We use cookies to enhance the usability of our website. If you continue, we'll assume that you are happy to receive all cookies. More information. Don't show this again.
HPS6
HPA
RESOURCES
  • TISSUE
  • BRAIN
  • SINGLE CELL
  • SUBCELLULAR
  • CANCER
  • BLOOD
  • CELL LINE
  • STRUCTURE & INTERACTION
ABOUT
  • INTRODUCTION
  • HISTORY
  • ORGANIZATION
  • PUBLICATIONS
  • ANTIBODY SUBMISSION
  • ANTIBODY AVAILABILITY
  • ACKNOWLEDGMENTS
  • CONTACT
NEWS
  • NEWS ARTICLES
  • PRESS ROOM
LEARN
  • DICTIONARY
  • PROTEIN CLASSES
  • PROTEIN EVIDENCE
  • METHODS
  • EDUCATIONAL VIDEOS
DATA
  • DOWNLOADABLE DATA
  • PUBLICATION DATA
  • RELEASE HISTORY
HELP
  • ANTIBODY VALIDATION
  • ASSAYS & ANNOTATION
  • DISCLAIMER
  • HELP & FAQ
  • PRIVACY STATEMENT
  • LICENCE & CITATION
Fields »
Search result

Field
Term
Gene name
Class
Subclass
Class
Keyword
Chromosome
External id
Tissue
Cell type
Expression
Antibody panel
Tissue
Main location
Patient ID
Annotation
Tissue
Category
Tau score
Cluster
Reliability
Brain region
Category
Tau score
Brain region
Category
Tau score
Brain region
Category
Tau score
Cluster
Reliability
Tissue
Cell type
Enrichment
Cell type
Category
Tau score
Cell type
Category
Tau score
Cell type
Category
Tau score
Cell lineage
Category
Tau score
Cluster
Cluster
Location
Searches
Location
Cell line
Class
Type
Phase
Reliability
Cancer
Prognosis
Cancer
Category
Cancer
Category
Tau score
Cluster
Variants
Interacting gene (ensg_id)
Type
Number of interactions
Pathway
Category
Score
Score
Score
Validation
Validation
Validation
Validation
Antibodies
Data type
Column


  • SUMMARY

  • TISSUE

  • BRAIN

  • SINGLE CELL

  • SUBCELL

  • CANCER

  • BLOOD

  • CELL LINE

  • STRUCT & INT

  • HPS6
TISSUE PRIMARY DATA SKIN Show tissue menu
ADIPOSE TISSUE ADRENAL GLAND AMYGDALA APPENDIX BASAL GANGLIA BONE MARROW BREAST BRONCHUS CEREBELLUM CEREBRAL CORTEX CERVIX CHOROID PLEXUS COLON DUODENUM
ENDOMETRIUM EPIDIDYMIS ESOPHAGUS FALLOPIAN TUBE GALLBLADDER HEART MUSCLE HIPPOCAMPAL FORMATION HYPOTHALAMUS KIDNEY LIVER LUNG LYMPH NODE MIDBRAIN NASOPHARYNX
ORAL MUCOSA OVARY PANCREAS PARATHYROID GLAND PITUITARY GLAND PLACENTA PROSTATE RECTUM RETINA SALIVARY GLAND SEMINAL VESICLE SKELETAL MUSCLE SKIN SMALL INTESTINE
SMOOTH MUSCLE SOFT TISSUE SPINAL CORD SPLEEN STOMACH TESTIS THYMUS THYROID GLAND TONGUE TONSIL URINARY BLADDER VAGINA
ANTIBODIES
AND
VALIDATION
Dictionary
Skin
Tissue proteome
Skin
SKIN - Expression summary
Protein expression
Skini

On the top, protein expression in current human tissue, based on all annotated cell types, is reported with the units not detected (n), low (l), medium (m) and high (h). Underneath, protein expression in each annotated cell type are reported using the same units.

Protein expression data is based on knowledge-based annotation. For genes where more than one antibody has been used, a collective score is set.

If knowledge-based annotation could not be performed for a gene, no data is displayed here. View antibody staining data further down this page.

h
m
l
n
Epidermal cells: Not detected
Fibroblasts: Low
Keratinocytes: Not detected
Langerhans: Not detected
Melanocytes: Not detected
RNA expressioni

A summary of mRNA expression data available for current tissue based on several datasets. The mRNA expression levels in human tissues are based on RNA-seq data generated by the Human Protein Atlas (HPA), Genotype-Tissue Expression (GTEx) portal and CAGE data generated by the FANTOM5 consortium. Consensus normalized expression levels for human tissues was created by combining the data from HPA and GTEx datasets.

The mRNA expression levels in pig are based on RNA-seq data generated by the Human Protein Atlas (HPA), and for mouse, HPA data and in situ hybridization generated by the Allen brain atlas are reported.

Scroll down to view mRNA expression data in more detail.
Consensus:8.7 nTPM
HPA:8.2 nTPM
GTEx:8.7 nTPM

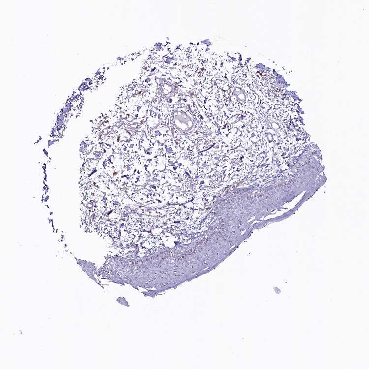
SKIN 1 - Antibody stainingi

Antibody staining in the annotated cell types in the current human tissue is reported as not detected, low, medium, or high, based on conventional immunohistochemistry profiling in selected tissues. This score is based on the combination of the staining intensity and fraction of stained cells.

Each image is clickable and will lead to virtual microscopy that enables deeper exploration of all samples and also displays staining intensity scores, fraction scores and subcellular localization as well as patient and tissue information for each sample.

Antibody HPA040687
Langerhans Not detected
Fibroblasts Low
Keratinocytes Not detected
Melanocytes Not detected


SKIN 2 - Antibody stainingi

Antibody staining in the annotated cell types in the current human tissue is reported as not detected, low, medium, or high, based on conventional immunohistochemistry profiling in selected tissues. This score is based on the combination of the staining intensity and fraction of stained cells.

Each image is clickable and will lead to virtual microscopy that enables deeper exploration of all samples and also displays staining intensity scores, fraction scores and subcellular localization as well as patient and tissue information for each sample.

Antibody HPA040687
Epidermal cells Not detected
 
 
 


SKIN - HPA RNA-seqi

The RNA-seq details section shows detailed information about the individual samples used for the transcript profiling and results of the RNA-seq analysis.

Information about each individual sample is listed below, including gender, age, a tissue section image and estimated fractions of cell types. nTPM (normalized transcripts per million) values give a quantification of the gene abundance which is comparable between different genes and samples.
Average nTPMi

Max subtype nTPM is the value for the subtype with the largest average nTPM across the subtype samples.

8.2
overview
Female, age 34
Skin sample 225
nTPM: 8.4
Cell types%
Keratinocytes:
60

Other cell types:
40

overview
Female, age 30
Skin sample 226
nTPM: 7.1
Cell types%
Keratinocytes:
55

Other cell types:
45

N/A
Male, age 57
Skin sample 227
nTPM: 9.2

SKIN - GTEx RNA-seqi

RNA-Seq data generated by the Genotype-Tissue Expression (GTEx) project from human tissues is reported as mean nTPM. More information can be found on the GTEx portal.

Distribution across the dataset is visualized with box plots, shown as median and 25th and 75th percentiles. Points are displayed as outliers if they are above or below 1.5 times the interquartile range. nTPM values of the individual samples are presented next to the box plot.
Max subtype nTPMi

Max subtype nTPM is the value for the subtype with the largest average nTPM across the subtype samples.

