We use cookies to enhance the usability of our website. If you continue, we'll assume that you are happy to receive all cookies. More information. Don't show this again.
AQP3
HPA
RESOURCES
  • TISSUE
  • BRAIN
  • SINGLE CELL
  • SUBCELLULAR
  • CANCER
  • BLOOD
  • CELL LINE
  • STRUCTURE & INTERACTION
ABOUT
  • INTRODUCTION
  • HISTORY
  • ORGANIZATION
  • PUBLICATIONS
  • ANTIBODY SUBMISSION
  • ANTIBODY AVAILABILITY
  • ACKNOWLEDGMENTS
  • CONTACT
NEWS
  • NEWS ARTICLES
  • PRESS ROOM
LEARN
  • DICTIONARY
  • PROTEIN CLASSES
  • PROTEIN EVIDENCE
  • METHODS
  • EDUCATIONAL VIDEOS
DATA
  • DOWNLOADABLE DATA
  • PUBLICATION DATA
  • RELEASE HISTORY
HELP
  • ANTIBODY VALIDATION
  • ASSAYS & ANNOTATION
  • DISCLAIMER
  • HELP & FAQ
  • PRIVACY STATEMENT
  • LICENCE & CITATION
Fields »
Search result

Field
Term
Gene name
Class
Subclass
Class
Keyword
Chromosome
External id
Tissue
Cell type
Expression
Antibody panel
Tissue
Main location
Patient ID
Annotation
Tissue
Category
Tau score
Cluster
Reliability
Brain region
Category
Tau score
Brain region
Category
Tau score
Brain region
Category
Tau score
Cluster
Reliability
Tissue
Cell type
Enrichment
Cell type
Category
Tau score
Cell type
Category
Tau score
Cell type
Category
Tau score
Cell lineage
Category
Tau score
Cluster
Cluster
Location
Searches
Location
Cell line
Class
Type
Phase
Reliability
Cancer
Prognosis
Cancer
Category
Cancer
Category
Tau score
Cluster
Variants
Interacting gene (ensg_id)
Type
Number of interactions
Pathway
Category
Score
Score
Score
Validation
Validation
Validation
Validation
Antibodies
Data type
Column


  • SUMMARY

  • TISSUE

  • BRAIN

  • SINGLE CELL

  • SUBCELL

  • CANCER

  • BLOOD

  • CELL LINE

  • STRUCT & INT

  • AQP3
BRAIN CEREBRAL CORTEX Show tissue menu
AMYGDALA BASAL GANGLIA CEREBELLUM CEREBRAL CORTEX CHOROID PLEXUS HIPPOCAMPAL FORMATION HYPOTHALAMUS MEDULLA OBLONGATA
MIDBRAIN OLFACTORY BULB PITUITARY GLAND PONS RETINA SPINAL CORD THALAMUS WHITE MATTER
ANTIBODIES
AND
VALIDATION
Brain proteome
Cerebral cortex
CEREBRAL CORTEX - Expression summary
Protein expression
Cerebral cortexi

On the top, protein expression in current human tissue, based on all annotated cell types, is reported with the units not detected (n), low (l), medium (m) and high (h). Underneath, protein expression in each annotated cell type are reported using the same units.

Protein expression data is based on knowledge-based annotation. For genes where more than one antibody has been used, a collective score is set.

If knowledge-based annotation could not be performed for a gene, no data is displayed here. View antibody staining data further down this page.

h
m
l
n
Endothelial cells: Not detected
Glial cells: Not detected
Neuronal cells: Not detected
Neuropil: Not detected
RNA expressioni

A summary of mRNA expression data available for current tissue based on several datasets. The mRNA expression levels in human tissues are based on RNA-seq data generated by the Human Protein Atlas (HPA), Genotype-Tissue Expression (GTEx) portal and CAGE data generated by the FANTOM5 consortium. Consensus normalized expression levels for human tissues was created by combining the data from HPA and GTEx datasets.

The mRNA expression levels in pig are based on RNA-seq data generated by the Human Protein Atlas (HPA), and for mouse, HPA data and in situ hybridization generated by the Allen brain atlas are reported.

Scroll down to view mRNA expression data in more detail.
Consensus:3.7 nTPM
HPA:3.7 nTPM
HPA Brain:9.9 nTPM
HPA PFC Brain:0.5 nTPM
GTEx:1.1 nTPM
FANTOM5:2.5 Scaled Tags Per Million
Pig:7.1 nTPM
Mouse:0.0 nTPM
Allen mouse:8.3 Expression energy

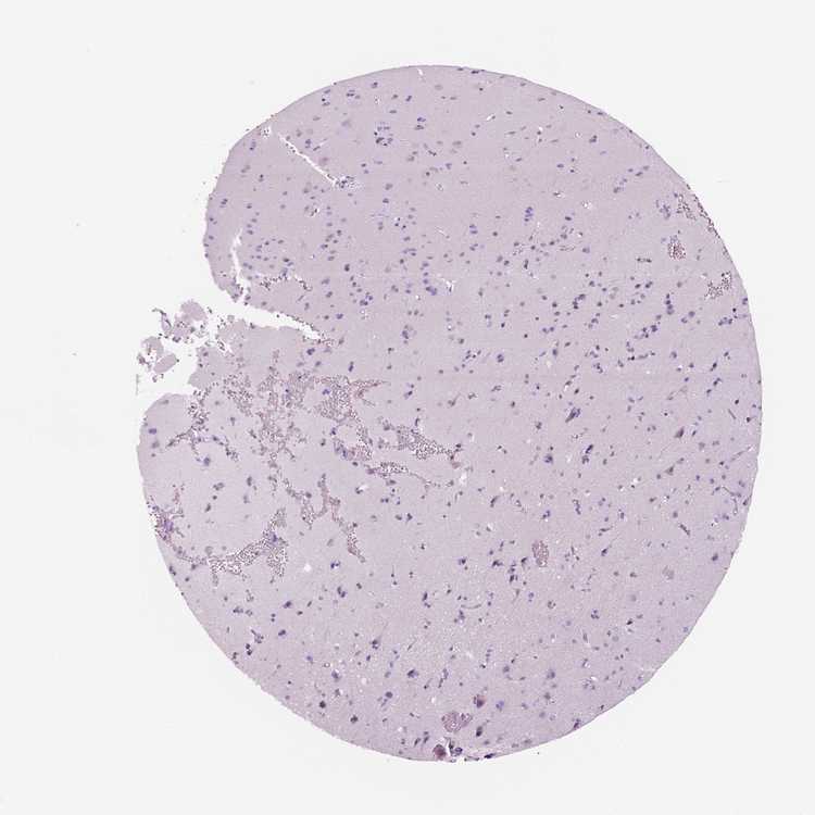
CEREBRAL CORTEX - Antibody stainingi

Antibody staining in the annotated cell types in the current human tissue is reported as not detected, low, medium, or high, based on conventional immunohistochemistry profiling in selected tissues. This score is based on the combination of the staining intensity and fraction of stained cells.

Each image is clickable and will lead to virtual microscopy that enables deeper exploration of all samples and also displays staining intensity scores, fraction scores and subcellular localization as well as patient and tissue information for each sample.

Antibody HPA014924
Endothelial cells Not detected
Glial cells Not detected
Neuronal cells Not detected
Neuropil Not detected



CEREBRAL CORTEX - HPA RNA-seqi

The RNA-seq details section shows detailed information about the individual samples used for the transcript profiling and results of the RNA-seq analysis.

Information about each individual sample is listed below, including gender, age, a tissue section image and estimated fractions of cell types. nTPM (normalized transcripts per million) values give a quantification of the gene abundance which is comparable between different genes and samples.
Average nTPMi

Max subtype nTPM is the value for the subtype with the largest average nTPM across the subtype samples.

3.7
N/A
Male, age 5
Cerebral cortex sample 48
nTPM: 2.5
overview
Female, age 40
Cerebral cortex sample 105
nTPM: 0.1
Cell types%
Neuronal cells:
35

Glial cells and endothelial cells:
65

overview
Male, age 70
Cerebral cortex sample 106
nTPM: 8.6
Cell types%
Neuronal cells:
35

Glial cells and endothelial cells:
65


CEREBRAL CORTEX - HPA Brain RNA-seq
Max subtype nTPMi

Max subtype nTPM is the value for the subtype with the largest average nTPM across the subtype samples.

