We use cookies to enhance the usability of our website. If you continue, we'll assume that you are happy to receive all cookies. More information. Don't show this again.
CTNNB1
HPA
RESOURCES
  • TISSUE
  • BRAIN
  • SINGLE CELL
  • SUBCELLULAR
  • CANCER
  • BLOOD
  • CELL LINE
  • STRUCTURE & INTERACTION
ABOUT
  • INTRODUCTION
  • HISTORY
  • ORGANIZATION
  • PUBLICATIONS
  • ANTIBODY SUBMISSION
  • ANTIBODY AVAILABILITY
  • ACKNOWLEDGMENTS
  • CONTACT
NEWS
  • NEWS ARTICLES
  • PRESS ROOM
LEARN
  • DICTIONARY
  • PROTEIN CLASSES
  • PROTEIN EVIDENCE
  • METHODS
  • EDUCATIONAL VIDEOS
DATA
  • DOWNLOADABLE DATA
  • PUBLICATION DATA
  • RELEASE HISTORY
HELP
  • ANTIBODY VALIDATION
  • ASSAYS & ANNOTATION
  • DISCLAIMER
  • HELP & FAQ
  • PRIVACY STATEMENT
  • LICENCE & CITATION
Fields »
Search result

Field
Term
Gene name
Class
Subclass
Class
Keyword
Chromosome
External id
Tissue
Cell type
Expression
Antibody panel
Tissue
Main location
Patient ID
Annotation
Tissue
Category
Tau score
Cluster
Reliability
Brain region
Category
Tau score
Brain region
Category
Tau score
Brain region
Category
Tau score
Cluster
Reliability
Tissue
Cell type
Enrichment
Cell type
Category
Tau score
Cell type
Category
Tau score
Cell type
Category
Tau score
Cell lineage
Category
Tau score
Cluster
Cluster
Location
Searches
Location
Cell line
Class
Type
Phase
Reliability
Cancer
Prognosis
Cancer
Category
Cancer
Category
Tau score
Cluster
Variants
Interacting gene (ensg_id)
Type
Number of interactions
Pathway
Category
Score
Score
Score
Validation
Validation
Validation
Validation
Antibodies
Data type
Column


  • SUMMARY

  • TISSUE

  • BRAIN

  • SINGLE CELL

  • SUBCELL

  • CANCER

  • BLOOD

  • CELL LINE

  • STRUCT & INT

  • CTNNB1
TISSUE PRIMARY DATA SKIN Show tissue menu
ADIPOSE TISSUE ADRENAL GLAND AMYGDALA APPENDIX BASAL GANGLIA BONE MARROW BREAST BRONCHUS CEREBELLUM CEREBRAL CORTEX CERVIX CHOROID PLEXUS COLON DUODENUM
ENDOMETRIUM EPIDIDYMIS ESOPHAGUS FALLOPIAN TUBE GALLBLADDER HEART MUSCLE HIPPOCAMPAL FORMATION HYPOTHALAMUS KIDNEY LIVER LUNG LYMPH NODE MIDBRAIN NASOPHARYNX
ORAL MUCOSA OVARY PANCREAS PARATHYROID GLAND PITUITARY GLAND PLACENTA PROSTATE RECTUM RETINA SALIVARY GLAND SEMINAL VESICLE SKELETAL MUSCLE SKIN SMALL INTESTINE
SMOOTH MUSCLE SOFT TISSUE SPINAL CORD SPLEEN STOMACH TESTIS THYMUS THYROID GLAND TONGUE TONSIL URINARY BLADDER VAGINA
ANTIBODIES
AND
VALIDATION
Dictionary
Skin
Tissue proteome
Skin
SKIN - Expression summary
Protein expression
Skini

On the top, protein expression in current human tissue, based on all annotated cell types, is reported with the units not detected (n), low (l), medium (m) and high (h). Underneath, protein expression in each annotated cell type are reported using the same units.

Protein expression data is based on knowledge-based annotation. For genes where more than one antibody has been used, a collective score is set.

If knowledge-based annotation could not be performed for a gene, no data is displayed here. View antibody staining data further down this page.

h
m
l
n
Arrector pili muscle cells: Not detected
Cells in basal layer: High
Cells in corneal layer: Not detected
Cells in granular layer: High
Cells in spinous layer: High
Eccrine glands: High
Endothelial cells: High
Extracellular matrix: Not detected
Fibrohistiocytic cells: Not detected
Hair follicles: High
Langerhans cells: High
Lymphocytes: Not detected
Melanocytes: High
Sebaceous glands: High
Vascular mural cells: Not detected
RNA expressioni

A summary of mRNA expression data available for current tissue based on several datasets. The mRNA expression levels in human tissues are based on RNA-seq data generated by the Human Protein Atlas (HPA), Genotype-Tissue Expression (GTEx) portal and CAGE data generated by the FANTOM5 consortium. Consensus normalized expression levels for human tissues was created by combining the data from HPA and GTEx datasets.

The mRNA expression levels in pig are based on RNA-seq data generated by the Human Protein Atlas (HPA), and for mouse, HPA data and in situ hybridization generated by the Allen brain atlas are reported.

Scroll down to view mRNA expression data in more detail.
Consensus:95.8 nTPM
HPA:86.9 nTPM
GTEx:95.8 nTPM

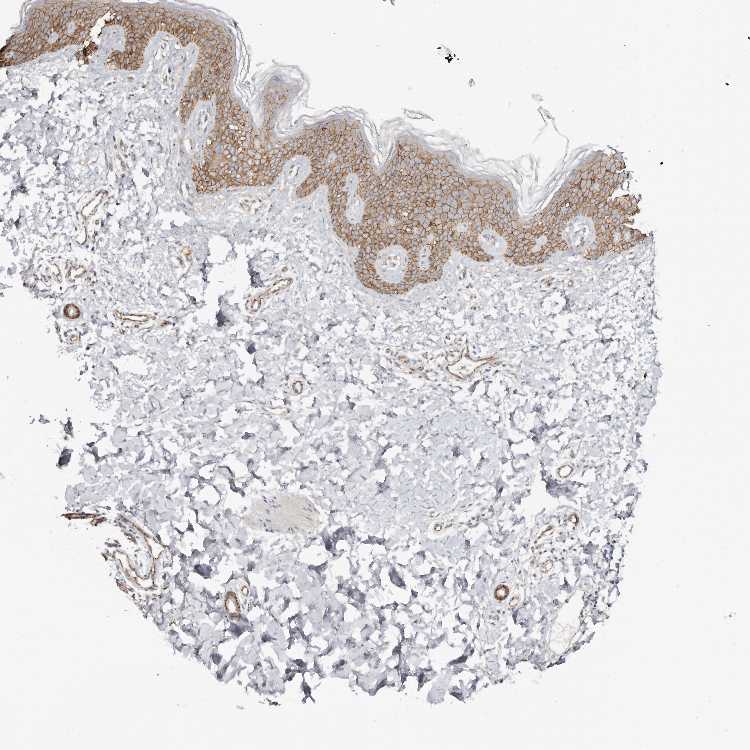
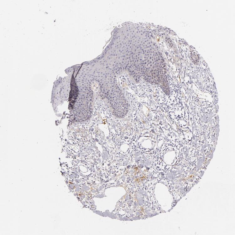
SKIN 1 - Antibody stainingi

Antibody staining in the annotated cell types in the current human tissue is reported as not detected, low, medium, or high, based on conventional immunohistochemistry profiling in selected tissues. This score is based on the combination of the staining intensity and fraction of stained cells.

Each image is clickable and will lead to virtual microscopy that enables deeper exploration of all samples and also displays staining intensity scores, fraction scores and subcellular localization as well as patient and tissue information for each sample.

Antibody HPA029159Antibody HPA029160Antibody CAB000108Antibody CAB001950
Langerhans High-MediumNot detected
Arrector pili muscle cells -Not detected--
Cells in basal layer -High--
Cells in corneal layer -Not detected--
Cells in granular layer -High--
Cells in spinous layer -High--
Eccrine glands -High--
Endothelial cells -High--
Extracellular matrix -Not detected--
Fibroblasts Low-MediumNot detected
Fibrohistiocytic cells -Not detected--
Hair follicles -High--
Keratinocytes High-HighMedium
Langerhans cells -High--
Lymphocytes -Not detected--
Melanocytes HighHighMediumMedium
Sebaceous glands -High--
Vascular mural cells -Not detected--







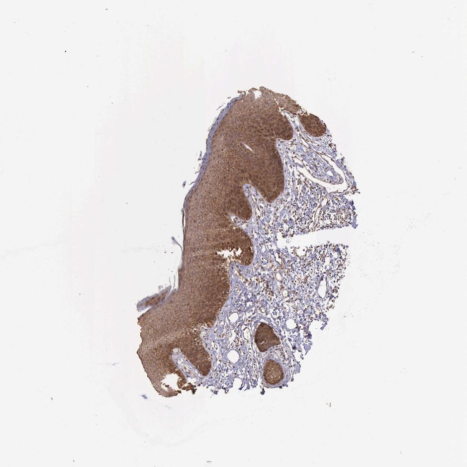
SKIN 2 - Antibody stainingi

Antibody staining in the annotated cell types in the current human tissue is reported as not detected, low, medium, or high, based on conventional immunohistochemistry profiling in selected tissues. This score is based on the combination of the staining intensity and fraction of stained cells.

Each image is clickable and will lead to virtual microscopy that enables deeper exploration of all samples and also displays staining intensity scores, fraction scores and subcellular localization as well as patient and tissue information for each sample.

Antibody HPA029159Antibody HPA029160Antibody CAB000108Antibody CAB001950
Cells in basal layer -High--
Cells in corneal layer -Not detected--
Cells in granular layer -High--
Cells in spinous layer -High--
Eccrine glands -High--
Endothelial cells -High--
Epidermal cells High-HighMedium
Extracellular matrix -Not detected--
Fibrohistiocytic cells -Not detected--
Langerhans cells -High--
Lymphocytes -Not detected--
Melanocytes -High--
Sebaceous glands -High--
Vascular mural cells -Not detected--
    
    
    
    






SKIN - HPA RNA-seqi

The RNA-seq details section shows detailed information about the individual samples used for the transcript profiling and results of the RNA-seq analysis.

Information about each individual sample is listed below, including gender, age, a tissue section image and estimated fractions of cell types. nTPM (normalized transcripts per million) values give a quantification of the gene abundance which is comparable between different genes and samples.
Average nTPMi

Max subtype nTPM is the value for the subtype with the largest average nTPM across the subtype samples.

86.9
overview
Female, age 34
Skin sample 225
nTPM: 91.4
Cell types%
Keratinocytes:
60

Other cell types:
40

overview
Female, age 30
Skin sample 226
nTPM: 99.5
Cell types%
Keratinocytes:
55

Other cell types:
45

N/A
Male, age 57
Skin sample 227
nTPM: 69.8

SKIN - GTEx RNA-seqi

RNA-Seq data generated by the Genotype-Tissue Expression (GTEx) project from human tissues is reported as mean nTPM. More information can be found on the GTEx portal.

Distribution across the dataset is visualized with box plots, shown as median and 25th and 75th percentiles. Points are displayed as outliers if they are above or below 1.5 times the interquartile range. nTPM values of the individual samples are presented next to the box plot.
Max subtype nTPMi

Max subtype nTPM is the value for the subtype with the largest average nTPM across the subtype samples.

