We use cookies to enhance the usability of our website. If you continue, we'll assume that you are happy to receive all cookies. More information. Don't show this again.
STX3
HPA
RESOURCES
  • TISSUE
  • BRAIN
  • SINGLE CELL
  • SUBCELLULAR
  • CANCER
  • BLOOD
  • CELL LINE
  • STRUCTURE & INTERACTION
ABOUT
  • INTRODUCTION
  • HISTORY
  • ORGANIZATION
  • PUBLICATIONS
  • ANTIBODY SUBMISSION
  • ANTIBODY AVAILABILITY
  • ACKNOWLEDGMENTS
  • CONTACT
NEWS
  • NEWS ARTICLES
  • PRESS ROOM
LEARN
  • DICTIONARY
  • PROTEIN CLASSES
  • PROTEIN EVIDENCE
  • METHODS
  • EDUCATIONAL VIDEOS
DATA
  • DOWNLOADABLE DATA
  • PUBLICATION DATA
  • RELEASE HISTORY
HELP
  • ANTIBODY VALIDATION
  • ASSAYS & ANNOTATION
  • DISCLAIMER
  • HELP & FAQ
  • PRIVACY STATEMENT
  • LICENCE & CITATION
Fields »
Search result

Field
Term
Gene name
Class
Subclass
Class
Keyword
Chromosome
External id
Tissue
Cell type
Expression
Antibody panel
Tissue
Main location
Patient ID
Annotation
Tissue
Category
Tau score
Cluster
Reliability
Brain region
Category
Tau score
Brain region
Category
Tau score
Brain region
Category
Tau score
Cluster
Reliability
Tissue
Cell type
Enrichment
Cell type
Category
Tau score
Cell type
Category
Tau score
Cell type
Category
Tau score
Cell lineage
Category
Tau score
Cluster
Cluster
Location
Searches
Location
Cell line
Class
Type
Phase
Reliability
Cancer
Prognosis
Cancer
Category
Cancer
Category
Tau score
Cluster
Variants
Interacting gene (ensg_id)
Type
Number of interactions
Pathway
Category
Score
Score
Score
Validation
Validation
Validation
Validation
Antibodies
Data type
Column


  • SUMMARY

  • TISSUE

  • BRAIN

  • SINGLE CELL

  • SUBCELL

  • CANCER

  • BLOOD

  • CELL LINE

  • STRUCT & INT

  • STX3
TISSUE PRIMARY DATA COLON Show tissue menu
ADIPOSE TISSUE ADRENAL GLAND AMYGDALA APPENDIX BASAL GANGLIA BONE MARROW BREAST BRONCHUS CEREBELLUM CEREBRAL CORTEX CERVIX CHOROID PLEXUS COLON DUODENUM
ENDOMETRIUM EPIDIDYMIS ESOPHAGUS FALLOPIAN TUBE GALLBLADDER HEART MUSCLE HIPPOCAMPAL FORMATION HYPOTHALAMUS KIDNEY LIVER LUNG LYMPH NODE MIDBRAIN NASOPHARYNX
ORAL MUCOSA OVARY PANCREAS PARATHYROID GLAND PITUITARY GLAND PLACENTA PROSTATE RECTUM RETINA SALIVARY GLAND SEMINAL VESICLE SKELETAL MUSCLE SKIN SMALL INTESTINE
SMOOTH MUSCLE SOFT TISSUE SPINAL CORD SPLEEN STOMACH TESTIS THYMUS THYROID GLAND TONGUE TONSIL URINARY BLADDER VAGINA
ANTIBODIES
AND
VALIDATION
Dictionary
Colon
Tissue proteome
Intestine
COLON - Expression summary
Protein expression
Coloni

On the top, protein expression in current human tissue, based on all annotated cell types, is reported with the units not detected (n), low (l), medium (m) and high (h). Underneath, protein expression in each annotated cell type are reported using the same units.

Protein expression data is based on knowledge-based annotation. For genes where more than one antibody has been used, a collective score is set.

If knowledge-based annotation could not be performed for a gene, no data is displayed here. View antibody staining data further down this page.

h
m
l
n
Endothelial cells: Not detected
Glandular cells: Medium
Peripheral nerve/ganglion: Not detected
RNA expressioni

A summary of mRNA expression data available for current tissue based on several datasets. The mRNA expression levels in human tissues are based on RNA-seq data generated by the Human Protein Atlas (HPA), Genotype-Tissue Expression (GTEx) portal and CAGE data generated by the FANTOM5 consortium. Consensus normalized expression levels for human tissues was created by combining the data from HPA and GTEx datasets.

The mRNA expression levels in pig are based on RNA-seq data generated by the Human Protein Atlas (HPA), and for mouse, HPA data and in situ hybridization generated by the Allen brain atlas are reported.

Scroll down to view mRNA expression data in more detail.
Consensus:49.3 nTPM
HPA:49.3 nTPM
GTEx:26.3 nTPM
FANTOM5:33.9 Scaled Tags Per Million

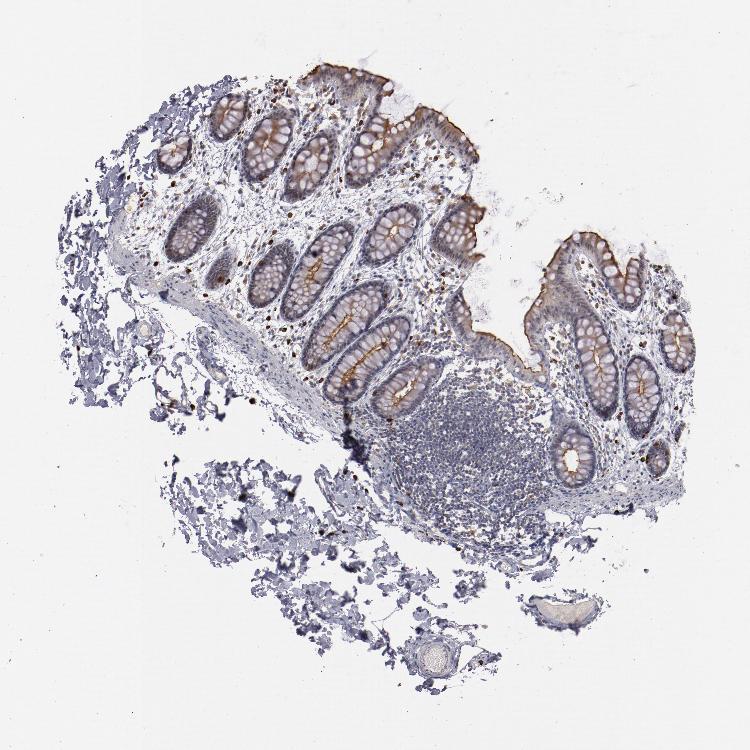
COLON - Antibody stainingi

Antibody staining in the annotated cell types in the current human tissue is reported as not detected, low, medium, or high, based on conventional immunohistochemistry profiling in selected tissues. This score is based on the combination of the staining intensity and fraction of stained cells.

Each image is clickable and will lead to virtual microscopy that enables deeper exploration of all samples and also displays staining intensity scores, fraction scores and subcellular localization as well as patient and tissue information for each sample.

Antibody HPA002191Antibody HPA069176
Endothelial cells Not detectedNot detected
Glandular cells MediumNot detected
Peripheral nerve/ganglion Not detectedLow





COLON - HPA RNA-seqi

The RNA-seq details section shows detailed information about the individual samples used for the transcript profiling and results of the RNA-seq analysis.

Information about each individual sample is listed below, including gender, age, a tissue section image and estimated fractions of cell types. nTPM (normalized transcripts per million) values give a quantification of the gene abundance which is comparable between different genes and samples.
Average nTPMi

Max subtype nTPM is the value for the subtype with the largest average nTPM across the subtype samples.

49.3
overview
Male, age 54
Colon sample 67
nTPM: 42.2
Cell types%
Glandular cells:
65

Smooth muscle cells:
10

Other cell types:
25

overview
Female, age 57
Colon sample 68
nTPM: 63.3
Cell types%
Glandular cells:
40

Smooth muscle cells:
5

Other cell types:
55

overview
Male, age 80
Colon sample 69
nTPM: 68.1
Cell types%
Glandular cells:
55

Smooth muscle cells:
5

Other cell types:
40

overview
Male, age 68
Colon sample 70
nTPM: 43.4
Cell types%
Glandular cells:
35

Smooth muscle cells:
10

Other cell types:
55

overview
Female, age 68
Colon sample 76
nTPM: 53.7
Cell types%
Glandular cells:
25

Smooth muscle cells:
5

Other cell types:
70

overview
Female, age 61
Colon sample 299
nTPM: 24.2
Cell types%
Glandular cells:
5

Smooth muscle cells:
65

Other cell types:
30

overview
Male, age 80
Colon sample 300
nTPM: 60.9
Cell types%
Glandular cells:
15

Smooth muscle cells:
20

Other cell types:
65

overview
Female, age 78
Colon sample 368
nTPM: 54.3
Cell types%
Glandular cells:
45

Smooth muscle cells:
5

Other cell types:
50

overview
Male, age 84
Colon sample 381
nTPM: 27.1
Cell types%
Glandular cells:
50

Smooth muscle cells:
15

Other cell types:
35

overview
Male, age 80
Colon sample 384
nTPM: 52.6
Cell types%
Glandular cells:
20

Smooth muscle cells:
35

Other cell types:
45

overview
Female, age 78
Colon sample 389
nTPM: 61.3
Cell types%
Glandular cells:
35

Smooth muscle cells:
10

Other cell types:
55

overview
Female, age 69
Colon sample 391
nTPM: 41.6
Cell types%
Glandular cells:
10

Smooth muscle cells:
45

Other cell types:
45

overview
Female, age 72
Colon sample 403
nTPM: 48.4
Cell types%
Glandular cells:
20

Smooth muscle cells:
15

Other cell types:
65


COLON - GTEx RNA-seqi

RNA-Seq data generated by the Genotype-Tissue Expression (GTEx) project from human tissues is reported as mean nTPM. More information can be found on the GTEx portal.

