We use cookies to enhance the usability of our website. If you continue, we'll assume that you are happy to receive all cookies. More information. Don't show this again.
CCT2
HPA
RESOURCES
  • TISSUE
  • BRAIN
  • SINGLE CELL
  • SUBCELLULAR
  • CANCER
  • BLOOD
  • CELL LINE
  • STRUCTURE & INTERACTION
ABOUT
  • INTRODUCTION
  • HISTORY
  • ORGANIZATION
  • PUBLICATIONS
  • ANTIBODY SUBMISSION
  • ANTIBODY AVAILABILITY
  • ACKNOWLEDGMENTS
  • CONTACT
NEWS
  • NEWS ARTICLES
  • PRESS ROOM
LEARN
  • DICTIONARY
  • PROTEIN CLASSES
  • PROTEIN EVIDENCE
  • METHODS
  • EDUCATIONAL VIDEOS
DATA
  • DOWNLOADABLE DATA
  • PUBLICATION DATA
  • RELEASE HISTORY
HELP
  • ANTIBODY VALIDATION
  • ASSAYS & ANNOTATION
  • DISCLAIMER
  • HELP & FAQ
  • PRIVACY STATEMENT
  • LICENCE & CITATION
Fields »
Search result

Field
Term
Gene name
Class
Subclass
Class
Keyword
Chromosome
External id
Tissue
Cell type
Expression
Antibody panel
Tissue
Main location
Patient ID
Annotation
Tissue
Category
Tau score
Cluster
Reliability
Brain region
Category
Tau score
Brain region
Category
Tau score
Brain region
Category
Tau score
Cluster
Reliability
Tissue
Cell type
Enrichment
Cell type
Category
Tau score
Cell type
Category
Tau score
Cell type
Category
Tau score
Cell lineage
Category
Tau score
Cluster
Cluster
Location
Searches
Location
Cell line
Class
Type
Phase
Reliability
Cancer
Prognosis
Cancer
Category
Cancer
Category
Tau score
Cluster
Variants
Interacting gene (ensg_id)
Type
Number of interactions
Pathway
Category
Score
Score
Score
Validation
Validation
Validation
Validation
Antibodies
Data type
Column


  • SUMMARY

  • TISSUE

  • BRAIN

  • SINGLE CELL

  • SUBCELL

  • CANCER

  • BLOOD

  • CELL LINE

  • STRUCT & INT

  • CCT2
TISSUE PRIMARY DATA STOMACH Show tissue menu
ADIPOSE TISSUE ADRENAL GLAND AMYGDALA APPENDIX BASAL GANGLIA BONE MARROW BREAST BRONCHUS CEREBELLUM CEREBRAL CORTEX CERVIX CHOROID PLEXUS COLON DUODENUM
ENDOMETRIUM EPIDIDYMIS ESOPHAGUS FALLOPIAN TUBE GALLBLADDER HEART MUSCLE HIPPOCAMPAL FORMATION HYPOTHALAMUS KIDNEY LIVER LUNG LYMPH NODE MIDBRAIN NASOPHARYNX
ORAL MUCOSA OVARY PANCREAS PARATHYROID GLAND PITUITARY GLAND PLACENTA PROSTATE RECTUM RETINA SALIVARY GLAND SEMINAL VESICLE SKELETAL MUSCLE SKIN SMALL INTESTINE
SMOOTH MUSCLE SOFT TISSUE SPINAL CORD SPLEEN STOMACH TESTIS THYMUS THYROID GLAND TONGUE TONSIL URINARY BLADDER VAGINA
ANTIBODIES
AND
VALIDATION
Dictionary
Tissue proteome
Stomach
STOMACH - Expression summary
Protein expression
Stomachi

On the top, protein expression in current human tissue, based on all annotated cell types, is reported with the units not detected (n), low (l), medium (m) and high (h). Underneath, protein expression in each annotated cell type are reported using the same units.

Protein expression data is based on knowledge-based annotation. For genes where more than one antibody has been used, a collective score is set.

If knowledge-based annotation could not be performed for a gene, no data is displayed here. View antibody staining data further down this page.

h
m
l
n
Glandular cells: Medium
RNA expressioni

A summary of mRNA expression data available for current tissue based on several datasets. The mRNA expression levels in human tissues are based on RNA-seq data generated by the Human Protein Atlas (HPA), Genotype-Tissue Expression (GTEx) portal and CAGE data generated by the FANTOM5 consortium. Consensus normalized expression levels for human tissues was created by combining the data from HPA and GTEx datasets.

The mRNA expression levels in pig are based on RNA-seq data generated by the Human Protein Atlas (HPA), and for mouse, HPA data and in situ hybridization generated by the Allen brain atlas are reported.

