We use cookies to enhance the usability of our website. If you continue, we'll assume that you are happy to receive all cookies. More information. Don't show this again.
ANKRD2
HPA
RESOURCES
  • TISSUE
  • BRAIN
  • SINGLE CELL
  • SUBCELLULAR
  • CANCER
  • BLOOD
  • CELL LINE
  • STRUCTURE & INTERACTION
ABOUT
  • INTRODUCTION
  • HISTORY
  • ORGANIZATION
  • PUBLICATIONS
  • ANTIBODY SUBMISSION
  • ANTIBODY AVAILABILITY
  • ACKNOWLEDGMENTS
  • CONTACT
NEWS
  • NEWS ARTICLES
  • PRESS ROOM
LEARN
  • DICTIONARY
  • PROTEIN CLASSES
  • PROTEIN EVIDENCE
  • METHODS
  • EDUCATIONAL VIDEOS
DATA
  • DOWNLOADABLE DATA
  • PUBLICATION DATA
  • RELEASE HISTORY
HELP
  • ANTIBODY VALIDATION
  • ASSAYS & ANNOTATION
  • DISCLAIMER
  • HELP & FAQ
  • PRIVACY STATEMENT
  • LICENCE & CITATION
Fields »
Search result

Field
Term
Gene name
Class
Subclass
Class
Keyword
Chromosome
External id
Tissue
Cell type
Expression
Antibody panel
Tissue
Main location
Patient ID
Annotation
Tissue
Category
Tau score
Cluster
Reliability
Brain region
Category
Tau score
Brain region
Category
Tau score
Brain region
Category
Tau score
Cluster
Reliability
Tissue
Cell type
Enrichment
Cell type
Category
Tau score
Cell type
Category
Tau score
Cell type
Category
Tau score
Cell lineage
Category
Tau score
Cluster
Cluster
Location
Searches
Location
Cell line
Class
Type
Phase
Reliability
Cancer
Prognosis
Cancer
Category
Cancer
Category
Tau score
Cluster
Variants
Interacting gene (ensg_id)
Type
Number of interactions
Pathway
Category
Score
Score
Score
Validation
Validation
Validation
Validation
Antibodies
Data type
Column


  • SUMMARY

  • TISSUE

  • BRAIN

  • SINGLE CELL

  • SUBCELL

  • CANCER

  • BLOOD

  • CELL LINE

  • STRUCT & INT

  • ANKRD2
TISSUE PRIMARY DATA HEART MUSCLE Show tissue menu
ADIPOSE TISSUE ADRENAL GLAND AMYGDALA APPENDIX BASAL GANGLIA BONE MARROW BREAST BRONCHUS CEREBELLUM CEREBRAL CORTEX CERVIX CHOROID PLEXUS COLON DUODENUM
ENDOMETRIUM EPIDIDYMIS ESOPHAGUS FALLOPIAN TUBE GALLBLADDER HEART MUSCLE HIPPOCAMPAL FORMATION HYPOTHALAMUS KIDNEY LIVER LUNG LYMPH NODE MIDBRAIN NASOPHARYNX
ORAL MUCOSA OVARY PANCREAS PARATHYROID GLAND PITUITARY GLAND PLACENTA PROSTATE RECTUM RETINA SALIVARY GLAND SEMINAL VESICLE SKELETAL MUSCLE SKIN SMALL INTESTINE
SMOOTH MUSCLE SOFT TISSUE SPINAL CORD SPLEEN STOMACH TESTIS THYMUS THYROID GLAND TONGUE TONSIL URINARY BLADDER VAGINA
ANTIBODIES
AND
VALIDATION
Dictionary
Heart muscle
Tissue proteome
Heart
HEART MUSCLE - Expression summary
Protein expression
Heart musclei

On the top, protein expression in current human tissue, based on all annotated cell types, is reported with the units not detected (n), low (l), medium (m) and high (h). Underneath, protein expression in each annotated cell type are reported using the same units.

Protein expression data is based on knowledge-based annotation. For genes where more than one antibody has been used, a collective score is set.

If knowledge-based annotation could not be performed for a gene, no data is displayed here. View antibody staining data further down this page.

h
m
l
n
Cardiomyocytes: Medium
RNA expressioni

A summary of mRNA expression data available for current tissue based on several datasets. The mRNA expression levels in human tissues are based on RNA-seq data generated by the Human Protein Atlas (HPA), Genotype-Tissue Expression (GTEx) portal and CAGE data generated by the FANTOM5 consortium. Consensus normalized expression levels for human tissues was created by combining the data from HPA and GTEx datasets.

The mRNA expression levels in pig are based on RNA-seq data generated by the Human Protein Atlas (HPA), and for mouse, HPA data and in situ hybridization generated by the Allen brain atlas are reported.

Scroll down to view mRNA expression data in more detail.
Consensus:422.8 nTPM
HPA:63.0 nTPM
GTEx:422.8 nTPM
FANTOM5:293.4 Scaled Tags Per Million

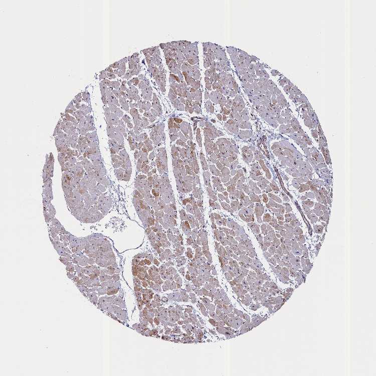
HEART MUSCLE - Antibody stainingi

Antibody staining in the annotated cell types in the current human tissue is reported as not detected, low, medium, or high, based on conventional immunohistochemistry profiling in selected tissues. This score is based on the combination of the staining intensity and fraction of stained cells.

Each image is clickable and will lead to virtual microscopy that enables deeper exploration of all samples and also displays staining intensity scores, fraction scores and subcellular localization as well as patient and tissue information for each sample.

Antibody HPA040842Antibody HPA040884
Cardiomyocytes MediumMedium





HEART MUSCLE - HPA RNA-seqi

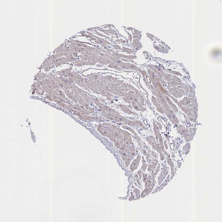
The RNA-seq details section shows detailed information about the individual samples used for the transcript profiling and results of the RNA-seq analysis.

Information about each individual sample is listed below, including gender, age, a tissue section image and estimated fractions of cell types. nTPM (normalized transcripts per million) values give a quantification of the gene abundance which is comparable between different genes and samples.
Average nTPMi

Max subtype nTPM is the value for the subtype with the largest average nTPM across the subtype samples.

63.0
overview
Female, age 48
Heart muscle sample 149
nTPM: 112.8
Cell types%
Myocytes:
15

Fibroblasts:
55

Endothelial cells:
25

Other cell types:
5

overview
Female, age 42
Heart muscle sample 150
nTPM: 117
Cell types%
Myocytes:
20

Fibroblasts:
45

Endothelial cells:
30

Other cell types:
5

overview
Male, age 53
Heart muscle sample 151
nTPM: 7.3
Cell types%
Myocytes:
20

Fibroblasts:
45

Endothelial cells:
30

Other cell types:
5

overview
Female, age 69
Heart muscle sample 152
nTPM: 14.8
Cell types%
Myocytes:
20

Fibroblasts:
45

Endothelial cells:
30

Other cell types:
5


HEART MUSCLE - GTEx RNA-seqi

RNA-Seq data generated by the Genotype-Tissue Expression (GTEx) project from human tissues is reported as mean nTPM. More information can be found on the GTEx portal.

Distribution across the dataset is visualized with box plots, shown as median and 25th and 75th percentiles. Points are displayed as outliers if they are above or below 1.5 times the interquartile range. nTPM values of the individual samples are presented next to the box plot.
Max subtype nTPMi

Max subtype nTPM is the value for the subtype with the largest average nTPM across the subtype samples.

