We use cookies to enhance the usability of our website. If you continue, we'll assume that you are happy to receive all cookies. More information. Don't show this again.
CLEC3B
HPA
RESOURCES
  • TISSUE
  • BRAIN
  • SINGLE CELL
  • SUBCELLULAR
  • CANCER
  • BLOOD
  • CELL LINE
  • STRUCTURE & INTERACTION
ABOUT
  • INTRODUCTION
  • HISTORY
  • ORGANIZATION
  • PUBLICATIONS
  • ANTIBODY SUBMISSION
  • ANTIBODY AVAILABILITY
  • ACKNOWLEDGMENTS
  • CONTACT
NEWS
  • NEWS ARTICLES
  • PRESS ROOM
LEARN
  • DICTIONARY
  • PROTEIN CLASSES
  • PROTEIN EVIDENCE
  • METHODS
  • EDUCATIONAL VIDEOS
DATA
  • DOWNLOADABLE DATA
  • PUBLICATION DATA
  • RELEASE HISTORY
HELP
  • ANTIBODY VALIDATION
  • ASSAYS & ANNOTATION
  • DISCLAIMER
  • HELP & FAQ
  • PRIVACY STATEMENT
  • LICENCE & CITATION
Fields »
Search result

Field
Term
Gene name
Class
Subclass
Class
Keyword
Chromosome
External id
Tissue
Cell type
Expression
Antibody panel
Tissue
Main location
Patient ID
Annotation
Tissue
Category
Tau score
Cluster
Reliability
Brain region
Category
Tau score
Brain region
Category
Tau score
Brain region
Category
Tau score
Cluster
Reliability
Tissue
Cell type
Enrichment
Cell type
Category
Tau score
Cell type
Category
Tau score
Cell type
Category
Tau score
Cell lineage
Category
Tau score
Cluster
Cluster
Location
Searches
Location
Cell line
Class
Type
Phase
Reliability
Cancer
Prognosis
Cancer
Category
Cancer
Category
Tau score
Cluster
Variants
Interacting gene (ensg_id)
Type
Number of interactions
Pathway
Category
Score
Score
Score
Validation
Validation
Validation
Validation
Antibodies
Data type
Column


  • SUMMARY

  • TISSUE

  • BRAIN

  • SINGLE CELL

  • SUBCELL

  • CANCER

  • BLOOD

  • CELL LINE

  • STRUCT & INT

  • CLEC3B
TISSUE PRIMARY DATA SKIN Show tissue menu
ADIPOSE TISSUE ADRENAL GLAND AMYGDALA APPENDIX BASAL GANGLIA BONE MARROW BREAST BRONCHUS CEREBELLUM CEREBRAL CORTEX CERVIX CHOROID PLEXUS COLON DUODENUM
ENDOMETRIUM EPIDIDYMIS ESOPHAGUS FALLOPIAN TUBE GALLBLADDER HEART MUSCLE HIPPOCAMPAL FORMATION HYPOTHALAMUS KIDNEY LIVER LUNG LYMPH NODE MIDBRAIN NASOPHARYNX
ORAL MUCOSA OVARY PANCREAS PARATHYROID GLAND PITUITARY GLAND PLACENTA PROSTATE RECTUM RETINA SALIVARY GLAND SEMINAL VESICLE SKELETAL MUSCLE SKIN SMALL INTESTINE
SMOOTH MUSCLE SOFT TISSUE SPINAL CORD SPLEEN STOMACH TESTIS THYMUS THYROID GLAND TONGUE TONSIL URINARY BLADDER VAGINA
ANTIBODIES
AND
VALIDATION
Dictionary
Skin
Tissue proteome
Skin
SKIN - Expression summary
Protein expression
Skini

On the top, protein expression in current human tissue, based on all annotated cell types, is reported with the units not detected (n), low (l), medium (m) and high (h). Underneath, protein expression in each annotated cell type are reported using the same units.

Protein expression data is based on knowledge-based annotation. For genes where more than one antibody has been used, a collective score is set.

If knowledge-based annotation could not be performed for a gene, no data is displayed here. View antibody staining data further down this page.

h
m
l
n
Epidermal cells: Not detected
Fibroblasts: Not detected
Keratinocytes: Not detected
Langerhans: Not detected
Melanocytes: Not detected
RNA expressioni

A summary of mRNA expression data available for current tissue based on several datasets. The mRNA expression levels in human tissues are based on RNA-seq data generated by the Human Protein Atlas (HPA), Genotype-Tissue Expression (GTEx) portal and CAGE data generated by the FANTOM5 consortium. Consensus normalized expression levels for human tissues was created by combining the data from HPA and GTEx datasets.

The mRNA expression levels in pig are based on RNA-seq data generated by the Human Protein Atlas (HPA), and for mouse, HPA data and in situ hybridization generated by the Allen brain atlas are reported.

Scroll down to view mRNA expression data in more detail.
Consensus:144.8 nTPM
HPA:69.8 nTPM
GTEx:144.8 nTPM

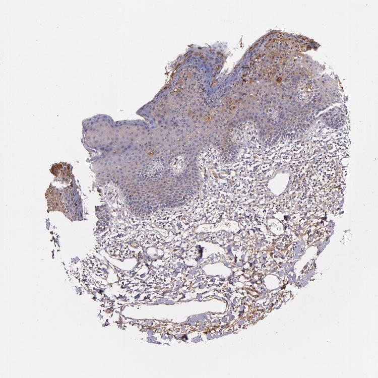
SKIN 1 - Antibody stainingi

Antibody staining in the annotated cell types in the current human tissue is reported as not detected, low, medium, or high, based on conventional immunohistochemistry profiling in selected tissues. This score is based on the combination of the staining intensity and fraction of stained cells.

Each image is clickable and will lead to virtual microscopy that enables deeper exploration of all samples and also displays staining intensity scores, fraction scores and subcellular localization as well as patient and tissue information for each sample.

Antibody HPA034794Antibody CAB002582
Langerhans Not detectedNot detected
Fibroblasts Not detectedMedium
Keratinocytes Not detectedLow
Melanocytes Not detectedNot detected


SKIN 2 - Antibody stainingi

Antibody staining in the annotated cell types in the current human tissue is reported as not detected, low, medium, or high, based on conventional immunohistochemistry profiling in selected tissues. This score is based on the combination of the staining intensity and fraction of stained cells.

Each image is clickable and will lead to virtual microscopy that enables deeper exploration of all samples and also displays staining intensity scores, fraction scores and subcellular localization as well as patient and tissue information for each sample.

Antibody HPA034794Antibody CAB002582
Epidermal cells MediumMedium
  
  
  





SKIN - HPA RNA-seqi

The RNA-seq details section shows detailed information about the individual samples used for the transcript profiling and results of the RNA-seq analysis.

Information about each individual sample is listed below, including gender, age, a tissue section image and estimated fractions of cell types. nTPM (normalized transcripts per million) values give a quantification of the gene abundance which is comparable between different genes and samples.
Average nTPMi

Max subtype nTPM is the value for the subtype with the largest average nTPM across the subtype samples.

69.8
overview
Female, age 34
Skin sample 225
nTPM: 37.2
Cell types%
Keratinocytes:
60

Other cell types:
40

overview
Female, age 30
Skin sample 226
nTPM: 20.5
Cell types%
Keratinocytes:
55

Other cell types:
45

N/A
Male, age 57
Skin sample 227
nTPM: 151.7

SKIN - GTEx RNA-seqi

RNA-Seq data generated by the Genotype-Tissue Expression (GTEx) project from human tissues is reported as mean nTPM. More information can be found on the GTEx portal.

Distribution across the dataset is visualized with box plots, shown as median and 25th and 75th percentiles. Points are displayed as outliers if they are above or below 1.5 times the interquartile range. nTPM values of the individual samples are presented next to the box plot.
Max subtype nTPMi

Max subtype nTPM is the value for the subtype with the largest average nTPM across the subtype samples.

