We use cookies to enhance the usability of our website. If you continue, we'll assume that you are happy to receive all cookies. More information. Don't show this again.
DUS2
HPA
RESOURCES
  • TISSUE
  • BRAIN
  • SINGLE CELL
  • SUBCELLULAR
  • CANCER
  • BLOOD
  • CELL LINE
  • STRUCTURE & INTERACTION
ABOUT
  • INTRODUCTION
  • HISTORY
  • ORGANIZATION
  • PUBLICATIONS
  • ANTIBODY SUBMISSION
  • ANTIBODY AVAILABILITY
  • ACKNOWLEDGMENTS
  • CONTACT
NEWS
  • NEWS ARTICLES
  • PRESS ROOM
LEARN
  • DICTIONARY
  • PROTEIN CLASSES
  • PROTEIN EVIDENCE
  • METHODS
  • EDUCATIONAL VIDEOS
DATA
  • DOWNLOADABLE DATA
  • PUBLICATION DATA
  • RELEASE HISTORY
HELP
  • ANTIBODY VALIDATION
  • ASSAYS & ANNOTATION
  • DISCLAIMER
  • HELP & FAQ
  • PRIVACY STATEMENT
  • LICENCE & CITATION
Fields »
Search result

Field
Term
Gene name
Class
Subclass
Class
Keyword
Chromosome
External id
Tissue
Cell type
Expression
Antibody panel
Tissue
Main location
Patient ID
Annotation
Tissue
Category
Tau score
Cluster
Reliability
Brain region
Category
Tau score
Brain region
Category
Tau score
Brain region
Category
Tau score
Cluster
Reliability
Tissue
Cell type
Enrichment
Cell type
Category
Tau score
Cell type
Category
Tau score
Cell type
Category
Tau score
Cell lineage
Category
Tau score
Cluster
Cluster
Location
Searches
Location
Cell line
Class
Type
Phase
Reliability
Cancer
Prognosis
Cancer
Category
Cancer
Category
Tau score
Cluster
Variants
Interacting gene (ensg_id)
Type
Number of interactions
Pathway
Category
Score
Score
Score
Validation
Validation
Validation
Validation
Antibodies
Data type
Column


  • SUMMARY

  • TISSUE

  • BRAIN

  • SINGLE CELL

  • SUBCELL

  • CANCER

  • BLOOD

  • CELL LINE

  • STRUCT & INT

  • DUS2
BRAIN CEREBELLUM Show tissue menu
AMYGDALA BASAL GANGLIA CEREBELLUM CEREBRAL CORTEX CHOROID PLEXUS HIPPOCAMPAL FORMATION HYPOTHALAMUS MEDULLA OBLONGATA
MIDBRAIN OLFACTORY BULB PITUITARY GLAND PONS RETINA SPINAL CORD THALAMUS WHITE MATTER
ANTIBODIES
AND
VALIDATION
Brain proteome
Cerebellum
CEREBELLUM - Expression summary
Protein expression
Cerebellumi

On the top, protein expression in current human tissue, based on all annotated cell types, is reported with the units not detected (n), low (l), medium (m) and high (h). Underneath, protein expression in each annotated cell type are reported using the same units.

Protein expression data is based on knowledge-based annotation. For genes where more than one antibody has been used, a collective score is set.

If knowledge-based annotation could not be performed for a gene, no data is displayed here. View antibody staining data further down this page.

h
m
l
n
Cells in granular layer: Low
Cells in molecular layer: Low
Purkinje cells: Low
RNA expressioni

A summary of mRNA expression data available for current tissue based on several datasets. The mRNA expression levels in human tissues are based on RNA-seq data generated by the Human Protein Atlas (HPA), Genotype-Tissue Expression (GTEx) portal and CAGE data generated by the FANTOM5 consortium. Consensus normalized expression levels for human tissues was created by combining the data from HPA and GTEx datasets.

The mRNA expression levels in pig are based on RNA-seq data generated by the Human Protein Atlas (HPA), and for mouse, HPA data and in situ hybridization generated by the Allen brain atlas are reported.

Scroll down to view mRNA expression data in more detail.
Consensus:5.6 nTPM
HPA Brain:19.9 nTPM
GTEx:5.6 nTPM
FANTOM5:13.8 Scaled Tags Per Million
Pig:10.5 nTPM
Mouse:15.1 nTPM
Allen mouse:0.6 Expression energy

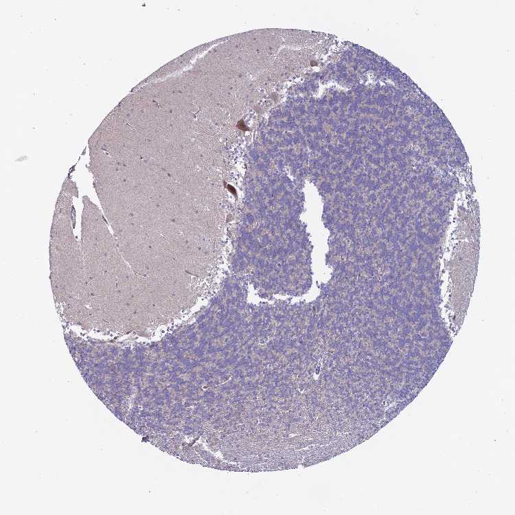
CEREBELLUM - Antibody stainingi

Antibody staining in the annotated cell types in the current human tissue is reported as not detected, low, medium, or high, based on conventional immunohistochemistry profiling in selected tissues. This score is based on the combination of the staining intensity and fraction of stained cells.

Each image is clickable and will lead to virtual microscopy that enables deeper exploration of all samples and also displays staining intensity scores, fraction scores and subcellular localization as well as patient and tissue information for each sample.

Antibody HPA042560Antibody HPA043528
Purkinje cells LowLow
Cells in granular layer MediumNot detected
Cells in molecular layer LowNot detected





CEREBELLUM - HPA Brain RNA-seq
Max subtype nTPMi

Max subtype nTPM is the value for the subtype with the largest average nTPM across the subtype samples.

