We use cookies to enhance the usability of our website. If you continue, we'll assume that you are happy to receive all cookies. More information. Don't show this again.
ITGA2
HPA
RESOURCES
  • TISSUE
  • BRAIN
  • SINGLE CELL
  • SUBCELLULAR
  • CANCER
  • BLOOD
  • CELL LINE
  • STRUCTURE & INTERACTION
ABOUT
  • INTRODUCTION
  • HISTORY
  • ORGANIZATION
  • PUBLICATIONS
  • ANTIBODY SUBMISSION
  • ANTIBODY AVAILABILITY
  • ACKNOWLEDGMENTS
  • CONTACT
NEWS
  • NEWS ARTICLES
  • PRESS ROOM
LEARN
  • DICTIONARY
  • PROTEIN CLASSES
  • PROTEIN EVIDENCE
  • METHODS
  • EDUCATIONAL VIDEOS
DATA
  • DOWNLOADABLE DATA
  • PUBLICATION DATA
  • RELEASE HISTORY
HELP
  • ANTIBODY VALIDATION
  • ASSAYS & ANNOTATION
  • DISCLAIMER
  • HELP & FAQ
  • PRIVACY STATEMENT
  • LICENCE & CITATION
Fields »
Search result

Field
Term
Gene name
Class
Subclass
Class
Keyword
Chromosome
External id
Tissue
Cell type
Expression
Antibody panel
Tissue
Main location
Patient ID
Annotation
Tissue
Category
Tau score
Cluster
Reliability
Brain region
Category
Tau score
Brain region
Category
Tau score
Brain region
Category
Tau score
Cluster
Reliability
Tissue
Cell type
Enrichment
Cell type
Category
Tau score
Cell type
Category
Tau score
Cell type
Category
Tau score
Cell lineage
Category
Tau score
Cluster
Cluster
Location
Searches
Location
Cell line
Class
Type
Phase
Reliability
Cancer
Prognosis
Cancer
Category
Cancer
Category
Tau score
Cluster
Variants
Interacting gene (ensg_id)
Type
Number of interactions
Pathway
Category
Score
Score
Score
Validation
Validation
Validation
Validation
Antibodies
Data type
Column


  • SUMMARY

  • TISSUE

  • BRAIN

  • SINGLE CELL

  • SUBCELL

  • CANCER

  • BLOOD

  • CELL LINE

  • STRUCT & INT

  • ITGA2
TISSUE PRIMARY DATA SKIN Show tissue menu
ADIPOSE TISSUE ADRENAL GLAND AMYGDALA APPENDIX BASAL GANGLIA BONE MARROW BREAST BRONCHUS CEREBELLUM CEREBRAL CORTEX CERVIX CHOROID PLEXUS COLON DUODENUM
ENDOMETRIUM EPIDIDYMIS ESOPHAGUS FALLOPIAN TUBE GALLBLADDER HEART MUSCLE HIPPOCAMPAL FORMATION HYPOTHALAMUS KIDNEY LIVER LUNG LYMPH NODE MIDBRAIN NASOPHARYNX
ORAL MUCOSA OVARY PANCREAS PARATHYROID GLAND PITUITARY GLAND PLACENTA PROSTATE RECTUM RETINA SALIVARY GLAND SEMINAL VESICLE SKELETAL MUSCLE SKIN SMALL INTESTINE
SMOOTH MUSCLE SOFT TISSUE SPINAL CORD SPLEEN STOMACH TESTIS THYMUS THYROID GLAND TONGUE TONSIL URINARY BLADDER VAGINA
ANTIBODIES
AND
VALIDATION
Dictionary
Skin
Tissue proteome
Skin
SKIN - Expression summary
Protein expression
Skini

On the top, protein expression in current human tissue, based on all annotated cell types, is reported with the units not detected (n), low (l), medium (m) and high (h). Underneath, protein expression in each annotated cell type are reported using the same units.

Protein expression data is based on knowledge-based annotation. For genes where more than one antibody has been used, a collective score is set.

If knowledge-based annotation could not be performed for a gene, no data is displayed here. View antibody staining data further down this page.

h
m
l
n
Cells in basal layer: High
Cells in corneal layer: Not detected
Cells in granular layer: Not detected
Cells in spinous layer: Low
Eccrine glands: High
Endothelial cells: Low
Extracellular matrix: Not detected
Fibrohistiocytic cells: Not detected
Hair follicles: Medium
Langerhans cells: Low
Lymphocytes: Not detected
Melanocytes: High
Sebaceous glands: High
Vascular mural cells: Not detected
RNA expressioni

A summary of mRNA expression data available for current tissue based on several datasets. The mRNA expression levels in human tissues are based on RNA-seq data generated by the Human Protein Atlas (HPA), Genotype-Tissue Expression (GTEx) portal and CAGE data generated by the FANTOM5 consortium. Consensus normalized expression levels for human tissues was created by combining the data from HPA and GTEx datasets.

The mRNA expression levels in pig are based on RNA-seq data generated by the Human Protein Atlas (HPA), and for mouse, HPA data and in situ hybridization generated by the Allen brain atlas are reported.

Scroll down to view mRNA expression data in more detail.
Consensus:16.6 nTPM
HPA:16.6 nTPM
GTEx:7.5 nTPM

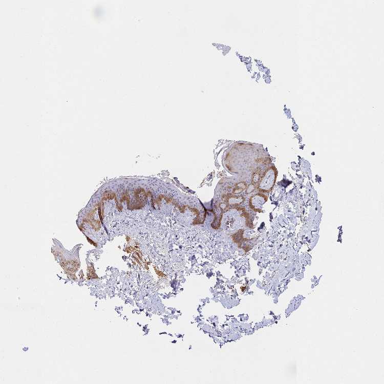
SKIN 1 - Antibody stainingi

Antibody staining in the annotated cell types in the current human tissue is reported as not detected, low, medium, or high, based on conventional immunohistochemistry profiling in selected tissues. This score is based on the combination of the staining intensity and fraction of stained cells.

Each image is clickable and will lead to virtual microscopy that enables deeper exploration of all samples and also displays staining intensity scores, fraction scores and subcellular localization as well as patient and tissue information for each sample.

Antibody HPA060991Antibody HPA063556Antibody CAB017690
Langerhans Not detected-Not detected
Cells in basal layer -High-
Cells in corneal layer -Not detected-
Cells in granular layer -Not detected-
Cells in spinous layer -Not detected-
Eccrine glands -High-
Endothelial cells -Low-
Extracellular matrix -Not detected-
Fibroblasts Not detected-Low
Fibrohistiocytic cells -Not detected-
Hair follicles -Medium-
Keratinocytes Low-Medium
Langerhans cells -Not detected-
Lymphocytes -Not detected-
Melanocytes Not detectedHighLow
Sebaceous glands -High-
Vascular mural cells -Not detected-






SKIN 2 - Antibody stainingi

Antibody staining in the annotated cell types in the current human tissue is reported as not detected, low, medium, or high, based on conventional immunohistochemistry profiling in selected tissues. This score is based on the combination of the staining intensity and fraction of stained cells.

Each image is clickable and will lead to virtual microscopy that enables deeper exploration of all samples and also displays staining intensity scores, fraction scores and subcellular localization as well as patient and tissue information for each sample.

Antibody HPA060991Antibody HPA063556Antibody CAB017690
Cells in basal layer -High-
Cells in corneal layer -Not detected-
Cells in granular layer -Not detected-
Cells in spinous layer -Low-
Endothelial cells -Low-
Epidermal cells Medium-High
Extracellular matrix -Not detected-
Fibrohistiocytic cells -Not detected-
Langerhans cells -Low-
Lymphocytes -Not detected-
Melanocytes -High-
Vascular mural cells -Not detected-
   
   
   
   
   






SKIN - HPA RNA-seqi

The RNA-seq details section shows detailed information about the individual samples used for the transcript profiling and results of the RNA-seq analysis.

Information about each individual sample is listed below, including gender, age, a tissue section image and estimated fractions of cell types. nTPM (normalized transcripts per million) values give a quantification of the gene abundance which is comparable between different genes and samples.
Average nTPMi

Max subtype nTPM is the value for the subtype with the largest average nTPM across the subtype samples.

16.6
overview
Female, age 34
Skin sample 225
nTPM: 16.1
Cell types%
Keratinocytes:
60

Other cell types:
40

overview
Female, age 30
Skin sample 226
nTPM: 21.5
Cell types%
Keratinocytes:
55

Other cell types:
45

N/A
Male, age 57
Skin sample 227
nTPM: 12.2

SKIN - GTEx RNA-seqi

RNA-Seq data generated by the Genotype-Tissue Expression (GTEx) project from human tissues is reported as mean nTPM. More information can be found on the GTEx portal.

Distribution across the dataset is visualized with box plots, shown as median and 25th and 75th percentiles. Points are displayed as outliers if they are above or below 1.5 times the interquartile range. nTPM values of the individual samples are presented next to the box plot.
Max subtype nTPMi

Max subtype nTPM is the value for the subtype with the largest average nTPM across the subtype samples.

