We use cookies to enhance the usability of our website. If you continue, we'll assume that you are happy to receive all cookies. More information. Don't show this again.
TMEM63C
HPA
RESOURCES
  • TISSUE
  • BRAIN
  • SINGLE CELL
  • SUBCELLULAR
  • CANCER
  • BLOOD
  • CELL LINE
  • STRUCTURE & INTERACTION
ABOUT
  • INTRODUCTION
  • HISTORY
  • ORGANIZATION
  • PUBLICATIONS
  • ANTIBODY SUBMISSION
  • ANTIBODY AVAILABILITY
  • ACKNOWLEDGMENTS
  • CONTACT
NEWS
  • NEWS ARTICLES
  • PRESS ROOM
LEARN
  • DICTIONARY
  • PROTEIN CLASSES
  • PROTEIN EVIDENCE
  • METHODS
  • EDUCATIONAL VIDEOS
DATA
  • DOWNLOADABLE DATA
  • PUBLICATION DATA
  • RELEASE HISTORY
HELP
  • ANTIBODY VALIDATION
  • ASSAYS & ANNOTATION
  • DISCLAIMER
  • HELP & FAQ
  • PRIVACY STATEMENT
  • LICENCE & CITATION
Fields »
Search result

Field
Term
Gene name
Class
Subclass
Class
Keyword
Chromosome
External id
Tissue
Cell type
Expression
Antibody panel
Tissue
Main location
Patient ID
Annotation
Tissue
Category
Tau score
Cluster
Reliability
Brain region
Category
Tau score
Brain region
Category
Tau score
Brain region
Category
Tau score
Cluster
Reliability
Tissue
Cell type
Enrichment
Cell type
Category
Tau score
Cell type
Category
Tau score
Cell type
Category
Tau score
Cell lineage
Category
Tau score
Cluster
Cluster
Location
Searches
Location
Cell line
Class
Type
Phase
Reliability
Cancer
Prognosis
Cancer
Category
Cancer
Category
Tau score
Cluster
Variants
Interacting gene (ensg_id)
Type
Number of interactions
Pathway
Category
Score
Score
Score
Validation
Validation
Validation
Validation
Antibodies
Data type
Column


  • SUMMARY

  • TISSUE

  • BRAIN

  • SINGLE CELL

  • SUBCELL

  • CANCER

  • BLOOD

  • CELL LINE

  • STRUCT & INT

  • TMEM63C
TISSUE PRIMARY DATA SKIN Show tissue menu
ADIPOSE TISSUE ADRENAL GLAND AMYGDALA APPENDIX BASAL GANGLIA BONE MARROW BREAST CEREBELLUM CEREBRAL CORTEX CERVIX CHOROID PLEXUS COLON DUODENUM
ENDOMETRIUM EPIDIDYMIS ESOPHAGUS FALLOPIAN TUBE GALLBLADDER HEART MUSCLE HIPPOCAMPAL FORMATION HYPOTHALAMUS KIDNEY LIVER LUNG LYMPH NODE MIDBRAIN
OVARY PANCREAS PARATHYROID GLAND PITUITARY GLAND PLACENTA PROSTATE RECTUM RETINA SALIVARY GLAND SEMINAL VESICLE SKELETAL MUSCLE SKIN SMALL INTESTINE
SMOOTH MUSCLE SPINAL CORD SPLEEN STOMACH TESTIS THYMUS THYROID GLAND TONGUE TONSIL URINARY BLADDER VAGINA
ANTIBODIES
AND
VALIDATION
Dictionary
Skin
Tissue proteome
Skin
SKIN - Expression summary
Protein expressioni

On the top, protein expression in current human tissue, based on all annotated cell types, is reported with the units not detected (n), low (l), medium (m) and high (h). Underneath, protein expression in each annotated cell type are reported using the same units.

Protein expression data is based on knowledge-based annotation. For genes where more than one antibody has been used, a collective score is set.

If knowledge-based annotation could not be performed for a gene, no data is displayed here. View antibody staining data further down this page.

No data
RNA expressioni

A summary of mRNA expression data available for current tissue based on several datasets. The mRNA expression levels in human tissues are based on RNA-seq data generated by the Human Protein Atlas (HPA), Genotype-Tissue Expression (GTEx) portal and CAGE data generated by the FANTOM5 consortium. Consensus normalized expression levels for human tissues was created by combining the data from HPA and GTEx datasets.

The mRNA expression levels in pig are based on RNA-seq data generated by the Human Protein Atlas (HPA), and for mouse, HPA data and in situ hybridization generated by the Allen brain atlas are reported.

Scroll down to view mRNA expression data in more detail.
Consensus:9.4 nTPM
HPA:0.8 nTPM
GTEx:9.4 nTPM

SKIN - Annotated protein expression
Pending normal tissue analysis

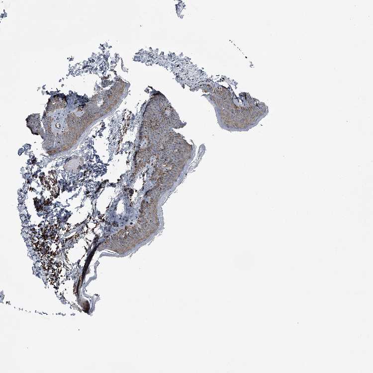
SKIN 1 - Antibody stainingi

Antibody staining in the annotated cell types in the current human tissue is reported as not detected, low, medium, or high, based on conventional immunohistochemistry profiling in selected tissues. This score is based on the combination of the staining intensity and fraction of stained cells.

Each image is clickable and will lead to virtual microscopy that enables deeper exploration of all samples and also displays staining intensity scores, fraction scores and subcellular localization as well as patient and tissue information for each sample.

Antibody HPA030657
Langerhans High
Fibroblasts High
Keratinocytes Medium
Melanocytes High


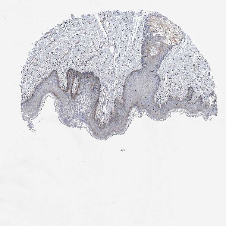
SKIN 2 - Antibody stainingi

Antibody staining in the annotated cell types in the current human tissue is reported as not detected, low, medium, or high, based on conventional immunohistochemistry profiling in selected tissues. This score is based on the combination of the staining intensity and fraction of stained cells.

Each image is clickable and will lead to virtual microscopy that enables deeper exploration of all samples and also displays staining intensity scores, fraction scores and subcellular localization as well as patient and tissue information for each sample.

Antibody HPA030657
Epidermal cells Medium
 
 
 



SKIN - HPA RNA-seqi

The RNA-seq details section shows detailed information about the individual samples used for the transcript profiling and results of the RNA-seq analysis.

Information about each individual sample is listed below, including gender, age, a tissue section image and estimated fractions of cell types. nTPM (normalized transcripts per million) values give a quantification of the gene abundance which is comparable between different genes and samples.
Average nTPMi

Max subtype nTPM is the value for the subtype with the largest average nTPM across the subtype samples.

0.8
overview
Female, age 34
Skin sample 225
nTPM: 0.4
Cell types%
Keratinocytes:
60

Other cell types:
40

overview
Female, age 30
Skin sample 226
nTPM: 0.6
Cell types%
Keratinocytes:
55

Other cell types:
45

N/A
Male, age 57
Skin sample 227
nTPM: 1.3

SKIN - GTEx RNA-seqi

RNA-Seq data generated by the Genotype-Tissue Expression (GTEx) project from human tissues is reported as mean nTPM. More information can be found on the GTEx portal.

Distribution across the dataset is visualized with box plots, shown as median and 25th and 75th percentiles. Points are displayed as outliers if they are above or below 1.5 times the interquartile range. nTPM values of the individual samples are presented next to the box plot.
Max subtype nTPMi

Max subtype nTPM is the value for the subtype with the largest average nTPM across the subtype samples.

