We use cookies to enhance the usability of our website. If you continue, we'll assume that you are happy to receive all cookies. More information. Don't show this again.
ILK
HPA
RESOURCES
  • TISSUE
  • BRAIN
  • SINGLE CELL
  • SUBCELLULAR
  • CANCER
  • BLOOD
  • CELL LINE
  • STRUCTURE & INTERACTION
ABOUT
  • INTRODUCTION
  • HISTORY
  • ORGANIZATION
  • PUBLICATIONS
  • ANTIBODY SUBMISSION
  • ANTIBODY AVAILABILITY
  • ACKNOWLEDGMENTS
  • CONTACT
NEWS
  • NEWS ARTICLES
  • PRESS ROOM
LEARN
  • DICTIONARY
  • PROTEIN CLASSES
  • PROTEIN EVIDENCE
  • METHODS
  • EDUCATIONAL VIDEOS
DATA
  • DOWNLOADABLE DATA
  • PUBLICATION DATA
  • RELEASE HISTORY
HELP
  • ANTIBODY VALIDATION
  • ASSAYS & ANNOTATION
  • DISCLAIMER
  • HELP & FAQ
  • PRIVACY STATEMENT
  • LICENCE & CITATION
Fields »
Search result

Field
Term
Gene name
Class
Subclass
Class
Keyword
Chromosome
External id
Tissue
Cell type
Expression
Antibody panel
Tissue
Main location
Patient ID
Annotation
Tissue
Category
Tau score
Cluster
Reliability
Brain region
Category
Tau score
Brain region
Category
Tau score
Brain region
Category
Tau score
Cluster
Reliability
Tissue
Cell type
Enrichment
Cell type
Category
Tau score
Cell type
Category
Tau score
Cell type
Category
Tau score
Cell lineage
Category
Tau score
Cluster
Cluster
Location
Searches
Location
Cell line
Class
Type
Phase
Reliability
Cancer
Prognosis
Cancer
Category
Cancer
Category
Tau score
Cluster
Variants
Interacting gene (ensg_id)
Type
Number of interactions
Pathway
Category
Score
Score
Score
Validation
Validation
Validation
Validation
Antibodies
Data type
Column


  • SUMMARY

  • TISSUE

  • BRAIN

  • SINGLE CELL

  • SUBCELL

  • CANCER

  • BLOOD

  • CELL LINE

  • STRUCT & INT

  • ILK
BRAIN CEREBELLUM Show tissue menu
AMYGDALA BASAL GANGLIA CEREBELLUM CEREBRAL CORTEX CHOROID PLEXUS HIPPOCAMPAL FORMATION HYPOTHALAMUS MEDULLA OBLONGATA
MIDBRAIN OLFACTORY BULB PITUITARY GLAND PONS RETINA SPINAL CORD THALAMUS WHITE MATTER
ANTIBODIES
AND
VALIDATION
Brain proteome
Cerebellum
CEREBELLUM - Expression summary
Protein expression
Cerebellumi

On the top, protein expression in current human tissue, based on all annotated cell types, is reported with the units not detected (n), low (l), medium (m) and high (h). Underneath, protein expression in each annotated cell type are reported using the same units.

Protein expression data is based on knowledge-based annotation. For genes where more than one antibody has been used, a collective score is set.

If knowledge-based annotation could not be performed for a gene, no data is displayed here. View antibody staining data further down this page.

h
m
l
n
Cells in granular layer: Not detected
Cells in molecular layer: Not detected
Purkinje cells: Not detected
RNA expressioni

A summary of mRNA expression data available for current tissue based on several datasets. The mRNA expression levels in human tissues are based on RNA-seq data generated by the Human Protein Atlas (HPA), Genotype-Tissue Expression (GTEx) portal and CAGE data generated by the FANTOM5 consortium. Consensus normalized expression levels for human tissues was created by combining the data from HPA and GTEx datasets.

The mRNA expression levels in pig are based on RNA-seq data generated by the Human Protein Atlas (HPA), and for mouse, HPA data and in situ hybridization generated by the Allen brain atlas are reported.

Scroll down to view mRNA expression data in more detail.
Consensus:43.0 nTPM
HPA Brain:42.1 nTPM
GTEx:43.0 nTPM
FANTOM5:34.0 Scaled Tags Per Million
Pig:49.0 nTPM
Mouse:150.0 nTPM
Allen mouse:4.0 Expression energy

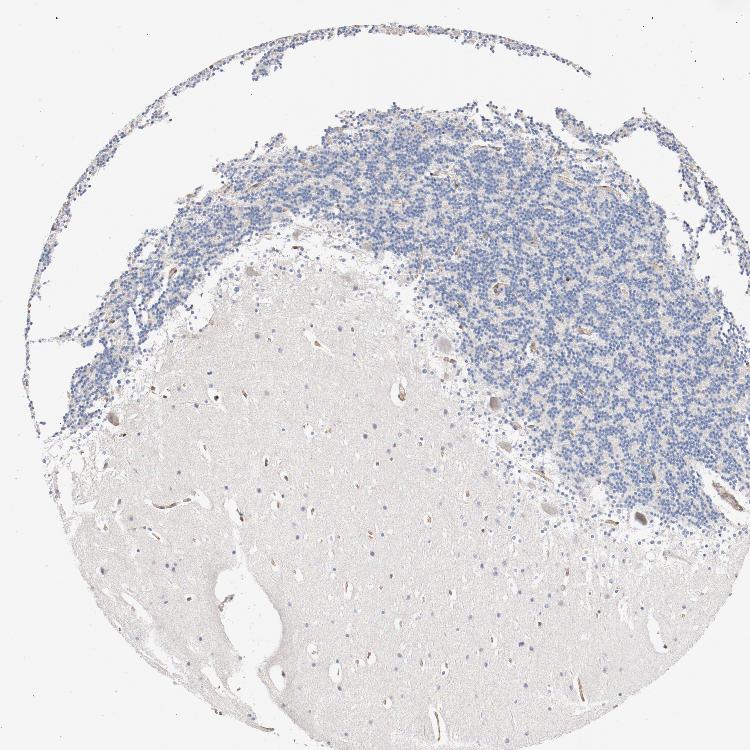
CEREBELLUM - Antibody stainingi

Antibody staining in the annotated cell types in the current human tissue is reported as not detected, low, medium, or high, based on conventional immunohistochemistry profiling in selected tissues. This score is based on the combination of the staining intensity and fraction of stained cells.

Each image is clickable and will lead to virtual microscopy that enables deeper exploration of all samples and also displays staining intensity scores, fraction scores and subcellular localization as well as patient and tissue information for each sample.

