We use cookies to enhance the usability of our website. If you continue, we'll assume that you are happy to receive all cookies. More information. Don't show this again.
DTYMK
HPA
RESOURCES
  • TISSUE
  • BRAIN
  • SINGLE CELL
  • SUBCELLULAR
  • CANCER
  • BLOOD
  • CELL LINE
  • STRUCTURE & INTERACTION
ABOUT
  • INTRODUCTION
  • HISTORY
  • ORGANIZATION
  • PUBLICATIONS
  • ANTIBODY SUBMISSION
  • ANTIBODY AVAILABILITY
  • ACKNOWLEDGMENTS
  • CONTACT
NEWS
  • NEWS ARTICLES
  • PRESS ROOM
LEARN
  • DICTIONARY
  • PROTEIN CLASSES
  • PROTEIN EVIDENCE
  • METHODS
  • EDUCATIONAL VIDEOS
DATA
  • DOWNLOADABLE DATA
  • PUBLICATION DATA
  • RELEASE HISTORY
HELP
  • ANTIBODY VALIDATION
  • ASSAYS & ANNOTATION
  • DISCLAIMER
  • HELP & FAQ
  • PRIVACY STATEMENT
  • LICENCE & CITATION
Fields »
Search result

Field
Term
Gene name
Class
Subclass
Class
Keyword
Chromosome
External id
Tissue
Cell type
Expression
Antibody panel
Tissue
Main location
Patient ID
Annotation
Tissue
Category
Tau score
Cluster
Reliability
Brain region
Category
Tau score
Brain region
Category
Tau score
Brain region
Category
Tau score
Cluster
Reliability
Tissue
Cell type
Enrichment
Cell type
Category
Tau score
Cell type
Category
Tau score
Cell type
Category
Tau score
Cell lineage
Category
Tau score
Cluster
Cluster
Location
Searches
Location
Cell line
Class
Type
Phase
Reliability
Cancer
Prognosis
Cancer
Category
Cancer
Category
Tau score
Cluster
Variants
Interacting gene (ensg_id)
Type
Number of interactions
Pathway
Category
Score
Score
Score
Validation
Validation
Validation
Validation
Antibodies
Data type
Column


  • SUMMARY

  • TISSUE

  • BRAIN

  • SINGLE CELL

  • SUBCELL

  • CANCER

  • BLOOD

  • CELL LINE

  • STRUCT & INT

  • DTYMK
TISSUE PRIMARY DATA SKIN Show tissue menu
ADIPOSE TISSUE ADRENAL GLAND AMYGDALA APPENDIX BASAL GANGLIA BONE MARROW BREAST BRONCHUS CEREBELLUM CEREBRAL CORTEX CERVIX CHOROID PLEXUS COLON DUODENUM
ENDOMETRIUM EPIDIDYMIS ESOPHAGUS FALLOPIAN TUBE GALLBLADDER HEART MUSCLE HIPPOCAMPAL FORMATION HYPOTHALAMUS KIDNEY LIVER LUNG LYMPH NODE MIDBRAIN NASOPHARYNX
ORAL MUCOSA OVARY PANCREAS PARATHYROID GLAND PITUITARY GLAND PLACENTA PROSTATE RECTUM RETINA SALIVARY GLAND SEMINAL VESICLE SKELETAL MUSCLE SKIN SMALL INTESTINE
SMOOTH MUSCLE SOFT TISSUE SPINAL CORD SPLEEN STOMACH TESTIS THYMUS THYROID GLAND TONGUE TONSIL URINARY BLADDER VAGINA
ANTIBODIES
AND
VALIDATION
Dictionary
Skin
Tissue proteome
Skin
SKIN - Expression summary
Protein expression
Skini

On the top, protein expression in current human tissue, based on all annotated cell types, is reported with the units not detected (n), low (l), medium (m) and high (h). Underneath, protein expression in each annotated cell type are reported using the same units.

Protein expression data is based on knowledge-based annotation. For genes where more than one antibody has been used, a collective score is set.

If knowledge-based annotation could not be performed for a gene, no data is displayed here. View antibody staining data further down this page.

h
m
l
n
Epidermal cells: High
Fibroblasts: Low
Keratinocytes: High
Langerhans: Low
Melanocytes: Medium
RNA expressioni

A summary of mRNA expression data available for current tissue based on several datasets. The mRNA expression levels in human tissues are based on RNA-seq data generated by the Human Protein Atlas (HPA), Genotype-Tissue Expression (GTEx) portal and CAGE data generated by the FANTOM5 consortium. Consensus normalized expression levels for human tissues was created by combining the data from HPA and GTEx datasets.

The mRNA expression levels in pig are based on RNA-seq data generated by the Human Protein Atlas (HPA), and for mouse, HPA data and in situ hybridization generated by the Allen brain atlas are reported.

Scroll down to view mRNA expression data in more detail.
Consensus:18.3 nTPM
HPA:18.3 nTPM
GTEx:10.1 nTPM

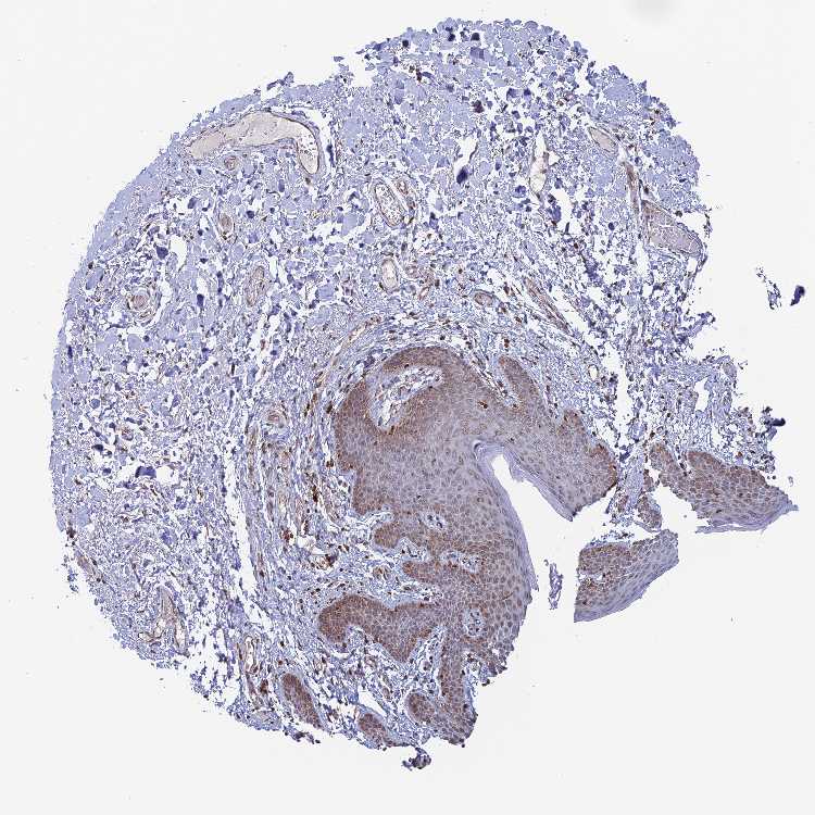
SKIN 1 - Antibody stainingi

Antibody staining in the annotated cell types in the current human tissue is reported as not detected, low, medium, or high, based on conventional immunohistochemistry profiling in selected tissues. This score is based on the combination of the staining intensity and fraction of stained cells.

Each image is clickable and will lead to virtual microscopy that enables deeper exploration of all samples and also displays staining intensity scores, fraction scores and subcellular localization as well as patient and tissue information for each sample.

Antibody HPA042593Antibody HPA042719
Langerhans Not detectedLow
Fibroblasts MediumNot detected
Keratinocytes HighMedium
Melanocytes MediumMedium


SKIN 2 - Antibody stainingi

Antibody staining in the annotated cell types in the current human tissue is reported as not detected, low, medium, or high, based on conventional immunohistochemistry profiling in selected tissues. This score is based on the combination of the staining intensity and fraction of stained cells.

Each image is clickable and will lead to virtual microscopy that enables deeper exploration of all samples and also displays staining intensity scores, fraction scores and subcellular localization as well as patient and tissue information for each sample.

Antibody HPA042593Antibody HPA042719
Epidermal cells HighMedium
  
  
  



SKIN - HPA RNA-seqi

The RNA-seq details section shows detailed information about the individual samples used for the transcript profiling and results of the RNA-seq analysis.

Information about each individual sample is listed below, including gender, age, a tissue section image and estimated fractions of cell types. nTPM (normalized transcripts per million) values give a quantification of the gene abundance which is comparable between different genes and samples.
Average nTPMi

Max subtype nTPM is the value for the subtype with the largest average nTPM across the subtype samples.

18.3
overview
Female, age 34
Skin sample 225
nTPM: 18.8
Cell types%
Keratinocytes:
60

Other cell types:
40

overview
Female, age 30
Skin sample 226
nTPM: 14
Cell types%
Keratinocytes:
55

Other cell types:
45

N/A
Male, age 57
Skin sample 227
nTPM: 22.2

SKIN - GTEx RNA-seqi

RNA-Seq data generated by the Genotype-Tissue Expression (GTEx) project from human tissues is reported as mean nTPM. More information can be found on the GTEx portal.

Distribution across the dataset is visualized with box plots, shown as median and 25th and 75th percentiles. Points are displayed as outliers if they are above or below 1.5 times the interquartile range. nTPM values of the individual samples are presented next to the box plot.
Max subtype nTPMi

Max subtype nTPM is the value for the subtype with the largest average nTPM across the subtype samples.