9.9
Sample id Sample description nTPM
Angular gyrus
nTPM: 3.4
2265 Female, age 91, left hemisphere 4.8
2221 Female, age 67, right hemisphere 3.9
2722 Male, age 61, left hemisphere 3.9
2260 Female, age 72, left hemisphere 3.6
2602 Female, age 94, right hemisphere 3.2
1866 Male, age 76, both hemispheres 2.7
2103 Male, age 75, left hemisphere 2.5
1790 Male, age 76, right hemisphere 2.3
Anterior cingulate cortex, supragenual-dorsal
nTPM: 3.6
2478 Female, age 67, right hemisphere 4.3
2342 Female, age 94, right hemisphere 4.1
2547 Male, age 74, left hemisphere 3.9
2472 Male, age 75, left hemisphere 3.8
1896 Female, age 85, right hemisphere 2.1
Anterior cingulate cortex, supragenual-ventral
nTPM: 3.3
2479 Female, age 67, right hemisphere 4.1
2538 Male, age 75, left hemisphere 4.1
1761 Male, age 74, left hemisphere 3.1
1755 Female, age 94, right hemisphere 2.6
1950 Female, age 85, right hemisphere 2.5
Anterior insular cortex, dorsal
nTPM: 4.4
2235 Female, age 91, right hemisphere 5.7
2506 Female, age 94, right hemisphere 4.6
2001 Male, age 76, right hemisphere 3.9
2670 Male, age 75, left hemisphere 3.3
Anterior insular cortex, ventral
nTPM: 3.5
2507 Female, age 94, left hemisphere 5.2
2262 Female, age 67, right hemisphere 4.5
2596 Male, age 75, left hemisphere 4.1
1852 Male, age 76, left hemisphere 3.0
2757 Male, age 61, right hemisphere 2.3
1925 Female, age 91, left hemisphere 2.0
Area parastriata, inferior
nTPM: 3.1
2509 Female, age 94, left hemisphere 4.4
2268 Male, age 61, right hemisphere 3.3
1758 Female, age 72, right hemisphere 3.1
2421 Female, age 91, left hemisphere 3.0
1760 Female, age 67, left hemisphere 2.9
2234 Male, age 75, left hemisphere 2.6
1789 Male, age 76, right hemisphere 2.4
Area parastriata, parietal
nTPM: 4.2
2236 Female, age 91, left hemisphere 10.3
2233 Male, age 61, right hemisphere 3.6
1785 Male, age 76, right hemisphere 2.7
2680 Female, age 94, right hemisphere 2.6
2420 Male, age 75, left hemisphere 1.8
Area parastriata, superior
nTPM: 3.9
1773 Female, age 91, left hemisphere 6.5
2881 Male, age 76, left hemisphere 6.4
2435 Male, age 61, left hemisphere 3.3
2604 Female, age 94, right hemisphere 2.5
2684 Female, age 67, left hemisphere 2.5
2419 Male, age 75, right hemisphere 2.4
Area parastriata, temporal
nTPM: 3.2
2267 Male, age 61, right hemisphere 3.9
2471 Male, age 75, left hemisphere 3.7
2681 Female, age 94, right hemisphere 2.9
2424 Female, age 67, left hemisphere 2.8
1804 Male, age 76, right hemisphere 2.6
Area striata
nTPM: 2.5
2427 Female, age 91, left hemisphere 3.8
1753 Female, age 72, right hemisphere 3.3
2002 Female, age 91, right hemisphere 2.4
2679 Female, age 94, right hemisphere 2.1
1884 Male, age 76, left hemisphere 1.7
2417 Male, age 61, right hemisphere 1.7
Claustrum
nTPM: 3.9
2292 Female, age 85, both hemispheres 5.6
2284 Female, age 91, both hemispheres 4.7
2568 Male, age 61, both hemispheres 4.5
1956 Male, age 74, unknown 4.2
2645 Female, age 72, unknown 4.0
2392 Female, age 94, both hemispheres 3.4
2198 Male, age 80, both hemispheres 3.3
2491 Male, age 75, both hemispheres 2.8
2196 Female, age 79, unknown 2.7
Frontal eye field
nTPM: 3.5
2441 Male, age 75, left hemisphere 4.4
2543 Male, age 74, left hemisphere 4.0
2761 Female, age 94, left hemisphere 3.5
2147 Male, age 61, left hemisphere 2.3
Frontal operculum
nTPM: 3.1
2348 Male, age 75, left hemisphere 4.3
2781 Female, age 85, right hemisphere 3.6
2030 Male, age 61, right hemisphere 1.3
Fusiform gyrus
nTPM: 4.3
2784 Female, age 85, left hemisphere 5.5
2074 Female, age 91, left hemisphere 5.1
2617 Female, age 94, left hemisphere 4.5
2112 Male, age 80, both hemispheres 4.2
2433 Female, age 72, left hemisphere 4.1
2431 Male, age 75, right hemisphere 3.5
1807 Male, age 76, left hemisphere 3.3
Inferior frontal gyrus, opercular
nTPM: 4.0
2872 Female, age 94, right hemisphere 6.3
2869 Male, age 74, left hemisphere 5.4
2871 Female, age 94, left hemisphere 4.6
2873 Female, age 85, left hemisphere 4.2
2867 Male, age 75, left hemisphere 4.1
2875 Female, age 67, left hemisphere 3.9
2868 Male, age 75, right hemisphere 3.3
2865 Male, age 61, left hemisphere 3.1
2866 Male, age 61, right hemisphere 2.7
2874 Female, age 85, right hemisphere 2.4
Inferior parietal lobule
nTPM: 3.1
2876 Male, age 76, right hemisphere 3.6
2606 Female, age 67, right hemisphere 3.3
2418 Male, age 75, left hemisphere 3.0
2599 Female, age 94, left hemisphere 2.7
Inferior temporal gyrus
nTPM: 3.8
1965 Female, age 91, left hemisphere 4.8
2689 Female, age 94, right hemisphere 4.8
1808 Male, age 76, left hemisphere 4.4
1970 Female, age 85, right hemisphere 3.2
2430 Male, age 75, right hemisphere 3.1
1880 Male, age 80, right hemisphere 2.6
Intraparietal deep sulcus
nTPM: 3.2
2600 Female, age 94, right hemisphere 3.9
2230 Male, age 61, right hemisphere 3.5
2669 Male, age 75, left hemisphere 3.3
2798 Male, age 76, left hemisphere 3.0
2102 Female, age 91, left hemisphere 2.9
2607 Female, age 67, right hemisphere 2.6
Lingual gyrus
nTPM: 3.9
2838 Male, age 80, right hemisphere 4.5
2073 Female, age 85, left hemisphere 4.1
2618 Female, age 94, left hemisphere 4.1
1893 Male, age 76, left hemisphere 3.8
2688 Male, age 75, right hemisphere 2.9
Middle cingulate cortex
nTPM: 3.2
2539 Male, age 75, left hemisphere 4.1
2357 Female, age 67, right hemisphere 3.5
2633 Male, age 74, left hemisphere 3.0
2640 Female, age 94, right hemisphere 3.0
2028 Female, age 85, left hemisphere 2.6
Middle temporal gyrus
nTPM: 3.9
2034 Female, age 91, right hemisphere 4.6
1799 Male, age 76, left hemisphere 4.5
2616 Female, age 94, left hemisphere 4.0
2611 Male, age 75, right hemisphere 3.7
1819 Male, age 80, right hemisphere 2.7
Occipital cortex
nTPM: 2.6
2608 Female, age 67, both hemispheres 3.5
2470 Male, age 75, right hemisphere 3.1
2677 Female, age 67, right hemisphere 2.3
2426 Male, age 75, midline 2.1
1842 Male, age 76, right hemisphere 2.0
Olfactory area
nTPM: 5.3
2352 Female, age 94, right hemisphere 11.1
2542 Male, age 74, left hemisphere 4.9
1805 Female, age 85, right hemisphere 4.5
2756 Female, age 67, right hemisphere 3.9
2440 Male, age 75, left hemisphere 3.8
2222 Female, age 67, right hemisphere 3.6
Olfactory tubercle
nTPM: 3.2
2487 Female, age 94, left hemisphere 3.5
1998 Female, age 91, both hemispheres 3.4
1846 Male, age 80, right hemisphere 3.1
2856 Male, age 75, right hemisphere 3.0
Orbitofrontal gyrus, anterior
nTPM: 4.5
2862 Female, age 85, left hemisphere 5.7
2863 Female, age 85, right hemisphere 5.1
2864 Female, age 67, left hemisphere 2.8
Paracentral lobule, anterior
nTPM: 3.1
2474 Male, age 74, left hemisphere 4.8
2340 Female, age 67, right hemisphere 3.8
2638 Female, age 94, right hemisphere 3.1
1776 Female, age 85, right hemisphere 2.9
1754 Male, age 75, left hemisphere 2.8
1926 Male, age 61, left hemisphere 1.3
Paracentral lobule, posterior
nTPM: 3.6
1764 Male, age 74, right hemisphere 4.7
2345 Male, age 61, left hemisphere 4.7
2446 Male, age 75, left hemisphere 3.1
1775 Female, age 85, right hemisphere 2.7
2551 Female, age 94, right hemisphere 2.7
Parietal operculum
nTPM: 4.3
2719 Male, age 75, left hemisphere 6.0
1763 Male, age 74, left hemisphere 4.7
2356 Female, age 67, right hemisphere 3.9
2552 Female, age 94, right hemisphere 2.8
Parieto-insular cortex
nTPM: 3.4
2508 Female, age 94, right hemisphere 4.1
2232 Male, age 61, right hemisphere 3.9
2671 Male, age 75, left hemisphere 3.5
2831 Male, age 76, right hemisphere 3.4
1976 Female, age 91, right hemisphere 2.1
Parieto-occipital transitional area
nTPM: 3.1
2270 Male, age 61, right hemisphere 4.1
2468 Male, age 75, left hemisphere 4.0
2674 Female, age 94, right hemisphere 2.8
2683 Female, age 67, left hemisphere 2.6
1784 Male, age 76, right hemisphere 2.2
Piriform cortex
nTPM: 3.4
2153 Female, age 85, left hemisphere 3.7
2347 Male, age 75, right hemisphere 3.2
Postcentral gyrus
nTPM: 2.9
2533 Male, age 75, right hemisphere 2.9
Postcentral gyrus, dorsal
nTPM: 3.1
2544 Male, age 74, left hemisphere 6.0
2350 Male, age 75, left hemisphere 3.9
2339 Female, age 67, right hemisphere 2.5
1836 Female, age 85, right hemisphere 2.3
2151 Male, age 61, left hemisphere 2.2
2477 Female, age 94, right hemisphere 2.0
Postcentral gyrus, middle
nTPM: 3.2
2545 Male, age 74, left hemisphere 6.8
2444 Male, age 75, left hemisphere 3.7
2146 Female, age 67, right hemisphere 2.3
2248 Male, age 61, left hemisphere 1.9
1897 Female, age 85, right hemisphere 1.4
Postcentral gyrus, ventral
nTPM: 3.1
2836 Female, age 94, right hemisphere 4.3
2445 Male, age 75, left hemisphere 3.1
2024 Female, age 85, right hemisphere 1.9
Posterior cingulate cortex
nTPM: 3.1
2553 Female, age 94, right hemisphere 4.0
1759 Male, age 74, right hemisphere 2.9
2473 Male, age 75, left hemisphere 2.5
Posterior cingulate cortex, dorsal
nTPM: 2.9
2343 Male, age 61, left hemisphere 4.2
2076 Female, age 85, right hemisphere 3.6
2634 Male, age 74, left hemisphere 3.3
2540 Male, age 75, right hemisphere 2.4
2641 Female, age 94, right hemisphere 2.1
2556 Female, age 67, right hemisphere 1.9
Posterior cingulate cortex, ventral
nTPM: 3.3
2346 Male, age 61, left hemisphere 4.4
2541 Male, age 75, right hemisphere 3.6
2635 Male, age 74, left hemisphere 3.4
2448 Female, age 67, right hemisphere 3.1
1994 Female, age 85, right hemisphere 2.9
1762 Female, age 94, right hemisphere 2.5
Posterior insular cortex
nTPM: 4.8
2832 Female, age 91, right hemisphere 6.4
2603 Female, age 94, left hemisphere 5.4
2511 Female, age 67, right hemisphere 4.9
2231 Male, age 61, left hemisphere 4.6
2597 Male, age 75, left hemisphere 3.7
1823 Male, age 76, right hemisphere 3.6
Precentral gyrus
nTPM: 2.9
2557 Male, age 75, right hemisphere 2.9
Precentral gyrus, dorsal
nTPM: 3.5
2442 Male, age 75, left hemisphere 3.9
1756 Male, age 74, left hemisphere 3.8
2354 Female, age 67, right hemisphere 3.8
2476 Female, age 94, right hemisphere 2.5
Precentral gyrus, middle
nTPM: 2.8
2475 Male, age 74, right hemisphere 3.5
1969 Female, age 67, right hemisphere 3.1
2549 Female, age 94, right hemisphere 3.0
2443 Male, age 75, left hemisphere 2.8
1909 Male, age 61, left hemisphere 1.4
Precentral gyrus, ventral
nTPM: 3.1
2678 Male, age 74, left hemisphere 4.8
2630 Male, age 75, left hemisphere 3.3
2550 Female, age 94, right hemisphere 3.0
2662 Female, age 67, right hemisphere 1.6
Precuneus
nTPM: 3.0
2594 Male, age 61, left hemisphere 4.3
1780 Female, age 91, right hemisphere 3.9
2510 Female, age 67, right hemisphere 3.5
1782 Male, age 76, right hemisphere 2.7
2467 Male, age 75, right hemisphere 1.9
2673 Female, age 94, right hemisphere 1.8
Premotor cortex, dorsal
nTPM: 2.6
2536 Male, age 75, left hemisphere 3.4
2554 Female, age 67, right hemisphere 3.3
2631 Male, age 74, left hemisphere 2.8
1878 Female, age 85, right hemisphere 1.8
2027 Male, age 61, left hemisphere 1.5
Premotor cortex, ventral
nTPM: 3.6
1757 Male, age 74, left hemisphere 5.3
2349 Male, age 75, left hemisphere 4.5
1779 Male, age 61, left hemisphere 3.6
1777 Female, age 67, left hemisphere 3.3
2637 Female, age 94, right hemisphere 3.3
1881 Female, age 85, right hemisphere 1.9
Retrosplenial cortex
nTPM: 9.9
1951 Male, age 61, right hemisphere 20.7
1914 Male, age 76, right hemisphere 6.0
2675 Female, age 94, left hemisphere 3.0
Subcentral gyrus, S2
nTPM: 3.8
2762 Male, age 74, left hemisphere 5.1
2839 Female, age 94, right hemisphere 4.9
2555 Female, age 67, right hemisphere 4.3
1964 Female, age 85, right hemisphere 3.2
2351 Male, age 75, left hemisphere 3.0
2072 Male, age 61, left hemisphere 2.3
Superior parietal lobule
nTPM: 2.7
2229 Male, age 61, right hemisphere 3.7
2672 Female, age 94, right hemisphere 3.2
1992 Female, age 91, right hemisphere 2.4
2605 Female, age 67, right hemisphere 2.4
1800 Male, age 76, right hemisphere 2.1
Superior temporal gyrus
nTPM: 3.9
1843 Male, age 76, left hemisphere 4.4
2615 Female, age 94, left hemisphere 4.1
1844 Female, age 91, left hemisphere 3.8
2687 Male, age 75, right hemisphere 3.8
2025 Male, age 80, right hemisphere 3.2
Supplementary motor cortex
nTPM: 2.9
2632 Male, age 74, left hemisphere 3.8
2537 Male, age 75, left hemisphere 3.7
2548 Female, age 94, right hemisphere 2.5
1993 Male, age 61, left hemisphere 1.6
Supramarginal gyrus
nTPM: 3.3
2513 Female, age 72, left hemisphere 5.1
1991 Female, age 91, right hemisphere 3.4
1798 Male, age 76, right hemisphere 3.0
2415 Male, age 61, left hemisphere 2.9
2601 Female, age 94, left hemisphere 2.3
Temporal pole
nTPM: 3.7
1832 Female, age 91, left hemisphere 6.7
2612 Female, age 94, left hemisphere 3.9
2518 Male, age 75, right hemisphere 2.8
1826 Male, age 76, right hemisphere 2.4
1853 Female, age 85, right hemisphere 2.4
Temporo-insular cortex, parainsular gyrus
nTPM: 4.6
2264 Female, age 91, right hemisphere 6.7
2676 Female, age 94, right hemisphere 5.9
2598 Male, age 75, left hemisphere 3.9
1802 Male, age 76, left hemisphere 3.7
2416 Male, age 61, right hemisphere 3.7
2512 Female, age 67, right hemisphere 3.7
Temporo-occipital transitional zone
nTPM: 4.0
2251 Female, age 85, right hemisphere 5.3
1793 Male, age 80, right hemisphere 3.7
1900 Male, age 76, left hemisphere 3.0
Transversal temporal gyrus, anterior
nTPM: 3.5
2610 Male, age 75, right hemisphere 4.4
1888 Female, age 91, left hemisphere 4.1
2522 Female, age 94, left hemisphere 3.2
1809 Male, age 76, right hemisphere 3.1
1910 Male, age 80, right hemisphere 2.6
Transversal temporal gyrus, posterior
nTPM: 4.5
1967 Female, age 91, right hemisphere 6.1
2520 Male, age 75, right hemisphere 5.7
2614 Female, age 94, left hemisphere 4.6
2833 Male, age 80, right hemisphere 3.7
1922 Male, age 76, left hemisphere 2.6

CEREBRAL CORTEX - HPA PFC Brain RNA-seq
Max subtype nTPMi

Max subtype nTPM is the value for the subtype with the largest average nTPM across the subtype samples.