Distribution across the dataset is visualized with box plots, shown as median and 25th and 75th percentiles. Points are displayed as outliers if they are above or below 1.5 times the interquartile range. nTPM values of the individual samples are presented next to the box plot.
Max subtype nTPMi

Max subtype nTPM is the value for the subtype with the largest average nTPM across the subtype samples.

26.3
GTEx sample id Sample description nTPM
Colon - Sigmoid
Average nTPM: 12.4
Samples: 373

Max nTPM: 66.0
Min nTPM: 5.1
Std nTPM: 5.4
Median nTPM: 11.4
GTEX-ZQUD-1026-SM-4YCEZ 30-39 years, male 66.0
GTEX-WOFM-1926-SM-4OOSP 20-29 years, male 45.7
GTEX-Y5V6-1626-SM-4VDT2 60-69 years, male 35.9
GTEX-WH7G-1426-SM-4LVMU 40-49 years, male 35.7
GTEX-13113-1426-SM-5EGHU 60-69 years, female 35.1
GTEX-1AMEY-1826-SM-72D5L 30-39 years, female 33.0
GTEX-13W3W-2226-SM-5LU4M 60-69 years, female 32.9
GTEX-X5EB-1126-SM-46MVV 40-49 years, male 29.8
GTEX-W5WG-2026-SM-4LMIB 50-59 years, female 26.6
GTEX-15FZZ-1826-SM-6LLJP 30-39 years, female 26.5
GTEX-WYJK-2326-SM-4ONDN 50-59 years, male 26.3
GTEX-1C64O-2426-SM-7P8R3 60-69 years, male 25.8
GTEX-VJYA-2126-SM-4KL1O 60-69 years, male 25.6
GTEX-Y8E4-2326-SM-EAZAZ 40-49 years, male 22.2
GTEX-1OJC3-1826-SM-DTX93 20-29 years, male 21.6
GTEX-1IDJU-1926-SM-CL53W 60-69 years, female 21.0
GTEX-1J8EW-2426-SM-CE6T5 60-69 years, female 20.9
GTEX-12WSM-1426-SM-5GCPA 60-69 years, male 19.9
GTEX-16MTA-1626-SM-6M47N 50-59 years, male 19.9
GTEX-1HSEH-1926-SM-A96SB 60-69 years, male 19.5
GTEX-ZF29-1826-SM-4WKG8 60-69 years, female 19.1
GTEX-14E6C-2226-SM-5QGQG 40-49 years, male 18.7
GTEX-1PFEY-1726-SM-DPRZ4 30-39 years, male 18.6
GTEX-11VI4-1426-SM-5GU6O 40-49 years, female 18.5
GTEX-15RIE-2026-SM-7KFRW 60-69 years, male 18.5
GTEX-1HB9E-2526-SM-D4P35 50-59 years, male 18.5
GTEX-15ETS-2326-SM-7KUGC 40-49 years, female 18.1
GTEX-148VJ-2426-SM-5NQ9Y 70-79 years, male 17.8
GTEX-1P4AB-2626-SM-DTXEU 50-59 years, male 17.8
GTEX-1QP28-2226-SM-DTX8C 50-59 years, female 17.6
GTEX-1H23P-2626-SM-9KNVN 60-69 years, male 17.5
GTEX-1LGRB-2026-SM-COH47 50-59 years, female 17.5
GTEX-13OW8-2726-SM-5L3FZ 60-69 years, male 16.9
GTEX-1RAZQ-2026-SM-E76P7 30-39 years, male 16.8
GTEX-1AX9J-2526-SM-73KUY 60-69 years, male 16.6
GTEX-1GZ4H-1326-SM-7P8TE 50-59 years, female 16.6
GTEX-11ZTS-1526-SM-5N9G7 60-69 years, female 16.2
GTEX-1339X-1726-SM-5P9J9 40-49 years, male 16.2
GTEX-WHSE-2726-SM-EZ6ML 20-29 years, male 16.2
GTEX-1OFPY-1226-SM-E76OM 60-69 years, male 16.1
GTEX-1GTWX-2626-SM-9WPOT 60-69 years, male 16.0
GTEX-1H3VE-2326-SM-9KNVU 40-49 years, male 15.9
GTEX-XAJ8-0726-SM-47JY5 40-49 years, male 15.4
GTEX-1PIIG-2126-SM-EXUSD 30-39 years, male 15.4
GTEX-Y5LM-1426-SM-5RQJL 40-49 years, female 15.3
GTEX-1N2EF-1726-SM-EXUSI 60-69 years, male 15.3
GTEX-YEC3-2026-SM-DKPOL 50-59 years, male 15.2
GTEX-14PJ4-1826-SM-5YY97 60-69 years, male 15.1
GTEX-1L5NE-1926-SM-D3L9R 50-59 years, male 15.1
GTEX-11EQ9-1526-SM-5PNY7 30-39 years, male 15.0
GTEX-13X6J-2826-SM-7EPGA 50-59 years, male 15.0
GTEX-ZVT4-2626-SM-5N9GJ 50-59 years, female 15.0
GTEX-14A5I-2426-SM-5Q5CP 50-59 years, female 14.9
GTEX-15RJE-2226-SM-6M46A 40-49 years, male 14.9
GTEX-Y8LW-1126-SM-4VDS4 50-59 years, female 14.9
GTEX-Z93S-2626-SM-57WBX 50-59 years, male 14.9
GTEX-1J8JJ-2426-SM-D4P4A 60-69 years, female 14.9
GTEX-ZPCL-1626-SM-57WGC 60-69 years, female 14.8
GTEX-1QP29-2526-SM-E6CQ3 50-59 years, male 14.8
GTEX-15F5U-1426-SM-7KUN2 40-49 years, male 14.7
GTEX-17F9Y-2626-SM-7IGN9 70-79 years, female 14.7
GTEX-ZYY3-2226-SM-5E45A 60-69 years, female 14.7
GTEX-13N2G-2226-SM-5IJCU 60-69 years, male 14.6
GTEX-1477Z-2126-SM-5Q5CM 60-69 years, male 14.6
GTEX-1A3MX-2326-SM-718B4 60-69 years, male 14.6
GTEX-1C64N-2226-SM-7SB7C 50-59 years, male 14.6
GTEX-1EU9M-2726-SM-7P8QD 60-69 years, male 14.6
GTEX-139TS-2226-SM-5J2N1 60-69 years, male 14.5
GTEX-V955-1726-SM-4JBHF 60-69 years, male 14.5
GTEX-1PPH8-2226-SM-EWRN7 20-29 years, male 14.5
GTEX-1S82P-2026-SM-E9TIQ 60-69 years, female 14.5
GTEX-14PN3-1926-SM-6EU1Y 60-69 years, female 14.4
GTEX-1B8KE-1526-SM-7DUG2 50-59 years, male 14.4
GTEX-1R9JW-2126-SM-E76QT 30-39 years, female 14.4
GTEX-ZG7Y-1826-SM-4WWD3 50-59 years, male 14.3
GTEX-ZVZQ-2626-SM-59HLB 60-69 years, female 14.3
GTEX-1GMRU-2626-SM-9WPPM 50-59 years, male 14.3
GTEX-13X6I-2726-SM-5Q5ET 60-69 years, male 14.1
GTEX-15ER7-2826-SM-6PAN2 20-29 years, female 14.1
GTEX-1EH9U-1926-SM-7P8QM 60-69 years, male 14.1
GTEX-1JJE9-2526-SM-ARU8K 70-79 years, male 14.1
GTEX-1JMLX-2526-SM-CY8HX 50-59 years, male 14.1
GTEX-14PKV-1926-SM-686YU 20-29 years, female 14.0
GTEX-1HBPM-2626-SM-9WYU5 60-69 years, female 14.0
GTEX-12696-1926-SM-5EGJT 60-69 years, male 13.9
GTEX-145LS-2926-SM-5O99G 60-69 years, female 13.9
GTEX-1PIEJ-1826-SM-EWRMN 20-29 years, female 13.9
GTEX-15EO6-2326-SM-6LPKK 50-59 years, male 13.8
GTEX-Y9LG-1326-SM-4VBQB 30-39 years, male 13.8
GTEX-1H1ZS-2626-SM-9QEIX 70-79 years, male 13.8
GTEX-1H3NZ-2526-SM-9KNVO 60-69 years, male 13.8
GTEX-ZLV1-1326-SM-DO11Q 60-69 years, female 13.8
GTEX-111CU-1226-SM-5EGIN 50-59 years, male 13.7
GTEX-18A67-2226-SM-7LT9Z 50-59 years, male 13.7
GTEX-1C475-1526-SM-7DHM3 40-49 years, female 13.7
GTEX-YJ8A-1726-SM-5P9IQ 20-29 years, male 13.7
GTEX-1JMPZ-2626-SM-ARU8Z 30-39 years, male 13.7
GTEX-1A32A-2626-SM-73KX9 50-59 years, female 13.6
GTEX-12WSL-1826-SM-5LZW9 50-59 years, male 13.5
GTEX-13SLW-2826-SM-5Q5ES 70-79 years, male 13.5
GTEX-WFON-1326-SM-4LVMN 40-49 years, male 13.5
GTEX-ZYT6-2826-SM-5GICX 30-39 years, male 13.5
GTEX-1QP2A-2226-SM-DTXF6 50-59 years, male 13.5
GTEX-145ME-1126-SM-5SIAT 40-49 years, female 13.4
GTEX-14PJ3-1226-SM-5ZZVY 50-59 years, male 13.4
GTEX-XUZC-1526-SM-4BRV4 30-39 years, female 13.4
GTEX-1JKYN-2226-SM-ARZNE 30-39 years, male 13.4
GTEX-1QCLZ-2026-SM-EAZ4A 60-69 years, female 13.4
GTEX-1S831-1726-SM-EWROJ 20-29 years, male 13.4
GTEX-11I78-1326-SM-5PNY9 50-59 years, female 13.3
GTEX-147GR-2826-SM-5RQK8 60-69 years, male 13.3
GTEX-16Z82-2426-SM-7KUMS 60-69 years, male 13.3
GTEX-ZAB4-2426-SM-5HL8A 40-49 years, male 13.3
GTEX-1HBPN-2026-SM-B2LWA 50-59 years, male 13.3
GTEX-1IL2U-2526-SM-C1YQV 60-69 years, male 13.3
GTEX-1QCLY-2026-SM-EVR4C 30-39 years, male 13.3
GTEX-131XG-1526-SM-5GCNQ 50-59 years, female 13.2
