We use cookies to enhance the usability of our website. If you continue, we'll assume that you are happy to receive all cookies. More information. Don't show this again.
S100A9
HPA
RESOURCES
  • TISSUE
  • BRAIN
  • SINGLE CELL
  • SUBCELLULAR
  • CANCER
  • BLOOD
  • CELL LINE
  • STRUCTURE & INTERACTION
ABOUT
  • INTRODUCTION
  • HISTORY
  • ORGANIZATION
  • PUBLICATIONS
  • ANTIBODY SUBMISSION
  • ANTIBODY AVAILABILITY
  • ACKNOWLEDGMENTS
  • CONTACT
NEWS
  • NEWS ARTICLES
  • PRESS ROOM
LEARN
  • DICTIONARY
  • PROTEIN CLASSES
  • PROTEIN EVIDENCE
  • METHODS
  • EDUCATIONAL VIDEOS
DATA
  • DOWNLOADABLE DATA
  • PUBLICATION DATA
  • RELEASE HISTORY
HELP
  • ANTIBODY VALIDATION
  • ASSAYS & ANNOTATION
  • DISCLAIMER
  • HELP & FAQ
  • PRIVACY STATEMENT
  • LICENCE & CITATION
Fields »
Search result

Field
Term
Gene name
Class
Subclass
Class
Keyword
Chromosome
External id
Tissue
Cell type
Expression
Antibody panel
Tissue
Main location
Patient ID
Annotation
Tissue
Category
Tau score
Cluster
Reliability
Brain region
Category
Tau score
Brain region
Category
Tau score
Brain region
Category
Tau score
Cluster
Reliability
Tissue
Cell type
Enrichment
Cell type
Category
Tau score
Cell type
Category
Tau score
Cell type
Category
Tau score
Cell lineage
Category
Tau score
Cluster
Cluster
Location
Searches
Location
Cell line
Class
Type
Phase
Reliability
Cancer
Prognosis
Cancer
Category
Cancer
Category
Tau score
Cluster
Variants
Interacting gene (ensg_id)
Type
Number of interactions
Pathway
Category
Score
Score
Score
Validation
Validation
Validation
Validation
Antibodies
Data type
Column


  • SUMMARY

  • TISSUE

  • BRAIN

  • SINGLE CELL

  • SUBCELL

  • CANCER

  • BLOOD

  • CELL LINE

  • STRUCT & INT

  • S100A9
TISSUE PRIMARY DATA STOMACH 1 Show tissue menu
ADIPOSE TISSUE ADRENAL GLAND AMYGDALA APPENDIX BASAL GANGLIA BONE MARROW BREAST BRONCHUS CEREBELLUM CEREBRAL CORTEX CERVIX CHOROID PLEXUS COLON DUODENUM
ENDOMETRIUM EPIDIDYMIS ESOPHAGUS FALLOPIAN TUBE GALLBLADDER HEART MUSCLE HIPPOCAMPAL FORMATION HYPOTHALAMUS KIDNEY LIVER LUNG LYMPH NODE MIDBRAIN NASOPHARYNX
ORAL MUCOSA OVARY PANCREAS PARATHYROID GLAND PITUITARY GLAND PLACENTA PROSTATE RECTUM RETINA SALIVARY GLAND SEMINAL VESICLE SKELETAL MUSCLE SKIN SMALL INTESTINE
SMOOTH MUSCLE SOFT TISSUE SPINAL CORD SPLEEN STOMACH TESTIS THYMUS THYROID GLAND TONGUE TONSIL URINARY BLADDER VAGINA
ANTIBODIES
AND
VALIDATION
Dictionary
Tissue proteome
STOMACH - Expression summary
Protein expression
Stomachi

On the top, protein expression in current human tissue, based on all annotated cell types, is reported with the units not detected (n), low (l), medium (m) and high (h). Underneath, protein expression in each annotated cell type are reported using the same units.

Protein expression data is based on knowledge-based annotation. For genes where more than one antibody has been used, a collective score is set.

If knowledge-based annotation could not be performed for a gene, no data is displayed here. View antibody staining data further down this page.

h
m
l
n
Glandular cells: Not detected
RNA expressioni

A summary of mRNA expression data available for current tissue based on several datasets. The mRNA expression levels in human tissues are based on RNA-seq data generated by the Human Protein Atlas (HPA), Genotype-Tissue Expression (GTEx) portal and CAGE data generated by the FANTOM5 consortium. Consensus normalized expression levels for human tissues was created by combining the data from HPA and GTEx datasets.

The mRNA expression levels in pig are based on RNA-seq data generated by the Human Protein Atlas (HPA), and for mouse, HPA data and in situ hybridization generated by the Allen brain atlas are reported.

