We use cookies to enhance the usability of our website. If you continue, we'll assume that you are happy to receive all cookies. More information. Don't show this again.
CRYL1
HPA
RESOURCES
  • TISSUE
  • BRAIN
  • SINGLE CELL
  • SUBCELLULAR
  • CANCER
  • BLOOD
  • CELL LINE
  • STRUCTURE & INTERACTION
ABOUT
  • INTRODUCTION
  • HISTORY
  • ORGANIZATION
  • PUBLICATIONS
  • ANTIBODY SUBMISSION
  • ANTIBODY AVAILABILITY
  • ACKNOWLEDGMENTS
  • CONTACT
NEWS
  • NEWS ARTICLES
  • PRESS ROOM
LEARN
  • DICTIONARY
  • PROTEIN CLASSES
  • PROTEIN EVIDENCE
  • METHODS
  • EDUCATIONAL VIDEOS
DATA
  • DOWNLOADABLE DATA
  • PUBLICATION DATA
  • RELEASE HISTORY
HELP
  • ANTIBODY VALIDATION
  • ASSAYS & ANNOTATION
  • DISCLAIMER
  • HELP & FAQ
  • PRIVACY STATEMENT
  • LICENCE & CITATION
Fields »
Search result

Field
Term
Gene name
Class
Subclass
Class
Keyword
Chromosome
External id
Tissue
Cell type
Expression
Antibody panel
Tissue
Main location
Patient ID
Annotation
Tissue
Category
Tau score
Cluster
Reliability
Brain region
Category
Tau score
Brain region
Category
Tau score
Brain region
Category
Tau score
Cluster
Reliability
Tissue
Cell type
Enrichment
Cell type
Category
Tau score
Cell type
Category
Tau score
Cell type
Category
Tau score
Cell lineage
Category
Tau score
Cluster
Cluster
Location
Searches
Location
Cell line
Class
Type
Phase
Reliability
Cancer
Prognosis
Cancer
Category
Cancer
Category
Tau score
Cluster
Variants
Interacting gene (ensg_id)
Type
Number of interactions
Pathway
Category
Score
Score
Score
Validation
Validation
Validation
Validation
Antibodies
Data type
Column


  • SUMMARY

  • TISSUE

  • BRAIN

  • SINGLE CELL

  • SUBCELL

  • CANCER

  • BLOOD

  • CELL LINE

  • STRUCT & INT

  • CRYL1
TISSUE PRIMARY DATA LIVER Show tissue menu
ADIPOSE TISSUE ADRENAL GLAND AMYGDALA APPENDIX BASAL GANGLIA BONE MARROW BREAST BRONCHUS CEREBELLUM CEREBRAL CORTEX CERVIX CHOROID PLEXUS COLON DUODENUM
ENDOMETRIUM EPIDIDYMIS ESOPHAGUS FALLOPIAN TUBE GALLBLADDER HEART MUSCLE HIPPOCAMPAL FORMATION HYPOTHALAMUS KIDNEY LIVER LUNG LYMPH NODE MIDBRAIN NASOPHARYNX
ORAL MUCOSA OVARY PANCREAS PARATHYROID GLAND PITUITARY GLAND PLACENTA PROSTATE RECTUM RETINA SALIVARY GLAND SEMINAL VESICLE SKELETAL MUSCLE SKIN SMALL INTESTINE
SMOOTH MUSCLE SOFT TISSUE SPINAL CORD SPLEEN STOMACH TESTIS THYMUS THYROID GLAND TONGUE TONSIL URINARY BLADDER VAGINA
ANTIBODIES
AND
VALIDATION
Dictionary
Liver
Tissue proteome
Liver
LIVER - Expression summary
Protein expression
Liveri

On the top, protein expression in current human tissue, based on all annotated cell types, is reported with the units not detected (n), low (l), medium (m) and high (h). Underneath, protein expression in each annotated cell type are reported using the same units.

Protein expression data is based on knowledge-based annotation. For genes where more than one antibody has been used, a collective score is set.

