We use cookies to enhance the usability of our website. If you continue, we'll assume that you are happy to receive all cookies. More information. Don't show this again.
RPUSD2
HPA
RESOURCES
  • TISSUE
  • BRAIN
  • SINGLE CELL
  • SUBCELLULAR
  • CANCER
  • BLOOD
  • CELL LINE
  • STRUCTURE & INTERACTION
ABOUT
  • INTRODUCTION
  • HISTORY
  • ORGANIZATION
  • PUBLICATIONS
  • ANTIBODY SUBMISSION
  • ANTIBODY AVAILABILITY
  • ACKNOWLEDGMENTS
  • CONTACT
NEWS
  • NEWS ARTICLES
  • PRESS ROOM
LEARN
  • DICTIONARY
  • PROTEIN CLASSES
  • PROTEIN EVIDENCE
  • METHODS
  • EDUCATIONAL VIDEOS
DATA
  • DOWNLOADABLE DATA
  • PUBLICATION DATA
  • RELEASE HISTORY
HELP
  • ANTIBODY VALIDATION
  • ASSAYS & ANNOTATION
  • DISCLAIMER
  • HELP & FAQ
  • PRIVACY STATEMENT
  • LICENCE & CITATION
Fields »
Search result

Field
Term
Gene name
Class
Subclass
Class
Keyword
Chromosome
External id
Tissue
Cell type
Expression
Antibody panel
Tissue
Main location
Patient ID
Annotation
Tissue
Category
Tau score
Cluster
Reliability
Brain region
Category
Tau score
Brain region
Category
Tau score
Brain region
Category
Tau score
Cluster
Reliability
Tissue
Cell type
Enrichment
Cell type
Category
Tau score
Cell type
Category
Tau score
Cell type
Category
Tau score
Cell lineage
Category
Tau score
Cluster
Cluster
Location
Searches
Location
Cell line
Class
Type
Phase
Reliability
Cancer
Prognosis
Cancer
Category
Cancer
Category
Tau score
Cluster
Variants
Interacting gene (ensg_id)
Type
Number of interactions
Pathway
Category
Score
Score
Score
Validation
Validation
Validation
Validation
Antibodies
Data type
Column


  • SUMMARY

  • TISSUE

  • BRAIN

  • SINGLE CELL

  • SUBCELL

  • CANCER

  • BLOOD

  • CELL LINE

  • STRUCT & INT

  • RPUSD2
TISSUE PRIMARY DATA SKIN Show tissue menu
ADIPOSE TISSUE ADRENAL GLAND AMYGDALA APPENDIX BASAL GANGLIA BONE MARROW BREAST BRONCHUS CEREBELLUM CEREBRAL CORTEX CERVIX CHOROID PLEXUS COLON DUODENUM
ENDOMETRIUM EPIDIDYMIS ESOPHAGUS FALLOPIAN TUBE GALLBLADDER HEART MUSCLE HIPPOCAMPAL FORMATION HYPOTHALAMUS KIDNEY LIVER LUNG LYMPH NODE MIDBRAIN NASOPHARYNX
ORAL MUCOSA OVARY PANCREAS PARATHYROID GLAND PITUITARY GLAND PLACENTA PROSTATE RECTUM RETINA SALIVARY GLAND SEMINAL VESICLE SKELETAL MUSCLE SKIN SMALL INTESTINE
SMOOTH MUSCLE SOFT TISSUE SPINAL CORD SPLEEN STOMACH TESTIS THYMUS THYROID GLAND TONGUE TONSIL URINARY BLADDER VAGINA
ANTIBODIES
AND
VALIDATION
Dictionary
Skin
Tissue proteome
Skin
SKIN - Expression summary
Protein expression
Skini

On the top, protein expression in current human tissue, based on all annotated cell types, is reported with the units not detected (n), low (l), medium (m) and high (h). Underneath, protein expression in each annotated cell type are reported using the same units.

Protein expression data is based on knowledge-based annotation. For genes where more than one antibody has been used, a collective score is set.

If knowledge-based annotation could not be performed for a gene, no data is displayed here. View antibody staining data further down this page.

h
m
l
n
Epidermal cells: Low
Fibroblasts: Medium
Keratinocytes: Low
Langerhans: Medium
Melanocytes: Medium
RNA expressioni

A summary of mRNA expression data available for current tissue based on several datasets. The mRNA expression levels in human tissues are based on RNA-seq data generated by the Human Protein Atlas (HPA), Genotype-Tissue Expression (GTEx) portal and CAGE data generated by the FANTOM5 consortium. Consensus normalized expression levels for human tissues was created by combining the data from HPA and GTEx datasets.

The mRNA expression levels in pig are based on RNA-seq data generated by the Human Protein Atlas (HPA), and for mouse, HPA data and in situ hybridization generated by the Allen brain atlas are reported.

Scroll down to view mRNA expression data in more detail.
Consensus:9.2 nTPM
HPA:5.9 nTPM
GTEx:9.2 nTPM

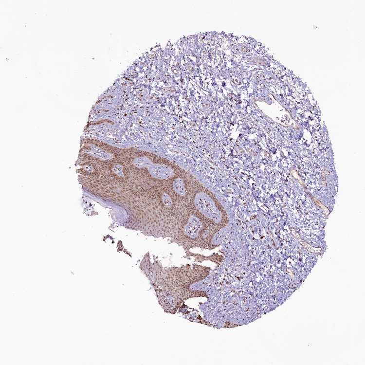
SKIN 1 - Antibody stainingi

Antibody staining in the annotated cell types in the current human tissue is reported as not detected, low, medium, or high, based on conventional immunohistochemistry profiling in selected tissues. This score is based on the combination of the staining intensity and fraction of stained cells.

Each image is clickable and will lead to virtual microscopy that enables deeper exploration of all samples and also displays staining intensity scores, fraction scores and subcellular localization as well as patient and tissue information for each sample.

Antibody HPA042079Antibody HPA042194
Langerhans MediumLow
Fibroblasts MediumNot detected
Keratinocytes LowLow
Melanocytes MediumLow




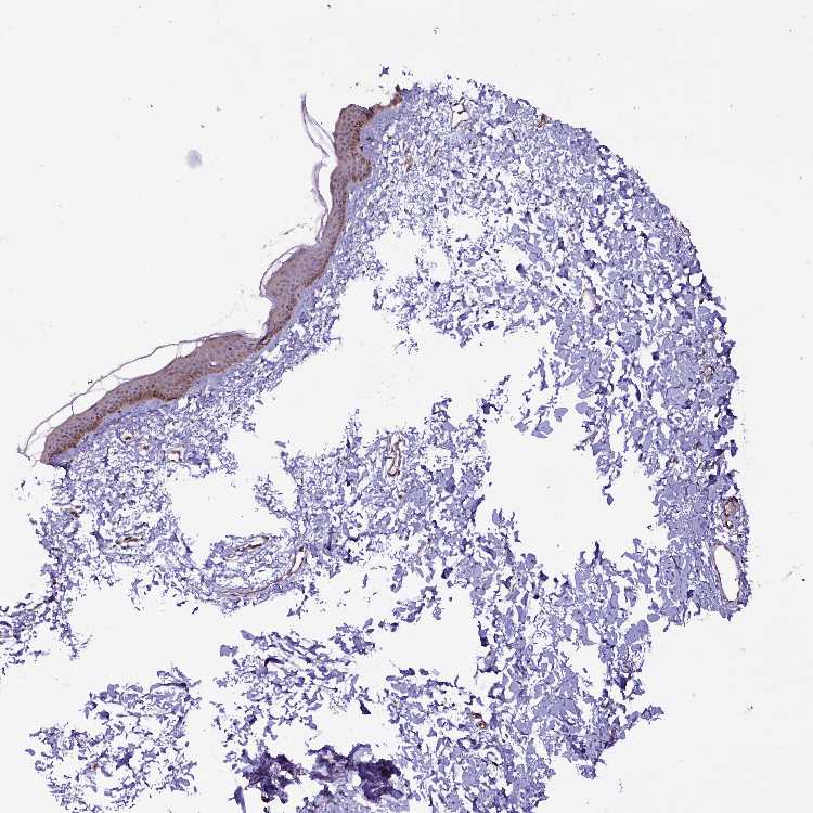
SKIN 2 - Antibody stainingi

Antibody staining in the annotated cell types in the current human tissue is reported as not detected, low, medium, or high, based on conventional immunohistochemistry profiling in selected tissues. This score is based on the combination of the staining intensity and fraction of stained cells.

Each image is clickable and will lead to virtual microscopy that enables deeper exploration of all samples and also displays staining intensity scores, fraction scores and subcellular localization as well as patient and tissue information for each sample.

Antibody HPA042079Antibody HPA042194
Epidermal cells LowMedium
  
  
  



SKIN - HPA RNA-seqi

The RNA-seq details section shows detailed information about the individual samples used for the transcript profiling and results of the RNA-seq analysis.

Information about each individual sample is listed below, including gender, age, a tissue section image and estimated fractions of cell types. nTPM (normalized transcripts per million) values give a quantification of the gene abundance which is comparable between different genes and samples.
Average nTPMi

Max subtype nTPM is the value for the subtype with the largest average nTPM across the subtype samples.

5.9
overview
Female, age 34
Skin sample 225
nTPM: 5.2
Cell types%
Keratinocytes:
60

Other cell types:
40

overview
Female, age 30
Skin sample 226
nTPM: 4.5
Cell types%
Keratinocytes:
55

Other cell types:
45

N/A
Male, age 57
Skin sample 227
nTPM: 8

SKIN - GTEx RNA-seqi

RNA-Seq data generated by the Genotype-Tissue Expression (GTEx) project from human tissues is reported as mean nTPM. More information can be found on the GTEx portal.

Distribution across the dataset is visualized with box plots, shown as median and 25th and 75th percentiles. Points are displayed as outliers if they are above or below 1.5 times the interquartile range. nTPM values of the individual samples are presented next to the box plot.
Max subtype nTPMi

Max subtype nTPM is the value for the subtype with the largest average nTPM across the subtype samples.

