We use cookies to enhance the usability of our website. If you continue, we'll assume that you are happy to receive all cookies. More information. Don't show this again.
CARD19
HPA
RESOURCES
  • TISSUE
  • BRAIN
  • SINGLE CELL
  • SUBCELLULAR
  • CANCER
  • BLOOD
  • CELL LINE
  • STRUCTURE & INTERACTION
ABOUT
  • INTRODUCTION
  • HISTORY
  • ORGANIZATION
  • PUBLICATIONS
  • ANTIBODY SUBMISSION
  • ANTIBODY AVAILABILITY
  • ACKNOWLEDGMENTS
  • CONTACT
NEWS
  • NEWS ARTICLES
  • PRESS ROOM
LEARN
  • DICTIONARY
  • PROTEIN CLASSES
  • PROTEIN EVIDENCE
  • METHODS
  • EDUCATIONAL VIDEOS
DATA
  • DOWNLOADABLE DATA
  • PUBLICATION DATA
  • RELEASE HISTORY
HELP
  • ANTIBODY VALIDATION
  • ASSAYS & ANNOTATION
  • DISCLAIMER
  • HELP & FAQ
  • PRIVACY STATEMENT
  • LICENCE & CITATION
Fields »
Search result

Field
Term
Gene name
Class
Subclass
Class
Keyword
Chromosome
External id
Tissue
Cell type
Expression
Antibody panel
Tissue
Main location
Patient ID
Annotation
Tissue
Category
Tau score
Cluster
Reliability
Brain region
Category
Tau score
Brain region
Category
Tau score
Brain region
Category
Tau score
Cluster
Reliability
Tissue
Cell type
Enrichment
Cell type
Category
Tau score
Cell type
Category
Tau score
Cell type
Category
Tau score
Cell lineage
Category
Tau score
Cluster
Cluster
Location
Searches
Location
Cell line
Class
Type
Phase
Reliability
Cancer
Prognosis
Cancer
Category
Cancer
Category
Tau score
Cluster
Variants
Interacting gene (ensg_id)
Type
Number of interactions
Pathway
Category
Score
Score
Score
Validation
Validation
Validation
Validation
Antibodies
Data type
Column


  • SUMMARY

  • TISSUE

  • BRAIN

  • SINGLE CELL

  • SUBCELL

  • CANCER

  • BLOOD

  • CELL LINE

  • STRUCT & INT

  • CARD19
TISSUE PRIMARY DATA ADIPOSE TISSUE Show tissue menu
ADIPOSE TISSUE ADRENAL GLAND AMYGDALA APPENDIX BASAL GANGLIA BONE MARROW BREAST BRONCHUS CEREBELLUM CEREBRAL CORTEX CERVIX CHOROID PLEXUS COLON DUODENUM
ENDOMETRIUM EPIDIDYMIS ESOPHAGUS FALLOPIAN TUBE GALLBLADDER HEART MUSCLE HIPPOCAMPAL FORMATION HYPOTHALAMUS KIDNEY LIVER LUNG LYMPH NODE MIDBRAIN NASOPHARYNX
ORAL MUCOSA OVARY PANCREAS PARATHYROID GLAND PITUITARY GLAND PLACENTA PROSTATE RECTUM RETINA SALIVARY GLAND SEMINAL VESICLE SKELETAL MUSCLE SKIN SMALL INTESTINE
SMOOTH MUSCLE SOFT TISSUE SPINAL CORD SPLEEN STOMACH TESTIS THYMUS THYROID GLAND TONGUE TONSIL URINARY BLADDER VAGINA
ANTIBODIES
AND
VALIDATION
Dictionary
Tissue proteome
Adipose tissue
ADIPOSE TISSUE - Expression summary
Protein expression
Adipose tissuei

On the top, protein expression in current human tissue, based on all annotated cell types, is reported with the units not detected (n), low (l), medium (m) and high (h). Underneath, protein expression in each annotated cell type are reported using the same units.

Protein expression data is based on knowledge-based annotation. For genes where more than one antibody has been used, a collective score is set.

If knowledge-based annotation could not be performed for a gene, no data is displayed here. View antibody staining data further down this page.

h
m
l
n
Adipocytes: Medium
RNA expressioni

A summary of mRNA expression data available for current tissue based on several datasets. The mRNA expression levels in human tissues are based on RNA-seq data generated by the Human Protein Atlas (HPA), Genotype-Tissue Expression (GTEx) portal and CAGE data generated by the FANTOM5 consortium. Consensus normalized expression levels for human tissues was created by combining the data from HPA and GTEx datasets.

The mRNA expression levels in pig are based on RNA-seq data generated by the Human Protein Atlas (HPA), and for mouse, HPA data and in situ hybridization generated by the Allen brain atlas are reported.

Scroll down to view mRNA expression data in more detail.
Consensus:11.8 nTPM
HPA:6.5 nTPM
GTEx:11.8 nTPM
FANTOM5:14.2 Scaled Tags Per Million

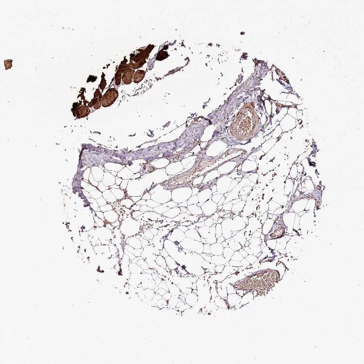
ADIPOSE TISSUE - Antibody stainingi

Antibody staining in the annotated cell types in the current human tissue is reported as not detected, low, medium, or high, based on conventional immunohistochemistry profiling in selected tissues. This score is based on the combination of the staining intensity and fraction of stained cells.

Each image is clickable and will lead to virtual microscopy that enables deeper exploration of all samples and also displays staining intensity scores, fraction scores and subcellular localization as well as patient and tissue information for each sample.

Antibody HPA010921Antibody HPA010990Antibody HPA038297
Adipocytes Not detectedMediumMedium














ADIPOSE TISSUE - HPA RNA-seqi

The RNA-seq details section shows detailed information about the individual samples used for the transcript profiling and results of the RNA-seq analysis.

Information about each individual sample is listed below, including gender, age, a tissue section image and estimated fractions of cell types. nTPM (normalized transcripts per million) values give a quantification of the gene abundance which is comparable between different genes and samples.
Average nTPMi

Max subtype nTPM is the value for the subtype with the largest average nTPM across the subtype samples.

6.5
N/A
Female, age 80
Adipose tissue sample 86
nTPM: 12
Cell types%
Adipocytes:
95

Other cell types:
5

N/A
Female, age 45
Adipose tissue sample 115
nTPM: 4.5
N/A
Female, age 57
Adipose tissue sample 137
nTPM: 4.8
Cell types%
Adipocytes:
60

Fibroblasts:
20

Smooth muscle cells:
15

Other cell types:
5

overview
Female, age 74
Adipose tissue sample 329
nTPM: 7.5
Cell types%
Adipocytes:
50

Fibroblasts:
30

Smooth muscle cells:
15

Other cell types:
5

overview
Female, age 59
Adipose tissue sample 331
nTPM: 3.9
Cell types%
Adipocytes:
40

Fibroblasts:
40

Smooth muscle cells:
15

Other cell types:
5


ADIPOSE TISSUE - GTEx RNA-seqi

RNA-Seq data generated by the Genotype-Tissue Expression (GTEx) project from human tissues is reported as mean nTPM. More information can be found on the GTEx portal.

Distribution across the dataset is visualized with box plots, shown as median and 25th and 75th percentiles. Points are displayed as outliers if they are above or below 1.5 times the interquartile range. nTPM values of the individual samples are presented next to the box plot.
Max subtype nTPMi

Max subtype nTPM is the value for the subtype with the largest average nTPM across the subtype samples.