9.4
GTEx sample id Sample description nTPM
Skin - Not Sun Exposed (Suprapubic)
Average nTPM: 7.0
Samples: 604

Max nTPM: 45.9
Min nTPM: 0.0
Std nTPM: 7.6
Median nTPM: 3.9
GTEX-1S3DN-2126-SM-E9TIN 50-59 years, male 45.9
GTEX-1PDJ9-1226-SM-EXUSX 20-29 years, male 43.9
GTEX-XBEW-1126-SM-4QARW 40-49 years, male 43.7
GTEX-1PPH7-1126-SM-DTX9A 40-49 years, male 35.4
GTEX-1JMPY-0226-SM-CKZOK 30-39 years, male 34.9
GTEX-14B4R-1326-SM-5Q5EZ 30-39 years, male 33.9
GTEX-1HBPN-0126-SM-CGQEF 50-59 years, male 33.1
GTEX-Y3I4-1726-SM-4TT89 50-59 years, male 33.0
GTEX-ZTX8-1326-SM-4YCEL 20-29 years, male 31.7
GTEX-XUW1-0926-SM-4BONX 50-59 years, female 31.2
GTEX-YEC3-1326-SM-DO92X 50-59 years, male 31.0
GTEX-14PJ3-1126-SM-5ZZVX 50-59 years, male 30.6
GTEX-12WSK-2126-SM-5CVNC 40-49 years, female 29.9
GTEX-1QP2A-1726-SM-E76QC 50-59 years, male 29.3
GTEX-ZTSS-1426-SM-5985P 40-49 years, male 29.2
GTEX-1LVAN-0626-SM-CNPOQ 50-59 years, female 28.4
GTEX-1497J-0226-SM-5QGPU 60-69 years, male 28.3
GTEX-1HCUA-0826-SM-ADEHM 50-59 years, female 27.5
GTEX-1N2DV-1526-SM-DTXEP 40-49 years, male 26.5
GTEX-ZVP2-0326-SM-57WBP 50-59 years, male 25.5
GTEX-Y9LG-1126-SM-4VBQ7 30-39 years, male 25.2
GTEX-13O61-1426-SM-5KM3D 60-69 years, male 25.0
GTEX-1R7EU-1626-SM-DTXG3 60-69 years, male 24.4
GTEX-Y5V6-2326-SM-4VDSA 60-69 years, male 24.1
GTEX-ZLFU-1826-SM-4WWBV 40-49 years, male 24.1
GTEX-ZA64-1026-SM-5HL8R 20-29 years, male 23.9
GTEX-YEC4-1826-SM-4W1YP 40-49 years, male 23.5
GTEX-1JKYN-0826-SM-ARU8S 30-39 years, male 23.5
GTEX-11ZTT-2126-SM-5CVLO 60-69 years, female 23.1
GTEX-X5EB-1926-SM-4E3IW 40-49 years, male 23.1
GTEX-145MN-1526-SM-5SI9T 30-39 years, male 22.7
GTEX-1CB4I-0126-SM-7RHGG 50-59 years, male 22.6
GTEX-1J8Q3-0526-SM-ARL8U 60-69 years, male 22.5
GTEX-1GMR2-0826-SM-7PC3V 50-59 years, male 22.3
GTEX-12WSJ-1126-SM-5LZVJ 40-49 years, female 22.1
GTEX-ZDYS-2426-SM-4WKGI 50-59 years, male 22.1
GTEX-13D11-0926-SM-5J2NC 50-59 years, female 22.0
GTEX-1399U-1126-SM-5L3DB 50-59 years, female 21.1
GTEX-1KANA-1326-SM-DIPFA 20-29 years, male 21.1
GTEX-16AAH-0626-SM-793C9 50-59 years, male 21.0
GTEX-131XF-2626-SM-5EQ6K 60-69 years, male 20.8
GTEX-13QJC-0126-SM-5ZZWJ 60-69 years, female 20.8
GTEX-111YS-1526-SM-5GZYW 60-69 years, male 20.6
GTEX-XAJ8-1426-SM-47JYM 40-49 years, male 20.5
GTEX-ZF29-0926-SM-4WKFZ 60-69 years, female 20.4
GTEX-11P82-1426-SM-DTXFY 20-29 years, male 20.2
GTEX-1GN1W-2426-SM-9KNUU 50-59 years, female 20.0
GTEX-1A3MV-1826-SM-731CD 30-39 years, male 19.9
GTEX-1KXAM-1626-SM-D3LAD 60-69 years, male 19.8
GTEX-16NGA-0726-SM-731AO 40-49 years, female 19.7
GTEX-XQ8I-0926-SM-4BOOF 50-59 years, male 19.6
GTEX-WXYG-2026-SM-4E3IY 50-59 years, female 19.5
GTEX-1MCYP-0526-SM-E9U6Q 20-29 years, female 19.4
GTEX-ZVZP-1226-SM-5GID7 50-59 years, male 18.9
GTEX-ZLV1-1526-SM-DO91J 60-69 years, female 18.9
GTEX-WEY5-2326-SM-3GIKK 40-49 years, female 18.7
GTEX-13OVG-1626-SM-5J1NF 60-69 years, male 18.5
GTEX-1HSGN-0826-SM-ACKW3 40-49 years, female 18.5
GTEX-14PJN-1826-SM-6AJ98 30-39 years, male 18.3
GTEX-1QP9N-1226-SM-E76QN 30-39 years, male 18.1
GTEX-1OJC3-1226-SM-DTXER 20-29 years, male 17.9
GTEX-1J8Q2-2626-SM-ACKWQ 60-69 years, male 17.3
GTEX-1S831-1826-SM-EWROF 20-29 years, male 17.2
GTEX-WFG7-2026-SM-5SI7P 20-29 years, male 17.0
GTEX-1MCC2-1826-SM-DIPEX 30-39 years, female 17.0
GTEX-13PVR-0426-SM-5RQK2 60-69 years, female 16.9
GTEX-1JK1U-0226-SM-ARZMX 60-69 years, male 16.8
GTEX-1HFI7-2326-SM-CGQFS 50-59 years, female 16.6
GTEX-14PKU-0126-SM-6LLHV 40-49 years, female 16.5
GTEX-1AMEY-0826-SM-72D65 30-39 years, female 16.5
GTEX-131XG-0326-SM-5L3DX 50-59 years, female 16.4
GTEX-14PJ5-1526-SM-6LLIL 60-69 years, female 16.4
GTEX-18D9U-0126-SM-731BM 40-49 years, male 16.4
GTEX-1QCLY-0226-SM-EWRNH 30-39 years, male 16.1
GTEX-XBED-1926-SM-47JYP 60-69 years, male 16.0
GTEX-145ME-1726-SM-5Q5EU 40-49 years, female 15.8
GTEX-1HSMQ-2626-SM-A9SML 50-59 years, male 15.8
GTEX-1C475-1326-SM-7SB73 40-49 years, female 15.7
GTEX-1I1GT-1026-SM-ARZLV 60-69 years, female 15.7
GTEX-13FTX-1526-SM-5K7VJ 20-29 years, female 15.5
GTEX-1122O-1026-SM-9WYSF 60-69 years, female 15.5
GTEX-X3Y1-2026-SM-3P5YM 40-49 years, male 15.4
GTEX-1RMOY-1326-SM-E9TIH 50-59 years, male 15.3
GTEX-1J1R8-2026-SM-CL53Y 40-49 years, male 15.1
GTEX-1QP29-1826-SM-DTX9S 50-59 years, male 15.1
GTEX-1HSMP-0926-SM-A9SKX 70-79 years, male 14.9
GTEX-11P7K-1126-SM-5HL4L 30-39 years, male 14.8
GTEX-16MTA-0926-SM-6M47Z 50-59 years, male 14.8
GTEX-11DXX-2126-SM-5PNYR 60-69 years, female 14.7
GTEX-1EH9U-2826-SM-7DUGT 60-69 years, male 14.7
GTEX-1RAZQ-1326-SM-E9TK6 30-39 years, male 14.6
GTEX-17F98-1326-SM-7DUEP 40-49 years, female 14.5
GTEX-ZDTT-0426-SM-4WKFL 60-69 years, male 14.5
GTEX-1PPH8-0126-SM-EWRN8 20-29 years, male 14.3
GTEX-117YX-1926-SM-5GIEC 50-59 years, male 14.2
GTEX-11VI4-1126-SM-5EQMD 40-49 years, female 14.2
GTEX-WY7C-2126-SM-3NB2R 50-59 years, male 14.2
GTEX-Y114-2126-SM-4TT8B 50-59 years, female 14.2
GTEX-11LCK-2226-SM-5HL4Q 30-39 years, male 14.1
GTEX-1JMQK-1226-SM-D4P2S 60-69 years, male 14.0
GTEX-1QPFJ-1926-SM-EVYBD 30-39 years, female 14.0
GTEX-1CAMR-1326-SM-7PC1F 20-29 years, male 13.9
GTEX-Y8LW-1526-SM-5IFHL 50-59 years, female 13.8
GTEX-1LSNM-0826-SM-DIPG8 50-59 years, male 13.8
GTEX-14PKV-1126-SM-6LLJ1 20-29 years, female 13.7
GTEX-1B97I-0626-SM-73KUZ 40-49 years, male 13.7
GTEX-WHSB-1326-SM-3LK6W 50-59 years, male 13.7
GTEX-1F5PK-2226-SM-7SB6N 50-59 years, male 13.7
GTEX-1HKZK-0726-SM-ACKW2 40-49 years, male 13.7
GTEX-17HHE-1326-SM-7EWDZ 50-59 years, male 13.6
GTEX-ZPCL-1126-SM-4WWFE 60-69 years, female 13.5
GTEX-1K2DA-1026-SM-CGQGF 50-59 years, male 13.2
GTEX-145MI-0626-SM-5SI8S 60-69 years, female 13.1
GTEX-1B8KE-1126-SM-7EPHI 50-59 years, male 13.1
GTEX-14C5O-0326-SM-5ZZUX 60-69 years, male 12.9
GTEX-14E6E-0526-SM-793DN 30-39 years, male 12.9
GTEX-1ICG6-1226-SM-A9SLN 70-79 years, female 12.9
GTEX-1HCU7-0726-SM-A9SL1 50-59 years, male 12.7
GTEX-1J8QM-2426-SM-A9SLS 60-69 years, female 12.7
GTEX-ZZPU-0826-SM-5GZX5 50-59 years, female 12.6
GTEX-ZPIC-0526-SM-DO91W 40-49 years, female 12.6
GTEX-11EQ9-1626-SM-5PNY8 30-39 years, male 12.5
GTEX-12C56-1526-SM-5FQUQ 20-29 years, male 12.4
GTEX-13VXT-1926-SM-5K7UO 20-29 years, female 12.4
GTEX-147F3-1726-SM-5SIAW 50-59 years, female 12.3
GTEX-XPVG-2126-SM-4B667 50-59 years, male 12.3
GTEX-13PVQ-0626-SM-5LU47 50-59 years, male 12.1
GTEX-14PJ4-0226-SM-5YY92 60-69 years, male 12.1
GTEX-ZGAY-1826-SM-DO91Q 40-49 years, female 11.9
GTEX-14DAR-1226-SM-73KYV 50-59 years, male 11.8
GTEX-14PJ6-2626-SM-6EU2T 60-69 years, female 11.8
GTEX-1JJ6O-2726-SM-CNPOG 60-69 years, male 11.8
GTEX-1S83E-1326-SM-E6CJM 40-49 years, male 11.7
GTEX-1399S-0126-SM-5IJCF 30-39 years, female 11.6
GTEX-145LT-0526-SM-5LUB2 40-49 years, male 11.5
GTEX-15CHC-1126-SM-6LLHQ 60-69 years, female 11.5
GTEX-12696-0126-SM-5EQ4L 60-69 years, male 11.2
GTEX-1GZ4H-0526-SM-9KNU9 50-59 years, female 11.1
GTEX-1QP28-1126-SM-EVYC4 50-59 years, female 11.1
GTEX-1CB4E-0926-SM-7EPHT 60-69 years, male 11.0
GTEX-ZZ64-1026-SM-5GZXG 20-29 years, male 10.8
GTEX-1C64O-1326-SM-7MGWR 60-69 years, male 10.8
GTEX-14ICL-1626-SM-5YYAO 30-39 years, male 10.7
GTEX-1A3MX-2626-SM-7PC24 60-69 years, male 10.5
GTEX-1KAFJ-0126-SM-DIPEK 50-59 years, male 10.5
GTEX-1211K-1526-SM-5FQU4 60-69 years, female 10.4
GTEX-1JN76-0626-SM-CKZOQ 20-29 years, female 10.4
GTEX-1C2JI-1026-SM-73KY1 50-59 years, male 10.2
GTEX-1CB4J-1326-SM-7P8RX 60-69 years, male 10.2
GTEX-1H1E6-0426-SM-9WYUS 30-39 years, male 10.2
GTEX-1GTWX-2026-SM-9YFLM 60-69 years, male 10.1
GTEX-14753-0726-SM-5QGQO 60-69 years, male 10.0
GTEX-1I6K7-1926-SM-B2LXR 40-49 years, male 10.0
GTEX-1B996-0426-SM-7EWF8 60-69 years, male 9.9
GTEX-1LGRB-0926-SM-COH3K 50-59 years, female 9.9
GTEX-ZVT2-0126-SM-5GIDQ 50-59 years, female 9.8
GTEX-WYJK-0526-SM-3NM8Z 50-59 years, male 9.7
GTEX-12WSM-1926-SM-5BC65 60-69 years, male 9.6
GTEX-ZVT4-2426-SM-5GIEI 50-59 years, female 9.6
GTEX-13W3W-0726-SM-5IJDQ 60-69 years, female 9.5
GTEX-14E1K-2026-SM-7DUEI 50-59 years, male 9.5
GTEX-15D1Q-2826-SM-6LLH7 40-49 years, male 9.4
GTEX-12BJ1-0926-SM-5EQ62 60-69 years, male 9.3
GTEX-13RTJ-0126-SM-5S2NN 60-69 years, male 9.2
GTEX-15EU6-2226-SM-6EU2L 50-59 years, male 9.2
GTEX-1JMQI-1726-SM-ARL93 50-59 years, male 9.2
GTEX-1KANC-1226-SM-CYPT7 50-59 years, female 9.1
GTEX-1LGOU-1326-SM-D3L8M 20-29 years, female 9.1
GTEX-ZLWG-0826-SM-59888 50-59 years, female 9.0
GTEX-111CU-1126-SM-5EGIM 50-59 years, male 8.9
GTEX-1I1GU-0926-SM-ACKVS 40-49 years, male 8.9
GTEX-1QCLZ-2426-SM-EVYBW 60-69 years, female 8.9
GTEX-13FTW-0326-SM-5K7UW 40-49 years, male 8.6
GTEX-14PII-0726-SM-6EU2B 60-69 years, male 8.6
GTEX-16BQI-1326-SM-6M486 30-39 years, female 8.6
GTEX-V1D1-2026-SM-3GAF4 50-59 years, male 8.6
GTEX-1RAZA-2226-SM-E9U4X 20-29 years, male 8.6
GTEX-1F5PL-0926-SM-7PC2W 40-49 years, female 8.5
GTEX-178AV-1726-SM-7KUL8 40-49 years, male 8.4
GTEX-1K2DU-1226-SM-CYPT4 20-29 years, male 8.4
GTEX-UPJH-0226-SM-3GADV 50-59 years, male 8.3
GTEX-1CAMQ-1326-SM-7P8RV 40-49 years, male 8.3
GTEX-1I4MK-0126-SM-CY8G6 50-59 years, female 8.3
GTEX-1H1DF-1126-SM-9WG7G 40-49 years, female 8.2
GTEX-12WSH-1526-SM-5BC5W 50-59 years, male 8.1
GTEX-15RIG-0726-SM-7KUM7 40-49 years, male 8.1
GTEX-1AMFI-1326-SM-7939R 50-59 years, female 8.1
GTEX-1GMR3-0126-SM-A9SLW 40-49 years, male 8.1
GTEX-17KNJ-2126-SM-718AM 50-59 years, male 7.9
GTEX-11EM3-1226-SM-5N9DD 20-29 years, female 7.8
GTEX-17EVP-2626-SM-7IGMA 40-49 years, male 7.7
GTEX-13N11-2326-SM-5IJBF 50-59 years, female 7.6
GTEX-1B8KZ-0326-SM-73KY4 50-59 years, male 7.6
GTEX-WYBS-0626-SM-3NMAS 60-69 years, female 7.6
GTEX-ZT9X-1526-SM-5DUXD 40-49 years, male 7.6
GTEX-13FH7-1126-SM-5K7UG 50-59 years, female 7.5
GTEX-1LG7Z-1626-SM-CXKYR 30-39 years, male 7.5