Scroll down to view mRNA expression data in more detail.
Consensus:50.4 nTPM
HPA:46.8 nTPM
GTEx:50.4 nTPM

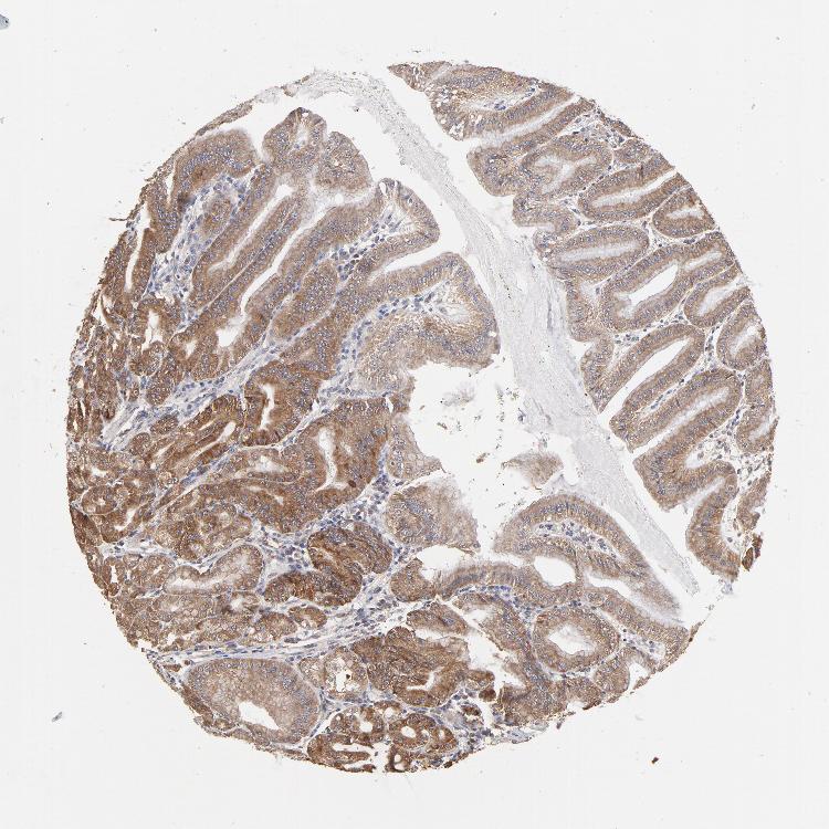
STOMACH 1 - Antibody stainingi

Antibody staining in the annotated cell types in the current human tissue is reported as not detected, low, medium, or high, based on conventional immunohistochemistry profiling in selected tissues. This score is based on the combination of the staining intensity and fraction of stained cells.

Each image is clickable and will lead to virtual microscopy that enables deeper exploration of all samples and also displays staining intensity scores, fraction scores and subcellular localization as well as patient and tissue information for each sample.

Antibody HPA003197Antibody HPA003198
Glandular cells MediumLow




STOMACH 2 - Antibody stainingi

Antibody staining in the annotated cell types in the current human tissue is reported as not detected, low, medium, or high, based on conventional immunohistochemistry profiling in selected tissues. This score is based on the combination of the staining intensity and fraction of stained cells.

Each image is clickable and will lead to virtual microscopy that enables deeper exploration of all samples and also displays staining intensity scores, fraction scores and subcellular localization as well as patient and tissue information for each sample.

Antibody HPA003197Antibody HPA003198
Glandular cells HighMedium





STOMACH - HPA RNA-seqi

The RNA-seq details section shows detailed information about the individual samples used for the transcript profiling and results of the RNA-seq analysis.

Information about each individual sample is listed below, including gender, age, a tissue section image and estimated fractions of cell types. nTPM (normalized transcripts per million) values give a quantification of the gene abundance which is comparable between different genes and samples.
Average nTPMi

Max subtype nTPM is the value for the subtype with the largest average nTPM across the subtype samples.

46.8
overview
Female, age 33
Stomach sample 61
nTPM: 45.9
Cell types%
Glandular cells:
60

Smooth muscle cells:
5

Other cell types:
35

N/A
Male, age 82
Stomach sample 240
nTPM: 37.3
Cell types%
Glandular cells:
65

Smooth muscle cells:
5

Other cell types:
30

overview
Male, age 71
Stomach sample 241
nTPM: 54
Cell types%
Glandular cells:
50

Smooth muscle cells:
5

Other cell types:
45

overview
Female, age 66
Stomach sample 369
nTPM: 50
Cell types%
Glandular cells:
50

Smooth muscle cells:
10

Other cell types:
40


STOMACH - GTEx RNA-seqi

RNA-Seq data generated by the Genotype-Tissue Expression (GTEx) project from human tissues is reported as mean nTPM. More information can be found on the GTEx portal.

Distribution across the dataset is visualized with box plots, shown as median and 25th and 75th percentiles. Points are displayed as outliers if they are above or below 1.5 times the interquartile range. nTPM values of the individual samples are presented next to the box plot.
Max subtype nTPMi

Max subtype nTPM is the value for the subtype with the largest average nTPM across the subtype samples.