11.8
GTEx sample id Sample description nTPM
Adipose - Subcutaneous
Average nTPM: 10.7
Samples: 663

Max nTPM: 26.0
Min nTPM: 0.0
Std nTPM: 3.5
Median nTPM: 10.6
GTEX-13G51-2626-SM-5LZYW 60-69 years, male 26.0
GTEX-11TT1-2426-SM-5EQMK 20-29 years, male 24.6
GTEX-1R7EV-1926-SM-EVYBF 40-49 years, male 21.9
GTEX-1PPGY-0326-SM-DTXFD 60-69 years, male 21.8
GTEX-14E1K-2126-SM-793DU 50-59 years, male 20.5
GTEX-147GR-0426-SM-5S2OL 60-69 years, male 20.3
GTEX-15UKP-0526-SM-7KFRO 20-29 years, male 20.3
GTEX-1C6VR-2626-SM-7MGX2 60-69 years, male 20.0
GTEX-POMQ-2326-SM-DHXIS 20-29 years, female 19.7
GTEX-17KNJ-2226-SM-DKPOU 50-59 years, male 19.4
GTEX-YECK-0226-SM-4W215 60-69 years, male 19.3
GTEX-Y5V6-2526-SM-5IFJV 60-69 years, male 19.1
GTEX-139YR-2426-SM-5J1OB 50-59 years, male 19.0
GTEX-18465-0226-SM-7LG5M 50-59 years, male 18.9
GTEX-13111-1726-SM-5EGJZ 50-59 years, male 18.7
GTEX-13JVG-0226-SM-5J1MW 60-69 years, male 18.6
GTEX-13OVL-0326-SM-5IJCS 50-59 years, male 18.5
GTEX-1GTWX-0226-SM-9YFLL 60-69 years, male 18.5
GTEX-X4XY-0326-SM-46MVZ 60-69 years, male 18.4
GTEX-ZYVF-0226-SM-5GIEG 50-59 years, female 18.2
GTEX-ZYFD-0226-SM-5NQ86 50-59 years, male 18.1
GTEX-1JK1U-2126-SM-CNPOU 60-69 years, male 18.1
GTEX-18A6Q-0226-SM-718AS 60-69 years, male 17.9
GTEX-12584-0226-SM-5EQL5 40-49 years, male 17.7
GTEX-1313W-0226-SM-5LZV7 50-59 years, female 17.7
GTEX-XK95-0426-SM-4AT4R 40-49 years, male 17.7
GTEX-1GZ4H-1826-SM-9MQLE 50-59 years, female 17.7
GTEX-17F96-1726-SM-7IGMB 70-79 years, male 17.5
GTEX-YEC3-1226-SM-5IFI8 50-59 years, male 17.5
GTEX-18D9U-0726-SM-7LG5J 40-49 years, male 17.4
GTEX-Y111-0226-SM-4SOIW 50-59 years, male 17.3
GTEX-1H1DE-2026-SM-9WG6Q 20-29 years, male 17.1
GTEX-ZVZP-2326-SM-59HL4 50-59 years, male 17.0
GTEX-13FHO-0326-SM-5IJBH 60-69 years, male 16.9
GTEX-13N11-2626-SM-5K7UQ 50-59 years, female 16.8
GTEX-WL46-0326-SM-3LK6Y 50-59 years, male 16.6
GTEX-X88G-0226-SM-4GIE4 30-39 years, male 16.6
GTEX-1HSMP-0226-SM-CGQFI 70-79 years, male 16.5
GTEX-ZF3C-0226-SM-4WWB3 50-59 years, female 16.4
GTEX-1IDJD-1226-SM-CM2TP 30-39 years, male 16.4
GTEX-VJWN-0226-SM-EZ6LF 50-59 years, female 16.3
GTEX-XUZC-1826-SM-4BRVO 30-39 years, female 16.2
GTEX-1OFPY-2326-SM-E8VNU 60-69 years, male 16.2
GTEX-XV7Q-2626-SM-4BRVA 40-49 years, female 16.0
GTEX-12WSC-0226-SM-5EQ52 50-59 years, male 15.9
GTEX-12ZZX-0226-SM-5DUXU 40-49 years, female 15.9
GTEX-Y5V5-2426-SM-5IFJA 60-69 years, female 15.9
GTEX-SNOS-1426-SM-32PLY 40-49 years, male 15.8
GTEX-1KD5A-0326-SM-D5OVD 50-59 years, male 15.8
GTEX-1N2DW-0326-SM-E9TK3 50-59 years, male 15.7
GTEX-1PWST-0326-SM-EAZ42 70-79 years, male 15.7
GTEX-1IDFM-0226-SM-CMKFX 60-69 years, male 15.6
GTEX-111CU-1826-SM-5GZYN 50-59 years, male 15.5
GTEX-1211K-2226-SM-5FQU6 60-69 years, female 15.5
GTEX-1399U-2426-SM-5K7XB 50-59 years, female 15.5
GTEX-R55C-1626-SM-48FEG 40-49 years, male 15.5
GTEX-1GN2E-0326-SM-COH3C 60-69 years, male 15.5
GTEX-17EUY-0526-SM-7EWDE 20-29 years, male 15.4
GTEX-X15G-2326-SM-4PQZS 50-59 years, female 15.4
GTEX-14PJ4-2226-SM-6LLIS 60-69 years, male 15.3
GTEX-14ICK-0326-SM-6LLIZ 40-49 years, male 15.2
GTEX-11ZTT-2526-SM-5EQM9 60-69 years, female 15.1
GTEX-13OW6-0526-SM-5L3HY 50-59 years, male 15.1
GTEX-XAJ8-0926-SM-47JXZ 40-49 years, male 15.1
GTEX-111VG-2326-SM-5N9BK 60-69 years, male 15.0
GTEX-18A67-0226-SM-7LG67 50-59 years, male 15.0
GTEX-ZPCL-2126-SM-57WFZ 60-69 years, female 15.0
GTEX-1HR9M-0226-SM-COH3E 60-69 years, male 15.0
GTEX-1PBJI-0426-SM-E8VNM 20-29 years, female 15.0
GTEX-12126-0426-SM-5Q5AP 20-29 years, male 14.9
GTEX-145LS-0226-SM-5O9A5 60-69 years, female 14.9
GTEX-WFG8-2326-SM-DIPDX 20-29 years, male 14.9
GTEX-13O1R-0226-SM-5K7U5 60-69 years, male 14.8
GTEX-13VXU-0226-SM-5SI9R 50-59 years, male 14.8
GTEX-Y3I4-2226-SM-4TT7O 50-59 years, male 14.8
GTEX-1RDX4-0226-SM-DTXG1 50-59 years, female 14.8
GTEX-S4P3-1526-SM-E9J3W 50-59 years, female 14.8
GTEX-11TTK-0226-SM-5N9EC 60-69 years, female 14.7
GTEX-183WM-0226-SM-7LT8T 70-79 years, female 14.7
GTEX-13IVO-0226-SM-5LZXU 70-79 years, male 14.6
GTEX-XBED-2326-SM-47JYR 60-69 years, male 14.6
GTEX-YB5E-2126-SM-5IFI7 40-49 years, male 14.6
GTEX-14753-0326-SM-5QGQB 60-69 years, male 14.5
GTEX-16XZY-2526-SM-7DHL2 70-79 years, male 14.5
GTEX-1HR98-0226-SM-CGQEK 60-69 years, male 14.5
GTEX-11DZ1-0226-SM-5A5KF 50-59 years, male 14.4
GTEX-11UD2-0126-SM-5EQL2 50-59 years, male 14.4
GTEX-11ZU8-2426-SM-5EQMV 60-69 years, male 14.4
GTEX-12C56-1626-SM-5FQUO 20-29 years, male 14.4
GTEX-13O3P-0226-SM-5KM3Z 50-59 years, male 14.4
GTEX-14ICL-2026-SM-62LDN 30-39 years, male 14.4
GTEX-1CAMR-1826-SM-7MXUJ 20-29 years, male 14.4
GTEX-1HSMO-0226-SM-CGQEZ 60-69 years, male 14.4
GTEX-1399T-2726-SM-5K7XK 60-69 years, male 14.3
GTEX-13O61-2426-SM-5J1NV 60-69 years, male 14.3
GTEX-145MN-2626-SM-5NQAH 30-39 years, male 14.3
GTEX-13FH7-2226-SM-5IJD4 50-59 years, female 14.2
GTEX-Q2AI-1426-SM-2S1P5 40-49 years, male 14.2
GTEX-Z93S-0226-SM-5HL7R 50-59 years, male 14.2
GTEX-ZTPG-0226-SM-5O99I 20-29 years, female 14.2
GTEX-1EWIQ-0226-SM-793D3 70-79 years, female 14.1
GTEX-N7MS-0326-SM-4E3K2 60-69 years, male 14.1
GTEX-1GF9V-0226-SM-9MQKA 60-69 years, male 14.1
GTEX-1R7EU-0326-SM-EWRNJ 60-69 years, male 14.1
GTEX-131XW-0526-SM-5PNXZ 50-59 years, female 14.0
GTEX-139T8-0226-SM-5L3EA 60-69 years, male 14.0
GTEX-13NZ9-0526-SM-5J1OX 50-59 years, male 14.0
GTEX-XUW1-0526-SM-4BOP3 50-59 years, female 14.0
GTEX-1F6RS-0226-SM-9MQKO 60-69 years, female 14.0
GTEX-1LGOU-2226-SM-E9U56 20-29 years, female 14.0
GTEX-13NYS-0226-SM-5MR49 60-69 years, male 13.9
GTEX-13O21-1526-SM-5K7W4 50-59 years, male 13.9
GTEX-18D9A-2026-SM-718BL 30-39 years, female 13.9
GTEX-XQ3S-1626-SM-4WAYN 20-29 years, male 13.9
GTEX-YFCO-2026-SM-4W21Q 40-49 years, male 13.8
GTEX-1H23P-0226-SM-9YFLO 60-69 years, male 13.8
GTEX-1JN76-0226-SM-CMKGO 20-29 years, female 13.8
GTEX-1B97I-1726-SM-7939V 40-49 years, male 13.7
GTEX-1C6WA-0226-SM-7IGPO 60-69 years, male 13.7
GTEX-11DXX-2326-SM-9YFKS 60-69 years, female 13.7
GTEX-1MA7W-1926-SM-E6CIO 20-29 years, female 13.7
GTEX-1R46S-0526-SM-EVYBZ 60-69 years, female 13.7
GTEX-13CF3-2326-SM-5IFGL 60-69 years, female 13.6
GTEX-X4LF-1726-SM-3NMBZ 50-59 years, male 13.6
GTEX-1QP9N-1526-SM-DTXFK 30-39 years, male 13.6
GTEX-PWN1-0226-SM-DKPO9 40-49 years, female 13.6
GTEX-13OVI-1326-SM-5IJBO 60-69 years, female 13.5
GTEX-13QBU-2526-SM-5LU4X 40-49 years, female 13.5
GTEX-14H4A-1026-SM-62LDY 40-49 years, female 13.5
GTEX-ZVP2-1826-SM-5GU62 50-59 years, male 13.5
GTEX-113IC-0226-SM-5HL5C 60-69 years, male 13.4
GTEX-11P82-1726-SM-5Q5AT 20-29 years, male 13.4
GTEX-13YAN-0426-SM-5O9DR 60-69 years, male 13.4
GTEX-144FL-0226-SM-5Q5D4 50-59 years, male 13.4
GTEX-WI4N-1126-SM-3LK7Q 40-49 years, female 13.4
GTEX-XBEW-0726-SM-4QARX 40-49 years, male 13.4
GTEX-XQ8I-0526-SM-4BOPS 50-59 years, male 13.4
GTEX-1JJE9-1226-SM-CNPOI 70-79 years, male 13.4
GTEX-1JN6P-0226-SM-COH34 60-69 years, male 13.4
GTEX-1PIGE-0526-SM-DTXFA 20-29 years, male 13.4
GTEX-RUSQ-1626-SM-EZ6L4 50-59 years, male 13.4
GTEX-17F98-1126-SM-79OJS 40-49 years, female 13.2
GTEX-TKQ1-1126-SM-4GIAZ 30-39 years, male 13.2
GTEX-1KANA-0826-SM-D3L9J 20-29 years, male 13.2
GTEX-1LG7Z-2026-SM-DLHBP 30-39 years, male 13.2
GTEX-R45C-0226-SM-EVYAJ 60-69 years, female 13.2
GTEX-16XZZ-0226-SM-7MGVJ 60-69 years, male 13.1
GTEX-145MI-0426-SM-5O99V 60-69 years, female 13.0
GTEX-14E6E-1926-SM-664N4 30-39 years, male 13.0
GTEX-17MFQ-1826-SM-7DHLS 20-29 years, male 13.0
GTEX-NPJ8-0226-SM-48TBN 40-49 years, male 13.0
GTEX-W5WG-2526-SM-4SOJ2 50-59 years, female 13.0
GTEX-WFON-2226-SM-3TW8W 40-49 years, male 13.0
GTEX-WVJS-0226-SM-4MVOU 50-59 years, male 13.0
GTEX-XPVG-2726-SM-4B66W 50-59 years, male 13.0
GTEX-ZGAY-0626-SM-DO92E 40-49 years, female 13.0
GTEX-11EQ9-2526-SM-5HL66 30-39 years, male 12.9
GTEX-13OVJ-0326-SM-5L3GL 50-59 years, female 12.9
GTEX-145MO-0426-SM-5QGP6 60-69 years, male 12.9
GTEX-18A7A-0326-SM-731AT 50-59 years, female 12.9
GTEX-1I1GP-2326-SM-CGQFL 50-59 years, male 12.9
GTEX-1IKJJ-0226-SM-COH3T 60-69 years, male 12.9
