We use cookies to enhance the usability of our website. If you continue, we'll assume that you are happy to receive all cookies. More information. Don't show this again.
PPDPFL
HPA
RESOURCES
  • TISSUE
  • BRAIN
  • SINGLE CELL
  • SUBCELLULAR
  • CANCER
  • BLOOD
  • CELL LINE
  • STRUCTURE & INTERACTION
ABOUT
  • INTRODUCTION
  • HISTORY
  • ORGANIZATION
  • PUBLICATIONS
  • ANTIBODY SUBMISSION
  • ANTIBODY AVAILABILITY
  • ACKNOWLEDGMENTS
  • CONTACT
NEWS
  • NEWS ARTICLES
  • PRESS ROOM
LEARN
  • DICTIONARY
  • PROTEIN CLASSES
  • PROTEIN EVIDENCE
  • METHODS
  • EDUCATIONAL VIDEOS
DATA
  • DOWNLOADABLE DATA
  • PUBLICATION DATA
  • RELEASE HISTORY
HELP
  • ANTIBODY VALIDATION
  • ASSAYS & ANNOTATION
  • DISCLAIMER
  • HELP & FAQ
  • PRIVACY STATEMENT
  • LICENCE & CITATION
Fields »
Search result

Field
Term
Gene name
Class
Subclass
Class
Keyword
Chromosome
External id
Tissue
Cell type
Expression
Antibody panel
Tissue
Main location
Patient ID
Annotation
Tissue
Category
Tau score
Cluster
Reliability
Brain region
Category
Tau score
Brain region
Category
Tau score
Brain region
Category
Tau score
Cluster
Reliability
Tissue
Cell type
Enrichment
Cell type
Category
Tau score
Cell type
Category
Tau score
Cell type
Category
Tau score
Cell lineage
Category
Tau score
Cluster
Cluster
Location
Searches
Location
Cell line
Class
Type
Phase
Reliability
Cancer
Prognosis
Cancer
Category
Cancer
Category
Tau score
Cluster
Variants
Interacting gene (ensg_id)
Type
Number of interactions
Pathway
Category
Score
Score
Score
Validation
Validation
Validation
Validation
Antibodies
Data type
Column


  • SUMMARY

  • TISSUE

  • BRAIN

  • SINGLE CELL

  • SUBCELL

  • CANCER

  • BLOOD

  • CELL LINE

  • STRUCT & INT

  • PPDPFL
TISSUE PRIMARY DATA SKELETAL MUSCLE Show tissue menu
ADIPOSE TISSUE ADRENAL GLAND AMYGDALA APPENDIX BASAL GANGLIA BONE MARROW BREAST CEREBELLUM CEREBRAL CORTEX CERVIX CHOROID PLEXUS COLON DUODENUM
ENDOMETRIUM EPIDIDYMIS ESOPHAGUS FALLOPIAN TUBE GALLBLADDER HEART MUSCLE HIPPOCAMPAL FORMATION HYPOTHALAMUS KIDNEY LIVER LUNG LYMPH NODE MIDBRAIN
OVARY PANCREAS PARATHYROID GLAND PITUITARY GLAND PLACENTA PROSTATE RECTUM RETINA SALIVARY GLAND SEMINAL VESICLE SKELETAL MUSCLE SKIN SMALL INTESTINE
SMOOTH MUSCLE SPINAL CORD SPLEEN STOMACH TESTIS THYMUS THYROID GLAND TONGUE TONSIL URINARY BLADDER VAGINA
ANTIBODIES
AND
VALIDATION
Dictionary
Skeletal muscle
Tissue proteome
Skeletal muscle
SKELETAL MUSCLE - Expression summary
Protein expressioni

On the top, protein expression in current human tissue, based on all annotated cell types, is reported with the units not detected (n), low (l), medium (m) and high (h). Underneath, protein expression in each annotated cell type are reported using the same units.

Protein expression data is based on knowledge-based annotation. For genes where more than one antibody has been used, a collective score is set.

If knowledge-based annotation could not be performed for a gene, no data is displayed here. View antibody staining data further down this page.

No data
RNA expressioni

A summary of mRNA expression data available for current tissue based on several datasets. The mRNA expression levels in human tissues are based on RNA-seq data generated by the Human Protein Atlas (HPA), Genotype-Tissue Expression (GTEx) portal and CAGE data generated by the FANTOM5 consortium. Consensus normalized expression levels for human tissues was created by combining the data from HPA and GTEx datasets.

The mRNA expression levels in pig are based on RNA-seq data generated by the Human Protein Atlas (HPA), and for mouse, HPA data and in situ hybridization generated by the Allen brain atlas are reported.

Scroll down to view mRNA expression data in more detail.
Consensus:914.8 nTPM
HPA:763.2 nTPM
GTEx:914.8 nTPM
FANTOM5:4368.9 Scaled Tags Per Million

SKELETAL MUSCLE - Annotated protein expression
Pending normal tissue analysis

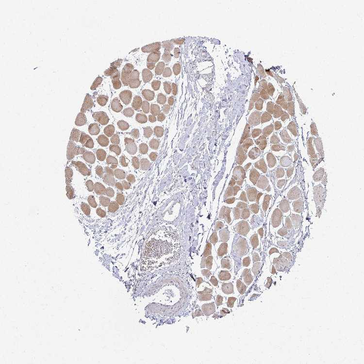
SKELETAL MUSCLE - Antibody stainingi

Antibody staining in the annotated cell types in the current human tissue is reported as not detected, low, medium, or high, based on conventional immunohistochemistry profiling in selected tissues. This score is based on the combination of the staining intensity and fraction of stained cells.

Each image is clickable and will lead to virtual microscopy that enables deeper exploration of all samples and also displays staining intensity scores, fraction scores and subcellular localization as well as patient and tissue information for each sample.

Antibody HPA060329
Myocytes Medium


SKELETAL MUSCLE - HPA RNA-seqi

The RNA-seq details section shows detailed information about the individual samples used for the transcript profiling and results of the RNA-seq analysis.

Information about each individual sample is listed below, including gender, age, a tissue section image and estimated fractions of cell types. nTPM (normalized transcripts per million) values give a quantification of the gene abundance which is comparable between different genes and samples.
Average nTPMi

Max subtype nTPM is the value for the subtype with the largest average nTPM across the subtype samples.

763.2
N/A
Male, age 23
Skeletal muscle sample 339
nTPM: 152.9
N/A
Female, age 25
Skeletal muscle sample 340
nTPM: 650.7
N/A
Female, age -
Skeletal muscle sample 341
nTPM: 738.4
N/A
Female, age 22
Skeletal muscle sample 342
nTPM: 822.3
N/A
Male, age 29
Skeletal muscle sample 343
nTPM: 1451.7

SKELETAL MUSCLE - GTEx RNA-seqi

RNA-Seq data generated by the Genotype-Tissue Expression (GTEx) project from human tissues is reported as mean nTPM. More information can be found on the GTEx portal.

Distribution across the dataset is visualized with box plots, shown as median and 25th and 75th percentiles. Points are displayed as outliers if they are above or below 1.5 times the interquartile range. nTPM values of the individual samples are presented next to the box plot.
Max subtype nTPMi

Max subtype nTPM is the value for the subtype with the largest average nTPM across the subtype samples.

