We use cookies to enhance the usability of our website. If you continue, we'll assume that you are happy to receive all cookies. More information. Don't show this again.
STAT6
HPA
RESOURCES
  • TISSUE
  • BRAIN
  • SINGLE CELL
  • SUBCELLULAR
  • CANCER
  • BLOOD
  • CELL LINE
  • STRUCTURE & INTERACTION
ABOUT
  • INTRODUCTION
  • HISTORY
  • ORGANIZATION
  • PUBLICATIONS
  • ANTIBODY SUBMISSION
  • ANTIBODY AVAILABILITY
  • ACKNOWLEDGMENTS
  • CONTACT
NEWS
  • NEWS ARTICLES
  • PRESS ROOM
LEARN
  • DICTIONARY
  • PROTEIN CLASSES
  • PROTEIN EVIDENCE
  • METHODS
  • EDUCATIONAL VIDEOS
DATA
  • DOWNLOADABLE DATA
  • PUBLICATION DATA
  • RELEASE HISTORY
HELP
  • ANTIBODY VALIDATION
  • ASSAYS & ANNOTATION
  • DISCLAIMER
  • HELP & FAQ
  • PRIVACY STATEMENT
  • LICENCE & CITATION
Fields »
Search result

Field
Term
Gene name
Class
Subclass
Class
Keyword
Chromosome
External id
Tissue
Cell type
Expression
Antibody panel
Tissue
Main location
Patient ID
Annotation
Tissue
Category
Tau score
Cluster
Reliability
Brain region
Category
Tau score
Brain region
Category
Tau score
Brain region
Category
Tau score
Cluster
Reliability
Tissue
Cell type
Enrichment
Cell type
Category
Tau score
Cell type
Category
Tau score
Cell type
Category
Tau score
Cell lineage
Category
Tau score
Cluster
Cluster
Location
Searches
Location
Cell line
Class
Type
Phase
Reliability
Cancer
Prognosis
Cancer
Category
Cancer
Category
Tau score
Cluster
Variants
Interacting gene (ensg_id)
Type
Number of interactions
Pathway
Category
Score
Score
Score
Validation
Validation
Validation
Validation
Antibodies
Data type
Column


  • SUMMARY

  • TISSUE

  • BRAIN

  • SINGLE CELL

  • SUBCELL

  • CANCER

  • BLOOD

  • CELL LINE

  • STRUCT & INT

  • STAT6
BRAIN HIPPOCAMPAL FORMATION Show tissue menu
AMYGDALA BASAL GANGLIA CEREBELLUM CEREBRAL CORTEX CHOROID PLEXUS HIPPOCAMPAL FORMATION HYPOTHALAMUS MEDULLA OBLONGATA
MIDBRAIN OLFACTORY BULB PITUITARY GLAND PONS RETINA SPINAL CORD THALAMUS WHITE MATTER
ANTIBODIES
AND
VALIDATION
Brain proteome
Hippocampal formation
HIPPOCAMPAL FORMATION - Expression summary
Protein expression
Hippocampusi

On the top, protein expression in current human tissue, based on all annotated cell types, is reported with the units not detected (n), low (l), medium (m) and high (h). Underneath, protein expression in each annotated cell type are reported using the same units.

Protein expression data is based on knowledge-based annotation. For genes where more than one antibody has been used, a collective score is set.

If knowledge-based annotation could not be performed for a gene, no data is displayed here. View antibody staining data further down this page.

h
m
l
n
Glial cells: Not detected
Neuronal cells: Not detected
RNA expressioni

A summary of mRNA expression data available for current tissue based on several datasets. The mRNA expression levels in human tissues are based on RNA-seq data generated by the Human Protein Atlas (HPA), Genotype-Tissue Expression (GTEx) portal and CAGE data generated by the FANTOM5 consortium. Consensus normalized expression levels for human tissues was created by combining the data from HPA and GTEx datasets.

The mRNA expression levels in pig are based on RNA-seq data generated by the Human Protein Atlas (HPA), and for mouse, HPA data and in situ hybridization generated by the Allen brain atlas are reported.

