We use cookies to enhance the usability of our website. If you continue, we'll assume that you are happy to receive all cookies. More information. Don't show this again.
COQ4
HPA
RESOURCES
  • TISSUE
  • BRAIN
  • SINGLE CELL
  • SUBCELLULAR
  • CANCER
  • BLOOD
  • CELL LINE
  • STRUCTURE & INTERACTION
ABOUT
  • INTRODUCTION
  • HISTORY
  • ORGANIZATION
  • PUBLICATIONS
  • ANTIBODY SUBMISSION
  • ANTIBODY AVAILABILITY
  • ACKNOWLEDGMENTS
  • CONTACT
NEWS
  • NEWS ARTICLES
  • PRESS ROOM
LEARN
  • DICTIONARY
  • PROTEIN CLASSES
  • PROTEIN EVIDENCE
  • METHODS
  • EDUCATIONAL VIDEOS
DATA
  • DOWNLOADABLE DATA
  • PUBLICATION DATA
  • RELEASE HISTORY
HELP
  • ANTIBODY VALIDATION
  • ASSAYS & ANNOTATION
  • DISCLAIMER
  • HELP & FAQ
  • PRIVACY STATEMENT
  • LICENCE & CITATION
Fields »
Search result

Field
Term
Gene name
Class
Subclass
Class
Keyword
Chromosome
External id
Tissue
Cell type
Expression
Antibody panel
Tissue
Main location
Patient ID
Annotation
Tissue
Category
Tau score
Cluster
Reliability
Brain region
Category
Tau score
Brain region
Category
Tau score
Brain region
Category
Tau score
Cluster
Reliability
Tissue
Cell type
Enrichment
Cell type
Category
Tau score
Cell type
Category
Tau score
Cell type
Category
Tau score
Cell lineage
Category
Tau score
Cluster
Cluster
Location
Searches
Location
Cell line
Class
Type
Phase
Reliability
Cancer
Prognosis
Cancer
Category
Cancer
Category
Tau score
Cluster
Variants
Interacting gene (ensg_id)
Type
Number of interactions
Pathway
Category
Score
Score
Score
Validation
Validation
Validation
Validation
Antibodies
Data type
Column


  • SUMMARY

  • TISSUE

  • BRAIN

  • SINGLE CELL

  • SUBCELL

  • CANCER

  • BLOOD

  • CELL LINE

  • STRUCT & INT

  • COQ4
TISSUE PRIMARY DATA SPLEEN Show tissue menu
ADIPOSE TISSUE ADRENAL GLAND AMYGDALA APPENDIX BASAL GANGLIA BONE MARROW BREAST BRONCHUS CEREBELLUM CEREBRAL CORTEX CERVIX CHOROID PLEXUS COLON DUODENUM
ENDOMETRIUM EPIDIDYMIS ESOPHAGUS FALLOPIAN TUBE GALLBLADDER HEART MUSCLE HIPPOCAMPAL FORMATION HYPOTHALAMUS KIDNEY LIVER LUNG LYMPH NODE MIDBRAIN NASOPHARYNX
ORAL MUCOSA OVARY PANCREAS PARATHYROID GLAND PITUITARY GLAND PLACENTA PROSTATE RECTUM RETINA SALIVARY GLAND SEMINAL VESICLE SKELETAL MUSCLE SKIN SMALL INTESTINE
SMOOTH MUSCLE SOFT TISSUE SPINAL CORD SPLEEN STOMACH TESTIS THYMUS THYROID GLAND TONGUE TONSIL URINARY BLADDER VAGINA
ANTIBODIES
AND
VALIDATION
Dictionary
Spleen
Tissue proteome
Lymphoid tissue
SPLEEN - Expression summary
Protein expression
Spleeni

On the top, protein expression in current human tissue, based on all annotated cell types, is reported with the units not detected (n), low (l), medium (m) and high (h). Underneath, protein expression in each annotated cell type are reported using the same units.

Protein expression data is based on knowledge-based annotation. For genes where more than one antibody has been used, a collective score is set.