10.1
GTEx sample id Sample description nTPM
Skin - Not Sun Exposed (Suprapubic)
Average nTPM: 10.1
Samples: 604

Max nTPM: 37.1
Min nTPM: 1.8
Std nTPM: 4.0
Median nTPM: 9.6
GTEX-X585-2426-SM-46MW2 50-59 years, male 37.1
GTEX-1PIGE-1826-SM-E8VOU 20-29 years, male 32.0
GTEX-1399Q-2326-SM-5KM2X 40-49 years, male 30.7
GTEX-XYKS-1426-SM-4BRUO 60-69 years, female 25.4
GTEX-1HSMP-0926-SM-A9SKX 70-79 years, male 23.9
GTEX-1IKOE-1426-SM-CE6T7 30-39 years, female 23.1
GTEX-14PK6-0226-SM-62LF5 70-79 years, female 22.7
GTEX-111VG-1626-SM-5EGIO 60-69 years, male 22.5
GTEX-14PJ3-1126-SM-5ZZVX 50-59 years, male 21.9
GTEX-16YQH-2226-SM-7IGM2 30-39 years, male 21.6
GTEX-1H11D-1826-SM-9QEHM 40-49 years, male 21.6
GTEX-15RIE-1926-SM-7KUKJ 60-69 years, male 20.8
GTEX-132AR-0326-SM-5KM2C 50-59 years, female 20.6
GTEX-1R9PM-1926-SM-EVR3O 20-29 years, male 20.6
GTEX-1R9PN-0426-SM-DTXDT 40-49 years, female 20.5
GTEX-15SHW-0226-SM-7LTAT 60-69 years, male 20.3
GTEX-16MT9-0126-SM-7EPI8 60-69 years, female 20.2
GTEX-14PHY-1226-SM-5ZZWK 60-69 years, female 20.0
GTEX-1F6I4-2326-SM-7RHGL 60-69 years, male 19.8
GTEX-Y114-2126-SM-4TT8B 50-59 years, female 19.6
GTEX-1E2YA-2126-SM-7MXUO 50-59 years, male 19.4
GTEX-14E1K-2026-SM-7DUEI 50-59 years, male 19.2
GTEX-15G19-2426-SM-7KUMR 60-69 years, male 19.1
GTEX-11EQ8-0926-SM-5H12V 60-69 years, male 18.9
GTEX-1399R-1326-SM-5PNYS 30-39 years, male 18.1
GTEX-WH7G-2026-SM-3NMBL 40-49 years, male 17.9
GTEX-WXYG-2026-SM-4E3IY 50-59 years, female 17.7
GTEX-1JN76-0626-SM-CKZOQ 20-29 years, female 17.7
GTEX-13IVO-0726-SM-5LZYV 70-79 years, male 17.5
GTEX-12126-0826-SM-5FQTZ 20-29 years, male 17.3
GTEX-145MG-1526-SM-5Q5EM 50-59 years, male 17.2
GTEX-ZAK1-0626-SM-5HL8E 50-59 years, female 17.2
GTEX-16MTA-0926-SM-6M47Z 50-59 years, male 17.1
GTEX-1RAZQ-1326-SM-E9TK6 30-39 years, male 17.1
GTEX-13NYB-0126-SM-5J1MD 40-49 years, male 17.0
GTEX-15DDE-2926-SM-6LLJ3 50-59 years, female 16.8
GTEX-1ICG6-1226-SM-A9SLN 70-79 years, female 16.6
GTEX-ZYT6-2326-SM-5GZY3 30-39 years, male 16.5
GTEX-139YR-1026-SM-5LZYN 50-59 years, male 16.4
GTEX-ZT9X-1526-SM-5DUXD 40-49 years, male 16.2
GTEX-ZF3C-0626-SM-DO92O 50-59 years, female 16.1
GTEX-17EVQ-0126-SM-7IGLR 70-79 years, male 16.0
GTEX-12WSH-1526-SM-5BC5W 50-59 years, male 15.9
GTEX-1313W-0626-SM-5EQ4H 50-59 years, female 15.9
GTEX-W5X1-2526-SM-3GILC 40-49 years, female 15.8
GTEX-1CAMS-2226-SM-7PBXQ 40-49 years, female 15.8
GTEX-16GPK-0626-SM-7KFSF 60-69 years, male 15.7
GTEX-1AYD5-2626-SM-7PBXY 50-59 years, male 15.5
GTEX-14LZ3-0126-SM-69LPM 60-69 years, female 15.4
GTEX-13NZ9-2626-SM-5L3FK 50-59 years, male 15.3
GTEX-14E6E-0526-SM-793DN 30-39 years, male 15.3
GTEX-17HG3-2626-SM-7DUF2 30-39 years, female 15.3
GTEX-X3Y1-2026-SM-3P5YM 40-49 years, male 15.3
GTEX-1H1CY-0126-SM-9YFLY 60-69 years, female 15.2
GTEX-11PRG-0726-SM-5EGL1 50-59 years, male 15.1
GTEX-1PPH8-0126-SM-EWRN8 20-29 years, male 15.0
GTEX-11DXX-2126-SM-5PNYR 60-69 years, female 14.8
GTEX-131XH-0126-SM-5LZUY 50-59 years, male 14.8
GTEX-Y5V6-2326-SM-4VDSA 60-69 years, male 14.8
GTEX-1KD5A-0126-SM-E9U54 50-59 years, male 14.8
GTEX-18D9B-0926-SM-7LG4U 60-69 years, male 14.7
GTEX-ZPCL-1126-SM-4WWFE 60-69 years, female 14.7
GTEX-1C64O-1326-SM-7MGWR 60-69 years, male 14.7
GTEX-1AX8Z-0726-SM-73KTS 60-69 years, male 14.6
GTEX-1NSGN-0726-SM-DTXEF 50-59 years, male 14.6
GTEX-13G51-1826-SM-5KLZH 60-69 years, male 14.5
GTEX-17F96-0126-SM-7EWDU 70-79 years, male 14.5
GTEX-1K2DA-1026-SM-CGQGF 50-59 years, male 14.4
GTEX-12WSJ-1126-SM-5LZVJ 40-49 years, female 14.3
GTEX-ZE9C-2526-SM-5IJDR 60-69 years, male 14.3
GTEX-1J8EW-2726-SM-CY8HR 60-69 years, female 14.3
GTEX-147GR-2426-SM-5ZZWQ 60-69 years, male 14.2
GTEX-17KNJ-2126-SM-718AM 50-59 years, male 14.2
GTEX-ZDXO-3126-SM-5IJDF 60-69 years, male 14.2
GTEX-13W3W-0726-SM-5IJDQ 60-69 years, female 14.1
GTEX-17F97-2626-SM-7IGM5 50-59 years, male 14.1
GTEX-1IL2V-1926-SM-B2LW8 70-79 years, male 14.0
GTEX-11OF3-0126-SM-5PNYF 60-69 years, male 13.9
GTEX-13FTX-1526-SM-5K7VJ 20-29 years, female 13.9
GTEX-13FTY-2126-SM-5IFFB 40-49 years, female 13.9
GTEX-1H3O1-1326-SM-9MQLD 60-69 years, male 13.9
GTEX-145LU-1926-SM-79OJN 50-59 years, male 13.8
GTEX-15DYW-2726-SM-6EU2I 60-69 years, female 13.8
GTEX-ZP4G-1426-SM-4WWCL 20-29 years, female 13.7
GTEX-XOT4-0626-SM-4B66L 60-69 years, female 13.6
GTEX-1OJC4-2726-SM-E76PJ 50-59 years, female 13.6
GTEX-17MFQ-1526-SM-7KFRR 20-29 years, male 13.5
GTEX-ZDTT-0426-SM-4WKFL 60-69 years, male 13.5
GTEX-ZPU1-1126-SM-4YCF3 40-49 years, male 13.5
GTEX-YJ8O-2526-SM-5HL85 40-49 years, female 13.4
GTEX-ZVE1-0726-SM-51MRN 50-59 years, female 13.4
GTEX-1HFI6-0126-SM-CNPPI 40-49 years, male 13.4
GTEX-1OJC3-1226-SM-DTXER 20-29 years, male 13.4
GTEX-1192X-2726-SM-5N9DN 50-59 years, male 13.3
GTEX-YECK-0326-SM-4W1YS 60-69 years, male 13.3
GTEX-1PIIG-2326-SM-DTXFR 30-39 years, male 13.3
GTEX-VUSG-2326-SM-4KL1U 50-59 years, male 13.2
GTEX-XXEK-1626-SM-4BRUZ 50-59 years, male 13.2
GTEX-1LVAM-0726-SM-E6CIL 50-59 years, female 13.2
GTEX-1QP29-1826-SM-DTX9S 50-59 years, male 13.2
GTEX-15RJ7-2126-SM-6PAMD 40-49 years, male 13.1
GTEX-1B932-2326-SM-79OL5 40-49 years, female 13.1
GTEX-ZVP2-0326-SM-57WBP 50-59 years, male 13.1
GTEX-1JJEA-1826-SM-ARU8P 60-69 years, male 13.1
GTEX-17HGU-2326-SM-7DUFE 50-59 years, male 13.0
GTEX-Y3IK-1626-SM-4YCF5 50-59 years, female 13.0
GTEX-1QAET-0326-SM-EVR3U 50-59 years, male 13.0
GTEX-11DXZ-2026-SM-5987S 50-59 years, male 12.9
GTEX-11DYG-1526-SM-5A5JS 60-69 years, male 12.9
GTEX-ZYVF-0926-SM-5E44J 50-59 years, female 12.9
GTEX-1IDJE-1426-SM-ADEIW 50-59 years, female 12.9
GTEX-1S82P-2126-SM-E6CI5 60-69 years, female 12.9
GTEX-YB5K-2026-SM-4VDT3 40-49 years, female 12.8
GTEX-ZLFU-1826-SM-4WWBV 40-49 years, male 12.8
GTEX-1HBPN-0126-SM-CGQEF 50-59 years, male 12.8
GTEX-1RAZA-2226-SM-E9U4X 20-29 years, male 12.8
GTEX-117YX-1926-SM-5GIEC 50-59 years, male 12.7
GTEX-14XAO-1226-SM-6EU1C 60-69 years, female 12.7
GTEX-16BQI-1326-SM-6M486 30-39 years, female 12.7
GTEX-1GN1V-2826-SM-9JGIA 60-69 years, male 12.7
GTEX-1HSMQ-2626-SM-A9SML 50-59 years, male 12.7
GTEX-12WSD-0626-SM-5GCMW 60-69 years, female 12.6
GTEX-14PJO-2526-SM-6AJBQ 60-69 years, male 12.6
GTEX-15G1A-1626-SM-7KUKN 30-39 years, male 12.6
GTEX-WHWD-1826-SM-3LK6I 50-59 years, male 12.6
GTEX-ZC5H-1526-SM-5HL9Y 40-49 years, female 12.6
GTEX-1F88F-0126-SM-9WYSZ 60-69 years, female 12.6
GTEX-1QP2A-1726-SM-E76QC 50-59 years, male 12.6
GTEX-ZLV1-1526-SM-DO91J 60-69 years, female 12.6
GTEX-1F52S-2926-SM-7MKGA 60-69 years, female 12.5
GTEX-ZDYS-2426-SM-4WKGI 50-59 years, male 12.5
GTEX-ZWKS-0626-SM-5GIDV 30-39 years, male 12.4
GTEX-1I1GV-0626-SM-ARL7M 60-69 years, male 12.4
GTEX-18A66-0626-SM-7LT8Z 60-69 years, male 12.3
GTEX-1EWIQ-0326-SM-7DHMQ 70-79 years, female 12.3
GTEX-X4EP-0626-SM-3P621 60-69 years, female 12.3
GTEX-1H1DE-1326-SM-9KNUG 20-29 years, male 12.3
GTEX-ZVTK-0226-SM-51MRG 20-29 years, male 12.2
GTEX-ZY6K-1426-SM-5GZX2 50-59 years, male 12.2
GTEX-1HT8W-0626-SM-A9G2H 30-39 years, male 12.2
GTEX-1LBAC-0826-SM-CY8IJ 20-29 years, male 12.2
GTEX-11GS4-0226-SM-5HL77 60-69 years, male 12.1
GTEX-ZDTS-0826-SM-4WKHL 60-69 years, male 12.1
GTEX-1LB8K-0726-SM-D5OV2 50-59 years, male 12.1
GTEX-1POEN-2326-SM-E9J2L 30-39 years, female 12.1
GTEX-YEC3-1326-SM-DO92X 50-59 years, male 12.1
GTEX-11O72-0626-SM-5PNYE 40-49 years, male 12.0
GTEX-139D8-1126-SM-5LU8W 30-39 years, female 12.0
GTEX-13NYC-0126-SM-5L3F4 60-69 years, male 12.0
GTEX-14ICL-1626-SM-5YYAO 30-39 years, male 12.0
GTEX-1MCC2-1826-SM-DIPEX 30-39 years, female 12.0
GTEX-1PDJ9-1226-SM-EXUSX 20-29 years, male 12.0
GTEX-1QP9N-1226-SM-E76QN 30-39 years, male 12.0
GTEX-12WSK-2126-SM-5CVNC 40-49 years, female 11.9
GTEX-15CHC-1126-SM-6LLHQ 60-69 years, female 11.9
GTEX-WFG7-2026-SM-5SI7P 20-29 years, male 11.9
GTEX-YFCO-1226-SM-5LUAT 40-49 years, male 11.9
GTEX-1CAMR-1326-SM-7PC1F 20-29 years, male 11.9
GTEX-1F5PL-0926-SM-7PC2W 40-49 years, female 11.9
GTEX-1HR98-2226-SM-ADEI2 60-69 years, male 11.9
GTEX-16Z82-2626-SM-7KULU 60-69 years, male 11.8
GTEX-ZF2S-1626-SM-57WES 50-59 years, female 11.8
GTEX-1H1DG-2426-SM-9QEHJ 70-79 years, male 11.8
GTEX-1KANB-2826-SM-CY8I6 50-59 years, male 11.8
GTEX-139TS-2126-SM-5K7XC 60-69 years, male 11.7
GTEX-WY7C-2126-SM-3NB2R 50-59 years, male 11.7
GTEX-XBEW-1126-SM-4QARW 40-49 years, male 11.7
GTEX-1S82U-1026-SM-E6CJK 30-39 years, female 11.7
GTEX-11DZ1-2426-SM-5GZZX 50-59 years, male 11.6
GTEX-11NSD-0626-SM-5A5LU 20-29 years, male 11.6
GTEX-145MN-1526-SM-5SI9T 30-39 years, male 11.6
GTEX-18QFQ-1826-SM-72D52 30-39 years, male 11.6
GTEX-1CB4I-0126-SM-7RHGG 50-59 years, male 11.6
GTEX-1QEPI-2626-SM-DTXF4 60-69 years, female 11.6
GTEX-1S3DN-2126-SM-E9TIN 50-59 years, male 11.6
GTEX-11DXW-0826-SM-5H118 40-49 years, male 11.5
GTEX-XV7Q-1826-SM-4BRUV 40-49 years, female 11.5
GTEX-1EMGI-2326-SM-7PBYA 60-69 years, male 11.5
GTEX-1LKK1-2626-SM-DKPQE 50-59 years, female 11.5
GTEX-1LSNM-0826-SM-DIPG8 50-59 years, male 11.5
GTEX-11P7K-1126-SM-5HL4L 30-39 years, male 11.4
GTEX-11WQK-1026-SM-5EQLX 50-59 years, male 11.4
GTEX-13SLX-2226-SM-62LEP 50-59 years, female 11.4
GTEX-18D9U-0126-SM-731BM 40-49 years, male 11.4
GTEX-1IY9M-2826-SM-ARU8H 60-69 years, male 11.4
GTEX-139TU-0726-SM-5L3EK 60-69 years, male 11.3
GTEX-13NYS-0626-SM-5L3F1 60-69 years, male 11.3
GTEX-13OVK-1426-SM-6PAN7 40-49 years, male 11.3
GTEX-14A5H-0826-SM-5QGPJ 60-69 years, male 11.3
GTEX-178AV-1726-SM-7KUL8 40-49 years, male 11.3
GTEX-ZUA1-2626-SM-5NQ92 40-49 years, male 11.3
GTEX-139TT-2126-SM-5LZWC 60-69 years, male 11.2
GTEX-17F9E-2326-SM-79OKD 50-59 years, male 11.2
GTEX-1EKGG-0626-SM-7DUGJ 60-69 years, male 11.2
GTEX-1F75A-0726-SM-7RHHD 50-59 years, male 11.2
GTEX-1PPGY-1626-SM-EVYBL 60-69 years, male 11.2
GTEX-1RB15-1326-SM-E76Q9 60-69 years, male 11.2
GTEX-11P81-2226-SM-5PNYI 30-39 years, female 11.1