Antibody CAB004041
Purkinje cells Not detected
Cells in granular layer Not detected
Cells in molecular layer Not detected



CEREBELLUM - HPA Brain RNA-seq
Max subtype nTPMi

Max subtype nTPM is the value for the subtype with the largest average nTPM across the subtype samples.

42.1
Sample id Sample description nTPM
Cerebellar cortex
nTPM: 28.0
1768 Female, age 72, unknown 36.4
2101 Male, age 74, right hemisphere 32.8
2003 Female, age 85, right hemisphere 30.0
1774 Male, age 80, left hemisphere 27.9
2055 Female, age 91, right hemisphere 25.6
2006 Male, age 61, right hemisphere 24.6
1788 Male, age 55, unknown 23.9
1769 Male, age 76, right hemisphere 22.4
Cerebellar nuclei
nTPM: 42.1
2783 Female, age 72, unknown 59.9
2005 Male, age 80, left hemisphere 45.4
2882 Male, age 76, left hemisphere 45.0
1879 Male, age 55, unknown 43.2
2175 Male, age 61, right hemisphere 41.4
1871 Male, age 74, unknown 40.2
2177 Female, age 85, both hemispheres 38.7
1966 Female, age 91, left hemisphere 37.3
2318 Male, age 74, left hemisphere 27.9
Flocculonodular lobe
nTPM: 25.9
1792 Male, age 74, unknown 34.8
1765 Male, age 55, unknown 31.6
2176 Female, age 91, right hemisphere 27.0
1771 Male, age 80, left hemisphere 25.3
1835 Female, age 85, right hemisphere 22.0
1767 Male, age 76, left hemisphere 20.6
2004 Male, age 61, right hemisphere 19.6
Vermis
nTPM: 27.2
1751 Male, age 74, right hemisphere 31.4
1825 Male, age 74, unknown 31.3
1766 Male, age 55, unknown 30.4
1928 Female, age 72, unknown 29.4
2834 Male, age 80, left hemisphere 27.6
1778 Female, age 91, left hemisphere 26.3
2460 Male, age 61, both hemispheres 24.2
1770 Male, age 76, left hemisphere 22.1
1988 Female, age 85, left hemisphere 21.6

CEREBELLUM - GTEx RNA-seqi

RNA-Seq data generated by the Genotype-Tissue Expression (GTEx) project from human tissues is reported as mean nTPM. More information can be found on the GTEx portal.

Distribution across the dataset is visualized with box plots, shown as median and 25th and 75th percentiles. Points are displayed as outliers if they are above or below 1.5 times the interquartile range. nTPM values of the individual samples are presented next to the box plot.
Max subtype nTPMi

Max subtype nTPM is the value for the subtype with the largest average nTPM across the subtype samples.

