We use cookies to enhance the usability of our website. If you continue, we'll assume that you are happy to receive all cookies. More information. Don't show this again.
STIM1
HPA
RESOURCES
  • TISSUE
  • BRAIN
  • SINGLE CELL
  • SUBCELLULAR
  • CANCER
  • BLOOD
  • CELL LINE
  • STRUCTURE & INTERACTION
ABOUT
  • INTRODUCTION
  • HISTORY
  • ORGANIZATION
  • PUBLICATIONS
  • ANTIBODY SUBMISSION
  • ANTIBODY AVAILABILITY
  • ACKNOWLEDGMENTS
  • CONTACT
NEWS
  • NEWS ARTICLES
  • PRESS ROOM
LEARN
  • DICTIONARY
  • PROTEIN CLASSES
  • PROTEIN EVIDENCE
  • METHODS
  • EDUCATIONAL VIDEOS
DATA
  • DOWNLOADABLE DATA
  • PUBLICATION DATA
  • RELEASE HISTORY
HELP
  • ANTIBODY VALIDATION
  • ASSAYS & ANNOTATION
  • DISCLAIMER
  • HELP & FAQ
  • PRIVACY STATEMENT
  • LICENCE & CITATION
Fields »
Search result

Field
Term
Gene name
Class
Subclass
Class
Keyword
Chromosome
External id
Tissue
Cell type
Expression
Antibody panel
Tissue
Main location
Patient ID
Annotation
Tissue
Category
Tau score
Cluster
Reliability
Brain region
Category
Tau score
Brain region
Category
Tau score
Brain region
Category
Tau score
Cluster
Reliability
Tissue
Cell type
Enrichment
Cell type
Category
Tau score
Cell type
Category
Tau score
Cell type
Category
Tau score
Cell lineage
Category
Tau score
Cluster
Cluster
Location
Searches
Location
Cell line
Class
Type
Phase
Reliability
Cancer
Prognosis
Cancer
Category
Cancer
Category
Tau score
Cluster
Variants
Interacting gene (ensg_id)
Type
Number of interactions
Pathway
Category
Score
Score
Score
Validation
Validation
Validation
Validation
Antibodies
Data type
Column


  • SUMMARY

  • TISSUE

  • BRAIN

  • SINGLE CELL

  • SUBCELL

  • CANCER

  • BLOOD

  • CELL LINE

  • STRUCT & INT

  • STIM1
BRAIN CEREBELLUM Show tissue menu
AMYGDALA BASAL GANGLIA CEREBELLUM CEREBRAL CORTEX CHOROID PLEXUS HIPPOCAMPAL FORMATION HYPOTHALAMUS MEDULLA OBLONGATA
MIDBRAIN OLFACTORY BULB PITUITARY GLAND PONS RETINA SPINAL CORD THALAMUS WHITE MATTER
ANTIBODIES
AND
VALIDATION
Brain proteome
Cerebellum
CEREBELLUM - Expression summary
Protein expression
Cerebellumi

On the top, protein expression in current human tissue, based on all annotated cell types, is reported with the units not detected (n), low (l), medium (m) and high (h). Underneath, protein expression in each annotated cell type are reported using the same units.

Protein expression data is based on knowledge-based annotation. For genes where more than one antibody has been used, a collective score is set.

If knowledge-based annotation could not be performed for a gene, no data is displayed here. View antibody staining data further down this page.

h
m
l
n
Bergmann glia - cytoplasm/membrane: Not detected
Bergmann glia - nucleus: Not detected
GLUC cells - cytoplasm/membrane: Not detected
GLUC cells - nucleus: Not detected
Granular cells - cytoplasm/membrane: Not detected
Granular cells - nucleus: Not detected
Molecular layer - neuropil: Not detected
Molecular layer cells - cytoplasm/membrane: Not detected
Molecular layer cells - nucleus: Not detected
Processes in granular layer: Not detected
Processes in molecular layer: Not detected
Processes in white matter: Not detected
Purkinje cells - cytoplasm/membrane: High
Purkinje cells - dendrites: High
Purkinje cells - nucleus: Not detected
Synaptic glomeruli - capsule: Not detected
Synaptic glomeruli - core: Not detected
White matter cells - cytoplasm/membrane: Not detected
White matter cells - nucleus: Not detected
RNA expressioni

A summary of mRNA expression data available for current tissue based on several datasets. The mRNA expression levels in human tissues are based on RNA-seq data generated by the Human Protein Atlas (HPA), Genotype-Tissue Expression (GTEx) portal and CAGE data generated by the FANTOM5 consortium. Consensus normalized expression levels for human tissues was created by combining the data from HPA and GTEx datasets.

The mRNA expression levels in pig are based on RNA-seq data generated by the Human Protein Atlas (HPA), and for mouse, HPA data and in situ hybridization generated by the Allen brain atlas are reported.

Scroll down to view mRNA expression data in more detail.
Consensus:25.8 nTPM
HPA Brain:37.8 nTPM
GTEx:25.8 nTPM
FANTOM5:34.7 Scaled Tags Per Million
Pig:47.2 nTPM
Mouse:41.0 nTPM
Allen mouse:5.5 Expression energy

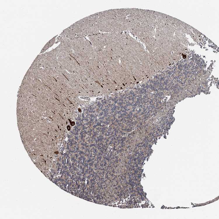
CEREBELLUM - Antibody stainingi

Antibody staining in the annotated cell types in the current human tissue is reported as not detected, low, medium, or high, based on conventional immunohistochemistry profiling in selected tissues. This score is based on the combination of the staining intensity and fraction of stained cells.

Each image is clickable and will lead to virtual microscopy that enables deeper exploration of all samples and also displays staining intensity scores, fraction scores and subcellular localization as well as patient and tissue information for each sample.

Antibody HPA011088Antibody HPA012123Antibody CAB037128Antibody CAB037288
Bergmann glia - cytoplasm/membrane -Not detectedNot detected-
Bergmann glia - nucleus -Not detectedNot detected-
GLUC cells - cytoplasm/membrane -Not detectedMedium-
GLUC cells - nucleus -Not detectedNot detected-
Purkinje cells High--High
Purkinje cells - cytoplasm/membrane -HighHigh-
Purkinje cells - dendrites -HighHigh-
Purkinje cells - nucleus -Not detectedNot detected-
Cells in granular layer Low--Medium
Cells in molecular layer Low--High
Granular cells - cytoplasm/membrane -Not detectedNot detected-
Granular cells - nucleus -Not detectedNot detected-
Molecular layer - neuropil -Not detectedNot detected-
Molecular layer cells - cytoplasm/membrane -Not detectedNot detected-
Molecular layer cells - nucleus -Not detectedNot detected-
Processes in granular layer -Not detectedNot detected-
Processes in molecular layer -Not detectedNot detected-
Processes in white matter -Not detectedNot detected-
Synaptic glomeruli - capsule -Not detectedNot detected-
Synaptic glomeruli - core -Not detectedMedium-
White matter cells - cytoplasm/membrane -Not detectedNot detected-
White matter cells - nucleus -Not detectedNot detected-








CEREBELLUM - HPA Brain RNA-seq
Max subtype nTPMi

Max subtype nTPM is the value for the subtype with the largest average nTPM across the subtype samples.

