We use cookies to enhance the usability of our website. If you continue, we'll assume that you are happy to receive all cookies. More information. Don't show this again.
ARF6
HPA
RESOURCES
  • TISSUE
  • BRAIN
  • SINGLE CELL
  • SUBCELLULAR
  • CANCER
  • BLOOD
  • CELL LINE
  • STRUCTURE & INTERACTION
ABOUT
  • INTRODUCTION
  • HISTORY
  • ORGANIZATION
  • PUBLICATIONS
  • ANTIBODY SUBMISSION
  • ANTIBODY AVAILABILITY
  • ACKNOWLEDGMENTS
  • CONTACT
NEWS
  • NEWS ARTICLES
  • PRESS ROOM
LEARN
  • DICTIONARY
  • PROTEIN CLASSES
  • PROTEIN EVIDENCE
  • METHODS
  • EDUCATIONAL VIDEOS
DATA
  • DOWNLOADABLE DATA
  • PUBLICATION DATA
  • RELEASE HISTORY
HELP
  • ANTIBODY VALIDATION
  • ASSAYS & ANNOTATION
  • DISCLAIMER
  • HELP & FAQ
  • PRIVACY STATEMENT
  • LICENCE & CITATION
Fields »
Search result

Field
Term
Gene name
Class
Subclass
Class
Keyword
Chromosome
External id
Tissue
Cell type
Expression
Antibody panel
Tissue
Main location
Patient ID
Annotation
Tissue
Category
Tau score
Cluster
Reliability
Brain region
Category
Tau score
Brain region
Category
Tau score
Brain region
Category
Tau score
Cluster
Reliability
Tissue
Cell type
Enrichment
Cell type
Category
Tau score
Cell type
Category
Tau score
Cell type
Category
Tau score
Cell lineage
Category
Tau score
Cluster
Cluster
Location
Searches
Location
Cell line
Class
Type
Phase
Reliability
Cancer
Prognosis
Cancer
Category
Cancer
Category
Tau score
Cluster
Variants
Interacting gene (ensg_id)
Type
Number of interactions
Pathway
Category
Score
Score
Score
Validation
Validation
Validation
Validation
Antibodies
Data type
Column


  • SUMMARY

  • TISSUE

  • BRAIN

  • SINGLE CELL

  • SUBCELL

  • CANCER

  • BLOOD

  • CELL LINE

  • STRUCT & INT

  • ARF6
TISSUE PRIMARY DATA SKIN Show tissue menu
ADIPOSE TISSUE ADRENAL GLAND AMYGDALA APPENDIX BASAL GANGLIA BONE MARROW BREAST BRONCHUS CEREBELLUM CEREBRAL CORTEX CERVIX CHOROID PLEXUS COLON DUODENUM
ENDOMETRIUM EPIDIDYMIS ESOPHAGUS FALLOPIAN TUBE GALLBLADDER HEART MUSCLE HIPPOCAMPAL FORMATION HYPOTHALAMUS KIDNEY LIVER LUNG LYMPH NODE MIDBRAIN NASOPHARYNX
ORAL MUCOSA OVARY PANCREAS PARATHYROID GLAND PITUITARY GLAND PLACENTA PROSTATE RECTUM RETINA SALIVARY GLAND SEMINAL VESICLE SKELETAL MUSCLE SKIN SMALL INTESTINE
SMOOTH MUSCLE SOFT TISSUE SPINAL CORD SPLEEN STOMACH TESTIS THYMUS THYROID GLAND TONGUE TONSIL URINARY BLADDER VAGINA
ANTIBODIES
AND
VALIDATION
Dictionary
Skin
Tissue proteome
Skin
SKIN - Expression summary
Protein expression
Skini

On the top, protein expression in current human tissue, based on all annotated cell types, is reported with the units not detected (n), low (l), medium (m) and high (h). Underneath, protein expression in each annotated cell type are reported using the same units.

Protein expression data is based on knowledge-based annotation. For genes where more than one antibody has been used, a collective score is set.

If knowledge-based annotation could not be performed for a gene, no data is displayed here. View antibody staining data further down this page.

h
m
l
n
Epidermal cells: Low
Fibroblasts: Low
Keratinocytes: Low
Langerhans: Low
Melanocytes: Low
RNA expressioni

A summary of mRNA expression data available for current tissue based on several datasets. The mRNA expression levels in human tissues are based on RNA-seq data generated by the Human Protein Atlas (HPA), Genotype-Tissue Expression (GTEx) portal and CAGE data generated by the FANTOM5 consortium. Consensus normalized expression levels for human tissues was created by combining the data from HPA and GTEx datasets.

The mRNA expression levels in pig are based on RNA-seq data generated by the Human Protein Atlas (HPA), and for mouse, HPA data and in situ hybridization generated by the Allen brain atlas are reported.

Scroll down to view mRNA expression data in more detail.
Consensus:64.0 nTPM
HPA:52.1 nTPM
GTEx:64.0 nTPM

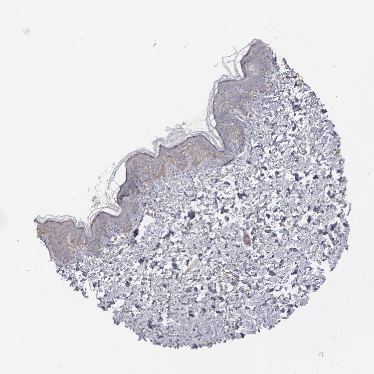
SKIN 1 - Antibody stainingi

Antibody staining in the annotated cell types in the current human tissue is reported as not detected, low, medium, or high, based on conventional immunohistochemistry profiling in selected tissues. This score is based on the combination of the staining intensity and fraction of stained cells.

Each image is clickable and will lead to virtual microscopy that enables deeper exploration of all samples and also displays staining intensity scores, fraction scores and subcellular localization as well as patient and tissue information for each sample.

Antibody CAB002778
Langerhans Low
Fibroblasts Low
Keratinocytes Low
Melanocytes Low


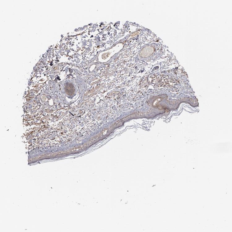
SKIN 2 - Antibody stainingi

Antibody staining in the annotated cell types in the current human tissue is reported as not detected, low, medium, or high, based on conventional immunohistochemistry profiling in selected tissues. This score is based on the combination of the staining intensity and fraction of stained cells.

Each image is clickable and will lead to virtual microscopy that enables deeper exploration of all samples and also displays staining intensity scores, fraction scores and subcellular localization as well as patient and tissue information for each sample.

Antibody CAB002778
Epidermal cells Low
 
 
 



SKIN - HPA RNA-seqi

The RNA-seq details section shows detailed information about the individual samples used for the transcript profiling and results of the RNA-seq analysis.

Information about each individual sample is listed below, including gender, age, a tissue section image and estimated fractions of cell types. nTPM (normalized transcripts per million) values give a quantification of the gene abundance which is comparable between different genes and samples.
Average nTPMi

Max subtype nTPM is the value for the subtype with the largest average nTPM across the subtype samples.

52.1
overview
Female, age 34
Skin sample 225
nTPM: 57.8
Cell types%
Keratinocytes:
60

Other cell types:
40

overview
Female, age 30
Skin sample 226
nTPM: 57.4
Cell types%
Keratinocytes:
55

Other cell types:
45

N/A
Male, age 57
Skin sample 227
nTPM: 41.3

SKIN - GTEx RNA-seqi

RNA-Seq data generated by the Genotype-Tissue Expression (GTEx) project from human tissues is reported as mean nTPM. More information can be found on the GTEx portal.

Distribution across the dataset is visualized with box plots, shown as median and 25th and 75th percentiles. Points are displayed as outliers if they are above or below 1.5 times the interquartile range. nTPM values of the individual samples are presented next to the box plot.
Max subtype nTPMi

Max subtype nTPM is the value for the subtype with the largest average nTPM across the subtype samples.