7.5
GTEx sample id Sample description nTPM
Skin - Not Sun Exposed (Suprapubic)
Average nTPM: 7.4
Samples: 604

Max nTPM: 29.3
Min nTPM: 1.6
Std nTPM: 3.4
Median nTPM: 6.9
GTEX-1H2FU-0926-SM-9WPPT 60-69 years, female 29.3
GTEX-1ICLZ-0326-SM-ARL82 60-69 years, male 24.2
GTEX-WHSE-0126-SM-3NMBT 20-29 years, male 23.2
GTEX-1IDJV-0126-SM-COH3Y 60-69 years, male 22.6
GTEX-1J1OQ-0126-SM-D4P2N 40-49 years, female 21.9
GTEX-1JMQL-2226-SM-CNPP4 50-59 years, female 21.7
GTEX-1F88E-1626-SM-7SB8Z 60-69 years, female 20.5
GTEX-1HBPM-0726-SM-9YFL7 60-69 years, female 20.5
GTEX-1HR9M-2226-SM-CNPPY 60-69 years, male 19.5
GTEX-11WQK-1026-SM-5EQLX 50-59 years, male 19.3
GTEX-11DZ1-2426-SM-5GZZX 50-59 years, male 18.2
GTEX-14C5O-0326-SM-5ZZUX 60-69 years, male 17.5
GTEX-1GF9X-1326-SM-7PC2Y 40-49 years, female 16.0
GTEX-1A8FM-0626-SM-7PC25 50-59 years, female 15.6
GTEX-13NYS-0626-SM-5L3F1 60-69 years, male 15.1
GTEX-1C6VQ-1226-SM-73KYD 50-59 years, male 15.1
GTEX-1F48J-0726-SM-7RHGS 50-59 years, female 15.1
GTEX-1F6RS-2026-SM-7RHHC 60-69 years, female 15.1
GTEX-1HBPI-2126-SM-ARL9K 50-59 years, male 14.9
GTEX-13YAN-0226-SM-5TDC6 60-69 years, male 14.7
GTEX-183WM-0326-SM-72D5V 70-79 years, female 14.7
GTEX-ZYFD-0626-SM-5E44E 50-59 years, male 14.6
GTEX-1GMR8-0626-SM-7RHI7 50-59 years, female 13.9
GTEX-1JKYR-0626-SM-ARL8R 20-29 years, male 13.9
GTEX-1HR98-2226-SM-ADEI2 60-69 years, male 13.8
GTEX-1B932-2326-SM-79OL5 40-49 years, female 13.7
GTEX-14C38-0726-SM-5SI6M 50-59 years, male 13.6
GTEX-1LSNL-2726-SM-E9TKJ 50-59 years, male 13.5
GTEX-WI4N-2726-SM-3LK7Y 40-49 years, female 13.4
GTEX-1GZHY-0626-SM-9KNVC 50-59 years, female 13.4
GTEX-1CB4J-1326-SM-7P8RX 60-69 years, male 12.9
GTEX-1QP2A-1726-SM-E76QC 50-59 years, male 12.9
GTEX-15ER7-0626-SM-6PANF 20-29 years, female 12.7
GTEX-131YS-2826-SM-5EQ47 60-69 years, female 12.4
GTEX-1RAZA-2226-SM-E9U4X 20-29 years, male 12.4
GTEX-18A6Q-0626-SM-7KFRP 60-69 years, male 12.3
GTEX-12KS4-2126-SM-5FQUT 30-39 years, male 12.2
GTEX-1QMI2-2526-SM-E8VNZ 60-69 years, male 12.2
GTEX-1S5ZU-2526-SM-E6CIF 20-29 years, female 12.2
GTEX-144FL-0626-SM-5LU43 50-59 years, male 12.1
GTEX-ZAB4-2126-SM-5HL8U 40-49 years, male 12.1
GTEX-14E6C-2426-SM-5S2NF 40-49 years, male 12.0
GTEX-1EU9M-1426-SM-793AI 60-69 years, male 12.0
GTEX-13NYC-0126-SM-5L3F4 60-69 years, male 11.9
GTEX-13VXU-0626-SM-5L3F9 50-59 years, male 11.9
GTEX-1QEPI-2626-SM-DTXF4 60-69 years, female 11.8
GTEX-17MFQ-1526-SM-7KFRR 20-29 years, male 11.7
GTEX-ZYY3-2926-SM-5GIEB 60-69 years, female 11.7
GTEX-1H3VE-0726-SM-9YFL5 40-49 years, male 11.7
GTEX-1JMPZ-0726-SM-CY8HZ 30-39 years, male 11.7
GTEX-13OVL-0126-SM-5L3GJ 50-59 years, male 11.6
GTEX-15UF6-1926-SM-7KUDV 70-79 years, female 11.6
GTEX-ZY6K-1426-SM-5GZX2 50-59 years, male 11.6
GTEX-1PPH7-1126-SM-DTX9A 40-49 years, male 11.6
GTEX-183FY-1026-SM-7939A 20-29 years, male 11.5
GTEX-WHWD-1826-SM-3LK6I 50-59 years, male 11.5
GTEX-13RTJ-0126-SM-5S2NN 60-69 years, male 11.4
GTEX-17HHY-0426-SM-7DHLC 50-59 years, male 11.4
GTEX-ZYFC-0426-SM-5GICQ 50-59 years, male 11.4
GTEX-1R9K4-2826-SM-DTX8F 60-69 years, male 11.4
GTEX-13OVH-0526-SM-5L3E6 70-79 years, male 11.3
GTEX-145MI-0626-SM-5SI8S 60-69 years, female 11.3
GTEX-15SKB-2826-SM-6PAMH 60-69 years, male 11.3
GTEX-ZUA1-2626-SM-5NQ92 40-49 years, male 11.3
GTEX-1C6VR-0126-SM-7RHGB 60-69 years, male 11.3
GTEX-1GN2E-0226-SM-9WG6K 60-69 years, male 11.3
GTEX-1J8JJ-0626-SM-ARZMQ 60-69 years, female 11.3
GTEX-14PJ2-0626-SM-6LLII 50-59 years, male 11.2
GTEX-XMD2-2126-SM-4YCF8 60-69 years, female 11.2
GTEX-1J8QM-2426-SM-A9SLS 60-69 years, female 11.2
GTEX-ZVTK-0226-SM-51MRG 20-29 years, male 11.1
GTEX-1H1DE-1326-SM-9KNUG 20-29 years, male 11.1
GTEX-16NPX-0726-SM-7KULC 50-59 years, male 11.0
GTEX-1GF9U-2026-SM-7SB92 40-49 years, female 11.0
GTEX-1GN1V-2826-SM-9JGIA 60-69 years, male 11.0
GTEX-1269C-0126-SM-5EQ5L 60-69 years, female 10.8
GTEX-18QFQ-1826-SM-72D52 30-39 years, male 10.8
GTEX-1NSGN-0726-SM-DTXEF 50-59 years, male 10.8
GTEX-1RAZS-2526-SM-E6CHT 50-59 years, male 10.8
GTEX-17MF6-2626-SM-79OKQ 40-49 years, male 10.7
GTEX-X4EP-0626-SM-3P621 60-69 years, female 10.7
GTEX-13FHO-0426-SM-5L3F5 60-69 years, male 10.6
GTEX-13SLW-0626-SM-5Q5ER 70-79 years, male 10.6
GTEX-14DAQ-0626-SM-793DS 60-69 years, female 10.6
GTEX-14JFF-0626-SM-5ZZVT 60-69 years, male 10.6
GTEX-1GPI6-1926-SM-9KNV7 60-69 years, male 10.6
GTEX-1KD5A-0126-SM-E9U54 50-59 years, male 10.6
GTEX-144GL-0626-SM-5LU4D 50-59 years, male 10.5
GTEX-1B8SF-0126-SM-7DUG3 60-69 years, male 10.5
GTEX-11ZUS-2626-SM-5FQUR 30-39 years, male 10.4
GTEX-12WSK-2126-SM-5CVNC 40-49 years, female 10.4
GTEX-1399Q-2326-SM-5KM2X 40-49 years, male 10.4
GTEX-1AMFI-1326-SM-7939R 50-59 years, female 10.4
GTEX-1H23P-0626-SM-9WG6T 60-69 years, male 10.4
GTEX-1HSMO-0626-SM-ACKXC 60-69 years, male 10.4
GTEX-1IOXB-2726-SM-CM2RI 50-59 years, male 10.4
GTEX-1LVAM-0726-SM-E6CIL 50-59 years, female 10.4
GTEX-13X6J-0626-SM-5LU5F 50-59 years, male 10.3
GTEX-144GO-2026-SM-5O99P 60-69 years, male 10.3
GTEX-17F9Y-0126-SM-79OKX 70-79 years, female 10.2
GTEX-1A3MW-0626-SM-731CB 60-69 years, female 10.2
GTEX-1H1DF-1126-SM-9WG7G 40-49 years, female 10.2
GTEX-12WSC-2826-SM-5BC5Y 50-59 years, male 10.1
GTEX-139D8-1126-SM-5LU8W 30-39 years, female 10.1
GTEX-145LU-1926-SM-79OJN 50-59 years, male 10.1
GTEX-14BMV-2826-SM-5TDED 50-59 years, male 10.1
GTEX-15DDE-2926-SM-6LLJ3 50-59 years, female 10.1
GTEX-1CB4F-1026-SM-7DUH1 60-69 years, male 10.1
GTEX-1H3O1-1326-SM-9MQLD 60-69 years, male 10.1
GTEX-1HT8W-0626-SM-A9G2H 30-39 years, male 10.1
GTEX-13PDP-0726-SM-5L3HP 60-69 years, male 10.0
GTEX-1BAJH-2426-SM-7IGP8 70-79 years, male 10.0
GTEX-ZF2S-1626-SM-57WES 50-59 years, female 10.0
GTEX-1F75B-0726-SM-7PC3R 50-59 years, male 10.0
GTEX-1I1GV-0626-SM-ARL7M 60-69 years, male 10.0
GTEX-13N11-2326-SM-5IJBF 50-59 years, female 9.9
GTEX-13NZ9-2626-SM-5L3FK 50-59 years, male 9.9
GTEX-15EO6-2426-SM-6PALZ 50-59 years, male 9.9
GTEX-16Z82-2626-SM-7KULU 60-69 years, male 9.9
GTEX-1J8EW-2726-SM-CY8HR 60-69 years, female 9.9
GTEX-1LVA9-2626-SM-EVYD4 50-59 years, male 9.9
GTEX-1R7EU-1626-SM-DTXG3 60-69 years, male 9.9
GTEX-13FLV-0126-SM-5K7WT 50-59 years, male 9.8
GTEX-XV7Q-1826-SM-4BRUV 40-49 years, female 9.8
GTEX-13N1W-2426-SM-5IJD1 70-79 years, male 9.7
GTEX-VJYA-1526-SM-3GIJV 60-69 years, male 9.7
GTEX-Z93S-1626-SM-5CVMB 50-59 years, male 9.7
GTEX-1KWVE-1026-SM-D3L9O 30-39 years, male 9.7
GTEX-14A5H-0826-SM-5QGPJ 60-69 years, male 9.6
GTEX-178AV-1726-SM-7KUL8 40-49 years, male 9.6
GTEX-1A3MX-2626-SM-7PC24 60-69 years, male 9.6
GTEX-14AS3-1526-SM-5Q5ED 40-49 years, female 9.5
GTEX-1EX96-1026-SM-7MKG2 50-59 years, male 9.5
GTEX-WK11-2726-SM-3NMAQ 50-59 years, male 9.5
GTEX-1I1HK-2326-SM-CKZOH 60-69 years, male 9.5
GTEX-1RAZR-2126-SM-E9U6T 40-49 years, male 9.5
GTEX-13JUV-2026-SM-5K7UA 40-49 years, female 9.4
GTEX-14A6H-2026-SM-5Q5DD 30-39 years, male 9.4
GTEX-15G1A-1626-SM-7KUKN 30-39 years, male 9.4
GTEX-1JMQJ-0826-SM-CNPP7 50-59 years, male 9.4
GTEX-13O3Q-0126-SM-5KM34 50-59 years, male 9.3
GTEX-147JS-0226-SM-5S2U9 60-69 years, male 9.3
GTEX-18A66-0626-SM-7LT8Z 60-69 years, male 9.3
GTEX-WFON-1926-SM-3LK7L 40-49 years, male 9.3
GTEX-1K9T9-1526-SM-DIPFR 50-59 years, female 9.3
GTEX-11WQC-1826-SM-5GU59 60-69 years, male 9.2
GTEX-17HGU-2326-SM-7DUFE 50-59 years, male 9.2
GTEX-18A7A-0126-SM-731AH 50-59 years, female 9.2
GTEX-ZE7O-2726-SM-51MT5 50-59 years, female 9.2
GTEX-ZE9C-2526-SM-5IJDR 60-69 years, male 9.2
GTEX-1HCU9-0426-SM-9WYSD 20-29 years, male 9.2
GTEX-1IL2V-1926-SM-B2LW8 70-79 years, male 9.2
GTEX-12696-0126-SM-5EQ4L 60-69 years, male 9.1
GTEX-13OW8-1026-SM-5J1NQ 60-69 years, male 9.1
GTEX-13X6I-1826-SM-5SIAO 60-69 years, male 9.1
GTEX-1F75A-0726-SM-7RHHD 50-59 years, male 9.1
GTEX-1JN76-0626-SM-CKZOQ 20-29 years, female 9.1
GTEX-1117F-2926-SM-5GZYI 60-69 years, female 9.0
GTEX-11P81-2226-SM-5PNYI 30-39 years, female 9.0
GTEX-1314G-1326-SM-5BC6E 30-39 years, male 9.0
GTEX-16MT8-2926-SM-7DUFO 60-69 years, female 9.0
GTEX-1AX9I-2226-SM-73KUO 60-69 years, male 9.0
GTEX-1EKGG-0626-SM-7DUGJ 60-69 years, male 9.0
GTEX-11EI6-2826-SM-5H11D 60-69 years, male 8.9
GTEX-147GR-2426-SM-5ZZWQ 60-69 years, male 8.9
GTEX-1A8G6-2726-SM-731AR 60-69 years, male 8.9
GTEX-ZAJG-1526-SM-5CVML 50-59 years, female 8.9
GTEX-ZVE2-2826-SM-5GU51 50-59 years, male 8.9
GTEX-1B8L1-2226-SM-7P8PT 60-69 years, male 8.9
GTEX-111FC-2526-SM-5GZXU 60-69 years, male 8.8
GTEX-15RJ7-2126-SM-6PAMD 40-49 years, male 8.8
GTEX-1E1VI-0326-SM-793D1 50-59 years, male 8.8
GTEX-1GZ4I-2626-SM-9KNU3 50-59 years, male 8.8
GTEX-1I1GS-2626-SM-B2LY3 60-69 years, male 8.8
GTEX-1K2DU-1226-SM-CYPT4 20-29 years, male 8.8
GTEX-1LG7Y-2526-SM-EWRO7 50-59 years, male 8.8
GTEX-145MF-0926-SM-5Q5EA 50-59 years, male 8.7
GTEX-16MT9-0126-SM-7EPI8 60-69 years, female 8.7
GTEX-W5X1-2526-SM-3GILC 40-49 years, female 8.7
GTEX-1GMRU-2126-SM-7P8RA 50-59 years, male 8.7
GTEX-1I1CD-0626-SM-CE6SW 60-69 years, female 8.7
GTEX-1IKJJ-2226-SM-CJI4C 60-69 years, male 8.7
GTEX-1PIIG-2326-SM-DTXFR 30-39 years, male 8.7
GTEX-14BIN-1126-SM-5RQJZ 50-59 years, female 8.6
GTEX-17HG3-2626-SM-7DUF2 30-39 years, female 8.6
GTEX-18A67-1626-SM-7LT9T 50-59 years, male 8.6
GTEX-1A8G7-1326-SM-73KVM 60-69 years, male 8.6
GTEX-1AX9J-1326-SM-731BJ 60-69 years, male 8.6
GTEX-ZYVF-0926-SM-5E44J 50-59 years, female 8.6
GTEX-1HCVE-2726-SM-CL54F 50-59 years, male 8.6
GTEX-1O9I2-0226-SM-EYYXD 50-59 years, male 8.6
GTEX-12WSM-1926-SM-5BC65 60-69 years, male 8.5
GTEX-14PJ4-0226-SM-5YY92 60-69 years, male 8.5
GTEX-WRHU-2826-SM-3MJG8 50-59 years, female 8.5
GTEX-ZYT6-2326-SM-5GZY3 30-39 years, male 8.5
GTEX-1AYD5-2626-SM-7PBXY 50-59 years, male 8.5
GTEX-1NV5F-0626-SM-DTXEG 60-69 years, female 8.5
GTEX-139T8-0626-SM-5KLZX 60-69 years, male 8.4
