We use cookies to enhance the usability of our website. If you continue, we'll assume that you are happy to receive all cookies. More information. Don't show this again.
BEX3
HPA
RESOURCES
  • TISSUE
  • BRAIN
  • SINGLE CELL
  • SUBCELLULAR
  • CANCER
  • BLOOD
  • CELL LINE
  • STRUCTURE & INTERACTION
ABOUT
  • INTRODUCTION
  • HISTORY
  • ORGANIZATION
  • PUBLICATIONS
  • ANTIBODY SUBMISSION
  • ANTIBODY AVAILABILITY
  • ACKNOWLEDGMENTS
  • CONTACT
NEWS
  • NEWS ARTICLES
  • PRESS ROOM
LEARN
  • DICTIONARY
  • PROTEIN CLASSES
  • PROTEIN EVIDENCE
  • METHODS
  • EDUCATIONAL VIDEOS
DATA
  • DOWNLOADABLE DATA
  • PUBLICATION DATA
  • RELEASE HISTORY
HELP
  • ANTIBODY VALIDATION
  • ASSAYS & ANNOTATION
  • DISCLAIMER
  • HELP & FAQ
  • PRIVACY STATEMENT
  • LICENCE & CITATION
Fields »
Search result

Field
Term
Gene name
Class
Subclass
Class
Keyword
Chromosome
External id
Tissue
Cell type
Expression
Antibody panel
Tissue
Main location
Patient ID
Annotation
Tissue
Category
Tau score
Cluster
Reliability
Brain region
Category
Tau score
Brain region
Category
Tau score
Brain region
Category
Tau score
Cluster
Reliability
Tissue
Cell type
Enrichment
Cell type
Category
Tau score
Cell type
Category
Tau score
Cell type
Category
Tau score
Cell lineage
Category
Tau score
Cluster
Cluster
Location
Searches
Location
Cell line
Class
Type
Phase
Reliability
Cancer
Prognosis
Cancer
Category
Cancer
Category
Tau score
Cluster
Variants
Interacting gene (ensg_id)
Type
Number of interactions
Pathway
Category
Score
Score
Score
Validation
Validation
Validation
Validation
Antibodies
Data type
Column


  • SUMMARY

  • TISSUE

  • BRAIN

  • SINGLE CELL

  • SUBCELL

  • CANCER

  • BLOOD

  • CELL LINE

  • STRUCT & INT

  • BEX3
TISSUE PRIMARY DATA ADIPOSE TISSUE Show tissue menu
ADIPOSE TISSUE ADRENAL GLAND AMYGDALA APPENDIX BASAL GANGLIA BONE MARROW BREAST BRONCHUS CEREBELLUM CEREBRAL CORTEX CERVIX CHOROID PLEXUS COLON DUODENUM
ENDOMETRIUM EPIDIDYMIS ESOPHAGUS FALLOPIAN TUBE GALLBLADDER HEART MUSCLE HIPPOCAMPAL FORMATION HYPOTHALAMUS KIDNEY LIVER LUNG LYMPH NODE MIDBRAIN NASOPHARYNX
ORAL MUCOSA OVARY PANCREAS PARATHYROID GLAND PITUITARY GLAND PLACENTA PROSTATE RECTUM RETINA SALIVARY GLAND SEMINAL VESICLE SKELETAL MUSCLE SKIN SMALL INTESTINE
SMOOTH MUSCLE SOFT TISSUE SPINAL CORD SPLEEN STOMACH TESTIS THYMUS THYROID GLAND TONGUE TONSIL URINARY BLADDER VAGINA
ANTIBODIES
AND
VALIDATION
Dictionary
Tissue proteome
Adipose tissue
ADIPOSE TISSUE - Expression summary
Protein expression
Adipose tissuei

On the top, protein expression in current human tissue, based on all annotated cell types, is reported with the units not detected (n), low (l), medium (m) and high (h). Underneath, protein expression in each annotated cell type are reported using the same units.

Protein expression data is based on knowledge-based annotation. For genes where more than one antibody has been used, a collective score is set.

If knowledge-based annotation could not be performed for a gene, no data is displayed here. View antibody staining data further down this page.

h
m
l
n
Adipocytes: Medium
RNA expressioni

A summary of mRNA expression data available for current tissue based on several datasets. The mRNA expression levels in human tissues are based on RNA-seq data generated by the Human Protein Atlas (HPA), Genotype-Tissue Expression (GTEx) portal and CAGE data generated by the FANTOM5 consortium. Consensus normalized expression levels for human tissues was created by combining the data from HPA and GTEx datasets.

The mRNA expression levels in pig are based on RNA-seq data generated by the Human Protein Atlas (HPA), and for mouse, HPA data and in situ hybridization generated by the Allen brain atlas are reported.

Scroll down to view mRNA expression data in more detail.
Consensus:103.4 nTPM
HPA:87.1 nTPM
GTEx:103.4 nTPM
FANTOM5:69.2 Scaled Tags Per Million

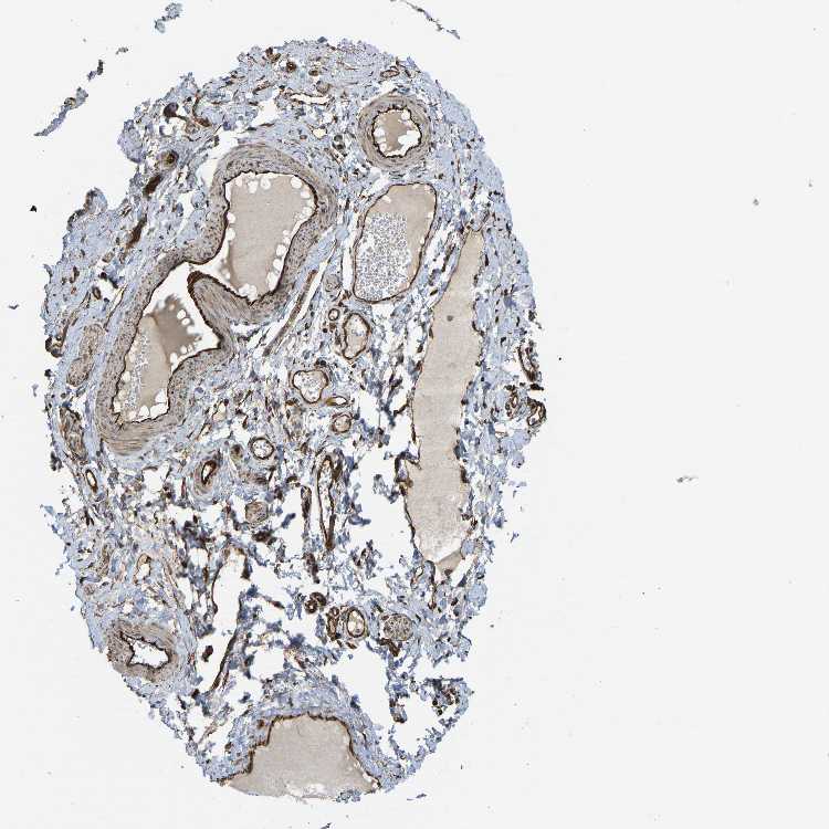
ADIPOSE TISSUE - Antibody stainingi

Antibody staining in the annotated cell types in the current human tissue is reported as not detected, low, medium, or high, based on conventional immunohistochemistry profiling in selected tissues. This score is based on the combination of the staining intensity and fraction of stained cells.

Each image is clickable and will lead to virtual microscopy that enables deeper exploration of all samples and also displays staining intensity scores, fraction scores and subcellular localization as well as patient and tissue information for each sample.

Antibody HPA018886
Adipocytes Medium






ADIPOSE TISSUE - HPA RNA-seqi

The RNA-seq details section shows detailed information about the individual samples used for the transcript profiling and results of the RNA-seq analysis.

Information about each individual sample is listed below, including gender, age, a tissue section image and estimated fractions of cell types. nTPM (normalized transcripts per million) values give a quantification of the gene abundance which is comparable between different genes and samples.
Average nTPMi

Max subtype nTPM is the value for the subtype with the largest average nTPM across the subtype samples.

87.1
N/A
Female, age 80
Adipose tissue sample 86
nTPM: 103.8
Cell types%
Adipocytes:
95

Other cell types:
5

N/A
Female, age 45
Adipose tissue sample 115
nTPM: 99.9
N/A
Female, age 57
Adipose tissue sample 137
nTPM: 90.4
Cell types%
Adipocytes:
60

Fibroblasts:
20

Smooth muscle cells:
15

Other cell types:
5

overview
Female, age 74
Adipose tissue sample 329
nTPM: 72.1
Cell types%
Adipocytes:
50

Fibroblasts:
30

Smooth muscle cells:
15

Other cell types:
5

overview
Female, age 59
Adipose tissue sample 331
nTPM: 69.3
Cell types%
Adipocytes:
40

Fibroblasts:
40

Smooth muscle cells:
15

Other cell types:
5


ADIPOSE TISSUE - GTEx RNA-seqi

RNA-Seq data generated by the Genotype-Tissue Expression (GTEx) project from human tissues is reported as mean nTPM. More information can be found on the GTEx portal.

Distribution across the dataset is visualized with box plots, shown as median and 25th and 75th percentiles. Points are displayed as outliers if they are above or below 1.5 times the interquartile range. nTPM values of the individual samples are presented next to the box plot.
Max subtype nTPMi

Max subtype nTPM is the value for the subtype with the largest average nTPM across the subtype samples.

