We use cookies to enhance the usability of our website. If you continue, we'll assume that you are happy to receive all cookies. More information. Don't show this again.
TMEM79
HPA
RESOURCES
  • TISSUE
  • BRAIN
  • SINGLE CELL
  • SUBCELLULAR
  • CANCER
  • BLOOD
  • CELL LINE
  • STRUCTURE & INTERACTION
ABOUT
  • INTRODUCTION
  • HISTORY
  • ORGANIZATION
  • PUBLICATIONS
  • ANTIBODY SUBMISSION
  • ANTIBODY AVAILABILITY
  • ACKNOWLEDGMENTS
  • CONTACT
NEWS
  • NEWS ARTICLES
  • PRESS ROOM
LEARN
  • DICTIONARY
  • PROTEIN CLASSES
  • PROTEIN EVIDENCE
  • METHODS
  • EDUCATIONAL VIDEOS
DATA
  • DOWNLOADABLE DATA
  • PUBLICATION DATA
  • RELEASE HISTORY
HELP
  • ANTIBODY VALIDATION
  • ASSAYS & ANNOTATION
  • DISCLAIMER
  • HELP & FAQ
  • PRIVACY STATEMENT
  • LICENCE & CITATION
Fields »
Search result

Field
Term
Gene name
Class
Subclass
Class
Keyword
Chromosome
External id
Tissue
Cell type
Expression
Antibody panel
Tissue
Main location
Patient ID
Annotation
Tissue
Category
Tau score
Cluster
Reliability
Brain region
Category
Tau score
Brain region
Category
Tau score
Brain region
Category
Tau score
Cluster
Reliability
Tissue
Cell type
Enrichment
Cell type
Category
Tau score
Cell type
Category
Tau score
Cell type
Category
Tau score
Cell lineage
Category
Tau score
Cluster
Cluster
Location
Searches
Location
Cell line
Class
Type
Phase
Reliability
Cancer
Prognosis
Cancer
Category
Cancer
Category
Tau score
Cluster
Variants
Interacting gene (ensg_id)
Type
Number of interactions
Pathway
Category
Score
Score
Score
Validation
Validation
Validation
Validation
Antibodies
Data type
Column


  • SUMMARY

  • TISSUE

  • BRAIN

  • SINGLE CELL

  • SUBCELL

  • CANCER

  • BLOOD

  • CELL LINE

  • STRUCT & INT

  • TMEM79
TISSUE PRIMARY DATA SKIN Show tissue menu
ADIPOSE TISSUE ADRENAL GLAND AMYGDALA APPENDIX BASAL GANGLIA BONE MARROW BREAST BRONCHUS CEREBELLUM CEREBRAL CORTEX CERVIX CHOROID PLEXUS COLON DUODENUM
ENDOMETRIUM EPIDIDYMIS ESOPHAGUS FALLOPIAN TUBE GALLBLADDER HEART MUSCLE HIPPOCAMPAL FORMATION HYPOTHALAMUS KIDNEY LIVER LUNG LYMPH NODE MIDBRAIN NASOPHARYNX
ORAL MUCOSA OVARY PANCREAS PARATHYROID GLAND PITUITARY GLAND PLACENTA PROSTATE RECTUM RETINA SALIVARY GLAND SEMINAL VESICLE SKELETAL MUSCLE SKIN SMALL INTESTINE
SMOOTH MUSCLE SOFT TISSUE SPINAL CORD SPLEEN STOMACH TESTIS THYMUS THYROID GLAND TONGUE TONSIL URINARY BLADDER VAGINA
ANTIBODIES
AND
VALIDATION
Dictionary
Skin
Tissue proteome
Skin
SKIN - Expression summary
Protein expression
Skini

On the top, protein expression in current human tissue, based on all annotated cell types, is reported with the units not detected (n), low (l), medium (m) and high (h). Underneath, protein expression in each annotated cell type are reported using the same units.

Protein expression data is based on knowledge-based annotation. For genes where more than one antibody has been used, a collective score is set.

If knowledge-based annotation could not be performed for a gene, no data is displayed here. View antibody staining data further down this page.

h
m
l
n
Cells in basal layer: Not detected
Cells in corneal layer: Not detected
Cells in granular layer: Not detected
Cells in spinous layer: Low
Endothelial cells: Not detected
Extracellular matrix: Not detected
Fibrohistiocytic cells: Not detected
Hair follicles: Not detected
Langerhans cells: Not detected
Lymphocytes: Not detected
Melanocytes: Not detected
Vascular mural cells: Not detected
RNA expressioni

A summary of mRNA expression data available for current tissue based on several datasets. The mRNA expression levels in human tissues are based on RNA-seq data generated by the Human Protein Atlas (HPA), Genotype-Tissue Expression (GTEx) portal and CAGE data generated by the FANTOM5 consortium. Consensus normalized expression levels for human tissues was created by combining the data from HPA and GTEx datasets.

The mRNA expression levels in pig are based on RNA-seq data generated by the Human Protein Atlas (HPA), and for mouse, HPA data and in situ hybridization generated by the Allen brain atlas are reported.

Scroll down to view mRNA expression data in more detail.
Consensus:87.1 nTPM
HPA:55.3 nTPM
GTEx:87.1 nTPM

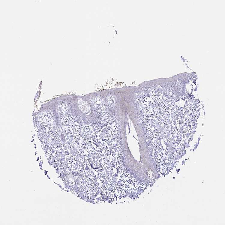
SKIN 1 - Antibody stainingi

Antibody staining in the annotated cell types in the current human tissue is reported as not detected, low, medium, or high, based on conventional immunohistochemistry profiling in selected tissues. This score is based on the combination of the staining intensity and fraction of stained cells.

Each image is clickable and will lead to virtual microscopy that enables deeper exploration of all samples and also displays staining intensity scores, fraction scores and subcellular localization as well as patient and tissue information for each sample.

Antibody HPA055214
Cells in basal layer Not detected
Cells in corneal layer Not detected
Cells in granular layer Not detected
Cells in spinous layer Not detected
Endothelial cells Not detected
Extracellular matrix Not detected
Fibrohistiocytic cells Not detected
Hair follicles Not detected
Langerhans cells Not detected
Lymphocytes Not detected
Melanocytes Not detected
Vascular mural cells Not detected


SKIN 2 - Antibody stainingi

Antibody staining in the annotated cell types in the current human tissue is reported as not detected, low, medium, or high, based on conventional immunohistochemistry profiling in selected tissues. This score is based on the combination of the staining intensity and fraction of stained cells.

Each image is clickable and will lead to virtual microscopy that enables deeper exploration of all samples and also displays staining intensity scores, fraction scores and subcellular localization as well as patient and tissue information for each sample.

Antibody HPA055214
Cells in basal layer Not detected
Cells in corneal layer Not detected
Cells in granular layer Not detected
Cells in spinous layer Low
Endothelial cells Not detected
Extracellular matrix Not detected
Fibrohistiocytic cells Not detected
Langerhans cells Not detected
Lymphocytes Not detected
Melanocytes Not detected
Vascular mural cells Not detected
 


SKIN - HPA RNA-seqi

The RNA-seq details section shows detailed information about the individual samples used for the transcript profiling and results of the RNA-seq analysis.

Information about each individual sample is listed below, including gender, age, a tissue section image and estimated fractions of cell types. nTPM (normalized transcripts per million) values give a quantification of the gene abundance which is comparable between different genes and samples.
Average nTPMi

Max subtype nTPM is the value for the subtype with the largest average nTPM across the subtype samples.

55.3
overview
Female, age 34
Skin sample 225
nTPM: 45.6
Cell types%
Keratinocytes:
60

Other cell types:
40

overview
Female, age 30
Skin sample 226
nTPM: 44.5
Cell types%
Keratinocytes:
55

Other cell types:
45

N/A
Male, age 57
Skin sample 227
nTPM: 75.7

SKIN - GTEx RNA-seqi

RNA-Seq data generated by the Genotype-Tissue Expression (GTEx) project from human tissues is reported as mean nTPM. More information can be found on the GTEx portal.

Distribution across the dataset is visualized with box plots, shown as median and 25th and 75th percentiles. Points are displayed as outliers if they are above or below 1.5 times the interquartile range. nTPM values of the individual samples are presented next to the box plot.
Max subtype nTPMi

Max subtype nTPM is the value for the subtype with the largest average nTPM across the subtype samples.

