We use cookies to enhance the usability of our website. If you continue, we'll assume that you are happy to receive all cookies. More information. Don't show this again.
RAB3IL1
HPA
RESOURCES
  • TISSUE
  • BRAIN
  • SINGLE CELL
  • SUBCELLULAR
  • CANCER
  • BLOOD
  • CELL LINE
  • STRUCTURE & INTERACTION
ABOUT
  • INTRODUCTION
  • HISTORY
  • ORGANIZATION
  • PUBLICATIONS
  • ANTIBODY SUBMISSION
  • ANTIBODY AVAILABILITY
  • ACKNOWLEDGMENTS
  • CONTACT
NEWS
  • NEWS ARTICLES
  • PRESS ROOM
LEARN
  • DICTIONARY
  • PROTEIN CLASSES
  • PROTEIN EVIDENCE
  • METHODS
  • EDUCATIONAL VIDEOS
DATA
  • DOWNLOADABLE DATA
  • PUBLICATION DATA
  • RELEASE HISTORY
HELP
  • ANTIBODY VALIDATION
  • ASSAYS & ANNOTATION
  • DISCLAIMER
  • HELP & FAQ
  • PRIVACY STATEMENT
  • LICENCE & CITATION
Fields »
Search result

Field
Term
Gene name
Class
Subclass
Class
Keyword
Chromosome
External id
Tissue
Cell type
Expression
Antibody panel
Tissue
Main location
Patient ID
Annotation
Tissue
Category
Tau score
Cluster
Reliability
Brain region
Category
Tau score
Brain region
Category
Tau score
Brain region
Category
Tau score
Cluster
Reliability
Tissue
Cell type
Enrichment
Cell type
Category
Tau score
Cell type
Category
Tau score
Cell type
Category
Tau score
Cell lineage
Category
Tau score
Cluster
Cluster
Location
Searches
Location
Cell line
Class
Type
Phase
Reliability
Cancer
Prognosis
Cancer
Category
Cancer
Category
Tau score
Cluster
Variants
Interacting gene (ensg_id)
Type
Number of interactions
Pathway
Category
Score
Score
Score
Validation
Validation
Validation
Validation
Antibodies
Data type
Column


  • SUMMARY

  • TISSUE

  • BRAIN

  • SINGLE CELL

  • SUBCELL

  • CANCER

  • BLOOD

  • CELL LINE

  • STRUCT & INT

  • RAB3IL1
TISSUE PRIMARY DATA SKIN Show tissue menu
ADIPOSE TISSUE ADRENAL GLAND AMYGDALA APPENDIX BASAL GANGLIA BONE MARROW BREAST BRONCHUS CEREBELLUM CEREBRAL CORTEX CERVIX CHOROID PLEXUS COLON DUODENUM
ENDOMETRIUM EPIDIDYMIS ESOPHAGUS FALLOPIAN TUBE GALLBLADDER HEART MUSCLE HIPPOCAMPAL FORMATION HYPOTHALAMUS KIDNEY LIVER LUNG LYMPH NODE MIDBRAIN NASOPHARYNX
ORAL MUCOSA OVARY PANCREAS PARATHYROID GLAND PITUITARY GLAND PLACENTA PROSTATE RECTUM RETINA SALIVARY GLAND SEMINAL VESICLE SKELETAL MUSCLE SKIN SMALL INTESTINE
SMOOTH MUSCLE SOFT TISSUE SPINAL CORD SPLEEN STOMACH TESTIS THYMUS THYROID GLAND TONGUE TONSIL URINARY BLADDER VAGINA
ANTIBODIES
AND
VALIDATION
Dictionary
Skin
Tissue proteome
Skin
SKIN - Expression summary
Protein expression
Skini

On the top, protein expression in current human tissue, based on all annotated cell types, is reported with the units not detected (n), low (l), medium (m) and high (h). Underneath, protein expression in each annotated cell type are reported using the same units.

Protein expression data is based on knowledge-based annotation. For genes where more than one antibody has been used, a collective score is set.

If knowledge-based annotation could not be performed for a gene, no data is displayed here. View antibody staining data further down this page.

h
m
l
n
Epidermal cells: Not detected
Fibroblasts: Not detected
Keratinocytes: Not detected
Langerhans: Not detected
Melanocytes: Not detected
RNA expressioni

A summary of mRNA expression data available for current tissue based on several datasets. The mRNA expression levels in human tissues are based on RNA-seq data generated by the Human Protein Atlas (HPA), Genotype-Tissue Expression (GTEx) portal and CAGE data generated by the FANTOM5 consortium. Consensus normalized expression levels for human tissues was created by combining the data from HPA and GTEx datasets.

The mRNA expression levels in pig are based on RNA-seq data generated by the Human Protein Atlas (HPA), and for mouse, HPA data and in situ hybridization generated by the Allen brain atlas are reported.

Scroll down to view mRNA expression data in more detail.
Consensus:14.7 nTPM
HPA:4.6 nTPM
GTEx:14.7 nTPM

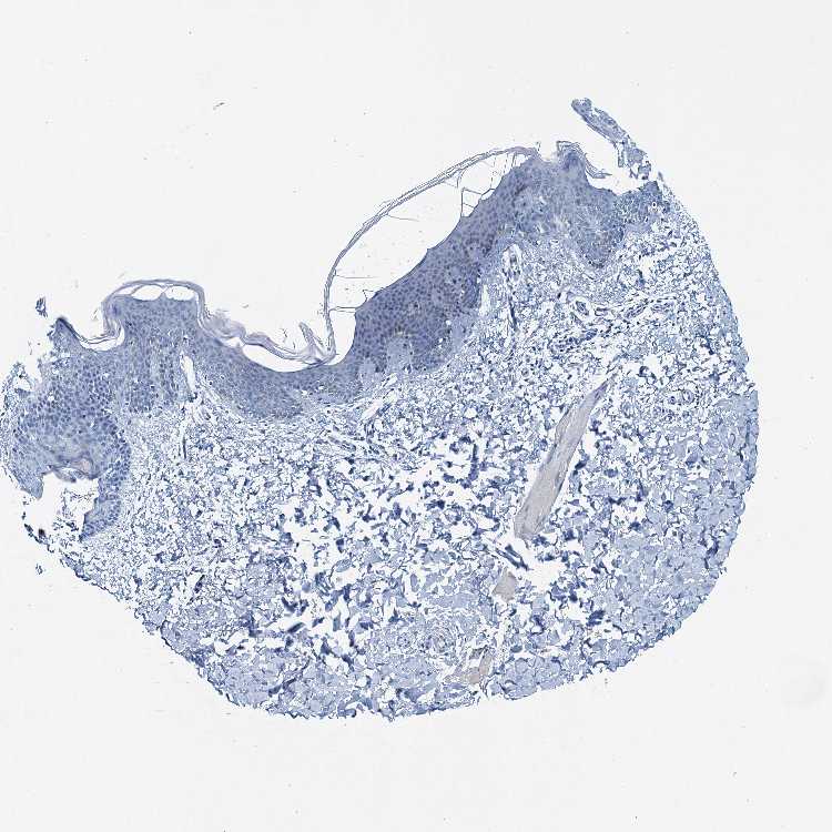
SKIN 1 - Antibody stainingi

Antibody staining in the annotated cell types in the current human tissue is reported as not detected, low, medium, or high, based on conventional immunohistochemistry profiling in selected tissues. This score is based on the combination of the staining intensity and fraction of stained cells.

Each image is clickable and will lead to virtual microscopy that enables deeper exploration of all samples and also displays staining intensity scores, fraction scores and subcellular localization as well as patient and tissue information for each sample.

Antibody HPA039723
Langerhans Not detected
Fibroblasts Not detected
Keratinocytes Not detected
Melanocytes Not detected

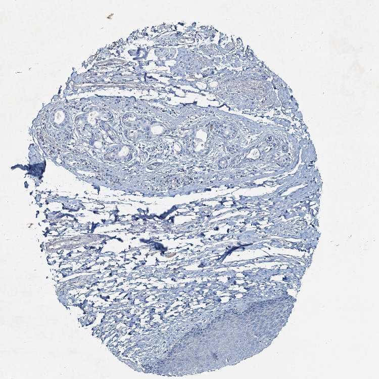
SKIN 2 - Antibody stainingi

Antibody staining in the annotated cell types in the current human tissue is reported as not detected, low, medium, or high, based on conventional immunohistochemistry profiling in selected tissues. This score is based on the combination of the staining intensity and fraction of stained cells.

Each image is clickable and will lead to virtual microscopy that enables deeper exploration of all samples and also displays staining intensity scores, fraction scores and subcellular localization as well as patient and tissue information for each sample.

Antibody HPA039723
Epidermal cells Not detected
 
 
 


SKIN - HPA RNA-seqi

The RNA-seq details section shows detailed information about the individual samples used for the transcript profiling and results of the RNA-seq analysis.

Information about each individual sample is listed below, including gender, age, a tissue section image and estimated fractions of cell types. nTPM (normalized transcripts per million) values give a quantification of the gene abundance which is comparable between different genes and samples.
Average nTPMi

Max subtype nTPM is the value for the subtype with the largest average nTPM across the subtype samples.

4.6
overview
Female, age 34
Skin sample 225
nTPM: 3.4
Cell types%
Keratinocytes:
60

Other cell types:
40

overview
Female, age 30
Skin sample 226
nTPM: 2.7
Cell types%
Keratinocytes:
55

Other cell types:
45

N/A
Male, age 57
Skin sample 227
nTPM: 7.6

SKIN - GTEx RNA-seqi

RNA-Seq data generated by the Genotype-Tissue Expression (GTEx) project from human tissues is reported as mean nTPM. More information can be found on the GTEx portal.

Distribution across the dataset is visualized with box plots, shown as median and 25th and 75th percentiles. Points are displayed as outliers if they are above or below 1.5 times the interquartile range. nTPM values of the individual samples are presented next to the box plot.
Max subtype nTPMi

Max subtype nTPM is the value for the subtype with the largest average nTPM across the subtype samples.