144.8
GTEx sample id Sample description nTPM
Skin - Not Sun Exposed (Suprapubic)
Average nTPM: 114.1
Samples: 604

Max nTPM: 785.7
Min nTPM: 6.3
Std nTPM: 100.0
Median nTPM: 86.6
GTEX-1EWIQ-0326-SM-7DHMQ 70-79 years, female 785.7
GTEX-145MG-1526-SM-5Q5EM 50-59 years, male 700.8
GTEX-XOT4-0626-SM-4B66L 60-69 years, female 603.5
GTEX-18D9B-0926-SM-7LG4U 60-69 years, male 577.3
GTEX-ZAK1-0626-SM-5HL8E 50-59 years, female 572.8
GTEX-145ME-1726-SM-5Q5EU 40-49 years, female 519.6
GTEX-WYVS-1626-SM-3NM9R 40-49 years, female 503.5
GTEX-X3Y1-2026-SM-3P5YM 40-49 years, male 456.9
GTEX-16YQH-2226-SM-7IGM2 30-39 years, male 445.2
GTEX-131XH-0126-SM-5LZUY 50-59 years, male 425.3
GTEX-11DYG-1526-SM-5A5JS 60-69 years, male 411.4
GTEX-1CAV2-0126-SM-7IGN7 40-49 years, female 410.2
GTEX-ZU9S-1826-SM-5NQ9E 30-39 years, male 407.8
GTEX-1H1CY-0126-SM-9YFLY 60-69 years, female 392.9
GTEX-1HCU6-2526-SM-ADEHL 60-69 years, female 377.6
GTEX-13OVJ-0826-SM-5J1OK 50-59 years, female 374.9
GTEX-1A32A-0626-SM-731AQ 50-59 years, female 374.7
GTEX-11EM3-1226-SM-5N9DD 20-29 years, female 374.2
GTEX-1F75A-0726-SM-7RHHD 50-59 years, male 372.7
GTEX-12WSH-1526-SM-5BC5W 50-59 years, male 369.5
GTEX-ZYFC-0426-SM-5GICQ 50-59 years, male 368.8
GTEX-YJ8O-2526-SM-5HL85 40-49 years, female 355.8
GTEX-1JMLX-0626-SM-ARL8T 50-59 years, male 344.1
GTEX-1GZHY-0626-SM-9KNVC 50-59 years, female 343.5
GTEX-14A5H-0826-SM-5QGPJ 60-69 years, male 335.2
GTEX-U8XE-0226-SM-4E3J3 30-39 years, male 333.8
GTEX-1F75W-2726-SM-7SB8H 60-69 years, male 328.3
GTEX-1B996-0426-SM-7EWF8 60-69 years, male 326.6
GTEX-17JCI-2926-SM-7DUFF 60-69 years, female 325.9
GTEX-15RJ7-2126-SM-6PAMD 40-49 years, male 323.7
GTEX-11O72-0626-SM-5PNYE 40-49 years, male 319.2
GTEX-XBED-1926-SM-47JYP 60-69 years, male 318.6
GTEX-ZYFG-1526-SM-5GZYM 60-69 years, female 317.1
GTEX-1GMRU-2126-SM-7P8RA 50-59 years, male 316.7
GTEX-WHSE-0126-SM-3NMBT 20-29 years, male 301.6
GTEX-1399R-1326-SM-5PNYS 30-39 years, male 300.6
GTEX-1497J-0226-SM-5QGPU 60-69 years, male 296.8
GTEX-1POEN-2326-SM-E9J2L 30-39 years, female 292.9
GTEX-ZDXO-3126-SM-5IJDF 60-69 years, male 289.1
GTEX-WYBS-0626-SM-3NMAS 60-69 years, female 279.7
GTEX-1N2EE-0626-SM-E76PW 60-69 years, male 279.0
GTEX-14PK6-0226-SM-62LF5 70-79 years, female 273.5
GTEX-12WSL-2026-SM-5GCML 50-59 years, male 271.0
GTEX-1JMQL-2226-SM-CNPP4 50-59 years, female 270.0
GTEX-12126-0826-SM-5FQTZ 20-29 years, male 269.3
GTEX-1F6I4-2326-SM-7RHGL 60-69 years, male 262.5
GTEX-13PVQ-0626-SM-5LU47 50-59 years, male 259.7
GTEX-14E6E-0526-SM-793DN 30-39 years, male 257.6
GTEX-Y5V6-2326-SM-4VDSA 60-69 years, male 250.2
GTEX-1JKYN-0826-SM-ARU8S 30-39 years, male 248.8
GTEX-ZYW4-0626-SM-59HJR 60-69 years, male 248.2
GTEX-1QEPI-2626-SM-DTXF4 60-69 years, female 248.2
GTEX-YB5K-2026-SM-4VDT3 40-49 years, female 247.4
GTEX-1IDJE-1426-SM-ADEIW 50-59 years, female 244.2
GTEX-YEC4-1826-SM-4W1YP 40-49 years, male 241.3
GTEX-1HSKV-1226-SM-ADEI4 60-69 years, male 240.3
GTEX-ZF2S-1626-SM-57WES 50-59 years, female 235.9
GTEX-1HUB1-1426-SM-CGQF5 60-69 years, male 235.2
GTEX-15DYW-2726-SM-6EU2I 60-69 years, female 234.8
GTEX-Y3IK-1626-SM-4YCF5 50-59 years, female 234.8
GTEX-1EKGG-0626-SM-7DUGJ 60-69 years, male 231.4
GTEX-131YS-2826-SM-5EQ47 60-69 years, female 231.3
GTEX-11ZTT-2126-SM-5CVLO 60-69 years, female 231.0
GTEX-12WSD-0626-SM-5GCMW 60-69 years, female 231.0
GTEX-111FC-2526-SM-5GZXU 60-69 years, male 230.8
GTEX-ZVTK-0226-SM-51MRG 20-29 years, male 226.1
GTEX-1F6IF-0926-SM-7SB7M 60-69 years, male 222.7
GTEX-12ZZZ-0726-SM-5GCNZ 60-69 years, male 221.5
GTEX-Y8LW-1526-SM-5IFHL 50-59 years, female 219.4
GTEX-1C6WA-2626-SM-7MKGM 60-69 years, male 214.6
GTEX-1LB8K-0726-SM-D5OV2 50-59 years, male 214.5
GTEX-16GPK-0626-SM-7KFSF 60-69 years, male 213.9
GTEX-1KWVE-1026-SM-D3L9O 30-39 years, male 213.3
GTEX-ZDTS-0826-SM-4WKHL 60-69 years, male 211.4
GTEX-WHPG-2626-SM-3NMBR 50-59 years, male 209.9
GTEX-11GS4-0226-SM-5HL77 60-69 years, male 209.3
GTEX-11NUK-2726-SM-5A5MC 50-59 years, male 207.3
GTEX-18A7A-0126-SM-731AH 50-59 years, female 206.8
GTEX-1AX9J-1326-SM-731BJ 60-69 years, male 206.3
GTEX-1RAZR-2126-SM-E9U6T 40-49 years, male 206.1
GTEX-1HCUA-0826-SM-ADEHM 50-59 years, female 205.5
GTEX-11DXW-0826-SM-5H118 40-49 years, male 204.6
GTEX-147F4-0726-SM-5TDDD 50-59 years, male 204.1
GTEX-ZT9W-1126-SM-57WDR 50-59 years, male 202.6
GTEX-11GSP-2326-SM-5HL63 60-69 years, female 200.0
GTEX-131XW-0626-SM-5PNVD 50-59 years, female 199.5
GTEX-XBEC-0726-SM-4QARZ 50-59 years, male 198.5
GTEX-11DXY-0126-SM-5H11Q 60-69 years, male 195.1
GTEX-11OF3-0126-SM-5PNYF 60-69 years, male 194.8
GTEX-1313W-0626-SM-5EQ4H 50-59 years, female 194.1
GTEX-1LG7Z-1626-SM-CXKYR 30-39 years, male 192.9
GTEX-1A8FM-0626-SM-7PC25 50-59 years, female 190.4
GTEX-17HHY-0426-SM-7DHLC 50-59 years, male 190.0
GTEX-13N1W-2426-SM-5IJD1 70-79 years, male 189.1
GTEX-ZF3C-0626-SM-DO92O 50-59 years, female 188.5
GTEX-13OVL-0126-SM-5L3GJ 50-59 years, male 187.9
GTEX-13OVG-1626-SM-5J1NF 60-69 years, male 186.7
GTEX-1C475-1326-SM-7SB73 40-49 years, female 186.3
GTEX-1H3NZ-2726-SM-9WYTQ 60-69 years, male 185.7
GTEX-11NSD-0626-SM-5A5LU 20-29 years, male 183.9
GTEX-1KANC-1226-SM-CYPT7 50-59 years, female 182.5
GTEX-X5EB-1926-SM-4E3IW 40-49 years, male 181.0
GTEX-146FQ-2126-SM-5RQHU 30-39 years, male 177.7
GTEX-16BQI-1326-SM-6M486 30-39 years, female 177.7
GTEX-13SLX-2226-SM-62LEP 50-59 years, female 177.0
GTEX-ZZ64-1026-SM-5GZXG 20-29 years, male 177.0
GTEX-ZZPU-0826-SM-5GZX5 50-59 years, female 175.0
GTEX-1EU9M-1426-SM-793AI 60-69 years, male 174.4
GTEX-139TU-0726-SM-5L3EK 60-69 years, male 174.0
GTEX-ZVP2-0326-SM-57WBP 50-59 years, male 173.5
GTEX-15CHQ-0326-SM-69LQD 60-69 years, male 172.9
GTEX-12584-0726-SM-5FQTK 40-49 years, male 172.4
GTEX-14BMU-1226-SM-5S2OR 20-29 years, female 170.8
GTEX-18A6Q-0626-SM-7KFRP 60-69 years, male 168.0
GTEX-X4EO-2926-SM-4E3JH 60-69 years, female 167.7
GTEX-16MTA-0926-SM-6M47Z 50-59 years, male 167.3
GTEX-1J8JJ-0626-SM-ARZMQ 60-69 years, female 165.6
GTEX-17HII-1426-SM-7EPGG 50-59 years, male 165.4
GTEX-147JS-0226-SM-5S2U9 60-69 years, male 164.4
GTEX-1B8KZ-0326-SM-73KY4 50-59 years, male 164.4
GTEX-13FH7-1126-SM-5K7UG 50-59 years, female 163.9
GTEX-ZC5H-1526-SM-5HL9Y 40-49 years, female 163.7
GTEX-1S831-1826-SM-EWROF 20-29 years, male 163.3
GTEX-16NPX-0726-SM-7KULC 50-59 years, male 163.1
GTEX-1EMGI-2326-SM-7PBYA 60-69 years, male 161.7
GTEX-18465-2826-SM-7LT9J 50-59 years, male 161.4
GTEX-13OW7-0426-SM-5K7VK 50-59 years, male 158.5
GTEX-12BJ1-0926-SM-5EQ62 60-69 years, male 157.0
GTEX-ZE7O-2726-SM-51MT5 50-59 years, female 156.1
GTEX-139UW-0326-SM-5J1ML 60-69 years, male 155.1
GTEX-12WSJ-1126-SM-5LZVJ 40-49 years, female 154.8
GTEX-1E1VI-0326-SM-793D1 50-59 years, male 154.6
GTEX-ZDYS-2426-SM-4WKGI 50-59 years, male 154.6
GTEX-11WQC-1826-SM-5GU59 60-69 years, male 153.5
GTEX-1J8Q3-0526-SM-ARL8U 60-69 years, male 153.3
GTEX-ZLV1-1526-SM-DO91J 60-69 years, female 153.2
GTEX-1EN7A-2426-SM-793DB 40-49 years, male 152.1
GTEX-1GN2E-0226-SM-9WG6K 60-69 years, male 151.1
GTEX-ZA64-1026-SM-5HL8R 20-29 years, male 149.5
GTEX-13O3O-2326-SM-5IJD6 60-69 years, female 149.3
GTEX-145MN-1526-SM-5SI9T 30-39 years, male 147.3
GTEX-13112-0126-SM-5P9IU 50-59 years, male 146.4
GTEX-13FTY-2126-SM-5IFFB 40-49 years, female 145.9
GTEX-13113-1626-SM-5EQ4I 60-69 years, female 143.2
GTEX-12WSC-2826-SM-5BC5Y 50-59 years, male 143.1
GTEX-1HFI6-0126-SM-CNPPI 40-49 years, male 143.0
GTEX-1H1ZS-2726-SM-9WG75 70-79 years, male 142.9
GTEX-Y111-0626-SM-4SOIT 50-59 years, male 142.8
GTEX-XQ3S-1426-SM-4BOPR 20-29 years, male 142.7
GTEX-1QCLZ-2426-SM-EVYBW 60-69 years, female 142.0
GTEX-XXEK-1626-SM-4BRUZ 50-59 years, male 141.8
GTEX-1CAMR-1326-SM-7PC1F 20-29 years, male 141.6
GTEX-18A7B-2726-SM-7LG56 70-79 years, male 141.5
GTEX-139TS-2126-SM-5K7XC 60-69 years, male 141.4
GTEX-1QP29-1826-SM-DTX9S 50-59 years, male 141.1
GTEX-14ABY-2026-SM-62LDL 50-59 years, male 140.8
GTEX-1H1DF-1126-SM-9WG7G 40-49 years, female 140.1
GTEX-1IY9M-2826-SM-ARU8H 60-69 years, male 139.7
GTEX-ZPU1-1126-SM-4YCF3 40-49 years, male 139.6
GTEX-1I1CD-0626-SM-CE6SW 60-69 years, female 139.1
GTEX-1B8SF-0126-SM-7DUG3 60-69 years, male 138.4
GTEX-14DAR-1226-SM-73KYV 50-59 years, male 137.9
GTEX-13OVK-1426-SM-6PAN7 40-49 years, male 137.8
GTEX-1N5O9-0926-SM-E9J3C 60-69 years, male 137.5
GTEX-Y5V5-0126-SM-5S2NW 60-69 years, female 136.9
GTEX-1IDJH-0126-SM-D3L92 70-79 years, male 136.9
GTEX-1B933-2426-SM-7DHMD 50-59 years, female 136.3
GTEX-X8HC-0626-SM-4E3HQ 50-59 years, female 134.7
GTEX-ZPIC-0526-SM-DO91W 40-49 years, female 134.6
GTEX-1GN1U-0626-SM-9MQL9 50-59 years, female 134.5
GTEX-15SHW-0226-SM-7LTAT 60-69 years, male 133.9
GTEX-ZLWG-0826-SM-59888 50-59 years, female 133.3
GTEX-1HCU9-0426-SM-9WYSD 20-29 years, male 132.5
GTEX-15ER7-0626-SM-6PANF 20-29 years, female 130.7
GTEX-14PKV-1126-SM-6LLJ1 20-29 years, female 130.5
GTEX-WK11-2726-SM-3NMAQ 50-59 years, male 130.5
GTEX-1PPGY-1626-SM-EVYBL 60-69 years, male 130.4
GTEX-Z93S-1626-SM-5CVMB 50-59 years, male 129.8
GTEX-16NGA-0726-SM-731AO 40-49 years, female 129.2
GTEX-17F97-2626-SM-7IGM5 50-59 years, male 129.1
GTEX-13N2G-0226-SM-5K7VF 60-69 years, male 128.9
GTEX-17EVP-2626-SM-7IGMA 40-49 years, male 128.9
GTEX-12ZZY-0726-SM-5EQ66 60-69 years, male 128.5
GTEX-1LVA9-2626-SM-EVYD4 50-59 years, male 127.7
GTEX-ZP4G-1426-SM-4WWCL 20-29 years, female 127.5
GTEX-13OW6-2726-SM-5J2OE 50-59 years, male 127.4
GTEX-14E1K-2026-SM-7DUEI 50-59 years, male 127.4
GTEX-1GF9V-0826-SM-9KNUV 60-69 years, male 127.2
GTEX-ZVT4-2426-SM-5GIEI 50-59 years, female 127.1
GTEX-ZPCL-1126-SM-4WWFE 60-69 years, female 126.7
GTEX-1BAJH-2426-SM-7IGP8 70-79 years, male 126.3
GTEX-WY7C-2126-SM-3NB2R 50-59 years, male 126.1
GTEX-WRHU-2826-SM-3MJG8 50-59 years, female 126.0
GTEX-14PKU-0126-SM-6LLHV 40-49 years, female 125.6
GTEX-Y3I4-1726-SM-4TT89 50-59 years, male 125.6
GTEX-ZUA1-2626-SM-5NQ92 40-49 years, male 124.5
GTEX-145LU-1926-SM-79OJN 50-59 years, male 123.7