GTEX-16GPK-0626-SM-7KFSF 60-69 years, male 8.4
GTEX-16XZZ-0726-SM-7KUF2 60-69 years, male 8.4
GTEX-X4EO-2926-SM-4E3JH 60-69 years, female 8.4
GTEX-1GTWX-2026-SM-9YFLM 60-69 years, male 8.4
GTEX-1H1DG-2426-SM-9QEHJ 70-79 years, male 8.4
GTEX-1IDJC-1526-SM-B2LW4 50-59 years, male 8.4
GTEX-1IDJF-2026-SM-CL53V 20-29 years, male 8.4
GTEX-13NZ8-1226-SM-5KM4A 60-69 years, female 8.3
GTEX-14PKU-0126-SM-6LLHV 40-49 years, female 8.3
GTEX-ZDTS-0826-SM-4WKHL 60-69 years, male 8.3
GTEX-ZXG5-2126-SM-59HKD 60-69 years, male 8.3
GTEX-1GF9V-0826-SM-9KNUV 60-69 years, male 8.3
GTEX-1JJE9-2626-SM-ARZMT 70-79 years, male 8.3
GTEX-1OJC4-2726-SM-E76PJ 50-59 years, female 8.3
GTEX-1RB15-1326-SM-E76Q9 60-69 years, male 8.3
GTEX-111VG-1626-SM-5EGIO 60-69 years, male 8.2
GTEX-1I6K6-1726-SM-CGQFD 30-39 years, male 8.2
GTEX-1ICLY-0826-SM-CMKG1 50-59 years, male 8.2
GTEX-12WSD-0626-SM-5GCMW 60-69 years, female 8.1
GTEX-13X6K-0626-SM-5LU5D 60-69 years, female 8.1
GTEX-14PJ6-2626-SM-6EU2T 60-69 years, female 8.1
GTEX-1EN7A-2426-SM-793DB 40-49 years, male 8.1
GTEX-YFCO-1226-SM-5LUAT 40-49 years, male 8.1
GTEX-1GF9W-1426-SM-7PBYM 60-69 years, male 8.1
GTEX-1GZ4H-0526-SM-9KNU9 50-59 years, female 8.1
GTEX-1I19N-0126-SM-CYPSF 70-79 years, male 8.1
GTEX-131XW-0626-SM-5PNVD 50-59 years, female 8.0
GTEX-1LGRB-0926-SM-COH3K 50-59 years, female 8.0
GTEX-11ZU8-0126-SM-5EQ58 60-69 years, male 7.9
GTEX-144GM-0526-SM-79OJO 20-29 years, male 7.9
GTEX-YF7O-1526-SM-5IFI6 50-59 years, male 7.9
GTEX-1F5PK-2226-SM-7SB6N 50-59 years, male 7.9
GTEX-1H1CY-0126-SM-9YFLY 60-69 years, female 7.9
GTEX-1HCU7-0726-SM-A9SL1 50-59 years, male 7.9
GTEX-1IDJI-0126-SM-CMKHS 50-59 years, female 7.9
GTEX-1N2DV-1526-SM-DTXEP 40-49 years, male 7.9
GTEX-13O3O-2326-SM-5IJD6 60-69 years, female 7.8
GTEX-UPJH-0226-SM-3GADV 50-59 years, male 7.8
GTEX-1I1GP-1326-SM-A9G28 50-59 years, male 7.8
GTEX-12C56-1526-SM-5FQUQ 20-29 years, male 7.7
GTEX-13G51-1826-SM-5KLZH 60-69 years, male 7.7
GTEX-13OW7-0426-SM-5K7VK 50-59 years, male 7.7
GTEX-14XAO-1226-SM-6EU1C 60-69 years, female 7.7
GTEX-1B933-2426-SM-7DHMD 50-59 years, female 7.7
GTEX-1F5PL-0926-SM-7PC2W 40-49 years, female 7.7
GTEX-12ZZX-2426-SM-5GCOE 40-49 years, female 7.6
GTEX-13NYB-0126-SM-5J1MD 40-49 years, male 7.6
GTEX-13X6H-0926-SM-5SIB2 50-59 years, female 7.6
GTEX-14LLW-2626-SM-62LDZ 70-79 years, female 7.6
GTEX-14LZ3-0126-SM-69LPM 60-69 years, female 7.6
GTEX-16NGA-0726-SM-731AO 40-49 years, female 7.6
GTEX-17EVQ-0126-SM-7IGLR 70-79 years, male 7.6
GTEX-1F6IF-0926-SM-7SB7M 60-69 years, male 7.6
GTEX-1GN1U-0626-SM-9MQL9 50-59 years, female 7.6
GTEX-1I6K7-1926-SM-B2LXR 40-49 years, male 7.6
GTEX-1QPFJ-1926-SM-EVYBD 30-39 years, female 7.6
GTEX-1R9PM-1926-SM-EVR3O 20-29 years, male 7.6
GTEX-1C64N-2626-SM-7PC2N 50-59 years, male 7.5
GTEX-1R46S-2426-SM-E76QA 60-69 years, female 7.5
GTEX-1RLM8-2926-SM-E8VON 50-59 years, male 7.5
GTEX-11DYG-1526-SM-5A5JS 60-69 years, male 7.4
GTEX-13FTY-2126-SM-5IFFB 40-49 years, female 7.4
GTEX-13IVO-0726-SM-5LZYV 70-79 years, male 7.4
GTEX-1B8KZ-0326-SM-73KY4 50-59 years, male 7.4
GTEX-1F52S-2926-SM-7MKGA 60-69 years, female 7.4
GTEX-UPK5-0426-SM-3GAEK 40-49 years, male 7.4
GTEX-ZYW4-0626-SM-59HJR 60-69 years, male 7.4
GTEX-1F88F-0126-SM-9WYSZ 60-69 years, female 7.4
GTEX-1I1GT-1026-SM-ARZLV 60-69 years, female 7.4
GTEX-1LGOU-1326-SM-D3L8M 20-29 years, female 7.4
GTEX-1M4P7-0726-SM-E6CJ3 60-69 years, male 7.4
GTEX-1N2EE-0626-SM-E76PW 60-69 years, male 7.4
GTEX-11EQ8-0926-SM-5H12V 60-69 years, male 7.3
GTEX-11UD2-2526-SM-5CVNU 50-59 years, male 7.3
GTEX-16BQI-1326-SM-6M486 30-39 years, female 7.3
GTEX-Y111-0626-SM-4SOIT 50-59 years, male 7.3
GTEX-ZT9X-1526-SM-5DUXD 40-49 years, male 7.3
GTEX-1N5O9-0926-SM-E9J3C 60-69 years, male 7.3
GTEX-1212Z-0126-SM-59HK4 60-69 years, male 7.2
GTEX-13U4I-2226-SM-5LU5H 40-49 years, female 7.2
GTEX-146FQ-2126-SM-5RQHU 30-39 years, male 7.2
GTEX-ZVT4-2426-SM-5GIEI 50-59 years, female 7.2
GTEX-1F75I-2226-SM-7SB8U 40-49 years, male 7.2
GTEX-1HSMQ-2626-SM-A9SML 50-59 years, male 7.2
GTEX-1JJEA-1826-SM-ARU8P 60-69 years, male 7.2
GTEX-13SLX-2226-SM-62LEP 50-59 years, female 7.1
GTEX-145MH-2826-SM-5RQJF 50-59 years, male 7.1
GTEX-18A7B-2726-SM-7LG56 70-79 years, male 7.1
GTEX-VUSG-2326-SM-4KL1U 50-59 years, male 7.1
GTEX-WHPG-2626-SM-3NMBR 50-59 years, male 7.1
GTEX-1JMPY-0226-SM-CKZOK 30-39 years, male 7.1
GTEX-1POEN-2326-SM-E9J2L 30-39 years, female 7.1
GTEX-139TT-2126-SM-5LZWC 60-69 years, male 7.0
GTEX-139YR-1026-SM-5LZYN 50-59 years, male 7.0
GTEX-14JG1-1526-SM-5YY9X 40-49 years, male 7.0
GTEX-WYJK-0526-SM-3NM8Z 50-59 years, male 7.0
GTEX-YECK-0326-SM-4W1YS 60-69 years, male 7.0
GTEX-1H4P4-2126-SM-9WYSL 50-59 years, male 7.0
GTEX-1KXAM-1626-SM-D3LAD 60-69 years, male 7.0
GTEX-139TS-2126-SM-5K7XC 60-69 years, male 6.9
GTEX-147F3-1726-SM-5SIAW 50-59 years, female 6.9
GTEX-148VJ-0626-SM-5LUAW 70-79 years, male 6.9
GTEX-WYBS-0626-SM-3NMAS 60-69 years, female 6.9
GTEX-1J1R8-2026-SM-CL53Y 40-49 years, male 6.9
GTEX-1QAET-0326-SM-EVR3U 50-59 years, male 6.9
GTEX-1QP66-1226-SM-DTX7U 50-59 years, male 6.9
GTEX-12126-0826-SM-5FQTZ 20-29 years, male 6.8
GTEX-U8XE-0226-SM-4E3J3 30-39 years, male 6.8
GTEX-WHSB-1326-SM-3LK6W 50-59 years, male 6.8
GTEX-XAJ8-1426-SM-47JYM 40-49 years, male 6.8
GTEX-1EMGI-2326-SM-7PBYA 60-69 years, male 6.8
GTEX-1GN73-0726-SM-7P8TJ 60-69 years, male 6.8
GTEX-11GS4-0226-SM-5HL77 60-69 years, male 6.7
GTEX-11GSP-2326-SM-5HL63 60-69 years, female 6.7
GTEX-131XG-0326-SM-5L3DX 50-59 years, female 6.7
GTEX-14ABY-2026-SM-62LDL 50-59 years, male 6.7
GTEX-17F9E-2326-SM-79OKD 50-59 years, male 6.7
GTEX-WFG7-2026-SM-5SI7P 20-29 years, male 6.7
GTEX-XBED-1926-SM-47JYP 60-69 years, male 6.7
GTEX-ZTTD-2826-SM-4YCFA 50-59 years, male 6.7
GTEX-1LB8K-0726-SM-D5OV2 50-59 years, male 6.7
GTEX-11DXZ-2026-SM-5987S 50-59 years, male 6.6
GTEX-11LCK-2226-SM-5HL4Q 30-39 years, male 6.6
GTEX-11P7K-1126-SM-5HL4L 30-39 years, male 6.6
GTEX-13OVK-1426-SM-6PAN7 40-49 years, male 6.6
GTEX-15FZZ-0526-SM-7KUGD 30-39 years, female 6.6
GTEX-15RJE-2826-SM-7KUM9 40-49 years, male 6.6
GTEX-15SHW-0226-SM-7LTAT 60-69 years, male 6.6
GTEX-1B8KE-1126-SM-7EPHI 50-59 years, male 6.6
GTEX-ZF29-0926-SM-4WKFZ 60-69 years, female 6.6
GTEX-1HGF4-0126-SM-CNPPX 60-69 years, male 6.6
GTEX-1IE54-1126-SM-A9G2Z 40-49 years, female 6.6
GTEX-1IY9M-2826-SM-ARU8H 60-69 years, male 6.6
GTEX-1JMQI-1726-SM-ARL93 50-59 years, male 6.6
GTEX-1QP28-1126-SM-EVYC4 50-59 years, female 6.6
GTEX-13PL6-1126-SM-5L3IE 40-49 years, female 6.5
GTEX-ZAK1-0626-SM-5HL8E 50-59 years, female 6.5
GTEX-1HFI6-0126-SM-CNPPI 40-49 years, male 6.5
GTEX-1PPGY-1626-SM-EVYBL 60-69 years, male 6.5
GTEX-139TU-0726-SM-5L3EK 60-69 years, male 6.4
GTEX-145MO-2826-SM-5LU96 60-69 years, male 6.4
GTEX-1EWIQ-0326-SM-7DHMQ 70-79 years, female 6.4
GTEX-V1D1-2026-SM-3GAF4 50-59 years, male 6.4
GTEX-XK95-0226-SM-4AT58 40-49 years, male 6.4
GTEX-ZVE1-0726-SM-51MRN 50-59 years, female 6.4
GTEX-1H1ZS-2726-SM-9WG75 70-79 years, male 6.4
GTEX-1HC8U-1326-SM-9YFMJ 40-49 years, female 6.4
GTEX-12WSF-1626-SM-7KUG5 70-79 years, male 6.3
GTEX-12ZZY-0726-SM-5EQ66 60-69 years, male 6.3
GTEX-18465-2826-SM-7LT9J 50-59 years, male 6.3
GTEX-1AMEY-0826-SM-72D65 30-39 years, female 6.3
GTEX-XQ3S-1426-SM-4BOPR 20-29 years, male 6.3
GTEX-1C64O-1326-SM-7MGWR 60-69 years, male 6.3
GTEX-1H11D-1826-SM-9QEHM 40-49 years, male 6.3
GTEX-1H3NZ-2726-SM-9WYTQ 60-69 years, male 6.3
GTEX-1HUB1-1426-SM-CGQF5 60-69 years, male 6.3
GTEX-1KAFJ-0126-SM-DIPEK 50-59 years, male 6.3
GTEX-ZLV1-1526-SM-DO91J 60-69 years, female 6.3
GTEX-11EQ9-1626-SM-5PNY8 30-39 years, male 6.2
GTEX-11NUK-2726-SM-5A5MC 50-59 years, male 6.2
GTEX-12ZZZ-0726-SM-5GCNZ 60-69 years, male 6.2
GTEX-131XF-2626-SM-5EQ6K 60-69 years, male 6.2
GTEX-1CAMS-2226-SM-7PBXQ 40-49 years, female 6.2
GTEX-1HSKV-1226-SM-ADEI4 60-69 years, male 6.2
GTEX-1IDJH-0126-SM-D3L92 70-79 years, male 6.2
GTEX-1IDJU-1726-SM-CMKHU 60-69 years, female 6.2
GTEX-1JMOU-1026-SM-CYPSS 60-69 years, female 6.2
GTEX-15G19-2426-SM-7KUMR 60-69 years, male 6.1
GTEX-1EH9U-2826-SM-7DUGT 60-69 years, male 6.1
GTEX-1CAMQ-1326-SM-7P8RV 40-49 years, male 6.1
GTEX-1JN1M-2726-SM-CY8I4 60-69 years, female 6.1
GTEX-1QW4Y-1126-SM-DTXE3 30-39 years, male 6.1
GTEX-11DXW-0826-SM-5H118 40-49 years, male 6.0
GTEX-11TUW-0626-SM-5LU9M 60-69 years, male 6.0
GTEX-12584-0726-SM-5FQTK 40-49 years, male 6.0
GTEX-12WSA-0426-SM-5EQ5X 60-69 years, male 6.0
GTEX-1313W-0626-SM-5EQ4H 50-59 years, female 6.0
GTEX-1399S-0126-SM-5IJCF 30-39 years, female 6.0
GTEX-13JVG-0726-SM-5KM16 60-69 years, male 6.0
GTEX-15DYW-2726-SM-6EU2I 60-69 years, female 6.0
GTEX-ZPU1-1126-SM-4YCF3 40-49 years, male 6.0
GTEX-1F6I4-2326-SM-7RHGL 60-69 years, male 6.0
GTEX-1HSGN-0826-SM-ACKW3 40-49 years, female 6.0
GTEX-1LSVX-2526-SM-DIPEU 60-69 years, male 6.0
GTEX-1MCC2-1826-SM-DIPEX 30-39 years, female 6.0
GTEX-1PPH8-0126-SM-EWRN8 20-29 years, male 6.0
GTEX-17EVP-2626-SM-7IGMA 40-49 years, male 5.9
GTEX-17F97-2626-SM-7IGM5 50-59 years, male 5.9
GTEX-18D9U-0126-SM-731BM 40-49 years, male 5.9
GTEX-Y5V5-0126-SM-5S2NW 60-69 years, female 5.9
GTEX-Y8E4-2026-SM-5IFJB 40-49 years, male 5.9
GTEX-YJ8O-2526-SM-5HL85 40-49 years, female 5.9
GTEX-ZC5H-1526-SM-5HL9Y 40-49 years, female 5.9
GTEX-1GMR3-0126-SM-A9SLW 40-49 years, male 5.9
GTEX-1S82U-1026-SM-E6CJK 30-39 years, female 5.9
GTEX-11VI4-1126-SM-5EQMD 40-49 years, female 5.8
GTEX-139UW-0326-SM-5J1ML 60-69 years, male 5.8
GTEX-13QBU-1226-SM-5LU4G 40-49 years, female 5.8
GTEX-1477Z-0326-SM-7IGLA 60-69 years, male 5.8
GTEX-1C2JI-1026-SM-73KY1 50-59 years, male 5.8
GTEX-WYVS-1626-SM-3NM9R 40-49 years, female 5.8
GTEX-1IKOE-1426-SM-CE6T7 30-39 years, female 5.8
GTEX-1JK1U-0226-SM-ARZMX 60-69 years, male 5.8
GTEX-1JMQK-1226-SM-D4P2S 60-69 years, male 5.8