GTEX-1LVA9-0226-SM-E9U5N 50-59 years, male 12.9
GTEX-11H98-0226-SM-5NQ89 50-59 years, male 12.8
GTEX-11OF3-2426-SM-5Q5AS 60-69 years, male 12.8
GTEX-1C64O-0226-SM-73KXB 60-69 years, male 12.8
GTEX-P4QS-0226-SM-3NB1U 60-69 years, male 12.8
GTEX-WHPG-2126-SM-4M1ZM 50-59 years, male 12.8
GTEX-ZC5H-0126-SM-4WAYL 40-49 years, female 12.8
GTEX-1CAMS-0326-SM-7PC35 40-49 years, female 12.8
GTEX-1QP66-1326-SM-DTXDQ 50-59 years, male 12.8
GTEX-11I78-2626-SM-5Q5AI 50-59 years, female 12.7
GTEX-11P81-2426-SM-5GU65 30-39 years, female 12.7
GTEX-12WSD-0226-SM-59HKO 60-69 years, female 12.7
GTEX-132QS-2526-SM-62LFJ 60-69 years, male 12.7
GTEX-13N1W-0226-SM-5K7W6 70-79 years, male 12.7
GTEX-PWCY-1926-SM-3NB25 20-29 years, female 12.7
GTEX-ZP4G-2326-SM-57WEM 20-29 years, female 12.7
GTEX-1H1CY-2626-SM-9MQKJ 60-69 years, female 12.7
GTEX-1JMPY-1426-SM-ARL8Z 30-39 years, male 12.7
GTEX-QEG4-0326-SM-DIPE3 30-39 years, male 12.7
GTEX-15CHQ-0226-SM-6EU2S 60-69 years, male 12.6
GTEX-1AMFI-2126-SM-731BT 50-59 years, female 12.6
GTEX-PSDG-0326-SM-48TCP 50-59 years, male 12.6
GTEX-TMZS-0226-SM-3DB9N 60-69 years, male 12.6
GTEX-1GMR3-2026-SM-9MQLG 40-49 years, male 12.6
GTEX-1L5NE-2626-SM-E9U6P 50-59 years, male 12.6
GTEX-14C39-2526-SM-5S2UH 40-49 years, male 12.5
GTEX-ZDTS-0226-SM-5HL7Q 60-69 years, male 12.5
GTEX-11EQ8-0226-SM-5EQ5G 60-69 years, male 12.4
GTEX-13CF2-2626-SM-5LZZA 60-69 years, male 12.4
GTEX-144GO-1626-SM-7EPG5 60-69 years, male 12.4
GTEX-1B933-0526-SM-7EPHM 50-59 years, female 12.4
GTEX-1C4CL-0426-SM-7939N 30-39 years, male 12.4
GTEX-XMD2-0226-SM-4WWEE 60-69 years, female 12.4
GTEX-ZE9C-2826-SM-5S2MO 60-69 years, male 12.4
GTEX-1HSMQ-1426-SM-ADEHT 50-59 years, male 12.4
GTEX-1JN1M-0126-SM-D4P23 60-69 years, female 12.4
GTEX-11GS4-2626-SM-5A5LD 60-69 years, male 12.3
GTEX-12ZZZ-0526-SM-5DUX6 60-69 years, male 12.3
GTEX-13RTJ-2526-SM-5S2Q3 60-69 years, male 12.3
GTEX-14PHX-2426-SM-62LEN 50-59 years, male 12.3
GTEX-17F97-0426-SM-7LT9U 50-59 years, male 12.3
GTEX-18A66-0326-SM-718BE 60-69 years, male 12.3
GTEX-111FC-0226-SM-5N9B8 60-69 years, male 12.2
GTEX-13N2G-2726-SM-5J1MG 60-69 years, male 12.2
GTEX-13OW8-1226-SM-5K7XD 60-69 years, male 12.2
GTEX-14AS3-2026-SM-5TDD9 40-49 years, female 12.2
GTEX-14E6D-0226-SM-62LDW 50-59 years, male 12.2
GTEX-183FY-0326-SM-793BY 20-29 years, male 12.2
GTEX-Y8LW-1926-SM-4WWFZ 50-59 years, female 12.2
GTEX-1GF9X-1926-SM-ADEIC 40-49 years, female 12.2
GTEX-1HB9E-0426-SM-CNPPV 50-59 years, male 12.2
GTEX-1RAZQ-0626-SM-E8VOR 30-39 years, male 12.2
GTEX-11LCK-1126-SM-5A5KC 30-39 years, male 12.1
GTEX-11ZUS-0726-SM-59886 30-39 years, male 12.1
GTEX-13NZB-2426-SM-5K7UF 30-39 years, male 12.1
GTEX-144GM-1926-SM-5LUAN 20-29 years, male 12.1
GTEX-145LT-1826-SM-5QGP4 40-49 years, male 12.1
GTEX-1497J-2326-SM-5NQBK 60-69 years, male 12.1
GTEX-14JIY-0526-SM-62LFH 60-69 years, male 12.1
GTEX-SN8G-0226-SM-4DM6B 50-59 years, female 12.1
GTEX-XXEK-2426-SM-4BRUS 50-59 years, male 12.1
GTEX-1LB8K-0326-SM-E9TJC 50-59 years, male 12.1
GTEX-1QEPI-0226-SM-EWRMR 60-69 years, female 12.1
GTEX-1A8G7-0226-SM-731AS 60-69 years, male 12.0
GTEX-SIU8-0226-SM-2XCDS 50-59 years, male 12.0
GTEX-Y8E4-0726-SM-4WWFN 40-49 years, male 12.0
GTEX-1EKGG-0126-SM-9YFLS 60-69 years, male 12.0
GTEX-1GMR2-2526-SM-9MQKW 50-59 years, male 12.0
GTEX-1I1HK-0226-SM-COH4A 60-69 years, male 12.0
GTEX-1JJEA-0226-SM-COH2X 60-69 years, male 12.0
GTEX-111YS-2426-SM-5GZZQ 60-69 years, male 11.9
GTEX-139T4-0126-SM-5HL5G 50-59 years, female 11.9
GTEX-14BMV-0226-SM-5S2N2 50-59 years, male 11.9
GTEX-QV44-1825-SM-447CF 50-59 years, male 11.9
GTEX-T2IS-0226-SM-32QPH 20-29 years, female 11.9
GTEX-ZTSS-2026-SM-5987K 40-49 years, male 11.9
GTEX-1M5QR-2126-SM-DKPQM 40-49 years, male 11.9
GTEX-14DAQ-0226-SM-664MQ 60-69 years, female 11.8
GTEX-14JG1-0526-SM-6LLHW 40-49 years, male 11.8
GTEX-S95S-1326-SM-2XCDK 60-69 years, male 11.8
GTEX-X261-0226-SM-3NMD2 50-59 years, male 11.8
GTEX-ZT9X-1926-SM-57WE7 40-49 years, male 11.8
GTEX-ZVZO-0226-SM-5A5LA 40-49 years, male 11.8
GTEX-1MUQO-0526-SM-E9J31 60-69 years, male 11.8
GTEX-WFG7-2526-SM-EWRM5 20-29 years, male 11.8
GTEX-ZLWG-2226-SM-DO92V 50-59 years, female 11.8
GTEX-1H4P4-0226-SM-9YFKT 50-59 years, male 11.7
GTEX-1MJK2-0526-SM-DTXE6 50-59 years, male 11.7
GTEX-ZF29-2226-SM-4WWB9 60-69 years, female 11.6
GTEX-1PDJ9-0426-SM-E9J3E 20-29 years, male 11.6
GTEX-12WSM-0226-SM-5LZV6 60-69 years, male 11.5
GTEX-1C475-1926-SM-7DUFV 40-49 years, female 11.5
GTEX-1E1VI-0226-SM-793CZ 50-59 years, male 11.5
GTEX-XYKS-2726-SM-4E3IC 60-69 years, female 11.5
GTEX-ZF28-0226-SM-5S2OE 60-69 years, male 11.5
GTEX-ZUA1-0226-SM-5NQ9Q 40-49 years, male 11.5
GTEX-1GMRU-0226-SM-9YFLW 50-59 years, male 11.5
GTEX-1H3O1-0526-SM-9MQLS 60-69 years, male 11.5
GTEX-1QW4Y-1626-SM-EAZ41 30-39 years, male 11.5
GTEX-11DXW-0326-SM-5H11W 40-49 years, male 11.4
GTEX-11XUK-2126-SM-5EQLR 40-49 years, female 11.4
GTEX-OIZH-0226-SM-2YUMH 50-59 years, male 11.4
GTEX-XGQ4-2226-SM-4AT4Y 50-59 years, male 11.4
GTEX-1H3VE-0226-SM-9WYST 40-49 years, male 11.4
GTEX-1HSEH-0226-SM-ACKVV 60-69 years, male 11.4
GTEX-1I1GT-0526-SM-CGQEQ 60-69 years, female 11.4
GTEX-1JJ6O-0226-SM-E6CI9 60-69 years, male 11.4
GTEX-1S82P-0226-SM-E6CI6 60-69 years, female 11.4
GTEX-11EMC-2826-SM-5PNY6 60-69 years, female 11.3
GTEX-OOBK-0226-SM-2YUMF 40-49 years, male 11.3
GTEX-WVLH-0226-SM-3MJG6 50-59 years, male 11.3
GTEX-1PIIG-0326-SM-EVYBV 30-39 years, male 11.3
GTEX-147JS-0426-SM-5TDD2 60-69 years, male 11.2
GTEX-16NPX-0326-SM-7EWDI 50-59 years, male 11.2
GTEX-NFK9-0326-SM-3MJGV 40-49 years, male 11.2
GTEX-RU72-1026-SM-46MUG 50-59 years, female 11.2
GTEX-VUSG-2426-SM-4KKZG 50-59 years, male 11.2
GTEX-ZYT6-0326-SM-7LG5R 30-39 years, male 11.2
GTEX-13NYB-2626-SM-9YFMI 40-49 years, male 11.2
GTEX-1H1ZS-0526-SM-9WG5L 70-79 years, male 11.2
GTEX-1HBPM-0326-SM-CMKGR 60-69 years, female 11.2
GTEX-1ICG6-2626-SM-CGQG1 70-79 years, female 11.2
GTEX-1JKYN-1226-SM-CGQG8 30-39 years, male 11.2
GTEX-1K9T9-0226-SM-E9U6K 50-59 years, female 11.2
GTEX-1KXAM-2326-SM-CYPTD 60-69 years, male 11.2
GTEX-1MCYP-1826-SM-E9J2Q 20-29 years, female 11.2
GTEX-1QP2A-0226-SM-EVYBC 50-59 years, male 11.2
GTEX-13PLJ-0126-SM-5L3HU 60-69 years, female 11.1
GTEX-1A3MV-2126-SM-718BV 30-39 years, male 11.1
GTEX-Y9LG-2026-SM-62LFS 30-39 years, male 11.1
GTEX-YJ8O-2426-SM-5HL7S 40-49 years, female 11.1
GTEX-ZE7O-0226-SM-5S2N1 50-59 years, female 11.1
GTEX-1C6VQ-0226-SM-7P8S5 50-59 years, male 11.1
GTEX-13SLX-0426-SM-5QGRC 50-59 years, female 11.0
GTEX-14DAR-1926-SM-5S2NQ 50-59 years, male 11.0
GTEX-17HG3-2326-SM-79OKH 30-39 years, female 11.0
GTEX-ZVT2-2226-SM-5NQ6P 50-59 years, female 11.0
GTEX-1PPH8-0626-SM-EWRN9 20-29 years, male 11.0
GTEX-1QP28-0226-SM-E9J2N 50-59 years, female 11.0
GTEX-131YS-0226-SM-5IJEH 60-69 years, female 10.9
GTEX-13D11-2326-SM-5IJCY 50-59 years, female 10.9
GTEX-14ABY-0326-SM-5TDDK 50-59 years, male 10.9
GTEX-15DCD-0226-SM-6LPKC 70-79 years, female 10.9
GTEX-17F9Y-0326-SM-7IGLS 70-79 years, female 10.9
GTEX-OHPK-0226-SM-3MJH6 50-59 years, female 10.9
GTEX-OXRK-0326-SM-3NB3R 50-59 years, female 10.9
GTEX-1IL2V-0226-SM-CMKI2 70-79 years, male 10.9
GTEX-Y3IK-2526-SM-4WWDM 50-59 years, female 10.8
GTEX-YF7O-2426-SM-5IFJL 50-59 years, male 10.8
GTEX-ZPU1-2426-SM-4WWFM 40-49 years, male 10.8
GTEX-1E2YA-0226-SM-9MQLY 50-59 years, male 10.8
GTEX-1HT8W-0226-SM-CMKGT 30-39 years, male 10.8
GTEX-1I6K6-0226-SM-ADEID 30-39 years, male 10.8
GTEX-11P7K-2026-SM-5GU74 30-39 years, male 10.7
GTEX-1399R-2626-SM-5KLZ7 30-39 years, male 10.7
GTEX-13O3Q-2326-SM-5KM3G 50-59 years, male 10.7
GTEX-13VXT-0226-SM-5LU9Q 20-29 years, female 10.7
GTEX-146FQ-0226-SM-5NQAL 30-39 years, male 10.7
GTEX-14JG6-2326-SM-6LLH3 30-39 years, female 10.7
GTEX-1B8SG-0226-SM-7939Q 50-59 years, male 10.7
GTEX-T6MN-0226-SM-32PMD 50-59 years, male 10.7
GTEX-Y114-2326-SM-4TT7X 50-59 years, female 10.7
GTEX-Z9EW-1826-SM-5CVMA 40-49 years, male 10.7
GTEX-ZDTT-2626-SM-5S2OP 60-69 years, male 10.7
GTEX-1LSNL-0526-SM-DIPFI 50-59 years, male 10.7
GTEX-1MA7X-2126-SM-E6CIX 60-69 years, male 10.7