If knowledge-based annotation could not be performed for a gene, no data is displayed here. View antibody staining data further down this page.

h
m
l
n
Cells in red pulp: High
Cells in white pulp: High
RNA expressioni

A summary of mRNA expression data available for current tissue based on several datasets. The mRNA expression levels in human tissues are based on RNA-seq data generated by the Human Protein Atlas (HPA), Genotype-Tissue Expression (GTEx) portal and CAGE data generated by the FANTOM5 consortium. Consensus normalized expression levels for human tissues was created by combining the data from HPA and GTEx datasets.

The mRNA expression levels in pig are based on RNA-seq data generated by the Human Protein Atlas (HPA), and for mouse, HPA data and in situ hybridization generated by the Allen brain atlas are reported.

Scroll down to view mRNA expression data in more detail.
Consensus:26.9 nTPM
HPA:22.4 nTPM
GTEx:26.9 nTPM
FANTOM5:42.7 Scaled Tags Per Million

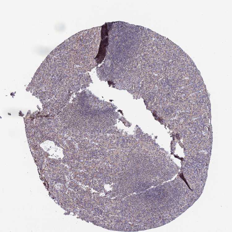
SPLEEN - Antibody stainingi

Antibody staining in the annotated cell types in the current human tissue is reported as not detected, low, medium, or high, based on conventional immunohistochemistry profiling in selected tissues. This score is based on the combination of the staining intensity and fraction of stained cells.

Each image is clickable and will lead to virtual microscopy that enables deeper exploration of all samples and also displays staining intensity scores, fraction scores and subcellular localization as well as patient and tissue information for each sample.

Antibody HPA042945
Cells in red pulp High
Cells in white pulp High


SPLEEN - HPA RNA-seqi

The RNA-seq details section shows detailed information about the individual samples used for the transcript profiling and results of the RNA-seq analysis.

Information about each individual sample is listed below, including gender, age, a tissue section image and estimated fractions of cell types. nTPM (normalized transcripts per million) values give a quantification of the gene abundance which is comparable between different genes and samples.
Average nTPMi

Max subtype nTPM is the value for the subtype with the largest average nTPM across the subtype samples.

22.4
overview
Female, age 60
Spleen sample 236
nTPM: 22.1
Cell types%
Lymphocytes:
40

Macrophages:
30

Endothelial cells:
15

Fibroblasts:
5

Other cell types:
10

overview
Male, age 17
Spleen sample 237
nTPM: 29
Cell types%
Lymphocytes:
40

Macrophages:
35

Endothelial cells:
15

Fibroblasts:
5

Other cell types:
5

overview
Male, age 20
Spleen sample 238
nTPM: 23.5
Cell types%
Lymphocytes:
40

Macrophages:
30

Endothelial cells:
15

Fibroblasts:
5

Other cell types:
10

overview
Female, age 19
Spleen sample 239
nTPM: 24.2
Cell types%
Lymphocytes:
40

Macrophages:
30

Endothelial cells:
15

Fibroblasts:
10

Other cell types:
5

overview
Female, age 65
Spleen sample 378
nTPM: 13.1
Cell types%
Lymphocytes:
35

Macrophages:
30

Endothelial cells:
20

Fibroblasts:
10

Other cell types:
5


SPLEEN - GTEx RNA-seqi

RNA-Seq data generated by the Genotype-Tissue Expression (GTEx) project from human tissues is reported as mean nTPM. More information can be found on the GTEx portal.

Distribution across the dataset is visualized with box plots, shown as median and 25th and 75th percentiles. Points are displayed as outliers if they are above or below 1.5 times the interquartile range. nTPM values of the individual samples are presented next to the box plot.
Max subtype nTPMi

Max subtype nTPM is the value for the subtype with the largest average nTPM across the subtype samples.

