We use cookies to enhance the usability of our website. If you continue, we'll assume that you are happy to receive all cookies. More information. Don't show this again.
PHB1
HPA
RESOURCES
  • TISSUE
  • BRAIN
  • SINGLE CELL
  • SUBCELLULAR
  • CANCER
  • BLOOD
  • CELL LINE
  • STRUCTURE & INTERACTION
ABOUT
  • INTRODUCTION
  • HISTORY
  • ORGANIZATION
  • PUBLICATIONS
  • ANTIBODY SUBMISSION
  • ANTIBODY AVAILABILITY
  • ACKNOWLEDGMENTS
  • CONTACT
NEWS
  • NEWS ARTICLES
  • PRESS ROOM
LEARN
  • DICTIONARY
  • PROTEIN CLASSES
  • PROTEIN EVIDENCE
  • METHODS
  • EDUCATIONAL VIDEOS
DATA
  • DOWNLOADABLE DATA
  • PUBLICATION DATA
  • RELEASE HISTORY
HELP
  • ANTIBODY VALIDATION
  • ASSAYS & ANNOTATION
  • DISCLAIMER
  • HELP & FAQ
  • PRIVACY STATEMENT
  • LICENCE & CITATION
Fields »
Search result

Field
Term
Gene name
Class
Subclass
Class
Keyword
Chromosome
External id
Tissue
Cell type
Expression
Antibody panel
Tissue
Main location
Patient ID
Annotation
Tissue
Category
Tau score
Cluster
Reliability
Brain region
Category
Tau score
Brain region
Category
Tau score
Brain region
Category
Tau score
Cluster
Reliability
Tissue
Cell type
Enrichment
Cell type
Category
Tau score
Cell type
Category
Tau score
Cell type
Category
Tau score
Cell lineage
Category
Tau score
Cluster
Cluster
Location
Searches
Location
Cell line
Class
Type
Phase
Reliability
Cancer
Prognosis
Cancer
Category
Cancer
Category
Tau score
Cluster
Variants
Interacting gene (ensg_id)
Type
Number of interactions
Pathway
Category
Score
Score
Score
Validation
Validation
Validation
Validation
Antibodies
Data type
Column


  • SUMMARY

  • TISSUE

  • BRAIN

  • SINGLE CELL

  • SUBCELL

  • CANCER

  • BLOOD

  • CELL LINE

  • STRUCT & INT

  • PHB1
TISSUE PRIMARY DATA SKIN Show tissue menu
ADIPOSE TISSUE ADRENAL GLAND AMYGDALA APPENDIX BASAL GANGLIA BONE MARROW BREAST BRONCHUS CEREBELLUM CEREBRAL CORTEX CERVIX CHOROID PLEXUS COLON DUODENUM
ENDOMETRIUM EPIDIDYMIS ESOPHAGUS FALLOPIAN TUBE GALLBLADDER HEART MUSCLE HIPPOCAMPAL FORMATION HYPOTHALAMUS KIDNEY LIVER LUNG LYMPH NODE MIDBRAIN ORAL MUCOSA
OVARY PANCREAS PARATHYROID GLAND PITUITARY GLAND PLACENTA PROSTATE RECTUM RETINA SALIVARY GLAND SEMINAL VESICLE SKELETAL MUSCLE SKIN SMALL INTESTINE SMOOTH MUSCLE
SOFT TISSUE SPINAL CORD SPLEEN STOMACH TESTIS THYMUS THYROID GLAND TONGUE TONSIL URINARY BLADDER VAGINA
ANTIBODIES
AND
VALIDATION
Dictionary
Skin
Tissue proteome
Skin
SKIN - Expression summary
Protein expression
Skini

On the top, protein expression in current human tissue, based on all annotated cell types, is reported with the units not detected (n), low (l), medium (m) and high (h). Underneath, protein expression in each annotated cell type are reported using the same units.

Protein expression data is based on knowledge-based annotation. For genes where more than one antibody has been used, a collective score is set.

If knowledge-based annotation could not be performed for a gene, no data is displayed here. View antibody staining data further down this page.

h
m
l
n
Cells in basal layer: High
Cells in corneal layer: Not detected
Cells in granular layer: High
Cells in spinous layer: High
Eccrine glands: High
Endothelial cells: High
Extracellular matrix: Not detected
Fibrohistiocytic cells: High
Langerhans cells: High
Lymphocytes: High
Melanocytes: High
Vascular mural cells: Not detected
RNA expressioni

A summary of mRNA expression data available for current tissue based on several datasets. The mRNA expression levels in human tissues are based on RNA-seq data generated by the Human Protein Atlas (HPA), Genotype-Tissue Expression (GTEx) portal and CAGE data generated by the FANTOM5 consortium. Consensus normalized expression levels for human tissues was created by combining the data from HPA and GTEx datasets.

The mRNA expression levels in pig are based on RNA-seq data generated by the Human Protein Atlas (HPA), and for mouse, HPA data and in situ hybridization generated by the Allen brain atlas are reported.

Scroll down to view mRNA expression data in more detail.
Consensus:65.4 nTPM
HPA:30.9 nTPM
GTEx:65.4 nTPM

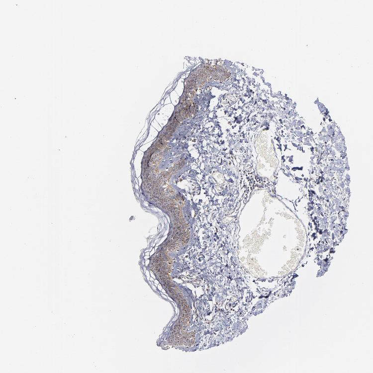
SKIN 1 - Antibody stainingi

Antibody staining in the annotated cell types in the current human tissue is reported as not detected, low, medium, or high, based on conventional immunohistochemistry profiling in selected tissues. This score is based on the combination of the staining intensity and fraction of stained cells.

Each image is clickable and will lead to virtual microscopy that enables deeper exploration of all samples and also displays staining intensity scores, fraction scores and subcellular localization as well as patient and tissue information for each sample.

Antibody HPA003280
Cells in basal layer Medium
Cells in corneal layer Not detected
Cells in granular layer Medium
Cells in spinous layer Medium
Endothelial cells Not detected
Extracellular matrix Not detected
Fibrohistiocytic cells Low
Langerhans cells Medium
Lymphocytes Medium
Melanocytes Medium
Vascular mural cells Not detected
 
SKIN 2 - Antibody stainingi

Antibody staining in the annotated cell types in the current human tissue is reported as not detected, low, medium, or high, based on conventional immunohistochemistry profiling in selected tissues. This score is based on the combination of the staining intensity and fraction of stained cells.

Each image is clickable and will lead to virtual microscopy that enables deeper exploration of all samples and also displays staining intensity scores, fraction scores and subcellular localization as well as patient and tissue information for each sample.

Antibody HPA003280
Cells in basal layer High
Cells in corneal layer Not detected
Cells in granular layer High
Cells in spinous layer High
Eccrine glands High
Endothelial cells High
Extracellular matrix Not detected
Fibrohistiocytic cells High
Langerhans cells High
Lymphocytes High
Melanocytes High
Vascular mural cells Not detected



SKIN - HPA RNA-seqi

The RNA-seq details section shows detailed information about the individual samples used for the transcript profiling and results of the RNA-seq analysis.

Information about each individual sample is listed below, including gender, age, a tissue section image and estimated fractions of cell types. nTPM (normalized transcripts per million) values give a quantification of the gene abundance which is comparable between different genes and samples.
Average nTPMi

Max subtype nTPM is the value for the subtype with the largest average nTPM across the subtype samples.

30.9
overview
Female, age 34
Skin sample 225
nTPM: 31.2
Cell types%
Keratinocytes:
60

Other cell types:
40

overview
Female, age 30
Skin sample 226
nTPM: 24.1
Cell types%
Keratinocytes:
55

Other cell types:
45

N/A
Male, age 57
Skin sample 227
nTPM: 37.4

SKIN - GTEx RNA-seqi

RNA-Seq data generated by the Genotype-Tissue Expression (GTEx) project from human tissues is reported as mean nTPM. More information can be found on the GTEx portal.

Distribution across the dataset is visualized with box plots, shown as median and 25th and 75th percentiles. Points are displayed as outliers if they are above or below 1.5 times the interquartile range. nTPM values of the individual samples are presented next to the box plot.
Max subtype nTPMi

Max subtype nTPM is the value for the subtype with the largest average nTPM across the subtype samples.