95.8
GTEx sample id Sample description nTPM
Skin - Not Sun Exposed (Suprapubic)
Average nTPM: 94.1
Samples: 604

Max nTPM: 275.5
Min nTPM: 53.2
Std nTPM: 20.4
Median nTPM: 90.0
GTEX-1AX9J-1326-SM-731BJ 60-69 years, male 275.5
GTEX-YF7O-1526-SM-5IFI6 50-59 years, male 199.5
GTEX-1GF9U-2026-SM-7SB92 40-49 years, female 191.4
GTEX-ZUA1-2626-SM-5NQ92 40-49 years, male 188.6
GTEX-17EVQ-0126-SM-7IGLR 70-79 years, male 183.3
GTEX-WFON-1926-SM-3LK7L 40-49 years, male 181.1
GTEX-1RB15-1326-SM-E76Q9 60-69 years, male 177.3
GTEX-1H1CY-0126-SM-9YFLY 60-69 years, female 177.2
GTEX-1L5NE-1126-SM-D3L9P 50-59 years, male 171.8
GTEX-16GPK-0626-SM-7KFSF 60-69 years, male 169.0
GTEX-WYJK-0526-SM-3NM8Z 50-59 years, male 163.2
GTEX-18A66-0626-SM-7LT8Z 60-69 years, male 159.1
GTEX-145MO-2826-SM-5LU96 60-69 years, male 154.2
GTEX-WH7G-2026-SM-3NMBL 40-49 years, male 153.8
GTEX-14JG6-1426-SM-9WG7C 30-39 years, female 152.8
GTEX-1IDJC-1526-SM-B2LW4 50-59 years, male 151.8
GTEX-13NZ9-2626-SM-5L3FK 50-59 years, male 150.0
GTEX-1R9PM-1926-SM-EVR3O 20-29 years, male 144.7
GTEX-11O72-0626-SM-5PNYE 40-49 years, male 143.1
GTEX-1N5O9-0926-SM-E9J3C 60-69 years, male 142.5
GTEX-1QP29-1826-SM-DTX9S 50-59 years, male 142.4
GTEX-1QP66-1226-SM-DTX7U 50-59 years, male 141.7
GTEX-13JUV-2026-SM-5K7UA 40-49 years, female 139.0
GTEX-ZYFD-0626-SM-5E44E 50-59 years, male 138.6
GTEX-145MF-0926-SM-5Q5EA 50-59 years, male 135.9
GTEX-1F6RS-2026-SM-7RHHC 60-69 years, female 133.4
GTEX-18A7B-2726-SM-7LG56 70-79 years, male 130.8
GTEX-12WSF-1626-SM-7KUG5 70-79 years, male 130.6
GTEX-1LGOU-1326-SM-D3L8M 20-29 years, female 129.1
GTEX-111FC-2526-SM-5GZXU 60-69 years, male 128.5
GTEX-XK95-0226-SM-4AT58 40-49 years, male 127.8
GTEX-1HCU9-0426-SM-9WYSD 20-29 years, male 126.3
GTEX-1C64O-1326-SM-7MGWR 60-69 years, male 126.0
GTEX-12KS4-2126-SM-5FQUT 30-39 years, male 125.2
GTEX-11DYG-1526-SM-5A5JS 60-69 years, male 124.6
GTEX-1I6K7-1926-SM-B2LXR 40-49 years, male 124.3
GTEX-11WQK-1026-SM-5EQLX 50-59 years, male 124.0
GTEX-1E2YA-2126-SM-7MXUO 50-59 years, male 123.5
GTEX-1F75I-2226-SM-7SB8U 40-49 years, male 123.2
GTEX-ZT9W-1126-SM-57WDR 50-59 years, male 123.0
GTEX-1KANA-1326-SM-DIPFA 20-29 years, male 122.7
GTEX-Y5LM-0926-SM-6LLJG 40-49 years, female 121.2
GTEX-1I1GP-1326-SM-A9G28 50-59 years, male 121.1
GTEX-1B933-2426-SM-7DHMD 50-59 years, female 120.9
GTEX-1PIIG-2326-SM-DTXFR 30-39 years, male 120.0
GTEX-1H1E6-0426-SM-9WYUS 30-39 years, male 119.7
GTEX-1A8G6-2726-SM-731AR 60-69 years, male 119.4
GTEX-1F6I4-2326-SM-7RHGL 60-69 years, male 119.3
GTEX-145MG-1526-SM-5Q5EM 50-59 years, male 119.0
GTEX-146FQ-2126-SM-5RQHU 30-39 years, male 119.0
GTEX-183FY-1026-SM-7939A 20-29 years, male 118.7
GTEX-WFG8-2126-SM-3GIKQ 20-29 years, male 118.6
GTEX-14BMU-1226-SM-5S2OR 20-29 years, female 117.9
GTEX-139TT-2126-SM-5LZWC 60-69 years, male 116.7
GTEX-18A6Q-0626-SM-7KFRP 60-69 years, male 116.3
GTEX-12BJ1-0926-SM-5EQ62 60-69 years, male 116.0
GTEX-WHSE-0126-SM-3NMBT 20-29 years, male 115.8
GTEX-1AX8Z-0726-SM-73KTS 60-69 years, male 115.7
GTEX-17HHY-0426-SM-7DHLC 50-59 years, male 115.4
GTEX-11EQ8-0926-SM-5H12V 60-69 years, male 115.2
GTEX-ZLWG-0826-SM-59888 50-59 years, female 114.9
GTEX-1HSMP-0926-SM-A9SKX 70-79 years, male 114.3
GTEX-1O9I2-0226-SM-EYYXD 50-59 years, male 114.3
GTEX-12WSC-2826-SM-5BC5Y 50-59 years, male 114.2
GTEX-14PJO-2526-SM-6AJBQ 60-69 years, male 114.2
GTEX-16XZZ-0726-SM-7KUF2 60-69 years, male 113.4
GTEX-UPJH-0226-SM-3GADV 50-59 years, male 113.4
GTEX-1KD5A-0126-SM-E9U54 50-59 years, male 113.3
GTEX-11DXW-0826-SM-5H118 40-49 years, male 113.1
GTEX-11TT1-1826-SM-5EQLV 20-29 years, male 113.1
GTEX-12WSD-0626-SM-5GCMW 60-69 years, female 112.5
GTEX-ZVTK-0226-SM-51MRG 20-29 years, male 112.3
GTEX-14JG1-1526-SM-5YY9X 40-49 years, male 112.1
GTEX-1IDFM-0326-SM-ARL7V 60-69 years, male 111.9
GTEX-1S831-1826-SM-EWROF 20-29 years, male 111.9
GTEX-ZWKS-0626-SM-5GIDV 30-39 years, male 111.7
GTEX-18D9A-1426-SM-7LT8M 30-39 years, female 111.4
GTEX-1IDJE-1426-SM-ADEIW 50-59 years, female 111.2
GTEX-17F9E-2326-SM-79OKD 50-59 years, male 110.8
GTEX-11EM3-1226-SM-5N9DD 20-29 years, female 110.2
GTEX-15UF6-1926-SM-7KUDV 70-79 years, female 109.8
GTEX-ZVP2-0326-SM-57WBP 50-59 years, male 109.5
GTEX-ZZ64-1026-SM-5GZXG 20-29 years, male 109.4
GTEX-11EQ9-1626-SM-5PNY8 30-39 years, male 109.3
GTEX-1KANC-1226-SM-CYPT7 50-59 years, female 109.3
GTEX-12WSL-2026-SM-5GCML 50-59 years, male 109.1
GTEX-15SHW-0226-SM-7LTAT 60-69 years, male 109.0
GTEX-1A32A-0626-SM-731AQ 50-59 years, female 108.6
GTEX-1LG7Z-1626-SM-CXKYR 30-39 years, male 108.6
GTEX-UPK5-0426-SM-3GAEK 40-49 years, male 108.5
GTEX-1EX96-1026-SM-7MKG2 50-59 years, male 108.4
GTEX-13QBU-1226-SM-5LU4G 40-49 years, female 108.3
GTEX-VJYA-1526-SM-3GIJV 60-69 years, male 108.3
GTEX-15DDE-2926-SM-6LLJ3 50-59 years, female 108.2
GTEX-13OVL-0126-SM-5L3GJ 50-59 years, male 107.5
GTEX-1PIGE-1826-SM-E8VOU 20-29 years, male 107.4
GTEX-WHPG-2626-SM-3NMBR 50-59 years, male 107.1
GTEX-117YX-1926-SM-5GIEC 50-59 years, male 107.0
GTEX-14DAQ-0626-SM-793DS 60-69 years, female 106.8
GTEX-14BMV-2826-SM-5TDED 50-59 years, male 106.6
GTEX-17JCI-2926-SM-7DUFF 60-69 years, female 106.4
GTEX-1MJK3-0726-SM-E6CJC 20-29 years, male 106.1
GTEX-11P7K-1126-SM-5HL4L 30-39 years, male 106.0
GTEX-15RJ7-2126-SM-6PAMD 40-49 years, male 106.0
GTEX-1IDJD-2326-SM-ACKWX 30-39 years, male 105.9
GTEX-1R9K4-2826-SM-DTX8F 60-69 years, male 105.7
GTEX-1GZ4I-2626-SM-9KNU3 50-59 years, male 105.6
GTEX-13N11-2326-SM-5IJBF 50-59 years, female 105.5
GTEX-1IY9M-2826-SM-ARU8H 60-69 years, male 105.4
GTEX-13G51-1826-SM-5KLZH 60-69 years, male 105.2
GTEX-1F75W-2726-SM-7SB8H 60-69 years, male 105.1
GTEX-1N2DV-1526-SM-DTXEP 40-49 years, male 105.1
GTEX-15G1A-1626-SM-7KUKN 30-39 years, male 104.6
GTEX-1IL2V-1926-SM-B2LW8 70-79 years, male 104.4
GTEX-18D9B-0926-SM-7LG4U 60-69 years, male 104.3
GTEX-V1D1-2026-SM-3GAF4 50-59 years, male 104.3
GTEX-ZYFG-1526-SM-5GZYM 60-69 years, female 104.3
GTEX-1J8JJ-0626-SM-ARZMQ 60-69 years, female 104.2
GTEX-15RIE-1926-SM-7KUKJ 60-69 years, male 104.0
GTEX-1NSGN-0726-SM-DTXEF 50-59 years, male 104.0
GTEX-WY7C-2126-SM-3NB2R 50-59 years, male 103.9
GTEX-14ICL-1626-SM-5YYAO 30-39 years, male 103.8
GTEX-16AAH-0626-SM-793C9 50-59 years, male 103.6
GTEX-14E6C-2426-SM-5S2NF 40-49 years, male 103.5
GTEX-1HFI6-0126-SM-CNPPI 40-49 years, male 103.4
GTEX-11EI6-2826-SM-5H11D 60-69 years, male 103.3
GTEX-1HSMQ-2626-SM-A9SML 50-59 years, male 103.3
GTEX-13NZ8-1226-SM-5KM4A 60-69 years, female 103.2
GTEX-14PHX-2226-SM-6EU2P 50-59 years, male 103.0
GTEX-145LT-0526-SM-5LUB2 40-49 years, male 102.9
GTEX-14BIN-1126-SM-5RQJZ 50-59 years, female 102.9
GTEX-17F98-1326-SM-7DUEP 40-49 years, female 102.6
GTEX-1HKZK-0726-SM-ACKW2 40-49 years, male 102.6
GTEX-1LSNM-0826-SM-DIPG8 50-59 years, male 102.6
GTEX-1NV5F-0626-SM-DTXEG 60-69 years, female 102.6
GTEX-14PJ2-0626-SM-6LLII 50-59 years, male 102.4
GTEX-1E1VI-0326-SM-793D1 50-59 years, male 102.4
GTEX-1JN1M-2726-SM-CY8I4 60-69 years, female 102.3
GTEX-1S83E-1326-SM-E6CJM 40-49 years, male 102.2
GTEX-1JKYN-0826-SM-ARU8S 30-39 years, male 102.0
GTEX-1H2FU-0926-SM-9WPPT 60-69 years, female 101.8
GTEX-1S82P-2126-SM-E6CI5 60-69 years, female 101.8
GTEX-12WSK-2126-SM-5CVNC 40-49 years, female 101.5
GTEX-ZAJG-1526-SM-5CVML 50-59 years, female 101.5
GTEX-1I6K6-1726-SM-CGQFD 30-39 years, male 100.9
GTEX-13113-1626-SM-5EQ4I 60-69 years, female 100.7
GTEX-WRHU-2826-SM-3MJG8 50-59 years, female 100.7
GTEX-1GMR3-0126-SM-A9SLW 40-49 years, male 100.6
GTEX-1RAZA-2226-SM-E9U4X 20-29 years, male 100.6
GTEX-Y3IK-1626-SM-4YCF5 50-59 years, female 100.5
GTEX-1CB4I-0126-SM-7RHGG 50-59 years, male 100.5
GTEX-1497J-0226-SM-5QGPU 60-69 years, male 100.4
GTEX-1GMR2-0826-SM-7PC3V 50-59 years, male 100.4
GTEX-1RAZR-2126-SM-E9U6T 40-49 years, male 100.2
GTEX-1399R-1326-SM-5PNYS 30-39 years, male 100.0
GTEX-1RAZS-2526-SM-E6CHT 50-59 years, male 100.0
GTEX-WXYG-2026-SM-4E3IY 50-59 years, female 99.9
GTEX-1I4MK-0126-SM-CY8G6 50-59 years, female 99.6
GTEX-12584-0726-SM-5FQTK 40-49 years, male 99.4
GTEX-14LZ3-0126-SM-69LPM 60-69 years, female 99.4
GTEX-1S5ZU-2526-SM-E6CIF 20-29 years, female 99.4
GTEX-14AS3-1526-SM-5Q5ED 40-49 years, female 99.2
GTEX-17MFQ-1526-SM-7KFRR 20-29 years, male 99.2
GTEX-1HSKV-1226-SM-ADEI4 60-69 years, male 99.0
GTEX-ZVE1-0726-SM-51MRN 50-59 years, female 98.9
GTEX-15ER7-0626-SM-6PANF 20-29 years, female 98.5
GTEX-1K2DU-1226-SM-CYPT4 20-29 years, male 98.5
GTEX-13PDP-0726-SM-5L3HP 60-69 years, male 98.3
GTEX-139YR-1026-SM-5LZYN 50-59 years, male 98.2
GTEX-147GR-2426-SM-5ZZWQ 60-69 years, male 97.8
GTEX-1F6IF-0926-SM-7SB7M 60-69 years, male 97.5
GTEX-1I1GV-0626-SM-ARL7M 60-69 years, male 97.5
GTEX-13O61-1426-SM-5KM3D 60-69 years, male 97.4
GTEX-13OVJ-0826-SM-5J1OK 50-59 years, female 97.4
GTEX-W5X1-2526-SM-3GILC 40-49 years, female 97.4
GTEX-XBED-1926-SM-47JYP 60-69 years, male 97.3
GTEX-1GN1W-2426-SM-9KNUU 50-59 years, female 97.3
GTEX-1C475-1326-SM-7SB73 40-49 years, female 97.2
GTEX-1GZ4H-0526-SM-9KNU9 50-59 years, female 97.1
GTEX-132AR-0326-SM-5KM2C 50-59 years, female 97.0
GTEX-15D1Q-2826-SM-6LLH7 40-49 years, male 97.0
GTEX-111CU-1126-SM-5EGIM 50-59 years, male 96.9
GTEX-14JFF-0626-SM-5ZZVT 60-69 years, male 96.7
GTEX-1GPI7-1826-SM-9KNU1 20-29 years, male 96.5
GTEX-YEC3-1326-SM-DO92X 50-59 years, male 96.5
GTEX-1ICLZ-0326-SM-ARL82 60-69 years, male 96.4
GTEX-12ZZX-2426-SM-5GCOE 40-49 years, female 96.3
GTEX-1AMFI-1326-SM-7939R 50-59 years, female 96.3
GTEX-1PBJJ-1026-SM-E76OS 30-39 years, male 96.2
GTEX-1QCLZ-2426-SM-EVYBW 60-69 years, female 96.2
GTEX-WYVS-1626-SM-3NM9R 40-49 years, female 96.1
GTEX-1GZ2Q-0126-SM-9WG6M 40-49 years, male 96.1
GTEX-13FH7-1126-SM-5K7UG 50-59 years, female 96.0
GTEX-1GMR8-0626-SM-7RHI7 50-59 years, female 96.0
GTEX-17HGU-2326-SM-7DUFE 50-59 years, male 95.7
GTEX-1A3MV-1826-SM-731CD 30-39 years, male 95.7
GTEX-1GF9X-1326-SM-7PC2Y 40-49 years, female 95.7
GTEX-1CAMR-1326-SM-7PC1F 20-29 years, male 95.6