87.1
GTEx sample id Sample description nTPM
Skin - Not Sun Exposed (Suprapubic)
Average nTPM: 87.1
Samples: 604

Max nTPM: 260.6
Min nTPM: 19.7
Std nTPM: 34.9
Median nTPM: 82.2
GTEX-1PPH8-0126-SM-EWRN8 20-29 years, male 260.6
GTEX-1OJC3-1226-SM-DTXER 20-29 years, male 255.5
GTEX-1IKOE-1426-SM-CE6T7 30-39 years, female 230.5
GTEX-WFG7-2026-SM-5SI7P 20-29 years, male 224.1
GTEX-ZTX8-1326-SM-4YCEL 20-29 years, male 206.9
GTEX-14ICL-1626-SM-5YYAO 30-39 years, male 199.6
GTEX-1N2DV-1526-SM-DTXEP 40-49 years, male 196.9
GTEX-1QP2A-1726-SM-E76QC 50-59 years, male 191.6
GTEX-ZPCL-1126-SM-4WWFE 60-69 years, female 187.7
GTEX-1JMPY-0226-SM-CKZOK 30-39 years, male 186.5
GTEX-Y114-2126-SM-4TT8B 50-59 years, female 185.8
GTEX-111VG-1626-SM-5EGIO 60-69 years, male 182.4
GTEX-1R9PM-1926-SM-EVR3O 20-29 years, male 179.1
GTEX-XBEW-1126-SM-4QARW 40-49 years, male 175.9
GTEX-17F97-2626-SM-7IGM5 50-59 years, male 170.3
GTEX-1I1GT-1026-SM-ARZLV 60-69 years, female 168.5
GTEX-1JJEA-1826-SM-ARU8P 60-69 years, male 168.1
GTEX-Y111-0626-SM-4SOIT 50-59 years, male 167.3
GTEX-15RIG-0726-SM-7KUM7 40-49 years, male 165.1
GTEX-1C2JI-1026-SM-73KY1 50-59 years, male 160.4
GTEX-1RMOY-1326-SM-E9TIH 50-59 years, male 158.4
GTEX-1313W-0626-SM-5EQ4H 50-59 years, female 155.9
GTEX-131XF-2626-SM-5EQ6K 60-69 years, male 155.3
GTEX-1E2YA-2126-SM-7MXUO 50-59 years, male 155.3
GTEX-ZP4G-1426-SM-4WWCL 20-29 years, female 155.0
GTEX-YECK-0326-SM-4W1YS 60-69 years, male 152.9
GTEX-18A67-1626-SM-7LT9T 50-59 years, male 150.3
GTEX-1QP9N-1226-SM-E76QN 30-39 years, male 149.9
GTEX-18QFQ-1826-SM-72D52 30-39 years, male 149.7
GTEX-WHSB-1326-SM-3LK6W 50-59 years, male 148.9
GTEX-147F4-0726-SM-5TDDD 50-59 years, male 148.7
GTEX-1H2FU-0926-SM-9WPPT 60-69 years, female 147.5
GTEX-1J8EW-2726-SM-CY8HR 60-69 years, female 146.8
GTEX-14PII-0726-SM-6EU2B 60-69 years, male 146.7
GTEX-1399Q-2326-SM-5KM2X 40-49 years, male 146.3
GTEX-ZDTT-0426-SM-4WKFL 60-69 years, male 144.8
GTEX-14PJ3-1126-SM-5ZZVX 50-59 years, male 144.3
GTEX-1QP28-1126-SM-EVYC4 50-59 years, female 143.7
GTEX-1NSGN-0726-SM-DTXEF 50-59 years, male 143.0
GTEX-WHPG-2626-SM-3NMBR 50-59 years, male 142.1
GTEX-ZY6K-1426-SM-5GZX2 50-59 years, male 141.5
GTEX-11WQC-1826-SM-5GU59 60-69 years, male 140.3
GTEX-1PIIG-2326-SM-DTXFR 30-39 years, male 139.8
GTEX-Y9LG-1126-SM-4VBQ7 30-39 years, male 139.0
GTEX-111CU-1126-SM-5EGIM 50-59 years, male 138.8
GTEX-13IVO-0726-SM-5LZYV 70-79 years, male 138.7
GTEX-X585-2426-SM-46MW2 50-59 years, male 138.2
GTEX-1HSMQ-2626-SM-A9SML 50-59 years, male 138.0
GTEX-11DYG-1526-SM-5A5JS 60-69 years, male 137.1
GTEX-1RAZQ-1326-SM-E9TK6 30-39 years, male 136.8
GTEX-YFCO-1226-SM-5LUAT 40-49 years, male 136.0
GTEX-1MCYP-0526-SM-E9U6Q 20-29 years, female 135.7
GTEX-1QCLY-0226-SM-EWRNH 30-39 years, male 135.4
GTEX-UPJH-0226-SM-3GADV 50-59 years, male 135.3
GTEX-14PHX-2226-SM-6EU2P 50-59 years, male 134.8
GTEX-13FTX-1526-SM-5K7VJ 20-29 years, female 134.7
GTEX-15RJE-2826-SM-7KUM9 40-49 years, male 134.0
GTEX-1192X-2726-SM-5N9DN 50-59 years, male 133.8
GTEX-1PIGE-1826-SM-E8VOU 20-29 years, male 133.6
GTEX-11DXZ-2026-SM-5987S 50-59 years, male 133.2
GTEX-13JVG-0726-SM-5KM16 60-69 years, male 133.2
GTEX-1399S-0126-SM-5IJCF 30-39 years, female 132.9
GTEX-Y3I4-1726-SM-4TT89 50-59 years, male 130.1
GTEX-1HBPN-0126-SM-CGQEF 50-59 years, male 130.0
GTEX-1CAMS-2226-SM-7PBXQ 40-49 years, female 129.3
GTEX-1HCU7-0726-SM-A9SL1 50-59 years, male 129.2
GTEX-ZTTD-2826-SM-4YCFA 50-59 years, male 128.6
GTEX-11ZU8-0126-SM-5EQ58 60-69 years, male 128.1
GTEX-1NV5F-0626-SM-DTXEG 60-69 years, female 127.7
GTEX-11OF3-0126-SM-5PNYF 60-69 years, male 127.5
GTEX-1B8KE-1126-SM-7EPHI 50-59 years, male 127.4
GTEX-17HII-1426-SM-7EPGG 50-59 years, male 127.1
GTEX-12WSJ-1126-SM-5LZVJ 40-49 years, female 126.5
GTEX-14PJ4-0226-SM-5YY92 60-69 years, male 125.9
GTEX-ZT9X-1526-SM-5DUXD 40-49 years, male 125.8
GTEX-13PL6-1126-SM-5L3IE 40-49 years, female 125.4
GTEX-13G51-1826-SM-5KLZH 60-69 years, male 125.1
GTEX-11P7K-1126-SM-5HL4L 30-39 years, male 124.1
GTEX-145MH-2826-SM-5RQJF 50-59 years, male 124.1
GTEX-11PRG-0726-SM-5EGL1 50-59 years, male 123.3
GTEX-1HGF4-0126-SM-CNPPX 60-69 years, male 123.1
GTEX-1GN1V-2826-SM-9JGIA 60-69 years, male 122.7
GTEX-1GF9X-1326-SM-7PC2Y 40-49 years, female 122.4
GTEX-1GN1U-0626-SM-9MQL9 50-59 years, female 122.2
GTEX-12WSH-1526-SM-5BC5W 50-59 years, male 122.1
GTEX-14C39-1726-SM-5RQIL 40-49 years, male 122.0
GTEX-13O61-1426-SM-5KM3D 60-69 years, male 121.9
GTEX-17F9E-2326-SM-79OKD 50-59 years, male 121.4
GTEX-1MJK3-0726-SM-E6CJC 20-29 years, male 120.9
GTEX-ZF29-0926-SM-4WKFZ 60-69 years, female 120.8
GTEX-1GMRU-2126-SM-7P8RA 50-59 years, male 120.6
GTEX-1K2DU-1226-SM-CYPT4 20-29 years, male 120.0
GTEX-13NYB-0126-SM-5J1MD 40-49 years, male 119.7
GTEX-1JMQJ-0826-SM-CNPP7 50-59 years, male 119.7
GTEX-15ER7-0626-SM-6PANF 20-29 years, female 119.4
GTEX-1JMLX-0626-SM-ARL8T 50-59 years, male 118.5
GTEX-1H3O1-1326-SM-9MQLD 60-69 years, male 118.4
GTEX-13QJC-0126-SM-5ZZWJ 60-69 years, female 118.2
GTEX-1C6WA-2626-SM-7MKGM 60-69 years, male 118.1
GTEX-ZVZP-1226-SM-5GID7 50-59 years, male 118.1
GTEX-1HCUA-0826-SM-ADEHM 50-59 years, female 117.8
GTEX-1H11D-1826-SM-9QEHM 40-49 years, male 117.6
GTEX-14PHY-1226-SM-5ZZWK 60-69 years, female 117.5
GTEX-11LCK-2226-SM-5HL4Q 30-39 years, male 117.4
GTEX-1EMGI-2326-SM-7PBYA 60-69 years, male 117.1
GTEX-147GR-2426-SM-5ZZWQ 60-69 years, male 116.8
GTEX-1LBAC-0826-SM-CY8IJ 20-29 years, male 116.8
GTEX-1CAMQ-1326-SM-7P8RV 40-49 years, male 116.5
GTEX-1CB4E-0926-SM-7EPHT 60-69 years, male 116.3
GTEX-1PPGY-1626-SM-EVYBL 60-69 years, male 116.2
GTEX-1EKGG-0626-SM-7DUGJ 60-69 years, male 115.6
GTEX-12ZZZ-0726-SM-5GCNZ 60-69 years, male 115.5
GTEX-1F6I4-2326-SM-7RHGL 60-69 years, male 115.5
GTEX-1C64N-2626-SM-7PC2N 50-59 years, male 115.4
GTEX-1PBJJ-1026-SM-E76OS 30-39 years, male 115.3
GTEX-1MCC2-1826-SM-DIPEX 30-39 years, female 114.9
GTEX-1269C-0126-SM-5EQ5L 60-69 years, female 114.3
GTEX-12126-0826-SM-5FQTZ 20-29 years, male 113.8
GTEX-14E1K-2026-SM-7DUEI 50-59 years, male 113.5
GTEX-16MTA-0926-SM-6M47Z 50-59 years, male 113.3
GTEX-1F75A-0726-SM-7RHHD 50-59 years, male 113.0
GTEX-12ZZY-0726-SM-5EQ66 60-69 years, male 112.7
GTEX-15FZZ-0526-SM-7KUGD 30-39 years, female 112.7
GTEX-13PDP-0726-SM-5L3HP 60-69 years, male 112.5
GTEX-ZE9C-2526-SM-5IJDR 60-69 years, male 112.3
GTEX-1QPFJ-1926-SM-EVYBD 30-39 years, female 111.9
GTEX-139UW-0326-SM-5J1ML 60-69 years, male 111.4
GTEX-12ZZX-2426-SM-5GCOE 40-49 years, female 111.3
GTEX-1C6VQ-1226-SM-73KYD 50-59 years, male 111.3
GTEX-13FTY-2126-SM-5IFFB 40-49 years, female 110.7
GTEX-ZYT6-2326-SM-5GZY3 30-39 years, male 110.6
GTEX-1KAFJ-0126-SM-DIPEK 50-59 years, male 110.5
GTEX-WH7G-2026-SM-3NMBL 40-49 years, male 109.6
GTEX-1OJC4-2726-SM-E76PJ 50-59 years, female 109.5
GTEX-17F98-1326-SM-7DUEP 40-49 years, female 108.9
GTEX-15RIE-1926-SM-7KUKJ 60-69 years, male 108.6
GTEX-1BAJH-2426-SM-7IGP8 70-79 years, male 108.6
GTEX-1KANB-2826-SM-CY8I6 50-59 years, male 108.6
GTEX-1IY9M-2826-SM-ARU8H 60-69 years, male 108.5
GTEX-1R7EU-1626-SM-DTXG3 60-69 years, male 108.2
GTEX-11P82-1426-SM-DTXFY 20-29 years, male 108.1
GTEX-13FHO-0426-SM-5L3F5 60-69 years, male 107.9
GTEX-1IKJJ-2226-SM-CJI4C 60-69 years, male 107.7
GTEX-1B97I-0626-SM-73KUZ 40-49 years, male 107.3
GTEX-17HHE-1326-SM-7EWDZ 50-59 years, male 107.2
GTEX-13112-0126-SM-5P9IU 50-59 years, male 107.1
GTEX-13FTW-0326-SM-5K7UW 40-49 years, male 107.1
GTEX-17F9Y-0126-SM-79OKX 70-79 years, female 107.1
GTEX-15CHR-1126-SM-7EWF4 50-59 years, male 107.0
GTEX-1AYD5-2626-SM-7PBXY 50-59 years, male 107.0
GTEX-131XG-0326-SM-5L3DX 50-59 years, female 106.8
GTEX-ZXG5-2126-SM-59HKD 60-69 years, male 106.7
GTEX-1GF9V-0826-SM-9KNUV 60-69 years, male 106.1
GTEX-1JK1U-0226-SM-ARZMX 60-69 years, male 105.8
GTEX-ZYVF-0926-SM-5E44J 50-59 years, female 105.7
GTEX-1GZ4H-0526-SM-9KNU9 50-59 years, female 105.7
GTEX-ZWKS-0626-SM-5GIDV 30-39 years, male 105.4
GTEX-139TU-0726-SM-5L3EK 60-69 years, male 105.0
GTEX-XPVG-2126-SM-4B667 50-59 years, male 105.0
GTEX-ZDTS-0826-SM-4WKHL 60-69 years, male 104.0
GTEX-1S3DN-2126-SM-E9TIN 50-59 years, male 104.0
GTEX-1J1OQ-0126-SM-D4P2N 40-49 years, female 103.8
GTEX-17EVP-2626-SM-7IGMA 40-49 years, male 103.7
GTEX-ZF2S-1626-SM-57WES 50-59 years, female 103.6
GTEX-14753-0726-SM-5QGQO 60-69 years, male 103.3
GTEX-14PJN-1826-SM-6AJ98 30-39 years, male 103.1
GTEX-1S82U-1026-SM-E6CJK 30-39 years, female 102.7
GTEX-1C6VR-0126-SM-7RHGB 60-69 years, male 102.6
GTEX-15RJ7-2126-SM-6PAMD 40-49 years, male 102.5
GTEX-11P81-2226-SM-5PNYI 30-39 years, female 102.1
GTEX-YEC4-1826-SM-4W1YP 40-49 years, male 102.1
GTEX-ZDYS-2426-SM-4WKGI 50-59 years, male 101.9
GTEX-XQ3S-1426-SM-4BOPR 20-29 years, male 101.8
GTEX-1PDJ9-1226-SM-EXUSX 20-29 years, male 101.8
GTEX-145LU-1926-SM-79OJN 50-59 years, male 101.3
GTEX-1HCVE-2726-SM-CL54F 50-59 years, male 101.3
GTEX-1B8SF-0126-SM-7DUG3 60-69 years, male 101.1
GTEX-11DXX-2126-SM-5PNYR 60-69 years, female 100.8
GTEX-1LVAN-0626-SM-CNPOQ 50-59 years, female 100.8
GTEX-144GL-0626-SM-5LU4D 50-59 years, male 100.6
GTEX-1R46S-2426-SM-E76QA 60-69 years, female 100.3
GTEX-14LZ3-0126-SM-69LPM 60-69 years, female 100.2
GTEX-ZZPU-0826-SM-5GZX5 50-59 years, female 99.4
GTEX-17KNJ-2126-SM-718AM 50-59 years, male 99.2
GTEX-1R9PN-0426-SM-DTXDT 40-49 years, female 98.9
GTEX-16AAH-0626-SM-793C9 50-59 years, male 98.7
GTEX-16MT9-0126-SM-7EPI8 60-69 years, female 98.6
GTEX-ZYFC-0426-SM-5GICQ 50-59 years, male 98.3
GTEX-1AX9I-2226-SM-73KUO 60-69 years, male 97.7
GTEX-1LB8K-0726-SM-D5OV2 50-59 years, male 97.5
GTEX-1LKK1-2626-SM-DKPQE 50-59 years, female 97.3
GTEX-Z93S-1626-SM-5CVMB 50-59 years, male 97.2
GTEX-1N2EE-0626-SM-E76PW 60-69 years, male 97.1
GTEX-18A6Q-0626-SM-7KFRP 60-69 years, male 97.0
GTEX-YEC3-1326-SM-DO92X 50-59 years, male 96.9
GTEX-1RLM8-2926-SM-E8VON 50-59 years, male 96.7
GTEX-ZC5H-1526-SM-5HL9Y 40-49 years, female 96.4
GTEX-1F88F-0126-SM-9WYSZ 60-69 years, female 96.4