19.9
Sample id Sample description nTPM
Cerebellar cortex
nTPM: 18.7
1788 Male, age 55, unknown 22.8
1774 Male, age 80, left hemisphere 20.3
2003 Female, age 85, right hemisphere 18.9
2101 Male, age 74, right hemisphere 18.7
1768 Female, age 72, unknown 17.8
2055 Female, age 91, right hemisphere 17.6
2006 Male, age 61, right hemisphere 17.1
1769 Male, age 76, right hemisphere 16.4
Cerebellar nuclei
nTPM: 16.7
2005 Male, age 80, left hemisphere 17.8
2175 Male, age 61, right hemisphere 17.6
1871 Male, age 74, unknown 17.5
1966 Female, age 91, left hemisphere 17.1
2318 Male, age 74, left hemisphere 16.9
1879 Male, age 55, unknown 16.4
2177 Female, age 85, both hemispheres 16.4
2882 Male, age 76, left hemisphere 15.7
2783 Female, age 72, unknown 14.9
Flocculonodular lobe
nTPM: 18.3
1765 Male, age 55, unknown 21.8
1835 Female, age 85, right hemisphere 19.9
1792 Male, age 74, unknown 19.8
1767 Male, age 76, left hemisphere 18.0
1771 Male, age 80, left hemisphere 17.3
2176 Female, age 91, right hemisphere 15.9
2004 Male, age 61, right hemisphere 15.6
Vermis
nTPM: 19.9
1988 Female, age 85, left hemisphere 23.5
1825 Male, age 74, unknown 22.5
1928 Female, age 72, unknown 21.8
2834 Male, age 80, left hemisphere 20.0
1766 Male, age 55, unknown 19.7
2460 Male, age 61, both hemispheres 18.9
1770 Male, age 76, left hemisphere 18.6
1751 Male, age 74, right hemisphere 18.5
1778 Female, age 91, left hemisphere 15.9

CEREBELLUM - GTEx RNA-seqi

RNA-Seq data generated by the Genotype-Tissue Expression (GTEx) project from human tissues is reported as mean nTPM. More information can be found on the GTEx portal.

Distribution across the dataset is visualized with box plots, shown as median and 25th and 75th percentiles. Points are displayed as outliers if they are above or below 1.5 times the interquartile range. nTPM values of the individual samples are presented next to the box plot.
Max subtype nTPMi

Max subtype nTPM is the value for the subtype with the largest average nTPM across the subtype samples.