422.8
GTEx sample id Sample description nTPM
Heart - Atrial Appendage
Average nTPM: 33.2
Samples: 429

Max nTPM: 569.1
Min nTPM: 0.6
Std nTPM: 58.5
Median nTPM: 14.8
GTEX-145MN-0726-SM-5NQBH 30-39 years, male 569.1
GTEX-1J1OQ-2226-SM-A96SS 40-49 years, female 567.7
GTEX-YF7O-0526-SM-5P9IO 50-59 years, male 375.6
GTEX-14PJO-0826-SM-6ETZK 60-69 years, male 353.3
GTEX-1MJIX-0426-SM-DTXEN 40-49 years, male 299.7
GTEX-1GF9U-0526-SM-7P8SK 40-49 years, female 265.0
GTEX-145LS-1326-SM-5Q5EP 60-69 years, female 244.1
GTEX-13FTW-0826-SM-5K7XR 40-49 years, male 218.8
GTEX-11O72-1026-SM-5986B 40-49 years, male 218.1
GTEX-1RLM8-0226-SM-E6CJY 50-59 years, male 212.4
GTEX-12696-1226-SM-5FQSM 60-69 years, male 160.3
GTEX-11WQK-0226-SM-5EQLI 50-59 years, male 155.1
GTEX-132Q8-1126-SM-5K7XS 60-69 years, male 152.2
GTEX-13RTJ-0526-SM-62LDP 60-69 years, male 146.7
GTEX-X8HC-1026-SM-46MWH 50-59 years, female 145.6
GTEX-13PL6-0826-SM-5IJBI 40-49 years, female 143.3
GTEX-13QBU-0226-SM-5LU48 40-49 years, female 141.9
GTEX-131XE-0526-SM-5K7YT 50-59 years, male 133.9
GTEX-13JUV-0226-SM-5IJCC 40-49 years, female 126.1
GTEX-WY7C-1126-SM-3NB3A 50-59 years, male 125.4
GTEX-1H1ZS-1026-SM-9WG6E 70-79 years, male 125.4
GTEX-X62O-0826-SM-46MW8 50-59 years, male 114.9
GTEX-1LGRB-1026-SM-CNPQD 50-59 years, female 114.6
GTEX-1HFI7-0526-SM-A9SMA 50-59 years, female 110.9
GTEX-Y3I4-0526-SM-4TT6X 50-59 years, male 110.4
GTEX-1E2YA-0626-SM-7P8P4 50-59 years, male 108.1
GTEX-14C5O-1226-SM-664N3 60-69 years, male 107.1
GTEX-1IDJF-0826-SM-ARU7N 20-29 years, male 105.4
GTEX-1GN1W-0226-SM-7P8QY 50-59 years, female 104.3
GTEX-13PL7-0726-SM-5KM1S 60-69 years, female 102.0
GTEX-13D11-1526-SM-5J2NA 50-59 years, female 101.5
GTEX-17F9Y-1226-SM-7EPGE 70-79 years, female 100.8
GTEX-12BJ1-0326-SM-5FQUB 60-69 years, male 96.6
GTEX-1EH9U-0626-SM-7PC33 60-69 years, male 96.4
GTEX-1H3NZ-1026-SM-A9SM5 60-69 years, male 95.8
GTEX-13W3W-0526-SM-5LU3X 60-69 years, female 86.5
GTEX-1HBPN-0926-SM-CGQEG 50-59 years, male 86.5
GTEX-UPK5-0226-SM-3GAEV 40-49 years, male 86.1
GTEX-XLM4-2026-SM-4AT4X 60-69 years, male 84.0
GTEX-1HBPM-1026-SM-ARL9D 60-69 years, female 83.5
GTEX-11ONC-1026-SM-5GU64 60-69 years, male 83.3
GTEX-ZPIC-0426-SM-DO91V 40-49 years, female 83.0
GTEX-WH7G-0326-SM-3NMBH 40-49 years, male 82.2
GTEX-14BIM-2726-SM-5Q5EG 60-69 years, female 81.5
GTEX-XQ3S-0526-SM-4BOQA 20-29 years, male 78.9
GTEX-14PN4-0826-SM-69LON 50-59 years, male 78.0
GTEX-ZLFU-0326-SM-4WWBK 40-49 years, male 76.7
GTEX-1IKK5-1726-SM-CM2RU 60-69 years, male 72.2
GTEX-14PHX-0626-SM-5YY8Z 50-59 years, male 70.3
GTEX-XPVG-0726-SM-4B658 50-59 years, male 70.0
GTEX-1JMLX-1826-SM-CNPOX 50-59 years, male 68.7
GTEX-147F4-1126-SM-5TDDE 50-59 years, male 67.9
GTEX-ZVT4-1326-SM-5NQ8E 50-59 years, female 65.4
GTEX-Y114-0126-SM-4TT8K 50-59 years, female 65.3
GTEX-1H1DG-0826-SM-9QEIW 70-79 years, male 62.3
GTEX-1KANB-1126-SM-DHXJT 50-59 years, male 61.1
GTEX-1F75A-1026-SM-7PC3W 50-59 years, male 61.0
GTEX-131XF-0426-SM-5HL7U 60-69 years, male 59.8
GTEX-13O61-0426-SM-5L3ET 60-69 years, male 58.5
GTEX-1C6VQ-0826-SM-7PBZT 50-59 years, male 58.0
GTEX-16XZY-0526-SM-7DHKY 70-79 years, male 57.6
GTEX-1MCC2-0226-SM-EVYD5 30-39 years, female 56.5
GTEX-YEC4-0226-SM-4W1YG 40-49 years, male 54.9
GTEX-1JJ6O-2226-SM-AHZ3I 60-69 years, male 53.3
GTEX-XBEC-1226-SM-4AT65 50-59 years, male 53.2
GTEX-1AX9J-0926-SM-73KXA 60-69 years, male 52.0
GTEX-1GMRU-1326-SM-9WYUI 50-59 years, male 50.1
GTEX-15ER7-0826-SM-6PALW 20-29 years, female 49.8
GTEX-13N1W-0926-SM-5MR36 70-79 years, male 48.4
GTEX-1A8G6-1826-SM-73KY8 60-69 years, male 47.5
GTEX-111YS-0326-SM-5GZZ3 60-69 years, male 47.4
GTEX-1K2DU-0226-SM-DIPF6 20-29 years, male 46.8
GTEX-1KD5A-0926-SM-D4P3U 50-59 years, male 46.5
GTEX-12WSK-0526-SM-5CVNA 40-49 years, female 46.1
GTEX-1399S-0826-SM-5KM23 30-39 years, female 45.2
GTEX-1OFPY-0926-SM-DTX8Q 60-69 years, male 45.2
GTEX-139TU-1926-SM-5J2OC 60-69 years, male 44.9
GTEX-15DCE-0826-SM-7KULW 20-29 years, male 43.5
GTEX-1192X-0726-SM-5987R 50-59 years, male 43.4
GTEX-ZZPU-1126-SM-5N9CW 50-59 years, female 43.1
GTEX-1LH75-0526-SM-DIPG2 50-59 years, female 42.7
GTEX-14A5I-1026-SM-5Q5E3 50-59 years, female 42.5
GTEX-15SDE-1826-SM-7KUFN 50-59 years, female 42.3
GTEX-1I19N-0626-SM-A9SKY 70-79 years, male 41.7
GTEX-13CF2-0226-SM-5L3DV 60-69 years, male 41.0
GTEX-13SLW-0826-SM-5QGP7 70-79 years, male 41.0
GTEX-X3Y1-0226-SM-3P5Z5 40-49 years, male 41.0
GTEX-ZF3C-1126-SM-57WEG 50-59 years, female 40.7
GTEX-WI4N-0726-SM-3TW93 40-49 years, female 39.7
GTEX-13N11-0726-SM-5L3DP 50-59 years, female 39.2
GTEX-WYBS-1226-SM-3NM9N 60-69 years, female 39.0
GTEX-131XG-0526-SM-5DUWF 50-59 years, female 38.0
GTEX-15SHU-0926-SM-6PAMK 40-49 years, female 37.4
GTEX-1JJEA-0926-SM-CYPSO 60-69 years, male 37.3
GTEX-12WSN-0226-SM-5DUXH 40-49 years, male 36.7
GTEX-1QPFJ-0926-SM-EVR3K 30-39 years, female 36.7
GTEX-ZDYS-0326-SM-5HL4W 50-59 years, male 35.2
GTEX-WYJK-1126-SM-3NM9Z 50-59 years, male 34.3
GTEX-1117F-0726-SM-5GIEN 60-69 years, female 34.2
GTEX-14PJ4-0926-SM-5YY98 60-69 years, male 33.7
GTEX-13X6K-1726-SM-7IGLG 60-69 years, female 33.2
GTEX-ZAB4-0926-SM-5CVN4 40-49 years, male 32.6
GTEX-1GMR8-1026-SM-9MQLA 50-59 years, female 32.2
GTEX-15CHQ-1326-SM-6871Z 60-69 years, male 31.9
GTEX-1122O-0626-SM-5N9B9 60-69 years, female 31.8
GTEX-WFG8-0726-SM-3GILP 20-29 years, male 31.5
GTEX-13OW5-0926-SM-5L3GZ 60-69 years, male 31.2
GTEX-Y3IK-1026-SM-51MR7 50-59 years, female 31.0
GTEX-132QS-0526-SM-5IJC7 60-69 years, male 30.9
GTEX-1QP29-1426-SM-DTX9Q 50-59 years, male 30.9
GTEX-13OVI-0326-SM-5K7X1 60-69 years, female 30.2
GTEX-11EMC-0826-SM-59862 60-69 years, female 29.5
GTEX-15SHV-0526-SM-7KUEN 60-69 years, male 29.0
GTEX-1A32A-1326-SM-73KWW 50-59 years, female 28.9
GTEX-WFON-0226-SM-3GIKR 40-49 years, male 28.6
GTEX-1HSGN-0926-SM-CNNQM 40-49 years, female 28.6
GTEX-17F96-0826-SM-7DHLU 70-79 years, male 28.5
GTEX-1GZ4I-0826-SM-9WG6O 50-59 years, male 27.9
GTEX-1212Z-0726-SM-5EGI5 60-69 years, male 27.8
GTEX-16NPX-0826-SM-6M489 50-59 years, male 27.6
GTEX-15EU6-1326-SM-6PANG 50-59 years, male 27.5
GTEX-X4EP-0326-SM-3P5Z6 60-69 years, female 27.4
GTEX-1R9JW-0426-SM-E76QL 30-39 years, female 27.4
GTEX-117YX-0626-SM-5EGJI 50-59 years, male 27.3
GTEX-1H2FU-0826-SM-9WYSU 60-69 years, female 27.3
GTEX-1339X-0326-SM-5K7Z8 40-49 years, male 27.2
GTEX-12WSI-0426-SM-5EQ5J 50-59 years, male 27.1
GTEX-1B996-1026-SM-793CF 60-69 years, male 26.9
GTEX-XYKS-0226-SM-4BRW3 60-69 years, female 26.8
GTEX-1GL5R-0426-SM-9WPOP 50-59 years, male 26.8
GTEX-14PJ2-1126-SM-69LOD 50-59 years, male 26.1
GTEX-1A8FM-1026-SM-7PC26 50-59 years, female 25.9
GTEX-1LVAN-1526-SM-CNPQN 50-59 years, female 25.9
GTEX-ZT9W-0526-SM-57WFG 50-59 years, male 25.6
GTEX-1QMI2-1026-SM-DTX7T 60-69 years, male 25.6
GTEX-18D9B-1126-SM-7KFSH 60-69 years, male 25.5
GTEX-ZDTT-0326-SM-4WKF9 60-69 years, male 25.2
GTEX-1CB4J-0226-SM-7P8T4 60-69 years, male 25.2
GTEX-1H3VY-1126-SM-A96TP 50-59 years, male 25.0
GTEX-1RB15-0426-SM-E9U4Y 60-69 years, male 25.0
