We use cookies to enhance the usability of our website. If you continue, we'll assume that you are happy to receive all cookies. More information. Don't show this again.
YWHAB
HPA
RESOURCES
  • TISSUE
  • BRAIN
  • SINGLE CELL
  • SUBCELLULAR
  • CANCER
  • BLOOD
  • CELL LINE
  • STRUCTURE & INTERACTION
ABOUT
  • INTRODUCTION
  • HISTORY
  • ORGANIZATION
  • PUBLICATIONS
  • ANTIBODY SUBMISSION
  • ANTIBODY AVAILABILITY
  • ACKNOWLEDGMENTS
  • CONTACT
NEWS
  • NEWS ARTICLES
  • PRESS ROOM
LEARN
  • DICTIONARY
  • PROTEIN CLASSES
  • PROTEIN EVIDENCE
  • METHODS
  • EDUCATIONAL VIDEOS
DATA
  • DOWNLOADABLE DATA
  • PUBLICATION DATA
  • RELEASE HISTORY
HELP
  • ANTIBODY VALIDATION
  • ASSAYS & ANNOTATION
  • DISCLAIMER
  • HELP & FAQ
  • PRIVACY STATEMENT
  • LICENCE & CITATION
Fields »
Search result

Field
Term
Gene name
Class
Subclass
Class
Keyword
Chromosome
External id
Tissue
Cell type
Expression
Antibody panel
Tissue
Main location
Patient ID
Annotation
Tissue
Category
Tau score
Cluster
Reliability
Brain region
Category
Tau score
Brain region
Category
Tau score
Brain region
Category
Tau score
Cluster
Reliability
Tissue
Cell type
Enrichment
Cell type
Category
Tau score
Cell type
Category
Tau score
Cell type
Category
Tau score
Cell lineage
Category
Tau score
Cluster
Cluster
Location
Searches
Location
Cell line
Class
Type
Phase
Reliability
Cancer
Prognosis
Cancer
Category
Cancer
Category
Tau score
Cluster
Variants
Interacting gene (ensg_id)
Type
Number of interactions
Pathway
Category
Score
Score
Score
Validation
Validation
Validation
Validation
Antibodies
Data type
Column


  • SUMMARY

  • TISSUE

  • BRAIN

  • SINGLE CELL

  • SUBCELL

  • CANCER

  • BLOOD

  • CELL LINE

  • STRUCT & INT

  • YWHAB
TISSUE PRIMARY DATA STOMACH Show tissue menu
ADIPOSE TISSUE ADRENAL GLAND AMYGDALA APPENDIX BASAL GANGLIA BONE MARROW BREAST BRONCHUS CEREBELLUM CEREBRAL CORTEX CERVIX CHOROID PLEXUS COLON DUODENUM
ENDOMETRIUM EPIDIDYMIS ESOPHAGUS FALLOPIAN TUBE GALLBLADDER HEART MUSCLE HIPPOCAMPAL FORMATION HYPOTHALAMUS KIDNEY LIVER LUNG LYMPH NODE MIDBRAIN NASOPHARYNX
ORAL MUCOSA OVARY PANCREAS PARATHYROID GLAND PITUITARY GLAND PLACENTA PROSTATE RECTUM RETINA SALIVARY GLAND SEMINAL VESICLE SKELETAL MUSCLE SKIN SMALL INTESTINE
SMOOTH MUSCLE SOFT TISSUE SPINAL CORD SPLEEN STOMACH TESTIS THYMUS THYROID GLAND TONGUE TONSIL URINARY BLADDER VAGINA
ANTIBODIES
AND
VALIDATION
Dictionary
Tissue proteome
Stomach
STOMACH - Expression summary
Protein expression
Stomachi

On the top, protein expression in current human tissue, based on all annotated cell types, is reported with the units not detected (n), low (l), medium (m) and high (h). Underneath, protein expression in each annotated cell type are reported using the same units.

Protein expression data is based on knowledge-based annotation. For genes where more than one antibody has been used, a collective score is set.

If knowledge-based annotation could not be performed for a gene, no data is displayed here. View antibody staining data further down this page.

h
m
l
n
Glandular cells: High
RNA expressioni

A summary of mRNA expression data available for current tissue based on several datasets. The mRNA expression levels in human tissues are based on RNA-seq data generated by the Human Protein Atlas (HPA), Genotype-Tissue Expression (GTEx) portal and CAGE data generated by the FANTOM5 consortium. Consensus normalized expression levels for human tissues was created by combining the data from HPA and GTEx datasets.

The mRNA expression levels in pig are based on RNA-seq data generated by the Human Protein Atlas (HPA), and for mouse, HPA data and in situ hybridization generated by the Allen brain atlas are reported.