9.2
GTEx sample id Sample description nTPM
Skin - Not Sun Exposed (Suprapubic)
Average nTPM: 9.0
Samples: 604

Max nTPM: 24.3
Min nTPM: 3.6
Std nTPM: 2.6
Median nTPM: 8.6
GTEX-1ICLZ-0326-SM-ARL82 60-69 years, male 24.3
GTEX-1OJC3-1226-SM-DTXER 20-29 years, male 21.5
GTEX-1PPH8-0126-SM-EWRN8 20-29 years, male 20.5
GTEX-Y114-2126-SM-4TT8B 50-59 years, female 19.3
GTEX-14ICL-1626-SM-5YYAO 30-39 years, male 18.6
GTEX-1C6WA-2626-SM-7MKGM 60-69 years, male 17.5
GTEX-WFG7-2026-SM-5SI7P 20-29 years, male 17.5
GTEX-1IKOE-1426-SM-CE6T7 30-39 years, female 17.5
GTEX-1NV5F-0626-SM-DTXEG 60-69 years, female 17.3
GTEX-WH7G-2026-SM-3NMBL 40-49 years, male 17.0
GTEX-1N2DV-1526-SM-DTXEP 40-49 years, male 16.9
GTEX-1399S-0126-SM-5IJCF 30-39 years, female 16.2
GTEX-1QP2A-1726-SM-E76QC 50-59 years, male 16.0
GTEX-1F75I-2226-SM-7SB8U 40-49 years, male 15.8
GTEX-1RAZQ-1326-SM-E9TK6 30-39 years, male 15.8
GTEX-ZTX8-1326-SM-4YCEL 20-29 years, male 15.5
GTEX-15RIG-0726-SM-7KUM7 40-49 years, male 15.4
GTEX-ZF3C-0626-SM-DO92O 50-59 years, female 15.1
GTEX-11ZU8-0126-SM-5EQ58 60-69 years, male 15.0
GTEX-1B996-0426-SM-7EWF8 60-69 years, male 15.0
GTEX-131XG-0326-SM-5L3DX 50-59 years, female 14.9
GTEX-13NYC-0126-SM-5L3F4 60-69 years, male 14.6
GTEX-147F4-0726-SM-5TDDD 50-59 years, male 14.6
GTEX-YFCO-1226-SM-5LUAT 40-49 years, male 14.5
GTEX-X585-2426-SM-46MW2 50-59 years, male 14.4
GTEX-1CB4J-1326-SM-7P8RX 60-69 years, male 14.4
GTEX-XBEW-1126-SM-4QARW 40-49 years, male 14.2
GTEX-1NSGN-0726-SM-DTXEF 50-59 years, male 14.2
GTEX-17F9E-2326-SM-79OKD 50-59 years, male 14.1
GTEX-ZY6K-1426-SM-5GZX2 50-59 years, male 14.0
GTEX-1PDJ9-1226-SM-EXUSX 20-29 years, male 13.9
GTEX-12WSJ-1126-SM-5LZVJ 40-49 years, female 13.8
GTEX-14XAO-1226-SM-6EU1C 60-69 years, female 13.8
GTEX-1QP9N-1226-SM-E76QN 30-39 years, male 13.8
GTEX-12WSH-1526-SM-5BC5W 50-59 years, male 13.7
GTEX-1HFI7-2326-SM-CGQFS 50-59 years, female 13.7
GTEX-Y3IK-1626-SM-4YCF5 50-59 years, female 13.6
GTEX-1HSMQ-2626-SM-A9SML 50-59 years, male 13.6
GTEX-1PIGE-1826-SM-E8VOU 20-29 years, male 13.6
GTEX-16BQI-1326-SM-6M486 30-39 years, female 13.5
GTEX-1I1GU-0926-SM-ACKVS 40-49 years, male 13.2
GTEX-13JVG-0726-SM-5KM16 60-69 years, male 13.1
GTEX-1497J-0226-SM-5QGPU 60-69 years, male 13.1
GTEX-16AAH-0626-SM-793C9 50-59 years, male 13.1
GTEX-111CU-1126-SM-5EGIM 50-59 years, male 12.9
GTEX-11O72-0626-SM-5PNYE 40-49 years, male 12.8
GTEX-1HSMP-0926-SM-A9SKX 70-79 years, male 12.8
GTEX-1LBAC-0826-SM-CY8IJ 20-29 years, male 12.8
GTEX-ZPCL-1126-SM-4WWFE 60-69 years, female 12.7
GTEX-145MN-1526-SM-5SI9T 30-39 years, male 12.5
GTEX-14PHX-2226-SM-6EU2P 50-59 years, male 12.5
GTEX-1HBPN-0126-SM-CGQEF 50-59 years, male 12.5
GTEX-13X6K-0626-SM-5LU5D 60-69 years, female 12.4
GTEX-148VJ-0626-SM-5LUAW 70-79 years, male 12.4
GTEX-ZDYS-2426-SM-4WKGI 50-59 years, male 12.3
GTEX-1QCLY-0226-SM-EWRNH 30-39 years, male 12.3
GTEX-1S3DN-2126-SM-E9TIN 50-59 years, male 12.3
GTEX-13PL6-1126-SM-5L3IE 40-49 years, female 12.2
GTEX-WHSB-1326-SM-3LK6W 50-59 years, male 12.2
GTEX-WI4N-2726-SM-3LK7Y 40-49 years, female 12.2
GTEX-Y8E4-2026-SM-5IFJB 40-49 years, male 12.2
GTEX-YEC4-1826-SM-4W1YP 40-49 years, male 12.2
GTEX-1HSKV-1226-SM-ADEI4 60-69 years, male 12.2
GTEX-13113-1626-SM-5EQ4I 60-69 years, female 12.1
GTEX-15DYW-2726-SM-6EU2I 60-69 years, female 12.1
GTEX-ZVZP-1226-SM-5GID7 50-59 years, male 12.1
GTEX-1CAMS-2226-SM-7PBXQ 40-49 years, female 12.1
GTEX-1GPI7-1826-SM-9KNU1 20-29 years, male 12.1
GTEX-1IKJJ-2226-SM-CJI4C 60-69 years, male 12.1
GTEX-15G1A-1626-SM-7KUKN 30-39 years, male 12.0
GTEX-Y111-0626-SM-4SOIT 50-59 years, male 12.0
GTEX-ZXG5-2126-SM-59HKD 60-69 years, male 12.0
GTEX-1LB8K-0726-SM-D5OV2 50-59 years, male 12.0
GTEX-1PPGY-1626-SM-EVYBL 60-69 years, male 12.0
GTEX-11OF3-0126-SM-5PNYF 60-69 years, male 11.9
GTEX-17F97-2626-SM-7IGM5 50-59 years, male 11.9
GTEX-Y9LG-1126-SM-4VBQ7 30-39 years, male 11.9
GTEX-1JMPY-0226-SM-CKZOK 30-39 years, male 11.9
GTEX-13112-0126-SM-5P9IU 50-59 years, male 11.8
GTEX-1B97I-0626-SM-73KUZ 40-49 years, male 11.8
GTEX-1HCU6-2526-SM-ADEHL 60-69 years, female 11.8
GTEX-1HCUA-0826-SM-ADEHM 50-59 years, female 11.8
GTEX-11DXX-2126-SM-5PNYR 60-69 years, female 11.7
GTEX-147GR-2426-SM-5ZZWQ 60-69 years, male 11.7
GTEX-1CB4F-1026-SM-7DUH1 60-69 years, male 11.7
GTEX-1E2YA-2126-SM-7MXUO 50-59 years, male 11.7
GTEX-1I1GS-2626-SM-B2LY3 60-69 years, male 11.6
GTEX-1I1GV-0626-SM-ARL7M 60-69 years, male 11.6
GTEX-1KAFJ-0126-SM-DIPEK 50-59 years, male 11.6
GTEX-1KANA-1326-SM-DIPFA 20-29 years, male 11.6
GTEX-12ZZZ-0726-SM-5GCNZ 60-69 years, male 11.5
GTEX-145LS-0626-SM-7EPG7 60-69 years, female 11.5
GTEX-Z93S-1626-SM-5CVMB 50-59 years, male 11.5
GTEX-1JMQJ-0826-SM-CNPP7 50-59 years, male 11.5
GTEX-13W3W-0726-SM-5IJDQ 60-69 years, female 11.4
GTEX-1CB4E-0926-SM-7EPHT 60-69 years, male 11.4
GTEX-ZVP2-0326-SM-57WBP 50-59 years, male 11.4
GTEX-1JKYN-0826-SM-ARU8S 30-39 years, male 11.4
GTEX-1MJK3-0726-SM-E6CJC 20-29 years, male 11.4
GTEX-11PRG-0726-SM-5EGL1 50-59 years, male 11.3
GTEX-13OW5-2326-SM-5L3HO 60-69 years, male 11.3
GTEX-17HII-1426-SM-7EPGG 50-59 years, male 11.3
GTEX-ZYW4-0626-SM-59HJR 60-69 years, male 11.3
GTEX-1H2FU-0926-SM-9WPPT 60-69 years, female 11.3
GTEX-1MCYP-0526-SM-E9U6Q 20-29 years, female 11.3
GTEX-13FTY-2126-SM-5IFFB 40-49 years, female 11.2
GTEX-15RJ7-2126-SM-6PAMD 40-49 years, male 11.2
GTEX-1QP29-1826-SM-DTX9S 50-59 years, male 11.2
GTEX-11WQC-1826-SM-5GU59 60-69 years, male 11.1
GTEX-14A5H-0826-SM-5QGPJ 60-69 years, male 11.1
GTEX-17MFQ-1526-SM-7KFRR 20-29 years, male 11.1
GTEX-WXYG-2026-SM-4E3IY 50-59 years, female 11.1
GTEX-Y5LM-0926-SM-6LLJG 40-49 years, female 11.1
GTEX-1CAMR-1326-SM-7PC1F 20-29 years, male 11.1
GTEX-1S831-1826-SM-EWROF 20-29 years, male 11.1
GTEX-13G51-1826-SM-5KLZH 60-69 years, male 11.0
GTEX-14E1K-2026-SM-7DUEI 50-59 years, male 11.0
GTEX-Y5V6-2326-SM-4VDSA 60-69 years, male 11.0
GTEX-1HBPI-2126-SM-ARL9K 50-59 years, male 11.0
GTEX-1JN76-0626-SM-CKZOQ 20-29 years, female 11.0
GTEX-11UD2-2526-SM-5CVNU 50-59 years, male 10.9
GTEX-131XF-2626-SM-5EQ6K 60-69 years, male 10.9
GTEX-1399U-1126-SM-5L3DB 50-59 years, female 10.9
GTEX-14B4R-1326-SM-5Q5EZ 30-39 years, male 10.9
GTEX-14PJ3-1126-SM-5ZZVX 50-59 years, male 10.9
GTEX-1C64O-1326-SM-7MGWR 60-69 years, male 10.9
GTEX-1RLM8-2926-SM-E8VON 50-59 years, male 10.9
GTEX-11EM3-1226-SM-5N9DD 20-29 years, female 10.8
GTEX-131XH-0126-SM-5LZUY 50-59 years, male 10.8
GTEX-139UW-0326-SM-5J1ML 60-69 years, male 10.8
GTEX-13D11-0926-SM-5J2NC 50-59 years, female 10.8
GTEX-16YQH-2226-SM-7IGM2 30-39 years, male 10.8
GTEX-1GN1U-0626-SM-9MQL9 50-59 years, female 10.8
GTEX-1LSNM-0826-SM-DIPG8 50-59 years, male 10.8
GTEX-16MTA-0926-SM-6M47Z 50-59 years, male 10.7
GTEX-17F98-1326-SM-7DUEP 40-49 years, female 10.7
GTEX-17F9Y-0126-SM-79OKX 70-79 years, female 10.7
GTEX-13IVO-0726-SM-5LZYV 70-79 years, male 10.6
GTEX-14PJN-1826-SM-6AJ98 30-39 years, male 10.6
GTEX-14PJO-2526-SM-6AJBQ 60-69 years, male 10.6
GTEX-18QFQ-1826-SM-72D52 30-39 years, male 10.6
GTEX-11DYG-1526-SM-5A5JS 60-69 years, male 10.5
GTEX-13FTX-1526-SM-5K7VJ 20-29 years, female 10.5
GTEX-14PII-0726-SM-6EU2B 60-69 years, male 10.5
GTEX-1HGF4-0126-SM-CNPPX 60-69 years, male 10.5
GTEX-1PBJJ-1026-SM-E76OS 30-39 years, male 10.5
GTEX-13NYB-0126-SM-5J1MD 40-49 years, male 10.4
GTEX-18A67-1626-SM-7LT9T 50-59 years, male 10.4
GTEX-1A3MV-1826-SM-731CD 30-39 years, male 10.4
GTEX-WHSE-0126-SM-3NMBT 20-29 years, male 10.4
GTEX-1JMLX-0626-SM-ARL8T 50-59 years, male 10.4
GTEX-1R9PN-0426-SM-DTXDT 40-49 years, female 10.4
GTEX-11P7K-1126-SM-5HL4L 30-39 years, male 10.3
GTEX-13O61-1426-SM-5KM3D 60-69 years, male 10.3
GTEX-13QJC-0126-SM-5ZZWJ 60-69 years, female 10.3
GTEX-14DAR-1226-SM-73KYV 50-59 years, male 10.3
GTEX-14LZ3-0126-SM-69LPM 60-69 years, female 10.3
GTEX-XQ3S-1426-SM-4BOPR 20-29 years, male 10.3
GTEX-ZPU1-1126-SM-4YCF3 40-49 years, male 10.3
GTEX-1HCU7-0726-SM-A9SL1 50-59 years, male 10.3
GTEX-1IY9M-2826-SM-ARU8H 60-69 years, male 10.3
GTEX-1K2DA-1026-SM-CGQGF 50-59 years, male 10.3
GTEX-12WSK-2126-SM-5CVNC 40-49 years, female 10.2
GTEX-Y8LW-1526-SM-5IFHL 50-59 years, female 10.2
GTEX-1GZHY-0626-SM-9KNVC 50-59 years, female 10.2
GTEX-1OJC4-2726-SM-E76PJ 50-59 years, female 10.2
GTEX-11TUW-0626-SM-5LU9M 60-69 years, male 10.1
GTEX-14E6E-0526-SM-793DN 30-39 years, male 10.1
GTEX-14PJ4-0226-SM-5YY92 60-69 years, male 10.1
GTEX-15G19-2426-SM-7KUMR 60-69 years, male 10.1
GTEX-18D9U-0126-SM-731BM 40-49 years, male 10.1
GTEX-XXEK-1626-SM-4BRUZ 50-59 years, male 10.1
GTEX-Y3I4-1726-SM-4TT89 50-59 years, male 10.1
GTEX-ZA64-1026-SM-5HL8R 20-29 years, male 10.1
GTEX-ZLFU-1826-SM-4WWBV 40-49 years, male 10.1
GTEX-ZYY3-2926-SM-5GIEB 60-69 years, female 10.1
GTEX-1AYD5-2626-SM-7PBXY 50-59 years, male 10.1
GTEX-ZLV1-1526-SM-DO91J 60-69 years, female 10.1
GTEX-13OVJ-0826-SM-5J1OK 50-59 years, female 10.0
GTEX-17HHE-1326-SM-7EWDZ 50-59 years, male 10.0
GTEX-1EH9U-2826-SM-7DUGT 60-69 years, male 10.0
GTEX-X5EB-1926-SM-4E3IW 40-49 years, male 10.0
GTEX-1K9T9-1526-SM-DIPFR 50-59 years, female 10.0
GTEX-1PIIG-2326-SM-DTXFR 30-39 years, male 10.0
GTEX-ZPIC-0526-SM-DO91W 40-49 years, female 10.0
GTEX-11VI4-1126-SM-5EQMD 40-49 years, female 9.9
GTEX-145ME-1726-SM-5Q5EU 40-49 years, female 9.9
GTEX-1B8KZ-0326-SM-73KY4 50-59 years, male 9.9
GTEX-1B8SF-0126-SM-7DUG3 60-69 years, male 9.9
GTEX-ZYFC-0426-SM-5GICQ 50-59 years, male 9.9
GTEX-1H11D-1826-SM-9QEHM 40-49 years, male 9.9
GTEX-1I1GP-1326-SM-A9G28 50-59 years, male 9.9
GTEX-1N2EE-0626-SM-E76PW 60-69 years, male 9.9
GTEX-131YS-2826-SM-5EQ47 60-69 years, female 9.8
GTEX-13OVK-1426-SM-6PAN7 40-49 years, male 9.8
GTEX-14PJ5-1526-SM-6LLIL 60-69 years, female 9.8
GTEX-1QAET-0326-SM-EVR3U 50-59 years, male 9.8
