We use cookies to enhance the usability of our website. If you continue, we'll assume that you are happy to receive all cookies. More information. Don't show this again.
IGFBP6
HPA
RESOURCES
  • TISSUE
  • BRAIN
  • SINGLE CELL
  • SUBCELLULAR
  • CANCER
  • BLOOD
  • CELL LINE
  • STRUCTURE & INTERACTION
ABOUT
  • INTRODUCTION
  • HISTORY
  • ORGANIZATION
  • PUBLICATIONS
  • ANTIBODY SUBMISSION
  • ANTIBODY AVAILABILITY
  • ACKNOWLEDGMENTS
  • CONTACT
NEWS
  • NEWS ARTICLES
  • PRESS ROOM
LEARN
  • DICTIONARY
  • PROTEIN CLASSES
  • PROTEIN EVIDENCE
  • METHODS
  • EDUCATIONAL VIDEOS
DATA
  • DOWNLOADABLE DATA
  • PUBLICATION DATA
  • RELEASE HISTORY
HELP
  • ANTIBODY VALIDATION
  • ASSAYS & ANNOTATION
  • DISCLAIMER
  • HELP & FAQ
  • PRIVACY STATEMENT
  • LICENCE & CITATION
Fields »
Search result

Field
Term
Gene name
Class
Subclass
Class
Keyword
Chromosome
External id
Tissue
Cell type
Expression
Antibody panel
Tissue
Main location
Patient ID
Annotation
Tissue
Category
Tau score
Cluster
Reliability
Brain region
Category
Tau score
Brain region
Category
Tau score
Brain region
Category
Tau score
Cluster
Reliability
Tissue
Cell type
Enrichment
Cell type
Category
Tau score
Cell type
Category
Tau score
Cell type
Category
Tau score
Cell lineage
Category
Tau score
Cluster
Cluster
Location
Searches
Location
Cell line
Class
Type
Phase
Reliability
Cancer
Prognosis
Cancer
Category
Cancer
Category
Tau score
Cluster
Variants
Interacting gene (ensg_id)
Type
Number of interactions
Pathway
Category
Score
Score
Score
Validation
Validation
Validation
Validation
Antibodies
Data type
Column


  • SUMMARY

  • TISSUE

  • BRAIN

  • SINGLE CELL

  • SUBCELL

  • CANCER

  • BLOOD

  • CELL LINE

  • STRUCT & INT

  • IGFBP6
TISSUE PRIMARY DATA STOMACH Show tissue menu
ADIPOSE TISSUE ADRENAL GLAND AMYGDALA APPENDIX BASAL GANGLIA BONE MARROW BREAST CEREBELLUM CEREBRAL CORTEX CERVIX CHOROID PLEXUS COLON DUODENUM ENDOMETRIUM
EPIDIDYMIS ESOPHAGUS FALLOPIAN TUBE GALLBLADDER HEART MUSCLE HIPPOCAMPAL FORMATION HYPOTHALAMUS KIDNEY LIVER LUNG LYMPH NODE MIDBRAIN NASOPHARYNX ORAL MUCOSA
OVARY PANCREAS PARATHYROID GLAND PITUITARY GLAND PLACENTA PROSTATE RECTUM RETINA SALIVARY GLAND SEMINAL VESICLE SKELETAL MUSCLE SKIN SMALL INTESTINE SMOOTH MUSCLE
SOFT TISSUE SPINAL CORD SPLEEN STOMACH TESTIS THYMUS THYROID GLAND TONGUE TONSIL URINARY BLADDER VAGINA
ANTIBODIES
AND
VALIDATION
Dictionary
Tissue proteome
Stomach
STOMACH - Expression summary
Protein expression
Stomachi

On the top, protein expression in current human tissue, based on all annotated cell types, is reported with the units not detected (n), low (l), medium (m) and high (h). Underneath, protein expression in each annotated cell type are reported using the same units.

Protein expression data is based on knowledge-based annotation. For genes where more than one antibody has been used, a collective score is set.

If knowledge-based annotation could not be performed for a gene, no data is displayed here. View antibody staining data further down this page.

h
m
l
n
Glandular cells: High
RNA expressioni

A summary of mRNA expression data available for current tissue based on several datasets. The mRNA expression levels in human tissues are based on RNA-seq data generated by the Human Protein Atlas (HPA), Genotype-Tissue Expression (GTEx) portal and CAGE data generated by the FANTOM5 consortium. Consensus normalized expression levels for human tissues was created by combining the data from HPA and GTEx datasets.

The mRNA expression levels in pig are based on RNA-seq data generated by the Human Protein Atlas (HPA), and for mouse, HPA data and in situ hybridization generated by the Allen brain atlas are reported.