Scroll down to view mRNA expression data in more detail.
Consensus:9.5 nTPM
HPA Brain:24.8 nTPM
GTEx:9.5 nTPM
FANTOM5:23.5 Scaled Tags Per Million
Pig:6.3 nTPM
Mouse:5.8 nTPM
Allen mouse:1.8 Expression energy

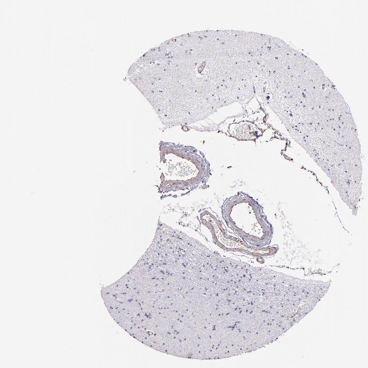
HIPPOCAMPUS - Antibody stainingi

Antibody staining in the annotated cell types in the current human tissue is reported as not detected, low, medium, or high, based on conventional immunohistochemistry profiling in selected tissues. This score is based on the combination of the staining intensity and fraction of stained cells.

Each image is clickable and will lead to virtual microscopy that enables deeper exploration of all samples and also displays staining intensity scores, fraction scores and subcellular localization as well as patient and tissue information for each sample.

Antibody HPA001861
Glial cells Not detected
Neuronal cells Not detected



HIPPOCAMPAL FORMATION - HPA Brain RNA-seq
Max subtype nTPMi

Max subtype nTPM is the value for the subtype with the largest average nTPM across the subtype samples.

24.8
Sample id Sample description nTPM
Hippocampus
nTPM: 22.1
1855 Male, age 76, left hemisphere 27.5
2529 Female, age 94, left hemisphere 23.2
2621 Female, age 67, right hemisphere 23.0
1898 Male, age 80, left hemisphere 20.3
2148 Female, age 91, left hemisphere 20.2
1911 Female, age 85, right hemisphere 18.6
Dentate gyrus
nTPM: 21.6
2010 Male, age 76, both hemispheres 24.9
2246 Female, age 85, both hemispheres 24.5
2530 Female, age 94, left hemisphere 21.8
2528 Male, age 74, both hemispheres 20.0
1927 Female, age 91, both hemispheres 19.8
2531 Female, age 67, both hemispheres 18.9
Entorhinal gyrus
nTPM: 23.6
1787 Male, age 76, left hemisphere 25.9
2686 Male, age 75, right hemisphere 25.9
1938 Female, age 85, left hemisphere 25.2
2613 Female, age 94, left hemisphere 22.8
2764 Male, age 80, right hemisphere 21.5
2117 Female, age 91, right hemisphere 20.5
Hippocampus, CA1
nTPM: 21.0
2082 Female, age 91, right hemisphere 23.9
2045 Male, age 76, both hemispheres 21.3
2749 Male, age 80, left hemisphere 20.9
2527 Male, age 74, both hemispheres 20.6
1873 Female, age 85, both hemispheres 18.3
Hippocampus, CA2
nTPM: 22.5
2113 Female, age 91, right hemisphere 25.0
1892 Male, age 76, both hemispheres 24.9
1940 Female, age 85, left hemisphere 24.2
2437 Female, age 94, left hemisphere 22.2
2249 Male, age 74, both hemispheres 20.2
1963 Male, age 80, left hemisphere 18.4
Hippocampus, CA3
nTPM: 19.6
1867 Male, age 76, both hemispheres 24.7
2861 Female, age 67, both hemispheres 24.6
2137 Male, age 80, left hemisphere 19.7
2436 Male, age 74, both hemispheres 18.4
2620 Female, age 94, left hemisphere 16.8
1891 Female, age 85, both hemispheres 13.4
Parahippocampal cortex
nTPM: 24.8
2622 Female, age 67, right hemisphere 30.3
2018 Male, age 76, both hemispheres 28.1
2693 Female, age 94, both hemispheres 27.5
2532 Female, age 72, left hemisphere 26.7
2245 Female, age 91, both hemispheres 24.8
1933 Female, age 85, both hemispheres 22.9
1850 Male, age 80, both hemispheres 22.6
2692 Male, age 74, both hemispheres 22.6
2250 Female, age 67, right hemisphere 21.7
1990 Female, age 91, right hemisphere 21.1
Perirhinal gyrus
nTPM: 23.3
2848 Male, age 76, right hemisphere 30.1
1841 Female, age 85, right hemisphere 23.2
1794 Male, age 80, right hemisphere 21.9
1847 Female, age 91, left hemisphere 21.7
2521 Female, age 94, right hemisphere 19.8
Subiculum
nTPM: 22.3
2042 Male, age 76, both hemispheres 25.9
2729 Female, age 91, right hemisphere 25.6
2619 Male, age 74, both hemispheres 22.5
2438 Female, age 94, left hemisphere 22.3
1901 Male, age 80, both hemispheres 18.9
1977 Female, age 85, both hemispheres 18.6

