We use cookies to enhance the usability of our website. If you continue, we'll assume that you are happy to receive all cookies. More information. Don't show this again.
RASEF
HPA
RESOURCES
  • TISSUE
  • BRAIN
  • SINGLE CELL
  • SUBCELLULAR
  • CANCER
  • BLOOD
  • CELL LINE
  • STRUCTURE & INTERACTION
ABOUT
  • INTRODUCTION
  • HISTORY
  • ORGANIZATION
  • PUBLICATIONS
  • ANTIBODY SUBMISSION
  • ANTIBODY AVAILABILITY
  • ACKNOWLEDGMENTS
  • CONTACT
NEWS
  • NEWS ARTICLES
  • PRESS ROOM
LEARN
  • DICTIONARY
  • PROTEIN CLASSES
  • PROTEIN EVIDENCE
  • METHODS
  • EDUCATIONAL VIDEOS
DATA
  • DOWNLOADABLE DATA
  • PUBLICATION DATA
  • RELEASE HISTORY
HELP
  • ANTIBODY VALIDATION
  • ASSAYS & ANNOTATION
  • DISCLAIMER
  • HELP & FAQ
  • PRIVACY STATEMENT
  • LICENCE & CITATION
Fields »
Search result

Field
Term
Gene name
Class
Subclass
Class
Keyword
Chromosome
External id
Tissue
Cell type
Expression
Antibody panel
Tissue
Main location
Patient ID
Annotation
Tissue
Category
Tau score
Cluster
Reliability
Brain region
Category
Tau score
Brain region
Category
Tau score
Brain region
Category
Tau score
Cluster
Reliability
Tissue
Cell type
Enrichment
Cell type
Category
Tau score
Cell type
Category
Tau score
Cell type
Category
Tau score
Cell lineage
Category
Tau score
Cluster
Cluster
Location
Searches
Location
Cell line
Class
Type
Phase
Reliability
Cancer
Prognosis
Cancer
Category
Cancer
Category
Tau score
Cluster
Variants
Interacting gene (ensg_id)
Type
Number of interactions
Pathway
Category
Score
Score
Score
Validation
Validation
Validation
Validation
Antibodies
Data type
Column


  • SUMMARY

  • TISSUE

  • BRAIN

  • SINGLE CELL

  • SUBCELL

  • CANCER

  • BLOOD

  • CELL LINE

  • STRUCT & INT

  • RASEF
TISSUE PRIMARY DATA STOMACH Show tissue menu
ADIPOSE TISSUE ADRENAL GLAND AMYGDALA APPENDIX BASAL GANGLIA BONE MARROW BREAST BRONCHUS CEREBELLUM CEREBRAL CORTEX CERVIX CHOROID PLEXUS COLON DUODENUM
ENDOMETRIUM EPIDIDYMIS ESOPHAGUS FALLOPIAN TUBE GALLBLADDER HEART MUSCLE HIPPOCAMPAL FORMATION HYPOTHALAMUS KIDNEY LIVER LUNG LYMPH NODE MIDBRAIN NASOPHARYNX
ORAL MUCOSA OVARY PANCREAS PARATHYROID GLAND PITUITARY GLAND PLACENTA PROSTATE RECTUM RETINA SALIVARY GLAND SEMINAL VESICLE SKELETAL MUSCLE SKIN SMALL INTESTINE
SMOOTH MUSCLE SOFT TISSUE SPINAL CORD SPLEEN STOMACH TESTIS THYMUS THYROID GLAND TONGUE TONSIL URINARY BLADDER VAGINA
ANTIBODIES
AND
VALIDATION
Dictionary
Tissue proteome
Stomach
STOMACH - Expression summary
Protein expression
Stomachi

On the top, protein expression in current human tissue, based on all annotated cell types, is reported with the units not detected (n), low (l), medium (m) and high (h). Underneath, protein expression in each annotated cell type are reported using the same units.

Protein expression data is based on knowledge-based annotation. For genes where more than one antibody has been used, a collective score is set.

If knowledge-based annotation could not be performed for a gene, no data is displayed here. View antibody staining data further down this page.

h
m
l
n
Glandular cells: High
RNA expressioni

A summary of mRNA expression data available for current tissue based on several datasets. The mRNA expression levels in human tissues are based on RNA-seq data generated by the Human Protein Atlas (HPA), Genotype-Tissue Expression (GTEx) portal and CAGE data generated by the FANTOM5 consortium. Consensus normalized expression levels for human tissues was created by combining the data from HPA and GTEx datasets.

The mRNA expression levels in pig are based on RNA-seq data generated by the Human Protein Atlas (HPA), and for mouse, HPA data and in situ hybridization generated by the Allen brain atlas are reported.