0.5
Sample id Sample description nTPM
Anterior cingulate gyrus, pregenual-dorsal
nTPM: 0.4
1517 Female, age 67, left hemisphere 1.1
1510 Male, age 61, left hemisphere 0.8
1511 Male, age 61, right hemisphere 0.6
1515 Female, age 94, right hemisphere 0.5
1512 Male, age 75, left hemisphere 0.2
1513 Male, age 74, left hemisphere 0.2
1516 Female, age 85, left hemisphere 0.2
1518 Female, age 67, right hemisphere 0.2
1514 Male, age 74, right hemisphere 0.1
Anterior cingulate gyrus, pregenual-ventral
nTPM: 0.4
1519 Male, age 61, left hemisphere 0.7
1523 Female, age 67, left hemisphere 0.7
1520 Male, age 75, right hemisphere 0.6
1521 Male, age 74, left hemisphere 0.0
1522 Male, age 74, right hemisphere 0.0
Anterior cingulate gyrus, subgenual
nTPM: 0.5
1529 Female, age 85, left hemisphere 0.8
1524 Male, age 61, left hemisphere 0.7
1528 Male, age 74, right hemisphere 0.6
1526 Male, age 75, right hemisphere 0.4
1530 Female, age 67, right hemisphere 0.4
1527 Male, age 74, left hemisphere 0.2
1525 Male, age 75, left hemisphere 0.1
Dorsolateral prefrontal cortex
nTPM: 0.2
1449 Female, age 85, right hemisphere 0.6
1444 Male, age 75, left hemisphere 0.5
1447 Female, age 94, left hemisphere 0.3
1450 Female, age 67, right hemisphere 0.2
1448 Female, age 94, right hemisphere 0.1
1445 Male, age 75, right hemisphere 0.0
1446 Male, age 74, right hemisphere 0.0
Dorsomedial prefrontal cortex
nTPM: 0.3
1443 Female, age 67, right hemisphere 0.6
1440 Male, age 61, right hemisphere 0.4
1439 Male, age 61, left hemisphere 0.2
1442 Male, age 75, right hemisphere 0.2
1441 Male, age 75, left hemisphere 0.0
Frontal cortex
nTPM: 0.2
1573 Male, age 61, right hemisphere 0.6
1583 Female, age 67, right hemisphere 0.3
1572 Male, age 61, left hemisphere 0.2
1575 Male, age 75, right hemisphere 0.2
1576 Male, age 74, left hemisphere 0.2
1579 Female, age 94, right hemisphere 0.2
1581 Female, age 85, right hemisphere 0.2
1577 Male, age 74, right hemisphere 0.1
1582 Female, age 67, left hemisphere 0.1
1574 Male, age 75, left hemisphere 0.0
1578 Female, age 94, left hemisphere 0.0
1580 Female, age 85, left hemisphere 0.0
Frontomarginal cortex
nTPM: 0.3
1472 Female, age 67, left hemisphere 1.0
1466 Male, age 61, right hemisphere 0.5
1465 Male, age 61, left hemisphere 0.4
1467 Male, age 75, right hemisphere 0.2
1468 Male, age 74, left hemisphere 0.2
1471 Female, age 85, left hemisphere 0.2
1473 Female, age 67, right hemisphere 0.2
1469 Female, age 94, left hemisphere 0.1
1470 Female, age 94, right hemisphere 0.1
Frontopolar cortex
nTPM: 0.4
1458 Male, age 61, left hemisphere 1.0
1460 Male, age 75, left hemisphere 0.7
1459 Male, age 61, right hemisphere 0.5
1461 Male, age 75, right hemisphere 0.3
1464 Female, age 67, right hemisphere 0.2
1462 Female, age 94, left hemisphere 0.0
1463 Female, age 67, left hemisphere 0.0
Gyrus rectus
nTPM: 0.3
1475 Male, age 61, right hemisphere 0.7
1474 Male, age 61, left hemisphere 0.6
1477 Male, age 75, right hemisphere 0.4
1480 Female, age 85, left hemisphere 0.3
1476 Male, age 75, left hemisphere 0.2
1478 Female, age 94, left hemisphere 0.1
1479 Female, age 94, right hemisphere 0.0
1481 Female, age 67, left hemisphere 0.0
Inferior frontal gyrus, orbital
nTPM: 0.4
1505 Male, age 74, right hemisphere 1.4
1501 Male, age 61, right hemisphere 0.7
1509 Female, age 67, right hemisphere 0.6
1508 Female, age 85, right hemisphere 0.4
1500 Male, age 61, left hemisphere 0.3
1502 Male, age 75, left hemisphere 0.3
1503 Male, age 75, right hemisphere 0.2
1504 Male, age 74, left hemisphere 0.1
1506 Female, age 94, left hemisphere 0.1
1507 Female, age 85, left hemisphere 0.1
Inferior frontal gyrus, triangular
nTPM: 0.3
1542 Male, age 61, left hemisphere 0.6
1543 Male, age 61, right hemisphere 0.5
1546 Female, age 94, right hemisphere 0.5
1549 Female, age 67, left hemisphere 0.4
1548 Female, age 85, right hemisphere 0.2
1544 Male, age 75, right hemisphere 0.1
1547 Female, age 85, left hemisphere 0.1
1545 Male, age 74, right hemisphere 0.0
Orbitofrontal gyrus, lateral
nTPM: 0.3
1494 Male, age 75, left hemisphere 0.5
1493 Male, age 61, right hemisphere 0.4
1496 Female, age 94, right hemisphere 0.4
1499 Female, age 67, right hemisphere 0.4
1497 Female, age 85, left hemisphere 0.2
1498 Female, age 85, right hemisphere 0.2
1495 Female, age 94, left hemisphere 0.1
Orbitofrontal gyrus, medial
nTPM: 0.3
1484 Male, age 75, right hemisphere 0.5
1485 Male, age 74, left hemisphere 0.4
1488 Female, age 94, right hemisphere 0.4
1491 Female, age 67, left hemisphere 0.4
1482 Male, age 61, left hemisphere 0.3
1483 Male, age 75, left hemisphere 0.3
1487 Female, age 94, left hemisphere 0.3
1489 Female, age 85, left hemisphere 0.1
1490 Female, age 85, right hemisphere 0.1
1486 Male, age 74, right hemisphere 0.0
1492 Female, age 67, right hemisphere 0.0
Orbitofrontal gyrus, posterior
nTPM: 0.3
1532 Male, age 61, right hemisphere 0.6
1531 Male, age 61, left hemisphere 0.5
1540 Female, age 67, left hemisphere 0.5
1533 Male, age 75, left hemisphere 0.4
1534 Male, age 75, right hemisphere 0.4
1536 Female, age 94, left hemisphere 0.3
1535 Male, age 74, left hemisphere 0.2
1537 Female, age 94, right hemisphere 0.2
1538 Female, age 85, left hemisphere 0.2
1539 Female, age 85, right hemisphere 0.2
1541 Female, age 67, right hemisphere 0.2
Subcallosal gyrus
nTPM: 0.4
1556 Female, age 94, left hemisphere 1.0
1551 Male, age 61, right hemisphere 0.7
1550 Male, age 61, left hemisphere 0.6
1557 Female, age 94, right hemisphere 0.6
1561 Female, age 67, right hemisphere 0.5
1554 Male, age 74, left hemisphere 0.4
1552 Male, age 75, left hemisphere 0.3
1558 Female, age 85, left hemisphere 0.3
1559 Female, age 85, right hemisphere 0.3
1553 Male, age 75, right hemisphere 0.2
1555 Male, age 74, right hemisphere 0.2
1560 Female, age 67, left hemisphere 0.2
Superior frontal gyrus
nTPM: 0.4
1571 Female, age 67, right hemisphere 1.3
1563 Male, age 61, right hemisphere 0.6
1565 Male, age 75, right hemisphere 0.5
1570 Female, age 85, right hemisphere 0.4
1562 Male, age 61, left hemisphere 0.3
1566 Male, age 74, right hemisphere 0.3
1567 Female, age 94, left hemisphere 0.3
1569 Female, age 85, left hemisphere 0.3
1564 Male, age 75, left hemisphere 0.2
1568 Female, age 94, right hemisphere 0.1
Temporal cortex
nTPM: 0.3
1594 Female, age 94, left hemisphere 0.7
1592 Male, age 74, left hemisphere 0.4
1595 Female, age 94, right hemisphere 0.4
1590 Male, age 61, right hemisphere 0.3
1596 Female, age 85, right hemisphere 0.3
1591 Male, age 75, right hemisphere 0.2
1593 Male, age 74, right hemisphere 0.2
Ventrolateral prefrontal cortex
nTPM: 0.3
1451 Male, age 75, right hemisphere 0.6
1456 Female, age 67, left hemisphere 0.4
1457 Female, age 67, right hemisphere 0.3
1452 Male, age 74, left hemisphere 0.2
1453 Male, age 74, right hemisphere 0.2
1454 Female, age 94, left hemisphere 0.2
1455 Female, age 85, right hemisphere 0.0
Ventromedial prefrontal cortex
nTPM: 0.4
1436 Female, age 85, left hemisphere 0.6
1432 Male, age 61, left hemisphere 0.5
1434 Male, age 75, right hemisphere 0.5
1438 Female, age 67, left hemisphere 0.5
1433 Male, age 61, right hemisphere 0.4
1435 Female, age 94, right hemisphere 0.1
1437 Female, age 85, right hemisphere 0.0

CEREBRAL CORTEX - GTEx RNA-seqi

RNA-Seq data generated by the Genotype-Tissue Expression (GTEx) project from human tissues is reported as mean nTPM. More information can be found on the GTEx portal.

Distribution across the dataset is visualized with box plots, shown as median and 25th and 75th percentiles. Points are displayed as outliers if they are above or below 1.5 times the interquartile range. nTPM values of the individual samples are presented next to the box plot.
Max subtype nTPMi

Max subtype nTPM is the value for the subtype with the largest average nTPM across the subtype samples.