GTEX-148VJ-0626-SM-5LUAW 70-79 years, male 95.4
GTEX-14A5H-0826-SM-5QGPJ 60-69 years, male 95.3
GTEX-16NPX-0726-SM-7KULC 50-59 years, male 95.3
GTEX-1IDJF-2026-SM-CL53V 20-29 years, male 95.3
GTEX-1HC8U-1326-SM-9YFMJ 40-49 years, female 95.2
GTEX-1HCU8-2526-SM-CE6RX 60-69 years, female 95.2
GTEX-1IE54-1126-SM-A9G2Z 40-49 years, female 95.2
GTEX-145MI-0626-SM-5SI8S 60-69 years, female 95.1
GTEX-14PKV-1126-SM-6LLJ1 20-29 years, female 95.1
GTEX-17F9Y-0126-SM-79OKX 70-79 years, female 95.1
GTEX-1HSMO-0626-SM-ACKXC 60-69 years, male 95.0
GTEX-YJ8O-2526-SM-5HL85 40-49 years, female 94.8
GTEX-1C64N-2626-SM-7PC2N 50-59 years, male 94.8
GTEX-YFCO-1226-SM-5LUAT 40-49 years, male 94.7
GTEX-ZTSS-1426-SM-5985P 40-49 years, male 94.7
GTEX-1HCU6-2526-SM-ADEHL 60-69 years, female 94.7
GTEX-XMD2-2126-SM-4YCF8 60-69 years, female 94.6
GTEX-1F75A-0726-SM-7RHHD 50-59 years, male 94.6
GTEX-1211K-1526-SM-5FQU4 60-69 years, female 94.5
GTEX-15EU6-2226-SM-6EU2L 50-59 years, male 94.5
GTEX-15FZZ-0526-SM-7KUGD 30-39 years, female 94.5
GTEX-1A3MX-2626-SM-7PC24 60-69 years, male 94.4
GTEX-1HR9M-2226-SM-CNPPY 60-69 years, male 94.3
GTEX-1LKK1-2626-SM-DKPQE 50-59 years, female 94.3
GTEX-1212Z-0126-SM-59HK4 60-69 years, male 94.2
GTEX-13OVH-0526-SM-5L3E6 70-79 years, male 94.2
GTEX-WK11-2726-SM-3NMAQ 50-59 years, male 94.1
GTEX-1H23P-0626-SM-9WG6T 60-69 years, male 94.1
GTEX-11WQC-1826-SM-5GU59 60-69 years, male 94.0
GTEX-13FLV-0126-SM-5K7WT 50-59 years, male 94.0
GTEX-1B8L1-2226-SM-7P8PT 60-69 years, male 94.0
GTEX-ZGAY-1826-SM-DO91Q 40-49 years, female 94.0
GTEX-139TU-0726-SM-5L3EK 60-69 years, male 93.9
GTEX-1IDJV-0126-SM-COH3Y 60-69 years, male 93.8
GTEX-ZLV1-1526-SM-DO91J 60-69 years, female 93.8
GTEX-12C56-1526-SM-5FQUQ 20-29 years, male 93.6
GTEX-1314G-1326-SM-5BC6E 30-39 years, male 93.6
GTEX-13W3W-0726-SM-5IJDQ 60-69 years, female 93.5
GTEX-16NGA-0726-SM-731AO 40-49 years, female 93.4
GTEX-1IOXB-2726-SM-CM2RI 50-59 years, male 93.4
GTEX-144GL-0626-SM-5LU4D 50-59 years, male 93.3
GTEX-1F48J-0726-SM-7RHGS 50-59 years, female 93.3
GTEX-13X6K-0626-SM-5LU5D 60-69 years, female 93.2
GTEX-18A7A-0126-SM-731AH 50-59 years, female 93.0
GTEX-1BAJH-2426-SM-7IGP8 70-79 years, male 92.8
GTEX-1HSGN-0826-SM-ACKW3 40-49 years, female 92.8
GTEX-1KANB-2826-SM-CY8I6 50-59 years, male 92.8
GTEX-11DZ1-2426-SM-5GZZX 50-59 years, male 92.7
GTEX-1GF9W-1426-SM-7PBYM 60-69 years, male 92.7
GTEX-1HCU7-0726-SM-A9SL1 50-59 years, male 92.7
GTEX-1J8Q2-2626-SM-ACKWQ 60-69 years, male 92.7
GTEX-15CHQ-0326-SM-69LQD 60-69 years, male 92.6
GTEX-WEY5-2326-SM-3GIKK 40-49 years, female 92.6
GTEX-13U4I-2226-SM-5LU5H 40-49 years, female 92.5
GTEX-1QMI2-2526-SM-E8VNZ 60-69 years, male 92.5
GTEX-17F96-0126-SM-7EWDU 70-79 years, male 92.4
GTEX-1AMEY-0826-SM-72D65 30-39 years, female 92.4
GTEX-1F5PL-0926-SM-7PC2W 40-49 years, female 92.3
GTEX-147F3-1726-SM-5SIAW 50-59 years, female 92.2
GTEX-133LE-2326-SM-5K7W3 20-29 years, female 92.1
GTEX-WYBS-0626-SM-3NMAS 60-69 years, female 92.1
GTEX-1N2EE-0626-SM-E76PW 60-69 years, male 92.1
GTEX-1RLM8-2926-SM-E8VON 50-59 years, male 92.1
GTEX-1H1DE-1326-SM-9KNUG 20-29 years, male 92.0
GTEX-11UD2-2526-SM-5CVNU 50-59 years, male 91.9
GTEX-ZYT6-2326-SM-5GZY3 30-39 years, male 91.9
GTEX-1B932-2326-SM-79OL5 40-49 years, female 91.8
GTEX-1GL5R-1326-SM-7RHHF 50-59 years, male 91.8
GTEX-1IDJI-0126-SM-CMKHS 50-59 years, female 91.8
GTEX-18QFQ-1826-SM-72D52 30-39 years, male 91.7
GTEX-1A8FM-0626-SM-7PC25 50-59 years, female 91.7
GTEX-1HBPI-2126-SM-ARL9K 50-59 years, male 91.5
GTEX-1J1OQ-0126-SM-D4P2N 40-49 years, female 91.5
GTEX-1QCLY-0226-SM-EWRNH 30-39 years, male 91.5
GTEX-17MF6-2626-SM-79OKQ 40-49 years, male 91.4
GTEX-1F75B-0726-SM-7PC3R 50-59 years, male 91.4
GTEX-1HGF4-0126-SM-CNPPX 60-69 years, male 91.4
GTEX-1CB4H-1126-SM-7MKGL 60-69 years, female 91.1
GTEX-1QP9N-1226-SM-E76QN 30-39 years, male 91.1
GTEX-1S82U-1026-SM-E6CJK 30-39 years, female 91.1
GTEX-1H3VE-0726-SM-9YFL5 40-49 years, male 91.0
GTEX-131XF-2626-SM-5EQ6K 60-69 years, male 90.9
GTEX-1C6VR-0126-SM-7RHGB 60-69 years, male 90.9
GTEX-1JMPZ-0726-SM-CY8HZ 30-39 years, male 90.9
GTEX-1M4P7-0726-SM-E6CJ3 60-69 years, male 90.9
GTEX-1AYD5-2626-SM-7PBXY 50-59 years, male 90.8
GTEX-1GMRU-2126-SM-7P8RA 50-59 years, male 90.8
GTEX-1GN1V-2826-SM-9JGIA 60-69 years, male 90.8
GTEX-131YS-2826-SM-5EQ47 60-69 years, female 90.7
GTEX-1A3MW-0626-SM-731CB 60-69 years, female 90.7
GTEX-XQ3S-1426-SM-4BOPR 20-29 years, male 90.7
GTEX-1LBAC-0826-SM-CY8IJ 20-29 years, male 90.7
GTEX-WHWD-1826-SM-3LK6I 50-59 years, male 90.6
GTEX-145LS-0626-SM-7EPG7 60-69 years, female 90.5
GTEX-VUSG-2326-SM-4KL1U 50-59 years, male 90.5
GTEX-Y8E4-2026-SM-5IFJB 40-49 years, male 90.5
GTEX-13OVK-1426-SM-6PAN7 40-49 years, male 90.4
GTEX-ZDTS-0826-SM-4WKHL 60-69 years, male 90.4
GTEX-12WSM-1926-SM-5BC65 60-69 years, male 90.3
GTEX-13IVO-0726-SM-5LZYV 70-79 years, male 90.3
GTEX-1OJC3-1226-SM-DTXER 20-29 years, male 90.3
GTEX-1AX9I-2226-SM-73KUO 60-69 years, male 90.1
GTEX-XQ8I-0926-SM-4BOOF 50-59 years, male 90.1
GTEX-1GF9V-0826-SM-9KNUV 60-69 years, male 90.1
GTEX-1GPI6-1926-SM-9KNV7 60-69 years, male 90.0
GTEX-1IDJU-1726-SM-CMKHU 60-69 years, female 90.0
GTEX-1ICLY-0826-SM-CMKG1 50-59 years, male 89.9
GTEX-13FTX-1526-SM-5K7VJ 20-29 years, female 89.8
GTEX-1HFI7-2326-SM-CGQFS 50-59 years, female 89.8
GTEX-ZE9C-2526-SM-5IJDR 60-69 years, male 89.6
GTEX-1QAET-0326-SM-EVR3U 50-59 years, male 89.6
GTEX-13YAN-0226-SM-5TDC6 60-69 years, male 89.5
GTEX-1IDJH-0126-SM-D3L92 70-79 years, male 89.5
GTEX-1RMOY-1326-SM-E9TIH 50-59 years, male 89.4
GTEX-18465-2826-SM-7LT9J 50-59 years, male 89.3
GTEX-18D9U-0126-SM-731BM 40-49 years, male 89.3
GTEX-11P82-1426-SM-DTXFY 20-29 years, male 89.3
GTEX-14DAR-1226-SM-73KYV 50-59 years, male 89.2
GTEX-15SKB-2826-SM-6PAMH 60-69 years, male 89.2
GTEX-1HBPM-0726-SM-9YFL7 60-69 years, female 89.2
GTEX-1J8QM-2426-SM-A9SLS 60-69 years, female 89.2
GTEX-13NYB-0126-SM-5J1MD 40-49 years, male 89.1
GTEX-144FL-0626-SM-5LU43 50-59 years, male 89.1
GTEX-ZDXO-3126-SM-5IJDF 60-69 years, male 89.1
GTEX-1H3NZ-2726-SM-9WYTQ 60-69 years, male 89.1
GTEX-1HB9E-0126-SM-CM2S5 50-59 years, male 89.1
GTEX-13FTW-0326-SM-5K7UW 40-49 years, male 88.9
GTEX-1H1DF-1126-SM-9WG7G 40-49 years, female 88.8
GTEX-1QP2A-1726-SM-E76QC 50-59 years, male 88.8
GTEX-145MN-1526-SM-5SI9T 30-39 years, male 88.7
GTEX-1CB4F-1026-SM-7DUH1 60-69 years, male 88.6
GTEX-1LVAM-0726-SM-E6CIL 50-59 years, female 88.6
GTEX-1R46S-2426-SM-E76QA 60-69 years, female 88.6
GTEX-14E6E-0526-SM-793DN 30-39 years, male 88.5
GTEX-ZU9S-1826-SM-5NQ9E 30-39 years, male 88.5
GTEX-1JMOU-1026-SM-CYPSS 60-69 years, female 88.5
GTEX-1F52S-2926-SM-7MKGA 60-69 years, female 88.3
GTEX-131XW-0626-SM-5PNVD 50-59 years, female 88.2
GTEX-13N1W-2426-SM-5IJD1 70-79 years, male 88.1
GTEX-14PJ5-1526-SM-6LLIL 60-69 years, female 88.1
GTEX-1EH9U-2826-SM-7DUGT 60-69 years, male 88.0
GTEX-14B4R-1326-SM-5Q5EZ 30-39 years, male 87.9
GTEX-144GM-0526-SM-79OJO 20-29 years, male 87.8
GTEX-1IKOE-1426-SM-CE6T7 30-39 years, female 87.8
GTEX-1JN6P-2926-SM-CL54D 60-69 years, male 87.8
GTEX-16MT8-2926-SM-7DUFO 60-69 years, female 87.7
GTEX-1PDJ9-1226-SM-EXUSX 20-29 years, male 87.7
GTEX-144GO-2026-SM-5O99P 60-69 years, male 87.6
GTEX-ZDYS-2426-SM-4WKGI 50-59 years, male 87.6
GTEX-1HT8W-0626-SM-A9G2H 30-39 years, male 87.6
GTEX-11NSD-0626-SM-5A5LU 20-29 years, male 87.5
GTEX-13112-0126-SM-5P9IU 50-59 years, male 87.5
GTEX-18A67-1626-SM-7LT9T 50-59 years, male 87.5
GTEX-ZP4G-1426-SM-4WWCL 20-29 years, female 87.3
GTEX-ZF2S-1626-SM-57WES 50-59 years, female 87.2
GTEX-1F88E-1626-SM-7SB8Z 60-69 years, female 87.1
GTEX-1JKYR-0626-SM-ARL8R 20-29 years, male 87.1
GTEX-1QP28-1126-SM-EVYC4 50-59 years, female 87.1
GTEX-1RAZQ-1326-SM-E9TK6 30-39 years, male 87.1
GTEX-11P81-2226-SM-5PNYI 30-39 years, female 87.0
GTEX-16Z82-2626-SM-7KULU 60-69 years, male 86.8
GTEX-14PJ3-1126-SM-5ZZVX 50-59 years, male 86.7
GTEX-XXEK-1626-SM-4BRUZ 50-59 years, male 86.7
GTEX-1JJ6O-2726-SM-CNPOG 60-69 years, male 86.7
GTEX-147JS-0226-SM-5S2U9 60-69 years, male 86.5
GTEX-11ZUS-2626-SM-5FQUR 30-39 years, male 86.4
GTEX-14PHY-1226-SM-5ZZWK 60-69 years, female 86.4
GTEX-178AV-1726-SM-7KUL8 40-49 years, male 86.4
GTEX-1122O-1026-SM-9WYSF 60-69 years, female 86.4
GTEX-13NYC-0126-SM-5L3F4 60-69 years, male 86.3
GTEX-13PL6-1126-SM-5L3IE 40-49 years, female 86.3
GTEX-XYKS-1426-SM-4BRUO 60-69 years, female 86.3
GTEX-ZDTT-0426-SM-4WKFL 60-69 years, male 86.3
GTEX-ZYW4-0626-SM-59HJR 60-69 years, male 86.3
GTEX-139TS-2126-SM-5K7XC 60-69 years, male 86.2
GTEX-14C39-1726-SM-5RQIL 40-49 years, male 86.2
GTEX-1C6WA-2626-SM-7MKGM 60-69 years, male 86.2
GTEX-1QEPI-2626-SM-DTXF4 60-69 years, female 86.2
GTEX-139D8-1126-SM-5LU8W 30-39 years, female 86.0
GTEX-1PPGY-1626-SM-EVYBL 60-69 years, male 85.9
GTEX-12ZZZ-0726-SM-5GCNZ 60-69 years, male 85.8
GTEX-13D11-0926-SM-5J2NC 50-59 years, female 85.7
GTEX-13JVG-0726-SM-5KM16 60-69 years, male 85.7
GTEX-U8XE-0226-SM-4E3J3 30-39 years, male 85.6
GTEX-145LU-1926-SM-79OJN 50-59 years, male 85.5
GTEX-14ABY-2026-SM-62LDL 50-59 years, male 85.5
GTEX-1I1HK-2326-SM-CKZOH 60-69 years, male 85.5
GTEX-1LVAN-0626-SM-CNPOQ 50-59 years, female 85.5
GTEX-12696-0126-SM-5EQ4L 60-69 years, male 85.4
GTEX-139T8-0626-SM-5KLZX 60-69 years, male 85.4
GTEX-1I19N-0126-SM-CYPSF 70-79 years, male 85.4
GTEX-12ZZY-0726-SM-5EQ66 60-69 years, male 85.2
GTEX-13SLW-0626-SM-5Q5ER 70-79 years, male 85.2
GTEX-1B97I-0626-SM-73KUZ 40-49 years, male 85.2
GTEX-17HG3-2626-SM-7DUF2 30-39 years, female 85.1
GTEX-1QPFJ-1926-SM-EVYBD 30-39 years, female 85.1
GTEX-1I1CD-0626-SM-CE6SW 60-69 years, female 84.9
GTEX-1LSNL-2726-SM-E9TKJ 50-59 years, male 84.8
GTEX-1F88F-0126-SM-9WYSZ 60-69 years, female 84.7
GTEX-1HR98-2226-SM-ADEI2 60-69 years, male 84.7
GTEX-14PII-0726-SM-6EU2B 60-69 years, male 84.6
GTEX-1CB4E-0926-SM-7EPHT 60-69 years, male 84.5
GTEX-1LSVX-2526-SM-DIPEU 60-69 years, male 84.5