Scroll down to view mRNA expression data in more detail.
Consensus:65.5 nTPM
HPA:16.3 nTPM
GTEx:65.5 nTPM

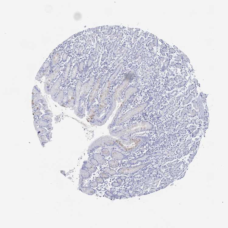
STOMACH 1 - Antibody stainingi

Antibody staining in the annotated cell types in the current human tissue is reported as not detected, low, medium, or high, based on conventional immunohistochemistry profiling in selected tissues. This score is based on the combination of the staining intensity and fraction of stained cells.

Each image is clickable and will lead to virtual microscopy that enables deeper exploration of all samples and also displays staining intensity scores, fraction scores and subcellular localization as well as patient and tissue information for each sample.

Antibody HPA008005Antibody HPA075088
Glandular cells HighNot detected




STOMACH 2 - Antibody stainingi

Antibody staining in the annotated cell types in the current human tissue is reported as not detected, low, medium, or high, based on conventional immunohistochemistry profiling in selected tissues. This score is based on the combination of the staining intensity and fraction of stained cells.

Each image is clickable and will lead to virtual microscopy that enables deeper exploration of all samples and also displays staining intensity scores, fraction scores and subcellular localization as well as patient and tissue information for each sample.

Antibody HPA008005Antibody HPA075088
Glandular cells HighNot detected





STOMACH - HPA RNA-seqi

The RNA-seq details section shows detailed information about the individual samples used for the transcript profiling and results of the RNA-seq analysis.

Information about each individual sample is listed below, including gender, age, a tissue section image and estimated fractions of cell types. nTPM (normalized transcripts per million) values give a quantification of the gene abundance which is comparable between different genes and samples.
Average nTPMi

Max subtype nTPM is the value for the subtype with the largest average nTPM across the subtype samples.

16.3
overview
Female, age 33
Stomach sample 61
nTPM: 7.6
Cell types%
Glandular cells:
60

Smooth muscle cells:
5

Other cell types:
35

N/A
Male, age 82
Stomach sample 240
nTPM: 32.8
Cell types%
Glandular cells:
65

Smooth muscle cells:
5

Other cell types:
30

overview
Male, age 71
Stomach sample 241
nTPM: 11.5
Cell types%
Glandular cells:
50

Smooth muscle cells:
5

Other cell types:
45

overview
Female, age 66
Stomach sample 369
nTPM: 13.2
Cell types%
Glandular cells:
50

Smooth muscle cells:
10

Other cell types:
40


STOMACH - GTEx RNA-seqi

RNA-Seq data generated by the Genotype-Tissue Expression (GTEx) project from human tissues is reported as mean nTPM. More information can be found on the GTEx portal.

Distribution across the dataset is visualized with box plots, shown as median and 25th and 75th percentiles. Points are displayed as outliers if they are above or below 1.5 times the interquartile range. nTPM values of the individual samples are presented next to the box plot.
Max subtype nTPMi

Max subtype nTPM is the value for the subtype with the largest average nTPM across the subtype samples.

