We use cookies to enhance the usability of our website. If you continue, we'll assume that you are happy to receive all cookies. More information. Don't show this again.
NAXE
HPA
RESOURCES
  • TISSUE
  • BRAIN
  • SINGLE CELL
  • SUBCELLULAR
  • CANCER
  • BLOOD
  • CELL LINE
  • STRUCTURE & INTERACTION
ABOUT
  • INTRODUCTION
  • HISTORY
  • ORGANIZATION
  • PUBLICATIONS
  • ANTIBODY SUBMISSION
  • ANTIBODY AVAILABILITY
  • ACKNOWLEDGMENTS
  • CONTACT
NEWS
  • NEWS ARTICLES
  • PRESS ROOM
LEARN
  • DICTIONARY
  • PROTEIN CLASSES
  • PROTEIN EVIDENCE
  • METHODS
  • EDUCATIONAL VIDEOS
DATA
  • DOWNLOADABLE DATA
  • PUBLICATION DATA
  • RELEASE HISTORY
HELP
  • ANTIBODY VALIDATION
  • ASSAYS & ANNOTATION
  • DISCLAIMER
  • HELP & FAQ
  • PRIVACY STATEMENT
  • LICENCE & CITATION
Fields »
Search result

Field
Term
Gene name
Class
Subclass
Class
Keyword
Chromosome
External id
Tissue
Cell type
Expression
Antibody panel
Tissue
Main location
Patient ID
Annotation
Tissue
Category
Tau score
Cluster
Reliability
Brain region
Category
Tau score
Brain region
Category
Tau score
Brain region
Category
Tau score
Cluster
Reliability
Tissue
Cell type
Enrichment
Cell type
Category
Tau score
Cell type
Category
Tau score
Cell type
Category
Tau score
Cell lineage
Category
Tau score
Cluster
Cluster
Location
Searches
Location
Cell line
Class
Type
Phase
Reliability
Cancer
Prognosis
Cancer
Category
Cancer
Category
Tau score
Cluster
Variants
Interacting gene (ensg_id)
Type
Number of interactions
Pathway
Category
Score
Score
Score
Validation
Validation
Validation
Validation
Antibodies
Data type
Column


  • SUMMARY

  • TISSUE

  • BRAIN

  • SINGLE CELL

  • SUBCELL

  • CANCER

  • BLOOD

  • CELL LINE

  • STRUCT & INT

  • NAXE
TISSUE PRIMARY DATA BREAST Show tissue menu
ADIPOSE TISSUE ADRENAL GLAND AMYGDALA APPENDIX BASAL GANGLIA BONE MARROW BREAST BRONCHUS CEREBELLUM CEREBRAL CORTEX CERVIX CHOROID PLEXUS COLON DUODENUM
ENDOMETRIUM EPIDIDYMIS ESOPHAGUS FALLOPIAN TUBE GALLBLADDER HEART MUSCLE HIPPOCAMPAL FORMATION HYPOTHALAMUS KIDNEY LIVER LUNG LYMPH NODE MIDBRAIN NASOPHARYNX
ORAL MUCOSA OVARY PANCREAS PARATHYROID GLAND PITUITARY GLAND PLACENTA PROSTATE RECTUM RETINA SALIVARY GLAND SEMINAL VESICLE SKELETAL MUSCLE SKIN SMALL INTESTINE
SMOOTH MUSCLE SOFT TISSUE SPINAL CORD SPLEEN STOMACH TESTIS THYMUS THYROID GLAND TONGUE TONSIL URINARY BLADDER VAGINA
ANTIBODIES
AND
VALIDATION
Dictionary
Breast
Tissue proteome
Breast
BREAST - Expression summary
Protein expression
Breasti

On the top, protein expression in current human tissue, based on all annotated cell types, is reported with the units not detected (n), low (l), medium (m) and high (h). Underneath, protein expression in each annotated cell type are reported using the same units.

Protein expression data is based on knowledge-based annotation. For genes where more than one antibody has been used, a collective score is set.

If knowledge-based annotation could not be performed for a gene, no data is displayed here. View antibody staining data further down this page.

h
m
l
n
Adipocytes: Not detected
Glandular cells: Medium
Myoepithelial cells: Low
RNA expressioni

A summary of mRNA expression data available for current tissue based on several datasets. The mRNA expression levels in human tissues are based on RNA-seq data generated by the Human Protein Atlas (HPA), Genotype-Tissue Expression (GTEx) portal and CAGE data generated by the FANTOM5 consortium. Consensus normalized expression levels for human tissues was created by combining the data from HPA and GTEx datasets.

The mRNA expression levels in pig are based on RNA-seq data generated by the Human Protein Atlas (HPA), and for mouse, HPA data and in situ hybridization generated by the Allen brain atlas are reported.

Scroll down to view mRNA expression data in more detail.
Consensus:46.4 nTPM
HPA:33.6 nTPM
GTEx:46.4 nTPM
FANTOM5:30.9 Scaled Tags Per Million

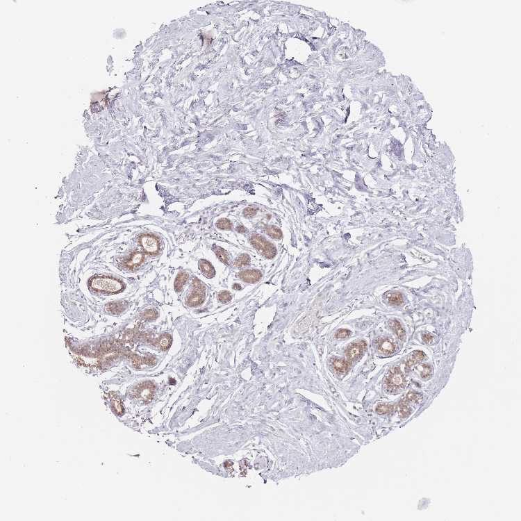
BREAST - Antibody stainingi

Antibody staining in the annotated cell types in the current human tissue is reported as not detected, low, medium, or high, based on conventional immunohistochemistry profiling in selected tissues. This score is based on the combination of the staining intensity and fraction of stained cells.