103.4
GTEx sample id Sample description nTPM
Adipose - Subcutaneous
Average nTPM: 67.0
Samples: 663

Max nTPM: 164.7
Min nTPM: 25.4
Std nTPM: 17.9
Median nTPM: 65.3
GTEX-Y5V6-2526-SM-5IFJV 60-69 years, male 164.7
GTEX-17KNJ-2226-SM-DKPOU 50-59 years, male 157.8
GTEX-13YAN-0426-SM-5O9DR 60-69 years, male 151.4
GTEX-11EM3-2326-SM-5H12B 20-29 years, female 125.9
GTEX-13N1W-0226-SM-5K7W6 70-79 years, male 116.6
GTEX-16NGA-1826-SM-7LG5L 40-49 years, female 116.3
GTEX-1KD5A-0326-SM-D5OVD 50-59 years, male 115.9
GTEX-146FQ-0226-SM-5NQAL 30-39 years, male 115.4
GTEX-1PPGY-0326-SM-DTXFD 60-69 years, male 113.6
GTEX-1HCU6-0226-SM-CGQES 60-69 years, female 113.0
GTEX-1N2DW-0326-SM-E9TK3 50-59 years, male 113.0
GTEX-ZVT4-0226-SM-51MSD 50-59 years, female 111.3
GTEX-14E1K-2126-SM-793DU 50-59 years, male 110.9
GTEX-113IC-0226-SM-5HL5C 60-69 years, male 108.5
GTEX-13111-1726-SM-5EGJZ 50-59 years, male 108.4
GTEX-1GTWX-0226-SM-9YFLL 60-69 years, male 107.1
GTEX-YFCO-2026-SM-4W21Q 40-49 years, male 105.7
GTEX-145MN-2626-SM-5NQAH 30-39 years, male 105.1
GTEX-1GN73-0326-SM-9KNTW 60-69 years, male 104.4
GTEX-XBEC-0326-SM-4AT4M 50-59 years, male 104.0
GTEX-13FHP-0226-SM-5K7WD 50-59 years, male 103.9
GTEX-ZQG8-1526-SM-5HL65 60-69 years, female 103.6
GTEX-145ME-1926-SM-5MR6T 40-49 years, female 103.3
GTEX-ZYFD-0226-SM-5NQ86 50-59 years, male 102.2
GTEX-14PII-0326-SM-6LLIQ 60-69 years, male 101.8
GTEX-11ONC-2526-SM-5986W 60-69 years, male 100.4
GTEX-18465-0226-SM-7LG5M 50-59 years, male 99.7
GTEX-169BO-1426-SM-9MQJT 50-59 years, male 99.1
GTEX-WFJO-1926-SM-3GILA 30-39 years, male 98.8
GTEX-1E1VI-0226-SM-793CZ 50-59 years, male 97.7
GTEX-1GZ4I-0226-SM-7RHHO 50-59 years, male 97.7
GTEX-1I1GQ-0226-SM-COH3I 50-59 years, male 97.6
GTEX-11NUK-0326-SM-5HL5K 50-59 years, male 97.3
GTEX-13X6J-0226-SM-7EPGC 50-59 years, male 97.2
GTEX-14PJM-0326-SM-62LF2 50-59 years, female 96.6
GTEX-1POEN-0226-SM-EYYXE 30-39 years, female 96.3
GTEX-Z93T-0226-SM-5HL5Z 50-59 years, male 96.2
GTEX-POMQ-2326-SM-DHXIS 20-29 years, female 96.1
GTEX-17HHE-1926-SM-7EPGW 50-59 years, male 95.9
GTEX-Y8E5-0226-SM-57WCM 60-69 years, male 95.9
GTEX-14A5H-0526-SM-5TDCN 60-69 years, male 95.8
GTEX-12126-0426-SM-5Q5AP 20-29 years, male 95.7
GTEX-WY7C-2426-SM-3NB2V 50-59 years, male 95.5
GTEX-1F88F-2626-SM-9WG5K 60-69 years, female 95.4
GTEX-14H4A-1026-SM-62LDY 40-49 years, female 95.3
GTEX-1B996-0126-SM-7PBYF 60-69 years, male 94.7
GTEX-15CHQ-0226-SM-6EU2S 60-69 years, male 93.7
GTEX-1RDX4-0226-SM-DTXG1 50-59 years, female 92.9
GTEX-11ZUS-0726-SM-59886 30-39 years, male 92.7
GTEX-1269C-2726-SM-5EGJ4 60-69 years, female 92.7
GTEX-1GZ2Q-0326-SM-9WG6N 40-49 years, male 92.4
GTEX-1GN2E-0326-SM-COH3C 60-69 years, male 92.3
GTEX-14PJ3-1926-SM-62LEY 50-59 years, male 91.9
GTEX-1212Z-2426-SM-5EQ5D 60-69 years, male 91.8
GTEX-Y3I4-2226-SM-4TT7O 50-59 years, male 91.5
GTEX-1HSEH-0226-SM-ACKVV 60-69 years, male 91.3
GTEX-WFON-2226-SM-3TW8W 40-49 years, male 91.2
GTEX-145LT-1826-SM-5QGP4 40-49 years, male 91.1
GTEX-16NPX-0326-SM-7EWDI 50-59 years, male 91.1
GTEX-13QBU-2526-SM-5LU4X 40-49 years, female 90.7
GTEX-14753-0326-SM-5QGQB 60-69 years, male 90.7
GTEX-145MI-0426-SM-5O99V 60-69 years, female 90.6
GTEX-1HSMQ-1426-SM-ADEHT 50-59 years, male 90.3
GTEX-XQ3S-1626-SM-4WAYN 20-29 years, male 90.2
GTEX-17HII-0326-SM-7LG4X 50-59 years, male 90.0
GTEX-11ZTT-2526-SM-5EQM9 60-69 years, female 89.7
GTEX-1B8KZ-1926-SM-7DUG8 50-59 years, male 89.7
GTEX-13O1R-0226-SM-5K7U5 60-69 years, male 89.3
GTEX-1JN76-0226-SM-CMKGO 20-29 years, female 88.9
GTEX-1F75I-0426-SM-7PC3S 40-49 years, male 88.5
GTEX-OXRN-0226-SM-2I5EJ 50-59 years, male 88.2
GTEX-13PVQ-0226-SM-5SIBG 50-59 years, male 88.0
GTEX-ZPIC-1826-SM-57WFE 40-49 years, female 87.9
GTEX-OHPN-0226-SM-48TBV 60-69 years, female 87.8
GTEX-1C64O-0226-SM-73KXB 60-69 years, male 87.5
GTEX-11TUW-2626-SM-5EQKZ 60-69 years, male 87.2
GTEX-11OF3-2426-SM-5Q5AS 60-69 years, male 87.0
GTEX-ZT9X-1926-SM-57WE7 40-49 years, male 86.7
GTEX-1CB4F-0526-SM-9KNW2 60-69 years, male 86.7
GTEX-11O72-0226-SM-59869 40-49 years, male 86.3
GTEX-13NZA-0126-SM-5K7UH 60-69 years, male 86.2
GTEX-14ICK-0326-SM-6LLIZ 40-49 years, male 86.1
GTEX-147GR-0426-SM-5S2OL 60-69 years, male 86.0
GTEX-11GS4-2626-SM-5A5LD 60-69 years, male 85.9
GTEX-14PHX-2426-SM-62LEN 50-59 years, male 85.9
GTEX-1I1HK-0226-SM-COH4A 60-69 years, male 85.9
GTEX-ZDTS-0226-SM-5HL7Q 60-69 years, male 85.6
GTEX-1IY9M-0226-SM-CMKHP 60-69 years, male 85.4
GTEX-1GMR3-2026-SM-9MQLG 40-49 years, male 85.2
GTEX-14ICL-2026-SM-62LDN 30-39 years, male 85.0
GTEX-1J8QM-2326-SM-CYPSL 60-69 years, female 84.8
GTEX-1497J-2326-SM-5NQBK 60-69 years, male 84.7
GTEX-1IL2V-0226-SM-CMKI2 70-79 years, male 84.7
GTEX-1QP66-1326-SM-DTXDQ 50-59 years, male 84.5
GTEX-132QS-2526-SM-62LFJ 60-69 years, male 84.4
GTEX-13G51-2626-SM-5LZYW 60-69 years, male 84.2
GTEX-1S83E-0226-SM-EVYCW 40-49 years, male 84.0
GTEX-QEG4-0326-SM-DIPE3 30-39 years, male 84.0
GTEX-1H1ZS-0526-SM-9WG5L 70-79 years, male 83.9
GTEX-1LG7Y-0426-SM-DKPQB 50-59 years, male 83.9
GTEX-18A6Q-0226-SM-718AS 60-69 years, male 83.7
GTEX-139TT-0226-SM-5K7YH 60-69 years, male 83.6
GTEX-13U4I-0226-SM-5SIB1 40-49 years, female 83.5
GTEX-1HSKV-0326-SM-ADEJC 60-69 years, male 83.5
GTEX-11ZTS-0226-SM-5EQKD 60-69 years, female 83.4
GTEX-13JVG-0226-SM-5J1MW 60-69 years, male 83.3
GTEX-11UD2-0126-SM-5EQL2 50-59 years, male 83.2
GTEX-13FHO-0326-SM-5IJBH 60-69 years, male 83.2
GTEX-YECK-0226-SM-4W215 60-69 years, male 83.1
GTEX-1J1R8-2226-SM-ARZMP 40-49 years, male 83.0
GTEX-13OW7-0226-SM-5MR3N 50-59 years, male 82.9
GTEX-1BAJH-0426-SM-73KWY 70-79 years, male 82.8
GTEX-P4PQ-0226-SM-2S1NK 60-69 years, male 82.5
GTEX-12ZZZ-0526-SM-5DUX6 60-69 years, male 82.4
GTEX-YJ8A-0526-SM-5IFHT 20-29 years, male 82.3
GTEX-ZVTK-0526-SM-5GZWT 20-29 years, male 82.3
GTEX-1CAMR-1826-SM-7MXUJ 20-29 years, male 82.2
GTEX-131XW-0526-SM-5PNXZ 50-59 years, female 82.1
GTEX-XQ8I-0526-SM-4BOPS 50-59 years, male 81.9
GTEX-XYKS-2726-SM-4E3IC 60-69 years, female 81.9
GTEX-1R7EV-1926-SM-EVYBF 40-49 years, male 81.8
GTEX-1F75A-0226-SM-7PC2K 50-59 years, male 81.6
GTEX-YJ8O-2426-SM-5HL7S 40-49 years, female 81.2
GTEX-1C6VQ-0226-SM-7P8S5 50-59 years, male 81.2
GTEX-1MCYP-1826-SM-E9J2Q 20-29 years, female 81.2
GTEX-1I19N-0426-SM-ACKVY 70-79 years, male 81.1
GTEX-12ZZY-0326-SM-5LZVQ 60-69 years, male 80.8
GTEX-13OVL-0326-SM-5IJCS 50-59 years, male 80.8
GTEX-ZPU1-2426-SM-4WWFM 40-49 years, male 80.8
GTEX-12WSD-0226-SM-59HKO 60-69 years, female 80.6
GTEX-WVLH-0226-SM-3MJG6 50-59 years, male 80.5
GTEX-1J8Q3-1526-SM-CMKGB 60-69 years, male 80.5
GTEX-145MF-0526-SM-5LUA6 50-59 years, male 80.4
GTEX-YEC3-1226-SM-5IFI8 50-59 years, male 80.4
GTEX-11P82-1726-SM-5Q5AT 20-29 years, male 80.0
GTEX-YEC4-2426-SM-57WFO 40-49 years, male 80.0
GTEX-13CF2-2626-SM-5LZZA 60-69 years, male 79.9
GTEX-1HSMP-0226-SM-CGQFI 70-79 years, male 79.9
GTEX-1H1DE-2026-SM-9WG6Q 20-29 years, male 79.5
GTEX-139D8-0326-SM-5IJCJ 30-39 years, female 79.3
GTEX-1LB8K-0326-SM-E9TJC 50-59 years, male 79.1
GTEX-1313W-0226-SM-5LZV7 50-59 years, female 79.0
GTEX-OIZI-0226-SM-2XCEE 40-49 years, male 79.0
GTEX-1GMRU-0226-SM-9YFLW 50-59 years, male 79.0
GTEX-PSDG-0326-SM-48TCP 50-59 years, male 78.8
GTEX-ZYFC-0326-SM-5NQ7H 50-59 years, male 78.5
GTEX-147F3-0626-SM-5NQ9I 50-59 years, female 78.4
GTEX-131XF-2226-SM-5EQKG 60-69 years, male 78.3
GTEX-16AAH-2026-SM-7LG5F 50-59 years, male 78.3
GTEX-Y3IK-2526-SM-4WWDM 50-59 years, female 78.1
GTEX-11EQ9-2526-SM-5HL66 30-39 years, male 77.9
GTEX-ZF29-2226-SM-4WWB9 60-69 years, female 77.8
GTEX-14LLW-0226-SM-62LEL 70-79 years, female 77.7
GTEX-1HR9M-0226-SM-COH3E 60-69 years, male 77.7
GTEX-1PIGE-0526-SM-DTXFA 20-29 years, male 77.7
GTEX-13N11-2626-SM-5K7UQ 50-59 years, female 77.6
GTEX-1I1GV-0426-SM-ARZLX 60-69 years, male 77.6
GTEX-14E6C-0226-SM-5S2N3 40-49 years, male 77.5
GTEX-N7MS-0326-SM-4E3K2 60-69 years, male 77.5
GTEX-1ICG6-2626-SM-CGQG1 70-79 years, female 77.5
GTEX-13PLJ-0126-SM-5L3HU 60-69 years, female 77.2
GTEX-1F6I4-0226-SM-9MQMA 60-69 years, male 77.1
GTEX-1PBJI-0426-SM-E8VNM 20-29 years, female 77.1
GTEX-111FC-0226-SM-5N9B8 60-69 years, male 77.0