65.4
GTEx sample id Sample description nTPM
Skin - Not Sun Exposed (Suprapubic)
Average nTPM: 64.9
Samples: 604

Max nTPM: 164.4
Min nTPM: 30.0
Std nTPM: 16.9
Median nTPM: 62.4
GTEX-1PIGE-1826-SM-E8VOU 20-29 years, male 164.4
GTEX-1HSMP-0926-SM-A9SKX 70-79 years, male 149.1
GTEX-15G19-2426-SM-7KUMR 60-69 years, male 139.1
GTEX-14XAO-1226-SM-6EU1C 60-69 years, female 127.8
GTEX-WH7G-2026-SM-3NMBL 40-49 years, male 125.2
GTEX-15RIE-1926-SM-7KUKJ 60-69 years, male 121.6
GTEX-X585-2426-SM-46MW2 50-59 years, male 121.5
GTEX-14PJ3-1126-SM-5ZZVX 50-59 years, male 119.7
GTEX-1R9PN-0426-SM-DTXDT 40-49 years, female 116.6
GTEX-1E2YA-2126-SM-7MXUO 50-59 years, male 115.8
GTEX-XYKS-1426-SM-4BRUO 60-69 years, female 114.1
GTEX-11DXX-2126-SM-5PNYR 60-69 years, female 111.6
GTEX-1PPH8-0126-SM-EWRN8 20-29 years, male 109.9
GTEX-1RAZA-2226-SM-E9U4X 20-29 years, male 109.6
GTEX-117YX-1926-SM-5GIEC 50-59 years, male 106.6
GTEX-1QP66-1226-SM-DTX7U 50-59 years, male 104.6
GTEX-1IKOE-1426-SM-CE6T7 30-39 years, female 102.9
GTEX-1IDJC-1526-SM-B2LW4 50-59 years, male 101.4
GTEX-WHSE-0126-SM-3NMBT 20-29 years, male 100.5
GTEX-YB5K-2026-SM-4VDT3 40-49 years, female 100.2
GTEX-Y5V6-2326-SM-4VDSA 60-69 years, male 99.6
GTEX-11WQK-1026-SM-5EQLX 50-59 years, male 99.5
GTEX-UPK5-0426-SM-3GAEK 40-49 years, male 98.5
GTEX-1L5NE-1126-SM-D3L9P 50-59 years, male 97.9
GTEX-12BJ1-0926-SM-5EQ62 60-69 years, male 96.8
GTEX-1QP9N-1226-SM-E76QN 30-39 years, male 95.0
GTEX-1399Q-2326-SM-5KM2X 40-49 years, male 94.9
GTEX-XK95-0226-SM-4AT58 40-49 years, male 94.2
GTEX-14PHY-1226-SM-5ZZWK 60-69 years, female 93.7
GTEX-132AR-0326-SM-5KM2C 50-59 years, female 93.3
GTEX-1RAZS-2526-SM-E6CHT 50-59 years, male 93.1
GTEX-1MJK3-0726-SM-E6CJC 20-29 years, male 92.6
GTEX-131XH-0126-SM-5LZUY 50-59 years, male 92.5
GTEX-14E1K-2026-SM-7DUEI 50-59 years, male 92.0
GTEX-Y5LM-0926-SM-6LLJG 40-49 years, female 92.0
GTEX-1I1GU-0926-SM-ACKVS 40-49 years, male 91.9
GTEX-145MG-1526-SM-5Q5EM 50-59 years, male 91.4
GTEX-XOT4-0626-SM-4B66L 60-69 years, female 91.3
GTEX-15G1A-1626-SM-7KUKN 30-39 years, male 90.8
GTEX-1H1CY-0126-SM-9YFLY 60-69 years, female 90.4
GTEX-1C64O-1326-SM-7MGWR 60-69 years, male 90.1
GTEX-1A3MW-0626-SM-731CB 60-69 years, female 89.7
GTEX-XXEK-1626-SM-4BRUZ 50-59 years, male 89.1
GTEX-1LGOU-1326-SM-D3L8M 20-29 years, female 88.9
GTEX-WY7C-2126-SM-3NB2R 50-59 years, male 88.3
GTEX-15SHW-0226-SM-7LTAT 60-69 years, male 88.0
GTEX-12696-0126-SM-5EQ4L 60-69 years, male 87.6
GTEX-1S82P-2126-SM-E6CI5 60-69 years, female 87.6
GTEX-14DAR-1226-SM-73KYV 50-59 years, male 87.2
GTEX-Y114-2126-SM-4TT8B 50-59 years, female 87.1
GTEX-15RIG-0726-SM-7KUM7 40-49 years, male 86.5
GTEX-1H11D-1826-SM-9QEHM 40-49 years, male 86.5
GTEX-12WSL-2026-SM-5GCML 50-59 years, male 86.4
GTEX-1KANC-1226-SM-CYPT7 50-59 years, female 86.4
GTEX-147GR-2426-SM-5ZZWQ 60-69 years, male 86.1
GTEX-13NYC-0126-SM-5L3F4 60-69 years, male 86.0
GTEX-1O9I2-0226-SM-EYYXD 50-59 years, male 85.9
GTEX-U8XE-0226-SM-4E3J3 30-39 years, male 85.8
GTEX-ZYFG-1526-SM-5GZYM 60-69 years, female 85.5
GTEX-13FH7-1126-SM-5K7UG 50-59 years, female 85.4
GTEX-1B996-0426-SM-7EWF8 60-69 years, male 85.0
GTEX-ZTTD-2826-SM-4YCFA 50-59 years, male 84.9
GTEX-1I19N-0126-SM-CYPSF 70-79 years, male 84.9
GTEX-11DYG-1526-SM-5A5JS 60-69 years, male 84.8
GTEX-1KANA-1326-SM-DIPFA 20-29 years, male 84.8
GTEX-1E1VI-0326-SM-793D1 50-59 years, male 84.5
GTEX-11TT1-1826-SM-5EQLV 20-29 years, male 84.0
GTEX-1QCLY-0226-SM-EWRNH 30-39 years, male 84.0
GTEX-16YQH-2226-SM-7IGM2 30-39 years, male 83.8
GTEX-1LSNM-0826-SM-DIPG8 50-59 years, male 83.5
GTEX-YEC3-1326-SM-DO92X 50-59 years, male 83.5
GTEX-1497J-0226-SM-5QGPU 60-69 years, male 83.3
GTEX-17F97-2626-SM-7IGM5 50-59 years, male 83.3
GTEX-1ICG6-1226-SM-A9SLN 70-79 years, female 83.3
GTEX-1LVAM-0726-SM-E6CIL 50-59 years, female 83.3
GTEX-1H1E6-0426-SM-9WYUS 30-39 years, male 83.1
GTEX-ZPU1-1126-SM-4YCF3 40-49 years, male 82.9
GTEX-ZYW4-0626-SM-59HJR 60-69 years, male 82.7
GTEX-12584-0726-SM-5FQTK 40-49 years, male 82.5
GTEX-1QAET-0326-SM-EVR3U 50-59 years, male 82.4
GTEX-WFG7-2026-SM-5SI7P 20-29 years, male 82.2
GTEX-ZT9W-1126-SM-57WDR 50-59 years, male 82.0
GTEX-YF7O-1526-SM-5IFI6 50-59 years, male 81.7
GTEX-1HCU9-0426-SM-9WYSD 20-29 years, male 81.7
GTEX-YFCO-1226-SM-5LUAT 40-49 years, male 81.6
GTEX-1AX8Z-0726-SM-73KTS 60-69 years, male 81.5
GTEX-ZDXO-3126-SM-5IJDF 60-69 years, male 81.4
GTEX-1OJC3-1226-SM-DTXER 20-29 years, male 81.2
GTEX-WXYG-2026-SM-4E3IY 50-59 years, female 81.0
GTEX-XMD2-2126-SM-4YCF8 60-69 years, female 80.9
GTEX-16MT9-0126-SM-7EPI8 60-69 years, female 80.8
GTEX-18A6Q-0626-SM-7KFRP 60-69 years, male 80.8
GTEX-1CB4I-0126-SM-7RHGG 50-59 years, male 80.6
GTEX-1K2DA-1026-SM-CGQGF 50-59 years, male 80.5
GTEX-1CAMR-1326-SM-7PC1F 20-29 years, male 80.3
GTEX-17F96-0126-SM-7EWDU 70-79 years, male 80.0
GTEX-14PJO-2526-SM-6AJBQ 60-69 years, male 79.9
GTEX-XBEW-1126-SM-4QARW 40-49 years, male 79.9
GTEX-139TT-2126-SM-5LZWC 60-69 years, male 79.8
GTEX-WI4N-2726-SM-3LK7Y 40-49 years, female 79.4
GTEX-11P7K-1126-SM-5HL4L 30-39 years, male 79.2
GTEX-WFG8-2126-SM-3GIKQ 20-29 years, male 79.1
GTEX-WEY5-2326-SM-3GIKK 40-49 years, female 79.0
GTEX-1JMQK-1226-SM-D4P2S 60-69 years, male 79.0
GTEX-13NYB-0126-SM-5J1MD 40-49 years, male 78.6
GTEX-145LT-0526-SM-5LUB2 40-49 years, male 78.6
GTEX-ZDTS-0826-SM-4WKHL 60-69 years, male 78.5
GTEX-ZVP2-0326-SM-57WBP 50-59 years, male 78.5
GTEX-11DXY-0126-SM-5H11Q 60-69 years, male 78.4
GTEX-18D9B-0926-SM-7LG4U 60-69 years, male 78.3
GTEX-ZY6K-1426-SM-5GZX2 50-59 years, male 78.0
GTEX-16NGA-0726-SM-731AO 40-49 years, female 77.9
GTEX-1JN1M-2726-SM-CY8I4 60-69 years, female 77.8
GTEX-1S82U-1026-SM-E6CJK 30-39 years, female 77.8
GTEX-11OF3-0126-SM-5PNYF 60-69 years, male 77.7
GTEX-ZWKS-0626-SM-5GIDV 30-39 years, male 77.3
GTEX-1I6K6-1726-SM-CGQFD 30-39 years, male 77.3
GTEX-18A7B-2726-SM-7LG56 70-79 years, male 77.1
GTEX-1H1DG-2426-SM-9QEHJ 70-79 years, male 77.1
GTEX-111YS-1526-SM-5GZYW 60-69 years, male 77.0
GTEX-1PBJJ-1026-SM-E76OS 30-39 years, male 77.0
GTEX-1OJC4-2726-SM-E76PJ 50-59 years, female 76.8
GTEX-1S3DN-2126-SM-E9TIN 50-59 years, male 76.8
GTEX-13W3W-0726-SM-5IJDQ 60-69 years, female 76.5
GTEX-1RLM8-2926-SM-E8VON 50-59 years, male 76.5
GTEX-145MN-1526-SM-5SI9T 30-39 years, male 76.1
GTEX-1BAJH-2426-SM-7IGP8 70-79 years, male 76.1
GTEX-1I6K7-1926-SM-B2LXR 40-49 years, male 76.0
GTEX-1192X-2726-SM-5N9DN 50-59 years, male 75.9
GTEX-ZPCL-1126-SM-4WWFE 60-69 years, female 75.9
GTEX-13OVG-1626-SM-5J1NF 60-69 years, male 75.7
GTEX-18A66-0626-SM-7LT8Z 60-69 years, male 75.5
GTEX-1CAV2-0126-SM-7IGN7 40-49 years, female 75.4
GTEX-12WSD-0626-SM-5GCMW 60-69 years, female 75.3
GTEX-15RJE-2826-SM-7KUM9 40-49 years, male 75.2
GTEX-1JN76-0626-SM-CKZOQ 20-29 years, female 75.2
GTEX-139TS-2126-SM-5K7XC 60-69 years, male 75.1
GTEX-ZYFD-0626-SM-5E44E 50-59 years, male 75.1
GTEX-1IDJE-1426-SM-ADEIW 50-59 years, female 75.1
GTEX-1R9PM-1926-SM-EVR3O 20-29 years, male 75.1
GTEX-11EQ9-1626-SM-5PNY8 30-39 years, male 75.0
GTEX-144FL-0626-SM-5LU43 50-59 years, male 75.0
GTEX-ZZ64-1026-SM-5GZXG 20-29 years, male 74.7
GTEX-13RTJ-0126-SM-5S2NN 60-69 years, male 74.5
GTEX-15DDE-2926-SM-6LLJ3 50-59 years, female 74.4
GTEX-1212Z-0126-SM-59HK4 60-69 years, male 74.3
GTEX-1B97I-0626-SM-73KUZ 40-49 years, male 74.3
GTEX-1N2DV-1526-SM-DTXEP 40-49 years, male 74.2
GTEX-13FTX-1526-SM-5K7VJ 20-29 years, female 74.0
GTEX-13N11-2326-SM-5IJBF 50-59 years, female 74.0
GTEX-11WQC-1826-SM-5GU59 60-69 years, male 73.9
GTEX-YECK-0326-SM-4W1YS 60-69 years, male 73.9
GTEX-ZDTT-0426-SM-4WKFL 60-69 years, male 73.9
GTEX-1LG7Z-1626-SM-CXKYR 30-39 years, male 73.8
GTEX-144GL-0626-SM-5LU4D 50-59 years, male 73.6
GTEX-1GN1W-2426-SM-9KNUU 50-59 years, female 73.6
GTEX-14BMU-1226-SM-5S2OR 20-29 years, female 73.5
GTEX-1F52S-2926-SM-7MKGA 60-69 years, female 73.5
GTEX-14BMV-2826-SM-5TDED 50-59 years, male 73.4
GTEX-1GZ4I-2626-SM-9KNU3 50-59 years, male 73.4
GTEX-111VG-1626-SM-5EGIO 60-69 years, male 73.3
GTEX-13NZ8-1226-SM-5KM4A 60-69 years, female 73.3
GTEX-12KS4-2126-SM-5FQUT 30-39 years, male 73.2
GTEX-131XG-0326-SM-5L3DX 50-59 years, female 73.0
GTEX-145LS-0626-SM-7EPG7 60-69 years, female 73.0
GTEX-WK11-2726-SM-3NMAQ 50-59 years, male 73.0
GTEX-ZLFU-1826-SM-4WWBV 40-49 years, male 73.0
GTEX-X3Y1-2026-SM-3P5YM 40-49 years, male 72.9
GTEX-14A5H-0826-SM-5QGPJ 60-69 years, male 72.8
GTEX-1F75I-2226-SM-7SB8U 40-49 years, male 72.8
GTEX-12WSH-1526-SM-5BC5W 50-59 years, male 72.7
GTEX-13OVH-0526-SM-5L3E6 70-79 years, male 72.7
GTEX-ZF3C-0626-SM-DO92O 50-59 years, female 72.6
GTEX-W5X1-2526-SM-3GILC 40-49 years, female 72.5
GTEX-1IL2V-1926-SM-B2LW8 70-79 years, male 72.3
GTEX-1399S-0126-SM-5IJCF 30-39 years, female 72.2
GTEX-139YR-1026-SM-5LZYN 50-59 years, male 72.2
GTEX-ZYT6-2326-SM-5GZY3 30-39 years, male 72.2
GTEX-1POEN-2326-SM-E9J2L 30-39 years, female 72.1
GTEX-Y3IK-1626-SM-4YCF5 50-59 years, female 72.0
GTEX-139D8-1126-SM-5LU8W 30-39 years, female 71.6
GTEX-11DZ1-2426-SM-5GZZX 50-59 years, male 71.3
GTEX-1F5PK-2226-SM-7SB6N 50-59 years, male 71.3
GTEX-ZTX8-1326-SM-4YCEL 20-29 years, male 71.2
GTEX-11NSD-0626-SM-5A5LU 20-29 years, male 70.9
GTEX-ZP4G-1426-SM-4WWCL 20-29 years, female 70.8
GTEX-1RMOY-1326-SM-E9TIH 50-59 years, male 70.8
GTEX-111FC-2526-SM-5GZXU 60-69 years, male 70.7
GTEX-11NUK-2726-SM-5A5MC 50-59 years, male 70.7
GTEX-1S831-1826-SM-EWROF 20-29 years, male 70.7
GTEX-1RAZQ-1326-SM-E9TK6 30-39 years, male 70.5
GTEX-12WSF-1626-SM-7KUG5 70-79 years, male 70.4
GTEX-17HGU-2326-SM-7DUFE 50-59 years, male 70.4
GTEX-14JFF-0626-SM-5ZZVT 60-69 years, male 70.2
GTEX-ZXG5-2126-SM-59HKD 60-69 years, male 70.1
GTEX-145ME-1726-SM-5Q5EU 40-49 years, female 70.0
GTEX-1HC8U-1326-SM-9YFMJ 40-49 years, female 70.0
GTEX-13NZ9-2626-SM-5L3FK 50-59 years, male 69.9
GTEX-1GF9V-0826-SM-9KNUV 60-69 years, male 69.8
GTEX-ZT9X-1526-SM-5DUXD 40-49 years, male 69.6