65.5
GTEx sample id Sample description nTPM
Stomach
Average nTPM: 65.5
Samples: 359

Max nTPM: 483.3
Min nTPM: 1.4
Std nTPM: 73.7
Median nTPM: 39.1
GTEX-146FR-2026-SM-5NQAI 60-69 years, female 483.3
GTEX-1MCYP-1126-SM-E9J2P 20-29 years, female 440.5
GTEX-13OVI-2426-SM-5KM4J 60-69 years, female 353.7
GTEX-1L5NE-1526-SM-DIPFW 50-59 years, male 334.3
GTEX-1211K-1426-SM-5FQTF 60-69 years, female 328.4
GTEX-UPK5-2126-SM-4JBJK 40-49 years, male 313.9
GTEX-ZPIC-2026-SM-57WG3 40-49 years, female 313.7
GTEX-13O3Q-2126-SM-5KM4C 50-59 years, male 307.1
GTEX-1S3DN-1526-SM-EVYCB 50-59 years, male 295.8
GTEX-11VI4-0326-SM-5EQ6L 40-49 years, female 287.9
GTEX-1QP28-2126-SM-DTX8B 50-59 years, female 287.3
GTEX-ZE7O-3026-SM-51MS4 50-59 years, female 282.3
GTEX-11EI6-2426-SM-5PNVS 60-69 years, male 276.0
GTEX-13QJ3-2726-SM-5SI6L 50-59 years, male 250.4
GTEX-1N2DV-0926-SM-E9TJT 40-49 years, male 238.1
GTEX-15RIF-1126-SM-7KUG2 20-29 years, male 236.9
GTEX-PLZ6-0826-SM-3P61K 30-39 years, male 234.7
GTEX-WH7G-1526-SM-4LVMX 40-49 years, male 233.6
GTEX-1E1VI-2826-SM-7MGWU 50-59 years, male 221.9
GTEX-11EQ9-1226-SM-5987E 30-39 years, male 212.8
GTEX-1HR9M-2326-SM-CNPPZ 60-69 years, male 208.5
GTEX-Y8E4-1526-SM-4WWDI 40-49 years, male 193.1
GTEX-13X6H-1626-SM-5Q5CT 50-59 years, female 190.2
GTEX-1S831-1126-SM-EWROI 20-29 years, male 189.3
GTEX-1CB4E-1326-SM-7DUGD 60-69 years, male 181.3
GTEX-17JCI-2226-SM-7LTA1 60-69 years, female 179.5
GTEX-15G1A-1226-SM-7KUF3 30-39 years, male 166.9
GTEX-1QP29-2326-SM-EXOJO 50-59 years, male 161.3
GTEX-WZTO-2126-SM-4PQYW 40-49 years, male 160.9
GTEX-1QP67-1026-SM-EVR47 40-49 years, female 159.5
GTEX-1HSMQ-2426-SM-CE6RY 50-59 years, male 159.0
GTEX-1JN76-0926-SM-ARZNH 20-29 years, female 157.7
GTEX-1JMPY-0926-SM-ARL92 30-39 years, male 156.3
GTEX-13FH7-1026-SM-5IJGF 50-59 years, female 153.7
GTEX-S4Z8-1226-SM-4AD6W 60-69 years, male 151.8
GTEX-17EUY-1526-SM-793CA 20-29 years, male 150.9
GTEX-1E2YA-2426-SM-7EPIG 50-59 years, male 150.4
GTEX-14PHY-0926-SM-5ZZWL 60-69 years, female 148.1
GTEX-13RTK-0226-SM-5RQHR 20-29 years, male 144.5
GTEX-1399U-1626-SM-5P9J3 50-59 years, female 143.7
GTEX-139D8-2326-SM-5IFGE 30-39 years, female 141.2
GTEX-14PKU-1126-SM-69LOU 40-49 years, female 138.9
GTEX-1S82Z-1726-SM-E6CHZ 30-39 years, female 138.6
GTEX-12C56-0526-SM-5FQST 20-29 years, male 136.7
GTEX-R55D-1526-SM-48FEJ 50-59 years, male 136.3
GTEX-T5JC-1926-SM-4DM6Q 20-29 years, male 133.4
GTEX-ZEX8-1626-SM-4WKG7 50-59 years, male 131.9
GTEX-16NGA-1526-SM-72D56 40-49 years, female 131.5
GTEX-TKQ1-0526-SM-4DXTG 30-39 years, male 126.8
GTEX-11P7K-1726-SM-5GU6F 30-39 years, male 126.7
GTEX-WFJO-1126-SM-4LVLZ 30-39 years, male 125.9
GTEX-1NSGN-1926-SM-E9J36 50-59 years, male 125.9
GTEX-14PN3-1326-SM-6AJ9U 60-69 years, female 123.5
GTEX-P4QT-1526-SM-3NMCT 50-59 years, female 123.3
GTEX-O5YV-1926-SM-EV797 60-69 years, female 120.3
GTEX-11P82-0726-SM-5PNYL 20-29 years, male 118.4
GTEX-R55G-1126-SM-48FDG 40-49 years, female 117.7
