We use cookies to enhance the usability of our website. If you continue, we'll assume that you are happy to receive all cookies. More information. Don't show this again.
CFL2
HPA
RESOURCES
  • TISSUE
  • BRAIN
  • SINGLE CELL
  • SUBCELLULAR
  • CANCER
  • BLOOD
  • CELL LINE
  • STRUCTURE & INTERACTION
ABOUT
  • INTRODUCTION
  • HISTORY
  • ORGANIZATION
  • PUBLICATIONS
  • ANTIBODY SUBMISSION
  • ANTIBODY AVAILABILITY
  • ACKNOWLEDGMENTS
  • CONTACT
NEWS
  • NEWS ARTICLES
  • PRESS ROOM
LEARN
  • DICTIONARY
  • PROTEIN CLASSES
  • PROTEIN EVIDENCE
  • METHODS
  • EDUCATIONAL VIDEOS
DATA
  • DOWNLOADABLE DATA
  • PUBLICATION DATA
  • RELEASE HISTORY
HELP
  • ANTIBODY VALIDATION
  • ASSAYS & ANNOTATION
  • DISCLAIMER
  • HELP & FAQ
  • PRIVACY STATEMENT
  • LICENCE & CITATION
Fields »
Search result

Field
Term
Gene name
Class
Subclass
Class
Keyword
Chromosome
External id
Tissue
Cell type
Expression
Antibody panel
Tissue
Main location
Patient ID
Annotation
Tissue
Category
Tau score
Cluster
Reliability
Brain region
Category
Tau score
Brain region
Category
Tau score
Brain region
Category
Tau score
Cluster
Reliability
Tissue
Cell type
Enrichment
Cell type
Category
Tau score
Cell type
Category
Tau score
Cell type
Category
Tau score
Cell lineage
Category
Tau score
Cluster
Cluster
Location
Searches
Location
Cell line
Class
Type
Phase
Reliability
Cancer
Prognosis
Cancer
Category
Cancer
Category
Tau score
Cluster
Variants
Interacting gene (ensg_id)
Type
Number of interactions
Pathway
Category
Score
Score
Score
Validation
Validation
Validation
Validation
Antibodies
Data type
Column


  • SUMMARY

  • TISSUE

  • BRAIN

  • SINGLE CELL

  • SUBCELL

  • CANCER

  • BLOOD

  • CELL LINE

  • STRUCT & INT

  • CFL2
TISSUE PRIMARY DATA SKIN Show tissue menu
ADIPOSE TISSUE ADRENAL GLAND AMYGDALA APPENDIX BASAL GANGLIA BONE MARROW BREAST BRONCHUS CEREBELLUM CEREBRAL CORTEX CERVIX CHOROID PLEXUS COLON DUODENUM
ENDOMETRIUM EPIDIDYMIS ESOPHAGUS FALLOPIAN TUBE GALLBLADDER HEART MUSCLE HIPPOCAMPAL FORMATION HYPOTHALAMUS KIDNEY LIVER LUNG LYMPH NODE MIDBRAIN NASOPHARYNX
ORAL MUCOSA OVARY PANCREAS PARATHYROID GLAND PITUITARY GLAND PLACENTA PROSTATE RECTUM RETINA SALIVARY GLAND SEMINAL VESICLE SKELETAL MUSCLE SKIN SMALL INTESTINE
SMOOTH MUSCLE SOFT TISSUE SPINAL CORD SPLEEN STOMACH TESTIS THYMUS THYROID GLAND TONGUE TONSIL URINARY BLADDER VAGINA
ANTIBODIES
AND
VALIDATION
Dictionary
Skin
Tissue proteome
Skin
SKIN - Expression summary
Protein expression
Skini

On the top, protein expression in current human tissue, based on all annotated cell types, is reported with the units not detected (n), low (l), medium (m) and high (h). Underneath, protein expression in each annotated cell type are reported using the same units.

Protein expression data is based on knowledge-based annotation. For genes where more than one antibody has been used, a collective score is set.

If knowledge-based annotation could not be performed for a gene, no data is displayed here. View antibody staining data further down this page.

h
m
l
n
Epidermal cells: Not detected
Fibroblasts: Not detected
Keratinocytes: Not detected
Langerhans: Not detected
Melanocytes: Not detected
RNA expressioni

A summary of mRNA expression data available for current tissue based on several datasets. The mRNA expression levels in human tissues are based on RNA-seq data generated by the Human Protein Atlas (HPA), Genotype-Tissue Expression (GTEx) portal and CAGE data generated by the FANTOM5 consortium. Consensus normalized expression levels for human tissues was created by combining the data from HPA and GTEx datasets.

The mRNA expression levels in pig are based on RNA-seq data generated by the Human Protein Atlas (HPA), and for mouse, HPA data and in situ hybridization generated by the Allen brain atlas are reported.

Scroll down to view mRNA expression data in more detail.
Consensus:7.9 nTPM
HPA:2.6 nTPM
GTEx:7.9 nTPM

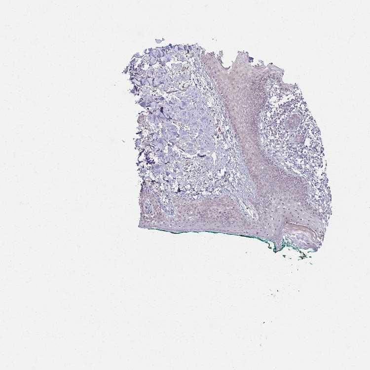
SKIN 1 - Antibody stainingi

Antibody staining in the annotated cell types in the current human tissue is reported as not detected, low, medium, or high, based on conventional immunohistochemistry profiling in selected tissues. This score is based on the combination of the staining intensity and fraction of stained cells.

Each image is clickable and will lead to virtual microscopy that enables deeper exploration of all samples and also displays staining intensity scores, fraction scores and subcellular localization as well as patient and tissue information for each sample.

Antibody HPA045599
Langerhans Not detected
Fibroblasts Not detected
Keratinocytes Not detected
Melanocytes Not detected


SKIN 2 - Antibody stainingi

Antibody staining in the annotated cell types in the current human tissue is reported as not detected, low, medium, or high, based on conventional immunohistochemistry profiling in selected tissues. This score is based on the combination of the staining intensity and fraction of stained cells.

Each image is clickable and will lead to virtual microscopy that enables deeper exploration of all samples and also displays staining intensity scores, fraction scores and subcellular localization as well as patient and tissue information for each sample.

Antibody HPA045599
Epidermal cells Not detected
 
 
 



SKIN - HPA RNA-seqi

The RNA-seq details section shows detailed information about the individual samples used for the transcript profiling and results of the RNA-seq analysis.

Information about each individual sample is listed below, including gender, age, a tissue section image and estimated fractions of cell types. nTPM (normalized transcripts per million) values give a quantification of the gene abundance which is comparable between different genes and samples.
Average nTPMi

Max subtype nTPM is the value for the subtype with the largest average nTPM across the subtype samples.

2.6
overview
Female, age 34
Skin sample 225
nTPM: 2.4
Cell types%
Keratinocytes:
60

Other cell types:
40

overview
Female, age 30
Skin sample 226
nTPM: 3.5
Cell types%
Keratinocytes:
55

Other cell types:
45

N/A
Male, age 57
Skin sample 227
nTPM: 1.9

SKIN - GTEx RNA-seqi

RNA-Seq data generated by the Genotype-Tissue Expression (GTEx) project from human tissues is reported as mean nTPM. More information can be found on the GTEx portal.

Distribution across the dataset is visualized with box plots, shown as median and 25th and 75th percentiles. Points are displayed as outliers if they are above or below 1.5 times the interquartile range. nTPM values of the individual samples are presented next to the box plot.
Max subtype nTPMi

Max subtype nTPM is the value for the subtype with the largest average nTPM across the subtype samples.

