We use cookies to enhance the usability of our website. If you continue, we'll assume that you are happy to receive all cookies. More information. Don't show this again.
SUCLG1
HPA
RESOURCES
  • TISSUE
  • BRAIN
  • SINGLE CELL
  • SUBCELLULAR
  • CANCER
  • BLOOD
  • CELL LINE
  • STRUCTURE & INTERACTION
ABOUT
  • INTRODUCTION
  • HISTORY
  • ORGANIZATION
  • PUBLICATIONS
  • ANTIBODY SUBMISSION
  • ANTIBODY AVAILABILITY
  • ACKNOWLEDGMENTS
  • CONTACT
NEWS
  • NEWS ARTICLES
  • PRESS ROOM
LEARN
  • DICTIONARY
  • PROTEIN CLASSES
  • PROTEIN EVIDENCE
  • METHODS
  • EDUCATIONAL VIDEOS
DATA
  • DOWNLOADABLE DATA
  • PUBLICATION DATA
  • RELEASE HISTORY
HELP
  • ANTIBODY VALIDATION
  • ASSAYS & ANNOTATION
  • DISCLAIMER
  • HELP & FAQ
  • PRIVACY STATEMENT
  • LICENCE & CITATION
Fields »
Search result

Field
Term
Gene name
Class
Subclass
Class
Keyword
Chromosome
External id
Tissue
Cell type
Expression
Antibody panel
Tissue
Main location
Patient ID
Annotation
Tissue
Category
Tau score
Cluster
Reliability
Brain region
Category
Tau score
Brain region
Category
Tau score
Brain region
Category
Tau score
Cluster
Reliability
Tissue
Cell type
Enrichment
Cell type
Category
Tau score
Cell type
Category
Tau score
Cell type
Category
Tau score
Cell lineage
Category
Tau score
Cluster
Cluster
Location
Searches
Location
Cell line
Class
Type
Phase
Reliability
Cancer
Prognosis
Cancer
Category
Cancer
Category
Tau score
Cluster
Variants
Interacting gene (ensg_id)
Type
Number of interactions
Pathway
Category
Score
Score
Score
Validation
Validation
Validation
Validation
Antibodies
Data type
Column


  • SUMMARY

  • TISSUE

  • BRAIN

  • SINGLE CELL

  • SUBCELL

  • CANCER

  • BLOOD

  • CELL LINE

  • STRUCT & INT

  • SUCLG1
TISSUE PRIMARY DATA SKIN Show tissue menu
ADIPOSE TISSUE ADRENAL GLAND AMYGDALA APPENDIX BASAL GANGLIA BONE MARROW BREAST BRONCHUS CEREBELLUM CEREBRAL CORTEX CERVIX CHOROID PLEXUS COLON DUODENUM
ENDOMETRIUM EPIDIDYMIS ESOPHAGUS FALLOPIAN TUBE GALLBLADDER HEART MUSCLE HIPPOCAMPAL FORMATION HYPOTHALAMUS KIDNEY LIVER LUNG LYMPH NODE MIDBRAIN NASOPHARYNX
ORAL MUCOSA OVARY PANCREAS PARATHYROID GLAND PITUITARY GLAND PLACENTA PROSTATE RECTUM RETINA SALIVARY GLAND SEMINAL VESICLE SKELETAL MUSCLE SKIN SMALL INTESTINE
SMOOTH MUSCLE SOFT TISSUE SPINAL CORD SPLEEN STOMACH TESTIS THYMUS THYROID GLAND TONGUE TONSIL URINARY BLADDER VAGINA
ANTIBODIES
AND
VALIDATION
Dictionary
Skin
Tissue proteome
Skin
SKIN - Expression summary
Protein expression
Skini

On the top, protein expression in current human tissue, based on all annotated cell types, is reported with the units not detected (n), low (l), medium (m) and high (h). Underneath, protein expression in each annotated cell type are reported using the same units.

Protein expression data is based on knowledge-based annotation. For genes where more than one antibody has been used, a collective score is set.

If knowledge-based annotation could not be performed for a gene, no data is displayed here. View antibody staining data further down this page.

h
m
l
n
Cells in basal layer: Medium
Cells in corneal layer: Not detected
Cells in granular layer: Medium
Cells in spinous layer: Medium
Endothelial cells: Medium
Extracellular matrix: Not detected
Fibrohistiocytic cells: High
Langerhans cells: Medium
Lymphocytes: High
Melanocytes: High
Vascular mural cells: Not detected
RNA expressioni

A summary of mRNA expression data available for current tissue based on several datasets. The mRNA expression levels in human tissues are based on RNA-seq data generated by the Human Protein Atlas (HPA), Genotype-Tissue Expression (GTEx) portal and CAGE data generated by the FANTOM5 consortium. Consensus normalized expression levels for human tissues was created by combining the data from HPA and GTEx datasets.

The mRNA expression levels in pig are based on RNA-seq data generated by the Human Protein Atlas (HPA), and for mouse, HPA data and in situ hybridization generated by the Allen brain atlas are reported.

Scroll down to view mRNA expression data in more detail.
Consensus:53.7 nTPM
HPA:49.8 nTPM
GTEx:53.7 nTPM

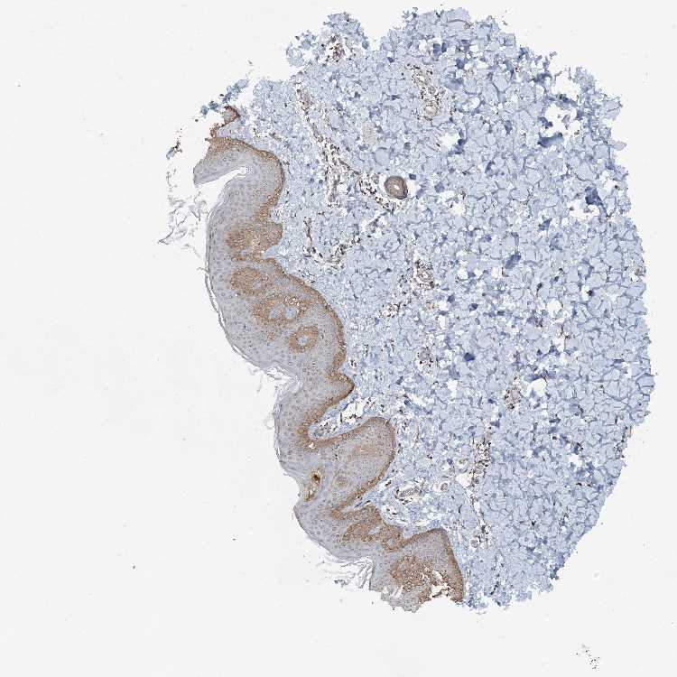
SKIN 1 - Antibody stainingi

Antibody staining in the annotated cell types in the current human tissue is reported as not detected, low, medium, or high, based on conventional immunohistochemistry profiling in selected tissues. This score is based on the combination of the staining intensity and fraction of stained cells.

Each image is clickable and will lead to virtual microscopy that enables deeper exploration of all samples and also displays staining intensity scores, fraction scores and subcellular localization as well as patient and tissue information for each sample.

Antibody HPA036683Antibody HPA036684
Langerhans Medium-
Cells in basal layer -Medium
Cells in corneal layer -Not detected
Cells in granular layer -Not detected
Cells in spinous layer -Low
Endothelial cells -Medium
Extracellular matrix -Not detected
Fibroblasts Medium-
Fibrohistiocytic cells -High
Keratinocytes Medium-
Langerhans cells -Low
Lymphocytes -High
Melanocytes MediumHigh
Vascular mural cells -Not detected



SKIN 2 - Antibody stainingi

Antibody staining in the annotated cell types in the current human tissue is reported as not detected, low, medium, or high, based on conventional immunohistochemistry profiling in selected tissues. This score is based on the combination of the staining intensity and fraction of stained cells.

Each image is clickable and will lead to virtual microscopy that enables deeper exploration of all samples and also displays staining intensity scores, fraction scores and subcellular localization as well as patient and tissue information for each sample.

Antibody HPA036683Antibody HPA036684
Cells in basal layer -Medium
Cells in corneal layer -Not detected
Cells in granular layer -Medium
Cells in spinous layer -Medium
Endothelial cells -Medium
Epidermal cells Medium-
Extracellular matrix -Not detected
Fibrohistiocytic cells -High
Langerhans cells -Medium
Lymphocytes -High
Melanocytes -Medium
Vascular mural cells -Not detected
  
  



SKIN - HPA RNA-seqi

The RNA-seq details section shows detailed information about the individual samples used for the transcript profiling and results of the RNA-seq analysis.

Information about each individual sample is listed below, including gender, age, a tissue section image and estimated fractions of cell types. nTPM (normalized transcripts per million) values give a quantification of the gene abundance which is comparable between different genes and samples.
Average nTPMi

Max subtype nTPM is the value for the subtype with the largest average nTPM across the subtype samples.

49.8
overview
Female, age 34
Skin sample 225
nTPM: 56.6
Cell types%
Keratinocytes:
60

Other cell types:
40

overview
Female, age 30
Skin sample 226
nTPM: 47.6
Cell types%
Keratinocytes:
55

Other cell types:
45

N/A
Male, age 57
Skin sample 227
nTPM: 45.1

SKIN - GTEx RNA-seqi

RNA-Seq data generated by the Genotype-Tissue Expression (GTEx) project from human tissues is reported as mean nTPM. More information can be found on the GTEx portal.

Distribution across the dataset is visualized with box plots, shown as median and 25th and 75th percentiles. Points are displayed as outliers if they are above or below 1.5 times the interquartile range. nTPM values of the individual samples are presented next to the box plot.
Max subtype nTPMi

Max subtype nTPM is the value for the subtype with the largest average nTPM across the subtype samples.