GTEX-1LKK1-2626-SM-DKPQE 50-59 years, female 5.8
GTEX-YEC3-1326-SM-DO92X 50-59 years, male 5.8
GTEX-111YS-1526-SM-5GZYW 60-69 years, male 5.7
GTEX-11O72-0626-SM-5PNYE 40-49 years, male 5.7
GTEX-17HHE-1326-SM-7EWDZ 50-59 years, male 5.7
GTEX-18D9B-0926-SM-7LG4U 60-69 years, male 5.7
GTEX-1A32A-0626-SM-731AQ 50-59 years, female 5.7
GTEX-X5EB-1926-SM-4E3IW 40-49 years, male 5.7
GTEX-XXEK-1626-SM-4BRUZ 50-59 years, male 5.7
GTEX-1ICG6-1226-SM-A9SLN 70-79 years, female 5.7
GTEX-1L5NE-1126-SM-D3L9P 50-59 years, male 5.7
GTEX-1S83E-1326-SM-E6CJM 40-49 years, male 5.7
GTEX-11OF3-0126-SM-5PNYF 60-69 years, male 5.6
GTEX-15CHQ-0326-SM-69LQD 60-69 years, male 5.6
GTEX-16YQH-2226-SM-7IGM2 30-39 years, male 5.6
GTEX-17JCI-2926-SM-7DUFF 60-69 years, female 5.6
GTEX-1CB4E-0926-SM-7EPHT 60-69 years, male 5.6
GTEX-1JMLX-0626-SM-ARL8T 50-59 years, male 5.6
GTEX-1MJK3-0726-SM-E6CJC 20-29 years, male 5.6
GTEX-13N2G-0226-SM-5K7VF 60-69 years, male 5.5
GTEX-14PJ5-1526-SM-6LLIL 60-69 years, female 5.5
GTEX-17KNJ-2126-SM-718AM 50-59 years, male 5.5
GTEX-1CB4H-1126-SM-7MKGL 60-69 years, female 5.5
GTEX-ZPCL-1126-SM-4WWFE 60-69 years, female 5.5
GTEX-1E2YA-2126-SM-7MXUO 50-59 years, male 5.5
GTEX-1F75W-2726-SM-7SB8H 60-69 years, male 5.5
GTEX-1GN1W-2426-SM-9KNUU 50-59 years, female 5.5
GTEX-1LVAO-2726-SM-E9TJ8 60-69 years, male 5.5
GTEX-1OJC3-1226-SM-DTXER 20-29 years, male 5.5
GTEX-15EU6-2226-SM-6EU2L 50-59 years, male 5.4
GTEX-17F98-1326-SM-7DUEP 40-49 years, female 5.4
GTEX-1AX8Z-0726-SM-73KTS 60-69 years, male 5.4
GTEX-1B97I-0626-SM-73KUZ 40-49 years, male 5.4
GTEX-ZDTT-0426-SM-4WKFL 60-69 years, male 5.4
GTEX-1H1E6-0426-SM-9WYUS 30-39 years, male 5.4
GTEX-1IDJD-2326-SM-ACKWX 30-39 years, male 5.4
GTEX-13112-0126-SM-5P9IU 50-59 years, male 5.3
GTEX-15D1Q-2826-SM-6LLH7 40-49 years, male 5.3
GTEX-ZWKS-0626-SM-5GIDV 30-39 years, male 5.3
GTEX-1HBPN-0126-SM-CGQEF 50-59 years, male 5.3
GTEX-1IDFM-0326-SM-ARL7V 60-69 years, male 5.3
GTEX-12WSH-1526-SM-5BC5W 50-59 years, male 5.2
GTEX-X8HC-0626-SM-4E3HQ 50-59 years, female 5.2
GTEX-ZDYS-2426-SM-4WKGI 50-59 years, male 5.2
GTEX-1GPI7-1826-SM-9KNU1 20-29 years, male 5.2
GTEX-1KANC-1226-SM-CYPT7 50-59 years, female 5.2
GTEX-145LS-0626-SM-7EPG7 60-69 years, female 5.1
GTEX-1HFI7-2326-SM-CGQFS 50-59 years, female 5.1
GTEX-1J8Q3-0526-SM-ARL8U 60-69 years, male 5.1
GTEX-1JN6P-2926-SM-CL54D 60-69 years, male 5.1
GTEX-ZPIC-0526-SM-DO91W 40-49 years, female 5.1
GTEX-117YX-1926-SM-5GIEC 50-59 years, male 5.0
GTEX-14753-0726-SM-5QGQO 60-69 years, male 5.0
GTEX-WY7C-2126-SM-3NB2R 50-59 years, male 5.0
GTEX-ZLWG-0826-SM-59888 50-59 years, female 5.0
GTEX-1GZ2Q-0126-SM-9WG6M 40-49 years, male 5.0
GTEX-1IDJE-1426-SM-ADEIW 50-59 years, female 5.0
GTEX-1JJ6O-2726-SM-CNPOG 60-69 years, male 5.0
GTEX-1S82P-2126-SM-E6CI5 60-69 years, female 5.0
GTEX-111CU-1126-SM-5EGIM 50-59 years, male 4.9
GTEX-11PRG-0726-SM-5EGL1 50-59 years, male 4.9
GTEX-1399U-1126-SM-5L3DB 50-59 years, female 4.9
GTEX-14PII-0726-SM-6EU2B 60-69 years, male 4.9
GTEX-Y114-2126-SM-4TT8B 50-59 years, female 4.9
GTEX-1C475-1326-SM-7SB73 40-49 years, female 4.9
GTEX-13D11-0926-SM-5J2NC 50-59 years, female 4.8
GTEX-13PVQ-0626-SM-5LU47 50-59 years, male 4.8
GTEX-14ICL-1626-SM-5YYAO 30-39 years, male 4.8
GTEX-14PHX-2226-SM-6EU2P 50-59 years, male 4.8
GTEX-15CHC-1126-SM-6LLHQ 60-69 years, female 4.8
GTEX-15CHR-1126-SM-7EWF4 50-59 years, male 4.8
GTEX-Y3IK-1626-SM-4YCF5 50-59 years, female 4.8
GTEX-ZTX8-1326-SM-4YCEL 20-29 years, male 4.8
GTEX-1122O-1026-SM-9WYSF 60-69 years, female 4.8
GTEX-1LG7Z-1626-SM-CXKYR 30-39 years, male 4.8
GTEX-1211K-1526-SM-5FQU4 60-69 years, female 4.7
GTEX-132AR-0326-SM-5KM2C 50-59 years, female 4.7
GTEX-14PJO-2526-SM-6AJBQ 60-69 years, male 4.7
GTEX-ZVT2-0126-SM-5GIDQ 50-59 years, female 4.7
GTEX-1GL5R-1326-SM-7RHHF 50-59 years, male 4.7
GTEX-1HKZK-0726-SM-ACKW2 40-49 years, male 4.7
GTEX-1J8Q2-2626-SM-ACKWQ 60-69 years, male 4.7
GTEX-1LBAC-0826-SM-CY8IJ 20-29 years, male 4.7
GTEX-13QJC-0126-SM-5ZZWJ 60-69 years, female 4.6
GTEX-13VXT-1926-SM-5K7UO 20-29 years, female 4.6
GTEX-14C39-1726-SM-5RQIL 40-49 years, male 4.6
GTEX-1KANB-2826-SM-CY8I6 50-59 years, male 4.6
GTEX-1QCLZ-2426-SM-EVYBW 60-69 years, female 4.6
GTEX-12BJ1-0926-SM-5EQ62 60-69 years, male 4.5
GTEX-13OW6-2726-SM-5J2OE 50-59 years, male 4.5
GTEX-14PHY-1226-SM-5ZZWK 60-69 years, female 4.5
GTEX-1PDJ9-1226-SM-EXUSX 20-29 years, male 4.5
GTEX-11NSD-0626-SM-5A5LU 20-29 years, male 4.4
GTEX-13OW5-2326-SM-5L3HO 60-69 years, male 4.4
GTEX-14PJ3-1126-SM-5ZZVX 50-59 years, male 4.4
GTEX-14JG6-1426-SM-9WG7C 30-39 years, female 4.4
GTEX-1KANA-1326-SM-DIPFA 20-29 years, male 4.4
GTEX-1PBJJ-1026-SM-E76OS 30-39 years, male 4.4
GTEX-ZGAY-1826-SM-DO91Q 40-49 years, female 4.4
GTEX-13OVJ-0826-SM-5J1OK 50-59 years, female 4.3
GTEX-15RIG-0726-SM-7KUM7 40-49 years, male 4.3
GTEX-Y9LG-1126-SM-4VBQ7 30-39 years, male 4.3
GTEX-ZA64-1026-SM-5HL8R 20-29 years, male 4.3
GTEX-1CAMR-1326-SM-7PC1F 20-29 years, male 4.3
GTEX-1HCU8-2526-SM-CE6RX 60-69 years, female 4.3
GTEX-1QCLY-0226-SM-EWRNH 30-39 years, male 4.3
GTEX-11DXY-0126-SM-5H11Q 60-69 years, male 4.2
GTEX-11EM3-1226-SM-5N9DD 20-29 years, female 4.2
GTEX-11ZTT-2126-SM-5CVLO 60-69 years, female 4.2
GTEX-145MG-1526-SM-5Q5EM 50-59 years, male 4.2
GTEX-XBEC-0726-SM-4QARZ 50-59 years, male 4.2
GTEX-XOT4-0626-SM-4B66L 60-69 years, female 4.2
GTEX-1HCU6-2526-SM-ADEHL 60-69 years, female 4.2
GTEX-1HSMP-0926-SM-A9SKX 70-79 years, male 4.2
GTEX-14E1K-2026-SM-7DUEI 50-59 years, male 4.1
GTEX-WXYG-2026-SM-4E3IY 50-59 years, female 4.1
GTEX-ZZ64-1026-SM-5GZXG 20-29 years, male 4.1
GTEX-ZZPU-0826-SM-5GZX5 50-59 years, female 4.1
GTEX-1HB9E-0126-SM-CM2S5 50-59 years, male 4.1
GTEX-ZF3C-0626-SM-DO92O 50-59 years, female 4.1
GTEX-13113-1626-SM-5EQ4I 60-69 years, female 4.0
GTEX-16AAH-0626-SM-793C9 50-59 years, male 4.0
GTEX-1C6WA-2626-SM-7MKGM 60-69 years, male 4.0
GTEX-1GMR2-0826-SM-7PC3V 50-59 years, male 4.0
GTEX-13FTW-0326-SM-5K7UW 40-49 years, male 3.9
GTEX-13PVR-0426-SM-5RQK2 60-69 years, female 3.9
GTEX-1497J-0226-SM-5QGPU 60-69 years, male 3.9
GTEX-WH7G-2026-SM-3NMBL 40-49 years, male 3.9
GTEX-X585-2426-SM-46MW2 50-59 years, male 3.9
GTEX-Y5LM-0926-SM-6LLJG 40-49 years, female 3.9
GTEX-ZLFU-1826-SM-4WWBV 40-49 years, male 3.9
GTEX-1I1GU-0926-SM-ACKVS 40-49 years, male 3.9
GTEX-1MCYP-0526-SM-E9U6Q 20-29 years, female 3.9
GTEX-18D9A-1426-SM-7LT8M 30-39 years, female 3.8
GTEX-1QP29-1826-SM-DTX9S 50-59 years, male 3.8
GTEX-133LE-2326-SM-5K7W3 20-29 years, female 3.7
GTEX-14B4R-1326-SM-5Q5EZ 30-39 years, male 3.7
GTEX-1A3MV-1826-SM-731CD 30-39 years, male 3.7
GTEX-ZDXO-3126-SM-5IJDF 60-69 years, male 3.7
GTEX-13O61-1426-SM-5KM3D 60-69 years, male 3.6
GTEX-1LSNM-0826-SM-DIPG8 50-59 years, male 3.6
GTEX-1LVAN-0626-SM-CNPOQ 50-59 years, female 3.6
GTEX-1S3DN-2126-SM-E9TIN 50-59 years, male 3.6
GTEX-11TT1-1826-SM-5EQLV 20-29 years, male 3.5
GTEX-Y5V6-2326-SM-4VDSA 60-69 years, male 3.5
GTEX-ZP4G-1426-SM-4WWCL 20-29 years, female 3.5
GTEX-1K2DA-1026-SM-CGQGF 50-59 years, male 3.5
GTEX-17F96-0126-SM-7EWDU 70-79 years, male 3.4
GTEX-WEY5-2326-SM-3GIKK 40-49 years, female 3.4
GTEX-Y3I4-1726-SM-4TT89 50-59 years, male 3.4
GTEX-ZVZP-1226-SM-5GID7 50-59 years, male 3.4
GTEX-1HCUA-0826-SM-ADEHM 50-59 years, female 3.4
GTEX-1S831-1826-SM-EWROF 20-29 years, male 3.4
GTEX-1192X-2726-SM-5N9DN 50-59 years, male 3.3
GTEX-11DXX-2126-SM-5PNYR 60-69 years, female 3.3
GTEX-1399R-1326-SM-5PNYS 30-39 years, male 3.3
GTEX-13W3W-0726-SM-5IJDQ 60-69 years, female 3.3
GTEX-145LT-0526-SM-5LUB2 40-49 years, male 3.3
GTEX-147F4-0726-SM-5TDDD 50-59 years, male 3.3
GTEX-14PKV-1126-SM-6LLJ1 20-29 years, female 3.3
GTEX-XYKS-1426-SM-4BRUO 60-69 years, female 3.3
GTEX-YB5K-2026-SM-4VDT3 40-49 years, female 3.3
GTEX-1RMOY-1326-SM-E9TIH 50-59 years, male 3.3
GTEX-145MN-1526-SM-5SI9T 30-39 years, male 3.2
GTEX-14PJN-1826-SM-6AJ98 30-39 years, male 3.2
GTEX-X3Y1-2026-SM-3P5YM 40-49 years, male 3.2
GTEX-XQ8I-0926-SM-4BOOF 50-59 years, male 3.2
GTEX-12WSL-2026-SM-5GCML 50-59 years, male 3.1
GTEX-131XH-0126-SM-5LZUY 50-59 years, male 3.1
GTEX-14E6E-0526-SM-793DN 30-39 years, male 3.1
GTEX-15RIE-1926-SM-7KUKJ 60-69 years, male 3.1
GTEX-1CAV2-0126-SM-7IGN7 40-49 years, female 3.1
GTEX-1PIGE-1826-SM-E8VOU 20-29 years, male 3.1
GTEX-1QP9N-1226-SM-E76QN 30-39 years, male 3.1
GTEX-1B996-0426-SM-7EWF8 60-69 years, male 3.0
GTEX-11P82-1426-SM-DTXFY 20-29 years, male 3.0
GTEX-1RAZQ-1326-SM-E9TK6 30-39 years, male 3.0
GTEX-13OVG-1626-SM-5J1NF 60-69 years, male 2.9
GTEX-16MTA-0926-SM-6M47Z 50-59 years, male 2.9
GTEX-XPVG-2126-SM-4B667 50-59 years, male 2.9
GTEX-Y8LW-1526-SM-5IFHL 50-59 years, female 2.9
GTEX-ZT9W-1126-SM-57WDR 50-59 years, male 2.9
GTEX-YEC4-1826-SM-4W1YP 40-49 years, male 2.8
GTEX-1I4MK-0126-SM-CY8G6 50-59 years, female 2.8
GTEX-1JKYN-0826-SM-ARU8S 30-39 years, male 2.8
GTEX-13FTX-1526-SM-5K7VJ 20-29 years, female 2.7
GTEX-1CB4I-0126-SM-7RHGG 50-59 years, male 2.7
GTEX-145ME-1726-SM-5Q5EU 40-49 years, female 2.6
GTEX-14BMU-1226-SM-5S2OR 20-29 years, female 2.6
GTEX-WFG8-2126-SM-3GIKQ 20-29 years, male 2.5
GTEX-XBEW-1126-SM-4QARW 40-49 years, male 2.5
GTEX-12WSJ-1126-SM-5LZVJ 40-49 years, female 2.4
GTEX-14PK6-0226-SM-62LF5 70-79 years, female 2.3
GTEX-ZVP2-0326-SM-57WBP 50-59 years, male 2.2
GTEX-1R9PN-0426-SM-DTXDT 40-49 years, female 2.2
GTEX-17HII-1426-SM-7EPGG 50-59 years, male 2.0
GTEX-XUW1-0926-SM-4BONX 50-59 years, female 2.0
GTEX-ZYFG-1526-SM-5GZYM 60-69 years, female 2.0
GTEX-13FH7-1126-SM-5K7UG 50-59 years, female 1.8
GTEX-14DAR-1226-SM-73KYV 50-59 years, male 1.8
GTEX-ZTSS-1426-SM-5985P 40-49 years, male 1.7
GTEX-ZU9S-1826-SM-5NQ9E 30-39 years, male 1.6
Show allShow less
Skin - Sun Exposed (Lower leg)
Average nTPM: 7.5
Samples: 701