GTEX-1PIGE-1826-SM-E8VOU 20-29 years, male 123.6
GTEX-13U4I-2226-SM-5LU5H 40-49 years, female 123.5
GTEX-1KANA-1326-SM-DIPFA 20-29 years, male 123.4
GTEX-1I19N-0126-SM-CYPSF 70-79 years, male 122.5
GTEX-1LBAC-0826-SM-CY8IJ 20-29 years, male 122.1
GTEX-1117F-2926-SM-5GZYI 60-69 years, female 121.7
GTEX-13OW5-2326-SM-5L3HO 60-69 years, male 121.6
GTEX-1HC8U-1326-SM-9YFMJ 40-49 years, female 121.6
GTEX-1IKJJ-2226-SM-CJI4C 60-69 years, male 121.3
GTEX-16Z82-2626-SM-7KULU 60-69 years, male 120.6
GTEX-1KAFJ-0126-SM-DIPEK 50-59 years, male 120.1
GTEX-ZLFU-1826-SM-4WWBV 40-49 years, male 119.9
GTEX-1O9I2-0226-SM-EYYXD 50-59 years, male 119.8
GTEX-13NYB-0126-SM-5J1MD 40-49 years, male 119.1
GTEX-XPVG-2126-SM-4B667 50-59 years, male 119.0
GTEX-W5X1-2526-SM-3GILC 40-49 years, female 118.8
GTEX-ZAJG-1526-SM-5CVML 50-59 years, female 118.2
GTEX-1314G-1326-SM-5BC6E 30-39 years, male 118.1
GTEX-VJYA-1526-SM-3GIJV 60-69 years, male 117.3
GTEX-13FLV-0126-SM-5K7WT 50-59 years, male 117.2
GTEX-1JMQJ-0826-SM-CNPP7 50-59 years, male 116.8
GTEX-17KNJ-2126-SM-718AM 50-59 years, male 116.6
GTEX-1LSVX-2526-SM-DIPEU 60-69 years, male 116.4
GTEX-12WSF-1626-SM-7KUG5 70-79 years, male 116.2
GTEX-14DAQ-0626-SM-793DS 60-69 years, female 116.2
GTEX-XBEW-1126-SM-4QARW 40-49 years, male 116.1
GTEX-1GMR2-0826-SM-7PC3V 50-59 years, male 115.9
GTEX-WFG8-2126-SM-3GIKQ 20-29 years, male 115.6
GTEX-17HG3-2626-SM-7DUF2 30-39 years, female 115.3
GTEX-ZYFD-0626-SM-5E44E 50-59 years, male 115.1
GTEX-1LVAN-0626-SM-CNPOQ 50-59 years, female 114.8
GTEX-111CU-1126-SM-5EGIM 50-59 years, male 113.6
GTEX-ZTX8-1326-SM-4YCEL 20-29 years, male 113.6
GTEX-15FZZ-0526-SM-7KUGD 30-39 years, female 111.7
GTEX-11DXZ-2026-SM-5987S 50-59 years, male 110.5
GTEX-1J8QM-2426-SM-A9SLS 60-69 years, female 110.4
GTEX-1E2YA-2126-SM-7MXUO 50-59 years, male 109.9
GTEX-YF7O-1526-SM-5IFI6 50-59 years, male 109.8
GTEX-13OW8-1026-SM-5J1NQ 60-69 years, male 108.7
GTEX-145LT-0526-SM-5LUB2 40-49 years, male 108.4
GTEX-11EI6-2826-SM-5H11D 60-69 years, male 107.4
GTEX-11VI4-1126-SM-5EQMD 40-49 years, female 107.2
GTEX-WFON-1926-SM-3LK7L 40-49 years, male 107.1
GTEX-UPK5-0426-SM-3GAEK 40-49 years, male 106.7
GTEX-WEY5-2326-SM-3GIKK 40-49 years, female 105.3
GTEX-1QMI2-2526-SM-E8VNZ 60-69 years, male 105.2
GTEX-12KS4-2126-SM-5FQUT 30-39 years, male 104.8
GTEX-1MCC2-1826-SM-DIPEX 30-39 years, female 104.7
GTEX-1C64N-2626-SM-7PC2N 50-59 years, male 104.6
GTEX-1HSMQ-2626-SM-A9SML 50-59 years, male 104.0
GTEX-ZDTT-0426-SM-4WKFL 60-69 years, male 103.6
GTEX-148VJ-0626-SM-5LUAW 70-79 years, male 103.5
GTEX-15D1Q-2826-SM-6LLH7 40-49 years, male 102.4
GTEX-1I1GV-0626-SM-ARL7M 60-69 years, male 102.1
GTEX-1H4P4-2126-SM-9WYSL 50-59 years, male 101.8
GTEX-1I1GP-1326-SM-A9G28 50-59 years, male 101.7
GTEX-1HBPI-2126-SM-ARL9K 50-59 years, male 100.4
GTEX-1AX9I-2226-SM-73KUO 60-69 years, male 100.3
GTEX-XYKS-1426-SM-4BRUO 60-69 years, female 100.2
GTEX-1GN73-0726-SM-7P8TJ 60-69 years, male 100.1
GTEX-14E6C-2426-SM-5S2NF 40-49 years, male 99.7
GTEX-11P81-2226-SM-5PNYI 30-39 years, female 99.3
GTEX-17EVQ-0126-SM-7IGLR 70-79 years, male 98.6
GTEX-1IL2V-1926-SM-B2LW8 70-79 years, male 98.4
GTEX-14JFF-0626-SM-5ZZVT 60-69 years, male 97.0
GTEX-1GTWX-2026-SM-9YFLM 60-69 years, male 97.0
GTEX-1JN6P-2926-SM-CL54D 60-69 years, male 97.0
GTEX-14JG1-1526-SM-5YY9X 40-49 years, male 96.9
GTEX-ZAB4-2126-SM-5HL8U 40-49 years, male 96.6
GTEX-139TT-2126-SM-5LZWC 60-69 years, male 96.4
GTEX-178AV-1726-SM-7KUL8 40-49 years, male 96.4
GTEX-13N11-2326-SM-5IJBF 50-59 years, female 95.7
GTEX-1HFI7-2326-SM-CGQFS 50-59 years, female 95.3
GTEX-13X6J-0626-SM-5LU5F 50-59 years, male 95.2
GTEX-1GMR3-0126-SM-A9SLW 40-49 years, male 93.9
GTEX-1LSNL-2726-SM-E9TKJ 50-59 years, male 93.5
GTEX-145LS-0626-SM-7EPG7 60-69 years, female 93.2
GTEX-1F88F-0126-SM-9WYSZ 60-69 years, female 93.1
GTEX-145MH-2826-SM-5RQJF 50-59 years, male 92.8
GTEX-Y8E4-2026-SM-5IFJB 40-49 years, male 92.4
GTEX-1GZ2Q-0126-SM-9WG6M 40-49 years, male 92.4
GTEX-12WSM-1926-SM-5BC65 60-69 years, male 92.3
GTEX-11UD2-2526-SM-5CVNU 50-59 years, male 91.9
GTEX-1JMQI-1726-SM-ARL93 50-59 years, male 91.9
GTEX-WFG7-2026-SM-5SI7P 20-29 years, male 91.8
GTEX-11P7K-1126-SM-5HL4L 30-39 years, male 91.6
GTEX-Y114-2126-SM-4TT8B 50-59 years, female 91.5
GTEX-17F9E-2326-SM-79OKD 50-59 years, male 91.2
GTEX-1IDJD-2326-SM-ACKWX 30-39 years, male 90.7
GTEX-1J8EW-2726-SM-CY8HR 60-69 years, female 90.6
GTEX-1B97I-0626-SM-73KUZ 40-49 years, male 90.5
GTEX-1KD5A-0126-SM-E9U54 50-59 years, male 90.0
GTEX-17HGU-2326-SM-7DUFE 50-59 years, male 89.7
GTEX-WH7G-2026-SM-3NMBL 40-49 years, male 89.7
GTEX-14PJ6-2626-SM-6EU2T 60-69 years, female 89.5
GTEX-13O3Q-0126-SM-5KM34 50-59 years, male 89.1
GTEX-1H3O1-1326-SM-9MQLD 60-69 years, male 88.8
GTEX-1RLM8-2926-SM-E8VON 50-59 years, male 88.6
GTEX-13D11-0926-SM-5J2NC 50-59 years, female 88.4
GTEX-18D9A-1426-SM-7LT8M 30-39 years, female 87.2
GTEX-1KANB-2826-SM-CY8I6 50-59 years, male 87.2
GTEX-1I4MK-0126-SM-CY8G6 50-59 years, female 87.0
GTEX-1HCU8-2526-SM-CE6RX 60-69 years, female 86.9
GTEX-13O61-1426-SM-5KM3D 60-69 years, male 86.7
GTEX-1I1HK-2326-SM-CKZOH 60-69 years, male 86.7
GTEX-1RAZA-2226-SM-E9U4X 20-29 years, male 86.4
GTEX-1RB15-1326-SM-E76Q9 60-69 years, male 85.8
GTEX-ZTSS-1426-SM-5985P 40-49 years, male 85.3
GTEX-1R9PN-0426-SM-DTXDT 40-49 years, female 85.2
GTEX-1IKOE-1426-SM-CE6T7 30-39 years, female 85.0
GTEX-1212Z-0126-SM-59HK4 60-69 years, male 84.9
GTEX-WYJK-0526-SM-3NM8Z 50-59 years, male 84.8
GTEX-1HSGN-0826-SM-ACKW3 40-49 years, female 84.4
GTEX-XV7Q-1826-SM-4BRUV 40-49 years, female 84.3
GTEX-12ZZX-2426-SM-5GCOE 40-49 years, female 84.2
GTEX-ZYVF-0926-SM-5E44J 50-59 years, female 84.2
GTEX-12C56-1526-SM-5FQUQ 20-29 years, male 83.1
GTEX-YECK-0326-SM-4W1YS 60-69 years, male 82.2
GTEX-1GL5R-1326-SM-7RHHF 50-59 years, male 81.8
GTEX-139YR-1026-SM-5LZYN 50-59 years, male 81.4
GTEX-16MT8-2926-SM-7DUFO 60-69 years, female 81.3
GTEX-15RIG-0726-SM-7KUM7 40-49 years, male 81.2
GTEX-VUSG-2326-SM-4KL1U 50-59 years, male 81.0
GTEX-1LGOU-1326-SM-D3L8M 20-29 years, female 80.9
GTEX-1PIIG-2326-SM-DTXFR 30-39 years, male 80.6
GTEX-1J8Q2-2626-SM-ACKWQ 60-69 years, male 80.5
GTEX-1NSGN-0726-SM-DTXEF 50-59 years, male 80.5
GTEX-XUW1-0926-SM-4BONX 50-59 years, female 80.2
GTEX-1AX8Z-0726-SM-73KTS 60-69 years, male 79.6
GTEX-1QP9N-1226-SM-E76QN 30-39 years, male 79.5
GTEX-15CHC-1126-SM-6LLHQ 60-69 years, female 79.4
GTEX-1GF9U-2026-SM-7SB92 40-49 years, female 79.3
GTEX-13JUV-2026-SM-5K7UA 40-49 years, female 78.9
GTEX-ZVE2-2826-SM-5GU51 50-59 years, male 78.8
GTEX-1PBJJ-1026-SM-E76OS 30-39 years, male 78.0
GTEX-1R9K4-2826-SM-DTX8F 60-69 years, male 78.0
GTEX-139D8-1126-SM-5LU8W 30-39 years, female 77.8
GTEX-13FTW-0326-SM-5K7UW 40-49 years, male 77.7
GTEX-183FY-1026-SM-7939A 20-29 years, male 77.4
GTEX-1EX96-1026-SM-7MKG2 50-59 years, male 77.3
GTEX-1LG7Y-2526-SM-EWRO7 50-59 years, male 77.2
GTEX-1S82U-1026-SM-E6CJK 30-39 years, female 76.8
GTEX-1CB4I-0126-SM-7RHGG 50-59 years, male 76.6
GTEX-1QW4Y-1126-SM-DTXE3 30-39 years, male 76.6
GTEX-14JG6-1426-SM-9WG7C 30-39 years, female 76.3
GTEX-1IDJF-2026-SM-CL53V 20-29 years, male 76.3
GTEX-V1D1-2026-SM-3GAF4 50-59 years, male 74.9
GTEX-WI4N-2726-SM-3LK7Y 40-49 years, female 74.9
GTEX-14PJ2-0626-SM-6LLII 50-59 years, male 74.0
GTEX-17MFQ-1526-SM-7KFRR 20-29 years, male 73.9
GTEX-1CB4E-0926-SM-7EPHT 60-69 years, male 73.6
GTEX-1HR98-2226-SM-ADEI2 60-69 years, male 73.6
GTEX-1K2DA-1026-SM-CGQGF 50-59 years, male 73.2
GTEX-1211K-1526-SM-5FQU4 60-69 years, female 73.1
GTEX-1OJC4-2726-SM-E76PJ 50-59 years, female 73.1
GTEX-1CB4F-1026-SM-7DUH1 60-69 years, male 72.9
GTEX-1J1R8-2026-SM-CL53Y 40-49 years, male 72.8
GTEX-WXYG-2026-SM-4E3IY 50-59 years, female 72.6
GTEX-1JMPZ-0726-SM-CY8HZ 30-39 years, male 72.6
GTEX-1IDJC-1526-SM-B2LW4 50-59 years, male 72.5
GTEX-11EQ8-0926-SM-5H12V 60-69 years, male 72.0
GTEX-11ZUS-2626-SM-5FQUR 30-39 years, male 71.4
GTEX-13FHO-0426-SM-5L3F5 60-69 years, male 71.4
GTEX-11P82-1426-SM-DTXFY 20-29 years, male 71.4
GTEX-1I6K6-1726-SM-CGQFD 30-39 years, male 71.4
GTEX-12696-0126-SM-5EQ4L 60-69 years, male 71.3
GTEX-1JJEA-1826-SM-ARU8P 60-69 years, male 70.5
GTEX-ZYT6-2326-SM-5GZY3 30-39 years, male 69.5
GTEX-1HT8W-0626-SM-A9G2H 30-39 years, male 69.4
GTEX-14PHX-2226-SM-6EU2P 50-59 years, male 68.1
GTEX-147F3-1726-SM-5SIAW 50-59 years, female 68.0
GTEX-1ICG6-1226-SM-A9SLN 70-79 years, female 67.7
GTEX-144GL-0626-SM-5LU4D 50-59 years, male 67.2
GTEX-1OJC3-1226-SM-DTXER 20-29 years, male 66.9
GTEX-1GZ4I-2626-SM-9KNU3 50-59 years, male 66.5
GTEX-1H11D-1826-SM-9QEHM 40-49 years, male 66.1
GTEX-17F96-0126-SM-7EWDU 70-79 years, male 65.6
GTEX-1M4P7-0726-SM-E6CJ3 60-69 years, male 65.1
GTEX-111YS-1526-SM-5GZYW 60-69 years, male 65.0
GTEX-1RAZS-2526-SM-E6CHT 50-59 years, male 64.7
GTEX-11TUW-0626-SM-5LU9M 60-69 years, male 64.5
GTEX-14B4R-1326-SM-5Q5EZ 30-39 years, male 63.5
GTEX-1A3MV-1826-SM-731CD 30-39 years, male 63.5
GTEX-14LZ3-0126-SM-69LPM 60-69 years, female 63.0
GTEX-1GPI7-1826-SM-9KNU1 20-29 years, male 62.2
GTEX-145MI-0626-SM-5SI8S 60-69 years, female 61.9
GTEX-1L5NE-1126-SM-D3L9P 50-59 years, male 61.5
GTEX-133LE-2326-SM-5K7W3 20-29 years, female 61.1
GTEX-1CAMQ-1326-SM-7P8RV 40-49 years, male 61.1
GTEX-ZGAY-1826-SM-DO91Q 40-49 years, female 61.1
GTEX-1PDJ9-1226-SM-EXUSX 20-29 years, male 61.0
GTEX-1A8G6-2726-SM-731AR 60-69 years, male 60.9
GTEX-15EU6-2226-SM-6EU2L 50-59 years, male 60.5
GTEX-1C64O-1326-SM-7MGWR 60-69 years, male 60.3
GTEX-1IDJI-0126-SM-CMKHS 50-59 years, female 60.3
GTEX-1RAZQ-1326-SM-E9TK6 30-39 years, male 59.4
GTEX-1H3VE-0726-SM-9YFL5 40-49 years, male 59.1
GTEX-1QP66-1226-SM-DTX7U 50-59 years, male 58.9
GTEX-111VG-1626-SM-5EGIO 60-69 years, male 58.8
GTEX-1192X-2726-SM-5N9DN 50-59 years, male 58.8
GTEX-1S82P-2126-SM-E6CI5 60-69 years, female 58.8
GTEX-144FL-0626-SM-5LU43 50-59 years, male 58.7
GTEX-1PPH8-0126-SM-EWRN8 20-29 years, male 58.7
GTEX-17HHE-1326-SM-7EWDZ 50-59 years, male 58.6