GTEX-XQ8I-0226-SM-4BOPM 50-59 years, male 24.4
GTEX-ZV7C-0526-SM-9WPNK 50-59 years, male 24.1
GTEX-12ZZY-1226-SM-5GCNK 60-69 years, male 24.0
GTEX-11DXX-0526-SM-5PNVR 60-69 years, female 23.8
GTEX-13NYS-1926-SM-5IJCB 60-69 years, male 23.7
GTEX-1IDJU-0626-SM-CKZOG 60-69 years, female 23.2
GTEX-1B8KE-0326-SM-73KTY 50-59 years, male 23.1
GTEX-XV7Q-0726-SM-4BRV6 40-49 years, female 23.0
GTEX-1J8Q3-1126-SM-ARU8N 60-69 years, male 23.0
GTEX-ZTPG-1326-SM-51MSQ 20-29 years, female 22.9
GTEX-ZYFG-0526-SM-5GZXX 60-69 years, female 22.8
GTEX-1JMQK-0926-SM-ARL96 60-69 years, male 22.8
GTEX-11ZTT-0526-SM-5EQLA 60-69 years, female 22.4
GTEX-YECK-1226-SM-4W21G 60-69 years, male 22.4
GTEX-14PJM-0826-SM-6LLIW 50-59 years, female 22.3
GTEX-1HT8W-1326-SM-CGQEN 30-39 years, male 22.3
GTEX-1JK1U-0626-SM-CKZOJ 60-69 years, male 22.3
GTEX-14PJ6-0626-SM-686Z6 60-69 years, female 22.2
GTEX-U8XE-0926-SM-3DB8V 30-39 years, male 22.2
GTEX-1KANC-0226-SM-E9TIW 50-59 years, female 22.2
GTEX-1B933-0826-SM-79OMW 50-59 years, female 21.8
GTEX-13FH7-0826-SM-5J2NW 50-59 years, female 21.7
GTEX-WRHU-1026-SM-4E3ID 50-59 years, female 21.7
GTEX-1B97J-0326-SM-7939H 50-59 years, female 21.3
GTEX-ZG7Y-1426-SM-4WWBM 50-59 years, male 21.2
GTEX-1LVAO-0626-SM-EWRNT 60-69 years, male 21.2
GTEX-1LSNM-0426-SM-E9TIZ 50-59 years, male 21.1
GTEX-1CB4H-0626-SM-7IGN3 60-69 years, female 20.8
GTEX-17MF6-0926-SM-7LTAL 40-49 years, male 20.5
GTEX-1J8QM-0326-SM-CL53D 60-69 years, female 20.5
GTEX-X261-0926-SM-3NMCY 50-59 years, male 20.3
GTEX-1NHNU-0626-SM-E6CP1 50-59 years, male 20.2
GTEX-11DXY-1026-SM-5987V 60-69 years, male 20.1
GTEX-146FR-0926-SM-5QGPE 60-69 years, female 20.1
GTEX-Y5V5-0726-SM-4VBPY 60-69 years, female 20.1
GTEX-1399U-0726-SM-5KM1D 50-59 years, female 19.8
GTEX-ZYVF-1826-SM-5E44F 50-59 years, female 19.6
GTEX-1ICG6-0726-SM-B2LY5 70-79 years, female 19.5
GTEX-1C2JI-0626-SM-7DHM1 50-59 years, male 19.3
GTEX-WHWD-0326-SM-3LK6L 50-59 years, male 19.1
GTEX-1HCU7-1226-SM-B2LX8 50-59 years, male 18.9
GTEX-1L5NE-0526-SM-DIPG5 50-59 years, male 18.9
GTEX-YEC3-0426-SM-CYPS8 50-59 years, male 18.9
GTEX-14PK6-0726-SM-6LLIX 70-79 years, female 18.7
GTEX-1E1VI-1426-SM-793CY 50-59 years, male 18.3
GTEX-1HCUA-0626-SM-ACKVT 50-59 years, female 18.2
GTEX-16MT8-0826-SM-7KULO 60-69 years, female 18.1
GTEX-WEY5-0226-SM-3GIKN 40-49 years, female 17.8
GTEX-14PN3-0726-SM-6EU14 60-69 years, female 17.7
GTEX-1AX8Z-1126-SM-731CS 60-69 years, male 17.5
GTEX-11GSP-1226-SM-5985M 60-69 years, female 17.4
GTEX-11EM3-0426-SM-5N9BZ 20-29 years, female 17.1
GTEX-1399T-0726-SM-5J1MH 60-69 years, male 17.1
GTEX-V1D1-0626-SM-4JBHN 50-59 years, male 17.0
GTEX-1KXAM-1426-SM-D3LAC 60-69 years, male 17.0
GTEX-1CAMQ-0726-SM-7P8SG 40-49 years, male 16.8
GTEX-1AX9K-0426-SM-73KUG 50-59 years, male 16.7
GTEX-132NY-1426-SM-5J1MJ 60-69 years, male 16.5
GTEX-13JVG-1126-SM-5KM2M 60-69 years, male 16.5
GTEX-11GS4-0426-SM-5N9CD 60-69 years, male 16.2
GTEX-15RIE-1326-SM-6PAMM 60-69 years, male 16.2
GTEX-13O21-0326-SM-5J1N9 50-59 years, male 16.0
GTEX-132AR-1926-SM-5EGK5 50-59 years, female 15.9
GTEX-1H3O1-0226-SM-9WYSW 60-69 years, male 15.8
GTEX-11UD2-0926-SM-5CVL6 50-59 years, male 15.7
GTEX-1C64O-0926-SM-79OLN 60-69 years, male 15.7
GTEX-WOFL-1226-SM-4OOST 60-69 years, male 15.6
GTEX-144GL-1026-SM-5O99R 50-59 years, male 15.5
GTEX-1H11D-1026-SM-9QEIU 40-49 years, male 15.4
GTEX-1I1GP-0626-SM-ARL7H 50-59 years, male 15.3
GTEX-13YAN-1426-SM-7EPG8 60-69 years, male 15.2
GTEX-11DYG-1026-SM-5A5JQ 60-69 years, male 14.9
GTEX-18D9U-1426-SM-718BO 40-49 years, male 14.9
GTEX-1F75I-1326-SM-7PBZX 40-49 years, male 14.9
GTEX-1EWIQ-1126-SM-7EPIK 70-79 years, female 14.8
GTEX-WL46-0726-SM-3LK5Z 50-59 years, male 14.7
GTEX-XPT6-0226-SM-4B65L 20-29 years, male 14.7
GTEX-1BAJH-1026-SM-7EWEG 70-79 years, male 14.6
GTEX-1HUB1-0726-SM-CGQF4 60-69 years, male 14.6
GTEX-18A66-1126-SM-731C5 60-69 years, male 14.5
GTEX-XGQ4-0526-SM-4AT6C 50-59 years, male 14.5
GTEX-1GTWX-0926-SM-9MQKM 60-69 years, male 14.5
GTEX-12WSD-1226-SM-5HL9Q 60-69 years, female 14.3
GTEX-1GN1U-1426-SM-7P8TF 50-59 years, female 14.2
GTEX-11P81-0526-SM-59873 30-39 years, female 14.1
GTEX-13O3O-1426-SM-5KM2S 60-69 years, female 14.1
GTEX-WHSE-0826-SM-4SOJU 20-29 years, male 14.1
GTEX-1GMR3-0426-SM-7PC17 40-49 years, male 13.8
GTEX-1LGOU-0326-SM-D3LAM 20-29 years, female 13.8
GTEX-1IKJJ-0626-SM-CY8GF 60-69 years, male 13.4
GTEX-1HCVE-0826-SM-CM2SF 50-59 years, male 13.3
GTEX-WFG7-0826-SM-3GIKU 20-29 years, male 13.2
GTEX-1211K-0226-SM-59HJY 60-69 years, female 13.1
GTEX-15D1Q-0426-SM-6AJ9G 40-49 years, male 13.1
GTEX-ZF2S-0826-SM-4WWBI 50-59 years, female 13.1
GTEX-1GF9V-1726-SM-9KNW4 60-69 years, male 13.1
GTEX-1HFI6-0826-SM-9YFM2 40-49 years, male 13.1
GTEX-13O3P-1426-SM-5L3DT 50-59 years, male 13.0
GTEX-17GQL-0626-SM-731CN 60-69 years, male 13.0
GTEX-18A7A-1226-SM-7LTAJ 50-59 years, female 13.0
GTEX-1GN73-2326-SM-9MQKV 60-69 years, male 13.0
GTEX-11LCK-0826-SM-5PNYD 30-39 years, male 12.9
GTEX-ZPCL-0526-SM-DO91R 60-69 years, female 12.8
GTEX-1CB4I-1526-SM-7DHMY 50-59 years, male 12.7
GTEX-ZGAY-0226-SM-4WWAL 40-49 years, female 12.7
GTEX-1HC8U-0626-SM-B2LWB 40-49 years, female 12.7
GTEX-1JMOU-0326-SM-ARL8X 60-69 years, female 12.7
GTEX-13PVR-0926-SM-5S2RB 60-69 years, female 12.6
GTEX-V955-0826-SM-CYPR5 60-69 years, male 12.5
GTEX-13NZB-0426-SM-5KM26 30-39 years, male 12.3
GTEX-145LV-0226-SM-5S2QG 50-59 years, male 12.3
GTEX-ZPU1-0726-SM-5HL6O 40-49 years, male 12.2
GTEX-ZYFD-2026-SM-5E459 50-59 years, male 12.2
GTEX-131YS-0826-SM-5PNYV 60-69 years, female 12.1
GTEX-13FHO-1226-SM-5L3EF 60-69 years, male 12.1
GTEX-WZTO-1226-SM-3NMAZ 40-49 years, male 12.0
GTEX-ZF29-0426-SM-4WKFN 60-69 years, female 12.0
GTEX-1CAMS-1126-SM-7MXUQ 40-49 years, female 12.0
GTEX-12WSG-1226-SM-5EQ4C 50-59 years, female 11.9
GTEX-1HSMQ-0426-SM-ADEIM 50-59 years, male 11.9
GTEX-15CHC-0326-SM-5ZZVP 60-69 years, female 11.7
GTEX-WQUQ-1326-SM-3MJFF 60-69 years, male 11.6
GTEX-ZVT3-0826-SM-5GIC8 60-69 years, female 11.6
GTEX-1JN6P-0826-SM-ARL97 60-69 years, male 11.6
GTEX-14BMV-1026-SM-5SI6B 50-59 years, male 11.5
GTEX-13OVG-0426-SM-5KM2T 60-69 years, male 11.4
GTEX-ZEX8-0326-SM-DO92C 50-59 years, male 11.4
GTEX-XOT4-1126-SM-4B66E 60-69 years, female 11.3
GTEX-YFC4-0426-SM-4TT3J 40-49 years, female 11.3
GTEX-ZDTS-1226-SM-4WKGL 60-69 years, male 11.3
GTEX-183WM-0926-SM-718AN 70-79 years, female 11.2
GTEX-12ZZX-0726-SM-5EGKA 40-49 years, female 11.1
GTEX-14JG1-0826-SM-5ZZWR 40-49 years, male 11.1
GTEX-ZAB5-0126-SM-5CVMT 50-59 years, male 11.1
GTEX-ZDXO-0426-SM-4WKF6 60-69 years, male 11.1
GTEX-1LB8K-0926-SM-D4P42 50-59 years, male 11.1
GTEX-1F88F-0326-SM-9KNV3 60-69 years, female 11.0
GTEX-1HBPH-0226-SM-9WYSM 40-49 years, female 10.9
GTEX-11ZUS-0326-SM-5EQ4W 30-39 years, male 10.7
GTEX-14BIL-0926-SM-7DHKN 50-59 years, male 10.7
GTEX-11TT1-1426-SM-5EGIA 20-29 years, male 10.6
GTEX-ZAK1-1126-SM-5PNXU 50-59 years, female 10.6
GTEX-1R7EV-0426-SM-DTX7Z 40-49 years, male 10.4