Scroll down to view mRNA expression data in more detail.
Consensus:39.4 nTPM
HPA:39.4 nTPM
GTEx:10.1 nTPM

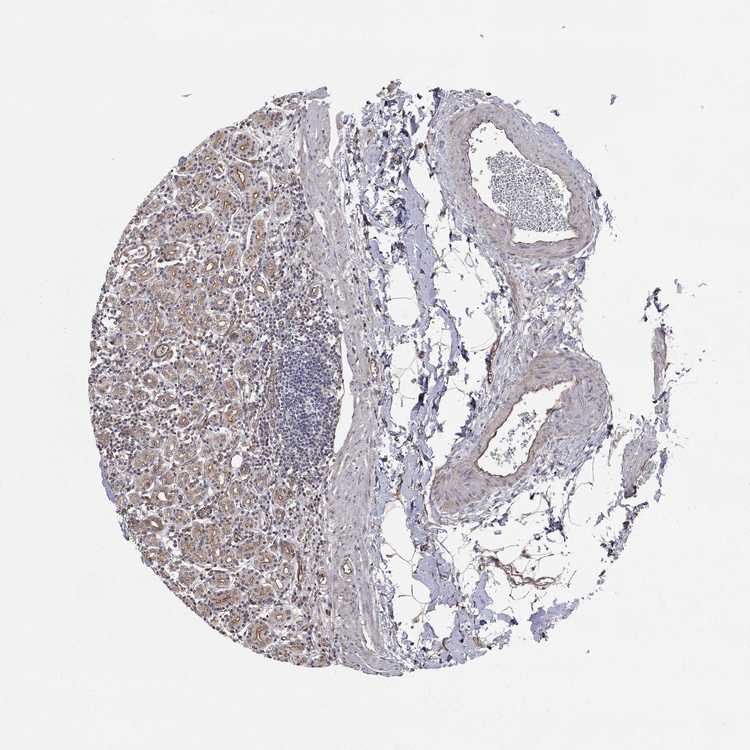
STOMACH 1 - Antibody stainingi

Antibody staining in the annotated cell types in the current human tissue is reported as not detected, low, medium, or high, based on conventional immunohistochemistry profiling in selected tissues. This score is based on the combination of the staining intensity and fraction of stained cells.

Each image is clickable and will lead to virtual microscopy that enables deeper exploration of all samples and also displays staining intensity scores, fraction scores and subcellular localization as well as patient and tissue information for each sample.

Antibody HPA078596
Glandular cells High


STOMACH 2 - Antibody stainingi

Antibody staining in the annotated cell types in the current human tissue is reported as not detected, low, medium, or high, based on conventional immunohistochemistry profiling in selected tissues. This score is based on the combination of the staining intensity and fraction of stained cells.

Each image is clickable and will lead to virtual microscopy that enables deeper exploration of all samples and also displays staining intensity scores, fraction scores and subcellular localization as well as patient and tissue information for each sample.

Antibody HPA078596
Glandular cells High



STOMACH - HPA RNA-seqi

The RNA-seq details section shows detailed information about the individual samples used for the transcript profiling and results of the RNA-seq analysis.

Information about each individual sample is listed below, including gender, age, a tissue section image and estimated fractions of cell types. nTPM (normalized transcripts per million) values give a quantification of the gene abundance which is comparable between different genes and samples.
Average nTPMi

Max subtype nTPM is the value for the subtype with the largest average nTPM across the subtype samples.

39.4
overview
Female, age 33
Stomach sample 61
nTPM: 8.7
Cell types%
Glandular cells:
60

Smooth muscle cells:
5

Other cell types:
35

N/A
Male, age 82
Stomach sample 240
nTPM: 29.7
Cell types%
Glandular cells:
65

Smooth muscle cells:
5

Other cell types:
30

overview
Male, age 71
Stomach sample 241
nTPM: 76
Cell types%
Glandular cells:
50

Smooth muscle cells:
5

Other cell types:
45

overview
Female, age 66
Stomach sample 369
nTPM: 43.1
Cell types%
Glandular cells:
50

Smooth muscle cells:
10

Other cell types:
40


STOMACH - GTEx RNA-seqi

RNA-Seq data generated by the Genotype-Tissue Expression (GTEx) project from human tissues is reported as mean nTPM. More information can be found on the GTEx portal.

Distribution across the dataset is visualized with box plots, shown as median and 25th and 75th percentiles. Points are displayed as outliers if they are above or below 1.5 times the interquartile range. nTPM values of the individual samples are presented next to the box plot.
Max subtype nTPMi

Max subtype nTPM is the value for the subtype with the largest average nTPM across the subtype samples.