GTEX-13YAN-0226-SM-5TDC6 60-69 years, male 58.4
GTEX-1QCLY-0226-SM-EWRNH 30-39 years, male 58.4
GTEX-145MF-0926-SM-5Q5EA 50-59 years, male 58.3
GTEX-1I6K7-1926-SM-B2LXR 40-49 years, male 58.3
GTEX-YFCO-1226-SM-5LUAT 40-49 years, male 58.1
GTEX-183WM-0326-SM-72D5V 70-79 years, female 57.9
GTEX-1C2JI-1026-SM-73KY1 50-59 years, male 57.6
GTEX-ZE9C-2526-SM-5IJDR 60-69 years, male 57.6
GTEX-15CHR-1126-SM-7EWF4 50-59 years, male 57.3
GTEX-16XZZ-0726-SM-7KUF2 60-69 years, male 57.1
GTEX-1AYD5-2626-SM-7PBXY 50-59 years, male 57.1
GTEX-11EQ9-1626-SM-5PNY8 30-39 years, male 57.0
GTEX-YEC3-1326-SM-DO92X 50-59 years, male 57.0
GTEX-131XF-2626-SM-5EQ6K 60-69 years, male 56.8
GTEX-1S3DN-2126-SM-E9TIN 50-59 years, male 56.5
GTEX-13G51-1826-SM-5KLZH 60-69 years, male 56.0
GTEX-18A66-0626-SM-7LT8Z 60-69 years, male 55.4
GTEX-1F5PL-0926-SM-7PC2W 40-49 years, female 55.4
GTEX-16AAH-0626-SM-793C9 50-59 years, male 55.3
GTEX-ZT9X-1526-SM-5DUXD 40-49 years, male 55.3
GTEX-1GF9W-1426-SM-7PBYM 60-69 years, male 55.1
GTEX-13VXU-0626-SM-5L3F9 50-59 years, male 54.4
GTEX-1QAET-0326-SM-EVR3U 50-59 years, male 54.4
GTEX-14AS3-1526-SM-5Q5ED 40-49 years, female 54.2
GTEX-13X6K-0626-SM-5LU5D 60-69 years, female 53.9
GTEX-14PJ3-1126-SM-5ZZVX 50-59 years, male 53.9
GTEX-18QFQ-1826-SM-72D52 30-39 years, male 53.8
GTEX-ZF29-0926-SM-4WKFZ 60-69 years, female 53.8
GTEX-1HSMP-0926-SM-A9SKX 70-79 years, male 53.8
GTEX-13NZ9-2626-SM-5L3FK 50-59 years, male 53.7
GTEX-15RIE-1926-SM-7KUKJ 60-69 years, male 53.7
GTEX-1F75I-2226-SM-7SB8U 40-49 years, male 53.5
GTEX-15G19-2426-SM-7KUMR 60-69 years, male 53.4
GTEX-14PJO-2526-SM-6AJBQ 60-69 years, male 52.9
GTEX-17MF6-2626-SM-79OKQ 40-49 years, male 52.7
GTEX-1B8L1-2226-SM-7P8PT 60-69 years, male 52.7
GTEX-1I1GU-0926-SM-ACKVS 40-49 years, male 52.7
GTEX-11TT1-1826-SM-5EQLV 20-29 years, male 52.5
GTEX-1CB4J-1326-SM-7P8RX 60-69 years, male 52.3
GTEX-14BIN-1126-SM-5RQJZ 50-59 years, female 51.4
GTEX-11PRG-0726-SM-5EGL1 50-59 years, male 51.0
GTEX-14753-0726-SM-5QGQO 60-69 years, male 50.9
GTEX-11LCK-2226-SM-5HL4Q 30-39 years, male 50.5
GTEX-14PJ5-1526-SM-6LLIL 60-69 years, female 50.4
GTEX-13QBU-1226-SM-5LU4G 40-49 years, female 50.3
GTEX-13VXT-1926-SM-5K7UO 20-29 years, female 49.7
GTEX-1CB4H-1126-SM-7MKGL 60-69 years, female 49.6
GTEX-1LSNM-0826-SM-DIPG8 50-59 years, male 49.2
GTEX-1KXAM-1626-SM-D3LAD 60-69 years, male 49.0
GTEX-131XG-0326-SM-5L3DX 50-59 years, female 48.8
GTEX-13JVG-0726-SM-5KM16 60-69 years, male 48.6
GTEX-15SKB-2826-SM-6PAMH 60-69 years, male 48.3
GTEX-XAJ8-1426-SM-47JYM 40-49 years, male 48.0
GTEX-1H1DG-2426-SM-9QEHJ 70-79 years, male 48.0
GTEX-1R9PM-1926-SM-EVR3O 20-29 years, male 47.3
GTEX-1JKYR-0626-SM-ARL8R 20-29 years, male 47.0
GTEX-1R7EU-1626-SM-DTXG3 60-69 years, male 47.0
GTEX-1JJE9-2626-SM-ARZMT 70-79 years, male 46.9
GTEX-1MJK3-0726-SM-E6CJC 20-29 years, male 46.9
GTEX-13PL6-1126-SM-5L3IE 40-49 years, female 46.7
GTEX-14XAO-1226-SM-6EU1C 60-69 years, female 46.7
GTEX-Y5LM-0926-SM-6LLJG 40-49 years, female 46.7
GTEX-1B932-2326-SM-79OL5 40-49 years, female 46.6
GTEX-1CAMS-2226-SM-7PBXQ 40-49 years, female 46.6
GTEX-15DDE-2926-SM-6LLJ3 50-59 years, female 46.5
GTEX-1122O-1026-SM-9WYSF 60-69 years, female 46.1
GTEX-13PVR-0426-SM-5RQK2 60-69 years, female 45.6
GTEX-1H1E6-0426-SM-9WYUS 30-39 years, male 45.4
GTEX-117YX-1926-SM-5GIEC 50-59 years, male 45.3
GTEX-11ZU8-0126-SM-5EQ58 60-69 years, male 45.0
GTEX-XK95-0226-SM-4AT58 40-49 years, male 45.0
GTEX-1IOXB-2726-SM-CM2RI 50-59 years, male 44.4
GTEX-132AR-0326-SM-5KM2C 50-59 years, female 44.3
GTEX-145MO-2826-SM-5LU96 60-69 years, male 44.3
GTEX-13W3W-0726-SM-5IJDQ 60-69 years, female 43.7
GTEX-X585-2426-SM-46MW2 50-59 years, male 43.4
GTEX-1A8G7-1326-SM-73KVM 60-69 years, male 43.2
GTEX-13RTJ-0126-SM-5S2NN 60-69 years, male 42.8
GTEX-1C6VR-0126-SM-7RHGB 60-69 years, male 42.8
GTEX-1IDJU-1726-SM-CMKHU 60-69 years, female 42.8
GTEX-13FTX-1526-SM-5K7VJ 20-29 years, female 42.6
GTEX-ZXG5-2126-SM-59HKD 60-69 years, male 42.5
GTEX-1PPH7-1126-SM-DTX9A 40-49 years, male 42.3
GTEX-1HB9E-0126-SM-CM2S5 50-59 years, male 41.9
GTEX-ZTTD-2826-SM-4YCFA 50-59 years, male 41.7
GTEX-UPJH-0226-SM-3GADV 50-59 years, male 41.2
GTEX-ZVT2-0126-SM-5GIDQ 50-59 years, female 41.0
GTEX-1K9T9-1526-SM-DIPFR 50-59 years, female 40.5
GTEX-1HBPN-0126-SM-CGQEF 50-59 years, male 40.0
GTEX-1C6VQ-1226-SM-73KYD 50-59 years, male 39.8
GTEX-1269C-0126-SM-5EQ5L 60-69 years, female 38.7
GTEX-14PII-0726-SM-6EU2B 60-69 years, male 38.5
GTEX-1HCVE-2726-SM-CL54F 50-59 years, male 38.5
GTEX-14LLW-2626-SM-62LDZ 70-79 years, female 38.4
GTEX-1F48J-0726-SM-7RHGS 50-59 years, female 38.1
GTEX-1GN1W-2426-SM-9KNUU 50-59 years, female 37.9
GTEX-1HKZK-0726-SM-ACKW2 40-49 years, male 37.9
GTEX-1477Z-0326-SM-7IGLA 60-69 years, male 37.7
GTEX-1JMOU-1026-SM-CYPSS 60-69 years, female 37.4
GTEX-14PJN-1826-SM-6AJ98 30-39 years, male 37.3
GTEX-1GF9X-1326-SM-7PC2Y 40-49 years, female 36.9
GTEX-1HGF4-0126-SM-CNPPX 60-69 years, male 36.2
GTEX-13X6H-0926-SM-5SIB2 50-59 years, female 36.0
GTEX-1ICLZ-0326-SM-ARL82 60-69 years, male 35.8
GTEX-13IVO-0726-SM-5LZYV 70-79 years, male 35.7
GTEX-1GPI6-1926-SM-9KNV7 60-69 years, male 35.3
GTEX-14C39-1726-SM-5RQIL 40-49 years, male 35.0
GTEX-18D9U-0126-SM-731BM 40-49 years, male 34.9
GTEX-1JMQK-1226-SM-D4P2S 60-69 years, male 34.7
GTEX-1N2DV-1526-SM-DTXEP 40-49 years, male 34.5
GTEX-1JJ6O-2726-SM-CNPOG 60-69 years, male 34.0
GTEX-139T8-0626-SM-5KLZX 60-69 years, male 33.9
GTEX-1H23P-0626-SM-9WG6T 60-69 years, male 33.6
GTEX-15EO6-2426-SM-6PALZ 50-59 years, male 33.5
GTEX-ZVE1-0726-SM-51MRN 50-59 years, female 33.5
GTEX-12WSK-2126-SM-5CVNC 40-49 years, female 32.9
GTEX-ZY6K-1426-SM-5GZX2 50-59 years, male 32.8
GTEX-15UF6-1926-SM-7KUDV 70-79 years, female 32.7
GTEX-1AMFI-1326-SM-7939R 50-59 years, female 32.6
GTEX-1JMPY-0226-SM-CKZOK 30-39 years, male 32.6
GTEX-14PHY-1226-SM-5ZZWK 60-69 years, female 32.1
GTEX-147GR-2426-SM-5ZZWQ 60-69 years, male 31.7
GTEX-XQ8I-0926-SM-4BOOF 50-59 years, male 31.7
GTEX-15RJE-2826-SM-7KUM9 40-49 years, male 31.4
GTEX-14A6H-2026-SM-5Q5DD 30-39 years, male 31.0
GTEX-1GN1V-2826-SM-9JGIA 60-69 years, male 31.0
GTEX-1GZ4H-0526-SM-9KNU9 50-59 years, female 30.8
GTEX-1LVAO-2726-SM-E9TJ8 60-69 years, male 30.8
GTEX-1GMR8-0626-SM-7RHI7 50-59 years, female 30.7
GTEX-1399U-1126-SM-5L3DB 50-59 years, female 30.4
GTEX-XMD2-2126-SM-4YCF8 60-69 years, female 30.3
GTEX-144GM-0526-SM-79OJO 20-29 years, male 30.0
GTEX-17F9Y-0126-SM-79OKX 70-79 years, female 29.8
GTEX-1H1DE-1326-SM-9KNUG 20-29 years, male 29.7
GTEX-1QP28-1126-SM-EVYC4 50-59 years, female 29.5
GTEX-1LGRB-0926-SM-COH3K 50-59 years, female 29.2
GTEX-14C38-0726-SM-5SI6M 50-59 years, male 29.1
GTEX-14BMV-2826-SM-5TDED 50-59 years, male 28.6
GTEX-1HSMO-0626-SM-ACKXC 60-69 years, male 28.5
GTEX-14ICL-1626-SM-5YYAO 30-39 years, male 28.4
GTEX-1AMEY-0826-SM-72D65 30-39 years, female 28.2
GTEX-X4EP-0626-SM-3P621 60-69 years, female 28.2
GTEX-16MT9-0126-SM-7EPI8 60-69 years, female 28.1
GTEX-WHWD-1826-SM-3LK6I 50-59 years, male 28.0
GTEX-1K2DU-1226-SM-CYPT4 20-29 years, male 28.0
GTEX-1A3MX-2626-SM-7PC24 60-69 years, male 27.8
GTEX-11DXX-2126-SM-5PNYR 60-69 years, female 27.7
GTEX-1RMOY-1326-SM-E9TIH 50-59 years, male 27.5
GTEX-11DZ1-2426-SM-5GZZX 50-59 years, male 27.4
GTEX-1LKK1-2626-SM-DKPQE 50-59 years, female 27.2
GTEX-1IE54-1126-SM-A9G2Z 40-49 years, female 26.8
GTEX-1B8KE-1126-SM-7EPHI 50-59 years, male 26.7
GTEX-1JN1M-2726-SM-CY8I4 60-69 years, female 26.4
GTEX-1JN76-0626-SM-CKZOQ 20-29 years, female 26.3
GTEX-1QPFJ-1926-SM-EVYBD 30-39 years, female 26.0
GTEX-1S83E-1326-SM-E6CJM 40-49 years, male 25.5
GTEX-1F5PK-2226-SM-7SB6N 50-59 years, male 25.4
GTEX-1F75B-0726-SM-7PC3R 50-59 years, male 25.4
GTEX-1QP2A-1726-SM-E76QC 50-59 years, male 25.2
GTEX-14PJ4-0226-SM-5YY92 60-69 years, male 24.9
GTEX-13NYS-0626-SM-5L3F1 60-69 years, male 24.0
GTEX-1S5ZU-2526-SM-E6CIF 20-29 years, female 23.4
GTEX-13NYC-0126-SM-5L3F4 60-69 years, male 22.9
GTEX-13X6I-1826-SM-5SIAO 60-69 years, male 22.6
GTEX-1F52S-2926-SM-7MKGA 60-69 years, female 22.5
GTEX-13OVH-0526-SM-5L3E6 70-79 years, male 22.3
GTEX-17F98-1326-SM-7DUEP 40-49 years, female 22.2
GTEX-144GO-2026-SM-5O99P 60-69 years, male 21.4
GTEX-14C5O-0326-SM-5ZZUX 60-69 years, male 21.2
GTEX-1EH9U-2826-SM-7DUGT 60-69 years, male 20.6
GTEX-1IDFM-0326-SM-ARL7V 60-69 years, male 20.5
GTEX-1JK1U-0226-SM-ARZMX 60-69 years, male 20.5
GTEX-1MCYP-0526-SM-E9U6Q 20-29 years, female 20.1
GTEX-1I1GS-2626-SM-B2LY3 60-69 years, male 19.8
GTEX-ZYY3-2926-SM-5GIEB 60-69 years, female 19.3
GTEX-18A67-1626-SM-7LT9T 50-59 years, male 18.8
GTEX-13QJC-0126-SM-5ZZWJ 60-69 years, female 18.7
GTEX-1ICLY-0826-SM-CMKG1 50-59 years, male 18.7
GTEX-15G1A-1626-SM-7KUKN 30-39 years, male 18.6
GTEX-1J1OQ-0126-SM-D4P2N 40-49 years, female 18.1
GTEX-WHSB-1326-SM-3LK6W 50-59 years, male 17.4
GTEX-1HCU7-0726-SM-A9SL1 50-59 years, male 17.0
GTEX-ZVZP-1226-SM-5GID7 50-59 years, male 16.1
GTEX-1A3MW-0626-SM-731CB 60-69 years, female 15.9
GTEX-Y9LG-1126-SM-4VBQ7 30-39 years, male 15.3
GTEX-13NZ8-1226-SM-5KM4A 60-69 years, female 15.2
GTEX-ZWKS-0626-SM-5GIDV 30-39 years, male 14.7
GTEX-1I1GT-1026-SM-ARZLV 60-69 years, female 14.7
GTEX-1399S-0126-SM-5IJCF 30-39 years, female 14.3
GTEX-1HR9M-2226-SM-CNPPY 60-69 years, male 14.3
GTEX-1399Q-2326-SM-5KM2X 40-49 years, male 13.6
GTEX-11WQK-1026-SM-5EQLX 50-59 years, male 13.5
GTEX-1LVAM-0726-SM-E6CIL 50-59 years, female 13.1
GTEX-13PDP-0726-SM-5L3HP 60-69 years, male 13.0
GTEX-13SLW-0626-SM-5Q5ER 70-79 years, male 12.0
GTEX-12WSA-0426-SM-5EQ5X 60-69 years, male 11.7
GTEX-1R46S-2426-SM-E76QA 60-69 years, female 11.6
GTEX-1HBPM-0726-SM-9YFL7 60-69 years, female 11.5
GTEX-1F88E-1626-SM-7SB8Z 60-69 years, female 11.1
GTEX-1H2FU-0926-SM-9WPPT 60-69 years, female 8.9
GTEX-1IDJV-0126-SM-COH3Y 60-69 years, male 7.0
GTEX-1NV5F-0626-SM-DTXEG 60-69 years, female 6.6
GTEX-1F6RS-2026-SM-7RHHC 60-69 years, female 6.3
Show allShow less
Skin - Sun Exposed (Lower leg)
Average nTPM: 144.8
Samples: 701