GTEX-17F9E-0726-SM-793A1 50-59 years, male 10.2
GTEX-YB5K-0226-SM-5IFJE 40-49 years, female 10.2
GTEX-1HR98-1026-SM-CKZOM 60-69 years, male 10.1
GTEX-1PPGY-0926-SM-DTXFF 60-69 years, male 10.1
GTEX-13VXT-0726-SM-5SIAD 20-29 years, female 10.0
GTEX-1HSMO-1126-SM-CGQF2 60-69 years, male 10.0
GTEX-13NZA-0826-SM-5K7WS 60-69 years, male 9.7
GTEX-18A6Q-1526-SM-731CO 60-69 years, male 9.7
GTEX-X5EB-0626-SM-46MVQ 40-49 years, male 9.7
GTEX-1445S-1226-SM-5O9BF 60-69 years, male 9.6
GTEX-1J8Q2-1026-SM-ARU8I 60-69 years, male 9.6
GTEX-1R9K4-1026-SM-EXUT1 60-69 years, male 9.6
GTEX-14PII-1026-SM-5ZZVW 60-69 years, male 9.5
GTEX-16XZZ-1026-SM-7DHKS 60-69 years, male 9.4
GTEX-ZVT2-0926-SM-5GICE 50-59 years, female 9.4
GTEX-13FHP-0826-SM-5K7V5 50-59 years, male 9.3
GTEX-1EU9M-1926-SM-7RHH4 60-69 years, male 9.3
GTEX-1JMQL-1026-SM-CMKGV 50-59 years, female 9.2
GTEX-14C39-0726-SM-5RQIK 40-49 years, male 9.1
GTEX-14E6C-0326-SM-5Q5EE 40-49 years, male 9.1
GTEX-1NSGN-1226-SM-E76OL 50-59 years, male 9.0
GTEX-1LG7Y-1426-SM-D4P31 50-59 years, male 8.7
GTEX-13OW7-1626-SM-5IJDH 50-59 years, male 8.6
GTEX-1192W-0226-SM-5EGGT 60-69 years, male 8.5
GTEX-11NV4-0826-SM-5BC4S 60-69 years, male 8.5
GTEX-14E7W-1126-SM-5ZZVS 70-79 years, male 8.5
GTEX-VJWN-1026-SM-4M1ZN 50-59 years, female 8.5
GTEX-1GZ2Q-0926-SM-7RHHN 40-49 years, male 8.5
GTEX-1I1HK-0626-SM-CNPQM 60-69 years, male 8.5
GTEX-11DXZ-0326-SM-5EGH1 50-59 years, male 8.4
GTEX-12WSA-1126-SM-5EGKU 60-69 years, male 8.4
GTEX-1AX9I-1026-SM-73KYF 60-69 years, male 8.4
GTEX-1C64N-0826-SM-7RHGQ 50-59 years, male 8.4
GTEX-1I1CD-1326-SM-A9SMM 60-69 years, female 8.4
GTEX-1AYCT-0526-SM-7RHHS 50-59 years, male 8.3
GTEX-YJ8O-0826-SM-5CVM3 40-49 years, female 8.2
GTEX-1IDJH-1126-SM-COH3R 70-79 years, male 8.2
GTEX-111VG-0326-SM-5GZX7 60-69 years, male 8.1
GTEX-1EX96-2626-SM-9MQJV 50-59 years, male 8.1
GTEX-14H4A-0426-SM-5ZZWO 40-49 years, female 8.0
GTEX-WWYW-1126-SM-3NB2Q 50-59 years, female 8.0
GTEX-ZYT6-0926-SM-5GIEM 30-39 years, male 8.0
GTEX-14E1K-0826-SM-5ZZW9 50-59 years, male 7.9
GTEX-1QCLZ-1126-SM-EWRNB 60-69 years, female 7.9
GTEX-13PDP-1326-SM-5K7U9 60-69 years, male 7.8
GTEX-13SLX-0926-SM-5S2NM 50-59 years, female 7.8
GTEX-148VJ-1426-SM-5TDE3 70-79 years, male 7.7
GTEX-1EMGI-1126-SM-9KNUF 60-69 years, male 7.7
GTEX-15CHR-0326-SM-7DHN3 50-59 years, male 7.6
GTEX-17JCI-0826-SM-7LT8W 60-69 years, female 7.6
GTEX-Z93S-0326-SM-5HL84 50-59 years, male 7.4
GTEX-117XS-0726-SM-5H131 60-69 years, male 7.3
GTEX-146FH-1126-SM-5NQAT 50-59 years, female 7.2
GTEX-147JS-1326-SM-5SI6D 60-69 years, male 7.2
GTEX-15SKB-0926-SM-7KUFC 60-69 years, male 7.2
GTEX-Y8E4-0426-SM-4V6GB 40-49 years, male 7.2
GTEX-1IKOE-0626-SM-A9G31 30-39 years, female 7.2
GTEX-WHPG-1026-SM-3NMBA 50-59 years, male 7.1
GTEX-1B8SG-0726-SM-79ONS 50-59 years, male 7.0
GTEX-11NUK-0926-SM-5HL57 50-59 years, male 6.9
GTEX-13PVQ-1326-SM-5LU4J 50-59 years, male 6.9
GTEX-13112-0526-SM-5EQ4S 50-59 years, male 6.8
GTEX-1GMR2-1326-SM-9KNUT 50-59 years, male 6.8
GTEX-12584-1026-SM-59HK3 40-49 years, male 6.6
GTEX-13O1R-0926-SM-5L3DS 60-69 years, male 6.6
GTEX-17KNJ-0626-SM-7LT9L 50-59 years, male 6.6
GTEX-12WSC-1026-SM-5EQ5Y 50-59 years, male 6.5
GTEX-139YR-0526-SM-5L3DG 50-59 years, male 6.5
GTEX-W5X1-0826-SM-3GILN 40-49 years, female 6.5
GTEX-18465-0726-SM-7LG4L 50-59 years, male 6.3
GTEX-18A67-1026-SM-731CE 50-59 years, male 6.3
GTEX-1GN2E-1426-SM-7RHHI 60-69 years, male 6.3
GTEX-1I1GR-1026-SM-A9SLC 60-69 years, male 6.2
GTEX-14PHY-0326-SM-62LE3 60-69 years, female 6.1
GTEX-VUSG-0726-SM-3GIK1 50-59 years, male 5.9
GTEX-1IOXB-0726-SM-A9G32 50-59 years, male 5.9
GTEX-17HGU-1126-SM-793BP 50-59 years, male 5.8
GTEX-1I1GQ-1226-SM-CL55J 50-59 years, male 5.7
GTEX-12WSE-0926-SM-5S2VX 20-29 years, male 5.6
GTEX-13U4I-0626-SM-5LU5L 40-49 years, female 5.6
GTEX-1I1GV-1426-SM-B2LXN 60-69 years, male 5.6
GTEX-X4XX-1126-SM-3NMBY 60-69 years, male 5.5
GTEX-13OW6-0926-SM-5L3GM 50-59 years, male 5.4
GTEX-1A3MX-1226-SM-731B3 60-69 years, male 5.3
GTEX-1477Z-1126-SM-5P9GK 60-69 years, male 5.2
GTEX-15RJE-0726-SM-7KUEG 40-49 years, male 5.2
GTEX-16YQH-0726-SM-7IGM1 30-39 years, male 5.2
GTEX-13NZ9-0126-SM-5K7XV 50-59 years, male 5.1
GTEX-1CB4E-0626-SM-7DHMW 60-69 years, male 5.1
GTEX-ZTTD-0626-SM-4YCCY 50-59 years, male 5.1
GTEX-111FC-0626-SM-5N9CU 60-69 years, male 5.0
GTEX-1IL2U-1226-SM-CL53P 60-69 years, male 4.9
GTEX-UTHO-1226-SM-3GAEE 60-69 years, male 4.8
GTEX-WK11-0626-SM-3NMAV 50-59 years, male 4.7
GTEX-1IY9M-0626-SM-D4P2L 60-69 years, male 4.7
GTEX-14BIN-2126-SM-793AX 50-59 years, female 4.6
GTEX-1F48J-1126-SM-9WYSY 50-59 years, female 4.5
GTEX-1POEN-0726-SM-DTXDU 30-39 years, female 4.5
GTEX-1399R-1726-SM-5K7YJ 30-39 years, male 4.4
GTEX-11ZVC-0526-SM-5N9G1 50-59 years, female 4.3
GTEX-ZYFC-1026-SM-5GZX9 50-59 years, male 4.3
GTEX-117YW-0426-SM-5GZZZ 50-59 years, male 4.2
GTEX-ZZPT-0926-SM-5GICZ 50-59 years, male 4.2
GTEX-ZE7O-0626-SM-57WCD 50-59 years, female 4.1
GTEX-1B8SF-1326-SM-7IGQJ 60-69 years, male 4.0
GTEX-14A6H-0326-SM-5NQAN 30-39 years, male 3.9
GTEX-1MJK2-1626-SM-EVYCQ 50-59 years, male 3.9
GTEX-1QEPI-1126-SM-E8VN7 60-69 years, female 3.9
GTEX-1B932-1326-SM-79OM4 40-49 years, female 3.8
GTEX-1IL2V-1126-SM-CMKGH 70-79 years, male 3.8
GTEX-1IDJD-0226-SM-CKZOA 30-39 years, male 3.7
GTEX-13O3Q-0326-SM-5L3FE 50-59 years, male 3.5
GTEX-1P4AB-0926-SM-E76PV 50-59 years, male 3.5
GTEX-1313W-1126-SM-5EQ5U 50-59 years, female 3.3
GTEX-13FXS-1026-SM-62LFQ 50-59 years, male 3.2
GTEX-XXEK-2026-SM-4BRVE 50-59 years, male 3.2
GTEX-1M5QR-1626-SM-E9U5O 40-49 years, male 3.2
GTEX-14DAQ-1026-SM-793B1 60-69 years, female 3.0
GTEX-14C38-1326-SM-62LDK 50-59 years, male 2.9
GTEX-1B8L1-0426-SM-7SB76 60-69 years, male 2.9
GTEX-1IKOH-0926-SM-A9SLU 60-69 years, female 2.9
GTEX-ZVZQ-0726-SM-51MR3 60-69 years, female 2.8
GTEX-ZAJG-0926-SM-5Q5AB 50-59 years, female 2.7
GTEX-1F6I4-0826-SM-7RHGK 60-69 years, male 2.7
GTEX-1F75B-1126-SM-7RHGP 50-59 years, male 2.7
GTEX-1QP6S-1026-SM-DTXFW 40-49 years, male 2.7
GTEX-13S86-0326-SM-5SI6K 40-49 years, male 2.6
GTEX-ZXG5-0626-SM-5NQ85 60-69 years, male 2.6
GTEX-1J8EW-0626-SM-CM2TY 60-69 years, female 2.4
GTEX-13X6J-1226-SM-79OMF 50-59 years, male 2.3
GTEX-1GN1V-1026-SM-CNPPS 60-69 years, male 2.3
GTEX-14ASI-0826-SM-5Q5EB 60-69 years, male 2.2
GTEX-14XAO-0926-SM-69LPZ 60-69 years, female 2.2
GTEX-1HSKV-0726-SM-ACKWE 60-69 years, male 2.2
GTEX-13FTZ-0326-SM-5J1O1 60-69 years, male 2.0
GTEX-ZUA1-0726-SM-4YCD9 40-49 years, male 2.0
GTEX-13NYB-0326-SM-5IJDP 40-49 years, male 1.9
GTEX-16GPK-1226-SM-7LTAU 60-69 years, male 1.9
GTEX-11EQ8-1326-SM-5EGJQ 60-69 years, male 1.6
GTEX-1CB4G-0726-SM-79OOJ 60-69 years, male 1.5
GTEX-1H1CY-0426-SM-9KNVD 60-69 years, female 1.5
GTEX-15UF7-1526-SM-6LPI7 40-49 years, male 1.4
GTEX-17EVP-0526-SM-7EPGY 40-49 years, male 1.2
GTEX-1LSNL-0626-SM-DIPFJ 50-59 years, male 1.1
GTEX-11TUW-1126-SM-5EQKJ 60-69 years, male 1.0
GTEX-1C6WA-0826-SM-7PBXS 60-69 years, male 0.6
Show allShow less
Heart - Left Ventricle
Average nTPM: 422.8
Samples: 432