10.1
GTEx sample id Sample description nTPM
Stomach
Average nTPM: 10.1
Samples: 359

Max nTPM: 67.8
Min nTPM: 0.0
Std nTPM: 9.9
Median nTPM: 8.3
GTEX-1GMRU-2526-SM-9WG7T 50-59 years, male 67.8
GTEX-ZVP2-1626-SM-5GU5D 50-59 years, male 53.4
GTEX-11GSP-2126-SM-5HL5E 60-69 years, female 48.7
GTEX-1JMPZ-1826-SM-CXZJT 30-39 years, male 47.0
GTEX-13OW6-2526-SM-5IJEC 50-59 years, male 43.7
GTEX-11NUK-2426-SM-5BC4U 50-59 years, male 43.1
GTEX-Y9LG-1026-SM-5IFJN 30-39 years, male 41.0
GTEX-ZVT3-2126-SM-59HL2 60-69 years, female 35.4
GTEX-ZYY3-1726-SM-5EGH3 60-69 years, female 32.6
GTEX-12WSD-2326-SM-59HKQ 60-69 years, female 32.1
GTEX-T6MO-0726-SM-4DM58 40-49 years, female 31.6
GTEX-S341-0626-SM-4AD5T 40-49 years, female 31.2
GTEX-13FTW-1726-SM-5KM2B 40-49 years, male 30.8
GTEX-1C475-1026-SM-7MKFJ 40-49 years, female 30.5
GTEX-14B4R-0726-SM-5TDDR 30-39 years, male 29.7
GTEX-1GL5R-1926-SM-9WG7U 50-59 years, male 29.5
GTEX-12WSK-1426-SM-5CVNN 40-49 years, female 29.2
GTEX-11DXX-1326-SM-5GIDZ 60-69 years, female 28.4
GTEX-12BJ1-1726-SM-5HL9B 60-69 years, male 27.9
GTEX-SNOS-0826-SM-4DM5N 40-49 years, male 27.1
GTEX-Q2AH-1126-SM-48TZM 40-49 years, male 26.5
GTEX-ZZ64-0426-SM-5E43F 20-29 years, male 26.5
GTEX-1R7EU-1126-SM-EAZ4M 60-69 years, male 26.2
GTEX-1A3MV-1226-SM-718BW 30-39 years, male 26.1
GTEX-11EM3-1026-SM-5A5KL 20-29 years, female 26.0
GTEX-PWCY-0926-SM-48TD7 20-29 years, female 25.8
GTEX-ZY6K-0726-SM-5A5L8 50-59 years, male 25.8
GTEX-13S7M-1826-SM-5RQK6 60-69 years, female 25.2
GTEX-131XG-1226-SM-5EGH9 50-59 years, female 24.9
GTEX-132QS-1826-SM-5IFFN 60-69 years, male 24.6
GTEX-117YX-1026-SM-5H11V 50-59 years, male 24.4
GTEX-Y3IK-1426-SM-4YCES 50-59 years, female 23.5
GTEX-14PHX-1026-SM-664OL 50-59 years, male 23.0
GTEX-OOBJ-1526-SM-3NB1Q 60-69 years, male 22.9
GTEX-13CF3-1926-SM-5K7WF 60-69 years, female 22.6
GTEX-ZQUD-0826-SM-57WDQ 30-39 years, male 22.2
GTEX-1B97J-1826-SM-7IGPP 50-59 years, female 21.8
GTEX-QCQG-0526-SM-48U2A 50-59 years, female 21.8
GTEX-YEC4-1426-SM-5IFHS 40-49 years, male 21.8
GTEX-1LBAC-1426-SM-CXZKT 20-29 years, male 21.6
GTEX-ZLFU-1326-SM-DO11R 40-49 years, male 21.3
GTEX-OHPK-1526-SM-3MJGM 50-59 years, female 21.2
GTEX-QDVN-1226-SM-48TZ5 50-59 years, male 21.0
GTEX-RTLS-2626-SM-46MUJ 60-69 years, female 20.6
GTEX-QLQ7-0826-SM-447B3 60-69 years, male 20.4
GTEX-ZVZP-1726-SM-5GZWY 50-59 years, male 20.1
GTEX-14BMU-1126-SM-5RQJ8 20-29 years, female 19.9
GTEX-U4B1-1026-SM-4DXT1 40-49 years, male 19.7
GTEX-WHPG-0426-SM-4M1XW 50-59 years, male 19.7
GTEX-WHSB-1226-SM-4M1XR 50-59 years, male 19.6
GTEX-YFCO-0826-SM-5LUAG 40-49 years, male 19.5
GTEX-111CU-0926-SM-5EGIK 50-59 years, male 19.4
GTEX-ZLV1-0826-SM-DO11P 60-69 years, female 19.3
GTEX-18A67-2626-SM-718AD 50-59 years, male 19.2
GTEX-S4Q7-0726-SM-4AD5F 20-29 years, male 19.2
GTEX-145ME-1026-SM-5O9B4 40-49 years, female 19.1
GTEX-1B8KZ-1226-SM-793CP 50-59 years, male 19.0
GTEX-ZLWG-1526-SM-DO12F 50-59 years, female 18.5
