We use cookies to enhance the usability of our website. If you continue, we'll assume that you are happy to receive all cookies. More information. Don't show this again.
TRAPPC2L
HPA
RESOURCES
  • TISSUE
  • BRAIN
  • SINGLE CELL
  • SUBCELLULAR
  • CANCER
  • BLOOD
  • CELL LINE
  • STRUCTURE & INTERACTION
ABOUT
  • INTRODUCTION
  • HISTORY
  • ORGANIZATION
  • PUBLICATIONS
  • ANTIBODY SUBMISSION
  • ANTIBODY AVAILABILITY
  • ACKNOWLEDGMENTS
  • CONTACT
NEWS
  • NEWS ARTICLES
  • PRESS ROOM
LEARN
  • DICTIONARY
  • PROTEIN CLASSES
  • PROTEIN EVIDENCE
  • METHODS
  • EDUCATIONAL VIDEOS
DATA
  • DOWNLOADABLE DATA
  • PUBLICATION DATA
  • RELEASE HISTORY
HELP
  • ANTIBODY VALIDATION
  • ASSAYS & ANNOTATION
  • DISCLAIMER
  • HELP & FAQ
  • PRIVACY STATEMENT
  • LICENCE & CITATION
Fields »
Search result

Field
Term
Gene name
Class
Subclass
Class
Keyword
Chromosome
External id
Tissue
Cell type
Expression
Antibody panel
Tissue
Main location
Patient ID
Annotation
Tissue
Category
Tau score
Cluster
Reliability
Brain region
Category
Tau score
Brain region
Category
Tau score
Brain region
Category
Tau score
Cluster
Reliability
Tissue
Cell type
Enrichment
Cell type
Category
Tau score
Cell type
Category
Tau score
Cell type
Category
Tau score
Cell lineage
Category
Tau score
Cluster
Cluster
Location
Searches
Location
Cell line
Class
Type
Phase
Reliability
Cancer
Prognosis
Cancer
Category
Cancer
Category
Tau score
Cluster
Variants
Interacting gene (ensg_id)
Type
Number of interactions
Pathway
Category
Score
Score
Score
Validation
Validation
Validation
Validation
Antibodies
Data type
Column


  • SUMMARY

  • TISSUE

  • BRAIN

  • SINGLE CELL

  • SUBCELL

  • CANCER

  • BLOOD

  • CELL LINE

  • STRUCT & INT

  • TRAPPC2L
TISSUE PRIMARY DATA VAGINA Show tissue menu
ADIPOSE TISSUE ADRENAL GLAND AMYGDALA APPENDIX BASAL GANGLIA BONE MARROW BREAST BRONCHUS CEREBELLUM CEREBRAL CORTEX CERVIX CHOROID PLEXUS COLON DUODENUM
ENDOMETRIUM EPIDIDYMIS ESOPHAGUS FALLOPIAN TUBE GALLBLADDER HEART MUSCLE HIPPOCAMPAL FORMATION HYPOTHALAMUS KIDNEY LIVER LUNG LYMPH NODE MIDBRAIN NASOPHARYNX
ORAL MUCOSA OVARY PANCREAS PARATHYROID GLAND PITUITARY GLAND PLACENTA PROSTATE RECTUM RETINA SALIVARY GLAND SEMINAL VESICLE SKELETAL MUSCLE SKIN SMALL INTESTINE
SMOOTH MUSCLE SOFT TISSUE SPINAL CORD SPLEEN STOMACH TESTIS THYMUS THYROID GLAND TONGUE TONSIL URINARY BLADDER VAGINA
ANTIBODIES
AND
VALIDATION
Dictionary
Vagina
Tissue proteome
Vagina
VAGINA - Expression summary
Protein expression
Vaginai

On the top, protein expression in current human tissue, based on all annotated cell types, is reported with the units not detected (n), low (l), medium (m) and high (h). Underneath, protein expression in each annotated cell type are reported using the same units.

Protein expression data is based on knowledge-based annotation. For genes where more than one antibody has been used, a collective score is set.

If knowledge-based annotation could not be performed for a gene, no data is displayed here. View antibody staining data further down this page.

h
m
l
n
Squamous epithelial cells: High
RNA expressioni

A summary of mRNA expression data available for current tissue based on several datasets. The mRNA expression levels in human tissues are based on RNA-seq data generated by the Human Protein Atlas (HPA), Genotype-Tissue Expression (GTEx) portal and CAGE data generated by the FANTOM5 consortium. Consensus normalized expression levels for human tissues was created by combining the data from HPA and GTEx datasets.