GTEX-145ME-1726-SM-5Q5EU 40-49 years, female 84.4
GTEX-17HHE-1326-SM-7EWDZ 50-59 years, male 84.4
GTEX-1399Q-2326-SM-5KM2X 40-49 years, male 84.3
GTEX-17KNJ-2126-SM-718AM 50-59 years, male 84.3
GTEX-ZYY3-2926-SM-5GIEB 60-69 years, female 84.3
GTEX-1EMGI-2326-SM-7PBYA 60-69 years, male 84.2
GTEX-1LGRB-0926-SM-COH3K 50-59 years, female 84.2
GTEX-13PVQ-0626-SM-5LU47 50-59 years, male 84.1
GTEX-1H11D-1826-SM-9QEHM 40-49 years, male 84.1
GTEX-12126-0826-SM-5FQTZ 20-29 years, male 83.9
GTEX-1JN76-0626-SM-CKZOQ 20-29 years, female 83.9
GTEX-13OW6-2726-SM-5J2OE 50-59 years, male 83.8
GTEX-X3Y1-2026-SM-3P5YM 40-49 years, male 83.7
GTEX-Z93S-1626-SM-5CVMB 50-59 years, male 83.7
GTEX-1399U-1126-SM-5L3DB 50-59 years, female 83.6
GTEX-15EO6-2426-SM-6PALZ 50-59 years, male 83.6
GTEX-XBEW-1126-SM-4QARW 40-49 years, male 83.6
GTEX-1MCC2-1826-SM-DIPEX 30-39 years, female 83.6
GTEX-14PJN-1826-SM-6AJ98 30-39 years, male 83.5
GTEX-1B8SF-0126-SM-7DUG3 60-69 years, male 83.5
GTEX-1QW4Y-1126-SM-DTXE3 30-39 years, male 83.5
GTEX-1HBPN-0126-SM-CGQEF 50-59 years, male 83.4
GTEX-15RJE-2826-SM-7KUM9 40-49 years, male 83.3
GTEX-ZXG5-2126-SM-59HKD 60-69 years, male 83.3
GTEX-1GN73-0726-SM-7P8TJ 60-69 years, male 83.3
GTEX-15CHC-1126-SM-6LLHQ 60-69 years, female 83.0
GTEX-15G19-2426-SM-7KUMR 60-69 years, male 83.0
GTEX-14PJ4-0226-SM-5YY92 60-69 years, male 82.9
GTEX-14PK6-0226-SM-62LF5 70-79 years, female 82.9
GTEX-1H1DG-2426-SM-9QEHJ 70-79 years, male 82.8
GTEX-1JMQJ-0826-SM-CNPP7 50-59 years, male 82.8
GTEX-13N2G-0226-SM-5K7VF 60-69 years, male 82.7
GTEX-XAJ8-1426-SM-47JYM 40-49 years, male 82.7
GTEX-ZA64-1026-SM-5HL8R 20-29 years, male 82.7
GTEX-1K9T9-1526-SM-DIPFR 50-59 years, female 82.7
GTEX-1B8KZ-0326-SM-73KY4 50-59 years, male 82.4
GTEX-11DXX-2126-SM-5PNYR 60-69 years, female 82.3
GTEX-131XH-0126-SM-5LZUY 50-59 years, male 82.3
GTEX-13X6I-1826-SM-5SIAO 60-69 years, male 82.3
GTEX-16MT9-0126-SM-7EPI8 60-69 years, female 82.3
GTEX-ZAK1-0626-SM-5HL8E 50-59 years, female 82.3
GTEX-1I1GU-0926-SM-ACKVS 40-49 years, male 82.3
GTEX-1192X-2726-SM-5N9DN 50-59 years, male 82.2
GTEX-11LCK-2226-SM-5HL4Q 30-39 years, male 82.2
GTEX-13O3O-2326-SM-5IJD6 60-69 years, female 82.2
GTEX-1GTWX-2026-SM-9YFLM 60-69 years, male 82.2
GTEX-1R9PN-0426-SM-DTXDT 40-49 years, female 82.2
GTEX-13PVR-0426-SM-5RQK2 60-69 years, female 82.1
GTEX-15CHR-1126-SM-7EWF4 50-59 years, male 82.1
GTEX-ZTTD-2826-SM-4YCFA 50-59 years, male 82.1
GTEX-ZVZP-1226-SM-5GID7 50-59 years, male 82.1
GTEX-1CB4J-1326-SM-7P8RX 60-69 years, male 82.1
GTEX-1I1GS-2626-SM-B2LY3 60-69 years, male 82.1
GTEX-ZVE2-2826-SM-5GU51 50-59 years, male 81.9
GTEX-1CAV2-0126-SM-7IGN7 40-49 years, female 81.7
GTEX-XPVG-2126-SM-4B667 50-59 years, male 81.7
GTEX-1CAMQ-1326-SM-7P8RV 40-49 years, male 81.7
GTEX-1GZHY-0626-SM-9KNVC 50-59 years, female 81.7
GTEX-1J1R8-2026-SM-CL53Y 40-49 years, male 81.7
GTEX-12WSH-1526-SM-5BC5W 50-59 years, male 81.5
GTEX-1F5PK-2226-SM-7SB6N 50-59 years, male 81.5
GTEX-1PPH8-0126-SM-EWRN8 20-29 years, male 81.5
GTEX-16BQI-1326-SM-6M486 30-39 years, female 81.4
GTEX-12WSA-0426-SM-5EQ5X 60-69 years, male 81.3
GTEX-14LLW-2626-SM-62LDZ 70-79 years, female 81.3
GTEX-183WM-0326-SM-72D5V 70-79 years, female 81.3
GTEX-11VI4-1126-SM-5EQMD 40-49 years, female 81.2
GTEX-1H4P4-2126-SM-9WYSL 50-59 years, male 81.2
GTEX-14A6H-2026-SM-5Q5DD 30-39 years, male 81.1
GTEX-X8HC-0626-SM-4E3HQ 50-59 years, female 81.1
GTEX-1GN1U-0626-SM-9MQL9 50-59 years, female 81.0
GTEX-1R7EU-1626-SM-DTXG3 60-69 years, male 81.0
GTEX-13X6J-0626-SM-5LU5F 50-59 years, male 80.7
GTEX-Y114-2126-SM-4TT8B 50-59 years, female 80.7
GTEX-1C6VQ-1226-SM-73KYD 50-59 years, male 80.6
GTEX-1EU9M-1426-SM-793AI 60-69 years, male 80.6
GTEX-13OW8-1026-SM-5J1NQ 60-69 years, male 80.5
GTEX-ZVT2-0126-SM-5GIDQ 50-59 years, female 80.5
GTEX-1EWIQ-0326-SM-7DHMQ 70-79 years, female 80.4
GTEX-Y3I4-1726-SM-4TT89 50-59 years, male 80.4
GTEX-13NYS-0626-SM-5L3F1 60-69 years, male 80.3
GTEX-ZLFU-1826-SM-4WWBV 40-49 years, male 80.3
GTEX-ZPU1-1126-SM-4YCF3 40-49 years, male 80.3
GTEX-ZT9X-1526-SM-5DUXD 40-49 years, male 80.2
GTEX-Y5V5-0126-SM-5S2NW 60-69 years, female 80.1
GTEX-1LVA9-2626-SM-EVYD4 50-59 years, male 80.1
GTEX-1LB8K-0726-SM-D5OV2 50-59 years, male 80.0
GTEX-11NUK-2726-SM-5A5MC 50-59 years, male 79.6
GTEX-13OW7-0426-SM-5K7VK 50-59 years, male 79.6
GTEX-ZF29-0926-SM-4WKFZ 60-69 years, female 79.6
GTEX-1JMQI-1726-SM-ARL93 50-59 years, male 79.6
GTEX-13QJC-0126-SM-5ZZWJ 60-69 years, female 79.5
GTEX-14C5O-0326-SM-5ZZUX 60-69 years, male 79.4
GTEX-145MH-2826-SM-5RQJF 50-59 years, male 79.3
GTEX-1HCVE-2726-SM-CL54F 50-59 years, male 79.3
GTEX-1JMQK-1226-SM-D4P2S 60-69 years, male 79.2
GTEX-1A8G7-1326-SM-73KVM 60-69 years, male 79.1
GTEX-ZZPU-0826-SM-5GZX5 50-59 years, female 79.1
GTEX-11DXY-0126-SM-5H11Q 60-69 years, male 79.0
GTEX-139UW-0326-SM-5J1ML 60-69 years, male 79.0
GTEX-13OW5-2326-SM-5L3HO 60-69 years, male 79.0
GTEX-1OJC4-2726-SM-E76PJ 50-59 years, female 79.0
GTEX-11DXZ-2026-SM-5987S 50-59 years, male 78.9
GTEX-1LG7Y-2526-SM-EWRO7 50-59 years, male 78.9
GTEX-1H1ZS-2726-SM-9WG75 70-79 years, male 78.8
GTEX-1JJEA-1826-SM-ARU8P 60-69 years, male 78.8
GTEX-Y8LW-1526-SM-5IFHL 50-59 years, female 78.7
GTEX-1B8KE-1126-SM-7EPHI 50-59 years, male 78.5
GTEX-1I1GT-1026-SM-ARZLV 60-69 years, female 78.5
GTEX-14753-0726-SM-5QGQO 60-69 years, male 78.4
GTEX-1POEN-2326-SM-E9J2L 30-39 years, female 78.3
GTEX-1J8EW-2726-SM-CY8HR 60-69 years, female 78.2
GTEX-131XG-0326-SM-5L3DX 50-59 years, female 78.1
GTEX-13VXT-1926-SM-5K7UO 20-29 years, female 78.1
GTEX-X4EP-0626-SM-3P621 60-69 years, female 78.0
GTEX-1K2DA-1026-SM-CGQGF 50-59 years, male 77.9
GTEX-111YS-1526-SM-5GZYW 60-69 years, male 77.8
GTEX-ZTX8-1326-SM-4YCEL 20-29 years, male 77.8
GTEX-1PPH7-1126-SM-DTX9A 40-49 years, male 77.7
GTEX-15DYW-2726-SM-6EU2I 60-69 years, female 77.5
GTEX-15RIG-0726-SM-7KUM7 40-49 years, male 77.5
GTEX-14PKU-0126-SM-6LLHV 40-49 years, female 77.3
GTEX-1ICG6-1226-SM-A9SLN 70-79 years, female 77.3
GTEX-1IKJJ-2226-SM-CJI4C 60-69 years, male 77.3
GTEX-14C38-0726-SM-5SI6M 50-59 years, male 77.1
GTEX-16MTA-0926-SM-6M47Z 50-59 years, male 77.1
GTEX-1LVAO-2726-SM-E9TJ8 60-69 years, male 77.0
GTEX-1269C-0126-SM-5EQ5L 60-69 years, female 76.8
GTEX-13VXU-0626-SM-5L3F9 50-59 years, male 76.8
GTEX-17HII-1426-SM-7EPGG 50-59 years, male 76.8
GTEX-WFG7-2026-SM-5SI7P 20-29 years, male 76.8
GTEX-1S3DN-2126-SM-E9TIN 50-59 years, male 76.8
GTEX-YB5K-2026-SM-4VDT3 40-49 years, female 76.7
GTEX-1JK1U-0226-SM-ARZMX 60-69 years, male 76.7
GTEX-1117F-2926-SM-5GZYI 60-69 years, female 76.5
GTEX-1EN7A-2426-SM-793DB 40-49 years, male 76.5
GTEX-1CAMS-2226-SM-7PBXQ 40-49 years, female 76.5
GTEX-1477Z-0326-SM-7IGLA 60-69 years, male 76.4
GTEX-XUW1-0926-SM-4BONX 50-59 years, female 76.4
GTEX-YECK-0326-SM-4W1YS 60-69 years, male 76.3
GTEX-ZPCL-1126-SM-4WWFE 60-69 years, female 76.3
GTEX-11OF3-0126-SM-5PNYF 60-69 years, male 76.2
GTEX-11ZU8-0126-SM-5EQ58 60-69 years, male 76.2
GTEX-1B996-0426-SM-7EWF8 60-69 years, male 76.2
GTEX-14PJ6-2626-SM-6EU2T 60-69 years, female 76.1
GTEX-X4EO-2926-SM-4E3JH 60-69 years, female 76.0
GTEX-ZY6K-1426-SM-5GZX2 50-59 years, male 76.0
GTEX-1KWVE-1026-SM-D3L9O 30-39 years, male 76.0
GTEX-ZPIC-0526-SM-DO91W 40-49 years, female 75.9
GTEX-ZVT4-2426-SM-5GIEI 50-59 years, female 75.8
GTEX-X585-2426-SM-46MW2 50-59 years, male 75.7
GTEX-1KXAM-1626-SM-D3LAD 60-69 years, male 75.6
GTEX-13RTJ-0126-SM-5S2NN 60-69 years, male 75.5
GTEX-Y9LG-1126-SM-4VBQ7 30-39 years, male 75.5
GTEX-1HCUA-0826-SM-ADEHM 50-59 years, female 75.4
GTEX-14E1K-2026-SM-7DUEI 50-59 years, male 75.2
GTEX-X5EB-1926-SM-4E3IW 40-49 years, male 75.2
GTEX-13FHO-0426-SM-5L3F5 60-69 years, male 75.1
GTEX-1H3O1-1326-SM-9MQLD 60-69 years, male 75.1
GTEX-1GN2E-0226-SM-9WG6K 60-69 years, male 74.9
GTEX-111VG-1626-SM-5EGIO 60-69 years, male 74.7
GTEX-13FTY-2126-SM-5IFFB 40-49 years, female 74.4
GTEX-11GS4-0226-SM-5HL77 60-69 years, male 74.3
GTEX-1399S-0126-SM-5IJCF 30-39 years, female 74.3
GTEX-1JMQL-2226-SM-CNPP4 50-59 years, female 74.3
GTEX-11PRG-0726-SM-5EGL1 50-59 years, male 74.1
GTEX-XV7Q-1826-SM-4BRUV 40-49 years, female 74.1
GTEX-1313W-0626-SM-5EQ4H 50-59 years, female 74.0
GTEX-147F4-0726-SM-5TDDD 50-59 years, male 74.0
GTEX-11TUW-0626-SM-5LU9M 60-69 years, male 73.8
GTEX-1JMLX-0626-SM-ARL8T 50-59 years, male 73.8
GTEX-13OVG-1626-SM-5J1NF 60-69 years, male 73.6
GTEX-ZC5H-1526-SM-5HL9Y 40-49 years, female 73.6
GTEX-1EKGG-0626-SM-7DUGJ 60-69 years, male 73.2
GTEX-1JJE9-2626-SM-ARZMT 70-79 years, male 73.1
GTEX-WI4N-2726-SM-3LK7Y 40-49 years, female 72.9
GTEX-ZYVF-0926-SM-5E44J 50-59 years, female 72.9
GTEX-11ZTT-2126-SM-5CVLO 60-69 years, female 72.8
GTEX-14XAO-1226-SM-6EU1C 60-69 years, female 72.8
GTEX-17F97-2626-SM-7IGM5 50-59 years, male 72.8
GTEX-WHSB-1326-SM-3LK6W 50-59 years, male 72.6
GTEX-13X6H-0926-SM-5SIB2 50-59 years, female 72.5
GTEX-1HUB1-1426-SM-CGQF5 60-69 years, male 72.5
GTEX-ZYFC-0426-SM-5GICQ 50-59 years, male 72.4
GTEX-1KAFJ-0126-SM-DIPEK 50-59 years, male 72.4
GTEX-12WSJ-1126-SM-5LZVJ 40-49 years, female 72.3
GTEX-XBEC-0726-SM-4QARZ 50-59 years, male 72.1
GTEX-1JMPY-0226-SM-CKZOK 30-39 years, male 71.9
GTEX-1C2JI-1026-SM-73KY1 50-59 years, male 71.1
GTEX-Y111-0626-SM-4SOIT 50-59 years, male 70.6
GTEX-11GSP-2326-SM-5HL63 60-69 years, female 70.5
GTEX-YEC4-1826-SM-4W1YP 40-49 years, male 70.5
GTEX-1MCYP-0526-SM-E9U6Q 20-29 years, female 70.5
GTEX-13SLX-2226-SM-62LEP 50-59 years, female 70.3
GTEX-1J8Q3-0526-SM-ARL8U 60-69 years, male 69.6
GTEX-16YQH-2226-SM-7IGM2 30-39 years, male 69.5
GTEX-XOT4-0626-SM-4B66L 60-69 years, female 68.7
GTEX-ZF3C-0626-SM-DO92O 50-59 years, female 68.6
GTEX-13O3Q-0126-SM-5KM34 50-59 years, male 67.8
GTEX-ZAB4-2126-SM-5HL8U 40-49 years, male 67.3
GTEX-17EVP-2626-SM-7IGMA 40-49 years, male 64.7
GTEX-ZE7O-2726-SM-51MT5 50-59 years, female 59.1
GTEX-Y5V6-2326-SM-4VDSA 60-69 years, male 53.2
Show allShow less
Skin - Sun Exposed (Lower leg)
Average nTPM: 95.8
Samples: 701