Each image is clickable and will lead to virtual microscopy that enables deeper exploration of all samples and also displays staining intensity scores, fraction scores and subcellular localization as well as patient and tissue information for each sample.

Antibody HPA043766Antibody HPA048164
Adipocytes Not detectedNot detected
Glandular cells MediumMedium
Myoepithelial cells MediumLow





BREAST - HPA RNA-seqi

The RNA-seq details section shows detailed information about the individual samples used for the transcript profiling and results of the RNA-seq analysis.

Information about each individual sample is listed below, including gender, age, a tissue section image and estimated fractions of cell types. nTPM (normalized transcripts per million) values give a quantification of the gene abundance which is comparable between different genes and samples.
Average nTPMi

Max subtype nTPM is the value for the subtype with the largest average nTPM across the subtype samples.

33.6
overview
Female, age 52
Breast sample 373
nTPM: 31.3
Cell types%
Glandular cells:
15

Adipocytes:
5

Other cell types:
80

overview
Female, age 80
Breast sample 390
nTPM: 30.5
Cell types%
Glandular cells:
5

Adipocytes:
15

Other cell types:
80

overview
Female, age 47
Breast sample 405
nTPM: 43.2
Cell types%
Glandular cells:
5

Adipocytes:
5

Other cell types:
90

overview
Female, age 38
Breast sample 410
nTPM: 29.5
Cell types%
Glandular cells:
40

Adipocytes:
5

Other cell types:
55


BREAST - GTEx RNA-seqi

RNA-Seq data generated by the Genotype-Tissue Expression (GTEx) project from human tissues is reported as mean nTPM. More information can be found on the GTEx portal.

Distribution across the dataset is visualized with box plots, shown as median and 25th and 75th percentiles. Points are displayed as outliers if they are above or below 1.5 times the interquartile range. nTPM values of the individual samples are presented next to the box plot.
Max subtype nTPMi

Max subtype nTPM is the value for the subtype with the largest average nTPM across the subtype samples.

