We use cookies to enhance the usability of our website. If you continue, we'll assume that you are happy to receive all cookies. More information. Don't show this again.
HMGB2
HPA
RESOURCES
  • TISSUE
  • BRAIN
  • SINGLE CELL
  • SUBCELLULAR
  • CANCER
  • BLOOD
  • CELL LINE
  • STRUCTURE & INTERACTION
ABOUT
  • INTRODUCTION
  • HISTORY
  • ORGANIZATION
  • PUBLICATIONS
  • ANTIBODY SUBMISSION
  • ANTIBODY AVAILABILITY
  • ACKNOWLEDGMENTS
  • CONTACT
NEWS
  • NEWS ARTICLES
  • PRESS ROOM
LEARN
  • DICTIONARY
  • PROTEIN CLASSES
  • PROTEIN EVIDENCE
  • METHODS
  • EDUCATIONAL VIDEOS
DATA
  • DOWNLOADABLE DATA
  • PUBLICATION DATA
  • RELEASE HISTORY
HELP
  • ANTIBODY VALIDATION
  • ASSAYS & ANNOTATION
  • DISCLAIMER
  • HELP & FAQ
  • PRIVACY STATEMENT
  • LICENCE & CITATION
Fields »
Search result

Field
Term
Gene name
Class
Subclass
Class
Keyword
Chromosome
External id
Tissue
Cell type
Expression
Antibody panel
Tissue
Main location
Patient ID
Annotation
Tissue
Category
Tau score
Cluster
Reliability
Brain region
Category
Tau score
Brain region
Category
Tau score
Brain region
Category
Tau score
Cluster
Reliability
Tissue
Cell type
Enrichment
Cell type
Category
Tau score
Cell type
Category
Tau score
Cell type
Category
Tau score
Cell lineage
Category
Tau score
Cluster
Cluster
Location
Searches
Location
Cell line
Class
Type
Phase
Reliability
Cancer
Prognosis
Cancer
Category
Cancer
Category
Tau score
Cluster
Variants
Interacting gene (ensg_id)
Type
Number of interactions
Pathway
Category
Score
Score
Score
Validation
Validation
Validation
Validation
Antibodies
Data type
Column


  • SUMMARY

  • TISSUE

  • BRAIN

  • SINGLE CELL

  • SUBCELL

  • CANCER

  • BLOOD

  • CELL LINE

  • STRUCT & INT

  • HMGB2
TISSUE PRIMARY DATA ESOPHAGUS Show tissue menu
ADIPOSE TISSUE ADRENAL GLAND AMYGDALA APPENDIX BASAL GANGLIA BONE MARROW BREAST BRONCHUS CEREBELLUM CEREBRAL CORTEX CERVIX CHOROID PLEXUS COLON DUODENUM
ENDOMETRIUM EPIDIDYMIS ESOPHAGUS FALLOPIAN TUBE GALLBLADDER HEART MUSCLE HIPPOCAMPAL FORMATION HYPOTHALAMUS KIDNEY LIVER LUNG LYMPH NODE MIDBRAIN NASOPHARYNX
ORAL MUCOSA OVARY PANCREAS PARATHYROID GLAND PITUITARY GLAND PLACENTA PROSTATE RECTUM RETINA SALIVARY GLAND SEMINAL VESICLE SKELETAL MUSCLE SKIN SMALL INTESTINE
SMOOTH MUSCLE SOFT TISSUE SPINAL CORD SPLEEN STOMACH TESTIS THYMUS THYROID GLAND TONGUE TONSIL URINARY BLADDER VAGINA
ANTIBODIES
AND
VALIDATION
Dictionary
Esophagus
Tissue proteome
Esophagus
ESOPHAGUS - Expression summary
Protein expression
Esophagusi

On the top, protein expression in current human tissue, based on all annotated cell types, is reported with the units not detected (n), low (l), medium (m) and high (h). Underneath, protein expression in each annotated cell type are reported using the same units.

Protein expression data is based on knowledge-based annotation. For genes where more than one antibody has been used, a collective score is set.

If knowledge-based annotation could not be performed for a gene, no data is displayed here. View antibody staining data further down this page.

h
m
l
n
Squamous epithelial cells: Medium
RNA expressioni

A summary of mRNA expression data available for current tissue based on several datasets. The mRNA expression levels in human tissues are based on RNA-seq data generated by the Human Protein Atlas (HPA), Genotype-Tissue Expression (GTEx) portal and CAGE data generated by the FANTOM5 consortium. Consensus normalized expression levels for human tissues was created by combining the data from HPA and GTEx datasets.

The mRNA expression levels in pig are based on RNA-seq data generated by the Human Protein Atlas (HPA), and for mouse, HPA data and in situ hybridization generated by the Allen brain atlas are reported.

Scroll down to view mRNA expression data in more detail.
Consensus:112.3 nTPM
HPA:69.3 nTPM
GTEx:112.3 nTPM
FANTOM5:166.9 Scaled Tags Per Million

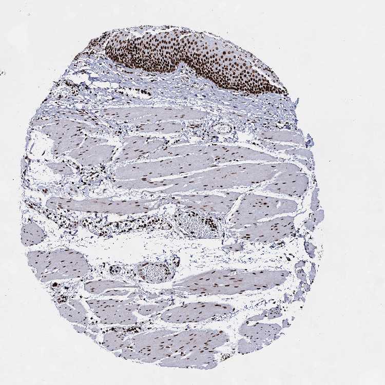
ESOPHAGUS - Antibody stainingi

Antibody staining in the annotated cell types in the current human tissue is reported as not detected, low, medium, or high, based on conventional immunohistochemistry profiling in selected tissues. This score is based on the combination of the staining intensity and fraction of stained cells.

Each image is clickable and will lead to virtual microscopy that enables deeper exploration of all samples and also displays staining intensity scores, fraction scores and subcellular localization as well as patient and tissue information for each sample.

Antibody HPA003506Antibody HPA053314Antibody CAB037206
Squamous epithelial cells HighMediumHigh





ESOPHAGUS - HPA RNA-seqi

The RNA-seq details section shows detailed information about the individual samples used for the transcript profiling and results of the RNA-seq analysis.

Information about each individual sample is listed below, including gender, age, a tissue section image and estimated fractions of cell types. nTPM (normalized transcripts per million) values give a quantification of the gene abundance which is comparable between different genes and samples.
Average nTPMi

Max subtype nTPM is the value for the subtype with the largest average nTPM across the subtype samples.

69.3
overview
Female, age 70
Esophagus sample 130
nTPM: 72.1
Cell types%
Squamous epithelial cells:
35

Smooth muscle cells:
15

Skeletal muscle cells:
5

Other cell types:
45

overview
Male, age 38
Esophagus sample 131
nTPM: 58.4
Cell types%
Squamous epithelial cells:
60

Smooth muscle cells:
20

Other cell types:
20

overview
Male, age 76
Esophagus sample 132
nTPM: 77.4
Cell types%
Squamous epithelial cells:
45

Smooth muscle cells:
15

Other cell types:
40


ESOPHAGUS - GTEx RNA-seqi

RNA-Seq data generated by the Genotype-Tissue Expression (GTEx) project from human tissues is reported as mean nTPM. More information can be found on the GTEx portal.