5.6
GTEx sample id Sample description nTPM
Brain - Cerebellar Hemisphere
Average nTPM: 5.5
Samples: 215

Max nTPM: 10.5
Min nTPM: 1.3
Std nTPM: 1.3
Median nTPM: 5.6
GTEX-13FLV-0011-R11a-SM-5LZZ7 50-59 years, male 10.5
GTEX-ZDXO-0011-R11a-SM-4WWD9 60-69 years, male 9.2
GTEX-13X6K-0011-R11a-SM-5P9F5 60-69 years, female 9.0
GTEX-P44H-0011-R11A-SM-2XCER 40-49 years, male 8.8
GTEX-N7MS-0011-R11A-SM-2HMJS 60-69 years, male 8.7
GTEX-13FHO-0011-R11b-SM-5LZYQ 60-69 years, male 8.6
GTEX-1B933-0011-R11a-SM-7P8PM 50-59 years, female 8.3
GTEX-17EVQ-0011-R11a-SM-7LT9C 70-79 years, male 8.2
GTEX-13OW6-0011-R11a-SM-5L3H2 50-59 years, male 7.9
GTEX-145MH-0011-R11a-SM-5P9HQ 50-59 years, male 7.9
GTEX-139TT-0011-R11b-SM-5LZV1 60-69 years, male 7.8
GTEX-1H3O1-0011-R11a-SM-A96RV 60-69 years, male 7.8
GTEX-11H98-0011-R11b-SM-5NQ6U 50-59 years, male 7.7
GTEX-13X6J-0011-R11a-SM-5P9HE 50-59 years, male 7.7
GTEX-1313W-0011-R11a-SM-5DUXN 50-59 years, female 7.6
GTEX-139UW-0011-R11a-SM-5IJGN 60-69 years, male 7.4
GTEX-13FHP-0011-R11b-SM-5LZXP 50-59 years, male 7.4
GTEX-1HCU6-0011-R11b-SM-AHZ2F 60-69 years, female 7.4
GTEX-13G51-0011-R11b-SM-5J2NE 60-69 years, male 7.3
GTEX-13RTJ-0011-R11a-SM-5O9CK 60-69 years, male 7.3
GTEX-12WSD-0011-R11a-SM-9OSVC 60-69 years, female 7.2
GTEX-RU72-0011-R11A-SM-CM2U1 50-59 years, female 7.2
GTEX-1H1ZS-0011-R11a-SM-C1YQM 70-79 years, male 7.1
GTEX-13SLW-0011-R11a-SM-5SI8Q 70-79 years, male 7.0
GTEX-15DCD-0011-R11a-SM-D4P1R 70-79 years, female 7.0
GTEX-1EMGI-0011-R11b-SM-9OSWX 60-69 years, male 7.0
GTEX-145LU-0011-R11b-SM-5P9JX 50-59 years, male 6.9
GTEX-14ABY-0011-R11a-SM-5SI7C 50-59 years, male 6.9
GTEX-14E6D-0011-R11b-SM-664NP 50-59 years, male 6.9
GTEX-QDT8-0011-R11A-SM-32PKD 30-39 years, female 6.9
GTEX-11DYG-0011-R11a-SM-DNZZP 60-69 years, male 6.9
GTEX-1GF9W-0011-R11b-SM-9OSXG 60-69 years, male 6.9
GTEX-1H3NZ-0011-R11b-SM-CE6SF 60-69 years, male 6.8
GTEX-1HBPI-0011-R11b-SM-CE6SH 50-59 years, male 6.8
GTEX-12WSM-0011-R11a-SM-5DUX8 60-69 years, male 6.7
GTEX-13N2G-0011-R11a-SM-5MR3F 60-69 years, male 6.7
GTEX-13OW8-0011-R11a-SM-5L3GT 60-69 years, male 6.7
GTEX-17EVP-0011-R11a-SM-7EWDL 40-49 years, male 6.7
GTEX-11ZTS-0011-R11a-SM-DO113 60-69 years, female 6.7
GTEX-1CAV2-0011-R11a-SM-ARU8D 40-49 years, female 6.7
GTEX-1IL2U-0011-R11a-SM-CE6SO 60-69 years, male 6.7
GTEX-16XZZ-0011-R11a-SM-7EPI3 60-69 years, male 6.6
GTEX-N7MT-0011-R11A-SM-2I3DZ 60-69 years, female 6.6
GTEX-1J8EW-0011-R11a-SM-AHZ37 60-69 years, female 6.6
GTEX-1JMOU-0011-R11b-SM-EXUTA 60-69 years, female 6.6
GTEX-13OVJ-0011-R11a-SM-5P9H8 50-59 years, female 6.5
GTEX-13SLX-0011-R11b-SM-5O9C8 50-59 years, female 6.5
GTEX-WZTO-0011-R11A-SM-4E3K9 40-49 years, male 6.5
GTEX-YJ89-0011-R11a-SM-4SOKA 60-69 years, male 6.5
GTEX-1H3VE-0011-R11b-SM-C1YRP 40-49 years, male 6.5
GTEX-13OVH-0011-R11b-SM-5KM4X 70-79 years, male 6.4
GTEX-1CB4G-0011-R11a-SM-9OSWG 60-69 years, male 6.4
GTEX-1I1GS-0011-R11a-SM-C1YRU 60-69 years, male 6.4
GTEX-1IGQW-0011-R11a-SM-C1YRV 60-69 years, male 6.3
GTEX-1KD4Q-0011-R11b-SM-EXOIE 40-49 years, male 6.3
GTEX-1LG7Y-0011-R11a-SM-EXOIH 50-59 years, male 6.3
GTEX-132Q8-0011-R11b-SM-5DUW9 60-69 years, male 6.2
GTEX-13O3O-0011-R11b-SM-5KM4G 60-69 years, female 6.2
GTEX-15ER7-0011-R11a-SM-6LPIL 20-29 years, female 6.2
GTEX-16YQH-0011-R11b-SM-7LT98 30-39 years, male 6.2
GTEX-18464-0011-R11a-SM-72D76 50-59 years, male 6.2
GTEX-ZE7O-0011-R11a-SM-57WBC 50-59 years, female 6.2
GTEX-1HFI6-0011-R11b-SM-A96RU 40-49 years, male 6.2
GTEX-1HUB1-0011-R11b-SM-CE6SC 60-69 years, male 6.2
GTEX-1IY9M-0011-R11b-SM-A96TI 60-69 years, male 6.2
GTEX-12WSE-0011-R11b-SM-5P9JW 20-29 years, male 6.1
GTEX-13QIC-0011-R11b-SM-5O9BU 60-69 years, female 6.1
GTEX-14ASI-0011-R11b-SM-6AJBJ 60-69 years, male 6.1
GTEX-15CHQ-0011-R11b-SM-686ZZ 60-69 years, male 6.1
GTEX-131XW-0011-R11a-SM-5DUV9 50-59 years, female 6.0