46.4
GTEx sample id Sample description nTPM
Breast - Mammary Tissue
Average nTPM: 46.4
Samples: 459

Max nTPM: 143.7
Min nTPM: 19.3
Std nTPM: 13.1
Median nTPM: 43.3
GTEX-14ABY-2126-SM-5QGQZ 50-59 years, male 143.7
GTEX-11TT1-2126-SM-5GU5Y 20-29 years, male 98.7
GTEX-1JJEA-2726-SM-ARL8V 60-69 years, male 98.5
GTEX-145LT-0726-SM-5S2VM 40-49 years, male 97.6
GTEX-14AS3-1626-SM-5S2OY 40-49 years, female 94.9
GTEX-1B8SG-1226-SM-7IGPF 50-59 years, male 93.1
GTEX-14ICK-2426-SM-6EU27 40-49 years, male 88.1
GTEX-1N2EF-2226-SM-E9J33 60-69 years, male 84.2
GTEX-1JJE9-2326-SM-ARL8Q 70-79 years, male 81.9
GTEX-14PN4-0626-SM-62LFP 50-59 years, male 79.5
GTEX-1AMEY-1026-SM-718AA 30-39 years, female 78.6
GTEX-13S86-1226-SM-5S2OA 40-49 years, male 78.2
GTEX-ZTTD-1026-SM-51MRD 50-59 years, male 77.7
GTEX-14PHY-1926-SM-5YY95 60-69 years, female 75.6
GTEX-ZVT2-1826-SM-5NQ8W 50-59 years, female 75.0
GTEX-U8XE-0826-SM-4E3J1 30-39 years, male 74.1
GTEX-1RQEC-2026-SM-DTXDM 60-69 years, male 73.4
GTEX-1F75I-2026-SM-7SB7N 40-49 years, male 72.8
GTEX-1MJK3-1126-SM-E9J3F 20-29 years, male 72.8
GTEX-XYKS-1326-SM-4BRUN 60-69 years, female 72.7
GTEX-1QP29-1726-SM-E8VMQ 50-59 years, male 72.3
GTEX-1R9PN-0326-SM-DTX85 40-49 years, female 71.3
GTEX-11WQK-2426-SM-5GU5C 50-59 years, male 71.0
GTEX-1ICLZ-0426-SM-B2LW2 60-69 years, male 70.9
GTEX-1I19N-2826-SM-CL55D 70-79 years, male 70.7
GTEX-1H1DG-0526-SM-9YFLN 70-79 years, male 69.5
GTEX-1CAMR-1426-SM-793BO 20-29 years, male 68.9
GTEX-13SLW-2526-SM-62LDQ 70-79 years, male 67.9
GTEX-1R7EV-1526-SM-E8VOD 40-49 years, male 67.1
GTEX-1HSEH-2026-SM-ADEHN 60-69 years, male 66.4
GTEX-Y8E4-1626-SM-5S2MW 40-49 years, male 66.2
GTEX-13O3O-0826-SM-5K7WE 60-69 years, female 66.1
GTEX-ZAB4-2526-SM-5HL8M 40-49 years, male 65.5
GTEX-1NUQO-2226-SM-E9U68 20-29 years, female 65.0
GTEX-XUZC-1626-SM-4BRVP 30-39 years, female 64.9
GTEX-14PJO-0726-SM-69LO8 60-69 years, male 64.6
GTEX-ZDYS-1126-SM-5K7UB 50-59 years, male 64.2
GTEX-SE5C-2126-SM-4BRUJ 40-49 years, female 63.8
GTEX-13NZB-2126-SM-5MR4Y 30-39 years, male 63.7
GTEX-YFCO-1826-SM-4W1YH 40-49 years, male 63.6
GTEX-15G19-2126-SM-6M48J 60-69 years, male 63.3
GTEX-17F98-0526-SM-79OK5 40-49 years, female 63.0
GTEX-15EOM-5019-SM-793DK 20-29 years, female 62.7
GTEX-1R9JW-0326-SM-EAZ45 30-39 years, female 62.3
GTEX-1S82Z-0726-SM-E6CHX 30-39 years, female 62.1
GTEX-11P82-1326-SM-5HL62 20-29 years, male 61.7
GTEX-145MF-2226-SM-7EPIR 50-59 years, male 61.7
GTEX-13D11-1026-SM-5IJFB 50-59 years, female 61.6
GTEX-1S82U-1126-SM-E9U6I 30-39 years, female 61.2
GTEX-1GN2E-2226-SM-9WG6J 60-69 years, male 61.1
GTEX-11I78-2226-SM-5PNYA 50-59 years, female 61.0
GTEX-T5JW-2026-SM-4DM63 20-29 years, female 60.7
GTEX-1A8G7-2426-SM-731AK 60-69 years, male 60.3
GTEX-11DZ1-0326-SM-5N9BN 50-59 years, male 60.2
GTEX-1MCC2-2126-SM-EWRON 30-39 years, female 60.2
GTEX-1OKEX-0826-SM-E9J2B 60-69 years, male 60.1
GTEX-RU1J-0626-SM-4WAWY 20-29 years, female 59.9
GTEX-XMK1-1126-SM-4IHJ8 40-49 years, male 59.9
GTEX-ZT9W-2026-SM-51MRA 50-59 years, male 59.7
GTEX-1H23P-0726-SM-9WG7K 60-69 years, male 59.4
GTEX-1QP9N-1826-SM-E8VMP 30-39 years, male 59.2
GTEX-13O61-1826-SM-5KM4I 60-69 years, male 59.0
GTEX-13FTW-1426-SM-5LZWZ 40-49 years, male 58.9
GTEX-1B97I-0426-SM-79OL7 40-49 years, male 58.9
GTEX-VUSG-2226-SM-4KKZO 50-59 years, male 58.9
GTEX-1H11D-1526-SM-9MQJY 40-49 years, male 58.9
GTEX-ZLFU-2126-SM-DO931 40-49 years, male 58.7
GTEX-11NSD-0926-SM-5N9DR 20-29 years, male 58.6
GTEX-XV7Q-2326-SM-4BRVZ 40-49 years, female 58.6
GTEX-1BAJH-0826-SM-7EWEF 70-79 years, male 58.2
GTEX-1L5NE-2126-SM-CY8IH 50-59 years, male 58.2
GTEX-14BMV-0626-SM-793AU 50-59 years, male 57.7
GTEX-1KANA-2026-SM-DIPFB 20-29 years, male 57.6
GTEX-XQ8I-2426-SM-4WAXY 50-59 years, male 57.5
GTEX-ZU9S-1926-SM-5NQBP 30-39 years, male 57.5
GTEX-1GF9U-1726-SM-7MGY5 40-49 years, female 57.4
GTEX-13CF3-2126-SM-5IFJP 60-69 years, female 57.3