GTEX-13G51-1826-SM-5KLZH 60-69 years, male 69.5
GTEX-X4EO-2926-SM-4E3JH 60-69 years, female 69.5
GTEX-ZAK1-0626-SM-5HL8E 50-59 years, female 69.5
GTEX-1LVAN-0626-SM-CNPOQ 50-59 years, female 69.4
GTEX-14PK6-0226-SM-62LF5 70-79 years, female 69.3
GTEX-13113-1626-SM-5EQ4I 60-69 years, female 69.1
GTEX-1C6WA-2626-SM-7MKGM 60-69 years, male 69.1
GTEX-1CB4J-1326-SM-7P8RX 60-69 years, male 68.8
GTEX-VUSG-2326-SM-4KL1U 50-59 years, male 68.7
GTEX-12126-0826-SM-5FQTZ 20-29 years, male 68.6
GTEX-14JG1-1526-SM-5YY9X 40-49 years, male 68.6
GTEX-17KNJ-2126-SM-718AM 50-59 years, male 68.6
GTEX-YEC4-1826-SM-4W1YP 40-49 years, male 68.6
GTEX-ZLWG-0826-SM-59888 50-59 years, female 68.6
GTEX-WHWD-1826-SM-3LK6I 50-59 years, male 68.5
GTEX-WFON-1926-SM-3LK7L 40-49 years, male 68.4
GTEX-14ICL-1626-SM-5YYAO 30-39 years, male 68.3
GTEX-11EQ8-0926-SM-5H12V 60-69 years, male 68.2
GTEX-145MO-2826-SM-5LU96 60-69 years, male 68.2
GTEX-1R9K4-2826-SM-DTX8F 60-69 years, male 68.2
GTEX-13X6K-0626-SM-5LU5D 60-69 years, female 68.1
GTEX-1F75W-2726-SM-7SB8H 60-69 years, male 68.1
GTEX-1HCU6-2526-SM-ADEHL 60-69 years, female 68.1
GTEX-12ZZX-2426-SM-5GCOE 40-49 years, female 68.0
GTEX-1H1DF-1126-SM-9WG7G 40-49 years, female 67.9
GTEX-ZPIC-0526-SM-DO91W 40-49 years, female 67.9
GTEX-1F6I4-2326-SM-7RHGL 60-69 years, male 67.8
GTEX-ZUA1-2626-SM-5NQ92 40-49 years, male 67.7
GTEX-ZVE1-0726-SM-51MRN 50-59 years, female 67.6
GTEX-1LBAC-0826-SM-CY8IJ 20-29 years, male 67.6
GTEX-14C38-0726-SM-5SI6M 50-59 years, male 67.4
GTEX-X4EP-0626-SM-3P621 60-69 years, female 67.4
GTEX-1S83E-1326-SM-E6CJM 40-49 years, male 67.4
GTEX-15RJ7-2126-SM-6PAMD 40-49 years, male 67.3
GTEX-16MTA-0926-SM-6M47Z 50-59 years, male 67.3
GTEX-WYJK-0526-SM-3NM8Z 50-59 years, male 67.3
GTEX-1M4P7-0726-SM-E6CJ3 60-69 years, male 67.3
GTEX-13IVO-0726-SM-5LZYV 70-79 years, male 67.2
GTEX-1JMOU-1026-SM-CYPSS 60-69 years, female 67.2
GTEX-12WSJ-1126-SM-5LZVJ 40-49 years, female 67.1
GTEX-1CB4E-0926-SM-7EPHT 60-69 years, male 67.1
GTEX-1CAMQ-1326-SM-7P8RV 40-49 years, male 67.1
GTEX-13PDP-0726-SM-5L3HP 60-69 years, male 67.0
GTEX-13PL6-1126-SM-5L3IE 40-49 years, female 67.0
GTEX-ZE9C-2526-SM-5IJDR 60-69 years, male 67.0
GTEX-14LZ3-0126-SM-69LPM 60-69 years, female 66.9
GTEX-16MT8-2926-SM-7DUFO 60-69 years, female 66.9
GTEX-1GMR3-0126-SM-A9SLW 40-49 years, male 66.7
GTEX-139TU-0726-SM-5L3EK 60-69 years, male 66.5
GTEX-14AS3-1526-SM-5Q5ED 40-49 years, female 66.5
GTEX-11DXW-0826-SM-5H118 40-49 years, male 66.3
GTEX-18D9U-0126-SM-731BM 40-49 years, male 66.3
GTEX-11EM3-1226-SM-5N9DD 20-29 years, female 66.2
GTEX-ZE7O-2726-SM-51MT5 50-59 years, female 66.2
GTEX-18D9A-1426-SM-7LT8M 30-39 years, female 66.1
GTEX-17F98-1326-SM-7DUEP 40-49 years, female 66.0
GTEX-1LVA9-2626-SM-EVYD4 50-59 years, male 66.0
GTEX-1313W-0626-SM-5EQ4H 50-59 years, female 65.9
GTEX-1IDJF-2026-SM-CL53V 20-29 years, male 65.9
GTEX-1B8KE-1126-SM-7EPHI 50-59 years, male 65.8
GTEX-X8HC-0626-SM-4E3HQ 50-59 years, female 65.7
GTEX-14E6C-2426-SM-5S2NF 40-49 years, male 65.5
GTEX-17MFQ-1526-SM-7KFRR 20-29 years, male 65.5
GTEX-17F9E-2326-SM-79OKD 50-59 years, male 65.4
GTEX-1RB15-1326-SM-E76Q9 60-69 years, male 65.4
GTEX-1F6IF-0926-SM-7SB7M 60-69 years, male 65.3
GTEX-14DAQ-0626-SM-793DS 60-69 years, female 65.2
GTEX-1H1ZS-2726-SM-9WG75 70-79 years, male 65.1
GTEX-1J1OQ-0126-SM-D4P2N 40-49 years, female 65.1
GTEX-1KD5A-0126-SM-E9U54 50-59 years, male 65.1
GTEX-1K2DU-1226-SM-CYPT4 20-29 years, male 65.0
GTEX-14ABY-2026-SM-62LDL 50-59 years, male 64.9
GTEX-14PKV-1126-SM-6LLJ1 20-29 years, female 64.9
GTEX-12ZZY-0726-SM-5EQ66 60-69 years, male 64.8
GTEX-13112-0126-SM-5P9IU 50-59 years, male 64.8
GTEX-1IY9M-2826-SM-ARU8H 60-69 years, male 64.8
GTEX-1KANB-2826-SM-CY8I6 50-59 years, male 64.8
GTEX-15CHC-1126-SM-6LLHQ 60-69 years, female 64.7
GTEX-16GPK-0626-SM-7KFSF 60-69 years, male 64.7
GTEX-1A3MV-1826-SM-731CD 30-39 years, male 64.7
GTEX-1HFI6-0126-SM-CNPPI 40-49 years, male 64.7
GTEX-ZAJG-1526-SM-5CVML 50-59 years, female 64.5
GTEX-17HG3-2626-SM-7DUF2 30-39 years, female 64.2
GTEX-1HB9E-0126-SM-CM2S5 50-59 years, male 64.2
GTEX-1PPH7-1126-SM-DTX9A 40-49 years, male 64.1
GTEX-ZDYS-2426-SM-4WKGI 50-59 years, male 64.0
GTEX-13O3O-2326-SM-5IJD6 60-69 years, female 63.9
GTEX-1A32A-0626-SM-731AQ 50-59 years, female 63.9
GTEX-1C475-1326-SM-7SB73 40-49 years, female 63.9
GTEX-13FTY-2126-SM-5IFFB 40-49 years, female 63.8
GTEX-178AV-1726-SM-7KUL8 40-49 years, male 63.7
GTEX-1GPI7-1826-SM-9KNU1 20-29 years, male 63.6
GTEX-XQ3S-1426-SM-4BOPR 20-29 years, male 63.5
GTEX-12WSK-2126-SM-5CVNC 40-49 years, female 63.4
GTEX-13OW5-2326-SM-5L3HO 60-69 years, male 63.2
GTEX-1F75B-0726-SM-7PC3R 50-59 years, male 63.2
GTEX-1HCU7-0726-SM-A9SL1 50-59 years, male 63.2
GTEX-1HCUA-0826-SM-ADEHM 50-59 years, female 63.2
GTEX-1HBPN-0126-SM-CGQEF 50-59 years, male 63.0
GTEX-147F4-0726-SM-5TDDD 50-59 years, male 62.8
GTEX-1117F-2926-SM-5GZYI 60-69 years, female 62.7
GTEX-1IDJU-1726-SM-CMKHU 60-69 years, female 62.4
GTEX-1NSGN-0726-SM-DTXEF 50-59 years, male 62.4
GTEX-13JUV-2026-SM-5K7UA 40-49 years, female 62.2
GTEX-1AYD5-2626-SM-7PBXY 50-59 years, male 62.2
GTEX-18A7A-0126-SM-731AH 50-59 years, female 62.1
GTEX-XBED-1926-SM-47JYP 60-69 years, male 62.1
GTEX-1LKK1-2626-SM-DKPQE 50-59 years, female 62.0
GTEX-XBEC-0726-SM-4QARZ 50-59 years, male 61.8
GTEX-1QEPI-2626-SM-DTXF4 60-69 years, female 61.8
GTEX-13X6I-1826-SM-5SIAO 60-69 years, male 61.7
GTEX-18QFQ-1826-SM-72D52 30-39 years, male 61.7
GTEX-1CAMS-2226-SM-7PBXQ 40-49 years, female 61.6
GTEX-1LSVX-2526-SM-DIPEU 60-69 years, male 61.6
GTEX-146FQ-2126-SM-5RQHU 30-39 years, male 61.5
GTEX-V1D1-2026-SM-3GAF4 50-59 years, male 61.5
GTEX-1H2FU-0926-SM-9WPPT 60-69 years, female 61.4
GTEX-13OW6-2726-SM-5J2OE 50-59 years, male 61.3
GTEX-13PVR-0426-SM-5RQK2 60-69 years, female 61.3
GTEX-1F48J-0726-SM-7RHGS 50-59 years, female 61.3
GTEX-1MCC2-1826-SM-DIPEX 30-39 years, female 61.3
GTEX-14PII-0726-SM-6EU2B 60-69 years, male 61.0
GTEX-1399R-1326-SM-5PNYS 30-39 years, male 60.9
GTEX-1F6RS-2026-SM-7RHHC 60-69 years, female 60.9
GTEX-14PHX-2226-SM-6EU2P 50-59 years, male 60.8
GTEX-UPJH-0226-SM-3GADV 50-59 years, male 60.8
GTEX-1GF9X-1326-SM-7PC2Y 40-49 years, female 60.8
GTEX-1211K-1526-SM-5FQU4 60-69 years, female 60.7
GTEX-ZVTK-0226-SM-51MRG 20-29 years, male 60.7
GTEX-ZU9S-1826-SM-5NQ9E 30-39 years, male 60.5
GTEX-1IDJD-2326-SM-ACKWX 30-39 years, male 60.5
GTEX-1LG7Y-2526-SM-EWRO7 50-59 years, male 60.5
GTEX-ZYVF-0926-SM-5E44J 50-59 years, female 60.4
GTEX-1JJ6O-2726-SM-CNPOG 60-69 years, male 60.4
GTEX-11ZUS-2626-SM-5FQUR 30-39 years, male 60.2
GTEX-15UF6-1926-SM-7KUDV 70-79 years, female 60.2
GTEX-1HR98-2226-SM-ADEI2 60-69 years, male 60.2
GTEX-144GO-2026-SM-5O99P 60-69 years, male 60.1
GTEX-15EO6-2426-SM-6PALZ 50-59 years, male 60.1
GTEX-1GTWX-2026-SM-9YFLM 60-69 years, male 60.1
GTEX-11PRG-0726-SM-5EGL1 50-59 years, male 60.0
GTEX-XPVG-2126-SM-4B667 50-59 years, male 60.0
GTEX-1JMQJ-0826-SM-CNPP7 50-59 years, male 59.9
GTEX-131YS-2826-SM-5EQ47 60-69 years, female 59.8
GTEX-1EMGI-2326-SM-7PBYA 60-69 years, male 59.8
GTEX-12WSA-0426-SM-5EQ5X 60-69 years, male 59.7
GTEX-ZVT4-2426-SM-5GIEI 50-59 years, female 59.7
GTEX-1F88F-0126-SM-9WYSZ 60-69 years, female 59.7
GTEX-14PJ6-2626-SM-6EU2T 60-69 years, female 59.4
GTEX-15ER7-0626-SM-6PANF 20-29 years, female 59.4
GTEX-15EU6-2226-SM-6EU2L 50-59 years, male 59.4
GTEX-17F9Y-0126-SM-79OKX 70-79 years, female 59.3
GTEX-1I1GP-1326-SM-A9G28 50-59 years, male 59.3
GTEX-ZF2S-1626-SM-57WES 50-59 years, female 59.2
GTEX-14PJ2-0626-SM-6LLII 50-59 years, male 59.1
GTEX-15DYW-2726-SM-6EU2I 60-69 years, female 59.1
GTEX-17EVQ-0126-SM-7IGLR 70-79 years, male 59.0
GTEX-1GMRU-2126-SM-7P8RA 50-59 years, male 59.0
GTEX-1I1CD-0626-SM-CE6SW 60-69 years, female 59.0
GTEX-1N5O9-0926-SM-E9J3C 60-69 years, male 58.9
GTEX-17HHE-1326-SM-7EWDZ 50-59 years, male 58.7
GTEX-Y3I4-1726-SM-4TT89 50-59 years, male 58.7
GTEX-11P82-1426-SM-DTXFY 20-29 years, male 58.7
GTEX-1GMR2-0826-SM-7PC3V 50-59 years, male 58.7
GTEX-1PPGY-1626-SM-EVYBL 60-69 years, male 58.7
GTEX-1QP2A-1726-SM-E76QC 50-59 years, male 58.7
GTEX-13OVJ-0826-SM-5J1OK 50-59 years, female 58.6
GTEX-11VI4-1126-SM-5EQMD 40-49 years, female 58.4
GTEX-15SKB-2826-SM-6PAMH 60-69 years, male 58.4
GTEX-11DXZ-2026-SM-5987S 50-59 years, male 58.3
GTEX-16BQI-1326-SM-6M486 30-39 years, female 58.3
GTEX-Y8E4-2026-SM-5IFJB 40-49 years, male 58.3
GTEX-1LSNL-2726-SM-E9TKJ 50-59 years, male 58.3
GTEX-1QPFJ-1926-SM-EVYBD 30-39 years, female 58.3
GTEX-13X6H-0926-SM-5SIB2 50-59 years, female 58.0
GTEX-1LVAO-2726-SM-E9TJ8 60-69 years, male 58.0
GTEX-11O72-0626-SM-5PNYE 40-49 years, male 57.9
GTEX-1KWVE-1026-SM-D3L9O 30-39 years, male 57.8
GTEX-1QCLZ-2426-SM-EVYBW 60-69 years, female 57.8
GTEX-1JKYN-0826-SM-ARU8S 30-39 years, male 57.7
GTEX-13OVK-1426-SM-6PAN7 40-49 years, male 57.6
GTEX-1B933-2426-SM-7DHMD 50-59 years, female 57.6
GTEX-1IDJH-0126-SM-D3L92 70-79 years, male 57.6
GTEX-18A67-1626-SM-7LT9T 50-59 years, male 57.5
GTEX-1AX9I-2226-SM-73KUO 60-69 years, male 57.5
GTEX-1C6VQ-1226-SM-73KYD 50-59 years, male 57.4
GTEX-1GZ4H-0526-SM-9KNU9 50-59 years, female 57.4
GTEX-ZLV1-1526-SM-DO91J 60-69 years, female 57.4
GTEX-1A3MX-2626-SM-7PC24 60-69 years, male 57.3
GTEX-1JKYR-0626-SM-ARL8R 20-29 years, male 57.3
GTEX-ZF29-0926-SM-4WKFZ 60-69 years, female 57.2
GTEX-1HBPI-2126-SM-ARL9K 50-59 years, male 57.2
GTEX-ZVZP-1226-SM-5GID7 50-59 years, male 57.1
GTEX-1H1DE-1326-SM-9KNUG 20-29 years, male 57.1
GTEX-1HGF4-0126-SM-CNPPX 60-69 years, male 57.1
GTEX-1RAZR-2126-SM-E9U6T 40-49 years, male 57.1
GTEX-1JMQL-2226-SM-CNPP4 50-59 years, female 57.0
GTEX-17JCI-2926-SM-7DUFF 60-69 years, female 56.8
GTEX-YJ8O-2526-SM-5HL85 40-49 years, female 56.8
GTEX-13SLX-2226-SM-62LEP 50-59 years, female 56.6
GTEX-Z93S-1626-SM-5CVMB 50-59 years, male 56.5
GTEX-1F5PL-0926-SM-7PC2W 40-49 years, female 56.5
GTEX-1J8QM-2426-SM-A9SLS 60-69 years, female 56.3