GTEX-1F5PL-1926-SM-7MXTP 40-49 years, female 13.2
GTEX-1LKK1-2426-SM-DIPES 50-59 years, female 13.2
GTEX-11EQ8-2626-SM-5N9BO 60-69 years, male 13.1
GTEX-17EUY-1726-SM-79OK4 20-29 years, male 13.1
GTEX-18QFQ-1726-SM-731C9 30-39 years, male 13.1
GTEX-XUW1-1826-SM-4BOQD 50-59 years, female 13.1
GTEX-1GN73-2726-SM-9WYUB 60-69 years, male 13.1
GTEX-1H3VY-2526-SM-9KNW1 50-59 years, male 13.1
GTEX-1J1R8-1426-SM-CL55O 40-49 years, male 13.0
GTEX-1J8Q3-2426-SM-CL53S 60-69 years, male 13.0
GTEX-1IDJI-2226-SM-CKZPM 50-59 years, female 12.9
GTEX-1IKOE-2126-SM-A96T5 30-39 years, female 12.9
GTEX-11DXX-1926-SM-5EGJK 60-69 years, female 12.8
GTEX-11EMC-1426-SM-5N9E4 60-69 years, female 12.8
GTEX-1A3MV-1026-SM-72D5U 30-39 years, male 12.8
GTEX-1GL5R-1726-SM-9KNUX 50-59 years, male 12.8
GTEX-11ONC-1926-SM-5GU75 60-69 years, male 12.7
GTEX-16XZZ-2726-SM-7EWDO 60-69 years, male 12.7
GTEX-1HCU6-2926-SM-B2LWV 60-69 years, female 12.7
GTEX-1HSMQ-2526-SM-A9SMK 50-59 years, male 12.7
GTEX-1LG7Z-1326-SM-DIPF3 30-39 years, male 12.7
GTEX-1HBPH-2526-SM-ACKXK 40-49 years, female 12.6
GTEX-1I1GT-2026-SM-CKZPK 60-69 years, female 12.6
GTEX-18465-2726-SM-7LT9I 50-59 years, male 12.5
GTEX-1I1GR-2226-SM-ARL7F 60-69 years, male 12.5
GTEX-1I6K6-1926-SM-A96SN 30-39 years, male 12.5
GTEX-1J1OQ-2826-SM-D3L88 40-49 years, female 12.5
GTEX-13X6K-2726-SM-5O9DG 60-69 years, female 12.4
GTEX-17HG3-1126-SM-7DUFC 30-39 years, female 12.3
GTEX-1E2YA-2526-SM-7IGOU 50-59 years, male 12.3
GTEX-ZVT2-1726-SM-51MRO 50-59 years, female 12.3
GTEX-1R7EU-1826-SM-DTX9L 60-69 years, male 12.3
GTEX-13OW5-2826-SM-5KM1G 60-69 years, male 12.2
GTEX-146FH-2426-SM-5Q5EW 50-59 years, female 12.2
GTEX-YECK-2826-SM-5IFHF 60-69 years, male 12.2
GTEX-1HKZK-2026-SM-9WYUF 40-49 years, male 12.2
GTEX-1LB8K-2526-SM-DIPEQ 50-59 years, male 12.2
GTEX-1211K-1826-SM-5EGJ2 60-69 years, female 12.1
GTEX-131YS-2926-SM-5EGKI 60-69 years, female 12.1
GTEX-14AS3-1026-SM-5TDD7 40-49 years, female 12.1
GTEX-1EMGI-2626-SM-7IGNR 60-69 years, male 12.1
GTEX-1JMQK-2326-SM-ARZN4 60-69 years, male 12.1
GTEX-ZE7O-2626-SM-51MSS 50-59 years, female 12.0
GTEX-1IDJH-2826-SM-CJI49 70-79 years, male 12.0
GTEX-139T6-1426-SM-5P9J7 50-59 years, male 11.9
GTEX-ZLFU-1426-SM-4WWEU 40-49 years, male 11.9
GTEX-11DXY-2026-SM-5N9CZ 60-69 years, male 11.8
GTEX-15UF7-1326-SM-7KUKV 40-49 years, male 11.8
GTEX-1C2JI-1726-SM-73KUW 50-59 years, male 11.8
GTEX-XXEK-1826-SM-4BRVC 50-59 years, male 11.8
GTEX-1H1E6-1826-SM-A9G21 30-39 years, male 11.8
GTEX-1JN6P-2126-SM-ARL98 60-69 years, male 11.8
GTEX-1LSNL-1626-SM-E9TJY 50-59 years, male 11.8
GTEX-13FTW-2126-SM-5K7YG 40-49 years, male 11.7
GTEX-15UF6-2726-SM-7KULY 70-79 years, female 11.7
GTEX-1C6VQ-2626-SM-7IGMQ 50-59 years, male 11.7
GTEX-ZPU1-1726-SM-4WWFV 40-49 years, male 11.7
GTEX-1122O-1426-SM-5H11R 60-69 years, female 11.6
GTEX-11PRG-2026-SM-5GU5F 50-59 years, male 11.6
GTEX-13PVR-1726-SM-5Q5EC 60-69 years, female 11.6
GTEX-1CB4G-2726-SM-79OO4 60-69 years, male 11.6
GTEX-ZXES-1726-SM-5E43G 30-39 years, female 11.6
GTEX-1GMR2-1826-SM-9KNUP 50-59 years, male 11.6
GTEX-13OVI-2126-SM-5KM3U 60-69 years, female 11.5
GTEX-WRHK-1126-SM-4MVOJ 20-29 years, female 11.5
GTEX-XBED-1726-SM-47JYO 60-69 years, male 11.5
GTEX-Y3I4-1126-SM-4TT7Y 50-59 years, male 11.5
GTEX-1QP67-1426-SM-E8VOO 40-49 years, female 11.5
GTEX-11P81-1426-SM-5P9JN 30-39 years, female 11.4
GTEX-12BJ1-2026-SM-5FQUH 60-69 years, male 11.4
GTEX-12WSG-2426-SM-5EQLZ 50-59 years, female 11.4
GTEX-1CAMS-2626-SM-7PBY3 40-49 years, female 11.4
GTEX-1PBJI-2526-SM-E6CP4 20-29 years, female 11.4
GTEX-139D8-2926-SM-5IJBM 30-39 years, female 11.3
GTEX-13FHO-2726-SM-5K7VG 60-69 years, male 11.3
GTEX-13PL7-2426-SM-5J2N3 60-69 years, female 11.3
GTEX-WFG7-1626-SM-4LVMF 20-29 years, male 11.3
GTEX-1QPFJ-2426-SM-EVR3L 30-39 years, female 11.3
GTEX-145LT-0826-SM-5S2QL 40-49 years, male 11.1
GTEX-147JS-2626-SM-5S2UX 60-69 years, male 11.1
GTEX-1AMFI-1826-SM-73KWB 50-59 years, female 11.1
GTEX-X15G-1526-SM-4PQZM 50-59 years, female 11.1
GTEX-ZY6K-1326-SM-5GZWP 50-59 years, male 11.1
GTEX-1K2DA-1626-SM-CGQGB 50-59 years, male 11.1
GTEX-13O61-1526-SM-5KM3P 60-69 years, male 11.0
GTEX-WFG8-1726-SM-4LVM6 20-29 years, male 11.0
GTEX-ZAB5-1426-SM-5HL9D 50-59 years, male 11.0
GTEX-ZTTD-2626-SM-57WEX 50-59 years, male 11.0
GTEX-1KXAM-1926-SM-D3LAG 60-69 years, male 11.0
GTEX-1N2DV-1826-SM-E6CJ5 40-49 years, male 11.0
GTEX-14C5O-2626-SM-5RQI5 60-69 years, male 10.9
GTEX-15G19-2726-SM-6LPKG 60-69 years, male 10.9
GTEX-Y114-1626-SM-4TT7I 50-59 years, female 10.9
GTEX-1212Z-1826-SM-5FQSH 60-69 years, male 10.8
GTEX-13PVQ-2726-SM-5L3H7 50-59 years, male 10.8
GTEX-1GMR3-2526-SM-7P8QS 40-49 years, male 10.8
GTEX-1J8QM-1226-SM-CY8HI 60-69 years, female 10.8
GTEX-1399U-2226-SM-5KLZI 50-59 years, female 10.7
GTEX-1LSVX-2026-SM-E9TJD 60-69 years, male 10.7
GTEX-11ZU8-1126-SM-5EQ5K 60-69 years, male 10.6
GTEX-13111-1926-SM-5GCOL 50-59 years, male 10.6
GTEX-ZQG8-2426-SM-57WEE 60-69 years, female 10.6
GTEX-1HCUA-1926-SM-B2LWE 50-59 years, female 10.6
GTEX-1LVAO-2826-SM-E9TJH 60-69 years, male 10.6
GTEX-117YX-0526-SM-5EGJH 50-59 years, male 10.5
GTEX-12ZZW-2426-SM-5DUWE 50-59 years, male 10.5
GTEX-145MH-2726-SM-5QGQ6 50-59 years, male 10.5
GTEX-14DAQ-2926-SM-664MV 60-69 years, female 10.5
GTEX-15CHQ-2626-SM-686YZ 60-69 years, male 10.5
GTEX-1B932-2126-SM-7IGMU 40-49 years, female 10.5
GTEX-ZTSS-1226-SM-51MSZ 40-49 years, male 10.5
GTEX-1GPI7-1926-SM-9KNUH 20-29 years, male 10.5
GTEX-1HCVE-2326-SM-9WYUD 50-59 years, male 10.5
GTEX-11TUW-2326-SM-5EQMO 60-69 years, male 10.4
GTEX-13VXT-2026-SM-5L3EW 20-29 years, female 10.4
GTEX-16NGA-0926-SM-718AG 40-49 years, female 10.4
GTEX-1GMR8-2926-SM-9KNW5 50-59 years, female 10.4
GTEX-1JK1U-1426-SM-CNPOW 60-69 years, male 10.4
GTEX-1JKYR-2026-SM-CNPON 20-29 years, male 10.4
GTEX-1LVAN-2626-SM-CNPQF 50-59 years, female 10.4
GTEX-13D11-0626-SM-5LZYY 50-59 years, female 10.3
GTEX-15DZA-1026-SM-6PAND 30-39 years, female 10.3
GTEX-1KANA-1726-SM-CY8IG 20-29 years, male 10.3
GTEX-1LVAM-1726-SM-DHXKQ 50-59 years, female 10.3
GTEX-1PDJ9-2026-SM-E76PT 20-29 years, male 10.3
GTEX-13FH7-1626-SM-5J2O9 50-59 years, female 10.2
GTEX-13OW6-2226-SM-5N9FL 50-59 years, male 10.2