Scroll down to view mRNA expression data in more detail.
Consensus:181.6 nTPM
HPA:17.8 nTPM
GTEx:181.6 nTPM

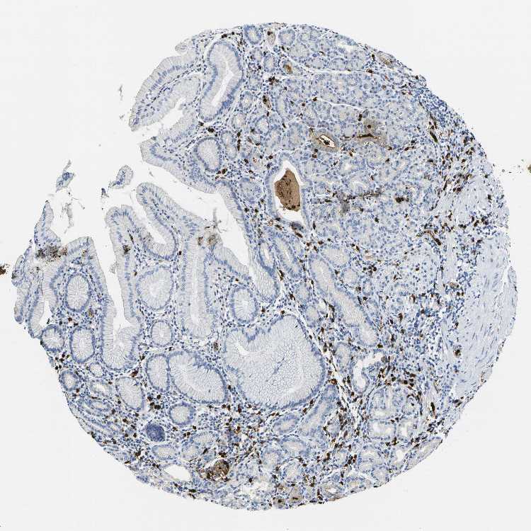
STOMACH 1 - Antibody stainingi

Antibody staining in the annotated cell types in the current human tissue is reported as not detected, low, medium, or high, based on conventional immunohistochemistry profiling in selected tissues. This score is based on the combination of the staining intensity and fraction of stained cells.

Each image is clickable and will lead to virtual microscopy that enables deeper exploration of all samples and also displays staining intensity scores, fraction scores and subcellular localization as well as patient and tissue information for each sample.

Antibody HPA004193Antibody CAB009441Antibody CAB080262
Glandular cells Not detectedNot detectedNot detected






STOMACH 2 - Antibody stainingi

Antibody staining in the annotated cell types in the current human tissue is reported as not detected, low, medium, or high, based on conventional immunohistochemistry profiling in selected tissues. This score is based on the combination of the staining intensity and fraction of stained cells.

Each image is clickable and will lead to virtual microscopy that enables deeper exploration of all samples and also displays staining intensity scores, fraction scores and subcellular localization as well as patient and tissue information for each sample.

Antibody HPA004193Antibody CAB009441Antibody CAB080262
Glandular cells LowNot detectedNot detected






STOMACH - HPA RNA-seqi

The RNA-seq details section shows detailed information about the individual samples used for the transcript profiling and results of the RNA-seq analysis.

Information about each individual sample is listed below, including gender, age, a tissue section image and estimated fractions of cell types. nTPM (normalized transcripts per million) values give a quantification of the gene abundance which is comparable between different genes and samples.
Average nTPMi

Max subtype nTPM is the value for the subtype with the largest average nTPM across the subtype samples.

17.8
overview
Female, age 33
Stomach sample 61
nTPM: 12.8
Cell types%
Glandular cells:
60

Smooth muscle cells:
5

Other cell types:
35

N/A
Male, age 82
Stomach sample 240
nTPM: 15.4
Cell types%
Glandular cells:
65

Smooth muscle cells:
5

Other cell types:
30

overview
Male, age 71
Stomach sample 241
nTPM: 36.9
Cell types%
Glandular cells:
50

Smooth muscle cells:
5

Other cell types:
45

overview
Female, age 66
Stomach sample 369
nTPM: 6.2
Cell types%
Glandular cells:
50

Smooth muscle cells:
10

Other cell types:
40


STOMACH - GTEx RNA-seqi

RNA-Seq data generated by the Genotype-Tissue Expression (GTEx) project from human tissues is reported as mean nTPM. More information can be found on the GTEx portal.

Distribution across the dataset is visualized with box plots, shown as median and 25th and 75th percentiles. Points are displayed as outliers if they are above or below 1.5 times the interquartile range. nTPM values of the individual samples are presented next to the box plot.
Max subtype nTPMi

Max subtype nTPM is the value for the subtype with the largest average nTPM across the subtype samples.