GTEX-148VJ-0626-SM-5LUAW 70-79 years, male 56.1
GTEX-13OVL-0126-SM-5L3GJ 50-59 years, male 56.0
GTEX-13PVQ-0626-SM-5LU47 50-59 years, male 55.9
GTEX-1JMPZ-0726-SM-CY8HZ 30-39 years, male 55.9
GTEX-XV7Q-1826-SM-4BRUV 40-49 years, female 55.7
GTEX-1JMLX-0626-SM-ARL8T 50-59 years, male 55.6
GTEX-11ZTT-2126-SM-5CVLO 60-69 years, female 55.5
GTEX-1B8KZ-0326-SM-73KY4 50-59 years, male 55.5
GTEX-1HSMO-0626-SM-ACKXC 60-69 years, male 55.5
GTEX-11UD2-2526-SM-5CVNU 50-59 years, male 55.4
GTEX-1I1GV-0626-SM-ARL7M 60-69 years, male 55.4
GTEX-1H3NZ-2726-SM-9WYTQ 60-69 years, male 55.3
GTEX-1HSGN-0826-SM-ACKW3 40-49 years, female 55.3
GTEX-145MF-0926-SM-5Q5EA 50-59 years, male 55.2
GTEX-1QW4Y-1126-SM-DTXE3 30-39 years, male 55.2
GTEX-1QP29-1826-SM-DTX9S 50-59 years, male 55.1
GTEX-1I1GS-2626-SM-B2LY3 60-69 years, male 55.0
GTEX-11ZU8-0126-SM-5EQ58 60-69 years, male 54.9
GTEX-1EWIQ-0326-SM-7DHMQ 70-79 years, female 54.9
GTEX-1IDFM-0326-SM-ARL7V 60-69 years, male 54.9
GTEX-16Z82-2626-SM-7KULU 60-69 years, male 54.8
GTEX-13D11-0926-SM-5J2NC 50-59 years, female 54.7
GTEX-14B4R-1326-SM-5Q5EZ 30-39 years, male 54.7
GTEX-14LLW-2626-SM-62LDZ 70-79 years, female 54.7
GTEX-17HHY-0426-SM-7DHLC 50-59 years, male 54.7
GTEX-Y111-0626-SM-4SOIT 50-59 years, male 54.5
GTEX-1GF9U-2026-SM-7SB92 40-49 years, female 54.5
GTEX-ZC5H-1526-SM-5HL9Y 40-49 years, female 54.4
GTEX-1C64N-2626-SM-7PC2N 50-59 years, male 54.4
GTEX-1J8Q2-2626-SM-ACKWQ 60-69 years, male 54.3
GTEX-145MH-2826-SM-5RQJF 50-59 years, male 54.2
GTEX-WHPG-2626-SM-3NMBR 50-59 years, male 54.2
GTEX-1QP28-1126-SM-EVYC4 50-59 years, female 54.1
GTEX-14BIN-1126-SM-5RQJZ 50-59 years, female 54.0
GTEX-XQ8I-0926-SM-4BOOF 50-59 years, male 54.0
GTEX-15CHR-1126-SM-7EWF4 50-59 years, male 53.9
GTEX-Y8LW-1526-SM-5IFHL 50-59 years, female 53.9
GTEX-X5EB-1926-SM-4E3IW 40-49 years, male 53.8
GTEX-1GN1U-0626-SM-9MQL9 50-59 years, female 53.5
GTEX-1H3O1-1326-SM-9MQLD 60-69 years, male 53.5
GTEX-1J8EW-2726-SM-CY8HR 60-69 years, female 53.5
GTEX-1QMI2-2526-SM-E8VNZ 60-69 years, male 53.5
GTEX-15D1Q-2826-SM-6LLH7 40-49 years, male 53.4
GTEX-1B8SF-0126-SM-7DUG3 60-69 years, male 53.4
GTEX-1F75A-0726-SM-7RHHD 50-59 years, male 53.3
GTEX-ZA64-1026-SM-5HL8R 20-29 years, male 53.1
GTEX-14JG6-1426-SM-9WG7C 30-39 years, female 53.1
GTEX-1I1HK-2326-SM-CKZOH 60-69 years, male 53.1
GTEX-13FLV-0126-SM-5K7WT 50-59 years, male 53.0
GTEX-13U4I-2226-SM-5LU5H 40-49 years, female 53.0
GTEX-1EN7A-2426-SM-793DB 40-49 years, male 53.0
GTEX-WRHU-2826-SM-3MJG8 50-59 years, female 52.9
GTEX-147F3-1726-SM-5SIAW 50-59 years, female 52.8
GTEX-1PIIG-2326-SM-DTXFR 30-39 years, male 52.8
GTEX-1A8G7-1326-SM-73KVM 60-69 years, male 52.7
GTEX-1LGRB-0926-SM-COH3K 50-59 years, female 52.7
GTEX-1MCYP-0526-SM-E9U6Q 20-29 years, female 52.6
GTEX-1K9T9-1526-SM-DIPFR 50-59 years, female 52.5
GTEX-16NPX-0726-SM-7KULC 50-59 years, male 52.4
GTEX-1HT8W-0626-SM-A9G2H 30-39 years, male 52.4
GTEX-1ICLZ-0326-SM-ARL82 60-69 years, male 52.4
GTEX-ZTSS-1426-SM-5985P 40-49 years, male 52.2
GTEX-13YAN-0226-SM-5TDC6 60-69 years, male 52.1
GTEX-1GMR8-0626-SM-7RHI7 50-59 years, female 52.0
GTEX-1R7EU-1626-SM-DTXG3 60-69 years, male 52.0
GTEX-1A8FM-0626-SM-7PC25 50-59 years, female 51.8
GTEX-12WSM-1926-SM-5BC65 60-69 years, male 51.5
GTEX-1399U-1126-SM-5L3DB 50-59 years, female 51.5
GTEX-13FTW-0326-SM-5K7UW 40-49 years, male 51.5
GTEX-139UW-0326-SM-5J1ML 60-69 years, male 51.4
GTEX-1HFI7-2326-SM-CGQFS 50-59 years, female 51.4
GTEX-1PDJ9-1226-SM-EXUSX 20-29 years, male 51.4
GTEX-144GM-0526-SM-79OJO 20-29 years, male 51.2
GTEX-15CHQ-0326-SM-69LQD 60-69 years, male 51.2
GTEX-13JVG-0726-SM-5KM16 60-69 years, male 51.1
GTEX-XAJ8-1426-SM-47JYM 40-49 years, male 51.1
GTEX-1JJEA-1826-SM-ARU8P 60-69 years, male 51.0
GTEX-1314G-1326-SM-5BC6E 30-39 years, male 50.9
GTEX-16XZZ-0726-SM-7KUF2 60-69 years, male 50.9
GTEX-14E6E-0526-SM-793DN 30-39 years, male 50.8
GTEX-ZZPU-0826-SM-5GZX5 50-59 years, female 50.8
GTEX-1IDJI-0126-SM-CMKHS 50-59 years, female 50.8
GTEX-1JMQI-1726-SM-ARL93 50-59 years, male 50.7
GTEX-1GN73-0726-SM-7P8TJ 60-69 years, male 50.6
GTEX-1EX96-1026-SM-7MKG2 50-59 years, male 50.5
GTEX-1JMPY-0226-SM-CKZOK 30-39 years, male 50.5
GTEX-18465-2826-SM-7LT9J 50-59 years, male 50.4
GTEX-13O61-1426-SM-5KM3D 60-69 years, male 50.3
GTEX-1HSMQ-2626-SM-A9SML 50-59 years, male 50.3
GTEX-183FY-1026-SM-7939A 20-29 years, male 50.2
GTEX-183WM-0326-SM-72D5V 70-79 years, female 50.1
GTEX-11GS4-0226-SM-5HL77 60-69 years, male 50.0
GTEX-133LE-2326-SM-5K7W3 20-29 years, female 50.0
GTEX-1IKJJ-2226-SM-CJI4C 60-69 years, male 50.0
GTEX-1IOXB-2726-SM-CM2RI 50-59 years, male 49.9
GTEX-14A6H-2026-SM-5Q5DD 30-39 years, male 49.8
GTEX-XUW1-0926-SM-4BONX 50-59 years, female 49.7
GTEX-1AX9J-1326-SM-731BJ 60-69 years, male 49.6
GTEX-1GN1V-2826-SM-9JGIA 60-69 years, male 49.6
GTEX-13SLW-0626-SM-5Q5ER 70-79 years, male 49.5
GTEX-1GZ2Q-0126-SM-9WG6M 40-49 years, male 49.3
GTEX-1I4MK-0126-SM-CY8G6 50-59 years, female 49.2
GTEX-1J8JJ-0626-SM-ARZMQ 60-69 years, female 49.2
GTEX-13N2G-0226-SM-5K7VF 60-69 years, male 49.1
GTEX-1B8L1-2226-SM-7P8PT 60-69 years, male 49.1
GTEX-14753-0726-SM-5QGQO 60-69 years, male 49.0
GTEX-12WSC-2826-SM-5BC5Y 50-59 years, male 48.9
GTEX-1B932-2326-SM-79OL5 40-49 years, female 48.9
GTEX-14C39-1726-SM-5RQIL 40-49 years, male 48.8
GTEX-1A8G6-2726-SM-731AR 60-69 years, male 48.8
GTEX-13NYS-0626-SM-5L3F1 60-69 years, male 48.6
GTEX-WHSB-1326-SM-3LK6W 50-59 years, male 48.6
GTEX-131XW-0626-SM-5PNVD 50-59 years, female 48.5
GTEX-145MI-0626-SM-5SI8S 60-69 years, female 48.5
GTEX-14PJ5-1526-SM-6LLIL 60-69 years, female 48.5
GTEX-111CU-1126-SM-5EGIM 50-59 years, male 48.4
GTEX-1N2EE-0626-SM-E76PW 60-69 years, male 48.4
GTEX-14PJN-1826-SM-6AJ98 30-39 years, male 48.3
GTEX-1HCVE-2726-SM-CL54F 50-59 years, male 48.3
GTEX-WYBS-0626-SM-3NMAS 60-69 years, female 48.2
GTEX-1J1R8-2026-SM-CL53Y 40-49 years, male 48.0
GTEX-1LB8K-0726-SM-D5OV2 50-59 years, male 48.0
GTEX-1JJE9-2626-SM-ARZMT 70-79 years, male 47.9
GTEX-11GSP-2326-SM-5HL63 60-69 years, female 47.8
GTEX-1F88E-1626-SM-7SB8Z 60-69 years, female 47.8
GTEX-1GL5R-1326-SM-7RHHF 50-59 years, male 47.8
GTEX-16AAH-0626-SM-793C9 50-59 years, male 47.7
GTEX-1I1GT-1026-SM-ARZLV 60-69 years, female 47.7
GTEX-12C56-1526-SM-5FQUQ 20-29 years, male 47.6
GTEX-14PJ4-0226-SM-5YY92 60-69 years, male 47.3
GTEX-1EU9M-1426-SM-793AI 60-69 years, male 47.3
GTEX-13X6J-0626-SM-5LU5F 50-59 years, male 46.7
GTEX-17HII-1426-SM-7EPGG 50-59 years, male 46.7
GTEX-1C6VR-0126-SM-7RHGB 60-69 years, male 46.6
GTEX-1S5ZU-2526-SM-E6CIF 20-29 years, female 46.6
GTEX-WYVS-1626-SM-3NM9R 40-49 years, female 46.5
GTEX-12ZZZ-0726-SM-5GCNZ 60-69 years, male 46.3
GTEX-1JK1U-0226-SM-ARZMX 60-69 years, male 46.3
GTEX-1CB4H-1126-SM-7MKGL 60-69 years, female 46.2
GTEX-1GPI6-1926-SM-9KNV7 60-69 years, male 46.0
GTEX-1JN6P-2926-SM-CL54D 60-69 years, male 46.0
GTEX-1R46S-2426-SM-E76QA 60-69 years, female 46.0
GTEX-1477Z-0326-SM-7IGLA 60-69 years, male 45.9
GTEX-ZVE2-2826-SM-5GU51 50-59 years, male 45.9
GTEX-1GF9W-1426-SM-7PBYM 60-69 years, male 45.8
GTEX-13FHO-0426-SM-5L3F5 60-69 years, male 45.6
GTEX-1EKGG-0626-SM-7DUGJ 60-69 years, male 45.5
GTEX-1H4P4-2126-SM-9WYSL 50-59 years, male 45.5
GTEX-13QJC-0126-SM-5ZZWJ 60-69 years, female 45.0
GTEX-1KXAM-1626-SM-D3LAD 60-69 years, male 44.9
GTEX-145LU-1926-SM-79OJN 50-59 years, male 44.8
GTEX-1HR9M-2226-SM-CNPPY 60-69 years, male 44.7
GTEX-ZGAY-1826-SM-DO91Q 40-49 years, female 44.6
GTEX-11P81-2226-SM-5PNYI 30-39 years, female 44.5
GTEX-131XF-2626-SM-5EQ6K 60-69 years, male 44.3
GTEX-1J8Q3-0526-SM-ARL8U 60-69 years, male 44.3
GTEX-13O3Q-0126-SM-5KM34 50-59 years, male 44.2
GTEX-1122O-1026-SM-9WYSF 60-69 years, female 44.2
GTEX-1HKZK-0726-SM-ACKW2 40-49 years, male 44.0
GTEX-1NV5F-0626-SM-DTXEG 60-69 years, female 44.0
GTEX-1IE54-1126-SM-A9G2Z 40-49 years, female 43.9
GTEX-11EI6-2826-SM-5H11D 60-69 years, male 43.8
GTEX-11TUW-0626-SM-5LU9M 60-69 years, male 43.8
GTEX-13OW7-0426-SM-5K7VK 50-59 years, male 43.8
GTEX-13VXT-1926-SM-5K7UO 20-29 years, female 43.6
GTEX-1HUB1-1426-SM-CGQF5 60-69 years, male 43.5
GTEX-1KAFJ-0126-SM-DIPEK 50-59 years, male 43.5
GTEX-1ICLY-0826-SM-CMKG1 50-59 years, male 43.4
GTEX-1CB4F-1026-SM-7DUH1 60-69 years, male 43.3
GTEX-1EH9U-2826-SM-7DUGT 60-69 years, male 43.3
GTEX-13OW8-1026-SM-5J1NQ 60-69 years, male 43.2
GTEX-1GZHY-0626-SM-9KNVC 50-59 years, female 43.2
GTEX-1H23P-0626-SM-9WG6T 60-69 years, male 43.0
GTEX-17EVP-2626-SM-7IGMA 40-49 years, male 42.8
GTEX-ZYY3-2926-SM-5GIEB 60-69 years, female 42.6
GTEX-ZVT2-0126-SM-5GIDQ 50-59 years, female 42.5
GTEX-13VXU-0626-SM-5L3F9 50-59 years, male 42.4
GTEX-14PKU-0126-SM-6LLHV 40-49 years, female 42.4
GTEX-1C2JI-1026-SM-73KY1 50-59 years, male 42.3
GTEX-Y9LG-1126-SM-4VBQ7 30-39 years, male 42.0
GTEX-ZYFC-0426-SM-5GICQ 50-59 years, male 41.7
GTEX-13N1W-2426-SM-5IJD1 70-79 years, male 41.4
GTEX-1HBPM-0726-SM-9YFL7 60-69 years, female 41.0
GTEX-1269C-0126-SM-5EQ5L 60-69 years, female 40.8
GTEX-1IDJV-0126-SM-COH3Y 60-69 years, male 40.8
GTEX-ZAB4-2126-SM-5HL8U 40-49 years, male 40.7
GTEX-VJYA-1526-SM-3GIJV 60-69 years, male 40.6
GTEX-13QBU-1226-SM-5LU4G 40-49 years, female 40.5
GTEX-17MF6-2626-SM-79OKQ 40-49 years, male 39.9
GTEX-1GN2E-0226-SM-9WG6K 60-69 years, male 39.4
GTEX-1HSKV-1226-SM-ADEI4 60-69 years, male 39.3
GTEX-Y5V5-0126-SM-5S2NW 60-69 years, female 38.0
GTEX-1H3VE-0726-SM-9YFL5 40-49 years, male 37.7
GTEX-1HCU8-2526-SM-CE6RX 60-69 years, female 37.1
GTEX-1AMFI-1326-SM-7939R 50-59 years, female 36.7
GTEX-1AMEY-0826-SM-72D65 30-39 years, female 36.5
GTEX-14C5O-0326-SM-5ZZUX 60-69 years, male 36.3
GTEX-15FZZ-0526-SM-7KUGD 30-39 years, female 35.5
GTEX-11LCK-2226-SM-5HL4Q 30-39 years, male 33.1
GTEX-139T8-0626-SM-5KLZX 60-69 years, male 30.7
GTEX-147JS-0226-SM-5S2U9 60-69 years, male 30.0
Show allShow less
Skin - Sun Exposed (Lower leg)
Average nTPM: 65.4
Samples: 701