The mRNA expression levels in pig are based on RNA-seq data generated by the Human Protein Atlas (HPA), and for mouse, HPA data and in situ hybridization generated by the Allen brain atlas are reported.

Scroll down to view mRNA expression data in more detail.
Consensus:45.8 nTPM
GTEx:45.8 nTPM
FANTOM5:35.9 Scaled Tags Per Million

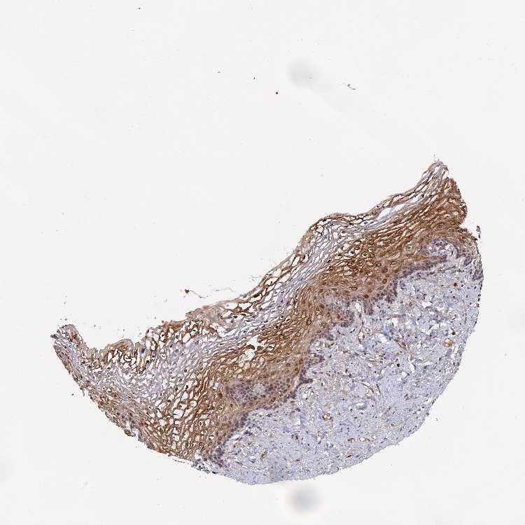
VAGINA - Antibody stainingi

Antibody staining in the annotated cell types in the current human tissue is reported as not detected, low, medium, or high, based on conventional immunohistochemistry profiling in selected tissues. This score is based on the combination of the staining intensity and fraction of stained cells.

Each image is clickable and will lead to virtual microscopy that enables deeper exploration of all samples and also displays staining intensity scores, fraction scores and subcellular localization as well as patient and tissue information for each sample.

Antibody HPA041714
Squamous epithelial cells High


VAGINA - GTEx RNA-seqi

RNA-Seq data generated by the Genotype-Tissue Expression (GTEx) project from human tissues is reported as mean nTPM. More information can be found on the GTEx portal.

Distribution across the dataset is visualized with box plots, shown as median and 25th and 75th percentiles. Points are displayed as outliers if they are above or below 1.5 times the interquartile range. nTPM values of the individual samples are presented next to the box plot.
Max subtype nTPMi

Max subtype nTPM is the value for the subtype with the largest average nTPM across the subtype samples.