GTEX-13OW6-0526-SM-5L3HY 50-59 years, male 76.8
GTEX-ZAK1-0226-SM-5CVMX 50-59 years, female 76.8
GTEX-1EX96-1426-SM-7PBZ5 50-59 years, male 76.8
GTEX-132AR-0226-SM-5IJBE 50-59 years, female 76.7
GTEX-13O3Q-2326-SM-5KM3G 50-59 years, male 76.7
GTEX-12C56-1626-SM-5FQUO 20-29 years, male 76.6
GTEX-Y9LG-2026-SM-62LFS 30-39 years, male 76.6
GTEX-ZVZP-2326-SM-59HL4 50-59 years, male 76.6
GTEX-S4P3-1526-SM-E9J3W 50-59 years, female 76.6
GTEX-14ABY-0326-SM-5TDDK 50-59 years, male 76.4
GTEX-YJ89-0226-SM-4TT3Y 60-69 years, male 76.3
GTEX-1QCLY-0526-SM-EAZ47 30-39 years, male 76.2
GTEX-11DXW-0326-SM-5H11W 40-49 years, male 76.1
GTEX-1LGOU-2226-SM-E9U56 20-29 years, female 76.0
GTEX-T5JC-0526-SM-32PM7 20-29 years, male 75.9
GTEX-14C5O-0226-SM-5SI6O 60-69 years, male 75.8
GTEX-1IKJJ-0226-SM-COH3T 60-69 years, male 75.7
GTEX-11DXX-2326-SM-9YFKS 60-69 years, female 75.6
GTEX-1GN1W-0626-SM-9MQK3 50-59 years, female 75.6
GTEX-1H3VE-0226-SM-9WYST 40-49 years, male 75.6
GTEX-16GPK-0226-SM-7DUFI 60-69 years, male 75.5
GTEX-Y5V5-2426-SM-5IFJA 60-69 years, female 75.5
GTEX-Y8E4-0726-SM-4WWFN 40-49 years, male 75.5
GTEX-1HFI6-0326-SM-ADEI5 40-49 years, male 75.5
GTEX-1I6K7-0226-SM-CJI46 40-49 years, male 75.5
GTEX-1RAZA-0226-SM-E9U4W 20-29 years, male 75.5
GTEX-14E6D-0226-SM-62LDW 50-59 years, male 75.4
GTEX-14BIL-0226-SM-5SI9E 50-59 years, male 75.3
GTEX-1AX9J-0326-SM-73KXY 60-69 years, male 75.2
GTEX-ZYW4-0226-SM-5E44M 60-69 years, male 75.2
GTEX-Z93S-0226-SM-5HL7R 50-59 years, male 75.1
GTEX-1LG7Z-2026-SM-DLHBP 30-39 years, male 75.1
GTEX-1QP6S-0126-SM-E9J4K 40-49 years, male 75.1
GTEX-13RTJ-2526-SM-5S2Q3 60-69 years, male 75.0
GTEX-13S7M-0226-SM-5S2UG 60-69 years, female 75.0
GTEX-X4LF-1726-SM-3NMBZ 50-59 years, male 74.8
GTEX-ZYT6-0326-SM-7LG5R 30-39 years, male 74.8
GTEX-OXRL-0226-SM-3NB18 50-59 years, male 74.6
GTEX-12WSC-0226-SM-5EQ52 50-59 years, male 74.5
GTEX-13OW8-1226-SM-5K7XD 60-69 years, male 74.5
GTEX-11TT1-2426-SM-5EQMK 20-29 years, male 74.4
GTEX-1J8EW-0226-SM-CYPSW 60-69 years, female 74.2
GTEX-1LSNL-0526-SM-DIPFI 50-59 years, male 74.1
GTEX-146FR-1826-SM-5QGPF 60-69 years, female 74.0
GTEX-1AYD5-2326-SM-73KXF 50-59 years, male 74.0
GTEX-13113-1826-SM-5LZW4 60-69 years, female 73.8
GTEX-Y8LW-1926-SM-4WWFZ 50-59 years, female 73.8
GTEX-1C6WA-0226-SM-7IGPO 60-69 years, male 73.6
GTEX-1CAMQ-0126-SM-7SB7S 40-49 years, male 73.6
GTEX-13FH7-2226-SM-5IJD4 50-59 years, female 73.5
GTEX-1LGRB-2426-SM-CNPP3 50-59 years, female 73.5
GTEX-WFG7-2526-SM-EWRM5 20-29 years, male 73.5
GTEX-SJXC-0226-SM-2XCDU 60-69 years, male 73.4
GTEX-183FY-0326-SM-793BY 20-29 years, male 73.3
GTEX-13QJ3-0426-SM-5RQHP 50-59 years, male 73.2
GTEX-1IDFM-0226-SM-CMKFX 60-69 years, male 73.2
GTEX-139T4-0126-SM-5HL5G 50-59 years, female 73.1
GTEX-1JJE9-1226-SM-CNPOI 70-79 years, male 73.0
GTEX-145MO-0426-SM-5QGP6 60-69 years, male 72.8
GTEX-1GZ4H-1826-SM-9MQLE 50-59 years, female 72.8
GTEX-145MG-0126-SM-5TDDA 50-59 years, male 72.6
GTEX-SUCS-1826-SM-32PM1 70-79 years, male 72.6
GTEX-111YS-2426-SM-5GZZQ 60-69 years, male 72.4
GTEX-S32W-2226-SM-2XCAY 50-59 years, female 72.4
GTEX-TMZS-0226-SM-3DB9N 60-69 years, male 72.4
GTEX-ZP4G-2326-SM-57WEM 20-29 years, female 72.4
GTEX-14PJ4-2226-SM-6LLIS 60-69 years, male 72.3
GTEX-1122O-2026-SM-9YFMG 60-69 years, female 72.3
GTEX-13NYB-2626-SM-9YFMI 40-49 years, male 72.3
GTEX-1C6VR-2626-SM-7MGX2 60-69 years, male 72.2
GTEX-147JS-0426-SM-5TDD2 60-69 years, male 72.1
GTEX-1CB4J-1126-SM-7PBY1 60-69 years, male 72.1
GTEX-1I1GR-0226-SM-CMKHQ 60-69 years, male 72.1
GTEX-1NHNU-1126-SM-E9J2C 50-59 years, male 72.1
GTEX-WVJS-0226-SM-4MVOU 50-59 years, male 72.0
GTEX-1IOXB-0226-SM-CMKHY 50-59 years, male 72.0
GTEX-YF7O-2426-SM-5IFJL 50-59 years, male 71.8
GTEX-15UKP-0526-SM-7KFRO 20-29 years, male 71.7
GTEX-PLZ6-1326-SM-3NB24 30-39 years, male 71.7
GTEX-139TU-0226-SM-5J1NM 60-69 years, male 71.6
GTEX-1A3MV-2126-SM-718BV 30-39 years, male 71.6
GTEX-XPVG-2726-SM-4B66W 50-59 years, male 71.6
GTEX-1GN1V-0226-SM-9WYTN 60-69 years, male 71.5
GTEX-1HFI7-2026-SM-CGQFR 50-59 years, female 71.5
GTEX-1R9K5-0226-SM-EWRNF 50-59 years, male 71.5
GTEX-T6MN-0226-SM-32PMD 50-59 years, male 71.4
GTEX-X638-0226-SM-47JZ9 70-79 years, female 71.4
GTEX-1EWIQ-0226-SM-793D3 70-79 years, female 71.3
GTEX-YB5K-2226-SM-4WWG1 40-49 years, female 71.3
GTEX-ZUA1-0226-SM-5NQ9Q 40-49 years, male 71.3
GTEX-1HSGN-0126-SM-CGQFU 40-49 years, female 71.2
GTEX-13NYS-0226-SM-5MR49 60-69 years, male 70.9
GTEX-1QAET-1126-SM-E8VML 50-59 years, male 70.9
GTEX-XBEW-0726-SM-4QARX 40-49 years, male 70.8
GTEX-14JG6-2326-SM-6LLH3 30-39 years, female 70.7
GTEX-1F75W-0226-SM-9JGGP 60-69 years, male 70.6
GTEX-1A8G7-0226-SM-731AS 60-69 years, male 70.4
GTEX-SSA3-0226-SM-32QPN 60-69 years, male 70.4
GTEX-17MF6-0226-SM-7LG4G 40-49 years, male 70.3
GTEX-1AX9K-2426-SM-73KZ4 50-59 years, male 70.3
GTEX-13O3P-0226-SM-5KM3Z 50-59 years, male 70.0
GTEX-17F97-0426-SM-7LT9U 50-59 years, male 70.0
GTEX-Q2AG-0226-SM-2S1P4 40-49 years, female 70.0
GTEX-W5WG-2526-SM-4SOJ2 50-59 years, female 70.0
GTEX-ZDTT-2626-SM-5S2OP 60-69 years, male 70.0
GTEX-1JJEA-0226-SM-COH2X 60-69 years, male 70.0
GTEX-ZVZO-0226-SM-5A5LA 40-49 years, male 69.8
GTEX-1IKK5-0526-SM-CMKGG 60-69 years, male 69.8
GTEX-17EVP-0426-SM-79OKG 40-49 years, male 69.7
GTEX-XUW1-0526-SM-4BOP3 50-59 years, female 69.7
GTEX-144GL-0226-SM-5QGOX 50-59 years, male 69.6
GTEX-ZF28-0226-SM-5S2OE 60-69 years, male 69.6
GTEX-1HBPI-1426-SM-B2LW7 50-59 years, male 69.6
GTEX-1LSVX-0126-SM-EVYCY 60-69 years, male 69.6
GTEX-11EI6-0226-SM-5EQ64 60-69 years, male 69.5
GTEX-16XZZ-0226-SM-7MGVJ 60-69 years, male 69.5
GTEX-1QW4Y-1626-SM-EAZ41 30-39 years, male 69.4
GTEX-111VG-2326-SM-5N9BK 60-69 years, male 69.3
GTEX-12WSM-0226-SM-5LZV6 60-69 years, male 69.3
GTEX-Z9EW-1826-SM-5CVMA 40-49 years, male 69.3
GTEX-1I1CD-0226-SM-CM2TL 60-69 years, female 69.2
GTEX-11XUK-2126-SM-5EQLR 40-49 years, female 69.1
GTEX-1B933-0526-SM-7EPHM 50-59 years, female 69.1
GTEX-13D11-2326-SM-5IJCY 50-59 years, female 68.9
GTEX-1399R-2626-SM-5KLZ7 30-39 years, male 68.8
GTEX-X4EO-0426-SM-4QASA 60-69 years, female 68.8
GTEX-1HR98-0226-SM-CGQEK 60-69 years, male 68.8
GTEX-1PIIG-0326-SM-EVYBV 30-39 years, male 68.7
GTEX-1MCC2-2326-SM-E9U5G 30-39 years, female 68.3
GTEX-13FTY-0626-SM-5L3F8 40-49 years, female 68.0
GTEX-1EMGI-0226-SM-9MQL1 60-69 years, male 68.0
GTEX-S95S-1326-SM-2XCDK 60-69 years, male 67.6
GTEX-111CU-1826-SM-5GZYN 50-59 years, male 67.3
GTEX-11LCK-1126-SM-5A5KC 30-39 years, male 67.2
GTEX-SIU8-0226-SM-2XCDS 50-59 years, male 67.2
GTEX-S7SE-0226-SM-2XCD4 50-59 years, male 67.1
GTEX-WFG8-2326-SM-DIPDX 20-29 years, male 67.1
GTEX-18D9U-0726-SM-7LG5J 40-49 years, male 67.0
GTEX-PWCY-1926-SM-3NB25 20-29 years, female 67.0
GTEX-WHPG-2126-SM-4M1ZM 50-59 years, male 67.0
GTEX-OXRP-0226-SM-3NB14 60-69 years, female 66.9
GTEX-SNMC-1326-SM-2XCFK 20-29 years, male 66.9
GTEX-16YQH-0226-SM-6PALD 30-39 years, male 66.8
GTEX-R53T-1626-SM-3GAEW 50-59 years, female 66.8
GTEX-XBED-2326-SM-47JYR 60-69 years, male 66.8
GTEX-XUZC-1826-SM-4BRVO 30-39 years, female 66.8
GTEX-1GPI7-0226-SM-9MQKB 20-29 years, male 66.8
GTEX-1JKYN-1226-SM-CGQG8 30-39 years, male 66.7
GTEX-ZXG5-0226-SM-59HJI 60-69 years, male 66.6
GTEX-11P7K-2026-SM-5GU74 30-39 years, male 66.5
GTEX-1HCVE-0226-SM-CGQEV 50-59 years, male 66.5
GTEX-15SDE-2426-SM-7KFRC 50-59 years, female 66.4
GTEX-13OVJ-0326-SM-5L3GL 50-59 years, female 66.3
GTEX-1GMR2-2526-SM-9MQKW 50-59 years, male 66.3
GTEX-17HHY-0226-SM-793BQ 50-59 years, male 66.1
GTEX-1I1GP-2326-SM-CGQFL 50-59 years, male 66.1
GTEX-1E2YA-0226-SM-9MQLY 50-59 years, male 66.0
GTEX-1A8G6-0526-SM-7PC1E 60-69 years, male 65.9
GTEX-X5EB-2426-SM-4E3HX 40-49 years, male 65.7
GTEX-1I4MK-2026-SM-B2LVR 50-59 years, female 65.7
GTEX-11ZVC-2626-SM-5FQTA 50-59 years, female 65.6
GTEX-1399T-2726-SM-5K7XK 60-69 years, male 65.6
GTEX-1FIGZ-1626-SM-7SB8L 40-49 years, male 65.6
GTEX-17F96-1726-SM-7IGMB 70-79 years, male 65.5
GTEX-1C475-1926-SM-7DUFV 40-49 years, female 65.4
GTEX-1CB4E-1826-SM-7RHG8 60-69 years, male 65.4
GTEX-RVPV-1526-SM-EXOHF 60-69 years, male 65.4