14.7
GTEx sample id Sample description nTPM
Skin - Not Sun Exposed (Suprapubic)
Average nTPM: 11.2
Samples: 604

Max nTPM: 48.3
Min nTPM: 1.9
Std nTPM: 6.8
Median nTPM: 9.9
GTEX-14A5H-0826-SM-5QGPJ 60-69 years, male 48.3
GTEX-1399R-1326-SM-5PNYS 30-39 years, male 46.7
GTEX-X4EP-0626-SM-3P621 60-69 years, female 44.7
GTEX-18D9B-0926-SM-7LG4U 60-69 years, male 39.4
GTEX-13YAN-0226-SM-5TDC6 60-69 years, male 38.1
GTEX-XV7Q-1826-SM-4BRUV 40-49 years, female 38.0
GTEX-11DZ1-2426-SM-5GZZX 50-59 years, male 37.6
GTEX-1R9PN-0426-SM-DTXDT 40-49 years, female 37.6
GTEX-1117F-2926-SM-5GZYI 60-69 years, female 36.7
GTEX-1LVAO-2726-SM-E9TJ8 60-69 years, male 36.0
GTEX-XK95-0226-SM-4AT58 40-49 years, male 34.0
GTEX-1IDJI-0126-SM-CMKHS 50-59 years, female 33.6
GTEX-1JMOU-1026-SM-CYPSS 60-69 years, female 33.2
GTEX-14PK6-0226-SM-62LF5 70-79 years, female 32.6
GTEX-1LBAC-0826-SM-CY8IJ 20-29 years, male 30.7
GTEX-139YR-1026-SM-5LZYN 50-59 years, male 30.6
GTEX-X8HC-0626-SM-4E3HQ 50-59 years, female 30.1
GTEX-14E6C-2426-SM-5S2NF 40-49 years, male 29.7
GTEX-WI4N-2726-SM-3LK7Y 40-49 years, female 28.5
GTEX-1RLM8-2926-SM-E8VON 50-59 years, male 28.5
GTEX-ZYFD-0626-SM-5E44E 50-59 years, male 27.7
GTEX-1HC8U-1326-SM-9YFMJ 40-49 years, female 26.2
GTEX-X585-2426-SM-46MW2 50-59 years, male 26.1
GTEX-13OVK-1426-SM-6PAN7 40-49 years, male 25.7
GTEX-14DAR-1226-SM-73KYV 50-59 years, male 25.7
GTEX-1IDJD-2326-SM-ACKWX 30-39 years, male 25.6
GTEX-12584-0726-SM-5FQTK 40-49 years, male 25.3
GTEX-1F48J-0726-SM-7RHGS 50-59 years, female 25.2
GTEX-U8XE-0226-SM-4E3J3 30-39 years, male 25.0
GTEX-ZAK1-0626-SM-5HL8E 50-59 years, female 25.0
GTEX-17EVQ-0126-SM-7IGLR 70-79 years, male 24.9
GTEX-1A32A-0626-SM-731AQ 50-59 years, female 24.7
GTEX-WHSE-0126-SM-3NMBT 20-29 years, male 24.3
GTEX-1HUB1-1426-SM-CGQF5 60-69 years, male 24.3
GTEX-1F88E-1626-SM-7SB8Z 60-69 years, female 24.1
GTEX-WYBS-0626-SM-3NMAS 60-69 years, female 24.0
GTEX-ZYW4-0626-SM-59HJR 60-69 years, male 23.7
GTEX-1IDJE-1426-SM-ADEIW 50-59 years, female 23.4
GTEX-1H1ZS-2726-SM-9WG75 70-79 years, male 23.3
GTEX-Y3IK-1626-SM-4YCF5 50-59 years, female 23.1
GTEX-ZLFU-1826-SM-4WWBV 40-49 years, male 23.1
GTEX-132AR-0326-SM-5KM2C 50-59 years, female 23.0
GTEX-X3Y1-2026-SM-3P5YM 40-49 years, male 21.8
GTEX-1H3NZ-2726-SM-9WYTQ 60-69 years, male 21.6
GTEX-XYKS-1426-SM-4BRUO 60-69 years, female 21.5
GTEX-1F75B-0726-SM-7PC3R 50-59 years, male 21.4
GTEX-15UF6-1926-SM-7KUDV 70-79 years, female 20.9
GTEX-1F75W-2726-SM-7SB8H 60-69 years, male 20.9
GTEX-13OVJ-0826-SM-5J1OK 50-59 years, female 20.7
GTEX-13FH7-1126-SM-5K7UG 50-59 years, female 20.5
GTEX-1H23P-0626-SM-9WG6T 60-69 years, male 20.1
GTEX-1ICLZ-0326-SM-ARL82 60-69 years, male 20.1
GTEX-145MG-1526-SM-5Q5EM 50-59 years, male 20.0
GTEX-17F97-2626-SM-7IGM5 50-59 years, male 20.0
GTEX-1CAV2-0126-SM-7IGN7 40-49 years, female 20.0
GTEX-139T8-0626-SM-5KLZX 60-69 years, male 19.8
GTEX-146FQ-2126-SM-5RQHU 30-39 years, male 19.7
GTEX-15RJ7-2126-SM-6PAMD 40-49 years, male 19.7
GTEX-1JMLX-0626-SM-ARL8T 50-59 years, male 19.7
GTEX-W5X1-2526-SM-3GILC 40-49 years, female 19.5
GTEX-ZLWG-0826-SM-59888 50-59 years, female 19.5
GTEX-13113-1626-SM-5EQ4I 60-69 years, female 19.1
GTEX-YB5K-2026-SM-4VDT3 40-49 years, female 19.1
GTEX-1JMQL-2226-SM-CNPP4 50-59 years, female 19.1
GTEX-ZPU1-1126-SM-4YCF3 40-49 years, male 19.0
GTEX-1H3VE-0726-SM-9YFL5 40-49 years, male 19.0
GTEX-12WSJ-1126-SM-5LZVJ 40-49 years, female 18.9
GTEX-Y5V5-0126-SM-5S2NW 60-69 years, female 18.9
GTEX-1F52S-2926-SM-7MKGA 60-69 years, female 18.8
GTEX-ZAJG-1526-SM-5CVML 50-59 years, female 18.8
GTEX-1314G-1326-SM-5BC6E 30-39 years, male 18.6
GTEX-14PJO-2526-SM-6AJBQ 60-69 years, male 18.6
GTEX-XOT4-0626-SM-4B66L 60-69 years, female 18.6
GTEX-16MT8-2926-SM-7DUFO 60-69 years, female 18.5
GTEX-1IDJC-1526-SM-B2LW4 50-59 years, male 18.3
GTEX-12WSL-2026-SM-5GCML 50-59 years, male 18.2
GTEX-15CHQ-0326-SM-69LQD 60-69 years, male 18.2
GTEX-15FZZ-0526-SM-7KUGD 30-39 years, female 17.8
GTEX-ZVE1-0726-SM-51MRN 50-59 years, female 17.8
GTEX-1GZ2Q-0126-SM-9WG6M 40-49 years, male 17.7
GTEX-11DYG-1526-SM-5A5JS 60-69 years, male 17.5
GTEX-1HSMO-0626-SM-ACKXC 60-69 years, male 17.5
GTEX-1HCU8-2526-SM-CE6RX 60-69 years, female 17.4
GTEX-1RAZR-2126-SM-E9U6T 40-49 years, male 17.3
GTEX-1EWIQ-0326-SM-7DHMQ 70-79 years, female 17.2
GTEX-1JN1M-2726-SM-CY8I4 60-69 years, female 17.2
GTEX-XXEK-1626-SM-4BRUZ 50-59 years, male 17.1
GTEX-ZVE2-2826-SM-5GU51 50-59 years, male 17.1
GTEX-145ME-1726-SM-5Q5EU 40-49 years, female 17.0
GTEX-11NSD-0626-SM-5A5LU 20-29 years, male 16.9
GTEX-XBEC-0726-SM-4QARZ 50-59 years, male 16.8
GTEX-ZGAY-1826-SM-DO91Q 40-49 years, female 16.8
GTEX-11DXW-0826-SM-5H118 40-49 years, male 16.7
GTEX-144GM-0526-SM-79OJO 20-29 years, male 16.7
GTEX-X5EB-1926-SM-4E3IW 40-49 years, male 16.7
GTEX-ZAB4-2126-SM-5HL8U 40-49 years, male 16.7
GTEX-144FL-0626-SM-5LU43 50-59 years, male 16.5
GTEX-1A3MW-0626-SM-731CB 60-69 years, female 16.5
GTEX-1497J-0226-SM-5QGPU 60-69 years, male 16.4
GTEX-16BQI-1326-SM-6M486 30-39 years, female 16.4
GTEX-17JCI-2926-SM-7DUFF 60-69 years, female 16.3
GTEX-11EQ8-0926-SM-5H12V 60-69 years, male 16.2
GTEX-13NYS-0626-SM-5L3F1 60-69 years, male 16.1
GTEX-13OW5-2326-SM-5L3HO 60-69 years, male 16.1
GTEX-Y8LW-1526-SM-5IFHL 50-59 years, female 16.1
GTEX-ZU9S-1826-SM-5NQ9E 30-39 years, male 16.0
GTEX-1J8JJ-0626-SM-ARZMQ 60-69 years, female 16.0
GTEX-14E1K-2026-SM-7DUEI 50-59 years, male 15.7
GTEX-ZYFG-1526-SM-5GZYM 60-69 years, female 15.7
GTEX-ZZPU-0826-SM-5GZX5 50-59 years, female 15.7
GTEX-18A7A-0126-SM-731AH 50-59 years, female 15.6
GTEX-11WQK-1026-SM-5EQLX 50-59 years, male 15.5
GTEX-ZE7O-2726-SM-51MT5 50-59 years, female 15.5
GTEX-ZC5H-1526-SM-5HL9Y 40-49 years, female 15.4
GTEX-13FHO-0426-SM-5L3F5 60-69 years, male 15.3
GTEX-16MTA-0926-SM-6M47Z 50-59 years, male 15.3
GTEX-1192X-2726-SM-5N9DN 50-59 years, male 15.2
GTEX-1R9K4-2826-SM-DTX8F 60-69 years, male 15.2
GTEX-17F96-0126-SM-7EWDU 70-79 years, male 15.1
GTEX-WXYG-2026-SM-4E3IY 50-59 years, female 15.1
GTEX-13RTJ-0126-SM-5S2NN 60-69 years, male 15.0
GTEX-11UD2-2526-SM-5CVNU 50-59 years, male 14.9
GTEX-ZVP2-0326-SM-57WBP 50-59 years, male 14.9
GTEX-1F6I4-2326-SM-7RHGL 60-69 years, male 14.9
GTEX-1I19N-0126-SM-CYPSF 70-79 years, male 14.9
GTEX-1AX8Z-0726-SM-73KTS 60-69 years, male 14.8
GTEX-WEY5-2326-SM-3GIKK 40-49 years, female 14.8
GTEX-1LG7Z-1626-SM-CXKYR 30-39 years, male 14.8
GTEX-1QP29-1826-SM-DTX9S 50-59 years, male 14.7
GTEX-1QP66-1226-SM-DTX7U 50-59 years, male 14.7
GTEX-17HGU-2326-SM-7DUFE 50-59 years, male 14.6
GTEX-111FC-2526-SM-5GZXU 60-69 years, male 14.5
GTEX-11EI6-2826-SM-5H11D 60-69 years, male 14.5
GTEX-13X6I-1826-SM-5SIAO 60-69 years, male 14.5
GTEX-1CB4H-1126-SM-7MKGL 60-69 years, female 14.5
GTEX-1JKYN-0826-SM-ARU8S 30-39 years, male 14.4
GTEX-11O72-0626-SM-5PNYE 40-49 years, male 14.3
GTEX-139D8-1126-SM-5LU8W 30-39 years, female 14.3
GTEX-1H1DG-2426-SM-9QEHJ 70-79 years, male 14.2
GTEX-13JUV-2026-SM-5K7UA 40-49 years, female 14.1
GTEX-1H1DF-1126-SM-9WG7G 40-49 years, female 14.1
GTEX-1L5NE-1126-SM-D3L9P 50-59 years, male 14.0
GTEX-12ZZZ-0726-SM-5GCNZ 60-69 years, male 13.9
GTEX-13X6H-0926-SM-5SIB2 50-59 years, female 13.9
GTEX-1HKZK-0726-SM-ACKW2 40-49 years, male 13.8
GTEX-145LS-0626-SM-7EPG7 60-69 years, female 13.7
GTEX-1H1CY-0126-SM-9YFLY 60-69 years, female 13.7
GTEX-1S82P-2126-SM-E6CI5 60-69 years, female 13.7
GTEX-13FTW-0326-SM-5K7UW 40-49 years, male 13.6
GTEX-13IVO-0726-SM-5LZYV 70-79 years, male 13.6
GTEX-16Z82-2626-SM-7KULU 60-69 years, male 13.6
GTEX-1F6IF-0926-SM-7SB7M 60-69 years, male 13.6
GTEX-VUSG-2326-SM-4KL1U 50-59 years, male 13.5
GTEX-1C475-1326-SM-7SB73 40-49 years, female 13.5
GTEX-1O9I2-0226-SM-EYYXD 50-59 years, male 13.5
GTEX-1211K-1526-SM-5FQU4 60-69 years, female 13.4
GTEX-13NZ9-2626-SM-5L3FK 50-59 years, male 13.4
GTEX-WYVS-1626-SM-3NM9R 40-49 years, female 13.4
GTEX-1PIGE-1826-SM-E8VOU 20-29 years, male 13.4
GTEX-ZDXO-3126-SM-5IJDF 60-69 years, male 13.3
GTEX-1HCUA-0826-SM-ADEHM 50-59 years, female 13.3
GTEX-18A66-0626-SM-7LT8Z 60-69 years, male 13.1
GTEX-ZP4G-1426-SM-4WWCL 20-29 years, female 13.1
GTEX-1JJE9-2626-SM-ARZMT 70-79 years, male 13.1
GTEX-11P81-2226-SM-5PNYI 30-39 years, female 13.0
GTEX-13N2G-0226-SM-5K7VF 60-69 years, male 13.0
GTEX-13PVQ-0626-SM-5LU47 50-59 years, male 13.0
GTEX-15G19-2426-SM-7KUMR 60-69 years, male 13.0
GTEX-14BMU-1226-SM-5S2OR 20-29 years, female 12.9
GTEX-117YX-1926-SM-5GIEC 50-59 years, male 12.8
GTEX-1477Z-0326-SM-7IGLA 60-69 years, male 12.8
GTEX-14AS3-1526-SM-5Q5ED 40-49 years, female 12.8
GTEX-14PKV-1126-SM-6LLJ1 20-29 years, female 12.8
GTEX-17F9E-2326-SM-79OKD 50-59 years, male 12.8
GTEX-12WSH-1526-SM-5BC5W 50-59 years, male 12.7
GTEX-139TU-0726-SM-5L3EK 60-69 years, male 12.7
GTEX-183WM-0326-SM-72D5V 70-79 years, female 12.7
GTEX-1CAMR-1326-SM-7PC1F 20-29 years, male 12.7
GTEX-1F75A-0726-SM-7RHHD 50-59 years, male 12.7
GTEX-1JMQK-1226-SM-D4P2S 60-69 years, male 12.7
GTEX-12BJ1-0926-SM-5EQ62 60-69 years, male 12.6
GTEX-16YQH-2226-SM-7IGM2 30-39 years, male 12.6
GTEX-15SHW-0226-SM-7LTAT 60-69 years, male 12.5
GTEX-ZYFC-0426-SM-5GICQ 50-59 years, male 12.5
GTEX-Y5V6-2326-SM-4VDSA 60-69 years, male 12.4
GTEX-11OF3-0126-SM-5PNYF 60-69 years, male 12.3
GTEX-1S831-1826-SM-EWROF 20-29 years, male 12.2
GTEX-11DXY-0126-SM-5H11Q 60-69 years, male 12.1
GTEX-139TS-2126-SM-5K7XC 60-69 years, male 12.1
GTEX-13SLX-2226-SM-62LEP 50-59 years, female 12.1
GTEX-YFCO-1226-SM-5LUAT 40-49 years, male 12.1
GTEX-1GZHY-0626-SM-9KNVC 50-59 years, female 12.1
GTEX-1HCU6-2526-SM-ADEHL 60-69 years, female 12.1
GTEX-1I1GS-2626-SM-B2LY3 60-69 years, male 12.1
GTEX-11WQC-1826-SM-5GU59 60-69 years, male 12.0
GTEX-131XH-0126-SM-5LZUY 50-59 years, male 12.0
GTEX-13NYB-0126-SM-5J1MD 40-49 years, male 12.0