7.9
GTEx sample id Sample description nTPM
Skin - Not Sun Exposed (Suprapubic)
Average nTPM: 5.7
Samples: 604

Max nTPM: 23.5
Min nTPM: 0.7
Std nTPM: 3.1
Median nTPM: 5.1
GTEX-1JMQK-1226-SM-D4P2S 60-69 years, male 23.5
GTEX-1HUB1-1426-SM-CGQF5 60-69 years, male 20.5
GTEX-YB5K-2026-SM-4VDT3 40-49 years, female 20.1
GTEX-1JMOU-1026-SM-CYPSS 60-69 years, female 20.1
GTEX-12WSL-2026-SM-5GCML 50-59 years, male 19.3
GTEX-17EVQ-0126-SM-7IGLR 70-79 years, male 18.0
GTEX-1F75W-2726-SM-7SB8H 60-69 years, male 16.7
GTEX-1F6IF-0926-SM-7SB7M 60-69 years, male 16.2
GTEX-1A32A-0626-SM-731AQ 50-59 years, female 16.0
GTEX-1QP66-1226-SM-DTX7U 50-59 years, male 15.7
GTEX-1L5NE-1126-SM-D3L9P 50-59 years, male 15.6
GTEX-1CAV2-0126-SM-7IGN7 40-49 years, female 14.7
GTEX-YF7O-1526-SM-5IFI6 50-59 years, male 14.7
GTEX-WYBS-0626-SM-3NMAS 60-69 years, female 14.4
GTEX-1F48J-0726-SM-7RHGS 50-59 years, female 14.4
GTEX-14E6C-2426-SM-5S2NF 40-49 years, male 14.1
GTEX-XMD2-2126-SM-4YCF8 60-69 years, female 12.7
GTEX-1AX9J-1326-SM-731BJ 60-69 years, male 12.6
GTEX-1GF9U-2026-SM-7SB92 40-49 years, female 12.5
GTEX-13YAN-0226-SM-5TDC6 60-69 years, male 12.4
GTEX-1H3NZ-2726-SM-9WYTQ 60-69 years, male 12.4
GTEX-14BMU-1226-SM-5S2OR 20-29 years, female 12.2
GTEX-145ME-1726-SM-5Q5EU 40-49 years, female 12.0
GTEX-WFG8-2126-SM-3GIKQ 20-29 years, male 11.8
GTEX-1RLM8-2926-SM-E8VON 50-59 years, male 11.8
GTEX-16GPK-0626-SM-7KFSF 60-69 years, male 11.5
GTEX-1IDJF-2026-SM-CL53V 20-29 years, male 11.3
GTEX-1399R-1326-SM-5PNYS 30-39 years, male 11.2
GTEX-11EI6-2826-SM-5H11D 60-69 years, male 11.1
GTEX-ZYFD-0626-SM-5E44E 50-59 years, male 11.1
GTEX-1I4MK-0126-SM-CY8G6 50-59 years, female 11.0
GTEX-ZT9W-1126-SM-57WDR 50-59 years, male 10.9
GTEX-1IDJE-1426-SM-ADEIW 50-59 years, female 10.9
GTEX-ZLFU-1826-SM-4WWBV 40-49 years, male 10.8
GTEX-131YS-2826-SM-5EQ47 60-69 years, female 10.7
GTEX-12584-0726-SM-5FQTK 40-49 years, male 10.6
GTEX-WYJK-0526-SM-3NM8Z 50-59 years, male 10.5
GTEX-1F75B-0726-SM-7PC3R 50-59 years, male 10.3
GTEX-1H1ZS-2726-SM-9WG75 70-79 years, male 10.3
GTEX-XK95-0226-SM-4AT58 40-49 years, male 10.2
GTEX-1J8JJ-0626-SM-ARZMQ 60-69 years, female 10.2
GTEX-ZGAY-1826-SM-DO91Q 40-49 years, female 10.2
GTEX-13N2G-0226-SM-5K7VF 60-69 years, male 10.1
GTEX-1I1CD-0626-SM-CE6SW 60-69 years, female 10.1
GTEX-1477Z-0326-SM-7IGLA 60-69 years, male 10.0
GTEX-14DAR-1226-SM-73KYV 50-59 years, male 10.0
GTEX-1AX8Z-0726-SM-73KTS 60-69 years, male 10.0
GTEX-1QCLZ-2426-SM-EVYBW 60-69 years, female 9.9
GTEX-13JUV-2026-SM-5K7UA 40-49 years, female 9.8
GTEX-17JCI-2926-SM-7DUFF 60-69 years, female 9.8
GTEX-1HCU8-2526-SM-CE6RX 60-69 years, female 9.7
GTEX-1ICG6-1226-SM-A9SLN 70-79 years, female 9.7
GTEX-1RB15-1326-SM-E76Q9 60-69 years, male 9.7
GTEX-18A7B-2726-SM-7LG56 70-79 years, male 9.6
GTEX-WEY5-2326-SM-3GIKK 40-49 years, female 9.6
GTEX-ZVE2-2826-SM-5GU51 50-59 years, male 9.6
GTEX-1I19N-0126-SM-CYPSF 70-79 years, male 9.6
GTEX-14PJ2-0626-SM-6LLII 50-59 years, male 9.5
GTEX-ZU9S-1826-SM-5NQ9E 30-39 years, male 9.5
GTEX-1GF9W-1426-SM-7PBYM 60-69 years, male 9.5
GTEX-1HC8U-1326-SM-9YFMJ 40-49 years, female 9.4
GTEX-1RAZR-2126-SM-E9U6T 40-49 years, male 9.4
GTEX-17F98-1326-SM-7DUEP 40-49 years, female 9.3
GTEX-1JMQI-1726-SM-ARL93 50-59 years, male 9.3
GTEX-1M4P7-0726-SM-E6CJ3 60-69 years, male 9.3
GTEX-18A66-0626-SM-7LT8Z 60-69 years, male 9.2
GTEX-ZYFG-1526-SM-5GZYM 60-69 years, female 9.2
GTEX-1C64N-2626-SM-7PC2N 50-59 years, male 9.2
GTEX-145MO-2826-SM-5LU96 60-69 years, male 9.1
GTEX-1KANC-1226-SM-CYPT7 50-59 years, female 9.1
GTEX-X3Y1-2026-SM-3P5YM 40-49 years, male 9.0
GTEX-Y8LW-1526-SM-5IFHL 50-59 years, female 9.0
GTEX-14JG6-1426-SM-9WG7C 30-39 years, female 9.0
GTEX-14E6E-0526-SM-793DN 30-39 years, male 8.8
GTEX-1EWIQ-0326-SM-7DHMQ 70-79 years, female 8.8
GTEX-1KWVE-1026-SM-D3L9O 30-39 years, male 8.8
GTEX-1117F-2926-SM-5GZYI 60-69 years, female 8.7
GTEX-13OVJ-0826-SM-5J1OK 50-59 years, female 8.7
GTEX-145MG-1526-SM-5Q5EM 50-59 years, male 8.7
GTEX-15UF6-1926-SM-7KUDV 70-79 years, female 8.7
GTEX-12BJ1-0926-SM-5EQ62 60-69 years, male 8.6
GTEX-12WSC-2826-SM-5BC5Y 50-59 years, male 8.6
GTEX-147JS-0226-SM-5S2U9 60-69 years, male 8.6
GTEX-14AS3-1526-SM-5Q5ED 40-49 years, female 8.6
GTEX-UPK5-0426-SM-3GAEK 40-49 years, male 8.6
GTEX-ZAJG-1526-SM-5CVML 50-59 years, female 8.6
GTEX-ZVTK-0226-SM-51MRG 20-29 years, male 8.6
GTEX-16NPX-0726-SM-7KULC 50-59 years, male 8.5
GTEX-1LSNL-2726-SM-E9TKJ 50-59 years, male 8.5
GTEX-131XF-2626-SM-5EQ6K 60-69 years, male 8.4
GTEX-13QBU-1226-SM-5LU4G 40-49 years, female 8.4
GTEX-15ER7-0626-SM-6PANF 20-29 years, female 8.4
GTEX-15EU6-2226-SM-6EU2L 50-59 years, male 8.4
GTEX-1MCC2-1826-SM-DIPEX 30-39 years, female 8.4
GTEX-11EM3-1226-SM-5N9DD 20-29 years, female 8.3
GTEX-17MFQ-1526-SM-7KFRR 20-29 years, male 8.3
GTEX-ZZ64-1026-SM-5GZXG 20-29 years, male 8.3
GTEX-1HSMO-0626-SM-ACKXC 60-69 years, male 8.3
GTEX-1I6K6-1726-SM-CGQFD 30-39 years, male 8.3
GTEX-17HG3-2626-SM-7DUF2 30-39 years, female 8.2
GTEX-XPVG-2126-SM-4B667 50-59 years, male 8.2
GTEX-1HFI7-2326-SM-CGQFS 50-59 years, female 8.2
GTEX-1LG7Z-1626-SM-CXKYR 30-39 years, male 8.2
GTEX-1LVAO-2726-SM-E9TJ8 60-69 years, male 8.2
GTEX-11P7K-1126-SM-5HL4L 30-39 years, male 8.1
GTEX-11ZTT-2126-SM-5CVLO 60-69 years, female 8.1
GTEX-183FY-1026-SM-7939A 20-29 years, male 8.1
GTEX-1CB4H-1126-SM-7MKGL 60-69 years, female 8.1
GTEX-YJ8O-2526-SM-5HL85 40-49 years, female 8.1
GTEX-111FC-2526-SM-5GZXU 60-69 years, male 8.0
GTEX-XOT4-0626-SM-4B66L 60-69 years, female 8.0
GTEX-1GMR2-0826-SM-7PC3V 50-59 years, male 8.0
GTEX-1MJK3-0726-SM-E6CJC 20-29 years, male 8.0
GTEX-13FH7-1126-SM-5K7UG 50-59 years, female 7.9
GTEX-16BQI-1326-SM-6M486 30-39 years, female 7.9
GTEX-1JKYN-0826-SM-ARU8S 30-39 years, male 7.9
GTEX-1JMLX-0626-SM-ARL8T 50-59 years, male 7.9
GTEX-18D9A-1426-SM-7LT8M 30-39 years, female 7.8
GTEX-1IDJU-1726-SM-CMKHU 60-69 years, female 7.8
GTEX-1RAZA-2226-SM-E9U4X 20-29 years, male 7.8
GTEX-12C56-1526-SM-5FQUQ 20-29 years, male 7.7
GTEX-13113-1626-SM-5EQ4I 60-69 years, female 7.7
GTEX-13NZ9-2626-SM-5L3FK 50-59 years, male 7.7
GTEX-13X6I-1826-SM-5SIAO 60-69 years, male 7.7
GTEX-WYVS-1626-SM-3NM9R 40-49 years, female 7.7
GTEX-1HCU9-0426-SM-9WYSD 20-29 years, male 7.7
GTEX-1HR98-2226-SM-ADEI2 60-69 years, male 7.7
GTEX-12WSF-1626-SM-7KUG5 70-79 years, male 7.6
GTEX-13N1W-2426-SM-5IJD1 70-79 years, male 7.6
GTEX-13PVQ-0626-SM-5LU47 50-59 years, male 7.6
GTEX-147F3-1726-SM-5SIAW 50-59 years, female 7.6
GTEX-16MT8-2926-SM-7DUFO 60-69 years, female 7.6
GTEX-ZA64-1026-SM-5HL8R 20-29 years, male 7.6
GTEX-1HCVE-2726-SM-CL54F 50-59 years, male 7.6
GTEX-1KANB-2826-SM-CY8I6 50-59 years, male 7.6
GTEX-146FQ-2126-SM-5RQHU 30-39 years, male 7.5
GTEX-14PJ5-1526-SM-6LLIL 60-69 years, female 7.5
GTEX-1C64O-1326-SM-7MGWR 60-69 years, male 7.5
GTEX-12WSK-2126-SM-5CVNC 40-49 years, female 7.4
GTEX-13X6K-0626-SM-5LU5D 60-69 years, female 7.4
GTEX-14PKV-1126-SM-6LLJ1 20-29 years, female 7.4
GTEX-1H1CY-0126-SM-9YFLY 60-69 years, female 7.4
GTEX-1H1DF-1126-SM-9WG7G 40-49 years, female 7.4
GTEX-1314G-1326-SM-5BC6E 30-39 years, male 7.3
GTEX-13N11-2326-SM-5IJBF 50-59 years, female 7.3
GTEX-14DAQ-0626-SM-793DS 60-69 years, female 7.3
GTEX-ZAB4-2126-SM-5HL8U 40-49 years, male 7.3
GTEX-ZE7O-2726-SM-51MT5 50-59 years, female 7.3
GTEX-ZLWG-0826-SM-59888 50-59 years, female 7.3
GTEX-1LGOU-1326-SM-D3L8M 20-29 years, female 7.3
GTEX-1N5O9-0926-SM-E9J3C 60-69 years, male 7.3
GTEX-11TT1-1826-SM-5EQLV 20-29 years, male 7.2
GTEX-12696-0126-SM-5EQ4L 60-69 years, male 7.2
GTEX-VJYA-1526-SM-3GIJV 60-69 years, male 7.2
GTEX-1KANA-1326-SM-DIPFA 20-29 years, male 7.2
GTEX-11EQ8-0926-SM-5H12V 60-69 years, male 7.1
GTEX-13PVR-0426-SM-5RQK2 60-69 years, female 7.1
GTEX-15SHW-0226-SM-7LTAT 60-69 years, male 7.1
GTEX-17MF6-2626-SM-79OKQ 40-49 years, male 7.1
GTEX-1B933-2426-SM-7DHMD 50-59 years, female 7.1
GTEX-1I1HK-2326-SM-CKZOH 60-69 years, male 7.1
GTEX-11DZ1-2426-SM-5GZZX 50-59 years, male 7.0
GTEX-1497J-0226-SM-5QGPU 60-69 years, male 7.0
GTEX-14LLW-2626-SM-62LDZ 70-79 years, female 7.0
GTEX-17HHE-1326-SM-7EWDZ 50-59 years, male 7.0
GTEX-Y5V6-2326-SM-4VDSA 60-69 years, male 7.0
GTEX-1IDJC-1526-SM-B2LW4 50-59 years, male 7.0
GTEX-11EQ9-1626-SM-5PNY8 30-39 years, male 6.9
GTEX-18465-2826-SM-7LT9J 50-59 years, male 6.9
GTEX-1EH9U-2826-SM-7DUGT 60-69 years, male 6.9
GTEX-1JKYR-0626-SM-ARL8R 20-29 years, male 6.9
GTEX-1O9I2-0226-SM-EYYXD 50-59 years, male 6.9
GTEX-1S5ZU-2526-SM-E6CIF 20-29 years, female 6.9
GTEX-15CHQ-0326-SM-69LQD 60-69 years, male 6.8
GTEX-1JN6P-2926-SM-CL54D 60-69 years, male 6.8
GTEX-1S831-1826-SM-EWROF 20-29 years, male 6.8
GTEX-11DXW-0826-SM-5H118 40-49 years, male 6.7
GTEX-144GO-2026-SM-5O99P 60-69 years, male 6.7
GTEX-11UD2-2526-SM-5CVNU 50-59 years, male 6.6
GTEX-1211K-1526-SM-5FQU4 60-69 years, female 6.6
GTEX-17F9E-2326-SM-79OKD 50-59 years, male 6.6
GTEX-ZC5H-1526-SM-5HL9Y 40-49 years, female 6.6
GTEX-ZYW4-0626-SM-59HJR 60-69 years, male 6.6
GTEX-1I1GP-1326-SM-A9G28 50-59 years, male 6.6
GTEX-1IDJD-2326-SM-ACKWX 30-39 years, male 6.6
GTEX-1JMQL-2226-SM-CNPP4 50-59 years, female 6.6
GTEX-1QP29-1826-SM-DTX9S 50-59 years, male 6.6
GTEX-13NYS-0626-SM-5L3F1 60-69 years, male 6.5
GTEX-145MI-0626-SM-5SI8S 60-69 years, female 6.5
GTEX-Y5V5-0126-SM-5S2NW 60-69 years, female 6.5
GTEX-1GN2E-0226-SM-9WG6K 60-69 years, male 6.5
GTEX-1LKK1-2626-SM-DKPQE 50-59 years, female 6.5
GTEX-111YS-1526-SM-5GZYW 60-69 years, male 6.4
GTEX-13X6H-0926-SM-5SIB2 50-59 years, female 6.4
GTEX-XUW1-0926-SM-4BONX 50-59 years, female 6.4
GTEX-ZVE1-0726-SM-51MRN 50-59 years, female 6.4
GTEX-1F75I-2226-SM-7SB8U 40-49 years, male 6.4
GTEX-1H1E6-0426-SM-9WYUS 30-39 years, male 6.4