GTEX-11GS4-0226-SM-5HL77 60-69 years, male 9.7
GTEX-13OW6-2726-SM-5J2OE 50-59 years, male 9.7
GTEX-13U4I-2226-SM-5LU5H 40-49 years, female 9.7
GTEX-14BIN-1126-SM-5RQJZ 50-59 years, female 9.7
GTEX-ZC5H-1526-SM-5HL9Y 40-49 years, female 9.7
GTEX-1HB9E-0126-SM-CM2S5 50-59 years, male 9.7
GTEX-1LVA9-2626-SM-EVYD4 50-59 years, male 9.7
GTEX-1399Q-2326-SM-5KM2X 40-49 years, male 9.6
GTEX-15EU6-2226-SM-6EU2L 50-59 years, male 9.6
GTEX-17HGU-2326-SM-7DUFE 50-59 years, male 9.6
GTEX-ZT9X-1526-SM-5DUXD 40-49 years, male 9.6
GTEX-11P82-1426-SM-DTXFY 20-29 years, male 9.6
GTEX-1C64N-2626-SM-7PC2N 50-59 years, male 9.6
GTEX-1GTWX-2026-SM-9YFLM 60-69 years, male 9.6
GTEX-1JMQK-1226-SM-D4P2S 60-69 years, male 9.6
GTEX-13OVG-1626-SM-5J1NF 60-69 years, male 9.5
GTEX-1B8KE-1126-SM-7EPHI 50-59 years, male 9.5
GTEX-ZDTT-0426-SM-4WKFL 60-69 years, male 9.5
GTEX-ZZ64-1026-SM-5GZXG 20-29 years, male 9.5
GTEX-1F5PK-2226-SM-7SB6N 50-59 years, male 9.5
GTEX-1HKZK-0726-SM-ACKW2 40-49 years, male 9.5
GTEX-1QP28-1126-SM-EVYC4 50-59 years, female 9.5
GTEX-139TS-2126-SM-5K7XC 60-69 years, male 9.4
GTEX-13X6H-0926-SM-5SIB2 50-59 years, female 9.4
GTEX-14PHY-1226-SM-5ZZWK 60-69 years, female 9.4
GTEX-15CHQ-0326-SM-69LQD 60-69 years, male 9.4
GTEX-1CB4I-0126-SM-7RHGG 50-59 years, male 9.4
GTEX-1GF9V-0826-SM-9KNUV 60-69 years, male 9.4
GTEX-1QPFJ-1926-SM-EVYBD 30-39 years, female 9.4
GTEX-1QW4Y-1126-SM-DTXE3 30-39 years, male 9.4
GTEX-131XW-0626-SM-5PNVD 50-59 years, female 9.3
GTEX-14AS3-1526-SM-5Q5ED 40-49 years, female 9.3
GTEX-14PJ6-2626-SM-6EU2T 60-69 years, female 9.3
GTEX-15ER7-0626-SM-6PANF 20-29 years, female 9.3
GTEX-XQ8I-0926-SM-4BOOF 50-59 years, male 9.3
GTEX-ZDTS-0826-SM-4WKHL 60-69 years, male 9.3
GTEX-ZF2S-1626-SM-57WES 50-59 years, female 9.3
GTEX-1GN1W-2426-SM-9KNUU 50-59 years, female 9.3
GTEX-133LE-2326-SM-5K7W3 20-29 years, female 9.2
GTEX-WHWD-1826-SM-3LK6I 50-59 years, male 9.2
GTEX-XOT4-0626-SM-4B66L 60-69 years, female 9.2
GTEX-XPVG-2126-SM-4B667 50-59 years, male 9.2
GTEX-ZF29-0926-SM-4WKFZ 60-69 years, female 9.2
GTEX-ZYT6-2326-SM-5GZY3 30-39 years, male 9.2
GTEX-111VG-1626-SM-5EGIO 60-69 years, male 9.1
GTEX-11ZUS-2626-SM-5FQUR 30-39 years, male 9.1
GTEX-1313W-0626-SM-5EQ4H 50-59 years, female 9.1
GTEX-13YAN-0226-SM-5TDC6 60-69 years, male 9.1
GTEX-145MG-1526-SM-5Q5EM 50-59 years, male 9.1
GTEX-15RIE-1926-SM-7KUKJ 60-69 years, male 9.1
GTEX-15RJE-2826-SM-7KUM9 40-49 years, male 9.1
GTEX-18A6Q-0626-SM-7KFRP 60-69 years, male 9.1
GTEX-ZTTD-2826-SM-4YCFA 50-59 years, male 9.1
GTEX-18D9A-1426-SM-7LT8M 30-39 years, female 9.1
GTEX-1GF9W-1426-SM-7PBYM 60-69 years, male 9.1
GTEX-1JN6P-2926-SM-CL54D 60-69 years, male 9.1
GTEX-1192X-2726-SM-5N9DN 50-59 years, male 9.0
GTEX-11GSP-2326-SM-5HL63 60-69 years, female 9.0
GTEX-11ZTT-2126-SM-5CVLO 60-69 years, female 9.0
GTEX-12126-0826-SM-5FQTZ 20-29 years, male 9.0
GTEX-14PK6-0226-SM-62LF5 70-79 years, female 9.0
GTEX-15D1Q-2826-SM-6LLH7 40-49 years, male 9.0
GTEX-15SHW-0226-SM-7LTAT 60-69 years, male 9.0
GTEX-WHPG-2626-SM-3NMBR 50-59 years, male 9.0
GTEX-1F88F-0126-SM-9WYSZ 60-69 years, female 9.0
GTEX-1JN1M-2726-SM-CY8I4 60-69 years, female 9.0
GTEX-1LVAN-0626-SM-CNPOQ 50-59 years, female 9.0
GTEX-11EQ9-1626-SM-5PNY8 30-39 years, male 8.9
GTEX-13FH7-1126-SM-5K7UG 50-59 years, female 8.9
GTEX-1GMRU-2126-SM-7P8RA 50-59 years, male 8.9
GTEX-1H3VE-0726-SM-9YFL5 40-49 years, male 8.9
GTEX-1J8EW-2726-SM-CY8HR 60-69 years, female 8.9
GTEX-1LGOU-1326-SM-D3L8M 20-29 years, female 8.9
GTEX-117YX-1926-SM-5GIEC 50-59 years, male 8.8
GTEX-11NUK-2726-SM-5A5MC 50-59 years, male 8.8
GTEX-12KS4-2126-SM-5FQUT 30-39 years, male 8.8
GTEX-13SLX-2226-SM-62LEP 50-59 years, female 8.8
GTEX-144GM-0526-SM-79OJO 20-29 years, male 8.8
GTEX-14PKV-1126-SM-6LLJ1 20-29 years, female 8.8
GTEX-15EO6-2426-SM-6PALZ 50-59 years, male 8.8
GTEX-XYKS-1426-SM-4BRUO 60-69 years, female 8.8
GTEX-1GF9X-1326-SM-7PC2Y 40-49 years, female 8.8
GTEX-1GN1V-2826-SM-9JGIA 60-69 years, male 8.8
GTEX-1J8QM-2426-SM-A9SLS 60-69 years, female 8.8
GTEX-11TT1-1826-SM-5EQLV 20-29 years, male 8.7
GTEX-1211K-1526-SM-5FQU4 60-69 years, female 8.7
GTEX-13NZ8-1226-SM-5KM4A 60-69 years, female 8.7
GTEX-145MH-2826-SM-5RQJF 50-59 years, male 8.7
GTEX-14753-0726-SM-5QGQO 60-69 years, male 8.7
GTEX-15FZZ-0526-SM-7KUGD 30-39 years, female 8.7
GTEX-18A66-0626-SM-7LT8Z 60-69 years, male 8.7
GTEX-UPK5-0426-SM-3GAEK 40-49 years, male 8.7
GTEX-X4EO-2926-SM-4E3JH 60-69 years, female 8.7
GTEX-ZLWG-0826-SM-59888 50-59 years, female 8.7
GTEX-ZP4G-1426-SM-4WWCL 20-29 years, female 8.7
GTEX-1IE54-1126-SM-A9G2Z 40-49 years, female 8.7
GTEX-1JJ6O-2726-SM-CNPOG 60-69 years, male 8.7
GTEX-11EQ8-0926-SM-5H12V 60-69 years, male 8.6
GTEX-12BJ1-0926-SM-5EQ62 60-69 years, male 8.6
GTEX-139T8-0626-SM-5KLZX 60-69 years, male 8.6
GTEX-139TU-0726-SM-5L3EK 60-69 years, male 8.6
GTEX-13NYS-0626-SM-5L3F1 60-69 years, male 8.6
GTEX-13OW8-1026-SM-5J1NQ 60-69 years, male 8.6
GTEX-18D9B-0926-SM-7LG4U 60-69 years, male 8.6
GTEX-1EN7A-2426-SM-793DB 40-49 years, male 8.6
GTEX-U8XE-0226-SM-4E3J3 30-39 years, male 8.6
GTEX-XUW1-0926-SM-4BONX 50-59 years, female 8.6
GTEX-1122O-1026-SM-9WYSF 60-69 years, female 8.6
GTEX-1GMR2-0826-SM-7PC3V 50-59 years, male 8.6
GTEX-1H1ZS-2726-SM-9WG75 70-79 years, male 8.6
GTEX-1JMQI-1726-SM-ARL93 50-59 years, male 8.6
GTEX-1KANC-1226-SM-CYPT7 50-59 years, female 8.6
GTEX-1LG7Z-1626-SM-CXKYR 30-39 years, male 8.6
GTEX-11DXZ-2026-SM-5987S 50-59 years, male 8.5
GTEX-11DZ1-2426-SM-5GZZX 50-59 years, male 8.5
GTEX-13N11-2326-SM-5IJBF 50-59 years, female 8.5
GTEX-15DDE-2926-SM-6LLJ3 50-59 years, female 8.5
GTEX-17F96-0126-SM-7EWDU 70-79 years, male 8.5
GTEX-ZE7O-2726-SM-51MT5 50-59 years, female 8.5
GTEX-1GPI6-1926-SM-9KNV7 60-69 years, male 8.5
GTEX-1H1E6-0426-SM-9WYUS 30-39 years, male 8.5
GTEX-1HFI6-0126-SM-CNPPI 40-49 years, male 8.5
GTEX-1IL2V-1926-SM-B2LW8 70-79 years, male 8.5
GTEX-1JMPZ-0726-SM-CY8HZ 30-39 years, male 8.5
GTEX-12WSM-1926-SM-5BC65 60-69 years, male 8.4
GTEX-132AR-0326-SM-5KM2C 50-59 years, female 8.4
GTEX-13PDP-0726-SM-5L3HP 60-69 years, male 8.4
GTEX-14C38-0726-SM-5SI6M 50-59 years, male 8.4
GTEX-16MT8-2926-SM-7DUFO 60-69 years, female 8.4
GTEX-WFON-1926-SM-3LK7L 40-49 years, male 8.4
GTEX-WYJK-0526-SM-3NM8Z 50-59 years, male 8.4
GTEX-ZTSS-1426-SM-5985P 40-49 years, male 8.4
GTEX-ZYFG-1526-SM-5GZYM 60-69 years, female 8.4
GTEX-1HC8U-1326-SM-9YFMJ 40-49 years, female 8.4
GTEX-1JJEA-1826-SM-ARU8P 60-69 years, male 8.4
GTEX-1K2DU-1226-SM-CYPT4 20-29 years, male 8.4
GTEX-11P81-2226-SM-5PNYI 30-39 years, female 8.3
GTEX-11WQK-1026-SM-5EQLX 50-59 years, male 8.3
GTEX-1212Z-0126-SM-59HK4 60-69 years, male 8.3
GTEX-14ABY-2026-SM-62LDL 50-59 years, male 8.3
GTEX-14BMU-1226-SM-5S2OR 20-29 years, female 8.3
GTEX-14JG1-1526-SM-5YY9X 40-49 years, male 8.3
GTEX-18A7A-0126-SM-731AH 50-59 years, female 8.3
GTEX-1EKGG-0626-SM-7DUGJ 60-69 years, male 8.3
GTEX-X4EP-0626-SM-3P621 60-69 years, female 8.3
GTEX-1C475-1326-SM-7SB73 40-49 years, female 8.3
GTEX-1GZ4I-2626-SM-9KNU3 50-59 years, male 8.3
GTEX-1H1DE-1326-SM-9KNUG 20-29 years, male 8.3
GTEX-1I6K6-1726-SM-CGQFD 30-39 years, male 8.3
GTEX-1J1OQ-0126-SM-D4P2N 40-49 years, female 8.3
GTEX-1KANB-2826-SM-CY8I6 50-59 years, male 8.3
GTEX-1LSVX-2526-SM-DIPEU 60-69 years, male 8.3
GTEX-1N5O9-0926-SM-E9J3C 60-69 years, male 8.3
GTEX-1R7EU-1626-SM-DTXG3 60-69 years, male 8.3
GTEX-16NGA-0726-SM-731AO 40-49 years, female 8.2
GTEX-16NPX-0726-SM-7KULC 50-59 years, male 8.2
GTEX-WFG8-2126-SM-3GIKQ 20-29 years, male 8.2
GTEX-X8HC-0626-SM-4E3HQ 50-59 years, female 8.2
GTEX-YECK-0326-SM-4W1YS 60-69 years, male 8.2
GTEX-ZAJG-1526-SM-5CVML 50-59 years, female 8.2
GTEX-ZE9C-2526-SM-5IJDR 60-69 years, male 8.2
GTEX-14JFF-0626-SM-5ZZVT 60-69 years, male 8.2
GTEX-1O9I2-0226-SM-EYYXD 50-59 years, male 8.2
GTEX-12ZZX-2426-SM-5GCOE 40-49 years, female 8.1
GTEX-13PVQ-0626-SM-5LU47 50-59 years, male 8.1
GTEX-ZZPU-0826-SM-5GZX5 50-59 years, female 8.1
GTEX-1CAMQ-1326-SM-7P8RV 40-49 years, male 8.1
GTEX-1F6I4-2326-SM-7RHGL 60-69 years, male 8.1
GTEX-1F6RS-2026-SM-7RHHC 60-69 years, female 8.1
GTEX-1GZ4H-0526-SM-9KNU9 50-59 years, female 8.1
GTEX-1ICLY-0826-SM-CMKG1 50-59 years, male 8.1
GTEX-1R9PM-1926-SM-EVR3O 20-29 years, male 8.1
GTEX-14PKU-0126-SM-6LLHV 40-49 years, female 8.0
GTEX-1F52S-2926-SM-7MKGA 60-69 years, female 8.0
GTEX-ZYVF-0926-SM-5E44J 50-59 years, female 8.0
GTEX-1EMGI-2326-SM-7PBYA 60-69 years, male 8.0
GTEX-1I4MK-0126-SM-CY8G6 50-59 years, female 8.0
GTEX-1J8Q2-2626-SM-ACKWQ 60-69 years, male 8.0
GTEX-1QEPI-2626-SM-DTXF4 60-69 years, female 8.0
GTEX-1S82U-1026-SM-E6CJK 30-39 years, female 8.0
GTEX-YEC3-1326-SM-DO92X 50-59 years, male 8.0
GTEX-12696-0126-SM-5EQ4L 60-69 years, male 7.9
GTEX-12WSF-1626-SM-7KUG5 70-79 years, male 7.9
GTEX-13X6I-1826-SM-5SIAO 60-69 years, male 7.9
GTEX-17KNJ-2126-SM-718AM 50-59 years, male 7.9
GTEX-1HCVE-2726-SM-CL54F 50-59 years, male 7.9
GTEX-1IDJV-0126-SM-COH3Y 60-69 years, male 7.9
GTEX-1LKK1-2626-SM-DKPQE 50-59 years, female 7.9
GTEX-1117F-2926-SM-5GZYI 60-69 years, female 7.8
GTEX-139TT-2126-SM-5LZWC 60-69 years, male 7.8
GTEX-14C39-1726-SM-5RQIL 40-49 years, male 7.8
GTEX-17EVP-2626-SM-7IGMA 40-49 years, male 7.8
GTEX-17MF6-2626-SM-79OKQ 40-49 years, male 7.8
GTEX-WY7C-2126-SM-3NB2R 50-59 years, male 7.8
GTEX-YJ8O-2526-SM-5HL85 40-49 years, female 7.8
GTEX-ZVT4-2426-SM-5GIEI 50-59 years, female 7.8
GTEX-1GN73-0726-SM-7P8TJ 60-69 years, male 7.8
GTEX-1HSGN-0826-SM-ACKW3 40-49 years, female 7.8
GTEX-1IDJU-1726-SM-CMKHU 60-69 years, female 7.8
GTEX-1PPH7-1126-SM-DTX9A 40-49 years, male 7.8
GTEX-111YS-1526-SM-5GZYW 60-69 years, male 7.7
GTEX-12WSD-0626-SM-5GCMW 60-69 years, female 7.7
GTEX-144GO-2026-SM-5O99P 60-69 years, male 7.7
GTEX-1477Z-0326-SM-7IGLA 60-69 years, male 7.7