GTEX-14PJ4-2126-SM-6ETZJ 60-69 years, male 57.1
GTEX-R55D-0826-SM-48FEA 50-59 years, male 57.1
GTEX-1I1GU-1026-SM-ADEHJ 40-49 years, male 56.8
GTEX-13NZ9-1026-SM-5MR5K 50-59 years, male 56.7
GTEX-1R7EU-1226-SM-E8VMR 60-69 years, male 56.6
GTEX-11ZTT-2326-SM-5EQLG 60-69 years, female 56.5
GTEX-QEL4-2126-SM-447AE 50-59 years, male 56.4
GTEX-1KANC-1426-SM-CYPT9 50-59 years, female 56.3
GTEX-1RAZQ-1226-SM-EWRNL 30-39 years, male 56.2
GTEX-ZZ64-1226-SM-5E43R 20-29 years, male 55.8
GTEX-Y5V6-2126-SM-4WWFX 60-69 years, male 55.7
GTEX-17GQL-0326-SM-7LG5U 60-69 years, male 55.6
GTEX-X4XY-0926-SM-4E3JD 60-69 years, male 55.5
GTEX-1H1ZS-0126-SM-9YFKQ 70-79 years, male 55.4
GTEX-V955-2026-SM-3GAFA 60-69 years, male 55.3
GTEX-ZQUD-1926-SM-51MSA 30-39 years, male 55.3
GTEX-1IE54-0626-SM-ARL8D 40-49 years, female 55.3
GTEX-1HCU9-0326-SM-9WYSC 20-29 years, male 55.1
GTEX-S32W-2026-SM-4AD6E 50-59 years, female 55.0
GTEX-YEC3-1026-SM-5IFI5 50-59 years, male 55.0
GTEX-1NHNU-0926-SM-E9J2T 50-59 years, male 54.6
GTEX-RUSQ-2026-SM-4GIAK 50-59 years, male 54.4
GTEX-YECK-0726-SM-EZ6LV 60-69 years, male 54.2
GTEX-13PVQ-1026-SM-5KM3M 50-59 years, male 53.9
GTEX-1A3MX-2726-SM-718B6 60-69 years, male 53.9
GTEX-X261-0626-SM-3NMD9 50-59 years, male 53.9
GTEX-1F5PK-2126-SM-7PC28 50-59 years, male 53.9
GTEX-133LE-1726-SM-5K7VQ 20-29 years, female 53.8
GTEX-ZLWG-1926-SM-DO92J 50-59 years, female 53.8
GTEX-16BQI-1026-SM-7KUEA 30-39 years, female 53.7
GTEX-YB5E-1726-SM-5IFJ3 40-49 years, male 53.7
GTEX-1B97J-0426-SM-79OLQ 50-59 years, female 53.3
GTEX-Y5LM-1726-SM-4VDSX 40-49 years, female 53.3
GTEX-ZY6K-1626-SM-5GZWV 50-59 years, male 53.3
GTEX-PSDG-1626-SM-48TCQ 50-59 years, male 53.2
GTEX-1MJK2-2226-SM-EVYCR 50-59 years, male 53.2
GTEX-1I6K6-0826-SM-ARL7Z 30-39 years, male 53.0
GTEX-S33H-0326-SM-4AD6N 30-39 years, male 52.7
GTEX-1ICLY-1726-SM-B2LVT 50-59 years, male 52.7
GTEX-S4Q7-1126-SM-4AD6R 20-29 years, male 52.5
GTEX-1JN1M-3026-SM-CMKGK 60-69 years, female 52.5
GTEX-1HFI7-0126-SM-CGQFQ 50-59 years, female 52.4
GTEX-ZDTT-2126-SM-DKPOM 60-69 years, male 52.4
GTEX-1399U-1826-SM-5PNZ1 50-59 years, female 52.3
GTEX-15UF7-0726-SM-6M46D 40-49 years, male 52.3
GTEX-139TU-0626-SM-5KM3X 60-69 years, male 52.2
GTEX-14B4R-1226-SM-5TDDT 30-39 years, male 52.1
GTEX-1LVAM-0926-SM-E9TJ2 50-59 years, female 52.0
GTEX-1IDJE-0826-SM-CKZNZ 50-59 years, female 51.9
GTEX-14DAR-1326-SM-7DUEG 50-59 years, male 51.8
GTEX-11WQC-1726-SM-5GU4W 60-69 years, male 51.6
GTEX-16YQH-2826-SM-6PAMY 30-39 years, male 51.6
GTEX-ZWKS-2826-SM-5NQ74 30-39 years, male 51.3
GTEX-13FTX-1126-SM-5N9EN 20-29 years, female 51.2
GTEX-XQ3S-1326-SM-4BOPQ 20-29 years, male 50.9
GTEX-1N2EE-2126-SM-E8VNN 60-69 years, male 50.8
GTEX-1PDJ9-1126-SM-EXUSW 20-29 years, male 50.8
GTEX-1CB4J-1826-SM-7EWF9 60-69 years, male 50.7
GTEX-XGQ4-0926-SM-4AT4U 50-59 years, male 50.7
GTEX-13VXU-2826-SM-664MA 50-59 years, male 50.6
GTEX-Y114-2026-SM-4TT7L 50-59 years, female 50.6
GTEX-1HT8W-2226-SM-CGQEC 30-39 years, male 50.6
GTEX-139T6-1626-SM-5PNYZ 50-59 years, male 50.5
GTEX-12WSN-1326-SM-5GCNT 40-49 years, male 50.2
GTEX-14PKU-0426-SM-6EU1P 40-49 years, female 50.2
GTEX-1CB4E-0226-SM-79OLW 60-69 years, male 50.1
GTEX-1LNCM-0226-SM-DIPF4 50-59 years, female 50.1
GTEX-1IKOE-1326-SM-CE6T6 30-39 years, female 50.0
GTEX-18D9A-1526-SM-7LG4J 30-39 years, female 49.6
GTEX-WY7C-2726-SM-3NB3P 50-59 years, male 49.4
GTEX-1LSNM-1326-SM-E9TJ1 50-59 years, male 49.4
GTEX-1KAFJ-0226-SM-DIPEL 50-59 years, male 49.3
GTEX-1PPGY-1526-SM-EVYBK 60-69 years, male 49.3
GTEX-1IDJF-2326-SM-ARL86 20-29 years, male 49.2
GTEX-1POEN-0926-SM-DTX88 30-39 years, female 49.2
GTEX-ZGAY-1726-SM-DO91P 40-49 years, female 49.0
GTEX-1IDJH-2226-SM-E6CJV 70-79 years, male 48.7
GTEX-11EQ9-1826-SM-5Q5AJ 30-39 years, male 48.6
GTEX-17EVQ-0426-SM-7LG57 70-79 years, male 48.6
GTEX-YB5K-1626-SM-5IFIN 40-49 years, female 48.5