Distribution across the dataset is visualized with box plots, shown as median and 25th and 75th percentiles. Points are displayed as outliers if they are above or below 1.5 times the interquartile range. nTPM values of the individual samples are presented next to the box plot.
Max subtype nTPMi

Max subtype nTPM is the value for the subtype with the largest average nTPM across the subtype samples.

112.3
GTEx sample id Sample description nTPM
Esophagus - Mucosa
Average nTPM: 112.3
Samples: 555

Max nTPM: 259.4
Min nTPM: 36.4
Std nTPM: 38.0
Median nTPM: 105.6
GTEX-133LE-0626-SM-5IFFJ 20-29 years, female 259.4
GTEX-RU72-0726-SM-46MUW 50-59 years, female 252.1
GTEX-1GF9U-0826-SM-7MXTZ 40-49 years, female 251.9
GTEX-1N2EE-2426-SM-EXOIO 60-69 years, male 249.0
GTEX-12WSN-5013-SM-7P8P9 40-49 years, male 240.2
GTEX-14PJ6-1026-SM-686ZB 60-69 years, female 239.6
GTEX-1H1DE-1026-SM-9JGH6 20-29 years, male 222.3
GTEX-YFC4-1226-SM-5LU9R 40-49 years, female 219.0
GTEX-1C475-0926-SM-7MKFI 40-49 years, female 218.2
GTEX-1HB9E-1526-SM-D3LA6 50-59 years, male 216.9
GTEX-1C6VQ-1826-SM-7EWEH 50-59 years, male 214.8
GTEX-Y111-1626-SM-57WCY 50-59 years, male 212.5
GTEX-WFJO-0826-SM-4LVM5 30-39 years, male 211.3
GTEX-11EMC-2226-SM-5A5JW 60-69 years, female 210.4
GTEX-15F5U-5010-SM-AHZ2D 40-49 years, male 209.3
GTEX-1JMQJ-1226-SM-D3L97 50-59 years, male 205.2
GTEX-1AX8Z-5016-SM-AHZ2B 60-69 years, male 205.0
GTEX-14PK6-1326-SM-686ZE 70-79 years, female 201.9
GTEX-11DXY-1426-SM-5N9CN 60-69 years, male 199.0
GTEX-13X6K-2126-SM-5O9D4 60-69 years, female 197.3
GTEX-1B996-1826-SM-7MGY6 60-69 years, male 196.0
GTEX-XMK1-1326-SM-4B65Q 40-49 years, male 195.5
GTEX-144FL-2726-SM-5O98Z 50-59 years, male 194.6
GTEX-183WM-1726-SM-7KFT5 70-79 years, female 194.0
GTEX-111YS-0926-SM-5EGGI 60-69 years, male 189.6
GTEX-1LG7Y-1726-SM-EV7AR 50-59 years, male 189.0
GTEX-18A7A-2326-SM-7KFRH 50-59 years, female 186.5
GTEX-ZTX8-0226-SM-5E44D 20-29 years, male 185.5
GTEX-18QFQ-1026-SM-7LG6B 30-39 years, male 185.0
GTEX-Y8E4-1726-SM-5LU9G 40-49 years, male 184.7
GTEX-UPJH-1026-SM-EAZB2 50-59 years, male 184.4
GTEX-1F5PL-1726-SM-9QEGL 40-49 years, female 181.8
GTEX-148VI-1026-SM-5TDDJ 60-69 years, female 180.7
GTEX-14JIY-0926-SM-6871D 60-69 years, male 180.2
GTEX-18D9B-2026-SM-7LT96 60-69 years, male 179.5
GTEX-1HGF4-0926-SM-9WPP8 60-69 years, male 178.7
GTEX-Y8LW-0726-SM-5IFI1 50-59 years, female 178.2
GTEX-11EM3-0826-SM-5N9CC 20-29 years, female 176.1
GTEX-12WSL-1526-SM-5GCP8 50-59 years, male 176.0
GTEX-13PVQ-1726-SM-5IFF3 50-59 years, male 175.6
GTEX-12ZZX-1326-SM-5DUWI 40-49 years, female 174.7
GTEX-14PJ4-1526-SM-664OA 60-69 years, male 173.7
GTEX-1R9K4-1926-SM-DPRZW 60-69 years, male 173.2
GTEX-ZYT6-1126-SM-5GZYR 30-39 years, male 173.1
GTEX-1N2DW-1426-SM-EV7AZ 50-59 years, male 172.2
GTEX-13NYB-0926-SM-5IFFA 40-49 years, male 170.5
GTEX-1F5PK-1526-SM-7MKGV 50-59 years, male 168.2
GTEX-14PJM-1526-SM-664NY 50-59 years, female 167.7
GTEX-1HC8U-1526-SM-9WPO4 40-49 years, female 167.1
GTEX-13X6H-1326-SM-5LU42 50-59 years, female 165.9
GTEX-Y3IK-1126-SM-51MSV 50-59 years, female 164.6
GTEX-15DCE-1326-SM-6LPJL 20-29 years, male 164.5
GTEX-13O1R-1326-SM-5IJF5 60-69 years, male 164.1
GTEX-131XF-0826-SM-5GICG 60-69 years, male 163.9
GTEX-YEC3-2526-SM-CXZIH 50-59 years, male 163.6
GTEX-XXEK-0326-SM-4BRVV 50-59 years, male 163.0
GTEX-146FH-1726-SM-5QGQ2 50-59 years, female 162.8
GTEX-1J8EW-1326-SM-AHZ3S 60-69 years, female 161.5
GTEX-14BIM-1326-SM-7EWD1 60-69 years, female 161.3
GTEX-1H1ZS-1526-SM-9OSXR 70-79 years, male 161.2
GTEX-T5JC-1726-SM-4DM6U 20-29 years, male 159.6
GTEX-1CB4J-2426-SM-7MXVC 60-69 years, male 158.6
GTEX-1IY9M-1626-SM-AHZ39 60-69 years, male 158.6
GTEX-139UW-1126-SM-5IJEJ 60-69 years, male 158.5
GTEX-146FQ-1026-SM-5LU8I 30-39 years, male 158.4
GTEX-1IKK5-1326-SM-AHZ2X 60-69 years, male 158.4
GTEX-11ONC-1526-SM-5GU6S 60-69 years, male 157.6
GTEX-Q2AG-1326-SM-43V8K 40-49 years, female 157.5
GTEX-WK11-1026-SM-4OOS8 50-59 years, male 157.4
GTEX-1497J-2726-SM-5SI9W 60-69 years, male 157.3
GTEX-1PPH8-1626-SM-E6CQP 20-29 years, male 156.7
