We use cookies to enhance the usability of our website. If you continue, we'll assume that you are happy to receive all cookies. More information. Don't show this again.
RPL13
HPA
RESOURCES
  • TISSUE
  • BRAIN
  • SINGLE CELL
  • SUBCELLULAR
  • CANCER
  • BLOOD
  • CELL LINE
  • STRUCTURE & INTERACTION
ABOUT
  • INTRODUCTION
  • HISTORY
  • ORGANIZATION
  • PUBLICATIONS
  • ANTIBODY SUBMISSION
  • ANTIBODY AVAILABILITY
  • ACKNOWLEDGMENTS
  • CONTACT
NEWS
  • NEWS ARTICLES
  • PRESS ROOM
LEARN
  • DICTIONARY
  • PROTEIN CLASSES
  • PROTEIN EVIDENCE
  • METHODS
  • EDUCATIONAL VIDEOS
DATA
  • DOWNLOADABLE DATA
  • PUBLICATION DATA
  • RELEASE HISTORY
HELP
  • ANTIBODY VALIDATION
  • ASSAYS & ANNOTATION
  • DISCLAIMER
  • HELP & FAQ
  • PRIVACY STATEMENT
  • LICENCE & CITATION
Fields »
Search result

Field
Term
Gene name
Class
Subclass
Class
Keyword
Chromosome
External id
Tissue
Cell type
Expression
Antibody panel
Tissue
Main location
Patient ID
Annotation
Tissue
Category
Tau score
Cluster
Reliability
Brain region
Category
Tau score
Brain region
Category
Tau score
Brain region
Category
Tau score
Cluster
Reliability
Tissue
Cell type
Enrichment
Cell type
Category
Tau score
Cell type
Category
Tau score
Cell type
Category
Tau score
Cell lineage
Category
Tau score
Cluster
Cluster
Location
Searches
Location
Cell line
Class
Type
Phase
Reliability
Cancer
Prognosis
Cancer
Category
Cancer
Category
Tau score
Cluster
Variants
Interacting gene (ensg_id)
Type
Number of interactions
Pathway
Category
Score
Score
Score
Validation
Validation
Validation
Validation
Antibodies
Data type
Column


  • SUMMARY

  • TISSUE

  • BRAIN

  • SINGLE CELL

  • SUBCELL

  • CANCER

  • BLOOD

  • CELL LINE

  • STRUCT & INT

  • RPL13
CANCER PROSTATE CANCER Show tissue menu
BREAST CANCER CARCINOID CERVICAL CANCER COLORECTAL CANCER ENDOMETRIAL CANCER GLIOMA HEAD AND NECK CANCER LIVER CANCER LUNG CANCER LYMPHOMA
MELANOMA OVARIAN CANCER PANCREATIC CANCER PROSTATE CANCER RENAL CANCER SKIN CANCER STOMACH CANCER TESTIS CANCER THYROID CANCER UROTHELIAL CANCER
PRAD TCGA PROTEIN EXPRESSION
ANTIBODIES
AND
VALIDATION
Dictionary
Prostate cancer
Human cancer
Prostate adenocarcinoma
PROSTATE ADENOCARCINOMA (TCGA) - Interactive survival scatter ploti

The Survival Scatter plot shows the clinical status (i.e. dead or alive) for all individuals in the patient cohort, based on the same data that underlies the corresponding Kaplan-Meier plots. Patients that are alive at last time for follow-up are shown in blue and patients who have died during the study are shown in red.

The x-axis shows the expression levels (FPKM) of the investigated gene in the tumor tissue at the time of diagnosis. The y-axis shows the follow-up time after diagnosis (years). Both axes are complimented with kernel density curves demonstrating the data density over the axes. The top density plot shows the expression levels (FPKM) distribution among dead (red) and alive patients (blue). The right density plot shows the data density of the survived years of dead patients with high and low expression levels respectively, stratified using the cutoff indicated by the vertical dashed line through the Survival Scatter plot. This cutoff is automatically defined based on the FPKM cutoff that minimizes the p-score. The cutoff can be changed by dragging the vertical line or by entering a cutoff value in the square labeled "Current cut-off".

Under the Survival Scatter plot the p-score landscape (black curve; left axis) is shown together with dead median separation (red curve; right axis). Dead median separation is the difference in median mRNA expression between patients who have died with high and low expression, respectively. It is calculated as follows: median FPKM expression of dead patients with high expression - median FPKM expression of dead patients with low expression. This is intended to aid the user in visually exploring custom cutoffs and the associated p-scores and dead median separation.

Individual patient data is displayed and can be filtered by clicking on one or more of the category buttons on the top of the page. Categories describing expression level and patient information include: high, low, alive, dead, female, male and tumor stages. The scale of the x-axis can be toggled between linear and log-scale by clicking on the "x log" button. Mouse-over function shows TCGA ID, patient information and mRNA expression (FPKM) for each patient.

& Survival analysisi

Kaplan-Meier plots summarize results from analysis of correlation between mRNA expression level and patient survival. Patients were divided based on level of expression into one of the two groups "low" (under cut off) or "high" (over cut off). X-axis shows time for survival (years) and y-axis shows the probability of survival, where 1.0 corresponds to 100 percent.

RPL13 is not prognostic in Prostate Adenocarcinoma (TCGA)


Stage:
Survival analysis
Current cut offi

Current cut-off shows the cut-off (FPKM) currently selected. It may be changed manually. When the current cut-off is changed, the vertical dashed line indicating cut-off, the interactive survival scatter plot and the Kaplan-Meier curve will be automatically adjusted to show results accordingly.

:
Best expression cut offi

Based on the FPKM value of each gene, patients were classified into two groups and association between prognosis (survival) and gene expression (FPKM) was examined. The best expression cut-off refers the FPKM value that yields maximal difference with regard to survival between the two groups at the lowest log-rank P-value. Best expression cut-off was selected based on survival analysis .

When clicking on this number, the vertical dashed line indicating cut-off, the interactive survival plot, and the Kaplan-Meier curve will be adjusted to show results based on the best expression cut-off.

: 3041.47
Median expressioni

Median expression refers to the median FPKM value calculated based on the gene expression (FPKM) data from all patients in this dataset. When clicking on this number, the vertical dashed line indicating cut-off, the interactive survival plot, and the Kaplan-Meier curve will be adjusted to show results based on the median expression.

: N/A
Median follow up timei

Median follow up time refers to the median time (years) after diagnosis with this type of cancer, based on clinical data from all patients in this dataset.

: N/A
P scorei

Log-rank P value for Kaplan-Meier plot showing results from analysis of correlation between mRNA expression level and patient survival.

N/A
5-year survival highi

5-year survival for patients with higher expression than the expression cutoff.

For melanoma and glioma, 3-year survival is shown.

N/A
5-year survival lowi

5-year survival for patients with lower expression than the expression cutoff.

For melanoma and glioma, 3-year survival is shown.

N/A
TCGA RNA samplesi

RNA-seq data is reported as average FPKM (number Fragments Per Kilobase of exon per Million reads), generated by the The Cancer Genome Atlas (TCGA) .

Normal distribution across the dataset is visualized with box plots, shown as median and 25th and 75th percentiles. Points are displayed as outliers if they are above or below 1.5 times the interquartile range. FPKM values of the individual samples are presented next to the box plot.