8.7
GTEx sample id Sample description nTPM
Skin - Not Sun Exposed (Suprapubic)
Average nTPM: 8.7
Samples: 604

Max nTPM: 31.7
Min nTPM: 1.5
Std nTPM: 3.8
Median nTPM: 8.2
GTEX-1OJC3-1226-SM-DTXER 20-29 years, male 31.7
GTEX-WFG7-2026-SM-5SI7P 20-29 years, male 30.2
GTEX-ZTX8-1326-SM-4YCEL 20-29 years, male 28.9
GTEX-Y114-2126-SM-4TT8B 50-59 years, female 24.9
GTEX-1N2DV-1526-SM-DTXEP 40-49 years, male 24.3
GTEX-1IKOE-1426-SM-CE6T7 30-39 years, female 23.8
GTEX-XBEW-1126-SM-4QARW 40-49 years, male 21.8
GTEX-1HSMQ-2626-SM-A9SML 50-59 years, male 19.4
GTEX-1MCYP-0526-SM-E9U6Q 20-29 years, female 18.8
GTEX-WHSB-1326-SM-3LK6W 50-59 years, male 18.3
GTEX-12WSJ-1126-SM-5LZVJ 40-49 years, female 17.8
GTEX-YFCO-1226-SM-5LUAT 40-49 years, male 17.6
GTEX-1NV5F-0626-SM-DTXEG 60-69 years, female 17.6
GTEX-1PPH8-0126-SM-EWRN8 20-29 years, male 17.5
GTEX-1F75I-2226-SM-7SB8U 40-49 years, male 17.0
GTEX-1MJK3-0726-SM-E6CJC 20-29 years, male 16.9
GTEX-13O61-1426-SM-5KM3D 60-69 years, male 16.8
GTEX-1QP9N-1226-SM-E76QN 30-39 years, male 16.8
GTEX-15RIG-0726-SM-7KUM7 40-49 years, male 16.6
GTEX-1JMPY-0226-SM-CKZOK 30-39 years, male 16.3
GTEX-1QP2A-1726-SM-E76QC 50-59 years, male 16.3
GTEX-WHWD-1826-SM-3LK6I 50-59 years, male 16.2
GTEX-1C6WA-2626-SM-7MKGM 60-69 years, male 15.9
GTEX-WXYG-2026-SM-4E3IY 50-59 years, female 15.8
GTEX-1NSGN-0726-SM-DTXEF 50-59 years, male 15.6
GTEX-17F9E-2326-SM-79OKD 50-59 years, male 15.5
GTEX-14ICL-1626-SM-5YYAO 30-39 years, male 15.4
GTEX-1B97I-0626-SM-73KUZ 40-49 years, male 15.4
GTEX-ZVZP-1226-SM-5GID7 50-59 years, male 15.4
GTEX-131XF-2626-SM-5EQ6K 60-69 years, male 15.2
GTEX-ZPCL-1126-SM-4WWFE 60-69 years, female 15.1
GTEX-11P7K-1126-SM-5HL4L 30-39 years, male 15.0
GTEX-ZDYS-2426-SM-4WKGI 50-59 years, male 15.0
GTEX-14XAO-1226-SM-6EU1C 60-69 years, female 14.9
GTEX-15RJ7-2126-SM-6PAMD 40-49 years, male 14.9
GTEX-15G1A-1626-SM-7KUKN 30-39 years, male 14.8
GTEX-1PDJ9-1226-SM-EXUSX 20-29 years, male 14.8
GTEX-131XG-0326-SM-5L3DX 50-59 years, female 14.5
GTEX-14PJ3-1126-SM-5ZZVX 50-59 years, male 14.5
GTEX-16AAH-0626-SM-793C9 50-59 years, male 14.5
GTEX-X5EB-1926-SM-4E3IW 40-49 years, male 14.5
GTEX-Y3I4-1726-SM-4TT89 50-59 years, male 14.5
GTEX-X585-2426-SM-46MW2 50-59 years, male 14.4
GTEX-1PIGE-1826-SM-E8VOU 20-29 years, male 14.4
GTEX-14PHX-2226-SM-6EU2P 50-59 years, male 14.3
GTEX-1CB4E-0926-SM-7EPHT 60-69 years, male 14.3
GTEX-ZY6K-1426-SM-5GZX2 50-59 years, male 14.3
GTEX-18QFQ-1826-SM-72D52 30-39 years, male 14.2
GTEX-XYKS-1426-SM-4BRUO 60-69 years, female 14.2
GTEX-1LBAC-0826-SM-CY8IJ 20-29 years, male 14.2
GTEX-11DXX-2126-SM-5PNYR 60-69 years, female 14.0
GTEX-WY7C-2126-SM-3NB2R 50-59 years, male 14.0
GTEX-1JN76-0626-SM-CKZOQ 20-29 years, female 14.0
GTEX-1QCLY-0226-SM-EWRNH 30-39 years, male 14.0
GTEX-1H11D-1826-SM-9QEHM 40-49 years, male 13.9
GTEX-1399S-0126-SM-5IJCF 30-39 years, female 13.7
GTEX-13FTX-1526-SM-5K7VJ 20-29 years, female 13.7
GTEX-1HCUA-0826-SM-ADEHM 50-59 years, female 13.7
GTEX-WH7G-2026-SM-3NMBL 40-49 years, male 13.6
GTEX-17MFQ-1526-SM-7KFRR 20-29 years, male 13.5
GTEX-1122O-1026-SM-9WYSF 60-69 years, female 13.5
GTEX-1HBPN-0126-SM-CGQEF 50-59 years, male 13.5
GTEX-12WSK-2126-SM-5CVNC 40-49 years, female 13.4
GTEX-1497J-0226-SM-5QGPU 60-69 years, male 13.3
GTEX-1B8KE-1126-SM-7EPHI 50-59 years, male 13.3
GTEX-WHPG-2626-SM-3NMBR 50-59 years, male 13.2
GTEX-1ICLZ-0326-SM-ARL82 60-69 years, male 13.2
GTEX-111CU-1126-SM-5EGIM 50-59 years, male 13.1
GTEX-1QPFJ-1926-SM-EVYBD 30-39 years, female 13.1
GTEX-14PJN-1826-SM-6AJ98 30-39 years, male 13.0
GTEX-16MTA-0926-SM-6M47Z 50-59 years, male 13.0
GTEX-YEC4-1826-SM-4W1YP 40-49 years, male 13.0
GTEX-ZF29-0926-SM-4WKFZ 60-69 years, female 13.0
GTEX-1QP28-1126-SM-EVYC4 50-59 years, female 13.0
GTEX-17HHE-1326-SM-7EWDZ 50-59 years, male 12.9
GTEX-12WSH-1526-SM-5BC5W 50-59 years, male 12.8
GTEX-1JK1U-0226-SM-ARZMX 60-69 years, male 12.8
GTEX-17F98-1326-SM-7DUEP 40-49 years, female 12.7
GTEX-XXEK-1626-SM-4BRUZ 50-59 years, male 12.7
GTEX-12ZZZ-0726-SM-5GCNZ 60-69 years, male 12.6
GTEX-X3Y1-2026-SM-3P5YM 40-49 years, male 12.6
GTEX-ZDTT-0426-SM-4WKFL 60-69 years, male 12.6
GTEX-1GPI7-1826-SM-9KNU1 20-29 years, male 12.6
GTEX-11ZU8-0126-SM-5EQ58 60-69 years, male 12.5
GTEX-18A66-0626-SM-7LT8Z 60-69 years, male 12.5
GTEX-11DXZ-2026-SM-5987S 50-59 years, male 12.4
GTEX-1I1GT-1026-SM-ARZLV 60-69 years, female 12.4
GTEX-XBED-1926-SM-47JYP 60-69 years, male 12.3
GTEX-1H2FU-0926-SM-9WPPT 60-69 years, female 12.3
GTEX-14E1K-2026-SM-7DUEI 50-59 years, male 12.2
GTEX-14PHY-1226-SM-5ZZWK 60-69 years, female 12.2
GTEX-ZP4G-1426-SM-4WWCL 20-29 years, female 12.1
GTEX-1LVAM-0726-SM-E6CIL 50-59 years, female 12.1
GTEX-17HII-1426-SM-7EPGG 50-59 years, male 12.0
GTEX-ZF2S-1626-SM-57WES 50-59 years, female 12.0
GTEX-1GN1W-2426-SM-9KNUU 50-59 years, female 12.0
GTEX-Y111-0626-SM-4SOIT 50-59 years, male 11.9
GTEX-Y8E4-2026-SM-5IFJB 40-49 years, male 11.9
GTEX-1HSMP-0926-SM-A9SKX 70-79 years, male 11.9
GTEX-1I1GV-0626-SM-ARL7M 60-69 years, male 11.9
GTEX-1S82U-1026-SM-E6CJK 30-39 years, female 11.9
GTEX-14DAR-1226-SM-73KYV 50-59 years, male 11.8
GTEX-1CB4J-1326-SM-7P8RX 60-69 years, male 11.8
GTEX-1GZ4H-0526-SM-9KNU9 50-59 years, female 11.8
GTEX-1GF9X-1326-SM-7PC2Y 40-49 years, female 11.7
GTEX-11P81-2226-SM-5PNYI 30-39 years, female 11.6
GTEX-Y3IK-1626-SM-4YCF5 50-59 years, female 11.6
GTEX-13FTW-0326-SM-5K7UW 40-49 years, male 11.5
GTEX-14PJ5-1526-SM-6LLIL 60-69 years, female 11.5
GTEX-18A67-1626-SM-7LT9T 50-59 years, male 11.5
GTEX-18D9U-0126-SM-731BM 40-49 years, male 11.5
GTEX-Y9LG-1126-SM-4VBQ7 30-39 years, male 11.5
GTEX-ZLFU-1826-SM-4WWBV 40-49 years, male 11.5
GTEX-ZVP2-0326-SM-57WBP 50-59 years, male 11.5
GTEX-1PPGY-1626-SM-EVYBL 60-69 years, male 11.5
GTEX-1R7EU-1626-SM-DTXG3 60-69 years, male 11.5
GTEX-139YR-1026-SM-5LZYN 50-59 years, male 11.4
GTEX-1CB4F-1026-SM-7DUH1 60-69 years, male 11.4
GTEX-1H1E6-0426-SM-9WYUS 30-39 years, male 11.4
GTEX-16NGA-0726-SM-731AO 40-49 years, female 11.3
GTEX-18D9B-0926-SM-7LG4U 60-69 years, male 11.3
GTEX-1A3MV-1826-SM-731CD 30-39 years, male 11.3
GTEX-145MN-1526-SM-5SI9T 30-39 years, male 11.2
GTEX-1AMFI-1326-SM-7939R 50-59 years, female 11.2
GTEX-1E2YA-2126-SM-7MXUO 50-59 years, male 11.2
GTEX-1F5PL-0926-SM-7PC2W 40-49 years, female 11.2
GTEX-1HFI7-2326-SM-CGQFS 50-59 years, female 11.2
GTEX-1KANA-1326-SM-DIPFA 20-29 years, male 11.2
GTEX-1LGRB-0926-SM-COH3K 50-59 years, female 11.2
GTEX-1RMOY-1326-SM-E9TIH 50-59 years, male 11.2
GTEX-11ZTT-2126-SM-5CVLO 60-69 years, female 11.1
GTEX-13VXT-1926-SM-5K7UO 20-29 years, female 11.1
GTEX-14E6E-0526-SM-793DN 30-39 years, male 11.1
GTEX-YEC3-1326-SM-DO92X 50-59 years, male 11.1
GTEX-14PJ6-2626-SM-6EU2T 60-69 years, female 11.0
GTEX-15CHR-1126-SM-7EWF4 50-59 years, male 11.0
GTEX-15DYW-2726-SM-6EU2I 60-69 years, female 11.0
GTEX-15RIE-1926-SM-7KUKJ 60-69 years, male 11.0
GTEX-ZT9X-1526-SM-5DUXD 40-49 years, male 11.0
GTEX-1J8QM-2426-SM-A9SLS 60-69 years, female 11.0
GTEX-111YS-1526-SM-5GZYW 60-69 years, male 10.9
GTEX-XAJ8-1426-SM-47JYM 40-49 years, male 10.8
GTEX-11P82-1426-SM-DTXFY 20-29 years, male 10.8
GTEX-ZLV1-1526-SM-DO91J 60-69 years, female 10.8
GTEX-12C56-1526-SM-5FQUQ 20-29 years, male 10.7
GTEX-1KANC-1226-SM-CYPT7 50-59 years, female 10.7
GTEX-1RAZQ-1326-SM-E9TK6 30-39 years, male 10.7
GTEX-1S82P-2126-SM-E6CI5 60-69 years, female 10.7
GTEX-11DYG-1526-SM-5A5JS 60-69 years, male 10.6
GTEX-17HGU-2326-SM-7DUFE 50-59 years, male 10.6
GTEX-1HSKV-1226-SM-ADEI4 60-69 years, male 10.6
GTEX-131XH-0126-SM-5LZUY 50-59 years, male 10.5
GTEX-13OW5-2326-SM-5L3HO 60-69 years, male 10.5
GTEX-13W3W-0726-SM-5IJDQ 60-69 years, female 10.5
GTEX-14B4R-1326-SM-5Q5EZ 30-39 years, male 10.5
GTEX-17F97-2626-SM-7IGM5 50-59 years, male 10.5
GTEX-1S83E-1326-SM-E6CJM 40-49 years, male 10.5
GTEX-ZPIC-0526-SM-DO91W 40-49 years, female 10.5
GTEX-11EM3-1226-SM-5N9DD 20-29 years, female 10.4
GTEX-11EQ9-1626-SM-5PNY8 30-39 years, male 10.4
GTEX-13113-1626-SM-5EQ4I 60-69 years, female 10.4
GTEX-13D11-0926-SM-5J2NC 50-59 years, female 10.4
GTEX-15G19-2426-SM-7KUMR 60-69 years, male 10.4
GTEX-Y5V6-2326-SM-4VDSA 60-69 years, male 10.4
GTEX-ZE7O-2726-SM-51MT5 50-59 years, female 10.4
GTEX-1399U-1126-SM-5L3DB 50-59 years, female 10.3
GTEX-WEY5-2326-SM-3GIKK 40-49 years, female 10.3
GTEX-ZZ64-1026-SM-5GZXG 20-29 years, male 10.3
GTEX-1CAMR-1326-SM-7PC1F 20-29 years, male 10.3
GTEX-1H1DE-1326-SM-9KNUG 20-29 years, male 10.3
GTEX-1LGOU-1326-SM-D3L8M 20-29 years, female 10.3
GTEX-1R9PN-0426-SM-DTXDT 40-49 years, female 10.3
GTEX-11NSD-0626-SM-5A5LU 20-29 years, male 10.2
GTEX-12ZZX-2426-SM-5GCOE 40-49 years, female 10.2
GTEX-13FH7-1126-SM-5K7UG 50-59 years, female 10.2
GTEX-13PVR-0426-SM-5RQK2 60-69 years, female 10.2
GTEX-14AS3-1526-SM-5Q5ED 40-49 years, female 10.2
GTEX-1F5PK-2226-SM-7SB6N 50-59 years, male 10.2
GTEX-1I1GU-0926-SM-ACKVS 40-49 years, male 10.2
GTEX-1KAFJ-0126-SM-DIPEK 50-59 years, male 10.2
GTEX-1KXAM-1626-SM-D3LAD 60-69 years, male 10.2
GTEX-1192X-2726-SM-5N9DN 50-59 years, male 10.1
GTEX-11WQC-1826-SM-5GU59 60-69 years, male 10.1
GTEX-16BQI-1326-SM-6M486 30-39 years, female 10.1
GTEX-ZPU1-1126-SM-4YCF3 40-49 years, male 10.1
GTEX-11VI4-1126-SM-5EQMD 40-49 years, female 10.0
GTEX-WYVS-1626-SM-3NM9R 40-49 years, female 10.0
GTEX-1GL5R-1326-SM-7RHHF 50-59 years, male 10.0
GTEX-1I6K7-1926-SM-B2LXR 40-49 years, male 10.0
GTEX-1IY9M-2826-SM-ARU8H 60-69 years, male 10.0
GTEX-1LVAN-0626-SM-CNPOQ 50-59 years, female 10.0
GTEX-1R9PM-1926-SM-EVR3O 20-29 years, male 10.0
GTEX-1S3DN-2126-SM-E9TIN 50-59 years, male 10.0
GTEX-133LE-2326-SM-5K7W3 20-29 years, female 9.9
GTEX-17F96-0126-SM-7EWDU 70-79 years, male 9.9
GTEX-1C2JI-1026-SM-73KY1 50-59 years, male 9.9
GTEX-XQ3S-1426-SM-4BOPR 20-29 years, male 9.9