GTEX-1B8KE-1226-SM-73KWK 50-59 years, male 48.4
GTEX-13SLX-2326-SM-5ZZWE 50-59 years, female 48.3
GTEX-1M5QR-2526-SM-E9U5P 40-49 years, male 48.3
GTEX-1LBAC-0926-SM-CXKY9 20-29 years, male 48.1
GTEX-1LC47-1226-SM-D4P44 60-69 years, male 48.0
GTEX-145MN-1926-SM-5SIAI 30-39 years, male 47.9
GTEX-13N11-1726-SM-5J1OJ 50-59 years, female 47.8
GTEX-1ICG6-1326-SM-ACKWR 70-79 years, female 47.5
GTEX-1QW4Y-1026-SM-DTXE2 30-39 years, male 47.5
GTEX-17JCI-0726-SM-7EPH1 60-69 years, female 47.4
GTEX-17HGU-1326-SM-79OKB 50-59 years, male 47.3
GTEX-ZVTK-0326-SM-51MRR 20-29 years, male 47.3
GTEX-17EUY-1926-SM-7DUF6 20-29 years, male 47.2
GTEX-11ONC-2126-SM-5HL6E 60-69 years, male 47.1
GTEX-1GPI7-0926-SM-7PC3J 20-29 years, male 47.1
GTEX-1I1GP-0426-SM-COH3N 50-59 years, male 47.1
GTEX-ZQG8-0726-SM-5P9H9 60-69 years, female 47.0
GTEX-1QPFJ-2026-SM-EVYBE 30-39 years, female 46.7
GTEX-1CAMS-1426-SM-7IGPM 40-49 years, female 46.5
GTEX-1IDJU-1826-SM-CMKHV 60-69 years, female 46.5
GTEX-11EMC-2026-SM-5A5JV 60-69 years, female 46.3
GTEX-14LLW-0626-SM-62LFC 70-79 years, female 46.2
GTEX-ZV6S-1826-SM-5NQ8D 40-49 years, female 46.2
GTEX-145MO-0826-SM-5NQBL 60-69 years, male 46.1
GTEX-1122O-1226-SM-5H113 60-69 years, female 46.0
GTEX-14E6E-1326-SM-5S2NR 30-39 years, male 46.0
GTEX-Y9LG-1426-SM-5IFJZ 30-39 years, male 46.0
GTEX-T2IS-1526-SM-32QPR 20-29 years, female 45.8
GTEX-1GZ4H-0326-SM-7P8QX 50-59 years, female 45.7
GTEX-ZVT4-1026-SM-57WC4 50-59 years, female 45.5
GTEX-13O3Q-2226-SM-5KM4O 50-59 years, male 45.4
GTEX-1F5PL-1026-SM-7RHI1 40-49 years, female 45.4
GTEX-1PPH7-0826-SM-E8VNX 40-49 years, male 45.4
GTEX-1QP28-1226-SM-E9J2M 50-59 years, female 45.4
GTEX-S7SE-0826-SM-4AT4D 50-59 years, male 45.2
GTEX-17F97-2526-SM-7EWDV 50-59 years, male 45.1
GTEX-11DXW-0626-SM-5N9ER 40-49 years, male 45.0
GTEX-11O72-2126-SM-5N9FO 40-49 years, male 45.0
GTEX-X15G-1626-SM-3NMB3 50-59 years, female 45.0
GTEX-ZYT6-0126-SM-5E45J 30-39 years, male 44.9
GTEX-13113-5013-SM-7SB7G 60-69 years, female 44.9
GTEX-QEG5-0726-SM-D4P1T 20-29 years, male 44.9
GTEX-Z9EW-1526-SM-EZ6LU 40-49 years, male 44.8
GTEX-132AR-0826-SM-5EGK6 50-59 years, female 44.7
GTEX-17HG3-0126-SM-7IGNH 30-39 years, female 44.7
GTEX-18A6Q-0926-SM-7LG4N 60-69 years, male 44.7
GTEX-183WM-0726-SM-7LTAA 70-79 years, female 44.6
GTEX-12WSK-2226-SM-5GCO5 40-49 years, female 44.5
GTEX-1QCLZ-2326-SM-DTXDO 60-69 years, female 44.5
GTEX-12BJ1-1826-SM-5HL9N 60-69 years, male 44.4
GTEX-R53T-1526-SM-48FEK 50-59 years, female 44.4
GTEX-1LGRB-1826-SM-CNPQL 50-59 years, female 44.4
GTEX-WOFL-0826-SM-3MJG1 60-69 years, male 44.3
GTEX-144GM-0926-SM-5O994 20-29 years, male 44.2
GTEX-1IOXB-1926-SM-ARL8E 50-59 years, male 44.2
GTEX-1R9PM-1826-SM-EVYBH 20-29 years, male 44.2
GTEX-ZTPG-2826-SM-57WGA 20-29 years, female 44.2
GTEX-11ZUS-0826-SM-5FQUY 30-39 years, male 44.1
GTEX-WI4N-1426-SM-3LK7H 40-49 years, female 44.0
GTEX-13W3W-1226-SM-5LU4H 60-69 years, female 43.9
GTEX-1C6VS-0726-SM-7EPHF 60-69 years, male 43.9
GTEX-1HUB1-1626-SM-CM2SL 60-69 years, male 43.9
GTEX-UTHO-1026-SM-3GAF7 60-69 years, male 43.8
GTEX-1QEPI-0926-SM-DTXF3 60-69 years, female 43.8
GTEX-1117F-2826-SM-5GZXL 60-69 years, female 43.6
GTEX-1HBPN-2326-SM-9WPPU 50-59 years, male 43.6
GTEX-14753-2426-SM-5LU8U 60-69 years, male 43.4
GTEX-Y3I4-1526-SM-4TT7K 50-59 years, male 43.4
GTEX-ZDXO-0126-SM-5S2ND 60-69 years, male 43.4
GTEX-ZLV1-1426-SM-DO92Z 60-69 years, female 43.4
GTEX-11OF3-1926-SM-59889 60-69 years, male 43.3
GTEX-13PL6-2926-SM-5L3I2 40-49 years, female 43.3
GTEX-YJ8O-2226-SM-5IFHW 40-49 years, female 43.3
GTEX-ZYW4-0826-SM-5GIDG 60-69 years, male 43.3
GTEX-11P7K-0726-SM-5EGKX 30-39 years, male 43.2
GTEX-1HCVE-2626-SM-ADEJ8 50-59 years, male 43.2
GTEX-TKQ2-1826-SM-33HB2 50-59 years, male 43.1
GTEX-14E6C-1326-SM-62LEQ 40-49 years, male 43.0
GTEX-1N5O9-1126-SM-DTXEQ 60-69 years, male 43.0
GTEX-12KS4-0126-SM-5Q5A5 30-39 years, male 42.9