GTEX-1KXAM-1626-SM-D3LAD 60-69 years, male 96.3
GTEX-1LSNM-0826-SM-DIPG8 50-59 years, male 96.3
GTEX-ZLV1-1526-SM-DO91J 60-69 years, female 96.3
GTEX-13OVK-1426-SM-6PAN7 40-49 years, male 96.2
GTEX-X5EB-1926-SM-4E3IW 40-49 years, male 96.2
GTEX-1GPI6-1926-SM-9KNV7 60-69 years, male 96.1
GTEX-1122O-1026-SM-9WYSF 60-69 years, female 96.0
GTEX-1IDJU-1726-SM-CMKHU 60-69 years, female 95.5
GTEX-13OW6-2726-SM-5J2OE 50-59 years, male 95.3
GTEX-111YS-1526-SM-5GZYW 60-69 years, male 95.0
GTEX-16YQH-2226-SM-7IGM2 30-39 years, male 95.0
GTEX-1CAMR-1326-SM-7PC1F 20-29 years, male 94.8
GTEX-1I1GP-1326-SM-A9G28 50-59 years, male 94.7
GTEX-ZE7O-2726-SM-51MT5 50-59 years, female 94.6
GTEX-17MFQ-1526-SM-7KFRR 20-29 years, male 94.2
GTEX-11GS4-0226-SM-5HL77 60-69 years, male 94.0
GTEX-18D9A-1426-SM-7LT8M 30-39 years, female 93.8
GTEX-131XH-0126-SM-5LZUY 50-59 years, male 93.4
GTEX-14B4R-1326-SM-5Q5EZ 30-39 years, male 93.4
GTEX-WHWD-1826-SM-3LK6I 50-59 years, male 92.9
GTEX-1GPI7-1826-SM-9KNU1 20-29 years, male 92.8
GTEX-1I1GV-0626-SM-ARL7M 60-69 years, male 92.3
GTEX-11ZTT-2126-SM-5CVLO 60-69 years, female 91.8
GTEX-144FL-0626-SM-5LU43 50-59 years, male 91.8
GTEX-Y8E4-2026-SM-5IFJB 40-49 years, male 91.8
GTEX-1H1DE-1326-SM-9KNUG 20-29 years, male 91.7
GTEX-1POEN-2326-SM-E9J2L 30-39 years, female 91.6
GTEX-1LSVX-2526-SM-DIPEU 60-69 years, male 91.5
GTEX-1EN7A-2426-SM-793DB 40-49 years, male 91.4
GTEX-15SHW-0226-SM-7LTAT 60-69 years, male 91.3
GTEX-ZVP2-0326-SM-57WBP 50-59 years, male 91.3
GTEX-XAJ8-1426-SM-47JYM 40-49 years, male 91.2
GTEX-1HBPI-2126-SM-ARL9K 50-59 years, male 91.2
GTEX-13SLW-0626-SM-5Q5ER 70-79 years, male 91.1
GTEX-15DYW-2726-SM-6EU2I 60-69 years, female 91.0
GTEX-1399U-1126-SM-5L3DB 50-59 years, female 90.9
GTEX-14C5O-0326-SM-5ZZUX 60-69 years, male 90.4
GTEX-1A8G6-2726-SM-731AR 60-69 years, male 90.3
GTEX-WXYG-2026-SM-4E3IY 50-59 years, female 90.2
GTEX-14BIN-1126-SM-5RQJZ 50-59 years, female 89.7
GTEX-1PPH7-1126-SM-DTX9A 40-49 years, male 89.6
GTEX-XUW1-0926-SM-4BONX 50-59 years, female 89.4
GTEX-1JMQK-1226-SM-D4P2S 60-69 years, male 89.4
GTEX-13D11-0926-SM-5J2NC 50-59 years, female 89.3
GTEX-17HGU-2326-SM-7DUFE 50-59 years, male 89.0
GTEX-1HT8W-0626-SM-A9G2H 30-39 years, male 88.9
GTEX-133LE-2326-SM-5K7W3 20-29 years, female 88.8
GTEX-14ABY-2026-SM-62LDL 50-59 years, male 88.8
GTEX-1CB4F-1026-SM-7DUH1 60-69 years, male 88.8
GTEX-14PKV-1126-SM-6LLJ1 20-29 years, female 88.7
GTEX-15G19-2426-SM-7KUMR 60-69 years, male 88.7
GTEX-18A7A-0126-SM-731AH 50-59 years, female 88.7
GTEX-1LGRB-0926-SM-COH3K 50-59 years, female 88.7
GTEX-13SLX-2226-SM-62LEP 50-59 years, female 88.5
GTEX-1EU9M-1426-SM-793AI 60-69 years, male 88.5
GTEX-1HB9E-0126-SM-CM2S5 50-59 years, male 88.3
GTEX-12WSD-0626-SM-5GCMW 60-69 years, female 88.2
GTEX-1HSKV-1226-SM-ADEI4 60-69 years, male 88.1
GTEX-1R9K4-2826-SM-DTX8F 60-69 years, male 88.1
GTEX-ZVT4-2426-SM-5GIEI 50-59 years, female 88.0
GTEX-1C64O-1326-SM-7MGWR 60-69 years, male 88.0
GTEX-13NYS-0626-SM-5L3F1 60-69 years, male 87.9
GTEX-X4EO-2926-SM-4E3JH 60-69 years, female 87.3
GTEX-XOT4-0626-SM-4B66L 60-69 years, female 87.3
GTEX-1H4P4-2126-SM-9WYSL 50-59 years, male 87.3
GTEX-13VXT-1926-SM-5K7UO 20-29 years, female 87.0
GTEX-1CB4J-1326-SM-7P8RX 60-69 years, male 87.0
GTEX-1GN2E-0226-SM-9WG6K 60-69 years, male 87.0
GTEX-1GZ4I-2626-SM-9KNU3 50-59 years, male 87.0
GTEX-12WSM-1926-SM-5BC65 60-69 years, male 86.9
GTEX-16BQI-1326-SM-6M486 30-39 years, female 86.8
GTEX-1A3MV-1826-SM-731CD 30-39 years, male 86.7
GTEX-139TT-2126-SM-5LZWC 60-69 years, male 86.3
GTEX-13OW7-0426-SM-5K7VK 50-59 years, male 86.2
GTEX-15SKB-2826-SM-6PAMH 60-69 years, male 86.2
GTEX-XQ8I-0926-SM-4BOOF 50-59 years, male 86.2
GTEX-11EQ8-0926-SM-5H12V 60-69 years, male 86.1
GTEX-14PJ6-2626-SM-6EU2T 60-69 years, female 85.8
GTEX-1IE54-1126-SM-A9G2Z 40-49 years, female 85.8
GTEX-ZPU1-1126-SM-4YCF3 40-49 years, male 85.4
GTEX-ZLFU-1826-SM-4WWBV 40-49 years, male 85.3
GTEX-XBED-1926-SM-47JYP 60-69 years, male 85.0
GTEX-1IOXB-2726-SM-CM2RI 50-59 years, male 85.0
GTEX-1GN73-0726-SM-7P8TJ 60-69 years, male 84.9
GTEX-12C56-1526-SM-5FQUQ 20-29 years, male 84.8
GTEX-1HSMP-0926-SM-A9SKX 70-79 years, male 84.8
GTEX-11NUK-2726-SM-5A5MC 50-59 years, male 84.5
GTEX-17F96-0126-SM-7EWDU 70-79 years, male 84.5
GTEX-145MN-1526-SM-5SI9T 30-39 years, male 84.2
GTEX-12KS4-2126-SM-5FQUT 30-39 years, male 84.1
GTEX-13N1W-2426-SM-5IJD1 70-79 years, male 84.0
GTEX-13X6J-0626-SM-5LU5F 50-59 years, male 83.8
GTEX-ZVT2-0126-SM-5GIDQ 50-59 years, female 83.7
GTEX-11VI4-1126-SM-5EQMD 40-49 years, female 83.6
GTEX-13O3Q-0126-SM-5KM34 50-59 years, male 83.5
GTEX-13OW5-2326-SM-5L3HO 60-69 years, male 83.0
GTEX-1I1HK-2326-SM-CKZOH 60-69 years, male 83.0
GTEX-15EO6-2426-SM-6PALZ 50-59 years, male 82.8
GTEX-11NSD-0626-SM-5A5LU 20-29 years, male 82.7
GTEX-18D9U-0126-SM-731BM 40-49 years, male 82.7
GTEX-1K9T9-1526-SM-DIPFR 50-59 years, female 82.6
GTEX-1LSNL-2726-SM-E9TKJ 50-59 years, male 82.5
GTEX-11DXY-0126-SM-5H11Q 60-69 years, male 82.4
GTEX-ZA64-1026-SM-5HL8R 20-29 years, male 82.3
GTEX-1QW4Y-1126-SM-DTXE3 30-39 years, male 82.1
GTEX-12WSK-2126-SM-5CVNC 40-49 years, female 81.9
GTEX-1IL2V-1926-SM-B2LW8 70-79 years, male 81.8
GTEX-144GM-0526-SM-79OJO 20-29 years, male 81.6
GTEX-Y3IK-1626-SM-4YCF5 50-59 years, female 81.6
GTEX-1GL5R-1326-SM-7RHHF 50-59 years, male 81.4
GTEX-14PKU-0126-SM-6LLHV 40-49 years, female 81.3
GTEX-WY7C-2126-SM-3NB2R 50-59 years, male 81.0
GTEX-1JN76-0626-SM-CKZOQ 20-29 years, female 81.0
GTEX-148VJ-0626-SM-5LUAW 70-79 years, male 80.9
GTEX-14PJO-2526-SM-6AJBQ 60-69 years, male 80.8
GTEX-11O72-0626-SM-5PNYE 40-49 years, male 80.7
GTEX-1GF9W-1426-SM-7PBYM 60-69 years, male 80.6
GTEX-11GSP-2326-SM-5HL63 60-69 years, female 80.5
GTEX-1LVA9-2626-SM-EVYD4 50-59 years, male 80.4
GTEX-1S82P-2126-SM-E6CI5 60-69 years, female 80.1
GTEX-15G1A-1626-SM-7KUKN 30-39 years, male 80.0
GTEX-ZF3C-0626-SM-DO92O 50-59 years, female 80.0
GTEX-14PJ5-1526-SM-6LLIL 60-69 years, female 79.8
GTEX-WFON-1926-SM-3LK7L 40-49 years, male 79.8
GTEX-18A66-0626-SM-7LT8Z 60-69 years, male 79.6
GTEX-139D8-1126-SM-5LU8W 30-39 years, female 79.4
GTEX-147F3-1726-SM-5SIAW 50-59 years, female 79.4
GTEX-14JG1-1526-SM-5YY9X 40-49 years, male 79.4
GTEX-18465-2826-SM-7LT9J 50-59 years, male 78.4
GTEX-14XAO-1226-SM-6EU1C 60-69 years, female 78.3
GTEX-17HHY-0426-SM-7DHLC 50-59 years, male 78.3
GTEX-1HCU6-2526-SM-ADEHL 60-69 years, female 78.1
GTEX-XXEK-1626-SM-4BRUZ 50-59 years, male 78.0
GTEX-ZAB4-2126-SM-5HL8U 40-49 years, male 78.0
GTEX-1AMFI-1326-SM-7939R 50-59 years, female 77.8
GTEX-WI4N-2726-SM-3LK7Y 40-49 years, female 77.8
GTEX-145MF-0926-SM-5Q5EA 50-59 years, male 77.7
GTEX-1LVAM-0726-SM-E6CIL 50-59 years, female 77.7
GTEX-1S83E-1326-SM-E6CJM 40-49 years, male 77.7
GTEX-11EQ9-1626-SM-5PNY8 30-39 years, male 77.5
GTEX-15EU6-2226-SM-6EU2L 50-59 years, male 77.5
GTEX-1S831-1826-SM-EWROF 20-29 years, male 77.5
GTEX-1CB4H-1126-SM-7MKGL 60-69 years, female 77.3
GTEX-1JJ6O-2726-SM-CNPOG 60-69 years, male 77.2
GTEX-146FQ-2126-SM-5RQHU 30-39 years, male 77.1
GTEX-1B933-2426-SM-7DHMD 50-59 years, female 77.1
GTEX-XBEC-0726-SM-4QARZ 50-59 years, male 77.0
GTEX-1HC8U-1326-SM-9YFMJ 40-49 years, female 76.8
GTEX-ZPIC-0526-SM-DO91W 40-49 years, female 76.7
GTEX-183FY-1026-SM-7939A 20-29 years, male 76.6
GTEX-1J1R8-2026-SM-CL53Y 40-49 years, male 76.6
GTEX-131XW-0626-SM-5PNVD 50-59 years, female 76.3
GTEX-1EX96-1026-SM-7MKG2 50-59 years, male 76.3
GTEX-1JKYN-0826-SM-ARU8S 30-39 years, male 76.2
GTEX-1497J-0226-SM-5QGPU 60-69 years, male 76.1
GTEX-ZZ64-1026-SM-5GZXG 20-29 years, male 75.9
GTEX-1F75I-2226-SM-7SB8U 40-49 years, male 75.5
GTEX-1N5O9-0926-SM-E9J3C 60-69 years, male 75.5
GTEX-1HR9M-2226-SM-CNPPY 60-69 years, male 75.1
GTEX-1RAZS-2526-SM-E6CHT 50-59 years, male 75.0
GTEX-1CB4I-0126-SM-7RHGG 50-59 years, male 74.6
GTEX-1GTWX-2026-SM-9YFLM 60-69 years, male 74.6
GTEX-1HR98-2226-SM-ADEI2 60-69 years, male 74.5
GTEX-1RB15-1326-SM-E76Q9 60-69 years, male 74.5
GTEX-12WSF-1626-SM-7KUG5 70-79 years, male 74.4
GTEX-15DDE-2926-SM-6LLJ3 50-59 years, female 74.3
GTEX-16Z82-2626-SM-7KULU 60-69 years, male 74.3
GTEX-1J8QM-2426-SM-A9SLS 60-69 years, female 74.3
GTEX-ZAK1-0626-SM-5HL8E 50-59 years, female 74.2
GTEX-13X6K-0626-SM-5LU5D 60-69 years, female 74.1
GTEX-14PK6-0226-SM-62LF5 70-79 years, female 74.0
GTEX-1B8L1-2226-SM-7P8PT 60-69 years, male 74.0
GTEX-11ZUS-2626-SM-5FQUR 30-39 years, male 73.9
GTEX-13RTJ-0126-SM-5S2NN 60-69 years, male 73.9
GTEX-WEY5-2326-SM-3GIKK 40-49 years, female 73.9
GTEX-1HFI7-2326-SM-CGQFS 50-59 years, female 73.6
GTEX-1GN1W-2426-SM-9KNUU 50-59 years, female 73.5
GTEX-144GO-2026-SM-5O99P 60-69 years, male 73.3
GTEX-1AMEY-0826-SM-72D65 30-39 years, female 73.2
GTEX-1B932-2326-SM-79OL5 40-49 years, female 73.2
GTEX-1F52S-2926-SM-7MKGA 60-69 years, female 72.8
GTEX-1EH9U-2826-SM-7DUGT 60-69 years, male 72.7
GTEX-1H1DG-2426-SM-9QEHJ 70-79 years, male 72.7
GTEX-16NGA-0726-SM-731AO 40-49 years, female 72.6
GTEX-178AV-1726-SM-7KUL8 40-49 years, male 72.6
GTEX-1JKYR-0626-SM-ARL8R 20-29 years, male 72.5
GTEX-1212Z-0126-SM-59HK4 60-69 years, male 72.3
GTEX-13FLV-0126-SM-5K7WT 50-59 years, male 72.2
GTEX-145MG-1526-SM-5Q5EM 50-59 years, male 72.2
GTEX-14JFF-0626-SM-5ZZVT 60-69 years, male 72.0
GTEX-WYVS-1626-SM-3NM9R 40-49 years, female 71.3
GTEX-1F6RS-2026-SM-7RHHC 60-69 years, female 71.3
GTEX-1QEPI-2626-SM-DTXF4 60-69 years, female 71.3
GTEX-1HSGN-0826-SM-ACKW3 40-49 years, female 71.2
GTEX-15CHC-1126-SM-6LLHQ 60-69 years, female 71.1
GTEX-13YAN-0226-SM-5TDC6 60-69 years, male 71.0
GTEX-13O3O-2326-SM-5IJD6 60-69 years, female 70.8
GTEX-13VXU-0626-SM-5L3F9 50-59 years, male 70.5
GTEX-14A6H-2026-SM-5Q5DD 30-39 years, male 70.4
GTEX-11TUW-0626-SM-5LU9M 60-69 years, male 70.3
GTEX-1B8KZ-0326-SM-73KY4 50-59 years, male 70.3
GTEX-139YR-1026-SM-5LZYN 50-59 years, male 70.2
GTEX-1F5PK-2226-SM-7SB6N 50-59 years, male 70.2
GTEX-1EWIQ-0326-SM-7DHMQ 70-79 years, female 70.1
