We use cookies to enhance the usability of our website. If you continue, we'll assume that you are happy to receive all cookies. More information. Don't show this again.
ZNF513
HPA
RESOURCES
  • TISSUE
  • BRAIN
  • SINGLE CELL
  • SUBCELLULAR
  • CANCER
  • BLOOD
  • CELL LINE
  • STRUCTURE & INTERACTION
ABOUT
  • INTRODUCTION
  • HISTORY
  • ORGANIZATION
  • PUBLICATIONS
  • ANTIBODY SUBMISSION
  • ANTIBODY AVAILABILITY
  • ACKNOWLEDGMENTS
  • CONTACT
NEWS
  • NEWS ARTICLES
  • PRESS ROOM
LEARN
  • DICTIONARY
  • PROTEIN CLASSES
  • PROTEIN EVIDENCE
  • METHODS
  • EDUCATIONAL VIDEOS
DATA
  • DOWNLOADABLE DATA
  • PUBLICATION DATA
  • RELEASE HISTORY
HELP
  • ANTIBODY VALIDATION
  • ASSAYS & ANNOTATION
  • DISCLAIMER
  • HELP & FAQ
  • PRIVACY STATEMENT
  • LICENCE & CITATION
Fields »
Search result

Field
Term
Gene name
Class
Subclass
Class
Keyword
Chromosome
External id
Tissue
Cell type
Expression
Antibody panel
Tissue
Main location
Patient ID
Annotation
Tissue
Category
Tau score
Cluster
Reliability
Brain region
Category
Tau score
Brain region
Category
Tau score
Brain region
Category
Tau score
Cluster
Reliability
Tissue
Cell type
Enrichment
Cell type
Category
Tau score
Cell type
Category
Tau score
Cell type
Category
Tau score
Cell lineage
Category
Tau score
Cluster
Cluster
Location
Searches
Location
Cell line
Class
Type
Phase
Reliability
Cancer
Prognosis
Cancer
Category
Cancer
Category
Tau score
Cluster
Variants
Interacting gene (ensg_id)
Type
Number of interactions
Pathway
Category
Score
Score
Score
Validation
Validation
Validation
Validation
Antibodies
Data type
Column


  • SUMMARY

  • TISSUE

  • BRAIN

  • SINGLE CELL

  • SUBCELL

  • CANCER

  • BLOOD

  • CELL LINE

  • STRUCT & INT

  • ZNF513
BRAIN BASAL GANGLIA Show tissue menu
AMYGDALA BASAL GANGLIA CEREBELLUM CEREBRAL CORTEX CHOROID PLEXUS HIPPOCAMPAL FORMATION HYPOTHALAMUS MEDULLA OBLONGATA
MIDBRAIN OLFACTORY BULB PITUITARY GLAND PONS RETINA SPINAL CORD THALAMUS WHITE MATTER
ANTIBODIES
AND
VALIDATION
Brain proteome
Basal ganglia
BASAL GANGLIA - Expression summary
Protein expression
Caudatei

On the top, protein expression in current human tissue, based on all annotated cell types, is reported with the units not detected (n), low (l), medium (m) and high (h). Underneath, protein expression in each annotated cell type are reported using the same units.

Protein expression data is based on knowledge-based annotation. For genes where more than one antibody has been used, a collective score is set.

If knowledge-based annotation could not be performed for a gene, no data is displayed here. View antibody staining data further down this page.

h
m
l
n
Glial cells: Medium
Neuronal cells: Low
RNA expressioni

A summary of mRNA expression data available for current tissue based on several datasets. The mRNA expression levels in human tissues are based on RNA-seq data generated by the Human Protein Atlas (HPA), Genotype-Tissue Expression (GTEx) portal and CAGE data generated by the FANTOM5 consortium. Consensus normalized expression levels for human tissues was created by combining the data from HPA and GTEx datasets.

The mRNA expression levels in pig are based on RNA-seq data generated by the Human Protein Atlas (HPA), and for mouse, HPA data and in situ hybridization generated by the Allen brain atlas are reported.

Scroll down to view mRNA expression data in more detail.
Consensus:15.8 nTPM
HPA Brain:17.2 nTPM
GTEx:15.8 nTPM
FANTOM5:11.7 Scaled Tags Per Million
Pig:15.9 nTPM
Mouse:10.9 nTPM
Allen mouse:1.0 Expression energy

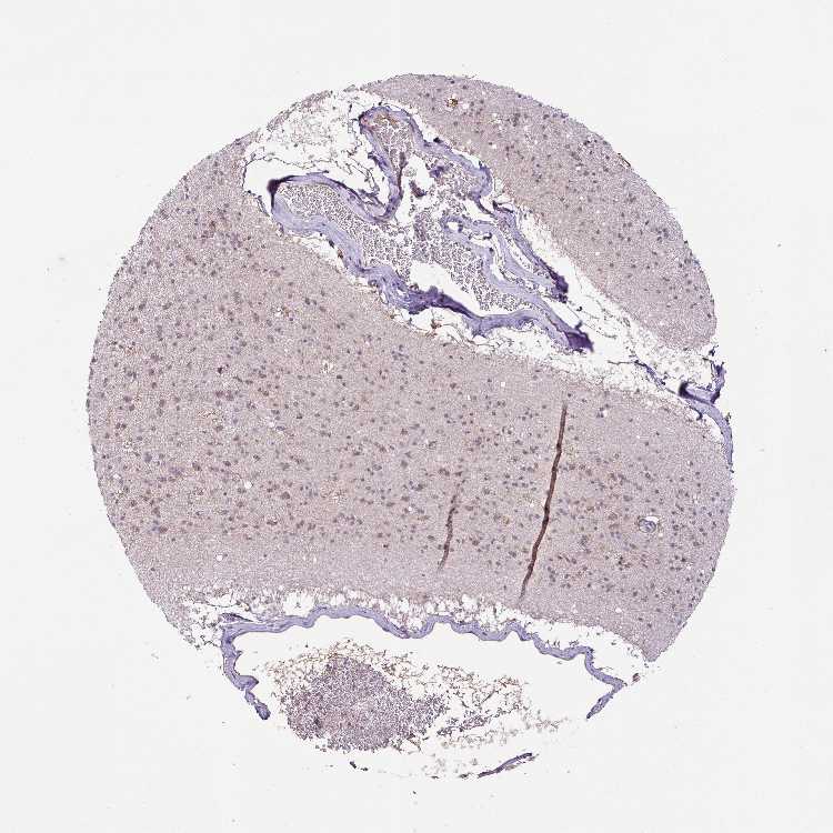
CAUDATE - Antibody stainingi

Antibody staining in the annotated cell types in the current human tissue is reported as not detected, low, medium, or high, based on conventional immunohistochemistry profiling in selected tissues. This score is based on the combination of the staining intensity and fraction of stained cells.

Each image is clickable and will lead to virtual microscopy that enables deeper exploration of all samples and also displays staining intensity scores, fraction scores and subcellular localization as well as patient and tissue information for each sample.

Antibody HPA051493
Glial cells Medium
Neuronal cells Low



BASAL GANGLIA - HPA Brain RNA-seq
Max subtype nTPMi

Max subtype nTPM is the value for the subtype with the largest average nTPM across the subtype samples.

17.2
Sample id Sample description nTPM
Caudate nucleus
nTPM: 15.7
1781 Male, age 74, unknown 17.2
2289 Male, age 61, right hemisphere 16.3
2481 Female, age 94, left hemisphere 16.3
2846 Female, age 79, unknown 15.7
2290 Female, age 72, unknown 15.6
2288 Male, age 75, left hemisphere 15.3
1854 Male, age 80, left hemisphere 14.9
1857 Female, age 85, left hemisphere 14.0
Globus pallidus, externus
nTPM: 17.2
2567 Female, age 72, unknown 21.3
2646 Male, age 61, right hemisphere 20.4
1996 Male, age 80, right hemisphere 15.1
2772 Female, age 79, unknown 14.7
2395 Male, age 75, both hemispheres 14.3
Globus pallidus, internus
nTPM: 16.6
2566 Female, age 72, unknown 21.1
2037 Male, age 80, right hemisphere 16.9
1818 Male, age 74, unknown 16.3
2111 Female, age 85, right hemisphere 16.3
2483 Female, age 94, right hemisphere 15.7
2778 Female, age 91, both hemispheres 15.4
2287 Male, age 75, right hemisphere 14.4
Nucleus accumbens
nTPM: 15.1
1783 Male, age 74, unknown 16.7
2732 Male, age 80, right hemisphere 16.1
1806 Female, age 85, left hemisphere 15.8
2698 Female, age 72, unknown 15.0
2824 Male, age 61, right hemisphere 14.9
2286 Male, age 75, left hemisphere 14.1
2391 Female, age 94, left hemisphere 14.0
1856 Female, age 91, right hemisphere 13.9
Nucleus basalis of Meynert
nTPM: 16.7
2569 Male, age 61, both hemispheres 21.5
2821 Male, age 75, both hemispheres 16.3
2484 Female, age 94, left hemisphere 14.8
2393 Male, age 80, right hemisphere 14.2
Nucleus of the diagonal band
nTPM: 14.8
1979 Male, age 74, unknown 16.0
2029 Male, age 61, right hemisphere 15.7
1812 Female, age 91, both hemispheres 14.3
2195 Female, age 85, both hemispheres 14.3
2775 Male, age 80, right hemisphere 13.7
Putamen
nTPM: 15.7
2647 Male, age 75, left hemisphere 19.0
2489 Female, age 72, unknown 17.4
1829 Male, age 74, unknown 16.3
2466 Female, age 79, unknown 15.8
2482 Female, age 94, left hemisphere 13.9
1937 Female, age 91, right hemisphere 13.7
1838 Male, age 80, right hemisphere 13.6
Septal nuclei
nTPM: 15.1
2394 Male, age 61, left hemisphere 16.9
2059 Female, age 85, both hemispheres 16.0
2629 Female, age 94, right hemisphere 15.4
2199 Male, age 80, right hemisphere 15.1
1960 Male, age 74, unknown 14.6
2031 Female, age 72, unknown 14.3
2009 Female, age 91, both hemispheres 13.4
Stria terminalis, bed nucleus
nTPM: 13.9
1974 Female, age 91, both hemispheres 14.0
2201 Male, age 74, unknown 13.9
2486 Female, age 94, both hemispheres 13.8

BASAL GANGLIA - GTEx RNA-seqi

RNA-Seq data generated by the Genotype-Tissue Expression (GTEx) project from human tissues is reported as mean nTPM. More information can be found on the GTEx portal.