GTEX-1HSEH-1526-SM-B2LXG 60-69 years, male 117.3
GTEX-1C64O-2226-SM-73KTV 60-69 years, male 114.8
GTEX-1IL2V-2026-SM-ARZMA 70-79 years, male 113.1
GTEX-13O61-1126-SM-5L3FI 60-69 years, male 112.5
GTEX-RU1J-0526-SM-46MUT 20-29 years, female 112.5
GTEX-1EH9U-2226-SM-7PBXX 60-69 years, male 112.2
GTEX-Y3I4-1626-SM-4TT7W 50-59 years, male 111.5
GTEX-OIZH-1526-SM-3NB1J 50-59 years, male 111.2
GTEX-ZYVF-2726-SM-5GID4 50-59 years, female 110.2
GTEX-Y114-1226-SM-4TT88 50-59 years, female 110.1
GTEX-R55C-1026-SM-48FCM 40-49 years, male 109.7
GTEX-XAJ8-0326-SM-47JYI 40-49 years, male 107.9
GTEX-RUSQ-1126-SM-EAZAU 50-59 years, male 107.3
GTEX-14DAQ-2826-SM-664MU 60-69 years, female 107.0
GTEX-1B8L1-1526-SM-79OLK 60-69 years, male 106.4
GTEX-1F5PK-1826-SM-7RHHX 50-59 years, male 106.3
GTEX-13N1W-2026-SM-5K7YU 70-79 years, male 105.6
GTEX-14DAR-0926-SM-73KUQ 50-59 years, male 105.6
GTEX-YEC3-1426-SM-D4P1S 50-59 years, male 105.2
GTEX-1JMQJ-1326-SM-D4P3B 50-59 years, male 104.7
GTEX-1LSNM-1026-SM-DHXL2 50-59 years, male 104.7
GTEX-ZTX8-0426-SM-59HLG 20-29 years, male 104.3
GTEX-1KD5A-1426-SM-D4P3V 50-59 years, male 101.9
GTEX-1PIGE-1126-SM-EWRMV 20-29 years, male 101.9
GTEX-1K2DA-0826-SM-CGQGD 50-59 years, male 101.6
GTEX-NFK9-1526-SM-3LK7B 40-49 years, male 100.5
GTEX-RTLS-2626-SM-46MUJ 60-69 years, female 100.2
GTEX-P4PQ-1526-SM-3NMCK 60-69 years, male 99.0
GTEX-14BMV-2226-SM-5RQHX 50-59 years, male 98.0
GTEX-UJHI-1026-SM-4IHJP 50-59 years, female 96.2
GTEX-18D9B-2226-SM-718BM 60-69 years, male 95.9
GTEX-S4P3-0726-SM-4AD57 50-59 years, female 95.9
GTEX-1HCUA-1626-SM-A9SMG 50-59 years, female 95.0
GTEX-WRHK-0626-SM-4MVOE 20-29 years, female 93.0
GTEX-TKQ2-0926-SM-4DXU5 50-59 years, male 92.1
GTEX-XPVG-1526-SM-4B66C 50-59 years, male 92.1
GTEX-1PPH8-1326-SM-DTXFO 20-29 years, male 91.6
GTEX-WEY5-1226-SM-4LMIQ 40-49 years, female 89.1
GTEX-13X6J-2126-SM-5TDCV 50-59 years, male 87.8
GTEX-1LVAN-2426-SM-CNNPZ 50-59 years, female 87.5
GTEX-1LVAM-1426-SM-E9TJ4 50-59 years, female 87.4
GTEX-17HII-2426-SM-7KFTT 50-59 years, male 87.2
GTEX-14E1K-1526-SM-664MN 50-59 years, male 86.6
GTEX-1HT8W-2326-SM-A9SLA 30-39 years, male 84.9
GTEX-1H23P-2726-SM-9JGHN 60-69 years, male 83.1
GTEX-SNOS-0826-SM-4DM5N 40-49 years, male 82.7
GTEX-OXRK-1626-SM-3NB17 50-59 years, female 82.0
GTEX-146FH-2126-SM-5SI9U 50-59 years, female 81.9
GTEX-1AX9J-2626-SM-731EK 60-69 years, male 81.9
GTEX-13PVR-2126-SM-73KVR 60-69 years, female 81.1
GTEX-1CB4H-2426-SM-7PBYR 60-69 years, female 80.7
GTEX-1RQEC-2126-SM-DPS15 60-69 years, male 79.4
GTEX-ZZPU-1426-SM-5GZZ6 50-59 years, female 77.5
GTEX-15EU6-2526-SM-7KUGB 50-59 years, male 76.9
GTEX-1H1DE-1226-SM-9JGHH 20-29 years, male 76.4
GTEX-145MO-2226-SM-5Q5BN 60-69 years, male 76.3
GTEX-13111-1226-SM-5GCNC 50-59 years, male 74.9
GTEX-1339X-1426-SM-5K7YO 40-49 years, male 74.7
GTEX-ZV6S-0926-SM-57WGB 40-49 years, female 73.7
GTEX-131XE-2226-SM-5PNYX 50-59 years, male 70.3
GTEX-17KNJ-1526-SM-7LTA9 50-59 years, male 69.2