GTEX-XGQ4-1526-SM-4AT6H 50-59 years, male 156.1
GTEX-1QW4Y-0526-SM-EAZ3V 30-39 years, male 155.7
GTEX-14E6E-0726-SM-5S2R3 30-39 years, male 155.5
GTEX-15RJ7-0926-SM-6LPJO 40-49 years, male 155.1
GTEX-ZXES-1126-SM-5GZXN 30-39 years, female 154.0
GTEX-ZV68-0926-SM-59HK7 50-59 years, female 153.9
GTEX-1AX9K-1126-SM-731DQ 50-59 years, male 153.7
GTEX-1HKZK-1426-SM-A96U1 40-49 years, male 153.4
GTEX-144GO-2726-SM-5O9A2 60-69 years, male 152.6
GTEX-11LCK-1726-SM-5S2OQ 30-39 years, male 151.2
GTEX-Y5V6-1026-SM-4VBS2 60-69 years, male 150.9
GTEX-13JVG-2026-SM-5KM1N 60-69 years, male 149.7
GTEX-15DYW-1826-SM-6LPIY 60-69 years, female 149.7
GTEX-1I4MK-0426-SM-B2LWQ 50-59 years, female 148.9
GTEX-RUSQ-0826-SM-47JWW 50-59 years, male 148.6
GTEX-1QP67-0726-SM-DPRY1 40-49 years, female 148.1
GTEX-Y5LM-1026-SM-4VDSQ 40-49 years, female 147.9
GTEX-15RJE-0926-SM-6LLHZ 40-49 years, male 147.7
GTEX-13CF3-1626-SM-5IFG9 60-69 years, female 147.6
GTEX-1CB4G-1326-SM-7MKFP 60-69 years, male 147.2
GTEX-TMMY-1126-SM-4DXSX 40-49 years, female 147.1
GTEX-WFG8-1226-SM-4V6EI 20-29 years, male 147.1
GTEX-13OVG-0626-SM-5IFEP 60-69 years, male 146.8
GTEX-1HCU8-2226-SM-9WPOV 60-69 years, female 145.8
GTEX-1QCLZ-1626-SM-E9U5R 60-69 years, female 145.3
GTEX-X4EO-1226-SM-4QARR 60-69 years, female 144.5
GTEX-13OVJ-1226-SM-5L3HA 50-59 years, female 143.7
GTEX-1HCU6-1326-SM-A96TZ 60-69 years, female 143.2
GTEX-1EKGG-1726-SM-7MXUP 60-69 years, male 142.9
GTEX-145MF-1426-SM-5O9B6 50-59 years, male 142.5
GTEX-X3Y1-1326-SM-4PQZB 40-49 years, male 142.5
GTEX-1JMPZ-2026-SM-C1YR8 30-39 years, male 142.1
GTEX-13O3Q-0826-SM-5IFGF 50-59 years, male 141.8
GTEX-Y5V5-1626-SM-4VDSG 60-69 years, female 141.8
GTEX-1ICG6-1926-SM-ARU7L 70-79 years, female 141.5
GTEX-QEG5-1426-SM-447AS 20-29 years, male 141.4
GTEX-1IDJD-1626-SM-C1YRC 30-39 years, male 141.4
GTEX-ZT9X-0526-SM-5GCOP 40-49 years, male 140.9
GTEX-1KAFJ-0626-SM-D3L8X 50-59 years, male 140.8
GTEX-Y114-0926-SM-4TT7J 50-59 years, female 140.2
GTEX-1399U-1026-SM-5J1OC 50-59 years, female 139.6
GTEX-R55E-1326-SM-48FCR 20-29 years, male 139.1
GTEX-WHWD-0926-SM-4OORY 50-59 years, male 139.0
GTEX-ZUA1-1226-SM-5NQ6O 40-49 years, male 139.0
GTEX-V955-1126-SM-4JBH3 60-69 years, male 138.8
GTEX-1GTWX-1326-SM-9JGHU 60-69 years, male 138.8
GTEX-ZA64-0626-SM-5HL9O 20-29 years, male 138.3
GTEX-1IKOE-1526-SM-C1YSD 30-39 years, female 138.0
GTEX-WQUQ-1626-SM-4OOSH 60-69 years, male 137.5
GTEX-Y3I4-1226-SM-4TT8N 50-59 years, male 137.5
GTEX-16BQI-1526-SM-6LLIE 30-39 years, female 137.2
GTEX-15UF6-2326-SM-6M465 70-79 years, female 136.9
GTEX-ZYFC-1626-SM-5N9EU 50-59 years, male 136.5
GTEX-1RAZR-1226-SM-E6CRD 40-49 years, male 136.4
GTEX-1JMLX-2326-SM-CXZJP 50-59 years, male 136.2
GTEX-U3ZM-0526-SM-4DXTB 40-49 years, male 135.9
GTEX-1I1GS-2126-SM-ARU7G 60-69 years, male 135.8
GTEX-ZDYS-0826-SM-4WWCR 50-59 years, male 135.4
GTEX-11TT1-0526-SM-5P9JO 20-29 years, male 135.3
GTEX-1A8FM-1526-SM-7MXTA 50-59 years, female 134.7
GTEX-11ZU8-1526-SM-5EGHX 60-69 years, male 134.4
GTEX-1M5QR-0726-SM-DHXK7 40-49 years, male 134.4
GTEX-ZYY3-1526-SM-5SIA9 60-69 years, female 134.1
GTEX-ZGAY-1126-SM-4WWBS 40-49 years, female 134.0
GTEX-11P82-0526-SM-5986P 20-29 years, male 133.5
GTEX-15SHU-1426-SM-6LPIN 40-49 years, female 133.1
GTEX-T2IS-0826-SM-4DM6L 20-29 years, female 132.2
GTEX-R3RS-1326-SM-48FE7 40-49 years, female 131.5
GTEX-1R7EU-0826-SM-DPRZL 60-69 years, male 130.9
GTEX-P4PQ-0626-SM-3NMCU 60-69 years, male 130.2
GTEX-1PFEY-0826-SM-E9U6A 30-39 years, male 130.2
GTEX-RM2N-0726-SM-48FD5 50-59 years, male 129.9
GTEX-13FH7-0526-SM-5IJF8 50-59 years, female 129.7
GTEX-WFG7-1126-SM-4LMK3 20-29 years, male 129.7
GTEX-16MTA-0826-SM-6LLIC 50-59 years, male 129.5
GTEX-14PJ5-0526-SM-664OE 60-69 years, female 129.0
GTEX-14BIN-2726-SM-5RQIE 50-59 years, female 128.8
GTEX-11P81-0826-SM-5P9GR 30-39 years, female 128.6
GTEX-1JKYR-2126-SM-CNNPC 20-29 years, male 128.3
GTEX-OIZI-1426-SM-3NB1T 40-49 years, male 128.1
GTEX-14PKV-1726-SM-6871U 20-29 years, female 127.9
GTEX-1IDJH-2026-SM-CNNQX 70-79 years, male 127.6
GTEX-12ZZW-1726-SM-5DUVD 50-59 years, male 127.4