914.8
GTEx sample id Sample description nTPM
Muscle - Skeletal
Average nTPM: 914.8
Samples: 803

Max nTPM: 5619.2
Min nTPM: 1.7
Std nTPM: 940.8
Median nTPM: 631.2
GTEX-1CB4F-0326-SM-9MQKD 60-69 years, male 5619.2
GTEX-1JN6P-0526-SM-COH33 60-69 years, male 5553.1
GTEX-ZYW4-0526-SM-5GZZ5 60-69 years, male 5425.2
GTEX-RU72-1326-SM-2TF6T 50-59 years, female 4896.7
GTEX-ZE9C-2326-SM-5J1NT 60-69 years, male 4731.0
GTEX-1QW4Y-1726-SM-EWRN1 30-39 years, male 4590.6
GTEX-1MJK3-1426-SM-E9TK1 20-29 years, male 4447.9
GTEX-11P81-2526-SM-5GU6H 30-39 years, female 4396.3
GTEX-16XZZ-0526-SM-7KUF1 60-69 years, male 4346.6
GTEX-148VJ-0326-SM-5QGQE 70-79 years, male 4081.5
GTEX-S33H-2226-SM-DKPOP 30-39 years, male 4070.7
GTEX-TSE9-0526-SM-3DB7Z 60-69 years, female 4042.1
GTEX-1K9T9-0326-SM-EWRNQ 50-59 years, female 3983.6
GTEX-1O9I2-0526-SM-EYYXI 50-59 years, male 3951.5
GTEX-12WSF-0926-SM-6PALU 70-79 years, male 3815.6
GTEX-1HGF4-2626-SM-CM2SJ 60-69 years, male 3790.4
GTEX-1LGRB-2626-SM-CNPPR 50-59 years, female 3782.3
GTEX-P44H-0426-SM-2XCEZ 40-49 years, male 3761.1
GTEX-15EO6-2826-SM-6PANB 50-59 years, male 3631.2
GTEX-13D11-2526-SM-5KM28 50-59 years, female 3555.7
GTEX-1KAFJ-2326-SM-D3L8Z 50-59 years, male 3518.2
GTEX-1RB15-2226-SM-DTXFZ 60-69 years, male 3442.7
GTEX-Y8E4-1026-SM-4VBQ5 40-49 years, male 3435.8
GTEX-SN8G-0326-SM-32PLG 50-59 years, female 3371.2
GTEX-ZXG5-0326-SM-5GICH 60-69 years, male 3356.0
GTEX-144GM-2026-SM-5LU3D 20-29 years, male 3341.3
GTEX-15SKB-2526-SM-6PALP 60-69 years, male 3334.2
GTEX-1JMLX-0326-SM-CM2RP 50-59 years, male 3333.6
GTEX-14PK6-2126-SM-6ETZV 70-79 years, female 3330.9
GTEX-1HUB1-0526-SM-CL54N 60-69 years, male 3325.3
GTEX-14PJO-0526-SM-6EU2O 60-69 years, male 3302.1
GTEX-13S86-2326-SM-5RQK1 40-49 years, male 3292.3
GTEX-11DXY-2726-SM-5GID2 60-69 years, male 3279.3
GTEX-14H4A-0926-SM-5ZZUU 40-49 years, female 3252.5
GTEX-18465-0326-SM-7LTAD 50-59 years, male 3252.0
GTEX-X8HC-0526-SM-4E3JA 50-59 years, female 3194.5
GTEX-XOT4-0526-SM-4B66O 60-69 years, female 3146.1
GTEX-1HR9M-0326-SM-CL549 60-69 years, male 2994.6
GTEX-131XE-2726-SM-5P9G7 50-59 years, male 2990.6
GTEX-1117F-0426-SM-5EGHI 60-69 years, female 2914.7
GTEX-14C39-2426-SM-5S2U5 40-49 years, male 2899.3
GTEX-14PN4-0326-SM-6EU2N 50-59 years, male 2898.4
GTEX-1GF9W-0526-SM-9MQJP 60-69 years, male 2861.0
GTEX-1ICLZ-0626-SM-ARL83 60-69 years, male 2850.1
GTEX-ZF2S-2126-SM-4WWAY 50-59 years, female 2827.0
GTEX-UPJH-0526-SM-4IHK8 50-59 years, male 2784.3
GTEX-ZV68-0526-SM-59HKI 50-59 years, female 2727.1
GTEX-1LNCM-1226-SM-E9U5C 50-59 years, female 2714.9
GTEX-146FQ-0326-SM-5NQAX 30-39 years, male 2697.4
GTEX-1HT8W-0326-SM-CM2SG 30-39 years, male 2686.9
GTEX-WHPG-2226-SM-3NMBO 50-59 years, male 2664.9
GTEX-1212Z-2626-SM-5YY8P 60-69 years, male 2606.2
GTEX-1GTWX-0326-SM-9WYTP 60-69 years, male 2535.8
GTEX-YFC4-1026-SM-5RQJM 40-49 years, female 2534.2
GTEX-1PBJJ-0326-SM-E8VNT 30-39 years, male 2532.0
GTEX-13111-2226-SM-5LZUE 50-59 years, male 2516.8
GTEX-145LS-0526-SM-5LU8Y 60-69 years, female 2511.8
GTEX-ZEX8-2526-SM-DO92M 50-59 years, male 2465.2
GTEX-1A3MW-0526-SM-731BY 60-69 years, female 2446.6
GTEX-1128S-2426-SM-5H11B 60-69 years, female 2444.1
GTEX-14E1K-2326-SM-664MP 50-59 years, male 2420.5
GTEX-1R46S-0326-SM-EWRNE 60-69 years, female 2407.3
GTEX-1JJEA-0126-SM-D3L8A 60-69 years, male 2406.0
GTEX-1H23P-0526-SM-9WG6S 60-69 years, male 2368.6
GTEX-13W46-0726-SM-5LU3Z 50-59 years, male 2356.8
GTEX-11O72-0326-SM-5986D 40-49 years, male 2340.9
GTEX-1EN7A-0326-SM-7P8T1 40-49 years, male 2336.0
GTEX-139TU-0526-SM-5J2M8 60-69 years, male 2307.9
GTEX-1399T-2426-SM-5L3FJ 60-69 years, male 2299.7
GTEX-16MT8-0326-SM-6PAM5 60-69 years, female 2295.2
GTEX-QV44-2026-SM-2S1RD 50-59 years, male 2241.3
GTEX-1GZ2Q-0426-SM-9WPOU 40-49 years, male 2239.1
GTEX-1R9PO-2426-SM-EVYBS 60-69 years, female 2224.3
GTEX-1AX8Z-5004-SM-ARZLD 60-69 years, male 2209.3
GTEX-14DAQ-0326-SM-664MR 60-69 years, female 2179.6
GTEX-1LVAN-0526-SM-CNNQ1 50-59 years, female 2177.0
GTEX-16NPX-0626-SM-7KULB 50-59 years, male 2163.7
GTEX-ZC5H-0326-SM-5HL9F 40-49 years, female 2150.5
GTEX-1S82P-0326-SM-E9TIR 60-69 years, female 2142.7
GTEX-1R9K5-0326-SM-EWRNG 50-59 years, male 2137.3
GTEX-WYVS-2326-SM-3NMAI 40-49 years, female 2127.4
GTEX-QVUS-0226-SM-3GIJY 60-69 years, female 2101.2
GTEX-1IDJE-2426-SM-ACKWF 50-59 years, female 2082.3
GTEX-12584-0526-SM-5FQTS 40-49 years, male 2074.1
GTEX-14LLW-0526-SM-62LFB 70-79 years, female 2056.7
GTEX-1I6K7-0326-SM-B2LXO 40-49 years, male 2052.2
GTEX-15RIE-2426-SM-7KUDS 60-69 years, male 2047.0
GTEX-14PJ3-2026-SM-5ZZVK 50-59 years, male 2042.3
GTEX-13OVH-0626-SM-5L3EI 70-79 years, male 2039.2
GTEX-QEG5-0426-SM-2I5GJ 20-29 years, male 2016.8
GTEX-OIZG-1326-SM-2HMIQ 50-59 years, male 2000.7
GTEX-111VG-2626-SM-5GZY2 60-69 years, male 1997.0
GTEX-1IE54-0326-SM-ARZMD 40-49 years, female 1996.9
GTEX-13JVG-0126-SM-5L3D3 60-69 years, male 1977.5
GTEX-13FHO-0726-SM-5IJDG 60-69 years, male 1975.3
GTEX-1HSKV-0126-SM-E6CI1 60-69 years, male 1974.6
GTEX-13NZ9-0626-SM-5IJCO 50-59 years, male 1962.3
GTEX-1JMPZ-0126-SM-CNPOZ 30-39 years, male 1962.1
GTEX-132NY-0726-SM-5KLZM 60-69 years, male 1959.6
GTEX-11TTK-0326-SM-5BC5N 60-69 years, female 1953.4
GTEX-11EI6-0326-SM-5EQ6G 60-69 years, male 1951.6
GTEX-1RAZR-0326-SM-EWRNM 40-49 years, male 1945.7
GTEX-ZVE1-0526-SM-5NQ71 50-59 years, female 1944.8
GTEX-12WSD-0526-SM-5EQ6F 60-69 years, female 1938.5
GTEX-117YW-2426-SM-5Q5AE 50-59 years, male 1932.2
GTEX-1HC8U-2626-SM-CNPPH 40-49 years, female 1902.3
GTEX-14A6H-5019-SM-793DH 30-39 years, male 1876.3
GTEX-139T8-0526-SM-5KLZL 60-69 years, male 1863.3
GTEX-17HHY-0326-SM-7938H 50-59 years, male 1849.4
GTEX-17F9E-0226-SM-79OKK 50-59 years, male 1847.1
GTEX-1PDJ9-0526-SM-DTXDL 20-29 years, male 1846.2
GTEX-1IKK5-0426-SM-CL53X 60-69 years, male 1836.7
GTEX-P78B-1626-SM-5SI85 40-49 years, female 1811.8
