We use cookies to enhance the usability of our website. If you continue, we'll assume that you are happy to receive all cookies. More information. Don't show this again.
LMOD3
HPA
RESOURCES
  • TISSUE
  • BRAIN
  • SINGLE CELL
  • SUBCELLULAR
  • CANCER
  • BLOOD
  • CELL LINE
  • STRUCTURE & INTERACTION
ABOUT
  • INTRODUCTION
  • HISTORY
  • ORGANIZATION
  • PUBLICATIONS
  • ANTIBODY SUBMISSION
  • ANTIBODY AVAILABILITY
  • ACKNOWLEDGMENTS
  • CONTACT
NEWS
  • NEWS ARTICLES
  • PRESS ROOM
LEARN
  • DICTIONARY
  • PROTEIN CLASSES
  • PROTEIN EVIDENCE
  • METHODS
  • EDUCATIONAL VIDEOS
DATA
  • DOWNLOADABLE DATA
  • PUBLICATION DATA
  • RELEASE HISTORY
HELP
  • ANTIBODY VALIDATION
  • ASSAYS & ANNOTATION
  • DISCLAIMER
  • HELP & FAQ
  • PRIVACY STATEMENT
  • LICENCE & CITATION
Fields »
Search result

Field
Term
Gene name
Class
Subclass
Class
Keyword
Chromosome
External id
Tissue
Cell type
Expression
Antibody panel
Tissue
Main location
Patient ID
Annotation
Tissue
Category
Tau score
Cluster
Reliability
Brain region
Category
Tau score
Brain region
Category
Tau score
Brain region
Category
Tau score
Cluster
Reliability
Tissue
Cell type
Enrichment
Cell type
Category
Tau score
Cell type
Category
Tau score
Cell type
Category
Tau score
Cell lineage
Category
Tau score
Cluster
Cluster
Location
Searches
Location
Cell line
Class
Type
Phase
Reliability
Cancer
Prognosis
Cancer
Category
Cancer
Category
Tau score
Cluster
Variants
Interacting gene (ensg_id)
Type
Number of interactions
Pathway
Category
Score
Score
Score
Validation
Validation
Validation
Validation
Antibodies
Data type
Column


  • SUMMARY

  • TISSUE

  • BRAIN

  • SINGLE CELL

  • SUBCELL

  • CANCER

  • BLOOD

  • CELL LINE

  • STRUCT & INT

  • LMOD3
TISSUE PRIMARY DATA HEART MUSCLE Show tissue menu
ADIPOSE TISSUE ADRENAL GLAND AMYGDALA APPENDIX BASAL GANGLIA BONE MARROW BREAST BRONCHUS CEREBELLUM CEREBRAL CORTEX CERVIX CHOROID PLEXUS COLON DUODENUM
ENDOMETRIUM EPIDIDYMIS ESOPHAGUS FALLOPIAN TUBE GALLBLADDER HEART MUSCLE HIPPOCAMPAL FORMATION HYPOTHALAMUS KIDNEY LIVER LUNG LYMPH NODE MIDBRAIN NASOPHARYNX
ORAL MUCOSA OVARY PANCREAS PARATHYROID GLAND PITUITARY GLAND PLACENTA PROSTATE RECTUM RETINA SALIVARY GLAND SEMINAL VESICLE SKELETAL MUSCLE SKIN SMALL INTESTINE
SMOOTH MUSCLE SOFT TISSUE SPINAL CORD SPLEEN STOMACH TESTIS THYMUS THYROID GLAND TONGUE TONSIL URINARY BLADDER VAGINA
ANTIBODIES
AND
VALIDATION
Dictionary
Heart muscle
Tissue proteome
Heart
HEART MUSCLE - Expression summary
Protein expression
Heart musclei

On the top, protein expression in current human tissue, based on all annotated cell types, is reported with the units not detected (n), low (l), medium (m) and high (h). Underneath, protein expression in each annotated cell type are reported using the same units.

Protein expression data is based on knowledge-based annotation. For genes where more than one antibody has been used, a collective score is set.

If knowledge-based annotation could not be performed for a gene, no data is displayed here. View antibody staining data further down this page.

h
m
l
n
Cardiomyocytes: Medium
RNA expressioni

A summary of mRNA expression data available for current tissue based on several datasets. The mRNA expression levels in human tissues are based on RNA-seq data generated by the Human Protein Atlas (HPA), Genotype-Tissue Expression (GTEx) portal and CAGE data generated by the FANTOM5 consortium. Consensus normalized expression levels for human tissues was created by combining the data from HPA and GTEx datasets.

The mRNA expression levels in pig are based on RNA-seq data generated by the Human Protein Atlas (HPA), and for mouse, HPA data and in situ hybridization generated by the Allen brain atlas are reported.

Scroll down to view mRNA expression data in more detail.
Consensus:107.3 nTPM
HPA:107.3 nTPM
GTEx:67.7 nTPM
FANTOM5:174.5 Scaled Tags Per Million

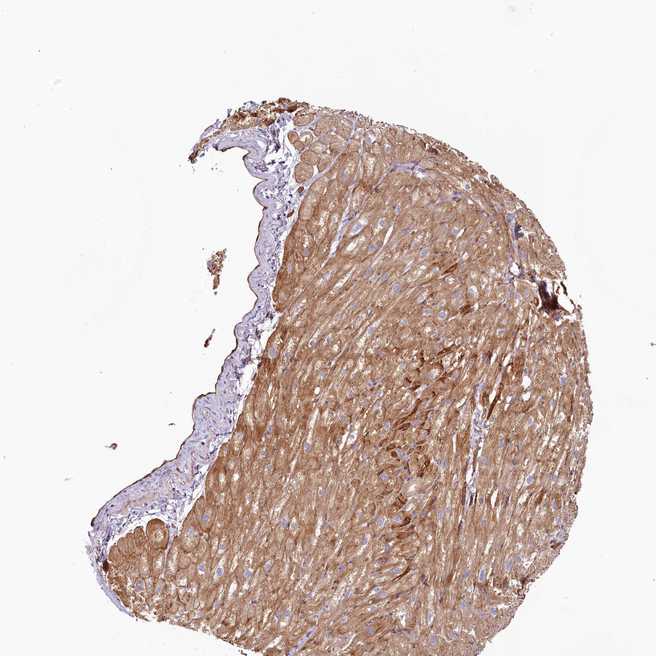
HEART MUSCLE - Antibody stainingi

Antibody staining in the annotated cell types in the current human tissue is reported as not detected, low, medium, or high, based on conventional immunohistochemistry profiling in selected tissues. This score is based on the combination of the staining intensity and fraction of stained cells.

Each image is clickable and will lead to virtual microscopy that enables deeper exploration of all samples and also displays staining intensity scores, fraction scores and subcellular localization as well as patient and tissue information for each sample.

Antibody HPA036034
Cardiomyocytes Medium



HEART MUSCLE - HPA RNA-seqi

The RNA-seq details section shows detailed information about the individual samples used for the transcript profiling and results of the RNA-seq analysis.

Information about each individual sample is listed below, including gender, age, a tissue section image and estimated fractions of cell types. nTPM (normalized transcripts per million) values give a quantification of the gene abundance which is comparable between different genes and samples.
Average nTPMi

Max subtype nTPM is the value for the subtype with the largest average nTPM across the subtype samples.

107.3
overview
Female, age 48
Heart muscle sample 149
nTPM: 115.5
Cell types%
Myocytes:
15

Fibroblasts:
55

Endothelial cells:
25

Other cell types:
5

overview
Female, age 42
Heart muscle sample 150
nTPM: 111.6
Cell types%
Myocytes:
20

Fibroblasts:
45

Endothelial cells:
30

Other cell types:
5

overview
Male, age 53
Heart muscle sample 151
nTPM: 69.3
Cell types%
Myocytes:
20

Fibroblasts:
45

Endothelial cells:
30

Other cell types:
5

overview
Female, age 69
Heart muscle sample 152
nTPM: 132.7
Cell types%
Myocytes:
20

Fibroblasts:
45

Endothelial cells:
30

Other cell types:
5


HEART MUSCLE - GTEx RNA-seqi

RNA-Seq data generated by the Genotype-Tissue Expression (GTEx) project from human tissues is reported as mean nTPM. More information can be found on the GTEx portal.

Distribution across the dataset is visualized with box plots, shown as median and 25th and 75th percentiles. Points are displayed as outliers if they are above or below 1.5 times the interquartile range. nTPM values of the individual samples are presented next to the box plot.
Max subtype nTPMi

Max subtype nTPM is the value for the subtype with the largest average nTPM across the subtype samples.