1.1
GTEx sample id Sample description nTPM
Brain - Anterior cingulate cortex (BA24)
Average nTPM: 1.1
Samples: 176

Max nTPM: 9.3
Min nTPM: 0.0
Std nTPM: 0.9
Median nTPM: 1.0
GTEX-13OW5-0011-R3a-SM-5L3I5 60-69 years, male 9.3
GTEX-X4EP-0011-R3A-SM-3P626 60-69 years, female 3.9
GTEX-1B996-0011-R3b-SM-9QEGY 60-69 years, male 3.9
GTEX-13N1W-0011-R3a-SM-5MR5E 70-79 years, male 3.7
GTEX-ZUA1-0011-R3a-SM-4YCEE 40-49 years, male 3.3
GTEX-13O3O-0011-R3b-SM-5KM3R 60-69 years, female 2.8
GTEX-X4XX-0011-R3B-SM-46MWK 60-69 years, male 2.8
GTEX-1C6WA-0011-R3a-SM-9OSVP 60-69 years, male 2.5
GTEX-1CB4H-0011-R3b-SM-9OSVI 60-69 years, female 2.5
GTEX-131YS-0011-R3b-SM-5DUXB 60-69 years, female 2.4
GTEX-1IKJJ-0011-R3b-SM-C1YRW 60-69 years, male 2.4
GTEX-14BIN-0011-R3b-SM-6AJBL 50-59 years, female 2.3
GTEX-N7MS-0011-R3a-SM-33HC6 60-69 years, male 2.2
GTEX-11DZ1-0011-R3a-SM-DNZYY 50-59 years, male 2.2
GTEX-1GN73-0011-R3b-SM-9QEIL 60-69 years, male 2.2
GTEX-1B933-0011-R3b-SM-7P8PL 50-59 years, female 2.1
GTEX-1IDJH-0011-R3a-SM-CJI42 70-79 years, male 2.0
GTEX-12WSC-0011-R3a-SM-5P9F1 50-59 years, male 1.9
GTEX-13X6J-0011-R3b-SM-5P9K5 50-59 years, male 1.9
GTEX-X585-0011-R3B-SM-46MVG 50-59 years, male 1.9
GTEX-1EMGI-0011-R3b-SM-CE6R9 60-69 years, male 1.9
GTEX-1F6I4-0011-R3a-SM-9QEH9 60-69 years, male 1.9
GTEX-14PN4-0011-R3b-SM-686ZU 50-59 years, male 1.8
GTEX-T2IS-0011-R3A-SM-32QPB 20-29 years, female 1.8
GTEX-Z93S-0011-R3b-SM-4RGNH 50-59 years, male 1.8
GTEX-1HCU6-0011-R3a-SM-ARU75 60-69 years, female 1.8
GTEX-11GSO-0011-R3b-SM-57WB2 60-69 years, male 1.7
GTEX-12WSM-0011-R3b-SM-5LZWI 60-69 years, male 1.7
GTEX-1A3MX-0011-R3b-SM-79OOW 60-69 years, male 1.7
GTEX-1B8L1-0011-R3a-SM-7EPIO 60-69 years, male 1.7
GTEX-RNOR-0011-R3A-SM-5SI8E 50-59 years, female 1.7
GTEX-WL46-0011-R3A-SM-3TW8E 50-59 years, male 1.7
GTEX-1GTWX-0011-R3b-SM-CJI2Z 60-69 years, male 1.7
GTEX-12WSF-0011-R3a-SM-5DUW7 70-79 years, male 1.6
GTEX-13QIC-0011-R3a-SM-5P9HT 60-69 years, female 1.6
GTEX-13VXU-0011-R3b-SM-5O9CU 50-59 years, male 1.6
GTEX-145MG-0011-R3b-SM-5SI67 50-59 years, male 1.6
GTEX-ZDXO-0011-R3a-SM-4WKFS 60-69 years, male 1.6
GTEX-13S7M-0011-R3a-SM-5PNX2 60-69 years, female 1.5
GTEX-14BIM-0011-R3b-SM-5S2RL 60-69 years, female 1.5
GTEX-14JIY-0011-R3a-SM-5YYAQ 60-69 years, male 1.5
GTEX-15SHU-0011-R3a-SM-7IGPS 40-49 years, female 1.5
GTEX-11WQK-0011-R3b-SM-DO93K 50-59 years, male 1.5
GTEX-1N2EE-0011-R3b-SM-EXURY 60-69 years, male 1.5
GTEX-11ZVC-0011-R3a-SM-5BC6V 50-59 years, female 1.4
GTEX-13X6I-0011-R3b-SM-5P9HM 60-69 years, male 1.4
GTEX-15G19-0011-R3a-SM-6LPIG 60-69 years, male 1.4
GTEX-17F97-0011-R3b-SM-7LT9E 50-59 years, male 1.4
GTEX-WZTO-0011-R3B-SM-3NMC6 40-49 years, male 1.4
GTEX-XLM4-0011-R3B-SM-4AT6E 60-69 years, male 1.4
GTEX-1GMR8-0011-R3b-SM-9QEIG 50-59 years, female 1.4
GTEX-13CF2-0011-R3b-SM-5LZZ6 60-69 years, male 1.3
GTEX-13FHO-0011-R3b-SM-5K7YA 60-69 years, male 1.3
GTEX-14LLW-0011-R3b-SM-62LFW 70-79 years, female 1.3
GTEX-15DYW-0011-R3b-SM-6LPIM 60-69 years, female 1.3
GTEX-YFC4-0011-R3a-SM-4RGLP 40-49 years, female 1.3
GTEX-11DXW-0011-R3b-SM-DNZZE 40-49 years, male 1.3
GTEX-1F48J-0011-R3b-SM-9OSVY 50-59 years, female 1.3
GTEX-1F75A-0011-R3b-SM-ARL8K 50-59 years, male 1.3
GTEX-1H3O1-0011-R3a-SM-ACKVD 60-69 years, male 1.3
GTEX-13OVH-0011-R3a-SM-5KM49 70-79 years, male 1.2
GTEX-13SLW-0011-R3b-SM-5SI6Y 70-79 years, male 1.2
GTEX-145MH-0011-R3b-SM-5P9JQ 50-59 years, male 1.2
GTEX-14DAQ-0011-R3b-SM-5YYAJ 60-69 years, female 1.2
GTEX-Y8DK-0011-R3A-SM-4RTW5 60-69 years, male 1.2
GTEX-ZAB4-0011-R3a-SM-4RGNQ 40-49 years, male 1.2
GTEX-15DCD-0011-R3b-SM-D4P1P 70-79 years, female 1.2
GTEX-1E1VI-0011-R3a-SM-9OSWH 50-59 years, male 1.2
GTEX-12ZZX-0011-R3b-SM-5EGLH 40-49 years, female 1.1
GTEX-15EO6-0011-R3b-SM-7KUDY 50-59 years, male 1.1
GTEX-17HHY-0011-R3a-SM-7EWDK 50-59 years, male 1.1
GTEX-1BAJH-0011-R3a-SM-7IGNU 70-79 years, male 1.1
GTEX-PVOW-0011-R3A-SM-32PKX 40-49 years, male 1.1
GTEX-Q2AG-0011-R3A-SM-2HMJ9 40-49 years, female 1.1
GTEX-1HFI6-0011-R3b-SM-A9SKB 40-49 years, male 1.1
GTEX-1MCQQ-0011-R3a-SM-EXURW 60-69 years, male 1.1
GTEX-11ZTS-0011-R3a-SM-5BC78 60-69 years, female 1.0
GTEX-12WSD-0011-R3b-SM-5LZWN 60-69 years, female 1.0
GTEX-131XH-0011-R3b-SM-5DUWM 50-59 years, male 1.0
GTEX-13CIG-0011-R3b-SM-5K7XF 50-59 years, male 1.0
GTEX-13RTJ-0011-R3a-SM-5PNX7 60-69 years, male 1.0
GTEX-144GL-0011-R3a-SM-5P9HP 50-59 years, male 1.0
GTEX-14JG1-0011-R3a-SM-62LEC 40-49 years, male 1.0
GTEX-16YQH-0011-R3a-SM-7EPGM 30-39 years, male 1.0
GTEX-ZE9C-0011-R3a-SM-4WKGT 60-69 years, male 1.0
GTEX-ZVT3-0011-R3b-SM-51MTJ 60-69 years, female 1.0
GTEX-13NYB-0011-R3b-SM-A9SM4 40-49 years, male 1.0
GTEX-1GF9W-0011-R3b-SM-CJI2S 60-69 years, male 1.0
GTEX-1KD4Q-0011-R3b-SM-EXOID 40-49 years, male 1.0
GTEX-12ZZW-0011-R3a-SM-5DUWW 50-59 years, male 0.9
GTEX-12ZZZ-0011-R3b-SM-5DUXK 60-69 years, male 0.9
GTEX-13O3Q-0011-R3a-SM-5P9H3 50-59 years, male 0.9
GTEX-145LS-0011-R3a-SM-5S2VJ 60-69 years, female 0.9
GTEX-14PJM-0011-R3b-SM-5ZZV9 50-59 years, female 0.9
GTEX-15ER7-0011-R3a-SM-6LPIK 20-29 years, female 0.9
GTEX-17EVP-0011-R3a-SM-7EPI9 40-49 years, male 0.9
GTEX-WHSE-0011-R3A-SM-3P5ZM 20-29 years, male 0.9
GTEX-1GZ2Q-0011-R3a-SM-A96RP 40-49 years, male 0.9
GTEX-1H1ZS-0011-R3b-SM-CE6RS 70-79 years, male 0.9
GTEX-1I1GR-0011-R3a-SM-CM2T4 60-69 years, male 0.9
GTEX-1I1GS-0011-R3b-SM-CYPS7 60-69 years, male 0.9
GTEX-1IKK5-0011-R3b-SM-C1YRY 60-69 years, male 0.9
GTEX-1J1OQ-0011-R3b-SM-D4P2B 40-49 years, female 0.9
GTEX-1JJEA-0011-R3b-SM-EXUTD 60-69 years, male 0.9
GTEX-P44H-0011-R3A-SM-D3L8E 40-49 years, male 0.9
GTEX-11UD1-0011-R3a-SM-5BC6S 40-49 years, female 0.8
GTEX-15CHQ-0011-R3b-SM-686ZY 60-69 years, male 0.8
GTEX-XMD1-0011-R3B-SM-4AT5R 60-69 years, male 0.8
GTEX-YJ89-0011-R3b-SM-4V6EF 60-69 years, male 0.8
GTEX-1HR98-0011-R3b-SM-A9G1U 60-69 years, male 0.8
GTEX-1I1GV-0011-R3a-SM-CL557 60-69 years, male 0.8
GTEX-1LVAO-0011-R3a-SM-EXOI7 60-69 years, male 0.8
GTEX-13112-0011-R3b-SM-5HL9L 50-59 years, male 0.7
GTEX-1313W-0011-R3a-SM-5EGLI 50-59 years, female 0.7
GTEX-139TT-0011-R3b-SM-5K7VL 60-69 years, male 0.7
GTEX-13N2G-0011-R3b-SM-5MR5G 60-69 years, male 0.7
GTEX-13OW8-0011-R3a-SM-5L3I4 60-69 years, male 0.7
GTEX-14BMV-0011-R3a-SM-5ZZU7 50-59 years, male 0.7
GTEX-16XZZ-0011-R3a-SM-7IGLH 60-69 years, male 0.7
GTEX-NPJ8-0011-R3a-SM-2HMIW 40-49 years, male 0.7
GTEX-PWO3-0011-R3A-SM-2I5EX 60-69 years, female 0.7
GTEX-QVUS-0011-R3A-SM-3GAFD 60-69 years, female 0.7
GTEX-ZVZQ-0011-R3a-SM-57WC7 60-69 years, female 0.7
GTEX-1F52S-0011-R3a-SM-CKZNI 60-69 years, female 0.7
GTEX-1H3VE-0011-R3a-SM-CE6SK 40-49 years, male 0.7
GTEX-13CZV-0011-R3a-SM-5KM27 60-69 years, male 0.6
GTEX-13NYS-0011-R3b-SM-5MR41 60-69 years, male 0.6
GTEX-13X6K-0011-R3b-SM-5PNUD 60-69 years, female 0.6
GTEX-145LU-0011-R3a-SM-5P9K2 50-59 years, male 0.6
GTEX-14LZ3-0011-R3a-SM-664NQ 60-69 years, female 0.6
GTEX-14PJO-0011-R3a-SM-6AJBY 60-69 years, male 0.6
GTEX-14PQA-0011-R3b-SM-69LQO 50-59 years, female 0.6
GTEX-N7MT-0011-R3a-SM-2I3GC 60-69 years, female 0.6
GTEX-QDT8-0011-R3A-SM-32PKR 30-39 years, female 0.6
GTEX-RVPV-0011-R3A-SM-2TF63 60-69 years, male 0.6
GTEX-UTHO-0011-R3A-SM-3GIK8 60-69 years, male 0.6
GTEX-1EN7A-0011-R3a-SM-9OSVT 40-49 years, male 0.6
GTEX-1HB9E-0011-R3a-SM-ARL7D 50-59 years, male 0.6
GTEX-139T8-0011-R3b-SM-5HL4R 60-69 years, male 0.5
GTEX-13FLV-0011-R3b-SM-5LZYP 50-59 years, male 0.5
GTEX-13IVO-0011-R3b-SM-5IJBJ 70-79 years, male 0.5
GTEX-13JVG-0011-R3b-SM-5LZXF 60-69 years, male 0.5
GTEX-13OW7-0011-R3a-SM-5O9DA 50-59 years, male 0.5
GTEX-14C39-0011-R3b-SM-5YYA3 40-49 years, male 0.5
GTEX-14E7W-0011-R3b-SM-5YYB5 70-79 years, male 0.5
GTEX-17EVQ-0011-R3b-SM-7LT9B 70-79 years, male 0.5
GTEX-1CB4G-0011-R3a-SM-CE6QQ 60-69 years, male 0.5
GTEX-1HBPH-0011-R3a-SM-A96RY 40-49 years, female 0.5
GTEX-1HUB1-0011-R3b-SM-CKZOX 60-69 years, male 0.5
GTEX-1JMOU-0011-R3a-SM-EYYXN 60-69 years, female 0.5
GTEX-17HII-0011-R3a-SM-7LT9D 50-59 years, male 0.4
GTEX-ZF28-0011-R3a-SM-4WWDA 60-69 years, male 0.4
GTEX-1EU9M-0011-R3a-SM-9QEHY 60-69 years, male 0.4
GTEX-1EX96-0011-R3b-SM-ARZMH 50-59 years, male 0.4
GTEX-1GZ4I-0011-R3b-SM-9OSWP 50-59 years, male 0.4
GTEX-1H23P-0011-R3b-SM-CL54S 60-69 years, male 0.4
GTEX-1JMPZ-0011-R3a-SM-EYYWX 30-39 years, male 0.4
GTEX-13OVL-0011-R3b-SM-5L3I8 50-59 years, male 0.3
GTEX-13PVQ-0011-R3b-SM-5O9D6 50-59 years, male 0.3
GTEX-13RTL-0011-R3a-SM-5P9JP 40-49 years, male 0.3
GTEX-148VJ-0011-R3b-SM-69LQJ 70-79 years, male 0.3
GTEX-18A6Q-0011-R3a-SM-718A7 60-69 years, male 0.3
GTEX-P44G-0011-R3A-SM-2I3FC 30-39 years, male 0.3
GTEX-1F7RK-0011-R3b-SM-9OSWJ 20-29 years, female 0.3
GTEX-11GSP-0011-R3a-SM-9QEGF 60-69 years, female 0.2
GTEX-1H2FU-0011-R3b-SM-CKZP4 60-69 years, female 0.2
GTEX-1HGF4-0011-R3b-SM-CL54W 60-69 years, male 0.2
GTEX-1J8Q2-0011-R3b-SM-ACKVG 60-69 years, male 0.2
GTEX-13PLJ-0011-R3a-SM-5O9DT 60-69 years, female 0.1
GTEX-1EH9U-0011-R3b-SM-CL534 60-69 years, male 0.1
GTEX-X4XY-0011-R3B-SM-EXOHI 60-69 years, male 0.1
GTEX-1445S-0011-R3a-SM-5P9HY 60-69 years, male 0.0
GTEX-1477Z-0011-R3b-SM-5PNX9 60-69 years, male 0.0
GTEX-NL3H-0011-R3a-SM-2I3GL 60-69 years, male 0.0
GTEX-11WQC-0011-R3a-SM-DO11T 60-69 years, male 0.0
GTEX-1J8EW-0011-R3a-SM-ARU8A 60-69 years, female 0.0
Show allShow less
Brain - Cortex
Average nTPM: 0.8
Samples: 255