Scroll down to view mRNA expression data in more detail.
Consensus:120.2 nTPM
HPA:120.2 nTPM
GTEx:78.5 nTPM

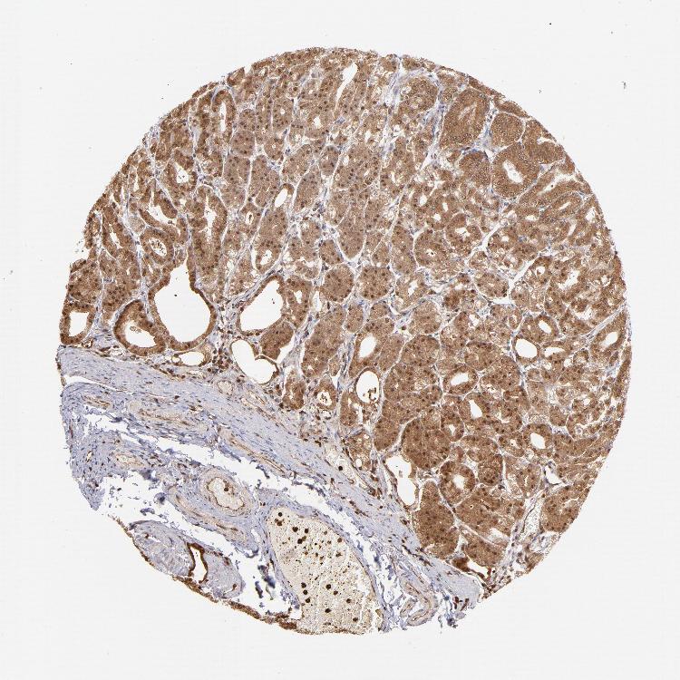
STOMACH 1 - Antibody stainingi

Antibody staining in the annotated cell types in the current human tissue is reported as not detected, low, medium, or high, based on conventional immunohistochemistry profiling in selected tissues. This score is based on the combination of the staining intensity and fraction of stained cells.

Each image is clickable and will lead to virtual microscopy that enables deeper exploration of all samples and also displays staining intensity scores, fraction scores and subcellular localization as well as patient and tissue information for each sample.

Antibody HPA007925Antibody HPA011212Antibody CAB003759Antibody CAB080290
Glandular cells MediumHighHighHigh








STOMACH 2 - Antibody stainingi

Antibody staining in the annotated cell types in the current human tissue is reported as not detected, low, medium, or high, based on conventional immunohistochemistry profiling in selected tissues. This score is based on the combination of the staining intensity and fraction of stained cells.

Each image is clickable and will lead to virtual microscopy that enables deeper exploration of all samples and also displays staining intensity scores, fraction scores and subcellular localization as well as patient and tissue information for each sample.

Antibody HPA007925Antibody HPA011212Antibody CAB003759Antibody CAB080290
Glandular cells MediumHighHighHigh









STOMACH - HPA RNA-seqi

The RNA-seq details section shows detailed information about the individual samples used for the transcript profiling and results of the RNA-seq analysis.

Information about each individual sample is listed below, including gender, age, a tissue section image and estimated fractions of cell types. nTPM (normalized transcripts per million) values give a quantification of the gene abundance which is comparable between different genes and samples.
Average nTPMi

Max subtype nTPM is the value for the subtype with the largest average nTPM across the subtype samples.

120.2
overview
Female, age 33
Stomach sample 61
nTPM: 95.1
Cell types%
Glandular cells:
60

Smooth muscle cells:
5

Other cell types:
35

N/A
Male, age 82
Stomach sample 240
nTPM: 134.8
Cell types%
Glandular cells:
65

Smooth muscle cells:
5

Other cell types:
30

overview
Male, age 71
Stomach sample 241
nTPM: 132.7
Cell types%
Glandular cells:
50

Smooth muscle cells:
5

Other cell types:
45

overview
Female, age 66
Stomach sample 369
nTPM: 118.4
Cell types%
Glandular cells:
50

Smooth muscle cells:
10

Other cell types:
40


STOMACH - GTEx RNA-seqi

RNA-Seq data generated by the Genotype-Tissue Expression (GTEx) project from human tissues is reported as mean nTPM. More information can be found on the GTEx portal.

Distribution across the dataset is visualized with box plots, shown as median and 25th and 75th percentiles. Points are displayed as outliers if they are above or below 1.5 times the interquartile range. nTPM values of the individual samples are presented next to the box plot.
Max subtype nTPMi

Max subtype nTPM is the value for the subtype with the largest average nTPM across the subtype samples.