43.0
GTEx sample id Sample description nTPM
Brain - Cerebellar Hemisphere
Average nTPM: 40.3
Samples: 215

Max nTPM: 66.1
Min nTPM: 21.2
Std nTPM: 7.3
Median nTPM: 40.2
GTEX-13FLV-0011-R11a-SM-5LZZ7 50-59 years, male 66.1
GTEX-1B8L1-0011-R11b-SM-793DJ 60-69 years, male 65.9
GTEX-NL4W-0011-R11A-SM-2I3DW 50-59 years, male 64.3
GTEX-16NPV-0011-R11a-SM-7IGMK 50-59 years, female 59.5
GTEX-132Q8-0011-R11b-SM-5DUW9 60-69 years, male 56.0
GTEX-1GMR8-0011-R11b-SM-9OSX2 50-59 years, female 55.1
GTEX-139TT-0011-R11b-SM-5LZV1 60-69 years, male 54.7
GTEX-13X6I-0011-R11a-SM-5P9HN 60-69 years, male 54.1
GTEX-N7MS-0011-R11A-SM-2HMJS 60-69 years, male 54.1
GTEX-1B933-0011-R11a-SM-7P8PM 50-59 years, female 53.7
GTEX-1F52S-0011-R11a-SM-CJI23 60-69 years, female 53.4
GTEX-11DZ1-0011-R11b-SM-DO11W 50-59 years, male 52.7
GTEX-13JUV-0011-R11a-SM-5LZYH 40-49 years, female 52.6
GTEX-18A6Q-0011-R11a-SM-72D6H 60-69 years, male 52.4
GTEX-1CB4G-0011-R11a-SM-9OSWG 60-69 years, male 52.3
GTEX-14ASI-0011-R11b-SM-6AJBJ 60-69 years, male 51.6
GTEX-17EVP-0011-R11a-SM-7EWDL 40-49 years, male 51.3
GTEX-1EMGI-0011-R11b-SM-9OSWX 60-69 years, male 51.1
GTEX-1HGF4-0011-R11a-SM-C1YRR 60-69 years, male 50.7
GTEX-13FXS-0011-R11a-SM-5L3DM 50-59 years, male 50.0
GTEX-1F6I4-0011-R11b-SM-9OSWS 60-69 years, male 49.8
GTEX-1GF9W-0011-R11b-SM-9OSXG 60-69 years, male 49.8
GTEX-1HBPI-0011-R11b-SM-CE6SH 50-59 years, male 49.8
GTEX-1I1GV-0011-R11a-SM-CJI3Z 60-69 years, male 49.3
GTEX-16GPK-0011-R11b-SM-7MKFF 60-69 years, male 49.2
GTEX-15CHQ-0011-R11b-SM-686ZZ 60-69 years, male 49.1
GTEX-1313W-0011-R11a-SM-5DUXN 50-59 years, female 48.8
GTEX-13OVH-0011-R11b-SM-5KM4X 70-79 years, male 48.6
GTEX-X261-0011-R11A-SM-4E3JY 50-59 years, male 48.5
GTEX-13X6J-0011-R11a-SM-5P9HE 50-59 years, male 47.8
GTEX-WWYW-0011-R11A-SM-3NB38 50-59 years, female 47.8
GTEX-NL3H-0011-R11A-SM-2I3E6 60-69 years, male 47.7
GTEX-144GL-0011-R11b-SM-5P9F6 50-59 years, male 47.6
GTEX-NPJ8-0011-R11A-SM-2YUMS 40-49 years, male 47.4
GTEX-12WSH-0011-R11a-SM-5LZVM 50-59 years, male 47.2
GTEX-1H1CY-0011-R11a-SM-C1YQR 60-69 years, female 47.2
GTEX-13SLX-0011-R11b-SM-5O9C8 50-59 years, female 47.0
GTEX-13G51-0011-R11b-SM-5J2NE 60-69 years, male 46.9
GTEX-WZTO-0011-R11A-SM-4E3K9 40-49 years, male 46.8
GTEX-1EKGG-0011-R11a-SM-9QEHZ 60-69 years, male 46.5
GTEX-1C64N-0011-R11b-SM-7P8Q6 50-59 years, male 46.0
GTEX-18465-0011-R11a-SM-72D78 50-59 years, male 45.8
GTEX-1F7RK-0011-R11b-SM-9QEI2 20-29 years, female 45.7
GTEX-T5JC-0011-R11A-SM-32PMB 20-29 years, male 45.6
GTEX-1LG7Y-0011-R11a-SM-EXOIH 50-59 years, male 45.6
GTEX-WL46-0011-R11A-SM-3MJFT 50-59 years, male 45.5
GTEX-1I1GQ-0011-R11b-SM-CKZPA 50-59 years, male 45.1
GTEX-15ER7-0011-R11a-SM-6LPIL 20-29 years, female 45.0
GTEX-1IDJH-0011-R11b-SM-C1YRT 70-79 years, male 45.0
GTEX-1H3VE-0011-R11b-SM-C1YRP 40-49 years, male 44.9
GTEX-1IY9M-0011-R11b-SM-A96TI 60-69 years, male 44.9
GTEX-1H4P4-0011-R11b-SM-CE6S8 50-59 years, male 44.8
GTEX-14E6D-0011-R11b-SM-664NP 50-59 years, male 44.6
GTEX-1HSKV-0011-R11b-SM-AHZ2E 60-69 years, male 44.3
GTEX-16XZZ-0011-R11a-SM-7EPI3 60-69 years, male 44.1
GTEX-1KD4Q-0011-R11b-SM-EXOIE 40-49 years, male 44.1
GTEX-12WSI-0011-R11b-SM-5P9EZ 50-59 years, male 43.9
GTEX-17JCI-0011-R11a-SM-7189Y 60-69 years, female 43.9
GTEX-1IL2V-0011-R11a-SM-ARU6T 70-79 years, male 43.9
GTEX-13N2G-0011-R11a-SM-5MR3F 60-69 years, male 43.7
GTEX-1E1VI-0011-R11a-SM-9OSWI 50-59 years, male 43.7
GTEX-YJ89-0011-R11a-SM-4SOKA 60-69 years, male 43.6
GTEX-16YQH-0011-R11b-SM-7LT98 30-39 years, male 43.4
GTEX-11ZTS-0011-R11a-SM-DO113 60-69 years, female 43.4
GTEX-1H3NZ-0011-R11b-SM-CE6SF 60-69 years, male 43.3
GTEX-12ZZZ-0011-R11a-SM-5EGLC 60-69 years, male 43.2
GTEX-145MH-0011-R11a-SM-5P9HQ 50-59 years, male 43.1
GTEX-183WM-0011-R11a-SM-718A5 70-79 years, female 42.9
GTEX-NPJ7-0011-R11A-SM-2I3E8 60-69 years, female 42.8
GTEX-1IGQW-0011-R11a-SM-C1YRV 60-69 years, male 42.8