181.6
GTEx sample id Sample description nTPM
Stomach
Average nTPM: 181.6
Samples: 359

Max nTPM: 5244.0
Min nTPM: 4.0
Std nTPM: 413.7
Median nTPM: 61.8
GTEX-18D9B-2226-SM-718BM 60-69 years, male 5244.0
GTEX-1JN1M-2926-SM-CNNPJ 60-69 years, female 2558.3
GTEX-17EUY-1526-SM-793CA 20-29 years, male 2344.9
GTEX-1L5NE-1526-SM-DIPFW 50-59 years, male 2150.1
GTEX-1GN1W-2126-SM-9JGI7 50-59 years, female 1790.8
GTEX-11P82-0726-SM-5PNYL 20-29 years, male 1704.6
GTEX-15G1A-1226-SM-7KUF3 30-39 years, male 1609.6
GTEX-1JMPY-0926-SM-ARL92 30-39 years, male 1542.6
GTEX-1HCUA-1626-SM-A9SMG 50-59 years, female 1328.0
GTEX-17MF6-2126-SM-7KFS7 40-49 years, male 1296.7
GTEX-17GQL-1226-SM-7KFTS 60-69 years, male 1179.6
GTEX-R55C-1026-SM-48FCM 40-49 years, male 842.5
GTEX-R55G-1126-SM-48FDG 40-49 years, female 819.6
GTEX-1HCU8-1326-SM-C1YQQ 60-69 years, female 719.5
GTEX-ZPIC-2026-SM-57WG3 40-49 years, female 697.5
GTEX-QDVN-1226-SM-48TZ5 50-59 years, male 696.3
GTEX-12WSJ-0926-SM-5P9JD 40-49 years, female 682.8
GTEX-146FH-2126-SM-5SI9U 50-59 years, female 625.3
GTEX-12C56-0526-SM-5FQST 20-29 years, male 606.3
GTEX-13X6H-1626-SM-5Q5CT 50-59 years, female 589.6
GTEX-15EU6-2526-SM-7KUGB 50-59 years, male 589.2
GTEX-P4PQ-1526-SM-3NMCK 60-69 years, male 582.7
GTEX-SNOS-0826-SM-4DM5N 40-49 years, male 567.6
GTEX-XV7Q-1326-SM-4BRWM 40-49 years, female 524.2
GTEX-R55D-1526-SM-48FEJ 50-59 years, male 520.7
GTEX-14PHY-0926-SM-5ZZWL 60-69 years, female 511.4
GTEX-12BJ1-1726-SM-5HL9B 60-69 years, male 509.0
GTEX-POMQ-0826-SM-3P61H 20-29 years, female 491.4
GTEX-QMRM-1126-SM-447BN 50-59 years, male 489.1
GTEX-WFJO-1126-SM-4LVLZ 30-39 years, male 488.9
GTEX-S4P3-0726-SM-4AD57 50-59 years, female 485.8
GTEX-1MCYP-1126-SM-E9J2P 20-29 years, female 480.9
GTEX-11EQ9-1226-SM-5987E 30-39 years, male 449.5
GTEX-1I4MK-0926-SM-A9SLD 50-59 years, female 428.8
GTEX-1LGRB-1726-SM-CNNRA 50-59 years, female 415.5
GTEX-1HSEH-1526-SM-B2LXG 60-69 years, male 405.4
GTEX-15RIF-1126-SM-7KUG2 20-29 years, male 402.8
GTEX-WHPG-0426-SM-4M1XW 50-59 years, male 388.7
GTEX-QDVJ-1426-SM-48U1Y 50-59 years, male 383.8
GTEX-1F5PK-1826-SM-7RHHX 50-59 years, male 380.5
GTEX-13111-1226-SM-5GCNC 50-59 years, male 361.8
GTEX-ZYVF-2726-SM-5GID4 50-59 years, female 361.0
GTEX-ZV6S-0926-SM-57WGB 40-49 years, female 356.3
GTEX-Y3I4-1626-SM-4TT7W 50-59 years, male 356.2
GTEX-XAJ8-0326-SM-47JYI 40-49 years, male 351.5
GTEX-1PIGE-1126-SM-EWRMV 20-29 years, male 347.8
GTEX-146FR-2026-SM-5NQAI 60-69 years, female 303.8
GTEX-1N2DV-0926-SM-E9TJT 40-49 years, male 301.3
GTEX-15SHW-2126-SM-6M46Y 60-69 years, male 298.0
GTEX-P4QT-1526-SM-3NMCT 50-59 years, female 291.6
GTEX-11EM3-1026-SM-5A5KL 20-29 years, female 276.7
GTEX-T8EM-1226-SM-4DM5J 40-49 years, male 276.6
GTEX-13O61-1126-SM-5L3FI 60-69 years, male 273.0
GTEX-ZZPU-1426-SM-5GZZ6 50-59 years, female 272.5
GTEX-1S831-1126-SM-EWROI 20-29 years, male 265.1
GTEX-YEC3-1426-SM-D4P1S 50-59 years, male 262.9
GTEX-145MO-2226-SM-5Q5BN 60-69 years, male 262.8