GTEX-15CHR-1126-SM-7EWF4 50-59 years, male 12.0
GTEX-XQ8I-0926-SM-4BOOF 50-59 years, male 12.0
GTEX-14PHY-1226-SM-5ZZWK 60-69 years, female 11.9
GTEX-15G1A-1626-SM-7KUKN 30-39 years, male 11.9
GTEX-1GF9U-2026-SM-7SB92 40-49 years, female 11.9
GTEX-1KD5A-0126-SM-E9U54 50-59 years, male 11.9
GTEX-1S82U-1026-SM-E6CJK 30-39 years, female 11.9
GTEX-14PJ2-0626-SM-6LLII 50-59 years, male 11.8
GTEX-18A7B-2726-SM-7LG56 70-79 years, male 11.8
GTEX-18D9U-0126-SM-731BM 40-49 years, male 11.8
GTEX-WHPG-2626-SM-3NMBR 50-59 years, male 11.7
GTEX-11VI4-1126-SM-5EQMD 40-49 years, female 11.6
GTEX-16MT9-0126-SM-7EPI8 60-69 years, female 11.6
GTEX-YJ8O-2526-SM-5HL85 40-49 years, female 11.6
GTEX-1AYD5-2626-SM-7PBXY 50-59 years, male 11.6
GTEX-1I4MK-0126-SM-CY8G6 50-59 years, female 11.6
GTEX-1I6K6-1726-SM-CGQFD 30-39 years, male 11.6
GTEX-11GSP-2326-SM-5HL63 60-69 years, female 11.5
GTEX-12WSF-1626-SM-7KUG5 70-79 years, male 11.5
GTEX-13OVL-0126-SM-5L3GJ 50-59 years, male 11.5
GTEX-17HII-1426-SM-7EPGG 50-59 years, male 11.5
GTEX-XBEW-1126-SM-4QARW 40-49 years, male 11.5
GTEX-ZDTS-0826-SM-4WKHL 60-69 years, male 11.5
GTEX-111CU-1126-SM-5EGIM 50-59 years, male 11.4
GTEX-11ZTT-2126-SM-5CVLO 60-69 years, female 11.4
GTEX-WH7G-2026-SM-3NMBL 40-49 years, male 11.4
GTEX-ZVTK-0226-SM-51MRG 20-29 years, male 11.4
GTEX-1GTWX-2026-SM-9YFLM 60-69 years, male 11.4
GTEX-1HB9E-0126-SM-CM2S5 50-59 years, male 11.4
GTEX-14E6E-0526-SM-793DN 30-39 years, male 11.3
GTEX-VJYA-1526-SM-3GIJV 60-69 years, male 11.3
GTEX-1JMQI-1726-SM-ARL93 50-59 years, male 11.3
GTEX-1LVAN-0626-SM-CNPOQ 50-59 years, female 11.3
GTEX-11NUK-2726-SM-5A5MC 50-59 years, male 11.2
GTEX-13VXT-1926-SM-5K7UO 20-29 years, female 11.2
GTEX-16XZZ-0726-SM-7KUF2 60-69 years, male 11.2
GTEX-147JS-0226-SM-5S2U9 60-69 years, male 11.1
GTEX-183FY-1026-SM-7939A 20-29 years, male 11.1
GTEX-1B996-0426-SM-7EWF8 60-69 years, male 11.1
GTEX-ZA64-1026-SM-5HL8R 20-29 years, male 11.1
GTEX-1A3MX-2626-SM-7PC24 60-69 years, male 11.1
GTEX-1IDJF-2026-SM-CL53V 20-29 years, male 11.1
GTEX-1KAFJ-0126-SM-DIPEK 50-59 years, male 11.1
GTEX-131YS-2826-SM-5EQ47 60-69 years, female 11.0
GTEX-16GPK-0626-SM-7KFSF 60-69 years, male 11.0
GTEX-Y8E4-2026-SM-5IFJB 40-49 years, male 11.0
GTEX-1JJ6O-2726-SM-CNPOG 60-69 years, male 11.0
GTEX-1QCLZ-2426-SM-EVYBW 60-69 years, female 11.0
GTEX-1QEPI-2626-SM-DTXF4 60-69 years, female 11.0
GTEX-1RAZA-2226-SM-E9U4X 20-29 years, male 11.0
GTEX-ZF3C-0626-SM-DO92O 50-59 years, female 11.0
GTEX-13FTX-1526-SM-5K7VJ 20-29 years, female 10.9
GTEX-13NYC-0126-SM-5L3F4 60-69 years, male 10.9
GTEX-13QBU-1226-SM-5LU4G 40-49 years, female 10.9
GTEX-15DYW-2726-SM-6EU2I 60-69 years, female 10.9
GTEX-ZT9W-1126-SM-57WDR 50-59 years, male 10.9
GTEX-1K2DA-1026-SM-CGQGF 50-59 years, male 10.9
GTEX-12126-0826-SM-5FQTZ 20-29 years, male 10.8
GTEX-14ABY-2026-SM-62LDL 50-59 years, male 10.8
GTEX-ZF2S-1626-SM-57WES 50-59 years, female 10.8
GTEX-14LZ3-0126-SM-69LPM 60-69 years, female 10.7
GTEX-17MF6-2626-SM-79OKQ 40-49 years, male 10.7
GTEX-1GMR2-0826-SM-7PC3V 50-59 years, male 10.7
GTEX-1JN6P-2926-SM-CL54D 60-69 years, male 10.7
GTEX-15EO6-2426-SM-6PALZ 50-59 years, male 10.6
GTEX-1H2FU-0926-SM-9WPPT 60-69 years, female 10.6
GTEX-1HFI7-2326-SM-CGQFS 50-59 years, female 10.6
GTEX-1IDJV-0126-SM-COH3Y 60-69 years, male 10.6
GTEX-ZLV1-1526-SM-DO91J 60-69 years, female 10.6
GTEX-16AAH-0626-SM-793C9 50-59 years, male 10.5
GTEX-14JG6-1426-SM-9WG7C 30-39 years, female 10.5
GTEX-17HHY-0426-SM-7DHLC 50-59 years, male 10.4
GTEX-1HBPM-0726-SM-9YFL7 60-69 years, female 10.4
GTEX-1IDJH-0126-SM-D3L92 70-79 years, male 10.4
GTEX-1K9T9-1526-SM-DIPFR 50-59 years, female 10.4
GTEX-1POEN-2326-SM-E9J2L 30-39 years, female 10.4
GTEX-13PDP-0726-SM-5L3HP 60-69 years, male 10.3
GTEX-14JG1-1526-SM-5YY9X 40-49 years, male 10.3
GTEX-1CB4F-1026-SM-7DUH1 60-69 years, male 10.3
GTEX-XUW1-0926-SM-4BONX 50-59 years, female 10.3
GTEX-1A8FM-0626-SM-7PC25 50-59 years, female 10.3
GTEX-11TT1-1826-SM-5EQLV 20-29 years, male 10.2
GTEX-133LE-2326-SM-5K7W3 20-29 years, female 10.2
GTEX-13OW8-1026-SM-5J1NQ 60-69 years, male 10.2
GTEX-13U4I-2226-SM-5LU5H 40-49 years, female 10.2
GTEX-15D1Q-2826-SM-6LLH7 40-49 years, male 10.2
GTEX-1K2DU-1226-SM-CYPT4 20-29 years, male 10.2
GTEX-16NPX-0726-SM-7KULC 50-59 years, male 10.1
GTEX-17EVP-2626-SM-7IGMA 40-49 years, male 10.1
GTEX-1EX96-1026-SM-7MKG2 50-59 years, male 10.1
GTEX-ZUA1-2626-SM-5NQ92 40-49 years, male 10.1
GTEX-1QP9N-1226-SM-E76QN 30-39 years, male 10.1
GTEX-1RB15-1326-SM-E76Q9 60-69 years, male 10.1
GTEX-12WSD-0626-SM-5GCMW 60-69 years, female 10.0
GTEX-1EKGG-0626-SM-7DUGJ 60-69 years, male 10.0
GTEX-YF7O-1526-SM-5IFI6 50-59 years, male 10.0
GTEX-1I1GP-1326-SM-A9G28 50-59 years, male 10.0
GTEX-1ICG6-1226-SM-A9SLN 70-79 years, female 10.0
GTEX-13N1W-2426-SM-5IJD1 70-79 years, male 9.9
GTEX-145MN-1526-SM-5SI9T 30-39 years, male 9.9
GTEX-WFON-1926-SM-3LK7L 40-49 years, male 9.9
GTEX-Y5LM-0926-SM-6LLJG 40-49 years, female 9.9
GTEX-1C64N-2626-SM-7PC2N 50-59 years, male 9.9
GTEX-1C64O-1326-SM-7MGWR 60-69 years, male 9.9
GTEX-1HR98-2226-SM-ADEI2 60-69 years, male 9.9
GTEX-1MJK3-0726-SM-E6CJC 20-29 years, male 9.9
GTEX-131XW-0626-SM-5PNVD 50-59 years, female 9.8
GTEX-1LGOU-1326-SM-D3L8M 20-29 years, female 9.8
GTEX-1MCC2-1826-SM-DIPEX 30-39 years, female 9.8
GTEX-UPK5-0426-SM-3GAEK 40-49 years, male 9.7
GTEX-18D9A-1426-SM-7LT8M 30-39 years, female 9.7
GTEX-1LSNM-0826-SM-DIPG8 50-59 years, male 9.7
GTEX-1GZ4H-0526-SM-9KNU9 50-59 years, female 9.6
GTEX-WFG8-2126-SM-3GIKQ 20-29 years, male 9.5
GTEX-WHWD-1826-SM-3LK6I 50-59 years, male 9.5
GTEX-1GF9W-1426-SM-7PBYM 60-69 years, male 9.5
GTEX-1J8Q3-0526-SM-ARL8U 60-69 years, male 9.5
GTEX-144GO-2026-SM-5O99P 60-69 years, male 9.4
GTEX-147F3-1726-SM-5SIAW 50-59 years, female 9.4
GTEX-14DAQ-0626-SM-793DS 60-69 years, female 9.4
GTEX-15RIE-1926-SM-7KUKJ 60-69 years, male 9.4
GTEX-17HG3-2626-SM-7DUF2 30-39 years, female 9.4
GTEX-WRHU-2826-SM-3MJG8 50-59 years, female 9.4
GTEX-1OJC3-1226-SM-DTXER 20-29 years, male 9.4
GTEX-11GS4-0226-SM-5HL77 60-69 years, male 9.3
GTEX-131XF-2626-SM-5EQ6K 60-69 years, male 9.3
GTEX-13N11-2326-SM-5IJBF 50-59 years, female 9.3
GTEX-14C38-0726-SM-5SI6M 50-59 years, male 9.3
GTEX-15RJE-2826-SM-7KUM9 40-49 years, male 9.3
GTEX-XPVG-2126-SM-4B667 50-59 years, male 9.3
GTEX-1EMGI-2326-SM-7PBYA 60-69 years, male 9.3
GTEX-1GMR8-0626-SM-7RHI7 50-59 years, female 9.3
GTEX-1IKOE-1426-SM-CE6T7 30-39 years, female 9.3
GTEX-ZTSS-1426-SM-5985P 40-49 years, male 9.2
GTEX-ZZ64-1026-SM-5GZXG 20-29 years, male 9.2
GTEX-1N5O9-0926-SM-E9J3C 60-69 years, male 9.2
GTEX-13O3Q-0126-SM-5KM34 50-59 years, male 9.1
GTEX-148VJ-0626-SM-5LUAW 70-79 years, male 9.1
GTEX-1KANC-1226-SM-CYPT7 50-59 years, female 9.1
GTEX-1KWVE-1026-SM-D3L9O 30-39 years, male 9.1
GTEX-1S3DN-2126-SM-E9TIN 50-59 years, male 9.1
GTEX-1AX9J-1326-SM-731BJ 60-69 years, male 9.0
GTEX-XQ3S-1426-SM-4BOPR 20-29 years, male 9.0
GTEX-Y3I4-1726-SM-4TT89 50-59 years, male 9.0
GTEX-ZVT2-0126-SM-5GIDQ 50-59 years, female 9.0
GTEX-ZXG5-2126-SM-59HKD 60-69 years, male 9.0
GTEX-1H3O1-1326-SM-9MQLD 60-69 years, male 9.0
GTEX-1HCU9-0426-SM-9WYSD 20-29 years, male 9.0
GTEX-1NSGN-0726-SM-DTXEF 50-59 years, male 9.0
GTEX-11EM3-1226-SM-5N9DD 20-29 years, female 8.9
GTEX-12C56-1526-SM-5FQUQ 20-29 years, male 8.9
GTEX-12WSK-2126-SM-5CVNC 40-49 years, female 8.9
GTEX-1I6K7-1926-SM-B2LXR 40-49 years, male 8.9
GTEX-1JMPZ-0726-SM-CY8HZ 30-39 years, male 8.9
GTEX-12WSA-0426-SM-5EQ5X 60-69 years, male 8.8
GTEX-145MO-2826-SM-5LU96 60-69 years, male 8.8
GTEX-15RIG-0726-SM-7KUM7 40-49 years, male 8.8
GTEX-1I1CD-0626-SM-CE6SW 60-69 years, female 8.8
GTEX-1IL2V-1926-SM-B2LW8 70-79 years, male 8.8
GTEX-X4EO-2926-SM-4E3JH 60-69 years, female 8.7
GTEX-1ICLY-0826-SM-CMKG1 50-59 years, male 8.7
GTEX-1J8EW-2726-SM-CY8HR 60-69 years, female 8.7
GTEX-1J8QM-2426-SM-A9SLS 60-69 years, female 8.7
GTEX-11ZU8-0126-SM-5EQ58 60-69 years, male 8.6
GTEX-13O61-1426-SM-5KM3D 60-69 years, male 8.6
GTEX-WFG7-2026-SM-5SI7P 20-29 years, male 8.6
GTEX-ZPIC-0526-SM-DO91W 40-49 years, female 8.6
GTEX-1GMRU-2126-SM-7P8RA 50-59 years, male 8.5
GTEX-1HFI6-0126-SM-CNPPI 40-49 years, male 8.5
GTEX-1IDJU-1726-SM-CMKHU 60-69 years, female 8.5
GTEX-1QMI2-2526-SM-E8VNZ 60-69 years, male 8.5
GTEX-11EQ9-1626-SM-5PNY8 30-39 years, male 8.3
GTEX-13FLV-0126-SM-5K7WT 50-59 years, male 8.3
GTEX-14LLW-2626-SM-62LDZ 70-79 years, female 8.3
GTEX-1C6WA-2626-SM-7MKGM 60-69 years, male 8.3
GTEX-14753-0726-SM-5QGQO 60-69 years, male 8.2
GTEX-147F4-0726-SM-5TDDD 50-59 years, male 8.2
GTEX-XBED-1926-SM-47JYP 60-69 years, male 8.2
GTEX-1F5PL-0926-SM-7PC2W 40-49 years, female 8.2
GTEX-1F75I-2226-SM-7SB8U 40-49 years, male 8.2
GTEX-1H1DE-1326-SM-9KNUG 20-29 years, male 8.2
GTEX-1IY9M-2826-SM-ARU8H 60-69 years, male 8.2
GTEX-1QW4Y-1126-SM-DTXE3 30-39 years, male 8.2
GTEX-12696-0126-SM-5EQ4L 60-69 years, male 8.1
GTEX-1EN7A-2426-SM-793DB 40-49 years, male 8.1
GTEX-1GPI7-1826-SM-9KNU1 20-29 years, male 8.1
GTEX-1LSVX-2526-SM-DIPEU 60-69 years, male 8.1
GTEX-111VG-1626-SM-5EGIO 60-69 years, male 8.0
GTEX-18QFQ-1826-SM-72D52 30-39 years, male 8.0
GTEX-Y114-2126-SM-4TT8B 50-59 years, female 8.0
GTEX-Z93S-1626-SM-5CVMB 50-59 years, male 8.0
GTEX-1212Z-0126-SM-59HK4 60-69 years, male 7.9
GTEX-WK11-2726-SM-3NMAQ 50-59 years, male 7.9
GTEX-1E2YA-2126-SM-7MXUO 50-59 years, male 7.9
GTEX-1PPGY-1626-SM-EVYBL 60-69 years, male 7.9
GTEX-13W3W-0726-SM-5IJDQ 60-69 years, female 7.8
GTEX-1B932-2326-SM-79OL5 40-49 years, female 7.8
GTEX-XMD2-2126-SM-4YCF8 60-69 years, female 7.8
GTEX-YEC4-1826-SM-4W1YP 40-49 years, male 7.8
GTEX-12WSC-2826-SM-5BC5Y 50-59 years, male 7.7
GTEX-15EU6-2226-SM-6EU2L 50-59 years, male 7.7
GTEX-1BAJH-2426-SM-7IGP8 70-79 years, male 7.7
GTEX-1E1VI-0326-SM-793D1 50-59 years, male 7.7