GTEX-1I1GV-0126-SM-CL55G 60-69 years, male 1811.7
GTEX-1EX96-1526-SM-7PBXK 50-59 years, male 1805.6
GTEX-13OW5-0326-SM-5L3HK 60-69 years, male 1782.5
GTEX-1GZHY-0126-SM-9WYUQ 50-59 years, female 1781.8
GTEX-1F7RK-0326-SM-7RHH7 20-29 years, female 1775.0
GTEX-1GF9X-2126-SM-7PBXN 40-49 years, female 1771.3
GTEX-1PIEJ-0326-SM-EVYB5 20-29 years, female 1770.7
GTEX-13X6I-0526-SM-5QGP8 60-69 years, male 1756.5
GTEX-11NSD-2026-SM-5HL5U 20-29 years, male 1752.7
GTEX-13RTK-1626-SM-5QGQS 20-29 years, male 1750.5
GTEX-ZYY3-0526-SM-5E45G 60-69 years, female 1747.8
GTEX-13NYB-2726-SM-5J2MT 40-49 years, male 1740.1
GTEX-15UF6-1026-SM-7KUF7 70-79 years, female 1735.5
GTEX-ZVE2-0626-SM-5GU7I 50-59 years, male 1723.1
GTEX-12WSG-5016-SM-7SB84 50-59 years, female 1719.1
GTEX-R53T-1826-SM-3GIJX 50-59 years, female 1710.6
GTEX-15ER7-0226-SM-7KUEU 20-29 years, female 1699.9
GTEX-1QMI2-0526-SM-DTXFU 60-69 years, male 1696.7
GTEX-YECK-0626-SM-4W1ZE 60-69 years, male 1690.6
GTEX-14AS3-2126-SM-5S2MK 40-49 years, female 1681.7
GTEX-1399U-2526-SM-5L3DL 50-59 years, female 1681.0
GTEX-1JMQI-2126-SM-CM2SC 50-59 years, male 1672.3
GTEX-T2IS-2626-SM-32QPP 20-29 years, female 1668.3
GTEX-1S82Y-2226-SM-EWRNV 40-49 years, male 1644.2
GTEX-ZT9X-1826-SM-57WDU 40-49 years, male 1637.9
GTEX-14JG1-0126-SM-5ZZUP 40-49 years, male 1632.7
GTEX-1HSMQ-1326-SM-ADEHS 50-59 years, male 1630.8
GTEX-12KS4-0826-SM-5BC5R 30-39 years, male 1627.4
GTEX-11EMC-2626-SM-59864 60-69 years, female 1615.8
GTEX-145MO-0726-SM-5NQB9 60-69 years, male 1613.6
GTEX-1R9PM-2226-SM-E8VOC 20-29 years, male 1610.1
GTEX-147JS-0526-SM-5TDD3 60-69 years, male 1609.7
GTEX-113JC-2726-SM-5EGIS 50-59 years, female 1603.2
GTEX-OIZF-1626-SM-2YUNE 60-69 years, male 1577.7
GTEX-1GMR3-2126-SM-9WYTZ 40-49 years, male 1572.8
GTEX-11NV4-0326-SM-5HL58 60-69 years, male 1570.0
GTEX-17KNJ-2426-SM-7DHLR 50-59 years, male 1558.8
GTEX-1LBAC-0326-SM-DIPF1 20-29 years, male 1550.5
GTEX-145LU-2026-SM-5Q5E8 50-59 years, male 1549.1
GTEX-ZP4G-2026-SM-57WEH 20-29 years, female 1544.8
GTEX-WZTO-0826-SM-3NM8Q 40-49 years, male 1536.4
GTEX-XPT6-2026-SM-4B64V 20-29 years, male 1525.1
GTEX-169BO-1526-SM-9KNVR 50-59 years, male 1515.9
GTEX-1LVAM-0326-SM-DIPFL 50-59 years, female 1509.5
GTEX-1GN2E-0726-SM-9MQLU 60-69 years, male 1502.8
GTEX-11GS4-2526-SM-5A5KT 60-69 years, male 1501.7
GTEX-Q734-2026-SM-3GADA 40-49 years, female 1499.6
GTEX-ZAB5-2126-SM-5K7UN 50-59 years, male 1492.6
GTEX-111FC-0326-SM-5GZZ1 60-69 years, male 1484.1
GTEX-U3ZG-0326-SM-47JXN 50-59 years, male 1467.2
GTEX-17MF6-2026-SM-7LG5I 40-49 years, male 1457.0
GTEX-11GSO-2526-SM-5PNVX 60-69 years, male 1442.7
GTEX-1C6VR-2526-SM-7DHMT 60-69 years, male 1440.5
GTEX-ZAK1-0526-SM-5K7X4 50-59 years, female 1427.4
GTEX-1H1DE-1726-SM-A9G3G 20-29 years, male 1426.8
GTEX-UTHO-0726-SM-3GAEN 60-69 years, male 1425.0
GTEX-11GSP-2726-SM-5A5LJ 60-69 years, female 1416.6
GTEX-146FR-1726-SM-5Q5DT 60-69 years, female 1414.0
GTEX-1I1GS-0326-SM-ARL7X 60-69 years, male 1411.0
GTEX-15SB6-1826-SM-6PALN 50-59 years, female 1380.6
GTEX-Y111-0326-SM-4SOIX 50-59 years, male 1379.0
GTEX-1GMR8-0326-SM-9KNUO 50-59 years, female 1376.9
GTEX-1JJ6O-0926-SM-CYPT1 60-69 years, male 1365.5
GTEX-14JIY-0426-SM-62LF7 60-69 years, male 1365.4
GTEX-13112-2626-SM-5BC66 50-59 years, male 1362.5
GTEX-13CF2-2726-SM-5LZWW 60-69 years, male 1362.2
GTEX-13O3Q-2726-SM-5KM51 50-59 years, male 1359.5
GTEX-1CB4J-1226-SM-7P8P3 60-69 years, male 1359.5
GTEX-1C6VQ-0326-SM-7DHMS 50-59 years, male 1350.8
GTEX-1B933-0426-SM-7DHMC 50-59 years, female 1321.4
GTEX-11ONC-2426-SM-5GU7H 60-69 years, male 1315.4
GTEX-1QP66-1626-SM-E76PC 50-59 years, male 1310.3
GTEX-17F97-0526-SM-7DUF8 50-59 years, male 1308.9
GTEX-1H3VY-0326-SM-9WYU6 50-59 years, male 1308.4
GTEX-POMQ-1926-SM-3NB1Y 20-29 years, female 1307.4
GTEX-1RQED-0426-SM-E6CJP 60-69 years, male 1307.4
GTEX-1H1CY-2726-SM-9MQLR 60-69 years, female 1299.8
GTEX-QDT8-0526-SM-3NMD8 30-39 years, female 1296.5
GTEX-PX3G-1626-SM-2S1PT 20-29 years, female 1292.7
GTEX-1F75I-0526-SM-7RHI3 40-49 years, male 1290.6
GTEX-QEL4-0626-SM-3GIJM 50-59 years, male 1279.1
GTEX-13X6J-0326-SM-7EPGD 50-59 years, male 1267.3
GTEX-1HCU7-0426-SM-D3L8Q 50-59 years, male 1267.2
GTEX-13N2G-2326-SM-5J1ON 60-69 years, male 1266.5
GTEX-12ZZZ-0226-SM-59HKU 60-69 years, male 1265.1
GTEX-1477Z-1626-SM-5SIA8 60-69 years, male 1258.4
GTEX-14PQA-0526-SM-7KUFS 50-59 years, female 1258.1
GTEX-1I19N-2026-SM-ACKXJ 70-79 years, male 1254.6
GTEX-1IL2U-0726-SM-EAZ2Y 60-69 years, male 1247.7
GTEX-14BMV-0326-SM-5RQHW 50-59 years, male 1245.6
GTEX-1K2DU-2526-SM-D3L8V 20-29 years, male 1245.0
GTEX-13OW6-0626-SM-5L3IB 50-59 years, male 1242.0
GTEX-O5YT-1626-SM-32PK6 20-29 years, male 1240.4
GTEX-13OVK-1926-SM-6M48G 40-49 years, male 1213.2
GTEX-14E6D-0326-SM-62LDX 50-59 years, male 1209.6
GTEX-TML8-1826-SM-32QOR 40-49 years, female 1209.6
GTEX-1B932-0526-SM-73KU7 40-49 years, female 1206.2
GTEX-1445S-0626-SM-5LU3C 60-69 years, male 1202.3
GTEX-1PPH7-2526-SM-E76OJ 40-49 years, male 1199.4
GTEX-12WSH-2526-SM-5CVNH 50-59 years, male 1192.7
GTEX-12WSC-0326-SM-5EQ5E 50-59 years, male 1187.2
GTEX-1A8FM-0526-SM-7P8SF 50-59 years, female 1180.2
GTEX-Y5V5-2526-SM-4VBQ4 60-69 years, female 1180.1
GTEX-V1D1-2426-SM-3GAER 50-59 years, male 1176.7
GTEX-1H11D-0326-SM-9WG71 40-49 years, male 1173.4
GTEX-Q2AI-1526-SM-3GIJ3 40-49 years, male 1170.9
GTEX-1CAMS-0126-SM-79396 40-49 years, female 1164.4
GTEX-13RTJ-2726-SM-73KVG 60-69 years, male 1158.0
GTEX-14PJ2-0326-SM-6EU2Q 50-59 years, male 1157.9
GTEX-13JUV-2326-SM-5IJCE 40-49 years, female 1155.7
GTEX-TKQ2-0826-SM-33HB6 50-59 years, male 1155.1
GTEX-18A67-0326-SM-7LG5X 50-59 years, male 1154.1
GTEX-ZVT3-0526-SM-5GIE9 60-69 years, female 1153.7
GTEX-Z93S-1326-SM-5CVMR 50-59 years, male 1152.8
GTEX-1MCYP-2026-SM-DTXE4 20-29 years, female 1146.1
GTEX-12BJ1-2526-SM-5FQUE 60-69 years, male 1144.6