78.5
GTEx sample id Sample description nTPM
Stomach
Average nTPM: 78.5
Samples: 359

Max nTPM: 133.5
Min nTPM: 47.2
Std nTPM: 16.1
Median nTPM: 76.1
GTEX-WHPG-0426-SM-4M1XW 50-59 years, male 133.5
GTEX-11NUK-2426-SM-5BC4U 50-59 years, male 133.0
GTEX-WH7G-1526-SM-4LVMX 40-49 years, male 123.7
GTEX-18A67-2626-SM-718AD 50-59 years, male 123.3
GTEX-13X6H-1626-SM-5Q5CT 50-59 years, female 121.9
GTEX-1KANA-1126-SM-D3L9M 20-29 years, male 119.4
GTEX-ZPIC-2026-SM-57WG3 40-49 years, female 115.0
GTEX-15RIF-1126-SM-7KUG2 20-29 years, male 112.9
GTEX-14E1K-1526-SM-664MN 50-59 years, male 112.3
GTEX-ZYVF-2726-SM-5GID4 50-59 years, female 111.8
GTEX-P4QT-1526-SM-3NMCT 50-59 years, female 111.4
GTEX-131XG-1226-SM-5EGH9 50-59 years, female 111.3
GTEX-ZYY3-1726-SM-5EGH3 60-69 years, female 110.0
GTEX-ZV6S-0926-SM-57WGB 40-49 years, female 109.9
GTEX-13OW6-2526-SM-5IJEC 50-59 years, male 109.2
GTEX-1339X-1426-SM-5K7YO 40-49 years, male 109.0
GTEX-1L5NE-1526-SM-DIPFW 50-59 years, male 108.8
GTEX-Q2AH-1126-SM-48TZM 40-49 years, male 108.1
GTEX-13O61-1126-SM-5L3FI 60-69 years, male 107.4
GTEX-QCQG-0526-SM-48U2A 50-59 years, female 107.1
GTEX-12WSJ-0926-SM-5P9JD 40-49 years, female 106.8
GTEX-S4P3-0726-SM-4AD57 50-59 years, female 106.7
GTEX-1S831-1126-SM-EWROI 20-29 years, male 106.7
GTEX-13PVQ-2126-SM-5L3FW 50-59 years, male 106.1
GTEX-R55C-1026-SM-48FCM 40-49 years, male 105.4
GTEX-117YX-1026-SM-5H11V 50-59 years, male 105.3
GTEX-15EU6-2526-SM-7KUGB 50-59 years, male 104.7
GTEX-ZTX8-0426-SM-59HLG 20-29 years, male 103.5
GTEX-13FTW-1726-SM-5KM2B 40-49 years, male 103.4
GTEX-1CB4E-1326-SM-7DUGD 60-69 years, male 101.5
GTEX-OIZH-1526-SM-3NB1J 50-59 years, male 101.1
GTEX-XPVG-1526-SM-4B66C 50-59 years, male 100.9
GTEX-1HFI7-1526-SM-9WG7W 50-59 years, female 100.8
GTEX-146FH-2126-SM-5SI9U 50-59 years, female 100.7
GTEX-1S82Z-1726-SM-E6CHZ 30-39 years, female 100.4
GTEX-R55G-1126-SM-48FDG 40-49 years, female 100.1
GTEX-1HCUA-1626-SM-A9SMG 50-59 years, female 100.1
GTEX-RUSQ-1126-SM-EAZAU 50-59 years, male 100.1
GTEX-1NSGN-1926-SM-E9J36 50-59 years, male 99.5
GTEX-TKQ1-0526-SM-4DXTG 30-39 years, male 99.4
GTEX-17EUY-1526-SM-793CA 20-29 years, male 98.5
GTEX-1F5PL-1426-SM-7MKFH 40-49 years, female 98.5
GTEX-15G1A-1226-SM-7KUF3 30-39 years, male 98.4
GTEX-POMQ-0826-SM-3P61H 20-29 years, female 98.4
GTEX-SNMC-0626-SM-4DM6H 20-29 years, male 98.2
GTEX-UJHI-1026-SM-4IHJP 50-59 years, female 98.2
GTEX-12C56-0526-SM-5FQST 20-29 years, male 97.4
GTEX-12BJ1-1726-SM-5HL9B 60-69 years, male 97.3
GTEX-1F75I-1826-SM-7MKGX 40-49 years, male 97.1
GTEX-OHPK-1526-SM-3MJGM 50-59 years, female 96.7
GTEX-PWN1-1526-SM-48TDA 40-49 years, female 96.7
GTEX-T8EM-1226-SM-4DM5J 40-49 years, male 96.5
GTEX-14PKU-1126-SM-69LOU 40-49 years, female 96.3
GTEX-P4PP-1526-SM-3P61M 30-39 years, female 96.3
GTEX-1MUQO-1926-SM-EAZ59 60-69 years, male 96.3
GTEX-14PHY-0926-SM-5ZZWL 60-69 years, female 96.0
GTEX-133LE-1326-SM-5IFGO 20-29 years, female 95.8
GTEX-WY7C-1726-SM-4ONCC 50-59 years, male 95.7