GTEX-1GL5R-1326-SM-7RHHF 50-59 years, male 7.7
GTEX-11TUW-0626-SM-5LU9M 60-69 years, male 7.6
GTEX-ZTTD-2826-SM-4YCFA 50-59 years, male 7.6
GTEX-1I1HK-2326-SM-CKZOH 60-69 years, male 7.6
GTEX-1LVA9-2626-SM-EVYD4 50-59 years, male 7.6
GTEX-1R7EU-1626-SM-DTXG3 60-69 years, male 7.5
GTEX-11DXZ-2026-SM-5987S 50-59 years, male 7.4
GTEX-13OW6-2726-SM-5J2OE 50-59 years, male 7.4
GTEX-ZPCL-1126-SM-4WWFE 60-69 years, female 7.4
GTEX-11P82-1426-SM-DTXFY 20-29 years, male 7.4
GTEX-1LSNL-2726-SM-E9TKJ 50-59 years, male 7.4
GTEX-13JVG-0726-SM-5KM16 60-69 years, male 7.3
GTEX-15ER7-0626-SM-6PANF 20-29 years, female 7.3
GTEX-18465-2826-SM-7LT9J 50-59 years, male 7.3
GTEX-1B8KE-1126-SM-7EPHI 50-59 years, male 7.2
GTEX-1KANB-2826-SM-CY8I6 50-59 years, male 7.2
GTEX-11LCK-2226-SM-5HL4Q 30-39 years, male 7.1
GTEX-1CAMS-2226-SM-7PBXQ 40-49 years, female 7.1
GTEX-1GMR3-0126-SM-A9SLW 40-49 years, male 7.1
GTEX-1GN2E-0226-SM-9WG6K 60-69 years, male 7.1
GTEX-1LKK1-2626-SM-DKPQE 50-59 years, female 7.1
GTEX-13OW7-0426-SM-5K7VK 50-59 years, male 7.0
GTEX-14C39-1726-SM-5RQIL 40-49 years, male 7.0
GTEX-1GN1U-0626-SM-9MQL9 50-59 years, female 7.0
GTEX-178AV-1726-SM-7KUL8 40-49 years, male 6.9
GTEX-WY7C-2126-SM-3NB2R 50-59 years, male 6.9
GTEX-1J1R8-2026-SM-CL53Y 40-49 years, male 6.9
GTEX-12KS4-2126-SM-5FQUT 30-39 years, male 6.8
GTEX-139UW-0326-SM-5J1ML 60-69 years, male 6.8
GTEX-17F9Y-0126-SM-79OKX 70-79 years, female 6.8
GTEX-ZTX8-1326-SM-4YCEL 20-29 years, male 6.8
GTEX-ZWKS-0626-SM-5GIDV 30-39 years, male 6.8
GTEX-15DDE-2926-SM-6LLJ3 50-59 years, female 6.7
GTEX-16NGA-0726-SM-731AO 40-49 years, female 6.7
GTEX-17F98-1326-SM-7DUEP 40-49 years, female 6.7
GTEX-18A6Q-0626-SM-7KFRP 60-69 years, male 6.7
GTEX-1F88F-0126-SM-9WYSZ 60-69 years, female 6.7
GTEX-1H11D-1826-SM-9QEHM 40-49 years, male 6.7
GTEX-1IE54-1126-SM-A9G2Z 40-49 years, female 6.7
GTEX-1KANA-1326-SM-DIPFA 20-29 years, male 6.7
GTEX-1LGRB-0926-SM-COH3K 50-59 years, female 6.7
GTEX-1S5ZU-2526-SM-E6CIF 20-29 years, female 6.7
GTEX-14PHX-2226-SM-6EU2P 50-59 years, male 6.6
GTEX-XAJ8-1426-SM-47JYM 40-49 years, male 6.6
GTEX-ZF29-0926-SM-4WKFZ 60-69 years, female 6.6
GTEX-1RMOY-1326-SM-E9TIH 50-59 years, male 6.6
GTEX-13112-0126-SM-5P9IU 50-59 years, male 6.5
GTEX-13X6J-0626-SM-5LU5F 50-59 years, male 6.5
GTEX-145LT-0526-SM-5LUB2 40-49 years, male 6.5
GTEX-17MFQ-1526-SM-7KFRR 20-29 years, male 6.5
GTEX-1F6RS-2026-SM-7RHHC 60-69 years, female 6.5
GTEX-1HSGN-0826-SM-ACKW3 40-49 years, female 6.5
GTEX-1HSMQ-2626-SM-A9SML 50-59 years, male 6.5
GTEX-1IDFM-0326-SM-ARL7V 60-69 years, male 6.5
GTEX-1N2EE-0626-SM-E76PW 60-69 years, male 6.5
GTEX-13O3O-2326-SM-5IJD6 60-69 years, female 6.4
GTEX-13PVR-0426-SM-5RQK2 60-69 years, female 6.4
GTEX-15SKB-2826-SM-6PAMH 60-69 years, male 6.4
GTEX-V1D1-2026-SM-3GAF4 50-59 years, male 6.4
GTEX-13OVG-1626-SM-5J1NF 60-69 years, male 6.3
GTEX-17HHE-1326-SM-7EWDZ 50-59 years, male 6.3
GTEX-1CB4E-0926-SM-7EPHT 60-69 years, male 6.3
GTEX-ZDYS-2426-SM-4WKGI 50-59 years, male 6.3
GTEX-1CB4I-0126-SM-7RHGG 50-59 years, male 6.3
GTEX-UPJH-0226-SM-3GADV 50-59 years, male 6.2
GTEX-ZT9X-1526-SM-5DUXD 40-49 years, male 6.2
GTEX-1CAMQ-1326-SM-7P8RV 40-49 years, male 6.2
GTEX-1J8Q2-2626-SM-ACKWQ 60-69 years, male 6.2
GTEX-1JKYR-0626-SM-ARL8R 20-29 years, male 6.2
GTEX-1QPFJ-1926-SM-EVYBD 30-39 years, female 6.2
GTEX-139TT-2126-SM-5LZWC 60-69 years, male 6.1
GTEX-13OVH-0526-SM-5L3E6 70-79 years, male 6.1
GTEX-14PKU-0126-SM-6LLHV 40-49 years, female 6.1
GTEX-1M4P7-0726-SM-E6CJ3 60-69 years, male 6.1
GTEX-14PJ6-2626-SM-6EU2T 60-69 years, female 6.0
GTEX-14XAO-1226-SM-6EU1C 60-69 years, female 6.0
GTEX-15CHC-1126-SM-6LLHQ 60-69 years, female 6.0
GTEX-1B933-2426-SM-7DHMD 50-59 years, female 6.0
GTEX-1HCU7-0726-SM-A9SL1 50-59 years, male 6.0
GTEX-1HSKV-1226-SM-ADEI4 60-69 years, male 6.0
GTEX-1LB8K-0726-SM-D5OV2 50-59 years, male 6.0
GTEX-1PPH7-1126-SM-DTX9A 40-49 years, male 6.0
GTEX-1QP28-1126-SM-EVYC4 50-59 years, female 6.0
GTEX-11DXX-2126-SM-5PNYR 60-69 years, female 5.9
GTEX-13PL6-1126-SM-5L3IE 40-49 years, female 5.9
GTEX-1A8G6-2726-SM-731AR 60-69 years, male 5.9
GTEX-Y111-0626-SM-4SOIT 50-59 years, male 5.9
GTEX-14JFF-0626-SM-5ZZVT 60-69 years, male 5.9
GTEX-1HCVE-2726-SM-CL54F 50-59 years, male 5.9
GTEX-1HGF4-0126-SM-CNPPX 60-69 years, male 5.9
GTEX-12ZZY-0726-SM-5EQ66 60-69 years, male 5.8
GTEX-14PJ3-1126-SM-5ZZVX 50-59 years, male 5.8
GTEX-1B8KZ-0326-SM-73KY4 50-59 years, male 5.8
GTEX-ZYY3-2926-SM-5GIEB 60-69 years, female 5.8
GTEX-WHSB-1326-SM-3LK6W 50-59 years, male 5.7
GTEX-1JMQJ-0826-SM-CNPP7 50-59 years, male 5.7
GTEX-13NZ8-1226-SM-5KM4A 60-69 years, female 5.6
GTEX-1B97I-0626-SM-73KUZ 40-49 years, male 5.6
GTEX-1LG7Y-2526-SM-EWRO7 50-59 years, male 5.6
GTEX-12ZZX-2426-SM-5GCOE 40-49 years, female 5.5
GTEX-145LU-1926-SM-79OJN 50-59 years, male 5.5
GTEX-14A6H-2026-SM-5Q5DD 30-39 years, male 5.5
GTEX-14PJ5-1526-SM-6LLIL 60-69 years, female 5.5
GTEX-1122O-1026-SM-9WYSF 60-69 years, female 5.5
GTEX-1PPH8-0126-SM-EWRN8 20-29 years, male 5.5
GTEX-1CB4J-1326-SM-7P8RX 60-69 years, male 5.4
GTEX-1IOXB-2726-SM-CM2RI 50-59 years, male 5.4
GTEX-11P7K-1126-SM-5HL4L 30-39 years, male 5.3
GTEX-1313W-0626-SM-5EQ4H 50-59 years, female 5.3
GTEX-131XG-0326-SM-5L3DX 50-59 years, female 5.3
GTEX-14BIN-1126-SM-5RQJZ 50-59 years, female 5.3
GTEX-ZY6K-1426-SM-5GZX2 50-59 years, male 5.3
GTEX-1R46S-2426-SM-E76QA 60-69 years, female 5.3
GTEX-1269C-0126-SM-5EQ5L 60-69 years, female 5.2
GTEX-13D11-0926-SM-5J2NC 50-59 years, female 5.2
GTEX-13G51-1826-SM-5KLZH 60-69 years, male 5.2
GTEX-13X6K-0626-SM-5LU5D 60-69 years, female 5.2
GTEX-145MH-2826-SM-5RQJF 50-59 years, male 5.2
GTEX-1AX9I-2226-SM-73KUO 60-69 years, male 5.2
GTEX-1EU9M-1426-SM-793AI 60-69 years, male 5.2
GTEX-YECK-0326-SM-4W1YS 60-69 years, male 5.2
GTEX-1JK1U-0226-SM-ARZMX 60-69 years, male 5.2
GTEX-1RAZQ-1326-SM-E9TK6 30-39 years, male 5.2
GTEX-1RAZS-2526-SM-E6CHT 50-59 years, male 5.2
GTEX-14PII-0726-SM-6EU2B 60-69 years, male 5.1
GTEX-1OJC4-2726-SM-E76PJ 50-59 years, female 5.1
GTEX-1EH9U-2826-SM-7DUGT 60-69 years, male 5.0
GTEX-1H4P4-2126-SM-9WYSL 50-59 years, male 5.0
GTEX-1I1GU-0926-SM-ACKVS 40-49 years, male 5.0
GTEX-1JJEA-1826-SM-ARU8P 60-69 years, male 5.0
GTEX-145MI-0626-SM-5SI8S 60-69 years, female 4.9
GTEX-17KNJ-2126-SM-718AM 50-59 years, male 4.9
GTEX-WYJK-0526-SM-3NM8Z 50-59 years, male 4.9
GTEX-ZE9C-2526-SM-5IJDR 60-69 years, male 4.9
GTEX-1GF9X-1326-SM-7PC2Y 40-49 years, female 4.9
GTEX-1PBJJ-1026-SM-E76OS 30-39 years, male 4.9
GTEX-1PDJ9-1226-SM-EXUSX 20-29 years, male 4.9
GTEX-1R9PM-1926-SM-EVR3O 20-29 years, male 4.9
GTEX-YEC3-1326-SM-DO92X 50-59 years, male 4.9
GTEX-1B8SF-0126-SM-7DUG3 60-69 years, male 4.8
GTEX-ZDTT-0426-SM-4WKFL 60-69 years, male 4.8
GTEX-1HBPI-2126-SM-ARL9K 50-59 years, male 4.8
GTEX-1A8G7-1326-SM-73KVM 60-69 years, male 4.7
GTEX-1C2JI-1026-SM-73KY1 50-59 years, male 4.7
GTEX-1H1E6-0426-SM-9WYUS 30-39 years, male 4.7
GTEX-1I1GT-1026-SM-ARZLV 60-69 years, female 4.7
GTEX-1KXAM-1626-SM-D3LAD 60-69 years, male 4.7
GTEX-11ZUS-2626-SM-5FQUR 30-39 years, male 4.6
GTEX-144GL-0626-SM-5LU4D 50-59 years, male 4.6
GTEX-14BMV-2826-SM-5TDED 50-59 years, male 4.6
GTEX-14ICL-1626-SM-5YYAO 30-39 years, male 4.6
GTEX-14PJN-1826-SM-6AJ98 30-39 years, male 4.6
GTEX-ZYVF-0926-SM-5E44J 50-59 years, female 4.6
GTEX-1QAET-0326-SM-EVR3U 50-59 years, male 4.6
GTEX-13VXU-0626-SM-5L3F9 50-59 years, male 4.5
GTEX-1GF9V-0826-SM-9KNUV 60-69 years, male 4.5
GTEX-1J1OQ-0126-SM-D4P2N 40-49 years, female 4.5
GTEX-1N2DV-1526-SM-DTXEP 40-49 years, male 4.5
GTEX-111YS-1526-SM-5GZYW 60-69 years, male 4.4
GTEX-1AMFI-1326-SM-7939R 50-59 years, female 4.4
GTEX-1C6VQ-1226-SM-73KYD 50-59 years, male 4.4
GTEX-13FTY-2126-SM-5IFFB 40-49 years, female 4.3
GTEX-12WSM-1926-SM-5BC65 60-69 years, male 4.2
GTEX-13QJC-0126-SM-5ZZWJ 60-69 years, female 4.2
GTEX-ZVT4-2426-SM-5GIEI 50-59 years, female 4.2
GTEX-11PRG-0726-SM-5EGL1 50-59 years, male 4.1
GTEX-147GR-2426-SM-5ZZWQ 60-69 years, male 4.0
GTEX-ZVZP-1226-SM-5GID7 50-59 years, male 4.0
GTEX-1GPI6-1926-SM-9KNV7 60-69 years, male 4.0
GTEX-1HSMP-0926-SM-A9SKX 70-79 years, male 4.0
GTEX-1I1GV-0626-SM-ARL7M 60-69 years, male 4.0
GTEX-1JN76-0626-SM-CKZOQ 20-29 years, female 4.0
GTEX-18A67-1626-SM-7LT9T 50-59 years, male 3.9
GTEX-ZYT6-2326-SM-5GZY3 30-39 years, male 3.9
GTEX-1PIIG-2326-SM-DTXFR 30-39 years, male 3.9
GTEX-145MF-0926-SM-5Q5EA 50-59 years, male 3.8
GTEX-1A3MV-1826-SM-731CD 30-39 years, male 3.8
GTEX-1GN73-0726-SM-7P8TJ 60-69 years, male 3.8
GTEX-1HT8W-0626-SM-A9G2H 30-39 years, male 3.8
GTEX-1399S-0126-SM-5IJCF 30-39 years, female 3.7
GTEX-14C5O-0326-SM-5ZZUX 60-69 years, male 3.7
GTEX-14PJ4-0226-SM-5YY92 60-69 years, male 3.7
GTEX-1AMEY-0826-SM-72D65 30-39 years, female 3.7
GTEX-1GN1W-2426-SM-9KNUU 50-59 years, female 3.7
GTEX-1HBPN-0126-SM-CGQEF 50-59 years, male 3.7
GTEX-1GN1V-2826-SM-9JGIA 60-69 years, male 3.6
GTEX-1IKJJ-2226-SM-CJI4C 60-69 years, male 3.6
GTEX-1MCYP-0526-SM-E9U6Q 20-29 years, female 3.6
GTEX-14B4R-1326-SM-5Q5EZ 30-39 years, male 3.5
GTEX-1GZ4I-2626-SM-9KNU3 50-59 years, male 3.5
GTEX-1QCLY-0226-SM-EWRNH 30-39 years, male 3.5
GTEX-1B8L1-2226-SM-7P8PT 60-69 years, male 3.2
GTEX-1NV5F-0626-SM-DTXEG 60-69 years, female 3.2
GTEX-1399Q-2326-SM-5KM2X 40-49 years, male 3.0
GTEX-13SLW-0626-SM-5Q5ER 70-79 years, male 2.9
GTEX-1C6VR-0126-SM-7RHGB 60-69 years, male 2.9
GTEX-1F5PK-2226-SM-7SB6N 50-59 years, male 2.9
GTEX-1JMPY-0226-SM-CKZOK 30-39 years, male 2.9
GTEX-1LVAM-0726-SM-E6CIL 50-59 years, female 2.9
GTEX-1QP2A-1726-SM-E76QC 50-59 years, male 2.9
GTEX-1399U-1126-SM-5L3DB 50-59 years, female 2.8
GTEX-Y9LG-1126-SM-4VBQ7 30-39 years, male 2.7
GTEX-1HR9M-2226-SM-CNPPY 60-69 years, male 2.5
GTEX-1S83E-1326-SM-E6CJM 40-49 years, male 1.9
Show allShow less
Skin - Sun Exposed (Lower leg)
Average nTPM: 14.7
Samples: 701