GTEX-11ZTT-2126-SM-5CVLO 60-69 years, female 11.1
GTEX-12WSC-2826-SM-5BC5Y 50-59 years, male 11.1
GTEX-1399S-0126-SM-5IJCF 30-39 years, female 11.1
GTEX-18A6Q-0626-SM-7KFRP 60-69 years, male 11.1
GTEX-1F75I-2226-SM-7SB8U 40-49 years, male 11.1
GTEX-1I6K6-1726-SM-CGQFD 30-39 years, male 11.1
GTEX-1S831-1826-SM-EWROF 20-29 years, male 11.1
GTEX-145MF-0926-SM-5Q5EA 50-59 years, male 11.0
GTEX-1LVAN-0626-SM-CNPOQ 50-59 years, female 11.0
GTEX-14BMV-2826-SM-5TDED 50-59 years, male 10.9
GTEX-17JCI-2926-SM-7DUFF 60-69 years, female 10.9
GTEX-1AX9J-1326-SM-731BJ 60-69 years, male 10.9
GTEX-UPK5-0426-SM-3GAEK 40-49 years, male 10.9
GTEX-11NUK-2726-SM-5A5MC 50-59 years, male 10.8
GTEX-13OW6-2726-SM-5J2OE 50-59 years, male 10.8
GTEX-14ABY-2026-SM-62LDL 50-59 years, male 10.8
GTEX-15CHR-1126-SM-7EWF4 50-59 years, male 10.8
GTEX-16AAH-0626-SM-793C9 50-59 years, male 10.8
GTEX-WHPG-2626-SM-3NMBR 50-59 years, male 10.8
GTEX-1IDJC-1526-SM-B2LW4 50-59 years, male 10.8
GTEX-1IOXB-2726-SM-CM2RI 50-59 years, male 10.8
GTEX-1JMLX-0626-SM-ARL8T 50-59 years, male 10.8
GTEX-13OW8-1026-SM-5J1NQ 60-69 years, male 10.7
GTEX-14PKV-1126-SM-6LLJ1 20-29 years, female 10.7
GTEX-1B97I-0626-SM-73KUZ 40-49 years, male 10.7
GTEX-WFON-1926-SM-3LK7L 40-49 years, male 10.7
GTEX-Y3I4-1726-SM-4TT89 50-59 years, male 10.7
GTEX-ZVZP-1226-SM-5GID7 50-59 years, male 10.7
GTEX-1F5PK-2226-SM-7SB6N 50-59 years, male 10.7
GTEX-1MJK3-0726-SM-E6CJC 20-29 years, male 10.7
GTEX-13FTW-0326-SM-5K7UW 40-49 years, male 10.6
GTEX-13NZ8-1226-SM-5KM4A 60-69 years, female 10.6
GTEX-1GPI7-1826-SM-9KNU1 20-29 years, male 10.6
GTEX-1I1HK-2326-SM-CKZOH 60-69 years, male 10.6
GTEX-1O9I2-0226-SM-EYYXD 50-59 years, male 10.6
GTEX-111FC-2526-SM-5GZXU 60-69 years, male 10.5
GTEX-11TT1-1826-SM-5EQLV 20-29 years, male 10.5
GTEX-13JVG-0726-SM-5KM16 60-69 years, male 10.5
GTEX-17HHE-1326-SM-7EWDZ 50-59 years, male 10.5
GTEX-1C64N-2626-SM-7PC2N 50-59 years, male 10.5
GTEX-1F6IF-0926-SM-7SB7M 60-69 years, male 10.5
GTEX-13PL6-1126-SM-5L3IE 40-49 years, female 10.4
GTEX-14JG1-1526-SM-5YY9X 40-49 years, male 10.4
GTEX-1HBPI-2126-SM-ARL9K 50-59 years, male 10.4
GTEX-1JMOU-1026-SM-CYPSS 60-69 years, female 10.4
GTEX-1L5NE-1126-SM-D3L9P 50-59 years, male 10.4
GTEX-1RMOY-1326-SM-E9TIH 50-59 years, male 10.4
GTEX-11VI4-1126-SM-5EQMD 40-49 years, female 10.3
GTEX-183FY-1026-SM-7939A 20-29 years, male 10.3
GTEX-1CB4E-0926-SM-7EPHT 60-69 years, male 10.3
GTEX-XMD2-2126-SM-4YCF8 60-69 years, female 10.3
GTEX-XQ3S-1426-SM-4BOPR 20-29 years, male 10.3
GTEX-ZTTD-2826-SM-4YCFA 50-59 years, male 10.3
GTEX-ZZPU-0826-SM-5GZX5 50-59 years, female 10.3
GTEX-1GZ4H-0526-SM-9KNU9 50-59 years, female 10.3
GTEX-1J1OQ-0126-SM-D4P2N 40-49 years, female 10.3
GTEX-1JMQJ-0826-SM-CNPP7 50-59 years, male 10.3
GTEX-ZPIC-0526-SM-DO91W 40-49 years, female 10.3
GTEX-13OVJ-0826-SM-5J1OK 50-59 years, female 10.2
GTEX-146FQ-2126-SM-5RQHU 30-39 years, male 10.2
GTEX-14AS3-1526-SM-5Q5ED 40-49 years, female 10.2
GTEX-1BAJH-2426-SM-7IGP8 70-79 years, male 10.2
GTEX-1HCUA-0826-SM-ADEHM 50-59 years, female 10.2
GTEX-1I1GP-1326-SM-A9G28 50-59 years, male 10.2
GTEX-1IDFM-0326-SM-ARL7V 60-69 years, male 10.2
GTEX-11DXY-0126-SM-5H11Q 60-69 years, male 10.1
GTEX-145MH-2826-SM-5RQJF 50-59 years, male 10.1
GTEX-XK95-0226-SM-4AT58 40-49 years, male 10.1
GTEX-1B8L1-2226-SM-7P8PT 60-69 years, male 10.1
GTEX-1H1ZS-2726-SM-9WG75 70-79 years, male 10.1
GTEX-1HC8U-1326-SM-9YFMJ 40-49 years, female 10.1
GTEX-1K9T9-1526-SM-DIPFR 50-59 years, female 10.1
GTEX-1QP28-1126-SM-EVYC4 50-59 years, female 10.1
GTEX-13PVR-0426-SM-5RQK2 60-69 years, female 10.0
GTEX-144GO-2026-SM-5O99P 60-69 years, male 10.0
GTEX-1EN7A-2426-SM-793DB 40-49 years, male 10.0
GTEX-VJYA-1526-SM-3GIJV 60-69 years, male 10.0
GTEX-1H1E6-0426-SM-9WYUS 30-39 years, male 10.0
GTEX-1JKYN-0826-SM-ARU8S 30-39 years, male 10.0
GTEX-11ZUS-2626-SM-5FQUR 30-39 years, male 9.9
GTEX-1212Z-0126-SM-59HK4 60-69 years, male 9.9
GTEX-1314G-1326-SM-5BC6E 30-39 years, male 9.9
GTEX-144GL-0626-SM-5LU4D 50-59 years, male 9.9
GTEX-1C6WA-2626-SM-7MKGM 60-69 years, male 9.9
GTEX-1QW4Y-1126-SM-DTXE3 30-39 years, male 9.9
GTEX-1RAZR-2126-SM-E9U6T 40-49 years, male 9.9
GTEX-147F4-0726-SM-5TDDD 50-59 years, male 9.8
GTEX-15RJE-2826-SM-7KUM9 40-49 years, male 9.8
GTEX-17F9Y-0126-SM-79OKX 70-79 years, female 9.8
GTEX-1B8KE-1126-SM-7EPHI 50-59 years, male 9.8
GTEX-WI4N-2726-SM-3LK7Y 40-49 years, female 9.8
GTEX-1QCLY-0226-SM-EWRNH 30-39 years, male 9.8
GTEX-15ER7-0626-SM-6PANF 20-29 years, female 9.7
GTEX-1B8SF-0126-SM-7DUG3 60-69 years, male 9.7
GTEX-1CB4F-1026-SM-7DUH1 60-69 years, male 9.7
GTEX-WRHU-2826-SM-3MJG8 50-59 years, female 9.7
GTEX-18D9A-1426-SM-7LT8M 30-39 years, female 9.7
GTEX-1C6VR-0126-SM-7RHGB 60-69 years, male 9.7
GTEX-1GN1W-2426-SM-9KNUU 50-59 years, female 9.7
GTEX-1K2DU-1226-SM-CYPT4 20-29 years, male 9.7
GTEX-14PHX-2226-SM-6EU2P 50-59 years, male 9.6
GTEX-15EU6-2226-SM-6EU2L 50-59 years, male 9.6
GTEX-ZLWG-0826-SM-59888 50-59 years, female 9.6
GTEX-1JMPY-0226-SM-CKZOK 30-39 years, male 9.6
GTEX-1KANA-1326-SM-DIPFA 20-29 years, male 9.6
GTEX-1LGRB-0926-SM-COH3K 50-59 years, female 9.6
GTEX-111YS-1526-SM-5GZYW 60-69 years, male 9.5
GTEX-11WQC-1826-SM-5GU59 60-69 years, male 9.5
GTEX-13O3Q-0126-SM-5KM34 50-59 years, male 9.5
GTEX-144FL-0626-SM-5LU43 50-59 years, male 9.5
GTEX-1GF9U-2026-SM-7SB92 40-49 years, female 9.5
GTEX-1J8QM-2426-SM-A9SLS 60-69 years, female 9.5
GTEX-1QCLZ-2426-SM-EVYBW 60-69 years, female 9.5
GTEX-1S83E-1326-SM-E6CJM 40-49 years, male 9.5
GTEX-13N11-2326-SM-5IJBF 50-59 years, female 9.4
GTEX-13O61-1426-SM-5KM3D 60-69 years, male 9.4
GTEX-13OVL-0126-SM-5L3GJ 50-59 years, male 9.4
GTEX-145LT-0526-SM-5LUB2 40-49 years, male 9.4
GTEX-14A6H-2026-SM-5Q5DD 30-39 years, male 9.4
GTEX-14C38-0726-SM-5SI6M 50-59 years, male 9.4
GTEX-1A3MV-1826-SM-731CD 30-39 years, male 9.4
GTEX-1EU9M-1426-SM-793AI 60-69 years, male 9.4
GTEX-WHSB-1326-SM-3LK6W 50-59 years, male 9.4
GTEX-WYJK-0526-SM-3NM8Z 50-59 years, male 9.4
GTEX-Y111-0626-SM-4SOIT 50-59 years, male 9.4
GTEX-1LG7Z-1626-SM-CXKYR 30-39 years, male 9.4
GTEX-12WSL-2026-SM-5GCML 50-59 years, male 9.3
GTEX-18A67-1626-SM-7LT9T 50-59 years, male 9.3
GTEX-XQ8I-0926-SM-4BOOF 50-59 years, male 9.3
GTEX-ZVT2-0126-SM-5GIDQ 50-59 years, female 9.3
GTEX-1HB9E-0126-SM-CM2S5 50-59 years, male 9.3
GTEX-1LSNL-2726-SM-E9TKJ 50-59 years, male 9.3
GTEX-147F3-1726-SM-5SIAW 50-59 years, female 9.2
GTEX-14PII-0726-SM-6EU2B 60-69 years, male 9.2
GTEX-15RIG-0726-SM-7KUM7 40-49 years, male 9.2
GTEX-ZYFG-1526-SM-5GZYM 60-69 years, female 9.2
GTEX-1I4MK-0126-SM-CY8G6 50-59 years, female 9.2
GTEX-1I6K7-1926-SM-B2LXR 40-49 years, male 9.2
GTEX-1KAFJ-0126-SM-DIPEK 50-59 years, male 9.2
GTEX-12ZZX-2426-SM-5GCOE 40-49 years, female 9.1
GTEX-13OW5-2326-SM-5L3HO 60-69 years, male 9.1
GTEX-WK11-2726-SM-3NMAQ 50-59 years, male 9.1
GTEX-ZF29-0926-SM-4WKFZ 60-69 years, female 9.1
GTEX-1MCYP-0526-SM-E9U6Q 20-29 years, female 9.1
GTEX-1N2DV-1526-SM-DTXEP 40-49 years, male 9.1
GTEX-111CU-1126-SM-5EGIM 50-59 years, male 9.0
GTEX-13N2G-0226-SM-5K7VF 60-69 years, male 9.0
GTEX-14PJ6-2626-SM-6EU2T 60-69 years, female 9.0
GTEX-17HII-1426-SM-7EPGG 50-59 years, male 9.0
GTEX-U8XE-0226-SM-4E3J3 30-39 years, male 9.0
GTEX-ZTX8-1326-SM-4YCEL 20-29 years, male 9.0
GTEX-1HCU7-0726-SM-A9SL1 50-59 years, male 9.0
GTEX-1IDJF-2026-SM-CL53V 20-29 years, male 9.0
GTEX-1LG7Y-2526-SM-EWRO7 50-59 years, male 9.0
GTEX-12WSF-1626-SM-7KUG5 70-79 years, male 8.9
GTEX-13X6I-1826-SM-5SIAO 60-69 years, male 8.9
GTEX-V1D1-2026-SM-3GAF4 50-59 years, male 8.9
GTEX-1H1DF-1126-SM-9WG7G 40-49 years, female 8.9
GTEX-1I19N-0126-SM-CYPSF 70-79 years, male 8.9
GTEX-1IDJD-2326-SM-ACKWX 30-39 years, male 8.9
GTEX-1QP66-1226-SM-DTX7U 50-59 years, male 8.9
GTEX-1117F-2926-SM-5GZYI 60-69 years, female 8.8
GTEX-13X6J-0626-SM-5LU5F 50-59 years, male 8.8
GTEX-16NGA-0726-SM-731AO 40-49 years, female 8.8
GTEX-1A8G7-1326-SM-73KVM 60-69 years, male 8.8
GTEX-X4EO-2926-SM-4E3JH 60-69 years, female 8.8
GTEX-1H3VE-0726-SM-9YFL5 40-49 years, male 8.8
GTEX-1HFI7-2326-SM-CGQFS 50-59 years, female 8.8
GTEX-1IDJI-0126-SM-CMKHS 50-59 years, female 8.8
GTEX-1RAZS-2526-SM-E6CHT 50-59 years, male 8.8
GTEX-144GM-0526-SM-79OJO 20-29 years, male 8.7
GTEX-15EO6-2426-SM-6PALZ 50-59 years, male 8.7
GTEX-ZTSS-1426-SM-5985P 40-49 years, male 8.7
GTEX-1GMRU-2126-SM-7P8RA 50-59 years, male 8.7
GTEX-1HGF4-0126-SM-CNPPX 60-69 years, male 8.7
GTEX-1N2EE-0626-SM-E76PW 60-69 years, male 8.7
GTEX-1QPFJ-1926-SM-EVYBD 30-39 years, female 8.7
GTEX-12BJ1-0926-SM-5EQ62 60-69 years, male 8.6
GTEX-131XG-0326-SM-5L3DX 50-59 years, female 8.6
GTEX-13PVQ-0626-SM-5LU47 50-59 years, male 8.6
GTEX-16NPX-0726-SM-7KULC 50-59 years, male 8.6
GTEX-17HHY-0426-SM-7DHLC 50-59 years, male 8.6
GTEX-18A7A-0126-SM-731AH 50-59 years, female 8.6
GTEX-UPJH-0226-SM-3GADV 50-59 years, male 8.6
GTEX-XAJ8-1426-SM-47JYM 40-49 years, male 8.6
GTEX-14JFF-0626-SM-5ZZVT 60-69 years, male 8.6
GTEX-1F6RS-2026-SM-7RHHC 60-69 years, female 8.6
GTEX-1GMR3-0126-SM-A9SLW 40-49 years, male 8.6
GTEX-1I1CD-0626-SM-CE6SW 60-69 years, female 8.6
GTEX-1J8JJ-0626-SM-ARZMQ 60-69 years, female 8.6
GTEX-1LVA9-2626-SM-EVYD4 50-59 years, male 8.6
GTEX-13QBU-1226-SM-5LU4G 40-49 years, female 8.5
GTEX-145ME-1726-SM-5Q5EU 40-49 years, female 8.5
GTEX-1C2JI-1026-SM-73KY1 50-59 years, male 8.5
GTEX-1R7EU-1626-SM-DTXG3 60-69 years, male 8.5
GTEX-13VXT-1926-SM-5K7UO 20-29 years, female 8.4
GTEX-13X6H-0926-SM-5SIB2 50-59 years, female 8.4
GTEX-14DAQ-0626-SM-793DS 60-69 years, female 8.4
GTEX-1122O-1026-SM-9WYSF 60-69 years, female 8.4
GTEX-13PDP-0726-SM-5L3HP 60-69 years, male 8.3
GTEX-1EX96-1026-SM-7MKG2 50-59 years, male 8.3
GTEX-YF7O-1526-SM-5IFI6 50-59 years, male 8.3
GTEX-1GF9X-1326-SM-7PC2Y 40-49 years, female 8.3