GTEX-18D9A-1326-SM-7LT8P 30-39 years, female 10.2
GTEX-15G1A-1926-SM-7KUFF 30-39 years, male 10.2
GTEX-1S5ZA-1426-SM-E6CJQ 20-29 years, male 10.2
GTEX-13OVJ-1826-SM-5KM2D 50-59 years, female 10.1
GTEX-YFCO-1526-SM-5YYB8 40-49 years, male 10.1
GTEX-11DXZ-1626-SM-5GIDI 50-59 years, male 10.0
GTEX-132NY-2726-SM-5PNY2 60-69 years, male 10.0
GTEX-1BAJH-2726-SM-7IGNJ 70-79 years, male 10.0
GTEX-WHPG-1626-SM-4M1ZL 50-59 years, male 10.0
GTEX-1F75W-2126-SM-7RHIA 60-69 years, male 10.0
GTEX-1GF9X-1426-SM-7RHGX 40-49 years, female 10.0
GTEX-1K9T9-2926-SM-E9TKD 50-59 years, female 10.0
GTEX-139UW-2326-SM-5KM1Y 60-69 years, male 9.9
GTEX-WHWD-1526-SM-4OORV 50-59 years, male 9.9
GTEX-ZT9W-1726-SM-51MS3 50-59 years, male 9.9
GTEX-1HFI7-1626-SM-9WYTR 50-59 years, female 9.9
GTEX-1JJEA-2526-SM-CY8HJ 60-69 years, male 9.9
GTEX-1JMQJ-2626-SM-CY8HQ 50-59 years, male 9.9
GTEX-1MGNQ-2126-SM-EV7AC 40-49 years, male 9.9
GTEX-14E1K-1626-SM-664MO 50-59 years, male 9.8
GTEX-16BQI-2026-SM-7KULQ 30-39 years, female 9.8
GTEX-17F96-2126-SM-7KFSM 70-79 years, male 9.8
GTEX-1B996-2726-SM-7DUGG 60-69 years, male 9.8
GTEX-ZV6S-1126-SM-57WE9 40-49 years, female 9.8
GTEX-1LSNM-1426-SM-E6CIH 50-59 years, male 9.8
GTEX-117XS-2226-SM-5GIE1 60-69 years, male 9.7
GTEX-14JG6-1626-SM-5YYBC 30-39 years, female 9.7
GTEX-X4EO-2726-SM-4E3HS 60-69 years, female 9.7
GTEX-1JN76-1326-SM-ARU94 20-29 years, female 9.7
GTEX-12ZZY-2726-SM-5EQ45 60-69 years, male 9.6
GTEX-13CF2-1826-SM-5N9GK 60-69 years, male 9.6
GTEX-ZYFD-2226-SM-5E43P 50-59 years, male 9.6
GTEX-ZZ64-0826-SM-5E449 20-29 years, male 9.6
GTEX-13O1R-2426-SM-5KLZZ 60-69 years, male 9.5
GTEX-14BMU-1326-SM-5RQIH 20-29 years, female 9.5
GTEX-WI4N-2226-SM-4OOS9 40-49 years, female 9.5
GTEX-1JMPY-1026-SM-ARZN1 30-39 years, male 9.5
GTEX-1RMOY-1726-SM-EVYC9 50-59 years, male 9.5
GTEX-ZLWG-1826-SM-DO11I 50-59 years, female 9.5
GTEX-1B97I-1526-SM-73KUK 40-49 years, male 9.4
GTEX-WQUQ-2626-SM-4MVNP 60-69 years, male 9.4
GTEX-XV7Q-2226-SM-4BRVY 40-49 years, female 9.4
GTEX-1LBAC-1726-SM-D3L9W 20-29 years, male 9.4
GTEX-1RQEC-2626-SM-EVR3Z 60-69 years, male 9.4
GTEX-145MO-2626-SM-5QGPD 60-69 years, male 9.3
GTEX-1RAZR-2026-SM-E9TKE 40-49 years, male 9.3
GTEX-18A6Q-2226-SM-7LG61 60-69 years, male 9.2
GTEX-YJ8O-1426-SM-5PNV9 40-49 years, female 9.2
GTEX-ZVT3-2826-SM-5GU6A 60-69 years, female 9.2
GTEX-1QP9N-0826-SM-DTX9O 30-39 years, male 9.2
GTEX-1RLM8-1726-SM-E9TKF 50-59 years, male 9.2
GTEX-11GS4-1826-SM-5HL4T 60-69 years, male 9.1
GTEX-14PK6-1826-SM-69LOM 70-79 years, female 9.1
GTEX-17GQL-1626-SM-7LG69 60-69 years, male 9.1
GTEX-17HGU-2626-SM-79OKN 50-59 years, male 9.1
GTEX-17KNJ-1826-SM-7LT9N 50-59 years, male 9.1
GTEX-1CB4F-1926-SM-7MKFN 60-69 years, male 9.1
GTEX-ZA64-1426-SM-5CVMC 20-29 years, male 9.1
GTEX-ZYFG-1826-SM-5GZWX 60-69 years, female 9.1
GTEX-1B8L1-1926-SM-7IGND 60-69 years, male 9.0
GTEX-ZP4G-1526-SM-57WE5 20-29 years, female 9.0
GTEX-1R9K5-2226-SM-DTX9G 50-59 years, male 9.0
GTEX-111YS-1826-SM-5GIEP 60-69 years, male 8.9
GTEX-13QBU-2026-SM-5KLZB 40-49 years, female 8.9
GTEX-1C4CL-1626-SM-7DUF3 30-39 years, male 8.9
GTEX-1PIGE-1526-SM-DTXFC 20-29 years, male 8.9
GTEX-12WSD-2626-SM-5EGJE 60-69 years, female 8.8
GTEX-14PHX-1126-SM-5YYA5 50-59 years, male 8.8
GTEX-17JCI-2826-SM-7IGNA 60-69 years, female 8.8
GTEX-1HBPI-2226-SM-9WYTY 50-59 years, male 8.8
GTEX-1HSKV-2326-SM-A9SL9 60-69 years, male 8.8
GTEX-1HCU7-2726-SM-A9G3D 50-59 years, male 8.7
GTEX-11ZTT-1626-SM-5EQKR 60-69 years, female 8.6
GTEX-12ZZX-2726-SM-5N9FT 40-49 years, female 8.6
GTEX-1AX9K-1626-SM-73KUS 50-59 years, male 8.6
GTEX-YF7O-1626-SM-5IFII 50-59 years, male 8.6
GTEX-13CF3-1326-SM-5LZXZ 60-69 years, female 8.5
GTEX-15RIF-1426-SM-7KUKQ 20-29 years, male 8.5
GTEX-17MFQ-1226-SM-7KFSA 20-29 years, male 8.5
GTEX-WXYG-1726-SM-4ONCU 50-59 years, female 8.5
GTEX-1QW4Y-1426-SM-E76P3 30-39 years, male 8.5
GTEX-1R9PO-2026-SM-E9J4N 60-69 years, female 8.5
GTEX-17HHE-1626-SM-7DHLN 50-59 years, male 8.4
GTEX-ZPIC-2626-SM-57WE2 40-49 years, female 8.4
GTEX-1I1GP-2826-SM-A9SKZ 50-59 years, male 8.4
GTEX-13U4I-2626-SM-5SI9C 40-49 years, female 8.3
GTEX-183WM-2526-SM-731BP 70-79 years, female 8.3
GTEX-ZE9C-2126-SM-4WKGY 60-69 years, male 8.3
GTEX-1ICG6-2226-SM-B2LY7 70-79 years, female 8.3
GTEX-13RTJ-1926-SM-5YYA2 60-69 years, male 8.2
GTEX-14A5H-1626-SM-5SIAN 60-69 years, male 8.2
GTEX-ZF28-2526-SM-57WFH 60-69 years, male 8.2
GTEX-1H1DE-1626-SM-9KNU5 20-29 years, male 8.2
GTEX-11EI6-2626-SM-5PNVT 60-69 years, male 8.1
GTEX-11TT1-0926-SM-5GU5M 20-29 years, male 8.1
GTEX-12KS4-2326-SM-5EGJB 30-39 years, male 8.0
GTEX-ZF2S-1826-SM-4WKFF 50-59 years, female 8.0
GTEX-1HSGN-2226-SM-A9SL6 40-49 years, female 8.0
GTEX-1I1CD-2826-SM-A9SL4 60-69 years, female 8.0
GTEX-1LG7Y-2226-SM-E9U5K 50-59 years, male 8.0
GTEX-1F5PK-1726-SM-7RHHW 50-59 years, male 7.9
GTEX-132AR-2826-SM-5IJFV 50-59 years, female 7.7
GTEX-13G51-2126-SM-5IJD9 60-69 years, male 7.7
GTEX-18A66-2626-SM-72D67 60-69 years, male 7.7
GTEX-1CAMR-1026-SM-7P8QI 20-29 years, male 7.7
GTEX-1RDX4-1926-SM-E6CJJ 50-59 years, female 7.7
GTEX-12WSJ-1426-SM-5GCON 40-49 years, female 7.6
GTEX-14BIN-2426-SM-5TDCF 50-59 years, female 7.6
GTEX-1HSMO-2526-SM-A9SKP 60-69 years, male 7.6
GTEX-1PBJJ-2026-SM-DTX8U 30-39 years, male 7.5
GTEX-ZDTS-2726-SM-5L3E2 60-69 years, male 7.3
GTEX-144GM-1126-SM-79OJK 20-29 years, male 7.1
GTEX-14C39-1626-SM-5S2P4 40-49 years, male 7.0
GTEX-WY7C-1926-SM-4ONCI 50-59 years, male 7.0
GTEX-15DYW-2426-SM-7KUG8 60-69 years, female 6.9
GTEX-183FY-1426-SM-7DHLM 20-29 years, male 6.9
GTEX-ZC5H-2426-SM-4WAZ6 40-49 years, female 6.9
GTEX-1399R-2126-SM-5K7WZ 30-39 years, male 6.8
GTEX-WYVS-1126-SM-4SOJX 40-49 years, female 6.7
GTEX-XQ8I-2326-SM-4BOQC 50-59 years, male 6.7
GTEX-14E6E-1726-SM-5S2R6 30-39 years, male 6.6
GTEX-11P7K-1826-SM-5HL5A 30-39 years, male 6.5
GTEX-ZAJG-2626-SM-5S2NU 50-59 years, female 6.5
GTEX-1LGOU-1726-SM-D3L8P 20-29 years, female 6.5
GTEX-13OVK-1026-SM-7KFTC 40-49 years, male 6.2
GTEX-15RJ7-1726-SM-6PAL3 40-49 years, male 6.0
GTEX-1AYCT-1926-SM-793AE 50-59 years, male 6.0
GTEX-11EM3-1626-SM-5N9CO 20-29 years, female 5.7
GTEX-131XE-1026-SM-5EGKE 50-59 years, male 5.1
Show allShow less
Colon - Transverse
Average nTPM: 26.3
Samples: 406