GTEX-1JMQJ-0826-SM-CNPP7 50-59 years, male 9.9
GTEX-1LB8K-0726-SM-D5OV2 50-59 years, male 9.9
GTEX-1S831-1826-SM-EWROF 20-29 years, male 9.9
GTEX-13X6H-0926-SM-5SIB2 50-59 years, female 9.8
GTEX-1CAMS-2226-SM-7PBXQ 40-49 years, female 9.8
GTEX-1GF9V-0826-SM-9KNUV 60-69 years, male 9.8
GTEX-1QW4Y-1126-SM-DTXE3 30-39 years, male 9.8
GTEX-117YX-1926-SM-5GIEC 50-59 years, male 9.7
GTEX-13G51-1826-SM-5KLZH 60-69 years, male 9.7
GTEX-145ME-1726-SM-5Q5EU 40-49 years, female 9.7
GTEX-14PKU-0126-SM-6LLHV 40-49 years, female 9.7
GTEX-ZZPU-0826-SM-5GZX5 50-59 years, female 9.7
GTEX-1C475-1326-SM-7SB73 40-49 years, female 9.7
GTEX-1IDJC-1526-SM-B2LW4 50-59 years, male 9.7
GTEX-1LSNM-0826-SM-DIPG8 50-59 years, male 9.7
GTEX-111VG-1626-SM-5EGIO 60-69 years, male 9.6
GTEX-1F75A-0726-SM-7RHHD 50-59 years, male 9.6
GTEX-1GMRU-2126-SM-7P8RA 50-59 years, male 9.6
GTEX-1HCU6-2526-SM-ADEHL 60-69 years, female 9.6
GTEX-1IKJJ-2226-SM-CJI4C 60-69 years, male 9.6
GTEX-1JKYN-0826-SM-ARU8S 30-39 years, male 9.6
GTEX-14PJ4-0226-SM-5YY92 60-69 years, male 9.5
GTEX-XUW1-0926-SM-4BONX 50-59 years, female 9.5
GTEX-1C64O-1326-SM-7MGWR 60-69 years, male 9.5
GTEX-1211K-1526-SM-5FQU4 60-69 years, female 9.4
GTEX-145MH-2826-SM-5RQJF 50-59 years, male 9.4
GTEX-17KNJ-2126-SM-718AM 50-59 years, male 9.4
GTEX-1GZHY-0626-SM-9KNVC 50-59 years, female 9.4
GTEX-1GMR2-0826-SM-7PC3V 50-59 years, male 9.3
GTEX-1QP29-1826-SM-DTX9S 50-59 years, male 9.3
GTEX-1RAZR-2126-SM-E9U6T 40-49 years, male 9.3
GTEX-ZGAY-1826-SM-DO91Q 40-49 years, female 9.3
GTEX-11OF3-0126-SM-5PNYF 60-69 years, male 9.2
GTEX-147GR-2426-SM-5ZZWQ 60-69 years, male 9.2
GTEX-14PKV-1126-SM-6LLJ1 20-29 years, female 9.2
GTEX-1B996-0426-SM-7EWF8 60-69 years, male 9.2
GTEX-WFON-1926-SM-3LK7L 40-49 years, male 9.2
GTEX-ZVT2-0126-SM-5GIDQ 50-59 years, female 9.2
GTEX-1JKYR-0626-SM-ARL8R 20-29 years, male 9.2
GTEX-1RLM8-2926-SM-E8VON 50-59 years, male 9.2
GTEX-1EMGI-2326-SM-7PBYA 60-69 years, male 9.1
GTEX-1HC8U-1326-SM-9YFMJ 40-49 years, female 9.1
GTEX-1J1R8-2026-SM-CL53Y 40-49 years, male 9.1
GTEX-1RAZS-2526-SM-E6CHT 50-59 years, male 9.1
GTEX-139TU-0726-SM-5L3EK 60-69 years, male 9.0
GTEX-144GM-0526-SM-79OJO 20-29 years, male 9.0
GTEX-147F4-0726-SM-5TDDD 50-59 years, male 9.0
GTEX-14PII-0726-SM-6EU2B 60-69 years, male 9.0
GTEX-UPJH-0226-SM-3GADV 50-59 years, male 9.0
GTEX-VJYA-1526-SM-3GIJV 60-69 years, male 9.0
GTEX-14JG6-1426-SM-9WG7C 30-39 years, female 9.0
GTEX-1GN1U-0626-SM-9MQL9 50-59 years, female 9.0
GTEX-1GN73-0726-SM-7P8TJ 60-69 years, male 9.0
GTEX-1HGF4-0126-SM-CNPPX 60-69 years, male 9.0
GTEX-1I6K6-1726-SM-CGQFD 30-39 years, male 9.0
GTEX-12ZZY-0726-SM-5EQ66 60-69 years, male 8.9
GTEX-132AR-0326-SM-5KM2C 50-59 years, female 8.9
GTEX-13N11-2326-SM-5IJBF 50-59 years, female 8.9
GTEX-13NYB-0126-SM-5J1MD 40-49 years, male 8.9
GTEX-183FY-1026-SM-7939A 20-29 years, male 8.9
GTEX-1AMEY-0826-SM-72D65 30-39 years, female 8.9
GTEX-Y5LM-0926-SM-6LLJG 40-49 years, female 8.9
GTEX-ZYFG-1526-SM-5GZYM 60-69 years, female 8.9
GTEX-1HCU9-0426-SM-9WYSD 20-29 years, male 8.9
GTEX-11DZ1-2426-SM-5GZZX 50-59 years, male 8.8
GTEX-15EU6-2226-SM-6EU2L 50-59 years, male 8.8
GTEX-1B932-2326-SM-79OL5 40-49 years, female 8.8
GTEX-1F6I4-2326-SM-7RHGL 60-69 years, male 8.8
GTEX-1GPI6-1926-SM-9KNV7 60-69 years, male 8.8
GTEX-1IDJF-2026-SM-CL53V 20-29 years, male 8.8
GTEX-1JJEA-1826-SM-ARU8P 60-69 years, male 8.8
GTEX-1RAZA-2226-SM-E9U4X 20-29 years, male 8.8
GTEX-13FTY-2126-SM-5IFFB 40-49 years, female 8.7
GTEX-13PL6-1126-SM-5L3IE 40-49 years, female 8.7
GTEX-14PK6-0226-SM-62LF5 70-79 years, female 8.7
GTEX-ZYT6-2326-SM-5GZY3 30-39 years, male 8.7
GTEX-1JMLX-0626-SM-ARL8T 50-59 years, male 8.7
GTEX-1PBJJ-1026-SM-E76OS 30-39 years, male 8.7
GTEX-13OW6-2726-SM-5J2OE 50-59 years, male 8.6
GTEX-1CB4I-0126-SM-7RHGG 50-59 years, male 8.6
GTEX-1IDJU-1726-SM-CMKHU 60-69 years, female 8.6
GTEX-1J8EW-2726-SM-CY8HR 60-69 years, female 8.6
GTEX-13NYS-0626-SM-5L3F1 60-69 years, male 8.5
GTEX-1B8KZ-0326-SM-73KY4 50-59 years, male 8.5
GTEX-XPVG-2126-SM-4B667 50-59 years, male 8.5
GTEX-ZA64-1026-SM-5HL8R 20-29 years, male 8.5
GTEX-ZLWG-0826-SM-59888 50-59 years, female 8.5
GTEX-1AYD5-2626-SM-7PBXY 50-59 years, male 8.5
GTEX-1HCU7-0726-SM-A9SL1 50-59 years, male 8.5
GTEX-1K2DA-1026-SM-CGQGF 50-59 years, male 8.5
GTEX-1HKZK-0726-SM-ACKW2 40-49 years, male 8.4
GTEX-1HSGN-0826-SM-ACKW3 40-49 years, female 8.4
GTEX-1QMI2-2526-SM-E8VNZ 60-69 years, male 8.4
GTEX-11LCK-2226-SM-5HL4Q 30-39 years, male 8.3
GTEX-11TUW-0626-SM-5LU9M 60-69 years, male 8.3
GTEX-12WSL-2026-SM-5GCML 50-59 years, male 8.3
GTEX-1313W-0626-SM-5EQ4H 50-59 years, female 8.3
GTEX-1399Q-2326-SM-5KM2X 40-49 years, male 8.3
GTEX-1AX8Z-0726-SM-73KTS 60-69 years, male 8.3
GTEX-1B8SF-0126-SM-7DUG3 60-69 years, male 8.3
GTEX-11PRG-0726-SM-5EGL1 50-59 years, male 8.2
GTEX-139TS-2126-SM-5K7XC 60-69 years, male 8.2
GTEX-14BMU-1226-SM-5S2OR 20-29 years, female 8.2
GTEX-16YQH-2226-SM-7IGM2 30-39 years, male 8.2
GTEX-1EKGG-0626-SM-7DUGJ 60-69 years, male 8.2
GTEX-XQ8I-0926-SM-4BOOF 50-59 years, male 8.2
GTEX-ZXG5-2126-SM-59HKD 60-69 years, male 8.2
GTEX-1MCC2-1826-SM-DIPEX 30-39 years, female 8.2
GTEX-11O72-0626-SM-5PNYE 40-49 years, male 8.1
GTEX-12WSD-0626-SM-5GCMW 60-69 years, female 8.1
GTEX-13OVK-1426-SM-6PAN7 40-49 years, male 8.1
GTEX-13QJC-0126-SM-5ZZWJ 60-69 years, female 8.1
GTEX-Z93S-1626-SM-5CVMB 50-59 years, male 8.1
GTEX-ZC5H-1526-SM-5HL9Y 40-49 years, female 8.1
GTEX-1H1DF-1126-SM-9WG7G 40-49 years, female 8.1
GTEX-1QCLZ-2426-SM-EVYBW 60-69 years, female 8.1
GTEX-1RB15-1326-SM-E76Q9 60-69 years, male 8.1
GTEX-12BJ1-0926-SM-5EQ62 60-69 years, male 8.0
GTEX-178AV-1726-SM-7KUL8 40-49 years, male 8.0
GTEX-YB5K-2026-SM-4VDT3 40-49 years, female 8.0
GTEX-YECK-0326-SM-4W1YS 60-69 years, male 8.0
GTEX-YF7O-1526-SM-5IFI6 50-59 years, male 8.0
GTEX-1C6VR-0126-SM-7RHGB 60-69 years, male 8.0
GTEX-1GTWX-2026-SM-9YFLM 60-69 years, male 8.0
GTEX-1EU9M-1426-SM-793AI 60-69 years, male 7.9
GTEX-Y8LW-1526-SM-5IFHL 50-59 years, female 7.9
GTEX-1KANB-2826-SM-CY8I6 50-59 years, male 7.9
GTEX-1LG7Z-1626-SM-CXKYR 30-39 years, male 7.9
GTEX-12126-0826-SM-5FQTZ 20-29 years, male 7.8
GTEX-146FQ-2126-SM-5RQHU 30-39 years, male 7.8
GTEX-147F3-1726-SM-5SIAW 50-59 years, female 7.8
GTEX-XV7Q-1826-SM-4BRUV 40-49 years, female 7.8
GTEX-ZTTD-2826-SM-4YCFA 50-59 years, male 7.8
GTEX-1IE54-1126-SM-A9G2Z 40-49 years, female 7.8
GTEX-14ABY-2026-SM-62LDL 50-59 years, male 7.7
GTEX-15RJE-2826-SM-7KUM9 40-49 years, male 7.7
GTEX-ZT9W-1126-SM-57WDR 50-59 years, male 7.7
GTEX-1IDJD-2326-SM-ACKWX 30-39 years, male 7.7
GTEX-14BIN-1126-SM-5RQJZ 50-59 years, female 7.6
GTEX-1EH9U-2826-SM-7DUGT 60-69 years, male 7.6
GTEX-1F52S-2926-SM-7MKGA 60-69 years, female 7.6
GTEX-ZTSS-1426-SM-5985P 40-49 years, male 7.6
GTEX-18D9A-1426-SM-7LT8M 30-39 years, female 7.6
GTEX-1C64N-2626-SM-7PC2N 50-59 years, male 7.6
GTEX-ZF3C-0626-SM-DO92O 50-59 years, female 7.6
GTEX-1212Z-0126-SM-59HK4 60-69 years, male 7.5
GTEX-13112-0126-SM-5P9IU 50-59 years, male 7.5
GTEX-13OVG-1626-SM-5J1NF 60-69 years, male 7.5
GTEX-145LT-0526-SM-5LUB2 40-49 years, male 7.5
GTEX-WFG8-2126-SM-3GIKQ 20-29 years, male 7.5
GTEX-WYJK-0526-SM-3NM8Z 50-59 years, male 7.5
GTEX-X4EO-2926-SM-4E3JH 60-69 years, female 7.5
GTEX-1CAMQ-1326-SM-7P8RV 40-49 years, male 7.5
GTEX-1I1GP-1326-SM-A9G28 50-59 years, male 7.5
GTEX-1OJC4-2726-SM-E76PJ 50-59 years, female 7.5
GTEX-16MT8-2926-SM-7DUFO 60-69 years, female 7.4
GTEX-1BAJH-2426-SM-7IGP8 70-79 years, male 7.4
GTEX-1GN2E-0226-SM-9WG6K 60-69 years, male 7.4
GTEX-1HBPI-2126-SM-ARL9K 50-59 years, male 7.4
GTEX-1I1HK-2326-SM-CKZOH 60-69 years, male 7.4
GTEX-1I4MK-0126-SM-CY8G6 50-59 years, female 7.4
GTEX-1ICG6-1226-SM-A9SLN 70-79 years, female 7.4
GTEX-1JMQK-1226-SM-D4P2S 60-69 years, male 7.4
GTEX-1R46S-2426-SM-E76QA 60-69 years, female 7.4
GTEX-1AX9I-2226-SM-73KUO 60-69 years, male 7.3
GTEX-1EWIQ-0326-SM-7DHMQ 70-79 years, female 7.3
GTEX-ZAK1-0626-SM-5HL8E 50-59 years, female 7.3
GTEX-1GZ4I-2626-SM-9KNU3 50-59 years, male 7.3
GTEX-1IDJE-1426-SM-ADEIW 50-59 years, female 7.3
GTEX-1K9T9-1526-SM-DIPFR 50-59 years, female 7.3
GTEX-1PIIG-2326-SM-DTXFR 30-39 years, male 7.3
GTEX-1R9K4-2826-SM-DTX8F 60-69 years, male 7.3
GTEX-139TT-2126-SM-5LZWC 60-69 years, male 7.2
GTEX-13FHO-0426-SM-5L3F5 60-69 years, male 7.2
GTEX-15EO6-2426-SM-6PALZ 50-59 years, male 7.2
GTEX-15FZZ-0526-SM-7KUGD 30-39 years, female 7.2
GTEX-W5X1-2526-SM-3GILC 40-49 years, female 7.2
GTEX-1B8L1-2226-SM-7P8PT 60-69 years, male 7.2
GTEX-1H3O1-1326-SM-9MQLD 60-69 years, male 7.2
GTEX-1HB9E-0126-SM-CM2S5 50-59 years, male 7.2
GTEX-1HR9M-2226-SM-CNPPY 60-69 years, male 7.2
GTEX-1L5NE-1126-SM-D3L9P 50-59 years, male 7.2
GTEX-13OVJ-0826-SM-5J1OK 50-59 years, female 7.1
GTEX-14753-0726-SM-5QGQO 60-69 years, male 7.1
GTEX-1GF9W-1426-SM-7PBYM 60-69 years, male 7.1
GTEX-1QP66-1226-SM-DTX7U 50-59 years, male 7.1
GTEX-12WSM-1926-SM-5BC65 60-69 years, male 7.0
GTEX-14A6H-2026-SM-5Q5DD 30-39 years, male 7.0
GTEX-14C5O-0326-SM-5ZZUX 60-69 years, male 7.0
GTEX-15ER7-0626-SM-6PANF 20-29 years, female 7.0
GTEX-YJ8O-2526-SM-5HL85 40-49 years, female 7.0
GTEX-1F88F-0126-SM-9WYSZ 60-69 years, female 7.0
GTEX-1H3NZ-2726-SM-9WYTQ 60-69 years, male 7.0
GTEX-139UW-0326-SM-5J1ML 60-69 years, male 6.9
GTEX-15CHC-1126-SM-6LLHQ 60-69 years, female 6.9
GTEX-17HHY-0426-SM-7DHLC 50-59 years, male 6.9
GTEX-1CB4H-1126-SM-7MKGL 60-69 years, female 6.9
GTEX-1J8Q3-0526-SM-ARL8U 60-69 years, male 6.9
GTEX-11NUK-2726-SM-5A5MC 50-59 years, male 6.8
GTEX-11TT1-1826-SM-5EQLV 20-29 years, male 6.8
GTEX-13IVO-0726-SM-5LZYV 70-79 years, male 6.8
GTEX-13JVG-0726-SM-5KM16 60-69 years, male 6.8
GTEX-13SLX-2226-SM-62LEP 50-59 years, female 6.8
GTEX-1EX96-1026-SM-7MKG2 50-59 years, male 6.8