45.8
GTEx sample id Sample description nTPM
Vagina
Average nTPM: 45.8
Samples: 156

Max nTPM: 115.5
Min nTPM: 16.6
Std nTPM: 13.9
Median nTPM: 43.3
GTEX-1AMFI-1526-SM-73KVY 50-59 years, female 115.5
GTEX-ZZPU-2226-SM-5EGIV 50-59 years, female 95.1
GTEX-1QP28-1426-SM-EVR4E 50-59 years, female 79.5
GTEX-Y8LW-1426-SM-5RQJJ 50-59 years, female 78.6
GTEX-18D9A-1026-SM-7KFRU 30-39 years, female 73.1
GTEX-14PJ6-1626-SM-6872D 60-69 years, female 72.4
GTEX-1F5PL-1826-SM-7P8PP 40-49 years, female 70.3
GTEX-ZQG8-1126-SM-51MRL 60-69 years, female 69.2
GTEX-14PN3-1626-SM-6AJAV 60-69 years, female 66.7
GTEX-X15G-1926-SM-4PQZQ 50-59 years, female 65.5
GTEX-P4PP-2526-SM-3P61P 30-39 years, female 65.0
GTEX-ZLWG-1126-SM-4WWFQ 50-59 years, female 64.9
GTEX-ZV6S-1326-SM-59HJA 40-49 years, female 64.4
GTEX-PX3G-2526-SM-48TZV 20-29 years, female 64.3
GTEX-ZVT2-0626-SM-5GICR 50-59 years, female 63.7
GTEX-ZP4G-0826-SM-4WWF3 20-29 years, female 62.4
GTEX-11DXX-1726-SM-5H11T 60-69 years, female 62.2
GTEX-1JN76-1526-SM-CNPPF 20-29 years, female 62.0
GTEX-ZVT3-2726-SM-5GU5X 60-69 years, female 61.2
GTEX-W5WG-1026-SM-4LMIF 50-59 years, female 60.8
GTEX-14PKU-1326-SM-6871B 40-49 years, female 60.2
GTEX-15SB6-1426-SM-7KUEM 50-59 years, female 60.0
GTEX-11XUK-1326-SM-5EQM4 40-49 years, female 59.5
GTEX-1MCYP-1326-SM-EV7AD 20-29 years, female 59.3
GTEX-WEY5-0826-SM-4LMIH 40-49 years, female 58.2
GTEX-1NUQO-1826-SM-E6CQU 20-29 years, female 58.1
GTEX-12ZZX-1926-SM-5EGKC 40-49 years, female 57.9
GTEX-QCQG-1226-SM-48U23 50-59 years, female 57.9
GTEX-131XG-2126-SM-5DUXG 50-59 years, female 57.5
GTEX-15SDE-1726-SM-6LPJS 50-59 years, female 57.4
GTEX-1GN1W-1526-SM-7P8TG 50-59 years, female 57.3
GTEX-SE5C-1126-SM-4BRWZ 40-49 years, female 57.2
GTEX-1399U-1526-SM-5J2N7 50-59 years, female 56.9
GTEX-11VI4-0726-SM-5GU5B 40-49 years, female 56.8
GTEX-13QIC-1826-SM-5J1MY 60-69 years, female 56.3
GTEX-S4UY-1326-SM-4AD4X 40-49 years, female 56.0
GTEX-16NGA-1626-SM-72D6M 40-49 years, female 55.1
GTEX-1QPFJ-1626-SM-DTX7X 30-39 years, female 54.8
GTEX-S341-1226-SM-4AD5S 40-49 years, female 54.2
GTEX-1IDJU-1026-SM-AHZ2U 60-69 years, female 53.3
GTEX-QDT8-2526-SM-48TYX 30-39 years, female 53.1
GTEX-YJ8O-1226-SM-5P9JE 40-49 years, female 52.9
GTEX-1LVAN-1626-SM-CNPQ7 50-59 years, female 52.8
GTEX-ZAK1-2426-SM-EXOHM 50-59 years, female 52.7
GTEX-1F48J-2526-SM-7P8TU 50-59 years, female 51.9
GTEX-S7SF-1426-SM-4AT5A 20-29 years, female 51.1
GTEX-1I1GT-1226-SM-B2LVK 60-69 years, female 50.9
GTEX-T6MO-1226-SM-4DM5S 40-49 years, female 50.8
GTEX-1MCC2-1126-SM-EVYD6 30-39 years, female 50.0
GTEX-14H4A-2426-SM-664OQ 40-49 years, female 49.9
GTEX-ZE7O-2426-SM-57WD7 50-59 years, female 49.7
GTEX-PWCY-1726-SM-48TD3 20-29 years, female 49.5
GTEX-1I4MK-1726-SM-ARL7O 50-59 years, female 49.3
GTEX-1LGOU-1126-SM-D3LAI 20-29 years, female 49.3
GTEX-ZYY3-2626-SM-5N9DH 60-69 years, female 48.8
GTEX-15DYW-2926-SM-6PANA 60-69 years, female 48.4