GTEX-11TT1-0726-SM-5GU5A 20-29 years, male 18.4
GTEX-WXYG-1626-SM-4ONCR 50-59 years, female 18.3
GTEX-ZVT2-1626-SM-51MRC 50-59 years, female 18.2
GTEX-117YW-2226-SM-5N9DB 50-59 years, male 18.1
GTEX-QV31-0626-SM-447C5 30-39 years, male 18.1
GTEX-11I78-1726-SM-5A5M3 50-59 years, female 18.0
GTEX-131XF-1226-SM-5HL8V 60-69 years, male 18.0
GTEX-13QBU-1126-SM-5LU44 40-49 years, female 18.0
GTEX-WFON-1126-SM-4LVMA 40-49 years, male 16.9
GTEX-S95S-0826-SM-4B64N 60-69 years, male 16.8
GTEX-RM2N-0826-SM-48FD3 50-59 years, male 16.7
GTEX-WFG8-1326-SM-4LVN3 20-29 years, male 16.7
GTEX-1LGOU-1526-SM-D3LAJ 20-29 years, female 16.7
GTEX-1MUQO-1926-SM-EAZ59 60-69 years, male 16.7
GTEX-1JKYN-1726-SM-AHZ48 30-39 years, male 16.5
GTEX-ZV7C-1626-SM-5NQ7E 50-59 years, male 16.4
GTEX-SNMC-0626-SM-4DM6H 20-29 years, male 16.3
GTEX-145MN-1326-SM-5NQ9S 30-39 years, male 16.2
GTEX-U3ZN-2026-SM-4DXUC 30-39 years, female 16.2
GTEX-WY7C-1726-SM-4ONCC 50-59 years, male 16.0
GTEX-1MJIX-1126-SM-EV7AO 40-49 years, male 16.0
GTEX-POMQ-0826-SM-3P61H 20-29 years, female 15.6
GTEX-1HBPI-0726-SM-9WG7Z 50-59 years, male 15.4
GTEX-1KANA-1126-SM-D3L9M 20-29 years, male 15.3
GTEX-111YS-1126-SM-5GZYQ 60-69 years, male 15.2
GTEX-1AYCT-1326-SM-7MKHB 50-59 years, male 15.2
GTEX-15UF7-1226-SM-6M46G 40-49 years, male 15.1
GTEX-ZYFG-1326-SM-5GICJ 60-69 years, female 15.1
GTEX-1KXAM-0926-SM-CXZKA 60-69 years, male 15.1
GTEX-15DCE-1626-SM-6LPJM 20-29 years, male 15.0
GTEX-13PVQ-2126-SM-5L3FW 50-59 years, male 14.9
GTEX-Y5LM-1326-SM-5RQIS 40-49 years, female 14.9
GTEX-RWS6-0926-SM-47JXE 60-69 years, female 14.8
GTEX-13FTX-0726-SM-5N9BI 20-29 years, female 14.6
GTEX-15CHR-1326-SM-79OLT 50-59 years, male 14.4
GTEX-VJYA-1026-SM-4KL21 60-69 years, male 14.4
GTEX-14E6E-0926-SM-664N8 30-39 years, male 14.3
GTEX-T8EM-1226-SM-4DM5J 40-49 years, male 14.1
GTEX-1CAMR-0726-SM-7EPIE 20-29 years, male 14.0
GTEX-1LG7Z-1226-SM-DHXK4 30-39 years, male 14.0
GTEX-1QPFJ-1526-SM-DPRXT 30-39 years, female 14.0
GTEX-PWN1-1526-SM-48TDA 40-49 years, female 13.9
GTEX-WYJK-2526-SM-4ONDF 50-59 years, male 13.8
GTEX-1I6K7-1726-SM-B2LXQ 40-49 years, male 13.8
GTEX-QDVJ-1426-SM-48U1Y 50-59 years, male 13.7
GTEX-14PJ5-0826-SM-6AJAR 60-69 years, female 13.6
GTEX-P4PP-1526-SM-3P61M 30-39 years, female 13.5
GTEX-1AMFI-1226-SM-731CZ 50-59 years, female 13.3
GTEX-14PKV-1826-SM-69LO9 20-29 years, female 13.2
GTEX-WEY5-1226-SM-4LMIQ 40-49 years, female 13.1
GTEX-ZA64-0826-SM-5HL9U 20-29 years, male 13.1
GTEX-133LE-1326-SM-5IFGO 20-29 years, female 13.0
GTEX-Y8LW-0826-SM-4WWDO 50-59 years, female 13.0
GTEX-1QCLY-1126-SM-EAZ4J 30-39 years, male 13.0
GTEX-1RB15-1026-SM-E9U6V 60-69 years, male 13.0
GTEX-13RTK-0226-SM-5RQHR 20-29 years, male 12.9
GTEX-1HFI7-1526-SM-9WG7W 50-59 years, female 12.9
GTEX-1JMLX-2426-SM-CXZJQ 50-59 years, male 12.8
GTEX-18D9A-0626-SM-7KFTY 30-39 years, female 12.5
GTEX-18A7A-2726-SM-7LG6U 50-59 years, female 12.3
GTEX-1B8KE-1326-SM-73KVI 50-59 years, male 12.2