GTEX-11UD2-2526-SM-5CVNU 50-59 years, male 6.7
GTEX-131XW-0626-SM-5PNVD 50-59 years, female 6.7
GTEX-16MT9-0126-SM-7EPI8 60-69 years, female 6.7
GTEX-17F9Y-0126-SM-79OKX 70-79 years, female 6.7
GTEX-ZYFC-0426-SM-5GICQ 50-59 years, male 6.7
GTEX-1IL2V-1926-SM-B2LW8 70-79 years, male 6.7
GTEX-1POEN-2326-SM-E9J2L 30-39 years, female 6.7
GTEX-1269C-0126-SM-5EQ5L 60-69 years, female 6.6
GTEX-13QBU-1226-SM-5LU4G 40-49 years, female 6.6
GTEX-145LU-1926-SM-79OJN 50-59 years, male 6.6
GTEX-ZE9C-2526-SM-5IJDR 60-69 years, male 6.6
GTEX-1JJ6O-2726-SM-CNPOG 60-69 years, male 6.6
GTEX-1KD5A-0126-SM-E9U54 50-59 years, male 6.6
GTEX-1N2EE-0626-SM-E76PW 60-69 years, male 6.6
GTEX-11GS4-0226-SM-5HL77 60-69 years, male 6.5
GTEX-12WSF-1626-SM-7KUG5 70-79 years, male 6.5
GTEX-139D8-1126-SM-5LU8W 30-39 years, female 6.5
GTEX-15CHQ-0326-SM-69LQD 60-69 years, male 6.5
GTEX-18A6Q-0626-SM-7KFRP 60-69 years, male 6.5
GTEX-Y5V5-0126-SM-5S2NW 60-69 years, female 6.5
GTEX-ZDTS-0826-SM-4WKHL 60-69 years, male 6.5
GTEX-1H4P4-2126-SM-9WYSL 50-59 years, male 6.5
GTEX-1LSVX-2526-SM-DIPEU 60-69 years, male 6.5
GTEX-131YS-2826-SM-5EQ47 60-69 years, female 6.4
GTEX-13PVQ-0626-SM-5LU47 50-59 years, male 6.4
GTEX-15DDE-2926-SM-6LLJ3 50-59 years, female 6.4
GTEX-UPK5-0426-SM-3GAEK 40-49 years, male 6.4
GTEX-1LVA9-2626-SM-EVYD4 50-59 years, male 6.4
GTEX-14C38-0726-SM-5SI6M 50-59 years, male 6.3
GTEX-14LZ3-0126-SM-69LPM 60-69 years, female 6.3
GTEX-ZVT4-2426-SM-5GIEI 50-59 years, female 6.3
GTEX-1LKK1-2626-SM-DKPQE 50-59 years, female 6.3
GTEX-13PDP-0726-SM-5L3HP 60-69 years, male 6.2
GTEX-13VXU-0626-SM-5L3F9 50-59 years, male 6.2
GTEX-14LLW-2626-SM-62LDZ 70-79 years, female 6.2
GTEX-16NPX-0726-SM-7KULC 50-59 years, male 6.2
GTEX-18A7A-0126-SM-731AH 50-59 years, female 6.2
GTEX-WI4N-2726-SM-3LK7Y 40-49 years, female 6.2
GTEX-1HT8W-0626-SM-A9G2H 30-39 years, male 6.2
GTEX-1IOXB-2726-SM-CM2RI 50-59 years, male 6.2
GTEX-1JN1M-2726-SM-CY8I4 60-69 years, female 6.2
GTEX-1QAET-0326-SM-EVR3U 50-59 years, male 6.2
GTEX-1399R-1326-SM-5PNYS 30-39 years, male 6.1
GTEX-13RTJ-0126-SM-5S2NN 60-69 years, male 6.1
GTEX-13U4I-2226-SM-5LU5H 40-49 years, female 6.1
GTEX-13X6K-0626-SM-5LU5D 60-69 years, female 6.1
GTEX-144GO-2026-SM-5O99P 60-69 years, male 6.1
GTEX-14A5H-0826-SM-5QGPJ 60-69 years, male 6.1
GTEX-17EVP-2626-SM-7IGMA 40-49 years, male 6.1
GTEX-1GN1V-2826-SM-9JGIA 60-69 years, male 6.1
GTEX-1I1GS-2626-SM-B2LY3 60-69 years, male 6.1
GTEX-11GSP-2326-SM-5HL63 60-69 years, female 6.0
GTEX-13SLW-0626-SM-5Q5ER 70-79 years, male 6.0
GTEX-18A7B-2726-SM-7LG56 70-79 years, male 6.0
GTEX-14JFF-0626-SM-5ZZVT 60-69 years, male 6.0
GTEX-139T8-0626-SM-5KLZX 60-69 years, male 5.9
GTEX-145MG-1526-SM-5Q5EM 50-59 years, male 5.9
GTEX-14C39-1726-SM-5RQIL 40-49 years, male 5.9
GTEX-WRHU-2826-SM-3MJG8 50-59 years, female 5.9
GTEX-1JMOU-1026-SM-CYPSS 60-69 years, female 5.9
GTEX-1N5O9-0926-SM-E9J3C 60-69 years, male 5.9
GTEX-13FLV-0126-SM-5K7WT 50-59 years, male 5.8
GTEX-13NYC-0126-SM-5L3F4 60-69 years, male 5.8
GTEX-1E1VI-0326-SM-793D1 50-59 years, male 5.8
GTEX-1EN7A-2426-SM-793DB 40-49 years, male 5.8
GTEX-ZYVF-0926-SM-5E44J 50-59 years, female 5.8
GTEX-ZYW4-0626-SM-59HJR 60-69 years, male 5.8
GTEX-1IDJH-0126-SM-D3L92 70-79 years, male 5.8
GTEX-1J8Q2-2626-SM-ACKWQ 60-69 years, male 5.8
GTEX-16Z82-2626-SM-7KULU 60-69 years, male 5.7
GTEX-VUSG-2326-SM-4KL1U 50-59 years, male 5.7
GTEX-X4EP-0626-SM-3P621 60-69 years, female 5.7
GTEX-1F48J-0726-SM-7RHGS 50-59 years, female 5.7
GTEX-1H1ZS-2726-SM-9WG75 70-79 years, male 5.7
GTEX-1HCVE-2726-SM-CL54F 50-59 years, male 5.7
GTEX-1HR98-2226-SM-ADEI2 60-69 years, male 5.7
GTEX-1IDJI-0126-SM-CMKHS 50-59 years, female 5.7
GTEX-1IDJV-0126-SM-COH3Y 60-69 years, male 5.7
GTEX-12696-0126-SM-5EQ4L 60-69 years, male 5.6
GTEX-1A8G7-1326-SM-73KVM 60-69 years, male 5.6
GTEX-XOT4-0626-SM-4B66L 60-69 years, female 5.6
GTEX-1JMQI-1726-SM-ARL93 50-59 years, male 5.6
GTEX-11ZUS-2626-SM-5FQUR 30-39 years, male 5.5
GTEX-12KS4-2126-SM-5FQUT 30-39 years, male 5.5
GTEX-13O3Q-0126-SM-5KM34 50-59 years, male 5.5
GTEX-13OW7-0426-SM-5K7VK 50-59 years, male 5.5
GTEX-13OW8-1026-SM-5J1NQ 60-69 years, male 5.5
GTEX-144FL-0626-SM-5LU43 50-59 years, male 5.5
GTEX-1477Z-0326-SM-7IGLA 60-69 years, male 5.5
GTEX-15SHW-0226-SM-7LTAT 60-69 years, male 5.5
GTEX-1AX9J-1326-SM-731BJ 60-69 years, male 5.5
GTEX-WYBS-0626-SM-3NMAS 60-69 years, female 5.5
GTEX-1GMR8-0626-SM-7RHI7 50-59 years, female 5.5
GTEX-1JJE9-2626-SM-ARZMT 70-79 years, male 5.5
GTEX-1K2DU-1226-SM-CYPT4 20-29 years, male 5.5
GTEX-1LSNL-2726-SM-E9TKJ 50-59 years, male 5.5
GTEX-1QEPI-2626-SM-DTXF4 60-69 years, female 5.5
GTEX-14PJO-2526-SM-6AJBQ 60-69 years, male 5.4
GTEX-1A32A-0626-SM-731AQ 50-59 years, female 5.4
GTEX-1C6VQ-1226-SM-73KYD 50-59 years, male 5.4
GTEX-U8XE-0226-SM-4E3J3 30-39 years, male 5.4
GTEX-1H1CY-0126-SM-9YFLY 60-69 years, female 5.4
GTEX-1HBPM-0726-SM-9YFL7 60-69 years, female 5.4
GTEX-1HFI6-0126-SM-CNPPI 40-49 years, male 5.4
GTEX-13OVH-0526-SM-5L3E6 70-79 years, male 5.3
GTEX-13X6J-0626-SM-5LU5F 50-59 years, male 5.3
GTEX-14JG1-1526-SM-5YY9X 40-49 years, male 5.3
GTEX-17MF6-2626-SM-79OKQ 40-49 years, male 5.3
GTEX-1GZ2Q-0126-SM-9WG6M 40-49 years, male 5.3
GTEX-11WQK-1026-SM-5EQLX 50-59 years, male 5.2
GTEX-13O3O-2326-SM-5IJD6 60-69 years, female 5.2
GTEX-1B933-2426-SM-7DHMD 50-59 years, female 5.2
GTEX-XBEC-0726-SM-4QARZ 50-59 years, male 5.2
GTEX-1JMPZ-0726-SM-CY8HZ 30-39 years, male 5.2
GTEX-13OVL-0126-SM-5L3GJ 50-59 years, male 5.1
GTEX-13X6I-1826-SM-5SIAO 60-69 years, male 5.1
GTEX-15SKB-2826-SM-6PAMH 60-69 years, male 5.1
GTEX-1CAV2-0126-SM-7IGN7 40-49 years, female 5.1
GTEX-ZAB4-2126-SM-5HL8U 40-49 years, male 5.1
GTEX-1H1DG-2426-SM-9QEHJ 70-79 years, male 5.1
GTEX-1HUB1-1426-SM-CGQF5 60-69 years, male 5.1
GTEX-1KWVE-1026-SM-D3L9O 30-39 years, male 5.1
GTEX-1LG7Y-2526-SM-EWRO7 50-59 years, male 5.1
GTEX-1M4P7-0726-SM-E6CJ3 60-69 years, male 5.1
GTEX-11DXY-0126-SM-5H11Q 60-69 years, male 5.0
GTEX-145LS-0626-SM-7EPG7 60-69 years, female 5.0
GTEX-183WM-0326-SM-72D5V 70-79 years, female 5.0
GTEX-1A8G6-2726-SM-731AR 60-69 years, male 5.0
GTEX-12WSC-2826-SM-5BC5Y 50-59 years, male 4.9
GTEX-13N2G-0226-SM-5K7VF 60-69 years, male 4.9
GTEX-145MF-0926-SM-5Q5EA 50-59 years, male 4.9
GTEX-18465-2826-SM-7LT9J 50-59 years, male 4.9
GTEX-ZWKS-0626-SM-5GIDV 30-39 years, male 4.9
GTEX-1F6RS-2026-SM-7RHHC 60-69 years, female 4.9
GTEX-1I1CD-0626-SM-CE6SW 60-69 years, female 4.9
GTEX-11EI6-2826-SM-5H11D 60-69 years, male 4.8
GTEX-144GL-0626-SM-5LU4D 50-59 years, male 4.8
GTEX-148VJ-0626-SM-5LUAW 70-79 years, male 4.8
GTEX-1A3MW-0626-SM-731CB 60-69 years, female 4.8
GTEX-ZYY3-2926-SM-5GIEB 60-69 years, female 4.8
GTEX-1F75B-0726-SM-7PC3R 50-59 years, male 4.8
GTEX-1J1OQ-0126-SM-D4P2N 40-49 years, female 4.8
GTEX-12584-0726-SM-5FQTK 40-49 years, male 4.7
GTEX-V1D1-2026-SM-3GAF4 50-59 years, male 4.7
GTEX-1HSMO-0626-SM-ACKXC 60-69 years, male 4.7
GTEX-111FC-2526-SM-5GZXU 60-69 years, male 4.6
GTEX-11EQ8-0926-SM-5H12V 60-69 years, male 4.6
GTEX-14PJ2-0626-SM-6LLII 50-59 years, male 4.6
GTEX-15D1Q-2826-SM-6LLH7 40-49 years, male 4.6
GTEX-1GF9U-2026-SM-7SB92 40-49 years, female 4.6
GTEX-17HG3-2626-SM-7DUF2 30-39 years, female 4.5
GTEX-WHSE-0126-SM-3NMBT 20-29 years, male 4.5
GTEX-1H23P-0626-SM-9WG6T 60-69 years, male 4.5
GTEX-1ICLY-0826-SM-CMKG1 50-59 years, male 4.5
GTEX-13YAN-0226-SM-5TDC6 60-69 years, male 4.4
GTEX-1F6IF-0926-SM-7SB7M 60-69 years, male 4.4
GTEX-1PPH7-1126-SM-DTX9A 40-49 years, male 4.4
GTEX-17EVQ-0126-SM-7IGLR 70-79 years, male 4.3
GTEX-17JCI-2926-SM-7DUFF 60-69 years, female 4.3
GTEX-X8HC-0626-SM-4E3HQ 50-59 years, female 4.3
GTEX-ZU9S-1826-SM-5NQ9E 30-39 years, male 4.3
GTEX-1HCU8-2526-SM-CE6RX 60-69 years, female 4.3
GTEX-1O9I2-0226-SM-EYYXD 50-59 years, male 4.3
GTEX-14BMV-2826-SM-5TDED 50-59 years, male 4.2
GTEX-12WSA-0426-SM-5EQ5X 60-69 years, male 4.1
GTEX-14DAQ-0626-SM-793DS 60-69 years, female 4.1
GTEX-1314G-1326-SM-5BC6E 30-39 years, male 4.0
GTEX-145MI-0626-SM-5SI8S 60-69 years, female 4.0
GTEX-14E6C-2426-SM-5S2NF 40-49 years, male 4.0
GTEX-WK11-2726-SM-3NMAQ 50-59 years, male 4.0
GTEX-ZAJG-1526-SM-5CVML 50-59 years, female 4.0
GTEX-1J8JJ-0626-SM-ARZMQ 60-69 years, female 4.0
GTEX-1117F-2926-SM-5GZYI 60-69 years, female 3.9
GTEX-ZDXO-3126-SM-5IJDF 60-69 years, male 3.9
GTEX-ZVTK-0226-SM-51MRG 20-29 years, male 3.9
GTEX-1A8FM-0626-SM-7PC25 50-59 years, female 3.9
GTEX-1JN6P-2926-SM-CL54D 60-69 years, male 3.9
GTEX-1LVAO-2726-SM-E9TJ8 60-69 years, male 3.9
GTEX-13NZ9-2626-SM-5L3FK 50-59 years, male 3.8
GTEX-1S5ZU-2526-SM-E6CIF 20-29 years, female 3.8
GTEX-1A3MX-2626-SM-7PC24 60-69 years, male 3.7
GTEX-1JMQL-2226-SM-CNPP4 50-59 years, female 3.7
GTEX-16GPK-0626-SM-7KFSF 60-69 years, male 3.6
GTEX-ZVE2-2826-SM-5GU51 50-59 years, male 3.5
GTEX-1H3VE-0726-SM-9YFL5 40-49 years, male 3.5
GTEX-13JUV-2026-SM-5K7UA 40-49 years, female 3.4
GTEX-147JS-0226-SM-5S2U9 60-69 years, male 3.4
GTEX-13N1W-2426-SM-5IJD1 70-79 years, male 3.3
GTEX-1F75W-2726-SM-7SB8H 60-69 years, male 3.3
GTEX-1GMR3-0126-SM-A9SLW 40-49 years, male 3.3
GTEX-11DXW-0826-SM-5H118 40-49 years, male 3.2
GTEX-15UF6-1926-SM-7KUDV 70-79 years, female 3.2
GTEX-XK95-0226-SM-4AT58 40-49 years, male 3.2
GTEX-ZUA1-2626-SM-5NQ92 40-49 years, male 3.2
GTEX-145MO-2826-SM-5LU96 60-69 years, male 3.1
GTEX-16XZZ-0726-SM-7KUF2 60-69 years, male 3.1
GTEX-XMD2-2126-SM-4YCF8 60-69 years, female 3.0
GTEX-1I19N-0126-SM-CYPSF 70-79 years, male 3.0
GTEX-ZVE1-0726-SM-51MRN 50-59 years, female 2.9
GTEX-13NZ8-1226-SM-5KM4A 60-69 years, female 2.7
GTEX-ZYFD-0626-SM-5E44E 50-59 years, male 2.0
GTEX-1F88E-1626-SM-7SB8Z 60-69 years, female 1.9
GTEX-1IDFM-0326-SM-ARL7V 60-69 years, male 1.5
Show allShow less
Skin - Sun Exposed (Lower leg)
Average nTPM: 8.5
Samples: 701