GTEX-13SLX-0326-SM-5Q5E4 50-59 years, female 1144.0
GTEX-1GPI7-0426-SM-7RHHP 20-29 years, male 1140.2
GTEX-17JCI-0326-SM-7LG5H 60-69 years, female 1127.9
GTEX-T5JW-1826-SM-3GAE1 20-29 years, female 1124.6
GTEX-11EQ8-0526-SM-5N9BC 60-69 years, male 1113.7
GTEX-U4B1-1626-SM-3DB8N 40-49 years, male 1112.9
GTEX-1EU9M-0126-SM-7P8P8 60-69 years, male 1110.8
GTEX-1KD5A-0726-SM-DIPEO 50-59 years, male 1110.0
GTEX-1GN1V-0326-SM-9WYTO 60-69 years, male 1099.6
GTEX-13FTW-2326-SM-5K7YS 40-49 years, male 1095.9
GTEX-VUSG-2626-SM-4KKZI 50-59 years, male 1092.7
GTEX-1PIIG-0126-SM-E9J46 30-39 years, male 1090.5
GTEX-1LSNL-0126-SM-EWRNR 50-59 years, male 1088.2
GTEX-1JKYR-0326-SM-CNPOL 20-29 years, male 1079.9
GTEX-14C5O-0626-SM-664N2 60-69 years, male 1075.4
GTEX-R55C-1726-SM-3GADJ 40-49 years, male 1073.5
GTEX-18A7B-0326-SM-7LG65 70-79 years, male 1069.5
GTEX-1LG7Y-0126-SM-E6CJ8 50-59 years, male 1063.1
GTEX-ZPIC-2526-SM-57WDP 40-49 years, female 1061.2
GTEX-1JMQJ-0126-SM-E6CI2 50-59 years, male 1060.5
GTEX-11ZTS-0526-SM-5CVL9 60-69 years, female 1058.6
GTEX-13O61-2326-SM-5J1NJ 60-69 years, male 1056.4
GTEX-11DXZ-2426-SM-5N9DT 50-59 years, male 1051.3
GTEX-1MCQQ-0626-SM-E9U5Q 60-69 years, male 1046.0
GTEX-18A66-0126-SM-731CQ 60-69 years, male 1037.7
GTEX-1HBPM-0426-SM-CKZOO 60-69 years, female 1023.4
GTEX-QVJO-0126-SM-3GIK4 60-69 years, female 1021.0
GTEX-1GF9U-2326-SM-7RHH9 40-49 years, female 1015.4
GTEX-ZZPU-2626-SM-5E45Y 50-59 years, female 1007.8
GTEX-13NYC-0726-SM-5J2NQ 60-69 years, male 1006.0
GTEX-14ABY-0126-SM-62LDI 50-59 years, male 996.1
GTEX-1IL2V-0526-SM-ARL8B 70-79 years, male 993.1
GTEX-14PII-0626-SM-69LPY 60-69 years, male 993.0
GTEX-1J1OQ-0426-SM-A9SLI 40-49 years, female 992.3
GTEX-1IDFM-1526-SM-ARL7U 60-69 years, male 991.9
GTEX-1KWVE-0926-SM-CXZKP 30-39 years, male 988.1
GTEX-1LC47-0626-SM-DIPFE 60-69 years, male 982.9
GTEX-1LH75-2626-SM-E9TKL 50-59 years, female 981.5
GTEX-PLZ4-0926-SM-2S1OI 50-59 years, female 981.3
GTEX-11OC5-0326-SM-5PNW5 60-69 years, male 972.2
GTEX-1PPGY-0426-SM-DTXFE 60-69 years, male 971.2
GTEX-1NUQO-0726-SM-E9J3K 20-29 years, female 967.5
GTEX-14E6E-2026-SM-664N5 30-39 years, male 964.1
GTEX-13OVL-1426-SM-5IJC1 50-59 years, male 962.9
GTEX-13NZB-2626-SM-5J2M7 30-39 years, male 962.6
GTEX-13OW8-1426-SM-5IJDT 60-69 years, male 957.8
GTEX-1IKOH-0126-SM-COH4D 60-69 years, female 949.7
GTEX-13FHP-0526-SM-5K7UY 50-59 years, male 948.3
GTEX-ZAKK-0326-SM-5EGHA 70-79 years, male 942.9
GTEX-1QP28-0526-SM-E8VNR 50-59 years, female 941.3
GTEX-ZTPG-0126-SM-5O9AL 20-29 years, female 932.5
GTEX-1HSMO-0526-SM-ACKXB 60-69 years, male 930.9
GTEX-1J8QM-2226-SM-CYPSK 60-69 years, female 930.5
GTEX-ZAB4-0426-SM-5HL7N 40-49 years, male 926.1
GTEX-14PJ4-2426-SM-6EU1U 60-69 years, male 924.4
GTEX-144GO-1326-SM-5Q5EL 60-69 years, male 920.5
GTEX-T6MN-0526-SM-32PMS 50-59 years, male 919.9
GTEX-X4XX-0626-SM-3NMC1 60-69 years, male 911.5
GTEX-1F6IF-0226-SM-7PBZ6 60-69 years, male 910.3
GTEX-1P4AB-0326-SM-EXUT3 50-59 years, male 909.6
GTEX-SJXC-0526-SM-2XCFG 60-69 years, male 907.1
GTEX-1C4CL-0326-SM-7DHMH 30-39 years, male 902.3
GTEX-11ZU8-2326-SM-5EQMJ 60-69 years, male 896.5
GTEX-1QEPI-0526-SM-E76QF 60-69 years, female 895.8
GTEX-X5EB-2326-SM-46MW5 40-49 years, male 892.4
GTEX-1R9K4-0626-SM-E76OZ 60-69 years, male 892.2
GTEX-1GN1U-2226-SM-9MQK1 50-59 years, female 891.4
GTEX-15D79-0526-SM-6ETZP 50-59 years, male 890.2
GTEX-17HGU-0626-SM-7939Y 50-59 years, male 889.8
GTEX-XMD2-0526-SM-4YCDI 60-69 years, female 888.3
GTEX-ZF3C-0326-SM-4WWBF 50-59 years, female 884.8
GTEX-139YR-2526-SM-5IJC6 50-59 years, male 883.6
GTEX-1399Q-2426-SM-5J2MO 40-49 years, male 878.2
GTEX-1F75B-0526-SM-7P8T5 50-59 years, male 873.9
GTEX-1314G-1726-SM-5LZUX 30-39 years, male 870.7
GTEX-1313W-0526-SM-5P9FZ 50-59 years, female 869.0
GTEX-1E1VI-0426-SM-7DHN1 50-59 years, male 862.7
GTEX-13FTY-0226-SM-5IJBW 40-49 years, female 862.5
GTEX-1J8Q3-1426-SM-CKZPU 60-69 years, male 856.2
GTEX-ZVT4-0326-SM-51MS5 50-59 years, female 855.3
GTEX-131XH-2726-SM-5GCO2 50-59 years, male 854.2
GTEX-147F4-0326-SM-5TDCK 50-59 years, male 851.7
GTEX-PLZ5-1726-SM-2I5F6 50-59 years, male 848.2
GTEX-Y5V6-2626-SM-5IFIX 60-69 years, male 845.9
GTEX-1IDJD-1326-SM-CM2TQ 30-39 years, male 842.2
GTEX-14PJM-0426-SM-5ZZVN 50-59 years, female 838.2
GTEX-1I6K6-0326-SM-CJI4A 30-39 years, male 831.1
GTEX-N7MS-0426-SM-2YUN6 60-69 years, male 830.5
GTEX-1F52S-0826-SM-7P8TQ 60-69 years, female 830.1
GTEX-X4EO-0526-SM-3P5Z3 60-69 years, female 824.3
GTEX-ZF28-0526-SM-4WKGW 60-69 years, male 823.8
GTEX-15RIF-2126-SM-7KUM8 20-29 years, male 822.8
GTEX-1CB4G-0426-SM-7MXUN 60-69 years, male 814.2
GTEX-YJ8O-2826-SM-5CVM4 40-49 years, female 813.8
GTEX-RWSA-0726-SM-2XCBE 40-49 years, male 805.0
GTEX-1F48J-0526-SM-9WYSX 50-59 years, female 802.6
GTEX-131YS-0526-SM-5EGKJ 60-69 years, female 799.2
GTEX-1IDJU-2426-SM-ARZM9 60-69 years, female 799.2
GTEX-ZGAY-0726-SM-DO91O 40-49 years, female 795.2
GTEX-1H3NZ-0326-SM-9MQL6 60-69 years, male 794.0
GTEX-1GPI6-0326-SM-9MQM6 60-69 years, male 793.3
GTEX-1HB9E-0326-SM-D3LA5 50-59 years, male 787.7
GTEX-12ZZX-0326-SM-5DUVH 40-49 years, female 787.1
GTEX-1E2YA-0526-SM-7P8RY 50-59 years, male 785.8
GTEX-1PIGE-0226-SM-E76OT 20-29 years, male 785.6
GTEX-XBEC-0626-SM-4QARY 50-59 years, male 784.9
GTEX-13QJ3-0726-SM-5SI68 50-59 years, male 784.8
GTEX-1H4P4-0626-SM-9YFKZ 50-59 years, male 782.8
GTEX-Q2AG-0426-SM-2S1PU 40-49 years, female 779.6
GTEX-ZUA1-0326-SM-5NQA3 40-49 years, male 777.0
GTEX-13N1W-0526-SM-5MR4I 70-79 years, male 776.0
GTEX-183WM-0426-SM-731B1 70-79 years, female 774.8
GTEX-1IDJV-0426-SM-COH3Z 60-69 years, male 773.6
GTEX-15SHU-0626-SM-7KUFH 40-49 years, female 773.3
GTEX-147GR-0126-SM-62LER 60-69 years, male 770.3
GTEX-1H1ZS-0626-SM-CNPPU 70-79 years, male 769.2
GTEX-T5JC-0626-SM-3NMA6 20-29 years, male 767.9