Max nTPM: 3800.9
Min nTPM: 0.3
Std nTPM: 507.4
Median nTPM: 241.8
GTEX-1LSNM-0526-SM-DIPG6 50-59 years, male 3800.9
GTEX-ZGAY-0326-SM-57WF5 40-49 years, female 3156.4
GTEX-1LGOU-0726-SM-E9TIY 20-29 years, female 3076.0
GTEX-17GQL-0526-SM-72D5N 60-69 years, male 2689.5
GTEX-ZDTT-0726-SM-4WKFK 60-69 years, male 2513.2
GTEX-WY7C-0526-SM-3NB3D 50-59 years, male 2284.9
GTEX-OXRL-0326-SM-2I3F2 50-59 years, male 2271.1
GTEX-1QP2A-1126-SM-EVR3H 50-59 years, male 2060.5
GTEX-YEC4-0326-SM-4W216 40-49 years, male 2025.2
GTEX-13FH7-0926-SM-5J2MR 50-59 years, female 1992.0
GTEX-13VXT-1126-SM-5LU3A 20-29 years, female 1990.0
GTEX-ZG7Y-0926-SM-5EQ6O 50-59 years, male 1857.2
GTEX-1QP29-1526-SM-EXUSY 50-59 years, male 1776.8
GTEX-13PVR-1026-SM-5QGQW 60-69 years, female 1772.4
GTEX-WFG7-0726-SM-3GIKO 20-29 years, male 1772.2
GTEX-14H4A-0626-SM-5ZZUT 40-49 years, female 1705.8
GTEX-PLZ5-0626-SM-2I5F8 50-59 years, male 1663.4
GTEX-PWCY-0526-SM-5P9HG 20-29 years, female 1617.7
GTEX-12696-1126-SM-5FQTI 60-69 years, male 1487.8
GTEX-1M5QR-1026-SM-DHXK9 40-49 years, male 1429.8
GTEX-14PHX-2126-SM-6EU2U 50-59 years, male 1413.4
GTEX-SIU8-0826-SM-2XCDQ 50-59 years, male 1391.6
GTEX-1PPGY-1126-SM-E76OU 60-69 years, male 1349.7
GTEX-1OKEX-0726-SM-DPRYE 60-69 years, male 1322.7
GTEX-146FR-0626-SM-5RQJ1 60-69 years, female 1303.3
GTEX-Y3I4-0626-SM-4TT7A 50-59 years, male 1285.2
GTEX-YB5K-0126-SM-5IFJ2 40-49 years, female 1274.5
GTEX-YF7O-0426-SM-5P9FS 50-59 years, male 1269.8
GTEX-1CB4E-0526-SM-7MXTK 60-69 years, male 1217.9
GTEX-1F5PK-0326-SM-9KNUD 50-59 years, male 1216.2
GTEX-XPT6-0126-SM-4B65S 20-29 years, male 1214.0
GTEX-1MJIX-0326-SM-EVR42 40-49 years, male 1154.3
GTEX-XBED-0526-SM-47JY3 60-69 years, male 1136.5
GTEX-111YS-0426-SM-5987O 60-69 years, male 1135.4
GTEX-1AX9J-1026-SM-72D6E 60-69 years, male 1108.9
GTEX-13FTW-1026-SM-5L3E3 40-49 years, male 1100.8
GTEX-14PJ6-0726-SM-69LOL 60-69 years, female 1097.6
GTEX-1C64O-0826-SM-79OKZ 60-69 years, male 1097.1
GTEX-Y114-0226-SM-4TT8W 50-59 years, female 1089.4
GTEX-XXEK-0926-SM-4BRWH 50-59 years, male 1084.7
GTEX-16XZY-0426-SM-793BI 70-79 years, male 1081.2
GTEX-1MUQO-1226-SM-E9TJK 60-69 years, male 1078.3
GTEX-1J8QM-0426-SM-AHZ3X 60-69 years, female 1073.3
GTEX-WH7G-0426-SM-3NMBJ 40-49 years, male 1050.8
GTEX-13CF3-0726-SM-5J2MY 60-69 years, female 1020.7
GTEX-1F75I-1126-SM-9WYUO 40-49 years, male 1002.5
GTEX-11I78-0826-SM-5A5K4 50-59 years, female 999.9
GTEX-1J8Q3-1226-SM-CKZPT 60-69 years, male 993.7
GTEX-13O3O-1526-SM-5KM1C 60-69 years, female 978.4
GTEX-13O61-0526-SM-5J2M1 60-69 years, male 974.7
GTEX-11LCK-0926-SM-5A5KA 30-39 years, male 965.0
GTEX-P4PQ-0326-SM-2HMJ8 60-69 years, male 957.4
GTEX-OIZH-0326-SM-2HMKC 50-59 years, male 951.0
GTEX-OXRK-0826-SM-2HMK7 50-59 years, female 921.9
GTEX-1CB4I-1626-SM-7RHGV 50-59 years, male 903.4
GTEX-1H11D-1226-SM-9WPQ2 40-49 years, male 896.9
GTEX-1HSGN-1126-SM-CJI4G 40-49 years, female 871.6
GTEX-QDVN-0326-SM-2I3FS 50-59 years, male 858.1
GTEX-11EM3-0626-SM-5H12Z 20-29 years, female 850.6
GTEX-1QPFJ-1026-SM-E6CR6 30-39 years, female 847.4
GTEX-SE5C-0626-SM-2XCDV 40-49 years, female 837.0
GTEX-131XF-5001-SM-7DHLY 60-69 years, male 822.2
GTEX-SNMC-0126-SM-2XCFO 20-29 years, male 819.3
GTEX-18D9U-1126-SM-72D5Y 40-49 years, male 818.4
GTEX-145MO-1126-SM-5NQBX 60-69 years, male 813.7
GTEX-XGQ4-0326-SM-4GIEE 50-59 years, male 775.8
GTEX-145MN-0626-SM-5QGRH 30-39 years, male 771.3
GTEX-SUCS-0326-SM-32PLL 70-79 years, male 766.3
GTEX-XPVG-0826-SM-4B654 50-59 years, male 745.4
GTEX-131XG-0626-SM-5GCMP 50-59 years, female 739.3
GTEX-1GMR2-1426-SM-7RHHK 50-59 years, male 736.6
GTEX-1IDJF-0726-SM-CJI1U 20-29 years, male 731.7
GTEX-1JK1U-0526-SM-CYPSQ 60-69 years, male 725.6
GTEX-QEL4-0926-SM-3GAD1 50-59 years, male 717.8
GTEX-1HSMQ-0226-SM-C1YQL 50-59 years, male 717.0
GTEX-1497J-1226-SM-5Q5BL 60-69 years, male 710.0
GTEX-WYJK-1026-SM-3NM8W 50-59 years, male 704.1
GTEX-ZPCL-0426-SM-DNZZ4 60-69 years, female 696.9
GTEX-WEY5-0426-SM-3GIKT 40-49 years, female 682.8
GTEX-1AX9K-0526-SM-73KV1 50-59 years, male 673.8
GTEX-UPK5-0326-SM-CYPR4 40-49 years, male 670.9
GTEX-12584-0926-SM-5FQTN 40-49 years, male 664.7
GTEX-QLQ7-0526-SM-2I5G3 60-69 years, male 663.7
GTEX-1J8Q2-1226-SM-A9G2W 60-69 years, male 660.6
GTEX-UJHI-0426-SM-3DB8Y 50-59 years, female 660.0
GTEX-13RTJ-0726-SM-5QGQN 60-69 years, male 659.6
GTEX-1RMOY-0626-SM-E9TIE 50-59 years, male 658.3
GTEX-WFON-0326-SM-3GIKX 40-49 years, male 653.3
GTEX-ZYFG-0426-SM-5E43M 60-69 years, female 641.6
GTEX-UJMC-0526-SM-3GAE3 50-59 years, male 633.9
GTEX-ZPIC-0826-SM-4WWFJ 40-49 years, female 632.2
GTEX-XQ8I-0126-SM-4BOPL 50-59 years, male 628.1
GTEX-1O9I2-1126-SM-DTXEA 50-59 years, male 616.3
GTEX-REY6-1026-SM-2TF4Y 60-69 years, male 592.5
GTEX-1JJ6O-2126-SM-CNNP6 60-69 years, male 592.0
GTEX-13W3W-0426-SM-5SI9D 60-69 years, female 580.7
GTEX-1L5NE-0426-SM-E9TIX 50-59 years, male 576.7
GTEX-13NZB-0226-SM-5KM1T 30-39 years, male 576.1
GTEX-1211K-0626-SM-5FQUZ 60-69 years, female 575.7
GTEX-RWS6-0326-SM-2XCAP 60-69 years, female 575.5
GTEX-14E1K-1026-SM-73KUR 50-59 years, male 569.7
GTEX-15EOM-5007-SM-793DG 20-29 years, female 562.8
GTEX-1HCU6-1026-SM-A9G25 60-69 years, female 559.5
GTEX-ZVZP-0226-SM-5NQ73 50-59 years, male 557.9
GTEX-1KXAM-1326-SM-E9TJW 60-69 years, male 551.5
GTEX-1ICLY-1326-SM-CJI47 50-59 years, male 549.7
GTEX-13O21-2326-SM-5MR3X 50-59 years, male 546.6
GTEX-1B996-1126-SM-73KWN 60-69 years, male 539.8
GTEX-117YX-1126-SM-5H128 50-59 years, male 539.3
GTEX-P78B-0426-SM-2I5F5 40-49 years, female 536.5
GTEX-15SHU-1126-SM-7KUMB 40-49 years, female 535.9