GTEX-PLZ6-0826-SM-3P61K 30-39 years, male 260.8
GTEX-UPK5-2126-SM-4JBJK 40-49 years, male 250.8
GTEX-139YR-1926-SM-5LZXM 50-59 years, male 247.5
GTEX-Y5LM-1326-SM-5RQIS 40-49 years, female 246.3
GTEX-1H1DG-2126-SM-9WPPB 70-79 years, male 245.3
GTEX-1QP29-2326-SM-EXOJO 50-59 years, male 240.1
GTEX-13RTK-0226-SM-5RQHR 20-29 years, male 239.4
GTEX-U4B1-1026-SM-4DXT1 40-49 years, male 232.6
GTEX-1C64O-2226-SM-73KTV 60-69 years, male 222.8
GTEX-1CB4E-1326-SM-7DUGD 60-69 years, male 221.9
GTEX-1R7EU-1126-SM-EAZ4M 60-69 years, male 219.2
GTEX-1JKYN-1726-SM-AHZ48 30-39 years, male 218.8
GTEX-1F5PL-1426-SM-7MKFH 40-49 years, female 218.7
GTEX-1JN76-0926-SM-ARZNH 20-29 years, female 205.8
GTEX-1211K-1426-SM-5FQTF 60-69 years, female 200.3
GTEX-1NSGN-1926-SM-E9J36 50-59 years, male 200.2
GTEX-15G19-1526-SM-6LPKP 60-69 years, male 198.6
GTEX-1S3DN-1526-SM-EVYCB 50-59 years, male 194.6
GTEX-17HII-2426-SM-7KFTT 50-59 years, male 191.4
GTEX-1GPI7-1326-SM-9KNVA 20-29 years, male 191.0
GTEX-13OVI-2426-SM-5KM4J 60-69 years, female 186.2
GTEX-WY7C-1726-SM-4ONCC 50-59 years, male 182.8
GTEX-1339X-1426-SM-5K7YO 40-49 years, male 179.5
GTEX-1399U-1626-SM-5P9J3 50-59 years, female 174.1
GTEX-OIZH-1526-SM-3NB1J 50-59 years, male 172.3
GTEX-SUCS-0926-SM-4DM4Z 70-79 years, male 171.6
GTEX-1E2YA-2426-SM-7EPIG 50-59 years, male 170.5
GTEX-S4Q7-0726-SM-4AD5F 20-29 years, male 167.7
GTEX-PLZ5-1226-SM-EXOHA 50-59 years, male 162.9
GTEX-1CB4H-2426-SM-7PBYR 60-69 years, female 160.2
GTEX-1QCLZ-1826-SM-DPRXP 60-69 years, female 159.4
GTEX-1AX9J-2626-SM-731EK 60-69 years, male 155.8
GTEX-RUSQ-1126-SM-EAZAU 50-59 years, male 153.8
GTEX-O5YV-1926-SM-EV797 60-69 years, female 152.8
GTEX-WEY5-1226-SM-4LMIQ 40-49 years, female 147.4
GTEX-17F98-1526-SM-7EWD8 40-49 years, female 144.3
GTEX-1HSMQ-2426-SM-CE6RY 50-59 years, male 141.6
GTEX-14PHX-1026-SM-664OL 50-59 years, male 141.5
GTEX-13QJ3-2726-SM-5SI6L 50-59 years, male 139.3
GTEX-131XG-1226-SM-5EGH9 50-59 years, female 138.8
GTEX-14PKU-1126-SM-69LOU 40-49 years, female 137.4
GTEX-14DAR-0926-SM-73KUQ 50-59 years, male 135.3
GTEX-TKQ1-0526-SM-4DXTG 30-39 years, male 134.6
GTEX-1QPFJ-1526-SM-DPRXT 30-39 years, female 134.6
GTEX-Q2AH-1126-SM-48TZM 40-49 years, male 132.2
GTEX-1I6K7-1726-SM-B2LXQ 40-49 years, male 132.1
GTEX-11P7K-1726-SM-5GU6F 30-39 years, male 131.5
GTEX-1KXAM-0926-SM-CXZKA 60-69 years, male 130.9
GTEX-XPVG-1526-SM-4B66C 50-59 years, male 130.2
GTEX-RU1J-0526-SM-46MUT 20-29 years, female 129.3
GTEX-17KNJ-1526-SM-7LTA9 50-59 years, male 129.2
GTEX-14PJ4-1626-SM-664OB 60-69 years, male 124.5
GTEX-11VI4-0326-SM-5EQ6L 40-49 years, female 124.2
GTEX-13FH7-1026-SM-5IJGF 50-59 years, female 122.7
GTEX-17HGU-2126-SM-7IGOV 50-59 years, male 120.7
GTEX-1H1DE-1226-SM-9JGHH 20-29 years, male 120.4
GTEX-WH7G-1526-SM-4LVMX 40-49 years, male 119.9
GTEX-14B4R-0726-SM-5TDDR 30-39 years, male 117.1
GTEX-144GM-1726-SM-5O9AS 20-29 years, male 116.4
GTEX-1H23P-2726-SM-9JGHN 60-69 years, male 115.1
GTEX-132AR-2426-SM-5IFFD 50-59 years, female 114.9