37.8
Sample id Sample description nTPM
Cerebellar cortex
nTPM: 37.8
1788 Male, age 55, unknown 46.6
1769 Male, age 76, right hemisphere 39.9
2055 Female, age 91, right hemisphere 39.8
2101 Male, age 74, right hemisphere 39.0
2003 Female, age 85, right hemisphere 35.8
1768 Female, age 72, unknown 35.7
2006 Male, age 61, right hemisphere 34.4
1774 Male, age 80, left hemisphere 31.4
Cerebellar nuclei
nTPM: 29.1
1966 Female, age 91, left hemisphere 36.8
2882 Male, age 76, left hemisphere 35.0
2177 Female, age 85, both hemispheres 32.3
2175 Male, age 61, right hemisphere 30.0
1871 Male, age 74, unknown 28.4
2783 Female, age 72, unknown 27.8
2318 Male, age 74, left hemisphere 26.7
2005 Male, age 80, left hemisphere 23.5
1879 Male, age 55, unknown 21.8
Flocculonodular lobe
nTPM: 34.7
2176 Female, age 91, right hemisphere 40.6
1767 Male, age 76, left hemisphere 39.4
1792 Male, age 74, unknown 37.5
1835 Female, age 85, right hemisphere 37.0
1765 Male, age 55, unknown 33.1
1771 Male, age 80, left hemisphere 29.6
2004 Male, age 61, right hemisphere 26.0
Vermis
nTPM: 35.9
1928 Female, age 72, unknown 39.1
1751 Male, age 74, right hemisphere 38.8
1770 Male, age 76, left hemisphere 38.8
1825 Male, age 74, unknown 38.8
1778 Female, age 91, left hemisphere 35.9
2834 Male, age 80, left hemisphere 35.9
1988 Female, age 85, left hemisphere 35.1
1766 Male, age 55, unknown 33.2
2460 Male, age 61, both hemispheres 27.9

CEREBELLUM - GTEx RNA-seqi

RNA-Seq data generated by the Genotype-Tissue Expression (GTEx) project from human tissues is reported as mean nTPM. More information can be found on the GTEx portal.

Distribution across the dataset is visualized with box plots, shown as median and 25th and 75th percentiles. Points are displayed as outliers if they are above or below 1.5 times the interquartile range. nTPM values of the individual samples are presented next to the box plot.
Max subtype nTPMi

Max subtype nTPM is the value for the subtype with the largest average nTPM across the subtype samples.