GTEX-18QFQ-1826-SM-72D52 30-39 years, male 7.4
GTEX-1HCU9-0426-SM-9WYSD 20-29 years, male 7.4
GTEX-13OW6-2726-SM-5J2OE 50-59 years, male 7.3
GTEX-17F96-0126-SM-7EWDU 70-79 years, male 7.3
GTEX-ZU9S-1826-SM-5NQ9E 30-39 years, male 7.3
GTEX-1F75I-2226-SM-7SB8U 40-49 years, male 7.3
GTEX-1IDJC-1526-SM-B2LW4 50-59 years, male 7.3
GTEX-14PJO-2526-SM-6AJBQ 60-69 years, male 7.2
GTEX-11TT1-1826-SM-5EQLV 20-29 years, male 7.1
GTEX-1IY9M-2826-SM-ARU8H 60-69 years, male 7.1
GTEX-14PHY-1226-SM-5ZZWK 60-69 years, female 7.0
GTEX-1GN1U-0626-SM-9MQL9 50-59 years, female 7.0
GTEX-1IDJU-1726-SM-CMKHU 60-69 years, female 7.0
GTEX-1GL5R-1326-SM-7RHHF 50-59 years, male 6.9
GTEX-1GPI7-1826-SM-9KNU1 20-29 years, male 6.9
GTEX-YFCO-1226-SM-5LUAT 40-49 years, male 6.7
GTEX-Z93S-1626-SM-5CVMB 50-59 years, male 6.7
GTEX-17MFQ-1526-SM-7KFRR 20-29 years, male 6.6
GTEX-ZPU1-1126-SM-4YCF3 40-49 years, male 6.6
GTEX-13X6K-0626-SM-5LU5D 60-69 years, female 6.5
GTEX-WH7G-2026-SM-3NMBL 40-49 years, male 6.5
GTEX-1AX9I-2226-SM-73KUO 60-69 years, male 6.4
GTEX-11DXZ-2026-SM-5987S 50-59 years, male 6.3
GTEX-1LSVX-2526-SM-DIPEU 60-69 years, male 6.3
GTEX-12WSA-0426-SM-5EQ5X 60-69 years, male 6.1
GTEX-WK11-2726-SM-3NMAQ 50-59 years, male 6.1
GTEX-14JG6-1426-SM-9WG7C 30-39 years, female 6.1
GTEX-ZT9W-1126-SM-57WDR 50-59 years, male 6.0
GTEX-14BMU-1226-SM-5S2OR 20-29 years, female 5.9
GTEX-ZDTS-0826-SM-4WKHL 60-69 years, male 5.9
GTEX-147F4-0726-SM-5TDDD 50-59 years, male 5.7
GTEX-XYKS-1426-SM-4BRUO 60-69 years, female 5.7
GTEX-1JN6P-2926-SM-CL54D 60-69 years, male 5.7
GTEX-WFON-1926-SM-3LK7L 40-49 years, male 5.6
GTEX-18D9A-1426-SM-7LT8M 30-39 years, female 5.6
GTEX-12WSL-2026-SM-5GCML 50-59 years, male 5.5
GTEX-11TUW-0626-SM-5LU9M 60-69 years, male 5.4
GTEX-17HII-1426-SM-7EPGG 50-59 years, male 5.4
GTEX-133LE-2326-SM-5K7W3 20-29 years, female 5.3
GTEX-13N1W-2426-SM-5IJD1 70-79 years, male 5.3
GTEX-18D9B-0926-SM-7LG4U 60-69 years, male 5.3
GTEX-1LVAM-0726-SM-E6CIL 50-59 years, female 5.3
GTEX-14C39-1726-SM-5RQIL 40-49 years, male 5.2
GTEX-WHWD-1826-SM-3LK6I 50-59 years, male 5.2
GTEX-1H1DE-1326-SM-9KNUG 20-29 years, male 5.2
GTEX-1I6K6-1726-SM-CGQFD 30-39 years, male 5.2
GTEX-1IDJF-2026-SM-CL53V 20-29 years, male 5.2
GTEX-139TU-0726-SM-5L3EK 60-69 years, male 5.1
GTEX-13O3O-2326-SM-5IJD6 60-69 years, female 5.1
GTEX-1H1DG-2426-SM-9QEHJ 70-79 years, male 5.1
GTEX-1HB9E-0126-SM-CM2S5 50-59 years, male 5.1
GTEX-1IKJJ-2226-SM-CJI4C 60-69 years, male 5.1
GTEX-1HGF4-0126-SM-CNPPX 60-69 years, male 5.0
GTEX-1NV5F-0626-SM-DTXEG 60-69 years, female 5.0
GTEX-ZTTD-2826-SM-4YCFA 50-59 years, male 4.9
GTEX-1GZ4I-2626-SM-9KNU3 50-59 years, male 4.9
GTEX-13113-1626-SM-5EQ4I 60-69 years, female 4.8
GTEX-139TT-2126-SM-5LZWC 60-69 years, male 4.8
GTEX-1S82U-1026-SM-E6CJK 30-39 years, female 4.8
GTEX-139D8-1126-SM-5LU8W 30-39 years, female 4.7
GTEX-13OVH-0526-SM-5L3E6 70-79 years, male 4.7
GTEX-13QBU-1226-SM-5LU4G 40-49 years, female 4.7
GTEX-1E1VI-0326-SM-793D1 50-59 years, male 4.7
GTEX-ZUA1-2626-SM-5NQ92 40-49 years, male 4.7
GTEX-ZYY3-2926-SM-5GIEB 60-69 years, female 4.7
GTEX-1S5ZU-2526-SM-E6CIF 20-29 years, female 4.7
GTEX-VJYA-1526-SM-3GIJV 60-69 years, male 4.6
GTEX-Y8E4-2026-SM-5IFJB 40-49 years, male 4.6
GTEX-ZYFG-1526-SM-5GZYM 60-69 years, female 4.6
GTEX-1KD5A-0126-SM-E9U54 50-59 years, male 4.6
GTEX-1QW4Y-1126-SM-DTXE3 30-39 years, male 4.6
GTEX-11ZUS-2626-SM-5FQUR 30-39 years, male 4.5
GTEX-13U4I-2226-SM-5LU5H 40-49 years, female 4.5
GTEX-145MO-2826-SM-5LU96 60-69 years, male 4.5
GTEX-1GF9V-0826-SM-9KNUV 60-69 years, male 4.5
GTEX-1I19N-0126-SM-CYPSF 70-79 years, male 4.5
GTEX-1LG7Y-2526-SM-EWRO7 50-59 years, male 4.5
GTEX-12WSF-1626-SM-7KUG5 70-79 years, male 4.4
GTEX-13X6H-0926-SM-5SIB2 50-59 years, female 4.4
GTEX-14PHX-2226-SM-6EU2P 50-59 years, male 4.4
GTEX-16XZZ-0726-SM-7KUF2 60-69 years, male 4.4
GTEX-14JFF-0626-SM-5ZZVT 60-69 years, male 4.4
GTEX-1O9I2-0226-SM-EYYXD 50-59 years, male 4.4
GTEX-12KS4-2126-SM-5FQUT 30-39 years, male 4.3
GTEX-14BMV-2826-SM-5TDED 50-59 years, male 4.3
GTEX-XQ3S-1426-SM-4BOPR 20-29 years, male 4.3
GTEX-1PBJJ-1026-SM-E76OS 30-39 years, male 4.3
GTEX-11NSD-0626-SM-5A5LU 20-29 years, male 4.2
GTEX-13OVJ-0826-SM-5J1OK 50-59 years, female 4.2
GTEX-17F9E-2326-SM-79OKD 50-59 years, male 4.2
GTEX-1AX8Z-0726-SM-73KTS 60-69 years, male 4.2
GTEX-ZYFD-0626-SM-5E44E 50-59 years, male 4.2
GTEX-1H4P4-2126-SM-9WYSL 50-59 years, male 4.2
GTEX-1LKK1-2626-SM-DKPQE 50-59 years, female 4.2
GTEX-1192X-2726-SM-5N9DN 50-59 years, male 4.1
GTEX-11ZU8-0126-SM-5EQ58 60-69 years, male 4.1
GTEX-12ZZZ-0726-SM-5GCNZ 60-69 years, male 4.1
GTEX-ZWKS-0626-SM-5GIDV 30-39 years, male 4.1
GTEX-1HSKV-1226-SM-ADEI4 60-69 years, male 4.1
GTEX-1ICLY-0826-SM-CMKG1 50-59 years, male 4.1
GTEX-1MJK3-0726-SM-E6CJC 20-29 years, male 4.1
GTEX-13VXU-0626-SM-5L3F9 50-59 years, male 4.0
GTEX-1S82P-2126-SM-E6CI5 60-69 years, female 4.0
GTEX-15RJE-2826-SM-7KUM9 40-49 years, male 3.9
GTEX-18A6Q-0626-SM-7KFRP 60-69 years, male 3.9
GTEX-ZP4G-1426-SM-4WWCL 20-29 years, female 3.9
GTEX-1HCVE-2726-SM-CL54F 50-59 years, male 3.9
GTEX-1HR9M-2226-SM-CNPPY 60-69 years, male 3.9
GTEX-18A67-1626-SM-7LT9T 50-59 years, male 3.8
GTEX-18A7B-2726-SM-7LG56 70-79 years, male 3.8
GTEX-1CB4H-1126-SM-7MKGL 60-69 years, female 3.8
GTEX-X4EO-2926-SM-4E3JH 60-69 years, female 3.8
GTEX-ZAB4-2126-SM-5HL8U 40-49 years, male 3.8
GTEX-1A8G7-1326-SM-73KVM 60-69 years, male 3.7
GTEX-1JJE9-2626-SM-ARZMT 70-79 years, male 3.7
GTEX-1JMLX-0626-SM-ARL8T 50-59 years, male 3.7
GTEX-1N2EE-0626-SM-E76PW 60-69 years, male 3.7
GTEX-1PIGE-1826-SM-E8VOU 20-29 years, male 3.7
GTEX-13112-0126-SM-5P9IU 50-59 years, male 3.6
GTEX-WFG8-2126-SM-3GIKQ 20-29 years, male 3.6
GTEX-1IDJH-0126-SM-D3L92 70-79 years, male 3.6
GTEX-1JKYR-0626-SM-ARL8R 20-29 years, male 3.6
GTEX-1K9T9-1526-SM-DIPFR 50-59 years, female 3.6
GTEX-13OW5-2326-SM-5L3HO 60-69 years, male 3.5
GTEX-15RIE-1926-SM-7KUKJ 60-69 years, male 3.5
GTEX-16NPX-0726-SM-7KULC 50-59 years, male 3.5
GTEX-1C6VR-0126-SM-7RHGB 60-69 years, male 3.5
GTEX-1C6VQ-1226-SM-73KYD 50-59 years, male 3.4
GTEX-XXEK-1626-SM-4BRUZ 50-59 years, male 3.4
GTEX-1GMR8-0626-SM-7RHI7 50-59 years, female 3.4
GTEX-139UW-0326-SM-5J1ML 60-69 years, male 3.3
GTEX-1KANB-2826-SM-CY8I6 50-59 years, male 3.3
GTEX-12ZZY-0726-SM-5EQ66 60-69 years, male 3.2
GTEX-13OVK-1426-SM-6PAN7 40-49 years, male 3.2
GTEX-14ABY-2026-SM-62LDL 50-59 years, male 3.2
GTEX-Y3IK-1626-SM-4YCF5 50-59 years, female 3.2
GTEX-1C6WA-2626-SM-7MKGM 60-69 years, male 3.1
GTEX-1IOXB-2726-SM-CM2RI 50-59 years, male 3.1
GTEX-11O72-0626-SM-5PNYE 40-49 years, male 3.0
GTEX-13G51-1826-SM-5KLZH 60-69 years, male 3.0
GTEX-13OW7-0426-SM-5K7VK 50-59 years, male 3.0
GTEX-18A66-0626-SM-7LT8Z 60-69 years, male 3.0
GTEX-YB5K-2026-SM-4VDT3 40-49 years, female 3.0
GTEX-1F6IF-0926-SM-7SB7M 60-69 years, male 3.0
GTEX-1H11D-1826-SM-9QEHM 40-49 years, male 3.0
GTEX-1269C-0126-SM-5EQ5L 60-69 years, female 2.9
GTEX-15FZZ-0526-SM-7KUGD 30-39 years, female 2.9
GTEX-1F75B-0726-SM-7PC3R 50-59 years, male 2.9
GTEX-1R9PM-1926-SM-EVR3O 20-29 years, male 2.9
GTEX-14A5H-0826-SM-5QGPJ 60-69 years, male 2.8
GTEX-14AS3-1526-SM-5Q5ED 40-49 years, female 2.8
GTEX-15EO6-2426-SM-6PALZ 50-59 years, male 2.8
GTEX-17F97-2626-SM-7IGM5 50-59 years, male 2.8
GTEX-XMD2-2126-SM-4YCF8 60-69 years, female 2.8
GTEX-1CAMS-2226-SM-7PBXQ 40-49 years, female 2.8
GTEX-1I1GS-2626-SM-B2LY3 60-69 years, male 2.8
GTEX-1JMOU-1026-SM-CYPSS 60-69 years, female 2.8
GTEX-1LB8K-0726-SM-D5OV2 50-59 years, male 2.8
GTEX-111FC-2526-SM-5GZXU 60-69 years, male 2.7
GTEX-11UD2-2526-SM-5CVNU 50-59 years, male 2.7
GTEX-146FQ-2126-SM-5RQHU 30-39 years, male 2.7
GTEX-14A6H-2026-SM-5Q5DD 30-39 years, male 2.7
GTEX-15CHR-1126-SM-7EWF4 50-59 years, male 2.7
GTEX-17MF6-2626-SM-79OKQ 40-49 years, male 2.7
GTEX-WHSE-0126-SM-3NMBT 20-29 years, male 2.7
GTEX-1F6RS-2026-SM-7RHHC 60-69 years, female 2.7
GTEX-1NSGN-0726-SM-DTXEF 50-59 years, male 2.7
GTEX-11DYG-1526-SM-5A5JS 60-69 years, male 2.6
GTEX-13O3Q-0126-SM-5KM34 50-59 years, male 2.6
GTEX-14PK6-0226-SM-62LF5 70-79 years, female 2.6
GTEX-16MT8-2926-SM-7DUFO 60-69 years, female 2.6
GTEX-1EN7A-2426-SM-793DB 40-49 years, male 2.6
GTEX-XV7Q-1826-SM-4BRUV 40-49 years, female 2.6
GTEX-Y5LM-0926-SM-6LLJG 40-49 years, female 2.6
GTEX-1GN73-0726-SM-7P8TJ 60-69 years, male 2.6
GTEX-1H23P-0626-SM-9WG6T 60-69 years, male 2.6
GTEX-1LSNL-2726-SM-E9TKJ 50-59 years, male 2.6
GTEX-139TS-2126-SM-5K7XC 60-69 years, male 2.5
GTEX-1JMQL-2226-SM-CNPP4 50-59 years, female 2.5
GTEX-131XH-0126-SM-5LZUY 50-59 years, male 2.4
GTEX-14LLW-2626-SM-62LDZ 70-79 years, female 2.4
GTEX-16Z82-2626-SM-7KULU 60-69 years, male 2.4
GTEX-1CB4F-1026-SM-7DUH1 60-69 years, male 2.4
GTEX-YF7O-1526-SM-5IFI6 50-59 years, male 2.4
GTEX-ZVE2-2826-SM-5GU51 50-59 years, male 2.4
GTEX-1B8L1-2226-SM-7P8PT 60-69 years, male 2.4
GTEX-1I1GP-1326-SM-A9G28 50-59 years, male 2.4
GTEX-1M4P7-0726-SM-E6CJ3 60-69 years, male 2.4
GTEX-1QP66-1226-SM-DTX7U 50-59 years, male 2.4
GTEX-11NUK-2726-SM-5A5MC 50-59 years, male 2.3
GTEX-18465-2826-SM-7LT9J 50-59 years, male 2.3
GTEX-XK95-0226-SM-4AT58 40-49 years, male 2.3
GTEX-1GF9W-1426-SM-7PBYM 60-69 years, male 2.3
GTEX-1IDFM-0326-SM-ARL7V 60-69 years, male 2.3
GTEX-1KWVE-1026-SM-D3L9O 30-39 years, male 2.3
GTEX-1PIIG-2326-SM-DTXFR 30-39 years, male 2.3
GTEX-1PPGY-1626-SM-EVYBL 60-69 years, male 2.3
GTEX-12WSD-0626-SM-5GCMW 60-69 years, female 2.2
GTEX-13NZ9-2626-SM-5L3FK 50-59 years, male 2.2
GTEX-144GM-0526-SM-79OJO 20-29 years, male 2.2
GTEX-1477Z-0326-SM-7IGLA 60-69 years, male 2.2
GTEX-148VJ-0626-SM-5LUAW 70-79 years, male 2.2
GTEX-17HGU-2326-SM-7DUFE 50-59 years, male 2.2
GTEX-VUSG-2326-SM-4KL1U 50-59 years, male 2.2
GTEX-WHPG-2626-SM-3NMBR 50-59 years, male 2.2