GTEX-1B97I-1226-SM-7MGWQ 40-49 years, male 69.1
GTEX-Y5V6-1326-SM-4VDTF 60-69 years, male 68.8
GTEX-ZGAY-1626-SM-DNZZ3 40-49 years, female 68.4
GTEX-1GN1W-2126-SM-9JGI7 50-59 years, female 67.2
GTEX-1H3NZ-2226-SM-9WYUT 60-69 years, male 67.1
GTEX-1I4MK-0926-SM-A9SLD 50-59 years, female 65.4
GTEX-ZVT3-2126-SM-59HL2 60-69 years, female 65.1
GTEX-13QBU-1126-SM-5LU44 40-49 years, female 64.4
GTEX-14JG6-1226-SM-664O6 30-39 years, female 63.9
GTEX-12WSJ-0926-SM-5P9JD 40-49 years, female 62.9
GTEX-1GF9U-1126-SM-AHZ4H 40-49 years, female 62.9
GTEX-1AMEY-1226-SM-731DU 30-39 years, female 62.4
GTEX-OHPM-1526-SM-EV796 50-59 years, male 62.0
GTEX-11WQK-2626-SM-5EQ4K 50-59 years, male 61.1
GTEX-XQ8I-2026-SM-4BOOL 50-59 years, male 60.9
GTEX-1H1E6-1626-SM-9OSWC 30-39 years, male 60.7
GTEX-ZF2S-1426-SM-57WET 50-59 years, female 59.8
GTEX-1H1DG-2126-SM-9WPPB 70-79 years, male 59.4
GTEX-W5WG-1726-SM-4LMI5 50-59 years, female 59.3
GTEX-YB5E-1126-SM-664NU 40-49 years, male 58.3
GTEX-1IDJF-1426-SM-ACKWK 20-29 years, male 58.3
GTEX-1J8QM-1126-SM-C1YQB 60-69 years, female 57.6
GTEX-WYVS-1326-SM-4ONCQ 40-49 years, female 57.0
GTEX-XBEW-1826-SM-4RTWX 40-49 years, male 57.0
GTEX-QDT8-2026-SM-EZ6LS 30-39 years, female 56.6
GTEX-1A3MX-1926-SM-72D7F 60-69 years, male 55.7
GTEX-1QW4Y-0726-SM-DTX8E 30-39 years, male 54.9
GTEX-PLZ5-1226-SM-EXOHA 50-59 years, male 54.6
GTEX-1I1GT-1726-SM-C1YS3 60-69 years, female 54.3
GTEX-1GPI7-1326-SM-9KNVA 20-29 years, male 53.0
GTEX-14PJ3-1426-SM-664O8 50-59 years, male 52.7
GTEX-15SHW-2126-SM-6M46Y 60-69 years, male 52.2
GTEX-WHWD-1426-SM-4OORU 50-59 years, male 52.0
GTEX-18A7A-2726-SM-7LG6U 50-59 years, female 51.7
GTEX-1QCLZ-1826-SM-DPRXP 60-69 years, female 51.5
GTEX-V955-1326-SM-4JBHR 60-69 years, male 49.2
GTEX-145LT-1426-SM-5O9B3 40-49 years, male 48.8
GTEX-133LE-1326-SM-5IFGO 20-29 years, female 48.6
GTEX-131XF-1226-SM-5HL8V 60-69 years, male 47.7
GTEX-1HCU8-1326-SM-C1YQQ 60-69 years, female 47.1
GTEX-1QPFJ-1526-SM-DPRXT 30-39 years, female 46.8
GTEX-1QP2A-2126-SM-DPRZ7 50-59 years, male 45.5
GTEX-12WSD-2326-SM-59HKQ 60-69 years, female 45.3
GTEX-14ICL-0826-SM-5YY9W 30-39 years, male 45.3
GTEX-QXCU-1926-SM-48FE4 50-59 years, male 45.0
GTEX-SUCS-0926-SM-4DM4Z 70-79 years, male 45.0
GTEX-T8EM-1226-SM-4DM5J 40-49 years, male 44.4
GTEX-1J8JJ-1726-SM-C1YQG 60-69 years, female 44.4
GTEX-1JMLX-2426-SM-CXZJQ 50-59 years, male 43.2
GTEX-ZP4G-1226-SM-4WWCJ 20-29 years, female 42.8
GTEX-139YR-1926-SM-5LZXM 50-59 years, male 42.7
GTEX-S7SF-0626-SM-4AD4V 20-29 years, female 42.0
GTEX-O5YW-1526-SM-3MJGL 50-59 years, male 41.8
GTEX-ZF29-1526-SM-4WKF7 60-69 years, female 41.5
GTEX-OXRL-1526-SM-E6CHQ 50-59 years, male 41.5
GTEX-14PJ4-1626-SM-664OB 60-69 years, male 41.2
GTEX-13D11-2126-SM-5IFH2 50-59 years, female 41.0
GTEX-1A3MV-1226-SM-718BW 30-39 years, male 40.6
GTEX-11DXX-1326-SM-5GIDZ 60-69 years, female 40.3
GTEX-1HFI7-1526-SM-9WG7W 50-59 years, female 40.0
GTEX-1HBPN-1626-SM-9WPNP 50-59 years, male 39.5
GTEX-1J8EW-2226-SM-AHZ3T 60-69 years, female 39.1