GTEX-1KANA-1326-SM-DIPFA 20-29 years, male 70.1
GTEX-13PVR-0426-SM-5RQK2 60-69 years, female 70.0
GTEX-13X6H-0926-SM-5SIB2 50-59 years, female 70.0
GTEX-14DAR-1226-SM-73KYV 50-59 years, male 70.0
GTEX-1KD5A-0126-SM-E9U54 50-59 years, male 70.0
GTEX-14LLW-2626-SM-62LDZ 70-79 years, female 69.9
GTEX-1AX9J-1326-SM-731BJ 60-69 years, male 69.7
GTEX-13W3W-0726-SM-5IJDQ 60-69 years, female 69.5
GTEX-ZTSS-1426-SM-5985P 40-49 years, male 69.2
GTEX-14C38-0726-SM-5SI6M 50-59 years, male 68.9
GTEX-1AX8Z-0726-SM-73KTS 60-69 years, male 68.9
GTEX-1H1CY-0126-SM-9YFLY 60-69 years, female 68.7
GTEX-139TS-2126-SM-5K7XC 60-69 years, male 68.6
GTEX-YJ8O-2526-SM-5HL85 40-49 years, female 68.6
GTEX-1QMI2-2526-SM-E8VNZ 60-69 years, male 68.6
GTEX-13NZ8-1226-SM-5KM4A 60-69 years, female 68.4
GTEX-VUSG-2326-SM-4KL1U 50-59 years, male 68.3
GTEX-1A8G7-1326-SM-73KVM 60-69 years, male 68.0
GTEX-WRHU-2826-SM-3MJG8 50-59 years, female 67.7
GTEX-1I1GU-0926-SM-ACKVS 40-49 years, male 67.6
GTEX-1JMQI-1726-SM-ARL93 50-59 years, male 67.2
GTEX-11DZ1-2426-SM-5GZZX 50-59 years, male 67.1
GTEX-1J8Q2-2626-SM-ACKWQ 60-69 years, male 67.1
GTEX-145ME-1726-SM-5Q5EU 40-49 years, female 66.9
GTEX-16MT8-2926-SM-7DUFO 60-69 years, female 66.9
GTEX-1GMR2-0826-SM-7PC3V 50-59 years, male 66.8
GTEX-1I6K7-1926-SM-B2LXR 40-49 years, male 66.2
GTEX-XYKS-1426-SM-4BRUO 60-69 years, female 66.0
GTEX-13X6I-1826-SM-5SIAO 60-69 years, male 65.9
GTEX-1A3MW-0626-SM-731CB 60-69 years, female 65.9
GTEX-14JG6-1426-SM-9WG7C 30-39 years, female 65.8
GTEX-1K2DA-1026-SM-CGQGF 50-59 years, male 65.8
GTEX-1QAET-0326-SM-EVR3U 50-59 years, male 65.3
GTEX-1LG7Y-2526-SM-EWRO7 50-59 years, male 65.1
GTEX-1GZHY-0626-SM-9KNVC 50-59 years, female 64.9
GTEX-12WSC-2826-SM-5BC5Y 50-59 years, male 64.8
GTEX-WHSE-0126-SM-3NMBT 20-29 years, male 64.8
GTEX-1F5PL-0926-SM-7PC2W 40-49 years, female 64.8
GTEX-1HKZK-0726-SM-ACKW2 40-49 years, male 64.8
GTEX-ZYY3-2926-SM-5GIEB 60-69 years, female 64.6
GTEX-1HFI6-0126-SM-CNPPI 40-49 years, male 64.3
GTEX-13OVL-0126-SM-5L3GJ 50-59 years, male 64.2
GTEX-1RAZR-2126-SM-E9U6T 40-49 years, male 64.2
GTEX-1C475-1326-SM-7SB73 40-49 years, female 63.7
GTEX-W5X1-2526-SM-3GILC 40-49 years, female 63.6
GTEX-11EI6-2826-SM-5H11D 60-69 years, male 63.5
GTEX-1A8FM-0626-SM-7PC25 50-59 years, female 63.3
GTEX-1ICLY-0826-SM-CMKG1 50-59 years, male 63.3
GTEX-Y8LW-1526-SM-5IFHL 50-59 years, female 63.1
GTEX-13OVJ-0826-SM-5J1OK 50-59 years, female 62.6
GTEX-WYJK-0526-SM-3NM8Z 50-59 years, male 62.6
GTEX-183WM-0326-SM-72D5V 70-79 years, female 62.5
GTEX-1IDJH-0126-SM-D3L92 70-79 years, male 62.5
GTEX-Y5V5-0126-SM-5S2NW 60-69 years, female 62.4
GTEX-1IDFM-0326-SM-ARL7V 60-69 years, male 62.4
GTEX-15UF6-1926-SM-7KUDV 70-79 years, female 62.3
GTEX-14AS3-1526-SM-5Q5ED 40-49 years, female 62.0
GTEX-14BMV-2826-SM-5TDED 50-59 years, male 61.6
GTEX-Y5LM-0926-SM-6LLJG 40-49 years, female 61.5
GTEX-1HBPM-0726-SM-9YFL7 60-69 years, female 61.5
GTEX-1I1GS-2626-SM-B2LY3 60-69 years, male 61.2
GTEX-1H1E6-0426-SM-9WYUS 30-39 years, male 61.0
GTEX-ZGAY-1826-SM-DO91Q 40-49 years, female 60.9
GTEX-11UD2-2526-SM-5CVNU 50-59 years, male 60.8
GTEX-1IDJV-0126-SM-COH3Y 60-69 years, male 60.3
GTEX-14BMU-1226-SM-5S2OR 20-29 years, female 60.2
GTEX-12696-0126-SM-5EQ4L 60-69 years, male 60.0
GTEX-13N11-2326-SM-5IJBF 50-59 years, female 59.8
GTEX-1KWVE-1026-SM-D3L9O 30-39 years, male 59.7
GTEX-XV7Q-1826-SM-4BRUV 40-49 years, female 59.3
GTEX-1F75B-0726-SM-7PC3R 50-59 years, male 59.3
GTEX-1I1CD-0626-SM-CE6SW 60-69 years, female 59.2
GTEX-12584-0726-SM-5FQTK 40-49 years, male 58.9
GTEX-16NPX-0726-SM-7KULC 50-59 years, male 58.5
GTEX-145LS-0626-SM-7EPG7 60-69 years, female 58.4
GTEX-1HCU8-2526-SM-CE6RX 60-69 years, female 58.3
GTEX-1JN1M-2726-SM-CY8I4 60-69 years, female 58.3
GTEX-ZYW4-0626-SM-59HJR 60-69 years, male 58.2
GTEX-1QP29-1826-SM-DTX9S 50-59 years, male 58.2
GTEX-145MO-2826-SM-5LU96 60-69 years, male 58.0
GTEX-1IDJF-2026-SM-CL53V 20-29 years, male 58.0
GTEX-131YS-2826-SM-5EQ47 60-69 years, female 57.6
GTEX-V1D1-2026-SM-3GAF4 50-59 years, male 57.4
GTEX-13OVH-0526-SM-5L3E6 70-79 years, male 56.9
GTEX-13NZ9-2626-SM-5L3FK 50-59 years, male 56.7
GTEX-15CHQ-0326-SM-69LQD 60-69 years, male 56.7
GTEX-1HCU9-0426-SM-9WYSD 20-29 years, male 56.6
GTEX-18A7B-2726-SM-7LG56 70-79 years, male 56.5
GTEX-13U4I-2226-SM-5LU5H 40-49 years, female 56.4
GTEX-WK11-2726-SM-3NMAQ 50-59 years, male 56.2
GTEX-X3Y1-2026-SM-3P5YM 40-49 years, male 56.0
GTEX-15D1Q-2826-SM-6LLH7 40-49 years, male 55.8
GTEX-17HG3-2626-SM-7DUF2 30-39 years, female 55.8
GTEX-1JN6P-2926-SM-CL54D 60-69 years, male 55.7
GTEX-1GMR8-0626-SM-7RHI7 50-59 years, female 55.6
GTEX-1211K-1526-SM-5FQU4 60-69 years, female 55.4
GTEX-1E1VI-0326-SM-793D1 50-59 years, male 55.4
GTEX-1ICLZ-0326-SM-ARL82 60-69 years, male 55.2
GTEX-1KANC-1226-SM-CYPT7 50-59 years, female 55.2
GTEX-X8HC-0626-SM-4E3HQ 50-59 years, female 55.0
GTEX-1IDJC-1526-SM-B2LW4 50-59 years, male 54.7
GTEX-1IDJD-2326-SM-ACKWX 30-39 years, male 54.6
GTEX-XMD2-2126-SM-4YCF8 60-69 years, female 54.5
GTEX-1I4MK-0126-SM-CY8G6 50-59 years, female 54.1
GTEX-1LG7Z-1626-SM-CXKYR 30-39 years, male 54.1
GTEX-13113-1626-SM-5EQ4I 60-69 years, female 54.0
GTEX-145LT-0526-SM-5LUB2 40-49 years, male 53.9
GTEX-Y5V6-2326-SM-4VDSA 60-69 years, male 53.3
GTEX-1IDJI-0126-SM-CMKHS 50-59 years, female 53.3
GTEX-1JMOU-1026-SM-CYPSS 60-69 years, female 53.1
GTEX-1JMQL-2226-SM-CNPP4 50-59 years, female 53.0
GTEX-1ICG6-1226-SM-A9SLN 70-79 years, female 52.8
GTEX-11TT1-1826-SM-5EQLV 20-29 years, male 52.5
GTEX-13OVG-1626-SM-5J1NF 60-69 years, male 52.5
GTEX-13OW8-1026-SM-5J1NQ 60-69 years, male 52.5
GTEX-ZU9S-1826-SM-5NQ9E 30-39 years, male 52.4
GTEX-13NYC-0126-SM-5L3F4 60-69 years, male 52.0
GTEX-1117F-2926-SM-5GZYI 60-69 years, female 51.9
GTEX-WYBS-0626-SM-3NMAS 60-69 years, female 51.9
GTEX-13PVQ-0626-SM-5LU47 50-59 years, male 51.7
GTEX-12BJ1-0926-SM-5EQ62 60-69 years, male 51.3
GTEX-147JS-0226-SM-5S2U9 60-69 years, male 51.3
GTEX-18D9B-0926-SM-7LG4U 60-69 years, male 51.3
GTEX-1QCLZ-2426-SM-EVYBW 60-69 years, female 50.7
GTEX-14E6E-0526-SM-793DN 30-39 years, male 50.6
GTEX-1H1ZS-2726-SM-9WG75 70-79 years, male 50.6
GTEX-ZYFG-1526-SM-5GZYM 60-69 years, female 50.2
GTEX-17MF6-2626-SM-79OKQ 40-49 years, male 49.9
GTEX-ZDXO-3126-SM-5IJDF 60-69 years, male 49.9
GTEX-145MI-0626-SM-5SI8S 60-69 years, female 49.6
GTEX-1H3VE-0726-SM-9YFL5 40-49 years, male 49.5
GTEX-1I6K6-1726-SM-CGQFD 30-39 years, male 49.1
GTEX-1J8Q3-0526-SM-ARL8U 60-69 years, male 49.0
GTEX-1JJE9-2626-SM-ARZMT 70-79 years, male 49.0
GTEX-XK95-0226-SM-4AT58 40-49 years, male 48.9
GTEX-16XZZ-0726-SM-7KUF2 60-69 years, male 48.3
GTEX-13N2G-0226-SM-5K7VF 60-69 years, male 48.1
GTEX-12WSA-0426-SM-5EQ5X 60-69 years, male 47.7
GTEX-139T8-0626-SM-5KLZX 60-69 years, male 47.5
GTEX-1F48J-0726-SM-7RHGS 50-59 years, female 47.0
GTEX-ZLWG-0826-SM-59888 50-59 years, female 46.8
GTEX-13QBU-1226-SM-5LU4G 40-49 years, female 46.7
GTEX-11DXW-0826-SM-5H118 40-49 years, male 46.6
GTEX-1H1DF-1126-SM-9WG7G 40-49 years, female 46.4
GTEX-1JMPZ-0726-SM-CY8HZ 30-39 years, male 46.4
GTEX-X4EP-0626-SM-3P621 60-69 years, female 46.3
GTEX-ZT9W-1126-SM-57WDR 50-59 years, male 46.2
GTEX-132AR-0326-SM-5KM2C 50-59 years, female 45.8
GTEX-13FH7-1126-SM-5K7UG 50-59 years, female 45.6
GTEX-1B996-0426-SM-7EWF8 60-69 years, male 45.6
GTEX-16GPK-0626-SM-7KFSF 60-69 years, male 45.4
GTEX-ZUA1-2626-SM-5NQ92 40-49 years, male 45.4
GTEX-1477Z-0326-SM-7IGLA 60-69 years, male 45.3
GTEX-YF7O-1526-SM-5IFI6 50-59 years, male 45.0
GTEX-1O9I2-0226-SM-EYYXD 50-59 years, male 44.9
GTEX-1LVAO-2726-SM-E9TJ8 60-69 years, male 44.6
GTEX-1M4P7-0726-SM-E6CJ3 60-69 years, male 44.5
GTEX-ZVE1-0726-SM-51MRN 50-59 years, female 44.4
GTEX-U8XE-0226-SM-4E3J3 30-39 years, male 44.3
GTEX-WFG8-2126-SM-3GIKQ 20-29 years, male 44.2
GTEX-1H23P-0626-SM-9WG6T 60-69 years, male 44.2
GTEX-11EM3-1226-SM-5N9DD 20-29 years, female 44.1
GTEX-ZVE2-2826-SM-5GU51 50-59 years, male 44.0
GTEX-14DAQ-0626-SM-793DS 60-69 years, female 43.9
GTEX-1S5ZU-2526-SM-E6CIF 20-29 years, female 43.4
GTEX-17EVQ-0126-SM-7IGLR 70-79 years, male 43.3
GTEX-17JCI-2926-SM-7DUFF 60-69 years, female 43.3
GTEX-ZYFD-0626-SM-5E44E 50-59 years, male 42.8
GTEX-1RAZA-2226-SM-E9U4X 20-29 years, male 42.6
GTEX-1GMR3-0126-SM-A9SLW 40-49 years, male 42.5
GTEX-1J8JJ-0626-SM-ARZMQ 60-69 years, female 42.4
GTEX-14A5H-0826-SM-5QGPJ 60-69 years, male 42.3
GTEX-UPK5-0426-SM-3GAEK 40-49 years, male 42.1
GTEX-14PJ2-0626-SM-6LLII 50-59 years, male 41.6
GTEX-1HSMO-0626-SM-ACKXC 60-69 years, male 41.5
GTEX-1314G-1326-SM-5BC6E 30-39 years, male 41.1
GTEX-11WQK-1026-SM-5EQLX 50-59 years, male 40.9
GTEX-12WSL-2026-SM-5GCML 50-59 years, male 40.5
GTEX-VJYA-1526-SM-3GIJV 60-69 years, male 40.0
GTEX-1QP66-1226-SM-DTX7U 50-59 years, male 37.7
GTEX-1A3MX-2626-SM-7PC24 60-69 years, male 37.3
GTEX-14E6C-2426-SM-5S2NF 40-49 years, male 37.2
GTEX-117YX-1926-SM-5GIEC 50-59 years, male 36.3
GTEX-1CAV2-0126-SM-7IGN7 40-49 years, female 36.2
GTEX-1H3NZ-2726-SM-9WYTQ 60-69 years, male 35.9
GTEX-111FC-2526-SM-5GZXU 60-69 years, male 35.7
GTEX-YB5K-2026-SM-4VDT3 40-49 years, female 35.5
GTEX-1IDJE-1426-SM-ADEIW 50-59 years, female 35.4
GTEX-13JUV-2026-SM-5K7UA 40-49 years, female 35.2
GTEX-1F88E-1626-SM-7SB8Z 60-69 years, female 33.5
GTEX-1LGOU-1326-SM-D3L8M 20-29 years, female 33.4
GTEX-ZAJG-1526-SM-5CVML 50-59 years, female 33.3
GTEX-1A32A-0626-SM-731AQ 50-59 years, female 32.0
GTEX-1I19N-0126-SM-CYPSF 70-79 years, male 31.6
GTEX-1HUB1-1426-SM-CGQF5 60-69 years, male 31.3
GTEX-1GZ2Q-0126-SM-9WG6M 40-49 years, male 30.0
GTEX-1F6IF-0926-SM-7SB7M 60-69 years, male 29.3
GTEX-1GF9U-2026-SM-7SB92 40-49 years, female 26.7
GTEX-1L5NE-1126-SM-D3L9P 50-59 years, male 22.0
GTEX-1399R-1326-SM-5PNYS 30-39 years, male 20.4
GTEX-ZVTK-0226-SM-51MRG 20-29 years, male 19.7
GTEX-1F75W-2726-SM-7SB8H 60-69 years, male 19.7
Show allShow less
Skin - Sun Exposed (Lower leg)
Average nTPM: 85.3
Samples: 701