Max nTPM: 8.6
Min nTPM: 0.0
Std nTPM: 0.8
Median nTPM: 0.6
GTEX-OHPN-2526-SM-2I5H3 60-69 years, female 8.6
GTEX-13OW7-3026-SM-5L3GY 50-59 years, male 6.2
GTEX-1HT8W-3026-SM-CGQEO 30-39 years, male 4.4
GTEX-11OF3-2926-SM-5HL78 60-69 years, male 3.3
GTEX-144FL-3026-SM-5O99C 50-59 years, male 3.3
GTEX-1HR98-3026-SM-CNPPK 60-69 years, male 3.3
GTEX-11DXY-3226-SM-5GIDE 60-69 years, male 2.9
GTEX-11WQK-3026-SM-5EQL6 50-59 years, male 2.9
GTEX-13JUV-2926-SM-5LZX7 40-49 years, female 2.9
GTEX-WVLH-3026-SM-3MJG9 50-59 years, male 2.6
GTEX-13FXS-3126-SM-5J2NN 50-59 years, male 2.5
GTEX-ZYY3-3126-SM-5SI9L 60-69 years, female 2.5
GTEX-1HBPM-2926-SM-CL54E 60-69 years, female 2.4
GTEX-13NYC-2826-SM-5K7WR 60-69 years, male 2.2
GTEX-X585-3026-SM-46MWF 50-59 years, male 2.2
GTEX-13PVQ-3026-SM-5SI93 50-59 years, male 2.1
GTEX-14PJM-3126-SM-6EU2R 50-59 years, female 2.0
GTEX-13JVG-3126-SM-5L3FH 60-69 years, male 1.8
GTEX-NPJ8-1526-SM-2D7VU 40-49 years, male 1.8
GTEX-14BIL-3026-SM-7EWD4 50-59 years, male 1.7
GTEX-14BIN-3226-SM-62LDR 50-59 years, female 1.7
GTEX-1GZ2Q-3226-SM-9WG6L 40-49 years, male 1.7
GTEX-12WSA-2926-SM-5EQ4D 60-69 years, male 1.6
GTEX-13O3Q-2926-SM-5KM45 50-59 years, male 1.6
GTEX-13VXU-2926-SM-5LU5C 50-59 years, male 1.6
GTEX-144GL-3026-SM-5Q5CW 50-59 years, male 1.6
GTEX-15DCD-2926-SM-7KULT 70-79 years, female 1.5
GTEX-1H1ZS-3026-SM-9KNUJ 70-79 years, male 1.5
GTEX-1JMQL-2826-SM-ARU91 50-59 years, female 1.5
GTEX-12WSD-3126-SM-5HL7P 60-69 years, female 1.4
GTEX-14ASI-3026-SM-5S2PN 60-69 years, male 1.4
GTEX-14DAQ-3126-SM-62LDS 60-69 years, female 1.4
GTEX-15SHU-3126-SM-6M46H 40-49 years, female 1.4
GTEX-1EKGG-2926-SM-7EPIH 60-69 years, male 1.4
GTEX-1EMGI-3026-SM-7P8P6 60-69 years, male 1.4
GTEX-12WSF-3126-SM-6M478 70-79 years, male 1.3
GTEX-13NYB-3026-SM-5IJD7 40-49 years, male 1.3
GTEX-Z93S-2926-SM-57WB9 50-59 years, male 1.3
GTEX-ZUA1-3026-SM-59HJC 40-49 years, male 1.3
GTEX-1GZ4I-3026-SM-9KNTX 50-59 years, male 1.3
GTEX-1KD4Q-2926-SM-D3L9N 40-49 years, male 1.3
GTEX-11ZUS-2926-SM-5FQSL 30-39 years, male 1.2
GTEX-12ZZX-2926-SM-5GCOQ 40-49 years, female 1.2
GTEX-13QIC-2926-SM-5J2NF 60-69 years, female 1.2
GTEX-15RJE-3026-SM-7KUM1 40-49 years, male 1.2
GTEX-ZF28-3026-SM-4WKHP 60-69 years, male 1.2
GTEX-1EX96-3026-SM-7RHH5 50-59 years, male 1.2
GTEX-1H3VE-2726-SM-9WPP3 40-49 years, male 1.2
GTEX-1128S-2726-SM-5H12C 60-69 years, female 1.1
GTEX-11NUK-2926-SM-5A5MD 50-59 years, male 1.1
GTEX-132Q8-3026-SM-5PNVG 60-69 years, male 1.1
GTEX-13FHP-3026-SM-5IJBS 50-59 years, male 1.1
GTEX-13S7M-3126-SM-5RQJQ 60-69 years, female 1.1
GTEX-13SLX-3126-SM-5S2Q5 50-59 years, female 1.1
GTEX-NPJ7-2726-SM-2I3FT 60-69 years, female 1.1
GTEX-QVJO-1426-SM-2S1QY 60-69 years, female 1.1
GTEX-WL46-2926-SM-3LK82 50-59 years, male 1.1
GTEX-X4XX-3026-SM-3NMB2 60-69 years, male 1.1
GTEX-1HCU6-3126-SM-CL54L 60-69 years, female 1.1
GTEX-1KWVE-2326-SM-D4P3N 30-39 years, male 1.1
GTEX-11DXW-1126-SM-5H12Q 40-49 years, male 1.0
GTEX-11EMC-3226-SM-5EGKW 60-69 years, female 1.0
GTEX-139T8-1026-SM-5J2MC 60-69 years, male 1.0
GTEX-145MG-3026-SM-5RQJA 50-59 years, male 1.0
GTEX-1CB4H-3126-SM-7IGN4 60-69 years, female 1.0
GTEX-WZTO-2926-SM-3NM9I 40-49 years, male 1.0
GTEX-ZVT3-3026-SM-5E43N 60-69 years, female 1.0
GTEX-1F6RS-3126-SM-9MQK7 60-69 years, female 1.0
GTEX-1R9PO-2926-SM-EVYBR 60-69 years, female 1.0
GTEX-111FC-3126-SM-5GZZ2 60-69 years, male 0.9
GTEX-117XS-3026-SM-5N9CA 60-69 years, male 0.9
GTEX-14LZ3-3026-SM-5ZZVU 60-69 years, female 0.9
GTEX-15ER7-3126-SM-7KUGH 20-29 years, female 0.9
GTEX-16XZZ-3026-SM-79OMJ 60-69 years, male 0.9
GTEX-16Z82-3026-SM-79ON3 60-69 years, male 0.9
GTEX-1C6VS-3026-SM-79OLA 60-69 years, male 0.9
GTEX-ZZPT-3026-SM-5GZXH 50-59 years, male 0.9
GTEX-1H3NZ-3026-SM-9JGHW 60-69 years, male 0.9
GTEX-1I1GQ-3026-SM-CL55K 50-59 years, male 0.9
GTEX-1ICLZ-2826-SM-CL53U 60-69 years, male 0.9
GTEX-1LC47-2926-SM-CXZKC 60-69 years, male 0.9
GTEX-131YS-3126-SM-5KLYT 60-69 years, female 0.8
GTEX-13NYS-3126-SM-5KLYV 60-69 years, male 0.8
GTEX-145MF-2726-SM-5O995 50-59 years, male 0.8
GTEX-15EO6-3026-SM-7KUMA 50-59 years, male 0.8
GTEX-1A8G6-2926-SM-731CK 60-69 years, male 0.8
GTEX-1A8G7-3126-SM-7IGP7 60-69 years, male 0.8
GTEX-P44G-2426-SM-2I5ER 30-39 years, male 0.8
GTEX-T5JC-2426-SM-3NMDB 20-29 years, male 0.8
GTEX-1GF9W-2626-SM-7P8TA 60-69 years, male 0.8
GTEX-1IKJJ-2926-SM-A9G2N 60-69 years, male 0.8
GTEX-1JJ6O-3126-SM-CNNP8 60-69 years, male 0.8
GTEX-1PIIG-2726-SM-E76PQ 30-39 years, male 0.8
GTEX-1192X-3126-SM-5N9BY 50-59 years, male 0.7
GTEX-11O72-2926-SM-5BC4V 40-49 years, male 0.7
GTEX-11ONC-2926-SM-5P9JM 60-69 years, male 0.7
GTEX-1313W-3126-SM-5LZUI 50-59 years, female 0.7
GTEX-13G51-3026-SM-5IJB8 60-69 years, male 0.7
GTEX-13OVJ-2826-SM-5L3GW 50-59 years, female 0.7
GTEX-13OW6-3026-SM-5J2MI 50-59 years, male 0.7
GTEX-14A5I-2926-SM-5Q5CQ 50-59 years, female 0.7
GTEX-15G19-2926-SM-7KUFL 60-69 years, male 0.7
GTEX-17HII-3026-SM-7EWFM 50-59 years, male 0.7
GTEX-1B8SF-3126-SM-73KU1 60-69 years, male 0.7
GTEX-OXRN-2426-SM-2I5EQ 50-59 years, male 0.7
GTEX-PWO3-0926-SM-2I5EY 60-69 years, female 0.7
GTEX-Y8DK-0826-SM-4TT3T 60-69 years, male 0.7
GTEX-ZAJG-3126-SM-5HL9J 50-59 years, female 0.7
GTEX-ZDXO-2126-SM-4WKFI 60-69 years, male 0.7
GTEX-ZE7O-3126-SM-5HL5X 50-59 years, female 0.7
GTEX-ZYFD-3026-SM-5E44C 50-59 years, male 0.7
GTEX-1C6WA-3026-SM-7P8RQ 60-69 years, male 0.7
GTEX-1F52S-3126-SM-7PC3M 60-69 years, female 0.7
GTEX-1F6I4-3126-SM-7P8SD 60-69 years, male 0.7
GTEX-1GN73-3126-SM-9KNTY 60-69 years, male 0.7
GTEX-1H2FU-3126-SM-9WYUJ 60-69 years, female 0.7
GTEX-1HFI6-3026-SM-CNPPJ 40-49 years, male 0.7
GTEX-1IL2U-3026-SM-C1YSH 60-69 years, male 0.7
GTEX-1J1OQ-3226-SM-A9G2Q 40-49 years, female 0.7
GTEX-1N2DW-2826-SM-E9TK5 50-59 years, male 0.7
GTEX-1117F-3226-SM-5N9CT 60-69 years, female 0.6
GTEX-11EI6-3026-SM-5GZZO 60-69 years, male 0.6
GTEX-11GSP-3226-SM-5986O 60-69 years, female 0.6
GTEX-11OC5-0726-SM-5P9JK 60-69 years, male 0.6
GTEX-11TTK-2926-SM-5PNYP 60-69 years, female 0.6
GTEX-12126-1026-SM-5P9JJ 20-29 years, male 0.6
GTEX-12WSC-3026-SM-5GCNF 50-59 years, male 0.6
GTEX-12WSH-3026-SM-5CVNI 50-59 years, male 0.6