Distribution across the dataset is visualized with box plots, shown as median and 25th and 75th percentiles. Points are displayed as outliers if they are above or below 1.5 times the interquartile range. nTPM values of the individual samples are presented next to the box plot.
Max subtype nTPMi

Max subtype nTPM is the value for the subtype with the largest average nTPM across the subtype samples.

15.8
GTEx sample id Sample description nTPM
Brain - Caudate (basal ganglia)
Average nTPM: 15.1
Samples: 246

Max nTPM: 23.2
Min nTPM: 7.7
Std nTPM: 2.4
Median nTPM: 15.0
GTEX-1GN2E-0011-R5b-SM-CJI2M 60-69 years, male 23.2
GTEX-1EH9U-0011-R5a-SM-CJI2K 60-69 years, male 23.0
GTEX-1B996-0011-R5a-SM-7P8PN 60-69 years, male 22.9
GTEX-14753-0011-R5a-SM-5S2VW 60-69 years, male 22.2
GTEX-1HCU6-0011-R5a-SM-ARU76 60-69 years, female 22.0
GTEX-1IL2U-0011-R5a-SM-CE6SN 60-69 years, male 21.9
GTEX-OXRO-0011-R5A-SM-2I5EG 60-69 years, female 21.3
GTEX-139TS-0011-R5b-SM-5J2MZ 60-69 years, male 20.6
GTEX-1C6VS-0011-R5a-SM-7MXU9 60-69 years, male 20.4
GTEX-14BMV-0011-R5b-SM-62LFT 50-59 years, male 20.1
GTEX-145MG-0011-R5b-SM-5S2VU 50-59 years, male 20.0
GTEX-1HT8W-0011-R5b-SM-CJI3P 30-39 years, male 20.0
GTEX-1J8JJ-0011-R5a-SM-D4P2G 60-69 years, female 19.4
GTEX-1RNSC-0011-R5a-SM-EZ6N5 60-69 years, male 18.9
GTEX-13CIG-0011-R5b-SM-5L3F2 50-59 years, male 18.7
GTEX-14ASI-0011-R5b-SM-6EU2M 60-69 years, male 18.5
GTEX-12ZZX-0011-R5a-SM-5HL89 40-49 years, female 18.4
GTEX-1I1GV-0011-R5b-SM-CKZPD 60-69 years, male 18.4
GTEX-139T8-0011-R5b-SM-5J1MO 60-69 years, male 18.2
GTEX-YJ89-0011-R5a-SM-4V6GM 60-69 years, male 18.2
GTEX-11DXW-0011-R5b-SM-DO11D 40-49 years, male 18.2
GTEX-1H1DG-0011-R5b-SM-CJI33 70-79 years, male 18.1
GTEX-144GL-0011-R5b-SM-5PNUJ 50-59 years, male 18.0
GTEX-16NPV-0011-R5a-SM-7EPGK 50-59 years, female 18.0
GTEX-1F52S-0011-R5a-SM-CJI22 60-69 years, female 18.0
GTEX-1HSKV-0011-R5b-SM-ARZLN 60-69 years, male 17.9
GTEX-139TU-0011-R5b-SM-5L3E1 60-69 years, male 17.8
GTEX-13NYB-0011-R5a-SM-5MR45 40-49 years, male 17.8
GTEX-13NZA-0011-R5b-SM-5KM4K 60-69 years, male 17.8
GTEX-13FXS-0011-R5b-SM-5LZYE 50-59 years, male 17.7
GTEX-1HBPI-0011-R5a-SM-CKZOW 50-59 years, male 17.7
GTEX-ZVT3-0011-R5a-SM-51MSI 60-69 years, female 17.6
GTEX-1H3O1-0011-R5b-SM-ADEH8 60-69 years, male 17.6
GTEX-11UD1-0011-R5b-SM-5P9FP 40-49 years, female 17.5
GTEX-11TTK-0011-R5a-SM-DNZZV 60-69 years, female 17.5
GTEX-13PVQ-0011-R5b-SM-5O9DI 50-59 years, male 17.4
GTEX-14E6D-0011-R5b-SM-69LQR 50-59 years, male 17.4
GTEX-17HHY-0011-R5b-SM-79OMZ 50-59 years, male 17.4
GTEX-1C6VR-0011-R5a-SM-9QEH1 60-69 years, male 17.4
GTEX-12WSH-0011-R5b-SM-5P9F3 50-59 years, male 17.3
GTEX-13N1W-0011-R5b-SM-5MR5Q 70-79 years, male 17.3
GTEX-13O3O-0011-R5b-SM-5KM44 60-69 years, female 17.2
GTEX-13SLX-0011-R5a-SM-5O9BV 50-59 years, female 17.2
GTEX-1GPI6-0011-R5a-SM-CJI2W 60-69 years, male 17.2
GTEX-13FLV-0011-R5a-SM-5LZWT 50-59 years, male 17.1
GTEX-145MH-0011-R5a-SM-5P9JT 50-59 years, male 17.1
GTEX-14C39-0011-R5b-SM-5ZZV1 40-49 years, male 17.1
GTEX-RVPV-0011-R5A-SM-2TF69 60-69 years, male 17.1
GTEX-13FHO-0011-R5b-SM-5LZZ3 60-69 years, male 16.9
GTEX-13SLW-0011-R5b-SM-5SI6Z 70-79 years, male 16.9
GTEX-1F75W-0011-R5b-SM-9QEGV 60-69 years, male 16.9
GTEX-1J8EW-0011-R5b-SM-ARU8B 60-69 years, female 16.9
GTEX-1H3NZ-0011-R5a-SM-CM2SP 60-69 years, male 16.8
GTEX-12ZZW-0011-R5a-SM-5DUVN 50-59 years, male 16.7
GTEX-1H23P-0011-R5a-SM-CKZOI 60-69 years, male 16.7
GTEX-13112-0011-R5b-SM-5DUV8 50-59 years, male 16.6
GTEX-13OW6-0011-R5a-SM-5O9BK 50-59 years, male 16.6
GTEX-1EN7A-0011-R5a-SM-9QEH6 40-49 years, male 16.6
GTEX-1F48J-0011-R5b-SM-9OSVZ 50-59 years, female 16.6
GTEX-13OVJ-0011-R5a-SM-5P9H7 50-59 years, female 16.4
GTEX-13OW8-0011-R5b-SM-5L3FQ 60-69 years, male 16.4
GTEX-15DYW-0011-R5a-SM-6M46W 60-69 years, female 16.4
GTEX-X261-0011-R5A-SM-3NMB4 50-59 years, male 16.4
GTEX-1H3VE-0011-R5a-SM-CKZOU 40-49 years, male 16.4
GTEX-18465-0011-R5a-SM-72D5J 50-59 years, male 16.3
GTEX-ZDXO-0011-R5a-SM-4WKG5 60-69 years, male 16.3
GTEX-12WSF-0011-R5a-SM-5HL8K 70-79 years, male 16.2
GTEX-14DAQ-0011-R5b-SM-5YYAK 60-69 years, female 16.2
GTEX-1GZ4I-0011-R5a-SM-9OSWQ 50-59 years, male 16.2
GTEX-1J8Q2-0011-R5b-SM-A9SKH 60-69 years, male 16.2
GTEX-13JVG-0011-R5a-SM-5MR4O 60-69 years, male 16.1
GTEX-13PLJ-0011-R5a-SM-5O9BG 60-69 years, female 16.1
GTEX-13S7M-0011-R5b-SM-5P9HS 60-69 years, female 16.1
GTEX-1GMR8-0011-R5b-SM-9QEIH 50-59 years, female 16.1
GTEX-139TT-0011-R5b-SM-5K7W8 60-69 years, male 16.0
GTEX-13VXU-0011-R5a-SM-5O9D7 50-59 years, male 16.0
GTEX-13OW5-0011-R5b-SM-5L3FR 60-69 years, male 15.9
GTEX-X585-0011-R5A-SM-46MVI 50-59 years, male 15.8
GTEX-11H98-0011-R5b-SM-57WCF 50-59 years, male 15.7
GTEX-11NV4-0011-R5a-SM-5NQ88 60-69 years, male 15.7
GTEX-12ZZY-0011-R5a-SM-5EGL9 60-69 years, male 15.7
GTEX-13G51-0011-R5a-SM-5L3EB 60-69 years, male 15.7
GTEX-13O3Q-0011-R5b-SM-5P9H4 50-59 years, male 15.7
GTEX-1B933-0011-R5b-SM-7P8SA 50-59 years, female 15.7
GTEX-1EKGG-0011-R5a-SM-9OSVQ 60-69 years, male 15.7
GTEX-1GMRU-0011-R5a-SM-CKZNS 50-59 years, male 15.7
GTEX-13CF2-0011-R5a-SM-5LZWS 60-69 years, male 15.6
GTEX-13FHP-0011-R5b-SM-5LZY2 50-59 years, male 15.6
GTEX-13OVH-0011-R5b-SM-5KM4L 70-79 years, male 15.6
GTEX-14LLW-0011-R5b-SM-5ZZU6 70-79 years, female 15.6
GTEX-183WM-0011-R5a-SM-718A4 70-79 years, female 15.6
GTEX-WL46-0011-R5A-SM-3LK6V 50-59 years, male 15.6
GTEX-WZTO-0011-R5B-SM-3NMC5 40-49 years, male 15.6
GTEX-1F6I4-0011-R5b-SM-9QEHA 60-69 years, male 15.6
GTEX-1F75A-0011-R5a-SM-ARZMJ 50-59 years, male 15.6
GTEX-1IDJH-0011-R5a-SM-CE6SR 70-79 years, male 15.6
GTEX-1IKOH-0011-R5a-SM-ARU8C 60-69 years, female 15.6
GTEX-13OVL-0011-R5b-SM-5L3FU 50-59 years, male 15.5
GTEX-13OW7-0011-R5b-SM-5O9DM 50-59 years, male 15.5
GTEX-13RTJ-0011-R5a-SM-5P9HR 60-69 years, male 15.5
GTEX-14LZ3-0011-R5b-SM-5ZZV8 60-69 years, female 15.5
GTEX-1CAV2-0011-R5b-SM-9QEH4 40-49 years, female 15.5
GTEX-13CZV-0011-R5a-SM-5K7XA 60-69 years, male 15.4
GTEX-1A8G6-0011-R5b-SM-7IGQG 60-69 years, male 15.4
GTEX-P44G-0011-R5A-SM-2I3FA 30-39 years, male 15.4
GTEX-S7PM-0011-R5A-SM-3NM8G 60-69 years, male 15.4
GTEX-14BIN-0011-R5b-SM-5SI78 50-59 years, female 15.3
GTEX-1B8SF-0011-R5a-SM-79OOO 60-69 years, male 15.3
GTEX-ZUA1-0011-R5b-SM-51MTG 40-49 years, male 15.3
GTEX-1GN73-0011-R5a-SM-9QEIM 60-69 years, male 15.3
GTEX-1I1GS-0011-R5a-SM-CKZPC 60-69 years, male 15.3
GTEX-1J1OQ-0011-R5a-SM-D3L8K 40-49 years, female 15.3
GTEX-13FLW-0011-R5a-SM-5LZX6 50-59 years, male 15.2
GTEX-ZF28-0011-R5a-SM-4WWCZ 60-69 years, male 15.2
GTEX-11DYG-0011-R5a-SM-DO928 60-69 years, male 15.2
GTEX-1JMPZ-0011-R5b-SM-EYYWY 30-39 years, male 15.2
GTEX-1477Z-0011-R5b-SM-5PNUO 60-69 years, male 15.1
GTEX-Y8DK-0011-R5B-SM-4RTW6 60-69 years, male 15.1