50.4
GTEx sample id Sample description nTPM
Stomach
Average nTPM: 50.4
Samples: 359

Max nTPM: 124.5
Min nTPM: 25.8
Std nTPM: 14.4
Median nTPM: 47.6
GTEX-1L5NE-1526-SM-DIPFW 50-59 years, male 124.5
GTEX-17EUY-1526-SM-793CA 20-29 years, male 114.3
GTEX-117YW-2226-SM-5N9DB 50-59 years, male 105.0
GTEX-11WQK-2626-SM-5EQ4K 50-59 years, male 99.6
GTEX-1RAZR-1526-SM-EAZ4U 40-49 years, male 96.8
GTEX-RUSQ-1126-SM-EAZAU 50-59 years, male 96.8
GTEX-1HCUA-1626-SM-A9SMG 50-59 years, female 90.8
GTEX-P4QT-1526-SM-3NMCT 50-59 years, female 89.7
GTEX-U4B1-1026-SM-4DXT1 40-49 years, male 89.7
GTEX-1MCYP-1126-SM-E9J2P 20-29 years, female 88.0
GTEX-1339X-1426-SM-5K7YO 40-49 years, male 87.8
GTEX-Y5LM-1326-SM-5RQIS 40-49 years, female 85.5
GTEX-1KANA-1126-SM-D3L9M 20-29 years, male 84.3
GTEX-15G19-1526-SM-6LPKP 60-69 years, male 84.1
GTEX-132AR-2426-SM-5IFFD 50-59 years, female 83.7
GTEX-1JMPY-0926-SM-ARL92 30-39 years, male 82.4
GTEX-YJ8A-1526-SM-5P9FT 20-29 years, male 82.2
GTEX-18A67-2626-SM-718AD 50-59 years, male 80.7
GTEX-R55C-1026-SM-48FCM 40-49 years, male 78.8
GTEX-ZYVF-2726-SM-5GID4 50-59 years, female 77.9
GTEX-11TT1-0726-SM-5GU5A 20-29 years, male 77.3
GTEX-12WSJ-0926-SM-5P9JD 40-49 years, female 77.0
GTEX-131XG-1226-SM-5EGH9 50-59 years, female 76.9
GTEX-R55G-1126-SM-48FDG 40-49 years, female 76.9
GTEX-15RIF-1126-SM-7KUG2 20-29 years, male 75.7
GTEX-1F75I-1826-SM-7MKGX 40-49 years, male 74.3
GTEX-15G1A-1226-SM-7KUF3 30-39 years, male 74.1
GTEX-11EQ9-1226-SM-5987E 30-39 years, male 74.0
GTEX-1S831-1126-SM-EWROI 20-29 years, male 74.0
GTEX-ZV6S-0926-SM-57WGB 40-49 years, female 72.5
GTEX-1HBPI-0726-SM-9WG7Z 50-59 years, male 72.4
GTEX-14B4R-0726-SM-5TDDR 30-39 years, male 70.7
GTEX-YEC3-1426-SM-D4P1S 50-59 years, male 70.7
GTEX-13X6H-1626-SM-5Q5CT 50-59 years, female 70.0
GTEX-RU1J-0526-SM-46MUT 20-29 years, female 69.9
GTEX-1PIGE-1126-SM-EWRMV 20-29 years, male 69.5
GTEX-1IDJU-1526-SM-CNNR3 60-69 years, female 67.7
GTEX-18A66-2226-SM-7189E 60-69 years, male 67.4
GTEX-14E1K-1526-SM-664MN 50-59 years, male 67.1
GTEX-WEY5-1226-SM-4LMIQ 40-49 years, female 66.4
GTEX-1JN1M-2926-SM-CNNPJ 60-69 years, female 65.9
GTEX-14PJ4-1626-SM-664OB 60-69 years, male 65.6
GTEX-14PKU-1126-SM-69LOU 40-49 years, female 65.6
GTEX-WHPG-0426-SM-4M1XW 50-59 years, male 65.5
GTEX-1S82Z-1726-SM-E6CHZ 30-39 years, female 64.8
GTEX-PWN1-1526-SM-48TDA 40-49 years, female 64.7
GTEX-R53T-1226-SM-48FCT 50-59 years, female 64.5
GTEX-1CAMR-0726-SM-7EPIE 20-29 years, male 64.2
GTEX-133LE-1326-SM-5IFGO 20-29 years, female 64.1
GTEX-1MUQO-1926-SM-EAZ59 60-69 years, male 63.8
GTEX-ZTX8-0426-SM-59HLG 20-29 years, male 63.5
GTEX-13PVQ-2126-SM-5L3FW 50-59 years, male 63.2
GTEX-15EU6-2526-SM-7KUGB 50-59 years, male 62.7
GTEX-OIZH-1526-SM-3NB1J 50-59 years, male 62.2
GTEX-R55D-1526-SM-48FEJ 50-59 years, male 62.2
GTEX-17KNJ-1526-SM-7LTA9 50-59 years, male 61.6
GTEX-TKQ1-0526-SM-4DXTG 30-39 years, male 61.5
GTEX-ZQUD-0826-SM-57WDQ 30-39 years, male 61.4