GTEX-1QP67-1726-SM-E8VOP 40-49 years, female 10.7
GTEX-1QPFJ-0126-SM-E9J4B 30-39 years, female 10.7
GTEX-1A3MX-0226-SM-731C4 60-69 years, male 10.6
GTEX-PLZ5-1826-SM-3NB22 50-59 years, male 10.6
GTEX-YFC4-0226-SM-57WD2 40-49 years, female 10.6
GTEX-ZQG8-1526-SM-5HL65 60-69 years, female 10.6
GTEX-1F88F-2626-SM-9WG5K 60-69 years, female 10.6
GTEX-1GN1W-0626-SM-9MQK3 50-59 years, female 10.6
GTEX-1PFEY-1626-SM-E9J3M 30-39 years, male 10.6
GTEX-13X6J-0226-SM-7EPGC 50-59 years, male 10.5
GTEX-16BQI-0526-SM-6PAM8 30-39 years, female 10.5
GTEX-1AX9J-0326-SM-73KXY 60-69 years, male 10.5
GTEX-SUCS-1826-SM-32PM1 70-79 years, male 10.5
GTEX-ZAJG-0226-SM-5HL81 50-59 years, female 10.5
GTEX-169BO-1426-SM-9MQJT 50-59 years, male 10.5
GTEX-1EU9M-0326-SM-7RHGF 60-69 years, male 10.5
GTEX-1AMEY-1426-SM-7939I 30-39 years, female 10.4
GTEX-1B8KZ-1926-SM-7DUG8 50-59 years, male 10.4
GTEX-1CB4I-0426-SM-7IGPR 50-59 years, male 10.4
GTEX-YB5K-2226-SM-4WWG1 40-49 years, female 10.4
GTEX-YEC4-2426-SM-57WFO 40-49 years, male 10.4
GTEX-1GZ2Q-0326-SM-9WG6N 40-49 years, male 10.4
GTEX-1HCU6-0226-SM-CGQES 60-69 years, female 10.4
GTEX-1J8Q3-1526-SM-CMKGB 60-69 years, male 10.4
GTEX-1QP29-0726-SM-DTXFM 50-59 years, male 10.4
GTEX-139T6-2126-SM-5KM37 50-59 years, male 10.3
GTEX-14A5H-0526-SM-5TDCN 60-69 years, male 10.3
GTEX-ZAK1-0226-SM-5CVMX 50-59 years, female 10.3
GTEX-1EX96-1426-SM-7PBZ5 50-59 years, male 10.3
GTEX-1S831-0326-SM-EVYD3 20-29 years, male 10.3
GTEX-PX3G-0226-SM-DKPOF 20-29 years, female 10.3
GTEX-R3RS-0226-SM-EYYVE 40-49 years, female 10.3
GTEX-OHPM-0226-SM-3LK61 50-59 years, male 10.2
GTEX-VJYA-1326-SM-3GIJC 60-69 years, male 10.2
GTEX-18QFQ-0226-SM-731BQ 30-39 years, male 10.2
GTEX-1GMR8-0226-SM-9YFL3 50-59 years, female 10.2
GTEX-1IL2U-0326-SM-CE6T9 60-69 years, male 10.2
GTEX-1IY9M-0226-SM-CMKHP 60-69 years, male 10.2
GTEX-1QP6S-0126-SM-E9J4K 40-49 years, male 10.2
GTEX-1212Z-2426-SM-5EQ5D 60-69 years, male 10.1
GTEX-144GL-0226-SM-5QGOX 50-59 years, male 10.1
GTEX-1RAZA-0226-SM-E9U4W 20-29 years, male 10.1
GTEX-ZLFU-2626-SM-DO91L 40-49 years, male 10.1
GTEX-13113-1826-SM-5LZW4 60-69 years, female 10.0
GTEX-146FR-1826-SM-5QGPF 60-69 years, female 10.0
GTEX-X8HC-0226-SM-4E3K1 50-59 years, female 10.0
GTEX-YJ89-0226-SM-4TT3Y 60-69 years, male 10.0
GTEX-ZPIC-1826-SM-57WFE 40-49 years, female 10.0
GTEX-VUSH-0226-SM-EXUQV 30-39 years, male 10.0
GTEX-13OW7-0226-SM-5MR3N 50-59 years, male 9.9
GTEX-16AAH-2026-SM-7LG5F 50-59 years, male 9.9
GTEX-OXRL-0226-SM-3NB18 50-59 years, male 9.9
GTEX-QDVN-2126-SM-33HBS 50-59 years, male 9.9
GTEX-SJXC-0226-SM-2XCDU 60-69 years, male 9.9
GTEX-YJ8A-0526-SM-5IFHT 20-29 years, male 9.9
GTEX-1F52S-0226-SM-7SB7U 60-69 years, female 9.9
GTEX-1HFI7-2026-SM-CGQFR 50-59 years, female 9.9
GTEX-1RAZR-0226-SM-EVYC6 40-49 years, male 9.9
GTEX-12696-2526-SM-5EQLN 60-69 years, male 9.8
GTEX-12ZZY-0326-SM-5LZVQ 60-69 years, male 9.8
GTEX-139TU-0226-SM-5J1NM 60-69 years, male 9.8
GTEX-13NZ8-0926-SM-5MR3U 60-69 years, female 9.8
GTEX-1BAJH-0426-SM-73KWY 70-79 years, male 9.8
GTEX-U8XE-0426-SM-3DB91 30-39 years, male 9.8
GTEX-ZLV1-1826-SM-5FQU5 60-69 years, female 9.8
GTEX-1A8G6-0526-SM-7PC1E 60-69 years, male 9.8
GTEX-1KWVE-1326-SM-E6CJ1 30-39 years, male 9.8
GTEX-1QAET-1126-SM-E8VML 50-59 years, male 9.8
GTEX-13W3W-2526-SM-5SI9P 60-69 years, female 9.7
GTEX-146FH-0226-SM-5QGPQ 50-59 years, female 9.7
GTEX-WH7G-2226-SM-3NMBN 40-49 years, male 9.7
GTEX-ZVT4-0226-SM-51MSD 50-59 years, female 9.7
GTEX-1HSGN-0126-SM-CGQFU 40-49 years, female 9.7
GTEX-1N2EF-0626-SM-E9J32 60-69 years, male 9.7
GTEX-1R9PM-2126-SM-E8VOB 20-29 years, male 9.7
GTEX-1RQEC-0526-SM-E6CHV 60-69 years, male 9.7
GTEX-U3ZM-1026-SM-EZ6LD 40-49 years, male 9.7
GTEX-132AR-0226-SM-5IJBE 50-59 years, female 9.6
GTEX-13U4I-0226-SM-5SIB1 40-49 years, female 9.6
GTEX-14PJ3-1926-SM-62LEY 50-59 years, male 9.6
GTEX-1C2JI-2226-SM-7IGPJ 50-59 years, male 9.6
GTEX-P4QT-0226-SM-3LK68 50-59 years, female 9.6
GTEX-S7SE-0226-SM-2XCD4 50-59 years, male 9.6
GTEX-1LSVX-0126-SM-EVYCY 60-69 years, male 9.6
GTEX-ZDYS-2126-SM-5S2P2 50-59 years, male 9.6
GTEX-13FTY-0626-SM-5L3F8 40-49 years, female 9.5
GTEX-13JUV-2826-SM-5LZWU 40-49 years, female 9.5
GTEX-14LLW-0226-SM-62LEL 70-79 years, female 9.5
GTEX-1IDJU-2526-SM-CMKGF 60-69 years, female 9.5
GTEX-RVPV-1526-SM-EXOHF 60-69 years, male 9.5
GTEX-139TT-0226-SM-5K7YH 60-69 years, male 9.4
GTEX-13SLW-0226-SM-5S2NA 70-79 years, male 9.4
GTEX-13X6K-0226-SM-5QGPB 60-69 years, female 9.4
GTEX-14PJ2-0226-SM-6LLH4 50-59 years, male 9.4
GTEX-14PJ6-2226-SM-6LLIV 60-69 years, female 9.4
GTEX-14PJM-0326-SM-62LF2 50-59 years, female 9.4
GTEX-OOBJ-0226-SM-2YUMM 60-69 years, male 9.4
GTEX-ZVE2-0326-SM-57WFC 50-59 years, male 9.4
GTEX-ZYFC-0326-SM-5NQ7H 50-59 years, male 9.4
GTEX-1EMGI-0226-SM-9MQL1 60-69 years, male 9.4
GTEX-1LGRB-2426-SM-CNPP3 50-59 years, female 9.4
GTEX-1OJC4-1726-SM-EXUSV 50-59 years, female 9.4
GTEX-OIZF-0226-SM-E9TI3 60-69 years, male 9.4
GTEX-11TUW-2626-SM-5EQKZ 60-69 years, male 9.3
GTEX-14BIN-0726-SM-793DQ 50-59 years, female 9.3
GTEX-17HGU-0326-SM-7DUER 50-59 years, male 9.3
GTEX-T5JW-1726-SM-3GADN 20-29 years, female 9.3
GTEX-ZYY3-0226-SM-5E45M 60-69 years, female 9.3
GTEX-1F75A-0226-SM-7PC2K 50-59 years, male 9.3
GTEX-1I1CD-0226-SM-CM2TL 60-69 years, female 9.3
GTEX-1IKK5-0526-SM-CMKGG 60-69 years, male 9.3
GTEX-1LBAC-0226-SM-DHXJZ 20-29 years, male 9.3
GTEX-13112-2726-SM-5DUW5 50-59 years, male 9.2
GTEX-147F3-0626-SM-5NQ9I 50-59 years, female 9.2
GTEX-14PN3-2526-SM-6EU15 60-69 years, female 9.2
GTEX-X638-0226-SM-47JZ9 70-79 years, female 9.2
GTEX-1F48J-0226-SM-7SB82 50-59 years, female 9.2
GTEX-133LE-1926-SM-5N9FV 20-29 years, female 9.1
GTEX-16NGA-1826-SM-7LG5L 40-49 years, female 9.1
GTEX-16YQH-0226-SM-6PALD 30-39 years, male 9.1
GTEX-1AX9K-2426-SM-73KZ4 50-59 years, male 9.1
GTEX-O5YT-0226-SM-32PK5 20-29 years, male 9.1
GTEX-ZXG5-0226-SM-59HJI 60-69 years, male 9.1
GTEX-1GN1V-0226-SM-9WYTN 60-69 years, male 9.1
GTEX-1I1GU-2326-SM-CGQFB 40-49 years, male 9.1
GTEX-13FHP-0226-SM-5K7WD 50-59 years, male 9.0
GTEX-13NZA-0126-SM-5K7UH 60-69 years, male 9.0
GTEX-U412-0526-SM-3DB9I 60-69 years, male 9.0
GTEX-U4B1-1726-SM-3DB9F 40-49 years, male 9.0
GTEX-1HBPH-0526-SM-9YFMN 40-49 years, female 9.0
GTEX-1K2DA-2126-SM-CGQGL 50-59 years, male 9.0
GTEX-1KAFJ-2426-SM-D4P32 50-59 years, male 9.0
GTEX-Y8E5-0226-SM-57WCM 60-69 years, male 8.9
GTEX-1CB4F-0526-SM-9KNW2 60-69 years, male 8.9
GTEX-1I1GQ-0226-SM-COH3I 50-59 years, male 8.9
GTEX-1C6VS-0426-SM-79OJV 60-69 years, male 8.8
GTEX-T8EM-1126-SM-3DB7D 40-49 years, male 8.8
GTEX-1GN1U-0226-SM-9YFLQ 50-59 years, female 8.8
GTEX-117YX-2226-SM-5EGJJ 50-59 years, male 8.7
GTEX-11EI6-0226-SM-5EQ64 60-69 years, male 8.7
GTEX-11O72-0226-SM-59869 40-49 years, male 8.7
GTEX-11ZTS-0226-SM-5EQKD 60-69 years, female 8.7
GTEX-13OVK-2126-SM-6PAN1 40-49 years, male 8.7
GTEX-O5YV-0226-SM-48TBY 60-69 years, female 8.7
GTEX-XLM4-0226-SM-4AT4N 60-69 years, male 8.7
GTEX-Z93T-0226-SM-5HL5Z 50-59 years, male 8.7
GTEX-1ICLZ-0226-SM-CKZPP 60-69 years, male 8.7
GTEX-1IGQW-0226-SM-COH43 60-69 years, male 8.7
GTEX-1JMQL-0326-SM-CNPP6 50-59 years, female 8.7
GTEX-11ZVC-2626-SM-5FQTA 50-59 years, female 8.6
GTEX-13QJ3-0426-SM-5RQHP 50-59 years, male 8.6
GTEX-14PK6-2026-SM-6LLHP 70-79 years, female 8.6
GTEX-1I6K7-0226-SM-CJI46 40-49 years, male 8.6
GTEX-139D8-0326-SM-5IJCJ 30-39 years, female 8.5
GTEX-S32W-2226-SM-2XCAY 50-59 years, female 8.5
GTEX-W5X1-2626-SM-4LMI8 40-49 years, female 8.5
GTEX-ZTX8-1526-SM-5N9GI 20-29 years, male 8.5
GTEX-1122O-2026-SM-9YFMG 60-69 years, female 8.5
GTEX-1H3VY-0226-SM-9YFMF 50-59 years, male 8.5
GTEX-1IDJF-0226-SM-CMKGE 20-29 years, male 8.5
GTEX-1S83E-0226-SM-EVYCW 40-49 years, male 8.5
GTEX-145MG-0126-SM-5TDDA 50-59 years, male 8.4
GTEX-OXRO-0226-SM-3LK6F 60-69 years, female 8.4
GTEX-1F6I4-0226-SM-9MQMA 60-69 years, male 8.4
GTEX-1JMQI-2026-SM-CMKGP 50-59 years, male 8.4
GTEX-QDT8-0226-SM-32PL4 30-39 years, female 8.3
GTEX-RM2N-1726-SM-2TF55 50-59 years, male 8.3
GTEX-1LSNM-2026-SM-E6CIJ 50-59 years, male 8.3