GTEX-12ZZY-0726-SM-5EQ66 60-69 years, male 8.2
GTEX-133LE-2326-SM-5K7W3 20-29 years, female 8.2
GTEX-139T8-0626-SM-5KLZX 60-69 years, male 8.2
GTEX-WFG8-2126-SM-3GIKQ 20-29 years, male 8.2
GTEX-XBEC-0726-SM-4QARZ 50-59 years, male 8.2
GTEX-XUW1-0926-SM-4BONX 50-59 years, female 8.2
GTEX-11P82-1426-SM-DTXFY 20-29 years, male 8.2
GTEX-14BMU-1226-SM-5S2OR 20-29 years, female 8.1
GTEX-1A3MW-0626-SM-731CB 60-69 years, female 8.1
GTEX-1F75W-2726-SM-7SB8H 60-69 years, male 8.1
GTEX-1GZ2Q-0126-SM-9WG6M 40-49 years, male 8.1
GTEX-1HCU8-2526-SM-CE6RX 60-69 years, female 8.1
GTEX-1HCU9-0426-SM-9WYSD 20-29 years, male 8.1
GTEX-13D11-0926-SM-5J2NC 50-59 years, female 8.0
GTEX-X5EB-1926-SM-4E3IW 40-49 years, male 8.0
GTEX-ZA64-1026-SM-5HL8R 20-29 years, male 8.0
GTEX-ZZ64-1026-SM-5GZXG 20-29 years, male 8.0
GTEX-1HCU6-2526-SM-ADEHL 60-69 years, female 8.0
GTEX-YEC4-1826-SM-4W1YP 40-49 years, male 7.9
GTEX-Z93S-1626-SM-5CVMB 50-59 years, male 7.9
GTEX-1N5O9-0926-SM-E9J3C 60-69 years, male 7.9
GTEX-145LS-0626-SM-7EPG7 60-69 years, female 7.8
GTEX-1A32A-0626-SM-731AQ 50-59 years, female 7.8
GTEX-1A8G6-2726-SM-731AR 60-69 years, male 7.8
GTEX-1B8KZ-0326-SM-73KY4 50-59 years, male 7.8
GTEX-Y9LG-1126-SM-4VBQ7 30-39 years, male 7.8
GTEX-ZE7O-2726-SM-51MT5 50-59 years, female 7.8
GTEX-13FH7-1126-SM-5K7UG 50-59 years, female 7.7
GTEX-13OVG-1626-SM-5J1NF 60-69 years, male 7.7
GTEX-13RTJ-0126-SM-5S2NN 60-69 years, male 7.7
GTEX-13SLW-0626-SM-5Q5ER 70-79 years, male 7.7
GTEX-14BIN-1126-SM-5RQJZ 50-59 years, female 7.7
GTEX-14PJ5-1526-SM-6LLIL 60-69 years, female 7.7
GTEX-1E1VI-0326-SM-793D1 50-59 years, male 7.7
GTEX-XPVG-2126-SM-4B667 50-59 years, male 7.7
GTEX-Y5V5-0126-SM-5S2NW 60-69 years, female 7.7
GTEX-1PPH7-1126-SM-DTX9A 40-49 years, male 7.7
GTEX-1AMEY-0826-SM-72D65 30-39 years, female 7.6
GTEX-1CB4H-1126-SM-7MKGL 60-69 years, female 7.6
GTEX-1GN1U-0626-SM-9MQL9 50-59 years, female 7.6
GTEX-1GN73-0726-SM-7P8TJ 60-69 years, male 7.6
GTEX-1JMPZ-0726-SM-CY8HZ 30-39 years, male 7.6
GTEX-11EI6-2826-SM-5H11D 60-69 years, male 7.5
GTEX-131YS-2826-SM-5EQ47 60-69 years, female 7.5
GTEX-13FHO-0426-SM-5L3F5 60-69 years, male 7.5
GTEX-13FLV-0126-SM-5K7WT 50-59 years, male 7.5
GTEX-14PJ2-0626-SM-6LLII 50-59 years, male 7.5
GTEX-1C6VQ-1226-SM-73KYD 50-59 years, male 7.5
GTEX-XBED-1926-SM-47JYP 60-69 years, male 7.5
GTEX-ZYFD-0626-SM-5E44E 50-59 years, male 7.5
GTEX-1HSKV-1226-SM-ADEI4 60-69 years, male 7.5
GTEX-1PBJJ-1026-SM-E76OS 30-39 years, male 7.5
GTEX-11GSP-2326-SM-5HL63 60-69 years, female 7.4
GTEX-13QJC-0126-SM-5ZZWJ 60-69 years, female 7.4
GTEX-14PJN-1826-SM-6AJ98 30-39 years, male 7.4
GTEX-1CAMQ-1326-SM-7P8RV 40-49 years, male 7.4
GTEX-1IDJV-0126-SM-COH3Y 60-69 years, male 7.4
GTEX-1KANC-1226-SM-CYPT7 50-59 years, female 7.4
GTEX-1QMI2-2526-SM-E8VNZ 60-69 years, male 7.4
GTEX-1AX9I-2226-SM-73KUO 60-69 years, male 7.3
GTEX-ZYY3-2926-SM-5GIEB 60-69 years, female 7.3
GTEX-1A8FM-0626-SM-7PC25 50-59 years, female 7.3
GTEX-1GN2E-0226-SM-9WG6K 60-69 years, male 7.3
GTEX-1I1GU-0926-SM-ACKVS 40-49 years, male 7.3
GTEX-1LVAO-2726-SM-E9TJ8 60-69 years, male 7.3
GTEX-13JUV-2026-SM-5K7UA 40-49 years, female 7.2
GTEX-1477Z-0326-SM-7IGLA 60-69 years, male 7.2
GTEX-18A7B-2726-SM-7LG56 70-79 years, male 7.2
GTEX-ZXG5-2126-SM-59HKD 60-69 years, male 7.2
GTEX-1C475-1326-SM-7SB73 40-49 years, female 7.2
GTEX-1GZ4I-2626-SM-9KNU3 50-59 years, male 7.2
GTEX-1I1GT-1026-SM-ARZLV 60-69 years, female 7.2
GTEX-1JMQK-1226-SM-D4P2S 60-69 years, male 7.2
GTEX-1JN1M-2726-SM-CY8I4 60-69 years, female 7.2
GTEX-1NV5F-0626-SM-DTXEG 60-69 years, female 7.2
GTEX-11ZU8-0126-SM-5EQ58 60-69 years, male 7.1
GTEX-1399U-1126-SM-5L3DB 50-59 years, female 7.1
GTEX-1HCVE-2726-SM-CL54F 50-59 years, male 7.1
GTEX-15CHQ-0326-SM-69LQD 60-69 years, male 7.0
GTEX-16MT8-2926-SM-7DUFO 60-69 years, female 7.0
GTEX-ZYFC-0426-SM-5GICQ 50-59 years, male 7.0
GTEX-1IE54-1126-SM-A9G2Z 40-49 years, female 7.0
GTEX-1JK1U-0226-SM-ARZMX 60-69 years, male 7.0
GTEX-1R9K4-2826-SM-DTX8F 60-69 years, male 7.0
GTEX-11EQ9-1626-SM-5PNY8 30-39 years, male 6.9
GTEX-12KS4-2126-SM-5FQUT 30-39 years, male 6.9
GTEX-145MO-2826-SM-5LU96 60-69 years, male 6.9
GTEX-15FZZ-0526-SM-7KUGD 30-39 years, female 6.9
GTEX-WEY5-2326-SM-3GIKK 40-49 years, female 6.9
GTEX-1HSGN-0826-SM-ACKW3 40-49 years, female 6.9
GTEX-1J1R8-2026-SM-CL53Y 40-49 years, male 6.9
GTEX-14C39-1726-SM-5RQIL 40-49 years, male 6.8
GTEX-14PJ4-0226-SM-5YY92 60-69 years, male 6.8
GTEX-183WM-0326-SM-72D5V 70-79 years, female 6.8
GTEX-1J8Q3-0526-SM-ARL8U 60-69 years, male 6.8
GTEX-13112-0126-SM-5P9IU 50-59 years, male 6.7
GTEX-131XW-0626-SM-5PNVD 50-59 years, female 6.7
GTEX-13VXU-0626-SM-5L3F9 50-59 years, male 6.7
GTEX-17EVP-2626-SM-7IGMA 40-49 years, male 6.7
GTEX-Y5LM-0926-SM-6LLJG 40-49 years, female 6.7
GTEX-1GF9V-0826-SM-9KNUV 60-69 years, male 6.7
GTEX-1GL5R-1326-SM-7RHHF 50-59 years, male 6.7
GTEX-1GMR2-0826-SM-7PC3V 50-59 years, male 6.7
GTEX-1IDJH-0126-SM-D3L92 70-79 years, male 6.7
GTEX-1JJE9-2626-SM-ARZMT 70-79 years, male 6.7
GTEX-11LCK-2226-SM-5HL4Q 30-39 years, male 6.6
GTEX-1AMFI-1326-SM-7939R 50-59 years, female 6.6
GTEX-14JG6-1426-SM-9WG7C 30-39 years, female 6.6
GTEX-1RLM8-2926-SM-E8VON 50-59 years, male 6.6
GTEX-Y8E4-2026-SM-5IFJB 40-49 years, male 6.5
GTEX-ZAB4-2126-SM-5HL8U 40-49 years, male 6.5
GTEX-ZU9S-1826-SM-5NQ9E 30-39 years, male 6.5
GTEX-1H3NZ-2726-SM-9WYTQ 60-69 years, male 6.5
GTEX-1JKYR-0626-SM-ARL8R 20-29 years, male 6.5
GTEX-1JMQI-1726-SM-ARL93 50-59 years, male 6.5
GTEX-18465-2826-SM-7LT9J 50-59 years, male 6.4
GTEX-1F48J-0726-SM-7RHGS 50-59 years, female 6.4
GTEX-12WSM-1926-SM-5BC65 60-69 years, male 6.3
GTEX-13N1W-2426-SM-5IJD1 70-79 years, male 6.3
GTEX-13O3O-2326-SM-5IJD6 60-69 years, female 6.3
GTEX-14DAR-1226-SM-73KYV 50-59 years, male 6.3
GTEX-1B933-2426-SM-7DHMD 50-59 years, female 6.3
GTEX-1F75B-0726-SM-7PC3R 50-59 years, male 6.3
GTEX-1LGOU-1326-SM-D3L8M 20-29 years, female 6.3
GTEX-13U4I-2226-SM-5LU5H 40-49 years, female 6.2
GTEX-1IKJJ-2226-SM-CJI4C 60-69 years, male 6.2
GTEX-1JN6P-2926-SM-CL54D 60-69 years, male 6.2
GTEX-1KXAM-1626-SM-D3LAD 60-69 years, male 6.2
GTEX-17F98-1326-SM-7DUEP 40-49 years, female 6.1
GTEX-1H23P-0626-SM-9WG6T 60-69 years, male 6.1
GTEX-1IDJU-1726-SM-CMKHU 60-69 years, female 6.1
GTEX-14753-0726-SM-5QGQO 60-69 years, male 6.0
GTEX-15SKB-2826-SM-6PAMH 60-69 years, male 6.0
GTEX-Y8LW-1526-SM-5IFHL 50-59 years, female 6.0
GTEX-12584-0726-SM-5FQTK 40-49 years, male 5.9
GTEX-13OVH-0526-SM-5L3E6 70-79 years, male 5.9
GTEX-13OW7-0426-SM-5K7VK 50-59 years, male 5.9
GTEX-14B4R-1326-SM-5Q5EZ 30-39 years, male 5.9
GTEX-1GMR8-0626-SM-7RHI7 50-59 years, female 5.9
GTEX-12WSA-0426-SM-5EQ5X 60-69 years, male 5.8
GTEX-14PKU-0126-SM-6LLHV 40-49 years, female 5.8
GTEX-ZT9W-1126-SM-57WDR 50-59 years, male 5.8
GTEX-1JMQL-2226-SM-CNPP4 50-59 years, female 5.8
GTEX-12C56-1526-SM-5FQUQ 20-29 years, male 5.7
GTEX-ZYW4-0626-SM-59HJR 60-69 years, male 5.7
GTEX-1CB4J-1326-SM-7P8RX 60-69 years, male 5.7
GTEX-12ZZZ-0726-SM-5GCNZ 60-69 years, male 5.6
GTEX-ZVT4-2426-SM-5GIEI 50-59 years, female 5.6
GTEX-1HKZK-0726-SM-ACKW2 40-49 years, male 5.6
GTEX-ZGAY-1826-SM-DO91Q 40-49 years, female 5.6
GTEX-WYBS-0626-SM-3NMAS 60-69 years, female 5.5
GTEX-1A3MX-2626-SM-7PC24 60-69 years, male 5.5
GTEX-1GTWX-2026-SM-9YFLM 60-69 years, male 5.5
GTEX-1CAV2-0126-SM-7IGN7 40-49 years, female 5.4
GTEX-1GPI6-1926-SM-9KNV7 60-69 years, male 5.4
GTEX-1LSVX-2526-SM-DIPEU 60-69 years, male 5.4
GTEX-13X6K-0626-SM-5LU5D 60-69 years, female 5.3
GTEX-WYVS-1626-SM-3NM9R 40-49 years, female 5.3
GTEX-1ICLY-0826-SM-CMKG1 50-59 years, male 5.3
GTEX-11EM3-1226-SM-5N9DD 20-29 years, female 5.2
GTEX-11TUW-0626-SM-5LU9M 60-69 years, male 5.2
GTEX-131XF-2626-SM-5EQ6K 60-69 years, male 5.2
GTEX-145MI-0626-SM-5SI8S 60-69 years, female 5.2
GTEX-ZVE2-2826-SM-5GU51 50-59 years, male 5.2
GTEX-1F88E-1626-SM-7SB8Z 60-69 years, female 5.2
GTEX-1S5ZU-2526-SM-E6CIF 20-29 years, female 5.2
GTEX-1269C-0126-SM-5EQ5L 60-69 years, female 5.1
GTEX-147JS-0226-SM-5S2U9 60-69 years, male 5.1
GTEX-16XZZ-0726-SM-7KUF2 60-69 years, male 5.1
GTEX-WHSE-0126-SM-3NMBT 20-29 years, male 5.1
GTEX-1KWVE-1026-SM-D3L9O 30-39 years, male 5.1
GTEX-139UW-0326-SM-5J1ML 60-69 years, male 5.0
GTEX-14LLW-2626-SM-62LDZ 70-79 years, female 5.0
GTEX-1HSMO-0626-SM-ACKXC 60-69 years, male 5.0
GTEX-1ICLZ-0326-SM-ARL82 60-69 years, male 5.0
GTEX-13113-1626-SM-5EQ4I 60-69 years, female 4.9
GTEX-15D1Q-2826-SM-6LLH7 40-49 years, male 4.9
GTEX-1H4P4-2126-SM-9WYSL 50-59 years, male 4.9
GTEX-14C5O-0326-SM-5ZZUX 60-69 years, male 4.8
GTEX-15UF6-1926-SM-7KUDV 70-79 years, female 4.8
GTEX-1B996-0426-SM-7EWF8 60-69 years, male 4.8
GTEX-1H2FU-0926-SM-9WPPT 60-69 years, female 4.8
GTEX-1J8Q2-2626-SM-ACKWQ 60-69 years, male 4.8
GTEX-1JJ6O-2726-SM-CNPOG 60-69 years, male 4.8
GTEX-1EH9U-2826-SM-7DUGT 60-69 years, male 4.7
GTEX-1HR9M-2226-SM-CNPPY 60-69 years, male 4.7
GTEX-11UD2-2526-SM-5CVNU 50-59 years, male 4.5
GTEX-1211K-1526-SM-5FQU4 60-69 years, female 4.5
GTEX-ZAJG-1526-SM-5CVML 50-59 years, female 4.5
GTEX-1HUB1-1426-SM-CGQF5 60-69 years, male 4.5
GTEX-1GF9W-1426-SM-7PBYM 60-69 years, male 4.4
GTEX-1HBPM-0726-SM-9YFL7 60-69 years, female 4.4
GTEX-13YAN-0226-SM-5TDC6 60-69 years, male 4.3
GTEX-X8HC-0626-SM-4E3HQ 50-59 years, female 4.3
GTEX-1M4P7-0726-SM-E6CJ3 60-69 years, male 4.3
GTEX-12696-0126-SM-5EQ4L 60-69 years, male 4.1
GTEX-1GZHY-0626-SM-9KNVC 50-59 years, female 3.9
GTEX-1R46S-2426-SM-E76QA 60-69 years, female 3.9
GTEX-17MF6-2626-SM-79OKQ 40-49 years, male 3.8
GTEX-148VJ-0626-SM-5LUAW 70-79 years, male 3.5
GTEX-1I1GS-2626-SM-B2LY3 60-69 years, male 3.1
GTEX-1497J-0226-SM-5QGPU 60-69 years, male 2.9
GTEX-14E6C-2426-SM-5S2NF 40-49 years, male 1.8
Show allShow less
Skin - Sun Exposed (Lower leg)
Average nTPM: 9.5
Samples: 701