GTEX-131XE-2226-SM-5PNYX 50-59 years, male 60.6
GTEX-1HSEH-1526-SM-B2LXG 60-69 years, male 60.6
GTEX-12BJ1-1726-SM-5HL9B 60-69 years, male 60.5
GTEX-12C56-0526-SM-5FQST 20-29 years, male 60.3
GTEX-111CU-0926-SM-5EGIK 50-59 years, male 60.1
GTEX-1NSGN-1926-SM-E9J36 50-59 years, male 60.1
GTEX-1AMEY-1226-SM-731DU 30-39 years, female 59.9
GTEX-14PHY-0926-SM-5ZZWL 60-69 years, female 59.7
GTEX-ZA64-0826-SM-5HL9U 20-29 years, male 59.4
GTEX-146FH-2126-SM-5SI9U 50-59 years, female 59.2
GTEX-SNMC-0626-SM-4DM6H 20-29 years, male 59.2
GTEX-XMK1-1526-SM-EYYVO 40-49 years, male 59.2
GTEX-13O61-1126-SM-5L3FI 60-69 years, male 59.0
GTEX-1A3MV-1226-SM-718BW 30-39 years, male 59.0
GTEX-XPVG-1526-SM-4B66C 50-59 years, male 58.6
GTEX-1QCLY-1126-SM-EAZ4J 30-39 years, male 58.5
GTEX-11P82-0726-SM-5PNYL 20-29 years, male 58.4
GTEX-S4P3-0726-SM-4AD57 50-59 years, female 58.3
GTEX-OHPM-1526-SM-EV796 50-59 years, male 58.2
GTEX-T8EM-1226-SM-4DM5J 40-49 years, male 58.0
GTEX-1QPFJ-1526-SM-DPRXT 30-39 years, female 57.8
GTEX-18D9B-2226-SM-718BM 60-69 years, male 57.7
GTEX-1C475-1026-SM-7MKFJ 40-49 years, female 57.7
GTEX-11I78-1726-SM-5A5M3 50-59 years, female 57.6
GTEX-13FTX-0726-SM-5N9BI 20-29 years, female 57.5
GTEX-144GM-1726-SM-5O9AS 20-29 years, male 57.1
GTEX-1JKYN-1726-SM-AHZ48 30-39 years, male 57.1
GTEX-1B97J-1826-SM-7IGPP 50-59 years, female 57.0
GTEX-UJHI-1026-SM-4IHJP 50-59 years, female 56.9
GTEX-SNOS-0826-SM-4DM5N 40-49 years, male 56.7
GTEX-WH7G-1526-SM-4LVMX 40-49 years, male 56.7
GTEX-ZLWG-1526-SM-DO12F 50-59 years, female 56.6
GTEX-WFJO-1126-SM-4LVLZ 30-39 years, male 56.3
GTEX-1HSMQ-2426-SM-CE6RY 50-59 years, male 56.1
GTEX-WFG7-1326-SM-4LMK1 20-29 years, male 56.0
GTEX-PLZ6-0826-SM-3P61K 30-39 years, male 55.3
GTEX-1H1DE-1226-SM-9JGHH 20-29 years, male 54.8
GTEX-1I6K7-1726-SM-B2LXQ 40-49 years, male 54.8
GTEX-1HR9M-2326-SM-CNPPZ 60-69 years, male 54.7
GTEX-Y114-1226-SM-4TT88 50-59 years, female 54.5
GTEX-1MJIX-1126-SM-EV7AO 40-49 years, male 54.5
GTEX-14PN3-1326-SM-6AJ9U 60-69 years, female 54.4
GTEX-13111-1226-SM-5GCNC 50-59 years, male 54.3
GTEX-1F5PL-1426-SM-7MKFH 40-49 years, female 54.3
GTEX-XAJ8-0326-SM-47JYI 40-49 years, male 54.3
GTEX-WHSB-1226-SM-4M1XR 50-59 years, male 54.2
GTEX-1JMLX-2426-SM-CXZJQ 50-59 years, male 54.1
GTEX-1GPI7-1326-SM-9KNVA 20-29 years, male 54.0
GTEX-1A3MX-1926-SM-72D7F 60-69 years, male 53.7
GTEX-P4PQ-1526-SM-3NMCK 60-69 years, male 53.7
GTEX-S341-0626-SM-4AD5T 40-49 years, female 53.5
GTEX-Q2AI-0826-SM-48TZO 40-49 years, male 53.1
GTEX-YB5E-1126-SM-664NU 40-49 years, male 53.0
GTEX-P4PP-1526-SM-3P61M 30-39 years, female 52.9
GTEX-1399S-1626-SM-5P9GI 30-39 years, female 52.8
GTEX-1QP28-2126-SM-DTX8B 50-59 years, female 52.8
GTEX-131XF-1226-SM-5HL8V 60-69 years, male 52.5
GTEX-ZY6K-0726-SM-5A5L8 50-59 years, male 52.5
GTEX-1AX9J-2626-SM-731EK 60-69 years, male 52.4
GTEX-1CB4E-1326-SM-7DUGD 60-69 years, male 52.4
GTEX-11GSP-2126-SM-5HL5E 60-69 years, female 52.3
GTEX-1H3NZ-2226-SM-9WYUT 60-69 years, male 52.3