26.9
GTEx sample id Sample description nTPM
Spleen
Average nTPM: 26.9
Samples: 241

Max nTPM: 42.4
Min nTPM: 14.3
Std nTPM: 4.7
Median nTPM: 26.2
GTEX-Y3IK-0126-SM-4WWE9 50-59 years, female 42.4
GTEX-U3ZH-0126-SM-4DXUK 30-39 years, male 40.3
GTEX-1H3O1-1126-SM-9WPO9 60-69 years, male 38.0
GTEX-1PIIG-1226-SM-EXOIQ 30-39 years, male 37.9
GTEX-PX3G-0926-SM-48U12 20-29 years, female 37.8
GTEX-18A66-1826-SM-7KFSU 60-69 years, male 37.4
GTEX-1CB4F-0226-SM-7EPHS 60-69 years, male 37.4
GTEX-13U4I-1626-SM-5IFFR 40-49 years, female 37.3
GTEX-QLQW-0126-SM-447BK 30-39 years, male 37.3
GTEX-1OFPY-0126-SM-EXOJ3 60-69 years, male 37.0
GTEX-146FQ-0626-SM-5LU9U 30-39 years, male 35.7
GTEX-ZTTD-1726-SM-57WEL 50-59 years, male 35.5
GTEX-QV44-0126-SM-CJI1X 50-59 years, male 35.5
GTEX-16XZY-0126-SM-7IGQ9 70-79 years, male 35.4
GTEX-1N2EF-1526-SM-EXOIY 60-69 years, male 35.4
GTEX-13N11-0126-SM-5KM2Z 50-59 years, female 35.3
GTEX-15CHQ-1226-SM-6ETZL 60-69 years, male 35.3
GTEX-P4QT-0926-SM-EZ6KQ 50-59 years, female 35.1
GTEX-11NSD-0426-SM-5N9CR 20-29 years, male 34.9
GTEX-X4LF-0226-SM-4QAS8 50-59 years, male 34.7
GTEX-13OVK-0426-SM-7KFT8 40-49 years, male 34.3
GTEX-1JMQK-1126-SM-CXZJW 60-69 years, male 34.0
GTEX-QV31-0126-SM-447BP 30-39 years, male 33.5
GTEX-17F98-0126-SM-7MGW3 40-49 years, female 33.4
GTEX-1JKYR-1126-SM-CGQGJ 20-29 years, male 33.4
GTEX-12WSG-0926-SM-5EGIH 50-59 years, female 33.2
GTEX-P4PQ-0926-SM-E9U4D 60-69 years, male 33.1
GTEX-1C6VQ-2126-SM-7IGNL 50-59 years, male 33.0
GTEX-P78B-1226-SM-EZ6KP 40-49 years, female 32.9
GTEX-1F5PK-0726-SM-7MGXN 50-59 years, male 32.8
GTEX-1KANA-1226-SM-DHXKE 20-29 years, male 32.8
GTEX-1QP66-0126-SM-EAZ3N 50-59 years, male 32.6
GTEX-1QMI2-1526-SM-EXOJT 60-69 years, male 32.4
GTEX-NFK9-1426-SM-43ISG 40-49 years, male 32.3
GTEX-111FC-1326-SM-5N9D9 60-69 years, male 32.2
GTEX-POMQ-0126-SM-48TD6 20-29 years, female 31.9
GTEX-UPK5-1626-SM-4JBHI 40-49 years, male 31.8
GTEX-ZEX8-0726-SM-4WKH8 50-59 years, male 31.8
GTEX-WFON-0126-SM-4LVM9 40-49 years, male 31.5
GTEX-ZPIC-0126-SM-DNZZ9 40-49 years, female 31.5
GTEX-1LSVX-1426-SM-DHXJO 60-69 years, male 31.4
GTEX-1QAET-2326-SM-EXOJ1 50-59 years, male 31.4
GTEX-13X6H-0726-SM-5Q5BX 50-59 years, female 31.3
GTEX-P4QS-0926-SM-48TBS 60-69 years, male 31.3
GTEX-O5YT-0926-SM-48TDG 20-29 years, male 31.2
GTEX-1QW4Y-0126-SM-DPRZQ 30-39 years, male 31.0
GTEX-1HCU7-1426-SM-CNNQK 50-59 years, male 30.8
GTEX-T5JW-0126-SM-4DM6K 20-29 years, female 30.6
GTEX-WY7C-0126-SM-4ONCO 50-59 years, male 30.5
GTEX-1F5PL-2226-SM-7MKHE 40-49 years, female 30.2