GTEX-11DXX-1326-SM-5GIDZ 60-69 years, female 113.7
GTEX-S7SF-0626-SM-4AD4V 20-29 years, female 113.4
GTEX-1PPH8-1326-SM-DTXFO 20-29 years, male 112.4
GTEX-1IDJF-1426-SM-ACKWK 20-29 years, male 112.1
GTEX-1LVAM-1426-SM-E9TJ4 50-59 years, female 111.2
GTEX-RM2N-0826-SM-48FD3 50-59 years, male 110.6
GTEX-UJHI-1026-SM-4IHJP 50-59 years, female 109.2
GTEX-Y114-1226-SM-4TT88 50-59 years, female 106.5
GTEX-YEC4-1426-SM-5IFHS 40-49 years, male 105.3
GTEX-ZA64-0826-SM-5HL9U 20-29 years, male 105.3
GTEX-1GF9U-1126-SM-AHZ4H 40-49 years, female 104.1
GTEX-S4Z8-1226-SM-4AD6W 60-69 years, male 104.0
GTEX-11TT1-0726-SM-5GU5A 20-29 years, male 103.9
GTEX-XBEW-1826-SM-4RTWX 40-49 years, male 102.8
GTEX-OXRK-1626-SM-3NB17 50-59 years, female 102.3
GTEX-1IDJU-1526-SM-CNNR3 60-69 years, female 102.3
GTEX-13O21-0926-SM-5IFGT 50-59 years, male 102.0
GTEX-OHPK-1526-SM-3MJGM 50-59 years, female 101.8
GTEX-WFG7-1326-SM-4LMK1 20-29 years, male 99.1
GTEX-Y3IK-1426-SM-4YCES 50-59 years, female 97.9
GTEX-15DCE-1626-SM-6LPJM 20-29 years, male 96.9
GTEX-1JMQJ-1326-SM-D4P3B 50-59 years, male 96.3
GTEX-SNMC-0626-SM-4DM6H 20-29 years, male 96.1
GTEX-18A67-2626-SM-718AD 50-59 years, male 94.6
GTEX-14BMU-1126-SM-5RQJ8 20-29 years, female 91.2
GTEX-1K2DA-0826-SM-CGQGD 50-59 years, male 89.5
GTEX-WFG8-1326-SM-4LVN3 20-29 years, male 87.4
GTEX-Q2AI-0826-SM-48TZO 40-49 years, male 84.9
GTEX-139D8-2326-SM-5IFGE 30-39 years, female 83.8
GTEX-1A3MX-1926-SM-72D7F 60-69 years, male 83.5
GTEX-1MUQO-1926-SM-EAZ59 60-69 years, male 81.9
GTEX-16AAH-1226-SM-79OO9 50-59 years, male 81.0
GTEX-1EH9U-2226-SM-7PBXX 60-69 years, male 80.6
GTEX-12WSG-2026-SM-5FQUU 50-59 years, female 78.8
GTEX-Y5V6-1326-SM-4VDTF 60-69 years, male 78.4
GTEX-13CF3-1926-SM-5K7WF 60-69 years, female 78.1
GTEX-13QBU-1126-SM-5LU44 40-49 years, female 77.4
GTEX-17F9E-2226-SM-7IGNC 50-59 years, male 76.6
GTEX-QV31-0626-SM-447C5 30-39 years, male 76.3
GTEX-WHSB-1226-SM-4M1XR 50-59 years, male 76.3
GTEX-1QP28-2126-SM-DTX8B 50-59 years, female 76.3
GTEX-15DZA-1126-SM-6LPK8 30-39 years, female 75.2
GTEX-13D11-2126-SM-5IFH2 50-59 years, female 74.6
GTEX-145LT-1426-SM-5O9B3 40-49 years, male 74.2
GTEX-1HT8W-2326-SM-A9SLA 30-39 years, male 73.1
GTEX-1QP67-1026-SM-EVR47 40-49 years, female 73.1
GTEX-ZQUD-0826-SM-57WDQ 30-39 years, male 72.7
GTEX-ZTX8-0426-SM-59HLG 20-29 years, male 72.7
GTEX-Y8E4-1526-SM-4WWDI 40-49 years, male 72.4
GTEX-13PVQ-2126-SM-5L3FW 50-59 years, male 71.8
GTEX-PWN1-1526-SM-48TDA 40-49 years, female 69.4
GTEX-144GN-1226-SM-5O991 50-59 years, male 67.5
GTEX-1LSNM-1026-SM-DHXL2 50-59 years, male 66.6
GTEX-1MJIX-1126-SM-EV7AO 40-49 years, male 64.8
GTEX-QDT8-2026-SM-EZ6LS 30-39 years, female 64.5
GTEX-ZLWG-1526-SM-DO12F 50-59 years, female 64.5
GTEX-OHPM-1526-SM-EV796 50-59 years, male 63.2
GTEX-V955-1326-SM-4JBHR 60-69 years, male 63.1
GTEX-1JK1U-1326-SM-AHZ45 60-69 years, male 62.5
GTEX-1S82Z-1726-SM-E6CHZ 30-39 years, female 62.0
GTEX-NFK9-1526-SM-3LK7B 40-49 years, male 61.9
GTEX-18A66-2226-SM-7189E 60-69 years, male 61.8