GTEX-X8HC-0626-SM-4E3HQ 50-59 years, female 2.2
GTEX-Y111-0626-SM-4SOIT 50-59 years, male 2.2
GTEX-ZXG5-2126-SM-59HKD 60-69 years, male 2.2
GTEX-1IE54-1126-SM-A9G2Z 40-49 years, female 2.2
GTEX-1R46S-2426-SM-E76QA 60-69 years, female 2.2
GTEX-1R9PN-0426-SM-DTXDT 40-49 years, female 2.2
GTEX-ZF3C-0626-SM-DO92O 50-59 years, female 2.2
GTEX-132AR-0326-SM-5KM2C 50-59 years, female 2.1
GTEX-15UF6-1926-SM-7KUDV 70-79 years, female 2.1
GTEX-1A8G6-2726-SM-731AR 60-69 years, male 2.1
GTEX-1B8SF-0126-SM-7DUG3 60-69 years, male 2.1
GTEX-XBEC-0726-SM-4QARZ 50-59 years, male 2.1
GTEX-ZDXO-3126-SM-5IJDF 60-69 years, male 2.1
GTEX-1IDJV-0126-SM-COH3Y 60-69 years, male 2.1
GTEX-1J1OQ-0126-SM-D4P2N 40-49 years, female 2.1
GTEX-1JJEA-1826-SM-ARU8P 60-69 years, male 2.1
GTEX-1RAZS-2526-SM-E6CHT 50-59 years, male 2.1
GTEX-13NYC-0126-SM-5L3F4 60-69 years, male 2.0
GTEX-147JS-0226-SM-5S2U9 60-69 years, male 2.0
GTEX-183FY-1026-SM-7939A 20-29 years, male 2.0
GTEX-ZF2S-1626-SM-57WES 50-59 years, female 2.0
GTEX-1QAET-0326-SM-EVR3U 50-59 years, male 2.0
GTEX-131XW-0626-SM-5PNVD 50-59 years, female 1.9
GTEX-13YAN-0226-SM-5TDC6 60-69 years, male 1.9
GTEX-17F9Y-0126-SM-79OKX 70-79 years, female 1.9
GTEX-X585-2426-SM-46MW2 50-59 years, male 1.9
GTEX-YJ8O-2526-SM-5HL85 40-49 years, female 1.9
GTEX-1IKOE-1426-SM-CE6T7 30-39 years, female 1.9
GTEX-13PL6-1126-SM-5L3IE 40-49 years, female 1.8
GTEX-145MF-0926-SM-5Q5EA 50-59 years, male 1.8
GTEX-ZAJG-1526-SM-5CVML 50-59 years, female 1.8
GTEX-1GN2E-0226-SM-9WG6K 60-69 years, male 1.8
GTEX-1H1ZS-2726-SM-9WG75 70-79 years, male 1.8
GTEX-1HT8W-0626-SM-A9G2H 30-39 years, male 1.8
GTEX-1IDJI-0126-SM-CMKHS 50-59 years, female 1.8
GTEX-1LVAO-2726-SM-E9TJ8 60-69 years, male 1.8
GTEX-1N5O9-0926-SM-E9J3C 60-69 years, male 1.8
GTEX-13NYS-0626-SM-5L3F1 60-69 years, male 1.7
GTEX-147GR-2426-SM-5ZZWQ 60-69 years, male 1.7
GTEX-16GPK-0626-SM-7KFSF 60-69 years, male 1.7
GTEX-YECK-0326-SM-4W1YS 60-69 years, male 1.7
GTEX-1OJC4-2726-SM-E76PJ 50-59 years, female 1.7
GTEX-11EQ8-0926-SM-5H12V 60-69 years, male 1.6
GTEX-131YS-2826-SM-5EQ47 60-69 years, female 1.6
GTEX-139T8-0626-SM-5KLZX 60-69 years, male 1.6
GTEX-13N2G-0226-SM-5K7VF 60-69 years, male 1.6
GTEX-145LS-0626-SM-7EPG7 60-69 years, female 1.6
GTEX-1HBPI-2126-SM-ARL9K 50-59 years, male 1.6
GTEX-1JMPZ-0726-SM-CY8HZ 30-39 years, male 1.6
GTEX-1JMQJ-0826-SM-CNPP7 50-59 years, male 1.6
GTEX-11PRG-0726-SM-5EGL1 50-59 years, male 1.5
GTEX-11WQK-1026-SM-5EQLX 50-59 years, male 1.5
GTEX-12WSC-2826-SM-5BC5Y 50-59 years, male 1.5
GTEX-13X6J-0626-SM-5LU5F 50-59 years, male 1.5
GTEX-144GO-2026-SM-5O99P 60-69 years, male 1.5
GTEX-145MH-2826-SM-5RQJF 50-59 years, male 1.5
GTEX-14BIN-1126-SM-5RQJZ 50-59 years, female 1.5
GTEX-15CHQ-0326-SM-69LQD 60-69 years, male 1.5
GTEX-15SHW-0226-SM-7LTAT 60-69 years, male 1.5
GTEX-ZVTK-0226-SM-51MRG 20-29 years, male 1.5
GTEX-1HBPM-0726-SM-9YFL7 60-69 years, female 1.5
GTEX-1HCU6-2526-SM-ADEHL 60-69 years, female 1.5
GTEX-1L5NE-1126-SM-D3L9P 50-59 years, male 1.5
GTEX-11DXW-0826-SM-5H118 40-49 years, male 1.4
GTEX-139YR-1026-SM-5LZYN 50-59 years, male 1.4
GTEX-13FLV-0126-SM-5K7WT 50-59 years, male 1.4
GTEX-15G1A-1626-SM-7KUKN 30-39 years, male 1.4
GTEX-Y5V5-0126-SM-5S2NW 60-69 years, female 1.4
GTEX-1E2YA-2126-SM-7MXUO 50-59 years, male 1.4
GTEX-1GPI6-1926-SM-9KNV7 60-69 years, male 1.4
GTEX-1H3VE-0726-SM-9YFL5 40-49 years, male 1.4
GTEX-1I1GV-0626-SM-ARL7M 60-69 years, male 1.4
GTEX-1RB15-1326-SM-E76Q9 60-69 years, male 1.4
GTEX-111VG-1626-SM-5EGIO 60-69 years, male 1.3
GTEX-11EI6-2826-SM-5H11D 60-69 years, male 1.3
GTEX-11OF3-0126-SM-5PNYF 60-69 years, male 1.3
GTEX-11P81-2226-SM-5PNYI 30-39 years, female 1.3
GTEX-14C38-0726-SM-5SI6M 50-59 years, male 1.3
GTEX-15SKB-2826-SM-6PAMH 60-69 years, male 1.3
GTEX-ZYFC-0426-SM-5GICQ 50-59 years, male 1.3
GTEX-1HFI6-0126-SM-CNPPI 40-49 years, male 1.3
GTEX-11DXY-0126-SM-5H11Q 60-69 years, male 1.2
GTEX-15G19-2426-SM-7KUMR 60-69 years, male 1.2
GTEX-17HHY-0426-SM-7DHLC 50-59 years, male 1.2
GTEX-1A32A-0626-SM-731AQ 50-59 years, female 1.2
GTEX-1BAJH-2426-SM-7IGP8 70-79 years, male 1.2
GTEX-1EKGG-0626-SM-7DUGJ 60-69 years, male 1.2
GTEX-1EU9M-1426-SM-793AI 60-69 years, male 1.2
GTEX-ZVE1-0726-SM-51MRN 50-59 years, female 1.2
GTEX-1I1HK-2326-SM-CKZOH 60-69 years, male 1.2
GTEX-1JN1M-2726-SM-CY8I4 60-69 years, female 1.2
GTEX-1LVA9-2626-SM-EVYD4 50-59 years, male 1.2
GTEX-1212Z-0126-SM-59HK4 60-69 years, male 1.1
GTEX-13IVO-0726-SM-5LZYV 70-79 years, male 1.1
GTEX-13NYB-0126-SM-5J1MD 40-49 years, male 1.1
GTEX-13NZ8-1226-SM-5KM4A 60-69 years, female 1.1
GTEX-14E6C-2426-SM-5S2NF 40-49 years, male 1.1
GTEX-14JG1-1526-SM-5YY9X 40-49 years, male 1.1
GTEX-17EVQ-0126-SM-7IGLR 70-79 years, male 1.1
GTEX-1AX9J-1326-SM-731BJ 60-69 years, male 1.1
GTEX-ZY6K-1426-SM-5GZX2 50-59 years, male 1.1
GTEX-1F6I4-2326-SM-7RHGL 60-69 years, male 1.1
GTEX-1F88E-1626-SM-7SB8Z 60-69 years, female 1.1
GTEX-1GMRU-2126-SM-7P8RA 50-59 years, male 1.1
GTEX-1HUB1-1426-SM-CGQF5 60-69 years, male 1.1
GTEX-1IDJD-2326-SM-ACKWX 30-39 years, male 1.1
GTEX-1IDJE-1426-SM-ADEIW 50-59 years, female 1.1
GTEX-1117F-2926-SM-5GZYI 60-69 years, female 1.0
GTEX-11GS4-0226-SM-5HL77 60-69 years, male 1.0
GTEX-11WQC-1826-SM-5GU59 60-69 years, male 1.0
GTEX-12126-0826-SM-5FQTZ 20-29 years, male 1.0
GTEX-13JVG-0726-SM-5KM16 60-69 years, male 1.0
GTEX-145MG-1526-SM-5Q5EM 50-59 years, male 1.0
GTEX-WI4N-2726-SM-3LK7Y 40-49 years, female 1.0
GTEX-WRHU-2826-SM-3MJG8 50-59 years, female 1.0
GTEX-X4EP-0626-SM-3P621 60-69 years, female 1.0
GTEX-ZE9C-2526-SM-5IJDR 60-69 years, male 1.0
GTEX-1A8FM-0626-SM-7PC25 50-59 years, female 1.0
GTEX-1F75A-0726-SM-7RHHD 50-59 years, male 1.0
GTEX-1GZ2Q-0126-SM-9WG6M 40-49 years, male 1.0
GTEX-13FTY-2126-SM-5IFFB 40-49 years, female 0.9
GTEX-13JUV-2026-SM-5K7UA 40-49 years, female 0.9
GTEX-13OW8-1026-SM-5J1NQ 60-69 years, male 0.9
GTEX-13PDP-0726-SM-5L3HP 60-69 years, male 0.9
GTEX-15DDE-2926-SM-6LLJ3 50-59 years, female 0.9
GTEX-1B933-2426-SM-7DHMD 50-59 years, female 0.9
GTEX-ZYVF-0926-SM-5E44J 50-59 years, female 0.9
GTEX-1GF9U-2026-SM-7SB92 40-49 years, female 0.9
GTEX-1J8EW-2726-SM-CY8HR 60-69 years, female 0.9
GTEX-1R9K4-2826-SM-DTX8F 60-69 years, male 0.9
GTEX-11DZ1-2426-SM-5GZZX 50-59 years, male 0.8
GTEX-11GSP-2326-SM-5HL63 60-69 years, female 0.8
GTEX-13OVL-0126-SM-5L3GJ 50-59 years, male 0.8
GTEX-14LZ3-0126-SM-69LPM 60-69 years, female 0.8
GTEX-15DYW-2726-SM-6EU2I 60-69 years, female 0.8
GTEX-1CAV2-0126-SM-7IGN7 40-49 years, female 0.8
GTEX-1EX96-1026-SM-7MKG2 50-59 years, male 0.8
GTEX-U8XE-0226-SM-4E3J3 30-39 years, male 0.8
GTEX-WYVS-1626-SM-3NM9R 40-49 years, female 0.8
GTEX-ZYT6-2326-SM-5GZY3 30-39 years, male 0.8
GTEX-1EMGI-2326-SM-7PBYA 60-69 years, male 0.8
GTEX-1H1CY-0126-SM-9YFLY 60-69 years, female 0.8
GTEX-1H2FU-0926-SM-9WPPT 60-69 years, female 0.8
GTEX-1HSMO-0626-SM-ACKXC 60-69 years, male 0.8
GTEX-12ZZX-2426-SM-5GCOE 40-49 years, female 0.7
GTEX-13SLX-2226-SM-62LEP 50-59 years, female 0.7
GTEX-13X6I-1826-SM-5SIAO 60-69 years, male 0.7
GTEX-14DAQ-0626-SM-793DS 60-69 years, female 0.7
GTEX-16YQH-2226-SM-7IGM2 30-39 years, male 0.7
GTEX-18A7A-0126-SM-731AH 50-59 years, female 0.7
GTEX-1F52S-2926-SM-7MKGA 60-69 years, female 0.7
GTEX-XOT4-0626-SM-4B66L 60-69 years, female 0.7
GTEX-ZC5H-1526-SM-5HL9Y 40-49 years, female 0.7
GTEX-1F75W-2726-SM-7SB8H 60-69 years, male 0.7
GTEX-1HC8U-1326-SM-9YFMJ 40-49 years, female 0.7
GTEX-1HCU8-2526-SM-CE6RX 60-69 years, female 0.7
GTEX-1ICLZ-0326-SM-ARL82 60-69 years, male 0.7
GTEX-1QEPI-2626-SM-DTXF4 60-69 years, female 0.7
GTEX-1RAZR-2126-SM-E9U6T 40-49 years, male 0.7
GTEX-1RLM8-2926-SM-E8VON 50-59 years, male 0.7
GTEX-12584-0726-SM-5FQTK 40-49 years, male 0.6
GTEX-1314G-1326-SM-5BC6E 30-39 years, male 0.6
GTEX-1399Q-2326-SM-5KM2X 40-49 years, male 0.6
GTEX-13SLW-0626-SM-5Q5ER 70-79 years, male 0.6
GTEX-144GL-0626-SM-5LU4D 50-59 years, male 0.6
GTEX-145LU-1926-SM-79OJN 50-59 years, male 0.6
GTEX-ZYW4-0626-SM-59HJR 60-69 years, male 0.6
GTEX-1H3O1-1326-SM-9MQLD 60-69 years, male 0.6
GTEX-1I1CD-0626-SM-CE6SW 60-69 years, female 0.6
GTEX-1IL2V-1926-SM-B2LW8 70-79 years, male 0.6
GTEX-13FHO-0426-SM-5L3F5 60-69 years, male 0.5
GTEX-14PJ2-0626-SM-6LLII 50-59 years, male 0.5
GTEX-15RJ7-2126-SM-6PAMD 40-49 years, male 0.5
GTEX-17JCI-2926-SM-7DUFF 60-69 years, female 0.5
GTEX-1EWIQ-0326-SM-7DHMQ 70-79 years, female 0.5
GTEX-UPK5-0426-SM-3GAEK 40-49 years, male 0.5
GTEX-ZAK1-0626-SM-5HL8E 50-59 years, female 0.5
GTEX-1C64N-2626-SM-7PC2N 50-59 years, male 0.5
GTEX-1GN1V-2826-SM-9JGIA 60-69 years, male 0.5
GTEX-1J8JJ-0626-SM-ARZMQ 60-69 years, female 0.5
GTEX-1LBAC-0826-SM-CY8IJ 20-29 years, male 0.5
GTEX-1QMI2-2526-SM-E8VNZ 60-69 years, male 0.5
GTEX-15ER7-0626-SM-6PANF 20-29 years, female 0.4
GTEX-W5X1-2526-SM-3GILC 40-49 years, female 0.4
GTEX-1F48J-0726-SM-7RHGS 50-59 years, female 0.4
GTEX-1GF9X-1326-SM-7PC2Y 40-49 years, female 0.4
GTEX-1GZHY-0626-SM-9KNVC 50-59 years, female 0.4
GTEX-1H3NZ-2726-SM-9WYTQ 60-69 years, male 0.4
GTEX-1HR98-2226-SM-ADEI2 60-69 years, male 0.4
GTEX-144FL-0626-SM-5LU43 50-59 years, male 0.3
GTEX-14XAO-1226-SM-6EU1C 60-69 years, female 0.3
GTEX-183WM-0326-SM-72D5V 70-79 years, female 0.3
GTEX-1AYD5-2626-SM-7PBXY 50-59 years, male 0.3
GTEX-1POEN-2326-SM-E9J2L 30-39 years, female 0.3
GTEX-1399R-1326-SM-5PNYS 30-39 years, male 0.2
GTEX-1A3MW-0626-SM-731CB 60-69 years, female 0.2
GTEX-1B932-2326-SM-79OL5 40-49 years, female 0.2
GTEX-ZE7O-2726-SM-51MT5 50-59 years, female 0.2
GTEX-1313W-0626-SM-5EQ4H 50-59 years, female 0.1
GTEX-17HG3-2626-SM-7DUF2 30-39 years, female 0.1
GTEX-1F88F-0126-SM-9WYSZ 60-69 years, female 0.1
GTEX-16MT9-0126-SM-7EPI8 60-69 years, female 0.0
Show allShow less
Skin - Sun Exposed (Lower leg)
Average nTPM: 9.4
Samples: 701