GTEX-1IDJI-0126-SM-CMKHS 50-59 years, female 6.4
GTEX-1J8Q3-0526-SM-ARL8U 60-69 years, male 6.4
GTEX-13OVG-1626-SM-5J1NF 60-69 years, male 6.3
GTEX-13OVH-0526-SM-5L3E6 70-79 years, male 6.3
GTEX-XBEC-0726-SM-4QARZ 50-59 years, male 6.3
GTEX-1LGRB-0926-SM-COH3K 50-59 years, female 6.3
GTEX-117YX-1926-SM-5GIEC 50-59 years, male 6.2
GTEX-12WSD-0626-SM-5GCMW 60-69 years, female 6.2
GTEX-13O3O-2326-SM-5IJD6 60-69 years, female 6.2
GTEX-15DYW-2726-SM-6EU2I 60-69 years, female 6.2
GTEX-1AMFI-1326-SM-7939R 50-59 years, female 6.2
GTEX-1E1VI-0326-SM-793D1 50-59 years, male 6.2
GTEX-WFON-1926-SM-3LK7L 40-49 years, male 6.2
GTEX-1PPH7-1126-SM-DTX9A 40-49 years, male 6.2
GTEX-18D9B-0926-SM-7LG4U 60-69 years, male 6.1
GTEX-Y5LM-0926-SM-6LLJG 40-49 years, female 6.1
GTEX-ZDXO-3126-SM-5IJDF 60-69 years, male 6.1
GTEX-ZUA1-2626-SM-5NQ92 40-49 years, male 6.1
GTEX-1CAMR-1326-SM-7PC1F 20-29 years, male 6.1
GTEX-1HSKV-1226-SM-ADEI4 60-69 years, male 6.1
GTEX-145LS-0626-SM-7EPG7 60-69 years, female 6.0
GTEX-1GZ2Q-0126-SM-9WG6M 40-49 years, male 6.0
GTEX-1I6K7-1926-SM-B2LXR 40-49 years, male 6.0
GTEX-139T8-0626-SM-5KLZX 60-69 years, male 5.9
GTEX-13OVK-1426-SM-6PAN7 40-49 years, male 5.9
GTEX-15RIE-1926-SM-7KUKJ 60-69 years, male 5.9
GTEX-1B996-0426-SM-7EWF8 60-69 years, male 5.9
GTEX-1F52S-2926-SM-7MKGA 60-69 years, female 5.9
GTEX-1CB4I-0126-SM-7RHGG 50-59 years, male 5.9
GTEX-1IDJH-0126-SM-D3L92 70-79 years, male 5.9
GTEX-132AR-0326-SM-5KM2C 50-59 years, female 5.8
GTEX-15D1Q-2826-SM-6LLH7 40-49 years, male 5.8
GTEX-1A3MV-1826-SM-731CD 30-39 years, male 5.8
GTEX-X4EP-0626-SM-3P621 60-69 years, female 5.8
GTEX-1A8FM-0626-SM-7PC25 50-59 years, female 5.8
GTEX-1GPI7-1826-SM-9KNU1 20-29 years, male 5.8
GTEX-1HB9E-0126-SM-CM2S5 50-59 years, male 5.8
GTEX-1JJ6O-2726-SM-CNPOG 60-69 years, male 5.8
GTEX-12KS4-2126-SM-5FQUT 30-39 years, male 5.7
GTEX-12WSM-1926-SM-5BC65 60-69 years, male 5.7
GTEX-14A5H-0826-SM-5QGPJ 60-69 years, male 5.7
GTEX-14C5O-0326-SM-5ZZUX 60-69 years, male 5.7
GTEX-16AAH-0626-SM-793C9 50-59 years, male 5.7
GTEX-17HII-1426-SM-7EPGG 50-59 years, male 5.7
GTEX-ZVT2-0126-SM-5GIDQ 50-59 years, female 5.7
GTEX-1HBPM-0726-SM-9YFL7 60-69 years, female 5.7
GTEX-1IE54-1126-SM-A9G2Z 40-49 years, female 5.7
GTEX-1J1R8-2026-SM-CL53Y 40-49 years, male 5.7
GTEX-145LT-0526-SM-5LUB2 40-49 years, male 5.6
GTEX-14753-0726-SM-5QGQO 60-69 years, male 5.6
GTEX-14PJN-1826-SM-6AJ98 30-39 years, male 5.6
GTEX-YEC4-1826-SM-4W1YP 40-49 years, male 5.6
GTEX-ZWKS-0626-SM-5GIDV 30-39 years, male 5.6
GTEX-ZXG5-2126-SM-59HKD 60-69 years, male 5.6
GTEX-1ICLY-0826-SM-CMKG1 50-59 years, male 5.6
GTEX-1IDFM-0326-SM-ARL7V 60-69 years, male 5.6
GTEX-1IKOE-1426-SM-CE6T7 30-39 years, female 5.6
GTEX-1JMPZ-0726-SM-CY8HZ 30-39 years, male 5.6
GTEX-1PIGE-1826-SM-E8VOU 20-29 years, male 5.6
GTEX-1R9K4-2826-SM-DTX8F 60-69 years, male 5.6
GTEX-11NSD-0626-SM-5A5LU 20-29 years, male 5.5
GTEX-12ZZZ-0726-SM-5GCNZ 60-69 years, male 5.5
GTEX-13OW8-1026-SM-5J1NQ 60-69 years, male 5.5
GTEX-145MF-0926-SM-5Q5EA 50-59 years, male 5.5
GTEX-14PKU-0126-SM-6LLHV 40-49 years, female 5.5
GTEX-1B932-2326-SM-79OL5 40-49 years, female 5.5
GTEX-WHSE-0126-SM-3NMBT 20-29 years, male 5.5
GTEX-ZF2S-1626-SM-57WES 50-59 years, female 5.5
GTEX-ZVP2-0326-SM-57WBP 50-59 years, male 5.5
GTEX-1QEPI-2626-SM-DTXF4 60-69 years, female 5.5
GTEX-1192X-2726-SM-5N9DN 50-59 years, male 5.4
GTEX-145MN-1526-SM-5SI9T 30-39 years, male 5.4
GTEX-147GR-2426-SM-5ZZWQ 60-69 years, male 5.4
GTEX-18A7A-0126-SM-731AH 50-59 years, female 5.4
GTEX-1A3MW-0626-SM-731CB 60-69 years, female 5.4
GTEX-WH7G-2026-SM-3NMBL 40-49 years, male 5.4
GTEX-ZVT4-2426-SM-5GIEI 50-59 years, female 5.4
GTEX-ZYFC-0426-SM-5GICQ 50-59 years, male 5.4
GTEX-11P82-1426-SM-DTXFY 20-29 years, male 5.4
GTEX-1JJE9-2626-SM-ARZMT 70-79 years, male 5.4
GTEX-1LSNM-0826-SM-DIPG8 50-59 years, male 5.4
GTEX-1LVA9-2626-SM-EVYD4 50-59 years, male 5.4
GTEX-139YR-1026-SM-5LZYN 50-59 years, male 5.3
GTEX-13NYC-0126-SM-5L3F4 60-69 years, male 5.3
GTEX-14PII-0726-SM-6EU2B 60-69 years, male 5.3
GTEX-15CHC-1126-SM-6LLHQ 60-69 years, female 5.3
GTEX-16XZZ-0726-SM-7KUF2 60-69 years, male 5.3
GTEX-1GMR3-0126-SM-A9SLW 40-49 years, male 5.3
GTEX-1HKZK-0726-SM-ACKW2 40-49 years, male 5.3
GTEX-1R7EU-1626-SM-DTXG3 60-69 years, male 5.3
GTEX-YEC3-1326-SM-DO92X 50-59 years, male 5.3
GTEX-11LCK-2226-SM-5HL4Q 30-39 years, male 5.2
GTEX-13OVL-0126-SM-5L3GJ 50-59 years, male 5.2
GTEX-14PK6-0226-SM-62LF5 70-79 years, female 5.2
GTEX-17HGU-2326-SM-7DUFE 50-59 years, male 5.2
GTEX-183WM-0326-SM-72D5V 70-79 years, female 5.2
GTEX-1CB4F-1026-SM-7DUH1 60-69 years, male 5.2
GTEX-W5X1-2526-SM-3GILC 40-49 years, female 5.2
GTEX-WRHU-2826-SM-3MJG8 50-59 years, female 5.2
GTEX-Z93S-1626-SM-5CVMB 50-59 years, male 5.2
GTEX-1F5PL-0926-SM-7PC2W 40-49 years, female 5.2
GTEX-1F88E-1626-SM-7SB8Z 60-69 years, female 5.2
GTEX-12WSA-0426-SM-5EQ5X 60-69 years, male 5.1
GTEX-131XW-0626-SM-5PNVD 50-59 years, female 5.1
GTEX-13VXT-1926-SM-5K7UO 20-29 years, female 5.1
GTEX-14PJO-2526-SM-6AJBQ 60-69 years, male 5.1
GTEX-15EO6-2426-SM-6PALZ 50-59 years, male 5.1
GTEX-1EN7A-2426-SM-793DB 40-49 years, male 5.1
GTEX-ZTSS-1426-SM-5985P 40-49 years, male 5.1
GTEX-1E2YA-2126-SM-7MXUO 50-59 years, male 5.1
GTEX-1GL5R-1326-SM-7RHHF 50-59 years, male 5.1
GTEX-1H3VE-0726-SM-9YFL5 40-49 years, male 5.1
GTEX-1JN1M-2726-SM-CY8I4 60-69 years, female 5.1
GTEX-1LG7Y-2526-SM-EWRO7 50-59 years, male 5.1
GTEX-139TT-2126-SM-5LZWC 60-69 years, male 5.0
GTEX-139TU-0726-SM-5L3EK 60-69 years, male 5.0
GTEX-13SLX-2226-SM-62LEP 50-59 years, female 5.0
GTEX-15RIG-0726-SM-7KUM7 40-49 years, male 5.0
GTEX-17HHY-0426-SM-7DHLC 50-59 years, male 5.0
GTEX-WK11-2726-SM-3NMAQ 50-59 years, male 5.0
GTEX-XV7Q-1826-SM-4BRUV 40-49 years, female 5.0
GTEX-1A3MX-2626-SM-7PC24 60-69 years, male 5.0
GTEX-1CB4J-1326-SM-7P8RX 60-69 years, male 5.0
GTEX-1NSGN-0726-SM-DTXEF 50-59 years, male 5.0
GTEX-139TS-2126-SM-5K7XC 60-69 years, male 4.9
GTEX-17F96-0126-SM-7EWDU 70-79 years, male 4.9
GTEX-WHPG-2626-SM-3NMBR 50-59 years, male 4.9
GTEX-ZDTS-0826-SM-4WKHL 60-69 years, male 4.9
GTEX-1GMRU-2126-SM-7P8RA 50-59 years, male 4.9
GTEX-1GTWX-2026-SM-9YFLM 60-69 years, male 4.9
GTEX-1LVAM-0726-SM-E6CIL 50-59 years, female 4.9
GTEX-1PBJJ-1026-SM-E76OS 30-39 years, male 4.9
GTEX-ZPIC-0526-SM-DO91W 40-49 years, female 4.9
GTEX-XBED-1926-SM-47JYP 60-69 years, male 4.8
GTEX-1GN1U-0626-SM-9MQL9 50-59 years, female 4.8
GTEX-1I1GV-0626-SM-ARL7M 60-69 years, male 4.8
GTEX-1KXAM-1626-SM-D3LAD 60-69 years, male 4.8
GTEX-1LB8K-0726-SM-D5OV2 50-59 years, male 4.8
GTEX-1QP9N-1226-SM-E76QN 30-39 years, male 4.8
GTEX-1S82P-2126-SM-E6CI5 60-69 years, female 4.8
GTEX-11WQC-1826-SM-5GU59 60-69 years, male 4.7
GTEX-131XG-0326-SM-5L3DX 50-59 years, female 4.7
GTEX-18A6Q-0626-SM-7KFRP 60-69 years, male 4.7
GTEX-VUSG-2326-SM-4KL1U 50-59 years, male 4.7
GTEX-1GMR8-0626-SM-7RHI7 50-59 years, female 4.7
GTEX-11DXY-0126-SM-5H11Q 60-69 years, male 4.6
GTEX-11O72-0626-SM-5PNYE 40-49 years, male 4.6
GTEX-133LE-2326-SM-5K7W3 20-29 years, female 4.6
GTEX-1399U-1126-SM-5L3DB 50-59 years, female 4.6
GTEX-13U4I-2226-SM-5LU5H 40-49 years, female 4.6
GTEX-178AV-1726-SM-7KUL8 40-49 years, male 4.6
GTEX-XQ3S-1426-SM-4BOPR 20-29 years, male 4.6
GTEX-YFCO-1226-SM-5LUAT 40-49 years, male 4.6
GTEX-1F6I4-2326-SM-7RHGL 60-69 years, male 4.6
GTEX-1GZHY-0626-SM-9KNVC 50-59 years, female 4.6
GTEX-1KD5A-0126-SM-E9U54 50-59 years, male 4.6
GTEX-11GSP-2326-SM-5HL63 60-69 years, female 4.5
GTEX-11VI4-1126-SM-5EQMD 40-49 years, female 4.5
GTEX-13QJC-0126-SM-5ZZWJ 60-69 years, female 4.5
GTEX-14B4R-1326-SM-5Q5EZ 30-39 years, male 4.5
GTEX-14E1K-2026-SM-7DUEI 50-59 years, male 4.5
GTEX-1A8G7-1326-SM-73KVM 60-69 years, male 4.5
GTEX-X585-2426-SM-46MW2 50-59 years, male 4.5
GTEX-X5EB-1926-SM-4E3IW 40-49 years, male 4.5
GTEX-13FLV-0126-SM-5K7WT 50-59 years, male 4.4
GTEX-16Z82-2626-SM-7KULU 60-69 years, male 4.4
GTEX-1C2JI-1026-SM-73KY1 50-59 years, male 4.4
GTEX-Y3IK-1626-SM-4YCF5 50-59 years, female 4.4
GTEX-ZDYS-2426-SM-4WKGI 50-59 years, male 4.4
GTEX-1H4P4-2126-SM-9WYSL 50-59 years, male 4.4
GTEX-1IL2V-1926-SM-B2LW8 70-79 years, male 4.4
GTEX-1QMI2-2526-SM-E8VNZ 60-69 years, male 4.4
GTEX-11P81-2226-SM-5PNYI 30-39 years, female 4.3
GTEX-12WSH-1526-SM-5BC5W 50-59 years, male 4.3
GTEX-131XH-0126-SM-5LZUY 50-59 years, male 4.3
GTEX-1AMEY-0826-SM-72D65 30-39 years, female 4.3
GTEX-U8XE-0226-SM-4E3J3 30-39 years, male 4.3
GTEX-WHWD-1826-SM-3LK6I 50-59 years, male 4.3
GTEX-X4EO-2926-SM-4E3JH 60-69 years, female 4.3
GTEX-XBEW-1126-SM-4QARW 40-49 years, male 4.3
GTEX-XYKS-1426-SM-4BRUO 60-69 years, female 4.3
GTEX-1J8Q2-2626-SM-ACKWQ 60-69 years, male 4.3
GTEX-1LBAC-0826-SM-CY8IJ 20-29 years, male 4.3
GTEX-13RTJ-0126-SM-5S2NN 60-69 years, male 4.2
GTEX-144GM-0526-SM-79OJO 20-29 years, male 4.2
GTEX-14PHX-2226-SM-6EU2P 50-59 years, male 4.2
GTEX-16YQH-2226-SM-7IGM2 30-39 years, male 4.2
GTEX-1C6WA-2626-SM-7MKGM 60-69 years, male 4.2
GTEX-Y8E4-2026-SM-5IFJB 40-49 years, male 4.2
GTEX-ZP4G-1426-SM-4WWCL 20-29 years, female 4.2
GTEX-1F5PK-2226-SM-7SB6N 50-59 years, male 4.2
GTEX-1GN73-0726-SM-7P8TJ 60-69 years, male 4.2
GTEX-1H1DG-2426-SM-9QEHJ 70-79 years, male 4.2
GTEX-1ICLZ-0326-SM-ARL82 60-69 years, male 4.2
GTEX-1KAFJ-0126-SM-DIPEK 50-59 years, male 4.2
GTEX-1LSVX-2526-SM-DIPEU 60-69 years, male 4.2
GTEX-1RMOY-1326-SM-E9TIH 50-59 years, male 4.2
GTEX-13112-0126-SM-5P9IU 50-59 years, male 4.1
GTEX-WI4N-2726-SM-3LK7Y 40-49 years, female 4.1
GTEX-XQ8I-0926-SM-4BOOF 50-59 years, male 4.1
GTEX-ZTTD-2826-SM-4YCFA 50-59 years, male 4.1
GTEX-ZZPU-0826-SM-5GZX5 50-59 years, female 4.1
GTEX-1HBPN-0126-SM-CGQEF 50-59 years, male 4.1
GTEX-1LVAN-0626-SM-CNPOQ 50-59 years, female 4.1