GTEX-18A6Q-0326-SM-718AT 60-69 years, male 767.7
GTEX-OOBJ-1626-SM-2I3F7 60-69 years, male 767.7
GTEX-1LB8K-0126-SM-EVYCN 50-59 years, male 767.2
GTEX-1GN73-0126-SM-CNPPT 60-69 years, male 766.9
GTEX-16YQH-0426-SM-7KUL7 30-39 years, male 763.0
GTEX-15CHR-2426-SM-7DUFX 50-59 years, male 762.4
GTEX-144FL-0326-SM-5O99O 50-59 years, male 761.4
GTEX-1192X-0426-SM-5GIEE 50-59 years, male 759.6
GTEX-1C6WA-0326-SM-7DUGE 60-69 years, male 757.8
GTEX-1H2FU-0526-SM-ACKXO 60-69 years, female 756.5
GTEX-1399R-2526-SM-5IFG2 30-39 years, male 755.1
GTEX-133LE-2026-SM-5K7WM 20-29 years, female 754.8
GTEX-1EMGI-0326-SM-9MQM5 60-69 years, male 747.4
GTEX-R55E-0526-SM-2TC6B 20-29 years, male 747.1
GTEX-ZYT6-1626-SM-5E45R 30-39 years, male 745.4
GTEX-ZYFG-2426-SM-5GIE8 60-69 years, female 742.3
GTEX-1CAV2-2426-SM-7P8QF 40-49 years, female 740.6
GTEX-1QCLZ-0326-SM-DTXG2 60-69 years, female 738.7
GTEX-13FTZ-2226-SM-5LZXI 60-69 years, male 737.5
GTEX-1F88F-2526-SM-7PC2R 60-69 years, female 734.3
GTEX-14BIM-0326-SM-5SI9B 60-69 years, female 727.3
GTEX-1F5PK-2626-SM-7RHH6 50-59 years, male 726.5
GTEX-WRHU-0826-SM-3MJFN 50-59 years, female 723.9
GTEX-1KANB-0126-SM-E6CJT 50-59 years, male 723.7
GTEX-ZVTK-0626-SM-5GU6Y 20-29 years, male 723.0
GTEX-18A7A-0626-SM-718BJ 50-59 years, female 721.8
GTEX-1IGQW-0526-SM-CKZO3 60-69 years, male 721.2
GTEX-1B8KZ-2126-SM-73KYG 50-59 years, male 718.4
GTEX-15DCD-0626-SM-7KUG7 70-79 years, female 713.4
GTEX-17EVQ-1226-SM-7LG59 70-79 years, male 712.1
GTEX-VJYA-1926-SM-3GIJJ 60-69 years, male 709.6
GTEX-1HFI6-0426-SM-B2LXB 40-49 years, male 705.3
GTEX-1J8JJ-0126-SM-D3L93 60-69 years, female 705.0
GTEX-TKQ1-1426-SM-4GICK 30-39 years, male 704.3
GTEX-QLQ7-1726-SM-2S1QQ 60-69 years, male 700.8
GTEX-1I1GP-2126-SM-CKZPJ 50-59 years, male 699.6
GTEX-11DXW-0726-SM-5H12J 40-49 years, male 697.5
GTEX-145MH-0326-SM-5LU8H 50-59 years, male 692.0
GTEX-11EM3-2126-SM-5H11M 20-29 years, female 687.6
GTEX-1A3MX-0526-SM-718A9 60-69 years, male 685.0
GTEX-1N2DV-0526-SM-DTX8W 40-49 years, male 681.5
GTEX-QLQW-1326-SM-2S1QS 30-39 years, male 676.4
GTEX-11ZVC-2726-SM-5FQSZ 50-59 years, female 675.1
GTEX-13RTL-0326-SM-7LT89 40-49 years, male 672.0
GTEX-1QP67-1826-SM-DTX8D 40-49 years, female 671.2
GTEX-13O3O-0526-SM-5J1NL 60-69 years, female 669.5
GTEX-1H3O1-0626-SM-9MQM4 60-69 years, male 665.3
GTEX-UJMC-1826-SM-3GADT 50-59 years, male 663.4
GTEX-11WQC-2626-SM-5CVLF 60-69 years, male 653.1
GTEX-1HCU6-0526-SM-A9SKU 60-69 years, female 647.4
GTEX-1AYD5-2226-SM-73KX3 50-59 years, male 643.0
GTEX-1OFPY-2526-SM-DTXEK 60-69 years, male 640.6
GTEX-1R9JW-2426-SM-DTXFI 30-39 years, female 638.3
GTEX-1QP9N-1926-SM-E6CPY 30-39 years, male 635.7
GTEX-SSA3-0326-SM-32QPS 60-69 years, male 633.5
GTEX-13OVI-1726-SM-5L3DW 60-69 years, female 631.2
GTEX-1S5VW-0526-SM-E6CHL 60-69 years, male 630.1
GTEX-1HBPH-0826-SM-ARZNB 40-49 years, female 629.6
GTEX-145MI-0326-SM-5Q5EV 60-69 years, female 628.0
GTEX-1CB4E-2126-SM-793AP 60-69 years, male 627.4
GTEX-16Z82-0126-SM-7DHLF 60-69 years, male 626.4
GTEX-111CU-2026-SM-5GZZC 50-59 years, male 623.1
GTEX-1211K-2126-SM-59HJZ 60-69 years, female 621.0
GTEX-1IOXB-0326-SM-CL55M 50-59 years, male 621.0
GTEX-1J8Q2-0126-SM-E9J2G 60-69 years, male 620.9
GTEX-16AAH-1826-SM-7939D 50-59 years, male 619.6
GTEX-14LZ3-0626-SM-5ZZWP 60-69 years, female 615.1
GTEX-1A8G7-0326-SM-72D5B 60-69 years, male 608.5
GTEX-1I4MK-2326-SM-ADEHR 50-59 years, female 605.5
GTEX-1HBPI-0226-SM-ADEJ7 50-59 years, male 604.8
GTEX-18D9A-1826-SM-718BK 30-39 years, female 604.4
GTEX-15F5U-1826-SM-6LLJF 40-49 years, male 601.1
GTEX-PW2O-1726-SM-2S1OO 20-29 years, male 600.5
GTEX-ZPCL-2026-SM-57WFD 60-69 years, female 598.7
GTEX-1IY9M-0326-SM-ARZMN 60-69 years, male 596.9
GTEX-15SDE-2326-SM-6PAL4 50-59 years, female 595.6
GTEX-1QAET-2026-SM-E9J3S 50-59 years, male 594.6
GTEX-147F3-0226-SM-5NQBV 50-59 years, female 594.5
GTEX-1EWIQ-0626-SM-7PBYW 70-79 years, female 593.4
GTEX-VJWN-0426-SM-3GIJI 50-59 years, female 593.3
GTEX-1C6VS-0126-SM-7PC2H 60-69 years, male 587.0
GTEX-1A8G6-0126-SM-7DUFY 60-69 years, male 577.8
GTEX-13VXT-0326-SM-5LU4U 20-29 years, female 576.3
GTEX-13OVJ-0226-SM-5L3GK 50-59 years, female 575.2
GTEX-1IDJH-0226-SM-CYPSB 70-79 years, male 567.1
GTEX-1GN1W-0726-SM-9KNTV 50-59 years, female 565.3
GTEX-OOBK-1626-SM-2HMKG 40-49 years, male 564.4
GTEX-15DDE-0526-SM-6ETZQ 50-59 years, female 561.0
GTEX-13X6H-2326-SM-7EWEB 50-59 years, female 560.7
GTEX-1H3VE-0126-SM-9WYTW 40-49 years, male 554.7
GTEX-1GZ4I-0526-SM-9YFLX 50-59 years, male 547.0
GTEX-RTLS-0526-SM-2TF64 60-69 years, female 545.2
GTEX-1GF9V-0126-SM-9WYT2 60-69 years, male 541.8
GTEX-18QFQ-0326-SM-731C3 30-39 years, male 540.8
GTEX-15G19-0526-SM-6PAMT 60-69 years, male 539.0
GTEX-OXRN-1326-SM-3LK5V 50-59 years, male 536.0
GTEX-1N2DW-0426-SM-E9TK4 50-59 years, male 529.4
GTEX-1C2JI-2126-SM-793CG 50-59 years, male 526.9
GTEX-1B8L1-2726-SM-793AL 60-69 years, male 522.2
GTEX-WHSE-0526-SM-5GZZD 20-29 years, male 514.8
GTEX-139TS-2626-SM-5J1MT 60-69 years, male 514.0
GTEX-1JN76-0326-SM-ARZNJ 20-29 years, female 509.8
GTEX-WRHK-1626-SM-3MJFH 20-29 years, female 508.5
GTEX-Y8E5-0326-SM-57WBM 60-69 years, male 504.2
GTEX-XUYS-0326-SM-47JX2 50-59 years, male 500.6
GTEX-ZWKS-0326-SM-5NQ7G 30-39 years, male 498.8
GTEX-WK11-2526-SM-3NM9Y 50-59 years, male 498.4
GTEX-13FXS-0326-SM-5K7TV 50-59 years, male 494.7
GTEX-139TT-0426-SM-5IJFA 60-69 years, male 491.9
GTEX-1I1HK-0326-SM-ACKW5 60-69 years, male 491.7
GTEX-ZYFC-0526-SM-5GIDF 50-59 years, male 491.0
GTEX-1399S-2726-SM-5KM22 30-39 years, female 490.3
GTEX-11WQK-0726-SM-5GU71 50-59 years, male 485.1
GTEX-13S7M-0326-SM-5S2PH 60-69 years, female 483.4
GTEX-O5YV-2026-SM-2D7VS 60-69 years, female 475.9
GTEX-U412-0326-SM-3DB9L 60-69 years, male 475.0
GTEX-1GZ4H-1626-SM-7PC3F 50-59 years, female 474.1
GTEX-14PJ5-2026-SM-6LLIN 60-69 years, female 470.4