If knowledge-based annotation could not be performed for a gene, no data is displayed here. View antibody staining data further down this page.

h
m
l
n
Cholangiocytes: Not detected
Hepatocytes: Medium
RNA expressioni

A summary of mRNA expression data available for current tissue based on several datasets. The mRNA expression levels in human tissues are based on RNA-seq data generated by the Human Protein Atlas (HPA), Genotype-Tissue Expression (GTEx) portal and CAGE data generated by the FANTOM5 consortium. Consensus normalized expression levels for human tissues was created by combining the data from HPA and GTEx datasets.

The mRNA expression levels in pig are based on RNA-seq data generated by the Human Protein Atlas (HPA), and for mouse, HPA data and in situ hybridization generated by the Allen brain atlas are reported.

Scroll down to view mRNA expression data in more detail.
Consensus:246.3 nTPM
HPA:246.3 nTPM
GTEx:241.7 nTPM
FANTOM5:201.1 Scaled Tags Per Million

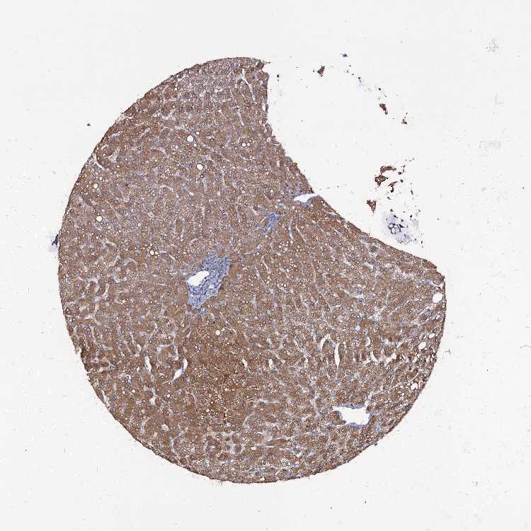
LIVER - Antibody stainingi

Antibody staining in the annotated cell types in the current human tissue is reported as not detected, low, medium, or high, based on conventional immunohistochemistry profiling in selected tissues. This score is based on the combination of the staining intensity and fraction of stained cells.

Each image is clickable and will lead to virtual microscopy that enables deeper exploration of all samples and also displays staining intensity scores, fraction scores and subcellular localization as well as patient and tissue information for each sample.

Antibody HPA040403Antibody HPA058848
Cholangiocytes Not detectedNot detected
Hepatocytes MediumLow





LIVER - HPA RNA-seqi

The RNA-seq details section shows detailed information about the individual samples used for the transcript profiling and results of the RNA-seq analysis.

Information about each individual sample is listed below, including gender, age, a tissue section image and estimated fractions of cell types. nTPM (normalized transcripts per million) values give a quantification of the gene abundance which is comparable between different genes and samples.
Average nTPMi

Max subtype nTPM is the value for the subtype with the largest average nTPM across the subtype samples.

246.3
N/A
Female, age 60
Liver sample 21
nTPM: 205.6
overview
Male, age 54
Liver sample 23
nTPM: 203.2
Cell types%
Hepatocytes:
80

Fibroblasts:
15

Other cell types:
5

overview
Male, age 74
Liver sample 24
nTPM: 271.5
Cell types%
Hepatocytes:
85

Fibroblasts:
5

Other cell types:
10

overview
Female, age 62
Liver sample 350
nTPM: 235.1
Cell types%
Hepatocytes:
70

Fibroblasts:
10

Other cell types:
20

overview
Male, age 78
Liver sample 351
nTPM: 235.3
Cell types%
Hepatocytes:
75

Fibroblasts:
5

Other cell types:
20

overview
Male, age 53
Liver sample 352
nTPM: 235.9
Cell types%
Hepatocytes:
80

Fibroblasts:
5

Other cell types:
15

overview
Male, age 77
Liver sample 353
nTPM: 222.7
Cell types%
Hepatocytes:
75

Fibroblasts:
5

Other cell types:
20

overview
Female, age 72
Liver sample 359
nTPM: 312.1
Cell types%
Hepatocytes:
50

Fibroblasts:
10

Other cell types:
40

overview
Male, age 70
Liver sample 367
nTPM: 271.5
Cell types%
Hepatocytes:
65

Fibroblasts:
10

Other cell types:
25

overview
Female, age 23
Liver sample 396
nTPM: 270.4
Cell types%
Hepatocytes:
70

Fibroblasts:
5

Other cell types:
25


LIVER - GTEx RNA-seqi

RNA-Seq data generated by the Genotype-Tissue Expression (GTEx) project from human tissues is reported as mean nTPM. More information can be found on the GTEx portal.