GTEX-QDVN-0526-SM-48TZ4 50-59 years, male 30.0
GTEX-1399R-0226-SM-5IJGG 30-39 years, male 29.9
GTEX-13111-0126-SM-5EGHO 50-59 years, male 29.7
GTEX-147F3-0126-SM-5NQBJ 50-59 years, female 29.7
GTEX-U4B1-0526-SM-4DXTK 40-49 years, male 29.6
GTEX-XGQ4-0126-SM-4AT4H 50-59 years, male 29.6
GTEX-XMK1-0126-SM-4B65F 40-49 years, male 29.6
GTEX-1QP2A-2526-SM-EXOJB 50-59 years, male 29.6
GTEX-1R7EV-0126-SM-EAZ3O 40-49 years, male 29.6
GTEX-S4Z8-0226-SM-4AD5K 60-69 years, male 29.3
GTEX-145MN-0126-SM-5RQHY 30-39 years, male 29.2
GTEX-14DAR-0326-SM-5S2PS 50-59 years, male 29.2
GTEX-OOBJ-0926-SM-48TDO 60-69 years, male 29.2
GTEX-U3ZN-0126-SM-4DXUM 30-39 years, female 29.1
GTEX-14ICL-0126-SM-664NG 30-39 years, male 29.0
GTEX-Y8LW-0126-SM-4VBS1 50-59 years, female 29.0
GTEX-1LNCM-0426-SM-DHXK6 50-59 years, female 29.0
GTEX-15ER7-1526-SM-6LLHO 20-29 years, female 28.9
GTEX-X3Y1-0126-SM-4PQZA 40-49 years, male 28.9
GTEX-1JMLX-1426-SM-CNNPO 50-59 years, male 28.9
GTEX-12WSN-0126-SM-5DUX5 40-49 years, male 28.8
GTEX-WXYG-0126-SM-4OND7 50-59 years, female 28.7
GTEX-17F97-1626-SM-72D6W 50-59 years, male 28.6
GTEX-ZF2S-0326-SM-4WKGD 50-59 years, female 28.6
GTEX-PW2O-0126-SM-48TC8 20-29 years, male 28.5
GTEX-XXEK-0126-SM-4BRVU 50-59 years, male 28.5
GTEX-ZVP2-0526-SM-51MSC 50-59 years, male 28.5
GTEX-Y3I4-0126-SM-4TT26 50-59 years, male 28.4
GTEX-XQ8I-1726-SM-4BOQB 50-59 years, male 28.3
GTEX-18A67-1526-SM-7LG6F 50-59 years, male 28.2
GTEX-RUSQ-0126-SM-47JWV 50-59 years, male 28.2
GTEX-1IDJE-0126-SM-C1YQ6 50-59 years, female 28.2
GTEX-P4PP-0926-SM-48TBZ 30-39 years, female 28.1
GTEX-1QCLZ-1026-SM-E6CR1 60-69 years, female 28.1
GTEX-17F9E-1126-SM-79OMO 50-59 years, male 28.0
GTEX-1AYD5-0226-SM-79ONV 50-59 years, male 28.0
GTEX-QCQG-0226-SM-48U28 50-59 years, female 28.0
GTEX-XPVG-0626-SM-4B65B 50-59 years, male 28.0
GTEX-QMRM-0226-SM-CL55S 50-59 years, male 28.0
GTEX-15DYW-1426-SM-6LPIW 60-69 years, female 27.8
GTEX-ZPU1-1026-SM-4YCEQ 40-49 years, male 27.8
GTEX-1QCLY-0126-SM-DPRZV 30-39 years, male 27.8
GTEX-QESD-0126-SM-EXOHG 20-29 years, male 27.8
GTEX-13VXT-1326-SM-5LU3Y 20-29 years, female 27.7
GTEX-14PJ6-0226-SM-6AJ9K 60-69 years, female 27.7
GTEX-S3XE-0626-SM-4AD6B 50-59 years, male 27.7
GTEX-1KD5A-1526-SM-D4P3W 50-59 years, male 27.7
GTEX-Y5V5-1126-SM-EVYAR 60-69 years, female 27.7
GTEX-11P81-1326-SM-5GU5S 30-39 years, female 27.6
GTEX-12WSD-1726-SM-5GCN4 60-69 years, female 27.5
GTEX-VJYA-0126-SM-4KL1P 60-69 years, male 27.5
GTEX-1JMPZ-0926-SM-CXZJR 30-39 years, male 27.5