64.0
GTEx sample id Sample description nTPM
Skin - Not Sun Exposed (Suprapubic)
Average nTPM: 64.0
Samples: 604

Max nTPM: 159.4
Min nTPM: 26.4
Std nTPM: 17.0
Median nTPM: 62.6
GTEX-1F6RS-2026-SM-7RHHC 60-69 years, female 159.4
GTEX-12WSK-2126-SM-5CVNC 40-49 years, female 140.1
GTEX-13PDP-0726-SM-5L3HP 60-69 years, male 131.5
GTEX-11DZ1-2426-SM-5GZZX 50-59 years, male 119.2
GTEX-13YAN-0226-SM-5TDC6 60-69 years, male 112.5
GTEX-13IVO-0726-SM-5LZYV 70-79 years, male 110.1
GTEX-15ER7-0626-SM-6PANF 20-29 years, female 109.9
GTEX-13PL6-1126-SM-5L3IE 40-49 years, female 109.1
GTEX-11EQ8-0926-SM-5H12V 60-69 years, male 107.2
GTEX-1PBJJ-1026-SM-E76OS 30-39 years, male 107.0
GTEX-14ICL-1626-SM-5YYAO 30-39 years, male 104.6
GTEX-1HCU7-0726-SM-A9SL1 50-59 years, male 102.2
GTEX-148VJ-0626-SM-5LUAW 70-79 years, male 101.6
GTEX-1PPH8-0126-SM-EWRN8 20-29 years, male 101.1
GTEX-YFCO-1226-SM-5LUAT 40-49 years, male 101.0
GTEX-18A67-1626-SM-7LT9T 50-59 years, male 100.2
GTEX-1H2FU-0926-SM-9WPPT 60-69 years, female 100.1
GTEX-17F9Y-0126-SM-79OKX 70-79 years, female 99.9
GTEX-ZY6K-1426-SM-5GZX2 50-59 years, male 99.1
GTEX-ZXG5-2126-SM-59HKD 60-69 years, male 98.4
GTEX-1NSGN-0726-SM-DTXEF 50-59 years, male 98.4
GTEX-1IKJJ-2226-SM-CJI4C 60-69 years, male 97.6
GTEX-1NV5F-0626-SM-DTXEG 60-69 years, female 96.5
GTEX-12WSM-1926-SM-5BC65 60-69 years, male 95.9
GTEX-18QFQ-1826-SM-72D52 30-39 years, male 95.7
GTEX-1HSKV-1226-SM-ADEI4 60-69 years, male 95.4
GTEX-139UW-0326-SM-5J1ML 60-69 years, male 95.0
GTEX-1QP2A-1726-SM-E76QC 50-59 years, male 94.8
GTEX-1399S-0126-SM-5IJCF 30-39 years, female 94.3
GTEX-13O3O-2326-SM-5IJD6 60-69 years, female 94.2
GTEX-15EO6-2426-SM-6PALZ 50-59 years, male 94.0
GTEX-1313W-0626-SM-5EQ4H 50-59 years, female 93.8
GTEX-ZE7O-2726-SM-51MT5 50-59 years, female 93.8
GTEX-13FTY-2126-SM-5IFFB 40-49 years, female 93.6
GTEX-WHSB-1326-SM-3LK6W 50-59 years, male 92.9
GTEX-15SKB-2826-SM-6PAMH 60-69 years, male 92.7
GTEX-1GF9X-1326-SM-7PC2Y 40-49 years, female 92.4
GTEX-YECK-0326-SM-4W1YS 60-69 years, male 92.0
GTEX-1HSMQ-2626-SM-A9SML 50-59 years, male 91.8
GTEX-15RJE-2826-SM-7KUM9 40-49 years, male 91.7
GTEX-12WSH-1526-SM-5BC5W 50-59 years, male 91.6
GTEX-1F52S-2926-SM-7MKGA 60-69 years, female 91.5
GTEX-1IKOE-1426-SM-CE6T7 30-39 years, female 91.0
GTEX-139D8-1126-SM-5LU8W 30-39 years, female 90.8
GTEX-14C5O-0326-SM-5ZZUX 60-69 years, male 90.6
GTEX-11DXY-0126-SM-5H11Q 60-69 years, male 90.5
GTEX-13NYS-0626-SM-5L3F1 60-69 years, male 90.1
GTEX-111VG-1626-SM-5EGIO 60-69 years, male 89.8
GTEX-15DYW-2726-SM-6EU2I 60-69 years, female 89.8
GTEX-1I1GT-1026-SM-ARZLV 60-69 years, female 89.6
GTEX-1IE54-1126-SM-A9G2Z 40-49 years, female 89.5
GTEX-13NZ8-1226-SM-5KM4A 60-69 years, female 89.3
GTEX-17F97-2626-SM-7IGM5 50-59 years, male 89.3
GTEX-1F48J-0726-SM-7RHGS 50-59 years, female 89.1
GTEX-13OW5-2326-SM-5L3HO 60-69 years, male 88.5
GTEX-1JMQJ-0826-SM-CNPP7 50-59 years, male 88.1
GTEX-139T8-0626-SM-5KLZX 60-69 years, male 87.4
GTEX-144GL-0626-SM-5LU4D 50-59 years, male 87.4
GTEX-1HCVE-2726-SM-CL54F 50-59 years, male 87.2
GTEX-ZE9C-2526-SM-5IJDR 60-69 years, male 86.3
GTEX-1EMGI-2326-SM-7PBYA 60-69 years, male 86.3
GTEX-X585-2426-SM-46MW2 50-59 years, male 86.1
GTEX-14PII-0726-SM-6EU2B 60-69 years, male 85.8
GTEX-1IDFM-0326-SM-ARL7V 60-69 years, male 85.8
GTEX-1GMRU-2126-SM-7P8RA 50-59 years, male 84.5
GTEX-1HBPM-0726-SM-9YFL7 60-69 years, female 84.5
GTEX-147F4-0726-SM-5TDDD 50-59 years, male 84.4
GTEX-1269C-0126-SM-5EQ5L 60-69 years, female 84.1
GTEX-ZC5H-1526-SM-5HL9Y 40-49 years, female 84.0
GTEX-13NYB-0126-SM-5J1MD 40-49 years, male 83.5
GTEX-1GN1U-0626-SM-9MQL9 50-59 years, female 83.5
GTEX-147GR-2426-SM-5ZZWQ 60-69 years, male 83.2
GTEX-1C64N-2626-SM-7PC2N 50-59 years, male 83.2
GTEX-ZPCL-1126-SM-4WWFE 60-69 years, female 83.1
GTEX-ZVT4-2426-SM-5GIEI 50-59 years, female 83.1
GTEX-13SLW-0626-SM-5Q5ER 70-79 years, male 82.8
GTEX-1B8SF-0126-SM-7DUG3 60-69 years, male 82.7
GTEX-17MFQ-1526-SM-7KFRR 20-29 years, male 82.5
GTEX-11ZU8-0126-SM-5EQ58 60-69 years, male 82.3
GTEX-ZVE1-0726-SM-51MRN 50-59 years, female 82.3
GTEX-13SLX-2226-SM-62LEP 50-59 years, female 82.2
GTEX-15DDE-2926-SM-6LLJ3 50-59 years, female 82.2
GTEX-1GF9V-0826-SM-9KNUV 60-69 years, male 82.0
GTEX-1GN1V-2826-SM-9JGIA 60-69 years, male 81.9
GTEX-1QPFJ-1926-SM-EVYBD 30-39 years, female 81.9
GTEX-13OVK-1426-SM-6PAN7 40-49 years, male 81.8
GTEX-1GPI6-1926-SM-9KNV7 60-69 years, male 81.4
GTEX-1BAJH-2426-SM-7IGP8 70-79 years, male 81.3
GTEX-1JJEA-1826-SM-ARU8P 60-69 years, male 81.3
GTEX-1PPGY-1626-SM-EVYBL 60-69 years, male 81.3
GTEX-11TUW-0626-SM-5LU9M 60-69 years, male 81.2
GTEX-11WQC-1826-SM-5GU59 60-69 years, male 81.2
GTEX-1H3O1-1326-SM-9MQLD 60-69 years, male 81.0
GTEX-1OJC3-1226-SM-DTXER 20-29 years, male 80.8
GTEX-1GN73-0726-SM-7P8TJ 60-69 years, male 80.7
GTEX-ZLFU-1826-SM-4WWBV 40-49 years, male 80.6
GTEX-ZYVF-0926-SM-5E44J 50-59 years, female 80.5
GTEX-14E1K-2026-SM-7DUEI 50-59 years, male 80.2
GTEX-15UF6-1926-SM-7KUDV 70-79 years, female 80.1
GTEX-15RIG-0726-SM-7KUM7 40-49 years, male 80.0
GTEX-14PJ6-2626-SM-6EU2T 60-69 years, female 79.5
GTEX-1GZ4H-0526-SM-9KNU9 50-59 years, female 79.0
GTEX-1CAMS-2226-SM-7PBXQ 40-49 years, female 78.9
GTEX-12ZZX-2426-SM-5GCOE 40-49 years, female 78.6
GTEX-1LB8K-0726-SM-D5OV2 50-59 years, male 78.6
GTEX-1R9PM-1926-SM-EVR3O 20-29 years, male 78.6
GTEX-13VXT-1926-SM-5K7UO 20-29 years, female 78.5
GTEX-144FL-0626-SM-5LU43 50-59 years, male 78.2
GTEX-13FHO-0426-SM-5L3F5 60-69 years, male 78.0
GTEX-1H11D-1826-SM-9QEHM 40-49 years, male 77.9
GTEX-1KAFJ-0126-SM-DIPEK 50-59 years, male 77.9
GTEX-Y9LG-1126-SM-4VBQ7 30-39 years, male 77.7
GTEX-1HT8W-0626-SM-A9G2H 30-39 years, male 77.7
GTEX-17F9E-2326-SM-79OKD 50-59 years, male 77.6
GTEX-1399Q-2326-SM-5KM2X 40-49 years, male 77.5
GTEX-15G19-2426-SM-7KUMR 60-69 years, male 77.4
GTEX-13O61-1426-SM-5KM3D 60-69 years, male 77.2
GTEX-UPJH-0226-SM-3GADV 50-59 years, male 76.8
GTEX-11GSP-2326-SM-5HL63 60-69 years, female 76.5
GTEX-13QJC-0126-SM-5ZZWJ 60-69 years, female 76.3
GTEX-1I1GV-0626-SM-ARL7M 60-69 years, male 76.2
GTEX-1POEN-2326-SM-E9J2L 30-39 years, female 76.2
GTEX-ZT9X-1526-SM-5DUXD 40-49 years, male 76.1
GTEX-ZVZP-1226-SM-5GID7 50-59 years, male 76.0
GTEX-1LKK1-2626-SM-DKPQE 50-59 years, female 76.0
GTEX-1R9K4-2826-SM-DTX8F 60-69 years, male 76.0
GTEX-11P81-2226-SM-5PNYI 30-39 years, female 75.9
GTEX-14PJN-1826-SM-6AJ98 30-39 years, male 75.9
GTEX-11O72-0626-SM-5PNYE 40-49 years, male 75.6
GTEX-145LU-1926-SM-79OJN 50-59 years, male 75.5
GTEX-1HR98-2226-SM-ADEI2 60-69 years, male 75.5
GTEX-1HR9M-2226-SM-CNPPY 60-69 years, male 75.3
GTEX-12ZZZ-0726-SM-5GCNZ 60-69 years, male 75.2
GTEX-1PDJ9-1226-SM-EXUSX 20-29 years, male 75.1
GTEX-ZDTT-0426-SM-4WKFL 60-69 years, male 75.0
GTEX-1S82P-2126-SM-E6CI5 60-69 years, female 75.0
GTEX-1399U-1126-SM-5L3DB 50-59 years, female 74.9
GTEX-Y114-2126-SM-4TT8B 50-59 years, female 74.9
GTEX-1LGRB-0926-SM-COH3K 50-59 years, female 74.8
GTEX-1RAZQ-1326-SM-E9TK6 30-39 years, male 74.7
GTEX-ZTX8-1326-SM-4YCEL 20-29 years, male 74.6
GTEX-ZLV1-1526-SM-DO91J 60-69 years, female 74.6
GTEX-14LZ3-0126-SM-69LPM 60-69 years, female 74.5
GTEX-1QP28-1126-SM-EVYC4 50-59 years, female 74.5
GTEX-17HHE-1326-SM-7EWDZ 50-59 years, male 74.3
GTEX-1EKGG-0626-SM-7DUGJ 60-69 years, male 74.3
GTEX-XBEW-1126-SM-4QARW 40-49 years, male 74.1
GTEX-1PIIG-2326-SM-DTXFR 30-39 years, male 74.1
GTEX-11NUK-2726-SM-5A5MC 50-59 years, male 74.0
GTEX-XQ8I-0926-SM-4BOOF 50-59 years, male 73.9
GTEX-13112-0126-SM-5P9IU 50-59 years, male 73.7
GTEX-1CB4F-1026-SM-7DUH1 60-69 years, male 73.7
GTEX-1J8EW-2726-SM-CY8HR 60-69 years, female 73.7
GTEX-1J8Q2-2626-SM-ACKWQ 60-69 years, male 73.7
GTEX-1JMLX-0626-SM-ARL8T 50-59 years, male 73.7
GTEX-1JN1M-2726-SM-CY8I4 60-69 years, female 73.7
GTEX-1MCYP-0526-SM-E9U6Q 20-29 years, female 73.7
GTEX-1MJK3-0726-SM-E6CJC 20-29 years, male 73.7
GTEX-13G51-1826-SM-5KLZH 60-69 years, male 73.6
GTEX-1HKZK-0726-SM-ACKW2 40-49 years, male 73.6
GTEX-1192X-2726-SM-5N9DN 50-59 years, male 73.5
GTEX-1HCU6-2526-SM-ADEHL 60-69 years, female 73.4
GTEX-1H4P4-2126-SM-9WYSL 50-59 years, male 73.3
GTEX-145LS-0626-SM-7EPG7 60-69 years, female 73.1
GTEX-1A8G7-1326-SM-73KVM 60-69 years, male 73.1
GTEX-1AX9I-2226-SM-73KUO 60-69 years, male 73.1
GTEX-1PIGE-1826-SM-E8VOU 20-29 years, male 73.0
GTEX-16YQH-2226-SM-7IGM2 30-39 years, male 72.8
GTEX-18D9A-1426-SM-7LT8M 30-39 years, female 72.8
GTEX-17EVP-2626-SM-7IGMA 40-49 years, male 72.7
GTEX-1CAMQ-1326-SM-7P8RV 40-49 years, male 72.7
GTEX-WFG7-2026-SM-5SI7P 20-29 years, male 72.5
GTEX-ZP4G-1426-SM-4WWCL 20-29 years, female 72.3
GTEX-1J1OQ-0126-SM-D4P2N 40-49 years, female 72.2
GTEX-13NYC-0126-SM-5L3F4 60-69 years, male 72.1
GTEX-1C6WA-2626-SM-7MKGM 60-69 years, male 72.1
GTEX-1K2DU-1226-SM-CYPT4 20-29 years, male 72.0
GTEX-14PJ5-1526-SM-6LLIL 60-69 years, female 71.6
GTEX-ZYY3-2926-SM-5GIEB 60-69 years, female 71.6
GTEX-13OW6-2726-SM-5J2OE 50-59 years, male 71.5
GTEX-1R46S-2426-SM-E76QA 60-69 years, female 71.5
GTEX-XOT4-0626-SM-4B66L 60-69 years, female 71.4
GTEX-WYBS-0626-SM-3NMAS 60-69 years, female 71.3
GTEX-12584-0726-SM-5FQTK 40-49 years, male 71.0
GTEX-145MH-2826-SM-5RQJF 50-59 years, male 71.0
GTEX-WHSE-0126-SM-3NMBT 20-29 years, male 71.0
GTEX-1GPI7-1826-SM-9KNU1 20-29 years, male 71.0
GTEX-1F75B-0726-SM-7PC3R 50-59 years, male 70.5
GTEX-16BQI-1326-SM-6M486 30-39 years, female 70.4
GTEX-1JMPY-0226-SM-CKZOK 30-39 years, male 70.4
GTEX-1C6VQ-1226-SM-73KYD 50-59 years, male 70.1
GTEX-ZYT6-2326-SM-5GZY3 30-39 years, male 70.1
GTEX-13FLV-0126-SM-5K7WT 50-59 years, male 70.0
GTEX-1R7EU-1626-SM-DTXG3 60-69 years, male 70.0
GTEX-1HBPN-0126-SM-CGQEF 50-59 years, male 69.7
GTEX-17HII-1426-SM-7EPGG 50-59 years, male 69.5
GTEX-1JK1U-0226-SM-ARZMX 60-69 years, male 69.5
GTEX-17KNJ-2126-SM-718AM 50-59 years, male 69.4
GTEX-Z93S-1626-SM-5CVMB 50-59 years, male 69.4