Average pTPM 4452.0
Number of samples 480
Samples
Sample Description pTPM
TCGA-QU-A6IN-01A 61 years, male, white, stage:'--, alive, 4264 days 22749.5
TCGA-M7-A722-01A 65 years, male, white, stage:'--, alive, 1060 days 16135.4
TCGA-G9-6379-01A 68 years, male, white, stage:'--, alive, 1778 days 14228.8
TCGA-J4-A67K-01A 68 years, male, white, stage:'--, alive, 1004 days 13890.7
TCGA-QU-A6IM-01A 59 years, male, white, stage:'--, alive, 1247 days 13654.6
TCGA-KK-A7AW-01A 57 years, male, black or african american, stage:'--, alive, 1054 days 13054.5
TCGA-J4-A67Q-01A 77 years, male, white, stage:'--, alive, 975 days 12506.9
TCGA-J4-A67O-01A 59 years, male, white, stage:'--, alive, 839 days 12394.7
TCGA-H9-A6BY-01A 63 years, male, white, stage:'--, alive, 112 days 11320.9
TCGA-G9-6347-01A 59 years, male, stage:'--, alive, 2089 days 10983.0
TCGA-KK-A6E4-01A 69 years, male, black or african american, stage:'--, dead, 3502 days 10532.2
TCGA-HC-A6HX-01A 55 years, male, white, stage:'--, alive, 38 days 9728.2
TCGA-KK-A7B0-01A 67 years, male, white, stage:'--, alive, 1329 days 9464.3
TCGA-HC-A6AQ-01A 60 years, male, white, stage:'--, alive, 106 days 9263.5
TCGA-J4-A67M-01A 55 years, male, white, stage:'--, alive, 941 days 9191.7
TCGA-KK-A59V-01A 64 years, male, white, stage:'--, alive, 3440 days 9079.4
TCGA-EJ-AB20-01A 61 years, male, stage:'--, alive, 131 days 9058.2
TCGA-HC-A6HY-01A 51 years, male, white, stage:'--, alive, 134 days 9030.1
TCGA-QU-A6IO-01A 53 years, male, black or african american, stage:'--, alive, 3716 days 8893.3
TCGA-QU-A6IL-01A 64 years, male, asian, stage:'--, alive, 97 days 8651.8
TCGA-V1-A8MM-01A 60 years, male, black or african american, stage:'--, alive, 1195 days 8522.0
TCGA-J4-A67R-01A 65 years, male, white, stage:'--, alive, 910 days 8419.0
TCGA-M7-A71Z-01A 62 years, male, white, stage:'--, alive, 643 days 8417.4
TCGA-XJ-A83F-01A 67 years, male, white, stage:'--, alive, 1127 days 8284.0
TCGA-HC-A6AS-01A 70 years, male, white, stage:'--, alive, 44 days 8271.7
TCGA-2A-A8VX-01A 70 years, male, white, stage:'--, alive, 1378 days 7832.6
TCGA-HC-A6AL-01A 64 years, male, white, stage:'--, alive, 67 days 7823.7
TCGA-J4-A67S-01A 63 years, male, white, stage:'--, alive, 833 days 7730.7
TCGA-FC-A6HD-01A 77 years, male, white, stage:'--, alive, 789 days 7636.1
TCGA-FC-A66V-01A 74 years, male, white, stage:'--, alive, 524 days 7587.1
TCGA-KK-A6E8-01A 68 years, male, white, stage:'--, alive, 1770 days 7484.9
TCGA-HC-A6AP-01A 61 years, male, white, stage:'--, alive, 71 days 7454.8
TCGA-QU-A6IP-01A 66 years, male, white, stage:'--, alive, 2620 days 7434.7
TCGA-KK-A7AZ-01A 56 years, male, white, stage:'--, alive, 1519 days 7293.0
TCGA-V1-A9OT-01A 61 years, male, white, stage:'--, alive, 476 days 7286.3
TCGA-V1-A9OQ-01A 67 years, male, white, stage:'--, alive, 371 days 7126.0
TCGA-VP-A87B-01A 63 years, male, white, stage:'--, alive, 2722 days 7097.6
TCGA-G9-6339-01A 58 years, male, white, stage:'--, alive, 2551 days 7089.3
TCGA-G9-6361-01A 61 years, male, white, stage:'--, alive, 1415 days 7042.2
TCGA-G9-6377-01A 61 years, male, white, stage:'--, alive, 958 days 7014.7
TCGA-HC-7752-01A 61 years, male, white, stage:'--, alive, 782 days 7008.8
TCGA-KC-A7F5-01A 54 years, male, white, stage:'--, alive, 91 days 7006.2
TCGA-HC-7078-01A 69 years, male, white, stage:'--, alive, 1985 days 6967.3
TCGA-HC-8213-01A 48 years, male, white, stage:'--, alive, 589 days 6864.7
TCGA-XK-AAJ3-01A 56 years, male, white, stage:'--, alive, 1262 days 6814.2
TCGA-KC-A7F6-01A 63 years, male, white, stage:'--, alive, 263 days 6808.4
TCGA-EJ-A65D-01A 66 years, male, white, stage:'--, alive, 393 days 6718.7
TCGA-G9-6498-01A 53 years, male, white, stage:'--, alive, 1952 days 6566.8
TCGA-HC-8257-01A 70 years, male, black or african american, stage:'--, alive, 726 days 6539.5
TCGA-CH-5740-01A 57 years, male, white, stage:'--, alive, 31 days 6496.1
TCGA-J4-A67N-01A 61 years, male, white, stage:'--, alive, 937 days 6477.3
TCGA-G9-6348-01A 68 years, male, white, stage:'--, alive, 1515 days 6426.0
TCGA-EJ-A46F-01A 57 years, male, white, stage:'--, alive, 783 days 6401.3
TCGA-G9-6496-01A 61 years, male, white, stage:'--, alive, 1726 days 6385.7
TCGA-KK-A8I9-01A 61 years, male, stage:'--, alive, 1001 days 6382.4
TCGA-J9-A52D-01A 71 years, male, white, stage:'--, alive, 212 days 6376.4
TCGA-HC-A8D0-01A 61 years, male, white, stage:'--, alive, 775 days 6376.0
TCGA-G9-6365-01A 71 years, male, white, stage:'--, alive, 1363 days 6339.7
TCGA-J4-A67L-01A 54 years, male, white, stage:'--, alive, 770 days 6242.3
TCGA-HC-7744-01A 46 years, male, white, stage:'--, alive, 531 days 6200.5
TCGA-EJ-A65B-01A 55 years, male, white, stage:'--, alive, 710 days 6198.7
TCGA-J9-A52E-01A 65 years, male, white, stage:'--, alive, 323 days 6135.9
TCGA-KK-A7AQ-01A 62 years, male, white, stage:'--, alive, 1610 days 6083.0
TCGA-VP-A875-01A 67 years, male, black or african american, stage:'--, alive, 2309 days 6063.8
TCGA-EJ-7314-01A 62 years, male, white, stage:'--, alive, 1150 days 6059.1
TCGA-G9-6499-01A 66 years, male, white, stage:'--, alive, 1543 days 6032.3
TCGA-2A-A8VO-01A 57 years, male, white, stage:'--, alive, 1701 days 6031.4
TCGA-G9-6332-01A 55 years, male, white, stage:'--, alive, 2657 days 6009.8
TCGA-XK-AAK1-01A 62 years, male, white, stage:'--, alive, 979 days 5976.9
TCGA-EJ-A65G-01A 57 years, male, white, stage:'--, alive, 666 days 5976.3
TCGA-VN-A88M-01A 55 years, male, black or african american, stage:'--, alive, 189 days 5935.3
TCGA-CH-5768-01A 72 years, male, white, stage:'--, alive, 731 days 5882.3
TCGA-KK-A7B2-01A 68 years, male, white, stage:'--, alive, 1099 days 5852.5
TCGA-YL-A8HO-01A 67 years, male, black or african american, stage:'--, alive, 2304 days 5838.9
TCGA-V1-A9OY-01A 57 years, male, white, stage:'--, alive, 1067 days 5827.1
TCGA-EJ-7784-01A 63 years, male, white, stage:'--, alive, 781 days 5812.9
TCGA-ZG-A9LM-01A 72 years, male, white, stage:'--, alive, 378 days 5802.3
TCGA-HI-7170-01A 58 years, male, white, stage:'--, alive, 2522 days 5775.2
TCGA-XQ-A8TA-01A 59 years, male, white, stage:'--, dead, 146 days 5759.2
TCGA-HC-7230-01A 50 years, male, white, stage:'--, alive, 1001 days 5747.6