GTEX-13FTW-1726-SM-5KM2B 40-49 years, male 61.5
GTEX-1AMEY-1226-SM-731DU 30-39 years, female 60.7
GTEX-1F75I-1826-SM-7MKGX 40-49 years, male 60.6
GTEX-16NGA-1526-SM-72D56 40-49 years, female 59.8
GTEX-13U4I-2526-SM-5SI8Z 40-49 years, female 59.6
GTEX-QLQ7-0826-SM-447B3 60-69 years, male 58.7
GTEX-1JMPZ-1826-SM-CXZJT 30-39 years, male 58.7
GTEX-132QS-1826-SM-5IFFN 60-69 years, male 57.2
GTEX-1I1GT-1726-SM-C1YS3 60-69 years, female 57.2
GTEX-133LE-1326-SM-5IFGO 20-29 years, female 56.6
GTEX-1R9K5-1026-SM-EAZ4F 50-59 years, male 56.3
GTEX-11WQK-2626-SM-5EQ4K 50-59 years, male 55.7
GTEX-S3XE-1026-SM-4AD4O 50-59 years, male 55.7
GTEX-Y8LW-0826-SM-4WWDO 50-59 years, female 55.6
GTEX-ZY6K-0726-SM-5A5L8 50-59 years, male 55.5
GTEX-XUZC-0726-SM-4BOPH 30-39 years, female 54.5
GTEX-ZYY3-1726-SM-5EGH3 60-69 years, female 54.5
GTEX-WHWD-1426-SM-4OORU 50-59 years, male 54.2
GTEX-ZF29-1526-SM-4WKF7 60-69 years, female 53.7
GTEX-1I1HK-2026-SM-CNNRB 60-69 years, male 53.4
GTEX-Y9LG-1026-SM-5IFJN 30-39 years, male 52.5
GTEX-18D9A-0626-SM-7KFTY 30-39 years, female 50.1
GTEX-1C475-1026-SM-7MKFJ 40-49 years, female 50.0
GTEX-YFCO-0826-SM-5LUAG 40-49 years, male 49.4
GTEX-YB5E-1126-SM-664NU 40-49 years, male 49.3
GTEX-ZEX8-1626-SM-4WKG7 50-59 years, male 49.2
GTEX-14ICL-0826-SM-5YY9W 30-39 years, male 48.9
GTEX-1HR9M-2326-SM-CNPPZ 60-69 years, male 48.7
GTEX-111CU-0926-SM-5EGIK 50-59 years, male 48.6
GTEX-1QCLY-1126-SM-EAZ4J 30-39 years, male 48.2
GTEX-O5YW-1526-SM-3MJGL 50-59 years, male 48.0
GTEX-ZGAY-1626-SM-DNZZ3 40-49 years, female 47.9
GTEX-ZPU1-1626-SM-4WWB2 40-49 years, male 47.6
GTEX-1RMOY-1126-SM-EV79E 50-59 years, male 47.6
GTEX-145ME-1026-SM-5O9B4 40-49 years, female 47.1
GTEX-145MN-1326-SM-5NQ9S 30-39 years, male 46.7
GTEX-XBED-1226-SM-4AT5V 60-69 years, male 46.7
GTEX-ZV7C-1626-SM-5NQ7E 50-59 years, male 46.2
GTEX-14JG6-1226-SM-664O6 30-39 years, female 46.1
GTEX-131XE-2226-SM-5PNYX 50-59 years, male 45.9
GTEX-1J8Q3-1926-SM-C1YSJ 60-69 years, male 45.4
GTEX-1HBPN-1626-SM-9WPNP 50-59 years, male 44.7
GTEX-T5JW-0926-SM-4DM5K 20-29 years, female 44.1
GTEX-1IDJD-2426-SM-C1YS6 30-39 years, male 43.9
GTEX-1J8JJ-1726-SM-C1YQG 60-69 years, female 43.8
GTEX-T6MO-0726-SM-4DM58 40-49 years, female 43.7
GTEX-RTLS-2626-SM-46MUJ 60-69 years, female 43.4
GTEX-1B97I-1226-SM-7MGWQ 40-49 years, male 43.0
GTEX-1CAMR-0726-SM-7EPIE 20-29 years, male 42.8
GTEX-1KANA-1126-SM-D3L9M 20-29 years, male 42.7
GTEX-1QP2A-2126-SM-DPRZ7 50-59 years, male 42.0
GTEX-XMK1-1526-SM-EYYVO 40-49 years, male 41.9
GTEX-1AYCT-1326-SM-7MKHB 50-59 years, male 41.7
GTEX-WXYG-1626-SM-4ONCR 50-59 years, female 41.4
GTEX-ZT9W-1526-SM-4YCDE 50-59 years, male 41.2
GTEX-14PJ3-1426-SM-664O8 50-59 years, male 40.4
GTEX-14PN3-1326-SM-6AJ9U 60-69 years, female 40.0
GTEX-ZVT2-1626-SM-51MRC 50-59 years, female 39.9
GTEX-13OVK-0926-SM-7KUFX 40-49 years, male 39.7
GTEX-15UF7-1226-SM-6M46G 40-49 years, male 39.5
GTEX-S341-0626-SM-4AD5T 40-49 years, female 39.4
GTEX-1JMLX-2426-SM-CXZJQ 50-59 years, male 39.2