Distribution across the dataset is visualized with box plots, shown as median and 25th and 75th percentiles. Points are displayed as outliers if they are above or below 1.5 times the interquartile range. nTPM values of the individual samples are presented next to the box plot.
Max subtype nTPMi

Max subtype nTPM is the value for the subtype with the largest average nTPM across the subtype samples.

241.7
GTEx sample id Sample description nTPM
Liver
Average nTPM: 241.7
Samples: 226

Max nTPM: 706.8
Min nTPM: 39.7
Std nTPM: 102.4
Median nTPM: 247.2
GTEX-14753-1626-SM-5NQ9L 60-69 years, male 706.8
GTEX-1HCVE-1526-SM-B2LWW 50-59 years, male 493.8
GTEX-ZYT6-0626-SM-5E45V 30-39 years, male 493.5
GTEX-14PHX-0526-SM-664NW 50-59 years, male 467.2
GTEX-15RJE-1126-SM-6LPI5 40-49 years, male 440.2
GTEX-1CAMQ-1426-SM-7MKFL 40-49 years, male 437.1
GTEX-X4EO-1126-SM-4QARQ 60-69 years, female 433.6
GTEX-14E7W-1526-SM-6871X 70-79 years, male 420.9
GTEX-RTLS-1326-SM-46MUN 60-69 years, female 414.7
GTEX-15SHU-1826-SM-7KUKS 40-49 years, female 413.7
GTEX-131XH-0626-SM-5LZWH 50-59 years, male 400.3
GTEX-11NUK-1226-SM-5P9GM 50-59 years, male 397.3
GTEX-11DXY-0526-SM-5EGGQ 60-69 years, male 387.0
GTEX-WVLH-2126-SM-EYYWD 50-59 years, male 385.1
GTEX-145MF-0826-SM-5QGQA 50-59 years, male 383.1
GTEX-18465-1626-SM-7LG6N 50-59 years, male 382.7
GTEX-1NV8Z-1626-SM-DPRYT 60-69 years, male 378.2
GTEX-SJXC-1226-SM-4DM78 60-69 years, male 377.3
GTEX-17EVP-1026-SM-7IGOZ 40-49 years, male 374.3
GTEX-X4EP-1026-SM-4QAS5 60-69 years, female 370.3
GTEX-14JG1-1626-SM-664NH 40-49 years, male 365.1
GTEX-PX3G-0826-SM-48TZS 20-29 years, female 362.0
GTEX-17MF6-1126-SM-7DUFS 40-49 years, male 360.5
GTEX-1BAJH-1526-SM-7RHGI 70-79 years, male 357.4
GTEX-1R9JW-0826-SM-DPRZJ 30-39 years, female 355.7
GTEX-11ZUS-2526-SM-59872 30-39 years, male 354.1
GTEX-11EQ9-0526-SM-5A5JZ 30-39 years, male 351.5
GTEX-1QPFJ-1126-SM-E9U5V 30-39 years, female 351.4
GTEX-Y5V5-0926-SM-4VBPZ 60-69 years, female 349.2
GTEX-145MO-2326-SM-5NQ9K 60-69 years, male 348.4
GTEX-1GN2E-0926-SM-9WPOH 60-69 years, male 348.1
GTEX-1JJEA-1526-SM-CNNPK 60-69 years, male 344.2
GTEX-1A32A-0826-SM-72D5C 50-59 years, female 344.1
GTEX-139TS-1426-SM-5IFJD 60-69 years, male 340.6
GTEX-Y111-0726-SM-EYYVM 50-59 years, male 339.9
GTEX-1212Z-0226-SM-59HLF 60-69 years, male 338.8
GTEX-13FTZ-0726-SM-5IFFY 60-69 years, male 338.1
GTEX-17HHE-0126-SM-79398 50-59 years, male 336.9
GTEX-1HT8W-0826-SM-C1YRJ 30-39 years, male 336.3
GTEX-1A8FM-1226-SM-7IGMD 50-59 years, female 336.1