GTEX-11NUK-0011-R5a-SM-DO93N 50-59 years, male 15.1
GTEX-1GF9V-0011-R5a-SM-9QEI8 60-69 years, male 15.1
GTEX-1I1HK-0011-R5b-SM-ARU6S 60-69 years, male 15.1
GTEX-R55E-0011-R5A-SM-2TC5N 20-29 years, male 15.0
GTEX-T5JC-0011-R5A-SM-32PLK 20-29 years, male 15.0
GTEX-1GZ2Q-0011-R5a-SM-A96RQ 40-49 years, male 15.0
GTEX-11GSP-0011-R5a-SM-57WBE 60-69 years, female 14.9
GTEX-1445S-0011-R5a-SM-5PNUS 60-69 years, male 14.9
GTEX-WVLH-0011-R5A-SM-3MJFW 50-59 years, male 14.9
GTEX-1HBPH-0011-R5b-SM-A9G1R 40-49 years, female 14.9
GTEX-1IKJJ-0011-R5b-SM-CE6SL 60-69 years, male 14.9
GTEX-13X6K-0011-R5b-SM-5PNUE 60-69 years, female 14.8
GTEX-1I19N-0011-R5b-SM-ARU6X 70-79 years, male 14.8
GTEX-14PN4-0011-R5a-SM-686ZV 50-59 years, male 14.7
GTEX-ZE7O-0011-R5a-SM-57WBO 50-59 years, female 14.7
GTEX-1399T-0011-R5b-SM-5IJDK 60-69 years, male 14.6
GTEX-14ABY-0011-R5b-SM-5SI7B 50-59 years, male 14.6
GTEX-14PJO-0011-R5a-SM-6AJBZ 60-69 years, male 14.6
GTEX-TSE9-0011-R5A-SM-3DB7J 60-69 years, female 14.6
GTEX-Z93S-0011-R5b-SM-4RGNI 50-59 years, male 14.6
GTEX-13X6J-0011-R5b-SM-5PNWT 50-59 years, male 14.5
GTEX-1A3MX-0011-R5a-SM-79OM5 60-69 years, male 14.5
GTEX-X4XX-0011-R5A-SM-46MWN 60-69 years, male 14.5
GTEX-1JMQJ-0011-R5a-SM-EYYXO 50-59 years, male 14.5
GTEX-12WSD-0011-R5b-SM-5CVNG 60-69 years, female 14.4
GTEX-12ZZZ-0011-R5a-SM-5EQ4M 60-69 years, male 14.4
GTEX-14JG1-0011-R5a-SM-62LED 40-49 years, male 14.4
GTEX-17MF6-0011-R5a-SM-731BA 40-49 years, male 14.4
GTEX-1192X-0011-R5a-SM-DNZZA 50-59 years, male 14.4
GTEX-1F7RK-0011-R5b-SM-9WG5S 20-29 years, female 14.4
GTEX-13NYS-0011-R5a-SM-5MR4D 60-69 years, male 14.3
GTEX-15ER7-0011-R5b-SM-6M46T 20-29 years, female 14.3
GTEX-1CB4G-0011-R5a-SM-CKZNM 60-69 years, male 14.3
GTEX-15SHU-0011-R5a-SM-7938Q 40-49 years, female 14.2
GTEX-Q2AG-0011-R5A-SM-2HMJH 40-49 years, female 14.2
GTEX-RU72-0011-R5A-SM-2TF6U 50-59 years, female 14.2
GTEX-11WQC-0011-R5a-SM-5BC74 60-69 years, male 14.1
GTEX-131YS-0011-R5b-SM-5K7YB 60-69 years, female 14.1
GTEX-14PQA-0011-R5b-SM-6AJC2 50-59 years, female 14.1
GTEX-11O72-0011-R5a-SM-DO922 40-49 years, male 14.1
GTEX-1E1VI-0011-R5b-SM-9WG5V 50-59 years, male 14.1
GTEX-1EX96-0011-R5a-SM-ARU83 50-59 years, male 14.1
GTEX-1F75B-0011-R5a-SM-9QEHC 50-59 years, male 14.1
GTEX-1R9K4-0011-R5b-SM-EZ6N8 60-69 years, male 14.1
GTEX-132Q8-0011-R5a-SM-5IJDM 60-69 years, male 14.0
GTEX-14BIM-0011-R5b-SM-5S2RM 60-69 years, female 14.0
GTEX-17HII-0011-R5a-SM-7LG51 50-59 years, male 14.0
GTEX-T6MN-0011-R5A-SM-32QPD 50-59 years, male 14.0
GTEX-1C6WA-0011-R5a-SM-9WG5X 60-69 years, male 14.0
GTEX-1GF9W-0011-R5a-SM-CKZO4 60-69 years, male 14.0
GTEX-1313W-0011-R5b-SM-5L3EP 50-59 years, female 13.9
GTEX-1HUB1-0011-R5a-SM-CKZOY 60-69 years, male 13.9
GTEX-1I1GQ-0011-R5a-SM-CMKHJ 50-59 years, male 13.9
GTEX-13PL6-0011-R5b-SM-5O9BI 40-49 years, female 13.8
GTEX-YFC4-0011-R5a-SM-4RGLR 40-49 years, female 13.8
GTEX-ZXG5-0011-R5b-SM-57WBN 60-69 years, male 13.8
GTEX-11DZ1-0011-R5a-SM-DO11J 50-59 years, male 13.8
GTEX-11PRG-0011-R5b-SM-DNZZS 50-59 years, male 13.8
GTEX-1E2YA-0011-R5a-SM-9QEGT 50-59 years, male 13.8
GTEX-1I1GR-0011-R5a-SM-CMKHD 60-69 years, male 13.8
GTEX-13X6I-0011-R5a-SM-5PNWW 60-69 years, male 13.7
GTEX-15CHQ-0011-R5b-SM-6AJAN 60-69 years, male 13.7
GTEX-QDT8-0011-R5A-SM-32PKN 30-39 years, female 13.7
GTEX-ZVZQ-0011-R5b-SM-57WDC 60-69 years, female 13.7
GTEX-1GN1U-0011-R5a-SM-9QEIS 50-59 years, female 13.7
GTEX-11OF3-0011-R5a-SM-57WB4 60-69 years, male 13.6
GTEX-17F97-0011-R5a-SM-7LG4Z 50-59 years, male 13.6
GTEX-18464-0011-R5b-SM-718A6 50-59 years, male 13.6
GTEX-N7MS-0011-R5a-SM-2HMK8 60-69 years, male 13.6
GTEX-11DXY-0011-R5b-SM-DNZZL 60-69 years, male 13.6
GTEX-1HR9M-0011-R5a-SM-ARU72 60-69 years, male 13.6
GTEX-16Z82-0011-R5a-SM-7EPGB 60-69 years, male 13.5
GTEX-1H1ZS-0011-R5b-SM-CL53L 70-79 years, male 13.5
GTEX-12WSC-0011-R5b-SM-5CVNS 50-59 years, male 13.4
GTEX-ZV68-0011-R5a-SM-4YCDW 50-59 years, female 13.4
GTEX-1IY9M-0011-R5a-SM-A9SLX 60-69 years, male 13.4
GTEX-12WSA-0011-R5b-SM-5GU5I 60-69 years, male 13.3
GTEX-NPJ7-0011-R5a-SM-33HBK 60-69 years, female 13.3
GTEX-1HR98-0011-R5a-SM-A9G1V 60-69 years, male 13.3
GTEX-1LG7Y-0011-R5a-SM-EZ6MU 50-59 years, male 13.3
GTEX-15EO6-0011-R5b-SM-7KUDZ 50-59 years, male 13.2
GTEX-17EVP-0011-R5b-SM-7DHKW 40-49 years, male 13.2
GTEX-RNOR-0011-R5A-SM-2TF4J 50-59 years, female 13.2
GTEX-1H1CY-0011-R5a-SM-CM2SN 60-69 years, female 13.2
GTEX-12WSM-0011-R5a-SM-5EQ4Y 60-69 years, male 13.1
GTEX-144GO-0011-R5a-SM-5PNUR 60-69 years, male 13.0
GTEX-1HCVE-0011-R5b-SM-CKZP7 50-59 years, male 13.0
GTEX-1N2DW-0011-R5a-SM-EYYX3 50-59 years, male 12.9
GTEX-13JUV-0011-R5a-SM-5LZY5 40-49 years, female 12.8
GTEX-NL3H-0011-R5a-SM-2I3GB 60-69 years, male 12.8
GTEX-WWYW-0011-R5A-SM-3NB3E 50-59 years, female 12.8
GTEX-1GTWX-0011-R5b-SM-CKZO6 60-69 years, male 12.7
GTEX-11ONC-0011-R5b-SM-DO93I 60-69 years, male 12.6
GTEX-1EMGI-0011-R5a-SM-CJI2E 60-69 years, male 12.6
GTEX-1HFI6-0011-R5a-SM-A9G1J 40-49 years, male 12.6
GTEX-NPJ8-0011-R5a-SM-2HMJY 40-49 years, male 12.5
GTEX-1HB9E-0011-R5b-SM-ARU78 50-59 years, male 12.5
GTEX-17EVQ-0011-R5a-SM-7LT92 70-79 years, male 12.4
GTEX-1AX9I-0011-R5b-SM-793DI 60-69 years, male 12.4
GTEX-1F6IF-0011-R5b-SM-CM2RH 60-69 years, male 12.4
GTEX-1R9PO-0011-R5a-SM-EZ6NA 60-69 years, female 12.4
GTEX-1IGQW-0011-R5b-SM-CJI44 60-69 years, male 12.3
GTEX-1IL2V-0011-R5a-SM-ARL78 70-79 years, male 12.2
GTEX-14JIY-0011-R5b-SM-62LE7 60-69 years, male 12.1
GTEX-16YQH-0011-R5b-SM-7938U 30-39 years, male 12.1
GTEX-UTHO-0011-R5A-SM-3GIJD 60-69 years, male 12.1
GTEX-NL4W-0011-R5a-SM-2I3GD 50-59 years, male 12.0
GTEX-S7SE-0011-R5A-SM-2XCDA 50-59 years, male 12.0
GTEX-QMR6-0011-R5A-SM-32PKT 50-59 years, male 11.8
GTEX-ZE9C-0011-R5a-SM-5EGLO 60-69 years, male 11.8
GTEX-15DCD-0011-R5a-SM-CXZKZ 70-79 years, female 11.7
GTEX-1HGF4-0011-R5b-SM-CM2ST 60-69 years, male 11.7
GTEX-ZAB4-0011-R5a-SM-4SOKC 40-49 years, male 11.5
GTEX-1IKK5-0011-R5b-SM-CL55B 60-69 years, male 11.5
GTEX-17HG3-0011-R5a-SM-7DUEW 30-39 years, female 11.4
GTEX-N7MT-0011-R5a-SM-2I3G6 60-69 years, female 11.4
GTEX-1H2FU-0011-R5b-SM-CL552 60-69 years, female 11.3
GTEX-145LS-0011-R5a-SM-5SI65 60-69 years, female 11.1
GTEX-XMD1-0011-R5A-SM-4AT47 60-69 years, male 11.1
GTEX-15G19-0011-R5b-SM-6M46P 60-69 years, male 11.0
GTEX-PWO3-0011-R5A-SM-2I5EZ 60-69 years, female 10.9
GTEX-1B8L1-0011-R5a-SM-7DHN5 60-69 years, male 10.7
GTEX-P44H-0011-R5A-SM-2XCEX 40-49 years, male 10.7
GTEX-QVJO-0011-R5A-SM-2S1QM 60-69 years, female 10.6
GTEX-OXRN-0011-R5A-SM-2I5EF 50-59 years, male 9.7
GTEX-PVOW-0011-R5A-SM-32PL7 40-49 years, male 9.2
GTEX-T2IS-0011-R5A-SM-32QP4 20-29 years, female 7.8
GTEX-1CB4H-0011-R5b-SM-9QEGN 60-69 years, female 7.7
Show allShow less
Brain - Nucleus accumbens (basal ganglia)
Average nTPM: 14.8
Samples: 246