25.8
GTEx sample id Sample description nTPM
Brain - Cerebellar Hemisphere
Average nTPM: 23.8
Samples: 215

Max nTPM: 39.5
Min nTPM: 14.0
Std nTPM: 3.2
Median nTPM: 23.6
GTEX-T5JC-0011-R11A-SM-32PMB 20-29 years, male 39.5
GTEX-1I19N-0011-R11b-SM-ARU6Y 70-79 years, male 36.4
GTEX-14C5O-0011-R11b-SM-6872H 60-69 years, male 35.6
GTEX-13NYS-0011-R11b-SM-5MR4P 60-69 years, male 32.5
GTEX-1B8SF-0011-R11a-SM-79OOP 60-69 years, male 32.0
GTEX-X4EP-0011-R11B-SM-4QASK 60-69 years, female 31.9
GTEX-1LVAO-0011-R11b-SM-EXOI8 60-69 years, male 31.7
GTEX-145LU-0011-R11b-SM-5P9JX 50-59 years, male 31.4
GTEX-1F7RK-0011-R11b-SM-9QEI2 20-29 years, female 30.4
GTEX-1LG7Y-0011-R11a-SM-EXOIH 50-59 years, male 29.8
GTEX-1N2EE-0011-R11b-SM-EXOIJ 60-69 years, male 29.8
GTEX-1JJ6O-0011-R11b-SM-EXUS2 60-69 years, male 29.1
GTEX-12WSD-0011-R11a-SM-9OSVC 60-69 years, female 28.8
GTEX-18464-0011-R11a-SM-72D76 50-59 years, male 28.4
GTEX-1I1GV-0011-R11a-SM-CJI3Z 60-69 years, male 28.4
GTEX-139UW-0011-R11a-SM-5IJGN 60-69 years, male 28.2
GTEX-XMD1-0011-R11A-SM-4AT5J 60-69 years, male 28.2
GTEX-16YQH-0011-R11b-SM-7LT98 30-39 years, male 28.0
GTEX-13JVG-0011-R11a-SM-5KM53 60-69 years, male 27.8
GTEX-15ER7-0011-R11a-SM-6LPIL 20-29 years, female 27.8
GTEX-P44G-0011-R11A-SM-2I3FD 30-39 years, male 27.8
GTEX-13O3O-0011-R11b-SM-5KM4G 60-69 years, female 27.5
GTEX-11EI6-0011-R11a-SM-DO11V 60-69 years, male 27.4
GTEX-1H3VE-0011-R11b-SM-C1YRP 40-49 years, male 27.1
GTEX-145MH-0011-R11a-SM-5P9HQ 50-59 years, male 27.0
GTEX-Q2AG-0011-R11A-SM-2HMKZ 40-49 years, female 27.0
GTEX-13OVL-0011-R11b-SM-5L3G7 50-59 years, male 26.8
GTEX-1I1HK-0011-R11a-SM-B2LVN 60-69 years, male 26.8
GTEX-18A6Q-0011-R11a-SM-72D6H 60-69 years, male 26.7
GTEX-1H4P4-0011-R11b-SM-CE6S8 50-59 years, male 26.7
GTEX-13CF2-0011-R11b-SM-5LZXO 60-69 years, male 26.6
GTEX-N7MT-0011-R11A-SM-2I3DZ 60-69 years, female 26.6
GTEX-1J1OQ-0011-R11a-SM-A96S3 40-49 years, female 26.6
GTEX-1KD4Q-0011-R11b-SM-EXOIE 40-49 years, male 26.6
GTEX-131XH-0011-R11a-SM-5EGLN 50-59 years, male 26.5
GTEX-15DYW-0011-R11a-SM-6LPIT 60-69 years, female 26.4
GTEX-WZTO-0011-R11A-SM-4E3K9 40-49 years, male 26.4
GTEX-1GN73-0011-R11b-SM-9OSX4 60-69 years, male 26.4
GTEX-1HFI6-0011-R11b-SM-A96RU 40-49 years, male 26.4
GTEX-144GL-0011-R11b-SM-5P9F6 50-59 years, male 26.3
GTEX-18465-0011-R11a-SM-72D78 50-59 years, male 26.2
GTEX-1AX9I-0011-R11b-SM-7DHN4 60-69 years, male 26.1
GTEX-N7MS-0011-R11A-SM-2HMJS 60-69 years, male 26.0
GTEX-12WSC-0011-R11a-SM-5GU5J 50-59 years, male 25.9
GTEX-132Q8-0011-R11b-SM-5DUW9 60-69 years, male 25.9
GTEX-Z93S-0011-R11a-SM-4RGNN 50-59 years, male 25.8
GTEX-1I1GR-0011-R11a-SM-CM2T5 60-69 years, male 25.8
GTEX-12ZZZ-0011-R11a-SM-5EGLC 60-69 years, male 25.7
GTEX-14DAQ-0011-R11a-SM-664NO 60-69 years, female 25.7
GTEX-OHPN-0011-R11A-SM-2I5FM 60-69 years, female 25.6
GTEX-ZE7O-0011-R11a-SM-57WBC 50-59 years, female 25.6
GTEX-11EMC-0011-R11b-SM-DNZZK 60-69 years, female 25.6
GTEX-1E1VI-0011-R11a-SM-9OSWI 50-59 years, male 25.6
GTEX-11TTK-0011-R11b-SM-DO112 60-69 years, female 25.5
GTEX-12126-0011-R11a-SM-5BC6X 20-29 years, male 25.4
GTEX-14BIM-0011-R11b-SM-5S2RN 60-69 years, female 25.3
GTEX-1HBPI-0011-R11b-SM-CE6SH 50-59 years, male 25.3
GTEX-13OW8-0011-R11a-SM-5L3GT 60-69 years, male 25.2
GTEX-1A3MX-0011-R11b-SM-7DUGP 60-69 years, male 25.2
GTEX-NPJ7-0011-R11A-SM-2I3E8 60-69 years, female 25.2
GTEX-1H3O1-0011-R11a-SM-A96RV 60-69 years, male 25.2
GTEX-ZVZQ-0011-R11a-SM-51MS6 60-69 years, female 25.1
GTEX-13OVH-0011-R11b-SM-5KM4X 70-79 years, male 25.0
GTEX-1F6I4-0011-R11b-SM-9OSWS 60-69 years, male 24.9
GTEX-13FHO-0011-R11b-SM-5LZYQ 60-69 years, male 24.8
GTEX-RVPV-0011-R11A-SM-2TF6F 60-69 years, male 24.8
GTEX-11H98-0011-R11b-SM-5NQ6U 50-59 years, male 24.7
GTEX-T2IS-0011-R11A-SM-32QPC 20-29 years, female 24.7
GTEX-1CAV2-0011-R11a-SM-ARU8D 40-49 years, female 24.7
GTEX-1J8Q2-0011-R11a-SM-A9SKI 60-69 years, male 24.7