GTEX-YEC4-0126-SM-4W21T 40-49 years, male 27.4
GTEX-ZZPU-0126-SM-5E446 50-59 years, female 27.4
GTEX-12WSJ-0526-SM-5GCOZ 40-49 years, female 27.3
GTEX-1B8KZ-0226-SM-7EWF6 50-59 years, male 27.3
GTEX-17HHE-0326-SM-793BH 50-59 years, male 27.2
GTEX-1GF9U-0126-SM-AHZ4G 40-49 years, female 27.2
GTEX-1PPH7-0126-SM-E6CPB 40-49 years, male 27.2
GTEX-1R9JW-0126-SM-EAZ4P 30-39 years, female 27.0
GTEX-YB5K-1926-SM-4VDT4 40-49 years, female 26.8
GTEX-1MUQO-1326-SM-EV7AE 60-69 years, male 26.7
GTEX-1R9K5-1126-SM-EAZ4G 50-59 years, male 26.7
GTEX-15CHC-0726-SM-6AJ9D 60-69 years, female 26.6
GTEX-1A3MV-0126-SM-731FQ 30-39 years, male 26.5
GTEX-1IDJC-0126-SM-C1YQC 50-59 years, male 26.5
GTEX-X585-1826-SM-4QAS3 50-59 years, male 26.4
GTEX-146FR-1926-SM-5NQA6 60-69 years, female 26.2
GTEX-14PJ4-0526-SM-6871G 60-69 years, male 26.2
GTEX-PLZ6-0126-SM-48TC6 30-39 years, male 26.2
GTEX-ZYFG-0726-SM-5GIDX 60-69 years, female 26.2
GTEX-1JK1U-0126-SM-C1YQY 60-69 years, male 26.2
GTEX-1R9K4-1526-SM-DPRY5 60-69 years, male 26.2
GTEX-QDT8-1526-SM-EXOHP 30-39 years, female 26.2
GTEX-1C64O-1626-SM-731EN 60-69 years, male 26.1
GTEX-ZV6S-0826-SM-5NQ6Z 40-49 years, female 26.1
GTEX-WYVS-0126-SM-4ONDH 40-49 years, female 26.0
GTEX-17GQL-0126-SM-72D5Q 60-69 years, male 25.8
GTEX-111CU-0426-SM-5GZY1 50-59 years, male 25.7
GTEX-15RJ7-0126-SM-6LPJN 40-49 years, male 25.7
GTEX-ZDTT-1026-SM-5KM19 60-69 years, male 25.7
GTEX-1MCC2-0826-SM-EV7AM 30-39 years, female 25.7
GTEX-13FH7-1326-SM-5IFG8 50-59 years, female 25.6
GTEX-16MT8-1826-SM-7EWE8 60-69 years, female 25.6
GTEX-12WSK-0126-SM-5GCO7 40-49 years, female 25.5
GTEX-WHWD-0126-SM-4OORS 50-59 years, male 25.5
GTEX-1MGNQ-1126-SM-EAZ4Y 40-49 years, male 25.5
GTEX-1PDJ9-0226-SM-DPRYX 20-29 years, male 25.5
GTEX-132QS-0226-SM-5IFFZ 60-69 years, male 25.4
GTEX-W5WG-0626-SM-4SOID 50-59 years, female 25.4
GTEX-YB5E-0426-SM-5IFHR 40-49 years, male 25.4
GTEX-ZDYS-1026-SM-4WKHC 50-59 years, male 25.4
GTEX-OIZF-0926-SM-7MKH7 60-69 years, male 25.4
GTEX-11DXX-0726-SM-5H12X 60-69 years, female 25.3
GTEX-1B97I-0126-SM-731DH 40-49 years, male 25.3
GTEX-R55C-0126-SM-48FEQ 40-49 years, male 25.3
GTEX-Y5LM-0326-SM-4VBRN 40-49 years, female 25.2
GTEX-ZVZP-0726-SM-59HKA 50-59 years, male 25.2
GTEX-1R9PM-0126-SM-DPRY6 20-29 years, male 25.2
GTEX-OIZH-0926-SM-48TBR 50-59 years, male 25.1
GTEX-117YX-2126-SM-5GIEL 50-59 years, male 25.0
GTEX-14JG6-0226-SM-6872A 30-39 years, female 25.0
GTEX-14PJ5-0326-SM-664OD 60-69 years, female 25.0
GTEX-15DZA-0126-SM-6PAMV 30-39 years, female 25.0