Max nTPM: 161.1
Min nTPM: 59.8
Std nTPM: 13.5
Median nTPM: 94.4
GTEX-ZQUD-1426-SM-57WER 30-39 years, male 161.1
GTEX-146FR-1326-SM-E9J48 60-69 years, female 156.9
GTEX-U4B1-1826-SM-4DXSU 40-49 years, male 146.4
GTEX-1R9PO-2126-SM-E9J4O 60-69 years, female 145.4
GTEX-1F75A-0126-SM-7RHGM 50-59 years, male 142.6
GTEX-OHPM-0126-SM-2YUN9 50-59 years, male 141.3
GTEX-1EMGI-0126-SM-9KNUE 60-69 years, male 135.8
GTEX-Q734-1926-SM-2I5EV 40-49 years, female 135.6
GTEX-144GN-2326-SM-5LU4F 50-59 years, male 133.9
GTEX-1CAMR-1926-SM-7EPI2 20-29 years, male 131.4
GTEX-1N2DV-0226-SM-E6CJ6 40-49 years, male 130.9
GTEX-1F75I-0326-SM-9YFLU 40-49 years, male 130.0
GTEX-1HFI6-0226-SM-ADEHZ 40-49 years, male 129.9
GTEX-WRHK-1426-SM-3MJF9 20-29 years, female 128.9
GTEX-1LBAC-0126-SM-DIPEZ 20-29 years, male 128.8
GTEX-QLQW-1126-SM-2S1Q8 30-39 years, male 128.7
GTEX-1GN1W-0526-SM-9MQJQ 50-59 years, female 128.5
GTEX-OIZG-0726-SM-33HBL 50-59 years, male 128.2
GTEX-T2YK-0526-SM-32QPJ 50-59 years, male 126.1
GTEX-1EKGG-0226-SM-9WYTH 60-69 years, male 126.1
GTEX-1N2EF-0226-SM-EYYXB 60-69 years, male 126.0
GTEX-Y5LM-1926-SM-5RQJH 40-49 years, female 125.4
GTEX-147F3-0526-SM-5SI98 50-59 years, female 125.3
GTEX-1QW4Y-1526-SM-EAZ3Z 30-39 years, male 124.7
GTEX-RUSQ-1526-SM-2TF62 50-59 years, male 124.3
GTEX-14E6C-0126-SM-5RQIP 40-49 years, male 124.1
GTEX-QCQG-1726-SM-3GIJ9 50-59 years, female 123.5
GTEX-QDVJ-1726-SM-2I5FX 50-59 years, male 123.5
GTEX-1AX8Z-0126-SM-7DHM6 60-69 years, male 123.1
GTEX-13OVJ-0126-SM-5KM36 50-59 years, female 122.9
GTEX-139T4-0226-SM-5HL5S 50-59 years, female 122.7
GTEX-1AMEY-1326-SM-73KYK 30-39 years, female 122.6
GTEX-14JIY-0126-SM-6LLH6 60-69 years, male 122.5
GTEX-15SHW-0326-SM-6PAML 60-69 years, male 122.2
GTEX-1PPH7-2326-SM-EVYB8 40-49 years, male 121.3
GTEX-1B8SG-0126-SM-73KZ3 50-59 years, male 120.8
GTEX-1PIGE-0126-SM-EVYBJ 20-29 years, male 120.7
GTEX-18A66-0226-SM-718BD 60-69 years, male 120.6
GTEX-1B8L1-2526-SM-9WYTF 60-69 years, male 120.6
GTEX-1F6I4-0126-SM-9MQL2 60-69 years, male 120.5
GTEX-12126-0326-SM-5PNW3 20-29 years, male 120.4
GTEX-1C64O-0126-SM-7SB8P 60-69 years, male 120.4
GTEX-Q2AI-1326-SM-2S1PL 40-49 years, male 119.6
GTEX-1H1CY-2826-SM-9MQM3 60-69 years, female 118.9
GTEX-1J8JJ-0226-SM-CL53I 60-69 years, female 118.8
GTEX-1PBJI-0526-SM-E8VNK 20-29 years, female 118.7
GTEX-13OVK-2026-SM-7KUEO 40-49 years, male 118.5
GTEX-OXRK-0226-SM-3NB2G 50-59 years, female 117.8
GTEX-1H2FU-0126-SM-9WYSI 60-69 years, female 117.8
GTEX-PX3G-0126-SM-2I3EN 20-29 years, female 117.7
GTEX-Q2AH-1626-SM-3GAF8 40-49 years, male 117.2
GTEX-14ICK-0226-SM-6EU25 40-49 years, male 117.0
GTEX-145MF-0626-SM-5LUAI 50-59 years, male 116.9
GTEX-XYKS-2126-SM-4E3IB 60-69 years, female 116.7
GTEX-1S82Z-0826-SM-E6CHY 30-39 years, female 116.7
GTEX-17MF6-0126-SM-7LG4F 40-49 years, male 116.5
GTEX-PWCY-1826-SM-DHXIZ 20-29 years, female 115.5
GTEX-RN64-0126-SM-2TC68 50-59 years, male 115.0
GTEX-1H1E6-1726-SM-ACKVK 30-39 years, male 114.9
GTEX-1LSNM-1926-SM-E6CII 50-59 years, male 114.9
GTEX-SJXC-0126-SM-2XCFF 60-69 years, male 114.8
GTEX-1HKZK-0326-SM-9WYUH 40-49 years, male 114.3
GTEX-13FHP-0126-SM-5IJBG 50-59 years, male 113.8
GTEX-1C6WA-0126-SM-7PC2B 60-69 years, male 113.7
GTEX-QESD-1426-SM-2S1R9 20-29 years, male 113.6
GTEX-1GPI7-0126-SM-9MQL8 20-29 years, male 113.2
GTEX-1H3VY-0126-SM-ACKXD 50-59 years, male 113.2
GTEX-1QP67-1626-SM-EAZ3X 40-49 years, female 113.1
GTEX-1I4MK-2226-SM-ACKWD 50-59 years, female 113.0
GTEX-13G51-2526-SM-5LZYK 60-69 years, male 112.9
GTEX-R45C-0126-SM-EAZ2R 60-69 years, female 112.9
GTEX-1IE54-0126-SM-CMKHW 40-49 years, female 112.5
GTEX-1K2DA-1826-SM-CGQGT 50-59 years, male 112.5
GTEX-11OF3-2626-SM-5GU7F 60-69 years, male 112.4
GTEX-1C2JI-1826-SM-73KXC 50-59 years, male 112.0
GTEX-Y8DK-0126-SM-4TT3L 60-69 years, male 112.0
GTEX-UPJH-0326-SM-3GADU 50-59 years, male 111.9
GTEX-12WSD-0126-SM-59HKN 60-69 years, female 111.7
GTEX-14PN3-2426-SM-6LLHS 60-69 years, female 111.7
GTEX-1POEN-0126-SM-EYYXJ 30-39 years, female 111.6
GTEX-11ZUS-0626-SM-59885 30-39 years, male 111.4
GTEX-183FY-0126-SM-7LT9P 20-29 years, male 111.4
GTEX-13YAN-0326-SM-5O9DF 60-69 years, male 111.2
GTEX-VJYA-1126-SM-3GIJU 60-69 years, male 111.1
GTEX-X62O-0126-SM-4E3JN 50-59 years, male 111.1
GTEX-1K2DU-2326-SM-E9TIV 20-29 years, male 111.0
GTEX-11WQC-2526-SM-5CVLE 60-69 years, male 110.9
GTEX-16AAH-1726-SM-7939C 50-59 years, male 110.8
GTEX-1CB4F-0426-SM-9KNV4 60-69 years, male 110.7
GTEX-1399T-2826-SM-5KLYZ 60-69 years, male 110.6
GTEX-13O3Q-2426-SM-5IJBR 50-59 years, male 110.5
GTEX-1JN6P-0126-SM-D3L98 60-69 years, male 110.5
GTEX-PLZ4-0126-SM-5SI8O 50-59 years, female 110.3
GTEX-15F5U-1526-SM-6PANO 40-49 years, male 110.2
GTEX-RM2N-1426-SM-2TF4H 50-59 years, male 110.2
GTEX-Q2AG-0126-SM-33HBV 40-49 years, female 110.0
GTEX-13OVL-0226-SM-5L3E9 50-59 years, male 109.8
GTEX-1NHNU-1026-SM-E9J2A 50-59 years, male 109.8
GTEX-15G19-0126-SM-6PANQ 60-69 years, male 109.6
GTEX-1GPI6-0126-SM-9WG69 60-69 years, male 109.5
GTEX-1HSMQ-1226-SM-CGQFX 50-59 years, male 109.5
GTEX-17F98-0626-SM-79OMX 40-49 years, female 109.4
GTEX-145LV-2126-SM-5LU8N 50-59 years, male 109.3
GTEX-SNMC-1226-SM-2XCFP 20-29 years, male 109.1
GTEX-1KD5A-0226-SM-D5OV3 50-59 years, male 109.0
GTEX-15ETS-0126-SM-7KUMW 40-49 years, female 108.6
GTEX-QLQ7-1626-SM-2S1R8 60-69 years, male 108.4
GTEX-1HSKV-0226-SM-A9SKJ 60-69 years, male 108.1
GTEX-U3ZM-1526-SM-3DB9D 40-49 years, male 108.0
GTEX-SUCS-1926-SM-32PM3 70-79 years, male 107.9
GTEX-1I1GR-0126-SM-CL55F 60-69 years, male 107.9
GTEX-1LG7Y-0526-SM-DKPQC 50-59 years, male 107.8
GTEX-1RAZA-0126-SM-E6CI3 20-29 years, male 107.7
GTEX-14DAQ-0126-SM-5S2MQ 60-69 years, female 107.4
GTEX-1QCLY-0326-SM-E8VOG 30-39 years, male 107.2
GTEX-12WSN-5019-SM-79OM6 40-49 years, male 107.1
GTEX-13FXS-0226-SM-5IJCK 50-59 years, male 107.1
GTEX-1GF9X-2026-SM-7PC3A 40-49 years, female 107.1
GTEX-P44H-0226-SM-2XCEU 40-49 years, male 106.9
GTEX-13NZ8-0826-SM-5MR3I 60-69 years, female 106.8
GTEX-13O21-1426-SM-5K7XI 50-59 years, male 106.8
GTEX-1I1GV-0526-SM-A9G29 60-69 years, male 106.7
GTEX-1A3MV-1926-SM-718BT 30-39 years, male 106.5
GTEX-18A7A-0226-SM-718BH 50-59 years, female 106.4
GTEX-1F6IF-0726-SM-7P8TW 60-69 years, male 106.4
GTEX-1I1GU-2226-SM-CGQFA 40-49 years, male 106.4
GTEX-OXRL-0126-SM-2YUMP 50-59 years, male 106.3
GTEX-1GZ4H-1726-SM-7PBZJ 50-59 years, female 106.2
GTEX-139UW-2826-SM-5L3E7 60-69 years, male 106.1
GTEX-1GN1U-0126-SM-7PBZK 50-59 years, female 106.0
GTEX-1I6K6-0126-SM-A9SLE 30-39 years, male 105.9
GTEX-WFG8-2226-SM-3GIL9 20-29 years, male 105.8
GTEX-16XZY-2126-SM-79OK1 70-79 years, male 105.7
GTEX-S7SE-0126-SM-2XCD5 50-59 years, male 105.7
GTEX-Y3IK-2426-SM-4WWDU 50-59 years, female 105.6
GTEX-117YX-2326-SM-5H12W 50-59 years, male 105.5
GTEX-13NYS-0126-SM-5MR3W 60-69 years, male 105.2
GTEX-V1D1-2226-SM-3NMAX 50-59 years, male 105.0
GTEX-1JMPZ-0226-SM-CNPP1 30-39 years, male 105.0
GTEX-1LG7Z-1726-SM-D3LA4 30-39 years, male 104.8
GTEX-18D9B-0526-SM-7LTAS 60-69 years, male 104.7
GTEX-1AYCT-2426-SM-7IGQ3 50-59 years, male 104.7
GTEX-1IY9M-0126-SM-D3L8S 60-69 years, male 104.7
GTEX-1AYD5-2426-SM-73KXR 50-59 years, male 104.6
GTEX-1H1DG-0126-SM-9WYU2 70-79 years, male 104.6
GTEX-1R9PM-2026-SM-E76OY 20-29 years, male 104.6
GTEX-1JJEA-0326-SM-CNPOT 60-69 years, male 104.5
GTEX-13W3W-2426-SM-5LU5B 60-69 years, female 104.4
GTEX-14PII-0226-SM-6EU1T 60-69 years, male 104.4
GTEX-1AX9K-2326-SM-73KWU 50-59 years, male 104.4
GTEX-1JKYN-1326-SM-CGQG9 30-39 years, male 104.4
GTEX-14PJ3-1826-SM-62LEX 50-59 years, male 104.3
GTEX-T6MN-0126-SM-32PLP 50-59 years, male 104.3
GTEX-17HHE-2026-SM-79OKF 50-59 years, male 104.2
GTEX-1LGRB-2526-SM-CNPPQ 50-59 years, female 104.2
GTEX-OXRP-0126-SM-3NB32 60-69 years, female 104.1
GTEX-15D1Q-0126-SM-7KUG6 40-49 years, male 104.0
GTEX-1KANB-0526-SM-E6CJH 50-59 years, male 104.0
GTEX-WZTO-0126-SM-3NM95 40-49 years, male 103.9
GTEX-WY7C-2326-SM-3NB2U 50-59 years, male 103.8
GTEX-X261-0126-SM-3NMD6 50-59 years, male 103.8
GTEX-YJ8A-0426-SM-5IFID 20-29 years, male 103.8
GTEX-P4PQ-0126-SM-2S1NM 60-69 years, male 103.6
GTEX-P4QT-0126-SM-2I3FL 50-59 years, female 103.6
GTEX-1H3O1-0426-SM-9YFKY 60-69 years, male 103.6
GTEX-PVOW-0126-SM-2XCFA 40-49 years, male 103.5
GTEX-XMD2-0126-SM-4YCDU 60-69 years, female 103.5
GTEX-YB5E-2026-SM-5IFIS 40-49 years, male 103.5
GTEX-1I19N-0326-SM-ACKVX 70-79 years, male 103.4
GTEX-U3ZH-2026-SM-3DB78 30-39 years, male 103.3
GTEX-1PPH8-0226-SM-E8VND 20-29 years, male 103.3
GTEX-1RLM8-2326-SM-EWRN4 50-59 years, male 103.3
GTEX-15EU6-0426-SM-6PAN5 50-59 years, male 103.2
GTEX-1F48J-0126-SM-7P8TT 50-59 years, female 103.1