GTEX-1LSVX-0011-R11b-SM-EXOIA 60-69 years, male 24.7
GTEX-1313W-0011-R11a-SM-5DUXN 50-59 years, female 24.6
GTEX-13N2G-0011-R11a-SM-5MR3F 60-69 years, male 24.6
GTEX-13OW5-0011-R11b-SM-5L3GG 60-69 years, male 24.6
GTEX-13RTJ-0011-R11a-SM-5O9CK 60-69 years, male 24.6
GTEX-11DZ1-0011-R11b-SM-DO11W 50-59 years, male 24.6
GTEX-1GMR8-0011-R11b-SM-9OSX2 50-59 years, female 24.6
GTEX-1H3NZ-0011-R11b-SM-CE6SF 60-69 years, male 24.6
GTEX-1IY9M-0011-R11b-SM-A96TI 60-69 years, male 24.6
GTEX-1LKK1-0011-R11a-SM-EXOIG 50-59 years, female 24.6
GTEX-11ZUS-0011-R11b-SM-5BC7B 30-39 years, male 24.5
GTEX-13X6I-0011-R11a-SM-5P9HN 60-69 years, male 24.5
GTEX-16NPV-0011-R11a-SM-7IGMK 50-59 years, female 24.5
GTEX-13JUV-0011-R11a-SM-5LZYH 40-49 years, female 24.4
GTEX-11DYG-0011-R11a-SM-DNZZP 60-69 years, male 24.4
GTEX-1J8EW-0011-R11a-SM-AHZ37 60-69 years, female 24.4
GTEX-1EKGG-0011-R11a-SM-9QEHZ 60-69 years, male 24.3
GTEX-1H1CY-0011-R11a-SM-C1YQR 60-69 years, female 24.3
GTEX-1B8L1-0011-R11b-SM-793DJ 60-69 years, male 24.2
GTEX-1HGF4-0011-R11a-SM-C1YRR 60-69 years, male 24.2
GTEX-1HCU6-0011-R11b-SM-AHZ2F 60-69 years, female 24.1
GTEX-12WSE-0011-R11b-SM-5P9JW 20-29 years, male 24.0
GTEX-12ZZX-0011-R11a-SM-5DUVJ 40-49 years, female 24.0
GTEX-13CZV-0011-R11b-SM-5N9FN 60-69 years, male 24.0
GTEX-17EVP-0011-R11a-SM-7EWDL 40-49 years, male 24.0
GTEX-1HUB1-0011-R11b-SM-CE6SC 60-69 years, male 24.0
GTEX-11WQC-0011-R11b-SM-57WD6 60-69 years, male 23.9
GTEX-13X6J-0011-R11a-SM-5P9HE 50-59 years, male 23.9
GTEX-1I1GQ-0011-R11b-SM-CKZPA 50-59 years, male 23.9
GTEX-13VXU-0011-R11b-SM-5O9DJ 50-59 years, male 23.8
GTEX-NPJ8-0011-R11A-SM-2YUMS 40-49 years, male 23.8
GTEX-13S7M-0011-R11b-SM-5P9HU 60-69 years, female 23.7
GTEX-16GPK-0011-R11b-SM-7MKFF 60-69 years, male 23.7
GTEX-WHSE-0011-R11A-SM-3P5YY 20-29 years, male 23.7
GTEX-15CHQ-0011-R11b-SM-686ZZ 60-69 years, male 23.6
GTEX-16XZZ-0011-R11a-SM-7EPI3 60-69 years, male 23.6
GTEX-1B8SG-0011-R11a-SM-7P8PF 50-59 years, male 23.6
GTEX-1IKOH-0011-R11a-SM-AHZ38 60-69 years, female 23.6
GTEX-1IL2V-0011-R11a-SM-ARU6T 70-79 years, male 23.6
GTEX-13G51-0011-R11b-SM-5J2NE 60-69 years, male 23.5
GTEX-Y8DK-0011-R11A-SM-4SOK2 60-69 years, male 23.5
GTEX-17JCI-0011-R11a-SM-7189Y 60-69 years, female 23.4
GTEX-1F52S-0011-R11a-SM-CJI23 60-69 years, female 23.4
GTEX-1GZHY-0011-R11a-SM-C1YRQ 50-59 years, female 23.4
GTEX-131YS-0011-R11b-SM-5EGLM 60-69 years, female 23.3
GTEX-1JMQJ-0011-R11a-SM-EXOJY 50-59 years, male 23.3
GTEX-13NZA-0011-R11b-SM-5KM4W 60-69 years, male 23.2
GTEX-13OVJ-0011-R11a-SM-5P9H8 50-59 years, female 23.2
GTEX-13SLX-0011-R11b-SM-5O9C8 50-59 years, female 23.2
GTEX-14PN4-0011-R11a-SM-686ZW 50-59 years, male 23.2
GTEX-1F75W-0011-R11b-SM-AHZ34 60-69 years, male 23.2
GTEX-1R9K4-0011-R11a-SM-EZ6N9 60-69 years, male 23.2
GTEX-ZAB4-0011-R11a-SM-4SOKI 40-49 years, male 23.1
GTEX-1CB4G-0011-R11a-SM-9OSWG 60-69 years, male 23.1
GTEX-1B933-0011-R11a-SM-7P8PM 50-59 years, female 23.0
GTEX-R55E-0011-R11A-SM-2TC6I 20-29 years, male 22.9
GTEX-13FTY-0011-R11a-SM-5IJEA 40-49 years, female 22.8
GTEX-13NYB-0011-R11a-SM-5KM3Q 40-49 years, male 22.8
GTEX-139TT-0011-R11b-SM-5LZV1 60-69 years, male 22.7
GTEX-13OW6-0011-R11a-SM-5L3H2 50-59 years, male 22.7
GTEX-13OW7-0011-R11a-SM-5O9DY 50-59 years, male 22.7
GTEX-NL4W-0011-R11A-SM-2I3DW 50-59 years, male 22.7
GTEX-X261-0011-R11A-SM-4E3JY 50-59 years, male 22.7
GTEX-ZE9C-0011-R11a-SM-4WKGG 60-69 years, male 22.7
GTEX-1GZ4I-0011-R11b-SM-9OSWR 50-59 years, male 22.7
GTEX-11OF3-0011-R11a-SM-57WCR 60-69 years, male 22.6
GTEX-1C64N-0011-R11b-SM-7P8Q6 50-59 years, male 22.6
GTEX-1JJEA-0011-R11a-SM-EXUTE 60-69 years, male 22.6
GTEX-13SLW-0011-R11a-SM-5SI8Q 70-79 years, male 22.5
GTEX-1BAJH-0011-R11b-SM-7IGLM 70-79 years, male 22.5
GTEX-17EVQ-0011-R11a-SM-7LT9C 70-79 years, male 22.4
GTEX-1IDJH-0011-R11b-SM-C1YRT 70-79 years, male 22.4
GTEX-131XW-0011-R11a-SM-5DUV9 50-59 years, female 22.3