GTEX-1A8G6-1426-SM-731EZ 60-69 years, male 12.0
GTEX-1MGNQ-1826-SM-DPRYI 40-49 years, male 12.0
GTEX-13D11-2126-SM-5IFH2 50-59 years, female 11.9
GTEX-1QP2A-2126-SM-DPRZ7 50-59 years, male 11.9
GTEX-15DZA-1126-SM-6LPK8 30-39 years, female 11.8
GTEX-16AAH-1226-SM-79OO9 50-59 years, male 11.8
GTEX-17GQL-1226-SM-7KFTS 60-69 years, male 11.8
GTEX-ZXES-1426-SM-5NQ8S 30-39 years, female 11.7
GTEX-15G19-1526-SM-6LPKP 60-69 years, male 11.6
GTEX-1F75I-1826-SM-7MKGX 40-49 years, male 11.5
GTEX-T5JW-0926-SM-4DM5K 20-29 years, female 11.4
GTEX-ZF29-1526-SM-4WKF7 60-69 years, female 11.4
GTEX-1H3VY-2326-SM-9WG81 50-59 years, male 11.4
GTEX-OHPM-1526-SM-EV796 50-59 years, male 11.4
GTEX-1122O-1926-SM-5EGIQ 60-69 years, female 11.1
GTEX-13113-0726-SM-5LZUF 60-69 years, female 11.1
GTEX-Q2AI-0826-SM-48TZO 40-49 years, male 11.1
GTEX-QLQW-0726-SM-447AA 30-39 years, male 11.0
GTEX-V1D1-1726-SM-4JBHB 50-59 years, male 11.0
GTEX-1JK1U-1326-SM-AHZ45 60-69 years, male 11.0
GTEX-13PVR-2126-SM-73KVR 60-69 years, female 10.9
GTEX-YB5E-1126-SM-664NU 40-49 years, male 10.8
GTEX-14PJ6-0826-SM-686Z9 60-69 years, female 10.7
GTEX-17F98-1526-SM-7EWD8 40-49 years, female 10.7
GTEX-TMMY-1626-SM-4DXTY 40-49 years, female 10.7
GTEX-14PJ3-1426-SM-664O8 50-59 years, male 10.6
GTEX-14PJ4-1626-SM-664OB 60-69 years, male 10.5
GTEX-S3XE-1026-SM-4AD4O 50-59 years, male 10.5
GTEX-XBED-1226-SM-4AT5V 60-69 years, male 10.5
GTEX-ZPU1-1626-SM-4WWB2 40-49 years, male 10.5
GTEX-ZGAY-1626-SM-DNZZ3 40-49 years, female 10.5
GTEX-1LGRB-1726-SM-CNNRA 50-59 years, female 10.3
GTEX-12696-1726-SM-5EQLH 60-69 years, male 10.2
GTEX-S4UY-1626-SM-4AD55 40-49 years, female 10.2
GTEX-14JG6-1226-SM-664O6 30-39 years, female 9.9
GTEX-1GZ4H-1026-SM-9OSXL 50-59 years, female 9.9
GTEX-1399S-1626-SM-5P9GI 30-39 years, female 9.6
GTEX-144GM-1726-SM-5O9AS 20-29 years, male 9.6
GTEX-1IDJU-1526-SM-CNNR3 60-69 years, female 9.6
GTEX-1F5PL-1426-SM-7MKFH 40-49 years, female 9.5
GTEX-W5WG-1726-SM-4LMI5 50-59 years, female 9.5
GTEX-11NSD-1426-SM-5HL67 20-29 years, male 9.4
GTEX-13OVK-0926-SM-7KUFX 40-49 years, male 9.4
GTEX-QXCU-1926-SM-48FE4 50-59 years, male 9.4
GTEX-ZDYS-1926-SM-5HL59 50-59 years, male 9.4
GTEX-1399R-1126-SM-5IFIO 30-39 years, male 9.3
GTEX-144GN-1226-SM-5O991 50-59 years, male 9.3
GTEX-14DAR-0926-SM-73KUQ 50-59 years, male 9.3
GTEX-17HGU-2126-SM-7IGOV 50-59 years, male 9.3
GTEX-XUZC-0726-SM-4BOPH 30-39 years, female 8.8
GTEX-XV7Q-1326-SM-4BRWM 40-49 years, female 8.8
GTEX-1HBPN-1626-SM-9WPNP 50-59 years, male 8.8
GTEX-1RAZR-1526-SM-EAZ4U 40-49 years, male 8.8
GTEX-XMK1-1526-SM-EYYVO 40-49 years, male 8.8
GTEX-1R9K5-1026-SM-EAZ4F 50-59 years, male 8.7
GTEX-YJ8A-1526-SM-5P9FT 20-29 years, male 8.6
GTEX-1H23P-2726-SM-9JGHN 60-69 years, male 8.5
GTEX-1I1GT-1726-SM-C1YS3 60-69 years, female 8.5
GTEX-WFG7-1326-SM-4LMK1 20-29 years, male 8.4
GTEX-1I1HK-2026-SM-CNNRB 60-69 years, male 8.4
GTEX-13X6J-2126-SM-5TDCV 50-59 years, male 8.3