TCGA-V1-A8WV-01A 52 years, male, white, stage:'--, alive, 686 days 5743.3
TCGA-J4-A83K-01A 52 years, male, white, stage:'--, alive, 328 days 5688.5
TCGA-HC-7747-01A 52 years, male, white, stage:'--, alive, 748 days 5666.2
TCGA-G9-7525-01A 64 years, male, white, stage:'--, alive, 994 days 5659.7
TCGA-EJ-8474-01A 69 years, male, white, stage:'--, alive, 766 days 5633.2
TCGA-EJ-5509-01A 63 years, male, white, stage:'--, alive, 1464 days 5627.9
TCGA-2A-AAYO-01A 57 years, male, white, stage:'--, alive, 1272 days 5587.7
TCGA-EJ-7328-01A 70 years, male, white, stage:'--, alive, 842 days 5529.9
TCGA-J4-A6M7-01A 53 years, male, white, stage:'--, alive, 512 days 5516.8
TCGA-KK-A8IB-01A 65 years, male, white, stage:'--, alive, 83 days 5492.3
TCGA-J4-8198-01A 49 years, male, black or african american, stage:'--, alive, 614 days 5486.6
TCGA-M7-A723-01A 54 years, male, white, stage:'--, alive, 763 days 5478.0
TCGA-EJ-5512-01A 46 years, male, white, stage:'--, alive, 1733 days 5470.5
TCGA-EJ-A65M-01A 65 years, male, black or african american, stage:'--, alive, 230 days 5466.7
TCGA-ZG-A8QY-01A 67 years, male, white, stage:'--, alive, 404 days 5452.5
TCGA-G9-6329-01A 67 years, male, white, stage:'--, alive, 1266 days 5419.2
TCGA-XK-AAIW-01A 78 years, male, white, stage:'--, alive, 1218 days 5397.6
TCGA-KK-A8IH-01A 50 years, male, white, stage:'--, alive, 2013 days 5392.4
TCGA-TP-A8TV-01A 62 years, male, white, stage:'--, alive, 610 days 5391.3
TCGA-XK-AAJA-01A 62 years, male, stage:'--, alive, 930 days 5367.3
TCGA-2A-A8VV-01A 52 years, male, stage:'--, alive, 671 days 5357.0
TCGA-G9-6385-01A 66 years, male, white, stage:'--, alive, 830 days 5331.6
TCGA-HC-7750-01A 50 years, male, white, stage:'--, alive, 522 days 5321.4
TCGA-KK-A6E3-01A 56 years, male, black or african american, stage:'--, alive, 2056 days 5286.6
TCGA-HC-7819-01A 53 years, male, white, stage:'--, alive, 543 days 5263.2
TCGA-KK-A8IL-01A 65 years, male, white, stage:'--, dead, 628 days 5249.0
TCGA-G9-A9S4-01A 62 years, male, white, stage:'--, alive, 906 days 5246.2
TCGA-Y6-A8TL-01A 65 years, male, stage:'--, alive, 992 days 5238.1
TCGA-EJ-A46D-01A 53 years, male, white, stage:'--, alive, 626 days 5231.1
TCGA-VP-A87H-01A 76 years, male, white, stage:'--, alive, 663 days 5207.9
TCGA-J4-A67T-01A 63 years, male, white, stage:'--, alive, 183 days 5198.3
TCGA-KC-A7FD-01A 62 years, male, white, stage:'--, alive, 270 days 5190.5
TCGA-EJ-7321-01A 57 years, male, black or african american, stage:'--, alive, 824 days 5164.2
TCGA-KK-A6E5-01A 63 years, male, black or african american, stage:'--, alive, 2073 days 5155.2
TCGA-EJ-A46E-01A 57 years, male, white, stage:'--, alive, 524 days 5144.2
TCGA-KC-A7F3-01A 67 years, male, white, stage:'--, alive, 665 days 5103.1
TCGA-EJ-5521-01A 63 years, male, white, stage:'--, alive, 2279 days 5066.7
TCGA-XK-AAJT-01A 75 years, male, white, stage:'--, alive, 1434 days 5066.5
TCGA-ZG-A9LB-01A 72 years, male, white, stage:'--, alive, 583 days 5065.7
TCGA-G9-6362-01A 57 years, male, white, stage:'--, alive, 1443 days 5057.2
TCGA-HC-A76W-01A 73 years, male, white, stage:'--, alive, 213 days 5052.4
TCGA-V1-A9ZR-01A 68 years, male, white, stage:'--, alive, 1361 days 5026.6
TCGA-HC-A76X-01A 62 years, male, white, stage:'--, alive, 150 days 5022.7
TCGA-HC-7820-01A 72 years, male, white, stage:'--, alive, 747 days 5003.2
TCGA-CH-5745-01A 68 years, male, white, stage:'--, alive, 91 days 5001.7
TCGA-XJ-A9DQ-01A 48 years, male, white, stage:'--, alive, 91 days 5000.8
TCGA-G9-6363-01A 64 years, male, white, stage:'--, alive, 1378 days 4990.5
TCGA-V1-A9OX-01A 56 years, male, white, stage:'--, alive, 1134 days 4985.4
TCGA-G9-6378-01A 54 years, male, black or african american, stage:'--, alive, 1155 days 4982.0
TCGA-V1-A8MG-01A 53 years, male, black or african american, stage:'--, alive, 857 days 4981.5
TCGA-G9-6356-01A 60 years, male, white, stage:'--, alive, 1434 days 4950.3
TCGA-YL-A8SI-01A 69 years, male, white, stage:'--, alive, 1614 days 4943.6
TCGA-VN-A88I-01A 59 years, male, white, stage:'--, alive, 269 days 4940.3
TCGA-HC-7745-01A 65 years, male, white, stage:'--, alive, 721 days 4938.2
TCGA-KK-A59Z-01A 66 years, male, black or african american, stage:'--, alive, 2628 days 4920.9
TCGA-KK-A8ID-01A 70 years, male, stage:'--, alive, 2107 days 4915.6
TCGA-EJ-5494-01A 50 years, male, white, stage:'--, alive, 1477 days 4907.8
TCGA-ZG-A9LS-01A 64 years, male, white, stage:'--, alive, 516 days 4902.1
TCGA-M7-A71Y-01A 55 years, male, white, stage:'--, alive, 493 days 4894.6
TCGA-J4-A83N-01A 57 years, male, white, stage:'--, alive, 992 days 4892.9
TCGA-G9-6353-01A 58 years, male, white, stage:'--, alive, 1542 days 4877.2
TCGA-EJ-A6RA-01A 70 years, male, white, stage:'--, alive, 353 days 4873.1
TCGA-VN-A88L-01A 54 years, male, white, stage:'--, alive, 746 days 4868.8
TCGA-G9-6373-01A 68 years, male, white, stage:'--, alive, 811 days 4860.6
TCGA-G9-A9S7-01A 55 years, male, white, stage:'--, alive, 728 days 4825.7
TCGA-V1-A9OA-01A 61 years, male, white, stage:'--, alive, 636 days 4822.6
TCGA-KK-A59Y-01A 56 years, male, white, stage:'--, alive, 1968 days 4812.7
TCGA-KC-A4BL-01A 65 years, male, black or african american, stage:'--, alive, 934 days 4810.9
TCGA-V1-A9OF-01A 49 years, male, white, stage:'--, alive, 1184 days 4807.2
TCGA-KC-A7FE-01A 62 years, male, white, stage:'--, alive, 352 days 4787.9
TCGA-KK-A8IF-01A 57 years, male, black or african american, stage:'--, alive, 804 days 4782.3
TCGA-ZG-A8QZ-01A 65 years, male, white, stage:'--, alive, 308 days 4775.2
TCGA-KK-A8IK-01A 56 years, male, white, stage:'--, alive, 2052 days 4774.4
TCGA-CH-5769-01A 48 years, male, white, stage:'--, alive, 62 days 4774.1
TCGA-J9-A52C-01A 57 years, male, white, stage:'--, alive, 178 days 4773.6
TCGA-XA-A8JR-01A 68 years, male, stage:'--, alive, 376 days 4768.1
TCGA-EJ-7788-01A 53 years, male, white, stage:'--, alive, 859 days 4751.7
TCGA-HI-7171-01A 56 years, male, white, stage:'--, dead, 1329 days 4751.1
TCGA-G9-6336-01A 57 years, male, white, stage:'--, alive, 2068 days 4746.7
TCGA-G9-6338-01A 61 years, male, white, stage:'--, alive, 2028 days 4728.5
TCGA-HC-7233-01A 73 years, male, white, stage:'--, alive, 1355 days 4725.6