GTEX-1F48J-0011-R11b-SM-9OSWV 50-59 years, female 22.3
GTEX-1I1GS-0011-R11a-SM-C1YRU 60-69 years, male 22.3
GTEX-11ZTS-0011-R11a-SM-DO113 60-69 years, female 22.2
GTEX-1JMOU-0011-R11b-SM-EXUTA 60-69 years, female 22.2
GTEX-12WSF-0011-R11a-SM-5LZVT 70-79 years, male 22.1
GTEX-12WSH-0011-R11a-SM-5LZVM 50-59 years, male 22.1
GTEX-13X6K-0011-R11a-SM-5P9F5 60-69 years, female 22.1
GTEX-1ICLZ-0011-R11a-SM-CJI3N 60-69 years, male 22.1
GTEX-1IL2U-0011-R11a-SM-CE6SO 60-69 years, male 22.1
GTEX-1GTWX-0011-R11b-SM-C1YQJ 60-69 years, male 22.0
GTEX-1N2DW-0011-R11b-SM-EXOIL 50-59 years, male 22.0
GTEX-12WSI-0011-R11b-SM-5P9EZ 50-59 years, male 21.9
GTEX-1399T-0011-R11a-SM-5J2O1 60-69 years, male 21.9
GTEX-QMR6-0011-R11A-SM-32PKK 50-59 years, male 21.9
GTEX-ZDXO-0011-R11a-SM-4WWD9 60-69 years, male 21.9
GTEX-11GSP-0011-R11b-SM-5NQ7V 60-69 years, female 21.8
GTEX-12WSM-0011-R11a-SM-5DUX8 60-69 years, male 21.8
GTEX-17HII-0011-R11b-SM-7KFSX 50-59 years, male 21.8
GTEX-YJ89-0011-R11a-SM-4SOKA 60-69 years, male 21.8
GTEX-11PRG-0011-R11b-SM-DNZZY 50-59 years, male 21.8
GTEX-14C39-0011-R11b-SM-5YYAF 40-49 years, male 21.7
GTEX-15G19-0011-R11b-SM-6LPIH 60-69 years, male 21.7
GTEX-13FXS-0011-R11a-SM-5L3DM 50-59 years, male 21.6
GTEX-17HG3-0011-R11b-SM-7KFT4 30-39 years, female 21.5
GTEX-S7SE-0011-R11A-SM-2XCDD 50-59 years, male 21.5
GTEX-ZF28-0011-R11a-SM-4WWEI 60-69 years, male 21.5
GTEX-RU72-0011-R11A-SM-CM2U1 50-59 years, female 21.5
GTEX-1F75A-0011-R11a-SM-AHZ35 50-59 years, male 21.3
GTEX-1HSKV-0011-R11b-SM-AHZ2E 60-69 years, male 21.3
GTEX-NL3H-0011-R11A-SM-2I3E6 60-69 years, male 21.2
GTEX-YFC4-0011-R11a-SM-4SOK6 40-49 years, female 21.2
GTEX-11DXY-0011-R11a-SM-DNZZN 60-69 years, male 21.2
GTEX-1GMRU-0011-R11b-SM-C1YQ4 50-59 years, male 21.1
GTEX-14E7W-0011-R11a-SM-5ZZVA 70-79 years, male 21.0
GTEX-1EMGI-0011-R11b-SM-9OSWX 60-69 years, male 21.0
GTEX-1GF9W-0011-R11b-SM-9OSXG 60-69 years, male 21.0
GTEX-13O3Q-0011-R11b-SM-5KM2W 50-59 years, male 20.8
GTEX-13QIC-0011-R11b-SM-5O9BU 60-69 years, female 20.8
GTEX-P44H-0011-R11A-SM-2XCER 40-49 years, male 20.8
GTEX-1H1ZS-0011-R11a-SM-C1YQM 70-79 years, male 20.8
GTEX-14ABY-0011-R11a-SM-5SI7C 50-59 years, male 20.7
GTEX-15DCD-0011-R11a-SM-D4P1R 70-79 years, female 20.7
GTEX-1IOXB-0011-R11a-SM-A9G1X 50-59 years, male 20.7
GTEX-14E6D-0011-R11b-SM-664NP 50-59 years, male 20.6
GTEX-16Z82-0011-R11a-SM-79OKJ 60-69 years, male 20.6
GTEX-UTHO-0011-R11A-SM-3GIJE 60-69 years, male 20.6
GTEX-1M4P7-0011-R11b-SM-EXOIK 60-69 years, male 20.6
GTEX-15EO6-0011-R11b-SM-6M47M 50-59 years, male 20.5
GTEX-WVLH-0011-R11A-SM-3MJFO 50-59 years, male 20.5
GTEX-1H1DG-0011-R11a-SM-C1YQK 70-79 years, male 20.5
GTEX-13PVQ-0011-R11a-SM-5O9DU 50-59 years, male 20.3
GTEX-X4XX-0011-R11A-SM-46MWQ 60-69 years, male 20.3
GTEX-13FHP-0011-R11b-SM-5LZXP 50-59 years, male 20.2
GTEX-T6MN-0011-R11A-SM-32QOX 50-59 years, male 20.1
GTEX-1IKK5-0011-R11a-SM-C1YRX 60-69 years, male 20.1
GTEX-13PLJ-0011-R11b-SM-5O9BS 60-69 years, female 20.0
GTEX-13FLV-0011-R11a-SM-5LZZ7 50-59 years, male 19.9
GTEX-145MI-0011-R11a-SM-5P9JZ 60-69 years, female 19.9
GTEX-14BIN-0011-R11a-SM-5SI79 50-59 years, female 19.9
GTEX-TSE9-0011-R11A-SM-3DB7N 60-69 years, female 19.9
GTEX-WWYW-0011-R11A-SM-3NB38 50-59 years, female 19.9
GTEX-183WM-0011-R11a-SM-718A5 70-79 years, female 19.6
GTEX-14ASI-0011-R11b-SM-6AJBJ 60-69 years, male 19.4
GTEX-1HB9E-0011-R11b-SM-ARU79 50-59 years, male 19.3
GTEX-1IGQW-0011-R11a-SM-C1YRV 60-69 years, male 19.2
GTEX-ZVT3-0011-R11b-SM-57WBI 60-69 years, female 18.8
GTEX-ZUA1-0011-R11b-SM-51MTI 40-49 years, male 18.3
GTEX-WL46-0011-R11A-SM-3MJFT 50-59 years, male 17.9
GTEX-1R9PO-0011-R11b-SM-EZ6NB 60-69 years, female 17.8
GTEX-17F97-0011-R11b-SM-7KFRQ 50-59 years, male 17.2
GTEX-QDT8-0011-R11A-SM-32PKD 30-39 years, female 16.3
GTEX-X585-0011-R11B-SM-46MUZ 50-59 years, male 14.0
Show allShow less
Brain - Cerebellum
Average nTPM: 25.8
Samples: 241