GTEX-12ZZX-0226-SM-5DUXU 40-49 years, female 65.3
GTEX-1RAZR-0226-SM-EVYC6 40-49 years, male 65.2
GTEX-XLM4-0226-SM-4AT4N 60-69 years, male 65.1
GTEX-XUYS-0226-SM-47JX1 50-59 years, male 65.1
GTEX-ZDXO-2426-SM-5S2NJ 60-69 years, male 65.1
GTEX-ZPCL-2126-SM-57WFZ 60-69 years, female 65.1
GTEX-13PDP-0226-SM-5K7W9 60-69 years, male 65.0
GTEX-14BMV-0226-SM-5S2N2 50-59 years, male 65.0
GTEX-YB5E-2126-SM-5IFI7 40-49 years, male 65.0
GTEX-1CAMS-0326-SM-7PC35 40-49 years, female 65.0
GTEX-17HGU-0326-SM-7DUER 50-59 years, male 64.9
GTEX-14BMU-2126-SM-5S2TS 20-29 years, female 64.8
GTEX-11WQC-2426-SM-5EQKQ 60-69 years, male 64.7
GTEX-1J1OQ-0326-SM-CYPTJ 40-49 years, female 64.7
GTEX-1S831-0326-SM-EVYD3 20-29 years, male 64.6
GTEX-11H98-0226-SM-5NQ89 50-59 years, male 64.4
GTEX-1C2JI-2226-SM-7IGPJ 50-59 years, male 64.4
GTEX-ZE9C-2826-SM-5S2MO 60-69 years, male 64.4
GTEX-1EKGG-0126-SM-9YFLS 60-69 years, male 64.3
GTEX-PX3G-0226-SM-DKPOF 20-29 years, female 64.3
GTEX-ZDYS-2126-SM-5S2P2 50-59 years, male 64.3
GTEX-1399U-2426-SM-5K7XB 50-59 years, female 64.2
GTEX-13N2G-2726-SM-5J1MG 60-69 years, male 64.0
GTEX-144FL-0226-SM-5Q5D4 50-59 years, male 64.0
GTEX-ZGAY-0626-SM-DO92E 40-49 years, female 64.0
GTEX-R3RS-0226-SM-EYYVE 40-49 years, female 63.9
GTEX-13X6K-0226-SM-5QGPB 60-69 years, female 63.8
GTEX-17F98-1126-SM-79OJS 40-49 years, female 63.8
GTEX-1PFEY-1626-SM-E9J3M 30-39 years, male 63.8
GTEX-1QEPI-0226-SM-EWRMR 60-69 years, female 63.8
GTEX-13O21-1526-SM-5K7W4 50-59 years, male 63.7
GTEX-1MJK2-0526-SM-DTXE6 50-59 years, male 63.7
GTEX-12KS4-0426-SM-5EQMC 30-39 years, male 63.6
GTEX-131XE-2426-SM-5EQ5V 50-59 years, male 63.6
GTEX-QV44-1825-SM-447CF 50-59 years, male 63.6
GTEX-T5JW-1726-SM-3GADN 20-29 years, female 63.6
GTEX-1GN1U-0226-SM-9YFLQ 50-59 years, female 63.6
GTEX-13OVK-2126-SM-6PAN1 40-49 years, male 63.5
GTEX-14DAQ-0226-SM-664MQ 60-69 years, female 63.4
GTEX-1RAZQ-0626-SM-E8VOR 30-39 years, male 63.2
GTEX-XOT4-0226-SM-4B66Z 60-69 years, female 63.1
GTEX-13112-2726-SM-5DUW5 50-59 years, male 63.0
GTEX-1IGQW-0226-SM-COH43 60-69 years, male 63.0
GTEX-1H2FU-0226-SM-9YFKO 60-69 years, female 62.9
GTEX-15ETS-0426-SM-6PANI 40-49 years, female 62.8
GTEX-1HB9E-0426-SM-CNPPV 50-59 years, male 62.8
GTEX-1JMQL-0326-SM-CNPP6 50-59 years, female 62.7
GTEX-1JN6P-0226-SM-COH34 60-69 years, male 62.7
GTEX-1H3O1-0526-SM-9MQLS 60-69 years, male 62.6
GTEX-1HUB1-0326-SM-A9SKQ 60-69 years, male 62.6
GTEX-1IL2U-0326-SM-CE6T9 60-69 years, male 62.6
GTEX-U3ZM-1026-SM-EZ6LD 40-49 years, male 62.6
GTEX-TML8-2026-SM-32QOP 40-49 years, female 62.5
GTEX-1HCUA-2226-SM-ADEHF 50-59 years, female 62.5
GTEX-WYJK-0226-SM-EYYV8 50-59 years, male 62.5
GTEX-X88G-0226-SM-4GIE4 30-39 years, male 62.4
GTEX-14JIY-0526-SM-62LFH 60-69 years, male 62.3
GTEX-1CB4G-0326-SM-7SB8R 60-69 years, male 62.3
GTEX-1EH9U-0226-SM-7PBY8 60-69 years, male 62.3
GTEX-1128S-2126-SM-5H12U 60-69 years, female 62.2
GTEX-ZC5H-0126-SM-4WAYL 40-49 years, female 62.2
GTEX-1QP9N-1526-SM-DTXFK 30-39 years, male 62.1
GTEX-11GSO-2326-SM-5A5LX 60-69 years, male 62.0
GTEX-15DCD-0226-SM-6LPKC 70-79 years, female 62.0
GTEX-1B932-0226-SM-7PBYH 40-49 years, female 61.9
GTEX-1C6VS-0426-SM-79OJV 60-69 years, male 61.8
GTEX-12584-0226-SM-5EQL5 40-49 years, male 61.7
GTEX-X15G-2326-SM-4PQZS 50-59 years, female 61.7
GTEX-1AX9I-0226-SM-7SB75 60-69 years, male 61.7
GTEX-14BIN-0726-SM-793DQ 50-59 years, female 61.6
GTEX-R55G-2426-SM-2TC5I 40-49 years, female 61.6
GTEX-1LVAO-0226-SM-E9U6O 60-69 years, male 61.6
GTEX-Q2AH-1726-SM-DIPDV 40-49 years, male 61.6
GTEX-QLQW-1226-SM-2S1Q9 30-39 years, male 61.5
GTEX-1F5PK-2526-SM-9MQKN 50-59 years, male 61.4
GTEX-1N2EF-0626-SM-E9J32 60-69 years, male 61.4
GTEX-131YS-0226-SM-5IJEH 60-69 years, female 61.3
GTEX-T6MO-1726-SM-33HB8 40-49 years, female 61.3
GTEX-1KAFJ-2426-SM-D4P32 50-59 years, male 61.3
GTEX-1JKYR-0226-SM-CNPOK 20-29 years, male 61.2
GTEX-W5X1-2626-SM-4LMI8 40-49 years, female 61.1
GTEX-XMK1-2226-SM-4B673 40-49 years, male 61.1
GTEX-1HT8W-0226-SM-CMKGT 30-39 years, male 61.1
GTEX-14AS3-2026-SM-5TDD9 40-49 years, female 60.9
GTEX-1A32A-0226-SM-718B2 50-59 years, female 60.9
GTEX-146FH-0226-SM-5QGPQ 50-59 years, female 60.8
GTEX-ZXES-2026-SM-5NQ6R 30-39 years, female 60.8
GTEX-1M5QR-2126-SM-DKPQM 40-49 years, male 60.8
GTEX-14JG1-0526-SM-6LLHW 40-49 years, male 60.7
GTEX-1JMQI-2026-SM-CMKGP 50-59 years, male 60.7
GTEX-1PWST-0326-SM-EAZ42 70-79 years, male 60.7
GTEX-PWN1-0226-SM-DKPO9 40-49 years, female 60.7
GTEX-11DZ1-0226-SM-5A5KF 50-59 years, male 60.5
GTEX-14PJ2-0226-SM-6LLH4 50-59 years, male 60.5
GTEX-1CB4I-0426-SM-7IGPR 50-59 years, male 60.5
GTEX-13CF3-2326-SM-5IFGL 60-69 years, female 60.4
GTEX-1B8SF-0526-SM-7939F 60-69 years, male 60.4
GTEX-ZTSS-2026-SM-5987K 40-49 years, male 60.4
GTEX-1IDJU-2526-SM-CMKGF 60-69 years, female 60.4
GTEX-13PVR-2426-SM-5RQHN 60-69 years, female 60.3
GTEX-RWSA-0226-SM-2XCBA 40-49 years, male 60.2
GTEX-OHPK-0226-SM-3MJH6 50-59 years, female 60.0
GTEX-1OFPY-2326-SM-E8VNU 60-69 years, male 60.0
GTEX-1H4P4-0226-SM-9YFKT 50-59 years, male 59.5
GTEX-P4PP-0226-SM-D4P1Z 30-39 years, female 59.4
GTEX-148VI-1726-SM-5S2W9 60-69 years, female 59.3
GTEX-13JUV-2826-SM-5LZWU 40-49 years, female 59.2
GTEX-1KANA-0826-SM-D3L9J 20-29 years, male 59.0
GTEX-ZTX8-1526-SM-5N9GI 20-29 years, male 58.8
GTEX-1HGF4-2526-SM-ADEIZ 60-69 years, male 58.8
GTEX-Y114-2326-SM-4TT7X 50-59 years, female 58.7
GTEX-XV7Q-2626-SM-4BRVA 40-49 years, female 58.4
GTEX-R55C-1626-SM-48FEG 40-49 years, male 58.3
GTEX-15ER7-0426-SM-6PAM3 20-29 years, female 58.1
GTEX-SNOS-1426-SM-32PLY 40-49 years, male 58.1
GTEX-WEY5-1926-SM-3GIL8 40-49 years, female 58.0
GTEX-Q2AI-1426-SM-2S1P5 40-49 years, male 57.9
GTEX-13SLX-0426-SM-5QGRC 50-59 years, female 57.8
GTEX-1LVA9-0226-SM-E9U5N 50-59 years, male 57.8
GTEX-1AMFI-2126-SM-731BT 50-59 years, female 57.7
GTEX-1J8JJ-0326-SM-CMKG6 60-69 years, female 57.6
GTEX-139YR-2426-SM-5J1OB 50-59 years, male 57.5
GTEX-QV31-1326-SM-2S1QE 30-39 years, male 57.5
GTEX-1H3VY-0226-SM-9YFMF 50-59 years, male 57.5
GTEX-14PN3-2526-SM-6EU15 60-69 years, female 57.4
GTEX-16BQI-0526-SM-6PAM8 30-39 years, female 57.3
GTEX-13W3W-2526-SM-5SI9P 60-69 years, female 57.2
GTEX-P4QS-0226-SM-3NB1U 60-69 years, male 57.2
GTEX-REY6-0326-SM-2TF5A 60-69 years, male 57.2
GTEX-1KXAM-2326-SM-CYPTD 60-69 years, male 57.2
GTEX-1314G-1626-SM-5EQ67 30-39 years, male 57.1
GTEX-S33H-1126-SM-2XCB6 30-39 years, male 57.1
GTEX-QESD-1526-SM-2S1QT 20-29 years, male 57.0
GTEX-14PJ6-2226-SM-6LLIV 60-69 years, female 56.9
GTEX-OOBJ-0226-SM-2YUMM 60-69 years, male 56.8
GTEX-13OVI-1326-SM-5IJBO 60-69 years, female 56.6
GTEX-1GMR8-0226-SM-9YFL3 50-59 years, female 56.6
GTEX-18A7A-0326-SM-731AT 50-59 years, female 56.5
GTEX-1PDJ9-0426-SM-E9J3E 20-29 years, male 56.4
GTEX-PLZ5-1826-SM-3NB22 50-59 years, male 56.2
GTEX-U8XE-0426-SM-3DB91 30-39 years, male 56.2
GTEX-13VXU-0226-SM-5SI9R 50-59 years, male 56.1
GTEX-145LS-0226-SM-5O9A5 60-69 years, female 56.0
GTEX-17F9Y-0326-SM-7IGLS 70-79 years, female 56.0
GTEX-ZTPG-0226-SM-5O99I 20-29 years, female 56.0
GTEX-VUSH-0226-SM-EXUQV 30-39 years, male 56.0
GTEX-1I1GT-0526-SM-CGQEQ 60-69 years, female 55.9
GTEX-13NZB-2426-SM-5K7UF 30-39 years, male 55.8
GTEX-Y111-0226-SM-4SOIW 50-59 years, male 55.8
GTEX-YFC4-0226-SM-57WD2 40-49 years, female 55.7
GTEX-1ICLZ-0226-SM-CKZPP 60-69 years, male 55.7
GTEX-14PK6-2026-SM-6LLHP 70-79 years, female 55.6
GTEX-183WM-0226-SM-7LT8T 70-79 years, female 55.6
GTEX-QLQ7-1526-SM-2S1QA 60-69 years, male 55.6
GTEX-16MTA-2126-SM-6PALC 50-59 years, male 55.5
GTEX-QCQG-1826-SM-2S1P2 50-59 years, female 55.5
GTEX-12696-2526-SM-5EQLN 60-69 years, male 55.2
GTEX-1OJC4-1726-SM-EXUSV 50-59 years, female 55.0
GTEX-XGQ4-2226-SM-4AT4Y 50-59 years, male 54.9
GTEX-17HG3-2326-SM-79OKH 30-39 years, female 54.8
GTEX-T2IS-0226-SM-32QPH 20-29 years, female 54.8
GTEX-XXEK-2426-SM-4BRUS 50-59 years, male 54.8
GTEX-13O61-2426-SM-5J1NV 60-69 years, male 54.6
GTEX-OHPM-0226-SM-3LK61 50-59 years, male 54.6
GTEX-U4B1-1726-SM-3DB9F 40-49 years, male 54.5
GTEX-OIZG-0826-SM-E9TI4 50-59 years, male 54.5
GTEX-1ICLY-0226-SM-ARL7R 50-59 years, male 54.2