Max nTPM: 46.2
Min nTPM: 1.0
Std nTPM: 4.0
Median nTPM: 9.0
GTEX-POMQ-2226-SM-2I5FK 20-29 years, female 46.2
GTEX-15SB6-1726-SM-6PAME 50-59 years, female 32.8
GTEX-14PK6-1926-SM-6ETZU 70-79 years, female 28.9
GTEX-Q734-1926-SM-2I5EV 40-49 years, female 25.8
GTEX-X88G-0126-SM-47JZ3 30-39 years, male 23.0
GTEX-XYKS-2126-SM-4E3IB 60-69 years, female 22.6
GTEX-1HR98-0126-SM-B2LWI 60-69 years, male 22.0
GTEX-1LBAC-0126-SM-DIPEZ 20-29 years, male 21.8
GTEX-ZDXO-3026-SM-5J1N5 60-69 years, male 21.3
GTEX-1J8EW-0126-SM-CJI4F 60-69 years, female 21.3
GTEX-O5YT-0126-SM-48TBW 20-29 years, male 21.2
GTEX-ZVZO-0126-SM-5A5L9 40-49 years, male 20.9
GTEX-12126-0326-SM-5PNW3 20-29 years, male 20.5
GTEX-RVPV-0126-SM-EAZAW 60-69 years, male 20.3
GTEX-17JCI-0126-SM-7LG5G 60-69 years, female 19.8
GTEX-13FHP-0126-SM-5IJBG 50-59 years, male 19.2
GTEX-1ICG6-2526-SM-CGQFZ 70-79 years, female 19.2
GTEX-1R9PM-2026-SM-E76OY 20-29 years, male 18.8
GTEX-TMZS-0126-SM-3DB9Q 60-69 years, male 18.3
GTEX-18A7A-0226-SM-718BH 50-59 years, female 18.1
GTEX-Y3IK-2426-SM-4WWDU 50-59 years, female 18.1
GTEX-1F5PL-0326-SM-7P8PQ 40-49 years, female 18.1
GTEX-14E6E-1826-SM-5S2R7 30-39 years, male 17.9
GTEX-18D9B-0526-SM-7LTAS 60-69 years, male 17.9
GTEX-OIZH-0126-SM-2HMIS 50-59 years, male 17.9
GTEX-1M5QR-1226-SM-EWROB 40-49 years, male 17.4
GTEX-ZE9C-2726-SM-57WB5 60-69 years, male 17.3
GTEX-1CAMS-0426-SM-7P8T2 40-49 years, female 17.3
GTEX-144GN-2326-SM-5LU4F 50-59 years, male 17.2
GTEX-1A32A-0126-SM-718B1 50-59 years, female 17.1
GTEX-P4PP-0126-SM-3LK69 30-39 years, female 17.1
GTEX-W5X1-3026-SM-EAZAX 40-49 years, female 17.0
GTEX-XMD2-0126-SM-4YCDU 60-69 years, female 16.9
GTEX-1HFI6-0226-SM-ADEHZ 40-49 years, male 16.7
GTEX-11OC5-0126-SM-5HL6A 60-69 years, male 16.2
GTEX-14LZ3-0226-SM-62LET 60-69 years, female 16.0
GTEX-ZV68-0126-SM-59HKS 50-59 years, female 15.9
GTEX-1KANB-0526-SM-E6CJH 50-59 years, male 15.9
GTEX-WVJS-0126-SM-4MVOT 50-59 years, male 15.8
GTEX-ZWKS-0126-SM-5SIAA 30-39 years, male 15.8
GTEX-11NSD-2226-SM-5986V 20-29 years, male 15.7
GTEX-1ICLZ-0126-SM-CKZPO 60-69 years, male 15.6
GTEX-XUZC-1726-SM-4BRWS 30-39 years, female 15.5
GTEX-1122O-2126-SM-5EGIR 60-69 years, female 15.4
GTEX-1I1GV-0526-SM-A9G29 60-69 years, male 15.4
GTEX-13G51-2526-SM-5LZYK 60-69 years, male 15.3
GTEX-1QEPI-0126-SM-EWRMQ 60-69 years, female 15.3
GTEX-WY7C-2326-SM-3NB2U 50-59 years, male 15.2
GTEX-UJHI-1526-SM-3DB99 50-59 years, female 15.1
GTEX-Y5V6-2426-SM-4VDSB 60-69 years, male 15.1
GTEX-X4XX-0126-SM-3NMC2 60-69 years, male 15.0
GTEX-T6MN-0126-SM-32PLP 50-59 years, male 14.9
GTEX-1IL2V-0126-SM-CM2TX 70-79 years, male 14.9
GTEX-T2IS-0126-SM-4DM6O 20-29 years, female 14.8
GTEX-WXYG-2326-SM-4E3I6 50-59 years, female 14.8
GTEX-Y3I4-2126-SM-4TT7C 50-59 years, male 14.8
GTEX-ZAK1-0126-SM-5IJD3 50-59 years, female 14.7
GTEX-1F6RS-0126-SM-9MQKZ 60-69 years, female 14.7
GTEX-NPJ8-0126-SM-2YUNR 40-49 years, male 14.6
GTEX-Y114-2426-SM-4TT8A 50-59 years, female 14.6
GTEX-Z93T-0126-SM-5HL5N 50-59 years, male 14.5
GTEX-1J1OQ-0226-SM-CYPSH 40-49 years, female 14.4
GTEX-14BMU-2226-SM-5TDE9 20-29 years, female 14.3
GTEX-1HBPH-0426-SM-B2LW5 40-49 years, female 14.3
GTEX-1B8L1-2526-SM-9WYTF 60-69 years, male 14.2
GTEX-1497J-2426-SM-7IGNX 60-69 years, male 14.1
GTEX-14BIM-0226-SM-7IGLD 60-69 years, female 14.1
GTEX-X585-0226-SM-4QAS2 50-59 years, male 14.1
GTEX-1IOXB-0126-SM-ARL8G 50-59 years, male 14.1
GTEX-111VG-2426-SM-5GZXD 60-69 years, male 14.0
GTEX-1399U-2326-SM-5K7WY 50-59 years, female 14.0
GTEX-1R9K4-0126-SM-DTX9X 60-69 years, male 14.0
GTEX-S33H-1026-SM-EZ6L6 30-39 years, male 14.0
GTEX-14JG1-0426-SM-6ETZZ 40-49 years, male 13.9
GTEX-15G19-0126-SM-6PANQ 60-69 years, male 13.9
GTEX-15SDE-2226-SM-7IGLO 50-59 years, female 13.8
GTEX-OIZG-0726-SM-33HBL 50-59 years, male 13.7
GTEX-Y8DK-0126-SM-4TT3L 60-69 years, male 13.7
GTEX-YFC4-0126-SM-5CVLY 40-49 years, female 13.7
GTEX-11XUK-2026-SM-5EQLF 40-49 years, female 13.6
GTEX-1EX96-1626-SM-7PBXR 50-59 years, male 13.6
GTEX-1F75A-0126-SM-7RHGM 50-59 years, male 13.6
GTEX-146FQ-0126-SM-5NQA9 30-39 years, male 13.5
GTEX-OXRK-0226-SM-3NB2G 50-59 years, female 13.5
GTEX-QLQW-1126-SM-2S1Q8 30-39 years, male 13.4
GTEX-SIU8-0126-SM-2XCDT 50-59 years, male 13.4
GTEX-U8XE-0326-SM-3DB8P 30-39 years, male 13.4
GTEX-1F52S-0126-SM-9MQJU 60-69 years, female 13.4
GTEX-1LB8K-0226-SM-EWRNW 50-59 years, male 13.4
GTEX-139UW-2826-SM-5L3E7 60-69 years, male 13.3
GTEX-13N11-2526-SM-5K7UE 50-59 years, female 13.3
GTEX-16GPK-0126-SM-7DHLE 60-69 years, male 13.3
GTEX-1H11D-0226-SM-9WG6Z 40-49 years, male 13.3
GTEX-13OVK-2026-SM-7KUEO 40-49 years, male 13.2
GTEX-18QFQ-0126-SM-731BE 30-39 years, male 13.2
GTEX-ZC5H-0226-SM-4WAY9 40-49 years, female 13.2
GTEX-1MJK2-0426-SM-DTXE5 50-59 years, male 13.2
GTEX-13OVL-0226-SM-5L3E9 50-59 years, male 13.1
GTEX-14PJ3-1826-SM-62LEX 50-59 years, male 13.1
GTEX-Z93S-0126-SM-5HL7M 50-59 years, male 13.1
GTEX-ZYFG-2326-SM-5E44B 60-69 years, female 13.1
GTEX-14E6D-0126-SM-62LDV 50-59 years, male 13.0
GTEX-S7SE-0126-SM-2XCD5 50-59 years, male 13.0
GTEX-ZVT3-0126-SM-5GU6I 60-69 years, female 12.9
GTEX-17F97-0326-SM-7LG5B 50-59 years, male 12.8
GTEX-ZAB5-1826-SM-5HL7C 50-59 years, male 12.8
GTEX-1EKGG-0226-SM-9WYTH 60-69 years, male 12.8
GTEX-13FHO-0226-SM-5IFGY 60-69 years, male 12.7
GTEX-17F98-0626-SM-79OMX 40-49 years, female 12.7
GTEX-PX3G-0126-SM-2I3EN 20-29 years, female 12.7
GTEX-ZUA1-0126-SM-5GU76 40-49 years, male 12.7
GTEX-131YS-0126-SM-5KM1M 60-69 years, female 12.6
GTEX-13OW5-0126-SM-DTXFS 60-69 years, male 12.6
GTEX-11DXZ-2326-SM-5EGGV 50-59 years, male 12.5
GTEX-16BQI-0226-SM-7KUEX 30-39 years, female 12.5
GTEX-17HHY-0126-SM-7LG5D 50-59 years, male 12.5
GTEX-OHPL-0126-SM-2HMJ7 60-69 years, female 12.5
GTEX-P4PQ-0126-SM-2S1NM 60-69 years, male 12.5
GTEX-XQ3S-1526-SM-4BOOC 20-29 years, male 12.5
GTEX-XQ8I-0426-SM-4BOPO 50-59 years, male 12.5
GTEX-1H1CY-2826-SM-9MQM3 60-69 years, female 12.5
GTEX-1MCQQ-0826-SM-DLHC2 60-69 years, male 12.5
GTEX-11ZTS-0126-SM-5EQ6M 60-69 years, female 12.4
GTEX-13FXS-0226-SM-5IJCK 50-59 years, male 12.4
GTEX-14PJM-0226-SM-62LF1 50-59 years, female 12.4
GTEX-14BIN-0626-SM-793DP 50-59 years, female 12.3
GTEX-OOBK-0126-SM-2YUND 40-49 years, male 12.3
GTEX-1K2DA-1826-SM-CGQGT 50-59 years, male 12.3
GTEX-1LNCM-1126-SM-E9U5E 50-59 years, female 12.3
GTEX-11P7K-2126-SM-5GU7G 30-39 years, male 12.2
GTEX-139TS-2826-SM-5J1OO 60-69 years, male 12.2
GTEX-14753-0426-SM-5NQAM 60-69 years, male 12.2
GTEX-18A6Q-0126-SM-731BZ 60-69 years, male 12.2
GTEX-ZDYS-2026-SM-5HL5L 50-59 years, male 12.2
GTEX-ZVTK-0426-SM-51MRS 20-29 years, male 12.2
GTEX-1EMGI-0126-SM-9KNUE 60-69 years, male 12.2
GTEX-1GF9U-2126-SM-7SB7L 40-49 years, female 12.2
GTEX-13N2G-2626-SM-5J1OT 60-69 years, male 12.1
GTEX-1AYCT-2426-SM-7IGQ3 50-59 years, male 12.1
GTEX-1GMRU-0126-SM-9YFLV 50-59 years, male 12.1
GTEX-1QP29-0626-SM-EWRMX 50-59 years, male 12.0
GTEX-1RQEC-0426-SM-E6CHU 60-69 years, male 11.9
GTEX-11NUK-0126-SM-5A5L3 50-59 years, male 11.8
GTEX-13D11-2426-SM-5KM1V 50-59 years, female 11.8
GTEX-147F3-0526-SM-5SI98 50-59 years, female 11.8
GTEX-XXEK-2226-SM-4BRUM 50-59 years, male 11.8
GTEX-1GZHY-0326-SM-9QEHI 50-59 years, female 11.8
GTEX-11DXX-2426-SM-5GZZW 60-69 years, female 11.7
GTEX-139T8-0126-SM-5K7XZ 60-69 years, male 11.7
GTEX-13IVO-0126-SM-5J1NG 70-79 years, male 11.7
GTEX-14PII-0226-SM-6EU1T 60-69 years, male 11.7
GTEX-1C64N-0126-SM-793D7 50-59 years, male 11.7
GTEX-PLZ4-0126-SM-5SI8O 50-59 years, female 11.7
GTEX-SSA3-0126-SM-32QPU 60-69 years, male 11.7
GTEX-WZTO-0126-SM-3NM95 40-49 years, male 11.7
GTEX-1IDJH-0326-SM-A9SLQ 70-79 years, male 11.7
GTEX-1IY9M-0126-SM-D3L8S 60-69 years, male 11.7
GTEX-1KD5A-0226-SM-D5OV3 50-59 years, male 11.7
GTEX-111FC-0126-SM-5N9DL 60-69 years, male 11.6
GTEX-11UD1-0126-SM-5PNYG 40-49 years, female 11.6
GTEX-15DCD-0126-SM-7KUEK 70-79 years, female 11.6
GTEX-1B8SF-1426-SM-7DUGL 60-69 years, male 11.6
GTEX-XV7Q-2526-SM-4BRV9 40-49 years, female 11.6
GTEX-YB5K-2126-SM-4WWDJ 40-49 years, female 11.6
GTEX-1KD4Q-0226-SM-E9TJ9 40-49 years, male 11.6
GTEX-183FY-0126-SM-7LT9P 20-29 years, male 11.5
GTEX-183WM-0126-SM-7LTAB 70-79 years, female 11.5
GTEX-1F6I4-0126-SM-9MQL2 60-69 years, male 11.5
GTEX-1192X-0226-SM-5H12D 50-59 years, male 11.4
GTEX-11GS4-2726-SM-5A5LE 60-69 years, male 11.4
GTEX-QVJO-1626-SM-2S1QW 60-69 years, female 11.4
GTEX-X638-0126-SM-47JZ8 70-79 years, female 11.4
GTEX-1H3VE-0326-SM-9YFLH 40-49 years, male 11.4
GTEX-1HBPN-0226-SM-9YFM1 50-59 years, male 11.4