Max nTPM: 58.2
Min nTPM: 0.0
Std nTPM: 10.1
Median nTPM: 5.1
GTEX-1PFEY-1526-SM-E76PP 30-39 years, male 58.2
GTEX-1CB4I-0226-SM-79OLH 50-59 years, male 55.7
GTEX-145MN-2226-SM-5SIAU 30-39 years, male 54.4
GTEX-145ME-1826-SM-5SI9G 40-49 years, female 53.8
GTEX-16NGA-1726-SM-731B4 40-49 years, female 52.1
GTEX-1S5ZA-0126-SM-EVYCV 20-29 years, male 51.2
GTEX-1AX9J-0226-SM-73KXM 60-69 years, male 50.5
GTEX-U8T8-0126-SM-3DB94 60-69 years, male 47.4
GTEX-1KANC-1526-SM-D3LAB 50-59 years, female 47.4
GTEX-ZGAY-0526-SM-4WWBB 40-49 years, female 45.2
GTEX-1C475-1826-SM-73KWA 40-49 years, female 44.5
GTEX-XBEW-0626-SM-4QASP 40-49 years, male 43.0
GTEX-1S3DN-2226-SM-EVYCD 50-59 years, male 40.1
GTEX-13RTK-1426-SM-5QGQJ 20-29 years, male 37.6
GTEX-1PDJ9-0326-SM-DTX95 20-29 years, male 37.1
GTEX-WYJK-0126-SM-3NMAB 50-59 years, male 36.5
GTEX-13PVR-2326-SM-5QGR1 60-69 years, female 36.1
GTEX-XUZC-1726-SM-4BRWS 30-39 years, female 36.1
GTEX-1LG7Z-1726-SM-D3LA4 30-39 years, male 36.1
GTEX-P4QT-0126-SM-2I3FL 50-59 years, female 35.6
GTEX-T5JW-1626-SM-3GADZ 20-29 years, female 35.5
GTEX-1KANA-0726-SM-D3L9I 20-29 years, male 35.2
GTEX-14PJ6-2126-SM-6EU1V 60-69 years, female 34.8
GTEX-PLZ6-1426-SM-DKPOT 30-39 years, male 34.6
GTEX-S95S-1226-SM-4GICG 60-69 years, male 33.6
GTEX-1KXAM-2226-SM-CYPTC 60-69 years, male 33.3
GTEX-11LCK-1026-SM-5A5KB 30-39 years, male 31.9
GTEX-12WSK-2326-SM-5GCOH 40-49 years, female 31.2
GTEX-QDVJ-1726-SM-2I5FX 50-59 years, male 31.2
GTEX-1HBPN-0226-SM-9YFM1 50-59 years, male 31.2
GTEX-1HSEH-0126-SM-ACKXN 60-69 years, male 31.1
GTEX-YB5K-2126-SM-4WWDJ 40-49 years, female 30.9
GTEX-1QP9N-1426-SM-DTXFL 30-39 years, male 30.8
GTEX-1LVAN-0226-SM-COH3S 50-59 years, female 30.0
GTEX-1B8KE-2126-SM-73KYX 50-59 years, male 29.9
GTEX-ZXES-1826-SM-5E43S 30-39 years, female 29.9
GTEX-11ZTT-2426-SM-5EQLS 60-69 years, female 29.7
GTEX-1JMPY-1326-SM-ARL8Y 30-39 years, male 29.4
GTEX-1LGOU-2026-SM-DIPFF 20-29 years, female 28.9
GTEX-XPVG-2626-SM-4B669 50-59 years, male 28.7
GTEX-1MA7W-2026-SM-E9TJ6 20-29 years, female 28.7
GTEX-X5EB-2226-SM-46MW4 40-49 years, male 28.5
GTEX-1CAMQ-0226-SM-7IGPK 40-49 years, male 28.3
GTEX-1F5PL-0326-SM-7P8PQ 40-49 years, female 28.2
GTEX-12WSJ-1826-SM-5GCNY 40-49 years, female 28.1
GTEX-17GQL-2026-SM-718BA 60-69 years, male 28.1
GTEX-ZTX8-1426-SM-5DUVO 20-29 years, male 27.9
GTEX-1OFPY-2426-SM-DTXEJ 60-69 years, male 27.5
GTEX-1QP29-0626-SM-EWRMX 50-59 years, male 27.1
GTEX-SUCS-1926-SM-32PM3 70-79 years, male 27.0
GTEX-1HSGN-0226-SM-CGQFV 40-49 years, female 26.9
GTEX-WFON-2126-SM-3LK7O 40-49 years, male 26.8
GTEX-1QPFJ-0226-SM-E76PB 30-39 years, female 26.8
GTEX-13FH7-2026-SM-E9J4I 50-59 years, female 26.7
GTEX-14C5O-0126-SM-5SI6N 60-69 years, male 26.5
GTEX-1J8QM-2126-SM-CYPSJ 60-69 years, female 26.4
GTEX-YEC4-2126-SM-5IFJH 40-49 years, male 26.1
GTEX-ZTSS-1926-SM-57WEW 40-49 years, male 26.1
GTEX-11P7K-2126-SM-5GU7G 30-39 years, male 25.6
GTEX-QCQG-1726-SM-3GIJ9 50-59 years, female 25.5
GTEX-1ICG6-2526-SM-CGQFZ 70-79 years, female 25.2
GTEX-OXRL-0126-SM-2YUMP 50-59 years, male 24.9
GTEX-1LH75-2426-SM-E9TJE 50-59 years, female 24.9
GTEX-Z9EW-1626-SM-5CVMN 40-49 years, male 24.6
GTEX-1M5QR-1226-SM-EWROB 40-49 years, male 24.2
GTEX-1HCVE-0126-SM-CGQEU 50-59 years, male 24.1
GTEX-XAJ8-0826-SM-47JY6 40-49 years, male 24.0
GTEX-17F98-0626-SM-79OMX 40-49 years, female 23.8
GTEX-U3ZM-1526-SM-3DB9D 40-49 years, male 23.5
GTEX-QLQ7-1626-SM-2S1R8 60-69 years, male 23.3
GTEX-ZF29-2326-SM-DO92K 60-69 years, female 23.2
GTEX-ZQUD-1426-SM-57WER 30-39 years, male 23.1
GTEX-13O21-1426-SM-5K7XI 50-59 years, male 23.0
GTEX-1S83E-0126-SM-EWRO4 40-49 years, male 23.0
GTEX-S32W-2126-SM-2XCB1 50-59 years, female 22.7
GTEX-1I1GT-0626-SM-CGQER 60-69 years, female 22.7
GTEX-12C56-1726-SM-5EQ61 20-29 years, male 22.5
GTEX-1JJ6O-0126-SM-E6CI8 60-69 years, male 22.4
GTEX-1LSNM-1926-SM-E6CII 50-59 years, male 22.3
GTEX-1HSMP-0126-SM-E6CJS 70-79 years, male 22.1
GTEX-TMMY-0226-SM-33HBA 40-49 years, female 21.9
GTEX-16AAH-1726-SM-7939C 50-59 years, male 21.8
GTEX-18D9U-0226-SM-718BP 40-49 years, male 21.7
GTEX-W5WG-1826-SM-4KL2Y 50-59 years, female 21.7
GTEX-XBED-2226-SM-47JYQ 60-69 years, male 21.7
GTEX-133LE-1826-SM-5J1MV 20-29 years, female 21.6
GTEX-14A5I-0126-SM-5TDEA 50-59 years, female 21.6
GTEX-1J8Q2-0526-SM-CM2RW 60-69 years, male 21.6
GTEX-1R7EU-0226-SM-EVR4G 60-69 years, male 21.6
GTEX-11VI4-1726-SM-5CVLH 40-49 years, female 21.5
GTEX-WRHK-1426-SM-3MJF9 20-29 years, female 21.4
GTEX-1R7EV-2426-SM-EVYBG 40-49 years, male 21.3
GTEX-XUW1-0426-SM-4BOOT 50-59 years, female 20.8
GTEX-1CAMR-1926-SM-7EPI2 20-29 years, male 20.6
GTEX-WY7C-2326-SM-3NB2U 50-59 years, male 20.6
GTEX-Y5V6-2426-SM-4VDSB 60-69 years, male 20.5
GTEX-13OVG-1926-SM-5L3DK 60-69 years, male 20.3
GTEX-1JMLX-0226-SM-CM2RO 50-59 years, male 20.2
GTEX-1K2DU-2326-SM-E9TIV 20-29 years, male 20.2
GTEX-TKQ1-1026-SM-4GICL 30-39 years, male 19.8
GTEX-RWS6-2026-SM-2XCB5 60-69 years, female 19.7
GTEX-1QCLY-0326-SM-E8VOG 30-39 years, male 19.7
GTEX-15ETS-0126-SM-7KUMW 40-49 years, female 19.3
GTEX-WXYG-2326-SM-4E3I6 50-59 years, female 19.3
GTEX-RM2N-1426-SM-2TF4H 50-59 years, male 19.1
GTEX-18D9A-1926-SM-7LG6P 30-39 years, female 18.9
GTEX-1A3MV-1926-SM-718BT 30-39 years, male 18.9
GTEX-11EM3-2426-SM-59861 20-29 years, female 18.7
GTEX-NFK9-0226-SM-2HMKQ 40-49 years, male 18.7
GTEX-Y3I4-2126-SM-4TT7C 50-59 years, male 18.7
GTEX-1AX9K-2326-SM-73KWU 50-59 years, male 18.6
GTEX-PSDG-0226-SM-DKPOZ 50-59 years, male 18.5
GTEX-1J1R8-1726-SM-ARL8M 40-49 years, male 18.4
GTEX-13FTX-1826-SM-5J1NX 20-29 years, female 18.3
GTEX-1HFI7-1826-SM-ACKXH 50-59 years, female 18.3
GTEX-169BO-1326-SM-9MQK2 50-59 years, male 18.2
GTEX-14DAR-2026-SM-5S2O3 50-59 years, male 18.1
GTEX-1JN76-0126-SM-CNPPE 20-29 years, female 17.9
GTEX-1HCU9-1526-SM-A9SL7 20-29 years, male 17.8
GTEX-15CHC-2126-SM-6EU21 60-69 years, female 17.7
GTEX-1B97I-1626-SM-73KYO 40-49 years, male 17.7
GTEX-T6MO-1626-SM-32QOM 40-49 years, female 17.7
GTEX-15EU6-0426-SM-6PAN5 50-59 years, male 17.5
GTEX-SNMC-1226-SM-2XCFP 20-29 years, male 17.4
GTEX-U412-0426-SM-3DB9O 60-69 years, male 17.4
GTEX-1PPH7-2326-SM-EVYB8 40-49 years, male 17.4
GTEX-1IDJU-2626-SM-CM2RT 60-69 years, female 17.3
GTEX-PWCY-1826-SM-DHXIZ 20-29 years, female 17.3
GTEX-13S7M-0126-SM-5SI6A 60-69 years, female 17.2
GTEX-1B996-0226-SM-7RHGO 60-69 years, male 17.2
GTEX-1N2EF-0226-SM-EYYXB 60-69 years, male 17.2
GTEX-OHPM-0126-SM-2YUN9 50-59 years, male 17.1
GTEX-1IDJF-0126-SM-CM2RS 20-29 years, male 17.0
GTEX-1GTWX-0126-SM-9YFLK 60-69 years, male 16.9
GTEX-WH7G-2326-SM-3NMBC 40-49 years, male 16.8
GTEX-15RIG-0226-SM-7KFTL 40-49 years, male 16.6
GTEX-1GN1U-0126-SM-7PBZK 50-59 years, female 16.6
GTEX-1I4MK-2226-SM-ACKWD 50-59 years, female 16.6
GTEX-1OJC3-0126-SM-E76QX 20-29 years, male 16.5
GTEX-XQ8I-0426-SM-4BOPO 50-59 years, male 16.4
GTEX-P4PQ-0126-SM-2S1NM 60-69 years, male 16.3
GTEX-1N2DV-0226-SM-E6CJ6 40-49 years, male 16.3
GTEX-18D9B-0526-SM-7LTAS 60-69 years, male 16.2
GTEX-1I1GU-2226-SM-CGQFA 40-49 years, male 16.2
GTEX-11EQ9-2426-SM-5HL5T 30-39 years, male 16.1
GTEX-12WSL-2526-SM-5GCNJ 50-59 years, male 16.1
GTEX-T8EM-1026-SM-3DB7M 40-49 years, male 16.1
GTEX-UJHI-1526-SM-3DB99 50-59 years, female 16.1
GTEX-1MGNQ-0126-SM-EVYCJ 40-49 years, male 16.1
GTEX-ZQG8-1626-SM-DHXIT 60-69 years, female 16.0
GTEX-1AMFI-2026-SM-731BH 50-59 years, female 15.9
GTEX-Y114-2426-SM-4TT8A 50-59 years, female 15.8
GTEX-QLQW-1126-SM-2S1Q8 30-39 years, male 15.7
GTEX-R55G-2526-SM-2TC6D 40-49 years, female 15.7
GTEX-117YX-2326-SM-5H12W 50-59 years, male 15.5
GTEX-1J8Q3-1626-SM-CMKGC 60-69 years, male 15.5
GTEX-14BMU-2226-SM-5TDE9 20-29 years, female 15.4
GTEX-OXRK-0226-SM-3NB2G 50-59 years, female 15.4
GTEX-Q2AH-1626-SM-3GAF8 40-49 years, male 15.4
GTEX-ZVZP-2426-SM-59HKJ 50-59 years, male 15.4
GTEX-1AMEY-1326-SM-73KYK 30-39 years, female 15.3
GTEX-1HSMQ-1226-SM-CGQFX 50-59 years, male 15.1
GTEX-13VXT-0126-SM-5LU4I 20-29 years, female 15.0
GTEX-145MI-0526-SM-5O9A8 60-69 years, female 15.0
GTEX-14PJ3-1826-SM-62LEX 50-59 years, male 15.0
GTEX-1CB4E-2226-SM-793DC 60-69 years, male 15.0
GTEX-ZDYS-2026-SM-5HL5L 50-59 years, male 14.8
GTEX-1PPH8-0226-SM-E8VND 20-29 years, male 14.8
GTEX-13CF3-2426-SM-5IFGX 60-69 years, female 14.7
GTEX-1C64O-0126-SM-7SB8P 60-69 years, male 14.7
GTEX-1GF9W-0326-SM-9KNUN 60-69 years, male 14.7
GTEX-16BQI-0226-SM-7KUEX 30-39 years, female 14.5
GTEX-ZU9S-0226-SM-5E441 30-39 years, male 14.5
GTEX-1211K-2026-SM-5EQ4Z 60-69 years, female 14.2