Max nTPM: 23.8
Min nTPM: 0.7
Std nTPM: 3.4
Median nTPM: 6.9
GTEX-1HCU7-0226-SM-CL545 50-59 years, male 23.8
GTEX-13NYC-0326-SM-E9J4S 60-69 years, male 21.0
GTEX-13NYS-0126-SM-5MR3W 60-69 years, male 20.7
GTEX-1GMR8-0126-SM-9WYTM 50-59 years, female 19.4
GTEX-1HFI7-1826-SM-ACKXH 50-59 years, female 18.9
GTEX-1JMQL-0226-SM-CNPP5 50-59 years, female 18.7
GTEX-1QMI2-0226-SM-EVYBX 60-69 years, male 18.3
GTEX-13YAN-0326-SM-5O9DF 60-69 years, male 18.0
GTEX-1JMQI-2226-SM-CM2SD 50-59 years, male 18.0
GTEX-1C64N-0126-SM-793D7 50-59 years, male 17.8
GTEX-1H4P4-0726-SM-9YFLR 50-59 years, male 17.6
GTEX-1J8JJ-0226-SM-CL53I 60-69 years, female 17.4
GTEX-1JN76-0126-SM-CNPPE 20-29 years, female 17.2
GTEX-14C5O-0126-SM-5SI6N 60-69 years, male 16.9
GTEX-1EMGI-0126-SM-9KNUE 60-69 years, male 16.9
GTEX-1C6VR-2426-SM-79OLD 60-69 years, male 16.8
GTEX-1B8SF-1426-SM-7DUGL 60-69 years, male 16.1
GTEX-ZF3C-0126-SM-DO92D 50-59 years, female 15.5
GTEX-1K9T9-0126-SM-EVYCF 50-59 years, female 15.4
GTEX-1H3VE-0326-SM-9YFLH 40-49 years, male 15.3
GTEX-1BAJH-0526-SM-793CQ 70-79 years, male 15.1
GTEX-1JJEA-0326-SM-CNPOT 60-69 years, male 15.0
GTEX-T2YK-0526-SM-32QPJ 50-59 years, male 14.9
GTEX-13FHP-0126-SM-5IJBG 50-59 years, male 14.8
GTEX-11TUW-2726-SM-E9J4M 60-69 years, male 14.8
GTEX-ZV68-0126-SM-59HKS 50-59 years, female 14.7
GTEX-1H3VY-0126-SM-ACKXD 50-59 years, male 14.7
GTEX-14BIN-0626-SM-793DP 50-59 years, female 14.4
GTEX-1N2DW-0226-SM-E9TK2 50-59 years, male 14.4
GTEX-11WQK-0526-SM-5EQLD 50-59 years, male 14.3
GTEX-13X6H-2126-SM-7EWD5 50-59 years, female 14.3
GTEX-1CB4G-0226-SM-7PC3O 60-69 years, male 14.2
GTEX-1F88F-2726-SM-7PBZZ 60-69 years, female 14.1
GTEX-1C475-1826-SM-73KWA 40-49 years, female 14.0
GTEX-131XW-0426-SM-5LZWP 50-59 years, female 13.9
GTEX-1I1GT-0626-SM-CGQER 60-69 years, female 13.8
GTEX-1JMPZ-0226-SM-CNPP1 30-39 years, male 13.8
GTEX-1CB4E-2226-SM-793DC 60-69 years, male 13.7
GTEX-ZYT6-0226-SM-5NQ6T 30-39 years, male 13.6
GTEX-1LH75-2426-SM-E9TJE 50-59 years, female 13.6
GTEX-WFG8-2226-SM-3GIL9 20-29 years, male 13.5
GTEX-17F96-1626-SM-7DUFL 70-79 years, male 13.4
GTEX-1H3O1-0426-SM-9YFKY 60-69 years, male 13.4
GTEX-1QAET-0926-SM-E76QM 50-59 years, male 13.3
GTEX-15SHU-0126-SM-7KUEH 40-49 years, female 13.2
GTEX-P44H-0226-SM-2XCEU 40-49 years, male 13.2
GTEX-X261-0126-SM-3NMD6 50-59 years, male 13.2
GTEX-1F75B-0126-SM-9KNVL 50-59 years, male 13.1
GTEX-1IKJJ-0126-SM-CNPQB 60-69 years, male 13.1
GTEX-1IGQW-0126-SM-COH42 60-69 years, male 13.0
GTEX-148VJ-0126-SM-5TDDN 70-79 years, male 12.9
GTEX-1F48J-0126-SM-7P8TT 50-59 years, female 12.9
GTEX-1I6K6-0126-SM-A9SLE 30-39 years, male 12.9
GTEX-12WSE-0526-SM-793B2 20-29 years, male 12.8
GTEX-15EU6-0426-SM-6PAN5 50-59 years, male 12.8
GTEX-13G51-2526-SM-5LZYK 60-69 years, male 12.7
GTEX-1POEN-0126-SM-EYYXJ 30-39 years, female 12.6
GTEX-PVOW-0126-SM-2XCFA 40-49 years, male 12.5
GTEX-SNMC-1226-SM-2XCFP 20-29 years, male 12.5
GTEX-1HB9E-0226-SM-E9U4R 50-59 years, male 12.5
GTEX-1O97I-0326-SM-EYYX7 60-69 years, male 12.5
GTEX-11ZU8-2526-SM-5EQKI 60-69 years, male 12.4
GTEX-1A3MW-0126-SM-73KXX 60-69 years, female 12.4
GTEX-1B8SG-0126-SM-73KZ3 50-59 years, male 12.4
GTEX-ZAJG-0126-SM-5HL94 50-59 years, female 12.4
GTEX-13NZB-2526-SM-5J1OM 30-39 years, male 12.3
GTEX-13OVH-0126-SM-5MR4B 70-79 years, male 12.3
GTEX-1B8KE-2126-SM-73KYX 50-59 years, male 12.3
GTEX-1HFI6-0226-SM-ADEHZ 40-49 years, male 12.2
GTEX-11P81-2326-SM-59875 30-39 years, female 12.1
GTEX-1I4MK-2226-SM-ACKWD 50-59 years, female 12.1
GTEX-1L5NE-2526-SM-E6CIE 50-59 years, male 12.1
GTEX-1PIIG-0226-SM-EWRN6 30-39 years, male 12.1
GTEX-11OF3-2626-SM-5GU7F 60-69 years, male 12.0
GTEX-1EU9M-0226-SM-7P8SP 60-69 years, male 12.0
GTEX-1IDJF-0126-SM-CM2RS 20-29 years, male 12.0
GTEX-1LGRB-2526-SM-CNPPQ 50-59 years, female 12.0
GTEX-17EVP-0326-SM-7DHLG 40-49 years, male 11.9
GTEX-1H23P-0126-SM-ADEJ3 60-69 years, male 11.7
GTEX-1MJK2-0426-SM-DTXE5 50-59 years, male 11.7
GTEX-1PWST-0226-SM-E76QJ 70-79 years, male 11.7
GTEX-1399R-2726-SM-5IJBA 30-39 years, male 11.6
GTEX-14DAQ-0126-SM-5S2MQ 60-69 years, female 11.6
GTEX-14XAO-2326-SM-6EU1B 60-69 years, female 11.6
GTEX-1IL2U-0226-SM-CE6T8 60-69 years, male 11.6
GTEX-1M4P7-0226-SM-DIPEV 60-69 years, male 11.6
GTEX-Y111-0126-SM-4SOIV 50-59 years, male 11.5
GTEX-1HT8W-0126-SM-CNPPP 30-39 years, male 11.5
GTEX-14A5I-0126-SM-5TDEA 50-59 years, female 11.4
GTEX-ZAK1-0126-SM-5IJD3 50-59 years, female 11.4
GTEX-11DXZ-2326-SM-5EGGV 50-59 years, male 11.3
GTEX-145MI-0526-SM-5O9A8 60-69 years, female 11.3
GTEX-16NPX-0226-SM-79OMT 50-59 years, male 11.3
GTEX-ZQG8-1626-SM-DHXIT 60-69 years, female 11.2
GTEX-15SHW-0326-SM-6PAML 60-69 years, male 11.1
GTEX-ZXG5-0126-SM-5GIEU 60-69 years, male 11.1
GTEX-ZY6K-1826-SM-5GZXK 50-59 years, male 11.1
GTEX-1HCU9-1526-SM-A9SL7 20-29 years, male 11.1
GTEX-1212Z-2526-SM-5EGKP 60-69 years, male 11.0
GTEX-12WSC-0126-SM-5EQ4P 50-59 years, male 11.0
GTEX-147F3-0526-SM-5SI98 50-59 years, female 11.0
GTEX-1I1GR-0126-SM-CL55F 60-69 years, male 11.0
GTEX-ZF2S-2326-SM-4WWCE 50-59 years, female 10.9
GTEX-1HSGN-0226-SM-CGQFV 40-49 years, female 10.9
GTEX-1KAFJ-2026-SM-CY8ID 50-59 years, male 10.9
GTEX-1LG7Z-1726-SM-D3LA4 30-39 years, male 10.9
GTEX-WVJS-0126-SM-4MVOT 50-59 years, male 10.8
GTEX-Y8DK-0126-SM-4TT3L 60-69 years, male 10.8
GTEX-1GMRU-0126-SM-9YFLV 50-59 years, male 10.8
GTEX-1GZHY-0326-SM-9QEHI 50-59 years, female 10.8
GTEX-14ABY-0226-SM-5TDCQ 50-59 years, male 10.7
GTEX-ZWKS-0126-SM-5SIAA 30-39 years, male 10.7
GTEX-1CB4F-0426-SM-9KNV4 60-69 years, male 10.7
GTEX-1H11D-0226-SM-9WG6Z 40-49 years, male 10.7
GTEX-1MA7X-2226-SM-E6CIY 60-69 years, male 10.7
GTEX-13CF2-2526-SM-5LZYX 60-69 years, male 10.6
GTEX-1269C-2526-SM-5EGJ3 60-69 years, female 10.5
GTEX-13X6I-0626-SM-5QGP9 60-69 years, male 10.5
GTEX-14BMV-0126-SM-5S2PO 50-59 years, male 10.5
GTEX-15G19-0126-SM-6PANQ 60-69 years, male 10.5
GTEX-S32W-2126-SM-2XCB1 50-59 years, female 10.5
GTEX-113JC-2326-SM-5EQ4E 50-59 years, female 10.4
GTEX-13FXS-0226-SM-5IJCK 50-59 years, male 10.4
GTEX-1E1VI-0126-SM-7DHMZ 50-59 years, male 10.4
GTEX-S7SE-0126-SM-2XCD5 50-59 years, male 10.4
GTEX-T6MN-0126-SM-32PLP 50-59 years, male 10.4
GTEX-1K2DA-1826-SM-CGQGT 50-59 years, male 10.4
GTEX-1LB8K-0226-SM-EWRNW 50-59 years, male 10.4
GTEX-1OJC3-0126-SM-E76QX 20-29 years, male 10.4
GTEX-1R7EU-0226-SM-EVR4G 60-69 years, male 10.4
GTEX-1H1DG-0126-SM-9WYU2 70-79 years, male 10.3
GTEX-1H3NZ-0126-SM-ACKX7 60-69 years, male 10.3
GTEX-OIZF-0126-SM-7SB8I 60-69 years, male 10.3
GTEX-11ZVC-2526-SM-5FQTE 50-59 years, female 10.2
GTEX-12ZZX-0126-SM-5EGK9 40-49 years, female 10.2
GTEX-1AX9J-0226-SM-73KXM 60-69 years, male 10.2
GTEX-1C4CL-0526-SM-73KVK 30-39 years, male 10.2
GTEX-13N2G-2626-SM-5J1OT 60-69 years, male 10.1
GTEX-13O3P-0126-SM-5KM4S 50-59 years, male 10.1
GTEX-15F5U-1526-SM-6PANO 40-49 years, male 10.1
GTEX-VJYA-1126-SM-3GIJU 60-69 years, male 10.1
GTEX-1I1GQ-0126-SM-COH3H 50-59 years, male 10.1
GTEX-1JMQJ-0526-SM-CYPSU 50-59 years, male 10.1
GTEX-1LC47-0326-SM-E9TJP 60-69 years, male 10.1
GTEX-13X6J-0126-SM-5QGOU 50-59 years, male 10.0
GTEX-OXRP-0126-SM-3NB32 60-69 years, female 10.0
GTEX-1HBPI-1526-SM-C1YQ1 50-59 years, male 10.0
GTEX-1JJE9-0326-SM-CL53Z 70-79 years, male 10.0
GTEX-1KANB-0526-SM-E6CJH 50-59 years, male 10.0
GTEX-12696-2426-SM-5EQ6H 60-69 years, male 9.9
GTEX-13JUV-2726-SM-5LZZ8 40-49 years, female 9.9
GTEX-X4EO-0326-SM-3P5YO 60-69 years, female 9.9
GTEX-1H1CY-2826-SM-9MQM3 60-69 years, female 9.9
GTEX-1ICLZ-0126-SM-CKZPO 60-69 years, male 9.9
GTEX-11EI6-0126-SM-5985R 60-69 years, male 9.8
GTEX-13OVK-2026-SM-7KUEO 40-49 years, male 9.8
GTEX-13OW8-1326-SM-5J1OW 60-69 years, male 9.8
GTEX-147GR-0526-SM-5S2MY 60-69 years, male 9.8
GTEX-U3ZH-2026-SM-3DB78 30-39 years, male 9.8
GTEX-V1D1-2226-SM-3NMAX 50-59 years, male 9.8
GTEX-1F6IF-0726-SM-7P8TW 60-69 years, male 9.8
GTEX-1I1CD-0126-SM-CM2TK 60-69 years, female 9.8
GTEX-Y5V5-2326-SM-4V6GA 60-69 years, female 9.7
GTEX-YJ89-0126-SM-4TT3X 60-69 years, male 9.7
GTEX-1KANC-1526-SM-D3LAB 50-59 years, female 9.7
GTEX-1QEPI-0126-SM-EWRMQ 60-69 years, female 9.7
GTEX-1R9PM-2026-SM-E76OY 20-29 years, male 9.7
GTEX-13OVI-1426-SM-5L3EY 60-69 years, female 9.6
GTEX-15D1Q-0126-SM-7KUG6 40-49 years, male 9.6
GTEX-SSA3-0126-SM-32QPU 60-69 years, male 9.6
GTEX-1JMQK-0226-SM-CL543 60-69 years, male 9.6
GTEX-18A6Q-0126-SM-731BZ 60-69 years, male 9.5
GTEX-PWO3-1526-SM-48TCM 60-69 years, female 9.5
GTEX-SJXC-0126-SM-2XCFF 60-69 years, male 9.5