GTEX-11EI6-0126-SM-5985R 60-69 years, male 11.3
GTEX-1CAV2-2226-SM-7P8P2 40-49 years, female 11.3
GTEX-1JMLX-0226-SM-CM2RO 50-59 years, male 11.3
GTEX-1JMQI-2226-SM-CM2SD 50-59 years, male 11.3
GTEX-11GSP-2526-SM-5N9BP 60-69 years, female 11.2
GTEX-ZDTS-0126-SM-4WAY5 60-69 years, male 11.2
GTEX-1GN2E-0426-SM-9MQKX 60-69 years, male 11.2
GTEX-1399R-2726-SM-5IJBA 30-39 years, male 11.1
GTEX-13OW6-0426-SM-5L3HM 50-59 years, male 11.1
GTEX-145MN-2226-SM-5SIAU 30-39 years, male 11.1
GTEX-18D9A-1926-SM-7LG6P 30-39 years, female 11.1
GTEX-SUCS-1926-SM-32PM3 70-79 years, male 11.1
GTEX-TKQ1-1026-SM-4GICL 30-39 years, male 11.1
GTEX-1GZ4H-1726-SM-7PBZJ 50-59 years, female 11.1
GTEX-1HSMP-0126-SM-E6CJS 70-79 years, male 11.1
GTEX-1IDFM-0126-SM-COH2V 60-69 years, male 11.1
GTEX-1K9T9-0126-SM-EVYCF 50-59 years, female 11.1
GTEX-1L5NE-2526-SM-E6CIE 50-59 years, male 11.1
GTEX-11WQK-0526-SM-5EQLD 50-59 years, male 11.0
GTEX-14ABY-0226-SM-5TDCQ 50-59 years, male 11.0
GTEX-18D9U-0226-SM-718BP 40-49 years, male 11.0
GTEX-Q2AI-1326-SM-2S1PL 40-49 years, male 11.0
GTEX-1HSKV-0226-SM-A9SKJ 60-69 years, male 11.0
GTEX-1J8JJ-0226-SM-CL53I 60-69 years, female 11.0
GTEX-1JMPZ-0226-SM-CNPP1 30-39 years, male 11.0
GTEX-1N2DW-0226-SM-E9TK2 50-59 years, male 11.0
GTEX-1PIGE-0126-SM-EVYBJ 20-29 years, male 11.0
GTEX-11DYG-0126-SM-59883 60-69 years, male 10.9
GTEX-12ZZY-0226-SM-5LZVE 60-69 years, male 10.9
GTEX-131XH-2226-SM-5DUXJ 50-59 years, male 10.9
GTEX-14BMV-0126-SM-5S2PO 50-59 years, male 10.9
GTEX-RN64-0126-SM-2TC68 50-59 years, male 10.9
GTEX-W5WG-1826-SM-4KL2Y 50-59 years, female 10.9
GTEX-WYJK-0126-SM-3NMAB 50-59 years, male 10.9
GTEX-Y5LM-1926-SM-5RQJH 40-49 years, female 10.9
GTEX-1I6K6-0126-SM-A9SLE 30-39 years, male 10.9
GTEX-1MA7X-2226-SM-E6CIY 60-69 years, male 10.9
GTEX-11DXW-0226-SM-5H122 40-49 years, male 10.8
GTEX-11OF3-2626-SM-5GU7F 60-69 years, male 10.8
GTEX-133LE-1826-SM-5J1MV 20-29 years, female 10.8
GTEX-13CF2-2526-SM-5LZYX 60-69 years, male 10.8
GTEX-13NYB-2526-SM-5K7Z6 40-49 years, male 10.8
GTEX-15SHU-0126-SM-7KUEH 40-49 years, female 10.8
GTEX-U412-0426-SM-3DB9O 60-69 years, male 10.8
GTEX-XBEW-0626-SM-4QASP 40-49 years, male 10.8
GTEX-Z9EW-1626-SM-5CVMN 40-49 years, male 10.8
GTEX-1HB9E-0226-SM-E9U4R 50-59 years, male 10.8
GTEX-1LSNM-1926-SM-E6CII 50-59 years, male 10.8
GTEX-R45C-0126-SM-EAZ2R 60-69 years, female 10.8
GTEX-12WSJ-1826-SM-5GCNY 40-49 years, female 10.7
GTEX-14PJ6-2126-SM-6EU1V 60-69 years, female 10.7
GTEX-VJYA-1126-SM-3GIJU 60-69 years, male 10.7
GTEX-VUSG-2526-SM-4KL1V 50-59 years, male 10.7
GTEX-XAJ8-0826-SM-47JY6 40-49 years, male 10.7
GTEX-13FTW-2626-SM-5K7WL 40-49 years, male 10.6
GTEX-13VXT-0126-SM-5LU4I 20-29 years, female 10.6
GTEX-15SHW-0326-SM-6PAML 60-69 years, male 10.6
GTEX-WH7G-2326-SM-3NMBC 40-49 years, male 10.6
GTEX-1MUQO-0126-SM-EAZ58 60-69 years, male 10.6
GTEX-117YX-2326-SM-5H12W 50-59 years, male 10.5
GTEX-13VXU-0126-SM-5SI9F 50-59 years, male 10.5
GTEX-1GN73-0226-SM-9WG67 60-69 years, male 10.5
GTEX-117XS-2726-SM-5N9BL 60-69 years, male 10.4
GTEX-13SLX-0526-SM-5S2ON 50-59 years, female 10.4
GTEX-16MT8-0426-SM-7KUEY 60-69 years, female 10.4
GTEX-ZY6K-1826-SM-5GZXK 50-59 years, male 10.4
GTEX-1IKOH-0226-SM-COH4E 60-69 years, female 10.4
GTEX-1K2DU-2326-SM-E9TIV 20-29 years, male 10.4
GTEX-1RAZQ-0726-SM-EAZ43 30-39 years, male 10.4
GTEX-13FTX-1826-SM-5J1NX 20-29 years, female 10.3
GTEX-13NZ8-0826-SM-5MR3I 60-69 years, female 10.3
GTEX-145LS-0126-SM-5QGP1 60-69 years, female 10.3
GTEX-17KNJ-2326-SM-7DHLQ 50-59 years, male 10.3
GTEX-1C6VR-2426-SM-79OLD 60-69 years, male 10.3
GTEX-RUSQ-1526-SM-2TF62 50-59 years, male 10.3
GTEX-ZF2S-2326-SM-4WWCE 50-59 years, female 10.3
GTEX-1EWIQ-0126-SM-7RHH2 70-79 years, female 10.3
GTEX-1IE54-0126-SM-CMKHW 40-49 years, female 10.3
GTEX-1LG7Z-1726-SM-D3LA4 30-39 years, male 10.3
GTEX-1N2DV-0226-SM-E6CJ6 40-49 years, male 10.3
GTEX-12WSD-0126-SM-59HKN 60-69 years, female 10.2
GTEX-13QJ3-0326-SM-5S2RA 50-59 years, male 10.2
GTEX-145LV-2126-SM-5LU8N 50-59 years, male 10.2
GTEX-15DYW-0126-SM-7KULE 60-69 years, female 10.2
GTEX-NFK9-0226-SM-2HMKQ 40-49 years, male 10.2
GTEX-ZVT2-2526-SM-51MT1 50-59 years, female 10.2
GTEX-ZF3C-0126-SM-DO92D 50-59 years, female 10.2
GTEX-WQUQ-0426-SM-3MJFU 60-69 years, male 10.1
GTEX-ZYT6-0226-SM-5NQ6T 30-39 years, male 10.1
GTEX-1M4P7-0226-SM-DIPEV 60-69 years, male 10.1
GTEX-1212Z-2526-SM-5EGKP 60-69 years, male 10.0
GTEX-13W3W-2426-SM-5LU5B 60-69 years, female 10.0
GTEX-14ICK-0226-SM-6EU25 40-49 years, male 10.0
GTEX-1GPI7-0126-SM-9MQL8 20-29 years, male 10.0
GTEX-1HKZK-0326-SM-9WYUH 40-49 years, male 10.0
GTEX-1JJEA-0326-SM-CNPOT 60-69 years, male 10.0
GTEX-1192W-2626-SM-5Q5AF 60-69 years, male 9.9
GTEX-11O72-0126-SM-59887 40-49 years, male 9.9
GTEX-1313W-0126-SM-5LZUN 50-59 years, female 9.9
GTEX-SJXC-0126-SM-2XCFF 60-69 years, male 9.9
GTEX-1NV5F-0226-SM-E8VNY 60-69 years, female 9.9
GTEX-12WSE-0526-SM-793B2 20-29 years, male 9.8
GTEX-13PVR-2326-SM-5QGR1 60-69 years, female 9.8
GTEX-15UF6-0826-SM-6PALJ 70-79 years, female 9.8
GTEX-ZQUD-1426-SM-57WER 30-39 years, male 9.8
GTEX-1C64O-0126-SM-7SB8P 60-69 years, male 9.8
GTEX-1GMR3-1926-SM-9KNUZ 40-49 years, male 9.8
GTEX-1HCU9-1526-SM-A9SL7 20-29 years, male 9.8
GTEX-1HSEH-0126-SM-ACKXN 60-69 years, male 9.8
GTEX-1KANA-0726-SM-D3L9I 20-29 years, male 9.8
GTEX-1O97I-0326-SM-EYYX7 60-69 years, male 9.8
GTEX-1PIIG-0226-SM-EWRN6 30-39 years, male 9.8
GTEX-1QMI2-0226-SM-EVYBX 60-69 years, male 9.8
GTEX-1QP67-1626-SM-EAZ3X 40-49 years, female 9.8
GTEX-18A67-0126-SM-7LG5P 50-59 years, male 9.7
GTEX-1HSMQ-1226-SM-CGQFX 50-59 years, male 9.7
GTEX-1LGOU-2026-SM-DIPFF 20-29 years, female 9.7
GTEX-1RAZA-0126-SM-E6CI3 20-29 years, male 9.7
GTEX-PW2O-1526-SM-7RHHB 20-29 years, male 9.7
GTEX-145LU-0126-SM-5TDCB 50-59 years, male 9.6
GTEX-QDVJ-1726-SM-2I5FX 50-59 years, male 9.6
GTEX-1HCVE-0126-SM-CGQEU 50-59 years, male 9.6
GTEX-1LVAN-0226-SM-COH3S 50-59 years, female 9.6
GTEX-1S5ZA-0126-SM-EVYCV 20-29 years, male 9.6
GTEX-OOBJ-0126-SM-E6CJW 60-69 years, male 9.6
GTEX-PWCY-1826-SM-DHXIZ 20-29 years, female 9.6
GTEX-1CB4I-0226-SM-79OLH 50-59 years, male 9.5
GTEX-RTLS-0126-SM-447CA 60-69 years, female 9.5
GTEX-Y111-0126-SM-4SOIV 50-59 years, male 9.5
GTEX-1HCU8-0626-SM-A9SM9 60-69 years, female 9.5
GTEX-1RB15-2126-SM-E9TIM 60-69 years, male 9.5
GTEX-13NYS-0126-SM-5MR3W 60-69 years, male 9.4
GTEX-145MF-0626-SM-5LUAI 50-59 years, male 9.4
GTEX-16NGA-1726-SM-731B4 40-49 years, female 9.4
GTEX-17MFQ-1726-SM-793C7 20-29 years, male 9.4
GTEX-X4XY-0226-SM-4E3IZ 60-69 years, male 9.4
GTEX-ZE7O-0126-SM-57WC1 50-59 years, female 9.4
GTEX-ZTX8-1426-SM-5DUVO 20-29 years, male 9.4
GTEX-1OJC3-0126-SM-E76QX 20-29 years, male 9.4
GTEX-1S3DN-2226-SM-EVYCD 50-59 years, male 9.4
GTEX-PSDG-0226-SM-DKPOZ 50-59 years, male 9.4
GTEX-11P81-2326-SM-59875 30-39 years, female 9.3
GTEX-1399T-2826-SM-5KLYZ 60-69 years, male 9.3
GTEX-144FL-0126-SM-5TDC8 50-59 years, male 9.3
GTEX-14JG6-2226-SM-6EU2G 30-39 years, female 9.3
GTEX-15CHC-2126-SM-6EU21 60-69 years, female 9.3
GTEX-15UKP-0426-SM-7KUFQ 20-29 years, male 9.3
GTEX-OXRP-0126-SM-3NB32 60-69 years, female 9.3
GTEX-1I1HK-0126-SM-COH49 60-69 years, male 9.3
GTEX-1IKK5-0626-SM-ARL8A 60-69 years, male 9.3
GTEX-1PFEY-1526-SM-E76PP 30-39 years, male 9.3
GTEX-12WSL-2526-SM-5GCNJ 50-59 years, male 9.2
GTEX-13O3Q-2426-SM-5IJBR 50-59 years, male 9.2
GTEX-14PHX-2326-SM-62LEM 50-59 years, male 9.2
GTEX-16XZY-2126-SM-79OK1 70-79 years, male 9.2
GTEX-17F96-1626-SM-7DUFL 70-79 years, male 9.2
GTEX-T5JW-1626-SM-3GADZ 20-29 years, female 9.2
GTEX-TSE9-0126-SM-3DB83 60-69 years, female 9.2
GTEX-1GF9V-0326-SM-7RHI5 60-69 years, male 9.2
GTEX-1GF9X-2026-SM-7PC3A 40-49 years, female 9.2
GTEX-1JMQL-0226-SM-CNPP5 50-59 years, female 9.2
GTEX-1PDJ9-0326-SM-DTX95 20-29 years, male 9.2
GTEX-ZQG8-1626-SM-DHXIT 60-69 years, female 9.2
GTEX-QV44-1926-SM-2S1RF 50-59 years, male 9.1
GTEX-X4EP-0126-SM-3P5YV 60-69 years, female 9.1
GTEX-ZEX8-2426-SM-4WKG4 50-59 years, male 9.1
GTEX-ZF28-0126-SM-4WKGK 60-69 years, male 9.1
GTEX-1CB4F-0426-SM-9KNV4 60-69 years, male 9.1
GTEX-1JKYR-0126-SM-CNPOJ 20-29 years, male 9.1
GTEX-1PBJI-0526-SM-E8VNK 20-29 years, female 9.1
GTEX-1QP66-1726-SM-E8VO1 50-59 years, male 9.1
GTEX-1RLM8-2326-SM-EWRN4 50-59 years, male 9.1
GTEX-12ZZZ-0626-SM-5DUXI 60-69 years, male 9.0
GTEX-RM2N-1426-SM-2TF4H 50-59 years, male 9.0
GTEX-T6MO-1626-SM-32QOM 40-49 years, female 9.0
GTEX-ZZPT-0226-SM-5E43X 50-59 years, male 9.0
GTEX-1C6WA-0126-SM-7PC2B 60-69 years, male 9.0