GTEX-1QW4Y-1126-SM-DTXE3 30-39 years, male 4.1
GTEX-1S82U-1026-SM-E6CJK 30-39 years, female 4.1
GTEX-139D8-1126-SM-5LU8W 30-39 years, female 4.0
GTEX-13NZ8-1226-SM-5KM4A 60-69 years, female 4.0
GTEX-15RJE-2826-SM-7KUM9 40-49 years, male 4.0
GTEX-16NGA-0726-SM-731AO 40-49 years, female 4.0
GTEX-V1D1-2026-SM-3GAF4 50-59 years, male 4.0
GTEX-ZAK1-0626-SM-5HL8E 50-59 years, female 4.0
GTEX-1K9T9-1526-SM-DIPFR 50-59 years, female 4.0
GTEX-1POEN-2326-SM-E9J2L 30-39 years, female 4.0
GTEX-12126-0826-SM-5FQTZ 20-29 years, male 3.9
GTEX-12ZZY-0726-SM-5EQ66 60-69 years, male 3.9
GTEX-15CHR-1126-SM-7EWF4 50-59 years, male 3.9
GTEX-15RJ7-2126-SM-6PAMD 40-49 years, male 3.9
GTEX-1C475-1326-SM-7SB73 40-49 years, female 3.9
GTEX-1EMGI-2326-SM-7PBYA 60-69 years, male 3.9
GTEX-1HFI6-0126-SM-CNPPI 40-49 years, male 3.9
GTEX-1HSMP-0926-SM-A9SKX 70-79 years, male 3.9
GTEX-1QPFJ-1926-SM-EVYBD 30-39 years, female 3.9
GTEX-11TUW-0626-SM-5LU9M 60-69 years, male 3.8
GTEX-1313W-0626-SM-5EQ4H 50-59 years, female 3.8
GTEX-13OW5-2326-SM-5L3HO 60-69 years, male 3.8
GTEX-13SLW-0626-SM-5Q5ER 70-79 years, male 3.8
GTEX-13W3W-0726-SM-5IJDQ 60-69 years, female 3.8
GTEX-14A6H-2026-SM-5Q5DD 30-39 years, male 3.8
GTEX-15FZZ-0526-SM-7KUGD 30-39 years, female 3.8
GTEX-16MTA-0926-SM-6M47Z 50-59 years, male 3.8
GTEX-17EVP-2626-SM-7IGMA 40-49 years, male 3.8
GTEX-1CAMQ-1326-SM-7P8RV 40-49 years, male 3.8
GTEX-1F88F-0126-SM-9WYSZ 60-69 years, female 3.8
GTEX-1JN76-0626-SM-CKZOQ 20-29 years, female 3.8
GTEX-1269C-0126-SM-5EQ5L 60-69 years, female 3.7
GTEX-14LZ3-0126-SM-69LPM 60-69 years, female 3.7
GTEX-1B8KE-1126-SM-7EPHI 50-59 years, male 3.7
GTEX-1EX96-1026-SM-7MKG2 50-59 years, male 3.7
GTEX-ZE9C-2526-SM-5IJDR 60-69 years, male 3.7
GTEX-14JFF-0626-SM-5ZZVT 60-69 years, male 3.7
GTEX-1F75A-0726-SM-7RHHD 50-59 years, male 3.7
GTEX-1K2DA-1026-SM-CGQGF 50-59 years, male 3.7
GTEX-13X6J-0626-SM-5LU5F 50-59 years, male 3.6
GTEX-14ABY-2026-SM-62LDL 50-59 years, male 3.6
GTEX-17F9Y-0126-SM-79OKX 70-79 years, female 3.6
GTEX-WXYG-2026-SM-4E3IY 50-59 years, female 3.6
GTEX-ZPU1-1126-SM-4YCF3 40-49 years, male 3.6
GTEX-ZYVF-0926-SM-5E44J 50-59 years, female 3.6
GTEX-1K2DU-1226-SM-CYPT4 20-29 years, male 3.6
GTEX-1PDJ9-1226-SM-EXUSX 20-29 years, male 3.6
GTEX-1PIIG-2326-SM-DTXFR 30-39 years, male 3.6
GTEX-1R9PN-0426-SM-DTXDT 40-49 years, female 3.6
GTEX-11WQK-1026-SM-5EQLX 50-59 years, male 3.5
GTEX-12ZZX-2426-SM-5GCOE 40-49 years, female 3.5
GTEX-13PL6-1126-SM-5L3IE 40-49 years, female 3.5
GTEX-14BIN-1126-SM-5RQJZ 50-59 years, female 3.5
GTEX-1B8KZ-0326-SM-73KY4 50-59 years, male 3.5
GTEX-XAJ8-1426-SM-47JYM 40-49 years, male 3.5
GTEX-1H23P-0626-SM-9WG6T 60-69 years, male 3.5
GTEX-1HSMQ-2626-SM-A9SML 50-59 years, male 3.5
GTEX-13FHO-0426-SM-5L3F5 60-69 years, male 3.4
GTEX-13FTW-0326-SM-5K7UW 40-49 years, male 3.4
GTEX-13FTX-1526-SM-5K7VJ 20-29 years, female 3.4
GTEX-13FTY-2126-SM-5IFFB 40-49 years, female 3.4
GTEX-13NYB-0126-SM-5J1MD 40-49 years, male 3.4
GTEX-148VJ-0626-SM-5LUAW 70-79 years, male 3.4
GTEX-15G1A-1626-SM-7KUKN 30-39 years, male 3.4
GTEX-WY7C-2126-SM-3NB2R 50-59 years, male 3.4
GTEX-1CAMS-2226-SM-7PBXQ 40-49 years, female 3.4
GTEX-1IDJV-0126-SM-COH3Y 60-69 years, male 3.4
GTEX-11DYG-1526-SM-5A5JS 60-69 years, male 3.3
GTEX-1212Z-0126-SM-59HK4 60-69 years, male 3.3
GTEX-13VXU-0626-SM-5L3F9 50-59 years, male 3.3
GTEX-147F4-0726-SM-5TDDD 50-59 years, male 3.3
GTEX-14JG1-1526-SM-5YY9X 40-49 years, male 3.3
GTEX-15G19-2426-SM-7KUMR 60-69 years, male 3.3
GTEX-17F97-2626-SM-7IGM5 50-59 years, male 3.3
GTEX-17KNJ-2126-SM-718AM 50-59 years, male 3.3
GTEX-18A67-1626-SM-7LT9T 50-59 years, male 3.3
GTEX-XXEK-1626-SM-4BRUZ 50-59 years, male 3.3
GTEX-ZDTT-0426-SM-4WKFL 60-69 years, male 3.3
GTEX-ZYT6-2326-SM-5GZY3 30-39 years, male 3.3
GTEX-1HCUA-0826-SM-ADEHM 50-59 years, female 3.3
GTEX-11NUK-2726-SM-5A5MC 50-59 years, male 3.2
GTEX-Y9LG-1126-SM-4VBQ7 30-39 years, male 3.2
GTEX-1F6RS-2026-SM-7RHHC 60-69 years, female 3.2
GTEX-1GZ4H-0526-SM-9KNU9 50-59 years, female 3.2
GTEX-1HCU6-2526-SM-ADEHL 60-69 years, female 3.2
GTEX-1RAZS-2526-SM-E6CHT 50-59 years, male 3.2
GTEX-ZLV1-1526-SM-DO91J 60-69 years, female 3.2
GTEX-139UW-0326-SM-5J1ML 60-69 years, male 3.1
GTEX-1C6VQ-1226-SM-73KYD 50-59 years, male 3.1
GTEX-UPJH-0226-SM-3GADV 50-59 years, male 3.1
GTEX-WFG7-2026-SM-5SI7P 20-29 years, male 3.1
GTEX-1I1GS-2626-SM-B2LY3 60-69 years, male 3.1
GTEX-1PPGY-1626-SM-EVYBL 60-69 years, male 3.1
GTEX-1QAET-0326-SM-EVR3U 50-59 years, male 3.1
GTEX-11ZU8-0126-SM-5EQ58 60-69 years, male 3.0
GTEX-14ICL-1626-SM-5YYAO 30-39 years, male 3.0
GTEX-15SKB-2826-SM-6PAMH 60-69 years, male 3.0
GTEX-1CB4E-0926-SM-7EPHT 60-69 years, male 3.0
GTEX-1J8QM-2426-SM-A9SLS 60-69 years, female 3.0
GTEX-1JJEA-1826-SM-ARU8P 60-69 years, male 3.0
GTEX-1QCLY-0226-SM-EWRNH 30-39 years, male 3.0
GTEX-11GS4-0226-SM-5HL77 60-69 years, male 2.9
GTEX-13D11-0926-SM-5J2NC 50-59 years, female 2.9
GTEX-14PJ6-2626-SM-6EU2T 60-69 years, female 2.9
GTEX-16MT9-0126-SM-7EPI8 60-69 years, female 2.9
GTEX-18D9U-0126-SM-731BM 40-49 years, male 2.9
GTEX-1A8G6-2726-SM-731AR 60-69 years, male 2.9
GTEX-YECK-0326-SM-4W1YS 60-69 years, male 2.9
GTEX-1GN1V-2826-SM-9JGIA 60-69 years, male 2.9
GTEX-1GN1W-2426-SM-9KNUU 50-59 years, female 2.9
GTEX-1H2FU-0926-SM-9WPPT 60-69 years, female 2.9
GTEX-1J8EW-2726-SM-CY8HR 60-69 years, female 2.9
GTEX-1JMQJ-0826-SM-CNPP7 50-59 years, male 2.9
GTEX-13JVG-0726-SM-5KM16 60-69 years, male 2.8
GTEX-13OW7-0426-SM-5K7VK 50-59 years, male 2.8
GTEX-145LU-1926-SM-79OJN 50-59 years, male 2.8
GTEX-1122O-1026-SM-9WYSF 60-69 years, female 2.8
GTEX-1AYD5-2626-SM-7PBXY 50-59 years, male 2.8
GTEX-1HBPI-2126-SM-ARL9K 50-59 years, male 2.8
GTEX-1HT8W-0626-SM-A9G2H 30-39 years, male 2.8
GTEX-1I1GU-0926-SM-ACKVS 40-49 years, male 2.8
GTEX-111CU-1126-SM-5EGIM 50-59 years, male 2.7
GTEX-12WSJ-1126-SM-5LZVJ 40-49 years, female 2.7
GTEX-1GPI6-1926-SM-9KNV7 60-69 years, male 2.7
GTEX-1HGF4-0126-SM-CNPPX 60-69 years, male 2.7
GTEX-1MCYP-0526-SM-E9U6Q 20-29 years, female 2.7
GTEX-1N2EE-0626-SM-E76PW 60-69 years, male 2.7
GTEX-11DXX-2126-SM-5PNYR 60-69 years, female 2.6
GTEX-1399S-0126-SM-5IJCF 30-39 years, female 2.6
GTEX-13PDP-0726-SM-5L3HP 60-69 years, male 2.6
GTEX-14C38-0726-SM-5SI6M 50-59 years, male 2.6
GTEX-14PJ3-1126-SM-5ZZVX 50-59 years, male 2.6
GTEX-1AX9I-2226-SM-73KUO 60-69 years, male 2.6
GTEX-1B97I-0626-SM-73KUZ 40-49 years, male 2.6
GTEX-1EKGG-0626-SM-7DUGJ 60-69 years, male 2.6
GTEX-ZY6K-1426-SM-5GZX2 50-59 years, male 2.6
GTEX-1B8L1-2226-SM-7P8PT 60-69 years, male 2.6
GTEX-1GZ4I-2626-SM-9KNU3 50-59 years, male 2.6
GTEX-1IY9M-2826-SM-ARU8H 60-69 years, male 2.6
GTEX-1J1OQ-0126-SM-D4P2N 40-49 years, female 2.6
GTEX-1JK1U-0226-SM-ARZMX 60-69 years, male 2.6
GTEX-1JMPY-0226-SM-CKZOK 30-39 years, male 2.6
GTEX-1R9PM-1926-SM-EVR3O 20-29 years, male 2.6
GTEX-13O61-1426-SM-5KM3D 60-69 years, male 2.5
GTEX-18QFQ-1826-SM-72D52 30-39 years, male 2.5
GTEX-1BAJH-2426-SM-7IGP8 70-79 years, male 2.5
GTEX-1EU9M-1426-SM-793AI 60-69 years, male 2.5
GTEX-X8HC-0626-SM-4E3HQ 50-59 years, female 2.5
GTEX-1GF9V-0826-SM-9KNUV 60-69 years, male 2.5
GTEX-1H1DE-1326-SM-9KNUG 20-29 years, male 2.5
GTEX-144GL-0626-SM-5LU4D 50-59 years, male 2.4
GTEX-145MH-2826-SM-5RQJF 50-59 years, male 2.4
GTEX-14PHY-1226-SM-5ZZWK 60-69 years, female 2.4
GTEX-Y3I4-1726-SM-4TT89 50-59 years, male 2.4
GTEX-ZTX8-1326-SM-4YCEL 20-29 years, male 2.4
GTEX-1C6VR-0126-SM-7RHGB 60-69 years, male 2.4
GTEX-1H3O1-1326-SM-9MQLD 60-69 years, male 2.4
GTEX-1HSGN-0826-SM-ACKW3 40-49 years, female 2.4
GTEX-1QP28-1126-SM-EVYC4 50-59 years, female 2.4
GTEX-13O3Q-0126-SM-5KM34 50-59 years, male 2.3
GTEX-144FL-0626-SM-5LU43 50-59 years, male 2.3
GTEX-14BMV-2826-SM-5TDED 50-59 years, male 2.3
GTEX-ZPCL-1126-SM-4WWFE 60-69 years, female 2.3
GTEX-1OJC4-2726-SM-E76PJ 50-59 years, female 2.3
GTEX-ZF3C-0626-SM-DO92O 50-59 years, female 2.3
GTEX-14XAO-1226-SM-6EU1C 60-69 years, female 2.2
GTEX-ZF29-0926-SM-4WKFZ 60-69 years, female 2.2
GTEX-1R46S-2426-SM-E76QA 60-69 years, female 2.2
GTEX-14C39-1726-SM-5RQIL 40-49 years, male 2.1
GTEX-15DDE-2926-SM-6LLJ3 50-59 years, female 2.1
GTEX-1PPH8-0126-SM-EWRN8 20-29 years, male 2.1
GTEX-ZT9X-1526-SM-5DUXD 40-49 years, male 2.0
GTEX-ZVZP-1226-SM-5GID7 50-59 years, male 2.0
GTEX-13IVO-0726-SM-5LZYV 70-79 years, male 1.9
GTEX-Y114-2126-SM-4TT8B 50-59 years, female 1.9
GTEX-ZYY3-2926-SM-5GIEB 60-69 years, female 1.9
GTEX-1HR9M-2226-SM-CNPPY 60-69 years, male 1.9
GTEX-11DXZ-2026-SM-5987S 50-59 years, male 1.8
GTEX-11ZUS-2626-SM-5FQUR 30-39 years, male 1.8
GTEX-13G51-1826-SM-5KLZH 60-69 years, male 1.8
GTEX-13OW6-2726-SM-5J2OE 50-59 years, male 1.8
GTEX-1IKJJ-2226-SM-CJI4C 60-69 years, male 1.8
GTEX-1NV5F-0626-SM-DTXEG 60-69 years, female 1.8
GTEX-1IOXB-2726-SM-CM2RI 50-59 years, male 1.7
GTEX-1N2DV-1526-SM-DTXEP 40-49 years, male 1.7
GTEX-1I1GT-1026-SM-ARZLV 60-69 years, female 1.6
GTEX-1S3DN-2126-SM-E9TIN 50-59 years, male 1.6
GTEX-1B8SF-0126-SM-7DUG3 60-69 years, male 1.5
GTEX-1GF9X-1326-SM-7PC2Y 40-49 years, female 1.5
GTEX-11OF3-0126-SM-5PNYF 60-69 years, male 1.4
GTEX-1H11D-1826-SM-9QEHM 40-49 years, male 1.4
GTEX-1HCU7-0726-SM-A9SL1 50-59 years, male 1.4
GTEX-111VG-1626-SM-5EGIO 60-69 years, male 1.3
GTEX-1QP2A-1726-SM-E76QC 50-59 years, male 1.3
GTEX-1S83E-1326-SM-E6CJM 40-49 years, male 1.3
GTEX-1399Q-2326-SM-5KM2X 40-49 years, male 1.2
GTEX-Y111-0626-SM-4SOIT 50-59 years, male 1.2
GTEX-1RAZQ-1326-SM-E9TK6 30-39 years, male 1.2
GTEX-11PRG-0726-SM-5EGL1 50-59 years, male 1.1
GTEX-1OJC3-1226-SM-DTXER 20-29 years, male 1.1
GTEX-14PJ4-0226-SM-5YY92 60-69 years, male 1.0
GTEX-WHSB-1326-SM-3LK6W 50-59 years, male 0.7
Show allShow less
Skin - Sun Exposed (Lower leg)
Average nTPM: 7.9
Samples: 701