GTEX-YECK-1926-SM-4W21H 60-69 years, male 334.1
GTEX-18A6Q-2026-SM-718AQ 60-69 years, male 332.3
GTEX-1EKGG-1226-SM-7IGNO 60-69 years, male 330.8
GTEX-1B8L1-0726-SM-7P8RT 60-69 years, male 330.0
GTEX-13SLX-1226-SM-5S2Q6 50-59 years, female 329.8
GTEX-14BIL-1326-SM-79OMR 50-59 years, male 328.5
GTEX-ZEX8-0826-SM-4WKHK 50-59 years, male 327.4
GTEX-QESD-2026-SM-447BI 20-29 years, male 326.2
GTEX-1QP6S-1326-SM-DPRZ8 40-49 years, male 326.1
GTEX-1CB4F-1726-SM-7MGXH 60-69 years, male 323.2
GTEX-QEG4-1826-SM-CKZN9 30-39 years, male 322.7
GTEX-1ICG6-1026-SM-B2LY6 70-79 years, female 320.9
GTEX-1GZ4I-1526-SM-9OSW9 50-59 years, male 319.1
GTEX-1EN7A-2026-SM-7MGY4 40-49 years, male 318.5
GTEX-1IKJJ-1526-SM-C1YSC 60-69 years, male 317.3
GTEX-X3Y1-2726-SM-4PQZH 40-49 years, male 315.6
GTEX-1KANB-2226-SM-DHXJW 50-59 years, male 312.6
GTEX-RNOR-1426-SM-48FDJ 50-59 years, female 311.1
GTEX-13PVR-0126-SM-5S2PY 60-69 years, female 309.9
GTEX-13O3O-1826-SM-5IFGW 60-69 years, female 308.2
GTEX-14DAQ-1726-SM-5S2R2 60-69 years, female 306.8
GTEX-13FLV-0326-SM-5N9DJ 50-59 years, male 305.1
GTEX-18A7A-1526-SM-72D69 50-59 years, female 304.0
GTEX-13112-1426-SM-5EGH8 50-59 years, male 303.9
GTEX-131YS-1626-SM-5HL6C 60-69 years, female 303.4
GTEX-ZF29-2026-SM-DNZYW 60-69 years, female 302.7
GTEX-ZVT3-1626-SM-5GU66 60-69 years, female 302.6
GTEX-RN64-1826-SM-48FDV 50-59 years, male 301.3
GTEX-144GL-1426-SM-79OMA 50-59 years, male 299.6
GTEX-11ZTS-1426-SM-5EQMM 60-69 years, female 296.0
GTEX-17F96-1226-SM-79OK2 70-79 years, male 295.1
GTEX-OOBJ-0826-SM-3NB2K 60-69 years, male 294.9
GTEX-13N11-0926-SM-5IJG2 50-59 years, female 293.7
GTEX-13FTW-1126-SM-5J2NV 40-49 years, male 291.7
GTEX-Y5LM-0426-SM-4VBRO 40-49 years, female 291.0
GTEX-14A5I-1726-SM-5QGQ5 50-59 years, female 287.8
GTEX-ZF2S-3026-SM-4WWCH 50-59 years, female 286.4
GTEX-13OW6-2626-SM-5IFF2 50-59 years, male 285.4
GTEX-13VXU-0926-SM-5IFFH 50-59 years, male 284.9
GTEX-RWSA-1426-SM-47JXA 40-49 years, male 284.8
GTEX-11ZVC-0726-SM-5FQT9 50-59 years, female 284.6
GTEX-1GN1U-0926-SM-9WPPY 50-59 years, female 283.6
GTEX-14AS3-0126-SM-5Q5F4 40-49 years, female 279.9
GTEX-12WSM-0726-SM-5GCOW 60-69 years, male 279.6
GTEX-1F75A-1626-SM-9JGGT 50-59 years, male 279.2
GTEX-147JS-1126-SM-5RQIW 60-69 years, male 278.5
GTEX-15DYW-1326-SM-6LPIV 60-69 years, female 276.0
GTEX-1399T-0826-SM-5IFES 60-69 years, male 273.7
GTEX-1HBPH-2626-SM-A96TV 40-49 years, female 272.9
GTEX-1AMFI-0826-SM-731DV 50-59 years, female 271.7