67.7
GTEx sample id Sample description nTPM
Heart - Atrial Appendage
Average nTPM: 28.2
Samples: 429

Max nTPM: 106.6
Min nTPM: 1.0
Std nTPM: 16.5
Median nTPM: 25.8
GTEX-1MJIX-0426-SM-DTXEN 40-49 years, male 106.6
GTEX-145MN-0726-SM-5NQBH 30-39 years, male 97.9
GTEX-16XZY-0526-SM-7DHKY 70-79 years, male 83.6
GTEX-117YX-0626-SM-5EGJI 50-59 years, male 77.8
GTEX-1B97J-0326-SM-7939H 50-59 years, female 72.6
GTEX-WEY5-0226-SM-3GIKN 40-49 years, female 70.2
GTEX-ZYFG-0526-SM-5GZXX 60-69 years, female 69.4
GTEX-ZAB5-0126-SM-5CVMT 50-59 years, male 68.4
GTEX-Y3IK-1026-SM-51MR7 50-59 years, female 66.2
GTEX-1AYCT-0526-SM-7RHHS 50-59 years, male 65.6
GTEX-1R9JW-0426-SM-E76QL 30-39 years, female 65.6
GTEX-1IDJF-0826-SM-ARU7N 20-29 years, male 64.0
GTEX-15EU6-1326-SM-6PANG 50-59 years, male 62.8
GTEX-1GF9U-0526-SM-7P8SK 40-49 years, female 62.1
GTEX-ZPCL-0526-SM-DO91R 60-69 years, female 61.9
GTEX-12WSK-0526-SM-5CVNA 40-49 years, female 61.8
GTEX-14E1K-0826-SM-5ZZW9 50-59 years, male 61.8
GTEX-WH7G-0326-SM-3NMBH 40-49 years, male 60.9
GTEX-1LGOU-0326-SM-D3LAM 20-29 years, female 60.8
GTEX-1NHNU-0626-SM-E6CP1 50-59 years, male 60.3
GTEX-1HSGN-0926-SM-CNNQM 40-49 years, female 59.6
GTEX-XPVG-0726-SM-4B658 50-59 years, male 59.4
GTEX-WFON-0226-SM-3GIKR 40-49 years, male 58.8
GTEX-1399U-0726-SM-5KM1D 50-59 years, female 58.7
GTEX-Y3I4-0526-SM-4TT6X 50-59 years, male 58.0
GTEX-111YS-0326-SM-5GZZ3 60-69 years, male 57.8
GTEX-1KXAM-1426-SM-D3LAC 60-69 years, male 56.6
GTEX-1LSNM-0426-SM-E9TIZ 50-59 years, male 55.2
GTEX-139YR-0526-SM-5L3DG 50-59 years, male 54.7
GTEX-ZF2S-0826-SM-4WWBI 50-59 years, female 54.4
GTEX-1KANB-1126-SM-DHXJT 50-59 years, male 54.3
GTEX-13NZB-0426-SM-5KM26 30-39 years, male 53.9
GTEX-18D9U-1426-SM-718BO 40-49 years, male 53.6
GTEX-WFG7-0826-SM-3GIKU 20-29 years, male 53.1
GTEX-XGQ4-0526-SM-4AT6C 50-59 years, male 52.9
GTEX-YF7O-0526-SM-5P9IO 50-59 years, male 52.0
GTEX-XPT6-0226-SM-4B65L 20-29 years, male 51.6
GTEX-1KANC-0226-SM-E9TIW 50-59 years, female 51.3
GTEX-14PJ4-0926-SM-5YY98 60-69 years, male 51.2
GTEX-WY7C-1126-SM-3NB3A 50-59 years, male 51.1
GTEX-ZDYS-0326-SM-5HL4W 50-59 years, male 51.1
GTEX-1QCLZ-1126-SM-EWRNB 60-69 years, female 50.8
GTEX-1F75I-1326-SM-7PBZX 40-49 years, male 50.1
GTEX-1HCUA-0626-SM-ACKVT 50-59 years, female 50.1
GTEX-1399S-0826-SM-5KM23 30-39 years, female 49.0
GTEX-131XG-0526-SM-5DUWF 50-59 years, female 48.8
GTEX-15RIE-1326-SM-6PAMM 60-69 years, male 48.6
GTEX-11P81-0526-SM-59873 30-39 years, female 48.4
GTEX-1IDJD-0226-SM-CKZOA 30-39 years, male 48.3
GTEX-1211K-0226-SM-59HJY 60-69 years, female 48.0
GTEX-1IKOE-0626-SM-A9G31 30-39 years, female 48.0
GTEX-11DXX-0526-SM-5PNVR 60-69 years, female 47.6
GTEX-14JG1-0826-SM-5ZZWR 40-49 years, male 47.3
GTEX-1GN1W-0226-SM-7P8QY 50-59 years, female 47.3
GTEX-1HBPN-0926-SM-CGQEG 50-59 years, male 46.8
GTEX-15ER7-0826-SM-6PALW 20-29 years, female 46.4
GTEX-YEC3-0426-SM-CYPS8 50-59 years, male 46.3
GTEX-14BMV-1026-SM-5SI6B 50-59 years, male 46.2
GTEX-11DXZ-0326-SM-5EGH1 50-59 years, male 46.0
GTEX-131XF-0426-SM-5HL7U 60-69 years, male 46.0
GTEX-ZYT6-0926-SM-5GIEM 30-39 years, male 45.9
GTEX-ZDTT-0326-SM-4WKF9 60-69 years, male 45.6
GTEX-1J8QM-0326-SM-CL53D 60-69 years, female 45.5
GTEX-YEC4-0226-SM-4W1YG 40-49 years, male 45.3
GTEX-ZDTS-1226-SM-4WKGL 60-69 years, male 45.0
GTEX-1MCC2-0226-SM-EVYD5 30-39 years, female 45.0
GTEX-1399R-1726-SM-5K7YJ 30-39 years, male 43.9
GTEX-ZVT2-0926-SM-5GICE 50-59 years, female 43.9
GTEX-132QS-0526-SM-5IJC7 60-69 years, male 43.8
GTEX-1LGRB-1026-SM-CNPQD 50-59 years, female 43.8
GTEX-1122O-0626-SM-5N9B9 60-69 years, female 43.6
GTEX-1C2JI-0626-SM-7DHM1 50-59 years, male 43.6
GTEX-11ZTT-0526-SM-5EQLA 60-69 years, female 43.5
GTEX-14PHX-0626-SM-5YY8Z 50-59 years, male 43.3
GTEX-ZAB4-0926-SM-5CVN4 40-49 years, male 43.2
GTEX-13S86-0326-SM-5SI6K 40-49 years, male 42.9
GTEX-144GL-1026-SM-5O99R 50-59 years, male 42.9
GTEX-W5X1-0826-SM-3GILN 40-49 years, female 42.8
GTEX-13PL7-0726-SM-5KM1S 60-69 years, female 42.6
GTEX-1GMR3-0426-SM-7PC17 40-49 years, male 42.6
GTEX-13PVR-0926-SM-5S2RB 60-69 years, female 42.4
GTEX-14H4A-0426-SM-5ZZWO 40-49 years, female 42.4
GTEX-1L5NE-0526-SM-DIPG5 50-59 years, male 42.3
GTEX-ZF29-0426-SM-4WKFN 60-69 years, female 42.1
GTEX-ZLFU-0326-SM-4WWBK 40-49 years, male 42.0
GTEX-1GMR2-1326-SM-9KNUT 50-59 years, male 41.8
GTEX-1IDJU-0626-SM-CKZOG 60-69 years, female 41.4
GTEX-1R7EV-0426-SM-DTX7Z 40-49 years, male 41.4
GTEX-15CHR-0326-SM-7DHN3 50-59 years, male 41.3
GTEX-131YS-0826-SM-5PNYV 60-69 years, female 41.2
GTEX-VUSG-0726-SM-3GIK1 50-59 years, male 41.2
GTEX-X3Y1-0226-SM-3P5Z5 40-49 years, male 41.0
GTEX-14PN3-0726-SM-6EU14 60-69 years, female 40.6
GTEX-15SDE-1826-SM-7KUFN 50-59 years, female 40.4
GTEX-1JK1U-0626-SM-CKZOJ 60-69 years, male 40.4
GTEX-1OFPY-0926-SM-DTX8Q 60-69 years, male 40.4
GTEX-13FH7-0826-SM-5J2NW 50-59 years, female 40.3
GTEX-11EM3-0426-SM-5N9BZ 20-29 years, female 39.7
GTEX-12WSG-1226-SM-5EQ4C 50-59 years, female 39.5
GTEX-1GL5R-0426-SM-9WPOP 50-59 years, male 39.5
GTEX-ZAK1-1126-SM-5PNXU 50-59 years, female 39.3
GTEX-X4EP-0326-SM-3P5Z6 60-69 years, female 39.1
GTEX-17F96-0826-SM-7DHLU 70-79 years, male 39.0
GTEX-18A66-1126-SM-731C5 60-69 years, male 39.0
GTEX-13W3W-0526-SM-5LU3X 60-69 years, female 38.8
GTEX-ZZPU-1126-SM-5N9CW 50-59 years, female 38.8
GTEX-1HFI7-0526-SM-A9SMA 50-59 years, female 38.5
GTEX-14PK6-0726-SM-6LLIX 70-79 years, female 38.4
GTEX-X5EB-0626-SM-46MVQ 40-49 years, male 38.1
GTEX-12WSC-1026-SM-5EQ5Y 50-59 years, male 38.0
GTEX-132AR-1926-SM-5EGK5 50-59 years, female 37.9
GTEX-XOT4-1126-SM-4B66E 60-69 years, female 37.8
GTEX-1GN73-2326-SM-9MQKV 60-69 years, male 37.5
GTEX-13U4I-0626-SM-5LU5L 40-49 years, female 37.1
GTEX-17KNJ-0626-SM-7LT9L 50-59 years, male 37.0
GTEX-11TT1-1426-SM-5EGIA 20-29 years, male 36.9
GTEX-15CHC-0326-SM-5ZZVP 60-69 years, female 36.9
GTEX-146FR-0926-SM-5QGPE 60-69 years, female 36.8
GTEX-YB5K-0226-SM-5IFJE 40-49 years, female 36.7
GTEX-13NZ9-0126-SM-5K7XV 50-59 years, male 36.6
GTEX-12BJ1-0326-SM-5FQUB 60-69 years, male 36.4
GTEX-13FHO-1226-SM-5L3EF 60-69 years, male 36.3
GTEX-ZV7C-0526-SM-9WPNK 50-59 years, male 36.0
GTEX-1IL2U-1226-SM-CL53P 60-69 years, male 35.9
GTEX-13N11-0726-SM-5L3DP 50-59 years, female 35.8
GTEX-11LCK-0826-SM-5PNYD 30-39 years, male 35.7
GTEX-13D11-1526-SM-5J2NA 50-59 years, female 35.7
GTEX-ZT9W-0526-SM-57WFG 50-59 years, male 35.6
GTEX-17F9E-0726-SM-793A1 50-59 years, male 35.2
GTEX-131XE-0526-SM-5K7YT 50-59 years, male 35.1
GTEX-XQ8I-0226-SM-4BOPM 50-59 years, male 35.1
GTEX-12WSE-0926-SM-5S2VX 20-29 years, male 34.9
GTEX-13JVG-1126-SM-5KM2M 60-69 years, male 34.9
GTEX-13N1W-0926-SM-5MR36 70-79 years, male 34.9
GTEX-Y114-0126-SM-4TT8K 50-59 years, female 34.9
GTEX-1QMI2-1026-SM-DTX7T 60-69 years, male 34.8
GTEX-1CB4E-0626-SM-7DHMW 60-69 years, male 34.5
GTEX-1J8Q3-1126-SM-ARU8N 60-69 years, male 34.3
GTEX-1339X-0326-SM-5K7Z8 40-49 years, male 34.1
GTEX-1C64O-0926-SM-79OLN 60-69 years, male 34.1
GTEX-ZTPG-1326-SM-51MSQ 20-29 years, female 34.0