GTEX-1NV5F-0226-SM-E8VNY 60-69 years, female 9.5
GTEX-131XE-2326-SM-5PNZ2 50-59 years, male 9.4
GTEX-13N1W-0126-SM-5K7VT 70-79 years, male 9.4
GTEX-145LU-0126-SM-5TDCB 50-59 years, male 9.4
GTEX-14PII-0226-SM-6EU1T 60-69 years, male 9.4
GTEX-18A66-0226-SM-718BD 60-69 years, male 9.4
GTEX-Q2AG-0126-SM-33HBV 40-49 years, female 9.4
GTEX-1EN7A-0126-SM-7SB81 40-49 years, male 9.4
GTEX-17EVQ-0226-SM-7LG4P 70-79 years, male 9.3
GTEX-QESD-1426-SM-2S1R9 20-29 years, male 9.3
GTEX-R3RS-0126-SM-3GIJL 40-49 years, female 9.3
GTEX-1B8L1-2526-SM-9WYTF 60-69 years, male 9.3
GTEX-13NYB-2526-SM-5K7Z6 40-49 years, male 9.2
GTEX-13SLW-0126-SM-5SI6C 70-79 years, male 9.2
GTEX-13U4I-0126-SM-5LU38 40-49 years, female 9.2
GTEX-VJWN-0126-SM-3GIK7 50-59 years, female 9.2
GTEX-1A8FM-0226-SM-7SB7Q 50-59 years, female 9.2
GTEX-1EWIQ-0126-SM-7RHH2 70-79 years, female 9.2
GTEX-1399T-2826-SM-5KLYZ 60-69 years, male 9.1
GTEX-144FL-0126-SM-5TDC8 50-59 years, male 9.1
GTEX-1QW4Y-1526-SM-EAZ3Z 30-39 years, male 9.1
GTEX-11WQC-2526-SM-5CVLE 60-69 years, male 9.0
GTEX-12584-0126-SM-5EGKQ 40-49 years, male 9.0
GTEX-13112-2826-SM-5DUWH 50-59 years, male 9.0
GTEX-ZVE2-0226-SM-59HJB 50-59 years, male 9.0
GTEX-1F5PK-2426-SM-7RHHY 50-59 years, male 9.0
GTEX-1GN73-0226-SM-9WG67 60-69 years, male 9.0
GTEX-1HSKV-0226-SM-A9SKJ 60-69 years, male 9.0
GTEX-1JJ6O-0126-SM-E6CI8 60-69 years, male 9.0
GTEX-1KD4Q-0226-SM-E9TJ9 40-49 years, male 9.0
GTEX-1N2EF-0226-SM-EYYXB 60-69 years, male 9.0
GTEX-13111-1626-SM-5EGJY 50-59 years, male 8.9
GTEX-13OVL-0226-SM-5L3E9 50-59 years, male 8.9
GTEX-ZTPG-0326-SM-5O9AX 20-29 years, female 8.9
GTEX-1CB4H-0226-SM-7PBXM 60-69 years, female 8.9
GTEX-1GL5R-1826-SM-9KNUY 50-59 years, male 8.9
GTEX-1GN1U-0126-SM-7PBZK 50-59 years, female 8.9
GTEX-1GPI6-0126-SM-9WG69 60-69 years, male 8.9
GTEX-11ZUS-0626-SM-59885 30-39 years, male 8.8
GTEX-PX3G-0126-SM-2I3EN 20-29 years, female 8.8
GTEX-ZGAY-0526-SM-4WWBB 40-49 years, female 8.8
GTEX-1IDJH-0326-SM-A9SLQ 70-79 years, male 8.8
GTEX-11GSO-2426-SM-5A5LY 60-69 years, male 8.7
GTEX-148VI-1626-SM-5SI6E 60-69 years, female 8.7
GTEX-16BQI-0226-SM-7KUEX 30-39 years, female 8.7
GTEX-WYJK-0126-SM-3NMAB 50-59 years, male 8.7
GTEX-1J1OQ-0226-SM-CYPSH 40-49 years, female 8.7
GTEX-1KXAM-2226-SM-CYPTC 60-69 years, male 8.7
GTEX-1R7EV-2426-SM-EVYBG 40-49 years, male 8.7
GTEX-1S82Y-2026-SM-EVYCM 40-49 years, male 8.7
GTEX-1AX8Z-0126-SM-7DHM6 60-69 years, male 8.6
GTEX-P4QT-0126-SM-2I3FL 50-59 years, female 8.6
GTEX-1AX9I-0126-SM-7SB74 60-69 years, male 8.6
GTEX-1F7RK-0126-SM-7PC2S 20-29 years, female 8.6
GTEX-1GF9V-0326-SM-7RHI5 60-69 years, male 8.6
GTEX-15DDE-0126-SM-6LPKH 50-59 years, female 8.5
GTEX-1B97I-1626-SM-73KYO 40-49 years, male 8.5
GTEX-1I1GS-0126-SM-B2LVW 60-69 years, male 8.5
GTEX-1RDX4-0126-SM-E9J4P 50-59 years, female 8.5
GTEX-11DZ1-0126-SM-5985Q 50-59 years, male 8.4
GTEX-11NUK-0126-SM-5A5L3 50-59 years, male 8.4
GTEX-14PJM-0226-SM-62LF1 50-59 years, female 8.4
GTEX-ZYFD-0126-SM-5GIDL 50-59 years, male 8.4
GTEX-13OW5-0126-SM-DTXFS 60-69 years, male 8.4
GTEX-1F75A-0126-SM-7RHGM 50-59 years, male 8.4
GTEX-1LSNM-1926-SM-E6CII 50-59 years, male 8.4
GTEX-13CF3-2426-SM-5IFGX 60-69 years, female 8.3
GTEX-13W46-0226-SM-5SIAG 50-59 years, male 8.3
GTEX-15DYW-0126-SM-7KULE 60-69 years, female 8.3
GTEX-17HG3-2226-SM-7938L 30-39 years, female 8.3
GTEX-18A7A-0226-SM-718BH 50-59 years, female 8.3
GTEX-1B8KZ-2026-SM-7DHMB 50-59 years, male 8.3
GTEX-YJ8A-0426-SM-5IFID 20-29 years, male 8.3
GTEX-1HR98-0126-SM-B2LWI 60-69 years, male 8.3
GTEX-1I19N-0326-SM-ACKVX 70-79 years, male 8.3
GTEX-1IL2V-0126-SM-CM2TX 70-79 years, male 8.3
GTEX-111FC-0126-SM-5N9DL 60-69 years, male 8.2
GTEX-11DYG-0126-SM-59883 60-69 years, male 8.2
GTEX-11H98-0126-SM-5EGHG 50-59 years, male 8.2
GTEX-131YS-0126-SM-5KM1M 60-69 years, female 8.2
GTEX-17GQL-2026-SM-718BA 60-69 years, male 8.2
GTEX-17JCI-0126-SM-7LG5G 60-69 years, female 8.2
GTEX-TSE9-0126-SM-3DB83 60-69 years, female 8.2
GTEX-1MA7W-2026-SM-E9TJ6 20-29 years, female 8.2
GTEX-11GSP-2526-SM-5N9BP 60-69 years, female 8.1
GTEX-139T8-0126-SM-5K7XZ 60-69 years, male 8.1
GTEX-13O1R-0126-SM-5L3EH 60-69 years, male 8.1
GTEX-13SLX-0526-SM-5S2ON 50-59 years, female 8.1
GTEX-17MF6-0126-SM-7LG4F 40-49 years, male 8.1
GTEX-1I1GV-0526-SM-A9G29 60-69 years, male 8.1
GTEX-1PDJ9-0326-SM-DTX95 20-29 years, male 8.1
GTEX-12WSK-2326-SM-5GCOH 40-49 years, female 8.0
GTEX-13IVO-0126-SM-5J1NG 70-79 years, male 8.0
GTEX-16GPK-0126-SM-7DHLE 60-69 years, male 8.0
GTEX-RWSA-0126-SM-2XCBB 40-49 years, male 8.0
GTEX-XUYS-0126-SM-47JWZ 50-59 years, male 8.0
GTEX-ZC5H-0226-SM-4WAY9 40-49 years, female 8.0
GTEX-1E2YA-0126-SM-9KNUC 50-59 years, male 8.0
GTEX-1GF9U-2126-SM-7SB7L 40-49 years, female 8.0
GTEX-1IKK5-0626-SM-ARL8A 60-69 years, male 8.0
GTEX-1JKYN-1326-SM-CGQG9 30-39 years, male 8.0
GTEX-12WSA-0226-SM-5BC5V 60-69 years, male 7.9
GTEX-13O3Q-2426-SM-5IJBR 50-59 years, male 7.9
GTEX-13QJ3-0326-SM-5S2RA 50-59 years, male 7.9
GTEX-OXRN-0126-SM-48TDM 50-59 years, male 7.9
GTEX-SIU8-0126-SM-2XCDT 50-59 years, male 7.9
GTEX-WFON-2126-SM-3LK7O 40-49 years, male 7.9
GTEX-1IOXB-0126-SM-ARL8G 50-59 years, male 7.9
GTEX-13NZA-0226-SM-5K7Z7 60-69 years, male 7.8
GTEX-14JG1-0426-SM-6ETZZ 40-49 years, male 7.8
GTEX-X638-0126-SM-47JZ8 70-79 years, female 7.8
GTEX-1GPI7-0126-SM-9MQL8 20-29 years, male 7.8
GTEX-1KWVE-1426-SM-E9TJO 30-39 years, male 7.8
GTEX-1LNCM-1126-SM-E9U5E 50-59 years, female 7.8
GTEX-ZPIC-1726-SM-DHXIU 40-49 years, female 7.8
GTEX-131XH-2226-SM-5DUXJ 50-59 years, male 7.7
GTEX-13RTJ-2426-SM-5S2Q2 60-69 years, male 7.7
GTEX-16AAH-1726-SM-7939C 50-59 years, male 7.7
GTEX-17HHY-0126-SM-7LG5D 50-59 years, male 7.7
GTEX-17KNJ-2326-SM-7DHLQ 50-59 years, male 7.7
GTEX-WI4N-1026-SM-3LK7N 40-49 years, female 7.7
GTEX-WYVS-2126-SM-3NMA3 40-49 years, female 7.7
GTEX-YB5K-2126-SM-4WWDJ 40-49 years, female 7.7
GTEX-ZVTK-0426-SM-51MRS 20-29 years, male 7.7
GTEX-1IE54-0126-SM-CMKHW 40-49 years, female 7.7
GTEX-1IY9M-0126-SM-D3L8S 60-69 years, male 7.7
GTEX-RNOR-0126-SM-E9J4R 50-59 years, female 7.7
GTEX-144GL-0126-SM-5TDE2 50-59 years, male 7.6
GTEX-ZU9S-0226-SM-5E441 30-39 years, male 7.6
GTEX-ZUA1-0126-SM-5GU76 40-49 years, male 7.6
GTEX-1GF9W-0326-SM-9KNUN 60-69 years, male 7.6
GTEX-1IDJU-2626-SM-CM2RT 60-69 years, female 7.6
GTEX-OOBJ-0126-SM-E6CJW 60-69 years, male 7.6
GTEX-11OC5-0126-SM-5HL6A 60-69 years, male 7.5
GTEX-12KS4-0326-SM-5EQ41 30-39 years, male 7.5
GTEX-12ZZY-0226-SM-5LZVE 60-69 years, male 7.5
GTEX-14LLW-0126-SM-6LLIO 70-79 years, female 7.5
GTEX-17HHE-2026-SM-79OKF 50-59 years, male 7.5
GTEX-12WSG-2826-SM-E9J4H 50-59 years, female 7.5
GTEX-1I1GP-2226-SM-CGQFK 50-59 years, male 7.5
GTEX-ZVT4-0126-SM-DTXFN 50-59 years, female 7.5
GTEX-1GMR3-1926-SM-9KNUZ 40-49 years, male 7.4
GTEX-1GZ4H-1726-SM-7PBZJ 50-59 years, female 7.4
GTEX-1IKOH-0226-SM-COH4E 60-69 years, female 7.4
GTEX-1JK1U-2026-SM-CM2RZ 60-69 years, male 7.4
GTEX-1KD5A-0226-SM-D5OV3 50-59 years, male 7.4
GTEX-1R9PO-2126-SM-E9J4O 60-69 years, female 7.4
GTEX-145MF-0626-SM-5LUAI 50-59 years, male 7.3
GTEX-15SDE-2226-SM-7IGLO 50-59 years, female 7.3
GTEX-17EUY-0426-SM-793BD 20-29 years, male 7.3
GTEX-RWS6-2026-SM-2XCB5 60-69 years, female 7.3
GTEX-ZYY3-0126-SM-5GZY5 60-69 years, female 7.3
GTEX-1F6RS-0126-SM-9MQKZ 60-69 years, female 7.3
GTEX-1HCUA-2426-SM-ADEIS 50-59 years, female 7.3
GTEX-1LBAC-0126-SM-DIPEZ 20-29 years, male 7.3
GTEX-1PPH7-2326-SM-EVYB8 40-49 years, male 7.3
GTEX-1R9K4-0126-SM-DTX9X 60-69 years, male 7.3
GTEX-12ZZZ-0626-SM-5DUXI 60-69 years, male 7.2
GTEX-1314G-1526-SM-5EGK2 30-39 years, male 7.2
GTEX-15RIG-0226-SM-7KFTL 40-49 years, male 7.2
GTEX-16XZZ-0126-SM-793DV 60-69 years, male 7.2
GTEX-17MFQ-1726-SM-793C7 20-29 years, male 7.2
GTEX-183FY-0126-SM-7LT9P 20-29 years, male 7.2
GTEX-1J8EW-0126-SM-CJI4F 60-69 years, female 7.2
GTEX-1LG7Y-0526-SM-DKPQC 50-59 years, male 7.2
GTEX-111VG-2426-SM-5GZXD 60-69 years, male 7.1
GTEX-14PHW-0126-SM-6LLJI 60-69 years, female 7.1
GTEX-QVJO-1626-SM-2S1QW 60-69 years, female 7.1
GTEX-ZVT3-0126-SM-5GU6I 60-69 years, female 7.1
GTEX-1EX96-1626-SM-7PBXR 50-59 years, male 7.1
GTEX-ZF29-2326-SM-DO92K 60-69 years, female 7.1
GTEX-15ER7-0326-SM-7KUEV 20-29 years, female 7.0
GTEX-XMD2-0126-SM-4YCDU 60-69 years, female 7.0
GTEX-1GN2E-0426-SM-9MQKX 60-69 years, male 7.0
GTEX-1JMOU-1526-SM-CL54I 60-69 years, female 7.0
GTEX-11EQ9-2426-SM-5HL5T 30-39 years, male 6.9
GTEX-11TT1-2526-SM-5EGIB 20-29 years, male 6.9