Max nTPM: 237.2
Min nTPM: 1.1
Std nTPM: 9.8
Median nTPM: 6.6
GTEX-SE5C-1626-SM-2XCE3 40-49 years, female 237.2
GTEX-146FR-1326-SM-E9J48 60-69 years, female 54.1
GTEX-1RAZQ-0726-SM-EAZ43 30-39 years, male 37.2
GTEX-1I1HK-0126-SM-COH49 60-69 years, male 28.8
GTEX-1HUB1-0426-SM-E9U4U 60-69 years, male 27.7
GTEX-ZZPT-0226-SM-5E43X 50-59 years, male 26.3
GTEX-1QP67-1626-SM-EAZ3X 40-49 years, female 26.0
GTEX-1F6I4-0126-SM-9MQL2 60-69 years, male 25.6
GTEX-145LT-1726-SM-5QGP3 40-49 years, male 25.4
GTEX-15EOM-0126-SM-7KUGG 20-29 years, female 25.3
GTEX-1OJC4-0126-SM-E9J2E 50-59 years, female 25.1
GTEX-1GN1W-0526-SM-9MQJQ 50-59 years, female 24.6
GTEX-1AYD5-2426-SM-73KXR 50-59 years, male 24.5
GTEX-147F4-0226-SM-5QGPW 50-59 years, male 22.5
GTEX-14JIY-0126-SM-6LLH6 60-69 years, male 22.2
GTEX-V1D1-2226-SM-3NMAX 50-59 years, male 22.0
GTEX-1AYCT-2426-SM-7IGQ3 50-59 years, male 21.9
GTEX-RUSQ-1526-SM-2TF62 50-59 years, male 21.2
GTEX-131XG-2626-SM-5KM17 50-59 years, female 20.0
GTEX-ZEX8-2426-SM-4WKG4 50-59 years, male 18.9
GTEX-12WSN-5019-SM-79OM6 40-49 years, male 18.7
GTEX-14LLW-0126-SM-6LLIO 70-79 years, female 18.4
GTEX-1QCLY-0326-SM-E8VOG 30-39 years, male 18.3
GTEX-148VJ-0126-SM-5TDDN 70-79 years, male 18.0
GTEX-14DAR-2026-SM-5S2O3 50-59 years, male 17.0
GTEX-1AX9K-2326-SM-73KWU 50-59 years, male 17.0
GTEX-11ZUS-0626-SM-59885 30-39 years, male 16.9
GTEX-1JMOU-1526-SM-CL54I 60-69 years, female 16.9
GTEX-14PN3-2426-SM-6LLHS 60-69 years, female 16.7
GTEX-X62O-0126-SM-4E3JN 50-59 years, male 16.6
GTEX-1HBPH-0426-SM-B2LW5 40-49 years, female 16.5
GTEX-1RLM8-2326-SM-EWRN4 50-59 years, male 16.3
GTEX-139T4-0226-SM-5HL5S 50-59 years, female 15.8
GTEX-1HSMO-0126-SM-CL547 60-69 years, male 15.8
GTEX-1QP29-0626-SM-EWRMX 50-59 years, male 15.6
GTEX-1F48J-0126-SM-7P8TT 50-59 years, female 15.4
GTEX-14BIM-0226-SM-7IGLD 60-69 years, female 15.2
GTEX-WH7G-2326-SM-3NMBC 40-49 years, male 15.2
GTEX-11GSP-2526-SM-5N9BP 60-69 years, female 15.1
GTEX-Q734-1926-SM-2I5EV 40-49 years, female 15.1
GTEX-ZUA1-0126-SM-5GU76 40-49 years, male 15.0
GTEX-1LNCM-1126-SM-E9U5E 50-59 years, female 15.0
GTEX-1QW4Y-1526-SM-EAZ3Z 30-39 years, male 15.0
GTEX-14A6H-0126-SM-5QGPK 30-39 years, male 14.9
GTEX-1AMEY-1326-SM-73KYK 30-39 years, female 14.9
GTEX-1NHNU-1026-SM-E9J2A 50-59 years, male 14.8
GTEX-1H1ZS-0426-SM-9WG6G 70-79 years, male 14.6
GTEX-ZF28-0126-SM-4WKGK 60-69 years, male 14.5
GTEX-139TT-0126-SM-5K7Y5 60-69 years, male 14.4
GTEX-1PIGE-0126-SM-EVYBJ 20-29 years, male 13.9
GTEX-13NYB-2526-SM-5K7Z6 40-49 years, male 13.6
GTEX-13W46-0226-SM-5SIAG 50-59 years, male 13.5
GTEX-13FTX-1826-SM-5J1NX 20-29 years, female 13.4
GTEX-113IC-0126-SM-5HL6T 60-69 years, male 13.3
GTEX-1R9PO-2126-SM-E9J4O 60-69 years, female 13.3
GTEX-13NZA-0226-SM-5K7Z7 60-69 years, male 13.2
GTEX-183FY-0126-SM-7LT9P 20-29 years, male 13.0
GTEX-14BIL-0126-SM-5SI92 50-59 years, male 12.8
GTEX-U4B1-1826-SM-4DXSU 40-49 years, male 12.8
GTEX-131XW-0426-SM-5LZWP 50-59 years, female 12.7
GTEX-14E6C-0126-SM-5RQIP 40-49 years, male 12.7
GTEX-R45C-0126-SM-EAZ2R 60-69 years, female 12.7
GTEX-XUW1-0426-SM-4BOOT 50-59 years, female 12.5
GTEX-14C5O-0126-SM-5SI6N 60-69 years, male 12.4
GTEX-1C6VS-0526-SM-7DUEN 60-69 years, male 12.4
GTEX-1JMQK-0226-SM-CL543 60-69 years, male 12.4
GTEX-1LC47-0326-SM-E9TJP 60-69 years, male 12.4
GTEX-1MGNQ-0126-SM-EVYCJ 40-49 years, male 12.4
GTEX-1H3NZ-0126-SM-ACKX7 60-69 years, male 12.3
GTEX-RTLS-0126-SM-447CA 60-69 years, female 12.2
GTEX-1MCYP-1926-SM-E9J2R 20-29 years, female 12.2
GTEX-139D8-0226-SM-5KLZO 30-39 years, female 12.0
GTEX-14JG6-2226-SM-6EU2G 30-39 years, female 12.0
GTEX-11DZ1-0126-SM-5985Q 50-59 years, male 11.9
GTEX-OXRL-0126-SM-2YUMP 50-59 years, male 11.9
GTEX-1KD5A-0226-SM-D5OV3 50-59 years, male 11.9
GTEX-1POEN-0126-SM-EYYXJ 30-39 years, female 11.9
GTEX-11TTK-0126-SM-5987B 60-69 years, female 11.8
GTEX-11VI4-1726-SM-5CVLH 40-49 years, female 11.8
GTEX-1IDFM-0126-SM-COH2V 60-69 years, male 11.8
GTEX-1MUQO-0126-SM-EAZ58 60-69 years, male 11.7
GTEX-1R7EV-2426-SM-EVYBG 40-49 years, male 11.7
GTEX-144GN-2326-SM-5LU4F 50-59 years, male 11.6
GTEX-14PHW-0126-SM-6LLJI 60-69 years, female 11.6
GTEX-1C2JI-1826-SM-73KXC 50-59 years, male 11.6
GTEX-ZDTT-2726-SM-4WKF8 60-69 years, male 11.6
GTEX-1GTWX-0126-SM-9YFLK 60-69 years, male 11.6
GTEX-11P7K-2126-SM-5GU7G 30-39 years, male 11.5
GTEX-15SHW-0326-SM-6PAML 60-69 years, male 11.5
GTEX-1LBAC-0126-SM-DIPEZ 20-29 years, male 11.5
GTEX-1PPH7-2326-SM-EVYB8 40-49 years, male 11.5
GTEX-Y8LW-1826-SM-5S2MV 50-59 years, female 11.2
GTEX-1H1E6-1726-SM-ACKVK 30-39 years, male 11.1
GTEX-1IE54-0126-SM-CMKHW 40-49 years, female 11.1
GTEX-1N2DV-0226-SM-E6CJ6 40-49 years, male 11.1
GTEX-11P82-1626-SM-59879 20-29 years, male 11.0
GTEX-P4PQ-0126-SM-2S1NM 60-69 years, male 11.0
GTEX-SUCS-1926-SM-32PM3 70-79 years, male 11.0
GTEX-ZTPG-0326-SM-5O9AX 20-29 years, female 11.0
GTEX-1A3MV-1926-SM-718BT 30-39 years, male 10.9
GTEX-1RQEC-0426-SM-E6CHU 60-69 years, male 10.9
GTEX-14E7W-0126-SM-6LLJ9 70-79 years, male 10.8
GTEX-17EUY-0426-SM-793BD 20-29 years, male 10.8
GTEX-VJWN-0126-SM-3GIK7 50-59 years, female 10.8
GTEX-ZE7O-0126-SM-57WC1 50-59 years, female 10.8
GTEX-1S82Z-0826-SM-E6CHY 30-39 years, female 10.8
GTEX-113JC-2326-SM-5EQ4E 50-59 years, female 10.7
GTEX-11EM3-2426-SM-59861 20-29 years, female 10.7
GTEX-17HHE-2026-SM-79OKF 50-59 years, male 10.7
GTEX-OOBK-0126-SM-2YUND 40-49 years, male 10.7
GTEX-OXRP-0126-SM-3NB32 60-69 years, female 10.7
GTEX-Q2AG-0126-SM-33HBV 40-49 years, female 10.7
GTEX-1M4P7-0226-SM-DIPEV 60-69 years, male 10.7
GTEX-14ABY-0226-SM-5TDCQ 50-59 years, male 10.6
GTEX-QCQG-1726-SM-3GIJ9 50-59 years, female 10.6
GTEX-WOFL-0126-SM-3MJG2 60-69 years, male 10.6
GTEX-1F75I-0326-SM-9YFLU 40-49 years, male 10.6
GTEX-13VXT-0126-SM-5LU4I 20-29 years, female 10.5
GTEX-18A7B-0126-SM-7LG64 70-79 years, male 10.5
GTEX-1AX8Z-0126-SM-7DHM6 60-69 years, male 10.5
GTEX-O5YW-0126-SM-3LK6D 50-59 years, male 10.5
GTEX-11H98-0126-SM-5EGHG 50-59 years, male 10.4
GTEX-11WQC-2526-SM-5CVLE 60-69 years, male 10.4
GTEX-139T8-0126-SM-5K7XZ 60-69 years, male 10.4
GTEX-13OVI-1426-SM-5L3EY 60-69 years, female 10.4
GTEX-SNMC-1226-SM-2XCFP 20-29 years, male 10.3
GTEX-1IY9M-0126-SM-D3L8S 60-69 years, male 10.3
GTEX-1MA7X-2226-SM-E6CIY 60-69 years, male 10.3
GTEX-13OW7-0126-SM-5MR3B 50-59 years, male 10.2
GTEX-13QJ3-0326-SM-5S2RA 50-59 years, male 10.2
GTEX-1A3MW-0126-SM-73KXX 60-69 years, female 10.2
GTEX-ZE9C-2726-SM-57WB5 60-69 years, male 10.2
GTEX-ZVT3-0126-SM-5GU6I 60-69 years, female 10.2
GTEX-1HCUA-2426-SM-ADEIS 50-59 years, female 10.2
GTEX-15DYW-0126-SM-7KULE 60-69 years, female 10.1
GTEX-SSA3-0126-SM-32QPU 60-69 years, male 10.1
GTEX-11EMC-2926-SM-5EQ4F 60-69 years, female 10.0
GTEX-1211K-2026-SM-5EQ4Z 60-69 years, female 10.0
GTEX-R55G-2526-SM-2TC6D 40-49 years, female 10.0
GTEX-1I19N-0326-SM-ACKVX 70-79 years, male 10.0
GTEX-117YX-2326-SM-5H12W 50-59 years, male 9.9
GTEX-13OW8-1326-SM-5J1OW 60-69 years, male 9.9
GTEX-ZDYS-2026-SM-5HL5L 50-59 years, male 9.9
GTEX-1IGQW-0126-SM-COH42 60-69 years, male 9.9
GTEX-1JJE9-0326-SM-CL53Z 70-79 years, male 9.9
GTEX-OXRO-0126-SM-2YUN4 60-69 years, female 9.8
GTEX-S95S-1226-SM-4GICG 60-69 years, male 9.8
GTEX-U3ZM-1526-SM-3DB9D 40-49 years, male 9.8
GTEX-1PBJI-0526-SM-E8VNK 20-29 years, female 9.8
GTEX-12WSL-2526-SM-5GCNJ 50-59 years, male 9.7
GTEX-16XZY-2126-SM-79OK1 70-79 years, male 9.6
GTEX-1H3O1-0426-SM-9YFKY 60-69 years, male 9.6
GTEX-15SDE-2226-SM-7IGLO 50-59 years, female 9.5
GTEX-QDT8-0126-SM-48TZ1 30-39 years, female 9.5
GTEX-WFG8-2226-SM-3GIL9 20-29 years, male 9.5
GTEX-1C6WA-0126-SM-7PC2B 60-69 years, male 9.5
GTEX-11DXX-2426-SM-5GZZW 60-69 years, female 9.4
GTEX-12WSD-0126-SM-59HKN 60-69 years, female 9.4
GTEX-13N1W-0126-SM-5K7VT 70-79 years, male 9.4
GTEX-13O1R-0126-SM-5L3EH 60-69 years, male 9.4
GTEX-1497J-2426-SM-7IGNX 60-69 years, male 9.4
GTEX-1I1GP-2226-SM-CGQFK 50-59 years, male 9.4
GTEX-1JKYN-1326-SM-CGQG9 30-39 years, male 9.4
GTEX-12KS4-0326-SM-5EQ41 30-39 years, male 9.3
GTEX-146FH-0126-SM-5QGPP 50-59 years, female 9.3
GTEX-RWS6-2026-SM-2XCB5 60-69 years, female 9.3
GTEX-T8EM-1026-SM-3DB7M 40-49 years, male 9.3
GTEX-ZAB4-0226-SM-5N9F5 40-49 years, male 9.3
GTEX-1GN1V-0126-SM-9WPOS 60-69 years, male 9.3
GTEX-1J1R8-1726-SM-ARL8M 40-49 years, male 9.3
GTEX-1QP2A-0126-SM-E9J43 50-59 years, male 9.3
GTEX-13OVJ-0126-SM-5KM36 50-59 years, female 9.2
GTEX-17MF6-0126-SM-7LG4F 40-49 years, male 9.2
GTEX-PLZ4-0126-SM-5SI8O 50-59 years, female 9.2