Max nTPM: 112.8
Min nTPM: 7.0
Std nTPM: 16.7
Median nTPM: 20.2
GTEX-14E6E-1526-SM-5RQIG 30-39 years, male 112.8
GTEX-14XAO-2026-SM-69LOI 60-69 years, female 90.7
GTEX-1LG7Z-1426-SM-CXKYV 30-39 years, male 78.0
GTEX-1122O-1526-SM-5N9CL 60-69 years, female 76.5
GTEX-1399S-1926-SM-5J2M5 30-39 years, female 75.0
GTEX-14JIY-3326-SM-6871E 60-69 years, male 74.1
GTEX-ZVT2-1926-SM-5GU5T 50-59 years, female 72.9
GTEX-1H1E6-1926-SM-9OSWD 30-39 years, male 71.4
GTEX-1K2DA-2026-SM-CGQGK 50-59 years, male 69.7
GTEX-1AMFI-1726-SM-7189L 50-59 years, female 66.3
GTEX-11DXZ-1726-SM-5H12M 50-59 years, male 66.2
GTEX-ZLWG-1726-SM-DNZZ2 50-59 years, female 64.9
GTEX-11DXX-1826-SM-5H126 60-69 years, female 64.7
GTEX-11P82-1026-SM-5BC5J 20-29 years, male 64.7
GTEX-15RIF-1326-SM-6LPKO 20-29 years, male 64.6
GTEX-1KANC-0926-SM-D3LA9 50-59 years, female 63.0
GTEX-1CAMR-0926-SM-7MXTD 20-29 years, male 62.7
GTEX-1H11D-2626-SM-9JGH4 40-49 years, male 61.0
GTEX-1399U-1926-SM-5IFH7 50-59 years, female 59.8
GTEX-111CU-1426-SM-5GZYP 50-59 years, male 59.3
GTEX-1J1R8-1126-SM-CNPQ3 40-49 years, male 59.0
GTEX-XUZC-1326-SM-4BRV2 30-39 years, female 58.8
GTEX-11P7K-1526-SM-5EGI7 30-39 years, male 58.7
GTEX-1JKYN-2326-SM-CGQG7 30-39 years, male 56.7
GTEX-1F5PK-1926-SM-7MXT7 50-59 years, male 56.5
GTEX-1C475-1626-SM-731FP 40-49 years, female 56.4
GTEX-1QP67-1326-SM-EAZ4D 40-49 years, female 55.8
GTEX-ZDYS-2326-SM-4WKG6 50-59 years, male 55.1
GTEX-1LVAM-1626-SM-EV79Y 50-59 years, female 55.0
GTEX-13D11-0826-SM-5KLZJ 50-59 years, female 54.9
GTEX-ZV7C-1526-SM-5NQ72 50-59 years, male 54.2
GTEX-1N2DV-1426-SM-DPRYQ 40-49 years, male 53.9
GTEX-1QP9N-1026-SM-E6CPX 30-39 years, male 53.9
GTEX-132AR-2726-SM-5PNVN 50-59 years, female 53.0
GTEX-Q2AI-0926-SM-48U1F 40-49 years, male 53.0
GTEX-UJHI-1126-SM-4IHLN 50-59 years, female 52.4
GTEX-1B8KE-1926-SM-731EE 50-59 years, male 52.3
GTEX-ZT9W-1826-SM-51MQX 50-59 years, male 52.1
GTEX-131XG-1826-SM-5LZV4 50-59 years, female 51.9
GTEX-14DAR-1526-SM-5RQIX 50-59 years, male 51.9
GTEX-Y5LM-1526-SM-4VDTA 40-49 years, female 50.9
GTEX-13PL7-2526-SM-5IFGR 60-69 years, female 50.7
GTEX-ZLV1-1226-SM-4WWBX 60-69 years, female 50.4
GTEX-S4UY-0826-SM-4AD4Z 40-49 years, female 50.1
GTEX-WOFM-2026-SM-4OOSQ 20-29 years, male 49.8
GTEX-ZG7Y-2126-SM-DO117 50-59 years, male 48.3
GTEX-R55G-1226-SM-48FDC 40-49 years, female 46.8
GTEX-12BJ1-2126-SM-5BC5O 60-69 years, male 46.7
GTEX-R55D-1826-SM-48FEF 50-59 years, male 46.7
GTEX-1RAZA-1726-SM-DPS13 20-29 years, male 46.4
GTEX-11I78-1226-SM-5A5K6 50-59 years, female 46.2
GTEX-1I4MK-1126-SM-B2LWS 50-59 years, female 46.2
GTEX-13FTW-1826-SM-5IJEN 40-49 years, male 46.1
GTEX-RM2N-0926-SM-48FD1 50-59 years, male 45.6
GTEX-1399R-2226-SM-5P9JB 30-39 years, male 45.5
GTEX-YB5E-1626-SM-5IFIQ 40-49 years, male 45.5
GTEX-145MN-1726-SM-5SIA6 30-39 years, male 45.1
GTEX-W5WG-2426-SM-4LMI6 50-59 years, female 45.1
GTEX-11EM3-1526-SM-5A5KN 20-29 years, female 45.0
GTEX-1IDJU-2026-SM-A9SLM 60-69 years, female 44.8
GTEX-ZF2S-1926-SM-4WWAN 50-59 years, female 44.5
GTEX-1F5PL-2126-SM-7PC2O 40-49 years, female 44.4
GTEX-14PK6-1726-SM-6871J 70-79 years, female 43.8
GTEX-ZDTT-1926-SM-5HL5W 60-69 years, male 43.6
GTEX-13PVR-1626-SM-73KVF 60-69 years, female 43.4
GTEX-PLZ5-1126-SM-3P613 50-59 years, male 42.8
GTEX-144GM-1226-SM-5LU52 20-29 years, male 42.5
GTEX-U3ZN-2126-SM-4DXU1 30-39 years, female 42.2
GTEX-11TT1-1026-SM-5PNW7 20-29 years, male 42.1
GTEX-14PKV-2126-SM-664O3 20-29 years, female 41.8
GTEX-QLQW-0426-SM-447A7 30-39 years, male 41.8
GTEX-ZPCL-1826-SM-57WF1 60-69 years, female 41.8
GTEX-13111-0726-SM-5DUVE 50-59 years, male 41.7
GTEX-P4QT-1426-SM-3NMCX 50-59 years, female 41.4
GTEX-OIZH-1426-SM-3NB1O 50-59 years, male 41.2
GTEX-TKQ2-1326-SM-4DXT9 50-59 years, male 40.8
GTEX-139T6-1326-SM-5IFFO 50-59 years, male 40.2
GTEX-14PHX-1526-SM-68717 50-59 years, male 40.2
GTEX-1S83E-1626-SM-EV7B9 40-49 years, male 40.0
GTEX-13QBU-1826-SM-5IJG3 40-49 years, female 39.8
GTEX-14PJ4-1926-SM-6LLHG 60-69 years, male 39.4
GTEX-117YW-1826-SM-5PNY5 50-59 years, male 39.3
GTEX-ZTSS-1126-SM-5985O 40-49 years, male 39.2
GTEX-QV31-0826-SM-CKZNC 30-39 years, male 39.2
GTEX-1L5NE-2026-SM-CXZKR 50-59 years, male 38.9
GTEX-1211K-1726-SM-5FQUJ 60-69 years, female 38.8
GTEX-13O21-2426-SM-5MR4A 50-59 years, male 38.8
GTEX-1JN76-1226-SM-C1YRM 20-29 years, female 38.7
GTEX-1IKOE-2026-SM-AHZ31 30-39 years, female 38.6
GTEX-1RAZR-1926-SM-E6CRF 40-49 years, male 38.3
GTEX-U4B1-1126-SM-4DXV3 40-49 years, male 38.0
GTEX-1HCU9-1326-SM-B2LXT 20-29 years, male 37.8
GTEX-R55C-1126-SM-48FCJ 40-49 years, male 37.4
GTEX-ZEX8-1926-SM-4WKFR 50-59 years, male 37.3
GTEX-15RIE-1826-SM-6M48P 60-69 years, male 37.1
GTEX-16AAH-1326-SM-7KFRG 50-59 years, male 36.9
GTEX-Y9LG-1526-SM-4WWDR 30-39 years, male 36.7
GTEX-ZVP2-1526-SM-5NQ82 50-59 years, male 36.6
GTEX-OHPM-1426-SM-3TW8Y 50-59 years, male 36.5
GTEX-PWCY-1026-SM-48TD4 20-29 years, female 36.4
GTEX-1S3DN-1826-SM-EV79K 50-59 years, male 36.4
GTEX-1KANA-1926-SM-DHXKF 20-29 years, male 36.3
GTEX-14BMU-1526-SM-5TDE6 20-29 years, female 36.2
GTEX-15CHR-1426-SM-7DUGV 50-59 years, male 36.2
GTEX-1JMPY-0426-SM-C1YQ3 30-39 years, male 36.2