GTEX-14H4A-2526-SM-5YYAY 40-49 years, female 42.9
GTEX-1211K-1926-SM-5EQLB 60-69 years, female 42.6
GTEX-13CF2-2026-SM-5K7VI 60-69 years, male 42.6
GTEX-117YX-1426-SM-5H12H 50-59 years, male 42.5
GTEX-1EKGG-2626-SM-7IGPY 60-69 years, male 42.5
GTEX-ZPIC-1126-SM-5BC7F 40-49 years, female 42.5
GTEX-11DXY-2326-SM-5GICW 60-69 years, male 42.4
GTEX-1IDFM-0426-SM-B2LVV 60-69 years, male 42.4
GTEX-1QMI2-0726-SM-E9J4F 60-69 years, male 42.4
GTEX-ZAJG-0626-SM-5HL8X 50-59 years, female 42.3
GTEX-1R46S-2526-SM-E8VN2 60-69 years, female 42.3
GTEX-12WSM-1726-SM-5BC6J 60-69 years, male 42.2
GTEX-1HC8U-0826-SM-ADEIL 40-49 years, female 42.2
GTEX-1KXAM-1026-SM-CY8IA 60-69 years, male 42.2
GTEX-1LVAN-1326-SM-CNPQE 50-59 years, female 42.2
GTEX-1LG7Z-0726-SM-CXKYD 30-39 years, male 42.1
GTEX-13NZ8-0126-SM-5IJCT 60-69 years, female 42.0
GTEX-S4P3-1326-SM-4AD6V 50-59 years, female 42.0
GTEX-WXYG-2226-SM-4E3IM 50-59 years, female 42.0
GTEX-QVJO-1826-SM-447C9 60-69 years, female 41.9
GTEX-1EWIQ-1726-SM-7SB7T 70-79 years, female 41.9
GTEX-WHSB-1926-SM-EXOHH 50-59 years, male 41.9
GTEX-17F96-2426-SM-7IGLN 70-79 years, male 41.8
GTEX-REY6-2426-SM-48FF5 60-69 years, male 41.6
GTEX-X4EP-2926-SM-3P5YQ 60-69 years, female 41.6
GTEX-11TUW-1826-SM-5BC5D 60-69 years, male 41.5
GTEX-145ME-1526-SM-5Q5F2 40-49 years, female 41.5
GTEX-1JMPZ-1626-SM-COH31 30-39 years, male 41.5
GTEX-1RAZS-1226-SM-E8VMT 50-59 years, male 41.5
GTEX-13OW8-0226-SM-5K7UP 60-69 years, male 41.4
GTEX-XUW1-2326-SM-4BOO5 50-59 years, female 41.4
GTEX-1JK1U-1826-SM-ARL8W 60-69 years, male 41.4
GTEX-18QFQ-0826-SM-718AX 30-39 years, male 41.3
GTEX-1A3MV-1626-SM-731C1 30-39 years, male 41.3
GTEX-1GF9X-1026-SM-ACKX2 40-49 years, female 41.3
GTEX-1I4MK-1626-SM-CM2TJ 50-59 years, female 41.3
GTEX-1HCUA-0726-SM-ACKVU 50-59 years, female 41.2
GTEX-1GZHY-0726-SM-9WG6B 50-59 years, female 41.1
GTEX-13N1W-0626-SM-5MR4U 70-79 years, male 41.0
GTEX-XOT4-0726-SM-4GIAW 60-69 years, female 41.0
GTEX-17MFQ-0926-SM-7LG4S 20-29 years, male 40.9
GTEX-1AX9J-1126-SM-731B7 60-69 years, male 40.9
GTEX-146FH-0826-SM-5SI8T 50-59 years, female 40.8
GTEX-1192X-2326-SM-5987X 50-59 years, male 40.7
GTEX-11LCK-2426-SM-5HL5F 30-39 years, male 40.7
GTEX-144GL-2026-SM-5LU3O 50-59 years, male 40.7
GTEX-13FTY-2226-SM-5J1ND 40-49 years, female 40.6
GTEX-13W46-0826-SM-5LU3H 50-59 years, male 40.6
GTEX-169BO-1126-SM-7MGWN 50-59 years, male 40.6
GTEX-17F9E-2526-SM-7MGW2 50-59 years, male 40.6
GTEX-1MA7X-1626-SM-E9U5B 60-69 years, male 40.6
GTEX-11GSP-0926-SM-9WYSG 60-69 years, female 40.5
GTEX-132NY-0826-SM-5K7Y7 60-69 years, male 40.4
GTEX-1F6I4-2526-SM-7SB8F 60-69 years, male 40.4
GTEX-1I1GT-1126-SM-ARL7J 60-69 years, female 40.4
GTEX-1I1GV-2426-SM-CGQFM 60-69 years, male 40.4
GTEX-VJWN-0726-SM-3GIJ8 50-59 years, female 40.3
GTEX-17HHE-1426-SM-7EPH4 50-59 years, male 40.2
GTEX-UJHI-1426-SM-3DB9C 50-59 years, female 40.1
GTEX-1KD5A-1926-SM-DKPQA 50-59 years, male 40.1
GTEX-QMRM-1626-SM-D4P1U 50-59 years, male 40.1
GTEX-15ETS-0626-SM-7KUMX 40-49 years, female 40.0
GTEX-WYBS-0926-SM-3NM94 60-69 years, female 40.0
GTEX-1H3VY-0926-SM-ACKXE 50-59 years, male 40.0
GTEX-Y111-2026-SM-4SOJA 50-59 years, male 39.8
GTEX-1M4P7-2626-SM-E9U5F 60-69 years, male 39.8
GTEX-X62O-0526-SM-EWRMA 50-59 years, male 39.8
GTEX-T6MN-0726-SM-32PML 50-59 years, male 39.7
GTEX-1JMOU-2026-SM-CMKGU 60-69 years, female 39.7
GTEX-1B933-2526-SM-7IGO5 50-59 years, female 39.6
GTEX-1HCU7-1026-SM-ADEIP 50-59 years, male 39.6
GTEX-1313W-0826-SM-5EQ4T 50-59 years, female 39.5
GTEX-1C64O-0726-SM-7DUFU 60-69 years, male 39.5
GTEX-1HSMO-0826-SM-ADEIV 60-69 years, male 39.4
GTEX-131YS-0626-SM-5EGKL 60-69 years, female 39.3
GTEX-15RJE-2626-SM-7KFT1 40-49 years, male 39.3
GTEX-S341-1526-SM-4AD6K 40-49 years, female 39.3
GTEX-TKQ1-0226-SM-33HB5 30-39 years, male 39.2
GTEX-1AX9I-0726-SM-73KWV 60-69 years, male 39.1