GTEX-11GSO-2326-SM-5A5LX 60-69 years, male 8.2
GTEX-WY7C-2426-SM-3NB2V 50-59 years, male 8.2
GTEX-XMK1-2226-SM-4B673 40-49 years, male 8.2
GTEX-ZXES-2026-SM-5NQ6R 30-39 years, female 8.2
GTEX-ZZPU-2726-SM-5NQ8O 50-59 years, female 8.2
GTEX-1J8JJ-0326-SM-CMKG6 60-69 years, female 8.2
GTEX-11EM3-2326-SM-5H12B 20-29 years, female 8.1
GTEX-1314G-1626-SM-5EQ67 30-39 years, male 8.1
GTEX-145MF-0526-SM-5LUA6 50-59 years, male 8.1
GTEX-15RIE-2326-SM-7KFSC 60-69 years, male 8.1
GTEX-11NUK-0326-SM-5HL5K 50-59 years, male 8.1
GTEX-1F75I-0426-SM-7PC3S 40-49 years, male 8.1
GTEX-1H1E6-2026-SM-9KNVK 30-39 years, male 8.1
GTEX-OIZG-0826-SM-E9TI4 50-59 years, male 8.1
GTEX-15G19-0226-SM-6PAL2 60-69 years, male 8.0
GTEX-Q734-1826-SM-2I3EL 40-49 years, female 8.0
GTEX-R55D-0326-SM-48FES 50-59 years, male 8.0
GTEX-X4EO-0426-SM-4QASA 60-69 years, female 8.0
GTEX-ZDXO-2426-SM-5S2NJ 60-69 years, male 8.0
GTEX-1CB4J-1126-SM-7PBY1 60-69 years, male 8.0
GTEX-1I4MK-2026-SM-B2LVR 50-59 years, female 8.0
GTEX-1J1R8-2226-SM-ARZMP 40-49 years, male 8.0
GTEX-1LG7Y-0426-SM-DKPQB 50-59 years, male 8.0
GTEX-UTHO-0426-SM-CE6QU 60-69 years, male 8.0
GTEX-1128S-2126-SM-5H12U 60-69 years, female 7.9
GTEX-131XF-2226-SM-5EQKG 60-69 years, male 7.9
GTEX-R55G-2426-SM-2TC5I 40-49 years, female 7.9
GTEX-1GN73-0326-SM-9KNTW 60-69 years, male 7.9
GTEX-1GPI7-0226-SM-9MQKB 20-29 years, male 7.9
GTEX-1HBPI-1426-SM-B2LW7 50-59 years, male 7.9
GTEX-1I1GR-0226-SM-CMKHQ 60-69 years, male 7.9
GTEX-1I1GS-0226-SM-B2LVX 60-69 years, male 7.9
GTEX-T6MO-1726-SM-33HB8 40-49 years, female 7.8
GTEX-1B8L1-2626-SM-7SB77 60-69 years, male 7.8
GTEX-1FIGZ-1626-SM-7SB8L 40-49 years, male 7.8
GTEX-1LVAN-0126-SM-COH4H 50-59 years, female 7.8
GTEX-1LVAO-0226-SM-E9U6O 60-69 years, male 7.8
GTEX-PLZ4-0226-SM-CYPR1 50-59 years, female 7.8
GTEX-11UD1-0226-SM-5EQKL 40-49 years, female 7.7
GTEX-17HHE-1926-SM-7EPGW 50-59 years, male 7.7
GTEX-Q2AG-0226-SM-2S1P4 40-49 years, female 7.7
GTEX-RWSA-0226-SM-2XCBA 40-49 years, male 7.7
GTEX-11ONC-2526-SM-5986W 60-69 years, male 7.6
GTEX-ZZ64-1626-SM-5E43W 20-29 years, male 7.6
GTEX-1CB4G-0326-SM-7SB8R 60-69 years, male 7.6
GTEX-16MTA-2126-SM-6PALC 50-59 years, male 7.5
GTEX-QESD-1526-SM-2S1QT 20-29 years, male 7.5
GTEX-TSE9-0226-SM-3DB84 60-69 years, female 7.5
GTEX-1B932-0226-SM-7PBYH 40-49 years, female 7.5
GTEX-1B996-0126-SM-7PBYF 60-69 years, male 7.5
GTEX-1CB4E-1826-SM-7RHG8 60-69 years, male 7.5
GTEX-1MGNQ-0226-SM-EVYCK 40-49 years, male 7.5
GTEX-17HHY-0226-SM-793BQ 50-59 years, male 7.4
GTEX-QEG5-0326-SM-2S1PB 20-29 years, male 7.4
GTEX-S33H-1126-SM-2XCB6 30-39 years, male 7.4
GTEX-T5JC-0526-SM-32PM7 20-29 years, male 7.4
GTEX-145ME-1926-SM-5MR6T 40-49 years, female 7.4
GTEX-1IE54-0226-SM-CMKHX 40-49 years, female 7.4
GTEX-14E6C-0226-SM-5S2N3 40-49 years, male 7.3
GTEX-1GZ4I-0226-SM-7RHHO 50-59 years, male 7.3
GTEX-1JMQK-0126-SM-CM2S3 60-69 years, male 7.3
GTEX-12WSL-2426-SM-5GCN7 50-59 years, male 7.2
GTEX-1R9K5-0226-SM-EWRNF 50-59 years, male 7.2
GTEX-13FTW-2526-SM-5IJC8 40-49 years, male 7.1
GTEX-OXRN-0226-SM-2I5EJ 50-59 years, male 7.1
GTEX-RTLS-0226-SM-2TF5E 60-69 years, female 7.1
GTEX-1HCUA-2226-SM-ADEHF 50-59 years, female 7.1
GTEX-1HCVE-0226-SM-CGQEV 50-59 years, male 7.1
GTEX-16GPK-0226-SM-7DUFI 60-69 years, male 7.0
GTEX-QLQW-1226-SM-2S1Q9 30-39 years, male 7.0
GTEX-UJHI-1626-SM-3DB9A 50-59 years, female 7.0
GTEX-WFJO-1926-SM-3GILA 30-39 years, male 7.0
GTEX-1ICLY-0226-SM-ARL7R 50-59 years, male 7.0
GTEX-Q2AH-1726-SM-DIPDV 40-49 years, male 7.0
GTEX-13PVR-2426-SM-5RQHN 60-69 years, female 6.9
GTEX-15SDE-2426-SM-7KFRC 50-59 years, female 6.9
GTEX-ZVTK-0526-SM-5GZWT 20-29 years, male 6.9
GTEX-1HGF4-2526-SM-ADEIZ 60-69 years, male 6.9
GTEX-1J8QM-2326-SM-CYPSL 60-69 years, female 6.9
GTEX-11WQC-2426-SM-5EQKQ 60-69 years, male 6.8
GTEX-1269C-2726-SM-5EGJ4 60-69 years, female 6.8
GTEX-16MT8-0526-SM-6PAM6 60-69 years, female 6.8
GTEX-QV31-1326-SM-2S1QE 30-39 years, male 6.8
GTEX-1CAMQ-0126-SM-7SB7S 40-49 years, male 6.8
GTEX-1JMLX-0126-SM-CMKG9 50-59 years, male 6.8
GTEX-1NHNU-1126-SM-E9J2C 50-59 years, male 6.8
GTEX-TML8-2026-SM-32QOP 40-49 years, female 6.7
GTEX-X5EB-2426-SM-4E3HX 40-49 years, male 6.7
GTEX-1A8FM-0126-SM-7SB7P 50-59 years, female 6.7
GTEX-1F5PK-2526-SM-9MQKN 50-59 years, male 6.7
GTEX-1IOXB-0226-SM-CMKHY 50-59 years, male 6.7
GTEX-13PDP-0226-SM-5K7W9 60-69 years, male 6.6
GTEX-14BMU-2126-SM-5S2TS 20-29 years, female 6.6
GTEX-15DDE-0226-SM-6LLJ6 50-59 years, female 6.6
GTEX-P4PQ-0226-SM-2S1NK 60-69 years, male 6.6
GTEX-P78B-0226-SM-3NB1Z 40-49 years, female 6.6
GTEX-1AX9I-0226-SM-7SB75 60-69 years, male 6.5
GTEX-1EH9U-0226-SM-7PBY8 60-69 years, male 6.5
GTEX-1JKYR-0226-SM-CNPOK 20-29 years, male 6.5
GTEX-1LH75-2526-SM-E9U5A 50-59 years, female 6.5
GTEX-RNOR-0226-SM-EZ6MF 50-59 years, female 6.5
GTEX-1AYD5-2326-SM-73KXF 50-59 years, male 6.4
GTEX-OHPN-0226-SM-48TBV 60-69 years, female 6.4
GTEX-QLQ7-1526-SM-2S1QA 60-69 years, male 6.4
GTEX-XUYS-0226-SM-47JX1 50-59 years, male 6.4
GTEX-13PVQ-0226-SM-5SIBG 50-59 years, male 6.3
GTEX-ZEX8-2326-SM-5S2MN 50-59 years, male 6.3
GTEX-131XE-2426-SM-5EQ5V 50-59 years, male 6.2
GTEX-14PII-0326-SM-6LLIQ 60-69 years, male 6.2
GTEX-1B8KE-2526-SM-73KYQ 50-59 years, male 6.2
GTEX-XBEC-0326-SM-4AT4M 50-59 years, male 6.2
GTEX-1HCU8-0726-SM-ADEIR 60-69 years, female 6.2
GTEX-1HSKV-0326-SM-ADEJC 60-69 years, male 6.2
GTEX-15ETS-0426-SM-6PANI 40-49 years, female 6.1
GTEX-1H2FU-0226-SM-9YFKO 60-69 years, female 6.1
GTEX-P4PP-0226-SM-D4P1Z 30-39 years, female 6.1
GTEX-148VI-1726-SM-5S2W9 60-69 years, female 6.0
GTEX-11PRG-0626-SM-5BC56 50-59 years, male 5.9
GTEX-1CB4H-0326-SM-9WG5G 60-69 years, female 5.9
GTEX-1F75W-0226-SM-9JGGP 60-69 years, male 5.9
GTEX-17MF6-0226-SM-7LG4G 40-49 years, male 5.8
GTEX-QDVJ-1826-SM-2S1P3 50-59 years, male 5.8
GTEX-1I1GV-0426-SM-ARZLX 60-69 years, male 5.8
GTEX-1QCLY-0526-SM-EAZ47 30-39 years, male 5.8
GTEX-15ER7-0426-SM-6PAM3 20-29 years, female 5.7
GTEX-QCQG-1826-SM-2S1P2 50-59 years, female 5.7
GTEX-QMRM-1726-SM-2S1QG 50-59 years, male 5.7
GTEX-1HCU7-0326-SM-CMKGI 50-59 years, male 5.7
GTEX-1J1OQ-0326-SM-CYPTJ 40-49 years, female 5.7
GTEX-PLZ6-1326-SM-3NB24 30-39 years, male 5.6
GTEX-1J8EW-0226-SM-CYPSW 60-69 years, female 5.6
GTEX-1A32A-0226-SM-718B2 50-59 years, female 5.5
GTEX-1A3MW-0226-SM-7939O 60-69 years, female 5.5
GTEX-WEY5-1926-SM-3GIL8 40-49 years, female 5.5
GTEX-1B8SF-0526-SM-7939F 60-69 years, male 5.4
GTEX-REY6-0326-SM-2TF5A 60-69 years, male 5.4
GTEX-1AYCT-2226-SM-7SB98 50-59 years, male 5.4
GTEX-1POEN-0226-SM-EYYXE 30-39 years, female 5.3
GTEX-WYJK-0226-SM-EYYV8 50-59 years, male 5.3
GTEX-14BIL-0226-SM-5SI9E 50-59 years, male 5.2
GTEX-OXRP-0226-SM-3NB14 60-69 years, female 5.2
GTEX-13S7M-0226-SM-5S2UG 60-69 years, female 5.1
GTEX-SNMC-1326-SM-2XCFK 20-29 years, male 5.1
GTEX-ZYW4-0226-SM-5E44M 60-69 years, male 5.1
GTEX-QEL4-0326-SM-3GAE5 50-59 years, male 5.0
GTEX-1MCC2-2326-SM-E9U5G 30-39 years, female 4.9
GTEX-ZV68-0226-SM-59HJF 50-59 years, female 4.8
GTEX-17EVP-0426-SM-79OKG 40-49 years, male 4.7
GTEX-1F88E-0526-SM-7SB8J 60-69 years, female 4.7
GTEX-1HFI6-0326-SM-ADEI5 40-49 years, male 4.6
GTEX-17HII-0326-SM-7LG4X 50-59 years, male 4.5
GTEX-12KS4-0426-SM-5EQMC 30-39 years, male 4.4
GTEX-U3ZN-2626-SM-3DB7T 30-39 years, female 4.4
GTEX-1HUB1-0326-SM-A9SKQ 60-69 years, male 4.2
GTEX-P44H-0326-SM-2XCES 40-49 years, male 4.1
GTEX-1I19N-0426-SM-ACKVY 70-79 years, male 3.8
GTEX-XOT4-0226-SM-4B66Z 60-69 years, female 3.8
GTEX-14C5O-0226-SM-5SI6O 60-69 years, male 3.7
GTEX-P44G-2326-SM-2XCCZ 30-39 years, male 3.7
GTEX-1117F-0226-SM-5GZZ7 60-69 years, female 3.6
GTEX-POYW-0726-SM-2XCEO 60-69 years, male 3.6
GTEX-1H1DF-0226-SM-ARL9A 40-49 years, female 3.6
GTEX-OIZI-0226-SM-2XCEE 40-49 years, male 3.1
GTEX-12WSA-0326-SM-5BC6I 60-69 years, male 2.4
GTEX-SSA3-0226-SM-32QPN 60-69 years, male 2.2
GTEX-R53T-1626-SM-3GAEW 50-59 years, female 0.0
GTEX-1S5ZU-0226-SM-E6CHW 20-29 years, female 0.0
Show allShow less
Adipose - Visceral (Omentum)
Average nTPM: 11.8
Samples: 541