GTEX-13JUV-0011-R11a-SM-5LZYH 40-49 years, female 6.0
GTEX-13O3Q-0011-R11b-SM-5KM2W 50-59 years, male 6.0
GTEX-13S7M-0011-R11b-SM-5P9HU 60-69 years, female 6.0
GTEX-16GPK-0011-R11b-SM-7MKFF 60-69 years, male 6.0
GTEX-R55E-0011-R11A-SM-2TC6I 20-29 years, male 6.0
GTEX-Z93S-0011-R11a-SM-4RGNN 50-59 years, male 6.0
GTEX-ZUA1-0011-R11b-SM-51MTI 40-49 years, male 6.0
GTEX-11PRG-0011-R11b-SM-DNZZY 50-59 years, male 6.0
GTEX-1I1GQ-0011-R11b-SM-CKZPA 50-59 years, male 6.0
GTEX-1IOXB-0011-R11a-SM-A9G1X 50-59 years, male 6.0
GTEX-17JCI-0011-R11a-SM-7189Y 60-69 years, female 5.9
GTEX-1B8L1-0011-R11b-SM-793DJ 60-69 years, male 5.9
GTEX-1IKOH-0011-R11a-SM-AHZ38 60-69 years, female 5.9
GTEX-1LKK1-0011-R11a-SM-EXOIG 50-59 years, female 5.9
GTEX-1R9PO-0011-R11b-SM-EZ6NB 60-69 years, female 5.9
GTEX-11ZUS-0011-R11b-SM-5BC7B 30-39 years, male 5.8
GTEX-18A6Q-0011-R11a-SM-72D6H 60-69 years, male 5.8
GTEX-1B8SF-0011-R11a-SM-79OOP 60-69 years, male 5.8
GTEX-1BAJH-0011-R11b-SM-7IGLM 70-79 years, male 5.8
GTEX-NL4W-0011-R11A-SM-2I3DW 50-59 years, male 5.8
GTEX-WHSE-0011-R11A-SM-3P5YY 20-29 years, male 5.8
GTEX-1F75A-0011-R11a-SM-AHZ35 50-59 years, male 5.8
GTEX-1GTWX-0011-R11b-SM-C1YQJ 60-69 years, male 5.8
GTEX-1GZHY-0011-R11a-SM-C1YRQ 50-59 years, female 5.8
GTEX-1I1HK-0011-R11a-SM-B2LVN 60-69 years, male 5.8
GTEX-1IDJH-0011-R11b-SM-C1YRT 70-79 years, male 5.8
GTEX-1IKK5-0011-R11a-SM-C1YRX 60-69 years, male 5.8
GTEX-13FXS-0011-R11a-SM-5L3DM 50-59 years, male 5.7
GTEX-13NYB-0011-R11a-SM-5KM3Q 40-49 years, male 5.7
GTEX-14DAQ-0011-R11a-SM-664NO 60-69 years, female 5.7
GTEX-QMR6-0011-R11A-SM-32PKK 50-59 years, male 5.7
GTEX-S7SE-0011-R11A-SM-2XCDD 50-59 years, male 5.7
GTEX-T2IS-0011-R11A-SM-32QPC 20-29 years, female 5.7
GTEX-ZVZQ-0011-R11a-SM-51MS6 60-69 years, female 5.7
GTEX-1H4P4-0011-R11b-SM-CE6S8 50-59 years, male 5.7
GTEX-1I1GV-0011-R11a-SM-CJI3Z 60-69 years, male 5.7
GTEX-13OW7-0011-R11a-SM-5O9DY 50-59 years, male 5.6
GTEX-T5JC-0011-R11A-SM-32PMB 20-29 years, male 5.6
GTEX-1EKGG-0011-R11a-SM-9QEHZ 60-69 years, male 5.6
GTEX-1GN73-0011-R11b-SM-9OSX4 60-69 years, male 5.6
GTEX-1R9K4-0011-R11a-SM-EZ6N9 60-69 years, male 5.6
GTEX-1399T-0011-R11a-SM-5J2O1 60-69 years, male 5.5
GTEX-13VXU-0011-R11b-SM-5O9DJ 50-59 years, male 5.5
GTEX-14PN4-0011-R11a-SM-686ZW 50-59 years, male 5.5
GTEX-18465-0011-R11a-SM-72D78 50-59 years, male 5.5
GTEX-1GZ4I-0011-R11b-SM-9OSWR 50-59 years, male 5.5
GTEX-1N2DW-0011-R11b-SM-EXOIL 50-59 years, male 5.5
GTEX-12WSI-0011-R11b-SM-5P9EZ 50-59 years, male 5.4
GTEX-13OVL-0011-R11b-SM-5L3G7 50-59 years, male 5.4
GTEX-17HII-0011-R11b-SM-7KFSX 50-59 years, male 5.4
GTEX-11EMC-0011-R11b-SM-DNZZK 60-69 years, female 5.4
GTEX-1I19N-0011-R11b-SM-ARU6Y 70-79 years, male 5.4
GTEX-1J8Q2-0011-R11a-SM-A9SKI 60-69 years, male 5.4
GTEX-1LVAO-0011-R11b-SM-EXOI8 60-69 years, male 5.4
GTEX-12WSF-0011-R11a-SM-5LZVT 70-79 years, male 5.3
GTEX-144GL-0011-R11b-SM-5P9F6 50-59 years, male 5.3
GTEX-14BIN-0011-R11a-SM-5SI79 50-59 years, female 5.3
GTEX-17HG3-0011-R11b-SM-7KFT4 30-39 years, female 5.3
GTEX-WL46-0011-R11A-SM-3MJFT 50-59 years, male 5.3
GTEX-1IL2V-0011-R11a-SM-ARU6T 70-79 years, male 5.3
GTEX-1N2EE-0011-R11b-SM-EXOIJ 60-69 years, male 5.3
GTEX-11OF3-0011-R11a-SM-57WCR 60-69 years, male 5.2
GTEX-11WQC-0011-R11b-SM-57WD6 60-69 years, male 5.2
GTEX-13PLJ-0011-R11b-SM-5O9BS 60-69 years, female 5.2
GTEX-145MI-0011-R11a-SM-5P9JZ 60-69 years, female 5.2
GTEX-14E7W-0011-R11a-SM-5ZZVA 70-79 years, male 5.2
GTEX-16Z82-0011-R11a-SM-79OKJ 60-69 years, male 5.2
GTEX-17F97-0011-R11b-SM-7KFRQ 50-59 years, male 5.2
GTEX-X261-0011-R11A-SM-4E3JY 50-59 years, male 5.2
GTEX-1J1OQ-0011-R11a-SM-A96S3 40-49 years, female 5.2
GTEX-131XH-0011-R11a-SM-5EGLN 50-59 years, male 5.1
GTEX-13JVG-0011-R11a-SM-5KM53 60-69 years, male 5.1
GTEX-13X6I-0011-R11a-SM-5P9HN 60-69 years, male 5.1