Max nTPM: 1300.1
Min nTPM: 6.8
Std nTPM: 134.6
Median nTPM: 99.4
GTEX-1HBPH-0426-SM-B2LW5 40-49 years, female 1300.1
GTEX-14JIY-0126-SM-6LLH6 60-69 years, male 866.8
GTEX-12WSD-0126-SM-59HKN 60-69 years, female 820.1
GTEX-1OJC4-0126-SM-E9J2E 50-59 years, female 813.4
GTEX-ZDXO-3026-SM-5J1N5 60-69 years, male 751.2
GTEX-11EMC-2926-SM-5EQ4F 60-69 years, female 717.9
GTEX-1J8EW-0126-SM-CJI4F 60-69 years, female 644.5
GTEX-14PJM-0226-SM-62LF1 50-59 years, female 633.6
GTEX-ZVT3-0126-SM-5GU6I 60-69 years, female 628.9
GTEX-OXRP-0126-SM-3NB32 60-69 years, female 609.2
GTEX-17HHY-0126-SM-7LG5D 50-59 years, male 599.5
GTEX-13OW7-0126-SM-5MR3B 50-59 years, male 563.7
GTEX-1313W-0126-SM-5LZUN 50-59 years, female 530.4
GTEX-S33H-1026-SM-EZ6L6 30-39 years, male 521.4
GTEX-1C6VQ-0126-SM-7P8RI 50-59 years, male 489.9
GTEX-U8T8-0126-SM-3DB94 60-69 years, male 486.3
GTEX-12KS4-0326-SM-5EQ41 30-39 years, male 481.5
GTEX-YFC4-0126-SM-5CVLY 40-49 years, female 481.1
GTEX-ZUA1-0126-SM-5GU76 40-49 years, male 477.7
GTEX-1CB4G-0226-SM-7PC3O 60-69 years, male 477.1
GTEX-ZYW4-0126-SM-5E44A 60-69 years, male 473.7
GTEX-113JC-2326-SM-5EQ4E 50-59 years, female 469.4
GTEX-13SLX-0526-SM-5S2ON 50-59 years, female 459.6
GTEX-QDT8-0126-SM-48TZ1 30-39 years, female 449.1
GTEX-13O3O-0126-SM-E9J49 60-69 years, female 442.9
GTEX-14BIL-0126-SM-5SI92 50-59 years, male 441.3
GTEX-1F6I4-0126-SM-9MQL2 60-69 years, male 431.0
GTEX-YEC4-2126-SM-5IFJH 40-49 years, male 418.2
GTEX-13CF2-2526-SM-5LZYX 60-69 years, male 415.2
GTEX-X4EO-0326-SM-3P5YO 60-69 years, female 415.0
GTEX-Q2AG-0126-SM-33HBV 40-49 years, female 412.5
GTEX-WY7C-2326-SM-3NB2U 50-59 years, male 403.6
GTEX-1HCU6-0126-SM-CL54K 60-69 years, female 402.3
GTEX-1B933-0126-SM-7PC29 50-59 years, female 401.6
GTEX-13VXU-0126-SM-5SI9F 50-59 years, male 401.3
GTEX-U412-0426-SM-3DB9O 60-69 years, male 396.0
GTEX-X8HC-0126-SM-4E3JW 50-59 years, female 391.2
GTEX-17HII-0226-SM-7LG4E 50-59 years, male 390.7
GTEX-11GS4-2726-SM-5A5LE 60-69 years, male 387.9
GTEX-18A7A-0226-SM-718BH 50-59 years, female 386.8
GTEX-R55E-0126-SM-2TC5Y 20-29 years, male 386.2
GTEX-XUYS-0126-SM-47JWZ 50-59 years, male 383.7
GTEX-1C6WA-0126-SM-7PC2B 60-69 years, male 375.3
GTEX-ZYFC-0226-SM-5NQ75 50-59 years, male 374.4
GTEX-Y111-0126-SM-4SOIV 50-59 years, male 371.6
GTEX-X638-0126-SM-47JZ8 70-79 years, female 371.0
GTEX-Q734-1926-SM-2I5EV 40-49 years, female 370.4
GTEX-1C6VS-0526-SM-7DUEN 60-69 years, male 368.9
GTEX-T2IS-0126-SM-4DM6O 20-29 years, female 367.9
GTEX-15DYW-0126-SM-7KULE 60-69 years, female 367.4
GTEX-14E6C-0126-SM-5RQIP 40-49 years, male 359.0
GTEX-ZAJG-0126-SM-5HL94 50-59 years, female 351.1
GTEX-132NY-0326-SM-5IJBL 60-69 years, male 350.8
GTEX-14PK6-1926-SM-6ETZU 70-79 years, female 346.3
GTEX-16YQH-0126-SM-7DUFJ 30-39 years, male 346.2
GTEX-RVPV-0126-SM-EAZAW 60-69 years, male 339.0
GTEX-13N1W-0126-SM-5K7VT 70-79 years, male 338.8
GTEX-YJ8A-0426-SM-5IFID 20-29 years, male 338.8
GTEX-15SB6-1726-SM-6PAME 50-59 years, female 338.7
GTEX-1EKGG-0226-SM-9WYTH 60-69 years, male 338.4
GTEX-11DXW-0226-SM-5H122 40-49 years, male 333.6
GTEX-18A6Q-0126-SM-731BZ 60-69 years, male 326.7
GTEX-QEG4-0226-SM-2S1PY 30-39 years, male 325.4
GTEX-11GSP-2526-SM-5N9BP 60-69 years, female 324.8
GTEX-11ZUS-0626-SM-59885 30-39 years, male 321.4
GTEX-1192X-0226-SM-5H12D 50-59 years, male 319.0
GTEX-1A32A-0126-SM-718B1 50-59 years, female 318.8
GTEX-1LNCM-1126-SM-E9U5E 50-59 years, female 318.0
GTEX-1PBJI-0526-SM-E8VNK 20-29 years, female 314.8
GTEX-11ZTS-0126-SM-5EQ6M 60-69 years, female 312.7
GTEX-148VI-1626-SM-5SI6E 60-69 years, female 312.0
GTEX-1F75A-0126-SM-7RHGM 50-59 years, male 310.6
GTEX-17F97-0326-SM-7LG5B 50-59 years, male 303.6
GTEX-1QP67-1626-SM-EAZ3X 40-49 years, female 302.9
GTEX-XXEK-2226-SM-4BRUM 50-59 years, male 302.2
GTEX-139TS-2826-SM-5J1OO 60-69 years, male 300.7
GTEX-ZVTK-0426-SM-51MRS 20-29 years, male 297.3
GTEX-SSA3-0126-SM-32QPU 60-69 years, male 297.2
GTEX-S7PM-0126-SM-4AD6S 60-69 years, male 297.1
GTEX-146FH-0126-SM-5QGPP 50-59 years, female 296.2
GTEX-1I1HK-0126-SM-COH49 60-69 years, male 294.5
GTEX-1IKOH-0226-SM-COH4E 60-69 years, female 294.2
GTEX-XBED-2226-SM-47JYQ 60-69 years, male 294.1
GTEX-13OVL-0226-SM-5L3E9 50-59 years, male 291.7
GTEX-X4XY-0226-SM-4E3IZ 60-69 years, male 291.7
GTEX-QLQW-1126-SM-2S1Q8 30-39 years, male 290.8
GTEX-RN64-0126-SM-2TC68 50-59 years, male 290.8
GTEX-1A8FM-0226-SM-7SB7Q 50-59 years, female 289.4
GTEX-1MA7X-2226-SM-E6CIY 60-69 years, male 289.2
GTEX-ZAK1-0126-SM-5IJD3 50-59 years, female 288.8
GTEX-11ZTT-2426-SM-5EQLS 60-69 years, female 287.6
GTEX-WZTO-0126-SM-3NM95 40-49 years, male 283.7
GTEX-1269C-2526-SM-5EGJ3 60-69 years, female 282.4
GTEX-1CAV2-2226-SM-7P8P2 40-49 years, female 282.0
GTEX-1QEPI-0126-SM-EWRMQ 60-69 years, female 278.1
GTEX-Y3IK-2426-SM-4WWDU 50-59 years, female 277.4
GTEX-1EWIQ-0126-SM-7RHH2 70-79 years, female 274.6
GTEX-11NUK-0126-SM-5A5L3 50-59 years, male 274.0
GTEX-139TT-0126-SM-5K7Y5 60-69 years, male 271.7
GTEX-11DYG-0126-SM-59883 60-69 years, male 267.5
GTEX-SN8G-0126-SM-32PLI 50-59 years, female 266.7
GTEX-Y3I4-2126-SM-4TT7C 50-59 years, male 266.3
GTEX-U4B1-1826-SM-4DXSU 40-49 years, male 265.2
GTEX-X5EB-2226-SM-46MW4 40-49 years, male 263.7
GTEX-1GZHY-0326-SM-9QEHI 50-59 years, female 262.4
GTEX-13G51-2526-SM-5LZYK 60-69 years, male 261.1
GTEX-1IY9M-0126-SM-D3L8S 60-69 years, male 260.8
GTEX-SIU8-0126-SM-2XCDT 50-59 years, male 259.2
GTEX-14E6D-0126-SM-62LDV 50-59 years, male 258.8
GTEX-15DDE-0126-SM-6LPKH 50-59 years, female 258.6
GTEX-13OVG-1926-SM-5L3DK 60-69 years, male 258.0
GTEX-ZU9S-0226-SM-5E441 30-39 years, male 257.0
GTEX-15ER7-0326-SM-7KUEV 20-29 years, female 256.0
GTEX-RU72-0926-SM-2TF6B 50-59 years, female 255.8
GTEX-ZDTT-2726-SM-4WKF8 60-69 years, male 254.7
GTEX-113IC-0126-SM-5HL6T 60-69 years, male 254.4
GTEX-12WSN-5019-SM-79OM6 40-49 years, male 253.2
GTEX-131YS-0126-SM-5KM1M 60-69 years, female 253.0
GTEX-1EX96-1626-SM-7PBXR 50-59 years, male 253.0
GTEX-1GN2E-0426-SM-9MQKX 60-69 years, male 252.0
GTEX-13FTY-0526-SM-5L3EV 40-49 years, female 251.0
GTEX-1POEN-0126-SM-EYYXJ 30-39 years, female 250.8
GTEX-16GPK-0126-SM-7DHLE 60-69 years, male 249.9
GTEX-117YW-2626-SM-5GZZH 50-59 years, male 247.0
GTEX-1I1GR-0126-SM-CL55F 60-69 years, male 246.7
GTEX-11WQC-2526-SM-5CVLE 60-69 years, male 246.6
GTEX-1GN73-0226-SM-9WG67 60-69 years, male 242.4
GTEX-RWSA-0126-SM-2XCBB 40-49 years, male 242.3
GTEX-11OC5-0126-SM-5HL6A 60-69 years, male 241.5
GTEX-131XG-2626-SM-5KM17 50-59 years, female 240.0
GTEX-1RAZQ-0726-SM-EAZ43 30-39 years, male 239.9
GTEX-18465-0126-SM-731BN 50-59 years, male 235.5
GTEX-XQ3S-1526-SM-4BOOC 20-29 years, male 231.5
GTEX-13U4I-0126-SM-5LU38 40-49 years, female 231.2
GTEX-ZDTS-0126-SM-4WAY5 60-69 years, male 229.2
GTEX-1GMRU-0126-SM-9YFLV 50-59 years, male 228.6
GTEX-1PWST-0226-SM-E76QJ 70-79 years, male 227.5
GTEX-Y8LW-1826-SM-5S2MV 50-59 years, female 223.6
GTEX-13112-2826-SM-5DUWH 50-59 years, male 222.2
GTEX-15DCD-0126-SM-7KUEK 70-79 years, female 219.3
GTEX-1H1DG-0126-SM-9WYU2 70-79 years, male 218.7
GTEX-12WSL-2526-SM-5GCNJ 50-59 years, male 218.2
GTEX-146FR-1326-SM-E9J48 60-69 years, female 217.2
GTEX-13FHO-0226-SM-5IFGY 60-69 years, male 217.1
GTEX-11DXY-2626-SM-5GIE7 60-69 years, male 216.8
GTEX-13OW6-0426-SM-5L3HM 50-59 years, male 215.9
GTEX-1AX9I-0126-SM-7SB74 60-69 years, male 214.5
GTEX-13S7M-0126-SM-5SI6A 60-69 years, female 213.5
GTEX-ZVZO-0126-SM-5A5L9 40-49 years, male 213.5
GTEX-12ZZY-0226-SM-5LZVE 60-69 years, male 211.1
GTEX-1HUB1-0426-SM-E9U4U 60-69 years, male 210.7
GTEX-1LG7Y-0526-SM-DKPQC 50-59 years, male 210.3
GTEX-1IL2U-0226-SM-CE6T8 60-69 years, male 209.9
GTEX-ZYFD-0126-SM-5GIDL 50-59 years, male 208.6
GTEX-S95S-1226-SM-4GICG 60-69 years, male 208.1
GTEX-13NZA-0226-SM-5K7Z7 60-69 years, male 208.0
GTEX-ZVT4-0126-SM-DTXFN 50-59 years, female 207.5
GTEX-1JMLX-0226-SM-CM2RO 50-59 years, male 206.1
GTEX-1I1GV-0526-SM-A9G29 60-69 years, male 205.2
GTEX-117XS-2726-SM-5N9BL 60-69 years, male 202.2
GTEX-RNOR-0126-SM-E9J4R 50-59 years, female 201.3
GTEX-OXRL-0126-SM-2YUMP 50-59 years, male 200.7
GTEX-1GN1V-0126-SM-9WPOS 60-69 years, male 199.7
GTEX-1F7RK-0126-SM-7PC2S 20-29 years, female 199.6
GTEX-14LLW-0126-SM-6LLIO 70-79 years, female 199.3
GTEX-15EOM-0126-SM-7KUGG 20-29 years, female 198.3
GTEX-1B8L1-2526-SM-9WYTF 60-69 years, male 196.8
GTEX-VJYA-1126-SM-3GIJU 60-69 years, male 196.7
GTEX-T5JC-0426-SM-32PLO 20-29 years, male 196.5
GTEX-1E1VI-0126-SM-7DHMZ 50-59 years, male 195.3
GTEX-U8XE-0326-SM-3DB8P 30-39 years, male 192.8
GTEX-11TTK-0126-SM-5987B 60-69 years, female 192.5
GTEX-PVOW-0126-SM-2XCFA 40-49 years, male 192.2
GTEX-139TU-0126-SM-5K7WH 60-69 years, male 192.1