GTEX-11I78-2026-SM-5987C 50-59 years, female 48.3
GTEX-145LS-2526-SM-5TDC9 60-69 years, female 48.3
GTEX-13D11-1326-SM-5IJFY 50-59 years, female 47.9
GTEX-X8HC-2826-SM-46MWJ 50-59 years, female 47.5
GTEX-131YS-2426-SM-5J2OD 60-69 years, female 47.1
GTEX-11GSP-2226-SM-5HL5Q 60-69 years, female 47.0
GTEX-1C475-0526-SM-793AC 40-49 years, female 46.9
GTEX-N7MT-1926-SM-3LK5N 60-69 years, female 46.5
GTEX-Y3IK-2226-SM-4YCD4 50-59 years, female 46.5
GTEX-1HCUA-1026-SM-A9SMI 50-59 years, female 46.1
GTEX-PLZ4-2726-SM-3P61A 50-59 years, female 45.2
GTEX-14A5I-2726-SM-5SIB3 50-59 years, female 44.6
GTEX-1A8FM-2426-SM-7IGPE 50-59 years, female 44.6
GTEX-ZYVF-0326-SM-5GIES 50-59 years, female 44.6
GTEX-1GF9U-1926-SM-7P8TZ 40-49 years, female 44.6
GTEX-XUZC-1226-SM-4BRVJ 30-39 years, female 44.6
GTEX-RWS6-1726-SM-47JXP 60-69 years, female 44.3
GTEX-S4P3-1126-SM-4AD52 50-59 years, female 44.1
GTEX-1PIEJ-1926-SM-EVYB7 20-29 years, female 43.9
GTEX-T2IS-1926-SM-4DM74 20-29 years, female 43.5
GTEX-147F3-1526-SM-5SIAK 50-59 years, female 43.4
GTEX-1HBPM-2726-SM-9WYUA 60-69 years, female 43.4
GTEX-15SHU-2926-SM-7KUKT 40-49 years, female 43.3
GTEX-OHPL-2526-SM-3MJGT 60-69 years, female 43.3
GTEX-11EMC-1926-SM-5A5JU 60-69 years, female 43.2
GTEX-OHPK-2526-SM-3MJH9 50-59 years, female 43.2
GTEX-TMMY-1926-SM-4DXUU 40-49 years, female 43.0
GTEX-SN8G-2626-SM-EXUQT 50-59 years, female 42.9
GTEX-13PVR-1426-SM-5S2PW 60-69 years, female 42.5
GTEX-14JG6-0726-SM-69LQH 30-39 years, female 42.5
GTEX-1ICG6-1626-SM-ARL81 70-79 years, female 42.5
GTEX-1117F-2526-SM-5GZY6 60-69 years, female 42.1
GTEX-YFC4-2926-SM-5IFJ8 40-49 years, female 42.1
GTEX-1EWIQ-2326-SM-7IGNF 70-79 years, female 41.7
GTEX-15ER7-2526-SM-7KUFW 20-29 years, female 41.6
GTEX-13QBU-1726-SM-5IJFQ 40-49 years, female 41.5
GTEX-1J1OQ-1826-SM-CL53R 40-49 years, female 41.3
GTEX-P78B-2226-SM-3P5ZZ 40-49 years, female 41.2
GTEX-ZGAY-2226-SM-4YCCX 40-49 years, female 41.2
GTEX-1GMR8-2526-SM-7RHI9 50-59 years, female 41.1
GTEX-1HBPH-2926-SM-9WPNX 40-49 years, female 40.7
GTEX-14AS3-1726-SM-5RQJV 40-49 years, female 40.5
GTEX-UJHI-1326-SM-4IHJO 50-59 years, female 40.3
GTEX-1LVAM-1926-SM-E6CIM 50-59 years, female 40.3
GTEX-QVJO-2526-SM-CYPRA 60-69 years, female 40.3
GTEX-113JC-1926-SM-5N9GE 50-59 years, female 40.2
GTEX-ZXES-0626-SM-5E45P 30-39 years, female 40.1
GTEX-1JMQL-2326-SM-CNNPV 50-59 years, female 40.1
GTEX-146FR-2426-SM-5NQAU 60-69 years, female 40.0
GTEX-TML8-1126-SM-4DXSS 40-49 years, female 39.9
GTEX-WRHU-2926-SM-4MVNQ 50-59 years, female 39.8
GTEX-ZTPG-2226-SM-57WF9 20-29 years, female 39.7
GTEX-11TTK-2726-SM-5GU58 60-69 years, female 39.5
GTEX-15UF6-2126-SM-6M46Z 70-79 years, female 39.1
GTEX-1CAMS-2326-SM-793CR 40-49 years, female 39.1
GTEX-11P81-2126-SM-5HL6N 30-39 years, female 38.8
GTEX-18A7A-2826-SM-7LT8J 50-59 years, female 38.8
GTEX-PWN1-2526-SM-48TDS 40-49 years, female 38.4