Max nTPM: 36.9
Min nTPM: 3.2
Std nTPM: 4.2
Median nTPM: 11.2
GTEX-1399S-1426-SM-5PNYQ 30-39 years, female 36.9
GTEX-13X6H-1726-SM-5Q5EH 50-59 years, female 29.7
GTEX-11WQK-1526-SM-5EGKN 50-59 years, male 29.0
GTEX-14PN4-1426-SM-6LLJ4 50-59 years, male 28.1
GTEX-1RB15-1126-SM-E8VMX 60-69 years, male 25.7
GTEX-ZYVF-1026-SM-5E44V 50-59 years, female 25.2
GTEX-14PJO-1626-SM-69LPQ 60-69 years, male 25.1
GTEX-11TT1-1926-SM-5PNYN 20-29 years, male 24.6
GTEX-14PN3-0326-SM-6EU1X 60-69 years, female 24.3
GTEX-14C38-1026-SM-73KY7 50-59 years, male 23.8
GTEX-1OFPY-0826-SM-DTX8P 60-69 years, male 23.2
GTEX-133LE-0926-SM-5P9J1 20-29 years, female 22.1
GTEX-13FHO-2026-SM-5J1OA 60-69 years, male 21.8
GTEX-1H3VE-1926-SM-9YFL4 40-49 years, male 21.5
GTEX-1339X-0726-SM-5L3FF 40-49 years, male 21.4
GTEX-ZA64-0926-SM-5HL7H 20-29 years, male 21.3
GTEX-1H23P-1726-SM-A9SMN 60-69 years, male 21.2
GTEX-WWTW-1326-SM-4MVNT 50-59 years, male 21.0
GTEX-1192X-1526-SM-5H11I 50-59 years, male 20.8
GTEX-16XZZ-1626-SM-7KUEC 60-69 years, male 20.7
GTEX-Y5LM-0826-SM-4VDSW 40-49 years, female 20.7
GTEX-1L5NE-1726-SM-DHXKX 50-59 years, male 20.4
GTEX-1R7EV-1026-SM-DTX81 40-49 years, male 20.4
GTEX-1N2EF-0926-SM-E8VNW 60-69 years, male 20.2
GTEX-11I78-0226-SM-5HL6R 50-59 years, female 19.8
GTEX-YFCO-1126-SM-5S2N9 40-49 years, male 19.4
GTEX-131XG-0126-SM-5K7UJ 50-59 years, female 19.3
GTEX-XBED-1326-SM-4AT4F 60-69 years, male 19.2
GTEX-13N1W-1226-SM-5K7UM 70-79 years, male 18.9
GTEX-1LVAM-1026-SM-DIPFK 50-59 years, female 18.9
GTEX-13YAN-1126-SM-5TDC7 60-69 years, male 18.8
GTEX-18D9A-0726-SM-7LTA7 30-39 years, female 18.8
GTEX-1QAET-1226-SM-DTX9I 50-59 years, male 18.8
GTEX-16MTA-1326-SM-6PALX 50-59 years, male 18.6
GTEX-1K2DU-0726-SM-DIPF7 20-29 years, male 18.6
GTEX-13OVG-1326-SM-5K7Y3 60-69 years, male 18.5
GTEX-13OVH-1126-SM-5K7YP 70-79 years, male 18.5
GTEX-14C39-0826-SM-5TDDU 40-49 years, male 18.4
GTEX-13O3P-0926-SM-5IFFI 50-59 years, male 17.8
GTEX-YEC4-0926-SM-5PNXY 40-49 years, male 17.7
GTEX-1CB4I-0826-SM-7MGX1 50-59 years, male 17.6
GTEX-13OW7-1126-SM-5K7V6 50-59 years, male 17.5
GTEX-1B8SG-1426-SM-7EWEM 50-59 years, male 17.5
GTEX-Y9LG-1226-SM-4VBQA 30-39 years, male 17.5
GTEX-11EQ9-1126-SM-5987I 30-39 years, male 17.4
GTEX-146FH-2026-SM-5SI9I 50-59 years, female 17.4
GTEX-14PK6-0926-SM-62LF4 70-79 years, female 17.4
GTEX-16BQI-1126-SM-7KULF 30-39 years, female 17.4
GTEX-ZQG8-1026-SM-51MR9 60-69 years, female 17.4
GTEX-13D11-0526-SM-5LZYM 50-59 years, female 17.3
GTEX-14PJ4-0126-SM-62LEZ 60-69 years, male 17.3
GTEX-18D9U-0426-SM-731AN 40-49 years, male 17.3
GTEX-XAJ8-0226-SM-4GIB2 40-49 years, male 17.2
GTEX-14PHY-1026-SM-62LEV 60-69 years, female 17.1
GTEX-18D9B-1726-SM-7LTAP 60-69 years, male 17.1
GTEX-1JKYN-0526-SM-CGQG3 30-39 years, male 17.1
GTEX-11XUK-1726-SM-5GU61 40-49 years, female 17.0
GTEX-13FTX-0626-SM-5J2NS 20-29 years, female 17.0
GTEX-15EOM-2326-SM-7KUMV 20-29 years, female 17.0
GTEX-WI4N-1526-SM-EZ6LG 40-49 years, female 16.9
GTEX-111CU-1026-SM-5EGIL 50-59 years, male 16.8
GTEX-ZLV1-0926-SM-5S2MR 60-69 years, female 16.8
GTEX-14PKU-0226-SM-6EU16 40-49 years, female 16.7
GTEX-XXEK-1426-SM-4BRW1 50-59 years, male 16.7
GTEX-ZVZP-1126-SM-5GICU 50-59 years, male 16.7
GTEX-132QS-0826-SM-5K7WV 60-69 years, male 16.6
GTEX-1HSMP-1126-SM-B2LXJ 70-79 years, male 16.6
GTEX-13OVJ-0926-SM-5K7U1 50-59 years, female 16.4
GTEX-YJ89-1926-SM-5IFJ6 60-69 years, male 16.4
GTEX-13O61-1926-SM-5KM1R 60-69 years, male 16.3
GTEX-1A32A-0926-SM-718AB 50-59 years, female 16.3
GTEX-1445S-2426-SM-79ON2 60-69 years, male 16.2
GTEX-183FY-1226-SM-7DHLK 20-29 years, male 16.2
GTEX-1C2JI-0826-SM-7EPHB 50-59 years, male 16.2
GTEX-ZE7O-1526-SM-5J1NH 50-59 years, female 16.2
GTEX-1HSEH-1326-SM-ADEI1 60-69 years, male 16.2
GTEX-1JN76-1026-SM-ARZNI 20-29 years, female 16.2
GTEX-XPVG-1626-SM-EYYVK 50-59 years, male 16.2
GTEX-131XE-2026-SM-5LZW1 50-59 years, male 16.0
GTEX-18A67-1326-SM-7LT8V 50-59 years, male 15.8
GTEX-WH7G-1126-SM-3NMBK 40-49 years, male 15.8
GTEX-11DXX-2026-SM-5EGJL 60-69 years, female 15.7
GTEX-14BIM-1626-SM-7EWD2 60-69 years, female 15.7
GTEX-X8HC-2326-SM-4QAS4 50-59 years, female 15.7
GTEX-XUZC-1126-SM-4BOPZ 30-39 years, female 15.7
GTEX-1H1E6-1126-SM-9JGGV 30-39 years, male 15.7
GTEX-1LGRB-0526-SM-COH3A 50-59 years, female 15.7
GTEX-13QBU-1326-SM-5LU4K 40-49 years, female 15.6
GTEX-13U4I-1726-SM-5J1MF 40-49 years, female 15.6
GTEX-X585-2526-SM-4QAS1 50-59 years, male 15.6
GTEX-XBEW-1726-SM-4RGMA 40-49 years, male 15.6
GTEX-XQ8I-1426-SM-4BOPW 50-59 years, male 15.6
GTEX-ZV6S-1626-SM-5NQ81 40-49 years, female 15.5
GTEX-1I4MK-0726-SM-ACKWC 50-59 years, female 15.5
GTEX-1AMEY-0526-SM-72D62 30-39 years, female 15.4
GTEX-1P4AB-1226-SM-DTXET 50-59 years, male 15.4
GTEX-13O3Q-1126-SM-5K7YK 50-59 years, male 15.3
GTEX-13PL7-1226-SM-5SIAR 60-69 years, female 15.2
GTEX-YECK-1426-SM-5IFHE 60-69 years, male 15.2
GTEX-Z9EW-0826-SM-5HL9T 40-49 years, male 15.2
GTEX-1122O-0926-SM-9YFLC 60-69 years, female 15.2
GTEX-1I1CD-1026-SM-COH3G 60-69 years, female 15.2
GTEX-1117F-1326-SM-5EGHH 60-69 years, female 15.1
GTEX-Y114-1326-SM-4TT9A 50-59 years, female 15.1
GTEX-1GL5R-0726-SM-9MQL5 50-59 years, male 15.1
GTEX-12WSK-1026-SM-5CVNR 40-49 years, female 15.0
GTEX-1MCC2-0626-SM-DKPQI 30-39 years, female 15.0
GTEX-1PBJI-1326-SM-E9J2V 20-29 years, female 15.0
GTEX-XQ3S-2426-SM-4WAYB 20-29 years, male 14.9
GTEX-1S5ZA-1026-SM-EWRO2 20-29 years, male 14.9
GTEX-12BJ1-0826-SM-5EQ5P 60-69 years, male 14.8
GTEX-14B4R-0526-SM-5QGQT 30-39 years, male 14.8
GTEX-1AX8Z-1626-SM-73KWD 60-69 years, male 14.8
GTEX-15UKP-1426-SM-7KUDX 20-29 years, male 14.7
GTEX-13OVK-0326-SM-7KUEJ 40-49 years, male 14.6
GTEX-17F98-0326-SM-7DHLH 40-49 years, female 14.6
GTEX-1PFEY-0726-SM-E76PO 30-39 years, male 14.6
GTEX-13FTW-0426-SM-5K7X2 40-49 years, male 14.5
GTEX-15G19-1126-SM-7KUEL 60-69 years, male 14.5
GTEX-ZT9X-0926-SM-5O9C4 40-49 years, male 14.5
GTEX-11LCK-0326-SM-5A5M7 30-39 years, male 14.4
GTEX-14E6D-1326-SM-62LES 50-59 years, male 14.3
GTEX-WYJK-1426-SM-3NM8V 50-59 years, male 14.3
GTEX-1GF9U-1226-SM-ARL9I 40-49 years, female 14.3
GTEX-13CF3-1126-SM-5LZXB 60-69 years, female 14.2
GTEX-13W3W-1126-SM-5L3DO 60-69 years, female 14.2
GTEX-YEC3-0926-SM-5Q5AC 50-59 years, male 14.2
GTEX-1J8Q2-2226-SM-CM2TZ 60-69 years, male 14.2
GTEX-13113-1126-SM-5LZU9 60-69 years, female 14.1
GTEX-1CB4E-0826-SM-793CS 60-69 years, male 14.1
GTEX-ZP4G-1326-SM-5EGIW 20-29 years, female 14.1
GTEX-14DAR-0426-SM-664MW 50-59 years, male 14.0
GTEX-1ICG6-1726-SM-ARU7K 70-79 years, female 14.0
GTEX-ZLWG-0726-SM-5S2N4 50-59 years, female 14.0
GTEX-11EM3-1126-SM-5A5KM 20-29 years, female 13.9
GTEX-ZTX8-0726-SM-59HL9 20-29 years, male 13.9
GTEX-ZPCL-1026-SM-5GCOX 60-69 years, female 13.8
GTEX-1HCU9-0626-SM-ACKW6 20-29 years, male 13.8
GTEX-1QP9N-0426-SM-DTXFT 30-39 years, male 13.8
GTEX-YJ8A-1926-SM-EZ6LQ 20-29 years, male 13.8
GTEX-13FH7-1926-SM-5J2OL 50-59 years, female 13.7
GTEX-1128S-0926-SM-5GZZU 60-69 years, female 13.6
GTEX-14BIL-2426-SM-5QGQR 50-59 years, male 13.6
GTEX-1F48J-1826-SM-7SB8T 50-59 years, female 13.6
GTEX-WVLH-1626-SM-EXURN 50-59 years, male 13.6
GTEX-Y3I4-0726-SM-E9J3Y 50-59 years, male 13.6
GTEX-144GN-0726-SM-5O98O 50-59 years, male 13.5
GTEX-14JG6-0526-SM-6LLIH 30-39 years, female 13.5
GTEX-1OKEX-0926-SM-E8VNJ 60-69 years, male 13.5
GTEX-12WSL-1126-SM-5CVNK 50-59 years, male 13.4
GTEX-14PJN-0626-SM-6EU13 30-39 years, male 13.4
GTEX-1AMFI-1026-SM-73KYM 50-59 years, female 13.4
GTEX-ZVT2-0226-SM-5GIE3 50-59 years, female 13.4
GTEX-1RNTQ-0826-SM-E9TK8 20-29 years, female 13.4
GTEX-1A3MX-0826-SM-72D64 60-69 years, male 13.3
GTEX-1F5PL-1326-SM-7SB83 40-49 years, female 13.3
GTEX-13VXT-0926-SM-5LU5K 20-29 years, female 13.2
GTEX-14PJ3-0726-SM-69LQE 50-59 years, male 13.2
GTEX-WRHK-0826-SM-3MJFG 20-29 years, female 13.2
GTEX-ZZPU-0326-SM-5N9BJ 50-59 years, female 13.2
GTEX-1IDJC-0226-SM-CMKG2 50-59 years, male 13.2
GTEX-1JJE9-1526-SM-CM2RR 70-79 years, male 13.2
GTEX-13O21-3126-SM-5J1OI 50-59 years, male 13.1
GTEX-14BMU-0626-SM-73KZ6 20-29 years, female 13.1
GTEX-1B97I-0526-SM-73KXE 40-49 years, male 13.1
GTEX-1CAMR-0326-SM-793AH 20-29 years, male 13.1
GTEX-1IKOE-1726-SM-CNNQ6 30-39 years, female 13.1
GTEX-1PIGE-1226-SM-EVR3Q 20-29 years, male 13.1
GTEX-11ZUS-1826-SM-5FQTR 30-39 years, male 13.0
GTEX-1GN1U-0726-SM-9MQKL 50-59 years, female 13.0
GTEX-1S5VW-2426-SM-EAZ52 60-69 years, male 13.0
GTEX-ZXES-0926-SM-5E43O 30-39 years, female 12.9
GTEX-1LBAC-1026-SM-CXKYA 20-29 years, male 12.9
GTEX-12ZZX-1726-SM-5BC63 40-49 years, female 12.8
GTEX-145LV-1026-SM-5O9AE 50-59 years, male 12.8
GTEX-18A7B-1226-SM-718AU 70-79 years, male 12.8
GTEX-1C6VR-1126-SM-7EPHD 60-69 years, male 12.8
GTEX-WHWD-0826-SM-3LK6R 50-59 years, male 12.8
GTEX-1POEN-1626-SM-EVYC2 30-39 years, female 12.8
GTEX-1QCLY-1226-SM-EVYC3 30-39 years, male 12.8
GTEX-1211K-1226-SM-5EQ4N 60-69 years, female 12.7
GTEX-1AYCT-1126-SM-79OO8 50-59 years, male 12.7
GTEX-U8XE-1926-SM-3DB98 30-39 years, male 12.7
GTEX-ZDXO-2326-SM-5LU9W 60-69 years, male 12.7