GTEX-11TT1-2526-SM-5EGIB 20-29 years, male 103.0
GTEX-1CB4G-0226-SM-7PC3O 60-69 years, male 103.0
GTEX-ZF29-2326-SM-DO92K 60-69 years, female 103.0
GTEX-11UD1-0126-SM-5PNYG 40-49 years, female 102.9
GTEX-1GMR3-1926-SM-9KNUZ 40-49 years, male 102.9
GTEX-1IKK5-0626-SM-ARL8A 60-69 years, male 102.8
GTEX-S7PM-0126-SM-4AD6S 60-69 years, male 102.7
GTEX-X4XY-0226-SM-4E3IZ 60-69 years, male 102.7
GTEX-11DZ1-0126-SM-5985Q 50-59 years, male 102.5
GTEX-12ZZX-0126-SM-5EGK9 40-49 years, female 102.5
GTEX-ZTPG-0326-SM-5O9AX 20-29 years, female 102.5
GTEX-1AX9I-0126-SM-7SB74 60-69 years, male 102.5
GTEX-11NUK-0126-SM-5A5L3 50-59 years, male 102.2
GTEX-Z9EW-1626-SM-5CVMN 40-49 years, male 102.2
GTEX-1H23P-0126-SM-ADEJ3 60-69 years, male 102.2
GTEX-1A3MW-0126-SM-73KXX 60-69 years, female 102.1
GTEX-1HR98-0126-SM-B2LWI 60-69 years, male 102.1
GTEX-1HSMP-0126-SM-E6CJS 70-79 years, male 102.1
GTEX-R55G-2526-SM-2TC6D 40-49 years, female 101.9
GTEX-T8EM-1026-SM-3DB7M 40-49 years, male 101.9
GTEX-17HII-0226-SM-7LG4E 50-59 years, male 101.8
GTEX-OHPL-0126-SM-2HMJ7 60-69 years, female 101.7
GTEX-ZYT6-0226-SM-5NQ6T 30-39 years, male 101.7
GTEX-1HSEH-0126-SM-ACKXN 60-69 years, male 101.7
GTEX-11P7K-2126-SM-5GU7G 30-39 years, male 101.6
GTEX-ZV68-0126-SM-59HKS 50-59 years, female 101.5
GTEX-117YW-2626-SM-5GZZH 50-59 years, male 101.4
GTEX-11DXZ-2326-SM-5EGGV 50-59 years, male 101.4
GTEX-1IL2V-0126-SM-CM2TX 70-79 years, male 101.4
GTEX-PW2O-1526-SM-7RHHB 20-29 years, male 101.4
GTEX-1HCU7-0226-SM-CL545 50-59 years, male 101.3
GTEX-1MUQO-0126-SM-EAZ58 60-69 years, male 101.3
GTEX-1HCUA-2426-SM-ADEIS 50-59 years, female 101.2
GTEX-1K9T9-0126-SM-EVYCF 50-59 years, female 101.1
GTEX-1QP29-0626-SM-EWRMX 50-59 years, male 101.1
GTEX-1RQEC-0426-SM-E6CHU 60-69 years, male 101.1
GTEX-11WQK-0526-SM-5EQLD 50-59 years, male 101.0
GTEX-NFK9-0226-SM-2HMKQ 40-49 years, male 100.9
GTEX-WH7G-2326-SM-3NMBC 40-49 years, male 100.9
GTEX-18A6Q-0126-SM-731BZ 60-69 years, male 100.8
GTEX-1C6VQ-0126-SM-7P8RI 50-59 years, male 100.8
GTEX-145LT-1726-SM-5QGP3 40-49 years, male 100.6
GTEX-1C6VR-2426-SM-79OLD 60-69 years, male 100.6
GTEX-1EWIQ-0126-SM-7RHH2 70-79 years, female 100.6
GTEX-12WSK-2326-SM-5GCOH 40-49 years, female 100.4
GTEX-14BIN-0626-SM-793DP 50-59 years, female 100.4
GTEX-T6MO-1626-SM-32QOM 40-49 years, female 100.4
GTEX-15SDE-2226-SM-7IGLO 50-59 years, female 100.3
GTEX-14JG6-2226-SM-6EU2G 30-39 years, female 100.2
GTEX-17F97-0326-SM-7LG5B 50-59 years, male 100.1
GTEX-WXYG-2326-SM-4E3I6 50-59 years, female 99.9
GTEX-1I1GP-2226-SM-CGQFK 50-59 years, male 99.9
GTEX-1I1HK-0126-SM-COH49 60-69 years, male 99.8
GTEX-1S5ZA-0126-SM-EVYCV 20-29 years, male 99.8
GTEX-QVJO-1626-SM-2S1QW 60-69 years, female 99.7
GTEX-1GMR8-0126-SM-9WYTM 50-59 years, female 99.7
GTEX-1LNCM-1126-SM-E9U5E 50-59 years, female 99.7
GTEX-13RTK-1426-SM-5QGQJ 20-29 years, male 99.6
GTEX-1JKYR-0126-SM-CNPOJ 20-29 years, male 99.6
GTEX-13FHO-0226-SM-5IFGY 60-69 years, male 99.4
GTEX-146FH-0126-SM-5QGPP 50-59 years, female 99.4
GTEX-13O3P-0126-SM-5KM4S 50-59 years, male 99.3
GTEX-16GPK-0126-SM-7DHLE 60-69 years, male 99.3
GTEX-ZDTT-2726-SM-4WKF8 60-69 years, male 99.3
GTEX-1KANA-0726-SM-D3L9I 20-29 years, male 99.3
GTEX-SIU8-0126-SM-2XCDT 50-59 years, male 99.2
GTEX-1MA7X-2226-SM-E6CIY 60-69 years, male 99.2
GTEX-1RAZQ-0726-SM-EAZ43 30-39 years, male 99.1
GTEX-1I1GT-0626-SM-CGQER 60-69 years, female 99.0
GTEX-1KD4Q-0226-SM-E9TJ9 40-49 years, male 99.0
GTEX-1HCU9-1526-SM-A9SL7 20-29 years, male 98.9
GTEX-11O72-0126-SM-59887 40-49 years, male 98.8
GTEX-ZAB5-1826-SM-5HL7C 50-59 years, male 98.8
GTEX-ZF28-0126-SM-4WKGK 60-69 years, male 98.8
GTEX-1GN73-0226-SM-9WG67 60-69 years, male 98.8
GTEX-1L5NE-2526-SM-E6CIE 50-59 years, male 98.8
GTEX-14LLW-0126-SM-6LLIO 70-79 years, female 98.7
GTEX-15DDE-0126-SM-6LPKH 50-59 years, female 98.6
GTEX-17MFQ-1726-SM-793C7 20-29 years, male 98.6
GTEX-WQUQ-0426-SM-3MJFU 60-69 years, male 98.6
GTEX-1I1CD-0126-SM-CM2TK 60-69 years, female 98.6
GTEX-14E7W-0126-SM-6LLJ9 70-79 years, male 98.5
GTEX-ZZPT-0226-SM-5E43X 50-59 years, male 98.5
GTEX-TKQ1-1026-SM-4GICL 30-39 years, male 98.4
GTEX-XQ8I-0426-SM-4BOPO 50-59 years, male 98.4
GTEX-ZAK1-0126-SM-5IJD3 50-59 years, female 98.3
GTEX-1H3NZ-0126-SM-ACKX7 60-69 years, male 98.3
GTEX-11P82-1626-SM-59879 20-29 years, male 98.2
GTEX-1F75B-0126-SM-9KNVL 50-59 years, male 98.2
GTEX-1N2DW-0226-SM-E9TK2 50-59 years, male 98.2
GTEX-13O1R-0126-SM-5L3EH 60-69 years, male 98.1
GTEX-1F88F-2726-SM-7PBZZ 60-69 years, female 98.1
GTEX-11GS4-2726-SM-5A5LE 60-69 years, male 98.0
GTEX-OOBK-0126-SM-2YUND 40-49 years, male 98.0
GTEX-16XZZ-0126-SM-793DV 60-69 years, male 97.9
GTEX-1CAV2-2226-SM-7P8P2 40-49 years, female 97.9
GTEX-1GZ2Q-0226-SM-7P8TL 40-49 years, male 97.9
GTEX-QEG4-0226-SM-2S1PY 30-39 years, male 97.8
GTEX-Y111-0126-SM-4SOIV 50-59 years, male 97.7
GTEX-1F6RS-0126-SM-9MQKZ 60-69 years, female 97.7
GTEX-1LC47-0326-SM-E9TJP 60-69 years, male 97.7
GTEX-14PHX-2326-SM-62LEM 50-59 years, male 97.6
GTEX-1MGNQ-0126-SM-EVYCJ 40-49 years, male 97.6
GTEX-14ABY-0226-SM-5TDCQ 50-59 years, male 97.5
GTEX-1IDJH-0326-SM-A9SLQ 70-79 years, male 97.5
GTEX-1F5PK-2426-SM-7RHHY 50-59 years, male 97.4
GTEX-1S82Y-2026-SM-EVYCM 40-49 years, male 97.3
GTEX-113IC-0126-SM-5HL6T 60-69 years, male 97.2
GTEX-1C475-1826-SM-73KWA 40-49 years, female 97.2
GTEX-1IL2U-0226-SM-CE6T8 60-69 years, male 97.2
GTEX-11DXX-2426-SM-5GZZW 60-69 years, female 97.1
GTEX-145MN-2226-SM-5SIAU 30-39 years, male 97.1
GTEX-1R46S-0626-SM-E9J41 60-69 years, female 97.1
GTEX-ZVE2-0226-SM-59HJB 50-59 years, male 97.0
GTEX-1B933-0126-SM-7PC29 50-59 years, female 96.9
GTEX-12WSL-2526-SM-5GCNJ 50-59 years, male 96.8
GTEX-14PHW-0126-SM-6LLJI 60-69 years, female 96.8
GTEX-1AMFI-2026-SM-731BH 50-59 years, female 96.8
GTEX-1HCU6-0126-SM-CL54K 60-69 years, female 96.8
GTEX-17EUY-0426-SM-793BD 20-29 years, male 96.7
GTEX-1EX96-1626-SM-7PBXR 50-59 years, male 96.7
GTEX-1HGF4-2426-SM-ACKXM 60-69 years, male 96.7
GTEX-S33H-1026-SM-EZ6L6 30-39 years, male 96.6
GTEX-13111-1626-SM-5EGJY 50-59 years, male 96.5
GTEX-1QP2A-0126-SM-E9J43 50-59 years, male 96.5
GTEX-1JJ6O-0126-SM-E6CI8 60-69 years, male 96.3
GTEX-15EOM-0126-SM-7KUGG 20-29 years, female 96.2
GTEX-TMMY-0226-SM-33HBA 40-49 years, female 96.2
GTEX-Y3I4-2126-SM-4TT7C 50-59 years, male 96.2
GTEX-1IGQW-0126-SM-COH42 60-69 years, male 96.2
GTEX-1J8QM-2126-SM-CYPSJ 60-69 years, female 96.2
GTEX-13OVI-1426-SM-5L3EY 60-69 years, female 96.1
GTEX-15SB6-1726-SM-6PAME 50-59 years, female 96.1
GTEX-OIZH-0126-SM-2HMIS 50-59 years, male 96.1
GTEX-1IKJJ-0126-SM-CNPQB 60-69 years, male 96.1
GTEX-15ER7-0326-SM-7KUEV 20-29 years, female 96.0
GTEX-131XG-2626-SM-5KM17 50-59 years, female 95.9
GTEX-XXEK-2226-SM-4BRUM 50-59 years, male 95.9
GTEX-11P81-2326-SM-59875 30-39 years, female 95.8
GTEX-13FTX-1826-SM-5J1NX 20-29 years, female 95.8
GTEX-1J8Q3-1626-SM-CMKGC 60-69 years, male 95.7
GTEX-12ZZZ-0626-SM-5DUXI 60-69 years, male 95.6
GTEX-13FTW-2626-SM-5K7WL 40-49 years, male 95.6
GTEX-1KANC-1526-SM-D3LAB 50-59 years, female 95.6
GTEX-11EM3-2426-SM-59861 20-29 years, female 95.5
GTEX-13CF2-2526-SM-5LZYX 60-69 years, male 95.5
GTEX-145MI-0526-SM-5O9A8 60-69 years, female 95.5
GTEX-18A67-0126-SM-7LG5P 50-59 years, male 95.5
GTEX-15CHC-2126-SM-6EU21 60-69 years, female 95.4
GTEX-YJ89-0126-SM-4TT3X 60-69 years, male 95.4
GTEX-11TTK-0126-SM-5987B 60-69 years, female 95.3
GTEX-131XW-0426-SM-5LZWP 50-59 years, female 95.3
GTEX-1ICLY-0126-SM-D4P36 50-59 years, male 95.3
GTEX-1NV5F-0226-SM-E8VNY 60-69 years, female 95.3
GTEX-ZE9C-2726-SM-57WB5 60-69 years, male 95.2
GTEX-13OW6-0426-SM-5L3HM 50-59 years, male 95.1
GTEX-147F4-0226-SM-5QGPW 50-59 years, male 95.1
GTEX-11ZU8-2526-SM-5EQKI 60-69 years, male 95.0
GTEX-TML8-1926-SM-32QOS 40-49 years, female 95.0
GTEX-11TUW-2726-SM-E9J4M 60-69 years, male 95.0
GTEX-1R7EV-2426-SM-EVYBG 40-49 years, male 95.0
GTEX-131XH-2226-SM-5DUXJ 50-59 years, male 94.9
GTEX-146FQ-0126-SM-5NQA9 30-39 years, male 94.9
GTEX-14E6D-0126-SM-62LDV 50-59 years, male 94.9
GTEX-1B8KZ-2026-SM-7DHMB 50-59 years, male 94.9
GTEX-1JMQK-0226-SM-CL543 60-69 years, male 94.9
GTEX-14A5I-0126-SM-5TDEA 50-59 years, female 94.8
GTEX-14A6H-0126-SM-5QGPK 30-39 years, male 94.8
GTEX-R55E-0126-SM-2TC5Y 20-29 years, male 94.8
GTEX-WVJS-0126-SM-4MVOT 50-59 years, male 94.8
GTEX-X638-0126-SM-47JZ8 70-79 years, female 94.7
GTEX-1GF9W-0326-SM-9KNUN 60-69 years, male 94.7
GTEX-1A32A-0126-SM-718B1 50-59 years, female 94.6
GTEX-WOFL-0126-SM-3MJG2 60-69 years, male 94.6
GTEX-1B996-0226-SM-7RHGO 60-69 years, male 94.6
GTEX-1BAJH-0526-SM-793CQ 70-79 years, male 94.5
GTEX-1211K-2026-SM-5EQ4Z 60-69 years, female 94.4