Max nTPM: 72.1
Min nTPM: 1.9
Std nTPM: 9.1
Median nTPM: 12.9
GTEX-WI4N-1026-SM-3LK7N 40-49 years, female 72.1
GTEX-ZTPG-0326-SM-5O9AX 20-29 years, female 65.2
GTEX-ZAJG-0126-SM-5HL94 50-59 years, female 60.7
GTEX-14E6C-0126-SM-5RQIP 40-49 years, male 59.6
GTEX-15EOM-0126-SM-7KUGG 20-29 years, female 58.9
GTEX-XV7Q-2526-SM-4BRV9 40-49 years, female 57.6
GTEX-11TTK-0126-SM-5987B 60-69 years, female 53.0
GTEX-1JN1M-0326-SM-CYPT3 60-69 years, female 48.7
GTEX-Q734-1926-SM-2I5EV 40-49 years, female 46.3
GTEX-15UF6-0826-SM-6PALJ 70-79 years, female 43.6
GTEX-ZF3C-0126-SM-DO92D 50-59 years, female 43.2
GTEX-X8HC-0126-SM-4E3JW 50-59 years, female 42.6
GTEX-1HBPH-0426-SM-B2LW5 40-49 years, female 41.7
GTEX-1HBPM-0226-SM-ARL9F 60-69 years, female 40.8
GTEX-ZE7O-0126-SM-57WC1 50-59 years, female 40.1
GTEX-ZAB4-0226-SM-5N9F5 40-49 years, male 40.0
GTEX-X4EP-0126-SM-3P5YV 60-69 years, female 38.9
GTEX-1192X-0226-SM-5H12D 50-59 years, male 38.2
GTEX-PLZ4-0126-SM-5SI8O 50-59 years, female 38.1
GTEX-11EMC-2926-SM-5EQ4F 60-69 years, female 36.0
GTEX-W5X1-3026-SM-EAZAX 40-49 years, female 35.4
GTEX-RUSQ-1526-SM-2TF62 50-59 years, male 34.9
GTEX-WOFL-0126-SM-3MJG2 60-69 years, male 34.9
GTEX-RTLS-0126-SM-447CA 60-69 years, female 34.5
GTEX-XXEK-2226-SM-4BRUM 50-59 years, male 33.9
GTEX-R45C-0126-SM-EAZ2R 60-69 years, female 33.9
GTEX-1HSMO-0126-SM-CL547 60-69 years, male 33.2
GTEX-1LNCM-1126-SM-E9U5E 50-59 years, female 33.2
GTEX-1PWST-0226-SM-E76QJ 70-79 years, male 33.1
GTEX-NPJ8-0126-SM-2YUNR 40-49 years, male 32.6
GTEX-139D8-0226-SM-5KLZO 30-39 years, female 32.3
GTEX-1H2FU-0126-SM-9WYSI 60-69 years, female 32.2
GTEX-144GN-2326-SM-5LU4F 50-59 years, male 31.6
GTEX-QDT8-0126-SM-48TZ1 30-39 years, female 31.3
GTEX-1N2EF-0226-SM-EYYXB 60-69 years, male 31.2
GTEX-13OW7-0126-SM-5MR3B 50-59 years, male 30.8
GTEX-146FQ-0126-SM-5NQA9 30-39 years, male 29.7
GTEX-P4PQ-0126-SM-2S1NM 60-69 years, male 29.7
GTEX-11DZ1-0126-SM-5985Q 50-59 years, male 29.6
GTEX-X62O-0126-SM-4E3JN 50-59 years, male 29.3
GTEX-14PK6-1926-SM-6ETZU 70-79 years, female 28.8
GTEX-Y3IK-2426-SM-4WWDU 50-59 years, female 28.7
GTEX-1H3VE-0326-SM-9YFLH 40-49 years, male 28.7
GTEX-1A3MW-0126-SM-73KXX 60-69 years, female 28.6
GTEX-12584-0126-SM-5EGKQ 40-49 years, male 28.5
GTEX-13O1R-0126-SM-5L3EH 60-69 years, male 28.5
GTEX-OOBK-0126-SM-2YUND 40-49 years, male 28.2
GTEX-13OVJ-0126-SM-5KM36 50-59 years, female 28.1
GTEX-1QP67-1626-SM-EAZ3X 40-49 years, female 27.9
GTEX-1GN1V-0126-SM-9WPOS 60-69 years, male 27.7
GTEX-11WQK-0526-SM-5EQLD 50-59 years, male 27.6
GTEX-13NYS-0126-SM-5MR3W 60-69 years, male 27.3
GTEX-1ICLZ-0126-SM-CKZPO 60-69 years, male 27.3
GTEX-X585-0226-SM-4QAS2 50-59 years, male 27.2
GTEX-U4B1-1826-SM-4DXSU 40-49 years, male 26.9
GTEX-X638-0126-SM-47JZ8 70-79 years, female 26.8
GTEX-ZYW4-0126-SM-5E44A 60-69 years, male 26.8
GTEX-139T4-0226-SM-5HL5S 50-59 years, female 26.6
GTEX-16MT8-0426-SM-7KUEY 60-69 years, female 26.6
GTEX-ZC5H-0226-SM-4WAY9 40-49 years, female 26.6
GTEX-ZY6K-1826-SM-5GZXK 50-59 years, male 26.5
GTEX-1HUB1-0426-SM-E9U4U 60-69 years, male 26.4
GTEX-1LC47-0326-SM-E9TJP 60-69 years, male 26.2
GTEX-11NSD-2226-SM-5986V 20-29 years, male 26.1
GTEX-13RTL-0126-SM-7LG5S 40-49 years, male 26.1
GTEX-QDVN-2026-SM-3GAEP 50-59 years, male 25.9
GTEX-17EVQ-0226-SM-7LG4P 70-79 years, male 25.8
GTEX-ZEX8-2426-SM-4WKG4 50-59 years, male 25.8
GTEX-113IC-0126-SM-5HL6T 60-69 years, male 25.6
GTEX-145LV-2126-SM-5LU8N 50-59 years, male 25.4
GTEX-117YW-2626-SM-5GZZH 50-59 years, male 25.2
GTEX-12WSD-0126-SM-59HKN 60-69 years, female 25.2
GTEX-1GMR8-0126-SM-9WYTM 50-59 years, female 25.2
GTEX-ZDXO-3026-SM-5J1N5 60-69 years, male 25.0
GTEX-1KD5A-0226-SM-D5OV3 50-59 years, male 24.8
GTEX-13OVI-1426-SM-5L3EY 60-69 years, female 24.7
GTEX-14PN4-0126-SM-6EU2V 50-59 years, male 24.6
GTEX-TMZS-0126-SM-3DB9Q 60-69 years, male 24.6
GTEX-XMD2-0126-SM-4YCDU 60-69 years, female 24.4
GTEX-1R46S-0626-SM-E9J41 60-69 years, female 24.3
GTEX-O5YW-0126-SM-3LK6D 50-59 years, male 24.2
GTEX-13NZ8-0826-SM-5MR3I 60-69 years, female 23.8
GTEX-1AYD5-2426-SM-73KXR 50-59 years, male 23.8
GTEX-111VG-2426-SM-5GZXD 60-69 years, male 23.7
GTEX-1I1GS-0126-SM-B2LVW 60-69 years, male 23.7
GTEX-17HII-0226-SM-7LG4E 50-59 years, male 23.6
GTEX-139T8-0126-SM-5K7XZ 60-69 years, male 23.5
GTEX-1A32A-0126-SM-718B1 50-59 years, female 23.5
GTEX-1AYCT-2426-SM-7IGQ3 50-59 years, male 23.5
GTEX-ZUA1-0126-SM-5GU76 40-49 years, male 23.5
GTEX-YJ8A-0426-SM-5IFID 20-29 years, male 23.4
GTEX-S33H-1026-SM-EZ6L6 30-39 years, male 23.4
GTEX-13W46-0226-SM-5SIAG 50-59 years, male 23.3
GTEX-1H3NZ-0126-SM-ACKX7 60-69 years, male 23.3
GTEX-11H98-0126-SM-5EGHG 50-59 years, male 23.2
GTEX-X5EB-2226-SM-46MW4 40-49 years, male 23.2
GTEX-13FHO-0226-SM-5IFGY 60-69 years, male 23.0
GTEX-R55E-0126-SM-2TC5Y 20-29 years, male 23.0
GTEX-ZF28-0126-SM-4WKGK 60-69 years, male 23.0
GTEX-1QW4Y-1526-SM-EAZ3Z 30-39 years, male 23.0
GTEX-18A67-0126-SM-7LG5P 50-59 years, male 22.9
GTEX-11GSP-2526-SM-5N9BP 60-69 years, female 22.8
GTEX-S7PM-0126-SM-4AD6S 60-69 years, male 22.8
GTEX-X4XX-0126-SM-3NMC2 60-69 years, male 22.7
GTEX-1211K-2026-SM-5EQ4Z 60-69 years, female 22.6
GTEX-12WSJ-1826-SM-5GCNY 40-49 years, female 22.4
GTEX-14JIY-0126-SM-6LLH6 60-69 years, male 22.4
GTEX-12WSG-2826-SM-E9J4H 50-59 years, female 22.4
GTEX-14LLW-0126-SM-6LLIO 70-79 years, female 22.3
GTEX-1H1ZS-0426-SM-9WG6G 70-79 years, male 22.3
GTEX-SN8G-0126-SM-32PLI 50-59 years, female 22.1
GTEX-1K9T9-0126-SM-EVYCF 50-59 years, female 22.0
GTEX-1OJC4-0126-SM-E9J2E 50-59 years, female 22.0
GTEX-11DXX-2426-SM-5GZZW 60-69 years, female 21.9
GTEX-13PDP-0126-SM-5L3HD 60-69 years, male 21.9
GTEX-ZYY3-0126-SM-5GZY5 60-69 years, female 21.9
GTEX-1H23P-0126-SM-ADEJ3 60-69 years, male 21.9
GTEX-1IE54-0126-SM-CMKHW 40-49 years, female 21.8
GTEX-1PBJI-0526-SM-E8VNK 20-29 years, female 21.7
GTEX-OXRK-0226-SM-3NB2G 50-59 years, female 21.6
GTEX-131XG-2626-SM-5KM17 50-59 years, female 21.5
GTEX-13O3P-0126-SM-5KM4S 50-59 years, male 21.5
GTEX-1AX8Z-0126-SM-7DHM6 60-69 years, male 21.4
GTEX-X88G-0126-SM-47JZ3 30-39 years, male 21.4
GTEX-1F52S-0126-SM-9MQJU 60-69 years, female 21.4
GTEX-14A6H-0126-SM-5QGPK 30-39 years, male 21.3
GTEX-Q2AI-1326-SM-2S1PL 40-49 years, male 21.3
GTEX-Y5LM-1926-SM-5RQJH 40-49 years, female 21.1
GTEX-14A5H-0426-SM-5QGQF 60-69 years, male 21.0
GTEX-OXRP-0126-SM-3NB32 60-69 years, female 21.0
GTEX-ZZPT-0226-SM-5E43X 50-59 years, male 20.9
GTEX-13O3O-0126-SM-E9J49 60-69 years, female 20.9
GTEX-1RB15-2126-SM-E9TIM 60-69 years, male 20.9
GTEX-13RTJ-2426-SM-5S2Q2 60-69 years, male 20.8
GTEX-15SHW-0326-SM-6PAML 60-69 years, male 20.8
GTEX-1S82Y-2026-SM-EVYCM 40-49 years, male 20.8
GTEX-PLZ5-2026-SM-2S1O4 50-59 years, male 20.7
GTEX-14PHW-0126-SM-6LLJI 60-69 years, female 20.6
GTEX-17F97-0326-SM-7LG5B 50-59 years, male 20.5
GTEX-X4EO-0326-SM-3P5YO 60-69 years, female 20.5
GTEX-1GF9X-2026-SM-7PC3A 40-49 years, female 20.3
GTEX-11UD1-0126-SM-5PNYG 40-49 years, female 20.2
GTEX-15SDE-2226-SM-7IGLO 50-59 years, female 20.2
GTEX-1RLM8-2326-SM-EWRN4 50-59 years, male 20.2
GTEX-11O72-0126-SM-59887 40-49 years, male 20.1
GTEX-148VI-1626-SM-5SI6E 60-69 years, female 20.1
GTEX-1497J-2426-SM-7IGNX 60-69 years, male 20.1
GTEX-17MF6-0126-SM-7LG4F 40-49 years, male 20.0
GTEX-Y3I4-2126-SM-4TT7C 50-59 years, male 20.0
GTEX-ZVT3-0126-SM-5GU6I 60-69 years, female 20.0
GTEX-1RAZA-0126-SM-E6CI3 20-29 years, male 20.0
GTEX-11P82-1626-SM-59879 20-29 years, male 19.9
GTEX-14BIL-0126-SM-5SI92 50-59 years, male 19.9
GTEX-11ZVC-2526-SM-5FQTE 50-59 years, female 19.8
GTEX-148VJ-0126-SM-5TDDN 70-79 years, male 19.8
GTEX-1H11D-0226-SM-9WG6Z 40-49 years, male 19.8
GTEX-131XE-2326-SM-5PNZ2 50-59 years, male 19.7
GTEX-18A7A-0226-SM-718BH 50-59 years, female 19.7
GTEX-QLQW-1126-SM-2S1Q8 30-39 years, male 19.7
GTEX-1IDFM-0126-SM-COH2V 60-69 years, male 19.7
GTEX-14BIM-0226-SM-7IGLD 60-69 years, female 19.6
GTEX-117YX-2326-SM-5H12W 50-59 years, male 19.5
GTEX-18D9B-0526-SM-7LTAS 60-69 years, male 19.5
GTEX-SIU8-0126-SM-2XCDT 50-59 years, male 19.5
GTEX-13VXT-0126-SM-5LU4I 20-29 years, female 19.4
GTEX-183WM-0126-SM-7LTAB 70-79 years, female 19.3
GTEX-Q2AG-0126-SM-33HBV 40-49 years, female 19.3
GTEX-ZVT2-2526-SM-51MT1 50-59 years, female 19.3
GTEX-1C6WA-0126-SM-7PC2B 60-69 years, male 19.3
GTEX-11OC5-0126-SM-5HL6A 60-69 years, male 19.2
GTEX-146FH-0126-SM-5QGPP 50-59 years, female 19.2
GTEX-1314G-1526-SM-5EGK2 30-39 years, male 19.1
GTEX-15SB6-1726-SM-6PAME 50-59 years, female 19.0
GTEX-Y8LW-1826-SM-5S2MV 50-59 years, female 19.0