GTEX-13X6J-1826-SM-5TDCT 50-59 years, male 269.7
GTEX-11DXZ-0126-SM-5EGGY 50-59 years, male 267.4
GTEX-OIZF-0826-SM-3MJGO 60-69 years, male 265.5
GTEX-17HII-1026-SM-7IGLY 50-59 years, male 265.2
GTEX-1EWIQ-0726-SM-7MKFW 70-79 years, female 264.0
GTEX-ZZPU-0426-SM-5GZYH 50-59 years, female 263.5
GTEX-12WSD-1426-SM-5GCN9 60-69 years, female 263.3
GTEX-QV44-0326-SM-C1YQX 50-59 years, male 262.8
GTEX-WK11-1326-SM-4OOSI 50-59 years, male 261.9
GTEX-WZTO-0626-SM-4PQYY 40-49 years, male 261.8
GTEX-1KD4Q-1526-SM-D4P3L 40-49 years, male 261.6
GTEX-1PIIG-1326-SM-EXOIR 30-39 years, male 260.2
GTEX-13NYB-1026-SM-5IFH3 40-49 years, male 258.9
GTEX-1E2YA-1226-SM-7MGY3 50-59 years, male 257.9
GTEX-14E1K-0326-SM-5S2PE 50-59 years, male 256.3
GTEX-1B933-1226-SM-731DW 50-59 years, female 255.4
GTEX-ZVT4-0626-SM-5E45T 50-59 years, female 254.9
GTEX-ZAB5-0426-SM-5CVMI 50-59 years, male 253.4
GTEX-1399R-1226-SM-5P9GF 30-39 years, male 251.7
GTEX-139TU-0826-SM-5IJFG 60-69 years, male 248.3
GTEX-R53T-0326-SM-48FEC 50-59 years, female 248.2
GTEX-11NV4-1326-SM-5HL6V 60-69 years, male 247.9
GTEX-YB5E-0326-SM-5IFHU 40-49 years, male 247.2
GTEX-1RQEC-1126-SM-EAZ5E 60-69 years, male 247.2
GTEX-REY6-1226-SM-48FDR 60-69 years, male 246.3
GTEX-1AX9I-1626-SM-72D5D 60-69 years, male 243.8
GTEX-1C6VQ-1626-SM-79OO1 50-59 years, male 242.7
GTEX-1J8EW-1626-SM-C1YQ8 60-69 years, female 242.1
GTEX-1I1GR-1526-SM-CNNQE 60-69 years, male 239.0
GTEX-1PBJJ-0626-SM-DPRYO 30-39 years, male 237.9
GTEX-145LU-1326-SM-5LU9N 50-59 years, male 237.5
GTEX-RM2N-1926-SM-48FCU 50-59 years, male 237.1
GTEX-1GF9V-1226-SM-7MKGY 60-69 years, male 235.2
GTEX-1GN73-1126-SM-9OSW5 60-69 years, male 230.4
GTEX-13PVQ-1526-SM-5IFEQ 50-59 years, male 230.0
GTEX-1I1HK-1126-SM-AHZ2L 60-69 years, male 230.0
GTEX-11WQC-0726-SM-5EQMR 60-69 years, male 228.1
GTEX-ZVP2-0626-SM-51MSO 50-59 years, male 227.5
GTEX-1KWVE-0326-SM-EV7AF 30-39 years, male 226.9
GTEX-11OF3-0726-SM-5BC4Z 60-69 years, male 223.8
GTEX-132NY-0926-SM-5P9G3 60-69 years, male 223.0
GTEX-T6MN-1226-SM-3NMA5 50-59 years, male 222.9
GTEX-15ER7-1826-SM-6LLI7 20-29 years, female 222.3
GTEX-1H11D-0826-SM-9OSWB 40-49 years, male 221.5
GTEX-YEC4-0826-SM-5P9FV 40-49 years, male 220.6
GTEX-148VI-0626-SM-5TDDH 60-69 years, female 219.9
GTEX-18A66-2026-SM-7189C 60-69 years, male 219.1
GTEX-S4Z8-0526-SM-4AD4T 60-69 years, male 215.9
GTEX-12WSI-0226-SM-5GCNA 50-59 years, male 214.9
GTEX-U3ZN-0226-SM-3DB8D 30-39 years, female 214.0
GTEX-11GSP-0626-SM-5986T 60-69 years, female 213.9