Max nTPM: 28.9
Min nTPM: 9.0
Std nTPM: 2.8
Median nTPM: 14.3
GTEX-1H3VE-0011-R6b-SM-A9G1M 40-49 years, male 28.9
GTEX-13IVO-0011-R6b-SM-5K7X9 70-79 years, male 22.7
GTEX-12WSE-0011-R6b-SM-5LZV5 20-29 years, male 22.2
GTEX-16XZZ-0011-R6a-SM-7IGNE 60-69 years, male 22.2
GTEX-X4XY-0011-R6B-SM-46MVB 60-69 years, male 22.1
GTEX-1HBPM-0011-R6b-SM-ARU73 60-69 years, female 21.7
GTEX-13SLW-0011-R6a-SM-5O9BH 70-79 years, male 21.5
GTEX-1RLM8-0011-R6a-SM-EYYXS 50-59 years, male 21.4
GTEX-14PHW-0011-R6b-SM-5YYAR 60-69 years, female 20.6
GTEX-1H4P4-0011-R6a-SM-ARZLR 50-59 years, male 20.4
GTEX-X261-0011-R6B-SM-4E3J8 50-59 years, male 20.1
GTEX-18465-0011-R6a-SM-7LG6M 50-59 years, male 20.0
GTEX-1EWIQ-0011-R6a-SM-ARU8G 70-79 years, female 20.0
GTEX-13OVH-0011-R6b-SM-5LUAX 70-79 years, male 19.7
GTEX-139TS-0011-R6a-SM-5J2OB 60-69 years, male 19.3
GTEX-1EH9U-0011-R6a-SM-CJI2C 60-69 years, male 19.2
GTEX-1LB8K-0011-R6a-SM-EXURT 50-59 years, male 19.2
GTEX-13JVG-0011-R6a-SM-5MR3E 60-69 years, male 19.0
GTEX-12WSD-0011-R6b-SM-5P9JU 60-69 years, female 18.9
GTEX-145LU-0011-R6a-SM-5S2V6 50-59 years, male 18.9
GTEX-1I1CD-0011-R6b-SM-CJI3Y 60-69 years, female 18.8
GTEX-1J8Q2-0011-R6a-SM-CKZPG 60-69 years, male 18.8
GTEX-144GL-0011-R6a-SM-5P9HW 50-59 years, male 18.7
GTEX-17EVQ-0011-R6a-SM-7189U 70-79 years, male 18.7
GTEX-13FHO-0011-R6b-SM-5LZX1 60-69 years, male 18.4
GTEX-13OW8-0011-R6b-SM-5L3I3 60-69 years, male 18.4
GTEX-13S7M-0011-R6b-SM-5O9D8 60-69 years, female 18.4
GTEX-1E2YA-0011-R6b-SM-CE6R2 50-59 years, male 18.4
GTEX-1H1ZS-0011-R6b-SM-A9G1F 70-79 years, male 18.4
GTEX-1H23P-0011-R6b-SM-A9G1H 60-69 years, male 18.4
GTEX-145MI-0011-R6a-SM-5PNZA 60-69 years, female 18.3
GTEX-13O3O-0011-R6b-SM-5P9GY 60-69 years, female 18.2
GTEX-WHSE-0011-R6A-SM-3P5ZP 20-29 years, male 18.2
GTEX-1GMRU-0011-R6b-SM-A9G3B 50-59 years, male 18.2
GTEX-1CB4J-0011-R6b-SM-9WG7B 60-69 years, male 18.0
GTEX-1I1GS-0011-R6b-SM-CMKHE 60-69 years, male 17.9
GTEX-12WSH-0011-R6b-SM-5P9F4 50-59 years, male 17.8
GTEX-13N2G-0011-R6b-SM-5MR3P 60-69 years, male 17.8
GTEX-12584-0011-R6a-SM-5NQ7C 40-49 years, male 17.7
GTEX-1F88E-0011-R6a-SM-CKZNW 60-69 years, female 17.6
GTEX-S7PM-0011-R6A-SM-3NM8F 60-69 years, male 17.5
GTEX-1R46S-0011-R6a-SM-EZ6N6 60-69 years, female 17.5
GTEX-13N1W-0011-R6a-SM-5MR43 70-79 years, male 17.4
GTEX-1F48J-0011-R6a-SM-CJI2F 50-59 years, female 17.4
GTEX-1F75B-0011-R6a-SM-ARZMI 50-59 years, male 17.4
GTEX-1GZHY-0011-R6a-SM-9OSWL 50-59 years, female 17.4
GTEX-13PDP-0011-R6b-SM-5O9D5 60-69 years, male 17.3
GTEX-1GMR8-0011-R6b-SM-CE6RC 50-59 years, female 17.3
GTEX-X4EP-0011-R6A-SM-3P629 60-69 years, female 17.2
GTEX-ZDXO-0011-R6a-SM-4WWCT 60-69 years, male 17.2
GTEX-1JJEA-0011-R6a-SM-EXUS1 60-69 years, male 17.2
GTEX-17JCI-0011-R6a-SM-72D6D 60-69 years, female 17.1
GTEX-1BAJH-0011-R6b-SM-7MXT2 70-79 years, male 17.1
GTEX-12WSM-0011-R6b-SM-5EQ6N 60-69 years, male 17.0
GTEX-ZVT3-0011-R6a-SM-51MSU 60-69 years, female 17.0
GTEX-13OW5-0011-R6b-SM-5O9BW 60-69 years, male 16.9
GTEX-1IGQW-0011-R6a-SM-CM2TC 60-69 years, male 16.7
GTEX-12ZZW-0011-R6a-SM-5DUVZ 50-59 years, male 16.6
GTEX-131XW-0011-R6b-SM-5K7XY 50-59 years, female 16.6
GTEX-1A8G6-0011-R6b-SM-7P8PE 60-69 years, male 16.6
GTEX-X4XX-0011-R6B-SM-46MWP 60-69 years, male 16.5
GTEX-YJ89-0011-R6a-SM-4V6GN 60-69 years, male 16.4
GTEX-11TTK-0011-R6b-SM-DNZZW 60-69 years, female 16.4
GTEX-14ASI-0011-R6a-SM-5S2UZ 60-69 years, male 16.3
GTEX-18A6Q-0011-R6a-SM-7LG6R 60-69 years, male 16.3
GTEX-Y8DK-0011-R6A-SM-4V6EG 60-69 years, male 16.3
GTEX-11DXW-0011-R6a-SM-DO11N 40-49 years, male 16.3
GTEX-1F6I4-0011-R6a-SM-CE6R4 60-69 years, male 16.2
GTEX-1GF9V-0011-R6b-SM-CJI2Q 60-69 years, male 16.2
GTEX-1HR9M-0011-R6a-SM-ARU6Z 60-69 years, male 16.2
GTEX-1HUB1-0011-R6b-SM-ARU6W 60-69 years, male 16.2
GTEX-1I1HK-0011-R6b-SM-CM2T9 60-69 years, male 16.2
GTEX-1J1OQ-0011-R6a-SM-ARU86 40-49 years, female 16.2
GTEX-14753-0011-R6b-SM-5S2UD 60-69 years, male 16.1
GTEX-14BIN-0011-R6a-SM-5S2RH 50-59 years, female 16.1
GTEX-1GN2E-0011-R6b-SM-9QEII 60-69 years, male 16.1
GTEX-11GSP-0011-R6b-SM-57WBQ 60-69 years, female 16.0
GTEX-12WSC-0011-R6b-SM-5LU99 50-59 years, male 15.9
GTEX-12WSF-0011-R6b-SM-5HL8W 70-79 years, male 15.9
GTEX-144GO-0011-R6b-SM-5S2V7 60-69 years, male 15.9
GTEX-15EO6-0011-R6a-SM-7KULK 50-59 years, male 15.9
GTEX-ZE7O-0011-R6a-SM-57WCI 50-59 years, female 15.9
GTEX-1445S-0011-R6b-SM-5PNUF 60-69 years, male 15.8
GTEX-X585-0011-R6A-SM-46MVJ 50-59 years, male 15.8
GTEX-1C6VR-0011-R6a-SM-7MXU8 60-69 years, male 15.8
GTEX-1IL2U-0011-R6a-SM-ARZLG 60-69 years, male 15.8
GTEX-13FLV-0011-R6a-SM-5KLZ4 50-59 years, male 15.7
GTEX-14PN4-0011-R6b-SM-69LQU 50-59 years, male 15.7
GTEX-RU72-0011-R6A-SM-2TF71 50-59 years, female 15.6
GTEX-14PQA-0011-R6b-SM-6AJAM 50-59 years, female 15.5
GTEX-16Z82-0011-R6a-SM-7IGLV 60-69 years, male 15.5
GTEX-17F97-0011-R6a-SM-7EPGS 50-59 years, male 15.5
GTEX-183WM-0011-R6b-SM-72D66 70-79 years, female 15.5
GTEX-1HBPI-0011-R6b-SM-A9G1T 50-59 years, male 15.5
GTEX-13FHP-0011-R6b-SM-5LZY6 50-59 years, male 15.4
GTEX-1C64N-0011-R6a-SM-7IGO9 50-59 years, male 15.4
GTEX-1E1VI-0011-R6a-SM-9OSVJ 50-59 years, male 15.3
GTEX-11NV4-0011-R6a-SM-57WD5 60-69 years, male 15.1
GTEX-17MF6-0011-R6b-SM-7LG6G 40-49 years, male 15.1
GTEX-1H3NZ-0011-R6b-SM-A9G1N 60-69 years, male 15.1
GTEX-1H3O1-0011-R6b-SM-CL54U 60-69 years, male 15.1
GTEX-1399T-0011-R6b-SM-5K7YL 60-69 years, male 15.0
GTEX-1CB4G-0011-R6b-SM-9QEGO 60-69 years, male 15.0
GTEX-132Q8-0011-R6a-SM-5K7YN 60-69 years, male 14.9
GTEX-13FXS-0011-R6b-SM-5L3F7 50-59 years, male 14.9
GTEX-13NYB-0011-R6b-SM-5MR51 40-49 years, male 14.9
GTEX-13PL6-0011-R6a-SM-5O9C5 40-49 years, female 14.9
GTEX-WZTO-0011-R6B-SM-4E3J6 40-49 years, male 14.9
GTEX-OHPN-0011-R6A-SM-2I5FH 60-69 years, female 14.8
GTEX-1F7RK-0011-R6b-SM-ARZMG 20-29 years, female 14.7
GTEX-12ZZX-0011-R6a-SM-5HL8L 40-49 years, female 14.6
GTEX-13112-0011-R6b-SM-5DUVK 50-59 years, male 14.6
GTEX-ZAB4-0011-R6a-SM-4SOKD 40-49 years, male 14.6
GTEX-1IDJH-0011-R6a-SM-A9SLZ 70-79 years, male 14.6
GTEX-1MJK2-0011-R6a-SM-EXUS3 50-59 years, male 14.6
GTEX-12ZZY-0011-R6b-SM-5EGLA 60-69 years, male 14.5
GTEX-13OVJ-0011-R6b-SM-5L3GH 50-59 years, female 14.5
GTEX-1AX9I-0011-R6a-SM-7P8PK 60-69 years, male 14.4
GTEX-1B8SF-0011-R6b-SM-7MXUD 60-69 years, male 14.4
GTEX-1HBPH-0011-R6a-SM-CKZOV 40-49 years, female 14.4
GTEX-11WQC-0011-R6a-SM-5BC77 60-69 years, male 14.3
GTEX-147GR-0011-R6b-SM-5S2RO 60-69 years, male 14.3
GTEX-14BMV-0011-R6b-SM-5YY9I 50-59 years, male 14.3