GTEX-12ZZY-3026-SM-5GCOU 60-69 years, male 0.6
GTEX-131XW-3126-SM-5LZUC 50-59 years, female 0.6
GTEX-145LS-3126-SM-5Q5BY 60-69 years, female 0.6
GTEX-145MH-3026-SM-5Q5DZ 50-59 years, male 0.6
GTEX-14JG1-3026-SM-5YYAA 40-49 years, male 0.6
GTEX-1A3MX-3026-SM-731BF 60-69 years, male 0.6
GTEX-1AX9I-3026-SM-73KUH 60-69 years, male 0.6
GTEX-1B8SG-1726-SM-73KXK 50-59 years, male 0.6
GTEX-QVUS-2826-SM-3GADB 60-69 years, female 0.6
GTEX-WWYW-3126-SM-3NB39 50-59 years, female 0.6
GTEX-ZAK1-3026-SM-5S2MJ 50-59 years, female 0.6
GTEX-1B933-3126-SM-7P8RL 50-59 years, female 0.6
GTEX-1E1VI-3026-SM-7RHHU 50-59 years, male 0.6
GTEX-1F48J-2826-SM-7P8R4 50-59 years, female 0.6
GTEX-1F75A-3026-SM-9KNU2 50-59 years, male 0.6
GTEX-1GN2E-3026-SM-9WG6I 60-69 years, male 0.6
GTEX-1I1CD-3026-SM-B2LY2 60-69 years, female 0.6
GTEX-1I1GV-3126-SM-A96SF 60-69 years, male 0.6
GTEX-1PPGY-3126-SM-EXUSR 60-69 years, male 0.6
GTEX-12ZZZ-3026-SM-5BC67 60-69 years, male 0.5
GTEX-1399T-3026-SM-5KLZC 60-69 years, male 0.5
GTEX-13O3O-3126-SM-5KM3H 60-69 years, female 0.5
GTEX-13OVH-3026-SM-5MR4N 70-79 years, male 0.5
GTEX-14BMV-3026-SM-5S2PQ 50-59 years, male 0.5
GTEX-14JIY-2926-SM-69LPT 60-69 years, male 0.5
GTEX-16YQH-3026-SM-79OMM 30-39 years, male 0.5
GTEX-17EVP-3026-SM-7IGQL 40-49 years, male 0.5
GTEX-17EVQ-2826-SM-7IGQK 70-79 years, male 0.5
GTEX-17F97-3026-SM-79OKC 50-59 years, male 0.5
GTEX-17HG3-2926-SM-79ON8 30-39 years, female 0.5
GTEX-18465-3026-SM-7LG6Y 50-59 years, male 0.5
GTEX-Q2AG-2926-SM-2HMJ3 40-49 years, female 0.5
GTEX-QDT8-2926-SM-32PKC 30-39 years, female 0.5
GTEX-RNOR-2326-SM-2TF4I 50-59 years, female 0.5
GTEX-TSE9-3026-SM-3DB76 60-69 years, female 0.5
GTEX-WHSE-3026-SM-3P5ZH 20-29 years, male 0.5
GTEX-Y111-2726-SM-4TT3N 50-59 years, male 0.5
GTEX-YJ89-3026-SM-5IFJI 60-69 years, male 0.5
GTEX-1EWIQ-3126-SM-7MXTI 70-79 years, female 0.5
GTEX-1F88E-2826-SM-7RHHE 60-69 years, female 0.5
GTEX-1GMR8-3026-SM-9KNVF 50-59 years, female 0.5
GTEX-1I19N-3026-SM-CL55E 70-79 years, male 0.5
GTEX-1I1GR-2926-SM-CNNQG 60-69 years, male 0.5
GTEX-1I1HK-2826-SM-CKZPL 60-69 years, male 0.5
GTEX-1M4P7-2726-SM-E9TJQ 60-69 years, male 0.5
GTEX-1O9I2-3026-SM-E76PX 50-59 years, male 0.5
GTEX-1OJC4-2826-SM-E6CQX 50-59 years, female 0.5
GTEX-1QP6S-2926-SM-DTXF8 40-49 years, male 0.5
GTEX-N7MT-1126-SM-CYPQY 60-69 years, female 0.5
GTEX-11GS4-3126-SM-5A5LH 60-69 years, male 0.4
GTEX-11NV4-2126-SM-5N9DS 60-69 years, male 0.4
GTEX-13FHO-3026-SM-5J1O9 60-69 years, male 0.4
GTEX-13FLW-1426-SM-5K7YE 50-59 years, male 0.4
GTEX-14BIM-3026-SM-7EWCY 60-69 years, female 0.4
GTEX-14C39-3126-SM-5ZZW6 40-49 years, male 0.4
GTEX-16GPK-3026-SM-79ON9 60-69 years, male 0.4
GTEX-17HHY-3026-SM-79OKP 50-59 years, male 0.4
GTEX-17JCI-3126-SM-7LTA2 60-69 years, female 0.4
GTEX-18A6Q-2926-SM-718AR 60-69 years, male 0.4
GTEX-PVOW-2526-SM-2XCF7 40-49 years, male 0.4
GTEX-ZE9C-3026-SM-4WKHB 60-69 years, male 0.4
GTEX-1F75B-3026-SM-7PBZ7 50-59 years, male 0.4
GTEX-1GF9V-2926-SM-7PBXO 60-69 years, male 0.4
GTEX-1GN1V-3126-SM-7PBZG 60-69 years, male 0.4
GTEX-1H3O1-1726-SM-9WYSR 60-69 years, male 0.4
GTEX-1HBPI-2826-SM-ARZNO 50-59 years, male 0.4
GTEX-1HCVE-3026-SM-CL54G 50-59 years, male 0.4
GTEX-1JJE9-2926-SM-CY8HV 70-79 years, male 0.4
GTEX-1LG7Y-3026-SM-D5OVI 50-59 years, male 0.4
GTEX-1NV8Z-3126-SM-E76R3 60-69 years, male 0.4
GTEX-RU72-3026-SM-CYPRV 50-59 years, female 0.4
GTEX-11GSO-2926-SM-5HL73 60-69 years, male 0.3
GTEX-11PRG-2926-SM-5987A 50-59 years, male 0.3
GTEX-13X6J-3026-SM-5Q5CU 50-59 years, male 0.3
GTEX-14C5O-3026-SM-5YYB2 60-69 years, male 0.3
GTEX-183WM-2826-SM-731C2 70-79 years, female 0.3
GTEX-1CAV2-2726-SM-7IGNN 40-49 years, female 0.3
GTEX-T2IS-3026-SM-32QPM 20-29 years, female 0.3
GTEX-UTHO-3026-SM-3GAFB 60-69 years, male 0.3
GTEX-1GMRU-3026-SM-7P8TC 50-59 years, male 0.3
GTEX-1GZHY-3126-SM-9QEHH 50-59 years, female 0.3
GTEX-1H1DG-2926-SM-9WYU3 70-79 years, male 0.3
GTEX-1HB9E-2926-SM-D4P3S 50-59 years, male 0.3
GTEX-1HBPH-3126-SM-9WYUV 40-49 years, female 0.3
GTEX-1IDFM-2826-SM-ACKWJ 60-69 years, male 0.3
GTEX-1IY9M-3026-SM-A9G37 60-69 years, male 0.3
GTEX-1N5O9-2926-SM-EXUSN 60-69 years, male 0.3
GTEX-1R9K4-3126-SM-DTX9Y 60-69 years, male 0.3
GTEX-1RQEC-2926-SM-EVR5A 60-69 years, male 0.3
GTEX-13IVO-2926-SM-5L3CZ 70-79 years, male 0.2
GTEX-13PL6-3126-SM-5LUAR 40-49 years, female 0.2
GTEX-13X6K-2926-SM-5Q5D5 60-69 years, female 0.2
GTEX-15UF6-3026-SM-7KUKL 70-79 years, female 0.2
GTEX-17MF6-2926-SM-7LTAW 40-49 years, male 0.2
GTEX-1B8L1-3026-SM-7EPHK 60-69 years, male 0.2
GTEX-1H23P-2926-SM-9WYU8 60-69 years, male 0.2
GTEX-1HGF4-3126-SM-CL54M 60-69 years, male 0.2
GTEX-1HSMO-3026-SM-A9G3F 60-69 years, male 0.2
GTEX-1HUB1-2926-SM-ACKXA 60-69 years, male 0.2
GTEX-1IDJH-3026-SM-CL53B 70-79 years, male 0.2
GTEX-1JMLX-2926-SM-CL54C 50-59 years, male 0.2
GTEX-1JMQK-3026-SM-ARL95 60-69 years, male 0.2
GTEX-1NV5F-3226-SM-EXUSL 60-69 years, female 0.2
GTEX-12ZZW-2926-SM-5LZUP 50-59 years, male 0.1
GTEX-1445S-3026-SM-5O9BR 60-69 years, male 0.1
GTEX-1C6VQ-3026-SM-7IGPU 50-59 years, male 0.1
GTEX-T6MN-2626-SM-32PMQ 50-59 years, male 0.1
GTEX-XLM4-3026-SM-4AT6L 60-69 years, male 0.1
GTEX-1EN7A-3026-SM-7PBYT 40-49 years, male 0.1
GTEX-1F7RK-1826-SM-7RHI4 20-29 years, female 0.1
GTEX-1IKK5-2926-SM-ARU7Q 60-69 years, male 0.1
GTEX-1J8Q2-3026-SM-CKZN8 60-69 years, male 0.1
GTEX-1JMOU-2726-SM-CY8IO 60-69 years, female 0.1
GTEX-1JMPZ-2726-SM-ARZNF 30-39 years, male 0.1
GTEX-1LKK1-3126-SM-EWRNY 50-59 years, female 0.1
GTEX-1QMI2-3126-SM-EXUT5 60-69 years, male 0.1
GTEX-X4XY-3026-SM-EWRM9 60-69 years, male 0.1
GTEX-13OW8-2826-SM-5L3GC 60-69 years, male 0.0
GTEX-147GR-3026-SM-5S2ML 60-69 years, male 0.0
GTEX-1E2YA-3026-SM-7IGO7 50-59 years, male 0.0
GTEX-QMR6-1426-SM-32PLA 50-59 years, male 0.0
GTEX-YFC4-3126-SM-5PNV6 40-49 years, female 0.0
GTEX-1C64N-3026-SM-7MGVU 50-59 years, male 0.0
GTEX-1HSKV-3026-SM-A96SL 60-69 years, male 0.0
GTEX-1IOXB-3126-SM-CKZO1 50-59 years, male 0.0
GTEX-1JJEA-2826-SM-ARU8R 60-69 years, male 0.0
GTEX-1PWST-3126-SM-EXUSE 70-79 years, male 0.0
Show allShow less
Brain - Frontal Cortex (BA9)
Average nTPM: 0.8
Samples: 209