GTEX-WYVS-1926-SM-4PQZ2 40-49 years, female 209.4
GTEX-1A8G7-1126-SM-731ED 60-69 years, male 209.2
GTEX-147F4-1426-SM-5LUA8 50-59 years, male 205.3
GTEX-1JJ6O-0826-SM-CXZJL 60-69 years, male 199.7
GTEX-1S82Y-1026-SM-EV7BJ 40-49 years, male 198.9
GTEX-Z9EW-0426-SM-5CVM9 40-49 years, male 197.8
GTEX-12696-0826-SM-5EGGE 60-69 years, male 197.3
GTEX-P44G-1126-SM-3NM9D 30-39 years, male 195.6
GTEX-1269C-0626-SM-5FQSS 60-69 years, female 194.6
GTEX-13QJC-0726-SM-5RQJK 60-69 years, female 192.1
GTEX-RU72-1426-SM-46MUF 50-59 years, female 190.8
GTEX-1MJIX-0726-SM-DPRYP 40-49 years, male 188.2
GTEX-12ZZZ-1326-SM-59HKW 60-69 years, male 186.2
GTEX-1LGRB-0626-SM-CNNQH 50-59 years, female 186.0
GTEX-139YR-0226-SM-5IFEM 50-59 years, male 184.8
GTEX-UPK5-1426-SM-4JBHH 40-49 years, male 184.0
GTEX-13113-1326-SM-5GCOI 60-69 years, female 182.7
GTEX-1HBPI-1026-SM-AHZ4N 50-59 years, male 180.7
GTEX-11TUW-1726-SM-5BC5C 60-69 years, male 178.9
GTEX-1AX8Z-1026-SM-7189R 60-69 years, male 176.6
GTEX-1QCLZ-1226-SM-EAZ49 60-69 years, female 176.2
GTEX-P78B-1326-SM-3P611 40-49 years, female 173.9
GTEX-12KS4-1326-SM-5LUB3 30-39 years, male 170.2
GTEX-1ICLY-1526-SM-C1YS4 50-59 years, male 169.7
GTEX-1EH9U-1126-SM-7IGLU 60-69 years, male 168.7
GTEX-WY7C-0726-SM-4ONCB 50-59 years, male 168.6
GTEX-XBEC-1526-SM-4AT68 50-59 years, male 168.6
GTEX-Q2AG-1126-SM-48U1P 40-49 years, female 168.4
GTEX-1LH75-0926-SM-EAZ5C 50-59 years, female 168.2
GTEX-1KD5A-1226-SM-CXZK7 50-59 years, male 167.9
GTEX-1QP66-0226-SM-DPRXS 50-59 years, male 163.7
GTEX-X261-1726-SM-4PQYT 50-59 years, male 163.0
GTEX-YFC4-1526-SM-5IFJS 40-49 years, female 162.5
GTEX-147GR-1326-SM-7IGLB 60-69 years, male 162.2
GTEX-1B996-1426-SM-7EPIA 60-69 years, male 160.9
GTEX-1GF9W-0826-SM-7MKHI 60-69 years, male 155.5
GTEX-WFON-1726-SM-4LVMQ 40-49 years, male 154.8
GTEX-ZPU1-0826-SM-57WG2 40-49 years, male 154.1
GTEX-13N2G-0926-SM-5IFGJ 60-69 years, male 153.7
GTEX-1JMLX-1326-SM-CXZJO 50-59 years, male 151.4
GTEX-Q734-0326-SM-48U15 40-49 years, female 146.1
GTEX-VUSG-0126-SM-4KL1X 50-59 years, male 143.3
GTEX-ZAB4-0826-SM-5LU9D 40-49 years, male 142.9
GTEX-1IKK5-0326-SM-C1YPY 60-69 years, male 142.7
GTEX-13NZ9-1326-SM-5MR3V 50-59 years, male 142.0
GTEX-13NZB-0626-SM-5IFH6 30-39 years, male 141.4
GTEX-TKQ2-1726-SM-4DXUP 50-59 years, male 136.6
GTEX-1S5VW-1826-SM-EAZ53 60-69 years, male 129.6
GTEX-1KAFJ-0726-SM-CXZKF 50-59 years, male 128.7
GTEX-14PJO-1726-SM-68719 60-69 years, male 126.2
GTEX-1HB9E-0626-SM-AHZ4K 50-59 years, male 122.9