GTEX-18465-2826-SM-7LT9J 50-59 years, male 7.7
GTEX-XV7Q-1826-SM-4BRUV 40-49 years, female 7.7
GTEX-1F5PL-0926-SM-7PC2W 40-49 years, female 7.7
GTEX-1I1GT-1026-SM-ARZLV 60-69 years, female 7.7
GTEX-1J8Q3-0526-SM-ARL8U 60-69 years, male 7.7
GTEX-1POEN-2326-SM-E9J2L 30-39 years, female 7.7
GTEX-1QCLZ-2426-SM-EVYBW 60-69 years, female 7.7
GTEX-11NSD-0626-SM-5A5LU 20-29 years, male 7.6
GTEX-1269C-0126-SM-5EQ5L 60-69 years, female 7.6
GTEX-12C56-1526-SM-5FQUQ 20-29 years, male 7.6
GTEX-13FHO-0426-SM-5L3F5 60-69 years, male 7.6
GTEX-13FTW-0326-SM-5K7UW 40-49 years, male 7.6
GTEX-13OVH-0526-SM-5L3E6 70-79 years, male 7.6
GTEX-13PVR-0426-SM-5RQK2 60-69 years, female 7.6
GTEX-13SLW-0626-SM-5Q5ER 70-79 years, male 7.6
GTEX-VUSG-2326-SM-4KL1U 50-59 years, male 7.6
GTEX-ZAB4-2126-SM-5HL8U 40-49 years, male 7.6
GTEX-14JG6-1426-SM-9WG7C 30-39 years, female 7.6
GTEX-1F75A-0726-SM-7RHHD 50-59 years, male 7.6
GTEX-1H3O1-1326-SM-9MQLD 60-69 years, male 7.6
GTEX-1RB15-1326-SM-E76Q9 60-69 years, male 7.6
GTEX-11LCK-2226-SM-5HL4Q 30-39 years, male 7.5
GTEX-139D8-1126-SM-5LU8W 30-39 years, female 7.5
GTEX-13OVL-0126-SM-5L3GJ 50-59 years, male 7.5
GTEX-13OW7-0426-SM-5K7VK 50-59 years, male 7.5
GTEX-15SKB-2826-SM-6PAMH 60-69 years, male 7.5
GTEX-18A7B-2726-SM-7LG56 70-79 years, male 7.5
GTEX-1AX8Z-0726-SM-73KTS 60-69 years, male 7.5
GTEX-1C2JI-1026-SM-73KY1 50-59 years, male 7.5
GTEX-X3Y1-2026-SM-3P5YM 40-49 years, male 7.5
GTEX-XBED-1926-SM-47JYP 60-69 years, male 7.5
GTEX-1I6K7-1926-SM-B2LXR 40-49 years, male 7.5
GTEX-1JK1U-0226-SM-ARZMX 60-69 years, male 7.5
GTEX-1QP66-1226-SM-DTX7U 50-59 years, male 7.5
GTEX-12WSA-0426-SM-5EQ5X 60-69 years, male 7.4
GTEX-139YR-1026-SM-5LZYN 50-59 years, male 7.4
GTEX-144GL-0626-SM-5LU4D 50-59 years, male 7.4
GTEX-15UF6-1926-SM-7KUDV 70-79 years, female 7.4
GTEX-YB5K-2026-SM-4VDT3 40-49 years, female 7.4
GTEX-1IDJE-1426-SM-ADEIW 50-59 years, female 7.4
GTEX-1RAZR-2126-SM-E9U6T 40-49 years, male 7.4
GTEX-13VXU-0626-SM-5L3F9 50-59 years, male 7.3
GTEX-1A3MW-0626-SM-731CB 60-69 years, female 7.3
GTEX-1EWIQ-0326-SM-7DHMQ 70-79 years, female 7.3
GTEX-XAJ8-1426-SM-47JYM 40-49 years, male 7.3
GTEX-1HR9M-2226-SM-CNPPY 60-69 years, male 7.3
GTEX-1HUB1-1426-SM-CGQF5 60-69 years, male 7.3
GTEX-1IDJC-1526-SM-B2LW4 50-59 years, male 7.3
GTEX-1S82P-2126-SM-E6CI5 60-69 years, female 7.3
GTEX-1AX9I-2226-SM-73KUO 60-69 years, male 7.2
GTEX-XBEC-0726-SM-4QARZ 50-59 years, male 7.2
GTEX-XK95-0226-SM-4AT58 40-49 years, male 7.2
GTEX-ZWKS-0626-SM-5GIDV 30-39 years, male 7.2
GTEX-1B8L1-2226-SM-7P8PT 60-69 years, male 7.2
GTEX-1JMOU-1026-SM-CYPSS 60-69 years, female 7.2
GTEX-1KXAM-1626-SM-D3LAD 60-69 years, male 7.2
GTEX-1L5NE-1126-SM-D3L9P 50-59 years, male 7.2
GTEX-1M4P7-0726-SM-E6CJ3 60-69 years, male 7.2
GTEX-11DXY-0126-SM-5H11Q 60-69 years, male 7.1
GTEX-12584-0726-SM-5FQTK 40-49 years, male 7.1
GTEX-13FLV-0126-SM-5K7WT 50-59 years, male 7.1
GTEX-1A32A-0626-SM-731AQ 50-59 years, female 7.1
GTEX-1B933-2426-SM-7DHMD 50-59 years, female 7.1
GTEX-1BAJH-2426-SM-7IGP8 70-79 years, male 7.1
GTEX-WEY5-2326-SM-3GIKK 40-49 years, female 7.1
GTEX-1H4P4-2126-SM-9WYSL 50-59 years, male 7.1
GTEX-1HCU9-0426-SM-9WYSD 20-29 years, male 7.1
GTEX-1KD5A-0126-SM-E9U54 50-59 years, male 7.1
GTEX-1MCC2-1826-SM-DIPEX 30-39 years, female 7.1
GTEX-1RAZS-2526-SM-E6CHT 50-59 years, male 7.1
GTEX-13O3O-2326-SM-5IJD6 60-69 years, female 7.0
GTEX-147F3-1726-SM-5SIAW 50-59 years, female 7.0
GTEX-16XZZ-0726-SM-7KUF2 60-69 years, male 7.0
GTEX-17EVQ-0126-SM-7IGLR 70-79 years, male 7.0
GTEX-1F48J-0726-SM-7RHGS 50-59 years, female 7.0
GTEX-1F75B-0726-SM-7PC3R 50-59 years, male 7.0
GTEX-1GN2E-0226-SM-9WG6K 60-69 years, male 7.0
GTEX-1J1R8-2026-SM-CL53Y 40-49 years, male 7.0
GTEX-1R46S-2426-SM-E76QA 60-69 years, female 7.0
GTEX-11DXW-0826-SM-5H118 40-49 years, male 6.9
GTEX-12ZZY-0726-SM-5EQ66 60-69 years, male 6.9
GTEX-13NZ9-2626-SM-5L3FK 50-59 years, male 6.9
GTEX-145LU-1926-SM-79OJN 50-59 years, male 6.9
GTEX-14C5O-0326-SM-5ZZUX 60-69 years, male 6.9
GTEX-16MT9-0126-SM-7EPI8 60-69 years, female 6.9
GTEX-1GMR3-0126-SM-A9SLW 40-49 years, male 6.9
GTEX-1IOXB-2726-SM-CM2RI 50-59 years, male 6.9
GTEX-1RMOY-1326-SM-E9TIH 50-59 years, male 6.9
GTEX-13VXT-1926-SM-5K7UO 20-29 years, female 6.8
GTEX-145LT-0526-SM-5LUB2 40-49 years, male 6.8
GTEX-14BMV-2826-SM-5TDED 50-59 years, male 6.8
GTEX-14LLW-2626-SM-62LDZ 70-79 years, female 6.8
GTEX-17HG3-2626-SM-7DUF2 30-39 years, female 6.8
GTEX-1AX9J-1326-SM-731BJ 60-69 years, male 6.8
GTEX-1CB4H-1126-SM-7MKGL 60-69 years, female 6.8
GTEX-UPJH-0226-SM-3GADV 50-59 years, male 6.8
GTEX-YF7O-1526-SM-5IFI6 50-59 years, male 6.8
GTEX-1HR98-2226-SM-ADEI2 60-69 years, male 6.8
GTEX-13N2G-0226-SM-5K7VF 60-69 years, male 6.7
GTEX-144FL-0626-SM-5LU43 50-59 years, male 6.7
GTEX-146FQ-2126-SM-5RQHU 30-39 years, male 6.7
GTEX-1A8G7-1326-SM-73KVM 60-69 years, male 6.7
GTEX-ZU9S-1826-SM-5NQ9E 30-39 years, male 6.7
GTEX-1C6VR-0126-SM-7RHGB 60-69 years, male 6.7
GTEX-1H1DG-2426-SM-9QEHJ 70-79 years, male 6.7
GTEX-12WSL-2026-SM-5GCML 50-59 years, male 6.6
GTEX-13O3Q-0126-SM-5KM34 50-59 years, male 6.6
GTEX-13RTJ-0126-SM-5S2NN 60-69 years, male 6.6
GTEX-178AV-1726-SM-7KUL8 40-49 years, male 6.6
GTEX-1S83E-1326-SM-E6CJM 40-49 years, male 6.6
GTEX-ZGAY-1826-SM-DO91Q 40-49 years, female 6.6
GTEX-145MF-0926-SM-5Q5EA 50-59 years, male 6.5
GTEX-1A8G6-2726-SM-731AR 60-69 years, male 6.5
GTEX-1EU9M-1426-SM-793AI 60-69 years, male 6.5
GTEX-ZAK1-0626-SM-5HL8E 50-59 years, female 6.5
GTEX-ZDXO-3126-SM-5IJDF 60-69 years, male 6.5
GTEX-1A8FM-0626-SM-7PC25 50-59 years, female 6.5
GTEX-1HT8W-0626-SM-A9G2H 30-39 years, male 6.5
GTEX-1LG7Y-2526-SM-EWRO7 50-59 years, male 6.5
GTEX-145MI-0626-SM-5SI8S 60-69 years, female 6.4
GTEX-1B932-2326-SM-79OL5 40-49 years, female 6.4
GTEX-ZVE2-2826-SM-5GU51 50-59 years, male 6.4
GTEX-ZVTK-0226-SM-51MRG 20-29 years, male 6.4
GTEX-1GL5R-1326-SM-7RHHF 50-59 years, male 6.4
GTEX-1GMR8-0626-SM-7RHI7 50-59 years, female 6.4
GTEX-1H3NZ-2726-SM-9WYTQ 60-69 years, male 6.4
GTEX-1ICG6-1226-SM-A9SLN 70-79 years, female 6.4
GTEX-1KWVE-1026-SM-D3L9O 30-39 years, male 6.4
GTEX-1LGRB-0926-SM-COH3K 50-59 years, female 6.4
GTEX-17JCI-2926-SM-7DUFF 60-69 years, female 6.3
GTEX-183WM-0326-SM-72D5V 70-79 years, female 6.3
GTEX-1E1VI-0326-SM-793D1 50-59 years, male 6.3
GTEX-WK11-2726-SM-3NMAQ 50-59 years, male 6.3
GTEX-WYBS-0626-SM-3NMAS 60-69 years, female 6.3
GTEX-ZT9W-1126-SM-57WDR 50-59 years, male 6.3
GTEX-ZVE1-0726-SM-51MRN 50-59 years, female 6.3
GTEX-ZYFD-0626-SM-5E44E 50-59 years, male 6.3
GTEX-1H1CY-0126-SM-9YFLY 60-69 years, female 6.3
GTEX-1HBPM-0726-SM-9YFL7 60-69 years, female 6.3
GTEX-1LVAM-0726-SM-E6CIL 50-59 years, female 6.3
GTEX-15CHR-1126-SM-7EWF4 50-59 years, male 6.2
GTEX-16Z82-2626-SM-7KULU 60-69 years, male 6.2
GTEX-183FY-1026-SM-7939A 20-29 years, male 6.2
GTEX-XMD2-2126-SM-4YCF8 60-69 years, female 6.2
GTEX-1IDJF-2026-SM-CL53V 20-29 years, male 6.2
GTEX-1399R-1326-SM-5PNYS 30-39 years, male 6.1
GTEX-14PJ2-0626-SM-6LLII 50-59 years, male 6.1
GTEX-WYVS-1626-SM-3NM9R 40-49 years, female 6.1
GTEX-ZVT2-0126-SM-5GIDQ 50-59 years, female 6.1
GTEX-1H1DF-1126-SM-9WG7G 40-49 years, female 6.1
GTEX-1H23P-0626-SM-9WG6T 60-69 years, male 6.0
GTEX-1I19N-0126-SM-CYPSF 70-79 years, male 6.0
GTEX-1JJE9-2626-SM-ARZMT 70-79 years, male 6.0
GTEX-1LSNL-2726-SM-E9TKJ 50-59 years, male 6.0
GTEX-1QMI2-2526-SM-E8VNZ 60-69 years, male 6.0
GTEX-1R9K4-2826-SM-DTX8F 60-69 years, male 6.0
GTEX-1RAZA-2226-SM-E9U4X 20-29 years, male 6.0
GTEX-12WSC-2826-SM-5BC5Y 50-59 years, male 5.9
GTEX-15CHC-1126-SM-6LLHQ 60-69 years, female 5.9
GTEX-1AMEY-0826-SM-72D65 30-39 years, female 5.9
GTEX-1EX96-1026-SM-7MKG2 50-59 years, male 5.9
GTEX-1F6IF-0926-SM-7SB7M 60-69 years, male 5.9
GTEX-1I1HK-2326-SM-CKZOH 60-69 years, male 5.9
GTEX-1IDJD-2326-SM-ACKWX 30-39 years, male 5.9
GTEX-14E6C-2426-SM-5S2NF 40-49 years, male 5.8
GTEX-1HSMO-0626-SM-ACKXC 60-69 years, male 5.8
GTEX-14DAQ-0626-SM-793DS 60-69 years, female 5.7
GTEX-1C6VQ-1226-SM-73KYD 50-59 years, male 5.7
GTEX-Y5V5-0126-SM-5S2NW 60-69 years, female 5.7
GTEX-1GZ2Q-0126-SM-9WG6M 40-49 years, male 5.7
GTEX-1HCU8-2526-SM-CE6RX 60-69 years, female 5.7
GTEX-1IDJI-0126-SM-CMKHS 50-59 years, female 5.7
GTEX-1LVAO-2726-SM-E9TJ8 60-69 years, male 5.7
GTEX-14A6H-2026-SM-5Q5DD 30-39 years, male 5.6
GTEX-1AMFI-1326-SM-7939R 50-59 years, female 5.6
GTEX-1F75W-2726-SM-7SB8H 60-69 years, male 5.6
GTEX-1F88E-1626-SM-7SB8Z 60-69 years, female 5.6
GTEX-147JS-0226-SM-5S2U9 60-69 years, male 5.5
GTEX-11EI6-2826-SM-5H11D 60-69 years, male 5.3
GTEX-13N1W-2426-SM-5IJD1 70-79 years, male 5.3
GTEX-1J8JJ-0626-SM-ARZMQ 60-69 years, female 5.3
GTEX-13X6J-0626-SM-5LU5F 50-59 years, male 5.2
GTEX-145MO-2826-SM-5LU96 60-69 years, male 5.2
GTEX-W5X1-2526-SM-3GILC 40-49 years, female 5.1
GTEX-1JKYR-0626-SM-ARL8R 20-29 years, male 5.1
GTEX-13QBU-1226-SM-5LU4G 40-49 years, female 5.0
GTEX-1IDJH-0126-SM-D3L92 70-79 years, male 5.0
GTEX-13JUV-2026-SM-5K7UA 40-49 years, female 4.9
GTEX-17HHY-0426-SM-7DHLC 50-59 years, male 4.9
GTEX-VJYA-1526-SM-3GIJV 60-69 years, male 4.9
GTEX-1JMQL-2226-SM-CNPP4 50-59 years, female 4.9
GTEX-WRHU-2826-SM-3MJG8 50-59 years, female 4.8
GTEX-1I1CD-0626-SM-CE6SW 60-69 years, female 4.8
GTEX-1IDFM-0326-SM-ARL7V 60-69 years, male 4.7
GTEX-16GPK-0626-SM-7KFSF 60-69 years, male 4.6
GTEX-1CAV2-0126-SM-7IGN7 40-49 years, female 4.6
GTEX-V1D1-2026-SM-3GAF4 50-59 years, male 4.6
GTEX-ZUA1-2626-SM-5NQ92 40-49 years, male 4.4
GTEX-1314G-1326-SM-5BC6E 30-39 years, male 4.1
GTEX-111FC-2526-SM-5GZXU 60-69 years, male 4.0
GTEX-1A3MX-2626-SM-7PC24 60-69 years, male 3.9
GTEX-1GF9U-2026-SM-7SB92 40-49 years, female 3.9
GTEX-1S5ZU-2526-SM-E6CIF 20-29 years, female 3.6
Show allShow less
Skin - Sun Exposed (Lower leg)
Average nTPM: 9.2
Samples: 701