GTEX-1H11D-1026-SM-9QEIU 40-49 years, male 34.0
GTEX-1IY9M-0626-SM-D4P2L 60-69 years, male 33.6
GTEX-11DYG-1026-SM-5A5JQ 60-69 years, male 33.5
GTEX-12WSN-0226-SM-5DUXH 40-49 years, male 33.2
GTEX-13OVI-0326-SM-5K7X1 60-69 years, female 33.2
GTEX-16MT8-0826-SM-7KULO 60-69 years, female 33.2
GTEX-WK11-0626-SM-3NMAV 50-59 years, male 33.2
GTEX-ZEX8-0326-SM-DO92C 50-59 years, male 33.1
GTEX-WFG8-0726-SM-3GILP 20-29 years, male 32.7
GTEX-13O21-0326-SM-5J1N9 50-59 years, male 32.6
GTEX-Z93S-0326-SM-5HL84 50-59 years, male 32.4
GTEX-1LVAN-1526-SM-CNPQN 50-59 years, female 32.4
GTEX-U8XE-0926-SM-3DB8V 30-39 years, male 32.3
GTEX-13YAN-1426-SM-7EPG8 60-69 years, male 32.1
GTEX-14PJ6-0626-SM-686Z6 60-69 years, female 32.1
GTEX-ZTTD-0626-SM-4YCCY 50-59 years, male 32.1
GTEX-WHWD-0326-SM-3LK6L 50-59 years, male 31.8
GTEX-18A7A-1226-SM-7LTAJ 50-59 years, female 31.6
GTEX-ZPU1-0726-SM-5HL6O 40-49 years, male 31.5
GTEX-ZPIC-0426-SM-DO91V 40-49 years, female 31.5
GTEX-1AX9K-0426-SM-73KUG 50-59 years, male 31.4
GTEX-12WSD-1226-SM-5HL9Q 60-69 years, female 31.2
GTEX-1IDJH-1126-SM-COH3R 70-79 years, male 31.1
GTEX-11UD2-0926-SM-5CVL6 50-59 years, male 31.0
GTEX-1H3NZ-1026-SM-A9SM5 60-69 years, male 31.0
GTEX-1HSMQ-0426-SM-ADEIM 50-59 years, male 31.0
GTEX-13OVG-0426-SM-5KM2T 60-69 years, male 30.9
GTEX-1I1GQ-1226-SM-CL55J 50-59 years, male 30.8
GTEX-1K2DU-0226-SM-DIPF6 20-29 years, male 30.7
GTEX-12ZZX-0726-SM-5EGKA 40-49 years, female 30.6
GTEX-1399T-0726-SM-5J1MH 60-69 years, male 30.6
GTEX-XYKS-0226-SM-4BRW3 60-69 years, female 30.2
GTEX-UPK5-0226-SM-3GAEV 40-49 years, male 30.1
GTEX-ZG7Y-1426-SM-4WWBM 50-59 years, male 30.0
GTEX-15DCE-0826-SM-7KULW 20-29 years, male 29.9
GTEX-1B8KE-0326-SM-73KTY 50-59 years, male 29.8
GTEX-XV7Q-0726-SM-4BRV6 40-49 years, female 29.7
GTEX-17HGU-1126-SM-793BP 50-59 years, male 29.6
GTEX-17JCI-0826-SM-7LT8W 60-69 years, female 29.6
GTEX-ZZPT-0926-SM-5GICZ 50-59 years, male 29.4
GTEX-145LV-0226-SM-5S2QG 50-59 years, male 29.3
GTEX-1ICG6-0726-SM-B2LY5 70-79 years, female 29.2
GTEX-13PVQ-1326-SM-5LU4J 50-59 years, male 29.1
GTEX-132NY-1426-SM-5J1MJ 60-69 years, male 28.8
GTEX-ZGAY-0226-SM-4WWAL 40-49 years, female 28.7
GTEX-ZVT3-0826-SM-5GIC8 60-69 years, female 28.7
GTEX-147JS-1326-SM-5SI6D 60-69 years, male 28.4
GTEX-WHPG-1026-SM-3NMBA 50-59 years, male 28.4
GTEX-13O61-0426-SM-5L3ET 60-69 years, male 28.3
GTEX-13X6K-1726-SM-7IGLG 60-69 years, female 28.3
GTEX-1B933-0826-SM-79OMW 50-59 years, female 28.3
GTEX-1CB4G-0726-SM-79OOJ 60-69 years, male 28.3
GTEX-1B8L1-0426-SM-7SB76 60-69 years, male 27.7
GTEX-11DXY-1026-SM-5987V 60-69 years, male 27.6
GTEX-111FC-0626-SM-5N9CU 60-69 years, male 27.4
GTEX-1GMR8-1026-SM-9MQLA 50-59 years, female 27.4
GTEX-Y5V5-0726-SM-4VBPY 60-69 years, female 27.3
GTEX-11NV4-0826-SM-5BC4S 60-69 years, male 27.2
GTEX-XLM4-2026-SM-4AT4X 60-69 years, male 27.2
GTEX-WZTO-1226-SM-3NMAZ 40-49 years, male 27.1
GTEX-14A6H-0326-SM-5NQAN 30-39 years, male 27.0
GTEX-ZF3C-1126-SM-57WEG 50-59 years, female 27.0
GTEX-14ASI-0826-SM-5Q5EB 60-69 years, male 26.9
GTEX-13FTW-0826-SM-5K7XR 40-49 years, male 26.8
GTEX-1B932-1326-SM-79OM4 40-49 years, female 26.7
GTEX-13NYS-1926-SM-5IJCB 60-69 years, male 26.6
GTEX-13O3P-1426-SM-5L3DT 50-59 years, male 26.6
GTEX-15UF7-1526-SM-6LPI7 40-49 years, male 26.6
GTEX-1QPFJ-0926-SM-EVR3K 30-39 years, female 26.4
GTEX-13O1R-0926-SM-5L3DS 60-69 years, male 26.3
GTEX-18A67-1026-SM-731CE 50-59 years, male 26.3
GTEX-183WM-0926-SM-718AN 70-79 years, female 26.1
GTEX-13QBU-0226-SM-5LU48 40-49 years, female 25.9
GTEX-15SHU-0926-SM-6PAMK 40-49 years, female 25.8
GTEX-1J1OQ-2226-SM-A96SS 40-49 years, female 25.7
GTEX-V955-0826-SM-CYPR5 60-69 years, male 25.6
GTEX-18D9B-1126-SM-7KFSH 60-69 years, male 25.4
GTEX-1I1GP-0626-SM-ARL7H 50-59 years, male 25.4
GTEX-1NSGN-1226-SM-E76OL 50-59 years, male 25.4
GTEX-1JMLX-1826-SM-CNPOX 50-59 years, male 25.3
GTEX-12ZZY-1226-SM-5GCNK 60-69 years, male 25.1
GTEX-1AX8Z-1126-SM-731CS 60-69 years, male 24.8
GTEX-16NPX-0826-SM-6M489 50-59 years, male 24.7
GTEX-1CB4I-1526-SM-7DHMY 50-59 years, male 24.4
GTEX-14PJM-0826-SM-6LLIW 50-59 years, female 24.3
GTEX-1B996-1026-SM-793CF 60-69 years, male 24.3
GTEX-1GN2E-1426-SM-7RHHI 60-69 years, male 24.3
GTEX-1HBPH-0226-SM-9WYSM 40-49 years, female 24.3
GTEX-1QP29-1426-SM-DTX9Q 50-59 years, male 24.2
GTEX-XQ3S-0526-SM-4BOQA 20-29 years, male 24.0
GTEX-1IKK5-1726-SM-CM2RU 60-69 years, male 24.0
GTEX-14XAO-0926-SM-69LPZ 60-69 years, female 23.7
GTEX-ZYFD-2026-SM-5E459 50-59 years, male 23.7
GTEX-14PHY-0326-SM-62LE3 60-69 years, female 23.5
GTEX-1A32A-1326-SM-73KWW 50-59 years, female 23.5
GTEX-11ZUS-0326-SM-5EQ4W 30-39 years, male 23.2
GTEX-1HC8U-0626-SM-B2LWB 40-49 years, female 23.2
GTEX-YJ8O-0826-SM-5CVM3 40-49 years, female 23.1
GTEX-13OW6-0926-SM-5L3GM 50-59 years, male 22.9
GTEX-11GSP-1226-SM-5985M 60-69 years, female 22.8
GTEX-17GQL-0626-SM-731CN 60-69 years, male 22.7
GTEX-ZYFC-1026-SM-5GZX9 50-59 years, male 22.7
GTEX-1HT8W-1326-SM-CGQEN 30-39 years, male 22.7
GTEX-1GN1U-1426-SM-7P8TF 50-59 years, female 22.5
GTEX-1P4AB-0926-SM-E76PV 50-59 years, male 22.5
GTEX-1192W-0226-SM-5EGGT 60-69 years, male 22.4
GTEX-145LS-1326-SM-5Q5EP 60-69 years, female 22.4
GTEX-16YQH-0726-SM-7IGM1 30-39 years, male 22.4
GTEX-XBEC-1226-SM-4AT65 50-59 years, male 22.2
GTEX-1E2YA-0626-SM-7P8P4 50-59 years, male 22.2
GTEX-12WSA-1126-SM-5EGKU 60-69 years, male 22.0
GTEX-14PN4-0826-SM-69LON 50-59 years, male 22.0
GTEX-18465-0726-SM-7LG4L 50-59 years, male 22.0
GTEX-UTHO-1226-SM-3GAEE 60-69 years, male 21.8
GTEX-13VXT-0726-SM-5SIAD 20-29 years, female 21.5
GTEX-1BAJH-1026-SM-7EWEG 70-79 years, male 21.5
GTEX-XXEK-2026-SM-4BRVE 50-59 years, male 21.4
GTEX-13SLX-0926-SM-5S2NM 50-59 years, female 21.3
GTEX-WHSE-0826-SM-4SOJU 20-29 years, male 21.3
GTEX-1LB8K-0926-SM-D4P42 50-59 years, male 21.2
GTEX-132Q8-1126-SM-5K7XS 60-69 years, male 21.1
GTEX-15CHQ-1326-SM-6871Z 60-69 years, male 21.1
GTEX-18A6Q-1526-SM-731CO 60-69 years, male 21.1
GTEX-1A8G6-1826-SM-73KY8 60-69 years, male 21.1
GTEX-1212Z-0726-SM-5EGI5 60-69 years, male 21.0
GTEX-1EX96-2626-SM-9MQJV 50-59 years, male 21.0
GTEX-1H3VY-1126-SM-A96TP 50-59 years, male 21.0
GTEX-1J8EW-0626-SM-CM2TY 60-69 years, female 21.0
GTEX-11EMC-0826-SM-59862 60-69 years, female 20.8
GTEX-1LVAO-0626-SM-EWRNT 60-69 years, male 20.8
GTEX-1EH9U-0626-SM-7PC33 60-69 years, male 20.7
GTEX-14C5O-1226-SM-664N3 60-69 years, male 20.6
GTEX-ZE7O-0626-SM-57WCD 50-59 years, female 20.6
GTEX-14DAQ-1026-SM-793B1 60-69 years, female 20.5
GTEX-1445S-1226-SM-5O9BF 60-69 years, male 20.4
GTEX-11ONC-1026-SM-5GU64 60-69 years, male 20.0
GTEX-146FH-1126-SM-5NQAT 50-59 years, female 20.0
GTEX-1AX9J-0926-SM-73KXA 60-69 years, male 20.0
GTEX-YFC4-0426-SM-4TT3J 40-49 years, female 20.0
GTEX-13CF2-0226-SM-5L3DV 60-69 years, male 19.9
GTEX-WQUQ-1326-SM-3MJFF 60-69 years, male 19.8
GTEX-13OW7-1626-SM-5IJDH 50-59 years, male 19.5
GTEX-17F9Y-1226-SM-7EPGE 70-79 years, female 19.5
GTEX-14PJ2-1126-SM-69LOD 50-59 years, male 19.3