GTEX-15CHQ-0011-R6b-SM-69LOX 60-69 years, male 14.3
GTEX-11ONC-0011-R6a-SM-DO12A 60-69 years, male 14.3
GTEX-11PRG-0011-R6b-SM-DO923 50-59 years, male 14.3
GTEX-1EN7A-0011-R6b-SM-9QEHW 40-49 years, male 14.3
GTEX-11NUK-0011-R6a-SM-DO93O 50-59 years, male 14.2
GTEX-11O72-0011-R6a-SM-DNZZQ 40-49 years, male 14.2
GTEX-1I1GQ-0011-R6b-SM-CE6SE 50-59 years, male 14.2
GTEX-1IKOH-0011-R6b-SM-A9G1W 60-69 years, female 14.2
GTEX-13JUV-0011-R6b-SM-5LZYG 40-49 years, female 14.1
GTEX-147F4-0011-R6b-SM-5S2UP 50-59 years, male 14.1
GTEX-WL46-0011-R6A-SM-3LK6X 50-59 years, male 14.1
GTEX-11DYG-0011-R6a-SM-DO936 60-69 years, male 14.1
GTEX-1F75W-0011-R6a-SM-9QEI5 60-69 years, male 14.1
GTEX-1H1DG-0011-R6a-SM-A9SK8 70-79 years, male 14.1
GTEX-1LC47-0011-R6b-SM-EZ6MI 60-69 years, male 14.1
GTEX-11OF3-0011-R6b-SM-57WBG 60-69 years, male 14.0
GTEX-12ZZZ-0011-R6b-SM-5EQ5B 60-69 years, male 14.0
GTEX-13QJC-0011-R6a-SM-5S2VI 60-69 years, female 14.0
GTEX-17HHY-0011-R6b-SM-7189Z 50-59 years, male 14.0
GTEX-ZE9C-0011-R6a-SM-4WWCW 60-69 years, male 14.0
GTEX-1EX96-0011-R6a-SM-9OSVV 50-59 years, male 14.0
GTEX-1GN73-0011-R6b-SM-CJI2T 60-69 years, male 14.0
GTEX-1MA7X-0011-R6a-SM-EYYWR 60-69 years, male 14.0
GTEX-13G51-0011-R6b-SM-5LZX4 60-69 years, male 13.9
GTEX-YFC4-0011-R6b-SM-4V6E1 40-49 years, female 13.9
GTEX-1GZ2Q-0011-R6a-SM-9OSWM 40-49 years, male 13.9
GTEX-13OW6-0011-R6b-SM-5L3GR 50-59 years, male 13.8
GTEX-P44H-0011-R6A-SM-2XCF3 40-49 years, male 13.8
GTEX-Z93S-0011-R6b-SM-4RGNJ 50-59 years, male 13.8
GTEX-1313W-0011-R6a-SM-5K7XO 50-59 years, female 13.7
GTEX-1B996-0011-R6b-SM-793AQ 60-69 years, male 13.7
GTEX-1F75A-0011-R6b-SM-9QEHD 50-59 years, male 13.7
GTEX-1GN1U-0011-R6a-SM-CKZNO 50-59 years, female 13.7
GTEX-ZXG5-0011-R6a-SM-57WBZ 60-69 years, male 13.5
GTEX-1CB4H-0011-R6b-SM-CKZNK 60-69 years, female 13.5
GTEX-139TT-0011-R6b-SM-5J2ON 60-69 years, male 13.4
GTEX-14ABY-0011-R6a-SM-5PNWR 50-59 years, male 13.4
GTEX-13O3Q-0011-R6a-SM-5KM2V 50-59 years, male 13.3
GTEX-14PJM-0011-R6a-SM-6872G 50-59 years, female 13.3
GTEX-1192X-0011-R6a-SM-DNZZB 50-59 years, male 13.3
GTEX-11DXY-0011-R6a-SM-DNZZF 60-69 years, male 13.3
GTEX-1F6IF-0011-R6a-SM-9QEIO 60-69 years, male 13.3
GTEX-1H1CY-0011-R6b-SM-CE6RP 60-69 years, female 13.3
GTEX-131XH-0011-R6a-SM-5KM2G 50-59 years, male 13.2
GTEX-13OVL-0011-R6a-SM-5L3G4 50-59 years, male 13.2
GTEX-13VXU-0011-R6a-SM-5SI71 50-59 years, male 13.2
GTEX-ZF28-0011-R6a-SM-4WKHI 60-69 years, male 13.2
GTEX-1GF9W-0011-R6b-SM-9QEIE 60-69 years, male 13.2
GTEX-WVLH-0011-R6A-SM-3MJFZ 50-59 years, male 13.1
GTEX-1A3MX-0011-R6a-SM-7P8S9 60-69 years, male 13.1
GTEX-1GZ4I-0011-R6b-SM-9WG77 50-59 years, male 13.1
GTEX-1HT8W-0011-R6a-SM-CM2SY 30-39 years, male 13.1
GTEX-1N2DW-0011-R6a-SM-EZ6MW 50-59 years, male 13.1
GTEX-13FLW-0011-R6b-SM-5L3EN 50-59 years, male 13.0
GTEX-18464-0011-R6a-SM-731CA 50-59 years, male 13.0
GTEX-1B933-0011-R6b-SM-79OOQ 50-59 years, female 13.0
GTEX-1I19N-0011-R6b-SM-CY8GC 70-79 years, male 13.0
GTEX-15RJE-0011-R6a-SM-7DHL8 40-49 years, male 12.9
GTEX-ZUA1-0011-R6b-SM-4YCDD 40-49 years, male 12.9
GTEX-14LZ3-0011-R6a-SM-D3L8C 60-69 years, female 12.9
GTEX-1LVA9-0011-R6a-SM-EYYWH 50-59 years, male 12.9
GTEX-13RTJ-0011-R6a-SM-5SI74 60-69 years, male 12.8
GTEX-14JG1-0011-R6b-SM-5YYAU 40-49 years, male 12.8
GTEX-14JIY-0011-R6b-SM-68714 60-69 years, male 12.8
GTEX-QDT8-0011-R6A-SM-32PKI 30-39 years, female 12.8
GTEX-1IKK5-0011-R6b-SM-A9SLY 60-69 years, male 12.8
GTEX-14C5O-0011-R6a-SM-5YYB6 60-69 years, male 12.7
GTEX-15DYW-0011-R6b-SM-6PALA 60-69 years, female 12.7
GTEX-TSE9-0011-R6A-SM-3DB7L 60-69 years, female 12.7
GTEX-S7SE-0011-R6A-SM-2XCD9 50-59 years, male 12.6
GTEX-WWYW-0011-R6A-SM-3NB3G 50-59 years, female 12.6
GTEX-1OJC4-0011-R6a-SM-EXOIM 50-59 years, female 12.6
GTEX-15DCD-0011-R6b-SM-6M46L 70-79 years, female 12.5
GTEX-QVUS-0011-R6A-SM-3GACX 60-69 years, female 12.5
GTEX-NL4W-0011-R6a-SM-2I3GA 50-59 years, male 12.4
GTEX-1IY9M-0011-R6a-SM-D4P28 60-69 years, male 12.4
GTEX-13NYS-0011-R6b-SM-5MR3R 60-69 years, male 12.3
GTEX-15G19-0011-R6b-SM-7KUM3 60-69 years, male 12.3
GTEX-11DZ1-0011-R6b-SM-DNZZG 50-59 years, male 12.3
GTEX-13SLX-0011-R6a-SM-5PNX4 50-59 years, female 12.2
GTEX-14E7W-0011-R6b-SM-5ZZV3 70-79 years, male 12.2
GTEX-15ER7-0011-R6a-SM-6M46M 20-29 years, female 12.2
GTEX-NPJ8-0011-R6a-SM-2HMKB 40-49 years, male 12.1
GTEX-XMD1-0011-R6A-SM-4AT5K 60-69 years, male 12.1
GTEX-1I1GV-0011-R6b-SM-ARU6Q 60-69 years, male 12.1
GTEX-14BIM-0011-R6b-SM-5S2VB 60-69 years, female 12.0
GTEX-UTHO-0011-R6A-SM-3GIJW 60-69 years, male 12.0
GTEX-ZVZQ-0011-R6b-SM-57WAY 60-69 years, female 12.0
GTEX-1I1GR-0011-R6a-SM-CMKHI 60-69 years, male 12.0
GTEX-N7MS-0011-R6a-SM-2HMJ4 60-69 years, male 11.9
GTEX-P44G-0011-R6A-SM-2XCD3 30-39 years, male 11.8
GTEX-Q2AG-0011-R6A-SM-2HML7 40-49 years, female 11.8
GTEX-145LS-0011-R6b-SM-5PNWL 60-69 years, female 11.7
GTEX-NL3H-0011-R6a-SM-2I3G8 60-69 years, male 11.7
GTEX-R55E-0011-R6A-SM-2TC5T 20-29 years, male 11.7
GTEX-1EMGI-0011-R6a-SM-9OSVR 60-69 years, male 11.7
GTEX-1ICLZ-0011-R6b-SM-A9G3A 60-69 years, male 11.7
GTEX-13X6K-0011-R6a-SM-5P9K6 60-69 years, female 11.6
GTEX-T2IS-0011-R6A-SM-32QP2 20-29 years, female 11.6
GTEX-XLM4-0011-R6A-SM-4AT4B 60-69 years, male 11.6
GTEX-1GTWX-0011-R6a-SM-A96RN 60-69 years, male 11.6
GTEX-T5JC-0011-R6A-SM-D3L87 20-29 years, male 11.6
GTEX-NPJ7-0011-R6a-SM-2I3G7 60-69 years, female 11.5
GTEX-ZV68-0011-R6a-SM-51MSR 50-59 years, female 11.3
GTEX-1HGF4-0011-R6a-SM-A96S1 60-69 years, male 11.3
GTEX-PWO3-0011-R6A-SM-2I5F3 60-69 years, female 11.2
GTEX-N7MT-0011-R6a-SM-2I3G3 60-69 years, female 11.0
GTEX-1B8L1-0011-R6b-SM-7P8SU 60-69 years, male 11.0
GTEX-1JMLX-0011-R6b-SM-EXUT9 50-59 years, male 11.0
GTEX-1LH75-0011-R6a-SM-EXURS 50-59 years, female 11.0
GTEX-1EKGG-0011-R6a-SM-CL538 60-69 years, male 10.9
GTEX-1LVAO-0011-R6b-SM-EZ6MX 60-69 years, male 10.9
GTEX-17EVP-0011-R6b-SM-7LT99 40-49 years, male 10.8
GTEX-T6MN-0011-R6A-SM-32QP8 50-59 years, male 10.8
GTEX-13X6J-0011-R6a-SM-5PNUB 50-59 years, male 10.7
GTEX-145MH-0011-R6a-SM-5PNZ7 50-59 years, male 10.7
GTEX-17HG3-0011-R6b-SM-79OK8 30-39 years, female 10.4
GTEX-16YQH-0011-R6b-SM-7938T 30-39 years, male 9.8
GTEX-1HFI6-0011-R6b-SM-CM2SR 40-49 years, male 9.7
GTEX-QVJO-0011-R6A-SM-2S1QN 60-69 years, female 9.4
GTEX-QMR6-0011-R6A-SM-32PKP 50-59 years, male 9.3
GTEX-1C6WA-0011-R6a-SM-7PBYP 60-69 years, male 9.1
GTEX-1HB9E-0011-R6b-SM-A9G1P 50-59 years, male 9.0
Show allShow less
Brain - Putamen (basal ganglia)
Average nTPM: 15.8
Samples: 205