GTEX-ZAB5-1826-SM-5HL7C 50-59 years, male 9.2
GTEX-ZYW4-0126-SM-5E44A 60-69 years, male 9.2
GTEX-1EKGG-0226-SM-9WYTH 60-69 years, male 9.2
GTEX-1HSMP-0126-SM-E6CJS 70-79 years, male 9.2
GTEX-11OC5-0126-SM-5HL6A 60-69 years, male 9.1
GTEX-17MFQ-1726-SM-793C7 20-29 years, male 9.1
GTEX-Q2AI-1326-SM-2S1PL 40-49 years, male 9.1
GTEX-1RAZA-0126-SM-E6CI3 20-29 years, male 9.1
GTEX-13NZ8-0826-SM-5MR3I 60-69 years, female 9.0
GTEX-13X6I-0626-SM-5QGP9 60-69 years, male 9.0
GTEX-1H3VE-0326-SM-9YFLH 40-49 years, male 9.0
GTEX-15D1Q-0126-SM-7KUG6 40-49 years, male 8.9
GTEX-R55E-0126-SM-2TC5Y 20-29 years, male 8.9
GTEX-RN64-0126-SM-2TC68 50-59 years, male 8.9
GTEX-XAJ8-0826-SM-47JY6 40-49 years, male 8.9
GTEX-1A8FM-0226-SM-7SB7Q 50-59 years, female 8.9
GTEX-1HCU6-0126-SM-CL54K 60-69 years, female 8.9
GTEX-PW2O-1526-SM-7RHHB 20-29 years, male 8.9
GTEX-148VI-1626-SM-5SI6E 60-69 years, female 8.8
GTEX-14A5I-0126-SM-5TDEA 50-59 years, female 8.8
GTEX-OHPM-0126-SM-2YUN9 50-59 years, male 8.8
GTEX-1C6VQ-0126-SM-7P8RI 50-59 years, male 8.8
GTEX-1QP66-1726-SM-E8VO1 50-59 years, male 8.8
GTEX-1192W-2626-SM-5Q5AF 60-69 years, male 8.7
GTEX-13IVO-0126-SM-5J1NG 70-79 years, male 8.7
GTEX-14BMU-2226-SM-5TDE9 20-29 years, female 8.7
GTEX-OXRK-0226-SM-3NB2G 50-59 years, female 8.7
GTEX-X4EO-0326-SM-3P5YO 60-69 years, female 8.7
GTEX-1C64O-0126-SM-7SB8P 60-69 years, male 8.7
GTEX-1ICG6-2526-SM-CGQFZ 70-79 years, female 8.7
GTEX-PLZ6-1426-SM-DKPOT 30-39 years, male 8.7
GTEX-11ZU8-2526-SM-5EQKI 60-69 years, male 8.6
GTEX-WZTO-0126-SM-3NM95 40-49 years, male 8.6
GTEX-1H23P-0126-SM-ADEJ3 60-69 years, male 8.6
GTEX-1N2EF-0226-SM-EYYXB 60-69 years, male 8.6
GTEX-11LCK-1026-SM-5A5KB 30-39 years, male 8.5
GTEX-1AMFI-2026-SM-731BH 50-59 years, female 8.5
GTEX-SN8G-0126-SM-32PLI 50-59 years, female 8.5
GTEX-X638-0126-SM-47JZ8 70-79 years, female 8.5
GTEX-1I1GR-0126-SM-CL55F 60-69 years, male 8.5
GTEX-1MCQQ-0826-SM-DLHC2 60-69 years, male 8.5
GTEX-1R46S-0626-SM-E9J41 60-69 years, female 8.5
GTEX-1A32A-0126-SM-718B1 50-59 years, female 8.4
GTEX-Z9EW-1626-SM-5CVMN 40-49 years, male 8.4
GTEX-11DXW-0226-SM-5H122 40-49 years, male 8.3
GTEX-18A66-0226-SM-718BD 60-69 years, male 8.3
GTEX-18QFQ-0126-SM-731BE 30-39 years, male 8.3
GTEX-RU72-0926-SM-2TF6B 50-59 years, female 8.3
GTEX-T2YK-0526-SM-32QPJ 50-59 years, male 8.3
GTEX-X585-0226-SM-4QAS2 50-59 years, male 8.3
GTEX-1F6IF-0726-SM-7P8TW 60-69 years, male 8.3
GTEX-1J8QM-2126-SM-CYPSJ 60-69 years, female 8.3
GTEX-1LGRB-2526-SM-CNPPQ 50-59 years, female 8.3
GTEX-13N11-2526-SM-5K7UE 50-59 years, female 8.2
GTEX-17GQL-2026-SM-718BA 60-69 years, male 8.2
GTEX-YEC4-2126-SM-5IFJH 40-49 years, male 8.2
GTEX-ZDTS-0126-SM-4WAY5 60-69 years, male 8.2
GTEX-1CB4G-0226-SM-7PC3O 60-69 years, male 8.2
GTEX-1F5PK-2426-SM-7RHHY 50-59 years, male 8.2
GTEX-1HGF4-2426-SM-ACKXM 60-69 years, male 8.2
GTEX-PWCY-1826-SM-DHXIZ 20-29 years, female 8.2
GTEX-13NZB-2526-SM-5J1OM 30-39 years, male 8.1
GTEX-QDVJ-1726-SM-2I5FX 50-59 years, male 8.1
GTEX-Z93S-0126-SM-5HL7M 50-59 years, male 8.1
GTEX-1HSEH-0126-SM-ACKXN 60-69 years, male 8.1
GTEX-1LG7Y-0526-SM-DKPQC 50-59 years, male 8.1
GTEX-13W3W-2426-SM-5LU5B 60-69 years, female 8.0
GTEX-1GN1U-0126-SM-7PBZK 50-59 years, female 8.0
GTEX-1GPI7-0126-SM-9MQL8 20-29 years, male 8.0
GTEX-1J8Q3-1626-SM-CMKGC 60-69 years, male 8.0
GTEX-1S82Y-2026-SM-EVYCM 40-49 years, male 8.0
GTEX-145MO-0326-SM-5Q5B3 60-69 years, male 7.9
GTEX-15DDE-0126-SM-6LPKH 50-59 years, female 7.9
GTEX-YJ8A-0426-SM-5IFID 20-29 years, male 7.9
GTEX-1B933-0126-SM-7PC29 50-59 years, female 7.9
GTEX-1GMR8-0126-SM-9WYTM 50-59 years, female 7.9
GTEX-1H1DE-2126-SM-9WG6R 20-29 years, male 7.9
GTEX-1HCU8-0626-SM-A9SM9 60-69 years, female 7.9
GTEX-12C56-1726-SM-5EQ61 20-29 years, male 7.8
GTEX-13FHO-0226-SM-5IFGY 60-69 years, male 7.8
GTEX-13X6J-0126-SM-5QGOU 50-59 years, male 7.8
GTEX-15UF6-0826-SM-6PALJ 70-79 years, female 7.8
GTEX-16MT8-0426-SM-7KUEY 60-69 years, female 7.8
GTEX-16XZZ-0126-SM-793DV 60-69 years, male 7.8
GTEX-17F97-0326-SM-7LG5B 50-59 years, male 7.8
GTEX-TMMY-0226-SM-33HBA 40-49 years, female 7.8
GTEX-12WSG-2826-SM-E9J4H 50-59 years, female 7.8
GTEX-1H1DG-0126-SM-9WYU2 70-79 years, male 7.8
GTEX-1I1GU-2226-SM-CGQFA 40-49 years, male 7.8
GTEX-11GS4-2726-SM-5A5LE 60-69 years, male 7.7
GTEX-13D11-2426-SM-5KM1V 50-59 years, female 7.7
GTEX-13OVG-1926-SM-5L3DK 60-69 years, male 7.7
GTEX-145LV-2126-SM-5LU8N 50-59 years, male 7.7
GTEX-14BMV-0126-SM-5S2PO 50-59 years, male 7.7
GTEX-QVJO-1626-SM-2S1QW 60-69 years, female 7.7
GTEX-RWSA-0126-SM-2XCBB 40-49 years, male 7.7
GTEX-ZVT2-2526-SM-51MT1 50-59 years, female 7.7
GTEX-1S5ZA-0126-SM-EVYCV 20-29 years, male 7.7
GTEX-15G19-0126-SM-6PANQ 60-69 years, male 7.6
GTEX-15UKP-0426-SM-7KUFQ 20-29 years, male 7.6
GTEX-WVJS-0126-SM-4MVOT 50-59 years, male 7.6
GTEX-RNOR-0126-SM-E9J4R 50-59 years, female 7.6
GTEX-11ZTT-2426-SM-5EQLS 60-69 years, female 7.5
GTEX-1269C-2526-SM-5EGJ3 60-69 years, female 7.5
GTEX-15ETS-0126-SM-7KUMW 40-49 years, female 7.5
GTEX-1CB4J-0626-SM-7DHMP 60-69 years, male 7.5
GTEX-1HSMQ-1226-SM-CGQFX 50-59 years, male 7.5
GTEX-1J8EW-0126-SM-CJI4F 60-69 years, female 7.5
GTEX-13RTL-0126-SM-7LG5S 40-49 years, male 7.4
GTEX-14DAQ-0126-SM-5S2MQ 60-69 years, female 7.4
GTEX-14ICK-0226-SM-6EU25 40-49 years, male 7.4
GTEX-14PK6-1926-SM-6ETZU 70-79 years, female 7.4
GTEX-18A67-0126-SM-7LG5P 50-59 years, male 7.4
GTEX-1F75A-0126-SM-7RHGM 50-59 years, male 7.4
GTEX-1H2FU-0126-SM-9WYSI 60-69 years, female 7.4
GTEX-1HKZK-0326-SM-9WYUH 40-49 years, male 7.4
GTEX-13O21-1426-SM-5K7XI 50-59 years, male 7.3
GTEX-17HII-0226-SM-7LG4E 50-59 years, male 7.3
GTEX-SIU8-0126-SM-2XCDT 50-59 years, male 7.3
GTEX-1GF9U-2126-SM-7SB7L 40-49 years, female 7.3
GTEX-1GZHY-0326-SM-9QEHI 50-59 years, female 7.3
GTEX-1IDJF-0126-SM-CM2RS 20-29 years, male 7.3
GTEX-117YW-2626-SM-5GZZH 50-59 years, male 7.2
GTEX-12WSJ-1826-SM-5GCNY 40-49 years, female 7.2
GTEX-12ZZX-0126-SM-5EGK9 40-49 years, female 7.2
GTEX-PLZ5-2026-SM-2S1O4 50-59 years, male 7.2
GTEX-PVOW-0126-SM-2XCFA 40-49 years, male 7.2
GTEX-Y5LM-1926-SM-5RQJH 40-49 years, female 7.2
GTEX-ZY6K-1826-SM-5GZXK 50-59 years, male 7.2
GTEX-ZVT4-0126-SM-DTXFN 50-59 years, female 7.2
GTEX-1128S-2326-SM-5GZZY 60-69 years, female 7.1
GTEX-146FQ-0126-SM-5NQA9 30-39 years, male 7.1
GTEX-P44H-0226-SM-2XCEU 40-49 years, male 7.1
GTEX-QLQ7-1626-SM-2S1R8 60-69 years, male 7.1
GTEX-Y5V6-2426-SM-4VDSB 60-69 years, male 7.1
GTEX-ZC5H-0226-SM-4WAY9 40-49 years, female 7.1
GTEX-ZVE2-0226-SM-59HJB 50-59 years, male 7.1
GTEX-1F52S-0126-SM-9MQJU 60-69 years, female 7.1
GTEX-1HFI7-1826-SM-ACKXH 50-59 years, female 7.1
GTEX-ZF29-2326-SM-DO92K 60-69 years, female 7.1
GTEX-11TT1-2526-SM-5EGIB 20-29 years, male 7.0
GTEX-147F3-0526-SM-5SI98 50-59 years, female 7.0
GTEX-Q2AH-1626-SM-3GAF8 40-49 years, male 7.0
GTEX-RM2N-1426-SM-2TF4H 50-59 years, male 7.0
GTEX-1B996-0226-SM-7RHGO 60-69 years, male 7.0
GTEX-1JK1U-2026-SM-CM2RZ 60-69 years, male 7.0
GTEX-1JMQI-2226-SM-CM2SD 50-59 years, male 7.0
GTEX-S33H-1026-SM-EZ6L6 30-39 years, male 7.0
GTEX-147GR-0526-SM-5S2MY 60-69 years, male 6.9
GTEX-17HGU-0226-SM-7DHKV 50-59 years, male 6.9
GTEX-XMD2-0126-SM-4YCDU 60-69 years, female 6.9
GTEX-YFC4-0126-SM-5CVLY 40-49 years, female 6.9
GTEX-Z93T-0126-SM-5HL5N 50-59 years, male 6.9
GTEX-ZQUD-1426-SM-57WER 30-39 years, male 6.9
GTEX-131XF-5016-SM-7MGWE 60-69 years, male 6.9
GTEX-1B8L1-2526-SM-9WYTF 60-69 years, male 6.9
GTEX-1GMRU-0126-SM-9YFLV 50-59 years, male 6.9
GTEX-11ZVC-2526-SM-5FQTE 50-59 years, female 6.8
GTEX-13VXU-0126-SM-5SI9F 50-59 years, male 6.8
GTEX-144FL-0126-SM-5TDC8 50-59 years, male 6.8
GTEX-17EVQ-0226-SM-7LG4P 70-79 years, male 6.8
GTEX-18D9B-0526-SM-7LTAS 60-69 years, male 6.8
GTEX-1C4CL-0526-SM-73KVK 30-39 years, male 6.8
GTEX-S32W-2126-SM-2XCB1 50-59 years, female 6.8
GTEX-SJXC-0126-SM-2XCFF 60-69 years, male 6.8
GTEX-WI4N-1026-SM-3LK7N 40-49 years, female 6.8
GTEX-1F7RK-0126-SM-7PC2S 20-29 years, female 6.8
GTEX-13O3Q-2426-SM-5IJBR 50-59 years, male 6.7
GTEX-15RIG-0226-SM-7KFTL 40-49 years, male 6.7
GTEX-U3ZN-2326-SM-3DB7W 30-39 years, female 6.7
GTEX-WQUQ-0426-SM-3MJFU 60-69 years, male 6.7
GTEX-1HBPM-0226-SM-ARL9F 60-69 years, female 6.7
GTEX-1QEPI-0126-SM-EWRMQ 60-69 years, female 6.7
GTEX-OOBJ-0126-SM-E6CJW 60-69 years, male 6.7
GTEX-13OVL-0226-SM-5L3E9 50-59 years, male 6.6
GTEX-17HHY-0126-SM-7LG5D 50-59 years, male 6.6
GTEX-TSE9-0126-SM-3DB83 60-69 years, female 6.6
GTEX-UPJH-0326-SM-3GADU 50-59 years, male 6.6