GTEX-1C475-1126-SM-7MGY7 40-49 years, female 25.0
GTEX-1RAZR-1626-SM-EAZ4V 40-49 years, male 25.0
GTEX-1RNTQ-1026-SM-EV7B4 20-29 years, female 25.0
GTEX-13PVR-0326-SM-5RQJY 60-69 years, female 24.9
GTEX-1FIGZ-0126-SM-7MKGZ 40-49 years, male 24.9
GTEX-1HCU9-0126-SM-9WG7M 20-29 years, male 24.9
GTEX-1J8QM-0926-SM-C1YQ9 60-69 years, female 24.9
GTEX-13PL7-1126-SM-5MR5O 60-69 years, female 24.8
GTEX-1F75I-0226-SM-7MKHQ 40-49 years, male 24.8
GTEX-UJHI-0126-SM-4IHLP 50-59 years, female 24.7
GTEX-ZLFU-0526-SM-4WWBN 40-49 years, male 24.7
GTEX-13CF3-0226-SM-5J1NW 60-69 years, female 24.6
GTEX-144GN-2126-SM-5O99D 50-59 years, male 24.6
GTEX-Z9EW-0726-SM-5HL9H 40-49 years, male 24.5
GTEX-11VI4-0126-SM-5GU6Z 40-49 years, female 24.4
GTEX-WYJK-0726-SM-4ONC9 50-59 years, male 24.4
GTEX-ZP4G-0326-SM-4YCEF 20-29 years, female 24.4
GTEX-1122O-0526-SM-5N9DM 60-69 years, female 24.3
GTEX-XV7Q-0126-SM-4BRVK 40-49 years, female 24.3
GTEX-15RIF-0526-SM-6LLI2 20-29 years, male 24.2
GTEX-ZF29-0626-SM-4WKHD 60-69 years, female 24.2
GTEX-1C4CL-0626-SM-731DM 30-39 years, male 24.1
GTEX-1KAFJ-1026-SM-D4P2Z 50-59 years, male 24.1
GTEX-11EQ9-0426-SM-5A5JY 30-39 years, male 23.7
GTEX-1RMOY-0726-SM-EV79D 50-59 years, male 23.7
GTEX-11XUK-0426-SM-5EQML 40-49 years, female 23.6
GTEX-R55G-0226-SM-48FEI 40-49 years, female 23.6
GTEX-1MJK3-0126-SM-DPRYY 20-29 years, male 23.6
GTEX-1399S-0226-SM-5IFFG 30-39 years, female 23.5
GTEX-14E6E-1226-SM-5S2R5 30-39 years, male 23.5
GTEX-1AX9K-0226-SM-793CM 50-59 years, male 23.5
GTEX-Q734-0226-SM-48U1A 40-49 years, female 23.5
GTEX-ZLWG-0426-SM-4WWFA 50-59 years, female 23.5
GTEX-1B97J-1926-SM-7IGQB 50-59 years, female 23.4
GTEX-1211K-0426-SM-5FQTP 60-69 years, female 23.3
GTEX-12BJ1-0726-SM-5EGGF 60-69 years, male 23.2
GTEX-14PK6-0526-SM-69LOF 70-79 years, female 23.2
GTEX-15SDE-0126-SM-793BA 50-59 years, female 23.0
GTEX-1LG7Z-0126-SM-EV79V 30-39 years, male 23.0
GTEX-14PKU-0526-SM-6871A 40-49 years, female 22.9
GTEX-15SHV-0126-SM-6LPIS 60-69 years, male 22.9
GTEX-15UF7-1926-SM-6LPJT 40-49 years, male 22.9
GTEX-17F96-1426-SM-7IGQA 70-79 years, male 22.9
GTEX-1K9T9-0626-SM-CXZKY 50-59 years, female 22.8
GTEX-Y114-0726-SM-4TT6U 50-59 years, female 22.7
GTEX-1K2DA-0126-SM-CGQGV 50-59 years, male 22.7
GTEX-169BO-0126-SM-79OLS 50-59 years, male 22.5
GTEX-1S831-0726-SM-EV79O 20-29 years, male 22.5
GTEX-139T6-0226-SM-5IFGZ 50-59 years, male 22.4
GTEX-1J8Q3-0126-SM-C1YSI 60-69 years, male 22.4
GTEX-131XG-0426-SM-5IFGD 50-59 years, female 22.1
GTEX-1LVAN-1026-SM-CNNQZ 50-59 years, female 22.1