53.7
GTEx sample id Sample description nTPM
Skin - Not Sun Exposed (Suprapubic)
Average nTPM: 53.7
Samples: 604

Max nTPM: 143.0
Min nTPM: 32.3
Std nTPM: 11.2
Median nTPM: 52.2
GTEX-1PIGE-1826-SM-E8VOU 20-29 years, male 143.0
GTEX-15RIE-1926-SM-7KUKJ 60-69 years, male 118.0
GTEX-1HSMP-0926-SM-A9SKX 70-79 years, male 104.9
GTEX-14PJ3-1126-SM-5ZZVX 50-59 years, male 100.9
GTEX-1E2YA-2126-SM-7MXUO 50-59 years, male 92.1
GTEX-1399Q-2326-SM-5KM2X 40-49 years, male 88.4
GTEX-13PDP-0726-SM-5L3HP 60-69 years, male 87.5
GTEX-11DXX-2126-SM-5PNYR 60-69 years, female 86.4
GTEX-1F5PK-2226-SM-7SB6N 50-59 years, male 83.0
GTEX-ZTTD-2826-SM-4YCFA 50-59 years, male 82.2
GTEX-15RIG-0726-SM-7KUM7 40-49 years, male 81.3
GTEX-1QCLY-0226-SM-EWRNH 30-39 years, male 80.1
GTEX-ZPCL-1126-SM-4WWFE 60-69 years, female 79.2
GTEX-15SHW-0226-SM-7LTAT 60-69 years, male 79.1
GTEX-13IVO-0726-SM-5LZYV 70-79 years, male 78.0
GTEX-15G19-2426-SM-7KUMR 60-69 years, male 78.0
GTEX-YEC3-1326-SM-DO92X 50-59 years, male 77.7
GTEX-UPK5-0426-SM-3GAEK 40-49 years, male 77.3
GTEX-1R9PM-1926-SM-EVR3O 20-29 years, male 77.1
GTEX-1RAZA-2226-SM-E9U4X 20-29 years, male 76.9
GTEX-17KNJ-2126-SM-718AM 50-59 years, male 76.8
GTEX-111YS-1526-SM-5GZYW 60-69 years, male 76.4
GTEX-1N2DV-1526-SM-DTXEP 40-49 years, male 76.3
GTEX-X585-2426-SM-46MW2 50-59 years, male 75.6
GTEX-1S5ZU-2526-SM-E6CIF 20-29 years, female 74.5
GTEX-Y5V6-2326-SM-4VDSA 60-69 years, male 74.4
GTEX-14JFF-0626-SM-5ZZVT 60-69 years, male 73.7
GTEX-18A6Q-0626-SM-7KFRP 60-69 years, male 73.3
GTEX-16MT9-0126-SM-7EPI8 60-69 years, female 72.6
GTEX-YECK-0326-SM-4W1YS 60-69 years, male 72.5
GTEX-ZF3C-0626-SM-DO92O 50-59 years, female 72.4
GTEX-1PPH8-0126-SM-EWRN8 20-29 years, male 72.2
GTEX-1IKOE-1426-SM-CE6T7 30-39 years, female 72.0
GTEX-1S3DN-2126-SM-E9TIN 50-59 years, male 72.0
GTEX-YB5K-2026-SM-4VDT3 40-49 years, female 71.7
GTEX-13G51-1826-SM-5KLZH 60-69 years, male 71.5
GTEX-178AV-1726-SM-7KUL8 40-49 years, male 71.3
GTEX-13PL6-1126-SM-5L3IE 40-49 years, female 71.1
GTEX-12KS4-2126-SM-5FQUT 30-39 years, male 70.5
GTEX-14LZ3-0126-SM-69LPM 60-69 years, female 70.5
GTEX-ZYT6-2326-SM-5GZY3 30-39 years, male 69.8
GTEX-14ICL-1626-SM-5YYAO 30-39 years, male 69.5
GTEX-1GN1W-2426-SM-9KNUU 50-59 years, female 69.4
GTEX-ZT9X-1526-SM-5DUXD 40-49 years, male 69.3
GTEX-18A66-0626-SM-7LT8Z 60-69 years, male 69.2
GTEX-15SKB-2826-SM-6PAMH 60-69 years, male 69.0
GTEX-ZPU1-1126-SM-4YCF3 40-49 years, male 69.0
GTEX-W5X1-2526-SM-3GILC 40-49 years, female 68.8
GTEX-1H1DG-2426-SM-9QEHJ 70-79 years, male 68.7
GTEX-1PBJJ-1026-SM-E76OS 30-39 years, male 68.6
GTEX-13NYB-0126-SM-5J1MD 40-49 years, male 68.5
GTEX-147GR-2426-SM-5ZZWQ 60-69 years, male 68.5
GTEX-1F6RS-2026-SM-7RHHC 60-69 years, female 68.5
GTEX-XK95-0226-SM-4AT58 40-49 years, male 68.3
GTEX-1OJC3-1226-SM-DTXER 20-29 years, male 68.2
GTEX-WH7G-2026-SM-3NMBL 40-49 years, male 68.1
GTEX-1I19N-0126-SM-CYPSF 70-79 years, male 68.1
GTEX-13FTY-2126-SM-5IFFB 40-49 years, female 67.8
GTEX-WXYG-2026-SM-4E3IY 50-59 years, female 67.6
GTEX-139D8-1126-SM-5LU8W 30-39 years, female 67.5
GTEX-16YQH-2226-SM-7IGM2 30-39 years, male 67.5
GTEX-1GMR3-0126-SM-A9SLW 40-49 years, male 67.5
GTEX-1GN1V-2826-SM-9JGIA 60-69 years, male 67.5
GTEX-13NZ8-1226-SM-5KM4A 60-69 years, female 67.2
GTEX-13X6K-0626-SM-5LU5D 60-69 years, female 67.1
GTEX-ZZ64-1026-SM-5GZXG 20-29 years, male 67.1
GTEX-11DYG-1526-SM-5A5JS 60-69 years, male 66.5
GTEX-1C64O-1326-SM-7MGWR 60-69 years, male 66.4
GTEX-WEY5-2326-SM-3GIKK 40-49 years, female 66.3
GTEX-1QP9N-1226-SM-E76QN 30-39 years, male 66.3
GTEX-1GF9X-1326-SM-7PC2Y 40-49 years, female 66.2
GTEX-11P7K-1126-SM-5HL4L 30-39 years, male 65.8
GTEX-XMD2-2126-SM-4YCF8 60-69 years, female 65.6
GTEX-WK11-2726-SM-3NMAQ 50-59 years, male 65.4
GTEX-1NV5F-0626-SM-DTXEG 60-69 years, female 65.2
GTEX-14AS3-1526-SM-5Q5ED 40-49 years, female 64.9
GTEX-15ER7-0626-SM-6PANF 20-29 years, female 64.8
GTEX-1MJK3-0726-SM-E6CJC 20-29 years, male 64.5
GTEX-144GL-0626-SM-5LU4D 50-59 years, male 64.3
GTEX-1HCU7-0726-SM-A9SL1 50-59 years, male 64.3
GTEX-139TS-2126-SM-5K7XC 60-69 years, male 64.2
GTEX-Y114-2126-SM-4TT8B 50-59 years, female 64.0
GTEX-1F52S-2926-SM-7MKGA 60-69 years, female 63.9
GTEX-1H11D-1826-SM-9QEHM 40-49 years, male 63.9
GTEX-1PPH7-1126-SM-DTX9A 40-49 years, male 63.7
GTEX-14E1K-2026-SM-7DUEI 50-59 years, male 63.6
GTEX-1QAET-0326-SM-EVR3U 50-59 years, male 63.5
GTEX-15UF6-1926-SM-7KUDV 70-79 years, female 63.4
GTEX-ZVE1-0726-SM-51MRN 50-59 years, female 63.3
GTEX-1RAZS-2526-SM-E6CHT 50-59 years, male 63.2
GTEX-13JVG-0726-SM-5KM16 60-69 years, male 63.0
GTEX-145MN-1526-SM-5SI9T 30-39 years, male 63.0
GTEX-11OF3-0126-SM-5PNYF 60-69 years, male 62.9
GTEX-ZXG5-2126-SM-59HKD 60-69 years, male 62.9
GTEX-11WQK-1026-SM-5EQLX 50-59 years, male 62.8
GTEX-17F97-2626-SM-7IGM5 50-59 years, male 62.7
GTEX-1F6IF-0926-SM-7SB7M 60-69 years, male 62.7
GTEX-ZC5H-1526-SM-5HL9Y 40-49 years, female 62.5
GTEX-14A5H-0826-SM-5QGPJ 60-69 years, male 62.4
GTEX-ZDTS-0826-SM-4WKHL 60-69 years, male 62.4
GTEX-14PHY-1226-SM-5ZZWK 60-69 years, female 62.3
GTEX-12WSD-0626-SM-5GCMW 60-69 years, female 62.2
GTEX-131XH-0126-SM-5LZUY 50-59 years, male 62.2
GTEX-15DDE-2926-SM-6LLJ3 50-59 years, female 62.2
GTEX-1B8KZ-0326-SM-73KY4 50-59 years, male 62.2
GTEX-12126-0826-SM-5FQTZ 20-29 years, male 62.1
GTEX-ZWKS-0626-SM-5GIDV 30-39 years, male 62.0
GTEX-1IDJF-2026-SM-CL53V 20-29 years, male 62.0
GTEX-139UW-0326-SM-5J1ML 60-69 years, male 61.8
GTEX-145LT-0526-SM-5LUB2 40-49 years, male 61.8
GTEX-WY7C-2126-SM-3NB2R 50-59 years, male 61.7
GTEX-1LG7Y-2526-SM-EWRO7 50-59 years, male 61.7
GTEX-1RMOY-1326-SM-E9TIH 50-59 years, male 61.7
GTEX-12ZZX-2426-SM-5GCOE 40-49 years, female 61.6
GTEX-ZVZP-1226-SM-5GID7 50-59 years, male 61.6
GTEX-1PPGY-1626-SM-EVYBL 60-69 years, male 61.6
GTEX-13OVG-1626-SM-5J1NF 60-69 years, male 61.4
GTEX-18A67-1626-SM-7LT9T 50-59 years, male 61.4
GTEX-YFCO-1226-SM-5LUAT 40-49 years, male 61.4
GTEX-1KANB-2826-SM-CY8I6 50-59 years, male 61.3
GTEX-1C6VQ-1226-SM-73KYD 50-59 years, male 61.2
GTEX-1JN76-0626-SM-CKZOQ 20-29 years, female 61.2
GTEX-144FL-0626-SM-5LU43 50-59 years, male 61.1
GTEX-Y3IK-1626-SM-4YCF5 50-59 years, female 61.1
GTEX-117YX-1926-SM-5GIEC 50-59 years, male 60.9
GTEX-11EQ8-0926-SM-5H12V 60-69 years, male 60.9
GTEX-XYKS-1426-SM-4BRUO 60-69 years, female 60.8
GTEX-1IDFM-0326-SM-ARL7V 60-69 years, male 60.7
GTEX-13OW5-2326-SM-5L3HO 60-69 years, male 60.6
GTEX-YEC4-1826-SM-4W1YP 40-49 years, male 60.6
GTEX-1AYD5-2626-SM-7PBXY 50-59 years, male 60.6
GTEX-1C64N-2626-SM-7PC2N 50-59 years, male 60.5
GTEX-1HFI6-0126-SM-CNPPI 40-49 years, male 60.5
GTEX-1KANC-1226-SM-CYPT7 50-59 years, female 60.4
GTEX-1LVAM-0726-SM-E6CIL 50-59 years, female 60.4
GTEX-17F9Y-0126-SM-79OKX 70-79 years, female 60.3
GTEX-ZDTT-0426-SM-4WKFL 60-69 years, male 60.2
GTEX-1NSGN-0726-SM-DTXEF 50-59 years, male 60.2
GTEX-1I6K7-1926-SM-B2LXR 40-49 years, male 60.1
GTEX-1QP66-1226-SM-DTX7U 50-59 years, male 60.1
GTEX-13FTX-1526-SM-5K7VJ 20-29 years, female 60.0
GTEX-XXEK-1626-SM-4BRUZ 50-59 years, male 59.9
GTEX-XBEW-1126-SM-4QARW 40-49 years, male 59.7
GTEX-1HB9E-0126-SM-CM2S5 50-59 years, male 59.7
GTEX-1LVA9-2626-SM-EVYD4 50-59 years, male 59.6
GTEX-14BMV-2826-SM-5TDED 50-59 years, male 59.5
GTEX-13112-0126-SM-5P9IU 50-59 years, male 59.4
GTEX-17F96-0126-SM-7EWDU 70-79 years, male 59.4
GTEX-VJYA-1526-SM-3GIJV 60-69 years, male 59.4
GTEX-1B8L1-2226-SM-7P8PT 60-69 years, male 59.2
GTEX-ZE9C-2526-SM-5IJDR 60-69 years, male 59.1
GTEX-1LKK1-2626-SM-DKPQE 50-59 years, female 59.0
GTEX-139TU-0726-SM-5L3EK 60-69 years, male 58.7
GTEX-145MG-1526-SM-5Q5EM 50-59 years, male 58.7
GTEX-ZF2S-1626-SM-57WES 50-59 years, female 58.6
GTEX-1QPFJ-1926-SM-EVYBD 30-39 years, female 58.6
GTEX-14PII-0726-SM-6EU2B 60-69 years, male 58.5
GTEX-WFG7-2026-SM-5SI7P 20-29 years, male 58.5
GTEX-WHWD-1826-SM-3LK6I 50-59 years, male 58.5
GTEX-1OJC4-2726-SM-E76PJ 50-59 years, female 58.5
GTEX-16NPX-0726-SM-7KULC 50-59 years, male 58.4
GTEX-1EX96-1026-SM-7MKG2 50-59 years, male 58.4
GTEX-1E1VI-0326-SM-793D1 50-59 years, male 58.3
GTEX-1I1GP-1326-SM-A9G28 50-59 years, male 58.3
GTEX-13NYS-0626-SM-5L3F1 60-69 years, male 58.2
GTEX-1AX8Z-0726-SM-73KTS 60-69 years, male 58.2
GTEX-ZAJG-1526-SM-5CVML 50-59 years, female 58.2
GTEX-1313W-0626-SM-5EQ4H 50-59 years, female 58.1
GTEX-1CAMS-2226-SM-7PBXQ 40-49 years, female 58.1
GTEX-1HR98-2226-SM-ADEI2 60-69 years, male 58.1
GTEX-1QP2A-1726-SM-E76QC 50-59 years, male 58.1
GTEX-1192X-2726-SM-5N9DN 50-59 years, male 58.0
GTEX-14PHX-2226-SM-6EU2P 50-59 years, male 58.0
GTEX-1LSNL-2726-SM-E9TKJ 50-59 years, male 58.0
GTEX-1JJEA-1826-SM-ARU8P 60-69 years, male 57.9
GTEX-1PDJ9-1226-SM-EXUSX 20-29 years, male 57.9
GTEX-1RAZQ-1326-SM-E9TK6 30-39 years, male 57.9
GTEX-12WSH-1526-SM-5BC5W 50-59 years, male 57.8
GTEX-1J1OQ-0126-SM-D4P2N 40-49 years, female 57.8
GTEX-15RJE-2826-SM-7KUM9 40-49 years, male 57.7
GTEX-ZE7O-2726-SM-51MT5 50-59 years, female 57.7
GTEX-1JMQJ-0826-SM-CNPP7 50-59 years, male 57.7
GTEX-ZYW4-0626-SM-59HJR 60-69 years, male 57.6
GTEX-VUSG-2326-SM-4KL1U 50-59 years, male 57.5
GTEX-14PJ5-1526-SM-6LLIL 60-69 years, female 57.4
GTEX-12BJ1-0926-SM-5EQ62 60-69 years, male 57.3
GTEX-13O61-1426-SM-5KM3D 60-69 years, male 57.2
GTEX-14A6H-2026-SM-5Q5DD 30-39 years, male 57.2
GTEX-14ABY-2026-SM-62LDL 50-59 years, male 57.2
GTEX-1J8EW-2726-SM-CY8HR 60-69 years, female 57.2
GTEX-1L5NE-1126-SM-D3L9P 50-59 years, male 57.2
GTEX-1S83E-1326-SM-E6CJM 40-49 years, male 57.2
GTEX-139TT-2126-SM-5LZWC 60-69 years, male 57.1
GTEX-17MFQ-1526-SM-7KFRR 20-29 years, male 57.0
GTEX-1LGRB-0926-SM-COH3K 50-59 years, female 57.0
GTEX-11DXY-0126-SM-5H11Q 60-69 years, male 56.9
GTEX-144GO-2026-SM-5O99P 60-69 years, male 56.8
GTEX-15CHC-1126-SM-6LLHQ 60-69 years, female 56.7
GTEX-1KD5A-0126-SM-E9U54 50-59 years, male 56.7
GTEX-1RB15-1326-SM-E76Q9 60-69 years, male 56.7