GTEX-Y114-1226-SM-4TT88 50-59 years, female 95.4
GTEX-1JKYN-1726-SM-AHZ48 30-39 years, male 95.4
GTEX-18D9B-2226-SM-718BM 60-69 years, male 95.2
GTEX-Y3IK-1426-SM-4YCES 50-59 years, female 94.9
GTEX-11P7K-1726-SM-5GU6F 30-39 years, male 94.7
GTEX-1211K-1426-SM-5FQTF 60-69 years, female 94.5
GTEX-11P82-0726-SM-5PNYL 20-29 years, male 94.3
GTEX-11TT1-0726-SM-5GU5A 20-29 years, male 94.3
GTEX-P4PQ-1526-SM-3NMCK 60-69 years, male 93.9
GTEX-R55D-1526-SM-48FEJ 50-59 years, male 93.7
GTEX-11DXX-1326-SM-5GIDZ 60-69 years, female 93.4
GTEX-11VI4-0326-SM-5EQ6L 40-49 years, female 93.4
GTEX-1399S-1626-SM-5P9GI 30-39 years, female 93.4
GTEX-14PHX-1026-SM-664OL 50-59 years, male 92.7
GTEX-1CAMR-0726-SM-7EPIE 20-29 years, male 92.2
GTEX-Y5LM-1326-SM-5RQIS 40-49 years, female 92.1
GTEX-1MJIX-1126-SM-EV7AO 40-49 years, male 92.1
GTEX-14PJ6-0826-SM-686Z9 60-69 years, female 91.7
GTEX-ZLWG-1526-SM-DO12F 50-59 years, female 91.4
GTEX-1GL5R-1926-SM-9WG7U 50-59 years, male 91.2
GTEX-1S3DN-1526-SM-EVYCB 50-59 years, male 90.9
GTEX-1N2DV-0926-SM-E9TJT 40-49 years, male 90.6
GTEX-ZY6K-0726-SM-5A5L8 50-59 years, male 90.3
GTEX-131XF-1226-SM-5HL8V 60-69 years, male 90.1
GTEX-17KNJ-1526-SM-7LTA9 50-59 years, male 90.0
GTEX-1H1DE-1226-SM-9JGHH 20-29 years, male 90.0
GTEX-1B8L1-1526-SM-79OLK 60-69 years, male 89.9
GTEX-1JMPZ-1826-SM-CXZJT 30-39 years, male 89.9
GTEX-PLZ6-0826-SM-3P61K 30-39 years, male 89.8
GTEX-1AX9J-2626-SM-731EK 60-69 years, male 89.5
GTEX-WFG7-1326-SM-4LMK1 20-29 years, male 89.3
GTEX-WFJO-1126-SM-4LVLZ 30-39 years, male 89.1
GTEX-VJYA-1026-SM-4KL21 60-69 years, male 88.4
GTEX-1JN76-0926-SM-ARZNH 20-29 years, female 88.0
GTEX-11I78-1726-SM-5A5M3 50-59 years, female 87.7
GTEX-1B97J-1826-SM-7IGPP 50-59 years, female 87.5
GTEX-U4B1-1026-SM-4DXT1 40-49 years, male 87.5
GTEX-11EQ9-1226-SM-5987E 30-39 years, male 87.4
GTEX-13FTX-0726-SM-5N9BI 20-29 years, female 87.2
GTEX-S341-0626-SM-4AD5T 40-49 years, female 87.2
GTEX-WEY5-1226-SM-4LMIQ 40-49 years, female 87.0
GTEX-1QCLY-1126-SM-EAZ4J 30-39 years, male 87.0
GTEX-YFCO-0826-SM-5LUAG 40-49 years, male 86.7
GTEX-1RAZR-1526-SM-EAZ4U 40-49 years, male 86.7
GTEX-OHPM-1526-SM-EV796 50-59 years, male 86.4
GTEX-1IDJU-1526-SM-CNNR3 60-69 years, female 86.3
GTEX-1AMEY-1226-SM-731DU 30-39 years, female 86.1
GTEX-ZVP2-1626-SM-5GU5D 50-59 years, male 86.1
GTEX-ZYFG-1326-SM-5GICJ 60-69 years, female 86.1
GTEX-11GSP-2126-SM-5HL5E 60-69 years, female 86.0
GTEX-146FR-2026-SM-5NQAI 60-69 years, female 85.8
GTEX-14JG6-1226-SM-664O6 30-39 years, female 85.6
GTEX-RU1J-0526-SM-46MUT 20-29 years, female 85.6
GTEX-14ICL-0826-SM-5YY9W 30-39 years, male 85.5
GTEX-1F5PK-1826-SM-7RHHX 50-59 years, male 85.5
GTEX-11WQK-2626-SM-5EQ4K 50-59 years, male 85.3
GTEX-18A66-2226-SM-7189E 60-69 years, male 85.2
GTEX-14PN3-1326-SM-6AJ9U 60-69 years, female 84.8
GTEX-1QPFJ-1526-SM-DPRXT 30-39 years, female 84.8
GTEX-YEC3-1426-SM-D4P1S 50-59 years, male 84.8
GTEX-145ME-1026-SM-5O9B4 40-49 years, female 84.6