GTEX-ZPIC-0726-SM-57WFM 40-49 years, female 12.7
GTEX-1H1DG-2026-SM-9QEIV 70-79 years, male 12.7
GTEX-1HBPN-1526-SM-9WYSB 50-59 years, male 12.7
GTEX-1KXAM-0526-SM-DKPQN 60-69 years, male 12.7
GTEX-12584-2126-SM-5FQUM 40-49 years, male 12.6
GTEX-131XF-0726-SM-5GIE5 60-69 years, male 12.6
GTEX-13S86-0926-SM-5SI6I 40-49 years, male 12.6
GTEX-14PHX-1626-SM-69LQB 50-59 years, male 12.6
GTEX-17F9Y-0726-SM-7LT9G 70-79 years, female 12.6
GTEX-1H1DF-1426-SM-9YFMC 40-49 years, female 12.6
GTEX-1S831-1926-SM-EV79P 20-29 years, male 12.6
GTEX-17GQL-0826-SM-731AM 60-69 years, male 12.5
GTEX-1IDJD-0926-SM-ACKWW 30-39 years, male 12.5
GTEX-1N2DV-0626-SM-E9U5H 40-49 years, male 12.5
GTEX-1QP28-0926-SM-EVR4D 50-59 years, female 12.5
GTEX-13OVL-0826-SM-5L3GV 50-59 years, male 12.4
GTEX-13PVQ-2226-SM-5L3G9 50-59 years, male 12.4
GTEX-14753-2526-SM-5LU97 60-69 years, male 12.4
GTEX-WOFM-0726-SM-3MJF8 20-29 years, male 12.4
GTEX-1HSGN-1926-SM-CMKGS 40-49 years, female 12.4
GTEX-VJWN-2326-SM-EVYAP 50-59 years, female 12.4
GTEX-ZF29-0826-SM-5S2O2 60-69 years, female 12.4
GTEX-11GS4-1026-SM-5N9DE 60-69 years, male 12.3
GTEX-13NZ9-2026-SM-5KM1U 50-59 years, male 12.3
GTEX-Y5V6-0626-SM-4WWFY 60-69 years, male 12.3
GTEX-1A8FM-2126-SM-7PC27 50-59 years, female 12.3
GTEX-1GZ4H-0926-SM-9WG6Y 50-59 years, female 12.3
GTEX-1OJC3-1326-SM-E9J3D 20-29 years, male 12.3
GTEX-1CB4F-1126-SM-79OLG 60-69 years, male 12.2
GTEX-XV7Q-1726-SM-4BRUU 40-49 years, female 12.2
GTEX-1HSMO-1426-SM-CNNQN 60-69 years, male 12.2
GTEX-1IDJF-1726-SM-A9SLL 20-29 years, male 12.2
GTEX-132NY-1126-SM-5PNVE 60-69 years, male 12.1
GTEX-139TU-1426-SM-5LZY9 60-69 years, male 12.1
GTEX-14E6C-1226-SM-5ZZUN 40-49 years, male 12.1
GTEX-1C475-0326-SM-7SB8O 40-49 years, female 12.1
GTEX-1GN1W-1226-SM-9MQLW 50-59 years, female 12.1
GTEX-11VI4-1226-SM-5EQMP 40-49 years, female 12.0
GTEX-16NGA-0526-SM-731AJ 40-49 years, female 12.0
GTEX-XGQ4-1026-SM-4AT4L 50-59 years, male 12.0
GTEX-ZVP2-0226-SM-57WBD 50-59 years, male 12.0
GTEX-1I1GP-1426-SM-ACKVZ 50-59 years, male 12.0
GTEX-1LGOU-0826-SM-DHXKL 20-29 years, female 12.0
GTEX-1O9I2-1326-SM-E6CQD 50-59 years, male 12.0
GTEX-145MI-0826-SM-5SI95 60-69 years, female 11.9
GTEX-ZAJG-1626-SM-5HL7I 50-59 years, female 11.9
GTEX-ZGAY-1326-SM-5S2NS 40-49 years, female 11.9
GTEX-ZTPG-2326-SM-57WFL 20-29 years, female 11.9
GTEX-1GF9V-1126-SM-9MQM7 60-69 years, male 11.9
GTEX-117YW-0826-SM-5H11O 50-59 years, male 11.8
GTEX-13111-0626-SM-5LZVR 50-59 years, male 11.8
GTEX-13N11-1826-SM-5IJDS 50-59 years, female 11.8
GTEX-15D1Q-1326-SM-69LOA 40-49 years, male 11.8
GTEX-17F97-1226-SM-79OJT 50-59 years, male 11.8
GTEX-1MA7W-0526-SM-E6CIN 20-29 years, female 11.8
GTEX-13NYS-0726-SM-5J1OR 60-69 years, male 11.7
GTEX-14PJ5-0426-SM-5ZZW2 60-69 years, female 11.7
GTEX-15DZA-0626-SM-6PANC 30-39 years, female 11.7
GTEX-17KNJ-0426-SM-718AK 50-59 years, male 11.7
GTEX-ZYFG-1426-SM-5GICS 60-69 years, female 11.7
GTEX-1I1GU-0626-SM-CMKHR 40-49 years, male 11.7
GTEX-144GM-0626-SM-79OKY 20-29 years, male 11.6
GTEX-169BO-0426-SM-7EPI1 50-59 years, male 11.6
GTEX-16NPV-0626-SM-7IGOR 50-59 years, female 11.6
GTEX-18A6Q-1026-SM-7LT9S 60-69 years, male 11.6
GTEX-1AYD5-0126-SM-7DUG5 50-59 years, male 11.6
GTEX-XLM4-1026-SM-4AT51 60-69 years, male 11.6
GTEX-1I1GT-1326-SM-ACKWB 60-69 years, female 11.6
GTEX-WXYG-0926-SM-3NB2O 50-59 years, female 11.5
GTEX-ZTSS-1026-SM-5985N 40-49 years, male 11.5
GTEX-1N2DW-0726-SM-DTX97 50-59 years, male 11.5
GTEX-1RAZA-0926-SM-E6CQ8 20-29 years, male 11.5
GTEX-1212Z-0526-SM-5FQSQ 60-69 years, male 11.4
GTEX-17JCI-1626-SM-7EPGZ 60-69 years, female 11.4
GTEX-1GTWX-1526-SM-9MQLF 60-69 years, male 11.4
GTEX-1S82P-0926-SM-EWRNP 60-69 years, female 11.4
GTEX-132AR-0526-SM-5J2MJ 50-59 years, female 11.3
GTEX-139T6-0526-SM-5IJC9 50-59 years, male 11.3
GTEX-ZDTT-0526-SM-5HL4M 60-69 years, male 11.3
GTEX-1IL2U-2726-SM-C1YSG 60-69 years, male 11.3
GTEX-1QEPI-2226-SM-E8VN6 60-69 years, female 11.3
GTEX-12C56-0826-SM-5EGJ5 20-29 years, male 11.2
GTEX-13VXU-1026-SM-5KLZE 50-59 years, male 11.2
GTEX-14PHW-1626-SM-6EU2H 60-69 years, female 11.2
GTEX-16NPX-1026-SM-6PAM7 50-59 years, male 11.2
GTEX-17HII-0826-SM-7DUFH 50-59 years, male 11.2
GTEX-1F52S-1326-SM-7SB6Q 60-69 years, female 11.2
GTEX-1I6K6-1526-SM-CGQFC 30-39 years, male 11.2
GTEX-1I6K7-1826-SM-CGQFO 40-49 years, male 11.2
GTEX-1MJK3-0626-SM-E6CJB 20-29 years, male 11.2
GTEX-11P82-0326-SM-5HL51 20-29 years, male 11.1
GTEX-11PRG-1526-SM-5HL6Z 50-59 years, male 11.1
GTEX-ZG7Y-1626-SM-5S2NO 50-59 years, male 11.1
GTEX-1GZ2Q-1226-SM-9MQM8 40-49 years, male 11.1
GTEX-1KANA-1426-SM-CY8IF 20-29 years, male 11.1
GTEX-1LH75-1026-SM-EWROK 50-59 years, female 11.1
GTEX-1QP67-1126-SM-EAZ4C 40-49 years, female 11.1
GTEX-17MFQ-1126-SM-7LT9O 20-29 years, male 11.0
GTEX-1C6VQ-1526-SM-73KU9 50-59 years, male 11.0
GTEX-1K9T9-1626-SM-DIPFS 50-59 years, female 11.0
GTEX-13NZB-0826-SM-5K7X5 30-39 years, male 10.9
GTEX-1EU9M-1126-SM-793DE 60-69 years, male 10.9
GTEX-WFON-1226-SM-3TW8F 40-49 years, male 10.9
GTEX-Y8LW-0926-SM-4VBQ8 50-59 years, female 10.9
GTEX-1F6IF-2026-SM-7P8SE 60-69 years, male 10.9
GTEX-1QP66-0626-SM-E76PD 50-59 years, male 10.9
GTEX-17HHY-1026-SM-7LG5E 50-59 years, male 10.8
GTEX-WEY5-1326-SM-3GILS 40-49 years, female 10.8
GTEX-ZF3C-1026-SM-5S2OC 50-59 years, female 10.8
GTEX-1HCUA-0926-SM-ADEIX 50-59 years, female 10.8
GTEX-1J1R8-0526-SM-ACKWO 40-49 years, male 10.8
GTEX-1JMPY-0326-SM-CM2S2 30-39 years, male 10.8
GTEX-139D8-1626-SM-5IJFZ 30-39 years, female 10.7
GTEX-17HGU-1726-SM-79OKM 50-59 years, male 10.7
GTEX-1CAV2-0226-SM-7IGPQ 40-49 years, female 10.7
GTEX-1HCU6-1626-SM-CMKGW 60-69 years, female 10.7
GTEX-1QPFJ-2126-SM-EXOJV 30-39 years, female 10.7
GTEX-11P7K-0826-SM-5BC5F 30-39 years, male 10.6
GTEX-145ME-0726-SM-5O9A3 40-49 years, female 10.6
GTEX-ZEX8-1226-SM-5S2OK 50-59 years, male 10.6
GTEX-ZVE2-1826-SM-51MRZ 50-59 years, male 10.6
GTEX-1GPI7-0826-SM-9JGG7 20-29 years, male 10.6
GTEX-1HKZK-1726-SM-ADEJ9 40-49 years, male 10.6
GTEX-1R9PO-0926-SM-E9U4Q 60-69 years, female 10.6
GTEX-13RTK-0726-SM-5Q5EN 20-29 years, male 10.5
GTEX-ZPU1-1226-SM-5HL71 40-49 years, male 10.5
GTEX-ZV7C-0826-SM-59HK8 50-59 years, male 10.5
GTEX-1H1DE-0826-SM-ARU8V 20-29 years, male 10.5
GTEX-1HT8W-0726-SM-A9SLB 30-39 years, male 10.5
GTEX-1ICLY-1426-SM-CJI48 50-59 years, male 10.5
GTEX-1LKK1-1526-SM-EVYCO 50-59 years, female 10.5
GTEX-1LSNM-0626-SM-DIPG7 50-59 years, male 10.5
GTEX-1313W-1626-SM-5J1OE 50-59 years, female 10.4
GTEX-13N2G-1926-SM-5J1O3 60-69 years, male 10.4
GTEX-14ICL-0926-SM-5S2TU 30-39 years, male 10.4
GTEX-18465-1826-SM-731BB 50-59 years, male 10.4
GTEX-1CB4G-2126-SM-7IGQ8 60-69 years, male 10.4
GTEX-1CAMS-0926-SM-7SB7F 40-49 years, female 10.4
GTEX-1LG7Y-1126-SM-CYPTE 50-59 years, male 10.4
GTEX-VJYA-1626-SM-EXOHL 60-69 years, male 10.4
GTEX-145LT-1526-SM-5O98P 40-49 years, male 10.3
GTEX-WYBS-1026-SM-4ONCY 60-69 years, female 10.3
GTEX-X3Y1-0926-SM-3P5YT 40-49 years, male 10.3
GTEX-1JJ6O-2826-SM-CNNP7 60-69 years, male 10.3
GTEX-1MUQO-0826-SM-EVYCZ 60-69 years, male 10.3
GTEX-11DXZ-1426-SM-5H12A 50-59 years, male 10.2
GTEX-13FXS-1326-SM-62LFR 50-59 years, male 10.2
GTEX-13PVR-0526-SM-5S2OB 60-69 years, female 10.2
GTEX-14ABY-1926-SM-62LDJ 50-59 years, male 10.2
GTEX-14ICK-1726-SM-6AJA5 40-49 years, male 10.2
GTEX-Y8E4-1226-SM-5IFIM 40-49 years, male 10.2
GTEX-111YS-1326-SM-5EGGK 60-69 years, male 10.1
GTEX-14E1K-0426-SM-5S2PF 50-59 years, male 10.1
GTEX-18QFQ-1326-SM-731CF 30-39 years, male 10.1
GTEX-XBEC-1826-SM-4QASN 50-59 years, male 10.1
GTEX-1GMR2-0226-SM-9JGHO 50-59 years, male 10.1
GTEX-1HUB1-1526-SM-CGQF6 60-69 years, male 10.1
GTEX-12ZZW-2326-SM-5DUW2 50-59 years, male 10.0
GTEX-14PJ2-1426-SM-62LFF 50-59 years, male 10.0
GTEX-17F9E-1326-SM-7DHL4 50-59 years, male 10.0
GTEX-1B996-1226-SM-73KWZ 60-69 years, male 10.0
GTEX-1I19N-1026-SM-A96TT 70-79 years, male 10.0
GTEX-13X6K-0726-SM-5LU2Z 60-69 years, female 9.9
GTEX-14E6E-0226-SM-7DUEF 30-39 years, male 9.9
GTEX-1H4P4-0326-SM-9WYTD 50-59 years, male 9.9
GTEX-1JKYR-1226-SM-CM2S7 20-29 years, male 9.9
GTEX-1LSVX-1326-SM-DIPET 60-69 years, male 9.9
GTEX-1MCQQ-1426-SM-E6CJA 60-69 years, male 9.9
GTEX-178AV-0626-SM-6PAM1 40-49 years, male 9.8
GTEX-WHPG-0626-SM-3NMBD 50-59 years, male 9.8
GTEX-1KANC-0526-SM-D4P3T 50-59 years, female 9.8
GTEX-11P81-0726-SM-5PNYH 30-39 years, female 9.7
GTEX-12WSM-0626-SM-5GCOK 60-69 years, male 9.7
GTEX-Y111-0926-SM-4SOIU 50-59 years, male 9.7
GTEX-ZDYS-2226-SM-5S2MI 50-59 years, male 9.7
GTEX-1H11D-1126-SM-9YFM5 40-49 years, male 9.7
GTEX-1QW4Y-0826-SM-DTXE1 30-39 years, male 9.7
GTEX-1R9K4-1426-SM-DPRY4 60-69 years, male 9.7
GTEX-13G51-0526-SM-5IJCQ 60-69 years, male 9.6
GTEX-13X6I-1526-SM-5SIAC 60-69 years, male 9.6
GTEX-15SKB-1626-SM-6PAL6 60-69 years, male 9.6
GTEX-Y5V5-0226-SM-5S2N8 60-69 years, female 9.6
GTEX-ZAB4-1426-SM-5CVN6 40-49 years, male 9.6
GTEX-ZT9W-1026-SM-57WG5 50-59 years, male 9.6
GTEX-1399U-2026-SM-9WPNN 50-59 years, female 9.6