TCGA-G9-6369-01A 55 years, male, white, stage:'--, alive, 1215 days 4687.3
TCGA-EJ-A6RC-01A 64 years, male, white, stage:'--, alive, 873 days 4680.6
TCGA-HC-A6AO-01A 52 years, male, white, stage:'--, alive, 530 days 4680.3
TCGA-XQ-A8TB-01A 67 years, male, white, stage:'--, alive, 770 days 4672.1
TCGA-HC-A4ZV-01A 56 years, male, black or african american, stage:'--, alive, 23 days 4671.8
TCGA-EJ-7315-01A 68 years, male, white, stage:'--, alive, 1008 days 4668.7
TCGA-H9-A6BX-01A 60 years, male, white, stage:'--, alive, 941 days 4665.4
TCGA-EJ-7797-01A 53 years, male, white, stage:'--, alive, 983 days 4656.6
TCGA-V1-A9O9-01A 56 years, male, white, stage:'--, alive, 2870 days 4650.7
TCGA-EJ-7115-01A 65 years, male, white, stage:'--, alive, 2687 days 4646.0
TCGA-HC-7231-01A 66 years, male, white, stage:'--, alive, 939 days 4640.8
TCGA-HC-7080-01A 66 years, male, white, stage:'--, alive, 1106 days 4630.7
TCGA-ZG-A9LU-01A 67 years, male, white, stage:'--, alive, 579 days 4621.9
TCGA-J4-A83M-01A 64 years, male, white, stage:'--, alive, 543 days 4621.9
TCGA-EJ-5530-01A 61 years, male, white, stage:'--, alive, 1832 days 4617.9
TCGA-2A-AAYF-01A 57 years, male, white, stage:'--, alive, 1364 days 4616.3
TCGA-YL-A9WI-01A 63 years, male, white, stage:'--, alive, 1623 days 4615.3
TCGA-HC-7077-01A 64 years, male, black or african american, stage:'--, alive, 2115 days 4609.2
TCGA-KK-A6E1-01A 57 years, male, white, stage:'--, alive, 2198 days 4607.3
TCGA-XK-AAJU-01A 65 years, male, white, stage:'--, alive, 1576 days 4585.8
TCGA-MG-AAMC-01A 59 years, male, white, stage:'--, alive, 173 days 4581.5
TCGA-CH-5752-01A 66 years, male, white, stage:'--, alive, 943 days 4579.9
TCGA-J9-A8CK-01A 66 years, male, white, stage:'--, alive, 321 days 4579.0
TCGA-XJ-A9DK-01A 63 years, male, white, stage:'--, alive, 275 days 4572.9
TCGA-HC-A632-01A 68 years, male, white, stage:'--, alive, 61 days 4562.5
TCGA-EJ-A46I-01A 57 years, male, black or african american, stage:'--, alive, 668 days 4546.6
TCGA-HC-7738-01A 58 years, male, white, stage:'--, alive, 964 days 4543.7
TCGA-KK-A7B3-01A 62 years, male, white, stage:'--, alive, 899 days 4520.6
TCGA-J4-A6G1-01A 68 years, male, white, stage:'--, alive, 769 days 4514.4
TCGA-HC-8259-01A 50 years, male, black or african american, stage:'--, alive, 924 days 4510.9
TCGA-EJ-7793-01A 49 years, male, white, stage:'--, alive, 114 days 4492.2
TCGA-KC-A4BN-01A 55 years, male, black or african american, stage:'--, alive, 1815 days 4490.3
TCGA-X4-A8KS-01A 61 years, male, black or african american, stage:'--, alive, 979 days 4465.8
TCGA-ZG-A9N3-01A 73 years, male, white, stage:'--, alive, 349 days 4439.3
TCGA-G9-6371-01A 58 years, male, white, stage:'--, alive, 1226 days 4426.7
TCGA-HC-A631-01A 67 years, male, white, stage:'--, alive, 54 days 4420.1
TCGA-HC-8261-01A 48 years, male, black or african american, stage:'--, alive, 546 days 4409.6
TCGA-V1-A9Z9-01A 63 years, male, white, stage:'--, alive, 540 days 4407.7
TCGA-HC-A8CY-01A 63 years, male, white, stage:'--, alive, 290 days 4402.2
TCGA-G9-6351-01A 51 years, male, white, stage:'--, alive, 2048 days 4401.1
TCGA-G9-6343-01A 62 years, male, white, stage:'--, alive, 2450 days 4392.3
TCGA-HI-7168-01A 62 years, male, white, stage:'--, alive, 3323 days 4390.7
TCGA-KK-A7B1-01A 65 years, male, white, stage:'--, alive, 1063 days 4371.4
TCGA-H9-7775-01A 68 years, male, white, stage:'--, alive, 185 days 4359.2
TCGA-EJ-A8FN-01A 58 years, male, white, stage:'--, alive, 329 days 4353.2
TCGA-CH-5741-01A 56 years, male, white, stage:'--, alive, 395 days 4352.3
TCGA-EJ-A8FS-01A 66 years, male, white, stage:'--, alive, 266 days 4340.7
TCGA-V1-A8WS-01A 56 years, male, white, stage:'--, alive, 474 days 4335.4
TCGA-J4-AAU2-01A 59 years, male, white, stage:'--, alive, 825 days 4332.8
TCGA-KK-A5A1-01A 72 years, male, black or african american, stage:'--, dead, 2469 days 4314.0
TCGA-KC-A4BR-01A 75 years, male, white, stage:'--, alive, 1349 days 4313.5
TCGA-FC-A8O0-01A 68 years, male, white, stage:'--, alive, 616 days 4297.5
TCGA-KC-A7FA-01A 63 years, male, white, stage:'--, alive, 598 days 4279.2
TCGA-YL-A9WH-01A 67 years, male, white, stage:'--, alive, 427 days 4272.7
TCGA-2A-A8W3-01A 69 years, male, white, stage:'--, alive, 863 days 4253.3
TCGA-YL-A9WK-01A 63 years, male, black or african american, stage:'--, alive, 2136 days 4234.9
TCGA-VN-A88R-01A 53 years, male, black or african american, stage:'--, alive, 784 days 4227.0
TCGA-G9-7510-01A 66 years, male, white, stage:'--, alive, 1185 days 4223.8
TCGA-CH-5743-01A 66 years, male, white, stage:'--, alive, 425 days 4219.5
TCGA-VN-A943-01A 71 years, male, white, stage:'--, alive, 496 days 4215.3
TCGA-EJ-5504-01A 65 years, male, white, stage:'--, alive, 1427 days 4207.1
TCGA-FC-7708-01A 52 years, male, asian, stage:'--, alive, 864 days 4202.9
TCGA-HC-8262-01A 57 years, male, white, stage:'--, alive, 679 days 4192.0
TCGA-CH-5794-01A 65 years, male, white, stage:'--, alive, 882 days 4179.9
TCGA-HC-7740-01A 59 years, male, white, stage:'--, alive, 717 days 4178.7
TCGA-HI-7169-01A 55 years, male, white, stage:'--, alive, 2684 days 4175.5
TCGA-XJ-A9DI-01A 62 years, male, white, stage:'--, alive, 1461 days 4173.6
TCGA-EJ-A7NH-01A 56 years, male, white, stage:'--, alive, 474 days 4172.8
TCGA-KK-A7AV-01A 58 years, male, black or african american, stage:'--, alive, 822 days 4170.8
TCGA-G9-7509-01A 48 years, male, black or african american, stage:'--, alive, 1610 days 4170.4
TCGA-J4-8200-01A 47 years, male, asian, stage:'--, alive, 1218 days 4120.2
TCGA-EJ-AB27-01A 51 years, male, white, stage:'--, alive, 145 days 4109.6
TCGA-M7-A720-01A 53 years, male, white, stage:'--, alive, 384 days 4093.8
TCGA-KK-A8I5-01A 55 years, male, black or african american, stage:'--, alive, 3096 days 4083.4
TCGA-EJ-5531-01A 62 years, male, white, stage:'--, alive, 1273 days 4072.8
TCGA-HC-8258-01A 56 years, male, black or african american, stage:'--, alive, 847 days 4062.5
TCGA-EJ-A7NK-01A 58 years, male, white, stage:'--, alive, 476 days 4061.4
TCGA-G9-6333-01A 66 years, male, white, stage:'--, alive, 2465 days 4058.4
TCGA-G9-6364-01A 72 years, male, white, stage:'--, alive, 1198 days 4052.5