GTEX-REY6-0826-SM-2TF4S 60-69 years, male 469.9
GTEX-ZQG8-1226-SM-51MRX 60-69 years, female 469.4
GTEX-1L5NE-2226-SM-CXZKS 50-59 years, male 469.1
GTEX-139UW-2626-SM-5K7W1 60-69 years, male 468.0
GTEX-YB5E-2226-SM-5IFJ5 40-49 years, male 462.9
GTEX-11ZUS-1426-SM-5FQSP 30-39 years, male 461.4
GTEX-139T6-2026-SM-5IFFL 50-59 years, male 461.2
GTEX-1I1GQ-0326-SM-A9SKS 50-59 years, male 459.6
GTEX-13FH7-2126-SM-5L3DJ 50-59 years, female 458.7
GTEX-1LVA9-0326-SM-DLHBU 50-59 years, male 451.8
GTEX-11NUK-0226-SM-5A5L4 50-59 years, male 451.5
GTEX-183FY-0226-SM-7LG54 20-29 years, male 449.7
GTEX-14PJ6-2326-SM-6ETZR 60-69 years, female 444.9
GTEX-12126-0526-SM-5PNW4 20-29 years, male 443.4
GTEX-1PPH8-0326-SM-E76PR 20-29 years, male 442.7
GTEX-1F75A-0626-SM-7PBYI 50-59 years, male 441.8
GTEX-QXCU-1726-SM-2TC6L 50-59 years, male 441.2
GTEX-SUCS-1626-SM-32PLS 70-79 years, male 437.1
GTEX-13O21-1726-SM-5MR5A 50-59 years, male 436.2
GTEX-1IKJJ-0326-SM-CL55L 60-69 years, male 434.7
GTEX-TMZS-0326-SM-3DB9P 60-69 years, male 433.6
GTEX-14ASI-0526-SM-5QGQP 60-69 years, male 431.0
GTEX-1A32A-0526-SM-731B9 50-59 years, female 428.6
GTEX-11UD1-0326-SM-5EQKX 40-49 years, female 427.7
GTEX-11PRG-0326-SM-5GU53 50-59 years, male 426.4
GTEX-1ICLY-0326-SM-ARL7S 50-59 years, male 425.9
GTEX-OXRP-2326-SM-2S1NL 60-69 years, female 420.8
GTEX-13W3W-2626-SM-5SIA2 60-69 years, female 419.2
GTEX-13OW7-0326-SM-5J1MP 50-59 years, male 418.0
GTEX-W5WG-1926-SM-4KKZK 50-59 years, female 417.0
GTEX-13QIC-1226-SM-5K7YR 60-69 years, female 416.6
GTEX-WXYG-2526-SM-3NB3F 50-59 years, female 416.2
GTEX-ZE7O-0326-SM-51MTH 50-59 years, female 415.5
GTEX-1GMRU-0326-SM-9WYT6 50-59 years, male 415.3
GTEX-WHSB-1826-SM-3TW8M 50-59 years, male 413.4
GTEX-1B8SG-0326-SM-73KXW 50-59 years, male 411.5
GTEX-PWCY-2026-SM-5SI8R 20-29 years, female 410.3
GTEX-13U4I-1826-SM-5IJD2 40-49 years, female 410.0
GTEX-UJHI-1726-SM-3DB9B 50-59 years, female 409.3
GTEX-1S82U-1426-SM-E6CJL 30-39 years, female 408.9
GTEX-Y5LM-2126-SM-4VDSY 40-49 years, female 407.6
GTEX-WL46-0626-SM-3LK7R 50-59 years, male 401.0
GTEX-1F88E-1826-SM-9MQLV 60-69 years, female 400.9
GTEX-1IDJF-0326-SM-ADEIG 20-29 years, male 400.1
GTEX-U8XE-0726-SM-3DB8O 30-39 years, male 399.7
GTEX-14BMU-2026-SM-5S2W6 20-29 years, female 398.9
GTEX-WOFL-0626-SM-3MJG3 60-69 years, male 393.6
GTEX-YEC3-2126-SM-4YCDB 50-59 years, male 391.5
GTEX-ZVT2-2426-SM-57WCQ 50-59 years, female 390.4
GTEX-ZDYS-1726-SM-5HL4Y 50-59 years, male 390.2
GTEX-ZVZO-0326-SM-5HL4N 40-49 years, male 386.9
GTEX-1LVAO-0526-SM-EWRNS 60-69 years, male 381.2
GTEX-117XS-2526-SM-5H11G 60-69 years, male 380.2
GTEX-12ZZY-0626-SM-5EQ5T 60-69 years, male 380.2
GTEX-1C64N-0326-SM-7P8QC 50-59 years, male 380.1
GTEX-1F75W-0326-SM-7PC2Q 60-69 years, male 377.9
GTEX-NFK9-0626-SM-2HMIV 40-49 years, male 373.5
GTEX-X4XY-0626-SM-4E3IN 60-69 years, male 372.2
GTEX-131XW-0326-SM-5KM1J 50-59 years, female 367.6
GTEX-SIU8-0526-SM-2XCDP 50-59 years, male 365.4
GTEX-P4QS-1626-SM-2S1NH 60-69 years, male 363.9
GTEX-RNOR-0526-SM-2TF4O 50-59 years, female 357.3
GTEX-11DZ1-0926-SM-5EQ5R 50-59 years, male 355.3
GTEX-1KANC-1626-SM-E6CIA 50-59 years, female 354.8
GTEX-1K2DA-2226-SM-CGQGM 50-59 years, male 354.7
GTEX-13PVQ-0326-SM-5K7YF 50-59 years, male 353.1
GTEX-RN64-0326-SM-2TC5J 50-59 years, male 353.0
GTEX-11P7K-1926-SM-5GU6R 30-39 years, male 351.5
GTEX-ZLV1-2126-SM-4WWD2 60-69 years, female 348.5
GTEX-1C475-1726-SM-73KVX 40-49 years, female 348.4
GTEX-ZDTS-0526-SM-4WKH9 60-69 years, male 346.5
GTEX-U3ZN-2226-SM-3DB88 30-39 years, female 343.4
GTEX-15SHV-2526-SM-6PAMG 60-69 years, male 342.2
GTEX-1I1GR-0326-SM-CKZPI 60-69 years, male 338.0
GTEX-15RIG-0426-SM-7KUF4 40-49 years, male 337.4
GTEX-YB5K-2326-SM-5IFHD 40-49 years, female 333.7
GTEX-15CHQ-0726-SM-6EU18 60-69 years, male 330.9
GTEX-XUW1-0826-SM-4BOP6 50-59 years, female 327.3
GTEX-XV7Q-2926-SM-4BRUL 40-49 years, female 325.4
GTEX-145MG-0226-SM-5TDDB 50-59 years, male 324.3
GTEX-QEG4-0626-SM-2S1OY 30-39 years, male 323.0
GTEX-14753-0526-SM-5QGPR 60-69 years, male 322.3
GTEX-15UKP-0326-SM-7KUFP 20-29 years, male 320.8
GTEX-1F5PL-0426-SM-7P8PR 40-49 years, female 320.8
GTEX-15ETS-0326-SM-6PANH 40-49 years, female 315.8
GTEX-146FH-0526-SM-5QGQ3 50-59 years, female 313.7
GTEX-P4QT-1626-SM-DHXIR 50-59 years, female 307.9
GTEX-11DXX-2726-SM-5PNXO 60-69 years, female 305.7
GTEX-16NPV-2426-SM-6M482 50-59 years, female 304.2
GTEX-Y8DK-0326-SM-4TT3P 60-69 years, male 300.6
GTEX-1HSEH-0326-SM-A9G26 60-69 years, male 300.5
GTEX-16BQI-0326-SM-6PAM4 30-39 years, female 299.8
GTEX-13PVR-2526-SM-5RQIT 60-69 years, female 298.3
GTEX-1C64O-0326-SM-73KVW 60-69 years, male 298.1
GTEX-ZTX8-1626-SM-51MRY 20-29 years, male 298.1
GTEX-15SHW-0726-SM-7KUEI 60-69 years, male 296.8
GTEX-1QP6S-0426-SM-DTXG4 40-49 years, male 295.0
GTEX-X638-0326-SM-47JY1 70-79 years, female 294.0
GTEX-1H1DG-0326-SM-9QEHK 70-79 years, male 292.4
GTEX-RU1J-1726-SM-2TF5S 20-29 years, female 289.0
GTEX-13113-5019-SM-7EPH2 60-69 years, female 288.9
GTEX-XQ8I-0626-SM-4BOPT 50-59 years, male 288.7
GTEX-13PL6-0326-SM-5IJCP 40-49 years, female 287.8
GTEX-1B97I-2026-SM-7DHN2 40-49 years, male 286.6
GTEX-1RQEC-0126-SM-E9J2H 60-69 years, male 286.5
GTEX-X88G-0326-SM-47JZ4 30-39 years, male 285.9
GTEX-1J8EW-0326-SM-CYPSX 60-69 years, female 285.8
GTEX-16GPK-0526-SM-7KUER 60-69 years, male 284.9
GTEX-144GL-0326-SM-5QGOY 50-59 years, male 284.3
GTEX-14E6C-1526-SM-664ND 40-49 years, male 284.1
GTEX-13X6K-0326-SM-5Q5D6 60-69 years, female 283.9
GTEX-111YS-2326-SM-5987L 60-69 years, male 281.4
GTEX-12C56-1926-SM-5FQUG 20-29 years, male 279.9
GTEX-1FIGZ-1726-SM-9MQKS 40-49 years, male 279.2
GTEX-1CAMQ-0326-SM-7MXUI 40-49 years, male 276.8
GTEX-1RAZA-0526-SM-E76R2 20-29 years, male 272.4
GTEX-XYKS-2426-SM-4AT43 60-69 years, female 272.0
GTEX-S95S-1426-SM-2XCDM 60-69 years, male 270.4
GTEX-ZVZP-2526-SM-57WBR 50-59 years, male 270.4