GTEX-1R9K5-1026-SM-EAZ4F 50-59 years, male 52.3
GTEX-WY7C-1726-SM-4ONCC 50-59 years, male 52.2
GTEX-XV7Q-1326-SM-4BRWM 40-49 years, female 52.2
GTEX-QMRM-1126-SM-447BN 50-59 years, male 52.0
GTEX-1LGRB-1726-SM-CNNRA 50-59 years, female 51.9
GTEX-1PPH8-1326-SM-DTXFO 20-29 years, male 51.9
GTEX-12WSK-1426-SM-5CVNN 40-49 years, female 51.7
GTEX-14ICL-0826-SM-5YY9W 30-39 years, male 51.6
GTEX-15RIE-1026-SM-6LPJQ 60-69 years, male 51.6
GTEX-17HGU-2126-SM-7IGOV 50-59 years, male 51.5
GTEX-1HFI7-1526-SM-9WG7W 50-59 years, female 51.3
GTEX-14PJ6-0826-SM-686Z9 60-69 years, female 51.1
GTEX-1LVAM-1426-SM-E9TJ4 50-59 years, female 51.1
GTEX-14PJ3-1426-SM-664O8 50-59 years, male 51.0
GTEX-PWCY-0926-SM-48TD7 20-29 years, female 50.8
GTEX-1K2DA-0826-SM-CGQGD 50-59 years, male 50.8
GTEX-1R7EU-1126-SM-EAZ4M 60-69 years, male 50.8
GTEX-QDVJ-1426-SM-48U1Y 50-59 years, male 50.7
GTEX-1RMOY-1126-SM-EV79E 50-59 years, male 50.7
GTEX-ZPIC-2026-SM-57WG3 40-49 years, female 50.6
GTEX-1JK1U-1326-SM-AHZ45 60-69 years, male 50.5
GTEX-1GL5R-1926-SM-9WG7U 50-59 years, male 50.4
GTEX-OXRL-1526-SM-E6CHQ 50-59 years, male 50.4
GTEX-117YX-1026-SM-5H11V 50-59 years, male 50.0
GTEX-Q2AH-1126-SM-48TZM 40-49 years, male 49.9
GTEX-1IDJD-2426-SM-C1YS6 30-39 years, male 49.9
GTEX-XBEW-1826-SM-4RTWX 40-49 years, male 49.8
GTEX-14JG6-1226-SM-664O6 30-39 years, female 49.7
GTEX-17F98-1526-SM-7EWD8 40-49 years, female 49.4
GTEX-OOBJ-1526-SM-3NB1Q 60-69 years, male 49.4
GTEX-1I4MK-0926-SM-A9SLD 50-59 years, female 49.4
GTEX-1LGOU-1526-SM-D3LAJ 20-29 years, female 49.3
GTEX-15SHW-2126-SM-6M46Y 60-69 years, male 49.2
GTEX-11DXX-1326-SM-5GIDZ 60-69 years, female 49.1
GTEX-13FTW-1726-SM-5KM2B 40-49 years, male 48.9
GTEX-OHPK-1526-SM-3MJGM 50-59 years, female 48.9
GTEX-ZZPU-1426-SM-5GZZ6 50-59 years, female 48.9
GTEX-1399U-1626-SM-5P9J3 50-59 years, female 48.8
GTEX-13QBU-1126-SM-5LU44 40-49 years, female 48.8
GTEX-1AMFI-1226-SM-731CZ 50-59 years, female 48.8
GTEX-XXEK-0826-SM-4BRWG 50-59 years, male 48.8
GTEX-16AAH-1226-SM-79OO9 50-59 years, male 48.6
GTEX-18D9A-0626-SM-7KFTY 30-39 years, female 48.6
GTEX-QLQ7-0826-SM-447B3 60-69 years, male 48.6
GTEX-POMQ-0826-SM-3P61H 20-29 years, female 48.5
GTEX-TMMY-1626-SM-4DXTY 40-49 years, female 48.5
GTEX-T5JW-0926-SM-4DM5K 20-29 years, female 48.4
GTEX-ZVZP-1726-SM-5GZWY 50-59 years, male 48.3
GTEX-11P7K-1726-SM-5GU6F 30-39 years, male 48.2
GTEX-11VI4-0326-SM-5EQ6L 40-49 years, female 48.2
GTEX-14PKV-1826-SM-69LO9 20-29 years, female 48.2
GTEX-1E2YA-2426-SM-7EPIG 50-59 years, male 48.2
GTEX-13OVK-0926-SM-7KUFX 40-49 years, male 48.0
GTEX-ZT9W-1526-SM-4YCDE 50-59 years, male 48.0
GTEX-11NUK-2426-SM-5BC4U 50-59 years, male 47.9
GTEX-WXYG-1626-SM-4ONCR 50-59 years, female 47.9
GTEX-ZP4G-1226-SM-4WWCJ 20-29 years, female 47.9
GTEX-17F9E-2226-SM-7IGNC 50-59 years, male 47.8
GTEX-13O21-0926-SM-5IFGT 50-59 years, male 47.6
GTEX-SUCS-0926-SM-4DM4Z 70-79 years, male 47.6
GTEX-1H11D-2226-SM-9OSXN 40-49 years, male 47.5