Max nTPM: 20.2
Min nTPM: 2.3
Std nTPM: 2.6
Median nTPM: 8.3
GTEX-Y3IK-2426-SM-4WWDU 50-59 years, female 20.2
GTEX-X88G-0126-SM-47JZ3 30-39 years, male 19.3
GTEX-1OJC3-0126-SM-E76QX 20-29 years, male 19.0
GTEX-1QP9N-1426-SM-DTXFL 30-39 years, male 18.0
GTEX-13CF2-2526-SM-5LZYX 60-69 years, male 15.5
GTEX-P4QT-0126-SM-2I3FL 50-59 years, female 15.4
GTEX-WXYG-2326-SM-4E3I6 50-59 years, female 15.4
GTEX-Y114-2426-SM-4TT8A 50-59 years, female 15.4
GTEX-1F5PL-0326-SM-7P8PQ 40-49 years, female 15.2
GTEX-13111-1626-SM-5EGJY 50-59 years, male 15.1
GTEX-TML8-1926-SM-32QOS 40-49 years, female 15.1
GTEX-11DXZ-2326-SM-5EGGV 50-59 years, male 15.0
GTEX-12WSK-2326-SM-5GCOH 40-49 years, female 15.0
GTEX-T6MN-0126-SM-32PLP 50-59 years, male 15.0
GTEX-13X6H-2126-SM-7EWD5 50-59 years, female 14.9
GTEX-PX3G-0126-SM-2I3EN 20-29 years, female 14.9
GTEX-P4PP-0126-SM-3LK69 30-39 years, female 14.8
GTEX-1399U-2326-SM-5K7WY 50-59 years, female 14.7
GTEX-ZGAY-0526-SM-4WWBB 40-49 years, female 14.6
GTEX-ZTX8-1426-SM-5DUVO 20-29 years, male 14.5
GTEX-13RTK-1426-SM-5QGQJ 20-29 years, male 14.4
GTEX-XPVG-2626-SM-4B669 50-59 years, male 14.2
GTEX-ZDYS-2026-SM-5HL5L 50-59 years, male 14.2
GTEX-1IL2U-0226-SM-CE6T8 60-69 years, male 13.9
GTEX-1CAV2-2226-SM-7P8P2 40-49 years, female 13.8
GTEX-1K2DA-1826-SM-CGQGT 50-59 years, male 13.7
GTEX-1EMGI-0126-SM-9KNUE 60-69 years, male 13.6
GTEX-1LVAN-0226-SM-COH3S 50-59 years, female 13.6
GTEX-15ER7-0326-SM-7KUEV 20-29 years, female 13.5
GTEX-WYJK-0126-SM-3NMAB 50-59 years, male 13.5
GTEX-1I4MK-2226-SM-ACKWD 50-59 years, female 13.5
GTEX-1MA7W-2026-SM-E9TJ6 20-29 years, female 13.4
GTEX-145MN-2226-SM-5SIAU 30-39 years, male 13.3
GTEX-1B8KE-2126-SM-73KYX 50-59 years, male 13.3
GTEX-OIZH-0126-SM-2HMIS 50-59 years, male 13.3
GTEX-SUCS-1926-SM-32PM3 70-79 years, male 13.3
GTEX-U8T8-0126-SM-3DB94 60-69 years, male 13.3
GTEX-14PII-0226-SM-6EU1T 60-69 years, male 13.2
GTEX-13113-5016-SM-7EPIP 60-69 years, female 13.1
GTEX-OHPL-0126-SM-2HMJ7 60-69 years, female 13.1
GTEX-1PPH8-0226-SM-E8VND 20-29 years, male 13.1
GTEX-W5X1-3026-SM-EAZAX 40-49 years, female 13.1
GTEX-W5WG-1826-SM-4KL2Y 50-59 years, female 13.0
GTEX-13PVR-2326-SM-5QGR1 60-69 years, female 12.9
GTEX-T5JW-1626-SM-3GADZ 20-29 years, female 12.9
GTEX-1S5ZA-0126-SM-EVYCV 20-29 years, male 12.9
GTEX-13FTW-2626-SM-5K7WL 40-49 years, male 12.8
GTEX-18A6Q-0126-SM-731BZ 60-69 years, male 12.8
GTEX-YB5K-2126-SM-4WWDJ 40-49 years, female 12.8
GTEX-1LBAC-0126-SM-DIPEZ 20-29 years, male 12.8
GTEX-ZF2S-2326-SM-4WWCE 50-59 years, female 12.7
GTEX-1C475-1826-SM-73KWA 40-49 years, female 12.6
GTEX-POMQ-2226-SM-2I5FK 20-29 years, female 12.6
GTEX-1I1GV-0526-SM-A9G29 60-69 years, male 12.6
GTEX-1JMLX-0226-SM-CM2RO 50-59 years, male 12.5
GTEX-WFON-2126-SM-3LK7O 40-49 years, male 12.3
GTEX-WY7C-2326-SM-3NB2U 50-59 years, male 12.3
GTEX-1KANC-1526-SM-D3LAB 50-59 years, female 12.3
GTEX-1LGOU-2026-SM-DIPFF 20-29 years, female 12.3
GTEX-PLZ6-1426-SM-DKPOT 30-39 years, male 12.3
GTEX-1211K-2026-SM-5EQ4Z 60-69 years, female 12.2
GTEX-14PHX-2326-SM-62LEM 50-59 years, male 12.2
GTEX-1C4CL-0526-SM-73KVK 30-39 years, male 12.2
GTEX-OIZG-0726-SM-33HBL 50-59 years, male 12.2
GTEX-1OFPY-2426-SM-DTXEJ 60-69 years, male 12.2
GTEX-11DYG-0126-SM-59883 60-69 years, male 12.1
GTEX-1CB4E-2226-SM-793DC 60-69 years, male 12.1
GTEX-1CB4I-0226-SM-79OLH 50-59 years, male 12.1
GTEX-NFK9-0226-SM-2HMKQ 40-49 years, male 12.1
GTEX-TMZS-0126-SM-3DB9Q 60-69 years, male 12.1
GTEX-XUZC-1726-SM-4BRWS 30-39 years, female 12.1
GTEX-X5EB-2226-SM-46MW4 40-49 years, male 12.0
GTEX-ZTSS-1926-SM-57WEW 40-49 years, male 12.0
GTEX-PWCY-1826-SM-DHXIZ 20-29 years, female 12.0
GTEX-RVPV-0126-SM-EAZAW 60-69 years, male 12.0
GTEX-1122O-2126-SM-5EGIR 60-69 years, female 11.9
GTEX-131YS-0126-SM-5KM1M 60-69 years, female 11.9
GTEX-15SB6-1726-SM-6PAME 50-59 years, female 11.9
GTEX-17HII-0226-SM-7LG4E 50-59 years, male 11.9
GTEX-1CB4J-0626-SM-7DHMP 60-69 years, male 11.9
GTEX-XBED-2226-SM-47JYQ 60-69 years, male 11.9
GTEX-ZVT2-2526-SM-51MT1 50-59 years, female 11.9
GTEX-ZVTK-0426-SM-51MRS 20-29 years, male 11.9
GTEX-1NV5F-0226-SM-E8VNY 60-69 years, female 11.9
GTEX-PSDG-0226-SM-DKPOZ 50-59 years, male 11.9
GTEX-ZPIC-1726-SM-DHXIU 40-49 years, female 11.9
GTEX-13D11-2426-SM-5KM1V 50-59 years, female 11.8
GTEX-17F98-0626-SM-79OMX 40-49 years, female 11.8
GTEX-UJHI-1526-SM-3DB99 50-59 years, female 11.8
GTEX-XUYS-0126-SM-47JWZ 50-59 years, male 11.8
GTEX-13FXS-0226-SM-5IJCK 50-59 years, male 11.7
GTEX-ZVZO-0126-SM-5A5L9 40-49 years, male 11.7
GTEX-ZVZP-2426-SM-59HKJ 50-59 years, male 11.7
GTEX-1S83E-0126-SM-EWRO4 40-49 years, male 11.7
GTEX-XBEW-0626-SM-4QASP 40-49 years, male 11.5
GTEX-XYKS-2126-SM-4E3IB 60-69 years, female 11.5
GTEX-Y111-0126-SM-4SOIV 50-59 years, male 11.5
GTEX-ZV68-0126-SM-59HKS 50-59 years, female 11.5
GTEX-ZF29-2326-SM-DO92K 60-69 years, female 11.5
GTEX-O5YT-0126-SM-48TBW 20-29 years, male 11.4
GTEX-1JN6P-0126-SM-D3L98 60-69 years, male 11.4
GTEX-1LG7Z-1726-SM-D3LA4 30-39 years, male 11.4
GTEX-1PIGE-0126-SM-EVYBJ 20-29 years, male 11.4
GTEX-11EM3-2426-SM-59861 20-29 years, female 11.3
GTEX-RWS6-2026-SM-2XCB5 60-69 years, female 11.3
GTEX-T2YK-0526-SM-32QPJ 50-59 years, male 11.3
GTEX-XAJ8-0826-SM-47JY6 40-49 years, male 11.3
GTEX-Y8DK-0126-SM-4TT3L 60-69 years, male 11.3
GTEX-1MJK2-0426-SM-DTXE5 50-59 years, male 11.3
GTEX-117XS-2726-SM-5N9BL 60-69 years, male 11.2
GTEX-13OW6-0426-SM-5L3HM 50-59 years, male 11.2
GTEX-14XAO-2326-SM-6EU1B 60-69 years, female 11.2
GTEX-18D9A-1926-SM-7LG6P 30-39 years, female 11.2
GTEX-S7PM-0126-SM-4AD6S 60-69 years, male 11.2
GTEX-1EWIQ-0126-SM-7RHH2 70-79 years, female 11.2
GTEX-1JN76-0126-SM-CNPPE 20-29 years, female 11.2
GTEX-WRHK-1426-SM-3MJF9 20-29 years, female 11.1
GTEX-YEC4-2126-SM-5IFJH 40-49 years, male 11.1
GTEX-YJ89-0126-SM-4TT3X 60-69 years, male 11.1
GTEX-WQUQ-0426-SM-3MJFU 60-69 years, male 11.0
GTEX-ZXES-1826-SM-5E43S 30-39 years, female 11.0
GTEX-1R7EU-0226-SM-EVR4G 60-69 years, male 11.0
GTEX-146FH-0126-SM-5QGPP 50-59 years, female 10.9
GTEX-Q2AI-1326-SM-2S1PL 40-49 years, male 10.9
GTEX-QESD-1426-SM-2S1R9 20-29 years, male 10.9
GTEX-1F5PK-2426-SM-7RHHY 50-59 years, male 10.9
GTEX-1HFI6-0226-SM-ADEHZ 40-49 years, male 10.9
GTEX-1B8SF-1426-SM-7DUGL 60-69 years, male 10.8
GTEX-TKQ1-1026-SM-4GICL 30-39 years, male 10.8
GTEX-UPJH-0326-SM-3GADU 50-59 years, male 10.8
GTEX-WH7G-2326-SM-3NMBC 40-49 years, male 10.8
GTEX-XQ3S-1526-SM-4BOOC 20-29 years, male 10.8
GTEX-YB5E-2026-SM-5IFIS 40-49 years, male 10.8
GTEX-ZYT6-0226-SM-5NQ6T 30-39 years, male 10.8
GTEX-1HSKV-0226-SM-A9SKJ 60-69 years, male 10.8
GTEX-1PFEY-1526-SM-E76PP 30-39 years, male 10.8
GTEX-1B97I-1626-SM-73KYO 40-49 years, male 10.7
GTEX-1CAMS-0426-SM-7P8T2 40-49 years, female 10.7
GTEX-1GL5R-1826-SM-9KNUY 50-59 years, male 10.6
GTEX-1HCU6-0126-SM-CL54K 60-69 years, female 10.6
GTEX-1J8EW-0126-SM-CJI4F 60-69 years, female 10.6
GTEX-1LSNM-1926-SM-E6CII 50-59 years, male 10.6
GTEX-1RB15-2126-SM-E9TIM 60-69 years, male 10.6
GTEX-11UD1-0126-SM-5PNYG 40-49 years, female 10.5
GTEX-13JUV-2726-SM-5LZZ8 40-49 years, female 10.5
GTEX-O5YW-0126-SM-3LK6D 50-59 years, male 10.5
GTEX-XUW1-0426-SM-4BOOT 50-59 years, female 10.5
GTEX-Y3I4-2126-SM-4TT7C 50-59 years, male 10.5
GTEX-1GN1U-0126-SM-7PBZK 50-59 years, female 10.5
GTEX-1JMPY-1326-SM-ARL8Y 30-39 years, male 10.5
GTEX-139TS-2826-SM-5J1OO 60-69 years, male 10.4
GTEX-14PJM-0226-SM-62LF1 50-59 years, female 10.4
GTEX-14PN4-0126-SM-6EU2V 50-59 years, male 10.4
GTEX-15ETS-0126-SM-7KUMW 40-49 years, female 10.4
GTEX-1B8L1-2526-SM-9WYTF 60-69 years, male 10.4
GTEX-1IDJH-0326-SM-A9SLQ 70-79 years, male 10.4
GTEX-1PIIG-0226-SM-EWRN6 30-39 years, male 10.4
GTEX-11P81-2326-SM-59875 30-39 years, female 10.3
GTEX-12126-0326-SM-5PNW3 20-29 years, male 10.3
GTEX-12WSJ-1826-SM-5GCNY 40-49 years, female 10.3
GTEX-1H4P4-0726-SM-9YFLR 50-59 years, male 10.3
GTEX-1HSGN-0226-SM-CGQFV 40-49 years, female 10.3
GTEX-OOBJ-0126-SM-E6CJW 60-69 years, male 10.3
GTEX-131XG-2626-SM-5KM17 50-59 years, female 10.2
GTEX-132NY-0326-SM-5IJBL 60-69 years, male 10.2
GTEX-14BMU-2226-SM-5TDE9 20-29 years, female 10.2
GTEX-1AX9J-0226-SM-73KXM 60-69 years, male 10.2
GTEX-RU72-0926-SM-2TF6B 50-59 years, female 10.2
GTEX-T2IS-0126-SM-4DM6O 20-29 years, female 10.2
GTEX-WI4N-1026-SM-3LK7N 40-49 years, female 10.2
GTEX-Y5V5-2326-SM-4V6GA 60-69 years, female 10.2
GTEX-1RAZA-0126-SM-E6CI3 20-29 years, male 10.2
GTEX-13G51-2526-SM-5LZYK 60-69 years, male 10.1