Max nTPM: 35.5
Min nTPM: 3.2
Std nTPM: 2.6
Median nTPM: 8.9
GTEX-Y3IK-2426-SM-4WWDU 50-59 years, female 35.5
GTEX-T2YK-0526-SM-32QPJ 50-59 years, male 23.7
GTEX-17HII-0226-SM-7LG4E 50-59 years, male 19.5
GTEX-W5X1-3026-SM-EAZAX 40-49 years, female 18.6
GTEX-S7PM-0126-SM-4AD6S 60-69 years, male 17.4
GTEX-WI4N-1026-SM-3LK7N 40-49 years, female 16.4
GTEX-13111-1626-SM-5EGJY 50-59 years, male 16.3
GTEX-ZVZO-0126-SM-5A5L9 40-49 years, male 16.0
GTEX-U8T8-0126-SM-3DB94 60-69 years, male 15.7
GTEX-ZF3C-0126-SM-DO92D 50-59 years, female 15.7
GTEX-1OJC3-0126-SM-E76QX 20-29 years, male 15.6
GTEX-139UW-2826-SM-5L3E7 60-69 years, male 15.5
GTEX-1JMLX-0226-SM-CM2RO 50-59 years, male 15.3
GTEX-1JN6P-0126-SM-D3L98 60-69 years, male 15.2
GTEX-1399U-2326-SM-5K7WY 50-59 years, female 15.1
GTEX-X5EB-2226-SM-46MW4 40-49 years, male 15.0
GTEX-XPVG-2626-SM-4B669 50-59 years, male 15.0
GTEX-14PII-0226-SM-6EU1T 60-69 years, male 14.9
GTEX-11UD1-0126-SM-5PNYG 40-49 years, female 14.8
GTEX-15ER7-0326-SM-7KUEV 20-29 years, female 14.4
GTEX-146FH-0126-SM-5QGPP 50-59 years, female 14.3
GTEX-14XAO-2326-SM-6EU1B 60-69 years, female 14.3
GTEX-18D9A-1926-SM-7LG6P 30-39 years, female 14.3
GTEX-13CF2-2526-SM-5LZYX 60-69 years, male 14.2
GTEX-15SB6-1726-SM-6PAME 50-59 years, female 14.1
GTEX-1JMQJ-0526-SM-CYPSU 50-59 years, male 14.1
GTEX-13113-5016-SM-7EPIP 60-69 years, female 14.0
GTEX-117XS-2726-SM-5N9BL 60-69 years, male 13.9
GTEX-13RTJ-2426-SM-5S2Q2 60-69 years, male 13.9
GTEX-ZPIC-1726-SM-DHXIU 40-49 years, female 13.9
GTEX-1QP9N-1426-SM-DTXFL 30-39 years, male 13.8
GTEX-1B8SF-1426-SM-7DUGL 60-69 years, male 13.7
GTEX-ZTSS-1926-SM-57WEW 40-49 years, male 13.7
GTEX-11DYG-0126-SM-59883 60-69 years, male 13.6
GTEX-11UD2-0226-SM-5EQKY 50-59 years, male 13.6
GTEX-18A6Q-0126-SM-731BZ 60-69 years, male 13.6
GTEX-RVPV-0126-SM-EAZAW 60-69 years, male 13.6
GTEX-1B8KE-2126-SM-73KYX 50-59 years, male 13.5
GTEX-WQUQ-0426-SM-3MJFU 60-69 years, male 13.4
GTEX-YFC4-0126-SM-5CVLY 40-49 years, female 13.4
GTEX-11DXZ-2326-SM-5EGGV 50-59 years, male 13.3
GTEX-WYJK-0126-SM-3NMAB 50-59 years, male 13.3
GTEX-169BO-1326-SM-9MQK2 50-59 years, male 13.3
GTEX-14PN4-0126-SM-6EU2V 50-59 years, male 13.2
GTEX-17F98-0626-SM-79OMX 40-49 years, female 13.1
GTEX-T6MN-0126-SM-32PLP 50-59 years, male 13.0
GTEX-ZDTS-0126-SM-4WAY5 60-69 years, male 13.0
GTEX-1MJK2-0426-SM-DTXE5 50-59 years, male 13.0
GTEX-1QAET-0926-SM-E76QM 50-59 years, male 13.0
GTEX-1I1GP-2226-SM-CGQFK 50-59 years, male 12.9
GTEX-131YS-0126-SM-5KM1M 60-69 years, female 12.8
GTEX-TKQ1-1026-SM-4GICL 30-39 years, male 12.8
GTEX-UPJH-0326-SM-3GADU 50-59 years, male 12.8
GTEX-X585-0226-SM-4QAS2 50-59 years, male 12.8
GTEX-Y8E4-0626-SM-4WWDL 40-49 years, male 12.8
GTEX-139TU-0126-SM-5K7WH 60-69 years, male 12.7
GTEX-145LS-0126-SM-5QGP1 60-69 years, female 12.7
GTEX-15UF6-0826-SM-6PALJ 70-79 years, female 12.7
GTEX-12WSE-0526-SM-793B2 20-29 years, male 12.6
GTEX-17JCI-0126-SM-7LG5G 60-69 years, female 12.6
GTEX-13FTW-2626-SM-5K7WL 40-49 years, male 12.5
GTEX-1B8SG-0126-SM-73KZ3 50-59 years, male 12.5
GTEX-X4EP-0126-SM-3P5YV 60-69 years, female 12.5
GTEX-ZVTK-0426-SM-51MRS 20-29 years, male 12.5
GTEX-13YAN-0326-SM-5O9DF 60-69 years, male 12.4
GTEX-YB5K-2126-SM-4WWDJ 40-49 years, female 12.4
GTEX-131XF-5016-SM-7MGWE 60-69 years, male 12.4
GTEX-1JMPY-1326-SM-ARL8Y 30-39 years, male 12.4
GTEX-ZVT4-0126-SM-DTXFN 50-59 years, female 12.4
GTEX-132NY-0326-SM-5IJBL 60-69 years, male 12.3
GTEX-TMZS-0126-SM-3DB9Q 60-69 years, male 12.3
GTEX-PWCY-1826-SM-DHXIZ 20-29 years, female 12.3
GTEX-131XH-2226-SM-5DUXJ 50-59 years, male 12.1
GTEX-1399R-2726-SM-5IJBA 30-39 years, male 12.1
GTEX-1CB4J-0626-SM-7DHMP 60-69 years, male 12.1
GTEX-OIZH-0126-SM-2HMIS 50-59 years, male 12.1
GTEX-U412-0426-SM-3DB9O 60-69 years, male 12.1
GTEX-UJHI-1526-SM-3DB99 50-59 years, female 12.1
GTEX-WXYG-2326-SM-4E3I6 50-59 years, female 12.1
GTEX-ZTX8-1426-SM-5DUVO 20-29 years, male 12.1
GTEX-SE5C-1626-SM-2XCE3 40-49 years, female 12.1
GTEX-13O1R-0126-SM-5L3EH 60-69 years, male 12.0
GTEX-1MCQQ-0826-SM-DLHC2 60-69 years, male 12.0
GTEX-13OVK-2026-SM-7KUEO 40-49 years, male 11.9
GTEX-14E6C-0126-SM-5RQIP 40-49 years, male 11.9
GTEX-PX3G-0126-SM-2I3EN 20-29 years, female 11.9
GTEX-T5JW-1626-SM-3GADZ 20-29 years, female 11.9
GTEX-XQ3S-1526-SM-4BOOC 20-29 years, male 11.9
GTEX-1F5PL-0326-SM-7P8PQ 40-49 years, female 11.9
GTEX-1HCU6-0126-SM-CL54K 60-69 years, female 11.9
GTEX-1LBAC-0126-SM-DIPEZ 20-29 years, male 11.9
GTEX-13JUV-2726-SM-5LZZ8 40-49 years, female 11.8
GTEX-XUZC-1726-SM-4BRWS 30-39 years, female 11.8
GTEX-1212Z-2526-SM-5EGKP 60-69 years, male 11.7
GTEX-145MN-2226-SM-5SIAU 30-39 years, male 11.7
GTEX-QESD-1426-SM-2S1R9 20-29 years, male 11.7
GTEX-Y114-2426-SM-4TT8A 50-59 years, female 11.7
GTEX-Y8DK-0126-SM-4TT3L 60-69 years, male 11.7
GTEX-13OW5-0126-SM-DTXFS 60-69 years, male 11.7
GTEX-1S83E-0126-SM-EWRO4 40-49 years, male 11.7
GTEX-12696-2426-SM-5EQ6H 60-69 years, male 11.6
GTEX-O5YW-0126-SM-3LK6D 50-59 years, male 11.6
GTEX-P4PP-0126-SM-3LK69 30-39 years, female 11.6
GTEX-1MA7W-2026-SM-E9TJ6 20-29 years, female 11.6
GTEX-1RB15-2126-SM-E9TIM 60-69 years, male 11.6
GTEX-12WSD-0126-SM-59HKN 60-69 years, female 11.5
GTEX-12WSJ-1826-SM-5GCNY 40-49 years, female 11.5
GTEX-145MO-0326-SM-5Q5B3 60-69 years, male 11.5
GTEX-1B97I-1626-SM-73KYO 40-49 years, male 11.5
GTEX-U8XE-0326-SM-3DB8P 30-39 years, male 11.5
GTEX-1H1CY-2826-SM-9MQM3 60-69 years, female 11.5
GTEX-1IL2U-0226-SM-CE6T8 60-69 years, male 11.5
GTEX-1IOXB-0126-SM-ARL8G 50-59 years, male 11.5
GTEX-12WSL-2526-SM-5GCNJ 50-59 years, male 11.4
GTEX-1313W-0126-SM-5LZUN 50-59 years, female 11.4
GTEX-13OVI-1426-SM-5L3EY 60-69 years, female 11.4
GTEX-146FQ-0126-SM-5NQA9 30-39 years, male 11.4
GTEX-18A7A-0226-SM-718BH 50-59 years, female 11.4
GTEX-P4QT-0126-SM-2I3FL 50-59 years, female 11.4
GTEX-ZV68-0126-SM-59HKS 50-59 years, female 11.4
GTEX-1LGOU-2026-SM-DIPFF 20-29 years, female 11.4
GTEX-PSDG-0226-SM-DKPOZ 50-59 years, male 11.4
GTEX-13FHP-0126-SM-5IJBG 50-59 years, male 11.3
GTEX-13PVR-2326-SM-5QGR1 60-69 years, female 11.3
GTEX-14PJM-0226-SM-62LF1 50-59 years, female 11.3
GTEX-X4XY-0226-SM-4E3IZ 60-69 years, male 11.3
GTEX-X8HC-0126-SM-4E3JW 50-59 years, female 11.3
GTEX-XYKS-2126-SM-4E3IB 60-69 years, female 11.3
GTEX-1H3O1-0426-SM-9YFKY 60-69 years, male 11.3
GTEX-1OFPY-2426-SM-DTXEJ 60-69 years, male 11.3
GTEX-12126-0326-SM-5PNW3 20-29 years, male 11.2
GTEX-139TS-2826-SM-5J1OO 60-69 years, male 11.2
GTEX-13OW8-1326-SM-5J1OW 60-69 years, male 11.2
GTEX-13X6H-2126-SM-7EWD5 50-59 years, female 11.2
GTEX-O5YT-0126-SM-48TBW 20-29 years, male 11.2
GTEX-ZYFC-0226-SM-5NQ75 50-59 years, male 11.2
GTEX-1CAV2-2226-SM-7P8P2 40-49 years, female 11.2
GTEX-1KAFJ-2026-SM-CY8ID 50-59 years, male 11.2
GTEX-1PDJ9-0326-SM-DTX95 20-29 years, male 11.2
GTEX-1C4CL-0526-SM-73KVK 30-39 years, male 11.1
GTEX-T2IS-0126-SM-4DM6O 20-29 years, female 11.1
GTEX-X4XX-0126-SM-3NMC2 60-69 years, male 11.1
GTEX-11GS4-2726-SM-5A5LE 60-69 years, male 11.0
GTEX-16MT8-0426-SM-7KUEY 60-69 years, female 11.0
GTEX-16NGA-1726-SM-731B4 40-49 years, female 11.0
GTEX-1HGF4-2426-SM-ACKXM 60-69 years, male 11.0
GTEX-11LCK-1026-SM-5A5KB 30-39 years, male 10.9
GTEX-1B933-0126-SM-7PC29 50-59 years, female 10.9
GTEX-1EWIQ-0126-SM-7RHH2 70-79 years, female 10.9
GTEX-1JMPZ-0226-SM-CNPP1 30-39 years, male 10.9
GTEX-1S5ZA-0126-SM-EVYCV 20-29 years, male 10.9
GTEX-1122O-2126-SM-5EGIR 60-69 years, female 10.8
GTEX-12WSK-2326-SM-5GCOH 40-49 years, female 10.8
GTEX-13S7M-0126-SM-5SI6A 60-69 years, female 10.8
GTEX-RU72-0926-SM-2TF6B 50-59 years, female 10.8
GTEX-TML8-1926-SM-32QOS 40-49 years, female 10.8
GTEX-X4EO-0326-SM-3P5YO 60-69 years, female 10.8
GTEX-1GN1U-0126-SM-7PBZK 50-59 years, female 10.8
GTEX-12ZZZ-0626-SM-5DUXI 60-69 years, male 10.7
GTEX-15ETS-0126-SM-7KUMW 40-49 years, female 10.7
GTEX-WVJS-0126-SM-4MVOT 50-59 years, male 10.7
GTEX-XBEW-0626-SM-4QASP 40-49 years, male 10.7
GTEX-1F6RS-0126-SM-9MQKZ 60-69 years, female 10.7
GTEX-1I1GV-0526-SM-A9G29 60-69 years, male 10.7
GTEX-1JN1M-0326-SM-CYPT3 60-69 years, female 10.7
GTEX-11ZTS-0126-SM-5EQ6M 60-69 years, female 10.6
GTEX-13NYB-2526-SM-5K7Z6 40-49 years, male 10.6
GTEX-14BMV-0126-SM-5S2PO 50-59 years, male 10.6
GTEX-14JG1-0426-SM-6ETZZ 40-49 years, male 10.6
GTEX-14PHX-2326-SM-62LEM 50-59 years, male 10.6
GTEX-OHPL-0126-SM-2HMJ7 60-69 years, female 10.6
GTEX-T5JC-0426-SM-32PLO 20-29 years, male 10.6
GTEX-ZU9S-0226-SM-5E441 30-39 years, male 10.6