GTEX-1HFI7-0826-SM-A9G23 50-59 years, female 533.4
GTEX-XV7Q-0826-SM-4BRV7 40-49 years, female 532.2
GTEX-OIZF-0326-SM-3MJGY 60-69 years, male 530.3
GTEX-17F9E-0926-SM-7IGMG 50-59 years, male 520.3
GTEX-12WSN-5001-SM-7DHMK 40-49 years, male 517.7
GTEX-148VI-0326-SM-5RQK7 60-69 years, female 510.4
GTEX-OOBJ-0326-SM-33HBO 60-69 years, male 508.3
GTEX-YEC3-0726-SM-CMKFH 50-59 years, male 488.3
GTEX-WFG8-0626-SM-3GILJ 20-29 years, male 487.9
GTEX-1122O-0826-SM-5GICV 60-69 years, female 487.3
GTEX-1269C-0826-SM-5N9EM 60-69 years, female 480.9
GTEX-1OFPY-1026-SM-EXUSO 60-69 years, male 477.5
GTEX-1LVAN-1726-SM-CNNR1 50-59 years, female 477.1
GTEX-1B8SG-0826-SM-7EWF7 50-59 years, male 477.0
GTEX-1IL2U-1326-SM-A9G2O 60-69 years, male 468.5
GTEX-13D11-1726-SM-5IFGQ 50-59 years, female 463.6
GTEX-WHSE-0926-SM-3NMBS 20-29 years, male 446.9
GTEX-1QCLZ-0926-SM-E6CQZ 60-69 years, female 446.3
GTEX-1B8KE-0126-SM-793AM 50-59 years, male 442.2
GTEX-13N1W-1026-SM-5IJC5 70-79 years, male 438.7
GTEX-17HGU-1026-SM-79OKL 50-59 years, male 437.6
GTEX-1N2EF-2826-SM-E6CQF 60-69 years, male 431.3
GTEX-O5YV-0326-SM-2I5H2 60-69 years, female 430.5
GTEX-ZDXO-0726-SM-57WBT 60-69 years, male 426.7
GTEX-ZF2S-1026-SM-9QEGK 50-59 years, female 421.5
GTEX-U3ZN-1426-SM-3DB87 30-39 years, female 417.6
GTEX-1R9JW-0526-SM-EWRNK 30-39 years, female 417.0
GTEX-V955-0726-SM-3GAFG 60-69 years, male 416.8
GTEX-S32W-0626-SM-2XCBG 50-59 years, female 416.5
GTEX-OXRO-2026-SM-2YUMZ 60-69 years, female 413.7
GTEX-ZEX8-0426-SM-DO92Y 50-59 years, male 409.1
GTEX-QEG4-0426-SM-33HC3 30-39 years, male 404.0
GTEX-13QBU-0426-SM-5J2O4 40-49 years, female 401.6
GTEX-WQUQ-1426-SM-3MJFD 60-69 years, male 399.7
GTEX-14C5O-1326-SM-5S2UW 60-69 years, male 399.5
GTEX-1GL5R-0326-SM-9WYTJ 50-59 years, male 394.4
GTEX-OHPM-0326-SM-33HCA 50-59 years, male 394.0
GTEX-ZF29-0226-SM-4WKHO 60-69 years, female 381.3
GTEX-13OVL-0526-SM-5KLZQ 50-59 years, male 379.9
GTEX-ZQUD-1526-SM-7IGO2 30-39 years, male 378.6
GTEX-QDVJ-0426-SM-2I5FW 50-59 years, male 375.0
GTEX-13FLV-0926-SM-5L3DZ 50-59 years, male 373.5
GTEX-15ER7-1726-SM-6PAMX 20-29 years, female 372.3
GTEX-13OW6-1126-SM-5L3HL 50-59 years, male 371.1
GTEX-X3Y1-0426-SM-3P5Z4 40-49 years, male 368.6
GTEX-1HCU7-1326-SM-CNPPW 50-59 years, male 368.5
GTEX-ZVT2-1026-SM-5GU55 50-59 years, female 361.3
GTEX-12WSK-0626-SM-5LZUJ 40-49 years, female 360.2
GTEX-OIZG-1126-SM-2HMIU 50-59 years, male 357.6
GTEX-1IDJI-1026-SM-A96TE 50-59 years, female 355.4
GTEX-Y5V5-0626-SM-4VBPX 60-69 years, female 353.4
GTEX-R55C-0326-SM-3GAF1 40-49 years, male 353.3
GTEX-13N11-0426-SM-5KM3O 50-59 years, female 350.3
GTEX-1IDJU-0726-SM-CNPQ9 60-69 years, female 347.7
GTEX-OHPL-0326-SM-33HC8 60-69 years, female 345.6
GTEX-11ONC-0126-SM-5PNW6 60-69 years, male 339.5
GTEX-R45C-0926-SM-3GAD4 60-69 years, female 337.3
GTEX-Y5V6-0826-SM-4VBRU 60-69 years, male 331.8
GTEX-1EH9U-0826-SM-7IGPT 60-69 years, male 331.0
GTEX-15DDE-1126-SM-6LLHN 50-59 years, female 330.3
GTEX-13FHP-1026-SM-5K7Y2 50-59 years, male 328.4
GTEX-1PWST-1026-SM-DTXF2 70-79 years, male 324.6
GTEX-1JMOU-0226-SM-CNNPD 60-69 years, female 323.2
GTEX-Y8E4-0326-SM-4VBRR 40-49 years, male 321.4
GTEX-PSDG-0926-SM-2I5FP 50-59 years, male 321.3
GTEX-1JMLX-1626-SM-ARZMV 50-59 years, male 319.7
GTEX-1399U-0526-SM-5K7YM 50-59 years, female 317.6
GTEX-1ICG6-0626-SM-ACKWS 70-79 years, female 315.9
GTEX-OHPK-0326-SM-2HMJO 50-59 years, female 315.4
GTEX-ZAB5-0226-SM-5CVMH 50-59 years, male 307.2
GTEX-11DXZ-0626-SM-5GU77 50-59 years, male 306.1
GTEX-12BJ1-0226-SM-5LUA2 60-69 years, male 306.1
GTEX-132QS-0426-SM-5KLZ6 60-69 years, male 305.3
GTEX-1H3NZ-1126-SM-9WYT9 60-69 years, male 304.4
GTEX-11O72-1126-SM-5N9E2 40-49 years, male 303.3
GTEX-PX3G-0326-SM-2I3EO 20-29 years, female 303.3
GTEX-X8HC-1626-SM-46MWE 50-59 years, female 301.4
GTEX-1B97J-0726-SM-7RHG3 50-59 years, female 300.9
GTEX-14PN3-0526-SM-69LQF 60-69 years, female 296.7
GTEX-16BQI-0926-SM-6M485 30-39 years, female 295.5
GTEX-U3ZH-0326-SM-3DB7A 30-39 years, male 294.8
GTEX-1399S-1026-SM-5KLZ9 30-39 years, female 288.4
GTEX-WHWD-0426-SM-3LK83 50-59 years, male 287.5
GTEX-13X6K-1826-SM-5O9CR 60-69 years, female 285.4
GTEX-O5YW-0326-SM-2I5EI 50-59 years, male 283.3
GTEX-ZDYS-0226-SM-5HL4K 50-59 years, male 282.2
GTEX-1R7EV-0326-SM-E76PA 40-49 years, male 281.7
GTEX-1IKK5-1526-SM-CKZPW 60-69 years, male 280.8
GTEX-Y3IK-0826-SM-51MT8 50-59 years, female 277.7
GTEX-14PK6-0826-SM-5ZZVO 70-79 years, female 272.5
GTEX-RNOR-0826-SM-2TF5C 50-59 years, female 266.3
GTEX-1JMQK-0626-SM-D4P2R 60-69 years, male 264.6
GTEX-1I1HK-0726-SM-B2LY4 60-69 years, male 263.8
GTEX-WHPG-0826-SM-3NMBF 50-59 years, male 259.5
GTEX-1JJEA-0826-SM-CL53T 60-69 years, male 259.1
GTEX-15CHR-0226-SM-7PC2Z 50-59 years, male 257.2
GTEX-1GF9V-1626-SM-7PBXL 60-69 years, male 254.7
GTEX-1C2JI-0526-SM-7EWEQ 50-59 years, male 251.9
GTEX-WL46-0926-SM-3LK7T 50-59 years, male 248.5
GTEX-131XE-0626-SM-5HL98 50-59 years, male 245.9
GTEX-1LGRB-1126-SM-CNPP2 50-59 years, female 245.6
GTEX-13OVG-0526-SM-5K7YD 60-69 years, male 244.6
GTEX-17KNJ-0826-SM-793A4 50-59 years, male 244.3
GTEX-1GN1W-0326-SM-9JGHF 50-59 years, female 243.0
GTEX-U4B1-0326-SM-3DB8K 40-49 years, male 242.5
GTEX-XBEC-1326-SM-4AT69 50-59 years, male 241.2
GTEX-1212Z-0626-SM-5FQTB 60-69 years, male 237.7
GTEX-13JVG-1326-SM-5N9F8 60-69 years, male 237.7
GTEX-13SLX-1026-SM-5ZZUQ 50-59 years, female 236.7
GTEX-12ZZZ-1726-SM-59HK5 60-69 years, male 235.3
GTEX-R55E-1026-SM-2TC5S 20-29 years, male 233.9
GTEX-ZLFU-0226-SM-4WWFH 40-49 years, male 231.8
GTEX-1AYCT-0426-SM-73KVZ 50-59 years, male 228.3