GTEX-Q734-1026-SM-48U16 40-49 years, female 47.4
GTEX-14PHX-1026-SM-664OL 50-59 years, male 47.3
GTEX-YFCO-0826-SM-5LUAG 40-49 years, male 47.3
GTEX-1211K-1426-SM-5FQTF 60-69 years, female 47.2
GTEX-13CF3-1926-SM-5K7WF 60-69 years, female 47.2
GTEX-1H1DG-2126-SM-9WPPB 70-79 years, male 47.2
GTEX-1H3VY-2326-SM-9WG81 50-59 years, male 47.2
GTEX-1HCU8-1326-SM-C1YQQ 60-69 years, female 47.2
GTEX-QV31-0626-SM-447C5 30-39 years, male 47.0
GTEX-QLQW-0726-SM-447AA 30-39 years, male 46.9
GTEX-1B8KZ-1226-SM-793CP 50-59 years, male 46.8
GTEX-1QP29-2326-SM-EXOJO 50-59 years, male 46.7
GTEX-S7SF-0626-SM-4AD4V 20-29 years, female 46.6
GTEX-1QW4Y-0726-SM-DTX8E 30-39 years, male 46.6
GTEX-1RB15-1026-SM-E9U6V 60-69 years, male 46.6
GTEX-PLZ5-1226-SM-EXOHA 50-59 years, male 46.6
GTEX-WFG8-1326-SM-4LVN3 20-29 years, male 46.5
GTEX-1F5PK-1826-SM-7RHHX 50-59 years, male 46.5
GTEX-13OW6-2526-SM-5IJEC 50-59 years, male 46.4
GTEX-144GN-1226-SM-5O991 50-59 years, male 46.3
GTEX-1C64O-2226-SM-73KTV 60-69 years, male 46.3
GTEX-Y3IK-1426-SM-4YCES 50-59 years, female 46.3
GTEX-ZLFU-1326-SM-DO11R 40-49 years, male 46.3
GTEX-ZZ64-0426-SM-5E43F 20-29 years, male 46.2
GTEX-OIZF-1526-SM-2I5GR 60-69 years, male 46.2
GTEX-S4Z8-1226-SM-4AD6W 60-69 years, male 46.1
GTEX-1IL2V-2026-SM-ARZMA 70-79 years, male 46.0
GTEX-1JN76-0926-SM-ARZNH 20-29 years, female 46.0
GTEX-1QCLZ-1826-SM-DPRXP 60-69 years, female 45.9
GTEX-1B8KE-1326-SM-73KVI 50-59 years, male 45.6
GTEX-1N2DV-0926-SM-E9TJT 40-49 years, male 45.6
GTEX-QV44-1226-SM-CJI1S 50-59 years, male 45.6
GTEX-11NSD-1426-SM-5HL67 20-29 years, male 45.5
GTEX-1I1GT-1726-SM-C1YS3 60-69 years, female 45.2
GTEX-145ME-1026-SM-5O9B4 40-49 years, female 45.1
GTEX-S4Q7-0726-SM-4AD5F 20-29 years, male 45.1
GTEX-14DAR-0926-SM-73KUQ 50-59 years, male 45.0
GTEX-16NGA-1526-SM-72D56 40-49 years, female 44.9
GTEX-14BMU-1126-SM-5RQJ8 20-29 years, female 44.6
GTEX-ZPU1-1626-SM-4WWB2 40-49 years, male 44.5
GTEX-1IDJF-1426-SM-ACKWK 20-29 years, male 44.4
GTEX-Y9LG-1026-SM-5IFJN 30-39 years, male 44.3
GTEX-1JMPZ-1826-SM-CXZJT 30-39 years, male 44.3
GTEX-1122O-1926-SM-5EGIQ 60-69 years, female 44.2
GTEX-S3XE-1026-SM-4AD4O 50-59 years, male 44.2
GTEX-15DCE-1626-SM-6LPJM 20-29 years, male 44.1
GTEX-1LBAC-1426-SM-CXZKT 20-29 years, male 44.1
GTEX-146FR-2026-SM-5NQAI 60-69 years, female 44.0
GTEX-1QP67-1026-SM-EVR47 40-49 years, female 44.0
GTEX-11EM3-1026-SM-5A5KL 20-29 years, female 43.9
GTEX-QDVN-1226-SM-48TZ5 50-59 years, male 43.9
GTEX-1LG7Z-1226-SM-DHXK4 30-39 years, male 43.9
GTEX-1A8G6-1426-SM-731EZ 60-69 years, male 43.8
GTEX-145LT-1426-SM-5O9B3 40-49 years, male 43.6
GTEX-OXRK-1626-SM-3NB17 50-59 years, female 43.6
GTEX-QCQG-0526-SM-48U2A 50-59 years, female 43.6
GTEX-ZGAY-1626-SM-DNZZ3 40-49 years, female 43.6
GTEX-13N1W-2026-SM-5K7YU 70-79 years, male 43.2
GTEX-14E6E-0926-SM-664N8 30-39 years, male 43.2
GTEX-WFON-1126-SM-4LVMA 40-49 years, male 43.1
GTEX-T6MO-0726-SM-4DM58 40-49 years, female 43.0
GTEX-13RTK-0226-SM-5RQHR 20-29 years, male 42.9