GTEX-N7MT-0011-R11A-SM-2I3DZ 60-69 years, female 42.7
GTEX-1I1HK-0011-R11a-SM-B2LVN 60-69 years, male 42.7
GTEX-11DXY-0011-R11a-SM-DNZZN 60-69 years, male 42.6
GTEX-12WSE-0011-R11b-SM-5P9JW 20-29 years, male 42.1
GTEX-13NZA-0011-R11b-SM-5KM4W 60-69 years, male 42.1
GTEX-11ZUS-0011-R11b-SM-5BC7B 30-39 years, male 42.0
GTEX-14ABY-0011-R11a-SM-5SI7C 50-59 years, male 42.0
GTEX-1F48J-0011-R11b-SM-9OSWV 50-59 years, female 41.9
GTEX-1F75A-0011-R11a-SM-AHZ35 50-59 years, male 41.9
GTEX-P44G-0011-R11A-SM-2I3FD 30-39 years, male 41.7
GTEX-13OW6-0011-R11a-SM-5L3H2 50-59 years, male 41.6
GTEX-1HFI6-0011-R11b-SM-A96RU 40-49 years, male 41.5
GTEX-Q2AG-0011-R11A-SM-2HMKZ 40-49 years, female 41.4
GTEX-12126-0011-R11a-SM-5BC6X 20-29 years, male 41.3
GTEX-13VXU-0011-R11b-SM-5O9DJ 50-59 years, male 41.3
GTEX-1F75W-0011-R11b-SM-AHZ34 60-69 years, male 41.3
GTEX-145LU-0011-R11b-SM-5P9JX 50-59 years, male 41.2
GTEX-13FTY-0011-R11a-SM-5IJEA 40-49 years, female 41.0
GTEX-ZE7O-0011-R11a-SM-57WBC 50-59 years, female 41.0
GTEX-X585-0011-R11B-SM-46MUZ 50-59 years, male 40.9
GTEX-YFC4-0011-R11a-SM-4SOK6 40-49 years, female 40.9
GTEX-1GZ4I-0011-R11b-SM-9OSWR 50-59 years, male 40.9
GTEX-13NYS-0011-R11b-SM-5MR4P 60-69 years, male 40.8
GTEX-X4XX-0011-R11A-SM-46MWQ 60-69 years, male 40.8
GTEX-15DYW-0011-R11a-SM-6LPIT 60-69 years, female 40.7
GTEX-1J1OQ-0011-R11a-SM-A96S3 40-49 years, female 40.7
GTEX-12WSF-0011-R11a-SM-5LZVT 70-79 years, male 40.6
GTEX-1I1GR-0011-R11a-SM-CM2T5 60-69 years, male 40.5
GTEX-1N2EE-0011-R11b-SM-EXOIJ 60-69 years, male 40.5
GTEX-Y8DK-0011-R11A-SM-4SOK2 60-69 years, male 40.4
GTEX-1N2DW-0011-R11b-SM-EXOIL 50-59 years, male 40.4
GTEX-131XH-0011-R11a-SM-5EGLN 50-59 years, male 40.3
GTEX-1BAJH-0011-R11b-SM-7IGLM 70-79 years, male 40.3
GTEX-UTHO-0011-R11A-SM-3GIJE 60-69 years, male 40.3
GTEX-1IKK5-0011-R11a-SM-C1YRX 60-69 years, male 40.3
GTEX-14E7W-0011-R11a-SM-5ZZVA 70-79 years, male 40.2
GTEX-S7SE-0011-R11A-SM-2XCDD 50-59 years, male 40.2
GTEX-1JJ6O-0011-R11b-SM-EXUS2 60-69 years, male 40.2
GTEX-ZE9C-0011-R11a-SM-4WKGG 60-69 years, male 40.1
GTEX-1ICLZ-0011-R11a-SM-CJI3N 60-69 years, male 40.0
GTEX-13RTJ-0011-R11a-SM-5O9CK 60-69 years, male 39.9
GTEX-ZVZQ-0011-R11a-SM-51MS6 60-69 years, female 39.9
GTEX-11WQC-0011-R11b-SM-57WD6 60-69 years, male 39.8
GTEX-13S7M-0011-R11b-SM-5P9HU 60-69 years, female 39.7
GTEX-14PN4-0011-R11a-SM-686ZW 50-59 years, male 39.7
GTEX-WHSE-0011-R11A-SM-3P5YY 20-29 years, male 39.7
GTEX-12WSM-0011-R11a-SM-5DUX8 60-69 years, male 39.3
GTEX-1B8SF-0011-R11a-SM-79OOP 60-69 years, male 39.3
GTEX-1A3MX-0011-R11b-SM-7DUGP 60-69 years, male 39.2
GTEX-11EI6-0011-R11a-SM-DO11V 60-69 years, male 39.2
GTEX-1IL2U-0011-R11a-SM-CE6SO 60-69 years, male 39.2
GTEX-11DYG-0011-R11a-SM-DNZZP 60-69 years, male 39.0
GTEX-11PRG-0011-R11b-SM-DNZZY 50-59 years, male 38.9
GTEX-1J8EW-0011-R11a-SM-AHZ37 60-69 years, female 38.9
GTEX-ZUA1-0011-R11b-SM-51MTI 40-49 years, male 38.8
GTEX-131YS-0011-R11b-SM-5EGLM 60-69 years, female 38.6
GTEX-Z93S-0011-R11a-SM-4RGNN 50-59 years, male 38.4
GTEX-1H1DG-0011-R11a-SM-C1YQK 70-79 years, male 38.4
GTEX-11OF3-0011-R11a-SM-57WCR 60-69 years, male 38.3
GTEX-13CF2-0011-R11b-SM-5LZXO 60-69 years, male 38.3
GTEX-ZF28-0011-R11a-SM-4WWEI 60-69 years, male 38.2
GTEX-12ZZX-0011-R11a-SM-5DUVJ 40-49 years, female 38.1
GTEX-13OW8-0011-R11a-SM-5L3GT 60-69 years, male 38.1
GTEX-15G19-0011-R11b-SM-6LPIH 60-69 years, male 37.9
GTEX-13NYB-0011-R11a-SM-5KM3Q 40-49 years, male 37.8
GTEX-1H3O1-0011-R11a-SM-A96RV 60-69 years, male 37.8
GTEX-1HB9E-0011-R11b-SM-ARU79 50-59 years, male 37.7
GTEX-11GSP-0011-R11b-SM-5NQ7V 60-69 years, female 37.6
GTEX-13OW5-0011-R11b-SM-5L3GG 60-69 years, male 37.6
GTEX-13PLJ-0011-R11b-SM-5O9BS 60-69 years, female 37.4
GTEX-18464-0011-R11a-SM-72D76 50-59 years, male 37.3
GTEX-T2IS-0011-R11A-SM-32QPC 20-29 years, female 37.3
GTEX-1GMRU-0011-R11b-SM-C1YQ4 50-59 years, male 37.3