HIPPOCAMPAL FORMATION - GTEx RNA-seqi

RNA-Seq data generated by the Genotype-Tissue Expression (GTEx) project from human tissues is reported as mean nTPM. More information can be found on the GTEx portal.

Distribution across the dataset is visualized with box plots, shown as median and 25th and 75th percentiles. Points are displayed as outliers if they are above or below 1.5 times the interquartile range. nTPM values of the individual samples are presented next to the box plot.
Max subtype nTPMi

Max subtype nTPM is the value for the subtype with the largest average nTPM across the subtype samples.

9.5
GTEx sample id Sample description nTPM
Brain - Hippocampus
Average nTPM: 9.5
Samples: 197

Max nTPM: 27.3
Min nTPM: 2.2
Std nTPM: 3.5
Median nTPM: 8.9
GTEX-1GZHY-0011-R1a-SM-CE6RR 50-59 years, female 27.3
GTEX-X4EP-0011-R1A-SM-3P624 60-69 years, female 26.7
GTEX-132Q8-0011-R1a-SM-5EGLK 60-69 years, male 22.0
GTEX-13NYS-0011-R1b-SM-5MR55 60-69 years, male 21.1
GTEX-XMD1-0011-R1A-SM-4AT4C 60-69 years, male 17.6
GTEX-13PDP-0011-R1a-SM-5PNX5 60-69 years, male 17.0
GTEX-13NZ8-0011-R1b-SM-5KM3V 60-69 years, female 15.8
GTEX-11TUW-0011-R1a-SM-DO92S 60-69 years, male 15.7
GTEX-1EWIQ-0011-R1a-SM-9OSX7 70-79 years, female 15.2
GTEX-13OW8-0011-R1a-SM-5L3HI 60-69 years, male 15.1
GTEX-14LZ3-0011-R1a-SM-69LP5 60-69 years, female 15.1
GTEX-14PN4-0011-R1b-SM-69LP8 50-59 years, male 15.1
GTEX-NL3H-0011-R1a-SM-48TDJ 60-69 years, male 15.0
GTEX-OHPN-0011-R1A-SM-2I5GB 60-69 years, female 15.0
GTEX-14PQA-0011-R1b-SM-6EU1G 50-59 years, female 14.9
GTEX-X4XX-0011-R1B-SM-3P622 60-69 years, male 14.9
GTEX-PWO3-0011-R1A-SM-2I5EW 60-69 years, female 14.8
GTEX-N7MS-0011-R1a-SM-2HMJG 60-69 years, male 14.5
GTEX-145MH-0011-R1b-SM-5PNWY 50-59 years, male 13.9
GTEX-1ICLZ-0011-R1b-SM-A9SM3 60-69 years, male 13.4
GTEX-1399T-0011-R1b-SM-5DUWN 60-69 years, male 13.0
GTEX-144GO-0011-R1a-SM-5PNWO 60-69 years, male 12.9
GTEX-14E6D-0011-R1b-SM-5YYAW 50-59 years, male 12.9
GTEX-13JUV-0011-R1a-SM-5LZY4 40-49 years, female 12.8
GTEX-ZF28-0011-R1a-SM-4WWD1 60-69 years, male 12.8
GTEX-TSE9-0011-R1A-SM-3DB7E 60-69 years, female 12.7
GTEX-YJ89-0011-R1a-SM-4RGLS 60-69 years, male 12.7