GTEX-XPVG-1826-SM-4B64X 50-59 years, male 36.1
GTEX-Q2AH-1226-SM-48TZL 40-49 years, male 36.0
GTEX-1PFEY-1426-SM-E9U6U 30-39 years, male 36.0
GTEX-1MA7W-0626-SM-EV79Z 20-29 years, female 35.8
GTEX-P4PP-1426-SM-3NM9L 30-39 years, female 35.7
GTEX-133LE-1526-SM-5IFEN 20-29 years, female 35.4
GTEX-1AYCT-1826-SM-731EG 50-59 years, male 35.3
GTEX-TML8-1326-SM-4DXTO 40-49 years, female 35.2
GTEX-S7SF-1926-SM-4AT5B 20-29 years, female 35.1
GTEX-OIZF-1426-SM-2HML2 60-69 years, male 35.1
GTEX-XQ8I-2126-SM-4BOOM 50-59 years, male 35.0
GTEX-ZY6K-1226-SM-5GZYL 50-59 years, male 35.0
GTEX-ZPIC-2226-SM-57WDX 40-49 years, female 34.8
GTEX-17HHE-1826-SM-79OKE 50-59 years, male 34.7
GTEX-PLZ6-0926-SM-3P5ZQ 30-39 years, male 34.7
GTEX-1IOXB-2626-SM-CJI2N 50-59 years, male 34.6
GTEX-1R7EU-1926-SM-E9U62 60-69 years, male 34.4
GTEX-178AV-1326-SM-6LPJX 40-49 years, male 33.5
GTEX-139YR-2126-SM-5KM11 50-59 years, male 32.8
GTEX-SNOS-1226-SM-4DM5H 40-49 years, male 32.8
GTEX-1LGRB-1426-SM-CNNPT 50-59 years, female 32.0
GTEX-WFON-1426-SM-4LVMT 40-49 years, male 31.9
GTEX-PWN1-1426-SM-48TDF 40-49 years, female 31.7
GTEX-1H3VY-2426-SM-9WPPD 50-59 years, male 31.6
GTEX-WHWD-1226-SM-4OOS1 50-59 years, male 31.5
GTEX-YEC3-2426-SM-DO11A 50-59 years, male 31.4
GTEX-UJMC-1326-SM-4IHLS 50-59 years, male 31.3
GTEX-13X6H-1926-SM-7EWD3 50-59 years, female 30.7
GTEX-1MGNQ-2026-SM-EAZ51 40-49 years, male 30.7
GTEX-144GN-1126-SM-5LU33 50-59 years, male 30.6
GTEX-ZPU1-1926-SM-57WDT 40-49 years, male 30.6
GTEX-1B8KZ-1326-SM-7DUG6 50-59 years, male 30.5
GTEX-11VI4-1526-SM-5EQKC 40-49 years, female 30.2
GTEX-17KNJ-1726-SM-7LG6A 50-59 years, male 29.9
GTEX-1HSMQ-2726-SM-C1YRE 50-59 years, male 29.2
GTEX-1JK1U-1526-SM-AHZ46 60-69 years, male 29.1
GTEX-147F3-1926-SM-5SIB9 50-59 years, female 28.4
GTEX-XBED-1526-SM-4AT5W 60-69 years, male 28.4
GTEX-OXRK-1726-SM-3NB16 50-59 years, female 28.3
GTEX-11LCK-2026-SM-5A5MA 30-39 years, male 27.8
GTEX-WFG7-1526-SM-4LVMG 20-29 years, male 27.8
GTEX-XMK1-1726-SM-4B64Z 40-49 years, male 27.8
GTEX-1QPFJ-2326-SM-E6CR7 30-39 years, female 27.8
GTEX-1PIEJ-2026-SM-E6CPA 20-29 years, female 27.7
GTEX-U3ZM-1126-SM-4DXUB 40-49 years, male 27.4
GTEX-1HSEH-1726-SM-B2LXH 60-69 years, male 27.4
GTEX-T5JW-1126-SM-4DM5V 20-29 years, female 27.2
GTEX-S4Q7-0826-SM-4AD5E 20-29 years, male 27.0
GTEX-QEL4-1926-SM-D3L8D 50-59 years, male 27.0
GTEX-1QCLY-1726-SM-DPRXY 30-39 years, male 26.8
GTEX-YF7O-1726-SM-5IFJ9 50-59 years, male 26.6
GTEX-1QCLZ-1926-SM-E6CR3 60-69 years, female 26.5
GTEX-139TS-1926-SM-5IJFO 60-69 years, male 26.4
GTEX-18D9A-1126-SM-7KFRJ 30-39 years, female 26.1
GTEX-QCQG-1626-SM-48U26 50-59 years, female 26.0
GTEX-145LT-0926-SM-5LU9C 40-49 years, male 25.8
GTEX-1CAMS-2526-SM-7EPH7 40-49 years, female 25.8
GTEX-O5YT-1426-SM-3MJHC 20-29 years, male 25.8
GTEX-VJYA-2026-SM-4KL1K 60-69 years, male 25.7
GTEX-WHSB-0926-SM-4M1XJ 50-59 years, male 25.7
GTEX-X15G-1326-SM-4PQZJ 50-59 years, female 25.5
GTEX-Y3IK-1826-SM-4WWDS 50-59 years, female 25.5
GTEX-ZGAY-2126-SM-4YCFB 40-49 years, female 25.5
GTEX-OOBJ-1426-SM-E6CHH 60-69 years, male 25.5
GTEX-1B932-2826-SM-73KUD 40-49 years, female 25.4
GTEX-131XE-0826-SM-5HL9W 50-59 years, male 25.3
GTEX-17HGU-2426-SM-7EWDP 50-59 years, male 24.9
GTEX-12C56-0626-SM-5EGGC 20-29 years, male 24.8
GTEX-XGQ4-1226-SM-4AT67 50-59 years, male 24.8
GTEX-1JKYR-1926-SM-C1YR7 20-29 years, male 24.8
GTEX-18A66-2426-SM-7KFSQ 60-69 years, male 24.6
GTEX-1NSGN-2326-SM-E9U5X 50-59 years, male 24.5
GTEX-NFK9-2026-SM-3LK5K 40-49 years, male 24.4
GTEX-146FQ-1926-SM-5NQBY 30-39 years, male 24.1
GTEX-Y8E4-2426-SM-4WWDN 40-49 years, male 24.0
GTEX-1F75I-2426-SM-9WPOY 40-49 years, male 23.9
GTEX-1GF9U-1526-SM-7MXUW 40-49 years, female 23.8
GTEX-XBEW-1926-SM-4SOJO 40-49 years, male 23.7
GTEX-ZP4G-1726-SM-4WWCM 20-29 years, female 23.7
GTEX-S4P3-1226-SM-4AD4Y 50-59 years, female 23.2
GTEX-1KXAM-2126-SM-CY8I9 60-69 years, male 23.2
GTEX-Q734-1126-SM-48TZY 40-49 years, female 23.1
GTEX-1HFI7-1726-SM-A9G22 50-59 years, female 22.9
GTEX-13OVJ-1726-SM-5IJDZ 50-59 years, female 22.5
GTEX-14JG6-1726-SM-69LPL 30-39 years, female 22.5
GTEX-17EUY-1826-SM-7DUEZ 20-29 years, male 22.5
GTEX-SE5C-1526-SM-4BRWU 40-49 years, female 22.5
GTEX-1NHNU-2326-SM-E6CQE 50-59 years, male 22.4
GTEX-XV7Q-2126-SM-4BRVX 40-49 years, female 21.7
GTEX-XYKS-2226-SM-4E3IU 60-69 years, female 21.6
GTEX-1LGOU-1626-SM-D3LAK 20-29 years, female 21.6
GTEX-WH7G-1326-SM-4LVMS 40-49 years, male 21.4
GTEX-PX3G-1426-SM-48U1J 20-29 years, female 21.2
GTEX-XUW1-1926-SM-4BOP1 50-59 years, female 21.0
GTEX-13S86-1626-SM-5Q5C5 40-49 years, male 20.7
GTEX-1GF9X-1526-SM-7P8QP 40-49 years, female 20.7
GTEX-1C4CL-2126-SM-7IGQC 30-39 years, male 20.6
GTEX-ZZ64-0726-SM-5GZX4 20-29 years, male 20.3
GTEX-18D9U-1926-SM-7KFTM 40-49 years, male 20.2
GTEX-1R9PM-1526-SM-DPRY8 20-29 years, male 20.0
GTEX-QDVJ-1326-SM-48U1X 50-59 years, male 19.8
GTEX-WYVS-1826-SM-4OND6 40-49 years, female 19.7
GTEX-1K9T9-2826-SM-D4P3F 50-59 years, female 19.5
GTEX-QDVN-1326-SM-48TZ3 50-59 years, male 19.4
GTEX-17HII-2726-SM-7MGVM 50-59 years, male 19.4
GTEX-QMRM-1226-SM-447C6 50-59 years, male 19.3