GTEX-ZLV1-0826-SM-DO11P 60-69 years, female 84.3
GTEX-OIZF-1526-SM-2I5GR 60-69 years, male 84.0
GTEX-12WSD-2326-SM-59HKQ 60-69 years, female 83.8
GTEX-QDVJ-1426-SM-48U1Y 50-59 years, male 83.8
GTEX-QDVN-1226-SM-48TZ5 50-59 years, male 83.8
GTEX-1LVAM-1426-SM-E9TJ4 50-59 years, female 83.8
GTEX-1PIGE-1126-SM-EWRMV 20-29 years, male 83.8
GTEX-1QP67-1026-SM-EVR47 40-49 years, female 83.8
GTEX-13X6J-2126-SM-5TDCV 50-59 years, male 83.7
GTEX-13111-1226-SM-5GCNC 50-59 years, male 83.4
GTEX-YEC4-1426-SM-5IFHS 40-49 years, male 83.0
GTEX-16AAH-1226-SM-79OO9 50-59 years, male 82.9
GTEX-WHSB-1226-SM-4M1XR 50-59 years, male 82.8
GTEX-WFG8-1326-SM-4LVN3 20-29 years, male 82.4
GTEX-1399U-1626-SM-5P9J3 50-59 years, female 82.3
GTEX-1C475-1026-SM-7MKFJ 40-49 years, female 82.3
GTEX-S4Z8-1226-SM-4AD6W 60-69 years, male 82.0
GTEX-ZVZP-1726-SM-5GZWY 50-59 years, male 81.9
GTEX-1GPI7-1326-SM-9KNVA 20-29 years, male 81.9
GTEX-PWCY-0926-SM-48TD7 20-29 years, female 81.7
GTEX-ZA64-0826-SM-5HL9U 20-29 years, male 81.7
GTEX-1K2DA-0826-SM-CGQGD 50-59 years, male 81.5
GTEX-14B4R-0726-SM-5TDDR 30-39 years, male 81.3
GTEX-13CF3-1926-SM-5K7WF 60-69 years, female 81.0
GTEX-14DAR-0926-SM-73KUQ 50-59 years, male 80.6
GTEX-1GMRU-2526-SM-9WG7T 50-59 years, male 80.5
GTEX-1PPH8-1326-SM-DTXFO 20-29 years, male 80.4
GTEX-R53T-1226-SM-48FCT 50-59 years, female 80.3
GTEX-RM2N-0826-SM-48FD3 50-59 years, male 80.3
GTEX-SNOS-0826-SM-4DM5N 40-49 years, male 80.2
GTEX-1QW4Y-0726-SM-DTX8E 30-39 years, male 80.2
GTEX-OOBJ-1526-SM-3NB1Q 60-69 years, male 80.0
GTEX-1A8G6-1426-SM-731EZ 60-69 years, male 79.9
GTEX-111CU-0926-SM-5EGIK 50-59 years, male 79.6
GTEX-13OVI-2426-SM-5KM4J 60-69 years, female 79.1
GTEX-1B8KZ-1226-SM-793CP 50-59 years, male 78.8
GTEX-13S7M-1826-SM-5RQK6 60-69 years, female 78.7
GTEX-OXRK-1626-SM-3NB17 50-59 years, female 78.7
GTEX-XBEW-1826-SM-4RTWX 40-49 years, male 78.7
GTEX-1C64O-2226-SM-73KTV 60-69 years, male 78.6
GTEX-1JK1U-1326-SM-AHZ45 60-69 years, male 78.6
GTEX-ZE7O-3026-SM-51MS4 50-59 years, female 78.2
GTEX-1QP28-2126-SM-DTX8B 50-59 years, female 78.1
GTEX-ZVT2-1626-SM-51MRC 50-59 years, female 77.7
GTEX-S95S-0826-SM-4B64N 60-69 years, male 77.6
GTEX-S3XE-1026-SM-4AD4O 50-59 years, male 77.4
GTEX-QMRM-1126-SM-447BN 50-59 years, male 77.3
GTEX-13RTK-0226-SM-5RQHR 20-29 years, male 76.9
GTEX-131XE-2226-SM-5PNYX 50-59 years, male 76.7
GTEX-13O3Q-2126-SM-5KM4C 50-59 years, male 76.7
GTEX-ZPU1-1626-SM-4WWB2 40-49 years, male 76.7
GTEX-1IL2V-2026-SM-ARZMA 70-79 years, male 76.7
GTEX-14PJ4-1626-SM-664OB 60-69 years, male 76.6
GTEX-13D11-2126-SM-5IFH2 50-59 years, female 76.5
GTEX-1H1DG-2126-SM-9WPPB 70-79 years, male 76.4
GTEX-14PJ3-1426-SM-664O8 50-59 years, male 76.3
GTEX-U3ZN-2026-SM-4DXUC 30-39 years, female 76.3
GTEX-1AMFI-1226-SM-731CZ 50-59 years, female 76.2
GTEX-145MN-1326-SM-5NQ9S 30-39 years, male 76.1
GTEX-17HGU-2126-SM-7IGOV 50-59 years, male 76.1
GTEX-T5JW-0926-SM-4DM5K 20-29 years, female 76.1
GTEX-1LG7Z-1226-SM-DHXK4 30-39 years, male 76.0