TCGA-G9-6354-01A 55 years, male, asian, stage:'--, alive, 2066 days 4047.5
TCGA-HC-A6AN-01A 67 years, male, white, stage:'--, alive, 49 days 4027.9
TCGA-YL-A8SB-01A 62 years, male, white, stage:'--, alive, 1719 days 4019.1
TCGA-HC-8256-01A 53 years, male, black or african american, stage:'--, alive, 860 days 4003.7
TCGA-EJ-7786-01A 62 years, male, white, stage:'--, alive, 1096 days 4003.4
TCGA-ZG-A9LN-01A 57 years, male, white, stage:'--, alive, 115 days 3999.9
TCGA-ZG-A8QX-01A 56 years, male, white, stage:'--, alive, 442 days 3992.6
TCGA-2A-A8VL-01A 51 years, male, white, stage:'--, alive, 621 days 3989.5
TCGA-KK-A7AY-01A 60 years, male, white, stage:'--, alive, 1754 days 3987.8
TCGA-ZG-A9L9-01A 60 years, male, white, stage:'--, alive, 617 days 3971.8
TCGA-EJ-7317-01A 71 years, male, white, stage:'--, alive, 771 days 3967.8
TCGA-CH-5748-01A 64 years, male, white, stage:'--, alive, 31 days 3957.4
TCGA-J9-A52B-01A 62 years, male, white, stage:'--, alive, 422 days 3946.8
TCGA-HC-7075-01A 63 years, male, white, stage:'--, alive, 601 days 3942.0
TCGA-KK-A8IG-01A 55 years, male, white, stage:'--, alive, 2505 days 3937.8
TCGA-YL-A8S8-01A 68 years, male, white, stage:'--, alive, 1890 days 3931.0
TCGA-V1-A8ML-01A 63 years, male, black or african american, stage:'--, alive, 448 days 3927.2
TCGA-KK-A7B4-01A 64 years, male, white, stage:'--, alive, 987 days 3914.2
TCGA-HC-7818-01A 66 years, male, white, stage:'--, alive, 938 days 3896.7
TCGA-CH-5750-01A 72 years, male, white, stage:'--, alive, 396 days 3895.1
TCGA-V1-A9Z8-01A 59 years, male, white, stage:'--, alive, 827 days 3894.1
TCGA-V1-A8MF-01A 65 years, male, black or african american, stage:'--, alive, 1449 days 3887.7
TCGA-CH-5792-01A 57 years, male, white, stage:'--, alive, 91 days 3876.6
TCGA-YL-A8HM-01A 66 years, male, white, stage:'--, alive, 1482 days 3876.3
TCGA-CH-5738-01A 72 years, male, white, stage:'--, alive, 212 days 3857.3
TCGA-M7-A721-01A 70 years, male, white, stage:'--, alive, 400 days 3857.1
TCGA-J9-A8CM-01A 66 years, male, white, stage:'--, alive, 463 days 3847.1
TCGA-ZG-A8QW-01A 72 years, male, white, stage:'--, alive, 94 days 3845.7
TCGA-VN-A88O-01A 49 years, male, stage:'--, alive, 481 days 3845.6
TCGA-V1-A9ZG-01A 64 years, male, white, stage:'--, alive, 1517 days 3839.7
TCGA-VP-A87E-01A 59 years, male, black or african american, stage:'--, alive, 2037 days 3833.3
TCGA-EJ-A46B-01A 66 years, male, white, stage:'--, alive, 657 days 3828.9
TCGA-ZG-A9L2-01A 70 years, male, white, stage:'--, alive, 1154 days 3820.9
TCGA-HC-8260-01A 43 years, male, black or african american, stage:'--, alive, 686 days 3820.8
TCGA-EJ-A7NN-01A 61 years, male, white, stage:'--, alive, 197 days 3819.7
TCGA-VP-A87C-01A 67 years, male, black or african american, stage:'--, alive, 1690 days 3800.3
TCGA-WW-A8ZI-01A 70 years, male, white, stage:'--, alive, 449 days 3793.0
TCGA-XJ-A83G-01A 51 years, male, black or african american, stage:'--, alive, 1461 days 3786.0
TCGA-EJ-A65E-01A 67 years, male, black or african american, stage:'--, alive, 417 days 3780.5
TCGA-V1-A8WL-01A 64 years, male, black or african american, stage:'--, alive, 1948 days 3778.8
TCGA-EJ-7794-01A 67 years, male, white, stage:'--, alive, 1306 days 3762.6
TCGA-G9-6370-01A 52 years, male, white, stage:'--, alive, 1156 days 3761.0
TCGA-KK-A8I4-01A 64 years, male, white, stage:'--, alive, 2259 days 3758.3
TCGA-X4-A8KQ-01A 65 years, male, white, stage:'--, alive, 1383 days 3753.1
TCGA-EJ-5502-01A 50 years, male, stage:'--, alive, 1171 days 3749.6
TCGA-VP-A878-01A 58 years, male, white, stage:'--, alive, 3130 days 3748.8
TCGA-J4-A83L-01A 61 years, male, white, stage:'--, alive, 720 days 3737.7
TCGA-HC-8266-01A 55 years, male, white, stage:'--, alive, 473 days 3735.8
TCGA-EJ-A7NG-01A 64 years, male, white, stage:'--, alive, 432 days 3725.5
TCGA-ZG-A9L0-01A 71 years, male, white, stage:'--, alive, 355 days 3724.3
TCGA-G9-6367-01A 60 years, male, white, stage:'--, alive, 1222 days 3721.2
TCGA-CH-5772-01A 63 years, male, white, stage:'--, alive, 486 days 3719.4
TCGA-ZG-A9ND-01A 55 years, male, white, stage:'--, alive, 410 days 3712.5
TCGA-FC-A5OB-01A 53 years, male, white, stage:'--, alive, 680 days 3701.2
TCGA-G9-7519-01A 58 years, male, white, stage:'--, alive, 849 days 3691.7
TCGA-CH-5746-01A 57 years, male, white, stage:'--, alive, 731 days 3682.5
TCGA-G9-A9S0-01A 53 years, male, white, stage:'--, dead, 791 days 3678.6
TCGA-YL-A8HJ-01A 58 years, male, white, stage:'--, alive, 1611 days 3676.6
TCGA-CH-5765-01A 55 years, male, white, stage:'--, alive, 700 days 3676.1
TCGA-VP-AA1N-01A 70 years, male, white, stage:'--, alive, 1365 days 3667.4
TCGA-2A-AAYU-01A 56 years, male, white, stage:'--, alive, 615 days 3641.4
TCGA-V1-A9ZI-01A 68 years, male, white, stage:'--, alive, 1640 days 3641.0
TCGA-V1-A8MK-01A 41 years, male, black or african american, stage:'--, alive, 508 days 3634.8
TCGA-VP-A876-01A 46 years, male, white, stage:'--, alive, 3333 days 3634.7
TCGA-HC-8216-01A 58 years, male, white, stage:'--, alive, 682 days 3630.8
TCGA-KK-A6E2-01A 54 years, male, black or african american, stage:'--, alive, 5024 days 3626.4
TCGA-KK-A8II-01A 61 years, male, white, stage:'--, dead, 3467 days 3617.7
TCGA-J4-AATV-01A 71 years, male, white, stage:'--, alive, 553 days 3613.2
TCGA-KK-A8I6-01A 58 years, male, white, stage:'--, alive, 668 days 3609.5
TCGA-EJ-A46G-01A 71 years, male, white, stage:'--, alive, 668 days 3599.0
TCGA-ZG-A9L6-01A 64 years, male, white, stage:'--, alive, 687 days 3590.5
TCGA-ZG-A9LZ-01A 66 years, male, white, stage:'--, alive, 692 days 3582.2
TCGA-J9-A8CN-01A 53 years, male, white, stage:'--, alive, 1237 days 3579.0
TCGA-J4-A6G3-01A 57 years, male, white, stage:'--, alive, 849 days 3567.1
TCGA-KK-A8I8-01A 69 years, male, white, stage:'--, alive, 967 days 3564.1
TCGA-EJ-A7NM-01A 64 years, male, white, stage:'--, alive, 128 days 3560.4
TCGA-EJ-7327-01A 61 years, male, white, stage:'--, alive, 923 days 3560.2
TCGA-EJ-A8FO-01A 51 years, male, stage:'--, alive, 282 days 3533.4
TCGA-KK-A6E0-01A 59 years, male, asian, stage:'--, alive, 1483 days 3533.0
TCGA-HC-7081-01A 62 years, male, white, stage:'--, alive, 1136 days 3492.0