GTEX-RTLS-1126-SM-46MUQ 60-69 years, female 127.4
GTEX-139T6-0626-SM-5IFF9 50-59 years, male 126.8
GTEX-147F3-0826-SM-5NQA7 50-59 years, female 126.4
GTEX-WVLH-1426-SM-4MVNX 50-59 years, male 126.4
GTEX-1HSKV-2426-SM-A8N8K 60-69 years, male 126.1
GTEX-16A39-1026-SM-6LPJU 30-39 years, female 125.5
GTEX-1JK1U-1726-SM-CNNPM 60-69 years, male 125.3
GTEX-1RDX4-2126-SM-EV7B3 50-59 years, female 125.3
GTEX-1212Z-2126-SM-5FQTM 60-69 years, male 125.2
GTEX-11NUK-1326-SM-5P9GN 50-59 years, male 125.0
GTEX-11TUW-1326-SM-5EQKV 60-69 years, male 124.7
GTEX-S32W-0926-SM-4AD5X 50-59 years, female 124.5
GTEX-S7SF-0926-SM-4AD4M 20-29 years, female 124.0
GTEX-1RLM8-0726-SM-E6CRH 50-59 years, male 123.9
GTEX-1J1OQ-2526-SM-AHZ3Q 40-49 years, female 123.8
GTEX-11DZ1-2026-SM-5A5KG 50-59 years, male 123.7
GTEX-13NZB-1226-SM-5J2MW 30-39 years, male 123.5
GTEX-11ZTS-2626-SM-5EGIC 60-69 years, female 123.4
GTEX-S33H-0826-SM-4AD5Y 30-39 years, male 123.2
GTEX-145MO-1426-SM-DTX9W 60-69 years, male 122.8
GTEX-13FHO-1726-SM-DPRZX 60-69 years, male 122.7
GTEX-1GMR8-1826-SM-9WYUE 50-59 years, female 122.5
GTEX-ZEX8-1426-SM-4WKHQ 50-59 years, male 122.4
GTEX-RNOR-1226-SM-48FDQ 50-59 years, female 122.2
GTEX-15EOM-5013-SM-7MKF9 20-29 years, female 121.9
GTEX-OOBK-0625-SM-3LK5P 40-49 years, male 121.7
GTEX-16NPX-1626-SM-6LLI5 50-59 years, male 121.6
GTEX-PLZ6-0526-SM-3P61C 30-39 years, male 121.5
GTEX-T5JW-1326-SM-4DM5G 20-29 years, female 121.5
GTEX-R45C-1226-SM-48FEE 60-69 years, female 121.2
GTEX-TSE9-1226-SM-4DXTM 60-69 years, female 121.2
GTEX-ZF3C-1626-SM-4WWB4 50-59 years, female 120.8
GTEX-1CB4I-1026-SM-7MKFZ 50-59 years, male 120.7
GTEX-13111-0826-SM-5LZV3 50-59 years, male 120.3
GTEX-1LB8K-1326-SM-CXZKB 50-59 years, male 120.3
GTEX-UPK5-1226-SM-4IHL8 40-49 years, male 120.2
GTEX-1RAZS-2626-SM-EV79C 50-59 years, male 120.0
GTEX-144GN-0626-SM-5O9B2 50-59 years, male 119.6
GTEX-169BO-0526-SM-793AK 50-59 years, male 119.3
GTEX-P78B-1026-SM-3NMC4 40-49 years, female 119.3
GTEX-15ER7-2126-SM-7939E 20-29 years, female 119.1
GTEX-1GMR3-1526-SM-9JGGL 40-49 years, male 118.9
GTEX-15EU6-1626-SM-6LPKF 50-59 years, male 118.8
GTEX-1LGOU-0526-SM-D3LAO 20-29 years, female 118.8
GTEX-12C56-1226-SM-5FQSU 20-29 years, male 118.6
GTEX-1RAZA-1326-SM-DPS12 20-29 years, male 118.2
GTEX-14C38-2126-SM-5RQJO 50-59 years, male 117.9
GTEX-13G51-0926-SM-5IFFU 60-69 years, male 117.8
GTEX-1QP9N-0926-SM-E9U5S 30-39 years, male 117.3
GTEX-QV44-1126-SM-CL55C 50-59 years, male 117.2
GTEX-1H1DG-1226-SM-9JGH3 70-79 years, male 117.1
GTEX-11DXX-1126-SM-5GZZK 60-69 years, female 117.0
GTEX-1I1GQ-1726-SM-B2LWZ 50-59 years, male 116.6
GTEX-ZYVF-2226-SM-5GIDD 50-59 years, female 116.2
GTEX-12696-1326-SM-5FQTJ 60-69 years, male 116.0
GTEX-18A6Q-1226-SM-7KFS9 60-69 years, male 115.9
GTEX-13D11-1926-SM-5IFGB 50-59 years, female 115.7
GTEX-ZE9C-1126-SM-4WWBD 60-69 years, male 115.7
GTEX-1HCVE-1226-SM-9WPPH 50-59 years, male 115.6
GTEX-QVUS-0626-SM-447CC 60-69 years, female 115.2
GTEX-QEG4-0726-SM-CNNRF 30-39 years, male 115.1
GTEX-18A66-1426-SM-7KFRT 60-69 years, male 114.6
GTEX-WYVS-0726-SM-4ONDO 40-49 years, female 114.4
GTEX-PVOW-1626-SM-48TC9 40-49 years, male 114.3
GTEX-1211K-0926-SM-5FQTL 60-69 years, female 114.2
GTEX-ZQUD-0426-SM-57WFR 30-39 years, male 114.2
GTEX-ZYW4-1326-SM-5E45N 60-69 years, male 113.7
GTEX-132QS-1426-SM-5P9GE 60-69 years, male 113.4
GTEX-1EU9M-2326-SM-7MKGS 60-69 years, male 113.4
GTEX-17MFQ-0526-SM-7KFTX 20-29 years, male 113.2
GTEX-ZTPG-1626-SM-5DUX2 20-29 years, female 113.1
GTEX-146FR-0426-SM-5SI97 60-69 years, female 112.9
GTEX-P4QS-0626-SM-3NMD1 60-69 years, male 112.9
GTEX-17EVQ-1926-SM-7IGOF 70-79 years, male 112.8
GTEX-1HCUA-1426-SM-9WPP7 50-59 years, female 112.6
GTEX-X15G-0826-SM-4PQZD 50-59 years, female 112.0
GTEX-18465-1126-SM-7LG6E 50-59 years, male 111.8
GTEX-ZG7Y-1126-SM-4WWEZ 50-59 years, male 111.6
GTEX-15UF7-0926-SM-6M46F 40-49 years, male 111.2
GTEX-TKQ1-0326-SM-4DXSM 30-39 years, male 111.1
GTEX-11GSP-1826-SM-5N9DQ 60-69 years, female 110.7
GTEX-QCQG-0626-SM-48U21 50-59 years, female 110.6