GTEX-14A5H-0426-SM-5QGQF 60-69 years, male 6.9
GTEX-14PN3-2426-SM-6LLHS 60-69 years, female 6.9
GTEX-15DCD-0126-SM-7KUEK 70-79 years, female 6.9
GTEX-17HGU-0226-SM-7DHKV 50-59 years, male 6.9
GTEX-1AYD5-2426-SM-73KXR 50-59 years, male 6.9
GTEX-1HSMQ-1226-SM-CGQFX 50-59 years, male 6.9
GTEX-1QP2A-0126-SM-E9J43 50-59 years, male 6.9
GTEX-11P7K-2126-SM-5GU7G 30-39 years, male 6.8
GTEX-1CAMQ-0226-SM-7IGPK 40-49 years, male 6.8
GTEX-T8EM-1026-SM-3DB7M 40-49 years, male 6.8
GTEX-ZE9C-2726-SM-57WB5 60-69 years, male 6.8
GTEX-1C6VQ-0126-SM-7P8RI 50-59 years, male 6.8
GTEX-1GF9X-2026-SM-7PC3A 40-49 years, female 6.8
GTEX-1JN6P-0126-SM-D3L98 60-69 years, male 6.8
GTEX-1MCQQ-0826-SM-DLHC2 60-69 years, male 6.8
GTEX-1PIGE-0126-SM-EVYBJ 20-29 years, male 6.8
GTEX-1128S-2326-SM-5GZZY 60-69 years, female 6.7
GTEX-15UKP-0426-SM-7KUFQ 20-29 years, male 6.7
GTEX-OIZG-0726-SM-33HBL 50-59 years, male 6.7
GTEX-1GN1V-0126-SM-9WPOS 60-69 years, male 6.7
GTEX-1H1DE-2126-SM-9WG6R 20-29 years, male 6.7
GTEX-1HBPM-0226-SM-ARL9F 60-69 years, female 6.7
GTEX-13FHO-0226-SM-5IFGY 60-69 years, male 6.6
GTEX-18465-0126-SM-731BN 50-59 years, male 6.6
GTEX-QEG4-0226-SM-2S1PY 30-39 years, male 6.6
GTEX-Y8E4-0626-SM-4WWDL 40-49 years, male 6.6
GTEX-1PBJI-0526-SM-E8VNK 20-29 years, female 6.6
GTEX-1PPH8-0226-SM-E8VND 20-29 years, male 6.6
GTEX-1RB15-2126-SM-E9TIM 60-69 years, male 6.6
GTEX-12WSL-2526-SM-5GCNJ 50-59 years, male 6.5
GTEX-145ME-1826-SM-5SI9G 40-49 years, female 6.5
GTEX-14A6H-0126-SM-5QGPK 30-39 years, male 6.5
GTEX-NFK9-0226-SM-2HMKQ 40-49 years, male 6.5
GTEX-ZVZP-2426-SM-59HKJ 50-59 years, male 6.5
GTEX-1J1R8-1726-SM-ARL8M 40-49 years, male 6.5
GTEX-1JMLX-0226-SM-CM2RO 50-59 years, male 6.5
GTEX-1JMPY-1326-SM-ARL8Y 30-39 years, male 6.5
GTEX-1QCLY-0326-SM-E8VOG 30-39 years, male 6.5
GTEX-14PJ6-2126-SM-6EU1V 60-69 years, female 6.4
GTEX-UJHI-1526-SM-3DB99 50-59 years, female 6.4
GTEX-UPJH-0326-SM-3GADU 50-59 years, male 6.4
GTEX-WQUQ-0426-SM-3MJFU 60-69 years, male 6.4
GTEX-WZTO-0126-SM-3NM95 40-49 years, male 6.4
GTEX-1B996-0226-SM-7RHGO 60-69 years, male 6.4
GTEX-1EKGG-0226-SM-9WYTH 60-69 years, male 6.4
GTEX-1F52S-0126-SM-9MQJU 60-69 years, female 6.4
GTEX-1RQEC-0426-SM-E6CHU 60-69 years, male 6.4
GTEX-PW2O-1526-SM-7RHHB 20-29 years, male 6.4
GTEX-1CB4J-0626-SM-7DHMP 60-69 years, male 6.3
GTEX-XBED-2226-SM-47JYQ 60-69 years, male 6.3
GTEX-1GTWX-0126-SM-9YFLK 60-69 years, male 6.3
GTEX-1M5QR-1226-SM-EWROB 40-49 years, male 6.3
GTEX-11DXY-2626-SM-5GIE7 60-69 years, male 6.2
GTEX-13PDP-0126-SM-5L3HD 60-69 years, male 6.2
GTEX-183WM-0126-SM-7LTAB 70-79 years, female 6.2
GTEX-1A3MX-0126-SM-731BR 60-69 years, male 6.2
GTEX-RU72-0926-SM-2TF6B 50-59 years, female 6.2
GTEX-1F6I4-0126-SM-9MQL2 60-69 years, male 6.2
GTEX-1JKYR-0126-SM-CNPOJ 20-29 years, male 6.2
GTEX-1JN1M-0326-SM-CYPT3 60-69 years, female 6.2
GTEX-PLZ6-1426-SM-DKPOT 30-39 years, male 6.2
GTEX-11NSD-2226-SM-5986V 20-29 years, male 6.1
GTEX-11UD1-0126-SM-5PNYG 40-49 years, female 6.1
GTEX-R55E-0126-SM-2TC5Y 20-29 years, male 6.1
GTEX-Z93T-0126-SM-5HL5N 50-59 years, male 6.1
GTEX-1I1HK-0126-SM-COH49 60-69 years, male 6.1
GTEX-1R46S-0626-SM-E9J41 60-69 years, female 6.1
GTEX-1192W-2626-SM-5Q5AF 60-69 years, male 6.0
GTEX-13VXU-0126-SM-5SI9F 50-59 years, male 6.0
GTEX-14E6E-1826-SM-5S2R7 30-39 years, male 6.0
GTEX-16YQH-0126-SM-7DUFJ 30-39 years, male 6.0
GTEX-1A32A-0126-SM-718B1 50-59 years, female 6.0
GTEX-1AX9K-2326-SM-73KWU 50-59 years, male 6.0
GTEX-1C2JI-1826-SM-73KXC 50-59 years, male 6.0
GTEX-1CAMR-1926-SM-7EPI2 20-29 years, male 6.0
GTEX-ZVT2-2526-SM-51MT1 50-59 years, female 6.0
GTEX-1HUB1-0426-SM-E9U4U 60-69 years, male 6.0
GTEX-1ICLY-0126-SM-D4P36 50-59 years, male 6.0
GTEX-1122O-2126-SM-5EGIR 60-69 years, female 5.9
GTEX-11VI4-1726-SM-5CVLH 40-49 years, female 5.9
GTEX-11XUK-2026-SM-5EQLF 40-49 years, female 5.9
GTEX-1313W-0126-SM-5LZUN 50-59 years, female 5.9
GTEX-13N11-2526-SM-5K7UE 50-59 years, female 5.9
GTEX-18D9B-0526-SM-7LTAS 60-69 years, male 5.9
GTEX-1CB4I-0226-SM-79OLH 50-59 years, male 5.9
GTEX-OIZH-0126-SM-2HMIS 50-59 years, male 5.9
GTEX-WXYG-2326-SM-4E3I6 50-59 years, female 5.9
GTEX-X4EP-0126-SM-3P5YV 60-69 years, female 5.9
GTEX-X62O-0126-SM-4E3JN 50-59 years, male 5.9
GTEX-XAJ8-0826-SM-47JY6 40-49 years, male 5.9
GTEX-XQ3S-1526-SM-4BOOC 20-29 years, male 5.9
GTEX-11DXW-0226-SM-5H122 40-49 years, male 5.8
GTEX-11ZTS-0126-SM-5EQ6M 60-69 years, female 5.8
GTEX-12126-0326-SM-5PNW3 20-29 years, male 5.8
GTEX-14E6D-0126-SM-62LDV 50-59 years, male 5.8
GTEX-16XZY-2126-SM-79OK1 70-79 years, male 5.8
GTEX-1AMFI-2026-SM-731BH 50-59 years, female 5.8
GTEX-SN8G-0126-SM-32PLI 50-59 years, female 5.8
GTEX-ZTX8-1426-SM-5DUVO 20-29 years, male 5.8
GTEX-ZYFC-0226-SM-5NQ75 50-59 years, male 5.8
GTEX-1CAV2-2226-SM-7P8P2 40-49 years, female 5.8
GTEX-1F75I-0326-SM-9YFLU 40-49 years, male 5.8
GTEX-1NHNU-1026-SM-E9J2A 50-59 years, male 5.8
GTEX-1S83E-0126-SM-EWRO4 40-49 years, male 5.8
GTEX-1192X-0226-SM-5H12D 50-59 years, male 5.7
GTEX-145LS-0126-SM-5QGP1 60-69 years, female 5.7
GTEX-14E7W-0126-SM-6LLJ9 70-79 years, male 5.7
GTEX-18QFQ-0126-SM-731BE 30-39 years, male 5.7
GTEX-POMQ-2226-SM-2I5FK 20-29 years, female 5.7
GTEX-TMMY-0226-SM-33HBA 40-49 years, female 5.7
GTEX-X585-0226-SM-4QAS2 50-59 years, male 5.7
GTEX-ZAB5-1826-SM-5HL7C 50-59 years, male 5.7
GTEX-1HGF4-2426-SM-ACKXM 60-69 years, male 5.7
GTEX-13S7M-0126-SM-5SI6A 60-69 years, female 5.6
GTEX-VUSG-2526-SM-4KL1V 50-59 years, male 5.6
GTEX-X88G-0126-SM-47JZ3 30-39 years, male 5.6
GTEX-ZDTS-0126-SM-4WAY5 60-69 years, male 5.6
GTEX-1ICG6-2526-SM-CGQFZ 70-79 years, female 5.6
GTEX-PSDG-0226-SM-DKPOZ 50-59 years, male 5.6
GTEX-11LCK-1026-SM-5A5KB 30-39 years, male 5.5
GTEX-139TU-0126-SM-5K7WH 60-69 years, male 5.5
GTEX-13OW7-0126-SM-5MR3B 50-59 years, male 5.5
GTEX-14753-0426-SM-5NQAM 60-69 years, male 5.5
GTEX-QV44-1926-SM-2S1RF 50-59 years, male 5.5
GTEX-T5JC-0426-SM-32PLO 20-29 years, male 5.5
GTEX-X4XX-0126-SM-3NMC2 60-69 years, male 5.5
GTEX-ZVZO-0126-SM-5A5L9 40-49 years, male 5.5
GTEX-1RLM8-2326-SM-EWRN4 50-59 years, male 5.5
GTEX-1S82Z-0826-SM-E6CHY 30-39 years, female 5.5
GTEX-117YX-2326-SM-5H12W 50-59 years, male 5.4
GTEX-11O72-0126-SM-59887 40-49 years, male 5.4
GTEX-11UD2-0226-SM-5EQKY 50-59 years, male 5.4
GTEX-139TT-0126-SM-5K7Y5 60-69 years, male 5.4
GTEX-13RTL-0126-SM-7LG5S 40-49 years, male 5.4
GTEX-15UF6-0826-SM-6PALJ 70-79 years, female 5.4
GTEX-18D9U-0226-SM-718BP 40-49 years, male 5.4
GTEX-1AMEY-1326-SM-73KYK 30-39 years, female 5.4
GTEX-QCQG-1726-SM-3GIJ9 50-59 years, female 5.4
GTEX-S7PM-0126-SM-4AD6S 60-69 years, male 5.4
GTEX-Z93S-0126-SM-5HL7M 50-59 years, male 5.4
GTEX-Z9EW-1626-SM-5CVMN 40-49 years, male 5.4
GTEX-ZV6S-2326-SM-4YCEY 40-49 years, female 5.4
GTEX-1CAMS-0426-SM-7P8T2 40-49 years, female 5.4
GTEX-1GZ2Q-0226-SM-7P8TL 40-49 years, male 5.4
GTEX-1J8QM-2126-SM-CYPSJ 60-69 years, female 5.4
GTEX-139D8-0226-SM-5KLZO 30-39 years, female 5.3
GTEX-O5YT-0126-SM-48TBW 20-29 years, male 5.3
GTEX-WRHK-1426-SM-3MJF9 20-29 years, female 5.3
GTEX-1K2DU-2326-SM-E9TIV 20-29 years, male 5.3
GTEX-1MUQO-0126-SM-EAZ58 60-69 years, male 5.3
GTEX-1OFPY-2426-SM-DTXEJ 60-69 years, male 5.3
GTEX-1QPFJ-0226-SM-E76PB 30-39 years, female 5.3
GTEX-117XS-2726-SM-5N9BL 60-69 years, male 5.2
GTEX-11GS4-2726-SM-5A5LE 60-69 years, male 5.2
GTEX-14ICK-0226-SM-6EU25 40-49 years, male 5.2
GTEX-15ETS-0126-SM-7KUMW 40-49 years, female 5.2
GTEX-PLZ5-2026-SM-2S1O4 50-59 years, male 5.2
GTEX-Y5V6-2426-SM-4VDSB 60-69 years, male 5.2
GTEX-1C64O-0126-SM-7SB8P 60-69 years, male 5.2
GTEX-1HSMO-0126-SM-CL547 60-69 years, male 5.2
GTEX-145LV-2126-SM-5LU8N 50-59 years, male 5.1
GTEX-14PHX-2326-SM-62LEM 50-59 years, male 5.1
GTEX-QLQ7-1626-SM-2S1R8 60-69 years, male 5.1
GTEX-X4XY-0226-SM-4E3IZ 60-69 years, male 5.1
GTEX-1C6WA-0126-SM-7PC2B 60-69 years, male 5.1
GTEX-1HCU8-0626-SM-A9SM9 60-69 years, female 5.1
GTEX-1RAZA-0126-SM-E6CI3 20-29 years, male 5.1
GTEX-139TS-2826-SM-5J1OO 60-69 years, male 5.0
GTEX-13D11-2426-SM-5KM1V 50-59 years, female 5.0
GTEX-13W3W-2426-SM-5LU5B 60-69 years, female 5.0
GTEX-147F4-0226-SM-5QGPW 50-59 years, male 5.0
GTEX-14JIY-0126-SM-6LLH6 60-69 years, male 5.0
GTEX-QLQW-1126-SM-2S1Q8 30-39 years, male 5.0
GTEX-XV7Q-2526-SM-4BRV9 40-49 years, female 5.0
GTEX-XYKS-2126-SM-4E3IB 60-69 years, female 5.0
GTEX-Y3IK-2426-SM-4WWDU 50-59 years, female 5.0
GTEX-1F5PL-0326-SM-7P8PQ 40-49 years, female 5.0
GTEX-1H1ZS-0426-SM-9WG6G 70-79 years, male 5.0
GTEX-1J8Q2-0526-SM-CM2RW 60-69 years, male 5.0