GTEX-WVLH-0011-R11A-SM-3MJFO 50-59 years, male 5.1
GTEX-YFC4-0011-R11a-SM-4SOK6 40-49 years, female 5.1
GTEX-TSE9-0011-R11A-SM-3DB7N 60-69 years, female 5.0
GTEX-1ICLZ-0011-R11a-SM-CJI3N 60-69 years, male 5.0
GTEX-1JMQJ-0011-R11a-SM-EXOJY 50-59 years, male 5.0
GTEX-11GSP-0011-R11b-SM-5NQ7V 60-69 years, female 4.9
GTEX-12ZZX-0011-R11a-SM-5DUVJ 40-49 years, female 4.9
GTEX-14C5O-0011-R11b-SM-6872H 60-69 years, male 4.9
GTEX-15DYW-0011-R11a-SM-6LPIT 60-69 years, female 4.9
GTEX-1C64N-0011-R11b-SM-7P8Q6 50-59 years, male 4.9
GTEX-1F6I4-0011-R11b-SM-9OSWS 60-69 years, male 4.9
GTEX-13FTY-0011-R11a-SM-5IJEA 40-49 years, female 4.8
GTEX-11DXY-0011-R11a-SM-DNZZN 60-69 years, male 4.8
GTEX-1GMRU-0011-R11b-SM-C1YQ4 50-59 years, male 4.8
GTEX-1H1CY-0011-R11a-SM-C1YQR 60-69 years, female 4.8
GTEX-1JJEA-0011-R11a-SM-EXUTE 60-69 years, male 4.8
GTEX-13CZV-0011-R11b-SM-5N9FN 60-69 years, male 4.7
GTEX-11EI6-0011-R11a-SM-DO11V 60-69 years, male 4.7
GTEX-1F48J-0011-R11b-SM-9OSWV 50-59 years, female 4.7
GTEX-1I1GR-0011-R11a-SM-CM2T5 60-69 years, male 4.7
GTEX-183WM-0011-R11a-SM-718A5 70-79 years, female 4.6
GTEX-11TTK-0011-R11b-SM-DO112 60-69 years, female 4.6
GTEX-1HGF4-0011-R11a-SM-C1YRR 60-69 years, male 4.6
GTEX-1LSVX-0011-R11b-SM-EXOIA 60-69 years, male 4.6
GTEX-1M4P7-0011-R11b-SM-EXOIK 60-69 years, male 4.6
GTEX-14BIM-0011-R11b-SM-5S2RN 60-69 years, female 4.5
GTEX-15EO6-0011-R11b-SM-6M47M 50-59 years, male 4.5
GTEX-OHPN-0011-R11A-SM-2I5FM 60-69 years, female 4.5
GTEX-P44G-0011-R11A-SM-2I3FD 30-39 years, male 4.5
GTEX-Q2AG-0011-R11A-SM-2HMKZ 40-49 years, female 4.5
GTEX-ZE9C-0011-R11a-SM-4WKGG 60-69 years, male 4.5
GTEX-12126-0011-R11a-SM-5BC6X 20-29 years, male 4.4
GTEX-12WSC-0011-R11a-SM-5GU5J 50-59 years, male 4.4
GTEX-ZAB4-0011-R11a-SM-4SOKI 40-49 years, male 4.4
GTEX-1E1VI-0011-R11a-SM-9OSWI 50-59 years, male 4.4
GTEX-14C39-0011-R11b-SM-5YYAF 40-49 years, male 4.3
GTEX-ZVT3-0011-R11b-SM-57WBI 60-69 years, female 4.3
GTEX-1B8SG-0011-R11a-SM-7P8PF 50-59 years, male 4.3
GTEX-1HB9E-0011-R11b-SM-ARU79 50-59 years, male 4.3
GTEX-12ZZZ-0011-R11a-SM-5EGLC 60-69 years, male 4.2
GTEX-11DZ1-0011-R11b-SM-DO11W 50-59 years, male 4.2
GTEX-16NPV-0011-R11a-SM-7IGMK 50-59 years, female 4.2
GTEX-131YS-0011-R11b-SM-5EGLM 60-69 years, female 4.1
GTEX-13PVQ-0011-R11a-SM-5O9DU 50-59 years, male 4.1
GTEX-NPJ7-0011-R11A-SM-2I3E8 60-69 years, female 4.1
GTEX-T6MN-0011-R11A-SM-32QOX 50-59 years, male 4.1
GTEX-1HSKV-0011-R11b-SM-AHZ2E 60-69 years, male 4.1
GTEX-13NZA-0011-R11b-SM-5KM4W 60-69 years, male 4.0
GTEX-1A3MX-0011-R11b-SM-7DUGP 60-69 years, male 4.0
GTEX-1AX9I-0011-R11b-SM-7DHN4 60-69 years, male 4.0
GTEX-UTHO-0011-R11A-SM-3GIJE 60-69 years, male 4.0
GTEX-1F7RK-0011-R11b-SM-9QEI2 20-29 years, female 4.0
GTEX-1JJ6O-0011-R11b-SM-EXUS2 60-69 years, male 4.0
GTEX-RVPV-0011-R11A-SM-2TF6F 60-69 years, male 3.9
GTEX-1F75W-0011-R11b-SM-AHZ34 60-69 years, male 3.9
GTEX-Y8DK-0011-R11A-SM-4SOK2 60-69 years, male 3.6
GTEX-1GMR8-0011-R11b-SM-9OSX2 50-59 years, female 3.5
GTEX-15G19-0011-R11b-SM-6LPIH 60-69 years, male 3.4
GTEX-X4XX-0011-R11A-SM-46MWQ 60-69 years, male 3.4
GTEX-WWYW-0011-R11A-SM-3NB38 50-59 years, female 3.3
GTEX-X585-0011-R11B-SM-46MUZ 50-59 years, male 3.2
GTEX-1H1DG-0011-R11a-SM-C1YQK 70-79 years, male 3.1
GTEX-13CF2-0011-R11b-SM-5LZXO 60-69 years, male 3.0
GTEX-X4EP-0011-R11B-SM-4QASK 60-69 years, female 3.0
GTEX-13OW5-0011-R11b-SM-5L3GG 60-69 years, male 2.8
GTEX-XMD1-0011-R11A-SM-4AT5J 60-69 years, male 2.7
GTEX-ZF28-0011-R11a-SM-4WWEI 60-69 years, male 2.3
GTEX-1F52S-0011-R11a-SM-CJI23 60-69 years, female 2.2
GTEX-13NYS-0011-R11b-SM-5MR4P 60-69 years, male 2.1
GTEX-NL3H-0011-R11A-SM-2I3E6 60-69 years, male 2.0
GTEX-NPJ8-0011-R11A-SM-2YUMS 40-49 years, male 2.0
GTEX-12WSH-0011-R11a-SM-5LZVM 50-59 years, male 1.3
Show allShow less
Brain - Cerebellum
Average nTPM: 5.6
Samples: 241