GTEX-17F9E-2226-SM-7IGNC 50-59 years, male 8.3
GTEX-18A66-2226-SM-7189E 60-69 years, male 8.2
GTEX-1J8QM-1126-SM-C1YQB 60-69 years, female 8.2
GTEX-13O21-0926-SM-5IFGT 50-59 years, male 8.1
GTEX-P78B-1826-SM-3P5YX 40-49 years, female 8.1
GTEX-UJMC-1226-SM-4IHLI 50-59 years, male 8.1
GTEX-14BIL-1926-SM-73KYI 50-59 years, male 8.0
GTEX-ZAB4-1526-SM-5CVN7 40-49 years, male 8.0
GTEX-ZT9W-1526-SM-4YCDE 50-59 years, male 8.0
GTEX-WRHK-0626-SM-4MVOE 20-29 years, female 7.9
GTEX-1I4MK-0926-SM-A9SLD 50-59 years, female 7.8
GTEX-XXEK-0826-SM-4BRWG 50-59 years, male 7.6
GTEX-1QMI2-2126-SM-DPRXQ 60-69 years, male 7.6
GTEX-OXRK-1626-SM-3NB17 50-59 years, female 7.4
GTEX-R53T-1226-SM-48FCT 50-59 years, female 7.4
GTEX-ZP4G-1226-SM-4WWCJ 20-29 years, female 7.4
GTEX-X15G-1126-SM-4PQZG 50-59 years, female 7.2
GTEX-1HKZK-1526-SM-B2LWG 40-49 years, male 7.2
GTEX-1IDJD-2426-SM-C1YS6 30-39 years, male 7.2
GTEX-OIZF-1526-SM-2I5GR 60-69 years, male 7.1
GTEX-15RIE-1026-SM-6LPJQ 60-69 years, male 6.9
GTEX-QV44-1226-SM-CJI1S 50-59 years, male 6.9
GTEX-ZF2S-1426-SM-57WET 50-59 years, female 6.7
GTEX-1ICG6-1826-SM-AHZ2O 70-79 years, female 6.7
GTEX-1LVAN-2426-SM-CNNPZ 50-59 years, female 6.6
GTEX-1RMOY-1126-SM-EV79E 50-59 years, male 6.6
GTEX-PX3G-1526-SM-48U11 20-29 years, female 6.5
GTEX-17HII-2426-SM-7KFTT 50-59 years, male 6.4
GTEX-QMRM-1126-SM-447BN 50-59 years, male 6.4
GTEX-1HSEH-1526-SM-B2LXG 60-69 years, male 6.4
GTEX-1QCLZ-1826-SM-DPRXP 60-69 years, female 6.4
GTEX-Q734-1026-SM-48U16 40-49 years, female 6.2
GTEX-132AR-2426-SM-5IFFD 50-59 years, female 5.9
GTEX-XQ8I-2026-SM-4BOOL 50-59 years, male 5.9
GTEX-1J8JJ-1726-SM-C1YQG 60-69 years, female 5.9
GTEX-17MF6-2126-SM-7KFS7 40-49 years, male 5.8
GTEX-1H1E6-1626-SM-9OSWC 30-39 years, male 5.8
GTEX-145LT-1426-SM-5O9B3 40-49 years, male 5.7
GTEX-18QFQ-1226-SM-718AE 30-39 years, male 5.7
GTEX-PW2O-1226-SM-48TCH 20-29 years, male 5.7
GTEX-Y5V6-1326-SM-4VDTF 60-69 years, male 5.7
GTEX-1GN1W-2126-SM-9JGI7 50-59 years, female 5.7
GTEX-12WSG-2026-SM-5FQUU 50-59 years, female 5.6
GTEX-1J8Q3-1926-SM-C1YSJ 60-69 years, male 5.6
GTEX-1JN1M-2926-SM-CNNPJ 60-69 years, female 5.6
GTEX-13U4I-2526-SM-5SI8Z 40-49 years, female 5.4
GTEX-14ICL-0826-SM-5YY9W 30-39 years, male 5.3
GTEX-O5YW-1526-SM-3MJGL 50-59 years, male 5.3
GTEX-ZZPU-1426-SM-5GZZ6 50-59 years, female 5.2
GTEX-17HHE-1026-SM-79ON6 50-59 years, male 5.1
GTEX-V955-1326-SM-4JBHR 60-69 years, male 4.9
GTEX-1J8EW-2226-SM-AHZ3T 60-69 years, female 4.8
GTEX-139YR-1926-SM-5LZXM 50-59 years, male 4.7
GTEX-OXRL-1526-SM-E6CHQ 50-59 years, male 4.7
GTEX-XBEW-1826-SM-4RTWX 40-49 years, male 4.2
GTEX-1B97I-1226-SM-7MGWQ 40-49 years, male 4.1
GTEX-1RQEC-2126-SM-DPS15 60-69 years, male 4.1
GTEX-1GF9U-1126-SM-AHZ4H 40-49 years, female 4.0
GTEX-139D8-2326-SM-5IFGE 30-39 years, female 3.9
GTEX-1A3MX-1926-SM-72D7F 60-69 years, male 3.8
GTEX-1H11D-2226-SM-9OSXN 40-49 years, male 3.8
GTEX-1QP29-2326-SM-EXOJO 50-59 years, male 3.8