GTEX-XLM4-2326-SM-4AT5E 60-69 years, male 110.5
GTEX-12WSD-1826-SM-5GCOA 60-69 years, female 110.4
GTEX-W5WG-1626-SM-4LMKG 50-59 years, female 110.3
GTEX-1LSNL-2226-SM-DHXKM 50-59 years, male 110.3
GTEX-ZLFU-1126-SM-DO11K 40-49 years, male 110.3
GTEX-1F88F-1126-SM-7MKHL 60-69 years, female 110.2
GTEX-1GL5R-1526-SM-7MKHO 50-59 years, male 110.2
GTEX-145ME-5004-SM-7MGXP 40-49 years, female 110.2
GTEX-1QP28-1826-SM-EAZ4L 50-59 years, female 109.9
GTEX-16NGA-1426-SM-718AC 40-49 years, female 109.7
GTEX-16XZY-0926-SM-7938M 70-79 years, male 109.6
GTEX-QLQW-0526-SM-4R1KS 30-39 years, male 109.6
GTEX-13O21-0626-SM-5IJDI 50-59 years, male 109.3
GTEX-1HFI6-1226-SM-A96SK 40-49 years, male 109.3
GTEX-1KXAM-0826-SM-CXZK9 60-69 years, male 109.3
GTEX-1CB4E-1026-SM-793AB 60-69 years, male 109.0
GTEX-Q2AI-0626-SM-48TZU 40-49 years, male 109.0
GTEX-18A67-2426-SM-7LT95 50-59 years, male 108.8
GTEX-1NUQO-1126-SM-DTX98 20-29 years, female 108.7
GTEX-1OKEX-1326-SM-E9J2U 60-69 years, male 108.7
GTEX-139TU-1226-SM-5J2NL 60-69 years, male 108.6
GTEX-U3ZH-1026-SM-4DXUZ 30-39 years, male 108.3
GTEX-1HSMQ-2026-SM-B2LY1 50-59 years, male 108.3
GTEX-11DYG-1326-SM-5N9DO 60-69 years, male 108.2
GTEX-1EH9U-2426-SM-7EWFG 60-69 years, male 108.1
GTEX-T6MO-0526-SM-4DM6R 40-49 years, female 107.9
GTEX-15RIF-0826-SM-6M47C 20-29 years, male 107.8
GTEX-Z9EW-0526-SM-5HL8S 40-49 years, male 107.3
GTEX-1A32A-1826-SM-72D5G 50-59 years, female 107.1
GTEX-1CB4H-1526-SM-7MXU4 60-69 years, female 107.1
GTEX-1GN73-1926-SM-9JGGS 60-69 years, male 107.0
GTEX-ZC5H-1326-SM-5HL7E 40-49 years, female 106.8
GTEX-15SB6-0726-SM-6M48F 50-59 years, female 106.7
GTEX-13U4I-1126-SM-5LU3S 40-49 years, female 106.5
GTEX-1E1VI-1526-SM-7IGQ2 50-59 years, male 106.0
GTEX-RU1J-0326-SM-46MUM 20-29 years, female 105.9
GTEX-ZT9W-1326-SM-51MTB 50-59 years, male 105.9
GTEX-YB5K-0826-SM-5YYB7 40-49 years, female 105.8
GTEX-PWN1-0626-SM-48TDT 40-49 years, female 105.7
GTEX-1LSVX-1226-SM-DHXJN 60-69 years, male 105.7
GTEX-131YS-1426-SM-5IJF7 60-69 years, female 105.6
GTEX-183FY-1526-SM-7IGOW 20-29 years, male 105.6
GTEX-1NSGN-2026-SM-DPRYM 50-59 years, male 105.5
GTEX-QLQ7-0926-SM-447BC 60-69 years, male 105.4
GTEX-XYKS-1526-SM-4BRUP 60-69 years, female 105.2
GTEX-1LNCM-0626-SM-EV7AI 50-59 years, female 105.2
GTEX-1122O-1726-SM-5GICM 60-69 years, female 105.1
GTEX-1JKYN-1526-SM-CGQGA 30-39 years, male 104.9
GTEX-12WSK-1126-SM-5LZV8 40-49 years, female 104.7
GTEX-YF7O-0926-SM-5IFIF 50-59 years, male 104.7
GTEX-R55D-1126-SM-48FEB 50-59 years, male 104.6
GTEX-14DAQ-1426-SM-5RQJD 60-69 years, female 104.4
GTEX-1MCYP-1026-SM-DPRYB 20-29 years, female 104.4
GTEX-1GMR2-1526-SM-7MXV6 50-59 years, male 104.3
GTEX-WHPG-1126-SM-4M1XT 50-59 years, male 104.2
GTEX-S3XE-0926-SM-4AD4S 50-59 years, male 104.1
GTEX-12KS4-0926-SM-5BC5S 30-39 years, male 104.0
GTEX-QEL4-1426-SM-447AC 50-59 years, male 104.0
GTEX-1L5NE-1426-SM-DHXKV 50-59 years, male 103.7
GTEX-1CB4F-1526-SM-7MKFM 60-69 years, male 103.3
GTEX-OXRP-0926-SM-48TC1 60-69 years, female 103.3
GTEX-14DAR-0826-SM-73KYJ 50-59 years, male 103.2
GTEX-N7MT-0326-SM-48TDP 60-69 years, female 103.2
GTEX-1GPI7-1026-SM-7MGY2 20-29 years, male 103.1
GTEX-1JMQK-2026-SM-C1YQN 60-69 years, male 103.1
GTEX-1AYD5-0926-SM-793AF 50-59 years, male 102.9
GTEX-15DCD-1626-SM-6AJBH 70-79 years, female 102.8
GTEX-1MA7W-0426-SM-E9TJ5 20-29 years, female 102.8
GTEX-13FTX-0526-SM-5IFGS 20-29 years, female 102.1
GTEX-ZZ64-0226-SM-5E44X 20-29 years, male 102.0
GTEX-17F96-2526-SM-7DHL3 70-79 years, male 101.9
GTEX-11NSD-1126-SM-5N9BQ 20-29 years, male 101.6
GTEX-V1D1-1026-SM-4JBHE 50-59 years, male 101.4
GTEX-13SLX-1726-SM-5Q5E5 50-59 years, female 100.9
GTEX-S95S-0426-SM-4B64I 60-69 years, male 100.8
GTEX-X4LF-0626-SM-4QASB 50-59 years, male 100.8
GTEX-1KANA-0626-SM-D4P3I 20-29 years, male 100.8
GTEX-1AX9J-1826-SM-731FM 60-69 years, male 100.6
GTEX-111CU-0726-SM-5GZYD 50-59 years, male 100.5
GTEX-145LS-1826-SM-5LUAZ 60-69 years, female 100.5
GTEX-OXRL-0626-SM-3NM9C 50-59 years, male 100.2
GTEX-WHSE-1526-SM-4M1XH 20-29 years, male 100.2
GTEX-1S82Y-1226-SM-EV7BD 40-49 years, male 100.2