GTEX-1399R-1126-SM-5IFIO 30-39 years, male 75.9
GTEX-XAJ8-0326-SM-47JYI 40-49 years, male 75.8
GTEX-XV7Q-1326-SM-4BRWM 40-49 years, female 75.8
GTEX-132AR-2426-SM-5IFFD 50-59 years, female 75.7
GTEX-12WSK-1426-SM-5CVNN 40-49 years, female 75.6
GTEX-W5WG-1726-SM-4LMI5 50-59 years, female 75.5
GTEX-Y5V6-1326-SM-4VDTF 60-69 years, male 75.5
GTEX-RTLS-2626-SM-46MUJ 60-69 years, female 75.4
GTEX-WFON-1126-SM-4LVMA 40-49 years, male 75.4
GTEX-15SHW-2126-SM-6M46Y 60-69 years, male 75.3
GTEX-1HR9M-2326-SM-CNPPZ 60-69 years, male 75.3
GTEX-QDT8-2026-SM-EZ6LS 30-39 years, female 75.2
GTEX-132QS-1826-SM-5IFFN 60-69 years, male 75.0
GTEX-UPK5-2126-SM-4JBJK 40-49 years, male 75.0
GTEX-ZF29-1526-SM-4WKF7 60-69 years, female 75.0
GTEX-1LGOU-1526-SM-D3LAJ 20-29 years, female 75.0
GTEX-13O21-0926-SM-5IFGT 50-59 years, male 74.9
GTEX-14BMU-1126-SM-5RQJ8 20-29 years, female 74.9
GTEX-O5YW-1526-SM-3MJGL 50-59 years, male 74.9
GTEX-1I6K7-1726-SM-B2LXQ 40-49 years, male 74.8
GTEX-1E2YA-2426-SM-7EPIG 50-59 years, male 74.7
GTEX-WRHK-0626-SM-4MVOE 20-29 years, female 74.6
GTEX-117YW-2226-SM-5N9DB 50-59 years, male 74.5
GTEX-14PKV-1826-SM-69LO9 20-29 years, female 74.5
GTEX-1I4MK-0926-SM-A9SLD 50-59 years, female 74.5
GTEX-15G19-1526-SM-6LPKP 60-69 years, male 74.1
GTEX-15DZA-1126-SM-6LPK8 30-39 years, female 74.0
GTEX-RWS6-0926-SM-47JXE 60-69 years, female 74.0
GTEX-1QP29-2326-SM-EXOJO 50-59 years, male 73.9
GTEX-1MCYP-1126-SM-E9J2P 20-29 years, female 73.8
GTEX-XMK1-1526-SM-EYYVO 40-49 years, male 73.7
GTEX-17F98-1526-SM-7EWD8 40-49 years, female 73.5
GTEX-14E6E-0926-SM-664N8 30-39 years, male 73.4
GTEX-PX3G-1526-SM-48U11 20-29 years, female 73.3
GTEX-1IDJF-1426-SM-ACKWK 20-29 years, male 73.1
GTEX-1MGNQ-1826-SM-DPRYI 40-49 years, male 73.1
GTEX-ZVT3-2126-SM-59HL2 60-69 years, female 72.9
GTEX-ZZPU-1426-SM-5GZZ6 50-59 years, female 72.8
GTEX-Y3I4-1626-SM-4TT7W 50-59 years, male 72.6
GTEX-17MF6-2126-SM-7KFS7 40-49 years, male 72.5
GTEX-13FH7-1026-SM-5IJGF 50-59 years, female 72.3
GTEX-11NSD-1426-SM-5HL67 20-29 years, male 72.1
GTEX-15CHR-1326-SM-79OLT 50-59 years, male 72.0
GTEX-13OVK-0926-SM-7KUFX 40-49 years, male 71.9
GTEX-S7SF-0626-SM-4AD4V 20-29 years, female 71.8
GTEX-16NGA-1526-SM-72D56 40-49 years, female 71.6
GTEX-Q2AI-0826-SM-48TZO 40-49 years, male 71.6
GTEX-1QMI2-2126-SM-DPRXQ 60-69 years, male 71.5
GTEX-1HSMQ-2426-SM-CE6RY 50-59 years, male 71.4
GTEX-YJ8A-1526-SM-5P9FT 20-29 years, male 71.2
GTEX-ZP4G-1226-SM-4WWCJ 20-29 years, female 70.8
GTEX-ZQUD-0826-SM-57WDQ 30-39 years, male 70.8
GTEX-1A3MV-1226-SM-718BW 30-39 years, male 70.5
GTEX-1HSEH-1526-SM-B2LXG 60-69 years, male 70.5
GTEX-1B8KE-1326-SM-73KVI 50-59 years, male 70.4
GTEX-1R7EU-1126-SM-EAZ4M 60-69 years, male 70.4
GTEX-ZF2S-1426-SM-57WET 50-59 years, female 70.2
GTEX-QV44-1226-SM-CJI1S 50-59 years, male 70.2
GTEX-ZLFU-1326-SM-DO11R 40-49 years, male 70.1
GTEX-14PJ5-0826-SM-6AJAR 60-69 years, female 70.0
GTEX-1H3NZ-2226-SM-9WYUT 60-69 years, male 70.0