GTEX-1QW4Y-1526-SM-EAZ3Z 30-39 years, male 190.5
GTEX-11XUK-2026-SM-5EQLF 40-49 years, female 188.4
GTEX-1KD4Q-0226-SM-E9TJ9 40-49 years, male 187.7
GTEX-ZC5H-0226-SM-4WAY9 40-49 years, female 186.6
GTEX-146FQ-0126-SM-5NQA9 30-39 years, male 186.4
GTEX-147GR-0526-SM-5S2MY 60-69 years, male 186.2
GTEX-QVJO-1626-SM-2S1QW 60-69 years, female 185.4
GTEX-11ZVC-2526-SM-5FQTE 50-59 years, female 184.9
GTEX-1F88F-2726-SM-7PBZZ 60-69 years, female 184.7
GTEX-1IKK5-0626-SM-ARL8A 60-69 years, male 184.2
GTEX-12WSC-0126-SM-5EQ4P 50-59 years, male 184.1
GTEX-14ABY-0226-SM-5TDCQ 50-59 years, male 183.1
GTEX-13N11-2526-SM-5K7UE 50-59 years, female 181.6
GTEX-12584-0126-SM-5EGKQ 40-49 years, male 180.9
GTEX-ZE9C-2726-SM-57WB5 60-69 years, male 179.2
GTEX-TMZS-0126-SM-3DB9Q 60-69 years, male 178.3
GTEX-13O1R-0126-SM-5L3EH 60-69 years, male 177.9
GTEX-1HR98-0126-SM-B2LWI 60-69 years, male 175.3
GTEX-RWS6-2026-SM-2XCB5 60-69 years, female 174.8
GTEX-Z93S-0126-SM-5HL7M 50-59 years, male 173.3
GTEX-1HFI6-0226-SM-ADEHZ 40-49 years, male 172.7
GTEX-1HCU8-0626-SM-A9SM9 60-69 years, female 172.6
GTEX-14DAQ-0126-SM-5S2MQ 60-69 years, female 172.0
GTEX-1JKYN-1326-SM-CGQG9 30-39 years, male 171.8
GTEX-148VJ-0126-SM-5TDDN 70-79 years, male 171.5
GTEX-1EU9M-0226-SM-7P8SP 60-69 years, male 171.1
GTEX-1B8KZ-2026-SM-7DHMB 50-59 years, male 170.5
GTEX-17HGU-0226-SM-7DHKV 50-59 years, male 169.9
GTEX-145MO-0326-SM-5Q5B3 60-69 years, male 168.6
GTEX-1H3VE-0326-SM-9YFLH 40-49 years, male 168.5
GTEX-1MCQQ-0826-SM-DLHC2 60-69 years, male 168.4
GTEX-12ZZX-0126-SM-5EGK9 40-49 years, female 168.3
GTEX-ZAB4-0226-SM-5N9F5 40-49 years, male 167.5
GTEX-131XW-0426-SM-5LZWP 50-59 years, female 167.3
GTEX-1IE54-0126-SM-CMKHW 40-49 years, female 167.2
GTEX-R3RS-0126-SM-3GIJL 40-49 years, female 166.2
GTEX-12126-0326-SM-5PNW3 20-29 years, male 165.8
GTEX-Y8DK-0126-SM-4TT3L 60-69 years, male 165.0
GTEX-1RQEC-0426-SM-E6CHU 60-69 years, male 164.3
GTEX-VUSG-2526-SM-4KL1V 50-59 years, male 160.9
GTEX-1HT8W-0126-SM-CNPPP 30-39 years, male 160.2
GTEX-13X6J-0126-SM-5QGOU 50-59 years, male 158.3
GTEX-T6MN-0126-SM-32PLP 50-59 years, male 157.8
GTEX-U3ZH-2026-SM-3DB78 30-39 years, male 157.7
GTEX-14753-0426-SM-5NQAM 60-69 years, male 156.2
GTEX-13RTL-0126-SM-7LG5S 40-49 years, male 153.3
GTEX-1J8JJ-0226-SM-CL53I 60-69 years, female 153.3
GTEX-15SHW-0326-SM-6PAML 60-69 years, male 153.2
GTEX-147F4-0226-SM-5QGPW 50-59 years, male 151.6
GTEX-1H3NZ-0126-SM-ACKX7 60-69 years, male 150.4
GTEX-1AX9K-2326-SM-73KWU 50-59 years, male 149.8
GTEX-14E7W-0126-SM-6LLJ9 70-79 years, male 149.5
GTEX-1PPH7-2326-SM-EVYB8 40-49 years, male 149.5
GTEX-12WSG-2826-SM-E9J4H 50-59 years, female 148.9
GTEX-1R9PO-2126-SM-E9J4O 60-69 years, female 148.3
GTEX-14BMU-2226-SM-5TDE9 20-29 years, female 148.0
GTEX-15SDE-2226-SM-7IGLO 50-59 years, female 148.0
GTEX-W5X1-3026-SM-EAZAX 40-49 years, female 146.7
GTEX-1J8Q3-1626-SM-CMKGC 60-69 years, male 145.6
GTEX-12ZZZ-0626-SM-5DUXI 60-69 years, male 145.5
GTEX-1192W-2626-SM-5Q5AF 60-69 years, male 145.4
GTEX-1JMQJ-0526-SM-CYPSU 50-59 years, male 145.4
GTEX-1314G-1526-SM-5EGK2 30-39 years, male 144.3
GTEX-WYVS-2126-SM-3NMA3 40-49 years, female 143.4
GTEX-ZEX8-2426-SM-4WKG4 50-59 years, male 143.4
GTEX-OXRK-0226-SM-3NB2G 50-59 years, female 142.6
GTEX-131XH-2226-SM-5DUXJ 50-59 years, male 141.6
GTEX-PLZ4-0126-SM-5SI8O 50-59 years, female 141.4
GTEX-17HG3-2226-SM-7938L 30-39 years, female 139.2
GTEX-QDVN-2026-SM-3GAEP 50-59 years, male 139.1
GTEX-12C56-1726-SM-5EQ61 20-29 years, male 138.6
GTEX-1211K-2026-SM-5EQ4Z 60-69 years, female 138.5
GTEX-14JG1-0426-SM-6ETZZ 40-49 years, male 138.4
GTEX-11P7K-2126-SM-5GU7G 30-39 years, male 138.3
GTEX-1AX9J-0226-SM-73KXM 60-69 years, male 137.9
GTEX-13CF3-2426-SM-5IFGX 60-69 years, female 137.4
GTEX-13OVJ-0126-SM-5KM36 50-59 years, female 137.4
GTEX-XUW1-0426-SM-4BOOT 50-59 years, female 137.1
GTEX-SJXC-0126-SM-2XCFF 60-69 years, male 136.9
GTEX-11DXZ-2326-SM-5EGGV 50-59 years, male 136.8
GTEX-111FC-0126-SM-5N9DL 60-69 years, male 136.6
GTEX-S7SE-0126-SM-2XCD5 50-59 years, male 135.8
GTEX-11OF3-2626-SM-5GU7F 60-69 years, male 135.7
GTEX-ZF29-2326-SM-DO92K 60-69 years, female 135.4
GTEX-145MI-0526-SM-5O9A8 60-69 years, female 134.0
GTEX-16NPX-0226-SM-79OMT 50-59 years, male 133.2
GTEX-O5YW-0126-SM-3LK6D 50-59 years, male 132.5
GTEX-YB5K-2126-SM-4WWDJ 40-49 years, female 132.4
GTEX-Y114-2426-SM-4TT8A 50-59 years, female 132.0
GTEX-1GZ2Q-0226-SM-7P8TL 40-49 years, male 131.7
GTEX-13QJ3-0326-SM-5S2RA 50-59 years, male 131.2
GTEX-1HSMQ-1226-SM-CGQFX 50-59 years, male 130.3
GTEX-X88G-0126-SM-47JZ3 30-39 years, male 130.2
GTEX-OXRO-0126-SM-2YUN4 60-69 years, female 130.0
GTEX-1B8SG-0126-SM-73KZ3 50-59 years, male 129.4
GTEX-1F6IF-0726-SM-7P8TW 60-69 years, male 129.4
GTEX-11UD1-0126-SM-5PNYG 40-49 years, female 129.0
GTEX-1GPI6-0126-SM-9WG69 60-69 years, male 128.8
GTEX-1NHNU-1026-SM-E9J2A 50-59 years, male 128.8
GTEX-QCQG-1726-SM-3GIJ9 50-59 years, female 128.1
GTEX-1GF9V-0326-SM-7RHI5 60-69 years, male 128.1
GTEX-12696-2426-SM-5EQ6H 60-69 years, male 127.8
GTEX-1399U-2326-SM-5K7WY 50-59 years, female 127.6
GTEX-V1D1-2226-SM-3NMAX 50-59 years, male 127.1
GTEX-145MN-2226-SM-5SIAU 30-39 years, male 126.8
GTEX-1I1CD-0126-SM-CM2TK 60-69 years, female 126.4
GTEX-WVJS-0126-SM-4MVOT 50-59 years, male 125.8
GTEX-1H1CY-2826-SM-9MQM3 60-69 years, female 125.2
GTEX-ZDYS-2026-SM-5HL5L 50-59 years, male 124.0
GTEX-13VXT-0126-SM-5LU4I 20-29 years, female 122.9
GTEX-17EVP-0326-SM-7DHLG 40-49 years, male 122.9
GTEX-13FH7-2026-SM-E9J4I 50-59 years, female 120.8
GTEX-UPJH-0326-SM-3GADU 50-59 years, male 119.9
GTEX-1GN1W-0526-SM-9MQJQ 50-59 years, female 119.5
GTEX-15G19-0126-SM-6PANQ 60-69 years, male 119.4
GTEX-X62O-0126-SM-4E3JN 50-59 years, male 119.4
GTEX-17EVQ-0226-SM-7LG4P 70-79 years, male 118.9
GTEX-R55G-2526-SM-2TC6D 40-49 years, female 118.7
GTEX-1EMGI-0126-SM-9KNUE 60-69 years, male 118.6
GTEX-1212Z-2526-SM-5EGKP 60-69 years, male 117.7
GTEX-1JN6P-0126-SM-D3L98 60-69 years, male 117.7
GTEX-145LT-1726-SM-5QGP3 40-49 years, male 117.4
GTEX-ZF3C-0126-SM-DO92D 50-59 years, female 116.9
GTEX-WQUQ-0426-SM-3MJFU 60-69 years, male 116.4
GTEX-14BIN-0626-SM-793DP 50-59 years, female 115.8
GTEX-TML8-1926-SM-32QOS 40-49 years, female 115.3
GTEX-18QFQ-0126-SM-731BE 30-39 years, male 114.4
GTEX-1MCYP-1926-SM-E9J2R 20-29 years, female 114.4
GTEX-144GN-2326-SM-5LU4F 50-59 years, male 114.3
GTEX-1F48J-0126-SM-7P8TT 50-59 years, female 113.9
GTEX-1IL2V-0126-SM-CM2TX 70-79 years, male 113.8
GTEX-11EI6-0126-SM-5985R 60-69 years, male 113.4
GTEX-147F3-0526-SM-5SI98 50-59 years, female 113.4
GTEX-12WSJ-1826-SM-5GCNY 40-49 years, female 113.3
GTEX-11TUW-2726-SM-E9J4M 60-69 years, male 113.3
GTEX-1J1R8-1726-SM-ARL8M 40-49 years, male 112.9
GTEX-1GF9X-2026-SM-7PC3A 40-49 years, female 110.5
GTEX-U3ZM-1526-SM-3DB9D 40-49 years, male 110.4
GTEX-14PN4-0126-SM-6EU2V 50-59 years, male 109.5
GTEX-17JCI-0126-SM-7LG5G 60-69 years, female 109.3
GTEX-14PII-0226-SM-6EU1T 60-69 years, male 109.0
GTEX-1HSKV-0226-SM-A9SKJ 60-69 years, male 108.9
GTEX-R45C-0126-SM-EAZ2R 60-69 years, female 108.5
GTEX-1RDX4-0126-SM-E9J4P 50-59 years, female 107.9
GTEX-1AYCT-2426-SM-7IGQ3 50-59 years, male 107.3
GTEX-1LB8K-0226-SM-EWRNW 50-59 years, male 107.1
GTEX-11LCK-1026-SM-5A5KB 30-39 years, male 107.0
GTEX-W5WG-1826-SM-4KL2Y 50-59 years, female 106.2
GTEX-13PVR-2326-SM-5QGR1 60-69 years, female 105.9
GTEX-1IOXB-0126-SM-ARL8G 50-59 years, male 105.7
GTEX-1JN76-0126-SM-CNPPE 20-29 years, female 105.6
GTEX-13FXS-0226-SM-5IJCK 50-59 years, male 105.5
GTEX-RTLS-0126-SM-447CA 60-69 years, female 105.2
GTEX-11UD2-0226-SM-5EQKY 50-59 years, male 105.0
GTEX-ZTPG-0326-SM-5O9AX 20-29 years, female 105.0
GTEX-1GN1U-0126-SM-7PBZK 50-59 years, female 104.7
GTEX-Q2AI-1326-SM-2S1PL 40-49 years, male 104.6
GTEX-1RLM8-2326-SM-EWRN4 50-59 years, male 104.3
GTEX-1CB4J-0626-SM-7DHMP 60-69 years, male 103.9
GTEX-11EM3-2426-SM-59861 20-29 years, female 103.4
GTEX-T6MO-1626-SM-32QOM 40-49 years, female 103.3
GTEX-WI4N-1026-SM-3LK7N 40-49 years, female 102.8
GTEX-13O3Q-2426-SM-5IJBR 50-59 years, male 102.7
GTEX-1I1GP-2226-SM-CGQFK 50-59 years, male 101.8
GTEX-139T4-0226-SM-5HL5S 50-59 years, female 101.6
GTEX-XV7Q-2526-SM-4BRV9 40-49 years, female 101.5
GTEX-1B996-0226-SM-7RHGO 60-69 years, male 101.5
GTEX-ZE7O-0126-SM-57WC1 50-59 years, female 101.4
GTEX-111VG-2426-SM-5GZXD 60-69 years, male 101.1
GTEX-OOBJ-0126-SM-E6CJW 60-69 years, male 100.9
GTEX-ZPIC-1726-SM-DHXIU 40-49 years, female 100.8
GTEX-11H98-0126-SM-5EGHG 50-59 years, male 100.2
GTEX-13X6H-2126-SM-7EWD5 50-59 years, female 100.1
GTEX-1QP29-0626-SM-EWRMX 50-59 years, male 100.0
GTEX-1HSMO-0126-SM-CL547 60-69 years, male 99.9