GTEX-S3XE-1126-SM-4AD4N 50-59 years, male 19.2
GTEX-1R9JW-2026-SM-EAZ4O 30-39 years, female 19.1
GTEX-R53T-1326-SM-48FCQ 50-59 years, female 19.0
GTEX-1LSVX-1726-SM-DHXJP 60-69 years, male 19.0
GTEX-147GR-2726-SM-664OO 60-69 years, male 18.9
GTEX-16MT8-2726-SM-7IGLJ 60-69 years, female 18.3
GTEX-OHPN-2026-SM-E9TIA 60-69 years, female 18.2
GTEX-X3Y1-1726-SM-4PQZL 40-49 years, male 18.1
GTEX-1S5VW-2926-SM-E9U6H 60-69 years, male 18.1
GTEX-O5YW-1426-SM-3MJHF 50-59 years, male 18.0
GTEX-ZXES-1626-SM-5NQ7L 30-39 years, female 18.0
GTEX-1JN1M-2626-SM-CY8I3 60-69 years, female 18.0
GTEX-1PWST-2426-SM-EWRMP 70-79 years, male 18.0
GTEX-1339X-1626-SM-5IJDN 40-49 years, male 17.8
GTEX-1128S-1626-SM-5H12O 60-69 years, female 17.7
GTEX-18A7A-2226-SM-7LT8K 50-59 years, female 17.7
GTEX-14BIN-3026-SM-5ZZUS 50-59 years, female 17.6
GTEX-16NPV-2626-SM-6M484 50-59 years, female 17.6
GTEX-15DYW-2326-SM-6PAMU 60-69 years, female 17.5
GTEX-11NSD-1626-SM-5986U 20-29 years, male 17.3
GTEX-1IKK5-2726-SM-CNPQ6 60-69 years, male 17.3
GTEX-17MF6-2426-SM-7LTAM 40-49 years, male 17.2
GTEX-R45C-2126-SM-EZ6KZ 60-69 years, female 17.2
GTEX-1AMEY-1926-SM-73KVT 30-39 years, female 17.1
GTEX-13OVI-2026-SM-5J1MU 60-69 years, female 16.9
GTEX-1I1GR-2526-SM-CNNQF 60-69 years, male 16.8
GTEX-WYJK-2226-SM-4ONDJ 50-59 years, male 16.7
GTEX-1PIGE-1426-SM-E9U61 20-29 years, male 16.6
GTEX-15DCE-2026-SM-7KUFE 20-29 years, male 16.5
GTEX-1PPH8-2026-SM-DTX7P 20-29 years, male 16.5
GTEX-1HKZK-2126-SM-A9SL3 40-49 years, male 16.4
GTEX-15G1A-1826-SM-7KUKO 30-39 years, male 16.3
GTEX-1I1GT-1926-SM-ARU7D 60-69 years, female 16.3
GTEX-WQUQ-2526-SM-4MVNO 60-69 years, male 16.2
GTEX-14ICK-1026-SM-6AJA4 40-49 years, male 16.1
GTEX-15SB6-1226-SM-7KUMP 50-59 years, female 16.1
GTEX-16XZZ-2626-SM-6M47S 60-69 years, male 16.0
GTEX-WVJS-2426-SM-EZ6LI 50-59 years, male 16.0
GTEX-1GPI7-1726-SM-7P8R1 20-29 years, male 15.8
GTEX-14PJ5-0926-SM-6LLIK 60-69 years, female 15.7
GTEX-RU1J-1326-SM-46MUL 20-29 years, female 15.7
GTEX-1I6K6-1826-SM-B2LX5 30-39 years, male 15.7
GTEX-144GL-2526-SM-5TDDL 50-59 years, male 15.6
GTEX-S341-1426-SM-4AD6U 40-49 years, female 15.6
GTEX-1AYD5-1726-SM-7RHFW 50-59 years, male 15.6
GTEX-X5EB-0926-SM-46MVT 40-49 years, male 15.4
GTEX-ZYFC-2626-SM-5NQ6S 50-59 years, male 15.4
GTEX-1GMR3-2826-SM-9WPOG 40-49 years, male 15.1
GTEX-1E2YA-2626-SM-7MGWW 50-59 years, male 15.0
GTEX-1HSGN-2626-SM-CE6S1 40-49 years, female 15.0
GTEX-PSDG-1826-SM-EAZ2S 50-59 years, male 15.0
GTEX-13O3O-2526-SM-5L3DR 60-69 years, female 14.9
GTEX-15SHU-2526-SM-6M47D 40-49 years, female 14.9
GTEX-1IDJF-1826-SM-CKZOE 20-29 years, male 14.8
GTEX-1RDX4-1826-SM-EVR54 50-59 years, female 14.8
GTEX-SJXC-2226-SM-EVYAK 60-69 years, male 14.8
GTEX-1GL5R-2426-SM-7MXV1 50-59 years, male 14.7
GTEX-13O3P-2326-SM-5KM55 50-59 years, male 14.6
GTEX-ZAB4-2226-SM-5HL97 40-49 years, male 14.6
GTEX-16NGA-1026-SM-7KFS3 40-49 years, female 14.5
GTEX-1AX9I-2626-SM-73KU5 60-69 years, male 14.5
GTEX-13CF3-1426-SM-5K7YY 60-69 years, female 14.4
GTEX-13FHP-2426-SM-5KLZ5 50-59 years, male 14.4
GTEX-1MJK3-0926-SM-EV7AY 20-29 years, male 14.4
GTEX-11EQ9-1426-SM-5987G 30-39 years, male 14.3
GTEX-Y3I4-1426-SM-4TT9C 50-59 years, male 14.3
GTEX-1IDJD-2226-SM-A96TD 30-39 years, male 14.3
GTEX-1GZ4H-1226-SM-9KNUA 50-59 years, female 14.2
GTEX-1QMI2-2626-SM-E6CR4 60-69 years, male 14.2
GTEX-12KS4-2426-SM-5LU8P 30-39 years, male 14.1
GTEX-16Z82-2226-SM-6LPJ7 60-69 years, male 14.1
GTEX-1JMPZ-2426-SM-C1YQP 30-39 years, male 14.1
GTEX-13OW6-2126-SM-5N9GL 50-59 years, male 14.0
GTEX-11O72-2226-SM-5PNW2 40-49 years, male 13.9
GTEX-1H1DG-2226-SM-9WPPC 70-79 years, male 13.9
GTEX-13OW5-2626-SM-5MR3M 60-69 years, male 13.8
GTEX-1H1DE-1526-SM-ARL9B 20-29 years, male 13.8
GTEX-14BMV-2426-SM-5S2PP 50-59 years, male 13.6
GTEX-13QJ3-2626-SM-9OSXQ 50-59 years, male 13.5
GTEX-11ONC-2026-SM-5HL61 60-69 years, male 13.4
GTEX-17F98-1026-SM-7IGO8 40-49 years, female 13.4
GTEX-14AS3-1126-SM-5Q5CR 40-49 years, female 13.3
GTEX-14C39-1926-SM-5ZZW5 40-49 years, male 13.3
GTEX-14PJM-2626-SM-686ZD 50-59 years, female 13.3
GTEX-ZYVF-2826-SM-5GIDK 50-59 years, female 13.3
GTEX-14E1K-1826-SM-793DT 50-59 years, male 13.2
GTEX-15ER7-2926-SM-7KUFK 20-29 years, female 13.2
GTEX-1LG7Y-2126-SM-DIPER 50-59 years, male 13.2
GTEX-145ME-0826-SM-5O9AF 40-49 years, female 13.1
GTEX-1C2JI-1626-SM-7EPHC 50-59 years, male 13.1
GTEX-Z93S-2426-SM-5HL8N 50-59 years, male 13.1
GTEX-1J1OQ-2726-SM-AHZ3R 40-49 years, female 13.1
GTEX-1N5O9-2726-SM-E76QH 60-69 years, male 13.1
GTEX-17GQL-1526-SM-7LTAC 60-69 years, male 13.0
GTEX-1LH75-2126-SM-EVR5F 50-59 years, female 13.0
GTEX-1N2EF-1926-SM-DTX8M 60-69 years, male 13.0
GTEX-QLQ7-1126-SM-CYPRB 60-69 years, male 13.0
GTEX-11TTK-2426-SM-5PNYO 60-69 years, female 12.9
GTEX-1C6VQ-2726-SM-73KUL 50-59 years, male 12.9
GTEX-WEY5-1426-SM-4LMJ3 40-49 years, female 12.9
GTEX-12WSL-1626-SM-5GCMU 50-59 years, male 12.8
GTEX-SNMC-1126-SM-4DM5M 20-29 years, male 12.8
GTEX-1R9K5-2126-SM-E8VN1 50-59 years, male 12.8
GTEX-111VG-2226-SM-5N9DU 60-69 years, male 12.7
GTEX-15CHQ-2526-SM-6EU24 60-69 years, male 12.7
GTEX-13OVG-1426-SM-5K7VP 60-69 years, male 12.6