GTEX-147F3-0526-SM-5SI98 50-59 years, female 14.2
GTEX-OHPL-0126-SM-2HMJ7 60-69 years, female 14.2
GTEX-O5YW-0126-SM-3LK6D 50-59 years, male 14.1
GTEX-X261-0126-SM-3NMD6 50-59 years, male 14.1
GTEX-1GZ4H-1726-SM-7PBZJ 50-59 years, female 14.1
GTEX-1QP2A-0126-SM-E9J43 50-59 years, male 14.1
GTEX-11DXX-2426-SM-5GZZW 60-69 years, female 14.0
GTEX-1GL5R-1826-SM-9KNUY 50-59 years, male 14.0
GTEX-1JKYN-1326-SM-CGQG9 30-39 years, male 13.9
GTEX-1399U-2326-SM-5K7WY 50-59 years, female 13.8
GTEX-13OW5-0126-SM-DTXFS 60-69 years, male 13.8
GTEX-1HKZK-0326-SM-9WYUH 40-49 years, male 13.8
GTEX-TSE9-0126-SM-3DB83 60-69 years, female 13.5
GTEX-1QP66-1726-SM-E8VO1 50-59 years, male 13.5
GTEX-13W3W-2426-SM-5LU5B 60-69 years, female 13.4
GTEX-ZYFD-0126-SM-5GIDL 50-59 years, male 13.4
GTEX-13D11-2426-SM-5KM1V 50-59 years, female 13.3
GTEX-YB5E-2026-SM-5IFIS 40-49 years, male 13.3
GTEX-1JK1U-2026-SM-CM2RZ 60-69 years, male 13.3
GTEX-13111-1626-SM-5EGJY 50-59 years, male 13.2
GTEX-OIZH-0126-SM-2HMIS 50-59 years, male 13.2
GTEX-1L5NE-2526-SM-E6CIE 50-59 years, male 13.2
GTEX-1122O-2126-SM-5EGIR 60-69 years, female 13.1
GTEX-131XG-2626-SM-5KM17 50-59 years, female 13.0
GTEX-14PN3-2426-SM-6LLHS 60-69 years, female 13.0
GTEX-ZZ64-1726-SM-5GZYB 20-29 years, male 13.0
GTEX-PLZ4-0126-SM-5SI8O 50-59 years, female 12.8
GTEX-1RAZA-0126-SM-E6CI3 20-29 years, male 12.7
GTEX-139TU-0126-SM-5K7WH 60-69 years, male 12.6
GTEX-17EUY-0426-SM-793BD 20-29 years, male 12.4
GTEX-ZV6S-2326-SM-4YCEY 40-49 years, female 12.4
GTEX-145LT-1726-SM-5QGP3 40-49 years, male 12.3
GTEX-UPJH-0326-SM-3GADU 50-59 years, male 12.3
GTEX-13FTW-2626-SM-5K7WL 40-49 years, male 12.2
GTEX-1K2DA-1826-SM-CGQGT 50-59 years, male 12.2
GTEX-1CAV2-2226-SM-7P8P2 40-49 years, female 12.0
GTEX-12696-2426-SM-5EQ6H 60-69 years, male 11.8
GTEX-SN8G-0126-SM-32PLI 50-59 years, female 11.6
GTEX-1NHNU-1026-SM-E9J2A 50-59 years, male 11.6
GTEX-14PII-0226-SM-6EU1T 60-69 years, male 11.5
GTEX-13X6H-2126-SM-7EWD5 50-59 years, female 11.3
GTEX-1MUQO-0126-SM-EAZ58 60-69 years, male 11.2
GTEX-ZYFG-2326-SM-5E44B 60-69 years, female 11.1
GTEX-ZYY3-0126-SM-5GZY5 60-69 years, female 11.1
GTEX-1C6VS-0526-SM-7DUEN 60-69 years, male 10.9
GTEX-TML8-1926-SM-32QOS 40-49 years, female 10.9
GTEX-17MFQ-1726-SM-793C7 20-29 years, male 10.8
GTEX-13O3O-0126-SM-E9J49 60-69 years, female 10.8
GTEX-P4PP-0126-SM-3LK69 30-39 years, female 10.7
GTEX-11XUK-2026-SM-5EQLF 40-49 years, female 10.6
GTEX-1HCUA-2426-SM-ADEIS 50-59 years, female 10.6
GTEX-13YAN-0326-SM-5O9DF 60-69 years, male 10.5
GTEX-1HCU7-0226-SM-CL545 50-59 years, male 10.5
GTEX-ZDTT-2726-SM-4WKF8 60-69 years, male 10.4
GTEX-ZWKS-0126-SM-5SIAA 30-39 years, male 10.4
GTEX-14753-0426-SM-5NQAM 60-69 years, male 10.3
GTEX-18A7B-0126-SM-7LG64 70-79 years, male 10.3
GTEX-131XF-5016-SM-7MGWE 60-69 years, male 10.3
GTEX-Y8LW-1826-SM-5S2MV 50-59 years, female 10.2
GTEX-ZF28-0126-SM-4WKGK 60-69 years, male 10.2
GTEX-WQUQ-0426-SM-3MJFU 60-69 years, male 10.1
GTEX-15F5U-1526-SM-6PANO 40-49 years, male 10.0
GTEX-11P82-1626-SM-59879 20-29 years, male 9.9
GTEX-15SHU-0126-SM-7KUEH 40-49 years, female 9.9
GTEX-X4XX-0126-SM-3NMC2 60-69 years, male 9.8
GTEX-1JMQL-0226-SM-CNPP5 50-59 years, female 9.8
GTEX-1LGRB-2526-SM-CNPPQ 50-59 years, female 9.8
GTEX-14PK6-1926-SM-6ETZU 70-79 years, female 9.7
GTEX-14LLW-0126-SM-6LLIO 70-79 years, female 9.6
GTEX-1S82Z-0826-SM-E6CHY 30-39 years, female 9.6
GTEX-1CB4J-0626-SM-7DHMP 60-69 years, male 9.5
GTEX-OOBJ-0126-SM-E6CJW 60-69 years, male 9.5
GTEX-17HII-0226-SM-7LG4E 50-59 years, male 9.3
GTEX-14PHX-2326-SM-62LEM 50-59 years, male 9.2
GTEX-ZVT2-2526-SM-51MT1 50-59 years, female 9.1
GTEX-13OVH-0126-SM-5MR4B 70-79 years, male 9.0
GTEX-16XZZ-0126-SM-793DV 60-69 years, male 9.0
GTEX-1MCYP-1926-SM-E9J2R 20-29 years, female 9.0
GTEX-17HHE-2026-SM-79OKF 50-59 years, male 8.9
GTEX-1269C-2526-SM-5EGJ3 60-69 years, female 8.8
GTEX-1E2YA-0126-SM-9KNUC 50-59 years, male 8.8
GTEX-14JG6-2226-SM-6EU2G 30-39 years, female 8.7
GTEX-XYKS-2126-SM-4E3IB 60-69 years, female 8.7
GTEX-15ER7-0326-SM-7KUEV 20-29 years, female 8.6
GTEX-ZXG5-0126-SM-5GIEU 60-69 years, male 8.6
GTEX-Q2AI-1326-SM-2S1PL 40-49 years, male 8.5
GTEX-14PN4-0126-SM-6EU2V 50-59 years, male 8.4
GTEX-1JN1M-0326-SM-CYPT3 60-69 years, female 8.4
GTEX-12WSN-5019-SM-79OM6 40-49 years, male 8.2
GTEX-17EVP-0326-SM-7DHLG 40-49 years, male 8.2
GTEX-1CB4H-0226-SM-7PBXM 60-69 years, female 8.2
GTEX-1GPI7-0126-SM-9MQL8 20-29 years, male 8.2
GTEX-139D8-0226-SM-5KLZO 30-39 years, female 8.1
GTEX-13OVJ-0126-SM-5KM36 50-59 years, female 8.1
GTEX-1F5PK-2426-SM-7RHHY 50-59 years, male 8.1
GTEX-U3ZH-2026-SM-3DB78 30-39 years, male 8.0
GTEX-12KS4-0326-SM-5EQ41 30-39 years, male 7.9
GTEX-1GN1W-0526-SM-9MQJQ 50-59 years, female 7.9
GTEX-12WSA-0226-SM-5BC5V 60-69 years, male 7.8
GTEX-1H1E6-1726-SM-ACKVK 30-39 years, male 7.8
GTEX-1F6RS-0126-SM-9MQKZ 60-69 years, female 7.7
GTEX-ZF3C-0126-SM-DO92D 50-59 years, female 7.7
GTEX-13N11-2526-SM-5K7UE 50-59 years, female 7.6
GTEX-1497J-2426-SM-7IGNX 60-69 years, male 7.6
GTEX-1ICLY-0126-SM-D4P36 50-59 years, male 7.6
GTEX-1JMQI-2226-SM-CM2SD 50-59 years, male 7.6
GTEX-11TT1-2526-SM-5EGIB 20-29 years, male 7.5
GTEX-PLZ5-2026-SM-2S1O4 50-59 years, male 7.5
GTEX-ZVTK-0426-SM-51MRS 20-29 years, male 7.5
GTEX-1GMR3-1926-SM-9KNUZ 40-49 years, male 7.5
GTEX-1J1OQ-0226-SM-CYPSH 40-49 years, female 7.5
GTEX-ZPIC-1726-SM-DHXIU 40-49 years, female 7.4
GTEX-1C2JI-1826-SM-73KXC 50-59 years, male 7.3
GTEX-1AX9I-0126-SM-7SB74 60-69 years, male 7.2
GTEX-1KAFJ-2026-SM-CY8ID 50-59 years, male 7.2
GTEX-ZVT4-0126-SM-DTXFN 50-59 years, female 7.2
GTEX-16MT8-0426-SM-7KUEY 60-69 years, female 7.1
GTEX-ZAJG-0126-SM-5HL94 50-59 years, female 7.1
GTEX-145MO-0326-SM-5Q5B3 60-69 years, male 7.0
GTEX-17F97-0326-SM-7LG5B 50-59 years, male 7.0
GTEX-1HGF4-2426-SM-ACKXM 60-69 years, male 7.0
GTEX-1128S-2326-SM-5GZZY 60-69 years, female 6.8
GTEX-17F96-1626-SM-7DUFL 70-79 years, male 6.8
GTEX-1H23P-0126-SM-ADEJ3 60-69 years, male 6.8
GTEX-XQ3S-1526-SM-4BOOC 20-29 years, male 6.7
GTEX-WFG8-2226-SM-3GIL9 20-29 years, male 6.6
GTEX-145LU-0126-SM-5TDCB 50-59 years, male 6.5
GTEX-1B8SG-0126-SM-73KZ3 50-59 years, male 6.5
GTEX-OXRN-0126-SM-48TDM 50-59 years, male 6.5
GTEX-1IKK5-0626-SM-ARL8A 60-69 years, male 6.5
GTEX-QVJO-1626-SM-2S1QW 60-69 years, female 6.4
GTEX-1F52S-0126-SM-9MQJU 60-69 years, female 6.4
GTEX-1A3MX-0126-SM-731BR 60-69 years, male 6.3
GTEX-17EVQ-0226-SM-7LG4P 70-79 years, male 6.2
GTEX-OOBK-0126-SM-2YUND 40-49 years, male 6.2
GTEX-VJWN-0126-SM-3GIK7 50-59 years, female 6.2
GTEX-1GF9X-2026-SM-7PC3A 40-49 years, female 6.2
GTEX-1JKYR-0126-SM-CNPOJ 20-29 years, male 6.2
GTEX-13QJ3-0326-SM-5S2RA 50-59 years, male 6.1
GTEX-O5YT-0126-SM-48TBW 20-29 years, male 6.1
GTEX-S7PM-0126-SM-4AD6S 60-69 years, male 6.1
GTEX-T5JC-0426-SM-32PLO 20-29 years, male 6.1
GTEX-WZTO-0126-SM-3NM95 40-49 years, male 6.1
GTEX-13NZ8-0826-SM-5MR3I 60-69 years, female 6.0
GTEX-OXRO-0126-SM-2YUN4 60-69 years, female 6.0
GTEX-RUSQ-1526-SM-2TF62 50-59 years, male 6.0
GTEX-1IKJJ-0126-SM-CNPQB 60-69 years, male 6.0
GTEX-144GN-2326-SM-5LU4F 50-59 years, male 5.9
GTEX-U4B1-1826-SM-4DXSU 40-49 years, male 5.9
GTEX-1I19N-0326-SM-ACKVX 70-79 years, male 5.9
GTEX-139TT-0126-SM-5K7Y5 60-69 years, male 5.8
GTEX-13113-5016-SM-7EPIP 60-69 years, female 5.7
GTEX-1JMPZ-0226-SM-CNPP1 30-39 years, male 5.7
GTEX-1LB8K-0226-SM-EWRNW 50-59 years, male 5.6
GTEX-11DZ1-0126-SM-5985Q 50-59 years, male 5.5
GTEX-131XH-2226-SM-5DUXJ 50-59 years, male 5.5
GTEX-145LV-2126-SM-5LU8N 50-59 years, male 5.5
GTEX-14BIM-0226-SM-7IGLD 60-69 years, female 5.5
GTEX-14ICK-0226-SM-6EU25 40-49 years, male 5.5
GTEX-WI4N-1026-SM-3LK7N 40-49 years, female 5.5
GTEX-1H3VE-0326-SM-9YFLH 40-49 years, male 5.5
GTEX-132NY-0326-SM-5IJBL 60-69 years, male 5.4
GTEX-18QFQ-0126-SM-731BE 30-39 years, male 5.4
GTEX-1H1DE-2126-SM-9WG6R 20-29 years, male 5.4
GTEX-13IVO-0126-SM-5J1NG 70-79 years, male 5.3
GTEX-145LS-0126-SM-5QGP1 60-69 years, female 5.3
GTEX-QEG4-0226-SM-2S1PY 30-39 years, male 5.3
GTEX-1H1DG-0126-SM-9WYU2 70-79 years, male 5.3
GTEX-1JMQK-0226-SM-CL543 60-69 years, male 5.3
GTEX-15D1Q-0126-SM-7KUG6 40-49 years, male 5.2
GTEX-1R9PM-2026-SM-E76OY 20-29 years, male 5.2
GTEX-12ZZZ-0626-SM-5DUXI 60-69 years, male 5.1
GTEX-1399R-2726-SM-5IJBA 30-39 years, male 5.1
GTEX-14E6E-1826-SM-5S2R7 30-39 years, male 5.1
GTEX-1JJE9-0326-SM-CL53Z 70-79 years, male 5.1
GTEX-1NV5F-0226-SM-E8VNY 60-69 years, female 5.1
GTEX-R45C-0126-SM-EAZ2R 60-69 years, female 5.1