Max nTPM: 9.5
Min nTPM: 1.5
Std nTPM: 1.3
Median nTPM: 5.7
GTEX-QVUS-2926-SM-3GIJB 60-69 years, female 9.5
GTEX-1GTWX-2926-SM-7MXV4 60-69 years, male 8.9
GTEX-ZDXO-2926-SM-4WKFM 60-69 years, male 8.6
GTEX-1F6I4-3026-SM-7P8SI 60-69 years, male 8.4
GTEX-1B996-2926-SM-7MXUH 60-69 years, male 8.3
GTEX-WHSE-2926-SM-3NMBG 20-29 years, male 8.1
GTEX-13FHO-2926-SM-5L3ES 60-69 years, male 8.0
GTEX-1EH9U-3126-SM-7MXU5 60-69 years, male 8.0
GTEX-QMR6-1326-SM-32PLB 50-59 years, male 7.8
GTEX-ZAB4-2926-SM-57WCV 40-49 years, male 7.8
GTEX-WVLH-2926-SM-3MJG5 50-59 years, male 7.7
GTEX-1F75A-2926-SM-7MXVN 50-59 years, male 7.7
GTEX-17EVQ-2726-SM-7EWDT 70-79 years, male 7.6
GTEX-1B8L1-3226-SM-7P8OX 60-69 years, male 7.6
GTEX-1BAJH-3126-SM-7MGXY 70-79 years, male 7.6
GTEX-13RTJ-3126-SM-5S2Q4 60-69 years, male 7.5
GTEX-QDT8-3026-SM-32PKB 30-39 years, female 7.5
GTEX-1H1ZS-2926-SM-9WPP2 70-79 years, male 7.5
GTEX-1JMOU-2826-SM-EV79R 60-69 years, female 7.5
GTEX-1NV8Z-3026-SM-DTX8Z 60-69 years, male 7.5
GTEX-13OW6-2926-SM-5KM29 50-59 years, male 7.4
GTEX-14JG1-2926-SM-686ZK 40-49 years, male 7.4
GTEX-15SHU-3026-SM-6LPIB 40-49 years, female 7.4
GTEX-13G51-3126-SM-5IJG7 60-69 years, male 7.3
GTEX-11ZUS-2826-SM-5EQKW 30-39 years, male 7.2
GTEX-1313W-3026-SM-5LZUZ 50-59 years, female 7.2
GTEX-147F4-3026-SM-5Q5BJ 50-59 years, male 7.2
GTEX-1JMPZ-2826-SM-C1YRA 30-39 years, male 7.2
GTEX-13FHP-2926-SM-5IJG9 50-59 years, male 7.1
GTEX-145LU-2626-SM-5LU9Z 50-59 years, male 7.1
GTEX-14BMV-2926-SM-5TDEE 50-59 years, male 7.1
GTEX-11DXW-1026-SM-5H11K 40-49 years, male 7.0
GTEX-11ZTS-3226-SM-5EGID 60-69 years, female 7.0
GTEX-1269C-3126-SM-5EGI6 60-69 years, female 7.0
GTEX-12WSD-3026-SM-5LZU7 60-69 years, female 7.0
GTEX-13OVL-3026-SM-5IJF1 50-59 years, male 7.0
GTEX-14E6D-2926-SM-664OP 50-59 years, male 7.0
GTEX-14PJM-3026-SM-6LLHM 50-59 years, female 7.0
GTEX-15DYW-3026-SM-7KFRM 60-69 years, female 7.0
GTEX-1E2YA-2926-SM-7MGWX 50-59 years, male 7.0
GTEX-1EMGI-3126-SM-7MXUR 60-69 years, male 7.0
GTEX-1GZHY-3026-SM-7MXVA 50-59 years, female 7.0
GTEX-1JMLX-3026-SM-EV79Q 50-59 years, male 7.0
GTEX-11ONC-3026-SM-5985W 60-69 years, male 6.9
GTEX-13X6K-2826-SM-5O9DS 60-69 years, female 6.9
GTEX-15ER7-3026-SM-6M47W 20-29 years, female 6.9
GTEX-PWO3-1026-SM-2I5F2 60-69 years, female 6.9
GTEX-1LG7Y-3126-SM-EV7AS 50-59 years, male 6.9
GTEX-1MJK2-3026-SM-EV7A5 50-59 years, male 6.9
GTEX-131XH-2926-SM-5LZU4 50-59 years, male 6.8
GTEX-13O3Q-3026-SM-5IJGD 50-59 years, male 6.8
GTEX-YFC4-3026-SM-5IFJK 40-49 years, female 6.8
GTEX-13QIC-3026-SM-5LU58 60-69 years, female 6.7
GTEX-ZUA1-2926-SM-59HL3 40-49 years, male 6.7
GTEX-1H3O1-1826-SM-A96TO 60-69 years, male 6.7
GTEX-1HBPH-3026-SM-9WPNY 40-49 years, female 6.7
GTEX-1PWST-3026-SM-EAZ3H 70-79 years, male 6.7
GTEX-1R9PO-2826-SM-E6CPV 60-69 years, female 6.7
GTEX-11PRG-2826-SM-5BC54 50-59 years, male 6.6
GTEX-13112-2926-SM-5DUWT 50-59 years, male 6.6
GTEX-17HII-2926-SM-79OMK 50-59 years, male 6.6
GTEX-XLM4-2926-SM-4AT59 60-69 years, male 6.6
GTEX-Y111-2826-SM-4TT3O 50-59 years, male 6.6
GTEX-13X6I-2926-SM-5Q5C3 60-69 years, male 6.5
GTEX-YJ89-2926-SM-5P9IT 60-69 years, male 6.5
GTEX-1QP6S-3026-SM-EAZ4N 40-49 years, male 6.5
GTEX-1EKGG-3126-SM-9WPO5 60-69 years, male 6.4
GTEX-1GF9W-2726-SM-9JGGW 60-69 years, male 6.4
GTEX-1I1HK-2726-SM-AHZ2M 60-69 years, male 6.4
GTEX-111FC-3326-SM-5GZYV 60-69 years, male 6.3
GTEX-12WSM-2126-SM-5GCOC 60-69 years, male 6.3
GTEX-13CF2-3026-SM-5IFFX 60-69 years, male 6.3
GTEX-14DAQ-3026-SM-5S2QZ 60-69 years, female 6.3
GTEX-1B8SF-3026-SM-731DX 60-69 years, male 6.3
GTEX-1H3NZ-2926-SM-9WPQ8 60-69 years, male 6.3
GTEX-1HCVE-2926-SM-9WPPJ 50-59 years, male 6.3
GTEX-11ZVC-3026-SM-59HJM 50-59 years, female 6.2
GTEX-16Z82-2926-SM-6LPJJ 60-69 years, male 6.2
GTEX-18A6Q-2826-SM-7LTAO 60-69 years, male 6.2
GTEX-1CB4H-3026-SM-79OLX 60-69 years, female 6.2
GTEX-N7MS-2526-SM-2D7W3 60-69 years, male 6.2
GTEX-ZAK1-2926-SM-5HL9S 50-59 years, female 6.2
GTEX-1JJEA-2926-SM-C1YSK 60-69 years, male 6.2
GTEX-N7MT-1226-SM-DKPOK 60-69 years, female 6.2
GTEX-1399T-3126-SM-5IJFS 60-69 years, male 6.1
GTEX-13OVH-2926-SM-5IJFH 70-79 years, male 6.1
GTEX-S7SE-2526-SM-2XCDL 50-59 years, male 6.1
GTEX-1IY9M-3126-SM-AHZ3A 60-69 years, male 6.1
GTEX-11DYG-2926-SM-5H132 60-69 years, male 6.0
GTEX-12126-0926-SM-5FQTW 20-29 years, male 6.0
GTEX-12WSE-2926-SM-5RQJ9 20-29 years, male 6.0
GTEX-139TT-2626-SM-5LZUB 60-69 years, male 6.0
GTEX-144GL-2926-SM-5O99F 50-59 years, male 6.0
GTEX-1H3VE-2826-SM-9WPOL 40-49 years, male 6.0
GTEX-14A5I-2826-SM-5SIBF 50-59 years, female 5.9
GTEX-14C39-3026-SM-5S2QE 40-49 years, male 5.9
GTEX-14PN4-3026-SM-664O4 50-59 years, male 5.9
GTEX-183WM-2726-SM-7KFRF 70-79 years, female 5.9
GTEX-X4EP-3026-SM-3P5YP 60-69 years, female 5.9
GTEX-1IDJH-3126-SM-C1YQS 70-79 years, male 5.9
GTEX-1RQEC-3026-SM-DPRXM 60-69 years, male 5.9
GTEX-117XS-3126-SM-5GIDP 60-69 years, male 5.8
GTEX-12ZZZ-3126-SM-5LZU6 60-69 years, male 5.8
GTEX-14PJO-2926-SM-686ZI 60-69 years, male 5.8
GTEX-16YQH-2926-SM-6LPJE 30-39 years, male 5.8
GTEX-1A3MX-2926-SM-718B7 60-69 years, male 5.8
GTEX-1A8G6-3126-SM-731D8 60-69 years, male 5.8
GTEX-1CB4G-2926-SM-7MKFQ 60-69 years, male 5.8
GTEX-Q2AG-2826-SM-2HMJQ 40-49 years, female 5.8
GTEX-QVJO-1325-SM-2S1QX 60-69 years, female 5.8
GTEX-X261-3126-SM-4PQZC 50-59 years, male 5.8
GTEX-Y8DK-0726-SM-4TT3S 60-69 years, male 5.8
GTEX-1GZ4I-2926-SM-9JGGO 50-59 years, male 5.8
GTEX-1I1GV-3026-SM-CNNR9 60-69 years, male 5.8
GTEX-131YS-3026-SM-5EGHY 60-69 years, female 5.7
GTEX-17EVP-2926-SM-793BU 40-49 years, male 5.7
GTEX-17F97-2926-SM-7DUEQ 50-59 years, male 5.7
GTEX-1C64N-3126-SM-79OO3 50-59 years, male 5.7
GTEX-OHPN-2626-SM-2I5H1 60-69 years, female 5.7
GTEX-T6MN-2526-SM-32PMN 50-59 years, male 5.7