GTEX-14BIM-0011-R11b-SM-5S2RN 60-69 years, female 37.2
GTEX-14DAQ-0011-R11a-SM-664NO 60-69 years, female 37.0
GTEX-17HII-0011-R11b-SM-7KFSX 50-59 years, male 36.8
GTEX-R55E-0011-R11A-SM-2TC6I 20-29 years, male 36.8
GTEX-13JVG-0011-R11a-SM-5KM53 60-69 years, male 36.7
GTEX-17F97-0011-R11b-SM-7KFRQ 50-59 years, male 36.7
GTEX-1AX9I-0011-R11b-SM-7DHN4 60-69 years, male 36.7
GTEX-1R9PO-0011-R11b-SM-EZ6NB 60-69 years, female 36.7
GTEX-1IKOH-0011-R11a-SM-AHZ38 60-69 years, female 36.6
GTEX-12WSC-0011-R11a-SM-5GU5J 50-59 years, male 36.5
GTEX-1GTWX-0011-R11b-SM-C1YQJ 60-69 years, male 36.4
GTEX-1GZHY-0011-R11a-SM-C1YRQ 50-59 years, female 36.3
GTEX-13QIC-0011-R11b-SM-5O9BU 60-69 years, female 36.1
GTEX-16Z82-0011-R11a-SM-79OKJ 60-69 years, male 36.0
GTEX-1JJEA-0011-R11a-SM-EXUTE 60-69 years, male 36.0
GTEX-13OW7-0011-R11a-SM-5O9DY 50-59 years, male 35.9
GTEX-11TTK-0011-R11b-SM-DO112 60-69 years, female 35.9
GTEX-17EVQ-0011-R11a-SM-7LT9C 70-79 years, male 35.8
GTEX-WVLH-0011-R11A-SM-3MJFO 50-59 years, male 35.8
GTEX-12WSD-0011-R11a-SM-9OSVC 60-69 years, female 35.6
GTEX-13O3Q-0011-R11b-SM-5KM2W 50-59 years, male 35.5
GTEX-1LKK1-0011-R11a-SM-EXOIG 50-59 years, female 35.4
GTEX-RU72-0011-R11A-SM-CM2U1 50-59 years, female 35.4
GTEX-15DCD-0011-R11a-SM-D4P1R 70-79 years, female 35.2
GTEX-1R9K4-0011-R11a-SM-EZ6N9 60-69 years, male 35.1
GTEX-13X6K-0011-R11a-SM-5P9F5 60-69 years, female 35.0
GTEX-1LSVX-0011-R11b-SM-EXOIA 60-69 years, male 35.0
GTEX-1JMQJ-0011-R11a-SM-EXOJY 50-59 years, male 34.9
GTEX-11EMC-0011-R11b-SM-DNZZK 60-69 years, female 34.8
GTEX-14BIN-0011-R11a-SM-5SI79 50-59 years, female 34.5
GTEX-13OVJ-0011-R11a-SM-5P9H8 50-59 years, female 34.4
GTEX-RVPV-0011-R11A-SM-2TF6F 60-69 years, male 34.4
GTEX-ZDXO-0011-R11a-SM-4WWD9 60-69 years, male 34.3
GTEX-15EO6-0011-R11b-SM-6M47M 50-59 years, male 34.2
GTEX-17HG3-0011-R11b-SM-7KFT4 30-39 years, female 34.1
GTEX-1399T-0011-R11a-SM-5J2O1 60-69 years, male 34.0
GTEX-1I1GS-0011-R11a-SM-C1YRU 60-69 years, male 34.0
GTEX-1M4P7-0011-R11b-SM-EXOIK 60-69 years, male 34.0
GTEX-13FHO-0011-R11b-SM-5LZYQ 60-69 years, male 33.7
GTEX-1I19N-0011-R11b-SM-ARU6Y 70-79 years, male 33.5
GTEX-1J8Q2-0011-R11a-SM-A9SKI 60-69 years, male 33.5
GTEX-13OVL-0011-R11b-SM-5L3G7 50-59 years, male 33.3
GTEX-ZAB4-0011-R11a-SM-4SOKI 40-49 years, male 33.2
GTEX-13PVQ-0011-R11a-SM-5O9DU 50-59 years, male 33.1
GTEX-13FHP-0011-R11b-SM-5LZXP 50-59 years, male 32.4
GTEX-ZVT3-0011-R11b-SM-57WBI 60-69 years, female 32.3
GTEX-1GN73-0011-R11b-SM-9OSX4 60-69 years, male 32.1
GTEX-14C5O-0011-R11b-SM-6872H 60-69 years, male 32.0
GTEX-1B8SG-0011-R11a-SM-7P8PF 50-59 years, male 31.8
GTEX-13CZV-0011-R11b-SM-5N9FN 60-69 years, male 31.4
GTEX-1HUB1-0011-R11b-SM-CE6SC 60-69 years, male 31.3
GTEX-1LVAO-0011-R11b-SM-EXOI8 60-69 years, male 31.1
GTEX-13SLW-0011-R11a-SM-5SI8Q 70-79 years, male 31.0
GTEX-TSE9-0011-R11A-SM-3DB7N 60-69 years, female 31.0
GTEX-145MI-0011-R11a-SM-5P9JZ 60-69 years, female 30.9
GTEX-13O3O-0011-R11b-SM-5KM4G 60-69 years, female 30.7
GTEX-139UW-0011-R11a-SM-5IJGN 60-69 years, male 30.2
GTEX-T6MN-0011-R11A-SM-32QOX 50-59 years, male 30.1
GTEX-1HCU6-0011-R11b-SM-AHZ2F 60-69 years, female 30.0
GTEX-OHPN-0011-R11A-SM-2I5FM 60-69 years, female 28.9
GTEX-1JMOU-0011-R11b-SM-EXUTA 60-69 years, female 28.8
GTEX-14C39-0011-R11b-SM-5YYAF 40-49 years, male 28.7
GTEX-1IOXB-0011-R11a-SM-A9G1X 50-59 years, male 28.6
GTEX-1H1ZS-0011-R11a-SM-C1YQM 70-79 years, male 28.4
GTEX-1CAV2-0011-R11a-SM-ARU8D 40-49 years, female 27.3
GTEX-X4EP-0011-R11B-SM-4QASK 60-69 years, female 27.2
GTEX-XMD1-0011-R11A-SM-4AT5J 60-69 years, male 27.1
GTEX-11H98-0011-R11b-SM-5NQ6U 50-59 years, male 26.9
GTEX-QMR6-0011-R11A-SM-32PKK 50-59 years, male 26.3
GTEX-QDT8-0011-R11A-SM-32PKD 30-39 years, female 22.3
GTEX-131XW-0011-R11a-SM-5DUV9 50-59 years, female 22.1
GTEX-P44H-0011-R11A-SM-2XCER 40-49 years, male 21.2
Show allShow less
Brain - Cerebellum
Average nTPM: 43.0
Samples: 241