GTEX-ZG7Y-2026-SM-DO91N 50-59 years, male 22.0
GTEX-131XE-1126-SM-5EGHW 50-59 years, male 21.9
GTEX-1PWST-1626-SM-EXOIU 70-79 years, male 21.9
GTEX-139YR-0426-SM-5IFFV 50-59 years, male 21.8
GTEX-15RIG-0126-SM-6PAN4 40-49 years, male 21.6
GTEX-15SB6-0126-SM-6LPJR 50-59 years, female 21.6
GTEX-14E1K-0126-SM-664NL 50-59 years, male 21.5
GTEX-15F5U-0126-SM-6LPKA 40-49 years, male 21.4
GTEX-1MCYP-0226-SM-EV7A3 20-29 years, female 21.3
GTEX-1R7EU-2026-SM-E9U63 60-69 years, male 21.3
GTEX-16MT9-1726-SM-6M47P 60-69 years, female 21.2
GTEX-1LSNM-0126-SM-EAZ57 50-59 years, male 21.2
GTEX-1RAZQ-0126-SM-EV7B1 30-39 years, male 21.2
GTEX-11LCK-0126-SM-5A5M5 30-39 years, male 21.1
GTEX-YFCO-0926-SM-5LUA5 40-49 years, male 21.1
GTEX-1H3VY-1526-SM-9WG7S 50-59 years, male 21.1
GTEX-ZAB5-0526-SM-5CVMU 50-59 years, male 20.9
GTEX-1QP29-0126-SM-EAZ3S 50-59 years, male 20.8
GTEX-ZPCL-0626-SM-DNZZ6 60-69 years, female 20.8
GTEX-Q2AH-0226-SM-48U1I 40-49 years, male 20.7
GTEX-XAJ8-0126-SM-47JYG 40-49 years, male 20.6
GTEX-14PN3-0226-SM-6871K 60-69 years, female 20.4
GTEX-15ETS-3126-SM-6LPKN 40-49 years, female 20.4
GTEX-1JKYN-0326-SM-AHZ4D 30-39 years, male 20.4
GTEX-1LGRB-0126-SM-CNNR6 50-59 years, female 19.6
GTEX-1HSMQ-0126-SM-D4P2I 50-59 years, male 19.5
GTEX-1CB4E-0126-SM-7DHMX 60-69 years, male 19.3
GTEX-1L5NE-0926-SM-D4P3P 50-59 years, male 18.9
GTEX-14BMU-0426-SM-73KYT 20-29 years, female 18.8
GTEX-1AMFI-0926-SM-731E4 50-59 years, female 18.8
GTEX-1CB4I-1426-SM-79OLZ 50-59 years, male 18.0
GTEX-11P7K-0426-SM-5BC5H 30-39 years, male 17.9
GTEX-1GZ4H-0126-SM-9JGGI 50-59 years, female 16.9
GTEX-1RAZA-1026-SM-E6CQ9 20-29 years, male 16.9
GTEX-13S86-0126-SM-5S2PI 40-49 years, male 14.3
Show allShow less

SPLEEN - FANTOM5 CAGEi

RNA expression in human tissues obtained through Cap Analysis of Gene Expression (CAGE) generated by the FANTOM5 project are reported as Scaled Tags Per Million.

Max subtype Scaled Tags Per Millioni

Max subtype Scaled Tags Per Million is the value for the subtype with the largest average Scaled Tags Per Million across the subtype samples.

42.7
FANTOM5 sample id Sample description Scaled Tags Per Million
Spleen
Scaled Tags Per Million: 42.7
FF:10025-101D7 39,50,70 years, male 42.7

Contact

  • NEWS ARTICLES
  • PRESS ROOM

The Project

  • INTRODUCTION
  • ORGANIZATION
  • PUBLICATIONS

The Human Protein Atlas

  • DOWNLOADABLE DATA
  • LICENCE & CITATION
  • HELP & FAQ
The Human Protein Atlas project is funded
by the Knut & Alice Wallenberg Foundation.


contact@proteinatlas.org