GTEX-1ICG6-2526-SM-CGQFZ 70-79 years, female 19.0
GTEX-1J8EW-0126-SM-CJI4F 60-69 years, female 19.0
GTEX-1JMOU-1526-SM-CL54I 60-69 years, female 18.9
GTEX-1QP66-1726-SM-E8VO1 50-59 years, male 18.9
GTEX-X4XY-0226-SM-4E3IZ 60-69 years, male 18.8
GTEX-1F48J-0126-SM-7P8TT 50-59 years, female 18.8
GTEX-1ICLY-0126-SM-D4P36 50-59 years, male 18.8
GTEX-17HHY-0126-SM-7LG5D 50-59 years, male 18.7
GTEX-ZYFD-0126-SM-5GIDL 50-59 years, male 18.7
GTEX-WH7G-2326-SM-3NMBC 40-49 years, male 18.6
GTEX-144FL-0126-SM-5TDC8 50-59 years, male 18.5
GTEX-OXRO-0126-SM-2YUN4 60-69 years, female 18.5
GTEX-1JJE9-0326-SM-CL53Z 70-79 years, male 18.5
GTEX-11VI4-1726-SM-5CVLH 40-49 years, female 18.4
GTEX-PWO3-1526-SM-48TCM 60-69 years, female 18.4
GTEX-1HGF4-2426-SM-ACKXM 60-69 years, male 18.4
GTEX-U8XE-0326-SM-3DB8P 30-39 years, male 18.3
GTEX-1I1CD-0126-SM-CM2TK 60-69 years, female 18.3
GTEX-13NZA-0226-SM-5K7Z7 60-69 years, male 18.2
GTEX-18QFQ-0126-SM-731BE 30-39 years, male 18.2
GTEX-RU72-0926-SM-2TF6B 50-59 years, female 18.2
GTEX-VUSG-2526-SM-4KL1V 50-59 years, male 18.2
GTEX-YEC4-2126-SM-5IFJH 40-49 years, male 18.2
GTEX-1HR98-0126-SM-B2LWI 60-69 years, male 18.2
GTEX-145MO-0326-SM-5Q5B3 60-69 years, male 18.1
GTEX-16XZY-2126-SM-79OK1 70-79 years, male 18.1
GTEX-Z93T-0126-SM-5HL5N 50-59 years, male 18.1
GTEX-1CB4H-0226-SM-7PBXM 60-69 years, female 18.1
GTEX-1HKZK-0326-SM-9WYUH 40-49 years, male 18.1
GTEX-OXRL-0126-SM-2YUMP 50-59 years, male 18.0
GTEX-OXRN-0126-SM-48TDM 50-59 years, male 18.0
GTEX-146FR-1326-SM-E9J48 60-69 years, female 18.0
GTEX-1JMQK-0226-SM-CL543 60-69 years, male 18.0
GTEX-13X6H-2126-SM-7EWD5 50-59 years, female 17.9
GTEX-1GF9U-2126-SM-7SB7L 40-49 years, female 17.7
GTEX-147GR-0526-SM-5S2MY 60-69 years, male 17.6
GTEX-1A3MX-0126-SM-731BR 60-69 years, male 17.6
GTEX-1GTWX-0126-SM-9YFLK 60-69 years, male 17.6
GTEX-1269C-2526-SM-5EGJ3 60-69 years, female 17.5
GTEX-11ZUS-0626-SM-59885 30-39 years, male 17.4
GTEX-1HCVE-0126-SM-CGQEU 50-59 years, male 17.4
GTEX-13D11-2426-SM-5KM1V 50-59 years, female 17.3
GTEX-15G19-0126-SM-6PANQ 60-69 years, male 17.3
GTEX-1CB4J-0626-SM-7DHMP 60-69 years, male 17.3
GTEX-QV44-1926-SM-2S1RF 50-59 years, male 17.3
GTEX-1LH75-2426-SM-E9TJE 50-59 years, female 17.3
GTEX-ZF29-2326-SM-DO92K 60-69 years, female 17.3
GTEX-132NY-0326-SM-5IJBL 60-69 years, male 17.1
GTEX-13O21-1426-SM-5K7XI 50-59 years, male 17.1
GTEX-ZAB5-1826-SM-5HL7C 50-59 years, male 17.1
GTEX-1F6I4-0126-SM-9MQL2 60-69 years, male 17.1
GTEX-1LBAC-0126-SM-DIPEZ 20-29 years, male 17.1
GTEX-13CF2-2526-SM-5LZYX 60-69 years, male 17.0
GTEX-13X6I-0626-SM-5QGP9 60-69 years, male 17.0
GTEX-U3ZN-2326-SM-3DB7W 30-39 years, female 17.0
GTEX-13FH7-2026-SM-E9J4I 50-59 years, female 17.0
GTEX-1B933-0126-SM-7PC29 50-59 years, female 17.0
GTEX-1R7EV-2426-SM-EVYBG 40-49 years, male 17.0
GTEX-R55G-2526-SM-2TC6D 40-49 years, female 16.9
GTEX-OOBJ-0126-SM-E6CJW 60-69 years, male 16.9
GTEX-15DYW-0126-SM-7KULE 60-69 years, female 16.8
GTEX-RN64-0126-SM-2TC68 50-59 years, male 16.8
GTEX-15SHU-0126-SM-7KUEH 40-49 years, female 16.7
GTEX-13N11-2526-SM-5K7UE 50-59 years, female 16.5
GTEX-13SLW-0126-SM-5SI6C 70-79 years, male 16.5
GTEX-147F4-0226-SM-5QGPW 50-59 years, male 16.5
GTEX-13IVO-0126-SM-5J1NG 70-79 years, male 16.4
GTEX-QESD-1426-SM-2S1R9 20-29 years, male 16.4
GTEX-13U4I-0126-SM-5LU38 40-49 years, female 16.3
GTEX-16YQH-0126-SM-7DUFJ 30-39 years, male 16.3
GTEX-YFC4-0126-SM-5CVLY 40-49 years, female 16.3
GTEX-13QJ3-0326-SM-5S2RA 50-59 years, male 16.2
GTEX-13SLX-0526-SM-5S2ON 50-59 years, female 16.1
GTEX-18A6Q-0126-SM-731BZ 60-69 years, male 16.1
GTEX-145MN-2226-SM-5SIAU 30-39 years, male 16.0
GTEX-OIZF-0126-SM-7SB8I 60-69 years, male 15.9
GTEX-13YAN-0326-SM-5O9DF 60-69 years, male 15.8
GTEX-U8T8-0126-SM-3DB94 60-69 years, male 15.8
GTEX-13VXU-0126-SM-5SI9F 50-59 years, male 15.7
GTEX-14ABY-0226-SM-5TDCQ 50-59 years, male 15.7
GTEX-ZVZO-0126-SM-5A5L9 40-49 years, male 15.6
GTEX-1C64O-0126-SM-7SB8P 60-69 years, male 15.5
GTEX-11DXW-0226-SM-5H122 40-49 years, male 15.4
GTEX-1C6VQ-0126-SM-7P8RI 50-59 years, male 15.4
GTEX-17HGU-0226-SM-7DHKV 50-59 years, male 15.3
GTEX-QVJO-1626-SM-2S1QW 60-69 years, female 15.3
GTEX-XUW1-0426-SM-4BOOT 50-59 years, female 15.3
GTEX-1F6RS-0126-SM-9MQKZ 60-69 years, female 15.3
GTEX-1QP29-0626-SM-EWRMX 50-59 years, male 15.3
GTEX-1399U-2326-SM-5K7WY 50-59 years, female 15.2
GTEX-ZYFC-0226-SM-5NQ75 50-59 years, male 15.2
GTEX-13G51-2526-SM-5LZYK 60-69 years, male 15.1
GTEX-1H1DG-0126-SM-9WYU2 70-79 years, male 15.0
GTEX-1J1OQ-0226-SM-CYPSH 40-49 years, female 15.0
GTEX-RNOR-0126-SM-E9J4R 50-59 years, female 15.0
GTEX-11WQC-2526-SM-5CVLE 60-69 years, male 14.9
GTEX-ZVE2-0226-SM-59HJB 50-59 years, male 14.9
GTEX-1M4P7-0226-SM-DIPEV 60-69 years, male 14.8
GTEX-1192W-2626-SM-5Q5AF 60-69 years, male 14.7
GTEX-13OVG-1926-SM-5L3DK 60-69 years, male 14.7
GTEX-16XZZ-0126-SM-793DV 60-69 years, male 14.7
GTEX-TML8-1926-SM-32QOS 40-49 years, female 14.7
GTEX-1CB4G-0226-SM-7PC3O 60-69 years, male 14.7
GTEX-1EX96-1626-SM-7PBXR 50-59 years, male 14.7
GTEX-1MCQQ-0826-SM-DLHC2 60-69 years, male 14.7
GTEX-Y111-0126-SM-4SOIV 50-59 years, male 14.6
GTEX-11DXY-2626-SM-5GIE7 60-69 years, male 14.5
GTEX-11GSO-2426-SM-5A5LY 60-69 years, male 14.5
GTEX-11ZTT-2426-SM-5EQLS 60-69 years, female 14.5
GTEX-11TUW-2726-SM-E9J4M 60-69 years, male 14.5
GTEX-1C2JI-1826-SM-73KXC 50-59 years, male 14.4
GTEX-T2IS-0126-SM-4DM6O 20-29 years, female 14.4
GTEX-ZXES-1826-SM-5E43S 30-39 years, female 14.4
GTEX-1I1HK-0126-SM-COH49 60-69 years, male 14.4
GTEX-13N1W-0126-SM-5K7VT 70-79 years, male 14.3
GTEX-18A66-0226-SM-718BD 60-69 years, male 14.3
GTEX-XYKS-2126-SM-4E3IB 60-69 years, female 14.2
GTEX-1I6K6-0126-SM-A9SLE 30-39 years, male 14.2
GTEX-1IKOH-0226-SM-COH4E 60-69 years, female 14.2
GTEX-PW2O-1526-SM-7RHHB 20-29 years, male 14.2
GTEX-13FTX-1826-SM-5J1NX 20-29 years, female 14.1
GTEX-15DDE-0126-SM-6LPKH 50-59 years, female 14.1
GTEX-P4PP-0126-SM-3LK69 30-39 years, female 14.1
GTEX-SSA3-0126-SM-32QPU 60-69 years, male 14.1
GTEX-WQUQ-0426-SM-3MJFU 60-69 years, male 14.1
GTEX-11UD2-0226-SM-5EQKY 50-59 years, male 14.0
GTEX-15DCD-0126-SM-7KUEK 70-79 years, female 14.0
GTEX-TSE9-0126-SM-3DB83 60-69 years, female 14.0
GTEX-WXYG-2326-SM-4E3I6 50-59 years, female 14.0
GTEX-XQ8I-0426-SM-4BOPO 50-59 years, male 14.0
GTEX-ZE9C-2726-SM-57WB5 60-69 years, male 14.0
GTEX-1HCU8-0626-SM-A9SM9 60-69 years, female 14.0
GTEX-1I1GU-2226-SM-CGQFA 40-49 years, male 14.0
GTEX-113JC-2326-SM-5EQ4E 50-59 years, female 13.9
GTEX-14XAO-2326-SM-6EU1B 60-69 years, female 13.9
GTEX-15D1Q-0126-SM-7KUG6 40-49 years, male 13.9
GTEX-1A8FM-0226-SM-7SB7Q 50-59 years, female 13.9
GTEX-12C56-1726-SM-5EQ61 20-29 years, male 13.8
GTEX-ZDTS-0126-SM-4WAY5 60-69 years, male 13.8
GTEX-169BO-1326-SM-9MQK2 50-59 years, male 13.8
GTEX-1J8JJ-0226-SM-CL53I 60-69 years, female 13.8
GTEX-1R9PO-2126-SM-E9J4O 60-69 years, female 13.8
GTEX-139TS-2826-SM-5J1OO 60-69 years, male 13.7
GTEX-QEG4-0226-SM-2S1PY 30-39 years, male 13.7
GTEX-UPJH-0326-SM-3GADU 50-59 years, male 13.7
GTEX-OHPM-0126-SM-2YUN9 50-59 years, male 13.6
GTEX-Q2AH-1626-SM-3GAF8 40-49 years, male 13.6
GTEX-S95S-1226-SM-4GICG 60-69 years, male 13.6
GTEX-ZYFG-2326-SM-5E44B 60-69 years, female 13.6
GTEX-1F75B-0126-SM-9KNVL 50-59 years, male 13.6
GTEX-1PPH7-2326-SM-EVYB8 40-49 years, male 13.6
GTEX-1QEPI-0126-SM-EWRMQ 60-69 years, female 13.6
GTEX-14DAR-2026-SM-5S2O3 50-59 years, male 13.5
GTEX-183FY-0126-SM-7LT9P 20-29 years, male 13.5
GTEX-U412-0426-SM-3DB9O 60-69 years, male 13.5
GTEX-XAJ8-0826-SM-47JY6 40-49 years, male 13.5
GTEX-1GZ2Q-0226-SM-7P8TL 40-49 years, male 13.4
GTEX-1N2DW-0226-SM-E9TK2 50-59 years, male 13.4
GTEX-1NV5F-0226-SM-E8VNY 60-69 years, female 13.4
GTEX-13NZB-2526-SM-5J1OM 30-39 years, male 13.3
GTEX-18A7B-0126-SM-7LG64 70-79 years, male 13.3
GTEX-NFK9-0226-SM-2HMKQ 40-49 years, male 13.3
GTEX-1IY9M-0126-SM-D3L8S 60-69 years, male 13.3
GTEX-ZQG8-1626-SM-DHXIT 60-69 years, female 13.3
GTEX-11GS4-2726-SM-5A5LE 60-69 years, male 13.2
GTEX-1JK1U-2026-SM-CM2RZ 60-69 years, male 13.2
GTEX-13FTY-0526-SM-5L3EV 40-49 years, female 13.1
GTEX-1EKGG-0226-SM-9WYTH 60-69 years, male 13.1
GTEX-1HCU6-0126-SM-CL54K 60-69 years, female 13.1
GTEX-1JKYN-1326-SM-CGQG9 30-39 years, male 13.1
GTEX-QCQG-1726-SM-3GIJ9 50-59 years, female 13.0
GTEX-T2YK-0526-SM-32QPJ 50-59 years, male 13.0
GTEX-Y5V5-2326-SM-4V6GA 60-69 years, female 13.0
GTEX-1F6IF-0726-SM-7P8TW 60-69 years, male 13.0
GTEX-12KS4-0326-SM-5EQ41 30-39 years, male 12.9
GTEX-OHPL-0126-SM-2HMJ7 60-69 years, female 12.9