Max nTPM: 73.6
Min nTPM: 18.9
Std nTPM: 6.4
Median nTPM: 42.8
GTEX-1H3VE-2826-SM-9WPOL 40-49 years, male 73.6
GTEX-15SHU-3026-SM-6LPIB 40-49 years, female 65.8
GTEX-1F6IF-3026-SM-7P8QN 60-69 years, male 61.6
GTEX-1E1VI-2926-SM-7IGLT 50-59 years, male 61.2
GTEX-R55E-2526-SM-2TC6H 20-29 years, male 57.2
GTEX-1192X-3226-SM-5987D 50-59 years, male 56.0
GTEX-YFC4-3026-SM-5IFJK 40-49 years, female 55.9
GTEX-1C6WA-3326-SM-7MKGN 60-69 years, male 55.0
GTEX-1269C-3126-SM-5EGI6 60-69 years, female 54.8
GTEX-15ER7-3026-SM-6M47W 20-29 years, female 54.3
GTEX-11DZ1-2926-SM-5A5KI 50-59 years, male 53.7
GTEX-12126-0926-SM-5FQTW 20-29 years, male 53.6
GTEX-111FC-3326-SM-5GZYV 60-69 years, male 53.2
GTEX-1GF9W-2726-SM-9JGGW 60-69 years, male 52.9
GTEX-11ZTS-3226-SM-5EGID 60-69 years, female 52.5
GTEX-X261-3126-SM-4PQZC 50-59 years, male 51.5
GTEX-12ZZZ-3126-SM-5LZU6 60-69 years, male 51.2
GTEX-13112-2926-SM-5DUWT 50-59 years, male 51.2
GTEX-ZZPT-2926-SM-5EQ5S 50-59 years, male 51.0
GTEX-N7MS-2526-SM-2D7W3 60-69 years, male 50.9
GTEX-1A3MX-2926-SM-718B7 60-69 years, male 50.8
GTEX-1JN1M-3126-SM-AHZ4E 60-69 years, female 50.7
GTEX-1A8G7-3026-SM-73KTT 60-69 years, male 50.3
GTEX-WL46-2826-SM-3LK81 50-59 years, male 50.3
GTEX-1I1CD-2926-SM-A96SJ 60-69 years, female 50.2
GTEX-1RQEC-3026-SM-DPRXM 60-69 years, male 50.2
GTEX-13OVH-2926-SM-5IJFH 70-79 years, male 49.9
GTEX-1HB9E-3126-SM-AHZ4M 50-59 years, male 49.9
GTEX-13OW5-3126-SM-5MR3Y 60-69 years, male 49.7
GTEX-UTHO-2926-SM-3P5Z9 60-69 years, male 49.7
GTEX-11GSP-3126-SM-5A5LL 60-69 years, female 49.6
GTEX-WWYW-3026-SM-3NB36 50-59 years, female 49.6
GTEX-1HBPI-2726-SM-9WPPF 50-59 years, male 49.5
GTEX-1POEN-2726-SM-E9U6B 30-39 years, female 49.3
GTEX-1RDX4-3226-SM-DPS14 50-59 years, female 49.1
GTEX-ZF28-2926-SM-4WKG1 60-69 years, male 48.9
GTEX-14JIY-2326-SM-6AJAJ 60-69 years, male 48.8
GTEX-13OW7-2926-SM-5MR3Z 50-59 years, male 48.7
GTEX-11O72-2826-SM-5HL6W 40-49 years, male 48.4
GTEX-X4XX-2926-SM-3NMB1 60-69 years, male 48.4
GTEX-1MJK2-3026-SM-EV7A5 50-59 years, male 48.4
GTEX-12WSM-2126-SM-5GCOC 60-69 years, male 48.3
GTEX-1PIIG-2826-SM-DTX7O 30-39 years, male 48.2
GTEX-T6MN-2526-SM-32PMN 50-59 years, male 48.1
GTEX-ZAJG-3026-SM-5HL92 50-59 years, female 48.0
GTEX-13O3Q-3026-SM-5IJGD 50-59 years, male 47.8
GTEX-1NV8Z-3026-SM-DTX8Z 60-69 years, male 47.7
GTEX-1CB4G-2926-SM-7MKFQ 60-69 years, male 47.6
GTEX-13G51-3126-SM-5IJG7 60-69 years, male 47.5
GTEX-1GZHY-3026-SM-7MXVA 50-59 years, female 47.5
GTEX-144GL-2926-SM-5O99F 50-59 years, male 47.3
GTEX-132Q8-2926-SM-5IFFP 60-69 years, male 47.2
GTEX-ZAK1-2926-SM-5HL9S 50-59 years, female 47.0
GTEX-11ONC-3026-SM-5985W 60-69 years, male 46.9
GTEX-1EU9M-2926-SM-793DF 60-69 years, male 46.8
GTEX-117XS-3126-SM-5GIDP 60-69 years, male 46.6
GTEX-139TT-2626-SM-5LZUB 60-69 years, male 46.6
GTEX-1C6VR-3026-SM-7IGLW 60-69 years, male 46.4
GTEX-11DXY-3126-SM-5N9BT 60-69 years, male 46.2
GTEX-131YS-3026-SM-5EGHY 60-69 years, female 46.2
GTEX-17HG3-2826-SM-7EPGO 30-39 years, female 46.2
GTEX-PWO3-1026-SM-2I5F2 60-69 years, female 46.2
GTEX-YJ89-2926-SM-5P9IT 60-69 years, male 46.1
GTEX-13FXS-3026-SM-5LZYO 50-59 years, male 46.0
GTEX-12ZZY-2926-SM-5DUXO 60-69 years, male 45.9
GTEX-13X6I-2926-SM-5Q5C3 60-69 years, male 45.9
GTEX-139TS-3126-SM-5LZWX 60-69 years, male 45.8
GTEX-13NYB-3226-SM-5J2ND 40-49 years, male 45.7
GTEX-14BMV-2926-SM-5TDEE 50-59 years, male 45.7
GTEX-1B8SG-1926-SM-73KUB 50-59 years, male 45.7
GTEX-QVJO-1325-SM-2S1QX 60-69 years, female 45.7
GTEX-RU72-2926-SM-2TF66 50-59 years, female 45.7
GTEX-RNOR-2226-SM-2TF5O 50-59 years, female 45.6
GTEX-Y111-2826-SM-4TT3O 50-59 years, male 45.6
GTEX-1128S-2826-SM-5N9DI 60-69 years, female 45.5
GTEX-1F6I4-3026-SM-7P8SI 60-69 years, male 45.5
GTEX-13OW6-2926-SM-5KM29 50-59 years, male 45.4
GTEX-17HII-2926-SM-79OMK 50-59 years, male 45.4
GTEX-12WSH-3126-SM-5LZW8 50-59 years, male 45.3
GTEX-13N2G-3126-SM-5IJGL 60-69 years, male 45.3
GTEX-1JMLX-3026-SM-EV79Q 50-59 years, male 45.3
GTEX-1I1GV-3026-SM-CNNR9 60-69 years, male 45.2
GTEX-XMD1-2826-SM-4AT5F 60-69 years, male 45.1
GTEX-ZUA1-2926-SM-59HL3 40-49 years, male 45.1
GTEX-1R46S-3126-SM-DPRZ9 60-69 years, female 45.1
GTEX-11EMC-3326-SM-5P9JH 60-69 years, female 45.0
GTEX-1313W-3026-SM-5LZUZ 50-59 years, female 45.0
GTEX-ZYFD-2926-SM-5GID9 50-59 years, male 45.0
GTEX-131XH-2926-SM-5LZU4 50-59 years, male 44.9
GTEX-12WSD-3026-SM-5LZU7 60-69 years, female 44.8
GTEX-1EMGI-3126-SM-7MXUR 60-69 years, male 44.8
GTEX-145MF-2826-SM-7EPGU 50-59 years, male 44.7
GTEX-13CF2-3026-SM-5IFFX 60-69 years, male 44.6
GTEX-1EH9U-3126-SM-7MXU5 60-69 years, male 44.6
GTEX-1IDJH-3126-SM-C1YQS 70-79 years, male 44.6
GTEX-13FHP-2926-SM-5IJG9 50-59 years, male 44.5
GTEX-NPJ8-2626-SM-2D7W2 40-49 years, male 44.5
GTEX-1JMQJ-3126-SM-EV79G 50-59 years, male 44.5
GTEX-Q2AG-2826-SM-2HMJQ 40-49 years, female 44.4
GTEX-11GSO-3026-SM-5Q5AL 60-69 years, male 44.2
GTEX-1F48J-2726-SM-7P8PW 50-59 years, female 44.2
GTEX-1IKOH-2826-SM-CNNRC 60-69 years, female 44.2
GTEX-13PVQ-2926-SM-5L3HJ 50-59 years, male 44.1
GTEX-14E7W-2926-SM-5S2R8 70-79 years, male 44.1
GTEX-1H4P4-2726-SM-9JGGB 50-59 years, male 44.0
GTEX-1IL2V-3026-SM-CYPSA 70-79 years, male 44.0
GTEX-13S7M-3026-SM-5S2QQ 60-69 years, female 43.8
GTEX-183WM-2726-SM-7KFRF 70-79 years, female 43.8
GTEX-T2IS-2926-SM-32QPO 20-29 years, female 43.6
GTEX-1H1CY-3026-SM-9OSW7 60-69 years, female 43.6
GTEX-T5JC-2326-SM-32PMR 20-29 years, male 43.5
GTEX-1399T-3126-SM-5IJFS 60-69 years, male 43.4
GTEX-11EI6-2926-SM-5985U 60-69 years, male 43.3
GTEX-1GZ4I-2926-SM-9JGGO 50-59 years, male 43.3
GTEX-11TTK-2826-SM-5GU5K 60-69 years, female 43.2
GTEX-1JJ6O-3026-SM-C1YQH 60-69 years, male 43.2
GTEX-ZYY3-3026-SM-5GIEJ 60-69 years, female 43.0
GTEX-1EKGG-3126-SM-9WPO5 60-69 years, male 43.0
GTEX-1QEPI-3026-SM-EXOIW 60-69 years, female 42.9
GTEX-14ABY-3026-SM-664NE 50-59 years, male 42.8
