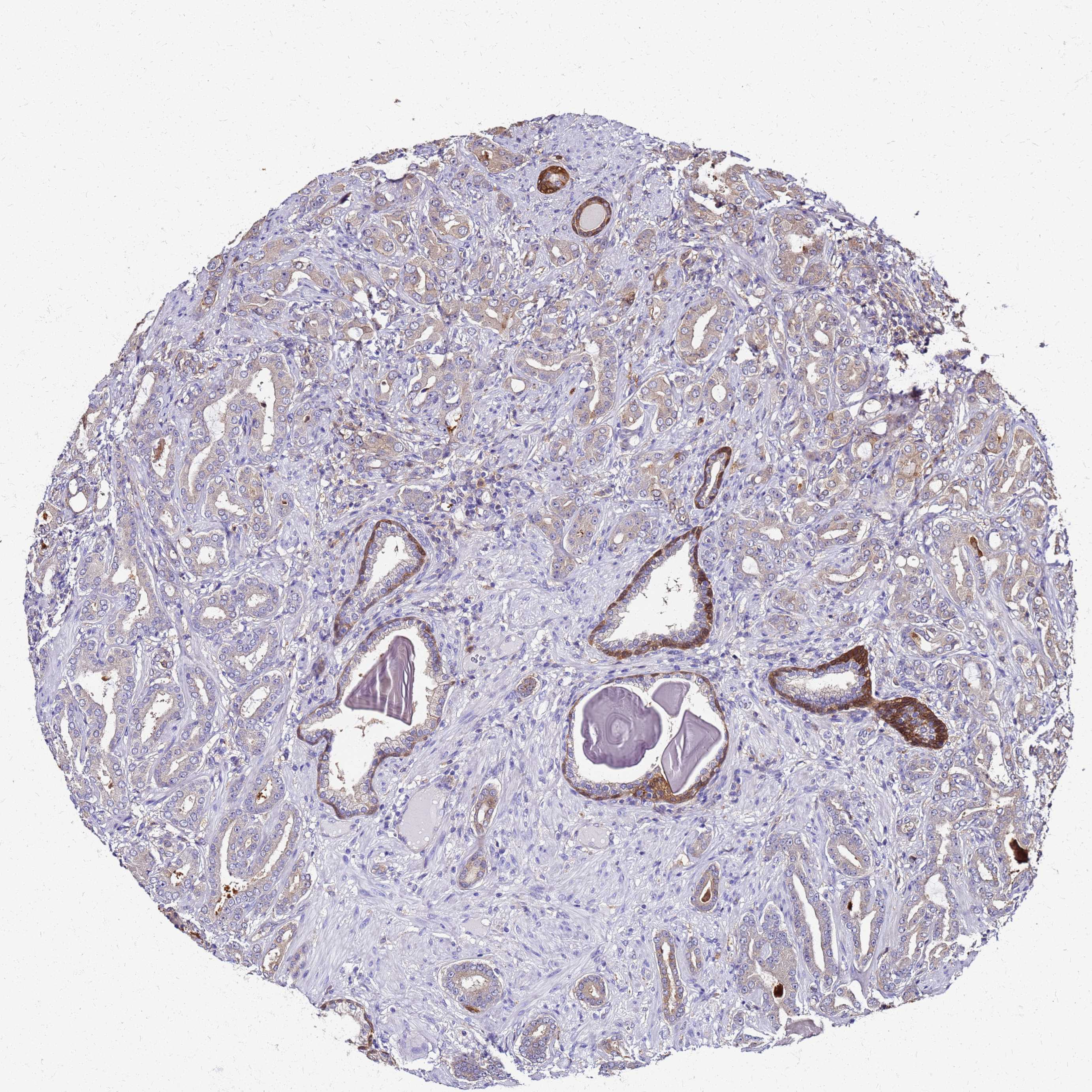
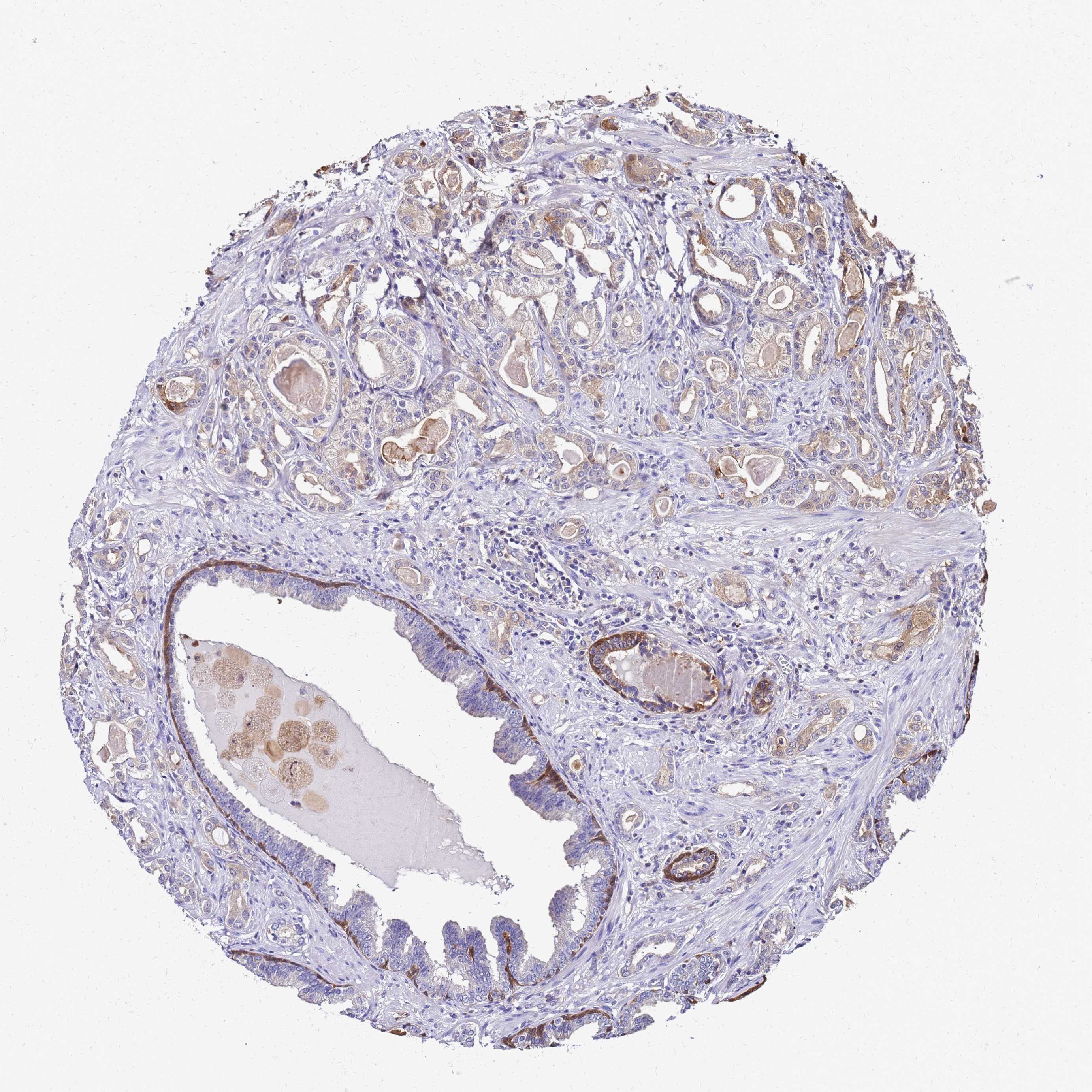
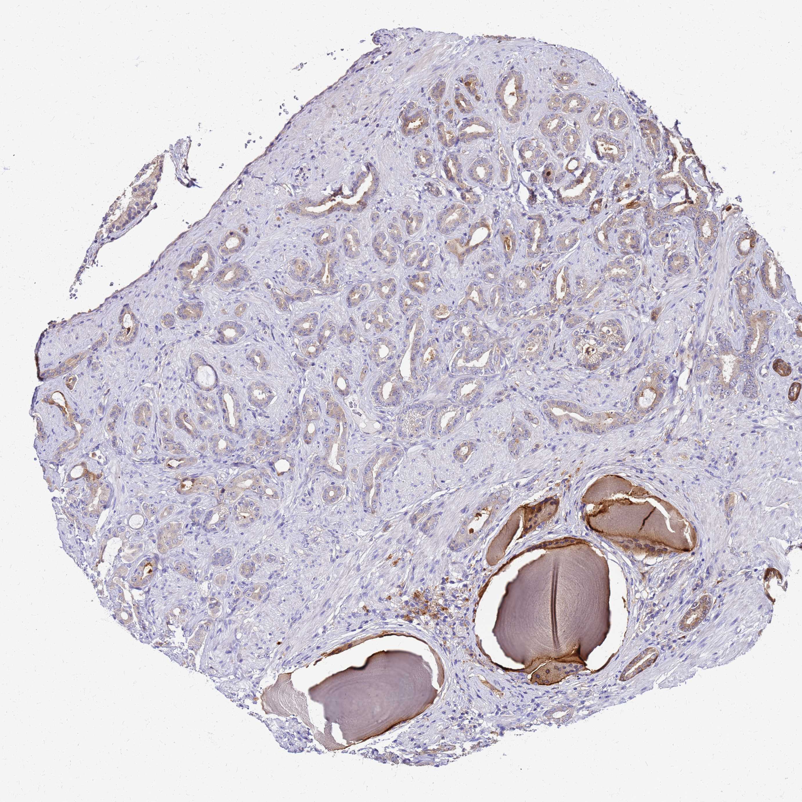
PROSTATE CANCER - Protein expressioni