GTEX-1JMQK-1226-SM-D4P2S 60-69 years, male 56.5
GTEX-12WSF-1626-SM-7KUG5 70-79 years, male 56.4
GTEX-13PVR-0426-SM-5RQK2 60-69 years, female 56.4
GTEX-14B4R-1326-SM-5Q5EZ 30-39 years, male 56.4
GTEX-1IOXB-2726-SM-CM2RI 50-59 years, male 56.4
GTEX-16AAH-0626-SM-793C9 50-59 years, male 56.3
GTEX-1A3MW-0626-SM-731CB 60-69 years, female 56.3
GTEX-1GN1U-0626-SM-9MQL9 50-59 years, female 56.3
GTEX-11WQC-1826-SM-5GU59 60-69 years, male 56.2
GTEX-1HGF4-0126-SM-CNPPX 60-69 years, male 56.2
GTEX-WHSB-1326-SM-3LK6W 50-59 years, male 56.0
GTEX-1GF9V-0826-SM-9KNUV 60-69 years, male 56.0
GTEX-14JG1-1526-SM-5YY9X 40-49 years, male 55.9
GTEX-11ZUS-2626-SM-5FQUR 30-39 years, male 55.8
GTEX-1CAMR-1326-SM-7PC1F 20-29 years, male 55.8
GTEX-1HBPN-0126-SM-CGQEF 50-59 years, male 55.8
GTEX-13SLW-0626-SM-5Q5ER 70-79 years, male 55.7
GTEX-1S82P-2126-SM-E6CI5 60-69 years, female 55.6
GTEX-13OW6-2726-SM-5J2OE 50-59 years, male 55.5
GTEX-15RJ7-2126-SM-6PAMD 40-49 years, male 55.5
GTEX-1C6VR-0126-SM-7RHGB 60-69 years, male 55.5
GTEX-1399U-1126-SM-5L3DB 50-59 years, female 55.4
GTEX-13RTJ-0126-SM-5S2NN 60-69 years, male 55.4
GTEX-ZVT4-2426-SM-5GIEI 50-59 years, female 55.3
GTEX-1HR9M-2226-SM-CNPPY 60-69 years, male 55.2
GTEX-ZAK1-0626-SM-5HL8E 50-59 years, female 55.1
GTEX-1GZ4I-2626-SM-9KNU3 50-59 years, male 55.1
GTEX-XPVG-2126-SM-4B667 50-59 years, male 55.0
GTEX-14XAO-1226-SM-6EU1C 60-69 years, female 54.9
GTEX-1A8G7-1326-SM-73KVM 60-69 years, male 54.9
GTEX-11P82-1426-SM-DTXFY 20-29 years, male 54.9
GTEX-16NGA-0726-SM-731AO 40-49 years, female 54.8
GTEX-ZYFG-1526-SM-5GZYM 60-69 years, female 54.8
GTEX-1HT8W-0626-SM-A9G2H 30-39 years, male 54.7
GTEX-111VG-1626-SM-5EGIO 60-69 years, male 54.6
GTEX-145LS-0626-SM-7EPG7 60-69 years, female 54.6
GTEX-17EVQ-0126-SM-7IGLR 70-79 years, male 54.6
GTEX-1BAJH-2426-SM-7IGP8 70-79 years, male 54.6
GTEX-13OVH-0526-SM-5L3E6 70-79 years, male 54.5
GTEX-1QEPI-2626-SM-DTXF4 60-69 years, female 54.5
GTEX-1399S-0126-SM-5IJCF 30-39 years, female 54.4
GTEX-1A8FM-0626-SM-7PC25 50-59 years, female 54.4
GTEX-1RLM8-2926-SM-E8VON 50-59 years, male 54.4
GTEX-13QJC-0126-SM-5ZZWJ 60-69 years, female 54.3
GTEX-15G1A-1626-SM-7KUKN 30-39 years, male 54.3
GTEX-YF7O-1526-SM-5IFI6 50-59 years, male 54.3
GTEX-1IKJJ-2226-SM-CJI4C 60-69 years, male 54.3
GTEX-145MH-2826-SM-5RQJF 50-59 years, male 54.2
GTEX-18D9A-1426-SM-7LT8M 30-39 years, female 54.2
GTEX-1CB4I-0126-SM-7RHGG 50-59 years, male 54.1
GTEX-1GN73-0726-SM-7P8TJ 60-69 years, male 54.1
GTEX-11ZTT-2126-SM-5CVLO 60-69 years, female 54.0
GTEX-ZPIC-0526-SM-DO91W 40-49 years, female 54.0
GTEX-WYJK-0526-SM-3NM8Z 50-59 years, male 53.9
GTEX-1AX9I-2226-SM-73KUO 60-69 years, male 53.8
GTEX-1I1GV-0626-SM-ARL7M 60-69 years, male 53.8
GTEX-1IE54-1126-SM-A9G2Z 40-49 years, female 53.8
GTEX-11PRG-0726-SM-5EGL1 50-59 years, male 53.7
GTEX-1CB4E-0926-SM-7EPHT 60-69 years, male 53.7
GTEX-1I1HK-2326-SM-CKZOH 60-69 years, male 53.7
GTEX-1R9K4-2826-SM-DTX8F 60-69 years, male 53.7
GTEX-X4EO-2926-SM-4E3JH 60-69 years, female 53.6
GTEX-1F75B-0726-SM-7PC3R 50-59 years, male 53.6
GTEX-1I6K6-1726-SM-CGQFD 30-39 years, male 53.6
GTEX-1R9PN-0426-SM-DTXDT 40-49 years, female 53.6
GTEX-11TT1-1826-SM-5EQLV 20-29 years, male 53.5
GTEX-15DYW-2726-SM-6EU2I 60-69 years, female 53.5
GTEX-14E6E-0526-SM-793DN 30-39 years, male 53.4
GTEX-1ICG6-1226-SM-A9SLN 70-79 years, female 53.4
GTEX-13NZ9-2626-SM-5L3FK 50-59 years, male 53.3
GTEX-145MO-2826-SM-5LU96 60-69 years, male 53.3
GTEX-14C5O-0326-SM-5ZZUX 60-69 years, male 53.3
GTEX-UPJH-0226-SM-3GADV 50-59 years, male 53.3
GTEX-1HBPI-2126-SM-ARL9K 50-59 years, male 53.3
GTEX-1GMRU-2126-SM-7P8RA 50-59 years, male 53.2
GTEX-Y3I4-1726-SM-4TT89 50-59 years, male 53.1
GTEX-1F6I4-2326-SM-7RHGL 60-69 years, male 53.1
GTEX-1H1CY-0126-SM-9YFLY 60-69 years, female 53.1
GTEX-14C39-1726-SM-5RQIL 40-49 years, male 53.0
GTEX-111FC-2526-SM-5GZXU 60-69 years, male 52.9
GTEX-139YR-1026-SM-5LZYN 50-59 years, male 52.9
GTEX-1O9I2-0226-SM-EYYXD 50-59 years, male 52.9
GTEX-13D11-0926-SM-5J2NC 50-59 years, female 52.8
GTEX-1EMGI-2326-SM-7PBYA 60-69 years, male 52.8
GTEX-1H2FU-0926-SM-9WPPT 60-69 years, female 52.8
GTEX-1LGOU-1326-SM-D3L8M 20-29 years, female 52.8
GTEX-1LSVX-2526-SM-DIPEU 60-69 years, male 52.8
GTEX-17F98-1326-SM-7DUEP 40-49 years, female 52.7
GTEX-ZF29-0926-SM-4WKFZ 60-69 years, female 52.6
GTEX-1PIIG-2326-SM-DTXFR 30-39 years, male 52.6
GTEX-11P81-2226-SM-5PNYI 30-39 years, female 52.5
GTEX-11VI4-1126-SM-5EQMD 40-49 years, female 52.5
GTEX-13X6I-1826-SM-5SIAO 60-69 years, male 52.5
GTEX-14DAQ-0626-SM-793DS 60-69 years, female 52.5
GTEX-15EO6-2426-SM-6PALZ 50-59 years, male 52.5
GTEX-1A8G6-2726-SM-731AR 60-69 years, male 52.4
GTEX-ZDXO-3126-SM-5IJDF 60-69 years, male 52.4
GTEX-ZP4G-1426-SM-4WWCL 20-29 years, female 52.4
GTEX-1H3O1-1326-SM-9MQLD 60-69 years, male 52.4
GTEX-1LSNM-0826-SM-DIPG8 50-59 years, male 52.4
GTEX-1S831-1826-SM-EWROF 20-29 years, male 52.4
GTEX-XQ3S-1426-SM-4BOPR 20-29 years, male 52.3
GTEX-1R7EU-1626-SM-DTXG3 60-69 years, male 52.2
GTEX-XOT4-0626-SM-4B66L 60-69 years, female 52.1
GTEX-Y111-0626-SM-4SOIT 50-59 years, male 52.1
GTEX-17HGU-2326-SM-7DUFE 50-59 years, male 52.0
GTEX-WHPG-2626-SM-3NMBR 50-59 years, male 52.0
GTEX-1CAMQ-1326-SM-7P8RV 40-49 years, male 52.0
GTEX-1F5PL-0926-SM-7PC2W 40-49 years, female 52.0
GTEX-1314G-1326-SM-5BC6E 30-39 years, male 51.9
GTEX-13YAN-0226-SM-5TDC6 60-69 years, male 51.9
GTEX-1QP28-1126-SM-EVYC4 50-59 years, female 51.9
GTEX-11NUK-2726-SM-5A5MC 50-59 years, male 51.8
GTEX-1H3VE-0726-SM-9YFL5 40-49 years, male 51.8
GTEX-1IDJC-1526-SM-B2LW4 50-59 years, male 51.8
GTEX-1S82U-1026-SM-E6CJK 30-39 years, female 51.8
GTEX-14PJN-1826-SM-6AJ98 30-39 years, male 51.6
GTEX-1M4P7-0726-SM-E6CJ3 60-69 years, male 51.6
GTEX-13FLV-0126-SM-5K7WT 50-59 years, male 51.5
GTEX-13SLX-2226-SM-62LEP 50-59 years, female 51.5
GTEX-1JKYR-0626-SM-ARL8R 20-29 years, male 51.5
GTEX-18A7A-0126-SM-731AH 50-59 years, female 51.4
GTEX-11ZU8-0126-SM-5EQ58 60-69 years, male 51.3
GTEX-17HG3-2626-SM-7DUF2 30-39 years, female 51.3
GTEX-12WSK-2126-SM-5CVNC 40-49 years, female 51.2
GTEX-X3Y1-2026-SM-3P5YM 40-49 years, male 51.2
GTEX-11NSD-0626-SM-5A5LU 20-29 years, male 51.1
GTEX-12584-0726-SM-5FQTK 40-49 years, male 51.1
GTEX-13N11-2326-SM-5IJBF 50-59 years, female 51.1
GTEX-16GPK-0626-SM-7KFSF 60-69 years, male 51.0
GTEX-1HSMQ-2626-SM-A9SML 50-59 years, male 51.0
GTEX-1R46S-2426-SM-E76QA 60-69 years, female 51.0
GTEX-V1D1-2026-SM-3GAF4 50-59 years, male 50.9
GTEX-1HCVE-2726-SM-CL54F 50-59 years, male 50.9
GTEX-11DXW-0826-SM-5H118 40-49 years, male 50.7
GTEX-132AR-0326-SM-5KM2C 50-59 years, female 50.7
GTEX-145MF-0926-SM-5Q5EA 50-59 years, male 50.7
GTEX-WFG8-2126-SM-3GIKQ 20-29 years, male 50.7
GTEX-1HC8U-1326-SM-9YFMJ 40-49 years, female 50.7
GTEX-17HHE-1326-SM-7EWDZ 50-59 years, male 50.6
GTEX-1KANA-1326-SM-DIPFA 20-29 years, male 50.6
GTEX-13NYC-0126-SM-5L3F4 60-69 years, male 50.5
GTEX-ZLWG-0826-SM-59888 50-59 years, female 50.5
GTEX-1H1E6-0426-SM-9WYUS 30-39 years, male 50.5
GTEX-1I1GU-0926-SM-ACKVS 40-49 years, male 50.5
GTEX-1IDJU-1726-SM-CMKHU 60-69 years, female 50.5
GTEX-ZLV1-1526-SM-DO91J 60-69 years, female 50.5
GTEX-131XW-0626-SM-5PNVD 50-59 years, female 50.4
GTEX-16BQI-1326-SM-6M486 30-39 years, female 50.4
GTEX-1IDJH-0126-SM-D3L92 70-79 years, male 50.4
GTEX-16XZZ-0726-SM-7KUF2 60-69 years, male 50.3
GTEX-1H1DE-1326-SM-9KNUG 20-29 years, male 50.3
GTEX-1I1CD-0626-SM-CE6SW 60-69 years, female 50.3
GTEX-1POEN-2326-SM-E9J2L 30-39 years, female 50.3
GTEX-14753-0726-SM-5QGQO 60-69 years, male 50.2
GTEX-1CB4H-1126-SM-7MKGL 60-69 years, female 50.2
GTEX-ZDYS-2426-SM-4WKGI 50-59 years, male 50.2
GTEX-1GMR2-0826-SM-7PC3V 50-59 years, male 50.2
GTEX-X4EP-0626-SM-3P621 60-69 years, female 50.1
GTEX-1IY9M-2826-SM-ARU8H 60-69 years, male 50.1
GTEX-131XG-0326-SM-5L3DX 50-59 years, female 50.0
GTEX-WI4N-2726-SM-3LK7Y 40-49 years, female 50.0
GTEX-XBED-1926-SM-47JYP 60-69 years, male 50.0
GTEX-1F75A-0726-SM-7RHHD 50-59 years, male 50.0
GTEX-1KAFJ-0126-SM-DIPEK 50-59 years, male 50.0
GTEX-13FTW-0326-SM-5K7UW 40-49 years, male 49.8
GTEX-1JMPY-0226-SM-CKZOK 30-39 years, male 49.7
GTEX-1QCLZ-2426-SM-EVYBW 60-69 years, female 49.7
GTEX-12WSM-1926-SM-5BC65 60-69 years, male 49.5
GTEX-13O3O-2326-SM-5IJD6 60-69 years, female 49.5
GTEX-11DXZ-2026-SM-5987S 50-59 years, male 49.4
GTEX-14PJO-2526-SM-6AJBQ 60-69 years, male 49.4
GTEX-18D9B-0926-SM-7LG4U 60-69 years, male 49.4
GTEX-Y8E4-2026-SM-5IFJB 40-49 years, male 49.4
GTEX-ZYFD-0626-SM-5E44E 50-59 years, male 49.4
GTEX-1JJ6O-2726-SM-CNPOG 60-69 years, male 49.4
GTEX-11O72-0626-SM-5PNYE 40-49 years, male 49.3
GTEX-12696-0126-SM-5EQ4L 60-69 years, male 49.3
GTEX-12ZZY-0726-SM-5EQ66 60-69 years, male 49.3
GTEX-147F3-1726-SM-5SIAW 50-59 years, female 49.3
GTEX-1QW4Y-1126-SM-DTXE3 30-39 years, male 49.3
GTEX-145LU-1926-SM-79OJN 50-59 years, male 49.1
GTEX-YJ8O-2526-SM-5HL85 40-49 years, female 49.1
GTEX-1K2DA-1026-SM-CGQGF 50-59 years, male 49.1
GTEX-144GM-0526-SM-79OJO 20-29 years, male 49.0
GTEX-1A3MV-1826-SM-731CD 30-39 years, male 49.0
GTEX-12WSC-2826-SM-5BC5Y 50-59 years, male 48.9
GTEX-XQ8I-0926-SM-4BOOF 50-59 years, male 48.9
GTEX-1HCU6-2526-SM-ADEHL 60-69 years, female 48.9
GTEX-1117F-2926-SM-5GZYI 60-69 years, female 48.7
GTEX-12WSL-2026-SM-5GCML 50-59 years, male 48.7
GTEX-1EU9M-1426-SM-793AI 60-69 years, male 48.7
GTEX-1IDJE-1426-SM-ADEIW 50-59 years, female 48.7
GTEX-1JMQL-2226-SM-CNPP4 50-59 years, female 48.7
GTEX-1212Z-0126-SM-59HK4 60-69 years, male 48.6
GTEX-13FHO-0426-SM-5L3F5 60-69 years, male 48.6
GTEX-13U4I-2226-SM-5LU5H 40-49 years, female 48.6
GTEX-15CHR-1126-SM-7EWF4 50-59 years, male 48.6
GTEX-15EU6-2226-SM-6EU2L 50-59 years, male 48.6
GTEX-1GZ4H-0526-SM-9KNU9 50-59 years, female 48.6
GTEX-1KXAM-1626-SM-D3LAD 60-69 years, male 48.6
GTEX-11GSP-2326-SM-5HL63 60-69 years, female 48.5
GTEX-17F9E-2326-SM-79OKD 50-59 years, male 48.5