GTEX-1EU9M-2826-SM-7EWFH 60-69 years, male 39.1
GTEX-XMD2-0926-SM-4WWEF 60-69 years, female 39.1
GTEX-147F4-2826-SM-5NQBN 50-59 years, male 39.0
GTEX-ZVZQ-0826-SM-51MRF 60-69 years, female 39.0
GTEX-1JMQK-2626-SM-COH2W 60-69 years, male 39.0
GTEX-UPK5-2326-SM-3P5Z8 40-49 years, male 38.8
GTEX-WFON-1826-SM-3GILG 40-49 years, male 38.8
GTEX-ZA64-1526-SM-5CVMD 20-29 years, male 38.8
GTEX-1C6WA-2426-SM-7SB86 60-69 years, male 38.8
GTEX-1J8QM-2026-SM-ARZMW 60-69 years, female 38.7
GTEX-183FY-1126-SM-7DHLJ 20-29 years, male 38.6
GTEX-T5JC-2126-SM-32PMO 20-29 years, male 38.6
GTEX-1GPI6-0626-SM-7RHHJ 60-69 years, male 38.6
GTEX-1C6VQ-0426-SM-79OOX 50-59 years, male 38.5
GTEX-R3RS-0626-SM-48FE1 40-49 years, female 38.4
GTEX-131XW-0726-SM-5EGK3 50-59 years, female 38.3
GTEX-T6MO-0326-SM-32QOK 40-49 years, female 38.3
GTEX-17HHY-0926-SM-793C1 50-59 years, male 38.2
GTEX-1H1E6-0926-SM-9YFLT 30-39 years, male 38.2
GTEX-1QCLY-1626-SM-DTXDW 30-39 years, male 38.2
GTEX-14BMU-1626-SM-5TDE7 20-29 years, female 38.1
GTEX-18A7A-0726-SM-7LTAI 50-59 years, female 38.1
GTEX-YFC4-1426-SM-5IFJG 40-49 years, female 38.1
GTEX-1J8Q2-2726-SM-A9G2X 60-69 years, male 38.1
GTEX-1K2DA-1726-SM-CGQGS 50-59 years, male 38.1
GTEX-18A7B-2626-SM-7LG55 70-79 years, male 38.0
GTEX-14E7W-0826-SM-62LEJ 70-79 years, male 37.9
GTEX-TMMY-0726-SM-33HBE 40-49 years, female 37.9
GTEX-ZYFC-0826-SM-5E44K 50-59 years, male 37.9
GTEX-1JN6P-2426-SM-ARL99 60-69 years, male 37.9
GTEX-1MCYP-0126-SM-E6CIS 20-29 years, female 37.9
GTEX-1NV8Z-2826-SM-E8VME 60-69 years, male 37.8
GTEX-15FZZ-0726-SM-7KUFZ 30-39 years, female 37.7
GTEX-1RLM8-2226-SM-EVYD1 50-59 years, male 37.7
GTEX-11GS4-2126-SM-5A5KR 60-69 years, male 37.6
GTEX-11PRG-0826-SM-5EQ6A 50-59 years, male 37.6
GTEX-ZEX8-2226-SM-57WC6 50-59 years, male 37.6
GTEX-ZTX8-1226-SM-4YCE9 20-29 years, male 37.6
GTEX-ZVE2-1226-SM-5NQ8R 50-59 years, male 37.6
GTEX-13O3P-0826-SM-5L3DH 50-59 years, male 37.5
GTEX-WRHU-0326-SM-3MJFY 50-59 years, female 37.5
GTEX-RWS6-1926-SM-47JXY 60-69 years, female 37.4
GTEX-ZUA1-1526-SM-59HLS 40-49 years, male 37.3
GTEX-1IGQW-0926-SM-ADEH6 60-69 years, male 37.3
GTEX-1AX8Z-0926-SM-731AW 60-69 years, male 37.2
GTEX-1JKYN-0726-SM-ARZMY 30-39 years, male 37.2
GTEX-12ZZX-1126-SM-5EGKB 40-49 years, female 37.1
GTEX-17KNJ-2026-SM-7LG53 50-59 years, male 37.1
GTEX-Q2AG-0326-SM-48U1O 40-49 years, female 37.0
GTEX-XMD1-0826-SM-4AT52 60-69 years, male 36.9
GTEX-1I6K7-1026-SM-A9SLK 40-49 years, male 36.9
GTEX-1E2YA-2726-SM-7IGPW 50-59 years, male 36.8
GTEX-ZC5H-2626-SM-5J2MG 40-49 years, female 36.6
GTEX-1K9T9-1426-SM-DIPFQ 50-59 years, female 36.6
GTEX-1B8L1-2426-SM-9WYTE 60-69 years, male 36.5
GTEX-1269C-2426-SM-5FQSN 60-69 years, female 36.4
GTEX-1HR98-0426-SM-COH36 60-69 years, male 36.4
GTEX-Y5V5-2126-SM-4WWFO 60-69 years, female 36.2
GTEX-1J8Q3-1326-SM-CMKI1 60-69 years, male 36.2
GTEX-XBED-1626-SM-47JYN 60-69 years, male 36.1
GTEX-15UF6-0126-SM-6PAMB 70-79 years, female 36.0
GTEX-T2YK-2226-SM-32QPT 50-59 years, male 36.0
GTEX-ZF3C-2326-SM-5S2NC 50-59 years, female 36.0
GTEX-U412-1826-SM-4DXTJ 60-69 years, male 35.7
GTEX-1HBPM-0126-SM-ARL9E 60-69 years, female 35.7
GTEX-1MA7W-1026-SM-DKPQK 20-29 years, female 35.7
GTEX-WFG8-2026-SM-EXOHO 20-29 years, male 35.7
GTEX-17EVP-0226-SM-79OND 40-49 years, male 35.6
GTEX-ZV7C-1826-SM-5NQ83 50-59 years, male 35.6
GTEX-13OW5-2226-SM-5L3HC 60-69 years, male 35.5
GTEX-18A66-1726-SM-7LG5N 60-69 years, male 35.5
GTEX-1GZ4I-2826-SM-9MQK5 50-59 years, male 35.5
GTEX-1JKYR-0926-SM-CMKGJ 20-29 years, male 35.5
GTEX-18465-2026-SM-718AP 50-59 years, male 35.4
GTEX-1GMR8-0726-SM-9KNVI 50-59 years, female 35.4
GTEX-1HKZK-1826-SM-ADEJ2 40-49 years, male 35.3
GTEX-11DXZ-1926-SM-5GZZL 50-59 years, male 35.2
GTEX-16NGA-0826-SM-718AF 40-49 years, female 35.2
GTEX-13FHO-0826-SM-5L3E8 60-69 years, male 35.1
GTEX-ZZPU-0626-SM-5E43T 50-59 years, female 35.0
GTEX-1GZ2Q-2626-SM-7MXV9 40-49 years, male 35.0