GTEX-1F88F-0326-SM-9KNV3 60-69 years, female 19.3
GTEX-1HCVE-0826-SM-CM2SF 50-59 years, male 19.3
GTEX-1HSKV-0726-SM-ACKWE 60-69 years, male 19.2
GTEX-1313W-1126-SM-5EQ5U 50-59 years, female 19.1
GTEX-1I1GV-1426-SM-B2LXN 60-69 years, male 19.1
GTEX-1192X-0726-SM-5987R 50-59 years, male 19.0
GTEX-13JUV-0226-SM-5IJCC 40-49 years, female 18.8
GTEX-148VJ-1426-SM-5TDE3 70-79 years, male 18.6
GTEX-14PJO-0826-SM-6ETZK 60-69 years, male 18.4
GTEX-15SHV-0526-SM-7KUEN 60-69 years, male 18.4
GTEX-13RTJ-0526-SM-62LDP 60-69 years, male 18.2
GTEX-1HR98-1026-SM-CKZOM 60-69 years, male 18.2
GTEX-1HBPM-1026-SM-ARL9D 60-69 years, female 18.1
GTEX-117XS-0726-SM-5H131 60-69 years, male 17.9
GTEX-12696-1226-SM-5FQSM 60-69 years, male 17.9
GTEX-11NUK-0926-SM-5HL57 50-59 years, male 17.8
GTEX-1I1CD-1326-SM-A9SMM 60-69 years, female 17.7
GTEX-WL46-0726-SM-3LK5Z 50-59 years, male 17.5
GTEX-1CAMQ-0726-SM-7P8SG 40-49 years, male 17.5
GTEX-14E6C-0326-SM-5Q5EE 40-49 years, male 17.3
GTEX-X62O-0826-SM-46MW8 50-59 years, male 17.3
GTEX-1HSMO-1126-SM-CGQF2 60-69 years, male 17.3
GTEX-1LH75-0526-SM-DIPG2 50-59 years, female 17.3
GTEX-14BIM-2726-SM-5Q5EG 60-69 years, female 17.2
GTEX-1J8Q2-1026-SM-ARU8I 60-69 years, male 17.2
GTEX-1R9K4-1026-SM-EXUT1 60-69 years, male 17.1
GTEX-V1D1-0626-SM-4JBHN 50-59 years, male 16.9
GTEX-1H1ZS-1026-SM-9WG6E 70-79 years, male 16.8
GTEX-1H1DG-0826-SM-9QEIW 70-79 years, male 16.7
GTEX-1I1GR-1026-SM-A9SLC 60-69 years, male 16.5
GTEX-1RLM8-0226-SM-E6CJY 50-59 years, male 16.4
GTEX-1JJ6O-2226-SM-AHZ3I 60-69 years, male 16.3
GTEX-1B8SG-0726-SM-79ONS 50-59 years, male 16.2
GTEX-Y8E4-0426-SM-4V6GB 40-49 years, male 16.1
GTEX-1CB4J-0226-SM-7P8T4 60-69 years, male 16.1
GTEX-1F75A-1026-SM-7PC3W 50-59 years, male 16.1
GTEX-1JJEA-0926-SM-CYPSO 60-69 years, male 16.1
GTEX-1GF9V-1726-SM-9KNW4 60-69 years, male 15.9
GTEX-1RB15-0426-SM-E9U4Y 60-69 years, male 15.9
GTEX-1E1VI-1426-SM-793CY 50-59 years, male 15.5
GTEX-X4XX-1126-SM-3NMBY 60-69 years, male 15.2
GTEX-WYJK-1126-SM-3NM9Z 50-59 years, male 15.0
GTEX-ZYVF-1826-SM-5E44F 50-59 years, female 15.0
GTEX-13NYB-0326-SM-5IJDP 40-49 years, male 14.9
GTEX-16XZZ-1026-SM-7DHKS 60-69 years, male 14.6
GTEX-17MF6-0926-SM-7LTAL 40-49 years, male 14.6
GTEX-1EU9M-1926-SM-7RHH4 60-69 years, male 14.6
GTEX-1I19N-0626-SM-A9SKY 70-79 years, male 14.6
GTEX-1EWIQ-1126-SM-7EPIK 70-79 years, female 14.5
GTEX-13PDP-1326-SM-5K7U9 60-69 years, male 14.4
GTEX-1HFI6-0826-SM-9YFM2 40-49 years, male 14.4
GTEX-13X6J-1226-SM-79OMF 50-59 years, male 14.3
GTEX-1H2FU-0826-SM-9WYSU 60-69 years, female 14.3
GTEX-1PPGY-0926-SM-DTXFF 60-69 years, male 14.3
GTEX-1B8SF-1326-SM-7IGQJ 60-69 years, male 14.2
GTEX-1H3O1-0226-SM-9WYSW 60-69 years, male 14.2
GTEX-1GZ2Q-0926-SM-7RHHN 40-49 years, male 13.9
GTEX-VJWN-1026-SM-4M1ZN 50-59 years, female 13.8
GTEX-1I1HK-0626-SM-CNPQM 60-69 years, male 13.8
GTEX-WWYW-1126-SM-3NB2Q 50-59 years, female 13.7
GTEX-111VG-0326-SM-5GZX7 60-69 years, male 13.6
GTEX-1IKJJ-0626-SM-CY8GF 60-69 years, male 13.6
GTEX-1117F-0726-SM-5GIEN 60-69 years, female 13.4
GTEX-1477Z-1126-SM-5P9GK 60-69 years, male 13.4
GTEX-11WQK-0226-SM-5EQLI 50-59 years, male 13.2
GTEX-1C64N-0826-SM-7RHGQ 50-59 years, male 13.2
GTEX-1HCU7-1226-SM-B2LX8 50-59 years, male 13.2
GTEX-ZDXO-0426-SM-4WKF6 60-69 years, male 13.0
GTEX-15RJE-0726-SM-7KUEG 40-49 years, male 12.8
GTEX-13FHP-0826-SM-5K7V5 50-59 years, male 12.6
GTEX-1F6I4-0826-SM-7RHGK 60-69 years, male 12.6
GTEX-WOFL-1226-SM-4OOST 60-69 years, male 12.5
GTEX-13FXS-1026-SM-62LFQ 50-59 years, male 12.3
GTEX-1CAMS-1126-SM-7MXUQ 40-49 years, female 12.3
GTEX-1LG7Y-1426-SM-D4P31 50-59 years, male 12.2
GTEX-11O72-1026-SM-5986B 40-49 years, male 12.1
GTEX-13112-0526-SM-5EQ4S 50-59 years, male 11.7
GTEX-13OW5-0926-SM-5L3GZ 60-69 years, male 11.7
GTEX-1A3MX-1226-SM-731B3 60-69 years, male 11.7
GTEX-1EMGI-1126-SM-9KNUF 60-69 years, male 11.7
GTEX-1JMQK-0926-SM-ARL96 60-69 years, male 11.6
GTEX-11EQ8-1326-SM-5EGJQ 60-69 years, male 11.5
GTEX-13NZA-0826-SM-5K7WS 60-69 years, male 11.5
GTEX-1AX9I-1026-SM-73KYF 60-69 years, male 11.4
GTEX-1GZ4I-0826-SM-9WG6O 50-59 years, male 11.4
GTEX-1CB4H-0626-SM-7IGN3 60-69 years, female 11.3
GTEX-1POEN-0726-SM-DTXDU 30-39 years, female 11.3
GTEX-ZUA1-0726-SM-4YCD9 40-49 years, male 11.0
GTEX-14E7W-1126-SM-5ZZVS 70-79 years, male 10.9
GTEX-12WSI-0426-SM-5EQ5J 50-59 years, male 10.8
GTEX-YECK-1226-SM-4W21G 60-69 years, male 10.8
GTEX-1A8FM-1026-SM-7PC26 50-59 years, female 10.7
GTEX-WRHU-1026-SM-4E3ID 50-59 years, female 10.5
GTEX-1F48J-1126-SM-9WYSY 50-59 years, female 10.4
GTEX-1QEPI-1126-SM-E8VN7 60-69 years, female 10.4
GTEX-WYBS-1226-SM-3NM9N 60-69 years, female 10.3
GTEX-13SLW-0826-SM-5QGP7 70-79 years, male 10.1
GTEX-147F4-1126-SM-5TDDE 50-59 years, male 9.8
GTEX-15SKB-0926-SM-7KUFC 60-69 years, male 9.5
GTEX-1KD5A-0926-SM-D4P3U 50-59 years, male 9.4
GTEX-WI4N-0726-SM-3TW93 40-49 years, female 9.3
GTEX-14PII-1026-SM-5ZZVW 60-69 years, male 9.2
GTEX-ZVZQ-0726-SM-51MR3 60-69 years, female 9.1
GTEX-1C6VQ-0826-SM-7PBZT 50-59 years, male 9.0
GTEX-11GS4-0426-SM-5N9CD 60-69 years, male 8.6
GTEX-13O3O-1426-SM-5KM2S 60-69 years, female 8.2
GTEX-139TU-1926-SM-5J2OC 60-69 years, male 8.1
GTEX-14C38-1326-SM-62LDK 50-59 years, male 7.6
GTEX-117YW-0426-SM-5GZZZ 50-59 years, male 7.5
GTEX-ZAJG-0926-SM-5Q5AB 50-59 years, female 7.5
GTEX-1GMRU-1326-SM-9WYUI 50-59 years, male 7.5
GTEX-1MJK2-1626-SM-EVYCQ 50-59 years, male 7.5
GTEX-1JN6P-0826-SM-ARL97 60-69 years, male 7.2
GTEX-1JMQL-1026-SM-CMKGV 50-59 years, female 7.1
GTEX-1IKOH-0926-SM-A9SLU 60-69 years, female 6.6
GTEX-14C39-0726-SM-5RQIK 40-49 years, male 6.4
GTEX-1GTWX-0926-SM-9MQKM 60-69 years, male 6.1
GTEX-13O3Q-0326-SM-5L3FE 50-59 years, male 5.9
GTEX-11TUW-1126-SM-5EQKJ 60-69 years, male 5.8
GTEX-1F75B-1126-SM-7RHGP 50-59 years, male 5.7
GTEX-1H1CY-0426-SM-9KNVD 60-69 years, female 5.7
GTEX-1IOXB-0726-SM-A9G32 50-59 years, male 5.6
GTEX-16GPK-1226-SM-7LTAU 60-69 years, male 5.5
GTEX-1HUB1-0726-SM-CGQF4 60-69 years, male 5.5
GTEX-13PL6-0826-SM-5IJBI 40-49 years, female 4.8
GTEX-1JMOU-0326-SM-ARL8X 60-69 years, female 4.6
GTEX-1QP6S-1026-SM-DTXFW 40-49 years, male 4.6
GTEX-X261-0926-SM-3NMCY 50-59 years, male 4.3
GTEX-X8HC-1026-SM-46MWH 50-59 years, female 4.3
GTEX-14A5I-1026-SM-5Q5E3 50-59 years, female 3.9
GTEX-1M5QR-1626-SM-E9U5O 40-49 years, male 3.8
GTEX-14BIL-0926-SM-7DHKN 50-59 years, male 3.6
GTEX-17EVP-0526-SM-7EPGY 40-49 years, male 3.6
GTEX-13FTZ-0326-SM-5J1O1 60-69 years, male 3.5
GTEX-14BIN-2126-SM-793AX 50-59 years, female 3.5
GTEX-15D1Q-0426-SM-6AJ9G 40-49 years, male 3.5
GTEX-ZVT4-1326-SM-5NQ8E 50-59 years, female 3.5
GTEX-1C6WA-0826-SM-7PBXS 60-69 years, male 3.4
GTEX-1GN1V-1026-SM-CNPPS 60-69 years, male 3.3
GTEX-1IL2V-1126-SM-CMKGH 70-79 years, male 3.2
GTEX-12584-1026-SM-59HK3 40-49 years, male 3.1
GTEX-ZXG5-0626-SM-5NQ85 60-69 years, male 2.2
GTEX-11ZVC-0526-SM-5N9G1 50-59 years, female 1.6
GTEX-1LSNL-0626-SM-DIPFJ 50-59 years, male 1.0
Show allShow less
Heart - Left Ventricle
Average nTPM: 67.7
Samples: 432