GTEX-1GN73-0226-SM-9WG67 60-69 years, male 6.6
GTEX-1HBPI-1526-SM-C1YQ1 50-59 years, male 6.6
GTEX-1192X-0226-SM-5H12D 50-59 years, male 6.5
GTEX-13PVR-2326-SM-5QGR1 60-69 years, female 6.5
GTEX-13U4I-0126-SM-5LU38 40-49 years, female 6.5
GTEX-15DCD-0126-SM-7KUEK 70-79 years, female 6.5
GTEX-18A7A-0226-SM-718BH 50-59 years, female 6.5
GTEX-1CAMQ-0226-SM-7IGPK 40-49 years, male 6.5
GTEX-Y3I4-2126-SM-4TT7C 50-59 years, male 6.5
GTEX-1GPI6-0126-SM-9WG69 60-69 years, male 6.5
GTEX-1J8Q2-0526-SM-CM2RW 60-69 years, male 6.5
GTEX-1314G-1526-SM-5EGK2 30-39 years, male 6.4
GTEX-13PDP-0126-SM-5L3HD 60-69 years, male 6.4
GTEX-13RTJ-2426-SM-5S2Q2 60-69 years, male 6.4
GTEX-1CB4I-0226-SM-79OLH 50-59 years, male 6.4
GTEX-VUSG-2526-SM-4KL1V 50-59 years, male 6.4
GTEX-1H11D-0226-SM-9WG6Z 40-49 years, male 6.4
GTEX-1ICLY-0126-SM-D4P36 50-59 years, male 6.4
GTEX-1K2DU-2326-SM-E9TIV 20-29 years, male 6.4
GTEX-1PPH8-0226-SM-E8VND 20-29 years, male 6.4
GTEX-131XE-2326-SM-5PNZ2 50-59 years, male 6.3
GTEX-131YS-0126-SM-5KM1M 60-69 years, female 6.3
GTEX-13CF3-2426-SM-5IFGX 60-69 years, female 6.3
GTEX-13N2G-2626-SM-5J1OT 60-69 years, male 6.3
GTEX-18465-0126-SM-731BN 50-59 years, male 6.3
GTEX-QV44-1926-SM-2S1RF 50-59 years, male 6.3
GTEX-X4EP-0126-SM-3P5YV 60-69 years, female 6.3
GTEX-ZV6S-2326-SM-4YCEY 40-49 years, female 6.3
GTEX-1EWIQ-0126-SM-7RHH2 70-79 years, female 6.3
GTEX-1LSNM-1926-SM-E6CII 50-59 years, male 6.3
GTEX-OIZF-0126-SM-7SB8I 60-69 years, male 6.3
GTEX-132NY-0326-SM-5IJBL 60-69 years, male 6.2
GTEX-13RTK-1426-SM-5QGQJ 20-29 years, male 6.2
GTEX-13SLX-0526-SM-5S2ON 50-59 years, female 6.2
GTEX-16AAH-1726-SM-7939C 50-59 years, male 6.2
GTEX-16NGA-1726-SM-731B4 40-49 years, female 6.2
GTEX-W5WG-1826-SM-4KL2Y 50-59 years, female 6.2
GTEX-XV7Q-2526-SM-4BRV9 40-49 years, female 6.2
GTEX-1F88F-2726-SM-7PBZZ 60-69 years, female 6.2
GTEX-1IKOH-0226-SM-COH4E 60-69 years, female 6.2
GTEX-11GSO-2426-SM-5A5LY 60-69 years, male 6.1
GTEX-13CF2-2526-SM-5LZYX 60-69 years, male 6.1
GTEX-15SHU-0126-SM-7KUEH 40-49 years, female 6.1
GTEX-NFK9-0226-SM-2HMKQ 40-49 years, male 6.1
GTEX-ZDXO-3026-SM-5J1N5 60-69 years, male 6.1
GTEX-ZU9S-0226-SM-5E441 30-39 years, male 6.1
GTEX-1ICLZ-0126-SM-CKZPO 60-69 years, male 6.1
GTEX-1IDJU-2626-SM-CM2RT 60-69 years, female 6.1
GTEX-111VG-2426-SM-5GZXD 60-69 years, male 6.0
GTEX-11XUK-2026-SM-5EQLF 40-49 years, female 6.0
GTEX-139UW-2826-SM-5L3E7 60-69 years, male 6.0
GTEX-13O3P-0126-SM-5KM4S 50-59 years, male 6.0
GTEX-18A6Q-0126-SM-731BZ 60-69 years, male 6.0
GTEX-QLQW-1126-SM-2S1Q8 30-39 years, male 6.0
GTEX-1CB4H-0226-SM-7PBXM 60-69 years, female 6.0
GTEX-1HFI6-0226-SM-ADEHZ 40-49 years, male 6.0
GTEX-1JN76-0126-SM-CNPPE 20-29 years, female 6.0
GTEX-1RB15-2126-SM-E9TIM 60-69 years, male 6.0
GTEX-ZQG8-1626-SM-DHXIT 60-69 years, female 6.0
GTEX-1122O-2126-SM-5EGIR 60-69 years, female 5.9
GTEX-14753-0426-SM-5NQAM 60-69 years, male 5.9
GTEX-14PJ6-2126-SM-6EU1V 60-69 years, female 5.9
GTEX-14PJM-0226-SM-62LF1 50-59 years, female 5.9
GTEX-16YQH-0126-SM-7DUFJ 30-39 years, male 5.9
GTEX-1BAJH-0526-SM-793CQ 70-79 years, male 5.9
GTEX-PWO3-1526-SM-48TCM 60-69 years, female 5.9
GTEX-S7SE-0126-SM-2XCD5 50-59 years, male 5.9
GTEX-TMZS-0126-SM-3DB9Q 60-69 years, male 5.9
GTEX-WRHK-1426-SM-3MJF9 20-29 years, female 5.9
GTEX-WY7C-2326-SM-3NB2U 50-59 years, male 5.9
GTEX-X4XY-0226-SM-4E3IZ 60-69 years, male 5.9
GTEX-X5EB-2226-SM-46MW4 40-49 years, male 5.9
GTEX-1EU9M-0226-SM-7P8SP 60-69 years, male 5.9
GTEX-1HT8W-0126-SM-CNPPP 30-39 years, male 5.9
GTEX-1JMPZ-0226-SM-CNPP1 30-39 years, male 5.9
GTEX-1KANA-0726-SM-D3L9I 20-29 years, male 5.9
GTEX-11ZTS-0126-SM-5EQ6M 60-69 years, female 5.8
GTEX-12584-0126-SM-5EGKQ 40-49 years, male 5.8
GTEX-1399U-2326-SM-5K7WY 50-59 years, female 5.8
GTEX-16BQI-0226-SM-7KUEX 30-39 years, female 5.8
GTEX-1B8KE-2126-SM-73KYX 50-59 years, male 5.8
GTEX-1GF9X-2026-SM-7PC3A 40-49 years, female 5.8
GTEX-1GZ4H-1726-SM-7PBZJ 50-59 years, female 5.8
GTEX-1HCVE-0126-SM-CGQEU 50-59 years, male 5.8
GTEX-15CHC-2126-SM-6EU21 60-69 years, female 5.7
GTEX-QDVN-2026-SM-3GAEP 50-59 years, male 5.7
GTEX-S7PM-0126-SM-4AD6S 60-69 years, male 5.7
GTEX-U3ZH-2026-SM-3DB78 30-39 years, male 5.7
GTEX-ZXG5-0126-SM-5GIEU 60-69 years, male 5.7
GTEX-1PWST-0226-SM-E76QJ 70-79 years, male 5.7
GTEX-1QP9N-1426-SM-DTXFL 30-39 years, male 5.7
GTEX-11EQ9-2426-SM-5HL5T 30-39 years, male 5.6
GTEX-1313W-0126-SM-5LZUN 50-59 years, female 5.6
GTEX-133LE-1826-SM-5J1MV 20-29 years, female 5.6
GTEX-13SLW-0126-SM-5SI6C 70-79 years, male 5.6
GTEX-T5JC-0426-SM-32PLO 20-29 years, male 5.6
GTEX-ZXES-1826-SM-5E43S 30-39 years, female 5.6
GTEX-13O3O-0126-SM-E9J49 60-69 years, female 5.6
GTEX-169BO-1326-SM-9MQK2 50-59 years, male 5.6
GTEX-1HBPN-0226-SM-9YFM1 50-59 years, male 5.6
GTEX-1I1GV-0526-SM-A9G29 60-69 years, male 5.6
GTEX-1IKK5-0626-SM-ARL8A 60-69 years, male 5.6
GTEX-1KD4Q-0226-SM-E9TJ9 40-49 years, male 5.6
GTEX-1LGOU-2026-SM-DIPFF 20-29 years, female 5.6
GTEX-1O97I-0326-SM-EYYX7 60-69 years, male 5.6
GTEX-W5X1-3026-SM-EAZAX 40-49 years, female 5.6
GTEX-11P81-2326-SM-59875 30-39 years, female 5.5
GTEX-12ZZZ-0626-SM-5DUXI 60-69 years, male 5.5
GTEX-13FXS-0226-SM-5IJCK 50-59 years, male 5.5
GTEX-17F98-0626-SM-79OMX 40-49 years, female 5.5
GTEX-NPJ8-0126-SM-2YUNR 40-49 years, male 5.5
GTEX-QEG4-0226-SM-2S1PY 30-39 years, male 5.5
GTEX-Y5V5-2326-SM-4V6GA 60-69 years, female 5.5
GTEX-1GF9W-0326-SM-9KNUN 60-69 years, male 5.5
GTEX-1I1CD-0126-SM-CM2TK 60-69 years, female 5.5
GTEX-1JKYR-0126-SM-CNPOJ 20-29 years, male 5.5
GTEX-1K9T9-0126-SM-EVYCF 50-59 years, female 5.5
GTEX-1PFEY-1526-SM-E76PP 30-39 years, male 5.5
GTEX-13FTY-0526-SM-5L3EV 40-49 years, female 5.4
GTEX-14PJ3-1826-SM-62LEX 50-59 years, male 5.4
GTEX-TML8-1926-SM-32QOS 40-49 years, female 5.4
GTEX-13FH7-2026-SM-E9J4I 50-59 years, female 5.4
GTEX-1AX9I-0126-SM-7SB74 60-69 years, male 5.4
GTEX-1I1GS-0126-SM-B2LVW 60-69 years, male 5.4
GTEX-1QPFJ-0226-SM-E76PB 30-39 years, female 5.4
GTEX-1S3DN-2226-SM-EVYCD 50-59 years, male 5.4
GTEX-11O72-0126-SM-59887 40-49 years, male 5.3
GTEX-131XH-2226-SM-5DUXJ 50-59 years, male 5.3
GTEX-13NYS-0126-SM-5MR3W 60-69 years, male 5.3
GTEX-16GPK-0126-SM-7DHLE 60-69 years, male 5.3
GTEX-OHPL-0126-SM-2HMJ7 60-69 years, female 5.3
GTEX-R3RS-0126-SM-3GIJL 40-49 years, female 5.3
GTEX-T2IS-0126-SM-4DM6O 20-29 years, female 5.3
GTEX-YB5K-2126-SM-4WWDJ 40-49 years, female 5.3
GTEX-ZAJG-0126-SM-5HL94 50-59 years, female 5.3
GTEX-1H3VY-0126-SM-ACKXD 50-59 years, male 5.3
GTEX-1399R-2726-SM-5IJBA 30-39 years, male 5.2
GTEX-1CAMR-1926-SM-7EPI2 20-29 years, male 5.2
GTEX-1CAV2-2226-SM-7P8P2 40-49 years, female 5.2
GTEX-1I1GT-0626-SM-CGQER 60-69 years, female 5.2
GTEX-1LVAN-0226-SM-COH3S 50-59 years, female 5.2
GTEX-11DXY-2626-SM-5GIE7 60-69 years, male 5.1
GTEX-13S7M-0126-SM-5SI6A 60-69 years, female 5.1
GTEX-13X6H-2126-SM-7EWD5 50-59 years, female 5.1
GTEX-15SB6-1726-SM-6PAME 50-59 years, female 5.1
GTEX-T6MO-1626-SM-32QOM 40-49 years, female 5.1
GTEX-X8HC-0126-SM-4E3JW 50-59 years, female 5.1
GTEX-XBED-2226-SM-47JYQ 60-69 years, male 5.1
GTEX-1GZ2Q-0226-SM-7P8TL 40-49 years, male 5.1
GTEX-1H1CY-2826-SM-9MQM3 60-69 years, female 5.1
GTEX-1HCU7-0226-SM-CL545 50-59 years, male 5.1
GTEX-11NSD-2226-SM-5986V 20-29 years, male 5.0
GTEX-1B8KZ-2026-SM-7DHMB 50-59 years, male 5.0
GTEX-1E1VI-0126-SM-7DHMZ 50-59 years, male 5.0
GTEX-ZYFD-0126-SM-5GIDL 50-59 years, male 5.0
GTEX-1GMR3-1926-SM-9KNUZ 40-49 years, male 5.0
GTEX-1I4MK-2226-SM-ACKWD 50-59 years, female 5.0
GTEX-12WSK-2326-SM-5GCOH 40-49 years, female 4.9
GTEX-145ME-1826-SM-5SI9G 40-49 years, female 4.9
GTEX-1A3MX-0126-SM-731BR 60-69 years, male 4.9
GTEX-1B8SG-0126-SM-73KZ3 50-59 years, male 4.9
GTEX-XBEW-0626-SM-4QASP 40-49 years, male 4.9
GTEX-XUYS-0126-SM-47JWZ 50-59 years, male 4.9
GTEX-ZZ64-1726-SM-5GZYB 20-29 years, male 4.9
GTEX-13NYC-0326-SM-E9J4S 60-69 years, male 4.9
GTEX-13OW5-0126-SM-DTXFS 60-69 years, male 4.9
GTEX-1CAMS-0426-SM-7P8T2 40-49 years, female 4.9
GTEX-1H4P4-0726-SM-9YFLR 50-59 years, male 4.9
GTEX-1JMQJ-0526-SM-CYPSU 50-59 years, male 4.9
GTEX-ZPIC-1726-SM-DHXIU 40-49 years, female 4.9
GTEX-13113-5016-SM-7EPIP 60-69 years, female 4.8
GTEX-14BIN-0626-SM-793DP 50-59 years, female 4.8
GTEX-OXRN-0126-SM-48TDM 50-59 years, male 4.8
GTEX-P4PP-0126-SM-3LK69 30-39 years, female 4.8
GTEX-Y8DK-0126-SM-4TT3L 60-69 years, male 4.8
GTEX-Y8E4-0626-SM-4WWDL 40-49 years, male 4.8
GTEX-1EN7A-0126-SM-7SB81 40-49 years, male 4.8