Max nTPM: 182.0
Min nTPM: 35.4
Std nTPM: 16.1
Median nTPM: 63.6
GTEX-POMQ-2226-SM-2I5FK 20-29 years, female 182.0
GTEX-W5X1-3026-SM-EAZAX 40-49 years, female 174.1
GTEX-15SB6-1726-SM-6PAME 50-59 years, female 172.9
GTEX-NPJ8-0126-SM-2YUNR 40-49 years, male 122.4
GTEX-Y3IK-2426-SM-4WWDU 50-59 years, female 122.4
GTEX-XYKS-2126-SM-4E3IB 60-69 years, female 118.5
GTEX-O5YT-0126-SM-48TBW 20-29 years, male 117.3
GTEX-RVPV-0126-SM-EAZAW 60-69 years, male 117.3
GTEX-SE5C-1626-SM-2XCE3 40-49 years, female 113.3
GTEX-1HSMP-0126-SM-E6CJS 70-79 years, male 112.6
GTEX-11WQK-0526-SM-5EQLD 50-59 years, male 107.7
GTEX-RUSQ-1526-SM-2TF62 50-59 years, male 105.8
GTEX-OIZG-0726-SM-33HBL 50-59 years, male 105.3
GTEX-1F75I-0326-SM-9YFLU 40-49 years, male 104.3
GTEX-1497J-2426-SM-7IGNX 60-69 years, male 104.1
GTEX-ZVZO-0126-SM-5A5L9 40-49 years, male 103.9
GTEX-11UD1-0126-SM-5PNYG 40-49 years, female 102.9
GTEX-X4XY-0226-SM-4E3IZ 60-69 years, male 102.9
GTEX-P4PQ-0126-SM-2S1NM 60-69 years, male 102.8
GTEX-XQ8I-0426-SM-4BOPO 50-59 years, male 100.6
GTEX-14PK6-1926-SM-6ETZU 70-79 years, female 100.1
GTEX-1A3MX-0126-SM-731BR 60-69 years, male 97.0
GTEX-14E6E-1826-SM-5S2R7 30-39 years, male 96.8
GTEX-14ICK-0226-SM-6EU25 40-49 years, male 96.6
GTEX-O5YW-0126-SM-3LK6D 50-59 years, male 96.5
GTEX-TMZS-0126-SM-3DB9Q 60-69 years, male 96.4
GTEX-WY7C-2326-SM-3NB2U 50-59 years, male 96.0
GTEX-U4B1-1826-SM-4DXSU 40-49 years, male 95.6
GTEX-145LT-1726-SM-5QGP3 40-49 years, male 95.5
GTEX-PWCY-1826-SM-DHXIZ 20-29 years, female 95.2
GTEX-OHPL-0126-SM-2HMJ7 60-69 years, female 94.5
GTEX-U8T8-0126-SM-3DB94 60-69 years, male 94.5
GTEX-17F98-0626-SM-79OMX 40-49 years, female 93.5
GTEX-Y5V6-2426-SM-4VDSB 60-69 years, male 92.4
GTEX-144GN-2326-SM-5LU4F 50-59 years, male 92.2
GTEX-14XAO-2326-SM-6EU1B 60-69 years, female 91.5
GTEX-OHPM-0126-SM-2YUN9 50-59 years, male 91.5
GTEX-117YX-2326-SM-5H12W 50-59 years, male 90.9
GTEX-S7SE-0126-SM-2XCD5 50-59 years, male 90.8
GTEX-1F75B-0126-SM-9KNVL 50-59 years, male 89.9
GTEX-1LSNM-1926-SM-E6CII 50-59 years, male 89.4
GTEX-1399U-2326-SM-5K7WY 50-59 years, female 89.2
GTEX-139UW-2826-SM-5L3E7 60-69 years, male 89.0
GTEX-1N2DV-0226-SM-E6CJ6 40-49 years, male 89.0
GTEX-OXRK-0226-SM-3NB2G 50-59 years, female 88.9
GTEX-1IKK5-0626-SM-ARL8A 60-69 years, male 88.7
GTEX-12126-0326-SM-5PNW3 20-29 years, male 88.6
GTEX-1NHNU-1026-SM-E9J2A 50-59 years, male 88.4
GTEX-P4PP-0126-SM-3LK69 30-39 years, female 88.3
GTEX-17JCI-0126-SM-7LG5G 60-69 years, female 88.2
GTEX-RU72-0926-SM-2TF6B 50-59 years, female 88.0
GTEX-X88G-0126-SM-47JZ3 30-39 years, male 88.0
GTEX-OOBJ-0126-SM-E6CJW 60-69 years, male 87.9
GTEX-SUCS-1926-SM-32PM3 70-79 years, male 87.4
GTEX-15G19-0126-SM-6PANQ 60-69 years, male 87.2
GTEX-X4XX-0126-SM-3NMC2 60-69 years, male 87.2
GTEX-U8XE-0326-SM-3DB8P 30-39 years, male 87.1
GTEX-1I1GU-2226-SM-CGQFA 40-49 years, male 86.8
GTEX-OXRL-0126-SM-2YUMP 50-59 years, male 86.7
GTEX-Q734-1926-SM-2I5EV 40-49 years, female 86.5
GTEX-1QP67-1626-SM-EAZ3X 40-49 years, female 86.4
GTEX-18A7A-0226-SM-718BH 50-59 years, female 86.3
GTEX-14BMU-2226-SM-5TDE9 20-29 years, female 86.0
GTEX-OIZH-0126-SM-2HMIS 50-59 years, male 85.8
GTEX-P4QT-0126-SM-2I3FL 50-59 years, female 85.1
GTEX-131XF-5016-SM-7MGWE 60-69 years, male 85.1
GTEX-1ICG6-2526-SM-CGQFZ 70-79 years, female 84.8
GTEX-WQUQ-0426-SM-3MJFU 60-69 years, male 84.4
GTEX-14PJ3-1826-SM-62LEX 50-59 years, male 84.2
GTEX-S7PM-0126-SM-4AD6S 60-69 years, male 84.0
GTEX-146FQ-0126-SM-5NQA9 30-39 years, male 83.7
GTEX-XUZC-1726-SM-4BRWS 30-39 years, female 83.7
GTEX-11ZTT-2426-SM-5EQLS 60-69 years, female 83.4
GTEX-XAJ8-0826-SM-47JY6 40-49 years, male 82.9
GTEX-183WM-0126-SM-7LTAB 70-79 years, female 82.8
GTEX-146FH-0126-SM-5QGPP 50-59 years, female 82.6
GTEX-QEG4-0226-SM-2S1PY 30-39 years, male 82.6
GTEX-1R9PO-2126-SM-E9J4O 60-69 years, female 82.6
GTEX-1M5QR-1226-SM-EWROB 40-49 years, male 82.4
GTEX-1RLM8-2326-SM-EWRN4 50-59 years, male 82.4
GTEX-1R9K4-0126-SM-DTX9X 60-69 years, male 82.3
GTEX-XMD2-0126-SM-4YCDU 60-69 years, female 82.0
GTEX-1B996-0226-SM-7RHGO 60-69 years, male 82.0
GTEX-13G51-2526-SM-5LZYK 60-69 years, male 81.9
GTEX-1AX8Z-0126-SM-7DHM6 60-69 years, male 81.9
GTEX-ZVT2-2526-SM-51MT1 50-59 years, female 81.4
GTEX-13W3W-2426-SM-5LU5B 60-69 years, female 81.3
GTEX-1H1CY-2826-SM-9MQM3 60-69 years, female 81.3
GTEX-1211K-2026-SM-5EQ4Z 60-69 years, female 81.2
GTEX-1PIGE-0126-SM-EVYBJ 20-29 years, male 81.2
GTEX-U3ZM-1526-SM-3DB9D 40-49 years, male 81.0
GTEX-1RAZQ-0726-SM-EAZ43 30-39 years, male 81.0
GTEX-YB5K-2126-SM-4WWDJ 40-49 years, female 80.4
GTEX-1AYCT-2426-SM-7IGQ3 50-59 years, male 80.3
GTEX-15UKP-0426-SM-7KUFQ 20-29 years, male 80.1
GTEX-WVJS-0126-SM-4MVOT 50-59 years, male 80.0
GTEX-1IDFM-0126-SM-COH2V 60-69 years, male 80.0
GTEX-13FHO-0226-SM-5IFGY 60-69 years, male 79.9
GTEX-S33H-1026-SM-EZ6L6 30-39 years, male 79.7
GTEX-1NV5F-0226-SM-E8VNY 60-69 years, female 79.6
GTEX-Y3I4-2126-SM-4TT7C 50-59 years, male 79.3
GTEX-1HR98-0126-SM-B2LWI 60-69 years, male 79.3
GTEX-1IDJF-0126-SM-CM2RS 20-29 years, male 79.3
GTEX-1C6VQ-0126-SM-7P8RI 50-59 years, male 79.0
GTEX-11OF3-2626-SM-5GU7F 60-69 years, male 78.8
GTEX-QV44-1926-SM-2S1RF 50-59 years, male 78.7
GTEX-1122O-2126-SM-5EGIR 60-69 years, female 78.6
GTEX-1QP2A-0126-SM-E9J43 50-59 years, male 78.6
GTEX-1CB4J-0626-SM-7DHMP 60-69 years, male 78.4
GTEX-Q2AI-1326-SM-2S1PL 40-49 years, male 78.1
GTEX-SJXC-0126-SM-2XCFF 60-69 years, male 78.1
GTEX-ZYFD-0126-SM-5GIDL 50-59 years, male 78.1
GTEX-X8HC-0126-SM-4E3JW 50-59 years, female 77.9
GTEX-11XUK-2026-SM-5EQLF 40-49 years, female 77.8
GTEX-12WSK-2326-SM-5GCOH 40-49 years, female 77.8
GTEX-1HFI6-0226-SM-ADEHZ 40-49 years, male 77.8
GTEX-111FC-0126-SM-5N9DL 60-69 years, male 77.7
GTEX-131XH-2226-SM-5DUXJ 50-59 years, male 77.5
GTEX-1HGF4-2426-SM-ACKXM 60-69 years, male 77.5
GTEX-1LBAC-0126-SM-DIPEZ 20-29 years, male 77.5
GTEX-11NUK-0126-SM-5A5L3 50-59 years, male 77.0
GTEX-WRHK-1426-SM-3MJF9 20-29 years, female 77.0
GTEX-1S3DN-2226-SM-EVYCD 50-59 years, male 77.0
GTEX-ZE9C-2726-SM-57WB5 60-69 years, male 76.8
GTEX-1B8L1-2526-SM-9WYTF 60-69 years, male 76.8
GTEX-1CAV2-2226-SM-7P8P2 40-49 years, female 76.8
GTEX-1RAZA-0126-SM-E6CI3 20-29 years, male 76.7
GTEX-12WSD-0126-SM-59HKN 60-69 years, female 76.5
GTEX-OXRO-0126-SM-2YUN4 60-69 years, female 76.5
GTEX-1GF9X-2026-SM-7PC3A 40-49 years, female 76.4
GTEX-1JMQL-0226-SM-CNPP5 50-59 years, female 76.4
GTEX-11P7K-2126-SM-5GU7G 30-39 years, male 76.2
GTEX-Y114-2426-SM-4TT8A 50-59 years, female 76.2
GTEX-13FH7-2026-SM-E9J4I 50-59 years, female 76.2
GTEX-15UF6-0826-SM-6PALJ 70-79 years, female 76.1
GTEX-PLZ4-0126-SM-5SI8O 50-59 years, female 76.0
GTEX-X5EB-2226-SM-46MW4 40-49 years, male 76.0
GTEX-1OFPY-2426-SM-DTXEJ 60-69 years, male 75.9
GTEX-ZTPG-0326-SM-5O9AX 20-29 years, female 75.8
GTEX-1K2DA-1826-SM-CGQGT 50-59 years, male 75.8
GTEX-QCQG-1726-SM-3GIJ9 50-59 years, female 75.6
GTEX-R55G-2526-SM-2TC6D 40-49 years, female 75.5
GTEX-OOBK-0126-SM-2YUND 40-49 years, male 75.4
GTEX-QESD-1426-SM-2S1R9 20-29 years, male 75.4
GTEX-1PFEY-1526-SM-E76PP 30-39 years, male 75.4
GTEX-WXYG-2326-SM-4E3I6 50-59 years, female 75.2
GTEX-X585-0226-SM-4QAS2 50-59 years, male 75.2
GTEX-VJWN-0126-SM-3GIK7 50-59 years, female 75.1
GTEX-1HKZK-0326-SM-9WYUH 40-49 years, male 75.1
GTEX-WI4N-1026-SM-3LK7N 40-49 years, female 74.9
GTEX-XQ3S-1526-SM-4BOOC 20-29 years, male 74.9
GTEX-Y8DK-0126-SM-4TT3L 60-69 years, male 74.9
GTEX-1MGNQ-0126-SM-EVYCJ 40-49 years, male 74.9
GTEX-ZU9S-0226-SM-5E441 30-39 years, male 74.7
GTEX-13OW6-0426-SM-5L3HM 50-59 years, male 74.6
GTEX-1I19N-0326-SM-ACKVX 70-79 years, male 74.6
GTEX-1PPH7-2326-SM-EVYB8 40-49 years, male 74.6
GTEX-1GZ2Q-0226-SM-7P8TL 40-49 years, male 74.3
GTEX-1CAMR-1926-SM-7EPI2 20-29 years, male 74.2
GTEX-1H1DE-2126-SM-9WG6R 20-29 years, male 74.2
GTEX-13113-5016-SM-7EPIP 60-69 years, female 74.0
GTEX-15SHW-0326-SM-6PAML 60-69 years, male 74.0
GTEX-1HSEH-0126-SM-ACKXN 60-69 years, male 74.0
GTEX-1KD4Q-0226-SM-E9TJ9 40-49 years, male 74.0
GTEX-11DYG-0126-SM-59883 60-69 years, male 73.9
GTEX-14753-0426-SM-5NQAM 60-69 years, male 73.9
GTEX-UJHI-1526-SM-3DB99 50-59 years, female 73.9
GTEX-11P82-1626-SM-59879 20-29 years, male 73.8
GTEX-18465-0126-SM-731BN 50-59 years, male 73.7
GTEX-U412-0426-SM-3DB9O 60-69 years, male 73.7
GTEX-PLZ6-1426-SM-DKPOT 30-39 years, male 73.7
GTEX-11O72-0126-SM-59887 40-49 years, male 73.6
GTEX-1CAMS-0426-SM-7P8T2 40-49 years, female 73.6
GTEX-1KD5A-0226-SM-D5OV3 50-59 years, male 73.6
GTEX-13X6H-2126-SM-7EWD5 50-59 years, female 73.5
GTEX-1HCUA-2426-SM-ADEIS 50-59 years, female 73.4