GTEX-13S7M-1826-SM-5RQK6 60-69 years, female 37.6
GTEX-1B8KE-1326-SM-73KVI 50-59 years, male 36.7
GTEX-ZT9W-1526-SM-4YCDE 50-59 years, male 36.7
GTEX-Q734-1026-SM-48U16 40-49 years, female 36.5
GTEX-1JKYN-1726-SM-AHZ48 30-39 years, male 36.4
GTEX-1HKZK-1526-SM-B2LWG 40-49 years, male 36.1
GTEX-1JMPZ-1826-SM-CXZJT 30-39 years, male 36.1
GTEX-1H11D-2226-SM-9OSXN 40-49 years, male 35.7
GTEX-1R7EU-1126-SM-EAZ4M 60-69 years, male 35.4
GTEX-S4Q7-0726-SM-4AD5F 20-29 years, male 35.3
GTEX-1RMOY-1126-SM-EV79E 50-59 years, male 34.4
GTEX-YJ8A-1526-SM-5P9FT 20-29 years, male 33.9
GTEX-14BMU-1126-SM-5RQJ8 20-29 years, female 32.6
GTEX-QMRM-1126-SM-447BN 50-59 years, male 32.6
GTEX-ZXES-1426-SM-5NQ8S 30-39 years, female 32.4
GTEX-1JN1M-2926-SM-CNNPJ 60-69 years, female 32.2
GTEX-ZLV1-0826-SM-DO11P 60-69 years, female 31.6
GTEX-XUZC-0726-SM-4BOPH 30-39 years, female 31.4
GTEX-WFON-1126-SM-4LVMA 40-49 years, male 31.1
GTEX-TMMY-1626-SM-4DXTY 40-49 years, female 30.8
GTEX-OOBJ-1526-SM-3NB1Q 60-69 years, male 30.7
GTEX-1MGNQ-1826-SM-DPRYI 40-49 years, male 30.4
GTEX-ZQUD-0826-SM-57WDQ 30-39 years, male 30.3
GTEX-15DCE-1626-SM-6LPJM 20-29 years, male 29.6
GTEX-WFG7-1326-SM-4LMK1 20-29 years, male 29.5
GTEX-T5JW-0926-SM-4DM5K 20-29 years, female 29.3
GTEX-17F9E-2226-SM-7IGNC 50-59 years, male 29.2
GTEX-PWCY-0926-SM-48TD7 20-29 years, female 29.0
GTEX-15G19-1526-SM-6LPKP 60-69 years, male 28.8
GTEX-ZY6K-0726-SM-5A5L8 50-59 years, male 28.2
GTEX-1122O-1926-SM-5EGIQ 60-69 years, female 27.6
GTEX-18A66-2226-SM-7189E 60-69 years, male 26.8
GTEX-111YS-1126-SM-5GZYQ 60-69 years, male 26.7
GTEX-12WSG-2026-SM-5FQUU 50-59 years, female 26.7
GTEX-ZVT2-1626-SM-51MRC 50-59 years, female 26.7
GTEX-117YW-2226-SM-5N9DB 50-59 years, male 25.8
GTEX-1GMRU-2526-SM-9WG7T 50-59 years, male 25.0
GTEX-18D9A-0626-SM-7KFTY 30-39 years, female 24.5
GTEX-ZVZP-1726-SM-5GZWY 50-59 years, male 24.1
GTEX-1RAZR-1526-SM-EAZ4U 40-49 years, male 24.1
GTEX-XMK1-1526-SM-EYYVO 40-49 years, male 23.2
GTEX-1LGOU-1526-SM-D3LAJ 20-29 years, female 23.0
GTEX-11GSP-2126-SM-5HL5E 60-69 years, female 22.5
GTEX-V1D1-1726-SM-4JBHB 50-59 years, male 21.8
GTEX-ZV7C-1626-SM-5NQ7E 50-59 years, male 21.7
GTEX-145ME-1026-SM-5O9B4 40-49 years, female 21.5
GTEX-132QS-1826-SM-5IFFN 60-69 years, male 21.3
GTEX-1AYCT-1326-SM-7MKHB 50-59 years, male 21.3
GTEX-1IDJU-1526-SM-CNNR3 60-69 years, female 21.3
GTEX-117YX-1026-SM-5H11V 50-59 years, male 21.2
GTEX-1QCLY-1126-SM-EAZ4J 30-39 years, male 21.2
GTEX-ZAB4-1526-SM-5CVN7 40-49 years, male 21.1
GTEX-S4UY-1626-SM-4AD55 40-49 years, female 21.0
GTEX-17MF6-2126-SM-7KFS7 40-49 years, male 20.9
GTEX-POMQ-0826-SM-3P61H 20-29 years, female 20.9
GTEX-1IDJD-2426-SM-C1YS6 30-39 years, male 20.8
GTEX-1MUQO-1926-SM-EAZ59 60-69 years, male 20.8
GTEX-XBED-1226-SM-4AT5V 60-69 years, male 20.7
GTEX-132AR-2426-SM-5IFFD 50-59 years, female 20.6
GTEX-14PKV-1826-SM-69LO9 20-29 years, female 19.9
GTEX-P78B-1826-SM-3P5YX 40-49 years, female 19.6