GTEX-SNOS-1526-SM-32PLW 40-49 years, male 269.1
GTEX-1B8KE-2226-SM-7939K 50-59 years, male 267.1
GTEX-1122O-2426-SM-5GIDN 60-69 years, female 266.6
GTEX-1I1GU-2126-SM-CGQF9 40-49 years, male 266.6
GTEX-SE5C-1826-SM-2XCE4 40-49 years, female 265.5
GTEX-11OF3-2526-SM-5P9JL 60-69 years, male 265.1
GTEX-117YX-2526-SM-5EQ4Q 50-59 years, male 257.8
GTEX-15DZA-2026-SM-6PANE 30-39 years, female 257.3
GTEX-1339X-2426-SM-5KLYU 40-49 years, male 255.0
GTEX-U3ZM-1226-SM-3DB9G 40-49 years, male 254.8
GTEX-1F6I4-0326-SM-7P8T8 60-69 years, male 253.4
GTEX-R55G-2326-SM-2TC61 40-49 years, female 251.9
GTEX-PSDG-0426-SM-5SI86 50-59 years, male 249.8
GTEX-16MTA-2026-SM-7KUL3 50-59 years, male 246.7
GTEX-13PDP-0326-SM-5K7XP 60-69 years, male 243.8
GTEX-QESD-1626-SM-2S1RB 20-29 years, male 238.8
GTEX-TMMY-0426-SM-33HBB 40-49 years, female 238.5
GTEX-ZV7C-2426-SM-5NQ7Q 50-59 years, male 238.1
GTEX-17HG3-2726-SM-7DHL5 30-39 years, female 237.1
GTEX-RM2N-1626-SM-2TF5N 50-59 years, male 234.5
GTEX-1BAJH-0126-SM-7DHMF 70-79 years, male 230.9
GTEX-1J1R8-2326-SM-CKZPS 40-49 years, male 229.3
GTEX-14C38-0426-SM-5TDDZ 50-59 years, male 228.3
GTEX-1PWST-0426-SM-E76QV 70-79 years, male 224.9
GTEX-17MFQ-1926-SM-793A6 20-29 years, male 223.4
GTEX-XGQ4-2326-SM-4AT53 50-59 years, male 223.2
GTEX-1JMQK-0326-SM-ARZN5 60-69 years, male 221.2
GTEX-YF7O-2526-SM-5IFJX 50-59 years, male 220.1
GTEX-17HHE-2126-SM-7DHLO 50-59 years, male 219.3
GTEX-13VXU-0326-SM-5LU36 50-59 years, male 218.4
GTEX-13IVO-0626-SM-5LZYJ 70-79 years, male 217.8
GTEX-XPVG-2526-SM-4B66D 50-59 years, male 211.4
GTEX-17EUY-0626-SM-793BE 20-29 years, male 210.4
GTEX-13SLW-0326-SM-5RQK5 70-79 years, male 210.3
GTEX-OHPL-1626-SM-2HMIR 60-69 years, female 210.0
GTEX-1KD4Q-0326-SM-E9TJA 40-49 years, male 207.2
GTEX-13N11-2726-SM-5L3ER 50-59 years, female 204.4
GTEX-1JMPY-1226-SM-CJI3A 30-39 years, male 202.9
GTEX-1JMQL-0126-SM-CY8HN 50-59 years, female 202.2
GTEX-132AR-1026-SM-5PNVL 50-59 years, female 201.5
GTEX-ZAJG-0526-SM-5S2MT 50-59 years, female 201.4
GTEX-Z9EW-1726-SM-5CVMO 40-49 years, male 200.8
GTEX-1HSGN-0326-SM-ACKXQ 40-49 years, female 200.5
GTEX-1AX9J-0126-SM-73KY2 60-69 years, male 200.2
GTEX-YEC4-2226-SM-5IFJT 40-49 years, male 199.5
GTEX-11UD2-0326-SM-5EQLE 50-59 years, male 197.9
GTEX-11H98-0326-SM-5HL4S 50-59 years, male 197.4
GTEX-1JN1M-0526-SM-CJI3D 60-69 years, female 194.9
GTEX-QDVJ-1926-SM-2S1PJ 50-59 years, male 192.9
GTEX-15CHC-2426-SM-6EU22 60-69 years, female 192.0
GTEX-17EVP-1326-SM-7DHMR 40-49 years, male 188.8
GTEX-XAJ8-1026-SM-47JY9 40-49 years, male 188.3
GTEX-13O1R-0526-SM-5K7XU 60-69 years, male 188.0
GTEX-145LT-1626-SM-5O992 40-49 years, male 187.4
GTEX-12WSA-0726-SM-5FQU2 60-69 years, male 186.9
GTEX-12696-2826-SM-5FQTY 60-69 years, male 185.9
GTEX-WFG8-2426-SM-3GILL 20-29 years, male 185.6
GTEX-ZDXO-0326-SM-4WKHJ 60-69 years, male 184.3
GTEX-14A5I-0326-SM-5NQ9J 50-59 years, female 183.7
GTEX-1HCUA-2326-SM-ACKVJ 50-59 years, female 182.4
GTEX-OIZI-0626-SM-2XCEH 40-49 years, male 181.9
GTEX-11VI4-1926-SM-5CVLI 40-49 years, female 179.2
GTEX-XQ3S-0426-SM-4BOOA 20-29 years, male 179.1
GTEX-QDVN-2426-SM-2S1Q4 50-59 years, male 178.1
GTEX-QCQG-2126-SM-DTXFV 50-59 years, female 177.2
GTEX-X261-0326-SM-3NMD4 50-59 years, male 176.1
GTEX-132Q8-0626-SM-5L3F3 60-69 years, male 176.0
GTEX-139D8-0726-SM-5P9GJ 30-39 years, female 173.5
GTEX-Y8LW-2026-SM-4V6G8 50-59 years, female 172.1
GTEX-14A5H-0326-SM-5RQIB 60-69 years, male 171.3
GTEX-POYW-0526-SM-2XCEY 60-69 years, male 166.4
GTEX-13YAN-0526-SM-5O9BE 60-69 years, male 164.8
GTEX-13G51-2726-SM-5LZZ9 60-69 years, male 160.5
GTEX-Y3I4-2326-SM-4TT81 50-59 years, male 159.0
GTEX-1R9PN-1826-SM-E8VO4 40-49 years, female 158.2
GTEX-15UF7-2226-SM-6PAMQ 40-49 years, male 157.7
GTEX-1HCU9-1926-SM-9WYSE 20-29 years, male 157.7
GTEX-ZV6S-2126-SM-4YCEM 40-49 years, female 155.0
GTEX-ZZPT-0626-SM-5GZXT 50-59 years, male 146.5
GTEX-1QPFJ-0326-SM-E8VO2 30-39 years, female 145.4
GTEX-1HCVE-0326-SM-CGQEW 50-59 years, male 143.8
GTEX-1MUQO-0226-SM-E9TJL 60-69 years, male 142.9
GTEX-1M4P7-0126-SM-DKPQF 60-69 years, male 140.7
GTEX-13PL7-0626-SM-5IJCD 60-69 years, female 140.3
GTEX-1LSNM-2326-SM-EWRO8 50-59 years, male 140.3
GTEX-1R7EU-0626-SM-DTX9N 60-69 years, male 140.1
GTEX-1S83E-2126-SM-EWRO6 40-49 years, male 139.3
GTEX-WFG7-2226-SM-3GIKP 20-29 years, male 138.7
GTEX-12WSM-0326-SM-5LZVI 60-69 years, male 138.0
GTEX-S32W-2326-SM-2XCAW 50-59 years, female 137.9
GTEX-S7PM-0526-SM-3NM92 60-69 years, male 137.3
GTEX-WWYW-0526-SM-3NB2W 50-59 years, female 136.3
GTEX-13PLJ-0326-SM-5L3I7 60-69 years, female 132.5
GTEX-1497J-2626-SM-5SI9K 60-69 years, male 129.4
GTEX-17F98-1626-SM-7938R 40-49 years, female 129.2
GTEX-U3ZH-1926-SM-4DXTR 30-39 years, male 128.9
GTEX-1H1E6-2126-SM-9KNVM 30-39 years, male 127.5
GTEX-P44G-0526-SM-2XCD1 30-39 years, male 126.8
GTEX-14DAR-1826-SM-664N1 50-59 years, male 126.1
GTEX-1M5QR-1326-SM-EWROC 40-49 years, male 125.6
GTEX-1269C-2626-SM-5EQ5C 60-69 years, female 125.5
GTEX-13CF3-1826-SM-5J1NK 60-69 years, female 125.2
GTEX-PWN1-1626-SM-2S1OL 40-49 years, female 123.4
GTEX-ZLFU-2526-SM-DO91K 40-49 years, male 122.1
GTEX-ZVP2-2126-SM-5GU6E 50-59 years, male 121.1
GTEX-12WSN-2526-SM-5LZU8 40-49 years, male 119.4
GTEX-17GQL-1926-SM-718B9 60-69 years, male 118.8
GTEX-1LGOU-2126-SM-DIPFG 20-29 years, female 116.6
GTEX-12WSL-2726-SM-5CVNL 50-59 years, male 115.5
GTEX-13FTX-2026-SM-5L3D6 20-29 years, female 111.8
GTEX-ZZ64-1526-SM-5E43K 20-29 years, male 111.3
GTEX-16XZY-2226-SM-7938N 70-79 years, male 107.7
GTEX-13OVG-2126-SM-5KM1K 60-69 years, male 107.6
GTEX-XMD1-0626-SM-EZ6MC 60-69 years, male 107.1
GTEX-1AX9I-0326-SM-73KXQ 60-69 years, male 105.9
GTEX-Y3IK-2626-SM-4WWDK 50-59 years, female 104.1
GTEX-1B996-0326-SM-7DHMU 60-69 years, male 102.6
GTEX-11XUK-2226-SM-5CVLL 40-49 years, female 101.8