A mouse-over function shows sample information and annotation data. Click on an image to view it in a full screen mode. Samples can be filtered based on level of antibody staining by selecting one or several of the following categories: high, medium, low and not detected. The assay and annotation is described here.

Note that samples used for immunohistochemistry by the Human Protein Atlas do not correspond to samples in the TCGA dataset.

 

Antibody stainingi

Antibody staining in the annotated cell types in the current human tissue is reported as not detected, low, medium, or high, based on conventional immunohistochemistry profiling in selected tissues. This score is based on the combination of the staining intensity and fraction of stained cells.

Each image is clickable and will lead to virtual microscopy that enables deeper exploration of all samples and also displays staining intensity scores, fraction scores and subcellular localization as well as patient and tissue information for each sample.


Antibody HPA042745

Antibody CAB034320
 Staining
  High
  Medium
  Low
  Not detected
 Intensity
  Strong
  Moderate
  Weak
  Negative
 Quantity
  >75%
  75%-25%
  <25%
  None
 Location
  Nuclear
  Cytoplasmic/membranous
  Cytoplasmic/membranous,nuclear
  None
Adenocarcinoma, NOS
Adenocarcinoma, High grade
Adenocarcinoma, Low grade

Contact

  • NEWS ARTICLES
  • PRESS ROOM

The Project

  • INTRODUCTION
  • ORGANIZATION
  • PUBLICATIONS

The Human Protein Atlas

  • DOWNLOADABLE DATA
  • LICENCE & CITATION
  • HELP & FAQ
The Human Protein Atlas project is funded
by the Knut & Alice Wallenberg Foundation.


contact@proteinatlas.org