GTEX-14B4R-1326-SM-5Q5EZ 30-39 years, male 69.1
GTEX-1GZHY-0626-SM-9KNVC 50-59 years, female 69.1
GTEX-1JMQK-1226-SM-D4P2S 60-69 years, male 69.1
GTEX-ZF29-0926-SM-4WKFZ 60-69 years, female 69.0
GTEX-1I1GP-1326-SM-A9G28 50-59 years, male 69.0
GTEX-13N1W-2426-SM-5IJD1 70-79 years, male 68.7
GTEX-1F5PK-2226-SM-7SB6N 50-59 years, male 68.7
GTEX-14PHY-1226-SM-5ZZWK 60-69 years, female 68.6
GTEX-1E2YA-2126-SM-7MXUO 50-59 years, male 68.6
GTEX-1N2EE-0626-SM-E76PW 60-69 years, male 68.5
GTEX-1PPH7-1126-SM-DTX9A 40-49 years, male 68.5
GTEX-1HB9E-0126-SM-CM2S5 50-59 years, male 68.3
GTEX-11LCK-2226-SM-5HL4Q 30-39 years, male 68.2
GTEX-18A6Q-0626-SM-7KFRP 60-69 years, male 68.1
GTEX-ZDTS-0826-SM-4WKHL 60-69 years, male 68.1
GTEX-ZYFC-0426-SM-5GICQ 50-59 years, male 68.1
GTEX-1C6VR-0126-SM-7RHGB 60-69 years, male 67.9
GTEX-1F88E-1626-SM-7SB8Z 60-69 years, female 67.9
GTEX-12WSJ-1126-SM-5LZVJ 40-49 years, female 67.8
GTEX-1MCC2-1826-SM-DIPEX 30-39 years, female 67.7
GTEX-14753-0726-SM-5QGQO 60-69 years, male 67.6
GTEX-1EN7A-2426-SM-793DB 40-49 years, male 67.6
GTEX-11OF3-0126-SM-5PNYF 60-69 years, male 67.5
GTEX-X4EP-0626-SM-3P621 60-69 years, female 67.5
GTEX-1I1GU-0926-SM-ACKVS 40-49 years, male 67.5
GTEX-1EU9M-1426-SM-793AI 60-69 years, male 67.4
GTEX-11GS4-0226-SM-5HL77 60-69 years, male 67.3
GTEX-133LE-2326-SM-5K7W3 20-29 years, female 67.3
GTEX-1GZ4I-2626-SM-9KNU3 50-59 years, male 67.3
GTEX-147F3-1726-SM-5SIAW 50-59 years, female 67.2
GTEX-1B8KZ-0326-SM-73KY4 50-59 years, male 67.2
GTEX-1B932-2326-SM-79OL5 40-49 years, female 67.2
GTEX-1EH9U-2826-SM-7DUGT 60-69 years, male 67.2
GTEX-17F98-1326-SM-7DUEP 40-49 years, female 67.1
GTEX-13X6K-0626-SM-5LU5D 60-69 years, female 67.0
GTEX-1KANB-2826-SM-CY8I6 50-59 years, male 66.8
GTEX-1LVAN-0626-SM-CNPOQ 50-59 years, female 66.8
GTEX-1R9PN-0426-SM-DTXDT 40-49 years, female 66.8
GTEX-12KS4-2126-SM-5FQUT 30-39 years, male 66.7
GTEX-1RLM8-2926-SM-E8VON 50-59 years, male 66.7
GTEX-YEC4-1826-SM-4W1YP 40-49 years, male 66.6
GTEX-14PJ4-0226-SM-5YY92 60-69 years, male 66.5
GTEX-14PKU-0126-SM-6LLHV 40-49 years, female 66.4
GTEX-1C2JI-1026-SM-73KY1 50-59 years, male 66.3
GTEX-1JMPZ-0726-SM-CY8HZ 30-39 years, male 66.2
GTEX-147JS-0226-SM-5S2U9 60-69 years, male 66.1
GTEX-13OW7-0426-SM-5K7VK 50-59 years, male 66.0
GTEX-14C39-1726-SM-5RQIL 40-49 years, male 66.0
GTEX-16AAH-0626-SM-793C9 50-59 years, male 66.0
GTEX-WXYG-2026-SM-4E3IY 50-59 years, female 66.0
GTEX-1AYD5-2626-SM-7PBXY 50-59 years, male 66.0
GTEX-13FTX-1526-SM-5K7VJ 20-29 years, female 65.9
GTEX-1CB4J-1326-SM-7P8RX 60-69 years, male 65.9
GTEX-1B8L1-2226-SM-7P8PT 60-69 years, male 65.8
GTEX-1OJC4-2726-SM-E76PJ 50-59 years, female 65.8
GTEX-ZF2S-1626-SM-57WES 50-59 years, female 65.7
GTEX-1A8G6-2726-SM-731AR 60-69 years, male 65.5
GTEX-ZTTD-2826-SM-4YCFA 50-59 years, male 65.4
GTEX-1I1GS-2626-SM-B2LY3 60-69 years, male 65.4
GTEX-14PJ3-1126-SM-5ZZVX 50-59 years, male 65.2
GTEX-1F75I-2226-SM-7SB8U 40-49 years, male 65.2
GTEX-16NPX-0726-SM-7KULC 50-59 years, male 65.1
GTEX-ZAB4-2126-SM-5HL8U 40-49 years, male 65.1
GTEX-XK95-0226-SM-4AT58 40-49 years, male 65.0
GTEX-YJ8O-2526-SM-5HL85 40-49 years, female 65.0
GTEX-ZVE2-2826-SM-5GU51 50-59 years, male 64.9
GTEX-1GN2E-0226-SM-9WG6K 60-69 years, male 64.9
GTEX-1JJ6O-2726-SM-CNPOG 60-69 years, male 64.9
GTEX-17MF6-2626-SM-79OKQ 40-49 years, male 64.8
GTEX-11ZTT-2126-SM-5CVLO 60-69 years, female 64.7
GTEX-WH7G-2026-SM-3NMBL 40-49 years, male 64.7
GTEX-X4EO-2926-SM-4E3JH 60-69 years, female 64.7
GTEX-ZF3C-0626-SM-DO92O 50-59 years, female 64.7
GTEX-1117F-2926-SM-5GZYI 60-69 years, female 64.6
GTEX-12WSD-0626-SM-5GCMW 60-69 years, female 64.5
GTEX-139TS-2126-SM-5K7XC 60-69 years, male 64.5
GTEX-1A3MV-1826-SM-731CD 30-39 years, male 64.5
GTEX-12ZZY-0726-SM-5EQ66 60-69 years, male 64.4
GTEX-XMD2-2126-SM-4YCF8 60-69 years, female 64.1
GTEX-1ICLZ-0326-SM-ARL82 60-69 years, male 64.1
GTEX-131XG-0326-SM-5L3DX 50-59 years, female 64.0
GTEX-14A6H-2026-SM-5Q5DD 30-39 years, male 64.0
GTEX-XAJ8-1426-SM-47JYM 40-49 years, male 63.9
GTEX-Y3I4-1726-SM-4TT89 50-59 years, male 63.9
GTEX-1GF9W-1426-SM-7PBYM 60-69 years, male 63.9
GTEX-14PHX-2226-SM-6EU2P 50-59 years, male 63.8
GTEX-1AMFI-1326-SM-7939R 50-59 years, female 63.8
GTEX-15G1A-1626-SM-7KUKN 30-39 years, male 63.7
GTEX-12126-0826-SM-5FQTZ 20-29 years, male 63.6
GTEX-1H3VE-0726-SM-9YFL5 40-49 years, male 63.6
GTEX-1JJE9-2626-SM-ARZMT 70-79 years, male 63.3
GTEX-145MF-0926-SM-5Q5EA 50-59 years, male 63.2
GTEX-1IDJH-0126-SM-D3L92 70-79 years, male 63.2
GTEX-14A5H-0826-SM-5QGPJ 60-69 years, male 63.0
GTEX-XBED-1926-SM-47JYP 60-69 years, male 63.0
GTEX-13JVG-0726-SM-5KM16 60-69 years, male 62.9
GTEX-16MT8-2926-SM-7DUFO 60-69 years, female 62.9
GTEX-1CB4E-0926-SM-7EPHT 60-69 years, male 62.9
GTEX-111CU-1126-SM-5EGIM 50-59 years, male 62.8
GTEX-131XF-2626-SM-5EQ6K 60-69 years, male 62.8
GTEX-139YR-1026-SM-5LZYN 50-59 years, male 62.8
GTEX-13OVH-0526-SM-5L3E6 70-79 years, male 62.8
GTEX-1B8KE-1126-SM-7EPHI 50-59 years, male 62.6
GTEX-XV7Q-1826-SM-4BRUV 40-49 years, female 62.5
GTEX-14AS3-1526-SM-5Q5ED 40-49 years, female 62.4
GTEX-Y111-0626-SM-4SOIT 50-59 years, male 62.4
GTEX-ZYW4-0626-SM-59HJR 60-69 years, male 62.2
GTEX-17HHY-0426-SM-7DHLC 50-59 years, male 62.1
GTEX-1M4P7-0726-SM-E6CJ3 60-69 years, male 62.0
GTEX-1RAZR-2126-SM-E9U6T 40-49 years, male 62.0
GTEX-ZAJG-1526-SM-5CVML 50-59 years, female 61.9
GTEX-11UD2-2526-SM-5CVNU 50-59 years, male 61.8
GTEX-ZZPU-0826-SM-5GZX5 50-59 years, female 61.8
GTEX-144GO-2026-SM-5O99P 60-69 years, male 61.6
GTEX-1B933-2426-SM-7DHMD 50-59 years, female 61.5
GTEX-1LSVX-2526-SM-DIPEU 60-69 years, male 61.5
GTEX-18A7A-0126-SM-731AH 50-59 years, female 61.2
GTEX-1QP9N-1226-SM-E76QN 30-39 years, male 61.1
GTEX-139TT-2126-SM-5LZWC 60-69 years, male 60.9
GTEX-1B97I-0626-SM-73KUZ 40-49 years, male 60.9
GTEX-13RTJ-0126-SM-5S2NN 60-69 years, male 60.8
GTEX-1CB4H-1126-SM-7MKGL 60-69 years, female 60.8
GTEX-13FTW-0326-SM-5K7UW 40-49 years, male 60.7
GTEX-1HFI7-2326-SM-CGQFS 50-59 years, female 60.7
GTEX-15D1Q-2826-SM-6LLH7 40-49 years, male 60.6
GTEX-1LG7Y-2526-SM-EWRO7 50-59 years, male 60.6
GTEX-16MTA-0926-SM-6M47Z 50-59 years, male 60.5
GTEX-1N2DV-1526-SM-DTXEP 40-49 years, male 60.5
GTEX-Y8E4-2026-SM-5IFJB 40-49 years, male 60.4
GTEX-14JFF-0626-SM-5ZZVT 60-69 years, male 60.4
GTEX-146FQ-2126-SM-5RQHU 30-39 years, male 60.3
GTEX-14E6C-2426-SM-5S2NF 40-49 years, male 60.3
GTEX-11EQ9-1626-SM-5PNY8 30-39 years, male 60.2
GTEX-13W3W-0726-SM-5IJDQ 60-69 years, female 60.2
GTEX-1LSNL-2726-SM-E9TKJ 50-59 years, male 60.2
GTEX-11ZUS-2626-SM-5FQUR 30-39 years, male 60.1
GTEX-1QCLY-0226-SM-EWRNH 30-39 years, male 60.0
GTEX-18465-2826-SM-7LT9J 50-59 years, male 59.9
GTEX-1GN1W-2426-SM-9KNUU 50-59 years, female 59.9
GTEX-14BIN-1126-SM-5RQJZ 50-59 years, female 59.6
GTEX-1KXAM-1626-SM-D3LAD 60-69 years, male 59.6
GTEX-ZDYS-2426-SM-4WKGI 50-59 years, male 59.5
GTEX-1HGF4-0126-SM-CNPPX 60-69 years, male 59.5
GTEX-1QMI2-2526-SM-E8VNZ 60-69 years, male 59.5
GTEX-14LLW-2626-SM-62LDZ 70-79 years, female 59.3
GTEX-15CHQ-0326-SM-69LQD 60-69 years, male 59.3
GTEX-VUSG-2326-SM-4KL1U 50-59 years, male 59.3
GTEX-139TU-0726-SM-5L3EK 60-69 years, male 59.2
GTEX-15SHW-0226-SM-7LTAT 60-69 years, male 59.2
GTEX-131XH-0126-SM-5LZUY 50-59 years, male 59.1
GTEX-131XW-0626-SM-5PNVD 50-59 years, female 59.1
GTEX-144GM-0526-SM-79OJO 20-29 years, male 59.0
GTEX-1A3MW-0626-SM-731CB 60-69 years, female 59.0
GTEX-XYKS-1426-SM-4BRUO 60-69 years, female 59.0
GTEX-1CAMR-1326-SM-7PC1F 20-29 years, male 59.0
GTEX-1HBPI-2126-SM-ARL9K 50-59 years, male 59.0
GTEX-1LVAM-0726-SM-E6CIL 50-59 years, female 58.7
GTEX-1RMOY-1326-SM-E9TIH 50-59 years, male 58.6
GTEX-1HSMP-0926-SM-A9SKX 70-79 years, male 58.5
GTEX-13VXU-0626-SM-5L3F9 50-59 years, male 58.4
GTEX-1LBAC-0826-SM-CY8IJ 20-29 years, male 58.3
GTEX-1122O-1026-SM-9WYSF 60-69 years, female 58.1
GTEX-1F75A-0726-SM-7RHHD 50-59 years, male 58.1
GTEX-1H1DE-1326-SM-9KNUG 20-29 years, male 58.1
GTEX-1I1HK-2326-SM-CKZOH 60-69 years, male 58.1
GTEX-1A32A-0626-SM-731AQ 50-59 years, female 58.0
GTEX-WHWD-1826-SM-3LK6I 50-59 years, male 57.9
GTEX-11DXZ-2026-SM-5987S 50-59 years, male 57.8
GTEX-11PRG-0726-SM-5EGL1 50-59 years, male 57.8
GTEX-12696-0126-SM-5EQ4L 60-69 years, male 57.8
GTEX-1GMR8-0626-SM-7RHI7 50-59 years, female 57.7
GTEX-11DXX-2126-SM-5PNYR 60-69 years, female 57.6
GTEX-15RIE-1926-SM-7KUKJ 60-69 years, male 57.4
GTEX-183WM-0326-SM-72D5V 70-79 years, female 57.4
GTEX-13OW8-1026-SM-5J1NQ 60-69 years, male 57.3
GTEX-ZAK1-0626-SM-5HL8E 50-59 years, female 57.3
GTEX-1S82U-1026-SM-E6CJK 30-39 years, female 57.3
GTEX-1QEPI-2626-SM-DTXF4 60-69 years, female 57.1
GTEX-1F5PL-0926-SM-7PC2W 40-49 years, female 56.8
GTEX-1J8QM-2426-SM-A9SLS 60-69 years, female 56.6
GTEX-1N5O9-0926-SM-E9J3C 60-69 years, male 56.6
GTEX-14C38-0726-SM-5SI6M 50-59 years, male 56.5
GTEX-12WSC-2826-SM-5BC5Y 50-59 years, male 56.4
GTEX-1477Z-0326-SM-7IGLA 60-69 years, male 56.4
GTEX-X5EB-1926-SM-4E3IW 40-49 years, male 56.4
GTEX-17HGU-2326-SM-7DUFE 50-59 years, male 56.3
GTEX-183FY-1026-SM-7939A 20-29 years, male 56.2
GTEX-145MI-0626-SM-5SI8S 60-69 years, female 56.0
GTEX-14BMV-2826-SM-5TDED 50-59 years, male 56.0
GTEX-Y5V6-2326-SM-4VDSA 60-69 years, male 56.0
GTEX-1A8FM-0626-SM-7PC25 50-59 years, female 55.9
GTEX-1JN76-0626-SM-CKZOQ 20-29 years, female 55.9
GTEX-11DXW-0826-SM-5H118 40-49 years, male 55.8
GTEX-U8XE-0226-SM-4E3J3 30-39 years, male 55.8
GTEX-ZWKS-0626-SM-5GIDV 30-39 years, male 55.8
GTEX-13D11-0926-SM-5J2NC 50-59 years, female 55.7
GTEX-WHPG-2626-SM-3NMBR 50-59 years, male 55.7
GTEX-1F6I4-2326-SM-7RHGL 60-69 years, male 55.7
GTEX-1GTWX-2026-SM-9YFLM 60-69 years, male 55.7
GTEX-1JN6P-2926-SM-CL54D 60-69 years, male 55.7
GTEX-13X6I-1826-SM-5SIAO 60-69 years, male 55.6
GTEX-15CHR-1126-SM-7EWF4 50-59 years, male 55.5
GTEX-1IDJV-0126-SM-COH3Y 60-69 years, male 55.5
GTEX-1K9T9-1526-SM-DIPFR 50-59 years, female 55.5