GTEX-1F5PK-1826-SM-7RHHX 50-59 years, male 3.6
GTEX-NFK9-1526-SM-3LK7B 40-49 years, male 3.5
GTEX-Y3I4-1626-SM-4TT7W 50-59 years, male 3.5
GTEX-1H1DG-2126-SM-9WPPB 70-79 years, male 3.5
GTEX-SUCS-0926-SM-4DM4Z 70-79 years, male 3.4
GTEX-WHWD-1426-SM-4OORU 50-59 years, male 3.4
GTEX-13FH7-1026-SM-5IJGF 50-59 years, female 3.3
GTEX-1AMEY-1226-SM-731DU 30-39 years, female 3.3
GTEX-S7SF-0626-SM-4AD4V 20-29 years, female 3.2
GTEX-O5YV-1926-SM-EV797 60-69 years, female 3.2
GTEX-14DAQ-2826-SM-664MU 60-69 years, female 3.1
GTEX-WYVS-1326-SM-4ONCQ 40-49 years, female 3.1
GTEX-ZEX8-1626-SM-4WKG7 50-59 years, male 3.1
GTEX-1LSNM-1026-SM-DHXL2 50-59 years, male 3.0
GTEX-16NGA-1526-SM-72D56 40-49 years, female 2.9
GTEX-145MO-2226-SM-5Q5BN 60-69 years, male 2.7
GTEX-Y8E4-1526-SM-4WWDI 40-49 years, male 2.6
GTEX-1AX9J-2626-SM-731EK 60-69 years, male 2.5
GTEX-13OVI-2426-SM-5KM4J 60-69 years, female 2.3
GTEX-1HCU8-1326-SM-C1YQQ 60-69 years, female 2.3
GTEX-11EQ9-1226-SM-5987E 30-39 years, male 2.2
GTEX-1E1VI-2826-SM-7MGWU 50-59 years, male 2.2
GTEX-PLZ5-1226-SM-EXOHA 50-59 years, male 2.2
GTEX-14BMV-2226-SM-5RQHX 50-59 years, male 2.0
GTEX-1JMQJ-1326-SM-D4P3B 50-59 years, male 2.0
GTEX-1PPH8-1326-SM-DTXFO 20-29 years, male 2.0
GTEX-15G1A-1226-SM-7KUF3 30-39 years, male 1.8
GTEX-1HCUA-1626-SM-A9SMG 50-59 years, female 1.7
GTEX-1JMPY-0926-SM-ARL92 30-39 years, male 1.4
GTEX-14PKU-1126-SM-69LOU 40-49 years, female 1.3
GTEX-Y114-1226-SM-4TT88 50-59 years, female 1.2
GTEX-18D9B-2226-SM-718BM 60-69 years, male 1.1
GTEX-1MCYP-1126-SM-E9J2P 20-29 years, female 1.0
GTEX-QDT8-2026-SM-EZ6LS 30-39 years, female 1.0
GTEX-WZTO-2126-SM-4PQYW 40-49 years, male 0.9
GTEX-1KD5A-1426-SM-D4P3V 50-59 years, male 0.9
GTEX-15SHW-2126-SM-6M46Y 60-69 years, male 0.8
GTEX-13O3Q-2126-SM-5KM4C 50-59 years, male 0.7
GTEX-T5JC-1926-SM-4DM6Q 20-29 years, male 0.7
GTEX-1IL2V-2026-SM-ARZMA 70-79 years, male 0.7
GTEX-1QW4Y-0726-SM-DTX8E 30-39 years, male 0.7
GTEX-11EI6-2426-SM-5PNVS 60-69 years, male 0.6
GTEX-13N1W-2026-SM-5K7YU 70-79 years, male 0.6
GTEX-17JCI-2226-SM-7LTA1 60-69 years, female 0.5
GTEX-ZE7O-3026-SM-51MS4 50-59 years, female 0.5
GTEX-1HT8W-2326-SM-A9SLA 30-39 years, male 0.5
GTEX-12C56-0526-SM-5FQST 20-29 years, male 0.4
GTEX-17KNJ-1526-SM-7LTA9 50-59 years, male 0.4
GTEX-1E2YA-2426-SM-7EPIG 50-59 years, male 0.4
GTEX-XPVG-1526-SM-4B66C 50-59 years, male 0.4
GTEX-1JN76-0926-SM-ARZNH 20-29 years, female 0.4
GTEX-1K2DA-0826-SM-CGQGD 50-59 years, male 0.4
GTEX-12WSJ-0926-SM-5P9JD 40-49 years, female 0.3
GTEX-13111-1226-SM-5GCNC 50-59 years, male 0.3
GTEX-13O61-1126-SM-5L3FI 60-69 years, male 0.3
GTEX-13QJ3-2726-SM-5SI6L 50-59 years, male 0.3
GTEX-1B8L1-1526-SM-79OLK 60-69 years, male 0.3
GTEX-PLZ6-0826-SM-3P61K 30-39 years, male 0.3
GTEX-S4P3-0726-SM-4AD57 50-59 years, female 0.3
GTEX-TKQ1-0526-SM-4DXTG 30-39 years, male 0.3
GTEX-TKQ2-0926-SM-4DXU5 50-59 years, male 0.3
GTEX-UPK5-2126-SM-4JBJK 40-49 years, male 0.3