Max nTPM: 44.7
Min nTPM: 18.6
Std nTPM: 3.0
Median nTPM: 25.6
GTEX-T5JC-2326-SM-32PMR 20-29 years, male 44.7
GTEX-14C5O-2926-SM-5RQI1 60-69 years, male 37.0
GTEX-11O72-2826-SM-5HL6W 40-49 years, male 35.6
GTEX-1IKOH-2826-SM-CNNRC 60-69 years, female 33.6
GTEX-1MJK2-3026-SM-EV7A5 50-59 years, male 31.9
GTEX-X4EP-3026-SM-3P5YP 60-69 years, female 31.8
GTEX-15ER7-3026-SM-6M47W 20-29 years, female 31.7
GTEX-1313W-3026-SM-5LZUZ 50-59 years, female 31.2
GTEX-1JJ6O-3026-SM-C1YQH 60-69 years, male 31.2
GTEX-1POEN-2726-SM-E9U6B 30-39 years, female 31.2
GTEX-N7MS-2526-SM-2D7W3 60-69 years, male 31.0
GTEX-1HCVE-2926-SM-9WPPJ 50-59 years, male 30.8
GTEX-16YQH-2926-SM-6LPJE 30-39 years, male 30.6
GTEX-17HII-2926-SM-79OMK 50-59 years, male 30.6
GTEX-145LS-3026-SM-5O99S 60-69 years, female 30.5
GTEX-WHSE-2926-SM-3NMBG 20-29 years, male 30.5
GTEX-Z93S-2826-SM-57WBL 50-59 years, male 30.0
GTEX-1HBPH-3026-SM-9WPNY 40-49 years, female 30.0
GTEX-1HBPI-2726-SM-9WPPF 50-59 years, male 29.9
GTEX-XMD1-2826-SM-4AT5F 60-69 years, male 29.7
GTEX-ZYFD-2926-SM-5GID9 50-59 years, male 29.7
GTEX-12126-0926-SM-5FQTW 20-29 years, male 29.6
GTEX-1B8SF-3026-SM-731DX 60-69 years, male 29.5
GTEX-17HG3-2826-SM-7EPGO 30-39 years, female 29.4
GTEX-131XH-2926-SM-5LZU4 50-59 years, male 29.3
GTEX-13112-2926-SM-5DUWT 50-59 years, male 28.9
GTEX-OHPN-2626-SM-2I5H1 60-69 years, female 28.9
GTEX-YJ89-2926-SM-5P9IT 60-69 years, male 28.9
GTEX-ZAB4-2926-SM-57WCV 40-49 years, male 28.9
GTEX-1F6IF-3026-SM-7P8QN 60-69 years, male 28.9
GTEX-1GZ2Q-3026-SM-9JGG3 40-49 years, male 28.9
GTEX-144GL-2926-SM-5O99F 50-59 years, male 28.8
GTEX-XLM4-2926-SM-4AT59 60-69 years, male 28.7
GTEX-1NV8Z-3026-SM-DTX8Z 60-69 years, male 28.7
GTEX-11EMC-3326-SM-5P9JH 60-69 years, female 28.5
GTEX-1A3MX-2926-SM-718B7 60-69 years, male 28.5
GTEX-1E1VI-2926-SM-7IGLT 50-59 years, male 28.5
GTEX-11ZTS-3226-SM-5EGID 60-69 years, female 28.4
GTEX-13OW5-3126-SM-5MR3Y 60-69 years, male 28.4
GTEX-1C6WA-3326-SM-7MKGN 60-69 years, male 28.4
GTEX-1EU9M-2926-SM-793DF 60-69 years, male 28.4
GTEX-1H3VE-2826-SM-9WPOL 40-49 years, male 28.4
GTEX-1J1OQ-3126-SM-D4P2O 40-49 years, female 28.4
GTEX-1JMLX-3026-SM-EV79Q 50-59 years, male 28.4
GTEX-11TTK-2826-SM-5GU5K 60-69 years, female 28.3
GTEX-14JG1-2926-SM-686ZK 40-49 years, male 28.3
GTEX-1H4P4-2726-SM-9JGGB 50-59 years, male 28.3
GTEX-13VXU-3026-SM-5LU3K 50-59 years, male 28.2
GTEX-13O3O-3026-SM-5KM42 60-69 years, female 28.1
GTEX-1QP6S-3026-SM-EAZ4N 40-49 years, male 28.1
GTEX-13JVG-3226-SM-5IJGJ 60-69 years, male 27.9
GTEX-1I1HK-2726-SM-AHZ2M 60-69 years, male 27.9
GTEX-1KD4Q-3026-SM-EV7A7 40-49 years, male 27.9
GTEX-1399T-3126-SM-5IJFS 60-69 years, male 27.8
GTEX-1GZHY-3026-SM-7MXVA 50-59 years, female 27.8
GTEX-11GSO-3026-SM-5Q5AL 60-69 years, male 27.7
GTEX-14ABY-3026-SM-664NE 50-59 years, male 27.7
GTEX-1EH9U-3126-SM-7MXU5 60-69 years, male 27.7
GTEX-13G51-3126-SM-5IJG7 60-69 years, male 27.6
GTEX-145MH-2926-SM-5Q5D2 50-59 years, male 27.6
GTEX-14BIM-3126-SM-5Q5C7 60-69 years, female 27.6
GTEX-15SHU-3026-SM-6LPIB 40-49 years, female 27.6
GTEX-1B8SG-1926-SM-73KUB 50-59 years, male 27.5
GTEX-WL46-2826-SM-3LK81 50-59 years, male 27.5
GTEX-1B996-2926-SM-7MXUH 60-69 years, male 27.5
GTEX-N7MT-1226-SM-DKPOK 60-69 years, female 27.5
GTEX-11ZVC-3026-SM-59HJM 50-59 years, female 27.4
GTEX-15DYW-3026-SM-7KFRM 60-69 years, female 27.4
GTEX-13OW7-2926-SM-5MR3Z 50-59 years, male 27.3
GTEX-14DAQ-3026-SM-5S2QZ 60-69 years, female 27.3
GTEX-1EX96-3126-SM-9JGGC 50-59 years, male 27.3
GTEX-1PWST-3026-SM-EAZ3H 70-79 years, male 27.3
GTEX-132Q8-2926-SM-5IFFP 60-69 years, male 27.2
GTEX-139TT-2626-SM-5LZUB 60-69 years, male 27.2
GTEX-13X6K-2826-SM-5O9DS 60-69 years, female 27.2
GTEX-147F4-3026-SM-5Q5BJ 50-59 years, male 27.2
GTEX-17EVP-2926-SM-793BU 40-49 years, male 27.2
GTEX-13RTJ-3126-SM-5S2Q4 60-69 years, male 27.1
GTEX-11ZUS-2826-SM-5EQKW 30-39 years, male 27.0
GTEX-13OVH-2926-SM-5IJFH 70-79 years, male 26.9
GTEX-13OW8-2926-SM-5L3FV 60-69 years, male 26.8
GTEX-1EKGG-3126-SM-9WPO5 60-69 years, male 26.8
GTEX-1I1GV-3026-SM-CNNR9 60-69 years, male 26.8
GTEX-11EI6-2926-SM-5985U 60-69 years, male 26.7
GTEX-12WSE-2926-SM-5RQJ9 20-29 years, male 26.7
GTEX-13FHO-2926-SM-5L3ES 60-69 years, male 26.7
GTEX-1A8G6-3126-SM-731D8 60-69 years, male 26.6
GTEX-1C64N-3126-SM-79OO3 50-59 years, male 26.5
GTEX-1LG7Y-3126-SM-EV7AS 50-59 years, male 26.5
GTEX-111FC-3326-SM-5GZYV 60-69 years, male 26.4
GTEX-14E6D-2926-SM-664OP 50-59 years, male 26.4
GTEX-15G19-2826-SM-6M48K 60-69 years, male 26.4
GTEX-1LSVX-2826-SM-EVR58 60-69 years, male 26.4
GTEX-11DZ1-2926-SM-5A5KI 50-59 years, male 26.3
GTEX-13CF2-3026-SM-5IFFX 60-69 years, male 26.3
GTEX-P44G-2526-SM-2I5EK 30-39 years, male 26.3
GTEX-1H1CY-3026-SM-9OSW7 60-69 years, female 26.3
GTEX-R55E-2526-SM-2TC6H 20-29 years, male 26.1
GTEX-1E2YA-2926-SM-7MGWX 50-59 years, male 26.1
GTEX-139TS-3126-SM-5LZWX 60-69 years, male 26.0
GTEX-1EWIQ-3026-SM-7IGOJ 70-79 years, female 26.0
GTEX-ZUA1-2926-SM-59HL3 40-49 years, male 26.0
GTEX-1B8L1-3226-SM-7P8OX 60-69 years, male 26.0
GTEX-1I1CD-2926-SM-A96SJ 60-69 years, female 26.0
GTEX-1JMPZ-2826-SM-C1YRA 30-39 years, male 26.0
GTEX-12WSD-3026-SM-5LZU7 60-69 years, female 25.9
GTEX-12WSH-3126-SM-5LZW8 50-59 years, male 25.9
GTEX-RU72-2926-SM-2TF66 50-59 years, female 25.9
GTEX-1GF9V-3026-SM-7P8R8 60-69 years, male 25.9
GTEX-14BMV-2926-SM-5TDEE 50-59 years, male 25.8
GTEX-14JIY-2326-SM-6AJAJ 60-69 years, male 25.8
GTEX-16XZZ-2926-SM-6LPK4 60-69 years, male 25.8
GTEX-1KWVE-2226-SM-CXZKN 30-39 years, male 25.8
GTEX-145LU-2626-SM-5LU9Z 50-59 years, male 25.7
GTEX-14C39-3026-SM-5S2QE 40-49 years, male 25.7
GTEX-14PJM-3026-SM-6LLHM 50-59 years, female 25.7
GTEX-1HSKV-2926-SM-B2LWJ 60-69 years, male 25.7
GTEX-1IDJH-3126-SM-C1YQS 70-79 years, male 25.7
GTEX-1IY9M-3126-SM-AHZ3A 60-69 years, male 25.7
GTEX-1C6VR-3026-SM-7IGLW 60-69 years, male 25.6