GTEX-13NZB-2526-SM-5J1OM 30-39 years, male 5.0
GTEX-RWSA-0126-SM-2XCBB 40-49 years, male 5.0
GTEX-XXEK-2226-SM-4BRUM 50-59 years, male 5.0
GTEX-Z93S-0126-SM-5HL7M 50-59 years, male 5.0
GTEX-1GMR8-0126-SM-9WYTM 50-59 years, female 5.0
GTEX-111FC-0126-SM-5N9DL 60-69 years, male 4.9
GTEX-13JUV-2726-SM-5LZZ8 40-49 years, female 4.9
GTEX-13OVI-1426-SM-5L3EY 60-69 years, female 4.9
GTEX-13RTJ-2426-SM-5S2Q2 60-69 years, male 4.9
GTEX-14BIL-0126-SM-5SI92 50-59 years, male 4.9
GTEX-13NYC-0326-SM-E9J4S 60-69 years, male 4.9
GTEX-1I6K6-0126-SM-A9SLE 30-39 years, male 4.9
GTEX-139UW-2826-SM-5L3E7 60-69 years, male 4.8
GTEX-13W46-0226-SM-5SIAG 50-59 years, male 4.8
GTEX-1HBPM-0226-SM-ARL9F 60-69 years, female 4.8
GTEX-13OW6-0426-SM-5L3HM 50-59 years, male 4.7
GTEX-1B8KZ-2026-SM-7DHMB 50-59 years, male 4.7
GTEX-T2YK-0526-SM-32QPJ 50-59 years, male 4.7
GTEX-1EN7A-0126-SM-7SB81 40-49 years, male 4.7
GTEX-RNOR-0126-SM-E9J4R 50-59 years, female 4.7
GTEX-1LG7Y-0526-SM-DKPQC 50-59 years, male 4.6
GTEX-1MCQQ-0826-SM-DLHC2 60-69 years, male 4.6
GTEX-11NSD-2226-SM-5986V 20-29 years, male 4.5
GTEX-12WSE-0526-SM-793B2 20-29 years, male 4.5
GTEX-Y5LM-1926-SM-5RQJH 40-49 years, female 4.5
GTEX-1CAMS-0426-SM-7P8T2 40-49 years, female 4.5
GTEX-13O3Q-2426-SM-5IJBR 50-59 years, male 4.4
GTEX-18A67-0126-SM-7LG5P 50-59 years, male 4.4
GTEX-X8HC-0126-SM-4E3JW 50-59 years, female 4.4
GTEX-1H1ZS-0426-SM-9WG6G 70-79 years, male 4.4
GTEX-1KD5A-0226-SM-D5OV3 50-59 years, male 4.4
GTEX-P44H-0226-SM-2XCEU 40-49 years, male 4.3
GTEX-RTLS-0126-SM-447CA 60-69 years, female 4.3
GTEX-1IDJH-0326-SM-A9SLQ 70-79 years, male 4.3
GTEX-11NUK-0126-SM-5A5L3 50-59 years, male 4.2
GTEX-Y3IK-2426-SM-4WWDU 50-59 years, female 4.2
GTEX-1I1GS-0126-SM-B2LVW 60-69 years, male 4.2
GTEX-1JN6P-0126-SM-D3L98 60-69 years, male 4.2
GTEX-12ZZY-0226-SM-5LZVE 60-69 years, male 4.1
GTEX-13N1W-0126-SM-5K7VT 70-79 years, male 4.1
GTEX-14E7W-0126-SM-6LLJ9 70-79 years, male 4.1
GTEX-T6MN-0126-SM-32PLP 50-59 years, male 4.1
GTEX-1IKOH-0226-SM-COH4E 60-69 years, female 4.1
GTEX-11DXZ-2326-SM-5EGGV 50-59 years, male 4.0
GTEX-15SB6-1726-SM-6PAME 50-59 years, female 4.0
GTEX-16YQH-0126-SM-7DUFJ 30-39 years, male 4.0
GTEX-1F75B-0126-SM-9KNVL 50-59 years, male 4.0
GTEX-1F75I-0326-SM-9YFLU 40-49 years, male 4.0
GTEX-1HB9E-0226-SM-E9U4R 50-59 years, male 4.0
GTEX-1I1GQ-0126-SM-COH3H 50-59 years, male 4.0
GTEX-1IY9M-0126-SM-D3L8S 60-69 years, male 4.0
GTEX-146FQ-0126-SM-5NQA9 30-39 years, male 3.9
GTEX-U3ZN-2326-SM-3DB7W 30-39 years, female 3.9
GTEX-1GF9U-2126-SM-7SB7L 40-49 years, female 3.9
GTEX-1H3VY-0126-SM-ACKXD 50-59 years, male 3.9
GTEX-11DYG-0126-SM-59883 60-69 years, male 3.8
GTEX-11H98-0126-SM-5EGHG 50-59 years, male 3.8
GTEX-14E6C-0126-SM-5RQIP 40-49 years, male 3.8
GTEX-14PHW-0126-SM-6LLJI 60-69 years, female 3.8
GTEX-U8XE-0326-SM-3DB8P 30-39 years, male 3.8
GTEX-ZYT6-0226-SM-5NQ6T 30-39 years, male 3.8
GTEX-1IDFM-0126-SM-COH2V 60-69 years, male 3.8
GTEX-11P81-2326-SM-59875 30-39 years, female 3.7
GTEX-13O1R-0126-SM-5L3EH 60-69 years, male 3.7
GTEX-145MF-0626-SM-5LUAI 50-59 years, male 3.7
GTEX-16NPX-0226-SM-79OMT 50-59 years, male 3.7
GTEX-183FY-0126-SM-7LT9P 20-29 years, male 3.7
GTEX-NPJ8-0126-SM-2YUNR 40-49 years, male 3.7
GTEX-SJXC-0126-SM-2XCFF 60-69 years, male 3.7
GTEX-1GF9V-0326-SM-7RHI5 60-69 years, male 3.7
GTEX-13VXU-0126-SM-5SI9F 50-59 years, male 3.6
GTEX-1C6VR-2426-SM-79OLD 60-69 years, male 3.6
GTEX-RU72-0926-SM-2TF6B 50-59 years, female 3.6
GTEX-WYVS-2126-SM-3NMA3 40-49 years, female 3.6
GTEX-1PIIG-0226-SM-EWRN6 30-39 years, male 3.6
GTEX-1S82Y-2026-SM-EVYCM 40-49 years, male 3.6
GTEX-11UD2-0226-SM-5EQKY 50-59 years, male 3.5
GTEX-17KNJ-2326-SM-7DHLQ 50-59 years, male 3.5
GTEX-1I1GP-2226-SM-CGQFK 50-59 years, male 3.5
GTEX-1KD4Q-0226-SM-E9TJ9 40-49 years, male 3.5
GTEX-1KWVE-1426-SM-E9TJO 30-39 years, male 3.5
GTEX-11UD1-0126-SM-5PNYG 40-49 years, female 3.4
GTEX-12WSC-0126-SM-5EQ4P 50-59 years, male 3.4
GTEX-14A5H-0426-SM-5QGQF 60-69 years, male 3.4
GTEX-14E6D-0126-SM-62LDV 50-59 years, male 3.4
GTEX-15DDE-0126-SM-6LPKH 50-59 years, female 3.4
GTEX-Y8E4-0626-SM-4WWDL 40-49 years, male 3.4
GTEX-ZDTS-0126-SM-4WAY5 60-69 years, male 3.4
GTEX-11TUW-2726-SM-E9J4M 60-69 years, male 3.4
GTEX-1H3O1-0426-SM-9YFKY 60-69 years, male 3.4
GTEX-1RDX4-0126-SM-E9J4P 50-59 years, female 3.4
GTEX-RVPV-0126-SM-EAZAW 60-69 years, male 3.4
GTEX-12WSD-0126-SM-59HKN 60-69 years, female 3.3
GTEX-X4EO-0326-SM-3P5YO 60-69 years, female 3.3
GTEX-ZAB4-0226-SM-5N9F5 40-49 years, male 3.3
GTEX-1GN73-0226-SM-9WG67 60-69 years, male 3.3
GTEX-1JMOU-1526-SM-CL54I 60-69 years, female 3.3
GTEX-1KANB-0526-SM-E6CJH 50-59 years, male 3.3
GTEX-11GSO-2426-SM-5A5LY 60-69 years, male 3.2
GTEX-131XW-0426-SM-5LZWP 50-59 years, female 3.2
GTEX-131YS-0126-SM-5KM1M 60-69 years, female 3.2
GTEX-13SLW-0126-SM-5SI6C 70-79 years, male 3.2
GTEX-14BMV-0126-SM-5S2PO 50-59 years, male 3.2
GTEX-X4EP-0126-SM-3P5YV 60-69 years, female 3.2
GTEX-1LC47-0326-SM-E9TJP 60-69 years, male 3.2
GTEX-1RQEC-0426-SM-E6CHU 60-69 years, male 3.2
GTEX-11EI6-0126-SM-5985R 60-69 years, male 3.1
GTEX-12ZZX-0126-SM-5EGK9 40-49 years, female 3.1
GTEX-13OVK-2026-SM-7KUEO 40-49 years, male 3.1
GTEX-13PDP-0126-SM-5L3HD 60-69 years, male 3.1
GTEX-13RTL-0126-SM-7LG5S 40-49 years, male 3.1
GTEX-14PJM-0226-SM-62LF1 50-59 years, female 3.1
GTEX-1C4CL-0526-SM-73KVK 30-39 years, male 3.1
GTEX-12WSG-2826-SM-E9J4H 50-59 years, female 3.1
GTEX-1JMQJ-0526-SM-CYPSU 50-59 years, male 3.1
GTEX-1PIGE-0126-SM-EVYBJ 20-29 years, male 3.1
GTEX-11ZTS-0126-SM-5EQ6M 60-69 years, female 3.0
GTEX-13O3P-0126-SM-5KM4S 50-59 years, male 3.0
GTEX-14LZ3-0226-SM-62LET 60-69 years, female 3.0
GTEX-15UF6-0826-SM-6PALJ 70-79 years, female 3.0
GTEX-TMZS-0126-SM-3DB9Q 60-69 years, male 3.0
GTEX-Y111-0126-SM-4SOIV 50-59 years, male 3.0
GTEX-1QMI2-0226-SM-EVYBX 60-69 years, male 3.0
GTEX-13X6J-0126-SM-5QGOU 50-59 years, male 2.9
GTEX-XUYS-0126-SM-47JWZ 50-59 years, male 2.9
GTEX-ZV68-0126-SM-59HKS 50-59 years, female 2.9
GTEX-ZYW4-0126-SM-5E44A 60-69 years, male 2.9
GTEX-1HSKV-0226-SM-A9SKJ 60-69 years, male 2.9
GTEX-1I1GR-0126-SM-CL55F 60-69 years, male 2.9
GTEX-1O97I-0326-SM-EYYX7 60-69 years, male 2.9
GTEX-11OC5-0126-SM-5HL6A 60-69 years, male 2.8
GTEX-148VJ-0126-SM-5TDDN 70-79 years, male 2.8
GTEX-17HGU-0226-SM-7DHKV 50-59 years, male 2.8
GTEX-Y5V5-2326-SM-4V6GA 60-69 years, female 2.8
GTEX-YJ8A-0426-SM-5IFID 20-29 years, male 2.8
GTEX-148VI-1626-SM-5SI6E 60-69 years, female 2.7
GTEX-1E1VI-0126-SM-7DHMZ 50-59 years, male 2.7
GTEX-V1D1-2226-SM-3NMAX 50-59 years, male 2.7
GTEX-X585-0226-SM-4QAS2 50-59 years, male 2.7
GTEX-1HCU6-0126-SM-CL54K 60-69 years, female 2.7
GTEX-1HCU8-0626-SM-A9SM9 60-69 years, female 2.7
GTEX-1M4P7-0226-SM-DIPEV 60-69 years, male 2.7
GTEX-11GSP-2526-SM-5N9BP 60-69 years, female 2.6
GTEX-146FH-0126-SM-5QGPP 50-59 years, female 2.6
GTEX-147F4-0226-SM-5QGPW 50-59 years, male 2.6
GTEX-ZYFC-0226-SM-5NQ75 50-59 years, male 2.6
GTEX-1A8FM-0226-SM-7SB7Q 50-59 years, female 2.6
GTEX-113JC-2326-SM-5EQ4E 50-59 years, female 2.5
GTEX-13112-2826-SM-5DUWH 50-59 years, male 2.5
GTEX-15G19-0126-SM-6PANQ 60-69 years, male 2.5
GTEX-1B8SF-1426-SM-7DUGL 60-69 years, male 2.5
GTEX-1BAJH-0526-SM-793CQ 70-79 years, male 2.5
GTEX-ZVE2-0226-SM-59HJB 50-59 years, male 2.5
GTEX-1H4P4-0726-SM-9YFLR 50-59 years, male 2.5
GTEX-OIZF-0126-SM-7SB8I 60-69 years, male 2.5
GTEX-11WQK-0526-SM-5EQLD 50-59 years, male 2.4
GTEX-12126-0326-SM-5PNW3 20-29 years, male 2.4
GTEX-1212Z-2526-SM-5EGKP 60-69 years, male 2.4
GTEX-13NZA-0226-SM-5K7Z7 60-69 years, male 2.4
GTEX-144GL-0126-SM-5TDE2 50-59 years, male 2.4
GTEX-15UKP-0426-SM-7KUFQ 20-29 years, male 2.4
GTEX-17HG3-2226-SM-7938L 30-39 years, female 2.4
GTEX-PVOW-0126-SM-2XCFA 40-49 years, male 2.4
GTEX-QDVN-2026-SM-3GAEP 50-59 years, male 2.4
GTEX-QV44-1926-SM-2S1RF 50-59 years, male 2.4
GTEX-X62O-0126-SM-4E3JN 50-59 years, male 2.4
GTEX-Z93T-0126-SM-5HL5N 50-59 years, male 2.4
GTEX-1J8EW-0126-SM-CJI4F 60-69 years, female 2.4
GTEX-11O72-0126-SM-59887 40-49 years, male 2.3
GTEX-11ZUS-0626-SM-59885 30-39 years, male 2.3
GTEX-13FHP-0126-SM-5IJBG 50-59 years, male 2.3
GTEX-13FTY-0526-SM-5L3EV 40-49 years, female 2.3
GTEX-13OW8-1326-SM-5J1OW 60-69 years, male 2.3
GTEX-15EOM-0126-SM-7KUGG 20-29 years, female 2.3
GTEX-18465-0126-SM-731BN 50-59 years, male 2.3
GTEX-Y8DK-0126-SM-4TT3L 60-69 years, male 2.3
GTEX-1IL2V-0126-SM-CM2TX 70-79 years, male 2.3
GTEX-1QAET-0926-SM-E76QM 50-59 years, male 2.3
GTEX-1R46S-0626-SM-E9J41 60-69 years, female 2.3