GTEX-13X6J-0626-SM-5LU5F 50-59 years, male 55.4
GTEX-13O3Q-0126-SM-5KM34 50-59 years, male 55.3
GTEX-13OVJ-0826-SM-5J1OK 50-59 years, female 55.3
GTEX-14ABY-2026-SM-62LDL 50-59 years, male 55.3
GTEX-1EWIQ-0326-SM-7DHMQ 70-79 years, female 55.3
GTEX-11DYG-1526-SM-5A5JS 60-69 years, male 55.2
GTEX-1C64O-1326-SM-7MGWR 60-69 years, male 55.2
GTEX-14JG1-1526-SM-5YY9X 40-49 years, male 55.1
GTEX-1IL2V-1926-SM-B2LW8 70-79 years, male 55.1
GTEX-145MG-1526-SM-5Q5EM 50-59 years, male 55.0
GTEX-WEY5-2326-SM-3GIKK 40-49 years, female 55.0
GTEX-1ICLY-0826-SM-CMKG1 50-59 years, male 55.0
GTEX-15RJ7-2126-SM-6PAMD 40-49 years, male 54.9
GTEX-1KD5A-0126-SM-E9U54 50-59 years, male 54.9
GTEX-1S5ZU-2526-SM-E6CIF 20-29 years, female 54.9
GTEX-X8HC-0626-SM-4E3HQ 50-59 years, female 54.8
GTEX-WK11-2726-SM-3NMAQ 50-59 years, male 54.6
GTEX-1QAET-0326-SM-EVR3U 50-59 years, male 54.6
GTEX-XUW1-0926-SM-4BONX 50-59 years, female 54.5
GTEX-1F88F-0126-SM-9WYSZ 60-69 years, female 54.5
GTEX-1HCUA-0826-SM-ADEHM 50-59 years, female 54.5
GTEX-ZZ64-1026-SM-5GZXG 20-29 years, male 54.3
GTEX-1JKYN-0826-SM-ARU8S 30-39 years, male 54.3
GTEX-1H1DG-2426-SM-9QEHJ 70-79 years, male 54.2
GTEX-ZA64-1026-SM-5HL8R 20-29 years, male 54.1
GTEX-1I1CD-0626-SM-CE6SW 60-69 years, female 54.1
GTEX-1QP29-1826-SM-DTX9S 50-59 years, male 54.0
GTEX-YEC3-1326-SM-DO92X 50-59 years, male 54.0
GTEX-14XAO-1226-SM-6EU1C 60-69 years, female 53.9
GTEX-178AV-1726-SM-7KUL8 40-49 years, male 53.6
GTEX-1LVAO-2726-SM-E9TJ8 60-69 years, male 53.6
GTEX-1QW4Y-1126-SM-DTXE3 30-39 years, male 53.5
GTEX-ZGAY-1826-SM-DO91Q 40-49 years, female 53.5
GTEX-1314G-1326-SM-5BC6E 30-39 years, male 53.4
GTEX-1497J-0226-SM-5QGPU 60-69 years, male 53.3
GTEX-1AMEY-0826-SM-72D65 30-39 years, female 53.2
GTEX-XQ3S-1426-SM-4BOPR 20-29 years, male 53.2
GTEX-14PJ2-0626-SM-6LLII 50-59 years, male 53.1
GTEX-1JMQL-2226-SM-CNPP4 50-59 years, female 53.1
GTEX-1S831-1826-SM-EWROF 20-29 years, male 52.9
GTEX-1JKYR-0626-SM-ARL8R 20-29 years, male 52.8
GTEX-WI4N-2726-SM-3LK7Y 40-49 years, female 52.6
GTEX-1IDJI-0126-SM-CMKHS 50-59 years, female 52.5
GTEX-14DAR-1226-SM-73KYV 50-59 years, male 52.2
GTEX-1GMR3-0126-SM-A9SLW 40-49 years, male 52.2
GTEX-1H23P-0626-SM-9WG6T 60-69 years, male 52.2
GTEX-1H1ZS-2726-SM-9WG75 70-79 years, male 52.0
GTEX-ZDXO-3126-SM-5IJDF 60-69 years, male 51.9
GTEX-13PVQ-0626-SM-5LU47 50-59 years, male 51.8
GTEX-15CHC-1126-SM-6LLHQ 60-69 years, female 51.8
GTEX-1IOXB-2726-SM-CM2RI 50-59 years, male 51.8
GTEX-16NGA-0726-SM-731AO 40-49 years, female 51.7
GTEX-1H1CY-0126-SM-9YFLY 60-69 years, female 51.7
GTEX-1HSGN-0826-SM-ACKW3 40-49 years, female 51.7
GTEX-1I6K6-1726-SM-CGQFD 30-39 years, male 51.7
GTEX-1S83E-1326-SM-E6CJM 40-49 years, male 51.7
GTEX-17F96-0126-SM-7EWDU 70-79 years, male 51.6
GTEX-WYVS-1626-SM-3NM9R 40-49 years, female 51.5
GTEX-1IY9M-2826-SM-ARU8H 60-69 years, male 51.5
GTEX-1LVA9-2626-SM-EVYD4 50-59 years, male 51.5
GTEX-145MN-1526-SM-5SI9T 30-39 years, male 51.4
GTEX-18D9B-0926-SM-7LG4U 60-69 years, male 51.1
GTEX-1JMQI-1726-SM-ARL93 50-59 years, male 51.1
GTEX-15FZZ-0526-SM-7KUGD 30-39 years, female 50.9
GTEX-1HC8U-1326-SM-9YFMJ 40-49 years, female 50.7
GTEX-11WQK-1026-SM-5EQLX 50-59 years, male 50.6
GTEX-12C56-1526-SM-5FQUQ 20-29 years, male 50.6
GTEX-1HCU9-0426-SM-9WYSD 20-29 years, male 50.6
GTEX-1J1R8-2026-SM-CL53Y 40-49 years, male 50.6
GTEX-111YS-1526-SM-5GZYW 60-69 years, male 50.4
GTEX-14PJO-2526-SM-6AJBQ 60-69 years, male 50.4
GTEX-ZVT2-0126-SM-5GIDQ 50-59 years, female 50.4
GTEX-13X6H-0926-SM-5SIB2 50-59 years, female 50.3
GTEX-1J8JJ-0626-SM-ARZMQ 60-69 years, female 50.3
GTEX-1KWVE-1026-SM-D3L9O 30-39 years, male 50.3
GTEX-11EM3-1226-SM-5N9DD 20-29 years, female 50.1
GTEX-15EU6-2226-SM-6EU2L 50-59 years, male 50.1
GTEX-1HSMO-0626-SM-ACKXC 60-69 years, male 50.1
GTEX-1KANA-1326-SM-DIPFA 20-29 years, male 50.0
GTEX-14PK6-0226-SM-62LF5 70-79 years, female 49.8
GTEX-16XZZ-0726-SM-7KUF2 60-69 years, male 49.8
GTEX-131YS-2826-SM-5EQ47 60-69 years, female 49.7
GTEX-13JUV-2026-SM-5K7UA 40-49 years, female 49.4
GTEX-14DAQ-0626-SM-793DS 60-69 years, female 49.3
GTEX-11EI6-2826-SM-5H11D 60-69 years, male 49.2
GTEX-W5X1-2526-SM-3GILC 40-49 years, female 49.1
GTEX-ZLWG-0826-SM-59888 50-59 years, female 49.1
GTEX-1JMOU-1026-SM-CYPSS 60-69 years, female 49.1
GTEX-16MT9-0126-SM-7EPI8 60-69 years, female 48.9
GTEX-1ICG6-1226-SM-A9SLN 70-79 years, female 48.9
GTEX-11VI4-1126-SM-5EQMD 40-49 years, female 48.8
GTEX-13QBU-1226-SM-5LU4G 40-49 years, female 48.8
GTEX-1IDJF-2026-SM-CL53V 20-29 years, male 48.8
GTEX-14JG6-1426-SM-9WG7C 30-39 years, female 48.7
GTEX-11P7K-1126-SM-5HL4L 30-39 years, male 48.6
GTEX-16Z82-2626-SM-7KULU 60-69 years, male 48.5
GTEX-1H3NZ-2726-SM-9WYTQ 60-69 years, male 48.2
GTEX-1RB15-1326-SM-E76Q9 60-69 years, male 48.2
GTEX-12WSF-1626-SM-7KUG5 70-79 years, male 48.0
GTEX-1C475-1326-SM-7SB73 40-49 years, female 47.9
GTEX-1HUB1-1426-SM-CGQF5 60-69 years, male 47.9
GTEX-117YX-1926-SM-5GIEC 50-59 years, male 47.8
GTEX-12WSA-0426-SM-5EQ5X 60-69 years, male 47.6
GTEX-14BMU-1226-SM-5S2OR 20-29 years, female 47.5
GTEX-1K2DA-1026-SM-CGQGF 50-59 years, male 47.5
GTEX-18D9U-0126-SM-731BM 40-49 years, male 47.4
GTEX-145MO-2826-SM-5LU96 60-69 years, male 47.3
GTEX-V1D1-2026-SM-3GAF4 50-59 years, male 47.2
GTEX-Y3IK-1626-SM-4YCF5 50-59 years, female 47.1
GTEX-1S3DN-2126-SM-E9TIN 50-59 years, male 47.1
GTEX-13PVR-0426-SM-5RQK2 60-69 years, female 46.9
GTEX-1RAZS-2526-SM-E6CHT 50-59 years, male 46.8
GTEX-13OVG-1626-SM-5J1NF 60-69 years, male 46.5
GTEX-XXEK-1626-SM-4BRUZ 50-59 years, male 46.4
GTEX-1HFI6-0126-SM-CNPPI 40-49 years, male 46.3
GTEX-1212Z-0126-SM-59HK4 60-69 years, male 46.0
GTEX-13OVL-0126-SM-5L3GJ 50-59 years, male 46.0
GTEX-1B996-0426-SM-7EWF8 60-69 years, male 46.0
GTEX-1O9I2-0226-SM-EYYXD 50-59 years, male 46.0
GTEX-1GL5R-1326-SM-7RHHF 50-59 years, male 45.8
GTEX-WFON-1926-SM-3LK7L 40-49 years, male 45.7
GTEX-1IDJU-1726-SM-CMKHU 60-69 years, female 45.7
GTEX-13N2G-0226-SM-5K7VF 60-69 years, male 45.5
GTEX-1I19N-0126-SM-CYPSF 70-79 years, male 45.4
GTEX-17HG3-2626-SM-7DUF2 30-39 years, female 45.3
GTEX-18A66-0626-SM-7LT8Z 60-69 years, male 45.2
GTEX-12WSL-2026-SM-5GCML 50-59 years, male 45.1
GTEX-1E1VI-0326-SM-793D1 50-59 years, male 45.1
GTEX-1CB4I-0126-SM-7RHGG 50-59 years, male 45.0
GTEX-1F6IF-0926-SM-7SB7M 60-69 years, male 44.9
GTEX-1KANC-1226-SM-CYPT7 50-59 years, female 44.9
GTEX-1LSNM-0826-SM-DIPG8 50-59 years, male 44.9
GTEX-XPVG-2126-SM-4B667 50-59 years, male 44.6
GTEX-XBEC-0726-SM-4QARZ 50-59 years, male 44.4
GTEX-Y5V5-0126-SM-5S2NW 60-69 years, female 44.4
GTEX-1H1E6-0426-SM-9WYUS 30-39 years, male 44.4
GTEX-14PKV-1126-SM-6LLJ1 20-29 years, female 44.2
GTEX-UPK5-0426-SM-3GAEK 40-49 years, male 44.0
GTEX-1H1DF-1126-SM-9WG7G 40-49 years, female 44.0
GTEX-145ME-1726-SM-5Q5EU 40-49 years, female 43.9
GTEX-WRHU-2826-SM-3MJG8 50-59 years, female 43.9
GTEX-ZTSS-1426-SM-5985P 40-49 years, male 43.9
GTEX-11P82-1426-SM-DTXFY 20-29 years, male 43.9
GTEX-13NZ9-2626-SM-5L3FK 50-59 years, male 43.7
GTEX-VJYA-1526-SM-3GIJV 60-69 years, male 43.6
GTEX-Y5LM-0926-SM-6LLJG 40-49 years, female 43.6
GTEX-16GPK-0626-SM-7KFSF 60-69 years, male 43.5
GTEX-18A7B-2726-SM-7LG56 70-79 years, male 43.5
GTEX-1F75W-2726-SM-7SB8H 60-69 years, male 43.3
GTEX-1CAV2-0126-SM-7IGN7 40-49 years, female 42.9
GTEX-WYJK-0526-SM-3NM8Z 50-59 years, male 42.9
GTEX-13N11-2326-SM-5IJBF 50-59 years, female 42.6
GTEX-Y8LW-1526-SM-5IFHL 50-59 years, female 42.3
GTEX-ZYFG-1526-SM-5GZYM 60-69 years, female 42.3
GTEX-1IDJC-1526-SM-B2LW4 50-59 years, male 42.2
GTEX-1EX96-1026-SM-7MKG2 50-59 years, male 42.1
GTEX-1QP66-1226-SM-DTX7U 50-59 years, male 42.1
GTEX-ZPU1-1126-SM-4YCF3 40-49 years, male 42.0
GTEX-ZUA1-2626-SM-5NQ92 40-49 years, male 41.9
GTEX-1IDJD-2326-SM-ACKWX 30-39 years, male 41.9
GTEX-12BJ1-0926-SM-5EQ62 60-69 years, male 41.4
GTEX-17EVQ-0126-SM-7IGLR 70-79 years, male 41.4
GTEX-1I6K7-1926-SM-B2LXR 40-49 years, male 41.3
GTEX-ZVP2-0326-SM-57WBP 50-59 years, male 41.2
GTEX-ZYFD-0626-SM-5E44E 50-59 years, male 41.2
GTEX-YF7O-1526-SM-5IFI6 50-59 years, male 40.8
GTEX-ZU9S-1826-SM-5NQ9E 30-39 years, male 40.6
GTEX-1211K-1526-SM-5FQU4 60-69 years, female 40.5
GTEX-ZPIC-0526-SM-DO91W 40-49 years, female 40.4
GTEX-1AX9J-1326-SM-731BJ 60-69 years, male 40.1
GTEX-1IDJE-1426-SM-ADEIW 50-59 years, female 39.5
GTEX-13113-1626-SM-5EQ4I 60-69 years, female 39.3
GTEX-1QCLZ-2426-SM-EVYBW 60-69 years, female 39.3
GTEX-1RAZA-2226-SM-E9U4X 20-29 years, male 39.3
GTEX-1AX8Z-0726-SM-73KTS 60-69 years, male 39.2
GTEX-1GF9U-2026-SM-7SB92 40-49 years, female 39.2
GTEX-WY7C-2126-SM-3NB2R 50-59 years, male 38.9
GTEX-1LGOU-1326-SM-D3L8M 20-29 years, female 38.4
GTEX-1LG7Z-1626-SM-CXKYR 30-39 years, male 37.9
GTEX-X3Y1-2026-SM-3P5YM 40-49 years, male 37.8
GTEX-145LT-0526-SM-5LUB2 40-49 years, male 37.7
GTEX-1L5NE-1126-SM-D3L9P 50-59 years, male 37.7
GTEX-11NSD-0626-SM-5A5LU 20-29 years, male 37.3
GTEX-13FH7-1126-SM-5K7UG 50-59 years, female 37.3
GTEX-WFG8-2126-SM-3GIKQ 20-29 years, male 37.1
GTEX-YB5K-2026-SM-4VDT3 40-49 years, female 36.8
GTEX-1I4MK-0126-SM-CY8G6 50-59 years, female 36.8
GTEX-14E6E-0526-SM-793DN 30-39 years, male 36.5
GTEX-1A3MX-2626-SM-7PC24 60-69 years, male 35.8
GTEX-1J8Q3-0526-SM-ARL8U 60-69 years, male 35.2
GTEX-13U4I-2226-SM-5LU5H 40-49 years, female 35.1
GTEX-132AR-0326-SM-5KM2C 50-59 years, female 34.6
GTEX-17JCI-2926-SM-7DUFF 60-69 years, female 34.4
GTEX-1GMR2-0826-SM-7PC3V 50-59 years, male 34.0
GTEX-11TT1-1826-SM-5EQLV 20-29 years, male 32.8
GTEX-1GZ2Q-0126-SM-9WG6M 40-49 years, male 32.5
GTEX-1HCU8-2526-SM-CE6RX 60-69 years, female 31.0
GTEX-ZVTK-0226-SM-51MRG 20-29 years, male 30.5
GTEX-ZT9W-1126-SM-57WDR 50-59 years, male 30.0
GTEX-1399R-1326-SM-5PNYS 30-39 years, male 27.4
GTEX-111FC-2526-SM-5GZXU 60-69 years, male 26.4
Show allShow less
Skin - Sun Exposed (Lower leg)
Average nTPM: 60.1
Samples: 701