GTEX-1JMQK-1326-SM-CNPOR 60-69 years, male 9.6
GTEX-12WSC-1726-SM-5GCN3 50-59 years, male 9.5
GTEX-ZYW4-2226-SM-5GZYG 60-69 years, male 9.5
GTEX-ZZ64-0626-SM-5GZWR 20-29 years, male 9.5
GTEX-1B97J-1126-SM-7SB79 50-59 years, female 9.5
GTEX-1HFI7-0726-SM-ACKVN 50-59 years, female 9.5
GTEX-1JMQI-1026-SM-COH2U 50-59 years, male 9.5
GTEX-12696-1826-SM-5EGJS 60-69 years, male 9.4
GTEX-147JS-1026-SM-5S2MP 60-69 years, male 9.4
GTEX-14JIY-1426-SM-6EU29 60-69 years, male 9.4
GTEX-1B933-1326-SM-7939U 50-59 years, female 9.4
GTEX-ZYT6-2126-SM-5GZZ4 30-39 years, male 9.4
GTEX-1HCU7-2026-SM-A9G2B 50-59 years, male 9.4
GTEX-1S3DN-1626-SM-EVYCC 50-59 years, male 9.4
GTEX-132Q8-1726-SM-5EGK8 60-69 years, male 9.3
GTEX-13OW6-2426-SM-5K7WO 50-59 years, male 9.3
GTEX-1GMRU-0726-SM-7PBZH 50-59 years, male 9.3
GTEX-1QP29-1626-SM-EXUSZ 50-59 years, male 9.3
GTEX-12WSI-1526-SM-5GCNM 50-59 years, male 9.2
GTEX-13JUV-0626-SM-5J1MQ 40-49 years, female 9.2
GTEX-1B8KE-0826-SM-72D6S 50-59 years, male 9.2
GTEX-1BAJH-2126-SM-7EWFB 70-79 years, male 9.2
GTEX-WK11-2426-SM-3NMAA 50-59 years, male 9.2
GTEX-1F6I4-2126-SM-7PC2J 60-69 years, male 9.2
GTEX-1HSKV-1926-SM-CNPPN 60-69 years, male 9.2
GTEX-1HSMQ-1026-SM-ADEHU 50-59 years, male 9.2
GTEX-1KD4Q-1426-SM-D4P3K 40-49 years, male 9.2
GTEX-1RMOY-0826-SM-E9TIF 50-59 years, male 9.2
GTEX-15CHQ-1126-SM-686YY 60-69 years, male 9.1
GTEX-15RIE-0126-SM-7KUF8 60-69 years, male 9.1
GTEX-1EMGI-0726-SM-7PBZ4 60-69 years, male 9.1
GTEX-1HGF4-0226-SM-CNNQL 60-69 years, male 9.1
GTEX-1JN6P-1626-SM-CYPSV 60-69 years, male 9.1
GTEX-1KWVE-0226-SM-E9TKK 30-39 years, male 9.1
GTEX-12WSG-0426-SM-5FQSE 50-59 years, female 9.0
GTEX-1A3MV-0626-SM-731CH 30-39 years, male 9.0
GTEX-ZE9C-1326-SM-5S2OW 60-69 years, male 9.0
GTEX-1PPH8-1026-SM-DPRXN 20-29 years, male 9.0
GTEX-1RAZQ-1526-SM-E6CJI 30-39 years, male 9.0
GTEX-13112-1126-SM-5GCMY 50-59 years, male 8.9
GTEX-XYKS-1826-SM-4E3JV 60-69 years, female 8.9
GTEX-1GF9X-0926-SM-7PC2X 40-49 years, female 8.9
GTEX-1J1OQ-1526-SM-CJI4E 40-49 years, female 8.9
GTEX-15ER7-1026-SM-7KUMD 20-29 years, female 8.8
GTEX-15EU6-1726-SM-6M48H 50-59 years, male 8.8
GTEX-17F96-0726-SM-793CB 70-79 years, male 8.8
GTEX-12WSA-1626-SM-5EGJV 60-69 years, male 8.7
GTEX-13PDP-1226-SM-5K7TW 60-69 years, male 8.7
GTEX-15CHC-0826-SM-686YW 60-69 years, female 8.7
GTEX-1AX9J-2226-SM-731CW 60-69 years, male 8.7
GTEX-1F75I-1026-SM-7SB8B 40-49 years, male 8.7
GTEX-1399T-1326-SM-5PNVH 60-69 years, male 8.6
GTEX-13IVO-2426-SM-5K7V9 70-79 years, male 8.6
GTEX-1HC8U-0926-SM-A9G3L 40-49 years, female 8.6
GTEX-1LVAO-2126-SM-DIPGA 60-69 years, male 8.6
GTEX-1RLM8-1026-SM-EWROE 50-59 years, male 8.6
GTEX-12KS4-1526-SM-5EQ6E 30-39 years, male 8.5
GTEX-13X6J-1926-SM-5TDCU 50-59 years, male 8.5
GTEX-18A66-1926-SM-7LTAG 60-69 years, male 8.5
GTEX-1AX9I-1726-SM-731BX 60-69 years, male 8.5
GTEX-1I1GS-0926-SM-A9SL5 60-69 years, male 8.5
GTEX-1IDJI-0926-SM-ACKWZ 50-59 years, female 8.5
GTEX-113JC-0726-SM-5GZZR 50-59 years, female 8.4
GTEX-117YX-0726-SM-5GIET 50-59 years, male 8.4
GTEX-139YR-0326-SM-5J1MC 50-59 years, male 8.4
GTEX-18A7A-0926-SM-7LT8H 50-59 years, female 8.4
GTEX-ZYFC-1826-SM-5GZZA 50-59 years, male 8.4
GTEX-1CAMQ-1226-SM-7SB7E 40-49 years, male 8.4
GTEX-1GMR3-0826-SM-9WYT4 40-49 years, male 8.4
GTEX-1HFI6-1726-SM-CGQFH 40-49 years, male 8.4
GTEX-1HR9M-1426-SM-A9SMB 60-69 years, male 8.4
GTEX-WFJO-1026-SM-3GIKL 30-39 years, male 8.3
GTEX-XMK1-0926-SM-4B66X 40-49 years, male 8.3
GTEX-ZUA1-2126-SM-57YRB 40-49 years, male 8.3
GTEX-1QP6S-1626-SM-EVYC5 40-49 years, male 8.3
GTEX-1EH9U-1326-SM-79OM3 60-69 years, male 8.2
GTEX-UTHO-1826-SM-3GAFE 60-69 years, male 8.2
GTEX-16GPK-1326-SM-7KUE4 60-69 years, male 8.1
GTEX-ZQUD-0526-SM-57WG4 30-39 years, male 8.1
GTEX-1C64N-1326-SM-7SB7D 50-59 years, male 8.1
GTEX-11NUK-2026-SM-5PNVZ 50-59 years, male 8.0
GTEX-145LU-1226-SM-5LU9B 50-59 years, male 8.0
GTEX-14C5O-0926-SM-793DM 60-69 years, male 8.0
GTEX-1LVAN-0926-SM-CNNQ2 50-59 years, female 8.0
GTEX-1NV5F-2526-SM-EXUSK 60-69 years, female 8.0
GTEX-11GSO-0226-SM-5A5LV 60-69 years, male 7.9
GTEX-1B8SF-1726-SM-73KZ5 60-69 years, male 7.9
GTEX-WY7C-0926-SM-3NB34 50-59 years, male 7.9
GTEX-1KAFJ-0826-SM-CYPTF 50-59 years, male 7.9
GTEX-15SHU-2326-SM-7KUMC 40-49 years, female 7.8
GTEX-1H1ZS-1326-SM-9WG74 70-79 years, male 7.8
GTEX-1ICLZ-1626-SM-CE6SS 60-69 years, male 7.8
GTEX-1J8EW-1526-SM-CMKFZ 60-69 years, female 7.8
GTEX-1LG7Z-0226-SM-E6CIG 30-39 years, male 7.8
GTEX-13OW8-0326-SM-5L3FB 60-69 years, male 7.7
GTEX-146FR-0226-SM-5Q5F6 60-69 years, female 7.7
GTEX-17EVP-1426-SM-79OMN 40-49 years, male 7.7
GTEX-WL46-2026-SM-3LK7U 50-59 years, male 7.7
GTEX-1I1GR-1726-SM-COH39 60-69 years, male 7.7
GTEX-ZF2S-1526-SM-5S2OO 50-59 years, female 7.6
GTEX-11GSP-1026-SM-9WYSH 60-69 years, female 7.6
GTEX-1IDJH-1626-SM-A9SLP 70-79 years, male 7.6
GTEX-1IDJU-0926-SM-ARL88 60-69 years, female 7.6
GTEX-131XH-0826-SM-5GCN8 50-59 years, male 7.5
GTEX-16AAH-1526-SM-7LT9W 50-59 years, male 7.5
GTEX-1AX9K-0926-SM-7939G 50-59 years, male 7.5
GTEX-1HBPH-2226-SM-9WYSO 40-49 years, female 7.5
GTEX-1IKK5-0826-SM-ACKWN 60-69 years, male 7.5
GTEX-14AS3-0426-SM-5QGQK 40-49 years, female 7.4
GTEX-1H1CY-0826-SM-9WYTU 60-69 years, female 7.4
GTEX-1A8G6-2026-SM-73KYC 60-69 years, male 7.3
GTEX-ZC5H-1626-SM-5HL7L 40-49 years, female 7.3
GTEX-1HB9E-0526-SM-ARZNM 50-59 years, male 7.3
GTEX-1HCU8-1126-SM-CM2SA 60-69 years, female 7.3
GTEX-1IE54-1426-SM-CL53C 40-49 years, female 7.3
GTEX-1IY9M-1226-SM-ACKX1 60-69 years, male 7.3
GTEX-1RAZR-1026-SM-E8VOJ 40-49 years, male 7.3
GTEX-145MF-1026-SM-5Q5EQ 50-59 years, male 7.2
GTEX-1K2DA-1126-SM-CGQGG 50-59 years, male 7.2
GTEX-1GF9W-1026-SM-7SB8X 60-69 years, male 7.1
GTEX-13W46-1226-SM-5SIAS 50-59 years, male 7.0
GTEX-1E1VI-1826-SM-9WG5J 50-59 years, male 7.0
GTEX-1LSNL-1426-SM-E6CJ9 50-59 years, male 6.9
GTEX-1RQEC-2526-SM-EVYD2 60-69 years, male 6.9
GTEX-11DXY-0326-SM-5H12F 60-69 years, male 6.8
GTEX-15DYW-1526-SM-7KUEP 60-69 years, female 6.8
GTEX-1HBPI-1826-SM-ADEHE 50-59 years, male 6.8
GTEX-1EWIQ-2526-SM-7EPIJ 70-79 years, female 6.7
GTEX-UPK5-1826-SM-3GAEB 40-49 years, male 6.7
GTEX-1MA7X-1026-SM-DKPQ8 60-69 years, male 6.7
GTEX-14E7W-2326-SM-69LQC 70-79 years, male 6.6
GTEX-ZDTS-1826-SM-5S2N6 60-69 years, male 6.6
GTEX-ZF28-1426-SM-5S2OG 60-69 years, male 6.6
GTEX-13PL6-0926-SM-5KLYY 40-49 years, female 6.5
GTEX-14PJM-1226-SM-686Z7 50-59 years, female 6.5
GTEX-12WSF-1526-SM-6PAN6 70-79 years, male 6.4
GTEX-14BMV-1626-SM-73KVQ 50-59 years, male 6.4
GTEX-14DAQ-2526-SM-5RQIO 60-69 years, female 6.4
GTEX-ZXG5-1626-SM-59HJK 60-69 years, male 6.4
GTEX-1F75B-1226-SM-7MXTW 50-59 years, male 6.3
GTEX-1JMQJ-1926-SM-D4P3A 50-59 years, male 6.3
GTEX-1N2EE-1526-SM-DTXE9 60-69 years, male 6.3
GTEX-131YS-1726-SM-5HL7G 60-69 years, female 6.2
GTEX-WYVS-0626-SM-4SOJY 40-49 years, female 6.1
GTEX-1QMI2-1626-SM-EYYXK 60-69 years, male 6.1
GTEX-1JMLX-1026-SM-D3L8U 50-59 years, male 6.0
GTEX-14BIN-1226-SM-5S2OM 50-59 years, female 5.8
GTEX-1A8G7-1226-SM-73KYP 60-69 years, male 5.8
GTEX-17EVQ-0626-SM-7KFTB 70-79 years, male 5.7
GTEX-1GN73-0626-SM-7PC3I 60-69 years, male 5.7
GTEX-1H2FU-1426-SM-9WPO6 60-69 years, female 5.7
GTEX-11OF3-0826-SM-5BC51 60-69 years, male 5.6
GTEX-ZAB5-1126-SM-5Q5AD 50-59 years, male 5.6
GTEX-11ZTS-1326-SM-5EQMA 60-69 years, female 5.5
GTEX-1B8KZ-1026-SM-73KYN 50-59 years, male 5.5
GTEX-1EKGG-1426-SM-7PBY2 60-69 years, male 5.5
GTEX-1GZ4I-2326-SM-9YFMO 50-59 years, male 5.5
GTEX-1B932-1726-SM-793A5 40-49 years, female 5.4
GTEX-11DYG-2026-SM-5EGGX 60-69 years, male 5.3
GTEX-11NV4-1426-SM-5BC4W 60-69 years, male 5.3
GTEX-1KD5A-1326-SM-CYPTB 50-59 years, male 5.3
GTEX-13S7M-0826-SM-5QGQX 60-69 years, female 5.1
GTEX-XOT4-0826-SM-4B66Y 60-69 years, female 4.9
GTEX-17HHE-1526-SM-793AS 50-59 years, male 4.8
GTEX-1EN7A-1626-SM-79OLV 40-49 years, male 4.7
GTEX-17MF6-1326-SM-79ONE 40-49 years, male 4.5
GTEX-1KANB-2426-SM-EV7BE 50-59 years, male 4.5
GTEX-VUSG-1426-SM-3GIJN 50-59 years, male 4.1
GTEX-1I1GQ-1026-SM-CNNQS 50-59 years, male 4.0
GTEX-1B8L1-0126-SM-9KNVS 60-69 years, male 3.9
GTEX-1C6VS-1826-SM-73KXN 60-69 years, male 3.7
GTEX-W5X1-1426-SM-3GIKH 40-49 years, female 3.2
Show allShow less

ADIPOSE TISSUE - FANTOM5 CAGEi

RNA expression in human tissues obtained through Cap Analysis of Gene Expression (CAGE) generated by the FANTOM5 project are reported as Scaled Tags Per Million.

Max subtype Scaled Tags Per Millioni

Max subtype Scaled Tags Per Million is the value for the subtype with the largest average Scaled Tags Per Million across the subtype samples.

14.2
FANTOM5 sample id Sample description Scaled Tags Per Million
Adipose tissue
Scaled Tags Per Million: 14.2
FF:10010-101C1 65,65,76 years, mixed 14.2

Contact

  • NEWS ARTICLES
  • PRESS ROOM

The Project

  • INTRODUCTION
  • ORGANIZATION
  • PUBLICATIONS

The Human Protein Atlas

  • DOWNLOADABLE DATA
  • LICENCE & CITATION
  • HELP & FAQ
The Human Protein Atlas project is funded
by the Knut & Alice Wallenberg Foundation.


contact@proteinatlas.org