GTEX-U3ZM-1526-SM-3DB9D 40-49 years, male 12.9
GTEX-1GZ4H-1726-SM-7PBZJ 50-59 years, female 12.9
GTEX-1KANB-0526-SM-E6CJH 50-59 years, male 12.9
GTEX-11ZU8-2526-SM-5EQKI 60-69 years, male 12.8
GTEX-145LT-1726-SM-5QGP3 40-49 years, male 12.8
GTEX-1CAV2-2226-SM-7P8P2 40-49 years, female 12.8
GTEX-1H3VY-0126-SM-ACKXD 50-59 years, male 12.8
GTEX-133LE-1826-SM-5J1MV 20-29 years, female 12.7
GTEX-1RAZQ-0726-SM-EAZ43 30-39 years, male 12.7
GTEX-14LZ3-0226-SM-62LET 60-69 years, female 12.6
GTEX-11NUK-0126-SM-5A5L3 50-59 years, male 12.5
GTEX-ZU9S-0226-SM-5E441 30-39 years, male 12.5
GTEX-R3RS-0126-SM-3GIJL 40-49 years, female 12.4
GTEX-ZV6S-2326-SM-4YCEY 40-49 years, female 12.4
GTEX-1F88F-2726-SM-7PBZZ 60-69 years, female 12.4
GTEX-11ZTS-0126-SM-5EQ6M 60-69 years, female 12.3
GTEX-12WSN-5019-SM-79OM6 40-49 years, male 12.3
GTEX-12WSL-2526-SM-5GCNJ 50-59 years, male 12.1
GTEX-14753-0426-SM-5NQAM 60-69 years, male 12.1
GTEX-1GN73-0226-SM-9WG67 60-69 years, male 12.1
GTEX-13OVL-0226-SM-5L3E9 50-59 years, male 12.0
GTEX-14DAQ-0126-SM-5S2MQ 60-69 years, female 12.0
GTEX-1GN1U-0126-SM-7PBZK 50-59 years, female 12.0
GTEX-WVJS-0126-SM-4MVOT 50-59 years, male 11.9
GTEX-13OW5-0126-SM-DTXFS 60-69 years, male 11.9
GTEX-13CF3-2426-SM-5IFGX 60-69 years, female 11.8
GTEX-14ICK-0226-SM-6EU25 40-49 years, male 11.8
GTEX-SUCS-1926-SM-32PM3 70-79 years, male 11.8
GTEX-W5WG-1826-SM-4KL2Y 50-59 years, female 11.8
GTEX-1JMQI-2226-SM-CM2SD 50-59 years, male 11.8
GTEX-12696-2426-SM-5EQ6H 60-69 years, male 11.7
GTEX-1313W-0126-SM-5LZUN 50-59 years, female 11.7
GTEX-VJWN-0126-SM-3GIK7 50-59 years, female 11.7
GTEX-1CAMS-0426-SM-7P8T2 40-49 years, female 11.7
GTEX-1GMRU-0126-SM-9YFLV 50-59 years, male 11.7
GTEX-WZTO-0126-SM-3NM95 40-49 years, male 11.6
GTEX-1F75A-0126-SM-7RHGM 50-59 years, male 11.6
GTEX-1GZHY-0326-SM-9QEHI 50-59 years, female 11.6
GTEX-1HCUA-2426-SM-ADEIS 50-59 years, female 11.6
GTEX-1HFI6-0226-SM-ADEHZ 40-49 years, male 11.6
GTEX-1GN2E-0426-SM-9MQKX 60-69 years, male 11.5
GTEX-1KD4Q-0226-SM-E9TJ9 40-49 years, male 11.5
GTEX-1MA7X-2226-SM-E6CIY 60-69 years, male 11.5
GTEX-1RQEC-0426-SM-E6CHU 60-69 years, male 11.5
GTEX-TMMY-0226-SM-33HBA 40-49 years, female 11.4
GTEX-WYVS-2126-SM-3NMA3 40-49 years, female 11.4
GTEX-1GPI6-0126-SM-9WG69 60-69 years, male 11.4
GTEX-12ZZX-0126-SM-5EGK9 40-49 years, female 11.3
GTEX-16BQI-0226-SM-7KUEX 30-39 years, female 11.3
GTEX-1C6VS-0526-SM-7DUEN 60-69 years, male 11.3
GTEX-YB5K-2126-SM-4WWDJ 40-49 years, female 11.3
GTEX-1MUQO-0126-SM-EAZ58 60-69 years, male 11.3
GTEX-14E7W-0126-SM-6LLJ9 70-79 years, male 11.2
GTEX-1MCYP-1926-SM-E9J2R 20-29 years, female 11.2
GTEX-1B8L1-2526-SM-9WYTF 60-69 years, male 11.1
GTEX-1H3O1-0426-SM-9YFKY 60-69 years, male 11.1
GTEX-1NHNU-1026-SM-E9J2A 50-59 years, male 11.1
GTEX-1R9K4-0126-SM-DTX9X 60-69 years, male 11.1
GTEX-11P81-2326-SM-59875 30-39 years, female 11.0
GTEX-17F98-0626-SM-79OMX 40-49 years, female 11.0
GTEX-1B8KZ-2026-SM-7DHMB 50-59 years, male 11.0
GTEX-1PFEY-1526-SM-E76PP 30-39 years, male 11.0
GTEX-14PHX-2326-SM-62LEM 50-59 years, male 10.9
GTEX-1HB9E-0226-SM-E9U4R 50-59 years, male 10.9
GTEX-1HSEH-0126-SM-ACKXN 60-69 years, male 10.9
GTEX-1JMQJ-0526-SM-CYPSU 50-59 years, male 10.9
GTEX-11TT1-2526-SM-5EGIB 20-29 years, male 10.8
GTEX-14JG6-2226-SM-6EU2G 30-39 years, female 10.8
GTEX-14PJM-0226-SM-62LF1 50-59 years, female 10.8
GTEX-QLQ7-1626-SM-2S1R8 60-69 years, male 10.8
GTEX-UJHI-1526-SM-3DB99 50-59 years, female 10.8
GTEX-ZAK1-0126-SM-5IJD3 50-59 years, female 10.8
GTEX-ZXG5-0126-SM-5GIEU 60-69 years, male 10.8
GTEX-1JMLX-0226-SM-CM2RO 50-59 years, male 10.8
GTEX-1QPFJ-0226-SM-E76PB 30-39 years, female 10.8
GTEX-XUYS-0126-SM-47JWZ 50-59 years, male 10.7
GTEX-ZDTT-2726-SM-4WKF8 60-69 years, male 10.7
GTEX-1IDJF-0126-SM-CM2RS 20-29 years, male 10.7
GTEX-RM2N-1426-SM-2TF4H 50-59 years, male 10.6
GTEX-Y114-2426-SM-4TT8A 50-59 years, female 10.6
GTEX-1H1DE-2126-SM-9WG6R 20-29 years, male 10.6
GTEX-1I1GP-2226-SM-CGQFK 50-59 years, male 10.6
GTEX-ZPIC-1726-SM-DHXIU 40-49 years, female 10.6
GTEX-T5JC-0426-SM-32PLO 20-29 years, male 10.5
GTEX-RVPV-0126-SM-EAZAW 60-69 years, male 10.5
GTEX-11DXZ-2326-SM-5EGGV 50-59 years, male 10.4
GTEX-15ETS-0126-SM-7KUMW 40-49 years, female 10.4
GTEX-RWS6-2026-SM-2XCB5 60-69 years, female 10.4
GTEX-1GF9W-0326-SM-9KNUN 60-69 years, male 10.4
GTEX-1IL2V-0126-SM-CM2TX 70-79 years, male 10.4
GTEX-1N2DV-0226-SM-E6CJ6 40-49 years, male 10.4
GTEX-RWSA-0126-SM-2XCBB 40-49 years, male 10.3
GTEX-1H1E6-1726-SM-ACKVK 30-39 years, male 10.3
GTEX-PWCY-1826-SM-DHXIZ 20-29 years, female 10.3
GTEX-14PJ3-1826-SM-62LEX 50-59 years, male 10.2
GTEX-VJYA-1126-SM-3GIJU 60-69 years, male 10.2
GTEX-1HSMP-0126-SM-E6CJS 70-79 years, male 10.2
GTEX-1IDJU-2626-SM-CM2RT 60-69 years, female 10.2
GTEX-1PIGE-0126-SM-EVYBJ 20-29 years, male 10.2
GTEX-12WSK-2326-SM-5GCOH 40-49 years, female 10.1
GTEX-139TT-0126-SM-5K7Y5 60-69 years, male 10.1
GTEX-1AX9I-0126-SM-7SB74 60-69 years, male 10.1
GTEX-1AX9K-2326-SM-73KWU 50-59 years, male 10.0
GTEX-WYJK-0126-SM-3NMAB 50-59 years, male 10.0
GTEX-Z9EW-1626-SM-5CVMN 40-49 years, male 10.0
GTEX-1GN1W-0526-SM-9MQJQ 50-59 years, female 10.0
GTEX-11EI6-0126-SM-5985R 60-69 years, male 9.9
GTEX-145MI-0526-SM-5O9A8 60-69 years, female 9.9
GTEX-16NPX-0226-SM-79OMT 50-59 years, male 9.9
GTEX-1EMGI-0126-SM-9KNUE 60-69 years, male 9.9
GTEX-11P7K-2126-SM-5GU7G 30-39 years, male 9.8
GTEX-T6MO-1626-SM-32QOM 40-49 years, female 9.8
GTEX-U3ZH-2026-SM-3DB78 30-39 years, male 9.8
GTEX-V1D1-2226-SM-3NMAX 50-59 years, male 9.8
GTEX-Y8E4-0626-SM-4WWDL 40-49 years, male 9.8
GTEX-1F7RK-0126-SM-7PC2S 20-29 years, female 9.8
GTEX-1RDX4-0126-SM-E9J4P 50-59 years, female 9.8
GTEX-1128S-2326-SM-5GZZY 60-69 years, female 9.7
GTEX-13N2G-2626-SM-5J1OT 60-69 years, male 9.7
GTEX-13W3W-2426-SM-5LU5B 60-69 years, female 9.7
GTEX-14E6D-0126-SM-62LDV 50-59 years, male 9.7
GTEX-18465-0126-SM-731BN 50-59 years, male 9.7
GTEX-YB5E-2026-SM-5IFIS 40-49 years, male 9.7
GTEX-11OF3-2626-SM-5GU7F 60-69 years, male 9.6
GTEX-1JN6P-0126-SM-D3L98 60-69 years, male 9.6
GTEX-117XS-2726-SM-5N9BL 60-69 years, male 9.5
GTEX-1CAMR-1926-SM-7EPI2 20-29 years, male 9.5
GTEX-1IGQW-0126-SM-COH42 60-69 years, male 9.5
GTEX-1IKK5-0626-SM-ARL8A 60-69 years, male 9.5
GTEX-1MGNQ-0126-SM-EVYCJ 40-49 years, male 9.5
GTEX-14BMU-2226-SM-5TDE9 20-29 years, female 9.4
GTEX-XBED-2226-SM-47JYQ 60-69 years, male 9.4
GTEX-Z93S-0126-SM-5HL7M 50-59 years, male 9.4
GTEX-ZVTK-0426-SM-51MRS 20-29 years, male 9.4
GTEX-1EU9M-0226-SM-7P8SP 60-69 years, male 9.4
GTEX-1H1CY-2826-SM-9MQM3 60-69 years, female 9.4
GTEX-1S82Z-0826-SM-E6CHY 30-39 years, female 9.4
GTEX-11DYG-0126-SM-59883 60-69 years, male 9.3
GTEX-1C4CL-0526-SM-73KVK 30-39 years, male 9.3
GTEX-O5YT-0126-SM-48TBW 20-29 years, male 9.3
GTEX-QDVJ-1726-SM-2I5FX 50-59 years, male 9.3
GTEX-XQ3S-1526-SM-4BOOC 20-29 years, male 9.3
GTEX-1QP9N-1426-SM-DTXFL 30-39 years, male 9.3
GTEX-11XUK-2026-SM-5EQLF 40-49 years, female 9.2
GTEX-13X6J-0126-SM-5QGOU 50-59 years, male 9.2
GTEX-147F3-0526-SM-5SI98 50-59 years, female 9.2
GTEX-ZQUD-1426-SM-57WER 30-39 years, male 9.2
GTEX-1IL2U-0226-SM-CE6T8 60-69 years, male 9.2
GTEX-1JMPZ-0226-SM-CNPP1 30-39 years, male 9.2
GTEX-1POEN-0126-SM-EYYXJ 30-39 years, female 9.2
GTEX-WY7C-2326-SM-3NB2U 50-59 years, male 9.1
GTEX-1HBPN-0226-SM-9YFM1 50-59 years, male 9.1
GTEX-1S5ZA-0126-SM-EVYCV 20-29 years, male 9.1
GTEX-12126-0326-SM-5PNW3 20-29 years, male 9.0
GTEX-17EUY-0426-SM-793BD 20-29 years, male 9.0
GTEX-1B8KE-2126-SM-73KYX 50-59 years, male 9.0
GTEX-1K2DA-1826-SM-CGQGT 50-59 years, male 9.0
GTEX-131XW-0426-SM-5LZWP 50-59 years, female 8.9
GTEX-13FTW-2626-SM-5K7WL 40-49 years, male 8.9
GTEX-17HHE-2026-SM-79OKF 50-59 years, male 8.9
GTEX-ZGAY-0526-SM-4WWBB 40-49 years, female 8.9
GTEX-13O3Q-2426-SM-5IJBR 50-59 years, male 8.8
GTEX-13OW6-0426-SM-5L3HM 50-59 years, male 8.8
GTEX-13NYC-0326-SM-E9J4S 60-69 years, male 8.8
GTEX-1EWIQ-0126-SM-7RHH2 70-79 years, female 8.8
GTEX-1J1R8-1726-SM-ARL8M 40-49 years, male 8.8
GTEX-Y5V6-2426-SM-4VDSB 60-69 years, male 8.7
GTEX-1F75I-0326-SM-9YFLU 40-49 years, male 8.6
GTEX-1I19N-0326-SM-ACKVX 70-79 years, male 8.6
GTEX-1KAFJ-2026-SM-CY8ID 50-59 years, male 8.6
GTEX-1LG7Y-0526-SM-DKPQC 50-59 years, male 8.6
GTEX-18D9U-0226-SM-718BP 40-49 years, male 8.5
GTEX-1JMPY-1326-SM-ARL8Y 30-39 years, male 8.5
GTEX-17MFQ-1726-SM-793C7 20-29 years, male 8.4
GTEX-S7SE-0126-SM-2XCD5 50-59 years, male 8.4
GTEX-T8EM-1026-SM-3DB7M 40-49 years, male 8.4
GTEX-1F5PK-2426-SM-7RHHY 50-59 years, male 8.4
GTEX-1HFI7-1826-SM-ACKXH 50-59 years, female 8.4