GTEX-ZYVF-2726-SM-5GID4 50-59 years, female 0.3
GTEX-1CB4H-2426-SM-7PBYR 60-69 years, female 0.3
GTEX-1EH9U-2226-SM-7PBXX 60-69 years, male 0.3
GTEX-1H3NZ-2226-SM-9WYUT 60-69 years, male 0.3
GTEX-1HR9M-2326-SM-CNPPZ 60-69 years, male 0.3
GTEX-1HSMQ-2426-SM-CE6RY 50-59 years, male 0.3
GTEX-1LVAM-1426-SM-E9TJ4 50-59 years, female 0.3
GTEX-1N2DV-0926-SM-E9TJT 40-49 years, male 0.3
GTEX-1PIGE-1126-SM-EWRMV 20-29 years, male 0.3
GTEX-11P82-0726-SM-5PNYL 20-29 years, male 0.2
GTEX-11WQK-2626-SM-5EQ4K 50-59 years, male 0.2
GTEX-1211K-1426-SM-5FQTF 60-69 years, female 0.2
GTEX-131XE-2226-SM-5PNYX 50-59 years, male 0.2
GTEX-146FH-2126-SM-5SI9U 50-59 years, female 0.2
GTEX-14E1K-1526-SM-664MN 50-59 years, male 0.2
GTEX-14PHY-0926-SM-5ZZWL 60-69 years, female 0.2
GTEX-14PN3-1326-SM-6AJ9U 60-69 years, female 0.2
GTEX-1CB4E-1326-SM-7DUGD 60-69 years, male 0.2
GTEX-OIZH-1526-SM-3NB1J 50-59 years, male 0.2
GTEX-R55C-1026-SM-48FCM 40-49 years, male 0.2
GTEX-RU1J-0526-SM-46MUT 20-29 years, female 0.2
GTEX-UJHI-1026-SM-4IHJP 50-59 years, female 0.2
GTEX-XAJ8-0326-SM-47JYI 40-49 years, male 0.2
GTEX-1GPI7-1326-SM-9KNVA 20-29 years, male 0.2
GTEX-1IDJF-1426-SM-ACKWK 20-29 years, male 0.2
GTEX-1NSGN-1926-SM-E9J36 50-59 years, male 0.2
GTEX-1QP67-1026-SM-EVR47 40-49 years, female 0.2
GTEX-1S3DN-1526-SM-EVYCB 50-59 years, male 0.2
GTEX-1S831-1126-SM-EWROI 20-29 years, male 0.2
GTEX-YEC3-1426-SM-D4P1S 50-59 years, male 0.2
GTEX-11P7K-1726-SM-5GU6F 30-39 years, male 0.1
GTEX-11VI4-0326-SM-5EQ6L 40-49 years, female 0.1
GTEX-1339X-1426-SM-5K7YO 40-49 years, male 0.1
GTEX-1399U-1626-SM-5P9J3 50-59 years, female 0.1
GTEX-13X6H-1626-SM-5Q5CT 50-59 years, female 0.1
GTEX-146FR-2026-SM-5NQAI 60-69 years, female 0.1
GTEX-15EU6-2526-SM-7KUGB 50-59 years, male 0.1
GTEX-15RIF-1126-SM-7KUG2 20-29 years, male 0.1
GTEX-17EUY-1526-SM-793CA 20-29 years, male 0.1
GTEX-P4PQ-1526-SM-3NMCK 60-69 years, male 0.1
GTEX-P4QT-1526-SM-3NMCT 50-59 years, female 0.1
GTEX-R55D-1526-SM-48FEJ 50-59 years, male 0.1
GTEX-R55G-1126-SM-48FDG 40-49 years, female 0.1
GTEX-WFJO-1126-SM-4LVLZ 30-39 years, male 0.1
GTEX-WH7G-1526-SM-4LVMX 40-49 years, male 0.1
GTEX-ZPIC-2026-SM-57WG3 40-49 years, female 0.1
GTEX-ZTX8-0426-SM-59HLG 20-29 years, male 0.1
GTEX-ZV6S-0926-SM-57WGB 40-49 years, female 0.1
GTEX-1H1DE-1226-SM-9JGHH 20-29 years, male 0.1
GTEX-1L5NE-1526-SM-DIPFW 50-59 years, male 0.1
GTEX-1S82Z-1726-SM-E6CHZ 30-39 years, female 0.1
GTEX-RUSQ-1126-SM-EAZAU 50-59 years, male 0.1
GTEX-1C64O-2226-SM-73KTV 60-69 years, male 0.0
GTEX-S4Z8-1226-SM-4AD6W 60-69 years, male 0.0
GTEX-1QP28-2126-SM-DTX8B 50-59 years, female 0.0
Show allShow less

Contact

  • NEWS ARTICLES
  • PRESS ROOM

The Project

  • INTRODUCTION
  • ORGANIZATION
  • PUBLICATIONS

The Human Protein Atlas

  • DOWNLOADABLE DATA
  • LICENCE & CITATION
  • HELP & FAQ
The Human Protein Atlas project is funded
by the Knut & Alice Wallenberg Foundation.


contact@proteinatlas.org