GTEX-1MGNQ-1826-SM-DPRYI 40-49 years, male 39.2
GTEX-OOBJ-1526-SM-3NB1Q 60-69 years, male 39.1
GTEX-1HFI7-1526-SM-9WG7W 50-59 years, female 38.8
GTEX-TKQ2-0926-SM-4DXU5 50-59 years, male 38.7
GTEX-1J8QM-1126-SM-C1YQB 60-69 years, female 38.7
GTEX-OIZF-1526-SM-2I5GR 60-69 years, male 38.6
GTEX-QCQG-0526-SM-48U2A 50-59 years, female 38.5
GTEX-XXEK-0826-SM-4BRWG 50-59 years, male 38.4
GTEX-14PJ5-0826-SM-6AJAR 60-69 years, female 38.3
GTEX-ZVZP-1726-SM-5GZWY 50-59 years, male 38.2
GTEX-1122O-1926-SM-5EGIQ 60-69 years, female 38.0
GTEX-1QMI2-2126-SM-DPRXQ 60-69 years, male 38.0
GTEX-1B8KE-1326-SM-73KVI 50-59 years, male 37.6
GTEX-1LBAC-1426-SM-CXZKT 20-29 years, male 37.3
GTEX-ZXES-1426-SM-5NQ8S 30-39 years, female 37.2
GTEX-QLQW-0726-SM-447AA 30-39 years, male 36.9
GTEX-11I78-1726-SM-5A5M3 50-59 years, female 36.6
GTEX-1ICG6-1826-SM-AHZ2O 70-79 years, female 35.7
GTEX-117YX-1026-SM-5H11V 50-59 years, male 35.5
GTEX-PWCY-0926-SM-48TD7 20-29 years, female 35.4
GTEX-1HKZK-1526-SM-B2LWG 40-49 years, male 34.8
GTEX-1LG7Z-1226-SM-DHXK4 30-39 years, male 34.1
GTEX-13PVR-2126-SM-73KVR 60-69 years, female 34.0
GTEX-ZP4G-1226-SM-4WWCJ 20-29 years, female 33.5
GTEX-ZZ64-0426-SM-5E43F 20-29 years, male 33.4
GTEX-P78B-1826-SM-3P5YX 40-49 years, female 33.2
GTEX-17HHE-1026-SM-79ON6 50-59 years, male 33.0
GTEX-WYVS-1326-SM-4ONCQ 40-49 years, female 33.0
GTEX-1LVAN-2426-SM-CNNPZ 50-59 years, female 32.8
GTEX-U3ZN-2026-SM-4DXUC 30-39 years, female 31.6
GTEX-ZLV1-0826-SM-DO11P 60-69 years, female 31.6
GTEX-18QFQ-1226-SM-718AE 30-39 years, male 31.5
GTEX-1LGOU-1526-SM-D3LAJ 20-29 years, female 31.3
GTEX-X15G-1126-SM-4PQZG 50-59 years, female 31.0
GTEX-11EI6-2426-SM-5PNVS 60-69 years, male 30.9
GTEX-12WSK-1426-SM-5CVNN 40-49 years, female 30.4
GTEX-ZE7O-3026-SM-51MS4 50-59 years, female 30.0
GTEX-131XF-1226-SM-5HL8V 60-69 years, male 29.4
GTEX-1A3MV-1226-SM-718BW 30-39 years, male 29.4
GTEX-1H1E6-1626-SM-9OSWC 30-39 years, male 29.3
GTEX-12696-1726-SM-5EQLH 60-69 years, male 28.4
GTEX-1A8G6-1426-SM-731EZ 60-69 years, male 28.4
GTEX-ZLFU-1326-SM-DO11R 40-49 years, male 28.1
GTEX-ZVP2-1626-SM-5GU5D 50-59 years, male 27.8
GTEX-QXCU-1926-SM-48FE4 50-59 years, male 27.0
GTEX-111YS-1126-SM-5GZYQ 60-69 years, male 26.9
GTEX-13113-0726-SM-5LZUF 60-69 years, female 26.8
GTEX-QV44-1226-SM-CJI1S 50-59 years, male 26.8
GTEX-YJ8A-1526-SM-5P9FT 20-29 years, male 26.7
GTEX-1RQEC-2126-SM-DPS15 60-69 years, male 26.7
GTEX-1H3VY-2326-SM-9WG81 50-59 years, male 26.2
GTEX-RWS6-0926-SM-47JXE 60-69 years, female 26.0
GTEX-14E1K-1526-SM-664MN 50-59 years, male 25.9
GTEX-PX3G-1526-SM-48U11 20-29 years, female 25.5
GTEX-WRHK-0626-SM-4MVOE 20-29 years, female 25.1
GTEX-VJYA-1026-SM-4KL21 60-69 years, male 24.9
GTEX-11NSD-1426-SM-5HL67 20-29 years, male 24.7
GTEX-WYJK-2526-SM-4ONDF 50-59 years, male 24.7
GTEX-1E1VI-2826-SM-7MGWU 50-59 years, male 24.6
GTEX-OXRL-1526-SM-E6CHQ 50-59 years, male 24.5
GTEX-1399S-1626-SM-5P9GI 30-39 years, female 24.3
GTEX-S4UY-1626-SM-4AD55 40-49 years, female 24.3