GTEX-1GN2E-0426-SM-9MQKX 60-69 years, male 4.8
GTEX-1IL2V-0126-SM-CM2TX 70-79 years, male 4.8
GTEX-11NUK-0126-SM-5A5L3 50-59 years, male 4.7
GTEX-14A5H-0426-SM-5QGQF 60-69 years, male 4.7
GTEX-14PII-0226-SM-6EU1T 60-69 years, male 4.7
GTEX-15EU6-0426-SM-6PAN5 50-59 years, male 4.7
GTEX-17F96-1626-SM-7DUFL 70-79 years, male 4.7
GTEX-WXYG-2326-SM-4E3I6 50-59 years, female 4.7
GTEX-WYJK-0126-SM-3NMAB 50-59 years, male 4.7
GTEX-WYVS-2126-SM-3NMA3 40-49 years, female 4.7
GTEX-Y111-0126-SM-4SOIV 50-59 years, male 4.7
GTEX-11TUW-2726-SM-E9J4M 60-69 years, male 4.7
GTEX-1IKJJ-0126-SM-CNPQB 60-69 years, male 4.7
GTEX-RVPV-0126-SM-EAZAW 60-69 years, male 4.7
GTEX-11UD2-0226-SM-5EQKY 50-59 years, male 4.6
GTEX-13112-2826-SM-5DUWH 50-59 years, male 4.6
GTEX-13YAN-0326-SM-5O9DF 60-69 years, male 4.6
GTEX-XQ8I-0426-SM-4BOPO 50-59 years, male 4.6
GTEX-1F75B-0126-SM-9KNVL 50-59 years, male 4.6
GTEX-1R7EU-0226-SM-EVR4G 60-69 years, male 4.6
GTEX-PSDG-0226-SM-DKPOZ 50-59 years, male 4.6
GTEX-111FC-0126-SM-5N9DL 60-69 years, male 4.5
GTEX-13OVK-2026-SM-7KUEO 40-49 years, male 4.5
GTEX-14XAO-2326-SM-6EU1B 60-69 years, female 4.5
GTEX-1C64N-0126-SM-793D7 50-59 years, male 4.5
GTEX-U412-0426-SM-3DB9O 60-69 years, male 4.5
GTEX-X261-0126-SM-3NMD6 50-59 years, male 4.5
GTEX-ZVZP-2426-SM-59HKJ 50-59 years, male 4.5
GTEX-ZYFG-2326-SM-5E44B 60-69 years, female 4.5
GTEX-1GL5R-1826-SM-9KNUY 50-59 years, male 4.5
GTEX-1IOXB-0126-SM-ARL8G 50-59 years, male 4.5
GTEX-1JN1M-0326-SM-CYPT3 60-69 years, female 4.5
GTEX-1NV5F-0226-SM-E8VNY 60-69 years, female 4.5
GTEX-13G51-2526-SM-5LZYK 60-69 years, male 4.4
GTEX-17HG3-2226-SM-7938L 30-39 years, female 4.4
GTEX-183WM-0126-SM-7LTAB 70-79 years, female 4.4
GTEX-XQ3S-1526-SM-4BOOC 20-29 years, male 4.4
GTEX-Y114-2426-SM-4TT8A 50-59 years, female 4.4
GTEX-ZYY3-0126-SM-5GZY5 60-69 years, female 4.4
GTEX-1E2YA-0126-SM-9KNUC 50-59 years, male 4.4
GTEX-1I6K6-0126-SM-A9SLE 30-39 years, male 4.4
GTEX-139TS-2826-SM-5J1OO 60-69 years, male 4.3
GTEX-145MN-2226-SM-5SIAU 30-39 years, male 4.3
GTEX-1AX9J-0226-SM-73KXM 60-69 years, male 4.3
GTEX-1GF9V-0326-SM-7RHI5 60-69 years, male 4.3
GTEX-1MA7W-2026-SM-E9TJ6 20-29 years, female 4.3
GTEX-1OJC3-0126-SM-E76QX 20-29 years, male 4.3
GTEX-1QMI2-0226-SM-EVYBX 60-69 years, male 4.3
GTEX-1RDX4-0126-SM-E9J4P 50-59 years, female 4.3
GTEX-12WSA-0226-SM-5BC5V 60-69 years, male 4.2
GTEX-12ZZY-0226-SM-5LZVE 60-69 years, male 4.2
GTEX-1I1GQ-0126-SM-COH3H 50-59 years, male 4.2
GTEX-1LH75-2426-SM-E9TJE 50-59 years, female 4.2
GTEX-11UD1-0126-SM-5PNYG 40-49 years, female 4.1
GTEX-139TU-0126-SM-5K7WH 60-69 years, male 4.1
GTEX-14E6D-0126-SM-62LDV 50-59 years, male 4.1
GTEX-14PN4-0126-SM-6EU2V 50-59 years, male 4.1
GTEX-15ER7-0326-SM-7KUEV 20-29 years, female 4.1
GTEX-1C6VR-2426-SM-79OLD 60-69 years, male 4.1
GTEX-TKQ1-1026-SM-4GICL 30-39 years, male 4.1
GTEX-ZGAY-0526-SM-4WWBB 40-49 years, female 4.1
GTEX-1399T-2826-SM-5KLYZ 60-69 years, male 4.0
GTEX-1F6RS-0126-SM-9MQKZ 60-69 years, female 4.0
GTEX-1KWVE-1426-SM-E9TJO 30-39 years, male 4.0
GTEX-1LB8K-0226-SM-EWRNW 50-59 years, male 4.0
GTEX-1MJK2-0426-SM-DTXE5 50-59 years, male 4.0
GTEX-144GL-0126-SM-5TDE2 50-59 years, male 3.9
GTEX-U8XE-0326-SM-3DB8P 30-39 years, male 3.9
GTEX-ZF2S-2326-SM-4WWCE 50-59 years, female 3.9
GTEX-1CB4F-0426-SM-9KNV4 60-69 years, male 3.9
GTEX-1HSGN-0226-SM-CGQFV 40-49 years, female 3.9
GTEX-1J8JJ-0226-SM-CL53I 60-69 years, female 3.9
GTEX-1K2DA-1826-SM-CGQGT 50-59 years, male 3.9
GTEX-1KAFJ-2026-SM-CY8ID 50-59 years, male 3.9
GTEX-1KANB-0526-SM-E6CJH 50-59 years, male 3.9
GTEX-16NPX-0226-SM-79OMT 50-59 years, male 3.8
GTEX-18D9U-0226-SM-718BP 40-49 years, male 3.8
GTEX-X4XX-0126-SM-3NMC2 60-69 years, male 3.8
GTEX-ZVTK-0426-SM-51MRS 20-29 years, male 3.8
GTEX-1EX96-1626-SM-7PBXR 50-59 years, male 3.8
GTEX-1HCU9-1526-SM-A9SL7 20-29 years, male 3.8
GTEX-1JMPY-1326-SM-ARL8Y 30-39 years, male 3.8
GTEX-1OFPY-2426-SM-DTXEJ 60-69 years, male 3.8
GTEX-1R9K4-0126-SM-DTX9X 60-69 years, male 3.8
GTEX-12126-0326-SM-5PNW3 20-29 years, male 3.7
GTEX-OIZG-0726-SM-33HBL 50-59 years, male 3.7
GTEX-1HR98-0126-SM-B2LWI 60-69 years, male 3.7
GTEX-1JN6P-0126-SM-D3L98 60-69 years, male 3.7
GTEX-13FHP-0126-SM-5IJBG 50-59 years, male 3.6
GTEX-13OW6-0426-SM-5L3HM 50-59 years, male 3.6
GTEX-145LU-0126-SM-5TDCB 50-59 years, male 3.6
GTEX-P4QT-0126-SM-2I3FL 50-59 years, female 3.6
GTEX-U8T8-0126-SM-3DB94 60-69 years, male 3.6
GTEX-ZV68-0126-SM-59HKS 50-59 years, female 3.6
GTEX-12696-2426-SM-5EQ6H 60-69 years, male 3.5
GTEX-145LS-0126-SM-5QGP1 60-69 years, female 3.5
GTEX-1CB4E-2226-SM-793DC 60-69 years, male 3.5
GTEX-XYKS-2126-SM-4E3IB 60-69 years, female 3.5
GTEX-1HB9E-0226-SM-E9U4R 50-59 years, male 3.5
GTEX-11OF3-2626-SM-5GU7F 60-69 years, male 3.4
GTEX-17KNJ-2326-SM-7DHLQ 50-59 years, male 3.4
GTEX-X88G-0126-SM-47JZ3 30-39 years, male 3.4
GTEX-1F5PL-0326-SM-7P8PQ 40-49 years, female 3.4
GTEX-13111-1626-SM-5EGJY 50-59 years, male 3.3
GTEX-OIZH-0126-SM-2HMIS 50-59 years, male 3.3
GTEX-XPVG-2626-SM-4B669 50-59 years, male 3.3
GTEX-ZAK1-0126-SM-5IJD3 50-59 years, female 3.3
GTEX-ZTSS-1926-SM-57WEW 40-49 years, male 3.3
GTEX-ZTX8-1426-SM-5DUVO 20-29 years, male 3.3
GTEX-12WSC-0126-SM-5EQ4P 50-59 years, male 3.2
GTEX-13OVH-0126-SM-5MR4B 70-79 years, male 3.2
GTEX-145MF-0626-SM-5LUAI 50-59 years, male 3.2
GTEX-14PHX-2326-SM-62LEM 50-59 years, male 3.2
GTEX-17EVP-0326-SM-7DHLG 40-49 years, male 3.2
GTEX-T5JW-1626-SM-3GADZ 20-29 years, female 3.2
GTEX-1N2DW-0226-SM-E9TK2 50-59 years, male 3.2
GTEX-14LZ3-0226-SM-62LET 60-69 years, female 3.1
GTEX-1B8SF-1426-SM-7DUGL 60-69 years, male 3.1
GTEX-1C475-1826-SM-73KWA 40-49 years, female 3.1
GTEX-QESD-1426-SM-2S1R9 20-29 years, male 3.1
GTEX-WFON-2126-SM-3LK7O 40-49 years, male 3.1
GTEX-1PDJ9-0326-SM-DTX95 20-29 years, male 3.1
GTEX-VJYA-1126-SM-3GIJU 60-69 years, male 3.0
GTEX-1J1OQ-0226-SM-CYPSH 40-49 years, female 3.0
GTEX-ZF3C-0126-SM-DO92D 50-59 years, female 3.0
GTEX-1212Z-2526-SM-5EGKP 60-69 years, male 2.9
GTEX-14E6E-1826-SM-5S2R7 30-39 years, male 2.9
GTEX-14JG1-0426-SM-6ETZZ 40-49 years, male 2.9
GTEX-1B97I-1626-SM-73KYO 40-49 years, male 2.9
GTEX-1LG7Z-1726-SM-D3LA4 30-39 years, male 2.9
GTEX-1R9PM-2026-SM-E76OY 20-29 years, male 2.9
GTEX-11EI6-0126-SM-5985R 60-69 years, male 2.8
GTEX-13FTW-2626-SM-5K7WL 40-49 years, male 2.8
GTEX-Y3IK-2426-SM-4WWDU 50-59 years, female 2.8
GTEX-1IDJH-0326-SM-A9SLQ 70-79 years, male 2.8
GTEX-18D9A-1926-SM-7LG6P 30-39 years, female 2.7
GTEX-13JUV-2726-SM-5LZZ8 40-49 years, female 2.6
GTEX-15F5U-1526-SM-6PANO 40-49 years, male 2.6
GTEX-UJHI-1526-SM-3DB99 50-59 years, female 2.6
GTEX-XXEK-2226-SM-4BRUM 50-59 years, male 2.6
GTEX-ZYT6-0226-SM-5NQ6T 30-39 years, male 2.6
GTEX-1JJ6O-0126-SM-E6CI8 60-69 years, male 2.6
GTEX-11WQK-0526-SM-5EQLD 50-59 years, male 2.5
GTEX-145MI-0526-SM-5O9A8 60-69 years, female 2.5
GTEX-17JCI-0126-SM-7LG5G 60-69 years, female 2.5
GTEX-ZVZO-0126-SM-5A5L9 40-49 years, male 2.5
GTEX-ZYFC-0226-SM-5NQ75 50-59 years, male 2.5
GTEX-1EMGI-0126-SM-9KNUE 60-69 years, male 2.5
GTEX-1JJEA-0326-SM-CNPOT 60-69 years, male 2.5
GTEX-1M5QR-1226-SM-EWROB 40-49 years, male 2.5
GTEX-1HSKV-0226-SM-A9SKJ 60-69 years, male 2.4
GTEX-1S83E-0126-SM-EWRO4 40-49 years, male 2.4
GTEX-PX3G-0126-SM-2I3EN 20-29 years, female 2.3
GTEX-POMQ-2226-SM-2I5FK 20-29 years, female 2.2
GTEX-T6MN-0126-SM-32PLP 50-59 years, male 2.2
GTEX-1IL2U-0226-SM-CE6T8 60-69 years, male 2.2
GTEX-1KANC-1526-SM-D3LAB 50-59 years, female 2.2
GTEX-12WSE-0526-SM-793B2 20-29 years, male 2.1
GTEX-YB5E-2026-SM-5IFIS 40-49 years, male 2.1
GTEX-YJ89-0126-SM-4TT3X 60-69 years, male 2.0
GTEX-ZWKS-0126-SM-5SIAA 30-39 years, male 2.0
GTEX-117XS-2726-SM-5N9BL 60-69 years, male 1.9
GTEX-1PIIG-0226-SM-EWRN6 30-39 years, male 1.9
GTEX-11DYG-0126-SM-59883 60-69 years, male 1.8
GTEX-1KXAM-2226-SM-CYPTC 60-69 years, male 1.8
GTEX-O5YT-0126-SM-48TBW 20-29 years, male 1.6
GTEX-XUZC-1726-SM-4BRWS 30-39 years, female 1.6
GTEX-1JMLX-0226-SM-CM2RO 50-59 years, male 1.6
GTEX-1L5NE-2526-SM-E6CIE 50-59 years, male 1.4
GTEX-1QAET-0926-SM-E76QM 50-59 years, male 1.3
GTEX-11DXZ-2326-SM-5EGGV 50-59 years, male 1.1
GTEX-1JMQL-0226-SM-CNPP5 50-59 years, female 1.1
Show allShow less

Contact

  • NEWS ARTICLES
  • PRESS ROOM

The Project

  • INTRODUCTION
  • ORGANIZATION
  • PUBLICATIONS

The Human Protein Atlas

  • DOWNLOADABLE DATA
  • LICENCE & CITATION
  • HELP & FAQ
The Human Protein Atlas project is funded
by the Knut & Alice Wallenberg Foundation.


contact@proteinatlas.org