GTEX-11UD1-0226-SM-5EQKL 40-49 years, female 54.1
GTEX-13SLW-0226-SM-5S2NA 70-79 years, male 54.1
GTEX-1B8L1-2626-SM-7SB77 60-69 years, male 54.1
GTEX-139T6-2126-SM-5KM37 50-59 years, male 54.0
GTEX-ZYY3-0226-SM-5E45M 60-69 years, female 54.0
GTEX-11P81-2426-SM-5GU65 30-39 years, female 53.9
GTEX-13FTW-2526-SM-5IJC8 40-49 years, male 53.8
GTEX-P78B-0226-SM-3NB1Z 40-49 years, female 53.8
GTEX-18A67-0226-SM-7LG67 50-59 years, male 53.7
GTEX-1H1CY-2626-SM-9MQKJ 60-69 years, female 53.7
GTEX-1LBAC-0226-SM-DHXJZ 20-29 years, male 53.7
GTEX-ZAJG-0226-SM-5HL81 50-59 years, female 53.6
GTEX-1AYCT-2226-SM-7SB98 50-59 years, male 53.6
GTEX-P44G-2326-SM-2XCCZ 30-39 years, male 53.5
GTEX-ZEX8-2326-SM-5S2MN 50-59 years, male 53.5
GTEX-1K9T9-0226-SM-E9U6K 50-59 years, female 53.4
GTEX-1GF9V-0226-SM-9MQKA 60-69 years, male 53.3
GTEX-1R7EU-0326-SM-EWRNJ 60-69 years, male 53.2
GTEX-1AMEY-1426-SM-7939I 30-39 years, female 53.1
GTEX-1B8SG-0226-SM-7939Q 50-59 years, male 53.1
GTEX-16XZY-2526-SM-7DHL2 70-79 years, male 53.0
GTEX-1PPH8-0626-SM-EWRN9 20-29 years, male 53.0
GTEX-117YX-2226-SM-5EGJJ 50-59 years, male 52.9
GTEX-ZLV1-1826-SM-5FQU5 60-69 years, female 52.9
GTEX-Q734-1826-SM-2I3EL 40-49 years, female 52.8
GTEX-U412-0526-SM-3DB9I 60-69 years, male 52.5
GTEX-WI4N-1126-SM-3LK7Q 40-49 years, female 52.5
GTEX-PLZ4-0226-SM-CYPR1 50-59 years, female 52.5
GTEX-NPJ8-0226-SM-48TBN 40-49 years, male 52.4
GTEX-16MT8-0526-SM-6PAM6 60-69 years, female 52.3
GTEX-1LVAN-0126-SM-COH4H 50-59 years, female 52.3
GTEX-18D9A-2026-SM-718BL 30-39 years, female 52.2
GTEX-1A8FM-0126-SM-7SB7P 50-59 years, female 51.9
GTEX-1H1E6-2026-SM-9KNVK 30-39 years, male 51.9
GTEX-1QP67-1726-SM-E8VOP 40-49 years, female 51.9
GTEX-13NZ9-0526-SM-5J1OX 50-59 years, male 51.8
GTEX-ZV68-0226-SM-59HJF 50-59 years, female 51.6
GTEX-1QPFJ-0126-SM-E9J4B 30-39 years, female 51.6
GTEX-T8EM-1126-SM-3DB7D 40-49 years, male 51.5
GTEX-WH7G-2226-SM-3NMBN 40-49 years, male 51.5
GTEX-P44H-0326-SM-2XCES 40-49 years, male 51.4
GTEX-ZVT2-2226-SM-5NQ6P 50-59 years, female 51.4
GTEX-1K2DA-2126-SM-CGQGL 50-59 years, male 51.4
GTEX-VJYA-1326-SM-3GIJC 60-69 years, male 51.3
GTEX-WL46-0326-SM-3LK6Y 50-59 years, male 51.2
GTEX-QDVN-2126-SM-33HBS 50-59 years, male 51.1
GTEX-RTLS-0226-SM-2TF5E 60-69 years, female 51.1
GTEX-VUSG-2426-SM-4KKZG 50-59 years, male 51.1
GTEX-1JMPY-1426-SM-ARL8Z 30-39 years, male 51.1
GTEX-14E6E-1926-SM-664N4 30-39 years, male 51.0
GTEX-17MFQ-1826-SM-7DHLS 20-29 years, male 51.0
GTEX-QDVJ-1826-SM-2S1P3 50-59 years, male 51.0
GTEX-133LE-1926-SM-5N9FV 20-29 years, female 50.9
GTEX-ZF3C-0226-SM-4WWB3 50-59 years, female 50.9
GTEX-1EU9M-0326-SM-7RHGF 60-69 years, male 50.9
GTEX-1QP29-0726-SM-DTXFM 50-59 years, male 50.9
GTEX-13IVO-0226-SM-5LZXU 70-79 years, male 50.6
GTEX-1JMLX-0126-SM-CMKG9 50-59 years, male 50.5
GTEX-1B97I-1726-SM-7939V 40-49 years, male 50.1
GTEX-1F48J-0226-SM-7SB82 50-59 years, female 50.1
GTEX-1LH75-2526-SM-E9U5A 50-59 years, female 50.1
GTEX-1HCU8-0726-SM-ADEIR 60-69 years, female 50.0
GTEX-1HBPH-0526-SM-9YFMN 40-49 years, female 49.8
GTEX-1I1GU-2326-SM-CGQFB 40-49 years, male 49.8
GTEX-14C39-2526-SM-5S2UH 40-49 years, male 49.5
GTEX-1MGNQ-0226-SM-EVYCK 40-49 years, male 49.5
GTEX-139T8-0226-SM-5L3EA 60-69 years, male 49.0
GTEX-OXRK-0326-SM-3NB3R 50-59 years, female 49.0
GTEX-QMRM-1726-SM-2S1QG 50-59 years, male 49.0
GTEX-RU72-1026-SM-46MUG 50-59 years, female 48.9
GTEX-1MA7W-1926-SM-E6CIO 20-29 years, female 48.9
GTEX-ZYVF-0226-SM-5GIEG 50-59 years, female 48.8
GTEX-1I1GS-0226-SM-B2LVX 60-69 years, male 48.7
GTEX-1KWVE-1326-SM-E6CJ1 30-39 years, male 48.6
GTEX-RM2N-1726-SM-2TF55 50-59 years, male 48.5
GTEX-ZZ64-1626-SM-5E43W 20-29 years, male 48.5
GTEX-14DAR-1926-SM-5S2NQ 50-59 years, male 48.3
GTEX-O5YT-0226-SM-32PK5 20-29 years, male 48.2
GTEX-X8HC-0226-SM-4E3K1 50-59 years, female 48.2
GTEX-1RQEC-0526-SM-E6CHV 60-69 years, male 48.2
GTEX-1MA7X-2126-SM-E6CIX 60-69 years, male 47.9
GTEX-18A66-0326-SM-718BE 60-69 years, male 47.8
GTEX-11PRG-0626-SM-5BC56 50-59 years, male 47.6
GTEX-15RIE-2326-SM-7KFSC 60-69 years, male 47.6
GTEX-XAJ8-0926-SM-47JXZ 40-49 years, male 47.6
GTEX-1MUQO-0526-SM-E9J31 60-69 years, male 47.6
GTEX-QDT8-0226-SM-32PL4 30-39 years, female 47.4
GTEX-XK95-0426-SM-4AT4R 40-49 years, male 47.1
GTEX-13NZ8-0926-SM-5MR3U 60-69 years, female 46.9
GTEX-R55D-0326-SM-48FES 50-59 years, male 46.9
GTEX-R45C-0226-SM-EVYAJ 60-69 years, female 46.9
GTEX-ZE7O-0226-SM-5S2N1 50-59 years, female 46.8
GTEX-ZVP2-1826-SM-5GU62 50-59 years, male 46.8
GTEX-15G19-0226-SM-6PAL2 60-69 years, male 46.6
GTEX-18QFQ-0226-SM-731BQ 30-39 years, male 46.6
GTEX-VJWN-0226-SM-EZ6LF 50-59 years, female 46.3
GTEX-1JK1U-2126-SM-CNPOU 60-69 years, male 46.0
GTEX-OIZH-0226-SM-2YUMH 50-59 years, male 45.8
GTEX-17EUY-0526-SM-7EWDE 20-29 years, male 45.6
GTEX-1QP2A-0226-SM-EVYBC 50-59 years, male 45.5
GTEX-1R9PM-2126-SM-E8VOB 20-29 years, male 45.5
GTEX-1211K-2226-SM-5FQU6 60-69 years, female 45.3
GTEX-UTHO-0426-SM-CE6QU 60-69 years, male 45.2
GTEX-1JN1M-0126-SM-D4P23 60-69 years, female 45.0
GTEX-12WSL-2426-SM-5GCN7 50-59 years, male 44.8
GTEX-X4XY-0326-SM-46MVZ 60-69 years, male 44.8
GTEX-ZZPU-2726-SM-5NQ8O 50-59 years, female 44.8
GTEX-11I78-2626-SM-5Q5AI 50-59 years, female 44.5
GTEX-O5YV-0226-SM-48TBY 60-69 years, female 44.2
GTEX-TKQ1-1126-SM-4GIAZ 30-39 years, male 44.2
GTEX-OOBK-0226-SM-2YUMF 40-49 years, male 44.1
GTEX-1CB4H-0326-SM-9WG5G 60-69 years, female 43.8
GTEX-U3ZN-2626-SM-3DB7T 30-39 years, female 43.7
GTEX-1B8KE-2526-SM-73KYQ 50-59 years, male 43.6
GTEX-1C4CL-0426-SM-7939N 30-39 years, male 43.6
GTEX-NFK9-0326-SM-3MJGV 40-49 years, male 43.5
GTEX-1H23P-0226-SM-9YFLO 60-69 years, male 43.5
GTEX-ZLFU-2626-SM-DO91L 40-49 years, male 43.5
GTEX-1HSMO-0226-SM-CGQEZ 60-69 years, male 43.1
GTEX-1A3MX-0226-SM-731C4 60-69 years, male 42.9
GTEX-OIZF-0226-SM-E9TI3 60-69 years, male 42.6
GTEX-RNOR-0226-SM-EZ6MF 50-59 years, female 42.5
GTEX-144GM-1926-SM-5LUAN 20-29 years, male 42.3
GTEX-ZLWG-2226-SM-DO92V 50-59 years, female 42.3
GTEX-1GF9X-1926-SM-ADEIC 40-49 years, female 42.2
GTEX-1117F-0226-SM-5GZZ7 60-69 years, female 42.1
GTEX-SN8G-0226-SM-4DM6B 50-59 years, female 42.1
GTEX-1IDJF-0226-SM-CMKGE 20-29 years, male 41.5
GTEX-15DDE-0226-SM-6LLJ6 50-59 years, female 41.1
GTEX-11ZU8-2426-SM-5EQMV 60-69 years, male 40.9
GTEX-1QP28-0226-SM-E9J2N 50-59 years, female 40.9
GTEX-1F6RS-0226-SM-9MQKO 60-69 years, female 40.8
GTEX-1IE54-0226-SM-CMKHX 40-49 years, female 40.7
GTEX-1JJ6O-0226-SM-E6CI9 60-69 years, male 40.7
GTEX-RUSQ-1626-SM-EZ6L4 50-59 years, male 40.5
GTEX-P4QT-0226-SM-3LK68 50-59 years, female 40.0
GTEX-XMD2-0226-SM-4WWEE 60-69 years, female 39.8
GTEX-11EQ8-0226-SM-5EQ5G 60-69 years, male 39.7
GTEX-13VXT-0226-SM-5LU9Q 20-29 years, female 39.7
GTEX-1S5ZU-0226-SM-E6CHW 20-29 years, female 39.6
GTEX-1S82P-0226-SM-E6CI6 60-69 years, female 39.4
GTEX-12WSA-0326-SM-5BC6I 60-69 years, male 39.2
GTEX-QEL4-0326-SM-3GAE5 50-59 years, male 39.0
GTEX-1L5NE-2626-SM-E9U6P 50-59 years, male 38.7
GTEX-1R46S-0526-SM-EVYBZ 60-69 years, female 38.2
GTEX-OXRO-0226-SM-3LK6F 60-69 years, female 37.5
GTEX-1IDJD-1226-SM-CM2TP 30-39 years, male 37.4
GTEX-QEG5-0326-SM-2S1PB 20-29 years, male 37.0
GTEX-1HCU7-0326-SM-CMKGI 50-59 years, male 36.9
GTEX-X261-0226-SM-3NMD2 50-59 years, male 36.7
GTEX-ZVE2-0326-SM-57WFC 50-59 years, male 35.9
GTEX-1JMQK-0126-SM-CM2S3 60-69 years, male 35.6
GTEX-11TTK-0226-SM-5N9EC 60-69 years, female 35.2
GTEX-1LSNM-2026-SM-E6CIJ 50-59 years, male 34.9
GTEX-POYW-0726-SM-2XCEO 60-69 years, male 34.5
GTEX-UJHI-1626-SM-3DB9A 50-59 years, female 33.1
GTEX-1HBPM-0326-SM-CMKGR 60-69 years, female 31.9
GTEX-11EMC-2826-SM-5PNY6 60-69 years, female 31.4
GTEX-1F52S-0226-SM-7SB7U 60-69 years, female 30.2
GTEX-144GO-1626-SM-7EPG5 60-69 years, male 30.1
GTEX-1A3MW-0226-SM-7939O 60-69 years, female 30.1
GTEX-1H1DF-0226-SM-ARL9A 40-49 years, female 30.0
GTEX-1I6K6-0226-SM-ADEID 30-39 years, male 27.8
GTEX-TSE9-0226-SM-3DB84 60-69 years, female 25.8
GTEX-1F88E-0526-SM-7SB8J 60-69 years, female 25.4
Show allShow less
Adipose - Visceral (Omentum)
Average nTPM: 103.4
Samples: 541