GTEX-PW2O-1226-SM-48TCH 20-29 years, male 42.9
GTEX-1KXAM-0926-SM-CXZKA 60-69 years, male 42.9
GTEX-QDT8-2026-SM-EZ6LS 30-39 years, female 42.9
GTEX-NFK9-1526-SM-3LK7B 40-49 years, male 42.8
GTEX-18A7A-2726-SM-7LG6U 50-59 years, female 42.5
GTEX-PX3G-1526-SM-48U11 20-29 years, female 42.5
GTEX-XBED-1226-SM-4AT5V 60-69 years, male 42.5
GTEX-ZYY3-1726-SM-5EGH3 60-69 years, female 42.5
GTEX-111YS-1126-SM-5GZYQ 60-69 years, male 42.4
GTEX-1399R-1126-SM-5IFIO 30-39 years, male 42.4
GTEX-XUZC-0726-SM-4BOPH 30-39 years, female 42.2
GTEX-17GQL-1226-SM-7KFTS 60-69 years, male 42.1
GTEX-WYVS-1326-SM-4ONCQ 40-49 years, female 42.1
GTEX-V955-1326-SM-4JBHR 60-69 years, male 42.0
GTEX-1H23P-2726-SM-9JGHN 60-69 years, male 41.9
GTEX-TKQ2-0926-SM-4DXU5 50-59 years, male 41.8
GTEX-Y5V6-1326-SM-4VDTF 60-69 years, male 41.7
GTEX-1B8L1-1526-SM-79OLK 60-69 years, male 41.6
GTEX-13S7M-1826-SM-5RQK6 60-69 years, female 41.5
GTEX-13U4I-2526-SM-5SI8Z 40-49 years, female 41.5
GTEX-1GN1W-2126-SM-9JGI7 50-59 years, female 41.3
GTEX-QXCU-1926-SM-48FE4 50-59 years, male 41.2
GTEX-ZYFG-1326-SM-5GICJ 60-69 years, female 41.1
GTEX-1J8Q3-1926-SM-C1YSJ 60-69 years, male 41.1
GTEX-1RQEC-2126-SM-DPS15 60-69 years, male 41.1
GTEX-V1D1-1726-SM-4JBHB 50-59 years, male 41.0
GTEX-ZDYS-1926-SM-5HL59 50-59 years, male 40.9
GTEX-O5YW-1526-SM-3MJGL 50-59 years, male 40.8
GTEX-YEC4-1426-SM-5IFHS 40-49 years, male 40.7
GTEX-ZV7C-1626-SM-5NQ7E 50-59 years, male 40.7
GTEX-ZVT2-1626-SM-51MRC 50-59 years, female 40.7
GTEX-12WSD-2326-SM-59HKQ 60-69 years, female 40.6
GTEX-18QFQ-1226-SM-718AE 30-39 years, male 40.6
GTEX-13X6J-2126-SM-5TDCV 50-59 years, male 40.5
GTEX-RM2N-0826-SM-48FD3 50-59 years, male 40.5
GTEX-1MGNQ-1826-SM-DPRYI 40-49 years, male 40.5
GTEX-15CHR-1326-SM-79OLT 50-59 years, male 40.4
GTEX-139YR-1926-SM-5LZXM 50-59 years, male 40.3
GTEX-1AYCT-1326-SM-7MKHB 50-59 years, male 40.3
GTEX-17MF6-2126-SM-7KFS7 40-49 years, male 40.2
GTEX-ZF29-1526-SM-4WKF7 60-69 years, female 40.2
GTEX-132QS-1826-SM-5IFFN 60-69 years, male 40.1
GTEX-13D11-2126-SM-5IFH2 50-59 years, female 40.0
GTEX-1QMI2-2126-SM-DPRXQ 60-69 years, male 40.0
GTEX-15DZA-1126-SM-6LPK8 30-39 years, female 39.8
GTEX-Y3I4-1626-SM-4TT7W 50-59 years, male 39.8
GTEX-WYJK-2526-SM-4ONDF 50-59 years, male 39.6
GTEX-VJYA-1026-SM-4KL21 60-69 years, male 39.5
GTEX-1HKZK-1526-SM-B2LWG 40-49 years, male 39.5
GTEX-W5WG-1726-SM-4LMI5 50-59 years, female 39.4
GTEX-15UF7-1226-SM-6M46G 40-49 years, male 39.3
GTEX-RTLS-2626-SM-46MUJ 60-69 years, female 39.2
GTEX-S4UY-1626-SM-4AD55 40-49 years, female 39.1
GTEX-13113-0726-SM-5LZUF 60-69 years, female 39.0
GTEX-RWS6-0926-SM-47JXE 60-69 years, female 39.0
GTEX-1GMRU-2526-SM-9WG7T 50-59 years, male 38.8
GTEX-1B97I-1226-SM-7MGWQ 40-49 years, male 38.7
GTEX-1HBPN-1626-SM-9WPNP 50-59 years, male 38.7
GTEX-1H1E6-1626-SM-9OSWC 30-39 years, male 38.6
GTEX-1QP2A-2126-SM-DPRZ7 50-59 years, male 38.6
GTEX-P78B-1826-SM-3P5YX 40-49 years, female 38.1