Max nTPM: 274.8
Min nTPM: 2.8
Std nTPM: 38.3
Median nTPM: 80.6
GTEX-1R9PM-2026-SM-E76OY 20-29 years, male 274.8
GTEX-P4QT-0126-SM-2I3FL 50-59 years, female 245.8
GTEX-XUZC-1726-SM-4BRWS 30-39 years, female 231.5
GTEX-13FTW-2626-SM-5K7WL 40-49 years, male 225.4
GTEX-PSDG-0226-SM-DKPOZ 50-59 years, male 215.7
GTEX-T6MN-0126-SM-32PLP 50-59 years, male 213.6
GTEX-17JCI-0126-SM-7LG5G 60-69 years, female 212.4
GTEX-ZGAY-0526-SM-4WWBB 40-49 years, female 211.5
GTEX-1JMLX-0226-SM-CM2RO 50-59 years, male 208.3
GTEX-1KANC-1526-SM-D3LAB 50-59 years, female 205.0
GTEX-ZXES-1826-SM-5E43S 30-39 years, female 197.0
GTEX-POMQ-2226-SM-2I5FK 20-29 years, female 196.7
GTEX-13111-1626-SM-5EGJY 50-59 years, male 194.2
GTEX-Y3IK-2426-SM-4WWDU 50-59 years, female 191.6
GTEX-OIZH-0126-SM-2HMIS 50-59 years, male 189.5
GTEX-PX3G-0126-SM-2I3EN 20-29 years, female 187.5
GTEX-18D9A-1926-SM-7LG6P 30-39 years, female 182.4
GTEX-1QP9N-1426-SM-DTXFL 30-39 years, male 178.3
GTEX-13FXS-0226-SM-5IJCK 50-59 years, male 176.6
GTEX-11DXZ-2326-SM-5EGGV 50-59 years, male 171.8
GTEX-1LG7Z-1726-SM-D3LA4 30-39 years, male 170.5
GTEX-1I1GV-0526-SM-A9G29 60-69 years, male 168.5
GTEX-YB5E-2026-SM-5IFIS 40-49 years, male 168.2
GTEX-1PIIG-0226-SM-EWRN6 30-39 years, male 168.1
GTEX-ZVTK-0426-SM-51MRS 20-29 years, male 167.6
GTEX-1122O-2126-SM-5EGIR 60-69 years, female 163.6
GTEX-1OJC3-0126-SM-E76QX 20-29 years, male 163.6
GTEX-NFK9-0226-SM-2HMKQ 40-49 years, male 162.2
GTEX-111FC-0126-SM-5N9DL 60-69 years, male 161.5
GTEX-WYJK-0126-SM-3NMAB 50-59 years, male 160.8
GTEX-15ETS-0126-SM-7KUMW 40-49 years, female 159.1
GTEX-ZV68-0126-SM-59HKS 50-59 years, female 156.2
GTEX-11DYG-0126-SM-59883 60-69 years, male 155.1
GTEX-X88G-0126-SM-47JZ3 30-39 years, male 154.2
GTEX-1JJEA-0326-SM-CNPOT 60-69 years, male 152.7
GTEX-1EMGI-0126-SM-9KNUE 60-69 years, male 152.4
GTEX-117XS-2726-SM-5N9BL 60-69 years, male 151.8
GTEX-1K2DA-1826-SM-CGQGT 50-59 years, male 150.5
GTEX-1I1GT-0626-SM-CGQER 60-69 years, female 150.3
GTEX-1399R-2726-SM-5IJBA 30-39 years, male 150.1
GTEX-SUCS-1926-SM-32PM3 70-79 years, male 149.9
GTEX-XBEW-0626-SM-4QASP 40-49 years, male 149.9
GTEX-OIZG-0726-SM-33HBL 50-59 years, male 149.1
GTEX-1MA7W-2026-SM-E9TJ6 20-29 years, female 148.2
GTEX-ZTX8-1426-SM-5DUVO 20-29 years, male 147.3
GTEX-1KXAM-2226-SM-CYPTC 60-69 years, male 147.2
GTEX-1JMPY-1326-SM-ARL8Y 30-39 years, male 147.0
GTEX-1S83E-0126-SM-EWRO4 40-49 years, male 146.2
GTEX-Y8DK-0126-SM-4TT3L 60-69 years, male 145.2
GTEX-15RIG-0226-SM-7KFTL 40-49 years, male 145.0
GTEX-W5X1-3026-SM-EAZAX 40-49 years, female 144.9
GTEX-UJHI-1526-SM-3DB99 50-59 years, female 143.7
GTEX-1399U-2326-SM-5K7WY 50-59 years, female 143.5
GTEX-YB5K-2126-SM-4WWDJ 40-49 years, female 141.9
GTEX-17GQL-2026-SM-718BA 60-69 years, male 140.5
GTEX-Y114-2426-SM-4TT8A 50-59 years, female 140.5
GTEX-U412-0426-SM-3DB9O 60-69 years, male 140.2
GTEX-T5JW-1626-SM-3GADZ 20-29 years, female 140.1
GTEX-14PHX-2326-SM-62LEM 50-59 years, male 139.4
GTEX-14PII-0226-SM-6EU1T 60-69 years, male 139.2
GTEX-1C475-1826-SM-73KWA 40-49 years, female 137.9
GTEX-1MJK2-0426-SM-DTXE5 50-59 years, male 137.8
GTEX-145MN-2226-SM-5SIAU 30-39 years, male 137.6
GTEX-OOBJ-0126-SM-E6CJW 60-69 years, male 137.5
GTEX-ZF2S-2326-SM-4WWCE 50-59 years, female 136.6
GTEX-1B8SF-1426-SM-7DUGL 60-69 years, male 136.2
GTEX-1EWIQ-0126-SM-7RHH2 70-79 years, female 135.6
GTEX-15ER7-0326-SM-7KUEV 20-29 years, female 135.5
GTEX-YJ89-0126-SM-4TT3X 60-69 years, male 135.2
GTEX-1CAV2-2226-SM-7P8P2 40-49 years, female 135.2
GTEX-1CB4I-0226-SM-79OLH 50-59 years, male 135.0
GTEX-13NZB-2526-SM-5J1OM 30-39 years, male 134.6
GTEX-1313W-0126-SM-5LZUN 50-59 years, female 132.5
GTEX-1GN1U-0126-SM-7PBZK 50-59 years, female 132.4
GTEX-14JG1-0426-SM-6ETZZ 40-49 years, male 132.3
GTEX-TML8-1926-SM-32QOS 40-49 years, female 132.2
GTEX-ZTSS-1926-SM-57WEW 40-49 years, male 131.8
GTEX-ZWKS-0126-SM-5SIAA 30-39 years, male 131.4
GTEX-1PPH8-0226-SM-E8VND 20-29 years, male 131.0
GTEX-1QCLY-0326-SM-E8VOG 30-39 years, male 130.9
GTEX-13FHP-0126-SM-5IJBG 50-59 years, male 130.7
GTEX-1PFEY-1526-SM-E76PP 30-39 years, male 130.3
GTEX-1BAJH-0526-SM-793CQ 70-79 years, male 128.4
GTEX-1HSKV-0226-SM-A9SKJ 60-69 years, male 128.2
GTEX-1J8QM-2126-SM-CYPSJ 60-69 years, female 128.2
GTEX-1IL2U-0226-SM-CE6T8 60-69 years, male 127.2
GTEX-1GF9V-0326-SM-7RHI5 60-69 years, male 126.8
GTEX-1F5PL-0326-SM-7P8PQ 40-49 years, female 125.9
GTEX-15F5U-1526-SM-6PANO 40-49 years, male 125.5
GTEX-ZYT6-0226-SM-5NQ6T 30-39 years, male 124.9
GTEX-ZVT2-2526-SM-51MT1 50-59 years, female 124.8
GTEX-139UW-2826-SM-5L3E7 60-69 years, male 124.5
GTEX-1J8EW-0126-SM-CJI4F 60-69 years, female 124.1
GTEX-1LB8K-0226-SM-EWRNW 50-59 years, male 124.0
GTEX-1H4P4-0726-SM-9YFLR 50-59 years, male 123.8
GTEX-O5YW-0126-SM-3LK6D 50-59 years, male 123.6
GTEX-1PDJ9-0326-SM-DTX95 20-29 years, male 123.5
GTEX-14753-0426-SM-5NQAM 60-69 years, male 123.4
GTEX-XPVG-2626-SM-4B669 50-59 years, male 123.3
GTEX-Y8E4-0626-SM-4WWDL 40-49 years, male 123.3
GTEX-Y5V5-2326-SM-4V6GA 60-69 years, female 123.1
GTEX-S95S-1226-SM-4GICG 60-69 years, male 122.8
GTEX-1LVAN-0226-SM-COH3S 50-59 years, female 122.0
GTEX-Z93S-0126-SM-5HL7M 50-59 years, male 120.6
GTEX-13NYB-2526-SM-5K7Z6 40-49 years, male 120.5
GTEX-1CB4E-2226-SM-793DC 60-69 years, male 120.3
GTEX-1I4MK-2226-SM-ACKWD 50-59 years, female 120.2
GTEX-1C4CL-0526-SM-73KVK 30-39 years, male 119.8
GTEX-1R7EU-0226-SM-EVR4G 60-69 years, male 119.5
GTEX-1LBAC-0126-SM-DIPEZ 20-29 years, male 119.4
GTEX-1PIGE-0126-SM-EVYBJ 20-29 years, male 119.2
GTEX-131YS-0126-SM-5KM1M 60-69 years, female 118.9
GTEX-1J1OQ-0226-SM-CYPSH 40-49 years, female 118.0
GTEX-WFON-2126-SM-3LK7O 40-49 years, male 117.9
GTEX-1B8KE-2126-SM-73KYX 50-59 years, male 117.1
GTEX-1H1CY-2826-SM-9MQM3 60-69 years, female 117.1
GTEX-1S3DN-2226-SM-EVYCD 50-59 years, male 116.5
GTEX-1IDJH-0326-SM-A9SLQ 70-79 years, male 116.3
GTEX-1KANA-0726-SM-D3L9I 20-29 years, male 116.3
GTEX-18QFQ-0126-SM-731BE 30-39 years, male 116.2
GTEX-1C64N-0126-SM-793D7 50-59 years, male 116.0
GTEX-ZPIC-1726-SM-DHXIU 40-49 years, female 115.9
GTEX-1HSGN-0226-SM-CGQFV 40-49 years, female 115.7
GTEX-ZYFC-0226-SM-5NQ75 50-59 years, male 115.6
GTEX-ZDTT-2726-SM-4WKF8 60-69 years, male 115.5
GTEX-1KAFJ-2026-SM-CY8ID 50-59 years, male 115.4
GTEX-1KD4Q-0226-SM-E9TJ9 40-49 years, male 115.3
GTEX-11EQ9-2426-SM-5HL5T 30-39 years, male 114.6
GTEX-1269C-2526-SM-5EGJ3 60-69 years, female 114.2
GTEX-TKQ1-1026-SM-4GICL 30-39 years, male 114.2
GTEX-WQUQ-0426-SM-3MJFU 60-69 years, male 114.1
GTEX-12WSJ-1826-SM-5GCNY 40-49 years, female 113.8
GTEX-1JN6P-0126-SM-D3L98 60-69 years, male 113.6
GTEX-1S5ZA-0126-SM-EVYCV 20-29 years, male 113.2
GTEX-14BMU-2226-SM-5TDE9 20-29 years, female 113.1
GTEX-1OFPY-2426-SM-DTXEJ 60-69 years, male 113.1
GTEX-1B97I-1626-SM-73KYO 40-49 years, male 112.8
GTEX-139TS-2826-SM-5J1OO 60-69 years, male 112.7
GTEX-1GF9X-2026-SM-7PC3A 40-49 years, female 112.7
GTEX-15SB6-1726-SM-6PAME 50-59 years, female 112.6
GTEX-13OVK-2026-SM-7KUEO 40-49 years, male 112.4
GTEX-1M5QR-1226-SM-EWROB 40-49 years, male 111.7
GTEX-Y111-0126-SM-4SOIV 50-59 years, male 111.5
GTEX-U8T8-0126-SM-3DB94 60-69 years, male 111.4
GTEX-16GPK-0126-SM-7DHLE 60-69 years, male 111.0
GTEX-ZVZP-2426-SM-59HKJ 50-59 years, male 111.0
GTEX-1NV5F-0226-SM-E8VNY 60-69 years, female 111.0
GTEX-17F98-0626-SM-79OMX 40-49 years, female 110.9
GTEX-1AX9J-0226-SM-73KXM 60-69 years, male 110.6
GTEX-1IOXB-0126-SM-ARL8G 50-59 years, male 110.4
GTEX-17KNJ-2326-SM-7DHLQ 50-59 years, male 109.1
GTEX-ZVZO-0126-SM-5A5L9 40-49 years, male 108.9
GTEX-1F6RS-0126-SM-9MQKZ 60-69 years, female 108.7
GTEX-P4PP-0126-SM-3LK69 30-39 years, female 108.6
GTEX-S33H-1026-SM-EZ6L6 30-39 years, male 108.6
GTEX-ZYFG-2326-SM-5E44B 60-69 years, female 108.0
GTEX-S7SE-0126-SM-2XCD5 50-59 years, male 107.4
GTEX-QV44-1926-SM-2S1RF 50-59 years, male 107.2
GTEX-18A6Q-0126-SM-731BZ 60-69 years, male 106.7
GTEX-1HCU9-1526-SM-A9SL7 20-29 years, male 106.6
GTEX-1LGRB-2526-SM-CNPPQ 50-59 years, female 106.6
GTEX-131XE-2326-SM-5PNZ2 50-59 years, male 106.5
GTEX-ZDTS-0126-SM-4WAY5 60-69 years, male 106.5
GTEX-W5WG-1826-SM-4KL2Y 50-59 years, female 106.4
GTEX-13OW5-0126-SM-DTXFS 60-69 years, male 106.2
GTEX-X8HC-0126-SM-4E3JW 50-59 years, female 105.7
GTEX-Z93T-0126-SM-5HL5N 50-59 years, male 105.7
GTEX-12WSE-0526-SM-793B2 20-29 years, male 105.6
GTEX-17EVP-0326-SM-7DHLG 40-49 years, male 105.2
GTEX-13X6J-0126-SM-5QGOU 50-59 years, male 105.0
GTEX-18D9U-0226-SM-718BP 40-49 years, male 105.0
GTEX-18A67-0126-SM-7LG5P 50-59 years, male 104.7
GTEX-O5YT-0126-SM-48TBW 20-29 years, male 104.6
GTEX-1GN2E-0426-SM-9MQKX 60-69 years, male 104.6