GTEX-17JCI-0126-SM-7LG5G 60-69 years, female 10.1
GTEX-XQ8I-0426-SM-4BOPO 50-59 years, male 10.1
GTEX-1JMQI-2226-SM-CM2SD 50-59 years, male 10.1
GTEX-1KAFJ-2026-SM-CY8ID 50-59 years, male 10.1
GTEX-1R9PM-2026-SM-E76OY 20-29 years, male 10.1
GTEX-15SHU-0126-SM-7KUEH 40-49 years, female 10.0
GTEX-1A3MV-1926-SM-718BT 30-39 years, male 10.0
GTEX-1AX8Z-0126-SM-7DHM6 60-69 years, male 10.0
GTEX-ZYFG-2326-SM-5E44B 60-69 years, female 10.0
GTEX-131XF-5016-SM-7MGWE 60-69 years, male 10.0
GTEX-1HCUA-2426-SM-ADEIS 50-59 years, female 10.0
GTEX-1KD4Q-0226-SM-E9TJ9 40-49 years, male 10.0
GTEX-Y8E4-0626-SM-4WWDL 40-49 years, male 9.9
GTEX-1JJEA-0326-SM-CNPOT 60-69 years, male 9.9
GTEX-11EQ9-2426-SM-5HL5T 30-39 years, male 9.8
GTEX-11GS4-2726-SM-5A5LE 60-69 years, male 9.8
GTEX-13FHP-0126-SM-5IJBG 50-59 years, male 9.8
GTEX-145MO-0326-SM-5Q5B3 60-69 years, male 9.8
GTEX-16GPK-0126-SM-7DHLE 60-69 years, male 9.8
GTEX-T8EM-1026-SM-3DB7M 40-49 years, male 9.8
GTEX-1GF9W-0326-SM-9KNUN 60-69 years, male 9.8
GTEX-1GF9X-2026-SM-7PC3A 40-49 years, female 9.8
GTEX-1H1CY-2826-SM-9MQM3 60-69 years, female 9.8
GTEX-1J1OQ-0226-SM-CYPSH 40-49 years, female 9.8
GTEX-13OVI-1426-SM-5L3EY 60-69 years, female 9.7
GTEX-1GTWX-0126-SM-9YFLK 60-69 years, male 9.7
GTEX-1IKK5-0626-SM-ARL8A 60-69 years, male 9.7
GTEX-1MCYP-1926-SM-E9J2R 20-29 years, female 9.7
GTEX-1MGNQ-0126-SM-EVYCJ 40-49 years, male 9.7
GTEX-ZQG8-1626-SM-DHXIT 60-69 years, female 9.7
GTEX-12696-2426-SM-5EQ6H 60-69 years, male 9.6
GTEX-12ZZX-0126-SM-5EGK9 40-49 years, female 9.6
GTEX-18A67-0126-SM-7LG5P 50-59 years, male 9.6
GTEX-18A7A-0226-SM-718BH 50-59 years, female 9.6
GTEX-QV44-1926-SM-2S1RF 50-59 years, male 9.6
GTEX-ZDTS-0126-SM-4WAY5 60-69 years, male 9.6
GTEX-S33H-1026-SM-EZ6L6 30-39 years, male 9.6
GTEX-144GN-2326-SM-5LU4F 50-59 years, male 9.5
GTEX-16NGA-1726-SM-731B4 40-49 years, female 9.5
GTEX-1B8SG-0126-SM-73KZ3 50-59 years, male 9.5
GTEX-PLZ5-2026-SM-2S1O4 50-59 years, male 9.5
GTEX-RM2N-1426-SM-2TF4H 50-59 years, male 9.5
GTEX-S7SE-0126-SM-2XCD5 50-59 years, male 9.5
GTEX-1HBPN-0226-SM-9YFM1 50-59 years, male 9.5
GTEX-1J8QM-2126-SM-CYPSJ 60-69 years, female 9.5
GTEX-1MUQO-0126-SM-EAZ58 60-69 years, male 9.5
GTEX-1269C-2526-SM-5EGJ3 60-69 years, female 9.4
GTEX-16BQI-0226-SM-7KUEX 30-39 years, female 9.4
GTEX-1C64N-0126-SM-793D7 50-59 years, male 9.4
GTEX-OHPM-0126-SM-2YUN9 50-59 years, male 9.4
GTEX-Z93T-0126-SM-5HL5N 50-59 years, male 9.4
GTEX-1LB8K-0226-SM-EWRNW 50-59 years, male 9.4
GTEX-1PDJ9-0326-SM-DTX95 20-29 years, male 9.4
GTEX-1192X-0226-SM-5H12D 50-59 years, male 9.3
GTEX-12WSD-0126-SM-59HKN 60-69 years, female 9.3
GTEX-131XH-2226-SM-5DUXJ 50-59 years, male 9.3
GTEX-18QFQ-0126-SM-731BE 30-39 years, male 9.3
GTEX-RWSA-0126-SM-2XCBB 40-49 years, male 9.3
GTEX-1CB4F-0426-SM-9KNV4 60-69 years, male 9.3
GTEX-1GPI7-0126-SM-9MQL8 20-29 years, male 9.3
GTEX-1GZHY-0326-SM-9QEHI 50-59 years, female 9.3
GTEX-111FC-0126-SM-5N9DL 60-69 years, male 9.2
GTEX-12ZZY-0226-SM-5LZVE 60-69 years, male 9.2
GTEX-14PJ3-1826-SM-62LEX 50-59 years, male 9.2
GTEX-1BAJH-0526-SM-793CQ 70-79 years, male 9.2
GTEX-X585-0226-SM-4QAS2 50-59 years, male 9.2
GTEX-1GZ4H-1726-SM-7PBZJ 50-59 years, female 9.2
GTEX-11LCK-1026-SM-5A5KB 30-39 years, male 9.1
GTEX-1399R-2726-SM-5IJBA 30-39 years, male 9.1
GTEX-18D9U-0226-SM-718BP 40-49 years, male 9.1
GTEX-Y5V6-2426-SM-4VDSB 60-69 years, male 9.1
GTEX-1B996-0226-SM-7RHGO 60-69 years, male 9.1
GTEX-1I6K6-0126-SM-A9SLE 30-39 years, male 9.1
GTEX-1IDJU-2626-SM-CM2RT 60-69 years, female 9.1
GTEX-1J8Q3-1626-SM-CMKGC 60-69 years, male 9.1
GTEX-1JMQJ-0526-SM-CYPSU 50-59 years, male 9.1
GTEX-1JMQK-0226-SM-CL543 60-69 years, male 9.1
GTEX-1QAET-0926-SM-E76QM 50-59 years, male 9.1
GTEX-12C56-1726-SM-5EQ61 20-29 years, male 9.0
GTEX-14ICK-0226-SM-6EU25 40-49 years, male 9.0
GTEX-17GQL-2026-SM-718BA 60-69 years, male 9.0
GTEX-P4PQ-0126-SM-2S1NM 60-69 years, male 9.0
GTEX-T5JC-0426-SM-32PLO 20-29 years, male 9.0
GTEX-U412-0426-SM-3DB9O 60-69 years, male 9.0
GTEX-ZE7O-0126-SM-57WC1 50-59 years, female 9.0
GTEX-1HCU9-1526-SM-A9SL7 20-29 years, male 9.0
GTEX-1ICG6-2526-SM-CGQFZ 70-79 years, female 9.0
GTEX-SE5C-1626-SM-2XCE3 40-49 years, female 9.0
GTEX-11P82-1626-SM-59879 20-29 years, male 8.9
GTEX-12WSC-0126-SM-5EQ4P 50-59 years, male 8.9
GTEX-13112-2826-SM-5DUWH 50-59 years, male 8.9
GTEX-139TT-0126-SM-5K7Y5 60-69 years, male 8.9
GTEX-13NYB-2526-SM-5K7Z6 40-49 years, male 8.9
GTEX-13S7M-0126-SM-5SI6A 60-69 years, female 8.9
GTEX-14DAR-2026-SM-5S2O3 50-59 years, male 8.9
GTEX-14JG6-2226-SM-6EU2G 30-39 years, female 8.9
GTEX-15SDE-2226-SM-7IGLO 50-59 years, female 8.9
GTEX-17MFQ-1726-SM-793C7 20-29 years, male 8.9
GTEX-QEG4-0226-SM-2S1PY 30-39 years, male 8.9
GTEX-X4XX-0126-SM-3NMC2 60-69 years, male 8.9
GTEX-1CB4G-0226-SM-7PC3O 60-69 years, male 8.9
GTEX-1GMR8-0126-SM-9WYTM 50-59 years, female 8.9
GTEX-1J1R8-1726-SM-ARL8M 40-49 years, male 8.9
GTEX-1LGRB-2526-SM-CNPPQ 50-59 years, female 8.9
GTEX-1N2DV-0226-SM-E6CJ6 40-49 years, male 8.9
GTEX-1QCLY-0326-SM-E8VOG 30-39 years, male 8.9
GTEX-1QP66-1726-SM-E8VO1 50-59 years, male 8.9
GTEX-11P7K-2126-SM-5GU7G 30-39 years, male 8.8
GTEX-11ZTS-0126-SM-5EQ6M 60-69 years, female 8.8
GTEX-13O3P-0126-SM-5KM4S 50-59 years, male 8.8
GTEX-145LS-0126-SM-5QGP1 60-69 years, female 8.8
GTEX-QLQ7-1626-SM-2S1R8 60-69 years, male 8.8
GTEX-QVJO-1626-SM-2S1QW 60-69 years, female 8.8
GTEX-X261-0126-SM-3NMD6 50-59 years, male 8.8
GTEX-X4EP-0126-SM-3P5YV 60-69 years, female 8.8
GTEX-1GF9V-0326-SM-7RHI5 60-69 years, male 8.8
GTEX-1GN2E-0426-SM-9MQKX 60-69 years, male 8.8
GTEX-1H3O1-0426-SM-9YFKY 60-69 years, male 8.8
GTEX-1HSMQ-1226-SM-CGQFX 50-59 years, male 8.8
GTEX-1JKYR-0126-SM-CNPOJ 20-29 years, male 8.8
GTEX-13OVK-2026-SM-7KUEO 40-49 years, male 8.7
GTEX-145LV-2126-SM-5LU8N 50-59 years, male 8.7
GTEX-15RIG-0226-SM-7KFTL 40-49 years, male 8.7
GTEX-17KNJ-2326-SM-7DHLQ 50-59 years, male 8.7
GTEX-T6MO-1626-SM-32QOM 40-49 years, female 8.7
GTEX-169BO-1326-SM-9MQK2 50-59 years, male 8.7
GTEX-1E2YA-0126-SM-9KNUC 50-59 years, male 8.7
GTEX-1H11D-0226-SM-9WG6Z 40-49 years, male 8.7
GTEX-1H2FU-0126-SM-9WYSI 60-69 years, female 8.7
GTEX-1NHNU-1026-SM-E9J2A 50-59 years, male 8.7
GTEX-117YX-2326-SM-5H12W 50-59 years, male 8.6
GTEX-11OC5-0126-SM-5HL6A 60-69 years, male 8.6
GTEX-139D8-0226-SM-5KLZO 30-39 years, female 8.6
GTEX-145ME-1826-SM-5SI9G 40-49 years, female 8.6
GTEX-146FQ-0126-SM-5NQA9 30-39 years, male 8.6
GTEX-14JG1-0426-SM-6ETZZ 40-49 years, male 8.6
GTEX-R55E-0126-SM-2TC5Y 20-29 years, male 8.6
GTEX-U3ZH-2026-SM-3DB78 30-39 years, male 8.6
GTEX-VJYA-1126-SM-3GIJU 60-69 years, male 8.6
GTEX-YFC4-0126-SM-5CVLY 40-49 years, female 8.6
GTEX-ZAK1-0126-SM-5IJD3 50-59 years, female 8.6
GTEX-1H3NZ-0126-SM-ACKX7 60-69 years, male 8.6
GTEX-1KANA-0726-SM-D3L9I 20-29 years, male 8.6
GTEX-1RDX4-0126-SM-E9J4P 50-59 years, female 8.6
GTEX-ZF3C-0126-SM-DO92D 50-59 years, female 8.6
GTEX-11ZTT-2426-SM-5EQLS 60-69 years, female 8.5
GTEX-12WSL-2526-SM-5GCNJ 50-59 years, male 8.5
GTEX-12ZZZ-0626-SM-5DUXI 60-69 years, male 8.5
GTEX-139UW-2826-SM-5L3E7 60-69 years, male 8.5
GTEX-14753-0426-SM-5NQAM 60-69 years, male 8.5
GTEX-ZY6K-1826-SM-5GZXK 50-59 years, male 8.5
GTEX-ZYFC-0226-SM-5NQ75 50-59 years, male 8.5
GTEX-13FH7-2026-SM-E9J4I 50-59 years, female 8.5
GTEX-1IY9M-0126-SM-D3L8S 60-69 years, male 8.5
GTEX-11DXX-2426-SM-5GZZW 60-69 years, female 8.4
GTEX-11UD2-0226-SM-5EQKY 50-59 years, male 8.4
GTEX-13X6J-0126-SM-5QGOU 50-59 years, male 8.4
GTEX-15EU6-0426-SM-6PAN5 50-59 years, male 8.4
GTEX-16AAH-1726-SM-7939C 50-59 years, male 8.4
GTEX-16YQH-0126-SM-7DUFJ 30-39 years, male 8.4
GTEX-17EVP-0326-SM-7DHLG 40-49 years, male 8.4
GTEX-17HHE-2026-SM-79OKF 50-59 years, male 8.4
GTEX-183FY-0126-SM-7LT9P 20-29 years, male 8.4
GTEX-NPJ8-0126-SM-2YUNR 40-49 years, male 8.4
GTEX-OXRN-0126-SM-48TDM 50-59 years, male 8.4
GTEX-SIU8-0126-SM-2XCDT 50-59 years, male 8.4
GTEX-1HGF4-2426-SM-ACKXM 60-69 years, male 8.4
GTEX-1IOXB-0126-SM-ARL8G 50-59 years, male 8.4
GTEX-1J8JJ-0226-SM-CL53I 60-69 years, female 8.4
GTEX-RNOR-0126-SM-E9J4R 50-59 years, female 8.4
GTEX-11XUK-2026-SM-5EQLF 40-49 years, female 8.3
GTEX-15F5U-1526-SM-6PANO 40-49 years, male 8.3
GTEX-17EUY-0426-SM-793BD 20-29 years, male 8.3
GTEX-XXEK-2226-SM-4BRUM 50-59 years, male 8.3
GTEX-Z93S-0126-SM-5HL7M 50-59 years, male 8.3
GTEX-ZDTT-2726-SM-4WKF8 60-69 years, male 8.3
GTEX-13OW5-0126-SM-DTXFS 60-69 years, male 8.3
GTEX-1C6VQ-0126-SM-7P8RI 50-59 years, male 8.3
GTEX-1GMRU-0126-SM-9YFLV 50-59 years, male 8.3