TCGA-V1-A8MU-01A 56 years, male, black or african american, stage:'--, alive, 1876 days 3488.3
TCGA-KC-A4BV-01A 66 years, male, asian, stage:'--, alive, 1328 days 3484.0
TCGA-V1-A9Z7-01A 54 years, male, white, stage:'--, alive, 874 days 3482.7
TCGA-VP-A87D-01A 54 years, male, white, stage:'--, alive, 1853 days 3475.0
TCGA-EJ-7792-01A 53 years, male, white, stage:'--, alive, 1396 days 3472.5
TCGA-KK-A6E6-01A 69 years, male, white, stage:'--, alive, 3447 days 3456.5
TCGA-M7-A724-01A 64 years, male, white, stage:'--, alive, 889 days 3451.5
TCGA-KK-A7AP-01A 55 years, male, white, stage:'--, alive, 196 days 3448.5
TCGA-EJ-7791-01A 67 years, male, white, stage:'--, alive, 1118 days 3435.7
TCGA-EJ-5518-01A 66 years, male, white, stage:'--, alive, 2118 days 3408.2
TCGA-G9-6366-01A 61 years, male, white, stage:'--, alive, 1947 days 3400.7
TCGA-EJ-5505-01A 57 years, male, white, stage:'--, alive, 922 days 3381.7
TCGA-KK-A59X-01A 55 years, male, black or african american, stage:'--, alive, 2535 days 3376.1
TCGA-HC-A9TH-01A 58 years, male, white, stage:'--, alive, 844 days 3367.5
TCGA-KK-A6E7-01A 46 years, male, stage:'--, alive, 2760 days 3347.9
TCGA-CH-5764-01A 66 years, male, white, stage:'--, alive, 31 days 3347.2
TCGA-VP-A87K-01A 63 years, male, white, stage:'--, alive, 1306 days 3326.9
TCGA-CH-5737-01A 73 years, male, white, stage:'--, alive, 91 days 3314.5
TCGA-EJ-5511-01A 55 years, male, black or african american, stage:'--, alive, 1476 days 3314.1
TCGA-EJ-5532-01A 57 years, male, white, stage:'--, alive, 1828 days 3310.5
TCGA-V1-A8MJ-01A 58 years, male, black or african american, stage:'--, alive, 1791 days 3303.4
TCGA-EJ-A8FP-01A 59 years, male, white, stage:'--, alive, 299 days 3303.0
TCGA-EJ-5506-01A 67 years, male, white, stage:'--, alive, 1381 days 3296.6
TCGA-KK-A8IC-01A 54 years, male, white, stage:'--, alive, 2051 days 3286.1
TCGA-HC-7749-01A 70 years, male, white, stage:'--, alive, 724 days 3285.9
TCGA-G9-7523-01A 44 years, male, black or african american, stage:'--, alive, 857 days 3280.4
TCGA-VP-A872-01A 60 years, male, white, stage:'--, alive, 3631 days 3274.0
TCGA-V1-A9OH-01A 63 years, male, white, stage:'--, alive, 2403 days 3253.5
TCGA-EJ-5499-01A 61 years, male, asian, stage:'--, alive, 1415 days 3251.4
TCGA-VN-A88Q-01A 60 years, male, white, stage:'--, alive, 1366 days 3249.6
TCGA-J4-AATZ-01A 66 years, male, asian, stage:'--, alive, 412 days 3237.0
TCGA-EJ-7125-01A 44 years, male, white, stage:'--, alive, 2850 days 3236.7
TCGA-EJ-7331-01A 64 years, male, white, stage:'--, alive, 742 days 3224.6
TCGA-CH-5767-01A 66 years, male, white, stage:'--, alive, 458 days 3196.7
TCGA-KK-A7AU-01A 63 years, male, white, stage:'--, alive, 1775 days 3174.6
TCGA-EJ-5542-01A 60 years, male, white, stage:'--, alive, 1513 days 3170.2
TCGA-EJ-7330-01A 68 years, male, white, stage:'--, alive, 191 days 3169.9
TCGA-EJ-5503-01A 50 years, male, white, stage:'--, alive, 1391 days 3160.6
TCGA-TP-A8TT-01A 64 years, male, white, stage:'--, alive, 526 days 3155.6
TCGA-EJ-7783-01A 70 years, male, white, stage:'--, alive, 787 days 3151.9
TCGA-EJ-7781-01A 65 years, male, white, stage:'--, alive, 1073 days 3144.1
TCGA-EJ-5519-01A 64 years, male, white, stage:'--, alive, 1962 days 3131.6
TCGA-V1-A8WN-01A 47 years, male, black or african american, stage:'--, alive, 924 days 3121.7
TCGA-VP-A879-01A 70 years, male, white, stage:'--, dead, 728 days 3116.7
TCGA-ZG-A9MC-01A 69 years, male, white, stage:'--, alive, 455 days 3116.5
TCGA-KK-A6DY-01A 50 years, male, black or african american, stage:'--, alive, 4295 days 3105.0
TCGA-EJ-5501-01A 55 years, male, white, stage:'--, alive, 1365 days 3099.6
TCGA-FC-7961-01A 62 years, male, white, stage:'--, alive, 469 days 3082.6
TCGA-G9-6494-01A 66 years, male, white, stage:'--, alive, 1771 days 3074.5
TCGA-EJ-7123-01A 59 years, male, white, stage:'--, alive, 2572 days 3073.1
TCGA-YL-A9WJ-01A 47 years, male, white, stage:'--, dead, 1855 days 3041.5
TCGA-HC-7737-01A 55 years, male, black or african american, stage:'--, alive, 1090 days 3035.6
TCGA-EJ-7782-01A 71 years, male, black or african american, stage:'--, alive, 1167 days 3034.5
TCGA-EJ-A8FU-01A 64 years, male, white, stage:'--, alive, 138 days 3027.9
TCGA-V1-A8WW-01A 59 years, male, white, stage:'--, alive, 1078 days 3025.9
TCGA-G9-6342-01A 61 years, male, white, stage:'--, alive, 1696 days 3021.1
TCGA-YL-A9WX-01A 68 years, male, white, stage:'--, alive, 1518 days 3012.0
TCGA-VN-A88K-01A 58 years, male, white, stage:'--, alive, 776 days 3010.1
TCGA-2A-A8W1-01A 54 years, male, asian, stage:'--, alive, 112 days 3004.6
TCGA-EJ-A46H-01A 60 years, male, black or african american, stage:'--, alive, 724 days 3000.5
TCGA-HC-8265-01A 66 years, male, white, stage:'--, alive, 483 days 2992.6
TCGA-EJ-5526-01A 56 years, male, white, stage:'--, alive, 1909 days 2989.1
TCGA-ZG-A9NI-01A 73 years, male, white, stage:'--, alive, 132 days 2980.2
TCGA-J9-A8CL-01A 66 years, male, white, stage:'--, alive, 405 days 2962.0
TCGA-XK-AAIR-01A 75 years, male, white, stage:'--, alive, 972 days 2940.1
TCGA-VN-A88N-01A 62 years, male, white, stage:'--, alive, 766 days 2931.0
TCGA-G9-7522-01A 49 years, male, white, stage:'--, alive, 1078 days 2929.2
TCGA-HC-7079-01A 51 years, male, white, stage:'--, alive, 1184 days 2922.6
TCGA-Y6-A9XI-01A 72 years, male, stage:'--, alive, 526 days 2904.9
TCGA-J4-A83I-01A 63 years, male, white, stage:'--, alive, 685 days 2902.5
TCGA-KK-A8IJ-01A 59 years, male, white, stage:'--, alive, 1559 days 2900.6
TCGA-EJ-5522-01A 51 years, male, white, stage:'--, alive, 2079 days 2886.6
TCGA-M7-A725-01A 56 years, male, white, stage:'--, alive, 573 days 2881.4
TCGA-CH-5771-01A 63 years, male, white, stage:'--, alive, 396 days 2877.1
TCGA-CH-5766-01A 55 years, male, white, stage:'--, alive, 31 days 2871.0
TCGA-EJ-A7NJ-01A 59 years, male, white, stage:'--, alive, 197 days 2870.3
TCGA-CH-5751-01A 68 years, male, white, stage:'--, alive, 1065 days 2858.4
TCGA-EJ-5517-01A 55 years, male, white, stage:'--, alive, 1889 days 2851.3
TCGA-ZG-A9L5-01A 58 years, male, white, stage:'--, alive, 908 days 2850.4
TCGA-HC-7213-01A 53 years, male, white, stage:'--, alive, 1219 days 2834.1