GTEX-14AS3-0626-SM-5QGQD 40-49 years, female 100.1
GTEX-ZVE2-1326-SM-5NQ94 50-59 years, male 99.9
GTEX-SUCS-0726-SM-4DM7J 70-79 years, male 99.8
GTEX-14E1K-1226-SM-5S2PD 50-59 years, male 99.7
GTEX-1I6K7-1426-SM-B2LXP 40-49 years, male 99.7
GTEX-17HHE-0926-SM-7938K 50-59 years, male 99.5
GTEX-WH7G-0926-SM-4LVMJ 40-49 years, male 99.3
GTEX-OXRK-1326-SM-3NB1A 50-59 years, female 98.9
GTEX-SNMC-0526-SM-4DM69 20-29 years, male 98.8
GTEX-1PIGE-0926-SM-E9U5Z 20-29 years, male 98.6
GTEX-RWS6-0826-SM-47JXF 60-69 years, female 98.5
GTEX-POYW-1326-SM-48TCG 60-69 years, male 98.4
GTEX-RN64-1026-SM-48FDX 50-59 years, male 98.4
GTEX-1MJIX-0826-SM-DTXEO 40-49 years, male 98.4
GTEX-16MT8-1326-SM-6M47R 60-69 years, female 97.8
GTEX-12WSG-5007-SM-7DUGZ 50-59 years, female 97.7
GTEX-ZDTT-1326-SM-4WKFH 60-69 years, male 97.7
GTEX-XQ8I-1526-SM-4BOOH 50-59 years, male 97.6
GTEX-1J1R8-0326-SM-AHZ3D 40-49 years, male 97.6
GTEX-11I78-1526-SM-5A5K7 50-59 years, female 97.5
GTEX-145MN-1026-SM-5NQ9G 30-39 years, male 97.1
GTEX-11DXZ-1226-SM-5H11L 50-59 years, male 97.0
GTEX-1GN1W-2226-SM-9JGI5 50-59 years, female 96.6
GTEX-1PPGY-1726-SM-EVR3S 60-69 years, male 96.4
GTEX-14B4R-0326-SM-5TDDP 30-39 years, male 96.3
GTEX-1EX96-2226-SM-7MKGT 50-59 years, male 95.9
GTEX-1HSGN-1626-SM-A96U2 40-49 years, female 95.9
GTEX-1IDJF-1226-SM-C1YPX 20-29 years, male 95.9
GTEX-ZVP2-1326-SM-57WCE 50-59 years, male 95.7
GTEX-1LGRB-1626-SM-CNNR7 50-59 years, female 95.7
GTEX-VUSG-1226-SM-4KKZF 50-59 years, male 95.6
GTEX-1AX9I-1426-SM-7DHM8 60-69 years, male 95.5
GTEX-1B933-2026-SM-7EWFC 50-59 years, female 95.4
GTEX-1HBPI-0626-SM-9WPP4 50-59 years, male 95.4
GTEX-ZPU1-1426-SM-4WWFU 40-49 years, male 95.1
GTEX-1399S-1326-SM-5P9GH 30-39 years, female 94.9
GTEX-12WSA-1426-SM-5EGJU 60-69 years, male 94.8
GTEX-WOFM-0626-SM-4OOS3 20-29 years, male 94.8
GTEX-13W3W-1626-SM-5LU35 60-69 years, female 94.7
GTEX-ZAK1-1526-SM-5S2OV 50-59 years, female 94.7
GTEX-1MCC2-1926-SM-DHXJR 30-39 years, female 94.5
GTEX-11VI4-0526-SM-5EQ48 40-49 years, female 94.4
GTEX-WXYG-1226-SM-4ONCJ 50-59 years, female 94.1
GTEX-13OW8-2326-SM-5L3I9 60-69 years, male 94.0
GTEX-RVPV-0526-SM-47JYL 60-69 years, male 94.0
GTEX-1AMEY-0226-SM-7189Q 30-39 years, female 93.8
GTEX-1EN7A-1226-SM-7MGX9 40-49 years, male 93.8
GTEX-1H11D-2126-SM-9OSXM 40-49 years, male 93.8
GTEX-13FTW-1626-SM-5KM4N 40-49 years, male 93.7
GTEX-17JCI-1226-SM-793D9 60-69 years, female 93.6
GTEX-1KD4Q-1126-SM-CXZKK 40-49 years, male 93.6
GTEX-X4XY-1726-SM-46MVO 60-69 years, male 93.5
GTEX-ZAB4-1126-SM-5HL86 40-49 years, male 93.4
GTEX-O5YV-1026-SM-3LK72 60-69 years, female 92.9
GTEX-14PJ3-0626-SM-6UGC5 50-59 years, male 92.9
GTEX-12ZZY-1426-SM-5N9EI 60-69 years, male 92.2
GTEX-1R9JW-1526-SM-DPRZK 30-39 years, female 92.2
GTEX-1K2DA-0626-SM-CGQGO 50-59 years, male 92.1
GTEX-YEC4-1026-SM-9WG7N 40-49 years, male 92.1
GTEX-1OJC3-0826-SM-DPRYU 20-29 years, male 91.8
GTEX-145LU-0926-SM-79OJL 50-59 years, male 91.6
GTEX-13PVR-1826-SM-5Q5CC 60-69 years, female 91.3
GTEX-15RIE-0826-SM-6M47X 60-69 years, male 91.1
GTEX-Q2AH-0826-SM-48TZN 40-49 years, male 91.0
GTEX-1QEPI-1826-SM-EAZ3J 60-69 years, female 90.9
GTEX-ZAJG-1326-SM-5S2NV 50-59 years, female 90.8
GTEX-1K9T9-2026-SM-CXZK3 50-59 years, female 90.8
GTEX-17HGU-1426-SM-7938G 50-59 years, male 90.5
GTEX-1H3VY-2026-SM-9JGHK 50-59 years, male 90.5
GTEX-WRHK-0526-SM-4MVOF 20-29 years, female 90.4
GTEX-OIZF-0626-SM-7MKHG 60-69 years, male 90.4
GTEX-1RAZQ-1726-SM-EAZ4T 30-39 years, male 90.3
GTEX-1B97I-0926-SM-731DZ 40-49 years, male 90.0
GTEX-1C64O-1826-SM-7DHM4 60-69 years, male 90.0
GTEX-1JMPY-0826-SM-AHZ4A 30-39 years, male 90.0
GTEX-R55G-1026-SM-48FDI 40-49 years, female 89.9
GTEX-13OVI-2626-SM-5KM4T 60-69 years, female 89.7
GTEX-QESD-0826-SM-47J4G 20-29 years, male 89.7
GTEX-S341-0526-SM-4AD5U 40-49 years, female 89.6
GTEX-18D9U-2126-SM-7LG4Y 40-49 years, male 89.2
GTEX-1A3MV-1326-SM-7LG6C 30-39 years, male 89.1
GTEX-WFON-0826-SM-4LVMI 40-49 years, male 89.0
GTEX-1BAJH-2026-SM-7P8OZ 70-79 years, male 88.6
GTEX-15ETS-1926-SM-7KUN5 40-49 years, female 88.4