GTEX-1F75W-3126-SM-7P8SJ 60-69 years, male 42.8
GTEX-1C64N-3126-SM-79OO3 50-59 years, male 42.7
GTEX-147GR-3126-SM-5S2PM 60-69 years, male 42.6
GTEX-Y8DK-0726-SM-4TT3S 60-69 years, male 42.6
GTEX-1RNSC-3126-SM-EVR4V 60-69 years, male 42.6
GTEX-1EX96-3126-SM-9JGGC 50-59 years, male 42.5
GTEX-1HBPH-3026-SM-9WPNY 40-49 years, female 42.5
GTEX-1HSKV-2926-SM-B2LWJ 60-69 years, male 42.4
GTEX-1GTWX-2926-SM-7MXV4 60-69 years, male 42.3
GTEX-1KD4Q-3026-SM-EV7A7 40-49 years, male 42.3
GTEX-11DXW-1026-SM-5H11K 40-49 years, male 42.2
GTEX-13VXU-3026-SM-5LU3K 50-59 years, male 42.2
GTEX-14PN4-3026-SM-664O4 50-59 years, male 42.2
GTEX-1GF9V-3026-SM-7P8R8 60-69 years, male 42.2
GTEX-18A6Q-2826-SM-7LTAO 60-69 years, male 42.1
GTEX-1EWIQ-3026-SM-7IGOJ 70-79 years, female 42.1
GTEX-13JUV-3026-SM-5K7WX 40-49 years, female 42.0
GTEX-1JMQK-2926-SM-D4P2T 60-69 years, male 42.0
GTEX-13SLX-3226-SM-5YYA6 50-59 years, female 41.9
GTEX-13RTJ-3126-SM-5S2Q4 60-69 years, male 41.8
GTEX-18465-2926-SM-7KFSE 50-59 years, male 41.8
GTEX-13OVL-3026-SM-5IJF1 50-59 years, male 41.7
GTEX-14BIN-3326-SM-5Q5E6 50-59 years, female 41.7
GTEX-147F4-3026-SM-5Q5BJ 50-59 years, male 41.6
GTEX-ZAB4-2926-SM-57WCV 40-49 years, male 41.6
GTEX-1B8L1-3226-SM-7P8OX 60-69 years, male 41.6
GTEX-11NUK-3026-SM-5986K 50-59 years, male 41.4
GTEX-1P4AB-3026-SM-EXOJS 50-59 years, male 41.4
GTEX-12ZZX-2826-SM-5BC6K 40-49 years, female 41.2
GTEX-14E6D-2926-SM-664OP 50-59 years, male 41.2
GTEX-ZVT3-2926-SM-5GU6M 60-69 years, female 41.2
GTEX-145MH-2926-SM-5Q5D2 50-59 years, male 41.1
GTEX-1F52S-3026-SM-7P8PV 60-69 years, female 41.1
GTEX-1J1OQ-3126-SM-D4P2O 40-49 years, female 41.1
GTEX-14JG1-2926-SM-686ZK 40-49 years, male 41.0
GTEX-X4EP-3026-SM-3P5YP 60-69 years, female 41.0
GTEX-17JCI-3026-SM-7EWDR 60-69 years, female 40.8
GTEX-ZDXO-2926-SM-4WKFM 60-69 years, male 40.8
GTEX-11PRG-2826-SM-5BC54 50-59 years, male 40.7
GTEX-145MG-3126-SM-5Q5D3 50-59 years, male 40.7
GTEX-14PJM-3026-SM-6LLHM 50-59 years, female 40.7
GTEX-17HHY-2926-SM-79OJW 50-59 years, male 40.7
GTEX-1E2YA-2926-SM-7MGWX 50-59 years, male 40.7
GTEX-1F75A-2926-SM-7MXVN 50-59 years, male 40.7
GTEX-12WSC-2926-SM-5BC5Z 50-59 years, male 40.6
GTEX-11ZUS-2826-SM-5EQKW 30-39 years, male 40.5
GTEX-14BIM-3126-SM-5Q5C7 60-69 years, female 40.4
GTEX-15G19-2826-SM-6M48K 60-69 years, male 40.4
GTEX-13JVG-3226-SM-5IJGJ 60-69 years, male 40.3
GTEX-145LU-2626-SM-5LU9Z 50-59 years, male 40.2
GTEX-15DYW-3026-SM-7KFRM 60-69 years, female 40.2
GTEX-13OW8-2926-SM-5L3FV 60-69 years, male 40.1
GTEX-15EO6-2926-SM-6M48D 50-59 years, male 40.0
GTEX-WZTO-2826-SM-3NM8P 40-49 years, male 40.0
GTEX-1LG7Y-3126-SM-EV7AS 50-59 years, male 39.9
GTEX-1QP6S-3026-SM-EAZ4N 40-49 years, male 39.8
GTEX-N7MT-1226-SM-DKPOK 60-69 years, female 39.7
GTEX-14PJO-2926-SM-686ZI 60-69 years, male 39.6
GTEX-1R9PO-2826-SM-E6CPV 60-69 years, female 39.6
GTEX-Z93S-2826-SM-57WBL 50-59 years, male 39.5
GTEX-14DAQ-3026-SM-5S2QZ 60-69 years, female 39.4
GTEX-14JFF-2826-SM-6871Q 60-69 years, male 39.4
GTEX-WVLH-2926-SM-3MJG5 50-59 years, male 39.4
GTEX-XLM4-2926-SM-4AT59 60-69 years, male 39.4
GTEX-13QIC-3026-SM-5LU58 60-69 years, female 39.1
GTEX-1JMPZ-2826-SM-C1YRA 30-39 years, male 39.1
GTEX-1GN73-3026-SM-7MXV8 60-69 years, male 39.0
GTEX-1H3O1-1826-SM-A96TO 60-69 years, male 38.9
GTEX-17F97-2926-SM-7DUEQ 50-59 years, male 38.6
GTEX-1JJEA-2926-SM-C1YSK 60-69 years, male 38.6
GTEX-WHSE-2926-SM-3NMBG 20-29 years, male 38.5
GTEX-S7SE-2526-SM-2XCDL 50-59 years, male 38.4
GTEX-1H1DG-2826-SM-9JGHB 70-79 years, male 38.4
GTEX-17EVP-2926-SM-793BU 40-49 years, male 38.3
GTEX-13OVJ-2726-SM-5IJG6 50-59 years, female 38.0
GTEX-1B933-3026-SM-731DB 50-59 years, female 38.0
GTEX-12WSE-2926-SM-5RQJ9 20-29 years, male 37.8
GTEX-1JMOU-2826-SM-EV79R 60-69 years, female 37.8
GTEX-14ASI-2926-SM-5Q5DG 60-69 years, male 37.4
GTEX-11DYG-2926-SM-5H132 60-69 years, male 37.3
GTEX-17EVQ-2726-SM-7EWDT 70-79 years, male 37.3
GTEX-11ZVC-3026-SM-59HJM 50-59 years, female 37.1
GTEX-1GZ2Q-3026-SM-9JGG3 40-49 years, male 37.1
GTEX-11NV4-2226-SM-5BC4T 60-69 years, male 37.0
GTEX-145LS-3026-SM-5O99S 60-69 years, female 37.0
GTEX-16YQH-2926-SM-6LPJE 30-39 years, male 36.6
GTEX-1A8G6-3126-SM-731D8 60-69 years, male 36.6
GTEX-1JJE9-3026-SM-CNNPA 70-79 years, male 36.6
GTEX-PVOW-2626-SM-32PL8 40-49 years, male 36.5
GTEX-11OC5-0626-SM-5HL6M 60-69 years, male 36.4
GTEX-13O3O-3026-SM-5KM42 60-69 years, female 36.2
GTEX-NPJ7-2826-SM-2I3FU 60-69 years, female 35.8
GTEX-1HCVE-2926-SM-9WPPJ 50-59 years, male 35.8
GTEX-TSE9-2926-SM-3DB77 60-69 years, female 35.6
GTEX-1HSMO-2926-SM-C1YR5 60-69 years, male 35.5
GTEX-13FHO-2926-SM-5L3ES 60-69 years, male 35.4
GTEX-14A5I-2826-SM-5SIBF 50-59 years, female 35.4
GTEX-1BAJH-3126-SM-7MGXY 70-79 years, male 35.4
GTEX-1IY9M-3126-SM-AHZ3A 60-69 years, male 35.3
GTEX-1LSVX-2826-SM-EVR58 60-69 years, male 35.2
GTEX-QMR6-1326-SM-32PLB 50-59 years, male 35.1
GTEX-QVUS-2926-SM-3GIJB 60-69 years, female 34.9
GTEX-1B8SF-3026-SM-731DX 60-69 years, male 34.7
GTEX-1I1HK-2726-SM-AHZ2M 60-69 years, male 34.4
GTEX-14C39-3026-SM-5S2QE 40-49 years, male 34.3
GTEX-16XZZ-2926-SM-6LPK4 60-69 years, male 34.3
GTEX-P44G-2526-SM-2I5EK 30-39 years, male 34.0
GTEX-1CB4H-3026-SM-79OLX 60-69 years, female 32.1
GTEX-13X6J-2926-SM-7EPGP 50-59 years, male 32.0
GTEX-13X6K-2826-SM-5O9DS 60-69 years, female 32.0
GTEX-1KWVE-2226-SM-CXZKN 30-39 years, male 31.6
GTEX-1H1ZS-2926-SM-9WPP2 70-79 years, male 31.4
GTEX-1KANB-3226-SM-D4P3G 50-59 years, male 31.4
GTEX-OHPN-2626-SM-2I5H1 60-69 years, female 31.1
GTEX-1B996-2926-SM-7MXUH 60-69 years, male 31.0
GTEX-14C5O-2926-SM-5RQI1 60-69 years, male 30.7
GTEX-1PWST-3026-SM-EAZ3H 70-79 years, male 30.5
GTEX-QDT8-3026-SM-32PKB 30-39 years, female 29.7
GTEX-1H3NZ-2926-SM-9WPQ8 60-69 years, male 28.8
GTEX-16Z82-2926-SM-6LPJJ 60-69 years, male 26.5
GTEX-P44H-2426-SM-2XCEJ 40-49 years, male 18.9
Show allShow less