GTEX-1GF9U-2026-SM-7SB92 40-49 years, female 48.5
GTEX-1F88E-1626-SM-7SB8Z 60-69 years, female 48.4
GTEX-1N2EE-0626-SM-E76PW 60-69 years, male 48.4
GTEX-147F4-0726-SM-5TDDD 50-59 years, male 48.3
GTEX-Z93S-1626-SM-5CVMB 50-59 years, male 48.3
GTEX-1GN2E-0226-SM-9WG6K 60-69 years, male 48.3
GTEX-1LB8K-0726-SM-D5OV2 50-59 years, male 48.3
GTEX-146FQ-2126-SM-5RQHU 30-39 years, male 48.2
GTEX-1269C-0126-SM-5EQ5L 60-69 years, female 48.1
GTEX-1AX9J-1326-SM-731BJ 60-69 years, male 48.1
GTEX-ZZPU-0826-SM-5GZX5 50-59 years, female 48.1
GTEX-12WSJ-1126-SM-5LZVJ 40-49 years, female 48.0
GTEX-13PVQ-0626-SM-5LU47 50-59 years, male 48.0
GTEX-WRHU-2826-SM-3MJG8 50-59 years, female 48.0
GTEX-1F88F-0126-SM-9WYSZ 60-69 years, female 48.0
GTEX-13W3W-0726-SM-5IJDQ 60-69 years, female 47.9
GTEX-111CU-1126-SM-5EGIM 50-59 years, male 47.8
GTEX-11DZ1-2426-SM-5GZZX 50-59 years, male 47.8
GTEX-13O3Q-0126-SM-5KM34 50-59 years, male 47.8
GTEX-1JK1U-0226-SM-ARZMX 60-69 years, male 47.8
GTEX-1H1ZS-2726-SM-9WG75 70-79 years, male 47.7
GTEX-1B8SF-0126-SM-7DUG3 60-69 years, male 47.6
GTEX-1GPI7-1826-SM-9KNU1 20-29 years, male 47.6
GTEX-145MI-0626-SM-5SI8S 60-69 years, female 47.5
GTEX-1C6WA-2626-SM-7MKGM 60-69 years, male 47.5
GTEX-1I1GT-1026-SM-ARZLV 60-69 years, female 47.5
GTEX-1LVAO-2726-SM-E9TJ8 60-69 years, male 47.5
GTEX-145ME-1726-SM-5Q5EU 40-49 years, female 47.4
GTEX-ZVTK-0226-SM-51MRG 20-29 years, male 47.4
GTEX-ZYVF-0926-SM-5E44J 50-59 years, female 47.4
GTEX-14JG6-1426-SM-9WG7C 30-39 years, female 47.4
GTEX-ZVP2-0326-SM-57WBP 50-59 years, male 47.3
GTEX-WFON-1926-SM-3LK7L 40-49 years, male 47.2
GTEX-1J8QM-2426-SM-A9SLS 60-69 years, female 47.2
GTEX-1RAZR-2126-SM-E9U6T 40-49 years, male 47.2
GTEX-14C38-0726-SM-5SI6M 50-59 years, male 47.1
GTEX-15D1Q-2826-SM-6LLH7 40-49 years, male 47.1
GTEX-17EVP-2626-SM-7IGMA 40-49 years, male 47.1
GTEX-1ICLY-0826-SM-CMKG1 50-59 years, male 47.1
GTEX-1J8Q2-2626-SM-ACKWQ 60-69 years, male 47.1
GTEX-18D9U-0126-SM-731BM 40-49 years, male 47.0
GTEX-ZVE2-2826-SM-5GU51 50-59 years, male 47.0
GTEX-13OVL-0126-SM-5L3GJ 50-59 years, male 46.8
GTEX-14BIN-1126-SM-5RQJZ 50-59 years, female 46.8
GTEX-17HHY-0426-SM-7DHLC 50-59 years, male 46.8
GTEX-148VJ-0626-SM-5LUAW 70-79 years, male 46.7
GTEX-11EQ9-1626-SM-5PNY8 30-39 years, male 46.6
GTEX-11UD2-2526-SM-5CVNU 50-59 years, male 46.6
GTEX-1C2JI-1026-SM-73KY1 50-59 years, male 46.6
GTEX-XBEC-0726-SM-4QARZ 50-59 years, male 46.6
GTEX-1JMQI-1726-SM-ARL93 50-59 years, male 46.6
GTEX-183WM-0326-SM-72D5V 70-79 years, female 46.5
GTEX-1QMI2-2526-SM-E8VNZ 60-69 years, male 46.5
GTEX-13OVJ-0826-SM-5J1OK 50-59 years, female 46.4
GTEX-14PJ2-0626-SM-6LLII 50-59 years, male 46.4
GTEX-1K2DU-1226-SM-CYPT4 20-29 years, male 46.4
GTEX-18465-2826-SM-7LT9J 50-59 years, male 46.3
GTEX-1B8KE-1126-SM-7EPHI 50-59 years, male 46.3
GTEX-1EH9U-2826-SM-7DUGT 60-69 years, male 46.3
GTEX-1B97I-0626-SM-73KUZ 40-49 years, male 46.2
GTEX-1IL2V-1926-SM-B2LW8 70-79 years, male 46.2
GTEX-ZYY3-2926-SM-5GIEB 60-69 years, female 46.0
GTEX-1GL5R-1326-SM-7RHHF 50-59 years, male 46.0
GTEX-1HCU9-0426-SM-9WYSD 20-29 years, male 46.0
GTEX-U8XE-0226-SM-4E3J3 30-39 years, male 45.9
GTEX-1F48J-0726-SM-7RHGS 50-59 years, female 45.8
GTEX-133LE-2326-SM-5K7W3 20-29 years, female 45.7
GTEX-1122O-1026-SM-9WYSF 60-69 years, female 45.6
GTEX-16Z82-2626-SM-7KULU 60-69 years, male 45.5
GTEX-183FY-1026-SM-7939A 20-29 years, male 45.5
GTEX-1HSKV-1226-SM-ADEI4 60-69 years, male 45.5
GTEX-1LVAN-0626-SM-CNPOQ 50-59 years, female 45.4
GTEX-14PJ6-2626-SM-6EU2T 60-69 years, female 45.3
GTEX-1F75W-2726-SM-7SB8H 60-69 years, male 45.3
GTEX-13JUV-2026-SM-5K7UA 40-49 years, female 45.2
GTEX-ZTX8-1326-SM-4YCEL 20-29 years, male 45.2
GTEX-1CB4F-1026-SM-7DUH1 60-69 years, male 45.1
GTEX-1IDJV-0126-SM-COH3Y 60-69 years, male 45.0
GTEX-1EN7A-2426-SM-793DB 40-49 years, male 44.9
GTEX-1J8JJ-0626-SM-ARZMQ 60-69 years, female 44.9
GTEX-1JJE9-2626-SM-ARZMT 70-79 years, male 44.9
GTEX-1KWVE-1026-SM-D3L9O 30-39 years, male 44.9
GTEX-14PK6-0226-SM-62LF5 70-79 years, female 44.8
GTEX-ZY6K-1426-SM-5GZX2 50-59 years, male 44.8
GTEX-1H1DF-1126-SM-9WG7G 40-49 years, female 44.8
GTEX-1GZ2Q-0126-SM-9WG6M 40-49 years, male 44.6
GTEX-14LLW-2626-SM-62LDZ 70-79 years, female 44.5
GTEX-14PJ4-0226-SM-5YY92 60-69 years, male 44.5
GTEX-1F75I-2226-SM-7SB8U 40-49 years, male 44.5
GTEX-16MTA-0926-SM-6M47Z 50-59 years, male 44.3
GTEX-X8HC-0626-SM-4E3HQ 50-59 years, female 44.3
GTEX-1ICLZ-0326-SM-ARL82 60-69 years, male 44.3
GTEX-1JMPZ-0726-SM-CY8HZ 30-39 years, male 44.3
GTEX-1JN6P-2926-SM-CL54D 60-69 years, male 44.3
GTEX-11GS4-0226-SM-5HL77 60-69 years, male 44.2
GTEX-11LCK-2226-SM-5HL4Q 30-39 years, male 44.1
GTEX-131YS-2826-SM-5EQ47 60-69 years, female 44.1
GTEX-ZLFU-1826-SM-4WWBV 40-49 years, male 44.1
GTEX-ZT9W-1126-SM-57WDR 50-59 years, male 44.1
GTEX-1GMR8-0626-SM-7RHI7 50-59 years, female 44.1
GTEX-13VXU-0626-SM-5L3F9 50-59 years, male 44.0
GTEX-XV7Q-1826-SM-4BRUV 40-49 years, female 43.9
GTEX-ZUA1-2626-SM-5NQ92 40-49 years, male 43.9
GTEX-1MCC2-1826-SM-DIPEX 30-39 years, female 43.8
GTEX-14BMU-1226-SM-5S2OR 20-29 years, female 43.6
GTEX-18QFQ-1826-SM-72D52 30-39 years, male 43.6
GTEX-X5EB-1926-SM-4E3IW 40-49 years, male 43.6
GTEX-1JN1M-2726-SM-CY8I4 60-69 years, female 43.6
GTEX-13X6H-0926-SM-5SIB2 50-59 years, female 43.4
GTEX-1EKGG-0626-SM-7DUGJ 60-69 years, male 43.3
GTEX-WYBS-0626-SM-3NMAS 60-69 years, female 43.3
GTEX-1H4P4-2126-SM-9WYSL 50-59 years, male 43.3
GTEX-1J1R8-2026-SM-CL53Y 40-49 years, male 43.3
GTEX-12ZZZ-0726-SM-5GCNZ 60-69 years, male 43.2
GTEX-XAJ8-1426-SM-47JYM 40-49 years, male 43.2
GTEX-1JMOU-1026-SM-CYPSS 60-69 years, female 43.2
GTEX-11EM3-1226-SM-5N9DD 20-29 years, female 43.0
GTEX-18A7B-2726-SM-7LG56 70-79 years, male 43.0
GTEX-1HSMO-0626-SM-ACKXC 60-69 years, male 43.0
GTEX-131XF-2626-SM-5EQ6K 60-69 years, male 42.8
GTEX-1K9T9-1526-SM-DIPFR 50-59 years, female 42.8
GTEX-1211K-1526-SM-5FQU4 60-69 years, female 42.7
GTEX-1B933-2426-SM-7DHMD 50-59 years, female 42.7
GTEX-WHSE-0126-SM-3NMBT 20-29 years, male 42.7
GTEX-ZA64-1026-SM-5HL8R 20-29 years, male 42.7
GTEX-12C56-1526-SM-5FQUQ 20-29 years, male 42.6
GTEX-14DAR-1226-SM-73KYV 50-59 years, male 42.6
GTEX-1AMFI-1326-SM-7939R 50-59 years, female 42.6
GTEX-13OVK-1426-SM-6PAN7 40-49 years, male 42.5
GTEX-13X6J-0626-SM-5LU5F 50-59 years, male 42.5
GTEX-ZYFC-0426-SM-5GICQ 50-59 years, male 42.5
GTEX-Y5LM-0926-SM-6LLJG 40-49 years, female 42.4
GTEX-1LG7Z-1626-SM-CXKYR 30-39 years, male 42.2
GTEX-13113-1626-SM-5EQ4I 60-69 years, female 42.0
GTEX-13N2G-0226-SM-5K7VF 60-69 years, male 42.0
GTEX-1HSGN-0826-SM-ACKW3 40-49 years, female 41.8
GTEX-ZAB4-2126-SM-5HL8U 40-49 years, male 41.7
GTEX-13N1W-2426-SM-5IJD1 70-79 years, male 41.6
GTEX-139T8-0626-SM-5KLZX 60-69 years, male 41.4
GTEX-13OW8-1026-SM-5J1NQ 60-69 years, male 41.3
GTEX-14PKV-1126-SM-6LLJ1 20-29 years, female 41.3
GTEX-17HII-1426-SM-7EPGG 50-59 years, male 41.3
GTEX-XUW1-0926-SM-4BONX 50-59 years, female 41.3
GTEX-Y9LG-1126-SM-4VBQ7 30-39 years, male 41.3
GTEX-1GPI6-1926-SM-9KNV7 60-69 years, male 41.3
GTEX-1A3MX-2626-SM-7PC24 60-69 years, male 41.2
GTEX-1JMLX-0626-SM-ARL8T 50-59 years, male 41.2
GTEX-11EI6-2826-SM-5H11D 60-69 years, male 41.1
GTEX-16MT8-2926-SM-7DUFO 60-69 years, female 41.1
GTEX-1MCYP-0526-SM-E9U6Q 20-29 years, female 41.1
GTEX-1B932-2326-SM-79OL5 40-49 years, female 40.9
GTEX-1H23P-0626-SM-9WG6T 60-69 years, male 40.9
GTEX-ZU9S-1826-SM-5NQ9E 30-39 years, male 40.8
GTEX-1I1GS-2626-SM-B2LY3 60-69 years, male 40.8
GTEX-1399R-1326-SM-5PNYS 30-39 years, male 40.7
GTEX-13OW7-0426-SM-5K7VK 50-59 years, male 40.6
GTEX-1GF9W-1426-SM-7PBYM 60-69 years, male 40.6
GTEX-1HFI7-2326-SM-CGQFS 50-59 years, female 40.6
GTEX-1EWIQ-0326-SM-7DHMQ 70-79 years, female 40.5
GTEX-1GTWX-2026-SM-9YFLM 60-69 years, male 40.3
GTEX-1HBPM-0726-SM-9YFL7 60-69 years, female 40.3
GTEX-14PKU-0126-SM-6LLHV 40-49 years, female 40.1
GTEX-13VXT-1926-SM-5K7UO 20-29 years, female 40.0
GTEX-11TUW-0626-SM-5LU9M 60-69 years, male 39.8
GTEX-15FZZ-0526-SM-7KUGD 30-39 years, female 39.8
GTEX-1C475-1326-SM-7SB73 40-49 years, female 39.8
GTEX-ZGAY-1826-SM-DO91Q 40-49 years, female 39.8
GTEX-1H3NZ-2726-SM-9WYTQ 60-69 years, male 39.7
GTEX-Y8LW-1526-SM-5IFHL 50-59 years, female 39.6
GTEX-14E6C-2426-SM-5S2NF 40-49 years, male 39.5
GTEX-1IDJD-2326-SM-ACKWX 30-39 years, male 39.5
GTEX-Y5V5-0126-SM-5S2NW 60-69 years, female 39.4
GTEX-1477Z-0326-SM-7IGLA 60-69 years, male 39.2
GTEX-12WSA-0426-SM-5EQ5X 60-69 years, male 39.1
GTEX-ZVT2-0126-SM-5GIDQ 50-59 years, female 39.1
GTEX-1LBAC-0826-SM-CY8IJ 20-29 years, male 38.9
GTEX-1I4MK-0126-SM-CY8G6 50-59 years, female 38.8
GTEX-13FH7-1126-SM-5K7UG 50-59 years, female 38.7
GTEX-1IDJI-0126-SM-CMKHS 50-59 years, female 38.5
GTEX-1CAV2-0126-SM-7IGN7 40-49 years, female 38.2
GTEX-1CB4J-1326-SM-7P8RX 60-69 years, male 38.0
GTEX-17JCI-2926-SM-7DUFF 60-69 years, female 37.9
GTEX-1QP29-1826-SM-DTX9S 50-59 years, male 37.9
GTEX-1J8Q3-0526-SM-ARL8U 60-69 years, male 37.8
GTEX-1B996-0426-SM-7EWF8 60-69 years, male 37.2
GTEX-1A32A-0626-SM-731AQ 50-59 years, female 36.9
GTEX-15CHQ-0326-SM-69LQD 60-69 years, male 36.3
GTEX-1HKZK-0726-SM-ACKW2 40-49 years, male 36.3
GTEX-17MF6-2626-SM-79OKQ 40-49 years, male 36.1
GTEX-1JKYN-0826-SM-ARU8S 30-39 years, male 36.1
GTEX-1HCUA-0826-SM-ADEHM 50-59 years, female 35.9
GTEX-147JS-0226-SM-5S2U9 60-69 years, male 35.8
GTEX-1497J-0226-SM-5QGPU 60-69 years, male 35.7
GTEX-WYVS-1626-SM-3NM9R 40-49 years, female 35.7
GTEX-1AMEY-0826-SM-72D65 30-39 years, female 34.7
GTEX-1HCU8-2526-SM-CE6RX 60-69 years, female 34.5
GTEX-13QBU-1226-SM-5LU4G 40-49 years, female 34.1
GTEX-1GZHY-0626-SM-9KNVC 50-59 years, female 33.2
GTEX-1HUB1-1426-SM-CGQF5 60-69 years, male 33.2
GTEX-1N5O9-0926-SM-E9J3C 60-69 years, male 33.1
GTEX-ZTSS-1426-SM-5985P 40-49 years, male 32.3
Show allShow less
Skin - Sun Exposed (Lower leg)
Average nTPM: 53.6
Samples: 701