GTEX-ZAB4-1026-SM-5HL7T 40-49 years, male 227.3
GTEX-ZF3C-1226-SM-4WWCB 50-59 years, female 225.4
GTEX-15CHC-0426-SM-6LLHI 60-69 years, female 225.0
GTEX-13PVQ-1226-SM-5IJDC 50-59 years, male 224.7
GTEX-RU72-0326-SM-2TF5T 50-59 years, female 224.1
GTEX-17JCI-1126-SM-7IGMM 60-69 years, female 223.5
GTEX-13OW5-1126-SM-5J1NR 60-69 years, male 223.2
GTEX-12WSD-1126-SM-5EGJD 60-69 years, female 221.6
GTEX-ZV7C-0326-SM-57WB1 50-59 years, male 219.9
GTEX-1KANC-0426-SM-CXZK5 50-59 years, female 219.7
GTEX-145LV-0326-SM-5Q5BW 50-59 years, male 216.9
GTEX-WZTO-1326-SM-3NM8X 40-49 years, male 216.7
GTEX-V1D1-0526-SM-4JBGW 50-59 years, male 214.7
GTEX-16NPX-0926-SM-7KUEZ 50-59 years, male 213.9
GTEX-11EMC-0726-SM-5EGJO 60-69 years, female 212.4
GTEX-N7MS-0826-SM-2HML4 60-69 years, male 211.7
GTEX-1HCUA-0526-SM-A9SMH 50-59 years, female 209.9
GTEX-1GN73-2426-SM-7RHFQ 60-69 years, male 209.1
GTEX-1K9T9-1126-SM-D3L9E 50-59 years, female 209.0
GTEX-QEG5-0926-SM-2TC64 20-29 years, male 208.4
GTEX-1GF9U-0426-SM-7RHHA 40-49 years, female 203.4
GTEX-146FH-1026-SM-5RQIF 50-59 years, female 202.5
GTEX-1GMR3-0326-SM-7P8QT 40-49 years, male 200.0
GTEX-1HC8U-0726-SM-ACKXL 40-49 years, female 199.0
GTEX-147JS-1526-SM-5ZZWF 60-69 years, male 194.5
GTEX-RUSQ-0526-SM-2TF72 50-59 years, male 193.1
GTEX-QV44-0526-SM-2S1RE 50-59 years, male 192.6
GTEX-PVOW-0426-SM-5MR5R 40-49 years, male 188.2
GTEX-139YR-0826-SM-5LZXY 50-59 years, male 188.1
GTEX-1MCC2-0326-SM-EV7AK 30-39 years, female 187.9
GTEX-1C6VQ-1126-SM-7EWET 50-59 years, male 186.8
GTEX-1E1VI-1326-SM-7IGQD 50-59 years, male 185.2
GTEX-1KD5A-1026-SM-CY8I8 50-59 years, male 183.5
GTEX-11DXY-0826-SM-5EGGR 60-69 years, male 182.0
GTEX-14PJ4-1126-SM-5YY91 60-69 years, male 181.7
GTEX-11DXX-0326-SM-5PNWC 60-69 years, female 181.4
GTEX-11GSP-1326-SM-5A5KY 60-69 years, female 181.3
GTEX-11TT1-1326-SM-5PNYM 20-29 years, male 180.5
GTEX-XQ3S-0626-SM-4BOOB 20-29 years, male 179.2
GTEX-18A67-1226-SM-7KFRS 50-59 years, male 179.1
GTEX-15RIE-1726-SM-7KUMU 60-69 years, male 176.4
GTEX-12WSG-0526-SM-5FQTH 50-59 years, female 176.1
GTEX-14E7W-1226-SM-5RQIU 70-79 years, male 174.7
GTEX-RTLS-0826-SM-2TF5Q 60-69 years, female 174.3
GTEX-P44G-0826-SM-2I5ES 30-39 years, male 173.9
GTEX-14C38-1426-SM-5RQHZ 50-59 years, male 172.6
GTEX-1BAJH-1626-SM-73KUV 70-79 years, male 171.1
GTEX-X15G-0426-SM-4PQZ6 50-59 years, female 169.5
GTEX-QESD-0526-SM-2I5G5 20-29 years, male 168.5
GTEX-1LG7Y-1226-SM-CXZKD 50-59 years, male 165.8
GTEX-1CAMS-1326-SM-79OJR 40-49 years, female 165.6
GTEX-ZTPG-1226-SM-4YCDO 20-29 years, female 164.2
GTEX-13X6H-0426-SM-5LU4E 50-59 years, female 164.0
GTEX-T6MN-0926-SM-32PLX 50-59 years, male 163.9
GTEX-1RQEC-0926-SM-EWROG 60-69 years, male 163.2
GTEX-1RB15-0326-SM-E6CQB 60-69 years, male 160.7
GTEX-13112-0426-SM-5PNVC 50-59 years, male 160.2
GTEX-14C39-0926-SM-5TDDV 40-49 years, male 160.0
GTEX-117YW-0326-SM-5N9CY 50-59 years, male 159.3
GTEX-Q2AH-0526-SM-2I3ED 40-49 years, male 158.5
GTEX-1IDJE-0326-SM-CM2TD 50-59 years, female 157.8
GTEX-ZYW4-0926-SM-59HJS 60-69 years, male 157.1
GTEX-12ZZY-1126-SM-5DUWQ 60-69 years, male 156.9
GTEX-1JN1M-1026-SM-CNPOS 60-69 years, female 153.1
GTEX-11GS4-0526-SM-5A5KQ 60-69 years, male 151.5
GTEX-1S3DN-0726-SM-E9TIO 50-59 years, male 151.2
GTEX-17F9Y-1326-SM-7MGW9 70-79 years, female 149.4
GTEX-17MF6-0726-SM-7LT8E 40-49 years, male 148.6
GTEX-11ZUS-0226-SM-5FQT8 30-39 years, male 148.1
GTEX-1EU9M-1826-SM-7DUGU 60-69 years, male 148.0
GTEX-1CB4J-0326-SM-7PBZO 60-69 years, male 146.8
GTEX-1I6K7-0626-SM-ARL7Q 40-49 years, male 145.0
GTEX-1LC47-1026-SM-D3LAH 60-69 years, male 144.9
GTEX-14A5I-1226-SM-5NQBW 50-59 years, female 144.5
GTEX-13OW8-2126-SM-5J1OS 60-69 years, male 143.3
GTEX-U8XE-1126-SM-3DB8W 30-39 years, male 142.9
GTEX-1AX9I-1126-SM-7EPHH 60-69 years, male 139.5
GTEX-1HSMO-1226-SM-CL548 60-69 years, male 138.8
GTEX-13U4I-0826-SM-5SIBD 40-49 years, female 138.4
GTEX-16MT8-0926-SM-6M487 60-69 years, female 138.4
GTEX-1EKGG-1126-SM-7MGXB 60-69 years, male 137.0
GTEX-18A6Q-1626-SM-7KFTA 60-69 years, male 135.9
GTEX-132AR-2026-SM-5IJG4 50-59 years, female 133.8
GTEX-15CHQ-1526-SM-69LPW 60-69 years, male 133.8
GTEX-1H23P-1226-SM-9QEJ2 60-69 years, male 130.6
GTEX-1399R-1926-SM-5K7X8 30-39 years, male 129.8
GTEX-1R9K4-1326-SM-DTX8G 60-69 years, male 129.1
GTEX-14DAQ-1126-SM-664MT 60-69 years, female 123.0
GTEX-14JG1-1026-SM-6ETZY 40-49 years, male 121.9
GTEX-1GN1V-0826-SM-9KNU6 60-69 years, male 118.9
GTEX-1IKOE-1026-SM-ARZMF 30-39 years, female 118.6
GTEX-13O1R-1226-SM-5J1NU 60-69 years, male 117.4
GTEX-ZPU1-0626-SM-4YCDM 40-49 years, male 115.8
GTEX-O5YT-0326-SM-32PKA 20-29 years, male 115.3
GTEX-132NY-1726-SM-5EGKK 60-69 years, male 114.5
GTEX-1EN7A-0726-SM-7PBXT 40-49 years, male 113.1
GTEX-QMRM-0526-SM-2I5GA 50-59 years, male 112.2
GTEX-18465-0926-SM-731AY 50-59 years, male 109.7
GTEX-POMQ-0326-SM-2I5FO 20-29 years, female 109.7
GTEX-11TUW-1026-SM-5GU7D 60-69 years, male 107.7
GTEX-1R9K5-1326-SM-E6CPR 50-59 years, male 107.6
GTEX-1R9PO-0326-SM-DTXA1 60-69 years, female 107.5
GTEX-ZZPU-0926-SM-5GZYT 50-59 years, female 106.3
GTEX-1339X-0426-SM-5KLZY 40-49 years, male 106.1
GTEX-NFK9-0926-SM-2HMJU 40-49 years, male 105.6
GTEX-NPJ8-0426-SM-2HMK6 40-49 years, male 103.9
GTEX-14A6H-0226-SM-5Q5DX 30-39 years, male 103.0
GTEX-1AX8Z-5007-SM-AHZ36 60-69 years, male 102.8
GTEX-1JN6P-1126-SM-CKZON 60-69 years, male 102.3
GTEX-RN64-0826-SM-2TC62 50-59 years, male 102.2
GTEX-1GTWX-1026-SM-7P8QW 60-69 years, male 102.1
GTEX-P4PP-0326-SM-33HC4 30-39 years, female 100.5
GTEX-OIZI-0926-SM-E6CHF 40-49 years, male 99.7