Max nTPM: 198.3
Min nTPM: 0.0
Std nTPM: 48.4
Median nTPM: 60.6
GTEX-P4PP-0326-SM-33HC4 30-39 years, female 198.3
GTEX-131XF-5001-SM-7DHLY 60-69 years, male 182.3
GTEX-ZYFG-0426-SM-5E43M 60-69 years, female 180.6
GTEX-17KNJ-0826-SM-793A4 50-59 years, male 174.1
GTEX-OXRK-0826-SM-2HMK7 50-59 years, female 173.2
GTEX-117YX-1126-SM-5H128 50-59 years, male 173.0
GTEX-OHPM-0326-SM-33HCA 50-59 years, male 171.4
GTEX-OIZF-0326-SM-3MJGY 60-69 years, male 169.0
GTEX-14PJ6-0726-SM-69LOL 60-69 years, female 160.3
GTEX-WEY5-0426-SM-3GIKT 40-49 years, female 159.8
GTEX-1399U-0526-SM-5K7YM 50-59 years, female 156.1
GTEX-ZVT2-1026-SM-5GU55 50-59 years, female 156.0
GTEX-POMQ-0326-SM-2I5FO 20-29 years, female 155.4
GTEX-146FR-0626-SM-5RQJ1 60-69 years, female 155.0
GTEX-1QCLZ-0926-SM-E6CQZ 60-69 years, female 154.8
GTEX-1399R-1926-SM-5K7X8 30-39 years, male 153.8
GTEX-ZDYS-0226-SM-5HL4K 50-59 years, male 152.4
GTEX-1RMOY-0626-SM-E9TIE 50-59 years, male 151.9
GTEX-WFON-0326-SM-3GIKX 40-49 years, male 149.8
GTEX-U3ZN-1426-SM-3DB87 30-39 years, female 149.7
GTEX-QLQ7-0526-SM-2I5G3 60-69 years, male 149.5
GTEX-1B97J-0726-SM-7RHG3 50-59 years, female 149.1
GTEX-15CHC-0426-SM-6LLHI 60-69 years, female 147.7
GTEX-13O21-2326-SM-5MR3X 50-59 years, male 145.6
GTEX-12BJ1-0226-SM-5LUA2 60-69 years, male 144.9
GTEX-ZVZP-0226-SM-5NQ73 50-59 years, male 144.9
GTEX-QMRM-0526-SM-2I5GA 50-59 years, male 142.2
GTEX-1AYCT-0426-SM-73KVZ 50-59 years, male 142.0
GTEX-13FTW-1026-SM-5L3E3 40-49 years, male 141.8
GTEX-139YR-0826-SM-5LZXY 50-59 years, male 141.3
GTEX-14PN3-0526-SM-69LQF 60-69 years, female 140.1
GTEX-18A67-1226-SM-7KFRS 50-59 years, male 140.1
GTEX-1KANC-0426-SM-CXZK5 50-59 years, female 140.0
GTEX-13VXT-1126-SM-5LU3A 20-29 years, female 139.7
GTEX-PX3G-0326-SM-2I3EO 20-29 years, female 139.5
GTEX-13D11-1726-SM-5IFGQ 50-59 years, female 139.2
GTEX-XPVG-0826-SM-4B654 50-59 years, male 138.5
GTEX-15RJ7-0226-SM-7KUMN 40-49 years, male 137.5
GTEX-OHPL-0326-SM-33HC8 60-69 years, female 136.7
GTEX-1HCUA-0526-SM-A9SMH 50-59 years, female 136.4
GTEX-1MUQO-1226-SM-E9TJK 60-69 years, male 136.0
GTEX-YEC3-0726-SM-CMKFH 50-59 years, male 135.8
GTEX-ZPCL-0426-SM-DNZZ4 60-69 years, female 135.3
GTEX-WHPG-0826-SM-3NMBF 50-59 years, male 135.2
GTEX-18D9U-1126-SM-72D5Y 40-49 years, male 134.7
GTEX-13PVR-1026-SM-5QGQW 60-69 years, female 134.5
GTEX-13X6H-0426-SM-5LU4E 50-59 years, female 134.5
GTEX-1CB4I-1626-SM-7RHGV 50-59 years, male 134.4
GTEX-ZAB5-0226-SM-5CVMH 50-59 years, male 134.2
GTEX-13U4I-0826-SM-5SIBD 40-49 years, female 133.3
GTEX-R53T-0926-SM-3GADH 50-59 years, female 133.1
GTEX-15RIE-1726-SM-7KUMU 60-69 years, male 133.0
GTEX-SNMC-0126-SM-2XCFO 20-29 years, male 131.3
GTEX-15CHR-0226-SM-7PC2Z 50-59 years, male 130.8
GTEX-R55C-0326-SM-3GAF1 40-49 years, male 129.7
GTEX-1IDJU-0726-SM-CNPQ9 60-69 years, female 129.5
GTEX-P4PQ-0326-SM-2HMJ8 60-69 years, male 128.8
GTEX-1R9JW-0526-SM-EWRNK 30-39 years, female 128.8
GTEX-1LGOU-0726-SM-E9TIY 20-29 years, female 127.5
GTEX-ZZPU-0926-SM-5GZYT 50-59 years, female 126.7
GTEX-O5YW-0326-SM-2I5EI 50-59 years, male 126.1
GTEX-ZF29-0226-SM-4WKHO 60-69 years, female 125.1
GTEX-OIZH-0326-SM-2HMKC 50-59 years, male 124.7
GTEX-1B8KE-0126-SM-793AM 50-59 years, male 124.6
GTEX-1KXAM-1326-SM-E9TJW 60-69 years, male 124.3
GTEX-1GL5R-0326-SM-9WYTJ 50-59 years, male 124.0
GTEX-OOBJ-0326-SM-33HBO 60-69 years, male 122.3
GTEX-ZF2S-1026-SM-9QEGK 50-59 years, female 122.3
GTEX-ZV7C-0326-SM-57WB1 50-59 years, male 121.9
GTEX-1RB15-0326-SM-E6CQB 60-69 years, male 121.7
GTEX-11DXX-0326-SM-5PNWC 60-69 years, female 121.0
GTEX-QV44-0526-SM-2S1RE 50-59 years, male 120.9
GTEX-WHWD-0426-SM-3LK83 50-59 years, male 120.3
GTEX-13O61-0526-SM-5J2M1 60-69 years, male 119.8
GTEX-1C2JI-0526-SM-7EWEQ 50-59 years, male 119.8
GTEX-11DXZ-0626-SM-5GU77 50-59 years, male 119.5
GTEX-11ZUS-0226-SM-5FQT8 30-39 years, male 119.0
GTEX-14PJ4-1126-SM-5YY91 60-69 years, male 118.5
GTEX-OHPK-0326-SM-2HMJO 50-59 years, female 118.4
GTEX-1399S-1026-SM-5KLZ9 30-39 years, female 118.0
GTEX-1HSGN-1126-SM-CJI4G 40-49 years, female 116.4
GTEX-14PHX-2126-SM-6EU2U 50-59 years, male 115.6
GTEX-X15G-0426-SM-4PQZ6 50-59 years, female 115.6
GTEX-ZQUD-1526-SM-7IGO2 30-39 years, male 115.5
GTEX-1L5NE-0426-SM-E9TIX 50-59 years, male 115.3
GTEX-OXRL-0326-SM-2I3F2 50-59 years, male 115.1
GTEX-1CB4E-0526-SM-7MXTK 60-69 years, male 114.9
GTEX-13S86-0226-SM-5S2PJ 40-49 years, male 114.7
GTEX-UJHI-0426-SM-3DB8Y 50-59 years, female 114.7
GTEX-12WSN-5001-SM-7DHMK 40-49 years, male 114.5
GTEX-16XZY-0426-SM-793BI 70-79 years, male 114.3
GTEX-1J8Q3-1226-SM-CKZPT 60-69 years, male 114.1
GTEX-X3Y1-0426-SM-3P5Z4 40-49 years, male 113.8
GTEX-ZLFU-0226-SM-4WWFH 40-49 years, male 113.7
GTEX-1J8QM-0426-SM-AHZ3X 60-69 years, female 113.5
GTEX-Q2AH-0526-SM-2I3ED 40-49 years, male 112.5
GTEX-XPT6-0126-SM-4B65S 20-29 years, male 112.1
GTEX-14PK6-0826-SM-5ZZVO 70-79 years, female 112.0
GTEX-Y3IK-0826-SM-51MT8 50-59 years, female 111.9
GTEX-1AX8Z-5007-SM-AHZ36 60-69 years, male 111.0
GTEX-11I78-0826-SM-5A5K4 50-59 years, female 110.5
GTEX-13FH7-0926-SM-5J2MR 50-59 years, female 110.1
GTEX-1HFI7-0826-SM-A9G23 50-59 years, female 109.9
GTEX-1JK1U-0526-SM-CYPSQ 60-69 years, male 109.8
GTEX-ZDTT-0726-SM-4WKFK 60-69 years, male 109.6
GTEX-1F5PK-0326-SM-9KNUD 50-59 years, male 109.3
GTEX-WZTO-1326-SM-3NM8X 40-49 years, male 108.7
GTEX-13QBU-0426-SM-5J2O4 40-49 years, female 108.5
GTEX-PWCY-0526-SM-5P9HG 20-29 years, female 108.3
GTEX-ZGAY-0326-SM-57WF5 40-49 years, female 108.3