GTEX-13FHO-0226-SM-5IFGY 60-69 years, male 2.2
GTEX-18A66-0226-SM-718BD 60-69 years, male 2.2
GTEX-OIZG-0726-SM-33HBL 50-59 years, male 2.2
GTEX-PX3G-0126-SM-2I3EN 20-29 years, female 2.2
GTEX-XV7Q-2526-SM-4BRV9 40-49 years, female 2.2
GTEX-YJ89-0126-SM-4TT3X 60-69 years, male 2.2
GTEX-1GZ2Q-0226-SM-7P8TL 40-49 years, male 2.2
GTEX-1H2FU-0126-SM-9WYSI 60-69 years, female 2.2
GTEX-11TTK-0126-SM-5987B 60-69 years, female 2.1
GTEX-13OVL-0226-SM-5L3E9 50-59 years, male 2.1
GTEX-1A32A-0126-SM-718B1 50-59 years, female 2.1
GTEX-1EU9M-0226-SM-7P8SP 60-69 years, male 2.1
GTEX-1IE54-0126-SM-CMKHW 40-49 years, female 2.1
GTEX-1PWST-0226-SM-E76QJ 70-79 years, male 2.1
GTEX-13NYS-0126-SM-5MR3W 60-69 years, male 2.0
GTEX-R55E-0126-SM-2TC5Y 20-29 years, male 2.0
GTEX-T2IS-0126-SM-4DM6O 20-29 years, female 2.0
GTEX-WOFL-0126-SM-3MJG2 60-69 years, male 2.0
GTEX-1399T-2826-SM-5KLYZ 60-69 years, male 1.9
GTEX-Q2AG-0126-SM-33HBV 40-49 years, female 1.9
GTEX-ZVZO-0126-SM-5A5L9 40-49 years, male 1.9
GTEX-ZZPT-0226-SM-5E43X 50-59 years, male 1.9
GTEX-1EKGG-0226-SM-9WYTH 60-69 years, male 1.9
GTEX-1EWIQ-0126-SM-7RHH2 70-79 years, female 1.9
GTEX-1HT8W-0126-SM-CNPPP 30-39 years, male 1.9
GTEX-PW2O-1526-SM-7RHHB 20-29 years, male 1.9
GTEX-111VG-2426-SM-5GZXD 60-69 years, male 1.8
GTEX-11ZU8-2526-SM-5EQKI 60-69 years, male 1.8
GTEX-12584-0126-SM-5EGKQ 40-49 years, male 1.8
GTEX-139TS-2826-SM-5J1OO 60-69 years, male 1.8
GTEX-13G51-2526-SM-5LZYK 60-69 years, male 1.8
GTEX-13NYB-2526-SM-5K7Z6 40-49 years, male 1.8
GTEX-1EMGI-0126-SM-9KNUE 60-69 years, male 1.8
GTEX-1GMRU-0126-SM-9YFLV 50-59 years, male 1.8
GTEX-1RB15-2126-SM-E9TIM 60-69 years, male 1.8
GTEX-SE5C-1626-SM-2XCE3 40-49 years, female 1.8
GTEX-11EMC-2926-SM-5EQ4F 60-69 years, female 1.7
GTEX-11ZVC-2526-SM-5FQTE 50-59 years, female 1.7
GTEX-13N2G-2626-SM-5J1OT 60-69 years, male 1.7
GTEX-14ABY-0226-SM-5TDCQ 50-59 years, male 1.7
GTEX-18A6Q-0126-SM-731BZ 60-69 years, male 1.7
GTEX-S7SE-0126-SM-2XCD5 50-59 years, male 1.7
GTEX-XMD2-0126-SM-4YCDU 60-69 years, female 1.7
GTEX-ZDXO-3026-SM-5J1N5 60-69 years, male 1.7
GTEX-1GN1V-0126-SM-9WPOS 60-69 years, male 1.7
GTEX-1I1GV-0526-SM-A9G29 60-69 years, male 1.7
GTEX-S33H-1026-SM-EZ6L6 30-39 years, male 1.7
GTEX-1192X-0226-SM-5H12D 50-59 years, male 1.6
GTEX-11GS4-2726-SM-5A5LE 60-69 years, male 1.6
GTEX-1313W-0126-SM-5LZUN 50-59 years, female 1.6
GTEX-139T8-0126-SM-5K7XZ 60-69 years, male 1.6
GTEX-17MF6-0126-SM-7LG4F 40-49 years, male 1.6
GTEX-X4XY-0226-SM-4E3IZ 60-69 years, male 1.6
GTEX-ZTPG-0326-SM-5O9AX 20-29 years, female 1.6
GTEX-1R9PO-2126-SM-E9J4O 60-69 years, female 1.6
GTEX-11DXY-2626-SM-5GIE7 60-69 years, male 1.5
GTEX-13FXS-0226-SM-5IJCK 50-59 years, male 1.5
GTEX-15DCD-0126-SM-7KUEK 70-79 years, female 1.5
GTEX-18A7A-0226-SM-718BH 50-59 years, female 1.5
GTEX-ZE9C-2726-SM-57WB5 60-69 years, male 1.5
GTEX-ZVT3-0126-SM-5GU6I 60-69 years, female 1.5
GTEX-1C6VQ-0126-SM-7P8RI 50-59 years, male 1.5
GTEX-1CB4F-0426-SM-9KNV4 60-69 years, male 1.5
GTEX-1H11D-0226-SM-9WG6Z 40-49 years, male 1.5
GTEX-1HR98-0126-SM-B2LWI 60-69 years, male 1.5
GTEX-1K9T9-0126-SM-EVYCF 50-59 years, female 1.5
GTEX-14BIN-0626-SM-793DP 50-59 years, female 1.4
GTEX-QESD-1426-SM-2S1R9 20-29 years, male 1.4
GTEX-SIU8-0126-SM-2XCDT 50-59 years, male 1.4
GTEX-ZAB5-1826-SM-5HL7C 50-59 years, male 1.4
GTEX-1B8L1-2526-SM-9WYTF 60-69 years, male 1.4
GTEX-1CB4G-0226-SM-7PC3O 60-69 years, male 1.4
GTEX-1HFI6-0226-SM-ADEHZ 40-49 years, male 1.4
GTEX-11OF3-2626-SM-5GU7F 60-69 years, male 1.3
GTEX-131XE-2326-SM-5PNZ2 50-59 years, male 1.3
GTEX-1AX8Z-0126-SM-7DHM6 60-69 years, male 1.3
GTEX-1C64N-0126-SM-793D7 50-59 years, male 1.3
GTEX-OXRP-0126-SM-3NB32 60-69 years, female 1.3
GTEX-ZE7O-0126-SM-57WC1 50-59 years, female 1.3
GTEX-ZEX8-2426-SM-4WKG4 50-59 years, male 1.3
GTEX-1F48J-0126-SM-7P8TT 50-59 years, female 1.3
GTEX-1F7RK-0126-SM-7PC2S 20-29 years, female 1.3
GTEX-1GN2E-0426-SM-9MQKX 60-69 years, male 1.3
GTEX-1GZHY-0326-SM-9QEHI 50-59 years, female 1.3
GTEX-1IGQW-0126-SM-COH42 60-69 years, male 1.3
GTEX-1IOXB-0126-SM-ARL8G 50-59 years, male 1.3
GTEX-1LBAC-0126-SM-DIPEZ 20-29 years, male 1.3
GTEX-1MJK2-0426-SM-DTXE5 50-59 years, male 1.3
GTEX-1RAZQ-0726-SM-EAZ43 30-39 years, male 1.3
GTEX-11WQC-2526-SM-5CVLE 60-69 years, male 1.2
GTEX-13SLX-0526-SM-5S2ON 50-59 years, female 1.2
GTEX-14JG1-0426-SM-6ETZZ 40-49 years, male 1.2
GTEX-15DYW-0126-SM-7KULE 60-69 years, female 1.2
GTEX-16GPK-0126-SM-7DHLE 60-69 years, male 1.2
GTEX-1AYCT-2426-SM-7IGQ3 50-59 years, male 1.2
GTEX-RN64-0126-SM-2TC68 50-59 years, male 1.2
GTEX-YFC4-0126-SM-5CVLY 40-49 years, female 1.2
GTEX-1B933-0126-SM-7PC29 50-59 years, female 1.2
GTEX-1C6WA-0126-SM-7PC2B 60-69 years, male 1.2
GTEX-1EX96-1626-SM-7PBXR 50-59 years, male 1.2
GTEX-1HSMO-0126-SM-CL547 60-69 years, male 1.2
GTEX-1QEPI-0126-SM-EWRMQ 60-69 years, female 1.2
GTEX-1314G-1526-SM-5EGK2 30-39 years, male 1.1
GTEX-VJYA-1126-SM-3GIJU 60-69 years, male 1.1
GTEX-ZAK1-0126-SM-5IJD3 50-59 years, female 1.1
GTEX-1F75A-0126-SM-7RHGM 50-59 years, male 1.1
GTEX-1HBPI-1526-SM-C1YQ1 50-59 years, male 1.1
GTEX-1I1HK-0126-SM-COH49 60-69 years, male 1.1
GTEX-1OJC4-0126-SM-E9J2E 50-59 years, female 1.1
GTEX-117XS-2726-SM-5N9BL 60-69 years, male 1.0
GTEX-13CF2-2526-SM-5LZYX 60-69 years, male 1.0
GTEX-15SHW-0326-SM-6PAML 60-69 years, male 1.0
GTEX-16XZY-2126-SM-79OK1 70-79 years, male 1.0
GTEX-R3RS-0126-SM-3GIJL 40-49 years, female 1.0
GTEX-ZY6K-1826-SM-5GZXK 50-59 years, male 1.0
GTEX-1F6IF-0726-SM-7P8TW 60-69 years, male 1.0
GTEX-1GPI6-0126-SM-9WG69 60-69 years, male 1.0
GTEX-1JJEA-0326-SM-CNPOT 60-69 years, male 1.0
GTEX-113IC-0126-SM-5HL6T 60-69 years, male 0.9
GTEX-13OW7-0126-SM-5MR3B 50-59 years, male 0.9
GTEX-13U4I-0126-SM-5LU38 40-49 years, female 0.9
GTEX-17HHY-0126-SM-7LG5D 50-59 years, male 0.9
GTEX-1IL2U-0226-SM-CE6T8 60-69 years, male 0.9
GTEX-1QW4Y-1526-SM-EAZ3Z 30-39 years, male 0.9
GTEX-139T4-0226-SM-5HL5S 50-59 years, female 0.8
GTEX-147GR-0526-SM-5S2MY 60-69 years, male 0.8
GTEX-15SDE-2226-SM-7IGLO 50-59 years, female 0.8
GTEX-17JCI-0126-SM-7LG5G 60-69 years, female 0.8
GTEX-QDT8-0126-SM-48TZ1 30-39 years, female 0.8
GTEX-VUSG-2526-SM-4KL1V 50-59 years, male 0.8
GTEX-X638-0126-SM-47JZ8 70-79 years, female 0.8
GTEX-ZF2S-2326-SM-4WWCE 50-59 years, female 0.8
GTEX-1PBJI-0526-SM-E8VNK 20-29 years, female 0.8
GTEX-W5X1-3026-SM-EAZAX 40-49 years, female 0.8
GTEX-117YW-2626-SM-5GZZH 50-59 years, male 0.7
GTEX-144FL-0126-SM-5TDC8 50-59 years, male 0.7
GTEX-1H1CY-2826-SM-9MQM3 60-69 years, female 0.7
GTEX-1H3NZ-0126-SM-ACKX7 60-69 years, male 0.7
GTEX-11DXW-0226-SM-5H122 40-49 years, male 0.6
GTEX-13X6I-0626-SM-5QGP9 60-69 years, male 0.6
GTEX-SSA3-0126-SM-32QPU 60-69 years, male 0.6
GTEX-WVJS-0126-SM-4MVOT 50-59 years, male 0.6
GTEX-X88G-0126-SM-47JZ3 30-39 years, male 0.6
GTEX-ZUA1-0126-SM-5GU76 40-49 years, male 0.6
GTEX-1F6I4-0126-SM-9MQL2 60-69 years, male 0.6
GTEX-1F88F-2726-SM-7PBZZ 60-69 years, female 0.6
GTEX-1I1CD-0126-SM-CM2TK 60-69 years, female 0.6
GTEX-1LNCM-1126-SM-E9U5E 50-59 years, female 0.6
GTEX-1MA7X-2226-SM-E6CIY 60-69 years, male 0.6
GTEX-1POEN-0126-SM-EYYXJ 30-39 years, female 0.6
GTEX-1RLM8-2326-SM-EWRN4 50-59 years, male 0.6
GTEX-1192W-2626-SM-5Q5AF 60-69 years, male 0.5
GTEX-14A6H-0126-SM-5QGPK 30-39 years, male 0.5
GTEX-14DAQ-0126-SM-5S2MQ 60-69 years, female 0.5
GTEX-14XAO-2326-SM-6EU1B 60-69 years, female 0.5
GTEX-PWO3-1526-SM-48TCM 60-69 years, female 0.5
GTEX-ZC5H-0226-SM-4WAY9 40-49 years, female 0.5
GTEX-1R9K4-0126-SM-DTX9X 60-69 years, male 0.5
GTEX-146FR-1326-SM-E9J48 60-69 years, female 0.4
GTEX-1J8JJ-0226-SM-CL53I 60-69 years, female 0.4
GTEX-1QP67-1626-SM-EAZ3X 40-49 years, female 0.4
GTEX-14JIY-0126-SM-6LLH6 60-69 years, male 0.3
GTEX-POMQ-2226-SM-2I5FK 20-29 years, female 0.3
GTEX-1HBPH-0426-SM-B2LW5 40-49 years, female 0.3
GTEX-1HUB1-0426-SM-E9U4U 60-69 years, male 0.3
GTEX-1N2DW-0226-SM-E9TK2 50-59 years, male 0.3
GTEX-1A3MW-0126-SM-73KXX 60-69 years, female 0.2
GTEX-1ICLZ-0126-SM-CKZPO 60-69 years, male 0.2
GTEX-1AYD5-2426-SM-73KXR 50-59 years, male 0.1
GTEX-Q734-1926-SM-2I5EV 40-49 years, female 0.1
GTEX-183WM-0126-SM-7LTAB 70-79 years, female 0.0
Show allShow less

Contact

  • NEWS ARTICLES
  • PRESS ROOM

The Project

  • INTRODUCTION
  • ORGANIZATION
  • PUBLICATIONS

The Human Protein Atlas

  • DOWNLOADABLE DATA
  • LICENCE & CITATION
  • HELP & FAQ
The Human Protein Atlas project is funded
by the Knut & Alice Wallenberg Foundation.


contact@proteinatlas.org