GTEX-1HSEH-0126-SM-ACKXN 60-69 years, male 99.6
GTEX-1IDFM-0126-SM-COH2V 60-69 years, male 99.4
GTEX-1HBPI-1526-SM-C1YQ1 50-59 years, male 98.9
GTEX-11O72-0126-SM-59887 40-49 years, male 98.8
GTEX-QLQ7-1626-SM-2S1R8 60-69 years, male 98.7
GTEX-WH7G-2326-SM-3NMBC 40-49 years, male 98.1
GTEX-XAJ8-0826-SM-47JY6 40-49 years, male 98.1
GTEX-PW2O-1526-SM-7RHHB 20-29 years, male 98.1
GTEX-1KWVE-1426-SM-E9TJO 30-39 years, male 97.9
GTEX-1O97I-0326-SM-EYYX7 60-69 years, male 97.3
GTEX-1RB15-2126-SM-E9TIM 60-69 years, male 97.1
GTEX-1CAMS-0426-SM-7P8T2 40-49 years, female 97.0
GTEX-1C2JI-1826-SM-73KXC 50-59 years, male 96.8
GTEX-14PJ3-1826-SM-62LEX 50-59 years, male 96.7
GTEX-1H3O1-0426-SM-9YFKY 60-69 years, male 96.6
GTEX-Z93T-0126-SM-5HL5N 50-59 years, male 96.5
GTEX-13O21-1426-SM-5K7XI 50-59 years, male 96.4
GTEX-1IGQW-0126-SM-COH42 60-69 years, male 96.2
GTEX-14BMV-0126-SM-5S2PO 50-59 years, male 96.0
GTEX-14XAO-2326-SM-6EU1B 60-69 years, female 96.0
GTEX-OOBK-0126-SM-2YUND 40-49 years, male 96.0
GTEX-1H11D-0226-SM-9WG6Z 40-49 years, male 96.0
GTEX-11DXX-2426-SM-5GZZW 60-69 years, female 95.9
GTEX-XMD2-0126-SM-4YCDU 60-69 years, female 95.6
GTEX-1J8Q2-0526-SM-CM2RW 60-69 years, male 95.4
GTEX-1GF9U-2126-SM-7SB7L 40-49 years, female 95.0
GTEX-1BAJH-0526-SM-793CQ 70-79 years, male 94.7
GTEX-1HCVE-0126-SM-CGQEU 50-59 years, male 94.5
GTEX-ZVT2-2526-SM-51MT1 50-59 years, female 94.1
GTEX-1HGF4-2426-SM-ACKXM 60-69 years, male 94.1
GTEX-1QCLY-0326-SM-E8VOG 30-39 years, male 93.9
GTEX-ZYT6-0226-SM-5NQ6T 30-39 years, male 93.1
GTEX-XBEW-0626-SM-4QASP 40-49 years, male 93.0
GTEX-15SHU-0126-SM-7KUEH 40-49 years, female 92.2
GTEX-13OW5-0126-SM-DTXFS 60-69 years, male 92.1
GTEX-ZY6K-1826-SM-5GZXK 50-59 years, male 92.0
GTEX-1C6VR-2426-SM-79OLD 60-69 years, male 91.6
GTEX-139UW-2826-SM-5L3E7 60-69 years, male 91.0
GTEX-1HCUA-2426-SM-ADEIS 50-59 years, female 91.0
GTEX-18A7B-0126-SM-7LG64 70-79 years, male 90.4
GTEX-ZZ64-1726-SM-5GZYB 20-29 years, male 89.1
GTEX-17MFQ-1726-SM-793C7 20-29 years, male 88.4
GTEX-11GSO-2426-SM-5A5LY 60-69 years, male 88.0
GTEX-QDVJ-1726-SM-2I5FX 50-59 years, male 87.2
GTEX-14PHX-2326-SM-62LEM 50-59 years, male 87.1
GTEX-1QP66-1726-SM-E8VO1 50-59 years, male 87.0
GTEX-11P82-1626-SM-59879 20-29 years, male 86.9
GTEX-13OW8-1326-SM-5J1OW 60-69 years, male 86.9
GTEX-1GTWX-0126-SM-9YFLK 60-69 years, male 86.7
GTEX-1EN7A-0126-SM-7SB81 40-49 years, male 86.6
GTEX-1128S-2326-SM-5GZZY 60-69 years, female 86.4
GTEX-16XZY-2126-SM-79OK1 70-79 years, male 86.3
GTEX-QESD-1426-SM-2S1R9 20-29 years, male 86.1
GTEX-OIZF-0126-SM-7SB8I 60-69 years, male 86.1
GTEX-ZQUD-1426-SM-57WER 30-39 years, male 86.0
GTEX-1KAFJ-2026-SM-CY8ID 50-59 years, male 85.4
GTEX-ZTSS-1926-SM-57WEW 40-49 years, male 85.0
GTEX-1I1GU-2226-SM-CGQFA 40-49 years, male 84.9
GTEX-P4PP-0126-SM-3LK69 30-39 years, female 84.7
GTEX-1AMEY-1326-SM-73KYK 30-39 years, female 84.5
GTEX-RM2N-1426-SM-2TF4H 50-59 years, male 84.4
GTEX-11ZU8-2526-SM-5EQKI 60-69 years, male 83.9
GTEX-U3ZN-2326-SM-3DB7W 30-39 years, female 83.8
GTEX-11NSD-2226-SM-5986V 20-29 years, male 83.7
GTEX-Y5V5-2326-SM-4V6GA 60-69 years, female 83.7
GTEX-1497J-2426-SM-7IGNX 60-69 years, male 83.5
GTEX-1JMPY-1326-SM-ARL8Y 30-39 years, male 83.5
GTEX-Y5V6-2426-SM-4VDSB 60-69 years, male 83.3
GTEX-133LE-1826-SM-5J1MV 20-29 years, female 83.2
GTEX-1F75I-0326-SM-9YFLU 40-49 years, male 82.8
GTEX-PSDG-0226-SM-DKPOZ 50-59 years, male 82.8
GTEX-WXYG-2326-SM-4E3I6 50-59 years, female 82.6
GTEX-1H4P4-0726-SM-9YFLR 50-59 years, male 82.6
GTEX-ZAB5-1826-SM-5HL7C 50-59 years, male 82.0
GTEX-131XE-2326-SM-5PNZ2 50-59 years, male 81.8
GTEX-17F98-0626-SM-79OMX 40-49 years, female 81.8
GTEX-1IDJH-0326-SM-A9SLQ 70-79 years, male 81.5
GTEX-14A5H-0426-SM-5QGQF 60-69 years, male 81.2
GTEX-144GL-0126-SM-5TDE2 50-59 years, male 81.1
GTEX-ZYY3-0126-SM-5GZY5 60-69 years, female 80.8
GTEX-Q2AH-1626-SM-3GAF8 40-49 years, male 80.7
GTEX-X4XX-0126-SM-3NMC2 60-69 years, male 80.7
GTEX-PWCY-1826-SM-DHXIZ 20-29 years, female 80.7
GTEX-14A6H-0126-SM-5QGPK 30-39 years, male 80.4
GTEX-Y8E4-0626-SM-4WWDL 40-49 years, male 80.4
GTEX-1M4P7-0226-SM-DIPEV 60-69 years, male 80.3
GTEX-14LZ3-0226-SM-62LET 60-69 years, female 79.6
GTEX-1A3MX-0126-SM-731BR 60-69 years, male 79.4
GTEX-X4EP-0126-SM-3P5YV 60-69 years, female 79.3
GTEX-O5YT-0126-SM-48TBW 20-29 years, male 78.8
GTEX-1LBAC-0126-SM-DIPEZ 20-29 years, male 78.7
GTEX-15RIG-0226-SM-7KFTL 40-49 years, male 78.5
GTEX-1KD5A-0226-SM-D5OV3 50-59 years, male 78.3
GTEX-15D1Q-0126-SM-7KUG6 40-49 years, male 78.1
GTEX-183FY-0126-SM-7LT9P 20-29 years, male 78.1
GTEX-Z9EW-1626-SM-5CVMN 40-49 years, male 78.0
GTEX-1LGOU-2026-SM-DIPFF 20-29 years, female 77.3
GTEX-X585-0226-SM-4QAS2 50-59 years, male 76.9
GTEX-1KANB-0526-SM-E6CJH 50-59 years, male 76.3
GTEX-13N2G-2626-SM-5J1OT 60-69 years, male 75.6
GTEX-14A5I-0126-SM-5TDEA 50-59 years, female 75.3
GTEX-14ICK-0226-SM-6EU25 40-49 years, male 74.9
GTEX-14BIM-0226-SM-7IGLD 60-69 years, female 74.8
GTEX-1ICG6-2526-SM-CGQFZ 70-79 years, female 74.7
GTEX-1122O-2126-SM-5EGIR 60-69 years, female 74.4
GTEX-17HHE-2026-SM-79OKF 50-59 years, male 73.1
GTEX-15UKP-0426-SM-7KUFQ 20-29 years, male 72.9
GTEX-RUSQ-1526-SM-2TF62 50-59 years, male 72.9
GTEX-1LC47-0326-SM-E9TJP 60-69 years, male 72.8
GTEX-131XF-5016-SM-7MGWE 60-69 years, male 72.4
GTEX-1CB4H-0226-SM-7PBXM 60-69 years, female 72.4
GTEX-OHPL-0126-SM-2HMJ7 60-69 years, female 72.2
GTEX-1AYD5-2426-SM-73KXR 50-59 years, male 72.1
GTEX-13D11-2426-SM-5KM1V 50-59 years, female 71.5
GTEX-18A67-0126-SM-7LG5P 50-59 years, male 71.2
GTEX-16XZZ-0126-SM-793DV 60-69 years, male 70.9
GTEX-13YAN-0326-SM-5O9DF 60-69 years, male 70.8
GTEX-13RTJ-2426-SM-5S2Q2 60-69 years, male 70.3
GTEX-1GPI7-0126-SM-9MQL8 20-29 years, male 69.8
GTEX-144FL-0126-SM-5TDC8 50-59 years, male 69.7
GTEX-T2YK-0526-SM-32QPJ 50-59 years, male 69.7
GTEX-1GZ4H-1726-SM-7PBZJ 50-59 years, female 69.6
GTEX-17MF6-0126-SM-7LG4F 40-49 years, male 69.3
GTEX-1PIGE-0126-SM-EVYBJ 20-29 years, male 69.2
GTEX-16BQI-0226-SM-7KUEX 30-39 years, female 69.0
GTEX-1K9T9-0126-SM-EVYCF 50-59 years, female 69.0
GTEX-1J1OQ-0226-SM-CYPSH 40-49 years, female 67.8
GTEX-OIZG-0726-SM-33HBL 50-59 years, male 67.6
GTEX-1JJE9-0326-SM-CL53Z 70-79 years, male 67.6
GTEX-11P81-2326-SM-59875 30-39 years, female 66.9
GTEX-145LU-0126-SM-5TDCB 50-59 years, male 66.8
GTEX-1RAZA-0126-SM-E6CI3 20-29 years, male 66.8
GTEX-1QMI2-0226-SM-EVYBX 60-69 years, male 66.6
GTEX-14JG6-2226-SM-6EU2G 30-39 years, female 66.3
GTEX-1C64O-0126-SM-7SB8P 60-69 years, male 66.3
GTEX-ZYFG-2326-SM-5E44B 60-69 years, female 66.2
GTEX-16MT8-0426-SM-7KUEY 60-69 years, female 66.0
GTEX-14DAR-2026-SM-5S2O3 50-59 years, male 65.7
GTEX-YB5E-2026-SM-5IFIS 40-49 years, male 65.6
GTEX-WRHK-1426-SM-3MJF9 20-29 years, female 65.5
GTEX-1GF9W-0326-SM-9KNUN 60-69 years, male 64.9
GTEX-1JKYR-0126-SM-CNPOJ 20-29 years, male 64.2
GTEX-OHPM-0126-SM-2YUN9 50-59 years, male 64.0
GTEX-1B8SF-1426-SM-7DUGL 60-69 years, male 63.6
GTEX-1HFI7-1826-SM-ACKXH 50-59 years, female 63.5
GTEX-1S82Y-2026-SM-EVYCM 40-49 years, male 63.1
GTEX-1QP2A-0126-SM-E9J43 50-59 years, male 63.0
GTEX-NPJ8-0126-SM-2YUNR 40-49 years, male 62.7
GTEX-13NZB-2526-SM-5J1OM 30-39 years, male 62.6
GTEX-1I1GQ-0126-SM-COH3H 50-59 years, male 62.6
GTEX-1HSMP-0126-SM-E6CJS 70-79 years, male 62.3
GTEX-1ICLZ-0126-SM-CKZPO 60-69 years, male 62.2
GTEX-1HB9E-0226-SM-E9U4R 50-59 years, male 62.1
GTEX-13OVI-1426-SM-5L3EY 60-69 years, female 61.9
GTEX-13FHP-0126-SM-5IJBG 50-59 years, male 61.4
GTEX-18D9B-0526-SM-7LTAS 60-69 years, male 61.2
GTEX-1MGNQ-0126-SM-EVYCJ 40-49 years, male 60.9
GTEX-Y5LM-1926-SM-5RQJH 40-49 years, female 60.7
GTEX-13FTW-2626-SM-5K7WL 40-49 years, male 60.5
GTEX-1HBPN-0226-SM-9YFM1 50-59 years, male 60.3
GTEX-P4PQ-0126-SM-2S1NM 60-69 years, male 60.2
GTEX-1S3DN-2226-SM-EVYCD 50-59 years, male 60.1
GTEX-1R46S-0626-SM-E9J41 60-69 years, female 60.0
GTEX-SUCS-1926-SM-32PM3 70-79 years, male 59.9
GTEX-1HKZK-0326-SM-9WYUH 40-49 years, male 59.9
GTEX-11VI4-1726-SM-5CVLH 40-49 years, female 59.8
GTEX-1MJK2-0426-SM-DTXE5 50-59 years, male 59.4
GTEX-1N2DV-0226-SM-E6CJ6 40-49 years, male 59.3
GTEX-14PN3-2426-SM-6LLHS 60-69 years, female 59.2
GTEX-13O3P-0126-SM-5KM4S 50-59 years, male 59.1
GTEX-117YX-2326-SM-5H12W 50-59 years, male 58.7
GTEX-XQ8I-0426-SM-4BOPO 50-59 years, male 58.4
GTEX-1QAET-0926-SM-E76QM 50-59 years, male 58.4
GTEX-1F5PL-0326-SM-7P8PQ 40-49 years, female 58.1
GTEX-1H1DE-2126-SM-9WG6R 20-29 years, male 58.1
GTEX-13RTK-1426-SM-5QGQJ 20-29 years, male 57.9
GTEX-1I19N-0326-SM-ACKVX 70-79 years, male 57.7
GTEX-1GMR8-0126-SM-9WYTM 50-59 years, female 57.1
GTEX-1I6K6-0126-SM-A9SLE 30-39 years, male 57.0
GTEX-1I1GS-0126-SM-B2LVW 60-69 years, male 56.6