Max nTPM: 24.3
Min nTPM: 9.5
Std nTPM: 2.4
Median nTPM: 15.4
GTEX-1H3VE-0011-R7b-SM-CE6S9 40-49 years, male 24.3
GTEX-13N2G-0011-R7a-SM-5MR42 60-69 years, male 23.5
GTEX-X261-0011-R7A-SM-4E3JJ 50-59 years, male 21.8
GTEX-1GMR8-0011-R7b-SM-CJI2I 50-59 years, female 21.8
GTEX-1HCU6-0011-R7b-SM-ARL77 60-69 years, female 21.4
GTEX-1IKOH-0011-R7b-SM-CKZPH 60-69 years, female 21.2
GTEX-14BIN-0011-R7b-SM-5S2RI 50-59 years, female 20.8
GTEX-ZDXO-0011-R7a-SM-4WWCU 60-69 years, male 20.6
GTEX-1I1GS-0011-R7a-SM-CM2T6 60-69 years, male 20.5
GTEX-13OVJ-0011-R7a-SM-5L3G1 50-59 years, female 20.2
GTEX-WHSE-0011-R7A-SM-3P5YZ 20-29 years, male 20.2
GTEX-1B996-0011-R7b-SM-7IGNT 60-69 years, male 20.1
GTEX-1GN2E-0011-R7b-SM-9QEIJ 60-69 years, male 20.1
GTEX-13O3O-0011-R7b-SM-5P9GZ 60-69 years, female 19.9
GTEX-1GZ4I-0011-R7b-SM-ARU71 50-59 years, male 19.9
GTEX-13PVQ-0011-R7a-SM-5L3G3 50-59 years, male 19.7
GTEX-139TS-0011-R7a-SM-5K7X7 60-69 years, male 19.6
GTEX-13OVL-0011-R7a-SM-5P9GW 50-59 years, male 19.5
GTEX-145MG-0011-R7b-SM-5P9JY 50-59 years, male 19.5
GTEX-13S7M-0011-R7a-SM-5O9DK 60-69 years, female 19.3
GTEX-1F52S-0011-R7b-SM-9QEH8 60-69 years, female 19.3
GTEX-13OW5-0011-R7a-SM-5O9C9 60-69 years, male 19.1
GTEX-14PJM-0011-R7a-SM-6AJBX 50-59 years, female 19.0
GTEX-12WSA-0011-R7b-SM-5GU5U 60-69 years, male 18.8
GTEX-WL46-0011-R7A-SM-3LK7X 50-59 years, male 18.8
GTEX-1EH9U-0011-R7a-SM-9QEGU 60-69 years, male 18.8
GTEX-1E2YA-0011-R7a-SM-CJI1Z 50-59 years, male 18.7
GTEX-1H4P4-0011-R7b-SM-ARU77 50-59 years, male 18.7
GTEX-1H1DG-0011-R7b-SM-A96RR 70-79 years, male 18.4
GTEX-13N1W-0011-R7b-SM-5MR4F 70-79 years, male 18.3
GTEX-17MF6-0011-R7b-SM-7LG6J 40-49 years, male 18.3
GTEX-1F48J-0011-R7a-SM-CJI2G 50-59 years, female 18.3
GTEX-13CF2-0011-R7b-SM-5K7UV 60-69 years, male 18.1
GTEX-13FHO-0011-R7b-SM-5LZXD 60-69 years, male 18.1
GTEX-18465-0011-R7b-SM-7LG6V 50-59 years, male 18.1
GTEX-1H3NZ-0011-R7a-SM-A9SKD 60-69 years, male 18.1
GTEX-12WSF-0011-R7b-SM-5HL99 70-79 years, male 18.0
GTEX-13JVG-0011-R7b-SM-5MR3Q 60-69 years, male 18.0
GTEX-14PN4-0011-R7b-SM-69LQQ 50-59 years, male 17.8
GTEX-ZE7O-0011-R7a-SM-57WCU 50-59 years, female 17.7
GTEX-18464-0011-R7b-SM-731CM 50-59 years, male 17.6
GTEX-1CB4H-0011-R7b-SM-CJI27 60-69 years, female 17.5
GTEX-1H23P-0011-R7b-SM-CKZP2 60-69 years, male 17.5
GTEX-P44G-0011-R7A-SM-2I3F9 30-39 years, male 17.4
GTEX-1I1GQ-0011-R7a-SM-CJI41 50-59 years, male 17.4
GTEX-144GL-0011-R7b-SM-5P9HX 50-59 years, male 17.3
GTEX-12WSI-0011-R7b-SM-5GU78 50-59 years, male 17.2
GTEX-12WSM-0011-R7b-SM-5EGLD 60-69 years, male 17.2
GTEX-12ZZW-0011-R7a-SM-5DUWC 50-59 years, male 17.2
GTEX-13OW8-0011-R7a-SM-5L3FP 60-69 years, male 17.2
GTEX-1E1VI-0011-R7b-SM-9QEGR 50-59 years, male 17.2
GTEX-1JMQK-0011-R7b-SM-EXUTF 60-69 years, male 17.2
GTEX-YJ89-0011-R7a-SM-4V6GO 60-69 years, male 17.1
GTEX-11DXW-0011-R7b-SM-DO119 40-49 years, male 17.1
GTEX-11NUK-0011-R7a-SM-DO93P 50-59 years, male 17.1
GTEX-1GMRU-0011-R7b-SM-A96TJ 50-59 years, male 17.1
GTEX-1R46S-0011-R7b-SM-EXUTH 60-69 years, female 17.1
GTEX-1A3MX-0011-R7a-SM-7DUEM 60-69 years, male 17.0
GTEX-13OW6-0011-R7b-SM-5L3H4 50-59 years, male 16.9
GTEX-17HHY-0011-R7a-SM-718A1 50-59 years, male 16.9
GTEX-11DYG-0011-R7b-SM-EXUS6 60-69 years, male 16.9
GTEX-16Z82-0011-R7a-SM-7MKGJ 60-69 years, male 16.8
GTEX-12WSE-0011-R7a-SM-5PNWF 20-29 years, male 16.7
GTEX-1GN73-0011-R7a-SM-CJI2U 60-69 years, male 16.7
GTEX-1IOXB-0011-R7b-SM-CE6SM 50-59 years, male 16.7
GTEX-139TT-0011-R7b-SM-5J2MN 60-69 years, male 16.6
GTEX-17HG3-0011-R7b-SM-7EPGR 30-39 years, female 16.6
GTEX-Y8DK-0011-R7A-SM-4SOJZ 60-69 years, male 16.6
GTEX-ZE9C-0011-R7a-SM-4WWCX 60-69 years, male 16.5
GTEX-12ZZX-0011-R7b-SM-5DUVV 40-49 years, female 16.4
GTEX-14BMV-0011-R7b-SM-5YY9J 50-59 years, male 16.4
GTEX-14ASI-0011-R7b-SM-5YY9G 60-69 years, male 16.3
GTEX-1F6I4-0011-R7a-SM-CJI24 60-69 years, male 16.3
GTEX-1H1ZS-0011-R7a-SM-CL54P 70-79 years, male 16.3
GTEX-1J8Q2-0011-R7a-SM-CKZPF 60-69 years, male 16.3
GTEX-1H3O1-0011-R7a-SM-CE6SJ 60-69 years, male 16.1
GTEX-13FLV-0011-R7b-SM-5K7WW 50-59 years, male 16.0
GTEX-1GF9V-0011-R7a-SM-CJI2R 60-69 years, male 16.0
GTEX-1HT8W-0011-R7b-SM-CMKH8 30-39 years, male 16.0
GTEX-11NV4-0011-R7a-SM-57WDH 60-69 years, male 15.8
GTEX-13JUV-0011-R7b-SM-5LZZG 40-49 years, female 15.8
GTEX-17EVQ-0011-R7a-SM-7EWDA 70-79 years, male 15.8
GTEX-17HII-0011-R7a-SM-79OMS 50-59 years, male 15.8
GTEX-XLM4-0011-R7A-SM-4AT5L 60-69 years, male 15.8
GTEX-ZF28-0011-R7a-SM-4WKF5 60-69 years, male 15.8
GTEX-15CHQ-0011-R7b-SM-D4P1Q 60-69 years, male 15.8
GTEX-1F75B-0011-R7a-SM-ARU84 50-59 years, male 15.8
GTEX-144GO-0011-R7b-SM-5S2TT 60-69 years, male 15.7
GTEX-15G19-0011-R7b-SM-6M479 60-69 years, male 15.7
GTEX-YFC4-0011-R7b-SM-4V6E2 40-49 years, female 15.7
GTEX-1GF9W-0011-R7b-SM-9QEIF 60-69 years, male 15.7
GTEX-1GTWX-0011-R7a-SM-A96RO 60-69 years, male 15.7
GTEX-1H1CY-0011-R7a-SM-CJI32 60-69 years, female 15.7
GTEX-13CZV-0011-R7b-SM-5LZXH 60-69 years, male 15.6
GTEX-13FHP-0011-R7b-SM-5LZYI 50-59 years, male 15.6
GTEX-1EX96-0011-R7a-SM-9OSVW 50-59 years, male 15.6
GTEX-1F75A-0011-R7b-SM-9QEHE 50-59 years, male 15.6
GTEX-1MA7X-0011-R7b-SM-EYYWS 60-69 years, male 15.6
GTEX-1C64N-0011-R7a-SM-7IGOI 50-59 years, male 15.5
GTEX-WVLH-0011-R7A-SM-3MJFB 50-59 years, male 15.5
GTEX-1IKJJ-0011-R7a-SM-ARZLH 60-69 years, male 15.5
GTEX-1LH75-0011-R7a-SM-EXOIF 50-59 years, female 15.5