GTEX-ZE7O-0011-R1a-SM-57WDM 50-59 years, female 12.5
GTEX-13OVJ-0011-R1b-SM-5L3I6 50-59 years, female 12.4
GTEX-WL46-0011-R1A-SM-3LK6M 50-59 years, male 12.4
GTEX-139TT-0011-R1a-SM-5LZVD 60-69 years, male 12.3
GTEX-13O3O-0011-R1b-SM-5KM2K 60-69 years, female 12.2
GTEX-R55E-0011-R1A-SM-2TC6N 20-29 years, male 12.0
GTEX-1H3NZ-0011-R1a-SM-CKZP5 60-69 years, male 11.9
GTEX-NPJ8-0011-R1a-SM-33HCB 40-49 years, male 11.8
GTEX-RNOR-0011-R1A-SM-CNNP5 50-59 years, female 11.8
GTEX-13CF2-0011-R1a-SM-5LZY1 60-69 years, male 11.6
GTEX-QVJO-0011-R1A-SM-2S1QI 60-69 years, female 11.6
GTEX-N7MT-0011-R1a-SM-CNPO1 60-69 years, female 11.5
GTEX-13FTY-0011-R1a-SM-5LZXE 40-49 years, female 11.4
GTEX-UTHO-0011-R1A-SM-3GIJO 60-69 years, male 11.4
GTEX-1GZ2Q-0011-R1a-SM-CJI2Y 40-49 years, male 11.3
GTEX-17F97-0011-R1b-SM-7IGM9 50-59 years, male 11.2
GTEX-1HR98-0011-R1a-SM-ARZLQ 60-69 years, male 11.2
GTEX-13S7M-0011-R1b-SM-5PNZE 60-69 years, female 11.1
GTEX-13X6I-0011-R1b-SM-5PNZC 60-69 years, male 11.1
GTEX-WVLH-0011-R1A-SM-4MVOK 50-59 years, male 11.1
GTEX-131YS-0011-R1a-SM-5DUXC 60-69 years, female 11.0
GTEX-13O3Q-0011-R1b-SM-5KM3L 50-59 years, male 10.9
GTEX-13RTL-0011-R1a-SM-5PNZ8 40-49 years, male 10.8
GTEX-13SLW-0011-R1a-SM-5S2W7 70-79 years, male 10.8
GTEX-15DCD-0011-R1b-SM-6LPIJ 70-79 years, female 10.8
GTEX-16Z82-0011-R1b-SM-7EPHZ 60-69 years, male 10.8
GTEX-183WM-0011-R1a-SM-718A8 70-79 years, female 10.8
GTEX-11EI6-0011-R1a-SM-DO93L 60-69 years, male 10.8
GTEX-13112-0011-R1b-SM-5HL7K 50-59 years, male 10.7
GTEX-13OW5-0011-R1b-SM-5L3GE 60-69 years, male 10.7
GTEX-14JIY-0011-R1a-SM-68713 60-69 years, male 10.7
GTEX-17HG3-0011-R1a-SM-7LG6H 30-39 years, female 10.7
GTEX-13JVG-0011-R1a-SM-5KM32 60-69 years, male 10.6
GTEX-WHSE-0011-R1A-SM-3P5ZK 20-29 years, male 10.6
GTEX-1F48J-0011-R1a-SM-9QEIC 50-59 years, female 10.6
GTEX-13FHP-0011-R1b-SM-5K7XL 50-59 years, male 10.5
GTEX-1GMR8-0011-R1b-SM-CJI2O 50-59 years, female 10.5
GTEX-1CB4G-0011-R1b-SM-9QEHT 60-69 years, male 10.4
GTEX-X585-0011-R1B-SM-46MVE 50-59 years, male 10.3
GTEX-17HII-0011-R1b-SM-7MGVW 50-59 years, male 10.3
GTEX-1E2YA-0011-R1b-SM-CJI29 50-59 years, male 10.3
GTEX-1EX96-0011-R1a-SM-CE6R5 50-59 years, male 10.3