Max nTPM: 266.5
Min nTPM: 41.6
Std nTPM: 27.3
Median nTPM: 100.9
GTEX-13X6H-1726-SM-5Q5EH 50-59 years, female 266.5
GTEX-1212Z-0526-SM-5FQSQ 60-69 years, male 266.0
GTEX-1I19N-1026-SM-A96TT 70-79 years, male 194.5
GTEX-1GN1U-0726-SM-9MQKL 50-59 years, female 179.7
GTEX-14753-2526-SM-5LU97 60-69 years, male 179.3
GTEX-13OW7-1126-SM-5K7V6 50-59 years, male 173.8
GTEX-14PJ3-0726-SM-69LQE 50-59 years, male 170.5
GTEX-14PN3-0326-SM-6EU1X 60-69 years, female 165.3
GTEX-13YAN-1126-SM-5TDC7 60-69 years, male 159.5
GTEX-17HHY-1026-SM-7LG5E 50-59 years, male 159.5
GTEX-ZPIC-0726-SM-57WFM 40-49 years, female 159.5
GTEX-1HSKV-1926-SM-CNPPN 60-69 years, male 159.5
GTEX-1AYD5-0126-SM-7DUG5 50-59 years, male 157.7
GTEX-17F96-0726-SM-793CB 70-79 years, male 157.5
GTEX-12WSC-1726-SM-5GCN3 50-59 years, male 155.9
GTEX-1J1OQ-1526-SM-CJI4E 40-49 years, female 155.8
GTEX-11DYG-2026-SM-5EGGX 60-69 years, male 155.7
GTEX-14E6C-1226-SM-5ZZUN 40-49 years, male 154.3
GTEX-17F97-1226-SM-79OJT 50-59 years, male 153.1
GTEX-14E6D-1326-SM-62LES 50-59 years, male 151.7
GTEX-14PN4-1426-SM-6LLJ4 50-59 years, male 151.4
GTEX-1I1GT-1326-SM-ACKWB 60-69 years, female 150.9
GTEX-13IVO-2426-SM-5K7V9 70-79 years, male 150.1
GTEX-13O3Q-1126-SM-5K7YK 50-59 years, male 149.8
GTEX-13PDP-1226-SM-5K7TW 60-69 years, male 149.5
GTEX-1H1DG-2026-SM-9QEIV 70-79 years, male 149.0
GTEX-12WSI-1526-SM-5GCNM 50-59 years, male 148.5
GTEX-ZAB4-1426-SM-5CVN6 40-49 years, male 148.0
GTEX-14ABY-1926-SM-62LDJ 50-59 years, male 147.9
GTEX-11EQ9-1126-SM-5987I 30-39 years, male 147.1
GTEX-1EWIQ-2526-SM-7EPIJ 70-79 years, female 145.1
GTEX-YJ89-1926-SM-5IFJ6 60-69 years, male 145.1
GTEX-13FXS-1326-SM-62LFR 50-59 years, male 144.2
GTEX-1JJ6O-2826-SM-CNNP7 60-69 years, male 144.2
GTEX-1HBPH-2226-SM-9WYSO 40-49 years, female 143.9
GTEX-13O3P-0926-SM-5IFFI 50-59 years, male 143.1
GTEX-WWTW-1326-SM-4MVNT 50-59 years, male 142.5
GTEX-1HT8W-0726-SM-A9SLB 30-39 years, male 141.8
GTEX-1POEN-1626-SM-EVYC2 30-39 years, female 141.7
GTEX-14E7W-2326-SM-69LQC 70-79 years, male 141.5
GTEX-1F6IF-2026-SM-7P8SE 60-69 years, male 141.5
GTEX-11ZUS-1826-SM-5FQTR 30-39 years, male 140.3
GTEX-131YS-1726-SM-5HL7G 60-69 years, female 140.1
GTEX-XLM4-1026-SM-4AT51 60-69 years, male 139.8
GTEX-13112-1126-SM-5GCMY 50-59 years, male 139.6
GTEX-ZUA1-2126-SM-57YRB 40-49 years, male 139.6
GTEX-1F75B-1226-SM-7MXTW 50-59 years, male 139.5
GTEX-14PHX-1626-SM-69LQB 50-59 years, male 138.8
GTEX-13OW6-2426-SM-5K7WO 50-59 years, male 138.6
GTEX-13W46-1226-SM-5SIAS 50-59 years, male 138.3
GTEX-18A7A-0926-SM-7LT8H 50-59 years, female 138.2
GTEX-ZF28-1426-SM-5S2OG 60-69 years, male 138.2
GTEX-17JCI-1626-SM-7EPGZ 60-69 years, female 138.1
GTEX-1EMGI-0726-SM-7PBZ4 60-69 years, male 138.0
GTEX-1HBPI-1826-SM-ADEHE 50-59 years, male 137.8
GTEX-1H1CY-0826-SM-9WYTU 60-69 years, female 137.6
GTEX-12ZZW-2326-SM-5DUW2 50-59 years, male 137.2
GTEX-13PL6-0926-SM-5KLYY 40-49 years, female 137.0
GTEX-147JS-1026-SM-5S2MP 60-69 years, male 136.6
GTEX-ZE7O-1526-SM-5J1NH 50-59 years, female 136.6
GTEX-1KD4Q-1426-SM-D4P3K 40-49 years, male 136.3
GTEX-WI4N-1526-SM-EZ6LG 40-49 years, female 136.1
GTEX-ZYT6-2126-SM-5GZZ4 30-39 years, male 135.6
GTEX-1I4MK-0726-SM-ACKWC 50-59 years, female 135.5
GTEX-1IL2U-2726-SM-C1YSG 60-69 years, male 135.2
GTEX-145LU-1226-SM-5LU9B 50-59 years, male 135.0
GTEX-13VXU-1026-SM-5KLZE 50-59 years, male 134.6
GTEX-13G51-0526-SM-5IJCQ 60-69 years, male 134.3
GTEX-1I1CD-1026-SM-COH3G 60-69 years, female 134.2
GTEX-1IY9M-1226-SM-ACKX1 60-69 years, male 133.3
GTEX-1I1GQ-1026-SM-CNNQS 50-59 years, male 132.9
GTEX-1GN73-0626-SM-7PC3I 60-69 years, male 132.8
GTEX-132NY-1126-SM-5PNVE 60-69 years, male 132.5
GTEX-XOT4-0826-SM-4B66Y 60-69 years, female 132.0
GTEX-1EH9U-1326-SM-79OM3 60-69 years, male 131.8
GTEX-17F9Y-0726-SM-7LT9G 70-79 years, female 131.7
GTEX-WK11-2426-SM-3NMAA 50-59 years, male 131.5
GTEX-1KWVE-0226-SM-E9TKK 30-39 years, male 131.2
GTEX-117YX-0726-SM-5GIET 50-59 years, male 131.1
GTEX-13OVH-1126-SM-5K7YP 70-79 years, male 131.0
GTEX-16NGA-0526-SM-731AJ 40-49 years, female 130.9
GTEX-17HII-0826-SM-7DUFH 50-59 years, male 130.9
GTEX-1N2EE-1526-SM-DTXE9 60-69 years, male 130.0
GTEX-1H1ZS-1326-SM-9WG74 70-79 years, male 129.6
GTEX-1LGOU-0826-SM-DHXKL 20-29 years, female 129.6
GTEX-WFON-1226-SM-3TW8F 40-49 years, male 129.1
GTEX-XQ8I-1426-SM-4BOPW 50-59 years, male 128.7
GTEX-1GZ2Q-1226-SM-9MQM8 40-49 years, male 128.7
GTEX-16GPK-1326-SM-7KUE4 60-69 years, male 128.2
GTEX-1N2DW-0726-SM-DTX97 50-59 years, male 127.9
GTEX-11PRG-1526-SM-5HL6Z 50-59 years, male 127.5
GTEX-14PJO-1626-SM-69LPQ 60-69 years, male 127.4
GTEX-1S3DN-1626-SM-EVYCC 50-59 years, male 127.1
GTEX-Y8E4-1226-SM-5IFIM 40-49 years, male 127.0
GTEX-16AAH-1526-SM-7LT9W 50-59 years, male 126.8
GTEX-XQ3S-2426-SM-4WAYB 20-29 years, male 126.7
GTEX-13NYS-0726-SM-5J1OR 60-69 years, male 126.6
GTEX-13N1W-1226-SM-5K7UM 70-79 years, male 126.2
GTEX-1GMR3-0826-SM-9WYT4 40-49 years, male 126.2
GTEX-VJWN-2326-SM-EVYAP 50-59 years, female 126.0
GTEX-ZZPU-0326-SM-5N9BJ 50-59 years, female 125.5
GTEX-1RMOY-0826-SM-E9TIF 50-59 years, male 125.4
GTEX-13X6J-1926-SM-5TDCU 50-59 years, male 125.2
GTEX-1313W-1626-SM-5J1OE 50-59 years, female 124.8
GTEX-XBEC-1826-SM-4QASN 50-59 years, male 124.8
GTEX-WEY5-1326-SM-3GILS 40-49 years, female 124.6
GTEX-1GF9V-1126-SM-9MQM7 60-69 years, male 124.5
GTEX-145MF-1026-SM-5Q5EQ 50-59 years, male 124.3
GTEX-11GSP-1026-SM-9WYSH 60-69 years, female 124.1
GTEX-1RQEC-2526-SM-EVYD2 60-69 years, male 124.0
GTEX-113JC-0726-SM-5GZZR 50-59 years, female 123.7
GTEX-1CB4G-2126-SM-7IGQ8 60-69 years, male 123.7
GTEX-ZDXO-2326-SM-5LU9W 60-69 years, male 123.6
GTEX-17EVP-1426-SM-79OMN 40-49 years, male 123.4
GTEX-1OFPY-0826-SM-DTX8P 60-69 years, male 123.4
GTEX-139D8-1626-SM-5IJFZ 30-39 years, female 123.3
GTEX-11GS4-1026-SM-5N9DE 60-69 years, male 123.0
GTEX-14PJM-1226-SM-686Z7 50-59 years, female 123.0
GTEX-1C6VQ-1526-SM-73KU9 50-59 years, male 123.0
GTEX-1GZ4I-2326-SM-9YFMO 50-59 years, male 123.0
GTEX-12WSK-1026-SM-5CVNR 40-49 years, female 122.9
GTEX-14BIM-1626-SM-7EWD2 60-69 years, female 122.8
GTEX-13S7M-0826-SM-5QGQX 60-69 years, female 122.6
GTEX-1JMQK-1326-SM-CNPOR 60-69 years, male 122.5
GTEX-Y5V6-0626-SM-4WWFY 60-69 years, male 122.3
GTEX-1HSMO-1426-SM-CNNQN 60-69 years, male 122.3
GTEX-11ZTS-1326-SM-5EQMA 60-69 years, female 121.9
GTEX-1K2DU-0726-SM-DIPF7 20-29 years, male 121.9
GTEX-1LVAO-2126-SM-DIPGA 60-69 years, male 121.8
GTEX-1JMQJ-1926-SM-D4P3A 50-59 years, male 121.7
GTEX-13OVL-0826-SM-5L3GV 50-59 years, male 121.6
GTEX-X8HC-2326-SM-4QAS4 50-59 years, female 121.6
GTEX-ZYFC-1826-SM-5GZZA 50-59 years, male 121.6
GTEX-1HFI6-1726-SM-CGQFH 40-49 years, male 121.6
GTEX-14C5O-0926-SM-793DM 60-69 years, male 121.4
GTEX-1JN6P-1626-SM-CYPSV 60-69 years, male 121.1
GTEX-11NUK-2026-SM-5PNVZ 50-59 years, male 121.0
GTEX-14PJ2-1426-SM-62LFF 50-59 years, male 121.0
GTEX-ZC5H-1626-SM-5HL7L 40-49 years, female 120.9
GTEX-14JIY-1426-SM-6EU29 60-69 years, male 120.8
GTEX-Z9EW-0826-SM-5HL9T 40-49 years, male 120.3
GTEX-17GQL-0826-SM-731AM 60-69 years, male 120.1
GTEX-1B97I-0526-SM-73KXE 40-49 years, male 119.6
GTEX-ZYW4-2226-SM-5GZYG 60-69 years, male 119.6
GTEX-1KANB-2426-SM-EV7BE 50-59 years, male 119.2
GTEX-13NZ9-2026-SM-5KM1U 50-59 years, male 119.1
GTEX-12KS4-1526-SM-5EQ6E 30-39 years, male 118.8
GTEX-1122O-0926-SM-9YFLC 60-69 years, female 118.6
GTEX-12WSF-1526-SM-6PAN6 70-79 years, male 118.5
GTEX-1399T-1326-SM-5PNVH 60-69 years, male 118.4
GTEX-132QS-0826-SM-5K7WV 60-69 years, male 118.1
GTEX-1NV5F-2526-SM-EXUSK 60-69 years, female 117.9
GTEX-14PHW-1626-SM-6EU2H 60-69 years, female 117.8
GTEX-WYBS-1026-SM-4ONCY 60-69 years, female 117.8
GTEX-11NV4-1426-SM-5BC4W 60-69 years, male 117.7
GTEX-11OF3-0826-SM-5BC51 60-69 years, male 117.6
GTEX-XV7Q-1726-SM-4BRUU 40-49 years, female 117.5
GTEX-14BIL-2426-SM-5QGQR 50-59 years, male 117.3
GTEX-1E1VI-1826-SM-9WG5J 50-59 years, male 117.3
GTEX-1GL5R-0726-SM-9MQL5 50-59 years, male 117.3
GTEX-1QMI2-1626-SM-EYYXK 60-69 years, male 116.9
GTEX-1C6VR-1126-SM-7EPHD 60-69 years, male 116.7
GTEX-1HGF4-0226-SM-CNNQL 60-69 years, male 116.7
GTEX-18A6Q-1026-SM-7LT9S 60-69 years, male 116.6
GTEX-1QP28-0926-SM-EVR4D 50-59 years, female 116.5
GTEX-1HSMQ-1026-SM-ADEHU 50-59 years, male 116.4
GTEX-18D9A-0726-SM-7LTA7 30-39 years, female 116.2
GTEX-1QW4Y-0826-SM-DTXE1 30-39 years, male 116.1
GTEX-WL46-2026-SM-3LK7U 50-59 years, male 116.0
GTEX-1B8L1-0126-SM-9KNVS 60-69 years, male 116.0
GTEX-1F6I4-2126-SM-7PC2J 60-69 years, male 116.0
GTEX-13OVG-1326-SM-5K7Y3 60-69 years, male 115.9
GTEX-1P4AB-1226-SM-DTXET 50-59 years, male 115.9
GTEX-WOFM-0726-SM-3MJF8 20-29 years, male 115.3
GTEX-131XH-0826-SM-5GCN8 50-59 years, male 114.8
GTEX-1QP9N-0426-SM-DTXFT 30-39 years, male 114.7
GTEX-14PJN-0626-SM-6EU13 30-39 years, male 114.6
GTEX-11DXY-0326-SM-5H12F 60-69 years, male 114.5
GTEX-1RAZA-0926-SM-E6CQ8 20-29 years, male 114.1
GTEX-1339X-0726-SM-5L3FF 40-49 years, male 114.0
GTEX-15ER7-1026-SM-7KUMD 20-29 years, female 113.9
GTEX-14DAQ-2526-SM-5RQIO 60-69 years, female 113.7
GTEX-15D1Q-1326-SM-69LOA 40-49 years, male 113.7
GTEX-13FHO-2026-SM-5J1OA 60-69 years, male 113.1