GTEX-15DYW-1126-SM-6LPK5 60-69 years, female 96.8
GTEX-1F6IF-2526-SM-7P8TV 60-69 years, male 94.7
GTEX-WI4N-0626-SM-3TW8Z 40-49 years, female 93.9
GTEX-1I1GV-1326-SM-A96SE 60-69 years, male 93.7
GTEX-1A8G6-1626-SM-7MGWO 60-69 years, male 92.0
GTEX-1F48J-1026-SM-7P8SO 50-59 years, female 90.1
GTEX-1I1GQ-1426-SM-B2LWY 50-59 years, male 88.3
GTEX-1314G-0126-SM-5LZUL 30-39 years, male 86.4
GTEX-ZDTS-1326-SM-6LLHE 60-69 years, male 83.4
GTEX-13S86-0226-SM-5S2PJ 40-49 years, male 80.6
GTEX-1HCVE-1126-SM-9WPPG 50-59 years, male 79.7
GTEX-14BIN-2226-SM-5YYA1 50-59 years, female 78.9
GTEX-N7MT-1326-SM-2I3FV 60-69 years, female 78.8
GTEX-1EMGI-1226-SM-793DD 60-69 years, male 78.7
GTEX-1KD4Q-0726-SM-DIPGE 40-49 years, male 77.9
GTEX-1GMRU-1526-SM-9WYT5 50-59 years, male 77.3
GTEX-14PHY-0226-SM-5ZZWM 60-69 years, female 75.9
GTEX-1IKJJ-0826-SM-A96SP 60-69 years, male 74.9
GTEX-1O97I-0826-SM-E8VNE 60-69 years, male 73.1
GTEX-14E6C-0426-SM-5YYA8 40-49 years, male 72.3
GTEX-13YAN-1326-SM-5Q5F1 60-69 years, male 72.2
GTEX-1JJE9-1426-SM-ARL8P 70-79 years, male 71.6
GTEX-11ZVC-0426-SM-5CVLD 50-59 years, female 71.2
GTEX-1CB4G-0826-SM-7DUGF 60-69 years, male 70.6
GTEX-ZYT6-1726-SM-5E44P 30-39 years, male 66.3
GTEX-1H1CY-0326-SM-9QEIZ 60-69 years, female 66.0
GTEX-16YQH-0926-SM-793BC 30-39 years, male 65.7
GTEX-1GZ4I-1026-SM-9KNV5 50-59 years, male 65.4
GTEX-1H1ZS-1126-SM-9MQLJ 70-79 years, male 65.3
GTEX-131XH-0226-SM-5LZVB 50-59 years, male 62.2
GTEX-QVJO-1926-SM-2S1QZ 60-69 years, female 62.0
GTEX-1HBPM-1226-SM-A9SM8 60-69 years, female 61.8
GTEX-1ICLZ-1026-SM-A9SLF 60-69 years, male 61.7
GTEX-1JMPZ-1426-SM-CJI3C 30-39 years, male 61.3
GTEX-S33H-0526-SM-COH1W 30-39 years, male 60.8
GTEX-18D9B-1226-SM-72D6V 60-69 years, male 60.7
GTEX-R55G-0526-SM-2TC5O 40-49 years, female 58.4
GTEX-12WSC-1126-SM-5EQ4G 50-59 years, male 58.0
GTEX-1A3MX-1326-SM-72D58 60-69 years, male 57.4
GTEX-T2IS-0426-SM-32QPE 20-29 years, female 57.3
GTEX-1IDJH-1026-SM-E9TKH 70-79 years, male 55.5
GTEX-13CF2-0426-SM-5KM1H 60-69 years, male 55.2
GTEX-1A3MW-1326-SM-7189P 60-69 years, female 53.6
GTEX-R53T-0926-SM-3GADH 50-59 years, female 51.2
GTEX-1RAZS-0826-SM-E76QP 50-59 years, male 50.8
GTEX-14PJ2-1026-SM-6EU1M 50-59 years, male 50.5
GTEX-15SHW-1226-SM-6M46C 60-69 years, male 49.9
GTEX-WWYW-1326-SM-3NB2S 50-59 years, female 49.2
GTEX-14XAO-1126-SM-6EU11 60-69 years, female 47.4
GTEX-1F6I4-0726-SM-7PC2P 60-69 years, male 46.9
GTEX-ZAJG-0826-SM-5PNVA 50-59 years, female 45.5
GTEX-ZYFC-1126-SM-5E44W 50-59 years, male 45.5
GTEX-P44H-0726-SM-48TBT 40-49 years, male 44.6
GTEX-1GN2E-1326-SM-9KNVG 60-69 years, male 44.4
GTEX-147F4-1226-SM-5NQAY 50-59 years, male 43.9
GTEX-14JIY-1126-SM-6EU28 60-69 years, male 43.8
GTEX-1I1GP-0826-SM-A96SD 50-59 years, male 43.4
GTEX-111FC-0826-SM-5GZWO 60-69 years, male 42.9
GTEX-1EWIQ-1426-SM-7IGOS 70-79 years, female 41.3
GTEX-YJ8O-0926-SM-EAZ2Z 40-49 years, female 39.8
GTEX-13X6I-1426-SM-5SI9Z 60-69 years, male 39.5
GTEX-18A66-1226-SM-7LT8G 60-69 years, male 39.2
GTEX-1LB8K-1026-SM-DHXJJ 50-59 years, male 39.1
GTEX-WRHU-1226-SM-4E3IJ 50-59 years, female 38.7
GTEX-14E6D-0926-SM-5S2QV 50-59 years, male 38.4
GTEX-13O3P-1626-SM-5K7X3 50-59 years, male 33.2
GTEX-1B8L1-0526-SM-79ONX 60-69 years, male 33.0
GTEX-1EX96-2526-SM-7RHGW 50-59 years, male 31.2
GTEX-15RJ7-0226-SM-7KUMN 40-49 years, male 31.1
GTEX-1B932-1026-SM-793CL 40-49 years, female 30.8
GTEX-1J8EW-0926-SM-A9G33 60-69 years, female 30.5
GTEX-1HBPH-0126-SM-CNNQ7 40-49 years, female 30.4
GTEX-P4QS-0326-SM-2I3EU 60-69 years, male 29.7
GTEX-1LH75-0426-SM-E9TJF 50-59 years, female 29.6
GTEX-1HT8W-1726-SM-CNNQB 30-39 years, male 26.4
GTEX-YFC4-0526-SM-5ZZVI 40-49 years, female 25.9
GTEX-148VJ-1526-SM-5Q5DU 70-79 years, male 25.1
GTEX-1POEN-0626-SM-EVR4B 30-39 years, female 24.3
GTEX-1LVA9-0926-SM-EVR5G 50-59 years, male 23.1
GTEX-WK11-0826-SM-EZ6LH 50-59 years, male 22.9
GTEX-15RJE-0626-SM-7KUKR 40-49 years, male 21.3
GTEX-RWSA-0626-SM-2XCBD 40-49 years, male 20.9
GTEX-1313W-1426-SM-5KLZU 50-59 years, female 19.5
GTEX-17HHY-1426-SM-7EWDQ 50-59 years, male 19.2
GTEX-X261-1426-SM-4PQZ1 50-59 years, male 17.2
GTEX-14BIL-1126-SM-79OMC 50-59 years, male 14.3
GTEX-13FTZ-0226-SM-5K7X6 60-69 years, male 14.2
GTEX-1399T-0426-SM-5PNVJ 60-69 years, male 14.0
GTEX-1NV8Z-1526-SM-DTX8X 60-69 years, male 12.9
GTEX-13NYB-0226-SM-5N9G4 40-49 years, male 10.2
GTEX-ZUA1-0826-SM-4YCDL 40-49 years, male 9.6
GTEX-12ZZW-1026-SM-5GCMM 50-59 years, male 6.3
GTEX-14PJM-1126-SM-6LLHK 50-59 years, female 5.8
GTEX-17HII-1326-SM-7IGOB 50-59 years, male 2.4
GTEX-1PPH7-2026-SM-E9J3N 40-49 years, male 0.3
Show allShow less

HEART MUSCLE - FANTOM5 CAGEi

RNA expression in human tissues obtained through Cap Analysis of Gene Expression (CAGE) generated by the FANTOM5 project are reported as Scaled Tags Per Million.

Max subtype Scaled Tags Per Millioni

Max subtype Scaled Tags Per Million is the value for the subtype with the largest average Scaled Tags Per Million across the subtype samples.

293.4
FANTOM5 sample id Sample description Scaled Tags Per Million
Heart
Scaled Tags Per Million: 293.4
FF:10016-101C7 70,73,74 years, mixed 293.4
Left atrium
Scaled Tags Per Million: 8.0
FF:10079-102A7 40 years, male 8.0
Left ventricle
Scaled Tags Per Million: 101.5
FF:10078-102A6 73 years, female 101.5

Contact

  • NEWS ARTICLES
  • PRESS ROOM

The Project

  • INTRODUCTION
  • ORGANIZATION
  • PUBLICATIONS

The Human Protein Atlas

  • DOWNLOADABLE DATA
  • LICENCE & CITATION
  • HELP & FAQ
The Human Protein Atlas project is funded
by the Knut & Alice Wallenberg Foundation.


contact@proteinatlas.org