GTEX-NPJ7-2526-SM-EV79A 60-69 years, female 38.2
GTEX-XUW1-0326-SM-4BOOR 50-59 years, female 38.1
GTEX-13W3W-2326-SM-5LU4Y 60-69 years, female 37.5
GTEX-13PL7-2726-SM-5L3GB 60-69 years, female 37.3
GTEX-13U4I-2026-SM-5LU3L 40-49 years, female 37.2
GTEX-1GN1U-2426-SM-9KNTU 50-59 years, female 37.1
GTEX-TSE9-2526-SM-4DXUS 60-69 years, female 36.9
GTEX-17JCI-2526-SM-7DHLB 60-69 years, female 36.8
GTEX-183WM-2126-SM-7LG4I 70-79 years, female 36.8
GTEX-12WSD-2926-SM-5LZUH 60-69 years, female 36.4
GTEX-1QCLZ-2226-SM-DTX7R 60-69 years, female 35.4
GTEX-U3ZN-0926-SM-4DXTU 30-39 years, female 35.3
GTEX-145ME-1426-SM-5RQJS 40-49 years, female 35.1
GTEX-1LH75-1726-SM-DHXKZ 50-59 years, female 35.1
GTEX-Y114-1926-SM-4TT8J 50-59 years, female 33.7
GTEX-1HFI7-1126-SM-A96S5 50-59 years, female 33.7
GTEX-14PJM-2926-SM-69LOE 50-59 years, female 33.2
GTEX-1LGRB-2126-SM-COH48 50-59 years, female 32.8
GTEX-11EM3-1826-SM-5A5KO 20-29 years, female 32.4
GTEX-RU1J-1426-SM-46MUV 20-29 years, female 31.6
GTEX-WYVS-1426-SM-4ONCV 40-49 years, female 31.2
GTEX-Q734-1426-SM-DTXFX 40-49 years, female 31.2
GTEX-XV7Q-1626-SM-4BRWC 40-49 years, female 30.7
GTEX-1JN1M-2326-SM-ARZNG 60-69 years, female 30.5
GTEX-1399S-2326-SM-5K7YV 30-39 years, female 30.0
GTEX-1HCU8-2026-SM-9YFLE 60-69 years, female 29.1
GTEX-146FH-2626-SM-5Q5E1 50-59 years, female 28.9
GTEX-13N11-1526-SM-5L3FL 50-59 years, female 28.7
GTEX-1HCU6-2326-SM-ACKXP 60-69 years, female 28.3
GTEX-1J8EW-2526-SM-CKZO2 60-69 years, female 28.0
GTEX-13OVI-0926-SM-5J1MI 60-69 years, female 27.1
GTEX-OHPN-2426-SM-E9TI5 60-69 years, female 26.7
GTEX-17F9Y-2326-SM-7DUFP 70-79 years, female 26.4
GTEX-1R9JW-1426-SM-DTX9K 30-39 years, female 26.3
GTEX-16NPV-2526-SM-6M483 50-59 years, female 25.7
GTEX-12WSJ-1326-SM-5GCOB 40-49 years, female 25.6
GTEX-1LNCM-1026-SM-E9U5D 50-59 years, female 25.3
GTEX-ZC5H-2226-SM-4WAWS 40-49 years, female 25.1
GTEX-14BMU-1926-SM-5S2QC 20-29 years, female 25.0
GTEX-1IE54-2626-SM-CMKFY 40-49 years, female 22.9
GTEX-14DAQ-2326-SM-5S2QX 60-69 years, female 22.4
GTEX-1S5ZU-2626-SM-E9TII 20-29 years, female 16.6
Show allShow less

VAGINA - FANTOM5 CAGEi

RNA expression in human tissues obtained through Cap Analysis of Gene Expression (CAGE) generated by the FANTOM5 project are reported as Scaled Tags Per Million.

Max subtype Scaled Tags Per Millioni

Max subtype Scaled Tags Per Million is the value for the subtype with the largest average Scaled Tags Per Million across the subtype samples.

35.9
FANTOM5 sample id Sample description Scaled Tags Per Million
Vagina
Scaled Tags Per Million: 35.9
FF:10204-103F6 68 years, female 35.9

Contact

  • NEWS ARTICLES
  • PRESS ROOM

The Project

  • INTRODUCTION
  • ORGANIZATION
  • PUBLICATIONS

The Human Protein Atlas

  • DOWNLOADABLE DATA
  • LICENCE & CITATION
  • HELP & FAQ
The Human Protein Atlas project is funded
by the Knut & Alice Wallenberg Foundation.


contact@proteinatlas.org