CEREBELLUM - FANTOM5 CAGEi

RNA expression in human tissues obtained through Cap Analysis of Gene Expression (CAGE) generated by the FANTOM5 project are reported as Scaled Tags Per Million.

Max subtype Scaled Tags Per Millioni

Max subtype Scaled Tags Per Million is the value for the subtype with the largest average Scaled Tags Per Million across the subtype samples.

34.0
FANTOM5 sample id Sample description Scaled Tags Per Million
Cerebellum
Scaled Tags Per Million: 34.0
FF:10083-102B2 22-68 years, mixed 42.4
FF:10166-103B4 76 years, female 25.6

CEREBELLUM - Pig RNA-seqi

RNA-seq data obtained from pig brain is reported as nTPM .

Normal distribution across the dataset is visualized with box plots, shown as median and 25th and 75th percentiles. Points are displayed as outliers if they are above or below 1.5 times the interquartile range. nTPM values of the individual samples are presented next to the box plot.
Max subtype nTPMi

Max subtype nTPM is the value for the subtype with the largest average nTPM across the subtype samples.

49.0
Pig sample Sample description nTPM
Cerebellum
nTPM: 49.0
Samples: 4

Max nTPM: 72.6
Min nTPM: 37.8
Sample A Female 72.6
Sample B Female 43.5
Sample C Male 37.8
Sample D Male 42.1

CEREBELLUM - Mouse RNA-seqi

RNA-seq data obtained from mouse brain is reported as nTPM .

Normal distribution across the dataset is visualized with box plots, shown as median and 25th and 75th percentiles. Points are displayed as outliers if they are above or below 1.5 times the interquartile range. nTPM values of the individual samples are presented next to the box plot.
Max subtype nTPMi

Max subtype nTPM is the value for the subtype with the largest average nTPM across the subtype samples.

150.0
Mouse sample Sample description nTPM
Cerebellum
nTPM: 150.0
Samples: 4

Max nTPM: 155.6
Min nTPM: 144.5
Sample A Male 144.5
Sample B Male 149.4
Sample C Female 150.3
Sample D Female 155.6

CEREBELLUM - Allen Mouse ISHi

In situ hybridization (ISH) data generated by the Allen brain atlas from mouse brain is reported as expression energy. For more details about a particular experiment, click on the corresponding Allen experiment ID.

Max subtype Expression energyi

Max subtype Expression energy is the value for the subtype with the largest average Expression energy across the subtype samples.

4.0
Allen experiment id Experiment description Expression energy
Cerebellum
Expression energy: 4.0
68443136 Antisense, RP_050111_01_D08, Mouse strain C57BL/6J (56 days, male) 4.0

Contact

  • NEWS ARTICLES
  • PRESS ROOM

The Project

  • INTRODUCTION
  • ORGANIZATION
  • PUBLICATIONS

The Human Protein Atlas

  • DOWNLOADABLE DATA
  • LICENCE & CITATION
  • HELP & FAQ
The Human Protein Atlas project is funded
by the Knut & Alice Wallenberg Foundation.


contact@proteinatlas.org