GTEX-13O3P-0126-SM-5KM4S 50-59 years, male 8.9
GTEX-16YQH-0126-SM-7DUFJ 30-39 years, male 8.9
GTEX-1AYD5-2426-SM-73KXR 50-59 years, male 8.9
GTEX-RWS6-2026-SM-2XCB5 60-69 years, female 8.9
GTEX-1CB4H-0226-SM-7PBXM 60-69 years, female 8.9
GTEX-1H3NZ-0126-SM-ACKX7 60-69 years, male 8.9
GTEX-1H3VY-0126-SM-ACKXD 50-59 years, male 8.9
GTEX-1JMPY-1326-SM-ARL8Y 30-39 years, male 8.9
GTEX-1MGNQ-0126-SM-EVYCJ 40-49 years, male 8.9
GTEX-1269C-2526-SM-5EGJ3 60-69 years, female 8.8
GTEX-131XE-2326-SM-5PNZ2 50-59 years, male 8.8
GTEX-132NY-0326-SM-5IJBL 60-69 years, male 8.8
GTEX-139D8-0226-SM-5KLZO 30-39 years, female 8.8
GTEX-139T4-0226-SM-5HL5S 50-59 years, female 8.8
GTEX-145LT-1726-SM-5QGP3 40-49 years, male 8.8
GTEX-14XAO-2326-SM-6EU1B 60-69 years, female 8.8
GTEX-17EVQ-0226-SM-7LG4P 70-79 years, male 8.8
GTEX-ZVE2-0226-SM-59HJB 50-59 years, male 8.8
GTEX-1IDJF-0126-SM-CM2RS 20-29 years, male 8.8
GTEX-1KAFJ-2026-SM-CY8ID 50-59 years, male 8.8
GTEX-1OFPY-2426-SM-DTXEJ 60-69 years, male 8.8
GTEX-113IC-0126-SM-5HL6T 60-69 years, male 8.7
GTEX-OXRL-0126-SM-2YUMP 50-59 years, male 8.7
GTEX-R55G-2526-SM-2TC6D 40-49 years, female 8.7
GTEX-1F7RK-0126-SM-7PC2S 20-29 years, female 8.7
GTEX-1GF9W-0326-SM-9KNUN 60-69 years, male 8.7
GTEX-1GZ2Q-0226-SM-7P8TL 40-49 years, male 8.7
GTEX-1H2FU-0126-SM-9WYSI 60-69 years, female 8.7
GTEX-1HCU7-0226-SM-CL545 50-59 years, male 8.7
GTEX-1LG7Y-0526-SM-DKPQC 50-59 years, male 8.7
GTEX-1R7EU-0226-SM-EVR4G 60-69 years, male 8.7
GTEX-11EQ9-2426-SM-5HL5T 30-39 years, male 8.6
GTEX-12ZZX-0126-SM-5EGK9 40-49 years, female 8.6
GTEX-13O21-1426-SM-5K7XI 50-59 years, male 8.6
GTEX-1AX9K-2326-SM-73KWU 50-59 years, male 8.6
GTEX-1CB4E-2226-SM-793DC 60-69 years, male 8.6
GTEX-Y5V5-2326-SM-4V6GA 60-69 years, female 8.6
GTEX-ZZ64-1726-SM-5GZYB 20-29 years, male 8.6
GTEX-169BO-1326-SM-9MQK2 50-59 years, male 8.6
GTEX-11DXY-2626-SM-5GIE7 60-69 years, male 8.5
GTEX-11TTK-0126-SM-5987B 60-69 years, female 8.5
GTEX-139TU-0126-SM-5K7WH 60-69 years, male 8.5
GTEX-13CF3-2426-SM-5IFGX 60-69 years, female 8.5
GTEX-13NZB-2526-SM-5J1OM 30-39 years, male 8.5
GTEX-13PDP-0126-SM-5L3HD 60-69 years, male 8.5
GTEX-QDVN-2026-SM-3GAEP 50-59 years, male 8.5
GTEX-WFON-2126-SM-3LK7O 40-49 years, male 8.5
GTEX-YB5E-2026-SM-5IFIS 40-49 years, male 8.5
GTEX-1HBPI-1526-SM-C1YQ1 50-59 years, male 8.5
GTEX-1J8Q3-1626-SM-CMKGC 60-69 years, male 8.5
GTEX-SE5C-1626-SM-2XCE3 40-49 years, female 8.5
GTEX-11VI4-1726-SM-5CVLH 40-49 years, female 8.4
GTEX-13JUV-2726-SM-5LZZ8 40-49 years, female 8.4
GTEX-1AMEY-1326-SM-73KYK 30-39 years, female 8.4
GTEX-S95S-1226-SM-4GICG 60-69 years, male 8.4
GTEX-1I1GP-2226-SM-CGQFK 50-59 years, male 8.4
GTEX-1JK1U-2026-SM-CM2RZ 60-69 years, male 8.4
GTEX-1JMQK-0226-SM-CL543 60-69 years, male 8.4
GTEX-11EMC-2926-SM-5EQ4F 60-69 years, female 8.3
GTEX-1314G-1526-SM-5EGK2 30-39 years, male 8.3
GTEX-147GR-0526-SM-5S2MY 60-69 years, male 8.3
GTEX-15ETS-0126-SM-7KUMW 40-49 years, female 8.3
GTEX-WFG8-2226-SM-3GIL9 20-29 years, male 8.3
GTEX-YEC4-2126-SM-5IFJH 40-49 years, male 8.3
GTEX-ZU9S-0226-SM-5E441 30-39 years, male 8.3
GTEX-ZYFC-0226-SM-5NQ75 50-59 years, male 8.3
GTEX-1F6IF-0726-SM-7P8TW 60-69 years, male 8.3
GTEX-1QP2A-0126-SM-E9J43 50-59 years, male 8.3
GTEX-1S83E-0126-SM-EWRO4 40-49 years, male 8.3
GTEX-147F4-0226-SM-5QGPW 50-59 years, male 8.2
GTEX-14DAQ-0126-SM-5S2MQ 60-69 years, female 8.2
GTEX-Y8E4-0626-SM-4WWDL 40-49 years, male 8.2
GTEX-1C6VQ-0126-SM-7P8RI 50-59 years, male 8.2
GTEX-1HCU6-0126-SM-CL54K 60-69 years, female 8.2
GTEX-1QAET-0926-SM-E76QM 50-59 years, male 8.2
GTEX-13OVG-1926-SM-5L3DK 60-69 years, male 8.1
GTEX-13RTK-1426-SM-5QGQJ 20-29 years, male 8.1
GTEX-13RTL-0126-SM-7LG5S 40-49 years, male 8.1
GTEX-18465-0126-SM-731BN 50-59 years, male 8.1
GTEX-QDT8-0126-SM-48TZ1 30-39 years, female 8.1
GTEX-XUW1-0426-SM-4BOOT 50-59 years, female 8.1
GTEX-13O3O-0126-SM-E9J49 60-69 years, female 8.1
GTEX-1A8FM-0226-SM-7SB7Q 50-59 years, female 8.1
GTEX-1IL2U-0226-SM-CE6T8 60-69 years, male 8.1
GTEX-1LC47-0326-SM-E9TJP 60-69 years, male 8.1
GTEX-1MCYP-1926-SM-E9J2R 20-29 years, female 8.1
GTEX-1PPH7-2326-SM-EVYB8 40-49 years, male 8.1
GTEX-1QP9N-1426-SM-DTXFL 30-39 years, male 8.1
GTEX-1QPFJ-0226-SM-E76PB 30-39 years, female 8.1
GTEX-OIZF-0126-SM-7SB8I 60-69 years, male 8.1
GTEX-13NZA-0226-SM-5K7Z7 60-69 years, male 8.0
GTEX-15DDE-0126-SM-6LPKH 50-59 years, female 8.0
GTEX-QEG4-0226-SM-2S1PY 30-39 years, male 8.0
GTEX-ZAB4-0226-SM-5N9F5 40-49 years, male 8.0
GTEX-131XF-5016-SM-7MGWE 60-69 years, male 8.0
GTEX-1F75I-0326-SM-9YFLU 40-49 years, male 8.0
GTEX-1GMR8-0126-SM-9WYTM 50-59 years, female 8.0
GTEX-RNOR-0126-SM-E9J4R 50-59 years, female 8.0
GTEX-117YW-2626-SM-5GZZH 50-59 years, male 7.9
GTEX-13SLW-0126-SM-5SI6C 70-79 years, male 7.9
GTEX-1B97I-1626-SM-73KYO 40-49 years, male 7.9
GTEX-1CB4J-0626-SM-7DHMP 60-69 years, male 7.9
GTEX-Q2AG-0126-SM-33HBV 40-49 years, female 7.9
GTEX-ZTPG-0326-SM-5O9AX 20-29 years, female 7.9
GTEX-1H1E6-1726-SM-ACKVK 30-39 years, male 7.9
GTEX-1128S-2326-SM-5GZZY 60-69 years, female 7.8
GTEX-12KS4-0326-SM-5EQ41 30-39 years, male 7.8
GTEX-13X6J-0126-SM-5QGOU 50-59 years, male 7.8
GTEX-16NPX-0226-SM-79OMT 50-59 years, male 7.8
GTEX-OHPM-0126-SM-2YUN9 50-59 years, male 7.8
GTEX-1HSGN-0226-SM-CGQFV 40-49 years, female 7.8
GTEX-1I1GR-0126-SM-CL55F 60-69 years, male 7.8
GTEX-1PPH8-0226-SM-E8VND 20-29 years, male 7.8
GTEX-1211K-2026-SM-5EQ4Z 60-69 years, female 7.7
GTEX-13X6I-0626-SM-5QGP9 60-69 years, male 7.7
GTEX-T5JC-0426-SM-32PLO 20-29 years, male 7.7
GTEX-1EU9M-0226-SM-7P8SP 60-69 years, male 7.7
GTEX-1IDJU-2626-SM-CM2RT 60-69 years, female 7.7
GTEX-11DZ1-0126-SM-5985Q 50-59 years, male 7.6
GTEX-15EOM-0126-SM-7KUGG 20-29 years, female 7.6
GTEX-PWO3-1526-SM-48TCM 60-69 years, female 7.6
GTEX-U3ZM-1526-SM-3DB9D 40-49 years, male 7.6
GTEX-1GN1V-0126-SM-9WPOS 60-69 years, male 7.6
GTEX-13X6H-2126-SM-7EWD5 50-59 years, female 7.5
GTEX-15ER7-0326-SM-7KUEV 20-29 years, female 7.5
GTEX-1CAMR-1926-SM-7EPI2 20-29 years, male 7.5
GTEX-YJ89-0126-SM-4TT3X 60-69 years, male 7.5
GTEX-12WSG-2826-SM-E9J4H 50-59 years, female 7.5
GTEX-13FH7-2026-SM-E9J4I 50-59 years, female 7.5
GTEX-146FR-1326-SM-E9J48 60-69 years, female 7.5
GTEX-1J1R8-1726-SM-ARL8M 40-49 years, male 7.5
GTEX-13FTY-0526-SM-5L3EV 40-49 years, female 7.4
GTEX-145ME-1826-SM-5SI9G 40-49 years, female 7.4
GTEX-14PHW-0126-SM-6LLJI 60-69 years, female 7.4
GTEX-1C4CL-0526-SM-73KVK 30-39 years, male 7.4
GTEX-QLQ7-1626-SM-2S1R8 60-69 years, male 7.4
GTEX-U4B1-1826-SM-4DXSU 40-49 years, male 7.4
GTEX-ZVZP-2426-SM-59HKJ 50-59 years, male 7.4
GTEX-1F75B-0126-SM-9KNVL 50-59 years, male 7.4
GTEX-1IGQW-0126-SM-COH42 60-69 years, male 7.4
GTEX-1RDX4-0126-SM-E9J4P 50-59 years, female 7.4
GTEX-1S82Z-0826-SM-E6CHY 30-39 years, female 7.4
GTEX-14PN3-2426-SM-6LLHS 60-69 years, female 7.3
GTEX-1B8KZ-2026-SM-7DHMB 50-59 years, male 7.3
GTEX-R55E-0126-SM-2TC5Y 20-29 years, male 7.3
GTEX-13NYC-0326-SM-E9J4S 60-69 years, male 7.3
GTEX-1F48J-0126-SM-7P8TT 50-59 years, female 7.3
GTEX-1H4P4-0726-SM-9YFLR 50-59 years, male 7.3
GTEX-1I1GS-0126-SM-B2LVW 60-69 years, male 7.3
GTEX-1MA7W-2026-SM-E9TJ6 20-29 years, female 7.3
GTEX-1POEN-0126-SM-EYYXJ 30-39 years, female 7.3
GTEX-12WSN-5019-SM-79OM6 40-49 years, male 7.2
GTEX-17EUY-0426-SM-793BD 20-29 years, male 7.2
GTEX-OXRN-0126-SM-48TDM 50-59 years, male 7.2
GTEX-1GN1W-0526-SM-9MQJQ 50-59 years, female 7.2
GTEX-1I1CD-0126-SM-CM2TK 60-69 years, female 7.2
GTEX-1J8Q2-0526-SM-CM2RW 60-69 years, male 7.2
GTEX-1KANC-1526-SM-D3LAB 50-59 years, female 7.2
GTEX-1KXAM-2226-SM-CYPTC 60-69 years, male 7.2
GTEX-11WQC-2526-SM-5CVLE 60-69 years, male 7.1
GTEX-17HGU-0226-SM-7DHKV 50-59 years, male 7.1
GTEX-1BAJH-0526-SM-793CQ 70-79 years, male 7.1
GTEX-U3ZN-2326-SM-3DB7W 30-39 years, female 7.1
GTEX-1JJE9-0326-SM-CL53Z 70-79 years, male 7.1
GTEX-ZVT4-0126-SM-DTXFN 50-59 years, female 7.1
GTEX-11ZTT-2426-SM-5EQLS 60-69 years, female 7.0
GTEX-13112-2826-SM-5DUWH 50-59 years, male 7.0
GTEX-1AX8Z-0126-SM-7DHM6 60-69 years, male 7.0
GTEX-PLZ5-2026-SM-2S1O4 50-59 years, male 7.0
GTEX-R3RS-0126-SM-3GIJL 40-49 years, female 7.0
GTEX-11TUW-2726-SM-E9J4M 60-69 years, male 7.0
GTEX-1QCLY-0326-SM-E8VOG 30-39 years, male 7.0
GTEX-11P82-1626-SM-59879 20-29 years, male 6.9
GTEX-14DAR-2026-SM-5S2O3 50-59 years, male 6.9
GTEX-1A3MX-0126-SM-731BR 60-69 years, male 6.9
GTEX-1B933-0126-SM-7PC29 50-59 years, female 6.9
GTEX-1F88F-2726-SM-7PBZZ 60-69 years, female 6.9
GTEX-1J8QM-2126-SM-CYPSJ 60-69 years, female 6.9