GTEX-1122O-0826-SM-5GICV 60-69 years, female 107.7
GTEX-Y114-0226-SM-4TT8W 50-59 years, female 107.7
GTEX-1MCC2-0326-SM-EV7AK 30-39 years, female 107.5
GTEX-XBED-0526-SM-47JY3 60-69 years, male 107.4
GTEX-1GMR2-1426-SM-7RHHK 50-59 years, male 107.4
GTEX-UJMC-0526-SM-3GAE3 50-59 years, male 107.1
GTEX-111YS-0426-SM-5987O 60-69 years, male 107.0
GTEX-1OFPY-1026-SM-EXUSO 60-69 years, male 107.0
GTEX-V955-0726-SM-3GAFG 60-69 years, male 106.9
GTEX-QESD-0526-SM-2I5G5 20-29 years, male 106.8
GTEX-1IDJI-1026-SM-A96TE 50-59 years, female 106.1
GTEX-Y3I4-0626-SM-4TT7A 50-59 years, male 105.4
GTEX-145MN-0626-SM-5QGRH 30-39 years, male 104.5
GTEX-1OKEX-0726-SM-DPRYE 60-69 years, male 103.6
GTEX-12WSK-0626-SM-5LZUJ 40-49 years, female 103.3
GTEX-SUCS-0326-SM-32PLL 70-79 years, male 103.3
GTEX-1I6K7-0626-SM-ARL7Q 40-49 years, male 103.0
GTEX-1J8EW-0926-SM-A9G33 60-69 years, female 102.9
GTEX-S32W-0626-SM-2XCBG 50-59 years, female 102.3
GTEX-SE5C-0626-SM-2XCDV 40-49 years, female 102.1
GTEX-P78B-0426-SM-2I5F5 40-49 years, female 101.9
GTEX-1GMR3-0326-SM-7P8QT 40-49 years, male 100.7
GTEX-1AX9J-1026-SM-72D6E 60-69 years, male 100.1
GTEX-1211K-0626-SM-5FQUZ 60-69 years, female 99.6
GTEX-XQ3S-0626-SM-4BOOB 20-29 years, male 99.6
GTEX-YEC4-0326-SM-4W216 40-49 years, male 99.6
GTEX-1QPFJ-1026-SM-E6CR6 30-39 years, female 99.5
GTEX-14H4A-0626-SM-5ZZUT 40-49 years, female 99.4
GTEX-132QS-0426-SM-5KLZ6 60-69 years, male 99.1
GTEX-11LCK-0926-SM-5A5KA 30-39 years, male 98.9
GTEX-ZEX8-0426-SM-DO92Y 50-59 years, male 98.8
GTEX-1LVAN-1726-SM-CNNR1 50-59 years, female 98.7
GTEX-U3ZH-0326-SM-3DB7A 30-39 years, male 98.5
GTEX-Y5V6-0826-SM-4VBRU 60-69 years, male 98.5
GTEX-U8XE-1126-SM-3DB8W 30-39 years, male 98.4
GTEX-1R7EV-0326-SM-E76PA 40-49 years, male 97.9
GTEX-14E1K-1026-SM-73KUR 50-59 years, male 96.5
GTEX-132NY-1726-SM-5EGKK 60-69 years, male 96.4
GTEX-RWS6-0326-SM-2XCAP 60-69 years, female 96.4
GTEX-1EU9M-1826-SM-7DUGU 60-69 years, male 95.5
GTEX-14PHY-0226-SM-5ZZWM 60-69 years, female 95.4
GTEX-1F75I-1126-SM-9WYUO 40-49 years, male 95.0
GTEX-13OVL-0526-SM-5KLZQ 50-59 years, male 94.7
GTEX-RNOR-0826-SM-2TF5C 50-59 years, female 94.5
GTEX-XGQ4-0326-SM-4GIEE 50-59 years, male 94.0
GTEX-ZPU1-0626-SM-4YCDM 40-49 years, male 93.0
GTEX-NFK9-0926-SM-2HMJU 40-49 years, male 92.8
GTEX-1IDJE-0326-SM-CM2TD 50-59 years, female 91.9
GTEX-14JG1-1026-SM-6ETZY 40-49 years, male 91.7
GTEX-1RQEC-0926-SM-EWROG 60-69 years, male 91.5
GTEX-WFG7-0726-SM-3GIKO 20-29 years, male 90.3
GTEX-QEG4-0426-SM-33HC3 30-39 years, male 88.6
GTEX-R55G-0526-SM-2TC5O 40-49 years, female 88.5
GTEX-WFG8-0626-SM-3GILJ 20-29 years, male 88.5
GTEX-ZG7Y-0926-SM-5EQ6O 50-59 years, male 88.2
GTEX-R55E-1026-SM-2TC5S 20-29 years, male 87.4
GTEX-16BQI-0926-SM-6M485 30-39 years, female 85.9
GTEX-145LV-0326-SM-5Q5BW 50-59 years, male 83.4
GTEX-Y8E4-0326-SM-4VBRR 40-49 years, male 83.4
GTEX-1GN73-2426-SM-7RHFQ 60-69 years, male 83.3
GTEX-1LGRB-1126-SM-CNPP2 50-59 years, female 82.3
GTEX-17F9E-0926-SM-7IGMG 50-59 years, male 82.2
GTEX-12696-1126-SM-5FQTI 60-69 years, male 81.9
GTEX-14A6H-0226-SM-5Q5DX 30-39 years, male 80.8
GTEX-1339X-0426-SM-5KLZY 40-49 years, male 80.3
GTEX-ZDXO-0726-SM-57WBT 60-69 years, male 80.1
GTEX-13SLX-1026-SM-5ZZUQ 50-59 years, female 79.5
GTEX-13OVG-0526-SM-5K7YD 60-69 years, male 79.4
GTEX-1JJEA-0826-SM-CL53T 60-69 years, male 79.0
GTEX-1S3DN-0726-SM-E9TIO 50-59 years, male 79.0
GTEX-1LSNM-0526-SM-DIPG6 50-59 years, male 78.6
GTEX-XXEK-0926-SM-4BRWH 50-59 years, male 78.5
GTEX-13FLV-0926-SM-5L3DZ 50-59 years, male 77.5
GTEX-1R9K5-1326-SM-E6CPR 50-59 years, male 77.4
GTEX-UPK5-0326-SM-CYPR4 40-49 years, male 77.4
GTEX-YF7O-0426-SM-5P9FS 50-59 years, male 77.2
GTEX-1QP29-1526-SM-EXUSY 50-59 years, male 76.4
GTEX-1IKOE-1026-SM-ARZMF 30-39 years, female 75.9
GTEX-13NZB-0226-SM-5KM1T 30-39 years, male 75.5
GTEX-V1D1-0526-SM-4JBGW 50-59 years, male 75.1
GTEX-O5YT-0326-SM-32PKA 20-29 years, male 74.7
GTEX-QDVJ-0426-SM-2I5FW 50-59 years, male 74.7
GTEX-WH7G-0426-SM-3NMBJ 40-49 years, male 74.2
GTEX-WYJK-1026-SM-3NM8W 50-59 years, male 74.2
GTEX-WY7C-0526-SM-3NB3D 50-59 years, male 72.2
GTEX-1H11D-1226-SM-9WPQ2 40-49 years, male 71.6
GTEX-PSDG-0926-SM-2I5FP 50-59 years, male 71.3
GTEX-QDVN-0326-SM-2I3FS 50-59 years, male 71.3
GTEX-1KD5A-1026-SM-CY8I8 50-59 years, male 70.3
GTEX-XQ8I-0126-SM-4BOPL 50-59 years, male 70.1
GTEX-16YQH-0926-SM-793BC 30-39 years, male 69.7
GTEX-ZDTS-1326-SM-6LLHE 60-69 years, male 69.7
GTEX-13CF3-0726-SM-5J2MY 60-69 years, female 69.6
GTEX-1HSMQ-0226-SM-C1YQL 50-59 years, male 68.9
GTEX-1B932-1026-SM-793CL 40-49 years, female 67.8
GTEX-YFC4-0526-SM-5ZZVI 40-49 years, female 67.0
GTEX-1HC8U-0726-SM-ACKXL 40-49 years, female 66.6
GTEX-1HBPH-0126-SM-CNNQ7 40-49 years, female 65.2
GTEX-18D9B-1226-SM-72D6V 60-69 years, male 65.1
GTEX-131XG-0626-SM-5GCMP 50-59 years, female 64.8
GTEX-1POEN-0626-SM-EVR4B 30-39 years, female 64.8
GTEX-13N11-0426-SM-5KM3O 50-59 years, female 64.5
GTEX-1GF9U-0426-SM-7RHHA 40-49 years, female 64.1
GTEX-1IDJF-0726-SM-CJI1U 20-29 years, male 63.5
GTEX-PLZ5-0626-SM-2I5F8 50-59 years, male 60.7
GTEX-ZTPG-1226-SM-4YCDO 20-29 years, female 60.7
GTEX-U4B1-0326-SM-3DB8K 40-49 years, male 60.5
GTEX-OIZG-1126-SM-2HMIU 50-59 years, male 60.2
GTEX-13O3O-1526-SM-5KM1C 60-69 years, female 58.8
GTEX-146FH-1026-SM-5RQIF 50-59 years, female 58.7
GTEX-15EOM-5007-SM-793DG 20-29 years, female 58.2
GTEX-T6MN-0926-SM-32PLX 50-59 years, male 57.1
GTEX-1AX9K-0526-SM-73KV1 50-59 years, male 56.9
GTEX-1GN1W-0326-SM-9JGHF 50-59 years, female 56.9