GTEX-P44G-0011-R1A-SM-2I3FE 30-39 years, male 10.2
GTEX-139T8-0011-R1a-SM-5HL75 60-69 years, male 10.1
GTEX-1F75W-0011-R1a-SM-ARU81 60-69 years, male 10.1
GTEX-1HGF4-0011-R1a-SM-CJI3S 60-69 years, male 10.1
GTEX-1IDJH-0011-R1b-SM-ARU6U 70-79 years, male 10.1
GTEX-WWYW-0011-R1A-SM-3TW8G 50-59 years, female 10.0
GTEX-1HSMO-0011-R1a-SM-CM2SV 60-69 years, male 10.0
GTEX-1A32A-0011-R1a-SM-7P8SQ 50-59 years, female 9.9
GTEX-1H1DG-0011-R1b-SM-CKZP1 70-79 years, male 9.9
GTEX-1I1HK-0011-R1b-SM-CM2T7 60-69 years, male 9.9
GTEX-14E7W-0011-R1b-SM-5YYAT 70-79 years, male 9.8
GTEX-1CB4J-0011-R1a-SM-9WG64 60-69 years, male 9.8
GTEX-13FHO-0011-R1b-SM-5KLZG 60-69 years, male 9.7
GTEX-11WQC-0011-R1b-SM-DO932 60-69 years, male 9.7
GTEX-15CHQ-0011-R1a-SM-COH27 60-69 years, male 9.7
GTEX-16YQH-0011-R1a-SM-7LT8R 30-39 years, male 9.6
GTEX-1EH9U-0011-R1b-SM-CJI2B 60-69 years, male 9.6
GTEX-14C5O-0011-R1b-SM-6AJBW 60-69 years, male 9.5
GTEX-16GPK-0011-R1b-SM-7EWDH 60-69 years, male 9.4
GTEX-NPJ7-0011-R1a-SM-3GACT 60-69 years, female 9.4
GTEX-17JCI-0011-R1b-SM-718A3 60-69 years, female 9.3
GTEX-1GTWX-0011-R1a-SM-CE6RL 60-69 years, male 9.3
GTEX-PVOW-0011-R1A-SM-32PL6 40-49 years, male 9.2
GTEX-11DXW-0011-R1a-SM-DNZZD 40-49 years, male 9.2
GTEX-16NPV-0011-R1b-SM-7MGVZ 50-59 years, female 9.2
GTEX-1EMGI-0011-R1b-SM-9OSWZ 60-69 years, male 9.2
GTEX-1H1CY-0011-R1a-SM-CKZOZ 60-69 years, female 9.2
GTEX-1H3VE-0011-R1a-SM-A9G1K 40-49 years, male 9.0
GTEX-12WSD-0011-R1b-SM-5LZVY 60-69 years, female 8.9
GTEX-14BIM-0011-R1a-SM-69LQI 60-69 years, female 8.9
GTEX-16XZZ-0011-R1a-SM-7LTAH 60-69 years, male 8.9
GTEX-QVUS-0011-R1A-SM-3GAD2 60-69 years, female 8.9
GTEX-12WSM-0011-R1a-SM-5LZW6 60-69 years, male 8.8
GTEX-13NYB-0011-R1b-SM-5KM4F 40-49 years, male 8.8
GTEX-YFC4-0011-R1a-SM-4V6EH 40-49 years, female 8.8
GTEX-15UF6-0011-R1a-SM-9QEGH 70-79 years, female 8.8
GTEX-T5JC-0011-R1A-SM-32PM6 20-29 years, male 8.7
GTEX-ZUA1-0011-R1a-SM-4YCE2 40-49 years, male 8.7
GTEX-11GS4-0011-R1a-SM-DO129 60-69 years, male 8.7
GTEX-1C64N-0011-R1b-SM-7P8Q7 50-59 years, male 8.7
GTEX-13N1W-0011-R1b-SM-5MR4T 70-79 years, male 8.6
GTEX-14ASI-0011-R1b-SM-5S2TY 60-69 years, male 8.6
GTEX-17EVQ-0011-R1a-SM-7189S 70-79 years, male 8.6