TCGA-EJ-5507-01A 54 years, male, white, stage:'--, alive, 1457 days 2828.6
TCGA-EJ-5510-01A 48 years, male, white, stage:'--, alive, 1887 days 2828.1
TCGA-EJ-5527-01A 69 years, male, white, stage:'--, alive, 1778 days 2808.0
TCGA-EJ-5508-01A 65 years, male, white, stage:'--, alive, 1965 days 2803.9
TCGA-CH-5763-01A 66 years, male, white, stage:'--, alive, 365 days 2774.6
TCGA-EJ-A65F-01A 59 years, male, white, stage:'--, alive, 560 days 2741.9
TCGA-V1-A9O7-01A 60 years, male, white, stage:'--, alive, 2499 days 2741.8
TCGA-CH-5791-01A 72 years, male, white, stage:'--, alive, 1004 days 2740.8
TCGA-EJ-7789-01A 66 years, male, black or african american, stage:'--, alive, 1105 days 2723.7
TCGA-KK-A8IM-01A 55 years, male, white, stage:'--, alive, 1915 days 2714.0
TCGA-YL-A9WL-01A 59 years, male, white, stage:'--, alive, 740 days 2706.5
TCGA-HC-7212-01A 56 years, male, white, stage:'--, alive, 870 days 2694.8
TCGA-HC-7821-01A 54 years, male, white, stage:'--, alive, 956 days 2685.6
TCGA-XK-AAIV-01A 63 years, male, white, stage:'--, alive, 1133 days 2666.6
TCGA-EJ-5525-01A 67 years, male, white, stage:'--, alive, 1115 days 2651.3
TCGA-J9-A8CP-01A 66 years, male, white, stage:'--, alive, 386 days 2644.9
TCGA-CH-5762-01A 60 years, male, white, stage:'--, alive, 1339 days 2593.9
TCGA-4L-AA1F-01A 64 years, male, white, stage:'--, alive, 350 days 2592.6
TCGA-KK-A8I7-01A 55 years, male, white, stage:'--, alive, 2002 days 2561.5
TCGA-HC-7736-01A 59 years, male, white, stage:'--, alive, 1103 days 2561.1
TCGA-KK-A8IA-01A 69 years, male, white, stage:'--, alive, 1931 days 2554.6
TCGA-EJ-5498-01A 56 years, male, white, stage:'--, alive, 1720 days 2551.6
TCGA-EJ-A7NF-01A 56 years, male, white, stage:'--, alive, 250 days 2545.1
TCGA-EJ-5514-01A 66 years, male, white, stage:'--, alive, 1829 days 2532.2
TCGA-ZG-A9L4-01A 61 years, male, white, stage:'--, alive, 1108 days 2521.9
TCGA-VN-A88P-01A 60 years, male, white, stage:'--, alive, 1260 days 2513.3
TCGA-HC-7748-01A 60 years, male, white, stage:'--, alive, 792 days 2510.3
TCGA-XK-AAJP-01A 66 years, male, white, stage:'--, alive, 1259 days 2480.1
TCGA-SU-A7E7-01A 60 years, male, white, stage:'--, alive, 551 days 2479.0
TCGA-CH-5739-01A 65 years, male, white, stage:'--, alive, 671 days 2459.7
TCGA-V1-A9ZK-01A 68 years, male, white, stage:'--, alive, 1383 days 2451.4
TCGA-V1-A9OL-01A 65 years, male, asian, stage:'--, alive, 1913 days 2442.3
TCGA-HC-A8D1-01A 68 years, male, white, stage:'--, alive, 573 days 2436.7
TCGA-HC-7209-01A 60 years, male, white, stage:'--, alive, 440 days 2431.2
TCGA-FC-A4JI-01A 70 years, male, asian, stage:'--, alive, 877 days 2428.2
TCGA-CH-5744-01A 64 years, male, white, stage:'--, alive, 60 days 2426.0
TCGA-EJ-8472-01A 63 years, male, white, stage:'--, alive, 756 days 2386.9
TCGA-G9-6384-01A 53 years, male, white, stage:'--, alive, 765 days 2376.4
TCGA-EJ-5495-01A 68 years, male, white, stage:'--, alive, 1760 days 2373.6
TCGA-HC-A48F-01A 47 years, male, white, stage:'--, alive, 680 days 2362.7
TCGA-ZG-A9LY-01A 60 years, male, white, stage:'--, alive, 370 days 2357.7
TCGA-ZG-A9M4-01A 65 years, male, white, stage:'--, alive, 547 days 2338.4
TCGA-CH-5754-01A 65 years, male, white, stage:'--, alive, 62 days 2335.5
TCGA-YL-A8HK-01A 59 years, male, white, stage:'--, alive, 1491 days 2315.4
TCGA-CH-5788-01A 69 years, male, white, stage:'--, alive, 821 days 2305.8
TCGA-HC-7232-01A 66 years, male, white, stage:'--, alive, 1161 days 2304.0
TCGA-XJ-A9DX-01A 51 years, male, american indian or alaska native, stage:'--, alive, 973 days 2293.0
TCGA-V1-A8X3-01A 51 years, male, white, stage:'--, alive, 202 days 2289.2
TCGA-YL-A8SA-01A 69 years, male, white, stage:'--, alive, 512 days 2282.3
TCGA-XJ-A83H-01A 57 years, male, white, stage:'--, alive, 1280 days 2278.0
TCGA-XK-AAJR-01A 61 years, male, white, stage:'--, alive, 1124 days 2266.6
TCGA-YL-A8S9-01A 63 years, male, white, stage:'--, alive, 1842 days 2253.3
TCGA-YJ-A8SW-01A 67 years, male, stage:'--, alive, 148 days 2242.3
TCGA-TK-A8OK-01A 73 years, male, white, stage:'--, alive, 27 days 2169.2
TCGA-EJ-7785-01A 54 years, male, white, stage:'--, alive, 1177 days 2148.3
TCGA-EJ-8468-01A 63 years, male, white, stage:'--, alive, 2347 days 2140.7
TCGA-HC-7210-01A 74 years, male, white, stage:'--, alive, 868 days 2109.4
TCGA-EJ-8469-01A 46 years, male, black or african american, stage:'--, alive, 2324 days 2093.2
TCGA-EJ-A65J-01A 62 years, male, white, stage:'--, alive, 451 days 2075.6
TCGA-CH-5789-01A 61 years, male, white, stage:'--, alive, 304 days 2060.4
TCGA-CH-5790-01A 64 years, male, white, stage:'--, alive, 974 days 2040.7
TCGA-EJ-8470-01A 58 years, male, black or african american, stage:'--, alive, 1159 days 2040.6
TCGA-YL-A9WY-01A 57 years, male, white, stage:'--, alive, 1098 days 2020.6
TCGA-CH-5753-01A 70 years, male, white, stage:'--, alive, 31 days 2005.3
TCGA-ZG-A9KY-01A 73 years, male, white, stage:'--, alive, 130 days 1997.2
TCGA-EJ-5524-01A 57 years, male, white, stage:'--, alive, 1882 days 1993.1
TCGA-YL-A8SC-01A 66 years, male, white, stage:'--, alive, 1261 days 1971.3
TCGA-2A-A8VT-01A 47 years, male, asian, stage:'--, alive, 1373 days 1954.4
TCGA-HC-7742-01A 58 years, male, white, stage:'--, alive, 938 days 1952.2
TCGA-HC-7211-01A 62 years, male, white, stage:'--, alive, 1221 days 1919.2
TCGA-J4-A83J-01A 68 years, male, white, stage:'--, alive, 696 days 1880.2
TCGA-EJ-5515-01A 60 years, male, white, stage:'--, alive, 1832 days 1840.1
TCGA-ZG-A9L1-01A 66 years, male, white, stage:'--, alive, 1302 days 1808.1
TCGA-V1-A9O5-01A 64 years, male, white, stage:'--, alive, 1932 days 1747.0
TCGA-HC-A9TE-01A 64 years, male, white, stage:'--, alive, 587 days 1732.9
TCGA-EJ-5516-01A 49 years, male, white, stage:'--, alive, 1889 days 1637.5
TCGA-CH-5761-01A 61 years, male, white, stage:'--, alive, 28 days 1443.2
TCGA-VP-A87J-01A 56 years, male, black or african american, stage:'--, alive, 1774 days 1411.2
TCGA-YL-A8HL-01A 58 years, male, white, stage:'--, alive, 1565 days 1408.0
TCGA-G9-7521-01A 52 years, male, white, stage:'--, alive, 942 days 1239.0
Show allShow less
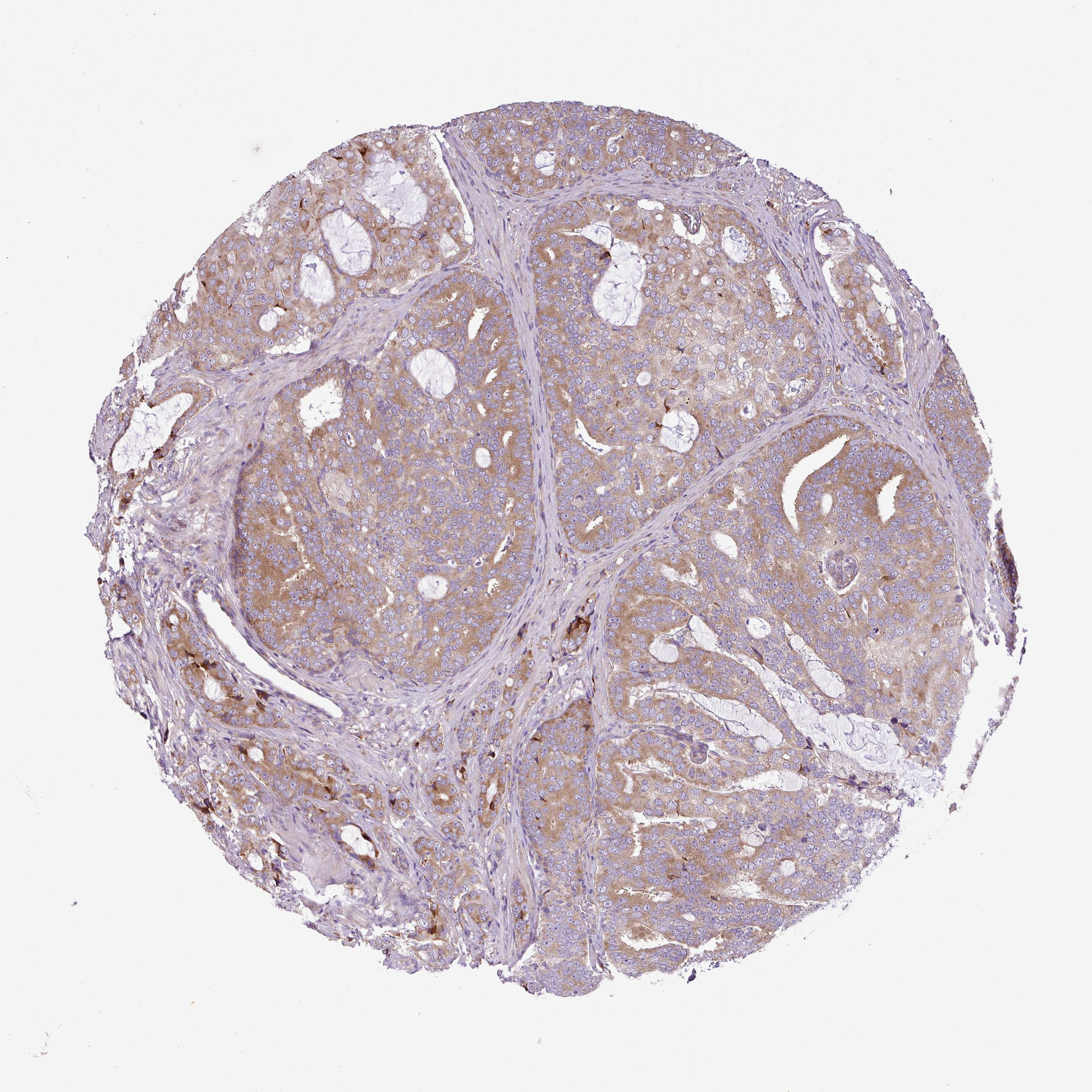
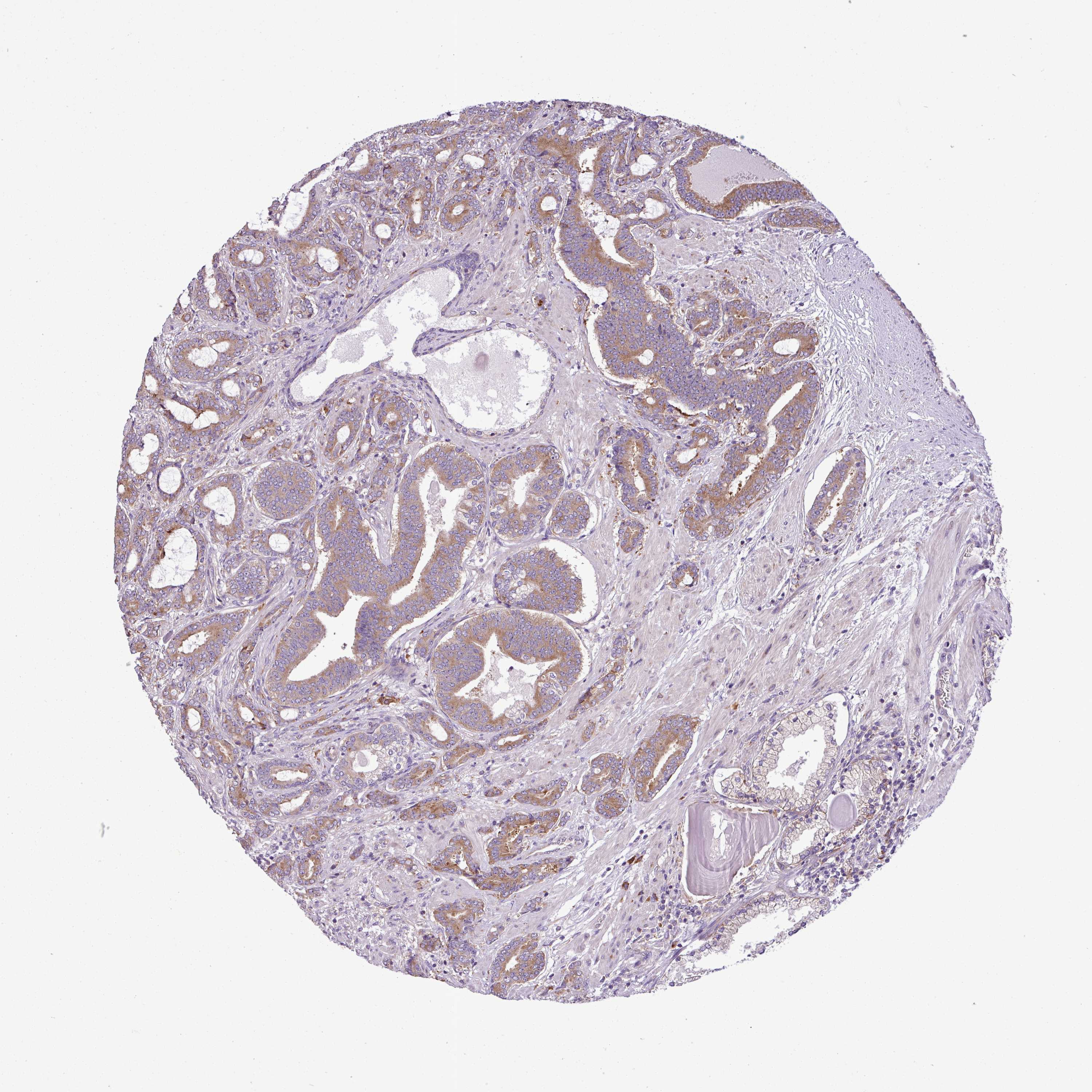
PROSTATE CANCER - Protein expressioni