Max nTPM: 135.9
Min nTPM: 31.1
Std nTPM: 11.8
Median nTPM: 52.5
GTEX-SE5C-1626-SM-2XCE3 40-49 years, female 135.9
GTEX-POMQ-2226-SM-2I5FK 20-29 years, female 114.5
GTEX-1R9PM-2026-SM-E76OY 20-29 years, male 113.9
GTEX-1122O-2126-SM-5EGIR 60-69 years, female 106.5
GTEX-15SB6-1726-SM-6PAME 50-59 years, female 104.0
GTEX-OIZH-0126-SM-2HMIS 50-59 years, male 98.7
GTEX-17JCI-0126-SM-7LG5G 60-69 years, female 90.7
GTEX-OIZG-0726-SM-33HBL 50-59 years, male 86.8
GTEX-RVPV-0126-SM-EAZAW 60-69 years, male 85.4
GTEX-18D9A-1926-SM-7LG6P 30-39 years, female 83.0
GTEX-111FC-0126-SM-5N9DL 60-69 years, male 82.0
GTEX-13FXS-0226-SM-5IJCK 50-59 years, male 81.9
GTEX-Y3IK-2426-SM-4WWDU 50-59 years, female 81.0
GTEX-13FTW-2626-SM-5K7WL 40-49 years, male 80.1
GTEX-S33H-1026-SM-EZ6L6 30-39 years, male 80.1
GTEX-O5YT-0126-SM-48TBW 20-29 years, male 79.9
GTEX-X88G-0126-SM-47JZ3 30-39 years, male 78.7
GTEX-1PDJ9-0326-SM-DTX95 20-29 years, male 78.0
GTEX-139UW-2826-SM-5L3E7 60-69 years, male 77.4
GTEX-1KD4Q-0226-SM-E9TJ9 40-49 years, male 77.3
GTEX-SJXC-0126-SM-2XCFF 60-69 years, male 77.1
GTEX-W5X1-3026-SM-EAZAX 40-49 years, female 76.8
GTEX-1L5NE-2526-SM-E6CIE 50-59 years, male 76.7
GTEX-1PIIG-0226-SM-EWRN6 30-39 years, male 76.7
GTEX-131XF-5016-SM-7MGWE 60-69 years, male 76.6
GTEX-1CAMS-0426-SM-7P8T2 40-49 years, female 76.5
GTEX-ZVT2-2526-SM-51MT1 50-59 years, female 76.4
GTEX-1PIGE-0126-SM-EVYBJ 20-29 years, male 75.6
GTEX-139D8-0226-SM-5KLZO 30-39 years, female 75.5
GTEX-XBEW-0626-SM-4QASP 40-49 years, male 75.0
GTEX-1S83E-0126-SM-EWRO4 40-49 years, male 74.9
GTEX-145LS-0126-SM-5QGP1 60-69 years, female 74.0
GTEX-1MJK2-0426-SM-DTXE5 50-59 years, male 73.6
GTEX-13FHP-0126-SM-5IJBG 50-59 years, male 73.5
GTEX-PWCY-1826-SM-DHXIZ 20-29 years, female 73.4
GTEX-12126-0326-SM-5PNW3 20-29 years, male 73.3
GTEX-1OJC3-0126-SM-E76QX 20-29 years, male 72.7
GTEX-T6MN-0126-SM-32PLP 50-59 years, male 72.4
GTEX-Y5V6-2426-SM-4VDSB 60-69 years, male 72.4
GTEX-1KANC-1526-SM-D3LAB 50-59 years, female 72.2
GTEX-ZVZO-0126-SM-5A5L9 40-49 years, male 72.1
GTEX-13G51-2526-SM-5LZYK 60-69 years, male 72.0
GTEX-15UF6-0826-SM-6PALJ 70-79 years, female 71.9
GTEX-SNMC-1226-SM-2XCFP 20-29 years, male 71.8
GTEX-1LBAC-0126-SM-DIPEZ 20-29 years, male 71.8
GTEX-1B8SF-1426-SM-7DUGL 60-69 years, male 71.6
GTEX-XYKS-2126-SM-4E3IB 60-69 years, female 71.3
GTEX-UJHI-1526-SM-3DB99 50-59 years, female 71.2
GTEX-1J8QM-2126-SM-CYPSJ 60-69 years, female 71.0
GTEX-1M5QR-1226-SM-EWROB 40-49 years, male 70.9
GTEX-1F5PL-0326-SM-7P8PQ 40-49 years, female 70.8
GTEX-1399U-2326-SM-5K7WY 50-59 years, female 70.6
GTEX-ZF2S-2326-SM-4WWCE 50-59 years, female 70.4
GTEX-1K2DA-1826-SM-CGQGT 50-59 years, male 70.4
GTEX-13OVK-2026-SM-7KUEO 40-49 years, male 70.3
GTEX-1LG7Z-1726-SM-D3LA4 30-39 years, male 70.1
GTEX-S7SE-0126-SM-2XCD5 50-59 years, male 69.9
GTEX-1EWIQ-0126-SM-7RHH2 70-79 years, female 69.9
GTEX-145LT-1726-SM-5QGP3 40-49 years, male 69.8
GTEX-1R7EU-0226-SM-EVR4G 60-69 years, male 69.8
GTEX-Y8E4-0626-SM-4WWDL 40-49 years, male 69.6
GTEX-ZE9C-2726-SM-57WB5 60-69 years, male 69.3
GTEX-1LB8K-0226-SM-EWRNW 50-59 years, male 69.2
GTEX-14753-0426-SM-5NQAM 60-69 years, male 69.0
GTEX-ZXES-1826-SM-5E43S 30-39 years, female 69.0
GTEX-139TS-2826-SM-5J1OO 60-69 years, male 68.4
GTEX-13NYB-2526-SM-5K7Z6 40-49 years, male 68.4
GTEX-11DYG-0126-SM-59883 60-69 years, male 68.2
GTEX-P4PP-0126-SM-3LK69 30-39 years, female 68.1
GTEX-13OW6-0426-SM-5L3HM 50-59 years, male 67.8
GTEX-14PII-0226-SM-6EU1T 60-69 years, male 67.8
GTEX-17F98-0626-SM-79OMX 40-49 years, female 67.8
GTEX-WXYG-2326-SM-4E3I6 50-59 years, female 67.7
GTEX-1JJEA-0326-SM-CNPOT 60-69 years, male 67.6
GTEX-1399R-2726-SM-5IJBA 30-39 years, male 67.5
GTEX-13OW5-0126-SM-DTXFS 60-69 years, male 67.4
GTEX-W5WG-1826-SM-4KL2Y 50-59 years, female 67.3
GTEX-1QP9N-1426-SM-DTXFL 30-39 years, male 67.3
GTEX-1GMR3-1926-SM-9KNUZ 40-49 years, male 67.1
GTEX-11WQK-0526-SM-5EQLD 50-59 years, male 67.0
GTEX-13FHO-0226-SM-5IFGY 60-69 years, male 67.0
GTEX-TML8-1926-SM-32QOS 40-49 years, female 67.0
GTEX-1I1GV-0526-SM-A9G29 60-69 years, male 66.9
GTEX-14LZ3-0226-SM-62LET 60-69 years, female 66.8
GTEX-183WM-0126-SM-7LTAB 70-79 years, female 66.7
GTEX-18A7A-0226-SM-718BH 50-59 years, female 66.5
GTEX-1F6RS-0126-SM-9MQKZ 60-69 years, female 66.5
GTEX-14ICK-0226-SM-6EU25 40-49 years, male 66.4
GTEX-14PHX-2326-SM-62LEM 50-59 years, male 66.4
GTEX-1KANA-0726-SM-D3L9I 20-29 years, male 66.3
GTEX-XMD2-0126-SM-4YCDU 60-69 years, female 66.1
GTEX-ZYT6-0226-SM-5NQ6T 30-39 years, male 65.9
GTEX-14BMU-2226-SM-5TDE9 20-29 years, female 65.8
GTEX-1S3DN-2226-SM-EVYCD 50-59 years, male 65.8
GTEX-1ICG6-2526-SM-CGQFZ 70-79 years, female 65.7
GTEX-1QP67-1626-SM-EAZ3X 40-49 years, female 65.7
GTEX-13113-5016-SM-7EPIP 60-69 years, female 65.3
GTEX-131XE-2326-SM-5PNZ2 50-59 years, male 65.3
GTEX-1EMGI-0126-SM-9KNUE 60-69 years, male 65.3
GTEX-13PVR-2326-SM-5QGR1 60-69 years, female 65.1
GTEX-1N2DV-0226-SM-E6CJ6 40-49 years, male 65.1
GTEX-WVJS-0126-SM-4MVOT 50-59 years, male 64.8
GTEX-ZVTK-0426-SM-51MRS 20-29 years, male 64.6
GTEX-T8EM-1026-SM-3DB7M 40-49 years, male 64.5
GTEX-1GZ2Q-0226-SM-7P8TL 40-49 years, male 64.5
GTEX-13CF2-2526-SM-5LZYX 60-69 years, male 64.4
GTEX-15EU6-0426-SM-6PAN5 50-59 years, male 64.3
GTEX-1GF9V-0326-SM-7RHI5 60-69 years, male 64.2
GTEX-146FQ-0126-SM-5NQA9 30-39 years, male 64.0
GTEX-PSDG-0226-SM-DKPOZ 50-59 years, male 64.0
GTEX-14PJM-0226-SM-62LF1 50-59 years, female 63.9
GTEX-QV44-1926-SM-2S1RF 50-59 years, male 63.9
GTEX-Z93T-0126-SM-5HL5N 50-59 years, male 63.9
GTEX-1MA7W-2026-SM-E9TJ6 20-29 years, female 63.8
GTEX-1S82Z-0826-SM-E6CHY 30-39 years, female 63.8
GTEX-ZF3C-0126-SM-DO92D 50-59 years, female 63.8
GTEX-ZAK1-0126-SM-5IJD3 50-59 years, female 63.7
GTEX-T5JW-1626-SM-3GADZ 20-29 years, female 63.5
GTEX-WFG8-2226-SM-3GIL9 20-29 years, male 63.5
GTEX-1HFI6-0226-SM-ADEHZ 40-49 years, male 63.5
GTEX-1JMQI-2226-SM-CM2SD 50-59 years, male 63.5
GTEX-XAJ8-0826-SM-47JY6 40-49 years, male 63.4
GTEX-13RTK-1426-SM-5QGQJ 20-29 years, male 63.3
GTEX-1RQEC-0426-SM-E6CHU 60-69 years, male 63.3
GTEX-PX3G-0126-SM-2I3EN 20-29 years, female 63.2
GTEX-15G19-0126-SM-6PANQ 60-69 years, male 63.0
GTEX-1QPFJ-0226-SM-E76PB 30-39 years, female 63.0
GTEX-XQ8I-0426-SM-4BOPO 50-59 years, male 62.9
GTEX-XUZC-1726-SM-4BRWS 30-39 years, female 62.4
GTEX-1PFEY-1526-SM-E76PP 30-39 years, male 62.3
GTEX-1H1CY-2826-SM-9MQM3 60-69 years, female 62.1
GTEX-133LE-1826-SM-5J1MV 20-29 years, female 62.0
GTEX-ZV68-0126-SM-59HKS 50-59 years, female 62.0
GTEX-11OF3-2626-SM-5GU7F 60-69 years, male 61.7
GTEX-12ZZX-0126-SM-5EGK9 40-49 years, female 61.7
GTEX-1I4MK-2226-SM-ACKWD 50-59 years, female 61.7
GTEX-145MO-0326-SM-5Q5B3 60-69 years, male 61.6
GTEX-1H3VE-0326-SM-9YFLH 40-49 years, male 61.6
GTEX-1J8EW-0126-SM-CJI4F 60-69 years, female 61.6
GTEX-YB5K-2126-SM-4WWDJ 40-49 years, female 61.5
GTEX-WY7C-2326-SM-3NB2U 50-59 years, male 61.4
GTEX-1313W-0126-SM-5LZUN 50-59 years, female 61.3
GTEX-ZWKS-0126-SM-5SIAA 30-39 years, male 61.2
GTEX-RWS6-2026-SM-2XCB5 60-69 years, female 61.0
GTEX-1CAV2-2226-SM-7P8P2 40-49 years, female 60.9
GTEX-1N2DW-0226-SM-E9TK2 50-59 years, male 60.9
GTEX-1OFPY-2426-SM-DTXEJ 60-69 years, male 60.9
GTEX-12ZZY-0226-SM-5LZVE 60-69 years, male 60.8
GTEX-13O3P-0126-SM-5KM4S 50-59 years, male 60.8
GTEX-1J8JJ-0226-SM-CL53I 60-69 years, female 60.8
GTEX-1QMI2-0226-SM-EVYBX 60-69 years, male 60.8
GTEX-1497J-2426-SM-7IGNX 60-69 years, male 60.7
GTEX-18A6Q-0126-SM-731BZ 60-69 years, male 60.7
GTEX-OXRK-0226-SM-3NB2G 50-59 years, female 60.7
GTEX-1GZHY-0326-SM-9QEHI 50-59 years, female 60.7
GTEX-1HR98-0126-SM-B2LWI 60-69 years, male 60.6
GTEX-1LSNM-1926-SM-E6CII 50-59 years, male 60.6
GTEX-13FTX-1826-SM-5J1NX 20-29 years, female 60.5
GTEX-14E6E-1826-SM-5S2R7 30-39 years, male 60.5
GTEX-15ETS-0126-SM-7KUMW 40-49 years, female 60.5
GTEX-QCQG-1726-SM-3GIJ9 50-59 years, female 60.5
GTEX-1IOXB-0126-SM-ARL8G 50-59 years, male 60.5
GTEX-1LGRB-2526-SM-CNPPQ 50-59 years, female 60.5
GTEX-14PJ3-1826-SM-62LEX 50-59 years, male 60.2
GTEX-15ER7-0326-SM-7KUEV 20-29 years, female 60.2
GTEX-SUCS-1926-SM-32PM3 70-79 years, male 60.2
GTEX-ZGAY-0526-SM-4WWBB 40-49 years, female 60.2
GTEX-ZVZP-2426-SM-59HKJ 50-59 years, male 60.2
GTEX-ZQG8-1626-SM-DHXIT 60-69 years, female 60.2
GTEX-131XH-2226-SM-5DUXJ 50-59 years, male 60.1
GTEX-13NYS-0126-SM-5MR3W 60-69 years, male 60.0
GTEX-131YS-0126-SM-5KM1M 60-69 years, female 59.9
GTEX-Y8DK-0126-SM-4TT3L 60-69 years, male 59.9
GTEX-13IVO-0126-SM-5J1NG 70-79 years, male 59.8
GTEX-WYJK-0126-SM-3NMAB 50-59 years, male 59.7
GTEX-1ICLZ-0126-SM-CKZPO 60-69 years, male 59.6