GTEX-S95S-0826-SM-4B64N 60-69 years, male 38.1
GTEX-1J8QM-1126-SM-C1YQB 60-69 years, female 38.1
GTEX-12696-1726-SM-5EQLH 60-69 years, male 38.0
GTEX-1ICG6-1826-SM-AHZ2O 70-79 years, female 38.0
GTEX-17HHE-1026-SM-79ON6 50-59 years, male 37.9
GTEX-T5JC-1926-SM-4DM6Q 20-29 years, male 37.9
GTEX-O5YV-1926-SM-EV797 60-69 years, female 37.9
GTEX-13O3Q-2126-SM-5KM4C 50-59 years, male 37.8
GTEX-Y8E4-1526-SM-4WWDI 40-49 years, male 37.7
GTEX-U3ZN-2026-SM-4DXUC 30-39 years, female 37.5
GTEX-1GZ4H-1026-SM-9OSXL 50-59 years, female 37.1
GTEX-1S3DN-1526-SM-EVYCB 50-59 years, male 37.1
GTEX-WHWD-1426-SM-4OORU 50-59 years, male 36.9
GTEX-ZEX8-1626-SM-4WKG7 50-59 years, male 36.9
GTEX-1J8EW-2226-SM-AHZ3T 60-69 years, female 36.9
GTEX-X15G-1126-SM-4PQZG 50-59 years, female 36.8
GTEX-ZLV1-0826-SM-DO11P 60-69 years, female 36.8
GTEX-13OVI-2426-SM-5KM4J 60-69 years, female 36.7
GTEX-145MN-1326-SM-5NQ9S 30-39 years, male 36.7
GTEX-UPK5-2126-SM-4JBJK 40-49 years, male 36.7
GTEX-ZVP2-1626-SM-5GU5D 50-59 years, male 36.7
GTEX-ZXES-1426-SM-5NQ8S 30-39 years, female 36.7
GTEX-14PJ5-0826-SM-6AJAR 60-69 years, female 36.3
GTEX-Y8LW-0826-SM-4WWDO 50-59 years, female 36.2
GTEX-1I1HK-2026-SM-CNNRB 60-69 years, male 36.2
GTEX-WRHK-0626-SM-4MVOE 20-29 years, female 36.1
GTEX-1KD5A-1426-SM-D4P3V 50-59 years, male 35.9
GTEX-14BIL-1926-SM-73KYI 50-59 years, male 35.8
GTEX-1GF9U-1126-SM-AHZ4H 40-49 years, female 35.6
GTEX-13FH7-1026-SM-5IJGF 50-59 years, female 35.4
GTEX-ZF2S-1426-SM-57WET 50-59 years, female 35.0
GTEX-1EH9U-2226-SM-7PBXX 60-69 years, male 34.6
GTEX-1LSNM-1026-SM-DHXL2 50-59 years, male 34.6
GTEX-13PVR-2126-SM-73KVR 60-69 years, female 34.0
GTEX-1JMQJ-1326-SM-D4P3B 50-59 years, male 33.2
GTEX-UJMC-1226-SM-4IHLI 50-59 years, male 33.1
GTEX-1LVAN-2426-SM-CNNPZ 50-59 years, female 33.1
GTEX-XQ8I-2026-SM-4BOOL 50-59 years, male 32.6
GTEX-1CB4H-2426-SM-7PBYR 60-69 years, female 32.3
GTEX-145MO-2226-SM-5Q5BN 60-69 years, male 31.1
GTEX-ZE7O-3026-SM-51MS4 50-59 years, female 30.9
GTEX-17JCI-2226-SM-7LTA1 60-69 years, female 30.8
GTEX-WZTO-2126-SM-4PQYW 40-49 years, male 30.7
GTEX-12WSG-2026-SM-5FQUU 50-59 years, female 30.2
GTEX-17HII-2426-SM-7KFTT 50-59 years, male 30.2
GTEX-13QJ3-2726-SM-5SI6L 50-59 years, male 30.1
GTEX-11EI6-2426-SM-5PNVS 60-69 years, male 28.9
GTEX-ZVT3-2126-SM-59HL2 60-69 years, female 28.9
GTEX-14DAQ-2826-SM-664MU 60-69 years, female 28.4
GTEX-1J8JJ-1726-SM-C1YQG 60-69 years, female 28.2
GTEX-139D8-2326-SM-5IFGE 30-39 years, female 27.9
GTEX-14BMV-2226-SM-5RQHX 50-59 years, male 27.4
GTEX-ZAB4-1526-SM-5CVN7 40-49 years, male 27.1
GTEX-1E1VI-2826-SM-7MGWU 50-59 years, male 25.8
GTEX-1HT8W-2326-SM-A9SLA 30-39 years, male 25.8
Show allShow less

Contact

  • NEWS ARTICLES
  • PRESS ROOM

The Project

  • INTRODUCTION
  • ORGANIZATION
  • PUBLICATIONS

The Human Protein Atlas

  • DOWNLOADABLE DATA
  • LICENCE & CITATION
  • HELP & FAQ
The Human Protein Atlas project is funded
by the Knut & Alice Wallenberg Foundation.


contact@proteinatlas.org