GTEX-144GN-1226-SM-5O991 50-59 years, male 19.4
GTEX-1B97J-1826-SM-7IGPP 50-59 years, female 19.2
GTEX-ZYY3-1726-SM-5EGH3 60-69 years, female 19.2
GTEX-1J8Q3-1926-SM-C1YSJ 60-69 years, male 19.1
GTEX-1LG7Z-1226-SM-DHXK4 30-39 years, male 19.0
GTEX-111CU-0926-SM-5EGIK 50-59 years, male 18.8
GTEX-13113-0726-SM-5LZUF 60-69 years, female 18.7
GTEX-P4PP-1526-SM-3P61M 30-39 years, female 18.7
GTEX-1LBAC-1426-SM-CXZKT 20-29 years, male 18.4
GTEX-1LGRB-1726-SM-CNNRA 50-59 years, female 18.0
GTEX-1AMFI-1226-SM-731CZ 50-59 years, female 17.5
GTEX-18QFQ-1226-SM-718AE 30-39 years, male 17.0
GTEX-1MJIX-1126-SM-EV7AO 40-49 years, male 17.0
GTEX-R53T-1226-SM-48FCT 50-59 years, female 16.5
GTEX-ZLWG-1526-SM-DO12F 50-59 years, female 16.5
GTEX-1ICG6-1826-SM-AHZ2O 70-79 years, female 16.2
GTEX-17F98-1526-SM-7EWD8 40-49 years, female 15.8
GTEX-1KXAM-0926-SM-CXZKA 60-69 years, male 15.7
GTEX-OHPK-1526-SM-3MJGM 50-59 years, female 15.3
GTEX-YFCO-0826-SM-5LUAG 40-49 years, male 15.1
GTEX-1GZ4H-1026-SM-9OSXL 50-59 years, female 15.0
GTEX-QV44-1226-SM-CJI1S 50-59 years, male 15.0
GTEX-13U4I-2526-SM-5SI8Z 40-49 years, female 14.9
GTEX-1JK1U-1326-SM-AHZ45 60-69 years, male 14.9
GTEX-11EM3-1026-SM-5A5KL 20-29 years, female 14.8
GTEX-11NUK-2426-SM-5BC4U 50-59 years, male 14.8
GTEX-Q2AI-0826-SM-48TZO 40-49 years, male 14.6
GTEX-U3ZN-2026-SM-4DXUC 30-39 years, female 14.6
GTEX-PWN1-1526-SM-48TDA 40-49 years, female 14.4
GTEX-ZA64-0826-SM-5HL9U 20-29 years, male 14.4
GTEX-PW2O-1226-SM-48TCH 20-29 years, male 14.3
GTEX-Y9LG-1026-SM-5IFJN 30-39 years, male 14.2
GTEX-XV7Q-1326-SM-4BRWM 40-49 years, female 14.1
GTEX-1QMI2-2126-SM-DPRXQ 60-69 years, male 14.0
GTEX-14B4R-0726-SM-5TDDR 30-39 years, male 13.8
GTEX-15DZA-1126-SM-6LPK8 30-39 years, female 13.7
GTEX-T6MO-0726-SM-4DM58 40-49 years, female 13.4
GTEX-14E6E-0926-SM-664N8 30-39 years, male 13.3
GTEX-11TT1-0726-SM-5GU5A 20-29 years, male 13.1
GTEX-1I1HK-2026-SM-CNNRB 60-69 years, male 13.1
GTEX-S341-0626-SM-4AD5T 40-49 years, female 13.0
GTEX-X15G-1126-SM-4PQZG 50-59 years, female 13.0
GTEX-145MN-1326-SM-5NQ9S 30-39 years, male 12.9
GTEX-RM2N-0826-SM-48FD3 50-59 years, male 12.9
GTEX-UJMC-1226-SM-4IHLI 50-59 years, male 12.9
GTEX-WHSB-1226-SM-4M1XR 50-59 years, male 12.8
GTEX-1KANA-1126-SM-D3L9M 20-29 years, male 12.6
GTEX-17GQL-1226-SM-7KFTS 60-69 years, male 12.5
GTEX-1HBPI-0726-SM-9WG7Z 50-59 years, male 12.2
GTEX-WXYG-1626-SM-4ONCR 50-59 years, female 12.1
GTEX-1399S-1626-SM-5P9GI 30-39 years, female 12.0
GTEX-12696-1726-SM-5EQLH 60-69 years, male 11.9
GTEX-1C475-1026-SM-7MKFJ 40-49 years, female 11.7
GTEX-ZZ64-0426-SM-5E43F 20-29 years, male 11.6
GTEX-13CF3-1926-SM-5K7WF 60-69 years, female 11.4
GTEX-ZPU1-1626-SM-4WWB2 40-49 years, male 11.2
GTEX-14PJ6-0826-SM-686Z9 60-69 years, female 11.1
GTEX-QV31-0626-SM-447C5 30-39 years, male 11.1
GTEX-1F75I-1826-SM-7MKGX 40-49 years, male 10.9
GTEX-QCQG-0526-SM-48U2A 50-59 years, female 10.9
GTEX-QDVN-1226-SM-48TZ5 50-59 years, male 10.8
GTEX-S95S-0826-SM-4B64N 60-69 years, male 10.8