Max nTPM: 5.9
Min nTPM: 0.0
Std nTPM: 0.7
Median nTPM: 0.7
GTEX-16GPK-0011-R10b-SM-7MKFG 60-69 years, male 5.9
GTEX-13QJC-0011-R10a-SM-5SI63 60-69 years, female 5.5
GTEX-1CB4J-0011-R10a-SM-9WG63 60-69 years, male 3.5
GTEX-X261-0011-R10B-SM-4E3JT 50-59 years, male 3.2
GTEX-15DDE-0011-R10a-SM-7KUKW 50-59 years, female 2.7
GTEX-13N2G-0011-R10a-SM-5MR34 60-69 years, male 2.3
GTEX-1B996-0011-R10b-SM-CJI3T 60-69 years, male 2.2
GTEX-NPJ8-0011-R10A-SM-2YUMO 40-49 years, male 2.1
GTEX-1C6VR-0011-R10b-SM-7P8QA 60-69 years, male 2.1
GTEX-1GN1U-0011-R10b-SM-CKZNH 50-59 years, female 2.1
GTEX-1A3MX-0011-R10b-SM-7P8PG 60-69 years, male 1.9
GTEX-X4EP-0011-R10B-SM-4QASJ 60-69 years, female 1.8
GTEX-12WSC-0011-R10a-SM-5GU57 50-59 years, male 1.7
GTEX-13N1W-0011-R10b-SM-5MR4H 70-79 years, male 1.7
GTEX-QVJO-0011-R10A-SM-2S1QJ 60-69 years, female 1.7
GTEX-1H1ZS-0011-R10b-SM-A9SK9 70-79 years, male 1.7
GTEX-12ZZY-0011-R10b-SM-5HL7W 60-69 years, male 1.6
GTEX-145MI-0011-R10a-SM-5PNZD 60-69 years, female 1.6
GTEX-X585-0011-R10A-SM-46MUY 50-59 years, male 1.6
GTEX-131YS-0011-R10b-SM-5EQ5N 60-69 years, female 1.5
GTEX-132Q8-0011-R10b-SM-5DUWZ 60-69 years, male 1.5
GTEX-13FHO-0011-R10b-SM-5J2MM 60-69 years, male 1.5
GTEX-ZF28-0011-R10a-SM-4WWEH 60-69 years, male 1.5
GTEX-1IOXB-0011-R10a-SM-D3L8I 50-59 years, male 1.5
GTEX-1CB4H-0011-R10b-SM-9QEH3 60-69 years, female 1.4
GTEX-11WQK-0011-R10a-SM-5BC6R 50-59 years, male 1.3
GTEX-12WSF-0011-R10a-SM-5LZVH 70-79 years, male 1.3
GTEX-14ASI-0011-R10b-SM-5S2VZ 60-69 years, male 1.3
GTEX-T5JC-0011-R10A-SM-32PM2 20-29 years, male 1.3
GTEX-WL46-0011-R10A-SM-3MJFQ 50-59 years, male 1.3
GTEX-X4XX-0011-R10B-SM-46MWO 60-69 years, male 1.3
GTEX-Z93S-0011-R10a-SM-4RGNM 50-59 years, male 1.3
GTEX-1EMGI-0011-R10a-SM-9OSWY 60-69 years, male 1.3
GTEX-1F6IF-0011-R10a-SM-9QEIN 60-69 years, male 1.3
GTEX-13OW7-0011-R10a-SM-5L3H3 50-59 years, male 1.2
GTEX-16XZZ-0011-R10b-SM-7LT91 60-69 years, male 1.2
GTEX-16Z82-0011-R10a-SM-79OJX 60-69 years, male 1.2
GTEX-OHPN-0011-R10A-SM-33HBU 60-69 years, female 1.2
GTEX-12ZZX-0011-R10b-SM-5DUWK 40-49 years, female 1.1
GTEX-1313W-0011-R10b-SM-5DUXA 50-59 years, female 1.1
GTEX-131XH-0011-R10a-SM-5EGLJ 50-59 years, male 1.1
GTEX-13O3O-0011-R10a-SM-5LUA9 60-69 years, female 1.1
GTEX-13S7M-0011-R10b-SM-5PNZB 60-69 years, female 1.1
GTEX-17F97-0011-R10b-SM-793BB 50-59 years, male 1.1
GTEX-N7MS-0011-R10A-SM-2HMJK 60-69 years, male 1.1
GTEX-QVUS-0011-R10A-SM-3GIK3 60-69 years, female 1.1
GTEX-ZVT3-0011-R10b-SM-57WB6 60-69 years, female 1.1
GTEX-1192X-0011-R10a-SM-DO941 50-59 years, male 1.1
GTEX-11DZ1-0011-R10b-SM-DO943 50-59 years, male 1.1
GTEX-13OVL-0011-R10a-SM-5L3GS 50-59 years, male 1.0
GTEX-13X6I-0011-R10a-SM-5PNWI 60-69 years, male 1.0
GTEX-145MG-0011-R10a-SM-5PNWG 50-59 years, male 1.0
GTEX-14E6D-0011-R10a-SM-5YY9C 50-59 years, male 1.0
GTEX-WZTO-0011-R10B-SM-4E3KB 40-49 years, male 1.0
GTEX-ZUA1-0011-R10a-SM-51MT6 40-49 years, male 1.0
GTEX-ZV68-0011-R10a-SM-51MT7 50-59 years, female 1.0
GTEX-1IL2V-0011-R10a-SM-CL55A 70-79 years, male 1.0
GTEX-12ZZW-0011-R10b-SM-5HL9X 50-59 years, male 0.9
GTEX-12ZZZ-0011-R10a-SM-5P9HC 60-69 years, male 0.9
GTEX-13OVJ-0011-R10b-SM-5L3HT 50-59 years, female 0.9
GTEX-14BIL-0011-R10a-SM-5SI75 50-59 years, male 0.9
GTEX-14PJM-0011-R10a-SM-686ZP 50-59 years, female 0.9
GTEX-15DCD-0011-R10b-SM-6LPII 70-79 years, female 0.9
GTEX-17HG3-0011-R10b-SM-7LT97 30-39 years, female 0.9
GTEX-18464-0011-R10a-SM-72D6X 50-59 years, male 0.9
GTEX-NPJ7-0011-R10A-SM-2I3E5 60-69 years, female 0.9
GTEX-ZVZQ-0011-R10b-SM-51MRT 60-69 years, female 0.9
GTEX-1F6I4-0011-R10b-SM-9OSWT 60-69 years, male 0.9
GTEX-1GMRU-0011-R10b-SM-CJI2L 50-59 years, male 0.9
GTEX-1HBPI-0011-R10a-SM-A96RZ 50-59 years, male 0.9
GTEX-1ICLZ-0011-R10a-SM-A9SM2 60-69 years, male 0.9
GTEX-12WSH-0011-R10a-SM-5LZUS 50-59 years, male 0.8
GTEX-13FXS-0011-R10a-SM-5J2MA 50-59 years, male 0.8
GTEX-13NYB-0011-R10a-SM-5KM43 40-49 years, male 0.8
GTEX-13O3Q-0011-R10b-SM-5KM39 50-59 years, male 0.8
GTEX-145LS-0011-R10a-SM-5PNUQ 60-69 years, female 0.8
GTEX-14LZ3-0011-R10b-SM-6AJA9 60-69 years, female 0.8
GTEX-P44H-0011-R10A-SM-2XCEK 40-49 years, male 0.8
GTEX-ZDXO-0011-R10a-SM-4WWD8 60-69 years, male 0.8
GTEX-ZE7O-0011-R10a-SM-57WAZ 50-59 years, female 0.8
GTEX-ZXG5-0011-R10a-SM-57WDD 60-69 years, male 0.8
GTEX-1GN73-0011-R10b-SM-CKZNR 60-69 years, male 0.8
GTEX-1GZ2Q-0011-R10b-SM-CE6RN 40-49 years, male 0.8
GTEX-1HSMO-0011-R10a-SM-CL54Y 60-69 years, male 0.8
GTEX-1J1OQ-0011-R10a-SM-A9G1Y 40-49 years, female 0.8
GTEX-12WSM-0011-R10a-SM-5DUWV 60-69 years, male 0.7
GTEX-131XW-0011-R10a-SM-5DUVA 50-59 years, female 0.7
GTEX-13IVO-0011-R10a-SM-5LZY3 70-79 years, male 0.7
GTEX-13JUV-0011-R10b-SM-5LZXR 40-49 years, female 0.7
GTEX-13SLW-0011-R10a-SM-5S2UI 70-79 years, male 0.7
GTEX-145MH-0011-R10b-SM-5PNUK 50-59 years, male 0.7
GTEX-147F4-0011-R10b-SM-5S2WC 50-59 years, male 0.7
GTEX-147GR-0011-R10b-SM-5S2UM 60-69 years, male 0.7
GTEX-14PQA-0011-R10a-SM-6AJAA 50-59 years, female 0.7
GTEX-15G19-0011-R10b-SM-7KUG4 60-69 years, male 0.7
GTEX-N7MT-0011-R10A-SM-2I3E1 60-69 years, female 0.7
GTEX-UTHO-0011-R10A-SM-3GIJQ 60-69 years, male 0.7
GTEX-WVLH-0011-R10A-SM-3MJFM 50-59 years, male 0.7
GTEX-WWYW-0011-R10A-SM-3NB35 50-59 years, female 0.7
GTEX-X4XY-0011-R10B-SM-46MWS 60-69 years, male 0.7
GTEX-XLM4-0011-R10A-SM-4AT5P 60-69 years, male 0.7
GTEX-XMD1-0011-R10A-SM-4AT4A 60-69 years, male 0.7
GTEX-YJ89-0011-R10a-SM-4SOK9 60-69 years, male 0.7
GTEX-11ZTS-0011-R10a-SM-DO93S 60-69 years, female 0.7
GTEX-1A8G6-0011-R10b-SM-7P8PB 60-69 years, male 0.7
GTEX-1E1VI-0011-R10b-SM-ARU8F 50-59 years, male 0.7
GTEX-1HCU6-0011-R10a-SM-CKZP8 60-69 years, female 0.7
GTEX-1HSKV-0011-R10b-SM-CMKH6 60-69 years, male 0.7
GTEX-11H98-0011-R10b-SM-5NQ98 50-59 years, male 0.6
GTEX-11WQC-0011-R10a-SM-57WCT 60-69 years, male 0.6
GTEX-13NYS-0011-R10a-SM-5MR4S 60-69 years, male 0.6
GTEX-13NZA-0011-R10b-SM-5KM54 60-69 years, male 0.6
GTEX-14C5O-0011-R10a-SM-6872F 60-69 years, male 0.6
GTEX-14PN4-0011-R10b-SM-69LP2 50-59 years, male 0.6
GTEX-16NPV-0011-R10a-SM-79OKA 50-59 years, female 0.6
GTEX-NL4W-0011-R10A-SM-2I3DY 50-59 years, male 0.6
GTEX-1B933-0011-R10b-SM-9OSVN 50-59 years, female 0.6
GTEX-1BAJH-0011-R10a-SM-7MXT9 70-79 years, male 0.6
GTEX-1F48J-0011-R10a-SM-9QEIB 50-59 years, female 0.6
GTEX-1GF9W-0011-R10a-SM-9OSXH 60-69 years, male 0.6
GTEX-1H3O1-0011-R10a-SM-CJI3O 60-69 years, male 0.6
GTEX-1HB9E-0011-R10a-SM-CJI3H 50-59 years, male 0.6
GTEX-1HFI6-0011-R10b-SM-ARZLO 40-49 years, male 0.6
GTEX-12WSA-0011-R10b-SM-5P9ET 60-69 years, male 0.5
GTEX-13JVG-0011-R10b-SM-5KM2P 60-69 years, male 0.5
GTEX-13QIC-0011-R10a-SM-5O9C7 60-69 years, female 0.5
GTEX-13SLX-0011-R10a-SM-5P9HV 50-59 years, female 0.5
GTEX-13X6K-0011-R10a-SM-5P9JR 60-69 years, female 0.5
GTEX-17JCI-0011-R10b-SM-718A2 60-69 years, female 0.5
GTEX-OXRN-0011-R10A-SM-2I5GC 50-59 years, male 0.5
GTEX-Q2AG-0011-R10A-SM-2HMLA 40-49 years, female 0.5
GTEX-QDT8-0011-R10A-SM-32PKG 30-39 years, female 0.5
GTEX-S7SE-0011-R10A-SM-2XCDF 50-59 years, male 0.5
GTEX-11EMC-0011-R10a-SM-DNZZJ 60-69 years, female 0.5
GTEX-1B8SF-0011-R10b-SM-7P8SW 60-69 years, male 0.5
GTEX-1EH9U-0011-R10a-SM-CJI2A 60-69 years, male 0.5
GTEX-1GMR8-0011-R10a-SM-CJI21 50-59 years, female 0.5
GTEX-1GTWX-0011-R10b-SM-CJI2X 60-69 years, male 0.5
GTEX-1H23P-0011-R10a-SM-A96RS 60-69 years, male 0.5
GTEX-1H4P4-0011-R10b-SM-CE6SG 50-59 years, male 0.5
GTEX-1HCVE-0011-R10a-SM-ARZLT 50-59 years, male 0.5
GTEX-1I1CD-0011-R10b-SM-CJI3W 60-69 years, female 0.5
GTEX-1I1GV-0011-R10a-SM-CE6S6 60-69 years, male 0.5
GTEX-139TS-0011-R10a-SM-5K7TU 60-69 years, male 0.4
GTEX-13FLV-0011-R10b-SM-5LZZ2 50-59 years, male 0.4
GTEX-13OW8-0011-R10a-SM-5L3H6 60-69 years, male 0.4
GTEX-13RTJ-0011-R10b-SM-5O9CW 60-69 years, male 0.4
GTEX-13X6J-0011-R10b-SM-5PNWA 50-59 years, male 0.4
GTEX-14BIN-0011-R10a-SM-5S2UA 50-59 years, female 0.4
GTEX-14JIY-0011-R10a-SM-6AJAO 60-69 years, male 0.4
GTEX-16YQH-0011-R10b-SM-7LT8U 30-39 years, male 0.4
GTEX-17EVP-0011-R10a-SM-7IGLP 40-49 years, male 0.4
GTEX-TSE9-0011-R10A-SM-3DB7O 60-69 years, female 0.4
GTEX-ZAB4-0011-R10a-SM-4SOKH 40-49 years, male 0.4
GTEX-11EI6-0011-R10a-SM-DO93R 60-69 years, male 0.4
GTEX-11TUW-0011-R10a-SM-DO924 60-69 years, male 0.4
GTEX-1CB4G-0011-R10a-SM-9QEHS 60-69 years, male 0.4
GTEX-1H1DG-0011-R10b-SM-CE6S7 70-79 years, male 0.4
GTEX-1H3VE-0011-R10b-SM-A9SKC 40-49 years, male 0.4
GTEX-1HBPH-0011-R10a-SM-CE6SI 40-49 years, female 0.4
GTEX-1HR9M-0011-R10a-SM-CM2SU 60-69 years, male 0.4
GTEX-1IDJH-0011-R10a-SM-ARZLK 70-79 years, male 0.4
GTEX-1IKK5-0011-R10b-SM-CE6SP 60-69 years, male 0.4
GTEX-1LC47-0011-R10b-SM-EYYWE 60-69 years, male 0.4
GTEX-11GSP-0011-R10a-SM-5NQ7J 60-69 years, female 0.3
GTEX-12126-0011-R10b-SM-5BC6T 20-29 years, male 0.3
GTEX-12WSE-0011-R10b-SM-5P9JV 20-29 years, male 0.3
GTEX-13CZV-0011-R10b-SM-5LZYD 60-69 years, male 0.3
GTEX-13FLW-0011-R10b-SM-5LZZF 50-59 years, male 0.3
GTEX-13OW6-0011-R10a-SM-5L3HE 50-59 years, male 0.3
GTEX-1445S-0011-R10a-SM-5PNWB 60-69 years, male 0.3
GTEX-1477Z-0011-R10b-SM-5S2RF 60-69 years, male 0.3
GTEX-14E7W-0011-R10a-SM-5YYAX 70-79 years, male 0.3
GTEX-15CHQ-0011-R10b-SM-6AJBV 60-69 years, male 0.3
GTEX-17HII-0011-R10a-SM-79OMY 50-59 years, male 0.3
GTEX-NL3H-0011-R10A-SM-2I3E9 60-69 years, male 0.3
GTEX-Y8DK-0011-R10A-SM-4SOK1 60-69 years, male 0.3
GTEX-YFC4-0011-R10a-SM-4SOK5 40-49 years, female 0.3
GTEX-11DXY-0011-R10b-SM-DO12C 60-69 years, male 0.3
GTEX-11DYG-0011-R10b-SM-DNZZO 60-69 years, male 0.3
GTEX-15UF6-0011-R10b-SM-9OSVF 70-79 years, female 0.3
GTEX-1B8L1-0011-R10b-SM-7P8Q4 60-69 years, male 0.3
GTEX-1EX96-0011-R10b-SM-CE6QR 50-59 years, male 0.3
GTEX-1GF9V-0011-R10b-SM-CKZNP 60-69 years, male 0.3
GTEX-1GZ4I-0011-R10a-SM-9OSX3 50-59 years, male 0.3
GTEX-1H1CY-0011-R10a-SM-CE6SD 60-69 years, female 0.3
GTEX-18A6Q-0011-R10b-SM-72D7A 60-69 years, male 0.2
GTEX-P44G-0011-R10A-SM-2I3FF 30-39 years, male 0.2
GTEX-T6MN-0011-R10A-SM-32QP7 50-59 years, male 0.2
GTEX-11PRG-0011-R10b-SM-DO93G 50-59 years, male 0.2
GTEX-11TTK-0011-R10b-SM-DO925 60-69 years, female 0.2
GTEX-1C6VQ-0011-R10b-SM-7P8Q1 50-59 years, male 0.2
GTEX-1F7RK-0011-R10b-SM-ARU7Y 20-29 years, female 0.2
GTEX-1GN1V-0011-R10a-SM-CKZNU 60-69 years, male 0.2
GTEX-1HGF4-0011-R10b-SM-CE6S5 60-69 years, male 0.2
GTEX-1J8Q2-0011-R10b-SM-D4P2C 60-69 years, male 0.2
GTEX-PVOW-0011-R10A-SM-EXOHB 40-49 years, male 0.2
GTEX-WHSE-0011-R10A-SM-EYYVG 20-29 years, male 0.2
GTEX-13FTZ-0011-R10b-SM-5KLZS 60-69 years, male 0.1
GTEX-OXRO-0011-R10A-SM-2I5EH 60-69 years, female 0.1
GTEX-QMR6-0011-R10A-SM-32PKO 50-59 years, male 0.1
GTEX-1GN2E-0011-R10a-SM-CE6RI 60-69 years, male 0.1
GTEX-1I1HK-0011-R10b-SM-CJI3M 60-69 years, male 0.1
GTEX-13G51-0011-R10b-SM-5LZYF 60-69 years, male 0.0
GTEX-145LU-0011-R10a-SM-5PNWJ 50-59 years, male 0.0
GTEX-14753-0011-R10b-SM-5S2WE 60-69 years, male 0.0
GTEX-14PJO-0011-R10a-SM-686ZS 60-69 years, male 0.0
GTEX-1F75W-0011-R10b-SM-ARU7Z 60-69 years, male 0.0
GTEX-1HBPM-0011-R10a-SM-CJI3Q 60-69 years, female 0.0
Show allShow less