GTEX-ZVT4-0126-SM-DTXFN 50-59 years, female 8.4
GTEX-13PVR-2326-SM-5QGR1 60-69 years, female 8.3
GTEX-16GPK-0126-SM-7DHLE 60-69 years, male 8.3
GTEX-OIZH-0126-SM-2HMIS 50-59 years, male 8.2
GTEX-ZDYS-2026-SM-5HL5L 50-59 years, male 8.2
GTEX-13S7M-0126-SM-5SI6A 60-69 years, female 8.1
GTEX-14C5O-0126-SM-5SI6N 60-69 years, male 8.1
GTEX-1S3DN-2226-SM-EVYCD 50-59 years, male 8.1
GTEX-15UKP-0426-SM-7KUFQ 20-29 years, male 8.0
GTEX-17F96-1626-SM-7DUFL 70-79 years, male 8.0
GTEX-TKQ1-1026-SM-4GICL 30-39 years, male 8.0
GTEX-1HSGN-0226-SM-CGQFV 40-49 years, female 8.0
GTEX-1HSMQ-1226-SM-CGQFX 50-59 years, male 8.0
GTEX-1I1GT-0626-SM-CGQER 60-69 years, female 8.0
GTEX-1J8Q3-1626-SM-CMKGC 60-69 years, male 8.0
GTEX-1LGOU-2026-SM-DIPFF 20-29 years, female 8.0
GTEX-SE5C-1626-SM-2XCE3 40-49 years, female 8.0
GTEX-12ZZZ-0626-SM-5DUXI 60-69 years, male 7.9
GTEX-13OVK-2026-SM-7KUEO 40-49 years, male 7.9
GTEX-14JG1-0426-SM-6ETZZ 40-49 years, male 7.9
GTEX-P4QT-0126-SM-2I3FL 50-59 years, female 7.9
GTEX-131XF-5016-SM-7MGWE 60-69 years, male 7.9
GTEX-1GPI7-0126-SM-9MQL8 20-29 years, male 7.9
GTEX-11EQ9-2426-SM-5HL5T 30-39 years, male 7.8
GTEX-13OW8-1326-SM-5J1OW 60-69 years, male 7.8
GTEX-1IOXB-0126-SM-ARL8G 50-59 years, male 7.8
GTEX-139TU-0126-SM-5K7WH 60-69 years, male 7.7
GTEX-15CHC-2126-SM-6EU21 60-69 years, female 7.7
GTEX-ZVZP-2426-SM-59HKJ 50-59 years, male 7.7
GTEX-1I4MK-2226-SM-ACKWD 50-59 years, female 7.7
GTEX-1LVAN-0226-SM-COH3S 50-59 years, female 7.7
GTEX-13112-2826-SM-5DUWH 50-59 years, male 7.6
GTEX-14PII-0226-SM-6EU1T 60-69 years, male 7.6
GTEX-16NGA-1726-SM-731B4 40-49 years, female 7.6
GTEX-12WSC-0126-SM-5EQ4P 50-59 years, male 7.5
GTEX-ZTSS-1926-SM-57WEW 40-49 years, male 7.5
GTEX-145LS-0126-SM-5QGP1 60-69 years, female 7.4
GTEX-14PN3-2426-SM-6LLHS 60-69 years, female 7.4
GTEX-15ER7-0326-SM-7KUEV 20-29 years, female 7.4
GTEX-15RIG-0226-SM-7KFTL 40-49 years, male 7.4
GTEX-1QP2A-0126-SM-E9J43 50-59 years, male 7.4
GTEX-P44H-0226-SM-2XCEU 40-49 years, male 7.3
GTEX-1QAET-0926-SM-E76QM 50-59 years, male 7.3
GTEX-131YS-0126-SM-5KM1M 60-69 years, female 7.2
GTEX-13FXS-0226-SM-5IJCK 50-59 years, male 7.2
GTEX-1CB4E-2226-SM-793DC 60-69 years, male 7.2
GTEX-1I1GV-0526-SM-A9G29 60-69 years, male 7.2
GTEX-T5JW-1626-SM-3GADZ 20-29 years, female 7.1
GTEX-1B996-0226-SM-7RHGO 60-69 years, male 7.1
GTEX-1JKYR-0126-SM-CNPOJ 20-29 years, male 7.1
GTEX-1LGRB-2526-SM-CNPPQ 50-59 years, female 7.1
GTEX-WRHK-1426-SM-3MJF9 20-29 years, female 7.0
GTEX-PSDG-0226-SM-DKPOZ 50-59 years, male 7.0
GTEX-1AMEY-1326-SM-73KYK 30-39 years, female 6.9
GTEX-SJXC-0126-SM-2XCFF 60-69 years, male 6.9
GTEX-Y8DK-0126-SM-4TT3L 60-69 years, male 6.9
GTEX-1J8QM-2126-SM-CYPSJ 60-69 years, female 6.9
GTEX-1122O-2126-SM-5EGIR 60-69 years, female 6.8
GTEX-1212Z-2526-SM-5EGKP 60-69 years, male 6.8
GTEX-12ZZY-0226-SM-5LZVE 60-69 years, male 6.8
GTEX-13113-5016-SM-7EPIP 60-69 years, female 6.8
GTEX-1AX9J-0226-SM-73KXM 60-69 years, male 6.8
GTEX-1LB8K-0226-SM-EWRNW 50-59 years, male 6.8
GTEX-1O97I-0326-SM-EYYX7 60-69 years, male 6.8
GTEX-145ME-1826-SM-5SI9G 40-49 years, female 6.7
GTEX-14BIN-0626-SM-793DP 50-59 years, female 6.7
GTEX-1B8SG-0126-SM-73KZ3 50-59 years, male 6.7
GTEX-1BAJH-0526-SM-793CQ 70-79 years, male 6.7
GTEX-1HCU7-0226-SM-CL545 50-59 years, male 6.7
GTEX-11EM3-2426-SM-59861 20-29 years, female 6.6
GTEX-131XH-2226-SM-5DUXJ 50-59 years, male 6.6
GTEX-14E6E-1826-SM-5S2R7 30-39 years, male 6.6
GTEX-XUZC-1726-SM-4BRWS 30-39 years, female 6.6
GTEX-1KWVE-1426-SM-E9TJO 30-39 years, male 6.6
GTEX-1PPH8-0226-SM-E8VND 20-29 years, male 6.5
GTEX-17HG3-2226-SM-7938L 30-39 years, female 6.4
GTEX-1AMFI-2026-SM-731BH 50-59 years, female 6.4
GTEX-1EN7A-0126-SM-7SB81 40-49 years, male 6.4
GTEX-1JN76-0126-SM-CNPPE 20-29 years, female 6.4
GTEX-ZZ64-1726-SM-5GZYB 20-29 years, male 6.3
GTEX-15F5U-1526-SM-6PANO 40-49 years, male 6.2
GTEX-T6MN-0126-SM-32PLP 50-59 years, male 6.2
GTEX-XBEW-0626-SM-4QASP 40-49 years, male 6.2
GTEX-ZV68-0126-SM-59HKS 50-59 years, female 6.2
GTEX-1QMI2-0226-SM-EVYBX 60-69 years, male 6.2
GTEX-POMQ-2226-SM-2I5FK 20-29 years, female 6.1
GTEX-X261-0126-SM-3NMD6 50-59 years, male 6.1
GTEX-1HT8W-0126-SM-CNPPP 30-39 years, male 6.1
GTEX-1J8Q2-0526-SM-CM2RW 60-69 years, male 6.1
GTEX-1K2DU-2326-SM-E9TIV 20-29 years, male 6.1
GTEX-1399T-2826-SM-5KLYZ 60-69 years, male 6.0
GTEX-13RTK-1426-SM-5QGQJ 20-29 years, male 6.0
GTEX-1E1VI-0126-SM-7DHMZ 50-59 years, male 6.0
GTEX-PVOW-0126-SM-2XCFA 40-49 years, male 6.0
GTEX-1R7EU-0226-SM-EVR4G 60-69 years, male 6.0
GTEX-PLZ6-1426-SM-DKPOT 30-39 years, male 6.0
GTEX-17GQL-2026-SM-718BA 60-69 years, male 5.9
GTEX-SNMC-1226-SM-2XCFP 20-29 years, male 5.9
GTEX-ZWKS-0126-SM-5SIAA 30-39 years, male 5.9
GTEX-14A5I-0126-SM-5TDEA 50-59 years, female 5.8
GTEX-1H4P4-0726-SM-9YFLR 50-59 years, male 5.8
GTEX-14PJ6-2126-SM-6EU1V 60-69 years, female 5.7
GTEX-OIZG-0726-SM-33HBL 50-59 years, male 5.7
GTEX-1E2YA-0126-SM-9KNUC 50-59 years, male 5.7
GTEX-1OJC3-0126-SM-E76QX 20-29 years, male 5.7
GTEX-13OVH-0126-SM-5MR4B 70-79 years, male 5.6
GTEX-17KNJ-2326-SM-7DHLQ 50-59 years, male 5.6
GTEX-1HCU9-1526-SM-A9SL7 20-29 years, male 5.6
GTEX-111FC-0126-SM-5N9DL 60-69 years, male 5.5
GTEX-PX3G-0126-SM-2I3EN 20-29 years, female 5.5
GTEX-1KXAM-2226-SM-CYPTC 60-69 years, male 5.5
GTEX-1QCLY-0326-SM-E8VOG 30-39 years, male 5.5
GTEX-1399R-2726-SM-5IJBA 30-39 years, male 5.4
GTEX-1CB4F-0426-SM-9KNV4 60-69 years, male 5.4
GTEX-1GMR3-1926-SM-9KNUZ 40-49 years, male 5.4
GTEX-1HSKV-0226-SM-A9SKJ 60-69 years, male 5.4
GTEX-1JMQL-0226-SM-CNPP5 50-59 years, female 5.4
GTEX-13FHP-0126-SM-5IJBG 50-59 years, male 5.3
GTEX-WFG8-2226-SM-3GIL9 20-29 years, male 5.3
GTEX-ZF2S-2326-SM-4WWCE 50-59 years, female 5.3
GTEX-1I1GR-0126-SM-CL55F 60-69 years, male 5.3
GTEX-1IDJH-0326-SM-A9SLQ 70-79 years, male 5.3
GTEX-1OFPY-2426-SM-DTXEJ 60-69 years, male 5.3
GTEX-1CAMQ-0226-SM-7IGPK 40-49 years, male 5.2
GTEX-1CB4I-0226-SM-79OLH 50-59 years, male 5.2
GTEX-1HBPI-1526-SM-C1YQ1 50-59 years, male 5.2
GTEX-1I1GQ-0126-SM-COH3H 50-59 years, male 5.2
GTEX-17EVP-0326-SM-7DHLG 40-49 years, male 5.1
GTEX-13JUV-2726-SM-5LZZ8 40-49 years, female 5.0
GTEX-1C6VR-2426-SM-79OLD 60-69 years, male 5.0
GTEX-1M5QR-1226-SM-EWROB 40-49 years, male 5.0
GTEX-11LCK-1026-SM-5A5KB 30-39 years, male 4.9
GTEX-14BMV-0126-SM-5S2PO 50-59 years, male 4.9
GTEX-1C64N-0126-SM-793D7 50-59 years, male 4.9
GTEX-ZYT6-0226-SM-5NQ6T 30-39 years, male 4.8
GTEX-1GF9V-0326-SM-7RHI5 60-69 years, male 4.8
GTEX-1MJK2-0426-SM-DTXE5 50-59 years, male 4.8
GTEX-1MA7W-2026-SM-E9TJ6 20-29 years, female 4.7
GTEX-145LU-0126-SM-5TDCB 50-59 years, male 4.6
GTEX-S32W-2126-SM-2XCB1 50-59 years, female 4.6
GTEX-16AAH-1726-SM-7939C 50-59 years, male 4.5
GTEX-XPVG-2626-SM-4B669 50-59 years, male 4.5
GTEX-1F5PL-0326-SM-7P8PQ 40-49 years, female 4.5
GTEX-1JJ6O-0126-SM-E6CI8 60-69 years, male 4.3
GTEX-1PDJ9-0326-SM-DTX95 20-29 years, male 4.3
GTEX-144GL-0126-SM-5TDE2 50-59 years, male 4.2
GTEX-12WSA-0226-SM-5BC5V 60-69 years, male 4.0
GTEX-1A3MV-1926-SM-718BT 30-39 years, male 3.8
GTEX-1B8SF-1426-SM-7DUGL 60-69 years, male 3.8
GTEX-YJ89-0126-SM-4TT3X 60-69 years, male 3.8
GTEX-1LSNM-1926-SM-E6CII 50-59 years, male 3.8
GTEX-139UW-2826-SM-5L3E7 60-69 years, male 3.7
GTEX-WFON-2126-SM-3LK7O 40-49 years, male 3.7
GTEX-17JCI-0126-SM-7LG5G 60-69 years, female 3.6
GTEX-ZTX8-1426-SM-5DUVO 20-29 years, male 3.5
GTEX-13NYB-2526-SM-5K7Z6 40-49 years, male 3.3
GTEX-1R9PM-2026-SM-E76OY 20-29 years, male 3.3
GTEX-18D9A-1926-SM-7LG6P 30-39 years, female 3.2
GTEX-1LG7Z-1726-SM-D3LA4 30-39 years, male 3.2
GTEX-1S83E-0126-SM-EWRO4 40-49 years, male 3.2
GTEX-145MF-0626-SM-5LUAI 50-59 years, male 3.1
GTEX-1KANA-0726-SM-D3L9I 20-29 years, male 3.1
GTEX-13111-1626-SM-5EGJY 50-59 years, male 3.0
GTEX-1PIIG-0226-SM-EWRN6 30-39 years, male 3.0
GTEX-1GL5R-1826-SM-9KNUY 50-59 years, male 2.9
GTEX-1KANC-1526-SM-D3LAB 50-59 years, female 2.8
GTEX-15EU6-0426-SM-6PAN5 50-59 years, male 2.7
GTEX-1B97I-1626-SM-73KYO 40-49 years, male 2.7
GTEX-1L5NE-2526-SM-E6CIE 50-59 years, male 2.7
GTEX-12WSE-0526-SM-793B2 20-29 years, male 2.4
GTEX-1C475-1826-SM-73KWA 40-49 years, female 2.4
GTEX-1JJEA-0326-SM-CNPOT 60-69 years, male 2.3
GTEX-1IKJJ-0126-SM-CNPQB 60-69 years, male 1.9
Show allShow less

Contact

  • NEWS ARTICLES
  • PRESS ROOM

The Project

  • INTRODUCTION
  • ORGANIZATION
  • PUBLICATIONS

The Human Protein Atlas

  • DOWNLOADABLE DATA
  • LICENCE & CITATION
  • HELP & FAQ
The Human Protein Atlas project is funded
by the Knut & Alice Wallenberg Foundation.


contact@proteinatlas.org