GTEX-11OF3-0011-R7a-SM-57WCG 60-69 years, male 15.4
GTEX-132Q8-0011-R7b-SM-5N9F1 60-69 years, male 15.4
GTEX-147GR-0011-R7a-SM-5S2RP 60-69 years, male 15.4
GTEX-14JG1-0011-R7b-SM-5YYAV 40-49 years, male 15.4
GTEX-1B933-0011-R7a-SM-7DUGX 50-59 years, female 15.4
GTEX-12WSD-0011-R7b-SM-5PNWE 60-69 years, female 15.3
GTEX-1445S-0011-R7b-SM-5PNUG 60-69 years, male 15.3
GTEX-14LZ3-0011-R7a-SM-69LQN 60-69 years, female 15.3
GTEX-15RJE-0011-R7a-SM-7DHL9 40-49 years, male 15.3
GTEX-11TTK-0011-R7b-SM-DNZZZ 60-69 years, female 15.3
GTEX-1AX9I-0011-R7b-SM-7P8Q3 60-69 years, male 15.3
GTEX-1B8SF-0011-R7b-SM-9OSVM 60-69 years, male 15.3
GTEX-12WSC-0011-R7b-SM-5LU9L 50-59 years, male 15.2
GTEX-13X6K-0011-R7b-SM-5P9K7 60-69 years, female 15.2
GTEX-145MH-0011-R7a-SM-5PNWH 50-59 years, male 15.2
GTEX-Z93S-0011-R7b-SM-4RGNK 50-59 years, male 15.2
GTEX-17F97-0011-R7b-SM-7MGVY 50-59 years, male 15.2
GTEX-1J1OQ-0011-R7b-SM-ARU87 40-49 years, female 15.2
GTEX-RU72-0011-R7A-SM-2TF5U 50-59 years, female 15.1
GTEX-1HCVE-0011-R7b-SM-A9G1I 50-59 years, male 15.1
GTEX-S7SE-0011-R7A-SM-2XCDI 50-59 years, male 15.0
GTEX-13FXS-0011-R7a-SM-5L3FC 50-59 years, male 14.9
GTEX-11PRG-0011-R7a-SM-DNZZT 50-59 years, male 14.9
GTEX-12ZZY-0011-R7a-SM-5EGLB 60-69 years, male 14.8
GTEX-13O3Q-0011-R7a-SM-5KM38 50-59 years, male 14.8
GTEX-15ER7-0011-R7a-SM-6M46N 20-29 years, female 14.8
GTEX-1192X-0011-R7b-SM-DNZZC 50-59 years, male 14.8
GTEX-1GZ2Q-0011-R7b-SM-9OSWN 40-49 years, male 14.8
GTEX-14ABY-0011-R7b-SM-5PNWS 50-59 years, male 14.7
GTEX-15DCD-0011-R7b-SM-6LPID 70-79 years, female 14.7
GTEX-17EVP-0011-R7a-SM-7LTAN 40-49 years, male 14.7
GTEX-1MJK2-0011-R7a-SM-EXUS4 50-59 years, male 14.7
GTEX-15DYW-0011-R7a-SM-7KULG 60-69 years, female 14.6
GTEX-ZVT3-0011-R7a-SM-57WCO 60-69 years, female 14.6
GTEX-1EN7A-0011-R7b-SM-9QEHX 40-49 years, male 14.6
GTEX-13G51-0011-R7b-SM-5LZXG 60-69 years, male 14.5
GTEX-13NYB-0011-R7a-SM-5MR5D 40-49 years, male 14.5
GTEX-16YQH-0011-R7a-SM-79ON1 30-39 years, male 14.4
GTEX-WZTO-0011-R7B-SM-4E3IS 40-49 years, male 14.4
GTEX-11ONC-0011-R7b-SM-DO93J 60-69 years, male 14.4
GTEX-12ZZZ-0011-R7b-SM-5EGLE 60-69 years, male 14.3
GTEX-13RTJ-0011-R7b-SM-5P9JS 60-69 years, male 14.3
GTEX-Q2AG-0011-R7A-SM-2HMJP 40-49 years, female 14.3
GTEX-RNOR-0011-R7A-SM-2TF4V 50-59 years, female 14.2
GTEX-ZXG5-0011-R7b-SM-57WCC 60-69 years, male 14.2
GTEX-1A8G6-0011-R7b-SM-7MXTV 60-69 years, male 14.2
GTEX-1EU9M-0011-R7b-SM-9OSVU 60-69 years, male 14.2
GTEX-1F75W-0011-R7a-SM-9QEI6 60-69 years, male 14.2
GTEX-11WQC-0011-R7b-SM-5BC7A 60-69 years, male 14.1
GTEX-QMR6-0011-R7A-SM-32PKL 50-59 years, male 14.1
GTEX-13112-0011-R7b-SM-5DUVW 50-59 years, male 14.0
GTEX-1313W-0011-R7b-SM-5DUWL 50-59 years, female 14.0
GTEX-13VXU-0011-R7b-SM-5SI72 50-59 years, male 14.0
GTEX-N7MS-0011-R7a-SM-2HMKN 60-69 years, male 14.0
GTEX-ZUA1-0011-R7b-SM-4YCDP 40-49 years, male 14.0
GTEX-1CB4G-0011-R7b-SM-9QEGP 60-69 years, male 14.0
GTEX-1LSNL-0011-R7a-SM-EYYWI 50-59 years, male 14.0
GTEX-15EO6-0011-R7a-SM-6M46Q 50-59 years, male 13.9
GTEX-R55E-0011-R7A-SM-2TC5Z 20-29 years, male 13.9
GTEX-1B8L1-0011-R7b-SM-9OSVK 60-69 years, male 13.9
GTEX-11GSP-0011-R7b-SM-57WC3 60-69 years, female 13.8
GTEX-NL3H-0011-R7a-SM-2I3G5 60-69 years, male 13.8
GTEX-T5JC-0011-R7A-SM-32PME 20-29 years, male 13.8
GTEX-1IKK5-0011-R7b-SM-A9G39 60-69 years, male 13.8
GTEX-NPJ7-0011-R7a-SM-EV79B 60-69 years, female 13.8
GTEX-183WM-0011-R7b-SM-731AX 70-79 years, female 13.7
GTEX-1I1CD-0011-R7a-SM-CMKHA 60-69 years, female 13.7
GTEX-1IY9M-0011-R7a-SM-D4P49 60-69 years, male 13.7
GTEX-14E7W-0011-R7b-SM-5ZZV4 70-79 years, male 13.6
GTEX-N7MT-0011-R7a-SM-2I3FZ 60-69 years, female 13.6
GTEX-11DXY-0011-R7a-SM-DO11L 60-69 years, male 13.6
GTEX-11DZ1-0011-R7a-SM-DNZZH 50-59 years, male 13.6
GTEX-1ICLZ-0011-R7a-SM-ARZLU 60-69 years, male 13.6
GTEX-13X6J-0011-R7b-SM-5PNUC 50-59 years, male 13.5
GTEX-1OJC4-0011-R7a-SM-EYYX4 50-59 years, female 13.5
GTEX-WWYW-0011-R7A-SM-3NB3H 50-59 years, female 13.4
GTEX-1EMGI-0011-R7b-SM-9QEH5 60-69 years, male 13.4
GTEX-1IDJH-0011-R7a-SM-A9SM1 70-79 years, male 13.4
GTEX-OHPN-0011-R7A-SM-2I5FI 60-69 years, female 13.3
GTEX-TSE9-0011-R7A-SM-3DB7P 60-69 years, female 13.3
GTEX-1HGF4-0011-R7a-SM-A96S2 60-69 years, male 13.3
GTEX-14PJO-0011-R7a-SM-664NR 60-69 years, male 13.2
GTEX-ZAB4-0011-R7a-SM-4SOKE 40-49 years, male 13.2
GTEX-ZVZQ-0011-R7b-SM-57WBB 60-69 years, female 13.2
GTEX-ZV68-0011-R7a-SM-51MT4 50-59 years, female 13.0
GTEX-1EKGG-0011-R7a-SM-CKZNN 60-69 years, male 13.0
GTEX-131YS-0011-R7a-SM-5IJDA 60-69 years, female 12.9
GTEX-13FLW-0011-R7b-SM-5L3EZ 50-59 years, male 12.9
GTEX-NPJ8-0011-R7a-SM-2HMJV 40-49 years, male 12.9
GTEX-13X6I-0011-R7b-SM-5PNWP 60-69 years, male 12.8
GTEX-1I1GV-0011-R7a-SM-ARU6R 60-69 years, male 12.7
GTEX-1LVAO-0011-R7a-SM-EYYWZ 60-69 years, male 12.6
GTEX-145LS-0011-R7a-SM-5PNWM 60-69 years, female 12.2
GTEX-1JJ6O-0011-R7b-SM-EXUTB 60-69 years, male 12.2
GTEX-1LVA9-0011-R7a-SM-EYYWG 50-59 years, male 12.0
GTEX-14C5O-0011-R7b-SM-5YYAH 60-69 years, male 11.9
GTEX-1C6WA-0011-R7b-SM-7P8S8 60-69 years, male 11.6
GTEX-13QJC-0011-R7b-SM-5PNUM 60-69 years, female 11.3
GTEX-T6MN-0011-R7A-SM-32QP5 50-59 years, male 11.3
GTEX-1HB9E-0011-R7b-SM-A9G1Q 50-59 years, male 10.8
GTEX-QDT8-0011-R7A-SM-32PKF 30-39 years, female 10.3
GTEX-1HFI6-0011-R7b-SM-CM2SS 40-49 years, male 9.9
GTEX-QVJO-0011-R7A-SM-2S1QO 60-69 years, female 9.5
Show allShow less