GTEX-TMZS-0126-SM-3DB9Q 60-69 years, male 59.5
GTEX-1JJ6O-0126-SM-E6CI8 60-69 years, male 59.5
GTEX-11DXZ-2326-SM-5EGGV 50-59 years, male 59.4
GTEX-13NZ8-0826-SM-5MR3I 60-69 years, female 59.4
GTEX-13OVL-0226-SM-5L3E9 50-59 years, male 59.4
GTEX-QDVJ-1726-SM-2I5FX 50-59 years, male 59.4
GTEX-1H4P4-0726-SM-9YFLR 50-59 years, male 59.4
GTEX-1IDJF-0126-SM-CM2RS 20-29 years, male 59.4
GTEX-1RAZQ-0726-SM-EAZ43 30-39 years, male 59.4
GTEX-15RIG-0226-SM-7KFTL 40-49 years, male 59.3
GTEX-14BIM-0226-SM-7IGLD 60-69 years, female 59.2
GTEX-NPJ8-0126-SM-2YUNR 40-49 years, male 59.2
GTEX-X261-0126-SM-3NMD6 50-59 years, male 59.1
GTEX-ZV6S-2326-SM-4YCEY 40-49 years, female 59.0
GTEX-1C6VQ-0126-SM-7P8RI 50-59 years, male 59.0
GTEX-X4XX-0126-SM-3NMC2 60-69 years, male 58.9
GTEX-1JN6P-0126-SM-D3L98 60-69 years, male 58.9
GTEX-13VXU-0126-SM-5SI9F 50-59 years, male 58.7
GTEX-1BAJH-0526-SM-793CQ 70-79 years, male 58.7
GTEX-1F75A-0126-SM-7RHGM 50-59 years, male 58.7
GTEX-1GF9X-2026-SM-7PC3A 40-49 years, female 58.5
GTEX-1LGOU-2026-SM-DIPFF 20-29 years, female 58.5
GTEX-PLZ6-1426-SM-DKPOT 30-39 years, male 58.5
GTEX-14JG1-0426-SM-6ETZZ 40-49 years, male 58.4
GTEX-NFK9-0226-SM-2HMKQ 40-49 years, male 58.4
GTEX-18D9U-0226-SM-718BP 40-49 years, male 58.3
GTEX-P4PQ-0126-SM-2S1NM 60-69 years, male 58.3
GTEX-P4QT-0126-SM-2I3FL 50-59 years, female 58.3
GTEX-XQ3S-1526-SM-4BOOC 20-29 years, male 58.3
GTEX-1GN2E-0426-SM-9MQKX 60-69 years, male 58.3
GTEX-1QAET-0926-SM-E76QM 50-59 years, male 58.1
GTEX-11P82-1626-SM-59879 20-29 years, male 58.0
GTEX-12WSE-0526-SM-793B2 20-29 years, male 58.0
GTEX-1B8L1-2526-SM-9WYTF 60-69 years, male 58.0
GTEX-U8XE-0326-SM-3DB8P 30-39 years, male 57.9
GTEX-WFON-2126-SM-3LK7O 40-49 years, male 57.9
GTEX-13JUV-2726-SM-5LZZ8 40-49 years, female 57.8
GTEX-14E6C-0126-SM-5RQIP 40-49 years, male 57.7
GTEX-QVJO-1626-SM-2S1QW 60-69 years, female 57.7
GTEX-YEC4-2126-SM-5IFJH 40-49 years, male 57.6
GTEX-1IL2U-0226-SM-CE6T8 60-69 years, male 57.6
GTEX-14PK6-1926-SM-6ETZU 70-79 years, female 57.5
GTEX-S95S-1226-SM-4GICG 60-69 years, male 57.5
GTEX-1LVAN-0226-SM-COH3S 50-59 years, female 57.5
GTEX-S7PM-0126-SM-4AD6S 60-69 years, male 57.4
GTEX-1C64N-0126-SM-793D7 50-59 years, male 57.3
GTEX-VJYA-1126-SM-3GIJU 60-69 years, male 57.3
GTEX-WZTO-0126-SM-3NM95 40-49 years, male 57.3
GTEX-ZAB5-1826-SM-5HL7C 50-59 years, male 57.3
GTEX-117YX-2326-SM-5H12W 50-59 years, male 57.2
GTEX-11EM3-2426-SM-59861 20-29 years, female 57.2
GTEX-14E6D-0126-SM-62LDV 50-59 years, male 57.2
GTEX-1IDFM-0126-SM-COH2V 60-69 years, male 57.2
GTEX-1S5ZA-0126-SM-EVYCV 20-29 years, male 57.2
GTEX-11O72-0126-SM-59887 40-49 years, male 57.1
GTEX-139T8-0126-SM-5K7XZ 60-69 years, male 57.1
GTEX-13O21-1426-SM-5K7XI 50-59 years, male 57.1
GTEX-16GPK-0126-SM-7DHLE 60-69 years, male 57.0
GTEX-11UD2-0226-SM-5EQKY 50-59 years, male 56.9
GTEX-YB5E-2026-SM-5IFIS 40-49 years, male 56.9
GTEX-1I1GT-0626-SM-CGQER 60-69 years, female 56.9
GTEX-1GN1U-0126-SM-7PBZK 50-59 years, female 56.8
GTEX-1JKYR-0126-SM-CNPOJ 20-29 years, male 56.8
GTEX-1POEN-0126-SM-EYYXJ 30-39 years, female 56.8
GTEX-11TUW-2726-SM-E9J4M 60-69 years, male 56.7
GTEX-ZVT4-0126-SM-DTXFN 50-59 years, female 56.7
GTEX-145MF-0626-SM-5LUAI 50-59 years, male 56.6
GTEX-18465-0126-SM-731BN 50-59 years, male 56.6
GTEX-1RAZA-0126-SM-E6CI3 20-29 years, male 56.6
GTEX-139TU-0126-SM-5K7WH 60-69 years, male 56.5
GTEX-T2IS-0126-SM-4DM6O 20-29 years, female 56.5
GTEX-YFC4-0126-SM-5CVLY 40-49 years, female 56.5
GTEX-1HSEH-0126-SM-ACKXN 60-69 years, male 56.5
GTEX-1KANB-0526-SM-E6CJH 50-59 years, male 56.5
GTEX-117XS-2726-SM-5N9BL 60-69 years, male 56.4
GTEX-183FY-0126-SM-7LT9P 20-29 years, male 56.4
GTEX-1CB4F-0426-SM-9KNV4 60-69 years, male 56.4
GTEX-1MUQO-0126-SM-EAZ58 60-69 years, male 56.4
GTEX-1GZ4H-1726-SM-7PBZJ 50-59 years, female 56.3
GTEX-11DXX-2426-SM-5GZZW 60-69 years, female 56.2
GTEX-13O3Q-2426-SM-5IJBR 50-59 years, male 56.2
GTEX-ZYFD-0126-SM-5GIDL 50-59 years, male 56.2
GTEX-144FL-0126-SM-5TDC8 50-59 years, male 56.1
GTEX-145LV-2126-SM-5LU8N 50-59 years, male 56.1
GTEX-13111-1626-SM-5EGJY 50-59 years, male 56.0
GTEX-145ME-1826-SM-5SI9G 40-49 years, female 56.0
GTEX-1PPH8-0226-SM-E8VND 20-29 years, male 56.0
GTEX-1HGF4-2426-SM-ACKXM 60-69 years, male 55.8
GTEX-ZDTS-0126-SM-4WAY5 60-69 years, male 55.6
GTEX-1IDJH-0326-SM-A9SLQ 70-79 years, male 55.6
GTEX-Y114-2426-SM-4TT8A 50-59 years, female 55.5
GTEX-1HSMQ-1226-SM-CGQFX 50-59 years, male 55.5
GTEX-1211K-2026-SM-5EQ4Z 60-69 years, female 55.4
GTEX-1C2JI-1826-SM-73KXC 50-59 years, male 55.3
GTEX-1CAMR-1926-SM-7EPI2 20-29 years, male 55.3
GTEX-1I19N-0326-SM-ACKVX 70-79 years, male 55.3
GTEX-1J1OQ-0226-SM-CYPSH 40-49 years, female 55.3
GTEX-1AX9K-2326-SM-73KWU 50-59 years, male 55.2
GTEX-OXRN-0126-SM-48TDM 50-59 years, male 55.2
GTEX-1NV5F-0226-SM-E8VNY 60-69 years, female 55.2
GTEX-1QEPI-0126-SM-EWRMQ 60-69 years, female 55.2
GTEX-13N2G-2626-SM-5J1OT 60-69 years, male 55.1
GTEX-145MN-2226-SM-5SIAU 30-39 years, male 55.1
GTEX-13NYC-0326-SM-E9J4S 60-69 years, male 55.1
GTEX-1CB4I-0226-SM-79OLH 50-59 years, male 55.0
GTEX-11UD1-0126-SM-5PNYG 40-49 years, female 54.9
GTEX-145LU-0126-SM-5TDCB 50-59 years, male 54.9
GTEX-17HHY-0126-SM-7LG5D 50-59 years, male 54.9
GTEX-1IKJJ-0126-SM-CNPQB 60-69 years, male 54.9
GTEX-13D11-2426-SM-5KM1V 50-59 years, female 54.8
GTEX-14BIN-0626-SM-793DP 50-59 years, female 54.8
GTEX-T6MO-1626-SM-32QOM 40-49 years, female 54.8
GTEX-TMMY-0226-SM-33HBA 40-49 years, female 54.8
GTEX-1HSGN-0226-SM-CGQFV 40-49 years, female 54.8
GTEX-Y5LM-1926-SM-5RQJH 40-49 years, female 54.7
GTEX-11WQC-2526-SM-5CVLE 60-69 years, male 54.6
GTEX-PWO3-1526-SM-48TCM 60-69 years, female 54.6
GTEX-X4EP-0126-SM-3P5YV 60-69 years, female 54.6
GTEX-1O97I-0326-SM-EYYX7 60-69 years, male 54.6
GTEX-1RB15-2126-SM-E9TIM 60-69 years, male 54.6
GTEX-15D1Q-0126-SM-7KUG6 40-49 years, male 54.5
GTEX-1A3MV-1926-SM-718BT 30-39 years, male 54.5
GTEX-PVOW-0126-SM-2XCFA 40-49 years, male 54.5
GTEX-WQUQ-0426-SM-3MJFU 60-69 years, male 54.5
GTEX-1399T-2826-SM-5KLYZ 60-69 years, male 54.4
GTEX-16NPX-0226-SM-79OMT 50-59 years, male 54.4
GTEX-1B97I-1626-SM-73KYO 40-49 years, male 54.4
GTEX-1HSKV-0226-SM-A9SKJ 60-69 years, male 54.4
GTEX-16BQI-0226-SM-7KUEX 30-39 years, female 54.3
GTEX-U412-0426-SM-3DB9O 60-69 years, male 54.3
GTEX-1EX96-1626-SM-7PBXR 50-59 years, male 54.3
GTEX-RM2N-1426-SM-2TF4H 50-59 years, male 54.2
GTEX-Z9EW-1626-SM-5CVMN 40-49 years, male 54.2
GTEX-1AX9J-0226-SM-73KXM 60-69 years, male 54.1
GTEX-YJ89-0126-SM-4TT3X 60-69 years, male 54.1
GTEX-1H2FU-0126-SM-9WYSI 60-69 years, female 54.0
GTEX-1JMQL-0226-SM-CNPP5 50-59 years, female 54.0
GTEX-1KXAM-2226-SM-CYPTC 60-69 years, male 54.0
GTEX-16AAH-1726-SM-7939C 50-59 years, male 53.9
GTEX-U3ZH-2026-SM-3DB78 30-39 years, male 53.9
GTEX-1HCU6-0126-SM-CL54K 60-69 years, female 53.9
GTEX-1269C-2526-SM-5EGJ3 60-69 years, female 53.8
GTEX-14C5O-0126-SM-5SI6N 60-69 years, male 53.8
GTEX-1B933-0126-SM-7PC29 50-59 years, female 53.8
GTEX-1F75B-0126-SM-9KNVL 50-59 years, male 53.8
GTEX-1I1GQ-0126-SM-COH3H 50-59 years, male 53.8
GTEX-OOBJ-0126-SM-E6CJW 60-69 years, male 53.8
GTEX-132NY-0326-SM-5IJBL 60-69 years, male 53.7
GTEX-17F96-1626-SM-7DUFL 70-79 years, male 53.7
GTEX-1C475-1826-SM-73KWA 40-49 years, female 53.7
GTEX-T5JC-0426-SM-32PLO 20-29 years, male 53.7
GTEX-1IDJU-2626-SM-CM2RT 60-69 years, female 53.7
GTEX-SIU8-0126-SM-2XCDT 50-59 years, male 53.6
GTEX-R3RS-0126-SM-3GIJL 40-49 years, female 53.5
GTEX-1CB4H-0226-SM-7PBXM 60-69 years, female 53.5
GTEX-1GF9U-2126-SM-7SB7L 40-49 years, female 53.5
GTEX-SSA3-0126-SM-32QPU 60-69 years, male 53.4
GTEX-12ZZZ-0626-SM-5DUXI 60-69 years, male 53.3
GTEX-1A3MX-0126-SM-731BR 60-69 years, male 53.3
GTEX-ZDYS-2026-SM-5HL5L 50-59 years, male 53.3
GTEX-ZC5H-0226-SM-4WAY9 40-49 years, female 53.1
GTEX-17GQL-2026-SM-718BA 60-69 years, male 53.0
GTEX-Q734-1926-SM-2I5EV 40-49 years, female 53.0
GTEX-1C64O-0126-SM-7SB8P 60-69 years, male 53.0
GTEX-12WSJ-1826-SM-5GCNY 40-49 years, female 52.9
GTEX-13PDP-0126-SM-5L3HD 60-69 years, male 52.8
GTEX-ZTX8-1426-SM-5DUVO 20-29 years, male 52.8
GTEX-16NGA-1726-SM-731B4 40-49 years, female 52.7
GTEX-XXEK-2226-SM-4BRUM 50-59 years, male 52.7
GTEX-131XW-0426-SM-5LZWP 50-59 years, female 52.6
GTEX-144GN-2326-SM-5LU4F 50-59 years, male 52.5
GTEX-18A67-0126-SM-7LG5P 50-59 years, male 52.5
GTEX-1C6VR-2426-SM-79OLD 60-69 years, male 52.5
GTEX-QDVN-2026-SM-3GAEP 50-59 years, male 52.5
GTEX-VUSG-2526-SM-4KL1V 50-59 years, male 52.5
GTEX-XUW1-0426-SM-4BOOT 50-59 years, female 52.5
GTEX-1MCQQ-0826-SM-DLHC2 60-69 years, male 52.5