GTEX-1KWVE-1426-SM-E9TJO 30-39 years, male 6.9
GTEX-12WSK-2326-SM-5GCOH 40-49 years, female 6.8
GTEX-131XW-0426-SM-5LZWP 50-59 years, female 6.8
GTEX-13N1W-0126-SM-5K7VT 70-79 years, male 6.8
GTEX-13W46-0226-SM-5SIAG 50-59 years, male 6.8
GTEX-O5YW-0126-SM-3LK6D 50-59 years, male 6.8
GTEX-T2YK-0526-SM-32QPJ 50-59 years, male 6.8
GTEX-WOFL-0126-SM-3MJG2 60-69 years, male 6.8
GTEX-ZXG5-0126-SM-5GIEU 60-69 years, male 6.8
GTEX-1E2YA-0126-SM-9KNUC 50-59 years, male 6.8
GTEX-1H1DG-0126-SM-9WYU2 70-79 years, male 6.8
GTEX-1JKYN-1326-SM-CGQG9 30-39 years, male 6.8
GTEX-1LGRB-2526-SM-CNPPQ 50-59 years, female 6.8
GTEX-113JC-2326-SM-5EQ4E 50-59 years, female 6.7
GTEX-11ZVC-2526-SM-5FQTE 50-59 years, female 6.7
GTEX-14PN4-0126-SM-6EU2V 50-59 years, male 6.7
GTEX-1C2JI-1826-SM-73KXC 50-59 years, male 6.7
GTEX-U3ZH-2026-SM-3DB78 30-39 years, male 6.7
GTEX-X62O-0126-SM-4E3JN 50-59 years, male 6.7
GTEX-Y8LW-1826-SM-5S2MV 50-59 years, female 6.7
GTEX-ZV6S-2326-SM-4YCEY 40-49 years, female 6.7
GTEX-1F5PK-2426-SM-7RHHY 50-59 years, male 6.7
GTEX-1H23P-0126-SM-ADEJ3 60-69 years, male 6.7
GTEX-131XG-2626-SM-5KM17 50-59 years, female 6.6
GTEX-13OVJ-0126-SM-5KM36 50-59 years, female 6.6
GTEX-14A6H-0126-SM-5QGPK 30-39 years, male 6.6
GTEX-V1D1-2226-SM-3NMAX 50-59 years, male 6.6
GTEX-ZTSS-1926-SM-57WEW 40-49 years, male 6.6
GTEX-1GL5R-1826-SM-9KNUY 50-59 years, male 6.6
GTEX-1GN1U-0126-SM-7PBZK 50-59 years, female 6.6
GTEX-1GTWX-0126-SM-9YFLK 60-69 years, male 6.6
GTEX-1I19N-0326-SM-ACKVX 70-79 years, male 6.6
GTEX-15RIG-0226-SM-7KFTL 40-49 years, male 6.5
GTEX-RWSA-0126-SM-2XCBB 40-49 years, male 6.5
GTEX-XUYS-0126-SM-47JWZ 50-59 years, male 6.5
GTEX-1GPI6-0126-SM-9WG69 60-69 years, male 6.5
GTEX-1I1GQ-0126-SM-COH3H 50-59 years, male 6.5
GTEX-1JMQJ-0526-SM-CYPSU 50-59 years, male 6.5
GTEX-1NHNU-1026-SM-E9J2A 50-59 years, male 6.5
GTEX-1S82Y-2026-SM-EVYCM 40-49 years, male 6.5
GTEX-12WSC-0126-SM-5EQ4P 50-59 years, male 6.4
GTEX-13113-5016-SM-7EPIP 60-69 years, female 6.4
GTEX-16AAH-1726-SM-7939C 50-59 years, male 6.4
GTEX-18A7B-0126-SM-7LG64 70-79 years, male 6.4
GTEX-1AX9J-0226-SM-73KXM 60-69 years, male 6.4
GTEX-Q2AH-1626-SM-3GAF8 40-49 years, male 6.4
GTEX-1H1ZS-0426-SM-9WG6G 70-79 years, male 6.4
GTEX-1H3O1-0426-SM-9YFKY 60-69 years, male 6.4
GTEX-1IKJJ-0126-SM-CNPQB 60-69 years, male 6.4
GTEX-1OJC4-0126-SM-E9J2E 50-59 years, female 6.4
GTEX-13OW8-1326-SM-5J1OW 60-69 years, male 6.3
GTEX-1HBPM-0226-SM-ARL9F 60-69 years, female 6.3
GTEX-11TT1-2526-SM-5EGIB 20-29 years, male 6.2
GTEX-13OW7-0126-SM-5MR3B 50-59 years, male 6.2
GTEX-14JIY-0126-SM-6LLH6 60-69 years, male 6.2
GTEX-X4EO-0326-SM-3P5YO 60-69 years, female 6.2
GTEX-ZYY3-0126-SM-5GZY5 60-69 years, female 6.2
GTEX-1I1GU-2226-SM-CGQFA 40-49 years, male 6.2
GTEX-1QW4Y-1526-SM-EAZ3Z 30-39 years, male 6.2
GTEX-11UD2-0226-SM-5EQKY 50-59 years, male 6.1
GTEX-11ZU8-2526-SM-5EQKI 60-69 years, male 6.1
GTEX-SN8G-0126-SM-32PLI 50-59 years, female 6.1
GTEX-TML8-1926-SM-32QOS 40-49 years, female 6.1
GTEX-ZGAY-0526-SM-4WWBB 40-49 years, female 6.1
GTEX-11EM3-2426-SM-59861 20-29 years, female 6.0
GTEX-WRHK-1426-SM-3MJF9 20-29 years, female 6.0
GTEX-1EN7A-0126-SM-7SB81 40-49 years, male 6.0
GTEX-ZF29-2326-SM-DO92K 60-69 years, female 6.0
GTEX-15EU6-0426-SM-6PAN5 50-59 years, male 5.9
GTEX-1C475-1826-SM-73KWA 40-49 years, female 5.9
GTEX-T8EM-1026-SM-3DB7M 40-49 years, male 5.9
GTEX-X8HC-0126-SM-4E3JW 50-59 years, female 5.9
GTEX-ZYW4-0126-SM-5E44A 60-69 years, male 5.9
GTEX-13111-1626-SM-5EGJY 50-59 years, male 5.8
GTEX-139TT-0126-SM-5K7Y5 60-69 years, male 5.8
GTEX-17HII-0226-SM-7LG4E 50-59 years, male 5.8
GTEX-1C6VS-0526-SM-7DUEN 60-69 years, male 5.8
GTEX-QCQG-1726-SM-3GIJ9 50-59 years, female 5.8
GTEX-X5EB-2226-SM-46MW4 40-49 years, male 5.8
GTEX-11GSO-2426-SM-5A5LY 60-69 years, male 5.7
GTEX-11ZUS-0626-SM-59885 30-39 years, male 5.7
GTEX-PVOW-0126-SM-2XCFA 40-49 years, male 5.7
GTEX-SNMC-1226-SM-2XCFP 20-29 years, male 5.7
GTEX-XBED-2226-SM-47JYQ 60-69 years, male 5.7
GTEX-ZYFD-0126-SM-5GIDL 50-59 years, male 5.7
GTEX-1AX9I-0126-SM-7SB74 60-69 years, male 5.7
GTEX-1I1GT-0626-SM-CGQER 60-69 years, female 5.7
GTEX-1JN6P-0126-SM-D3L98 60-69 years, male 5.7
GTEX-1E1VI-0126-SM-7DHMZ 50-59 years, male 5.6
GTEX-XPVG-2626-SM-4B669 50-59 years, male 5.6
GTEX-1CB4G-0226-SM-7PC3O 60-69 years, male 5.6
GTEX-12WSA-0226-SM-5BC5V 60-69 years, male 5.5
GTEX-13YAN-0326-SM-5O9DF 60-69 years, male 5.5
GTEX-X261-0126-SM-3NMD6 50-59 years, male 5.5
GTEX-1HCUA-2426-SM-ADEIS 50-59 years, female 5.5
GTEX-1HT8W-0126-SM-CNPPP 30-39 years, male 5.5
GTEX-1HFI7-1826-SM-ACKXH 50-59 years, female 5.4
GTEX-145MO-0326-SM-5Q5B3 60-69 years, male 5.3
GTEX-14LLW-0126-SM-6LLIO 70-79 years, female 5.3
GTEX-17MF6-0126-SM-7LG4F 40-49 years, male 5.3
GTEX-1B8KE-2126-SM-73KYX 50-59 years, male 5.3
GTEX-12696-2426-SM-5EQ6H 60-69 years, male 5.2
GTEX-1AMFI-2026-SM-731BH 50-59 years, female 5.2
GTEX-P4QT-0126-SM-2I3FL 50-59 years, female 5.2
GTEX-ZDTT-2726-SM-4WKF8 60-69 years, male 5.2
GTEX-ZXES-1826-SM-5E43S 30-39 years, female 5.2
GTEX-1HUB1-0426-SM-E9U4U 60-69 years, male 5.2
GTEX-12C56-1726-SM-5EQ61 20-29 years, male 5.1
GTEX-13RTJ-2426-SM-5S2Q2 60-69 years, male 5.1
GTEX-RU72-0926-SM-2TF6B 50-59 years, female 5.1
GTEX-UPJH-0326-SM-3GADU 50-59 years, male 5.1
GTEX-1JN76-0126-SM-CNPPE 20-29 years, female 5.1
GTEX-PLZ6-1426-SM-DKPOT 30-39 years, male 5.1
GTEX-145MI-0526-SM-5O9A8 60-69 years, female 5.0
GTEX-1A3MV-1926-SM-718BT 30-39 years, male 5.0
GTEX-1CAMQ-0226-SM-7IGPK 40-49 years, male 5.0
GTEX-YJ8A-0426-SM-5IFID 20-29 years, male 5.0
GTEX-1B996-0226-SM-7RHGO 60-69 years, male 5.0
GTEX-1HGF4-2426-SM-ACKXM 60-69 years, male 5.0
GTEX-1ICLY-0126-SM-D4P36 50-59 years, male 5.0
GTEX-12584-0126-SM-5EGKQ 40-49 years, male 4.9
GTEX-TMMY-0226-SM-33HBA 40-49 years, female 4.9
GTEX-1I4MK-2226-SM-ACKWD 50-59 years, female 4.9
GTEX-1PWST-0226-SM-E76QJ 70-79 years, male 4.8
GTEX-146FH-0126-SM-5QGPP 50-59 years, female 4.6
GTEX-17EVP-0326-SM-7DHLG 40-49 years, male 4.6
GTEX-S7PM-0126-SM-4AD6S 60-69 years, male 4.6
GTEX-11LCK-1026-SM-5A5KB 30-39 years, male 4.5
GTEX-148VI-1626-SM-5SI6E 60-69 years, female 4.5
GTEX-ZAJG-0126-SM-5HL94 50-59 years, female 4.5
GTEX-1H1DE-2126-SM-9WG6R 20-29 years, male 4.5
GTEX-1R9PO-2126-SM-E9J4O 60-69 years, female 4.5
GTEX-18A66-0226-SM-718BD 60-69 years, male 4.4
GTEX-1R46S-0626-SM-E9J41 60-69 years, female 4.4
GTEX-1R7EV-2426-SM-EVYBG 40-49 years, male 4.4
GTEX-13S7M-0126-SM-5SI6A 60-69 years, female 4.3
GTEX-1N2EF-0226-SM-EYYXB 60-69 years, male 4.3
GTEX-17GQL-2026-SM-718BA 60-69 years, male 4.2
GTEX-S32W-2126-SM-2XCB1 50-59 years, female 4.2
GTEX-1JJ6O-0126-SM-E6CI8 60-69 years, male 4.2
GTEX-13U4I-0126-SM-5LU38 40-49 years, female 4.1
GTEX-144GL-0126-SM-5TDE2 50-59 years, male 4.1
GTEX-15F5U-1526-SM-6PANO 40-49 years, male 4.1
GTEX-QESD-1426-SM-2S1R9 20-29 years, male 4.1
GTEX-14A5H-0426-SM-5QGQF 60-69 years, male 4.0
GTEX-17HG3-2226-SM-7938L 30-39 years, female 4.0
GTEX-WI4N-1026-SM-3LK7N 40-49 years, female 4.0
GTEX-14C5O-0126-SM-5SI6N 60-69 years, male 3.9
GTEX-17HHE-2026-SM-79OKF 50-59 years, male 3.9
GTEX-1JMOU-1526-SM-CL54I 60-69 years, female 3.9
GTEX-1A3MW-0126-SM-73KXX 60-69 years, female 3.8
GTEX-15D1Q-0126-SM-7KUG6 40-49 years, male 3.7
GTEX-WYVS-2126-SM-3NMA3 40-49 years, female 3.6
GTEX-13O1R-0126-SM-5L3EH 60-69 years, male 3.5
GTEX-13OVI-1426-SM-5L3EY 60-69 years, female 3.5
GTEX-14A5I-0126-SM-5TDEA 50-59 years, female 3.5
GTEX-16XZZ-0126-SM-793DV 60-69 years, male 3.5
GTEX-14E7W-0126-SM-6LLJ9 70-79 years, male 3.4
GTEX-ZPIC-1726-SM-DHXIU 40-49 years, female 3.4
GTEX-U8T8-0126-SM-3DB94 60-69 years, male 3.3
GTEX-1LH75-2426-SM-E9TJE 50-59 years, female 3.3
GTEX-1JN1M-0326-SM-CYPT3 60-69 years, female 3.2
GTEX-14E6C-0126-SM-5RQIP 40-49 years, male 3.1
GTEX-1B8SG-0126-SM-73KZ3 50-59 years, male 3.0
GTEX-14BIL-0126-SM-5SI92 50-59 years, male 2.9
GTEX-VJWN-0126-SM-3GIK7 50-59 years, female 2.8
GTEX-11H98-0126-SM-5EGHG 50-59 years, male 2.7
GTEX-13OVH-0126-SM-5MR4B 70-79 years, male 2.7
GTEX-148VJ-0126-SM-5TDDN 70-79 years, male 2.7
GTEX-OXRO-0126-SM-2YUN4 60-69 years, female 2.5
GTEX-1HSMO-0126-SM-CL547 60-69 years, male 2.0
GTEX-P44H-0226-SM-2XCEU 40-49 years, male 1.0
Show allShow less

Contact

  • NEWS ARTICLES
  • PRESS ROOM

The Project

  • INTRODUCTION
  • ORGANIZATION
  • PUBLICATIONS

The Human Protein Atlas

  • DOWNLOADABLE DATA
  • LICENCE & CITATION
  • HELP & FAQ
The Human Protein Atlas project is funded
by the Knut & Alice Wallenberg Foundation.


contact@proteinatlas.org