Max nTPM: 129.8
Min nTPM: 21.0
Std nTPM: 15.4
Median nTPM: 58.8
GTEX-14E6C-0126-SM-5RQIP 40-49 years, male 129.8
GTEX-P4QT-0126-SM-2I3FL 50-59 years, female 125.4
GTEX-15ETS-0126-SM-7KUMW 40-49 years, female 119.9
GTEX-T2YK-0526-SM-32QPJ 50-59 years, male 118.7
GTEX-ZTX8-1426-SM-5DUVO 20-29 years, male 107.9
GTEX-1I1GT-0626-SM-CGQER 60-69 years, female 105.6
GTEX-18D9A-1926-SM-7LG6P 30-39 years, female 105.2
GTEX-1122O-2126-SM-5EGIR 60-69 years, female 104.5
GTEX-ZWKS-0126-SM-5SIAA 30-39 years, male 104.0
GTEX-1PDJ9-0326-SM-DTX95 20-29 years, male 101.7
GTEX-1F6RS-0126-SM-9MQKZ 60-69 years, female 98.7
GTEX-145LS-0126-SM-5QGP1 60-69 years, female 98.4
GTEX-11EQ9-2426-SM-5HL5T 30-39 years, male 97.5
GTEX-1HCU7-0226-SM-CL545 50-59 years, male 97.3
GTEX-PSDG-0226-SM-DKPOZ 50-59 years, male 96.2
GTEX-Y3IK-2426-SM-4WWDU 50-59 years, female 93.4
GTEX-1E2YA-0126-SM-9KNUC 50-59 years, male 92.7
GTEX-XBEW-0626-SM-4QASP 40-49 years, male 92.5
GTEX-SNMC-1226-SM-2XCFP 20-29 years, male 92.1
GTEX-1K2DA-1826-SM-CGQGT 50-59 years, male 91.7
GTEX-131YS-0126-SM-5KM1M 60-69 years, female 91.2
GTEX-13OVH-0126-SM-5MR4B 70-79 years, male 90.7
GTEX-1B8SF-1426-SM-7DUGL 60-69 years, male 90.1
GTEX-1C475-1826-SM-73KWA 40-49 years, female 90.0
GTEX-Y8E4-0626-SM-4WWDL 40-49 years, male 89.7
GTEX-1H4P4-0726-SM-9YFLR 50-59 years, male 89.7
GTEX-OIZH-0126-SM-2HMIS 50-59 years, male 89.5
GTEX-ZV6S-2326-SM-4YCEY 40-49 years, female 89.5
GTEX-17F96-1626-SM-7DUFL 70-79 years, male 88.4
GTEX-POMQ-2226-SM-2I5FK 20-29 years, female 87.7
GTEX-T5JW-1626-SM-3GADZ 20-29 years, female 87.7
GTEX-UJHI-1526-SM-3DB99 50-59 years, female 87.6
GTEX-ZV68-0126-SM-59HKS 50-59 years, female 87.5
GTEX-148VJ-0126-SM-5TDDN 70-79 years, male 85.7
GTEX-15RIG-0226-SM-7KFTL 40-49 years, male 85.5
GTEX-1JN6P-0126-SM-D3L98 60-69 years, male 85.2
GTEX-1MJK2-0426-SM-DTXE5 50-59 years, male 85.1
GTEX-ZYT6-0226-SM-5NQ6T 30-39 years, male 84.9
GTEX-1LVAN-0226-SM-COH3S 50-59 years, female 84.7
GTEX-17JCI-0126-SM-7LG5G 60-69 years, female 84.3
GTEX-11DXZ-2326-SM-5EGGV 50-59 years, male 84.2
GTEX-16GPK-0126-SM-7DHLE 60-69 years, male 84.0
GTEX-1GMR3-1926-SM-9KNUZ 40-49 years, male 83.7
GTEX-1CB4H-0226-SM-7PBXM 60-69 years, female 83.6
GTEX-13NYB-2526-SM-5K7Z6 40-49 years, male 83.3
GTEX-ZGAY-0526-SM-4WWBB 40-49 years, female 83.2
GTEX-1IKJJ-0126-SM-CNPQB 60-69 years, male 83.2
GTEX-13OVK-2026-SM-7KUEO 40-49 years, male 83.1
GTEX-1QMI2-0226-SM-EVYBX 60-69 years, male 83.0
GTEX-117XS-2726-SM-5N9BL 60-69 years, male 82.6
GTEX-13JUV-2726-SM-5LZZ8 40-49 years, female 82.5
GTEX-145MN-2226-SM-5SIAU 30-39 years, male 82.5
GTEX-13OW5-0126-SM-DTXFS 60-69 years, male 82.3
GTEX-1GF9V-0326-SM-7RHI5 60-69 years, male 82.3
GTEX-11DYG-0126-SM-59883 60-69 years, male 82.1
GTEX-ZF2S-2326-SM-4WWCE 50-59 years, female 82.0
GTEX-14PII-0226-SM-6EU1T 60-69 years, male 81.9
GTEX-T8EM-1026-SM-3DB7M 40-49 years, male 81.8
GTEX-1HCU8-0626-SM-A9SM9 60-69 years, female 81.7
GTEX-14A5I-0126-SM-5TDEA 50-59 years, female 81.6
GTEX-1399R-2726-SM-5IJBA 30-39 years, male 81.5
GTEX-U412-0426-SM-3DB9O 60-69 years, male 81.5
GTEX-1J8QM-2126-SM-CYPSJ 60-69 years, female 80.5
GTEX-1KAFJ-2026-SM-CY8ID 50-59 years, male 80.4
GTEX-1JJEA-0326-SM-CNPOT 60-69 years, male 80.3
GTEX-1B97I-1626-SM-73KYO 40-49 years, male 80.2
GTEX-13CF2-2526-SM-5LZYX 60-69 years, male 80.1
GTEX-11DZ1-0126-SM-5985Q 50-59 years, male 79.8
GTEX-ZAK1-0126-SM-5IJD3 50-59 years, female 79.8
GTEX-PX3G-0126-SM-2I3EN 20-29 years, female 79.7
GTEX-1S3DN-2226-SM-EVYCD 50-59 years, male 79.3
GTEX-1LBAC-0126-SM-DIPEZ 20-29 years, male 79.1
GTEX-1OJC3-0126-SM-E76QX 20-29 years, male 79.0
GTEX-1R9PM-2026-SM-E76OY 20-29 years, male 79.0
GTEX-15ER7-0326-SM-7KUEV 20-29 years, female 78.8
GTEX-U8T8-0126-SM-3DB94 60-69 years, male 78.5
GTEX-YJ89-0126-SM-4TT3X 60-69 years, male 78.5
GTEX-1399U-2326-SM-5K7WY 50-59 years, female 78.3
GTEX-1I1GV-0526-SM-A9G29 60-69 years, male 78.3
GTEX-1KANC-1526-SM-D3LAB 50-59 years, female 78.2
GTEX-1KANA-0726-SM-D3L9I 20-29 years, male 78.1
GTEX-1LG7Z-1726-SM-D3LA4 30-39 years, male 78.0
GTEX-18A6Q-0126-SM-731BZ 60-69 years, male 77.8
GTEX-1LGRB-2526-SM-CNPPQ 50-59 years, female 77.7
GTEX-1PIGE-0126-SM-EVYBJ 20-29 years, male 77.6
GTEX-1F75B-0126-SM-9KNVL 50-59 years, male 77.4
GTEX-1I4MK-2226-SM-ACKWD 50-59 years, female 77.4
GTEX-15F5U-1526-SM-6PANO 40-49 years, male 77.3
GTEX-15SB6-1726-SM-6PAME 50-59 years, female 77.2
GTEX-T6MN-0126-SM-32PLP 50-59 years, male 77.0
GTEX-X4EO-0326-SM-3P5YO 60-69 years, female 77.0
GTEX-13NZ8-0826-SM-5MR3I 60-69 years, female 76.9
GTEX-1PIIG-0226-SM-EWRN6 30-39 years, male 76.7
GTEX-1CB4I-0226-SM-79OLH 50-59 years, male 76.4
GTEX-1EWIQ-0126-SM-7RHH2 70-79 years, female 76.4
GTEX-131XE-2326-SM-5PNZ2 50-59 years, male 76.3
GTEX-139TS-2826-SM-5J1OO 60-69 years, male 76.3
GTEX-Z93S-0126-SM-5HL7M 50-59 years, male 76.3
GTEX-1GN1U-0126-SM-7PBZK 50-59 years, female 76.1
GTEX-145MO-0326-SM-5Q5B3 60-69 years, male 76.0
GTEX-139UW-2826-SM-5L3E7 60-69 years, male 75.9
GTEX-17KNJ-2326-SM-7DHLQ 50-59 years, male 75.9
GTEX-1GF9X-2026-SM-7PC3A 40-49 years, female 75.9
GTEX-12ZZX-0126-SM-5EGK9 40-49 years, female 75.8
GTEX-1BAJH-0526-SM-793CQ 70-79 years, male 75.7
GTEX-1GN2E-0426-SM-9MQKX 60-69 years, male 75.6
GTEX-111FC-0126-SM-5N9DL 60-69 years, male 75.5
GTEX-1GZHY-0326-SM-9QEHI 50-59 years, female 75.5
GTEX-15G19-0126-SM-6PANQ 60-69 years, male 75.3
GTEX-1J1OQ-0226-SM-CYPSH 40-49 years, female 75.3
GTEX-1L5NE-2526-SM-E6CIE 50-59 years, male 75.3
GTEX-OIZG-0726-SM-33HBL 50-59 years, male 75.1
GTEX-ZE9C-2726-SM-57WB5 60-69 years, male 75.1
GTEX-17GQL-2026-SM-718BA 60-69 years, male 74.9
GTEX-14C5O-0126-SM-5SI6N 60-69 years, male 74.5
GTEX-15SHU-0126-SM-7KUEH 40-49 years, female 74.5
GTEX-1HSKV-0226-SM-A9SKJ 60-69 years, male 74.5
GTEX-13NYC-0326-SM-E9J4S 60-69 years, male 74.2
GTEX-1JMLX-0226-SM-CM2RO 50-59 years, male 74.2
GTEX-X261-0126-SM-3NMD6 50-59 years, male 74.0
GTEX-1F5PL-0326-SM-7P8PQ 40-49 years, female 74.0
GTEX-ZVTK-0426-SM-51MRS 20-29 years, male 73.8
GTEX-YB5E-2026-SM-5IFIS 40-49 years, male 73.7
GTEX-13NYS-0126-SM-5MR3W 60-69 years, male 73.6
GTEX-1JMQI-2226-SM-CM2SD 50-59 years, male 73.4
GTEX-1192W-2626-SM-5Q5AF 60-69 years, male 73.3
GTEX-14BIN-0626-SM-793DP 50-59 years, female 73.3
GTEX-ZXES-1826-SM-5E43S 30-39 years, female 73.2
GTEX-1IL2U-0226-SM-CE6T8 60-69 years, male 73.2
GTEX-1H1CY-2826-SM-9MQM3 60-69 years, female 73.1
GTEX-12WSE-0526-SM-793B2 20-29 years, male 73.0
GTEX-13PDP-0126-SM-5L3HD 60-69 years, male 73.0
GTEX-11P81-2326-SM-59875 30-39 years, female 72.8
GTEX-1JN1M-0326-SM-CYPT3 60-69 years, female 72.7
GTEX-ZU9S-0226-SM-5E441 30-39 years, male 72.6
GTEX-13FHP-0126-SM-5IJBG 50-59 years, male 72.5
GTEX-1QPFJ-0226-SM-E76PB 30-39 years, female 72.4
GTEX-PVOW-0126-SM-2XCFA 40-49 years, male 72.2
GTEX-1GZ4H-1726-SM-7PBZJ 50-59 years, female 72.1
GTEX-131XF-5016-SM-7MGWE 60-69 years, male 72.0
GTEX-11UD2-0226-SM-5EQKY 50-59 years, male 71.8
GTEX-1HSGN-0226-SM-CGQFV 40-49 years, female 71.8
GTEX-ZDTS-0126-SM-4WAY5 60-69 years, male 71.7
GTEX-1RB15-2126-SM-E9TIM 60-69 years, male 71.7
GTEX-13SLX-0526-SM-5S2ON 50-59 years, female 71.6
GTEX-13YAN-0326-SM-5O9DF 60-69 years, male 71.6
GTEX-14PJ6-2126-SM-6EU1V 60-69 years, female 71.6
GTEX-1C6VR-2426-SM-79OLD 60-69 years, male 71.6
GTEX-11H98-0126-SM-5EGHG 50-59 years, male 71.5
GTEX-12696-2426-SM-5EQ6H 60-69 years, male 71.4
GTEX-NFK9-0226-SM-2HMKQ 40-49 years, male 71.4
GTEX-13111-1626-SM-5EGJY 50-59 years, male 71.1
GTEX-SJXC-0126-SM-2XCFF 60-69 years, male 71.0
GTEX-WYJK-0126-SM-3NMAB 50-59 years, male 71.0
GTEX-14E6D-0126-SM-62LDV 50-59 years, male 70.9
GTEX-1C64N-0126-SM-793D7 50-59 years, male 70.8
GTEX-1GMRU-0126-SM-9YFLV 50-59 years, male 70.8
GTEX-1H11D-0226-SM-9WG6Z 40-49 years, male 70.8
GTEX-1HT8W-0126-SM-CNPPP 30-39 years, male 70.8
GTEX-1JMPZ-0226-SM-CNPP1 30-39 years, male 70.8
GTEX-1399T-2826-SM-5KLYZ 60-69 years, male 70.2
GTEX-O5YT-0126-SM-48TBW 20-29 years, male 70.0
GTEX-ZDTT-2726-SM-4WKF8 60-69 years, male 70.0
GTEX-1H3VE-0326-SM-9YFLH 40-49 years, male 69.9
GTEX-1JMQJ-0526-SM-CYPSU 50-59 years, male 69.9
GTEX-13SLW-0126-SM-5SI6C 70-79 years, male 69.8
GTEX-WQUQ-0426-SM-3MJFU 60-69 years, male 69.8
GTEX-1M5QR-1226-SM-EWROB 40-49 years, male 69.8
GTEX-X4EP-0126-SM-3P5YV 60-69 years, female 69.5
GTEX-1IDJH-0326-SM-A9SLQ 70-79 years, male 69.5
GTEX-X88G-0126-SM-47JZ3 30-39 years, male 69.4
GTEX-11EI6-0126-SM-5985R 60-69 years, male 69.3
GTEX-ZVZO-0126-SM-5A5L9 40-49 years, male 69.2
GTEX-1R7EU-0226-SM-EVR4G 60-69 years, male 69.2
GTEX-13N2G-2626-SM-5J1OT 60-69 years, male 69.1
GTEX-12WSA-0226-SM-5BC5V 60-69 years, male 69.0