GTEX-1GN1U-0011-R1a-SM-CJI25 50-59 years, female 8.6
GTEX-1GN2E-0011-R1b-SM-CE6RJ 60-69 years, male 8.6
GTEX-11ZVC-0011-R1b-SM-5BC6M 50-59 years, female 8.4
GTEX-12WSF-0011-R1a-SM-5DUVI 70-79 years, male 8.4
GTEX-1F6I4-0011-R1a-SM-9OSWU 60-69 years, male 8.4
GTEX-S7SE-0011-R1A-SM-2XCDE 50-59 years, male 8.3
GTEX-1IOXB-0011-R1a-SM-D4P27 50-59 years, male 8.3
GTEX-13FLW-0011-R1b-SM-5LZX2 50-59 years, male 8.2
GTEX-1I1GQ-0011-R1a-SM-CY8GG 50-59 years, male 8.2
GTEX-17MF6-0011-R1a-SM-72D6O 40-49 years, male 8.1
GTEX-1B8SF-0011-R1b-SM-7P8Q8 60-69 years, male 8.1
GTEX-1B996-0011-R1b-SM-7P8PO 60-69 years, male 8.1
GTEX-1313W-0011-R1b-SM-5EQ4A 50-59 years, female 8.0
GTEX-13N2G-0011-R1b-SM-5MR3G 60-69 years, male 8.0
GTEX-145LS-0011-R1b-SM-5PNUP 60-69 years, female 8.0
GTEX-17HHY-0011-R1a-SM-7189V 50-59 years, male 8.0
GTEX-1A8G6-0011-R1a-SM-7P8PC 60-69 years, male 8.0
GTEX-1BAJH-0011-R1a-SM-7P8SV 70-79 years, male 8.0
GTEX-1F6IF-0011-R1b-SM-9WG78 60-69 years, male 8.0
GTEX-1F75A-0011-R1b-SM-CE6RA 50-59 years, male 8.0
GTEX-1J8Q2-0011-R1a-SM-D4P2D 60-69 years, male 8.0
GTEX-1CAV2-0011-R1a-SM-ARZML 40-49 years, female 7.9
GTEX-1GN73-0011-R1a-SM-CKZNT 60-69 years, male 7.9
GTEX-13FXS-0011-R1a-SM-5K7U6 50-59 years, male 7.8
GTEX-1IKK5-0011-R1b-SM-CE6SQ 60-69 years, male 7.8
GTEX-11ZTS-0011-R1a-SM-5BC71 60-69 years, female 7.7
GTEX-13QJC-0011-R1b-SM-5S2UU 60-69 years, female 7.6
GTEX-144GL-0011-R1a-SM-5PNZ5 50-59 years, male 7.6
GTEX-1B933-0011-R1b-SM-9QEGW 50-59 years, female 7.6
GTEX-11GSO-0011-R1b-SM-57WD3 60-69 years, male 7.5
GTEX-14LLW-0011-R1a-SM-5ZZVD 70-79 years, female 7.5
GTEX-1A3MX-0011-R1b-SM-7P8PH 60-69 years, male 7.5
GTEX-1AX9I-0011-R1b-SM-7RHG2 60-69 years, male 7.5
GTEX-1B8L1-0011-R1a-SM-7P8SS 60-69 years, male 7.5
GTEX-13G51-0011-R1a-SM-5LZYR 60-69 years, male 7.4
GTEX-Q2AG-0011-R1A-SM-2HMJI 40-49 years, female 7.4
GTEX-ZDXO-0011-R1a-SM-4WKF4 60-69 years, male 7.4
GTEX-1HSKV-0011-R1b-SM-CMKH7 60-69 years, male 7.4
GTEX-1GF9V-0011-R1a-SM-CKZNQ 60-69 years, male 7.3
GTEX-ZAB4-0011-R1a-SM-4RGNO 40-49 years, male 7.2
GTEX-14PJO-0011-R1b-SM-6AJAK 60-69 years, male 7.1
GTEX-ZVZQ-0011-R1a-SM-57WBU 60-69 years, female 7.1
GTEX-11ONC-0011-R1a-SM-57WD4 60-69 years, male 7.0