GTEX-1HBPI-1526-SM-C1YQ1 50-59 years, male 8.3
GTEX-1KXAM-2226-SM-CYPTC 60-69 years, male 8.3
GTEX-1MCQQ-0826-SM-DLHC2 60-69 years, male 8.3
GTEX-13QJ3-0326-SM-5S2RA 50-59 years, male 8.2
GTEX-17HHY-0126-SM-7LG5D 50-59 years, male 8.2
GTEX-VUSG-2526-SM-4KL1V 50-59 years, male 8.2
GTEX-WVJS-0126-SM-4MVOT 50-59 years, male 8.2
GTEX-WYVS-2126-SM-3NMA3 40-49 years, female 8.2
GTEX-1IDJF-0126-SM-CM2RS 20-29 years, male 8.2
GTEX-1JMPZ-0226-SM-CNPP1 30-39 years, male 8.2
GTEX-1N2DW-0226-SM-E9TK2 50-59 years, male 8.2
GTEX-1S82Y-2026-SM-EVYCM 40-49 years, male 8.2
GTEX-11DZ1-0126-SM-5985Q 50-59 years, male 8.1
GTEX-11GSP-2526-SM-5N9BP 60-69 years, female 8.1
GTEX-1B8KZ-2026-SM-7DHMB 50-59 years, male 8.1
GTEX-SSA3-0126-SM-32QPU 60-69 years, male 8.1
GTEX-U3ZM-1526-SM-3DB9D 40-49 years, male 8.1
GTEX-X8HC-0126-SM-4E3JW 50-59 years, female 8.1
GTEX-ZC5H-0226-SM-4WAY9 40-49 years, female 8.1
GTEX-1AX9I-0126-SM-7SB74 60-69 years, male 8.1
GTEX-1GN1W-0526-SM-9MQJQ 50-59 years, female 8.1
GTEX-1GN73-0226-SM-9WG67 60-69 years, male 8.1
GTEX-1I1GU-2226-SM-CGQFA 40-49 years, male 8.1
GTEX-1M5QR-1226-SM-EWROB 40-49 years, male 8.1
GTEX-11OF3-2626-SM-5GU7F 60-69 years, male 8.0
GTEX-1497J-2426-SM-7IGNX 60-69 years, male 8.0
GTEX-17F96-1626-SM-7DUFL 70-79 years, male 8.0
GTEX-QCQG-1726-SM-3GIJ9 50-59 years, female 8.0
GTEX-S95S-1226-SM-4GICG 60-69 years, male 8.0
GTEX-Y5LM-1926-SM-5RQJH 40-49 years, female 8.0
GTEX-Z9EW-1626-SM-5CVMN 40-49 years, male 8.0
GTEX-1GMR3-1926-SM-9KNUZ 40-49 years, male 8.0
GTEX-1H1DE-2126-SM-9WG6R 20-29 years, male 8.0
GTEX-1H1DG-0126-SM-9WYU2 70-79 years, male 8.0
GTEX-1KANB-0526-SM-E6CJH 50-59 years, male 8.0
GTEX-1R9K4-0126-SM-DTX9X 60-69 years, male 8.0
GTEX-1S3DN-2226-SM-EVYCD 50-59 years, male 8.0
GTEX-ZVT4-0126-SM-DTXFN 50-59 years, female 8.0
GTEX-1313W-0126-SM-5LZUN 50-59 years, female 7.9
GTEX-1314G-1526-SM-5EGK2 30-39 years, male 7.9
GTEX-139TU-0126-SM-5K7WH 60-69 years, male 7.9
GTEX-14E6D-0126-SM-62LDV 50-59 years, male 7.9
GTEX-PLZ4-0126-SM-5SI8O 50-59 years, female 7.9
GTEX-X638-0126-SM-47JZ8 70-79 years, female 7.9
GTEX-ZQUD-1426-SM-57WER 30-39 years, male 7.9
GTEX-ZTPG-0326-SM-5O9AX 20-29 years, female 7.9
GTEX-ZXG5-0126-SM-5GIEU 60-69 years, male 7.9
GTEX-ZZ64-1726-SM-5GZYB 20-29 years, male 7.9
GTEX-1C6WA-0126-SM-7PC2B 60-69 years, male 7.9
GTEX-1F6I4-0126-SM-9MQL2 60-69 years, male 7.9
GTEX-1F75A-0126-SM-7RHGM 50-59 years, male 7.9
GTEX-1I1GQ-0126-SM-COH3H 50-59 years, male 7.9
GTEX-1JJ6O-0126-SM-E6CI8 60-69 years, male 7.9
GTEX-1O97I-0326-SM-EYYX7 60-69 years, male 7.9
GTEX-1QP2A-0126-SM-E9J43 50-59 years, male 7.9
GTEX-145LT-1726-SM-5QGP3 40-49 years, male 7.8
GTEX-1AMFI-2026-SM-731BH 50-59 years, female 7.8
GTEX-1AYD5-2426-SM-73KXR 50-59 years, male 7.8
GTEX-ZAB4-0226-SM-5N9F5 40-49 years, male 7.8
GTEX-1HSEH-0126-SM-ACKXN 60-69 years, male 7.8
GTEX-1128S-2326-SM-5GZZY 60-69 years, female 7.7
GTEX-11DXW-0226-SM-5H122 40-49 years, male 7.7
GTEX-12WSE-0526-SM-793B2 20-29 years, male 7.7
GTEX-13NZB-2526-SM-5J1OM 30-39 years, male 7.7
GTEX-13VXT-0126-SM-5LU4I 20-29 years, female 7.7
GTEX-17EVQ-0226-SM-7LG4P 70-79 years, male 7.7
GTEX-ZE9C-2726-SM-57WB5 60-69 years, male 7.7
GTEX-ZV6S-2326-SM-4YCEY 40-49 years, female 7.7
GTEX-1CB4H-0226-SM-7PBXM 60-69 years, female 7.7
GTEX-1HCU7-0226-SM-CL545 50-59 years, male 7.7
GTEX-1HR98-0126-SM-B2LWI 60-69 years, male 7.7
GTEX-133LE-1826-SM-5J1MV 20-29 years, female 7.6
GTEX-13FTX-1826-SM-5J1NX 20-29 years, female 7.6
GTEX-13O1R-0126-SM-5L3EH 60-69 years, male 7.6
GTEX-1CAMR-1926-SM-7EPI2 20-29 years, male 7.6
GTEX-RUSQ-1526-SM-2TF62 50-59 years, male 7.6
GTEX-YJ8A-0426-SM-5IFID 20-29 years, male 7.6
GTEX-1C64O-0126-SM-7SB8P 60-69 years, male 7.6
GTEX-1F52S-0126-SM-9MQJU 60-69 years, female 7.6
GTEX-1R46S-0626-SM-E9J41 60-69 years, female 7.6
GTEX-13FHO-0226-SM-5IFGY 60-69 years, male 7.5
GTEX-13O21-1426-SM-5K7XI 50-59 years, male 7.5
GTEX-13RTJ-2426-SM-5S2Q2 60-69 years, male 7.5
GTEX-QLQW-1126-SM-2S1Q8 30-39 years, male 7.5
GTEX-1I1GP-2226-SM-CGQFK 50-59 years, male 7.5
GTEX-1I1GS-0126-SM-B2LVW 60-69 years, male 7.5
GTEX-11VI4-1726-SM-5CVLH 40-49 years, female 7.4
GTEX-12KS4-0326-SM-5EQ41 30-39 years, male 7.4
GTEX-13YAN-0326-SM-5O9DF 60-69 years, male 7.4
GTEX-14PN3-2426-SM-6LLHS 60-69 years, female 7.4
GTEX-15DDE-0126-SM-6LPKH 50-59 years, female 7.4
GTEX-16MT8-0426-SM-7KUEY 60-69 years, female 7.4
GTEX-13NYC-0326-SM-E9J4S 60-69 years, male 7.4
GTEX-1KWVE-1426-SM-E9TJO 30-39 years, male 7.4
GTEX-1QPFJ-0226-SM-E76PB 30-39 years, female 7.4
GTEX-1212Z-2526-SM-5EGKP 60-69 years, male 7.3
GTEX-131XE-2326-SM-5PNZ2 50-59 years, male 7.3
GTEX-13SLW-0126-SM-5SI6C 70-79 years, male 7.3
GTEX-145MI-0526-SM-5O9A8 60-69 years, female 7.3
GTEX-14PJ6-2126-SM-6EU1V 60-69 years, female 7.3
GTEX-15DYW-0126-SM-7KULE 60-69 years, female 7.3
GTEX-18A7B-0126-SM-7LG64 70-79 years, male 7.3
GTEX-X4EO-0326-SM-3P5YO 60-69 years, female 7.3
GTEX-1ICLZ-0126-SM-CKZPO 60-69 years, male 7.3
GTEX-PW2O-1526-SM-7RHHB 20-29 years, male 7.3
GTEX-13CF3-2426-SM-5IFGX 60-69 years, female 7.2
GTEX-13N11-2526-SM-5K7UE 50-59 years, female 7.2
GTEX-148VI-1626-SM-5SI6E 60-69 years, female 7.2
GTEX-14ABY-0226-SM-5TDCQ 50-59 years, male 7.2
GTEX-15G19-0126-SM-6PANQ 60-69 years, male 7.2
GTEX-17F97-0326-SM-7LG5B 50-59 years, male 7.2
GTEX-1E1VI-0126-SM-7DHMZ 50-59 years, male 7.2
GTEX-S32W-2126-SM-2XCB1 50-59 years, female 7.2
GTEX-WZTO-0126-SM-3NM95 40-49 years, male 7.2
GTEX-1F75I-0326-SM-9YFLU 40-49 years, male 7.2
GTEX-1H3VY-0126-SM-ACKXD 50-59 years, male 7.2
GTEX-1ICLY-0126-SM-D4P36 50-59 years, male 7.2
GTEX-139T8-0126-SM-5K7XZ 60-69 years, male 7.1
GTEX-144GL-0126-SM-5TDE2 50-59 years, male 7.1
GTEX-147GR-0526-SM-5S2MY 60-69 years, male 7.1
GTEX-18465-0126-SM-731BN 50-59 years, male 7.1
GTEX-18D9B-0526-SM-7LTAS 60-69 years, male 7.1
GTEX-OXRK-0226-SM-3NB2G 50-59 years, female 7.1
GTEX-RTLS-0126-SM-447CA 60-69 years, female 7.1
GTEX-1IKJJ-0126-SM-CNPQB 60-69 years, male 7.1
GTEX-1JK1U-2026-SM-CM2RZ 60-69 years, male 7.1
GTEX-11GSO-2426-SM-5A5LY 60-69 years, male 7.0
GTEX-1C6VR-2426-SM-79OLD 60-69 years, male 7.0
GTEX-ZYFD-0126-SM-5GIDL 50-59 years, male 7.0
GTEX-ZYY3-0126-SM-5GZY5 60-69 years, female 7.0
GTEX-13O3O-0126-SM-E9J49 60-69 years, female 7.0
GTEX-1H1ZS-0426-SM-9WG6G 70-79 years, male 7.0
GTEX-1HFI7-1826-SM-ACKXH 50-59 years, female 7.0
GTEX-1K2DU-2326-SM-E9TIV 20-29 years, male 7.0
GTEX-13N2G-2626-SM-5J1OT 60-69 years, male 6.9
GTEX-13OVG-1926-SM-5L3DK 60-69 years, male 6.9
GTEX-13OVL-0226-SM-5L3E9 50-59 years, male 6.9
GTEX-13SLX-0526-SM-5S2ON 50-59 years, female 6.9
GTEX-1AX9K-2326-SM-73KWU 50-59 years, male 6.9
GTEX-TMMY-0226-SM-33HBA 40-49 years, female 6.9
GTEX-ZAJG-0126-SM-5HL94 50-59 years, female 6.9
GTEX-12WSG-2826-SM-E9J4H 50-59 years, female 6.9
GTEX-1H3VE-0326-SM-9YFLH 40-49 years, male 6.9
GTEX-1HT8W-0126-SM-CNPPP 30-39 years, male 6.9
GTEX-1I1GT-0626-SM-CGQER 60-69 years, female 6.9
GTEX-1QMI2-0226-SM-EVYBX 60-69 years, male 6.9
GTEX-11EI6-0126-SM-5985R 60-69 years, male 6.8
GTEX-13VXU-0126-SM-5SI9F 50-59 years, male 6.8
GTEX-R3RS-0126-SM-3GIJL 40-49 years, female 6.8
GTEX-1F75B-0126-SM-9KNVL 50-59 years, male 6.8
GTEX-1MA7X-2226-SM-E6CIY 60-69 years, male 6.8
GTEX-1PWST-0226-SM-E76QJ 70-79 years, male 6.8
GTEX-113JC-2326-SM-5EQ4E 50-59 years, female 6.7
GTEX-14BIN-0626-SM-793DP 50-59 years, female 6.7
GTEX-14BMV-0126-SM-5S2PO 50-59 years, male 6.7
GTEX-17HG3-2226-SM-7938L 30-39 years, female 6.7
GTEX-QDVN-2026-SM-3GAEP 50-59 years, male 6.7
GTEX-X4XY-0226-SM-4E3IZ 60-69 years, male 6.7
GTEX-11TUW-2726-SM-E9J4M 60-69 years, male 6.7
GTEX-146FR-1326-SM-E9J48 60-69 years, female 6.7
GTEX-1F6IF-0726-SM-7P8TW 60-69 years, male 6.7
GTEX-1F6RS-0126-SM-9MQKZ 60-69 years, female 6.7
GTEX-1JKYN-1326-SM-CGQG9 30-39 years, male 6.7
GTEX-1L5NE-2526-SM-E6CIE 50-59 years, male 6.7
GTEX-1QP29-0626-SM-EWRMX 50-59 years, male 6.7
GTEX-11ZVC-2526-SM-5FQTE 50-59 years, female 6.6
GTEX-13OW8-1326-SM-5J1OW 60-69 years, male 6.6
GTEX-14LZ3-0226-SM-62LET 60-69 years, female 6.6
GTEX-18A66-0226-SM-718BD 60-69 years, male 6.6
GTEX-1AMEY-1326-SM-73KYK 30-39 years, female 6.6
GTEX-Q2AG-0126-SM-33HBV 40-49 years, female 6.6
GTEX-U3ZN-2326-SM-3DB7W 30-39 years, female 6.6
GTEX-WFG8-2226-SM-3GIL9 20-29 years, male 6.6
GTEX-ZAB5-1826-SM-5HL7C 50-59 years, male 6.6
GTEX-1B933-0126-SM-7PC29 50-59 years, female 6.6
GTEX-1F48J-0126-SM-7P8TT 50-59 years, female 6.6
GTEX-1HB9E-0226-SM-E9U4R 50-59 years, male 6.6
GTEX-1HCU8-0626-SM-A9SM9 60-69 years, female 6.6