GTEX-1GZHY-0326-SM-9QEHI 50-59 years, female 94.4
GTEX-144FL-0126-SM-5TDC8 50-59 years, male 94.3
GTEX-14BMU-2226-SM-5TDE9 20-29 years, female 94.3
GTEX-XV7Q-2526-SM-4BRV9 40-49 years, female 94.3
GTEX-13FH7-2026-SM-E9J4I 50-59 years, female 94.3
GTEX-17HHY-0126-SM-7LG5D 50-59 years, male 94.2
GTEX-POMQ-2226-SM-2I5FK 20-29 years, female 94.2
GTEX-16NGA-1726-SM-731B4 40-49 years, female 94.1
GTEX-17F96-1626-SM-7DUFL 70-79 years, male 94.0
GTEX-VUSG-2526-SM-4KL1V 50-59 years, male 93.9
GTEX-WYVS-2126-SM-3NMA3 40-49 years, female 93.9
GTEX-ZQG8-1626-SM-DHXIT 60-69 years, female 93.9
GTEX-13D11-2426-SM-5KM1V 50-59 years, female 93.7
GTEX-1B8KE-2126-SM-73KYX 50-59 years, male 93.7
GTEX-16NPX-0226-SM-79OMT 50-59 years, male 93.6
GTEX-1B8SF-1426-SM-7DUGL 60-69 years, male 93.6
GTEX-YB5K-2126-SM-4WWDJ 40-49 years, female 93.6
GTEX-12584-0126-SM-5EGKQ 40-49 years, male 93.5
GTEX-11ZTT-2426-SM-5EQLS 60-69 years, female 93.4
GTEX-1EU9M-0226-SM-7P8SP 60-69 years, male 93.4
GTEX-1PFEY-1526-SM-E76PP 30-39 years, male 93.3
GTEX-1QPFJ-0226-SM-E76PB 30-39 years, female 93.3
GTEX-11NSD-2226-SM-5986V 20-29 years, male 93.2
GTEX-18D9A-1926-SM-7LG6P 30-39 years, female 93.2
GTEX-SSA3-0126-SM-32QPU 60-69 years, male 93.2
GTEX-1RB15-2126-SM-E9TIM 60-69 years, male 93.2
GTEX-14C5O-0126-SM-5SI6N 60-69 years, male 93.1
GTEX-1CAMS-0426-SM-7P8T2 40-49 years, female 93.1
GTEX-1LGOU-2026-SM-DIPFF 20-29 years, female 93.1
GTEX-13W46-0226-SM-5SIAG 50-59 years, male 93.0
GTEX-1F52S-0126-SM-9MQJU 60-69 years, female 93.0
GTEX-OIZF-0126-SM-7SB8I 60-69 years, male 93.0
GTEX-145ME-1826-SM-5SI9G 40-49 years, female 92.9
GTEX-X88G-0126-SM-47JZ3 30-39 years, male 92.9
GTEX-1OJC3-0126-SM-E76QX 20-29 years, male 92.9
GTEX-1399R-2726-SM-5IJBA 30-39 years, male 92.8
GTEX-14BIL-0126-SM-5SI92 50-59 years, male 92.8
GTEX-18D9U-0226-SM-718BP 40-49 years, male 92.8
GTEX-XBED-2226-SM-47JYQ 60-69 years, male 92.8
GTEX-W5WG-1826-SM-4KL2Y 50-59 years, female 92.7
GTEX-14BMV-0126-SM-5S2PO 50-59 years, male 92.4
GTEX-17JCI-0126-SM-7LG5G 60-69 years, female 92.4
GTEX-ZYFG-2326-SM-5E44B 60-69 years, female 92.4
GTEX-1F7RK-0126-SM-7PC2S 20-29 years, female 92.4
GTEX-1HCU8-0626-SM-A9SM9 60-69 years, female 92.4
GTEX-1QEPI-0126-SM-EWRMQ 60-69 years, female 92.4
GTEX-PSDG-0226-SM-DKPOZ 50-59 years, male 92.4
GTEX-133LE-1826-SM-5J1MV 20-29 years, female 92.3
GTEX-1A3MX-0126-SM-731BR 60-69 years, male 92.3
GTEX-1497J-2426-SM-7IGNX 60-69 years, male 92.2
GTEX-1F5PL-0326-SM-7P8PQ 40-49 years, female 92.2
GTEX-1JJE9-0326-SM-CL53Z 70-79 years, male 92.2
GTEX-11XUK-2026-SM-5EQLF 40-49 years, female 92.1
GTEX-Z93T-0126-SM-5HL5N 50-59 years, male 92.1
GTEX-1MCYP-1926-SM-E9J2R 20-29 years, female 92.1
GTEX-OOBJ-0126-SM-E6CJW 60-69 years, male 92.1
GTEX-R3RS-0126-SM-3GIJL 40-49 years, female 92.0
GTEX-ZVZP-2426-SM-59HKJ 50-59 years, male 92.0
GTEX-1JMQI-2226-SM-CM2SD 50-59 years, male 92.0
GTEX-11UD2-0226-SM-5EQKY 50-59 years, male 91.9
GTEX-13113-5016-SM-7EPIP 60-69 years, female 91.9
GTEX-ZF2S-2326-SM-4WWCE 50-59 years, female 91.9
GTEX-14LZ3-0226-SM-62LET 60-69 years, female 91.8
GTEX-11ZTS-0126-SM-5EQ6M 60-69 years, female 91.7
GTEX-ZEX8-2426-SM-4WKG4 50-59 years, male 91.7
GTEX-12KS4-0326-SM-5EQ41 30-39 years, male 91.6
GTEX-13RTJ-2426-SM-5S2Q2 60-69 years, male 91.6
GTEX-12ZZY-0226-SM-5LZVE 60-69 years, male 91.4
GTEX-1LB8K-0226-SM-EWRNW 50-59 years, male 91.4
GTEX-132NY-0326-SM-5IJBL 60-69 years, male 91.3
GTEX-145MO-0326-SM-5Q5B3 60-69 years, male 91.2
GTEX-13OVH-0126-SM-5MR4B 70-79 years, male 91.1
GTEX-13U4I-0126-SM-5LU38 40-49 years, female 91.1
GTEX-XAJ8-0826-SM-47JY6 40-49 years, male 91.1
GTEX-13SLW-0126-SM-5SI6C 70-79 years, male 91.0
GTEX-13X6J-0126-SM-5QGOU 50-59 years, male 91.0
GTEX-WYJK-0126-SM-3NMAB 50-59 years, male 91.0
GTEX-1H1ZS-0426-SM-9WG6G 70-79 years, male 91.0
GTEX-111FC-0126-SM-5N9DL 60-69 years, male 90.9
GTEX-14PJM-0226-SM-62LF1 50-59 years, female 90.9
GTEX-1HBPH-0426-SM-B2LW5 40-49 years, female 90.9
GTEX-1JMOU-1526-SM-CL54I 60-69 years, female 90.9
GTEX-14DAR-2026-SM-5S2O3 50-59 years, male 90.8
GTEX-OXRN-0126-SM-48TDM 50-59 years, male 90.8
GTEX-Y114-2426-SM-4TT8A 50-59 years, female 90.8
GTEX-1HBPI-1526-SM-C1YQ1 50-59 years, male 90.8
GTEX-1I1GQ-0126-SM-COH3H 50-59 years, male 90.7
GTEX-13X6I-0626-SM-5QGP9 60-69 years, male 90.6
GTEX-1HBPM-0226-SM-ARL9F 60-69 years, female 90.6
GTEX-QV44-1926-SM-2S1RF 50-59 years, male 90.5
GTEX-T5JW-1626-SM-3GADZ 20-29 years, female 90.5
GTEX-13OW7-0126-SM-5MR3B 50-59 years, male 90.4
GTEX-X8HC-0126-SM-4E3JW 50-59 years, female 90.4
GTEX-1GN1V-0126-SM-9WPOS 60-69 years, male 90.4
GTEX-139T8-0126-SM-5K7XZ 60-69 years, male 90.3
GTEX-1R7EU-0226-SM-EVR4G 60-69 years, male 90.3
GTEX-131XE-2326-SM-5PNZ2 50-59 years, male 90.2
GTEX-13VXT-0126-SM-5LU4I 20-29 years, female 90.2
GTEX-1IKOH-0226-SM-COH4E 60-69 years, female 90.2
GTEX-W5X1-3026-SM-EAZAX 40-49 years, female 90.2
GTEX-1C64N-0126-SM-793D7 50-59 years, male 90.0
GTEX-ZDTS-0126-SM-4WAY5 60-69 years, male 90.0
GTEX-ZYFD-0126-SM-5GIDL 50-59 years, male 90.0
GTEX-113JC-2326-SM-5EQ4E 50-59 years, female 89.9
GTEX-17HG3-2226-SM-7938L 30-39 years, female 89.9
GTEX-1H3VE-0326-SM-9YFLH 40-49 years, male 89.9
GTEX-1CB4I-0226-SM-79OLH 50-59 years, male 89.8
GTEX-RWS6-2026-SM-2XCB5 60-69 years, female 89.8
GTEX-12WSA-0226-SM-5BC5V 60-69 years, male 89.7
GTEX-13NZB-2526-SM-5J1OM 30-39 years, male 89.7
GTEX-13PDP-0126-SM-5L3HD 60-69 years, male 89.6
GTEX-14753-0426-SM-5NQAM 60-69 years, male 89.6
GTEX-1IDJU-2626-SM-CM2RT 60-69 years, female 89.6
GTEX-1S83E-0126-SM-EWRO4 40-49 years, male 89.6
GTEX-S32W-2126-SM-2XCB1 50-59 years, female 89.5
GTEX-XUYS-0126-SM-47JWZ 50-59 years, male 89.5
GTEX-YEC4-2126-SM-5IFJH 40-49 years, male 89.4
GTEX-1JN1M-0326-SM-CYPT3 60-69 years, female 89.4
GTEX-1QP66-1726-SM-E8VO1 50-59 years, male 89.4
GTEX-145LU-0126-SM-5TDCB 50-59 years, male 89.3
GTEX-1B97I-1626-SM-73KYO 40-49 years, male 89.3
GTEX-1RDX4-0126-SM-E9J4P 50-59 years, female 89.3
GTEX-11DYG-0126-SM-59883 60-69 years, male 89.2
GTEX-ZYW4-0126-SM-5E44A 60-69 years, male 89.2
GTEX-1H1DE-2126-SM-9WG6R 20-29 years, male 89.2
GTEX-11DXY-2626-SM-5GIE7 60-69 years, male 89.1
GTEX-14PN4-0126-SM-6EU2V 50-59 years, male 89.0
GTEX-18QFQ-0126-SM-731BE 30-39 years, male 89.0
GTEX-1ICG6-2526-SM-CGQFZ 70-79 years, female 89.0
GTEX-13NYC-0326-SM-E9J4S 60-69 years, male 88.9
GTEX-1128S-2326-SM-5GZZY 60-69 years, female 88.8
GTEX-15UKP-0426-SM-7KUFQ 20-29 years, male 88.8
GTEX-111VG-2426-SM-5GZXD 60-69 years, male 88.7
GTEX-1IDFM-0126-SM-COH2V 60-69 years, male 88.7
GTEX-17KNJ-2326-SM-7DHLQ 50-59 years, male 88.6
GTEX-XQ3S-1526-SM-4BOOC 20-29 years, male 88.6
GTEX-1HFI7-1826-SM-ACKXH 50-59 years, female 88.6
GTEX-13JUV-2726-SM-5LZZ8 40-49 years, female 88.5
GTEX-1GN2E-0426-SM-9MQKX 60-69 years, male 88.5
GTEX-1QMI2-0226-SM-EVYBX 60-69 years, male 88.5
GTEX-ZV6S-2326-SM-4YCEY 40-49 years, female 88.4
GTEX-12WSG-2826-SM-E9J4H 50-59 years, female 88.3
GTEX-ZDYS-2026-SM-5HL5L 50-59 years, male 88.2
GTEX-1H11D-0226-SM-9WG6Z 40-49 years, male 88.2
GTEX-1HSGN-0226-SM-CGQFV 40-49 years, female 88.2
GTEX-ZVT3-0126-SM-5GU6I 60-69 years, female 88.1
GTEX-1J8EW-0126-SM-CJI4F 60-69 years, female 88.1
GTEX-XUW1-0426-SM-4BOOT 50-59 years, female 87.9
GTEX-ZC5H-0226-SM-4WAY9 40-49 years, female 87.8
GTEX-ZF3C-0126-SM-DO92D 50-59 years, female 87.8
GTEX-131YS-0126-SM-5KM1M 60-69 years, female 87.7
GTEX-NPJ8-0126-SM-2YUNR 40-49 years, male 87.7
GTEX-U3ZN-2326-SM-3DB7W 30-39 years, female 87.7
GTEX-1HCVE-0126-SM-CGQEU 50-59 years, male 87.7
GTEX-14PK6-1926-SM-6ETZU 70-79 years, female 87.6
GTEX-18465-0126-SM-731BN 50-59 years, male 87.6
GTEX-U8XE-0326-SM-3DB8P 30-39 years, male 87.6
GTEX-1HBPN-0226-SM-9YFM1 50-59 years, male 87.6
GTEX-QDT8-0126-SM-48TZ1 30-39 years, female 87.5
GTEX-1HB9E-0226-SM-E9U4R 50-59 years, male 87.5
GTEX-1ICLZ-0126-SM-CKZPO 60-69 years, male 87.5
GTEX-1PDJ9-0326-SM-DTX95 20-29 years, male 87.5
GTEX-139D8-0226-SM-5KLZO 30-39 years, female 87.4
GTEX-16BQI-0226-SM-7KUEX 30-39 years, female 87.4
GTEX-ZXES-1826-SM-5E43S 30-39 years, female 87.4
GTEX-1E1VI-0126-SM-7DHMZ 50-59 years, male 87.2
GTEX-13S7M-0126-SM-5SI6A 60-69 years, female 87.1
GTEX-SN8G-0126-SM-32PLI 50-59 years, female 87.1
GTEX-X4XX-0126-SM-3NMC2 60-69 years, male 87.1
GTEX-ZZ64-1726-SM-5GZYB 20-29 years, male 87.0
GTEX-1CB4J-0626-SM-7DHMP 60-69 years, male 86.9
GTEX-Y5V5-2326-SM-4V6GA 60-69 years, female 86.9
GTEX-1KAFJ-2026-SM-CY8ID 50-59 years, male 86.9
GTEX-1MJK2-0426-SM-DTXE5 50-59 years, male 86.9
GTEX-13N2G-2626-SM-5J1OT 60-69 years, male 86.8
GTEX-14E6E-1826-SM-5S2R7 30-39 years, male 86.8
GTEX-OXRO-0126-SM-2YUN4 60-69 years, female 86.8
GTEX-1JN76-0126-SM-CNPPE 20-29 years, female 86.8