GTEX-14ICL-0526-SM-5RQJ6 30-39 years, male 88.3
GTEX-U3ZN-1726-SM-4DXUQ 30-39 years, female 88.3
GTEX-1KANB-1826-SM-DHXJU 50-59 years, male 88.3
GTEX-UJMC-0926-SM-4IHLK 50-59 years, male 87.9
GTEX-1I1CD-1726-SM-A9G3P 60-69 years, female 87.9
GTEX-17KNJ-1326-SM-7KFTG 50-59 years, male 87.8
GTEX-PSDG-1326-SM-48TD2 50-59 years, male 87.5
GTEX-145LT-1126-SM-5LUA1 40-49 years, male 87.3
GTEX-ZYFG-1126-SM-5GICY 60-69 years, female 87.0
GTEX-14H4A-1626-SM-5SI69 40-49 years, female 86.9
GTEX-XMD2-1326-SM-4YCET 60-69 years, female 86.9
GTEX-132Q8-1826-SM-5EGIY 60-69 years, male 86.7
GTEX-NPJ8-1926-SM-3MJGB 40-49 years, male 86.5
GTEX-SJXC-1426-SM-EYYVB 60-69 years, male 86.0
GTEX-XK95-1026-SM-4GIDV 40-49 years, male 85.9
GTEX-1H3NZ-1326-SM-9JGHI 60-69 years, male 85.9
GTEX-1I1GP-1026-SM-C1YRZ 50-59 years, male 85.8
GTEX-OXRN-1726-SM-3NM9B 50-59 years, male 85.6
GTEX-14PJN-0526-SM-68724 30-39 years, male 85.5
GTEX-1LG7Z-0926-SM-CXKYK 30-39 years, male 85.5
GTEX-1B8KZ-0726-SM-7938W 50-59 years, male 85.1
GTEX-S4P3-0426-SM-4AD56 50-59 years, female 85.1
GTEX-ZVT2-1326-SM-5E45H 50-59 years, female 85.1
GTEX-14JG6-0926-SM-6871Y 30-39 years, female 85.0
GTEX-QDVN-1026-SM-48TZA 50-59 years, male 84.9
GTEX-17F97-1326-SM-7MGVO 50-59 years, male 84.7
GTEX-148VJ-1026-SM-5LU98 70-79 years, male 84.6
GTEX-117YW-1926-SM-5H121 50-59 years, male 84.4
GTEX-178AV-0526-SM-6LPJH 40-49 years, male 84.4
GTEX-1LVAN-2326-SM-CNNPY 50-59 years, female 84.2
GTEX-1399Q-1126-SM-5P9JA 40-49 years, male 84.1
GTEX-ZF2S-1226-SM-4WWAX 50-59 years, female 84.1
GTEX-14C5O-1626-SM-73KYH 60-69 years, male 83.9
GTEX-XQ3S-1126-SM-4BOPK 20-29 years, male 83.9
GTEX-PLZ5-0926-SM-3TW8L 50-59 years, male 83.5
GTEX-1GN1U-1826-SM-9JGH2 50-59 years, female 83.0
GTEX-1J8QM-1926-SM-AHZ3Z 60-69 years, female 83.0
GTEX-NFK9-1126-SM-3LK78 40-49 years, male 82.9
GTEX-139YR-1726-SM-5IFFK 50-59 years, male 82.8
GTEX-WYJK-1926-SM-4ONDP 50-59 years, male 82.8
GTEX-WHSB-0426-SM-4M1XI 50-59 years, male 82.7
GTEX-18D9A-0526-SM-7KFSW 30-39 years, female 82.3
GTEX-1QP2A-1926-SM-EXOJ9 50-59 years, male 82.3
GTEX-1QPFJ-1226-SM-EAZ3M 30-39 years, female 82.1
GTEX-XUZC-0426-SM-4BOPE 30-39 years, female 81.7
GTEX-PLZ4-1626-SM-3P618 50-59 years, female 81.3
GTEX-17EUY-1426-SM-7938X 20-29 years, male 81.2
GTEX-VJYA-0726-SM-4KL1T 60-69 years, male 81.1
GTEX-11EQ9-0726-SM-5A5K2 30-39 years, male 80.4
GTEX-13QBU-1026-SM-5LU3R 40-49 years, female 80.3
GTEX-U8XE-1726-SM-4E3IF 30-39 years, male 80.0
GTEX-14BMU-0926-SM-5S2QB 20-29 years, female 79.7
GTEX-1399R-0826-SM-5IJEL 30-39 years, male 78.9
GTEX-13YAN-1926-SM-7EPH9 60-69 years, male 78.8
GTEX-13W46-1926-SM-5J2MF 50-59 years, male 78.5
GTEX-XBED-1026-SM-48TCB 60-69 years, male 77.9
GTEX-1S83E-0826-SM-EV7B7 40-49 years, male 77.9
GTEX-UJHI-0826-SM-4IHLM 50-59 years, female 77.6
GTEX-13S86-0826-SM-5SI6J 40-49 years, male 77.4
GTEX-1HCU7-2126-SM-A96SG 50-59 years, male 77.4
GTEX-1MA7X-0726-SM-EV7AB 60-69 years, male 77.4
GTEX-SNOS-0626-SM-4DM5F 40-49 years, male 77.1
GTEX-WEY5-0926-SM-4LMI4 40-49 years, female 77.0
GTEX-T8EM-0526-SM-4DM64 40-49 years, male 76.9
GTEX-13OVK-1126-SM-6PAMR 40-49 years, male 76.6
GTEX-131XG-1026-SM-5GCMX 50-59 years, female 76.4
GTEX-14ICK-2026-SM-6AJB2 40-49 years, male 76.3
GTEX-17F9E-1926-SM-7IGQF 50-59 years, male 76.3
GTEX-YECK-1626-SM-5IFHQ 60-69 years, male 76.2
GTEX-1N2DV-2026-SM-EV7BL 40-49 years, male 76.1
GTEX-13FLV-1126-SM-5J2NO 50-59 years, male 75.9
GTEX-OIZH-0626-SM-3NB1L 50-59 years, male 75.4
GTEX-YJ89-1526-SM-5P9IR 60-69 years, male 75.4
GTEX-11EI6-1526-SM-5P9GL 60-69 years, male 75.2
GTEX-XV7Q-1126-SM-4BRVS 40-49 years, female 75.1
GTEX-144GM-1426-SM-5LU31 20-29 years, male 75.0
GTEX-1HBPM-1426-SM-9WPPE 60-69 years, female 74.3
GTEX-13RTK-0526-SM-5S2QF 20-29 years, male 74.1
GTEX-1F52S-1426-SM-7P8PU 60-69 years, female 74.1
GTEX-1LVAM-1126-SM-DHXKP 50-59 years, female 74.0
GTEX-1R9PM-0926-SM-DPRYA 20-29 years, male 74.0
GTEX-1B97J-1026-SM-7MXTE 50-59 years, female 73.7
GTEX-1B8KE-1826-SM-731FD 50-59 years, male 73.0
GTEX-ZAB5-0926-SM-5CVMV 50-59 years, male 72.9
GTEX-Y9LG-0626-SM-4WWDH 30-39 years, male 72.7