GTEX-1I1GR-0126-SM-CL55F 60-69 years, male 6.6
GTEX-1J8Q2-0526-SM-CM2RW 60-69 years, male 6.6
GTEX-1K9T9-0126-SM-EVYCF 50-59 years, female 6.6
GTEX-1KD5A-0226-SM-D5OV3 50-59 years, male 6.6
GTEX-1RQEC-0426-SM-E6CHU 60-69 years, male 6.6
GTEX-13OVJ-0126-SM-5KM36 50-59 years, female 6.5
GTEX-PWO3-1526-SM-48TCM 60-69 years, female 6.5
GTEX-Q2AH-1626-SM-3GAF8 40-49 years, male 6.5
GTEX-ZWKS-0126-SM-5SIAA 30-39 years, male 6.5
GTEX-1HKZK-0326-SM-9WYUH 40-49 years, male 6.5
GTEX-1I1CD-0126-SM-CM2TK 60-69 years, female 6.5
GTEX-1OJC4-0126-SM-E9J2E 50-59 years, female 6.5
GTEX-11NUK-0126-SM-5A5L3 50-59 years, male 6.4
GTEX-11TTK-0126-SM-5987B 60-69 years, female 6.4
GTEX-1399T-2826-SM-5KLYZ 60-69 years, male 6.4
GTEX-13NZ8-0826-SM-5MR3I 60-69 years, female 6.4
GTEX-13X6I-0626-SM-5QGP9 60-69 years, male 6.4
GTEX-OXRL-0126-SM-2YUMP 50-59 years, male 6.4
GTEX-Q734-1926-SM-2I5EV 40-49 years, female 6.4
GTEX-ZDXO-3026-SM-5J1N5 60-69 years, male 6.4
GTEX-ZU9S-0226-SM-5E441 30-39 years, male 6.4
GTEX-1EN7A-0126-SM-7SB81 40-49 years, male 6.4
GTEX-1HSMP-0126-SM-E6CJS 70-79 years, male 6.4
GTEX-1LNCM-1126-SM-E9U5E 50-59 years, female 6.4
GTEX-1QEPI-0126-SM-EWRMQ 60-69 years, female 6.4
GTEX-11WQC-2526-SM-5CVLE 60-69 years, male 6.3
GTEX-14A5H-0426-SM-5QGQF 60-69 years, male 6.3
GTEX-17HGU-0226-SM-7DHKV 50-59 years, male 6.3
GTEX-1AYCT-2426-SM-7IGQ3 50-59 years, male 6.3
GTEX-OXRP-0126-SM-3NB32 60-69 years, female 6.3
GTEX-QDVJ-1726-SM-2I5FX 50-59 years, male 6.3
GTEX-XMD2-0126-SM-4YCDU 60-69 years, female 6.3
GTEX-ZEX8-2426-SM-4WKG4 50-59 years, male 6.3
GTEX-1EU9M-0226-SM-7P8SP 60-69 years, male 6.3
GTEX-1EX96-1626-SM-7PBXR 50-59 years, male 6.3
GTEX-1IKOH-0226-SM-COH4E 60-69 years, female 6.3
GTEX-1IL2V-0126-SM-CM2TX 70-79 years, male 6.3
GTEX-1POEN-0126-SM-EYYXJ 30-39 years, female 6.3
GTEX-OIZF-0126-SM-7SB8I 60-69 years, male 6.3
GTEX-111VG-2426-SM-5GZXD 60-69 years, male 6.2
GTEX-13U4I-0126-SM-5LU38 40-49 years, female 6.2
GTEX-145MF-0626-SM-5LUAI 50-59 years, male 6.2
GTEX-1C2JI-1826-SM-73KXC 50-59 years, male 6.2
GTEX-OXRO-0126-SM-2YUN4 60-69 years, female 6.2
GTEX-SN8G-0126-SM-32PLI 50-59 years, female 6.2
GTEX-1JMOU-1526-SM-CL54I 60-69 years, female 6.2
GTEX-131XW-0426-SM-5LZWP 50-59 years, female 6.1
GTEX-13IVO-0126-SM-5J1NG 70-79 years, male 6.1
GTEX-145LU-0126-SM-5TDCB 50-59 years, male 6.1
GTEX-14PK6-1926-SM-6ETZU 70-79 years, female 6.1
GTEX-1A3MX-0126-SM-731BR 60-69 years, male 6.1
GTEX-VJWN-0126-SM-3GIK7 50-59 years, female 6.1
GTEX-ZVT3-0126-SM-5GU6I 60-69 years, female 6.1
GTEX-1EKGG-0226-SM-9WYTH 60-69 years, male 6.1
GTEX-1H1E6-1726-SM-ACKVK 30-39 years, male 6.1
GTEX-1LC47-0326-SM-E9TJP 60-69 years, male 6.1
GTEX-1S82Z-0826-SM-E6CHY 30-39 years, female 6.1
GTEX-117YW-2626-SM-5GZZH 50-59 years, male 6.0
GTEX-13W3W-2426-SM-5LU5B 60-69 years, female 6.0
GTEX-14C5O-0126-SM-5SI6N 60-69 years, male 6.0
GTEX-15DCD-0126-SM-7KUEK 70-79 years, female 6.0
GTEX-1A8FM-0226-SM-7SB7Q 50-59 years, female 6.0
GTEX-113IC-0126-SM-5HL6T 60-69 years, male 5.9
GTEX-12WSA-0226-SM-5BC5V 60-69 years, male 5.9
GTEX-13RTL-0126-SM-7LG5S 40-49 years, male 5.9
GTEX-14E6E-1826-SM-5S2R7 30-39 years, male 5.9
GTEX-1A32A-0126-SM-718B1 50-59 years, female 5.9
GTEX-1CAMQ-0226-SM-7IGPK 40-49 years, male 5.9
GTEX-U8XE-0326-SM-3DB8P 30-39 years, male 5.9
GTEX-R45C-0126-SM-EAZ2R 60-69 years, female 5.9
GTEX-11H98-0126-SM-5EGHG 50-59 years, male 5.8
GTEX-11NSD-2226-SM-5986V 20-29 years, male 5.8
GTEX-13OVH-0126-SM-5MR4B 70-79 years, male 5.8
GTEX-14A5I-0126-SM-5TDEA 50-59 years, female 5.8
GTEX-15SHW-0326-SM-6PAML 60-69 years, male 5.8
GTEX-1GPI6-0126-SM-9WG69 60-69 years, male 5.8
GTEX-1IGQW-0126-SM-COH42 60-69 years, male 5.8
GTEX-1N2EF-0226-SM-EYYXB 60-69 years, male 5.8
GTEX-1RLM8-2326-SM-EWRN4 50-59 years, male 5.8
GTEX-11DXY-2626-SM-5GIE7 60-69 years, male 5.7
GTEX-12584-0126-SM-5EGKQ 40-49 years, male 5.7
GTEX-12WSN-5019-SM-79OM6 40-49 years, male 5.7
GTEX-13FTY-0526-SM-5L3EV 40-49 years, female 5.7
GTEX-13NZA-0226-SM-5K7Z7 60-69 years, male 5.7
GTEX-14LLW-0126-SM-6LLIO 70-79 years, female 5.7
GTEX-16XZY-2126-SM-79OK1 70-79 years, male 5.7
GTEX-OOBK-0126-SM-2YUND 40-49 years, male 5.7
GTEX-PVOW-0126-SM-2XCFA 40-49 years, male 5.7
GTEX-R55G-2526-SM-2TC6D 40-49 years, female 5.7
GTEX-RN64-0126-SM-2TC68 50-59 years, male 5.7
GTEX-XV7Q-2526-SM-4BRV9 40-49 years, female 5.7
GTEX-1HCVE-0126-SM-CGQEU 50-59 years, male 5.7
GTEX-1I19N-0326-SM-ACKVX 70-79 years, male 5.7
GTEX-11EMC-2926-SM-5EQ4F 60-69 years, female 5.6
GTEX-11ZU8-2526-SM-5EQKI 60-69 years, male 5.6
GTEX-13OW7-0126-SM-5MR3B 50-59 years, male 5.6
GTEX-16XZZ-0126-SM-793DV 60-69 years, male 5.6
GTEX-P44H-0226-SM-2XCEU 40-49 years, male 5.6
GTEX-ZF28-0126-SM-4WKGK 60-69 years, male 5.6
GTEX-1F7RK-0126-SM-7PC2S 20-29 years, female 5.6
GTEX-1HUB1-0426-SM-E9U4U 60-69 years, male 5.6
GTEX-1LG7Y-0526-SM-DKPQC 50-59 years, male 5.6
GTEX-147F4-0226-SM-5QGPW 50-59 years, male 5.5
GTEX-14A6H-0126-SM-5QGPK 30-39 years, male 5.5
GTEX-15CHC-2126-SM-6EU21 60-69 years, female 5.5
GTEX-SNMC-1226-SM-2XCFP 20-29 years, male 5.5
GTEX-TSE9-0126-SM-3DB83 60-69 years, female 5.5
GTEX-ZVE2-0226-SM-59HJB 50-59 years, male 5.5
GTEX-1GZ2Q-0226-SM-7P8TL 40-49 years, male 5.5
GTEX-1HSMO-0126-SM-CL547 60-69 years, male 5.5
GTEX-1IE54-0126-SM-CMKHW 40-49 years, female 5.5
GTEX-1LH75-2426-SM-E9TJE 50-59 years, female 5.5
GTEX-1QP67-1626-SM-EAZ3X 40-49 years, female 5.5
GTEX-1R9PO-2126-SM-E9J4O 60-69 years, female 5.5
GTEX-11WQK-0526-SM-5EQLD 50-59 years, male 5.4
GTEX-14E7W-0126-SM-6LLJ9 70-79 years, male 5.4
GTEX-ZUA1-0126-SM-5GU76 40-49 years, male 5.4
GTEX-1I1HK-0126-SM-COH49 60-69 years, male 5.4
GTEX-1JJE9-0326-SM-CL53Z 70-79 years, male 5.4
GTEX-1JN1M-0326-SM-CYPT3 60-69 years, female 5.4
GTEX-1R7EV-2426-SM-EVYBG 40-49 years, male 5.4
GTEX-13O3Q-2426-SM-5IJBR 50-59 years, male 5.3
GTEX-16NPX-0226-SM-79OMT 50-59 years, male 5.3
GTEX-QDT8-0126-SM-48TZ1 30-39 years, female 5.3
GTEX-1RAZQ-0726-SM-EAZ43 30-39 years, male 5.3
GTEX-1192W-2626-SM-5Q5AF 60-69 years, male 5.2
GTEX-11TT1-2526-SM-5EGIB 20-29 years, male 5.2
GTEX-148VJ-0126-SM-5TDDN 70-79 years, male 5.2
GTEX-ZYW4-0126-SM-5E44A 60-69 years, male 5.2
GTEX-1F88F-2726-SM-7PBZZ 60-69 years, female 5.2
GTEX-1H23P-0126-SM-ADEJ3 60-69 years, male 5.2
GTEX-1HBPM-0226-SM-ARL9F 60-69 years, female 5.2
GTEX-13PDP-0126-SM-5L3HD 60-69 years, male 5.1
GTEX-147F3-0526-SM-5SI98 50-59 years, female 5.1
GTEX-17MF6-0126-SM-7LG4F 40-49 years, male 5.1
GTEX-1C6VS-0526-SM-7DUEN 60-69 years, male 5.1
GTEX-1GN1V-0126-SM-9WPOS 60-69 years, male 5.1
GTEX-1JMQL-0226-SM-CNPP5 50-59 years, female 5.1
GTEX-13N1W-0126-SM-5K7VT 70-79 years, male 5.0
GTEX-144FL-0126-SM-5TDC8 50-59 years, male 4.9
GTEX-14BIL-0126-SM-5SI92 50-59 years, male 4.8
GTEX-14DAQ-0126-SM-5S2MQ 60-69 years, female 4.8
GTEX-1PPH7-2326-SM-EVYB8 40-49 years, male 4.8
GTEX-13NYS-0126-SM-5MR3W 60-69 years, male 4.7
GTEX-14PHW-0126-SM-6LLJI 60-69 years, female 4.7
GTEX-15UKP-0426-SM-7KUFQ 20-29 years, male 4.7
GTEX-1GF9U-2126-SM-7SB7L 40-49 years, female 4.7
GTEX-1IDFM-0126-SM-COH2V 60-69 years, male 4.7
GTEX-1QW4Y-1526-SM-EAZ3Z 30-39 years, male 4.7
GTEX-14BIM-0226-SM-7IGLD 60-69 years, female 4.6
GTEX-SJXC-0126-SM-2XCFF 60-69 years, male 4.6
GTEX-Y8LW-1826-SM-5S2MV 50-59 years, female 4.6
GTEX-14JIY-0126-SM-6LLH6 60-69 years, male 4.5
GTEX-ZZPT-0226-SM-5E43X 50-59 years, male 4.5
GTEX-V1D1-2226-SM-3NMAX 50-59 years, male 4.4
GTEX-X62O-0126-SM-4E3JN 50-59 years, male 4.4
GTEX-11O72-0126-SM-59887 40-49 years, male 4.2
GTEX-13W46-0226-SM-5SIAG 50-59 years, male 4.2
GTEX-U4B1-1826-SM-4DXSU 40-49 years, male 4.2
GTEX-1M4P7-0226-SM-DIPEV 60-69 years, male 4.2
GTEX-11ZUS-0626-SM-59885 30-39 years, male 3.9
GTEX-1A3MW-0126-SM-73KXX 60-69 years, female 3.9
GTEX-14E6C-0126-SM-5RQIP 40-49 years, male 3.8
GTEX-15D1Q-0126-SM-7KUG6 40-49 years, male 3.7
GTEX-15UF6-0826-SM-6PALJ 70-79 years, female 3.7
GTEX-139T4-0226-SM-5HL5S 50-59 years, female 3.6
GTEX-WOFL-0126-SM-3MJG2 60-69 years, male 3.5
GTEX-1PBJI-0526-SM-E8VNK 20-29 years, female 3.3
GTEX-1HBPH-0426-SM-B2LW5 40-49 years, female 3.1
GTEX-183WM-0126-SM-7LTAB 70-79 years, female 2.8
GTEX-15EOM-0126-SM-7KUGG 20-29 years, female 2.3
Show allShow less

Contact

  • NEWS ARTICLES
  • PRESS ROOM

The Project

  • INTRODUCTION
  • ORGANIZATION
  • PUBLICATIONS

The Human Protein Atlas

  • DOWNLOADABLE DATA
  • LICENCE & CITATION
  • HELP & FAQ
The Human Protein Atlas project is funded
by the Knut & Alice Wallenberg Foundation.


contact@proteinatlas.org