GTEX-17HII-0426-SM-793A3 50-59 years, male 101.3
GTEX-SNMC-1426-SM-2XCFM 20-29 years, male 101.3
GTEX-1CAMR-1726-SM-793CU 20-29 years, male 100.1
GTEX-12WSJ-1726-SM-5LZVV 40-49 years, female 99.9
GTEX-ZF29-2426-SM-DO92G 60-69 years, female 99.7
GTEX-YFCO-1926-SM-4W212 40-49 years, male 99.0
GTEX-145MN-2426-SM-5NQA5 30-39 years, male 98.8
GTEX-13O3P-0626-SM-5L3D5 50-59 years, male 98.4
GTEX-13NYS-0326-SM-5MR4L 60-69 years, male 96.3
GTEX-WOFM-1326-SM-3MJFR 20-29 years, male 96.1
GTEX-1S5ZA-0526-SM-EWRO1 20-29 years, male 95.3
GTEX-ZA64-2026-SM-5PNXT 20-29 years, male 94.9
GTEX-1B8SF-0426-SM-79OL4 60-69 years, male 94.4
GTEX-15RJ7-2426-SM-6M48L 40-49 years, male 93.3
GTEX-16NGA-1926-SM-7LTA6 40-49 years, female 93.3
GTEX-OHPN-2726-SM-2I5H4 60-69 years, female 92.0
GTEX-11TUW-2526-SM-5EQKN 60-69 years, male 90.7
GTEX-14JG6-2126-SM-6EU2F 30-39 years, female 87.4
GTEX-13NZA-0526-SM-5L3D7 60-69 years, male 87.1
GTEX-1QCLY-0426-SM-E8VOH 30-39 years, male 86.1
GTEX-1GMR2-2126-SM-7P8TX 50-59 years, male 86.0
GTEX-1HSMP-0326-SM-A9SMC 70-79 years, male 85.3
GTEX-1AMEY-1526-SM-73KYW 30-39 years, female 84.1
GTEX-18D9B-0426-SM-7LTAR 60-69 years, male 83.5
GTEX-RUSQ-1726-SM-2TF68 50-59 years, male 82.4
GTEX-WFON-2326-SM-3LK7M 40-49 years, male 80.7
GTEX-11ZTT-2626-SM-5EQKK 60-69 years, female 78.7
GTEX-1RAZQ-0426-SM-DTXFQ 30-39 years, male 78.7
GTEX-15G1A-2026-SM-7KUFG 30-39 years, male 77.3
GTEX-ZY6K-2026-SM-5GZXQ 50-59 years, male 76.5
GTEX-14PJN-2126-SM-6AJBM 30-39 years, male 75.8
GTEX-1N2EF-0526-SM-E76OK 60-69 years, male 75.6
GTEX-1AMFI-2226-SM-731C6 50-59 years, female 74.9
GTEX-1B97J-1226-SM-7PBZR 50-59 years, female 72.9
GTEX-XUZC-2126-SM-4BRW8 30-39 years, female 72.5
GTEX-1JK1U-2226-SM-CNNPL 60-69 years, male 72.5
GTEX-Y9LG-1926-SM-5IFHY 30-39 years, male 71.9
GTEX-OHPK-1626-SM-2YUN3 50-59 years, female 71.0
GTEX-1HFI7-1926-SM-A96TQ 50-59 years, female 69.9
GTEX-11EQ9-2126-SM-5PNVW 30-39 years, male 69.6
GTEX-R3RS-0526-SM-3GADG 40-49 years, female 68.2
GTEX-WYJK-1726-SM-3NM9U 50-59 years, male 68.2
GTEX-WY7C-2526-SM-3NB2N 50-59 years, male 67.7
GTEX-1IDJC-2026-SM-ADEIK 50-59 years, male 64.0
GTEX-11TT1-2326-SM-5GU6N 20-29 years, male 63.8
GTEX-T8EM-1326-SM-3DB7G 40-49 years, male 59.5
GTEX-1R7EV-2026-SM-DTX83 40-49 years, male 57.1
GTEX-OXRK-1826-SM-2HMJE 50-59 years, female 53.8
GTEX-WWTW-0626-SM-4MVNS 50-59 years, male 53.7
GTEX-1LG7Z-2126-SM-CXKYU 30-39 years, male 53.7
GTEX-P4PP-1626-SM-2HMJF 30-39 years, female 52.4
GTEX-1QP2A-0526-SM-E8VN5 50-59 years, male 48.5
GTEX-11I78-2426-SM-5A5K9 50-59 years, female 48.3
GTEX-ZLWG-2126-SM-DO91M 50-59 years, female 47.0
GTEX-14ICL-1926-SM-5RQIZ 30-39 years, male 46.7
GTEX-17F96-2726-SM-7LT9F 70-79 years, male 44.0
GTEX-1HKZK-0226-SM-9WYUG 40-49 years, male 42.6
GTEX-1JKYN-1826-SM-ARZMZ 30-39 years, male 42.3
GTEX-R55D-0626-SM-3GAD5 50-59 years, male 41.6
GTEX-1CB4I-0326-SM-7DHMM 50-59 years, male 39.2
GTEX-1AX9K-2726-SM-7DHMA 50-59 years, male 39.1
GTEX-14XAO-2226-SM-6LLHU 60-69 years, female 38.7
GTEX-ZQUD-1726-SM-7P8ON 30-39 years, male 37.7
GTEX-1MJIX-2126-SM-E9J3A 40-49 years, male 35.2
GTEX-P4PQ-1626-SM-2HMKK 60-69 years, male 34.0
GTEX-YBZK-0326-SM-59HLN 50-59 years, female 31.4
GTEX-QV31-1426-SM-2S1QD 30-39 years, male 31.3
GTEX-18D9U-0626-SM-7LTA4 40-49 years, male 30.9
GTEX-Q2AH-1826-SM-2S1Q2 40-49 years, male 29.7
GTEX-OIZH-1626-SM-2HMKI 50-59 years, male 29.6
GTEX-11P82-1826-SM-5PNYJ 20-29 years, male 29.2
GTEX-RWS6-2126-SM-2XCAV 60-69 years, female 27.3
GTEX-1EH9U-0326-SM-7P8S2 60-69 years, male 27.1
GTEX-Y114-2526-SM-4TT8M 50-59 years, female 25.8
GTEX-XBED-2626-SM-4E3J5 60-69 years, male 25.3
GTEX-131XF-2326-SM-5BC6B 60-69 years, male 24.9
GTEX-1I1GT-0726-SM-B2LWN 60-69 years, female 24.9
GTEX-ZYFD-0326-SM-5NQ8I 50-59 years, male 24.3
GTEX-14BIL-0326-SM-5SI9Q 50-59 years, male 24.2
GTEX-131XG-2326-SM-5HL8F 50-59 years, female 22.4
GTEX-XBEW-1026-SM-4QARV 40-49 years, male 18.9
GTEX-1KANA-0926-SM-D3L9K 20-29 years, male 18.4
GTEX-1MCC2-2726-SM-EWRN3 30-39 years, female 17.7
GTEX-13QBU-2426-SM-5LU4L 40-49 years, female 17.5
GTEX-1A3MV-2026-SM-718BU 30-39 years, male 16.8
GTEX-V955-2426-SM-3GAEF 60-69 years, male 16.8
GTEX-1KXAM-2426-SM-DIPFC 60-69 years, male 15.9
GTEX-145LV-2326-SM-5LU8Z 50-59 years, male 15.3
GTEX-OXRO-1726-SM-3LK6C 60-69 years, female 15.3
GTEX-PLZ6-1526-SM-2S1OC 30-39 years, male 14.0
GTEX-1CB4H-0426-SM-7MXTL 60-69 years, female 13.9
GTEX-1NHNU-1226-SM-DTX8I 50-59 years, male 10.5
GTEX-11LCK-1226-SM-5Q5AM 30-39 years, male 10.2
GTEX-145ME-2026-SM-5SIA5 40-49 years, female 10.1
GTEX-1HBPN-0526-SM-A9SM6 50-59 years, male 9.5
GTEX-144GN-2426-SM-5LU4R 50-59 years, male 8.4
GTEX-1MA7W-1826-SM-DIPFP 20-29 years, female 8.2
GTEX-U8T8-1426-SM-3DB9H 60-69 years, male 8.1
GTEX-139T4-0326-SM-5K7XN 50-59 years, female 6.9
GTEX-WEY5-2026-SM-CYPRC 40-49 years, female 4.8
GTEX-OXRL-1626-SM-2YUMU 50-59 years, male 3.2
GTEX-1ICG6-2726-SM-CKZPN 70-79 years, female 1.7
Show allShow less

SKELETAL MUSCLE - FANTOM5 CAGEi

RNA expression in human tissues obtained through Cap Analysis of Gene Expression (CAGE) generated by the FANTOM5 project are reported as Scaled Tags Per Million.

Max subtype Scaled Tags Per Millioni

Max subtype Scaled Tags Per Million is the value for the subtype with the largest average Scaled Tags Per Million across the subtype samples.

4368.9
FANTOM5 sample id Sample description Scaled Tags Per Million
Skeletal muscle
Scaled Tags Per Million: 4368.9
FF:10023-101D5 55,79,79 years, mixed 4368.9
Skeletal muscle - soleus muscle
Scaled Tags Per Million: 716.1
FF:10282-104F3 male 716.1

Contact

  • NEWS ARTICLES
  • PRESS ROOM

The Project

  • INTRODUCTION
  • ORGANIZATION
  • PUBLICATIONS

The Human Protein Atlas

  • DOWNLOADABLE DATA
  • LICENCE & CITATION
  • HELP & FAQ
The Human Protein Atlas project is funded
by the Knut & Alice Wallenberg Foundation.


contact@proteinatlas.org