CEREBRAL CORTEX - FANTOM5 CAGEi

RNA expression in human tissues obtained through Cap Analysis of Gene Expression (CAGE) generated by the FANTOM5 project are reported as Scaled Tags Per Million.

Max subtype Scaled Tags Per Millioni

Max subtype Scaled Tags Per Million is the value for the subtype with the largest average Scaled Tags Per Million across the subtype samples.

2.5
FANTOM5 sample id Sample description Scaled Tags Per Million
Occipital cortex
Scaled Tags Per Million: 0.5
FF:10163-103B1 76 years, female 0.5
Postcentral gyrus
Scaled Tags Per Million: 0.8
FF:10032-101E5 44-52 years, mixed 0.8
Frontal lobe
Scaled Tags Per Million: 0.2
FF:10040-101F4 32-61 years, mixed 0.2
Insula
Scaled Tags Per Million: 1.6
FF:10039-101F3 20-68 years, mixed 1.6
Medial frontal gyrus
Scaled Tags Per Million: 1.1
FF:10150-102I6 76 years, female 1.1
Medial temporal gyrus
Scaled Tags Per Million: 0.1
FF:10156-103A3 76 years, female 0.3
FF:10183-103D3 60 years, female 0.0
Occipital lobe
Scaled Tags Per Million: 1.1
FF:10076-102A4 27 years, male 1.1
Occipital pole
Scaled Tags Per Million: 0.7
FF:10036-101E9 22-68 years, mixed 0.7
Paracentral gyrus
Scaled Tags Per Million: 2.5
FF:10035-101E8 22-69 years, mixed 2.5
Parietal lobe
Scaled Tags Per Million: 0.2
FF:10034-101E7 35-89 years, mixed 0.3
FF:10157-103A4 76 years, female 0.2
FF:10171-103B9 60 years, female 0.0
Temporal lobe
Scaled Tags Per Million: 1.5
FF:10031-101E4 32-61 years, mixed 1.5

CEREBRAL CORTEX - Pig RNA-seqi

RNA-seq data obtained from pig brain is reported as nTPM .

Normal distribution across the dataset is visualized with box plots, shown as median and 25th and 75th percentiles. Points are displayed as outliers if they are above or below 1.5 times the interquartile range. nTPM values of the individual samples are presented next to the box plot.
Max subtype nTPMi

Max subtype nTPM is the value for the subtype with the largest average nTPM across the subtype samples.

7.1
Pig sample Sample description nTPM
Occipital cortex
nTPM: 1.9
Samples: 4

Max nTPM: 2.7
Min nTPM: 0.9
Sample A Female 2.3
Sample B Female 2.7
Sample C Male 1.8
Sample D Male 0.9
Retrosplenial cortex
nTPM: 4.0
Samples: 4

Max nTPM: 6.1
Min nTPM: 1.8
Sample A Female 1.8
Sample B Female 5.7
Sample C Male 6.1
Sample D Male 2.5
Cingulate cortex
nTPM: 4.2
Samples: 4

Max nTPM: 6.2
Min nTPM: 2.4
Sample A Female 2.4
Sample B Female 5.3
Sample C Male 6.2
Sample D Male 2.9
Insular cortex
nTPM: 7.1
Samples: 4

Max nTPM: 8.9
Min nTPM: 5.2
Sample A Female 5.8
Sample B Female 8.9
Sample C Male 8.5
Sample D Male 5.2
Motor cortex
nTPM: 4.7
Samples: 4

Max nTPM: 6.1
Min nTPM: 3.2
Sample A Female 6.1
Sample B Female 5.8
Sample C Male 3.5
Sample D Male 3.2
Prefrontal cortex
nTPM: 4.9
Samples: 4

Max nTPM: 6.7
Min nTPM: 2.3
Sample A Female 6.1
Sample B Female 4.3
Sample C Male 6.7
Sample D Male 2.3
Somatosensory cortex
nTPM: 2.4
Samples: 3

Max nTPM: 4.0
Min nTPM: 1.1
Sample B Female 4.0
Sample C Male 2.0
Sample D Male 1.1
Temporal cortex
nTPM: 4.1
Samples: 4

Max nTPM: 5.7
Min nTPM: 2.6
Sample A Female 3.2
Sample B Female 4.9
Sample C Male 5.7
Sample D Male 2.6

CEREBRAL CORTEX - Mouse RNA-seqi

RNA-seq data obtained from mouse brain is reported as nTPM .

Normal distribution across the dataset is visualized with box plots, shown as median and 25th and 75th percentiles. Points are displayed as outliers if they are above or below 1.5 times the interquartile range. nTPM values of the individual samples are presented next to the box plot.
Max subtype nTPMi

Max subtype nTPM is the value for the subtype with the largest average nTPM across the subtype samples.

0.0
Mouse sample Sample description nTPM
Occipital cortex
nTPM: 0.0
Samples: 4

Max nTPM: 0.0
Min nTPM: 0.0
Sample A Male 0.0
Sample B Male 0.0
Sample C Female 0.0
Sample D Female 0.0
Frontal cortex
nTPM: 0.0
Samples: 4

Max nTPM: 0.0
Min nTPM: 0.0
Sample A Male 0.0
Sample B Male 0.0
Sample C Female 0.0
Sample D Female 0.0
Retrosplenial and cingulate cortex
nTPM: 0.1
Samples: 4

Max nTPM: 0.1
Min nTPM: 0.0
Sample A Male 0.1
Sample B Male 0.0
Sample C Female 0.0
Sample D Female 0.1
Somatosensory cortex
nTPM: 0.0
Samples: 4

Max nTPM: 0.0
Min nTPM: 0.0
Sample A Male 0.0
Sample B Male 0.0
Sample C Female 0.0
Sample D Female 0.0

CEREBRAL CORTEX - Allen Mouse ISHi

In situ hybridization (ISH) data generated by the Allen brain atlas from mouse brain is reported as expression energy. For more details about a particular experiment, click on the corresponding Allen experiment ID.

Max subtype Expression energyi

Max subtype Expression energy is the value for the subtype with the largest average Expression energy across the subtype samples.

8.3
Allen experiment id Experiment description Expression energy
Cerebral cortex
Expression energy: 8.3
248558 Antisense, RP_040604_02_H12, Mouse strain C57BL/6J (56 days, male) 8.3
293692 Antisense, RP_040604_02_H12, Mouse strain C57BL/6J (56 days, male) 4.1

Contact

  • NEWS ARTICLES
  • PRESS ROOM

The Project

  • INTRODUCTION
  • ORGANIZATION
  • PUBLICATIONS

The Human Protein Atlas

  • DOWNLOADABLE DATA
  • LICENCE & CITATION
  • HELP & FAQ
The Human Protein Atlas project is funded
by the Knut & Alice Wallenberg Foundation.


contact@proteinatlas.org