GTEX-1F75W-3126-SM-7P8SJ 60-69 years, male 5.7
GTEX-1GF9V-3026-SM-7P8R8 60-69 years, male 5.7
GTEX-1R46S-3126-SM-DPRZ9 60-69 years, female 5.7
GTEX-11EMC-3326-SM-5P9JH 60-69 years, female 5.6
GTEX-13NYB-3226-SM-5J2ND 40-49 years, male 5.6
GTEX-13PVQ-2926-SM-5L3HJ 50-59 years, male 5.6
GTEX-13X6J-2926-SM-7EPGP 50-59 years, male 5.6
GTEX-1C6VR-3026-SM-7IGLW 60-69 years, male 5.6
GTEX-P44H-2426-SM-2XCEJ 40-49 years, male 5.6
GTEX-13OW8-2926-SM-5L3FV 60-69 years, male 5.5
GTEX-13VXU-3026-SM-5LU3K 50-59 years, male 5.5
GTEX-WL46-2826-SM-3LK81 50-59 years, male 5.5
GTEX-ZVT3-2926-SM-5GU6M 60-69 years, female 5.5
GTEX-1GN73-3026-SM-7MXV8 60-69 years, male 5.5
GTEX-13JVG-3226-SM-5IJGJ 60-69 years, male 5.4
GTEX-145MG-3126-SM-5Q5D3 50-59 years, male 5.4
GTEX-14ABY-3026-SM-664NE 50-59 years, male 5.4
GTEX-17HHY-2926-SM-79OJW 50-59 years, male 5.4
GTEX-1EU9M-2926-SM-793DF 60-69 years, male 5.4
GTEX-TSE9-2926-SM-3DB77 60-69 years, female 5.4
GTEX-ZYY3-3026-SM-5GIEJ 60-69 years, female 5.4
GTEX-1H1CY-3026-SM-9OSW7 60-69 years, female 5.4
GTEX-1IKOH-2826-SM-CNNRC 60-69 years, female 5.4
GTEX-139TS-3126-SM-5LZWX 60-69 years, male 5.3
GTEX-13SLX-3226-SM-5YYA6 50-59 years, female 5.3
GTEX-145MF-2826-SM-7EPGU 50-59 years, male 5.3
GTEX-Z93S-2826-SM-57WBL 50-59 years, male 5.3
GTEX-ZYFD-2926-SM-5GID9 50-59 years, male 5.3
GTEX-1HBPI-2726-SM-9WPPF 50-59 years, male 5.3
GTEX-11DXY-3126-SM-5N9BT 60-69 years, male 5.2
GTEX-11NUK-3026-SM-5986K 50-59 years, male 5.2
GTEX-14BIM-3126-SM-5Q5C7 60-69 years, female 5.2
GTEX-14JIY-2326-SM-6AJAJ 60-69 years, male 5.2
GTEX-17HG3-2826-SM-7EPGO 30-39 years, female 5.2
GTEX-R55E-2526-SM-2TC6H 20-29 years, male 5.2
GTEX-1F48J-2726-SM-7P8PW 50-59 years, female 5.2
GTEX-1H1DG-2826-SM-9JGHB 70-79 years, male 5.2
GTEX-1IL2V-3026-SM-CYPSA 70-79 years, male 5.2
GTEX-1J1OQ-3126-SM-D4P2O 40-49 years, female 5.2
GTEX-1KWVE-2226-SM-CXZKN 30-39 years, male 5.2
GTEX-1LSVX-2826-SM-EVR58 60-69 years, male 5.2
GTEX-12ZZX-2826-SM-5BC6K 40-49 years, female 5.1
GTEX-14E7W-2926-SM-5S2R8 70-79 years, male 5.1
GTEX-T5JC-2326-SM-32PMR 20-29 years, male 5.1
GTEX-1JMQJ-3126-SM-EV79G 50-59 years, male 5.1
GTEX-1RNSC-3126-SM-EVR4V 60-69 years, male 5.1
GTEX-1192X-3226-SM-5987D 50-59 years, male 5.0
GTEX-11O72-2826-SM-5HL6W 40-49 years, male 5.0
GTEX-145LS-3026-SM-5O99S 60-69 years, female 5.0
GTEX-1EX96-3126-SM-9JGGC 50-59 years, male 5.0
GTEX-1JMQK-2926-SM-D4P2T 60-69 years, male 5.0
GTEX-11EI6-2926-SM-5985U 60-69 years, male 4.9
GTEX-13N2G-3126-SM-5IJGL 60-69 years, male 4.9
GTEX-14ASI-2926-SM-5Q5DG 60-69 years, male 4.9
GTEX-14BIN-3326-SM-5Q5E6 50-59 years, female 4.9
GTEX-18465-2926-SM-7KFSE 50-59 years, male 4.9
GTEX-RNOR-2226-SM-2TF5O 50-59 years, female 4.9
GTEX-1HSKV-2926-SM-B2LWJ 60-69 years, male 4.9
GTEX-12ZZY-2926-SM-5DUXO 60-69 years, male 4.8
GTEX-13O3O-3026-SM-5KM42 60-69 years, female 4.8
GTEX-13OW7-2926-SM-5MR3Z 50-59 years, male 4.8
GTEX-16XZZ-2926-SM-6LPK4 60-69 years, male 4.8
GTEX-1B933-3026-SM-731DB 50-59 years, female 4.8
GTEX-1EWIQ-3026-SM-7IGOJ 70-79 years, female 4.8
GTEX-T2IS-2926-SM-32QPO 20-29 years, female 4.8
GTEX-1F6IF-3026-SM-7P8QN 60-69 years, male 4.8
GTEX-13JUV-3026-SM-5K7WX 40-49 years, female 4.7
GTEX-15EO6-2926-SM-6M48D 50-59 years, male 4.7
GTEX-NPJ7-2826-SM-2I3FU 60-69 years, female 4.7
GTEX-1GZ2Q-3026-SM-9JGG3 40-49 years, male 4.7
GTEX-1POEN-2726-SM-E9U6B 30-39 years, female 4.7
GTEX-11GSP-3126-SM-5A5LL 60-69 years, female 4.6
GTEX-15G19-2826-SM-6M48K 60-69 years, male 4.6
GTEX-WZTO-2826-SM-3NM8P 40-49 years, male 4.6
GTEX-1KANB-3226-SM-D4P3G 50-59 years, male 4.6
GTEX-11NV4-2226-SM-5BC4T 60-69 years, male 4.5
GTEX-13FXS-3026-SM-5LZYO 50-59 years, male 4.5
GTEX-13OVJ-2726-SM-5IJG6 50-59 years, female 4.5
GTEX-13OW5-3126-SM-5MR3Y 60-69 years, male 4.5
GTEX-145MH-2926-SM-5Q5D2 50-59 years, male 4.5
GTEX-NPJ8-2626-SM-2D7W2 40-49 years, male 4.5
GTEX-1H4P4-2726-SM-9JGGB 50-59 years, male 4.4
GTEX-1KD4Q-3026-SM-EV7A7 40-49 years, male 4.4
GTEX-11TTK-2826-SM-5GU5K 60-69 years, female 4.3
GTEX-147GR-3126-SM-5S2PM 60-69 years, male 4.3
GTEX-14JFF-2826-SM-6871Q 60-69 years, male 4.3
GTEX-1A8G7-3026-SM-73KTT 60-69 years, male 4.3
GTEX-1B8SG-1926-SM-73KUB 50-59 years, male 4.3
GTEX-XMD1-2826-SM-4AT5F 60-69 years, male 4.3
GTEX-1HB9E-3126-SM-AHZ4M 50-59 years, male 4.3
GTEX-11DZ1-2926-SM-5A5KI 50-59 years, male 4.2
GTEX-17JCI-3026-SM-7EWDR 60-69 years, female 4.2
GTEX-1C6WA-3326-SM-7MKGN 60-69 years, male 4.2
GTEX-1I1CD-2926-SM-A96SJ 60-69 years, female 4.2
GTEX-RU72-2926-SM-2TF66 50-59 years, female 4.1
GTEX-1JJ6O-3026-SM-C1YQH 60-69 years, male 4.1
GTEX-1JJE9-3026-SM-CNNPA 70-79 years, male 4.1
GTEX-1PIIG-2826-SM-DTX7O 30-39 years, male 4.1
GTEX-WWYW-3026-SM-3NB36 50-59 years, female 4.0
GTEX-11GSO-3026-SM-5Q5AL 60-69 years, male 3.8
GTEX-12WSC-2926-SM-5BC5Z 50-59 years, male 3.8
GTEX-1P4AB-3026-SM-EXOJS 50-59 years, male 3.8
GTEX-13S7M-3026-SM-5S2QQ 60-69 years, female 3.7
GTEX-P44G-2526-SM-2I5EK 30-39 years, male 3.7
GTEX-UTHO-2926-SM-3P5Z9 60-69 years, male 3.7
GTEX-X4XX-2926-SM-3NMB1 60-69 years, male 3.7
GTEX-ZF28-2926-SM-4WKG1 60-69 years, male 3.7
GTEX-1QEPI-3026-SM-EXOIW 60-69 years, female 3.7
GTEX-1RDX4-3226-SM-DPS14 50-59 years, female 3.5
GTEX-132Q8-2926-SM-5IFFP 60-69 years, male 3.2
GTEX-1HSMO-2926-SM-C1YR5 60-69 years, male 3.2
GTEX-1E1VI-2926-SM-7IGLT 50-59 years, male 3.1
GTEX-PVOW-2626-SM-32PL8 40-49 years, male 2.9
GTEX-1128S-2826-SM-5N9DI 60-69 years, female 2.6
GTEX-ZAJG-3026-SM-5HL92 50-59 years, female 2.6
GTEX-11OC5-0626-SM-5HL6M 60-69 years, male 2.2
GTEX-ZZPT-2926-SM-5EQ5S 50-59 years, male 2.2
GTEX-1F52S-3026-SM-7P8PV 60-69 years, female 2.1
GTEX-12WSH-3126-SM-5LZW8 50-59 years, male 2.0
GTEX-14C5O-2926-SM-5RQI1 60-69 years, male 1.6
GTEX-1JN1M-3126-SM-AHZ4E 60-69 years, female 1.5
Show allShow less