GTEX-13QJ3-1726-SM-5RQK9 50-59 years, male 72.4
GTEX-16Z82-1926-SM-6M47U 60-69 years, male 72.1
GTEX-TML8-1526-SM-4DXUX 40-49 years, female 72.0
GTEX-PWCY-0726-SM-48TCS 20-29 years, female 71.6
GTEX-1I1GR-1326-SM-ARU7B 60-69 years, male 71.6
GTEX-OHPN-1026-SM-E9TI8 60-69 years, female 71.6
GTEX-U4B1-0826-SM-4DXTW 40-49 years, male 71.4
GTEX-1EMGI-1926-SM-7938Y 60-69 years, male 71.2
GTEX-ZF29-1326-SM-DNZYV 60-69 years, female 71.2
GTEX-1C2JI-1126-SM-731FH 50-59 years, male 70.7
GTEX-1R9K5-1526-SM-DPRZA 50-59 years, male 70.6
GTEX-131XE-1426-SM-5HL7V 50-59 years, male 70.5
GTEX-145LV-1326-SM-5S2QI 50-59 years, male 69.5
GTEX-11XUK-0826-SM-5GU6P 40-49 years, female 69.3
GTEX-14PHY-0626-SM-664NN 60-69 years, female 69.1
GTEX-1I1GU-1426-SM-B2LX3 40-49 years, male 68.9
GTEX-1K2DU-1726-SM-EV79S 20-29 years, male 68.9
GTEX-1269C-1026-SM-5N9EY 60-69 years, female 68.8
GTEX-R55C-0826-SM-48FCL 40-49 years, male 68.7
GTEX-1AMFI-0226-SM-731D5 50-59 years, female 68.0
GTEX-YB5E-0926-SM-4WWDQ 40-49 years, male 67.9
GTEX-REY6-1326-SM-48FDO 60-69 years, male 67.6
GTEX-16AAH-0726-SM-793A9 50-59 years, male 67.5
GTEX-XBEW-1326-SM-4AT63 40-49 years, male 67.4
GTEX-1LBAC-1226-SM-DHXK1 20-29 years, male 67.4
GTEX-17F98-1726-SM-7938O 40-49 years, female 67.3
GTEX-ZLWG-1326-SM-DNZYZ 50-59 years, female 67.3
GTEX-11P7K-1326-SM-5BC5G 30-39 years, male 66.7
GTEX-1HBPH-1126-SM-A96TU 40-49 years, female 66.6
GTEX-SE5C-1226-SM-4BRWV 40-49 years, female 66.5
GTEX-1IDFM-1126-SM-A96SY 60-69 years, male 66.0
GTEX-132AR-2226-SM-5J2NT 50-59 years, female 65.3
GTEX-OIZG-1026-SM-3LK5X 50-59 years, male 65.1
GTEX-ZPCL-1426-SM-57WEC 60-69 years, female 65.1
GTEX-12BJ1-1626-SM-5HL8Y 60-69 years, male 65.0
GTEX-1F75I-1726-SM-7MKGW 40-49 years, male 64.2
GTEX-1QCLY-1526-SM-DPRXX 30-39 years, male 64.2
GTEX-1MGNQ-1626-SM-EAZ4Z 40-49 years, male 64.1
GTEX-15EO6-1026-SM-7KUG9 50-59 years, male 63.3
GTEX-X62O-2226-SM-46MW3 50-59 years, male 63.2
GTEX-ZLV1-0526-SM-4WWD4 60-69 years, female 62.9
GTEX-1H23P-1426-SM-9JGH5 60-69 years, male 62.7
GTEX-17HII-1526-SM-9OSVD 50-59 years, male 62.0
GTEX-1I1GV-2226-SM-ARU7E 60-69 years, male 62.0
GTEX-S4Q7-0626-SM-4AD5M 20-29 years, male 60.3
GTEX-1EWIQ-1526-SM-79OO7 70-79 years, female 59.8
GTEX-1CAMQ-2726-SM-7MKGD 40-49 years, male 59.8
GTEX-T2YK-1326-SM-4DM6S 50-59 years, male 58.5
GTEX-ZY6K-0626-SM-59HJL 50-59 years, male 57.8
GTEX-13O61-0926-SM-5IFFE 60-69 years, male 57.5
GTEX-ZZPT-1426-SM-5N9C5 50-59 years, male 56.6
GTEX-R53T-1126-SM-48FD4 50-59 years, female 53.8
GTEX-QDVJ-0726-SM-48U1W 50-59 years, male 53.5
GTEX-1LVA9-2126-SM-DLHBY 50-59 years, male 53.5
GTEX-1MCQQ-1026-SM-EV7AX 60-69 years, male 52.9
GTEX-ZTSS-0626-SM-59867 40-49 years, male 52.3
GTEX-13X6I-1026-SM-5LU4C 60-69 years, male 52.1
GTEX-1QP29-2126-SM-E6CPZ 50-59 years, male 51.0
GTEX-13FHP-1526-SM-5IJGE 50-59 years, male 48.4
GTEX-N7MS-1225-SM-3LK5G 60-69 years, male 47.0
GTEX-1F7RK-1526-SM-7P8T6 20-29 years, female 46.7
GTEX-X4EP-1626-SM-4QAS6 60-69 years, female 45.5
GTEX-14A6H-1326-SM-5NQBC 30-39 years, male 45.2
GTEX-13PL7-0226-SM-731DT 60-69 years, female 44.9
GTEX-X585-1226-SM-46MW7 50-59 years, male 44.8
GTEX-P4PP-0626-SM-3NM9X 30-39 years, female 44.4
GTEX-P4QT-0626-SM-3NMCP 50-59 years, female 36.4
Show allShow less

ESOPHAGUS - FANTOM5 CAGEi

RNA expression in human tissues obtained through Cap Analysis of Gene Expression (CAGE) generated by the FANTOM5 project are reported as Scaled Tags Per Million.

Max subtype Scaled Tags Per Millioni

Max subtype Scaled Tags Per Million is the value for the subtype with the largest average Scaled Tags Per Million across the subtype samples.

166.9
FANTOM5 sample id Sample description Scaled Tags Per Million
Esophagus
Scaled Tags Per Million: 166.9
FF:10015-101C6 68,74,75 years, mixed 166.9

Contact

  • NEWS ARTICLES
  • PRESS ROOM

The Project

  • INTRODUCTION
  • ORGANIZATION
  • PUBLICATIONS

The Human Protein Atlas

  • DOWNLOADABLE DATA
  • LICENCE & CITATION
  • HELP & FAQ
The Human Protein Atlas project is funded
by the Knut & Alice Wallenberg Foundation.


contact@proteinatlas.org