GTEX-1GPI7-0126-SM-9MQL8 20-29 years, male 104.4
GTEX-RTLS-0126-SM-447CA 60-69 years, female 104.1
GTEX-11EI6-0126-SM-5985R 60-69 years, male 103.7
GTEX-14E6D-0126-SM-62LDV 50-59 years, male 103.7
GTEX-13CF2-2526-SM-5LZYX 60-69 years, male 103.5
GTEX-1GZHY-0326-SM-9QEHI 50-59 years, female 103.5
GTEX-132NY-0326-SM-5IJBL 60-69 years, male 103.3
GTEX-1CB4F-0426-SM-9KNV4 60-69 years, male 103.3
GTEX-ZE9C-2726-SM-57WB5 60-69 years, male 103.2
GTEX-ZV6S-2326-SM-4YCEY 40-49 years, female 103.2
GTEX-13OVH-0126-SM-5MR4B 70-79 years, male 103.1
GTEX-12ZZZ-0626-SM-5DUXI 60-69 years, male 102.5
GTEX-T8EM-1026-SM-3DB7M 40-49 years, male 102.5
GTEX-1JMQJ-0526-SM-CYPSU 50-59 years, male 102.4
GTEX-ZZ64-1726-SM-5GZYB 20-29 years, male 102.3
GTEX-T2IS-0126-SM-4DM6O 20-29 years, female 102.2
GTEX-1JMQI-2226-SM-CM2SD 50-59 years, male 102.0
GTEX-X4XX-0126-SM-3NMC2 60-69 years, male 101.9
GTEX-1HCUA-2426-SM-ADEIS 50-59 years, female 101.6
GTEX-SIU8-0126-SM-2XCDT 50-59 years, male 101.5
GTEX-146FQ-0126-SM-5NQA9 30-39 years, male 101.3
GTEX-1497J-2426-SM-7IGNX 60-69 years, male 101.2
GTEX-131XF-5016-SM-7MGWE 60-69 years, male 100.8
GTEX-1LSNM-1926-SM-E6CII 50-59 years, male 100.8
GTEX-ZAK1-0126-SM-5IJD3 50-59 years, female 100.5
GTEX-1KWVE-1426-SM-E9TJO 30-39 years, male 100.5
GTEX-15SHU-0126-SM-7KUEH 40-49 years, female 100.4
GTEX-17F96-1626-SM-7DUFL 70-79 years, male 100.3
GTEX-1CB4H-0226-SM-7PBXM 60-69 years, female 100.3
GTEX-1B8L1-2526-SM-9WYTF 60-69 years, male 99.5
GTEX-1JMQL-0226-SM-CNPP5 50-59 years, female 99.5
GTEX-1212Z-2526-SM-5EGKP 60-69 years, male 99.3
GTEX-ZYFD-0126-SM-5GIDL 50-59 years, male 99.1
GTEX-14PJ6-2126-SM-6EU1V 60-69 years, female 99.0
GTEX-1H1DG-0126-SM-9WYU2 70-79 years, male 98.9
GTEX-139D8-0226-SM-5KLZO 30-39 years, female 98.8
GTEX-13JUV-2726-SM-5LZZ8 40-49 years, female 98.8
GTEX-14ICK-0226-SM-6EU25 40-49 years, male 98.8
GTEX-SNMC-1226-SM-2XCFP 20-29 years, male 98.8
GTEX-1HCU8-0626-SM-A9SM9 60-69 years, female 98.8
GTEX-11ZTS-0126-SM-5EQ6M 60-69 years, female 98.7
GTEX-XQ3S-1526-SM-4BOOC 20-29 years, male 98.6
GTEX-12696-2426-SM-5EQ6H 60-69 years, male 98.5
GTEX-12ZZY-0226-SM-5LZVE 60-69 years, male 98.4
GTEX-1H11D-0226-SM-9WG6Z 40-49 years, male 98.4
GTEX-12ZZX-0126-SM-5EGK9 40-49 years, female 98.1
GTEX-1E2YA-0126-SM-9KNUC 50-59 years, male 97.5
GTEX-17EUY-0426-SM-793BD 20-29 years, male 97.4
GTEX-1GZ4H-1726-SM-7PBZJ 50-59 years, female 97.4
GTEX-ZF3C-0126-SM-DO92D 50-59 years, female 97.1
GTEX-13PVR-2326-SM-5QGR1 60-69 years, female 96.7
GTEX-1399T-2826-SM-5KLYZ 60-69 years, male 96.6
GTEX-1HCU7-0226-SM-CL545 50-59 years, male 96.3
GTEX-OXRN-0126-SM-48TDM 50-59 years, male 95.6
GTEX-1JMPZ-0226-SM-CNPP1 30-39 years, male 95.6
GTEX-12WSK-2326-SM-5GCOH 40-49 years, female 95.5
GTEX-13VXU-0126-SM-5SI9F 50-59 years, male 95.3
GTEX-ZU9S-0226-SM-5E441 30-39 years, male 95.0
GTEX-PLZ6-1426-SM-DKPOT 30-39 years, male 94.9
GTEX-13O21-1426-SM-5K7XI 50-59 years, male 94.8
GTEX-13SLW-0126-SM-5SI6C 70-79 years, male 94.4
GTEX-14LZ3-0226-SM-62LET 60-69 years, female 94.4
GTEX-1JN76-0126-SM-CNPPE 20-29 years, female 94.4
GTEX-1O97I-0326-SM-EYYX7 60-69 years, male 94.4
GTEX-1QPFJ-0226-SM-E76PB 30-39 years, female 94.4
GTEX-1HR98-0126-SM-B2LWI 60-69 years, male 94.2
GTEX-13OW6-0426-SM-5L3HM 50-59 years, male 94.1
GTEX-16NGA-1726-SM-731B4 40-49 years, female 94.1
GTEX-1HBPI-1526-SM-C1YQ1 50-59 years, male 94.1
GTEX-14PN4-0126-SM-6EU2V 50-59 years, male 93.9
GTEX-1IKK5-0626-SM-ARL8A 60-69 years, male 93.7
GTEX-RNOR-0126-SM-E9J4R 50-59 years, female 93.4
GTEX-RM2N-1426-SM-2TF4H 50-59 years, male 93.3
GTEX-1L5NE-2526-SM-E6CIE 50-59 years, male 93.2
GTEX-RVPV-0126-SM-EAZAW 60-69 years, male 93.2
GTEX-131XH-2226-SM-5DUXJ 50-59 years, male 93.0
GTEX-PVOW-0126-SM-2XCFA 40-49 years, male 93.0
GTEX-1QP66-1726-SM-E8VO1 50-59 years, male 92.9
GTEX-PWCY-1826-SM-DHXIZ 20-29 years, female 92.8
GTEX-1C6VR-2426-SM-79OLD 60-69 years, male 92.7
GTEX-RWSA-0126-SM-2XCBB 40-49 years, male 92.7
GTEX-12126-0326-SM-5PNW3 20-29 years, male 92.5
GTEX-17MFQ-1726-SM-793C7 20-29 years, male 92.5
GTEX-TMMY-0226-SM-33HBA 40-49 years, female 92.5
GTEX-ZDYS-2026-SM-5HL5L 50-59 years, male 92.4
GTEX-17HG3-2226-SM-7938L 30-39 years, female 92.2
GTEX-13CF3-2426-SM-5IFGX 60-69 years, female 92.1
GTEX-13PDP-0126-SM-5L3HD 60-69 years, male 92.1
GTEX-1JJ6O-0126-SM-E6CI8 60-69 years, male 92.0
GTEX-X261-0126-SM-3NMD6 50-59 years, male 91.9
GTEX-1HSEH-0126-SM-ACKXN 60-69 years, male 91.9
GTEX-QESD-1426-SM-2S1R9 20-29 years, male 91.6
GTEX-1CB4G-0226-SM-7PC3O 60-69 years, male 91.5
GTEX-WRHK-1426-SM-3MJF9 20-29 years, female 91.4
GTEX-145ME-1826-SM-5SI9G 40-49 years, female 91.3
GTEX-RU72-0926-SM-2TF6B 50-59 years, female 91.1
GTEX-1HGF4-2426-SM-ACKXM 60-69 years, male 91.1
GTEX-13RTK-1426-SM-5QGQJ 20-29 years, male 91.0
GTEX-14PJM-0226-SM-62LF1 50-59 years, female 90.6
GTEX-X4EO-0326-SM-3P5YO 60-69 years, female 90.5
GTEX-13112-2826-SM-5DUWH 50-59 years, male 90.4
GTEX-14BIN-0626-SM-793DP 50-59 years, female 90.4
GTEX-1HFI6-0226-SM-ADEHZ 40-49 years, male 90.4
GTEX-12C56-1726-SM-5EQ61 20-29 years, male 90.3
GTEX-144GL-0126-SM-5TDE2 50-59 years, male 90.0
GTEX-1GMR3-1926-SM-9KNUZ 40-49 years, male 90.0
GTEX-1K2DU-2326-SM-E9TIV 20-29 years, male 90.0
GTEX-ZQG8-1626-SM-DHXIT 60-69 years, female 90.0
GTEX-14A5H-0426-SM-5QGQF 60-69 years, male 89.8
GTEX-1MGNQ-0126-SM-EVYCJ 40-49 years, male 89.0
GTEX-18A7A-0226-SM-718BH 50-59 years, female 88.9
GTEX-1F6IF-0726-SM-7P8TW 60-69 years, male 88.6
GTEX-1HT8W-0126-SM-CNPPP 30-39 years, male 88.6
GTEX-1RDX4-0126-SM-E9J4P 50-59 years, female 88.5
GTEX-11XUK-2026-SM-5EQLF 40-49 years, female 88.4
GTEX-13FTY-0526-SM-5L3EV 40-49 years, female 88.2
GTEX-12WSC-0126-SM-5EQ4P 50-59 years, male 87.9
GTEX-13D11-2426-SM-5KM1V 50-59 years, female 87.9
GTEX-WFG8-2226-SM-3GIL9 20-29 years, male 87.9
GTEX-15EU6-0426-SM-6PAN5 50-59 years, male 87.8
GTEX-XUYS-0126-SM-47JWZ 50-59 years, male 87.7
GTEX-133LE-1826-SM-5J1MV 20-29 years, female 87.6
GTEX-OHPL-0126-SM-2HMJ7 60-69 years, female 87.6
GTEX-18A66-0226-SM-718BD 60-69 years, male 87.4
GTEX-13G51-2526-SM-5LZYK 60-69 years, male 87.2
GTEX-1J1R8-1726-SM-ARL8M 40-49 years, male 87.1
GTEX-144FL-0126-SM-5TDC8 50-59 years, male 87.0
GTEX-XAJ8-0826-SM-47JY6 40-49 years, male 86.9
GTEX-1I6K6-0126-SM-A9SLE 30-39 years, male 86.8
GTEX-13YAN-0326-SM-5O9DF 60-69 years, male 86.5
GTEX-ZXG5-0126-SM-5GIEU 60-69 years, male 86.3
GTEX-1GF9W-0326-SM-9KNUN 60-69 years, male 85.9
GTEX-1J8JJ-0226-SM-CL53I 60-69 years, female 85.6
GTEX-1QAET-0926-SM-E76QM 50-59 years, male 85.6
GTEX-QVJO-1626-SM-2S1QW 60-69 years, female 85.4
GTEX-1JKYR-0126-SM-CNPOJ 20-29 years, male 85.1
GTEX-11P7K-2126-SM-5GU7G 30-39 years, male 85.0
GTEX-1MCQQ-0826-SM-DLHC2 60-69 years, male 84.8
GTEX-1GMRU-0126-SM-9YFLV 50-59 years, male 84.5
GTEX-12WSG-2826-SM-E9J4H 50-59 years, female 84.4
GTEX-145MF-0626-SM-5LUAI 50-59 years, male 84.2
GTEX-ZF29-2326-SM-DO92K 60-69 years, female 84.2
GTEX-1S82Y-2026-SM-EVYCM 40-49 years, male 84.1
GTEX-145LS-0126-SM-5QGP1 60-69 years, female 84.0
GTEX-UPJH-0326-SM-3GADU 50-59 years, male 84.0
GTEX-WH7G-2326-SM-3NMBC 40-49 years, male 83.9
GTEX-1QMI2-0226-SM-EVYBX 60-69 years, male 83.9
GTEX-145LV-2126-SM-5LU8N 50-59 years, male 83.8
GTEX-1MUQO-0126-SM-EAZ58 60-69 years, male 83.8
GTEX-SN8G-0126-SM-32PLI 50-59 years, female 83.5
GTEX-U8XE-0326-SM-3DB8P 30-39 years, male 83.5
GTEX-ZQUD-1426-SM-57WER 30-39 years, male 83.3
GTEX-T2YK-0526-SM-32QPJ 50-59 years, male 83.2
GTEX-148VI-1626-SM-5SI6E 60-69 years, female 82.8
GTEX-13IVO-0126-SM-5J1NG 70-79 years, male 82.7
GTEX-11UD1-0126-SM-5PNYG 40-49 years, female 82.6
GTEX-13OW8-1326-SM-5J1OW 60-69 years, male 82.6
GTEX-X585-0226-SM-4QAS2 50-59 years, male 82.5
GTEX-1RB15-2126-SM-E9TIM 60-69 years, male 82.5
GTEX-1HB9E-0226-SM-E9U4R 50-59 years, male 82.4
GTEX-OHPM-0126-SM-2YUN9 50-59 years, male 82.3
GTEX-1I1GR-0126-SM-CL55F 60-69 years, male 82.3
GTEX-X5EB-2226-SM-46MW4 40-49 years, male 82.0
GTEX-QCQG-1726-SM-3GIJ9 50-59 years, female 81.9
GTEX-1HCU6-0126-SM-CL54K 60-69 years, female 81.9
GTEX-1IKJJ-0126-SM-CNPQB 60-69 years, male 81.8
GTEX-139TU-0126-SM-5K7WH 60-69 years, male 81.3
GTEX-145MO-0326-SM-5Q5B3 60-69 years, male 81.3
GTEX-1GL5R-1826-SM-9KNUY 50-59 years, male 81.3
GTEX-YEC4-2126-SM-5IFJH 40-49 years, male 81.2
GTEX-12KS4-0326-SM-5EQ41 30-39 years, male 81.0
GTEX-1C2JI-1826-SM-73KXC 50-59 years, male 81.0
GTEX-WZTO-0126-SM-3NM95 40-49 years, male 80.9
GTEX-1H3VE-0326-SM-9YFLH 40-49 years, male 80.9
GTEX-1192W-2626-SM-5Q5AF 60-69 years, male 80.8
GTEX-WXYG-2326-SM-4E3I6 50-59 years, female 80.7
GTEX-11P81-2326-SM-59875 30-39 years, female 80.6
GTEX-1CAMQ-0226-SM-7IGPK 40-49 years, male 80.5