GTEX-1LBAC-1426-SM-CXZKT 20-29 years, male 69.9
GTEX-1JN1M-2926-SM-CNNPJ 60-69 years, female 69.8
GTEX-ZZ64-0426-SM-5E43F 20-29 years, male 69.7
GTEX-TMMY-1626-SM-4DXTY 40-49 years, female 69.6
GTEX-TKQ2-0926-SM-4DXU5 50-59 years, male 69.5
GTEX-WXYG-1626-SM-4ONCR 50-59 years, female 69.5
GTEX-QV31-0626-SM-447C5 30-39 years, male 69.3
GTEX-QXCU-1926-SM-48FE4 50-59 years, male 69.2
GTEX-SUCS-0926-SM-4DM4Z 70-79 years, male 69.0
GTEX-YB5E-1126-SM-664NU 40-49 years, male 68.7
GTEX-1EH9U-2226-SM-7PBXX 60-69 years, male 68.7
GTEX-11EM3-1026-SM-5A5KL 20-29 years, female 68.5
GTEX-1122O-1926-SM-5EGIQ 60-69 years, female 68.2
GTEX-17HHE-1026-SM-79ON6 50-59 years, male 67.7
GTEX-P78B-1826-SM-3P5YX 40-49 years, female 67.7
GTEX-1IDJD-2426-SM-C1YS6 30-39 years, male 67.7
GTEX-18A7A-2726-SM-7LG6U 50-59 years, female 67.5
GTEX-1I1HK-2026-SM-CNNRB 60-69 years, male 67.4
GTEX-15DCE-1626-SM-6LPJM 20-29 years, male 67.3
GTEX-PLZ5-1226-SM-EXOHA 50-59 years, male 66.9
GTEX-111YS-1126-SM-5GZYQ 60-69 years, male 66.8
GTEX-1KXAM-0926-SM-CXZKA 60-69 years, male 66.7
GTEX-S4Q7-0726-SM-4AD5F 20-29 years, male 66.6
GTEX-1A3MX-1926-SM-72D7F 60-69 years, male 66.5
GTEX-ZDYS-1926-SM-5HL59 50-59 years, male 66.4
GTEX-1RQEC-2126-SM-DPS15 60-69 years, male 66.4
GTEX-1GN1W-2126-SM-9JGI7 50-59 years, female 66.3
GTEX-1RMOY-1126-SM-EV79E 50-59 years, male 66.2
GTEX-15UF7-1226-SM-6M46G 40-49 years, male 66.1
GTEX-18QFQ-1226-SM-718AE 30-39 years, male 66.0
GTEX-ZT9W-1526-SM-4YCDE 50-59 years, male 65.9
GTEX-13113-0726-SM-5LZUF 60-69 years, female 65.8
GTEX-17JCI-2226-SM-7LTA1 60-69 years, female 65.8
GTEX-OXRL-1526-SM-E6CHQ 50-59 years, male 65.8
GTEX-144GN-1226-SM-5O991 50-59 years, male 65.4
GTEX-1I1GT-1726-SM-C1YS3 60-69 years, female 65.4
GTEX-139YR-1926-SM-5LZXM 50-59 years, male 65.3
GTEX-QLQ7-0826-SM-447B3 60-69 years, male 65.1
GTEX-1HBPI-0726-SM-9WG7Z 50-59 years, male 64.9
GTEX-T6MO-0726-SM-4DM58 40-49 years, female 64.7
GTEX-1KD5A-1426-SM-D4P3V 50-59 years, male 64.7
GTEX-1H3VY-2326-SM-9WG81 50-59 years, male 64.6
GTEX-ZXES-1426-SM-5NQ8S 30-39 years, female 64.5
GTEX-Q734-1026-SM-48U16 40-49 years, female 64.4
GTEX-XUZC-0726-SM-4BOPH 30-39 years, female 64.4
GTEX-14BIL-1926-SM-73KYI 50-59 years, male 64.3
GTEX-WZTO-2126-SM-4PQYW 40-49 years, male 64.3
GTEX-1JMPY-0926-SM-ARL92 30-39 years, male 64.3
GTEX-ZGAY-1626-SM-DNZZ3 40-49 years, female 64.0
GTEX-UJMC-1226-SM-4IHLI 50-59 years, male 63.9
GTEX-18D9A-0626-SM-7KFTY 30-39 years, female 63.8
GTEX-13U4I-2526-SM-5SI8Z 40-49 years, female 63.7
GTEX-Y8E4-1526-SM-4WWDI 40-49 years, male 63.6
GTEX-1H11D-2226-SM-9OSXN 40-49 years, male 63.6
GTEX-1QCLZ-1826-SM-DPRXP 60-69 years, female 63.2
GTEX-17F9E-2226-SM-7IGNC 50-59 years, male 63.1
GTEX-17GQL-1226-SM-7KFTS 60-69 years, male 63.1
GTEX-ZV7C-1626-SM-5NQ7E 50-59 years, male 63.1
GTEX-XXEK-0826-SM-4BRWG 50-59 years, male 63.0
GTEX-1LGRB-1726-SM-CNNRA 50-59 years, female 62.8
GTEX-ZEX8-1626-SM-4WKG7 50-59 years, male 62.7
GTEX-Y9LG-1026-SM-5IFJN 30-39 years, male 62.6