GTEX-1CB4F-0426-SM-9KNV4 60-69 years, male 10.6
GTEX-1GTWX-0126-SM-9YFLK 60-69 years, male 10.6
GTEX-17GQL-2026-SM-718BA 60-69 years, male 10.5
GTEX-1A32A-0126-SM-718B1 50-59 years, female 10.5
GTEX-X88G-0126-SM-47JZ3 30-39 years, male 10.5
GTEX-XBED-2226-SM-47JYQ 60-69 years, male 10.5
GTEX-Y111-0126-SM-4SOIV 50-59 years, male 10.5
GTEX-1J8EW-0126-SM-CJI4F 60-69 years, female 10.5
GTEX-11NSD-2226-SM-5986V 20-29 years, male 10.4
GTEX-X261-0126-SM-3NMD6 50-59 years, male 10.4
GTEX-ZAB4-0226-SM-5N9F5 40-49 years, male 10.4
GTEX-ZE7O-0126-SM-57WC1 50-59 years, female 10.4
GTEX-1C6VQ-0126-SM-7P8RI 50-59 years, male 10.4
GTEX-1F75B-0126-SM-9KNVL 50-59 years, male 10.4
GTEX-1H1ZS-0426-SM-9WG6G 70-79 years, male 10.4
GTEX-1PPH8-0226-SM-E8VND 20-29 years, male 10.4
GTEX-11WQK-0526-SM-5EQLD 50-59 years, male 10.3
GTEX-1211K-2026-SM-5EQ4Z 60-69 years, female 10.3
GTEX-12ZZY-0226-SM-5LZVE 60-69 years, male 10.3
GTEX-13NZ8-0826-SM-5MR3I 60-69 years, female 10.3
GTEX-13SLW-0126-SM-5SI6C 70-79 years, male 10.3
GTEX-WRHK-1426-SM-3MJF9 20-29 years, female 10.3
GTEX-1J8Q2-0526-SM-CM2RW 60-69 years, male 10.3
GTEX-1JMQK-0226-SM-CL543 60-69 years, male 10.3
GTEX-131XG-2626-SM-5KM17 50-59 years, female 10.2
GTEX-13D11-2426-SM-5KM1V 50-59 years, female 10.2
GTEX-RTLS-0126-SM-447CA 60-69 years, female 10.2
GTEX-W5WG-1826-SM-4KL2Y 50-59 years, female 10.2
GTEX-1GMRU-0126-SM-9YFLV 50-59 years, male 10.2
GTEX-1I1GQ-0126-SM-COH3H 50-59 years, male 10.2
GTEX-1I1GS-0126-SM-B2LVW 60-69 years, male 10.2
GTEX-1JMOU-1526-SM-CL54I 60-69 years, female 10.2
GTEX-1LB8K-0226-SM-EWRNW 50-59 years, male 10.2
GTEX-1RDX4-0126-SM-E9J4P 50-59 years, female 10.2
GTEX-S33H-1026-SM-EZ6L6 30-39 years, male 10.2
GTEX-14PK6-1926-SM-6ETZU 70-79 years, female 10.1
GTEX-XXEK-2226-SM-4BRUM 50-59 years, male 10.1
GTEX-YJ89-0126-SM-4TT3X 60-69 years, male 10.1
GTEX-Z93S-0126-SM-5HL7M 50-59 years, male 10.1
GTEX-ZAK1-0126-SM-5IJD3 50-59 years, female 10.1
GTEX-ZGAY-0526-SM-4WWBB 40-49 years, female 10.1
GTEX-1HBPN-0226-SM-9YFM1 50-59 years, male 10.1
GTEX-1HSMP-0126-SM-E6CJS 70-79 years, male 10.1
GTEX-1IDJF-0126-SM-CM2RS 20-29 years, male 10.1
GTEX-1QP29-0626-SM-EWRMX 50-59 years, male 10.1
GTEX-PLZ6-1426-SM-DKPOT 30-39 years, male 10.1
GTEX-117YW-2626-SM-5GZZH 50-59 years, male 10.0
GTEX-1269C-2526-SM-5EGJ3 60-69 years, female 10.0
GTEX-12WSA-0226-SM-5BC5V 60-69 years, male 10.0
GTEX-131XE-2326-SM-5PNZ2 50-59 years, male 10.0
GTEX-16BQI-0226-SM-7KUEX 30-39 years, female 10.0
GTEX-17HGU-0226-SM-7DHKV 50-59 years, male 10.0
GTEX-ZF2S-2326-SM-4WWCE 50-59 years, female 10.0
GTEX-ZYFD-0126-SM-5GIDL 50-59 years, male 10.0
GTEX-ZYT6-0226-SM-5NQ6T 30-39 years, male 10.0
GTEX-12WSG-2826-SM-E9J4H 50-59 years, female 10.0
GTEX-13NYC-0326-SM-E9J4S 60-69 years, male 10.0
GTEX-1GF9V-0326-SM-7RHI5 60-69 years, male 10.0
GTEX-1M5QR-1226-SM-EWROB 40-49 years, male 10.0
GTEX-1O97I-0326-SM-EYYX7 60-69 years, male 10.0
GTEX-1POEN-0126-SM-EYYXJ 30-39 years, female 10.0
GTEX-11ZU8-2526-SM-5EQKI 60-69 years, male 9.9
GTEX-12WSC-0126-SM-5EQ4P 50-59 years, male 9.9
GTEX-133LE-1826-SM-5J1MV 20-29 years, female 9.9
GTEX-13FXS-0226-SM-5IJCK 50-59 years, male 9.9
GTEX-13G51-2526-SM-5LZYK 60-69 years, male 9.9
GTEX-1AYCT-2426-SM-7IGQ3 50-59 years, male 9.9
GTEX-QV44-1926-SM-2S1RF 50-59 years, male 9.9
GTEX-VUSG-2526-SM-4KL1V 50-59 years, male 9.9
GTEX-Y5V6-2426-SM-4VDSB 60-69 years, male 9.9
GTEX-1HBPI-1526-SM-C1YQ1 50-59 years, male 9.9
GTEX-1I6K6-0126-SM-A9SLE 30-39 years, male 9.9
GTEX-1LH75-2426-SM-E9TJE 50-59 years, female 9.9
GTEX-1R7EU-0226-SM-EVR4G 60-69 years, male 9.9
GTEX-13NZA-0226-SM-5K7Z7 60-69 years, male 9.8
GTEX-14ICK-0226-SM-6EU25 40-49 years, male 9.8
GTEX-1A3MX-0126-SM-731BR 60-69 years, male 9.8
GTEX-RWSA-0126-SM-2XCBB 40-49 years, male 9.8
GTEX-YEC4-2126-SM-5IFJH 40-49 years, male 9.8
GTEX-Z93T-0126-SM-5HL5N 50-59 years, male 9.8
GTEX-1E2YA-0126-SM-9KNUC 50-59 years, male 9.8
GTEX-1F5PK-2426-SM-7RHHY 50-59 years, male 9.8
GTEX-1GZHY-0326-SM-9QEHI 50-59 years, female 9.8
GTEX-1HT8W-0126-SM-CNPPP 30-39 years, male 9.8
GTEX-11DZ1-0126-SM-5985Q 50-59 years, male 9.7
GTEX-13112-2826-SM-5DUWH 50-59 years, male 9.7
GTEX-13RTK-1426-SM-5QGQJ 20-29 years, male 9.7
GTEX-145MF-0626-SM-5LUAI 50-59 years, male 9.7
GTEX-17HHY-0126-SM-7LG5D 50-59 years, male 9.7
GTEX-WFON-2126-SM-3LK7O 40-49 years, male 9.7
GTEX-ZYFG-2326-SM-5E44B 60-69 years, female 9.7
GTEX-1H1DE-2126-SM-9WG6R 20-29 years, male 9.7
GTEX-1HSKV-0226-SM-A9SKJ 60-69 years, male 9.7
GTEX-1IDJH-0326-SM-A9SLQ 70-79 years, male 9.7
GTEX-1K2DU-2326-SM-E9TIV 20-29 years, male 9.7
GTEX-1LVAN-0226-SM-COH3S 50-59 years, female 9.7
GTEX-1MUQO-0126-SM-EAZ58 60-69 years, male 9.7
GTEX-11EM3-2426-SM-59861 20-29 years, female 9.6
GTEX-14753-0426-SM-5NQAM 60-69 years, male 9.6
GTEX-16XZZ-0126-SM-793DV 60-69 years, male 9.6
GTEX-1AX8Z-0126-SM-7DHM6 60-69 years, male 9.6
GTEX-XAJ8-0826-SM-47JY6 40-49 years, male 9.6
GTEX-1B8L1-2526-SM-9WYTF 60-69 years, male 9.6
GTEX-1IKK5-0626-SM-ARL8A 60-69 years, male 9.6
GTEX-1IL2V-0126-SM-CM2TX 70-79 years, male 9.6
GTEX-13VXU-0126-SM-5SI9F 50-59 years, male 9.5
GTEX-14PJ3-1826-SM-62LEX 50-59 years, male 9.5
GTEX-XQ8I-0426-SM-4BOPO 50-59 years, male 9.5
GTEX-ZAJG-0126-SM-5HL94 50-59 years, female 9.5
GTEX-1HSMO-0126-SM-CL547 60-69 years, male 9.5
GTEX-1JMQI-2226-SM-CM2SD 50-59 years, male 9.5
GTEX-1KANA-0726-SM-D3L9I 20-29 years, male 9.5
GTEX-1LG7Z-1726-SM-D3LA4 30-39 years, male 9.5
GTEX-111FC-0126-SM-5N9DL 60-69 years, male 9.4
GTEX-13FHO-0226-SM-5IFGY 60-69 years, male 9.4
GTEX-13U4I-0126-SM-5LU38 40-49 years, female 9.4
GTEX-1C475-1826-SM-73KWA 40-49 years, female 9.4
GTEX-OXRO-0126-SM-2YUN4 60-69 years, female 9.4
GTEX-S95S-1226-SM-4GICG 60-69 years, male 9.4
GTEX-SUCS-1926-SM-32PM3 70-79 years, male 9.4
GTEX-WH7G-2326-SM-3NMBC 40-49 years, male 9.4
GTEX-11TUW-2726-SM-E9J4M 60-69 years, male 9.4
GTEX-13O3O-0126-SM-E9J49 60-69 years, female 9.4
GTEX-1EMGI-0126-SM-9KNUE 60-69 years, male 9.4
GTEX-1GN2E-0426-SM-9MQKX 60-69 years, male 9.4
GTEX-1HCU9-1526-SM-A9SL7 20-29 years, male 9.4
GTEX-11P7K-2126-SM-5GU7G 30-39 years, male 9.3
GTEX-1497J-2426-SM-7IGNX 60-69 years, male 9.3
GTEX-14E6D-0126-SM-62LDV 50-59 years, male 9.3
GTEX-1B8KZ-2026-SM-7DHMB 50-59 years, male 9.3
GTEX-OIZG-0726-SM-33HBL 50-59 years, male 9.3
GTEX-OXRP-0126-SM-3NB32 60-69 years, female 9.3
GTEX-1AX9I-0126-SM-7SB74 60-69 years, male 9.3
GTEX-1H4P4-0726-SM-9YFLR 50-59 years, male 9.3
GTEX-1KD4Q-0226-SM-E9TJ9 40-49 years, male 9.3
GTEX-1KWVE-1426-SM-E9TJO 30-39 years, male 9.3
GTEX-1QP2A-0126-SM-E9J43 50-59 years, male 9.3
GTEX-144GL-0126-SM-5TDE2 50-59 years, male 9.2
GTEX-16YQH-0126-SM-7DUFJ 30-39 years, male 9.2
GTEX-17EVQ-0226-SM-7LG4P 70-79 years, male 9.2
GTEX-18A7B-0126-SM-7LG64 70-79 years, male 9.2
GTEX-1A3MV-1926-SM-718BT 30-39 years, male 9.2
GTEX-1CB4I-0226-SM-79OLH 50-59 years, male 9.2
GTEX-R55E-0126-SM-2TC5Y 20-29 years, male 9.2
GTEX-ZE9C-2726-SM-57WB5 60-69 years, male 9.2
GTEX-ZWKS-0126-SM-5SIAA 30-39 years, male 9.2
GTEX-ZXES-1826-SM-5E43S 30-39 years, female 9.2
GTEX-1GF9W-0326-SM-9KNUN 60-69 years, male 9.2
GTEX-1H11D-0226-SM-9WG6Z 40-49 years, male 9.2
GTEX-1K2DA-1826-SM-CGQGT 50-59 years, male 9.2
GTEX-1MCYP-1926-SM-E9J2R 20-29 years, female 9.2
GTEX-1PIIG-0226-SM-EWRN6 30-39 years, male 9.2
GTEX-11EQ9-2426-SM-5HL5T 30-39 years, male 9.1
GTEX-13OW7-0126-SM-5MR3B 50-59 years, male 9.1
GTEX-145ME-1826-SM-5SI9G 40-49 years, female 9.1
GTEX-14JG6-2226-SM-6EU2G 30-39 years, female 9.1
GTEX-1CAMQ-0226-SM-7IGPK 40-49 years, male 9.1
GTEX-NPJ8-0126-SM-2YUNR 40-49 years, male 9.1
GTEX-P4PQ-0126-SM-2S1NM 60-69 years, male 9.1
GTEX-Y5LM-1926-SM-5RQJH 40-49 years, female 9.1
GTEX-1GZ4H-1726-SM-7PBZJ 50-59 years, female 9.1
GTEX-1QP66-1726-SM-E8VO1 50-59 years, male 9.1
GTEX-ZF29-2326-SM-DO92K 60-69 years, female 9.1
GTEX-12584-0126-SM-5EGKQ 40-49 years, male 9.0
GTEX-13QJ3-0326-SM-5S2RA 50-59 years, male 9.0
GTEX-15DDE-0126-SM-6LPKH 50-59 years, female 9.0
GTEX-18A67-0126-SM-7LG5P 50-59 years, male 9.0
GTEX-18D9U-0226-SM-718BP 40-49 years, male 9.0
GTEX-1AX9K-2326-SM-73KWU 50-59 years, male 9.0
GTEX-ZC5H-0226-SM-4WAY9 40-49 years, female 9.0
GTEX-1HFI6-0226-SM-ADEHZ 40-49 years, male 9.0
GTEX-1IKJJ-0126-SM-CNPQB 60-69 years, male 9.0
GTEX-1J1OQ-0226-SM-CYPSH 40-49 years, female 9.0
GTEX-1J8QM-2126-SM-CYPSJ 60-69 years, female 9.0
GTEX-1JN76-0126-SM-CNPPE 20-29 years, female 9.0
GTEX-11DXW-0226-SM-5H122 40-49 years, male 8.9
GTEX-12C56-1726-SM-5EQ61 20-29 years, male 8.9
GTEX-13CF3-2426-SM-5IFGX 60-69 years, female 8.9