GTEX-18D9B-0526-SM-7LTAS 60-69 years, male 73.3
GTEX-1B8SF-1426-SM-7DUGL 60-69 years, male 73.2
GTEX-1KANB-0526-SM-E6CJH 50-59 years, male 73.2
GTEX-12ZZX-0126-SM-5EGK9 40-49 years, female 73.1
GTEX-13NYS-0126-SM-5MR3W 60-69 years, male 73.1
GTEX-1MJK2-0426-SM-DTXE5 50-59 years, male 73.0
GTEX-WYJK-0126-SM-3NMAB 50-59 years, male 72.9
GTEX-XBEW-0626-SM-4QASP 40-49 years, male 72.8
GTEX-1EMGI-0126-SM-9KNUE 60-69 years, male 72.8
GTEX-13FTW-2626-SM-5K7WL 40-49 years, male 72.7
GTEX-17HHE-2026-SM-79OKF 50-59 years, male 72.7
GTEX-XXEK-2226-SM-4BRUM 50-59 years, male 72.7
GTEX-1RQEC-0426-SM-E6CHU 60-69 years, male 72.7
GTEX-1GPI6-0126-SM-9WG69 60-69 years, male 72.5
GTEX-1IL2V-0126-SM-CM2TX 70-79 years, male 72.4
GTEX-13FXS-0226-SM-5IJCK 50-59 years, male 72.3
GTEX-14LZ3-0226-SM-62LET 60-69 years, female 72.3
GTEX-1C4CL-0526-SM-73KVK 30-39 years, male 72.2
GTEX-14PN4-0126-SM-6EU2V 50-59 years, male 72.0
GTEX-Q2AH-1626-SM-3GAF8 40-49 years, male 72.0
GTEX-1GZ4H-1726-SM-7PBZJ 50-59 years, female 72.0
GTEX-14PN3-2426-SM-6LLHS 60-69 years, female 71.9
GTEX-18D9A-1926-SM-7LG6P 30-39 years, female 71.7
GTEX-117YW-2626-SM-5GZZH 50-59 years, male 71.6
GTEX-1313W-0126-SM-5LZUN 50-59 years, female 71.6
GTEX-1J8EW-0126-SM-CJI4F 60-69 years, female 71.6
GTEX-ZPIC-1726-SM-DHXIU 40-49 years, female 71.6
GTEX-WOFL-0126-SM-3MJG2 60-69 years, male 71.5
GTEX-1JMQJ-0526-SM-CYPSU 50-59 years, male 71.5
GTEX-QDVN-2026-SM-3GAEP 50-59 years, male 71.4
GTEX-1JMQK-0226-SM-CL543 60-69 years, male 71.4
GTEX-UPJH-0326-SM-3GADU 50-59 years, male 71.3
GTEX-1I6K6-0126-SM-A9SLE 30-39 years, male 71.3
GTEX-T6MN-0126-SM-32PLP 50-59 years, male 71.1
GTEX-QLQW-1126-SM-2S1Q8 30-39 years, male 71.0
GTEX-1PPH8-0226-SM-E8VND 20-29 years, male 71.0
GTEX-13FHP-0126-SM-5IJBG 50-59 years, male 70.9
GTEX-1I1GP-2226-SM-CGQFK 50-59 years, male 70.9
GTEX-ZE7O-0126-SM-57WC1 50-59 years, female 70.8
GTEX-1I1GV-0526-SM-A9G29 60-69 years, male 70.8
GTEX-11TT1-2526-SM-5EGIB 20-29 years, male 70.4
GTEX-RM2N-1426-SM-2TF4H 50-59 years, male 70.4
GTEX-139D8-0226-SM-5KLZO 30-39 years, female 70.3
GTEX-15D1Q-0126-SM-7KUG6 40-49 years, male 70.2
GTEX-15EU6-0426-SM-6PAN5 50-59 years, male 70.1
GTEX-SIU8-0126-SM-2XCDT 50-59 years, male 69.9
GTEX-T2YK-0526-SM-32QPJ 50-59 years, male 69.8
GTEX-13VXT-0126-SM-5LU4I 20-29 years, female 69.7
GTEX-TKQ1-1026-SM-4GICL 30-39 years, male 69.7
GTEX-1F5PL-0326-SM-7P8PQ 40-49 years, female 69.7
GTEX-1GZHY-0326-SM-9QEHI 50-59 years, female 69.7
GTEX-145MF-0626-SM-5LUAI 50-59 years, male 69.6
GTEX-16MT8-0426-SM-7KUEY 60-69 years, female 69.6
GTEX-1A32A-0126-SM-718B1 50-59 years, female 69.6
GTEX-1GTWX-0126-SM-9YFLK 60-69 years, male 69.5
GTEX-Y5LM-1926-SM-5RQJH 40-49 years, female 69.4
GTEX-X261-0126-SM-3NMD6 50-59 years, male 69.3
GTEX-1B933-0126-SM-7PC29 50-59 years, female 69.3
GTEX-WH7G-2326-SM-3NMBC 40-49 years, male 69.2
GTEX-1EWIQ-0126-SM-7RHH2 70-79 years, female 69.2
GTEX-14DAR-2026-SM-5S2O3 50-59 years, male 69.1
GTEX-14E6D-0126-SM-62LDV 50-59 years, male 69.1
GTEX-1GN2E-0426-SM-9MQKX 60-69 years, male 69.1
GTEX-13O21-1426-SM-5K7XI 50-59 years, male 69.0
GTEX-13RTK-1426-SM-5QGQJ 20-29 years, male 69.0
GTEX-1LG7Z-1726-SM-D3LA4 30-39 years, male 69.0
GTEX-1QW4Y-1526-SM-EAZ3Z 30-39 years, male 69.0
GTEX-1S5ZA-0126-SM-EVYCV 20-29 years, male 69.0
GTEX-11ZUS-0626-SM-59885 30-39 years, male 68.9
GTEX-145MI-0526-SM-5O9A8 60-69 years, female 68.9
GTEX-1AX9K-2326-SM-73KWU 50-59 years, male 68.9
GTEX-1PDJ9-0326-SM-DTX95 20-29 years, male 68.9
GTEX-145LV-2126-SM-5LU8N 50-59 years, male 68.8
GTEX-1F6I4-0126-SM-9MQL2 60-69 years, male 68.8
GTEX-1F6RS-0126-SM-9MQKZ 60-69 years, female 68.8
GTEX-1MUQO-0126-SM-EAZ58 60-69 years, male 68.8
GTEX-1L5NE-2526-SM-E6CIE 50-59 years, male 68.7
GTEX-18D9U-0226-SM-718BP 40-49 years, male 68.6
GTEX-T5JC-0426-SM-32PLO 20-29 years, male 68.6
GTEX-111VG-2426-SM-5GZXD 60-69 years, male 68.5
GTEX-131YS-0126-SM-5KM1M 60-69 years, female 68.4
GTEX-1H3O1-0426-SM-9YFKY 60-69 years, male 68.4
GTEX-1128S-2326-SM-5GZZY 60-69 years, female 68.3
GTEX-ZDYS-2026-SM-5HL5L 50-59 years, male 68.3
GTEX-147F4-0226-SM-5QGPW 50-59 years, male 68.1
GTEX-1AMEY-1326-SM-73KYK 30-39 years, female 68.1
GTEX-11OC5-0126-SM-5HL6A 60-69 years, male 68.0
GTEX-139TS-2826-SM-5J1OO 60-69 years, male 68.0
GTEX-YFC4-0126-SM-5CVLY 40-49 years, female 68.0
GTEX-1GF9W-0326-SM-9KNUN 60-69 years, male 68.0
GTEX-14E6C-0126-SM-5RQIP 40-49 years, male 67.9
GTEX-ZAK1-0126-SM-5IJD3 50-59 years, female 67.9
GTEX-ZVT3-0126-SM-5GU6I 60-69 years, female 67.9
GTEX-1269C-2526-SM-5EGJ3 60-69 years, female 67.8
GTEX-145MN-2226-SM-5SIAU 30-39 years, male 67.8
GTEX-XBED-2226-SM-47JYQ 60-69 years, male 67.8
GTEX-1F75A-0126-SM-7RHGM 50-59 years, male 67.8
GTEX-11UD2-0226-SM-5EQKY 50-59 years, male 67.7
GTEX-1399R-2726-SM-5IJBA 30-39 years, male 67.7
GTEX-11DXX-2426-SM-5GZZW 60-69 years, female 67.6
GTEX-1HBPN-0226-SM-9YFM1 50-59 years, male 67.6
GTEX-1MCQQ-0826-SM-DLHC2 60-69 years, male 67.6
GTEX-11DXZ-2326-SM-5EGGV 50-59 years, male 67.5
GTEX-13NYB-2526-SM-5K7Z6 40-49 years, male 67.5
GTEX-1EKGG-0226-SM-9WYTH 60-69 years, male 67.5
GTEX-11WQC-2526-SM-5CVLE 60-69 years, male 67.3
GTEX-12584-0126-SM-5EGKQ 40-49 years, male 67.1
GTEX-13VXU-0126-SM-5SI9F 50-59 years, male 67.1
GTEX-1H1E6-1726-SM-ACKVK 30-39 years, male 67.0
GTEX-1JJ6O-0126-SM-E6CI8 60-69 years, male 66.9
GTEX-1QP9N-1426-SM-DTXFL 30-39 years, male 66.8
GTEX-183FY-0126-SM-7LT9P 20-29 years, male 66.6
GTEX-QVJO-1626-SM-2S1QW 60-69 years, female 66.6
GTEX-1AX9I-0126-SM-7SB74 60-69 years, male 66.6
GTEX-1OJC3-0126-SM-E76QX 20-29 years, male 66.6
GTEX-13FTX-1826-SM-5J1NX 20-29 years, female 66.5
GTEX-RTLS-0126-SM-447CA 60-69 years, female 66.5
GTEX-1192X-0226-SM-5H12D 50-59 years, male 66.2
GTEX-139T4-0226-SM-5HL5S 50-59 years, female 66.2
GTEX-T6MO-1626-SM-32QOM 40-49 years, female 66.2
GTEX-1JKYN-1326-SM-CGQG9 30-39 years, male 66.2
GTEX-ZDTS-0126-SM-4WAY5 60-69 years, male 66.1
GTEX-1J8JJ-0226-SM-CL53I 60-69 years, female 66.1
GTEX-1R9PM-2026-SM-E76OY 20-29 years, male 66.1
GTEX-16GPK-0126-SM-7DHLE 60-69 years, male 66.0
GTEX-1J8Q3-1626-SM-CMKGC 60-69 years, male 66.0
GTEX-18QFQ-0126-SM-731BE 30-39 years, male 65.9
GTEX-13O3O-0126-SM-E9J49 60-69 years, female 65.9
GTEX-1H23P-0126-SM-ADEJ3 60-69 years, male 65.9
GTEX-1ICLY-0126-SM-D4P36 50-59 years, male 65.9
GTEX-1N2DW-0226-SM-E9TK2 50-59 years, male 65.9
GTEX-14A5H-0426-SM-5QGQF 60-69 years, male 65.7
GTEX-18A6Q-0126-SM-731BZ 60-69 years, male 65.7
GTEX-17EVQ-0226-SM-7LG4P 70-79 years, male 65.6
GTEX-1C2JI-1826-SM-73KXC 50-59 years, male 65.6
GTEX-Z93S-0126-SM-5HL7M 50-59 years, male 65.6
GTEX-12WSL-2526-SM-5GCNJ 50-59 years, male 65.5
GTEX-13IVO-0126-SM-5J1NG 70-79 years, male 65.5
GTEX-QDVJ-1726-SM-2I5FX 50-59 years, male 65.5
GTEX-Z93T-0126-SM-5HL5N 50-59 years, male 65.4
GTEX-ZVZP-2426-SM-59HKJ 50-59 years, male 65.4
GTEX-1JKYR-0126-SM-CNPOJ 20-29 years, male 65.4
GTEX-145MO-0326-SM-5Q5B3 60-69 years, male 65.3
GTEX-YEC4-2126-SM-5IFJH 40-49 years, male 65.3
GTEX-14PII-0226-SM-6EU1T 60-69 years, male 65.2
GTEX-1LNCM-1126-SM-E9U5E 50-59 years, female 65.1
GTEX-148VI-1626-SM-5SI6E 60-69 years, female 65.0
GTEX-1C6WA-0126-SM-7PC2B 60-69 years, male 65.0
GTEX-1GN1W-0526-SM-9MQJQ 50-59 years, female 65.0
GTEX-18A67-0126-SM-7LG5P 50-59 years, male 64.9
GTEX-T2IS-0126-SM-4DM6O 20-29 years, female 64.9
GTEX-XV7Q-2526-SM-4BRV9 40-49 years, female 64.9
GTEX-12WSE-0526-SM-793B2 20-29 years, male 64.8
GTEX-RWS6-2026-SM-2XCB5 60-69 years, female 64.8
GTEX-1LB8K-0226-SM-EWRNW 50-59 years, male 64.8
GTEX-139T8-0126-SM-5K7XZ 60-69 years, male 64.7
GTEX-X4EO-0326-SM-3P5YO 60-69 years, female 64.7
GTEX-1PBJI-0526-SM-E8VNK 20-29 years, female 64.7
GTEX-13OVK-2026-SM-7KUEO 40-49 years, male 64.6
GTEX-11DZ1-0126-SM-5985Q 50-59 years, male 64.5
GTEX-X4EP-0126-SM-3P5YV 60-69 years, female 64.5
GTEX-1LC47-0326-SM-E9TJP 60-69 years, male 64.5
GTEX-1GPI7-0126-SM-9MQL8 20-29 years, male 64.4
GTEX-12WSA-0226-SM-5BC5V 60-69 years, male 64.3
GTEX-14BIM-0226-SM-7IGLD 60-69 years, female 64.3
GTEX-1R7EU-0226-SM-EVR4G 60-69 years, male 64.3
GTEX-17HGU-0226-SM-7DHKV 50-59 years, male 64.2
GTEX-S32W-2126-SM-2XCB1 50-59 years, female 64.2
GTEX-145LS-0126-SM-5QGP1 60-69 years, female 64.1
GTEX-12ZZY-0226-SM-5LZVE 60-69 years, male 63.9
GTEX-132NY-0326-SM-5IJBL 60-69 years, male 63.8
GTEX-11NSD-2226-SM-5986V 20-29 years, male 63.7
GTEX-ZQUD-1426-SM-57WER 30-39 years, male 63.7
GTEX-1IOXB-0126-SM-ARL8G 50-59 years, male 63.7
GTEX-131XG-2626-SM-5KM17 50-59 years, female 63.6
GTEX-1RB15-2126-SM-E9TIM 60-69 years, male 63.6
GTEX-1KANA-0726-SM-D3L9I 20-29 years, male 63.5
GTEX-1MCYP-1926-SM-E9J2R 20-29 years, female 63.4