GTEX-ZQG8-1026-SM-51MR9 60-69 years, female 113.1
GTEX-1GMR2-0226-SM-9JGHO 50-59 years, male 113.0
GTEX-1LG7Y-1126-SM-CYPTE 50-59 years, male 113.0
GTEX-13N11-1826-SM-5IJDS 50-59 years, female 112.9
GTEX-14BIN-1226-SM-5S2OM 50-59 years, female 112.9
GTEX-1BAJH-2126-SM-7EWFB 70-79 years, male 112.9
GTEX-11DXZ-1426-SM-5H12A 50-59 years, male 112.3
GTEX-1IKOE-1726-SM-CNNQ6 30-39 years, female 112.2
GTEX-1HSEH-1326-SM-ADEI1 60-69 years, male 112.0
GTEX-12WSM-0626-SM-5GCOK 60-69 years, male 111.8
GTEX-146FH-2026-SM-5SI9I 50-59 years, female 111.8
GTEX-17EVQ-0626-SM-7KFTB 70-79 years, male 111.8
GTEX-ZVP2-0226-SM-57WBD 50-59 years, male 111.6
GTEX-144GN-0726-SM-5O98O 50-59 years, male 111.4
GTEX-1A8FM-2126-SM-7PC27 50-59 years, female 111.4
GTEX-ZGAY-1326-SM-5S2NS 40-49 years, female 111.1
GTEX-1HBPN-1526-SM-9WYSB 50-59 years, male 111.1
GTEX-13FTW-0426-SM-5K7X2 40-49 years, male 110.9
GTEX-16NPV-0626-SM-7IGOR 50-59 years, female 110.9
GTEX-YECK-1426-SM-5IFHE 60-69 years, male 110.5
GTEX-132AR-0526-SM-5J2MJ 50-59 years, female 110.3
GTEX-1H3VE-1926-SM-9YFL4 40-49 years, male 110.3
GTEX-Y114-1326-SM-4TT9A 50-59 years, female 110.2
GTEX-13VXT-0926-SM-5LU5K 20-29 years, female 110.1
GTEX-13W3W-1126-SM-5L3DO 60-69 years, female 110.0
GTEX-15CHQ-1126-SM-686YY 60-69 years, male 109.8
GTEX-12WSG-0426-SM-5FQSE 50-59 years, female 109.6
GTEX-1KANC-0526-SM-D4P3T 50-59 years, female 109.5
GTEX-13QBU-1326-SM-5LU4K 40-49 years, female 109.3
GTEX-ZF3C-1026-SM-5S2OC 50-59 years, female 109.1
GTEX-1HCUA-0926-SM-ADEIX 50-59 years, female 109.0
GTEX-1HUB1-1526-SM-CGQF6 60-69 years, male 108.7
GTEX-1H4P4-0326-SM-9WYTD 50-59 years, male 108.2
GTEX-11GSO-0226-SM-5A5LV 60-69 years, male 108.1
GTEX-1O9I2-1326-SM-E6CQD 50-59 years, male 108.1
GTEX-1192X-1526-SM-5H11I 50-59 years, male 107.6
GTEX-1HKZK-1726-SM-ADEJ9 40-49 years, male 107.6
GTEX-13X6I-1526-SM-5SIAC 60-69 years, male 107.3
GTEX-XUZC-1126-SM-4BOPZ 30-39 years, female 107.2
GTEX-13D11-0526-SM-5LZYM 50-59 years, female 107.0
GTEX-1A32A-0926-SM-718AB 50-59 years, female 106.9
GTEX-13U4I-1726-SM-5J1MF 40-49 years, female 106.8
GTEX-13111-0626-SM-5LZVR 50-59 years, male 106.5
GTEX-ZVT2-0226-SM-5GIE3 50-59 years, female 106.3
GTEX-18A67-1326-SM-7LT8V 50-59 years, male 106.1
GTEX-14JG6-0526-SM-6LLIH 30-39 years, female 105.8
GTEX-131XG-0126-SM-5K7UJ 50-59 years, female 105.7
GTEX-X3Y1-0926-SM-3P5YT 40-49 years, male 105.7
GTEX-1HC8U-0926-SM-A9G3L 40-49 years, female 105.7
GTEX-16XZZ-1626-SM-7KUEC 60-69 years, male 105.5
GTEX-1I1GP-1426-SM-ACKVZ 50-59 years, male 105.5
GTEX-1A8G6-2026-SM-73KYC 60-69 years, male 105.2
GTEX-ZF2S-1526-SM-5S2OO 50-59 years, female 105.2
GTEX-1I1GS-0926-SM-A9SL5 60-69 years, male 105.2
GTEX-WVLH-1626-SM-EXURN 50-59 years, male 105.2
GTEX-WYVS-0626-SM-4SOJY 40-49 years, female 105.1
GTEX-1R9PO-0926-SM-E9U4Q 60-69 years, female 105.1
GTEX-1ICG6-1726-SM-ARU7K 70-79 years, female 104.8
GTEX-1C64N-1326-SM-7SB7D 50-59 years, male 104.7
GTEX-ZT9X-0926-SM-5O9C4 40-49 years, male 104.6
GTEX-1J8EW-1526-SM-CMKFZ 60-69 years, female 104.5
GTEX-13NZB-0826-SM-5K7X5 30-39 years, male 104.3
GTEX-1ICLY-1426-SM-CJI48 50-59 years, male 104.3
GTEX-15SKB-1626-SM-6PAL6 60-69 years, male 104.1
GTEX-1IDJI-0926-SM-ACKWZ 50-59 years, female 104.0
GTEX-139TU-1426-SM-5LZY9 60-69 years, male 103.9
GTEX-15DYW-1526-SM-7KUEP 60-69 years, female 103.9
GTEX-13OVK-0326-SM-7KUEJ 40-49 years, male 103.7
GTEX-15SHU-2326-SM-7KUMC 40-49 years, female 103.6
GTEX-169BO-0426-SM-7EPI1 50-59 years, male 103.6
GTEX-ZAJG-1626-SM-5HL7I 50-59 years, female 103.6
GTEX-1HFI7-0726-SM-ACKVN 50-59 years, female 103.6
GTEX-YEC4-0926-SM-5PNXY 40-49 years, male 103.4
GTEX-133LE-0926-SM-5P9J1 20-29 years, female 102.6
GTEX-11VI4-1226-SM-5EQMP 40-49 years, female 102.2
GTEX-1EN7A-1626-SM-79OLV 40-49 years, male 102.0
GTEX-Y9LG-1226-SM-4VBQA 30-39 years, male 102.0
GTEX-Y5LM-0826-SM-4VDSW 40-49 years, female 101.8
GTEX-1LSNM-0626-SM-DIPG7 50-59 years, male 101.8
GTEX-1S831-1926-SM-EV79P 20-29 years, male 101.8
GTEX-1CAV2-0226-SM-7IGPQ 40-49 years, female 101.4
GTEX-UPK5-1826-SM-3GAEB 40-49 years, male 101.3
GTEX-ZPU1-1226-SM-5HL71 40-49 years, male 101.2
GTEX-18465-1826-SM-731BB 50-59 years, male 101.1
GTEX-1LSVX-1326-SM-DIPET 60-69 years, male 101.1
GTEX-1JMQI-1026-SM-COH2U 50-59 years, male 101.0
GTEX-13OW8-0326-SM-5L3FB 60-69 years, male 100.9
GTEX-1AX9I-1726-SM-731BX 60-69 years, male 100.8
GTEX-ZG7Y-1626-SM-5S2NO 50-59 years, male 100.6
GTEX-ZE9C-1326-SM-5S2OW 60-69 years, male 100.1
GTEX-1QP66-0626-SM-E76PD 50-59 years, male 100.0
GTEX-ZV6S-1626-SM-5NQ81 40-49 years, female 99.9
GTEX-14BMV-1626-SM-73KVQ 50-59 years, male 99.6
GTEX-1B8SG-1426-SM-7EWEM 50-59 years, male 99.6
GTEX-1JN76-1026-SM-ARZNI 20-29 years, female 99.6
GTEX-1B996-1226-SM-73KWZ 60-69 years, male 99.5
GTEX-ZP4G-1326-SM-5EGIW 20-29 years, female 99.4
GTEX-145ME-0726-SM-5O9A3 40-49 years, female 99.3
GTEX-1117F-1326-SM-5EGHH 60-69 years, female 99.2
GTEX-111CU-1026-SM-5EGIL 50-59 years, male 98.9
GTEX-14E6E-0226-SM-7DUEF 30-39 years, male 98.9
GTEX-1OKEX-0926-SM-E8VNJ 60-69 years, male 98.9
GTEX-1HR9M-1426-SM-A9SMB 60-69 years, male 98.8
GTEX-14PHY-1026-SM-62LEV 60-69 years, female 98.7
GTEX-1C475-0326-SM-7SB8O 40-49 years, female 98.7
GTEX-1I6K7-1826-SM-CGQFO 40-49 years, male 98.5
GTEX-145MI-0826-SM-5SI95 60-69 years, female 98.3
GTEX-1MA7X-1026-SM-DKPQ8 60-69 years, male 98.1
GTEX-1B8SF-1726-SM-73KZ5 60-69 years, male 97.7
GTEX-1IDJH-1626-SM-A9SLP 70-79 years, male 97.7
GTEX-1C2JI-0826-SM-7EPHB 50-59 years, male 97.6
GTEX-1GN1W-1226-SM-9MQLW 50-59 years, female 97.5
GTEX-1IE54-1426-SM-CL53C 40-49 years, female 97.4
GTEX-14PK6-0926-SM-62LF4 70-79 years, female 97.2
GTEX-1CB4F-1126-SM-79OLG 60-69 years, male 96.8
GTEX-1JMLX-1026-SM-D3L8U 50-59 years, male 96.6
GTEX-1211K-1226-SM-5EQ4N 60-69 years, female 96.4
GTEX-1GF9W-1026-SM-7SB8X 60-69 years, male 96.4
GTEX-13FTX-0626-SM-5J2NS 20-29 years, female 96.3
GTEX-1CB4E-0826-SM-793CS 60-69 years, male 96.3
GTEX-131XF-0726-SM-5GIE5 60-69 years, male 96.2
GTEX-Y111-0926-SM-4SOIU 50-59 years, male 96.1
GTEX-1IDJF-1726-SM-A9SLL 20-29 years, male 96.1
GTEX-1PFEY-0726-SM-E76PO 30-39 years, male 96.1
GTEX-1128S-0926-SM-5GZZU 60-69 years, female 96.0
GTEX-1F52S-1326-SM-7SB6Q 60-69 years, female 96.0
GTEX-1H1E6-1126-SM-9JGGV 30-39 years, male 96.0
GTEX-16MTA-1326-SM-6PALX 50-59 years, male 95.8
GTEX-W5X1-1426-SM-3GIKH 40-49 years, female 95.6
GTEX-1399U-2026-SM-9WPNN 50-59 years, female 95.5
GTEX-17HHE-1526-SM-793AS 50-59 years, male 95.4
GTEX-1HSGN-1926-SM-CMKGS 40-49 years, female 95.4
GTEX-Y8LW-0926-SM-4VBQ8 50-59 years, female 95.3
GTEX-1KD5A-1326-SM-CYPTB 50-59 years, male 95.3
GTEX-1QAET-1226-SM-DTX9I 50-59 years, male 95.3
GTEX-ZAB5-1126-SM-5Q5AD 50-59 years, male 95.2
GTEX-1PIGE-1226-SM-EVR3Q 20-29 years, male 95.1
GTEX-1QP6S-1626-SM-EVYC5 40-49 years, male 95.1
GTEX-11LCK-0326-SM-5A5M7 30-39 years, male 94.9
GTEX-1AMEY-0526-SM-72D62 30-39 years, female 94.8
GTEX-12ZZX-1726-SM-5BC63 40-49 years, female 94.7
GTEX-16NPX-1026-SM-6PAM7 50-59 years, male 94.6
GTEX-145LV-1026-SM-5O9AE 50-59 years, male 94.5
GTEX-ZYFG-1426-SM-5GICS 60-69 years, female 94.5
GTEX-1GF9X-0926-SM-7PC2X 40-49 years, female 94.5
GTEX-1J1R8-0526-SM-ACKWO 40-49 years, male 94.5
GTEX-ZXG5-1626-SM-59HJK 60-69 years, male 94.4
GTEX-ZDTS-1826-SM-5S2N6 60-69 years, male 94.1
GTEX-ZVE2-1826-SM-51MRZ 50-59 years, male 94.1
GTEX-1N2DV-0626-SM-E9U5H 40-49 years, male 94.1
GTEX-18D9B-1726-SM-7LTAP 60-69 years, male 93.9
GTEX-14C39-0826-SM-5TDDU 40-49 years, male 93.6
GTEX-13N2G-1926-SM-5J1O3 60-69 years, male 93.5
GTEX-1H1DE-0826-SM-ARU8V 20-29 years, male 93.3
GTEX-1IDJC-0226-SM-CMKG2 50-59 years, male 93.3
GTEX-1EU9M-1126-SM-793DE 60-69 years, male 93.1
GTEX-WRHK-0826-SM-3MJFG 20-29 years, female 93.1
GTEX-ZA64-0926-SM-5HL7H 20-29 years, male 93.1
GTEX-ZZ64-0626-SM-5GZWR 20-29 years, male 92.9
GTEX-14B4R-0526-SM-5QGQT 30-39 years, male 92.8
GTEX-1QPFJ-2126-SM-EXOJV 30-39 years, female 92.8
GTEX-1AMFI-1026-SM-73KYM 50-59 years, female 92.7
GTEX-1KAFJ-0826-SM-CYPTF 50-59 years, male 92.7
GTEX-17MF6-1326-SM-79ONE 40-49 years, male 92.6
GTEX-1LVAN-0926-SM-CNNQ2 50-59 years, female 92.4
GTEX-1EKGG-1426-SM-7PBY2 60-69 years, male 92.1
GTEX-1S5ZA-1026-SM-EWRO2 20-29 years, male 92.1
GTEX-1L5NE-1726-SM-DHXKX 50-59 years, male 91.9
GTEX-1LGRB-0526-SM-COH3A 50-59 years, female 91.5
GTEX-1CAMQ-1226-SM-7SB7E 40-49 years, male 91.2
GTEX-1GMRU-0726-SM-7PBZH 50-59 years, male 91.2
GTEX-13RTK-0726-SM-5Q5EN 20-29 years, male 91.1
GTEX-17MFQ-1126-SM-7LT9O 20-29 years, male 91.1
GTEX-1399S-1426-SM-5PNYQ 30-39 years, female 90.9
GTEX-14E1K-0426-SM-5S2PF 50-59 years, male 90.9
GTEX-183FY-1226-SM-7DHLK 20-29 years, male 90.9
GTEX-YFCO-1126-SM-5S2N9 40-49 years, male 90.6
GTEX-1HCU9-0626-SM-ACKW6 20-29 years, male 90.3
GTEX-1KXAM-0526-SM-DKPQN 60-69 years, male 90.0
GTEX-XMK1-0926-SM-4B66X 40-49 years, male 89.7
GTEX-12BJ1-0826-SM-5EQ5P 60-69 years, male 89.6
GTEX-1JMPY-0326-SM-CM2S2 30-39 years, male 89.6
GTEX-15EU6-1726-SM-6M48H 50-59 years, male 89.4
GTEX-13113-1126-SM-5LZU9 60-69 years, female 89.0
GTEX-15UKP-1426-SM-7KUDX 20-29 years, male 89.0
GTEX-XBEW-1726-SM-4RGMA 40-49 years, male 89.0