GTEX-12C56-1726-SM-5EQ61 20-29 years, male 86.7
GTEX-12WSE-0526-SM-793B2 20-29 years, male 86.7
GTEX-P4PP-0126-SM-3LK69 30-39 years, female 86.7
GTEX-ZUA1-0126-SM-5GU76 40-49 years, male 86.7
GTEX-147GR-0526-SM-5S2MY 60-69 years, male 86.6
GTEX-15UF6-0826-SM-6PALJ 70-79 years, female 86.6
GTEX-1PIIG-0226-SM-EWRN6 30-39 years, male 86.6
GTEX-1QP9N-1426-SM-DTXFL 30-39 years, male 86.6
GTEX-1313W-0126-SM-5LZUN 50-59 years, female 86.4
GTEX-145LS-0126-SM-5QGP1 60-69 years, female 86.4
GTEX-11OC5-0126-SM-5HL6A 60-69 years, male 86.3
GTEX-17EVQ-0226-SM-7LG4P 70-79 years, male 86.3
GTEX-XBEW-0626-SM-4QASP 40-49 years, male 86.3
GTEX-T5JC-0426-SM-32PLO 20-29 years, male 86.2
GTEX-ZTSS-1926-SM-57WEW 40-49 years, male 86.2
GTEX-139TU-0126-SM-5K7WH 60-69 years, male 86.0
GTEX-183WM-0126-SM-7LTAB 70-79 years, female 86.0
GTEX-13QJ3-0326-SM-5S2RA 50-59 years, male 85.9
GTEX-RWSA-0126-SM-2XCBB 40-49 years, male 85.9
GTEX-1QAET-0926-SM-E76QM 50-59 years, male 85.9
GTEX-ZTX8-1426-SM-5DUVO 20-29 years, male 85.8
GTEX-1CB4E-2226-SM-793DC 60-69 years, male 85.7
GTEX-15DCD-0126-SM-7KUEK 70-79 years, female 85.6
GTEX-1GMRU-0126-SM-9YFLV 50-59 years, male 85.6
GTEX-14BIM-0226-SM-7IGLD 60-69 years, female 85.5
GTEX-1GF9V-0326-SM-7RHI5 60-69 years, male 85.5
GTEX-1S3DN-2226-SM-EVYCD 50-59 years, male 85.5
GTEX-13VXU-0126-SM-5SI9F 50-59 years, male 85.4
GTEX-16YQH-0126-SM-7DUFJ 30-39 years, male 85.4
GTEX-1C4CL-0526-SM-73KVK 30-39 years, male 85.4
GTEX-131XF-5016-SM-7MGWE 60-69 years, male 85.4
GTEX-13SLX-0526-SM-5S2ON 50-59 years, female 85.2
GTEX-169BO-1326-SM-9MQK2 50-59 years, male 85.2
GTEX-13N11-2526-SM-5K7UE 50-59 years, female 85.0
GTEX-1J1R8-1726-SM-ARL8M 40-49 years, male 85.0
GTEX-1IDJF-0126-SM-CM2RS 20-29 years, male 84.9
GTEX-1MA7W-2026-SM-E9TJ6 20-29 years, female 84.9
GTEX-13IVO-0126-SM-5J1NG 70-79 years, male 84.8
GTEX-14A5H-0426-SM-5QGQF 60-69 years, male 84.8
GTEX-WI4N-1026-SM-3LK7N 40-49 years, female 84.8
GTEX-11VI4-1726-SM-5CVLH 40-49 years, female 84.6
GTEX-1I1GS-0126-SM-B2LVW 60-69 years, male 84.6
GTEX-1JMQJ-0526-SM-CYPSU 50-59 years, male 84.6
GTEX-1MCQQ-0826-SM-DLHC2 60-69 years, male 84.6
GTEX-1JMQL-0226-SM-CNPP5 50-59 years, female 84.5
GTEX-PLZ5-2026-SM-2S1O4 50-59 years, male 84.3
GTEX-1CB4H-0226-SM-7PBXM 60-69 years, female 84.3
GTEX-1314G-1526-SM-5EGK2 30-39 years, male 84.2
GTEX-S95S-1226-SM-4GICG 60-69 years, male 84.2
GTEX-15DYW-0126-SM-7KULE 60-69 years, female 84.1
GTEX-PLZ6-1426-SM-DKPOT 30-39 years, male 84.0
GTEX-1122O-2126-SM-5EGIR 60-69 years, female 83.8
GTEX-13NZA-0226-SM-5K7Z7 60-69 years, male 83.8
GTEX-ZGAY-0526-SM-4WWBB 40-49 years, female 83.8
GTEX-16MT8-0426-SM-7KUEY 60-69 years, female 83.7
GTEX-ZY6K-1826-SM-5GZXK 50-59 years, male 83.7
GTEX-1192W-2626-SM-5Q5AF 60-69 years, male 83.6
GTEX-11ZVC-2526-SM-5FQTE 50-59 years, female 83.6
GTEX-13N1W-0126-SM-5K7VT 70-79 years, male 83.6
GTEX-1H4P4-0726-SM-9YFLR 50-59 years, male 83.6
GTEX-ZXG5-0126-SM-5GIEU 60-69 years, male 83.5
GTEX-13OW5-0126-SM-DTXFS 60-69 years, male 83.5
GTEX-1E2YA-0126-SM-9KNUC 50-59 years, male 83.5
GTEX-RNOR-0126-SM-E9J4R 50-59 years, female 83.4
GTEX-11LCK-1026-SM-5A5KB 30-39 years, male 83.3
GTEX-1R9K4-0126-SM-DTX9X 60-69 years, male 83.3
GTEX-17EVP-0326-SM-7DHLG 40-49 years, male 83.1
GTEX-18A7B-0126-SM-7LG64 70-79 years, male 83.0
GTEX-1A8FM-0226-SM-7SB7Q 50-59 years, female 83.0
GTEX-1GL5R-1826-SM-9KNUY 50-59 years, male 83.0
GTEX-1JK1U-2026-SM-CM2RZ 60-69 years, male 83.0
GTEX-13O3O-0126-SM-E9J49 60-69 years, female 82.9
GTEX-1192X-0226-SM-5H12D 50-59 years, male 82.5
GTEX-Y8E4-0626-SM-4WWDL 40-49 years, male 82.5
GTEX-ZAJG-0126-SM-5HL94 50-59 years, female 82.5
GTEX-144GL-0126-SM-5TDE2 50-59 years, male 82.4
GTEX-ZVZO-0126-SM-5A5L9 40-49 years, male 82.4
GTEX-1OFPY-2426-SM-DTXEJ 60-69 years, male 82.4
GTEX-Z93S-0126-SM-5HL7M 50-59 years, male 82.3
GTEX-1M5QR-1226-SM-EWROB 40-49 years, male 82.3
GTEX-14PJ6-2126-SM-6EU1V 60-69 years, female 82.2
GTEX-WFON-2126-SM-3LK7O 40-49 years, male 82.2
GTEX-13NYB-2526-SM-5K7Z6 40-49 years, male 82.1
GTEX-148VI-1626-SM-5SI6E 60-69 years, female 82.1
GTEX-14JG1-0426-SM-6ETZZ 40-49 years, male 82.1
GTEX-1LVAN-0226-SM-COH3S 50-59 years, female 82.1
GTEX-15SHU-0126-SM-7KUEH 40-49 years, female 81.9
GTEX-TSE9-0126-SM-3DB83 60-69 years, female 81.9
GTEX-11GSP-2526-SM-5N9BP 60-69 years, female 81.8
GTEX-1KWVE-1426-SM-E9TJO 30-39 years, male 81.8
GTEX-11EMC-2926-SM-5EQ4F 60-69 years, female 81.6
GTEX-11GSO-2426-SM-5A5LY 60-69 years, male 81.6
GTEX-1GTWX-0126-SM-9YFLK 60-69 years, male 81.5
GTEX-1HSMO-0126-SM-CL547 60-69 years, male 81.5
GTEX-1J1OQ-0226-SM-CYPSH 40-49 years, female 81.5
GTEX-1HT8W-0126-SM-CNPPP 30-39 years, male 81.4
GTEX-13FTY-0526-SM-5L3EV 40-49 years, female 81.3
GTEX-1KXAM-2226-SM-CYPTC 60-69 years, male 81.3
GTEX-11EQ9-2426-SM-5HL5T 30-39 years, male 81.2
GTEX-QDVN-2026-SM-3GAEP 50-59 years, male 81.0
GTEX-TMZS-0126-SM-3DB9Q 60-69 years, male 81.0
GTEX-17GQL-2026-SM-718BA 60-69 years, male 80.9
GTEX-1M4P7-0226-SM-DIPEV 60-69 years, male 80.9
GTEX-X585-0226-SM-4QAS2 50-59 years, male 80.8
GTEX-ZVT4-0126-SM-DTXFN 50-59 years, female 80.8
GTEX-17HGU-0226-SM-7DHKV 50-59 years, male 80.7
GTEX-1O97I-0326-SM-EYYX7 60-69 years, male 80.7
GTEX-X4EP-0126-SM-3P5YV 60-69 years, female 80.6
GTEX-1LH75-2426-SM-E9TJE 50-59 years, female 80.4
GTEX-13PVR-2326-SM-5QGR1 60-69 years, female 80.3
GTEX-1IOXB-0126-SM-ARL8G 50-59 years, male 80.3
GTEX-12WSJ-1826-SM-5GCNY 40-49 years, female 80.2
GTEX-ZDXO-3026-SM-5J1N5 60-69 years, male 80.2
GTEX-ZU9S-0226-SM-5E441 30-39 years, male 80.2
GTEX-VJWN-0126-SM-3GIK7 50-59 years, female 79.9
GTEX-1HUB1-0426-SM-E9U4U 60-69 years, male 79.8
GTEX-1PWST-0226-SM-E76QJ 70-79 years, male 79.8
GTEX-139TT-0126-SM-5K7Y5 60-69 years, male 79.4
GTEX-1OJC4-0126-SM-E9J2E 50-59 years, female 79.4
GTEX-ZE7O-0126-SM-57WC1 50-59 years, female 79.3
GTEX-139TS-2826-SM-5J1OO 60-69 years, male 79.2
GTEX-ZWKS-0126-SM-5SIAA 30-39 years, male 79.2
GTEX-13OVG-1926-SM-5L3DK 60-69 years, male 79.1
GTEX-RTLS-0126-SM-447CA 60-69 years, female 79.1
GTEX-11DXW-0226-SM-5H122 40-49 years, male 78.8
GTEX-PWO3-1526-SM-48TCM 60-69 years, female 78.8
GTEX-SE5C-1626-SM-2XCE3 40-49 years, female 78.6
GTEX-YFC4-0126-SM-5CVLY 40-49 years, female 78.2
GTEX-ZVT2-2526-SM-51MT1 50-59 years, female 78.0
GTEX-13X6H-2126-SM-7EWD5 50-59 years, female 77.9
GTEX-1CAMQ-0226-SM-7IGPK 40-49 years, male 77.8
GTEX-RVPV-0126-SM-EAZAW 60-69 years, male 77.8
GTEX-13CF3-2426-SM-5IFGX 60-69 years, female 77.6
GTEX-14XAO-2326-SM-6EU1B 60-69 years, female 77.6
GTEX-U8T8-0126-SM-3DB94 60-69 years, male 77.3
GTEX-13112-2826-SM-5DUWH 50-59 years, male 77.0
GTEX-11EI6-0126-SM-5985R 60-69 years, male 76.6
GTEX-RU72-0926-SM-2TF6B 50-59 years, female 76.5
GTEX-ZAB4-0226-SM-5N9F5 40-49 years, male 76.0
GTEX-148VJ-0126-SM-5TDDN 70-79 years, male 75.6
GTEX-X4EO-0326-SM-3P5YO 60-69 years, female 75.3
GTEX-12696-2426-SM-5EQ6H 60-69 years, male 75.2
GTEX-X5EB-2226-SM-46MW4 40-49 years, male 75.2
GTEX-1J8Q2-0526-SM-CM2RW 60-69 years, male 74.9
GTEX-13RTL-0126-SM-7LG5S 40-49 years, male 74.7
GTEX-O5YT-0126-SM-48TBW 20-29 years, male 74.4
GTEX-XUZC-1726-SM-4BRWS 30-39 years, female 74.3
GTEX-1JMPY-1326-SM-ARL8Y 30-39 years, male 74.2
GTEX-UJHI-1526-SM-3DB99 50-59 years, female 74.0
GTEX-12WSC-0126-SM-5EQ4P 50-59 years, male 73.6
GTEX-1269C-2526-SM-5EGJ3 60-69 years, female 73.3
GTEX-1212Z-2526-SM-5EGKP 60-69 years, male 73.2
GTEX-XPVG-2626-SM-4B669 50-59 years, male 73.2
GTEX-Y8LW-1826-SM-5S2MV 50-59 years, female 73.1
GTEX-11H98-0126-SM-5EGHG 50-59 years, male 72.9
GTEX-U412-0426-SM-3DB9O 60-69 years, male 72.0
GTEX-ZYFC-0226-SM-5NQ75 50-59 years, male 71.9
GTEX-1399U-2326-SM-5K7WY 50-59 years, female 71.7
GTEX-ZYY3-0126-SM-5GZY5 60-69 years, female 71.7
GTEX-T2IS-0126-SM-4DM6O 20-29 years, female 71.5
GTEX-1EN7A-0126-SM-7SB81 40-49 years, male 71.4
GTEX-O5YW-0126-SM-3LK6D 50-59 years, male 71.1
GTEX-1GF9U-2126-SM-7SB7L 40-49 years, female 70.5
GTEX-13OW8-1326-SM-5J1OW 60-69 years, male 70.4
GTEX-1AX9J-0226-SM-73KXM 60-69 years, male 70.3
GTEX-ZPIC-1726-SM-DHXIU 40-49 years, female 68.9
GTEX-117XS-2726-SM-5N9BL 60-69 years, male 68.4
GTEX-15RIG-0226-SM-7KFTL 40-49 years, male 68.0
GTEX-ZVTK-0426-SM-51MRS 20-29 years, male 66.1
GTEX-1C6VS-0526-SM-7DUEN 60-69 years, male 62.9
GTEX-1JMLX-0226-SM-CM2RO 50-59 years, male 61.6
GTEX-Y5V6-2426-SM-4VDSB 60-69 years, male 59.8
Show allShow less

Contact

  • NEWS ARTICLES
  • PRESS ROOM

The Project

  • INTRODUCTION
  • ORGANIZATION
  • PUBLICATIONS

The Human Protein Atlas

  • DOWNLOADABLE DATA
  • LICENCE & CITATION
  • HELP & FAQ
The Human Protein Atlas project is funded
by the Knut & Alice Wallenberg Foundation.


contact@proteinatlas.org