GTEX-1N2EF-0226-SM-EYYXB 60-69 years, male 56.5
GTEX-1A3MV-1926-SM-718BT 30-39 years, male 55.6
GTEX-WYJK-0126-SM-3NMAB 50-59 years, male 55.4
GTEX-1PFEY-1526-SM-E76PP 30-39 years, male 55.1
GTEX-1MUQO-0126-SM-EAZ58 60-69 years, male 54.7
GTEX-P44H-0226-SM-2XCEU 40-49 years, male 54.6
GTEX-1QP9N-1426-SM-DTXFL 30-39 years, male 54.6
GTEX-NFK9-0226-SM-2HMKQ 40-49 years, male 54.4
GTEX-1AX8Z-0126-SM-7DHM6 60-69 years, male 54.3
GTEX-1CB4E-2226-SM-793DC 60-69 years, male 54.0
GTEX-1HSGN-0226-SM-CGQFV 40-49 years, female 54.0
GTEX-13W46-0226-SM-5SIAG 50-59 years, male 53.7
GTEX-VJWN-0126-SM-3GIK7 50-59 years, female 53.6
GTEX-1H23P-0126-SM-ADEJ3 60-69 years, male 53.6
GTEX-13FTX-1826-SM-5J1NX 20-29 years, female 53.4
GTEX-ZF28-0126-SM-4WKGK 60-69 years, male 53.4
GTEX-1H1E6-1726-SM-ACKVK 30-39 years, male 53.3
GTEX-11TT1-2526-SM-5EGIB 20-29 years, male 52.9
GTEX-18A66-0226-SM-718BD 60-69 years, male 52.2
GTEX-1C4CL-0526-SM-73KVK 30-39 years, male 52.1
GTEX-1IKJJ-0126-SM-CNPQB 60-69 years, male 52.0
GTEX-13NZ8-0826-SM-5MR3I 60-69 years, female 51.9
GTEX-15UF6-0826-SM-6PALJ 70-79 years, female 51.7
GTEX-17KNJ-2326-SM-7DHLQ 50-59 years, male 51.7
GTEX-UJHI-1526-SM-3DB99 50-59 years, female 51.6
GTEX-1JN1M-0326-SM-CYPT3 60-69 years, female 51.2
GTEX-15CHC-2126-SM-6EU21 60-69 years, female 50.6
GTEX-1C64N-0126-SM-793D7 50-59 years, male 50.4
GTEX-PWO3-1526-SM-48TCM 60-69 years, female 49.7
GTEX-1IDJF-0126-SM-CM2RS 20-29 years, male 49.7
GTEX-PLZ6-1426-SM-DKPOT 30-39 years, male 49.5
GTEX-1B8KE-2126-SM-73KYX 50-59 years, male 49.3
GTEX-XYKS-2126-SM-4E3IB 60-69 years, female 49.2
GTEX-139T8-0126-SM-5K7XZ 60-69 years, male 49.1
GTEX-1KXAM-2226-SM-CYPTC 60-69 years, male 49.1
GTEX-13PDP-0126-SM-5L3HD 60-69 years, male 48.9
GTEX-145ME-1826-SM-5SI9G 40-49 years, female 48.8
GTEX-1S5ZA-0126-SM-EVYCV 20-29 years, male 48.3
GTEX-1I4MK-2226-SM-ACKWD 50-59 years, female 48.1
GTEX-TKQ1-1026-SM-4GICL 30-39 years, male 47.8
GTEX-1R7EV-2426-SM-EVYBG 40-49 years, male 47.7
GTEX-1NV5F-0226-SM-E8VNY 60-69 years, female 47.6
GTEX-ZXES-1826-SM-5E43S 30-39 years, female 46.3
GTEX-1H1ZS-0426-SM-9WG6G 70-79 years, male 46.3
GTEX-1399T-2826-SM-5KLYZ 60-69 years, male 46.2
GTEX-13JUV-2726-SM-5LZZ8 40-49 years, female 46.2
GTEX-1IDJU-2626-SM-CM2RT 60-69 years, female 46.2
GTEX-QV44-1926-SM-2S1RF 50-59 years, male 46.0
GTEX-1GMR3-1926-SM-9KNUZ 40-49 years, male 46.0
GTEX-1PPH8-0226-SM-E8VND 20-29 years, male 46.0
GTEX-XPVG-2626-SM-4B669 50-59 years, male 45.9
GTEX-1N2DW-0226-SM-E9TK2 50-59 years, male 45.9
GTEX-13W3W-2426-SM-5LU5B 60-69 years, female 45.8
GTEX-14PJ6-2126-SM-6EU1V 60-69 years, female 45.7
GTEX-WFON-2126-SM-3LK7O 40-49 years, male 45.7
GTEX-1JMQI-2226-SM-CM2SD 50-59 years, male 44.8
GTEX-YJ89-0126-SM-4TT3X 60-69 years, male 44.5
GTEX-1PIIG-0226-SM-EWRN6 30-39 years, male 44.1
GTEX-ZQG8-1626-SM-DHXIT 60-69 years, female 43.7
GTEX-PLZ5-2026-SM-2S1O4 50-59 years, male 43.4
GTEX-ZVE2-0226-SM-59HJB 50-59 years, male 43.3
GTEX-S32W-2126-SM-2XCB1 50-59 years, female 43.0
GTEX-1QPFJ-0226-SM-E76PB 30-39 years, female 43.0
GTEX-WOFL-0126-SM-3MJG2 60-69 years, male 42.9
GTEX-1PDJ9-0326-SM-DTX95 20-29 years, male 42.9
GTEX-13OVK-2026-SM-7KUEO 40-49 years, male 42.7
GTEX-ZXG5-0126-SM-5GIEU 60-69 years, male 42.5
GTEX-139D8-0226-SM-5KLZO 30-39 years, female 42.2
GTEX-1E2YA-0126-SM-9KNUC 50-59 years, male 42.2
GTEX-145MF-0626-SM-5LUAI 50-59 years, male 41.7
GTEX-1CAMR-1926-SM-7EPI2 20-29 years, male 41.6
GTEX-X261-0126-SM-3NMD6 50-59 years, male 40.9
GTEX-1J8QM-2126-SM-CYPSJ 60-69 years, female 40.8
GTEX-ZGAY-0526-SM-4WWBB 40-49 years, female 40.7
GTEX-1F75B-0126-SM-9KNVL 50-59 years, male 40.7
GTEX-16NGA-1726-SM-731B4 40-49 years, female 40.6
GTEX-183WM-0126-SM-7LTAB 70-79 years, female 40.6
GTEX-T8EM-1026-SM-3DB7M 40-49 years, male 40.4
GTEX-ZV68-0126-SM-59HKS 50-59 years, female 40.4
GTEX-1JMPZ-0226-SM-CNPP1 30-39 years, male 40.1
GTEX-17GQL-2026-SM-718BA 60-69 years, male 39.8
GTEX-14PHW-0126-SM-6LLJI 60-69 years, female 39.2
GTEX-T5JW-1626-SM-3GADZ 20-29 years, female 39.2
GTEX-1HCU9-1526-SM-A9SL7 20-29 years, male 39.2
GTEX-145LS-0126-SM-5QGP1 60-69 years, female 38.8
GTEX-1OFPY-2426-SM-DTXEJ 60-69 years, male 38.6
GTEX-1S82Z-0826-SM-E6CHY 30-39 years, female 38.6
GTEX-1AMFI-2026-SM-731BH 50-59 years, female 38.0
GTEX-1OJC3-0126-SM-E76QX 20-29 years, male 37.5
GTEX-1JMOU-1526-SM-CL54I 60-69 years, female 37.3
GTEX-1K2DA-1826-SM-CGQGT 50-59 years, male 37.2
GTEX-12WSE-0526-SM-793B2 20-29 years, male 36.5
GTEX-OXRN-0126-SM-48TDM 50-59 years, male 36.2
GTEX-TMMY-0226-SM-33HBA 40-49 years, female 36.2
GTEX-1M5QR-1226-SM-EWROB 40-49 years, male 36.1
GTEX-13NYB-2526-SM-5K7Z6 40-49 years, male 35.9
GTEX-1JK1U-2026-SM-CM2RZ 60-69 years, male 35.4
GTEX-13SLW-0126-SM-5SI6C 70-79 years, male 34.9
GTEX-1ICLY-0126-SM-D4P36 50-59 years, male 34.9
GTEX-14C5O-0126-SM-5SI6N 60-69 years, male 34.6
GTEX-1LVAN-0226-SM-COH3S 50-59 years, female 34.6
GTEX-145LV-2126-SM-5LU8N 50-59 years, male 34.3
GTEX-1HBPM-0226-SM-ARL9F 60-69 years, female 34.3
GTEX-15ETS-0126-SM-7KUMW 40-49 years, female 34.2
GTEX-11EQ9-2426-SM-5HL5T 30-39 years, male 34.1
GTEX-13113-5016-SM-7EPIP 60-69 years, female 33.9
GTEX-11DZ1-0126-SM-5985Q 50-59 years, male 33.7
GTEX-1R7EU-0226-SM-EVR4G 60-69 years, male 33.7
GTEX-18D9U-0226-SM-718BP 40-49 years, male 32.9
GTEX-PX3G-0126-SM-2I3EN 20-29 years, female 32.8
GTEX-1S83E-0126-SM-EWRO4 40-49 years, male 32.7
GTEX-1JJEA-0326-SM-CNPOT 60-69 years, male 32.6
GTEX-1MA7W-2026-SM-E9TJ6 20-29 years, female 32.5
GTEX-ZVZP-2426-SM-59HKJ 50-59 years, male 31.9
GTEX-XUZC-1726-SM-4BRWS 30-39 years, female 31.7
GTEX-P4QT-0126-SM-2I3FL 50-59 years, female 31.4
GTEX-1LG7Z-1726-SM-D3LA4 30-39 years, male 31.3
GTEX-1399R-2726-SM-5IJBA 30-39 years, male 31.1
GTEX-1CB4F-0426-SM-9KNV4 60-69 years, male 30.9
GTEX-15F5U-1526-SM-6PANO 40-49 years, male 30.8
GTEX-ZF2S-2326-SM-4WWCE 50-59 years, female 30.4
GTEX-13NYS-0126-SM-5MR3W 60-69 years, male 30.1
GTEX-1H3VY-0126-SM-ACKXD 50-59 years, male 30.0
GTEX-1JMQK-0226-SM-CL543 60-69 years, male 29.9
GTEX-13IVO-0126-SM-5J1NG 70-79 years, male 28.8
GTEX-17EUY-0426-SM-793BD 20-29 years, male 28.5
GTEX-1H2FU-0126-SM-9WYSI 60-69 years, female 28.2
GTEX-1R9K4-0126-SM-DTX9X 60-69 years, male 28.1
GTEX-SNMC-1226-SM-2XCFP 20-29 years, male 27.8
GTEX-1CB4I-0226-SM-79OLH 50-59 years, male 27.5
GTEX-1CAMQ-0226-SM-7IGPK 40-49 years, male 27.0
GTEX-1LGRB-2526-SM-CNPPQ 50-59 years, female 27.0
GTEX-169BO-1326-SM-9MQK2 50-59 years, male 26.5
GTEX-OIZH-0126-SM-2HMIS 50-59 years, male 26.2
GTEX-16AAH-1726-SM-7939C 50-59 years, male 25.4
GTEX-1F5PK-2426-SM-7RHHY 50-59 years, male 24.6
GTEX-1K2DU-2326-SM-E9TIV 20-29 years, male 23.9
GTEX-11WQK-0526-SM-5EQLD 50-59 years, male 23.7
GTEX-18D9A-1926-SM-7LG6P 30-39 years, female 23.7
GTEX-17F96-1626-SM-7DUFL 70-79 years, male 23.1
GTEX-TSE9-0126-SM-3DB83 60-69 years, female 23.1
GTEX-ZV6S-2326-SM-4YCEY 40-49 years, female 22.8
GTEX-1KANC-1526-SM-D3LAB 50-59 years, female 22.5
GTEX-12WSK-2326-SM-5GCOH 40-49 years, female 22.3
GTEX-13NYC-0326-SM-E9J4S 60-69 years, male 22.1
GTEX-1F52S-0126-SM-9MQJU 60-69 years, female 22.0
GTEX-13OVH-0126-SM-5MR4B 70-79 years, male 21.3
GTEX-SE5C-1626-SM-2XCE3 40-49 years, female 21.2
GTEX-1KANA-0726-SM-D3L9I 20-29 years, male 20.9
GTEX-13X6I-0626-SM-5QGP9 60-69 years, male 20.2
GTEX-ZZPT-0226-SM-5E43X 50-59 years, male 19.9
GTEX-1R9PM-2026-SM-E76OY 20-29 years, male 19.8
GTEX-WFG8-2226-SM-3GIL9 20-29 years, male 19.6
GTEX-14E6E-1826-SM-5S2R7 30-39 years, male 19.2
GTEX-1LH75-2426-SM-E9TJE 50-59 years, female 18.7
GTEX-POMQ-2226-SM-2I5FK 20-29 years, female 18.6
GTEX-1JMQL-0226-SM-CNPP5 50-59 years, female 18.4
GTEX-1B97I-1626-SM-73KYO 40-49 years, male 18.2
GTEX-1I1GT-0626-SM-CGQER 60-69 years, female 18.2
GTEX-1GL5R-1826-SM-9KNUY 50-59 years, male 17.5
GTEX-1A3MW-0126-SM-73KXX 60-69 years, female 17.2
GTEX-1C475-1826-SM-73KWA 40-49 years, female 17.0
GTEX-15EU6-0426-SM-6PAN5 50-59 years, male 15.7
GTEX-1HCU7-0226-SM-CL545 50-59 years, male 15.3
GTEX-13111-1626-SM-5EGJY 50-59 years, male 13.6
GTEX-1LSNM-1926-SM-E6CII 50-59 years, male 13.6
GTEX-1JJ6O-0126-SM-E6CI8 60-69 years, male 13.3
GTEX-ZWKS-0126-SM-5SIAA 30-39 years, male 12.0
GTEX-ZTX8-1426-SM-5DUVO 20-29 years, male 11.6
GTEX-1F6RS-0126-SM-9MQKZ 60-69 years, female 9.9
GTEX-12WSA-0226-SM-5BC5V 60-69 years, male 8.1
GTEX-1L5NE-2526-SM-E6CIE 50-59 years, male 6.8
Show allShow less

Contact

  • NEWS ARTICLES
  • PRESS ROOM

The Project

  • INTRODUCTION
  • ORGANIZATION
  • PUBLICATIONS

The Human Protein Atlas

  • DOWNLOADABLE DATA
  • LICENCE & CITATION
  • HELP & FAQ
The Human Protein Atlas project is funded
by the Knut & Alice Wallenberg Foundation.


contact@proteinatlas.org