GTEX-13NZA-0011-R1b-SM-5LUAF 60-69 years, male 7.0
GTEX-QMR6-0011-R1A-SM-32PKW 50-59 years, male 7.0
GTEX-11UD1-0011-R1b-SM-5BC7D 40-49 years, female 6.9
GTEX-12WSH-0011-R1a-SM-5GU5V 50-59 years, male 6.8
GTEX-14ABY-0011-R1a-SM-6EU2W 50-59 years, male 6.8
GTEX-1H3O1-0011-R1b-SM-CL554 60-69 years, male 6.8
GTEX-1LG7Y-0011-R1a-SM-EYYWV 50-59 years, male 6.8
GTEX-QDT8-0011-R1A-SM-32PKS 30-39 years, female 6.7
GTEX-1HT8W-0011-R1b-SM-CJI3V 30-39 years, male 6.7
GTEX-1I1GS-0011-R1a-SM-CJI43 60-69 years, male 6.7
GTEX-13OW6-0011-R1a-SM-5L3HQ 50-59 years, male 6.6
GTEX-1E1VI-0011-R1a-SM-ARZMM 50-59 years, male 6.5
GTEX-12WSE-0011-R1b-SM-5GU4V 20-29 years, male 6.4
GTEX-131XH-0011-R1a-SM-5DUWA 50-59 years, male 6.4
GTEX-WZTO-0011-R1B-SM-3NMAR 40-49 years, male 6.4
GTEX-1J1OQ-0011-R1a-SM-A9G1Z 40-49 years, female 6.4
GTEX-13RTJ-0011-R1a-SM-5O9D9 60-69 years, male 6.3
GTEX-1GF9W-0011-R1a-SM-9QEIQ 60-69 years, male 6.3
GTEX-1H1ZS-0011-R1b-SM-A9G1E 70-79 years, male 6.3
GTEX-1H23P-0011-R1a-SM-ACKVC 60-69 years, male 6.2
GTEX-1EKGG-0011-R1b-SM-9QEI1 60-69 years, male 6.1
GTEX-1HBPI-0011-R1b-SM-A9SKF 50-59 years, male 6.1
GTEX-1C6VQ-0011-R1a-SM-7P8Q2 50-59 years, male 6.0
GTEX-14PJM-0011-R1a-SM-CNPO3 50-59 years, female 5.8
GTEX-1C6VR-0011-R1a-SM-7MXUE 60-69 years, male 5.8
GTEX-1212Z-0011-R1b-SM-5BC72 60-69 years, male 5.7
GTEX-P44H-0011-R1A-SM-3NM8J 40-49 years, male 5.6
GTEX-15ER7-0011-R1b-SM-7KUE1 20-29 years, female 5.5
GTEX-1H4P4-0011-R1b-SM-CL54V 50-59 years, male 5.3
GTEX-1I1GV-0011-R1a-SM-CL559 60-69 years, male 5.3
GTEX-11GSP-0011-R1a-SM-9QEJ3 60-69 years, female 5.2
GTEX-1IY9M-0011-R1a-SM-EXURZ 60-69 years, male 5.2
GTEX-17EVP-0011-R1a-SM-7DHLA 40-49 years, male 5.0
GTEX-18A6Q-0011-R1b-SM-731DI 60-69 years, male 4.6
GTEX-13OVL-0011-R1a-SM-5L3H5 50-59 years, male 4.5
GTEX-13OW7-0011-R1b-SM-5L3HF 50-59 years, male 4.5
GTEX-T6MN-0011-R1A-SM-32QOY 50-59 years, male 4.4
GTEX-13QIC-0011-R1a-SM-5O9CJ 60-69 years, female 4.2
GTEX-Y8DK-0011-R1A-SM-4RGLO 60-69 years, male 4.2
GTEX-1LB8K-0011-R1b-SM-EZ6MV 50-59 years, male 4.2
GTEX-12ZZX-0011-R1a-SM-5EQ6B 40-49 years, female 4.0
GTEX-145LU-0011-R1a-SM-5Q5CE 50-59 years, male 2.2
Show allShow less