GTEX-1I1GQ-0126-SM-COH3H 50-59 years, male 80.5
GTEX-11EM3-2426-SM-59861 20-29 years, female 80.2
GTEX-13OVJ-0126-SM-5KM36 50-59 years, female 80.0
GTEX-145LU-0126-SM-5TDCB 50-59 years, male 79.8
GTEX-14JG6-2226-SM-6EU2G 30-39 years, female 79.8
GTEX-XXEK-2226-SM-4BRUM 50-59 years, male 79.8
GTEX-X4EP-0126-SM-3P5YV 60-69 years, female 79.6
GTEX-R3RS-0126-SM-3GIJL 40-49 years, female 79.5
GTEX-XBED-2226-SM-47JYQ 60-69 years, male 79.4
GTEX-QEG4-0226-SM-2S1PY 30-39 years, male 79.3
GTEX-YFC4-0126-SM-5CVLY 40-49 years, female 79.3
GTEX-11OF3-2626-SM-5GU7F 60-69 years, male 79.2
GTEX-T6MO-1626-SM-32QOM 40-49 years, female 78.9
GTEX-1LGOU-2026-SM-DIPFF 20-29 years, female 78.7
GTEX-11NSD-2226-SM-5986V 20-29 years, male 78.6
GTEX-1IDJU-2626-SM-CM2RT 60-69 years, female 78.6
GTEX-11UD2-0226-SM-5EQKY 50-59 years, male 78.5
GTEX-13FHO-0226-SM-5IFGY 60-69 years, male 78.3
GTEX-1GN73-0226-SM-9WG67 60-69 years, male 78.1
GTEX-14A5I-0126-SM-5TDEA 50-59 years, female 78.0
GTEX-16AAH-1726-SM-7939C 50-59 years, male 78.0
GTEX-13O3Q-2426-SM-5IJBR 50-59 years, male 77.8
GTEX-1IDJF-0126-SM-CM2RS 20-29 years, male 77.7
GTEX-1RAZA-0126-SM-E6CI3 20-29 years, male 77.7
GTEX-TMZS-0126-SM-3DB9Q 60-69 years, male 77.6
GTEX-17HHY-0126-SM-7LG5D 50-59 years, male 77.5
GTEX-111VG-2426-SM-5GZXD 60-69 years, male 77.4
GTEX-1ICG6-2526-SM-CGQFZ 70-79 years, female 77.3
GTEX-1JMQK-0226-SM-CL543 60-69 years, male 77.3
GTEX-1HBPN-0226-SM-9YFM1 50-59 years, male 77.2
GTEX-11DXW-0226-SM-5H122 40-49 years, male 77.0
GTEX-17F97-0326-SM-7LG5B 50-59 years, male 77.0
GTEX-1A3MV-1926-SM-718BT 30-39 years, male 77.0
GTEX-1F75A-0126-SM-7RHGM 50-59 years, male 76.9
GTEX-1211K-2026-SM-5EQ4Z 60-69 years, female 76.8
GTEX-14DAR-2026-SM-5S2O3 50-59 years, male 76.8
GTEX-SJXC-0126-SM-2XCFF 60-69 years, male 76.8
GTEX-13N2G-2626-SM-5J1OT 60-69 years, male 76.6
GTEX-14BMV-0126-SM-5S2PO 50-59 years, male 76.6
GTEX-Y5LM-1926-SM-5RQJH 40-49 years, female 76.5
GTEX-131XG-2626-SM-5KM17 50-59 years, female 76.3
GTEX-145LT-1726-SM-5QGP3 40-49 years, male 76.2
GTEX-18465-0126-SM-731BN 50-59 years, male 76.2
GTEX-1192X-0226-SM-5H12D 50-59 years, male 76.1
GTEX-117YW-2626-SM-5GZZH 50-59 years, male 75.1
GTEX-13O3P-0126-SM-5KM4S 50-59 years, male 75.1
GTEX-18A7B-0126-SM-7LG64 70-79 years, male 75.0
GTEX-1CAMS-0426-SM-7P8T2 40-49 years, female 74.8
GTEX-U3ZN-2326-SM-3DB7W 30-39 years, female 74.7
GTEX-VUSG-2526-SM-4KL1V 50-59 years, male 74.7
GTEX-1HFI7-1826-SM-ACKXH 50-59 years, female 74.6
GTEX-ZAB5-1826-SM-5HL7C 50-59 years, male 74.5
GTEX-ZAJG-0126-SM-5HL94 50-59 years, female 74.4
GTEX-1F6I4-0126-SM-9MQL2 60-69 years, male 74.4
GTEX-1R9K4-0126-SM-DTX9X 60-69 years, male 74.4
GTEX-1AMFI-2026-SM-731BH 50-59 years, female 74.3
GTEX-WYVS-2126-SM-3NMA3 40-49 years, female 74.2
GTEX-11GS4-2726-SM-5A5LE 60-69 years, male 74.1
GTEX-13113-5016-SM-7EPIP 60-69 years, female 73.8
GTEX-WY7C-2326-SM-3NB2U 50-59 years, male 73.6
GTEX-1EX96-1626-SM-7PBXR 50-59 years, male 73.4
GTEX-1B8SG-0126-SM-73KZ3 50-59 years, male 73.2
GTEX-XQ8I-0426-SM-4BOPO 50-59 years, male 73.1
GTEX-1HCVE-0126-SM-CGQEU 50-59 years, male 73.1
GTEX-13S7M-0126-SM-5SI6A 60-69 years, female 72.9
GTEX-Q2AI-1326-SM-2S1PL 40-49 years, male 72.9
GTEX-11GSO-2426-SM-5A5LY 60-69 years, male 72.6
GTEX-RWS6-2026-SM-2XCB5 60-69 years, female 72.6
GTEX-Y5V6-2426-SM-4VDSB 60-69 years, male 72.1
GTEX-ZVT4-0126-SM-DTXFN 50-59 years, female 72.1
GTEX-XYKS-2126-SM-4E3IB 60-69 years, female 71.9
GTEX-1F75B-0126-SM-9KNVL 50-59 years, male 71.9
GTEX-1128S-2326-SM-5GZZY 60-69 years, female 71.8
GTEX-1K9T9-0126-SM-EVYCF 50-59 years, female 71.8
GTEX-13NZ8-0826-SM-5MR3I 60-69 years, female 71.7
GTEX-13X6H-2126-SM-7EWD5 50-59 years, female 71.6
GTEX-15DDE-0126-SM-6LPKH 50-59 years, female 71.5
GTEX-1CAMR-1926-SM-7EPI2 20-29 years, male 70.9
GTEX-U3ZH-2026-SM-3DB78 30-39 years, male 70.9
GTEX-13O3O-0126-SM-E9J49 60-69 years, female 70.9
GTEX-14E6E-1826-SM-5S2R7 30-39 years, male 70.8
GTEX-1GZ2Q-0226-SM-7P8TL 40-49 years, male 70.7
GTEX-147GR-0526-SM-5S2MY 60-69 years, male 70.6
GTEX-13NYC-0326-SM-E9J4S 60-69 years, male 70.6
GTEX-12WSD-0126-SM-59HKN 60-69 years, female 70.5
GTEX-13RTJ-2426-SM-5S2Q2 60-69 years, male 70.5
GTEX-1RQEC-0426-SM-E6CHU 60-69 years, male 70.5
GTEX-PLZ5-2026-SM-2S1O4 50-59 years, male 70.2
GTEX-11TUW-2726-SM-E9J4M 60-69 years, male 70.1
GTEX-1HSMQ-1226-SM-CGQFX 50-59 years, male 70.1
GTEX-1C6VQ-0126-SM-7P8RI 50-59 years, male 70.0
GTEX-13QJ3-0326-SM-5S2RA 50-59 years, male 69.8
GTEX-14PN3-2426-SM-6LLHS 60-69 years, female 69.8
GTEX-1IL2V-0126-SM-CM2TX 70-79 years, male 69.7
GTEX-13FTX-1826-SM-5J1NX 20-29 years, female 69.6
GTEX-16BQI-0226-SM-7KUEX 30-39 years, female 69.5
GTEX-1AX9I-0126-SM-7SB74 60-69 years, male 69.5
GTEX-WVJS-0126-SM-4MVOT 50-59 years, male 69.4
GTEX-XUW1-0426-SM-4BOOT 50-59 years, female 69.4
GTEX-QDVJ-1726-SM-2I5FX 50-59 years, male 69.3
GTEX-11LCK-1026-SM-5A5KB 30-39 years, male 69.1
GTEX-113JC-2326-SM-5EQ4E 50-59 years, female 69.0
GTEX-1EU9M-0226-SM-7P8SP 60-69 years, male 68.8
GTEX-1B8KZ-2026-SM-7DHMB 50-59 years, male 68.7
GTEX-11GSP-2526-SM-5N9BP 60-69 years, female 68.6
GTEX-14C5O-0126-SM-5SI6N 60-69 years, male 68.5
GTEX-13OVL-0226-SM-5L3E9 50-59 years, male 68.4
GTEX-1N2DW-0226-SM-E9TK2 50-59 years, male 68.4
GTEX-1E1VI-0126-SM-7DHMZ 50-59 years, male 68.3
GTEX-S7PM-0126-SM-4AD6S 60-69 years, male 68.3
GTEX-T5JC-0426-SM-32PLO 20-29 years, male 67.9
GTEX-169BO-1326-SM-9MQK2 50-59 years, male 67.9
GTEX-1EN7A-0126-SM-7SB81 40-49 years, male 67.9
GTEX-1EKGG-0226-SM-9WYTH 60-69 years, male 67.8
GTEX-14XAO-2326-SM-6EU1B 60-69 years, female 67.7
GTEX-S32W-2126-SM-2XCB1 50-59 years, female 67.7
GTEX-1H2FU-0126-SM-9WYSI 60-69 years, female 67.5
GTEX-1R46S-0626-SM-E9J41 60-69 years, female 67.3
GTEX-1IKOH-0226-SM-COH4E 60-69 years, female 67.2
GTEX-1A32A-0126-SM-718B1 50-59 years, female 67.0
GTEX-13NYS-0126-SM-5MR3W 60-69 years, male 66.8
GTEX-VJYA-1126-SM-3GIJU 60-69 years, male 66.8
GTEX-11WQC-2526-SM-5CVLE 60-69 years, male 66.3
GTEX-13NZA-0226-SM-5K7Z7 60-69 years, male 66.3
GTEX-PW2O-1526-SM-7RHHB 20-29 years, male 65.9
GTEX-15G19-0126-SM-6PANQ 60-69 years, male 65.8
GTEX-11DXY-2626-SM-5GIE7 60-69 years, male 65.7
GTEX-183WM-0126-SM-7LTAB 70-79 years, female 65.5
GTEX-15CHC-2126-SM-6EU21 60-69 years, female 65.4
GTEX-15DCD-0126-SM-7KUEK 70-79 years, female 65.3
GTEX-1F52S-0126-SM-9MQJU 60-69 years, female 65.1
GTEX-1POEN-0126-SM-EYYXJ 30-39 years, female 64.9
GTEX-17HHE-2026-SM-79OKF 50-59 years, male 64.7
GTEX-ZE7O-0126-SM-57WC1 50-59 years, female 64.7
GTEX-13SLX-0526-SM-5S2ON 50-59 years, female 64.6
GTEX-1ICLZ-0126-SM-CKZPO 60-69 years, male 64.4
GTEX-1JN1M-0326-SM-CYPT3 60-69 years, female 64.4
GTEX-1QP2A-0126-SM-E9J43 50-59 years, male 64.4
GTEX-12WSA-0226-SM-5BC5V 60-69 years, male 64.2
GTEX-12584-0126-SM-5EGKQ 40-49 years, male 63.8
GTEX-ZAB4-0226-SM-5N9F5 40-49 years, male 63.7
GTEX-1R7EV-2426-SM-EVYBG 40-49 years, male 63.5
GTEX-1F7RK-0126-SM-7PC2S 20-29 years, female 63.4
GTEX-PWO3-1526-SM-48TCM 60-69 years, female 63.3
GTEX-1314G-1526-SM-5EGK2 30-39 years, male 63.2
GTEX-15DYW-0126-SM-7KULE 60-69 years, female 63.2
GTEX-183FY-0126-SM-7LT9P 20-29 years, male 63.1
GTEX-OXRK-0226-SM-3NB2G 50-59 years, female 63.1
GTEX-1GTWX-0126-SM-9YFLK 60-69 years, male 63.1
GTEX-17HII-0226-SM-7LG4E 50-59 years, male 63.0
GTEX-U3ZM-1526-SM-3DB9D 40-49 years, male 63.0
GTEX-16NPX-0226-SM-79OMT 50-59 years, male 62.7
GTEX-1PWST-0226-SM-E76QJ 70-79 years, male 62.5
GTEX-1F88F-2726-SM-7PBZZ 60-69 years, female 62.4
GTEX-13FH7-2026-SM-E9J4I 50-59 years, female 62.1
GTEX-17HGU-0226-SM-7DHKV 50-59 years, male 61.9
GTEX-1S82Z-0826-SM-E6CHY 30-39 years, female 61.9
GTEX-117YX-2326-SM-5H12W 50-59 years, male 61.8
GTEX-1B933-0126-SM-7PC29 50-59 years, female 61.8
GTEX-Q2AG-0126-SM-33HBV 40-49 years, female 61.3
GTEX-1H3O1-0426-SM-9YFKY 60-69 years, male 61.3
GTEX-11DXX-2426-SM-5GZZW 60-69 years, female 61.1
GTEX-13W46-0226-SM-5SIAG 50-59 years, male 61.1
GTEX-14DAQ-0126-SM-5S2MQ 60-69 years, female 61.1
GTEX-1QEPI-0126-SM-EWRMQ 60-69 years, female 60.6
GTEX-QDVN-2026-SM-3GAEP 50-59 years, male 60.5
GTEX-12WSL-2526-SM-5GCNJ 50-59 years, male 60.4
GTEX-1ICLY-0126-SM-D4P36 50-59 years, male 60.2
GTEX-WI4N-1026-SM-3LK7N 40-49 years, female 60.0
GTEX-Y3I4-2126-SM-4TT7C 50-59 years, male 59.8
GTEX-1H3VY-0126-SM-ACKXD 50-59 years, male 59.7
GTEX-ZEX8-2426-SM-4WKG4 50-59 years, male 59.0
GTEX-11VI4-1726-SM-5CVLH 40-49 years, female 58.8
GTEX-1A3MX-0126-SM-731BR 60-69 years, male 58.8
GTEX-1GMR8-0126-SM-9WYTM 50-59 years, female 58.8
GTEX-1LG7Y-0526-SM-DKPQC 50-59 years, male 58.8
GTEX-11OC5-0126-SM-5HL6A 60-69 years, male 58.7