GTEX-X585-0226-SM-4QAS2 50-59 years, male 69.0
GTEX-ZVE2-0226-SM-59HJB 50-59 years, male 68.9
GTEX-1313W-0126-SM-5LZUN 50-59 years, female 68.8
GTEX-13OW6-0426-SM-5L3HM 50-59 years, male 68.5
GTEX-RVPV-0126-SM-EAZAW 60-69 years, male 68.5
GTEX-1N2EF-0226-SM-EYYXB 60-69 years, male 68.4
GTEX-1O97I-0326-SM-EYYX7 60-69 years, male 68.4
GTEX-131XW-0426-SM-5LZWP 50-59 years, female 68.3
GTEX-14JG1-0426-SM-6ETZZ 40-49 years, male 68.3
GTEX-18A66-0226-SM-718BD 60-69 years, male 68.3
GTEX-ZVT2-2526-SM-51MT1 50-59 years, female 68.3
GTEX-1H2FU-0126-SM-9WYSI 60-69 years, female 68.3
GTEX-13D11-2426-SM-5KM1V 50-59 years, female 68.1
GTEX-17EVP-0326-SM-7DHLG 40-49 years, male 68.1
GTEX-1B8KE-2126-SM-73KYX 50-59 years, male 68.0
GTEX-QDVJ-1726-SM-2I5FX 50-59 years, male 67.8
GTEX-TML8-1926-SM-32QOS 40-49 years, female 67.7
GTEX-18465-0126-SM-731BN 50-59 years, male 67.6
GTEX-1I1GR-0126-SM-CL55F 60-69 years, male 67.6
GTEX-S7SE-0126-SM-2XCD5 50-59 years, male 67.5
GTEX-1HBPI-1526-SM-C1YQ1 50-59 years, male 67.5
GTEX-1NV5F-0226-SM-E8VNY 60-69 years, female 67.5
GTEX-1K2DU-2326-SM-E9TIV 20-29 years, male 67.4
GTEX-1MUQO-0126-SM-EAZ58 60-69 years, male 67.4
GTEX-1HSEH-0126-SM-ACKXN 60-69 years, male 67.3
GTEX-111VG-2426-SM-5GZXD 60-69 years, male 67.2
GTEX-WVJS-0126-SM-4MVOT 50-59 years, male 67.2
GTEX-1QP66-1726-SM-E8VO1 50-59 years, male 67.2
GTEX-1212Z-2526-SM-5EGKP 60-69 years, male 67.1
GTEX-14ICK-0226-SM-6EU25 40-49 years, male 67.1
GTEX-Y8DK-0126-SM-4TT3L 60-69 years, male 67.0
GTEX-1H1DG-0126-SM-9WYU2 70-79 years, male 67.0
GTEX-147GR-0526-SM-5S2MY 60-69 years, male 66.9
GTEX-14PN4-0126-SM-6EU2V 50-59 years, male 66.9
GTEX-13IVO-0126-SM-5J1NG 70-79 years, male 66.8
GTEX-RTLS-0126-SM-447CA 60-69 years, female 66.8
GTEX-13FTW-2626-SM-5K7WL 40-49 years, male 66.7
GTEX-144FL-0126-SM-5TDC8 50-59 years, male 66.7
GTEX-14PHX-2326-SM-62LEM 50-59 years, male 66.7
GTEX-QESD-1426-SM-2S1R9 20-29 years, male 66.7
GTEX-1ICLZ-0126-SM-CKZPO 60-69 years, male 66.7
GTEX-12ZZZ-0626-SM-5DUXI 60-69 years, male 66.6
GTEX-1GPI7-0126-SM-9MQL8 20-29 years, male 66.6
GTEX-14LZ3-0226-SM-62LET 60-69 years, female 66.4
GTEX-1CB4F-0426-SM-9KNV4 60-69 years, male 66.3
GTEX-13QJ3-0326-SM-5S2RA 50-59 years, male 66.2
GTEX-1HCU6-0126-SM-CL54K 60-69 years, female 66.2
GTEX-1IOXB-0126-SM-ARL8G 50-59 years, male 66.2
GTEX-OXRN-0126-SM-48TDM 50-59 years, male 66.1
GTEX-13NZB-2526-SM-5J1OM 30-39 years, male 66.0
GTEX-ZYFD-0126-SM-5GIDL 50-59 years, male 66.0
GTEX-Y5LM-1926-SM-5RQJH 40-49 years, female 65.9
GTEX-15DDE-0126-SM-6LPKH 50-59 years, female 65.7
GTEX-12126-0326-SM-5PNW3 20-29 years, male 65.6
GTEX-12ZZY-0226-SM-5LZVE 60-69 years, male 65.6
GTEX-139D8-0226-SM-5KLZO 30-39 years, female 65.4
GTEX-133LE-1826-SM-5J1MV 20-29 years, female 65.3
GTEX-P4PP-0126-SM-3LK69 30-39 years, female 65.3
GTEX-T2IS-0126-SM-4DM6O 20-29 years, female 65.3
GTEX-14E6E-1826-SM-5S2R7 30-39 years, male 65.2
GTEX-14LLW-0126-SM-6LLIO 70-79 years, female 65.2
GTEX-18QFQ-0126-SM-731BE 30-39 years, male 65.2
GTEX-1CAV2-2226-SM-7P8P2 40-49 years, female 65.2
GTEX-1HCU9-1526-SM-A9SL7 20-29 years, male 65.2
GTEX-11DXW-0226-SM-5H122 40-49 years, male 65.1
GTEX-13FTY-0526-SM-5L3EV 40-49 years, female 65.1
GTEX-139T8-0126-SM-5K7XZ 60-69 years, male 65.0
GTEX-S32W-2126-SM-2XCB1 50-59 years, female 65.0
GTEX-ZTSS-1926-SM-57WEW 40-49 years, male 65.0
GTEX-1OFPY-2426-SM-DTXEJ 60-69 years, male 65.0
GTEX-1HFI7-1826-SM-ACKXH 50-59 years, female 64.8
GTEX-1EMGI-0126-SM-9KNUE 60-69 years, male 64.6
GTEX-RWS6-2026-SM-2XCB5 60-69 years, female 64.5
GTEX-YFC4-0126-SM-5CVLY 40-49 years, female 64.5
GTEX-1AX9J-0226-SM-73KXM 60-69 years, male 64.4
GTEX-YB5K-2126-SM-4WWDJ 40-49 years, female 64.4
GTEX-11WQC-2526-SM-5CVLE 60-69 years, male 64.3
GTEX-145ME-1826-SM-5SI9G 40-49 years, female 64.3
GTEX-1JMQL-0226-SM-CNPP5 50-59 years, female 64.3
GTEX-13FXS-0226-SM-5IJCK 50-59 years, male 64.2
GTEX-1KXAM-2226-SM-CYPTC 60-69 years, male 64.2
GTEX-131XH-2226-SM-5DUXJ 50-59 years, male 64.0
GTEX-145MI-0526-SM-5O9A8 60-69 years, female 64.0
GTEX-XAJ8-0826-SM-47JY6 40-49 years, male 64.0
GTEX-1HCUA-2426-SM-ADEIS 50-59 years, female 64.0
GTEX-XYKS-2126-SM-4E3IB 60-69 years, female 63.9
GTEX-1F52S-0126-SM-9MQJU 60-69 years, female 63.9
GTEX-1LB8K-0226-SM-EWRNW 50-59 years, male 63.9
GTEX-13CF3-2426-SM-5IFGX 60-69 years, female 63.8
GTEX-12WSC-0126-SM-5EQ4P 50-59 years, male 63.7
GTEX-1S83E-0126-SM-EWRO4 40-49 years, male 63.7
GTEX-ZVZP-2426-SM-59HKJ 50-59 years, male 63.6
GTEX-1GMR8-0126-SM-9WYTM 50-59 years, female 63.6
GTEX-1I1GQ-0126-SM-COH3H 50-59 years, male 63.6
GTEX-1LH75-2426-SM-E9TJE 50-59 years, female 63.5
GTEX-17HII-0226-SM-7LG4E 50-59 years, male 63.4
GTEX-ZXG5-0126-SM-5GIEU 60-69 years, male 63.4
GTEX-XQ8I-0426-SM-4BOPO 50-59 years, male 63.2
GTEX-XUZC-1726-SM-4BRWS 30-39 years, female 63.2
GTEX-1CB4E-2226-SM-793DC 60-69 years, male 63.1
GTEX-ZYFG-2326-SM-5E44B 60-69 years, female 63.1
GTEX-18A67-0126-SM-7LG5P 50-59 years, male 63.0
GTEX-RWSA-0126-SM-2XCBB 40-49 years, male 63.0
GTEX-VJWN-0126-SM-3GIK7 50-59 years, female 62.9
GTEX-ZZ64-1726-SM-5GZYB 20-29 years, male 62.9
GTEX-1GN73-0226-SM-9WG67 60-69 years, male 62.9
GTEX-1KD4Q-0226-SM-E9TJ9 40-49 years, male 62.9
GTEX-1J8JJ-0226-SM-CL53I 60-69 years, female 62.8
GTEX-ZF3C-0126-SM-DO92D 50-59 years, female 62.7
GTEX-1F5PK-2426-SM-7RHHY 50-59 years, male 62.5
GTEX-W5X1-3026-SM-EAZAX 40-49 years, female 62.5
GTEX-132NY-0326-SM-5IJBL 60-69 years, male 62.4
GTEX-12584-0126-SM-5EGKQ 40-49 years, male 62.3
GTEX-12WSK-2326-SM-5GCOH 40-49 years, female 62.2
GTEX-OXRP-0126-SM-3NB32 60-69 years, female 62.1
GTEX-X8HC-0126-SM-4E3JW 50-59 years, female 62.1
GTEX-1MA7W-2026-SM-E9TJ6 20-29 years, female 62.1
GTEX-14JG6-2226-SM-6EU2G 30-39 years, female 62.0
GTEX-PWO3-1526-SM-48TCM 60-69 years, female 62.0
GTEX-SUCS-1926-SM-32PM3 70-79 years, male 62.0
GTEX-1CB4G-0226-SM-7PC3O 60-69 years, male 62.0
GTEX-12KS4-0326-SM-5EQ41 30-39 years, male 61.9
GTEX-1C64O-0126-SM-7SB8P 60-69 years, male 61.9
GTEX-1H3O1-0426-SM-9YFKY 60-69 years, male 61.7
GTEX-13113-5016-SM-7EPIP 60-69 years, female 61.5
GTEX-139TT-0126-SM-5K7Y5 60-69 years, male 61.5
GTEX-16NGA-1726-SM-731B4 40-49 years, female 61.5
GTEX-Y5V5-2326-SM-4V6GA 60-69 years, female 61.5
GTEX-QVJO-1626-SM-2S1QW 60-69 years, female 61.4
GTEX-TMMY-0226-SM-33HBA 40-49 years, female 61.4
GTEX-12WSJ-1826-SM-5GCNY 40-49 years, female 61.2
GTEX-13O3Q-2426-SM-5IJBR 50-59 years, male 61.1
GTEX-17MFQ-1726-SM-793C7 20-29 years, male 61.1
GTEX-1IL2V-0126-SM-CM2TX 70-79 years, male 61.1
GTEX-1IGQW-0126-SM-COH42 60-69 years, male 61.0
GTEX-1269C-2526-SM-5EGJ3 60-69 years, female 60.9
GTEX-13O3P-0126-SM-5KM4S 50-59 years, male 60.8
GTEX-1JK1U-2026-SM-CM2RZ 60-69 years, male 60.8
GTEX-1JN76-0126-SM-CNPPE 20-29 years, female 60.8
GTEX-1QP9N-1426-SM-DTXFL 30-39 years, male 60.7
GTEX-1R46S-0626-SM-E9J41 60-69 years, female 60.7
GTEX-1GF9W-0326-SM-9KNUN 60-69 years, male 60.6
GTEX-18A7A-0226-SM-718BH 50-59 years, female 60.5
GTEX-11EM3-2426-SM-59861 20-29 years, female 60.4
GTEX-13G51-2526-SM-5LZYK 60-69 years, male 60.3
GTEX-14BMV-0126-SM-5S2PO 50-59 years, male 60.2
GTEX-16AAH-1726-SM-7939C 50-59 years, male 60.2
GTEX-13RTK-1426-SM-5QGQJ 20-29 years, male 60.1
GTEX-183WM-0126-SM-7LTAB 70-79 years, female 60.1
GTEX-OXRK-0226-SM-3NB2G 50-59 years, female 60.1
GTEX-WI4N-1026-SM-3LK7N 40-49 years, female 60.1
GTEX-1QCLY-0326-SM-E8VOG 30-39 years, male 60.1
GTEX-13S7M-0126-SM-5SI6A 60-69 years, female 60.0
GTEX-QV44-1926-SM-2S1RF 50-59 years, male 60.0
GTEX-11WQK-0526-SM-5EQLD 50-59 years, male 59.9
GTEX-13112-2826-SM-5DUWH 50-59 years, male 59.9
GTEX-13VXU-0126-SM-5SI9F 50-59 years, male 59.9
GTEX-1B8L1-2526-SM-9WYTF 60-69 years, male 59.9
GTEX-1KD5A-0226-SM-D5OV3 50-59 years, male 59.7
GTEX-13X6J-0126-SM-5QGOU 50-59 years, male 59.5
GTEX-14PJM-0226-SM-62LF1 50-59 years, female 59.5
GTEX-1B8SG-0126-SM-73KZ3 50-59 years, male 59.5
GTEX-14753-0426-SM-5NQAM 60-69 years, male 59.4
GTEX-1A3MV-1926-SM-718BT 30-39 years, male 59.4
GTEX-14A5H-0426-SM-5QGQF 60-69 years, male 59.3
GTEX-WYVS-2126-SM-3NMA3 40-49 years, female 59.3
GTEX-15EU6-0426-SM-6PAN5 50-59 years, male 59.2
GTEX-T5JC-0426-SM-32PLO 20-29 years, male 59.2
GTEX-1F7RK-0126-SM-7PC2S 20-29 years, female 59.2
GTEX-1IDJF-0126-SM-CM2RS 20-29 years, male 59.2
GTEX-P44H-0226-SM-2XCEU 40-49 years, male 59.0
GTEX-11TUW-2726-SM-E9J4M 60-69 years, male 59.0
GTEX-TSE9-0126-SM-3DB83 60-69 years, female 58.9
GTEX-1I6K6-0126-SM-A9SLE 30-39 years, male 58.9
GTEX-117YX-2326-SM-5H12W 50-59 years, male 58.8
GTEX-OOBK-0126-SM-2YUND 40-49 years, male 58.8
GTEX-146FQ-0126-SM-5NQA9 30-39 years, male 58.7