GTEX-T6MN-2526-SM-32PMN 50-59 years, male 25.6
GTEX-ZDXO-2926-SM-4WKFM 60-69 years, male 25.6
GTEX-1RDX4-3226-SM-DPS14 50-59 years, female 25.6
GTEX-1GN73-3026-SM-7MXV8 60-69 years, male 25.5
GTEX-13SLX-3226-SM-5YYA6 50-59 years, female 25.4
GTEX-ZF28-2926-SM-4WKG1 60-69 years, male 25.4
GTEX-18465-2926-SM-7KFSE 50-59 years, male 25.3
GTEX-NPJ8-2626-SM-2D7W2 40-49 years, male 25.3
GTEX-Y111-2826-SM-4TT3O 50-59 years, male 25.3
GTEX-1H1DG-2826-SM-9JGHB 70-79 years, male 25.3
GTEX-1JMOU-2826-SM-EV79R 60-69 years, female 25.3
GTEX-145MF-2826-SM-7EPGU 50-59 years, male 25.2
GTEX-12ZZZ-3126-SM-5LZU6 60-69 years, male 25.1
GTEX-17EVQ-2726-SM-7EWDT 70-79 years, male 25.1
GTEX-ZAK1-2926-SM-5HL9S 50-59 years, female 25.1
GTEX-1RQEC-3026-SM-DPRXM 60-69 years, male 25.1
GTEX-12WSC-2926-SM-5BC5Z 50-59 years, male 25.0
GTEX-13JUV-3026-SM-5K7WX 40-49 years, female 25.0
GTEX-1F48J-2726-SM-7P8PW 50-59 years, female 24.9
GTEX-12ZZX-2826-SM-5BC6K 40-49 years, female 24.8
GTEX-17F97-2926-SM-7DUEQ 50-59 years, male 24.7
GTEX-1H3O1-1826-SM-A96TO 60-69 years, male 24.7
GTEX-1JJEA-2926-SM-C1YSK 60-69 years, male 24.7
GTEX-11DXW-1026-SM-5H11K 40-49 years, male 24.6
GTEX-1269C-3126-SM-5EGI6 60-69 years, female 24.6
GTEX-13FHP-2926-SM-5IJG9 50-59 years, male 24.6
GTEX-147GR-3126-SM-5S2PM 60-69 years, male 24.6
GTEX-17JCI-3026-SM-7EWDR 60-69 years, female 24.6
GTEX-1F75W-3126-SM-7P8SJ 60-69 years, male 24.6
GTEX-11DXY-3126-SM-5N9BT 60-69 years, male 24.5
GTEX-1CB4H-3026-SM-79OLX 60-69 years, female 24.5
GTEX-1F6I4-3026-SM-7P8SI 60-69 years, male 24.5
GTEX-1F75A-2926-SM-7MXVN 50-59 years, male 24.5
GTEX-1PIIG-2826-SM-DTX7O 30-39 years, male 24.5
GTEX-11ONC-3026-SM-5985W 60-69 years, male 24.4
GTEX-13NYB-3226-SM-5J2ND 40-49 years, male 24.4
GTEX-1GZ4I-2926-SM-9JGGO 50-59 years, male 24.4
GTEX-1RNSC-3126-SM-EVR4V 60-69 years, male 24.4
GTEX-13FXS-3026-SM-5LZYO 50-59 years, male 24.3
GTEX-1B933-3026-SM-731DB 50-59 years, female 24.3
GTEX-Y8DK-0726-SM-4TT3S 60-69 years, male 24.3
GTEX-1JMQK-2926-SM-D4P2T 60-69 years, male 24.3
GTEX-T2IS-2926-SM-32QPO 20-29 years, female 24.2
GTEX-ZAJG-3026-SM-5HL92 50-59 years, female 24.2
GTEX-1R46S-3126-SM-DPRZ9 60-69 years, female 24.2
GTEX-13X6I-2926-SM-5Q5C3 60-69 years, male 24.1
GTEX-14PJO-2926-SM-686ZI 60-69 years, male 24.1
GTEX-1R9PO-2826-SM-E6CPV 60-69 years, female 24.1
GTEX-117XS-3126-SM-5GIDP 60-69 years, male 24.0
GTEX-1GTWX-2926-SM-7MXV4 60-69 years, male 24.0
GTEX-13N2G-3126-SM-5IJGL 60-69 years, male 23.9
GTEX-QMR6-1326-SM-32PLB 50-59 years, male 23.9
GTEX-X261-3126-SM-4PQZC 50-59 years, male 23.9
GTEX-1128S-2826-SM-5N9DI 60-69 years, female 23.8
GTEX-145MG-3126-SM-5Q5D3 50-59 years, male 23.8
GTEX-14JFF-2826-SM-6871Q 60-69 years, male 23.8
GTEX-UTHO-2926-SM-3P5Z9 60-69 years, male 23.8
GTEX-15EO6-2926-SM-6M48D 50-59 years, male 23.7
GTEX-NPJ7-2826-SM-2I3FU 60-69 years, female 23.7
GTEX-ZYY3-3026-SM-5GIEJ 60-69 years, female 23.7
GTEX-13O3Q-3026-SM-5IJGD 50-59 years, male 23.6
GTEX-WZTO-2826-SM-3NM8P 40-49 years, male 23.6
GTEX-1KANB-3226-SM-D4P3G 50-59 years, male 23.6
GTEX-12WSM-2126-SM-5GCOC 60-69 years, male 23.5
GTEX-1CB4G-2926-SM-7MKFQ 60-69 years, male 23.5
GTEX-QVJO-1325-SM-2S1QX 60-69 years, female 23.5
GTEX-WWYW-3026-SM-3NB36 50-59 years, female 23.5
GTEX-1JJE9-3026-SM-CNNPA 70-79 years, male 23.5
GTEX-1JMQJ-3126-SM-EV79G 50-59 years, male 23.5
GTEX-1QEPI-3026-SM-EXOIW 60-69 years, female 23.5
GTEX-13QIC-3026-SM-5LU58 60-69 years, female 23.4
GTEX-14A5I-2826-SM-5SIBF 50-59 years, female 23.4
GTEX-14E7W-2926-SM-5S2R8 70-79 years, male 23.4
GTEX-11PRG-2826-SM-5BC54 50-59 years, male 23.3
GTEX-12ZZY-2926-SM-5DUXO 60-69 years, male 23.3
GTEX-1A8G7-3026-SM-73KTT 60-69 years, male 23.3
GTEX-14BIN-3326-SM-5Q5E6 50-59 years, female 23.2
GTEX-PWO3-1026-SM-2I5F2 60-69 years, female 23.2
GTEX-1EMGI-3126-SM-7MXUR 60-69 years, male 23.2
GTEX-Q2AG-2826-SM-2HMJQ 40-49 years, female 23.1
GTEX-11GSP-3126-SM-5A5LL 60-69 years, female 23.0
GTEX-17HHY-2926-SM-79OJW 50-59 years, male 23.0
GTEX-131YS-3026-SM-5EGHY 60-69 years, female 22.9
GTEX-13OVJ-2726-SM-5IJG6 50-59 years, female 22.9
GTEX-X4XX-2926-SM-3NMB1 60-69 years, male 22.9
GTEX-11DYG-2926-SM-5H132 60-69 years, male 22.8
GTEX-TSE9-2926-SM-3DB77 60-69 years, female 22.8
GTEX-1192X-3226-SM-5987D 50-59 years, male 22.7
GTEX-16Z82-2926-SM-6LPJJ 60-69 years, male 22.7
GTEX-WVLH-2926-SM-3MJG5 50-59 years, male 22.7
GTEX-1JN1M-3126-SM-AHZ4E 60-69 years, female 22.7
GTEX-13OVL-3026-SM-5IJF1 50-59 years, male 22.6
GTEX-1F52S-3026-SM-7P8PV 60-69 years, female 22.6
GTEX-1HB9E-3126-SM-AHZ4M 50-59 years, male 22.6
GTEX-PVOW-2626-SM-32PL8 40-49 years, male 22.5
GTEX-RNOR-2226-SM-2TF5O 50-59 years, female 22.5
GTEX-S7SE-2526-SM-2XCDL 50-59 years, male 22.5
GTEX-1HSMO-2926-SM-C1YR5 60-69 years, male 22.5
GTEX-14PN4-3026-SM-664O4 50-59 years, male 22.4
GTEX-YFC4-3026-SM-5IFJK 40-49 years, female 22.4
GTEX-18A6Q-2826-SM-7LTAO 60-69 years, male 22.3
GTEX-14ASI-2926-SM-5Q5DG 60-69 years, male 22.2
GTEX-11NUK-3026-SM-5986K 50-59 years, male 22.1
GTEX-13S7M-3026-SM-5S2QQ 60-69 years, female 22.0
GTEX-1P4AB-3026-SM-EXOJS 50-59 years, male 22.0
GTEX-ZVT3-2926-SM-5GU6M 60-69 years, female 21.9
GTEX-183WM-2726-SM-7KFRF 70-79 years, female 21.8
GTEX-ZZPT-2926-SM-5EQ5S 50-59 years, male 21.8
GTEX-1BAJH-3126-SM-7MGXY 70-79 years, male 21.8
GTEX-QVUS-2926-SM-3GIJB 60-69 years, female 21.7
GTEX-13X6J-2926-SM-7EPGP 50-59 years, male 21.4
GTEX-1H1ZS-2926-SM-9WPP2 70-79 years, male 21.2
GTEX-11NV4-2226-SM-5BC4T 60-69 years, male 20.9
GTEX-P44H-2426-SM-2XCEJ 40-49 years, male 20.9
GTEX-1IL2V-3026-SM-CYPSA 70-79 years, male 20.6
GTEX-13OW6-2926-SM-5KM29 50-59 years, male 20.4
GTEX-QDT8-3026-SM-32PKB 30-39 years, female 20.4
GTEX-1H3NZ-2926-SM-9WPQ8 60-69 years, male 20.1
GTEX-1GF9W-2726-SM-9JGGW 60-69 years, male 19.9
GTEX-13PVQ-2926-SM-5L3HJ 50-59 years, male 18.8
GTEX-11OC5-0626-SM-5HL6M 60-69 years, male 18.6
Show allShow less