GTEX-11TT1-1326-SM-5PNYM 20-29 years, male 56.8
GTEX-RU72-0326-SM-2TF5T 50-59 years, female 56.8
GTEX-1QP2A-1126-SM-EVR3H 50-59 years, male 56.4
GTEX-1MJIX-0326-SM-EVR42 40-49 years, male 56.3
GTEX-17HGU-1026-SM-79OKL 50-59 years, male 56.1
GTEX-QEL4-0926-SM-3GAD1 50-59 years, male 55.7
GTEX-1F6I4-0726-SM-7PC2P 60-69 years, male 55.3
GTEX-OIZI-0926-SM-E6CHF 40-49 years, male 55.1
GTEX-12ZZZ-1726-SM-59HK5 60-69 years, male 54.8
GTEX-1CB4G-0826-SM-7DUGF 60-69 years, male 54.8
GTEX-12WSC-1126-SM-5EQ4G 50-59 years, male 54.6
GTEX-1R9PO-0326-SM-DTXA1 60-69 years, female 54.6
GTEX-1CAMS-1326-SM-79OJR 40-49 years, female 54.2
GTEX-WHSE-0926-SM-3NMBS 20-29 years, male 53.3
GTEX-1ICG6-0626-SM-ACKWS 70-79 years, female 52.5
GTEX-N7MS-0826-SM-2HML4 60-69 years, male 52.2
GTEX-1GZ4I-1026-SM-9KNV5 50-59 years, male 52.0
GTEX-111FC-0826-SM-5GZWO 60-69 years, male 51.2
GTEX-18A66-1226-SM-7LT8G 60-69 years, male 50.9
GTEX-RUSQ-0526-SM-2TF72 50-59 years, male 50.3
GTEX-1IKK5-1526-SM-CKZPW 60-69 years, male 50.0
GTEX-12WSG-0526-SM-5FQTH 50-59 years, female 49.6
GTEX-1I1GQ-1426-SM-B2LWY 50-59 years, male 49.4
GTEX-12WSD-1126-SM-5EGJD 60-69 years, female 48.9
GTEX-132AR-2026-SM-5IJG4 50-59 years, female 48.3
GTEX-1BAJH-1626-SM-73KUV 70-79 years, male 48.1
GTEX-RWSA-0626-SM-2XCBD 40-49 years, male 48.1
GTEX-ZYFC-1126-SM-5E44W 50-59 years, male 48.1
GTEX-1CB4J-0326-SM-7PBZO 60-69 years, male 46.5
GTEX-1O9I2-1126-SM-DTXEA 50-59 years, male 46.0
GTEX-WL46-0926-SM-3LK7T 50-59 years, male 45.6
GTEX-1C64O-0826-SM-79OKZ 60-69 years, male 45.3
GTEX-11EM3-0626-SM-5H12Z 20-29 years, female 43.9
GTEX-ZAB4-1026-SM-5HL7T 40-49 years, male 43.0
GTEX-1JMQK-0626-SM-D4P2R 60-69 years, male 42.8
GTEX-O5YV-0326-SM-2I5H2 60-69 years, female 42.6
GTEX-148VI-0326-SM-5RQK7 60-69 years, female 41.4
GTEX-1R9K4-1326-SM-DTX8G 60-69 years, male 40.8
GTEX-WQUQ-1426-SM-3MJFD 60-69 years, male 39.8
GTEX-1LH75-0426-SM-E9TJF 50-59 years, female 39.3
GTEX-1M5QR-1026-SM-DHXK9 40-49 years, male 39.2
GTEX-15ER7-1726-SM-6PAMX 20-29 years, female 39.1
GTEX-R45C-0926-SM-3GAD4 60-69 years, female 38.3
GTEX-1313W-1426-SM-5KLZU 50-59 years, female 37.5
GTEX-1E1VI-1326-SM-7IGQD 50-59 years, male 37.3
GTEX-1EMGI-1226-SM-793DD 60-69 years, male 36.8
GTEX-Y5V5-0626-SM-4VBPX 60-69 years, female 36.5
GTEX-14DAQ-1126-SM-664MT 60-69 years, female 36.4
GTEX-11ZVC-0426-SM-5CVLD 50-59 years, female 35.3
GTEX-13W3W-0426-SM-5SI9D 60-69 years, female 35.3
GTEX-13CF2-0426-SM-5KM1H 60-69 years, male 34.8
GTEX-13OW6-1126-SM-5L3HL 50-59 years, male 34.7
GTEX-1HBPM-1226-SM-A9SM8 60-69 years, female 33.7
GTEX-1314G-0126-SM-5LZUL 30-39 years, male 33.5
GTEX-NPJ8-0426-SM-2HMK6 40-49 years, male 33.5
GTEX-P44H-0726-SM-48TBT 40-49 years, male 33.5
GTEX-11EMC-0726-SM-5EGJO 60-69 years, female 33.3
GTEX-16NPX-0926-SM-7KUEZ 50-59 years, male 33.2
GTEX-1PPGY-1126-SM-E76OU 60-69 years, male 33.2
GTEX-1GMRU-1526-SM-9WYT5 50-59 years, male 33.1
GTEX-13RTJ-0726-SM-5QGQN 60-69 years, male 32.8
GTEX-1IL2U-1326-SM-A9G2O 60-69 years, male 32.5
GTEX-1B8L1-0526-SM-79ONX 60-69 years, male 31.4
GTEX-1AX9I-1126-SM-7EPHH 60-69 years, male 31.3
GTEX-131XE-0626-SM-5HL98 50-59 years, male 30.7
GTEX-1GF9V-1626-SM-7PBXL 60-69 years, male 30.5
GTEX-1JMPZ-1426-SM-CJI3C 30-39 years, male 30.5
GTEX-1I1HK-0726-SM-B2LY4 60-69 years, male 28.8
GTEX-17GQL-0526-SM-72D5N 60-69 years, male 28.6
GTEX-1LC47-1026-SM-D3LAH 60-69 years, male 28.2
GTEX-1B996-1126-SM-73KWN 60-69 years, male 28.0
GTEX-13112-0426-SM-5PNVC 50-59 years, male 27.6
GTEX-1JMLX-1626-SM-ARZMV 50-59 years, male 27.2
GTEX-145MO-1126-SM-5NQBX 60-69 years, male 27.1
GTEX-RTLS-0826-SM-2TF5Q 60-69 years, female 27.1
GTEX-1HCU7-1326-SM-CNPPW 50-59 years, male 27.0
GTEX-11GS4-0526-SM-5A5KQ 60-69 years, male 26.8
GTEX-1H1ZS-1126-SM-9MQLJ 70-79 years, male 26.8
GTEX-1212Z-0626-SM-5FQTB 60-69 years, male 26.7
GTEX-REY6-1026-SM-2TF4Y 60-69 years, male 26.7
GTEX-14E6C-0426-SM-5YYA8 40-49 years, male 26.6
GTEX-1JJ6O-2126-SM-CNNP6 60-69 years, male 26.4
GTEX-17MF6-0726-SM-7LT8E 40-49 years, male 25.8
GTEX-15SHU-1126-SM-7KUMB 40-49 years, female 25.1
GTEX-12ZZY-1126-SM-5DUWQ 60-69 years, male 25.0
GTEX-17JCI-1126-SM-7IGMM 60-69 years, female 25.0
GTEX-13FTZ-0226-SM-5K7X6 60-69 years, male 24.9
GTEX-YB5K-0126-SM-5IFJ2 40-49 years, female 24.4
GTEX-PVOW-0426-SM-5MR5R 40-49 years, male 24.3
GTEX-ZPIC-0826-SM-4WWFJ 40-49 years, female 24.3
GTEX-RN64-0826-SM-2TC62 50-59 years, male 24.1
GTEX-1F48J-1026-SM-7P8SO 50-59 years, female 24.0
GTEX-13PVQ-1226-SM-5IJDC 50-59 years, male 23.9
GTEX-1F6IF-2526-SM-7P8TV 60-69 years, male 23.7
GTEX-13X6I-1426-SM-5SI9Z 60-69 years, male 23.4
GTEX-QEG5-0926-SM-2TC64 20-29 years, male 23.4
GTEX-18465-0926-SM-731AY 50-59 years, male 23.3
GTEX-13X6K-1826-SM-5O9CR 60-69 years, female 22.2
GTEX-P4QS-0326-SM-2I3EU 60-69 years, male 21.6
GTEX-15RJE-0626-SM-7KUKR 40-49 years, male 21.1
GTEX-1A3MW-1326-SM-7189P 60-69 years, female 20.9
GTEX-131XH-0226-SM-5LZVB 50-59 years, male 20.8
GTEX-QVJO-1926-SM-2S1QZ 60-69 years, female 20.8
GTEX-WI4N-0626-SM-3TW8Z 40-49 years, female 20.4
GTEX-12584-0926-SM-5FQTN 40-49 years, male 20.2
GTEX-11DXY-0826-SM-5EGGR 60-69 years, male 20.1
GTEX-15DYW-1126-SM-6LPK5 60-69 years, female 19.7
GTEX-13YAN-1326-SM-5Q5F1 60-69 years, male 19.5
GTEX-1497J-1226-SM-5Q5BL 60-69 years, male 19.5
GTEX-T2IS-0426-SM-32QPE 20-29 years, female 19.5
GTEX-WRHU-1226-SM-4E3IJ 50-59 years, female 19.4
GTEX-1J8Q2-1226-SM-A9G2W 60-69 years, male 19.2
GTEX-1LB8K-1026-SM-DHXJJ 50-59 years, male 19.1
GTEX-147F4-1226-SM-5NQAY 50-59 years, male 18.8