GTEX-16GPK-0126-SM-7DHLE 60-69 years, male 8.9
GTEX-Y3I4-2126-SM-4TT7C 50-59 years, male 8.9
GTEX-ZYW4-0126-SM-5E44A 60-69 years, male 8.9
GTEX-1ICLY-0126-SM-D4P36 50-59 years, male 8.9
GTEX-1KANC-1526-SM-D3LAB 50-59 years, female 8.9
GTEX-1N2DW-0226-SM-E9TK2 50-59 years, male 8.9
GTEX-1NV5F-0226-SM-E8VNY 60-69 years, female 8.9
GTEX-11GSP-2526-SM-5N9BP 60-69 years, female 8.8
GTEX-14A5H-0426-SM-5QGQF 60-69 years, male 8.8
GTEX-NFK9-0226-SM-2HMKQ 40-49 years, male 8.8
GTEX-QVJO-1626-SM-2S1QW 60-69 years, female 8.8
GTEX-ZXG5-0126-SM-5GIEU 60-69 years, male 8.8
GTEX-1HCVE-0126-SM-CGQEU 50-59 years, male 8.8
GTEX-1S3DN-2226-SM-EVYCD 50-59 years, male 8.8
GTEX-RNOR-0126-SM-E9J4R 50-59 years, female 8.8
GTEX-11P82-1626-SM-59879 20-29 years, male 8.7
GTEX-11WQC-2526-SM-5CVLE 60-69 years, male 8.7
GTEX-147F4-0226-SM-5QGPW 50-59 years, male 8.7
GTEX-14BMU-2226-SM-5TDE9 20-29 years, female 8.7
GTEX-15RIG-0226-SM-7KFTL 40-49 years, male 8.7
GTEX-15UKP-0426-SM-7KUFQ 20-29 years, male 8.7
GTEX-17KNJ-2326-SM-7DHLQ 50-59 years, male 8.7
GTEX-1CB4E-2226-SM-793DC 60-69 years, male 8.7
GTEX-RWS6-2026-SM-2XCB5 60-69 years, female 8.7
GTEX-S7SE-0126-SM-2XCD5 50-59 years, male 8.7
GTEX-U3ZM-1526-SM-3DB9D 40-49 years, male 8.7
GTEX-ZVZP-2426-SM-59HKJ 50-59 years, male 8.7
GTEX-1JMQL-0226-SM-CNPP5 50-59 years, female 8.7
GTEX-PW2O-1526-SM-7RHHB 20-29 years, male 8.7
GTEX-11OF3-2626-SM-5GU7F 60-69 years, male 8.6
GTEX-11P81-2326-SM-59875 30-39 years, female 8.6
GTEX-11TTK-0126-SM-5987B 60-69 years, female 8.6
GTEX-13FTY-0526-SM-5L3EV 40-49 years, female 8.6
GTEX-144GN-2326-SM-5LU4F 50-59 years, male 8.6
GTEX-14BIL-0126-SM-5SI92 50-59 years, male 8.6
GTEX-14LLW-0126-SM-6LLIO 70-79 years, female 8.6
GTEX-17MFQ-1726-SM-793C7 20-29 years, male 8.6
GTEX-Y5V5-2326-SM-4V6GA 60-69 years, female 8.6
GTEX-YJ8A-0426-SM-5IFID 20-29 years, male 8.6
GTEX-ZDYS-2026-SM-5HL5L 50-59 years, male 8.6
GTEX-1EN7A-0126-SM-7SB81 40-49 years, male 8.6
GTEX-1GN73-0226-SM-9WG67 60-69 years, male 8.6
GTEX-1JKYR-0126-SM-CNPOJ 20-29 years, male 8.6
GTEX-1PFEY-1526-SM-E76PP 30-39 years, male 8.6
GTEX-1PIGE-0126-SM-EVYBJ 20-29 years, male 8.6
GTEX-1128S-2326-SM-5GZZY 60-69 years, female 8.5
GTEX-113JC-2326-SM-5EQ4E 50-59 years, female 8.5
GTEX-1192X-0226-SM-5H12D 50-59 years, male 8.5
GTEX-12KS4-0326-SM-5EQ41 30-39 years, male 8.5
GTEX-139D8-0226-SM-5KLZO 30-39 years, female 8.5
GTEX-13OVH-0126-SM-5MR4B 70-79 years, male 8.5
GTEX-14E6E-1826-SM-5S2R7 30-39 years, male 8.5
GTEX-14E7W-0126-SM-6LLJ9 70-79 years, male 8.5
GTEX-15CHC-2126-SM-6EU21 60-69 years, female 8.5
GTEX-15SHU-0126-SM-7KUEH 40-49 years, female 8.5
GTEX-17HHE-2026-SM-79OKF 50-59 years, male 8.5
GTEX-18465-0126-SM-731BN 50-59 years, male 8.5
GTEX-18D9B-0526-SM-7LTAS 60-69 years, male 8.5
GTEX-1C6VR-2426-SM-79OLD 60-69 years, male 8.5
GTEX-Q2AI-1326-SM-2S1PL 40-49 years, male 8.5
GTEX-WZTO-0126-SM-3NM95 40-49 years, male 8.5
GTEX-1B996-0226-SM-7RHGO 60-69 years, male 8.5
GTEX-1GPI7-0126-SM-9MQL8 20-29 years, male 8.5
GTEX-1J8JJ-0226-SM-CL53I 60-69 years, female 8.5
GTEX-1MGNQ-0126-SM-EVYCJ 40-49 years, male 8.5
GTEX-1S82Y-2026-SM-EVYCM 40-49 years, male 8.5
GTEX-13NZB-2526-SM-5J1OM 30-39 years, male 8.4
GTEX-13O3P-0126-SM-5KM4S 50-59 years, male 8.4
GTEX-145LV-2126-SM-5LU8N 50-59 years, male 8.4
GTEX-14LZ3-0226-SM-62LET 60-69 years, female 8.4
GTEX-15G19-0126-SM-6PANQ 60-69 years, male 8.4
GTEX-1C2JI-1826-SM-73KXC 50-59 years, male 8.4
GTEX-1CAMS-0426-SM-7P8T2 40-49 years, female 8.4
GTEX-1CB4H-0226-SM-7PBXM 60-69 years, female 8.4
GTEX-1GMR3-1926-SM-9KNUZ 40-49 years, male 8.4
GTEX-1HCUA-2426-SM-ADEIS 50-59 years, female 8.4
GTEX-1HSMQ-1226-SM-CGQFX 50-59 years, male 8.4
GTEX-1K9T9-0126-SM-EVYCF 50-59 years, female 8.4
GTEX-1PWST-0226-SM-E76QJ 70-79 years, male 8.4
GTEX-1QPFJ-0226-SM-E76PB 30-39 years, female 8.4
GTEX-1BAJH-0526-SM-793CQ 70-79 years, male 8.3
GTEX-1F75A-0126-SM-7RHGM 50-59 years, male 8.3
GTEX-1IKOH-0226-SM-COH4E 60-69 years, female 8.3
GTEX-1JJEA-0326-SM-CNPOT 60-69 years, male 8.3
GTEX-ZVT2-2526-SM-51MT1 50-59 years, female 8.2
GTEX-1EX96-1626-SM-7PBXR 50-59 years, male 8.2
GTEX-1H23P-0126-SM-ADEJ3 60-69 years, male 8.2
GTEX-1HCU8-0626-SM-A9SM9 60-69 years, female 8.2
GTEX-1LNCM-1126-SM-E9U5E 50-59 years, female 8.2
GTEX-OOBJ-0126-SM-E6CJW 60-69 years, male 8.2
GTEX-11GSO-2426-SM-5A5LY 60-69 years, male 8.1
GTEX-17EVP-0326-SM-7DHLG 40-49 years, male 8.1
GTEX-1AX9J-0226-SM-73KXM 60-69 years, male 8.1
GTEX-XUYS-0126-SM-47JWZ 50-59 years, male 8.1
GTEX-1A8FM-0226-SM-7SB7Q 50-59 years, female 8.1
GTEX-1H2FU-0126-SM-9WYSI 60-69 years, female 8.1
GTEX-1HBPM-0226-SM-ARL9F 60-69 years, female 8.1
GTEX-11DXX-2426-SM-5GZZW 60-69 years, female 8.0
GTEX-11VI4-1726-SM-5CVLH 40-49 years, female 8.0
GTEX-13O21-1426-SM-5K7XI 50-59 years, male 8.0
GTEX-13OVL-0226-SM-5L3E9 50-59 years, male 8.0
GTEX-13OW6-0426-SM-5L3HM 50-59 years, male 8.0
GTEX-13X6J-0126-SM-5QGOU 50-59 years, male 8.0
GTEX-17F97-0326-SM-7LG5B 50-59 years, male 8.0
GTEX-17MF6-0126-SM-7LG4F 40-49 years, male 8.0
GTEX-18QFQ-0126-SM-731BE 30-39 years, male 8.0
GTEX-S32W-2126-SM-2XCB1 50-59 years, female 8.0
GTEX-XMD2-0126-SM-4YCDU 60-69 years, female 8.0
GTEX-YB5E-2026-SM-5IFIS 40-49 years, male 8.0
GTEX-ZQUD-1426-SM-57WER 30-39 years, male 8.0
GTEX-1HR98-0126-SM-B2LWI 60-69 years, male 8.0
GTEX-1HSGN-0226-SM-CGQFV 40-49 years, female 8.0
GTEX-1LG7Y-0526-SM-DKPQC 50-59 years, male 8.0
GTEX-1N2EF-0226-SM-EYYXB 60-69 years, male 8.0
GTEX-11ZTT-2426-SM-5EQLS 60-69 years, female 7.9
GTEX-13IVO-0126-SM-5J1NG 70-79 years, male 7.9
GTEX-13VXT-0126-SM-5LU4I 20-29 years, female 7.9
GTEX-14DAR-2026-SM-5S2O3 50-59 years, male 7.9
GTEX-14PJ6-2126-SM-6EU1V 60-69 years, female 7.9
GTEX-15EU6-0426-SM-6PAN5 50-59 years, male 7.9
GTEX-OOBK-0126-SM-2YUND 40-49 years, male 7.9
GTEX-POMQ-2226-SM-2I5FK 20-29 years, female 7.9
GTEX-QEG4-0226-SM-2S1PY 30-39 years, male 7.9
GTEX-ZTPG-0326-SM-5O9AX 20-29 years, female 7.9
GTEX-ZZ64-1726-SM-5GZYB 20-29 years, male 7.9
GTEX-1F52S-0126-SM-9MQJU 60-69 years, female 7.9
GTEX-1GF9X-2026-SM-7PC3A 40-49 years, female 7.9
GTEX-1KXAM-2226-SM-CYPTC 60-69 years, male 7.9
GTEX-1R46S-0626-SM-E9J41 60-69 years, female 7.9
GTEX-111VG-2426-SM-5GZXD 60-69 years, male 7.8
GTEX-11EMC-2926-SM-5EQ4F 60-69 years, female 7.8
GTEX-15DYW-0126-SM-7KULE 60-69 years, female 7.8
GTEX-183FY-0126-SM-7LT9P 20-29 years, male 7.8
GTEX-QLQ7-1626-SM-2S1R8 60-69 years, male 7.8
GTEX-1C64O-0126-SM-7SB8P 60-69 years, male 7.8
GTEX-1CB4G-0226-SM-7PC3O 60-69 years, male 7.8
GTEX-1KANB-0526-SM-E6CJH 50-59 years, male 7.8
GTEX-131XW-0426-SM-5LZWP 50-59 years, female 7.7
GTEX-148VI-1626-SM-5SI6E 60-69 years, female 7.7
GTEX-1C64N-0126-SM-793D7 50-59 years, male 7.7
GTEX-OXRL-0126-SM-2YUMP 50-59 years, male 7.7
GTEX-OXRN-0126-SM-48TDM 50-59 years, male 7.7
GTEX-PLZ4-0126-SM-5SI8O 50-59 years, female 7.7
GTEX-R55G-2526-SM-2TC6D 40-49 years, female 7.7
GTEX-WY7C-2326-SM-3NB2U 50-59 years, male 7.7
GTEX-Y8LW-1826-SM-5S2MV 50-59 years, female 7.7
GTEX-1C6WA-0126-SM-7PC2B 60-69 years, male 7.7
GTEX-1I1GR-0126-SM-CL55F 60-69 years, male 7.7
GTEX-13FTX-1826-SM-5J1NX 20-29 years, female 7.6
GTEX-13W3W-2426-SM-5LU5B 60-69 years, female 7.6
GTEX-15SDE-2226-SM-7IGLO 50-59 years, female 7.6
GTEX-15SHW-0326-SM-6PAML 60-69 years, male 7.6
GTEX-R3RS-0126-SM-3GIJL 40-49 years, female 7.6
GTEX-SN8G-0126-SM-32PLI 50-59 years, female 7.6
GTEX-VJYA-1126-SM-3GIJU 60-69 years, male 7.6
GTEX-WYVS-2126-SM-3NMA3 40-49 years, female 7.6
GTEX-ZDXO-3026-SM-5J1N5 60-69 years, male 7.6
GTEX-1GL5R-1826-SM-9KNUY 50-59 years, male 7.6
GTEX-1IY9M-0126-SM-D3L8S 60-69 years, male 7.6
GTEX-1KD5A-0226-SM-D5OV3 50-59 years, male 7.6
GTEX-1LGRB-2526-SM-CNPPQ 50-59 years, female 7.6
GTEX-1R9PO-2126-SM-E9J4O 60-69 years, female 7.6
GTEX-117YX-2326-SM-5H12W 50-59 years, male 7.5
GTEX-11ZVC-2526-SM-5FQTE 50-59 years, female 7.5
GTEX-1314G-1526-SM-5EGK2 30-39 years, male 7.5
GTEX-139T8-0126-SM-5K7XZ 60-69 years, male 7.5
GTEX-13O3Q-2426-SM-5IJBR 50-59 years, male 7.5
GTEX-13SLX-0526-SM-5S2ON 50-59 years, female 7.5
GTEX-147GR-0526-SM-5S2MY 60-69 years, male 7.5
GTEX-14BIM-0226-SM-7IGLD 60-69 years, female 7.5
GTEX-OHPM-0126-SM-2YUN9 50-59 years, male 7.5
GTEX-QCQG-1726-SM-3GIJ9 50-59 years, female 7.5
GTEX-QDT8-0126-SM-48TZ1 30-39 years, female 7.5
GTEX-RUSQ-1526-SM-2TF62 50-59 years, male 7.5
GTEX-ZEX8-2426-SM-4WKG4 50-59 years, male 7.5
GTEX-1F6I4-0126-SM-9MQL2 60-69 years, male 7.5
GTEX-1HCU7-0226-SM-CL545 50-59 years, male 7.5
GTEX-1I19N-0326-SM-ACKVX 70-79 years, male 7.5