GTEX-1HSKV-2026-SM-CMKGX 60-69 years, male 35.0
GTEX-QDT8-0626-SM-48TYW 30-39 years, female 34.8
GTEX-1GMR3-2626-SM-7RHHG 40-49 years, male 34.6
GTEX-13PVR-2226-SM-7DHKP 60-69 years, female 34.5
GTEX-1GMRU-0826-SM-9WYT7 50-59 years, male 34.4
GTEX-1EN7A-1426-SM-7PBY4 40-49 years, male 34.3
GTEX-S4UY-0726-SM-4AD6X 40-49 years, female 34.2
GTEX-1GN1U-0526-SM-9KNTT 50-59 years, female 34.2
GTEX-1314G-1226-SM-5BC6D 30-39 years, male 34.0
GTEX-1C475-1226-SM-7SB72 40-49 years, female 34.0
GTEX-11P81-1926-SM-5BC53 30-39 years, female 33.8
GTEX-1IY9M-2726-SM-CMKG5 60-69 years, male 33.8
GTEX-1CB4G-2326-SM-79OOI 60-69 years, male 33.7
GTEX-1IKJJ-2326-SM-COH3U 60-69 years, male 33.2
GTEX-Y8LW-1626-SM-5IFHX 50-59 years, female 33.1
GTEX-Y3IK-2326-SM-4WWDT 50-59 years, female 33.0
GTEX-1GN1W-1926-SM-7P8TH 50-59 years, female 32.8
GTEX-1LSVX-2426-SM-E6CJX 60-69 years, male 32.8
GTEX-13QJ3-0826-SM-7DHKK 50-59 years, male 32.7
GTEX-W5X1-2326-SM-3GIL6 40-49 years, female 32.7
GTEX-U3ZN-1926-SM-4DXSG 30-39 years, female 32.6
GTEX-1GMR2-1926-SM-9MQLZ 50-59 years, male 32.6
GTEX-1H4P4-2226-SM-9MQKQ 50-59 years, male 32.6
GTEX-11GSO-1926-SM-5A5K3 60-69 years, male 32.5
GTEX-13QIC-2326-SM-5LU5N 60-69 years, female 32.5
GTEX-1B8KZ-1526-SM-7DUG7 50-59 years, male 32.5
GTEX-1I1HK-2426-SM-ADEHX 60-69 years, male 32.5
GTEX-111YS-1926-SM-5GICC 60-69 years, male 32.4
GTEX-U3ZH-1426-SM-4DXSR 30-39 years, male 32.3
GTEX-WYVS-1726-SM-3NMAY 40-49 years, female 32.3
GTEX-1HR9M-2426-SM-ACKXI 60-69 years, male 32.3
GTEX-1P4AB-1826-SM-E76PU 50-59 years, male 32.2
GTEX-WYJK-1326-SM-3NB2T 50-59 years, male 32.1
GTEX-1F75B-0626-SM-7SB8A 50-59 years, male 32.1
GTEX-1JMLX-2026-SM-CMKGN 50-59 years, male 32.1
GTEX-139T8-0826-SM-5L3DE 60-69 years, male 31.7
GTEX-11EI6-0626-SM-5985T 60-69 years, male 31.5
GTEX-11NV4-2026-SM-5N9DG 60-69 years, male 31.5
GTEX-1GF9V-2526-SM-7SB8K 60-69 years, male 31.3
GTEX-1J8EW-2626-SM-CL53E 60-69 years, female 31.3
GTEX-RU72-0626-SM-46MUI 50-59 years, female 31.2
GTEX-ZF2S-2026-SM-5E461 50-59 years, female 31.1
GTEX-1KD4Q-2326-SM-D4P3M 40-49 years, male 31.1
GTEX-ZXES-0826-SM-5E43C 30-39 years, female 31.0
GTEX-1LSNL-2826-SM-E9U5L 50-59 years, male 30.5
GTEX-1H1CY-2226-SM-9WG7E 60-69 years, female 30.0
GTEX-1HSGN-1526-SM-A9SMO 40-49 years, female 29.8
GTEX-117XS-1926-SM-5GICO 60-69 years, male 29.2
GTEX-11EM3-1326-SM-5N9C6 20-29 years, female 29.1
GTEX-1B932-0826-SM-73KXG 40-49 years, female 29.0
GTEX-1IKOH-2326-SM-CM2TW 60-69 years, female 28.4
GTEX-ZAK1-1326-SM-EVYAS 50-59 years, female 28.3
GTEX-17MF6-0326-SM-7EPH5 40-49 years, male 28.2
GTEX-ZF29-1926-SM-5S2P1 60-69 years, female 28.0
GTEX-15ER7-1626-SM-6PAMZ 20-29 years, female 27.6
GTEX-1HCU8-0126-SM-ADEHH 60-69 years, female 27.3
GTEX-14A5I-0726-SM-5TDEB 50-59 years, female 26.0
GTEX-15SHW-1326-SM-6PAL8 60-69 years, male 25.3
GTEX-TML8-1226-SM-32QON 40-49 years, female 24.8
GTEX-1JMPY-0526-SM-CL54O 30-39 years, male 24.0
GTEX-1F75A-1826-SM-7SB8G 50-59 years, male 23.8
GTEX-132Q8-1426-SM-5EGK7 60-69 years, male 19.3
Show allShow less

BREAST - FANTOM5 CAGEi

RNA expression in human tissues obtained through Cap Analysis of Gene Expression (CAGE) generated by the FANTOM5 project are reported as Scaled Tags Per Million.

Max subtype Scaled Tags Per Millioni

Max subtype Scaled Tags Per Million is the value for the subtype with the largest average Scaled Tags Per Million across the subtype samples.

30.9
FANTOM5 sample id Sample description Scaled Tags Per Million
Breast
Scaled Tags Per Million: 30.9
FF:10080-102A8 77 years, female 30.9

Contact

  • NEWS ARTICLES
  • PRESS ROOM

The Project

  • INTRODUCTION
  • ORGANIZATION
  • PUBLICATIONS

The Human Protein Atlas

  • DOWNLOADABLE DATA
  • LICENCE & CITATION
  • HELP & FAQ
The Human Protein Atlas project is funded
by the Knut & Alice Wallenberg Foundation.


contact@proteinatlas.org