GTEX-WZTO-0126-SM-3NM95 40-49 years, male 63.3
GTEX-ZF3C-0126-SM-DO92D 50-59 years, female 63.3
GTEX-QLQ7-1626-SM-2S1R8 60-69 years, male 63.2
GTEX-15ETS-0126-SM-7KUMW 40-49 years, female 63.1
GTEX-1B8KZ-2026-SM-7DHMB 50-59 years, male 63.1
GTEX-11GS4-2726-SM-5A5LE 60-69 years, male 63.0
GTEX-14JG1-0426-SM-6ETZZ 40-49 years, male 63.0
GTEX-1B8KE-2126-SM-73KYX 50-59 years, male 63.0
GTEX-13OVH-0126-SM-5MR4B 70-79 years, male 62.8
GTEX-Y111-0126-SM-4SOIV 50-59 years, male 62.8
GTEX-1GMRU-0126-SM-9YFLV 50-59 years, male 62.8
GTEX-1QAET-0926-SM-E76QM 50-59 years, male 62.8
GTEX-11EM3-2426-SM-59861 20-29 years, female 62.7
GTEX-PWO3-1526-SM-48TCM 60-69 years, female 62.7
GTEX-ZDXO-3026-SM-5J1N5 60-69 years, male 62.6
GTEX-1IL2U-0226-SM-CE6T8 60-69 years, male 62.5
GTEX-ZYT6-0226-SM-5NQ6T 30-39 years, male 62.4
GTEX-1J8QM-2126-SM-CYPSJ 60-69 years, female 62.4
GTEX-R3RS-0126-SM-3GIJL 40-49 years, female 62.2
GTEX-1JMQI-2226-SM-CM2SD 50-59 years, male 62.2
GTEX-13NZ8-0826-SM-5MR3I 60-69 years, female 62.1
GTEX-13OVL-0226-SM-5L3E9 50-59 years, male 62.1
GTEX-1A3MV-1926-SM-718BT 30-39 years, male 62.0
GTEX-NFK9-0226-SM-2HMKQ 40-49 years, male 62.0
GTEX-15CHC-2126-SM-6EU21 60-69 years, female 61.9
GTEX-17HHY-0126-SM-7LG5D 50-59 years, male 61.9
GTEX-1B8SG-0126-SM-73KZ3 50-59 years, male 61.9
GTEX-VUSG-2526-SM-4KL1V 50-59 years, male 61.9
GTEX-1GMR3-1926-SM-9KNUZ 40-49 years, male 61.9
GTEX-1HB9E-0226-SM-E9U4R 50-59 years, male 61.9
GTEX-1J1R8-1726-SM-ARL8M 40-49 years, male 61.9
GTEX-13S7M-0126-SM-5SI6A 60-69 years, female 61.7
GTEX-1HBPH-0426-SM-B2LW5 40-49 years, female 61.7
GTEX-12696-2426-SM-5EQ6H 60-69 years, male 61.6
GTEX-16XZZ-0126-SM-793DV 60-69 years, male 61.6
GTEX-RWSA-0126-SM-2XCBB 40-49 years, male 61.6
GTEX-S95S-1226-SM-4GICG 60-69 years, male 61.6
GTEX-ZVTK-0426-SM-51MRS 20-29 years, male 61.6
GTEX-13PVR-2326-SM-5QGR1 60-69 years, female 61.5
GTEX-14BIN-0626-SM-793DP 50-59 years, female 61.5
GTEX-17F97-0326-SM-7LG5B 50-59 years, male 61.5
GTEX-1RDX4-0126-SM-E9J4P 50-59 years, female 61.5
GTEX-14BIL-0126-SM-5SI92 50-59 years, male 61.4
GTEX-ZAB5-1826-SM-5HL7C 50-59 years, male 61.3
GTEX-1HCU6-0126-SM-CL54K 60-69 years, female 61.3
GTEX-W5WG-1826-SM-4KL2Y 50-59 years, female 61.2
GTEX-1IGQW-0126-SM-COH42 60-69 years, male 61.2
GTEX-ZQG8-1626-SM-DHXIT 60-69 years, female 61.2
GTEX-17KNJ-2326-SM-7DHLQ 50-59 years, male 61.1
GTEX-PVOW-0126-SM-2XCFA 40-49 years, male 61.1
GTEX-ZWKS-0126-SM-5SIAA 30-39 years, male 61.1
GTEX-1EX96-1626-SM-7PBXR 50-59 years, male 61.1
GTEX-1MA7X-2226-SM-E6CIY 60-69 years, male 61.1
GTEX-11ZTS-0126-SM-5EQ6M 60-69 years, female 61.0
GTEX-1S82Y-2026-SM-EVYCM 40-49 years, male 61.0
GTEX-12ZZZ-0626-SM-5DUXI 60-69 years, male 60.9
GTEX-11EMC-2926-SM-5EQ4F 60-69 years, female 60.8
GTEX-13NYC-0326-SM-E9J4S 60-69 years, male 60.8
GTEX-12WSJ-1826-SM-5GCNY 40-49 years, female 60.6
GTEX-T8EM-1026-SM-3DB7M 40-49 years, male 60.6
GTEX-1192W-2626-SM-5Q5AF 60-69 years, male 60.5
GTEX-TML8-1926-SM-32QOS 40-49 years, female 60.5
GTEX-14JIY-0126-SM-6LLH6 60-69 years, male 60.4
GTEX-OXRP-0126-SM-3NB32 60-69 years, female 60.4
GTEX-TMMY-0226-SM-33HBA 40-49 years, female 60.4
GTEX-1H3VY-0126-SM-ACKXD 50-59 years, male 60.4
GTEX-1J1OQ-0226-SM-CYPSH 40-49 years, female 60.4
GTEX-16XZY-2126-SM-79OK1 70-79 years, male 60.3
GTEX-RN64-0126-SM-2TC68 50-59 years, male 60.3
GTEX-PX3G-0126-SM-2I3EN 20-29 years, female 60.2
GTEX-1JMLX-0226-SM-CM2RO 50-59 years, male 60.2
GTEX-13PDP-0126-SM-5L3HD 60-69 years, male 60.1
GTEX-1HSMQ-1226-SM-CGQFX 50-59 years, male 60.1
GTEX-1H1ZS-0426-SM-9WG6G 70-79 years, male 60.0
GTEX-1QP66-1726-SM-E8VO1 50-59 years, male 60.0
GTEX-ZV6S-2326-SM-4YCEY 40-49 years, female 59.8
GTEX-1LGOU-2026-SM-DIPFF 20-29 years, female 59.8
GTEX-1J8Q2-0526-SM-CM2RW 60-69 years, male 59.7
GTEX-15DDE-0126-SM-6LPKH 50-59 years, female 59.5
GTEX-1AMFI-2026-SM-731BH 50-59 years, female 59.4
GTEX-11TUW-2726-SM-E9J4M 60-69 years, male 59.4
GTEX-145ME-1826-SM-5SI9G 40-49 years, female 59.3
GTEX-1ICLZ-0126-SM-CKZPO 60-69 years, male 59.3
GTEX-1JN6P-0126-SM-D3L98 60-69 years, male 59.3
GTEX-1S82Z-0826-SM-E6CHY 30-39 years, female 59.3
GTEX-YB5E-2026-SM-5IFIS 40-49 years, male 59.1
GTEX-1K2DU-2326-SM-E9TIV 20-29 years, male 59.1
GTEX-13X6J-0126-SM-5QGOU 50-59 years, male 59.0
GTEX-1HBPI-1526-SM-C1YQ1 50-59 years, male 59.0
GTEX-X62O-0126-SM-4E3JN 50-59 years, male 58.9
GTEX-1GF9V-0326-SM-7RHI5 60-69 years, male 58.9
GTEX-1IDJU-2626-SM-CM2RT 60-69 years, female 58.9
GTEX-XUW1-0426-SM-4BOOT 50-59 years, female 58.8
GTEX-17HII-0226-SM-7LG4E 50-59 years, male 58.7
GTEX-1N2EF-0226-SM-EYYXB 60-69 years, male 58.7
GTEX-1F52S-0126-SM-9MQJU 60-69 years, female 58.5
GTEX-1H3VE-0326-SM-9YFLH 40-49 years, male 58.5
GTEX-1HBPM-0226-SM-ARL9F 60-69 years, female 58.5
GTEX-1LG7Y-0526-SM-DKPQC 50-59 years, male 58.5
GTEX-T5JW-1626-SM-3GADZ 20-29 years, female 58.4
GTEX-12WSN-5019-SM-79OM6 40-49 years, male 58.3
GTEX-PW2O-1526-SM-7RHHB 20-29 years, male 58.3
GTEX-14PJ6-2126-SM-6EU1V 60-69 years, female 58.2
GTEX-1AX9J-0226-SM-73KXM 60-69 years, male 58.0
GTEX-11H98-0126-SM-5EGHG 50-59 years, male 57.9
GTEX-17GQL-2026-SM-718BA 60-69 years, male 57.9
GTEX-14PJM-0226-SM-62LF1 50-59 years, female 57.8
GTEX-1HCU8-0626-SM-A9SM9 60-69 years, female 57.7
GTEX-15ER7-0326-SM-7KUEV 20-29 years, female 57.6
GTEX-13N11-2526-SM-5K7UE 50-59 years, female 57.5
GTEX-17F96-1626-SM-7DUFL 70-79 years, male 57.5
GTEX-1PIIG-0226-SM-EWRN6 30-39 years, male 57.5
GTEX-11ZU8-2526-SM-5EQKI 60-69 years, male 57.4
GTEX-13QJ3-0326-SM-5S2RA 50-59 years, male 57.4
GTEX-113JC-2326-SM-5EQ4E 50-59 years, female 57.1
GTEX-14PHX-2326-SM-62LEM 50-59 years, male 57.1
GTEX-133LE-1826-SM-5J1MV 20-29 years, female 57.0
GTEX-1PWST-0226-SM-E76QJ 70-79 years, male 57.0
GTEX-13O3Q-2426-SM-5IJBR 50-59 years, male 56.9
GTEX-144FL-0126-SM-5TDC8 50-59 years, male 56.9
GTEX-1IY9M-0126-SM-D3L8S 60-69 years, male 56.8
GTEX-1QEPI-0126-SM-EWRMQ 60-69 years, female 56.8
GTEX-ZF29-2326-SM-DO92K 60-69 years, female 56.8
GTEX-169BO-1326-SM-9MQK2 50-59 years, male 56.7
GTEX-11GSP-2526-SM-5N9BP 60-69 years, female 56.6
GTEX-13NZB-2526-SM-5J1OM 30-39 years, male 56.6
GTEX-1R7EV-2426-SM-EVYBG 40-49 years, male 56.6
GTEX-1EU9M-0226-SM-7P8SP 60-69 years, male 56.5
GTEX-13U4I-0126-SM-5LU38 40-49 years, female 56.4
GTEX-1H1DG-0126-SM-9WYU2 70-79 years, male 56.4
GTEX-139TU-0126-SM-5K7WH 60-69 years, male 56.3
GTEX-13OW7-0126-SM-5MR3B 50-59 years, male 56.3
GTEX-1JN76-0126-SM-CNPPE 20-29 years, female 56.3
GTEX-WFON-2126-SM-3LK7O 40-49 years, male 56.1
GTEX-12KS4-0326-SM-5EQ41 30-39 years, male 56.0
GTEX-ZGAY-0526-SM-4WWBB 40-49 years, female 56.0
GTEX-ZYW4-0126-SM-5E44A 60-69 years, male 56.0
GTEX-131XW-0426-SM-5LZWP 50-59 years, female 55.9
GTEX-13O1R-0126-SM-5L3EH 60-69 years, male 55.9
GTEX-XUYS-0126-SM-47JWZ 50-59 years, male 55.8
GTEX-1KANC-1526-SM-D3LAB 50-59 years, female 55.8
GTEX-1314G-1526-SM-5EGK2 30-39 years, male 55.6
GTEX-TSE9-0126-SM-3DB83 60-69 years, female 55.5
GTEX-1HCU9-1526-SM-A9SL7 20-29 years, male 55.5
GTEX-1POEN-0126-SM-EYYXJ 30-39 years, female 55.5
GTEX-1399T-2826-SM-5KLYZ 60-69 years, male 55.4
GTEX-13NZA-0226-SM-5K7Z7 60-69 years, male 55.4
GTEX-13RTJ-2426-SM-5S2Q2 60-69 years, male 55.4
GTEX-14PHW-0126-SM-6LLJI 60-69 years, female 55.4
GTEX-13OW5-0126-SM-DTXFS 60-69 years, male 55.4
GTEX-146FR-1326-SM-E9J48 60-69 years, female 55.4
GTEX-1H3NZ-0126-SM-ACKX7 60-69 years, male 55.4
GTEX-13CF3-2426-SM-5IFGX 60-69 years, female 55.3
GTEX-ZDTT-2726-SM-4WKF8 60-69 years, male 55.3
GTEX-1I1GS-0126-SM-B2LVW 60-69 years, male 55.3
GTEX-1JJEA-0326-SM-CNPOT 60-69 years, male 55.3
GTEX-ZTX8-1426-SM-5DUVO 20-29 years, male 55.1
GTEX-11ZVC-2526-SM-5FQTE 50-59 years, female 55.0
GTEX-13CF2-2526-SM-5LZYX 60-69 years, male 55.0
GTEX-18A7B-0126-SM-7LG64 70-79 years, male 55.0
GTEX-X638-0126-SM-47JZ8 70-79 years, female 55.0
GTEX-SNMC-1226-SM-2XCFP 20-29 years, male 54.9
GTEX-1IKOH-0226-SM-COH4E 60-69 years, female 54.8
GTEX-R45C-0126-SM-EAZ2R 60-69 years, female 54.8
GTEX-RNOR-0126-SM-E9J4R 50-59 years, female 54.7
GTEX-1JMPY-1326-SM-ARL8Y 30-39 years, male 54.6
GTEX-1QP29-0626-SM-EWRMX 50-59 years, male 54.6
GTEX-11TTK-0126-SM-5987B 60-69 years, female 54.4
GTEX-1GN1U-0126-SM-7PBZK 50-59 years, female 54.4
GTEX-1S83E-0126-SM-EWRO4 40-49 years, male 54.4
GTEX-R55E-0126-SM-2TC5Y 20-29 years, male 54.3
GTEX-1QCLY-0326-SM-E8VOG 30-39 years, male 54.3
GTEX-1QMI2-0226-SM-EVYBX 60-69 years, male 54.3
GTEX-1HSKV-0226-SM-A9SKJ 60-69 years, male 54.2
GTEX-14BMV-0126-SM-5S2PO 50-59 years, male 54.1
GTEX-1JN1M-0326-SM-CYPT3 60-69 years, female 54.1
GTEX-YJ89-0126-SM-4TT3X 60-69 years, male 54.0