CEREBELLUM - FANTOM5 CAGEi

RNA expression in human tissues obtained through Cap Analysis of Gene Expression (CAGE) generated by the FANTOM5 project are reported as Scaled Tags Per Million.

Max subtype Scaled Tags Per Millioni

Max subtype Scaled Tags Per Million is the value for the subtype with the largest average Scaled Tags Per Million across the subtype samples.

13.8
FANTOM5 sample id Sample description Scaled Tags Per Million
Cerebellum
Scaled Tags Per Million: 13.8
FF:10083-102B2 22-68 years, mixed 14.4
FF:10166-103B4 76 years, female 13.2

CEREBELLUM - Pig RNA-seqi

RNA-seq data obtained from pig brain is reported as nTPM .

Normal distribution across the dataset is visualized with box plots, shown as median and 25th and 75th percentiles. Points are displayed as outliers if they are above or below 1.5 times the interquartile range. nTPM values of the individual samples are presented next to the box plot.
Max subtype nTPMi

Max subtype nTPM is the value for the subtype with the largest average nTPM across the subtype samples.

10.5
Pig sample Sample description nTPM
Cerebellum
nTPM: 10.5
Samples: 4

Max nTPM: 11.9
Min nTPM: 9.5
Sample A Female 11.9
Sample B Female 10.3
Sample C Male 9.5
Sample D Male 10.3

CEREBELLUM - Mouse RNA-seqi

RNA-seq data obtained from mouse brain is reported as nTPM .

Normal distribution across the dataset is visualized with box plots, shown as median and 25th and 75th percentiles. Points are displayed as outliers if they are above or below 1.5 times the interquartile range. nTPM values of the individual samples are presented next to the box plot.
Max subtype nTPMi

Max subtype nTPM is the value for the subtype with the largest average nTPM across the subtype samples.

15.1
Mouse sample Sample description nTPM
Cerebellum
nTPM: 15.1
Samples: 4

Max nTPM: 17.6
Min nTPM: 12.8
Sample A Male 15.3
Sample B Male 12.8
Sample C Female 14.7
Sample D Female 17.6

CEREBELLUM - Allen Mouse ISHi

In situ hybridization (ISH) data generated by the Allen brain atlas from mouse brain is reported as expression energy. For more details about a particular experiment, click on the corresponding Allen experiment ID.

Max subtype Expression energyi

Max subtype Expression energy is the value for the subtype with the largest average Expression energy across the subtype samples.

0.6
Allen experiment id Experiment description Expression energy
Cerebellum
Expression energy: 0.6
69202382 Antisense, RP_050324_03_E10, Mouse strain C57BL/6J (56 days, male) 0.6

Contact

  • NEWS ARTICLES
  • PRESS ROOM

The Project

  • INTRODUCTION
  • ORGANIZATION
  • PUBLICATIONS

The Human Protein Atlas

  • DOWNLOADABLE DATA
  • LICENCE & CITATION
  • HELP & FAQ
The Human Protein Atlas project is funded
by the Knut & Alice Wallenberg Foundation.


contact@proteinatlas.org