BASAL GANGLIA - FANTOM5 CAGEi

RNA expression in human tissues obtained through Cap Analysis of Gene Expression (CAGE) generated by the FANTOM5 project are reported as Scaled Tags Per Million.

Max subtype Scaled Tags Per Millioni

Max subtype Scaled Tags Per Million is the value for the subtype with the largest average Scaled Tags Per Million across the subtype samples.

11.7
FANTOM5 sample id Sample description Scaled Tags Per Million
Caudate nucleus
Scaled Tags Per Million: 11.7
FF:10164-103B2 76 years, female 11.7
Nucleus accumbens
Scaled Tags Per Million: 7.5
FF:10037-101F1 23-56 years, mixed 7.5
Putamen
Scaled Tags Per Million: 5.4
FF:10176-103C5 60 years, female 5.4
Globus pallidus
Scaled Tags Per Million: 7.4
FF:10161-103A8 76 years, female 12.5
FF:10175-103C4 60 years, female 2.3

BASAL GANGLIA - Pig RNA-seqi

RNA-seq data obtained from pig brain is reported as nTPM .

Normal distribution across the dataset is visualized with box plots, shown as median and 25th and 75th percentiles. Points are displayed as outliers if they are above or below 1.5 times the interquartile range. nTPM values of the individual samples are presented next to the box plot.
Max subtype nTPMi

Max subtype nTPM is the value for the subtype with the largest average nTPM across the subtype samples.

15.9
Pig sample Sample description nTPM
Caudate
nTPM: 15.7
Samples: 4

Max nTPM: 18.5
Min nTPM: 12.8
Sample A Female 12.8
Sample B Female 16.2
Sample C Male 18.5
Sample D Male 15.1
Putamen
nTPM: 15.9
Samples: 4

Max nTPM: 17.8
Min nTPM: 13.1
Sample A Female 15.6
Sample B Female 13.1
Sample C Male 17.1
Sample D Male 17.8
Septum
nTPM: 15.1
Samples: 4

Max nTPM: 16.0
Min nTPM: 13.5
Sample A Female 15.7
Sample B Female 15.2
Sample C Male 13.5
Sample D Male 16.0
Ventral pallidum
nTPM: 15.5
Samples: 4

Max nTPM: 17.5
Min nTPM: 12.8
Sample A Female 12.8
Sample B Female 15.6
Sample C Male 17.5
Sample D Male 16.1

BASAL GANGLIA - Mouse RNA-seqi

RNA-seq data obtained from mouse brain is reported as nTPM .

Normal distribution across the dataset is visualized with box plots, shown as median and 25th and 75th percentiles. Points are displayed as outliers if they are above or below 1.5 times the interquartile range. nTPM values of the individual samples are presented next to the box plot.
Max subtype nTPMi

Max subtype nTPM is the value for the subtype with the largest average nTPM across the subtype samples.

10.9
Mouse sample Sample description nTPM
Caudate putamen
nTPM: 10.9
Samples: 4

Max nTPM: 12.1
Min nTPM: 9.7
Sample A Male 11.2
Sample B Male 12.1
Sample C Female 10.6
Sample D Female 9.7
Septum
nTPM: 9.3
Samples: 4

Max nTPM: 10.7
Min nTPM: 8.1
Sample A Male 9.8
Sample B Male 10.7
Sample C Female 8.5
Sample D Female 8.1
Ventral forebrain
nTPM: 11.0
Samples: 4

Max nTPM: 12.9
Min nTPM: 9.3
Sample A Male 12.9
Sample B Male 10.0
Sample C Female 11.6
Sample D Female 9.3

BASAL GANGLIA - Allen Mouse ISHi

In situ hybridization (ISH) data generated by the Allen brain atlas from mouse brain is reported as expression energy. For more details about a particular experiment, click on the corresponding Allen experiment ID.

Max subtype Expression energyi

Max subtype Expression energy is the value for the subtype with the largest average Expression energy across the subtype samples.

1.0
Allen experiment id Experiment description Expression energy
Striatum
Expression energy: 0.9
69549613 Antisense, RP_050217_02_G01, Mouse strain C57BL/6J (56 days, male) 0.9
Pallidum
Expression energy: 1.0
69549613 Antisense, RP_050217_02_G01, Mouse strain C57BL/6J (56 days, male) 1.0

Contact

  • NEWS ARTICLES
  • PRESS ROOM

The Project

  • INTRODUCTION
  • ORGANIZATION
  • PUBLICATIONS

The Human Protein Atlas

  • DOWNLOADABLE DATA
  • LICENCE & CITATION
  • HELP & FAQ
The Human Protein Atlas project is funded
by the Knut & Alice Wallenberg Foundation.


contact@proteinatlas.org