GTEX-YJ8A-0426-SM-5IFID 20-29 years, male 54.0
GTEX-1GN73-0226-SM-9WG67 60-69 years, male 54.0
GTEX-17EUY-0426-SM-793BD 20-29 years, male 53.9
GTEX-13JUV-2726-SM-5LZZ8 40-49 years, female 53.8
GTEX-139TT-0126-SM-5K7Y5 60-69 years, male 53.7
GTEX-1BAJH-0526-SM-793CQ 70-79 years, male 53.7
GTEX-XPVG-2626-SM-4B669 50-59 years, male 53.7
GTEX-ZVT4-0126-SM-DTXFN 50-59 years, female 53.7
GTEX-13X6I-0626-SM-5QGP9 60-69 years, male 53.6
GTEX-13YAN-0326-SM-5O9DF 60-69 years, male 53.6
GTEX-SN8G-0126-SM-32PLI 50-59 years, female 53.5
GTEX-Z9EW-1626-SM-5CVMN 40-49 years, male 53.5
GTEX-1HSMO-0126-SM-CL547 60-69 years, male 53.4
GTEX-13SLW-0126-SM-5SI6C 70-79 years, male 53.3
GTEX-144GL-0126-SM-5TDE2 50-59 years, male 53.3
GTEX-Y8E4-0626-SM-4WWDL 40-49 years, male 53.1
GTEX-1CB4I-0226-SM-79OLH 50-59 years, male 53.0
GTEX-1HSGN-0226-SM-CGQFV 40-49 years, female 52.9
GTEX-1IKJJ-0126-SM-CNPQB 60-69 years, male 52.9
GTEX-1MA7W-2026-SM-E9TJ6 20-29 years, female 52.9
GTEX-PSDG-0226-SM-DKPOZ 50-59 years, male 52.9
GTEX-147GR-0526-SM-5S2MY 60-69 years, male 52.8
GTEX-17MFQ-1726-SM-793C7 20-29 years, male 52.7
GTEX-QDT8-0126-SM-48TZ1 30-39 years, female 52.7
GTEX-1CAMQ-0226-SM-7IGPK 40-49 years, male 52.6
GTEX-17MF6-0126-SM-7LG4F 40-49 years, male 52.5
GTEX-ZV68-0126-SM-59HKS 50-59 years, female 52.5
GTEX-1C64O-0126-SM-7SB8P 60-69 years, male 52.4
GTEX-1CB4E-2226-SM-793DC 60-69 years, male 52.3
GTEX-13W46-0226-SM-5SIAG 50-59 years, male 52.2
GTEX-1C64N-0126-SM-793D7 50-59 years, male 52.2
GTEX-1CB4F-0426-SM-9KNV4 60-69 years, male 52.2
GTEX-16BQI-0226-SM-7KUEX 30-39 years, female 52.1
GTEX-1GF9U-2126-SM-7SB7L 40-49 years, female 52.1
GTEX-1JMPZ-0226-SM-CNPP1 30-39 years, male 52.1
GTEX-11DXW-0226-SM-5H122 40-49 years, male 52.0
GTEX-1CB4G-0226-SM-7PC3O 60-69 years, male 52.0
GTEX-1QPFJ-0226-SM-E76PB 30-39 years, female 52.0
GTEX-1F88F-2726-SM-7PBZZ 60-69 years, female 51.9
GTEX-1IE54-0126-SM-CMKHW 40-49 years, female 51.9
GTEX-ZZPT-0226-SM-5E43X 50-59 years, male 51.8
GTEX-1F6IF-0726-SM-7P8TW 60-69 years, male 51.8
GTEX-131XE-2326-SM-5PNZ2 50-59 years, male 51.7
GTEX-PLZ5-2026-SM-2S1O4 50-59 years, male 51.7
GTEX-WFG8-2226-SM-3GIL9 20-29 years, male 51.6
GTEX-13OVI-1426-SM-5L3EY 60-69 years, female 51.5
GTEX-VJYA-1126-SM-3GIJU 60-69 years, male 51.4
GTEX-1I1CD-0126-SM-CM2TK 60-69 years, female 51.4
GTEX-ZAB4-0226-SM-5N9F5 40-49 years, male 51.3
GTEX-1H2FU-0126-SM-9WYSI 60-69 years, female 51.3
GTEX-11EQ9-2426-SM-5HL5T 30-39 years, male 51.2
GTEX-1O97I-0326-SM-EYYX7 60-69 years, male 51.1
GTEX-13OVJ-0126-SM-5KM36 50-59 years, female 51.0
GTEX-P44H-0226-SM-2XCEU 40-49 years, male 51.0
GTEX-1HCU7-0226-SM-CL545 50-59 years, male 51.0
GTEX-1M4P7-0226-SM-DIPEV 60-69 years, male 50.8
GTEX-15DYW-0126-SM-7KULE 60-69 years, female 50.6
GTEX-1CB4H-0226-SM-7PBXM 60-69 years, female 50.6
GTEX-1JMOU-1526-SM-CL54I 60-69 years, female 50.6
GTEX-1LGRB-2526-SM-CNPPQ 50-59 years, female 50.6
GTEX-1KWVE-1426-SM-E9TJO 30-39 years, male 50.4
GTEX-15F5U-1526-SM-6PANO 40-49 years, male 50.3
GTEX-1F7RK-0126-SM-7PC2S 20-29 years, female 50.3
GTEX-11GSO-2426-SM-5A5LY 60-69 years, male 50.1
GTEX-13OVG-1926-SM-5L3DK 60-69 years, male 50.1
GTEX-1JJE9-0326-SM-CL53Z 70-79 years, male 50.1
GTEX-13RTL-0126-SM-7LG5S 40-49 years, male 50.0
GTEX-V1D1-2226-SM-3NMAX 50-59 years, male 50.0
GTEX-1IDJH-0326-SM-A9SLQ 70-79 years, male 49.9
GTEX-1KXAM-2226-SM-CYPTC 60-69 years, male 49.9
GTEX-1EN7A-0126-SM-7SB81 40-49 years, male 49.8
GTEX-U3ZH-2026-SM-3DB78 30-39 years, male 49.7
GTEX-117XS-2726-SM-5N9BL 60-69 years, male 49.6
GTEX-1GL5R-1826-SM-9KNUY 50-59 years, male 49.6
GTEX-1OJC4-0126-SM-E9J2E 50-59 years, female 49.6
GTEX-12C56-1726-SM-5EQ61 20-29 years, male 49.5
GTEX-13112-2826-SM-5DUWH 50-59 years, male 49.4
GTEX-15RIG-0226-SM-7KFTL 40-49 years, male 49.4
GTEX-ZXES-1826-SM-5E43S 30-39 years, female 49.4
GTEX-1F48J-0126-SM-7P8TT 50-59 years, female 49.4
GTEX-14A5I-0126-SM-5TDEA 50-59 years, female 49.3
GTEX-15SDE-2226-SM-7IGLO 50-59 years, female 49.3
GTEX-ZZ64-1726-SM-5GZYB 20-29 years, male 49.3
GTEX-12WSG-2826-SM-E9J4H 50-59 years, female 49.2
GTEX-1E2YA-0126-SM-9KNUC 50-59 years, male 49.2
GTEX-1GN1V-0126-SM-9WPOS 60-69 years, male 49.2
GTEX-13SLX-0526-SM-5S2ON 50-59 years, female 49.1
GTEX-14E7W-0126-SM-6LLJ9 70-79 years, male 49.1
GTEX-ZUA1-0126-SM-5GU76 40-49 years, male 49.1
GTEX-145LU-0126-SM-5TDCB 50-59 years, male 48.9
GTEX-ZYFG-2326-SM-5E44B 60-69 years, female 48.9
GTEX-13D11-2426-SM-5KM1V 50-59 years, female 48.8
GTEX-14DAQ-0126-SM-5S2MQ 60-69 years, female 48.8
GTEX-ZEX8-2426-SM-4WKG4 50-59 years, male 48.8
GTEX-1K9T9-0126-SM-EVYCF 50-59 years, female 48.7
GTEX-17HG3-2226-SM-7938L 30-39 years, female 48.6
GTEX-16NGA-1726-SM-731B4 40-49 years, female 48.3
GTEX-15DCD-0126-SM-7KUEK 70-79 years, female 48.0
GTEX-1I4MK-2226-SM-ACKWD 50-59 years, female 47.9
GTEX-11VI4-1726-SM-5CVLH 40-49 years, female 47.6
GTEX-16NPX-0226-SM-79OMT 50-59 years, male 47.6
GTEX-1A3MW-0126-SM-73KXX 60-69 years, female 47.6
GTEX-ZAJG-0126-SM-5HL94 50-59 years, female 47.6
GTEX-11DXY-2626-SM-5GIE7 60-69 years, male 47.4
GTEX-ZTSS-1926-SM-57WEW 40-49 years, male 47.4
GTEX-1HT8W-0126-SM-CNPPP 30-39 years, male 47.4
GTEX-11LCK-1026-SM-5A5KB 30-39 years, male 47.3
GTEX-ZVE2-0226-SM-59HJB 50-59 years, male 47.3
GTEX-15EOM-0126-SM-7KUGG 20-29 years, female 47.2
GTEX-13N2G-2626-SM-5J1OT 60-69 years, male 47.1
GTEX-1C6VR-2426-SM-79OLD 60-69 years, male 47.1
GTEX-ZYY3-0126-SM-5GZY5 60-69 years, female 47.1
GTEX-1H11D-0226-SM-9WG6Z 40-49 years, male 47.0
GTEX-SSA3-0126-SM-32QPU 60-69 years, male 46.9
GTEX-1KAFJ-2026-SM-CY8ID 50-59 years, male 46.9
GTEX-1HCVE-0126-SM-CGQEU 50-59 years, male 46.8
GTEX-1R46S-0626-SM-E9J41 60-69 years, female 46.7
GTEX-14LLW-0126-SM-6LLIO 70-79 years, female 46.6
GTEX-U3ZN-2326-SM-3DB7W 30-39 years, female 46.5
GTEX-14JG6-2226-SM-6EU2G 30-39 years, female 46.4
GTEX-15SHU-0126-SM-7KUEH 40-49 years, female 46.3
GTEX-13O3P-0126-SM-5KM4S 50-59 years, male 46.2
GTEX-ZF28-0126-SM-4WKGK 60-69 years, male 46.2
GTEX-13N1W-0126-SM-5K7VT 70-79 years, male 45.4
GTEX-14C5O-0126-SM-5SI6N 60-69 years, male 45.4
GTEX-Y5V5-2326-SM-4V6GA 60-69 years, female 45.3
GTEX-1C475-1826-SM-73KWA 40-49 years, female 45.1
GTEX-ZC5H-0226-SM-4WAY9 40-49 years, female 45.1
GTEX-1H4P4-0726-SM-9YFLR 50-59 years, male 45.1
GTEX-14ABY-0226-SM-5TDCQ 50-59 years, male 45.0
GTEX-147F3-0526-SM-5SI98 50-59 years, female 44.9
GTEX-1E1VI-0126-SM-7DHMZ 50-59 years, male 44.8
GTEX-ZF2S-2326-SM-4WWCE 50-59 years, female 44.8
GTEX-1I1GR-0126-SM-CL55F 60-69 years, male 44.7
GTEX-17EVP-0326-SM-7DHLG 40-49 years, male 44.6
GTEX-11EI6-0126-SM-5985R 60-69 years, male 44.4
GTEX-ZYFC-0226-SM-5NQ75 50-59 years, male 44.3
GTEX-1GMR8-0126-SM-9WYTM 50-59 years, female 44.3
GTEX-12WSC-0126-SM-5EQ4P 50-59 years, male 44.1
GTEX-1LVAN-0226-SM-COH3S 50-59 years, female 44.1
GTEX-148VJ-0126-SM-5TDDN 70-79 years, male 43.8
GTEX-18A66-0226-SM-718BD 60-69 years, male 43.8
GTEX-Q2AG-0126-SM-33HBV 40-49 years, female 43.6
GTEX-1HUB1-0426-SM-E9U4U 60-69 years, male 43.6
GTEX-1I1GT-0626-SM-CGQER 60-69 years, female 43.6
GTEX-OIZF-0126-SM-7SB8I 60-69 years, male 43.5
GTEX-1212Z-2526-SM-5EGKP 60-69 years, male 43.4
GTEX-1I1GQ-0126-SM-COH3H 50-59 years, male 43.4
GTEX-16AAH-1726-SM-7939C 50-59 years, male 43.3
GTEX-1AYD5-2426-SM-73KXR 50-59 years, male 43.2
GTEX-1JK1U-2026-SM-CM2RZ 60-69 years, male 43.1
GTEX-1C6VS-0526-SM-7DUEN 60-69 years, male 43.0
GTEX-1A8FM-0226-SM-7SB7Q 50-59 years, female 42.4
GTEX-1I1HK-0126-SM-COH49 60-69 years, male 42.4
GTEX-14A6H-0126-SM-5QGPK 30-39 years, male 42.3
GTEX-Y8LW-1826-SM-5S2MV 50-59 years, female 42.0
GTEX-11P81-2326-SM-59875 30-39 years, female 41.9
GTEX-1B97I-1626-SM-73KYO 40-49 years, male 41.9
GTEX-1F5PK-2426-SM-7RHHY 50-59 years, male 41.7
GTEX-113IC-0126-SM-5HL6T 60-69 years, male 41.2
GTEX-WYVS-2126-SM-3NMA3 40-49 years, female 41.1
GTEX-ZY6K-1826-SM-5GZXK 50-59 years, male 40.9
GTEX-13FTY-0526-SM-5L3EV 40-49 years, female 39.5
GTEX-13111-1626-SM-5EGJY 50-59 years, male 39.1
GTEX-1LH75-2426-SM-E9TJE 50-59 years, female 38.0
GTEX-13OW8-1326-SM-5J1OW 60-69 years, male 37.9
GTEX-1HFI7-1826-SM-ACKXH 50-59 years, female 37.8
GTEX-16YQH-0126-SM-7DUFJ 30-39 years, male 37.5
GTEX-OXRN-0126-SM-48TDM 50-59 years, male 36.5
GTEX-ZXG5-0126-SM-5GIEU 60-69 years, male 35.4
Show allShow less

Contact

  • NEWS ARTICLES
  • PRESS ROOM

The Project

  • INTRODUCTION
  • ORGANIZATION
  • PUBLICATIONS

The Human Protein Atlas

  • DOWNLOADABLE DATA
  • LICENCE & CITATION
  • HELP & FAQ
The Human Protein Atlas project is funded
by the Knut & Alice Wallenberg Foundation.


contact@proteinatlas.org