HIPPOCAMPAL FORMATION - FANTOM5 CAGEi

RNA expression in human tissues obtained through Cap Analysis of Gene Expression (CAGE) generated by the FANTOM5 project are reported as Scaled Tags Per Million.

Max subtype Scaled Tags Per Millioni

Max subtype Scaled Tags Per Million is the value for the subtype with the largest average Scaled Tags Per Million across the subtype samples.

23.5
FANTOM5 sample id Sample description Scaled Tags Per Million
Hippocampus
Scaled Tags Per Million: 23.5
FF:10153-102I9 76 years, female 28.3
FF:10169-103B7 60 years, female 18.6

HIPPOCAMPAL FORMATION - Pig RNA-seqi

RNA-seq data obtained from pig brain is reported as nTPM .

Normal distribution across the dataset is visualized with box plots, shown as median and 25th and 75th percentiles. Points are displayed as outliers if they are above or below 1.5 times the interquartile range. nTPM values of the individual samples are presented next to the box plot.
Max subtype nTPMi

Max subtype nTPM is the value for the subtype with the largest average nTPM across the subtype samples.

6.3
Pig sample Sample description nTPM
Subiculum
nTPM: 6.3
Samples: 4

Max nTPM: 7.2
Min nTPM: 5.3
Sample A Female 6.5
Sample B Female 5.3
Sample C Male 6.1
Sample D Male 7.2
Dorsal hippocampus
nTPM: 5.5
Samples: 4

Max nTPM: 6.4
Min nTPM: 4.5
Sample A Female 6.3
Sample B Female 4.7
Sample C Male 6.4
Sample D Male 4.5
Entorhinal cortex
nTPM: 5.4
Samples: 4

Max nTPM: 6.9
Min nTPM: 4.2
Sample A Female 6.9
Sample B Female 4.6
Sample C Male 5.8
Sample D Male 4.2
Ventral hippocampus
nTPM: 6.3
Samples: 4

Max nTPM: 8.0
Min nTPM: 5.3
Sample A Female 5.8
Sample B Female 5.3
Sample C Male 8.0
Sample D Male 6.0

HIPPOCAMPAL FORMATION - Mouse RNA-seqi

RNA-seq data obtained from mouse brain is reported as nTPM .

Normal distribution across the dataset is visualized with box plots, shown as median and 25th and 75th percentiles. Points are displayed as outliers if they are above or below 1.5 times the interquartile range. nTPM values of the individual samples are presented next to the box plot.
Max subtype nTPMi

Max subtype nTPM is the value for the subtype with the largest average nTPM across the subtype samples.

5.8
Mouse sample Sample description nTPM
Entorhinal cortex
nTPM: 5.8
Samples: 4

Max nTPM: 6.5
Min nTPM: 5.4
Sample A Male 6.5
Sample B Male 5.4
Sample C Female 5.6
Sample D Female 5.8
Hippocampal formation
nTPM: 3.9
Samples: 4

Max nTPM: 4.9
Min nTPM: 3.3
Sample A Male 3.5
Sample B Male 3.3
Sample C Female 4.0
Sample D Female 4.9

HIPPOCAMPAL FORMATION - Allen Mouse ISHi

In situ hybridization (ISH) data generated by the Allen brain atlas from mouse brain is reported as expression energy. For more details about a particular experiment, click on the corresponding Allen experiment ID.

Max subtype Expression energyi

Max subtype Expression energy is the value for the subtype with the largest average Expression energy across the subtype samples.

1.8
Allen experiment id Experiment description Expression energy
Hippocampal formation
Expression energy: 1.8
69290549 Antisense, RP_050407_04_C04, Mouse strain C57BL/6J (56 days, male) 1.8

Contact

  • NEWS ARTICLES
  • PRESS ROOM

The Project

  • INTRODUCTION
  • ORGANIZATION
  • PUBLICATIONS

The Human Protein Atlas

  • DOWNLOADABLE DATA
  • LICENCE & CITATION
  • HELP & FAQ
The Human Protein Atlas project is funded
by the Knut & Alice Wallenberg Foundation.


contact@proteinatlas.org