GTEX-16YQH-0126-SM-7DUFJ 30-39 years, male 58.7
GTEX-WXYG-2326-SM-4E3I6 50-59 years, female 58.7
GTEX-1RDX4-0126-SM-E9J4P 50-59 years, female 58.7
GTEX-UPJH-0326-SM-3GADU 50-59 years, male 58.6
GTEX-Y5V6-2426-SM-4VDSB 60-69 years, male 58.6
GTEX-11OF3-2626-SM-5GU7F 60-69 years, male 58.5
GTEX-12WSG-2826-SM-E9J4H 50-59 years, female 58.5
GTEX-17HG3-2226-SM-7938L 30-39 years, female 58.3
GTEX-1EX96-1626-SM-7PBXR 50-59 years, male 58.3
GTEX-1JMQK-0226-SM-CL543 60-69 years, male 58.3
GTEX-12WSL-2526-SM-5GCNJ 50-59 years, male 58.2
GTEX-144GL-0126-SM-5TDE2 50-59 years, male 58.1
GTEX-SN8G-0126-SM-32PLI 50-59 years, female 58.1
GTEX-1AX9I-0126-SM-7SB74 60-69 years, male 58.1
GTEX-TKQ1-1026-SM-4GICL 30-39 years, male 58.0
GTEX-XPVG-2626-SM-4B669 50-59 years, male 58.0
GTEX-1H3NZ-0126-SM-ACKX7 60-69 years, male 58.0
GTEX-1HR98-0126-SM-B2LWI 60-69 years, male 57.9
GTEX-ZVT4-0126-SM-DTXFN 50-59 years, female 57.9
GTEX-14DAQ-0126-SM-5S2MQ 60-69 years, female 57.8
GTEX-S7PM-0126-SM-4AD6S 60-69 years, male 57.8
GTEX-14DAR-2026-SM-5S2O3 50-59 years, male 57.7
GTEX-17HHE-2026-SM-79OKF 50-59 years, male 57.7
GTEX-1C4CL-0526-SM-73KVK 30-39 years, male 57.7
GTEX-VUSG-2526-SM-4KL1V 50-59 years, male 57.7
GTEX-13FTX-1826-SM-5J1NX 20-29 years, female 57.6
GTEX-1JMPY-1326-SM-ARL8Y 30-39 years, male 57.6
GTEX-1POEN-0126-SM-EYYXJ 30-39 years, female 57.6
GTEX-R45C-0126-SM-EAZ2R 60-69 years, female 57.6
GTEX-11NSD-2226-SM-5986V 20-29 years, male 57.5
GTEX-1A32A-0126-SM-718B1 50-59 years, female 57.5
GTEX-1CAMQ-0226-SM-7IGPK 40-49 years, male 57.5
GTEX-WRHK-1426-SM-3MJF9 20-29 years, female 57.5
GTEX-139TU-0126-SM-5K7WH 60-69 years, male 57.4
GTEX-Y111-0126-SM-4SOIV 50-59 years, male 57.4
GTEX-R3RS-0126-SM-3GIJL 40-49 years, female 57.3
GTEX-WFON-2126-SM-3LK7O 40-49 years, male 57.2
GTEX-1A8FM-0226-SM-7SB7Q 50-59 years, female 57.2
GTEX-145LU-0126-SM-5TDCB 50-59 years, male 57.1
GTEX-1PFEY-1526-SM-E76PP 30-39 years, male 57.1
GTEX-ZC5H-0226-SM-4WAY9 40-49 years, female 57.0
GTEX-1I1CD-0126-SM-CM2TK 60-69 years, female 57.0
GTEX-1LSNM-1926-SM-E6CII 50-59 years, male 57.0
GTEX-16XZZ-0126-SM-793DV 60-69 years, male 56.9
GTEX-W5WG-1826-SM-4KL2Y 50-59 years, female 56.9
GTEX-WFG8-2226-SM-3GIL9 20-29 years, male 56.9
GTEX-11UD1-0126-SM-5PNYG 40-49 years, female 56.7
GTEX-1IDFM-0126-SM-COH2V 60-69 years, male 56.7
GTEX-XQ3S-1526-SM-4BOOC 20-29 years, male 56.6
GTEX-1EU9M-0226-SM-7P8SP 60-69 years, male 56.6
GTEX-1HBPM-0226-SM-ARL9F 60-69 years, female 56.6
GTEX-OIZF-0126-SM-7SB8I 60-69 years, male 56.5
GTEX-1HBPN-0226-SM-9YFM1 50-59 years, male 56.4
GTEX-RNOR-0126-SM-E9J4R 50-59 years, female 56.4
GTEX-U8XE-0326-SM-3DB8P 30-39 years, male 56.3
GTEX-15DYW-0126-SM-7KULE 60-69 years, female 56.2
GTEX-X4XY-0226-SM-4E3IZ 60-69 years, male 56.2
GTEX-1I19N-0326-SM-ACKVX 70-79 years, male 56.2
GTEX-Z9EW-1626-SM-5CVMN 40-49 years, male 56.1
GTEX-16BQI-0226-SM-7KUEX 30-39 years, female 56.0
GTEX-Q2AH-1626-SM-3GAF8 40-49 years, male 56.0
GTEX-Z93T-0126-SM-5HL5N 50-59 years, male 56.0
GTEX-1B8KZ-2026-SM-7DHMB 50-59 years, male 55.9
GTEX-X4XX-0126-SM-3NMC2 60-69 years, male 55.9
GTEX-1F75A-0126-SM-7RHGM 50-59 years, male 55.8
GTEX-11LCK-1026-SM-5A5KB 30-39 years, male 55.6
GTEX-12C56-1726-SM-5EQ61 20-29 years, male 55.5
GTEX-13O1R-0126-SM-5L3EH 60-69 years, male 55.5
GTEX-148VI-1626-SM-5SI6E 60-69 years, female 55.5
GTEX-OOBJ-0126-SM-E6CJW 60-69 years, male 55.5
GTEX-PLZ6-1426-SM-DKPOT 30-39 years, male 55.5
GTEX-1KWVE-1426-SM-E9TJO 30-39 years, male 55.4
GTEX-S33H-1026-SM-EZ6L6 30-39 years, male 55.4
GTEX-ZYFC-0226-SM-5NQ75 50-59 years, male 55.3
GTEX-1IDJU-2626-SM-CM2RT 60-69 years, female 55.3
GTEX-145LV-2126-SM-5LU8N 50-59 years, male 55.2
GTEX-145MF-0626-SM-5LUAI 50-59 years, male 55.2
GTEX-15UF6-0826-SM-6PALJ 70-79 years, female 55.1
GTEX-Y114-2426-SM-4TT8A 50-59 years, female 55.1
GTEX-13OW8-1326-SM-5J1OW 60-69 years, male 55.0
GTEX-VJYA-1126-SM-3GIJU 60-69 years, male 55.0
GTEX-1GL5R-1826-SM-9KNUY 50-59 years, male 55.0
GTEX-17EUY-0426-SM-793BD 20-29 years, male 54.9
GTEX-1E1VI-0126-SM-7DHMZ 50-59 years, male 54.8
GTEX-1QP29-0626-SM-EWRMX 50-59 years, male 54.8
GTEX-1S5ZA-0126-SM-EVYCV 20-29 years, male 54.8
GTEX-14BMU-2226-SM-5TDE9 20-29 years, female 54.7
GTEX-17F97-0326-SM-7LG5B 50-59 years, male 54.7
GTEX-1JJE9-0326-SM-CL53Z 70-79 years, male 54.7
GTEX-OHPL-0126-SM-2HMJ7 60-69 years, female 54.5
GTEX-11O72-0126-SM-59887 40-49 years, male 54.4
GTEX-1QP2A-0126-SM-E9J43 50-59 years, male 54.4
GTEX-U3ZH-2026-SM-3DB78 30-39 years, male 54.3
GTEX-1QAET-0926-SM-E76QM 50-59 years, male 54.3
GTEX-1497J-2426-SM-7IGNX 60-69 years, male 54.2
GTEX-14PN3-2426-SM-6LLHS 60-69 years, female 54.2
GTEX-1CAMR-1926-SM-7EPI2 20-29 years, male 54.2
GTEX-1JKYR-0126-SM-CNPOJ 20-29 years, male 54.2
GTEX-14XAO-2326-SM-6EU1B 60-69 years, female 54.1
GTEX-T6MO-1626-SM-32QOM 40-49 years, female 54.1
GTEX-1HSMO-0126-SM-CL547 60-69 years, male 54.1
GTEX-13PVR-2326-SM-5QGR1 60-69 years, female 54.0
GTEX-1HSMQ-1226-SM-CGQFX 50-59 years, male 54.0
GTEX-ZAB4-0226-SM-5N9F5 40-49 years, male 53.9
GTEX-1ICLY-0126-SM-D4P36 50-59 years, male 53.9
GTEX-16NPX-0226-SM-79OMT 50-59 years, male 53.8
GTEX-17F98-0626-SM-79OMX 40-49 years, female 53.6
GTEX-WZTO-0126-SM-3NM95 40-49 years, male 53.6
GTEX-1AMFI-2026-SM-731BH 50-59 years, female 53.4
GTEX-1H3VY-0126-SM-ACKXD 50-59 years, male 53.4
GTEX-1HFI6-0226-SM-ADEHZ 40-49 years, male 53.4
GTEX-11DXY-2626-SM-5GIE7 60-69 years, male 53.2
GTEX-ZDYS-2026-SM-5HL5L 50-59 years, male 53.1
GTEX-YEC4-2126-SM-5IFJH 40-49 years, male 53.0
GTEX-1HB9E-0226-SM-E9U4R 50-59 years, male 53.0
GTEX-11GSO-2426-SM-5A5LY 60-69 years, male 52.9
GTEX-11GSP-2526-SM-5N9BP 60-69 years, female 52.9
GTEX-146FH-0126-SM-5QGPP 50-59 years, female 52.9
GTEX-1C2JI-1826-SM-73KXC 50-59 years, male 52.8
GTEX-1C6VQ-0126-SM-7P8RI 50-59 years, male 52.8
GTEX-13OVJ-0126-SM-5KM36 50-59 years, female 52.7
GTEX-15UKP-0426-SM-7KUFQ 20-29 years, male 52.7
GTEX-1J1R8-1726-SM-ARL8M 40-49 years, male 52.7
GTEX-1S82Y-2026-SM-EVYCM 40-49 years, male 52.6
GTEX-ZQG8-1626-SM-DHXIT 60-69 years, female 52.6
GTEX-13N1W-0126-SM-5K7VT 70-79 years, male 52.5
GTEX-145LT-1726-SM-5QGP3 40-49 years, male 52.5
GTEX-1IKOH-0226-SM-COH4E 60-69 years, female 52.4
GTEX-13NZA-0226-SM-5K7Z7 60-69 years, male 52.3
GTEX-18D9U-0226-SM-718BP 40-49 years, male 52.3
GTEX-1EN7A-0126-SM-7SB81 40-49 years, male 52.3
GTEX-SIU8-0126-SM-2XCDT 50-59 years, male 52.2
GTEX-1J8EW-0126-SM-CJI4F 60-69 years, female 52.2
GTEX-113JC-2326-SM-5EQ4E 50-59 years, female 52.1
GTEX-1MCQQ-0826-SM-DLHC2 60-69 years, male 52.1
GTEX-13RTJ-2426-SM-5S2Q2 60-69 years, male 52.0
GTEX-QEG4-0226-SM-2S1PY 30-39 years, male 52.0
GTEX-1R7EV-2426-SM-EVYBG 40-49 years, male 51.8
GTEX-13FHO-0226-SM-5IFGY 60-69 years, male 51.7
GTEX-16MT8-0426-SM-7KUEY 60-69 years, female 51.7
GTEX-1JJ6O-0126-SM-E6CI8 60-69 years, male 51.7
GTEX-11TTK-0126-SM-5987B 60-69 years, female 51.6
GTEX-QCQG-1726-SM-3GIJ9 50-59 years, female 51.5
GTEX-1B933-0126-SM-7PC29 50-59 years, female 51.5
GTEX-1HGF4-2426-SM-ACKXM 60-69 years, male 51.5
GTEX-1I1GP-2226-SM-CGQFK 50-59 years, male 51.5
GTEX-131XG-2626-SM-5KM17 50-59 years, female 51.4
GTEX-ZTPG-0326-SM-5O9AX 20-29 years, female 51.4
GTEX-1128S-2326-SM-5GZZY 60-69 years, female 51.3
GTEX-XV7Q-2526-SM-4BRV9 40-49 years, female 51.3
GTEX-1JKYN-1326-SM-CGQG9 30-39 years, male 51.2
GTEX-1F6IF-0726-SM-7P8TW 60-69 years, male 51.1
GTEX-XUYS-0126-SM-47JWZ 50-59 years, male 51.0
GTEX-1H1E6-1726-SM-ACKVK 30-39 years, male 51.0
GTEX-11VI4-1726-SM-5CVLH 40-49 years, female 50.9
GTEX-13OVL-0226-SM-5L3E9 50-59 years, male 50.9
GTEX-1ICG6-2526-SM-CGQFZ 70-79 years, female 50.9
GTEX-11DXX-2426-SM-5GZZW 60-69 years, female 50.8
GTEX-S95S-1226-SM-4GICG 60-69 years, male 50.8
GTEX-1LGOU-2026-SM-DIPFF 20-29 years, female 50.8
GTEX-1PWST-0226-SM-E76QJ 70-79 years, male 50.8
GTEX-17MF6-0126-SM-7LG4F 40-49 years, male 50.7
GTEX-11TT1-2526-SM-5EGIB 20-29 years, male 50.6
GTEX-14PHW-0126-SM-6LLJI 60-69 years, female 50.6
GTEX-XBED-2226-SM-47JYQ 60-69 years, male 50.6
GTEX-1GZ2Q-0226-SM-7P8TL 40-49 years, male 50.6
GTEX-15DCD-0126-SM-7KUEK 70-79 years, female 50.5
GTEX-ZAJG-0126-SM-5HL94 50-59 years, female 50.5
GTEX-1GPI6-0126-SM-9WG69 60-69 years, male 50.5
GTEX-1MGNQ-0126-SM-EVYCJ 40-49 years, male 50.5
GTEX-1S82Z-0826-SM-E6CHY 30-39 years, female 50.5
GTEX-XMD2-0126-SM-4YCDU 60-69 years, female 50.4
GTEX-ZAB5-1826-SM-5HL7C 50-59 years, male 50.4
GTEX-13VXT-0126-SM-5LU4I 20-29 years, female 50.1
GTEX-15CHC-2126-SM-6EU21 60-69 years, female 50.1
GTEX-NPJ8-0126-SM-2YUNR 40-49 years, male 50.1
GTEX-1RAZA-0126-SM-E6CI3 20-29 years, male 50.1