GTEX-1A8G6-1626-SM-7MGWO 60-69 years, male 18.6
GTEX-1I1GV-1326-SM-A96SE 60-69 years, male 18.5
GTEX-18A6Q-1626-SM-7KFTA 60-69 years, male 18.3
GTEX-17HHY-1426-SM-7EWDQ 50-59 years, male 17.7
GTEX-1GN1V-0826-SM-9KNU6 60-69 years, male 17.6
GTEX-XBEC-1326-SM-4AT69 50-59 years, male 17.4
GTEX-YJ8O-0926-SM-EAZ2Z 40-49 years, female 17.1
GTEX-11GSP-1326-SM-5A5KY 60-69 years, female 17.0
GTEX-1HCU6-1026-SM-A9G25 60-69 years, female 16.9
GTEX-S33H-0526-SM-COH1W 30-39 years, male 16.9
GTEX-14C38-1426-SM-5RQHZ 50-59 years, male 16.6
GTEX-13O3P-1626-SM-5K7X3 50-59 years, male 16.5
GTEX-11O72-1126-SM-5N9E2 40-49 years, male 16.2
GTEX-14XAO-1126-SM-6EU11 60-69 years, female 16.0
GTEX-WWYW-1326-SM-3NB2S 50-59 years, female 15.9
GTEX-1ICLY-1326-SM-CJI47 50-59 years, male 15.9
GTEX-14C5O-1326-SM-5S2UW 60-69 years, male 15.8
GTEX-1A3MX-1326-SM-72D58 60-69 years, male 15.8
GTEX-1269C-0826-SM-5N9EM 60-69 years, female 15.1
GTEX-1H23P-1226-SM-9QEJ2 60-69 years, male 15.1
GTEX-1EN7A-0726-SM-7PBXT 40-49 years, male 14.8
GTEX-11TUW-1026-SM-5GU7D 60-69 years, male 14.5
GTEX-1EH9U-0826-SM-7IGPT 60-69 years, male 14.4
GTEX-SIU8-0826-SM-2XCDQ 50-59 years, male 14.2
GTEX-1ICLZ-1026-SM-A9SLF 60-69 years, male 14.1
GTEX-13N1W-1026-SM-5IJC5 70-79 years, male 14.0
GTEX-15DDE-1126-SM-6LLHN 50-59 years, female 14.0
GTEX-WK11-0826-SM-EZ6LH 50-59 years, male 14.0
GTEX-1PWST-1026-SM-DTXF2 70-79 years, male 13.9
GTEX-1N2EF-2826-SM-E6CQF 60-69 years, male 13.8
GTEX-ZAJG-0826-SM-5PNVA 50-59 years, female 13.7
GTEX-17F9Y-1326-SM-7MGW9 70-79 years, female 13.6
GTEX-15SHW-1226-SM-6M46C 60-69 years, male 13.2
GTEX-ZYW4-0926-SM-59HJS 60-69 years, male 12.7
GTEX-1B8SG-0826-SM-7EWF7 50-59 years, male 12.6
GTEX-14PJ2-1026-SM-6EU1M 50-59 years, male 12.5
GTEX-X8HC-1626-SM-46MWE 50-59 years, female 12.5
GTEX-1LVA9-0926-SM-EVR5G 50-59 years, male 12.4
GTEX-ZYT6-1726-SM-5E44P 30-39 years, male 12.2
GTEX-16MT8-0926-SM-6M487 60-69 years, female 12.1
GTEX-P44G-0826-SM-2I5ES 30-39 years, male 12.0
GTEX-1JN1M-1026-SM-CNPOS 60-69 years, female 12.0
GTEX-14PJM-1126-SM-6LLHK 50-59 years, female 11.3
GTEX-ZF3C-1226-SM-4WWCB 50-59 years, female 11.3
GTEX-1HT8W-1726-SM-CNNQB 30-39 years, male 11.3
GTEX-XV7Q-0826-SM-4BRV7 40-49 years, female 11.1
GTEX-1O97I-0826-SM-E8VNE 60-69 years, male 11.1
GTEX-1JN6P-1126-SM-CKZON 60-69 years, male 11.0
GTEX-11ONC-0126-SM-5PNW6 60-69 years, male 10.8
GTEX-14E7W-1226-SM-5RQIU 70-79 years, male 10.7
GTEX-147JS-1526-SM-5ZZWF 60-69 years, male 10.6
GTEX-1H3NZ-1126-SM-9WYT9 60-69 years, male 10.6
GTEX-14BIN-2226-SM-5YYA1 50-59 years, female 10.5
GTEX-OXRO-2026-SM-2YUMZ 60-69 years, female 10.2
GTEX-117YW-0326-SM-5N9CY 50-59 years, male 9.5
GTEX-13OW8-2126-SM-5J1OS 60-69 years, male 9.5
GTEX-14JIY-1126-SM-6EU28 60-69 years, male 8.6
GTEX-1EKGG-1126-SM-7MGXB 60-69 years, male 8.3
GTEX-13O1R-1226-SM-5J1NU 60-69 years, male 8.2
GTEX-1EWIQ-1426-SM-7IGOS 70-79 years, female 8.2
GTEX-14C39-0926-SM-5TDDV 40-49 years, male 7.7
GTEX-14E6D-0926-SM-5S2QV 50-59 years, male 7.5
GTEX-1RAZS-0826-SM-E76QP 50-59 years, male 7.4
GTEX-1LG7Y-1226-SM-CXZKD 50-59 years, male 7.1
GTEX-1I1GP-0826-SM-A96SD 50-59 years, male 6.3
GTEX-13OW5-1126-SM-5J1NR 60-69 years, male 6.0
GTEX-1KD4Q-0726-SM-DIPGE 40-49 years, male 6.0
GTEX-N7MT-1326-SM-2I3FV 60-69 years, female 5.9
GTEX-1NV8Z-1526-SM-DTX8X 60-69 years, male 5.9
GTEX-1IDJH-1026-SM-E9TKH 70-79 years, male 5.5
GTEX-148VJ-1526-SM-5Q5DU 70-79 years, male 5.4
GTEX-15CHQ-1526-SM-69LPW 60-69 years, male 5.3
GTEX-13FHP-1026-SM-5K7Y2 50-59 years, male 5.1
GTEX-1H1CY-0326-SM-9QEIZ 60-69 years, female 4.9
GTEX-1GN2E-1326-SM-9KNVG 60-69 years, male 4.7
GTEX-1EX96-2526-SM-7RHGW 50-59 years, male 4.6
GTEX-13JVG-1326-SM-5N9F8 60-69 years, male 4.5
GTEX-ZUA1-0826-SM-4YCDL 40-49 years, male 4.3
GTEX-1399T-0426-SM-5PNVJ 60-69 years, male 4.0
GTEX-1GTWX-1026-SM-7P8QW 60-69 years, male 3.8
GTEX-1HSMO-1226-SM-CL548 60-69 years, male 3.5
GTEX-1IKJJ-0826-SM-A96SP 60-69 years, male 3.4
GTEX-1K9T9-1126-SM-D3L9E 50-59 years, female 3.3
GTEX-14A5I-1226-SM-5NQBW 50-59 years, female 2.8
GTEX-17HII-1326-SM-7IGOB 50-59 years, male 2.8
GTEX-1HCVE-1126-SM-9WPPG 50-59 years, male 2.8
GTEX-X261-1426-SM-4PQZ1 50-59 years, male 1.8
GTEX-1JJE9-1426-SM-ARL8P 70-79 years, male 1.8
GTEX-1C6VQ-1126-SM-7EWET 50-59 years, male 1.6
GTEX-13NYB-0226-SM-5N9G4 40-49 years, male 1.5
GTEX-1JMOU-0226-SM-CNNPD 60-69 years, female 1.4
GTEX-14BIL-1126-SM-79OMC 50-59 years, male 1.0
GTEX-12ZZW-1026-SM-5GCMM 50-59 years, male 0.7
GTEX-1PPH7-2026-SM-E9J3N 40-49 years, male 0.0
Show allShow less

HEART MUSCLE - FANTOM5 CAGEi

RNA expression in human tissues obtained through Cap Analysis of Gene Expression (CAGE) generated by the FANTOM5 project are reported as Scaled Tags Per Million.

Max subtype Scaled Tags Per Millioni

Max subtype Scaled Tags Per Million is the value for the subtype with the largest average Scaled Tags Per Million across the subtype samples.

174.5
FANTOM5 sample id Sample description Scaled Tags Per Million
Heart
Scaled Tags Per Million: 166.3
FF:10016-101C7 70,73,74 years, mixed 166.3
Left atrium
Scaled Tags Per Million: 87.6
FF:10079-102A7 40 years, male 87.6
Left ventricle
Scaled Tags Per Million: 174.5
FF:10078-102A6 73 years, female 174.5

Contact

  • NEWS ARTICLES
  • PRESS ROOM

The Project

  • INTRODUCTION
  • ORGANIZATION
  • PUBLICATIONS

The Human Protein Atlas

  • DOWNLOADABLE DATA
  • LICENCE & CITATION
  • HELP & FAQ
The Human Protein Atlas project is funded
by the Knut & Alice Wallenberg Foundation.


contact@proteinatlas.org