GTEX-1GMRU-0126-SM-9YFLV 50-59 years, male 52.4
GTEX-ZDTT-2726-SM-4WKF8 60-69 years, male 52.3
GTEX-XUYS-0126-SM-47JWZ 50-59 years, male 52.1
GTEX-1I6K6-0126-SM-A9SLE 30-39 years, male 52.1
GTEX-1KAFJ-2026-SM-CY8ID 50-59 years, male 52.1
GTEX-11NUK-0126-SM-5A5L3 50-59 years, male 52.0
GTEX-13S7M-0126-SM-5SI6A 60-69 years, female 52.0
GTEX-11XUK-2026-SM-5EQLF 40-49 years, female 51.9
GTEX-14A5I-0126-SM-5TDEA 50-59 years, female 51.9
GTEX-1EU9M-0226-SM-7P8SP 60-69 years, male 51.9
GTEX-1HBPI-1526-SM-C1YQ1 50-59 years, male 51.9
GTEX-11OC5-0126-SM-5HL6A 60-69 years, male 51.8
GTEX-12696-2426-SM-5EQ6H 60-69 years, male 51.8
GTEX-1A32A-0126-SM-718B1 50-59 years, female 51.8
GTEX-WRHK-1426-SM-3MJF9 20-29 years, female 51.8
GTEX-1F52S-0126-SM-9MQJU 60-69 years, female 51.8
GTEX-1K9T9-0126-SM-EVYCF 50-59 years, female 51.8
GTEX-1NHNU-1026-SM-E9J2A 50-59 years, male 51.8
GTEX-Y3I4-2126-SM-4TT7C 50-59 years, male 51.7
GTEX-11GS4-2726-SM-5A5LE 60-69 years, male 51.6
GTEX-14BMV-0126-SM-5S2PO 50-59 years, male 51.5
GTEX-15F5U-1526-SM-6PANO 40-49 years, male 51.5
GTEX-15SHU-0126-SM-7KUEH 40-49 years, female 51.5
GTEX-1CB4E-2226-SM-793DC 60-69 years, male 51.5
GTEX-1HT8W-0126-SM-CNPPP 30-39 years, male 51.5
GTEX-17F97-0326-SM-7LG5B 50-59 years, male 51.4
GTEX-17EUY-0426-SM-793BD 20-29 years, male 51.3
GTEX-ZZ64-1726-SM-5GZYB 20-29 years, male 51.3
GTEX-13NZB-2526-SM-5J1OM 30-39 years, male 51.2
GTEX-15DDE-0126-SM-6LPKH 50-59 years, female 51.2
GTEX-1F7RK-0126-SM-7PC2S 20-29 years, female 51.2
GTEX-1IKK5-0626-SM-ARL8A 60-69 years, male 51.2
GTEX-Z93S-0126-SM-5HL7M 50-59 years, male 51.1
GTEX-1H11D-0226-SM-9WG6Z 40-49 years, male 51.1
GTEX-1HB9E-0226-SM-E9U4R 50-59 years, male 51.1
GTEX-1MA7X-2226-SM-E6CIY 60-69 years, male 51.1
GTEX-ZYFG-2326-SM-5E44B 60-69 years, female 51.0
GTEX-1GPI7-0126-SM-9MQL8 20-29 years, male 51.0
GTEX-13SLX-0526-SM-5S2ON 50-59 years, female 50.9
GTEX-17KNJ-2326-SM-7DHLQ 50-59 years, male 50.9
GTEX-ZF29-2326-SM-DO92K 60-69 years, female 50.9
GTEX-11EQ9-2426-SM-5HL5T 30-39 years, male 50.8
GTEX-15CHC-2126-SM-6EU21 60-69 years, female 50.8
GTEX-UPJH-0326-SM-3GADU 50-59 years, male 50.8
GTEX-11DZ1-0126-SM-5985Q 50-59 years, male 50.7
GTEX-1212Z-2526-SM-5EGKP 60-69 years, male 50.7
GTEX-14PN4-0126-SM-6EU2V 50-59 years, male 50.7
GTEX-18QFQ-0126-SM-731BE 30-39 years, male 50.7
GTEX-1AMEY-1326-SM-73KYK 30-39 years, female 50.7
GTEX-X8HC-0126-SM-4E3JW 50-59 years, female 50.7
GTEX-YJ8A-0426-SM-5IFID 20-29 years, male 50.7
GTEX-ZU9S-0226-SM-5E441 30-39 years, male 50.7
GTEX-1E2YA-0126-SM-9KNUC 50-59 years, male 50.7
GTEX-1GN73-0226-SM-9WG67 60-69 years, male 50.7
GTEX-1HSMP-0126-SM-E6CJS 70-79 years, male 50.7
GTEX-16MT8-0426-SM-7KUEY 60-69 years, female 50.6
GTEX-X585-0226-SM-4QAS2 50-59 years, male 50.6
GTEX-RTLS-0126-SM-447CA 60-69 years, female 50.5
GTEX-ZE7O-0126-SM-57WC1 50-59 years, female 50.5
GTEX-12KS4-0326-SM-5EQ41 30-39 years, male 50.4
GTEX-T2YK-0526-SM-32QPJ 50-59 years, male 50.4
GTEX-1B996-0226-SM-7RHGO 60-69 years, male 50.4
GTEX-QESD-1426-SM-2S1R9 20-29 years, male 50.3
GTEX-WH7G-2326-SM-3NMBC 40-49 years, male 50.2
GTEX-1GL5R-1826-SM-9KNUY 50-59 years, male 50.2
GTEX-1GF9W-0326-SM-9KNUN 60-69 years, male 50.1
GTEX-1ICLY-0126-SM-D4P36 50-59 years, male 50.1
GTEX-145MI-0526-SM-5O9A8 60-69 years, female 50.0
GTEX-1IE54-0126-SM-CMKHW 40-49 years, female 50.0
GTEX-1IKOH-0226-SM-COH4E 60-69 years, female 49.9
GTEX-1IL2V-0126-SM-CM2TX 70-79 years, male 49.9
GTEX-1J1R8-1726-SM-ARL8M 40-49 years, male 49.9
GTEX-1PPH7-2326-SM-EVYB8 40-49 years, male 49.9
GTEX-13X6J-0126-SM-5QGOU 50-59 years, male 49.8
GTEX-ZTPG-0326-SM-5O9AX 20-29 years, female 49.8
GTEX-1QP66-1726-SM-E8VO1 50-59 years, male 49.8
GTEX-1JMQJ-0526-SM-CYPSU 50-59 years, male 49.7
GTEX-TKQ1-1026-SM-4GICL 30-39 years, male 49.6
GTEX-13W46-0226-SM-5SIAG 50-59 years, male 49.5
GTEX-1EKGG-0226-SM-9WYTH 60-69 years, male 49.5
GTEX-1KD5A-0226-SM-D5OV3 50-59 years, male 49.5
GTEX-1B8KZ-2026-SM-7DHMB 50-59 years, male 49.4
GTEX-13OVH-0126-SM-5MR4B 70-79 years, male 49.3
GTEX-111VG-2426-SM-5GZXD 60-69 years, male 49.2
GTEX-OHPL-0126-SM-2HMJ7 60-69 years, female 49.2
GTEX-X4EO-0326-SM-3P5YO 60-69 years, female 49.2
GTEX-1GMR8-0126-SM-9WYTM 50-59 years, female 49.2
GTEX-13YAN-0326-SM-5O9DF 60-69 years, male 49.1
GTEX-144GL-0126-SM-5TDE2 50-59 years, male 49.1
GTEX-O5YW-0126-SM-3LK6D 50-59 years, male 49.1
GTEX-XV7Q-2526-SM-4BRV9 40-49 years, female 49.1
GTEX-14DAR-2026-SM-5S2O3 50-59 years, male 49.0
GTEX-X4XY-0226-SM-4E3IZ 60-69 years, male 49.0
GTEX-1F75I-0326-SM-9YFLU 40-49 years, male 49.0
GTEX-1MGNQ-0126-SM-EVYCJ 40-49 years, male 49.0
GTEX-Q2AI-1326-SM-2S1PL 40-49 years, male 48.9
GTEX-Y5V5-2326-SM-4V6GA 60-69 years, female 48.9
GTEX-1JMPZ-0226-SM-CNPP1 30-39 years, male 48.9
GTEX-11ZTT-2426-SM-5EQLS 60-69 years, female 48.8
GTEX-1H1E6-1726-SM-ACKVK 30-39 years, male 48.8
GTEX-1MCYP-1926-SM-E9J2R 20-29 years, female 48.8
GTEX-1AX8Z-0126-SM-7DHM6 60-69 years, male 48.7
GTEX-1N2EF-0226-SM-EYYXB 60-69 years, male 48.7
GTEX-11TT1-2526-SM-5EGIB 20-29 years, male 48.6
GTEX-ZY6K-1826-SM-5GZXK 50-59 years, male 48.6
GTEX-1R9K4-0126-SM-DTX9X 60-69 years, male 48.6
GTEX-117YW-2626-SM-5GZZH 50-59 years, male 48.5
GTEX-11P81-2326-SM-59875 30-39 years, female 48.5
GTEX-Y111-0126-SM-4SOIV 50-59 years, male 48.5
GTEX-1F5PK-2426-SM-7RHHY 50-59 years, male 48.4
GTEX-13W3W-2426-SM-5LU5B 60-69 years, female 48.3
GTEX-OXRP-0126-SM-3NB32 60-69 years, female 48.3
GTEX-15SHW-0326-SM-6PAML 60-69 years, male 48.2
GTEX-XPVG-2626-SM-4B669 50-59 years, male 48.2
GTEX-ZVE2-0226-SM-59HJB 50-59 years, male 48.1
GTEX-1IGQW-0126-SM-COH42 60-69 years, male 48.0
GTEX-PLZ4-0126-SM-5SI8O 50-59 years, female 47.9
GTEX-1HCU8-0626-SM-A9SM9 60-69 years, female 47.9
GTEX-1J8Q3-1626-SM-CMKGC 60-69 years, male 47.9
GTEX-1314G-1526-SM-5EGK2 30-39 years, male 47.8
GTEX-14PN3-2426-SM-6LLHS 60-69 years, female 47.8
GTEX-13VXT-0126-SM-5LU4I 20-29 years, female 47.7
GTEX-17EVP-0326-SM-7DHLG 40-49 years, male 47.7
GTEX-18D9B-0526-SM-7LTAS 60-69 years, male 47.7
GTEX-11NSD-2226-SM-5986V 20-29 years, male 47.6
GTEX-Q2AH-1626-SM-3GAF8 40-49 years, male 47.6
GTEX-1RLM8-2326-SM-EWRN4 50-59 years, male 47.6
GTEX-14ABY-0226-SM-5TDCQ 50-59 years, male 47.5
GTEX-1AMFI-2026-SM-731BH 50-59 years, female 47.5
GTEX-1QP29-0626-SM-EWRMX 50-59 years, male 47.5
GTEX-147F3-0526-SM-5SI98 50-59 years, female 47.4
GTEX-1J8Q2-0526-SM-CM2RW 60-69 years, male 47.4
GTEX-1KWVE-1426-SM-E9TJO 30-39 years, male 47.4
GTEX-1LG7Y-0526-SM-DKPQC 50-59 years, male 47.3
GTEX-13SLW-0126-SM-5SI6C 70-79 years, male 47.2
GTEX-1H3O1-0426-SM-9YFKY 60-69 years, male 47.1
GTEX-1JKYN-1326-SM-CGQG9 30-39 years, male 47.1
GTEX-11ZVC-2526-SM-5FQTE 50-59 years, female 47.0
GTEX-RWSA-0126-SM-2XCBB 40-49 years, male 46.9
GTEX-1I1GP-2226-SM-CGQFK 50-59 years, male 46.9
GTEX-11DXW-0226-SM-5H122 40-49 years, male 46.8
GTEX-1K2DU-2326-SM-E9TIV 20-29 years, male 46.8
GTEX-1HBPN-0226-SM-9YFM1 50-59 years, male 46.7
GTEX-11ZTS-0126-SM-5EQ6M 60-69 years, female 46.6
GTEX-14JG6-2226-SM-6EU2G 30-39 years, female 46.6
GTEX-ZYFC-0226-SM-5NQ75 50-59 years, male 46.6
GTEX-1H3NZ-0126-SM-ACKX7 60-69 years, male 46.6
GTEX-1192X-0226-SM-5H12D 50-59 years, male 46.5
GTEX-13X6I-0626-SM-5QGP9 60-69 years, male 46.5
GTEX-RNOR-0126-SM-E9J4R 50-59 years, female 46.5
GTEX-11EI6-0126-SM-5985R 60-69 years, male 46.4
GTEX-P44H-0226-SM-2XCEU 40-49 years, male 46.4
GTEX-1HBPM-0226-SM-ARL9F 60-69 years, female 46.4
GTEX-1M4P7-0226-SM-DIPEV 60-69 years, male 46.4
GTEX-13CF3-2426-SM-5IFGX 60-69 years, female 46.3
GTEX-13U4I-0126-SM-5LU38 40-49 years, female 46.3
GTEX-15DCD-0126-SM-7KUEK 70-79 years, female 46.3
GTEX-QEG4-0226-SM-2S1PY 30-39 years, male 46.3
GTEX-1I1CD-0126-SM-CM2TK 60-69 years, female 46.3
GTEX-12WSK-2326-SM-5GCOH 40-49 years, female 46.2
GTEX-18A66-0226-SM-718BD 60-69 years, male 46.2
GTEX-VJWN-0126-SM-3GIK7 50-59 years, female 46.2
GTEX-1IY9M-0126-SM-D3L8S 60-69 years, male 46.2
GTEX-13112-2826-SM-5DUWH 50-59 years, male 46.1
GTEX-1C6WA-0126-SM-7PC2B 60-69 years, male 46.1
GTEX-1LC47-0326-SM-E9TJP 60-69 years, male 46.1
GTEX-1128S-2326-SM-5GZZY 60-69 years, female 45.9
GTEX-12WSD-0126-SM-59HKN 60-69 years, female 45.8
GTEX-1RDX4-0126-SM-E9J4P 50-59 years, female 45.8
GTEX-14DAQ-0126-SM-5S2MQ 60-69 years, female 45.7
GTEX-1HCU7-0226-SM-CL545 50-59 years, male 45.7
GTEX-X638-0126-SM-47JZ8 70-79 years, female 45.6
GTEX-1JJE9-0326-SM-CL53Z 70-79 years, male 45.5
GTEX-11H98-0126-SM-5EGHG 50-59 years, male 45.4
GTEX-13N11-2526-SM-5K7UE 50-59 years, female 45.3
GTEX-17HG3-2226-SM-7938L 30-39 years, female 45.3
GTEX-1A3MW-0126-SM-73KXX 60-69 years, female 45.3