GTEX-1192X-0226-SM-5H12D 50-59 years, male 50.0
GTEX-11GS4-2726-SM-5A5LE 60-69 years, male 50.0
GTEX-11ZU8-2526-SM-5EQKI 60-69 years, male 50.0
GTEX-1F48J-0126-SM-7P8TT 50-59 years, female 50.0
GTEX-13U4I-0126-SM-5LU38 40-49 years, female 49.8
GTEX-XUW1-0426-SM-4BOOT 50-59 years, female 49.8
GTEX-1F6I4-0126-SM-9MQL2 60-69 years, male 49.7
GTEX-13X6I-0626-SM-5QGP9 60-69 years, male 49.6
GTEX-1J8Q2-0526-SM-CM2RW 60-69 years, male 49.6
GTEX-1A3MX-0126-SM-731BR 60-69 years, male 49.5
GTEX-1314G-1526-SM-5EGK2 30-39 years, male 49.4
GTEX-13O21-1426-SM-5K7XI 50-59 years, male 49.3
GTEX-17HGU-0226-SM-7DHKV 50-59 years, male 49.3
GTEX-11XUK-2026-SM-5EQLF 40-49 years, female 49.2
GTEX-11ZTS-0126-SM-5EQ6M 60-69 years, female 49.1
GTEX-12WSD-0126-SM-59HKN 60-69 years, female 49.0
GTEX-ZYY3-0126-SM-5GZY5 60-69 years, female 49.0
GTEX-PLZ4-0126-SM-5SI8O 50-59 years, female 48.9
GTEX-X5EB-2226-SM-46MW4 40-49 years, male 48.9
GTEX-PW2O-1526-SM-7RHHB 20-29 years, male 48.9
GTEX-11ZVC-2526-SM-5FQTE 50-59 years, female 48.7
GTEX-13W46-0226-SM-5SIAG 50-59 years, male 48.6
GTEX-1PPH8-0226-SM-E8VND 20-29 years, male 48.5
GTEX-1B996-0226-SM-7RHGO 60-69 years, male 48.4
GTEX-1H23P-0126-SM-ADEJ3 60-69 years, male 48.4
GTEX-SSA3-0126-SM-32QPU 60-69 years, male 48.2
GTEX-183FY-0126-SM-7LT9P 20-29 years, male 47.9
GTEX-1211K-2026-SM-5EQ4Z 60-69 years, female 47.8
GTEX-1GF9U-2126-SM-7SB7L 40-49 years, female 47.8
GTEX-O5YW-0126-SM-3LK6D 50-59 years, male 47.7
GTEX-169BO-1326-SM-9MQK2 50-59 years, male 47.7
GTEX-TMZS-0126-SM-3DB9Q 60-69 years, male 47.6
GTEX-P4PQ-0126-SM-2S1NM 60-69 years, male 47.5
GTEX-1CB4J-0626-SM-7DHMP 60-69 years, male 47.4
GTEX-1F88F-2726-SM-7PBZZ 60-69 years, female 47.4
GTEX-1QEPI-0126-SM-EWRMQ 60-69 years, female 47.4
GTEX-ZPIC-1726-SM-DHXIU 40-49 years, female 47.4
GTEX-ZF29-2326-SM-DO92K 60-69 years, female 47.3
GTEX-1CAMS-0426-SM-7P8T2 40-49 years, female 47.2
GTEX-QDVN-2026-SM-3GAEP 50-59 years, male 47.1
GTEX-ZQUD-1426-SM-57WER 30-39 years, male 47.1
GTEX-1LG7Y-0526-SM-DKPQC 50-59 years, male 47.1
GTEX-ZE7O-0126-SM-57WC1 50-59 years, female 46.9
GTEX-147F3-0526-SM-5SI98 50-59 years, female 46.7
GTEX-V1D1-2226-SM-3NMAX 50-59 years, male 46.6
GTEX-1AX9K-2326-SM-73KWU 50-59 years, male 46.3
GTEX-1JMOU-1526-SM-CL54I 60-69 years, female 46.3
GTEX-1H1DE-2126-SM-9WG6R 20-29 years, male 46.2
GTEX-1PPH7-2326-SM-EVYB8 40-49 years, male 46.2
GTEX-18D9B-0526-SM-7LTAS 60-69 years, male 46.1
GTEX-1EKGG-0226-SM-9WYTH 60-69 years, male 46.0
GTEX-XXEK-2226-SM-4BRUM 50-59 years, male 45.8
GTEX-11P82-1626-SM-59879 20-29 years, male 45.6
GTEX-Q2AG-0126-SM-33HBV 40-49 years, female 45.5
GTEX-ZEX8-2426-SM-4WKG4 50-59 years, male 45.5
GTEX-ZY6K-1826-SM-5GZXK 50-59 years, male 45.5
GTEX-OHPM-0126-SM-2YUN9 50-59 years, male 45.4
GTEX-11P7K-2126-SM-5GU7G 30-39 years, male 45.3
GTEX-1N2DW-0226-SM-E9TK2 50-59 years, male 45.3
GTEX-14BIM-0226-SM-7IGLD 60-69 years, female 45.2
GTEX-14E7W-0126-SM-6LLJ9 70-79 years, male 45.2
GTEX-14PK6-1926-SM-6ETZU 70-79 years, female 45.2
GTEX-117YW-2626-SM-5GZZH 50-59 years, male 45.1
GTEX-13N11-2526-SM-5K7UE 50-59 years, female 45.1
GTEX-11OC5-0126-SM-5HL6A 60-69 years, male 44.8
GTEX-WY7C-2326-SM-3NB2U 50-59 years, male 44.8
GTEX-1K9T9-0126-SM-EVYCF 50-59 years, female 44.4
GTEX-1LC47-0326-SM-E9TJP 60-69 years, male 44.4
GTEX-ZVT3-0126-SM-5GU6I 60-69 years, female 44.2
GTEX-1M4P7-0226-SM-DIPEV 60-69 years, male 44.2
GTEX-11NUK-0126-SM-5A5L3 50-59 years, male 44.1
GTEX-1HCVE-0126-SM-CGQEU 50-59 years, male 44.1
GTEX-13OVG-1926-SM-5L3DK 60-69 years, male 43.2
GTEX-17HHY-0126-SM-7LG5D 50-59 years, male 43.2
GTEX-13O3O-0126-SM-E9J49 60-69 years, female 43.2
GTEX-R55E-0126-SM-2TC5Y 20-29 years, male 43.1
GTEX-RM2N-1426-SM-2TF4H 50-59 years, male 43.0
GTEX-Y3I4-2126-SM-4TT7C 50-59 years, male 42.9
GTEX-12WSN-5019-SM-79OM6 40-49 years, male 42.7
GTEX-14ABY-0226-SM-5TDCQ 50-59 years, male 42.6
GTEX-15EOM-0126-SM-7KUGG 20-29 years, female 42.5
GTEX-13OW7-0126-SM-5MR3B 50-59 years, male 42.2
GTEX-13X6H-2126-SM-7EWD5 50-59 years, female 42.2
GTEX-1HKZK-0326-SM-9WYUH 40-49 years, male 42.2
GTEX-13FH7-2026-SM-E9J4I 50-59 years, female 42.1
GTEX-17EVQ-0226-SM-7LG4P 70-79 years, male 42.0
GTEX-1IKK5-0626-SM-ARL8A 60-69 years, male 42.0
GTEX-11EMC-2926-SM-5EQ4F 60-69 years, female 41.8
GTEX-PLZ5-2026-SM-2S1O4 50-59 years, male 41.7
GTEX-RU72-0926-SM-2TF6B 50-59 years, female 41.7
GTEX-YJ8A-0426-SM-5IFID 20-29 years, male 41.7
GTEX-14BIL-0126-SM-5SI92 50-59 years, male 41.6
GTEX-15SHW-0326-SM-6PAML 60-69 years, male 41.4
GTEX-OXRO-0126-SM-2YUN4 60-69 years, female 41.4
GTEX-16XZY-2126-SM-79OK1 70-79 years, male 41.3
GTEX-14PJ3-1826-SM-62LEX 50-59 years, male 41.2
GTEX-WH7G-2326-SM-3NMBC 40-49 years, male 41.2
GTEX-1KANB-0526-SM-E6CJH 50-59 years, male 41.2
GTEX-15D1Q-0126-SM-7KUG6 40-49 years, male 41.1
GTEX-1C6VS-0526-SM-7DUEN 60-69 years, male 41.1
GTEX-1IY9M-0126-SM-D3L8S 60-69 years, male 41.1
GTEX-PWCY-1826-SM-DHXIZ 20-29 years, female 41.0
GTEX-11ZTT-2426-SM-5EQLS 60-69 years, female 40.7
GTEX-U3ZN-2326-SM-3DB7W 30-39 years, female 40.7
GTEX-ZZPT-0226-SM-5E43X 50-59 years, male 40.7
GTEX-1C6WA-0126-SM-7PC2B 60-69 years, male 40.7
GTEX-18A7B-0126-SM-7LG64 70-79 years, male 40.5
GTEX-RN64-0126-SM-2TC68 50-59 years, male 40.3
GTEX-WOFL-0126-SM-3MJG2 60-69 years, male 40.3
GTEX-1RQEC-0426-SM-E6CHU 60-69 years, male 40.3
GTEX-1I1GS-0126-SM-B2LVW 60-69 years, male 40.2
GTEX-1J8Q3-1626-SM-CMKGC 60-69 years, male 40.2
GTEX-144GN-2326-SM-5LU4F 50-59 years, male 40.0
GTEX-1GN1V-0126-SM-9WPOS 60-69 years, male 39.8
GTEX-147F4-0226-SM-5QGPW 50-59 years, male 39.7
GTEX-ZYW4-0126-SM-5E44A 60-69 years, male 39.7
GTEX-13OVI-1426-SM-5L3EY 60-69 years, female 39.6
GTEX-U3ZM-1526-SM-3DB9D 40-49 years, male 39.6
GTEX-1I1GU-2226-SM-CGQFA 40-49 years, male 39.5
GTEX-X62O-0126-SM-4E3JN 50-59 years, male 39.0
GTEX-Y8LW-1826-SM-5S2MV 50-59 years, female 38.9
GTEX-1RLM8-2326-SM-EWRN4 50-59 years, male 38.7
GTEX-1GTWX-0126-SM-9YFLK 60-69 years, male 38.6
GTEX-1NHNU-1026-SM-E9J2A 50-59 years, male 38.5
GTEX-1R9K4-0126-SM-DTX9X 60-69 years, male 38.5
GTEX-ZF28-0126-SM-4WKGK 60-69 years, male 38.3
GTEX-1MCYP-1926-SM-E9J2R 20-29 years, female 38.2
GTEX-13W3W-2426-SM-5LU5B 60-69 years, female 37.9
GTEX-15SDE-2226-SM-7IGLO 50-59 years, female 37.8
GTEX-1IE54-0126-SM-CMKHW 40-49 years, female 37.8
GTEX-Q734-1926-SM-2I5EV 40-49 years, female 37.6
GTEX-SE5C-1626-SM-2XCE3 40-49 years, female 37.5
GTEX-ZDXO-3026-SM-5J1N5 60-69 years, male 37.4
GTEX-1AMEY-1326-SM-73KYK 30-39 years, female 37.2
GTEX-1AYD5-2426-SM-73KXR 50-59 years, male 37.1
GTEX-13RTL-0126-SM-7LG5S 40-49 years, male 37.0
GTEX-1AX8Z-0126-SM-7DHM6 60-69 years, male 36.6
GTEX-1R9PO-2126-SM-E9J4O 60-69 years, female 36.5
GTEX-Q2AI-1326-SM-2S1PL 40-49 years, male 36.3
GTEX-QLQW-1126-SM-2S1Q8 30-39 years, male 36.3
GTEX-ZUA1-0126-SM-5GU76 40-49 years, male 35.5
GTEX-1A3MW-0126-SM-73KXX 60-69 years, female 35.3
GTEX-14A6H-0126-SM-5QGPK 30-39 years, male 35.2
GTEX-QDT8-0126-SM-48TZ1 30-39 years, female 35.2
GTEX-X638-0126-SM-47JZ8 70-79 years, female 35.1
GTEX-1HUB1-0426-SM-E9U4U 60-69 years, male 35.0
GTEX-11ZUS-0626-SM-59885 30-39 years, male 34.9
GTEX-1MA7X-2226-SM-E6CIY 60-69 years, male 34.9
GTEX-1AYCT-2426-SM-7IGQ3 50-59 years, male 34.3
GTEX-1H1ZS-0426-SM-9WG6G 70-79 years, male 34.3
GTEX-1I1HK-0126-SM-COH49 60-69 years, male 34.3
GTEX-1F75I-0326-SM-9YFLU 40-49 years, male 33.9
GTEX-1PBJI-0526-SM-E8VNK 20-29 years, female 33.6
GTEX-QLQ7-1626-SM-2S1R8 60-69 years, male 32.9
GTEX-1HSMP-0126-SM-E6CJS 70-79 years, male 32.6
GTEX-1GN1W-0526-SM-9MQJQ 50-59 years, female 32.5
GTEX-1LNCM-1126-SM-E9U5E 50-59 years, female 32.2
GTEX-RUSQ-1526-SM-2TF62 50-59 years, male 31.7
GTEX-1N2DV-0226-SM-E6CJ6 40-49 years, male 31.4
GTEX-139T4-0226-SM-5HL5S 50-59 years, female 31.3
GTEX-14JIY-0126-SM-6LLH6 60-69 years, male 30.7
GTEX-R55G-2526-SM-2TC6D 40-49 years, female 30.2
GTEX-1OJC4-0126-SM-E9J2E 50-59 years, female 30.1
GTEX-U4B1-1826-SM-4DXSU 40-49 years, male 28.7
GTEX-1QW4Y-1526-SM-EAZ3Z 30-39 years, male 26.0
GTEX-OXRL-0126-SM-2YUMP 50-59 years, male 25.3
GTEX-1QP67-1626-SM-EAZ3X 40-49 years, female 24.5
GTEX-113IC-0126-SM-5HL6T 60-69 years, male 24.4
GTEX-146FR-1326-SM-E9J48 60-69 years, female 23.1
GTEX-1HBPH-0426-SM-B2LW5 40-49 years, female 21.9
GTEX-1RAZQ-0726-SM-EAZ43 30-39 years, male 21.0
Show allShow less

Contact

  • NEWS ARTICLES
  • PRESS ROOM

The Project

  • INTRODUCTION
  • ORGANIZATION
  • PUBLICATIONS

The Human Protein Atlas

  • DOWNLOADABLE DATA
  • LICENCE & CITATION
  • HELP & FAQ
The Human Protein Atlas project is funded
by the Knut & Alice Wallenberg Foundation.


contact@proteinatlas.org