GTEX-XQ8I-2026-SM-4BOOL 50-59 years, male 23.8
GTEX-WFON-1126-SM-4LVMA 40-49 years, male 23.5
GTEX-14BIL-1926-SM-73KYI 50-59 years, male 22.9
GTEX-15RIE-1026-SM-6LPJQ 60-69 years, male 22.9
GTEX-TMMY-1626-SM-4DXTY 40-49 years, female 22.6
GTEX-11GSP-2126-SM-5HL5E 60-69 years, female 22.4
GTEX-V1D1-1726-SM-4JBHB 50-59 years, male 22.4
GTEX-PW2O-1226-SM-48TCH 20-29 years, male 22.0
GTEX-13OW6-2526-SM-5IJEC 50-59 years, male 20.7
GTEX-1RAZR-1526-SM-EAZ4U 40-49 years, male 20.7
GTEX-Q734-1026-SM-48U16 40-49 years, female 19.2
GTEX-1IL2V-2026-SM-ARZMA 70-79 years, male 19.2
GTEX-13N1W-2026-SM-5K7YU 70-79 years, male 19.0
GTEX-17JCI-2226-SM-7LTA1 60-69 years, female 18.4
GTEX-14BMV-2226-SM-5RQHX 50-59 years, male 18.3
GTEX-P4PP-1526-SM-3P61M 30-39 years, female 18.2
GTEX-W5WG-1726-SM-4LMI5 50-59 years, female 18.1
GTEX-ZAB4-1526-SM-5CVN7 40-49 years, male 18.0
GTEX-14E6E-0926-SM-664N8 30-39 years, male 17.9
GTEX-T5JC-1926-SM-4DM6Q 20-29 years, male 17.5
GTEX-ZYFG-1326-SM-5GICJ 60-69 years, female 17.5
GTEX-13S7M-1826-SM-5RQK6 60-69 years, female 16.0
GTEX-S95S-0826-SM-4B64N 60-69 years, male 15.9
GTEX-1RB15-1026-SM-E9U6V 60-69 years, male 15.9
GTEX-1KD5A-1426-SM-D4P3V 50-59 years, male 15.6
GTEX-1J8EW-2226-SM-AHZ3T 60-69 years, female 15.3
GTEX-117YW-2226-SM-5N9DB 50-59 years, male 15.2
GTEX-ZF2S-1426-SM-57WET 50-59 years, female 15.2
GTEX-1B8KZ-1226-SM-793CP 50-59 years, male 14.5
GTEX-1399R-1126-SM-5IFIO 30-39 years, male 13.3
GTEX-ZVT3-2126-SM-59HL2 60-69 years, female 13.3
GTEX-1HBPI-0726-SM-9WG7Z 50-59 years, male 13.2
GTEX-1QW4Y-0726-SM-DTX8E 30-39 years, male 13.1
GTEX-11NUK-2426-SM-5BC4U 50-59 years, male 12.4
GTEX-13X6J-2126-SM-5TDCV 50-59 years, male 12.3
GTEX-13FTX-0726-SM-5N9BI 20-29 years, female 12.0
GTEX-14DAQ-2826-SM-664MU 60-69 years, female 11.6
GTEX-18A7A-2726-SM-7LG6U 50-59 years, female 11.6
GTEX-R53T-1226-SM-48FCT 50-59 years, female 11.6
GTEX-1AMFI-1226-SM-731CZ 50-59 years, female 11.4
GTEX-1H3NZ-2226-SM-9WYUT 60-69 years, male 11.2
GTEX-14PKV-1826-SM-69LO9 20-29 years, female 11.1
GTEX-ZDYS-1926-SM-5HL59 50-59 years, male 10.9
GTEX-14PJ6-0826-SM-686Z9 60-69 years, female 10.3
GTEX-UJMC-1226-SM-4IHLI 50-59 years, male 10.2
GTEX-1H11D-2226-SM-9OSXN 40-49 years, male 10.2
GTEX-1GZ4H-1026-SM-9OSXL 50-59 years, female 10.0
GTEX-WZTO-2126-SM-4PQYW 40-49 years, male 9.8
GTEX-12WSD-2326-SM-59HKQ 60-69 years, female 9.5
GTEX-1GL5R-1926-SM-9WG7U 50-59 years, male 9.3
GTEX-1B97J-1826-SM-7IGPP 50-59 years, female 9.2
GTEX-15CHR-1326-SM-79OLT 50-59 years, male 8.0
GTEX-1GMRU-2526-SM-9WG7T 50-59 years, male 7.6
GTEX-13O3Q-2126-SM-5KM4C 50-59 years, male 7.0
GTEX-1B8L1-1526-SM-79OLK 60-69 years, male 4.0
Show allShow less

Contact

  • NEWS ARTICLES
  • PRESS ROOM

The Project

  • INTRODUCTION
  • ORGANIZATION
  • PUBLICATIONS

The Human Protein Atlas

  • DOWNLOADABLE DATA
  • LICENCE & CITATION
  • HELP & FAQ
The Human Protein Atlas project is funded
by the Knut & Alice Wallenberg Foundation.


contact@proteinatlas.org