GTEX-148VJ-0126-SM-5TDDN 70-79 years, male 58.7
GTEX-ZVT3-0126-SM-5GU6I 60-69 years, female 58.6
GTEX-14BIM-0226-SM-7IGLD 60-69 years, female 58.5
GTEX-1AX8Z-0126-SM-7DHM6 60-69 years, male 58.4
GTEX-14PJ3-1826-SM-62LEX 50-59 years, male 58.3
GTEX-1B996-0226-SM-7RHGO 60-69 years, male 58.2
GTEX-NPJ8-0126-SM-2YUNR 40-49 years, male 58.1
GTEX-1F5PK-2426-SM-7RHHY 50-59 years, male 58.0
GTEX-OXRP-0126-SM-3NB32 60-69 years, female 57.3
GTEX-15SDE-2226-SM-7IGLO 50-59 years, female 57.2
GTEX-1A8FM-0226-SM-7SB7Q 50-59 years, female 57.2
GTEX-13N11-2526-SM-5K7UE 50-59 years, female 57.1
GTEX-QLQW-1126-SM-2S1Q8 30-39 years, male 57.0
GTEX-131XW-0426-SM-5LZWP 50-59 years, female 56.9
GTEX-16MT8-0426-SM-7KUEY 60-69 years, female 56.8
GTEX-ZY6K-1826-SM-5GZXK 50-59 years, male 56.8
GTEX-1JK1U-2026-SM-CM2RZ 60-69 years, male 56.5
GTEX-13OVG-1926-SM-5L3DK 60-69 years, male 55.8
GTEX-ZC5H-0226-SM-4WAY9 40-49 years, female 55.7
GTEX-1IGQW-0126-SM-COH42 60-69 years, male 55.6
GTEX-14E6C-0126-SM-5RQIP 40-49 years, male 55.5
GTEX-Z9EW-1626-SM-5CVMN 40-49 years, male 55.3
GTEX-139TT-0126-SM-5K7Y5 60-69 years, male 55.2
GTEX-18D9B-0526-SM-7LTAS 60-69 years, male 55.2
GTEX-147F3-0526-SM-5SI98 50-59 years, female 55.1
GTEX-Y8LW-1826-SM-5S2MV 50-59 years, female 55.1
GTEX-16YQH-0126-SM-7DUFJ 30-39 years, male 55.0
GTEX-145MI-0526-SM-5O9A8 60-69 years, female 54.6
GTEX-11NUK-0126-SM-5A5L3 50-59 years, male 54.4
GTEX-13N1W-0126-SM-5K7VT 70-79 years, male 54.3
GTEX-1J8Q2-0526-SM-CM2RW 60-69 years, male 54.1
GTEX-1N2EF-0226-SM-EYYXB 60-69 years, male 54.0
GTEX-1I1GP-2226-SM-CGQFK 50-59 years, male 53.8
GTEX-1LH75-2426-SM-E9TJE 50-59 years, female 53.8
GTEX-OOBK-0126-SM-2YUND 40-49 years, male 53.7
GTEX-11ZVC-2526-SM-5FQTE 50-59 years, female 53.5
GTEX-15UKP-0426-SM-7KUFQ 20-29 years, male 53.4
GTEX-1GF9U-2126-SM-7SB7L 40-49 years, female 53.3
GTEX-11ZU8-2526-SM-5EQKI 60-69 years, male 53.2
GTEX-11DZ1-0126-SM-5985Q 50-59 years, male 52.9
GTEX-1JKYN-1326-SM-CGQG9 30-39 years, male 52.9
GTEX-13U4I-0126-SM-5LU38 40-49 years, female 52.8
GTEX-14LLW-0126-SM-6LLIO 70-79 years, female 52.8
GTEX-16XZZ-0126-SM-793DV 60-69 years, male 52.8
GTEX-TSE9-0126-SM-3DB83 60-69 years, female 52.8
GTEX-ZYY3-0126-SM-5GZY5 60-69 years, female 52.6
GTEX-1C64O-0126-SM-7SB8P 60-69 years, male 52.6
GTEX-11TT1-2526-SM-5EGIB 20-29 years, male 52.5
GTEX-ZVE2-0226-SM-59HJB 50-59 years, male 52.5
GTEX-Q2AH-1626-SM-3GAF8 40-49 years, male 52.4
GTEX-17EVQ-0226-SM-7LG4P 70-79 years, male 52.3
GTEX-1I1CD-0126-SM-CM2TK 60-69 years, female 52.3
GTEX-1QP29-0626-SM-EWRMX 50-59 years, male 52.1
GTEX-XMD2-0126-SM-4YCDU 60-69 years, female 52.0
GTEX-11O72-0126-SM-59887 40-49 years, male 51.4
GTEX-1H1ZS-0426-SM-9WG6G 70-79 years, male 51.3
GTEX-1I19N-0326-SM-ACKVX 70-79 years, male 51.1
GTEX-1MCYP-1926-SM-E9J2R 20-29 years, female 51.0
GTEX-13OVI-1426-SM-5L3EY 60-69 years, female 50.9
GTEX-1IDFM-0126-SM-COH2V 60-69 years, male 50.9
GTEX-1KD5A-0226-SM-D5OV3 50-59 years, male 50.8
GTEX-QLQ7-1626-SM-2S1R8 60-69 years, male 50.6
GTEX-P4PQ-0126-SM-2S1NM 60-69 years, male 50.5
GTEX-1J8Q3-1626-SM-CMKGC 60-69 years, male 50.5
GTEX-1CB4J-0626-SM-7DHMP 60-69 years, male 50.2
GTEX-13O1R-0126-SM-5L3EH 60-69 years, male 50.0
GTEX-1H1DE-2126-SM-9WG6R 20-29 years, male 50.0
GTEX-11H98-0126-SM-5EGHG 50-59 years, male 49.9
GTEX-139T8-0126-SM-5K7XZ 60-69 years, male 49.6
GTEX-PLZ4-0126-SM-5SI8O 50-59 years, female 49.4
GTEX-SSA3-0126-SM-32QPU 60-69 years, male 49.4
GTEX-13X6I-0626-SM-5QGP9 60-69 years, male 48.8
GTEX-1M4P7-0226-SM-DIPEV 60-69 years, male 48.7
GTEX-13VXT-0126-SM-5LU4I 20-29 years, female 48.6
GTEX-R55G-2526-SM-2TC6D 40-49 years, female 48.4
GTEX-14PK6-1926-SM-6ETZU 70-79 years, female 48.3
GTEX-1H3NZ-0126-SM-ACKX7 60-69 years, male 48.1
GTEX-1I1GS-0126-SM-B2LVW 60-69 years, male 48.1
GTEX-OIZF-0126-SM-7SB8I 60-69 years, male 47.9
GTEX-1IY9M-0126-SM-D3L8S 60-69 years, male 47.6
GTEX-11P82-1626-SM-59879 20-29 years, male 47.2
GTEX-1KANB-0526-SM-E6CJH 50-59 years, male 47.1
GTEX-1C6WA-0126-SM-7PC2B 60-69 years, male 46.9
GTEX-OXRO-0126-SM-2YUN4 60-69 years, female 46.7
GTEX-VJWN-0126-SM-3GIK7 50-59 years, female 46.7
GTEX-1HBPM-0226-SM-ARL9F 60-69 years, female 46.4
GTEX-144GN-2326-SM-5LU4F 50-59 years, male 46.2
GTEX-1AMEY-1326-SM-73KYK 30-39 years, female 46.1
GTEX-14ABY-0226-SM-5TDCQ 50-59 years, male 45.9
GTEX-1JJE9-0326-SM-CL53Z 70-79 years, male 45.7
GTEX-1AX9K-2326-SM-73KWU 50-59 years, male 45.4
GTEX-1HKZK-0326-SM-9WYUH 40-49 years, male 45.4
GTEX-14E7W-0126-SM-6LLJ9 70-79 years, male 45.0
GTEX-147F4-0226-SM-5QGPW 50-59 years, male 44.6
GTEX-P44H-0226-SM-2XCEU 40-49 years, male 44.1
GTEX-11EMC-2926-SM-5EQ4F 60-69 years, female 44.0
GTEX-ZF28-0126-SM-4WKGK 60-69 years, male 44.0
GTEX-13OW7-0126-SM-5MR3B 50-59 years, male 43.8
GTEX-R55E-0126-SM-2TC5Y 20-29 years, male 43.4
GTEX-R45C-0126-SM-EAZ2R 60-69 years, female 43.4
GTEX-RN64-0126-SM-2TC68 50-59 years, male 43.3
GTEX-ZDXO-3026-SM-5J1N5 60-69 years, male 43.3
GTEX-1NHNU-1026-SM-E9J2A 50-59 years, male 43.3
GTEX-1GN1V-0126-SM-9WPOS 60-69 years, male 43.2
GTEX-1H23P-0126-SM-ADEJ3 60-69 years, male 43.2
GTEX-11ZTT-2426-SM-5EQLS 60-69 years, female 42.8
GTEX-1GPI6-0126-SM-9WG69 60-69 years, male 42.7
GTEX-1PPH7-2326-SM-EVYB8 40-49 years, male 42.6
GTEX-1N2DV-0226-SM-E6CJ6 40-49 years, male 42.5
GTEX-1H1E6-1726-SM-ACKVK 30-39 years, male 42.0
GTEX-XV7Q-2526-SM-4BRV9 40-49 years, female 41.9
GTEX-17MF6-0126-SM-7LG4F 40-49 years, male 41.5
GTEX-1MA7X-2226-SM-E6CIY 60-69 years, male 41.3
GTEX-146FH-0126-SM-5QGPP 50-59 years, female 40.6
GTEX-11WQK-0526-SM-5EQLD 50-59 years, male 40.4
GTEX-1LC47-0326-SM-E9TJP 60-69 years, male 40.2
GTEX-YJ8A-0426-SM-5IFID 20-29 years, male 40.1
GTEX-RUSQ-1526-SM-2TF62 50-59 years, male 39.6
GTEX-V1D1-2226-SM-3NMAX 50-59 years, male 39.0
GTEX-15SHW-0326-SM-6PAML 60-69 years, male 38.7
GTEX-QDT8-0126-SM-48TZ1 30-39 years, female 37.5
GTEX-1HSMP-0126-SM-E6CJS 70-79 years, male 37.4
GTEX-13RTL-0126-SM-7LG5S 40-49 years, male 37.1
GTEX-15UF6-0826-SM-6PALJ 70-79 years, female 36.9
GTEX-13W3W-2426-SM-5LU5B 60-69 years, female 36.8
GTEX-1AYD5-2426-SM-73KXR 50-59 years, male 36.8
GTEX-14A6H-0126-SM-5QGPK 30-39 years, male 35.9
GTEX-1IE54-0126-SM-CMKHW 40-49 years, female 35.2
GTEX-WOFL-0126-SM-3MJG2 60-69 years, male 34.9
GTEX-X638-0126-SM-47JZ8 70-79 years, female 34.8
GTEX-1AYCT-2426-SM-7IGQ3 50-59 years, male 34.6
GTEX-ZTPG-0326-SM-5O9AX 20-29 years, female 34.3
GTEX-15D1Q-0126-SM-7KUG6 40-49 years, male 34.0
GTEX-1I1HK-0126-SM-COH49 60-69 years, male 34.0
GTEX-1C6VS-0526-SM-7DUEN 60-69 years, male 33.9
GTEX-14PHW-0126-SM-6LLJI 60-69 years, female 32.7
GTEX-1I1GU-2226-SM-CGQFA 40-49 years, male 32.7
GTEX-1GN1W-0526-SM-9MQJQ 50-59 years, female 32.1
GTEX-1A3MW-0126-SM-73KXX 60-69 years, female 31.5
GTEX-ZYW4-0126-SM-5E44A 60-69 years, male 31.3
GTEX-OXRL-0126-SM-2YUMP 50-59 years, male 31.0
GTEX-12WSN-5019-SM-79OM6 40-49 years, male 30.2
GTEX-Q734-1926-SM-2I5EV 40-49 years, female 30.2
GTEX-ZUA1-0126-SM-5GU76 40-49 years, male 30.2
GTEX-1LNCM-1126-SM-E9U5E 50-59 years, female 29.2
GTEX-1F48J-0126-SM-7P8TT 50-59 years, female 28.6
GTEX-1OJC4-0126-SM-E9J2E 50-59 years, female 27.5
GTEX-1HUB1-0426-SM-E9U4U 60-69 years, male 27.3
GTEX-14BIL-0126-SM-5SI92 50-59 years, male 26.8
GTEX-16XZY-2126-SM-79OK1 70-79 years, male 26.6
GTEX-ZZPT-0226-SM-5E43X 50-59 years, male 26.1
GTEX-11TTK-0126-SM-5987B 60-69 years, female 24.6
GTEX-1JMOU-1526-SM-CL54I 60-69 years, female 23.7
GTEX-1HSMO-0126-SM-CL547 60-69 years, male 23.6
GTEX-1RLM8-2326-SM-EWRN4 50-59 years, male 23.1
GTEX-1PBJI-0526-SM-E8VNK 20-29 years, female 22.6
GTEX-15EOM-0126-SM-7KUGG 20-29 years, female 21.5
GTEX-X4XY-0226-SM-4E3IZ 60-69 years, male 21.5
GTEX-113IC-0126-SM-5HL6T 60-69 years, male 19.8
GTEX-139T4-0226-SM-5HL5S 50-59 years, female 19.3
GTEX-X62O-0126-SM-4E3JN 50-59 years, male 17.8
GTEX-SE5C-1626-SM-2XCE3 40-49 years, female 17.5
GTEX-1F75I-0326-SM-9YFLU 40-49 years, male 13.9
GTEX-1R9PO-2126-SM-E9J4O 60-69 years, female 11.4
GTEX-11ZUS-0626-SM-59885 30-39 years, male 9.9
GTEX-1QW4Y-1526-SM-EAZ3Z 30-39 years, male 7.1
GTEX-U4B1-1826-SM-4DXSU 40-49 years, male 6.3
GTEX-1QP67-1626-SM-EAZ3X 40-49 years, female 5.7
GTEX-1HBPH-0426-SM-B2LW5 40-49 years, female 5.2
GTEX-1RAZQ-0726-SM-EAZ43 30-39 years, male 4.6
GTEX-14JIY-0126-SM-6LLH6 60-69 years, male 4.4
GTEX-146FR-1326-SM-E9J48 60-69 years, female 2.8
Show allShow less

Contact

  • NEWS ARTICLES
  • PRESS ROOM

The Project

  • INTRODUCTION
  • ORGANIZATION
  • PUBLICATIONS

The Human Protein Atlas

  • DOWNLOADABLE DATA
  • LICENCE & CITATION
  • HELP & FAQ
The Human Protein Atlas project is funded
by the Knut & Alice Wallenberg Foundation.


contact@proteinatlas.org