A mouse-over function shows sample information and annotation data. Click on an image to view it in a full screen mode. Samples can be filtered based on level of antibody staining by selecting one or several of the following categories: high, medium, low and not detected. The assay and annotation is described here.

Note that samples used for immunohistochemistry by the Human Protein Atlas do not correspond to samples in the TCGA dataset.

 

Antibody stainingi

Antibody staining in the annotated cell types in the current human tissue is reported as not detected, low, medium, or high, based on conventional immunohistochemistry profiling in selected tissues. This score is based on the combination of the staining intensity and fraction of stained cells.

Each image is clickable and will lead to virtual microscopy that enables deeper exploration of all samples and also displays staining intensity scores, fraction scores and subcellular localization as well as patient and tissue information for each sample.


Antibody HPA051702
 Staining
  High
  Medium
  Low
  Not detected
 Intensity
  Strong
  Moderate
  Weak
  Negative
 Quantity
  >75%
  75%-25%
  <25%
  None
 Location
  Nuclear
  Cytoplasmic/membranous
  Cytoplasmic/membranous,nuclear
  None
Adenocarcinoma, High grade
Adenocarcinoma, Low grade

Contact

  • NEWS ARTICLES
  • PRESS ROOM

The Project

  • INTRODUCTION
  • ORGANIZATION
  • PUBLICATIONS

The Human Protein Atlas

  • DOWNLOADABLE DATA
  • LICENCE & CITATION
  • HELP & FAQ
The Human Protein Atlas project is funded
by the Knut & Alice Wallenberg Foundation.


contact@proteinatlas.org