GTEX-1F88F-2726-SM-7PBZZ 60-69 years, female 45.3
GTEX-1S82Y-2026-SM-EVYCM 40-49 years, male 45.3
GTEX-1AX9I-0126-SM-7SB74 60-69 years, male 45.1
GTEX-1HSMO-0126-SM-CL547 60-69 years, male 45.1
GTEX-17EVQ-0226-SM-7LG4P 70-79 years, male 45.0
GTEX-1CAMQ-0226-SM-7IGPK 40-49 years, male 45.0
GTEX-1H1DG-0126-SM-9WYU2 70-79 years, male 45.0
GTEX-1H3VY-0126-SM-ACKXD 50-59 years, male 45.0
GTEX-1PWST-0226-SM-E76QJ 70-79 years, male 45.0
GTEX-1QP2A-0126-SM-E9J43 50-59 years, male 45.0
GTEX-1R9PO-2126-SM-E9J4O 60-69 years, female 45.0
GTEX-Q2AG-0126-SM-33HBV 40-49 years, female 44.9
GTEX-ZQUD-1426-SM-57WER 30-39 years, male 44.9
GTEX-1HCUA-2426-SM-ADEIS 50-59 years, female 44.9
GTEX-1JMLX-0226-SM-CM2RO 50-59 years, male 44.9
GTEX-11GSP-2526-SM-5N9BP 60-69 years, female 44.7
GTEX-13QJ3-0326-SM-5S2RA 50-59 years, male 44.7
GTEX-ZVT3-0126-SM-5GU6I 60-69 years, female 44.7
GTEX-U8T8-0126-SM-3DB94 60-69 years, male 44.4
GTEX-WI4N-1026-SM-3LK7N 40-49 years, female 44.4
GTEX-Y8LW-1826-SM-5S2MV 50-59 years, female 44.4
GTEX-15DYW-0126-SM-7KULE 60-69 years, female 44.3
GTEX-17MFQ-1726-SM-793C7 20-29 years, male 44.3
GTEX-1F6I4-0126-SM-9MQL2 60-69 years, male 44.3
GTEX-1JMQK-0226-SM-CL543 60-69 years, male 44.3
GTEX-13NZA-0226-SM-5K7Z7 60-69 years, male 44.2
GTEX-13FH7-2026-SM-E9J4I 50-59 years, female 44.2
GTEX-11VI4-1726-SM-5CVLH 40-49 years, female 44.1
GTEX-OHPM-0126-SM-2YUN9 50-59 years, male 44.1
GTEX-V1D1-2226-SM-3NMAX 50-59 years, male 44.1
GTEX-S32W-2126-SM-2XCB1 50-59 years, female 44.0
GTEX-113JC-2326-SM-5EQ4E 50-59 years, female 43.9
GTEX-15EOM-0126-SM-7KUGG 20-29 years, female 43.9
GTEX-1F6IF-0726-SM-7P8TW 60-69 years, male 43.9
GTEX-16XZZ-0126-SM-793DV 60-69 years, male 43.8
GTEX-1CB4G-0226-SM-7PC3O 60-69 years, male 43.8
GTEX-14LLW-0126-SM-6LLIO 70-79 years, female 43.7
GTEX-QLQW-1126-SM-2S1Q8 30-39 years, male 43.7
GTEX-U4B1-1826-SM-4DXSU 40-49 years, male 43.7
GTEX-11DXY-2626-SM-5GIE7 60-69 years, male 43.6
GTEX-1I1GR-0126-SM-CL55F 60-69 years, male 43.6
GTEX-1JK1U-2026-SM-CM2RZ 60-69 years, male 43.6
GTEX-11LCK-1026-SM-5A5KB 30-39 years, male 43.5
GTEX-139T4-0226-SM-5HL5S 50-59 years, female 43.5
GTEX-QLQ7-1626-SM-2S1R8 60-69 years, male 43.5
GTEX-ZDXO-3026-SM-5J1N5 60-69 years, male 43.5
GTEX-1R7EV-2426-SM-EVYBG 40-49 years, male 43.5
GTEX-1E1VI-0126-SM-7DHMZ 50-59 years, male 43.3
GTEX-1JMPY-1326-SM-ARL8Y 30-39 years, male 43.3
GTEX-12584-0126-SM-5EGKQ 40-49 years, male 43.2
GTEX-13RTL-0126-SM-7LG5S 40-49 years, male 43.2
GTEX-1AYD5-2426-SM-73KXR 50-59 years, male 43.2
GTEX-1A8FM-0226-SM-7SB7Q 50-59 years, female 43.2
GTEX-XBED-2226-SM-47JYQ 60-69 years, male 43.1
GTEX-17HGU-0226-SM-7DHKV 50-59 years, male 43.0
GTEX-X62O-0126-SM-4E3JN 50-59 years, male 43.0
GTEX-WYVS-2126-SM-3NMA3 40-49 years, female 42.9
GTEX-1JN1M-0326-SM-CYPT3 60-69 years, female 42.9
GTEX-12WSC-0126-SM-5EQ4P 50-59 years, male 42.8
GTEX-148VJ-0126-SM-5TDDN 70-79 years, male 42.8
GTEX-ZXG5-0126-SM-5GIEU 60-69 years, male 42.8
GTEX-14PJ6-2126-SM-6EU1V 60-69 years, female 42.5
GTEX-1GN1W-0526-SM-9MQJQ 50-59 years, female 42.4
GTEX-1R46S-0626-SM-E9J41 60-69 years, female 42.4
GTEX-13OW7-0126-SM-5MR3B 50-59 years, male 42.3
GTEX-14A5H-0426-SM-5QGQF 60-69 years, male 42.3
GTEX-ZTSS-1926-SM-57WEW 40-49 years, male 42.2
GTEX-12WSN-5019-SM-79OM6 40-49 years, male 42.1
GTEX-1192W-2626-SM-5Q5AF 60-69 years, male 42.0
GTEX-11ZU8-2526-SM-5EQKI 60-69 years, male 41.9
GTEX-1AYCT-2426-SM-7IGQ3 50-59 years, male 41.8
GTEX-13FTY-0526-SM-5L3EV 40-49 years, female 41.7
GTEX-13OW8-1326-SM-5J1OW 60-69 years, male 41.7
GTEX-147F4-0226-SM-5QGPW 50-59 years, male 41.7
GTEX-16XZY-2126-SM-79OK1 70-79 years, male 41.7
GTEX-ZEX8-2426-SM-4WKG4 50-59 years, male 41.7
GTEX-14E7W-0126-SM-6LLJ9 70-79 years, male 41.6
GTEX-1GN1V-0126-SM-9WPOS 60-69 years, male 41.6
GTEX-1QW4Y-1526-SM-EAZ3Z 30-39 years, male 41.6
GTEX-OIZF-0126-SM-7SB8I 60-69 years, male 41.6
GTEX-18A7B-0126-SM-7LG64 70-79 years, male 41.5
GTEX-12WSG-2826-SM-E9J4H 50-59 years, female 41.5
GTEX-1GPI6-0126-SM-9WG69 60-69 years, male 41.5
GTEX-1HCVE-0126-SM-CGQEU 50-59 years, male 41.5
GTEX-1PBJI-0526-SM-E8VNK 20-29 years, female 41.4
GTEX-11P7K-2126-SM-5GU7G 30-39 years, male 41.3
GTEX-12WSA-0226-SM-5BC5V 60-69 years, male 41.3
GTEX-1QCLY-0326-SM-E8VOG 30-39 years, male 41.3
GTEX-139TT-0126-SM-5K7Y5 60-69 years, male 41.1
GTEX-13O3O-0126-SM-E9J49 60-69 years, female 41.1
GTEX-1HKZK-0326-SM-9WYUH 40-49 years, male 41.1
GTEX-11GSO-2426-SM-5A5LY 60-69 years, male 41.0
GTEX-147GR-0526-SM-5S2MY 60-69 years, male 41.0
GTEX-OXRL-0126-SM-2YUMP 50-59 years, male 41.0
GTEX-RN64-0126-SM-2TC68 50-59 years, male 41.0
GTEX-1HCU9-1526-SM-A9SL7 20-29 years, male 41.0
GTEX-14XAO-2326-SM-6EU1B 60-69 years, female 40.9
GTEX-TSE9-0126-SM-3DB83 60-69 years, female 40.9
GTEX-X5EB-2226-SM-46MW4 40-49 years, male 40.8
GTEX-17HII-0226-SM-7LG4E 50-59 years, male 40.7
GTEX-1B8SG-0126-SM-73KZ3 50-59 years, male 40.6
GTEX-11ZUS-0626-SM-59885 30-39 years, male 40.3
GTEX-13OVJ-0126-SM-5KM36 50-59 years, female 40.3
GTEX-ZAJG-0126-SM-5HL94 50-59 years, female 39.9
GTEX-PW2O-1526-SM-7RHHB 20-29 years, male 39.9
GTEX-13RTJ-2426-SM-5S2Q2 60-69 years, male 39.8
GTEX-11TTK-0126-SM-5987B 60-69 years, female 39.3
GTEX-14PHW-0126-SM-6LLJI 60-69 years, female 39.3
GTEX-WOFL-0126-SM-3MJG2 60-69 years, male 39.1
GTEX-1LNCM-1126-SM-E9U5E 50-59 years, female 39.0
GTEX-15UKP-0426-SM-7KUFQ 20-29 years, male 38.9
GTEX-17HHE-2026-SM-79OKF 50-59 years, male 38.9
GTEX-13OVI-1426-SM-5L3EY 60-69 years, female 38.8
GTEX-QDT8-0126-SM-48TZ1 30-39 years, female 38.8
GTEX-146FH-0126-SM-5QGPP 50-59 years, female 38.7
GTEX-ZPIC-1726-SM-DHXIU 40-49 years, female 38.7
GTEX-12C56-1726-SM-5EQ61 20-29 years, male 38.4
GTEX-1I1GU-2226-SM-CGQFA 40-49 years, male 38.4
GTEX-1C4CL-0526-SM-73KVK 30-39 years, male 38.2
GTEX-1C6VS-0526-SM-7DUEN 60-69 years, male 38.2
GTEX-OOBK-0126-SM-2YUND 40-49 years, male 38.2
GTEX-12WSL-2526-SM-5GCNJ 50-59 years, male 38.0
GTEX-U3ZM-1526-SM-3DB9D 40-49 years, male 38.0
GTEX-169BO-1326-SM-9MQK2 50-59 years, male 38.0
GTEX-1GTWX-0126-SM-9YFLK 60-69 years, male 38.0
GTEX-1F48J-0126-SM-7P8TT 50-59 years, female 37.9
GTEX-14A6H-0126-SM-5QGPK 30-39 years, male 37.8
GTEX-1CB4J-0626-SM-7DHMP 60-69 years, male 37.8
GTEX-ZZPT-0226-SM-5E43X 50-59 years, male 37.7
GTEX-1B8KE-2126-SM-73KYX 50-59 years, male 37.5
GTEX-13N1W-0126-SM-5K7VT 70-79 years, male 37.4
GTEX-148VI-1626-SM-5SI6E 60-69 years, female 37.2
GTEX-R55G-2526-SM-2TC6D 40-49 years, female 37.1
GTEX-1LH75-2426-SM-E9TJE 50-59 years, female 37.1
GTEX-R55E-0126-SM-2TC5Y 20-29 years, male 37.0
GTEX-SN8G-0126-SM-32PLI 50-59 years, female 37.0
GTEX-1H23P-0126-SM-ADEJ3 60-69 years, male 37.0
GTEX-1HUB1-0426-SM-E9U4U 60-69 years, male 37.0
GTEX-1I1HK-0126-SM-COH49 60-69 years, male 37.0
GTEX-17MF6-0126-SM-7LG4F 40-49 years, male 36.8
GTEX-ZYY3-0126-SM-5GZY5 60-69 years, female 36.8
GTEX-1JMOU-1526-SM-CL54I 60-69 years, female 36.7
GTEX-14JIY-0126-SM-6LLH6 60-69 years, male 36.6
GTEX-1OJC4-0126-SM-E9J2E 50-59 years, female 36.5
GTEX-U3ZN-2326-SM-3DB7W 30-39 years, female 36.3
GTEX-13O1R-0126-SM-5L3EH 60-69 years, male 36.1
GTEX-ZYW4-0126-SM-5E44A 60-69 years, male 36.0
GTEX-113IC-0126-SM-5HL6T 60-69 years, male 35.8
GTEX-16YQH-0126-SM-7DUFJ 30-39 years, male 35.7
GTEX-11EMC-2926-SM-5EQ4F 60-69 years, female 35.4
GTEX-15SDE-2226-SM-7IGLO 50-59 years, female 35.1
GTEX-ZUA1-0126-SM-5GU76 40-49 years, male 35.1
GTEX-1H1DE-2126-SM-9WG6R 20-29 years, male 35.1
GTEX-13OVG-1926-SM-5L3DK 60-69 years, male 35.0
GTEX-14BIL-0126-SM-5SI92 50-59 years, male 35.0
GTEX-1H1ZS-0426-SM-9WG6G 70-79 years, male 34.8
GTEX-1HFI7-1826-SM-ACKXH 50-59 years, female 34.5
GTEX-13X6H-2126-SM-7EWD5 50-59 years, female 34.0
GTEX-ZAB4-0226-SM-5N9F5 40-49 years, male 33.9
GTEX-ZF28-0126-SM-4WKGK 60-69 years, male 33.9
GTEX-R45C-0126-SM-EAZ2R 60-69 years, female 33.9
GTEX-1JN76-0126-SM-CNPPE 20-29 years, female 33.7
GTEX-146FR-1326-SM-E9J48 60-69 years, female 33.3
GTEX-RUSQ-1526-SM-2TF62 50-59 years, male 32.9
GTEX-1EN7A-0126-SM-7SB81 40-49 years, male 32.7
GTEX-PLZ5-2026-SM-2S1O4 50-59 years, male 32.6
GTEX-OXRO-0126-SM-2YUN4 60-69 years, female 31.9
GTEX-1I1GS-0126-SM-B2LVW 60-69 years, male 31.8
GTEX-RU72-0926-SM-2TF6B 50-59 years, female 31.6
GTEX-1HBPH-0426-SM-B2LW5 40-49 years, female 31.5
GTEX-131XG-2626-SM-5KM17 50-59 years, female 31.1
Show allShow less

Contact

  • NEWS ARTICLES
  • PRESS ROOM

The Project

  • INTRODUCTION
  • ORGANIZATION
  • PUBLICATIONS

The Human Protein Atlas

  • DOWNLOADABLE DATA
  • LICENCE & CITATION
  • HELP & FAQ
The Human Protein Atlas project is funded
by the Knut & Alice Wallenberg Foundation.


contact@proteinatlas.org