GTEX-1CAMR-0726-SM-7EPIE 20-29 years, male 10.7
GTEX-WY7C-1726-SM-4ONCC 50-59 years, male 10.3
GTEX-11NSD-1426-SM-5HL67 20-29 years, male 10.2
GTEX-1A8G6-1426-SM-731EZ 60-69 years, male 10.0
GTEX-1399R-1126-SM-5IFIO 30-39 years, male 9.9
GTEX-17HGU-2126-SM-7IGOV 50-59 years, male 9.9
GTEX-14PHX-1026-SM-664OL 50-59 years, male 9.7
GTEX-YEC4-1426-SM-5IFHS 40-49 years, male 9.7
GTEX-RWS6-0926-SM-47JXE 60-69 years, female 9.6
GTEX-S3XE-1026-SM-4AD4O 50-59 years, male 9.6
GTEX-11I78-1726-SM-5A5M3 50-59 years, female 9.4
GTEX-13FTW-1726-SM-5KM2B 40-49 years, male 9.4
GTEX-QLQ7-0826-SM-447B3 60-69 years, male 9.4
GTEX-Y8LW-0826-SM-4WWDO 50-59 years, female 9.4
GTEX-15UF7-1226-SM-6M46G 40-49 years, male 9.3
GTEX-13OW6-2526-SM-5IJEC 50-59 years, male 9.2
GTEX-Y5LM-1326-SM-5RQIS 40-49 years, female 9.2
GTEX-OIZF-1526-SM-2I5GR 60-69 years, male 9.2
GTEX-14PJ5-0826-SM-6AJAR 60-69 years, female 9.1
GTEX-ZLFU-1326-SM-DO11R 40-49 years, male 9.1
GTEX-WYJK-2526-SM-4ONDF 50-59 years, male 8.8
GTEX-1I6K7-1726-SM-B2LXQ 40-49 years, male 8.8
GTEX-12WSK-1426-SM-5CVNN 40-49 years, female 8.7
GTEX-WHPG-0426-SM-4M1XW 50-59 years, male 8.7
GTEX-13O21-0926-SM-5IFGT 50-59 years, male 8.4
GTEX-17HHE-1026-SM-79ON6 50-59 years, male 8.3
GTEX-Q2AH-1126-SM-48TZM 40-49 years, male 8.2
GTEX-QLQW-0726-SM-447AA 30-39 years, male 8.2
GTEX-XXEK-0826-SM-4BRWG 50-59 years, male 8.2
GTEX-13PVQ-2126-SM-5L3FW 50-59 years, male 7.9
GTEX-1H3VY-2326-SM-9WG81 50-59 years, male 7.9
GTEX-1GL5R-1926-SM-9WG7U 50-59 years, male 7.8
GTEX-131XG-1226-SM-5EGH9 50-59 years, female 7.5
GTEX-QDVJ-1426-SM-48U1Y 50-59 years, male 7.5
GTEX-12BJ1-1726-SM-5HL9B 60-69 years, male 7.4
GTEX-SNMC-0626-SM-4DM6H 20-29 years, male 7.4
GTEX-13OVK-0926-SM-7KUFX 40-49 years, male 7.1
GTEX-16AAH-1226-SM-79OO9 50-59 years, male 6.8
GTEX-ZYFG-1326-SM-5GICJ 60-69 years, female 6.8
GTEX-WFG8-1326-SM-4LVN3 20-29 years, male 6.6
GTEX-1B8KZ-1226-SM-793CP 50-59 years, male 6.5
GTEX-ZVP2-1626-SM-5GU5D 50-59 years, male 6.4
GTEX-14BIL-1926-SM-73KYI 50-59 years, male 6.1
GTEX-PX3G-1526-SM-48U11 20-29 years, female 5.5
GTEX-15CHR-1326-SM-79OLT 50-59 years, male 5.3
GTEX-15RIE-1026-SM-6LPJQ 60-69 years, male 5.2
GTEX-18A67-2626-SM-718AD 50-59 years, male 5.1
GTEX-1F5PL-1426-SM-7MKFH 40-49 years, female 5.0
GTEX-ZDYS-1926-SM-5HL59 50-59 years, male 4.9
GTEX-VJYA-1026-SM-4KL21 60-69 years, male 4.5
GTEX-1R9K5-1026-SM-EAZ4F 50-59 years, male 4.0
GTEX-144GM-1726-SM-5O9AS 20-29 years, male 3.8
GTEX-13FTX-0726-SM-5N9BI 20-29 years, female 3.5
GTEX-Y3IK-1426-SM-4YCES 50-59 years, female 3.5
GTEX-1RB15-1026-SM-E9U6V 60-69 years, male 3.3
GTEX-U4B1-1026-SM-4DXT1 40-49 years, male 1.4
Show allShow less

Contact

  • NEWS ARTICLES
  • PRESS ROOM

The Project

  • INTRODUCTION
  • ORGANIZATION
  • PUBLICATIONS

The Human Protein Atlas

  • DOWNLOADABLE DATA
  • LICENCE & CITATION
  • HELP & FAQ
The Human Protein Atlas project is funded
by the Knut & Alice Wallenberg Foundation.


contact@proteinatlas.org