GTEX-11P82-0326-SM-5HL51 20-29 years, male 88.7
GTEX-1IDJD-0926-SM-ACKWW 30-39 years, male 88.7
GTEX-1MCC2-0626-SM-DKPQI 30-39 years, female 88.7
GTEX-YEC3-0926-SM-5Q5AC 50-59 years, male 88.6
GTEX-1HSMP-1126-SM-B2LXJ 70-79 years, male 88.6
GTEX-1F48J-1826-SM-7SB8T 50-59 years, female 88.4
GTEX-14PJ4-0126-SM-62LEZ 60-69 years, male 88.3
GTEX-15RIE-0126-SM-7KUF8 60-69 years, male 88.3
GTEX-18A7B-1226-SM-718AU 70-79 years, male 88.3
GTEX-11P81-0726-SM-5PNYH 30-39 years, female 88.2
GTEX-1AX8Z-1626-SM-73KWD 60-69 years, male 88.1
GTEX-Y5V5-0226-SM-5S2N8 60-69 years, female 87.7
GTEX-XPVG-1626-SM-EYYVK 50-59 years, male 87.7
GTEX-17F9E-1326-SM-7DHL4 50-59 years, male 87.5
GTEX-111YS-1326-SM-5EGGK 60-69 years, male 87.1
GTEX-1IDJU-0926-SM-ARL88 60-69 years, female 87.1
GTEX-15DZA-0626-SM-6PANC 30-39 years, female 86.9
GTEX-11DXX-2026-SM-5EGJL 60-69 years, female 86.5
GTEX-11I78-0226-SM-5HL6R 50-59 years, female 86.5
GTEX-14PJ5-0426-SM-5ZZW2 60-69 years, female 86.4
GTEX-1RAZR-1026-SM-E8VOJ 40-49 years, male 86.2
GTEX-16BQI-1126-SM-7KULF 30-39 years, female 86.0
GTEX-1B933-1326-SM-7939U 50-59 years, female 86.0
GTEX-1ICLZ-1626-SM-CE6SS 60-69 years, male 86.0
GTEX-1PBJI-1326-SM-E9J2V 20-29 years, female 85.5
GTEX-1S82P-0926-SM-EWRNP 60-69 years, female 85.3
GTEX-15CHC-0826-SM-686YW 60-69 years, female 85.1
GTEX-178AV-0626-SM-6PAM1 40-49 years, male 85.1
GTEX-12WSL-1126-SM-5CVNK 50-59 years, male 85.0
GTEX-17F98-0326-SM-7DHLH 40-49 years, female 85.0
GTEX-WHWD-0826-SM-3LK6R 50-59 years, male 85.0
GTEX-17KNJ-0426-SM-718AK 50-59 years, male 84.9
GTEX-1LKK1-1526-SM-EVYCO 50-59 years, female 84.8
GTEX-ZF29-0826-SM-5S2O2 60-69 years, female 84.8
GTEX-13X6K-0726-SM-5LU2Z 60-69 years, female 84.4
GTEX-13FH7-1926-SM-5J2OL 50-59 years, female 84.3
GTEX-1I1GU-0626-SM-CMKHR 40-49 years, male 84.3
GTEX-1N2EF-0926-SM-E8VNW 60-69 years, male 84.3
GTEX-ZDTT-0526-SM-5HL4M 60-69 years, male 84.2
GTEX-1HCU7-2026-SM-A9G2B 50-59 years, male 84.2
GTEX-WHPG-0626-SM-3NMBD 50-59 years, male 84.1
GTEX-14ICK-1726-SM-6AJA5 40-49 years, male 83.8
GTEX-13PVR-0526-SM-5S2OB 60-69 years, female 83.7
GTEX-1CAMS-0926-SM-7SB7F 40-49 years, female 83.6
GTEX-1A3MX-0826-SM-72D64 60-69 years, male 83.3
GTEX-132Q8-1726-SM-5EGK8 60-69 years, male 82.8
GTEX-145LT-1526-SM-5O98P 40-49 years, male 82.7
GTEX-XGQ4-1026-SM-4AT4L 50-59 years, male 82.7
GTEX-1GTWX-1526-SM-9MQLF 60-69 years, male 82.7
GTEX-14DAR-0426-SM-664MW 50-59 years, male 82.6
GTEX-144GM-0626-SM-79OKY 20-29 years, male 82.5
GTEX-1PPH8-1026-SM-DPRXN 20-29 years, male 82.4
GTEX-1GPI7-0826-SM-9JGG7 20-29 years, male 82.3
GTEX-1A8G7-1226-SM-73KYP 60-69 years, male 82.2
GTEX-1H2FU-1426-SM-9WPO6 60-69 years, female 82.2
GTEX-ZTPG-2326-SM-57WFL 20-29 years, female 82.1
GTEX-12C56-0826-SM-5EGJ5 20-29 years, male 81.8
GTEX-13PVQ-2226-SM-5L3G9 50-59 years, male 81.5
GTEX-XAJ8-0226-SM-4GIB2 40-49 years, male 81.5
GTEX-1RNTQ-0826-SM-E9TK8 20-29 years, female 81.1
GTEX-13O21-3126-SM-5J1OI 50-59 years, male 81.0
GTEX-1AYCT-1126-SM-79OO8 50-59 years, male 80.8
GTEX-14PKU-0226-SM-6EU16 40-49 years, female 80.3
GTEX-13PL7-1226-SM-5SIAR 60-69 years, female 79.9
GTEX-1B932-1726-SM-793A5 40-49 years, female 79.2
GTEX-1HCU8-1126-SM-CM2SA 60-69 years, female 79.0
GTEX-15EOM-2326-SM-7KUMV 20-29 years, female 78.9
GTEX-1I1GR-1726-SM-COH39 60-69 years, male 78.9
GTEX-131XE-2026-SM-5LZW1 50-59 years, male 78.7
GTEX-1MA7W-0526-SM-E6CIN 20-29 years, female 78.6
GTEX-1RLM8-1026-SM-EWROE 50-59 years, male 78.4
GTEX-WXYG-0926-SM-3NB2O 50-59 years, female 78.3
GTEX-1QCLY-1226-SM-EVYC3 30-39 years, male 78.2
GTEX-1MCQQ-1426-SM-E6CJA 60-69 years, male 78.1
GTEX-1LH75-1026-SM-EWROK 50-59 years, female 78.0
GTEX-1LVAM-1026-SM-DIPFK 50-59 years, female 77.9
GTEX-11EM3-1126-SM-5A5KM 20-29 years, female 77.4
GTEX-U8XE-1926-SM-3DB98 30-39 years, male 77.4
GTEX-ZLWG-0726-SM-5S2N4 50-59 years, female 77.4
GTEX-WY7C-0926-SM-3NB34 50-59 years, male 77.3
GTEX-1R9K4-1426-SM-DPRY4 60-69 years, male 77.3
GTEX-1B8KZ-1026-SM-73KYN 50-59 years, male 77.1
GTEX-ZPCL-1026-SM-5GCOX 60-69 years, female 77.1
GTEX-WH7G-1126-SM-3NMBK 40-49 years, male 76.9
GTEX-14AS3-0426-SM-5QGQK 40-49 years, female 76.4
GTEX-1AX9K-0926-SM-7939G 50-59 years, male 76.2
GTEX-11P7K-0826-SM-5BC5F 30-39 years, male 75.7
GTEX-WFJO-1026-SM-3GIKL 30-39 years, male 75.7
GTEX-1H23P-1726-SM-A9SMN 60-69 years, male 75.4
GTEX-1A3MV-0626-SM-731CH 30-39 years, male 75.3
GTEX-1HB9E-0526-SM-ARZNM 50-59 years, male 75.3
GTEX-1HCU6-1626-SM-CMKGW 60-69 years, female 75.3
GTEX-139T6-0526-SM-5IJC9 50-59 years, male 74.8
GTEX-139YR-0326-SM-5J1MC 50-59 years, male 74.7
GTEX-ZTX8-0726-SM-59HL9 20-29 years, male 74.7
GTEX-15G19-1126-SM-7KUEL 60-69 years, male 74.6
GTEX-ZVZP-1126-SM-5GICU 50-59 years, male 74.5
GTEX-ZV7C-0826-SM-59HK8 50-59 years, male 74.4
GTEX-1J8Q2-2226-SM-CM2TZ 60-69 years, male 74.4
GTEX-ZEX8-1226-SM-5S2OK 50-59 years, male 74.3
GTEX-1R7EV-1026-SM-DTX81 40-49 years, male 74.2
GTEX-ZT9W-1026-SM-57WG5 50-59 years, male 74.1
GTEX-1OJC3-1326-SM-E9J3D 20-29 years, male 73.8
GTEX-13OVJ-0926-SM-5K7U1 50-59 years, female 73.1
GTEX-12696-1826-SM-5EGJS 60-69 years, male 73.0
GTEX-1I6K6-1526-SM-CGQFC 30-39 years, male 73.0
GTEX-ZQUD-0526-SM-57WG4 30-39 years, male 72.9
GTEX-1LSNL-1426-SM-E6CJ9 50-59 years, male 72.3
GTEX-ZXES-0926-SM-5E43O 30-39 years, female 72.0
GTEX-1H11D-1126-SM-9YFM5 40-49 years, male 71.7
GTEX-X585-2526-SM-4QAS1 50-59 years, male 71.4
GTEX-Y3I4-0726-SM-E9J3Y 50-59 years, male 70.8
GTEX-1445S-2426-SM-79ON2 60-69 years, male 70.6
GTEX-13JUV-0626-SM-5J1MQ 40-49 years, female 70.4
GTEX-12WSA-1626-SM-5EGJV 60-69 years, male 70.2
GTEX-18A66-1926-SM-7LTAG 60-69 years, male 70.2
GTEX-1K2DA-1126-SM-CGQGG 50-59 years, male 70.1
GTEX-13S86-0926-SM-5SI6I 40-49 years, male 70.0
GTEX-12584-2126-SM-5FQUM 40-49 years, male 69.8
GTEX-117YW-0826-SM-5H11O 50-59 years, male 69.6
GTEX-11WQK-1526-SM-5EGKN 50-59 years, male 69.5
GTEX-1CB4I-0826-SM-7MGX1 50-59 years, male 69.5
GTEX-1JJE9-1526-SM-CM2RR 70-79 years, male 69.5
GTEX-13O61-1926-SM-5KM1R 60-69 years, male 69.2
GTEX-1QEPI-2226-SM-E8VN6 60-69 years, female 68.8
GTEX-WYJK-1426-SM-3NM8V 50-59 years, male 68.4
GTEX-14C38-1026-SM-73KY7 50-59 years, male 68.3
GTEX-YJ8A-1926-SM-EZ6LQ 20-29 years, male 68.2
GTEX-XXEK-1426-SM-4BRW1 50-59 years, male 68.1
GTEX-1GF9U-1226-SM-ARL9I 40-49 years, female 68.1
GTEX-146FR-0226-SM-5Q5F6 60-69 years, female 67.9
GTEX-1IKK5-0826-SM-ACKWN 60-69 years, male 67.9
GTEX-14ICL-0926-SM-5S2TU 30-39 years, male 67.8
GTEX-1K9T9-1626-SM-DIPFS 50-59 years, female 67.6
GTEX-1CAMR-0326-SM-793AH 20-29 years, male 67.5
GTEX-ZTSS-1026-SM-5985N 40-49 years, male 67.4
GTEX-1MJK3-0626-SM-E6CJB 20-29 years, male 67.4
GTEX-1MUQO-0826-SM-EVYCZ 60-69 years, male 67.0
GTEX-13CF3-1126-SM-5LZXB 60-69 years, female 65.1
GTEX-11TT1-1926-SM-5PNYN 20-29 years, male 64.6
GTEX-ZLV1-0926-SM-5S2MR 60-69 years, female 64.4
GTEX-17HGU-1726-SM-79OKM 50-59 years, male 63.4
GTEX-1B8KE-0826-SM-72D6S 50-59 years, male 63.4
GTEX-1QP29-1626-SM-EXUSZ 50-59 years, male 63.4
GTEX-18D9U-0426-SM-731AN 40-49 years, male 63.1
GTEX-14BMU-0626-SM-73KZ6 20-29 years, female 63.0
GTEX-1F75I-1026-SM-7SB8B 40-49 years, male 62.7
GTEX-ZDYS-2226-SM-5S2MI 50-59 years, male 62.3
GTEX-18QFQ-1326-SM-731CF 30-39 years, male 62.1
GTEX-1KANA-1426-SM-CY8IF 20-29 years, male 61.8
GTEX-1S5VW-2426-SM-EAZ52 60-69 years, male 60.8
GTEX-1GZ4H-0926-SM-9WG6Y 50-59 years, female 60.7
GTEX-11XUK-1726-SM-5GU61 40-49 years, female 60.6
GTEX-VJYA-1626-SM-EXOHL 60-69 years, male 60.4
GTEX-1AX9J-2226-SM-731CW 60-69 years, male 60.3
GTEX-1QP67-1126-SM-EAZ4C 40-49 years, female 60.1
GTEX-1C6VS-1826-SM-73KXN 60-69 years, male 60.0
GTEX-XBED-1326-SM-4AT4F 60-69 years, male 59.5
GTEX-XYKS-1826-SM-4E3JV 60-69 years, female 58.7
GTEX-1LBAC-1026-SM-CXKYA 20-29 years, male 55.9
GTEX-1F5PL-1326-SM-7SB83 40-49 years, female 55.0
GTEX-1RB15-1126-SM-E8VMX 60-69 years, male 54.9
GTEX-1JKYN-0526-SM-CGQG3 30-39 years, male 54.2
GTEX-1JKYR-1226-SM-CM2S7 20-29 years, male 53.7
GTEX-1LG7Z-0226-SM-E6CIG 30-39 years, male 52.2
GTEX-ZYVF-1026-SM-5E44V 50-59 years, female 51.7
GTEX-UTHO-1826-SM-3GAFE 60-69 years, male 50.7
GTEX-1B97J-1126-SM-7SB79 50-59 years, female 50.5
GTEX-1H1DF-1426-SM-9YFMC 40-49 years, female 45.6
GTEX-VUSG-1426-SM-3GIJN 50-59 years, male 43.3
GTEX-1RAZQ-1526-SM-E6CJI 30-39 years, male 41.6
Show allShow less

ADIPOSE TISSUE - FANTOM5 CAGEi

RNA expression in human tissues obtained through Cap Analysis of Gene Expression (CAGE) generated by the FANTOM5 project are reported as Scaled Tags Per Million.

Max subtype Scaled Tags Per Millioni

Max subtype Scaled Tags Per Million is the value for the subtype with the largest average Scaled Tags Per Million across the subtype samples.

69.2
FANTOM5 sample id Sample description Scaled Tags Per Million
Adipose tissue
Scaled Tags Per Million: 69.2
FF:10010-101C1 65,65,76 years, mixed 69.2

Contact

  • NEWS ARTICLES
  • PRESS ROOM

The Project

  • INTRODUCTION
  • ORGANIZATION
  • PUBLICATIONS

The Human Protein Atlas

  • DOWNLOADABLE DATA
  • LICENCE & CITATION
  • HELP & FAQ
The Human Protein Atlas project is funded
by the Knut & Alice Wallenberg Foundation.


contact@proteinatlas.org