GTEX-148VJ-2626-SM-5QGPI 70-79 years, male 12.5
GTEX-1GN73-2626-SM-9KNUQ 60-69 years, male 12.5
GTEX-1C64O-2326-SM-73KU8 60-69 years, male 12.4
GTEX-1GZ4I-2426-SM-9WPPP 50-59 years, male 12.3
GTEX-ZF29-1726-SM-4WKFV 60-69 years, female 12.2
GTEX-ZV6S-1226-SM-59HLH 40-49 years, female 12.2
GTEX-1JJE9-2426-SM-D3L8T 70-79 years, male 12.2
GTEX-OXRO-0726-SM-E9U4C 60-69 years, female 12.2
GTEX-117YX-0826-SM-5H11J 50-59 years, male 12.1
GTEX-17EVQ-1826-SM-7IGPH 70-79 years, male 12.1
GTEX-P78B-1726-SM-3P5ZV 40-49 years, female 12.1
GTEX-1HCU6-2726-SM-A9SKV 60-69 years, female 12.1
GTEX-145MO-2426-SM-5NQ9W 60-69 years, male 12.0
GTEX-14C5O-2526-SM-73KU2 60-69 years, male 12.0
GTEX-15UF6-2626-SM-6M466 70-79 years, female 12.0
GTEX-18D9B-2526-SM-718BN 60-69 years, male 12.0
GTEX-1RAZQ-2126-SM-DTX9V 30-39 years, male 12.0
GTEX-12WSJ-1526-SM-5GCNI 40-49 years, female 11.9
GTEX-147JS-2526-SM-5S2Q8 60-69 years, male 11.9
GTEX-18A7B-2026-SM-72D71 70-79 years, male 11.9
GTEX-1POEN-2026-SM-E6CRL 30-39 years, female 11.8
GTEX-U412-1726-SM-EZ6KX 60-69 years, male 11.8
GTEX-1HCU7-2626-SM-C1YQO 50-59 years, male 11.7
GTEX-1JJ6O-2426-SM-ARU8J 60-69 years, male 11.7
GTEX-1JMLX-2726-SM-CM2SB 50-59 years, male 11.7
GTEX-14ICL-1226-SM-5S2RD 30-39 years, male 11.6
GTEX-XAJ8-0426-SM-47JYJ 40-49 years, male 11.6
GTEX-Y8LW-1226-SM-4WWDP 50-59 years, female 11.6
GTEX-1HCVE-2526-SM-A9G2G 50-59 years, male 11.6
GTEX-1RMOY-1626-SM-EVYC8 50-59 years, male 11.6
GTEX-X4EO-2526-SM-EWRM8 60-69 years, female 11.6
GTEX-13O61-1626-SM-5KM3T 60-69 years, male 11.5
GTEX-RWS6-1826-SM-47JXX 60-69 years, female 11.5
GTEX-V955-1626-SM-4JBHJ 60-69 years, male 11.3
GTEX-1IDJC-1326-SM-CL53H 50-59 years, male 11.3
GTEX-13U4I-2426-SM-5LU34 40-49 years, female 11.2
GTEX-1F75B-2726-SM-7P8QO 50-59 years, male 11.2
GTEX-17JCI-2626-SM-7EWE6 60-69 years, female 11.1
GTEX-18QFQ-1526-SM-72D57 30-39 years, male 11.1
GTEX-1KANB-1526-SM-CXZK4 50-59 years, male 11.0
GTEX-11GSP-1626-SM-5986N 60-69 years, female 10.9
GTEX-1A3MV-1126-SM-718BS 30-39 years, male 10.9
GTEX-1NV5F-2226-SM-DTX8O 60-69 years, female 10.7
GTEX-13OVK-0826-SM-7KULZ 40-49 years, male 10.6
GTEX-1LBAC-1626-SM-CXZKV 20-29 years, male 10.6
GTEX-11TUW-2026-SM-5EQL8 60-69 years, male 10.5
GTEX-1B996-2626-SM-73KZ1 60-69 years, male 10.5
GTEX-YEC4-1926-SM-5IFHJ 40-49 years, male 10.5
GTEX-1LVAN-2526-SM-CNPPC 50-59 years, female 10.5
GTEX-11P81-1126-SM-5GU5G 30-39 years, female 10.4
GTEX-Y114-1526-SM-4TT79 50-59 years, female 10.4
GTEX-OXRN-2026-SM-E6CHK 50-59 years, male 10.4
GTEX-OXRL-1426-SM-3NM9E 50-59 years, male 10.3
GTEX-17F96-2026-SM-79ON4 70-79 years, male 10.2
GTEX-1CB4F-2026-SM-79OLU 60-69 years, male 10.2
GTEX-1MUQO-2626-SM-EWRO3 60-69 years, male 10.2
GTEX-17F9E-1826-SM-7IGMC 50-59 years, male 10.0
GTEX-1PPGY-2826-SM-DTX9H 60-69 years, male 10.0
GTEX-1AX8Z-2726-SM-73KUC 60-69 years, male 9.9
GTEX-T6MO-0826-SM-4DM51 40-49 years, female 9.9
GTEX-U3ZH-1326-SM-4DXSF 30-39 years, male 9.9
GTEX-1MCC2-1626-SM-DIPEW 30-39 years, female 9.9
GTEX-1ICLZ-2426-SM-CKZOD 60-69 years, male 9.8
GTEX-1OKEX-1226-SM-DTXEC 60-69 years, male 9.8
GTEX-1QW4Y-1326-SM-EWRMZ 30-39 years, male 9.8
GTEX-14H4A-1926-SM-5ZZWN 40-49 years, female 9.7
GTEX-1EH9U-2026-SM-7PBYS 60-69 years, male 9.7
GTEX-13FH7-1526-SM-5J2N6 50-59 years, female 9.6
GTEX-145LS-2726-SM-5Q5D8 60-69 years, female 9.6
GTEX-TKQ1-0626-SM-4DXTS 30-39 years, male 9.6
GTEX-13VXT-2426-SM-5LU46 20-29 years, female 9.5
GTEX-1BAJH-2326-SM-7IGMO 70-79 years, male 9.5
GTEX-1S82U-0726-SM-E9TKI 30-39 years, female 9.5
GTEX-1EMGI-2726-SM-7P8S4 60-69 years, male 9.4
GTEX-111YS-1626-SM-5GZZ9 60-69 years, male 9.3
GTEX-XXEK-1926-SM-4BRVD 50-59 years, male 9.2
GTEX-14DAQ-2726-SM-5S2QY 60-69 years, female 9.1
GTEX-13W3W-2126-SM-5K7UX 60-69 years, female 9.0
GTEX-15CHC-1626-SM-5ZZWS 60-69 years, female 8.9
GTEX-1IGQW-2326-SM-CE6RV 60-69 years, male 8.7
GTEX-ZYFG-1926-SM-5GID5 60-69 years, female 8.4
GTEX-12ZZZ-2426-SM-5GCNN 60-69 years, male 8.2
GTEX-15DZA-0926-SM-69LQ3 30-39 years, female 8.2
GTEX-1CB4I-2226-SM-7P8SL 50-59 years, male 8.2
GTEX-1GMR2-1726-SM-9JGI2 50-59 years, male 8.2
GTEX-14PJ3-0926-SM-69LQG 50-59 years, male 7.8
GTEX-WY7C-1626-SM-4ONC8 50-59 years, male 7.5
GTEX-11ZVC-2126-SM-5EGJ1 50-59 years, female 7.4
GTEX-1HSMP-2326-SM-D3L8R 70-79 years, male 7.0
Show allShow less

COLON - FANTOM5 CAGEi

RNA expression in human tissues obtained through Cap Analysis of Gene Expression (CAGE) generated by the FANTOM5 project are reported as Scaled Tags Per Million.

Max subtype Scaled Tags Per Millioni

Max subtype Scaled Tags Per Million is the value for the subtype with the largest average Scaled Tags Per Million across the subtype samples.

33.9
FANTOM5 sample id Sample description Scaled Tags Per Million
Colon
Scaled Tags Per Million: 33.9
FF:10014-101C5 62,83,84 years, mixed 33.9

Contact

  • NEWS ARTICLES
  • PRESS ROOM

The Project

  • INTRODUCTION
  • ORGANIZATION
  • PUBLICATIONS

The Human Protein Atlas

  • DOWNLOADABLE DATA
  • LICENCE & CITATION
  • HELP & FAQ
The Human Protein Atlas project is funded
by the Knut & Alice Wallenberg Foundation.


contact@proteinatlas.org