GTEX-WQUQ-1926-SM-4OOSA 60-69 years, male 122.7
GTEX-1B8SG-1326-SM-79ONT 50-59 years, male 120.2
GTEX-QEL4-1226-SM-447A4 50-59 years, male 119.4
GTEX-S33H-1626-SM-4AD68 30-39 years, male 118.5
GTEX-144GM-1326-SM-5LU5E 20-29 years, male 117.5
GTEX-12WSL-0226-SM-5CVMJ 50-59 years, male 111.1
GTEX-15SZO-1226-SM-6LPIP 50-59 years, male 109.6
GTEX-17HGU-1826-SM-7IGQM 50-59 years, male 106.8
GTEX-1497J-0726-SM-5Q5D1 60-69 years, male 105.3
GTEX-ZYY3-0626-SM-5NQ6W 60-69 years, female 103.5
GTEX-1CB4J-0726-SM-7IGN8 60-69 years, male 103.3
GTEX-15RJ7-2026-SM-6LPJ4 40-49 years, male 102.0
GTEX-1GF9X-0426-SM-7MKHN 40-49 years, female 101.5
GTEX-13O1R-2026-SM-5KM3N 60-69 years, male 96.5
GTEX-U8XE-1526-SM-4E3HT 30-39 years, male 95.7
GTEX-UTHO-2426-SM-4JBHD 60-69 years, male 95.5
GTEX-ZTPG-1426-SM-51MT3 20-29 years, female 95.5
GTEX-S32W-1926-SM-4AD63 50-59 years, female 95.1
GTEX-18D9B-1526-SM-7KFRK 60-69 years, male 88.6
GTEX-XXEK-1126-SM-4BRUX 50-59 years, male 88.6
GTEX-14C38-1526-SM-5RQJ7 50-59 years, male 87.8
GTEX-1HCU7-1726-SM-B2LX9 50-59 years, male 85.2
GTEX-1K9T9-0726-SM-CXZJZ 50-59 years, female 84.5
GTEX-1B932-1426-SM-793AN 40-49 years, female 83.9
GTEX-12WSG-0626-SM-5FQTQ 50-59 years, female 79.1
GTEX-QDVN-0826-SM-48TZ2 50-59 years, male 74.1
GTEX-11TT1-1726-SM-5EQLJ 20-29 years, male 60.8
GTEX-146FH-1526-SM-5NQBU 50-59 years, female 52.9
GTEX-O5YV-0726-SM-EV798 60-69 years, female 48.6
GTEX-X4XY-1626-SM-46MVN 60-69 years, male 46.9
GTEX-O5YT-0826-SM-3TW8N 20-29 years, male 46.8
GTEX-131XE-0326-SM-5LZVO 50-59 years, male 45.2
GTEX-14XAO-0226-SM-68728 60-69 years, female 39.8
GTEX-132AR-0426-SM-5IFH8 50-59 years, female 39.7
Show allShow less

LIVER - FANTOM5 CAGEi

RNA expression in human tissues obtained through Cap Analysis of Gene Expression (CAGE) generated by the FANTOM5 project are reported as Scaled Tags Per Million.

Max subtype Scaled Tags Per Millioni

Max subtype Scaled Tags Per Million is the value for the subtype with the largest average Scaled Tags Per Million across the subtype samples.

201.1
FANTOM5 sample id Sample description Scaled Tags Per Million
Liver
Scaled Tags Per Million: 201.1
FF:10018-101C9 64,69,70 years, mixed 201.1

Contact

  • NEWS ARTICLES
  • PRESS ROOM

The Project

  • INTRODUCTION
  • ORGANIZATION
  • PUBLICATIONS

The Human Protein Atlas

  • DOWNLOADABLE DATA
  • LICENCE & CITATION
  • HELP & FAQ
The Human Protein Atlas project is funded
by the Knut & Alice Wallenberg Foundation.


contact@proteinatlas.org