CEREBELLUM - FANTOM5 CAGEi

RNA expression in human tissues obtained through Cap Analysis of Gene Expression (CAGE) generated by the FANTOM5 project are reported as Scaled Tags Per Million.

Max subtype Scaled Tags Per Millioni

Max subtype Scaled Tags Per Million is the value for the subtype with the largest average Scaled Tags Per Million across the subtype samples.

34.7
FANTOM5 sample id Sample description Scaled Tags Per Million
Cerebellum
Scaled Tags Per Million: 34.7
FF:10083-102B2 22-68 years, mixed 44.8
FF:10166-103B4 76 years, female 24.6

CEREBELLUM - Pig RNA-seqi

RNA-seq data obtained from pig brain is reported as nTPM .

Normal distribution across the dataset is visualized with box plots, shown as median and 25th and 75th percentiles. Points are displayed as outliers if they are above or below 1.5 times the interquartile range. nTPM values of the individual samples are presented next to the box plot.
Max subtype nTPMi

Max subtype nTPM is the value for the subtype with the largest average nTPM across the subtype samples.

47.2
Pig sample Sample description nTPM
Cerebellum
nTPM: 47.3
Samples: 4

Max nTPM: 57.7
Min nTPM: 37.8
Sample A Female 57.7
Sample B Female 48.5
Sample C Male 37.8
Sample D Male 45.0

CEREBELLUM - Mouse RNA-seqi

RNA-seq data obtained from mouse brain is reported as nTPM .

Normal distribution across the dataset is visualized with box plots, shown as median and 25th and 75th percentiles. Points are displayed as outliers if they are above or below 1.5 times the interquartile range. nTPM values of the individual samples are presented next to the box plot.
Max subtype nTPMi

Max subtype nTPM is the value for the subtype with the largest average nTPM across the subtype samples.

41.0
Mouse sample Sample description nTPM
Cerebellum
nTPM: 41.0
Samples: 4

Max nTPM: 44.5
Min nTPM: 36.6
Sample A Male 41.9
Sample B Male 36.6
Sample C Female 44.5
Sample D Female 41.0

CEREBELLUM - Allen Mouse ISHi

In situ hybridization (ISH) data generated by the Allen brain atlas from mouse brain is reported as expression energy. For more details about a particular experiment, click on the corresponding Allen experiment ID.

Max subtype Expression energyi

Max subtype Expression energy is the value for the subtype with the largest average Expression energy across the subtype samples.

5.5
Allen experiment id Experiment description Expression energy
Cerebellum
Expression energy: 5.5
68562994 Antisense, RP_050120_02_H06, Mouse strain C57BL/6J (56 days, male) 5.5

Contact

  • NEWS ARTICLES
  • PRESS ROOM

The Project

  • INTRODUCTION
  • ORGANIZATION
  • PUBLICATIONS

The Human Protein Atlas

  • DOWNLOADABLE DATA
  • LICENCE & CITATION
  • HELP & FAQ
The Human Protein Atlas project is funded
by the Knut & Alice Wallenberg Foundation.


contact@proteinatlas.org