GTEX-1QP9N-1426-SM-DTXFL 30-39 years, male 5.0
GTEX-11ZTT-2426-SM-5EQLS 60-69 years, female 4.9
GTEX-146FH-0126-SM-5QGPP 50-59 years, female 4.9
GTEX-15CHC-2126-SM-6EU21 60-69 years, female 4.9
GTEX-18D9A-1926-SM-7LG6P 30-39 years, female 4.9
GTEX-T2IS-0126-SM-4DM6O 20-29 years, female 4.9
GTEX-1KANA-0726-SM-D3L9I 20-29 years, male 4.9
GTEX-1LGOU-2026-SM-DIPFF 20-29 years, female 4.9
GTEX-1LVAN-0226-SM-COH3S 50-59 years, female 4.9
GTEX-1QP66-1726-SM-E8VO1 50-59 years, male 4.9
GTEX-132NY-0326-SM-5IJBL 60-69 years, male 4.8
GTEX-13NZ8-0826-SM-5MR3I 60-69 years, female 4.8
GTEX-YB5E-2026-SM-5IFIS 40-49 years, male 4.8
GTEX-ZZ64-1726-SM-5GZYB 20-29 years, male 4.8
GTEX-ZZPT-0226-SM-5E43X 50-59 years, male 4.8
GTEX-1HCVE-0126-SM-CGQEU 50-59 years, male 4.8
GTEX-13FTY-0526-SM-5L3EV 40-49 years, female 4.7
GTEX-13O21-1426-SM-5K7XI 50-59 years, male 4.7
GTEX-13OW6-0426-SM-5L3HM 50-59 years, male 4.7
GTEX-14PN4-0126-SM-6EU2V 50-59 years, male 4.7
GTEX-P4PP-0126-SM-3LK69 30-39 years, female 4.7
GTEX-T5JW-1626-SM-3GADZ 20-29 years, female 4.7
GTEX-14LZ3-0226-SM-62LET 60-69 years, female 4.6
GTEX-15SB6-1726-SM-6PAME 50-59 years, female 4.6
GTEX-1A3MV-1926-SM-718BT 30-39 years, male 4.6
GTEX-QDVJ-1726-SM-2I5FX 50-59 years, male 4.6
GTEX-YFC4-0126-SM-5CVLY 40-49 years, female 4.6
GTEX-169BO-1326-SM-9MQK2 50-59 years, male 4.6
GTEX-11EMC-2926-SM-5EQ4F 60-69 years, female 4.5
GTEX-OXRK-0226-SM-3NB2G 50-59 years, female 4.5
GTEX-RN64-0126-SM-2TC68 50-59 years, male 4.5
GTEX-ZAB4-0226-SM-5N9F5 40-49 years, male 4.5
GTEX-1MGNQ-0126-SM-EVYCJ 40-49 years, male 4.5
GTEX-11TTK-0126-SM-5987B 60-69 years, female 4.4
GTEX-13113-5016-SM-7EPIP 60-69 years, female 4.4
GTEX-14DAR-2026-SM-5S2O3 50-59 years, male 4.4
GTEX-18A7B-0126-SM-7LG64 70-79 years, male 4.4
GTEX-1C6VS-0526-SM-7DUEN 60-69 years, male 4.4
GTEX-OHPL-0126-SM-2HMJ7 60-69 years, female 4.4
GTEX-Q2AH-1626-SM-3GAF8 40-49 years, male 4.4
GTEX-X8HC-0126-SM-4E3JW 50-59 years, female 4.4
GTEX-XPVG-2626-SM-4B669 50-59 years, male 4.4
GTEX-XQ8I-0426-SM-4BOPO 50-59 years, male 4.4
GTEX-Y8LW-1826-SM-5S2MV 50-59 years, female 4.4
GTEX-ZQUD-1426-SM-57WER 30-39 years, male 4.4
GTEX-ZXES-1826-SM-5E43S 30-39 years, female 4.4
GTEX-1J8Q3-1626-SM-CMKGC 60-69 years, male 4.4
GTEX-12C56-1726-SM-5EQ61 20-29 years, male 4.3
GTEX-13OVJ-0126-SM-5KM36 50-59 years, female 4.3
GTEX-13VXT-0126-SM-5LU4I 20-29 years, female 4.3
GTEX-14PJ3-1826-SM-62LEX 50-59 years, male 4.3
GTEX-QDVN-2026-SM-3GAEP 50-59 years, male 4.3
GTEX-U3ZN-2326-SM-3DB7W 30-39 years, female 4.3
GTEX-ZDTT-2726-SM-4WKF8 60-69 years, male 4.3
GTEX-ZE7O-0126-SM-57WC1 50-59 years, female 4.3
GTEX-13FH7-2026-SM-E9J4I 50-59 years, female 4.3
GTEX-1B933-0126-SM-7PC29 50-59 years, female 4.3
GTEX-1GN1W-0526-SM-9MQJQ 50-59 years, female 4.3
GTEX-1H2FU-0126-SM-9WYSI 60-69 years, female 4.3
GTEX-14E6C-0126-SM-5RQIP 40-49 years, male 4.2
GTEX-ZYW4-0126-SM-5E44A 60-69 years, male 4.2
GTEX-1H1E6-1726-SM-ACKVK 30-39 years, male 4.2
GTEX-S33H-1026-SM-EZ6L6 30-39 years, male 4.2
GTEX-12WSN-5019-SM-79OM6 40-49 years, male 4.1
GTEX-139UW-2826-SM-5L3E7 60-69 years, male 4.1
GTEX-13FTW-2626-SM-5K7WL 40-49 years, male 4.1
GTEX-17F97-0326-SM-7LG5B 50-59 years, male 4.1
GTEX-17F98-0626-SM-79OMX 40-49 years, female 4.1
GTEX-1AYCT-2426-SM-7IGQ3 50-59 years, male 4.1
GTEX-OHPM-0126-SM-2YUN9 50-59 years, male 4.1
GTEX-QDT8-0126-SM-48TZ1 30-39 years, female 4.1
GTEX-TML8-1926-SM-32QOS 40-49 years, female 4.1
GTEX-U8XE-0326-SM-3DB8P 30-39 years, male 4.1
GTEX-1HBPN-0226-SM-9YFM1 50-59 years, male 4.1
GTEX-1HCU6-0126-SM-CL54K 60-69 years, female 4.1
GTEX-R45C-0126-SM-EAZ2R 60-69 years, female 4.1
GTEX-16MT8-0426-SM-7KUEY 60-69 years, female 4.0
GTEX-18A67-0126-SM-7LG5P 50-59 years, male 4.0
GTEX-T6MO-1626-SM-32QOM 40-49 years, female 4.0
GTEX-TKQ1-1026-SM-4GICL 30-39 years, male 4.0
GTEX-W5WG-1826-SM-4KL2Y 50-59 years, female 4.0
GTEX-XBEW-0626-SM-4QASP 40-49 years, male 4.0
GTEX-ZEX8-2426-SM-4WKG4 50-59 years, male 4.0
GTEX-13O3O-0126-SM-E9J49 60-69 years, female 4.0
GTEX-1S3DN-2226-SM-EVYCD 50-59 years, male 4.0
GTEX-1497J-2426-SM-7IGNX 60-69 years, male 3.9
GTEX-14JG6-2226-SM-6EU2G 30-39 years, female 3.9
GTEX-17HII-0226-SM-7LG4E 50-59 years, male 3.9
GTEX-ZDYS-2026-SM-5HL5L 50-59 years, male 3.9
GTEX-ZTSS-1926-SM-57WEW 40-49 years, male 3.9
GTEX-117YW-2626-SM-5GZZH 50-59 years, male 3.8
GTEX-145MO-0326-SM-5Q5B3 60-69 years, male 3.8
GTEX-146FQ-0126-SM-5NQA9 30-39 years, male 3.8
GTEX-16NGA-1726-SM-731B4 40-49 years, female 3.8
GTEX-U4B1-1826-SM-4DXSU 40-49 years, male 3.8
GTEX-WOFL-0126-SM-3MJG2 60-69 years, male 3.8
GTEX-Y114-2426-SM-4TT8A 50-59 years, female 3.8
GTEX-Y3I4-2126-SM-4TT7C 50-59 years, male 3.8
GTEX-1HBPH-0426-SM-B2LW5 40-49 years, female 3.8
GTEX-11P82-1626-SM-59879 20-29 years, male 3.7
GTEX-14BIL-0126-SM-5SI92 50-59 years, male 3.7
GTEX-14BIM-0226-SM-7IGLD 60-69 years, female 3.7
GTEX-RTLS-0126-SM-447CA 60-69 years, female 3.7
GTEX-U8T8-0126-SM-3DB94 60-69 years, male 3.7
GTEX-1N2DV-0226-SM-E6CJ6 40-49 years, male 3.7
GTEX-1211K-2026-SM-5EQ4Z 60-69 years, female 3.6
GTEX-131XG-2626-SM-5KM17 50-59 years, female 3.6
GTEX-139T4-0226-SM-5HL5S 50-59 years, female 3.6
GTEX-WY7C-2326-SM-3NB2U 50-59 years, male 3.6
GTEX-113IC-0126-SM-5HL6T 60-69 years, male 3.5
GTEX-145LT-1726-SM-5QGP3 40-49 years, male 3.5
GTEX-145MN-2226-SM-5SIAU 30-39 years, male 3.5
GTEX-1HKZK-0326-SM-9WYUH 40-49 years, male 3.5
GTEX-12WSD-0126-SM-59HKN 60-69 years, female 3.4
GTEX-P4PQ-0126-SM-2S1NM 60-69 years, male 3.4
GTEX-R55G-2526-SM-2TC6D 40-49 years, female 3.4
GTEX-U412-0426-SM-3DB9O 60-69 years, male 3.4
GTEX-XXEK-2226-SM-4BRUM 50-59 years, male 3.4
GTEX-RVPV-0126-SM-EAZAW 60-69 years, male 3.4
GTEX-144GN-2326-SM-5LU4F 50-59 years, male 3.3
GTEX-OXRO-0126-SM-2YUN4 60-69 years, female 3.3
GTEX-S95S-1226-SM-4GICG 60-69 years, male 3.2
GTEX-TMZS-0126-SM-3DB9Q 60-69 years, male 3.2
GTEX-Y5LM-1926-SM-5RQJH 40-49 years, female 3.2
GTEX-W5X1-3026-SM-EAZAX 40-49 years, female 3.2
GTEX-11DXX-2426-SM-5GZZW 60-69 years, female 3.1
GTEX-X5EB-2226-SM-46MW4 40-49 years, male 3.1
GTEX-YEC4-2126-SM-5IFJH 40-49 years, male 3.1
GTEX-131XF-5016-SM-7MGWE 60-69 years, male 3.1
GTEX-1OJC4-0126-SM-E9J2E 50-59 years, female 3.1
GTEX-1S5ZA-0126-SM-EVYCV 20-29 years, male 3.1
GTEX-11EM3-2426-SM-59861 20-29 years, female 3.0
GTEX-12WSJ-1826-SM-5GCNY 40-49 years, female 3.0
GTEX-13OVG-1926-SM-5L3DK 60-69 years, male 3.0
GTEX-OOBK-0126-SM-2YUND 40-49 years, male 3.0
GTEX-WH7G-2326-SM-3NMBC 40-49 years, male 3.0
GTEX-1HSEH-0126-SM-ACKXN 60-69 years, male 3.0
GTEX-1I1GU-2226-SM-CGQFA 40-49 years, male 3.0
GTEX-13FTX-1826-SM-5J1NX 20-29 years, female 2.9
GTEX-13PVR-2326-SM-5QGR1 60-69 years, female 2.9
GTEX-15EOM-0126-SM-7KUGG 20-29 years, female 2.9
GTEX-RUSQ-1526-SM-2TF62 50-59 years, male 2.9
GTEX-PLZ4-0126-SM-5SI8O 50-59 years, female 2.8
GTEX-1QP29-0626-SM-EWRMX 50-59 years, male 2.8
GTEX-13RTK-1426-SM-5QGQJ 20-29 years, male 2.7
GTEX-XUW1-0426-SM-4BOOT 50-59 years, female 2.7
GTEX-XUZC-1726-SM-4BRWS 30-39 years, female 2.7
GTEX-1IDFM-0126-SM-COH2V 60-69 years, male 2.7
GTEX-1QP67-1626-SM-EAZ3X 40-49 years, female 2.7
GTEX-SUCS-1926-SM-32PM3 70-79 years, male 2.6
GTEX-NPJ8-0126-SM-2YUNR 40-49 years, male 2.5
GTEX-1MCYP-1926-SM-E9J2R 20-29 years, female 2.5
GTEX-133LE-1826-SM-5J1MV 20-29 years, female 2.4
GTEX-O5YW-0126-SM-3LK6D 50-59 years, male 2.4
GTEX-OXRL-0126-SM-2YUMP 50-59 years, male 2.4
GTEX-Q2AI-1326-SM-2S1PL 40-49 years, male 2.4
GTEX-RM2N-1426-SM-2TF4H 50-59 years, male 2.4
GTEX-PWCY-1826-SM-DHXIZ 20-29 years, female 2.4
GTEX-ZF28-0126-SM-4WKGK 60-69 years, male 2.3
GTEX-146FR-1326-SM-E9J48 60-69 years, female 2.3
GTEX-U3ZM-1526-SM-3DB9D 40-49 years, male 2.2
GTEX-ZDXO-3026-SM-5J1N5 60-69 years, male 2.2
GTEX-1HSMP-0126-SM-E6CJS 70-79 years, male 2.2
GTEX-1RAZQ-0726-SM-EAZ43 30-39 years, male 2.2
GTEX-1PFEY-1526-SM-E76PP 30-39 years, male 1.9
GTEX-14BMU-2226-SM-5TDE9 20-29 years, female 1.7
GTEX-ZYFG-2326-SM-5E44B 60-69 years, female 1.7
GTEX-1399U-2326-SM-5K7WY 50-59 years, female 1.6
GTEX-14PK6-1926-SM-6ETZU 70-79 years, female 1.5
GTEX-Q734-1926-SM-2I5EV 40-49 years, female 1.3
GTEX-SE5C-1626-SM-2XCE3 40-49 years, female 0.7
Show allShow less

Contact

  • NEWS ARTICLES
  • PRESS ROOM

The Project

  • INTRODUCTION
  • ORGANIZATION
  • PUBLICATIONS

The Human Protein Atlas

  • DOWNLOADABLE DATA
  • LICENCE & CITATION
  • HELP & FAQ
The Human Protein Atlas project is funded
by the Knut & Alice Wallenberg Foundation.


contact@proteinatlas.org