GTEX-13QBU-1126-SM-5LU44 40-49 years, female 62.1
GTEX-1JMLX-2426-SM-CXZJQ 50-59 years, male 62.0
GTEX-NFK9-1526-SM-3LK7B 40-49 years, male 61.9
GTEX-15RIE-1026-SM-6LPJQ 60-69 years, male 61.5
GTEX-1H23P-2726-SM-9JGHN 60-69 years, male 61.5
GTEX-11EI6-2426-SM-5PNVS 60-69 years, male 61.4
GTEX-S4UY-1626-SM-4AD55 40-49 years, female 61.3
GTEX-1AYCT-1326-SM-7MKHB 50-59 years, male 61.2
GTEX-T5JC-1926-SM-4DM6Q 20-29 years, male 61.0
GTEX-1R9K5-1026-SM-EAZ4F 50-59 years, male 61.0
GTEX-14DAQ-2826-SM-664MU 60-69 years, female 60.9
GTEX-1HCU8-1326-SM-C1YQQ 60-69 years, female 60.8
GTEX-144GM-1726-SM-5O9AS 20-29 years, male 60.7
GTEX-13N1W-2026-SM-5K7YU 70-79 years, male 60.6
GTEX-1QP2A-2126-SM-DPRZ7 50-59 years, male 60.6
GTEX-145MO-2226-SM-5Q5BN 60-69 years, male 60.5
GTEX-1CB4H-2426-SM-7PBYR 60-69 years, female 60.4
GTEX-WYJK-2526-SM-4ONDF 50-59 years, male 60.3
GTEX-QLQW-0726-SM-447AA 30-39 years, male 60.2
GTEX-O5YV-1926-SM-EV797 60-69 years, female 60.1
GTEX-1RB15-1026-SM-E9U6V 60-69 years, male 59.7
GTEX-145LT-1426-SM-5O9B3 40-49 years, male 59.3
GTEX-1LVAN-2426-SM-CNNPZ 50-59 years, female 59.2
GTEX-V955-1326-SM-4JBHR 60-69 years, male 59.0
GTEX-1ICG6-1826-SM-AHZ2O 70-79 years, female 58.9
GTEX-1J8QM-1126-SM-C1YQB 60-69 years, female 58.9
GTEX-1JMQJ-1326-SM-D4P3B 50-59 years, male 58.6
GTEX-17HII-2426-SM-7KFTT 50-59 years, male 57.9
GTEX-V1D1-1726-SM-4JBHB 50-59 years, male 57.9
GTEX-1HT8W-2326-SM-A9SLA 30-39 years, male 57.1
GTEX-13QJ3-2726-SM-5SI6L 50-59 years, male 57.0
GTEX-PW2O-1226-SM-48TCH 20-29 years, male 57.0
GTEX-1E1VI-2826-SM-7MGWU 50-59 years, male 56.8
GTEX-XQ8I-2026-SM-4BOOL 50-59 years, male 56.3
GTEX-1GF9U-1126-SM-AHZ4H 40-49 years, female 56.2
GTEX-1HBPN-1626-SM-9WPNP 50-59 years, male 55.8
GTEX-1J8JJ-1726-SM-C1YQG 60-69 years, female 55.2
GTEX-12696-1726-SM-5EQLH 60-69 years, male 55.1
GTEX-1GZ4H-1026-SM-9OSXL 50-59 years, female 54.4
GTEX-1H1E6-1626-SM-9OSWC 30-39 years, male 53.9
GTEX-Y8LW-0826-SM-4WWDO 50-59 years, female 53.3
GTEX-1J8EW-2226-SM-AHZ3T 60-69 years, female 53.3
GTEX-1B97I-1226-SM-7MGWQ 40-49 years, male 53.2
GTEX-XBED-1226-SM-4AT5V 60-69 years, male 53.1
GTEX-WYVS-1326-SM-4ONCQ 40-49 years, female 52.2
GTEX-1HKZK-1526-SM-B2LWG 40-49 years, male 52.0
GTEX-1LSNM-1026-SM-DHXL2 50-59 years, male 51.3
GTEX-139D8-2326-SM-5IFGE 30-39 years, female 51.2
GTEX-1J8Q3-1926-SM-C1YSJ 60-69 years, male 50.4
GTEX-X15G-1126-SM-4PQZG 50-59 years, female 49.8
GTEX-WHWD-1426-SM-4OORU 50-59 years, male 49.4
GTEX-ZAB4-1526-SM-5CVN7 40-49 years, male 48.8
GTEX-12WSG-2026-SM-5FQUU 50-59 years, female 48.4
GTEX-14BMV-2226-SM-5RQHX 50-59 years, male 48.2
GTEX-13PVR-2126-SM-73KVR 60-69 years, female 47.2
Show allShow less

Contact

  • NEWS ARTICLES
  • PRESS ROOM

The Project

  • INTRODUCTION
  • ORGANIZATION
  • PUBLICATIONS

The Human Protein Atlas

  • DOWNLOADABLE DATA
  • LICENCE & CITATION
  • HELP & FAQ
The Human Protein Atlas project is funded
by the Knut & Alice Wallenberg Foundation.


contact@proteinatlas.org