GTEX-13NYS-0126-SM-5MR3W 60-69 years, male 7.4
GTEX-13OVG-1926-SM-5L3DK 60-69 years, male 7.4
GTEX-13PDP-0126-SM-5L3HD 60-69 years, male 7.4
GTEX-18A66-0226-SM-718BD 60-69 years, male 7.4
GTEX-SIU8-0126-SM-2XCDT 50-59 years, male 7.4
GTEX-XUW1-0426-SM-4BOOT 50-59 years, female 7.4
GTEX-ZDTT-2726-SM-4WKF8 60-69 years, male 7.4
GTEX-1IGQW-0126-SM-COH42 60-69 years, male 7.4
GTEX-1JJE9-0326-SM-CL53Z 70-79 years, male 7.4
GTEX-12ZZX-0126-SM-5EGK9 40-49 years, female 7.3
GTEX-13N11-2526-SM-5K7UE 50-59 years, female 7.3
GTEX-TMMY-0226-SM-33HBA 40-49 years, female 7.3
GTEX-1EKGG-0226-SM-9WYTH 60-69 years, male 7.3
GTEX-1H3VY-0126-SM-ACKXD 50-59 years, male 7.3
GTEX-1HFI7-1826-SM-ACKXH 50-59 years, female 7.3
GTEX-1I1CD-0126-SM-CM2TK 60-69 years, female 7.3
GTEX-1QEPI-0126-SM-EWRMQ 60-69 years, female 7.3
GTEX-11EI6-0126-SM-5985R 60-69 years, male 7.2
GTEX-1399T-2826-SM-5KLYZ 60-69 years, male 7.2
GTEX-14PN3-2426-SM-6LLHS 60-69 years, female 7.2
GTEX-15D1Q-0126-SM-7KUG6 40-49 years, male 7.2
GTEX-13FH7-2026-SM-E9J4I 50-59 years, female 7.2
GTEX-1I1GU-2226-SM-CGQFA 40-49 years, male 7.2
GTEX-1J1R8-1726-SM-ARL8M 40-49 years, male 7.2
GTEX-1QCLY-0326-SM-E8VOG 30-39 years, male 7.2
GTEX-11TT1-2526-SM-5EGIB 20-29 years, male 7.1
GTEX-15DCD-0126-SM-7KUEK 70-79 years, female 7.1
GTEX-15F5U-1526-SM-6PANO 40-49 years, male 7.1
GTEX-17F96-1626-SM-7DUFL 70-79 years, male 7.1
GTEX-PLZ5-2026-SM-2S1O4 50-59 years, male 7.1
GTEX-U3ZH-2026-SM-3DB78 30-39 years, male 7.1
GTEX-ZAB5-1826-SM-5HL7C 50-59 years, male 7.1
GTEX-ZV6S-2326-SM-4YCEY 40-49 years, female 7.1
GTEX-1PBJI-0526-SM-E8VNK 20-29 years, female 7.1
GTEX-1RQEC-0426-SM-E6CHU 60-69 years, male 7.1
GTEX-145LT-1726-SM-5QGP3 40-49 years, male 7.0
GTEX-14A5I-0126-SM-5TDEA 50-59 years, female 7.0
GTEX-PWO3-1526-SM-48TCM 60-69 years, female 7.0
GTEX-XV7Q-2526-SM-4BRV9 40-49 years, female 7.0
GTEX-1EU9M-0226-SM-7P8SP 60-69 years, male 7.0
GTEX-1F6IF-0726-SM-7P8TW 60-69 years, male 7.0
GTEX-1I1GT-0626-SM-CGQER 60-69 years, female 7.0
GTEX-1J8Q3-1626-SM-CMKGC 60-69 years, male 7.0
GTEX-11NUK-0126-SM-5A5L3 50-59 years, male 6.9
GTEX-144FL-0126-SM-5TDC8 50-59 years, male 6.9
GTEX-1AYD5-2426-SM-73KXR 50-59 years, male 6.9
GTEX-OXRK-0226-SM-3NB2G 50-59 years, female 6.9
GTEX-ZYY3-0126-SM-5GZY5 60-69 years, female 6.9
GTEX-1GF9U-2126-SM-7SB7L 40-49 years, female 6.9
GTEX-1H1E6-1726-SM-ACKVK 30-39 years, male 6.9
GTEX-1JK1U-2026-SM-CM2RZ 60-69 years, male 6.9
GTEX-1JKYN-1326-SM-CGQG9 30-39 years, male 6.9
GTEX-ZQG8-1626-SM-DHXIT 60-69 years, female 6.9
GTEX-11H98-0126-SM-5EGHG 50-59 years, male 6.8
GTEX-13X6I-0626-SM-5QGP9 60-69 years, male 6.8
GTEX-16NPX-0226-SM-79OMT 50-59 years, male 6.8
GTEX-17EUY-0426-SM-793BD 20-29 years, male 6.8
GTEX-1CAMR-1926-SM-7EPI2 20-29 years, male 6.8
GTEX-U4B1-1826-SM-4DXSU 40-49 years, male 6.8
GTEX-1GZ2Q-0226-SM-7P8TL 40-49 years, male 6.8
GTEX-145MI-0526-SM-5O9A8 60-69 years, female 6.7
GTEX-SNMC-1226-SM-2XCFP 20-29 years, male 6.7
GTEX-T6MO-1626-SM-32QOM 40-49 years, female 6.7
GTEX-ZVE2-0226-SM-59HJB 50-59 years, male 6.7
GTEX-1F7RK-0126-SM-7PC2S 20-29 years, female 6.7
GTEX-1HB9E-0226-SM-E9U4R 50-59 years, male 6.7
GTEX-1I4MK-2226-SM-ACKWD 50-59 years, female 6.7
GTEX-1QMI2-0226-SM-EVYBX 60-69 years, male 6.7
GTEX-139TT-0126-SM-5K7Y5 60-69 years, male 6.6
GTEX-145LU-0126-SM-5TDCB 50-59 years, male 6.6
GTEX-14DAQ-0126-SM-5S2MQ 60-69 years, female 6.6
GTEX-14JIY-0126-SM-6LLH6 60-69 years, male 6.6
GTEX-1A3MW-0126-SM-73KXX 60-69 years, female 6.6
GTEX-ZUA1-0126-SM-5GU76 40-49 years, male 6.6
GTEX-1GPI6-0126-SM-9WG69 60-69 years, male 6.6
GTEX-1HKZK-0326-SM-9WYUH 40-49 years, male 6.6
GTEX-1ICLZ-0126-SM-CKZPO 60-69 years, male 6.6
GTEX-1IDFM-0126-SM-COH2V 60-69 years, male 6.6
GTEX-1N2DV-0226-SM-E6CJ6 40-49 years, male 6.6
GTEX-1NHNU-1026-SM-E9J2A 50-59 years, male 6.6
GTEX-1R9PM-2026-SM-E76OY 20-29 years, male 6.6
GTEX-113IC-0126-SM-5HL6T 60-69 years, male 6.5
GTEX-1192W-2626-SM-5Q5AF 60-69 years, male 6.5
GTEX-14PHW-0126-SM-6LLJI 60-69 years, female 6.5
GTEX-1AMFI-2026-SM-731BH 50-59 years, female 6.5
GTEX-T8EM-1026-SM-3DB7M 40-49 years, male 6.5
GTEX-V1D1-2226-SM-3NMAX 50-59 years, male 6.5
GTEX-ZF28-0126-SM-4WKGK 60-69 years, male 6.5
GTEX-1GN1W-0526-SM-9MQJQ 50-59 years, female 6.5
GTEX-1RLM8-2326-SM-EWRN4 50-59 years, male 6.5
GTEX-148VJ-0126-SM-5TDDN 70-79 years, male 6.4
GTEX-16XZY-2126-SM-79OK1 70-79 years, male 6.4
GTEX-RM2N-1426-SM-2TF4H 50-59 years, male 6.4
GTEX-WFG8-2226-SM-3GIL9 20-29 years, male 6.4
GTEX-Z9EW-1626-SM-5CVMN 40-49 years, male 6.4
GTEX-1H3VE-0326-SM-9YFLH 40-49 years, male 6.4
GTEX-11O72-0126-SM-59887 40-49 years, male 6.3
GTEX-139T4-0226-SM-5HL5S 50-59 years, female 6.3
GTEX-14ABY-0226-SM-5TDCQ 50-59 years, male 6.3
GTEX-14BIN-0626-SM-793DP 50-59 years, female 6.3
GTEX-17HG3-2226-SM-7938L 30-39 years, female 6.3
GTEX-QLQW-1126-SM-2S1Q8 30-39 years, male 6.3
GTEX-SSA3-0126-SM-32QPU 60-69 years, male 6.3
GTEX-ZY6K-1826-SM-5GZXK 50-59 years, male 6.3
GTEX-OIZF-0126-SM-7SB8I 60-69 years, male 6.3
GTEX-R45C-0126-SM-EAZ2R 60-69 years, female 6.3
GTEX-11OC5-0126-SM-5HL6A 60-69 years, male 6.2
GTEX-13N2G-2626-SM-5J1OT 60-69 years, male 6.2
GTEX-13RTL-0126-SM-7LG5S 40-49 years, male 6.2
GTEX-1F48J-0126-SM-7P8TT 50-59 years, female 6.2
GTEX-1L5NE-2526-SM-E6CIE 50-59 years, male 6.2
GTEX-11DXY-2626-SM-5GIE7 60-69 years, male 6.1
GTEX-X638-0126-SM-47JZ8 70-79 years, female 6.1
GTEX-1H1DG-0126-SM-9WYU2 70-79 years, male 6.1
GTEX-1M4P7-0226-SM-DIPEV 60-69 years, male 6.1
GTEX-1QW4Y-1526-SM-EAZ3Z 30-39 years, male 6.1
GTEX-11ZUS-0626-SM-59885 30-39 years, male 6.0
GTEX-13N1W-0126-SM-5K7VT 70-79 years, male 6.0
GTEX-14A6H-0126-SM-5QGPK 30-39 years, male 6.0
GTEX-14C5O-0126-SM-5SI6N 60-69 years, male 6.0
GTEX-1C6VS-0526-SM-7DUEN 60-69 years, male 6.0
GTEX-1HUB1-0426-SM-E9U4U 60-69 years, male 6.0
GTEX-1OJC4-0126-SM-E9J2E 50-59 years, female 6.0
GTEX-1R9K4-0126-SM-DTX9X 60-69 years, male 6.0
GTEX-1E1VI-0126-SM-7DHMZ 50-59 years, male 5.9
GTEX-P44H-0226-SM-2XCEU 40-49 years, male 5.9
GTEX-QDVN-2026-SM-3GAEP 50-59 years, male 5.9
GTEX-1GN1V-0126-SM-9WPOS 60-69 years, male 5.9
GTEX-1ICG6-2526-SM-CGQFZ 70-79 years, female 5.9
GTEX-1IE54-0126-SM-CMKHW 40-49 years, female 5.9
GTEX-1PPH7-2326-SM-EVYB8 40-49 years, male 5.9
GTEX-1AMEY-1326-SM-73KYK 30-39 years, female 5.8
GTEX-Q2AH-1626-SM-3GAF8 40-49 years, male 5.8
GTEX-1LC47-0326-SM-E9TJP 60-69 years, male 5.8
GTEX-U3ZN-2326-SM-3DB7W 30-39 years, female 5.7
GTEX-1F75I-0326-SM-9YFLU 40-49 years, male 5.7
GTEX-1RAZA-0126-SM-E6CI3 20-29 years, male 5.7
GTEX-RN64-0126-SM-2TC68 50-59 years, male 5.6
GTEX-ZVT3-0126-SM-5GU6I 60-69 years, female 5.6
GTEX-1HSEH-0126-SM-ACKXN 60-69 years, male 5.6
GTEX-1QP67-1626-SM-EAZ3X 40-49 years, female 5.6
GTEX-1R7EV-2426-SM-EVYBG 40-49 years, male 5.6
GTEX-147F3-0526-SM-5SI98 50-59 years, female 5.5
GTEX-15EOM-0126-SM-7KUGG 20-29 years, female 5.5
GTEX-TSE9-0126-SM-3DB83 60-69 years, female 5.5
GTEX-1GMR8-0126-SM-9WYTM 50-59 years, female 5.5
GTEX-13OVJ-0126-SM-5KM36 50-59 years, female 5.4
GTEX-Q2AG-0126-SM-33HBV 40-49 years, female 5.4
GTEX-1H3NZ-0126-SM-ACKX7 60-69 years, male 5.4
GTEX-1JJ6O-0126-SM-E6CI8 60-69 years, male 5.4
GTEX-1LSNM-1926-SM-E6CII 50-59 years, male 5.4
GTEX-12WSN-5019-SM-79OM6 40-49 years, male 5.3
GTEX-WOFL-0126-SM-3MJG2 60-69 years, male 5.3
GTEX-1IDJU-2626-SM-CM2RT 60-69 years, female 5.3
GTEX-VJWN-0126-SM-3GIK7 50-59 years, female 5.2
GTEX-146FR-1326-SM-E9J48 60-69 years, female 5.2
GTEX-1I1HK-0126-SM-COH49 60-69 years, male 5.2
GTEX-QDVJ-1726-SM-2I5FX 50-59 years, male 5.1
GTEX-ZZPT-0226-SM-5E43X 50-59 years, male 5.1
GTEX-1F88F-2726-SM-7PBZZ 60-69 years, female 5.0
GTEX-1MA7X-2226-SM-E6CIY 60-69 years, male 5.0
GTEX-PVOW-0126-SM-2XCFA 40-49 years, male 4.9
GTEX-13W46-0226-SM-5SIAG 50-59 years, male 4.7
GTEX-1S82Z-0826-SM-E6CHY 30-39 years, female 4.7
GTEX-11XUK-2026-SM-5EQLF 40-49 years, female 4.6
GTEX-16AAH-1726-SM-7939C 50-59 years, male 4.6
GTEX-X62O-0126-SM-4E3JN 50-59 years, male 4.6
GTEX-Q734-1926-SM-2I5EV 40-49 years, female 4.5
GTEX-SJXC-0126-SM-2XCFF 60-69 years, male 4.4
GTEX-1RAZQ-0726-SM-EAZ43 30-39 years, male 4.4
GTEX-1HBPH-0426-SM-B2LW5 40-49 years, female 3.6
GTEX-183WM-0126-SM-7LTAB 70-79 years, female 3.2
Show allShow less

Contact

  • NEWS ARTICLES
  • PRESS ROOM

The Project

  • INTRODUCTION
  • ORGANIZATION
  • PUBLICATIONS

The Human Protein Atlas

  • DOWNLOADABLE DATA
  • LICENCE & CITATION
  • HELP & FAQ
The Human Protein Atlas project is funded
by the Knut & Alice Wallenberg Foundation.


contact@proteinatlas.org